NYSDJ August September 25 FINAL

Page 1


Cover: Patients are already accustomed to

24 Subcutaneous Facial Emphysema and Pneumomediastinum Following a Class V Dental Restoration

Jonathan Tran, D.D.S.; Brian M. Will, D.D.S., M.D.; Sidney B. Eisig, D.D.S.

Uncommon complication of certain dental procedures is described to help practitioners better recognize this potentially life-threatening occurrence. Case report

27 Beyond Brushing Can Toothpaste Cure Your Child’s Peanut Allergy?

Michael J. Heiss, D.D.S.; Benjamin Solomowitz, D.M.D.

Potential use of peanut proteins embedded within toothpaste formulations as novel avenue for inducing tolerance in individuals with peanut allergies is explored in this literature review. The outlook is promising.

34 Gorlin-Goltz Syndrome with Familial Manifestation

Ravinder Singh; Deepak Gupta; Aashna Garg; Aanchal Gupta; Sushruth Nayak

Early diagnosis and extended duration of follow-up are essential to prevent complications from this hereditary, autosomal dominant disorder. Case report.

FIRE!

It took a brush with catastrophe to get me to focus on the need to be prepared to prevent and manage a fire emergency in the office.

Backing up your office computer data and encompassing your practice management software, your imaging software and everything your office needs to treat patients and do business are essential, for you never know when a disaster might strike, making it crucial to have daily backups of electronic records and office data, preferably both cloud and physical storage. One very prudent recommendation offered to me by the New York City Small Business Service grant program after Hurricane Sandy destroyed my office 13 years ago was to have a battery backup system in my newly built office. This would improve resiliency during a power outage, I was told.

Two uninterrupted power supply (UPS) battery backup units were approved for my office. My computer server was attached to one of them; my alarm, video and phone system were attached to the other. These backups would provide around 20 minutes of continuous power should the electricity fail. Some beneficial ex-

amples of how helpful these UPS battery backups are:

• If the alarm system lost power due to criminal activity or power failure, the backup would kick in.

• During a brownout or blackout, your computer system would not lose power and could be shut down safely.

• In the event of a short-term power loss or transient electrical fault, you would not have any significant disruption.

Last month, as I was administrating local anesthesia to my patient in preparation for dental implant surgery, my front desk secretary nervously interrupted me with a whispered, “There is a horrible smell up front, like a fire!” Excusing myself, I ran down the hallway where the acrid smell of smoke assaulted my senses. Delegating tasks, I had one of my employees go out to the front of the office and one to the back garage to see if there were any fires in those directions. Searching each room for signs of fire

or smoke didn’t turn up anything. My office has no gas and runs on electricity, so I went to the circuit breaker panel to see if any switches had tripped and even switched them off then on but found no issues.

Circling back to the waiting room, I noticed a patient wrinkling their nose in response to the noxious fumes. That is when one of my secretaries said the phones and entrance video were down. This somehow jogged my memory of our battery backup that was connected to the downed phone and video system. Racing into my office, I saw smoldering smoke wafting up from the UPS battery backup located at the far corner. I immediately unplugged it and carried the heated machine out the front door, as thoughts of exploding lithium-ion batteries in e-bikes and scooters raced through my mind. I set it down and retreated, as it continued to smolder for hours. I then opened the door to my office, turned up the fan and air purifiers and ventilated the office. In under half an hour, the smell was gone, and I was even able to continue treating my patients.

Thankfully, we were present when the battery backup experienced a thermal event, otherwise my office might have been destroyed. I called the manufacturer and asked many questions about how this could have happened. They assured me the battery was a sealed lead acid battery and not a lithium-ion. The company’s tech told me these units have a seven-year life span. After that, they should be replaced, as electronic parts and internal components begin to degrade. Though the battery backup was well past warranty, just over five years old, it was still within the seven-year lifespan.

The technician wanted to know how many devices and what types of devices were plugged in, since overloading could also cause this type of problem. He also wanted to know where the unit was kept, because it is important to station it in a well-ventilated area. After expressing my concern about my office’s safety and what transpired, the company, as a one-time goodwill gesture, since the unit was out of warranty, offered to send me a new one.

In her review “The Best Uninterruptible Power Supply (UPS),”[1] Sarah Witman gives several great recommendations for maintaining the battery backup, such as using it with the proper appliances, since high-power electronics can “damage its internal components and degrade its battery.” She advises at no time should it be plugged into a surge protector or a surge protector plugged into it. Neither should it be plugged into an extension cord, which can cause a meltdown, triggering an accidental fire.

You may have noticed some of your products are certified by UL (Underwriters Laboratories). “… UL Solutions helps companies to demonstrate safety, enhance sustain-

EDITOR

Stuart L. Segelnick, D.D.S., M.S.

MANAGING EDITOR

Mary Grates Stoll

ADVERTISING/SPONSORSHIP MANAGER

Jeanne DeGuire

ART DIRECTOR

Ed Stevens

EDITORIAL REVIEW BOARD

Frank C. Barnashuk, DDS. Past Clinical Assistant Professor, Department of Restorative Dentistry, University at Buffalo School of Dental Medicine, Buffalo, NY.

David A. Behrman, DMD. Chief, Division Dentistry/OMS, Associate Professor of Surgery, New York-Presbyterian Hospital, Weill Cornell Medicine, New York, NY.

Michael R. Breault, DDS. Periodontic/Implantology. Private Practice. Schenectady, NY.

David Croglio, DDS. Clinical Assistant Professor, University at Buffalo School of Dental Medicine, Buffalo, NY. Private Practice (retired), Amherst, NY.

Jennifer Frustino, DDS, PhD. Director, Oral Cancer Screening and Diagnostics, Division Oral Oncology and Maxillofacial Prosthetics, Department of Dentistry, Erie County Medical Center, Buffalo, NY.

Michael F. Gengo, DDS. Board-certified Endodontist, Clinical Assistant Professor, Department of Endodontics, University at Buffalo School of Dental Medicine, Buffalo, NY. Private Practice, Hamburg, NY.

G. Kirk Gleason, DDS. General Dental Practice (retired), Clifton Park, NY.

Kevin Hanley, DDS. Orthodontic Private Practice, Buffalo, NY.

Stanley M. Kerpel, DDS. Diplomate, American Board Oral and Maxillofacial Pathology, Associate Director, Oral Pathology Laboratory, Inc. Attending, Section of Oral Pathology, New York-Presbyterian, Queens, NY.

Mohini Ratakonda, DDS, Clinical Assistant Professor, University at Buffalo School of Dental Medicine, Buffalo, NY. Endodontics.

Joseph Rumfola, DDS. Clinical Assistant Professor, AEGD Program Director, University at Buffalo School of Dental Medicine, Buffalo, NY. Private Practice, Springville, NY.

Jay Skolnick, DMD. Board-certified Pediatric Dentist. Attending dentist, Rochester General Hospital. Private Practice, Webster, NY.

Lisa Marie Yerke, DDS, MS. Diplomate, American Board Peiodontology, Clinical Associate Professor, Director Advanced Education Program in Periodontics, University at Buffalo School of Dental Medicine Department Periodontics & Endodontics, Buffalo, NY. Private Practice, East Amherst, NY.

PRINTER

Fort Orange Press, Albany

NYSDJ (ISSN 0028-7571) appears two times a year in print: January and June/July. The March, April, August/September and November issues are available online only at www.nysdental.org. The Journal is a publication of the New York State Dental Association, 20 Corporate Woods Boulevard, Suite 602, Albany, NY 12211. In February, May, October and December, members have online access to the NYSDA News. Subscription rates for nonmembers: $75 per year or $12 per issue, U.S. and Canada; $135 per year foreign or $22 per issue. Editorial and advertising offices are at Suite 602, 20 Corporate Woods Boulevard, Albany, NY 12211. Telephone (518) 465-0044. Email info@nysdental.org. Website www.nysdental.org.

ability, strengthen security, deliver quality, manage risk and achieve regulatory compliance.”[2]

UL Standards and Engagement is a global safety organization owned by Underwriters Laboratories to “develop and publish consensus standards that help guide the safety, performance, and sustainability of new and evolving products, technologies, and services that range from household appliances, smoke alarms, and batteries to building materials, cybersecurity, and autonomous vehicles.”[3] They have developed around 1,700 different standards.

I contacted UL, which had certified this particular battery backup, and let them know what had happened. An investigator was assigned to me; however, she couldn’t do an evaluation since I had disposed of the unit which they wanted to test. The investigator called me and went over the process UL takes to ensure compliance by their customers. She explained that UL evaluates the construction of the battery backup, reviewing and testing for standardized requirements. If it passes, it receives the UL mark. UL also makes regular visits to the manufacturer to see if the manufacturer is following standards and line tests samples on the production line that the company provides.[4]

The whole experience made me think dentists should never overlook fire safety in their offices. Some things you should check regularly are to make sure fire/smoke/carbon monoxide alarms are functioning. Do you have a sprinkler system and is that maintained? Are annual evaluations of your fire extinguishers performed and are your emergencyexit lights operational?

Every dental office should have yearly fire safety training that includes reviewing the locations of fire extinguishers and learning how and when they should be employed. A posted emergency evacuation plan diagram and annual fire drills are also recommended. In a great article on fire safety in the dental office by Warren et al., the authors discuss the need for risk assessment, fire precautions, when to raise the alarm and having an emergency exit plan, among other recommendations.[5]

As per OSHA, a written (if over 10 employees) and oral fire prevention plan must be in place,[6,7] and the ADA recommends periodic training.[8]

Lithium-ion batteries in e-bikes and scooters have been reported to overheat, start devastating fires and even explode.[9] These fires could affect your office and home. According to data on the New York City Fire Department website, in 2023 lithium-ion batteries caused 268 fires. It may be good practice to ban storing these modes of transportation in your office.

FDNY offers free fire safety publications online.[10,11] I urge my colleagues to take advantage of this resource for

fire safety, fluency and preparedness. But keep in mind that fires can also be triggered by dental equipment during procedures and when using oxygen.[12]

Sitting on the floor of my private office in a sealed box is my new battery backup unit. Granted the thermal event experienced by my previous battery backup was rare, I still hesitate to employ this brand-new unit, and it didn’t help hearing about a recent airline carrier that has stopped allowing passengers to store their portable chargers in closed carry on bags and overhead bins, “to more quickly access a smoking or flaming device before it becomes a bigger problem.”[13]

Since the incident in my office, we have reviewed our fire safety training and run fire drills; we know how to handle ourselves and our patients during a stressful, possibly dangerous situation. And I keep in mind what one of my firefighter patients advised: If you can’t quickly contain the fire, then call for help, evacuate and leave the fire fighting to the professionals.

D.D.S., M.S.

REFERENCES

1. https://www.nytimes.com/wirecutter/reviews/best-uninterruptible-power-supply-ups/.

2. https://www.ul.com/about.

3. https://ulse.org/#:~:text=A%20Globally%20Influential%20Standards%20Development%20 Organization&text=Since%20publishing%20its%20first%20standard,developed%20more%20than%201%2C700%20standards.

4. https://www.ul.com/.

5. Warren E, McAuliffe M. Fire safety in the dental practice: a literature review. J Ir Dent Assoc 2011 Dec-2012 Jan;57(6):311-5.

6. https://www.osha.gov/laws-regs/regulations/standardnumber/1910/1910.39.

7. https://www.osha.gov/sites/default/files/2019-03/fireprotection.pdf.

8. https://www.ada.org/resources/practice/practice-management/emergency-planning-anddisaster-recovery-planning-in-the-dental-office.

9. https://dentalreview.news/people/60-dental-company-profiles/11457-bsc-battery-breakdown#:~:text=Lithium%20battery%20(e%2Dbattery)%20fires%20can%20affect%20 the,and%20can%20be%20devastating%20for%20the%20general.

10. https://www.nyc.gov/site/fdny/codes/reference/lithium-ion-battery-safety.page.

11. https://www.nyc.gov/site/fdny/education/fire-and-life-safety/fire-safety-educational-publications.page.

12. VanCleave AM, Jones JE, McGlothlin JD, Saxen MA, Sanders BJ, Walker LA. Factors involved in dental surgery fires: a review of the literature. Anesth Prog 2014 Spring;61(1):21-5.

13. https://fox40.com/news/national-and-world-news/planning-to-fly-with-a-portable-charger-or-power-bank-read-this-first/#:~:text=Portable%20charging%20devices%20are%20 already,Getty%20Images.

Dentistry Likely to be Affected by Developments of a Legal Nature

Prominent among these is a Big Beautiful Bill that may not be so pretty for New York State.

Afew new legal developments that affect dentistry have taken place in recent months. They are summarized below.

COVID Leave

On July 31, New York State finally ended its special novel coronavirus (COVID-19) paid sick leave. This leave had been in effect since March 2020 but has now sunsetted. Obviously, employees can use other available paid leaves if they come down with COVID-19, but the unique COVID-19 paid sick leave is no more.

Water Fluoridation

On July 21, the Environmental Protection Agency (EPA) finally moved forward with an appeal of the water fluoridation case it lost in 2024—Food & Water Watch, Inc. v. United States Environmental Protection Agency. As one of its last acts, in January, the EPA under the Biden Administration filed a notice of appeal. However, under the Trump Administration, EPA had not moved forward with the appeal, and it was unclear if it would just drop it. Now the appeal is finally

moving forward in the United States Court of Appeals for the Ninth Circuit (Alaska, Arizona, California, Hawaii, Idaho, Montana, Nevada, Oregon, Washington). Interestingly, the appeal has nothing to do with the merits of water fluoridation. Instead, the arguments are entirely focused on procedural matters stemming from how the lower court (the United States District Court for the Northern District of California) handled the case.

The EPA first argues that the plaintiffs (the main plaintiff is Food & Water Watch, Inc.) failed to carry their burden on standing to sue. The drinking water for the plaintiffs’ only relevant standing declarant naturally contains fluoride and the remedy the plaintiffs seek would not require the water utility to remove that naturally occurring fluoride. Thus, the EPA contends that injury to the plaintiffs is not caused by the addition of fluoride to drinking water and no remedy available in the case would redress the claimed injury.

The EPA next argues that, even if the plaintiffs had established standing, rever-

sal is warranted because the lower court violated Section 21 of the Toxic Substances Control Act (TSCA) by permitting the plaintiffs to rely on evidence not first presented to the EPA in their TSCA petition and reviewed by EPA in denying that petition. EPA noted that the court’s final merits ruling overwhelmingly relied on voluminous evidence that did not even exist at the time of the original TSCA petition and could never have been presented in that petition to the EPA. The EPA stated that the court’s approach of allowing consideration of new evidence on a rolling basis throughout the proceedings is contrary to statutory text and frustrates the purpose of the mandatory exhaustion requirement in Section 21 of the TSCA. EPA argued that, if allowed to stand, the court’s approach would transform Section 21 of the TSCA from a citizen petition provision into the driving force of the entire statutory scheme and that such a boundless approach to Section 21 of the TSCA would undermine the EPA’s ability to meet the TSCA’s prioritization, risk-evaluation and risk-management deadlines. The EPA further pointed out that it would require the EPA to proceed to risk management with a record insufficient to satisfy the TSCA’s rigorous scientific and regulatory standards.

Finally, the EPA argued that the district court abused its discretion by commandeering the trial and administrative proceedings in violation of the party-presentation principle. In particular, the EPA stated that the court refused to rule after the close of evidence at the first trial—notwithstanding the parties’ insistence that the case was ready for resolution, and in the face of the court’s repeated acknowledgment that it had “serious concerns” about the plaintiffs’ standing. The EPA noted that this, and the court’s determination to accumulate more evidence that it, rather than the parties, thought proper, transformed the court from a neutral arbiter into an advocate, and transformed Section 21 of the TSCA from a citizen petition provision into a license for judicial rulemaking.

The EPA also noted that it continued to disagree with the district court’s merits order purporting to apply the TSCA’s scientific standards, but that rather than ask the Ninth Circuit Court of Appeals to review the district court’s factual findings on the technical, complex scientific issues litigated in the lower court, the appeal instead presented more straightforward legal grounds for ereversal. The appeal rests largely on the broad principle that the court usurped the prerogatives of the executive branch and not on any strong

NYSDA Directory

OFFICERS

Maurice Edwards, President 30 East 60th St., #1401, New York, NY 10022

Amarilis Jacobo, President-Elect 824 East 181st St., Bronx, NY 10460

Lynn Stacy, Vice President 7504 East State St., Lowville, NY 13367

Paul Leary, Secretary-Treasurer 80 Maple Ave., Ste 206, Smithtown, NY 11787

William Karp, Speaker of the House 4500 Pewter Ln., Bldg 6, Manlius, NY 13104

BOARD OF TRUSTEES

Prabha Krishnan, Immediate Past President 11045 Queens Blvd., Ste 108, Forest Hills, NY 11375

Brendan Dowd, ADA Trustee 3435 Main St., Squire Hall, Room 235G, Buffalo, NY 14214

NY – James E. Jacobs 10 East 53rd St., Ste 2500, New York, NY 10022

2 – John P. Demas 8814 Fort Hamilton Pkwy, Brooklyn, NY 11209

3 – Geoffrey Gamache 24 Eastview Rd., Averill Park, NY 12018

4 – Adrienne L. Korkosz 1309 Union St., Schenectady, NY 12308

5 – Steven Stacey 6702 Buckley Rd., Ste 120, Syracuse, NY 13212

6 – Louis Giordano 864 Hooper Rd., Endwell, NY 13760

7 – David Ramjattansingh 71 King Arthurs Ct., Rochester, NY 14626

8 – Raymond G. Miller 122 Covington Rd., Buffalo, NY 14216

9 – Gary M. Scharoff 1255 North Ave., Ste A1H, New Rochelle, NY 10804

N – Donald R. Hills 136 Woodbury Rd., Ste L3, Woodbury, NY 11797

Q – Mitchell S. Greenberg 11966 80th Rd., #1A, Kew Gardens, NY 11415

S – Martin Dominger 5225 Nesconset Hwy., Suite 57, Port Jefferson Station, NY 117776

B – Jacqueline J. Samuels 120 Alcott Place, Bronx, NY 10475

COUNCIL CHAIRPERSONS

Dental Benefit Programs

Dental Education

Dental Health Planning

Dental Practice

Ethics

Governmental Affairs

Joseph A. Craddock 3325 East Main St., Attica, NY 14011

Robert M. Peskin 601 Franklin Ave. #225, Garden City, NY 11530

Maria Maranga 8 Rolling Meadow Ln., Northport, NY 11768

Mina Kim 2 West 46th Street, #501, Bryant Park Dental Assoc., New York, NY 10036

Julie A. Connolly 115 East 61st Street, Fl. 8, New York, NY 10065

Radha Sachdeva-Munk 203 Smithtown Blvd., Nesconset, NY 11767

Membership & Communications Christopher W. Calnon 3220 Chili Ave., Rochester, NY 14624

Nominations

Peer Review

OFFICE

Prabha Krishnan 11045 Queens Blvd., Ste 108, Forest Hills, NY 11375

Lawrence J. Lehman 7303 197th St., Fresh Meadows, NY 11366

Suite 602, 20 Corporate Woods Blvd., Albany, NY 12211 (518) 465-0044 | (800) 255-2100

Michael Herrmann Executive Director

Lance R. Plunkett General Counsel

Mary Grates Stoll Managing Editor

Jenna Bell Director Meeting Planning

Briana McNamee Director Governmental Affairs

Jacquie Donnelly Director Dental Practice Support

Heather Relation Director Outreach Membership & Engagement

Stacy McIlduff Executive Director NYS Dental Foundation

endorsement of water fluoridation, a somewhat disheartening but not unexpected approach to the appeal.

