ФИЗИКА





978-86-17-20843-9
предГовор
Ово је уџбеник физике за други разред средње школе, који припада подручју рада Здравство, фармација и социјална заштита (сви образовни профили). Нисмо одустали од оригиналног концепцијског приступа (интегрални уџбеник) какав смо подржавали и у уџбенику физике за први разред медицинских школа. Наиме, објединили смо све елементе наставе физике на једном месту: теоријска
задатке и лабораторијске вежбе. Интегрисали смо три целине: тематски обрађене наставне јединице, збирку задатака, која обухвата решене и нерешене задатке, и приручник за лабораторијске
1. Гравитација,
2. Електрично поље и електрична струја,
3. Електромагнетизам,
4. Осцилације,
5. Таласи,
6. Оптика и
7. Елементи атомске,



тих кретања. Нису
ни питања као што су: шта то приморава разна тела (људе, животиње и предмете) да буду „прикована” за Земљу?; зашто тела падају на Земљину
каже да је Њутну, док је седео у свом врту и гледао









1.
2.
3.
4.
5.
6.
ЕЛЕКТРИЧНО
СТРУЈА


наелектрисања, онда се број













што
силе
њихово






Омов закон повезује јачину електричне струје и електрични напон на крајевима неког проводника (потрошача) преко карактеристике (електричне отпорности) тог проводника. Ова зависност се може приказати и графички. График зависности јачине електричне струје у метал-
ним проводницима од величине електричног напона јесте
права линија (сл. 2.12). Ову зависност



талима – електрони. Међутим, постоје и такве врсте проводника (раствори соли, киселина и база) у којима електричну струју прате хемијски процеси. Такви проводници се називају електролити. Хемијски чисте течности, као што су дестилована вода, алкохол,
ацетон, етар и многе друге, практично не проводе електричну струју. Али када се у њима растворе соли, киселине или базе, ове течности постају електрични проводници. Носиоци електричне струје у електролитима су позитивни и негативни јони.





1.
2.
3.
5.
9.
10.
11.
12.
16.
19.
20.







МАГНЕТНО
МАГНЕТНОГ ПОЉА
Око сваког наелектрисаног тела (честице) које се креће постоји гравитационо, електрично и магнетно поље. Око наелектрисаних тела (честица) у стању релативног мировања нема магнетног поља, нити на њих делују магнетне силе.












Индукована
Предзнак минус (–) у вези је с поларитетом (смером) индуковане струје. О овоме ће бити речи нешто касније.
Претходна релација важи само када је правац

3.13.











проводника сразмеран је јачини
рактеристика
(сл. 3.21).




Променом

Кружна фреквенција повезана је фреквенцијом и периодом, познатим релацијама:
На основу тога добија се:





делове електричног кола струја протиче, док се кон-
дензатор
наизменично пуни и празни, па наизменична струја кроз
на слици 3.26.
Електрична сијалица ће у колу наизменичне

фреквенције мање од


малу вредност (занемарује се), а за наизменичну струју може да има веома велику
вредност. Узрок томе је самоиндукција. Електромоторна сила самоиндукције, према Ленцовом правилу, има такав поларитет да „настоји” да спречи промену јачине струје, узроковања. Зато електрична струја у колу достиже коначну вредност (одређену Омовим законом) тек после извесног времена. Другим речима, јачина струје касни за напоном. То се дешавало при укључивању (затварању) електричног кола, о чему смо детаљно говорили. Слично је при искључивању (отварању) електричног кола: јачина струје се смањује постепено до нулте вредности, а не тренутно. Код електричних кола једносмерне сталне струје то нема већег значаја, али код кола наизменичне струје има велику важност, јер се она непрестано мења. Тада у проводнику (електричном колу) стално (непрекидно) постоји електромоторна сила самоиндукције, која утиче на
(електричном колу). Што је већа електромоторна сила самоиндукције, јачина наизменичне струје има мању вредност
утицаја самоиндукције




