Dimensions 4/2022

Page 1

2 3 1 4 Dimensions Molaren-Inzisiven-Hypomineralisation Hypominéralisation molaires incisives 2022
Bien-Air Dental SA Länggasse 60 • Case postale • 2500 Bienne 6 • Switzerland Tél. +41 (0)32 344 64 25 • sales@mectron.ch → COMBI touch DIE SCHONENDE ART DER PROPHYLAXE ULTRASCHALLEINHEIT UND PULVERSTRAHLGERÄT IN EINEM → SOFT MODE Funktion für schonendes Scaling → Pulverwechsel in einem einfachen Schritt → Drehbare und flexible subgingivale Einwegdüsen → SLIM Ultraschall-Handstück mit drehbarem LED-Licht → 3 verschiedene Sprayköpfe → www.mectron.ch neu! SLIM Handstücke

EDITORIAL

VERBAND

Publizierte Artikel geben nicht in jedem Fall die Meinung der Redaktion wieder. Aus der Veröffentli chung ist keinerlei Bewer tung durch die Redaktion ableitbar.

Swiss Dental Hygienists wendet in allen Dokumen ten eine gendergerechte Schreibweise an, so auch im Dimensions.

Ausgenommen sind Anzeigen, Stelleninserate oder Publireportagen, diese sind frei in der Formulierung.

Les articles publiés ne reflètent pas obligatoirement l’avis de la rédaction. La publication n’implique aucun jugement de valeur de la part du comité de rédaction.

Swiss Dental Hygienists utilise une forme d’écriture sensible au genre dans tous les documents, y compris dans Dimensions.

Cela ne s’applique pas aux annonces, aux offres d’emploi ou aux publiréportages, qui sont libres dans leur formulation.

DIMENSIONS 4 2022 INHALT I SOMMAIRE 3 INHALT
É DITORIAL Connaissez-vous tous les avantages dune adhésion à Swiss Dental Hygienists? 29 SCIENCE Hypominéralisation molaires incisives Résumé d’étude: Prise d’acides gras oméga-3 30 34 NOTICES Produits 35 ASSOCIATION Nouvelles volées d’hygiénistes dentaires diplômé(es) ES Travail de diplôme primé Call for Posters: Soumettez votre résumé! Agenda Offres d‘emploi 36 40 20 46 47
Kennen Sie alle Vorteile einer Mitgliedschaft bei Swiss Dental Hygienists? 5
Studienzusammenfassung: Einnahme von Omega-3-Fettsäuren 6 10
WISSENSCHAFT Molaren-Inzisiven-Hypomineralisation
Books 12 13
NOTIZEN Produkte
diplomierte Dentalhygieniker*innen Ausgezeichnete Diplomarbeit Call for Posters: Reichen Sie Ihr Abstract ein! Agenda Stellen 14 18 20 46 47
Neu

Ihre Empfehlung legt den Grundstein für ein kariesfreies Leben ...

... denn sie sorgt für starke Zähne von Anfang an.

Gerade bei Kindern kann elmex® gelée dazu beitragen, die Aushärtung des Zahnschmelzes zu unterstützen. Empfehlen Sie Ihren kleinen Patienten ab 6 Jahren deshalb einmal wöchentlich elmex® gelée – für starke Zähne von Anfang an.

elmex® gelée ist ein zugelassenes Arzneimittel. Fach- und Patienteninformationen finden Sie unter www.swissmedicinfo.ch. www.gabaprofessional.ch Stärkt von innen. Schützt von aussen.

Kennen Sie alle Vorteile einer Mitgliedschaft bei Swiss Dental Hygienists?

Ich werde immer mal wieder gefragt, ob es sich denn heutzutage überhaupt noch lohne, Mitglied in einem Berufsverband zu sein. JA, sage ich dann mit all meiner Überzeugungskraft. Die Investition des Mitgliederbeitrages zahlt sich bei Swiss Dental Hygienists schon sehr rasch aus:

Wir treten für Ihre Interessen ein: Lobby arbeit gehört zu unseren Kernaufgaben. Wir suchen das Gespräch mit politischen Entscheidungsträger*innen und machen uns für Ihre Anliegen stark. Eine hohe Mitgliederzahl verleiht uns mehr Gewicht. Auch wenn Änderungen nicht von heute auf morgen erreicht werden, können wir mit einer lauten Stimme, die Ihre Interes sen vertritt, Ihre Situation verbessern.

Austausch mit Gleichgesinnten: Vermissen Sie nicht manchmal den persönlichen Austausch mit Berufskolleg*innen, weil im Praxisalltag dafür kaum Zeit bleibt? Die Sektionen organisieren Anlässe mit Apéro oder Essen und ebnen den Weg für einen inspirierenden Austausch, Tipps und Tricks für die Praxis inklusive.

Mehr Sichtbarkeit in der Öffentlichkeit: Unsere Vision ist klar: Im Jahr 2030 kennt die Bevölkerung den Beruf Dentalhy gieniker*in und den Unterschied zu den anderen Berufen in der Zahnarztpraxis. Mit Ihrer Mitgliedschaft tragen Sie dazu bei, den Bekanntheitsgrad von Dentalhygieni ker*innen zu erhöhen.

Garantie für Professionalität: Der Titel «dipl. Dentalhygieniker*in HF» ist eine Qualitätsauszeichnung und gleichzeitig eine Verpflichtung. Ihre Mitgliedschaft wirkt nach aussen wie ein Gütesiegel.

Wissenserwerb: Lebenslanges Lernen ist die Basis, um bis zum Berufsende fachlich à jour zu sein. Wir unterstützen Sie mit praktischen Informationen in Form von Merkblättern, Anleitungen oder Leitfä den. Ausserdem organisieren wir Events und Veranstaltungen, an denen Sie Ihr Fachwissen aktuell halten und von Ver günstigungen profitieren.

Beruflicher Rechtsschutz: Nicht jeder Berufsverband hat die Mittel dazu, doch bei uns profitieren Sie von einer kostenlo sen Rechtsberatung bei Fragen rund um Ihre Anstellung.

Die Jahresgebühr als Aktivmitglied von CHF 330 – oder monatlich CHF 27.50 – ist eine lohnende Investition angesichts all dieser Vorteile. Zudem stärken Sie mit Ihrer Mit gliedschaft unseren Verband: je mehr Mit glieder, desto umfangreicher unser Service und desto grösser unser Gewicht für die Vertretung unserer politischen Anliegen.

Ich danke Ihnen allen für die langjährige Treue und freue mich – dank Ihrer aktiven Werbung – auf viele neue Mitglieder.

Conny Schwiete

Conny Schwiete, Zentralpräsidentin

IMPRESSUM

Herausgeber

Swiss Dental Hygienists Bahnhofstrasse 7b, 6210 Sursee Tel. +41 (0)41 926 07 90 info@dentalhygienists.swiss

Redaktionskommission

Christine Bischof (Präsidentin) Mara Bovo Marlis Donati Petra Hofmänner Corinne Kellenberger Mia Navratil (Vizepräsidentin Zentralvorstand)

Redaktion und Layout wamag Bereich Kommunikation Bahnhofstrasse 7b, 6210 Sursee Tel. +41 (0)41 926 07 70 dimensions@dentalhygienists.swiss

Übersetzung

Jaime Calvé

Geschäftsinserate Mara Bovo Mobile +41 (0)76 536 31 36 marabovo@hotmail.com

Stelleninserate

Siehe Adresse Herausgeber Druck und Versand Multicolor Print AG Sihlbruggstrasse 105a, 6341 Baar

Auflage 2400 Exemplare

Erscheinungsweise 4 Ausgaben pro Jahr

Abonnement CHF 85.00 pro Jahr

Copyright

Die Rechte des Herausgebers und der Autoren bleiben vorbehalten. Eine allfällige Weiterverarbeitung, Wiederveröffentlichung oder Vervielfältigung zu gewerblichen Zwecken ohne vorherige ausdrückliche Zustimmung der Autorenschaft oder des Heraus gebers ist nicht gestattet.

EDITORIAL DIMENSIONS 4 2022 EDITORIAL 5
Weitere Vorteile erfahren Sie im Video von Antonella Tepedino: www.dentalhygienists.swiss/verband/portraet

Molaren-InzisivenHypomineralisation

Wie erkenne und betreue ich Patient*innen mit einer Molaren-InzisivenHypomineralisation?

Zusammenfassung

Bei der Molaren-Inzisiven-Hypominerali sation (MIH) – im Volksmund auch Kreide zähne genannt – handelt es sich um einen qualitativen Defekt des Schmelzes, der klassischerweise an einem bis zu vier ers ten bleibenden Molaren mit oder ohne Einbezug der bleibenden Inzisiven auf tritt. Charakteristisch für die Erkrankung sind Opazitäten und ggf. fortschreitende posteruptive Schmelzeinbrüche sowie möglicherweise das Auftreten von Über empfindlichkeiten an den Zähnen. Ziel des vorliegenden Beitrages ist es, einen Einblick in das klinische Erscheinungsbild, die derzeit diskutierten ätiologischen Faktoren, die Diagnostik und Differential diagnostik sowie aktuelle Therapieoptio nen zu geben.

Definition

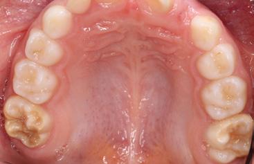
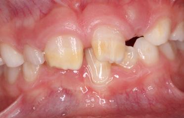
Der Begriff der «Molaren-Inzisiven-Hypo mineralisation», abgekürzt MIH, existiert seit 2001 [1]. Beschrieben wird eine syste misch bedingte Hypomineralisation des Zahnschmelzes bei einem bis zu vier ers ten bleibenden Molaren. Zudem können die ersten bleibenden Inzisiven betroffen sein, sie müssen es aber nicht (Abb. 1, 2).

Prävalenz und Ätiologie

Die MIH ist eine weltweit vorkommende Erkrankung. Derzeit wird von einer durch schnittlichen Prävalenz von 13–14 % ausgegangen [2]. Die aktuelle Fünfte Deutsche Mundgesundheitsstudie für Deutschland zeigt, dass sogar knapp 30 % der 12-Jährigen betroffen sind [3]. Das bedeutet, dass mehr als jedes vierte

Kind mindestens einen von einer MIH befallenen Zahn aufweist. Allerdings zeigte sich dabei in 81 % der Fälle ein milder Schweregrad. Grossflächige Schmelzeinbrüche wurden nur in seltenen Fällen im Rahmen der Untersuchung re gistriert.

Die Frage nach den möglichen Ursachen der MIH beschäftigt seit ihrer Erstbe schreibung die zahnmedizinische For schung. Diese konnten jedoch bisher immer noch nicht abschliessend geklärt werden [4, 5]. Aufgrund des zeitlich ge meinsamen Ablaufs der Amelogenese von Molaren und Inzisiven geht man von einer Zahnentwicklungsstörung zwischen dem 8. Schwangerschaftsmonat und dem 4. Lebensjahr aus. Folglich sind prä-, periund postnatale Einflüsse (in den ersten Lebensjahren) möglich [6, 7]. Diskutiert werden ganz unterschiedliche Faktoren. Hierzu zählen: Probleme im letzten Monat der Schwangerschaft, Frühgeburt, häu fige Erkrankungen in den ersten vier Le bensjahren, Durchfallerkrankungen, Fie berzustände und respiratorische oder bläschenbildende Erkrankungen. Jüngst wurden Bisphenol A sowie ein Vitamin-DMangel als ein weiterer möglicher Auslö ser genannt [8, 9]. Vermutlich handelt es sich um ein multifaktorielles Geschehen. Da das Zeitfenster der Bildung für die Molaren und die Inzisiven zum grossen Teil nachgeburtlich liegt, wird den post natalen Einflüssen die grösste Bedeutung zugemessen [10].

WISSENSCHAFT 6 DIMENSIONS 4 2022 WISSENSCHAFT
Univ.-Prof. Dr. Katrin Bekes Wien

Klinisches Bild, Diagnose und Differentialdiagnose

Von einer MIH betroffene Zähne weisen abgegrenzte Opazitäten unterschiedli cher Farbe auf, die ganz unterschiedlich dimensioniert sein können. So kann die Hypomineralisation bei den Molaren auf einzelne Areale begrenzt sein oder sich über die gesamte Glattfläche ausdehnen [11]. Bei den Inzisiven ist die MIH in der Regel auf der vestibulären Zahnoberflä che zu finden. Je dunkler die Verfärbun gen sind, desto poröser ist der Schmelz und desto grösser ist die Gefahr, dass es durch den Einfluss von Kaukräften zu post eruptiven Schmelzeinbrüchen kommen kann. Neben den beschriebenen klinisch gut sichtbaren Merkmalen stellt zudem die Überempfindlichkeit des betroffenen Zahnes mit unterschiedlichen Ausprä gungsgraden ein wiederkehrendes Be gleitsymptom dar. Dies kann u. U. zu Ein schränkungen in der Mundhygiene, beim Genuss kalter und warmer Nahrungs mittel und auch bei der Behandlungs fähigkeit führen.

Neben dem klassischen Bild des Befalls der ersten Molaren mit/ohne Inzisiven sind Hypomineralisationen mittlerweile auch an anderen Zähnen sowohl im per manenten als auch im Milchgebiss be schrieben worden [12, 13]. Im Milchgebiss hat dies zu einer eigenen Namensgebung geführt: Milchmolaren-Hypomineralisa tion (MMH).