Perhaps the EPA was keeping in mind the adage, “Any port in a storm.” At least the American Dental Association has filed what is known as an amicus (“friend of the court”) brief with the court that does delve into the health benefits of water fluoridation. That public health benefit aspect will be on the radar of the Ninth Circuit now since the presentation by the EPA on that issue throughout the case has not been overly inspiring.

That Beautiful Bill Mention must be made of the federal OBBBA (One Big Beautiful Bill Act). The law is massive. It would consume an entire Journal issue to go into all its provisions—and many are of minimal interest to dentistry. But some health-care and small business provisions are more pertinent. These are addressed below. People, including lawyers, are still trying to figure out exactly what effect this law will have on Medicaid and the Children’s Health Insurance Program (CHIP)—known as Child Health Plus in New York State—but the consensus is that it is not going to be good for New York. Many of the provisions do not kick in for over a year, so some changes to the law may end up being enacted down the road. Here is a list of major health-care provisions of the OBBBA.

Medicaid

Reforms

Eligibility, Enrollment and Redetermination

1. Address verification and duplicate enrollment prevention

By Jan. 1, 2027, all states must set up a process to regularly obtain and verify the address for Medicaid and CHIP enrollees using reliable data sources. Managed care and prepaid health plans must promptly report any address updates provided or verified by enrollees. Starting no later than Oct. 1, 2029, states must submit enrollee data at least monthly and during each eligibility check to a new federal system to identify duplicate enrollments. If dual enrollment is found, states must review and, if necessary, disenroll ineligible individuals.

2. Deceased enrollee verification

Starting Jan. 1, 2027, states will be required to check quarterly, and ensure annually, any deceased Medicaid enrollees by reviewing the federal Death Master File. This database, maintained by the Social Security Administration, contains information on individuals who have passed away. If an enrollee is confirmed as deceased, the state must promptly end their Medicaid coverage and payments, except for services provided before death. If someone is

wrongly removed, benefits must be immediately reinstated retroactively. States may also use other electronic data sources to identify deceased enrollees, provided all eligibility rules are followed.

3. Provider screening

To ensure that only living, eligible health-care providers and suppliers participate in and receive payment under the Medicaid program, states will be required to regularly check the federal Death Master File to verify the status of enrolled providers or suppliers beginning Jan. 1, 2028. These checks must be done at least every three months, as well as whenever a provider enrolls, re-enrolls or updates their enrollment information.

4. Auditing

for payment errors

The legislation grants the Department of Health and Human Services (HHS), or the state if permitted, enhanced flexibility to audit and address Medicaid payment errors that exceed the three percent threshold for eligibility-related erroneous excess payments under the Medicaid Eligibility Quality Control Program beginning in fiscal year 2030. It also expands the definition of payment errors to include situations where eligibility cannot be confirmed.

5. Eligibility redeterminations in expansion states like New York

Starting after Dec. 31, 2026, states will be required to verify the eligibility of certain Medicaid enrollees every six months, rather than annually. This new requirement primarily affects adults who qualify for Medicaid under the expansion rules, as well as individuals in similar groups covered by state waivers that comply with federal minimum coverage standards. The Centers for Medicare and Medicaid Services (CMS) must provide guidance on implementing these changes by the end of 2025.

6. Medicaid eligibility for qualified immigrants

Starting Oct. 1, 2026, federal Medicaid payments to states for medical assistance will be restricted to specific groups of individuals. Eligible individuals include United States citizens, United States nationals, lawful permanent residents, certain Cuban and Haitian entrants, and those legally residing in the United States under a Compact of Free Association. As a result, undocumented immigrants and temporary visitors will no longer qualify for any non-emergency Medicaid-funded services. These same restrictions will also apply to CHIP.

7. Emergency Medicaid coverage for immigrants

Starting Oct. 1, 2026, the federal government will limit the amount it pays states for emergency medical care provided to certain noncitizen immigrants under Medicaid. Specifically, the federal matching rate for these emergency services will be capped at the standard rate for each state.

8. Moratorium on nursing home staffing standards

A moratorium is imposed on the implementation and enforcement of the nationwide nursing home staffing rules, effective immediately through Sept. 30, 2034.

9. Retroactive coverage eligibility

The retroactive eligibility period for the Medicaid expansion population will be limited to services furnished in or after the month preceding the application month, rather than the previous three-month period. For all other Medicaid applicants, retroactive coverage will be limited to services provided in or after the second month before the application month. For CHIP, if a state elects to provide retroactive coverage for child health or pregnancy-related assistance, coverage cannot extend to services furnished before the second month preceding the month of application. These provisions apply to applications submitted on or after Jan. 1, 2027.

10. Federal payments to prohibited entities

Federal “direct spending” under Medicaid cannot be used to pay any “prohibited entity,” defined as a nonprofit, taxexempt essential community provider primarily engaged in family planning and reproductive health that provides abortions (except in cases of rape, incest or life endangerment), and that received over $800,000 in combined federal and state Medicaid payments in fiscal year 2023, for items and services furnished during the one-year period beginning on the date of enactment. This restriction applies to payments made directly or through managed care organizations or other covered entities, including their affiliates, subsidiaries and clinics, effective July 4, 2025.

Medicaid Provider Tax and State-directed Payment Changes

1. Increased FMAP sunsets for new expansion states like New York

The five percent enhanced federal matching assistance percentage (FMAP), established under the American Rescue Plan Act for new Medicaid expansion states, will sunset effective Jan. 1. This is one of several provisions that single out states that opted to expand Medicaid to additional populations.

2. Change in hold harmless threshold

The legislation modifies the “hold harmless” threshold, so that beginning Oct. 1, 2026, the maximum percentage of net patient revenue that states can tax certain healthcare providers will be determined based on whether the state has expanded Medicaid. For non-expansion states, the threshold is set based on whether a qualifying tax was already in place at the time the law is enacted; if not, the threshold is zero. For expansion states like New York, the threshold is either the lower of the existing rate or a gradually decreasing cap, dropping from 5.5 percent in 2028 to 3.5 percent by 2032.

3. State-directed payments

A cap is established for certain state-directed payments as follows:

States that offer Medicaid expansion coverage equivalent to minimum essential coverage must limit payments to 100 percent of the total published Medicare payment rate (or the Medicaid rate if no Medicare rate exists), while non-expansion states are allowed up to 110 percent of the Medicare rate. Certain payments that received written approval before May 1, 2025, or a payment for a rural hospital for which written prior approval, or a good faith effort to obtain approval, was made by the date of enactment, are “grandfathered” and will have their payment rates gradually reduced by 10 percentage points each year starting in 2028 until they meet the new limits. States that newly expand Medicaid after the enactment date are subject to the 100 percent cap for expansion states. The legislation also defines key terms such as “rating period,” “rural hospital,” “total published Medicare payment rate” and “written prior approval.”

4. Medicaid provider tax requirements

States have the option to seek waivers from the Centers for Medicare and Medicaid Services (CMS) that permit them to implement Medicaid provider taxes that do not strictly adhere to broad-based or uniform tax requirements. The legislation clarifies that a tax is not considered “generally redistributive” if, within a permissible class, the tax rate is lower for providers with a smaller share of Medicaid business or higher for those with a larger share, or if the tax structure achieves the same effect by other means, such as using different terminology or closely approximating Medicaid-related groups. It defines “Medicaid taxable units” as those tied to Medicaid payments, revenue or costs, and “non-Medicaid taxable units” as those tied to non-Medicaid business. Further, it provides that a “tax rate group” is a set of entities within a permissible class taxed at the same rate.

These changes are effective upon enactment, subject to a transition period determined by HHS, not to exceed three fiscal years. Unfortunately, CMS is proposing a rule that would only grant a transition to states that adopted its tax more than two years earlier and New York does not qualify under that rule. The lack of a transition would be financially disastrous for New York. Whether CMS will make any adjustments to its transition rule now that OBBBA is the law remains to be seen.

5. Section 1115 demonstration budget neutrality

The legislation codifies that any new, renewed or amended Section 1115 Medicaid demonstration projects cannot be approved unless the chief actuary for CMS certifies that the project will not increase federal spending compared to what would have been spent without the project, beginning Jan. 1, 2027. Further, it requires that all costs, including those for populations and services that could have been covered under the regular Medicaid state plan, must be considered in the comparison. In the event the demonstration project results in lower expenditures than would have occurred otherwise, HHS will determine how those savings are factored into future project approvals.

Personal Accountability and Cost Sharing

1.

Community engagement (work) requirements

Beginning in 2027, states will be required to implement community engagement requirements as a condition of Medicaid eligibility for certain adults between the ages of 19 and 64 who are not otherwise excluded. Under these requirements, individuals must demonstrate each month that they are engaged in qualifying activities, such as working at least 80 hours, participating in community service or a work program for at least 80 hours, being enrolled at least half-time in an educational program or earning income at or above the minimum wage for 80 hours per month. There is flexibility for individuals to combine these activities to meet the 80-hour threshold, and special provisions exist for seasonal workers who meet income requirements over a six-month period. States have the discretion to specify the number of months of compliance required prior to application or between eligibility redeterminations, and they may conduct compliance verifications more frequently if desired.

There are several mandatory exceptions to these requirements, ensuring that vulnerable populations are not adversely affected. Excluded groups include children under 19, seniors, pregnant women, individuals with disabilities or serious health conditions, caregivers for young children or disabled dependents, veterans with total dis-

abilities, American Indians and Alaska Natives, and those already meeting work requirements under other federal programs like Temporary Assistance for Needy Families (TANF) or Supplemental Nutrition Assistance Program (SNAP). Additionally, states may grant optional exceptions for individuals experiencing short-term hardships, such as hospitalization, residing in areas affected by disasters or high unemployment, or needing to travel for complex medical care.

States are required to use available data sources, such as payroll or benefit records, to verify compliance and minimize the need for individuals to submit additional documentation. States are not allowed to use Medicaid managed care organizations, certain other entities or contractors to decide if beneficiaries are meeting program requirements if those contractors have any financial ties—direct or indirect—to the organizations that provide or arrange Medicaid coverage for those beneficiaries.

If a state cannot verify that an individual has met the community engagement requirement, the individual must be notified and given a 30-day period to resolve the issue, during which time Medicaid coverage continues. If the individual

does not provide satisfactory evidence of compliance or exemption, coverage may be denied or terminated, but only after the state determines whether the individual qualifies for other forms of assistance and provides notice and an opportunity for a fair hearing. States are prohibited from waiving these requirements but may request a temporary exemption if they demonstrate good faith efforts and face significant barriers, with all exemptions expiring by the end of 2028.

States are required to conduct outreach to individuals enrolled in Medicaid or related waivers to inform them about the new community engagement requirements. The notice must clearly explain how to comply with the community engagement requirement, detail any exceptions and define who is considered an “applicable individual.” It must also outline the consequences of not meeting the requirement and provide instructions for reporting changes in status that could affect eligibility or exceptions. Notices must be sent by regular mail (or electronically if the individual prefers) and through at least one additional method, such as phone, text, website or other electronic means, to ensure broad and effective communication. The timing of these notifications must begin before Dec. 31, 2026, or

earlier if the state decides, and then at regular intervals after that following standards set by HHS. HHS is required to promulgate an interim final rule for purposes of implementing these provisions by June 1, 2026.

2. Cost sharing for expansion enrollees

Expansion enrollees with family incomes above 100 percent of the federal poverty level must pay cost sharing for covered services, beginning Oct. 1, 2028. These individuals, called “specified individuals,” will no longer be charged enrollment fees or premiums, but states will be required to impose some form of cost sharing, such as copayments or deductibles, for certain services. However, there are important limits: no cost sharing can be applied to primary care; mental health; substance use disorder services; or services provided by federally qualified health centers, certified community behavioral health clinics or rural health clinics. For other services, the maximum charge per item or service is $35, except for prescription drugs, which have their own federal limits. Additionally, the total cost sharing for all family members cannot exceed five percent of the family’s income, calculated on a monthly or quarterly basis. Providers may require payment of these charges as a condition for providing care, but they can also choose to reduce or waive them.

Access, Coverage and Program Expansion

Home and

community-based (HCBS) waivers

Beginning July 1, 2028, states will be able to apply for a new type of Medicaid waiver that allows them to expand coverage for home or community-based services (HCBS) to individuals who do not require an institutional level of care, if they meet state-established, needs-based criteria approved by the Department of Health and Human Services (HHS). These waivers can be approved for an initial three-year period and extended for five-year increments, provided states meet certain requirements, such as ensuring that expanding HCBS does not increase waiting times for those already eligible for such services and that per capita spending on these new recipients does not exceed the average cost of institutional care. States must also provide detailed annual data to HHS on service costs, duration and recipient numbers, and cannot use federal funds from this program to pay for certain practitioner benefits.

Medicare

1. Medicare eligibility for immigrants

Medicare eligibility is limited to United States citizens, lawful permanent residents, certain Cuban and Haitian entrants and individuals lawfully residing in the United States

under a Compact of Free Association. For current beneficiaries, these restrictions will take effect 18 months after the date of enactment (Jan. 4, 2027). The Social Security Administration is required to conduct a comprehensive review of all current Medicare beneficiaries within one year of the law’s enactment (by July 4, 2026) to determine whether they meet the newly established eligibility criteria. Beneficiaries who are found not to qualify under the updated standards must be formally notified that their Medicare coverage will terminate effective Jan. 4, 2027.

2. Temporary Medicare pay increase for health-care providers

A one-time 2.5 percent increase to the Medicare Physician Fee Schedule is provided for services rendered between Jan. 1, 2026, and Jan. 1, 2027. While it averts scheduled cuts in the immediate term, the increase is not factored into baseline calculations that determine payment amounts for subsequent years.

3. Orphan drug exclusion from price negotiation

Orphan drugs designated for one or more rare diseases or conditions are excluded from Medicare’s drug price negotiation. The updated policy clarifies that if a drug maintains its orphan status, meaning it is approved for at least one rare disease or condition, it will not accrue time toward eligibility for price negotiation under the program. If a drug loses its orphan designation, the period for negotiation eligibility will begin to count from the first day it no longer qualifies as an orphan drug. These provisions take effect for initial price applicability years starting on or after Jan. 1, 2028.

Telehealth

Services and Health Savings Accounts

1. Permanent extension of the telehealth safe harbor

The safe harbor allowing high-deductible health plans (HDHP) to cover telehealth and other remote care services before the deductible is met will be made permanent, effective for plan years beginning after Dec. 31, 2024, and the plan will still qualify as an HDHP for Health Savings Account (HSA) purposes. The law also removes language that previously limited this safe harbor to certain months or plan years.

2. Bronze and catastrophic plan eligibility for HSAs

For months beginning after Dec. 31, bronze and catastrophic plans offered through the ACA exchanges will be treated as HDHPs for purposes of HSA eligibility.

3. Direct primary care (DPC) service arrangements

DPC arrangements allow individuals to pay a fixed, recur-

ring fee to a primary care practitioner for access to primary care services. These fees will be considered qualified medical expenses for HSA purposes if the monthly fee does not exceed $150 for an individual or $300 for a family. However, these arrangements must strictly limit services to primary care and cannot include procedures requiring general anesthesia, most prescription drugs or certain laboratory services. Dollar limits on fees will be adjusted for inflation starting in taxable years after 2026. These changes take effect for months beginning after Dec. 31.

Rural Healthcare

Rural health transformation program

The Rural Health Transformation Program provides $10 billion per year from 2026 to 2030 to help states improve rural health care. States must apply with a comprehensive plan addressing issues like access, health outcomes, technology, provider partnerships, workforce and hospital stability no later than Dec. 31. Approved states receive annual funding with no state match required. Half of the funds are split equally among participating states; the rest are distributed based on rural population and facility metrics. States must use funds for at least three key activities, such as evidencebased care, technology adoption, workforce development, information technology upgrades, or expanding mental health and substance use services. The program requires annual reporting, allows CMS to withhold or reclaim misused funds and redistributes unused funds.

Small Business Impact

The One Big Beautiful Bill Act (OBBBA) also makes changes on the small business side of the health-care equation. Below is a list of the major small business provisions of OBBBA.

Qualified Business Income Deduction

The existing 20% deduction for qualified business income (QBI) under current tax law was set to sunset at the end of 2025, but the OBBBA makes it permanent, with moderate inflation-based changes. Beginning in tax year 2026, the taxable income phase-in limit will be increased to $75,000 for single filers and $150,000 for joint returns (compared to $50,000 and $100,000, respectively, under current law).

The OBBBA creates a minimum deduction amount of $400 for taxpayers whose aggregate QBI with respect to all active qualified trades or businesses of the taxpayer for the taxable year is at least $1,000. The $400 and $1,000 amounts will be adjusted for inflation beginning in tax year 2027. Most taxpayers will see little material impact from these changes, and the OBBBA will simply continue the prior QBI tax regime.

Pass-through Business Losses

The OBBBA makes permanent the limitation on excess business losses of non-corporate taxpayers. An “excess business loss” is the amount by which the deductions (excluding net operating losses and qualified business income deductions) attributable to trades or businesses of the taxpayer exceed the gross income from such trades or businesses plus $250,000 ($500,000 in the case of a joint return).

The $250,000 amount is adjusted for inflation based on a new inflation basis starting in 2026.

Qualified Small Business Stock

The OBBBA revamps the future for qualified small business stock (QSBS), which allows owners of C corporation stock in certain qualifying businesses to exclude capital gain. For QSBS that is issued after July 4, 2025, there will be a tiered holding period requirement and corresponding percentage for exclusion of gain (noted below). QSBS issued prior to July 5, 2025, will still be subject to the flat five-year holding period and 50% exclusion of gain. Additionally, the $10 million gain limitation is increased to $15 million (and adjusted for inflation) for QSBS issued after July 4, 2025. Lastly, the gross asset test to determine a “qualified small business” is increased to $75 million (adjusted for inflation) from $50 million. No other changes were made to the mechanics of QSBS stock.

Years stock held Applicable percentage

How Bad Will it Be in New York?

While there are many other provisions in the OBBBA, these are the items of the most interest to dentistry. In New York State, Medicaid and Child Health Plus are going to need significant adjustment to maintain services. The possibility of a major increase in people lacking health insurance in New York is pretty much conceded by all health-care economic experts. The ripple effects of this, including rising use of hospital emergency departments, are difficult to measure this early in the game. And the specific effects for dentistry are even more difficult to assess. The possibility of adult dental Medicaid disappearing is something New York believed was no longer in play. Who knows if that ugly and foolish idea will resurface in what may become desperate efforts to save dollars in Medicaid. The OBBBA cure could prove worse than any disease in New York. p

The material contained in this column is informational only and does not constitute legal advice. For specific questions, dentists should contact their own attorney.

LETTERS

Protecting the Mental Health of Professionals

I would like to compliment Lee et al.[1] for the thoughtprovoking Perspectives article “Mindfulness in Dental Education and Dentistry” in the April New York State Dental Journal. I suggest a few additions to this article regarding lifestyle and mental health.

