sistema digestivo

Page 1

Vol. 01 Revista del Sistema digestivo

El fascinante mundo

del microbiota intestinal .

Aprenda cómo estos diminutos habitantes de nuestro intestino influyen en nuestra salud digestiva y general. Enfermedades

Nos sumergimos en las enfermedades más comunes del sistema digestivo, como la enfermedad celiaca, el síndrome del intestino irritable y las enfermedades inflamatorias intestinales.

1 abordamos la importancia de la nutrición en la salud gastrointestinal.

Nuestros expertos explican cómo cada órgano desempeña un papel crucial en el proceso de digestión y absorción de nutrientes, sentando las bases para comprender las diversas patologías que pueden afectar este complejo sistema.

Salud y bienestar

Intro

Introducción

Bienvenida

Bienvenidos a nuestra revista dedicada a explorar en profundidad el fascinante mundo de la fisiología, anatomía y salud del cuerpo humano. En esta edición, nos sumergiremos en los intrincados detalles de un sistema específico, analizando su funcionamiento, estructura y las diversas patologías que pueden afectarlo. Ofreceremos valiosas recomendaciones nutricionales para mantener este sistema en óptimas condiciones y presentaremos un artículo de investigación de vanguardia que arroja luz sobre los últimos avances en este campo. Nuestro objetivo es proporcionarle información precisa, actualizada y accesible que le permita comprender mejor su propio cuerpo y tomar decisiones informadas sobre su salud. A lo largo de estas páginas, encontrará explicaciones detalladas sobre la fisiología y anatomía del sistema elegido, así como fascinantes imágenes histológicas que revelan su estructura a nivel celular.

Página 02

Salud y bienestar

Introducción

Nuestro enfoque no se limita solo a la función normal del cuerpo. También exploraremos las diversas patologías que pueden afectar a este sistema, desde trastornos comunes hasta enfermedades raras, y discutiremos los últimos tratamientos y estrategias de prevención.

Reconoceremos la importancia crucial de la nutrición en el mantenimiento de un cuerpo sano. Por ello, hemos incluido recomendaciones nutricionales específicas diseñadas para optimizar la función de este sistema y promover una salud óptima.

Para aquellos interesados en los últimos descubrimientos científicos, nuestro artículo de investigación destacado ofrece una mirada profunda a los avances más emocionantes en este campo, desde nuevas técnicas de diagnóstico hasta terapias innovadoras.

Por último, no podríamos concluir nuestra revista sin abordar el impacto de las enfermedades relacionadas con este sistema en nuestra sociedad. Presentaremos estadísticas actualizadas sobre la prevalencia de estas condiciones en México y discutiremos las implicaciones para nuestra salud pública.

Así que acompáñenos en este viaje de descubrimiento mientras exploramos los secretos del cuerpo humano y aprendemos cómo mantener este sistema vital funcionando a su máximo potencial. ¡Comencemos!

Página 03
Fisiología Descripción general 05 Continuación 06 Histología y anatomía Anatomía 07 Características histológicas 08 Características histológicas 09 Patologías y recomendaciones Patología 10 Continuación 11 Recomendaciones 12 Continuación de 13 recomendaciones 14 Artículo y producto Artículo 15 Producto nutricional 16 Continuación 17 Estadísticas 18 Continuación 19 Imágenes 21 Fotos maquetas 22 Referencias 23
Contenido índice

Anatomía y Fisiología del Sistema Digestivo

Fisiología

Descripción general del sistema digestivo

En el duodeno, primera porción del intestino delgado, se vierten las secreciones del páncreas, el hígado y la vesícula biliar, que contribuyen a la digestión y emulsión de grasas. A lo largo

minerales y agua. con

involucra múltiples órganos y sistemas del intestino delgado, las enzimas para transformar los alimentos digestivas y las células especializadas de la pared intestinal completan la digestión de carbohidratos, proteínas y nutrientes asimilables por el organismo. El proceso comienza en la boca, donde la masticación y la saliva inician la digestión mecánica y química.

