Revista Dentista y Paciente 202 Junio 2025

Page 1


CALIDAD Y DIRECCIÓN

Calidad de vida relacionada con salud bucal en pacientes con ortodoncia

BOLETÍN

El autoclave, relevancia para la esterilización en la industria médica

ENCICLOPEDIA

ODONTOLÓGICA

Análisis de la experiencia de los adultos mayores: ¿cómo perciben la calidad del servicio en los consultorios dentales?

INVESTIGACIÓN CLÍNICA

Uso de derivados grafénicos en materiales odontológicos. Una revisión sistemática

CASO CLÍNICO

Tratamiento de mordida profunda, con arco utilitario, en paciente en crecimiento

Corix® 70 Plus Touch Screen*

Le ofrece todo lo que Ud. necesita para un Óptimo Radiodiagnóstico

Intra-Oral, con la Mayor Seguridad Radiológica

Si la Seguridad Radiológica, como Operador de un equipo de Rayos-X, es algo que desconoce o no le preocupa, es mejor que lea en: www.corix.us todos los detalles.

Corix® 70 Digital V3

Corix® 70 Digital V3

Obtener imágenes

Obtener imágenes

Radiográficas Intra-Orales en un corto tiempo y con la menor dosis de radiación

Radiográficas Intra-Orales en un corto tiempo y con la menor dosis de radiación

Ahora es posible!!!

Ahora es posible!!!

Los equipos

Corix® 70 Junior*

Le ofrecen: Calidad, Economía y Seguridad Radiológica

Junio 2025

Del 30 de abril al 4 de mayo se llevaron a cabo la 80 Expo Amic Dental Internacional y el Congreso Nacional e Internacional de la Facultad de Odontología UNAM-AMIC 2025, en el WTC de la CDMX. En el congreso hubo conferencias nacionales e internacionales y el día 3 de mayo fue la exposición de carteles.

Como siempre, acudieron miles de profesionistas de la Odontología y personas relacionadas con nuestra profesión para escuchar interesantes pláticas y enterarse de las novedades técnicas y científicas, así como para actualizar el equipo y material de sus consultorios.

En estos eventos, siempre nos reencontramos con viejos amigos, ya sean alumnos, profesores, odontólogos de práctica general o especialistas, grandes colaboradores, patrocinadores y aquellos que forman parte del equipo de otras grandes empresas. También es una gran oportunidad para hacer nuevos amigos. Esperemos volvernos a ver en la próxima Expo AMIC, que se llevará a cabo en el mes de noviembre.

Se ha registrado un aumento de casos de covid. Las autoridades sanitarias no lo van a reconocer, puesto que desde octubre del 2023, no se han actualizado los datos sobre esta enfermedad, por lo que no debemos bajar la guardia.

¡A seguirse cuidando!

Mtro. Carlos Adolfo Espinosa García Especialidad en Odontología Legal y Forense Maestría en Odontología

10 | CALIDAD Y DIRECCIÓN

Calidad de vida relacionada con salud bucal en pacientes con ortodoncia

20 | BOLETÍN

El autoclave, relevancia para la esterilización en la industria médica

Editorial Renascence S.A. de C.V.

22 | ENCICLOPEDIA ODONTOLÓGICA

Análisis de la experiencia de los adultos mayores: ¿cómo perciben la calidad del servicio en los consultorios dentales?

42 | INVESTIGACIÓN CLÍNICA

Uso de derivados grafénicos en materiales odontológicos. Una revisión sistemática

Directora editorial

Patricia López Guerra patricia.lopez@dentistaypaciente.com

Jaime Francisco Martínez Aceves† jmartinez@dentistaypaciente.com

Directora Editorial

Mariangel Martínez López mmartinez@dentistaypaciente.com

Director de Arte y Diseño

Jesús Salas Pérez jesasez@dentistaypaciente.com

Coordinador Editorial

Marco A. Vergara Salgado marversa@dentistaypaciente.com

Ejecutivos Comerciales y de Negocios

Carlos Martínez García, Gabriela Dolorez Ocadiz, Edson Aarón Hernández

Producción y Circulación

Edson Aarón Hernández

Fotografía e Ilustraciones

Editorial Renascence Suscripciones

Edson Aarón Hernández

Preprensa e Impresión

Offset Impresión Creativa S.A de C.V.

Distribución

Comercializadora GBN S.A. de C.V.

Calzada de Tlalpan #572, desp. C-302, col.

Moderna

Contabilidad y Administración

L. C. y E. F. Renato Muñoz

director científico

Dr. Carlos Espinosa García

Especialista en Odontología Legal y Forense consejo editorial

Dr. Francisco Javier Diez de Bonilla Calderón

Catedrático de la F.O de la UNAM

Dr. Francisco Magaña Moheno

Centro de Especialidades Odontológicas

Javier Portilla Robertson

Exdirector de la Facultad de Odontología de la UNAM

Especialista en Patología Bucal

C.D.E.O. Arturo Alvarado Rossano†

Profesor y Especialista en Ortodoncia y Ortopedia Craneofacial en la Facultad de Odontología. UNAM. Asesor Académico y Coordinador de Difusión de la AMOCOAC.

C.D. Manuel García Luna y González Rubio

Dra. Ana Gabriela Carrillo Varguez

Coordinadora de la especialidad en endodoncia UABC Tijuana. Coordinadora de Investigación y Posgrado F.O. UABC

M.C. Ernestina Santillana Marín

Subdirectora de CISALUD UABC

William James Maloney, D.D.S. Clinical Associate Professor New York University

universidad anáhuac méxico norte

C.D. Carlos Robles Bonilla Coordinador de la Licenciatura de Cirujano Dentista

C.D. Sergio Antonio Ojeda León Profesor Titular de Odontopediatría de la Licenciatura de Cirujano Dentista

C.D. Bernardo Grobeisen Weingersz Profesor Titular de Clínica Integral de la Licenciatura de Cirujano Dentista

C.D. Norma Ibañez Mancera. Profesora Titular de Patología Bucal de la Licenciatura de Cirujano Dentista

Dirección del Derecho de Autor certificado de reserva al uso exclusivo no. 04-2008022718312200-102 con fecha 27 de Marzo del 2008. Gobernación de la H. Comisión Calificadora de Publicaciones y Revistas Ilustradas, certificado de licitud de contenido 5328, certificado de licitud de título 7411, franqueo pagado, publicación mensual permiso no. PP09-02106, SEPOMEX. Las opiniones expresadas en los artículos y en los anuncios publicados no significan de ninguna manera juicios, criterios, ideas o cualquier otro concepto por parte de la editorial; reflejan únicamente las ideas y pensamientos de sus autores. Los artículos, entrevistas, resúmenes, publirreportajes, fotografías y cualquier otro material son exclusivos de la editorial, y no se autoriza la reproducción total o parcial por ningún medio sin previa autorización del editor. Para cualquier asunto relacionado con suscripción, distribución, comercialización, anuncios, contenido u otro propósito, favor de dirigirse a la editorial. Impreso en MV IMPRESIONES, SA DE CV.

Dentista y Paciente® Publicación mensual correspondiente al mes de JUNIO DE 2025. editada por Editorial Renascence S.A. de C.V., Rancho Jigüingo 29, Prado Coapa, Ciudad de México, 14350. tel. 56846632, fax 56793656. Distribuida en locales cerrados, depósitos dentales, universidades, congresos y exposiciones. Editora responsable: Mariangel Martínez López. Fotoarte de portada: Editorial Renascence.

distribución certificada por el padrón nacional de medios impresos de la dirección general de medios impresos de la secretaría de gobernación no. 007-136. www.gobernacion.gob.mx

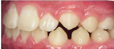
58 | CASO CLÍNICO

Tratamiento de mordida profunda, con arco utilitario, en paciente en crecimiento

Calidad de vida relacionada con salud bucal en pacientes con ortodoncia

Calidad de vida relacionada con salud bucal en pacientes con ortodoncia

Introducción: La calidad de vida es un concepto que hace referencia a las condiciones de bienestar y desarrollo social de los individuos. El tratamiento de ortodoncia tiene como objetivo mejorar la apariencia y la función dental; sin embargo, puede afectar indirectamente el bienestar psicosocial de las personas debido al uso de aparatología, que puede generar incomodidad y molestias. A pesar de ello, este mismo tratamiento puede influir en la motivación del paciente y, con el tiempo, mejorar su salud y calidad de vida.

Objetivo: Evaluar la calidad de vida relacionada con la salud bucal en pacientes bajo tratamiento ortodóncico en el Instituto de Ortodoncia Bioprogresiva.

Metodología: estudio transversal con muestreo por conveniencia. Se aplicó el instrumento OHIP-14

C.D. Linda Itzel Fernández Ocampo *, M. en C. José Cuauhtémoc Jiménez Núñez*°, Esp. Gustavo Castillo Salazar*. *Instituto de Ortodoncia Bioprogresiva ° Facultad de Estudios Superiores Iztacala

a pacientes tratados en el Instituto durante los meses de agosto a enero de 2024. Se realizó un análisis descriptivo de la muestra y se calcularon los puntajes de cada dimensión del instrumento.

Resultados: Participaron 54 pacientes, de los cuales el 63% (n = 34) fueron mujeres. El puntaje promedio del OHIP-14 fue de 4.8 ± 4.9. En cuanto a las dimensiones evaluadas: la limitación funcional presentó un puntaje promedio de 0.8 ± 0.5; el dolor físico, 1.7 ± 1.5; el malestar físico, 0.7 ± 1.4; la incapacidad física, 0.5 ± 0.9; la incapacidad psicológica, 0.4 ± 0.6; y la incapacidad social, 0.1 ± 0.6. Finalmente, los obstáculos presentaron un puntaje de 0.1 ± 0.5.

Conclusiones: La muestra evaluada mostró un bajo impacto de la salud bucal en la calidad de vida, siendo la dimensión de dolor físico la más relevante.

De acuerdo con la Organización Mundial de la Salud (OMS), la calidad de vida se define como la manera en que el individuo percibe su existencia, su posición en el contexto cultural y en el sistema de valores en que vive, en relación con sus objetivos, expectativas, normas, criterios y preocupaciones. Esta percepción está influenciada por su salud física, estado psicológico, grado de independencia, relaciones sociales, factores ambientales, creencias personales y actividades diarias.1 Bajo este concepto, es importante recalcar que la calidad de vida relacionada con la salud es una variable multidimensional.2

El término calidad de vida relacionada con la salud oral fue introducido por Gift y Redford en 1992, para capturar el impacto funcional, social y psicológico

El término calidad de vida relacionada con la salud oral fue introducido por Gift y Redford en 1992, para capturar el impacto funcional, social y psicológico de las enfermedades orales.

de las enfermedades orales.3 Se ha definido como un constructo multidimensional que refleja el confort de las personas en sus interacciones sociales, su autoestima y su satisfacción respecto a la percepción de su salud bucal.4

A lo largo del tiempo, se han desarrollado múltiples instrumentos para medir la calidad de vida relacionada con la salud bucal, con enfoques diversos según la población estudiada. Por ejemplo, el Geriatric Oral Health Assessment Index (GOHAI), desarrollado en 2001 por McGrath y Bedi en el Reino Unido, está enfocado en la evaluación de la calidad de vida bucal en población geriátrica. Otro ejemplo es el Specific Condition Oral Impacts on Daily Performance (CS-OIDP), diseñado para valorar el impacto de enfermedades bucales específicas en el desempeño diario.5,6

Actualmente, una de las herramientas más utilizadas es el Oral Health Impact Profile (OHIP-14), un cuestionario de 14 preguntas que mide las limitaciones e incomodidades ocasionadas por las afecciones bucales en la vida de las personas. Este instrumento permite cuantificar el impacto de la salud oral en la calidad de vida de los pacientes mediante siete dimensiones: limitación funcional, dolor físico, malestar psicológico, incapacidad física, incapacidad psicológica, incapacidad social y obstáculos. Cada dimensión se evalúa con 2 ítems. El OHIP-14 ha sido previamente validado en idioma español.7-10 (Tabla 1)

Calidad de vida relacionada con salud bucal en pacientes con ortodoncia

Dimensión 1: Limitación funcional

1 ¿Tiene usted incomodidad para pronunciar algunas palabras debido a problemas con sus dientes, boca o prótesis?

2 ¿Ha notado que su sentido del gusto ha empeorado debido a problemas con sus dientes, boca o prótesis?

Dimensión 2: Dolor físico

3 ¿Ha tenido molestias dolorosas en sus dientes, boca o prótesis?

4 ¿Se ha encontrado incómodo al comer algún alimento por problemas con sus dientes, boca o prótesis?

Dimensión 3: Malestar psicológico

5 ¿Ha estado preocupado debido a problemas con sus dientes, boca o prótesis?

6 ¿Se ha sentido nervioso debido a problemas con sus dientes, boca o prótesis?

Dimensión 4: Incapacidad física

7 ¿Ha sido su dieta poco satisfactoria debido a problemas con sus dientes, boca o prótesis?

8 ¿Ha tenido que interrumpir comidas debido a problemas con sus dientes, boca o prótesis?

Dimensión 5: Incapacidad psicológica

9 ¿Encuentra dificultad para relajarse debido a problemas con sus dientes, boca o prótesis?

10 ¿Se ha sentido avergonzado frente a otras personas por problemas con sus dientes, boca o prótesis?

Dimensión 6: Incapacidad social

11 ¿Se ha sentido irritable con otras personas por problemas debidos a sus dientes, boca o prótesis?

12 ¿Tiene dificultad para hacer sus trabajos habituales debido a problemas con sus dientes, boca o prótesis?

Dimensión 7: Obstáculos

13 ¿Ha sentido usted que su vida es, en general, menos satisfactoria, debido a problemas con sus dientes, boca o prótesis?

14 ¿Se ha sentido totalmente incapaz de funcionar debido a problemas con sus dientes, boca o prótesis?

Tabla 1: Versión en español del instrumento OHIP-14.

Las opciones de respuesta se presentan en una escala de Likert, cuyos parámetros para la obtención del puntaje se describen en la Tabla 2

De acuerdo con estos parámetros, se entiende que un mayor puntaje implica una peor calidad de vida.

Las enfermedades orales representan un importante problema de salud en México y en el mundo, y se ha demostrado que tienen un impacto significativo en la calidad de vida general de los individuos.11 Entre las principales condiciones de salud bucal se encuentran la caries dental, las enfermedades periodontales y las maloclusiones.12

Las maloclusiones son alteraciones morfológicas y funcionales del sistema estomatognático, cuyo efecto no solo es funcional o estético, sino que también influye en los aspectos psicosociales y en la calidad de vida de quienes las padecen.13 Su abordaje se realiza mediante tratamiento ortodóntico, el cual emplea distintos aditamentos para armonizar la oclusión y los rasgos faciales del tercio medio e inferior del rostro.14

A pesar de los beneficios que ofrece la ortodoncia, este tratamiento

puede asociarse a reacciones negativas en los pacientes, ya que requiere, como componente esencial, el uso de brackets o aparatos fijos visibles. Estos dispositivos también pueden dificultar funciones como la masticación y la fonación, afectando la calidad de vida de los pacientes.15 Aunque con el tiempo se han desarrollado técnicas y dispositivos más sofisticados, los pacientes continúan reportando repercusiones del tratamiento en los ámbitos mencionados, lo que incrementa la posibilidad de abandono prematuro y, por ende, de un abordaje incompleto de la maloclusión.16

La preocupación por el impacto de los tratamientos odontológicos en la calidad de vida ha ido en aumento, como lo demuestran encuestas poblacionales que evalúan la satisfacción del paciente en relación con la práctica odontológica general y con especialidades como la prostodoncia y la ortodoncia.16,17 Sin embargo, los estudios enfocados en la evaluación de la calidad de vida relacionada con la salud bucal en pacientes bajo tratamiento ortodóntico siguen siendo insuficientes. Por esta razón, el objetivo de este estudio fue evaluar dicho parámetro en pacientes con ortodoncia.

Tabla 2: Puntaje de acuerdo a las opciones de respuesta del instrumento OHIP-14.

Dimensión 1: Limitación funcional

Media, desviación estándar 0.8±1.0

Dimensión 2: Dolor físico

Media, desviación estándar 1.7±1.5

Media, desviación estándar

Media, desviación estándar

Media, desviación estándar

Dimensión 3: Malestar psicológico

0.7±1.4.

