Believe Spring 2024

Page 1

New meningioma research could be clinical trial game-changer + 15 ways you can support us in our 15th year & Delivering your stories to Number 10

Read inspirational stories inside

www.braintumourresearch.org Tel:

01908 867200 | info@braintumourresearch.org Issue 027 – Spring 2024
COVER STORY OUR NEW PATRON THEO BURRELL: “WEAR A HAT FOR HOPE”
news magazine for brain tumour activists
The

Sam:

HATS SUPPORTED BY www.wearahatday.org
LET’S DO THIS! SCAN TO JOIN IN One in three know someone affected by a brain tumour Together we will find a cure
My future is uncertain but you can make a positive change by funding research.

4 Foreword

An update from our CEO

6 Our 15th Anniversary Marking 15 years of progress

8 Research Updates

Striving towards our vision of a cure

Behind-the-scenes at our new Centre launch

Meningioma project could improve clinical trial success

Pivotal promotion for medulloblastoma researcher

20 Our 15th Anniversary Help further the fight in 2024

22 Campaigning

Campaigning to drive change

Delivering your stories to Number 10

26 Walk of Hope

Our biggest Walk of Hope yet

28 Legacy

Will you leave a gift in your will?

29 Regular Giving

Make a big impact over time

30 Fundraising Groups

A big welcome to our new Fundraising Groups

News from our Fundraising Groups

34 Member Charity Updates

Celebrating our founding Member Charities

News from our Member Charities

38 Forever in our Hearts

Cover story 12 Our new Patron Theo Burrell: “Wear a hat for hope” COVER HIGHLIGHTS 10 New meningioma research could be clinical trial game-changer 20 support us in our 15th year 24 Delivering your stories to Number 10 Contents www.braintumourresearch.org Spring 2024 3 Edited by: Alexa Davies, Liz Fussey, Su Karney, Susan Castle-Smith and Andrea Abbis at Brain Tumour Research, Suite 37, Shenley Pavilions, Chalkdell Drive, Shenley Wood, Milton Keynes MK5 6LB Printed by: BCQ, 1 Osier Way, Swan Business Park, Buckingham, Buckinghamshire MK18 1TB www.bcqgroup.com Designed by: Clearthinking Creative, 51 Church Street, Hungerford, West Berkshire RG17 0JH www.clearthinkingcreative.co.uk Brain Tumour Research makes all reasonable efforts to ensure that the information in this magazine is correct at the time of printing.

A YEAR OF CELEBRATION

Welcome to this very special edition of Believe magazine. You will read more about what made 2023 our most impactful year ever, about our plans to celebrate our 15th anniversary in 2024, and many inspirational stories from our supporters around the UK.

2023 was a year to be proud of. We granted a record £3 million to fund research, opened our fourth Brain Tumour Research Centre of Excellence, published the influential Pathway to a Cure – breaking down the barriers inquiry report on behalf of the All-Party Parliamentary Group on Brain Tumours (APPGBT), prompted a parliamentary debate, and collected more than 81,000 signatures on our petition demanding increased Government investment in research into brain tumours.

We welcomed four new Trustees to the board, including our founding Chief Executive Sue Farrington Smith MBE. They will play a vital role in setting the agenda for Brain Tumour Research and upholding our values.

HELP US

to continue to fund life-saving research

Our annual Walk of Hope took place in more locations than ever and raised a whopping £300,000. You responded to our calls to share your stories and campaign with us for change, you’ve jumped out of planes, skipped every day for a month, walked over hot coals and taken part in numerous other activities to help fund the fight. All this as we live in uncertain times with conflicts happening abroad and as we feel the pinch at home as the cost-of-living crisis continues to bite.

4 Spring 2024 www.braintumourresearch.org
FOREWORD
Inset: Supporters hopped over hot coals, skipped every day and jumped out of planes in 2023 Former Science Minister George Freeman with Hugh Adams at the APPGBT inquiry report launch Main image: Walk of Hope 2023 was our biggest ever

Now, although we realise there will continue to be challenges ahead, we look forward with hope and determination because we know that together we will find a cure.

As we look ahead in 2024, we are getting ready to:

Announce our fifth Brain Tumour Research Centre of Excellence later in the year and work towards our sixth

Achieve record income levels and invest more in research than ever before

Launch our manifesto, in preparation for a general election, to influence the national research spend

Fund and support our largest ever community of researchers

Strengthen relationships with our key stakeholders and in our game-changing collaborations

Throughout the year we’ll be celebrating 15 astonishing achievements which you have helped make happen and launching 15 great ways in which you can continue to help us during our busy 15th anniversary year. You can read more on pages 6-7 and 20-21.

You’ll find a myriad of ways to get involved in 2024 within this magazine, but please do keep an eye on our social media pages, website and subscribe to our weekly e-news for regular updates from the Charity. And please continue to get involved to help fund the fight in any way you can.

Your commitment to our cause is truly inspiring –thank you for your support.

Together we will find a cure

www.braintumourresearch.org Spring 2024 5
Our fourth Centre is at The Institute of Cancer Research

MARKING 15 YEARS OF PROGRESS

Brain Tumour Research was launched in 2009 as a collaboration of 14 charities coming together, determined to raise awareness and increase funding for vital research. Over the past 15 years, your support has enabled the charity to achieve many significant milestones, each of which has brought us closer to a cure for this devastating disease.

During our 15th anniversary year, we are celebrating 15 achievements which represent important progress in our mission to increase the national investment which you helped make happen.

OUR 15TH ANNIVERSARY 6 Spring 2024 www.braintumourresearch.org
Inset image: Members of our Board of Trustees Main image: The lab at the Institute of Cancer Research (ICR)

Our history in 15 significant milestones:

• In 2009, 14 brain tumour charities came together to launch Brain Tumour Research with a mission to raise awareness and increase funding for research

• Our first Centre of Excellence launched in 2010 at the University of Portsmouth and our network has now increased to four Centres, with ambitions to grow to seven

• Cancer Research UK (CRUK) prioritised brain tumours in its research strategy in 2014

• The same year, Brain Tumour Research was granted membership of the Association of Medical Research Charities (AMRC) demonstrating establishment of a peer review system ensuring quality research

• Our successful e-petition in 2016 achieved 120,129 signatures leading to a landmark Westminster Hall Debate and the establishment of a Task & Finish Working Group

• In 2018, Hobbycraft became our first national corporate partner

• Brain Tumour Research became a National Cancer Research Institute (NCRI) partner in 2018 and was recognised as a larger cancer charity

• The same year we were invited to become a member of the Tessa Jowell Brain Cancer Mission (TJBCM) steering group

• Also in 2018, the Government announced £40m, and CRUK £25m, investment in research into brain tumours over five years

• The Charity joined Children and Young People’s Cancer Coalition steering group in 2019

• After the COVID-19 pandemic in 2020, we restructured and launched our Facebook challenges, with our first raising £1 million

• Our Stop the Devastation report was presented to Prime Minister Boris Johnson after more than 112,200 of you signed our 2020 petition

• The Charity received its first £1 million donation in 2022

• In our role as secretariat to the All-Party Parliamentary Group on Brain Tumours (APPGBT), we supported the publication of the Pathway to a Cure inquiry report in February 2023

• And the same year, we saw the first House of Commons backbench business debate on brain tumours

Dan Knowles, our CEO, said: Our history dating back to 2009 is inspiring and it’s fair to say we struggled to limit ourselves to only 15 milestones. All we have achieved so far has come as a result of the dedication and commitment of our supporters, volunteers, fundraisers and employees. My thanks to you all.

“We have robust plans in place to drive our organisation forward, improve outcomes for brain tumour patients and find a cure. I look forward to our next 15 years with a feeling of excitement and anticipation in what we will achieve together. Thank you for your support.”

www.braintumourresearch.org Spring 2024 7 Visit our website to find out how you can support us during
www.braintumourresearch.org
2024:
Above: Boris Johnson and Derek Thomas MP, Chair of the APPGBT, with the Stop the Devastation report Centre: Hugh Adams with former Science Minister George Freeman at the APPGBT inquiry report launch Left: Many MPs contributed to the brain tumour debate

STRIVING TOWARDS OUR VISION OF A CURE

Brain Tumour Research is dedicated to funding continuous and sustainable scientific research and last financial year, we granted £3 million to research – our largest funding year to date.

