Dental Clinic in Tambaram - Dr.Amarnathan's Dental Care

Page 1

Dr Amarnathan’s Dental Care - We bring life to your smile

AGENDA

Tooth Whitening

Dental Implants

Root Canal Treatment

Aligners

Braces

Dental Crowns & Bridges

Pedodontics

Periodontics

Dentistry 2
Geriatric

INTRODUCTION

Dr. Amarnathan's Dental Care established his Dental Care Facility at the present location in EastTambaram in 1968 with asingledentalchair.

With an illustrious forty plus years at the Madras Govt. Dental College as a leading Prosthodontist of repute, he was Head of the Dept. Postretirement, he stewarded the growth of SRM Dental CollegeasPrincipal.

3

TOOTH WHITENING

You'd love to smile brightly when your teeth glitter wonderfully white. The natural hue of the teeth, on the other hand, is yellowish or blue white.This darkens the color of your smile.

Teeth whitening is a dental technique that uses whitening chemicals to whiten discolored teeth. It is a straightforward technique that is performed in your dentist's office and is also known as in-office teeth whitening. It can also be done at home under the supervision of your dentist.

Teeth whitening is a safe and professional technique that can restore your smile's radiance.Your teeth can stay white for a long time if you practice good dental hygiene, especially if you drink black tea and coffee, white or red wine, and heavily colored foods and drinks. Regular checkups with your dentist are also essential.

4

DENTAL IMPLANTS

Dental implants are intended to look, feel, and function similarly to natural teeth. Furthermore, because tooth roots are refurbished with implant posts, implant teeth have a longer lifespan.

Simply put, dental implants are a beneficial solution to a slew of issues that might come from an untreated lost tooth. Here are a few examples:

Crowded teeth - The extra space left by a lost tooth tends to displace the teeth around it.Teeth misalignment can result from such tooth displacement.

Jaw Bone Loss - As a result of the lack of pressure and chewing stimuli, the bone structure beneath the missing tooth begins to degenerate.

Develop Wrinkles - Jaw bone loss causes the skin surrounding your mouth to sag and wrinkle.

Slurred Speech - Missing numerous teeth can impair both the tone of your speech and the force with which you chew.

Pain in the facial muscles - An improper bite caused by a lost tooth or teeth generates an aching sensation in the jaw's facial muscles.

Missing a single tooth (or) numerous teeth will have an impact on the aesthetics of your smile.This causes you to hide your smile during anxious conversations.

5

ROOT CANAL TREATMENT

The hollow space inside your tooth is known as a root canal. Inside the root canal is a soft tissue known as the pulp. It could be infected or inflamed as a result of dental decay, a crack, or an injury.When you chew, apply pressure, or drink hot or cold beverages, you feel pain.The therapy you require to correct this problem is also known as a root canal.

The therapy begins with an X-ray evaluation of the problematic tooth. Following that, local anesthetic is administered. A hole is created in the crown of the tooth.The diseased pulp is cleansed from the pulp camber and root canal using precision equipment. The tooth's hollow cavity is formed for filling.

The root canal is filled with a biocompatible rubber-like substance. The root canal is then permanently sealed with adhesive cement. If necessary, a crown is placed on the tooth to provide full protection and function.The treated tooth will no longer cause you discomfort.

6

ALIGNERS

Aligners are a new, more comfortable alternative to braces.This relatively new dental equipment consists of a succession of custom-made tightfitting mouthpieces made of transparent plastic.

Aligners, often known as transparent or invisible braces, are practically invisible and aesthetically pleasing since they lack wires and brackets. Aligners, like braces, align and straighten your teeth by applying consistent pressure on them.Aligners, like braces, provide consistent pressure to the teeth in order to move them in the correct direction.As a result,the bone alters shape.

The treatment using aligners is speedier than the treatment with braces. It necessitates fewer trips to the dentist. Because it is a computer-assisted treatment,the outcomes are extremely positive.

7

Some of us have dental issues such as crooked or crowded teeth, as well as inappropriate bites. The typical treatment for these issues is to wear braces for a set period of time.