It is best to embrace a slower pace of life in every walk of life to enrich mental health.[2] It is equally vital that health professionals set aside quality time in their daily life for leisure activities, exercise, healthy diet, religious practices and family relations, and that they create a harmonious psychosocial environment in the workplace to enhance mental health and increase longevity.[3]

In a recent study regarding the impact of time doctors spent on portable and desktop digital devices, researchers discovered an alarming daily screen time of more than five hours by 29 doctors; this must be reduced.[4] The overexposure among doctors is due to an information explosion and the accessibility of telemedicine.[4]

Dental professionals need to master their behavorial and cognitive strategies, and periodic screening of men-

tal health should be carried out at each institution.[5] The governing bodies of health institutions should mandate the monitoring of the duration and quality of working hours effectively without jeopardizing the mental health of the health professionals.

Thorakkal Shamim, B.D.S., M.D.S. Assistant Dental Surgeon Department of Dentistry Government Dental Hospital Manjeri Kerala, India

REFERENCES

1. Lee E, Chin B, Lin M, Chen J, Atmadja D, Hong H, Lee C, Lee Y. Mindfulness in dental education and dentistry. The New York State Dental Journal 2025 Apr;91(3):10-12.

2. Steager T. Slow living by Wendy Parkin and Geoffrey Craig. Food, Culture and Society 2009 Apr;12(2): 241–243.

3. Dyer KA. Daily healthy habits to reduce stress and increase longevity. Journal of Interprofessional Education and Practice 2023;30:100593.

4. Chapala S, Hussein M, Shirodkar K, Iyengar KP, Vaishya R, Botchu R. Digital screen usage amongst doctors: demographics, patterns of use and effect of health parameters. Apollo Med 2025 Jul; 22(4):303–309.

5. Shamim T. The necessity to master the fifteen skill set of adversity quotient to circumvent occupational stress at workplace. Journal of Family Medicine and Primary Care 2021 Nov;10(11):4335.

Association Activities

Foundation Secures $46,000 Grant to Continue Expanding Access to Dental Care Across New York

THE NEW YORK STATE DENTAL FOUNDATION is proud to announce it has been awarded a $46,000 grant from the Delta Dental Community Care Foundation to support year two of “My Healthy Smile NY,” a transformative initiative designed to address oral health disparities and connect vulnerable New Yorkers with much-needed care.

Launched in 2024 with $10,000 in funding from the Henry Schein Cares Foundation and $40,000 from the Delta Dental Community Care Foundation, My Healthy Smile NY deployed community dental health coordinators (CDHCs) in four key regions of the state: Long Island, Central New York, the Capital Region and the North Country. These specially trained oral health professionals serve as patient navigators, outreach specialists and oral health advocates — working directly within communities to improve access and awareness.

The New York State Dental Foundation invested an additional $57,900 in staff time and overhead to ensure the success of My Healthy Smile NY from July 1, 2024, through June 30, 2025, noting that crucial operating support from NYSDA members and corporate partners enabled the program to thrive in year one.

Year One Highlights

In its first year, the My Healthy Smile NY program achieved meaningful impact:

• Coordinated free dental care for veterans through the “Salute Vets with a Smile” program.

• Facilitated oral health screenings in Glens Falls, Watertown and Central Islip.

• Supported major initiatives like the Capital Region Community Dental Event, screening dozens of patients and connecting many to care in a single day.

• Laid the groundwork for an Early Head Start Oral Health Prevention Project in the North Country, Central New York and Long Island.

A remarkable 81% of the program’s 246 participants achieved access to a free oral health screening and/or received pro bono care from a dental provider. NYSDA members volunteered an estimated 261 hours to treat veterans and provide screenings or care for participants at community

events. These accomplishments represent just the beginning of what’s possible when communities concerned with oral health come together.

The program’s strength lies in the commitment and compassion of the CDHCs, who are on the front lines of addressing oral health inequities.

“When you connect a veteran who’s been in pain for years with a dentist who’s willing to help, you change a life in a single phone call,” said Christine Macarelli, a CDHC managing cases primarily in the Capital Region. “That’s the power of this program.”

Thanks to the Delta Dental Community Care Foundation, Christine and her fellow CDHCs will be able to delve even deeper into this work during year two. This will include additional community outreach and a continuation of Salute Vets with a Smile. Year two, which is already underway, will introduce dental career exploration events for high school students and expand the Early Head Start Oral Health Prevention Project, which was originally piloted in Schoharie in 2024.

The Foundation is exploring opportunities to add additional CDHC positions in other high-need regions and to focus on specific populations, such as individuals with intellectual and developmental disabilities (I/DD), as funding allows.

Touro Dean Named to State Board

RONNIE MYERS, D.D.S., dean, Touro College of Dental Medicine, has been reappointed to a five-year term as an extended member of the New York State Board for Dentistry. Dr. Myers, who will serve through July 31, 2029, will participate in licensure disciplinary and/or licensure restoration and moral character panels.

Volunteer dental hygienist performs oral health screening for visitor to Foundation’s booth at Watertown Wolves hockey game last February. The individual, new to area, also received assistance from North Country CDHC finding dental home.

Association Activities

In Memoriam

NEW YORK COUNTY

Sui-Yee H. Kow

New York University ‘73

140 W 58th Street, #1

New York, NY 10019

June 1, 2025

SECOND DISTRICT

Melvin Brenner

University of Pittsburgh ‘49

300 Jericho Turnpike, #321 Jericho, NY 11753

November 4, 2023

Carl Gold

Temple University ‘57

26 Deepwater Way

Bronx, NY 10464

July 30, 2025

Bruce Maltz

New York University ‘65

690 E Park Avenue, Apt 1

Long Beach, NY 11561

June 27, 2025

Bertram Sands

New York University ‘58 569 King Street

Chappaqua, NY 10514

June 24, 2025

THIRD DISTRICT

Donald V. Grosky

Georgetown University ‘60 13 Devonshire Way

Halfmoon, NY 12065

June 29, 2025

FIFTH DISTRICT

Charles DiCosimo

University at Buffalo ‘74 8415 Hobnail Road

Manlius, NY 13104

July 13, 2025

S. G. Arvantides

New York University ‘60 3322 Misty Cove Circle Baldwinsville, NY 13027

July 1, 2025

Dean Hyde

University of Colorado ‘78 9278 County Route 125 Chaumont, NY 13622

June 14, 2025

SIXTH DISTRICT

Steven Grossman

Georgetown University ‘90 947 Harvard Street

Endicott, NY 13760

July 22, 2025

EIGHTH DISTRICT

James Leitten

University at Buffalo ‘67 22323 Panther Loop Bradenton, FL 34202

May 17, 2025

NINTH DISTRICT

Joseph Casale

Columbia University ‘61 7321 Rustic Valley Drive

Dallas, TX 75248

June 18, 2025

John A. Morgan

New York University ‘76 1374 Midland Avenue, #207

Bronxville, NY 10708

June 12, 20215

NASSAU COUNTY

Melvin Frankel

New York University ‘48

2050 Bonisle Circle

Riviera Beach, FL 33418

June 4, 2025

Endorsed Vendor Updates

MLMIC Website

Did you know that MLMIC’s website features a collection of dental case studies that provide valuable insights into real-world malpractice scenarios? These impactful and educational cases offer dentists a crucial opportunity to learn from the experiences of their peers, highlighting key lessons on risk management, documentation and patient communication.

Here’s

a sneak peek at a couple of cases:

This case study involves an 85-year-old patient with limited English proficiency who sued her MLMIC-insured dentist following a tooth extraction that resulted in paresthesia. The lawsuit alleged a failure to obtain proper informed consent, a claim strengthened by the lack of any documented consent discussions or use of an interpreter. The absence of this critical documentation significantly hampered the dentist’s ability to defend against the patient’s allegations.

Smarter Staffing with onDiem— Exclusive Rewards for NYSDA Members!

Finding reliable, qualified dental professionals has never been easier. onDiem connects dental practices with verified dentists, hygienists, assistants, and front office staff—giving you the flexibility to scale production while staying fully compliant with state and federal laws. Say goodbye to staffing struggles and hello to seamless hiring!

With onDiem, access, search, and hire from a community of professionals in just a few intuitive clicks. Enjoy free temp-to-perm conversion, robust communication tools, and fair, competitive markups. Plus, take advantage of innovative services like SafePay™ Payroll—a hassle-free way to pay your own temps and working interview candidates, with labor markup discounts when you provide the professional.

As a special perk for NYSDA members, onDiem is offering an exclusive rebate:

This case study involves a 56-year-old patient who sued his MLMIC-insured dentist after years of extensive dental work resulted in rampant decay and infections. The lawsuit alleged negligence due to insufficient exams, poor documentation and a lack of informed consent, with an expert reviewing the care as “textbook malpractice.”

• Book 10 shifts in a calendar year and receive a $250 rebate!

• Book an additional 10 shifts (for a total of 20) and earn another $250, for a maximum of $500 annually!

• Shifts must be 6+ hours and $25+ per hour to qualify, and awards are paid quarterly once milestones are reached. This opportunity resets each year on January 1—so start booking now and maximize your benefits!

Join thousands of dental professionals across the country who trust onDiem for flexible, hassle-free staffing. Scan the QR code for more information.

NYSDA Throws a Party

The important business of the House completed, NYSDA was in the mood to celebrate. So, it threw itself a party May 31 to mark the successful end of the annual gathering of leaders and members, honor the accomplishments of its currently serving president, Dr. Prabha Krishnan, and pass the torch to her successor, Dr. Maurice Edwards, who took on the mantle of president for 2025-2026.

The President’s Dinner Gala, staged at the Long Island Marriott, was replete with flowers, food, pole dancers and an awe-inducing light show. It featured serious moments as well, as tribute was paid to Dr. Krishnan and the officers who served alongside her and service awards were presented. But, mostly, everyone was there to share the festive hours with family and friends, enjoy the music and dance.

A gallery of photos of celebrants is presented here.

by VaahoPhoto

Photos

Subcutaneous Facial Emphysema and Pneumomediastinum Following a Class V Dental Restoration A Case Report

ABSTRACT

Cervicofacial subcutaneous emphysema is an uncommon but potentially life-threatening complication of dental procedures. While classically associated with surgical extractions performed with dental high-speed handpieces instead of surgical rear-exhaust handpieces, it has been documented following other dental procedures, including restorative and endodontic treatments. As cervicofacial air emphysema spreads, it may reach the retropharyngeal space, which connects to the mediastinum, leading to pneumomediastinum and a risk for mediastinitis, which carries a high mortality rate. We present a case of cervicofacial subcutaneous emphysema leading to pneumomediastinum following a Class V restoration on tooth #28 to highlight the importance of recognizing this underdiagnosed complication.

Cervicofacial subcutaneous emphysema is a potential complication of dental procedures that results from the introduction and entrapment of air in the subcutaneous space. While described as rare, it is possible that the complication is underreported due to its often asymptomatic and self-limiting course. Nonetheless, it carries the potential to progress into life-threatening complications, including airway compromise, pneumomediastinum, pneumopericardium and mediastinitis. Diagnosis is often made based on history and physical exam, wherein crepitus on palpation can be considered pathognomonic.

In reporting this case, we hope to highlight subcutaneous emphysema to clinicians as a potential complication that can arise from simple restorative procedures and rapidly progress to pneumomediastinum. Therefore, it should be included as part of a differential diagnosis for patients who present with swelling following dental treatment.

Case Report

A 28-year-old female presented to the emergency department with right-sided facial swelling, crepitus upon palpation of the right cheek and neck, throat pain and

mild odynophagia, which began three hours after seeing her general dentist for a Class V restoration on tooth #28, a short 15-minute procedure (Figure 1). The patient noticed difficulty swallowing immediately after the procedure, but her dentist attributed the sensation to the effects of anesthesia and sent her home. Her symptoms continued to worsen, at which point she presented to the emergency department for further evaluation.

The patient was otherwise healthy with no significant medical or surgical history, allergy to penicillin, no tobacco use, social alcohol consumption, no recreational drug use and taking only drospirenoneethinyl estradiol birth control. Initial review of systems was significant for right ear discomfort, which the patient likened to the feeling of water in her ear. Intraoral examination revealed localized gingival erythema near tooth #28, as well as pain and mild bleeding on palpation of the alveolar ridge adjacent to tooth #28. The buccal Class V composite restoration on tooth #28 was intact.

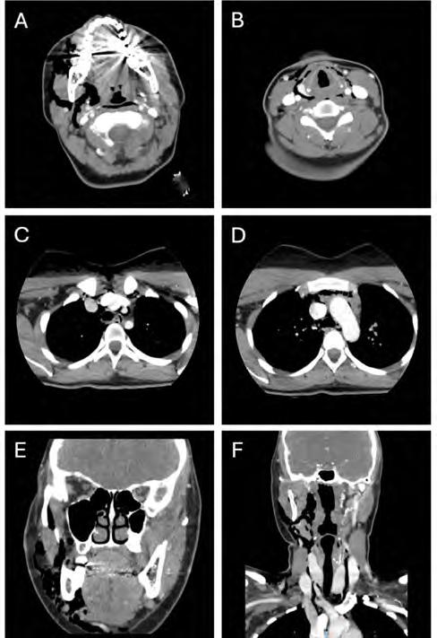
Laboratory findings upon presentation were significant for a white blood cell count of 16.29 x 109/L. Maxillofacial, neck and chest CTs with contrast were taken, revealing subcutaneous and deep soft-tissue emphysema extending from the right masticator space, through the superficial and deep fascial planes of the neck, into the retropharyngeal space and inferiorly into the mediastinum (Figure 2). The patient was admitted for observation and received intravenous clindamycin. An esophagram was ordered to rule out esophageal perforation.

White blood counts returned to normal one day after admission. Repeat maxillofacial and chest CTs with contrast two days after admission revealed improvement, with decreases in subcutaneous emphysema and tissue edema, and the patient was deemed ready for discharge with continued supportive management at home. The patient was prescribed oral clindamycin and advised to take over-thecounter analgesics as needed. The patient was seen for follow-up in the outpatient oral and maxillofacial surgery clinic two days after discharge; she continued to improve with no signs of worsening infection (Figure 1).

Figure 1. Patient photographs. A: on initial presentation with notable right facial swelling and asymmetry; B: at follow-op 6 days after initial presentation showing improvement.
Figure 2. Maxillofacial, neck, chest CT images on initial presentation. A through F, revealing extensive subcutaneous emphysema within deep spaces of neck and mediastinum.

Discussion

The source of the air in a subcutaneous emphysema following dental treatment may be a dental handpiece, air syringe or air polisher and, thus, the complication has been documented following a wide range of procedures, including extractions, restorative treatments, cleanings and endodontic therapy.[1–5] Since this case involved a Class V restoration, the source of the air emphysema was likely from the dental high-speed handpiece used to excavate the caries and prepare the tooth or the air syringe used to dry the tooth. Class V restorations often require the use of retraction cord, and aggressive cord packing may have weakened the surrounding gingival attachment on tooth #28 and allowed air to dissect through the gingival sulcus and enter the adjacent soft-tissue spaces. When applicable, rubber dam placement can provide isolation that prevents air from dissecting into the soft-tissue spaces. Additionally, care should be taken to minimize blowing the air syringe towards the gingival sulcus to minimize the risk of this complication.

Air and infection must travel through a series of deep spaces of the head and neck to reach the mediastinum. Dissecting air that initially enters the submandibular space freely travels to the masticator space. From there, it can cross through the buccopharyngeal gap wherein the styloglossus passes between the superior and middle pharyngeal constrictors and reaches the lateral pharyngeal space. The lateral pharyngeal space communicates with the retropharyngeal space, which exists between the buccopharyngeal fascia and the alar fascia. The alar fascia separates the retropharyngeal space from the danger space and merges with the buccopharyngeal fascia at the level of C6-T4 inferiorly. As the alar fascia is thin, it may be difficult to visualize on cross-sectional imaging in healthy patients and, thus, the retropharyngeal and danger spaces may appear as a singular space. Air that reaches the danger space may enter the mediastinum, potentially leading to airway compromise, pneumomediastinum, pneumopericardium and mediastinitis.[5]

Subcutaneous emphysema and even pneumomediastinum are self-limiting but have a rare risk of developing into the life-threatening complication of mediastinitis from the spread of bacteria or debris carried by the dissecting air. Iatrogenic mediastinitis, as well as descending necrotizing mediastinitis from odontogenic infections, have been reported to have a mortality rate as high as 30% to 40%.[6-8] Management of subcutaneous emphysema following dental procedures with antibiotics is aimed at preventing the spread of oral flora through the deep spaces of the neck and mediastinum, which could lead to cellulitis, necrotizing fasciitis or mediastinitis.

Although well-documented in the literature, subcutaneous emphysema continues to go undiagnosed by dental

providers, as seen in this case. Aside from subcutaneous emphysema, a differential diagnosis of a patient that presents with a swollen face and neck after dental treatment may include cellulitis, angioedema or hematoma. Cellulitis would present with systemic signs of infection, such as fever, malaise and lymphadenopathy. Angioedema swellings would be firmer and present with erythema and urticaria. Hematomas are associated with local anesthetic use and manifest rapidly with tissue discoloration due to the extravasation of blood.

Crepitus on palpation is a key physical exam finding that would suggest subcutaneous emphysema, and the presence of gas within the fascial spaces on CT imaging would provide confirmation.

Conclusion

We present a case of cervicofacial subcutaneous emphysema leading to pneumomediastinum in a healthy patient following dental treatment for a Class V restoration on tooth #28. While uncommon, this complication requires urgent management due to the risk for fatal sequelae, such as mediastinitis. Dental providers must be able to recognize the signs and symptoms of this complication to provide appropriate management for their patients. p

Queries about this article can be sent to Dr. Tran at jt3284@cumc.columbia.edu.

REFERENCES

1. Busuladzic A, Patry M, Fradet L, Turgeon V, Bussieres M. Cervicofacial and mediastinal emphysema following minor dental procedure: a case report and review of the literature. J Otolaryngol - Head Neck Surg 2020;49(1):61. https://doi.org/10.1186/s40463-020-00455-0.

2. Tegenbosch C, Wellekens S, Meysman M. A swollen face and neck after dental surgery: think of subcutaneous emphysema and pneumomediastinum. Respir Med Case Rep 2023;46:101926. https://doi.org/10.1016/j.rmcr.2023.101926.

3. An GK, Zats B, Kunin M. Orbital, mediastinal, and cervicofacial subcutaneous emphysema after endodontic retreatment of a mandibular premolar: a case report. J Endod 2014;40(6):880–883. https://doi.org/10.1016/j.joen.2013.09.042.

4. Alonso V, García-Caballero L, Couto I, Diniz M, Diz P, Limeres J. Subcutaneous emphysema related to air-powder tooth polishing: a report of three cases. Aust Dent J 2017;62(4):510–515. https://doi.org/10.1111/adj.12537.

5. Breznick DA, Saporito JL. Iatrogenic retropharyngeal emphysema with impending airway obstruction. Arch Otolaryngol Head Neck Surg 1989;115(11):1367–1372. https://doi. org/10.1001/archotol.1989.01860350101024.

6. Dirol H, Keskin H. Risk factors for mediastinitis and mortality in pneumomediastinum. J Cardiovasc Thorac Res 2022;14(1):42–46. https://doi.org/10.34172/jcvtr.2022.09.

7. Roccia F, Pecorari GC, Oliaro A, et al. Ten years of descending necrotizing mediastinitis: management of 23 cases. J Oral Maxillofac Surg Off J Am Assoc Oral Maxillofac Surg 2007;65(9):1716–1724. https://doi.org/10.1016/j.joms.2006.10.060.