El intestino grueso recibe el material no digerido y se encarga de absorber el agua y los electrolitos restantes, formando las heces.

El hígado, el órgano más grande del cuerpo, desempeña funciones esenciales en la digestión, como la producción de bilis, la síntesis de proteínas, el almacenamiento de glucógeno y la detoxificación de sustancias nocivas. El páncreas, por su parte, secreta enzimas digestivas.

La coordinación de todos estos procesos está finamente regulada por el sistema nervioso y el sistema endocrino, asegurando una digestión eficiente y el aprovechamiento óptimo de los nutrientes para mantener la salud y el bienestar del organismo.

Página 06

Anatomía

La anatomía del sistema digestivo comprende un conjunto de órganos especializados que se extienden desde la boca hasta el ano. La boca, donde se inicia el proceso digestivo, contiene las estructuras necesarias para la masticación y la deglución, como los dientes, la lengua y las glándulas salivales.

El esófago, un tubo muscular de unos 25 cm de longitud, conecta la faringe con el estómago. En su extremo inferior, el esfínter esofágico evita el reflujo del contenido gástrico. El estómago, un órgano en forma de J, se divide en tres regiones: el fundus, el cuerpo y el antro. Su pared muscular permite la mezcla y el avance del alimento, mientras que las glándulas gástricas secretan ácido clorhídrico y enzimas digestivas.

El intestino delgado, con una longitud aproximada de 6 metros, se divide en tres porciones: duodeno, yeyuno e íleon. Su pared interna presenta pliegues y vellosidades que aumentan la superficie de absorción. El duodeno recibe las secreciones del páncreas y la bilis del hígado y la vesícula biliar, esenciales para la digestión.

El intestino grueso, de unos 1.5 metros de longitud, se divide en ciego, colon (ascendente, transverso, descendente y sigmoide) y recto, terminando en el ano. Su principal función es absorber agua y electrolitos, formar y almacenar las heces.

1
La boca, donde se inicia el proceso digestivo, contiene las estructuras necesarias para la masticación y la deglución
Página 07

Caractarísticas

Histiológicas del sistema digestivo

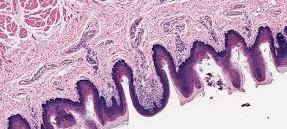
La mucosa, en contacto directo con el lumen, varía en estructura según la región. En la boca, el esófago y el ano, está revestida por un epitelio escamoso estratificado no queratinizado, mientras que en el estómago y el intestino predomina un epiteliocolumnar simple. Las células caliciformes secretan moco protector, y las glándulas de lasubmucosa producen enzimas y hormonas.

En el estómago, la mucosa forma pliegues llamados rugae y presenta invaginaciones conocidas como foveolas gástricas. Las glándulas gástricas, ubicadas en la láminapropia, contienen células parietales (secretan HCl), células principales (secretan pepsinógeno) y células enteroendocrinas (secretan hormonas).

Página 08 Sistema Digestivo

Sistema Digestivo

El intestino delgado presenta vellosidades y criptas de Lieberkühn, aumentando la superficie de absorción. Los enterocitos, con microvellosidades apicales, se encargan de la absorción de nutrientes. Las células de Paneth, en las criptas, secretan lisozima y otros péptidos antimicrobianos.

En el intestino grueso, la mucosa carece de vellosidades y presenta abundantes criptas de Lieberkühn. Las células caliciformes son numerosas, secretando moco para lubricar y proteger la pared intestinal.

El hígado está formado por lobulillos hexagonales, con placas de hepatocitos dispuestas radialmente alrededor de una vena central. Los sinusoides hepáticas, revestidos por células endoteliales y macrófagos (células de Kupffer), permiten el intercambio de sustancias entre la sangre y los hepatocitos.

El páncreas presenta una organización lobulillar, con acinos serosos que secretanenzimas digestivas hacia el sistema de conductos. Los islotes de Langerhans, dispersos en el tejido exocrino, contienen células endocrinas (alfa, beta, delta y PP) que secretanhormonas como insulina, glucagón y somatostatina.

