Sherwood Community Advantage Magazine April 2024

Page 1

The Crown Jewel of Dentistry BULL MOUNTAIN FAMILY DENTISTRY Ad & Article Inside HISTORY Alpenrose Dairy LOCAL HISTORY Oregon Black Pioneer Joe Lillard SEASONAL April Fool’s Day SHERWOOD APRIL 2024 COMMUNITY ADVANTAGE
Located right next door to The Hampton Inn Sherwood 21900 SW Alexander Lane Find Our Menu Online @ generationssportsbar.com WE DELIVER THROUGH GET TO KNOW US ON FACEBOOK @generationssportsbar FREE Coffee with Sunday Breakfast Breakfast Served Every Sunday 9am-2pm 503.610.1403 Present this coupon before ordering. Offer Expires 6/15/24 $5 off ANY PURCHASE OF $35 OR MORE Not valid with any other offers. Not valid during Happy Hour or Holidays. 503.610.1403 Present this coupon before ordering. Offer Expires 6/15/24 Live Music Every Wednesday COME WATCH A GAME WITH US!

Published by

Active Media Publishing Group

PO Box 672, Aurora, OR 97002

info@ActiveMediaUSA.com

503.825.2111

ADMINISTRATION

Matthew Nelson, Publisher

Catrina Nelson, CFO

Tara Weidman, Executive Assistant

PRODUCTION

Jeremy Okai Davis, Art Director

Donovan Darling, Content Manager

Kate Astle, Copyeditor

Kaity VanHoose, Social Media Manager

SENIOR GRAPHIC DESIGNERS

Hilary Berg Sean Carver

Dani DeGraw Brittany Jungenberg

Morgan King

Justin Nelson

Shawn Schmidt

CONTRIBUTING WRITERS

Patti Jo Brooks Olive Gallagher

Angie Helvey Lucas Holmgren

Robert Matsumura Dennis McNabb

Edward Novak Kelly Romo

Gretchen Van Lente Ty Walker

Alice Williams

Kerry Yu

CONTRIBUTING PHOTOGRAPHERS

Laurel Bice Carly Carpenter

Tyler Francke Angie Helvey

Brittany Jungenberg Malaina Kinne

Lisa Kuhlman Kara Langley

Andrew Sambuceto Henry Schifter

Hayley Starkey

ADVERTISING SPECIALISTS

Don Ormsby Bill Kistler

Stephanie Baker Peggy Jacobs

David Long Chris O’Brien

John Zobrist Brad Marti

Shelley Zeman Tina Toney

Darren Dwyer Lynnette Scott

Looking to reach local consumers?

We Specialize in direct-mail products: community magazine advertising, mailing inserts, postcards and more. For more information, call 503.825.2111 or email info@ActiveMediaUSA.com

Sherwood Community Advantage Magazine

Black Pioneer

CHECK US OUT ONLINE AT CommunityAdvantageMagazines.com
APRIL 2024 6 BUSINESS FEATURE Bull Mountain Family Dentistry COVER PHOTO BY MALAINA KINNE 12
Oregon
Joe Lillard 16 MEET THE ARTIST Janet Hickok
LOCAL HISTORY
SERVING SHERWOOD & WILLAMETTE VALLEY 503-752-0189 • mannyluxuryconstruction.com Not valid with any other offers. Must present coupon. EXP 6/15/24 New Granite Countertop Install $500 OFF MINIMUM PURCHASE REQUIRED CALL FOR DETAILS Bathrooms Kitchens SERVICES • Kitchen Renovations • Bathroom Renovations • Drywall • Home Repairs • Demolition • Doors • Framing •Concrete Forms • Windows • Cabinets • Painting • Flooring • Roofing • Trims • Wood Repair • And More...

GLASS SCRATCH REMOVAL

READ MORE AT CITYHANDSHAKE.COM 5

The Crown Jewel of Dentistry

Office expands space and comfort with remodel

Bull Mountain Family Dentistry is an office where patients come first. The recently remodeled clinic includes a new patient room as well as increased staff to better serve the needs of their rapidly growing client base. In addition to receiving the highest standard of dental care, patients will appreciate the relaxing environment designed to reduce stress and support the patient’s overall well-being and comprehensive dental experience.

“From the beginning I’ve always invested in the newest technology,” says Dr. Nirvana Schuyler, owner of Bull Mountain Family Dentistry. An example being the process by which dental implants are placed using a digital guided procedure. In addition to the high-quality care the clinic provides, Dr. Schuyler commented that with the remodel “I was able to add comfort and aesthetics as well.” Heated massage chairs were installed to increase the patient’s comfort and TVs were added for the patients’ enjoyment.

excited that in our post-COVID stage they were able to remodel the waiting room which included a new beverage station and

an atmosphere that allowed patients to feel more at home. The remodel made it possible to reflect the quality that Dr. Schuyler strives to provide for her patients and to have that supported by the clinic’s environment as well.

Dr. Schuyler bought Bull Mountain Family Dentistry in 2011 from the previous owner who was relocating. At the time it was a small practice with one dentist and one hygienist who worked part-time. Since then, Bull Mountain Family Dentistry has grown and expanded. With an increased patient base, the practice required more space, more hygienists and more doctors. Post-COVID, the clinic needed more availability for their patients, which in turn led to the office remodel. Rather than let patients wait two to three months to get in for an appointment, the clinic added an extra room to accommodate more patients, another hygienist and another doctor.

Dr. Schuyler was also very

Today’s team of professionals at Bull Mountain Family Dentistry include three full-time hygienists: Cindy, who started with the previous owner and stayed on; Lauren, who’s been there five years; and Shelby, the new hygienist added during the expansion. The assistants are Alexis and Sonia, along with the newest assistant, Madison. Dr. Nirvana Schuyler heads up the team of dentists which includes Dr. Jennifer O’Connor who has been with the team for over four years, and Dr. Leo Choti. The front office is run by Rachele, with Elisa and Tori giving their expert assistance. Altogether, this is a very special team at a very special practice dedicated to giving patients the best possible care.

Bull Mountain Family Dentistry is located at 15885 SW 116th Ave., Tigard. Call (503) 639-5025 to schedule an appointment. For additional information visit bullmountainfamilydentistry.com or email info@bullmountaindentistry.com.

Photos by Malaina Kinne
BUSINESS FEATURE BULL MOUNTAIN FAMILY DENTISTRY 6 TO ADVERTISE WITH US, CALL 503.825.2111
TRY OUR OUTCOME SIMULATOR WITH YOUR SMART PHONE $159 New Patient Special Exam, X-rays, Regular Cleaning and Treatment Consultation (Reg. $399) Uninsured patients only. Call for Details. Expires 6/15/24 25% OFF DEEP CLEANING Uninsured patients only Call for Details. Expires 6/15/24 T h e B u l l M o u n t a i n D e n t i s t r y T e a m! 503.639.5025 15885 SW 116th Ave, Tigard BullMountainFamilyDentistry.com The Bull Mountain Family Dentistry team is proud to exceed the highest standard of care for our patients.

City Of Sherwood Oregon LIBRARY

Friday, April 12 th, 10 am

Join us for cake and refreshments, prizes, and fun activities for all ages! At Sherwood Public Library, we invite all community members to visit the library during National Library Week, April 7-13, to explore all we have to offer.

Writing Workshop Series

Sunday, April 21 st, 2:00 pm

Author Marie Buckley leads each group with a warm-up exercise and thematic writing session. No experience is necessary in order to participate, other than an enjoyment of writing and interacting with fellow writers.