Dimensión 4: Incapacidad física

0.5±0.9

Dimensión 5: Incapacidad psicológica

0.4±0.6

Dimensión 6: Incapacidad social

Media, desviación estándar 0.1±0.6

Dimensión 7: Obstáculos

Media, desviación estándar 0.1±0.5

Puntaje Global

Media, desviación estándar 4.8±4.9

Metodología

Se realizó un estudio transversal con un muestreo por conveniencia. Se evaluó la calidad de vida relacionada con la salud bucal mediante la aplicación del cuestionario OHIP-14 a pacientes atendidos en el Instituto de Ortodoncia Bioprogresiva, campus Arboledas, durante los meses de agosto a diciembre de 2024.

Dentro de los criterios de inclusión se consideraron pacientes de ambos sexos, mayores de edad, portadores

de aparatología ortodóntica fija, que hubieran otorgado su consentimiento informado. Se excluyeron aquellos pacientes que acudían únicamente por urgencias, quienes presentaban irregularidades en sus citas en los últimos 6 meses, así como los cuestionarios que no fueron respondidos en su totalidad.

La aplicación de la encuesta se llevó a cabo en la sala de espera, donde además se recolectó información sobre las variables de edad y sexo. Posteriormente, se realizó la captura y

Se realizó un estudio transversal con un muestreo por conveniencia. Se evaluó la calidad de vida relacionada con la salud bucal mediante la aplicación del cuestionario OHIP-14 a pacientes atendidos en el Instituto de Ortodoncia Bioprogresiva, campus Arboledas, durante los meses de agosto a diciembre de 2024.

Calidad de vida relacionada con salud bucal en pacientes con ortodoncia
Tabla 3: Puntaje en la calidad de vida en la muestra.

Calidad y dirección

*Prueba estadística U de Mann-Whitney.

Tabla 4: Puntaje OHIP-14 de acuerdo con el sexo.

*Prueba estadística U de Mann-Whitney.

Tabla 5: Puntaje OHIP-14 de acuerdo con los grupos de edad.

análisis de la información obtenida. A través del software STATA versión 16, se efectuó un análisis descriptivo de la muestra, seguido de un análisis de frecuencia de los ítems de acuerdo con los dominios, reportando media y desviación estándar.

Finalmente, se realizó una comparación de puntajes mediante la prueba estadística U de Mann-Whitney, debido a la distribución no paramétrica de los datos.

Resultados

Descripción de la muestra

Participaron 54 pacientes, de los cuales el 63 % (n = 34) fueron mujeres. La mayoría de los participantes, el 94.4 % (n = 51), llevaba entre 1 y 2 años bajo tratamiento ortodóntico.

Puntaje en la calidad de vida de acuerdo con el OHIP-14

El puntaje global promedio de la muestra fue de 4.8 ± 4.9. Al analizar las dimensiones del instrumento, se observó que la dimensión con el puntaje más alto fue la correspondiente al dolor físico (Tabla 3).

Calidad de vida de acuerdo con las variables estudiadas

Sexo

No se encontraron diferencias estadísticamente significativas entre el sexo y la calidad de vida evaluada mediante el OHIP-14 (Tabla 4).

Edad

Los adultos jóvenes (18 a 35 años) reportaron una mejor calidad de vida que los adultos (36 a 64 años) (p < 0.05) (Tabla 5).

Discusión

La calidad de vida relacionada con salud bucal es un concepto que ha generado un gran interés en los últimos años, debido a la necesidad de comprender el impacto de las condiciones bucales en la vida de las personas. El OHIP-14 es una herramienta útil para evaluar este parámetro.18 Las maloclusiones son condiciones que pueden afectar de manera significativa la calidad de vida de quienes las padecen.19 El tratamiento de ortodoncia es una alternativa en el manejo de maloclusiones; sin embargo, este tratamiento requiere una adherencia rigurosa por

parte del paciente. Un entendimiento integral de cómo las maloclusiones y el tratamiento ortodóntico pueden impactar en la calidad de vida resulta necesario para la planificación, ejecución y seguimiento de todo el tratamiento.20

En este estudio, se encontró que las repercusiones del tratamiento ortodóntico en la calidad de vida relacionada con salud bucal de los pacientes no fueron relevantes; se obtuvo un puntaje bajo, lo cual se interpreta como un bajo impacto. Dentro de las dimensiones evaluadas, la más relevante fue el dolor físico, que podría relacionarse con las lesiones traumáticas causadas por el uso de la aparatología. Según otros estudios realizados a nivel mundial, se ha encontrado que la dimensión mayormente afectada es la relacionada con la incapacidad psicológica, vinculada principalmente al malestar relacionado con la autopercepción y los estándares sociales de belleza.21 En este estudio, esta dimensión pudo no haber sido relevante debido a que los pacientes ya muestran cambios físicos que les permiten tener una mejor estética.

Asimismo, en este estudio se encontró que los sujetos adultos bajo tratamiento ortodóntico reportaron un mayor puntaje, es decir, una peor calidad de vida, en comparación con los adultos jóvenes. Esto podría explicarse por la mayor tolerancia expresada por los jóvenes al tratamiento, a pesar de las molestias derivadas de este, debido a la expectativa de mejorar

su estética y tener una mejor integración social.

Este estudio evaluó una muestra pequeña; sin embargo, permitió identificar que la edad influye en la calidad de vida según el OHIP-14. Los resultados de este estudio permitirán, en el futuro, realizar nuevas investigaciones a lo largo del tiempo para valorar cambios en la calidad de vida antes, durante y después del tratamiento. Con los resultados de estas investigaciones, se podrán valorar las intervenciones que se podrían realizar para mejorar este aspecto.

Este estudio evaluó una muestra pequeña; sin embargo, permitió identificar que la edad influye en la calidad de vida según el OHIP-14.

Calidad de vida relacionada con salud bucal en pacientes con ortodoncia

Calidad y dirección

Conclusiones

En pacientes bajo tratamiento ortodóntico en el Instituto de Ortodoncia Bioprogresiva Campus Arboledas, se encontró una asociación entre la edad y la calidad de vida relacionada con salud bucal, evaluada a través del OHIP-14.

Ética

Este proyecto fue revisado y avalado para su ejecución por la Comisión de Ética de la Facultad de Estudios Superiores Iztacala, con el registro CE/FESI/012025/1858.

Referencias

1. Thivierge G. Calidad de vida y opciones existenciales. La calidad de vida de la persona: desafío actual del nuevo milenio. Federación Internacional de las Universidades Católicas. 1992:33-55.

2. Cohen-Carneiro F, Rebelo MAB, Souza-Santos R, Ambrosano GMB, Salino AV, Pontes DG. Psychometric properties of the OHIP-14 and prevalence and severity of oral health impacts in a rural riverine population in Amazonas State, Brazil. Cadernos de Saude Publica. 2010;26:1122-30.

3. Gift HC, Redford M. Oral health and the quality of life. Clin Geriatr Med. 1992;8(3):673-83.

4. Locker D, Matear D, Stephens M, Jokovic A. Oral health-related quality of life of a population of medically compromised elderly people. Community dental health. 2002;19(2):90-7.

5. McGrath C, Bediº R. An evaluation of a new measure of oral health related quality of life-OHQoL-UK (W) º. Community dental health. 2001;18:138-43.

6. Duque VED, Castrillón JT, Cadavid PAE, Osorio AYG, Correa DS, Ramírez OG, et al. Oral health related quality of life in older adults assisting" IPS Universitaria" of Medellin and associated factors. Revista CES Odontología. 2013;26(1):10-23.

7. Leao A, Sheiham A. The development of a socio-dental measure of dental impacts on daily living. Community Dent Health. 1996;13(1):22-6.

8. Campos LA, Peltomäki T, Marôco J, Campos J. Use of Oral Health Impact Profile-14 (OHIP-14) in Different Contexts. What Is Being Measured? Int J Environ Res Public Health. 2021;18(24).

Calidad de vida relacionada con salud bucal en pacientes con ortodoncia

9. León S, Bravo-Cavicchioli D, Correa-Beltrán G, Giacaman RA. Validation of the Spanish version of the Oral Health Impact Profile (OHIP-14Sp) in elderly Chileans. BMC Oral Health. 2014;14(1):95.

10. Dávila Torres RF. Validación y adaptación cultural del instrumento perfil de impacto de la salud bucal en Ecuador. Revista San Gregorio. 2020;1(40).

11. Velázquez-Olmedo LB, Ortíz-Barrios LB, Cervantes-Velazquez A, Cárdenas-Bahena Á, García-Peña C, Sánchez-Garcíaa S. Quality of life related to oral health in older people. Evaluation instruments. Revista Medica del IMSS. 2014;52(4).

12. Peres MA, Macpherson LM, Weyant RJ, Daly B, Venturelli R, Mathur MR, et al. Oral diseases: a global public health challenge. The Lancet. 2019;394(10194):249-60.

13. Marques LS, Ramos-Jorge ML, Paiva SM, Pordeus IA. Malocclusion: esthetic impact and quality of life among Brazilian schoolchildren. American journal of orthodontics and dentofacial orthopedics. 2006;129(3):424-7.

14. Walton DK, Fields HW, Johnston WM, Rosenstiel SF, Firestone AR, Christensen JC. Orthodontic appliance preferences of children and adolescents. American Journal of Orthodontics and Dentofacial Orthopedics. 2010;138(6):698. e1-. e12.

15. Oliveira SCd, Furquim RD, Ramos AL. Impact of brackets on smile esthetics: laypersons and orthodontists perception. Dental Press Journal of Orthodontics. 2012;17:64-70.

16. Mandall N, Vine S, Hulland R, Worthington H. The impact of fixed orthodontic appliances on daily life. Community dental health. 2006;23(2):69-74.

17. Wu A, McGrath C, Wong RW, Wiechmann D, Rabie ABM. Comparison of oral impacts experienced by patients treated with labial or customized lingual fixed orthodontic appliances. American Journal of Orthodontics and Dentofacial Orthopedics. 2011;139(6):784-90.

18. Jang S-H, Choi M-H. Evaluation of the qualite of life related to oral health among elderly people in some elderly care facilities by OHIP-14. Journal of Korean society of Dental Hygiene. 2011;11(4):475-87.

19. Zhang M, McGrath C, Hägg U. The impact of malocclusion and its treatment on quality of life: a literature review. International Journal of Paediatric Dentistry. 2006;16(6):381-7.

20. Abreu LG, Drumond VZ, Mesquita RA, Bernabé E, de Arruda JAA. Implications of orthodontic treatment for overall health, social determinants of health, and the economic burden of malocclusion. Seminars in Orthodontics.

21. Bos A, Hoogstraten J, Prahl-Andersen B. Expectations of treatment and satisfaction with dentofacial appearance in orthodontic patients. American journal of orthodontics and dentofacial orthopedics. 2003;123(2):127-32.

El autoclave, relevancia para la esterilización en la industria médica

¡La seguridad de los pacientes y profesionales de la salud es primordial!

En la industria médica, la esterilización es un pilar fundamental para prevenir infecciones y garantizar la atención sanitaria segura y efectiva. Entre los diversos métodos de esterilización disponibles, la autoclave se alza como una herramienta esencial y altamente eficiente en la erradicación de microorganismos patógenos. ¡Descubramos por qué su uso es de vital importancia!

Esterilización efectiva para la protección de la salud

Cuando se trata de los entornos clínicos, la atención sanitaria y la prevención de infecciones no pueden tomarse a la ligera. Bacterias y virus pueden ser transmisores de enfermedades graves, amenazando la vida de pacientes y trabajadores de la salud. Aquí es donde entra en juego el autoclave. Gracias a su capacidad para alcanzar altas temperaturas y presión, este dispositivo se ha convertido en una pieza clave para garantizar la esterilidad de instrumentos médicos, equipos y materiales utilizados en procedimientos clínicos.

Eficiencia y versatilidad a tu alcance

El autoclave destaca por su eficacia y versatilidad. Comparado con otros métodos de esterilización, como el calor seco, el autoclave por vapor muestra una eficiencia superior en la eliminación de bacterias y virus. Penetra en materiales de manera más efectiva y, además, es rápido, no deja

residuos y no daña instrumentos afilados. Además, se adapta a diversas necesidades médicas, desde la esterilización de equipos quirúrgicos hasta la descontaminación de materiales sensibles.

Cumpliendo con normas y regulaciones

En México, la esterilización en la industria médica está regulada por la Norma Oficial Mexicana NOM-013-SSA2-2018. Esta norma establece requisitos mínimos para el control y manejo de productos y servicios de esterilización en establecimientos de atención médica. Cumplir con estas regulaciones es esencial para asegurar la calidad y la seguridad de los procesos de esterilización en los centros de salud.

El Autoclave: tu aliado en el cuidado de la salud

No podemos pasar por alto los sectores médicos que dependen en gran medida del autoclave para garantizar la esterilidad y seguridad en sus prácticas. Odontología, laboratorios clínicos, estética, podología y muchos otros ámbitos de la industria médica confían en este método de esterilización para mantener la confianza de sus pacientes y ofrecer un entorno seguro y libre de infecciones.

Conclusiones: un mundo más seguro gracias al autoclave

En resumen, el autoclave es una herramienta vital en la lucha contra las infecciones y en el cuidado de la salud en la industria médica. Su eficiencia en la eliminación de bacterias y virus, su versatilidad, y su cumplimiento con las normas y regulaciones lo convierten en el aliado perfecto para garantizar la esterilización y seguridad en la atención sanitaria. Al utilizar el autoclave, los profesionales de la salud y los pacientes pueden confiar en que los instrumentos y materiales utilizados en los procedimientos clínicos han sido rigurosamente esterilizados, minimizando los riesgos de infección y salvaguardando la salud de todos.

Recursos

• Norma Oficial Mexicana NOM-013-SSA2-2018. Control y manejo de productos y servicios de esterilización en establecimientos de atención médica.

• Centers for Disease Control and Prevention (CDC). Sitio web: www.cdc.gov.

• World Health Organization (WHO). Sitio web: www.who.int.

• National Institutes of Health (NIH). Sitio web: www.nih.gov.

• American Society for Microbiology (ASM). Sitio web: www.asm.org.

• Food and Drug Administration (FDA). Sitio web: www.fda.gov.

¡Protege la salud y la seguridad con el poder del autoclave en la esterilización médica!

Autor: Ing. Adrián Sánchez Pérez / Coordinador de Educación Lorma

Este artículo explora las percepciones de los adultos mayores sobre la calidad de atención recibida en consultorios dentales. Para ello, se utilizó una metodología inductiva exploratoria con un enfoque cualitativo, en México. Los resultados indicaron que, si bien los elementos físicos del consultorio (como la modernidad o lujo) son considerados poco relevantes, la limpieza de las instalaciones es un aspecto altamente valorado. Además, la seguridad, cercanía y empatía del odontólogo, fueron identificados como factores cruciales para la fidelización a largo plazo de los pacientes. Un hallazgo

Expediente clínico

Los participantes revelaron una preocupación común en los consultorios dentales, reflejada en 3 aspectos clave. En primer lugar, la gran mayoría señala la ausencia de un registro adecuado de sus padecimientos y tratamientos en los expedientes clínicos. En segundo lugar, destacan la falta de información previa proporcionada por los dentistas sobre las complicaciones, ventajas y desventajas de los tratamientos a los que serán sometidos. Finalmente, mencionan nunca haber firmado notas médicas. La mayoría de los participantes hizo una pausa para reflexionar sobre estos puntos, reconociendo la importancia de mantener un orden en las historias clínicas y destacando la preocupación por no contar con la documentación necesaria para proteger su integridad como pacientes. Debido a ello es importante resaltar que el artículo 4 de la Constitución Mexicana establece que toda persona

Análisis de la experiencia de los adultos mayores

importante fue la percepción negativa sobre la fiabilidad en la atención dental, debido a la falta de procedimientos como la firma de consentimientos informados y la toma de signos vitales. Esta investigación contribuye a mejorar la comprensión sobre la calidad de los servicios odontológicos y promueve el acceso a una atención de salud dental de calidad.

Palabras clave: adultos mayores, calidad de servicio, mercadotecnia sanitaria, consultorios dentales, percepción, seguridad, cercanía, fidelización, fiabilidad, salud dental

Dra. Mary Carmen Ramírez Tejeda es egresada de la licenciatura en Cirujano Dentista y de la Maestría en Dirección y Mercadotecnia de la Universidad Popular Autónoma del Estado de Puebla. Cuenta con más de 5 años de experiencia como docente de licenciatura y posgrado. Su área de interés se enfoca en el estudio del Health Marketing

tiene el derecho a la protección de la salud (Congreso de la Unión, 2024). Desde la perspectiva de los derechos humanos, este derecho se fundamenta en los principios de disponibilidad, accesibilidad, calidad y aceptabilidad. En este contexto, el expediente clínico juega un papel fundamental, ya que es la herramienta clave para garantizar que la población pueda ejercer plenamente su derecho a la salud (Zúñiga, et al., 2021). Lo expresado por los pacientes refleja una realidad que, lamentablemente, comparten todos los adultos mayores. Esta situación guarda similitudes con lo señalado por Linde (2022), quien destaca la constante preocupación de los pacientes por conocer y acceder a su historial clínico, incluso en países desarrollados. En estos contextos, los profesionales de la salud se enfrentan a situaciones en las que deben abordar emergencias o padecimientos sin contar con la información clara y completa del expediente clínico.

