Dimensions 3/2023

Page 1

Dimensions

Ostéonécroses de la mâchoire induites par des médicaments: partie 2

Medikamenten-induzierte

Osteonekrosen der Kiefer: Teil 2

1 2 4 3
2023

→ SOFT MODE Funktion für schonendes Scaling

→ Pulverwechsel in einem einfachen Schritt

→ Drehbare und flexible subgingivale Einwegdüsen

→ SLIM Ultraschall-Handstück mit drehbarem LED-Licht

→ 3 verschiedene Sprayköpfe

Bien-Air Dental SA Länggasse 60 • Case postale • 2500 Bienne 6 • Switzerland Tél. +41 (0)32 344 64 25 • sales@mectron.ch
ULTRASCHALLEINHEIT UND PULVERSTRAHLGERÄT IN EINEM
→ COMBI touch DIE SCHONENDE ART DER PROPHYLAXE
→ www.mectron.ch neu! SLIM Handstücke

2 e partie: Ostéonécroses de la mâchoire induites par des médicaments

Les méthodes «douces» de blanchiment des dents

Les articles publiés ne reflètent pas obligatoirement l’avis de la rédaction. La publication n’implique aucun jugement de valeur de la part du comité de rédaction.

Swiss Dental Hygienists utilise une forme d’écriture sensible au genre dans tous les documents, y compris dans Dimensions.

Cela ne s’applique pas aux annonces, aux offres d’emploi ou aux publiréportages, qui sont libres dans leur formulation.

Crédit photo:

Toutes les photos sur les pages suivants sont d’Adobe Stock, sauf mention contraire.

p. 14/36: Goffkein

p. 17/39: vegefox.com

Publizierte Artikel geben nicht in jedem Fall die Meinung der Redaktion wieder. Aus der Veröffentlichung ist keinerlei Bewertung durch die Redaktion ableitbar.

Swiss Dental Hygienists wendet in allen Dokumenten eine gendergerechte Schreibweise an, so auch im Dimensions.

Ausgenommen sind

Anzeigen, Stelleninserate oder Publireportagen, diese sind frei in der Formulierung.

Bildnachweis: Wenn nicht anders vermerkt, sind die Bilder auf den nachfolgend aufgeführten Seiten von Adobe Stock.

S. 14/36: Goffkein

S. 17/39: vegefox.com

DIMENSIONS 3 2023 SOMMAIRE I INHALT 3 SOMMAIRE
EDITORIAL Komfortzone 27 WISSENSCHAFT Teil 2: Medikamenten-induzierte Osteonekrosen der Kiefer «Sanfte» Möglichkeiten der Zahnaufhellung 28 34 NOTIZEN Arbeitsunfähigkeit und
Produkte Neues Datenschutzgesetz (DSG) per 1.9. 2023 Bücher 36 37 38 40 VERBAND Frische, junge und innovative Kommunikations ideen für Swiss Dental Hygienists 41 ASSOCIATION I VERBAND Offres d‘emploi | Stellen Agenda 44 46 ÉDITORIAL Zone de confort 5 SCIENCE
Ferien – was gilt?
6 12 NOTICES Incapacité de travail et
Produits Nouvelle loi sur la protection des données (nLPD) au 1.9.2023 Books 14 15 16 18 ASSOCIATION Des idées de communication fraîches, jeunes et innovantes pour Swiss Dental Hygienists 19
vacances – quelles règles s’appliquent?

PLAQUE KONTROLLE

VON ALLEN SEITEN

Zone de confort

Qu'est-ce que cela signifie au juste? Wikipédia définit la zone de confort comme un domaine individuel de la vie privée ou sociale, caractérisé par le confort et l'absence de risque. Dans le langage courant, le mot est souvent utilisé de manière péjorative, alors que l'expression «sortir de sa zone de confort» a une connotation positive. Une autre définition est la suivante: «Un état dans lequel nous faisons face à d'éventuelles peurs de manière neutre et utilisons un nombre limité de comportements pour atteindre un niveau de performance régulier – généralement sans stress et sans effort majeur» (cf. White, 2008).