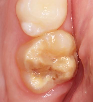
Für die Diagnose einer MIH ist der klini sche Befund entscheidend. Kriterien zur Erfassung der hypomineralisierten Zähne liegen von der EAPD vor [14], die wie folgt festgelegt sind: klar umschriebene Opazi täten (Abb. 1, 2), posteruptive Schmelzab brüche (Abb. 1), atypische Restaurationen (Abb. 3) und atypische Extraktionen. Diffe rentialdiagnostisch müssen u. a. folgende Krankheitsbilder in Betracht gezogen wer den: Fluorosen, erbliche Strukturanoma lien (Amelogenesis imperfecta) und exogen bedingte Defekte (Trauma, Turnerzahn, Karies).

Die klinischen Manifestationen einer MIH können sehr variabel sein. Für eine Eintei lung in Schweregrade eignet sich die Klassifikation nach dem «Würzburger Konzept», welches neben einer Graduie rung mittels sog. MIH-TNI (Treatment

Need Index) auch gleichzeitig Therapie vorschläge macht [15, 16]. Der Index, der auf alle Zähne und Zahngruppen ange wandt werden kann, differenziert zwischen vier Graden bei einer MIH:

 Index 1: kein Schmelzeinbruch, keine Hypersensibilität  Index 2: Schmelzeinbruch  Index 3: Hypersensibilität  Index 4: Schmelzeinbruch und Hypersensibilität

Abb. 1: MIH an den Zähnen 16 und 26. Zahn 16 weist bereits einen posteruptiven Schmelzeinbruch im distalen Bereich auf, Zahn 26 zeigt abgegrenzte Opazitäten. Abb. 2: Patientin aus Abb. 1. Die beiden mittleren oberen Inzisiven zeigen jeweils eine umschriebene Opazität.

Abb. 3: Atypische Restauration bei einem von einer MIH betroffenen oberen Molar. Im Randbereich der Füllung sind Opazitäten erkennbar.

DIMENSIONS 4 2022 WISSENSCHAFT 7

Therapieansätze

In Abhängigkeit vom vorliegenden Schwe regrad einer MIH variiert die zu favorisie rende Therapie. Generell umfassen die Behandlungsoptionen bei betroffenen Molaren die Intensivprophylaxe, Versiege lungen, restaurative Massnahmen oder sogar der Extraktion [17]. Unabhängig der Schwere des Defektes sollten jedoch alle betroffenen Kinder in einem Intensivpro phylaxe-Programm betreut werden.

Prophylaxe

Prophylaxekonzepte für die MIH müssen etwas differenzierter betrachtet werden. Eine Vermeidung der Entstehung der Er krankung ist nicht möglich, da die ätiolo gischen Faktoren nicht hinreichend ge klärt sind. Der Fokus liegt deshalb bei der Sekundärprävention, die das frühzeitige Erkennen der Krankheit umfasst. Sie hat zum Ziel, zumindest ansatzweise die Pro gression der MIH durch gezielte Behand lungen zu verhindern [18]. Zudem steht die Kariesprophylaxe im Fokus. Hierzu werden folgende Massnahmen empfoh len: regelmässige Zahnreinigungen mit Mundhygieneanleitungen, die Applika tion von Fluorid-, CHX- und CPP-ACPPräparaten [19].

Fissurenversiegelung

Fissurenversiegelungen können bei hypomineralisierten Molaren appliziert werden, wenn diese lediglich milde Schweregrade zeigen, keine posterupti ven Schmelzeinbrüche im okklusalen Be reich aufweisen und nicht kariös kavitiert sind [20]. Es scheint hierbei von Vorteil zu sein, wenn vor dem Auftragen des Versie gelungsmaterials zusätzlich ein Adhäsiv angewendet wird, um einen besseren Verbund zum defekten Schmelz zu gene rieren [21, 22, 23]. Sollte der Zahn noch nicht vollständig eruptiert sein und den noch eine Versiegelung indiziert sein, so kann auch ein niedrigvisköser Glasiono merzement zum Einsatz kommen. Kürzlich publizierte Daten belegen, dass durch eine Versiegelung auch Hypersensibilitä ten effektiv therapiert werden können [24].

Restaurative Therapie Weisen MIH-betroffene Molaren bereits posteruptive Schmelzeinbrüche auf, ste

hen für deren Restauration verschiedene Möglichkeiten zur Auswahl, die von ver schiedenen Faktoren abhängig sind: Patient*innenalter, Compliance, Ausdeh nung und Qualität (Härte) der Zahnhart substanz sowie Schweregrad der MIH [25].

Glasionomerzemente sind ideal zur initi alen und provisorischen Versorgung von frisch eruptierenden MIH-Molaren, um weiterem Zahnhartsubstanzverlust vorzu beugen. Ihre einfache Handhabung auf grund nicht notwendiger Konditionie rungsschritte erleichtert die Anwendung besonders bei eingeschränkter Koopera tion der Patientin, des Patienten (Abb. 4, 5). Nachteilig ist die niedrige Biegefestig keit und minimale Abrasionsstabilität des Materials. Zum gegebenen Zeitpunkt sollten diese Provisorien jedoch durch definitive Restaurationen ausgetauscht werden [19].

Bei leichten bis mittleren Defekten sind Komposite dann eine gute Wahl. Sie zei gen bei adäquater Verarbeitung eine gute Überlebensrate [26]. Zu beachten ist hierbei, dass die Schmelzhaftung von Adhäsiven an hypomineralisiertem Schmelz unter der von gesundem Schmelz liegt. Eine Schwierigkeit bei der Füllungs legung besteht folglich in der Bestim mung der genauen Ausdehnung der geplanten Restauration. Ideal wäre dem entsprechend ein Füllungsrand in gesun dem Schmelz [27]. Dies ist klinisch jedoch nicht immer praktikabel. Bei einem ledig lich kleinen Schmelzeinbruch bei einer sich über mehrere Flächen erstreckenden Opazität ist es im Sinne einer Minimal invasivität nicht erstrebenswert, bei einem*einer jungen Patient*in die Hypo mineralisation komplett zu entfernen und eine einflächige Kavität in eine mehr flächige zu verwandeln. Die Eltern sollten in diesem Fall über eine ggf. später not wendig werdende Füllungsreparatur auf geklärt werden.

Bei grösserem Substanzverlust kann zum Erhalt betroffener Molaren auch die Ein gliederung einer konfektionierten Stahl krone als Langzeitprovisorium gewählt werden [28]. Alternativ bietet sich als de finitive Therapieoption die Eingliederung indirekter Restaurationen aus Komposit, Keramik oder Hybridmaterialien an [29].

8 DIMENSIONS 4 2022 WISSENSCHAFT

Abb. 5: Glasionomerzementfüllung zum Schutz vor weiterem Substanzverlust und zur Therapie der Hypersensibilität.

Abb. 4:

Hypersensibler MIH Molar bei einem Patienten mit reduzierter Compliance. Als Erstversorgung wurde die Entscheidung für eine Glasionomer zementfüllung getroffen.

Es ist jedoch hervorzuheben, dass diese Form der Behandlung mit einem erhebli chen klinischen und labortechnischen Aufwand einhergeht, der immer von der Kooperation des Kindes abhängt.

Extraktion

Bei starker kariöser Zerstörung des MIHZahnes sowie ausgeprägten Substanzver lusten der ganzen Zahnkrone und/oder endodontischen Problemen kann als Therapieoption auch die Extraktion der befallenen Molaren in Betracht gezogen werden [30, 31]. Diese Frage nach der Erhaltungswürdigkeit und Prognose des Zahnes sollte aber in jedem Fall mit ei nem Kieferorthopäden vor Behandlungs beginn abgeklärt werden. Aus kieferor thopädischer Sicht liegt der optimale Extraktionszeitpunkt für die ersten blei benden Molaren für den Unterkiefer im Zeitraum zwischen dem 8. bis 11. Lebens jahr, im Oberkiefer vor dem 10,5. Lebens jahr [30].

Fazit für die Praxis

Die Behandlung von Patient*innen mit einer MIH spielt in der zahnärztlichen Praxis eine zunehmend grosse Rolle. Be troffene Patient*innen sollten frühest möglich erkannt und in ein engmaschiges Recall-Programm eingebunden werden. Aufgrund der variablen Ausprägung der

Hypomineralisation kann die sich daraus ergebende Behandlungsnotwendigkeit differieren. Sie reicht von Versiegelungen über Restaurationen bis zur Extraktion. Literaturverzeichnis auf www.swissdentalhygienists.swiss

Die Autorin

Univ.-Prof. Dr. Katrin Bekes, MME 1997–2002 Studium der Zahnmedizin an der MartinLuther-Universität Halle-Wittenberg 2003 Promotion zum Dr. med. dent. 2003–2010 Wissenschaftliche Mitarbeiterin der Universitätspoliklinik für Zahnerhaltungskunde und Parodontologie und der Sektion Präventive Zahnheilkunde und Kinderzahnheilkunde der Martin-Luther-Universität Halle-Wittenberg 2010–2015 Oberärztin an der Universitätspoliklinik für Zahnerhaltungs kunde und Parodontologie und der Sektion Präventive Zahnheilkunde und Kinderzahnheilkunde der Martin-Luther-Universität Halle-Wittenberg 2012 Habilitation zum Dr. med. dent. habil. 2015 Master of Medical Education (MME) seit April 2015 Univ.-Prof. für Zahn-, Mund- und Kieferheilkunde des Kindesalters an der Medizinischen Universität Wien, Fachbereichsleiterin Kinderzahnheilkunde der Universitätszahnklinik Wien seit 2017 Vizepräsidentin der Österreichischen Gesellschaft für Kinder zahnmedizin (ÖGKiZ) 2008–2019 Generalsekretärin der Deutschen Gesellschaft für Kinderzahn heilkunde (DGKiZ) seit 2019 Präsidentin der Deutschen Gesellschaft für Kinderzahnheilkunde (DGKiZ)

Korrespondenzadresse: Univ.-Prof. Dr. Katrin Bekes, MME Medizinische Universität Wien, Universitätszahnklinik Direktorin der Universitätsklinik für Kinderzahnheilkunde Sensengasse 2a, 1090 Wien, Österreich katrin.bekes@meduniwien.ac.at

DIMENSIONS 4 2022 WISSENSCHAFT 9

Studienzusammenfassung Einnahme von Omega-3-Fettsäuren

Einnahme von Omega-3-Fettsäuren per Diät oder Nahrungsergänzungsmitteln für die Behandlung der Parodontitis: eine Metaanalyse

Omega-3-Fettsäuren sind essenzielle Fettsäuren, die aufgenommen werden müssen und nicht im humanen Stoffwech sel synthetisiert werden können. Sie sind Vorläufer der Eicosapentaensäure (EPA) und der Docosahexaensäure (DHA). Die sen beiden Säuren wird eine aktive ent zündungshemmende Funktion zugespro chen, was dazu geführt hat, dass mehrere Länder und Institutionen Empfehlungen zur Omega-3-Aufnahme publizierten. Welches die optimale tägliche Dosis ist, um die Wirtsantwort besser zu kontrollie ren, muss allerdings noch geklärt werden. In dieser Metaanalyse sollte der Effekt von Omega-3-Fettsäuren auf die paro dontalen Parameter evaluiert werden. Dafür wurden Studien berücksichtigt, die zwischen 2010 und 2020 in englischer Sprache publiziert und in der Cochrane Library, bei EMBASE oder auf PubMed gefunden werden konnten.

Bei den 13 aufgenommenen Studien handelte es sich ausschliesslich um kontrollierte und randomisierte Inter ventions studien. In zwei Studien wurden Proband*innen mit Diäten verglichen, die reich an Omega-3-Fettsäuren waren, die restlichen elf Studien wurden mit Nahrungsergänzungsmitteln durchge führt. Alle Studien rapportierten die Son dierungstiefen, die klinischen Attachment

level und die Veränderung des Blutens beim Sondieren. Nicht in allen Studien, die zwischen zwei und sechs Monaten dauerten, wurde ein Scaling gemacht und die Proband*innengruppen litten an Gin givitis oder Parodontitis in verschiedenen Stadien. Trotz dieser Heterogenität waren die Resultate eindeutig und statistisch signifikant: Die Testgruppen mit den Proband*innen, die Omega-3-Fettsäuren zugeführt hat ten, bluteten im Schnitt weniger, hatten eine grössere Reduktion der Sondierungs tiefen und einen grösseren Gewinn an Attachment nach Studienabschluss. Trotz der Konklusion der Autor*innen, dass die Omega-3-Fettsäuren einen posi tiven Einfluss auf die Parodontitis haben mögen, fordern sie doch weitere Studien, um die Parodontitis-Therapie per Wirtsant wort als interessanten Ansatz zu fördern.

Literatur:

Heo, H., Bae, J.-H., Amano, A., Park, T., & Choi, Y.-H. (2022). Supplemental or dietary intake of omega-3 fatty acids for the treatment of periodontitis: A meta-analysis. Journal of Clinical Periodontology, 49(4), 362–377. https://doi.org/10.1111/jcpe.13603

Studienzusammenfassung: Dr. med. dent. Petra Hofmänner, Fachzahnärztin für Parodontologie medi Bern

WISSENSCHAFT 10 DIMENSIONS 4 2022 WISSENSCHAFT
Dr. med. dent. Petra Hofmänner Bern

6  h Intensivschutz mit DeSens-Technology.

