

![]()


MD Charlene DeHaven Clinical Director, INNOVATIVE SKINCARE®
IHMISKEHO JA IHO TARVITSEVAT KUPARIA
Kupari on yksi mineraaleista jota tarvitaan pieniä määriä, jotta ihmiskeho ja sen useat eri makro- ja mikrojärjestelmät, kuten entsyymien toiminta toimisi. Tämän vuoksi ruokavaliosta pitää saada vähintään minimimäärä kuparia. Määrävaatimus on pieni, mutta jos se ei täyty, monet ihmiskehon järjestelmät eivät toimi oikein.
Ihossa kuparin ehkä tunnetuin rooli on kollageenisynteesissä. Lisäksi kuparia tarvitaan useissa ihon biokemiallisissa reaktiossa, jotka on listattu alla.
KUPARIA SISÄLTÄVIÄ ENTSYYMEITÄ ENTSYMAATTINEN TOIMINTO
Superoksdidismutaasi Antioksidantti (superoksidin vähentäminen)
Lysyylioksidaasi Kollageeni/elastiinisynteesi Kollageeni proliini dioksygenaasi Kollageenisynteesi
Sytokromioksidaasi Energiantuotanto Tyrosinaasi Melaniinin muodostuminen
KUPARIN HYÖDYNTÄMINEN HAAVOJEN HOITAMISESSA PINNALLISESTI
Kuparia voidaan hyödyntää monella eri tavalla estetiikkatarkoituksissa. Lääketieteellisessä kirjallisuudessa kupari-ionien on esitetty hyödynnettävän mikrobeja vastaan

A Class Beauty / iS Clinical Suomi Kurjenkellontie 5 B, 02270 Espoo asiakaspalvelu@aclassbeauty.eu www.isclinical.fi www.aclassbeauty.fi
taistelevana ainesosana, joka pystyy lisäksi taistelemaan monia muita tulehduksellisia prosesseja, kuten bakteereita, herpesviruksia, leishmaniaasia ja muita tiloja vastaan joissa saattaa esiintyä tulehduksia, kuten akne tai propionibakteerin aiheuttama akne.
Kupari-ioneja esiintyy suurempana konsentraationa parantumassa olevien haavojen ympäriltä joka indikoi sitä, että haava on ne ovat taistelemassa haavan parantumiseksi ja tulehduksia vastaan. Iholle levitetyn kuparin on osoitettu parantavan haavan paranemista.
Kuparin on oltava oikeassa muodossa – Kuparia esiintyy sekä metallimuodossa että ionimuodossa. Metallimuotoinen kupari on se muoto, johon ihmiset yleensä assosioivat, kun kuparista puhutaan – metallimuotoista kuparia ei voida hyödyntää biologisissa järjestelmissä. Jotta ihmiset ja muut organismit voisivat hyödyntää kuparia, sen on oltava ionimuodossa. Ionimuotoista kuparia voidaan yhdistää entsyymijärjestelmiin ja on ainoa kuparin muoto, jota on aktiivisena ihmiskehossa. Tässä muodossa kuparilla ei ole ”metallista” ulkomuotoa, koska kupari on yhdistetty kemikaalisesti toisiin ainesosiin.
KUPARIN VAIKUTUKSET KOLLAGEENISYNTEESIIN
Kollageeni on ihmiskehon hallitsevin proteiini ja suurin osa kollageenista löytyy ihosta. Kollageeni toimii suuren kudosmäärän rakenteellisena tukirankana kuten ihon, luiden, hampaiden, jänteiden ja muiden yhdistävien kudosten tukena. Kollageenisynteesiä tukemaan iholle levitettäviin tuotteisiin voidaan lisätä kuparin lisäksi myös Cvitamiinia ja kasvutekijöitä.

