Kirurgen 1/24 - Bukveggen

Page 1

NR.1 2024 AKTUELT Fellowship i Stockholm – et reisebrev AKTUELT Tildeling av Malthestipend 2023 TEMA Bukveggen
Sandakerveien 64, 0484 Oslo +47 22 22 31 64 info@octopusmedical.no The CO2 injector

TEMAER I 2024

Kirurgen

Kirurgen

Kirurgen

april

3-24: 24. august

Kirurgen nr 4-24: 24. oktober

Kirurgen

1-25: 24. januar

å være en nasjonal plattform for kirurgi ved å inspirere til faglig kompetanseheving, bedre utdanning og

Marte

Vi

KIRURGEN 1-2024 I 3 INNHOLD UTGIVER Norsk Kirurgisk Forening Pb 17 Kjelsås, 0411 Oslo ISSN 1504-88 88
Tobias Hauge (redaktør) OUS Ullevål tobias@kirurgen.no
REDAKSJON
Bliksøen (redaksjonsmedlem) OUS
Saira Mauland Mansoor (redaksjonsmedlem)
Viken Bærum sykehus saira@kirurgen.no
Rognum (redaksjonsmedlem)
Viken Bærum sykehus ingvar@kirurgen.no
Hui (redaksjonsmedlem) OUS Rikshospitalet david@kirurgen.no
Rikshospitalet marte@kirurgen.no
Vestre
Ingvar
Vestre
David
LAYOUT, PRODUKSJON OG ANNONSESALG WebPress Tlf.: 22 76 00 00 john@webpress.no www.webpress.no
Nr. 1 Bukveggen Nr. 2 På utenlandsreise Nr. 3 Chirurgia minor Nr. 4 Forskning
opplæring av unge kirurger, samt øke interessen for kirurgisk forskning. – VISJON, KIRURGEN FASTE SPALTER Ord fra redaktøren 5 Ord fra lederen 7 TEMA Temaleder: bukveggskirurgien i Norge – på vei til systematisering og standardisering? 8 Bukveggskirurgien i norge – vi har en jobb å gjøre! 10 Rectusdiastase 13 Klassifisering av bukveggsbrokk i henhold til European Hernia Society 14 Hvordan skal vi lukke buken for å unngå arrbrokk? 16 Akutte diafragmahernier 20 Kutt og konsekvenser - eller sy sammen fremtiden? 23 Prehabilitering før brokkirurgi 30 Arrbrokk – Hva sier European Hernia Society? 33 Komplekse bukveggsrekonstruksjoner – fysiologisk kirurgi som krever protokollisert kreativitet 38 Stomien– det iatrogene brokket 42 AKTUELT En svensk sommerflørt 44 HØSTMØTET 21.-25. oktober 2024 49 MALTHES LEGAT Tildeling av Malthestipend 2023 50 INNLEVERINGSFRISTER:
ønsker
nr 2-24: 24.
nr
nr
NO - 4932 MILJØMERKET 2041 TRYKKSAK 0716
i Kirurgen jobber stadig med å utvikle oss i tråd med våre leseres ønsker og behov. Vårt mål er å publisere relevante artikler, som er lett tilgjengelig for dere. Som leser av Kirurgen håper vi derfor at du kan bidra ved å svare på en kort spørreundersøkelse. Undersøkelsen tar ca. 3 minutter. VI ØNSKER Å VÆRE ET FAGBLAD FOR DEG – HJELP OSS Å BLI BEDRE! Scann QR-koden for å starte spørreundersøkelsen

LigaSure™ XP Maryland jaw sealer/divider with nano-coating

Next-level performance1,†,‡,§ from the technology you trust.2

Performance

Reliably seal thick tissue3,4,§,Ω

Precision

Seal5,†† and cut3,‡‡ to the tips of longer jaws§§

efficiency

360° continuous jaw rotation for undisrupted movement3,Ω,§§

†The LigaSure™ XP Maryland jaw device is indicated for use in general surgery and such surgical specialties as colorectal, bariatric, urologic, vascular, thoracic, and gynecologic. ‡Compared to their current preferred device; 21 of 23 surgeons agreed during clinical procedures. §Thick tissue is defined as nondissected vascular tissue or fatty tissue. Ω29 out of 29 surgeons agree. ††30 out of 30 surgeons agree. ‡‡24 out of 29 surgeons agree. §§Compared to legacy LigaSure™ devices.

1

. Based on internal report #RE00457416 Rev A, Product introduction report: LigaSure™ XP Maryland jaw sealer/divider. May 2023. 2. Based on COGNOS and historical sales data, FY01–FY20. October 2019. 3. Based on internal report #RE00376094 Rev A, LigaSure™ XP Maryland jaw sealer/ divider surgeon validation marketing report. Dec. 7–9 and 14–16, 2021.

4. Based on internal report #RE00442444 Rev A, Comparison of the renal artery bench bundle burst pressure performance with the LigaSure™ XP Maryland jaw sealer/divider, Voyant™* Maryland Fusion, Enseal™* X1 curved jaw, and LigaSure™ LF19XX devices. Jan. 23, 2023. 5. Based on internal report #RE00372649 Rev A, Archer surgeon summative evaluation report. March 22, 2022.

©2023 Medtronic. All rights reserved. Medtronic, Medtronic logo, and Engineering the extraordinary are trademarks of Medtronic. ™* Third-party brands are trademarks of their respective owners. All other brands are trademarks of a Medtronic company.

EMEA-SE-2300107-ligasure-xp-maryland-scrub-flyer-en-emea-10455797

medtronic.com/covidien/en-gb/products/vessel-sealing.html

We’re here for you — whenever you need us.

If you have any questions about the LigaSure™ XP Maryland jaw device, please give me a call.

Medtronic Norge

EN TID FOR ENDRINGER

Mitt navn er Tobias Hauge og fra denne utgaven av Kirurgen tar jeg over som ny redaktør. Jeg tar over stafettpinnen fra en lang rekke med dyktige redaktører som hver for seg har satt sitt preg på Kirurgen, sist ved Marte Bliksøen. Marte har gjort en fantastisk jobb de siste fire årene og hevet kvaliteten på bladet betydelig. Det har nå blitt et velsmurt maskineri som fire ganger per år lever faglig litteratur av høy kvalitet skrevet av norske kirurger, for norske kirurger.

Jeg ønsker at Kirurgen skal være et blad for alle norske kirurger, uavhengig av arbeidssted og spesialitet. I løpet av det kommende året vil vi derfor ha temanumre som favner om et bredt spekter av publikum, med temaer som omhandler hvordan det er å arbeide som kirurg i utlandet, chirurgia minor og et eget forskningsnummer. Vi ønsker å ha fokus på det generelle, men med en innfallsvinkel som vekker allmenn interesse. Som tidligere vil det være akuttkirurgiske temaer i hvert nummer, men nytt er at vi vil prioritere å publisere innlegg fra kirurger som har avlevert sin doktorgradsavhandling i løpet av det siste året.

Et annet satsningsområde er digitale medier. Per nå har vi en nettside og en facebook­side. Begge i behov av betydelig oppdatering, systematisering og modernisering. I den forbindelse har vi fått et nytt redaksjonsmedlem – David Hui. Han har fått ansvaret for sosiale medier i Kirurgen og har allerede startet arbeidet med å utbedre nettsidene våre. Vi har store ambisjoner for hva han kan utrette. Velkommen, David!

For at vi skal kunne lage den beste mulige versjonen av Kirurgen, trenger vi innspill fra dere. Vi vil i løpet av våren sende ut en invitasjon til et spørreskjema for å bli bedre kjent med dere og høre hvordan dere ønsker at Kirurgen skal utvikles. Under innholdsfortegnelsen i denne utgaven av Kirurgen ligger en QR­kode slik at du allerede nå kan svare på undersøkelsen. Svarer mange, vil vi ha gode forutsetningene til å lage akkurat det tidsskriftet dere vil ha.

Temaet i denne utgaven av Kirurgen er brokkirurgi. Innleggene er skrevet av sentrale aktører i det norske brokkmiljøet. Jeg ønsker god fornøyelse.

KIRURGEN 1-2024 I 5
ORD FRA REDAKTØREN
HAUGE , REDAKTØR TOBIAS @ KIRURGEN.NO

Global leader in sutures

ETHICON was the first mass producer of sterile sutures, since the release of our first catalog in 1887. And today, we are the market leader in sutures – globally, 7 out of 10 people who have surgery will receive an Ethicon suture.* ETHICON produces 600 million sutures worldwide annually – enough to circumnavigate the equator 12-15 times. Ethicon is selected time and time again by hospitals all over the world, due to our quality, reliability and wide-ranging portfolio, which deliver consistent and dependable patient outcomes. Always EXPECT MORE from Ethicon.

Vil du vite mer om våre suturer?

Ring oss på 67 51 86 00 eller besøk ortomedic.no.

Please refer always to the Instructions for Use package/insert that comes with the device for the most current and complete instructions. Ethicon Endo-Surgery (Europe) GmbH, Hummelsbütteler Steindamm 71, 22851 Norderstedt, Germany www.jnjmedicaldevices.com © Ethicon Endo-Surgery (Europe) GmbH 2019, 126336-191025 EMEA

Foto: Arkady

KJÆRE KOLLEGER

Det er en stor ære og ikke minst glede å ta tak i styre­ og lederarbeidet i Norsk Kirurgisk Forening. En ung Mari­Liis, som i januar 1997 ankom Førde for å starte sin turnus, ville nok ha fått prestasjonsangst og snudd. Jeg ønsker å takke mine mentorer i Norge, som har inspirert og formet meg som både generellkirurg og thoraxkirurg. På tross av at jeg stortrives med den smale spesialiteten min, som binder meg fast til en universitetssklinikk og gjerne en hjerte­lunge­maskin, så tenker jeg ofte tilbake på årene som ung kirurg i Førde hvor operasjonene varierte fra thyreoidektomi til TUR­P på ekte generalistvis. Uten generalister klarer vi oss ikke. Norges særegne geografi gjør at spissede spesialister passer best i større byer mens landet for øvrig trenger et lass med generellkirurger. For pasientene bør helst få behandling der de bor.

Jeg vil også takke alle medlemmene i foreningen for tilliten ved å velge meg som leder. De siste fire årene har styret i NKF, ledet på en forbilledlig måte av John Christian Glent, håndtert en rekke utfordringer og formet foreningen til en løsningsorientert respektabel institusjon i tråd med forventningene til en organisasjon med snart 113 års historie. Endringene i styrestrukturen i NKF gjør det nå mulig å fortsette samarbeidet med John Christian som avtroppende leder, og sikre dermed nødvendig kontinuitet i styret.

Jeg ønsker det nye styret hjertelig velkommen, og ser frem til å brette opp ermene for å fremme faget vårt.

I skrivende stund nærmer vi oss 24. februar. Det er mitt hjemlands Estlands nasjonaldag. Det er dagen terroristene i øst valgte å invadere Ukraina for 2 år siden.

I en tid preget av krevende administrative og økonomiske forhold, midt i en verden som lider under krig og elendighet, står kirurger overfor en unik utfordring. Å være en dyktig kirurg krever sterk integritet, godhet og en urokkelig vilje til å hjelpe de syke og skadde. Jeg er dypt takknemlig for arbeidet noen av oss gjør i krigsrammede land. Det er en ære å ha kolleger som Erik Fosse, og jeg håper at vi alle kan la oss inspirere av hans eksempel. Når vi blir vitne til de voldsomme krigshandlingene og står overfor grusomme skjebner det medfører, fremstår våre vestlige bekymringer som falmet og uviktige. Allikevel er det viktigere enn noensinne å opprettholde denne integriteten og evnen til å arbeide for fellesskapets beste. Vi har en unik mulighet til å gjøre en forskjell i menneskers liv, samtidig må vi finne tid til å pleie vår egen fysiske og mentale helse. Det er viktig at vi tar være på oss selv for da kommer overskuddet å bry seg og ta være på andre.

På vegne av styret i NKF

Mari-Liis Kaljusto Leder NKF

KIRURGEN 1-2024 I 7 ORD FRA LEDEREN, NKF
MARI - LIIS KALJUSTO , LEDER NKF MARI - LIIS.KALJUSTO @ OUS - HF.NO
Rutkovskiy

BUKVEGGSKIRURGIEN I NORGE – PÅ VEI TIL SYSTEMATISERING

OG STANDARDISERING?

Dette nummeret av Kirurgen handler om bukveggen, en del av kroppen som er nært knyttet til funksjon og livskvalitet. Temanummeret spenner over et vidt spekter innenfor dette komplekse, og etter vår mening fortsatt undervurderte feltet i Norge. Som det meste ellers innen kirurgien, har bukveggskirurgien både profitert på, men også blitt offer for den økende subspesialiseringen.

LEDER V/ CHRISTINE GAARDER

OSLO UNIVERSITETSSYKEHUS, ULLEVÅL

KORRESPONDANSE: TINAGAAR @ ONLINE.NO

CHRISTINE GAARDER

European Hernia Society (EHS) er den internasjonale brokkforeningen det er mest naturlig at det norske bukveggsmiljøet forholder seg til. EHS arrangerer årlig kongress med akademisk innhold av høy kvalitet, foreningen har publisert retningslinjer innen mange bukveggsrelaterte tema. I tillegg har foreningen utviklet et robust kursprogram, ikke minst takket være leder for Norsk brokkirurgisk forening (NBF), Knut Borch, som også er leder utdanningskomiteen i EHS. EHS har videre beskrevet systemer for sikring av behandlingskvalitet innen feltet, inkludert formelle krav til et bukveggssenter. Sist og ikke minst har EHS, i samarbeid med UEMS (Union Européenne des Médecins Spécialistes), utviklet

en europeisk spesialitet innen bukveggskirurgi. Dette medfører at kravet til kunnskap og erfaring er øket også innen dette feltet: Det er ikke lenger slik at enhver kirurg skal håndtere alle bukveggsproblemer.

På denne bakgrunnen besluttet NBF å utfordre norske kirurger under bukveggsdagen på Høstmøtet 2023. Forskjellige spesialemner innen bukveggskirurgien var fordelt der den enkelte fikk i oppgave å vurdere EHS retningslinjer der de finnes, samt annen relevant litteratur. Foreleserne ble også oppfordret til å skrive ned innholdet i innleggene sine til artikler for dette nummeret av Kirurgen. I tillegg handlet et sprudlende årsmøte i NBF om veien videre for bukveggskirurgien i Norge.

Vi kan skryte av veldig godt oppmøte på MEET Ullevål tirsdag 24/10 2023, med mange interessante innlegg og ikke minst diskusjoner.

I dette nummeret av Kirurgen kan du blant annet lese om:

• Utdanning: Standardisering av utdanning er viktig, og simuleringsmodeller er nødvendige for at kirurger skal oppnå adekvat kompetanse før man får ansvar for reelle operasjoner. Knut Borch som utdanningsansvarlig i EHS, beskriver utviklingen og viktige

8 I KIRURGEN 1-2024
TEMA: BUKVEGGEN

elementer for å få til gode utdanningsprogrammer. Industrien er i denne sammenheng viktige aktører når det gjelder å sørge for opplæring på tvers av landegrenser og deling av både gode og mindre heldige erfaringer. Det er slik fagfelt utvikler seg.

• Anatomi og klassifisering: EHS har utviklet gode klassifiseringsverktøy som det er all grunn til å benytte seg av og som gjør det mulig å sammenlikne resultater i kliniske materialer. Inngående kunnskap om bukveggens anatomi er helt essensiell for å minimere risiko for skade ved denne typen kirurgi, som for alle praktiske formål er benign. Torgeir Søvik gir oss en systematisk innføring i de grunnleggende forutsetningene for bukveggskirurgien.

• Lukking av bukveggen: Ikke noe slår forebygging! Det finnes i dag solid kunnskapsgrunnlag for hvordan vi bør tilstrebe lukking av buksnitt, inkludert laparoskopisnitt. Men gjør vi det alle etter oppskriften? Legger vi sjelen i å treffe midtlinjen når vi planlegger snittet, og i lukkingen etter en langvarig operasjon, ikke minst i akuttsituasjoner hvor pasienten har høy risiko for sårruptur og brokkutvikling? Og finnes det andre tiltak vi bør tenke på for å redusere postoperative komplikasjoner som sårinfeksjoner og brokk?

Signe Røstad presenterer kortfattet dagens kunnskap og retningslinjer.

• Parastomale brokk er fortsatt en hodepine for både kirurger som lager stomier, og de som skal reparere de parastomale brokkene. Feltet er preget av flere mulige enn gode løsninger. Jan Lambrecht beskriver utfordringene godt i sin artikkel: Stomien – det iatrogene brokket.

• Arrbrokk: Det har skjedd en rivende utvikling innen behandlingen av arrbrokk – fra laparoskopisk eller åpen IPOM med transfascielle suturer og tackere som hovedregel, til plassering av nett fortrinnsvis i lag utenfor bukhulen, enten laparokopisk, åpent eller robotkirurgisk. Robin Gaupset presenterer dagens tankegang og individualiserte tilnærming.

• Rectusdiastase er et tema innen bukveggskirurgien som mange unngår. Både definisjonsmessig og behandlingsmessig er disse pasientene utfordrende. Det finnes ingen konsensus rundt indikasjonene for kirurgi eller ensartet metode. Lisa Hole og Kari Erichsen gir en systematisk og multidisiplinær tilnærming i tråd med den kunnskapen som finnes i dag.

• Akuttbehandling av diafragmahernier: Diafragma er en del av bukveggen. Man deler inn diafragmahernier i de som har relasjon til hiatus, og de som ikke har det. Uansett hvilken type diafragmadefekt og etiologi kan disse forårsake akuttsituasjoner som må løses umiddelbart. Kristin Kjellevold beskriver hvordan disse akuttsituasjonene skal håndteres.

• Komplekse rekonstruksjoner og sjeldne lokalisasjoner: Rekonstruksjon av komplekse bukveggsdefekter er utfordrende. Behandlingen må individualiseres da både defektene og andre pasientfaktorer varierer, med krevende oppfølging både pre­ og postoperativt. Det er få klare oppskrifter, og feltet er preget av flere mulige enn gode løsninger, og resultatene er uttalt avhengig av den enkelte kirurgs erfaring og evne til både kreativitet og standardisering. Tina Gaarder gir en kortfattet beskrivelse av utfordringer og løsninger.

• Prehabilitering og postoperativ rehabilitering er spesielt viktige for denne pasientgruppen der man nesten alltid har god tid til å forberede og optimalisere utgangspunktet for et vellykket resultat. Dette krever tett oppfølging som ikke akkurat bejubles i et offentlig helsevesen med krav til effektivitet. Sluttregningen vil nok likevel støtte kvalitetssikring av før­ og etter­perioden som beskrives her av Kari Erichsen og Lisa Hole.

Dette temanummeret er ment for å øke interessen for bukveggkirurgien, for medlemskap i NBF og EHS, og som informasjon om at vi i 2024 for alvor setter i gang et arbeid for å systematisere bukveggkirurgien i Norge. Arbeid for å etablere en nasjonal registrering av bukveggskirurgien er startet. I mellomtiden er det ingen grunn til å ikke støtte seg på data fra land vi kan sammenlikne oss med, som Danmark. Nadia Henriksen la på Høstmøtet fram data fra det danske brokkregisteret som er relevante for Norge.

Det er av stor betydning for den enkelte pasient og for samfunnet at denne behandlingen er så optimal som mulig. Styret i NBF skriver i dette nummeret om den jobben som må gjøres for å sikre kvaliteten på bukveggskirurgien i Norge, inkludert opprettelse av formelle bukveggsentre. Med dokumentert små volumer av deler av bukveggskirurgien ved mange sykehus er det nødvendig med kompetanseheving ved alle sykehus, og behov for sentralisering av høyrisikopasienter.

KIRURGEN 1-2024 I 9
TEMA: BUKVEGGEN

BUKVEGGSKIRURGIEN I NORGE

VI HAR EN JOBB Å GJØRE!

1 AVDELING FOR TRAUMATOLOGI, OUS ULLEVÅL

2 KIRURGISK AVDELING, UNN HARSTAD

KORRESPONDANSE: CHRISTINE GAARDER - TINAGAAR @ ONLINE.NO

European Hernia Society (EHS) beskrev i 2019 behovet for bukveggssentre og spesialister i bukveggskirurgi på grunn av den økende kompleksiteten innenfor dette området av kirurgien. Dette skyldes nye teknikker og teknologi, nye løsninger for vanskelige kasus, samt økt kunnskap hos pasientene om hva som er kirurgisk mulig (1). Det lar seg ikke gjøre å opparbeide et adekvat erfaringsgrunnlag innen bukveggskirurgi som kirurg i utdanning; denne kompetansen må oppnås etter endt spesialisering (2). I 2022 beskriver Novitsky og medarbeidere svært varierende praksis i USA, der det også er publisert til dels katastrofale komplikasjoner på grunn av manglende utdanning, erfaring og volum (3). Det er altså et skrikende behov for systematisk opplæring mange steder. Innlegget «How a lucrative surgery took off online and disfigured patients» i New York Times 30. oktober 2023, og tilsvaret fra Intuitive, kan med fordel leses. Sentralt i å sikre kvalitet i behandlingen av denne pasientgruppen, står opprettelsen av bukveggssentre.

Definisjon: Et bukveggssenter defineres av EHS som et senter med større pasientvolum enn gjennomsnittet for andre sykehus i landet. Det skal drives av bukveggskirurger med bred erfaring og påta seg ansvaret for opplæring innenfor fagfeltet. Senteret skal følge gjeldende retningslinjer, registrere prospektivt, ha et systematisk evalueringsprogram, inkludert strukturerte komplikasjonsmøter og evaluere sine behandlingsresultater mot en standard. Bukveggssenteret skal ha kompetanse innenfor alle typer bukveggsoperasjoner og beherske flere kirurgiske teknikker for hver av de ulike brokktypene. Det oppfordres til at alle bukveggskirurger ved bukveggssentre søker å oppnå europeisk godkjenning (UEMS) som bukveggskirurger.

Sertifisering: Volumkrav bør defineres av et sertifiserende nasjonalt organ som for eksempel en nasjonal forening (NBF i Norge?). Det bør opprettes en komite som har som oppgave å evaluere sentre med 3­5 års mellomrom. Komiteen har ikke sanksjonsmulighet, men kan veilede. Under opprettelsen av bukveggssentre kan man velge en gradert opprettelse som baseres på en enkelt kirurgs kompetanse, eventuelt kun delvis oppfyllelse av kriteriene frem til endelig godkjenning.

Infrastruktur: Et bukveggssenter skal ha en organisert, dedikert poliklinikk og formaliserte, tverrfaglige diskusjonsmøter. Det skal være tilgang til alle radiologiske modaliteter, inkludert MR, samt tilgang til intensivsenger og individualisert multimodal smertebehandling.

Opplæring/vedlikehold: Det forutsettes at bukveggskirurgene ved et bukveggssenter holder seg oppdatert gjennom gjeldende litteratur, aktuelle kongresser og driver aktiv forskning. I tillegg skal de drive opplæring i og utenfor egen institusjon.

Vi er sent ute. Systemet beskrevet over, minner om det nasjonale traumesystemet med spesifiserte krav til traumesentrene. Et bukveggssystem som likner traumesystemet ble innført i Tyskland i 2014 og i Italia i 2018.

Hvordan er situasjonen i Norge? Skal vi være ærlige, vet vi vel ikke.

1. NBF er opprettet for å sikre koordinering, opplæring, forebygging, kvalitetssikring og registrering. Vi vil i 2024 sørge for formalisering av medlemskap.

2. Først og fremst mangler vi et nasjonalt brokk­/ bukveggsregister. Inntil det er på plass, må vi basere

10 I KIRURGEN 1-2024
CHRISTINE GAARDER 1 OG KNUT BORCH 2 PÅ VEGNE AV STYRET I NORSK BROKKIRURGISK FORENING ( NBF )
TEMA: BUKVEGGEN

oss på publikasjoner av materialer fra enkeltinstitusjoner med de svakhetene som ligger i det. I tillegg må vi støtte oss på det som vises i land vi kan sammenlikne oss med.