Our research strategy is guided by three clear aims:

Grow capacity

We are attracting, training and retaining talented researchers in order to increase the quantity and quality of brain tumour research taking place in the UK. We are currently supporting four Centres of Excellence with an ambition to grow our network to seven. We are investing in long-term research, building the ‘critical mass’ of expertise needed to accelerate the journey to find a cure. As the teams’ research progresses, they attract increased research investment from other sources, allowing game-changing collaborations to take shape.

Build infrastructure

Researchers need access to research tools, platforms and resources to deliver their outstanding research. Working in partnership with other organisations, our funding is supporting the research infrastructure, connecting and improving coordination across the UK brain tumour research community, ensuring researchers are able to maximise their potential and ambition to deliver world-leading research and innovation. This includes BRAIN UK, the national virtual brain tissue bank, and our sister charity brainstrust ’s Patient Research Involvement Movement (PRIME) which is focused on ensuring clinical research projects are aligned with the needs of patients.

Accelerate treatments

We strive to improve the quality of brain tumour research in the UK and support innovative research to generate new treatments for brain tumours. This includes funding the Brain Tumour Research Novel Therapeutics Accelerator (BTR-NTA) initiative, in partnership with the Tessa Jowell Brain Cancer Mission (TJBCM), which aims to bridge the gap between the promising research findings and the number of these findings which progress into successful clinical trials.

Our wide-ranging portfolio is focused on delivering and enabling highquality research, to deliver on these three strategic goals which are all vital to achieve our vision – a cure for all types of brain tumours.

RESEARCH UPDATES 8 Spring 2024 www.braintumourresearch.org
To find out more about the research we fund, visit our website: www.braintumourresearch.org/research
Our Chief Executive Dan Knowles with our Research Centres leads (left to right) Dr Nel Syed, Mr Kevin O’Neill, Professor Silvia Marino, Professor Oliver Hanemann and Professor Chris Jones

In the Autumn 2023 edition of Believe, we shared an update about the launch of our fourth Centre of Excellence at the Sutton campus of The Institute of Cancer Research, London. Here are some of our photo highlights from the event:

SCENES AT OUR NEW CENTRE LAUNCH

www.braintumourresearch.org Spring 2024 9
3. Peter and Jane Gardiner, our co-founder and now Trustee Sue Farrington Smith MBE, Figen Rawlinson, Sarah and Ben Long, and Niki and Deenu Patel 4. Community Development Manager, Melanie Tiley, with Mary Scott, who unveiled a plaque in memory of her husband Mike, in whose name she donated £1 million 5. Our Director of Research, Dr Karen Noble, and Professor Chris Jones, Director of our Centre at the ICR
BEHIND-THE-
1. The family of Stephen Realf at the Wall of Hope 2. Tile in memory of Ethan Treharne
Subscribe to our weekly e-news to receive all the latest updates about our research and more: www.braintumourresearch.org/subscribe
1 3 4 5
Main image: Dr Rebecca Rogers presenting in the lab
2

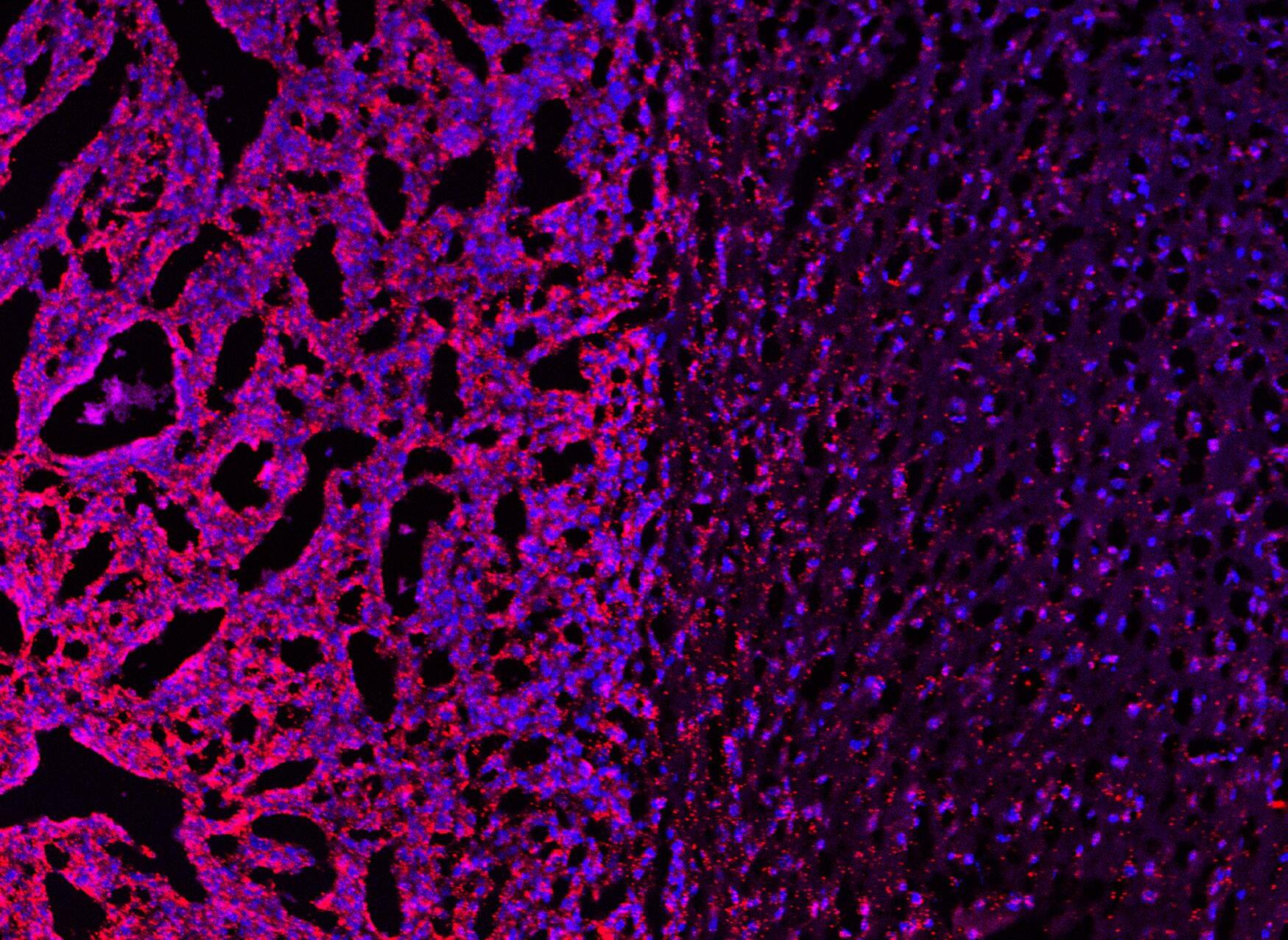
MENINGIOMA PROJECT COULD IMPROVE CLINICAL TRIAL SUCCESS

The team at the Brain Tumour Research Centre of Excellence at the University of Plymouth has published results of a game-changing project which could improve the success of future clinical trials for meningioma – the most common lowgrade brain tumour affecting adults.

Meningiomas are successfully treated by surgery and/or radiotherapy, but this can result in significant side effects and radiation damage to the brain. There are currently no approved chemotherapy options for meningioma patients which could spare them invasive surgery and radiation risks.

Now, researchers have discovered a new technique to grow meningioma tumour cells in the laboratory, providing an improved platform for drug discovery and testing which may increase the success of future clinical trials.

Professor Oliver Hanemann, Director of our Plymouth Research Centre, and his research team, have developed a new 3D meningioma cell culture model that more accurately depicts the cellular composition and 3D nature of meningioma tumours, and also mimics the same features demonstrated by invasive and treatment-resistant meningiomas. It’s exciting as this model provides a more robust drug-testing platform for this type of tumour.

Our Director of Research, Policy and Innovation, Dr Karen Noble, said: “This is a significant development in the hunt to find new and repurposed medicines to spare meningioma patients from undergoing surgery. For drugs to progress from preclinical testing into early phase clinical trials, researchers must first demonstrate that they work in laboratory models and are safe for healthy tissue. Employing this model for future drug development experiments will improve accuracy of preclinical test results, reduce failure rates of clinical trials, and ultimately improve patient outcomes.”