Kollageenisäikeitä rinnakkain


Kollageenin kolmoisheliksi rakentuu kahdesta alfa1-ketjusta ja yhdestä alfa2–ketjusta.
Formulointiteknologioiden edistyminen on mahdollistanut sen, että kupari ja C-vitamiini voidaan yhdistää toimivaksi yhdistelmäksi ihonhoidossa. Uuden sukupolven C-vitamiini, ADVANCE+ C-vitamiinilla ja tetrahexyldecyl ascorbate –muotoisella C-vitamiinilla ei ole vastaavia ongelmia kuin perinteisellä L ascorbic acid –C-vitamiinilla. Aiemmin kuparin ja C-vitamiinin yhdistäminen johti näiden väliseen kemikaaliseen reaktioon, joka aiheutti sen, että antioksidanttinen aktiviteetti väheni. Koska sekä C-vitamiinia että kuparia tarvitaan terveen kollageenin tuotantoon, näiden yhdistäminen tehostaa kollageenintuotantoa. Uuden sukupolven C-vitamiinit on merkittävä edistysaskel joka mahdollistaa C-vitamiinin ja kuparin yhdistelmän tehokkaan aktiviteetin kollageenisynteesissä.
Kasvutekijät, kuten copper tripeptide-1 lisäävät myös kollageenisynteesiä. Tämä kasvutekijä on kolmoispeptidi joka koostuu kolmesta aminohaposta: glysiinistä, histidiinistä ja lysiinistä. Tämä luonnollinen molekyyli jota löytyy myös ihmisen ihosta ja muista kudoksista edistää kollageenisynteesiä dekoriinin kautta, joka on molekyyli, jolla on tärkeä merkitys kollageenisynteesissä ja kollageenin arkkitehtuurin korjaamisessa. Copper tripeptide-1 vaikuttaa myös MMP-entsyymeihin. Tämä kasvutekijä on yksi elimistön niistä ainesosista, jotka astuvat esiin kun keho joutuu hätätilaan stressin, haavan, kudoksen muodostumisen, kantasolujen ikääntymisen, ikääntymisen, operaatioiden, tulehdusten ja oksidatiivisen stressin myötä. Kupari parantaa kollageenisynteesiä ja tehostaa kasvutekijän toimintaa.

Copper Tripeptide-1 –kasvutekijän molekyylirakenne josta näkyy keskitetysti sijoittuneet kuparilinkit (Cu++)
Copper tripeptide-1:llä on myös syöpää vastaan taistelevia kykyjä samalla kun se rohkaisee terveitä soluja kasvuun ja normaaliin kehitykseen. Lisäksi uuden sukupolven Cvitamiinin lisääminen Copper tripeptide-1:n lisäksi saattaa lisätä edelleen kollageenisynteesiä.
KUPARI JA SUPEROKSIDIDISMUTAASI
Superoksididismutaasi (SOD) on yksi kolmesta ihmiskehon tuottamista entsymaattisista antioksidanteista. Muut tämän ryhmän antioksidanteista ovat katalaasi ja glutationiperoksidaasi. Nämä kaikki muotoutuvat evoluutioprosesseissa ja neutralisoivat vapaiden radikaalien aiheuttamia vaurioita. Tämän ryhmän antioksidantit ovat ainutlaatuisia monessa suhteessa muihin antioksidantteihin verrattuna joita käytetään joko suun kautta tai iholle levitettynä. Entsymaattiset antioksidantit ovat tehokkaita jo erittäin pieninä määrinä ja ne eivät inaktivoidu hapetuspelkistysreaktion aikana. Lisäksi ne eivät kulu loppuun taistelussaan vapaita radikaaleja vastaan ja ne säilyvät kehossa pitkiä aikoja toisin kuin muut ei-entsymaattiset antioksidantit, kuten C-vitamiini. Kupari pystyy avustamaan superoksididismutaasia toimimaan oikein sen antioksidanttisessa roolissaan.

A Class Beauty / iS Clinical Suomi Kurjenkellontie 5 B, 02270 Espoo asiakaspalvelu@aclassbeauty.eu www.isclinical.fi www.aclassbeauty.fi


Superoksididismutaasi, joka piti aiemmin syöttää kehoon suonensisäisesti toimiakseen toimii nyt myös iholle levitettynä. Tutkimuksissa joissa on hyödynnetty tämän tyypin superoksididismutaasia osoittavat vapaiden radikaalien merkkien laskua ja merkkejä antioksidanttisuojasta.
KUPARI JA ENERGIANTUOTANTO
Kuparilla on oma roolinsa energiantuotannossa sytokromioksidaasissa. Kaikki ihmiskehon elävät solut synnyttävät energiaa toimiessaan. Kuparia tarvitaan mitokondrioissa, pienissä energiatehtaissa joita on jokaisessa solussa ja ne ovat vastuussa aineenvaihdunnasta ja energian luomisesta.
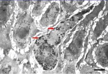
KUPARI JA MELANIINISYNTEESI
Luonto on suunnitellut melaniinin antamaan jonkinlaista suojaa uv-valon aiheuttamia haittoja vastaan. Sekä UVAettä UVB-säteet aiheuttavat vapaiden radikaalien aiheuttamia tuhoja iholla päiväsaikaan huolimatta siitä paistaako aurinko vaiko ei. Ihomme joutuu aina säteiden pommittamaksi. UVA-säteet pääsevät ikkunalasienkin läpi. Jatkuva altistuminen säteille aiheuttaa näkyviä ja biokemikaalisia ikääntymisen merkkejä ja lisäävät syöpäriskiä. Kuparilla on tärkeä merkitys melaniinisynteesissä melanosyyteissä joita on ympäriinsä tyvikalvovyöhykkeellä epidermiksen alaosassa. Tyrosinaasi, joka on kuparin entsymaattinen kumppani, on tärkein