3. Vi kan finne frem tall per institusjon ut fra kodede prosedyrer med de svakhetene som ligger i det. For å diskutere tilnærming, må vi skille mellom:

a. typer brokk med standardisert tilnærming og store volum, som lyskebrokk og navlebrokk som skal opereres på alle sykehus

b. arrbrokk av moderat størrelse på vanlige lokalisasjoner som skal opereres på mange sykehus

c. større og mer komplekse brokk og på uvanlige steder. Komplekse brokk er definert i flere artikler utgående fra EHS. Disse skal opereres på få bukveggssentre.

4. Et kvalitetssikret og standardisert utdanningsprogram er under utvikling og nødvendig for alle typer rekonstruksjoner.

5. Midlertidig bukveggslukking og gjentatt bukkirurgi hos fysiologisk påvirkede pasienter er assosiert med komplikasjoner, der enteroatmosfæriske og enterokutane fistler utgjør den største utfordringen. Det er vist

i litteraturen at de fleste tarmfistler i relasjon til traume og bukkirurgi kunne vært unngått ved kontinuitet i oppfølging, forsiktig kirurgisk teknikk og gode strategier for tidligst mulig lukking av buk. Det er derfor viktig med opplæring, samt definerte monitoreringsog behandlingsrutiner. Opprettelse av et nasjonalt tarmsviktsenter er nødvendig og tangerer bukveggskirurgien.

Det er av stor betydning for den enkelte pasient og for samfunnet at denne behandlingen er så optimal som mulig. Styret i NBF skriver i dette nummeret om den jobben vi mener må gjøres for å sikre kvaliteten på bukveggskirurgien i Norge, inkludert opprettelse av formelle bukveggsentre. Med dokumentert små volumer på deler av bukveggskirurgien ved mange sykehus, er det nødvendig med kompetanseheving ved alle sykehus og behov for sentralisering av høyrisikopasienter.

REFERANSER :

Se bakerst i nettutgaven på kirurgen.no

Elastisk, pustende materialet som ikke ruller

Tilpasses alle typer operasjoner, operasjonssnittets plassering og stomi

Latexfri, vaskes på 30 grader

RUBAN

RUBAN

3 eller

øvre, midtre og nedre abdominale nivå

Tilpasses pasientens kroppsfassong ved av hjelp av to mål

på en ergonomisk måte.

Enklere

Takket være det unike flerbåndsdesiget med en solid 15 cm borrelåslukking av hvert bånd, medfører at kompresjon kan justeres individuelt i øvre, midtre eller nedre

Funksjoner:

KIRURGEN 1-2024 I 11
Measurement 1 65 - 85 cm Small R3-S R4-S R5-S 85 - 105 cm Medium R3-M R4-M R5-M 105 - 125 cm Large R3-L R4-L R5-L 125 - 145 cm Extra Large R3-XL R4-XL R5-XL 145 - 165 cm XX Large R3-XXL R4-XXL R5-XXL 165 - 185 cm XXX Large R3-3XL R4-3XL R5-3XL 185 - 205 cm 4X Large R3-4XL R4-4XL R5-4XL 205 - 225 cm 5X Large R3-5XL R4-5XL R5-5XL Høyde: 22 cm 3 bånd 4 bånd 5 bånd Høyde: 27 cm Høyde: 33 cm 1. Mål den største delen av magen. 2. 1 2. Mål avstanden fra brystbenet til symfysen.
brokkbelte skiller seg ut fra andre brokkbelter.
Brokkbeltet er spesialdesignet for store eller inoperable brokk og gir effektiv, sterk, men likevel komfortabel kompresjon
RUBAN er tilgjenegelig i str fra S - 5XL i 3 høyder: 3-bånd 22cm 4-bånd 27cm 5-bånd 33cm
del av magen. Dette gir den beste komforten for pasienten, skreddersydd til de medisinske kravene.
- Lindrer ubehag eller strekkfølelse fra brokk - Forebygger brokk reoperasjons kirurgi - Bidrar til å hindre tilbakefall av brokk - Stimulerer mobilitet og gastrointestinal funksjon - Forbedrer kroppskonturen forårsaket av brokket Multibåndsdesignet samsvarer med kroppsform og skulpturerer en brokkbule. Materialet er lett, ventilerende og lateksfritt Inneholder ikke naturgummilateks (ingen NRL). NB: Før du måler, er det viktig at du legger deg ned og venter til brokket slapper av før du måler. Hvis målingen er mellom to størrelser, velg den største størrelsen. Størrelser Bestillingsnummer: Spesialtilpasset brokkbånd lages på forespørsel QualiBelly kompresjonsbelte
4 belter kan justeres til individuell kompresjon på
brokkbelte.no • bestilling@arcticmedical.no • Tlf: 240 77 400
for helsepersonell og pasienten selv å ta på
TEMA: BUKVEGGEN

Next Level Advanced Bipolar Technology

POWERSEAL Sealer and Divider

POWERSEAL was designed to become the best-in-class advanced bipolar technology that delivers consistently strong vessel sealing performance throughout the procedure.

Experience True Benefits During Surgery:

Superior haemostasis

Best-in-class dissection

Enhanced usability

For more information please visit our website or follow us

www.olympus.eu/POWERSEAL

126309 NEW 125428 S00570EN Postbox 10 49 08, 20034 Hamburg, Germany | Phone: +49 40 23773-0 | www.olympus-europa.com

RECTUS DIASTASE

KIRURGISK KLINIKK, HARALDSPLASS DIAKONALE SYKEHUS

KORRESPONDANSE: LISA.DRANGE.HOLE @ HARALDSPLASS.NO

DEFINISJON

Diastase mellom de to musculus rectus abdominis, heretter kalt rectusdiastase, forårsakes av økt intraabdominalt trykk over tid (3). To hovedgrupper av pasienter utvikler rectusdiastase: slanke, trente kvinner som har født barn (1) og voksne menn med sentral adipositas (2).

European Hernia Society (EHS) definerer rectusdiastase som en utvidet linea alba som måler over to cm i horisontalmål (3). En rectusdiastase kan feiltolkes som et midtlinjebrokk. Derimot er en solitær rectusdiastase ikke et brokk da bukveggens lag er intakte og uten brokkport/ fasciedefekt.

KLASSIFISERING

EHS klassifiserer rectusdiastase etter diastasebredde, post partum­status og hvorvidt det foreligger midtlinjebrokk eller ei (3).

DIAGNOSTIKK

Ved klinisk undersøkelse ligger pasienten på ryggen på undersøkelsesbenken og blir så bedt om å gjøre en sit­up. Man ser da en utbuling av linea alba, oftest fra processus xiphoideus til umbilicus. Avstanden mellom mediale kant av de to rectus muskelbukene (også kalt inter­rectus distanse = IRD) måles enten med et skyvelære eller med ultralyd, 3 cm supraumbilicalt i hvile (4).

Dersom man er usikker på om det foreligger et midtlinjebrokk eller andre bukveggsbrokk i tillegg til en rectusdiastase, er CT anbefalt utredning (3). På denne indikasjon kan CT tas i ryggleie, uten bukpress og uten kontrast.

SYMPTOMER

Pasienten oppdager en utbuling i midtlinjen og oppsøker dermed lege da utbulingen kan være kosmetisk skjem­

mende og dermed utfordre eget kroppsbilde. Ustabil kjernemuskulatur, en opplevelse av ikke å få kontakt med magemusklene post partum og smerter i korsryggen er vanlige henvendelsesårsaker til rectusdiastase hos kvinner som har født barn (5). Derimot er det ikke vist at rectusdiastase er direkte årsak til smerter (7).

BEHANDLING AV ISOLERT RECTUSDIASTASE

Konservativ behandling innebærer fysioterapi, og skal ha vært forsøkt i minst seks måneder sammenhengende (3). Vektreduksjon er indisert ved overvekt. Hos kvinner kan kirurgi være aktuelt ved rectusdiastase over 7 cm, og dersom pasienten har subjektive plager, BMI under 27 kg/m2, ikke røyker og det er minst to år siden siste fødsel (8). Hos menn er kirurgi sjelden til aldri indisert. Likevel er vektreduksjon anbefalt behandling (3). Kirurgi innebærer rafing av linea alba. EHS gir ingen spesifikk anbefaling med tanke på sutur eller suturteknikk ved kirurgisk behandling (3).

BEHANDLING AV RECTUSDIASTASE MED SAMTIDIG BROKK

Dersom det foreligger navle­ eller epigastriebrokk med brokkport under 1 cm, anbefaler EHS rafing av rectusdiastasen. Dersom det foreligger midtlinjebrokk med brokkport over 1 cm anbefaler EHS nettplastikk, men gir ingen spesifikke anbefalinger med tanke på metode eller nettplassering (3).

REFERANSER : Se bakerst i nettutgaven på kirurgen.no

KIRURGEN 1-2024 I 13
TEMA: BUKVEGGEN

KLASSIFISERING AV BUKVEGGSBROKK I HENHOLD TIL EUROPEAN HERNIA SOCIETY

Klassifisering av bukveggsbrokk praktiseres ulikt i klinikken. Ofte foreligger ingen klassifisering. Et godt system er nødvendig for å beskrive brokkvirksomheten og for å sammenligne resultater etter kirurgi på tvers av institusjoner og studier. En felles norsk strategi for å få til en ensartet klassifisering i henhold til internasjonalt anbefalte klassifiseringssystemer bør vurderes.

T.

AVDELING FOR GASTRO - OG BARNEKIRURGI, OSLO UNIVERSITETSSYKEHUS ULLEVÅL

KORRESPONDANSE: TORGEIR T. SØVIK – TORSOV @ OUS - HF.NO

Det eksisterer flere klassifiseringssystemer for brokk. Den ledende europeiske brokkforeningen, European Hernia Society (EHS), har etablert et klassifiseringssystem som skal være enkelt å bruke i klinikken. I en uhøytidelig spørreundersøkelse jeg gjorde på International Hernia Collaboration sin Facebook­side i oktober 2023, svarte 42% (av 171 stemmegivende) at de ofte eller alltid brukte klassifiseringssystemer for brokk i klinikken, mens 36% aldri gjorde det.

Det pågår initiativ for å etablere et nasjonalt brokkregister i Norge, og i denne sammenhengen er det viktig å diskutere og forsøke å enes om måter å klassifisere brokk på i Norge. EHS har utarbeidet systemer for å klassifisere lyskebrokk, ventralbrokk og parastomale brokk som kan benyttes i et fremtidig norsk register. Her gis et overblikk over dem.

LYSKEBROKK

Den første brokklassifikasjonen fra EHS ble publisert i 2007 og gir et forslag til en enkel inndeling av lyskebrokk (1). Etter gjennomgang av tidligere klassifikasjons­

systemer tok man utgangspunkt i den såkalte Aachenklassifikasjonen. Vurderingen av hvilken type brokk man opererer skal gjøres intraoperativt. Sentralt i klassifikasjonen er størrelsen 1,5 cm. Dette tilsvarer sånn omtrent bredden av en vanlig pekefinger og også avstand mellom bransjer på en del laparoskopiske tenger. Som operatør må man benevne brokket i henhold til størrelsen på brokkåpningen som 1 (≤1 finger), 2 (1-2 fingre) eller 3 (≥3 fingre). Brokket klassifieres videre som M (medialt), L (lateralt) eller F (femoralt). Avslutningsvis kan man markere om brokket er primært etter et residiv. Et L1­brokk vil således være et lateralt brokk med brokkåpning på ≤1 fingerbredde, altså ≤1,5 cm.

PRIMÆRE VENTRALHERNIER OG ARRBROKK

Ventralbrokk utgjør en stor og heterogen gruppe tilstander som er vanskeligere å klassifisere i et system. Når det gjelder primære ventrale hernier klassifiserer EHS dem etter brokkportens størrelse som små om de er <2 cm, middels store (≥2­4 cm) og store (≥4 cm). Primære ventralhernier benevnes videre som epigastrisk eller umbilikalt (for midtlinjebrokk) eller som Spigeli­ eller lumbalbrokk

14 I KIRURGEN 1-2024
TEMA: BUKVEGGEN

Brokk i midtlinjen subxiphoidalt M1

epigastrisk M2

umbilikalt M3

infraumbilikalt M4

suprapubisk M5

Laterale brokk subkostalt L1

flanke L2

iliakalt L3

lumbalt L4

Residivbrokk? Ja Nei

Lengde cm Bredde cm

Bredde på brokk W1 W2 W3 <4 cm ≥4-10cm ≥10 cm

TABELL 1: Benevnelser som inngår i European Hernia Society sin klassifikasjon av arrbrokk, som foreslått av Muysoms og medarbeidere (2). Bredde på brokkport kan noteres eksakt eller kategoriseres som W1-W3.

(laterale brokk) (2). Merk at for primære ventralhernier betegner man ikke brokk med bokstaver eller tall, men f.eks. som «middels stort epigastrisk brokk».

Klassifikasjon av arrbrokk er mer komplisert ettersom dette er en enda mer heterogen gruppe tilstander. Med tanke på lokalisasjon av brokk, klassifiseres arrbrokk som M1 subxiphoidale hvis de er beliggende i området fra processus xiphoideus og 3 cm kaudalt for denne. M3 umbilikale brokk tilsvarer området 3 cm over og under navlen og M5 suprapubiske brokk er i området fra os pubis og 3 cm kranialt for denne. Videre blir M2 epigastriebrokk klassifisert som hernier i området mellom regionene for subxiphoidale og umbilikale brokk og M4 infraumbilicale brokk er beliggende mellom regionene for umbilikale og suprapubiske brokk.

Laterale brokk (lateralt for lateralkanten av rektusskjeden) klassifiseres som L1 subcostale (området mellom costalbuen og en horisonal linje 3 cm over navlen), L2 flankebrokk (tilsvarende området 3 cm over og under navlen) og L3 iliakalt (området mellom en horisonal linje 3 cm under navlen og lysken). Dorsalt for fremre aksillærlinje kalles brokkene for L4 lumbale.

EHS anbefaler at størrelsen av arrbrokk klassifiseres i henhold til bredde og lengde av brokkporten i centimeter. Hvis det foreligger flere brokkporter, så oppgir man største avstand fra mest kraniale del av mest kraniale brokkport til den mest kaudale delen av den mest kaudale brokkporten. På samme måte angis bredden av brokket, dersom det foreligger flere brokkporter, som avstan­

Små brokk (≤5 cm) Store brokk (>5 cm)

Samtidig brokk i midtlinjen Nei I III Ja II IV

TABELL 2: European Hernia Society sin klassifikasjon av parastomale brokk i type I-IV, som foreslått av Smietanski og medarbeidere (3). I tillegg inngår det å betegne brokk som P=primært brokk eller R=residivbrokk.

den mellom den mest laterale kanten av brokkporter på begge sider. I stedet for å oppgi eksakte mål for lengde og bredde av brokket, kan man benytte følgende forenklede kategorisering av brokk etter kun bredden som W1 (<4 cm), W2 (≥4­10 cm) og W3 (≥10 cm). Disse størrelseskategoriene er altså annerledes enn for primære ventralhernier. Til slutt bør man angi om brokket er forsøkt reparert tidligere. Dette fører til at man kan klassifisere arrbrokk i et tabellsystem som foreslått i tabell 1.

PARASTOMALE BROKK

EHS sitt forslag til klassifikasjon av parastomale brokk ble publisert i 2014 (3). Sentralt i forståelsen av parastomalt brokk er at det skilles fra andre stomiproblemer, som «teleskopering» av tarm i subkutis, ved at herniert bukinnhold har brokksekk rundt seg. I denne klassifikasjonen var det også et mål å holde antall begrepsvariabler lavt, og representanter fra EHS landet på at største størrelse av bukveggsdefekten, eventuell samtidig tilstedeværelse av midlinjebrokk og brokkresidiv var avgjørende faktorer. Brokk klassifiseres som lite hvis bukveggsdefekten er ≤5 cm og store hvis de er >5 cm. Således ble det foreslått et tabellsystem som sammenfatter dette og fører til at parastomale brokk klassifiseres som type I-IV (tabell 2).

REFERANSER :

1. Miserez M, Alexandre JH, Campanelli G, et al. The European hernia society groin hernia classification: simple and easy to remember. Hernia 2007; 11: 113-6.

2. Muysoms FE, Miserez M, Berrevoet F, et al. Classification of primary and incisional abdominal wall hernias. Hernia 2009; 13: 407-14.

3. Śmietański M, Szczepkowski M, Alexandre JA, et al. European Hernia Society classification of parastomal hernias. Hernia 2014; 18: 1-6.

KIRURGEN 1-2024 I 15
TEMA: BUKVEGGEN

HVORDAN SKAL VI LUKKE BUKEN FOR Å UNNGÅ ARRBROKK?

Arrbrokk er en vanlig komplikasjon etter lukking av bukveggen ved abdominal kirurgi (1). Risikofaktorer for å utvikle arrbrokk er overvekt, alder, aneurysmale lidelser og sårinfeksjoner (2). Lokalisasjon av incisjon, suturmateriale og lukketeknikk er også godt kjente risikofaktorer (1). I felleskap oppdaterte European Hernia Society (EHS) og American Hernia Society (AHS) i 2022 sine anbefalinger for lukking av bukveggen. Anbefalingene er gjeldende for alle spesialiteter som utfører kirurgi i abdomen. Den vitenskapelige evidensen for anbefalingene er gjennomgående svak.

SIGNE RØSTAD

GASTROKIRURGISK SEKSJON, SYKEHUSET I VESTFOLD

KORRESPONDANSE: SIGNE RØSTAD – SIGNE.ROSTAD @ SIV.NO

ANBEFALINGER

Åpen eller laparoskopisk tilgang?

Minimal invasiv kirurgi kan gjøres ved standard laparoskopi, robotassistert eller ved singel port laparoskopi. Det er dokumentert redusert risiko for å utvikle brokk og sårinfeksjoner etter laparoskopisk kirurgi sammenlignet med åpen teknikk (3­5).

Hvor skal incisjonene legges?

I de første EHS­retningslinjene publisert i 2015 ble det referert til to systematiske gjennomganger som inkluderte 24 RCTer og over 3700 pasienter. Disse studiene viste lavere forekomst av arrbrokk hos pasienter med horisontale og paramediane incisjoner, sammenlignet med midtlinjeincisjoner (6). Det foreligger ingen nye studier på dette området. I en RCT med 165 pasienter som sammenlignet uttak av preparat i midtlinjen med horisontale snitt for uttak etter laparoskopisk kolonkirurgi, fant man at horisontale snitt var assosiert med lavere forekomst av arrbrokk (2 % mot 15 %) (7). Retningslinjene angir at midtlinjeincisjoner har høyere forekomst av arrbrokk selv ved korte snitt, og foreslår at man unngår midtlinjen ved laparotomi og ved uttak av preparat (1).

Portbrokk

Brokk i trokarincisjon synes å være en sjelden komplikasjon ved laparoskopisk kirurgi, men den virkelige forekomsten er nok underrapportert. Ved oppfølging av pasienter etter overvektskirurgi fant man at det forelå portbrokk hos 3,2% av pasientene (8). Tallet var vesentlig høyere dersom oppfølgingen inkluderte radiologiske undersøkelser. Ved systematisk gjennomgang av 2838 pasienter som hadde gjennomgått singel port­fjerning av galleblæren, og av 3340 pasienter etter annen singel port­laparoskopi, fant man økt forekomst av portbrokk ved singel port­prosedyrer (9). Det foreligger ikke data på hvorvidt lukking av trokarincisjon eller type suturmateriale har noe å si for forekomsten av portbrokk. Retningslinjene antyder at risikoen for portbrokk er økt ved trokarsnitt over 10 mm, ved singel port­prosedyrer og der trokarer er plassert i navlen.

Hvordan lukke midtlinjelaparotomi?

I en Cochrane­metaanalyse av 11 RCTer som sammenlignet fortløpende og avbrutte suturer ved bruk av samme suturmatriale, ble det ikke funnet forskjell i forekomst av arrbrokk (10). Det var heller ikke forskjell når det gjaldt

16 I KIRURGEN 1-2024
TEMA: BUKVEGGEN

sårruptur og sårinfeksjoner. Retningslinjene anbefaler likevel fortløpende sutur fremfor avbrutte suturer, fordi tensjonen fordeles langs suturen og snittet, teknikken går fortere og etterlater mindre fremmedmateriale (1).

«Small bites»-teknikk

Small bites­teknikken består av tak i vevet 5­9 mm fra sårkanten. Taket skal kun involvere aponeurosen. Det skal være 5 mm mellomrom mellom takene for å oppnå jevn tensjonsfordeling på vevet. I studiene det refereres til, ble det brukt enkel (ikke loop­sutur) langsom resorberbar 2­0 tråd. Aponeurosekantene skal ligge pent ved siden av hverandre, ikke trekkes på plass. Vevsperfusjon er høyere ved lavtensjonslukking og det er da mindre risiko for iskemisk strangulasjon av fettvev og muskler (9). Hvis stingene løsner når bløtvev gir etter for suturene, blir aponeurosen separert og arrbrokk kan utvikles. Small bites­teknikk medfører en sutursårlengde­ratio på 4 til 1. To store RCTer med totalt 1222 pasienter og et års oppfølgingstid viste redusert risiko for arrbrokk ved small bites­teknikk (12,13). Det ble ikke funnet forskjell i forekomst av sårruptur og sårinfeksjon. Majoriteten av pasientene hadde BMI under 30.

Suturmateriale

Fasciens tilheling er en kompleks prosess; det tar over ett år før den er fullstendig tilhelet etter midtlinjelaparotomi. Det er rask økning i styrke fra åttende postoperative dag frem til to måneder postoperativt da fascien har oppnådd 50 % av sin opprinnelige styrke (14). Når resorberbar sutur brukes, må trådens egenskaper vurderes. Styrken reduseres over tid og når tråden har mistet 70­80 % av opprinnelig styrke, vil den ikke lenger kunne holde fascien sammen. Multifilament-suturer vil kun ha 25 % av styrken bevart etter fire uker og tråden er totalt resorbert etter åtte til ti uker. Langsomt resorberbare monofilament-suturer har derimot mer enn halvparten av styrken bevart etter seks uker og tråden er komplett resorbert først etter seks til åtte måneder (15­17). Ved lukking av midtlinjen anbefaler man kombinasjon av small bites­teknikk med langsomt resorberbar sutur for å redusere risikoen for arrbrokk.

Pasienter med økt risiko for utvikling av arrbrokk Årsaken til arrbrokk er ofte multifaktorell. Risikofaktorer

er komorbiditet, genetikk, anatomi, helserelatert adferd, immunsupprimerende medisiner, kirurgisk teknikk og sårinfeksjoner. Risikoen for utvikling av arrbrokk varierer mellom forskjellige prosedyrer (1). Arrbrokk er et resultat av ufullstendig eller forhindret tilheling. Risikopasienter har svekket sårtilheling som ved sårinfeksjon, diabetes, røyking, KOLS, overvekt og immunsuppresjon (1). Det er utviklet risikostratifiseringsverktøy som kan brukes til å hjelpe og beslutte indikasjon for profylaktiske nett ved lukking av buk. Et eksempel er «HERNIA­score» som bruker BMI, KOLS, sårlengde og tidligere abdominal kirurgi (1).

Nettforsterkning ved elektiv lukking av midtlinjesnitt?

I 12 RCTer med til sammen 1815 pasienter sammenlignet man nettforsterkning med primær sutur hos pasienter som gjennomgikk midtlinjelaparotomi (18). Minimum oppfølgingstid var ett år. I disse studiene fant man at risiko for å utvikle arrbrokk var lavere hos pasientene som fikk nettforsterkning (18). En annen studie viste at plassering av nettet over fascien (onlay) også ga mindre arrbrokk (19).

En metaanalyse som sammenlignet primærsutur med plassering av nett i forskjellige plan viste lavere risiko for utvikling av brokk ved forsterkning med nett, men ingen forskjell i sårinfeksjoner (20). Det ble heller ikke funnet økt forekomst av kronisk smerter hos pasienter med nettforsterkning sammenlignet primær lukking av midtlinjen. Andre aspekter med profylaktiske nett som ble adressert, var økte kostnader og lengre operasjonstid, men sammenholdt med kostnader knyttet til arrbrokk, ble profylaktiske nett alt i alt antatt å være besparende sammenlignet med primærsutur. Retningslinjene sier at profylaktiske nett til forsterkning av midtlinjen kan vurderes ved elektiv kirurgi (1). Det bemerkes at det i retningslinjene ikke spesifiseres hvilke pasienter dette gjelder, men at studiene det henvises til i stor grad er gjort på risikopasienter.