8. Sakamoto H, Aoki T, Kise Y, Watanabe D, Sasaki J. Descending necrotizing mediastinitis due to odontogenic infections. Oral Surg Oral Med Oral Pathol Oral Radiol Endod 2000;89(4):412–419. https://doi.org/10.1016/s1079-2104(00)70121-1.

Jonathan Tran, D.D.S., is a graduate of Columbia University College of Medicine, New York, NY, and an oral & maxillofacial surgery resident at University of California Los Angeles, Los Angeles, CA.

Brian M. Will, D.D.S., M.D., is a graduate of the Oral & Maxillofacial Surgery Residency Program at New York Presbyterian Columbia University Irving Medical Center, New York, NY.

Sidney B. Eisig, D.D.S., FACS, is chairman of Hospital Dentistry and director of Oral & Maxillofacial Surgery at New York Presbyterian Columbia University Irving Medical Center, New York, NY.

Beyond Brushing Can Toothpaste Cure Your Child’s Peanut Allergy?

ABSTRACT

Peanut allergies pose significant health risks globally, with an increasing prevalence observed over the past two decades. Accidental exposures to peanuts can lead to severe allergic reactions, including anaphylaxis, prompting the exploration of innovative therapeutic approaches to mitigate these risks. This literature review examines the potential use of peanut proteins embedded within toothpaste formulations as a novel avenue for inducing tolerance in individuals with peanut allergies. It includes recent studies and clinical trials in oral immunotherapy, focusing on mechanisms of action, safety profiles and long-term outcomes associated with controlled allergen exposure. Key

findings suggest that oral mucosal therapy, particularly sublingual immunotherapy, may offer a safer alternative to traditional oral ingestion methods, with promising results in desensitization and sustained tolerance induction. Furthermore, the review highlights the broader implications of peanut allergy desensitization, including improved quality of life and the potential application of similar approaches for other allergens. While further research is needed to optimize this therapeutic modality, toothpaste-based immunotherapy presents a promising avenue for enhancing patient safety and promoting lasting tolerance in individuals with peanut allergies.

Peanut allergies represent a significant health concern worldwide, affecting millions and posing severe threats, ranging from mild allergic reactions to life-threatening anaphylactic shock. It is estimated that 1.4% to 3.8% of the U.S. population has a peanut allergy, and this number has tripled in the past 20 years.[1] This drastic increase in prevalence in peanut allergies may be attributed to increased reporting of allergies as health care improves over time, or to increased cleanliness and sanitation, a trend over recent decades, which also may contribute to the rise in peanut allergies. The “hygiene hypothesis” suggests that reduced exposure to infections and microbes in early childhood can lead the immune system to overreact to harmless substances, like peanuts, since it lacks the necessary training to distinguish between harmful and harmless triggers. Regardless of the cause, it is suspected that each year, 7% to 14% of those affected will experience an accidental exposure, which could lead to many negative outcomes, chief of which is anaphylaxis and death.[1]

In recent years, new research has explored innovative approaches to mitigate the impact of peanut allergies, aiming for the development of tolerance in affected individuals. Among these approaches a novel avenue has emerged—utilizing peanut proteins in toothpaste to induce tolerance.

This literature review will outline research in oral immunotherapy investigating the use of peanut proteins embedded within toothpaste formulations to provoke controlled exposure and tolerance in individuals allergic to peanuts. The premise underlying this approach lies in the principle of controlled allergen exposure as a means to gradually desensitize and potentially produce immune tolerance.

This review aims to critically analyze recent studies, clinical trials, mechanistic investigations, safety assessments and long-term outcome evaluations related to this innovative approach. By examining the collective findings and insights from these studies, this review seeks to offer a complete understanding of the efficacy and safety of using peanut proteins in toothpaste to foster tolerance in individuals with peanut allergies, and aims to extrapolate these findings to encourage, or discourage, future research that can use the same toothpaste approach for the treatment of other allergies.

Methodology

The selection of articles aimed to identify studies performed over the last 10 years in the field of oral immunotherapy, with those focused on desensitization and those pertinent to toothpaste-infused therapies favored. Preference was then given to peer-reviewed studies or meta-analyses. Articles were found across PubMed, Google Scholar

and other relevant immunology journals. Ultimately, articles were chosen based on their ability to drive conversation about toothpaste-based exposure to peanut proteins, including the mechanism of action, safety, side effects, efficacy and long- term impact of this novel immunotherapy.

Mechanism of Action

Peanut allergies are an IgE antibody-mediated hypersensitivity in which certain peanut proteins are identified as threats by the host immune system on initial exposure. This initial exposure is deemed the “sensitization phase,” as there is only asymptomatic contact. Subsequent encounters with these same proteins, however, may trigger an immediate hypersensitivity reaction. The mechanism of action is as follows:

1. Antigen-presenting cells bind to peanut allergens and introduce them to T-cells.[2]

2. T-cells signal B-cells to produce IgE antibodies, which bind to Fc proteins on basophils and mast cells and induce degranulation.[2]

3. Release of inflammatory mediators (histamine, proteolytic enzymes, cytokines, prostaglandins, leukotrienes, platelet-activating factors, macrophage inflammatory proteins, tryptase, etc.), which can lead to a wide range of symptoms.[2]

4. Symptoms may include vascular permeability, peripheral vasodilation and smooth muscle contraction, which can manifest to increased mucous secretions, bronchospasm, abdominal cramping, rhinitis and, potentially, hypovolemia or hypoxia. Pulmonary edema or general edema can also occur due to fluid shifting into the interstitial space. Individuals can experience pruritus and local response of asthma or a systemic response of anaphylaxis.[2]

Oral immunotherapy treatments focus on desensitization, a process by which continued exposure to small quantities of the offending allergen result in recalibration of the immune response just described. This shift in response occurs through a change in the population of immune cells and cytokines activated upon allergen exposure. There are four major processes by which this occurs.[3]

1. Decreases in mast cell and basophil activity, which reduces degranulation and reduces the chances of systemic anaphylaxis.[3]

2. Generation of allergen-specific regulatory T and B cells, coupled with suppression of allergen-specific effector T-cell subsets.[3]

3. Regulation of antibodies, with specific IgE levels muted and their role replaced with a less locally aggressive, specific IgG4 antibody instead.[3]

4. Over several months of desensitization, decreases in mast cell, basophil and eosinophil activity occur and as a result, a decrease in the release of their inflammatory mediators causes a decrease in Type I skin test reactivity, a test often used by allergists and immunologists to observe a patient’s predilection towards anaphylaxis.[3] These four strategies take advantage of the immune system’s plasticity and aim to induce lasting changes in immune response over time.

One study focused on brushing with INT301, a specialized, fully functional toothpaste whose ingredients include peanut allergens at therapeutic doses. This method of exposure is different from a pill or peanut M&M daily as it removes the onus of daily dosing and, thus, avoids “medication fatigue,” which has proven to be an obstacle to longterm maintenance.[4] This marks new ground for patients with peanut allergies, offering the potential to mitigate dangerous symptoms and also rewire the immune response towards lasting tolerance.

In this study, researchers assigned patients to receive escalating doses of INT301, up to 80mg/dose, 120mg/dose or placebo for eight weeks. Half of the patients underwent maintenance dosing for 48 weeks to assess efficacy. Notably, patients in the assigned groups used their toothpaste for 97% of the days in the trial, indicating much higher patient compliance with this methodology when compared with other dosing methods.[4]

Another study (PACE) that did not involve toothpaste centered specifically on sublingual immunotherapy, and follows the same immunologic mechanism as INT301 with a transmucosal approach. In this study, 37 subjects completed three to five years of peanut sublingual therapy, with 67% (32) successfully consuming 750 mg or more during doubleblind, placebo-controlled food challenges (DBPCFC’s), the gold standard for allergy testing.[5] Furthermore, 25% (12) passed the 5000-mg DBPCFC without clinical symptoms. Peanut skin test wheals, peanut-specific IgE levels, and basophil activation decreased significantly, and peanut-specific IgG4 levels increased significantly after peanut SLIT.[5]

Safety and Side Effects

The safety of peanut protein-infused toothpaste is a critical aspect of its application as a therapeutic agent in patients with peanut allergies. The goal of this oral immunologic therapy is controlled exposure to induce and modulate a particular immune response. However, concerns surrounding adverse reactions or induction of a severe allergic response necessitate an in-depth safety analysis. Some studies have found that desensitization is more harmful than beneficial, due to production of internal allergic reac-

tions during ingestion of allergens in 43% of doses.[4] However, this assessment focuses specifically on oral allergens that are ingested, rather than absorbed through mucosal tissues. Oral mucosal therapy, on the other hand, avoids the gastric tract almost entirely, and was found to cause far fewer adverse systemic reactions, while still effectively modulating the immune system.[4]

One study that honed in more closely on sublingual immunotherapy found that over 2,554 doses, the probability of any reaction was 4.7%.[5] These reactions were all classified as mild and presented without systemic symptoms, wheezing or cardiac involvement. The localized reactions were most likely to be oropharyngeal itching (2.6%), isolated hives (0.5%), skin itching (0.3%) and sneezing (0.2%).[5] It is noteworthy that incidences of these reactions were statistically independent of dosing in this study.[5] These findings coincide with those of the PACE study, in which all patients assigned INT301 were able to tolerate the treatment at the highest dose, with no moderate or severe systemic reactions. All nonsystemic reactions were mild and transient, with only five requiring treatment with oral Benadryl due to localized swelling/abdominal cramping and no one requiring epinephrine.[4]

In the sublingual immunologic study, 83% of participants demonstrated sustained unresponsiveness after two to four weeks.[5] Side effects were reported with 4.8% of doses (3,599/75,366 doses), with transient oropharyngeal itching reported most commonly as 75% of reported symptoms. This itching sensation decreased with continued dosing, with 89% of all episodes reported within the first two years of treatment. The majority of symptoms self-resolved, with only 0.21% (159) requiring antihistamine treatment, and no epinephrine was administered.[5] Three episodes of wheezing and cough were treated with albuterol in addition to antihistamines. No dosing reactions were treated with oral steroids. Local lip swelling was reported with 0.15% of doses. Gastrointestinal symptoms, including stomach pain, vomiting and diarrhea, were reported with 0.3% of doses.[5]

Each prospective new therapy must undergo a costbenefit analysis. Currently, without immune modulation, the number-one strategy for treating peanut allergies is avoidance.[6] While avoidance is extremely effective, it cannot always be relied upon, as there are many seemingly safe products on the market that contain peanuts. This avoidance strategy thus requires vigilance on the part of not only the parents, but also of the child with the peanut allergy. Avoidance can be challenging for a blossoming child, taxing both mentally and socially.[6]

Even with vigilance, exposures can, and do, occur, which often result in hospitalizations and adverse effects. Many accidental exposures lead to life-threatening reactions, in-

cluding anaphylaxis and even death.[4] Oral immunotherapy can be coupled with current avoidance strategies, used as a safeguard to either dampen or entirely eliminate the adverse effects that may result from accidental exposure.

Ultimately, oral peanut immunotherapy with toothpaste application is a novel and promising treatment modality that can be used in conjunction with avoidance strategies to provide safety and peace of mind to children struggling with peanut allergies and their families.[7] There should be additional research performed to further ensure safety, with close monitoring during intervention and consideration of specific patients’ varying immune responses. This therapy has alternative applications as well that should be studied further, including for other types of allergies that have also become more prominent in the 21st century, and as firstline therapy of hypersensitivity reactions to medications in children undergoing treatment for leukemia.[7]

Long-Term Impact

Sustainability of Tolerance

Uncovering these immunological mechanisms can provide insight into ways by which we might take advantage of the

immune system’s plasticity to create targeted results. The observed immune shift following toothpaste-based exposure hints at the plausibility of inducing a state of desensitization and potentially fostering lasting tolerance. By manipulating specific immune cell populations or cytokine cascades, there’s potential for tailored approaches aimed at amplifying and sustaining the induced tolerance.[7]

In one study, patients undergoing oral immunotherapy were found at six months after discontinuing therapy to have a 141-fold increase in the amount of peanut protein tolerated. This decreased to 122-fold by the 12-month interval.[8] For sublingual immunotherapy, the results were different, with a 22-fold increase in tolerance at both 6- and 12-month intervals. While this is a stark difference to oral immunotherapy, we must recall that a 22-fold increase is still quite significant, safer as outlined above, and coupled with an avoidance strategy would produce excellent results. The stability in a patient’s measured level of tolerance over the span of one year is also noteworthy, as this is a novel finding that was not seen in strictly ingestible oral immunotherapy studies. The benefit of sustained tolerance, coupled with an avoidance strategy, is that it could

prevent those with peanut allergies from having lifethreatening reactions, or reactions entirely, following an accidental exposure.[9]

Avoiding Allergy Recurrence

Dangers of allergy recurrence can result in numerous adverse effects to patients. Development of tolerance over time can cause patients to take their foot off the gas when it comes to their avoidance strategies and accidentally consume peanut products that they otherwise would not have. This can induce potentially life-threatening anaphylaxis in patients who have ceased therapy or have been inconsistent. It is crucial for researchers, doctors, parents and patients to know how long we can expect desensitization to persist following oral mucosal immunotherapy. It is also important to choose an application method that is not cumbersome for patients who must comply each and every day.

One of the benefits of the toothpaste method for oral immunotherapy is that patients have been socialized and accustomed to brushing their teeth twice a day throughout most of their lives. Current immunotherapies involve daily consumption of peanut M&M’s.[10] While this is a creative idea that makes medicine of M&M’s, patients who undergo lengthy therapy end up hating the taste of these candies. By offering the allergen hidden within the contents of their toothpaste, patients are able to absorb the allergen through their oral mucosal tissues multiple times daily, all while promoting great oral health and masking the taste with various flavors.

Conclusion

Summary of Key Findings

Increasing the clinical threshold to 300 mg of peanut protein was estimated to provide a greater than 95% reduction in risk for allergic reactions to common foods, such as chips, cookies, snack cakes and ice cream. Achieving a clinical threshold of 1,000 mg/dose increased this risk reduction to nearly 99%. This data further supports a clinically meaningful level of desensitization for the majority of our subjects treated with peanut SLIT (sublingual immunotherapy).[4]

Implications and Future Directions

Implications for peanut allergy desensitization range widely from reducing anxiety/promoting social interaction in children to preventing life- threatening anaphylaxis in both children and adults. Toothpaste as a vessel for topical application of peanut allergens to oral mucosal tissues bypasses many of the traditional issues that can arise during desensitization. While peanut allergies are among the most common allergies in our population, this same desensitization meth-

odology can be applied to other allergy-inducing agents as well. It can also be used as a method to prevent peanut allergies from arising at all.

In a recent study published by the journal NEJM Evidence, 500 participants were followed until age 12, and it was determined that 15.4% of children who had avoided peanuts in infancy to age 5 developed a peanut allergy, compared to only 4.4% of those children who had consumed peanuts from a young age.[11] This further contributes to the theory behind oral mucosal immunotherapy and gives weight to the argument that the rise in allergies in the American population is due to underexposure to potential allergens.[11]p

Queries about this article can be sent to Dr. Heiss at mikeheiss96@gmail.com.

REFERENCES

1. Lieberman JA, Gupta R, Knibb RC, et al. The global burden of illness of peanut allergy: a comprehensive literature review. Allergy 2020;76(5). doi:https://doi.org/10.1111/all.14666.

2. Abbas M, Moussa M, Akel H. Type I hypersensitivity reaction. 2023 Jul 17. In: StatPearls [Internet]. Treasure Island (FL): StatPearls Publishing; 2024;54(3) Jan–. PMID: 32809396. https:// www.ncbi.nlm.nih.gov/books/NBK560561/#:~:text=reactions%3A%5B1%5D-3.

3. Simons E. Assessing the efficacy of oral immunotherapy for the desensitization of peanut allergy in children (STOP II): a Phase 2 randomized controlled trial. PEDIATRICS 2014;134(Supplement):S155-S156. doi:https://doi.org/10.1542/peds.2014-1817nn.

4. Chu DK, Wood RA, French S, et al. Oral immunotherapy for peanut allergy (PACE): a systematic review and meta-analysis of efficacy and safety. Lancet 2019;393(10187):2222-2232. doi:10.1016/s0140-6736(19)30420-9.

5. Kim EH. Safety of peanut sublingual immunotherapy (SLIT) in children with peanut allergy. Journal of Allergy and Clinical Immunology 2010;125(2):AB20. doi:https://doi.org/10.1016/j. jaci.2009.12.109.

6. Akdis M, Akdis CA. Mechanisms of allergen-specific immunotherapy: multiple suppressor factors at work in immune tolerance to allergens. Journal of Allergy and Clinical Immunology 2014;133(3):621-631. doi:https://doi.org/10.1016/j.jaci.2013.12.1088.

7. Esenboga S, Akarsu A, Ocak M, et al. Safety and efficacy of rapid drug desensitization in children. Pediatric Allergy and Immunology 2022;33(3). doi:https://doi.org/10.1111/pai.13759.

8. Calvani M, Bianchi A, Imondi C, Romeo E. Oral desensitization in IgE-mediated food allergy: effectiveness and safety. Pediatric Allergy and Immunology 2020;31(S24):49-50. doi:https:// doi.org/10.1111/pai.13171.

9. Dantzer JA, Mudd KE, Wood RA. Long-term follow-up of oral and sublingual immunotherapy for peanut allergy. Journal of Allergy and Clinical Immunology 2019;143(2):AB247. doi:https://doi.org/10.1016/j.jaci.2018.12.755.

10. Assa’ad AH, Lierl MB. Oral immunotherapy to peanuts in children with mild and moderate peanut allergy results in long-term tolerance. Journal of Allergy and Clinical Immunology 2019;143(2):AB248. doi:https://doi.org/10.1016/j.jaci.2018.12.758.

11. George Du Toit, Huffaker MF, Radulovic S, et al. Follow-up to adolescence after early peanut introduction for allergy prevention. NEJM Evidence 2024;3(6). doi:https://doi.org/10.1056/ evidoa2300311.

Michael J. Heiss, D.D.S., was a general practice resident at Jamaica Hospital Medical Center, Queens, NY. He now practices general dentistry at Pearly Whites Dental Studio, Oceanside, NY.

Benjamin Solomowitz, D.M.D., is director of the General Practice Residency Program and associate director, training, Department of Dental Medicine, Jamaica Hospital Medical Center, Queens, NY.

Dr. Solomowitz
Dr. Heiss

Gorlin-Goltz Syndrome with Familial Manifestation A Case

Report with

Emphasis on Early Diagnosis

ABSTRACT

Gorlin-Goltz syndrome is a hereditary autosomal dominant disorder. It has multiple clinical manifestations caused by mutation in the patched gene (PTCH), which is responsible for the growth and development of healthy tissue and for regulating the cell cycle. Early diagnosis of the condition and an extended duration of follow-up are essential to prevent complications, such as basal cell carcinomas and facial deformities, leading to a more favorable prognosis. This case was diagnosed with the presence of three major and two minor criteria, which confirmed the condition. We hereby report a case of a young male patient diagnosed by clinical, radiological and histopathological features, with further identification of his siblings presenting with the same condition. This case highlights the need to be aware of this rare condition in young individuals to facilitate regular monitoring and reduce the risk of complications.