Für sensible und schmerzempfindliche Zähne und Zahnhälse

Mit wirksamer DeSens-Technology

Reduziert die Sensibilität der Zähne sofort und nachhaltig

Schützt, remineralisiert und stärkt den Zahnschmelz

Wirkung klinisch bestätigt

Jetzt gratis Candida-Produkte für Ihre Praxis bestellen auf candida-dentalservice.ch

DIMENSIONS 4 2022 WISSENSCHAFT 11

Produkte

TePe EasyPick™ XL lila

Die Dental Picks TePe EasyPick™ gibt es schon in den Grössen XS/S (orange) und M/L (blau). Neu bietet TePe auch die Grösse XL (lila) an. Dank der langen, ko nischen Reinigungsfläche kann der TePe EasyPick™ für die Reinigung unterschied lich grosser Interdentalräume verwendet werden. Der TePe EasyPick™ ist so flexi bel, dass er im vorderen Drittel leicht gekrümmt werden kann und so der Form der Molaren besser folgt. Die umlaufen den Silikonlamellen bewirken eine 360°-Reinigung mit einem angenehmen Massageeffekt (Gingivastimulation). Der rutschfeste Griff unterstützt die komfor table und sichere Handhabung. Damit ist der Dental Pick von TePe auch für die schnelle Pflege «to go» eine gute Wahl.

Weitere Infos: www.tepe.com

Neuer Bürstenkopf «Spezialisierte Reinigung» von Oral B

Der neue Bürstenkopf «Spezialisierte Rei nigung» für die Oral-B iO-Serie verbindet die Oszillations- und Rotationstechnolo gie der elektrischen Zahnbürstenserie mit einer präzisen Borstenanordnung zur gezielten Reinigung schwer zugänglicher Stellen. Der spezielle Bürstenkopf eignet sich besonders für Implantate und kiefer orthopädische Apparaturen oder an Fül lungsrändern. Der Bürstenkopf hat ein zentrales Bürstenbüschel, das von drei um 14° abgewinkelten Büscheln getragen wird. Die Bürstenfi lamente haben eine hohe Dichte für eine effiziente Reinigung.

Weitere Infos: www.oralb.de

NOTIZEN 12 DIMENSIONS 4 2022 NOTIZEN

Books

Leukocyte- and PlateletRich Fibrin

in

Oral Regenerative Procedures

Evidence-Based Clinical Guidelines

Authors: Marc Quirynen, Nelson R. Pinto, 1. Edition 2022, Quintessence Publishing, pages: 304, 830 pictures, ISBN 978-1-78698-105-9, EUR 178

Part A of the book starts with 5 basic sci ence chapters on tissue regeneration, blood centrifugation and an explanation of the biologic power of platelet concen trates that are important to understanding not only the preparation and characteristics of L-PRF (leukocyte- and platelet-rich fibrin) but also its beneficial clinical outcomes. Chapter 6 concludes this section with a de tailed explanation of how to prepare L-PRF-membranes as well as L-PRF boneblocks and soft-blocks. In part B, chapter 7 through 15 each explore a different clin ical application of L-PRF. Chapter 16 con tains step-by-step protocols detailing how to perform the surgical treatments de scribed in the previous chapters, nearly all of which are accompanied by an explana tory schematic illustration. Chapter 17, the final chapter in this section, highlights the benefits of L-PRF in the treatment and healing of chronic ex traoral wounds. The book contents de tailed clinical guide lines summarized in simple step-by-step flowcharts and fur ther illustrated by a large number of cases and short vid eos for each indica tion.

An Atlas of Dental Vascularity

& Innervation

Author: Barrington, Craig, Quintessence Publishing, 1. Edition 2022, pages: 144, pictures: 178, ISBN 978-1-64724-066-0, EUR 118

Our understanding of internal dental anat omy has remained limited by our inability to see inside a tooth without sectioning it. However, for one dentist working to find a way to see inside a tooth, the answer was diaphanization. This atlas represents the breath-taking results of photographing hu man teeth that have been made transpar ent. The images in this atlas showcase the internal anatomy of the teeth, with a spe cial emphasis on the innervations and vas cular structure and their distribution within the dentin chamber. For each image, the author follows a complex diaphanization method to make an extracted tooth trans parent, before photographing the intact internal dental anatomy. Therefore, the images display struc tures that have rarely been seen so clearly and in three dimen sions, including the pulp chamber, api cal anatomy, tooth channels, as well as pulpal pathology.

NOTIZEN DIMENSIONS 4 2022 NOTIZEN 13
Marlis Donati Dipl. Dentalhygienikerin HF Basel

Neu diplomierte Dentalhygieniker*innen

Nach einer lustigen und herzlichen Vorstel lung der Klasse mittels Fotos, Videose quenzen und der pointierten Präsentation von Anja Tanner und Ivana Vasilic, gab es Geschenke für das Team, welche die schö nen Beziehungen der letzten 3 Jahre eben falls unterstrichen. In der anschliessenden Festrede in Form eines Quiz von Dr. Beat Schmitt, ihrem sehr beliebten Fachlehrer für die medizinischen Grundlagen, stellten die Diplomandinnen unter viel Gelächter nochmals ihr erlerntes Wissen unter Beweis. Conny Schwiete übermittelte nicht nur die Gratulation von Swiss Dental Hygienists, sondern durfte zusätzlich den Preis für die beste Diplomarbeit «Karies – eine Heraus forderung in der alternden Gesellschaft», auch im Namen der Schweizerischen Ge sellschaft für Parodontologie SSP, an Lara Cadosch und Fabienne Rudolph überrei chen. Dr. Christoph Epting prämierte als Vorstandsmitglied der Schweizerischen Zahnärzte-Gesellschaft SSO die beste Leis tung im gesamten Diplomexamen und begrüsste die frisch diplomierten Dental hygienikerinnen in der Arbeitswelt. Den SSO-Anerkennungspreis verdiente sich Sabrina Trachsel. Nachdem auch Dr. Domi nik Hofer im Namen der SSP gratuliert hatte, erhielt Nadia Fahrni den Preis der Firma Deppeler für das beste klinische Prüfungsergebnis von Caroline LeopoldMetzger überreicht.

Am 27. September konnten am medi Bern alle 21 zu den abschliessenden Dip lomexamen angetretenen Studierenden der Klasse «DH 19-22» diplomiert werden. Die Diplomfeier wurde mit 150 Teilneh menden am medi gehalten.

Die Diplomfeier wurde von Dr. Petra Hofmänner moderiert, musikalisch vom Duo Felix Grandjean und Manuel Sidler der Hochschule der Künste in Bern um rahmt und von Herrn Kambli fotografisch festgehalten.

VERBAND 14 DIMENSIONS 4 2022 VERBAND
medi | Zentrum für medizinische Bildung Bern, Bildungsgang Dentalhygiene HF

Careum – Höhere Fachschule Dentalhygiene, Zürich

Ein grosser Schritt ist vollbracht und ein wichtiger Meilenstein in der Berufswelt ist erreicht. Die Studierenden haben in den letzten drei Jahren viel gelernt, sich enga giert, Flexibilität gezeigt, sind über ihre Grenzen hinausgewachsen, haben viel leicht auch mal geflucht und – sie haben alles richtig gemacht!

festlichen Rahmen zu feiern und sie zu beglückwünschen. Der ganze Lehrkörper der HF Dentalhygiene gratuliert den Diplomierten zu ihrem verdienten Erfolg und wünscht ihnen für ihre Zukunft alles Gute, viel Erfolg und Freude bei der Aus übung ihres Berufes!

Am 16. März 2022 nahmen die Studieren den der Höheren Fachschule Dental hygiene am Careum Bildungszentrum in Zürich ihr Diplom entgegen und feierten ihren Abschluss. Sie dürfen sich ab jetzt offiziell «diplomierte Dentalhygienikerin HF» bzw. «diplomierter Dentalhygieniker HF» nennen.

Wir haben uns sehr gefreut, die Studieren den auf ihrem Weg zu begleiten, ihnen bis ins Ziel mit Rat und Tat zur Seite zu stehen und schlussendlich mit ihnen in einem

DIMENSIONS 4 2022 VERBAND 15
Herzlichen Glückwunsch zum abgeschlossenen und erfolgreich bestandenen Studium!

École supérieure d’hygiénistes dentaires ESHYD, Genf

Die École Supérieure d’Hygiénistes Dentaires in Genf freut sich, in diesem Jahr den 19 neuen Dentalhygieniker*innen ihr Diplom überreichen zu dürfen. Um dieses Ereignis nach zwei Jahren Abwe senheit zu feiern, fand am Freitag, 1. Juli 2022, im Beisein der Familien, Verwand ten und Freunde der erfolgreichen Absol vent*innen eine Zeremonie zur Überrei chung der Abschlusszeugnisse statt. In einem vollbesetzten Saal und unter dem von den Preisträger*innen gewähl ten Oscar-Thema wurden Reden, Fotos und Videos gezeigt, um diesen emotiona len Moment zu untermalen. Die Preis träger*innen nutzten die Gelegenheit, um zu zeigen, wie sie den Fernunterricht während der Gesundheitskrise von zu Hause aus erlebt hatten, weit entfernt vom Ernst des Klassenzimmers. Sie sorg ten so für ein allgemeines und anhalten des Gelächter der Gäste.

In Anlehnung an die Tradition ergriff die Westschweizer Sektion von Swiss Dental Hygienists unmittelbar nach der Über gabe der Zertifikate das Wort. Lucie

Mazerolle, Präsidentin der Westschweizer Sektion, markierte damit symbolisch den Statuswechsel der Preisträger*innen von Studierenden zu qualifizierten Fach kräften.

Dieser Jahrgang zeichnete sich beson ders durch seinen positiven Geist, seinen Humor, seine Atmosphäre, seine Solidari tät und seine sehr guten Prüfungsergeb nisse aus.

Das gesamte ESHYD-Team gratuliert den Absolvent*innen und wünscht ihnen eine erfolgreiche berufliche Laufbahn.

16 DIMENSIONS 4 2022 VERBAND

Prophylaxe

Am 9. September 2022 feierte das Prophy laxe Zentrum Zürich (PZZ) die erfolgrei chen Diplomand*innen im gewohnten Rahmen. Die neun Studierenden des 23. Lehrgangs konnten an diesem Tag ihr wohlverdientes Diplom, die Glückwünsche der Verwandten, des Ausbildungsteams und der Zahnärztinnen und Zahnärzte des Praktikums entgegennehmen.

Die Feier eröffnete die Schulleiterin Claudia Altorfer. Sie ging in ihrer kurzen Ansprache humorvoll auf einige Tugenden ein, welche ihr für einen erfolgreichen Berufsalltag wichtig erscheinen. Danach beglück wünschte Conny Schwiete, Zentralpräsi dentin von Swiss Dental Hygienist, die Diplomand*innen zu ihren Leistungen und wies mit einem Lächeln darauf hin, dass das Lernen ein Leben lang weitergeht. Das Highlight der Feier war die Festrede von Dr. med. dent. Iris Kraljevic, die mit ihrem gesanglichen Talent überraschte. Mit Inbrunst sang sie das Lied «Lass jetzt los» vom Film «Frozen», welches sie kur zerhand umgeschrieben hat und so für einen amüsanten Rückblick auf die letzten

drei Jahre der Diplomand*innen sorgte. Nach dieser beeindruckenden Darbie tung kam es zur langersehnten Diplom übergabe. Marion Bodmer, die den Lehr gang während ihrer Ausbildung am PZZ als Klassencoach begleitete, übernahm diese erfreuliche Aufgabe. Sie hob die einzelnen Studierenden in ihrer Anspra che speziell hervor und ging auf die indi viduellen Charaktere ein. Das Diplom wurde den einzelnen Studierenden von Marion Bodmer und Claudia Altorfer un ter grossem Applaus überreicht. Zum Abschluss der Feier sprach Aisa Sehic im Namen der ganzen Klasse ab schliessende Worte zu den letzten drei gemeinsamen Jahren und leitete zum Apéro über.

DIMENSIONS 4 2022 VERBAND 17

Von links nach rechts: Lara Cadosch und Fabienne Rudolph

Ausgezeichnete Diplomarbeit

Swiss Dental Hygienists und die Schwei zerische Gesellschaft für Parodontologie SSP haben dieses Jahr zum zweiten Mal den gemeinsamen Anerkennungspreis für die beste Diplomarbeit zum*zur dipl. Dentalhygieniker*in HF verliehen. Die zur Nominierung zugelassenen Kandidat*innen haben die Ausbildung im laufenden Jahr 2022 bei einem der Bil dungsanbieter (Bern, Zürich oder Genf) erfolgreich abgeschlossen. Ihre Ausbil dungsstätten haben ihre gelungenen Ar beiten bereits mit einer guten Bewertung ausgezeichnet.

Der mit einem Preisgeld von CHF 1000 dotierte Preis wurde am Dienstag, 27. Sep tember 2022, in einem feierlichen Rahmen an die Gewinnerinnen überreicht:

eingereicht an der Höheren Fachschule medi Bern | Zentrum für medizinische Bildung | Dentalhygiene

Thema der Diplomarbeit:

Karies – eine Herausforderung in der alternden Gesellschaft

Das Ziel der Diplomarbeit war es, die Ka riessituation bei älteren Menschen zu analysieren und Präventivmassnahmen daraus abzuleiten. Lara Cadosch und Fa bienne Rudolph wollten mit der Arbeit erreichen, dass die ältere Generation ihre Zähne länger gesund erhalten kann, be ziehungsweise dass die Zähne in Zukunft weniger Karies aufweisen. Die Menschen hätten somit weniger Schmerzen und ganz allgemein einen besseren Gesund heitsstatus.