“No me consta que tenga historia clínica y eso es importante, aunque dice que todo lo tiene en su memoria, la historia de mis dientes la tiene en su cabeza, supongo que puede grabarse en su cabeza la de todos los pacientes, aunque eso no es bueno. ¡Ah! Pero los pagos, sí los anota, eso sí he visto, que saca su libretita y anota” (E28., 2022).

"Algo que hizo que dejara a mi doctor, fue la decepción, pues me decepcionó porque él ya no te atiende, él te recibe en un cubículo, te revisa y le dice a una niña qué hacer y esa niña te lleva a otro cubículo y te trabaja, siempre dejaba las cosas mal, o sea él no te hace el trabajo, es que ya es tan conocido que ya bajó su calidad, ya no puede con tantos pacientes, ya ni veo mi expediente, nunca firmo nada, si me pasa algo, se meten en problemas, es preocupante pensar el tiempo que pasé ahí sin un documento que me respalde y me cuide" (E16., 2022).

“Yo padezco enfermedades como todos los viejitos, ¿tú crees que alguna vez me ha tomado la presión mi dentista? No, y eso es algo que no me gusta, pero ya me acostumbré, espero que nada malo me pase, porque es buena persona y le puedo pegar un susto, una vez me desmayé en otra clínica que está en otra ciudad, cuando no vivía aquí en Puebla y ya siempre me tomaban la presión y la glucosa” (E9., 2022).

Prontitud del odontólogo para atender necesidades del paciente. Disponibilidad del odontólogo

La mayoría de los adultos mayores coinciden en que los odontólogos muestran tener disponibilidad para atender a los pacientes. No obstante, los participantes señalan que esta disponibilidad está restringida a horarios y días específicos de la semana. En este contexto, muchos de ellos comparan la atención de los odontólogos con la de los médicos, una observación recurrente en las respuestas. Según su percepción, los profesionales dentales no tienen la misma disponibilidad continua que los médicos. De manera similar, en diferentes contextos globales, los adultos mayores expresan la percepción de que la disponibilidad de los odontólogos es limitada, restringida a ciertos horarios y días de la semana, lo que genera estrés y dificultades para aquellos pacientes que desean organizar su atención dental con anticipación. En ambos casos, se experimentan barreras para planificar la atención dental con la misma flexibilidad y regularidad que

se asocia a la disponibilidad de otros servicios médicos. Esta falta de previsibilidad refuerza la sensación de que los odontólogos no ofrecen la misma disponibilidad continua que los médicos (Smith y Murray, 2020).

“Mi doctor me atiende siempre y cuando sea de lunes a viernes y no sea fuera de sus horarios, así muy disponible no, no es como los pobres médicos que 24/7” (E13., 2022).

“Sí se encuentra disponible mi dentista para atenderme, siempre y cuando sea en sus horarios de atención, obvio si es domingo, no me atiende, si voy con el reumatólogo, pues él sí está totalmente disponible” (E20., 2022).

Disposición para brindar atención al paciente

En continuidad con la línea de investigación, la mayoría de los adultos mayores consideran fundamental que los odontólogos estén dispuestos a atenderlos, especialmente porque perciben que la retribución económica por los servicios es la principal motivación detrás de la prestación de los mismos. Sin embargo, es importante destacar que el pago de bolsillo, es decir, el costo que los pacientes deben cubrir directamente en el momento de la necesidad de los servicios, puede afectar negativamente el acceso a la atención dental (Ghanbarzadegan, et al., 2021). Aunque los adultos mayores esperan que los odontólogos estén dispuestos, la capacidad de pago

Análisis de la experiencia de los adultos mayores

influye significativamente en su acceso real a los servicios.

“Mi doctora se muestra dispuesta a atenderme, sino me voy con la competencia” (E11., 2022).

“Es algo que deben tener, siempre se muestran dispuestos, pues le voy a llevar dinero, ni modo que me diga que no… bueno, ahora quién sabe, ¿verdad?, puede tener muchos pacientes, pero se me hace algo normal, algo que deben tener todos” (E12., 2022).

Seguridad que transmite el odontólogo. Confianza hacia el dentista

Los discursos de la mayoría de los adultos mayores fueron relativamente simples de interpretar, reflejando una naturalidad al describir su percepción de la atención dental. La mayoría de los participantes expresó sentirse seguros y confiados en los dentistas que los atienden, depositando dicha confianza en el compromiso y la dedicación de los odontólogos, así como en los resultados satisfactorios de tratamientos previos. Aunque inicialmente no surge una confianza inmediata, los adultos mayores mencionaron que, al acudir por primera vez a un consultorio, mantienen la esperanza de recibir una atención adecuada. No obstante, esta confianza se fortalece con el tiempo, de manera que muchos de los entrevistados refirieron asistir al mismo dentista durante un período de 10 a 20 años. La mayoría de los odontólogos que atienden a estos adultos mayores tienen entre 38 y 50 años

y aunque algunos de los entrevistados subrayan que no les molesta que sus dentistas sean más jóvenes, manifiestan una preferencia por confiar en la juventud de los profesionales. De manera que, este vínculo de confianza puede explicarse a través de las estrategias utilizadas por los dentistas, tales como la comunicación clara y la comprensión del estilo de vida del paciente, factores que facilitan la construcción de una relación sólida. La capacidad del dentista para escuchar y adaptarse a las necesidades sociales y personales de los adultos mayores juega un papel crucial en el fortalecimiento de la confianza a lo largo del tiempo (Tiwari, et al., 2023), como lo evidencian los testimonios de los entrevistados, quienes han mantenido relaciones estables con sus dentistas durante largos períodos.

"Mi dentista es muy competente, es muy segura de sí misma y transmite esa seguridad, me siento tranquila y en confianza” (E14., 2022).

"No me interesa si un doctor tiene muchísima más experiencia que el mío, con el que tengo, tengo más que suficiente, mientras no tenga ningún problema de atención y tenga buenos resultados de los tratamientos que me hace, voy a seguir yendo con él, mi doctor me da seguridad, me inspira confianza, me resuelve y sus precios son razonables" (E19., 2022).

"Yo sé que mi dentista me soluciona cosas, confío en él, sé que hay más dentistas, tenía otro dentista con más

experiencia, pero hay que apoyar a la gente joven, me siento segura, me siento tranquila, por eso voy con mi dentista más joven" (E30., 2022).

Trato digno por parte del dentista

De manera similar, es positivo el reconocimiento que la mayoría de los adultos mayores otorgan al trato proporcionado por los dentistas, destacando especialmente la cordialidad de los profesionales en el área dental. Este trato es altamente valorado por los participantes, quienes subrayan el respeto como un valor fundamental que la mayoría de los dentistas de los entrevistados demuestran. En los discursos de los participantes, se describe de manera recurrente que consideran este trato cordial como una característica distintiva, que no siempre encuentran en otros profesionales de la salud. Por ello, esta diferencia en la calidad del trato contribuye significativamente a su decisión de continuar con los odontólogos que reflejan este valor cívico, favoreciendo la lealtad y la continuidad en la relación paciente-profesional (Ho, et al., 2024). De hecho, la comunicación eficaz y empática, junto con un trato respetuoso, resulta esencial para consolidar esta relación de confianza, que se fortalece con el tiempo y contribuye a una mayor lealtad y satisfacción, incentivando la regularidad en las consultas y la atención continua a la salud bucal (Ho, et al., 2025).

"El trato es de seres humanos, todos nos debemos respeto, pero no todos los

profesionistas son así, afortunadamente yo encontré un extraordinario ser humano en mi dentista" (E18., 2022).

"Mi dentista es muy amable, muy linda y respetuosa, me marca después de las citas, para saber cómo estoy, se interesa mucho por mí" (E27., 2022).

"Atención esmerada, es una doctora muy recta, por eso no he ido con otro dentista" (E25., 2022).

Conocimiento profesional del dentista

Por último, los adultos mayores destacaron los diversos reconocimientos y credenciales del profesional dental, los cuales generan confianza en sus habilidades. En este sentido, como señala Graskemper (2023), la posibilidad de que los dentistas publiquen sus credenciales otorgadas por instituciones reconocidas no solo refuerza la seguridad de los pacientes, sino que también refleja la responsabilidad profesional y el compromiso ético del odontólogo. De esta manera, las credenciales obtenidas por los dentistas

Análisis de la experiencia de los adultos mayores

actúan como una validación objetiva de su conocimiento y experiencia profesional, lo que incrementa la percepción de competencia por parte de los pacientes (Hassani, et al., 2023). En este contexto, la mayoría de los participantes confirmaron su confianza en los conocimientos del dentista, basándose en los tratamientos previos realizados, los cuales han sido funcionales y sin anomalías.

"Me da seguridad mi dentista, por la manera en la que habla, lo hace seguro y eso me da confianza, a parte que me fijé y sus estudios los hizo en México y tenía preparación en Estados Unidos" (E22., 2022).

"Se ve que sabe, tiene una pared repleta de reconocimientos, respeta al paciente, pregunta antes de intervenir, y atiende al paciente en sus necesidades, eso me da seguridad" (E29., 2022).

“Mi nueva doctora hasta atiende a mis niños, no me dice que no, tiene mucha preparación, vamos muchos viejitos y los viejitos llevamos a nuestros

Los adultos mayores destacaron los diversos reconocimientos y credenciales del profesional dental, los cuales generan confianza en sus habilidades.

nietos con ella, tiene una pared repleta de títulos, su consultorio es muy pequeñito, pero eso no me importa, yo voy porque nos tiende extraordinariamente bien, sé que me hace las cosas bien, su trabajo la respalda, hasta el momento, todo ha funcionado perfecto en mi boca” (E23., 2022).

Comprensión y cercanía del odontólogo hacia su paciente. Atención personalizada para el paciente

Continuando con la línea de estudio, la mayoría de los adultos mayores expresaron una apertura hacia sus sentimientos, destacando el aprecio que reciben de sus odontólogos. Este sentimiento, descrito como mutuo, surge principalmente debido a la atención altamente personalizada y esmerada que brindan los dentistas, quienes logran generar vínculos de confianza con sus pacientes. Además, para ofrecer una atención personalizada óptima, es fundamental que exista una conexión positiva y de confianza entre los pacientes mayores y los profesionales de la salud. Esta relación no solo facilita la comunicación, sino que también contribuye a una mejor comprensión de las necesidades del paciente y favorece la adherencia al tratamiento (Srinivas, et al., 2023). Los participantes mencionaron momentos clave que explican por qué continúan siendo pacientes habituales de los mismos profesionales. Entre estos aspectos, muchos valoran especialmente detalles como la selección de música acorde a sus gustos, el apoyo proporcionado para subir o bajar del

sillón dental y la compañía durante la entrada o salida del consultorio, destacando el gesto de apoyo con el brazo por parte del odontólogo. En este contexto, Marchini (2023) sugiere que ofrecer una atención más empática y adaptada a las necesidades de la población envejecida, asegura que estos valores de comprensión y cercanía se reflejen en la práctica profesional.

"A mí hija que ya falleció y tenía una enfermedad, le decía, Magui, ya te voy a poner a Juan Gabriel, porque sabía que a mi hija le gustaba Juan Gabriel y yo veía que le tenía mucha paciencia, por eso yo también me atendía con él, a mí me pone danzón, me procura" (E20., 2022).

"Es necesario que tengan atenciones personalizadas con nosotros, los adultos mayores, la fuerza no es la misma, deben los doctores hacer una labor más allá de solo ver la boca, deben tratarnos como personas, a mí me ayuda mi doctora hasta a caminar, me da su brazo para subir y bajar del sillón y para despedirme, siento un cariño especial y agradecido" (E9., 2022).

Comprensión por parte del odontólogo sobre las necesidades del paciente

La mayoría de los entrevistados destacan la valoración positiva que los dentistas demuestran al considerar la comodidad de los adultos mayores. Los participantes mencionan que los odontólogos suelen realizar preguntas frecuentes sobre su bienestar durante el tratamiento, ajustando las herramientas

y técnicas según las necesidades específicas de los pacientes. Este enfoque es altamente valorado por los adultos mayores, quienes aprecian los cuidados adicionales proporcionados por los dentistas, especialmente debido a las necesidades particulares que enfrentan como población que requiere atención especializada y constante. Además, una comunicación efectiva entre el dentista y el paciente es fundamental, ya que permite identificar y abordar cualquier inquietud o malestar que los adultos mayores puedan experimentar sobre los cambios en los procedimientos dentales, asegurando que se sientan cómodos y escuchados durante todo el proceso (Ho, et al., 2025).

"Tengo mi rodilla mal, la tengo doblada y siempre se preocupó por esto, me ofrecía un cojín para mayor comodidad" (E5., 2021).

"Siempre me auxiliaba, uno ya es grande y necesitamos cuidados diferentes, así como que nos comprendan, yo estoy solo en el mundo y a veces necesitamos comprensión de las personas que nos bridan cuidados, como las enfermeras, los doctores de los hospitales o los dentistas" (E3., 2021).

Horarios de trabajo convenientes para el paciente

Para concluir con este análisis de resultados, es importante resaltar lo esencial que resulta para la mayoría de los adultos mayores que los odontólogos ofrezcan horarios de atención que se ajusten a sus necesidades, la planificación del tiempo de la cita geriátrica en el área dental es tan importante como el diagnóstico (Ettinger, et al., 2021). Los entrevistados señalaron de manera recurrente su preferencia por recibir atención en horarios matutinos, un aspecto que los dentistas consideran al ofrecerles espacios de consulta. Esto se debe a que, para muchos adultos mayores, salir de casa cuando empieza a oscurecer es complicado. Además, han establecido como hábito realizar sus actividades y resolver sus pendientes por la mañana, ya que durante el día pueden ver con mayor claridad, lo que les permite evitar posibles accidentes. De hecho, estudios indican que los adultos mayores que adoptan un patrón de

despertar temprano y mantienen una rutina matutina activa presentan un rendimiento cognitivo superior (Smagula, et al., 2022).

"Mi dentista me daba horarios adecuados a mis tiempos, cuando yo llegaba, porque soy una persona grande y no puedo estar mucho tiempo fuera de casa, mis hijos me acompañaban, pero les dan nervios cuando salgo, porque la otra vez que fui al doctor me caí y me fracturé la clavícula" (E20., 2022).

“Mi dentista, siempre me atiende supertemprano, sabe que, como personas grandes, madrugamos, yo creo que, porque no podemos dormir y para evitar accidentes, me tiene esta consideración” (E24., 2022).

Discusión

Implicaciones teóricas

El presente estudio analizó las experiencias de los adultos mayores en relación con la calidad del servicio de los consultorios dentales privados a los que han acudido durante al menos un año, basándose en su perspectiva. El propósito principal fue evidenciar la necesidad de integrar conceptos de mercadotecnia y ciencias sociales en el ámbito de la odontología, con el objetivo de mejorar la calidad de los servicios ofrecidos, especialmente para la población de adultos mayores. Este grupo, vulnerable y en constante crecimiento a nivel mundial, ha sido poco estudiado en la literatura existente.

Análisis de la experiencia de los adultos mayores

Al mismo tiempo, el estudio contribuye a llenar un vacío en la investigación al analizar las experiencias reales de los adultos mayores respecto a la calidad del servicio dental privado, utilizando un enfoque cualitativo en lugar de los métodos cuantitativos predominantes. Al considerar a los adultos mayores como consumidores activos de servicios dentales, el estudio ofrece una perspectiva distinta al enfoque tradicional de discriminación por edad, caracterizado por “actitudes negativas hacia los pacientes mayores, lo que influye en la atención que se les brinda y genera respuestas hostiles” (Martínez-Angulo et al., 2023, p. 84). Según los hallazgos, la mayoría de los adultos mayores valoran especialmente 2 de los 5 aspectos identificados como clave en la calidad del servicio: la sensación de seguridad que transmite el odontólogo y la comprensión y cercanía del profesional hacia el paciente. Además, se observó que los adultos mayores se muestran abiertos a recibir atención de odontólogos jóvenes, pero plenamente capacitados, lo que refleja una disposición positiva hacia los profesionales de nuevas generaciones. Las experiencias y opiniones de los participantes arrojan una visión más profunda sobre las diversas formas en que los adultos mayores interactúan y se involucran en el consumo del servicio dental privado.