Gorlin-Goltz syndrome (GGS) is a genetic, autosomal dominant disorder that has a sudden onset with a high penetrance and wide range of phenotypic expression.[1] The terms “basal cell nevus syndrome,” “nevoid basal cell carcinomas syndrome,” “multiple basal epitheliomas, jaw cysts and bifid rib syndrome” have all been used to describe this condition over time.[2]

It has been estimated that this condition affects 1 in 57,000 to 1 in 256,000 people, depending on the geographic location. Asians and African Americans account for barely 5% of cases, even though the condition affects people of all races with no gender predilection.[1]

In 1894, Jarisch and White provided the initial description of this condition. They emphasised the existence of several basocellular carcinomas. The diagnosis of the condition was reported by Gorlin and Goltz as having the traditional trio of numerous basal cell carcinomas, odontogenic keratocysts in the jaws and bifid ribs. Rayner et al. revised this diagnostic trio in 1977 and required that the OKCs had to present collectively, along with either palmar and plantar pits or calcification of the falx cerebri.[3] Numerous other characteristics have also been mentioned in the literature, including developmental deformities, like frontal bossing, hypertelorism, macrocephaly, cleft lip/palate, mandibular prognathism, skeletal deformities, urological, eye-related

abnormalities and tumors, like medulloblastoma and ovarian fibroma.[4]

Dental professionals should be aware of indications and symptoms that appear in the early and second decades of life. The presence of multiple odontogenic keratocysts is the main feature, in combination with the above-mentioned manifestations. Early detection is crucial because it can lessen the severity of consequences, including brain and skin cancers, and prevent maxillofacial abnormalities brought on by the jaw cysts. It further helps in genetic counselling of affected individuals and their families.[2]

In this case report, we present a young male patient with multiple odontogenic keratocysts, along with skeletal, facial, dermatological features in association with falx and tentorium cerebelli calcifications. The diagnosis of the condition was made in light of the clinical, radiological and histopathological findings.

Case Report

A 20-year-old male patient presented to the department of oral medicine and radiology complaining of pain in both the right and left tooth regions of the jaw for 10 days. Pain was severe, continuous and non-radiating in nature and was associated with bilateral swelling on the lower side of the face. Swelling was gradually progressive and was associated with difficulty in mouth opening for one year. Patient did not give any significant family history.

On general physical examination, there was evidence of Sprengel’s deformity (Figure 1a), along with palmarplantar keratosis and palmar pits.

On extraoral examination, there was evidence of mandibular prognathism frontal bossing and macrocephaly. Diffuse swelling was present on the lower side of the face bilaterally, extending superior-inferiorly from the ala-tragus line to the lower border of the mandible and anteriorposteriorly from an imaginary vertical line from the outer canthus of the eye to the angle of the mandible, measuring 3 cm x 4 cm approximately (Figure 1b). Swelling was roughly oval in shape and the same color as that of the surrounding skin. On palpation, the swelling was firm, with no localized raise in temperature and was mildly tender.

On intraoral examination, findings included mouth opening reduced to 25 mm (Figure 1c), the presence of an anterior deep bite with posterior crossbite, slight vestibular obliteration in the left mandibular buccal vestibule with respect to teeth #19 to #21, and microdontia with respect to teeth #7 and #28.

Orthopantomogram revealed evidence of bilateral osteolytic, unilocular radiolucencies surrounded by radio-opaque borders involving the ramus of mandible an-

terior-posteriorly and extending superior-inferiorly from 1 cm below the coronoid notch to the lower border of mandible with respect to impacted teeth #17 and #32, with the thinning of the outer cortex of the mandible measuring approximately 3.5 cm x 2 cm in dimension. There was evidence of other radiolucent lesions surrounded by radiopaque borders with respect to periapical areas of teeth #18, #15, #20 and #21 (Figure 2).

Non-contrast computed tomography of the face revealed evidence of multiple expansile cystic lesions involving the

Figure 1a-c. Sprengel deformity, bilateral facial swelling and reduced mouth opening, respectively.
1a 1b 1c
Figure 2. OPG showing multicystic lesions.
Figure 3. NCCT face and brain showing multiple odontogenic keratocyst and calcifications involving falx and tentorium cerebelli.

bilateral rami of the mandible, body of the mandible on the left side and left maxillary alveolus bulging into the left maxillary sinus associated with a deviated nasal septum and convexity toward the right side, and falx and tentorium cerebelli calcifications (Figure 3). A chest X-ray revealed rib deformities (Figure 4). Based on clinical and radiographic features, the patient was diagnosed with Gorlin-Goltz syndrome.

Surgical extraction and enucleation of the lesion were done in the region of tooth #15. Marsupialization of cystic lesions involving bilateral ramus, body of mandible and maxillary alveolus of left side was performed.

Tissue sample was then sent for histopathological examination. It revealed the presence of para-keratinized, corrugated, stratified squamous epithelium lining with thickness of four to six cell layers. The connective tissue wall surrounding the cystic lumen was filled with excessive keratin. The basal cell showed a hyperchromatic nucleus arranged in a palisading pattern. A few focal areas showed detachment of the epithelial lining from the connective tissue wall.

Although the patient did not provide any significant family history indicating familial predisposition, the patient’s siblings (two sisters and one brother) were called and examined, and they displayed similar skeletal, dental,

cranial and developmental abnormalities. They were diagnosed clinically, radiographically and histopathologically with the same condition.

For the purpose of monitoring any potential skin lesions, the patient and his family members were referred to the dermatologist.

Discussion

Gorlin-Goltz syndrome (GGS) is a rare genetic disorder characterised by various developmental manifestations and propensity for neoplasms.[5]

The initial description of this condition was provided in 1894 by Jarisch and White. The existence of several basocellular carcinomas was their main concern. Then, in 1939, Straith described a case that involved cysts in addition to the carcinomas. A similar case was described by Gross in 1953 that included additional abnormalities in the ribs. Plantar and palmar pits were connected to this condition about the same time by Ward and Bettley. In 1960, Gorlin and Goltz proposed the trio of symptoms—keratocysts in the jaw, bifid ribs and numerous basocellular epitheliomas—that would be diagnostic for the identification of this disorder. Later, Rayner et al. added the presence of either palmar and plantar pits or calcification of the falx cerebri to this triad.[3]

A mutation in the PTCH1 gene, located on the long arm of chromosome 9q22.3, which codes for the patched receptor, is the root cause of the clinical presentation of this syndrome. This gene’s product suppresses tumor growth and plays a vital role in regulating the growth and development of healthy tissues. Loss of heterozygosity is exhibited by a number of tumors and hamartomas (BCC, OKCs, meningiomas, ovarian fibromas) but not by other lesions, such as palmar pits. Nearly 90% of hereditary basal cell carcinomas have been shown to have lost their PTCH1 locus heterozygosity.[6,7]

In order to diagnose the condition, Evans et al. originally defined major and minor criteria, which Kimonis et al. modified in 2004. To establish a diagnosis, two major and one minor or one major and four minor criteria must be present[8,9] (Table 1). In this case, three major and two minor criteria were present, which confirmed the diagnosis.

Odontogenic keratocysts characterised clinically by aggressive growth and a reoccurring tendency are among the most consistent and common features of this syndrome. A comprehensive assessment of the patient’s systemic conditions can lead to a GGS diagnosis. Every OKC case that has been diagnosed by histology should have a thorough assessment.[4] Management of odontogenic keratocysts include enucleation for smaller lesions, followed by mechanical curettage or chemical cauterisation with Carnoy’s solution or liquid nitrogen cryotherapy and marsupializa-

Figure 4. Rib deformity in chest X-ray.

tion for large-sized cysts and bloc resection with or without preservation of the jaw.[10]

One of the manifestations of the condition that is most commonly seen, particularly in the head and neck region, is basal cell carcinomas. People should limit their exposure to unwanted ultraviolet rays because it is thought to be a risk for their formation and to impact their number. This explains why African Americans have fewer of these lesions, as melanin pigmentation acts as a protective factor. The skin surrounding the eyes, nose and ears is susceptible to BCCs. It is critical, therefore, that youngsters use eyeglasses with 100% UV protection[11] and that high sun protection (SPF 30+)

be applied before heading outside. Reapply the sunscreen every two to three hours, and more frequently if swimming or perspiring.[12]

Early diagnosis is crucial in the case of GGS because it can lessen the likelihood of sequelae, including skin and brain malignant tumors, as well as the destruction and consequent oral maxillofacial abnormalities of the jaw cysts. In order to provide appropriate genetic advise, an early diagnosis is crucial. Furthermore, early diagnosis provides psychological support, aiding patients and their families in coping with the chronic nature of the syndrome and ultimately improves their quality of life.[13]

Maintaining a record of the family’s medical history and doing a thorough examination of the skin, thorax, skull and oral cavity are very important. To identify aspects of bone morphology, a panoramic radiograph, a PA view thorax radiography, along with a cranium CT scan are required. Individuals with the syndrome—particularly those with odontogenic keratocysts—need to be examined at a minimum once a year. It is advised that the BCCs be followed up with at least three or four times annually. Two annual neurological exams are necessary, particularly for younger children, who have a higher chance of developing medulloblastoma.[3]A multi-specialist team should provide routine follow-up.[13]

Patients should be informed of the 50% chance that this condition will be passed on to their children if they plan to become parents. All individuals who exhibit clinical indications of at least two key diagnostic criteria of the syndrome should receive genetic testing. In these patients, it is important to look into any family history of the condition and consider screening family members. Individual genome sequencing would lessen the severity of anomalies by assisting in early identification and treatment of suspected conditions. A fetal cell amniocentesis can be used to collect DNA and perform an ultrasound scan to diagnose pregnancies in people at higher risk. Additionally, this offers a chance for the creation of medications in the future that will either cure or avoid this condition in upcoming generations.[6]

Various health specialists are crucial in this regard. For example, geneticists, dentists, neurologists, oncologists, dermatologists, need to have a thorough knowledge of the fundamental characteristics of the syndrome in order to operate in their respective fields of expertise appropriately.[14]

Some individuals or families might not seek medical attention promptly due to lack of awareness, socioeconomic barriers, subtle and slow progressive symptoms causing them to be overlooked and limited access to the kind of specialized genetic testing provided in this case.

Conclusion

Gorlin-Goltz syndrome is a hereditary disorder that manifests with varied signs and symptoms. A focus on familial manifestations is important for better survival rates of the affected individual, and comprehensive clinical examination of family members is indicated. This case emphasizes the need for young people without any skin manifestations knowing about this uncommon syndrome. Owing to the severe nature of the clinical symptoms, early diagnosis and an extended period of follow-up are essential. Moreover, to increase longevity rates, a multidisciplinary group consisting of a neurosurgeon, a dental practitioner, dermatologist and geneticist is required. p

Queries about this article can be sent to Dr. Singh at drravindersohi@gmail.com.

REFERENCES

1. Spadari F, Pulicari F, Pellegrini M, Scribante A, Garagiola U. Multidisciplinary approach to Gorlin-Goltz syndrome: from diagnosis to surgical treatment of jawbones. Maxillofacial Plastic and Reconstructive Surgery 2022 Jul 18;44(1):25.

2. Kosmidis CS, Michael C, Mystakidou CM, Theodorou V, Papadopoulou E, Papadopoulou K, Koulouris C, Varsamis N, Koimtzis G, Roullia P, Ntager M. An easily missed but life-threatening diagnosis: a case report of Gorlin syndrome. The American Journal of Case Reports 2023;24:e939117-1.

3. Rao AR, Taksande A, RAO AR. A case of Gorlin-Goltz syndrome presented with multiple odontogenic keratocysts in the jaw without skin manifestation. Cureus 2022 May 2;14.

4. Salahudheen A, Haidry N, Mokhtar EA, Shivhare P, Gupta V, Mokhtar EA, Shivhare Sr P. Gorlin-Goltz syndrome: a case series. Cureus 2023 Sep 21;15(9).

5. Pazdera J, Santava A, Kolar Z. Gorlin-Goltz syndrome with familial manifestation. Biomedical Papers 2022 Mar 1;166(1):112-6.

6. Lata J, Verma N, Kaur A. Gorlin–Goltz syndrome: a case series of 5 patients in North Indian population with comparative analysis of literature. Contemporary Clinical Dentistry 2015 Sep 1;6(Suppl 1): S192-201.

7. Gianferante DM, Rotunno M, Dean M, Zhou W, Hicks BD, Wyatt K, Jones K, Wang M, Zhu B, Goldstein AM, Mirabello L. Whole-exome sequencing of nevoid basal cell carcinoma syndrome families and review of human gene mutation database PTCH1 mutation data. Molecular Genetics & Genomic Medicine 2018 Nov;6(6):1168-80.

8. Evans DG, Ladusans EJ, Rimmer S, Burnell LD, Thakker N, Farndon PA. Complications of the naevoid basal cell carcinoma syndrome: results of a population-based study. Journal of Medical Genetics 1993 Jun 1;30(6):460-4.

9. Kimonis VE, Mehta SG, Digiovanna JJ, Bale SJ, Pastakia B. Radiological features in 82 patients with nevoid basal cell carcinoma (NBCC or Gorlin) syndrome. Genetics in Medicine 2004 Nov 1;6(6):495-502.

10. Borghesi A, Nardi C, Giannitto C, Tironi A, Maroldi R, Di Bartolomeo F, Preda L. Odontogenic keratocyst: imaging features of a benign lesion with an aggressive behaviour. Insights into Imaging 2018 Oct;9:883-97.

11. Nabih O, Rachdy Z, Alaaoui OM, Yahya IB. Syndrome de Gorlin-Goltz: du diagnostic au traitement: à propos d’une observation. Actualités Odonto-Stomatologiques 2017 Oct 1(285):4.

12. Zaher B, El Bouhairi M, Yahya IB. Gorlin-Goltz syndrome from diagnosis to treatment: role of the dentist. Advances in Oral and Maxillofacial Surgery 2023 Mar 1;9:100370.

13. Veenstra-Knol HE, Scheewe JH, Van Der Vlist GJ, Van Doorn ME, Ausems MG. Early recognition of basal cell naevus syndrome. European Journal of Pediatrics 2005 Mar;164:126-30.

14. Figueira JA, de Souza Batista FR, Rosso K, Veltrini VC, Pavan AJ. Delayed diagnosis of Gorlin–Goltz syndrome: the importance of the multidisciplinary approach. Journal of Craniofacial Surgery 2018 Sep 1;29(6):e530-1.

Dr. Ravinder Singh is professor, Oral Medicine and Radiology, Maharishi Markandeshwar College of Dental Sciences and Research, Maharishi Markandeshwar (Deemed to be University), Mullana, Ambala, India.

Dr. Deepak Gupta is professor and head of the Department of Oral Medicine and Radiology, Maharishi Markandeshwar College of Dental Sciences and Research, Maharishi Markandeshwar (Deemed to be University), Mullana, Ambala, India.

Dr. Aashna Garg is a postgraduate student, Oral Medicine and Radiology, Maharishi Markandeshwar College of Dental Sciences and Research, Maharishi Markandeshwar (Deemed to be University), Mullana, Ambala, India.

Dr. Aanchal Gupta is a reader, Oral Medicine and Radiology, Maharishi Markandeshwar College of Dental Sciences and Research, Maharishi Markandeshwar (Deemed to be University), Mullana, Ambala, India.

Dr. Sushruth Nayak is professor and head of the Department, Oral and Maxillofacial Pathology, Maharishi Markandeshwar College of Dental Sciences and Research, Maharishi Markandeshwar (Deemed to be University), Mullana, Ambala, India.

Dr. Singh Dr. Gupta Dr. Garg Dr. Gupta Dr. Nayak

NEWS General

Dentists Now Required to Provide Reason For Controlled Substance Prescriptions Filled at

NYSDA RECENTLY LEARNED that CVS Pharmacy has instituted a new nationwide policy requiring providers to include a diagnostic code or diagnosis when prescribing a controlled substance for a patient. This is a result of their 2023 Global Opioid Settlement and to help address prescription opioid abuse.

NYSDA confirmed this information with both the American Dental Association and the NYS Bureau of Narcotic Enforcement (BNE) and was told that it is only for controlled substances. Although it is not legally required for dentists or physicians to provide diagnosis codes (ICD-10-CM) when prescribing controlled substances (with the exception of 90-day supply Rxs written for specific indications), pharmacists are allowed to deny an Rx and ask for more information from the provider.

According to CVS and BNE, when prescribing a controlled substance, dentists should include either the diagnosis code or the diagnosis in the “Comments” field of their e-prescribing software. Wording such as “for use after dental surgery” would suffice.

CVS

Resources for Obtaining Diagnosis Codes

• The CDT manual includes “Section 3: ICD-10-CM Diagnoses for Dental Diseases and Conditions,” which serves as a sampling of the complete ICD-10-CM code set and contains entries identified as pertinent to most encounters with and services provided to a dentist’s patient and guidance on their structure for reporting.

• The CDT Coding Companion is a reference and educational manual that includes general information on medical benefit claim resources regarding filing. “Appendix 2: CDT Code to ICD (Diagnosis) Code Crosswalk” (located under the “Documents” heading) is posted online at Coding Education | American Dental Association (ada.org), available to download for free.

• The CDC website, where a diagnosis can be entered into the search field to obtain an ICD-10-CM code: https://icd10cmtool.cdc.gov/.

Providers with questions may contact Jacquie Donnelly at NYSDA (jdonnelly@nysdental.org) or the appropriate CVS Pharmacy directly.

Three UB Oral Biology Faculty Members Recognized on International Stage

THREE FACULTY MEMBERS in the Department of Oral Biology in the University at Buffalo School of Dental Medicine were recognized at the International Association for Dental, Oral and Craniofacial Research (IADR) General Session and Exhibition held in late June in Barcelona, Spain.

Patricia Diaz, D.D.S., Ph.D., Sunstar Robert J. Genco Endowed Chair and Empire Innovation Professor of Oral Biology, received the 2025 IADR Distinguished Scientist Research in Oral Biology Award for her extensive research of the oral microbiome.

Hyuk-Jae (Edward) Kwon, D.D.S., Ph.D., associate professor of oral biology, received second place in the 2025 IADR Joseph Lister Award for New Investigators for his study of how the gene KMT2D affects the development of tooth enamel.

Frank Scannapieco, D.M.D., Ph.D., SUNY Distinguished Professor of Oral Biology, received the 2025 IADR Distinguished Sci-

entist Award in Geriatric Oral Research for his research in and advocacy for the dental health of older adults.

Diaz, who joined UB in 2020, also directs the UB Microbiome Center. Under her leadership, UBMC researchers study microbiome communities and how they affect their host in several manners, including evolution, fitness, health and disease susceptibility.

Kwon, who joined UB in 2017, was honored for his pioneering study of tooth enamel and the role the gene KMT2D plays in dental anomalies and genetic disorders.

Over his more than 30 years at UB, Scannapieco, a periodontist and microbiologist, has conducted extensive research in the interactions between saliva and bacteria, the relationships between oral and systemic disease, and the health needs of older adults.

Nominees Sought for NYSDA Honors

The NYSDA Council on Awards is seeking nominations for the Association’s two merit awards—the William Jarvie and Harvey J. Burkhart Award and the New York State Dental Association Dr. Mark J. Feldman Distinguished Service Award.

The council will consider nominees according to its criteria and guidelines for selecting recipients. The guidelines are printed here. The council expects to make its selection at its teleconference at 1 p.m., Wednesday, Dec. 10, although it reserves the right to withhold either of the awards if it feels no nominee meets the criteria.