Profylakstiske nett ved akutt laparotomi

Det foreligger ingen anbefaling om å legge profylaktisk nett ved akutt kirurgi.

KIRURGEN 1-2024 I 17
TEMA: BUKVEGGEN

EHS oppdaterte retningslinjer Anbefalinger

Evidens Styrke på anbefaling Åpen eller laparoskopisk kirurgi Laparoskopi er anbefalt hvis trygt Lav Svak

Incisjoner

Portbrokk

Unngå midtlinjen ved uttak av preparater og laparotomi Lav Svak

Høyere insidens ved trokarsnitt over 10 mm, i navlen og ved singel port

Veldig lav Svak

Midtlinjelaparotomi «Small bites»-suturteknikk med langsom resorberbar sutur Lav Svak

Profylaktisk nettforsterkning Profylaktisk nettforsterkning reduserer risiko for utvikling av arrbrokk

Brokkbind

Lav Svak

Ingen anbefalinger for eller imot brokkbind etter abdominal kirurgi - -

Restriksjoner i aktivitet Ingen anbefalinger om restriksjoner - -

Sutur Kontinuerlig sutur

Brokkbind etter åpen abdominalkirurgi?

Det foreligger ikke data som støtter bruken av brokkbind for å motvirke arrbrokk, sårinfeksjon eller sårruptur (1). Retningslinjene har ingen anbefalinger for eller imot bruk av brokkbind.

Er redusert aktivitet etter åpen abdominalkirurgi gunstig?

Det foreligger sparsomt med litteratur hvorvidt begrensninger i fysisk aktivitet etter åpen abdominalkirurgi er gunstig (1). Spesielt finnes ingen sammenlignbare prospektive studier som ser på lungefunksjon, sårruptur, arrbrokk eller sårinfeksjon. Grunnet manglende evidens, gir ikke retningslinjene anbefalinger om restriksjoner i aktivitet etter åpen abdominalkirurgi (1). Under den 41. EHS­kongressen ble det imidlertid gjennomført en ekspertundersøkelse, der de fleste ekspertene anså fire uker uten fysisk belastende aktivitet etter midtlinjelaparotomi som passende.

OPPSUMMERING

Oppdaterte retningslinjer hjelper kirurger med å velge optimal tilnærming og lokalisasjon ved bukveggsincisjoner (Tabell 1) .

Retningslinjene angir at det er redusert risiko for å utvikle brokk og sårinfeksjoner ved laparoskopisk kirur­

Lav Svak

gi og denne tilgangen kan forsøkes når det anses trygt. Midtlinjeincisjoner har høyere forekomst av arrbrokk, selv ved kortere snitt. Retningslinjene foreslår at man unngår midtlinjen ved laparotomi og ved uttak av preparat. Risikoen for portbrokk er økt ved trokarsnitt over 10 mm, singelportprosedyrer og der trokar er plassert i navlen.

Fortløpende sutur bør benyttes fremfor avbrutte suturer, fordi tensjon fordeles, teknikken er raskere og etterlater mindre fremmedmateriale.

Retningslinjene anbefaler "small bite"­teknikk med langsom resorberbar sutur når man skal lukke midtlinjen da dette reduserer risiko for arrbrokk. I tillegg foreslår retningslinjene å bruke profylaktiske nett til forsterkning av midtlinjen ved elektiv kirurgi.

Det foreligger ingen anbefalinger for eller imot bruk av brokkbind. Retningslinjene har heller ingen anbefalinger om restriksjoner i aktivitet etter åpen abdominalkirurgi.

REFERANSER :

Se bakerst i nettutgaven på kirurgen.no

18 I KIRURGEN 1-2024
TABELL 1. EHS og AHS sine anbefalinger for å unngå arrbrokk.
TEMA: BUKVEGGEN

STABIL LEVERING

BCG-medac (BCG (Bacillus Calmette-Guérin) bakterier avledet fra Mycobacterium bovis-stamme), pulver og væske til intravesikalsuspensjon. Indikasjoner: Behandling av ikke-invasiv urotelial blærekreft (karsinom): kurativ behandling av karsinom in situ. Profylaktisk behandling av rekurrens av: urotelial karsinom begrenset til mucosa: Ta G1-G2 hvis multifokal og/eller rekurrent tumor, Ta G3, urotelial karsinom i lamina propria, men ikke i blærens muskulatur (T1), karsinom in situ. Dosering*: BCG-behandling skal starte ca. 2(–3 uker etter transuretral reseksjon (TUR) eller blærebiopsi, og uten katetertraumatisering, og gjentas med en ukes mellomrom i 6 uker. Dette bør oppfølges med vedlikeholdsterapi, i det minste for tumorer med middels og høy risiko. Planer for vedlikeholdsterapi blir beskrevet i preparatomtale. Kontraindikasjoner: Overfølsomhet overfor virkestoffet eller overfor noen av hjelpestoffene, immunsuppresjon eller kongenitale eller akvirerte immundefekter, aktiv tuberkulose, tidligere strålebehandling av blæren, amming, skal ikke instilleres før 2 til 3 uker etter TUR, blærebiopsi eller katetertraumatisering, blæreperforasjon som kan resultere i en økt risiko for alvorlige infeksjoner i hele kroppen, akutt urinveisinfeksjon. Advarsler og forsiktighetsregler*: BCG-medac skal ikke brukes til subkutan, intradermal, intramuskulær eller intravenøs administrasjon eller vaksinasjon. Det kan representere en utfordring å skille en BCG-infeksjon fra en BCG-immunreaksjon, da symptomene innledningsvis er svært like. I motsetning til dette er en forbigående systemisk BCG-reaksjon en svært vanlig bivirkning som må differensieres. De kliniske tegnene og symptomene på begynnende BCG-infeksjon/-reaksjon er feber > 39,5 °C i minst 12 timer, feber > 38,5 °C i minst 48 timer og forverret allmenntilstand. Typiske tegn på infeksjon er utvikling av miliær pneumoni, granulomatøs hepatitt, abnormiteter i leverfunksjonstest (særlig forhøyet alkalisk fosfatase), organdysfunksjon (annet enn urogenitalsystem) med granulomatøs inflammasjon ved biopsi over tid. Ved mistanke om systemisk infeksjon må lege som er spesialist på infeksjonssykdommer konsulteres. BCGinfeksjon kan potensielt være dødelig. Infeksjon i urinveiene skal utelukkes før hver instillasjon av BCG i blæren. Hvis en inflammasjon i urinrøret blir oppdaget under BCG-behandling, skal behandlingen avsluttes inntil en igjen får negativ bakteriekultur fra urin, og behandling med antibiotika er avsluttet. Muligheten for alvorlig systemisk BCG-infeksjon med behov for anti-tuberkulosebehandling må tas i betraktning før BCG-behandlingen starter, særlig hos eldre pasienter og pasienter med nedsatt leverfunksjon. I tilfelle mistanke om systemisk infeksjon bør en rådføre seg med en lege som er spesialist på smittsomme sykdommer. BCG-infeksjon kan potensielt være dødelig. Graviditet og amning*: Skal ikke brukes under graviditet, kontraindisert ved amming. Påvirkning av evnen til å kjøre bil og bruke maskiner: Lokale eller systemiske symptomer under behandling med BCG-medac kan påvirke evnen til å kjøre bil og bruke maskiner. Bivirkninger*: Svært vanlige: cystitt og betennelse (granulom) i blæren, asymptomatisk granulomatøs prostatitt, forbigående systemisk BCG-reaksjon (feber < 38,5 °C, influensalignende symptomer, inkludert illebefinnende, feber, frysninger, generelt ubehag, myalgi), kvalme, hyppig vannlating med ubehag og smerte, fatigue. Vanlige: diaré, abdominalsmerter, myalgi, urininkontinens, feber > 38,5 °C. H-resept. Reseptgruppe C. Pakninger og priser: 3 sett (hettegl. + pose), 6 500,30 kr. (priser og refusjon oppdateres hver 14. dag). Baserat på produktresume: 12.2023. ATC-kode: L03AX03 medac, e-mail: info@medac.no, tel +47 90 63 81 04, Postboks 84, 1312 Slependen, Norge. *Se Felleskatalogen eller SPC for mer informasjon. NO 360/012024

www.medac.no
info@medac.no|

TEMA:

AKUTTE DIAFRAGMAHERNIER

Denne artikkelen baserer seg på gastrokirurgisk metodebok for Oslo universitetssykehus, Ullevål (https://ehandboken.ous-hf.no/folder/1061).

KRISTIN KJELLEVOLD

GASTROKIRURGISK AVDELING, BÆRUM SYKEHUS, VESTRE VIKEN

KORRESPONDANSE: KRISTIN KJELLEVOLD – KRISTIN.KJELLEVOLD @ GMAIL.COM

BAKGRUNN

Diafragmahernier er en sjelden tilstand som enkelte ganger er livstruende, også hos voksne. Herniering av intraabdominale organer til thorax kan føre til inkarserering, strangulasjon og perforasjon av tarm eller ventrikkel. Inneklemte bukorganer i thorax kan også føre til kompresjon av lunger og gi respirasjonssvikt eller til kompresjon av vena cava og hjertet og medføre sirkulasjonssvikt.

KLASSIFISERING

Diafragmahernier må ikke forveksles med hiatushernier, som er langt vanligere, og der hernieringen skjer gjennom hiatus ved siden av øsofagus, og ikke gjennom en defekt i diafragma. Man skiller mellom medfødte og ervervede diafragmahernier:

MEDFØDTE DIAFRAGMA HERNIER

Forekomsten er 1 til 4 av 10.000 fødte (figur 1).

Bochdalek hernier er den vanligste formen for medfødte diafragmahernier, og utgjør 95% (figur 2). De forekommer hyppigst på venstre side og med typisk posterior beliggenhet. Kun 15% av Bochdalek herniene finnes på høyre side. Denne typen brokk diagnostiseres som regel prenatalt eller i nyfødtperioden. Insidensen hos voksne er 0,17% og gjennomsnittsalder for diagnose hos voksne er 40 år.

Morgagni hernier utgjør 2% av alle medfødte diafragmahernier (figur 3). Tilstanden skyldes en fremre retrosternal eller parasternal defekt i diafragma. Morgagnihernier kan forbli asymptomatiske og gjennomsnittsalderen ved diagnosetidspunktet er 42 år. En forklaring på sen debut av symptomer er at brokksekken øker i løpet av livet på grunn av høyere trykk i bukhulen enn i thorax.

90% av Morgagniherniene er beliggende på høyre side. På venstre side er åpningen dekket av perikard.

Diafragma eventrasjon er en tilstand der muskulaturen i deler av diafragma er erstattet av et tynt bindevev. Det foreligger ingen defekt i diafragma og tilstanden kan forveksles med diafragmaparese.

ERVERVEDE DIAFRAGMA HERNIER

Posttraumatiske diafragmahernier er defekter i diafragma som har oppstått i forbindelse med traume og ikke erkjent i akuttfasen.

Iatrogene diafragmahernier skyldes stort sett kirurgi. Typiske inngrep med risiko for diafragmaskade er leverreseksjoner, thorakoabdominale aortaoperasjoner og peritonektomi.

Ervervede diafragmahernier kan være betydningsløse og vanskelig å oppdage tidlig, men øke i størrelse og gi symptomer etter lang tid.

UTREDNING

Røntgen thorax kan gi mistanke om diafragmahernie. Se etter luftfylte strukturer over diafragma og mediastinal overskyting.

CT­thorax/­abdomen gjennomføres for videre kartlegging.

BEHANDLING

Øyeblikkelig hjelp: Anlegge ventrikkelsonde! Det kan være livreddende ved inneklemt ventrikkel i thorax og ved mediastinal oveskyting.

20 I KIRURGEN 1-2024
BUKVEGGEN

TEMA: BUKVEGGEN

Kirurgi gjennomføres i form av laparotomi eller laparoskopi. Tilgang fra thorax er sjelden nødvendig.

Bochdalek hernier er lokalisert baktil, og det kan være vanskelig å få oversikt ved laparoskopi. Enkelte ganger vil det være nødvendig å utvide brokkporten for å reponere brokkinnhold. Hvis det mangler diafragma mot costa kan det være aktuelt å benytte benankere for å feste nettet til costa. Dette kan ikke gjøres laparoskopisk. Uansett teknikk for feste må man unngå klem på nerve og karstrengen som forløper under hver costa.

Morgagnihernier repareres stort sett enklest laparoskopisk da brokkinnholdet ofte er lett å reponere, og brokkporten er lokalisert ventralt.

Tilgangen ved ervervede diafragmahernier avhenger av størrelse, beliggenhet og adheranser intraabdominalt og i thorax.

På grunn av fare for inneklemming, bør det være lav terskel for elektiv operasjon også for asymptomatisk, tilfeldig oppdagede diafragmahernier; dette til forskjell fra hiatushernier.

Generell kirurgisk metode: Man reponerer brokket og ekstirperer brokksekken der det ligger til rette for det. Morgagni hernier har ofte brokksekk som lar seg ekstirpere, mens Bochdalek hernier ofte mangler brokksekk. Brokkporten lukkes med fortløpende langtidsresorberbar sutur. Man kan vurdere å benytte transfascielle suturer i bukveggen ventralt for diafragma. Defekten

skal dekkes med et nett med barriere intraabdominalt. Nettet sutureres til diafragma med langtidsresorberbare suturer med 5cm overlapp på diafragma fra kanten av brokkdefekten. Unngå skade på perikard ved å sette helt overfladiske suturer i dette området. Resorberbare ankere kan eventuelt brukes i bukveggen ventralt for diafragma. Det kan være nyttig å feste enkelte suturer med nål på nettet før det legges inn, for å lette forankringen av nettet dorsalt.

Thoraxdren vurderes ved operasjon for Bochdalek hernier og store ervervede brokk.

Ved reponering av mye tarm fra thorax, er det risiko for utvikling av abdominalt compartment syndrom. I slike tilfeller kan man vurdere åpen buk med gradvis sammentrekking postoperativt.

Måling av blæretrykk kan avsløre utvikling av intraabdominal hypertensjon og blæretrykket bør følges hos risikopasienter. Ved elektiv kirurgi kan preoperativ botox­behandling benyttes som profylakse mot postoperativ intraabdominal hypertensjon.

RESYME

Diafragmahernie er en potensielt livstruende tilstand også hos voksne. Anleggelse av nasogastrisk sonde kan være livreddede i tilfeller med inneklemt ventrikkel i brokkporten.

Diafragmahernier hos voksne kan som regel repareres med tilgang fra abdomen.

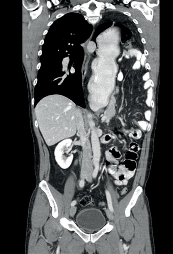
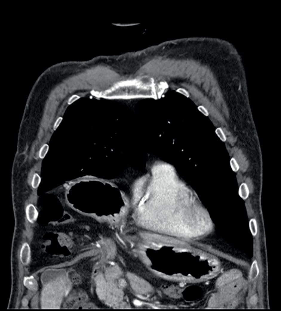
KIRURGEN 1-2024 I 21
FIGUR 3: CT-bilde av en pasient med et Morgagni hernie hvor tarm og ventrikkel har herniert opp i høyre torakshule. FIGUR 1: Oversikt over medfødte diafragmahernier. IVC = Inferior Vena Cava. FIGUR 2: CT-bilde av en pasient med et Bochdalek hernie hvor tynntarm, kolon og ventrikkel har herniert opp i venstre thorakshule og fyller store deler av denne.

I LIVE ELLER LEVE?

Revestive gir økt frihet1 63 % av pasientene som ble behandlet med Revestive fikk minst 20 %reduksjon fra baseline i ukentlig behov for parenteral støttebehandling mot 30 % med placebo etter 6 måneder1

REVESTIVE (teduglutid)

1,25 mg og 5 mg, pulver og væske til injeksjonsvæske, oppløsning

Indikasjon: Revestive er indisert til behandling av pasienter i alderen 4 måneder korrigert gestasjonsalder og eldre med kort tarm-syndrom (Short Bowel Syndrome, SBS). Pasienter bør være stabile etter en periode med intestinal adapsjon etter kirurgi.

Kontraindikasjoner: Overfølsomhet for tetrasyklinrester. Aktivt eller mistenkt malignitet. Malignitet i mage-tarmkanalen, inkl. lever- og gallesystemet samt pankreas i løpet av de siste 5 årene Forsiktighetsregler: En koloskopi med fjerning av polypper bør gjennomføres ved oppstart av behandling. Før behandlingsoppstart hos barn bør det tas prøver for okkult blod i avføringen, deretter årlige prøver. Ved symptomer relatert til galleblæren eller galleganger, bivirkninger i pankreas, gjentagende tarmobstruksjon skal behovet for fortsatt behandling med Revestive revurderes. Bør ikke brukes under graviditet og amming.

Hyppigst rapporterte bivirkninger: Abdominal smerte og distensjon, luftveisinfeksjoner (inklusiv nasofaryngitt, influensa, øvre luftveisinfeksjon og nedre luftveisinfeksjon), kvalme, reaksjoner på injeksjonsstedet, hodepine og oppkast. Pasienter med gastrointestinal stomi opplevde komplikasjoner med stomien.

Dosering: Preparatnavn og produksjonsnr. skal noteres i pasientjournalen. Behandling av voksne og barn skal startes opp under veiledning av helsepersonell med erfaring i behandling av hhv. SBS og pediatrisk SBS. Optimalisering og stabilisering av i.v. væske og ernæring bør være gjennomført før behandlingsstart. Voksne inkl. eldre >65 år: Hetteglass 5 mg: 0,05 mg/kg kroppsvekt 1 gang daglig. Forsiktig nedtitrering av daglig dose kan vurderes for å optimere toleransen av behandlingen. Rekonstituert Revestive gis som s.c. injeksjon i magen, ev. i låret hvis dette ikke er mulig. Skal ikke gis i.v. eller i.m. Barn og ungdom 4 mnd korrigert gestasjonsalder - 17 år: 0,05 mg/kg kroppsvekt 1 gang daglig. Kroppsvekt >20 kg: Hetteglass 5 mg brukes.

Pakninger, priser og refusjon: 1,25 mg: 1 sett (28 hettegl. m/pulver + 28 ferdigfylte sprøyter m/oppløsningsvæske) kr. 110 579,10. H-resept. 5 mg: 1 sett (28 hettegl. m/ pulver + 28 ferdigfylte sprøyter m/oppløsningsvæske) kr. 226537,10. H-resept.

Reseptgruppe: C.

For fullstendig preparatomtale, se Revestive SPC (godkjent 19.06.2023) www.legemiddelsok.no

REFERANSER

1. Jeppesen PB, Pertkiewicz M, Messing B, et al. Teduglutide Reduces Need for Parenteral Support Among Patients With Short Bowel Syndrome With Intestinal Failure. Gastroenterology. 2012;143(6):1473-81

2. Revestive SPC (godkjent 19.06.2023) avsnitt 4.1-4.6 og 4.8. Se www.legemiddelsok.no

Takeda AS • Postboks 205 • 1372 Asker • Tlf. 800 800 30 • www.takeda.no • C-APROM/NO/REV/0060/14383 • Utarbeidet Juli 2023
UTVALGT PRODUKT- OG SIKKERHETSINFORMASJON 2

KUTT OG KONSEKVENSER

- ELLER SY SAMMEN FREMTIDEN?

UNIVERSITETSSYKEHUSET NORD - NORGE, HARSTAD BISPEBJERG HOSPITAL, KØBENHAVN

KORRESPONDANSE: KNUT.BORCH @ UNN.NO

Kirurgisk utdanning er en hjørnestein i et trygt og effektivt helsevesen, og utdanningen har de siste hundre år hatt en suksessiv utvikling. Det historiske mester-svenn-konseptet har blitt supplert med individuelle utdanningsplaner, numeriske krav til gjennomførte prosedyrer, konkrete læringsmål og økende digitalisering. Dette har vært nødvendig for at utdanningskandidatene skal kunne fungere i den stadig mer avanserte kirurgiske verden og etterleve høye krav til kvalitet og pasientsikkerhet. Innføringen av robot­assistert kirurgi har vist vei mot et enda høyere nivå med økt standardisering, krav til simulering, videoopptak og evaluering av objektive prestasjonsdata. Fremtiden til norsk helsevesen avgjøres av utdanningen som tilbys og pasientene bør ikke utsettes for våre læringskurver. Denne artikkelen tar for seg noen av utfordringene i kirurgisk utdanning og tanker om mulige løsninger.

INVESTERE I KVALITETSSIKRET KOMPETANSE ELLER

BÆRE KOSTNADENE VED FEIL?

Kirurgiske leger i spesialisering (LIS) følger nå Kompetanseportalens krav gjennom sin utdanning, dokumentert med signaturer fra overordnede leger. Kompetanseportalen var et viktig fremskritt for å kartlegge progresjonen til LIS. Utfordringen er å vite hvilken kompetanse denne dokumentasjonen innebærer. Endringen fra obligatoriske kurs og prosedyrelister til nasjonale læringsaktiviteter for LIS kan svekke læringsutbyttet i utdanningsårene. Artikkelen med tittelen “Tannløse spesialitetskomiteer” inneholder en kraftig advarsel mot dagens utdanningssystem for yngre kolleger (1). Det kirurgiske feltet utvikler seg raskt, spesielt i bukveggskirurgien. Det er derfor nød­

vendig at spesialistene videreutvikler sin kompetanse. De mer kompliserte pasientforløpene krever også at flere yrkesgrupper samhandler og koordinert løser oppgavene. Manglende praktisk og teoretisk kompetanse, samt samhandlingskompetanse kan føre til feil og pasientskader med store menneskelige og økonomiske konsekvenser. Kvalitetssikring av kompetanse og sikkerhetssystemer innen helse henger etter andre høyrisikobransjer (2). Mange steder drives utdanning av ildsjeler som investerer dyrebar fritid til utdanning av LIS. Fra et systemperspektiv er ikke dette bærekraftig, fremtidsrettet eller skalerbart.

Det norske sykehusvesenet må stadig kutte kostnader, og utdanningen lider av dette. Det er besynderlig at det ikke er større fokus på de besparelser som økt kvalitet og reduksjon av feil kan gi. Arianson­utvalgets rapport “Med åpne kort” fra 2015 påpekte at Norge manglet tall for kostnaden av uønskede hendelser (3). Utvalget viste til svenske estimater hvor man ved å forhindre de forebyggbare uønskede hendelsene kunne spare mellom 6,9 til 8,1 milliarder årlig. Norge og Sverige har om lag like stor forekomst av uønskede hendelser innen medisin (4). En dansk studie av akuttpasienter justert for alder, kjønn og diagnose fant en merkostnad på 9505 euro per pasientforløp med en uønsket hendelse (5).

Organisasjonen for Economic Co­operation and Development (OECD) estimerer at gjennomsnittlig 15% av kostnadene til en sykehusavdeling er knyttet til konsekvensene av feil, og at rundt 50% av disse kan forebygges (6). Kirurgiske og intensivavdelinger har ofte en høyere andel

KIRURGEN 1-2024 I 23
BUKVEGGEN
TEMA:

uønskede hendelser grunnet økt kompleksitet i behandlingen. En svensk studie påviste at 26 % av kirurgiske pasienter opplevde minst en uønsket hendelse. Kun 6 % av de disse var varslet (7). Dette kan tyde på en massiv underrapportering og derav manglende erkjennelse av feil.

Uønskede hendelser koster ikke bare penger, men også tid. Tiden vår presses av allerede økt krav til produksjon, dokumentasjon og administrasjon. Minimal bemanning skaper uforutsigbarhet. Kronisk overbelegg skaper logistikkproblemer som legene må løse. Veiledersamtaler og utdanningsmøter avlyses eller utsettes på grunn av samtidighetskonflikter eller tidsmangel. Tidsklemmen og de årlige påtrengende kuttene i budsjettene bidrar til å skape dårlige vekstforhold for gode offentlige utdanningssystemer.