Otro aporte teórico de esta investigación proviene del análisis profundo de las experiencias de los adultos mayores, quienes coinciden en un mismo discurso preocupante en los consultorios

Los hallazgos de este estudio proporcionan una comprensión profunda de cómo los adultos mayores perciben la atención en los servicios dentales, basándose en sus experiencias.

dentales: la importancia de la confianza entre el paciente y el odontólogo. Este aspecto es reiteradamente mencionado por los adultos mayores, quienes destacan la necesidad de proteger su integridad a través del cumplimiento de documentos legales individualizados, como historias clínicas actualizadas, consentimientos informados y firmas en las notas médicas, lo cual es obligación de todo odontólogo cumplir con la Norma Oficial Mexicana NOM013-SSA2-2015. Este hallazgo pone de manifiesto una debilidad significativa en la atención dental. De manera similar, un estudio realizado en un centro de salud familiar también evaluó negativamente la percepción de fiabilidad (Caamaño et al., 2010), un aspecto que tanto esta investigación como la mencionada anteriormente

destacan. Cabe señalar que, dado el año de publicación de dicho estudio, esta problemática ha persistido durante años y sigue vigente en la actualidad. Además, no es un fenómeno exclusivo de los países en vías de desarrollo, sino que también se observa en naciones desarrolladas, donde la gestión de los datos clínicos se ha convertido en un tema preocupante (Linde, 2022). Este estudio proporciona una base sólida para explorar más a fondo y comparar las experiencias en los servicios dentales, tanto privados como públicos, en diversos grupos sociales, como mujeres, jóvenes y personas de bajos ingresos.

Implicaciones prácticas

Los hallazgos de este estudio proporcionan una comprensión profunda de cómo los adultos mayores perciben la atención en los servicios dentales, basándose en sus experiencias. Con los resultados obtenidos, se busca reorientar los esfuerzos de los servicios odontológicos hacia este segmento de la población, con el objetivo principal de lograr la satisfacción de los pacientes. Esto implica reconocer la importancia de un acceso adecuado a servicios de salud dental de calidad, debido a su impacto directo en la salud general de los adultos mayores y en su calidad de vida. Asimismo, los resultados permiten reflexionar sobre la esencia de la mercadotecnia sanitaria y su impacto en la mejora de la calidad del servicio en los consultorios dentales. A pesar de que el estudio se basó en una muestra no representativa,

sus conclusiones ofrecen una orientación valiosa para los odontólogos, especialmente en cuanto a la retención a largo plazo de los pacientes, particularmente los adultos mayores. La fidelización se puede lograr mediante la creación de un valor agregado a través de la calidad del servicio, un aspecto destacado por los entrevistados, quienes mencionaron que han acudido a su dentista durante 10 a 20 años. La razón de esta fidelidad radica en los aspectos mejor evaluados por la muestra.

Además, este estudio subraya el derecho de acceso a servicios de salud de calidad, alineándose con el tercer objetivo de los Objetivos de Desarrollo Sostenible de la Agenda 2030: "Salud y Bienestar". Se promueve así la mejora en el acceso de los adultos mayores a la atención sanitaria, destacando los aspectos más valorados de la calidad del servicio en los consultorios dentales.

Finalmente, se invita a la difusión de estos resultados entre estudiantes de la licenciatura en Odontología, con el fin de fomentar un enfoque centrado en el paciente y en la mejora continua de la atención odontológica.

Conclusión

Esta investigación se centró en analizar las percepciones de los adultos mayores sobre la calidad del servicio en consultorios dentales, con el fin de identificar los aspectos más valorados y proporcionar información clave para mejorar la atención a este grupo demográfico en crecimiento. Utilizando

Análisis de la experiencia de los adultos mayores

una metodología cualitativa basada en entrevistas, se exploraron las experiencias de los adultos mayores, destacando la importancia de la satisfacción del paciente como objetivo primordial de los servicios odontológicos.

Los hallazgos indicaron que, aunque los aspectos físicos del consultorio (como la modernidad o lujo) son percibidos como irrelevantes, la limpieza de las instalaciones es altamente valorada. Además, la seguridad, la cercanía y la empatía del odontólogo con el paciente fueron identificados como factores cruciales para la fidelización a largo plazo de los adultos mayores, quienes mostraron una lealtad notable hacia sus dentistas, basada en la calidad de atención recibida.

Un hallazgo significativo fue la percepción negativa sobre la fiabilidad en la atención dental, particularmente en la falta de procedimientos como la firma de consentimientos informados, la toma de signos vitales y el acceso al expediente médico. Esto subraya la necesidad de mejorar la confianza en los servicios y la protección de los pacientes, especialmente considerando la vulnerabilidad de los adultos mayores a enfermedades crónicas.

La investigación contribuye a la literatura científica y ofrece orientaciones prácticas para los odontólogos, destacando la importancia de un enfoque integral en la calidad del servicio dental, alineado con los Objetivos de Desarrollo Sostenible de la Agenda 2030, particularmente en relación con

el acceso a servicios de salud de calidad para los adultos mayores.

Limitaciones y futuras líneas de investigación.

Aunque este estudio proporciona información valiosa tanto para la literatura como para los profesionales de la odontología, es importante señalar algunas limitaciones. En primer lugar, el estudio se basó en una muestra no representativa de adultos mayores, lo que limita la generalización de los hallazgos a toda la población de esta franja etaria. Además, la investigación no abarcó la fase de implementación de estrategias de marketing en los consultorios dentales, lo que representa una oportunidad para futuras investigaciones que exploren cómo estas estrategias pueden impactar la fidelización y satisfacción de los pacientes. El estudio fue de corte cualitativo y se centró exclusivamente en explorar las experiencias de los adultos mayores. Debido a esto, los resultados obtenidos no pueden generalizarse a la población en su totalidad. Por lo tanto, se recomienda complementar este enfoque cualitativo con estudios cuantitativos que permitan una evaluación más amplia y representativa (Cleland, et al., 2021).

Otra limitación es que, aunque el estudio se enfocó exclusivamente en adultos mayores, no se consideró el nivel socioeconómico de los participantes como una variable comparativa. Incluir esta variable en investigaciones futuras podría proporcionar una comprensión más profunda de cómo factores socioeconómicos influyen en la percepción y satisfacción con los servicios dentales (Jonkisz, et al., 2021).

En cuanto a futuras investigaciones, sería valioso explorar cómo la implementación de estrategias de mercadotecnia sanitaria, tales como la fidelización y el marketing relacional, impactan directamente en la retención de pacientes (Suryadi, et al., 2022), especialmente en poblaciones vulnerables como los adultos mayores (Miura, s.f.a). Además, sería pertinente investigar las diferencias en la calidad del servicio percibida por los pacientes en distintos tipos de servicios dentales, tanto públicos como privados. Finalmente, una posible línea de investigación futura podría centrarse en cómo los avances tecnológicos y la digitalización de los servicios odontológicos pueden mejorar el acceso y la experiencia de atención en este grupo etario (Miura, s.f.b).

En cuanto a futuras investigaciones, sería valioso explorar cómo la implementación de estrategias de mercadotecnia sanitaria, tales como la fidelización y el marketing relacional, impactan directamente en la retención de pacientes.

Análisis

Referencias

1. Abdullah, K., Jan, M. T. y Manaf, N. H. A. (2012). Un enfoque de modelado de ecuaciones estructurales para validar las dimensiones de SERVPERF en la industria aérea de Malasia. Revista Internacional de Ciencias de la Ingeniería y la Gestión, 3 (2), 134-141. https:// www.academia.edu/1526364/A_Structural_Equation_Modelling_Approach_to_Validate_the_Dimensions_of_SERVPERF_in_Airline_Industry_of_Malaysia?from=cover_page

2. Akdere, M., Top, M., & Tekingündüz, S. (2020). Examining patient perceptions of service quality in Turkish hospitals: The SERVPERF model. Total quality management & business excellence, 31(3-4), 342-352.

3. Baía, A., y Baptista, T. (2020). Impact of Service Quality on Patient Satisfaction: In a Public Hospital in Cap Vert. European Journal of Business and Management, 12(27), 1-11. https://www.researchgate.net/profile/Amandio-Baia/publication/353659772_Impact_of_Service_Quality_on_Patient_Satisfaction_In_a_Public_Hospital_in_Cap_Vert/ links/6109121d169a1a0103d4ce3a/Impact-of-Service-Quality-on-Patient-SatisfactionIn-a-Public-Hospital-in-Cap-Vert.pdf

4. Braine, T. (2005). More oral health care needed for ageing populations. Bulletin of the World Health Organization, 83, 646-647. https://www.scielosp.org/article/ssm/content/ raw/?resource_ssm_path=/media/assets/bwho/v83n9/v83n9a06.pdf

5. Calero, J. A., Rodríguez, L., y Barreto, J. F. (2008). La calidad y el mejoramiento continuo: claves en el éxito del ejercicio profesional en odontología. Colombia Médica, 39(1), 11-27. http://www.scielo.org.co/pdf/cm/v39n1s1/v39n1s1a3.pdf

6. Calero, R. M. D. R. (2012). El papel del marketing en los servicios sanitarios. Enfermería Clínica, 22(4), 234-235. https://www.sciencedirect.com/science/article/abs/pii/ S1130862112000216?via%3Dihub

7. Cárdenas, M. J. M. (2007). El marketing holístico en la oferta de prestación de servicios de salud en Colombia. Panorama, 1(1), 2. https://www.researchgate.net/publication/276237822_El_ marketing_holistico_en_la_oferta_de_prestacion_de_servicios_de_salud_en_Colombia

8. Castelló, A. I. F., y Carrasco, G. (2019). Competencias del líder en healthcare. Journal of healthcare quality research, 34(4), 165-166. https://dialnet.unirioja.es/servlet/articulo?codigo=7107187

9. Cleland, J., Hutchinson, C., Khadka, J., Milte, R., & Ratcliffe, J. (2021). What defines quality of care for older people in aged care? A comprehensive literature review. Geriatrics & Gerontology International, 21(9), 765-778.

10. Congreso de la Unión. (2024). Ley General de Salud. Cámara de Diputados del H. Congreso de la Unión. https://www.diputados.gob.mx/LeyesBiblio/pdf_mov/Ley_General_de_Salud.pdf

11. Crutzen, C., & Adam, S. (2022). “What if It’s not Just an Item of Clothing?”–A Narrative Review and Synthesis of the White Coat in the Context of Aged Care. Psychologica Belgica, 62(1), 62.

12. Cruz Palma, G., Nakagoshi Cepeda, A. A., Quiroga García, M. Á., Palomares Gorham, P. I., Galindo Lartigue, C., & González Meléndez, R. (2018). Sustentabilidad en los servicios de salud bucal en México. Odontología vital, (29), 39-42.

13. Dolce, M. C., Parker, J. L., Savageau, J. A., & Da Silva, J. D. (2019). Older adult patients’ experience of care in a dental school clinic. Journal of Dental Education, 83(9), 1039-1046. https://onlinelibrary.wiley.com/doi/abs/10.21815/JDE.019.104

14. Ettinger, R., Marchini, L., & Hartshorn, J. (2021). Consideration in planning dental treatment of older adults. Dental Clinics, 65(2), 361-376.

15. Gajardo, J., Moreno, X., Fuentes-García, A., Moraga, C., Briceño, C., y Cifuentes, D. (2020). Percepción usuaria de beneficios en salud del Programa Más Adultos Mayores Autovalentes en el Servicio de Salud Metropolitano Norte. Revista médica de Chile, 148(3), 304-310. https://scielo.conicyt.cl/scielo.php?pid=S0034-98872020000300304&script=sci_arttext&tlng=n

16. Ghanbarzadegan, A., Balasubramanian, M., Luzzi, L., Brennan, D., & Bastani, P. (2021). Inequality in dental services: a scoping review on the role of access toward achieving universal health coverage in oral health. BMC Oral Health, 21, 1-11.

17. Graskemper, J. P. (2023). Professional responsibility in dentistry: a practical guide to law and ethics. John Wiley & Sons.

18. Hassani, H., Norouzi, K., Ghodsi, A., & Huang, X. (2023). Revolutionary dentistry through blockchain technology. Big Data and Cognitive Computing, 7(1), 9.

19. Ho, J. C. Y., Chai, H. H., Lo, E. C. M., Huang, M. Z., & Chu, C. H. (2024). Strategies for effective dentist-patient communication: a Literature Review. Patient preference and adherence, 1385-1394.

20. Ho, J. C. Y., Chai, H. H., Luo, B. W., Lo, E. C. M., Huang, M. Z., & Chu, C. H. (2025). An Overview of Dentist–Patient Communication in Quality Dental Care. Dentistry Journal, 13(1), 31.

21. INAPAM. (2019). Salud bucodental en las personas mayores. Gobierno de México. https:// www.gob.mx/inapam/es/articulos/salud-bucodental-en-las-personas-mayores?idiom=es

Análisis de la experiencia de los adultos mayores

22. Jonkisz, A., Karniej, P., & Krasowska, D. (2021). SERVQUAL method as an “old new” tool for improving the quality of medical services: A literature review. International journal of environmental research and public health, 18(20), 10758.

23. Kossioni, A. E. (2013). Current status and trends in oral health in community dwelling older adults: A global perspective. Oral Health Prev Dent, 11(4), 331-340. http://www. quintpub.com/userhome/ohpd/ohpd_2013_04_s0331.pdf

24. Latour, J., Legge, A., & Nasser, M. (2021). Older Patients’ Views of Oral Health Care and Factors which Facilitate or Obstruct Regular Access to Dental Care-Services: A Qualitative Systematic Review.

25. Levin, R. P. (2004). The correlation between dental practice management and clinical excellence. Journal of the American Dental Association, 135(3), 345-346. https://jada. ada.org/article/S0002-8177(14)61205-8/fulltext

26. Liang, H., Xue, Y., & Zhang, Z. R. (2021). Patient satisfaction in China: a national survey of inpatients and outpatients. BMJ open, 11(9), e049570.

27. Linde, P. (2022, octubre 8). Los pacientes se mueven por España, sus datos clínicos no: “A veces tenemos que atenderlos a ciegas”. El País. https://elpais.com/sociedad/2022-10-09/ los-pacientes-se-mueven-por-espana-sus-datos-clinicos-no-a-veces-tenemos-que-atenderlos-a-ciegas.html

28. Lindmark, U., Ernsth Bravell, M., Johansson, L., & Finkel, D. (2021). Oral health is essential for quality of life in older adults: A Swedish National Quality Register Study. Gerodontology, 38(2), 191-198.

29. Malama, F. M. y Hyder, A. S. (2015). Impact of culture on marketing of health services – Elekta in Brazil. International Business Review, 24(3), 530-540. https://www.sciencedirect.com/science/article/pii/S0969593114001607

30. Magdaleno, M. O. (2024). Salud bucal en América Latina: Desafíos por afrontar. Revista Latinoamericana de Difusión Científica, 6(11), 142-156.

31. Marchini, L. (2023). Educating dental students to provide compassionate age friendly care for older adults. Journal of dental education, 87(8), 1153-1160.

32. Martín, F. J., Ariza, C. G., Rodríguez, M. G., Gayo, M. M., Martínez, G. M., Alzola, M. C., y Fernández, S. M. M. I. (2015). Satisfacción con la enfermera en atención primaria: herramientas de medida y factores explicativos. Revista de Calidad Asistencial, 30(2), 86-94. https://www.elsevier.es/es-revista-revista-calidad-asistencial-256-articulo-satisfaccion-con-enfermera-atencion-primaria-S1134282X15000147

33. Martínez-Angulo, P., Munoz-Mora, M., Rich-Ruiz, M., Ventura-Puertos, P. E., Cantón-Habas, V., & López-Quero, S. (2023). " With your age, what do you expect?": Ageism and healthcare of older adults in Spain. Geriatric Nursing, 51, 84À94.