Read To Mia The Dog

Saturday, March 13th, 11 am

Each time you read to Mia, you will get a free book from the Friends of the Library book sale shelf. After 5 visits, you can get a voucher to choose a new book from our Read to the Dogs book box library shelf.

sherwoodoregon.gov/library.gov

See All These Amazing Activities And Much More At Your Public Library

10 am to 8 pm

& Sat, 10 am to 6 pm

1 pm to 5 pm

22560 SW Pine St Sherwood, OR 97140 503.625.6688
Fri
Sun,
Services Available ◾ Browsing ◾ Holds Pick-up ◾ Self-Checkout ◾ Book Returns ◾ Library Cards ◾ Mobile Printing ◾ Seating Areas ◾ Computers ◾ Copy Machine ◾ Payments ◾ Reference Desk ◾ Lobby Restrooms
Open
HOURS Mon-Thur,
National Library Week
House
202 4 © All Rights Reserved. Closets by Design, Inc. Imagine your home, totally organized! Custom Closets Garage Cabinets Home Offices Wall Beds Wall Organizers Pantries Laundries Wall Units Hobby Rooms Garage Flooring Media Centers and more... 40% Off Plus Free Installation Terms and Conditions: 40% off any order of $1000 or more or 30% off any order of $700-$1000 on any complete unit order of custom closet, garage, or home office, and any other products. Not valid with any other offer. Free installation with any unit order of $850 or more. With incoming order, at time of purchase only. Expires in 30 days. Offer not valid in all regions. Call for a free in home design consultation and estimate AM MONTH SPECIAL FINANCING With approved credit. Call or ask your Designer for details. Not available in all areas. 12 503-966-8021 www.closetsbydesign.com Locally Owned and Operated. Licensed and Insured: OR CCB #235345
Financing Available Call For Details 503.744.5336 CrowleysGranite.com *Restrictions apply. Call store for details. Agreements must be finalized by 6/15/24. CCB#237110 SCAN NOW To Receive our SPRING OFFER SAVE WITH Square Footage Discounts for Your Kitchen Remodel! Locally Owned & Operated For Over 25 Years Dan Izoita, Owner OVER 200 5 STAR REVIEWS! Terms & Conditions: *Minimum purchase may be required, ask for details. Offer valid for new orders only valid between April 1, 2024 and April 30, 2024. Not valid with any other offer or previous purchase.*Financing is available with minimum purchase and approved credit. Unaffiliated third-party lenders provide all financing. Licensed and insured OR #213202 | WA #PACIFBC810JJ | UT #13462431-5501 | NV #0086030 | AZ #334398 | Idaho RCE #59346 IL #2818139. 503-744-6544 Call Now! Limited Time Offer! Spring Sales Event Step into spring with a New KOHLER Walk-in Bath or Walk-in Shower FREE Installation + No Payments No Interest for 12 Months New Walk-in Bath or Shower • Installed in as little as 2 days or less by our KOHLER certified team and licensed plumber • Low 3” step-in for safe entry and exit from your Walk-in Bath or Walk-in Shower • Safety and stability with grab bars in varying styles, materials, and sizes READ MORE AT CITYHANDSHAKE.COM R 3
Outdoor Living All Year Long! Visit us online at Patiocoverpeople.com $ 300 OFF PATIO COVERS Get our FREE Estimate Then Present Coupon For Real Savings $ 500 OFF PATIO ROOMS Get our FREE Estimate Then Present Coupon For Real Savings Patio Cover People Are HAPPY PEOPLE! OR Licensed • Bonded • Insured OR CCB#236429 • WA#DIRELSV795MB Add livability to your home with our customized Patio Covers and turn your patio into a year-round area for relaxing. Contact Patio Cover People Today! Call Now! 503-744-6394
HIGH-QUALITY CUSTOM Blinds, Shades, Shutters & Drapery We Design, We Measure, We Install, You Relax! ® FREE Expert Design Consultation Motorization & Home Automation Options Available TrustScore 4.6 12,354 reviews • Excellent Expert Design Consultants Personalized advice from one of our locally-based experts. Unrivaled Quality & Selection Find the perfect fit for your home from our thousands of styles. Stress-Free Installation Our skilled professionals will be there for you. on Custom Blinds, Shades & Drapery BUY 1, GET 1 50OFF %* or visit Call To Schedule HURRY! Limited Time O er! 1-844-252-8787 www.3DayO er473.com *O er valid on 3 Day Blinds brand products only, excluding shutters and special orders. Buy 1 qualifying window covering and receive the 2nd qualifying window covering of equal or lesser value at 50% o ! O er excludes installation, sales tax, shipping and handling. Not valid on previous purchases or with any other o er or discount. O er Code BGXB. Expires 6/30/24. State Contractor and Home Improvement Licenses: Arizona 321056. California 1005986. Connecticut HIC.0644950. New Jersey 13VH09390200. Oregon 209181. Pennsylvania PA107656. Tennessee 10020. Washington 3DAYBDB842KS. County Licenses: Nassau County, NY H0107310100. Rockland County, NY H-12401-34-00-00. Licensed through Great Windows Services, LLC: Virginia 2705172678. West Virginia WV061238. Various City Licenses Available Upon Request. © 2024 3 Day Blinds.

Heat Blocker Extreme® is one of the most energy efficient residential windows available!

Dave's presentation took 30 minutes and the price was 1/3 the cost of double pane windows and a 4 hour presentation by another company…….. The reduction in street noise with these new windows is amazing………..YELP REVIEW

I COULD SAVE YOU THOUSANDS!

As one of the largest and highest rated window replacement companies in Oregon, I have the distribution rights to the triple pane Pro Series Heat Blocker Extreme®, one of the most energy efficient residential windows available. I offer these amazing triple pane windows for up to 60% less than the sale prices of most other companies’ double pane.

EVEN THEIR BUY ONE GET ONE, BOGO, 1/2 OFF SALES AND USE YOUR HOME AS A MODEL HOME PROMOTIONS!

WINDOWS FREE TRIPLE PANE UPGRADE! I’M THE ONE “THEY” DON’T WANT YOU TO CALL!® I HAVE BEEN SAVING OREGONIANS THOUSANDS ON THEIR NEW WINDOWS FOR OVER 18 YEARS! With No Salesman And Low Overhead I Can Offer Triple Pane Windows For Up To 60% Less Than The Sale Prices of Most Other Companies Double Pane! EVEN THEIR “BOGO”
“MODEL HOME” PROMOTIONS!
&
ROYAL EXTERIORS royalexteriorsllc.com 503-534-3748 CCB 206144
OVER 200 FIVE STAR REVIEWS!
• Lifetime-guarantee to NEVER clog, leak or pull away from your home! • The largest and most durable gutter system on the market • All-in-one gutter guard system built to withstand the ice, snow and rain • Transferable warranty adds value to your home WA#PACIFGC809MA CCB#231981 WHAT YOU GET: Call Now For A FREE In-Home Consultation 971-203-0075 *ALL OFFERS EXPIRE 4/30/24. Other restrictions may apply. Visit Pacificgutter.com for complete details. ROOF CLEANING SERVICES AVAILABLE $1000 off Whole Home Installation ASK US ABOUT NO INTEREST, NO PAYMENTS GUTTER CLEANING & MAINTENANCE AVAILABLE

Clearing the Air

Northwest Breeze remains Oregon’s top-rated air duct cleaner

Americans spend 90% of their time indoors, and studies show that air inside is two to five times more polluted than the air outside. Our homes can accumulate up to 40 pounds of debris in the HVAC system every year, and that’s for households with no pets. The Science Advisory Board has stated that indoor air pollution is one of the top five environmental risks to public health.

What does all of this mean to homeowners? It’s an absolute imperative to follow the EPA’s guidelines and schedule your air ducts to be cleaned at least once every three to five years. And when it comes to the cleaning and maintenance of your HVAC system, there’s no one better in the Willamette Valley and Portland areas than Google’s top-rated air duct cleaners,

Northwest Breeze.

Northwest Breeze absolutely guarantees the work they do, employing the usage of a Negative Air Vacuum, a complex system that uses a compressed-air blower to clear the ducts while a vacuum traps the hazardous particles and releases them outside your home. Their method is the only one on the market, in fact, that cleans the entire HVAC system effectively and without damaging the ducts. Whether cleaning your cold air returns, supply vents, furnace burners, outdoor A/C units and coils or dryer vents, they use all of the most effective, efficient tools and methods in the industry.

Northwest Breeze is a locally-owned and -operated business with strong ties to the community. Support your family’s health while supporting local business. Contact Northwest Breeze today for a free quote. Call 503-851-0212 or check them out online at nwbreezeor.com for more information.