La zone de confort est donc la zone dans laquelle je me sens bien, où je suis à l'aise et où je n'ai besoin d'aucun effort pour faire quoi que ce soit. La zone de confort ne désigne pas nécessairement un lieu, mais un mode de vie.

Que se passe-t-il lorsque je quitte la zone de confort? J'entre d'abord dans la zone de peur , où je dois surmonter l'incertitude, le refus et les excuses pour ne pas abandonner et retourner dans la zone de confort. Au lieu de cela, j'entre dans la zone d'apprentissage. Dans cette zone, j'acquiers de nouvelles compétences et une plus grande confiance. Cela me permet de faire des expériences et d'entrer dans la zone de croissance. En revanche, la croissance personnelle n'aura jamais

lieu si l'on ne sort jamais de sa zone de confort, si l'on ne traverse pas la zone de peur, la zone d'apprentissage et la zone de croissance et si l'on ne fait pas preuve d’audace.

Je me pose maintenant la question suivante: est-il vraiment nécessaire de grandir en permanence? Les coachs et les motivateurs-trices encouragent constamment à dépasser ses propres limites, à faire preuve d’audace pour ne pas rester sur place. Je pense que le caractère personnel détermine si l’on sort régulièrement et volontiers de sa zone de confort ou si l’on trouve plus agréable d’y rester. En fonction des principes ancrés (par exemple: «De toute façon, je ne peux pas faire cela, ça ne marchera pas, je n'ai pas droit à plus d'argent, je suis trop bête»), c'est le type personnel de chacune et de chacun qui fera que l’on ose quitter sa zone de confort.

Personnellement, j'aimais trop évoluer dans ma zone de confort par le passé. Depuis quelques années, je la quitte régulièrement. Ce faisant, je constate que j'ai toujours plus envie d'oser la nouveauté et d'en sortir grandie. Voyons où va mener encore le voyage!

Édition

Swiss Dental Hygienists Bahnhofstrasse 7b, 6210 Sursee Tél. +41 (0)41 926 07 90 info@dentalhygienists.swiss

Commission de rédaction

Christine Bischof (Présidente)

Mara Bovo

Marlis Donati

Petra Hofmänner

Corinne Kellenberger

Mia Navratil (Vice-présidente du Comité central)

Rédaction et mise en page wamag département communication Bahnhofstrasse 7b, 6210 Sursee Tél. +41 (0)41 926 07 70 dimensions@dentalhygienists.swiss

Traduction

Jaime Calvé

Annonces commerciales

Mara Bovo Mobile +41 (0)76 536 31 36 marabovo@hotmail.com

Annonces d’emploi Voir adresse de l’éditeur

Impression et expédition

Multicolor Print AG

Sihlbruggstrasse 105a, 6341 Baar

Tirage

2400 exemplaires

Fréquence de parution 4 fois par an

Abonnement

CHF 85.00 par an

Copyright

Les droits de l’éditeur et les droits d’auteur demeurent réservés. Toute réutilisation, publication nouvelle ou duplication à des fins commerciales sans l’assentiment exprès et préalable de l’auteur et de l’éditeur est interdite.

É DITORIAL DIMENSIONS 3 2023 É DITORIAL 5
Mara Bovo Commission de rédaction IMPRESSUM IMPRESSUM Mara Bovo

2e partie: Clinique et classification des ostéonécroses de la mâchoire induites par des médicaments et implications pour le traitement des patient-e-s sous thérapie antirésorptive

2 e partie: Ostéonécroses de la mâchoire induites par des médicaments

Drug-induced Osteonecrosis of the Jaws (DIONJ) – Implications pour la pratique dentaire avec les patient-e-s sous bisphosphonates, denosumab ou médicaments plus récents