Die folgenden Fragen wurden in der Arbeit aufgegriffen:

› Wie ist die Prävalenz von Karies im Ver gleich von jungen Seniorinnen und Senioren zwischen 65 und 75 Jahren sowie älteren Seniorinnen und Senio ren zwischen 75 und 100 Jahren?

› Was können die Patientinnen und Pati enten selbst für ihre Kariesverminde rung tun?

› Wie kann Karies präventiv mit Hilfe der Dentalhygiene vermindert werden?

Die Jury bedankt sich herzlich für die Ein reichung der zahlreichen Diplomarbeiten. Sie schätzt das Engagement des Nach wuchses sehr und ist von dessen erworbe nen Kompetenzen beeindruckt. Für den weiteren beruflichen Weg wünscht die Jury den neuen Berufsleuten alles Gute.

VERBAND 18 DIMENSIONS 4 2022 VERBAND
DIMENSIONS 4 2022 VERBAND 19 Programm Freitag, 17. März 2023 08.30 Uhr Registrierung 08.30 – 09.30 Uhr Begrüssungskaffee in der Ausstellung 09.30 – 09.40 Uhr Begrüssung Zentralpräsidentin Conny Schwiete 09.40 – 10.15 Uhr «Weil es nicht sagbar ist?» Der Mund als Ort von Traumatisierungen Psychologin Dr. phil. Christa Hanetseder 10.15 – 10.50 Uhr Anorexie, Bulimie, Übergewicht Stressfaktoren für Körper und Mund Ernährungsberaterin FH Vanessa Brancato F 10.50 – 11.25 Uhr Therapiekonzepte bei Essstörungen PD Dr. med. dent. Alexis Ioannidis 11.25 – 12.25 Uhr Mittagspause in der Ausstellung * 12.25 – 13.05 Uhr Ernährungszahnmedizin – Kausale Prävention und Therapie von Karies, Gingivitis PD Dr. Christian Tennert 13.05 – 13.15 Uhr DH des Jahres Dipl. DH HF, RDH Barbara Blaser 13.15 – 13.50 Uhr Wie is(s)t die Jugend heute? MSc Angewandte Psychologie, Ernäh rungspsychologin ZEP, Ronia Schiftan 13.50 – 14.20 Uhr Säuren-Basenhaushalt
BSc BFH,
14.20 – 15.10 Uhr Kaffeepause in der Ausstellung 15.10 – 15.45 Uhr Superfood, Probiotics, Nahrungsergänzung PhD Simon Reboh F 15.45 – 16.20 Uhr Erosive Getränke – neuste Erkenntnisse PD
dent. Florian Just Wegehaupt 16.20 – 16.25 Uhr Schlusswort
Conny Schwiete *
der Mittagspause der deutschsprachigen Teilnehmenden
vorbehalten F
mit Simultanübersetzung
Ernährungsberaterin
Gabriela Lehmann
Dr. med.
Zentralpräsidentin
Während
findet das Referat «Mikrobiom, Entzündung und Parodontitis» von Prof. Dr. Jacques Schrenzel (11.25 – 12.05 Uhr) ohne Simultanübersetzung auf Französisch statt. Programmänderungen
Französisch

Call for Posters: Reichen Sie Ihr Abstract ein!

Im Rahmen der Swiss Oral Health Days (31. August und 1. September 2023) von Swiss Dental Hygienists findet ein Poster wettbewerb statt. Mit der elektronischen Einreichung eines Abstracts (an info@dentalhygienists.swiss) erfolgt automatisch die Anmeldung am Wettbewerb.

Die Jury wird die eingereichten Abstracts bewerten und entscheiden, welche Per sonen zum Posterwettbewerb anlässlich der Swiss Oral Health Days 2023 eingela den werden.

Der Posterwettbewerb wird in Form einer besprochenen PowerPoint-Präsentation sowie eines ausgedruckten Posters durch geführt. Bewertet wird jedoch nur das Poster.

Einsendeschluss: 31. Mai 2023

Weitere Informationen zur Abgabe des Abstracts, zum Aufbau des Posters, den Vorgaben und möglichen Themen finden Sie hier:

Haben Sie Fragen? Dann wenden Sie sich bitte an die Geschäftsstelle:

Swiss Dental Hygienists

Bahnhofstrasse 7b, 6210 Sursee Tel. 041 926 07 90 info@dentalhygienists.swiss

Call for Posters: Soumettez votre résumé!

Un concours de posters sera organisé dans le cadre des Swiss Oral Health Days le 31 aôut et 1er septembre 2023 de Swiss Dental Hygienists. En soumettant un ré sumé électronique (à info@dentalhygie nists.swiss), vous vous inscrivez automati quement au concours.

Le jury des posters évaluera les résumés soumis et décidera qui sera invité à parti ciper au concours de posters organisé à l’occasion des Swiss Oral Health Days 2023.

Le concours de posters se déroulera sous la forme d’une présentation PowerPoint commenté et d’un poster imprimé. Tou tefois, seul le poster sera évalué.

Date limite d’envoi: 31 mai 2023

Vous trouverez ici (code QR) des informa tions plus détaillées sur la soumission du résumé, la structure du poster, les condi tions et des thèmes possible:

Pour toute question, veuillez-vous adresser au siège administratif:

Swiss Dental Hygienists

Bahnhofstrasse 7b, 6210 Sursee Tel. 041 926 07 90 info@dentalhygienists.swiss

VERBAND 20 DIMENSIONS 4 2022 VERBAND | ASSOCIATION w
VERBAND ASSOCIATION

Independent Dental Hygienists

Neues Veranstaltungsformat

Meetup

Datum Freitag, 31. März 2023 Zeit 13:30 – 18:15 Uhr

Ort Hotel Continental Park Murbacherstrasse 4, 6002 Luzern www.continental.ch

Kosten

Fr. 70.– für Mitglieder von Swiss Dental Hygienists Fr. 150.– für Nicht-Mitglieder von Swiss Dental Hygienists ausgewiesene Weiterbildungsstunden 4,5 Stunden

Wir laden Sie ganz herzlich ein, an der Tagung für selbstständige Dentalhygieniker*innen dabei zu sein. Im Rahmen der Tagung gibt es einen spannenden Fachvortrag von Hygienespezialist, Dany Badstuber, zum Thema «Hygiene und Sterilisation in der Dentalhygienepraxis». Bei einem anschliessenden offenen Austausch mit reichhaltigem Apéro können Aktualitäten aus der Berufswelt diskutiert werden.

Bitte beachten Sie, dass die Tagung keine Informationsveranstaltung rund um die Firmengründung und Umsetzung Ihrer Selbstständigkeit ist, sondern vielmehr einen Rahmen zum Netzwerken unter Berufskolleginnen und Berufskollegen bietet.

13:30 – 13:35 Begrüssung Präsidentin KfS Rebecca Tas

13:35 – 14:35 Referat Dany Badstuber Hygiene

14:35 – 14:50 Fragen und Diskussion Alle

15:00 – 15:15 Kaffeepause Alle

15:15 – 16:15 Referat Conny Schwiete Update Zahnpasten

16:15 – 16:30 Fragen und Diskussion Alle

16:30 – 17:45 Stehapéro Alle

18:00 Verabschiedung durch Präsidentin Rebecca Tas

An dieser Tagung sind alle Dentalhygieniker*innen herzlich willkommen. Swiss Dental Hygienists Kommission für Selbstständige KfS

Dokumentation Krankengeschichte

Digitale Anmeldung bis spätestens am 24. Februar 2023:

DIMENSIONS 4 2022 VERBAND 21

Nomination

Dentalhygieniker*in des Jahres 2023

Kriterien

1. Die nominierte Person sieht ihre Tätigkeit nicht nur als Arbeit im engeren Sinn, sondern als eigentliche Berufung (Einsatz in Praxis und Öffentlichkeit, Lehrtätigkeit, Verband usw.).

2. Der*die Dentalhygieniker*in hält sich auf dem neusten Wissensstand und ist oder war klinisch tätig.

3. Durch ihr berufliches Engagement und ihr Interesse an Fragen des Gesundheitswesens und der Berufspolitik fördert die nominierte Person des Jahres das Ansehen unseres Berufsstandes.

Vorgehen

1. Die Nomination zum*zur Dentalhygieniker*in des Jahres findet regelmässig statt.

2. Vorschläge müssen bis zum 15. Januar 2023 an die Geschäftsstelle eingereicht werden.

3. Vorschläge können nur durch Mitglieder von Swiss Dental Hygienists eingereicht werden.

4. Die Präsident*innen-Konferenz nimmt die Wahl vor. Die Wahlinstanz ist von der Nomination ausgeschlossen.

5. Die Präsident*innen-Konferenz befindet nur über vollständig eingereichte Dossiers. Diese beinhalten: Angaben zur Ausbildung, zur beruflichen Laufbahn, Beitrag zum Beruf der Dentalhygienikerin bzw. des Dentalhygienikers, zu zusätzlichen Aktivitäten und Interessen usw. der vorgeschlagenen Person.

6. Die Auszeichnung erfolgt im Rahmen des GetTogether von Swiss Dental Hygienists am 17. März 2023 im Landhaus Solothurn.

Auszeichnung

Der*die nominierte Dentalhygieniker*in wird im Rahmen des GetTogether vorgestellt; er oder sie erhält eine Anerkennungsurkunde und ein persönliches Geschenk.

Wir freuen uns auf zahlreiche Vorschläge mit stichhaltigen Argumenten über unsere Webseite oder per E-Mail an info@dentalhygienists.swiss

Einsendeschluss: 15. Januar 2023

22 DIMENSIONS 4 2022 VERBAND
DIMENSIONS 4 2022 ASSOCIATION | VERBAND 23 1) Kulik E., Lenkheit K., Meyer J. Antimikrobielle Wirkung
Teebaumöl
alternifolia)
Mikroorganismen.
2) Saxer
Stäuble A., Szabo S.H., Menghini G.
Teebaumöl
Plaque
gel
and
TEBODONT ® Des soins bucco-dentaires uniques avec de l’huile d’arbre à thé / Melaleuca alternifolia Dentifrices, bains de bouche, gel et spray pour une hygiène bucco-dentaire optimale Dr. Wild & Co. AG | Hofackerstrasse 8 | 4132 Muttenz | Switzerland | www.wild-pharma.com Efficace • antimicrobien / fongicide 1) • anti-inflammatoire 2,3) • protection caries /antiplaque 2) Bien toléré 2,3) • pas de coloration • pas de modification du goût
von
(Melaleuca
auf orale
Acta Med. Dent. Helv. 5, 125130.
U.P.,
Wirkung einer Mundspülung mit
auf
und Entzündung. Schweiz. Monatsschr. Zahnmed. 9, 985-990. 3) Soukoulis S. and Hirsch R., The effects of a tea tree oil-containing
on plaque
chronic gingivitis, Austr. Dent. J., 2004, 49, 78-83.

EMOFLUOR Intensive Care, Twin Care & Daily Care

Gel, dentifrice et bain de bouche pour le soin complet des dents et des collets sensibles

EMOFLUOR Intensive Care Gel est conçu pour un soin intensif optimal et ciblé de la sensibilité des dents et des collets. Le gel bien adhérent scelle les tubuli dentinaires, protège contre les acides agressifs et stimule la reminéralisation des dents. Dans une étude suisse, EMOFLUOR Intensive Care Gel a donné les meilleurs résultats en matière de protection contre les érosions dentaires.1)

EMOFLUOR Twin Care Dentifrice associe la technologie le fluorure d‘étain stabilisé hautement efficace à la technologie CUROLOX. La double couche protectrice prévient efficace ment les érosions et désensibilise rapidement les dents sensibles en fermant les tubuli dentinaires.

EMOFLUOR Daily Care Dentifrice et Bain de bouche sont destinés aux soins quotidiens des dents sensibles. Ils protègent les dents sensibles et les collets dentaires dénudés et sensibles, soignent les gencives et préviennent les caries.

1)

Publireportage Dr. Wild & Co. AG | Hofackerstrasse 8 | 4132 Muttenz | Switzerland | www.wild-pharma.com
Wasser G., Joao-Souza S., Lussi A., Carvalho TS., 2018, Erosion-protecting effect of oral-care products available on the Swiss market. Swiss Dental J. SSO, 2018, 128, 290-296.

EMOFRESH Gel pour l‘hydratation de la bouche

Humidifie la bouche sèche et protège contre les caries

EMOFRESH® Gel pour l‘hydratation de la bouche procure une hydratation intense et peut soulager immédiatement les symptômes désagréables de la sécheresse buccale. Il diminue la sensation de soif et aide en cas de douleurs, de troubles de la mastication, de la déglutition et de la parole.

Le pH de 7,5 et l‘utilisation de fluorure de sodium réduisent en outre efficacement le risque de caries.

L‘humidificateur EMOFRESH® contient un arôme agréablement frais et est fabriqué sans parabènes.

Dr. Wild & Co. AG | Hofackerstrasse 8 | 4132 Muttenz | Switzerland | www.wild-pharma.com

EMOFORM

Brush ,n Clean / Duofloss / Triofloss

Des solutions optimales pour le nettoyage interdentaire quotidien

EMOFORM® Brush‘n Clean est une brosse interdentaire sans métal et sans latex. Elle s‘adapte à l‘espace interdentaire et ménage les gencives et les dents. Les brosses en caoutchouc de haute qualité nettoient la zone interdentaire en douceur et sans blesser la gencive. Ils peuvent être utilisés plusieurs fois et le fluorure de sodium soutient la prophylaxie des caries.

