
18 minute read
Norsk stråleterapimøte 2019
from OnkoNytt 2020-01
by WebPress
Norsk stråleterapimøte 2019 – adaptiv strålebehandling hva er det?
Det årlige tverrfaglige stråleterapimøtet ble arrangert 19.-20. september i Oslo.
Advertisement
LOTTE ROGG Overlege
Avd for kreftbehandling, Oslo Universitetssykehus, Ullevål
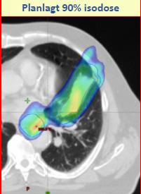
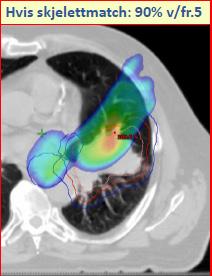
Tittelen for møtet i 2019 var Adaptiv strålebehandling - hvordan håndterer vi endringer underveis? Dette ble grundig belyst av foredragsholdere med bakgrunn som onkologer, fysikere og stråleterapeuter, fra Tromsø, Bergen, Trondheim og Oslo, i tillegg til Angela Baker, stråleterapeut fra Oxford i Storbritannia, og fysiker Ditte Sloth Møller fra Århus i Danmark. Programmet favnet vidt, med eksempler fra behandling av kreft i hode/hals, lunge, prostata og livmorhals, oppskrift på hvordan en adaptiv strateg kan implementeres, samt behov for adaptiv strategi ved protonbehandling. Det var endog et foredrag om maskinlæring, på et pedagogisk nivå som var lett til å forstå. som toksisiteten holdes uendret, eller reduseres. Det har skjedd en enorm utvikling av tekniske muligheter innen strålebehandling, både med hensyn til behandlingsteknikker og avbildingsmuligheter. «Gamle dager» med bare skjelettmatch utfra ortogonale megavolt eller kV (rtg) bilder er ikke så lenge siden, men føles nå for mange behandlingssituasjoner uansvarlig etter innføring av daglig cone beam CT på behandlingsapparatet og muligheten for bløtvevsmatch (figur 1).
Kan en del av behandlingssvikten vi ser ved for eksempel lungekreftbehandling være på grunn av suboptimal dosedekning som følge av endringer i målvolumets posisjon (figur 2)?
HVORFOR ADAPTIV STRÅLETERAPI? Målet med adaptiv strålebehandling (Adaptive RadioTherapy, ART) er å øke lokal kontroll, og dermed forhåpentligvis overlevelse, samtidig Dette ble undersøkt i lungekreftpopulasjonen ved Århus universitetssykehus. Forekomsten av lokalt residiv ved kurativ behandling av lungekreftpasienter har gått ned etter at de implementerte ART (figur 3).
Mye kan skje i løpet av en strålebehandlingsperiode, både med tumors størrelse og posisjon og med det omkringliggende vev. Dette kan påvirke både dose til risikoorganer og tumorkontroll.
Figur 4 viser for eksempel en situasjon hos en pasient med livmorhalskreft der Cone Beam CT (CBCT, en CT avbildning tatt på behandlingsapparatet) viser at målvolumet har flyttet seg utenfor PTV. En adaptiv tilnærming blir dermed neste skritt for optimal pasientbehandling. En del av det vi har holdt på med innen strålebehandling de siste årene er adaptiv behandling, men vi tenker kanskje ikke slik på det. Pustestyrt behandling, for å sørge for lavest mulig dose til hjertet ved strålebehandling av brystkreft er et eksempel, og daglig kontroll av prostataens beliggenhet med hjelp av gullmarkører et annet. Replanlegging på grunn av atelektase i lungevev og medfølgende forskyvning av tumor er et eksempel på ART som følge av informasjon man får ved CBCT.