Your donations keep this vital research going.

To set up a regular donation or to give what you can, visit:

www.braintumourresearch.org/donate

RESEARCH UPDATES
10 Spring 2024 www.braintumourresearch.org
Prof Hanemann Meningioma cells

PIVOTAL PROMOTION FOR MEDULLOBLASTOMA RESEARCHER

We are delighted to share that Dr Sara Badodi has been promoted to Junior Principal Investigator (PI) – a pivotal step in her research career.

Dr Badodi joined the team at our Centre of Excellence at Queen Mary University of London, led by Professor Silvia Marino, in 2019, following a generous donation from Peter and Jane Gardiner, who lost their son Ollie to a medulloblastoma, aged 13. She has flourished under Prof Marino’s mentorship and is now setting up her own research group within the Centre with a focus on aggressive medulloblastoma.

Her work will be focused on studying the mechanisms that regulate the activities of proteins which modify the genetic code (DNA) and understanding how these events are involved in the development and maintenance of paediatric brain tumours to identify ways to treat them in a more effective and less toxic way.

Her promotion to Junior PI is a step towards increasing capacity in the UK brain tumour sector and getting us closer to a cure.

Dr Badodi said: “The support from Brain Tumour Research and from Ollie’s family allowed me to continue a research career in the brain tumour field, one of the most challenging scientific areas of research. Thanks to this funding I was able to publish groundbreaking results in medulloblastoma and collect compelling data that allowed me to design the project that I will now develop as a Junior PI.”

Read more about our research on our website: www.braintumourresearch.org/ research

www.braintumourresearch.org Spring 2024 11
Dr Badodi in the lab Medulloblastoma; the most common, high-grade paediatric brain tumour

WEAR

Put your hats on for hope and take part in Wear A Hat Day on Thursday 28th March to raise money and awareness for Brain Tumour Research.

Together we will find a cure

Thursday 28th March 2024

My future

One

in three know someone affected by a brain tumour

WEAR A HAT DAY 12 Spring 2024 www.braintumourresearch.org
Sam: is uncertain but you can make a positive change by funding research.
SUPPORTED BY

Every March, as Brain Tumour Awareness Month comes to a close, people from all walks of life put on their favourite hat at work, in school, with friends and family, and hold hat-themed events and make donations to help find a cure for brain tumours.

Now in its 15th year, Wear A Hat Day has raised more than £2 million to help raise awareness of this devastating disease, campaign for the Government and larger charities to invest more, and fund ground-breaking research at our network of Centres of Excellence where scientists are focused on improving treatments for patients and, ultimately, finding a cure.

This year’s campaign is led by four supporters who know only too well the pain of a brain tumour diagnosis. Our Patron, Theo Burrell, is living with a glioblastoma (GBM). Sam Suriakumar, our first Supporter Ambassador, is undergoing treatment for a glioma. Betsy Griffin was left blind after treatment but remains defiantly positive. And Eddie Adams has outlived his prognosis after being given just three to five years to live.

Popular events in previous years have included wear a hat dress-down (or dress up) days at school or work; bake sales, coffee mornings or afternoon teas; pub quizzes with hat-themed rounds or hat parties – and many more.

Or you could take on a hattastic challenge. Run, cycle, walk, swim, skip, hop, jump – wear your favourite hat, do something amazing on your own or as part of a team, and ask for sponsorship from everyone you know.

Don’t worry if you’re not sure how you will get involved. When you register, your local Community Fundraiser will be on hand to help and you’ll find more ideas in your downloadable fundraising pack.

make sure your top hat is in tip top shape, your Panama is perky and your sombrero stands out.

Join forces with your family and friends, colleagues and community and help make the future brighter for Theo, Sam, Betsy, Eddie and the one in three people who knows someone affected by a brain tumour.

Scan the QR code to register or sign up online via: www.wearahatday.org MARCH 2024 www.braintumourresearch.org Spring 2024 13
Theo Betsy Eddie

CELEBRITIES LEND US THEIR VOICES

We are delighted to welcome three new high-profile supporters into the Brain Tumour Research family, who have already done so much to highlight our vital work.

CELEBRITY SUPPORTERS 14 Spring 2024 www.braintumourresearch.org
Theo with Professor Silvia Marino

Antiques Roadshow expert, Theo Burrell, was announced as our newest Patron last November and she has been a driving force in raising awareness of the lack of funding for research into brain tumours since she was diagnosed with a glioblastoma (GBM) in June 2022, aged 35. She has brought our work to the attention of thousands of potential new supporters by sharing her story across national media, as well as participating in our Walk of Hope. Theo met with scientists working at the forefront of the fight to find a cure for GBM and other brain tumours at our Centre of Excellence at Queen Mary University in London and she proudly supported our petition calling for increased Government funding.

The mother-of-one, who was given 12 to18 months to live, has undergone life-extending surgery and treatment. Yet in the face of her incurable cancer, she is determined to make a difference for others.

Theo said: “I want to reassure people that I’m living with cancer, not dying from it. It’s important to me now to do what I can to give hope to other people in this situation.

“Being a Patron will allow me to campaign more officially, especially within Scotland, and it’s something I am honoured to be gifted with.”

Danny Clarke, the host of ITV1’s Love Your Garden, has also joined our ranks as a Patron. Known as The Black Gardener, Danny experienced the heartache of losing his sister, Margot McLellan, to a GBM. The family witnessed Margot’s painful decline over two years following her diagnosis until she died, aged 52, leaving her husband and young daughter behind.

A long-time supporter of Wear a Hat Day, Danny also launched our beautiful Rose for Hope during Brain Tumour Awareness Month last year.

Danny said: “I want to do what I can to help the charity so patients like Margot aren’t left with zero treatment options and their families aren’t forced to watch them suffer like she did.”

Find out more about our incredible Patrons and Celebrity Supporters and the invaluable work they do: www.braintumourresearch.org/ blogs/about/our-patrons-and-celebrities

We also welcome actress Danielle Harold as a Celebrity Ambassador following her role as EastEnders’ Lola Pearce, who was diagnosed with and died of a GBM in the soap’s storyline last year. Brain Tumour Research is proud to have worked alongside the EastEnders team to ensure the storyline was accurate and informative. It was an honour to introduce Danielle to several of our supporters and she formed a close bond with GBM patient Kylie Weatherby.

Danielle won many plaudits for her authentic and moving portrayal, and she dedicated her win for Best Leading Performer at the British Soap Awards to us.

Accepting her award, Danielle said: “This is for every single person that’s worked with me along the way, that’s been directly affected by brain tumours. Brain Tumour Research you deserve this.”

By lending us their voices, our Patrons and Celebrity Ambassadors help to raise awareness, open doors to new opportunities and connections, and fundraise and campaign to ensure our mission is heard.

www.braintumourresearch.org Spring 2024 15
Danny Clarke launching our Rose for Hope campaign Danielle and Kylie forged a special friendship

BRAIN TUMOUR HERO INSPIRES FAMILY’S EPIC FUNDRAISING

A 17-year-old who fought a brave battle with brain cancer until his death in November 2021 inspired his family to support Brain Tumour Research. The Treharnes have set up a Fundraising Group known as A New Hope for Ethan to create a lasting legacy and have raised an incredible total of more than £35,000 to date.

Raising £5,500

Ethan Treharne was diagnosed with a glioblastoma (GBM) after experiencing headaches and changes in his speech while studying for his GCSEs. Despite surgery, radiotherapy and chemotherapy over a two-year period, as well as treatment trials in Germany and London, Ethan, a sports enthusiast and keen footballer and basketball player, died.

Last year, a host of celebrities laced up their boots to raise awareness and funds at a football match to celebrate what should have been Ethan’s 19th birthday on 29th January, including singer-songwriter James Arthur and EastEnders stars Danny Dyer and Jake Wood and our Celebrity Ambassador Danielle Harold. The star-studded event, which raised more

than £10,000, will have been held again this year for Ethan’s 20th birthday by the time of publishing. Ethan’s family has placed tiles honouring the teenager on the Walls of Hope at our Centres of Excellence at Queen Mary University of London and the Institute of Cancer Research (ICR). His mum Nikki also attended the launch of our Centre at the ICR with her sister-inlaw Kari Hunter and said she felt “proud to be there to honour Ethan”.