Résumé

L'ostéonécrose de la mâchoire induite par les médicaments (« D rug- i nduced O steo n ecrosis of the J aws»/ DIONJ ) est un tableau clinique très répandu, principalement causé par des médicaments antirésorptifs (bisphosphonates et denosumab). Au cours des 20 dernières années, les connaissances sur les mécanismes physiopathologiques qui conduisent à l'apparition d'une DIONJ n'ont cessé de croître et ont influencé en conséquence la prise en charge de ces patient-e-s. La santé bucco-dentaire joue un rôle décisif dans la prévention de cette pathologie. La mise en œuvre d'un traitement adapté au risque de ces patient-e-s requiert des connaissances précises sur l'exposition antérieure ou sur un éventuel traitement antirésorptif supplémentaire prévu.

Clinique et classification de l'ostéonécrose de la mâchoire induite par les médicaments

Il est question d’une ostéonécrose de la mâchoire induite par les médicaments (DIONJ) lorsque les conditions suivantes sont réunies:

1. Traitement antirésorptif en cours ou expiré

2. Déhiscence avec os exposé à la mandibule et/ou au maxillaire supérieur, persistant pendant plus de huit semaines

3. Absence de radiothérapie antérieure au niveau des maxillaires Comme mentionné dans la partie 1 de cet article, les ostéonécroses sont nettement

plus fréquentes chez les patient-e-s qui ont reçu ces préparations à haute dose, par voie intraveineuse et sur une longue période. Il s'agit le plus souvent d'une administration dans le cadre d'un traitement contre le cancer. Chez ces patients, les ostéonécroses de la mâchoire sont décrites dans la littérature avec une incidence de 0,8 à 20 %. Avec les préparations à plus faible dose, telles que celles utilisées dans le traitement de l'ostéoporose, l'incidence d'une DIONJ est nettement plus faible (0,1– 4 %).

Souvent, les nécroses de la mâchoire surviennent à la suite de traitements de chirurgie orale, principalement des extractions dentaires. Les points de pression des prothèses, les infections parodontales et apicales peuvent également constituer le point de départ de l'apparition d'une ostéonécrose. Dans certains cas, les nécroses de la mâchoire apparaissent toutefois spontanément, sans influence extérieure apparente.

Dans la littérature, il existe différentes classifications des ostéonécroses de la mâchoire induites par les bisphosphonates. L'une des classifications les plus utilisées est celle de l'American Association of Oral- and Maxillofacial Surgeons (tableau 1).

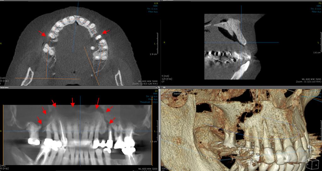
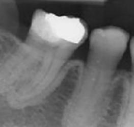
Radiologiquement, le tableau clinique de l'ostéonécrose de la mâchoire se manifeste très tôt par une augmentation de la sclérose de l'os. Celle-ci apparaît souvent d'abord au niveau de la lamina dura de l'os alvéolaire, bien avant que la nécrose de la mâchoire ne se manifeste cliniquement (stade 0 – illustration 1). Dans les cas

SCIENCE 6 DIMENSIONS 3 2023 SCIENCE

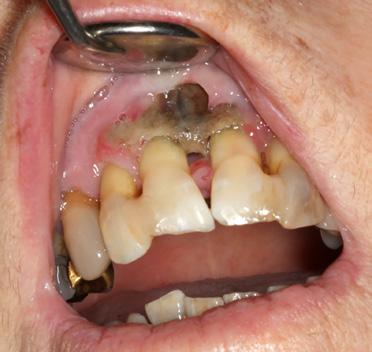
avancés, la sclérose s'étend à des parties plus importantes de l'os maxillaire. Si l'os s'infecte, cela peut entraîner une ostéolyse, la formation de séquestres et de fistules, voire une fracture pathologique. Dans le cas de la DIONJ avancée (à partir du stade 1), l'os maxillaire est exposé en un ou plusieurs endroits de la cavité buccale (illustrations 2 et 3). Les patient-e-s

peuvent alors être largement asymptomatique ou ressentir des douleurs faibles à fortes. L'ampleur des douleurs dépend principalement de l'étendue de la nécrose et d'une éventuelle inflammation concomitante (stade 2) ou d'autres complications (stade 3) (illustrations 4 et 5).