Figur 2. Gjengitt med tillatelse fra Erlend Sande og Øyvind Loe



Figur 3. Tvilum et al., Radioth Oncol 2016: 121: 32-38. Gjengitt med tillatelse fra Ditte Møller

Figur 5. Gjengitt med tillatelse fra Sigrun Saur Almberg



Når trengs det så tiltak underveis i behandlingen (figur 5)? En gjennomgang av 233 lungekreftpasienter behandlet med ART i Århus viste at 27% ble planlagt på nytt i løpt av strålebehandlingen. 75% av replanleggingene var enten for å opprettholde dosen til tumor, eller for å holde dosen til medulla nede, på samme nivå som ved den opprinnelige doseplanen. For å oppdage at det trengs replanlegging er det nødvendig med en strategi for å kunne oppdage endringer.
En del sentre bruker en såkalt trafikklysprotokoll, der stråleterapeutene har klare kriterier for hvor stor endring som er tillat ved behandling før onkolog skal varsles (figur 6).
PROTONER Med to protonsentre på trappene her til lands er det et stort fokus på å finne den rette bruken av denne behandlingsteknikken. Muligheten til å gi høye doser til et målvolum like ved kritiske risikoorganer er velkjent og besnærende. Behandlingsteknikkens fallgruber er også viktig å ha klart for seg. Som en nestor innen dette feltet har sagt: «The advantage of protons over photons in radiotherapy is that they stop. The disadvantage is that we don’t always know where.» (Tony Lomax ved Paul Scherrer Insitute, Sveits). Små endringer i tetthet i vevet fram til målvolumet eller ved skrumpning av tumor resulterer i at høydoseområdet kan flytte seg fra tumor til nærliggende risikoorganer (figur 7).
En adaptiv strategi som avdekker slike endringer før behandlingen gis er dermed helt nødvendig.
WORKSHOP 2019 En vesentlig del av stråleterapimøtet er gjennomgang av innsendte case og svar på spørsmål om behandling. I 2019 fikk strålesentrene spørsmål om de hadde en adaptiv strategi, og i så tilfelle hva slags. Alle sentrene som behandlet lungekreft med kurativ intensjon svarte at de
hadde en adaptiv strategi for denne behandlingen. Samtlige sentre ville utvidet målvolumet på den utsendte casen, og selv om det var variasjon i forhold til hvordan behov for en slik utvidelse ville blitt oppdaget, var selve utvidelsene relativt like. Inntegning av risikoorganer ble også gjennomgått. Inntegning av plexus brachialis er vanskelig, og ikke uventet var det lite samsvar i inntegning sentrene imellom (figur 8).
Årets onkolog prisen 2019 ble tildelt Kirsten Marienhagen. Hun fikk prisen for sitt utrettelige arbeid innen stråleterapi. Et viktig arbeid hun har vært drivkraft for er å få på plass nasjonale anbefalinger for inntegning av risikoorganer i CNS. Et tilsvarende arbeid er i gang for risikoorganer i hode-halsregionen.
Kanskje får vi på sikt nasjonale anbefalinger for inntegning og dosekrav til andre organer, som for eksempel hjertet (Figur 9).
NORSK STRÅLETERAPIMØTE 2020 Planlegging av neste års stråleterapimøte er allerede i gang i et samarbeid mellom Norsk onkologisk forening, Norsk forening for medisinsk fysikk, Norsk radiografforbund og Direktoratet for strålevern og atomsikkerhet, sistnevnte ved KVIST. Disse 4 organisasjonene har samarbeidet om dette tverrfaglig møte siden 2015. Fra 2001-2013 var det Strålevernet alene som sto for arrangementet, og etter et opphold på et år kom møtene i gang igjen. 2020 møtet vil ta for seg palliativ strålebehandling, med et fokus på blant annet hypofraksjonert behandling og behandling av hjernemetastaser. Dette er tema av betydning for alle onkologer, også de som arbeider på sykehus uten strålebehandling. Vi håper at mange onkologer fra hele landet vil ta turen til Oslo for møtet. Hold allerede nå av 22-23/10 og følg med på NOF’s hjemmesider for informasjon og påmelding!