34. Martínez, G. J. M. y Pérez, C. L. (2021). La transformación del marketing sanitario: cómo los datos son el petróleo del siglo XXI. ESIC Editorial https://books.google.es/ books?hl=es&lr=&id=Jd0xEAAAQBAJ&oi=fnd&pg=PT5&dq=Mart%C3%ADnez,+G.+J.+M.+P%C3%A9rez,+C.+L.+(2021)+La+transformaci%C3%B3n+del+marketing+sanitario:+c%C3%B3mo+los+datos+son+el+petr%C3%B3leo+del+siglo+XXI.+ESIC+Editorial&ots=LuYmmGEwmk&sig=VRlmY-sHwVPdSQT_kBY6-XUgTt0#v=onepage&q&f=false

35. Martín-Moreno, J. M., Arenas, A., Bengoa, R., Borrell, C., Franco, M., García-Basteiro, A. L., ... y Vives-Cases, C. (2020). Reflexiones sobre cómo evaluar y mejorar la respuesta a la pandemia de COVID-19. Gaceta Sanitaria. https://www.sciencedirect.com/science/ article/pii/S0213911120302545

36. Miranda Guerra, A. D. J., Hernández Vergel, L. L., & Rodríguez Cabrera, A. (2009). Calidad de la atención en salud al adulto mayor. Revista Cubana de medicina general integral, 25(3). http://scielo.sld.cu/scielo.php?script=sci_arttext&pid=S0864-21252009000300003

37. Miura, H. (s.f.-a). Special Issue "Health Services Research on Dentistry in Aged Society". International Journal of Environmental Research and Public Health, MDPI. https://www. mdpi.com/journal/ijerph/special_issues/Dentistry_Aged_Society

38. Miura, H. (s.f.-b). 2nd Edition of Health Services Research on Dentistry in Aged Society. International Journal of Environmental Research and Public Health, MDPI. https://www. mdpi.com/journal/ijerph/special_issues/Dentistry_Aged_Society

39. Müller, F., Shimazaki, Y., Kahabuka, F., & Schimmel, M. (2017). Oral health for an ageing population: the importance of a natural dentition in older adults. International dental journal, 67, 7-13. https://onlinelibrary.wiley.com/doi/full/10.1111/idj.12329

40. Organización Mundial de la Salud. (2024). Envejecimiento y Salud. Organización Mundial de la Salud. https://www.who.int/es/news-room/fact-sheets/detail/ageing-and-health

41. Petersen, P. E., & Ueda, H. (2008). Oral health in ageing societies: integration of oral health and general health: report of a meeting convened at the WHO Centre for Health Development in Kobe, Japan, 1-3 June 2005. https://apps.who.int/iris/bitstream/handle/10665/43531/9789241594501_eng.pdf

42. Pham, N. C., Pham, H. H., Hossain, T., & Li, Y. (2020). Servicescapes in healthcare: A qualitative study on the Elderly's perception of an aged care facility. Asia Pacific Journal of Health Management, 15(1), 26-34.

Análisis de la experiencia de los adultos mayores

43. Porter, M. E., y Teisberg, E. O. (2007). Redefining health care: creating value-based competition on results. New England Journal of Medicine, 356, 316-7. https://archives-rfg. revuesonline.com/gratuit/RFG33_177_14_Actua_des_livres.pdf

44. Priego Álvarez, H. R. A. (2015). Mercadotecnia en salud: aspectos básicos y operativos. (4ª ed., Vol. 4) Colección Julián Manzur Ocaña vida y salud social. http://www.rims.org. mx/wp-content/uploads/2021/06/MenS-210515_compressed.pdf

45. Ramos, E. (2016). Análisis de la participación laboral de los adultos mayores con base en un modelo logit. La situación demográfica de México, 87-107.

46. Rekow, E. D. (2020). Digital dentistry: The new state of the art—Is it disruptive or destructive?. Dental Materials, 36(1), 9-24.

47. Rotenstein, L. S., Sadun, R., y Jena, A. B. (2018). Why doctors need leadership training. Harvard Business Review, 17, 1-5. https://hbr.org/2018/10/why-doctors-need-leadership-training

48. Smagula, S. F., Zhang, G., Gujral, S., Covassin, N., Li, J., Taylor, W. D., ... & Krafty, R. T. (2022). Association of 24-hour activity pattern phenotypes with depression symptoms and cognitive performance in aging. JAMA psychiatry, 79(10), 1023-1031.

49. Smith, L. A., Smith, M., & Thomson, W. M. (2020). Barriers and enablers for dental care among dentate home-based older New Zealanders who receive living support. Gerodontology, 37(3), 244-252.

50. Soares, G. H., Ortiz-Rosa, E., Alves, C. P., Paz, D., An, K. S., Pereira, A. C., ... & Michel-Crosato, E. (2021). Factors associated with utilisation of dental services by the elders from São Paulo, Brazil. Gerodontology, 38(2), 216-227.

51. Srinivas, S., Rao, K. M., Sushma, R., Bharadwaj, R. S., Doggalli, N., & Doddawad, V. G. (2023). Empathy and attitude towards geriatric patients among dental students in clinical settings: A descriptive study. Perioperative Care and Operating Room Management, 32, 100329.

52. Srivastava, P. and Hopwood, N. (2009), “A practical iterative framework for qualitative data analysis”, International Journal of Qualitative Methods, Vol. 8 No. 1, pp. 76-84.

53. Suárez, N. L., Hernández, C. G., Caján, M. V., Remoaldo, P. C., Torres, C. S., y Priego, H. R. A. (2016). Conocimientos y actitudes hacia la mercadotecnia en salud en países de Iberoamérica. Revista Cubana de Salud Pública, 42(1), 115-128. https://www.medigraphic. com/pdfs/revcubsalpub/csp-2016/csp161l.pdf

54. Suryadi, S., Pasinringi, SA y Kadir, AR (2022). El efecto del marketing de relaciones con el cliente y el valor del cliente en la lealtad del cliente en el Hospital Syekh Yusuf, Gowa Regency. Revista de investigación multicultural asiática para el estudio de la economía y la gestión , 3 (2), 21-28.

55. Tiwari, T., Maliq, N. N., Rai, N., Holtzmann, J., Yates, L., Diep, V., ... & Frantsve-Hawley, J. (2023). Evaluating Trust in the Patient–Dentist Relationship: A Mixed-Method Study. JDR Clinical & Translational Research, 8(3), 287-298.

56. Tracy, S.J. (2013), Qualitative Research Methods: Collecting Evidence, Crafting Analysis,

57. Communicating Impact, John Wiley & Sons, Ltd, Publication.

58. Tasayco-Torbisco, GL, & Cóndor Cámara, DF (2023). Teleodontología: una definición por esclarecer. Revisión de la literatura. Revista Estomatológica Herediana , 33 (2), 138-153.

59. Van de Rijt, L. J., Stoop, C. C., Weijenberg, R. A., de Vries, R., Feast, A. R., Sampson, E. L., & Lobbezoo, F. (2020). The influence of oral health factors on the quality of life in older people: a systematic review. The Gerontologist, 60(5), 378-394.

60. Valtakoski, A. (2020). The evolution and impact of qualitative research in Journal of Services Marketing. Journal of Services Marketing, 34(1), 8-23

61. Zúñiga, D. C., Fernández, M. Á. L., & González, F. M. (2021). El derecho a la salud, un tema presente. Revista CONAMED, 26(2), 55-56.

62. Willis, D. O. (2013). Generating Patients for the Practice. Business Basics for Dentists, 213-228. https://onlinelibrary.wiley.com/doi/abs/10.1002/9781118783368.ch17

63. Wu, C. Z., Yuan, Y. H., Liu, H. H., Li, S. S., Zhang, B. W., Chen, W., ... & Li, L. J. (2020). Epidemiologic relationship between periodontitis and type 2 diabetes mellitus. BMC Oral Health, 20(1), 1-15.

Uso de derivados grafénicos en materiales odontológicos

Una revisión sistemática

Uso de derivados grafénicos en materiales odontológicos

Agradecimientos:

Las autoras agradecen a la Dra. Ma. Concepción Arenas y al Dr. Víctor Ruiz Santoyo por sus continuas revisiones y comentarios. De igual forma, agradecen a la Escuela Nacional de Estudios Superiores Unidad León y a la Universidad Nacional Autónoma de México.

Declaración de conflicto de intereses:

Las autoras de esta revisión sistemática declaran no tener ningún conflicto de interés, así como ninguna relación financiera y personal con alguna organización que pueda influir de manera negativa en el presente trabajo.

Cecilia Gabriela Muñoz-Calderóna, Montserrat Guadalupe Muñoz-Juachea, María José Padilla-Reséndiza, Yaily Fernández-Arteagab

a Licenciatura en Odontología, Escuela Nacional de Estudios Superiores Unidad León, Universidad Nacional Autónoma de México, 37684, Guanajuato, México

b Laboratorio de Investigación Interdisciplinaria, Área de Nanoestructuras y Biomateriales, Escuela Nacional de Estudios Superiores Unidad León, Universidad Nacional Autónoma de México, 37684, Guanajuato, México Corresponding Author: yailyfer.arteaga@gmail.com

Introducción: El grafeno es un derivado que proviene del grafito y de este mismo se derivan otros, como: óxido de grafeno (GO), óxido de grafeno reducido (rGO), entre otros. Ha seguido teniendo un gran impacto en los materiales de odontología hasta la actualidad, ya que es muy destacado por las mejoras que aporta a las propiedades mecánicas, la actividad antibacteriana, el efecto antimicrobiano, entre otros.

Objetivo: recopilar información usando como referencias artículos de investigación que divulgaran el uso del grafeno y sus derivados aplicados en materiales poliméricos odontológicos, donde modifica y mejora las propiedades mecánicas de los mismos.

Metodología: la búsqueda se realizó en las bases de datos ScienceDirect, PubMed y Web of Science. Los criterios de elegibilidad incluyeron estudios que incorporaron el grafeno y sus derivados en materiales poliméricos dentales, así como las concentraciones que fueron planteadas y utilizadas en los estudios, con un periodo de antigüedad no mayor a 4 años, que fueran de acceso gratuito y que estuvieran en

idioma inglés o español. Se encontraron 75 resultados, de los cuales 9 se incluyeron en esta revisión sistemática.

Resultados: de los muchos resultados que se encontraron, uno de ellos fue que la concentración en 0.3% y 0.5% de GO-MMt, donde el GO se estabilizó con el MMt, mejoró la resistencia a la flexión, así como la microdureza en los polímeros dentales, de acuerdo con Velo et al. (2022).

Conclusión: Se concluyó que el grafeno y sus derivados brindan y mejoran las propiedades mecánicas (flexión, dureza, microdureza y compresión) de los materiales poliméricos odontológicos (resinas, impresiones 3D, prótesis y cementos, ya sean de ionómero o de resina) que fueron estudios experimentales in vitro. Asimismo, la eficacia de las concentraciones que se estudiaron y mencionaron en esta revisión sistemática fue muy objetiva.

Palabras clave: derivados grafénicos, óxido de grafeno, materiales poliméricos odontológicos, efecto antimicrobiano, citotoxicidad, odontología.

El carbono (C) es uno de los elementos más abundantes en la Tierra y constituye la base de la química orgánica. Este elemento tiene la capacidad de crear diferentes tipos de enlaces carbonocarbono, dentro de los cuales el enlace covalente brinda interesantes propiedades físicas, mecánicas, ópticas y químicas a materiales como el grafeno y sus derivados (Urcuyo et al., 2020). El grafeno fue aislado por primera vez en 2004 por Andre K. Geim y Konstantin S. Novoselov. Este material, así como sus derivados, es muy conocido en el área de medicina y biomedicina en general. Su aplicación en estos campos es novedosa y algo en lo que apenas se está incursionando, especialmente porque dichos derivados mejoran las propiedades de los materiales a los que son adicionados sin modificar su composición química (Kumar et al., 2018).

El grafeno es la estructura base del grafito (material muy abundante en la naturaleza) y está compuesto solamente por átomos de carbono. Este se caracteriza por tener una estructura plana, cuyo grosor es precisamente el de un átomo de carbono, ya que su estructura puede describirse como una red de átomos de dicho material distribuidos en forma hexagonal o de “panal de abeja” con una hibridación sp2 (Urcuyo et al., 2020). Dentro de sus propiedades destaca su elevada resistencia mecánica a la tracción de 130 GPa (Nizami et al., 2020) y su módulo de Young de 1 TPa. Además,

en trabajos como el de Kumar et al. (2018) se reporta que su resistencia mecánica a la tracción se incrementa especialmente cuando es mezclado con polímeros. Adicionalmente, presenta una conductividad térmica superior a 4 000 W·m-1·K-1 y una alta movilidad de electrones de 10⁵ cm²·V-1 ·s-1, propiedades que han favorecido su uso en la optimización de materiales, tratamientos y dispositivos de diversos campos (Nizami et al., 2020).

Por otro lado, la extensión que presentan las hojas de grafeno y sus derivados facilita la unión e interacción con otros componentes (Kumar et al., 2018) y, por tanto, su funcionalización acorde a la aplicación en la que vaya a ser empleado. La quimisorción de flúor (proceso de adsorción química que sucede en la interacción entre una superficie y un adsorbato, resultante por medio de un enlace electrónico que permite la unión de una superficie expuesta) propicia la característica al grafeno de ser semitransparente visualmente (Urcuyo et al., 2020). Otras de las propiedades que lo hacen destacar, al igual que sus derivados, son su ligereza y elasticidad, las cuales les permiten adaptarse a diversas formas y presiones sin resultar pesados ni sufrir ruptura.

Algunos de los derivados más relevantes del grafeno son el óxido de grafeno (GO), el óxido de grafeno reducido (rGO) y el fluorografeno. El GO se obtiene a partir de la oxidación de monocapas de grafeno o de la oxidación del grafito, mientras que el rGO se obtiene

al aplicar tratamientos térmicos o químicos para la reducción del GO, es decir, eliminar los grupos oxigenados de la estructura del GO y recuperar las propiedades antes mencionadas del grafeno. Es importante mencionar que, adicionalmente, el GO es un punto de partida para obtener nuevos derivados grafénicos, en especial los funcionalizados con algún otro elemento químico (Urcuyo et al., 2020), como el fluorografeno.

El grafeno ha tenido un gran impacto en diversas áreas recientemente, en especial las especializadas en industrialización e ingeniería; sin embargo, las ciencias de la salud no se han quedado atrás, y hace algunos años se empezaron a realizar estudios con más frecuencia sobre el uso de este en materiales y tratamientos médicos. Por ejemplo, en odontología se han estudiado las mejoras significativas en cuanto a propiedades mecánicas, físicas, químicas y electrónicas que le aportan los derivados grafénicos a diversos compuestos odontológicos al ser mezclados. En especial, porque la biocompatibilidad de dichos derivados, hasta el momento reportada, permite aprovechar estos beneficios sin comprometer la salud del paciente. Aunque diferentes estudios han dado indicios de la capacidad de los derivados grafénicos para volver más viables y funcionales algunos materiales odontológicos para su uso en la cavidad bucal, no debe dejar de mencionarse que el 100% de las investigaciones no han tenido resultados favorables, por lo que se continúan estudiando los

mecanismos a través de los cuales el grafeno y sus derivados interactúan con los compuestos.

El GO, cuyos grupos funcionales principales en el plano basal son los hidroxilo y epoxi, es el derivado grafénico que mayor relevancia ha tenido en el área de la odontología. Sin embargo, este derivado también cuenta con pequeñas cantidades de carboxilo, carbonilo, fenol, lactona y quinona en los contornos de la hoja (Urcuyo et al., 2020). Por lo que es importante cuidar meticulosamente los procesos de síntesis y las rutas de funcionalización. En este sentido, se debe destacar que algunos estudios centrados en los diferentes parámetros de la síntesis de GO formado por pocas hojas y funcionalizado con polietilenglicol concluyeron que es indispensable controlar características como el estado oxidativo, las vías y dosis de administración, así como su pureza, tiempos de exposición y concentraciones, para no afectar la bioseguridad (Nizami et al., 2020).

Uno de los parámetros más importantes a tener en cuenta al evaluar las potenciales aplicaciones de los derivados grafénicos en materiales dentales es la biocompatibilidad. Debido a que serán usados dentro de la cavidad bucal, lo deseado es que presenten valores despreciables de citotoxicidad, lo cual los hace altamente biocompatibles. Es recomendable que dicha biocompatibilidad sea probada mediante técnicas in vitro e in vivo, para de este modo contar con una verificación

Uso

fehaciente de dicha propiedad cuando interactúa el derivado con cada material (Tahriri et al., 2019).