“It was bittersweet to be there having lost Ethan. We had hoped to find a cure within his lifetime.

“Our focus is now very much on supporting research into brain tumours to stop other families going through the pain of losing a child,” she added.

FIGHTING FORCE HEROES
Brother Finlay with mum Nikki before their skydive 2 Ethan with his siblings Martha and Finlay 3 Nikki and Justin with Danielle Harold Mum and dad, Nikki and Justin, at Queen Mary University of London Family day out at Alton Towers Ethan on holiday in Crete 2 1 3 4
Join our #FightingForce to honour your hero: www.braintumourresearch.org/ blogs/fundraise/get-fundraising www.braintumourresearch.org 16 Spring 2024
Left: Winning team. Credit: Dominique-Alana Photography

FUNDRAISERS’ LEAP OF FAITH

Thrill-seeking fundraisers took to the skies to raise vital funds and awareness for Brain Tumour Research.

Bedfordshire sisters, Sophie and Becki Penwright, raised an incredible £3,000 when they completed tandem skydives from 10,000ft last September. Despite feeling “terrified”, the pair were determined to complete the challenge for their dad, Simon, who sadly died from a glioblastoma (GBM) two months later.

Sophie said: “I jumped first and Becki said she heard me scream, so that was probably a good thing. It was really beautiful from up there, and the weather was lovely too. I was so excited to land and then I saw Becki come down two minutes later, which was great.”

Freefall fundraiser, Jonathan Plummer, was diagnosed with a germ cell tumour (GCT) in 2002, at the age of 20. His diagnosis came after he’d been drinking 10 litres of water a day for two years, which doctors initially mistook as a sign of diabetes.

Jonathan jumped from 10,000ft over Perranporth, Cornwall, raising more than £6,000

“My skydive was a fantastic experience when it finally went ahead after delays because of the weather. It happened at sunset and I had wonderful views over the Cornish coast,” he said.

Our Jump for Hope skydives will take place on Saturday 8th June at locations across the UK. Fancy taking on this unforgettable challenge? Visit our website to secure your spot: www.braintumourresearch.org/blogs/ fundraise/jump-for-hope-events

If the dates or locations of our skydives aren’t convenient for you, don’t worry! You can book your own Jump for Hope at a time and place that suits you. Find out more on our website.

www.braintumourresearch.org Spring 2024 17
Simon Becki and Sophie after their jump Jonathan back on solid ground Thumbs up from Sophie Jonathan’s skydive at sunset

PIERCINGS, PIRATES, A PUB QUIZ AND MORE

Ganging up to give brain cancer the heave ho, were a group of friendly pirates. The10-strong crew stormed the Isle of Wight in full regalia to ‘dig’ gold out of the islanders’ pockets, raising more than £1,200. This is the 10 running that the Surrey pals have raided the island, after one of their group was diagnosed with a brain tumour and had to wear an eyepatch following surgery.

Putting the fun into fundraising, our supporters are constantly amazing us with the new and inventive lengths they go to in their quest to raise money and awareness for Brain Tumour Research. From cutlass-wielding community events and family fun runs to fancy dress and workplace wonga, these DIY fundraising heroes show that there are no limits when it comes to fundraising your way to help find a cure.

Meanwhile, landlubbers were putting themselves in memory of ‘Gorgeous George’ at a beauty salon in Bedfordshire. KG Salon hosted an ear-piercing marathon following the death of 13-year-old George Fox from a glioblastoma (GBM) in April 2023, just 11 months after diagnosis.

‘Captain’ Steve Usher said: “Each trip has become a celebration of our shipmate’s ongoing recovery. We recognise how lucky we are to still have our friend with us; many others do not survive as long.”

George’s mum Louise, a regular at the salon, said: “The fact that local businesses are remembering George and raising much-needed money for Brain Tumour Research means so much.”

SHIVER ME TIMBERS!

‘Captain’ Steve

FIGHTING FORCE HEROES
18 Spring 2024 www.braintumourresearch.org AARRRG!
Louise and her son, ‘Gorgeous George’ Salon director Katie Godfrey hosted an ear-piercing marathon Pirate pals raid the Isle of Wight for treasure

When it comes to overcoming obstacles, father-of-three Marcus Elwell knows a thing or two. The 42-year-old has raised more than £6,000 since being diagnosed with a lowgrade haemangioblastoma in May 2021, and he credits his positive outlook to his children. His latest fundraising effort saw Millie, 13, Noah, 11, and Gracie, nine, join Marcus on the 3km Wolf Run in Warwickshire, navigating woods, obstacles, lakes and fields, to raise more than £700

HELP US

to continue to fund long-term, life-saving research

Amber Cleveland organised a Fright Night spooktacular in memory of her best friend Ellie Butterfield, who was diagnosed with an ependymoma aged 11 and died one week before her 16th birthday in January 2021. Ellie loved Halloween and the Norwich event featured a prize for best costume and a pub quiz based on her favourite TV shows, music and cars, raising £340.

If you’re feeling inspired, join our #FightingForce and fundraise in any way that suits you.

To get started or for more ideas visit: www.braintumourresearch.org/blogs/ fundraise/get-fundraising

Following in his mother’s footsteps, our Trustee Jack Goodwin will be setting the pace for fundraising in 2024. Debbie Goodwin, who passed away in February 2023 from a GBM aged 61, ran more than 50 races for charity and now son Jack plans to take on an incredible 15 marathons to mark our 15th anniversary. The marathons will form part of Jack’s aim to run 2,740km throughout the year to represent the £2,740 it costs to sponsor a day of research at one of our Centres of Excellence.

Jack said: “I would love to raise enough money to sponsor at least a couple of days research in Mum’s name.”

www.braintumourresearch.org Spring 2024 19
Debbie is Jack’s marathon inspiration Dad Marcus with (left to right) Millie, Gracie and Noah took on the Wolf Run Best pals Ellie and Amber Jack and his beloved mum Debbie

HELP FURTHER THE FIGHT

In 2024, Brain Tumour Research celebrates its 15th anniversary. What an incredible journey the past 15 years have been – the awareness and money you’ve helped raise mean we are closer to a cure than ever.

And there are plenty more ways you can help during our 15th anniversary year. Here are 15 ideas to get you started:

1 2 3 4 5 6

Give a regular gift

With each day of research costing £2,740, help sustain this vital work by setting up a regular donation. Every pound adds up to help fund the fight. Read more on page 29.

Spread the word during Brain Tumour Awareness Month

Help #ShineALight on brain tumours and Light up the UK to raise awareness of our cause. To find out more, visit our website: www.braintumourresearch.org/blogs/information/ brain-tumour-awareness-month

Wear your hat for hope

Bring together your friends, family and colleagues for a Wear A Hat Day fundraising event or challenge and ask for donations for this vital cause. Read more about this year’s campaign on pages 12-13.

Leave a legacy and have your will written for free

Help transform the future of research by leaving a gift to Brain Tumour Research in your will. Find out more on page 28

Sign up for a challenge

Marathons, half marathons, cycles, walks, abseils and even a brand-new Sahara Desert trek – we’ve got a challenge to suit everyone. Register online: www.braintumourresearch.org/collections/events for your favourite(s).

Charity of the year

Unite your colleagues behind a great cause and nominate us to be your workplace’s charity of the year. Email Matt, our Corporate Development Manager, for more information: matt.howarth@braintumourresearch.org

OUR 15TH ANNIVERSARY
20 Spring 2024 www.braintumourresearch.org

7 8 9 10 11 12 13 14 15

Saddle up

Our annual Isle of Wight Randonnée is back. Choose from three distances and use your pedal power to help find a cure. Visit our website to find out more.

Take a leap of faith

Strap in for an unforgettable freefall fundraising adventure – our Jump for Hope skydives are taking place across the UK on Saturday 8th June: www.braintumourresearch.org/blogs/fundraise/ jump-for-hope-events

Campaign with us to drive change

Make your voice heard and help influence the Government to invest more in research for brain tumours in the UK: www.braintumourresearch.org/campaign-with-us

Ask your MP to attend the APPGBT

Write to your MP to invite them to attend the next meeting of the All-Party Parliamentary Group on Brain Tumours. Sign up to campaign with us for more updates (read more on pages 22-23).