Figur 7. Gjengitt med tillatelse fra Sara Pilskog Thørnqvist

Figur 8

XTANDI™ (enzalutamid). Androgenreseptorantagonist. ATC‑nr.: L02B B04. KAPSLER, myke 40 mg: Hver kapsel inneh.: Enzalutamid 40 mg, sorbitol, hjelpestoffer. Fargestoff: Sort jernoksid (E172), titandiok‑ sid (E171). TABLETTER, filmdrasjerte 40 mg: Hver tablett inneh.: Enzalutamid 40 mg, hjelpestoffer. Far‑ gestoff: Titandioksid (E171), jernoksid, gult (E172). Indikasjoner: Til behandling av voksne menn med høyrisiko ikke‑metastatisk kastrasjonsresistent prostatakreft (CRPC). Til behandling av voksne menn med metastatisk CRPC som er asymptomatiske eller mildt symptomatiske etter svikt av androgen depri‑ vasjonsbehandling, der kjemoterapi ennå ikke er klinisk indisert. Til behandling av voksne menn med metastatisk CRPC med sykdomsprogresjon under eller etter behandling med docetaksel. Dosering: Anbefalt dose: 160 mg (4 kapsler eller 4 tabletter à 40 mg) som 1 enkelt dose daglig. Medisinsk kastrasjon med en LHRH‑analog skal fortsettes under behandling av pasienter som ikke er kirurgisk kastrert. Ved toksisitet ≥grad 3 eller utolererbar bivirkning, bør behandlingen stanses i 1 uke eller til symptombedring til ≤grad 2, og deretter gjenopptas med samme eller lavere dose (120 mg eller 80 mg) hvis tilrådelig. Samtidig bruk av sterke CYP 2C8-hemmere: Samtidig bruk bør om mulig unngås. Dersom pasienten må bruke en sterk CYP2C8‑hemmer, bør enzalutamiddosen reduseres til 80 mg 1 gang daglig. Avbrytes behandlingen med CYP2C8‑hemmeren, bør enzalutamiddosen endres tilbake til dosen som ble brukt før initiering av sterk CYP2C8‑hemmer. Uteglemt dose: Dersom pasienten glemmer å ta legemidlet til vanlig tidspunkt, skal forskrevet dose tas så tidlig som mulig etter dette. Ved uteglemt dagsdose, skal behandlingen gjenopptas neste dag med vanlig daglig dose. Spesielle pasientgrupper: Nedsatt leverfunksjon: Ingen dosejustering nødvendig ved lett, moderat eller alvorlig nedsatt leverfunksjon (hhv. Child‑Pugh A, B eller C). Det er imidlertid observert forlenget halveringstid ved alvorlig nedsatt lever‑ funksjon. Nedsatt nyrefunksjon: Ingen dosejustering nødvendig ved lett eller moderat nedsatt nyrefunk‑ sjon. Forsiktighet bør utvises ved alvorlig nedsatt nyrefunksjon eller terminal nyresykdom. Barn og ungdom: Ikke indisert. Eldre: Ingen dosejustering nødvendig. Administrering: Dosen bør tas til samme tid hver dag. Kan tas med eller uten mat. Skal svelges hele med vann. Skal ikke tygges. Skal ikke åpnes eller oppløses. Kontraindikasjoner: Overfølsomhet overfor virkestoffet eller overfor noen av hjelpestoffene listet opp i pkt. 6.1 i preparatomtalen. Kvinner som er gravide eller som kan bli gravide (se pkt. 4.6 og 6.6 i preparatomtalen). Advarsler og forsiktighetsregler: Risiko for krampeanfall: Bruk av enzalutamid har vært forbundet med krampeanfall (se pkt. 4.8 i preparatomtalen). Beslutningen om å fortsette behand‑ lingen hos pasienter som utvikler krampeanfall, skal tas i hvert enkelt tilfelle. Posterior reversibelt ence‑ falopati‑syndrom: Sjeldne tilfeller av posterior reversibelt encefalopati‑syndrom (PRES) har blitt rappor‑ tert hos pasienter som har fått XTANDI (se pkt. 4.8 i preparatomtalen). PRES er en sjelden, reversibel, nevrologisk tilstand som kan opptre med raskt utviklende symptomer som