Conventional Braces

Conventional braces are bracket-based stainless steel wire devices. They are the most frequent type of braces and have been around for quite some time. Custom-made braces fitted to the back of the teeth to make them externally undetectable are a cosmetic alternative.

Braces straighten and align your teeth by applying constant pressure to them. Depending on the complexity of the problem,you may need to keep them on for six months to two years. During the treatment phase, continual pressure causes the teeth to migrate in the appropriate direction and the bone to alter shape.

BRACES
8

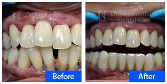
A Dental Crown is a man-made substitute or covering for the upper portion of a damaged or severely deformed tooth. Permanent crowns can be made of stainless steel or a precious metal such as gold. Ceramic crowns (with a metal base) are popular nowadays because they may be matched to the natural color of your teeth. Zirconium crowns are more natural, transparent, tissue friendly, and aesthetically pleasing than gold crowns.

Dental Bridges

A Dental Bridge is a fixed replacement for one or more wobbly, removed, or missing natural teeth, but not all of them. A typical dental bridge is normally anchored to a strong natural tooth at each end, with the fake teeth cemented in between. As with crowns, you have a variety of materials from which to construct bridges.

DENTAL CROWNS & BRIDGES
9

Pediatric dentistry is concerned with the dental care of children from infancy to adolescence. It is incorrect to assert that children require dental care only after they have developed permanent teeth. Parents frequently overlook their children's oral concerns.They believe that these are normal stages of development.

Minor concerns, on the other hand, might quickly escalate into significant ones if not treated promptly. From their first birthday, children require frequent dental visits. They should practice good dental hygiene to avoid problems with speech development,school performance,and social skills.

PEDODONTICS
10

The hard flesh that surrounds the teeth in the upper and lower jaws is known as gum.The health of your mouth is more than just how straight and pearly your teeth are and how well you maintain them clean and healthy.Gum and tooth health are equally vital.

Gum disorders, like dental problems, are unavoidable in the absence of proper treatment.Shiny teeth are essential for a bright smile.Healthy gums are required to maintain them in position and in good condition.

Plaque, a sticky film-like substance, can cause gum disease and tooth decay. It is generally teeming with dangerous microorganisms. Gum disease symptoms include bleeding,swelling,inflammation,soreness,and redness.

Our dental office places a high value on gum care, including routine prophylaxis and gum analysis.We do flap surgery, root planning, deep root cleaning, gum depigmentation, and frenectomy for smile makeovers, depending on the need for therapy. All of these are painless procedures that are closely monitored by our support team.

PERIODONTICS
11

Geriatrics is the discipline of medicine that focuses on the medical care of the elderly. Geriatric dentistry treatment addresses the dental needs of elderly.The elderly have a more difficult time maintaining dental health as they age.

Several teeth become wobbly, become free from their roots, and fall out. Bacterial acids cause tooth decay, resulting in hollow areas or holes. Saliva secretion may be reduced, resulting in dry mouth and poor breath.There are numerous other issues of this nature.

Our facility provides caring care for the elderly and has a separate operatory for them.A routine checkup is performed to confirm that their oral health and function are normal. Periodic consultation and follow-up, hypersensitivity prevention, tooth replacement, and gum strengthening operations are all performed in a comfortable and calm setting.

GERIATRIC DENTISTRY
12

Our clinic provides a full spectrum of dental services, from aesthetic dentistry to surgical operations. We believe in providing high-quality dental care.As a result, we are always evaluating new technologies and materials to ensure that our patients receive the most up-to-date and effective therapies.

For More InformationVisit
:
Our Site
https://www.dramarnathansdentalcare.com
www.dramarnathansdentalcare.com DrAmarnathans-Dental-Care Dramarnathan dr_amarnathans_dental THANK YOU !....

Turn static files into dynamic content formats.

Create a flipbook
Issuu converts static files into: digital portfolios, online yearbooks, online catalogs, digital photo albums and more. Sign up and create your flipbook.