La compleja organización histológica del sistema digestivo refleja su capacidad para llevar a cabo funciones especializadas, como la secreción, la absorción y la protección, garantizando una digestión eficiente y el mantenimiento de la homeostasis del organismo.

Página 09

Aunque el cuerpo humano

es una maravilla de la biología, no es inmune a diversos trastornos y enfermedades.

Las patologías del sistema digestivo abarcan una amplia gama de trastornos que pueden afectar cualquier órgano o región del tracto gastrointestinal. Algunas de las más comunes incluyen:

Enfermedad por reflujo gastroesofágico (ERGE): caracterizada por el reflujo del contenido gástrico hacia el esófago, causando síntomas como acidez, regurgitación y dificultad para tragar. Si no se trata adecuadamente, puede provocar esofagitis, estenosis esofágica o esófago de Barrett.

Página 10 Patología

Continuamos

Úlceras pépticas: lesiones en la mucosa del estómago o el duodeno, causadas por un desequilibrio entre los factores protectores y agresivos. La infección por Helicobacter pylori y el uso prolongado de antiinflamatorios no esteroideos (AINE) son las principales causas.

Gastritis: inflamación de la mucosa gástrica, que puede ser aguda o crónica. Puede deberse a infecciones, AINE, estrés o trastornos autoinmunes. Los síntomas incluyen dolor abdominal, náuseas y vómitos.

Enfermedad inflamatoria intestinal (EII): incluye la enfermedad de Crohn y la colitis ulcerosa, caracterizadas por una inflamación crónica del intestino. Los síntomas pueden incluir diarrea, dolor abdominal, sangrado rectal y pérdida de peso.

Síndrome del intestino irritable (SII): trastorno funcional que afecta a millones de personas, caracterizado por dolor abdominal, hinchazón y cambios en los hábitos intestinales, sin una causa orgánica identificable.

Enfermedad celiaca: enteropatía autoinmune desencadenada por la ingestión de gluten en personas genéticamente predispuestas. Provoca atrofia de las vellosidades intestinales, malabsorción y diversos síntomas gastrointestinales y extraintestinales.

Cánceres gastrointestinales: pueden afectar cualquier parte del tracto digestivo, siendo los más comunes el cáncer colorrectal, gástrico, esofágico y pancreático. Los síntomas varían según la localización y el estadio del tumor.

Enfermedades hepatobiliares: abarcan trastornos como la hepatitis viral, la cirrosis hepática, la esteatosis hepática no alcohólica, los cálculos biliares y la colestasis, entre otros. Pueden alterar la función hepática y provocar complicaciones graves.

Trastornos pancreáticos: incluyen pancreatitis aguda y crónica, fibrosis quística y cáncer de páncreas. Estas condiciones pueden afectar tanto la función exocrina como la endocrina del páncreas.

El diagnóstico y tratamiento de las patologías digestivas requiere un enfoque multidisciplinario, que puede incluir cambios en la dieta y el estilo de vida, medicamentos, procedimientos endoscópicos y cirugía, según la naturaleza y gravedad del trastorno.

Página 11 Patología

Recomendaciones

Nutricionales para la Salud Digestiva

Una nutrición adecuada es fundamental para mantener la salud del sistema digestivo y prevenir trastornos gastrointestinales.

Aquí se presentan algunas recomendaciones nutricionales clave:

Página 12

Recomendaciones

Consuma una dieta rica en fibra: las frutas, verduras, legumbres y granos enteros proporcionan fibra dietética, que promueve la regularidad intestinal, previene el estreñimiento y favorece la salud de la microbiota intestinal.

Mantenga una hidratación adecuada: beba suficiente agua a lo largo del día para favorecer la digestión, evitar el estreñimiento y mantener un buen flujo biliar.

Limite el consumo de alimentos grasos y fritos: las grasas en exceso pueden retrasar el vaciamiento gástrico, provocar reflujo y aumentar el riesgo de enfermedades como la esteatosis hepática y los cálculos biliares.