Coupons can not be combined. Expires 5/15/24 Coupons can not be combined. Expires 5/15/24 DUCT CLEANING • DRYER VENT CLEANING • FURNACE CLEANING • A/C CLEANING • SANITIZING SPRAY BEFORE AFTER ✓Pet Dander? ✓Recent Construction? ✓ Home always dusty? CLE AN S 99% OF G E R M S Spring Cleaning is Here! WE CAN HELP, CALL FOR A FREE QUOTE! FREE DRYER VENT CLEANING ($149 value) With the purchase of air duct cleaning service for all vents in the house (call for details). FREE SANITATION SPRAY With the purchase of air duct cleaning service for all vents in the house (call for details). IMPROVE YOUR INDOOR AIR 503-925-3155 LICENSED • BONDED • INSURED BUSINESS FEATURE NORTHWEST BREEZE R8 TO ADVERTISE WITH US, CALL 503.825.2111
SPRING CLEANING HAS ARRIVED! Window Genie Can Help You With Spring Home Maintenance Ask Us How To Save 15-30% off On your home maintenance checklist with multiple services throughout the year Call Today for a Free Estimate 503-828-9025 WindowGenie.com Window Cleaning Pressure Washing House Washing Gutter Cleaning COMBINE YOUR SERVICES OF $600 OR MORE AND SAVE $ 50 OFF WINDOW CLEANING Starting At $ 189 Restrictions apply. Cannot be combined with any other discounts. Expires 6/15/24. Restrictions apply. Cannot be combined with any other discounts. Expires 6/15/24. Locally Owned

Regular Renewal

Traditional facial vs. Hydrafacial

First off, what is your goal for getting your facial? Have you had a facial before? Before I continue, I should say not all facials are created equal. Also, not all estheticians are trained the same. So if you’ve had a facial in the past and didn’t enjoy it or had a bad reaction to it, please know you can have an amazing experience and come out a believer.

What is a facial? Simply put, it is maintenance for your complexion. If you want a tighter body, you workout. If you want better, glowing skin, you get a facial.

Traditional Facial

A traditional facial is typically a 60- to 90-minute appointment — we call it our Divine Valmont Facial. First, you get cozy in a facial bed. Your esthetician — a licensed skincare professional whose passion is probably just this — will ask you questions about what skin concerns you have. You might say things like “fine lines, dark spots, blackheads, dryness, breakouts...” All these concerns can be addressed during a facial. Ususally there are many options for the type of facial, so calling ahead is a good idea or discuss with your esthetician once you get there. During this hour-long facial, it is typically very relaxing. I like to say it’s like a massage but with good skin. My clients often fall asleep — it

always feels like we get a gold star when this happens. Clients leave relaxed, rejuvenated and glowing.

Hydrafacial

Hydrafacial is a shorter appointment, between 30 to 60 minutes. While some say it is relaxing, this treatment is more to the point and does not include any massage of neck, shoulder and arms. This facial treatment has a patented vortex technology that infuses while also painlessly pulling everything out of your pores and putting it into the gunk jar — you can see everything that came out of your skin, including all those stubborn blackheads. You leave glowing, instantly hydrated and smooth. These are also great for teens! Some people alternate between hydrafacial and a traditional version.

How Often Should I Get a Facial?

The answer is once a month. We can tell a difference in clients’ complexions who get facials regularly vs. those who do not. It takes on average 30 days for the new skin cells to come to the surface, and if you are getting a facial once a month, you will have your best skin. I guarantee it.

Facial & Body Waxing Fillers Facials Makeup & Hair Styling YUMI Lashes Botox/ Xeomin $20 OFF ANY FACIAL Must present coupon. Not valid with any other offers. Exp. 6/15/24 25700 SW Argyle Ave. • Wilsonville • 503-757-8280 • divinecomplexions.com
BEAUTY TIPS DIVINE COMPLEXIONS
Christine Lewy Divine Complexions Spa Owner Licensed Esthetician Award-Winning West Coast Glo Skin Beauty Makeup Artist NW YUMI Lashes Educator Divine Complexions 25700 SW Argyle Wilsonville, OR 503-757-8280 10 TO ADVERTISE WITH US, CALL 503.825.2111
$5 OFF BREAKFAST, LUNCH OR DINNER BUY ANY 2 ENTREES AND 2 BEVERAGES AND RECEIVE $5 OFF COUNTRY INN BAR & GRILL TUALATIN MAX $5 VALUE. WITH COUPON. NOT VALID WITH ANY OTHER OFFERS. EXPIRES 6/15/24 $5 OFF Any Purchase of $25 or more COUNTRY INN BAR & GRILL TUALATIN MAX $5 VALUE. WITH COUPON. NOT VALID WITH ANY OTHER OFFERS. EXPIRES 6/15/24 Amazing Food & Full Bar! Sun-Weds 7am-12am • Thurs-Sat 7am-1:30am • Parking across the street and all around us 18786 SW BOONES FERRY RD. • TUALATIN • 503-692-2765 BREAKFAST SERVED ALL DAY 7 DAYS A WEEK Watch The Game Here - 10 TVs Minors Welcome with Adults until 9pm Full Menu & Full Bar Daily Specials www.CIBarAndGrill.com LiveMusicNewman&Friends EveryThursday8pm Karaoke Fri&Sat8:30pm Roofing • Siding • Gutters • Windows • Painting FREE ESTIMATES FINANCING AVAILABLE $1000 off Any Roofing PRoject (minimum of 1500 squARe feet) cAll foR DetAils Must present coupon. Not valid with any other offer. Expires 6/15/24 CALL FOR PRICING 503-832-5272 info@andresexteriors.com AndresExteriors.com CCB# 203183 LCB# 9479 READ MORE AT CITYHANDSHAKE.COM 11

OREGON BLACK HISTORY SPOTLIGHT: JOE LILLARD

LOCAL HISTORY
12 TO ADVERTISE WITH US, CALL 503.825.2111
Valid at Dundee & Sherwood locations. Must present coupon. Not valid with other offers. One per order. Expires 6/15/24 CATERING SPECIAL $ 50 OFF ANY CATERING ORDER OVER $300 $ 5 OFF NOW OPEN IN SHERWOOD!!! Line orld Disney s and Resorts Personalized planning & booking at no extra cost to you! NOW IS THE TIME TO PLAN YOUR SUMMER VACATION Contact Brittany Today! 971-226-5243 | brittany.jungenberg@academytravel.com A proud affiliate of Academy Travel Inc, A Disney Diamond Earmarked Agency and Universal U-Preferred Diamond Agency. Brittany Jungenberg, Travel Consultant www.academytravel.com READ MORE AT CITYHANDSHAKE.COM 13

Happy 20th Anniversary, Advantage Magazine!

A brief history of the Advantage Community Magazine

Do you enjoy reading the magazine you hold in your hands? Do the articles tickle your fancy or inspire your entrepreneurial spirit? If we’ve done our job effectively, you have hopefully learned something new about your local community. Whether it’s about a new business, one you were unaware of, or one of the wonderfully diverse, dynamic people developing and running said businesses, our stories are meant to shine a light on the movers and shakers in our neighborhoods.

We are a small, locally-owned business built on the foundation of spotlighting other like-minded businesses. A lot of passion, hard work and dedication go into our publications, but have you ever wondered how it all began? As we regularly explore other companies, we are turning the spotlight on ourselves, sharing the story of our journey and turning back the page to just over 20 years, when we published our inaugural Advantage Guide.

It all began in the spring of 2003 when Matt Nelson spearheaded a marketing campaign for the Tigard Chamber

of Commerce. At that time, Active Media (the company that publishes the Advantage Magazine) was a fledgling entity, just three years old, and focused on graphic design and print brokering. The Chamber, which Matt had recently become an ambassador for, was looking to address a long-standing issue: the lack of distributable marketing material. To increase membership, the Chamber needed to advertise. A small, simple-to-read, easy-to-distribute brochure would do the trick, but the organization needed a way to pay for it.

To begin, Matt suggested a fundraiser. Since Active Media was in the business of graphic design and print, and Matt himself had a background in sales, he proposed publishing a coupon booklet. It was something he could do in a relatively short period and without much help. The Chamber agreed to it, provided he could garner support from members at the next Chamber meeting. The reaction was overwhelming with over 75% of those in attendance agreeing it was a great idea.

Over the next six weeks, Matt went door to door, signing businesses, designing their ads and building that first coupon booklet which he

October 2003 - Inaugural Issue January 2004 Issue Active Media Team - Summer of 2023 Feb/Mar 2016 Issue 14 TO ADVERTISE WITH US, CALL 503.825.2111

named the Tigard Advantage Guide — it was released on Oct. 15, 2003. As a fundraiser, it was a huge success. The Chamber earned more than enough money to produce its brochure. On a personal level, the entire process had planted a seed.

Active Media, up until that point, lacked direction. Matt’s work consisted of odd design and printing jobs wherever they could be found. With the success of the coupon booklet, he discovered an untapped market with boundless opportunities. Soon, Matt was receiving calls from some of the businesses that had advertised, asking when the next coupon booklet would be published. Participating companies had seen such a terrific response from the community that they wanted more! What Matt had initially considered to be a one-off fundraiser now seemed a much bigger opportunity.