жава његово пуњење. Истовремено, смањује се вредност струје пуњења и после
четвртине периода она постаје једнака нули, када напон на кондензатору достиже максималну (амплитудну вредност). У том моменту је и количина наелектрисања
достигла максималну вредност. Напон затим почиње да се смањује, наелектрисане
честице почињу да напуштају кондензатор, тј. кондензатор













Мембрански потенцијал је онај који се јавља на мембранама скоро свих ћелија организма. Биопотенцијали се јављају у ћелијама, ткивима и органима као резултат животних функција (мембрански потенцијал). Промене ових величина се манифестују као краткотрајни импулси и називају се акциони потенцијали Потенцијали појединих ћелија се сабирају и стварају






чине четири
вентрикул (сл. 3.37).
Срце функционише на принципу пумпе. Десни атријум прима крв из тела, контрахује се

формирају синоатријски чвор (сл. 3.37), у којем се
генерише акциони потенцијал који се простире
3.38).
вентрикулског чвора (сл. 3.38), он иницира даље простирање таласа
3.38 означена као проводни





2.
3.
4.
5.







1.
2.
3.
4.
5.
6.
18.
31.
32.
34.
40.






смо да се положај тела (честице) које осцилује у датом тренутку времена, тј. његова удаљеност



НЕПРИГУШЕНЕ, ПРИГУШЕНЕ
ОСЦИЛАЦИЈЕ. РЕЗОНАНЦИЈА
НЕПРИГУШЕНЕ И ПРИГУШЕНЕ ОСЦИЛАЦИЈЕ
Када
ваздуха, претварањем његове



РЕЗОНАНЦИЈА
Појава резонанције може се демонстрирати
имају
клатно
равнотежног положаја, јер се
када
принудне силе (у идеалном случају, без трења) једнака
резонантна фреквенција


електричних, електромагнетних итд. У неким случајевима

ЕЛЕКТРОМАГНЕТНЕ
ЗАТВОРЕНО ОСЦИЛАТОРНО КОЛО
Аналогно механичким осцилацијама, постоје и електромагнетне осцилације. То су процеси чије се неке електричне и магнетне карактеристике периодично понављају.
Најједноставнији систем у којем се могу јавити слободне електромагнетне
осцилације састоји се из кондензатора
затора (слика 4.8). Такав систем назива се затворено осцилаторно коло. Прво се кондензатор наелектрише прикључивањем његових плоча за извор једносмерне струје (при отвореном прекидачу P). То је слично, на пример, довођењу тела причвршћеног за металну

спољашње силе и препушта само
деловању силе еластичности (сл. 4.9а). У том тренутку почиње
пражњење кондензатора, односно протицање струје кроз завојницу. Струја се постепено повећава зато
што долази до настанка електромоторне силе самоиндукције у завојници (калему), која спречава да струја




у равнотежном положају.
Осцилације са сталном (непромењеном) амплитудом могу постојати само ако се телу које осоцилује (осцилатору)
1.
2.
3.
4.
5.
6.


(апроксимативно)





Трансверзални (попречни) таласи могу
се представити помоћу гуменог црева (врпце, гајтана) или система (модела), као што је
приказано на слици 5.5. Један крај црева прво
учврстимо, а затим црево лагано затегнемо руком. Ако у слободном крају изазовемо
осцилаторно кретање, оно ће проузроковати таласно кретање дуж црева (канапа). Талас
доспева до учвршћеног места, одбија се и
враћа уназад, при чему се таласно кретање
испољава променом облика црева. Сваки
део црева осцилује у односу на свој положај равнотеже нормално на правац померања таласа.