Disponible en deux tailles:

EMOFORM® Brush‘n Clean Ø 1.5 - 3,5mm

EMOFORM® Brush‘n Clean XL Ø 2.5 - 4,5mm

EMOFORM® Duofloss & Triofloss sont des fils dentaires multifonctionnels pour un nettoyage adapté aux besoins des espaces interdentaires, des implants et sous les bridges, les brackets et les appareils dentaires. EMOFORM® Duofloss se compose de l‘aide à l‘enfilage éprouvée et d‘un fil doux et moelleux en deux épaisseurs différentes. EMOFORM® Triofloss se compose de l‘aide à l‘enfilage éprouvée, d‘un fil doux et moelleux en deux épaisseurs différentes et de fil dentaire normal.

Disponible en quatre épaisseurs:

EMOFORM® Duofloss Regular, Duofloss Fine EMOFORM® Triofloss Regular, Triofloss Extrasoft

Dr. Wild & Co. AG | Hofackerstrasse 8 | 4132 Muttenz | Switzerland | www.wild-pharma.com
suchen. Stelle finden. Das Stellenportal
Jetzt einfach und kostenlos auf Stellensuche –ohne Login!
Stelle
für zahnmedizinisches Praxispersonal

La vie sans caries commence par le produit que vous recommandez ...

... pour des dents solides dès le plus jeune âge.

Car elmex® gelée est spécialement conçu pour renforcer l’émail dentaire chez l’enfant. Recommandez elmex® gelée une fois par semaine à vos petits patients de 6 ans et plus. Pour des dents solides dès le plus jeune âge.

elmex® gelée est un médicament enregistré. Vous trouverez les informations destinées aux professionnels et aux patients sur www.swissmedicinfo.ch.

Renforce de l’intérieur. Protège à l’extérieur. www.gabaprofessional.ch/fr-ch

Connaissez-vous tous les avantages d ̛une adhésion à Swiss Dental Hygienists?

On me demande régulièrement si cela vaut encore la peine d’être membre d’une association professionnelle de nos jours. Je réponds OUI, avec toute ma force de persuasion. L’investissement que repré sente la cotisation de membre est très vite rentabilisé chez Swiss Dental Hygienists:

Nous défendons vos intérêts: Le lobbying fait partie de nos tâches principales. Nous cherchons le dialogue avec les décideurs ainsi que les décideuses politiques et défendons vos intérêts. Un nombre élevé de membres nous donne plus de poids. Même si les changements ne se font pas du jour au lendemain, nous pouvons améliorer votre situation en faisant enten dre une voix forte qui défend vos intérêts.

Échange avec des personnes partageant les mêmes idées: L’échange personnel avec des collègues ne vous manque-t-il pas parfois, car le quotidien professionnel ne laisse guère de loisir pour cela? Les sections organisent des rencontres avec apéritif ou repas et ouvrent la voie à des échanges inspirants – conseils et astuces pour la pratique inclus.

Plus de visibilité auprès du public: Notre vision est claire: en 2030, la population connaît la profession d’hygiéniste den taire et la différence avec les autres pro fessions du cabinet dentaire. En devenant membre, vous contribuez à accroître la notoriété de l’hygiéniste dentaire.

Professionnalisme garanti: Le titre «Hy giéniste dentaire diplômé-e ES» est sym bole de distinction et, en même temps,

un engagement. Votre adhésion agit vers l’extérieur comme un label de qualité.

Acquisition de connaissances: L’appren tissage tout au long de la vie est essentiel pour rester à jour sur le plan profession nel jusqu’au terme de sa carrière. Nous vous y aidons en vous fournissant des in formations pratiques sous forme de fiches d’information, d’instructions ou de gui des. Nous organisons également des événements et des manifestations qui vous permettent de maintenir vos con naissances à jour et de bénéficier de réductions.

Protection juridique professionnelle: Toutes les associations professionnelles n’en ont pas les moyens, mais chez nous, vous bénéficiez de conseils juridiques gratuits pour toute question relative à votre emploi.

La cotisation annuelle de CHF 350 – ou CHF 29,15 par mois – en tant que membre actif est un investissement rentable au vu de tous ces avantages. De plus, en de venant membre, vous renforcez notre association: plus nous sommes nombreu ses et nombreux, plus nos services sont étendus, plus nous avons de poids pour défendre nos intérêts politiques.

Je vous remercie toutes et tous pour votre fidélité de longue date et me réjouis – en comptant sur votre publicité active –d’accueillir de nombreux nouveaux mem bres.

Conny Schwiete

Conny Schwiete, présidente centrale

IMPRESSUM

Édition

Edition

Swiss Dental Hygienists Bahnhofstrasse 7b, 6210 Sursee Tél. +41 (0)41 926 07 90 info@dentalhygienists.swiss

Commission de rédaction

Christine Bischof (Présidente) Mara Bovo Marlis Donati Petra Hofmänner Corinne Kellenberger Mia Navratil (Vice-présidente du Comité central)

Rédaction et mise en page wamag département communication Bahnhofstrasse 7b, 6210 Sursee Tél. +41 (0)41 926 07 70 dimensions@dentalhygienists.swiss

Traduction

Jaime Calvé

Annonces commerciales

Mara Bovo Mobile +41 (0)76 536 31 36 marabovo@hotmail.com

Annonces d’emploi

Voir adresse de l’éditeur

Impression et expédition

Multicolor Print AG Sihlbruggstrasse 105a, 6341 Baar

Tirage 2400 exemplaires

Fréquence de parution 4 fois par an

Abonnement CHF 85.00 par an

Copyright

Les droits de l’éditeur et les droits d’auteur demeurent réservés. Toute réutilisation, publication nouvelle ou duplication à des fins commerciales sans l’assentiment exprès et préalable de l’auteur et de l’éditeur est interdite.

É DITORIAL DIMENSIONS 4 2022 É DITORIAL 29
Regardez la vidéo d’Antonella Tepedino. Elle connaît d’autres avantages: www.dentalhygienists.swiss/fr/association/portrait

Hypominéralisation molaires incisives

Comment reconnaître et prendre en charge les patient-e-s souffrant d’une hypominéralisation molaires incisives?

Résumé

L’hypominéralisation des molaires et des incisives (MIH) – également appelée «dents crayeuses» dans le langage popu laire – est un défaut qualitatif de l’émail qui apparaît classiquement sur une à quatre premières molaires permanentes, avec ou sans inclusion des incisives per manentes. La maladie se caractérise par des opacités et, le cas échéant, des effon drements postérosupérieurs de l’émail, ainsi que par l’apparition éventuelle d’hypersensibilités dentaires. Le présent article a pour objectif de donner un aperçu de l’aspect clinique, des facteurs étiologiques actuellement discutés, du diagnostic et du diagnostic différentiel ainsi que des options thérapeutiques ac tuelles.

Définition

Le terme d’«hypominéralisation des mo laires et des incisives», en abrégé MIH, existe depuis 2001 [1]. Il décrit une hypo minéralisation amélaire d’origine systé mique sur une à quatre premières mo laires permanentes. De plus, les premières incisives permanentes peuvent être tou chées, mais pas nécessairement (Fig. 1, 2).

Prévalence et étiologie

La MIH est une maladie présente dans le monde entier. Actuellement, on estime que sa prévalence moyenne est de 13 à 14 % [2]. L’actuelle cinquième étude al lemande sur la santé bucco-dentaire pour l’Allemagne montre que près de 30 % des enfants de 12 ans sont même concernés [3]. Cela signifie que plus d’un enfant sur

quatre présente au moins une dent affec tée par une MIH. Toutefois, dans 81 % des cas, la gravité était légère. Des effondre ments de l’émail à grande échelle n’ont été que rarement enregistrés dans le cadre de l’étude.

La question des causes possibles de la MIH occupe les chercheurs en médecine dentaire depuis sa première description. Celles-ci n’ont toutefois toujours pas pu être élucidées de manière définitive [4, 5]. En raison du déroulement simultané de l’amélogénèse des molaires et des inci sives, on suppose qu’il existe un trouble du développement dentaire entre le 8 e mois de grossesse et la 4e année de vie. Par conséquent, des influences pré-, périet postnatales (dans les premières années de vie) sont possibles [6, 7]. Les facteurs discutés sont très divers, notamment des problèmes au cours du dernier mois de grossesse, une naissance prématurée, des maladies fréquentes au cours des quatre premières années de vie, des diar rhées, des états fébriles et des maladies respiratoires ou vésiculaires. Récemment, le bisphénol A ainsi qu’une carence en vitamine D ont été cités comme un autre facteur déclenchant possible [8, 9]. Il s’agit probablement d’un processus mul tifactoriel. Comme la fenêtre de forma tion des molaires et des incisives se situe en grande partie après la naissance, les influences postnatales sont considérées comme les plus importantes [10].

Tableau clinique, diagnostic et diagnostic différentiel Les dents touchées par une MIH pré

SCIENCE 30 DIMENSIONS 4 2022 SCIENCE
Univ.-Prof. Dr Katrin Bekes Wien

sentent des opacités délimitées de différentes couleurs, dont les dimensions peuvent être très variées. Ainsi, l’hypo minéralisation des molaires peut être li mitée à certaines zones ou s’étendre à toute la surface lisse [11]. Pour les inci sives, la MIH se trouve généralement sur la surface vestibulaire de la dent. Plus les colorations sont foncées, plus l’émail est poreux et plus le risque d’effondrements postérosupérieurs de l’émail sous l’effet des forces masticatoires est grand. Outre les caractéristiques cliniques bien vi sibles décrites, l’hypersensibilité de la dent concernée, à des degrés divers, constitue un symptôme associé récur rent. Cela peut entraîner des restrictions au niveau de l’hygiène buccale, de la consommation d’aliments chauds et froids et de la capacité de traitement. Outre le tableau classique de l’atteinte des premières molaires avec/sans inci sives, l’hypominéralisation a entre-temps été décrite sur d’autres dents, aussi bien dans la dentition permanente que dans la dentition de lait [12, 13]. Dans la den tition de lait, cela a conduit à une déno mination propre: hypominéralisation des molaires de lait (HML).

Pour le diagnostic d’une MIH, le résultat clinique est décisif. Des critères de dé tection des dents hypominéralisées sont disponibles auprès de l’EAPD [14] et sont définis comme suit: opacités claire ment circonscrites (fig. 1, 2), cassures postéro-supérieures de l’émail (fig. 1), restaurations atypiques (fig. 3) et extrac tions atypiques. Le diagnostic différen tiel doit prendre en compte, entre autres, les pathologies suivantes: fluoroses, anomalies structurelles héréditaires (amélogénèse imparfaite) et défauts d’origine exogène (traumatisme, dent de Turner, carie).

Les manifestations cliniques d’une MIH peuvent être très variables. La classi fication selon le «concept de Würzburg» permet de déterminer les degrés de gravité. Outre une graduation au moyen du MIH-TNI (Treatment Need Index), elle propose également des traitements [15, 16]. L’indice différencie quatre de grés de MIH, qui peuvent être appliqués à toutes les dents et à tous les groupes de dents:

 Indice 1: Pas d’érosion de l’émail, pas d’hypersensibilité

 Indice 2: Effondrement de l’émail

 Indice 3: Hypersensibilité

 Indice 4: Effondrement de l’émail et hypersensibilité

Approches thérapeutiques

Le traitement à privilégier varie en fonc tion de la gravité de la MIH. En général, les options de traitement des molaires affectées comprennent la prophylaxie intensive, les scellements, les mesures de

Fig. 1: MIH sur les dents 16 et 26. La dent 16 présente déjà un effondrement postéroéruptif de l’émail dans la zone distale, la dent 26 présente des opacités délimitées.

Fig. 2: Patiente de la fig. 1. Les deux incisives centrales supérieures présentent chacune une opacité circonscrite.

Fig. 3: Restauration atypique sur une molaire supérieure affectée par une MIH. Des opacités sont visibles dans la zone marginale de l’obturation.

DIMENSIONS 4 2022 SCIENCE 31

restauration ou même l’extraction [17]. Cependant, indépendamment de la gra vité du défaut, tous les enfants concernés devraient être pris en charge dans le cadre d’un programme de prophylaxie intensive.

Prophylaxie

Les concepts de prophylaxie pour la MIH doivent être considérés de manière un peu plus nuancée. Il n’est pas possible d’éviter l’apparition de la maladie, car les facteurs étiologiques ne sont pas suffisamment élucidés. L’accent est donc mis sur la pré vention secondaire, qui comprend le dé pistage précoce de la maladie. Elle a pour but d’empêcher, au moins en partie, la progression de la MIH grâce à des traite ments ciblés [18]. En outre, la prévention des caries est au centre des préoccupa tions. Les mesures suivantes sont recom mandées à cet effet: des nettoyages régu liers des dents accompagnés d’instructions sur l’hygiène bucco-dentaire, l’application de préparations à base de fluorure, de CHX et de CPP-ACP [19].

Scellement de fissures

Les scellements de fissures peuvent être appliqués sur des molaires hypominérali sées, si celles-ci ne présentent que des degrés de gravité légers, pas d’effondre ment post-éruptif de l’émail dans la zone occlusale et pas de cavités carieuses [20].

Il semble avantageux d’utiliser un adhésif avant d’appliquer le matériau de scelle ment, afin de générer une meilleure liai son avec l’émail défectueux [21, 22, 23]. Si la dent n’est pas encore complètement éruptive et qu’un scellement est tout de même indiqué, un ciment verre ionomère à faible viscosité peut également être utilisé. Des données récemment publiées prouvent que le scellement permet éga lement de traiter efficacement les hyper sensibilités [24].