krampeanfall, hodepine, forvirring, blindhet og andre visuelle og nevrologiske forstyrrelser, med eller uten ledsagende hyperten‑ sjon. Diagnosen PRES krever bekreftelse ved hjelp av billeddiagnostikk av hjernen, fortrinnsvis magne‑ tresonanstomografi (MRI). Det anbefales å seponere XTANDI hos pasienter som utvikler PRES. Bruk sam‑ tidig med andre legemidler: Enzalutamid er en potent enzyminduktor og kan medføre redusert effekt av mange vanlig benyttede legemidler (se eksempler i preparatomtalens pkt. 4.5). Ved oppstart av behand‑ ling med enzalutamid bør det derfor foretas en gjennomgang av legemidler som brukes samtidig. Bruk av enzalutamid samtidig med legemidler som er sensitive substrater av mange metaboliserende enzy‑ mer eller transportører (se pkt. 4.5 i preparatomtalen) bør generelt unngås hvis den terapeutiske effek‑ ten av disse har stor betydning for pasienten og dosen ikke enkelt kan justeres basert på overvåking av effekt eller plasmakonsentrasjoner. Bruk samtidig med warfarin‑ og kumarin‑lignende antikoagulantia bør unngås. Dersom XTANDI brukes samtidig med en antikoagulant som metaboliseres via CYP2C9 (som warfarin eller acenokumarol), bør International Normalised Ratio (INR) overvåkes ekstra nøye (se pkt. 4.5 i preparatomtalen). Nedsatt nyrefunksjon: Det må utvises forsiktighet hos pasienter med alvorlig nedsatt nyrefunksjon, da enzalutamid ikke har blitt studert i denne pasientpopulasjonen. Alvorlig nedsatt lever‑ funksjon: Forlenget halveringstid for enzalutamid har blitt observert hos pasienter med alvorlig nedsatt leverfunksjon, muligens forbundet med økt vevsfordeling. Klinisk relevans for denne observasjonen er ikke kjent. Det forventes imidlertid å ta lengre tid å nå steady state‑konsentrasjon, og tiden til maksimal farmakologisk effekt samt tiden til innsetting og nedgang i enzyminduksjonen (se pkt. 4.5 i preparatom‑ talen) kan øke. Nylig kardiovaskulær sykdom: Fase III‑ studiene utelukket pasienter med nylig myokardin‑ farkt (i løpet av de siste 6 månedene) eller ustabil angina (i de siste 3 månedene), hjertesvikt av NYHA‑ klasse (New York Heart Association) III eller IV unntatt ved en venstre ventrikkels ejeksjonsfraksjon (LVEF) på ≥45%, bradykardi eller ukontrollert hypertensjon. Dette bør tas med i betraktningen dersom XTANDI forskrives til disse pasientene. Androgendeprivasjonsterapi kan forlenge QT‑intervallet: Hos pasienter som har en tidligere historie med eller risikofaktorer for QT‑forlengelse, og hos pasienter som samtidig får legemidler som kan forlenge QT‑intervallet (se pkt. 4.5 i preparatomtalen), skal legene vurdere nytte‑/ risikoforholdet, inkludert potensialet for Torsades de pointes, før start av XTANDI. Bruk sammen med kjemoterapi: Sikkerheten og effekten ved bruk av XTANDI sammen med kjemoterapi har ikke blitt fast‑ slått. Samtidig administrasjon av enzalutamid har ingen klinisk relevant effekt på de farmakokinetiske egenskapene for intravenøs docetaksel (se pkt. 4.5 i preparatomtalen), men en økning i forekomsten av docetaksel indusert nøytropeni kan ikke utelukkes. Hjelpestoffer: XTANDI kapsler inneholder sorbitol (E420). Pasienter med sjeldne arvelige problemer med fruktoseintoleranse bør ikke ta dette legemidlet. Overfølsomhetsreaksjoner: Overfølsomhetsreaksjoner manifestert som symptomer som omfatter, men