The second coupon booklet was released in January 2004. Matt increased the size of the booklet from half to full page, printed in full color instead of single-color ink and mailed all of them to local home addresses versus simply having them available to pick up in lobbies of local businesses. Participating businesses said the response from the community was even better than the first time, and it was at that point Matt, shifted the focus of Active Media: Continuing to service already-established clients in the graphic design/print brokering sphere, he reprioritized his

remaining efforts toward building the Advantage Guide.

It was in April of 2004 that the first Tualatin and Sherwood Advantage Guides were published. The magazines were scheduled to print on April 5, and Matt was supposed to do a press check at the print shop that day. But life had other plans. At 4 a.m. — five days ahead of her due date — Matt’s wife gave birth to their daughter, so the press check was skipped. Luckily for all involved, the print shop did a great job with the print run and on April 15, the first Tualatin and Sherwood issues were delivered to everyone in town and we have never looked back.

Since that time, our company has grown and evolved in countless ways. Where there was once a lone man — Matt juggling a half-dozen different responsibilities — we are now a staff of more than 60 individuals employed in various capacities. Where there was only one magazine version mailed out to homes in one city, we now mail 50plus versions to more than 50 separate areas all around Oregon and southern Washington. Other publications have been acquired under our Active Media umbrella, including Your Neighborhood, The Clipper Coupon Paper, MOM Magazine and The Mountain Times newspaper in Welches. And since

incorporating personal interest stories like the one you’re reading, we’ve expanded to include Lifestyle and Living magazines in Beaverton, Lake Oswego and Wilsonville.

It’s been an incredible journey, one filled with far more peaks than valleys, and Active Media is far from reaching its conclusion. Matt, his family and our entire staff at Active Media are all incredibly proud to play such an integral role in educating communities about their local businesses. It remains a unique opportunity to encourage increased patronization and to share the inspiring stories of owners who might otherwise go untold. With 98% of advertisers being locally owned, Active Media is and hopefully will continue to be a chosen voice for the mom-and-pop businesses in our neighborhoods.

To the organizations, individuals and communities who have worked with us over the years, and to the readers who’ve enjoyed receiving our publications over the last two decades, we send a heartfelt thanks to each of you. We appreciate the opportunities you’ve given us — and continue to give us — to serve you with each issue we produce. Cheers to 20 years, and a toast to 20 more.

Media Brands
of 2024 READ MORE AT CITYHANDSHAKE.COM 15
Spring 2004 Issue
Active
as

A Lifetime of Color and Creativity

Teaching tomorrow’s artists

Janet Hickok

knew that she loved drawing, coloring, and painting before she even started kindergarten. When everyone in her class was given a picture to color, she preferred to draw her own. Her mother was an artist, and her talents were passed down to Janet, who started participating in contests as early as 4th grade. She won her first art contest when she was only ten and got four dollars as a prize. Her passion for painting grew every day, and she knew from an early age that she wanted to become either an artist or a nurse.

Janet’s journey as an artist took a more significant turn when she had an inspired teacher in 6th and 7th grades. This exceptional teacher focused on the basics of art, like the color wheel, which she had to recreate using only the three primary colors and mixing the rest. The teacher taught as if she were educating high school or college students, which challenged Janet and helped her develop her skills further, laying the groundwork for her future as an artist and an educator.

Janet is enthusiastic about everything she does and loves to share her knowledge with others. She started to teach kids of all ages in her hometown in her consignment art shop, offering classes in drawing, pottery, and watercolors. When she moved to Alaska, she started teaching in different mediums and opened two studios. Eventually, Janet moved back to Oregon and got involved with Valley Art, where she started teaching again: it felt like coming home.

Janet’s passion for art education goes beyond the classroom, as she’s always looking for ways to help people learn about painting and other art forms. She’s been involved with many workshops, presentations, and events, establishing herself as a leader in the local community. She’s also an entrepreneur and has launched several businesses that focus on making art more accessible to everyone, regardless of skill level. Janet knows art can unite people and promote healing, growth, and creativity, and she’s committed to spreading that message.

Valley Art caters to a wide age range, from young children to adults. Janet adapts her teaching strategies to accommodate varying experience levels. The objective is not to create a specific resemblance but to allow students to play and enjoy the medium for what it can do. This approach makes art accessible and enjoyable to everyone, regardless of their prior experience or skill level, reinforcing the idea that art is not just about the end product but also about the process of creation.

Janet Hickok’s journey as an artist and an educator is inspirational. Her love for painting and eagerness to educate others has greatly benefited her local community wherever she has lived. She exemplifies how passion, dedication, and hard work can help anyone achieve their dreams.

If you’re interested in painting or want to learn more about the beauty of art, don’t hesitate to reach out to Valley Art and take a class with Janet. Valley Art is located at 2022 Main St., Forest Grove. She can be reached at 503-357-3703. For more information, visit www.valleyart.org

MEET THE ARTIST JANET HICKOK 16 TO ADVERTISE WITH US, CALL 503.825.2111

Hoaxes & Hilaria

April Fools’ Day through the ages

Gregorian Calendar

April Fools’ Day is often credited to the calendar reform of 1582 in France, during the transition from the Julian to the Gregorian calendar. Before this change, the new year began with the spring equinox around April 1, consistent with traditions in other cultures such as the Hindu calendar.

However, with the adoption of the Gregorian calendar and the shifting of New Year’s Day to January 1, the observance of the new year got complicated. Some people were unaware or just refused to change and continued to celebrate the new year in late March through April 1, and these people were subjected to jests and pranks and mockingly called “April fools.”

A popular prank played back then involved placing paper fish on the backs of unsuspecting victims and referring to them as “poisson d’avril” (April fish), a term which supposedly symbolized both the innocence of a young, easily caught fish and that person’s gullibility. From there, a tradition of good-humored tricks, pranks and mischief began.

Hilaria in Rome

April Fools’ Day’s origins have also been credited to festivals like Hilaria in ancient Rome, celebrated by followers of the cult of Cybele. Hilaria, “joyful” in Latin, involved disguises and mockery, possibly inspired by Egyptian mythology. Another theory suggests a tie to the vernal equinox, with nature’s unpredictable weather fooling people.

The tradition spread in Britain during the 18th century, with Scotland adding a two day celebration. The first day, “hunting

the gowk,” sent people on fake errands (gowk meaning cuckoo bird, a symbol for a fool). This was followed by Tailie Day, featuring pranks on people’s butts such as pinning fake tails or “kick me” signs on them.

Modern Day

Nowadays April Fools’ Day has become a playground for elaborate hoaxes. Newspapers, TV stations and websites will often create outrageous fictional claims to fool their audiences. In 1957, the BBC reported a record spaghetti crop in Switzerland, complete with footage of noodles being harvested from trees. In 1985, Sports Illustrated published a fake article about a pitcher named Sidd Finch throwing over 168 mph.

In 1992, NPR had a Richard Nixon impersonator announce a presidential run. In 1996, Taco Bell announced the purchase of Philadelphia’s Liberty Bell, renaming it the Taco Liberty Bell. And lastly, in 1998, Burger King advertised a “Left-Handed Whopper.” Google, on the other hand, has now become known for its annual pranks, from a “telepathic search” to turning Google Maps into Pac Man.

SEASONAL APRIL FOOLS’ DAY 18 TO ADVERTISE WITH US, CALL 503.825.2111

“A Bug’s Life” (1998)

“Hey, waiter, I’m in my soup.” I saw this in the theater when I was a mere 11 years old, and it was and remains a fantastic family movie. Full of adventure, comedy and romance, this is an early yet masterly work from John Lasseter — writer (and sometimes director) of movies such as “Toy Story” 1-4 and “Cars.” The story follows an oddball klutzy ant who accidentally destroys the food supply used as a bribe for a group of bully grasshoppers. Rather than pay double the food or be destroyed, Flik (Dave Foley) goes looking for recruits to fight the grasshoppers. With a starstudded cast including Kevin Spacey, Julia Louis-Dreyfus, Denis Leary and many more. A great movie full of sunshine and nature! Rated G.

“Ferris Bueller’s Day Off” (1986)

“Bueller? Bueller? Bueller? Bueller?”

From writerdirector John Hughes, the unforgettable Ferris Bueller (Matthew Broderick) is a happy-go-lucky high school senior in the suburbs of Chicago. An inquisitive and clever rulebreaker, Ferris schemes his way out of school on a perfect spring day. He enlists his best friend Cameron Frye (Alan Ruck), a neurotic pessimist, and girlfriend Sloane Peterson (Mia Sara), rebellious and equally clever. They embark on a day-long adventure — stealing Cameron’s father’s priceless Ferrari convertible, much to his anxiety — and crashing a parade, a baseball game, a fancy lunch, and the local sights, all the while avoiding parents, Ferris’s jealous sister Jeanie, gossiping school kids, and the high school principal, Ed Rooney (Jeffrey Jones), who’s hellbent on catching Ferris. This is a paragon of “quirky comedy” and a great reminder to go with the flow and have fun. Rated PG-13 for strong language and mature content.