Подсетимо се неких основних открића Максвелових претходника (које сте већ упознали).
Ерстед је установио да око праволинијског проводника са струјом постоји
магнетно поље индукције B чије су линије сила у облику концентричних
кружница с центрима у проводнику, а налазе се у равнима нормалним на проводник (сл. 5.12).
Фарадеј је експериментално открио закон електромагнетне индукције, односно индуковане струје узроковане променом магнетног поља током времена.
Поставља се питање: како променљиво магнетно поље узрокује струју у непокретном проводнику? Знамо да је струја усмерено (уређено) кретање налектрисаних честица у металним проводницима (слободних електрона). У металним проводницима слободни

тела (честица). Линије силе електричног



Променљиво електрично поље индукује магнетно поље.
Описана
Постоји потпуна симетричност
настајања и постојања.
Електромагнетно поље.






5.19.
Извор електромагнетних таласа је сноп наелектрисаних честица (или
једна честица) који се креће променљивом брзином (убрзано или успорено) у
проводнику или изван проводника.
Ако наелектрисане честице непрестано осцилују, настаје непрекидни електромагнетни талас; уопште, када наелектрисане честице имају убрзање (успорење), тада се емитује електромагнетни импулс.
Електромагнетне осцилације и одговарајући
помоћу



4 · 10–7 m
7 · 10–7 m налазе се редом таласне
дужине које одговарају бојама








питање могућих последица ефекта стакленика: пораст температуре на Земљиној
површини могао

индивидуалне карактеристике као да сусрета уопште
било (сл. 5.28в).







Звук је облик таласног кретања које опажамо чулом слуха (говор људи, цвркут птица, звук гитаре, клавира,
авиона













ултразвука су знатно веће од фреквенције чујног подручја. Ултразвучне таласе карактерише низ интересантних физичких и физиоло-
шких својстава. Стога је њихова практична примена врло разноврсна. Ултразвук може испољити следећа деловања: механичко, физичко-хемијско, топлотно и физиолошко. Навешћемо неколико конкретних примера примене ултразвука, пре свега у индустрији и медицини. С обзиром на то да ултразвучни таласи поседују велику енергију, они се користе у техници за откривање грешака у металним
за људско здравље (за разлику од рендгенског зрачења),


Приликом







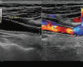
С карактеристикама ултразвучних таласа већ смо вас упознали. Можемо
поновити да су то механички лонгитудинални таласи чије се фреквенције налазе
у подручју од 20 000 Hz до 109 Hz. За људско ухо ултразвучни таласи су нечујни. Због веће фреквенције носе и већу енергију од
таласа које чујемо.
Управо због велике продорности и интеракције с материјалном средином (ткивом) ултразвук је
али и у терапији и хирургији. Приликом проласка




1. континуирани ултразвучни
2.
3. колор-доплер.
Континуирани







количине UV зрачења стижу до Земљине површине.


➢
период).
Општа формула за брзину таласа (u) има облик:
➢ Када се магнетно поље
електричног
1.
2.
4.
5.
15.


2.
3. Закон одбијања






Када Сунчеви зраци, који су практично паралелни (долазе од удаљеног Сунца), падају на равно огледало, одбијају се тако што су и одбијени зраци паралелни.
Међутим, када Сунчеви зраци падају на површину која није равна, на пример на снежну површину, они се такође одбијају, али неправилно (расипају се) и не може се видети лик Сунца. Површина снега је неравна, па одбијени зраци имају различите правце. То је дифузна светлост (сл. 6.5).
Када светлост, на пример, електричне сијалице, падне на страницу књиге, она се дифузно одбија. Кажемо да се та светлост распршује (неправилно расипа).
Таква светлост нам омогућује читање књиге. Шта би се
хартије
делове (одсечке) сферних површина (површине лопте). Постоје
сферна огледала, зависно од тога која је страна углачана, тј.
одбија светлост (сл. 6.6 и 6.7).









1.
2. Зрак 2–2
3.
4.
1.
2.
3.



4.



