Stade DIONJ Symptômes/constatations cliniques

0

• Symptômes cliniques non spécifiques (douleurs osseuses, douleurs dentaires non spécifiques, mobilité dentaire accrue sans autre cause)

• Pas de nécrose osseuse décelable

• Sclérose accrue à la radiographie, surtout dans la zone de la lamina dura

Classification des stades DIONJ, adaptée par l'American Association of Oral- and Maxillofacial Surgeons (AAOMS)

1

• Os nécrosé exposé

• Patient-e-s asymptomatiques

• Aucune infection détectable

2

• Os nécrosé exposé

• Patient-e-s symptomatiques

• Infection cliniquement détectable

3

• Os nécrosé exposé

• Patient-e-s symptomatiques présentant des douleurs et la preuve d'une infection ainsi qu'au moins une des complications suivantes:

1. fracture pathologique

2. fistule extra-orale

3. mise en évidence de la fistule bucco-antrale

4. ostéolyse s'étendant au bord inférieur de la mandibule ou au sinus

Lamina dura sclérosée comme signe précoce d'une exposition accrue aux médicaments antirésorptifs (stade 0)

(photo avec l'aimable autorisation du Dr H. Thuau)

Ostéonécrose induite par les bisphosphonates apparue spontanément au niveau de la mandibule gauche chez une patiente après plusieurs années de traitement par ibandronate (Bondronat®) pour un cancer du sein métastatique (stade 1)

Patiente ayant suivi un traitement de 3 ans par pamidronate (Aredia®) pour un cancer du sein métastatique. Après la pose d'un implant dans la mâchoire inférieure, une ostéonécrose s'est formée autour de l'un des implants, ce qui a entraîné plus tard la perte de l'implant (stade 2).

DIMENSIONS 3 2023 SCIENCE 7
Tableau 1: Figure 1: Figure 2: Figure 3:

Figures 4 et 5: (stade 3) Patiente présentant une ostéonécrose avancée du maxillaire supérieur ayant entraîné une fracture pathologique spontanée du maxillaire (résultat clinique avec clichés radiologiques correspondants (DVT).

(Photo avec l'aimable autorisation du Dr. H. Thuau)

Implications pour le traitement des patient-e-s sous thérapie antirésorptive

En principe, aucun changement fondamental n'est intervenu ces dernières années dans la prise en charge des patiente-s sous traitement antirésorptif. Les stratégies appliquées jusqu'à présent s'avèrent efficaces et appropriées sur la base de données toujours plus nombreuses. Les connaissances approfondies du tableau clinique se sont nettement améliorées au cours des deux dernières décennies, non seulement dans les milieux dentaires, mais aussi parmi les mé-

decins qui prescrivent les médicaments antirésorptifs. L'importance particulière de la santé bucco-dentaire en tant que meilleure prévention pour éviter une DIONJ est incontestée.

Le traitement des patient-e-s qui reçoivent des bisphosphonates ou du denosumab dépend du stade de la maladie et des symptômes.

En principe, il y a trois principes essentiels à respecter chez ces patients:

1. La prévention de la nécrose de la mâchoire est beaucoup plus simple et efficace que le traitement d'une nécrose manifeste de la mâchoire. Elle a donc un rôle central à jouer.

2. Le traitement des patients sous médication antirésorptive doit être adapté aux risques à chaque étape. Le type de médicament antirésorptif, la forme d'administration, la dose et la durée du traitement jouent un rôle central dans l'évaluation des risques.