“The Wizard of Oz” (1939)

“Toto, I’ve got a feeling we’re not in Kansas anymore.”

What can you say about this movie that hasn’t been said? A musical fantasy filmed in early Technicolor and bursting with spring colors, the iconic transitional scene from black and white to color and the movie’s theme of growth is very much representative of the changing seasons. A cinematic masterpiece and adaptation of L. Frank Baum’s 1900 novel, the story follows young Dorothy and her little dog Toto who quest to find the Wizard of Oz and get home to Kansas, encountering friends and foes along the way. Full of heart, music and adventure, this movie still holds up almost 100 years later. Rated G but due to some scary content, treat this as a PG.

Stream these movies where available, or rent from your local movie store, library or rental kiosk.

The Spring Equinox

In 2024, the official first day of spring is Tuesday, March 19. In the Northern Hemisphere, the spring equinox happens when the sun moves across the celestial equator from south to north. The celestial equator is an imaginary line in the sky above the Earth’s equator. Picture yourself standing on the equator — during the equinox, the Sun would be directly overhead as it moves northward. During the spring equinox, both the Northern Hemisphere and the Southern Hemisphere get about the same amount of sunlight. This means neither hemisphere is tilted more toward or away from the sun than the other.

20 TO ADVERTISE WITH US, CALL 503.825.2111
DELICIOUS INDIAN CUISINE Not valid with any other offers. Must present coupon. SPRING5 - EXP 6/15/24 Any Purchase of $35 or More $5 OFF Not valid with any other offers. Must present coupon. SPRING10 - EXP 6/15/24 Any Purchase of $60 or More $10 OFF 503-610-1262 • 16370 SW Langer Dr • Sherwood sultantheflamingtandoor.com •(Located by Liquor Store & Subway) READ MORE AT CITYHANDSHAKE.COM 21

Cows, Racing, and Western Wonderland

The history of Alpenrose Dairy

Pony rides? Baseball? Go kart racing? A person unfamiliar with the history of Alpenrose Dairy might frown in confusion at the mention of such activities in relationship to a dairy, but for those of us fortunate enough to have grown up in the Portland area during the last half of the 20th century, the name Alpenrose conjures up so much more than just dairy products.

It all began in 1896 when Florian Cadonau, a Swiss immigrant, moved to Oregon with his wife Agnes. The couple purchased a dairy at 35th and Vermont (known then as Hoffman Road) and started delivering milk to customers via horse-drawn buggy. At the time, many Swiss immigrants were moving to Portland due to the state’s fertile land and temperate climate. So similar were Oregon and Switzerland in this respect that in 1912, Paul Ritter, the Swiss Ambassador to the United States, while touring the state called Oregon “a second, but a larger Switzerland.”

In 1916, Henry Cadonau, Florian’s son, along with his wife Rosina (daughter of the Swiss consul to Portland) took over the family business. Henry and Rosina established their own farm nearby at 45th and Vermont which they named Alpenrose Dairy. The next few decades saw Alpenrose expand its operations, thriving while other competing dairies fell prey to mergers and consolidations. However, in 1943 a fire destroyed a barn and other equipment, and the decision was made to relocate Alpenrose to its present location on Shattuck Road. For years the Alpenrose delivery truck was a common sight in Portland neighborhoods, delivering milk in glass bottles straight to the milk box at one’s front door. At its height, Alpenrose had 50 delivery trucks and 35,000 customers.

It was during the 1950s when Henry’s grandsons were playing baseball too near Rosina’s rose garden (and trampling some of her plants) that she tasked her husband with building a baseball field for the boys. It wasn’t long before the local Little League was playing there also, and dugouts, lights, and a scoreboard were subsequently added. In the following years two more fields were constructed, and Alpenrose became known for its excellent baseball facilities. For a number of years Alpenrose Field even hosted the Little League Softball World Series which was broadcast on ESPN.

As it turned out, the baseball fields were just the beginning of Alpenrose’s involvement in the community. A hundred Shetland ponies were purchased by the family shortly thereafter, and pony rides were offered to children visiting the dairy. The Cadonaus also brought the ponies to local events — making it possible for numerous children to experience their first horseback ride. Alpenrose trotted out their ponies to represent the dairy in many city parades as well.

LOCAL HISTORY ALPENROSE DAIRY 22 TO ADVERTISE WITH US, CALL 503.825.2111

Soon baseball and ponies were not the only attractions drawing people to Alpenrose. Uncle Ray, the father of Rod Birkland — a cousin of the Cadonau boys — being mechanically-minded, came up with the idea of a quarter-midget racing track. It wasn’t long before the idea became a reality, and child-sized race cars were zooming around a track a quartermile in length, set in a natural bowl shaped area with seating for up to 500 spectators. In addition to the midget racing track, a velodrome facility was added in 1967 for bicycle racing.

With the popularity of the aforementioned facilities, the Cadonaus created a final addition to their burgeoning recreational wonderland — Dairyville. A dairy-themed village with Old West-style storefronts, the charming attraction featured a doll museum, a harness-maker’s shop, an ice cream parlor, a music shop, and a 600-seat opera house with a Skinner pipe organ (now located in Portland’s Keller Auditorium). For decades, Dairyland was the nexus of a plethora of community events, ranging from “Sunday Fundays” featuring kite flying and frog races to visits from Rusty Nails, a popular clown with a local television show for children. From trapeze acts to chariot racing, Alpenrose grew from just a local attraction to a major amusement venue for the entire region.

The winter holiday season saw Alpenrose transform into a magical place. Christmas in Dairyville featured Storybook Lane, an elaborate display with live animal displays and 300 Christmas trees set in a miniature town. Each year 400 volunteers gathered to set up and host this traditional event that drew thousands of families from around the area.

Rosina Cadonau became known simply as “Grandma” to generations of fourthgraders who field-tripped to Alpenrose to learn the operations of a dairy.

Carl Cadonau Sr. was sold the idea by the owner of Kissler’s Cyclery, a longtime bicycle shop in Southwest Portland. At the time the Pan American games needed a location for cycling trials. The Alpenrose Velodrome was one of the first constructed in the U.S. for that purpose, and with the steepest bank of any outdoor velodrome in the world, it drew enthusiasts from around the globe.

“Swiss Miss” taught the children how to milk a cow and then escorted them across the street for ice cream and cookies baked by “Grandma.”

Today, Alpenrose Dairy remains in operation, but Dairyville is closed. The race tracks and sports fields, too, face an uncertain future. A dispute between family members that ended in litigation resulted in Alpenrose being sold to the Kent, Washington-based Smith Brothers Farms. Smith Brothers continue to operate the dairy under the Alpenrose name.

In July of 2021, items from the former Storybook Lane and Dairyville were sold at auction, bringing to a close one of Portland’s most cherished cultural treasures.

For those of us who grew up in Portland with the good fortune to partake in the sporting events, pony rides, fireworks, and holiday fun that was Alpenrose, we will forever miss this magical place. But we should all thank the Cadonau family for their generosity, decades of hard work, and a community spirit that transformed a regular dairy into a place that will reside in our memories forever!

READ MORE AT CITYHANDSHAKE.COM 23

Homemade Toaster Pastries

Breakfast classic worthy of dessert

Ingredients

1 package rolled pie crust (2 count)

1 cup jam or preserves

1 large egg

1 cup powdered sugar

2–3 tablespoons milk or cream

½ teaspoon vanilla

Directions

rectangles.  Beat egg in small bowl. Lay out 8 rectangles on parchment-lined baking sheet, adding 1 tablespoon of desired jam to each. Brush edges with egg wash. Then place another rectangle on top of rectangle with jam. Gently pinch edges to seal. Use fork to crimp edges. Poke some holes in top of pop tarts. Brush entire tops, including edges, with egg wash. Continue with rest of pop tarts.  Bake 12 to 15 minutes, or until golden brown. Allow to cool.  Whisk powdered sugar, milk or cream, and vanilla. Spread over each pop tart. Top with sprinkles or whatever you desire!