Follow us on social media

Follow Brain Tumour Research on all your social media and share our posts to help spread the word.

Get creative with DIY fundraising

From selling crafts to selling cakes, games nights to gaming live streams, there really is no limit to how you can fundraise your way: www.braintumourresearch.org/blogs/fundraise/ get-fundraising

Walk of Hope

Step forward to help find a cure for brain tumours. Our Walk of Hope is back on Saturday 28th September. Read about 2023’s campaign on pages 26-27.

Sign up for our e-news

Receive all the latest news and updates from Brain Tumour Research direct to your inbox: www.braintumourresearch.org/subscribe

Sponsor a day

Could you raise £2,740 in 2024 to sponsor a day of research at one of our Centres of Excellence? Find out more: www.braintumourresearch.org/fundraise/sponsor-a-day

www.braintumourresearch.org Spring 2024 21

CAMPAIGNING TO DRIVE CHANGE

Our work with parliamentarians is key as we strive to influence cancer policy in order to increase the national investment in research into brain tumours. A key pillar of our campaigning is our work with the AllParty Parliamentary Group on Brain Tumours (APPGBT) for which Brain Tumour Research provides the secretariat.

APPGBT meetings give us a platform to take issues raised forward with the support of our key political stakeholders. In December, Hugh Adams, our Head of Stakeholder Relations, attended a meeting at Westminster to understand future access to Vorasidenib – a new drug which has shown promise in the treatment of low-grade glioma.

The meeting was convened by Dame Siobhain McDonagh MP, and she was joined by three other APPGBT members, Daisy Cooper, Holly Mumby-Croft and John McDonnell.

Also in attendance were Florent Texier (Managing Director UK & Ireland) and Kelly Gomes (Medical Lead – Oncology) from Servier Laboratories.

They were asked to give the current picture regarding future access to Vorasidenib for UK low-grade glioma patients. The meeting began with Servier explaining that the trial results for Vorasidenib had enabled the trial to be concluded 18 months earlier than planned and that their “priority now was to give access to this drug” and that they were working tirelessly to do so.

One in three know someone affected by a brain tumour

Campaign with us

CAMPAIGNING
22 Spring 2024 www.braintumourresearch.org
The APPGBT meeting

This issue was taken forward by members of the APPGBT following a meeting in November during which they were addressed by Connor Emerton, who shared his brother Shay’s story and his family’s battle to access Vorasidenib. Shay was diagnosed with a grade 2 glioma in April 2021, after he suffered a seizure whilst playing football.

Connor said: “Working closely with the APPGBT has really amplified our voice and given us the best chance of being successful as we call for Vorasidenib to be made accessible in the UK. We hope raising these issues now will give real hope for the future. As a community, access to different treatment options continues to be limited – it is time for that to change.”

Hugh added:

“This is an important issue for many in our community and we can take many positives from this meeting with Servier. New therapeutics such as Vorasidenib bring much-needed hope. In our role as secretariat to the APPGBT we can work with supportive parliamentarians to challenge barriers and drive change so that these new drugs are available in the UK as soon as possible because brain tumour patients do not have the luxury of time.”

www.braintumourresearch.org Spring 2024 23
Hugh Adams at Westminster Hall Connor and Shay Shay going into surgery
CAMPAIGNING DELIVERING YOUR DEMANDS TO NUMBER 10 24 Spring 2024 www.braintumourresearch.org Challenging UK governments and larger cancer charities to invest more in brain tumour research HELP US campaign for a CURE Main image (L to R) Our CEO Dan
Burrell and
outside Number 10 At Downing Street
Knowles, Sam Suriakumar, Nicola Nuttall, Theo
Danny Clarke

As the leading voice of the UK brain tumour community, our campaigning is strengthened by the powerful stories that you share as we work to ensure this devastating disease remains on the political agenda.

We were blown away by the response to our petition which received more than 81,000 signatures in support of our call for increased Government investment in research into brain tumours. And we were proud to make sure that your voices were heard in Westminster as we delivered our petition to Number 10 Downing Street on Wednesday 31st January.

Our Patrons, Theo Burrell and Danny Clarke, along with ambassador, Sam Suriakumar, and campaigner, Nicola Nuttall, joined Brain Tumour Research CEO Dan Knowles on the steps of Number 10. They delivered our petition demanding the Government recognises brain tumour research as a critical priority, and increases research investment to put brain tumours in line with the spend on cancers of breast, bowel and lung, as well as leukaemia.

Theo is living with glioblastoma (GBM). Danny lost his sister Margot to the same type of brain tumour. And Nicola’s daughter, Laura, was also lost to GBM at the age of 23. Sam, a father-oftwo, is currently having treatment for a glioma.

Dan said: “We are calling on the Government to ring-fence £110 million of current and new funding to kick-start an increase in the national investment in brain tumour research to £35 million a year by 2028.”

Prior to handing in the petition, the group joined other campaigners outside the Houses of Parliament and also met with Derek Thomas MP, Chair of the All-Party Parliamentary Group on Brain Tumours, and other MPs to raise their concerns and make the case for change.

Dan added: “In the last 20 years, research spend in the UK on breast cancer has been six times more than brain tumours. Leukaemia has received four times more funding. Since the 1970s, 10-year survival rates for breast cancer have doubled and, in the case of leukaemia, increased six-fold since the 1970s. UK universities deliver world-class research and are poised to make further breakthroughs. Now is the time for the Government to invest in our globally-leading research institutions in order to deliver cures.”

We are grateful to everyone who signed our petition and galvanised their networks to help us achieve this impressive total. Handing in the petition to Number 10 is just the start and we have more exciting plans to ensure this groundswell of support drives the change that brain tumour patients and their loved ones so desperately need.

To join our community and to receive regular updates on our campaigning, go to: www.braintumourresearch.org/ campaign-with-us

We are determined to keep up this momentum as we work towards our vision to find a cure for all types of brain tumours.

www.braintumourresearch.org Spring 2024 25
Above: Campaigners on College Green Right: The group walking to Downing Street
WALK OF HOPE 26 Spring 2024 www.braintumourresearch.org
Karen, Stuart, Alba and Eleanore Guthrie. Image credit ©BBC Left: Neil after his second surgery in February 2023 Right: Neil and pals outside Buckingham Palace Ella’s mum Sophie (left) with Community Fundraiser Deb Gascoyne
A sea of pink in Ellesmere
withhermedal
this
walk in your diary!
Our Patron Theo Burrell (third from left) and friends took on the walk in Hamilton. Image credit: ©Kevin McMurtie
Saturday 28th SEPTEMBER Aaron’smumNicola
Mark
year’s

OUR BIGGEST WALK OF HOPE YET

Team Bradley at Wardown Park, Luton, walking in memory of Sharon

Every year, our inspiring community creates a sea of pink across the UK, as you step forward to help find a cure for brain tumours at our Walk of Hope events.

On Saturday 30th September 2023, around 3,000 supporters took part in more locations than ever before, raising more than £300,000 for Brain Tumour Research. Here are just some of the highlights from our biggest and brightest Walk of Hope so far.

With more than 700 walkers, the Ellesmere Walk of Hope was our biggest event, hosted by two of our Fundraising Groups. Aaron’s Army and Ella’s Army joined forces in memory of seven-year-old Aaron Wharton, who died from an anaplastic ependymoma in April last year, and Ella McCreadie, who was just 13 when she died in her sleep in December 2022 of an undiagnosed high-grade glioma. Collectively, they raised an incredible sum of more than £38,000 to fund life-saving research.

Our third Walk of Hope at Wardown Park in Luton was organised in memory of four young people who have died from brain tumours: Amani Liaquat, who died in February 2022, aged 23; George Fox, who passed away, aged 13, in April 2022; Shay Patel, who died in September 2020, aged 13; and Renai Taylor-Fraser, who was 11 when she passed away in August 2022.

Among the walkers was Graeme Bradley, who lost his wife Sharon to a diffuse midline glioma last April. Supported by his children, family, friends and colleagues, Graeme was determined to do something “positive”.