Modere el consumo de alimentos picantes y ácidos: estos pueden exacerbar los síntomas de trastornos como la ERGE y la gastritis. Si es sensible a estos alimentos, límitelos o evítelos.

Reduzca la ingesta de alcohol y cafeína: el consumo excesivo de alcohol puede dañar la mucosa gástrica, el hígado y el páncreas. La cafeína puede aumentar la secreción ácida y empeorar los síntomas de ERGE.

Página 13

Consuma probióticos y prebióticos: los probióticos son microorganismos beneficiosos que pueden mejorar la salud intestinal, mientras que los prebióticos (como la inulina y los fructooligosacáridos) son fibras que promueven el crecimiento de estas bacterias beneficiosas.

Opte por técnicas de cocción saludables: en lugar de freír, prefiera métodos como el horneado, a la parrilla o al vapor, que requieren menos grasas y preservan mejor los nutrientes de los alimentos.

Mastique bien los alimentos: una masticación adecuada facilita el proceso digestivo y reduce la carga de trabajo para el estómago y el intestino.

Evite el tabaco: fumar puede aumentar el riesgo de úlceras pépticas, ERGE y cánceres gastrointestinales.

Siga las recomendaciones específicas para su condición: si padece algún trastorno digestivo, como enfermedad celiaca, EII o SII, siga las pautas nutricionales indicadas por su médico o nutricionista.

Página 14

Actividad didáctica

Test: ¿Cuánto sabes sobre el sistema digestivo?

Instrucciones: Pon a prueba tus conocimientos sobre el fascinante mundo del sistema digestivo con este divertido test. Lee cada pregunta y elige la respuesta que consideres correcta. Al final, compara tus respuestas con la clave proporcionada y descubre cuánto has aprendido.

Preguntas:

1. ¿Cuál es el órgano del sistema digestivo responsable de la absorción de nutrientes? a) Estómago b) Intestino delgado c) Hígado d) Páncreas

2. ¿Qué enzima digestiva principal se produce en el estómago? a) Amilasa b) Lipasa c) Pepsina d) Tripsina

3. ¿Cuál de las siguientes no es una función del hígado? a) Producción de bilis b) Almacenamiento de vitaminas y minerales c) Desintoxicación de sustancias nocivas d) Digestión de proteínas

4. ¿Qué enfermedad digestiva se caracteriza por una inflamación crónica del intestino? a) Síndrome del intestino irritable b) Enfermedad celíaca c) Enfermedad inflamatoria intestinal d) Reflujo gastroesofágico

5. ¿Cuál de los siguientes alimentos es más beneficioso para la salud digestiva? a) Alimentos procesados b) Alimentos ricos en fibra c) Alimentos altos en grasas saturadas d) Alimentos con alto contenido de azúcar

Respuestas:

1. b) Intestino delgado

2. c) Pepsina

3. d) Digestión de proteínas

4. c) Enfermedad inflamatoria intestinal

5. b) Alimentos ricos en fibra

¿Cómo te fue en el test? Si respondiste correctamente la mayoría de las preguntas, ¡felicidades! Eres un experto en el sistema digestivo. Si tuviste algunas dificultades, no te preocupes; sigue explorando nuestra revista para aprender más sobre este fascinante tema y cómo mantener una buena salud digestiva.

Página 15

Artículo de Investigación sobre el Sistema Digestivo

Efecto del probiótico Lactobacillus reuteri DSM 17938 en pacientes con síndrome de intestino irritable con estreñimiento: un estudio doble ciego, aleatorizado, controlado con placebo"

Autores: Rondón, A. J., Samaniego, L. M., Sánchez, M. N., Calatroni, M. I., Muraro, M. A., & Vicario, M. (2018).

Revista: Revista de Gastroenterología de México, 83(1), 13-20.

Resumen: Introducción: El síndrome de intestino irritable con estreñimiento (SII-E) es un trastorno gastrointestinal funcional común. Los probióticos han demostrado ser efectivos en el tratamiento del SII, pero la evidencia específica para el SII-E es limitada. El objetivo de este estudio fue evaluar la eficacia del probiótico Lactobacillus reuteri DSM 17938 en el tratamiento del SII-E.