 Preheat oven to 400°F.  Lay sheet of parchment paper on baking sheet. Set aside. On a different sheet of parchment, unroll the crusts. Cut as many rectangles (approximately 3 by 5 inches) as you can from each crust — use an index card as a guide. Knead together remaining crusts and roll out into another large, thin piece (just under ¼ inches). Cut remaining

Brown Sugar-Cinnamon

Filling and Icing

OPEN

Combine ½ cup brown sugar, 2 teaspoons cinnamon, 2 tablespoons melted salted butter and 1 tablespoon flour. Scoop 1 tablespoon onto pastry. For icing, add ½ teaspoon cinnamon and 1/4 teaspoon brown sugar to icing ingredients.

SAVOR THE FLAVOR BETTER THAN THE ORIGINAL
RECIPE COURTESY OF LEMONSANDZEST.COM CARPET CLEANING PROFESSIONALS HALLWAYS COUNT AS ONE ROOM STAIRS COUNT AS ONE ROOM 5% FEE WOW! WOW! ONLY $20 EXTRA per room for heavily soiled rooms no exceptions 1/2 OFF All Furniture WOW! 1/2 OFF Scotchgard® WOW! 1/2 OFF All Area Rugs WOW! Deep Steam Cleaning WOW! No Square Footage Limit! WOW! COUPON COUPON COUPON COUPON DEEP STEAM CLEANING DEEP STEAM CLEANING DEEP STEAM CLEANING $9995 $12995 24 hour cancellation or reschedule notice required. With this coupon. Not valid with any other offer. Expires 6/15/24. 24 hour cancellation or reschedule notice required. With this coupon. Not valid with any other offer. Expires 6/15/24. 24 hour cancellation or reschedule notice required. With this coupon. Not valid with any other offer. Expires 6/15/24. 24 hour cancellation or reschedule notice required. With this coupon. Not valid with any other offer. Expires 6/15/24. WOW! WOW! WOW! 3-4 ROOMS SPECIAL 5-6 ROOMS SPECIAL 7-8 ROOMS SPECIAL LUXURY 9-10 ROOMS SPECIAL $16995 $19995 DEEP STEAM CLEANING FREE Pre-Spotting FREE Oxi-Brighteners FREE Mild Deodorizers FREE Pre-Treatment 50% off Expert Pet Stain & Odor Removal ONLY $50 NO EXCEPTIONS Covers Whole House Best Price BESTPRICE CARPET CARE 971.284.8375 IMPORTANT One Large Living/Dining Room & XXL Rooms Are Considered TWO Rooms - NO Exceptions Any 2nd Floor $20 Extra - NO Exceptions Any 3rd Floor $40 Extra - NO Exceptions $15 TRIP CHARGE 24 TO ADVERTISE WITH US, CALL 503.825.2111
CALL TODAY 503-925-5775 NEED TO GET RID OF SOME JUNK? $25 OFF ANY JOB EXCEPT MINIMUM CHARGE Cannot be combined Valid with Junk King Portland Expires 12/31/24 $50 OFF FULL TRUCK Cannot be combined Valid with Junk King Portland Expires 12/31/24 Touchless Junk Removal 100% TOUCHLESS PICKUP We’ll maintain a 6-foot distance from every customer. VIRTUAL ESTIMATES Send photos to the Junk King team for a touchless price quote. PROTECTIVE GEAR Gloves, masks & hand sanitizers are provided on every truck used to protect you & our haulers. NO CONTACT PAYMENT You can pay for our services over the phone to limit social exposure. “Easy to schedule, fast pickup. My large and heavy old chair and ottoman are now gone! Thank you, Junk King!” – Tyan, Portland READ MORE AT CITYHANDSHAKE.COM R 9
Let us open the door for you! Call For A FREE Quote 503-410-3612 For Garage Door Repair Cost! www.oregoncitygaragedoor.com $25 OFF Spring Replacement Only with coupon. Not valid with other offers or discounts. Some exceptions apply. Expires 7/15/24 $150 OFF Purchase of a New Door & Opener Only with coupon. Not valid with other offers or discounts. Some exceptions apply. Expires 7/15/24 $50 OFF Single Door OR $100OFF Double Door Only with coupon. Not valid with other offers or discounts. Some exceptions apply. Expires 7/15/24 SPECIALIZING IN COMMERCIAL OVERHEAD DOORS Licensed, bonded, and insured OR CCB # 193697 | WA # OREGOCG881QB Repair • Installation Garage Door • Maintenance EMERGENCY GARAGE DOOR SERVICE
Locally Owned & Operated 503-342-0444 • JohnsDirect.com ORCCB #15830 • WA#JOHNSWO88B8 Call now to use our RAINY SEASON SPECIAL 5% OFF Offer valid on a NEW Waterproofing system Coupon must be presented at time of inspection Expires 5/10/2024 Robin Ekloff Owner BEFORE AFTER Unbox The NEXT GENERATION of Gutter Filters www.LeafFilter.com/AMAGbloom Promo Code: 272 20 10 877-811-2190 % % OFF OFF Your Entire Purchase* Seniors + Military Expires: 5/31/2024 FULL SERVICE GUTTER PROTECTION CALL TODAY FOR A FREE INSPECTION! + See Representative for full warranty details. *Promotional offer includes 20% off plus an additional 10% off for qualified veterans and/or seniors. One coupon per household. No obligation estimate valid for 1 year. OR 218294 Save Up To 30% * READ MORE AT CITYHANDSHAKE.COM R 11

Mattress World NW is a local, family-owned business dedicated to helping their customers get a better night’s sleep, serving their community and helping their employees have the best life possible. We serve our customers with the best selection in the NW and ensure confidence in your new mattress with free delivery and haul away, plus a 90 night comfort and price guarantee.

We support many local charities in the community like Cystic Fibrosis Foundation, Senior Citizens Council of Clackamas County, Special Olympics Oregon, and many smaller organizations including high school fundraisers, for which we’ve raised over $200,000.

This April we are supporting Make-A-Wish Oregon’s World Wish Month campaign. World Wish Month celebrates all wish kids past, present and future, and is a remembrance of the first ever wish granted for Chris Greicius back in 1980. Thanks to the Marie Lamfrom Charitable Foundation, every dollar raised here in Oregon will be matched up to $300,000. Learn more at www.oregon.wish.org/worldwishday.

Thank you for your support! We are proud to serve your community.

JOIN

US IN SUPPORTING THE

CREATING JOY FOR CHILDREN FIGHTING CRITICAL ILLNESS

My name is Indie. I am 6 years old.

My wish was to be a princess. I love putting on princess outfits, going in the backyard and belting out my favorite songs.

In fact, my neighbors knew when I got sick with cancer because they didn’t hear me singing in the backyard anymore.

After treatment, my wish brought me to Bibbidi Bobbidi Boutique at the Walt Disney World® Resort. It was a total surprise. It brought me to this very good place where I wanted to be for two years. It felt like I was in the world where princesses live. I loved it very much!

My wish also created a special core memory for my family as we were watching the fireworks over the castle. I wanted to show my mom and dad how happy I felt, so I took a glow stick and made the shape of a cancer ribbon to wave high. It showed me that fighting cancer gives me power.

Today, I’m asking you to support me in donating so we can share that renewed strength with future wish kids.

Let’s show other kids in our community what can happen when a group of caring people rally around them to make dreams come true. Donate today in support of local, life-changing wishes, like mine.