Our Patron, Antiques Roadshow expert Theo Burrell, was joined by family and friends on the walk in Hamilton to “celebrate hope, while remembering those who have died from brain tumours”.

Having already raised £28,000 with the National Three Peaks challenge, sponsored bike rides and charity nights, the Guthrie family led the Walk of Hope in Newcastle, with six-year-old Eleanore at the helm. Following her diagnosis with a craniopharyngioma in 2021, Eleanore has had eight operations, undergone proton beam therapy and now lives with a host of long-term health problems.

We are also grateful to those supporters who organised their own Walk of Hope events across the UK. Brain tumour patient Neil Danziger and eight close friends covered an impressive 14km across London, even picking up an American tourist on the way who generously donated $100! It’s the second Walk of Hope Neil has organised, raising more than £31,000 altogether.

Be among the first to hear about our WALK OF HOPE 2024

Saturday 28th September

Each step you take will help bring us closer to finding a cure for all brain tumours.

Register now at:

www.walk-of-hope.org

www.braintumourresearch.org Spring 2024 27

WILL YOU LEAVE A GIFT IN YOUR WILL?

We are grateful to dedicated supporter Mandy Calaz, who has left a gift in her will to Brain Tumour Research after losing her husband Mark, aged 53, to a glioblastoma (GBM), 18 months after his diagnosis.

Tragically, Mark and Mandy only had 14 years together, but in that time they had fun every day, especially enjoying volunteering for the Army Cadet Force together, which was how they first met. They had a similar sense of humour and were always laughing.

Mandy said: “Mark and I were really shocked when we discovered how little funding went into researching brain tumours. Being diagnosed with a GBM is nothing short of a death sentence and the gruelling treatment hasn’t changed for decades. Once you stop responding to that treatment, there are no other options. This must change.

“We started fundraising for Brain Tumour Research together and then when Mark died, I set up the Fundraising Group M & M Adventures to ensure Mark is never forgotten and to build a legacy in his memory.”

Could you help improve treatment options and, ultimately find a cure, by leaving a gift in your will?

It’s a wonderful way to ensure research continues and progresses in the quest for improved treatments for patients. To make it easier, you can have a simple will written or updated for free through our provider Octopus Legacy.

HELP US

to continue to fund life-saving research

With each day of research costing £2,740, could you leave a gift to Brain Tumour Research in your will? Go to: www.braintumourresearch.org/legacy or email us at: legacy@braintumourresearch.org

LEGACY 28 Spring 2024 www.braintumourresearch.org
Mandy with beloved husband Mark Mandy cycled 1,000 miles in 2023 Mandy organised a Walk of
On their wedding day

MAKE A BIG IMPACT OVER TIME

Research holds the key to better outcomes for brain tumour patients, and we can’t achieve our goal to find a cure without consistent funding, so knowing we can rely on regular giving, whether it’s £10 a month or £100 a month, is crucial.

We are grateful to all of our supporters who sign up to be regular givers, including Abrica Bennett, who set up a donation of £30 a month. Abrica found out she had a highgrade brain tumour, aged 13, only to learn, 18 years later, that her mother had been given the same shocking diagnosis.

After suffering with headaches, neck pain and tiredness, Abrica learned she had a medulloblastoma, but not until mum Jacqueline Blowers took her to A&E and insisted that doctors took her symptoms seriously.

Just two days later, Abrica underwent surgery, followed by

Now 32, Abrica, who has also taken on a fundraising skydive, is grateful to be a long-term survivor.

Last year, however, Abrica was heartbroken to learn her mum had been diagnosed with a glioblastoma (GBM). She said: “I knew from interacting with brain tumour support groups that being diagnosed with a GBM is the worst possible news and that the

“I signed up to give a regular donation of £30 a month, an amount which I really don’t miss, knowing that it’s helping to bring hope to people diagnosed with brain tumours in the future.”

Will you commit to regular giving to make an amazing difference to life-saving research? Even a small amount can have a big impact over time. Sign up at: www.braintumourresearch.org/donate/donate-now

Together we will find a cure

REGULAR GIVING www.braintumourresearch.org Spring 2024 29
Motherdaughterand Jacqueline and Abrica Abrica with mum before theskydive Abrica with her skydive instructor

A WARM WELCOME TO OUR NEW FUNDRAISING GROUPS

ANDI’S ARMY

This Fundraising Group remembers Andi Peel who died in January 2023, aged 30, after a three-year battle with a glioblastoma (GBM). Andi was really fit and loved playing basketball until he started getting headaches. Although he underwent surgery and radiotherapy and chemotherapy treatment, nothing could save Andi.

Mum Linda said: “More needs to be done because research into brain tumours is so underfunded. Something has got to change. It’s shocking that the standard of care for brain tumours has been the same for the last 20 years.”

ELLA’S ARMY

The family of Ella McCreadie has set up this Fundraising Group after 13-year-old Ella passed away without warning. It was later established that she had experienced a haemorrhage caused by an undiagnosed high-grade diffuse glioma brain tumour.

Ella’s mum, Sophie said: “We want to keep Ella’s name alive and help fund vital research to find better outcomes for brain tumour patients so that other families don’t continue to grieve the loss of loved ones like us.”

FUNDRAISING GROUPS
30 Spring 2024 www.braintumourresearch.org
Andi died aged 30 Andi (front right) and family fundraising Andi with his mum Linda Left: Ella with her horse Right: Ella with mum Sophie Ella ageddied 13

ELLY’S HERD

Peter Monaghan has set up this Group in memory of his mother Elly who died from a GBM in July 2023, aged 70. Elly was diagnosed after she started slurring her words and sounding very confused. The family was extremely frustrated when Elly’s chemotherapy treatment was halted after just one and a half cycles because her white platelet levels had dropped so low and they were told there was no alternative treatment.

Peter said: “We knew that treatment for other cancers had accelerated in the last few decades because of investment in research, so this was a cruel blow.”

John died in May last year

JOHN’S CREW

This Fundraising Group commemorates John Lilley who died from a GBM in May last year, aged 61, before he was able to realise his dream of retiring and going on a world cruise with wife Alison. As well as Alison, John left his beloved grown-up children Charlotte and Daniel.

He recorded his thoughts in a blog, writing: “It’s clear that more needs to be done for people like me who are diagnosed with this devastating disease to bring hope,

18 in February 2021 after being diagnosed with a diffuse midline glioma (DMG) at the age of 15. Before his life was cut short, Josh held dreams of becoming a human rights lawyer.

In his end of school yearbook 2020, Josh wrote: “I want to raise money and awareness with Brain Tumour Research.” He didn’t want anyone else to go through what he’d been through. His family has set up Team Joshua to fulfil Josh’s wishes and to raise awareness of the symptoms of brain tumours.

For more information and to join our family of Fundraising Groups, visit: www.braintumourresearch.org/ become-a-fundraising-group

www.braintumourresearch.org Spring 2024 31
Fundraising for Brain Tumour Research
Pete with mum Elly Petetookpartin 100aDaychallenge Elly died in July 2023 John’s Crew held a rounders fundraiser Daniel, John, Alison and Charlotte Left: Josh at home with his dog, Maddie Right: Josh died aged 18

NEWS FROM OUR FUNDRAISING GROUPS

BOOGIE AT THE BISCUIT

Marking the fifth anniversary of Kieran O’Sullivan’s death, the Fundraising Group held its third evening of dinner and dancing at The Biscuit Factory in Newcastle-upon-Tyne, raising an incredible total of more than £20,000. Kieran had left the career he loved in the RAF two months before he passed away and 17 years after his diagnosis, having reached the rank of Wing Commander. The fun-filled evening attended by 223 guests included a three-course meal, a raffle and auction, as well as dancing to renowned party band Madhen.

FIGHTING FOR A CURE

Inspirational six-year-old Joey Brown took on a month-long fitness challenge in memory of his beloved uncle Josh, whose 34th birthday would have been last 15th November. The ‘30 for 30’ fitness challenge encouraged participants to do 30 reps or 30 minutes of an exercise, so Joey chose to complete 30 star jumps a day which proud mum Kim filmed, sharing on social media. The Fighting for a Cure fundraiser raised more than £3,300, also attracting a generous donation of £5,000 from Josh’s former workplace in Stoke-on-Trent, Bally’s Interactive (then known as Mice and Dice).