Thérapie de restauration

Si les molaires affectées par la MIH pré sentent déjà des effondrements postéruptifs de l’émail, il existe différentes possibilités pour leur restauration, qui dépendent de différents facteurs: l’âge du patient ou de la patiente, la com pliance, l’étendue et la qualité (dureté)

des tissus dentaires durs ainsi que la gra vité de la MIH [25].

Les ciments verre ionomère sont idéaux pour la restauration initiale et provisoire de molaires MIH fraîchement éruptées, afin de prévenir une perte supplémen taire de substance dentaire dure. Leur manipulation simple en raison de l’ab sence d’étapes de conditionnement né cessaires facilite leur utilisation, notam ment lorsque la coopération du patient ou de la patiente est limitée (Fig. 4, 5). L’inconvénient provient de la faible résis tance à la flexion et de la stabilité mini male à l’abrasion du matériau. Le moment venu, ces restaurations provisoires doivent toutefois être remplacées par des restaurations définitives [19].

Les composites sont alors un bon choix pour les défauts légers à moyens. Ils pré sentent un bon taux de survie lorsqu’ils sont mis en œuvre de manière adéquate [26]. Il convient de noter ici que l’adhé sion des adhésifs à l’émail hypominéralisé est inférieure à celle de l’émail sain. L’une des difficultés lors de la pose de l’obtura tion consiste donc à déterminer l’étendue exacte de la restauration prévue. L’idéal serait donc d’avoir un bord d’obturation dans l’émail sain [27]. Cependant, cela n’est pas toujours praticable sur le plan clinique. Dans le cas d’un petit effondre ment de l’émail et d’une opacité s’éten dant sur plusieurs surfaces, il n’est pas souhaitable, dans l’optique d’une invasi vité minimale, d’éliminer complètement l’hypominéralisation chez un-e jeune pa tient-e et de transformer une cavité mo noface en une cavité multifaces. Dans ce cas, les parents doivent être informés d’une éventuelle réparation ultérieure de l’obturation.

En cas de perte de substance importante, il est également possible d’opter pour la pose d’une couronne en acier confection née comme provisoire à long terme afin de préserver les molaires concernées [28]. Une autre option thérapeutique définitive est la pose de restaurations indirectes en composite, céramique ou matériaux hy brides [29]. Il convient toutefois de souli gner que cette forme de traitement s’ac compagne d’un travail clinique et de laboratoire considérable, qui dépend toujours de la coopération de l’enfant.

32 DIMENSIONS 4 2022 SCIENCE

Fig. 4:

Molaire MIH hypersensible chez un patient présentant une compliance réduite. Le choix d’une obturation en ciment verre ionomère a été fait en première intention.

découle peut varier. Elle va du scellement à l’extraction en passant par les restaura tions.

Bibliographie sur www.swissdentalhygienists.swiss

Fig. 5:

Obturation en ciment verre ionomère pour la protection contre une perte de substance supplémentaire et pour le traitement de l’hypersensibilité.

Extraction

En cas de destruction importante et ca rieuse de la dent MIH ainsi que de pertes de substance marquées de toute la cou ronne dentaire et/ou de problèmes endo dontiques, l’extraction des molaires at teintes peut également être envisagée comme option thérapeutique [30, 31]. Cette question concernant l’intérêt de la conservation et le pronostic de la dent devrait toutefois être clarifiée dans tous les cas avec un-e orthodontiste avant le début du traitement. D’un point de vue orthodontique, le moment optimal pour l’extraction des premières molaires per manentes se situe entre 8 et 11 ans pour le maxillaire inférieur et avant 10,5 ans pour le maxillaire supérieur [30].

Conclusion pour la pratique professionnelle

Le traitement des patient-e-s atteints de MIH joue un rôle de plus en plus impor tant dans la pratique dentaire. Les pa tient-e-s concernés doivent être identifiés le plus tôt possible et intégrés dans un programme de rappel étroit. En raison de l’étendue variable de l’hypominéralisa tion, la nécessité de traitement qui en

L’auteure

Prof. univ. Dr Katrin Bekes, MME 1997–2002 Études de médecine dentaire à luniversité Martin-Luther de Halle-Wittenberg 2003 Doctorat en médecine dentaire (Dr méd. dent.) 2003–2010 Collaboratrice scientifique de la polyclinique universitaire de conservation des dents et de parodontologie et de la section de dentis terie préventive et de pédodontie de luniversité Martin-Luther de HalleWittenberg 2010–2015 Médecin-cheffe à la polyclinique universitaire de conservation des dents et de parodontologie et de la section de dentis terie préventive et de pédodontie de luniversité Martin-Luther de Halle-Wittenberg 2012 Habilitation au titre de Dr méd. dent. habil. 2015 Master of Medical Education (MME)

Depuis avril 2015 Prof. univ. de dentisterie, médecine buccale et maxillofaciale de lenfant à lUniversité de médecine de Vienne, directrice du département de pédodontie de la Clinique dentaire universitaire de Vienne Depuis 2017, vice-présidente de la Société autrichienne de dentisterie pédiatrique (ÖGKiZ)

2008–2019 Secrétaire générale de la Société allemande de pédodontie (DGKiZ)

Depuis 2019, présidente de la Société allemande de dentisterie pédiat rique (DGKiZ)

Correspondance: Univ.-Prof. Dr. Katrin Bekes, MME Medizinische Universität Wien, Universitätszahnklinik Direktorin der Universitätsklinik für Kinderzahnheilkunde Sensengasse 2a, 1090 Wien, Österreich katrin.bekes@meduniwien.ac.at

DIMENSIONS 4 2022 SCIENCE 33

Résumé d’étude Prise d’acides gras oméga-3

Par régime ou par complément alimentaire pour le traitement de la parodontite: une méta-analyse

Les acides gras oméga-3 sont des acides gras essentiels qui doivent être ingérés et ne peuvent pas être synthétisés par le métabolisme humain. Ils sont les précur seurs de l’acide eicosapentaénoïque (EPA) et de l’acide docosahexaénoïque (DHA). On attribue à ces deux acides une fonction anti-inflammatoire active, ce qui a conduit plusieurs pays et institutions à publier des recommandations sur la consommation d’oméga-3. Il reste toute fois à déterminer quelle est la dose quo tidienne optimale pour mieux contrôler la réponse de l’hôte.

L’objectif de cette méta-analyse était d’évaluer l’effet des acides gras oméga-3 sur les paramètres parodontaux. Pour cela, les études publiées en anglais entre 2010 et 2020 et trouvées dans la Cochrane Library, EMBASE ou sur PubMed ont été prises en compte.

Les 13 études retenues étaient exclusive ment des études d’intervention contrô lées et randomisées. Dans deux études, les participant-e-s, suivant des régimes riches en acides gras oméga-3 ont été comparés; les onze études restantes ont été menées avec des compléments ali mentaires. Toutes les études ont rapporté les profondeurs de sondage, les niveaux d’attachement clinique et les change ments de saignement au sondage.

Un détartrage n’a pas été effectué dans toutes les études, qui ont duré entre deux et six mois, et les groupes de sujets souf fraient de gingivite ou de parodontite à différents stades. Malgré cette hétérogé néité, les résultats étaient clairs et statis tiquement significatifs.

Les groupes test composés de sujets ayant reçu des acides gras oméga-3 sai gnaient moins en moyenne, avaient une plus grande réduction des profondeurs de sondage et un plus grand gain d’atta chement à la fin de l’étude.

Malgré la conclusion des auteurs selon laquelle les acides gras oméga-3 peuvent avoir une influence positive sur la paro dontite, ils appellent à d’autres études pour promouvoir le traitement de la paro dontite par la réponse de l’hôte en tant qu’approche intéressante.

Bibliographie:

Heo, H., Bae, J.-H., Amano, A., Park, T., & Choi, Y.-H. (2022). Supplemental or dietary intake of omega-3 fatty acids for the treatment of periodontitis: A meta-analysis. Journal of Clinical Periodontology, 49(4), 362–377. https://doi.org/10.1111/jcpe.13603

Résumé d’étude:

Dr méd. dent. Petra Hofmänner, spécialiste de parodontologie medi Berne

SCIENCE 34 DIMENSIONS 4 2022 SCIENCE
Dr méd. dent. Petra Hofmänner Berne

Produits

TePe EasyPick™ XL violet

Les Dental Picks TePe EasyPick™ existent déjà dans les tailles XS/S (orange) et M/L (bleu). Désormais, TePe propose égale ment la taille XL (violet). Grâce à sa longue surface de nettoyage conique, le TePe EasyPick™ peut être utilisé pour des es paces interdentaires de différentes tailles. Le TePe EasyPick™ est si flexible qu’il peut être légèrement courbé dans le tiers avant et ainsi mieux suivre la forme des molaires. Les lamelles en silicone qui l’entourent permettent un nettoyage à 360° avec un effet de massage agréable (stimulation gingivale). Le manche antidé rapant favorise un maniement confortable et sûr. Le Dental Pick de TePe est donc également un bon choix pour les soins den taires rapides «à emporter».

Informations complémentaires: www.tepe.com

Nouvelle tête de brosse

«nettoyage spécialisé» d’Oral B

La nouvelle tête de brosse «nettoyage spécialisé» pour la série Oral-B iO allie la technologie d’oscillation et de rotation de la série des brosses à dents électriques à une disposition précise des soies pour faciliter un nettoyage ciblé des zones dif ficiles d’accès. La tête de brosse spéciale est particulièrement adaptée aux im plants et aux appareils orthodontiques ou aux rebords d’obturations. La tête de brosse comporte un filament central porté par trois filaments inclinés à 14°. Les fila ments de la brosse présentent une den sité élevée favori sant un nettoyage efficace.

Informations complémentaires: www.oralb.de

NOTICES DIMENSIONS 4 2022 NOTICES 35
Marlis Donati Hygiéniste dentaire dipl. ES Bâle

Nouvelles volées d’hygiénistes dentaires diplômé(es) ES

Après une présentation amusante et cha leureuse de la classe au moyen de photos, de séquences vidéo et d’un exposé très pertinent d’Anja Tanner et d’Ivana Vasilic, des cadeaux ont été offerts à l’équipe, soulignant également les belles relations entretenues au cours des trois dernières années. Lors de l’allocution solennelle qui a suivi, sous forme d’un quiz du Dr Beat Schmitt, leur professeur spécialisé très apprécié pour les bases médicales, les diplômés ont encore une fois démontré leurs connaissances acquises, de façon très divertissante.

Conny Schwiete a non seulement transmis les félicitations de Swiss Dental Hygienists, mais également pu remettre le prix du meilleur travail de diplôme «Caries – un défi dans une société vieillissante» à Lara Cadosch et Fabienne Rudolph au nom de la Société suisse de parodontologie SSP. Le Dr Christoph Epting, en tant que membre du comité de la Société Suisse d’Odonto-stomatologie SSO, a récom pensé la meilleure performance de tout l’examen de diplôme et souhaité la bien venue dans le monde du travail aux HDs fraîchement diplomées. Sabrina Trachsel a mérité le prix de reconnaissance de la SSO. Après que le Dr Dominik Hofer eut égale ment félicité Nadia Fahrni au nom de la SSP, Caroline Leopold-Metzger lui a remis le prix de la société Deppeler pour le meilleur résultat d’examen clinique.

Le 27 septembre, les 21 étudiantes de la classe HDs 19–22 qui se sont présentées aux examens finaux ont reçu leur diplôme au medi Bern. La cérémonie de remise des diplômes a réuni 150 participant-e-s.

La cérémonie de remise des diplômes a été animée par Dr Petra Hofmänner, encadrée musicalement par le duo Felix Grandjean et Manuel Sidler de la Haute école des arts de Berne et photographiée par M. Kambli.

ASSOCIATION 36 DIMENSIONS 4 2022 ASSOCIATION
medi | centre de formation médicale Berne, filière Hygiène dentaire ES

Careum – Ecole supérieure d’Hygiène dentaire, Zurich

Un grand pas a été franchi et une étape importante dans le monde professionnel a été atteinte. Au cours des trois dernières années, les étudiant-e-s ont beaucoup appris, se sont engagé-e-s, ont fait preuve de flexibilité, ont dépassé leurs limites, ont peut-être aussi parfois juré et – ont tout exécuté correctement!

Toutes nos félicitations pour avoir terminé et réussi vos études!

Le 16 mars 2022, les étudiant-e-s de l’École supérieure d’hygiène dentaire ont reçu leur diplôme au centre de formation Careum à Zurich et ont fêté leur fin d’études. Désormais, chacun-e peut of ficiellement se nommer «Hygiéniste den taire diplômée ES / Hygiéniste dentaire diplômé ES».

Nous avons été très heureux d’accompa gner les étudiant-e-s tout au long de leur parcours, de les aider et de les conseiller jusqu’à l’arrivée et, enfin, de célébrer et de les féliciter dans un cadre festif. L’ensemble du corps enseignant de l’ES hygiéniste dentaire félicite les diplômé-e-s pour leur succès mérité et leur souhaite le meilleur pour leur avenir, beaucoup de succès et de joie dans l’exercice de leur profession!

DIMENSIONS 4 2022 ASSOCIATION 37

L’école supérieure d’hygiénistes dentaires de Genève a le plaisir de diplômer cette année 19 nouvelles et nouveaux hygié nistes dentaires ES. Pour fêter cet événe ment, après deux années d’absence, une cérémonie de remise des attestations de réussite s’est déroulée vendredi 1er juillet dernier en présence des familles, proches et amis des lauréat-e-s.