En gradvis privatisering av helsevesenet kan skape ytterligere utfordringer for fremtidens utdanning ved å drenere det offentlige for utdanningsoperasjoner. I Danmark foregår en stadig større andel av utdanningsinngrep på private sykehus. I 2013 ble kun 13 % av lyskebrokkoperasjonene gjort privat, mens i 2022 var andelen steget til 38 %. De private sykehusene angir at de kan tilby utdanning, men da mot en kompensasjon for tapt effektivitet (7,8).

Helsepersonellkommisjonen påpekte i februar 2023 det åpenbare, at utdanning og kompetanseutvikling bør være et satsingsområde for å sikre et bærekraftig helsevesen i fremtiden (9). Hvordan utdanningen konkret bør styrkes ble ikke nevnt.

UTDANNING HAR SIN PRIS

Medisinsk­teknisk industri har i mange år hatt en avgjørende rolle i utviklingen av norsk bukveggskirurgi. Baksiden er den åpenbare interessekonflikten og den innflytelse medisinsk-teknisk industri kan ha på kirurgisk praksis. Industrien har tidligere kunnet invitere kirurger til gode og kostnadsfrie kurs i både inn­ og utland, men endringer i regelverket kan gjøre dette vanskeligere. Et European Hernia Society (EHS)­kurs koster i alt 10.000 –25.000 kroner per deltager (figur 1). Få norske avdelingsledere har økonomisk handlingsrom til å sende sine kirurger på slike kurs.

Industrien har forstått betydningen av gode digitale utdanningsplattformer. I dag har samtlige store produsenter av utstyr til bukveggskirurgi bygget egne digitale utdanningsplattformer. Disse kan være attraktive for norske avdelinger med utilstrekkelige budsjetter for utdanning. Innholdet kan dog ikke forventes å være produktnøytralt og objektivt.

Abonnementsbaserte plattformer som Score, Meducate og Incision Academy er tilgjengelige for de betalingsvillige i en tidlig fase av utdanningen. YouTube er reklamedrevet og har blitt populært på grunn av sin store tilgjengelighet. Dessverre har plattformen minimal kvalitetssikring av innholdet. På Facebook­gruppen “International Hernia Collaboration” (IHC) kan kirurger søke råd hos andre innenfor samme felt og utforske nye teknikker. IHC har nå over 13.300 medlemmer til tross for tvilsom håndtering av pasientopplysninger. Dette kan indikere at community­forum er et attraktivt supplement i utdan­

24 I KIRURGEN 1-2024
TEMA: BUKVEGGEN
FIGUR 1. EHS Intermediate Kurs i Barcelona, April 2023

ning og bør tilbys i tryggere rammer. Et flott norsk initiativ for basale kirurgiske ferdigheter er Lommekirurgi. no. Nettsiden drives av Rajabi, Delhi og Losvik og bruker YouTube til å dele sine videoer. EHS tilbyr utdanningsvideoer på sin nettside, men fordrer betalt medlemskap i foreningen.

Artikler er en viktig del av det teoretiske utdanningsmaterialet, men kommer ofte til en høy pris. Dagens system med tidsskriftpublikasjoner krever enten at forskningsinstitusjonene betaler 5 000­15 000 kr for å publisere artikler som “open access” eller at leseren betaler for tilgang i form av et tidsskriftabonnement eller kjøp av enkeltartikler. En artikkel kan, uten abonnement, koste 500 kr. Det at kirurgers kunnskap og forskning låses bak betalingsmurer av profiterende tredjeparter, med opptil 40% profitt, er til hinder for vår felles utvikling. Publikasjonspoengsordningen er til den profiterende tredjeparts store fordel. Dr. Hagve belyser den moderne publikasjonsindustri i sin tidsskriftartikkel i 2020 (10). Eierne av kunnskapen burde i utgangspunktet ha både distribusjons­, bruks­ og eventuelle kommersielle rettigheter til sitt materiale. Bokpublikasjoner gir sjelden forfatterne en økonomisk kompensasjon som tilsvarer arbeidet som er lagt ned. Publikasjonshuset sitter igjen med den økonomiske gevinsten.

I bukveggskirurgien utvikles stadig nye teknikker med velklingende akronymer: SCOLA (subcutaneous onlay laparoscopic approach), LIRA (laparoscopic intracorporeal rectus aponeuroplasty) eller PUMP (preperitoneal umbilical mesh repair). Dissemineringen av disse foregår gjennom tidsskriftpublikasjoner, industri­ eller foreningskurs, nettbaserte videoarkiver og sosiale media. En artikkel i New York Times i oktober 2023 belyste dissemineringen av transversus abdominis release (TAR), komplikasjoner til robotassistert TAR og allmenhetens kritiske blikk på dette (11). Spørsmålet vi bør stille oss er hvorvidt vi kan være trygge på kvaliteten når vi introduserer nye teknikker. Laparoskopisk Rives­Stoppa utføres flere steder i Norge. Et dagskurs med industrien og selvstudium av online­videoer bør ikke være tilstrekkelig opplæring for å implementere et så avansert inngrep i en usupervisert praksis.

BRUK AV VIDEO I UTDANNING – TIL GLEDE ELLER BEKYMRING?

Videoopptak av operasjoner har et stort potensialet for både utdanning, kvalitetssikring og for å stimulere en tryggere læringskultur (12). Dessverre har fortsatt mange norske avdelinger ikke dette installert på grunn dårlig økonomi og nedprioritering fra ledelsen. Av de som har slikt utstyr, har få avdelinger avsatt tid til å redigere

videoene for å utnytte læringspotensialet i dem. Medisinsk­teknisk industri har forstått verdien av videodata og tilbyr opptaksløsninger med høy brukervennlighet. Disse videodataene lagres ofte på servere eid av selskapene. Utviklingen av kunstig intelligens ventes å ytterligere øke verdien av videodata. I de siste tiår har vi sett at selskapene bak store sosiale mediaplattformer har gjort salg av data til tredjeparter til en stor inntektskilde. Det er uvisst om og eventuelt hvordan industrien vil bruke slike videodata. Det kan være klokt av norske kirurgiske avdelinger å sikre eierskapet til sine videodata.

Noen kirurger kan oppleve at videoopptak innebærer å bli overvåket. Tanken på å dele video av egne operasjoner kan være ubehagelig på grunn av frykt for kritikk. Fra EHS­kongressene vet vi at videosesjoner med uønskede hendelser er svært populære. Det må være en forutsetning for videoopptak at det skjer med mål om faglig utvikling i en trygg læringskultur. Innovasjonsmidler fra Helse Nord gjorde at UNN Harstad kunne innføre videoopptak av både laparoskopisk og åpen kirurgi som standard i starten av 2023. Morgenmøter med video fra gårsdagens utfordringer på operasjonsstuene har vist seg å skape kollektiv læring og bedre felles forståelse i kollegiet om pasientenes tilstander. Abdominalcenteret på Bispebjerg hospital starter i 2024 et prosjekt kalt “Learn from my failures”. En gang i måneden vil erfarne overleger vise videoer til LIS og andre kollegaer fra sine operasjoner som ikke gikk helt som planlagt. I en ideell fremtid vil kanskje hver avdeling ha et videoarkiv over lærerike hendelser som kan deles med andre på tvers av helseregionene. Helsemyndighetene har ønsket et slikt samarbeid (13). Ved UNN Harstad er det svært sjeldent at pasienter ikke ønsker å gi samtykke til deling av sine operasjoner for utdanningsformål. Kanskje vi i fremtiden får kirurger med avsatt tid til å identifisere og redigere lærerike videoer? Kirurgi har fellestrekk med toppidrett. På samme vis som at det er naturlig for toppidrettsutøvere å få coaching utifra videoer av deres prestasjoner, kan kirurgene veilede hverandre ved hjelp av videopptak (14).

UTDANNING – ET FAG I UTVIKLING

Utdanning er en vitenskap. Det tradisjonelle paradigmet “See one, do one, teach one” fra begynnelsen av forrige århundre har gjennom forskning blitt videreutviklet til en seks trinns moderne læringsprosess, der kandidaten systematisk trenes med både kognitiv og psykomotorisk trening, resultatkontroll og vedlikehold av ferdighetene (15).

Pedagogikk er ingen medfødt kunnskap. Således kan de obligatoriske veilederkurs som er innført i sykehusene være gunstige. LapcoNors “Train The Trainer”­kurs har

KIRURGEN 1-2024 I 25
TEMA: BUKVEGGEN

TEMA: BUKVEGGEN

vist hvordan vi kan styrke den praktiske veiledning på operasjonsstuene. I juni 2024 vil EHS for første gang organisere et slikt kurs for brokk­kirurgi. Forening for Unge Norske Kirurger (FUNK) gode initiativ “Mester og svenn”-kampanjen (figur 2) øker fokus på forberedelse, trinnvis læring, rolleavklaring og evaluering. Kanskje bør et kurs i praktisk kirurgisk veiledning innføres for alle kirurgiske overleger i norske sykehus?

STANDARDISERING – ER DET MULIG?

Mangelen på standardisert utdanning gjør at samtlige sykehus selv må besørge innholdet i utdanningen de tilbyr. Fordelen er at sykehusene kan tilpasse utdanningen utifra sine forutsetninger, logistikk og økonomi. Ulempen er at kvaliteten og innholdet vil kunne variere, samt at det krever mye tid å lage et fullgodt utdanningsopplegg. Standardisering omhandler også hvilke operasjoner som skal utføres og hvordan de skal gjennomføres. Læringsmål for generell kirurgi 091 sier at kandidaten skal: “Beherske åpen og preperitoneal teknikk for operasjon av lyskebrokk/femoralbrokk” med et minimums krav på 30 lyskebrokk. Er det Lichtenstein, Shouldice, Desarda, McWay, Plug and Patch, TAPP, TEP, TIPP, eller Ponsky­teknikk? Har vi en felles forståelse for hvordan disse ulike teknikkene skal utføres og undervises?

Noen sykehus har videosamlinger eller dokumenter som beskriver den lokale standard for de ulike operasjonene. Andre sykehus mangler standardiseringsverktøy eller

tid, slik at kunnskapsoverføringen kan minne om det som kalles “Chinese whisper”. Her hvisker man videre det budskap man selv hørte til sin sidemann, som så gjentar prosessen. Etter noen ledd er som oftest budskapet endret til noe ganske annet enn utgangpunktet. Slike særegne varianter kan sjelden forsvares med gode oppfølgingsdata. Lichtenstein­teknikken for lyskebrokk har noen steder blitt modifisert til “Mykindofstein». YouTube har mange grelle eksempler på klassiske brokkoperasjoner som er modifisert til det ugjenkjennelige. Disse videoene som bryter grunnleggende kirurgiske prinsipper, setter pasienter i fare for residiv, kroniske smerter og alvorlig morbiditet. LapcoNor­gruppen har gjort et godt standardiseringsarbeid og utviklet et svært godt kurs for sine standarder. Helse Nords kolonkirurgi­prosjekt noen år tilbake viste at standarder kan implementeres regionalt ved inkluderende samarbeid mellom store og små sykehus (16).

Kirurgi kan være komplisert og er ikke alltid en kronologisk forutsigbar prosess. Kirurger må kunne mestre operasjonenes ulike variasjoner. Et godt standardiserings- og utdanningsverktøy bør også beskrive hvordan variasjon og utfordringer for de ulike prosedyrene bør løses. Et eksempel kan være en peritoneal rotasjonsflap-løsning for å bøte på utfordringen med en stor peritoneal defekt ved TAPP, fremfor et inguinalt IntraPeritoneal Onlay Mesh (IPOM) eller et kostbart biologisk nett som patch.

26 I KIRURGEN 1-2024
FIGUR 2. FUNKs Mester og svennkampanje.

Standardisering kan gi frykt for tap av autonomi, og kan også gi inntrykk av at det kun er en akseptabel metode. Kanskje vi heller burde tenke på «standardiseringskorridorer», der et trinn i en operasjon har flere akseptable løsninger. Slike korridorer vil nødvendigvis også ekskludere noen løsninger. For eksempel bør multiple penetrerende tackere for fiksasjon av nettet ved TEP og TAPP unngås (figur 3) da det øker risikoen for kroniske smerter.

INNOVASJON I KIRURGISK UTDANNING

Å innovere et nytt verktøy for utdanning koster titalls millioner. Verken helseforetak eller sykehus vil kunne bære slike kostnader. Jeg hadde et sterkt ønske om å utvikle et slikt verktøy, men det ble i samtaler med Helsedepartementet for seks år siden klart at den eneste måten å gjøre dette på, var gjennom offentlig-privat samarbeid. Daværende og nåværende leder av Norsk Kirurgisk Forening deltok på dette møtet. Den åpenbare ulempen med dette samarbeidet var at det måtte opprettes et privat selskap. Et selskap må ha eiere og følgelig måtte jeg selv starte et selskap og finne private investorer som delte visjonen om en bedre kirurgisk utdanning. Dette åpnet for tilskudd fra Innovasjon Norge, innovasjonsmidler fra Universitetssykehuset Nord­Norge Harstad og Stavanger Universitetssykehus (SUS). Utdanning i dag drives med lisenser til både Microsoft, Kompetanseplattformen, Intuitive og flere andre og sykehusene betaler årlig milliarder i lisenser for sine datasystemer. Til tross for dette er pri­

vat-offentlig samarbeid en utfordring fordi ryggmargsrefleksen tilsier at utdanningen skal være eid av det offentlige. Etter å ha utviklet en prototype forsøkte vi igjen å få myndighetene til å videreutvikle denne innen det offentlige, men ble det da henvist til Helsenæringsmeldingen (17) og til kraften i offentlig-privat samarbeid. Takket være fremoverlente innovasjonsavdelinger og ledere i UNN og SUS kunne et nytt utdanningssystem utvikle seg. Dette er blant annet basert på Sawyers prinispper, standardisering, deling av uønskede hendelser, høy tilgjengelighet og community­funksjonalitet. I løpet av de siste årene har SUS, UNN og internasjonale eksperter samarbeidet om å lage strukturerte utdanningsløp. Lichtenstein og TAPP for lyskebrokk, TAPP for ventralhernier, preperitoneale nettplastikker for umbilikale hernier (PUMP) er allerede tatt i bruk i på sykehusene. Utdanningsmaterialet for laparoskopisk cholecystektomi utvikles nå i et samarbeid mellom SUS og Voss sykehus. Dette utdanningsmaterialet eies av forfatterne og de nevnte avdelinger. For å sikre best mulig utnyttelse av den knappe tiden på operasjonsstuene, stilles det krav til at LIS har tilegnet seg teoretisk kunnskap før de får delta i operasjonene. Kunnskapen dokumenteres i digitale tester. Den praktiske utdanningen skjer både gjennom simulering og ved en trinnvis tilnærming. LIS får tilbakemeldinger på hvert trinn de har utført i sine operasjoner og disse fremstilles i digitale læringskurver. Dette gjør at LIS og de utdanningsansvarlige får mulighet til å følge progresjonen og eventuelt sette inn tiltak for å stimulere progresjonen. De utdannings­

KIRURGEN 1-2024 I 27
BUKVEGGEN
FIGUR 3. Lichtenstein-snitt etter penetrerende fiksasjon ved TAPP hvor tackeren kan identifiseres subcutant.
TEMA:

ansvarlige kan sertifisere LIS for de ulike prosedyrene. Dette skal bidra til at LIS ikke settes til oppgaver de ikke er kvalifiserte for. Både LIS og overleger kan å laste opp sine operasjoner for å få videocoaching av sine veiledere eller kollegaer i trygge rammer. De data som samles i de strukturerte utdanningsløpene eies av brukeravdelingene og kan være gode utgangspunkt for forskning. De strukturerte utdanningsløpene som allerede er utviklet har vist seg dynamiske og skalerbare langt fra norske sykehus. I januar 2024 ble Lichtenstein­forløpet brukt av unge kirurger i Ghana som forberedelse og kvalitetssikring av Operations Hernias veldedige oppdrag der.

FREMTIDEN ER SAMARBEID MED ET FELLES MÅL  I en stadig mer komplisert kirurgisk verden med færre hender vil fremtiden kreve mer av hver enkelt av oss. Økt søkelys på utdanning av LIS og videreutdanningen av spesialister er kritisk for vår helsetjeneste. Dette ansvaret ligger på alle aktørene i helsevesenet. Kun gjennom samarbeid mellom Helse­ og omsorgsdepartementet, foretakene, sykehusledelsene og legene kan vi sammen

SAVNET: FAGENGASJERT

skape et bedre offentlig utdanningssystem. Sykehusledelsen og departementet må innvilge rammer som frigjør tid og ressurser til infrastruktur. Avdelingsledere må skåne midler og tid til utdanning. Vi kirurger må engasjerer oss og samarbeide på tvers av avdelinger, sykehus og regioner. Sammen kan vi bygge en strukturert kvalitetssikret utdanning tilpasset den travle hverdagen vi jobber i. Utdanningsinnholdet bør eies og deles av de som investerer sin tid til å skape den, og kunne tilpasses til de sykehusene som skal bruke den. Det er mulig å lage et tryggere utdanningssystem preget av en læringskultur, der vi deler kunnskap og som forhindrer at feil begås og gjentas. Dette vil gi gevinst for helsevesenet, kirurgene og pasientene. Det vanskeligste kan være å tro at det er mulig, men hvis ikke vi makter å sy sammen et bedre utdanningssystem for vårt fag – hvem kan da?

REFERANSER : Se bakerst i nettutgaven på kirurgen.no

GASTROKIRURGISK LIS

Hver fagmedisinsk forening skal ha et FUxx – et FagUtvalg av leger i spesialisering i xx forening. FUxx’ene er et underutvalg i den fagmedisinske foreningen og er dermed ikke selvstendige juridiske objekter. Er du LIS i f.eks. urologi vil du være medlem av både Norsk Urologisk Forening og Norsk Kirurgisk Forening – og dermed automatisk medlem av FUro og FUNK. Forening for Unge Norske Kirurger (FUNK) fungerer som FUxx for generell kirurgi, men har også en samlende funksjon, tilsvarende den for Norsk Kirurgisk Forening, og er en felles forening for alle LIS i en kirurgisk spesialitet.

Hva et FUxx ønsker å arbeide med varierer mellom de ulike FUxx’ene, men fellesnevnere for mange er utdanning og spesialiseringsløp. FUxx’et skal også foreslå LIS­kandidat til sin spesialitetskomité. For øvrig står man fritt til å velge det formatet man ønsker. FUNK opprettet nylig FUNK­forum – en felles arena for de ulike kirurgis­

ke FUxx’ene. Her har de kirurgiske FUxx’ene mulighet til å utveksle erfaringer og arbeide sammen om felles mål. Et eksempel er det å oppnevne LIS­representanter til de Tverregionale Utdanningsrådene i de ulike spesialitetene. Dette er råd som bl.a. skal bidra til spesialistutdanning av god kvalitet og tverregional samordning. Perspektivene fra en LIS­representant vil her være uvurderlig!

Men det er et FUxx som mangler – det gastrokirurgiske! Vi ønsker velkomment initiativ fra gastrokirurgiske LIS som kunne tenke seg å være med på å starte et gastrokirurgisk FUxx. FUNK er tilgjengelig for veiledning i oppstartsfasen og ser frem til videre samarbeid. Norsk forening for gastroenterologisk kirurgi vil naturligvis være moderforening. Kontakt leder av NFGK Håvard Luong Thorsen (haavard.luongthorsen@gmail.com) eller leder av FUNK Ragnhild L. Tveit (ragnhild.lundberg.tveit@gmail.com) dersom DU er interessert!

28 I KIRURGEN 1-2024
TEMA: BUKVEGGEN
It’s the close that counts. STRATAFIX™ SYMMETRIC: Den eneste knytefri suturen egnet til lukking av vev under høy tensjon, som fascie 1, 2 ‡ # STRATAFIX™ Symmetric PDS™ Plus PDS Plus, velegnet til fascielukking STRATAFIX™ Spiral PDS Plus/ Monocryl Plus © Ethicon Endo-Surgery (Europe) GmbH 2023 252293-230628 EMEA/UK Please refer always to the Instructions for Use / Package Insert that come with the device forthe most current and complete instructions. www.jnjmedtech.com Vil du vite mer om våre suturer? Ring oss på 67 51 86 00 eller besøk ortomedic.no. 1. Ethicon 100326296, Time Zero Tissue Holding - Competitive Claims Comparisons for STRATAFIX Knotless Tissue Control Devices vs Various Products. 2015. Data on File. (156715-230607). 2. Medtronic, V-Loc 180 Absorbable Wound Closure Device. Instructions for Use. Data on File. (156715-230607) ‡Refers to STRATAFIX™ Symmetric PDS™ Plus Knotless Tissue Control Device only. #Based on benchtop testing and clinical effect is unknown. The third partytrademarks used herein are the trademarks of their respective owners. close that counts. barbed suture fascia1, 2 ‡ # Tissue Control Devices vs Various Products. 2015. Data on File. (156715-230607). DERMABOND™ PRINEO™ Skin Closure System © Ethicon Endo-Surgery (Europe) GmbH 2023 252293-230628 EMEA/UK Please refer always to the Instructions for Use / Package Insert that come with the device forthe most current and complete instructions. www.jnjmedtech.com

PREHABILITERING FØR BROKKIRURGI

Prehabilitering er multimodal preoperativ optimalisering av pasienten for å bedre det postoperative utfallet. Ved brokkirurgi er det avgjørende å unngå sårkomplikasjoner for å forebygge residiv. De viktigste modifiserbare komorbiditetene som disponerer for postoperative sårinfeksjoner er overvekt, røyking og diabetes mellitus. Innlegget er en kort oppsummering av tilgjengelig evidens.

KIRURGISK KLINIKK, HARALDSPLASS DIAKONALE SYKEHUS

KORRESPONDANSE: KARI ERICHSEN – KARI.ERICHSEN @ HARALDSPLASS.NO

Prehabilitering defineres som multimodal preoperativ optimalisering av en pasients tilstand og er en strategi for å bedre det postoperative utfallet. Målene med prehabilitering er å redusere postoperative komplikasjoner, fremme og akselerere restitusjon av pasienten og å bedre livskvalitet. Prehabilitering krever multidisiplinær tilnærming av helsepersonell og atferdsendring hos pasienten (1).

Komplikasjoner etter brokkirurgi varierer etter indikasjon og type prosedyrer, fra lavrisiko­korreksjon av primære brokk til høyrisiko­bukveggsrekontruksjon (3). Brokkirurgi innebærer vanligvis implantasjon av fremmedlegeme i form av et nett og det er avgjørende å unngå sårkomplikasjoner for å forebygge residiv. I tillegg vil komplikasjoner etter brokkirurgi øke behandlingskostnader og redusere pasientens livskvalitet (4, 5). Ved brokkirurgi har vi nesten alltid god tid til å optimalisere pasienten før kirurgi og hos pasienter med betydelig komorbiditet kan ikke­operativ tilnærming noen ganger være den beste løsningen.

Det er begrenset evidens for preoperativ optimalisering ved brokkirurgi. European Hernia Society (EHS) har nylig gjort en systematisk gjennomgang av litteraturen (6).

De tre viktigste modifiserbare komorbiditetene som er assosiert med postoperative sårinfeksjoner er overvekt, røyking og diabetes mellitus. Andre aktuelle faktorer er nyresykdom, lungesykdom og fysisk aktivitet.

OVERVEKT

Overvekt er en risikofaktor for sårinfeksjoner etter brokkirurgi. En registerstudie med over 55 000 pasienter som gjennomgikk elektiv åpen operasjon for ventralbrokk viste økende risiko for sårinfeksjon med økende kroppsmasseindeks (BMI) (7). Risikoen økte allerede fra BMI 24,2 kg/m2 og røyking øker risikoen ytterligere. Risiko for sårinfeksjon var 12 % for røyker med BMI > 42,3 kg/m2 og 1,9 % for ikke­røyker med BMI < 24,2 kg/m². (7). Det er ikke internasjonal enighet om en anbefalt BMI­grense for kirurgi av ventralbrokk og praksis varierer med geografi. En Delphi-konsensusuttalelse fra 2021 har sterk anbefaling om preoperativ vektnedgang ved BMI > 35 kg/ m2 (8), men ved norske sykehus med volum på kompleks bukveggsrekonstruksjon praktiseres BMI­grense på 30 kg/m2

Vektnedgang oppnås ved kostholdsendring, fysisk aktivitet og eventuelt bruk av vektreduserende medisiner. Pasientene bør få tilbud om veiledning og oppfølging av

30 I KIRURGEN 1-2024
TEMA: BUKVEGGEN

TEMA:

klinisk ernæringsfysiolog, og henvisning til overvektspoliklinikk kan være aktuelt. Vi erfarer at de fleste pasienter klarer å gå ned mye i vekt.