A Class Beauty / iS Clinical Suomi Kurjenkellontie 5 B, 02270 Espoo asiakaspalvelu@aclassbeauty.eu www.isclinical.fi www.aclassbeauty.fi
entsyymin melaniinisynteesissä ja sen tehtävänä on rajoittaa melaniinin tuotantoa.

Sähköinen mikroskooppikuva melanosyytistä johon on merkitty punaisin nuolin melaniinipigmenttipaketit.
SOPIVA MÄÄRÄ RIITTÄÄ
Vaikka kuparia tarvitaan ihmisen koko elämän ajan ja monissa biologisissa prosesseissa, liian paljon hyvää ei ole hyvä. Liian suuren kuparimäärän nauttiminen lisäravinteena voi olla haitallista tai jopa myrkylllistä. Sekä kupari että rauta saattavat toimia pro-oksidantteina ja lisätä vapaiden radikaalien aiheuttamia haittoja liiallisesti käytettyinä.
Kuitenkin sopivan määrän lisääminen iholle auttaa ihoa toimimaan oikein, parantaa ihon terveyttä ja ylläpitää ihon nuorekasta ilmettä.
VIITTEET
Antileishmanial activity of disulfiram and thiuram disulfide analogs in an ex vivo model system is selectively enhanced by the addition of divalent metal ions. Peniche AG, Renslo AR, Melby PC, Travi BL. Antimicrob Agents Chemother. 2015 Aug 3. pii AAC 05131-14. (Epub ahead of print).
Pilot study of topical copper chlorophyllin complex in subjects with facial acne and large pores. Stephens TJ, McCook JP, Herndon JH Jr. J Drugs Dermatol. 2015 Jun. 14(6):589-92.
Additivity and synergy between an antimicrobial peptide and inhibitory ions. Walkenhorst WJ, Sundrud JN, Laviolette JM. Biochim Biophys Acta. 2014 Sep. 1838(9):2234-42.

Peroxomanganese complexes as an aid to understanding redox-active manganese enzymes. Leto DF, Jackson TA. J Biol Inorg Chem. 2014 Jan. 19(1):1-5.
Published studies on tissue and skin remodeling copper-peptides: copper peptide studies on skin renewal, wound healing, and hair growth. Pickart L. 2014. Skinbiology.com.
Biology of ageing and role of dietary antioxidants. Peng C, Wang X, Chen J, Jiao P, Wang L, Li YM, Zuo Y, Liu Y, Lei L, Ma KY, Huang Y, Chen ZY. Biomed Res Int. 2014. 2014:831841. (Epub 2014 Apr 3).
An update on oxidative stress-mediated organ pathophysiology. Rashid K, Sinha K, Sil PC. Food Chem Toxicol. 2013 Dec. 62:584-600.
Zinc, copper, and selenium tissue levels and their relation to subcutaneous abscess, minor surgery, and wound healing in humans. Mirastschijski U, Martin A, Jorgensen LN, Sampson B, Agren MS. Biol Trace Elem Res. 2013 Jun. 153(1-3):76-83.
Zinc, Copper, and Manganese. Grider A. Biochemical, Physiological, and Molecular Aspects of Human Nutrition. Stipanuk MH and Caudill MA, eds. 2013. Elsevier: USA. p830.
Stem cell recovering effect of copper-free GHK in skin. Choi HR, Kang YA, Ryo SJ, Shin JW, Na JI, Huh CH, Park KC. J Pept Sci. 2012 Nov. 18(11):685-90.
C. elegans epidermal wounding induces a mitochondrial ROS burst that promotes wound repair. Suhong X, Andrew D, Chisholm R. Dev Cell. 2014 Oct 13. 31(1):48-60. Ef_cacy and tolerability assessment of a topical formulation containing copper sulfate and hypericum perforatum on patients with herpes skin lesions: a comparative, randomized controlled trial. Clewell A, Barnes M, Endres JR, Ahmed M, Ghambeer DK. J Drugs Dermatol. 2012 Feb. 11(2):209-15.
The human tripeptide GHK-Cu in prevention of oxidative stress and degenerative conditions of aging: implications for cognitive health. Pickart L, Vasquez-Soltero JM, Margolina A. Oxid Med Cell Longev. 2012. 2012:324832.
The tripeptide, GHK, induces programmed cell death in SH-SY5Y neuroblastoma cells. Matalka LE, Ford A, Unlap MT. J Biotechnol Biomater. 2012. 2:144.
A ‘metastasis-prone’ signature for early-stage mismatch-repair pro_cient sporadic colorectal cancer patients and its implications for possible therapeutics. Hong Y, Downey