Dans une salle comble et sous le thème des oscars choisi par les lauréat-e-s, des discours, photos et vidéos sont venus alimenter ce moment riche en émotions.

Les lauréat-e-s ont notamment profité de l’occasion pour montrer comment fut vécu l’enseignement à distance depuis leur domicile pendant la crise sanitaire, bien loin du sérieux des classes, provo quant ainsi le rire généralisé et ininter rompu des invités.

Renouant avec la tradition, la section ro mande de Swiss Dental Hygienists a pris la parole immédiatement après la remise des attestations. Madame Lucie Mazerolle, présidente de la section romande, a ainsi symboliquement marqué le changement

de statut des lauréat-e-s, passant de celui d’étudiant à celui de professionnel quali fié.

Cette volée s’est particulièrement distin guée par son esprit positif, son humour, son ambiance, sa solidarité et ses très bons résultats aux examens.

Toute l’équipe de l’ESHYD les félicite et leur souhaite une belle carrière profes sionnelle.

38 DIMENSIONS 4 2022 ASSOCIATION
École supérieure d’hygiénistes dentaires ESHYD, Genève

Prophylaxe Zentrum Zurich PZZ, Ecole d’hygiène dentaire ES

Le 9 septembre 2022, le Prophylaxe Zen trum Zurich (PZZ) a fêté les lauréat-e-s dans le cadre habituel. Ce jour-là, les neuf étudiant-e-s de la 23e volée ont reçu leur diplôme bien mérité, les félicitations de leurs proches, de l’équipe de formation et des dentistes du stage.

La directrice de l’école, Claudia Altorfer, a inauguré la cérémonie et, dans son bref discours, elle a abordé avec humour des vertus importantes qu’elle considérait comme essentielles pour un quotidien professionnel réussi. Par la suite, Conny Schwiete, présidente centrale de Swiss Dental Hygienist, a félicité les diplômé-e-s pour leurs réalisations et a souligné avec un sourire que l’apprentissage se poursuit tout au long de la vie.

Le point fort de la cérémonie a été le dis cours de la Dr med. dent. Iris Kraljevic, qui a surpris par ses talents de chanteuse. Elle a chanté avec ferveur la chanson «Lass jetzt los» du film «Frozen», qu’elle a réécrite sans autre forme de procès, offrant ainsi une rétrospective amusante des trois dernières années des diplômé-e-s.

Après cette impressionnante prestation, la remise des diplômes tant attendue a eu lieu. Marion Bodmer, qui a accompagné la volée en tant que coach de classe pen dant sa formation au PZZ, s’est chargée de cette tâche réjouissante. Dans son discours, elle a mis l’accent sur chacun-e des étudiant-e-s et a évoqué leur carac tère individuel. Le diplôme a été remis à chaque étudiant-e par Marion Bodmer et Claudia Altorfer sous les applaudisse ments.

Pour clore la cérémonie, Aisa Sehic a pro noncé, au nom de toute la classe, des mots de conclusion sur les trois dernières années passées ensemble et fait la tran sition vers l’apéritif.

DIMENSIONS 4 2022 ASSOCIATION 39

Travail de diplôme primé

Swiss Dental Hygienists et la Société Suisse de Parodontologie SSP ont décerné cette année pour la deuxième fois le prix com mun couronnant le meilleur travail de dip lôme d’hygiéniste dentaire diplômé-e ES.

Les candidat-e-s admis-e-s à la nomina tion ont achevé avec succès leur forma tion dans l’année en cours 2022 auprès d’un des prestataires de formation (Berne, Zurich ou Genève). Les établissements correspondants ont déjà attribué une bonne note à leurs travaux très accom plis.

Le prix, doté de CHF 1000, a été remis solennellement le mardi 27 septembre 2022 aux lauréates:

Soumission: Ecole supérieure medi Bern | Centre de formation médicale | Hygiène dentaire

Sujet du travail:

La carie dentaire – un défi dans une société vieillissante

L’objectif du travail de diplôme consistait à analyser la situation des caries chez les personnes âgées et d’en déduire des mesures préventives. Par leur travail, Lara Cadosch et Fabienne Rudolph souhai taient faire en sorte que les personnes âgées puissent garder leurs dents en bonne santé plus longtemps, ou qu’elles présentent moins de caries à l’avenir. Les douleurs seraient ainsi moins présentes chez toutes et tous, et l’état général de santé, meilleur.

Les questions suivantes ont été abordées dans le travail:

› Quelle est la prévalence des caries parmi les jeunes seniors par rapport au seniors de 65 à 75 ans et aux seniors plus âgés encore de 75 à 100 ans?

› Que peuvent faire les patient-e-s euxmême pour réduire les caries?

› Comment les caries peuvent-elles être réduites de manière préventive à l’aide de l’hygiène dentaire?

Le jury remercie cordialement les candi dat-e-s pour la soumission de leurs nom breux travaux de diplôme. Il apprécie beaucoup l’engagement de la relève et se déclare très impressionné par les com pétences acquises. Le jury transmet ses meilleurs vœux aux nouvelles comme aux nouveaux professionnel-le-s pour la suite de leur carrière.

ASSOCIATION 40 DIMENSIONS 4 2022 ASSOCIATION
De gauche à droite: Lara Cadosch et Fabienne Rudolph

Independent Dental Hygienists

Meetup

Date Vendredi 31 mars 2023

Heures 17h00 – 20h00

Lieu

Hôtel Carlton, Avenue de Cour 4, 1007 Lausanne

Participation

Fr. 70.– pour membres de Swiss Dental Hygienists Fr. 150.– pour non-membres de Swiss Dental Hygienists

Heures de formation continue déclarées 3 heures

Nous vous invitons cordialement à participer à la réunion des hygiénistes dentaires indépendant-e-s. Monsieur Virgile Rochat, expert-comptable diplômé et expert fiscal diplômé, donnera une conférence passionnante sur le thème «Structure juridique et fiscalité».

Les actualités du monde professionnel pourront être discutées lors d‘un échange ouvert, suivi d‘un apéritif copieux.

Accueil Patricia Sampaio Lepori et Jessica Ebiner Structure juridique et fiscalité

Intervenant: Virgile Rochat, expert-comptable diplômé et expert fiscal diplômé

Pause

Table ronde • Thèmes actuels sur l’indépendance professionnelle

Questions et discussion

Chaque hygiéniste dentaire est bienvenu-e à cette réunion.

Swiss Dental Hygienists

Commission hygiénistes dentaires indépendantes CHDI

DIMENSIONS 4 2022 VERBAND 41
Prière d‘envoyer l‘inscription jusqu’au 24 février 2023:

Nomination

de l’hygiéniste dentaire de l’année 2023

Critères

1. Elle ou il considère son activité d’hygiéniste dentaire non seulement comme occupation professionnelle au sens strict du terme, mais aussi comme vocation (action au cabinet et en public, enseignement, association etc.).

2. Elle ou il s’efforce de rester à jour et possède une expérience clinique.

3. Par son engagement professionnel et l’intérêt qu’elle ou qu’il porte aux questions de santé et de politique professionnelle, elle ou il favorise la notoriété de la profession.

Procédure

1. La nomination de l’hygiéniste dentaire de l’année a lieu régulièrement.

2. Les propositions doivent parvenir au siège administratif jusqu’au 15 janvier 2023.

3. Les propositions peuvent seulement provenir des membres de Swiss Dental Hygienists.

4. La Conférence des Président-e-s procède à l’élection. La nomination de membres électeurs est exclue.

5. La Conférence des Président-e-s ne peut statuer que sur des dossiers complets. Les dossiers présentés doivent renseigner sur: la formation, la carrière professionnelle, la contribution en faveur de la profession d’hygiéniste dentaire, ainsi que les autres activités et centres d’intérêts, etc. de l’hygiéniste dentaire proposé-e.

6. La distinction est décernée lors du GetTogether de Swiss Dental Hygienists le 17 mars 2023 au Landhaus Solothurn.

Distinction

L’hygiéniste dentaire élue est présenté-e à l’occasion du GetTogether; un témoignage de reconnaissance sous forme de certificat, ainsi qu’un cadeau personnel, lui sont remis.

Nous attendons de nombreuses propositions avec des arguments valables via notre site web ou par e-mail à info@dentalhygienists.swiss.

Délai d’inscription: le 15 janvier 2023

42 DIMENSIONS 4 2022 SCIENCE

Plaquekontrolle: meridol ® Mundspülung verbessert

GABA setzt bei der meridol® Mundspülung auf eine neue Wirkstoffkombination und ver bessert damit ein seit 36 Jahren etabliertes Produkt. Das Ergebnis überzeugt mit dem höchsten Evidenzlevel: In einer sechsmonati gen klinischen Studie wurde eine nahezu sie benmal höhere Plaquereduktion gegen eine fluoridhaltige Mundspülung nachgewiesen [1].

Zinklaktat und Aminfluorid

Die neue Formel der meridol® Mundspü lung enthält Zinklaktat, welches an die Mund schleimhaut bindet und einen langanhalten den antibakteriellen Schutzschild bildet. Das Zink dringt tief in den Biofilm ein, zerstört seine Struktur und beugt dessen Neubildung vor. Es hemmt verschiedene bakterielle Zell aktivitäten, wie etwa die Energieproduktion. Auf diese Weise wird Bakterienwachstum gestoppt und die Ausschüttung von Toxinen

reduziert. Das auch in der bisherigen Formel der meridol® Mundspülung enthaltene Aminfluorid zeigt zudem sofortige antibakte rielle Effektivität, es macht die bakteriellen Zellmembranen durchlässig. Dieser Wirkme chanismus wird durch umfangreiche in-vitroDaten belegt. Darüber hinaus sorgt Aminflu orid für Kariesschutz.

Gingivitis und Parodontitis

Einer Parodontitis geht eine lokale Zahn fleischentzündung (Gingivitis) voraus, die sich oftmals nicht durch Schmerzen bemerk bar macht. Zu den gängigen Symptomen gehören geschwollenes, gerötetes Zahn fleisch und Zahnfleischbluten beim Zähne putzen. Bei der Bekämpfung kann bereits eine Keimzahlreduktion in der Mundhöhle hilfreich sein. Unbehandelt kann sich die lokale Zahnfleisch entzündung jedoch zu einer Parodontitis auswachsen, bei der sich

das Zahnfleisch zurückbildet und Patient*innen mitunter Zähne verlieren. Mehr als die Hälfte der Erwachsenen leidet an Parodontitis und mit zunehmendem Alter steigt die Zahl der Erkrankten [2].

Wechselseitige Beeinflussungen

Eine Parodontitis kann starke Auswirkungen auf die Allgemeingesundheit haben, denn die Folgen dieser chronischen Entzündung reichen weit über den Mund hinaus. So be legen wissenschaftliche Daten, dass die Er krankung des Zahnhalteapparats das Risiko für Frühgeburten mit niedrigem Geburtsge wicht um das vier- bis achtfache erhöhen kann [3, 4]. Darüber hinaus wurden wechsel seitige Beeinflussungen von Diabetes und Parodontitis beobachtet [5]. Auch ist ein enger Zusammenhang zwischen Parodonti tis und Herz-Kreislauf-Erkrankungen epide miologisch belegt [6].

Quellen/ Sources:

[1] 6 Monate nach kontinuierlicher Anwendung vs fluoridierte Mundspülung (250 ppm F als NaF), Montesani, Dec 2021, data on file, Vorstellung der Studiendaten im Rahmen der EuroPerio, Juni 2022/6 mois après l’application continue vs un bain de bouche fluoré (250 ppm F comme NaF), Montesani, déc. 2021, données sur fichier, Présentation des données d’étude dans le cadre de l’EuroPerio, juin 2022

[2] Petersen PE, Ogawa H. 2012. Periodontology 2000 (60), 15–39

[3] Offenbacher S, Katz V, Fertik G et al.: Periodontal infection as a possible risk factor for preterm low birth weight. J Periodontol 67, 1103 (1996)

[4] Jeffcoat MK, Hauth JC, Geurs NC et al.: Periodontal disease and preterm birth: Results of a pilot intervention study. J Periodontol 74, 1214 (2003)

[5] Grossi SG, Genco RJ. Periodontal disease and diabetes mellitus: a two-way relationship. Ann Periodontol. 1998 Jul;3(1):51-61.

[6] Sanz, Castillo, Jepsen et al.: Periodontitis an cardiovascular diseases: Consensus report, J. Clin. Periodontol. 2020, 47, 268-288

Bildinfo: Mit neuer Formel – meridol® Mundspülung mit Aminfluorid und Zinklaktat Bildnachweis: GABA Informations sur l’image: Avec une nouvelle formule –le bain de bouche meridol® au fluorure d’amines et au lactate de zinc Propriétaire de l’image: GABA

Contrôle de la plaque dentaire: le bain de bouche meridol ® encore plus performant

GABA fait appel à une nouvelle association de principes actifs pour son bain de bouche meridol® et améliore ainsi un produit établi depuis 36 ans. Le résultat est convaincant, au plus haut niveau: Dans une étude clinique menée sur six mois, une réduction de plaque quasiment sept fois plus élevée a été prou vée en comparaison avec un bain de bouche fluoré [1].