I noen få tilfeller kan bariatrisk kirurgi være aktuelt, og da helst med trinnvis tilnærming med brokkirurgi i egen seanse etter vektnedgang (9). Kun i tilfeller med små symptomatiske brokk med risiko for akutt inneklemming av tarm anbefales samtidig brokk­ og bariatrisk kirurgi (6).

RØYKING

Røyking er en velkjent risikofaktor for postoperative sårinfeksjoner og residiv etter åpen arrbrokkirurgi (4, 7). I en studie av pasienter som gjennomgikk kirurgi for residivbrokk oppstod alle nettinfeksjoner hos røykere (10). Nikotin og toksiner i sigarettrøyk hemmer oksygenleveranse i vevet og påvirker reparasjonsprosessene i sårtilhelingen (11). Vevshypoksi fører til dårlig sårtilheling og høyere risiko for infeksjon. Røykeslutt minst fire uker preoperativt er vist å redusere postoperative komplikasjoner i randomiserte kontrollerte studier (12). En Cochrane­oversikt over randomiserte kontrollerte studier på intervensjoner for røykeslutt viste ingen overlegen strategi, men at pasienter som fikk atferdsstøtte og nikotinerstatningsprodukter hadde større sannsynlighet for røykeslutt før kirurgi (13). Absolutt krav om røykeslutt er vanlig praksis før stor brokkirurgi.

DIABETES MELLITUS

Diabetes mellitus er en risikofaktor for postoperative sårinfeksjoner grunnet nær assosiasjon med overvekt, men også grunnet et hyperglykemisk miljø. Forhøyet glukose og glykering i blod, vev og celler hemmer T­celle mediert immunitet, polymorfonukleær leukocyttfunksjon, komplementaktivering og cytokin­respons (14). Dette gjør at bakterier lettere kan unngå vertens immunforsvar og adherere, proliferere og lage biofilm hos diabetiske pasienter.

Diabetikere har 7,25 ganger større sannsynlighet for postoperative sårinfeksjoner enn ikke­diabetikere, og pasienter med dårlig kontrollert diabetes har 3,25 ganger større sannsynlighet for postoperative sårinfeksjoner enn pasienter med kontrollert diabetes (15). Tiltak for å kontrollere preoperativ glykering (HbA1c) og perioperativ hyperglykemi, samt å gjøre laparoskopisk kirurgi heller enn åpen brokkirurgi anbefales hos diabetikere (15).

Ved preoperativ HbA1c ≥ 64 mmol/mol frarådes elektiv brokkirurgi (16). Kontroll av preoperativ HbA1c anbefales hos alle diabetikere, og ved behov henvisning til endokrinolog for optimalisering av antidiabetisk behandling (8).

LUNGE - OG NYRESYKDOM

Flere studier rapporterer om høyere morbiditet og mortalitet etter brokkirurgi hos pasienter med kronisk obstruktiv lungesykdom, men ingen kommer med forslag til preoperativ strategi for å bedre kirurgisk og funksjonelt resultat (6). Det foreligger ikke relevant litteratur for prehabilitering av nyresykdom.

FYSISK AKTIVITET

Det er begrenset med litteratur som omhandler fysisk aktivitet før og etter større brokkirurgi. Eksisterende anbefalinger er basert på antakelser eller ekspertuttalelser. Bekymringen har vært at fysisk aktivitet kan føre til forverring av symptomer og vekst eller inneklemming av brokket. Det finnes imidlertid ingen evidens for at fysisk aktivitet før bukveggsrekonstruksjon er farlig (17). Det viktigste argumentet for å oppfordre til fysisk aktivitet preoperativt er at det hypotetisk sett kan bedre det postoperative resultatet. En annen hypotetisk fordel med preoperativ fysisk aktivitet kan være hypertrofi av bukveggsmuskulaturen slik at de kirurgiske disseksjonsplanene lettere kan identifiseres ved retromuskulær disseksjon og transversus abdominis release (18). Teoretisk sett bør et preoperativt treningsprogram bestå av både kondisjonstrening og styrketrening (17).

BUDSKAP

Prehabilitering før stor brokkirurgi inkluderer vektnedgang, røykeslutt og diabetisk kontroll. Dette krever multidisiplinær tilnærming. Sett tydelige krav og mål. Vær streng. Vær kliniker. Bruk tid – brokkirurgi haster sjelden.

REFERANSER : Se bakerst i nettutgaven på kirurgen.no

KIRURGEN 1-2024 I 31
BUKVEGGEN

Belte etter bukkirurgi gir smertelindring

og raskere mobilisering

ViraX2

Elastisk og stødig belte

Vira finnes med 2 eller 3 strammebånd

Egnet for brokk og store snitt i magen

Fleksibel og enkel å tilpasse

Gir kompresjon og effektiv støtte over overkroppen

Gjennom effektiv støtte og kompresjon bidrar våre postoperative belter til bedre restitusjon etter abdominal kirurgi. De er utviklet i dialog med fagpersoner for å møte helsevesenets spesifikke krav og ønsker. Designet fokuserer på menneskene som skal bruke dem, så alle beltene våre er enkle å bruke, tilpasningsdyktige og svært komfortable. Vi tilbyr flere beltemodeller med ulik høyde, kompresjonsgrad og materiale. Besøk no.nordicare.se for mer informasjon.

For demo kontakt Helena Peters, helena@nordicare.se, +46 (0)705159120.

Use of Abdominal Binders after a Major Abdominal Surgery: A Randomized Controlled Trial

NORDICARE ORTOPEDI + REHAB AB • +46 (0)42 35 22 20 • info@nordicare.se • www.nordicare.se
AbdoCare Fleksibelt belte ViraKing Ekstra stort belte ViraX3 Med 3 strammebånd LyftPlus Formet mageparti

ARRBROKK HVA SIER EUROPEAN HERNIA SOCIETY?

Under Høstmøtet 2023 var fokuset under Brokksymposiet å se på hva våre retningslinjer (guidelines) sier om utredning og behandling av brokk. Denne artikkelen vil fokusere på retningslinjene fra European Hernia Society (EHS) relatert til arrbrokk og vise til noen nyere studier og andre retningslinjer som belyser enkelte kontroverser.

KORRESPONDANSE:

EHS publiserte nye retningslinjer for behandling av arrbrokk i midtlinjen i september 2023 (1). Disse er formulert som svar på 13 såkalte key questions (KQ). Hver av disse ble testet mot det vitenskapelige tilgjengelige fundamentet. Der man mente å ha godt dokumentert kvalitativt belegg for anbefaling ble en «recommendation» (R) formulert. Der man hadde belegg som ikke ble oppfattet sterkt nok for R ble et «good practice statement» (GPS) formulert.

International Endohernia Society (IEHS) oppdaterte sine retningslinjer i 2019 og formulerte også en rekke KQ i til sammen 39 kapitler fordelt på to publikasjoner innen temaet laparoskopiske operasjoner for primære brokk og arrbrokk (2,3). Kriteriet for vitenskapelig belegg i deres anbefalinger var at litteraturen holdt nivå 1­3 evidens i henhold til evidenspyramiden (metaanalyser, systematiske oversikter og randomiserte kontrollerte studier).

EHS sin KQ1 omhandler risiko for arrbrokk etter midtlinjelaparotomi (1). Det formuleres ingen R på dette spørsmålet, men fem GPS. Essensen av disse er at risiko for arrbrokk øker med høy BMI, røyking, diabetes og im­

munsuppresjon. Den høyeste risikoen for utvikling av arrbrokk etter primær lukking synes å være sårinfeksjon. Det poengteres viktigheten av lukking med små bitt og kontinuerlig sutur med langsomt absorberende tråd.

IEHS omtaler størrelsen på brokkporten relatert til risiko for inkarserasjon. Umbilikale brokk med størrelse 2­7 cm og arrbrokk opp til 7 cm har høyere risiko for inkarserasjon og kan være en uavhengig indikasjon for operasjon (2,3).

Det er ingen omtale av bruk av nett som profylakse ved primærlukking etter laparotomi i verken EHS eller IEHS sine guidelines, men det har kommet flere analyser som adresserer dette. En av disse er en systematisk oversikt og metaanalyse fra en italiensk gruppe, publisert i august 2022, der relativ risiko for brokk er 0,38 ved bruk av profylaktisk nett sammenlignet med suturlukking (4). Dette er et funn som kan tenkes å endre lukkestrategiene fremover slik at frekvensen av arrbrokk går ned. Uavklarte poeng i denne forbindelsen er plassering av nettet i bukveggen og kompleksiteten hos de som allikevel får brokk med et nett allerede plassert i bukveggen.

KIRURGEN 1-2024 I 33
TEMA: BUKVEGGEN

EHS anbefaler i KQ2 CT som den mest sensitive metoden for utredning av arrbrokk, men ved uforholdsmessig høy kostnad eller strålefrykt kan UL eller MR med Valsalvas manøver benyttes. Unntak fra denne utredningen kan være unge pasienter med små brokk, for eksempel etter trokarinnstikk.

Spørsmålet om man kan forutse behovet for å unngå komponentseparasjon ved data fra billeddiagnostikk omtales i EHS sin KQ3. Evidensen er ikke sterk, men sannsynligvis har man større mulighet for å unngå dette ved defektdiameter < 8 cm, brokkareal (som målt ved største lengde x største bredde) < 164 cm2 eller ratio samlet rektusmuskelbredde/defektdiameter > 1,34.

I EHS sin KQ4 redegjøres det for hvem som bør opereres og hva som er målet med kirurgien. Det er kun fire GPS som kommer ut av dette spørsmålet: Dersom brokket er reponibelt er sjansen for inkarserasjon lav (2,5 % innen fem år). Det er tapt livskvalitet som bør være indikasjon for kirurgi og forbedret livskvalitet bør være primærmålet med kirurgien. Sekundærmål inkluderer residiv, sårproblemer, nettinfeksjon, mortalitet, kronisk smerte og kost­nyttevurderinger.

Hvilke risikofaktorer som kan forbedres for å redusere postoperative komplikasjoner og hva effekten av forbedring er, adresseres i EHS sin KQ5. Det er tre GPS under dette spørsmålet: høy BMI, dårlig regulert diabetes og røyking. Høy BMI er direkte relatert til postoperative komplikasjoner og jo høyere BMI dess høyere er insidensen av postoperative komplikasjoner. Allikevel er det lite data som viser effekt av å redusere vekt preoperativt. Det synes å være konsensus om å ha BMI < 30 som mål før kirurgi og iverksette tiltak for vekttap ved BMI > 35. Hva gjelder røyking, bør man ha sluttet minimum fire uker før kirurgi for å oppnå gevinst i forhold til postoperative komplikasjoner.

Man gir til slutt råd om at pasienter bør vurderes for kirurgi på tross av negative risikofaktorer dersom livskvaliteten er svært redusert, og/eller det foreligger risiko for betydelig størrelsesøkning av brokket ved utsettelse av kirurgi.

Ikke overraskende gir EHS KQ6 kun en anbefaling (R) i spørsmålet om nett er overlegent bedre enn sutur og bør benyttes for å unngå residiv og hematom. Risiko for infeksjon er omtrent lik, mens seromraten er høyere ved bruk av nett. Anbefalingen er basert på gjennomgang av fem studier av lav kvalitet og med høy risiko for bias.

I KQ7 diskuteres posisjonering av nettet. Man konkluderer med en anbefaling (R) og to GPS. Nettet bør plasseres retromuskulært om mulig. Dette synes å gi best resultat med tanke på residiv og seromdannelse. Det anses fornuftig å få nettet ut av bukhulen, men man bør beherske forskjellige operasjonsmetoder for å kunne plassere nettet alternativt dersom det ikke ligger til rette for retromuskulær plassering.

Det å få nettet ut av bukhulen for å unngå potensielle fremtidige utfordringer med adheranser eller fistler mot viscera og eventuelt øket risiko for skader ved fremtidig kirurgi synes å være en ønsket endring i behandlingen av brokk. Imidlertid er det foreløpig lite litteratur som gir støtte til dette synspunktet. Anbefalingen er basert på eksperters meninger (2).

I REVAL­studien, en multisenter, randomisert kontrollert studie (RCT), så man på postoperativ smerte hos pasienter med < 7 cm brede brokk som får enten intraperitoneal onlay mesh (IPOM) eller enhanced view totally extraperitoneal plasty (eTEP) (5). Begge prosedyrene ble utført med robotassistert minimalinvasiv (MIS) teknikk. Studien påviste ingen forskjell mellom de to metodene med tanke på smerte eller andre faktorer evaluert opp til 30 dager postoperativt. I denne studien sutureres nettet ved IPOM.

EHS omtaler imidlertid ikke størrelsen på nettet. IEHS har et eget kapittel om dette, og fremlegger nivå 3 evidens på at for små nett gir øket risiko for residiv. De mener 5 cm regelen for overlapp (5 cm i hver retning av defekten) bør avvikles, og at man i stedet bør tilstrebe nettstørrelse som har 16 ganger større areal enn defekten. Dette innebærer en firedobling av radien på nettet i forhold til radien på defekten. Denne påstanden er basert på en studie der man har sett på residiv etter nettplastikk der fascien ikke er lukket. De diskuterer dette, men lander på at en arealtilnærming sannsynligvis er mer hensiktsmessig enn en overlappsregel, men at flere studier som adresserer denne problemstillingen behøves.

I KQ8 vurderer EHS operasjonstilgangen (åpen, mini­invasiv kirurgi (MIS) eller robotassistert MIS). Det er foreløpig ingen evidens for å anbefale en tilgang framfor noen andre verken med tanke på residiv, infeksjon eller lengde på sykehusopphold. Det var en tendens til høyere risiko for skade av intraperitoneale organer ved MIS, og til dels relativt høy konverteringsrate, men ikke tilstrekkelig til å anbefale en spesifikk metode over en annen.

34 I KIRURGEN 1-2024
TEMA: BUKVEGGEN
KIRURGEN 1-2024 I 35
FIGUR 1. Reponering av brokk ved eTEP (pasient har godkjent videoopptak).
TEMA: BUKVEGGEN
FIGUR 2. Lukking av rectusdiastase (pasient har godkjent videoopptak).

PROVE­IT studien er en RCT som sammenligner robotassistert IPOM+ (med fascielukking) med laparoskopisk IPOM+ der førstnevnte suturerer mens sistnevnte fikserer nett med tackere (6). Heller ikke i denne studien påvises det forskjeller i postoperativ smerte.

Hvorvidt fasciedefekten skal lukkes i forbindelse med reparasjon med nett diskuteres i KQ9. Ved gjennomgang av litteraturen er anbefalingen (R) at fascie bør lukkes da dette gir lavere residivrate, redusert hematom­/seromrate, dog ikke signifikant, men like resultater for smerte og livskvalitet.

I KQ10 diskuteres fiksasjonsmetoder for nett plassert intraperitonealt og retromuskulært. For førstnevnte anbefales (GPS) alle metoder (tack, sutur, lim) som relativt likeverdige. For nett plassert retromuskulært er rådet (GPS) sutur mot posteriore blad eller bruk av selvklebende nett. En slags majoritetskonsensus anbefaler å unngå transfascielle suturer da man mener dette er mer assosiert med postoperative smerter.

IEHS fraråder fiksasjon med vevslim på ventrale brokk, og baserer dette på en studie der man fant signifikant høyere risiko for residiv etter fiksasjon med vevslim sammenlignet med fiksasjon med tackere ved IPOM for navlebrokk med defekt på mellom 1,5 og 5 cm (7). Det ble benyttet samme diameter på nettet (12 cm) uavhengig av defektstørrelse og fiksasjonsmetode.

Gjennomgang av studier gir ikke grunnlag for å iverksette ERAS­protokoll generelt for pasienter med arrbrokk (KQ11). Ser man derimot isolert på pasienter med komplekse brokk, der komponentseparasjon og andre avanserte teknikker er benyttet, kan data tyde på at disse pasientene har nytte av bruk av ERAS­protokoll.

Skal antibiotikaprofylakse gis? I KQ12 fremkommer en anbefaling (R) om bruk av antibiotika ved operasjon for arrbrokk, som enkeltdose for kirurgi inntil fire timer, og eventuell supplerende dose ved lengre operasjonstid. Anbefalingen gis generelt på tross av at en stor studie med MIS reparasjon av brokk med diameter inntil 10 cm ikke viser noen gevinst av antibiotika (8).

IEHS anbefaler også profylaktisk antibiotika, men poengterer at det ikke finnes litteratur som gir støtte til denne anbefalingen. De skriver at risikofaktorer som diabetes, overvekt, immunsuppresjon, høy alder og malignitet styrker indikasjonen. I tillegg vil kirurgiske risikofaktorer som kontaminasjon, lang operasjonstid, bruk av dren eller kateter styrke anbefalingen.

Til slutt omtaler EHS hvilken informasjon som pasienten kan ha nytte av postoperativt og hvilke mobiliseringsråd man bør gi (KQ13). Det gis to GPS: en uttalelse som beskriver manglende evidens for hvilken informasjon pasienten kan ha nytte av og et råd om å unngå fysisk anstrengelse (som krever Valsalvas manøver) i fire uker og bruk av for eksempel brokkbelte i seks uker.

EN OVERSIKT OVER DE VANLIGSTE OPERASJONSTEKNIKKENE FOR MIDTLINJEBROKK Kirurgi for brokk i midtlinjen har hatt en nokså omfattende utvikling de senere årene, og mange metoder har blitt introdusert. Det synes fornuftig å ha noe kunnskap om flere metoder da det kan vise seg å være nødvendig med pasienttilpasset kirurgi fremfor fikserte standarder i en del tilfeller. Her kommer derfor en kort oversikt over noen av de mest omtalte metoder i litteraturen.

IPOM/IPOM+ (intraperitoneal onlay mesh) – en metode der brokket reponeres fra en intraperitoneal tilgang, og et nett plasseres intraperitonealt med (+) eller uten fascielukking.

TAPP (transabdominal preperitoneal) – tilsvarende tilgang som over, men med nedtaking av peritoneum over et areal som tillater adekvat nettstørrelse plassert i preperitonealrommet. Den peritoneale lappen lukkes deretter slik at nettet ikke er eksponert for intraabdominale strukturer.

TARUP (transabdominal retromuscular umbilical prosthetic hernia repair) og TARM (transabdominal retromuscular) er forkortelser for prosedyrer som innebærer transabdominal tilgang og åpning av retrorektusrommet fra lateralt på samme side man introduserer trokarene. Resten av metoden er som beskrevet under, men en lukking av retromuskulær fascie etter nettplassering er nødvendig.

eTEP (extended eller enhanced view totally extraperitoneal plasty) beskriver en metode der all kirurgi foregår preperitonealt eller retromuskulært (figur 1 og 2). Ved sistnevnte metode gjør man i prinsippet en Rives­Stoppa­disseksjon i retrorektusrommet som forenes på høyre og venstre side mens linea alba bevares. I dette tilfellet benyttes også akronymet eRS (endoscopic Rives­Stoppa). Denne metoden har en økende plass i litteraturen.

TAR (transversus abdominis release) er en bakre komponent separasjonsteknikk der musculus transversus abdominis deles medialt for de nevrovaskulære bunter, og

36 I KIRURGEN 1-2024
TEMA: BUKVEGGEN

Applications

eksponerer et disseksjonsfelt foran transversalis abdominis fascien som kan ekstenderes helt til ryggen om behov. Teknikken benyttes ved behov for større nett enn de som får plass i retrorektusrommet, eller ved laterale defekter. Dersom denne prosedyren gjennomføres MIS, kalles den gjerne eTAR (endoscopic transversus abdominis release).

105,000 hiatal configured devices sold3 literature cites more than 1,000 repairs3 follow-up of 5 years reported4 , which is 53–54 beyond the 6–7 month resorption time period of of erosion or infection in the clinical literature5

by the most extensive body of positive clinical 10 years5

MILOS (mini­ or less­open sublay operation) er en variant av preperitoneal eller retromuskulær disseksjon via et lite snitt direkte inn på brokket, og videre disseksjon mot aktuelt rom med laparoskopisk eller åpen teknikk til adekvat rom er oppnådd for plassering av nett.

recurrence rates in high risk AWR patients5 complication rates in high risk AWR patients5 reported complete mesh removals due to infection5

SCOLA (subcutaneous onlay laparoscopic approach) beskriver en subkutan tilgang fra suprapubisk og på fremre aponevrose der en rectusdiastase med eller uten små herniedefekter kan repareres med sutur og nett i dette planet.

• Limited clinical literature5

Dickinson and Company.

Indications for use / Indications

Instructions for Use

• No published clinical follow-up reported on hiatal and paraesophageal hernia repair beyond the 18 month resorption time period of the mesh5

Det er viktig å ha en forståelse for at noen brokk hos noen pasienter ikke vil egne seg for MIS og åpne tilganger kan være nødvendig. Dette kan være begrunnet i pasientrelaterte forhold som tidligere kirurgi, gjennomgåtte infeksjoner eller svært store brokk. Det kan også være begrunnet i kirurgens kompetanse med egnet metode, der MIS kan være vanskeligere å utføre enn tilsvarende åpen tilnærming.

• First clinical publications in 20165

• Three reported complete mesh removals due to infection 6

Det anbefales å lese retningslinjene nøye og oppdatere seg fortløpende, da dette er et område med betydelig vitenskapelig aktivitet for tiden. Det henvises også til den meget gode oversiktsartikkelen over laparoskopiske operasjonsmetoder i det ekstraperitoneale rom av Lambrecht og Kjellevold publisert i Kirurgen i 2018 (9).

REFERANSER : Se bakerst i nettutgaven på kirurgen.no

Bioabsorbable mesh for hernia repair

GORE® BIO-A® Tissue Reinforcement

The GORE® BIO-A® Tissue Reinforcement is intended for use in the reinforcement of soft tissue. Examples where the GORE® BIO-A® Tissue Reinforcement may be used are hiatal and ventral hernia repair as suture-line reinforcement.

Refer to Instructions for Use for a complete description of all warnings, precautions, and contraindications.

Contraindications The GORE® BIO-A® Tissue Reinforcement is contraindicated for use in reconstruction of cardiovascular defects.

Because GORE® BIO-A® Tissue Reinforcement is absorbable, it is contraindicated for use in patients requiring permanent support from the device.

Refer to Instructions for Use for a complete description of all warnings, precautions, and contraindications.

Material

Absorption time

Material structure

SEM (40x–50x cross section)

Device Description

Synthetic bioabsorbable poly (glycolide: trimethylene carbonate) copolymer (PGA: TMC)

Targeted absorption period of 6–7 months to facilitate a positive physiological response during the wound healing cycle when most needed and avoid the risk for long-term mesh-related complications.

Laminar 3D web scaffold

• More than 105,000 hiatal configured devices sold3

• No reports of erosion or infection in the clinical literature5

BD® PHASIX Mesh

BD® PHASIX Mesh is indicated to reinforce soft tissue where weakness exists in patients undergoing plastic and reconstructive surgery, or for use in procedures involving soft tissue repair, such as the repair of hernia or other fascial defects that require the addition of a reinforcing or bridging material to obtain the desired surgical result.1

Because BD® PHASIX Mesh is fully resorbable, it should not be used in repairs where permanent wound or organ support from the mesh is required.1

Synthetic fully resorbable poly-4-hydroxybutyrate (P4HB)

Per IFU, absorption of the mesh material will be essentially complete within 12 to 18 months. Not verified / observed in clinical literature.