3. Le traitement (chirurgical) d'une nécrose de la mâchoire doit être basé sur le principe «autant que nécessaire, aussi peu que possible» et doit être confié à un/une spécialiste.

L'os alvéolaire, qui a déjà subi des contraintes antirésorptives, a beaucoup plus de mal à cicatriser en raison de sa

8 DIMENSIONS 3 2023 SCIENCE
Figure 4 Figure 5

capacité réduite à se reconstruire. Il est donc important d'éviter les traumatismes et les infections de ces tissus. Dans l'idéal, les patient-e-s chez qui l'indication d'un traitement antirésorptif a été posée sont envoyé-e-s chez le dentiste avant le début du traitement pour une évaluation du foyer et un éventuel assainissement. Ce faisant, tous les foyers d'inflammation actifs et potentiels doivent être éliminés. Si les patient-e-s sont sous traitement antirésorptif ou ont déjà reçu de tels médicaments par le passé, l'hygiène buccale doit être maintenue à un niveau aussi parfait que possible. Les interventions de chirurgie orale (extractions, résections apicales, reconstitutions osseuses, implants, etc.) sont toujours liées à un certain risque accru de formation d'une nécrose de la mâchoire chez ces patient-e-s. Ce risque doit être évalué individuellement par le médecin-dentiste traitant pour chaque patient-e et dépend fortement du type de médicament et de la quantité administrée jusqu'à présent (durée, dosage, mode d'administration). Chez les patient-e-s qui présentent déjà une DIONJ manifeste, il faut se méfier d'une approche chirurgicale trop rapide et agressive. Comme l'os alvéolaire ne présente qu'une capacité de cicatrisation réduite, il faut s'attendre à des complications plus importantes après les interventions, au sens de troubles de la cicatrisa-

tion et d'une formation supplémentaire de nécrose. Les mesures conservatrices telles que les bains de bouche et le traitement des infections concomitantes par des antibiotiques constituent le premier remède de choix. L'arrêt (temporaire) du traitement antirésorptif (appelé «Drug Holiday») peut également s'avérer utile. Bien que l'efficacité de cette mesure soit encore controversée dans la littérature, notamment en raison du faible niveau d'évidence, cette mesure est devenue courante dans le quotidien clinique. En théorie, on part du principe qu'une pause dans les médicaments antirésorptifs permet au tissu osseux de se rétablir quelque peu. Un tel «drug holiday» doit toujours se faire en accord avec le médecin traitant du patient afin de minimiser les éventuels inconvénients liés à l'arrêt des médicaments antirésorptifs.

Si un traitement chirurgical est inévitable, il doit être aussi peu invasif que possible et se limiter à l'élimination des séquestres et du tissu osseux mort. Dans les cas de nécrose osseuse plus étendue, il n'est cependant pas rare qu'une grande partie de la mâchoire doive être enlevée chirurgicalement, ce qui implique une reconstruction coûteuse du défaut. Comme le traitement adapté au risque d'une DIONJ manifeste nécessite beaucoup d'expérience, il ne devrait être effectué que par des spécialistes.

Figure 6: Algorithme pour le traitement des patients sous thérapie antirésorptive

Première partie –

Evaluation du risque

Diagramme de flux adapté selon Nicolatou-Galitis O. et al. Medication-related osteonecrosis of the jaw: definition and best practice for prevention, diagnosis, and treatment

Oral Surg Oral Med Oral Pathol Oral Radiol 2019;127:117–135

DIMENSIONS 3 2023 SCIENCE 9

Figure 7:

Algorithme pour le traitement des patients sous thérapie antirésorptive Deuxième partie –Traitement adapté au risque

L'auteur

Dr méd. Dr méd. dent. Marc Baltensperger

Chirurgien FMH maxillo-facial et Médecin-dentiste spécialisé en chirurgie orale SSO

2003 Spécialiste FMH en chirurgie maxillo-faciale et orale

2003 Médecin-dentiste spécialisé en chirurgie orale SSO

2003–2004 Médecin-chef de la clinique de chirurgie buccale et maxillofaciale, Hôpital cantonal, Lucerne (Prof. Dr Dr méd. N. Hardt)