The 2026 Jarvie-Burkhart Award and Distinguished Service Award will be presented in June at the NYSDA Annual Session. Nomination forms appear on the following page. Nominations must be submitted no later than Monday, Nov. 17.

Awards Criteria and Guidelines

The William Jarvie and Harvey J. Burkhart Award

The William Jarvie and Harvey J. Burkhart Award (also referred to as the Jarvie-Burkhart Award) is the highest honor bestowed by the New York State Dental Association and is presented in recognition of great service rendered mankind in the field of dentistry. It may be awarded to an individual dentist, a nondentist or an organization. To be considered for the Jarvie-Burkhart Award, nominees must have demonstrated advancement in at least one of the following areas:

• promotion of continuing dental education;

• advancement of dental research;

• philanthropic endeavors in the field of dentistry; or

• original contributions to the science and application of dentistry.

Nomination Procedure: Annually, notice shall be published in an official publication of the New York State Dental Association in the month of September, requesting nominations for the Jarvie-Burkhart Award. The notice shall include the eligibility criteria, as well as the guidelines and instructions for submitting a nomination. The nomination form for the Jarvie-Burkhart Award shall be available from the New York State Dental Association’s Headquarters Office or from the Association’s website (www.nysdental.org). The completed form must include pertinent information detailing the accomplishments of the nominee in the field of dentistry. In addition, the nomination must include corroborative endorsements and testimony from as many sources as possible substantiating the great service that has resulted from these accomplishments.

The deadline for submitting applications shall be Nov. 17 after notice has been published. The Council on Awards shall meet to consider all eligible nominees and make its recommendations and report to the Board of Trustees before the first meeting of the Board of Trustees in the year following the Nov. 17 deadline for submission of nominations. Should the Board determine that

an eligible nominee is to receive the award in accordance with Chapter V, Section 100 of the Bylaws, the Jarvie-Burkhart Award shall be presented at the Annual Session of the New York State Dental Association.

Inasmuch as the Jarvie-Burkhart Award is the highest award that NYSDA can bestow, it must not be seen as synonymous with the Distinguished Service Award, which was established to recognize an individual’s contributions to organized dentistry. Therefore, the Jarvie-Burkhart Award is not necessarily given every year. The Council on Awards shall only recommend presentation of the Jarvie-Burkhart Award if the council is of the opinion that the above criteria and guidelines have been met.

Nominations of members serving on the Council on Awards must be deferred until completion of their service on the council.

The New York State Dental Association Dr. Mark J. Feldman Distinguished Service Award

The New York State Dental Association Dr. Mark J. Feldman Distinguished Service Award is presented to an individual in recognition of numerous years of meritorious service and commitment to the Association. The criteria to be considered in determining eligibility for the Distinguished Service Award include:

• contributions to the New York State Dental Association;

• contributions to organized dentistry as a whole;

• the offices and positions held; and/or

• the tenure of the individual’s service

Nomination Procedure: Annually, notice shall be published in an official publication of the New York State Dental Association in the month of September requesting nominations for the Distinguished Service Award. The notice shall include the eligibility criteria, as well as the guidelines and instructions for submitting a nomination. The nomination form for the Distinguished Service Award shall be available from the New York State Dental Association’s Headquarters Office or from the Association’s website (www. nysdental.org). The completed form must include pertinent information substantiating why the individual being nominated should be considered.

The deadline for submitting applications shall be Nov. 17 after notice has been published. The Council on Awards shall meet to consider all eligible nominees and make its recommendations and report to the Board of Trustees before the first meeting of the Board of Trustees in the year following the Nov. 17 deadline for submission of nominations. Should the Board determine that an eligible nominee is to receive the award in accordance with Chapter V, Section 100 of the Bylaws, the Distinguished Service Award shall be presented at the Annual Session of the New York State Dental Association.

Nominations of members serving on the Council on Awards must be deferred until completion of their service on the council.

2026 William Jarvie and Harvey J. Burkhart Award NOMINATION FORM

(Deadline for Submission – November 17, 2025)

Name of Nominee:

Submitted by:

The William Jarvie and Harvey J. Burkhart Award (also referred to as the Jarvie-Burkhart Award) is the highest honor bestowed by the New York State Dental Association and is presented in recognition of great service rendered mankind in the field of dentistry. It may be awarded to an individual dentist, a nondentist or an organization. To be considered for the Jarvie-Burkhart Award, nominees must have demonstrated advancement in at least one of the following areas:

• promotion of continuing dental education;

• advancement of dental research;

• philanthropic endeavors in the field of dentistry; or

• original contributions to the science and application of dentistry.

Please specify how the nominee has accomplished advancement in the areas noted above.

2026 Dr. Mark J. Feldman

Distinguished

Service Award

NOMINATION FORM

(Deadline for Submission – November 17, 2025)

Name of Nominee:

Submitted by:

The New York State Dental Association Dr. Mark J. Feldman Distinguished Service Award is presented to an individual in recognition of numerous years of meritorious service and commitment to the Association. The criteria to be considered in determining eligibility for the Distinguished Service Award include:

• contributions to the New York State Dental Association;

• contributions to organized dentistry as a whole;

• the offices and positions held; and/or

• the tenure of the individual’s service.

Please specify how the nominee has contributed to the New York State Dental Association, or organized dentistry as a whole.

m Please fill in circle if continued on attached pages.

Please list any other reasons you believe the nominee is deserving of this award.

m Please fill in circle if continued on attached pages.

Please list any other reasons you believe the nominee is deserving of this award.

m Please fill in circle if continued on attached pages.

Please attach curriculum vitae or other appropriate documents detailing the background and general information regarding the nominee. Remit to:

New York State Dental Association

20 Corporate Woods Blvd., Ste. 602

Albany, New York 12211

ATTN: Dr. Payam Goudarzi, Council on Awards Chair

m Please fill in circle if continued on attached pages.

Please attach curriculum vitae or other appropriate documents detailing the background and general information regarding the nominee. Include the offices and/or positions held in organized dentistry. Remit to:

New York State Dental Association

20 Corporate Woods Blvd., Ste. 602

Albany, New York 12211

ATTN: Dr. Payam Goudarzi, Council on Awards Chair

Second District cont. Component

EIGHTH DISTRICT

Golfing in the Rain

Monday, June 9, dawned sunny and warm. It was an auspicious beginning for the 2025 William C. Knauf Jr. CE Lecture and Golf Tournament. The morning began with a lecture by Dr. Gina DeSouza, newly installed chair of the Restorative Department at the University at Buffalo School of Dental Medicine. In her address, “All Ceramic Restorations: Structure, Properties and Bonding Protocols,” Dr. DeSouza took her audience through the history of ceramics and their current use as a dental restorative. Following the lecture, lunch was served, and the golfers went to tee off. Just as the first ball was struck, the rains began—with a vengeance. Nevertheless, everyone made the best of the circumstances, and the tournament continued to its conclusion.

Playing golf in the rain is not easy. However, all the golfers seemed to have a great time out on the course. Dr. Peter Igoe won the overall 8th District Championship. In the Scramble, the overall men’s winner was the team of Kevin Schmidt, Andy Jaxson, Alex Jaxson and Jeff Rymarczyk from Evolution Dental. The Senior’s champion was the team of Drs. Joseph Modica, John Tibbetts, John Luchesse Jr. and Eugene Sibick. The Super Senior’s champion was a tie between the teams of Drs. Joseph Breloff, Robert Schaus, John Athens and Andrew MacDonald and the team of Drs. Robert Reszel, Scott Seier, Ron Chmiel and Greg George. The Mixed Team overall winner was Drs. Chet Gary, Frank Sindoni, Rock Redmin and Ms. Julia Gengo. Dr. Louis

Schiumo won Closest to the Pin. The Ladies Longest Drive went to Dr. Liz Kapral. Dr. Richard Medico won the Men’s Longest Drive, and the Senior Men’s Longest Drive winner was Dr. Robert Reszel.

Everyone appeared to have a wonderful if wet time. Next year’s tournament will be held at the Transit Valley Country Club in East Amherst on Monday, June 1. Let’s hope the weather is better.

Tearing it Up

The Eighth District held its annual Shred Day June 14 at the district office. Again, it was a huge success, as members brought multiple boxes of confidential files and X-rays to be destroyed. Lincoln Archives supplied two trucks to handle the load. Walsh Duffield Insurance and Ivoclar sponsored the event, for which the 8th District thanks them very much. Another Shred Day will be held next June, so get those files and films ready.

Lifesaver

The Erie County Dental Society sponsored its quarterly “Basic Life Support for Health Care Providers” course on Aug. 4 at the 8th District office. This course fulfills the New York State requirement for CPR retraining. Participants completed both written and skills tests to be recertified. They also earned 4 MCE hours for participating.

Rules of the Road

On Wednesday, Sept. 3, the district hosted another defensive driving course, presented by the Safe Driver Academy. This is an informative, humor-based course, which teaches attendees the ac-

tual rules of safe driving and how to be safe out on the highway. Having taken this course previously, I can attest this is not your grandfather’s course on safe driving. It is a fun, entertaining, informative lecture, and participants receive a 10% discount on their auto insurance for the next three years. I highly recommend this course if you haven’t taken it before. You will not regret it.

A Very Special Boat

On Tuesday, Sept. 16, the Erie County Dental Society will host a social function on the Cotter, Buffalo’s historic fireboat, which has served the Buffalo Fire Department and the citizens of Buffalo for over 105 years. The Cotter was designated a National Historic Landmark in 1996 and is the oldest functioning fireboat in the world. Attendees will be treated to a Firehose Water Show and spectacular views of the Buffalo Waterfront.

Fall Lecture

The Erie County Dental Society will sponsor an evening seminar at the 8th District office on Wednesday, Oct. 1, starting at 5:30 p.m. Drs. Jessica Canallatos and Paul Canallantos will present “Unlocking Advanced Treatment Options: Digital Dentistry and Custom Prostheses for Comprehensive Patient Care.” Their lecture will highlight cutting-edge advancements in full-arch rehabilitation with dental implants, focusing on digital workflows simplifying treatment and delivering exceptional outcomes for edentulous patients. It will also explore the world of maxillofacial prosthetics, including custom prosthetic eyes, ears and noses, as well as advanced prosthetic solutions for craniofacial conditions and Nasoalveolar molding appliances for cleft care. Those in attendance will gain insight into identifying patients who could benefit from these treatments and collaborating with specialists to provide comprehensive, life-changing care. Participants will earn 1.5 CME hours.

NASSAU COUNTY

Members Responding to CE Offerings

This is another banner year for NCDS CE course offerings and registrations, with over 104 hours of CE scheduled in 2025. One example was our May General Membership meeting on May 12. Dr. Laurent Ganry delivered a fascinating lecture titled “Diagnosis, Resection and Reconstruction of Facial Skin Lesions & Cancer.” In it, he provided an update on skin lesion and cancer management and described resection and reconstructive techniques he has developed to improve the quality of life, function and overall dignity of patients.

As fall approaches, CE registrations have been brisk, but we still have spots available. Included in the 14 upcoming courses are some unique topics, including “Regional Pain Syndrome,” “Orthognathic Surgery,” “Cone Beam” (sold out), “Tongue Tie” and a special handson course on “Injection Molded Direct Composites,” which as of this writing is almost sold out.

We’ve also noted a significant uptick in nonmember registrations for our courses, which provides us additional non-dues revenue and an opportunity for engagement in hopes of conversion.

Speaking of conversions, our Resident/New Dentist Seminar Series earlier this year was a success and received an ARC (Acquisition, Retention and Conversions) grant from the ADA. So far this year, we’ve seen 30 new members join.

Shredding and Walking

We have two events scheduled for the fall as well. Our Shredding and Recycling Event will be on Saturday, Sept. 13, from noon to 3:30 p.m. We’ll be accepting documents to shred, as well as old electronics and X-ray film to recycle.

Then, on Sunday Oct. 5, we will have our 3rd annual Walk for Oral Cancer Awareness at Eisenhower Park in East Meadow, Long Island. This charity event raises public awareness of oral cancer and money for oral cancer research and helps fund our many free public oral cancer screenings held throughout the year. Registration for both these events, as well as our CE courses, can found on our website (www.nassaudental.org) under Events and CE Calendar.

Newsmaker

Fluoride has been in the news quite a bit lately, including on the front page of Newsday in June. This two-page article discussed the ramifications to the public should fluoride supplements be taken off the market and featured comments from several NCDS, SCDS and NYSDA leaders.

Nassau County cont.

Member Recognitions

Finally, I’d like to congratulate several of our members on their recent accomplishments.

• Past NCDS President Dr. Fabiola Milord was named co-chair of the New York Section of the Pierre Fauchard Academy. In addition, she received the LIJ 2025 Faculty of the Year Award.

• NCDS member Dr. Parul Dua Makkar had her article “My Journey with Oral Cancer Awareness” published in the “My View” section of the April 7 ADA News. In addition, she was a keynote speaker at the ADA Oral Cancer Summit in Chicago this past February. Dr. Makkar is chair of our Walk for Oral Cancer Awareness Committee.

• NCDS member Dr. William Jacobs has reached his 51st year as a member of NCDS and the tripartite.

• NCDS member Dr. Sheeba Kurian

received the 2025 Attending of the Year Award from Cohen Children’s Medical Center (Northwell/LIJ).

• And, while not a personal accomplishment, NCDS past president Dr. Joe Brofsky’s son-in-law, Ethan Corson, who is a Kansas State Senator, has announced he is running for governor of Kansas.

SUFFOLK COUNTY

General Membership Meeting

Devin J. Klein, D.D.S., M.S.

Our May 7th General Membership Meeting was fantastic. The 115 members who attended were treated to excellent presentations by Dr. Kyle Reeves, Dr. Justine Inzero and Dr. Byung Nahm. Thank you to our generous sponsors MLMIC, Straumann, NeoBiotech, Haleon, DentaQuest, DDSMatch.com, Rivkin Radler, Komet, and LI Speech & Myofunctional Therapy, who were present for our members and supported the event.

Shredding Event

It was a windy day. And somewhat cool for our May 10th shredding event. Despite the weather, members came out

NASSAU COUNTY

SUFFOLK COUNTY

Volunteers stand by to assist at May shredding event.
Treasurer and Past President Steven Feigelson presents Farmingdale hygiene graduate Ashley Liszewski with award.
Smiling golfers attest to successful outing at Willow Creek Golf and Country Club.
Dr. Guenter Jonke delivers remarks at NYSDA Annual House Meeting following receipt of Dr. Mark J. Feldman Distinguished Service Award.
NCDS President Elyse Patrello presents certificate of appreciation to Dr. Laurent Ganry, presenter at May General Membership Meeting.

in large numbers, as did our volunteers (and their families). Some shredding arrived in vintage style, but it all left on a very full Datashred truck. Big thank you to sponsor MLMIC and those fantastic volunteers!

Seminar Series

The second in our Seminar Series took place on May 14. Attendees were treated to an engaging and informative presentation by Celin Arce, D.D.S., M.S., FACP, and Amanda Piche, D.D.S. The prosthodontist and periodontist, respectively, contributed to a wellrounded 7-MCE day. All attendees, sponsors and speakers were provided with breakfast and lunch.

Feedback on the course and venue was excellent. Big thank you and shoutout to Henry Schein Dental (Giana McKeough) and Dr. Laurence Schwartz Dental Office Coverage and Consulting for their sponsorship and support.

Stony Brook SDM Awards

Stony Brook School of Dental Medicine held its awards ceremony on May 20. We were honored to be present to see so many talented students and faculty being recognized for their accomplishments.

Farmingdale Hygiene Pinning Ceremony

SCDS Treasurer and Past President Steven Feigelson was honored to present the Farmingdale Hygiene School

Outstanding Dedication awards to deserving students during the school’s pinning ceremony on May 21.

That same day, Stony Brook School of Dental Medicine graduated members of the Class of 2025. Congratulations to grads and best of luck in your future endeavors.

NYSDF Screening at LI Ducks Game

On May 23, the New York State Dental Foundation organized a free oral health screening at the Long Island Ducks game at Fairfield Properties Ballpark. ADA member dentists Drs. Paul Leary, Scott Firestone and Robert

Trager were on hand to deliver care. Thank you to NYSDF Executive Director Stacy McIlduff for arranging this event and helping with its conduct and to the Henry Schein Cares Foundation for its support.

NYSDA House of Delegates

The New York State Dental Association held its annual House of Delegates Meeting May 30-31. Highlights of the meeting included awarding of the Dr. Mark J. Feldman Distinguished Service Award to SCDS member Dr. Guenter Jonke, re-election of member Dr. Paul Leary to the post of NYSDA SecretaryTreasurer and the beginning of Dr. Martin Dominger’s term as NYSDA Trustee. The House passed several important initiatives. Dr. Maurice Edwards was sworn in as NYSDA President. And SCDS delegates, alternate delegates, friends and guests enjoyed a meal together.

Annual Golf Outing

Great weather helped make our 25th annual golf outing on June 11 a success. More than 90 members and guests enjoyed the day out at the Willow Creek Golf and Country Club. We appreciate the support of our fabulous sponsors, led by Dandy, Damianos Realty Group, Henry Schein Dental, MLMIC, Premier Endodontics, Rivkin Radler, Straumann and Tangredi Endodontics.

A big thank you also to DDSmatch. com, Fuoco Group, Garfield Refining and Sound AC, with donations by Dr. Efraim Zak/Island Orthodontics, Nappi’s Nook, Sean Sanders/Muttontown Club, Samantha Panzarino Realtor, Dr. Peter Pruden and Joe Schwan, CPA. Last but not least, we thank our volunteers and the Golf Committee for their leadership.

Hope to see you all out there again next year.

Dental Resident Orientation

Our Dental Resident Orientation Luncheon at the Stony Brook School of Dental Medicine took place on June 26. We

SUFFOLK COUNTY

Dr. Scott Firestone checks under bill of Long Island Ducks mascot during free oral health screening at Ducks game in May.
Members of Class of 2038 begin their academic journey at Kindergarten Welcoming.
New dentists enjoy summer social featuring rounds of Topgolf.

Component

Suffolk County cont.

met this talented and ambitious group of residents and spoke with them about the benefits and importance of ADA membership. The luncheon was cosponsored by our colleagues at the New York State Dental Association.

Leaders from Suffolk County Dental Society were on hand, including past president Dr. Patricia Hanlon, Vice-President and New Dentist Chair Dr. Devin Klein and Board member Dr. Matt Hanna, who shared their professional experiences. We look forward to supporting these new doctors in the journey.

New Dentist Summer Social

Another successful new dentist Topgolf outing on July 30 attracted nearly 40 attendees. Warm colleagues, cold drinks and solid barbeque fare were enjoyed, as were all the elements of Topgolf. A big thank you to our sponsors, Bank of America, MLMIC, TargetRock Wealth Management and Straumann.

A Big Kindergarten Welcome

On July 31, it was wonderful to join the good folks from HealthFirst at the 4th annual Kindergarten Welcoming for the Central Islip School District, hosted at the Mulligan Elementary School. The kids (Class of 2038) were engaging, curious and fun. A big thank you goes out to our Stony Brook School of Dental Medicine pediatric residents Dr. Ronni Lipnitsky and Dr. Daniel Bakhadj, as well as SCDS Past President Dr. Scott Firestone, who were on hand to help the kids and answer questions from parents.

We are grateful for the invite from our friends at HealthFirst. It is a pleasure to work with Carmen Cohen and the rest of the team. Thank you too to

Christine Marsh at the Stony Brook School of Dental Medicine for helping to coordinate the event.