Métodos: Se realizó un estudio doble ciego, aleatorizado, controlado con placebo en pacientes con SII-E según los criterios de Roma III. Los pacientes recibieron L. reuteri DSM 17938 o placebo durante 4 semanas. Se evaluaron la frecuencia y consistencia de las deposiciones, el dolor abdominal, la hinchazón y la calidad de vida al inicio y después de la intervención.

Resultados: Sesenta pacientes completaron el estudio (30 en cada grupo). Después de 4 semanas, el grupo que recibió L. reuteri mostró una mejora significativa en la frecuencia de las deposiciones, la consistencia de las heces y el dolor abdominal en comparación con el placebo (p < 0.05). No hubo diferencias significativas en la hinchazón o la calidad de vida entre los grupos.

Conclusiones: L. reuteri DSM 17938 es un tratamiento efectivo para mejorar los síntomas del SII-E, especialmente la frecuencia y consistencia de las deposiciones y el dolor abdominal. Se necesitan estudios adicionales para confirmar estos hallazgos y evaluar los efectos a largo plazo.

Página 16
.

Nutricional para la Salud Digestiva: Enterosgel: Tu aliado para el bienestar digestivo

Enterosgel es un enterosorbente de origen natural que promueve la salud gastrointestinal y alivia los síntomas de diversos trastornos digestivos. Su ingrediente principal, el polimetilsiloxano polimerizado, actúa como una esponja molecular, atrapando y eliminando suavemente toxinas, alérgenos y otras sustancias nocivas del tracto gastrointestinal.

Beneficios de Enterosgel:

Alivia los síntomas de la diarrea, el estreñimiento y el síndrome del intestino irritable

Ayuda a eliminar toxinas y alérgenos del sistema digestivo

Promueve un equilibrio saludable de la microbiota intestinal

Mejora la absorción de nutrientes y la función digestiva en general

Seguro para uso a largo plazo, sin efectos secundarios significativos

Página 17 Publicidad de un Producto

Publicidad de un Producto Nutricional para la Salud

Digestiva:

Enterosgel ha sido ampliamente estudiado y utilizado en Europa durante más de 30 años, con numerosos ensayos clínicos que respaldan su eficacia y seguridad. Es un producto natural, libre de gluten, lactosa y aditivos artificiales, adecuado para adultos y niños mayores de 1 año.

Si sufres de trastornos gastrointestinales crónicos o simplemente buscas un apoyo natural para tu bienestar digestivo, Enterosgel es la elección inteligente. Experimenta el alivio y la comodidad que mereces con Enterosgel, tu aliado para un sistema digestivo saludable y equilibrado.

Enterosgel está disponible sin receta en farmacias y tiendas naturistas de todo México. Consulta a tu médico para obtener más información y determinar si Enterosgel es adecuado para ti.

Página 18

Estadísticas de Enfermedades del Sistema

Digestivo en México

Según datos del Instituto Nacional de Estadística y Geografía

(INEGI) y la Secretaría de Salud, las enfermedades del sistema digestivo son

una causa importante de morbilidad en México.

Estas estadísticas destacan la importancia de las enfermedades del sistema digestivo en México y la necesidad de estrategias efectivas de prevención, diagnóstico y tratamiento para reducir su impacto en la salud pública.

Página 19

La enfermedad por reflujo gastroesofágico (ERGE) afecta aproximadamente al 19.6% de la población adulta mexicana, según un estudio realizado por Huerta-Iga et al. (2016).

La prevalencia del síndrome del intestino irritable (SII) en México se estima en un 16.9%, de acuerdo con un estudio epidemiológico de Amieva-Balmori et al. (2020). Las mujeres son más propensas a padecer SII que loshombres.

Un estudio de Yamamoto-Furusho et al. (2019) encontró que la incidencia de la enfermedad inflamatoria intestinal (EII) en México ha aumentado en las últimas décadas, con una tasa de 0.21 casos por 100,000 habitantes para la enfermedad de Crohn y 0.16 casos por 100,000 habitantes para la colitis ulcerosa.