PROUD TO SUPPORT OUR COMMUNITY VISIT US ONLINE FOR A LOCATION NEAR YOU ORDER BY PHONE:
503-594-0551

• Recuperate from exercise

• Decompress your back

• Increase circulation

• Address injuries

STARTING AT ONLY $1,999! WE HAVE THE LARGEST SELECTION OF HIGH QUALITY, LUXURY MASSAGE CHAIRS! Improve your health and wellness with a full body massage when you want and when you need it. NO APPOINTMENTS. NO WAITING.
Feeling Is Believing.
GET A FREE 30-MINUTE OR 1-HOUR MASSAGE TODAY AT ANY Mattress World Northwest $500 ANY MATTRESS AND ADJUSTABLE BASE COMBO OFF $50 ANY SET ABOVE $299 OFF $1000 OFF ANY SPLIT HEAD SET Not to be combined with other in-store sales or offers. See store for details. Expires 6/15/24 Not to be combined with other in-store sales or offers. See store for details. Expires 6/15/24 Not to be combined with other in-store sales or offers. See store for details. Expires 6/15/24 HOURS: 10am-8pm MON-SAT • 10am-7pm SUNDAY HILLSBORO 3011 SE 75th Ave 503-747-6427 WASHINGTON SQ. 87755 SW Cascade, Beaverton 503-567-3321 WILSONVILLE 29660 SW Town Center Loop 503-218-4497 CORNELIUS 136 N. 20th Ave 503-530-8995 TIGARD 16200 SW Pacific Hwy 503-521-7447 TUALATIN 7063 SW Nyberg St 503-878-7768 HILLSBORO 3011 SE 75th Ave 503-747-6427 WASHINGTON SQ. 87755 SW Cascade, Beaverton 503-567-3321 WILSONVILLE 29660 SW Town Center Loop 503-218-4497 CORNELIUS 136 N. 20th Ave 503-530-8995 TIGARD 16200 SW Pacific Hwy 503-521-7447 TUALATIN 7063 SW Nyberg St 503-878-7768
Local & Affordable Window & Door Replacements Energy Efficient Window & Door Installation In The Greater Portland Area CALL NOW FOR FREE ESTIMATES 503-563-6866 see what our customers have to say @ www.advancedenergyoregon.com UPGRADE NOW & PAY LATER “I have been helping customers save money for more than 40 years. Call me and see why experience really does matter!” Julia & Mike Werner 12 Months Same As Cash on approved credit Expires 4/30/24. Call for details. Cannot be combined with other offers or discounts 80+ Years of Experience Manufacturer Trained Pros Affordable Pricing Lifetime Warranties Locally Owned & Operated
Not to be combined with any other o er. Must present ad at time of consultation. Expires 04-30-2024. More safety. More style. 503.746.8522 | R E B A TH . C O M Contact us today for $750 off your tub or shower remodel. Remodel your bathroom with the latest styles and safety features.
 Cool Blue Panels (Black Shed 16’ x 16’) 75% Heat Block • 28% Light Transmission • 100% UV Block CrownPatioCovers.com LIVING SPACE * GRILL & DINE OUTDOORS ALL YEAR * ENJOY NATURAL SUNLIGHT BRING THE INSIDE OUT GET READY FOR SUMMER SPECIAL CCB #239012 - WALIC #CROWNPC784C3 WE HAVE YOU COVERED: PATIO COVERS, PATIO COVER GLASS ENCLOSED ROOMS, SUN SHADES, DECKS & RAILING BRING OUT THE NEW YEAR ENJOY OUTSIDE LIVING ALL YEAR LONG! PATIO COVERS $500 OFF Only with magazine. Not valid with other offers. Exp. 6/30/24 CCB #239042 - WALIC #CROWNPC784C3 503-406-9111 CrownPatioCovers.com STAY COOL * EXPAND LIVING SPACE * GRILL & DINE ALL YEAR ROUND WE HAVE YOU COVERED: PATIO COVERS, GLASS ENCLOSED ROOMS, SCREENED ROOMS, DECKS & RAILING Light White Panels (Black Shed 24’ x 16’) 35% Heat Block • 74% Light Transmission • 100% UV Block COOL BLUE PANELS (BLACK GABLE 16’ X 16’) 75% HEAT BLOCK • 28% LIGHT TRANSMISSION • 100% UV BLOCK BRONZE PANELS (BROWN GABLE 16’ X 16’) 45% HEAT BLOCK • 53% LIGHT TRANSMISSION • 100% UV BLOCK 41+ Google Reviews ★★★★★ Meet Jenn! One of Our Patio Cover Experts.
We’re your local experts backed by the #1 provider of custom window coverings in North America. We partner with you every step of the way—design, measure and install— because we think everyone, at every budget, deserves style, service and the best warranty in the business. We Do It All With You 000.000.0000 BUDGETBLINDS.COM/YOUR LOCALPAGEHERE © 2021 Budget Blinds, LLC. All Rights Reserved. Budget Blinds is a trademark of Budget Blinds, LLC and a Home Franchise Concepts Brand. Each franchise independently owned and operated. Home Automation Available! 30% OFF SignatureProductsSeries Call Now For Your FREE In-Home Consultation! 1411 NE Highway 99W Ste B McMinnville • 503-472-0792 Contractors License #211800 New Construction? Ask Us About Hardwiring For Home Automation

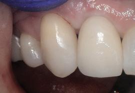
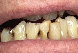
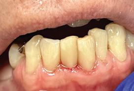
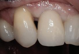
HEALTHY SMILES Black Triangles

GUM RECESSION & DENTAL SOLUTIONS TO HELP YOUR SMILE

Have you ever noticed dark triangular spaces between teeth when someone smiles, or perhaps you’ve observed them in your own smile? These spaces, known as black triangles, often occur around the gumline and are commonly found in patients who have experienced bone loss between their teeth. When bone loss occurs, the gums can recede, leaving voids of gum tissue. Shadows from the back of the mouth can accentuate this area, giving it a dark appearance resembling black triangles due to the shape of the teeth.

Various factors contribute to the formation of black triangles, including gum disease, tooth shape, size, and position. Teeth with a more acute triangular shape are more likely to exhibit pronounced black triangles, especially when coupled with bone loss, which is typically associated with periodontal disease. Teeth with wider incisal edges tapering down to narrower roots are particularly prone to this issue.

Fortunately, there are dental solutions available to minimize black triangles. One option is to surgically rebuild gum tissue using either donor gum tissue or by transplanting gum tissue from another area in the mouth. Although this procedure may be more involved, it can help firm up the gums and prevent further tissue loss over time. Additionally, composite fillings can be used to recontour pyramid-shaped teeth and fill in the negative spaces causing the appearance of black triangles.

If you have black triangles and are seeking a solution, we encourage you to schedule an exam with our office. We can discuss the best options for your specific situation. Whether you prefer to call, email, or visit our website, we’re here to help you schedule a new patient appointment.

At Sherwood Old Town Dental, we want our patients to feel as comfortable as possible when they walk into our office. From the moment you call, to the moment you leave your dental appointment, we want you to feel like you have been taken care of beyond your expectations. We truly value all of our patients and have created a fun, comfortable, clean, and very professional office. We hope that you will let us be your next dental providers.

16043 SW Railroad St. • Sherwood • 503.625.6221 • www.SherwoodOldTownDental.com
Old Town Dental BEFORE BEFORE AFTER AFTER
Dr. Debi M. Huyssoon Dr. Maikhanh Tran Dr. Andy Higgins
Sherwood

• Up to two dental check-ups (emergency or routine)

• Two routine dental cleanings

• Annual check-up x-rays

• One Fluoride treatment at a cleaning or touch up whitening gel

• 10% OFF all other dental treatment, NO ANNUAL LIMIT and also applies to cosmetic procedures

• Add additional dependent children during initial enrollment for a significantly reduced fee per person.