који представља само основу (базу) тростране призме. Врло ретко цртамо призму онако како она
изгледа у простору.
Граничне површине секу се и граде угао γ – преломни угао
призма у ваздуху). Светлосни зрак у призми се
стаклена






Лик предмета
1. Зрак који пада на сочиво паралелно
после преламања, пролази кроз жижу (1).
2. Зрак који пролази кроз жижу је после
главној оптичкој оси (2).
3. Кроз оптички центар танког сочива зрак пролази без преламања (3).
На слици 6.35 је приказано сочиво са две жиже – F1 и F2 (које су на једнаким удаљеностима од оптичког центра (темена сочива) О и више положаја предмета од G1 до G4, са




Лик
1.
2.
(2–2’).
3. Зрак који је усмерен
(3–3’).




Јединица јачине сочива је диоптрија [D]. То је метар на минус први, тј.: 1 1 , = D=m m
јер се растојање изражава у метрима.
Оптичка јачина је позитивна за сабирна сочива, а негативна за расипна. На
пример, оптичка јачина од + 0,5 D значи да је сочиво сабирно,
даљине, али расипно. Осим жижне даљине или оптичке јачине,


и окулар су сабирна сочива смештена на крајевима




електрона. Аналогно светлосним
електронски сноп може да буде рефлектован, може да се прелама или да буде фокусиран.
До рефлексије (одбијања) електронског снопа долази уколико електронски сноп наиђе на негативно наелектрисану плочу
је електростатичко поље у околини плоче довољно јако (сл. 6.44).
Под дејством електричног и магнетног
путање (преламање електрона).
Ако електронски сноп наиђе на довољно јако електрично или магнетно поље, доћи ће до фокусирања снопа, на идентичан
сочива фокусирају дивергентан сноп светлости (сл. 6.45).


Оваква електрична
тронска сочива представљају основне
елементе електронског микроскопа.
ја на слици 6.46. Електрони из ужарене катоде убрзавају се електричним пољем,




(7) означен је очни мишић. Унутрашњост ока испуњена је провидном пихтијастом супстанцијом (8) (тзв. стакластим телом). Очно дно је
обложено врло сложеном опном, мрежњачом (9). У мрежњачи се налазе чулне ћелије (чепићи и штапићи), које су повезане с мрежом нервних завршетака (10).
Штапићи и чепићи су веома осетљиви на светлост. Слепа мрља место где улази нерв – није осетљива на светлост, – јер у њој нема чулних ћелија. Близу слепе мрље на мрежњачи налази се део ока најосетљивији на светлост
ћелија.
судовњача (12), у којој се гранају крвни судови. Око је својом грађом слично фотографском апарату. Оно што је објектив у фотографском апарату, то је очно сочиво у оку. Реалан, обрнут и умањен



CАЖЕТ ПРЕГЛЕД
➢

2.
4.
5.
6.
EЛЕМЕНТИ АТОМСКЕ,
НУКЛЕАРНЕ
И САВРЕМЕНЕ
ФИЗИКЕ

(Max Planck, 1858–1947).


класичној физици), већ су комплементарна, међусобно се допуњују. Она одражавају два различита, али у исто време узајамно повезана аспекта: својства непрекидности (континуалности), карактеристична за електромагнетне таласе, и својства дискретности (прекидности), којима се одликују светлосни кванти –фотони.
Честична (квантна) и таласна својства испољавају
них врста електромагнетног зрачења. С повећавањем фреквенције електромагнетног













(A. Sommerfeld, 1868–1951)




енергија силе еластичности најмања (једнака нули). Молекули (атоми) гаса у затвореном суду врше притисак на његове зидове да би се проширио простор у којем се
налази гас, односно повећало растојање

= 0), p (ℓ = 1), d (ℓ = 2), f (ℓ = 3), g (ℓ = 4) итд.
Распоред максималног


ОРГАНИЗМУ СА АСПЕКТА
ФИЗИКА ЖИВОГ Пошто се живи системи састоје од релативно сложених биомолекула, истраживање
биомолекула и њихових интеракција. Овакав приступ је из
фиксирани, већ се хаотично
запремину и облик, према посуди у којој се налази.
Стање течног система је делимично уређено. Његове компоненте (атоми, молекули) блиско су повезане, али немају фиксиране положаје. Систем има фиксну запремину, једино облик мења, према посуди у којој се налази.
Стање чврстог система је уређено. Компоненте (атоми и молекули) су блиско повезане, фиксираних положаја, а фиксни су и запремина и облик (због јаке привлачне интеракције).