Monofilament 2D

• Limited clinical literature5

• No published clinical follow-up reported on hiatal and paraesophageal hernia repair beyond the 18 month resorption time period of the mesh5 Complex

KIRURGEN 1-2024 I 37
/ paraesophageal hernia repair
knit2 Clinical Applications Hiatal
Clinical literature cites more than 1,000 repairs3
months beyond the 6–7 month resorption time period of the mesh.
Mean follow-up of 5 years reported4, which is 53–54
ventral hernia repair
Supported by the most extensive body of positive clinical results over 10 years5
Proven low recurrence rates in high risk AWR patients5
Proven low complication rates in high risk AWR patients5
ZERO reported complete mesh removals due to infection5
First clinical publications in 20165
Three reported complete mesh removals due to infection6 Robust layer of new tissue generated Know your options brokkbelte.no bestilling@arcticmedical.no Tlf: 240 77 400
of new tissue generated References: Phasix™ Mesh Fully Resorbable Implant for Soft Tissue Reconstruction Instructions for Use]. Warwick, RI: Davol, Inc; 2016. PK3799200. 1611R. Kim M, Oommen B, Ross SW, et al The current status of biosynthetic mesh for ventral hernia repair. Surgical Technology International 3. Data on file, W. L. Gore & Associates, Inc; Flagstaff, AZ. 4. Boru CE, Coluzzi MG, de Angelis F, Silecchia G. Long-term results after laparoscopic sleeve gastrectomy with concomitant posterior cruroplasty: 5-year follow-up. Journal of Gastrointestinal Surgery. In press. 5. Literature search and summary (included Bard Phasix Mesh and Bard Phasix ST Mesh). (data on file 2018; W. L. Gore & Associates, Inc.; Flagstaff, AZ.) LaPere DB, Lundgren MP, Rosato EL, Single instituion Phasix mesh outcomes in a population of primarily complicated recurrent hernias. Presented at the 11th Annual Academic Surgical Congress; February 2-4, 2016; Jacksonville, FL. Abstract 69.16. 7. Pascual G, Sotomayor S, Rodríguez M, Pérez-Köhler B, Bellón JM. Repair of abdominal wall defects with biodegradable laminar prostheses: polymeric or biological? PLoS One 2012;7(12):e52628. W. L. Gore & Associates, Inc. Flagstaff, AZ 86004 +65 67332882 (Asia Pacific) 800 437 8181 (United States) 00800 6334 4673 (Europe) 928 779 2771 (United States) goremedical.com Refer to Instructions for Use at goremedical.com for a complete description of applicable indications, warnings, precautions, and contraindications for the markets where this product is available. Products listed may not be available in all markets. ALLERGAN and STRATTICE are trademarks of Allergan, Inc., RTI SURGICAL and TUTOMESH are trademarks of RTI Surgical, Inc BD and PHASIX are trademarks of Becton, Dickinson and Company. GORE, BIO-A and designs are trademarks of W. L. Gore & Associates. © 2019–2020 W. L. Gore & Associates GmbH Complex and high-risk repairs Ventral hernia Hiatal hernia Demonstrated economic value MORE than 250 publications LOW recurrence rates in hiatal hernias • LOW recurrence rates in complex ventral hernias OVER 1,700 patients in the clinical literature NO long-term mesh-related complications Catalogue number Size HH0710E 7 cm x 10 cm FS0808E 8 cm x 8 cm FS0915E 9 cm x 15 cm FS1030E 10 cm x 30 cm FS2020E 20 cm x 20 cm FS2030E 20 cm x 30 cm Configured for hiatal hernia repair. Product configuration and sizing chart For more information visit goremedical.com/eu/btr The results (Newtons) were expressed as the mean ± SEM at 14, 30, 90 and 180 days post-implantation. GORE BIO-A Web: vs. 14 days and 30 days (P 0.01). RTI SURGICAL TUTOMESH Fenestrated Bovine Pericardium: vs. 90 days (P 0.01); †, vs. 14 days and 90 days (P 0.05) and 30 days (P 0.01). ST (ALLERGAN STRATTICE Reconstructive Tissue Matrix): ‡, vs. 14 days and 30 days (P 0.05). GORE BIO-A Tissue Reinforcement is fully absorbed and replaced by a robust layer of organized collagen, leaving behind only a strong repair Repair strength increases over time Pericardium 0 14 days 30 days 90 days 180 days Pericardium Pericardium Pericardium † ‡ ** 40 Newtons (N) Consult Instructions for Use eifu.goremedical.com TEMA: BUKVEGGEN

KOMPLEKSE BUKVEGGSREKONSTRUKSJONER

– FYSIOLOGISK KIRURGI SOM

KREVER PROTOKOLLISERT KREATIVITET

Rekonstruksjon av komplekse bukveggsdefekter er utfordrende og må individualiseres da både defektene og pasientfaktorene varierer. Oppfølgingen, både pre- og postoperativt, er i tillegg krevende. Det er få klare oppskrifter, feltet er preget av flere mulige enn gode løsninger, og resultatene er uttalt preget av den enkelte kirurgs erfaring og evne til både kreativitet og standardisering. Stadig mer omfattende prosedyrer kan gjennomføres teknisk og det stiller krav til inngående kunnskap om anatomien i trunkus. Både metoder og teknologiske hjelpemidler som vakuumsystemer og nett har gjennomgått en rivende utvikling. I tillegg kan omfattende og teknisk krevende rekonstruksjoner også utføres mini-invasivt, ikke minst takket være robotassistert teknologi. Beslutningen om den beste tilnærmingen til den enkelte komplekse rekonstruksjonen krever at man er oppdatert på stadig ny kunnskap, samt har bred erfaring og en god porsjon ydmykhet der pasientens beste må være i fokus.

CHRISTINE GAARDER

OSLO UNIVERSITETSSYKEHUS, ULLEVÅL

KORRESPONDANSE: CHRISTINE GAARDER – TINAGAAR @ ONLINE.NO

HVA SIER LITTERATUREN?

Eksisterende publikasjoner er av begrenset kvalitet, består ofte av retrospektive serier fra enkeltinstitusjoner, resultater spriker og lar seg ikke sammenlikne. Kvaliteten på oversiktsartikler varierer, og alt dette stiller krav til behandler og ikke minst pasienten. Målet med denne artikkelen er en summarisk gjennomgang av krav, forutsetninger, muligheter og begrensninger innen dette krevende feltet. Vinklingen er preget av personlige erfaringer og såldes i noen grad subjektiv.

BENIGN KIRURGI, MEN HØY RISIKO

All kirurgi medfører risiko, men vi kommer ikke unna at de komplekse rekonstruksjonene er omfattende og ofte langvarige inngrep som utfordrer pasientens fysiologi. Pasienten har ofte vært gjennom mye kirurgi tidligere, og man må være forberedt på at det man planlegger ikke nødvendigvis er gjennomførbart og at man må ha en plan B (eventuelt en plan C og D). Man endrer på trykkforholdene i trunkus dersom man trekker sammen store defekter. Dette gir økt intraabdominalt og intratorakalt trykk, som igjen påvirker pasienten sirkulasjon og lungefunk­

38 I KIRURGEN 1-2024
TEMA: BUKVEGGEN

sjon. I ytterste konsekvens kan man påføre pasienten organsvikt og Abdominalt Compartment Syndrom (ACS). Pasienten er utsatt for tromboser og blødning, samt sårinfeksjoner som er mer utfordrende dersom man har brukt syntetiske nett for rekonstruksjonen. Den beskrevne risikoen øker med alder og komorbiditet og optimalisering av utgangspunktet er en forutsetning (1,2). Effektivitetskravet i helsevesenet forhindrer ikke at man tar seg tid til å følge pasientene til vektreduksjon, røykestopp, kontroll på sykdommer som diabetes, ernæringsstatus og bedret kondisjon. Og kanskje det aller viktigste er å bruke tid på å forstå og kunne justere pasientens forventninger, samt sikre seg at pasienten har skjønt prisen han/hun betaler. Jeg henviser her til artikkelen ved Kari Erichsen i dette nummeret for mer inngående beskrivelse av nødvendig prehabilitering.

HVORDAN UNNGÅ BUKVEGGSDEFEKTER?

Når det gjelder arrbrokk er det lite som slår forebygging. Det er mye som tyder på at mange arrbrokk kunne vært unngått ved nøye og riktig lukking primært (3). Vakuumbandasjer er tilgjengelige på markedet og synes å redusere sårinfeksjoner og sannsynligvis brokkutvikling hos høyrisikopasienter (4).

Noen av de største defektene oppstår hos pasienter som har blitt behandlet med åpen buk. På grunn av bedre resuscitering og multidisiplinære strategier rundt disse pasientene oppnås primær lukking oftere i dag. Imidlertid diskuteres fortsatt strategi for å oppnå høyest mulig primær lukningsfrekvens. Anleggelse av nett langs fascien eller lenger lateralt for traksjonen kombinert med vakuumsystemer medfører økt forsinket primær lukkingsfrekvens, men pasientene må tåle behandlingen fysiologisk (5). Nye og mer kostbare teknologiske løsninger er på vei inn på markedet, men må etter min mening bevise at de oppnår annet enn eksisterende metoder (6).

HVA ER EN KOMPLEKS BUKVEGGSDEFEKT?

Kortversjonen er at det kommer an på. European Hernia Society (EHS) har definert en kompleks bukveggsdefekt og er i ferd med å revidere kriteriene (7,8). Felles er at disse beskriver ekspertmeninger og de viser tydelig at det er vanskelig å definere kompleksitet entydig. Faktorer som spiller inn på bukveggsdefektens kompleksitet er: • Størrelse (>10cm bredde) og lokalisasjon (parastomalt, samt lumbalt/lateralt og nær benete kanter) i tillegg til ‘loss of domain’ (der mye av innholdet i bukhulen befinner seg utenfor og ikke har plass på innsiden).

• Kontaminasjon og vevskvalitet – som arrvev, delhudstransplantat, åpen buk, sårdannelser, fistler, denervert muskel og tidligere kirurgi.

• Residivbrokk; Der relevante lag er brukt allerede, samt der tidligere nett kan være infiserte.

• Komorbiditet; høy BMI, diabetes, alder, steroider, dårlig ernæringsstatus, KOLS og høyt intraabdominalt trykk.

• Klinisk situasjon; akutt operasjon med samtidig tarmkirurgi (vanligst tilbakelegging av stomi), behov for fjerning av nett samt multiple brokk.

Etter min mening bør man gå ut fra at alt som ikke er åpenbart grad 1 i henhold til EHS gradering (7) med lav risiko for komplikasjoner og uten tidligere sårinfeksjoner, kan by på utfordringer.

HVILKE BROKK SKAL OPERERES?

På generelt grunnlag anbefaler man ikke operasjon for asymptomatiske brokk. Situasjoner som trekker i retning operasjon og som det er viktig å få frem vil være subileusepisoder, smerte, ubehag, tyngdefølelse, aktivitetsbegrensning, hudproblemer på grunn av brokket. Videre er lekkasje fra stomi ved parastomale brokk, andre samtidige brokk med operasjonsindikasjon, samt økende størrelse og/eller dersom brokket er kosmetisk skjemmende faktorer som styrker operasjonsindikasjonen. Ved de store bukveggsdefektene er det ofte økende størrelse og det at de er kosmetisk skjemmende som dominerer bildet, ikke sjelden kombinert med ryggproblemer og generell reduksjon i livskvalitet. I disse situasjonene er det enda viktigere at pasienten forstår omfanget av, og risikoen ved, inngrepet samt at man venter til pasienten er optimalisert.

HVORDAN FORBEREDER MAN FOR OPERASJON?

Som nevnt over har man alltid tid til å forberede pasienten og seg selv. Justering av pasientens forventninger og nøye informasjon, deretter oppfølging av pasienten til den medisinsk situasjon er optimal. Imidlertid, selv om man stiller klare krav til blant annet røykestopp og BMI <30, kan man i enkelte situasjoner måtte kompromisse på grunn av for eksempel økende plager eller økende størrelse som vil gjøre operasjonen vanskeligere. Man må derfor forberede seg selv på optimal metode, med plan B og C dersom plan A ikke lar seg gjennomføre. Det er dette jeg kaller protokollisert kreativitet. Forutsetningen for en god plan er å ha sett på og kjent på pasienten selv med tanke på vevskvalitet, i tillegg til adekvat CT­undersøkelse.

KIRURGEN 1-2024 I 39
TEMA: BUKVEGGEN

Botulinumtoxin har blitt brukt de siste årene for å redusere tensjon i bukveggen og lette lukking av større defekter. Eksisterende litteratur viser at Botoxinjeksjoner er trygt og at man oppnår en økt gjennomsnittslengde på bukveggen på litt over 3cm (9). Pasienten kjenner effekt i løpet av dager, men mye tyder på at maksimal effekt kommer mer gradvis i løpet av de første to til tre ukene. Injeksjonene er indisert der rekonstruksjon med stor sannsynlighet vil medføre stramming og økt buktrykk, det vil si som oftest ved brokkport >10cm, men individuell vurdering må gjøres. For eksempel vil betydelig vekttap preoperativt redusere risikoen for stramming. Arrdannelser og stiv bukvegg øker sannsynligheten for at Botox bør benyttes. Botoxinjeksjoner lammer flankemuskulatur, det vil si aksessorisk puste-/hostemuskulatur i flere måneder. Behovet og nytteverdien må derfor vurderes mot utfordringene. Pasienter med lungesykdom og risiko for forverring av eksisterende respirasjonssvikt må forberedes på dette og risiko for utvikling av pneumoni. Pasienten skal orienteres nøye av kirurg om forventet virkning og varighet.

HVILKEN TEKNIKK SKAL JEG VELGE?

Litteraturen er langt fra entydig. Jeg vil nøye meg med å trekke de store generelle linjene og komme med noen anbefalinger. Mange faktorer spiller inn i tillegg til typen defekt. Det er glidende overganger mellom de defektene som egner seg for laparoskopisk eller robotassistert kirurgi, og de som må opereres åpent. Kirurgens erfaring og kompetanse er også viktig å ta i betraktning. Når det gjelder de mest komplekse rekonstruksjonene, er behovet for samtidig bukplastikk etter min mening utslagsgivende i retning åpen kirurgi.

Det finnes flere kirurgiske teknikker for å øke lengde på bukveggen og redusere tensjon ved lukking av midtlinjedefekter. Jeg nevner her de mest brukte typene komponentseparasjon i dag. Fremre komponentseparasjon består i å dele obliquus externus­fascien litt lateralt for linea semilunaris. Dersom dette gjøres ved å underminere hud og subkutis til lateralt for rectus, kalles det åpen fremre komponentseparasjon, og er lite brukt i dag. Den samme delingen av obliquus externus­fascien kan utføres endoskopisk, der man fører inn kamera mellom obliquus internus og obliquus externus omtrent fra kostalbuen, og deler externusfascien i hele lengden. Mer vanlig i dag er bakre komponentseparasjon, eller Transverse Abdominis Release (TAR); Etter å ha fripreparert bakre rektusfascie (am Rives Stoppa) beveger man seg videre

lateralt, men medialt for laterale nerver i laget mellom transversus abdominis muskel og ­fascie. Man kan her fortsette helt til psoasmuskelen, noe som gir en veldig mobil bakre flate med god lengde, og også god forlengelse av fremre blad. Det bakre laget tillater plassering av store nok nett som sikrer mot residiv. Litteraturgjennomgang har vist høy lukkingsrate og lav residivrate etter TAR (10). Studier har i tillegg vist at bakre komponentseparasjon gir mer lengde enn fremre (11). Noen studier beskriver også kombinasjon av begge disse i ekstreme tilfeller (12). I tillegg til disse teknikkene er det i utfordrende tilfeller lurt å bevare brokksekk på begge sider der den ene siden kan brukes som forlengelse av bakre lag og den andre som forlengelse av fremre.

HVOR SKAL NETT PLASSERES?

Nyere studier trekker i retning av at man bør unngå å plassere nett intraabdominalt (IPOM). Alternativene er ekstraperitonealt, retromuskulært og videre i TAR­planet, sydd inn mellom kanter som en bro (inlay, ofte kalt bridging), samt onlay, det vil si subkutant. Onlay er i litteraturen vist å være beheftet med økt infeksjonsfare og bør unngås. Bridging bør også unngås på grunn av høy residivrisiko (13).

HVILKEN TYPE NETT SKAL JEG VELGE?

Det finnes et stort utvalg av nett på markedet. Grovt sett inndeles de i syntetiske, biosyntetiske og biologiske. De to sistnevnte har forskjellige egenskaper, men felles for dem er at de skal tåle ikke helt rene felt bedre enn de syntetiske. De er mer kostbare enn de syntetiske og de absorberes. De syntetiske kan deles i de som er dekket på en side for å kunne plasseres intraabdominalt (IPOM) og de som ikke er dekket. De finnes i mange utforminger, der det viktigste er tetthet, tyngde og styrke. Nyere litteratur viser at det er mindre risikabelt å legge syntetisk nett i et ikke helt rent felt enn man tidligere har antatt (14,15). I tillegg antyder nyere studier at residivrisikoen er større med lette nett (16). Min anbefaling er at man bør benytte velutprøvde og dokumenterte nett, velge ut en type av hver kategori som man er kjent med. Absorberbare nett bør fortrinnsvis benyttes for å beskytte tarm og ikke som selvstendige nett. Ved høy risiko for infeksjon, bør de foretrukne lagene bevares til et tidspunkt der pasienten kan rekonstrueres med lavere risiko.

SAMTIDIG TARMKIRURGI?

Det er ingen overraskelser i litteraturen; samtidig tarmkirurgi øker infeksjonsrisikoen (17). Dette innebærer at

40 I KIRURGEN 1-2024
TEMA: BUKVEGGEN

man må veie opp risikoen ved flere operasjoner mot infeksjonsrisikoen. Dessuten kan tarmkirurgi gjøres mer eller mindre rent. For eksempel vil det være naturlig å reversere en bøylestomi som separat inngrep fra rekonstruksjon. Men dersom man må åpne en stor defekt med hud rett på tarm for å legge tilbake en endestomi, vil det være naturlig å sørge for så optimale forhold som mulig for å gjøre begge deler samtidig.

Parastomale brokk er regnet som komplekse og er godt beskrevet av Jan Lambrecht i dette nummeret av Kirurgen.

HVA MED PERINEALE BROKK?

Perineale brokk oppstår etter rektumamputasjoner og med økende frekvens ved mer radikale eksisjoner. Bruk av profylaktiske nett er utenfor det jeg velger å beskrive her. Tradisjonelt har perineale brokk vært operert med enten bruk av vertikal rectus abdominis muskel lapp (VRAM­lapp) for å dekke bekkenbunnen eller syntetiske eller biologiske nett åpent via perineum. Litteraturen her er sparsom og rotete (18) og kan oppsummeres slik: Nettplastikkene har vært assosiert med høye residivrater og VRAM­lappene har generelt hatt bedre resultater. Ulempene med nettplastikk kun via perineum er at nettet blir for lite i forhold til vanlige krav til overlapp utenfor brokkporten. I tillegg har biologiske nett den ulempen at de absorberes. Når det gjelder VRAM­lappene oppveies fordelene i perineum av ulempene ved donorsted­herniering hos inntil 30% og redusert livskvalitet (19). Rekonstruksjon av de med donorstedherniering, er et svært omfattende og risikabelt inngrep. Nyere litteratur antyder støtte for større syntetiske nett anlagt med kombinert laparoskopisk/åpen teknikk via perineum, men langtidsoppfølging mangler (20).

Traumatiske bukveggsrupturer er sjeldne, og oftest assosiert med feil bilbeltebruk. Den vanligste lokalisasjonen er lumbalt med avrivning av muskel og fascier fra cristakanten. Disse defektene er ikke akutt operasjonsindikasjon i seg selv. Blir pasienten operert akutt, bør rekonstruksjon etter min erfaring gjøres med benanker men uten bruk av nett før endelig lukking. Dersom akutt operasjon ikke er indisert, skal pasienten følges poliklinisk og opereres elektivt dersom økende herniering og plager oppstår senere. Det kan da benyttes benanker og nett. Mer omfattende destruksjon langs hele belteforløpet er oftere assosiert med operasjonskrevende skader intraabdominalt. Ende mer komplekst blir det når rup­

turen strekker seg kranialt mellom ribben og involverer diafragma. Generelt gjelder at håndtering av pasienten med bukveggsskade er en traumesenteroppgave, og krever erfaring i bukveggskirurgi.

Bukveggsreseksjon og reskonstruksjon ved maligne tilstander er nok et felt med svært begrenset kunnskapsgrunnlag. Imidlertid er det åpenbart enklere å rekonstruere samtidig med reseksjonen der dette kan planlegges (eventuelt med Botoxinjeksjoner i forkant) og pasientens tilstand og prognose ellers tilsier det. Her bør det utarbeides retningslinjer og kriterier.

HVOR VIKTIG ER KONTINUITET OG TEAMARBEID?

Det burde gå klart frem av teksten så langt at disse operasjonene er omfattende, må individualiseres og er assosiert med betydelig risiko for alvorlige komplikasjoner. Når man kobler det med at tilstanden er benign, det vil si at kirurgi ikke er obligat, betyr det at fallhøyden blir større. I tillegg til optimal prehabilitering kreves kontinuitet i det postoperative forløpet av kompetent bukveggskirurg, helst av operatør. Disse pasientene må monitoreres nøye peroperativt, men like viktig er postoperativ monitorering og ikke minst multimodal smertebehandling. Mange trenger overvåkningsplass det første døgnet for å unngå komplikasjoner, noen på intensivavdeling. Tett oppfølging av fysioterapeut for lungefunksjon og mobilisering er vesentlig. Disse pasientene krever en dedikert infrastruktur og et dedikert multidisiplinært team for best mulig behandlingsresultat.

HVOR SKAL DISSE PASIENTENE OPERERES?

I tillegg til at kirurgen skal inneha erfaring og kompetanse til å utføre aktuelle operasjon, stiller de komplekse rekonstruksjonene krav til spesielt motiverte og informerte pasienter. Videre kreves multidisiplinær håndtering, både gjennom systematisk prehabilitering og kontinuitet i den postoperative oppfølgingen. Dette bør gjøres av kompetente bukveggskirurger i samarbeid med blant annet anestesi­ og intensivleger, samt fysioterapeuter. Disse pasientene bør opereres på noen få sykehus som bør jobbe for å fylle kriteriene for bukveggsenter i henhold til EHS (21).

REFERANSER : Se bakerst i nettutgaven på kirurgen.no

KIRURGEN 1-2024 I 41
TEMA: BUKVEGGEN

TEMA: BUKVEGGEN

STOMIEN – DET IATROGENE BROKKET

KIRURGISK AVDELING, SI HAMAR

KORRESPONDANSE: JAN @ LAMBRECHT.NO

Å legge ut tarm gjennom bukveggen for assistert eliminasjon er en daglig hendelse. Det er et nødvendig onde; fordi det nedsetter personens selvfølelse – i tillegg er det dessverre ofte komplikasjoner til en utlagt tarm. Funksjon og stabilitet kan bli kompromittert, med ileus, lekkasje, hudproblemer, fistel, smerte - og ofte bidrar et parastomalt brokk (PSB) til problemet, hvis det ikke er den egentlige årsaken. Jeg vil her prøve å oppsummere det jeg formidlet om stomibrokk på brokkseksjonen ved Kirurgisk Høstmøte 2023.

Brokk eller prolaps ved siden av stomien er hyppig. Over tid er det beskrevet frekvens opptil 80%. Subkutan prolaps er ikke (alltid) klassifisert som brokk (1), men gir liknende problemer og bør etter min vurdering i utgangspunktet behandles likt. Ofte ses residiv etter en simpel stomirevisjon med avkortning av tarm og krøs, noe som kan gjøre det neste nødvendige inngrep vanskeligere og mer risikabelt. Brokk og prolaps erkjennes klinisk som kul (bulge). Deteksjonsraten er større ved CT. Cirka 1/3 av pasienter med kliniske brokk trenger på et tidspunkt kirurgisk korreksjon. Resultater etter operasjon for PSB har historisk vært nedslående. Dels grunnet høy komplikasjonsrate – 40% i flere rapporter – og grunnet høy residivfrekvens. Operasjon for parastomalt brokk er risikabel og mange trengende pasienter blir avvist grunnet frykt for dårlig resultat. Adheranseløsning og frigjøring av stomitarmen fra brokksekk og bukvegg må gjøres uansett metoden man velger. Risiko for tarm­ og perfusjonsskade med infeksjon og nekrose foreligger. Pasienter med god livskvalitet, tross parastomalt brokk, bør ikke utsettes for risiko. Motsatt bør man avverge ø­hjelpsoperasjon og ikke vente med vurdering eller henvisning til brokket blir gigantisk. Vi sliter med etablering av et register i Norge og pasientene har ingen formell rapporteringsmulighet. I pasienters tilbakemelding fremheves kampen de må ta for å bli vurdert ­ og revurdert ­ for PSB­operasjon.