Lactate de zinc et fluorure d’amines

La nouvelle formule du bain de bouche meri dol® contient du lactate de zinc, qui se lie à la muqueuse buccale pour former un écran de protection antibactérien de longue durée. Le zinc pénètre profondément le biofilm, détruit sa structure et prévient sa reforma tion. Il est inhibiteur de différentes activités cellulaires bactériennes, comme la produc tion de l’énergie. Ainsi, la croissance bacté rienne est stoppée, et la sécrétion de toxines réduite. Le fluorure d’amines, également présent dans l’ancienne formule du bain de

bouche meridol®, montre par ailleurs une efficacité antibactérienne immédiate et rend les membranes cellulaires bactériennes per méables. L’effet de cet agent actif a été prouvé par de nombreuses données in vitro. Le fluorure d’amines offre par ailleurs une protection contre les caries.

Gingivite et parodontite

Une parodontite précède une inflammation gingivale locale (gingivite), souvent sans douleurs manifestes. Les symptômes cou rants comprennent des gencives gonflées et rougies et le saignement des gencives lors du brossage de dents. Pour combattre ces symptômes, il peut être utile de réduire le nombre de bactéries dans la cavité buccale. Sans traitement, l’inflammation gingivale lo cale peut cependant évoluer vers une paro dontite, avec une rétraction des gencives et parfois la perte de dents. Plus de la moitié des adultes souffrent de parodontite, et le nombre de malades augmente avec l’âge [2].

Influences réciproques

Une parodontite peut produire des effets conséquents sur la santé en général, car les suites de cette inflammation chronique dé passent de loin la zone buccale. Des don nées scientifiques ont prouvé, par exemple, que la maladie du parodonte pouvait aug menter de 4 à 8 fois le risque de naissances prématurées avec un faible poids à la nais sance [3, 4]. Des influences mutuelles du diabète et de la parodontite ont également été observées [5]. Les données épidémiolo giques montrent de plus un lien étroit entre la parodontite et les maladies cardiovascu laires [6].

Kontakt/Contact:

GABA Schweiz AG CH-4106 Therwil Tél. : +41 (0)840 00 66 03 CS_CH@gaba.com www.gaba-events.ch www.gabaprofessional.ch

Publireportage
2 Stunden zögern 1 Zuckerwatte 0 Stress für meine Zähne 2 Mal weniger Zahnbelag nach 3 Wochen Anwendung.* ELGYDIUM, Komplizin jedes Lächelns. * Klinische Studie mit 42 Probanden über 21 Tage. www.elgydium.ch ANTIPLAQUE Tentan AG Dellenbodenweg 8 4452 Itingen www.tentan.ch
DIMENSIONS 4 2022 ASSOCIATION 45 Programme vendredi 17 mars 2023 08h30 Enregistrement 08h30 – 09h30 Café de bienvenue sur les lieux de l’exposition 09h30 – 09h40 Allocution de bienvenue Présidente centrale Conny Schwiete 09h40 – 10h15 «Parce que c’est indicible?» La bouche comme lieu de traumatismes Psychologue Dr phil. Christa Hanetseder A 10h15 – 10h50 Anorexie, boulimie, surpoids facteurs de stress pour le corps et la bouche Diétécienne HES Vanessa Brancato 10h50 – 11h25 Concepts thérapeutiques contre les troubles alimentaires PD Dr méd. dent. Alexis Ioannidis A 11h25 – 12h05 Microbiote, inflammation et parodontite Prof. Dr Jacques Schrenzel 12h05 – 13h05 Pause de midi sur les lieux de l‘exposition* 13h05 – 13h15 HD de l’année Dipl HD HF, RDH Barbara Blaser A 13h15 – 13h50 Comment sont/mangent les jeunes d’aujourd’hui? MSc Angewandte Psychologie, Ernährungs psychologin ZEP, Ronia Schiftan A 13h50 – 14h20 L’équilibre acido-basique Ernährungsberaterin BSc BFH, Gabriela Lehman A 14h20 – 15h10 Pause-café sur les lieux de l‘exposition 15h10 – 15h45 Superaliments, probiotiques, compléments alimentaires Ph Dr Simon Reboh 15h45 – 16h20 Boissons érosives – Les toutes dernières connaissances PD Dr méd. dent. Florian Just Wegehaupt A 16h20 – 16h25 Allocution de clôture Présidente centrale Conny Schwiete * Pendant la pause de midi des participants francophones, l‘exposé «Médecine bucco-dentaire - Prévention et traitement causal des caries, de la gingivite et de la parodontite» du PD Dr Christian Tennert (12h25-13h05) aura lieu en allemand sans traduction simultanée. Sous réserve de modification A Allemand avec traduction simultanée

Agenda 2022/2023

24 Sektion Ostschweiz/Graubünden: Kinderzahn medizin, Frau Dr. A. Westermann, Curaden

29 Sektion Ostschweiz/Graubünden: Von einer Idee bis zum Produkt, Lisa Kropf, Nostic

Dezember Decembre

Januar Janvier

Online Sektion Ostschweiz/Graubünden sektion_ostschweiz_gr@dentalhygienists.swiss

Online Sektion Ostschweiz/Graubünden sektion_ostschweiz_gr@dentalhygienists.swiss

29 Sektion Zentralschweiz: Wachen und Schlafen –woher kommt die Müdigkeit? Online Sektion Zentralschweiz sektion_zentralschweiz@dentalhygienists.swiss

1

Delegiertenversammlung / Assemblée des déléguées

2 Online-Fachtagung / Colloque en ligne Swiss Dental Hygienists

Neu: Online Nouveau: en ligne

Swiss Dental Hygienists info@dentalhygienists.swiss

Online Swiss Dental Hygienists info@dentalhygienists.swiss

17 Sektion Nordwestschweiz: Mundgesundheit Online Sektion Nordwestschweiz sektion_nordwestschweiz@dentalhygienists.swiss

18 Sektion Bern: Parodontitis und systemische Erkrankungen Informationen folgen Sektion Bern sektion_bern@dentalhygienists.swiss

18 Sektion Bern: Parodontitis und Diabetes Informationen folgen Sektion Bern sektion_bern@dentalhygienists.swiss

19 Sektion Ostschweiz/Graubünden: Dysphagie, Frau Sarah Stierli Online Sektion Ostschweiz/Graubünden sektion_ostschweiz_gr@dentalhygienists.swiss

März Mars 16 Sektion Ostschweiz/Graubünden: Mundschleim hautveränderung, Herr Dr. Yves Brand Online Sektion Ostschweiz/Graubünden sektion_ostschweiz_gr@dentalhygienists.swiss

17 GetTogether Solothurn Swiss Dental Hygienists info@dentalhygienists.swiss

28 Sektion Nordwestschweiz: Die neue Parodontitis klassifikation: Was ist neu? Was ist praktikabel?

Hotel Amaris, Olten Sektion Nordwestschweiz sektion_nordwestschweiz@dentalhygienists.swiss 31 Independent Dental Hygienists Meetup

Réunion des hygiénistes dentaires indépendantes

Mai Mai 10 Sektion Nordwestschweiz: Umgang von Drogenkonsum im parodontalen Recall

Hotel Continental, Luzern Hôtel Carlton, Lausanne

Swiss Dental Hygienists info@dentalhygienists.swiss Swiss Dental Hygienists info@dentalhygienists.swiss

Online Sektion Nordwestschweiz sektion_nordwestschweiz@dentalhygienists.swiss

Online Sektion Ostschweiz/Graubünden sektion_ostschweiz_gr@dentalhygienists.swiss Juni Juin 16 Sektion Bern: Sektionsanlass inkl. Junioren mitgliederanlass Informationen folgen Sektion Bern sektion_bern@dentalhygienists.swiss

11 Sektion Ostschweiz/Graubünden: Hände als Werkzeug – Jin Shin Jyutsu, Frau Iva Herzmann

August Août 31 Swiss Oral Health Days Basel Swiss Dental Hygienists info@dentalhygienists.swiss September Septembre 1 Swiss Oral Health Days Basel

Swiss Dental Hygienists info@dentalhygienists.swiss

14 Sektion Ostschweiz/Graubünden: Generalver sammlung Tibits, St. Gallen Sektion Ostschweiz/Graubünden sektion_ostschweiz_gr@dentalhygienists.swiss

15 Sektion Nordwestschweiz: Generalversammlung Informationen folgen Sektion Nordwestschweiz sektion_nordwestschweiz@dentalhygienists.swiss

20 Sektion Bern: Generalversammlung Hotel Holiday Inn, Bern Sektion Bern sektion_bern@dentalhygienists.swiss

Tragen Sie Ihren Titel mit Stolz | Portez votre titre avec fierté

Neu besteht die Möglichkeit, auf dem Namensschild mit dem Verbandslogo zusätzlich den Titel aufführen zu lassen.

Il est désormais possible de faire figurer notre titre sur le porte-nom muni du logo de l’association.

Swiss Dental Hygienists goes Instagram

Seit Kurzem ist Swiss Dental Hygienists auf Instagram anzutreffen. Folgen Sie uns!

Formulaire de commande

Uniquement disponible dans l’espace membre

Depuis peu, Swiss Dental Hygienists est sur Instagram. Suivez-nous!

46 DIMENSIONS 4 2022 VERBAND | ASSOCIATION
DH HF Bestellformular Nur im Mitgliederbereich verfügbar
Andrea Muster
Dipl.
| Mois Tag | Jour Thema/Referent | Thème/Orateur Ort | Lieu
|
Novembre
Monat
Organisator
Organisateur November
Sophie Dupont HD dipl. ES

Stellenangebote | Offres d’emploi

Zu verkaufen

6 ½ Zimmer Eckhaus mit integrierter Dentalhygiene-Praxis

im Aargau, Region Bremgarten Verkauf nach Vereinbarung

Für weitere Auskünfte: cathysebi@hispeed.ch

Cabinet Stephan Fretz à Fribourg

recherche un/e hygiéniste dentaire de 60 à 80 %, date d’entrée au 01.01.2023.

Nous contacter au 026 322 41 60 ou par mail: dentiste-fretz@hotmail.com (6 semaines de vacances, salaire au mois et horaires flexible)

Dentalhygienikerin 20 – 80 % in Bern gesucht

Zur Verstärkung unseres Teams suchen wir ab dem 1. Februar 2023 oder nach Vereinbarung eine einfühlsame und aufgestellte Dentalhygienikerin. Wir freuen uns auf Ihre Bewerbung!

banu.balkan@dentcenter.ch oder Dentcenter Bern z. H. Frau B. Balkan Weltpoststrasse 16 3015 Bern Tel. 031 333 66 66

Kein passendes Stellenangebot für Sie dabei? | Vous ne trouvez pas d’offre d’emploi qui vous convient?

Kein Problem! Auf unserer Web site finden Sie weitere Inserate: Sämtliche gebuchten Inserate werden online und in der Fach zeitschrift Dimensions publiziert.

Aucune problème! Vous trou verez d’autres annonces sur notre site web: Toutes les annonces réservées sont publiées en ligne et dans notre magazine Dimensions.

DENTALHYGIENIKER/IN

60

80 %

Zürich, nach Vereinbarung

Zur Verstärkung unseres Teams suchen wir nach Vereinbarung eine/n motivierte/n Dentalhygieniker/in, auch Studienabgänger/innen sind willkommen.

• Sie sind eine hilfsbereite, zuvorkommende Persönlichkeit

• Sie arbeiten mit viel Feingefühl

• Sie führen selbstständig und fachgerecht eine Prophylaxe durch

• Sie handeln verantwortungsbewusst, kompetent und zuverlässig

• Sie legen Wert auf Ordnung, Sauberkeit und Hygiene

• Sie verfügen über eine Schweizer Ausbildung oder ein äquivalentes Diplom

• Sie verfügen über gute Deutschkenntnisse

• Computer Know-how wie MS Windows und EnglischKenntnisse sind von Vorteil

Bei uns können Sie mit den modernsten Geräten arbeiten. Wir befinden uns sehr zentral, 2 Tram-Stationen vom Bahnhof Stadelhofen entfernt. Sie freuen sich Ihren Beruf auszuüben und mit einem Lachen in die Zukunft zu sehen, dann sind Sie bei uns richtig. Ist Ihr Interesse geweckt?

Rufen Sie uns an: +41 44 261 66 33 oder senden Sie uns Ihre Bewerbungsunterlagen per E-Mail praxis@eglident.ch

(Wir verfügen über keine Website, Mund-zu-Mund-Werbung ist für uns das A&O J)

Dentalhygienikerin

40 –100%

In moderne prophylaxeorientierte Allgemeinpraxis Wir bieten:

• Mitarbeit in motiviertem fröhlichem Team

• 3 Zahnärzte, 3 DH’s

• Attraktive Anstellungsbedingungen und überdurchschnittlicher Lohn

• Schönes, angenehm klimatisiertes Behandlungszimmer

• Mitarbeiterparkplatz, ÖV in unmittelbarer Nähe

Dr. med. dent. Milani David Thunstrasse 68 3074 Muri bei Bern 031 951 11 66 mail@zahnarzt-milani.ch www.zahnarzt-milani.ch

DIMENSIONS 4 2022 VERBAND | ASSOCIATION 47
Gesucht per 1. Januar 2023 (oder nach Vereinbarung) sorgfältige und aufgestellte
uns auf Sie!
Wir freuen

Pro Interdental

Reinigung auch in den Zahnzwischenräumen

die Zahnoberfläche von Plaque

zu Zähnen und Zahnfleisch

und hergestellt in der Schweiz

Finest Swiss Oral Care
• Professionelle
• Befreit
• Sanft
• Entwickelt

Turn static files into dynamic content formats.

Create a flipbook
Issuu converts static files into: digital portfolios, online yearbooks, online catalogs, digital photo albums and more. Sign up and create your flipbook.