таласа. Електрони могу проћи на било којем растојању од атомског језгра и кочењем (успоравањем) приликом
Тиме се и објашњава континуалност (непрекидност) спектра







треби X-зрака и техници томографског снимања уз употребу рачунара. Тачније, то је трансмисиона компјутерска томографија















упадне и таласа емитоване светлости.
Електромагнетно зрачење настало преласком атома (молекула) на
основно стање или на нижа енергијска стања, изазвано спољашњим зрачењем
исте енергије (фреквенције), назива се стимулисано (индуковано, принудно)
зрачење.
Са гледишта таласне теорије стимулисана (индукована) светлост има исту
енергију, исти смер кретања, исту почетну фазу, фреквенцију (таласну дужину) и раван поларизације као и упадна светлост којом је



ЛАСЕРИ
Стимулисана (индукована) светлост,




Примена ласера. – Основна својства ласерске светлости, као што су просторна усмереност, велики интензитет (снага), монохроматичност и кохерентност, чине ово зрачење незаменљивим у многим научним
них конкретних примена ласера. Примена ласера је изражена у војној техници (за нишањење, бирање и обележавање циљева). Ласери се могу
авиони итд.). Посебно су развијени ласерски заслепљивачи
(звука, слике и сл.). Предности су велике: усмереност сигнала, повећање броја канала бежичне везе, квалитетнији и поузданији пренос

криптон647,1 nm 1 W офталмологија
рубин 694,3 nm3 J у 30 ns
He-Ne632,8 nm1 mW оптичко подешавање


Атомско језгро је средишњи део атома, у
су концентрисани
целокупна маса (протони и неутрони, названи нуклеони) и позитивно наелектрисање атома.








Марија
(Maria Sklodowska-Curie, 1867–1934)
(Pierre Curie, 1859–1906)
Joliot).







– Бета распад у којем се ослобађа позитрон (e+) комплементаран је електронском b –-распаду. У овом случају постоји „сувишни” протон у језгру, који се претвара у неутрон, позитрон








зраци. Вилсонова комора. – Енглески физичар Вилсон (Wilson) први је 1912. године конструисао тај уређај. Шема Вилсонове коморе дата је на слици 7.43. Активна средина коморе је
засићена пара, најчешће воде, хелијума, азота или аргона. Извор радиоактивног зрачења (об-
ично, a-честица) постављен

7.44.
Пролазећи кроз супстанцу, наелектрисане честице узрокују не само



зрачења. Множењем средње апсорбоване дозе са бездимензионалним радијационим тежинским фактором W R добија се еквивалентна доза: HR = WR D. Она одражава различиту релативну биолошку ефикасност различитих врста зрачења. Вредности радијационог тежинског фактора WR крећу се у распону од 1 до 20. Вредност овог фактора за рендгенско зрачење, гама зраке и бета честице јесте 1. За алфа честице
од њихове енергије.


