VisionButler Reusable Lip and Cheek Retractor from DentalOrganiser

Page 1

VisionButler

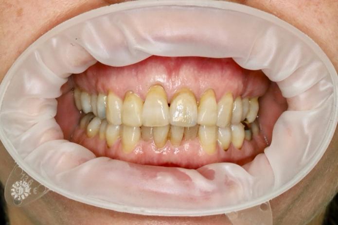
To provide access to the oral cavity of the pa2ent with lip and cheek retrac2on to improve the field of view and contrastor effect for dental photography.

To be used as an hands free aid to allow the working field to be accessed with ease and comfort.

To provide retrac2on of lips and cheeks during dental treatment, offers the clinician increased visibility and accessibility and facilitates saliva and moisture control in the oral cavity.

To provide three-dimensional flexibility and elasticity, ensures patient comfort and assists in keeping the patient's lips and mouth open with teeth together or open.

of
Aims
the VisionButler
Lip and Cheek Retractor, Reusable,Autoclavable, Soft, Satin Black, Comfortable WWW.DentalOrganiser.com

VisionButler Sizing

VisionButler is currently available in two sizes Medium-Small (Ms) and Large (L).

VisionButler is currently available in sizes Medium-Small (Ms) and Large (L).

VisionButler size selection should be guided by the distance between the corners of the patient’s mouth when the mouth is in a relaxed smile position (i.e. with the lips closed or slightly open) and corners of the mouth in a smile position. Refer to the chart and diagram below for sizing measurements.

For optimum function, we recommend inserting the largest possible size that fits the patient’s mouth comfortably.

The correct sizing should be confirmed on the patient before any anaesthesia is given.

The inner fitting surface of VisionButler has contoured upper and lower borders to accommodate the Upper and Lower Freni.

On occasions the dentist may find it works better “the other way round” / Upside down.

VS SINGLE USE DISPOSABLE

APPLICATIONS:

Photo-contrastor: Made with a black, satin, smooth surface to reduce the flare and glare of flash photography, the soft silicon will hold the lips and cheeks away from the teeth and gums. The oval retraction of the labial tissues can be adjusted simply with manual tension and the gentle engagement of the fitting surface intra-orally allows the patient to close their mouth without the VisionButler being dislodged.

Digital Imaging.: All digital imaging is simply made easier if soft tissues of the lips and cheeks are kept out the field of view. away during the whole procedure.

In office procedures require the protection of the lips and labial soft tissues for the duration of the procedure. VisionButler will hold the mouth open and keep the lips away during the

VisionButler

Orthodontic bonding direct or indirect

Lip and cheek retraction allow for improved access and efficiency during direct bracket bonding for orthodontia.

Holds in place even when the patient swallows inadvertently.

Autoclavable for repeated use, saving clinical waste and reducing carbon footprint of single use options.

Processing:

VisionButler can be placed in ultrasonic both, washer-disinfector and pouched as required for autoclave in a standard self-seal pouch or a 3D Deep Pouch ( supplied by www.steriliu.com ).

Ecofriendly:

VisionButler VS SINGLE USE DISPOSABLE

VisionButler saves cost, saves time, saves clinical waste and associated costs of postage and storage space to the practice with a reduced carbon footprint.

VisionButler provides a reusable, effective and efficient option to increase comfort and reduce costs significantly.

To now the dentist has had the choice of: Handheld “U” shape retractors to draw back the corners of the mouth. Plastic or metal.

◦ Requires patient or assistant to hold these while photos are being taken.

◦ No suitable for operative dentistry.

Single use disposable retractors, small regular or large:

◦ Oval in shape, with inner rim that follows the oval curve of the support. This often engages the freni and can be uncomfortable, particularly if used for a longer appointment.

◦ Whitish membrane finish.

◦ No cheek retraction

◦ The retractor tends to “pop” out when the patient closes.

◦ Environmental and clinical waste factors.

Turn static files into dynamic content formats.

Create a flipbook
Issuu converts static files into: digital portfolios, online yearbooks, online catalogs, digital photo albums and more. Sign up and create your flipbook.
VisionButler Reusable Lip and Cheek Retractor from DentalOrganiser by Dr Paul Moore BDS Dentist - Issuu