Un ejemplo de las aplicaciones de los derivados grafénicos en odontología es su adición a materiales dentales como polímeros, adhesivos e implantes. Esta modificación ha logrado mejorar propiedades de los mismos, como su resistencia. Es importante destacar que la cantidad de GO debe ser apropiada, ya que si se agrega en exceso puede afectar algunas propiedades mecánicas de los materiales, como, por ejemplo, los cementos, según se reporta en Somaie et al. (2023). Otro ejemplo del uso de los derivados grafénicos en las ciencias de la salud es que son agregados al recubrimiento de titanio que se utiliza en los implantes dentales, inhibiendo la aparición de biopelículas de C. albicans, ya que evita que se acumulen y se creen colonias de biopelículas maduras en el recubrimiento de titanio, evitando, por tanto, que generen infecciones (Agarwalla et al., 2021). Sin embargo, a pesar de los avances obtenidos y de ser el grafeno un material con propiedades beneficiosas para su uso odontológico, aún está en fase de investigación. Siendo necesario profundizar en sus usos en dicha área, de modo que se le pueda dar una dirección exacta para su incorporación en odontología comercialmente (Tahriri et al., 2019).

Debido a lo descrito anteriormente, surge la presente investigación con el objetivo de identificar y explicar

cómo el uso del grafeno y sus derivados en odontología favorecen la calidad, actividad antibacteriana/antimicrobiana y biocompatibilidad de los materiales y tratamientos odontológicos. En la presente revisión sistemática se dan a conocer diversas aplicaciones del grafeno y sus derivados en el área de odontología. Se compararon los beneficios obtenidos al mezclar dichos materiales con diferentes materiales dentales, evaluando simultáneamente la presencia o ausencia de cambios en la composición de los materiales odontológicos modificados. Se muestra un resumen de los resultados experimentales de diversas investigaciones reportados previamente en la literatura, las cuales fueron consultadas y analizadas detalladamente, proporcionando de este modo una revisión completa basada en evidencia.

Objetivo

Realizar una revisión sistemática de la adición del grafeno y sus derivados a materiales poliméricos odontológicos, donde se aprecia una modificación y/o mejora de las propiedades mecánicas, de calidad, actividad antibacteriana/antimicrobiana y biocompatibilidad de los mismos.

Materiales y métodos

Pregunta de investigación

¿Qué impacto tiene el adicionar grafeno o sus derivados a materiales poliméricos odontológicos? (Tabla 1).

Paciente/Problema/Población

Materiales poliméricos odontológicos.

Criterios de elegibilidad

Adición de grafeno o derivados grafénicos a materiales poliméricos.

Se incluyeron artículos donde se estudió la influencia de la adición de grafeno y/o sus derivados en materiales poliméricos odontológicos, como resinas, prótesis, impresiones 3D y cementos; independientemente de si los mismos eran a base de resina y/o ionómeros. Se incluyeron artículos de acceso gratuito en inglés y español, con una antigüedad máxima de 4 años, es decir, publicados en el periodo de tiempo comprendido entre los años 2020 y 2024. Estos son estudios experimentales de laboratorio (in vitro), enfocados fundamentalmente en propiedades mecánicas de los materiales, como la resistencia a la microdureza (o dureza), flexión y compresión. Asimismo, en algunos casos, evaluaban la biocompatibilidad de los materiales a través de pruebas de actividad antimicrobiana/antibacteriana y citotoxicidad.

Estrategia de búsqueda

Durante la presente revisión sistemática, se consultaron bases de datos como ScienceDirect, PubMed y Web of Science, siguiendo las recomendaciones PRISMA para revisiones sistemáticas.27 Las investigaciones revisadas fueron realizadas entre enero y abril de 2024, con un enfoque en el uso

Materiales poliméricos odontológicos y los mismos una vez modificados tras adicionarles los derivados grafénicos.

Mejora de las propiedades mecánicas como resistencia a la tracción, flexión y compresión. Además, efectos del uso de los derivados en cuanto a: biocompatibilidad, actividad antimicrobiana/ antibacteriana y la citotoxicidad de los diversos materiales poliméricos odontológicos. Así como, la influencia de la efectividad de tratamientos relacionados.

de grafeno y sus derivados para mejorar las propiedades de materiales poliméricos empleados en odontología. En la búsqueda de información, se utilizaron las siguientes palabras clave y operadores booleanos: "Graphene AND Dentistry AND Resin", "Graphene AND Resin AND Dentistry", "Graphene AND Dentistry Polymers", "Graphene AND Oral Cavity". Se identificaron 4 113 artículos. Para refinar la búsqueda, se aplicaron los siguientes criterios de inclusión: artículos completos y de acceso gratuito, publicados en inglés o español, que investigaran la influencia del grafeno o sus derivados en materiales poliméricos como resinas, prótesis, impresiones 3D y cementos (a base de resina y/o ionómeros), con una antigüedad no mayor a 4 años. Este proceso resultó en un total de 75 artículos, de los cuales solo 9 fueron seleccionados para esta revisión.

Evaluación de la calidad metodológica

La calidad metodológica de los estudios fue evaluada mediante el uso de la herramienta GRADE (Grading of Recommendations, Assessment, Development, and Evaluations). Este sistema permite valorar la calidad de la evidencia en los resultados reportados en la literatura médica. GRADE examina factores como la inconsistencia

Tabla 1. Acrónimos PICOS.

Estudios experimentales de laboratorio.

de los resultados, la imprecisión, el sesgo y la aleatorización, entre otros, los cuales posteriormente son clasificados en niveles de calidad alta, moderada, baja o muy baja (Sanabria et al., 2015). Cada artículo incluido en esta revisión sistemática fue evaluado conforme a estos criterios y clasificado según su calidad. El proceso de evaluación fue realizado por las autoras de la presente revisión.

Resultados

El Diagrama PRISMA muestra el desglose del proceso de búsqueda llevado

Identificación de estudios a través de bases de datos y registros

Identificación

Screening

Búsqueda de base de datos:

Science direct = 3951

PubMed = 72

Web of science = 90

Total 4113

Registros eliminados antes de la selección:

Registros duplicados eliminados = 10

Registros eliminidaso por otros motivos = 4028

• Eran revisiones

• Estaban en otro idioma

Registros examinados = 75

• Que estén en idioma inglés y español

• Periodo de antigüedad máximo de 4 años

Acceso gratuito

• Estudios experimentales de laboratorio (in vitro)

Propiedades mécanicas (flexión, micro dureza, etc.)

Informes buscados para su recuperación = 9

Informes evaluados para determinar la elegibilidad= 9

Incluido

Estudios incluidos en la revisión = 0

Registros excluidos = 66

Informes no recuperados = 0

Informes excluidos = 0

a cabo para esta revisión sistemática. Este proceso redujo la búsqueda a un total de 9 artículos, los cuales fueron utilizados para el desarrollo de la presente revisión (Figura 1-3 y Tablas 1-3).

Discusión

A partir de los hallazgos obtenidos de los artículos seleccionados, se observó que el grafeno y sus derivados presentan un notable potencial y un impacto significativo en la mejora de diversas propiedades estudiadas. A lo largo de la investigación, se constató que, en la mayoría de los estudios, aunque se evidenció una mejora en las propiedades, esta no superó los resultados de los materiales de comparación. En los artículos que abordan las propiedades mecánicas, como la flexión, microdureza y compresión, se reportó un incremento en todas ellas al realizar pruebas específicas. Por otro lado, en los estudios que evaluaron la citotoxicidad y la actividad antimicrobiana, también se documentó un impacto considerable en la inhibición de bacterias, destacando la efectividad de los materiales modificados con grafeno en este aspecto.

De acuerdo con los estudios, se observó que la resistencia a la flexión mejoró; sin embargo, en ciertas concentraciones, esta resistencia no se alcanzó. Según lo reportado por Çakmak et al. (2022), aunque hubo una mejora en la resistencia, esta se redujo al someter el material a ciclos térmicos. En cuanto a la microdureza, dureza y compresión, también se registraron

Figura 1. Diagrama PRISMA.

mejoras, pero al comparar con otros materiales y/o el grupo control, los resultados fueron inferiores. En uno de los estudios, se mencionó que no se logró la resistencia a la flexión deseada, ya que el grafeno no fue relevante al implementarse en cementos de ionómero convencional (Sharafeddin et al., 2023).

Por otro lado, De Angelis et al. (2023) indicaron que la adición de grafeno al PMMA mejoró el módulo de flexión (2 670.2 MPa), la microdureza (34.26) y la resistencia a la compresión (1 937.8 MPa). Este estudio también sugirió que se requiere una investigación adicional sobre las cantidades necesarias para mantener las propiedades estéticas sin comprometer los beneficios en las propiedades mecánicas. Según Ghosh y Shetty (2020), aunque se observó una mejora en la flexión, esta no superó los resultados de los materiales comparados, junto con el efecto negativo sobre la estética del material. Asimismo, Punset et al. (2022) señalaron las complicaciones estéticas y reportaron que la adherencia del grafeno al PMMA mejoró ligeramente la dureza y la resistencia a la compresión de los materiales protésicos, lo que es relevante para la función masticatoria.

Velo et al. (2022) destacaron que el óxido de grafeno (GO) tiene una gran biocompatibilidad con la montmorillonita (MMt), lo que facilita su penetración en la matriz de resina. Sin embargo, se observó que a concentraciones superiores al 0.5% de GO, la resistencia a la flexión disminuyó; por lo tanto, se

consideraron más adecuadas las concentraciones de GO al 0.3% y 0.5%. Finalmente, Wang et al. (2023) reportaron que las partículas de 100SiO2@GO mostraron una gran resistencia a la flexión y una baja concentración bacteriana en aplicaciones de compuestos dentales.

En los artículos que abordan la actividad antimicrobiana y la citotoxicidad, se encontró una mejora en la inhibición de bacterias. Salgado et al. (2022) reportaron que la inhibición de C. albicans y S. mutans fue más efectiva en el PMMA dopado con grafeno en comparación con el grupo control (solo PMMA). Se observó que C. albicans se inhibe tras 48 horas de incubación, y sorprendió que S. mutans no solo se inhibe a las 24 horas de incubación, sino que también se lograba su inactivación a las 48 horas de exposición. Otro estudio indicó que las nanopartículas de grafeno (GNP) en concentraciones bajas (<0.05%) mejoraron su resistencia, mientras que la adición de 0.25% mejoró la dureza de las impresiones dentales. Además, no se observaron respuestas tóxicas, y las nanopartículas de grafeno mostraron una notable actividad antimicrobiana al reducir el desarrollo de C. albicans (Aati et al., 2022).

Las limitantes de estos experimentos in vitro incluyeron la escasa información disponible sobre el grafeno, ya que se busca que el mismo sea un material que cumpla completamente con los criterios deseados para un material restaurador odontológico. Además, el grafeno derivado del grafito presenta

Investigación clínica

Autor, año (Aati et al., 2022) (Çakmak et al., 2022) (De Angelis et al., 2023) (Ghosh & Shetty, 2020)

Población Resina impresa en 3D modificada con nanoplaquetas de grafeno.

Intervención Diferentes concentraciones de nanoplaquetas de grafeno funcionalizadas con policarboxilato (GNP).

Materiales de base para dentaduras postizas (PMMA) CAD/CAM.

Se realizaron muestras de forma rectangular con G-CAM, polimetilmetacrilato reforzado con grafeno, GC. (G-CAM, Graphenano DENTAL SL, Valencia, España (GC).

Material de restauración dental a base de PMMA reforzado con grafeno (polimetilmetacrilato reforzado con grafeno CAD/CAM G-Cam).

Se tomaron muestras de diferentes tamaños para cada una de las pruebas que se iban a realizar. Para la prueba de flexión de 3 puntos se tomaron con una forma prismática en dimensión (2mm x 2mm x 25 mm).

Para la prueba de resistencia a la compresión fueron utilizadas formas cilíndricas con dimensiones de 8 mm de altura y 4 mm de diámetro.

Para la prueba de microdureza se utilizaron formas cilíndricas con dimensiones de 2 mm de altura y 4 mm de diámetro.

Monómero de resina PMMA.

Se colocó óxido de grafeno al 0.5% en peso en monómero de resina (grupo 3).

Comparación La implementación de PNB (nanoplaquetas de grafeno) que oscilan entre 0.025 y 0.25% en peso.

Hallazgos Las GNP en concentraciones bajas <0.05% mejoraron su resistencia, mientras que la adición de 0.25% mejoró su dureza de la impresión dental. No hay respuesta tóxica y las PNB mostraron una gran actividad antimicrobiana disminuyendo el desarrollo de la C. albicans.

Se comparó la flexión y microdureza (Vickers) con los siguientes materiales: Ivotion Base (polimetilmetacrilato prepolimerizado, Ivoclar Vivadent AG, Schaan, Liechtenstein (IV)) y Denturetec (resina impresa en 3D, Saremco Dental. AG, Rebstein, Suiza (DT)).

El PMMA reforzado con grafeno demostró una mayor resistencia a la flexión y microdureza (Vickers), independientemente del ciclo térmico. Sin embargo, al someterlo a dicho ciclo redujo la resistencia a la flexión del PMMA reforzado con grafeno.

Todas las pruebas se compararon con otros 2 materiales: -PMMA Convencional (CAD/CAM Polimetilmetacrilato, Multilayer PMMA). -BACR (Resinas compuestas de bisacrilato, Enamel Plus HRi Biofuction).

No hubo diferencias significativas (p > 0.05) entre el polímero reforzado con grafeno (119.4 MPa), el PMMA convencional (113.5 MPa) y el composite dental. En las pruebas de compresión para el polímero modificado con grafeno (1937.8 MPa) y en su módulo de compresión dió 1937.8 c (48.6). Para la prueba de microdureza dio como resultado 34.26 b (2.12). De acuerdo con lo reportado, aunque la adición de grafeno al PMMA mejora sus propiedades mecánicas, los valores de los parámetros analizados son muy similares a los de los materiales de referencia utilizados para la comparación. Por lo tanto, es necesario continuar investigando los porcentajes de dopado más adecuados para optimizar aún más las propiedades sin comprometer la estética de los materiales.

Tabla 2. Características de los estudios seleccionados. La información obtenida de los artículos seleccionados siguiendo el formato PICOS donde se describe la información más destacada de los mismos. un color oscuro, lo que representó una limitante en la evaluación de los resultados experimentales. En lo que respecta a los resultados para su análisis en el sistema GRADE, algunos artículos no proporcionaron datos completos, ya que únicamente describieron

Se comparó con el grupo control o sea el monómero de resina sin ninguna microadición (grupo 1).

También se comparó con otro grupo constituido por nanotubos de carbono multipared, adicionado en un 0.5% en peso en monómero de resina PMMA (grupo 2).

Se registró que la resistencia a la flexión media del grafeno fue de 29.72 MPa, sin embargo, no fue mejor en comparación a los otros grupos. Además, afectaba la estética de la prótesis debido al color del grafeno, por lo cual concluyeron que es necesario profundizar en la investigación sobre las limitantes que se encuentran en la adición de nanorrellenos de grafeno para reforzar la resina PMMA y hacer una matriz estable.

los resultados sin ofrecer cifras específicas, lo que impidió la extracción de información cuantitativa.

Aunque todos los resultados fueron positivos, cumpliendo con el objetivo de mejorar las propiedades mecánicas, los

Uso de derivados grafénicos en materiales odontológicos

(Punset et al., 2022) (Salgado et al., 2022) (Sharafeddin et al., 2023) (Velo et al., 2022) (Wang et al., 2023)

Discos de PMMA. Resina dental de polimetilmetacrilato impresa en 3D (PMMA).

La muestra fueron discos de PMMA “G-CAM”, nanorreforzados con grafeno para fresado CAD/CAM (G-PMMA).

Se utilizaron discos con grafeno en diferentes tonalidades, desde el más blanco hasta el más oscuro.

El contenido de grafeno estimado fue de 0.027% en peso.

Las pruebas realizadas se compararon con el grupo control, o sea PMMA sin modificaciones.

Se agregaron nanoplaquetas de grafeno (GNP) (Grafenest Advanced Nanotechonoly, Sever do Vouga, Aveiro Portugal) a la Resina dental (HARZ Labs Inc., Moscú, Rusia). Para medir la actividad antimicrobiana contra C. albicans y S. mutans, las concentraciones de grafeno utilizadas fueron: 0.01%, 0.1%, 0.25% y 0.5% en peso.

Cementos de ionómero de vidrio convencional (Fuji II, Japan GC Corporation).

Se añadió el óxido de grafeno (GO) en distintos porcentajes en peso al ionómero de vidrio convencional (CGIC) y al ionómero de vidrio modificado con resina (RMGI):

CGGI + 1% GO

CGIC + 2% GO

RMGI + 1% GO

RMGI + 2% GO

Nanopartículas compuestas híbridas de óxido de grafeno (GO) y montmorillonita MMt (GO-MMt).