организма. Изражена у процентима, она изгледа овако: коштана срж 12%,
површина костију 3%, штитна жлезда 3%, дојке 15%, плућа 12%, јајници и тестиси 25%, остала ткива 30%. Радијациона болест (болест изазвана зрачењем) различито се манифестује, у зависности од величине примљене дозе, начина озрачивања и извора зрачења: као радијациона опекотина на кожи и рак коже,
стакло, вода итд. За заштиту од




• професионално
• информисање,

➢ Нарочите заслуге у решавању
(Max Planck, 1858–1947). Он је пошао од идеје да атоми испуштају електромагнетну
(енергију зрачења) у одређеним „порцијама” енергије
квантима. Једна „порција”, тј. један квант енергије једнак је: e = hn. где је h Планкова константа (

Размере језгра су реда величине 10–15 m, а атома 10–10 m. То значи да је пречник
атома око 105 пута већи од пречника атомског језгра.
Атом као целина је електрично неутрална честица: позитивно наелектрисано
језгро поништава се негативним наелектрисањем електрона у омотачу атома. На о снову Радерфордовог модела није се могла објаснити стабилност атома. Ако наелектрисана честица (електрон) кружи око језгра,
➢
док се електрони налазе у тим стањима,
електромагнетно зрачење (енергију).
Број протона у језгру



1.
2.
3.
4.
5.
6.
7.
8.
10.
11.
12.
13.
14.
15.
16.
17.
31.
35.
49.
52.
1.3.
Решење:
2 981 M G, R =γ= N , kg б) () 2 37 M G,. Rh =γ= + N kg

1.5.
1.6.
1.7. 1.4.
2.1.
2.2.
2.3.



3.1. 3.2.

3.3.
3.4.
3.5.
3.6.
3.7.
Подаци:
3.8. DF DF DF 0,5 e Wb – 0,5 V. Wb . s
в) Када индукована електромоторна сила у контури
Подаци:
DF = 0,05 Wb; Dt = 0,1 s;
t ∆F = ∆ ? б) ?, = ε в) e = const.
Решење: а) 005 0005 01 , t,,. ∆F == ∆ WBWB ss
у контури?


3.12.
3.13.
3.14.

РЕШЕНИ
Честица
Подаци:
Решење: Према
Подаци:
Dx = 9 cm; T = ?
Решење:


Подаци:
Решење:


РЕШЕНИ ЗАДАЦИ
5.1.
Колика
Подаци:
Решење:
Подаци: u =
Решење:
Решење:
5.4.
5.5.

5.6.
5.7.
Подаци:

5.12.
5.13.
1
Решење:
6.1.
6.2.
Решење:
6.3.
Подаци: r = 24 cm; f = ?
Решење:

6.4. 6.5.
Подаци:
Подаци: P = 1 cm; L = 10 cm; u = ? Решење:
Подаци:

Подаци: v = 200 000 ; s km n =?
Решење:
Апсолутни
Подаци: n v = 1,33; nl = 1,31; n r = ?
Решење:
Подаци: f = 2,5 cm; r = ? w = ?
Решење:
Увећање
Висина
Објектив
Подаци:
Решење:

7.1.
7.2.


Z = 7; A = 14; m p = 1,00781 u; mn= 1,00867 u; M = 14,00304 u; Dm = ? EV = ? Решење:

(око 6,2 пута)


ПРИРУЧНИК







Прибор





1. 2. 3.






А
Амплитуда – највећа удаљеност тела од равнотежног положаја.
Акомодација ока – фокусирање (прилагођавање) ока на предмет који се посматра.
Апсорбована доза јонизујућег зрачења – енергија зрачења која се у процесу интеракције апсорбује у јединици масе дате супстанце.
Б
Биопотенцијали – сви потенцијали који настају
Гравитационо поље – преносилац гравитационе интеракције (узајамног деловања) тела. Густина електричне струје – количник јачине струје и површине попречног пресека проводника
Дијатермија – процес ослобађања топлоте у људском организму пропуштањем високо фреквентне електричне струје, ради лечења. Доплеров ефекат – промена фреквенције та