A Class Beauty / iS Clinical Suomi Kurjenkellontie 5 B, 02270 Espoo asiakaspalvelu@aclassbeauty.eu www.isclinical.fi www.aclassbeauty.fi
T, Eu KW, Koh PK, Cheah PY. Clin Exp Metastasis. 2010 Feb 9. (Epub ahead of print).
Superoxide dismutases – a review of the metal-associated mechanistic variations. Abreu IA, Cabelli DE. Biochim Biophys Acta. 2010 Feb. 1804(2):263-74.
Role of topical peptides in preventing and treating aged skin. Gorouhi F, Maibach HI. Int J Cosm Sci. 2009. 31:327-45. The human tripeptide GHK (glycyl-L-hisitdyl-L-lysine), the copper switch and the treatment of the degenerative conditions of aging. Pickart L. 2009. Anti-Aging Therapeutics. Vol XI. Klatz R, Goldman R, eds. Amer Acad of Medicine:Chicago IL. 301-3012.
Copper-GHK increases integrin expression and p63 positivity by keratinocytes. Kang YA, Choi HR, Na JI, Huh CH, Kim MJ, Youn SW, Kim KH, Park KC. Arch Dermatol Res. 2009 Apr. 301(4):301-6.
The human tri-peptide GHK and tissue remodeling. Pickart L. J Biomater Sci Polym Ed. 2008. 19(8):969-88.
Free radicals and antioxidants in normal physiological functions and human disease. Valko M, Leibfritz D, Moncol J, Cronin MT, Mazur M, Telser J. Int J Biochem Cel Biol. 2007. 39(1):44-84.
Skin ageing and its treatment. Baumann L. 2007 Jan. J Pathol. 211(2):241-251.
In vitro observations on the in_uence of copper peptide aids for the LED photoirradiation of _broblast collagen synthesis. Huang PJ, Huang YC, Su MJ, Yang TY, Huang JR, Jiang CP. Photomed Laser Surg. 2007 Jun. 25(3):183-90.
Aging gracefully – superoxide dismutase. DeHaven C. Healthy Aging. 2006 Mar-Apr. 73-4.
Rat epigastric _ap survival and VEGF expression after local copper application. Frangoulis M, Georgiou P, Chrisostomidis C, Perrea D, Dontas I, Kavantzas N, Kostakis A, Papadopoulos O. Plast Reconstr Surg. 2007 Mar. 119(3):837-43.
Effects of topical copper tripeptide complex on CO2 laser-resurfaced skin. Miller TR, Wagner JD, Baack BR, Eisbach KJ. Arch Facial Plast Surg. 2006 Jul-Aug. 8(4):252-9.
Copper peptide and skin. Finkley MB, Apa Y, Bhandarkar S. Cosmeceuticals and Active Cosmetics, 2nd edition. Eisner P and Maibach HI, eds. 2005. Marcel Dekker:New York. 549-63.