Og i takt med forbedret livskvalitet, oppnå gjeninnpass i arbeidslivet som de hadde forlatt før brokkoperasjonen. Det er generelt en tendens henimot større operasjonsønske fra pasienter og økt behandlingsvillighet i det internasjonale kirurgiske miljø.

Det er flere måter å operere PSB på. Simpel sutur gir nesten 100% residiv. Relokasjon har samme brokkrate som primært – uten nett profylakse (mer om det senere) – samt >20% brokkrisiko i det tidligere stomiarret. Disse metodene er derfor ikke standard, men i akutte situasjoner kan de være nødvendig å benytte. Som ved andre brokk anvendes nett som standard ved operasjon for parastomalt brokk. Det kan gjøres åpent med snitt lateralt for stomiplaten og steril disseksjon og frigjøring av brokket, sutur av defekten, samt nett rundt tarmløpet (key­hole) – enten on­lay på fremre fascie eller som sub­lay bak rektus muskelen. Det mest brukte i dag er imidlertid intraperitoneal on-lay; IPOM med modifisert Sugarbaker teknikk hvor defekten dekkes med nett og tarmen løper til siden mellom nett og bukvegg. I dag gjøres det hyppigst mini­invasivt. IPOM key­hole er forlatt grunnet høy residivrate, men anvendes på noen sentre i kombinasjon med Sugarbaker – og kalles så Sandwich­teknikk. Et nytt key­hole nett med trakt (IPST) som forhindrer at åpningen i nettet utvides over tid, er i økende bruk og har vist resultater på linje med Sugarbaker­metoden.

Finland har ulikt Norge funksjonsfordeling også på brokk­/stomikirurgi, men likevel lave volum på denne typen kirurgi. En finsk studie viser et bilde av realitetene ved PSB­kirurgi: de sammenlikner i en nasjonal kohort med 235 pasienter de ulike intraperitoneale metodene beskrevet herover (Sugarbaker 39%, Key­hole 17%, Sandwich 16%, IPST 8%), samt en gruppe på 20% med «andre». Sistnevnte inkluderer sutur (5%), relokasjon (uten nett 5%, med nett 2%), åpen on­lay (1%), åpen sub­lay (2%)

42 I KIRURGEN 1-2024

og 3% uspesifisert (2). Pasientene var operert i en 11-års periode fra 2007 til 2017 med gjennomsnittlig operasjonsfrekvens på 21 pasienter per år på landsbasis i studieperioden. Median oppfølgning var 39 måneder. Høyeste residivrate så man i «andre» og Key­hole gruppene, hhv.

50% og 36%. Sugarbaker ga 22%, IPST 15% og Sandwich 14% residiv. Median tid til residiv var 25 måneder. Det interessante er at åpne intraperitoneale teknikker ga en betydelig lavere residivrate enn tilsvarende laparoskopiske inngrep med unntak av IPST og «andre» gruppene. Laparoskopisk key­hole ga hele 73% residiv. Likevel var forskjeller i residiv og komplikasjoner mellom de intraperitoneale metoder ikke signifikante. Total komplikasjonsrate rapporteres på 26%. En femtedel av pasientene måtte reopereres for komplikasjon eller residiv.

Finnene er ikke fornøyd og etterspør registerbasert evidens, profylakse­tiltak, bedre og sikrere operasjonsmetoder og pasient­rapportert utfall. Flere studier med nett­profylakse har gitt et utydelig bilde, der inntrykket er at man ikke forhindrer, men utsetter fremkomsten av PSB. I metaanalyser blandes nett­typer, åpne og laparoskopiske metoder som gjør konklusjonen vanskelig. Raten av nettprofylakse ved anleggelse av stomi har nådd opp til 6% i Tyskland det seneste år. Ingen opplysninger om frekvens er rapportert fra andre land og mange kirurger er fortsatt skeptiske til European Hernia Society (EHS) sin anbefaling om nettprofylakse (3). I flere retrospektive studier synes også insidens av PSB å ha økt med innførelse av mini­invasiv kirurgi og anleggelse av stomi (4) – analogt med økt residivfrekvens sett i den finske studien (2). I Tyskland og Finland er det også publisert studier med bruk av traktnett, (Chimney mesh/funnel mesh/IPST), som profylakse ved laparoskopiske inngrep. Foreløpige resultater er lovende, både i prospektive kohortstudier (5), retrospektive komparative studier (6) og i en finsk-svensk RCT, som foreløpig kun er fremlagt ved kongresser, hvor det rapporteres om 121 randomiserte pasienter med PSB rater på hhv. 2% og 43% etter 12 måneder. For raffinering av etablerte teknikker må kirurgien konsentreres, og det må etableres internasjonalt samarbeid. Nye teknikker har dukket opp med økt forståelse av bukveggens anatomi og bruk av bakre komponentseparasjon/TAR (7). I kombinasjon med totale endoskopiske ekstraperitoneale teknikker, har også en modifisert utgave av Sugarbaker med retromuskulær nettforsterkning fått økt interesse internasjonalt. Ikke minst med modning av robotassistert brokkkirurgi. En oversikt over robottekniske metoder gjengis av Dewulf (8).

Den nye metoden, med retromuskulær disseksjon/TAR og ekstraperitoneal nettplassering, kalles av flere Pauli-metoden (9). Prinsippet er som ved modifisert Sugarbaker, men med ekstraperitonealt nett og uten bruk av smertefulle stifter til å holde nettet mot bukveggen (10). Metoden er ikke ideell for tarm med kort krøs som ikke kan legges til en side. Uro­ og ileostomier med krøs som går frem fra midtlinjen er jevnlig så korte at lateralisering ikke er mulig. Man må her velge et alternativ; det kan være IPSTnett, eventuelt plassert ekstraperitonealt utenom trakten som penetrerer bukhinnen sammen med tarmløpet. Motsatt kan alle kolostomier (etter adheranseløsning) plasseres langs bukveggen. Jeg har nå mini­invasivt operert 55 pasienter med denne metoden, som er operasjonsteknisk krevende, men fasilitert noe av robotteknologi (11). Tre av 10 pasienter hadde en eller flere tidligere operasjoner for parastomalt brokk, 42% ble samtidig operert for annet brokk og flesteparten av disse ble operert med total ekstraperitoneal teknikk (eTEP). Syv av 100 pasienter fikk planlagt stomirevisjon i tillegg til brokkoperasjon, 79% har kolostomi og 51% har stomien grunnet operasjon for rektumcancer. Pasientene følges prospektivt og inntrykket er så langt bra, med svært lite smerter og kort liggetid (2­3 dager) og lav residivrate (4%) etter 2,5 års median oppfølgning. Alvorlige komplikasjoner har oppstått: én stominekrose 3 uker etter inngrep; én pasient med høy BMI og Crohns sykdom som fikk nettinfeksjon og ble revidert til Bio­A nett – uten residiv etter tre år; én pasient med først ileus som ble reoperert med funn av kraftig inflammasjon med negativ dyrkning – siden high output og nyresvikt – som ikke ble frisk før vi satte inn høydose steroid. Altså en sjelden, men kraftig nettreaksjon. Ca. 17% fikk mindre (oversydde) peroperative serosalesjoner uten medfølgende komplikasjon, 9% ble reinnlagt og 11% ble reoperert. Knivtiden var 179 ±60 minutter.

Det er mange uløste spørsmål med stomibrokk og selv om vi ikke har oversikt, er behandlingsutfall sannsynligvis utilfredsstillende. Metoden må ofte skreddersys til den enkelte pasient. Derfor er det ikke tilstrekkelig å beherske bare en enkelt metode. Hva er riktig å gjøre for å minske insidensen og hvilken metode skiller seg ut som den beste standard? Og hvorfor vil ikke helsemyndighetene støtte opp om et register som kan bidra til den nødvendige kunnskap?

REFERANSER : Se bakerst i nettutgaven på kirurgen.no

KIRURGEN 1-2024 I 43
TEMA: BUKVEGGEN

EN SVENSK SOMMERFLØRT

TOBIAS HAUGE

AVDELING FOR GASTRO - OG BARNEKIRURGI, OSLO UNIVERSITETESSYKEHUS ULLEVÅL

KORRESPONDANSE:

Femtende mai 2023 startet det som kom til å bli de mest spennende, intense og givende seks månedene i min yrkesaktive (og private) karriere – jeg startet mitt fellowship i «Esophageal and Gastric cancer surgery» ved Karolinska Universitetssykehus i Stockholm. Dette er et reisebrev fra oppholdet.

Karolinska Universitetssykehus er fordelt på to lokalisasjoner – Solna og Huddinge. Ventrikkel­ og spiserørskreft er sammen med HPB samordnet under «Övre buk» og lokalisert til Huddinge, to mil syd for Stockholm ­ i det som minner mest om en massiv fabrikk fra 70­tallet. Her ble jeg, som første ikke­japanske fellow, tatt opp som fullverdig medlem i «EsoVent»-teamet (figur 1). Teamet består av fire dyktige kirurger, alle høyt anerkjente internasjonale forskere – to professorer og to førsteamanuenser, men ikke minst fire fantastiske og inkluderende kollegaer og etter hvert venner.

Siden 2013 har de hatt en rullerende ordning med en japansk fellow fra Tokyo som er der for ett til to år om gangen. Fortiden hadde de Yasuhiro Okumura, den 8. i rekken – for skandinaviske forhold å regne, en relativ erfaren operatør med over 50 robot­gastrektomier bak seg. Jeg var derimot i andre enden av skalaen, riktignok ferdig spesialist, men uten reell erfaring innenfor øsofagusog ventrikkelkirurgi. Dette håpet jeg å endre i løpet av oppholdet i Stockholm.

44 I KIRURGEN 1-2024
TOBIAS HAUGE – TOBIAS @ KIRURGEN.NO
AKTUELT
FIGUR 1: EsoVent-teamet. Fra venstre: Magnus Nilsson, Yasuhiro Okumura (japansk fellow), Mats Lindblad, Giannis Rouvelas og Fredrik Klevebro (nederst).

Jeg hadde ulønnet permisjon fra stillingen min på Ullevål og ble ansatt som «spesialistläkare» på «Övre buk» i Huddinge. Fordelen med denne ordningen er at man ikke ender opp som en observatør, men virkelig blir inkludert i det daglige arbeidet. Jeg hadde nøyaktig de samme arbeidsoppgavene som de øvrige fire skandinaviske medlemmene av teamet. Det betydde operasjonsdag mandag, tirsdag, torsdag og av og til fredager. «Mottagning» (poliklinikk) onsdager. I tillegg var det «konferans» (MDT) tirsdag ettermiddag og fredag formiddag, vurdering av henvisninger og et absolutt krav om å bedrive forskning. Det var ingen LIS­leger (ST­läkare) tilknyttet «Övre buk», men de hadde mange underläkare (lege før turnus) som gjorde rutinearbeidet på sengeposten.

Dagene var ganske annerledes enn hva jeg var vant med fra Ullevål. På morgenen startet man rett over syv og snakket med gårsdagens operasjonspasient som lå på IMA (postoperativ) før et felles morgenmøte med HPB 0745. Møtet varte fem til ti minutter hvor kun pasientene som lå på IMA ble referert av den underläkaren som hadde ansvaret for avdelingen. Etter dette gikk teamet i

fellesskap visitt på samtlige inneliggende pasienter som tilhørte EV (øsofagus og ventrikkel). I tillegg til opererte pasienter, inkluderte det alle palliative kreftpasienter som trengte innleggelse. Klokken 0830 hadde man som regel tilsett og laget en plan for samtlige pasienter, slik at man med god samvittighet kunne bevege seg i retning operasjonsstuene og overlate det resterende arbeidet til en underläkare som gjorde papirarbeidet og fulgte opp de planene som var laget. «Övre buk» hadde noen utrolig dyktige og hardtarbeidene underläkare som gjorde en enestående jobb. Av og til (som regel) rakk man en kort «fika» bestående av smørbrød og kaffe satt fram på pauserommet på operasjonsstua, før operasjonsstart. Fredager hadde sykepleierne stilt i stand «fika» på sengeposten – en viktig svensk tradisjon jeg synes vi bør innfør her til lands.

Det var som regel tre til fire store operasjoner per uke – i hovedsak gastrektomier og øsofagektomier. I tillegg gjorde de en god del diagnostiske laparoskopier for lokalavansert ventrikkelcancer og hadde en ganske omfattende endoskopisk virksomhet hvor alt av terapeutiske endo­

KIRURGEN 1-2024 I 45
AKTUELT
FIGUR 2: Stockholm en sen sommerkveld

skopier på postoperative og palliative pasienter ble gjort av kirurgene og på operasjonsstua i intubasjonsnarkose. De hadde tilgang til Intuitive sin da Vinci Xi robot to dager per uke (foruten en periode på sommeren), de øvrige dagene var det torakolaparoskopi og en sjelden gang åpen kirurgi. Før jeg reiste var jeg ikke sertifisert robotkirurg og assisterte således mye når den var i bruk. Men, på tross av manglende sertifisering er jeg mektig imponert over hvor mye de slapp meg til! På hvert inngrep fant de alltid noe jeg kunne gjøre. Jeg fikk således gjort gastrektomier, øsofagektomier, kolonreseksjoner, halsdiseksjoner, alt av endoskopisk virksomhet, samt brukt uendelig mange timer på robotsimulatoren i løpet av oppholdet.

På dagtid var man stort sett skånet for all øyeblikkelig hjelp­virksomhet, med mindre det var reoperasjoner på egne pasienter, palliative pasienter som trengte innleggelse (og ofte en stent), en og annen pasient fra annet sykehus og pasienter med øsofagusperforasjoner. Øvrige

pasienter som trengte akuttkirurgi gikk via «akutten» (akuttmottaket), ble vurdert av en akuttmedisiner, innlagt avdeling for akuttkirurgi og traume (AKT), operert og håndtert der. Større traumer ble sendt til Solna (rett nord for sentrum). I løpet av sommeren gikk jeg et par vakter («mellanjour»). Foruten en ortoped og en gynekolog er man eneste kirurg på huset på kveld og natt og man må således kunne håndtere de vanligste akuttkirurgiske tilstandene selvstendig.

Det sosiale var av høy kvalitet (figur 2). Svenske er flinke til å inkludere deg, i alt fra AW (after work), grilling, båtturer, en spontan øl, trening (figur 3) og ikke minst via den daglig og obligatoriske varme felleslunsjen.

Arbeidsdagene var lengre enn hva som er tilfellet på Ullevål. Foruten fredager hvor en som regel var ferdig til klokken 1530, var det sjeldent jeg gikk før klokken 19 og det var ikke uvanlig at operasjonene kunne dra ut enda et

46 I KIRURGEN 1-2024
AKTUELT
FIGUR 3: Styrketrening og posering med min japanske kollega (jeg til høyre).

par timer. Sammenliknet med arbeidstidene min japanske kollega var vant med fra sitt hjemland, som aldri gikk før klokken 22, arbeidet hver lørdag på en privat endoskopiklinikk og kun så sønnen sin i våken tilstand hver søndag, var det riktignok veldig benignt.

Det var selvfølgelig også noen utfordringer med å arbeide i Sverige (figur 4). Den største utfordringen og en jeg ikke hadde sett for meg på forhånd, var språket. Personlig har jeg ingen problemer med å forstå svensk, men mange Stockholmere har store problemer med norsk! Det kom spesielt tydelig fram i notater jeg hadde dikterte (alt skulle dikteres) som til å begynne med inneholdt utrolig mange spørsmålstegn. Løsningen ble «svorsk» og på slutten av oppholdet var jeg blitt så god at jeg jeg avsluttet som venn med sekretærene.

Før jeg reiste var målet å lære mest mulig og få mest mulig operativ erfaring. Et mål som absolutt ble oppnådd.

Men, det jeg sitter igjen med som det største utbyttet, er det å få kontakter på tvers av landegrensene, leve i et annet land og ikke minst oppleve en annen (arbeids) kultur. Miljøet i Stockholm er veldig internasjonalt og i tillegg til min japanske kollega hadde de en italiensk fellow på HPB, en japansk og en portugisisk meget dyktig endoskopør, en kinesisk patolog som sto for et fargesprakende lysbildeshow på hvert MDT, men ikke minst hadde de mange internasjonale gjester. Som fellow høster man fruktene av dette miljøet og det åpner dørene til mange spennende samarbeid.

Sammenliknet med mange andre land, er det å reise på fellowship ikke vanlig blant norske kirurger. Det bør ikke være sånn. Har du muligheten, grip den! Du kommer til å utvikle deg enormt som kirurg og medmenneske. God tur!

KIRURGEN 1-2024 I 47
AKTUELT
FIGUR 4: En annerledes 17. Mai på Skansen i Stockholm

25% Change in Planned Surgical Strategy

Combining transit time flow measurement and high frequency ultrasound imaging in CABG surgery should be considered a routine procedure “
Intraoperative transit-time flow measurement and high-frequency ultrasound assessment in coronary artery bypass grafting. J Thorac Cardiovasc Surg 2020;159:1283-92 LEVERES AV: Økernveien 94, 0579 Oslo. Tlf: 23 03 52 50. E-mail: norge@medistim.com - www.medistim.no
YEARS
Intraoperative Surgical Guidance and Quality Assessment

KIRURGISKE HØSTMØTET

21.-25. OKTOBER 2024

Det årlige kirurgiske høstmøte vil bli arrangert fysisk på Meet Ullevål for 99. gang i oktober 2024.

Vi er godt i gang med å legge kabalen for 2024 og sette sammen et nytt og spennende program med symposier og frie foredrag.

Her er noen viktige datoer å huske:

Innlevering av abstracts: 1. september (digitalt på www.hostmotet.no)

Innlevering av powerpoint presentasjon: 1. oktober (digitalt på www.hostmotet.no)

For de enkelte fagmedisinske foreninger gjelder følgende frister: Innmelding tittel og tid (antall timer/ halv dag/hel dag): 1. april

Endelige program for symposier: 1 august.

Frist for påmelding av foredragsholdere: 1. september.

Programmet vil være klart i løpet av august

All informasjon vil være tilgjengelig fortløpende på hostmotet.no

Vi gleder oss veldig, og håper å se flest mulig på Meet Ullevål i uke 43.

Norsk kirurgisk forening arrangerer Høstmøtet 2024 i samarbeid med disse fagmedisinske foreningene:

Norsk barnekirurgisk forening

Norsk forening for bryst og endokrink

Norsk forening for gastroenterologisk kirurgi

Norsk forening for maxillofacial kirurgi

Norsk karkirurgisk forening

Norsk plastikkirurgisk forening

Norsk thoraxkirurgisk forening

Norsk urologisk forening

PLATINUM SPONSOR:

HØST MØTET
50 I KIRURGEN 1-2024 MALTHES LEGAT

TILDELING AV MALTHESTIPEND 2023

Dr. Alexander Malthes legat ble opprettet i 1920. Da Oslo kirurgiske forening ble lagt ned, ble legatet med beholdning 1,9 millioner overført til Norsk kirurgisk forening (NKF) i 2014.

LEDER LEGATSTYRET

KORREPONDANSE: OVILLANG @ OUS - HF.NO.

Formålet med Malthe legatet er «å fremme norsk kirurgi i form av reisestipend, fortrinnsvis til engelsktalende land, for dyktige yngre leger til videre utdannelse.»

Søknadsfrist for Malthestipend er 1. september hvert år. Stipendet ble i 2023 lyst ut i mange kanaler, bla Kirurgien, sosiale medier, i samarbeid med FUNK osv.

Legatstyret har vurdert søkere som har levert en beskrivelse av formålet med stipendet og med et budsjettforslag. I år var det mange søkere, med overvekt av kirurger knyttet til bryst/endokrin­ og brokkirurgi.

Stipendmottakerne må levere en kort reiserapport med angivelse av faglig utbytte egnet for publisering i Kirurgen innen 1 måned etter gjennomført reise/kongress.

Legatet med oppdatert status av investeringene i fond (Nordea) viser god avkastning. Total markedsverdi i 2023 kr 2 246 107.

Styret i Malthelegatet har besluttet å dele ut stipend for totalt kr 125 000 i 2023. Tildelingen ble formidlet på årsmøtet til NKF i høstmøteuken.

Oversikt over stipendmottakere:

1. Katharina Tingulstad, LIS generell kirurgi Orkdal. Søker for midler til Diplomstudium i tropemedisin og global helse ved London School of Tropical Medicine. Vedkommende planlegger å jobbe ute i felt. Kurset er godkjent av bla Leger uten grenser som forberedelseskurs. Kurset utvikler ikke kirurgiske ferdigheter, men gir verdifull kunnskap for å jobbe i tropeområder som kirurg. Budsjett ca 160 000. Fått noe fra Nasjonalt senter for tropemedisin. Tildeles Malthestipend kr 18 000.

2. Fredrik Bremtun, LIS Bryst/endokrin St Olav. Søker for midler til deltagelse i ESSO advanced course on Breast Cancer surgery i europeisk storby. Budsjett kr 22 700. Tildeles Malthestipend kr 14 000.

3. Naima Tahri, LIS Bryst/endokrin Ahus. Interessert i videreutvikling innen Rekonstruktiv brystkirurgi/onkoplastikk teknikker. Søker for midler til utvekslingsopphold 4 uker på Paris Breast Center (bekreftet innvilget fellowship). Budsjett kr 44 600. Tildeles Malthestipend kr 20 000.

4.  Ole Skaara, vikar urologi Aker/generell kirurg Forsvarets sanitet. Søker for midler til hospitering 4 uker i Johannesburg innen traumekirurgi. Budsjett kr 24 000. Tildeles Malthestipend kr 24 000.

5. Robbert­Jan Lindeman, LIS gastrokir SUS. Søker for midler til opplæring i brokkirurgi «Rives­Stoppa prosedyren» i Madrid, som skal brukes til å skrive internasjonal utdanningsprotokoll, til norsk digital plattform for kirurgisk utdanning og pasient sikkerhet (Alfred Surgery). Budsjett kr 20 000. Tildeles Malthestipend kr 15 000.

6. Jasmine Tahri, LIS plastikkirurgi OUS. Interessert i Rekonstruktiv brystkirurgi/onkoplastikk teknikker. Søker for midler til utvekslingsopphold 4 uker på Paris Breast Center. Budsjett kr 44 600. Tildeles Malthestipend kr 20 000.

7.  Fredrikke Hveem, LIS generell kirurgi Harstad. Søker for midler til kadaverkurs i brokkirurgi i regi av European Hernia Society, Praha. Budsjett kr 16 000. Tildeles Malthestipend kr 14 000.

For styret i Malthelegatet Olaug Villanger, leder

KIRURGEN 1-2024 I 51
LEGAT
MALTHES

S10: BUKVEGGSKIRURGIEN I NORGE – VI HAR EN JOBB Å GJØRE!

1 Köckerling F, Sheen AJ, Berrevoet F, Campanelli G, Cuccurullo D, Fortelny R, Friis-Andersen H, Gillion JF, Gorjanc J, Kopelman D, Lopez-Cano M, Morales-Conde S, Österberg J, Reinpold W, Simmermacher RKJ, Smietanski M, Weyhe D, Simons MP. Accreditation and certification requirements for hernia centers and surgeons: the ACCESS project. Hernia. 2019 Apr;23(2):185-203.

2 Köckerling F, Sheen AJ, Berrevoet F, Campanelli G, Cuccurullo D, Fortelny R, Friis-Andersen H, Gillion JF, Gorjanc J, Kopelman D, Lopez-Cano M, Morales-Conde S, Österberg J, Reinpold W, Simmermacher RKJ, Smietanski M, Weyhe D, Simons MP. The reality of general surgery training and increased complexity of abdominal wall hernia surgery. Hernia. 2019 Dec;23(6):1081-1091.

3 Podolsky D, Ghanem OM, Tunder K, Iqbal E, Novitsky YW. Current practices in complex abdominal wall reconstruction in the Americas: need for national guidelines? Surg Endosc. 2022 Jul;36(7):4834-4838.

S13: RECTUSDIASTASE

1 Mommers AHH, et al. The general surgeon’s perspective of rectus diastasis. A systematic review of treatment options. Surg Endosc. 2017 Dec;31(12):4934-4949.