Concentración de GOMMt: 0.3% y 0.5%.

Concentración de GO: 0.3% y 0.5%.

Esferas de SiO2 y GO en resinas a base de dimetacrilato.

Aumento de las esferas de SiO2 revestidas en GO (xSiO2 @ yGO), donde x y y representa la cantidad de SiO2 y GO.

Se comparó la actividad antimicrobiana de las resinas dopadas con grafeno en diferentes porcentajes con la de la resina sin dopar, utilizada como grupo control. Además, se incluyó un control microbiano sin disco para evaluar el crecimiento de cada microorganismo.

La adherencia del grafeno al PMMA mejoró ligeramente las propiedades mecánicas del material, haciéndolo más resistente. Esta mejora es especialmente relevante para los materiales protésicos, debido a la función masticatoria que deben cumplir. No obstante, es fundamental estudiar las posibles complicaciones biológicas y estéticas que puedan surgir a partir de la adición de grafeno.

Se reportó que para la inhibición de C. albicans y para la inactivación de S. mutans después de 24 y 48 horas de incubación no hay diferencias significativas en la concentración del grafeno.

La inhibición de C. albicans se logró a las 24 horas sin un cambio significativo en las 48 horas.

La inhibición de S. mutans en las concentraciones de 0.01, 0.1, y 0.25% no se observó durante las primeras 24 horas, después de las 48 horas, la supervivencia bacteriana disminuyó (1.5 UFC/mL en comparación con el tiempo de inicio).

Se concluyó que el grafeno ejerce inhibición de C. albicans sin importar la cantidad de grafeno que se utilice.

En la concentración de 0.5% de grafeno en peso se logró la inhibición de S. mutans en las primeras 24 horas y a las 48 horas se logró la inactivación bacteriana de 1.6 log UFC/mL.

Esto sugiere que las PMMA dopadas con grafeno son capaces de inactivar las S. mutans después de 48 horas de exposición.

La prueba de flexión se comparó con el grupo control que eran el ionómero de vidrio convencional (CGIC) y el ionómero de vidrio modificado con resina (RMGI); así como entre éstos dopados a los diferentes porcentajes en peso de grafeno antes mencionados.

Los valores de resistencia a la flexión fueron relativamente más altos en los grupos RMGI. No se observaron diferencias significativas entre los materiales del grupo CGIC (control y aquellos dopados con grafeno al 1% y 2%), y los materiales del grupo RMGI se comportaron de manera similar entre sí. Cabe destacar que la adición del 2% de grafeno al RMGI resultó en una menor respuesta del material, lo cual podría tener implicaciones importantes.

Por lo cual, la adición de GO al CGIC no tiene relevancia alguna sobre la resistencia a la flexión.

Nanopartículas compuestas híbridas de óxido de grafeno (GO) con compuestos híbridos de GO unido con Montmorillonita (MMt) en composites a base de resina (RBC) Y glóbulos rojos experimentales (matriz de resina).

El grafeno y sus derivados tienen gran biocompatibilidad con los polímeros, haciendo referencia a que el GO se estabiliza en presencia de MMt penetrando mejor en la matriz de resina. El GO a concentraciones mayores a 0.5% disminuyen los valores de resistencia a la flexión, por lo cual las concentraciones de GO a 0.3% y 0.5% fueron las más factibles en las propiedades mecánicas unido con el MMt.

Las limitantes de estos experimentos in vitro incluyeron la escasa información disponible sobre el grafeno, ya que se busca que el mismo sea un material que cumpla completamente con los criterios deseados para un material restaurador odontológico.

El compuesto relleno con 100SiO2@GO a comparación de la matriz de resina relleno con SiO2 al 5%.

La composición de las partículas 100SiO2@GO demostró una alta resistencia a la flexión y una baja concentración bacteriana. El potencial de estas partículas híbridas se aprovechó en la elaboración de composites dentales.

Investigación clínica

Autor, año Tipo de estudio Tamaño de muestra Pruebas realizadas

(Aati et al., 2022) Experimental in vitro n=15

(Çakmak et al., 2022) Experimental in vitro n= 10 ciclos térmicos

(De Angelis et al., 2023) Experimental in vitro n=10

(Ghosh & Shetty, 2020) Experimental in vitro n= 60

(Punset et al., 2022) Experimental in vitro n=15

Microdureza (Vicerks)

Flexión

Microdureza (Vickers)

Flexión

Flexión

Compresión

Microdureza

Flexión

Dureza (Shore)

Dureza (Vickers)

Compresión

(Salgado et al., 2022) Experimental in vitro n= 70 Actividad Antimicrobiana

(Sharafeddin et al., 2023) Experimental in vitro n=60 en 6 grupos de n=10 Flexión

(Velo et al., 2022) Experimental in vitro n=6 Flexión

Microdureza

(Wang et al., 2023) Viabilidad celular in vitro n= 6 de cada composite dental. Flexión n= 3 de cada composite dental. Actividad antibacteriana

Tabla 2.1. Datos extraídos de los estudios individuales. Información de cada experimento que se hizo de manera más detallada con cifras exactas.

Resultados

Base de dentadura postiza (≥ 60 MPa) Incorporación de PNB a una concentración de 0,025% (108 ± 9 MPa) Fue el más alto.

Tiempo en que se realizó

Uso de derivados grafénicos en materiales odontológicos

Primero se almacenó en saliva artificial a 37 grados durante 48 horas. y 3 meses antes de la prueba.

No especificado. Carga de 200 g durante 20 segundos.

≥70% de variabilidad. Las pruebas se esterilizaron con etanol al 75%, se lavaron PBS y se colocaron los fibroblastos libres a 37 grados por 24 horas. Se incubó durante 24 horas, se sometieron a extractos y se incubaron durante 48 horas. Posteriormente para revisar posibles efectos secundarios agregaron 10 ml de MTT a cada pocillo y fueron incubados durante 4 horas a 37 grados. Posteriormente a cada pocillo se le implementaron 100 ml de tampón de solubilización y se incubaron todo el transcurso de la noche para luego determinar la absorbancia a 570 nm usando un lector de microplacas.

No especificado.

Las muestras fueron transferidas a nuevas placas de 24 pocillos para después ser lavadas con solución de PBS seguido de sonicación durante 5 minutos. La solución desprendida fue transferida a placas de 96 pocillos y después agregaron 20 ml de solución de MTT y posteriormente fueron incubados a 37 grados durante 4 horas. La solución fue aspirada y los cristales de formazán fueron disueltos agregando 500 ml de dimetilsulfóxido finalizando con una agitación suave por 25 minutos.

25.35 ± 1.13Bb No especificado.

89.58 ± 5.47

28.31 ± 1.62Ca

95.95 ± 10.8

Se almacenaron en agua destilada durante 24 horas.

119.4 a (9.0) No especificado.

94.2 b(2.7)

34.26 b(2.12)

29.72 MPa Se mantuvieron en agua a 37 grados durante 2 semanas.

81 ± 3.2

24.6 ± 0.7

Se aplicó una carga de 4 kg durante 15 segundos.

Análisis estadístico utilizado Norma utilizada

Máquina INSTRON (ElectroPulsTME3000, Instron USA) operada por el software Bluehill.

Indentador de diamante en forma de pirámide.

Kit de proliferación celular [bromuro de 3-(4,5-dimetiltiazol-2-il)-2,5-difeniltetrazolio] (reactivo MTT; Sigma-Aldrich, Australia).

Kit MTT (solución de MTT de 0.5 mg/ml).

Software SPSS, prueba de Levene, ANOVA, prueba de post hoc de Tukey de p ≤ 0.05.

Shapiro-Wilk test, ANOVA y Bonferroni-corrected Tukey. Software (SPSS v23: IBM Corp, Armonk, NY, USA).

ISO 20795-1

ISO Standard 20795-1

Prueba de Kruskal-Wallis y Dunn. No especificado.

ANOVA y prueba T pareada corregida post hoc de Bonferroni.

Stata 14 package (StataCorp®, College Station, San Antonio, TX, USA).

ISO 1567

UNE-EN ISO 868:2003 y ASTM D2240

Se aplicó una carga constante de 300 g durante 15 segundos. No especificado.

140.23 ± 3.69 No especificado.

No especificado.

Las suspensiones se incubaron a 37 grados con una velocidad (120 rpm) de agitación.

CGIC + 1% GO 8.12 ± 4.61 Mezcla: 25 segundos Fraguado: 5.5 minutos

CGIC + 2% GO 7.43 ± 4.08

RMGI + 1% GO 23.43 ± 3.47

RMGI + 2% GO 26.82 ± 4.12

G4 = matriz de resina + 0.3% GO (GO/0,3) → 60.6 ± 2.90 b

G5 = matriz de resina + 0.5% GO (GO/0,5). → 47.00 ± 2.00 un G6 = matriz de resina + 0.3% GO–MMt (GO–MMt/0.3).

→ 100.1 ± 3.52 mi

G7 = matriz de resina + 0.5% GO–MMt (GO–MMt/0,5).

Se colocaron en una incubadora durante 1 día a 37 grados y humedad relativa del 100%.

Mezcla: 25 segundos Fraguado: 20 segundos

Se colocaron en una incubadora durante 1 día a 37 grados y humedad relativa del 100%.

→ 86.1 ± 0.93 días 14 días. (Una celda con una carga de 500 N con una velocidad de cruceta de 0.5 mm/min.).

G4 = matriz de resina + 0,3% GO (GO/0,3) → 54,8 ± 3,0 c

G5 = matriz de resina + 0,5% GO (GO/0,5).

→ 49.1 ± 4.6 a.C.

G6 = matriz de resina + 0.3% GO–MMt (GO–MMt/0,3).

→ 65.1 ± 1.8 días

G7 = matriz de resina + 0.5% GO–MMt (GO–MMt/0.5).

→ 68.6 ± 1.6 e La superficie se pulió utilizando papeles de grano decreciente por un tiempo de 2 minutos cada uno, seguido de pasta de diamante 0.5 mm; Se realizaron tres muescas a lo largo de la línea media espaciada de 100 m entre sí (durante 10 segundos.).

100SiO2 @GO 115 ± 12 MPa al 5%. No especificado.

100SiO2 @GO (6,7 x 108 UFC/ml) al 5%. 15 horas de incubación (37 °C), después 24 horas de incubación (37 °C) y 24 horas de cultivo.

ASTM D69515 “Standard Test Method for Compressive Properties of Rigid Plastics”.

Pacientes COVID-19 confirmados mediante prueba PCR. No menciona edad ni sexo de los pacientes.

SPSS versión 23 (SPSS Inc., IL, US), ANOVA de dos vías y prueba post hoc de Tukey.

No especificado.

Máquina de pruebas universal (Instron 5943, Norwood, MA, EE. UU.) ANOVA, seguido la prueba HSD de Tukey. Y mediante el uso de un programa de software estadístico (Software R; R Core Team, 2020).

Método de Welch para calcular el valor registrado por ANOVA. No especificado.

Máquina de prueba universal (Instron 5969, EE. UU.).

Análisis de varianza unidireccional (ANOVA), y prueba de Tukey utilizando el software SPSS (versión 13.0 para windows; SPSS Inc., Chicago, Illinois).

ISO 4049-2009.

ISO 4049

Investigación clínica

Autor, año Experimento realizado bajo alguna norma específica 1 = No especificada 2 = Presente

Cantidad de pruebas mecánicas realizadas 0 = 1 1 = 2 2 = 3 o más

Concentraciones utilizadas 0 = Inadecuada / no descrita 1 = Adecuada

Pureza de la muestra 1 = No está claro/ es inapropiado, 2 = Presente y descrita

Tiempo de evaluación de las pruebas 0 = Incompleta, 1 = Intención de describir/otros métodos de análisis, 2 =Completa

Variable respuesta 0 = Cualitativo subjetivo, 1 = Objetivo cualitativo, 2 = Cuantitativo

Concordancia de la medición 0 = No presente, 1 = No claro, 2 = Presente/ pruebas de laboratorio

Análisis estadístico 0 = No presente, 1 = No claro/ datos categóricos, 2 = Presente y descrito

Resultados 0 = Incompletos, 1 = Completos

(Aati et al., 2022)

(Çakmak et al., 2022)

(De Angelis et al., 2023)

(Ghosh & Shetty, 2020)

(Punset et al., 2022)

do et al., 2022)

(Sharafeddin et al., 2023)

(Velo et al., 2022)

(Wang et al., 2023)

Tabla 3. Evaluación metodológica de los estudios con el sistema GRADE.

Evaluación individual de los artículos seleccionados de acuerdo con el sistema GRADE según la información dada por cada uno de ellos y los criterios a evaluar.

autores de los artículos coincidieron en la necesidad de realizar investigaciones más exhaustivas sobre este material. Esto permitiría determinar las concentraciones específicas que no solo mejorarían estas propiedades, sino que también mantendrían los aspectos estéticos que son esenciales en los materiales poliméricos odontológicos, facilitando así la futura incorporación del grafeno y sus derivados en aplicaciones dentales.

Conclusión

Para concluir esta revisión sistemática, se establece que la pregunta de investigación planteada fue respondida de manera efectiva, evidenciando que el grafeno y sus derivados tienen un impacto significativo en la mejora de las propiedades mecánicas (flexión, compresión, microdureza y dureza), así como en la actividad antimicrobiana

Uso de derivados grafénicos en materiales odontológicos

Experimento ralizado bajo alguna norma especifica

Cantidad de pruebas mecánicas realizadas

Concentraciones utlizadas

Pureza de la muestra

Tiempo de evaluación de las muestras

Variable respuesta

Concordancia de la medición

Análisis estadístico

Resultados

y citotoxicidad de los materiales poliméricos odontológicos. Si bien se han realizado estudios in vitro sobre diversos tipos de materiales, aún no se ha validado de manera in vivo que estas propiedades sean igualmente beneficiosas. Por lo tanto, se requiere una investigación más profunda sobre el grafeno para determinar una concentración específica que no comprometa la estética de estos materiales y,

Riesgo bajo de sesgo Riesgo medio de sesgo Riesgo alto de sesgo

a su vez, potencie sus propiedades. Además, es crucial garantizar que estos beneficios sean compatibles biológicamente al utilizarse en la cavidad bucal de los seres humanos. En este contexto, el grafeno se presenta como un material interesante y prometedor, con el potencial de mejorar y transformar la práctica clínica odontológica, aunque su exploración aún está en etapas iniciales.

Experimento ralizado bajo alguna norma especifica Cantidad de pruebas mecáni

cas realizadas Concentraciones utlizadas Pureza de la muestra Tiempo de eva

luación de las muestras Variable res

2. Gráfico

puesta Concordancia de la medición Análisis esta

dístico Resultados

(Aati et al., 2022)

(Çakmak et al., 2022)

(De Angelis et al., 2023)

(Ghosh & Shetty, 2020)

(Punset et al., 2022)

(Salgado et al., 2022)

(Sharafeddin et al., 2023)

(Velo et al., 2022)

(Wang et al., 2023)

3. Resumen de Riesgo de sesgo de estudios individuales. Resultados del proceso de evaluación según el sistema GRADE de cada artículo de manera individualizada y hecha para cada criterio establecido.