Topical treatments in equine wound management. Dart AJ, Dowling BA, Smith CL. Vet Clin North Am Equine Pract. 2005 Apr. 21(1):77-89.
Diverse and potent activities of HGF/SF in skin wound repair. Bevan D, Gherardi E, Fan TP, Edwards D, Warn R. 2004 Jul. 203(3):831-8.
The regulated synthesis of versican, decorin, and biglycan: extracellular matrix proteoglycans that in_uence cellular phenotype. Kinsella MG, Bressler SL, Wight TN. Crit Rev Eukaryot Gene Expr. 2004. 14(3):203-34.
The effect of topical tripeptide-copper complex on healing of ischemic open wounds. Canappo SO Jr, Farese JP, Schultz GS, Gowda S, Ishak AM, Swaim SF, Vangilder J, Lee-Ambrose L, Martin FG. Vet Surg. 2003 Nov-Dec. 32(6):515-23.
Skin care bene_ts of copper peptide containing facial cream. Leyden J, Stephens T, Finkey MB, Appa Y, Barkovic S. Amer Acad Dermatol Meeting. 2002 Feb. Abstract p68-9.
Free radicals in the physiological control of cell function. Droge W. Physiol Rev. 2002 Jan. 82(1):47-95. Expression of glycosaminoglycans and small proteoglycans in wounds: modulation by the tripeptide-copper complex glycyl-L-histidyl-L-lysine-Cu(2+). Simeon A, Wegrowski Y, Bontemps Y, Maquart FX. J Invest Dermatol. 2000 Dec. 115(6):962-8.
The tripeptide-copper complex glycyl-L-histidyl-L-lysine-Cu2+ stimulates matrix metalloproteinase-2 expression by _broblast cultures. Simeon A, Emonard H, Hornebeck W, Maquart FX. Life Sci. 2000 Sep 22. 67(18):2257-65. Expression and activation of matrix metalloproteinases in wounds: modulation by the tripeptide-copper complex glycyl-L-histidyl-L-lysine-Cu2+. Simeon A, Monier F, Emonard H, Gillery P, Birembaut P, Hornebeck W, Maquart FX. J Invest Dermatol. 1999 Jun. 112(6):957-64. The role of tissue engineering in wound care. Mulder GT. J Wound Care. 1999 Jan. 8(1):21-4.
Effects of topical creams containing vitamin C, a copper-binding peptide cream and melatonin compared with tretinoin on the ultrastructure of normal skin – a pilot clinical, histologic, and ultrastructural study. Abdulghani AA, Sherr S, Shirin S, Solodkina G, Tapia EM, Gottlieb AB. Manag Clin Outcomes. 1998. 1:136-41.
Enhanced healing of ulcers in patients with diabetes by topical treatment with glycyl-l-histidyl-lysine copper. Mulder GD, Patt LM, Sanders L, Rosenstock J, Altman MI, Hanley ME, Duncan GW. Wound Repair Regen. 1994 Oct. 2(4):259-69.

A Class Beauty / iS Clinical Suomi Kurjenkellontie 5 B, 02270 Espoo asiakaspalvelu@aclassbeauty.eu www.isclinical.fi www.aclassbeauty.fi
Identi_cation and characterization of “injurin”, an inducer of expression of the gene for hepatocyte growth factor. Matsumoto K, Tajima H, Hamanoue M, Kohno S, Kinoshita T, Nakamura T. Proc Natl Acad Sci USA. 1992 May 1. 89(9):3800-4.
Stimulation of sulfated glycosaminoglycan synthesis by the tripeptide-copper complex glycyl-L-histidyl-L-lysineCu2+. Wegrowski Y, Maquart FX, Borel JP. Life Sci. 1992. 51(13):1049-56.
Effects of glycyl-histidyl-lysyl chelated Cu(II) on ferritin dependent lipid peroxidation. Miller DM, DeSilva D, Pickart L, Aust SD. Adv Exp Med Biol. 1990. 264:79-84. The aging of skin: chronoaging vs. photoaging. Oikarinen A. Photodermatol Photoimmunol Photomed. 1990 Feb. 7(1):3-4.
Replicative senescence of human skin _broblasts correlates with a loss of regulation and overexpression of collagenase activity. West MD, Pereira-Smith OM, Smith JR. Exp Cell Res. 1989 Sep. 184(1):138-47.
The induction of autoxidative tissue damage by iron nirilotriacetate in rats and mice. Preece NE, et al. Toxicol Appl Pharmacol. 1988. 93:89-100.
Stimulation of collagen synthesis in _broblast cultures by the tripeptide-copper complex glycyl-L-histidyl-L-lysineCu2+. Maquart FX, Pickart L, Laurent M, Gillery P, Monboisse JC, Borel JP. FEBS Lett. 1988 Oct 10. 238(2):343-6.
Studies on the role of reactive oxygen species in mediating lipid peroxide formation in epidermal microsomes of rat skin. Dirit R, et al. J Invest Dermatol. 1983. 81:369-75. Measurement of and protection from in vivo lipid peroxidation. Tappel AL. Free Radicals in Biology, Vol. IV. Pryor WA, ed. 1980. Academic Press:New York. The in_uence of age and sex on skin thickness, skin collagen and density. Shuster S, Black MM, McVitie E. Br J Dermatol. 1975 Dec. 93(6):639-43.
Estimation of product of lipid peroxidation (malondialdehyde) in biochemical systems. Placer Z, et al. Anal Biochem. 1966. 10:359-64.