Según datos del Sistema Nacional de Vigilancia Epidemiológica (SINAVE), en 2020 se notificaron 5,163,920 casos nuevos de infecciones intestinales por otros organismos y las mal definidas, lo que representa una tasa de incidencia de 4,032.72 casos por cada 100,000 habitantes.

El cáncer colorrectal es el tercer cáncer más común en México, con una incidencia de 6.9 casos por cada 100,000 habitantes, según datos de Globocan 2020. El cáncer gástrico tiene una incidencia de 5.6 casos por cada 100,000 habitantes.

Página 20

Esta imagen muestra una representación esquemática del tracto gastrointestinal humano. Se pueden observar los principales órganos del sistema digestivo, como el esófago, el estómago, el intestino delgado y el intestino grueso.

Esta imagen presenta una endoscopía del colon, un procedimiento médico utilizado para visualizar el interior del intestino grueso.

En esta imagen se observa una del tracto gastrointestinal humano.

En esta imagen se muestra una representación artística de una colonoscopía..

Página 21
Página 22

Referencias

Amieva-Balmori, M., Cano-Contreras, A. D., Espinosa-Flores, A. J., Gómez-Castaños, M., Meixueiro-Daza, A., Remes-Troche, J. M., & Roesch-Dietlen, F. (2020). Consenso mexicano sobre probióticos en gastroenterología. Revista de Gastroenterología de México, 85(2), 179197.

Canicoba, M., & Nastasi, V. (2021). Microbiota intestinal y su relación con las enfermedades inflamatorias intestinales. ActaGastroenterológica Latinoamericana, 51(1), 42-54. http://actagastro.org/microbiota-intestinal-y-su-relacion-con-lasenfermedades-inflamatorias-intestinales/ Carmona-Sánchez, R., & Icaza-Chávez, M. E. (2020). Síndrome de intestino irritable: Actualidades en fisiopatología y tratamiento. Revista de Gastroenterología de México, 85(1), 62-72.

González-Regueiro, J. A., Moreno-Castañeda, L., Uribe, M., & ChávezTapia, N. C. (2017). La importancia de la dieta en la enfermedad inflamatoria intestinal. Revista de Gastroenterología de México, 82(2), 103-108.

Hernández-Alcántara, A. M., Wacher-Rodarte, N., & Uscanga, L. (2018). Trastornos funcionales digestivos en México: Un estudio epidemiológico.

Revista de Gastroenterología de México, 83(4), 384- 390.

Icaza-Chávez, M. E. (2019). Microbiota intestinal en la salud y la enfermedad. Revista de Gastroenterología de México, 84(4), 485-486.

López-Colombo, A., Ponce-de-León-Rosales, S., & Velasco-Benítez, C. A. (2020). Probióticos: De las enfermedades infecciosas a los trastornos funcionales gastrointestinales. Revista de Gastroenterología de México, 85(1), 1-5.

Peña, A. S., & Romero-Pérez, G. A. (2018). Enfermedad celiaca en México: ¿Estamos en el camino correcto? Revista de Gastroenterología de México, 83(3), 229-230.

Sánchez, C., & Taddei, C. (2019). Actualizaciones en gastritis y gastropatías. Revista de Gastroenterología de México, 84(2), 163-173.

Yamamoto-Furusho, J. K., Bosques-Padilla, F., de-Paula, J., Galiano, M. T., Ibañez, P., Juliao, F., Kotze, P. G., Rocha, J. L., Steinwurz, F., & Veitia, G. (2017). Diagnóstico y tratamiento de la enfermedad inflamatoria intestinal: Primer Consenso Latinoamericano de la Pan American Crohn's and Colitis Organisation. Revista de Gastroenterología de México, 82(1), 46-84.

Página 23
Página 24
Danna Montserrat Pedre Martínez Dominik Días Paredes

Turn static files into dynamic content formats.

Create a flipbook
Issuu converts static files into: digital portfolios, online yearbooks, online catalogs, digital photo albums and more. Sign up and create your flipbook.