Figura
de riesgo de sesgo global.
Figura

Investigación clínica

Referencias

1. Aati, S., Chauhan, A., Shrestha, B., Rajan, S. M., Aati, H., & Fawzy, A. (2022). Development of 3D printed dental resin nanocomposite with graphene nanoplatelets enhanced mechanical properties and induced drug-free antimicrobial activity. Dental Materials, 38(12), 1921–1933. https://doi.org/10.1016/j.dental.2022.10.001

2. Agarwalla, S. V., Ellepola, K., Silikas, N., Castro Neto, A. H., Seneviratne, C. J., & Rosa, V. (2021). Persistent inhibition of Candida albicans biofilm and hyphae growth on titanium by graphene nanocoating. Dental Materials, 37(2), 370–377. https://doi.org/10.1016/j.dental.2020.11.028

3. Çakmak, G., Donmez, M. B., Akay, C., Abou-Ayash, S., Schimmel, M., & Yilmaz, B. (2022). Effect of Thermal Cycling on the Flexural Strength and Hardness of New-Generation Denture Base Materials. Journal of Prosthodontics, October 2022, 81–86. https://doi.org/10.1111/jopr.13615

4. De Angelis, F., Vadini, M., Buonvivere, M., Valerio, A., Di Cosola, M., Piattelli, A., Biferi, V., & D’Arcangelo, C. (2023). In Vitro Mechanical Properties of a Novel Graphene-Reinforced PMMA-Based Dental Restorative Material. Polymers, 15(3). https://doi.org/10.3390/polym15030622

5. Ghosh, M., & Shetty, S. (2020). Effect of Addition of Graphene and Carbon Nanotubes on Flexural Strength of Polymethylmethacrylate- A Comparative In-Vitro Study. Journal of Evolution of Medical and Dental Sciences, 9(18), 1494–1499. https://doi.org/10.14260/jemds/2020/326

6. Kumar, R., Singh, R., Hui, D., Feo, L., & Fraternali, F. (2018). Graphene as biomedical sensing element: State of art review and potential engineering applications. Composites Part B: Engineering, 134, 193–206. https://doi.org/10.1016/j.compositesb.2017.09.049

7. Nizami, M. Z. I., Takashiba, S., & Nishina, Y. (2020). Graphene oxide: A new direction in dentistry. Applied Materials Today, 19, 100576. https://doi.org/10.1016/j.apmt.2020.100576

8. Punset, M., Brizuela, A., Pérez-Pevida, E., Herrero-Climent, M., Manero, J. M., & Gil, J. (2022). Mechanical Characterization of Dental Prostheses Manufactured with PMMA–Graphene Composites. Materials, 15(15). https://doi.org/10.3390/ma15155391

Uso de derivados grafénicos en materiales odontológicos

9. Salgado, H., Gomes, A. T. P. C., Duarte, A. S., Ferreira, J. M. F., Fernandes, C., Figueiral, M. H., & Mesquita, P. (2022). Antimicrobial Activity of a 3D-Printed Polymethylmethacrylate Dental Resin Enhanced with Graphene. Biomedicines, 10(10), 1–12. https://doi.org/10.3390/ biomedicines10102607

10. Sanabria, A. J., Rigau, D., Rotaeche, R., Selva, A., Marzo-Castillejo, M., & Alonso-Coello, P. (2015). Sistema GRADE: Metodología para la realización de recomendaciones para la práctica clínica. Atencion Primaria, 47(1), 48–55. https://doi.org/10.1016/j.aprim.2013.12.013

11. Sharafeddin, F., Farhadpour, H., & Hefzollah, R. (2023). Evaluation of the Effect of Nanoparticle Graphene Oxide on Flexural Strength of Glass Ionomer Cements. International Journal of Dentistry, 2023. https://doi.org/10.1155/2023/8183167

12. Somaie, R. A., El-Banna, A., & El-Korashy, D. I. (2023). Effect of incorporation of nano-graphene oxide on physicochemical, mechanical, and biological properties of tricalcium silicate cement. Journal of the Mechanical Behavior of Biomedical Materials, 146(August), 106078. https://doi. org/10.1016/j.jmbbm.2023.106078

13. Tahriri, M., Del Monico, M., Moghanian, A., Tavakkoli Yaraki, M., Torres, R., Yadegari, A., & Tayebi, L. (2019). Graphene and its derivatives: Opportunities and challenges in dentistry. Materials Science and Engineering C, 102(April), 171–185. https://doi.org/10.1016/j.msec.2019.04.051

14. Urcuyo, R., González-Flores, D., & Cordero-Solano, K. (2020). Resumo Fisicoquímica e Inorgánica Perspectivas y aplicaciones reales del grafeno después de years after its breakthrough Perspectivas e aplicações reais do grafeno após 16 Introducción. Rcq, 50, 51–85.

15. Velo, M. M. de A. C., Filho, F. G. N., de Lima Nascimento, T. R., Obeid, A. T., Castellano, L. C., Costa, R. M., Brondino, N. C. M., Fonseca, M. G., Silikas, N., & Mondelli, R. F. L. (2022). Enhancing the mechanical properties and providing bioactive potential for graphene oxide/ montmorillonite hybrid dental resin composites. Scientific Reports, 12(1), 1–14. https://doi. org/10.1038/s41598-022-13766-1

16. Wang, R., Li, Z., Tian, Q., Ma, Z., & Zhu, M. (2023). Making graphene oxide (GO)-cladded SiO2 spheres (SiO2 @GO) as inorganic fillers for dental restorative resin composites. Dental Materials, 39(12), 1076–1084. https://doi.org/10.1016/j.dental.2023.10.006

Caso clínico

Tratamiento de mordida profunda, con arco utilitario, en paciente en

Lisa Aime Álvarez Del Águila. Silvia Fabiola Rodríguez Valdés. Alumno de segundo año de la Especialidad en Ortodoncia, en el Centro de Estudios Odontológicos y Clínica Especializada GNATHOS, Morelia, Michoacán, México. Salvador Iván Lemus Abrego. Ortodoncista, Ortopedista maxilar y Profesor del área laboratorio de ortodoncia, en el Centro de Estudios Odontológicos y Clínica Especializada GNATHOS, Morelia, Michoacán, México.

Benjamín Alberto Lázaro Castillo. Maestría en Ciencias Odontológicas, Ortodoncista y Profesor del área de investigación del Centro de Estudios Odontológicos y Clínica Especializada GNATHOS, Morelia, Michoacán, México.

Contacto: Lisa Aime Álvarez Del Águila laada.1207@gmail.com

La mordida profunda puede ser identificada a edades tempranas, por lo que su tratamiento puede comenzar en etapas de crecimiento, siendo una alternativa el arco utilitario, el cual ofrece beneficios satisfactorios. Objetivo: Eliminar la mordida profunda y mantener la clase molar I, en un paciente en crecimiento. Metodología: paciente de 12 años de edad, masculino, sin datos patológicos, con mordida profunda, incisivos inferiores lingualizados, y dentición mixta. El plan de tratamiento consistió en la colocación de arco utilitario para eliminar la mordida profunda, alinear y nivelar. Resultados: a los 6 meses de tratamiento, se corrigió la sobremordida y se mantuvo la relación molar y premolar en clase I. Se retiró la aparatología sin

indicar retención, ya que el paciente se encontraba en crecimiento. Discusión: McNamara comentó que el uso del arco utilitario es eficaz para controlar la dimensión vertical y permitir la extrusión de dientes posteriores, generando una disminución de la mordida profunda sin comprometer el anclaje anterior ni el desarrollo natural de la dentición. Conclusión: el arco utilitario del Dr. Ricketts nos permite no solo intruir el sector anterior para quitar mordida profunda, si no también trabajar con el plano oclusal, crear anclaje cortical, y a su vez manejar el torque de las piezas dentarias.

Palabras claves: arco utilitario, mordida profunda, paciente en crecimiento.

Figura 1. Fotografías iniciales. A) Perfil cóncavo. B y C) Asimetría facial del lado izquierdo, cara ovalada. D) Clase I molar, OD. 13 en fase de erupción. E) Línea media dental coincide y se observa una ligera sobremordida.

F) Se observa dientes en erupción y clase I molar. G Y H) Buen desarrollo de la arcada superior. Falta de espacio para el recambio dentario en la zona del OD. 33 y ligero apiñamiento en la arcada inferior.

A su valoración hay presencia de mordida profunda, con un patrón de erupción dental normal, no presentó signos de enfermedad periodontal. los incisivos inferiores lingualizados, con dentición mixta con los OD. 55, 65 y 73 aún presentes. Clase molar I bilateral, microdoncia en OD. 12 y 22 (Figura 1).

Para su diagnóstico radiográfico se utilizaron los estudios realizaron a los 8 años del paciente en su primera interconsulta (Figura 2).

El plan de tratamiento consistió en la colocación de arco utilitario para eliminar la mordida profunda, alinear y

nivelar. Aceptando dicho procedimiento a la edad de 12 años.

Reporte de caso clínico

Se colocaron brackets cerámicos Roth 0.022, en OD. 12,11, 21, 22, 32, 31, 41 y 42, con tubos en OD. 16, 26, 36 y 46, se utilizó el arco utilitario de Elgiloy azul de 0.016 x 0.016, se activa para comenzar con la alineación y con la intrusión de los dientes anteriores superiores e inferiores (Figura 3).

Se continua con la alineación y nivelación, sin activar ambos arcos utilitarios, los OD. 13,23, 33 y 43 erupcionan favorablemente (Figura 4).

El arco de utilidad o arco utilitario del Dr. Ricketts es un arco sumamente versátil, nos permite no solo intruir el sector anterior para quitar sobremordidas, si no también trabajar con el plano oclusal, nos permite crear anclaje cortical, y a su vez manejar el torque de las piezas dentarias.

Figura 2. Radiografías iniciales. A) Perfil recto, proinclinación de incisivos superiores e inferiores, vías aéreas permeables. B) Dentición mixta, y corona de acero cromo en OD. 75, buen patrón de crecimiento, presencia de temporales de 52, 53, 54, 55, 62, 63, 64, 65, 73, 74, 75, 83, 84 y 85. Permanentes erupcionado de OD. 11, 16, 21, 26, 31, 32, 36, 41, 42 y 46. Y gérmenes dentarios de 12, 13, 14, 15, 17, 22, 23, 24, 25, 27, 33, 34, 35, 37, 43, 44, 45 y 47. 202. Junio 2025

Resultados

A los 6 meses de tratamiento, se corrigió la mordida profunda y se mantuvo la relación molar y premolar en clase I. Se retiró la aparatología sin indicar retención, ya que el paciente se encontraba en crecimiento.

A los 6 meses de tratamiento, se corrigió la mordida profunda y se mantuvo la relación molar y premolar en clase I. Se retiró la aparatología sin indicar retención, ya que el paciente se encontraba en crecimiento. Dentro de los factores favorables, se destacó el pico de crecimiento juvenil, mencionado por Björk, el cual facilitó una corrección rápida sin necesidad de retenedor, permitiendo que la mandíbula se expresara adecuadamente al corregir la posición de los incisivos

Figura 3. Inicio del tratamiento.
Dentista y Paciente

Tratamiento de mordida profunda, con arco utilitario, en paciente en crecimiento

superiores. Además, durante el tratamiento se generó espacio para los caninos, logrando su alineación en el plano oclusal en clase I. Finalmente, se recomendó a la madre del paciente realizar revisiones periódicas cada 6 meses para asegurar la estabilidad del resultado (Figura 5).

Discusión

La corrección de la mordida profunda en dentición mixta plantea un reto para el ortodoncista debido a la complejidad que representa tratarla durante el

crecimiento y desarrollo del paciente. El uso del arco utilitario ha sido ampliamente documentado como una técnica eficaz para controlar la dimensión vertical y permitir la extrusión de dientes posteriores, resultando en una disminución de la mordida profunda sin comprometer el anclaje anterior ni el desarrollo natural de la dentición.14 En este estudio, se demostró que el arco utilitario en pacientes con dentición mixta permite una corrección efectiva de la mordida profunda al controlar de manera simultánea el movimiento dental vertical y la intrusión de los

del tratamiento. Avance de tres meses donde se ve disminuida la mordida profunda.

Figura 4. Seguimiento

incisivos. Nuestros resultados coinciden con investigaciones previas, como las de Kyung-Bo y cols., y de Uribe y cols.15 16, quienes también destacaron que el control sobre la erupción selectiva de dientes posteriores y la corrección del plano oclusal es clave para el éxito en el tratamiento de la mordida profunda.

Un aspecto a destacar es que el arco utilitario genera fuerzas ligeras y continuas, lo que minimiza el riesgo

de efectos secundarios no deseados como la extrusión excesiva de dientes posteriores o la intrusión excesiva de los incisivos. Este control mecánico es particularmente importante en pacientes con dentición mixta, donde un manejo inadecuado de las fuerzas podría interferir con el desarrollo adecuado de las estructuras faciales.17

En nuestro reporte de caso, se observó una mejora significativa en la relación entre las arcadas sin afectar negativamente el crecimiento facial,

Figura 5. Terminación del caso.

lo cual es consistente con los hallazgos de Nanda.18

Conclusión

El arco de utilidad o arco utilitario del Dr. Ricketts es un arco sumamente versátil, nos permite no solo intruir el sector anterior para quitar sobremordidas, si no también trabajar con el plano oclusal, nos permite crear anclaje

Tratamiento de mordida profunda, con arco utilitario, en paciente en crecimiento

cortical, y a su vez manejar el torque de las piezas dentarias.

Se recomienda realizar revisiones hasta que erupcionen en su totalidad los permanentes, para verificar estabilidad a largo plazo del tratamiento en dentición decidua.

Referencias

1. Cardoso, M. A., Martínez, J. M., Molina, N., & Hernández, J. A. (2016). Efectos de la ortopedia funcional de los maxilares sobre las dimensiones de los arcos dentales en pacientes con mordida profunda en dentición primaria. Revista Estomatología, 18-23.

2. Hernández-Pando, C., & Cabaña, M. (2023). Manejo de los 3 planos del espacio en ortodoncia. Odontólogos de hoy. Obtenido en: https://www.odontologosdehoy.com/manejo-de-los-3-planos-del-espacio-en-ortodoncia/

3. Ascunce, A. M. (2014). Etiología, diagnóstico y plan de tratamiento de la mordida profunda - Revisión de la literatura. Revista Latinoamericana de Ortodoncia y Odontopediatría. Obtenido en: en: https://www.ortodoncia.ws/publicaciones/2014/art-2/

4. Cruz, B. M., & Muñoz, C. E. (2012). Tratamiento Ortodóncico de mordidas profundas. Revista Facultad De Odontología Universidad De Antioquia, 158-173.

5. Daokar, S., & Agrawal, G. (2016). Deep Bite Its Etiology, Diagnosis and Mnagement: A Review. Journal of Orthodontics & Endodontics, 1-4.

6. Jain, N. (2021). Deep bite: its classification, etiology, clinical features, diagnosis & treatment modalities. International Journal of Health Sciences. 222-229.

Conflicto de interés: Los autores manifiestan no tener ningún conflicto de interés. 202. Junio 2025

7. Natera-Marcote, A. C., Gasca-Vargas, V., Rodríguez-Yáñez, E. E., & Casasa-Araujo, R. (2005). El tratamiento de la mordida profunda - Caso Clínico. Revista Latinoamericana de Ortodoncia y Odontopediatría. Obtenido en: https://www.ortodoncia.ws/publicaciones/2006/art-2/

8. Alsawaf-Hassan, D., & Rajah, N. (2023). Evaluation of efficacy of utility arch with inter-maxillary elastics for treatin skeletal deep bite with retroclined upper incisors in the mixed dentition: a clinical randomized controlled trial. The Angle Orthodontist. 93(3):296-305.

9. Zamudio-López Carlos, E., & Tavira-Fernández, S. (2014). Intrusión del segmento anterior superior con miniimplantes para eliminar la mordida profunda anterior en maloclusión clase II con compromiso periodontal. Reporte de caso. Revista Mexicana de Ortodoncia. Vol. 2 Núm. 2. 117-130.

10. Echarri-Lobiondo, P. (2003). Corrección de la mordida profunda anterior y de la mordida abierta anterior con técnica en arcos dobles y con brackets vestibulares o linguales. Sociedad española de Ortodoncia y Ortopedia Dentofacial. 1-12.

11. Bello, A. (2013). Filosofía bioprogresiva de Rickkets como tratamiento efectivo de las maloclusiones. Universidad de Carabobo.

12. Machado, A. N., & Villavicencio-Caparó, E. (2022). Terapéutica parala correción de mordida profunda con intrusión en el sector anterior. Revisión de la literatura. Revista KIRU, 28-35.

13. Gregoret, J., Tuber, E., Escobar, H. (2015). Tratamiento ortodóncico con arco recto. Amolca. 215-230.

14. McNamara, J. A., Baccetti, T., Franchi, L., & Herberger, T. A. (2003). Treatment effects produced by the Twin-block appliance and the acrylic splint Herbst appliance: A prospective study. American Journal of Orthodontics and Dentofacial Orthopedics, 163-170.

15. Kyung-Bo, K., Seung-Hak, B., & Jong-Yun, C. (2015). Correction of deep overbite and mandibular anterior crowding using a utility arch. American Journal of Orthodontics and Dentofacial Orthopedics., 375-383.

16. Uribe, F. L., Janakiraman, N., & Nanda, R. (2016). Biomechanics in clinical orthodontics. . The Journal of Clinical Orthodontics, 231-238.

17. Tulloch, J. F., Proffit, W. R., & Phillips, C. (2005). Influences on the outcome of early treatment for Class II malocclusion. American Journal of Orthodontics and Dentofacial Orthopedics., 292-302.

18. Nanda, R. (2007). Correction of deep overbite in adults. Seminars in Orthodontics., 115-122.

Turn static files into dynamic content formats.

Create a flipbook
Issuu converts static files into: digital portfolios, online yearbooks, online catalogs, digital photo albums and more. Sign up and create your flipbook.