IN KEV’S MEMORY

A trio of pals took on their “toughest challenge yet” to remember Cannock husband and father-of-two Kev O’Mahoney. Kev’s brother Ges, brother-in-law Jim and friend Steve scaled the UK’s highest mountain, Ben Nevis, before going on to complete the West Highland Way during a week of hiking. “The Lads”, as they are known, raised an impressive £4,900 which included match-funding from a local businessman.

Ges said: “The weather made this challenge even more demanding, with howling winds, sleet and hail hampering planned ascents and ensuring we were soaked through at the end of every day.”

Below: Jim, Steve and Ges

the West Highland Way

Inset: Brothers Kev and Ges

FUNDRAISING GROUPS
32 Spring 2024 www.braintumourresearch.org
Images left to right: Josh with his beloved dog Diggs Joey taking part in 30 for 30 Uncle Josh with baby Joey Kieran’s wife Beth and volunteers FUNDRAISING FOR BRAIN TUMOUR RESEARCH complete Boogie at the Biscuit 2023

LEAH’S FAIRY FUND

After organising a successful Devon Walk of Hope in September 2023, in December Leah’s family marked the 10th anniversary of her diagnosis with a high-grade medulloblastoma. Although a long-term survivor, 12-year-old Leah’s operations and treatment have left her with life-changing side-effects, including problems with speech, mobility, vision and hearing loss, as well as severe learning difficulties and growth issues due to hormonal deficiencies, which mum Jo Martin says “illustrates the desperate need for much kinder treatment options”.

TEAM HOPKINS

THE SONG FOR SUE FOUNDATION

More than 100 guests enjoyed a sparkling evening of fun and dancing to a live band at Epsom Downs Racecourse in October last year to remember Sue Thomas who died aged 57 in 2015 from a glioblastoma (GBM). Sue’s daughter Holly gave a beautiful and poignant speech to open the event which set the tone for the special night. Along with a prize raffle and auction, the dinner dance helped bring the Fundraising Group’s overall total to almost £67,500.

– WINNING FOR DID Dave Hopkins, known as Did to wife Nicki, died two years ago on 6th November 2021, 14 months after his “cruel diagnosis” with a GBM. To honour the dad-of-three’s memory, Nicki led supporters braving the flames in a firewalk at Bottesford Football Club in Scunthorpe, bringing the total raised by Team Hopkins to more than £50,500.

FOR DID

Nicki said: “My journey through grief has taught me that I can get through life’s challenges and deal with whatever gets thrown my way. Did handled far worse during his treatment, so I thought challenging myself to conquer the coals should be a piece of cake!”

Did and Nicki

To find out more about or to support one of our Fundraising Groups, visit: www.braintumourresearch.org/ about/our-fundraising-groups

www.braintumourresearch.org Spring 2024 33
Sue and husband Dave
T EAM H OPKIN S WINNING
Below: Bottesford firewalkers (Nicki back row fourth from right) Leah with Mum and Dad and sister Jasmine Walk of Hope for Leah Leah’s Fairy Fund Sue’s daughters Holly and Rachael, son-in-law Lewis and Dave

CELEBRATING OUR FOUNDING MEMBER CHARITIES

Fifteen years ago, 14 brain tumour charities got together to launch umbrella charity Brain Tumour Research with a mission to raise awareness and increase funding for vital research.

At the beginning of the 1990s, Government funding for research was reduced and researchers had to resort to other means in order to receive the funding they needed to pursue their research passions and improve outcomes for patients and their loved ones.

Professors Geoff Pilkington and John Darling were two such eminent researchers with a particular passion to discover cures for brain tumours. They galvanised families to back their cause with some forming charities still in existence today. These include two of our founding Member Charities, Charlie’s Challenge and Brainwaves NI, both of which have since celebrated their 30th anniversaries. Charlie’s Challenge started funding paediatric brain tumour research after Charlie Boutwood was diagnosed with a high-grade medulloblastoma, aged 20 months. Happily, Charlie made a full recovery. Brainwaves NI was launched after Billy, the husband of Kate Ferguson MBE, was diagnosed with an aggressive brain tumour from which he later died.

Each of our founding Member Charities was established as a result of a brain tumour diagnosis, with many inspired by the tragic loss of a loved one.

MEMBER CHARITY UPDATES 34 Spring 2024 www.braintumourresearch.org
Billy Ferguson (Brainwaves NI) Charlie Boutwood (Charlie’s Challenge)

Founded in 1997, the Children’s Brain Tumour Research Centre was set up at the University of Nottingham, led by the eminent Professor David Walker (now retired). Sadly Brain Tumour Action has since been disbanded.

Four of our founding Member Charities were set up by families grieving children lost to brain tumours. Levi Ringer died aged six, Alison Phelan passed away three weeks before her eighth birthday, Anna Hughes was three when she died and Ellie Savage was 14. Their legacies are Levi’s Star, Ali’s Dream, Anna’s Hope and the Ellie Savage Memorial Trust (the latter having since disbanded).

Andrea Key, Paul Mitchell, John Fulcher and Diana Ford are commemorated by our founding Charities Yorkshire’s Brain Tumour Charity (then known as Andrea’s Gift), Brain Tumour Support (formerly Hammer Out), Brain Tumour Research Campaign founded by Brain Tumour Research Chairman, Wendy Fulcher, and The Diana Ford Trust set up by our Life President, Sandy Saunders BEM, which amended its name in 2008 to Brain Tumour Research, providing the seed funding for the Charity.

Two UK-wide charities that continue to stand alongside us today in our family of now 24 Member Charities are brainstrust, focusing on supporting patients and their families, after the family of survivor Meg Jones had to look to the United States for treatment unavailable in the UK, and the Brain & Spine Foundation, which provides support and information across the full range of neurological conditions.

5 Andrea Key (Yorkshire’s Brain Tumour Charity)

6 John Fulcher (Brain Tumour Research Campaign)

7 Paul Mitchell (Brain Tumour Support)

8 Diana Ford (The Diana Ford Trust)

Above:

1 Levi Ringer (Levi’s Star)

2 Alison Phelan (Ali’s Dream)

3 Anna Hughes (Anna’s Hope)

4 Ellie Savage (Ellie Savage Memorial Trust)

The collective voice of our Member Charities carries great weight in the media and in our political campaigning. We are very grateful to all those Member Charities who help fund the fight to find a cure and to Trustees Sandy Saunders BEM, Wendy Fulcher, Nigel Boutwood and Rob Hughes and new Trustee and former Chief Executive Sue Farrington Smith MBE, who have all been with us since the very beginning, for helping to steer the Charity towards its goal to have a network of seven sustainable Research Centres of Excellence and find a cure for all types of brain tumours.

To learn more about becoming a Member Charity, please contact: anju.chadha-mclean@ braintumourresearch.org

www.braintumourresearch.org Spring 2024 35
3 5 6 7 8
Right:
2 1

James was a passionate supporter of Brain Tumour Research following his diagnosis, raising thousands with events including the Yorkshire Three Peaks with friends. Since he died in 2018, the James Clifford Campling Trust has granted £16,000 towards vital

BRAINSTRUST

According to our sister charity brainstrust, there are around 16,000 people each year whose cancers spread to their brain. The reasons for this are not fully understood but it’s the single biggest origin of brain cancers. However, there is little or no patient support material on this topic, so to fill the void, and working closely with a team of oncologists, brainstrust has developed a new resource to support those affected.

JAMES CLIFFORD CAMPLING TRUST

This year marked the fifth anniversary of James’ death and Rachael Harris, one of his closest friends and a Trustee of the Charity, arranged a charity ball which raised more than £2,000 through ticket sales, a raffle and a silent auction.

research, sent three families on holiday to make memories, made funds available for life-changing equipment, as well as supporting patients and their families either financially or with a listening ear.

Mum, Diane Campling, who runs the Charity, said: “James’ legacy lives on.”

The booklet answers some of the key questions for patients. It is a readable, easy-to-understand guide, designed to give direction and confidence to those who have received the difficult news about brain cancer. This guide, titled I have been diagnosed with a brain metastasis, is available from www.brainstrust.org.uk

Granting more than £16,000!