2 Nienhuijs SW, et al. The male rectus diastasis: a different concept? Hernia. 2021 Aug;25(4):951-956.

3 Hernández-Granados P, et al. European Hernia Society guidelines on management of rectus diastasis. Br J Surg. 2021.

4 Carlstedt A, et al. Management of diastasis of the rectus abdominis muscles: recommendations for swedish national guidelines. Scand J Surg. 2021 Sep;110(3):452-459. doi: 10.1177/1457496920961000. Epub 2020 Sep 28.

5 Benjamin DR, et al. Effects of exercise on diastasis of the rectus abdominis muscle in the antenatal and postnatal periods: a systematic review. Physiotherapy. 2014 Mar;100(1):18.

6 Benjamin DR, et al. Conservative interventions may have little effect on reducing diastasis of the rectus abdominis in postnatal women - A systematic review and meta-analysis. Physiotherapy, 2023 Jun:119:54-71.

7 Benjamin DR, et al. Relationship between diastasis of the rectus abdominis muscle (DRAM) and musculoskeletal dysfunctions, pain and quality of life: a systematic review. Physiotherapy. 2019 Mar;105(1):24-34.

8 Retningslinjer for plastikkirurgi i offentlig regi (legeforeningen.no)

S16: HVORDAN SKAL VI LUKKE BUKEN FOR Å UNNGÅ ARRBROKK?

1 Eva B Deerenberg, Nadia Henriksen, George A Antoniou Updated guidelines for closure of abdominal wall incisions from the European and American Hernia Societies Br J Surg  2022 ; 109: 1239-1250

2 Bosanquet DC, Ansell J, Aabdelrahman T. Systematic review and meta-regression of affecting midline incisional hernia rates: analysis of 14618 patients

3 Petersson J,Koedam TW, Bomjer HJ Bowl obstruktion and ventral hernia after laparoscopic versus open surgery for colorectal cancer in a randomized trial (COLOR II)  Ann Surg 2018; 269:53-57

4 Taylor GW, Jayne DG, Brown Adhesions and incisional hernia following laparoscopic  versus open surgery for colorectal cancer in the CLASICC trial Br. J Surg 2010;97:70-78

5 Percorelli N, Amondeo S, Frasson M Ten-year outcomes following laparoscopic colorectal resection: results of a randomized  controlled trial Int. J Colorectal Dis 2016;31:1283-1290

6 Muysoms FE, Antoniou SA, Bury K, Det al. European Hernia society guidelines on the closure of abdominal wall incisions. Hernia 2015;19:1–24

7 Lee L , Mata J, Droeser RA Incisional hernia after midline versus transverse specimen extraction incision: a randomized trial in patients undergoing laparoscopic colectomy. Ann Surg2018;268:41–47

8 Karampinis I , Lion E, Grilli M.  Trocar site hernias in bariatric surgery—an underestimated issue: a qualitative systematic review and meta- analysis. Obes Surg2019;29:1049–1057

9 yu Y , Cheng Y, Wang B,. Single-incision versus conventional multiport laparoscopic cholecystectomy: a current meta-analysis of randomized controlled trials. Surg Endosc2020;34:4315–4329

10 Patel SV , Paskar DD, Nelson RL, Closure methods for laparotomy incisions for preventing incisional hernias and other wound complications. Cochrane Database Syst Rev2017; (11)CD005661

11 Höer J , Töns C, Schachtrupp A,  Quantitative evaluation of abdominal wall perfusion after different types of laparotomy closure using laser-fluorescence videography. Hernia2002;6:11–16

12 Deerenberg EB , Harlaar JJ, Steyerberg EW, Small bites versus large bites for closure of abdominal midline incisions (STITCH): a double-blind, multicentre, randomised controlled trial. Lancet2015;386:1254–1260

13 Millbourn D , Cengiz Y, Israelsson LA. Effect of stitch length on wound complications after closure of midline incisions: a randomized controlled trial. Arch Surg2009;144:1056–1059

14 Rath AM , Chevrel JP. The healing of laparotomies: review of the literature. Hernia1998;2:145–149

15 Bourne RB , Bitar H, Andreae PR, In-vivo comparison of four absorbable sutures: vicryl, dexon plus, maxon and PDS. Can J Surg1988;31:43–45

16 Vasanthan A , Satheesh K, Hoopes W, Comparing suture strengths for clinical applications: a novel in vitro study. J Periodontol2009;80:618–624

17 Ethicon . VICRYL™ (Polyglactin 910) Synthetic Absorbable Suture. Instructions for Use. 0012227 rev 5, press release. ?: Ethicon, 2019

18 Jairam AP , López-Cano M, Garcia-Alamino JM, Prevention of incisional hernia after midline laparotomy with prophylactic mesh reinforcement: a meta-analysis and trial sequential analysis. BJS Open2020;4:357–368

19 Hassan MA , Yunus RM, Khan S, Memon MA. Prophylactic onlay mesh repair (POMR) versus primary suture repair (PSR) for prevention of incisional hernia (IH) after abdominal wall surgery: a systematic review and meta-analysis. World J Surg2021;45:3080–3091

20 Tansawet A , Numthavaj P, Techapongsatorn S Mesh position for hernia prophylaxis after midline laparotomy: a systematic review and network meta-analysis of randomized clinical trials. Int J Surg2020;83:144–151

S23: KUTT OG KONSEKVENSER - ELLER SY SAMMEN FREMTIDEN?

1 Randsborg, Kalager, Owe, Thorsen, 11. oktober 2023 Utgave 15, 24. oktober 2023 Tidsskr Nor Legeforen inneholder en kraftig advarsel mot dagens utdanningssystem for yngre kollegaer.

2 Aviation and healthcare: a comparative review with implications for patient safety. Kapur, Parand, Soukup JRSM Open. 2016 Jan; 7(1): 2054270415616548).

3 Arianson-utvalget: Med åpne kort. Norges offentlige utredninger 2015: 11, side 57).

4 Deilkås ET, Haugen M, Risberg MB, et al. Longitudinal rates of hospital adverse events that contributed to death in Norway and Sweden from 2013 to 2018. Journal of Patient Safety and Risk Management. 2021;26(4):153-160)

5 Kjellberg, Wolf, BMC Health Serv Res. 2017; 17: 651. Costs associated with adverse events among acute patients)

6 OECD https://www.oecd.org/health/health-systems/Economics-of-Patient-Safety-October-2020.pdf )

7 Ruthberg, Risberg, Sjødal. Characterisations of adverse events detected in a university hospital: a 4-year study using the Global Trigger Tool method) BMJ Open. 2014; 4(5): doi: 10.1136/bmjopen-2014-004879 PMCID: PMC4039822 PMID: 24871538).

8 Anne Steenberger: Kirurgers uddannelser stadig presset: Ugeskrift for Læger 8.januar 2024).

9 Tid for Handling. NOU 2023:4 2. feb. 2023)

10 Hagve. Pengene bak vitenskapelig publisering Tidsskr Nor Legeforen 2020 17. august 2020)

11 Sarah Kliff, Katie Thomas. How a Lucrative Surgery Took Off Online and Disfigured Patients, New York Times, Oktober 30, 2023).

12 Fingeret, Martinez, Hsieh et al. Watch what happens: using a web-based multimedia platform to enhance intraoperative learning and development of clinical reasoning. Am J Surg. 2016;211(2):384–389.

13 Nasjonal helse- og sykehusplan 2020-2023, side 7.

14 Greenberg, Jolles,Sullivan et al A structured, extended training program to facilitate adoption of new techniques for practicing surgeons. Surg Endosc (2018) 32:217–224 https://doi.org/10.1007/s00464-017-5662-2

15 Sawyer, Taylor, White, Majorie, Zaveri, Pavan. Academic Medicine 90(8)p1015-1033 august 2015). Gjennom “Learn, see, practice, prove, do og maintain”

16 Delhi, Lorentzen, Engebretsen, Kvalitetsforbedrring av kirurgisk behandling av tykktarmskreft i Nord-Norge, Kirurgen 4/23, side 43.)

17 Meld. St. 18 (2018 –2019) Melding til Stortinget Helsenæringen

S30: PREHABILITERING FØR BROKKIRURGI

1. Bruns ERJ, van Rooijen SJ, Argillander TE et al. Improving Outcomes in Oncological Colorectal Surgery by Prehabilitation. Am J Phys Med Rehabil 2019 Mar;98(3):231238.

2. Carli F, Gillis C, Scheede-Bergdahl C. Promoting a culture of prehabilitation for the surgical cancer patient. Acta Oncol. 2017 Feb;56(2):128-133.

3. Helgstrand F, Rosenberg J, Kehlet H et al. Outcomes after emergency versus elective ventral hernia repair: a prospective nationwide study. World J Surg. 2013 Oct;37(10): 2273-9.

4. Cox TC, Blair LJ, Huntington CR et al. The cost of preventable comorbidities on wound complications in open ventral hernia repair. J Sur Res. 2016 Nov; 206(1):214-222.

5. Colavita PD, Tsirline VB, Belyansky I et al. Prospective, long-term comparison of quality of life in laparoscopic versus open ventral hernia repair. Ann Surg. 2012 Nov; 256(5):714-22.

6. Jensen KK, East B, Jisova B et al. The European Hernia Society Prehabilitation Project: a systematic review of patient prehabilitation prior to ventral hernia surgery. Hernia. 2022 Jun;26(3):715-726.

7. Park H, de Virgilio C, Kim DY et al. Effect og smoking and different BMI cutoff points on surgical site infection after elective open ventral hernia repair. Hernia. 2021 Apr;25(2):337-343.

8. Grove TN, Kontovounisios C, Montgomery A et al. Perioperative optimization in complex abdominal wall hernias: Delphi consensus statement. BJS Open. 2021 Sep;5(5):zrab082.

9. Veilleux E, Lutfi R. Obesity and Ventral Hernia Repair: Is There Success in Staging? J Laparoendosc Adv Surg Tech. 2020 Aug;30(8):896-899.

10. Novitsky YW, Porter JR, Rucho ZA et al. Open preperitoneal retrofascial mesh

REFERANSER 52 I KIRURGEN 1-2024

repair for multiply recurrent ventral incisional hernias. J Am Coll Surg. 2006 Sep;203(3):283-9.

11. Monfrecola G, Riccio G, Saverese C et al. The acute effect of smoking on cutaneous microcirculation blood flow in habitual smokers and nonsmokers. Dermatology. 1998;197(2):115-8.

12. Lindstrom D, Sadr Azodi O, Wladis A et al. Effects of perioperative smoking cessation intervention on postoperative complications: a randomized trial. Ann Surg. 2008 Nov; 248(5);739-45.

13. Thomsen T, Villebro N, Moller AM. Interventions for preoperative smoking cessation. Cochrane Database Syst Rev. 2014 Mar 27;2014(3):CD002294.

14. Casqueiro J, Casqueiro J, Alves C. Infections in patients with diabetes mellitus: A review of pathogenesis. Indian J Enocrinol Metab. 2012 Mar;16 Suppl (Suppl1):S27-36.

15. Wilson RB, Farooque Y. Risk and Prevention of Surgical Site Infection After Hernia Mesh Repair and the Predictive Utility of ACS-NSQIP. J Gastrointest Surg. 2022 Apr;26(4):950-964.

16. Howard R, Thomson M, Fan Z et al. Costs Associated With Modifiable Risk Factors in Ventral and Incisional Hernia Repair. JAMA Netw Open. 2019 Nov 1;2(11):e1916330.

17. Adams ST, Bedwani NH, Massey LH et al. Physical activity recommendations pre and post abdominal wall reconstruction: a scoping review of the evidence. Hernia. 2022 Jun;26 (3):701-714.

18. Novitsky YW, Elliot HL, Orenteisn SB et al. Transversus abdominis muscle release: a novel approach to posterior component separation during complex abdominal wall reconstruction. Am J Surg. 2012 Nov;204(5):709-16.

S33: ARRBROKK

– HVA SIER EUROPEAN HERNIA SOCIETY?

1. David L Sanders, Maciei M Pawlak, Maarten P Simons et al. Midline incisional hernia guidelines: the European Hernia Society. Br J Surg, 2023 Dec; 110(12): 1732–1768.

2. R. Bittner, K.Bain, V.K. Bansal et al. Update of Guidelines for laparoscopic treatment of ventral and incisional abdominal wall hernias (International Endohernia Society (IEHS))—Part A. Surg Endosc. 2019; 33(10): 3069–3139.

3. R. Bittner, K.Bain, V.K. Bansal et al. Update of Guidelines for laparoscopic treatment of ventral and incisional abdominal wall hernias (International Endohernia Society (IEHS))—Part B. Surg Endosc. 2019; 33(11): 3511-3549.

4. Aiolfi, A., Cavalli, M., Gambero, F. et al. Prophylactic mesh reinforcement for midline incisional hernia prevention: systematic review and updated meta-analysis of randomized controlled trials. Hernia 27, 213–224 (2023).

5. Petro, C.C., Montelione, K.C., Zolin, S.J. et al. Robotic eTEP versus IPOM evaluation: the REVEAL multicenter randomized clinical trial. Surg Endosc 37, 2143–2153 (2023).

6. Petro CC, Zolin S, Krpata D et al. Patient-Reported Outcomes of Robotic vs Laparoscopic Ventral Hernia Repair With Intraperitoneal Mesh: The PROVE-IT Randomized Clinical Trial. JAMA Surg. 2021 Jan 1;156(1):22-29.

7. Eriksen JR, Bisgaard T, Assaadzadeh S, Jorgensen LN, Rosenberg J. (2013) Fibrin sealant for mesh fixation in laparoscopic umbilical hernia repair: 1-year results of a randomized controlled double-blinded study. Hernia 17(4):511–4. 10.1007/s10029013-1101-z.

8. Kirchhoff P, Hoffmann H, Köckerling F, Adolf D, Bittner R, Staerkle RF. Is antibiotic prophylaxis mandatory in laparoscopic incisional hernia repair? Data from the herniamed registry. Int J Surg. 2018 Oct;58:31-36.

9. Jan Lambrecht, Kristin Kjellevold. Laparokopisk operasjon for bukveggsbrokk med ekstraperitoneale nett. Kirurgen. 2018 Okt

S38: KOMPLEKSE BUKVEGGS REKONSTRUKSJONER – FYSIOLOGISK KIRURGI SOM KREVER PROTOKOLLISERT KREATIVITET

1: Jensen KK, East B, Jisova B, Cano ML, Cavallaro G, Jørgensen LN, Rodrigues V, Stabilini C, Wouters D, Berrevoet F. The European Hernia Society Prehabilitation Project: a systematic review of patient prehabilitation prior to ventral hernia surgery. Hernia. 2022 Jun;26(3):715-726.

2: Grove TN, Kontovounisios C, Montgomery A, Heniford BT, Windsor ACJ, Warren OJ; AWR Europe Collaborative. Perioperative optimization in complex abdominal wall hernias: Delphi consensus statement. BJS Open. 2021 Sep 6;5(5):zrab082.

3: Deerenberg EB, Henriksen NA, Antoniou GA, Antoniou SA, Bramer WM, Fischer JP, Fortelny RH, Gök H, Harris HW, Hope W, Horne CM, Jensen TK, Köckerling F, Kretschmer A, López-Cano M, Malcher F, Shao JM, Slieker JC, de Smet GHJ, Stabilini C, Torkington J, Muysoms FE. Updated guideline for closure of abdominal wall incisions from the European and American Hernia Societies. Br J Surg. 2022 Nov 22;109(12):1239-1250.

4: Meyer J, Roos E, Abbassi Z, Toso C, Buchs CN, Ris F. Does prophylactic negative pressure wound therapy prevent surgical site infection in abdominal surgery? J Wound Care. 2023 Jan 2;32(Sup1):S28-S34.

5: Petersson P, Petersson U. Dynamic Fascial Closure With Vacuum-Assisted Wound Closure and Mesh-Mediated Fascial Traction (VAWCM) Treatment of the Open Abdomen-An Updated Systematic Review. Front Surg. 2020 Nov 5;7:577104.

6: Hees A, Willeke F. Prevention of Fascial Retraction in the Open Abdomen with a Novel Device. Case Rep Surg. 2020 Oct 21;2020:8254804.

7: Slater NJ, Montgomery A, Berrevoet F, Carbonell AM, Chang A, Franklin M, Kercher KW, Lammers BJ, Parra-Davilla E, Roll S, Towfigh S, van Geffen E, Conze J, van Goor H. Criteria for definition of a complex abdominal wall hernia. Hernia. 2014 Feb;18(1):7-17.

8: Hodgkinson JD, Worley G, Warusavitarne J, Hanna GB, Vaizey CJ, Faiz OD.mEvaluation of the Ventral Hernia Working Group classification for long-term outcome using English Hospital Episode Statistics: a population study. Hernia. 2021 Aug;25(4):977-984.

9: Timmer AS, Claessen JJM, Atema JJ, Rutten MVH, Hompes R, Boermeester MA. A systematic review and meta-analysis of technical aspects and clinical outcomes of botulinum toxin prior to abdominal wall reconstruction. Hernia. 2021 Dec;25(6):1413-1425.

10: Wegdam JA, Thoolen JMM, Nienhuijs SW, de Bouvy N, de Vries Reilingh TS. Systematic review of transversus abdominis release in complex abdominal wall reconstruction. Hernia. 2019 Feb;23(1):5-15.

11: Majumder A, Martin-Del-Campo LA, Miller HJ, Podolsky D, Soltanian H, Novitsky YW. Evaluation of anterior versus posterior component separation for hernia repair in a cadaveric model. Surg Endosc. 2020 Jun;34(6):2682-2689.

12: Daes J, Oma E, Jorgensen LN. Changes in the abdominal wall after anterior, posterior, and combined component separation. Hernia. 2022 Feb;26(1):17-27.

13: Sosin M, Nahabedian MY, Bhanot P. The Perfect Plane: A Systematic Review of Mesh Location and Outcomes, Update 2018. Plast Reconstr Surg. 2018 Sep;142(3 Suppl):107S-116S.

14: Matthews BD, Paton L. Updates in Mesh and Biomaterials. Surg Clin North Am. 2018 Jun;98(3):463-470.

15: Köckerling F, Alam NN, Antoniou SA, Daniels IR, Famiglietti F, Fortelny RH, Heiss MM, Kallinowski F, Kyle-Leinhase I, Mayer F, Miserez M, Montgomery A, Morales-Conde S, Muysoms F, Narang SK, Petter-Puchner A, Reinpold W, Scheuerlein H, Smietanski M, Stechemesser B, Strey C, Woeste G, Smart NJ. What is the evidence for the use of biologic or biosynthetic meshes in abdominal wall reconstruction? Hernia. 2018 Apr;22(2):249269.

16: Roos MM, Bakker WJ, Schouten N, Voorbrood CEH, Clevers GJ, Verleisdonk EJ, Davids PH, Burgmans JP. Higher Recurrence Rate After Endoscopic Totally Extraperitoneal (TEP) Inguinal Hernia Repair With Ultrapro Lightweight Mesh: 5-Year Results of a Randomized Controlled Trial (TULP-trial). Ann Surg. 2018 Aug;268(2):241-246.

17: Wallace A, Houlton S, Garner J. Gastrointestinal procedures and anastomoses can be safely performed during complex abdominal wall reconstruction. Hernia. 2023 Apr;27(2):439-447

18: Bertrand K, Lefevre JH, Creavin B, Luong M, Debove C, Voron T, Chafai N, Tiret E, Parc Y. The management of perineal hernia following abdomino-perineal excision for cancer. Hernia. 2020 Apr;24(2):279-286.

19: Schellerer VS, Bartholomé L, Langheinrich MC, Grützmann R, Horch RE, Merkel S, Weber K. Donor Site Morbidity of Patients Receiving Vertical Rectus Abdominis Myocutaneous Flap for Perineal, Vaginal or Inguinal Reconstruction. World J Surg. 2021 Jan;45(1):132140.

20: Maspero M, Heilman J, Otero Piñeiro A, Steele SR, Hull TL. Techniques of perineal hernia repair: A systematic review and meta-analysis. Surgery. 2023 Feb;173(2):312-321.

21: Köckerling F, Sheen AJ, Berrevoet F, Campanelli G, Cuccurullo D, Fortelny R, Friis-Andersen H, Gillion JF, Gorjanc J, Kopelman D, Lopez-Cano M, Morales-Conde S, Österberg J, Reinpold W, Simmermacher RKJ, Smietanski M, Weyhe D, Simons MP. Accreditation and certification requirements for hernia centers and surgeons: the ACCESS project. Hernia. 2019 Apr;23(2):185-203.

S42: STOMIEN – DET IATROGENE BROKKET

1. Smietanski M, Szczepkowski M, Alexandre JA, Berger D, Bury K, Conze J, et al. European Hernia Society classification of parastomal hernias. Hernia : the journal of hernias and abdominal wall surgery. 2014;18(1):1-6. 10.1007/s10029-013-1162-z.

2. Makarainen-Uhlback E, Vironen J, Falenius V, Nordstrom P, Valikoski A, Kossi J, et al. Parastomal Hernia: A Retrospective Nationwide Cohort Study Comparing Different Techniques with Long-Term Follow-Up. World J Surg. 2021;45(6):1742-9. 10.1007/ s00268-021-05990-z.

3. Antoniou SA, Agresta F, Garcia Alamino JM, Berger D, Berrevoet F, Brandsma HT, et al. European Hernia Society guidelines on prevention and treatment of parastomal hernias. Hernia. 2018;22(1):183-98. 10.1007/s10029-017-1697-5.

4. Lambrecht JR. Mini-invasive Surgery and Parastomal Hernia: Higher Frequency and No Prophylactic Mesh Effect. Surg Laparosc Endosc Percutan Tech. 2020;30(4):345-50. 10.1097/SLE.0000000000000791.

5. Kohler G, Hofmann A, Lechner M, Mayer F, Wundsam H, Emmanuel K, et al. Prevention of parastomal hernias with 3D funnel meshes in intraperitoneal onlay position by placement during initial stoma formation. Hernia : the journal of hernias and abdominal wall surgery. 2016;20(1):151-9. 10.1007/s10029-015-1380-7.

6. Lopez-Borao J, Madrazo-Gonzalez Z, Kreisler E, Biondo S. Prevention of parastomal hernia after abdominoperineal excision with a prophylactic three-dimensional funnel mesh. Colorectal disease : the official journal of the Association of Coloproctology of Great Britain and Ireland. 2019;21(11):1326-34. 10.1111/codi.14738.

7. Novitsky YW, Elliott HL, Orenstein SB, Rosen MJ. Transversus abdominis muscle release: a novel approach to posterior component separation during complex abdominal wall reconstruction. Am J Surg. 2012;204(5):709-16. 10.1016/j.amjsurg.2012.02.008.

8. Dewulf M, Dietz UA, Montgomery A, Pauli EM, Marturano MN, Ayuso SA, et al. Robotic hernia surgery IV. English version. Die Chirurgie. 2022;93(2):129-40. 10.1007/s00104022-01779-5.

9. Pauli EM, Juza RM, Winder JS. How I do it: novel parastomal herniorrhaphy utilizing transversus abdominis release. Hernia. 2016;20(4):547-52. 10.1007/s10029-016-1489-3.

10. JR L. Parastomale hernier. Kirurgen. 2018. https://www.kirurgen.no/fagstoff/parastomale-hernier/

11. Lambrecht JR. Endoscopic preperitoneal parastomal hernia repair (ePauli repair) : an observational study. Surg Endosc. 2021;35(4):1903-7. 10.1007/s00464-020-08192-1.

REFERANSER KIRURGEN 1-2024 I 53
SERB Pharmaceuticals SA Avenue Louise 480 1050 Brussel, Belgia www.serb.com SERB NORDIC Aleksandar Pavlovic aleksandar.pavlovic@serb.com Tlf. +45 31 76 97 96 CE marking and identification number of the notified body. Product conforms to the essential requirements of the Council Directive 93/42/EEC concerning medical devices. Gentamicin collagen resorbable implant Collatamp®G implantat er et medisinteknisk produkt. NO-CTA-2400014 / Dato: 30.01.2024

Turn static files into dynamic content formats.

Create a flipbook
Issuu converts static files into: digital portfolios, online yearbooks, online catalogs, digital photo albums and more. Sign up and create your flipbook.
Kirurgen 1/24 - Bukveggen by WebPress - Issuu