енергије електричног поља и количине позитивног наелектрисања које се налази у том
пољу.
Електрични напон – разлика електричних потенцијала у
путање наелектрисаног тела у електричном
пољу.
Електрична капацитативност – однос ко-
личине наелектрисања тела и његовог потенцијала.
усмерено кретање
Електромагнетна индукција – процес настајања електричне струје у затвореном проводнику услед релативног кретања проводника у
или
ку у стању мировања у променљивом магнетном пољу.
Ефективна вредност јачине наизменичне струје – вредност једнака јачини једносмерне струје која у датом проводнику за једнако време ослободи исту количину топлоте као и наизменична струја.
Електрографија – електрично регистровање биоструја и биопотенцијала у људском организму.
Електромиографија – регистровање промена биопотенцијала мишића.
Електрокардиографија – регистровање промена биопотенцијала срца. Електроенцефалографија – регистровање промена
Ендоскопија
Мембрански потенцијал – потенцијал који се
јавља на мембранама скоро свих ћелија ор-
ганизма.
Математичко клатно – тело малих димензија
обешено о неистегљиву нит, које може да
осцилује у вертикалној равни под утицајем
Земљине теже.
Мамографија – неинвазивна
Наизменична

раздваја две средине различитих оптичких густина.
Резонанција – појава наглог повећања амплитуде принудних осцилација када је фреквенција принудне силе једнака сопственој фреквенцији осцилатора.
Равно огледало
зрака.
Самоиндукција – настајање електромоторне силе (индуковане струје) у
Спектар електромагнетних таласа – скуп свих врста електромагнетног зрачења поређаних по таласној дужини или фреквенцији.
Стојећи талас – резултат суперпозиције два прогресивна таласа исте амплитуде који се крећу у супротном смеру.
Светлост – електромагнетни процес који карактеришу таласна и честична својства.
Сферно огледало – део (одсечак) сферне углачене површине.
Спин – сопствени механички момент електрона у атому.
Спонтано зрачење – електромагнетно зрачење испуштено спонтано преласком атома из виших у нижа енергетска стања.
Стимулисано зрачење – електромагнетно зрачење настало преласком атома на основно стање

1. М. Распоповић, Физика за 1. разред гимназије, Завод за уџбенике, Београд, 2006.
2. Група аутора, Физика са збирком задатака и приручником за лабораторијске вежбе за 1. разред средње школе, Завод за уџбенике и наставна средства, Београд, 2005.
3. М. О. Распоповић, Ј. Шетрајчић, З. Распоповић, Физика
, Завод за уџбенике и наставна средства, Београд, 2005.
4. М. Распоповић, Б. Цвeтковић, Г. Кековић, Физика – збирка за
наставна средства, Београд, 2006.
5. М. Распоповић, Ј. Шетрајчић, З. Распоповић,
, Завод за уџбенике
6. Наташа Чалуковић
имназије, Круг, Београд, 2003.
7. Д. Илић, М. Џомбасевић, Д. Лазић, С. Милојевић
2005.
уџбеника, Београд, 1967.
8. Атлас физике, Грађевинска књига, Београд, 2007.
9. Б. Никић, Н. Чалуковић, За радозналог ђака физика је лака, Круг, Београд, 2005.
10. Р. Иванковић, Б. Бошковић, Физичари и мерне јединице, Истраживачки центар, ИЦНТ, Београд, 2006.
11. Andrew Robinson, Sto godina relativnosti, Školska knjiga, Zagreb, 2005.
12. М. Ждрале, АБЦ... физике – лексикон за
, Бонарт, Београд, 2001.
13. I. Supek, Povijest fizike, Školska knjiga, Zagreb, 2004.
14. М. Распоповић,
15. М.
17. М. Распоповић, Т. Бобић, Физика
18.
19. З. Распоповић, Б. Пушара,
стручних школа, Завод за уџбенике, 2016.
20. З. Распоповић, Б. Пушара, Збирка зад
за уџбенике, 2016.
21. Линк са он-лајн симулацијама
https://phet.colorado.edu/sr/simulations/category/physics
Сад, 2006.