SBSDM D1 Orientation Luncheon

We were honored to welcome 46 firstyear dental students at the Stony Brook School of Dental Medicine orientation luncheon on Aug. 6. This luncheon, cosponsored by the New York State Dental Association and the Suffolk County Dental Society, gave us the chance to meet these future dentists. We were happy to provide a high-level overview of organized dentistry, but perhaps the best part was hearing from several of our leaders and members about their dental journey. On hand were Dr. Claudia Mahon-Vazquez, Dr. Jen Engelbright, Dr. Ivan Vazquez, Dr. Nick Vittoria, Dr. Guenter Jonke, Dr. Jeff Seiver, Dr. Brian Howe and Dr. Joseph Graskemper.

Thank you to our colleagues at NYSDA for their support, to the Stony Brook School of Dental Medicine for the opportunity, and to Joseph Franza and Daniella Zajac of the SBSDM for facilitating the event. They make it easy to do these things!

Don’t Miss a Thing

We continue to make a significant push to better communicate and connect with our members in methods that more easily integrate with their lifestyle. You can find us on Facebook, X, Instagram, LinkedIn and Spotify, in addition to our traditional www.SuffolkDental.Org presence.

NEW YORK COUNTY

September General Membership Meeting

Egidio Farone, D.M.D.

The New York County Dental Society invites all members to join us for our Sept. 8 General Mem-

bership Meeting. This gathering is a great opportunity to reconnect with colleagues after the summer, share stories and catch up on what’s new in dentistry. We especially encourage early-career dentists to attend and use this meeting to build connections with experienced practitioners and gather valuable career advice.

The professional program will be presented by Pierre Wohlgemuth, D.D.S., clinical assistant professor in the Department of Endodontics at NYU College of Dentistry. Dr. Wohlgemuth will present “Cracking the Code of Cemental Tear: When and How to Treat?” and share his perspective on this condition from the viewpoint of an endodontic specialist. His insights promise to make the session both informative and engaging.

New Dentist Artisanal Chocolate Tasting

The NYCDS New Dentist Committee is excited to host its first-ever Chocolate Tasting on Sept. 15, an interactive and indulgent evening for guests to enjoy. Attendees will have the chance to sample fine chocolates from around the world while learning how to identify the distinct notes and flavor profiles that make each one unique. A chocolate sommelier will lead the experience, offering fascinating insights into the origins, production methods and artistry behind every piece.

To end the night on a fun note, there will be a round of chocolate trivia and an opportunity to win delicious prizes. We invite you to share the news and join us for this truly memorable event.

GNYDM Course Registration Now Open

The time has arrived. Registration for courses being offered at the Greater New York Dental Meeting is now open. This year, the GNYDM will offer more than 250 engaging lectures, along with a variety of hands-on workshops. The education program features seminars, interactive sessions, 10 specialty meetings, programs for hygienists and assistants, young dentist events, a brand-new main stage and much more. It’s an incredible opportunity to learn from world-renowned leaders in dentistry, so be sure to reserve your spot today.

This year’s program guide is now available in a fully digital format. This convenient version makes it easy to explore course details and exhibition highlights anytime, from anywhere.

Meeting Dates:

November 28th—December 3rd

Exhibit Dates:

November 30th—December 3rd

JACOB K. JAVITS CONVENTION CENTER 11th AVE BETWEEN 34th & 39th STREET

Give Kids A Smile NYCDS 2026

Join your colleagues (and bring your staff) and experience the rewards of volunteering for Give Kids A Smile NYCDS.

Take advantage of Quality, Discounted Services through NYSDA Endorsed Services

BANKING

Bank of America

800-932-2775

800-497-6076

US Bank

888-327-2265

FINANCIAL SERVICES

CareCredit

800-300-3046 (#5)

Altfest Personal

Wealth Management

888-525-8337

Best Card

877-739-3952

Laurel Road

855-245-0989

INSURANCE SERVICES

MLMIC

800-683-7769

888-263-2729

888-744-6729

Arthur Gallagher

888-869-3535

Long-term Care

844-355-2596

OTHER

Henry Schein

800-734-5561

ProSites

888-932-3644

www.prosites.com/nysda

Mercedes

866-628-7232

Lands’ End

Staff 800-490-6402

UPS

800-636-2377

The Dentists Supply Company

888-253-1223

Volvo

800-550-5658 ada.org/volvo

OnDiem

hub.ondiem.com

Practice Mojo

888-932-3644 practicemojo.com

Component

New York County cont.

Help provide critical dental screenings and preventive fluoride treatment to 1,000+ elementary school students in East Harlem. It’s taking place on Feb. 6.

Upcoming Continuing Education Schedule

• 9/11 4–7 p.m.: “The Next Dimension: Cosmetics, Digital Dentistry, CBCT, 3D Printers and More. How Dentists Thrive Today,” with Dr. Susan McMahon (In-Person).

• 9/12 9:30 a.m.-4:30 p.m.: “Veneer Planning and Preparation: Setting up for Successful Cosmetic Enhancement.” Workshop with Dr. Susan McMahon (In-Person).

• 9/17 9:30 a.m.-4:30 p.m.: “Intuitive Endodontics.” Workshop with Dr. Anne Koch (In-Person).

• 9/25 6-8 p.m.: “The Good, the Bad & Compliance: Ignorance of HIPAA Can Mean Massive Penalties,” with Dr. Lorne Lavine (Zoom).

• 10/08 9:30 a.m.-1:30 p.m.: “Infection Control for the Dental Practice,” with Dr. Peter Mychajliw (In-Person).

• 10/10 9:30 a.m.-4:30 p.m.: “Minimally Invasive Posterior Restorations.” Workshop with Dr. Amelia Orta (In-Person).

• 10/17 9:30 a.m.-12:30 p.m.: “Modern Approach of Integrating OAT for Sleep Apnea into Dental Practice,” with Dr. Maria Sokolina (InPerson).

• 10/20 9:30 a.m.-1:30 p.m.: Basic Life Support/CPR Certification Course (In-Person).

• 10/22 6:30-8:30 p.m.: “Think, Plan, Transition: Preparing Your Dental Practice for Sale.” (In-Person) (No CE Credit).

• 10/22 7-9 p.m.: OSHA-Mandated Update for Dentists and Staff “What

You Need to Know to Comply with the Law,” with Dr. Peter Mychajliw (ZOOM).

• 10/29 9:30 a.m.-12:30 p.m.: “Orofacial Pain—Pulling Back the Curtain,” with Dr. Lauren Levi & Dr. Asher Mansdorf (In-Person). New courses are added regularly so be sure to visit https://www.nycdentalsociety.org/ for the latest schedule.

BRONX COUNTY

Residents Night Out

Don Safferstein, D.D.S.

NYSDA and Bronx County held their annual Residents Night Out on Aug. 14. There was a great turnout as we welcomed new residents and dental

students from the Bronx, Queens and Westchester. Thanks to Heather Relation and Kasey Bennett from NYSDA for doing an amazing job putting this fun evening together.

And thank you to our sponsors Bank of America, MLMIC, Aspen Dental, Care Credit and Alliant.

Fall Course Schedule

• Sept. 16: CPR Training-Basic Life Support for Healthcare Providers. 6 p.m. Maestro’s Caterers.

• Oct. 28: “How to Attract New Patients in 2025 and Beyond,” by Dr. Josh Gindea. 6 p.m. Maestro’s Caterers.

• Nov. 18: “The Digital Denture Revolution.” Free dinner/lecture, sponsored by Dandy. 6 p.m. Maestro’s Caterers.

BRONX COUNTY

Residents Night Out was about getting to know each other and having fun.

NINTH DISTRICT Out for Health

The 9th District Dental Association just held its annual “Health is Wealth” event at the Hudson River Waterfront Park in

NINTH DISTRICT

Tarrytown. Dr. Lana Hashim, chair of the New Dentist Committee, and Dr. Bhagwati (BJ) Mistry, chair of the Substance Use Disorder and Well-Being Committee, hosted this hugely successful event. The Latusion Food Truck was a big hit, and Dr. Mistry’s yoga positions and stretches were a welcome lesson in relaxation on stressful days.

Back to School

We have posted our fall CE course listing on the 9th’s website (www.ninthdistrict.org), ready to accept registrations. We’re providing a number of mandated courses this semester, including the final amendments to the child abuse course, as well as infection control, and Oral Cancer & HPV. We’re also providing a HIPAA-compliant cyberattack prevention course, provided by Southridge Technology.

Visit the website and register for these live webinars, providing your certifications for their completion.

General Meeting Gets New Home

We are also in the process of preparing for our upcoming September General Meeting. This year, we’re trying a new venue—the Westchester Manor, in Hastings-on-Hudson. Dr. Mahnaz Fatahzadeh will be presenting her “Orofacial Manifestations of System Disease” course, for which attendees will receive 7 MCE credits toward relicensure. Based on the number of daily registrations received so far, it appears that Dr. Fatahzadeh is a well-respected presenter. This should be a successful event.

The General Meeting is a good time to reach out to the 9th’s leaders to let them know how we’re doing for our members. We’re always interested in adding new voices—perhaps there’s a committee you’d like to join. And, as always, please feel free to reach out to your headquarters’ staff for help, advice or to share your thoughts and concerns, so we can be sure all our members’ voices are heard and their needs are met.

SEVENTH DISTRICT Valuable Connections

The Seventh District kicked off a new mentorship and leadership development program called “Spark Connections” on Aug. 19. The program, which doubled as an all-member social, was a great success. Three members shared personal stories about their mentorship journey. Then Dr. Nathan A. Smith, associate dean for research mentorship and associate professor of neuroscience in the School of Medicine and Dentistry at the University of Rochester, led a discussion of weaponized mentorship, the responsibilities of serving as a mentor and steps to finding the right mentor.

The program was followed by an all-member event with over 85 people in attendance at Rohrbach’s Beer Hall. Thank you to our sponsors, BMG, EDA, GRB, Henry Schein, Morgenstern DeVoesick, Patterson Dental, RTG Dental Lab, Straumann, Vision Financial Group and Walsh Insurance.

Volunteers Boost Local Health Fair

Members of the Seventh District and Monroe County Dental societies, including Drs. Katie Strong, Taylor Squires, Lisa DeLucia and Brian Lawson, along with Seventh District Executive Director Becky Herman, volunteered at the 15th annual Community Health Fair, hosted by the Rochester Jamaican Organization, on Aug. 16. They distribut-

SEVENTH DISTRICT

Members strive to achieve health and wealth at annual well-being event staged at Hudson River Waterfront Park in Tarrytown.
Dr. Nathan Smith, center, discussion leader at mentorship and leadership development program, with Dr. Willaim Calnon, left, and Dr. Christopher Calnon.

Component

Seventh District cont.

ed goodie bags to kids and families that included a toothbrush and toothpaste, and information about proper oral hygiene and where to find a dentist.

Dental Advocates

Dental colleagues gathered with New York State Republican Senator and Minority Leader Robert Ortt on Aug. 7 to discuss critical issues impacting oral health and access to care in Western New York. The meeting was a testament to members’ belief in the power of advocacy and the necessity of standing together to speak with one voice.

The State of Dental Care

Dr. Sean McLaren, past president of the Seventh District and chief quality, compliance, and safety officer and medical director for the Eastman Institute for Oral Health, participated in an important panel exploring dental care that aired on PBS as part of a monthly series titled “CONNECT NY.” Other panelists included New York State Dental leaders, who spoke about the state of dental care, access challenges and possible solutions.

Welcoming Gesture

Aided by our generous sponsors—the ADA, Assured Partners, Crane Dental Lab, EDA, GRB, Henry Schein, NYSDA, TD Bank, Vision Financial and Walsh Insurance—the Seventh District and Monroe County Dental societies have begun to distribute welcome bags to new and lapsed members. District staff and MCDS Board members are visiting offices to hand deliver the bags and share information about events and activities available to them as members of the societies.

SEVENTH DISTRICT

Executive Director Becky Herman, at left, with members Drs. Katie Strong, Taylor Squires, Lisa DeLucia, Brian Lawson, among volunteers assisting at Community Health Fair in August.
Seventh District and Monroe County members teamed up to distribute goodie bags to kids and families at health fair hosted by Rochester Jamaican Organization.
NYSDA President Maurice Edwards, left, and Seventh District Past President Sean McLaren, center, participate in State of Dental Care panel discussion on PBS.

Sharing the News

Dr. Robert Buhite II, accompanied by district staff member Ms. Andrea Hughes, attended Monroe Community College’s Career Expo “Launching Futures in High Demand Fields” on June 16. They spoke with students interested in health care and shared information about the many career paths available in dentistry and the supporting role the district plays within the dental community.

FIFTH DISTRICT

Meeting in Central New York

Pliszczak, D.D.D., M.S., M.B.A.

The Central New York Dental Conference (CNYDC) is taking place on Friday, September 12, at the OnCenter in Syracuse. The event has been scaled down, and there won’t be any in-person courses on Thursday night, as all are being offered online.

This year’s CNYDC course titles include “Lesions and Lifestyles – Is it HPV? An Oral Pathology Update for the Dental Team” in the morning and “Emerging Diseases: No Rest for the Wicked,” by Nancy Dewhirst, B.S., R.D.H., in the afternoon, as well as an all-day course “Mastering the Art of Successful Smile Design: Secrets that Help the Dental Team Motivate Patients,” with Dr. Hugh Flax.

There will be a dental marketplace (exhibit floor) open throughout the day. Information and registration can be found at www.cnydc.org.

Hygiene School Update

Construction of the dental hygiene clinic at Mohawk Valley Community College (MVCC) is moving along. Oneida County has issued the notice to proceed, and contracts can now be issued. The exact timeline will become clearer in the near future, but we are still hoping for a fall 2026 opening.

We’ve Got Your Smile

For the team at Belen Dental, giving back is more than a mission—it’s a

promise. On Aug. 15, that promise came to life in a big way during the practice’s annual “We’ve Got Your Smile” event, where dozens of Utica residents received free dental care, thanks to the generosity of Dr. Belen, her staff and a dedicated group of 17 volunteers.

Throughout the day, patients were welcomed with open arms and offered their choice of a complimentary cleaning, filling or extraction. For many, it was their first opportunity in months— or even years—to receive much-needed dental treatment without the burden of cost.

The event was powered by the helping hands of hygienists, assis-

tants, office staff and volunteers, who donated their time to ensure each patient received attentive, compassionate care. From early morning until the last appointment, the office buzzed with energy and gratitude. Approximately $17,600 of free treatment was provided. The “We’ve Got Your Smile” initiative has quickly become a cornerstone of Belen Dental’s community outreach, reminding Utica residents that quality care can—and should—be accessible to all. With plans to continue the event in the future, Dr. Belen and her team are committed to keeping Utica smiling, one patient at a time.

FIFTH DISTRICT

Dr. Aymme Belen, seated, with volunteer and staff who helped bring smiles to Utica residents. They are, from left, Andra Wilcox, Payton Gaylord, Ashley La Tour, Rose Dodds, Suad Hamzah, Narmaris Hilario.

Read, Learn and Earn

Readers of The New York State Dental Journal are invited to earn three (3) home study credits, approved by the New York State Dental Association, by properly answering 30 True or False questions, all of which are based on articles that appear in this issue.

To complete the questionnaire, log onto the site provided below. All of those who achieve a passing grade of at least 70% will receive verification of completion. Credits will automatically be added to your CE Navigator account.

For a complete listing of online lectures and home study CE courses sponsored by the New York State Dental Association, visit www.nysdentalfoundation.org.

Subcutaneous Facial Emphysema and Pneumomediastinum Following a Class V Dental Restoration—Page 24-26

1. Cervicofacial subcutaneous emphysema is not potentially life threatening.

o T or o F

Beyond Brushing—Page 27-31

1. The article explores the possibility of sublingual immunotherapy.

o T or o F

Gorlin-Goltz Syndrome with Familial Manifestation Page 34-38

1. Gorlin-Goltz syndrome (GGS) is a hereditary autosomal dominant disorder.

T or o F

FOR SALE

ORANGE COUNTY: Established 32-year general practice for sale. Grossing $340K on 4-day workweek. 1,500 square feet; located in professional office building with plenty of parking. 100% insurance and private pay; no capitation. All phases of dentistry except ortho; some specialties referred. Four fully equipped ops with 5th room plumbed and wired, currently used for storage. Excellent opportunity; room for expansion. Plenty of room for 2 dentists and 2 hygienists. Priced to sell. Inquiries to: dentistatwork57@gmail.com.

ALBANY: Thriving general, cosmetic and implant practice generating $2.2M+ in annual revenue with $673K in adjusted income. Spacious 2,300-square-foot office with 6 operatories, CBCT and fully digital workflow. Production driven by two experienced associates; seller works just 1 day/week. Ideal for investor dentist, group or hands-on buyer seeking immediate profitability and growth. Asking price $1.75M. Contact: peter@getwicklow.com. Online at: www.getwicklow.com. Listing #: Dental-NY-2012.

WESTCHESTER COUNTY: Located near White Plains in upscale Westchester County suburb. General dental practice served community over 20 years. Owner planning retirement and open to full or phased transitions. Operates four days per week with 1,460 active patients and 20-25 new patients per month. 7 operatories, with room to add one or two more and housed in free-standing building with real estate available. Collections of $2+ million and EBITDA of $222K. Turnkey opportunity in NYC suburb known for top schools, strong economy and high demand for dental care. Contact Professional Transition Strategies by email: bailey@professionaltransition.com; or call (719) 694-8320. Reference #NY52825.

GLENS FALLS, QUEENSBURY: Beautiful 5,800-squarefoot, 8-chair office for sale or lease. Large lab, library, conference room, 2 private offices, staff lounge, surgery suite, X-ray and sterilization rooms. Office liquidation including furniture and equipment, CBCT/PAN, 8 chairs/units, extensive instruments and supplies, including Periodontal surgery and preventive maintenance, Oral Surgery, Endodontics, Implant Surgery, Crown and Bridge and Restorative. Dual motor air compressor and suction pump. Very nicely decorated; immaculate. Call (518) 793-5908 to leave message or email: robertsharpdds@adirondackdentalimplantcenter.com.

MANHATTAN: Oral Surgery practice at Central Park South. Practice for sale with transition to ownership. Four operatories with windows facing Central Park in exclusive medical condominium building on Central Park South. 20-year-old oral surgery practice with large patient database, complete medical equipment and website. Longterm lease of professional space of approximately 900 square feet. Current oral surgeon retiring. Work in pristine office in prime location. Tremendous growth potential. Contact: nycentralparksouth@gmail.com.

BRONXVILLE: Dental/professional office for sale at 915 Palmer Road. Located 3 blocks from New York PresbyterianWestchester Hospital. Great space for dental practice. Near train station and bus stop in front of building. 3,500 square feet includes 3-5 exam rooms, office, 2 storage rooms, 3-5 bedrooms, 3.5 bathrooms, kitchen/dining room/conference

Online Rates for 60-day posting of 150 words or less — can include photos/images online: Members: $200. Nonmembers: $300. Corporate/Business Ads: $400. Classifieds will also appear in print during months when Journal is mailed: Jan and July.

room. Parking lot in back holds 6 cars; ample on-street parking. Asking: $1.3M. Contact: Realtor Amanda Samuel, RE/MAX Distinguished Homes & Properties, by phone: (914) 589-8133; or email: AmandaSamuelRealEstate@ gmail.com.