ikke er begrenset til, utslett, ansiktsødem, tungeødem, leppeødem og faryngealt ødem har blitt obser‑ vert med enzalutamid (se pkt. 4.8 i preparatomtalen). Interaksjoner: For utfyllende informasjon om rele‑ vante interaksjoner, bruk interaksjonsanalyse. CYP2C8-hemmere: CYP2C8 spiller en viktig rolle i elimina‑ sjonen av enzalutamid og i dannelsen av aktiv metabolitt. Etter oral administrering av den sterke CYP2C8‑hemmeren gemfibrozil (600 mg 2 ganger daglig) øker AUC for enzalutamid med 326%, mens Cmax for enzalutamid reduseres med 18%. For summen av ubundet enzalutamid og ubundet aktiv metabolitt øker AUC med 77%, mens Cmax reduseres med 19%. Sterke CYP2C8‑hemmere må unngås eller brukes med forsiktighet under enzalutamidbehandling, se Dosering. CYP3A4-hemmere: CYP3A4 spiller en mindre rolle i metaboliseringen av enzalutamid. Etter oral administrering av den sterke CYP3A4‑hemmeren itrakonazol (200 mg 1 gang daglig) øker AUC for enzalutamid med 41 % mens Cmax er uendret. For summen av ubundet enzalutamid og ubundet aktiv metabolitt, øker AUC med 27%, mens Cmax er uendret. Ingen dosejustering er nødvendig ved samtidig bruk av CYP3A4‑hemmere. CYP2C8- og CYP3A4-induktorer: Ingen dosejustering er nødvendig ved samtidig bruk med enzalutamid. Oral administrering av den moderate CYP2C8‑ og sterke CYP3A4‑induktoren rifampin (600 mg 1 gang daglig) har vist 37% reduksjon av AUC for enzalutamid og aktiv metabolitt. Enzyminduksjon: Enzalutamid er en potent enzyminduktor og øker syntesen av mange enzymer og transportører, og det forventes derfor interaksjon med mange legemidler som er substrater av enzymer eller transportører. Reduksjo‑ nen i plasmakonsentrasjonene kan være betydelige, og medføre tap eller reduksjon av klinisk effekt. Det er også risiko for økt dannelse av aktive metabolitter. Enzymer som kan bli indusert omfatter CYP3A i lever og tarm, CYP2B6, CYP2C9, CYP2C19, CYP1A2 og UGT. P‑gp kan også induseres, og sannsynligvis også andre transportører, f.eks. MRP2, BCRP og OATP1B1. In vivo‑studier viser at enzalutamid er en sterk CYP3A4‑induktor og en moderat CYP2C9‑ og CYP2C19‑induktor. Administrering av enzalutamid (160 mg 1 gang daglig) samtidig med enkeltdoser av sensitive CYP‑substrater gir 86% reduksjon i AUC for midazolam (CYP3A4‑substrat), 56% reduksjon i AUC for S‑warfarin (CYP2C9‑substrat) og 70% reduksjon i AUC for omeprazol (CYP2C19‑substrat). Det er også mulig at UGT1A1 induseres. Det forventes interak‑ sjoner med visse legemidler som elimineres via metabolisme eller aktiv transport. Hvis terapeutisk effekt har stor betydning for pasienten og dosen ikke enkelt kan justeres basert på overvåking av effekt eller plasmakonsentrasjon, skal disse legemidlene unngås eller brukes med forsiktighet. Risikoen for leverska‑ der etter bruk av paracetamol forventes å være høyere ved samtidig behandling med enzyminduktor. Grupper av legemidler som kan påvirkes omfatter, men er ikke begrenset til: analgetika, antibiotika, kreftlegemidler, antiepileptika, antipsykotika, antitrombotiske midler, betablokkere, kalsiumkanalblok‑ kere, hjerteglykosider, kortikosteroider, antivirale legemidler mot hiv, hypnotika, immunsuppressiver, protonpumpehemmere, statiner som metaboliseres av CYP3A4, thyreoideapreparater. Det fulle induk‑ sjonspotensialet til enzalutamid