MEMBER CHARITY UPDATES
36 Spring 2024 www.braintumourresearch.org
James Campling (centre) at the end of the Yorkshire Three Peaks Guests enjoying charity ball to mark the fifth anniversary Rachael Harris (far left) with other Charity Trustees New booklet for patients diagnosed with secondary brain cancer Supporters enjoying the golf day

BRAINWAVES NI

Allied Irish Bank’s customers and members, as well as the general public, nominated Brainwaves NI for its One Millon Euro Community Fund, resulting in the Charity being granted £15,000.

Michaela Chambers, Secretary at Brainwaves, said: “This has come at a great time as this year Brainwaves NI is turning 30. The money will allow us to plan a weekend retreat in the autumn of 2024 for our members and to celebrate this milestone.”

Brainwaves NI continues to fund vital research at Queen’s University, Belfast, including sponsoring the two PhD researchers pictured.

PhD students Daniel Crummy and Malachy McIvor with Profs Karen McCloskey and Karl Butterworth

SHAY’S SMILES

The Charity held its first golf day last September, welcoming 72 participants to The Shire London which Shay’s mum, Niki O’Dea-Patel said “fittingly features a beautiful ‘S’-shaped lake at the 18th hole”. After a great day of golf, followed by a barbeque and live auction, a fantastic £6,900 was raised.

A month later, Shay’s Smiles’ first ball took place at the Leonardo Hotel in Milton Keynes. More than 150 supporters enjoyed a fun-filled evening of food, live music, a 360-photo booth, DJ and live auction, raising more than £10,000

CHILDREN’S BRAIN TUMOUR RESEARCH CENTRE

The Sam White Legacy has had a long history of supporting the Children’s Brain Tumour Research Centre and is helping to fund two exciting new projects under the leadership of Dr Ruman Rahman, both of which are focusing on new therapies for glioblastoma (GBM).

The first project will use nanoparticles to manipulate electrical currents naturally found inside brain cancer cells and investigate the effect this has on the metabolism of the cancer cells.

The second aims to identify proteins found on the surface of GBM cells with the idea that drugs might bind to these surface proteins, stopping them working and consequently impairing the growth or survival of the cancer cells.

Our Member Charities help bring us closer to a cure and offer vital support for patients and their families. If you’re interested in joining us and benefitting from a national presence, contact: anju.chadha-mclean@ braintumourresearch.org

www.braintumourresearch.org Spring 2024 37
Dr Ruman Rahman in the lab Front left; Niki O‘Dea-Patel at charity ball

forever

in our hearts

From all of us at Brain Tumour Research, our love and thoughts are with all those who inspire us and with everyone who continues to support us in memory of their loved ones and colleagues, year after year.

Agnes Adam

Sue Allbone

Mena Amica

Alan Archer

Oliver Ashman

Gavin Aspinwall

Joanne Attwood

Alina Bailey

Mark Bailey

Terence Bateman

Andrew Bellwood

Neil Bennet

Michael George Betts

Ian Bird

Jean Blackburn

Stephen Blank

Christine Julie Bore

Michael John Bradley

Mick Bramley

Joseph Brightman

Dan Brown

Richard Brown

Sharon Brown

Sharon Margaret Bryant

Peter Buchanan

Rosemary Bungay

Wendy Cahill

Neil Campbell-Sharp

Alan Chisholm

Paula Cliff

Damian Cole

Roy Barry Collins

Esther Colman

James Cooper

Karen Courtenay

Katie Coxon

Albert Joseph Crozier

Donald Creasey

Mark Cuff

Terry Cullen

We thought of you with love today, but that is nothing new. We thought about you yesterday, and days before that too. You are forever in our hearts.

Gary Culley

Barry D’Archambaud

Caroline Dartnell

Colin Davies

Catherine Draisey

Tommy Drinkwater

Brian Duff

Wayne Antony Eager

Lynette Fairbanks

Steve Fellows

Gary Fenton

Maria Jesus Fernandez

Peter John Finch

Shirley Doreen Finch

Heather Fixter

Elaine Ann Freeman

Susan Frost

Amiesha Garcia

Katherine Gibbard

Joseph (Joe) Gibson

Andrew Golds

Charlotte Guise

Susan Higley

Ann Elizabeth Hilz

John Hodgson

Michael Hooley

David Hore

James Hudd

Anthony Huggard

Christopher Hughes

Alina Hunter

Diane Hutchings

Kathleen (Kate) Jackson

Stuart Jackson

Susan Jackson

Philippa Lambden

Andrew Langford

Ian Langford

Patrick Lappin

Bobby Leith

IN MEMORY 38 Spring 2024 www.braintumourresearch.org

BRAIN TUMOUR AWARENESS MONTH

At 11am on Friday 1st March, a minute’s silence is held to mark the start of Brain Tumour Awareness Month and remember all those lost to this devastating disease. This moment of reflection is marked at our four Centres of Excellence and we invite you to join us and observe this moment of commemoration wherever you are.

Beryl Lonard

Lancelot Railton

Longbone

Ritchie McCaul

Andrew Paul McNally

Darren Meecham

Ryan Menley

Doreen Mary Merchant

Paul Messer

Anil Mistry

Elly Monaghan

David John Morgan

James John Morgan

Timothy Moss

Ady Mullen

Gill Murphy

Jim Murphy

Philip New

Michelle Noakes

Simon Northall

Jean Oates

Ivy Osborne

Ronnie Parsons

Mike Patey

Lillian Jeanette Pearce

Leah Perrott

Dr Marton Petyko

Phillip Pidell

Lorraine Pryor

Brenda Jeanne

Radbourne

Joanne Radon

Margaret Reader

Paul Reece

Roma Roe

Anthony Rogers

Christine Rook

Ben Roonbox

Christine Elizabeth Jean

Rooney

Jennifer Roscoe

Mike Sadler

Adele Frances Sanderson

John Seddon

Stuart Neil Sharp

Fiona Sim

Deborah Simpson

Margaret Singleton

Then, at 7:30pm on 1st March, help #ShineALight for all those affected by brain tumours by lighting a candle and sharing a photo on social media tagging Brain Tumour Research to raise vital awareness.

Benjamin Smalley

Alex Smith

Lizzi Snaith

Elizabeth Jayne Snow

Gordon Sparks

Paul Stafford

Chloe Stamp

Jacqueline Stevens

Craig Stevenson

Graham Stevenson

Joyce Margaret Stroud

Susan Lesley

Rooke Sweeney

Janet Sykes

Zara Taylor

John Telfer

Margaret Tice

Stewart Tootill

Stewart Tranter

Colin Trenholme

Peter Trinnaman

Ainars Trojanovskis

Orla Tuckwell

David Tully

Marguerite Turner

Rev Stuart Tyler

Mary Walker

Joshua Warner

Susan Catherine Warren

Ellie Watts

Roy West

Olive Whitney

Judith Wilford

Martin Wilkins

Dan Wilkinson

Carole Ann Williams

Christopher Williams

Betty Witney

Keith William

Woodbridge

Mary Wrightson

Benjamin Zephaniah

Listed here are loved ones lost to a brain tumour for whom we received funeral donations between August and December 2023.

www.braintumourresearch.org Spring 2024 39
MARCH 2024
Together we will find a cure www.braintumourresearch.org Tel: 01908 867200 | info@braintumourresearch.org Brain Tumour Research, Suite 37, Shenley Pavilions, Chalkdell Drive, Shenley Wood, Milton Keynes MK5 6LB Registered charity number 1153487 (England and Wales) SC046840 (Scotland). Company limited by guarantee number 08570737. #FundingTheFight Our Fundraising Groups Our Member Charities DIVISION OF NEUROPATHOLOGY AND DEPARTMENT OF NEURODEGENERATIVE DISEASE Our Centre of Excellence Partners The Lorn’s Legacy FUNDRAIS NG FOR BRAIN TUMOUR RESEARCH Leah’s Fairy Fund MARK “BOMBER” LANCASTER TRUST RIDE4SIMON nd ai s nginsuppo t of b a tumou res a h T EAM H OPKIN S WINNING FORDID fundraising for Brain Tumour Research Fundraising Partners

Turn static files into dynamic content formats.

Create a flipbook
Issuu converts static files into: digital portfolios, online yearbooks, online catalogs, digital photo albums and more. Sign up and create your flipbook.