• Cannot include anyone diagnosed with gum (periodontal) disease

Don’t Have Dental Insurance? Enroll for our Discount Dental Card Includes: We are in Network with Delta Dental Premier, Regence BCBS of OR and each of their Medicare Plans Making Friendly Smiles Daily Cosmetic Dentistry •Custom Whitening •Veneers •Botox Smile Makeover Dental Restoration •Dental Implants •Dentures/Partials •Crowns & Bridges Family Dental Care •Care with adults & children •Prompt and attentive care •Digital x-rays For Your Comfort •Conscious sedation •Nitrous Oxide •Warm, Welcoming Staff Complimentary Second Opinion New Patients Only. Not To Be Combined With Other Offers. Must Bring Copy Of Diagnostic Film. SherwoodOldTownDental.com 16043 SW Railroad St. • Sherwood • 503.625.6221
Locally Owned & Operated Nationwide Warranty Domestic & Import Repairs • 30K-60K-90K Services Serving Wilsonville For Over 30 Years Wild Card Discount $25 off ANY SERVICE (Over $200 / Except Batteries) New Client Special $15 off ANY REGULAR PRICED OIL CHANGE SERVICE Your First Call For Auto Service Located In Old Town Village • 30775-D SW Boones Ferry Rd. • Wilsonville 503.682.8522 lancessuperiorauto.com service@lancessuperiorauto.com • All Offers By Appointment Only • Hours: Mon-Fri 7:30am - 5:30pm Must Present Coupon. Not Valid With Any Other Offers. Expires 6/15/24 Must Present Coupon. Not Valid With Any Other Offers. Expires 6/15/24 Quality & Integrity Google Reviews 4.8 s Rain Special $6995 Most cars and light trucks. 26 in and longer blades extra $4 Must Present Coupon. Not Valid With Any Other Offers. Expires 6/15/24 Aquapel Premium Windshield Treatment + 2 New Premium Bosch Wiper Blades
SAVE AT THE PUMP SAVE AT THE PUMP SAVE AT THE PUMP SAVE AT THE PUMP SAVE AT THE PUMP SAVE ON PROPANE SAVE AT THE PUMP SAVE ON PROPANE SAVE $100 Any Fill Up! MINIMUM FILL UP 8 GALLONS Not valid with any other offer or promotion.Valid only at listed Chevron location. Must present coupon at Chevron Food Mart. Expires 6/15/24 SAVE $150 Gasoline/Diesel MINIMUM FILL UP 10 GALLONS With Cash Or Chevron Card Purchase. Not valid with any other offer or promotion.Valid only at listed Chevron location. Must present coupon at Chevron Food Mart. Expires 6/15/24 SAVE $100 Any Fill Up! MINIMUM FILL UP 8 GALLONS Not valid with any other offer or promotion.Valid only at listed Chevron location. Must present coupon at Chevron Food Mart. Expires 6/15/24 SAVE $150 Gasoline/Diesel MINIMUM FILL UP 10 GALLONS With Cash Or Chevron Card Purchase. Not valid with any other offer or promotion.Valid only at listed Chevron location. Must present coupon at Chevron Food Mart. Expires 6/15/24 SAVE $125 Gasoline/Diesel MINIMUM FILL UP 10 GALLONS With Cash Or Chevron Card Purchase. Not valid with any other offer or promotion.Valid only at listed Chevron location. Must present coupon at Chevron Food Mart. Expires 6/15/24 SAVE $125 Gasoline/Diesel MINIMUM FILL UP 10 GALLONS With Cash Or Chevron Card Purchase. Not valid with any other offer or promotion.Valid only at listed Chevron location. Must present coupon at Chevron Food Mart. Expires 6/15/24 SAVE $200 Any Fill Up! MINIMUM 4 GALLONS OF PROPANE Not valid with any other offer or promotion.Valid only at listed Chevron location. Must present coupon at Chevron Food Mart. Expires 6/15/24 SAVE $200 Any Fill Up! MINIMUM 4 GALLONS OF PROPANE Not valid with any other offer or promotion.Valid only at listed Chevron location. Must present coupon at Chevron Food Mart. Expires 6/15/24 9770 SW Tualatin-Sherwood Rd. 503-691-6300 TUALATIN NEWBERG 3745 Portland Rd. 503-554-0818 SAVE ON CAR WASH SAVE ON PURCHASE SAVE ON CAR WASH SAVE ON PURCHASE $300 OFF Any Car Wash NEWBERG LOCATION ONLY Not valid with any other offer or promotion.Valid only at listed Chevron location. Must present coupon at Chevron Food Mart. Expires 6/15/24 $300 OFF Any Car Wash NEWBERG LOCATION ONLY Not valid with any other offer or promotion.Valid only at listed Chevron location. Must present coupon at Chevron Food Mart. Expires 6/15/24 $300 OFF Any Car Wash NEWBERG LOCATION ONLY Not valid with any other offer or promotion.Valid only at listed Chevron location. Must present coupon at Chevron Food Mart. Expires 6/15/24 $300 OFF Any Car Wash NEWBERG LOCATION ONLY Not valid with any other offer or promotion.Valid only at listed Chevron location. Must present coupon at Chevron Food Mart. Expires 6/15/24 S S S S S S S S S S S S Offer valid for a limited time and subject to change without notice. Not valid with any other offer or discounts. Both gas and car wash have to be purchased in one single transaction either outside at the pumps or inside the store. No Coupon Required. BRAND NEW CARWASH IN NEWBERG! Save 20 ¢ PER GALLON ON GAS WITH PURCHASE OF ANY CAR WASH!

NEUROTOXIN INJECTION

DAXXIFY $10.95

BOTOX $10.45

DYSPORT $9.95

JEUVEAU $9.45

XEOMIN $8.45

FILLER SPECIALS

2 Syringes of Versa

999

2 Syringes of Juvederm Ultra + $ 1099

2 Syringes of Radisse $ 1099

2 Syringes of Sculptra $ 1299

2 Treatments of

Nova PDO Threads $125 PRP (Platelet-Rich Plasma)

3 PRP Under Eye

OPUS PLASMA FRACTIONAL LASER

Opus Plasma represents the next generation of fractional skin resurfacing treatments for women and men of most skin types who want to minimize wrinkles and reverse damage caused by the sun and the natural aging process.

AGNES PRECISION RF MICRONEEDLING

Agnes RF is a non-surgical radio frequency device that treats eye bags, tightens and removes fat from the neck and jawline area. Cystic acne is treated by removing the sebaceous gland.

CO2 FRACTIONAL LASER

Fractional CO2 laser resurfacing is one of the most effective way to treat fine lines, wrinkles, sun damage, loose or sagging skin, as well as scars. In addition to treating the face, we can treat the neck, chest and even hands.

Located in Multnomah Village 7887 SW Capitol Hwy soleilmedicalspapdx.com 503-746-8744
PRICE PER UNIT
$
$650
Treatment $1399 $ 699 Including Face & Neck $ 1099 One Area $ 1599 Two Areas $ 799 One Area $ 1399 Two Areas $699
Skin
Microneedling 1 Treatment of Secret RF Microneedling OR Face, Neck & Chest Face & Neck per thread
Pen

LASER HAIR REMOVAL

Cutera’s Nd: YAG and ProWave lasers use state-of-the-art technology to remove hair from all skin types. These lasers provide comfortable and long-lasting hair removal treatment you can count on.

ACCENT ULTRA V-SHAPE

JuVaShape Ultra by Alma is an ultrasound to destroy the fat and Radio Frequency to tighten the skin, reduce wrinkles, improve the appearance of cellulite and contour the body.

COOLSCULPTING - 1 POINT

Noninvasive fat reduction procedure • Lose up to 2” of belly fat

No downtime. No surgery • Reduce appearance of cellulite and stretch marks

Nonsurgical, noninvasive, painless, and requires no anesthesia or downtime

Nonsurgical body contouring treatment that FREEZES & ELIMINATES FAT from your body.

BTL VANQUISH ME BTL CELLUTONE

Reduce appearance of cellulite and stretch marks

Nonsurgical, noninvasive, painless, and requires no anesthesia or downtime

Non-surgical body contouring treatment that FREEZES & ELIMINATES FAT from your body.

CHOICE OF:

IPL

Remove sun spots. age spots, acne spots and any other skin pigmentation.

NIR

Light therapy that removes the appearance of sagging skin, wrinkles and fine lines.

LASER GENESIS

Improves fine lines, skin tone & increases collagen production.

CLEAR LIFT

Lifts sun damage, pigmentation & dark and red scars including Melasma.

PCA CHEMICAL PEEL

Increase the skin’s cell turnover rate, bring new skin cells to the surface, diminish dark spots, reduce fine lines & wrinkles, clear breakouts as well as restore youthful and radiant appearance.

GIFT CARDS AVAILABLE UPON REQUEST 503-746-8744 70%
All Packages 70% OFF All Packages 70%
All Packages 50% OFF $
Area
OFF
OFF
159 One
N ow i s t h e T i m e to S ave B I G! MATTRESS CLEARANCE CENTER Your One-Stop Shop for Furniture & Mattresses! Shop Our Store 2730 NE Bunn Road, McMinnville Shop Online EncoreHomeFurnishings.com Open Mon –Sat 10–6 • Sun 1–5 503.474.1937 SAVE $100 when you spend $500 Cannot be combined with in-store sales, coupons or other offers. Expires 6/15/24. SAVE $20 when you spend $100 Cannot be combined with in-store sales, coupons or other offers. Expires 6/15/24. & Over 3,0 0 0 Items In Stock — Buy Tod ay, Take Home Tod ay! $999 Firm Pillow Top Full $ 58 4 | Que en $ 6 0 9 | King $ 819 7- Piece Dining Set $ 59 9 Power D esk $19 9 Washable Rugs $ 9 9 Twin $159 | Full $179 | Que en $18 9 | King $28 9 Nightstand $129 | Chest $279 | Dresser $ 3 49 No Truck? No Problem — We Offer Delivery & Setup! Advantage Magazine DIRECT MAIL • DIRECT RESULTS PO Box 672 ∙ Aurora, Oregon 97002 To Advertise, Call 503.825.2111 Postal Customer PRESORTED STANDARD US POSTAGE PAID ACTIVE MEDIA

Turn static files into dynamic content formats.

Create a flipbook
Issuu converts static files into: digital portfolios, online yearbooks, online catalogs, digital photo albums and more. Sign up and create your flipbook.