BRONX: Excellent startup practice. General family practice established 17 years ago located conveniently off main road. Open 4 days/week until 4 p.m. 2022 gross collection $399K with 2 operatories and 1 doctor. No advertising. Digital X-rays; completely paperless with dental software. Growing patient base. Excellent opportunity to grow your own practice. Please call to discuss: (347) 661-6638.

WATERTOWN/THOUSAND ISLANDS:

Dental practice for sale in beautiful northern NY. Desirable location approximately 1 hour north of Syracuse in close proximity to Thousand Islands and Canadian border. Modern, well-designed, attractive, standalone building with ample parking. 3,395 square feet. Main floor offers 9 ops with digital X-ray, CBCT, Eaglesoft, Schick Sensors, 3D printing and CEREC. Finished 1,500-square-foot basement includes conference room, laundry/locker room, kitchen and 2 additional offices. Building available for sale or lease. Reputable practice can run 1-2 dentists with gross revenue in excess of $1M annually on 4-day week. Experienced, highly motivated team of 8 willing to remain after sale. Owner retiring and willing to help with transition. Contact Robert Schonfield, DDS, by phone: (315) 771-4012; or email: rob@docschonfield.com.

JEFFERSON COUNTY: Long-established, profitable practice is must-see. Located minutes from downtown Watertown. Well-equipped 4-operatory practice sits on busy road with great curbside appeal. Large private parking lot. Practice fully digital with pano X-ray and utilizes Eaglesoft. Revenue $730K with one FT Hygienist. Doctor only works 3 days/week (20 hours max). Seller refers out all endo, ortho and oral surgery. Practice positioned for growth. Primarily FFS, with 2,000 active patients. 2-story building also for sale with vacant apartments upstairs. Contact Dental Practice Transitions Consultant Michael Damon at (315) 430-9224; or email: mike.damon@henryschein.com. #NY3385.

ONTARIO COUNTY: Long-established, highly productive practice with 2022 revenue of $1.4M. Nestled in backdrop of beautiful Finger Lakes wine-making country. Fully computerized, fully digital office with 7 well-equipped treatment rooms. Utilizes Dentrix Ascend PMS; Planmeca CBCT and digital impression systems added in recent years. 3,500 active patients and combination of insurance and FFS. Strong hygiene program. Well-trained team available for transition. Contact Dental Practice Transitions Consultant Michael Damon at (315) 430-9224; or email: mike.damon@henryschein.com. #NY3395.

ONEIDA COUNTY: Bright, immaculate, all-digital, 100% FFS practice with great curb appeal. Highly desirable location and convenient access to highways. $900K+ revenue on 4-day workweek. Seller in practice for 30 years and committed to aiding in very successful transition. Four wellequipped operatories and Dentrix all in efficiently designed 1,100-square-foot space. Thriving general practice averages 30+ new patients per month. Contact Transitions Sale Consultant Mike Damon at (315) 430-9224; or email: mike.damon@henryschein.com. #NY3513.

SENECA COUNTY: Charming practice in heart of Finger Lakes region. 45-minute drive to both Rochester and Syracuse city centers. Digital practice offering 3 equipped ops with 2022 revenue $653K on 3 clinical days/week. Softdent, 2D pano and diode laser. 1,700-square-foot practice offers comprehensive dental care in welcoming environment. Fulltime Hygienist and full administrative staff all with excellent systems and training in place. 50% FFS. Specialties referred out. Real estate also available. Contact Transition Sales Consultant Michael Damon at (315) 430-9224; or email: mike.damon@henryschein.com. #NY3572.

WESTERN NEW YORK: Fantastic opportunity to own well-established, thriving practice in beautiful area. Growing practice has loyal patient base made up of 86% insurance and 14% FFS. Fully digital Pan, sensors, intraoral cameras and paperless charting all integrated with Eaglesoft. Building with off-street parking and additional rental units also for sale or lease. Contact Practice Transition Consultant Brian Whalen at (716) 913-2632; or email: brian.whalen@ henryschein.com. #NY3665.

CAPITAL REGION: Turnkey opportunity for wellestablished dental practice located in growing and desirable area convenient to downtown Albany, Saratoga and Schenectady with revenue of $800K. Attractive, efficient 2,505-square-foot space with 5 fully equipped treatment rooms. Standalone building offers excellent visibility on busy two-lane main road and also available for purchase. Digital office using Dentrix with pano X-ray upgradable to 3D. Four dedicated full-time employees and three parttime willing to stay after transition. Doctor refers out most specialties on 39-hour week. Must-see opportunity for any interested buyer looking to acquire successful primarily FFS practice. Contact Transition Sales Consultant Michael Damon: (315) 430-9224; or email: mike.damon@henryschein.com. #NY3942.

NORTHERN NEW YORK: High-grossing, high-tech 7-op operatory general practice in standalone building. Located near Canadian border. Beautiful practice offers great visibility and curb appeal. 3,000 square feet; 100% digital practice utilizes Eaglesoft with CBCT and CEREC. Highly trained, experienced team of professionals awaits including 3 full-time Hygienists expected to transition with practice. Open 4 days/week with 3,300 active patients and healthy new patient flow. Doctor willing to stay to assist with transition. Great turnkey opportunity. Contact Transition Sales Consultant Michael Damon at (315) 430-9224; or email: mike.damon@henryschein.com. #NY3673.

OSWEGO: High-visibility, established general practice with convenient access to I-81. Growing community located less than 10 miles from future Micron SemiConductor plant, which will be one of country’s largest. $1.1M revenue on just

28-hour week. 5 well-equipped operatories with recent addition of new hygiene room. 100% digital practice with newly added pano X-ray and iTero scanner. Refers out all specialties. Mix of FFS/PPO. Don’t miss out. Contact Transition Sales Consultant Michael Damon at (315) 430-9224; or email: mike.damon@henryschein.com #NY4023.

ST. LAWRENCE COUNTY: Well-established, highly profitable, 100% FFS general practice with just 52% overhead. Turnkey. Annual revenue $750K+ on 4-day week. Standalone building with large parking lot located right on main road. Building also available for sale with approximately 3,000 square feet of dedicated dental space. Room to double practice size based on recent clinic vacancy on other half of building. 4 fully equipped treatment rooms in 100% digital practice with Sirona Pan/Ceph imaging. Refers out some endo and oral surgery. Doctor willing to stay for extended period of time. Contact Transition Sales Consultant Michael Damon at (315) 430-9224; or email: mike.damon@henryschein.com #NY4019.

MONROE COUNTY: Well-established, standalone general practice with wonderful curb appeal. Conveniently located in front of Wegmans Plaza, 1,400-square-foot dental space with commercial renters downstairs available for sale or lease. Located in one of Rochester’s fastest growing suburbs. Digital practice offers four fully equipped treatment rooms and 4-day week with 6 days of hygiene. Primarily PPO with FFS. Motivated seller refers out all specialties. Contact Transition Sales Consultant Michael Damon at (315) 430-9224; or email: mike.damon@henryschein.com. #NY4035.

SYRACUSE: Long-established, highly visible general practice in desirable neighborhood. $725K+ revenue practice with great curb appeal and ample parking. 2,100-squarefoot leased space just 10 minutes from downtown. Offers 4 well-equipped treatment rooms with ability to add 5th. 100% digital practice and CAD/CAM. Well-trained, experienced team awaits with strong full-time hygiene program. Mix of FFS/PPO. Refers out most specialties. Very motivated seller seeking retirement. Contact Mike Damon at (315) 430-9224; or email: mike.damon@henryschein.com. #NY4142.

SYRACUSE AREA: Attractive general practice in desirable, vibrant suburb of Syracuse primed for growth. Situated on busy main road with ample parking. 15 minutes to downtown Syracuse and one mile to Township 5 where shopping, dining and entertainment options abound. Top-rated school district. 4-op digital practice is a must-see with affordable, 2,300-square-foot leased space. Room to expand to 2 more ops. Utilizes Eaglesoft PM with Schick sensors and 100% paperless. Refers out most endo, implants, perio and some extractions. Experienced team of professionals await post-transition. PPO-based practice open just 3.5 days per week. Very motivated seller. For more information please contact Mike Damon at (315) 430-9224; or email: Mike. damon@henryschein.com. #NY4235.

ONTARIO COUNTY: Long-established, efficiently designed 1,800-square-foot leased space with 4 fully equipped treatment rooms and plumbed room for additional 5th room. Located in scenic community described as Gateway to beautiful Finger Lakes Region and just 25 minutes from downtown Rochester. Insurance-based practice. Utilizes Eaglesoft PM

software. Refers out all specialties. Averages 15-20 new patients per month with zero marketing. Strong hygiene program with practice positioned for growth. Contact Practice Transition Consultant Mike Damon at (315) 430-9224; or email: mike.damon@henryschein.com. #NY4198.

NASSAU COUNTY: Modern general practice built out less than five years ago in a standalone building. 5 operatories with plumbing in place for 6th, and equipped with state-of-the-art technology, including an iTero scanner, CBCT imaging, and digital X-rays. Located on high-visibility main road. Practice experiencing rapid growth making it excellent opportunity for doctor just starting out or seasoned practitioner looking to expand portfolio. For more information, please contact Practice Transition Consultant Jim Higgins at (914) 496-4856; or email: jim.higgins@ henryschein.com. #NY4134.

JEFFERSON COUNTY: Well-established, spacious, 3,500-square-foot general practice in beautiful, historic building. 7 equipped treatment rooms with 8th op plumbed. Utilizes Dentrix PM software. FFS/PPO and only in-network with 2 insurances. Strong hygiene program with dedicated team ready to stay after transition. All specialties referred out. $837K revenue and positioned for continued growth. Stunning property also for sale includes 4 fully occupied residential apartment units. Doctor looking to stay for extended period. For more information, please contact Practice Transition Consultant Mike Damon at (315) 430-9224; or email: Mike.damon@henryschein.com. #NY3719.

LIVINGSTON COUNTY: Wonderful opportunity to own well-established, thriving GP practice residing in beautiful, historic building with great curb appeal. $1.8M practice located in heart of town center in Western NY. Located less than 1 hour from downtown Rochester. 3,000-square-foot clinical space offers 5 updated treatment rooms. Additional 1,500-square-foot space upstairs for apartment rental. Building for sale. 100% digital practice utilizing Dentrix software and other technologies. 60% FFS/40% PPO mix. Must see. Schedule visit today. For more information please contact Mike Damon by email: Mike.damon@henryschein. com; or call (315) 430-9224. #NY4251.

ONEIDA COUNTY: Excellent opportunity to purchase bustling $1.2M general practice. Located in high-traffic shopping plaza in attractive Utica suburb. Great visibility on main boulevard with ample free parking. 4,500-square-foot space houses 9 fully equipped operatories. Utilizes Dentrix and 100% digital practice with 3D Pan/Ceph. Robust hygiene program and affordable lease. Primarily PPO practice. Contact Practice Transition Consultant Mike Damon at (315) 430-9224; or email: mike.damon@henryschein.com. #NY4269.

ONEIDA COUNTY: Wonderful opportunity to own profitable, efficiently run practice with beautiful 2-bedroom apartment upstairs. Located on main road with attractive curb appeal. Standalone building and immaculate 3,200-square-foot space offers 5 well-appointed treatment rooms. 100% FFS, digital office utilizes Dentrix. Open 4 days/week. Refers out most specialties. Building for sale. Contact Practice Transition Consultant Mike Damon by phone: (315) 430-9224; or email: Mike.damon@ henryschein.com. #NY4277.

CHEMUNG COUNTY: Wonderful opportunity to own 100% FFS general practice housed in attractive standalone building. Great visibility on busy main road with ample parking and less than one mile from major interstate. Just 10-minute drive to nearby regional airport. Well-designed 2,500-square-foot space offers 6 fully equipped operatories with modern A-dec equipment in relaxing atmosphere. Digital practice utilizes Eaglesoft PM and CBCT. Well-trained, experienced team of professionals, including 2 full-time hygienists expected to transition with practice. Building available for purchase. Contact Practice Transition Consultant Mike Damon by phone: (315) 430-9224; or email: mike. damon@henryschein.com. #NY4297.

CAPITAL DISTRICT AREA: Wonderful opportunity to own thriving $1.7M general practice. Residing in remodeled brick building with main street visibility and off-street parking, practice located in vibrant college town within 1 hour of Albany. Well-designed 2,800-square-foot space has much to offer. 6 treatment rooms equipped with updated A-dec equipment. 100% digital, 100% paperless practice utilizes latest technologies. 60% FFS/ 40% PPO mix. No Medicaid. Experienced team of professionals expected to stay on after transition. Building for sale. Contact: Mike Damon, Practice Transition Consultant at (315) 430-9224; Mike.damon@henryschein.com. #NY4414.

LIVERPOOL SUBURB: Well-established, highly profitable general practice in desirable suburb of Liverpool. 4-op, 1,800-square-foot office located on highly trafficked road with spacious parking lot. 100% digital. Utilizes Dentrix PM software and operates primarily PPO. Approximately $800K revenue generated on 3.5-day week with most specialty procedures referred, including endo, extractions, implants and ortho. Attractive location less than 7 miles from Micron Technologies, future site of what will be NY’s largest semiconductor plant bringing thousands of new jobs. Wonderful opportunity to own your own practice. Motivated seller. Contact Mike Damon, Practice Transition Consultant at (315) 430-9224 Mike.damon@henryschein.com. #NY4394.

FOR RENT

DOWNTOWN BROOKLYN: Dental space available to rent in downtown Brooklyn office building. Landlord will build out basic construction with tenant responsible for plumbing, dental equipment, etc. Long-term leases available. Please contact to discuss options. Call Joe Schachter at (646) 529-3632; or email: joe@courtmgmt.com.

DOWNTOWN BROOKLYN HEIGHTS: Modern, turnkey dental office available for rent. Walk in and start practicing. Downtown Brooklyn Heights with views of lower Manhattan. Available now. Fully furnished with 3 ops, A-Dec chairs, Nitrous. New server and computers included. Near all trains. Call or text for more information: (347) 712-0778.

MIDTOWN MANHATTAN: Newly decorated office with windowed operatory for rent FT/PT. Pelton Crane equipment, massage chair, front desk space available; shared private office, concierge; congenial environment. Best location on 46th Street, between Madison Avenue and 5th Avenue. Please call or email: (212) 371-1999; karenjtj@aol.com.

EQUIPMENT FOR SALE

GLENS FALLS, QUEENSBURY: Office liquidation, including furniture and equipment, CBCT/PAN, 8 chairs/ units, extensive instruments and supplies, including Periodontal surgery and preventive maintenance, Oral Surgery, Endodontics, Implant Surgery, Crown and Bridge and Restorative. Dual motor air compressor and suction pump. Call (518) 793-5908 to leave message or email: robertsharpdds@adirondackdentalimplantcenter.com.

OPPORTUNITIES AVAILABLE

SUFFOLK COUNTY: Southampton. Tooth Ferry Pediatric Dentistry, located in heart of Southampton, seeks warm and caring Pediatric Dentist or general dentist with strong experience treating children. Bright, nautical-themed office thoughtfully designed to help kids feel comfortable while receiving high-quality dental care. With strong presence in community and loyal patient base, practice offers supportive, team-oriented environment dedicated to creating positive dental experiences for every child. Open to both full-time and part-time candidates and offering competitive compensation and benefits package. Email: eastendtoothferry315@gmail.com; or call: (347) 891-7263.

UPSTATE MEDICAL UNIVERSITY: Clinical Assistant Professor/Dentist at Upstate Medical University, Division of Dentistry. Seeking part-time dentist for dental care in both outpatient and inpatient areas of clinic and hospital setting. Site treats diverse patient population of all ages from Center for International Health at Upstate. Care will be centered around comprehensive approach in outpatient area, along with some on-call responsibilities and resident supervision. Ideal candidate will be versatile in approach to care, including proficiency with restorative, extractions, removable, fixed, endodontic and periodontal therapies. GPR experience and history of OR care preferred but not required. Competitive pay, benefits, including healthcare, dental and vision, are part of package as are investment and retirement plans. Interested candidates apply online HERE   SUNY Upstate Medical University is an Equal Employment Opportunity (EEO) employer.

ORANGE COUNTY: FT General Dentist. MondayThursday; done by 5:00 p.m; 3-day weekends. No nights or weekends. Mentorship by our founding doctor and practice owner; clinical autonomy; no upsell quotas; no corporate BS; stable team that values collaboration, trust, and kindness in community-focused office that patients love. We offer $1,000 daily guaranteed minimum with bonus potential; 401(k) with match; fully covered malpractice insurance; CE allowance; work-life balance that supports raising family and being present for them; mentorship in 3D printing; culture that respects your time, expertise and personal life. Ideal for Dentists burned out from corporate grind, parents who want time for play dates or sports games, professionals who value life just as much as career. Apply today. Send your resume to: jsiegel9@gmail.com.

BUFFALO: Restorative doctor. Up to $500k year 1. Up to $550k+ year 2. Nuvia Dental Implant Center seeks Prosthodontist or General Dentist with full-arch, All-on-X experience to join our Buffalo team. You’ll change lives daily using cutting-edge workflows and next-day smile delivery, supported by in-house lab and experienced surgical teams. Why Nuvia? $300–$500k+ Year 1; $320–$550k+ Year 2. Base salary + production, 401(k) match, PTO, paid CE, malpractice, health/dental. No practice management responsibilities. Paid license renewal and relocation bonus potential. Requirements include DDS/ DMD, active NY license, All-on-X removable, and implant planning experience. AEGD/GPR/Prosth training preferred. If you’re passionate about transformative patient care and want to be part of fast-growing, innovative team. Contact Lindsay Strong by phone: (801) 529-7310; or email: lindsay@nuviasmiles.com.

There’s More to the Story

Author adds variation on endodontic treatment of primary teeth.

IN THE APRIL New York State Dental Journal, Dr. Steven R. Spitzer and I presented a case that preserved a non-vital primary tooth with appropriate endodontic treatment (“Successful Treatment of a ‘PedoEndo’ Lesion in a Primary First Molar”). I would like to add a variation on the endodontic treatment of primary teeth by presenting a case of a non-vital anterior tooth with no succedaneous replacement.

Several years ago, a young adult Hispanic female patient presented to the oral diagnosis clinic at Columbia University with a discolored retained #D and a periapical abscess on the facial gingiva near the root apex (Figure 1). The patient did not want to extract the tooth since she exhibited agenesis of tooth #7 and did not want to deal with the resulting space (Figure 2). Conventional root canal therapy, using gutta-percha as a filling material, was performed in the postgraduate endodontic clinic (Figure 3).

This case demonstrates that conventional root canal therapy can be performed to retain primary teeth, with closed apices, for the long term. This differs from the treatment of primary teeth that are retained as space maintainers until exfoliation. Both treatment modalities can be considered by general dentists, pediatric dentists and endodontists. p

Dr. Maibaum is a retired life member of the ADA. He is former director of the Oral Diagnostic Clinic at Columbia University College of Dental Medicine, New York, NY, currently living in Danbury, CT.

Figure 1. Preop photo #D.
Figure 2. Preop PA #D. Figure 3. Postop PA #D.

Turn static files into dynamic content formats.

Create a flipbook
Issuu converts static files into: digital portfolios, online yearbooks, online catalogs, digital photo albums and more. Sign up and create your flipbook.
NYSDJ August September 25 FINAL by New York State Dental Association - Issuu