inntreffer muligens ikke før omkring 1 måned etter behandlingsopp‑ start, når steady state‑plasmakonsentrasjon nås, selv om noen induksjonseffekter kan være synlige tidli‑ gere. Ved samtidig bruk av substrater for CYP3A4, CYP2C9, CYP2C19, CYP1A2 eller UGT1A1, bør pasienten evalueres for mulig tap av farmakologisk effekt (eller økt effekt ved dannelse av aktive metabolitter) under den 1. behandlingsmåneden med enzalutamid, og dosejustering bør vurderes ved behov. Effek‑ ten på enzymene kan vedvare i 1 måned eller lenger etter seponering av enzalutamid, pga. lang halver‑ ingstid (5,8 dager). Det kan være nødvendig med gradvis nedtrapping av dosen til legemidlet som gis samtidig ved stans av enzalutamidbehandling. CYP1A2- og CYP2C8-substrater: Enzalutamid (160 mg 1 gang daglig) ga ingen klinisk relevant endring i AUC eller Cmax for kaffein (CYP1A2‑substrat) eller piogli‑ tazon (CYP2C8‑substrat). AUC for pioglitazon øker med 20%, mens Cmax reduseres med 18%. AUC og Cmax for kaffein ble redusert med hhv. 11 % og 4%. Ingen dosejustering er indisert når et CYP1A2‑ eller CYP2C8‑substrat administreres samtidig med enzalutamid. P-gp-substrater: In vitro‑data tyder på at enzalutamid kan være P‑gp‑hemmer. Effekten av enzalutamid på P‑gp‑substrater er ikke evaluert in vivo, men under klinisk bruk kan enzalutamid være P‑gp‑induktor via aktivering av pregnanreseptoren (PXR). Legemidler med smalt terapeutisk vindu som er P‑gp‑substrater bør brukes med forsiktighet sammen med enzalutamid, og dosejustering kan være nødvendig for å opprettholde optimale plasmakonsentra‑ sjoner. BCRP-, MRP2-, OAT3- og OCT1-substrater: Basert på in vitro‑data kan hemming av BCRP og MRP2 (i tarmen) samt OAT3 og OCT1 ikke utelukkes. Teoretisk er det også mulig at disse transportørene induseres, effekten er ukjent. Legemidler som forlenger QT-intervallet: Ettersom androgendepriva‑ sjonsterapi kan forlenge QT‑intervallet, må det gjøres en grundig vurdering før samtidig bruk av legemidler kjent for å forlenge QT‑intervallet eller som kan indusere ‹‹torsades de pointes››, slik som antiarytmiske legemidler klasse IA eller klasse III. Fertilitet, graviditet og amming: Skal ikke brukes av kvinner. Ukjent om enzalutamid eller metabolitter er tilstede i sæd. Kondom er derfor påkrevd under og i 3 måneder etter behandling, dersom pasienten er seksuelt aktiv med gravid eller fertil kvinne. Graviditet: Kontraindisert hos kvinner som er eller kan bli gravide. Amming: Skal ikke brukes av kvinner. Fertilitet: Studier på hanndyr har vist reproduksjonstoksisitet. Bivirkninger: Sammendrag av sikkerhetsprofilen: De vanligste bivirkningene er asteni/fatigue, hetetokter, frakturer og hyper‑ tensjon. Andre betydelige bivirkninger omfatter fall, kognitiv forstyrrelse og nøytropeni. Krampean‑ fall forekom hos 0,4% av pasienter behandlet med enzalutamid, 0,1 % av pasienter behandlet med placebo og hos 0,3% av pasienter behandlet med bikalutamid. Sjeldne tilfeller av posterior reversi‑ belt encefalopati‑syndrom er rapportert hos pasienter behandlet med enzalutamid (se pkt. 4.4 i preparatomtalen). Liste over bivirkninger i tabellform: Bivirkninger som ble observert i kliniske stu‑ dier er oppført nedenfor etter frekvenskategori. Frekvenskategoriene er definert på følgende måte: svært vanlige (≥1/10); vanlige (≥1/100 til <1/10); mindre vanlige (≥1/1000 til <1/100); sjeldne (≥1/10 000 til <1/1000); svært sjeldne (<1/10 000); ikke kjent (kan ikke anslås utifra tilgjengelige data). Innen hver frekvensgruppe blir bivirkningene presentert etter synkende alvorlighetsgrad. Bivirkninger identifisert i kontrollerte kliniske studier og etter markedsføring MedDRA Organsystemklasse Bivirkning og frekvens Sykdommer i blod og lymfatiske organer Mindre vanlige: leukopeni, nøytropeni Ikke kjent*: trombocytopeni Forstyrrelser i immunsystemet Ikke kjent*: ansiktsødem, tungeødem, leppeødem, faryngealt ødem Psykiatriske lidelser Vanlige: angst Mindre vanlige: visuell hallusinasjon Nevrologiske sykdommer Vanlige: hodepine, nedsatt hukommelse, amnesi, oppmerksomhetsforstyrrelser, rastløse ben (RLS) Mindre vanlige: kognitiv forstyrrelse, krampeanfall ¥ Ikke kjent*: posterior reversibelt encefalopati‑syndrom Hjertesykdommer Vanlige: iskemisk hjertesykdom † Ikke kjent*: QT‑forlengelse (se pkt. 4.4 og 4.5 i preparatomtalen) Karsykdommer Svært vanlige: hetetokter, hypertensjon Gastrointestinale sykdommer Ikke kjent*: kvalme, oppkast, diaré Hud‑ og underhudssykdommer Vanlige: tørr hud, pruritus Ikke kjent*: hudutslett Sykdommer i muskler, bindevev og skjelett Svært vanlige: frakturer ‡ Ikke kjent*: myalgi, muskelspasmer, muskelsvekkelse, ryggsmerter Lidelser i kjønnsorganer og brystsykdommer Vanlige: gynekomasti Generelle lidelser og reaksjoner på administrasjonsstedet Svært vanlige: asteni/fatigue Skader, forgiftninger og komplikasjoner ved medisinske prosedyrer Vanlige: fall * Spontane rapporter etter markedsføring. ¥ Evaluert ut fra smale SMQ‑er for ”Kramper”, inklusive krampe, grand mal‑anfall, komplekse partielle anfall, partielle anfall og status epilepticus. Dette omfatter sjeldne tilfeller av krampeanfall med kompli‑ kasjoner som medfører død. † Evaluert ut fra smale SMQ‑er for ”Myokardinfarkt” og ”Annen iskemisk hjertesykdom”, inklusive føl‑ gende foretrukne termer observert hos minst to pasienter i randomiserte placebokontrollerte fase 3‑ studier: angina pectoris, koronararteriesykdom, myokardinfarkt, akutt myokardinfarkt, akutt koronarsyndrom, ustabil angina, myokardiskemi og arteriosklerose i koronararterien. ‡ Omfatter alle foretrukne termer med ordet ”fraktur” i skjelett. Beskrivelse av utvalgte bivirkninger: Krampeanfall: I kontrollerte kliniske studier fikk 13 (0,4%) av 3179 pasienter behandlet med daglig dose på 160 mg enzalutamid krampeanfall. Én pasient (0,1 %) som fikk placebo og én pasient (0,3%) som fikk bikalutamid fikk krampeanfall. Dose ser ut til å være en viktig prediktor for risikoen for krampeanfall, i henhold til prekliniske data og data fra en doseeskaleringsstu‑ die. I de kontrollerte kliniske studiene ble pasienter med tidligere krampeanfall eller risikofaktorer for krampeanfall utelukket. I enkelt‑arm‑studien 9785‑CL‑0403 (UPWARD) for å undersøke forekomsten av krampeanfall hos pasienter med predisponerende faktorer for krampeanfall (hvorav 1,6% hadde kram‑ peanfall i anamnesen), opplevde 8 av 366 (2,2%) pasienter som ble behandlet med enzalutamid, et kram‑ peanfall. Median behandlingsvarighet var 9,3 måneder. Det er ikke kjent hvilken mekanisme i enzaluta‑ mid som senker terskelen for krampeanfall, men det kan være relatert til data fra in vitro‑studier som viser at enzalutamid og dets aktive metabolitt bindes til og kan hemme aktiviteten til den GABA‑styrte klorid‑ kanalen. Iskemisk hjertesykdom: I kliniske randomiserte placebokontrollerte studier forekom iskemisk hjertesykdom hos 2,5% av pasientene som ble behandlet med enzalutamid og ADT, sammenlignet med 1,3% av pasientene som ble behandlet med placebo og ADT. Melding av mistenkte bivirkninger: Mel‑ ding av mistenkte bivirkninger etter godkjenning av legemidlet er viktig. Det gjør det mulig å overvåke forholdet mellom nytte og risiko for legemidlet kontinuerlig. Helsepersonell oppfordres til å melde enhver mistenkt bivirkning. Dette gjøres via Statens Legemiddelverk. Nettside: www.legemiddelverket. no/meldeskjema. Overdosering/Forgiftning: Symptomer: Pasienten kan ha forhøyet risiko for krampe‑ anfall etter overdose. Behandling: Ved overdosering bør enzalutamidbehandlingen stanses og generell støttende behandling igangsettes, der det tas hensyn til halveringstiden på 5,8 dager. Reseptgruppe: C. Refusjonsberettiget bruk: Ingen refusjon. Foreskrives på H‑resept. Pakninger og priser (pr. 12.06.2019): Kapsler 40 mg: 112 stk. (blister) 33244,50 kr. Tabletter 40 mg: 112 stk. (blister) 33244,50 kr. Innehaver av markedsføringstillatelse: Astellas Pharma Europe B.V., Sylviusweg 62, 2333 BE Leiden, Nederland. Basert på preparatomtale godkjent d. 23.10.2018. Full preparatomtale kan rekvireres hos Astellas Pharma.
ANNONSE
METASTASES? NO METASTASES? XTANDI ™ (ENZALUTAMIDE) – NOW INDICATED FOR
BOTH HIGH-RISK nmCRPC * AND mCRPC. 1 *The indication high‑risk nmCRPC is not approved by Beslutningsforum in Norway.

ANNONSE
In the published PROSPER-trial, XTANDI:
• significantly delivered 21.9 months of median metastasis‑ free survival (MFS) vs placebo (p<0.001) 2 • significantly delayed PSA progression with >33 months vs placebo (p<0.001) 2 • significantly delayed the time to antineoplastic therapy in nmCRPC vs placebo with 21.9 months (p<0.001) 2
Special warnings and precautions for use
• Use of enzalutamide has been associated with seizure. The decision to con‑ tinue treatment in patients who develop seizure should be taken case by case. • There have been rare reports of posterior reversible encephalopathy syn‑ drome (PRES) in patients receiving XTANDI. Discontinuation of XTANDI in patients who develop PRES is recommended. • Co‑administration with warfarin and coumarin‑like anticoagulants should be avoided. If XTANDI is co‑administered with an anticoagulant metabo‑ lised by CYP2C9 (such as warfarin or acenocoumarol), additional Interna‑ tional Normalised Ratio (INR) monitoring should be conducted. See the Summary of Product Characteristics for prescription of XTANDI, especially Precautions and Interactions.
XTANDI is indicated for the treatment of adult men with:
• high‑risk non‑metastatic castration‑resistant prostate cancer (CRPC). 1
• metastatic CRPC who are asymptomatic or mildly symptomatic after failure of androgen deprivation therapy in whom chemotherapy is not yet clinically indicated. 1
• metastatic CRPC whose disease has progressed on or after docetaxel therapy. 1
References: 1. XTANDI SPC 10.2018. 2. Hussain M, Fizazi K, Saad F et al. Enzalutamide in Men with Nonmetastatic, Castration‑Resistant Prostate Cancer. NEJM 2018;378:2465–74.