2004 Cabinet de groupe de chirurgie maxillo-faciale avec le Dr Dr méd. R. Lebeda à Winterthour

2008 Cabinet de groupe de chirurgie maxillo-faciale Dr Dr Th. Bottler, Dr Dr R. Lebeda et Dr Dr M. Baltensperger à Baden

2008 Création de l'Institut de radiologie dento-maxillo-faciale

2009 Création de la plateforme pour la chirurgie plastique et esthétique du visage

2017 Certificat de capacité Médecin-conseil au sein de la LAMal

Correspondance:

Fachärzte für Mund-, Kiefer- und Gesichtschirurgie plastisch-ästhetische und rekonstruktive Gesichtschirurgie, Dentomaxillofaciale Radiologie und virtuelle Planung

Dr. med. Dr. med. dent. Marc Baltensperger

Zürcherstrasse 7

8400 Winterthur

baltensperger@kiefergesichtschirurgie.ch www.kiefergesichtschirurgie.ch

Les figures 6 et 7 présentent un algorithme récapitulatif pour l'évaluation des risques et le traitement adapté aux risques des patient-e-s sous traitement antirésorptif.

Littérature d’approfondissement recommandée

• Marx RE

Drug-induced Osteonecrosis of the Jaws: How to Diagnose, Prevent, and Treat It Quintessence Pub Co; 2022

• Nicolatou-Galitis O. et al.

Medication-related osteonecrosis of the jaw: definition and best practice for prevention, diagnosis, and treatment

Oral Surg Oral Med Oral Pathol Oral Radiol 2019; 127:117-135

• Otto S (Éditeur)

Medication-Related Osteonecrosis of the Jaws: Bisphosphonates, Denosumab, and New Agents Springer; 2015

• Ruggiero SL, Dodson TB, Aghaloo T, Carlson ER, Ward BB, Kademani D.

American Association of Oral and Maxillofacial Surgeons' Position Paper on Medication-Related Osteonecrosis of the Jaws-2022 Update J Oral Maxillofac Surg. 2022 May;80(5):920-943

10 DIMENSIONS 3 2023 SCIENCE

de protection intensive grâce à la technologie DeSens.

6

Commandez maintenant des produits Candida gratuits pour votre cabinet candida-dentalservice.ch/fr/

Pour les dents et les collets sensibles

Technologie DeSens efficace

Réduit la sensibilité des dents immédiatement et durablement

Protège, reminéralise et renforce l’émail

Efficacité cliniquement prouvée

DIMENSIONS 3 2023 NOTICES 11
heures

Les méthodes «douces» de blanchiment des dents

Une importance considérable est accordée à des dents blanches et les produits commercialisés par l’industrie sont multiples. Proposés pour le blanchiment des dents, ces produits sont souvent testés par les fabricants et par les scientifiques sur des plaquettes d’émail bovin préalablement colorées de pigments. Pour ce faire, on mesure la capacité du produit testé à éliminer les colorants qu’on a appliqués auparavant, la décoloration étant quantifiée par des colorimètres dentaires numériques de VITA Zahnfabrik (Allemagne) ou le Spectroshade (MHT Optic, Suisse).

Les pigments tachant les dents ne proviennent pas seulement de la consommation de denrées alimentaires ou de certains produits tels la fumée de cigarettes, le café, le vin rouge ou le thé noir. Les antiseptiques, les sels métalliques, voire les médicaments peuvent tout aussi bien que les aliments provoquer une coloration des dents. Les feuilles, les fruits et les racines peuvent également contenir des tanins susceptibles de colorer les dents. Généralement, ces substances servent à la conservation des aliments. Les acides tanniques peuvent fixer le fer et d’autres métaux ou précipiter les protéines. S’ensuivent des dépôts souvent jaunâtres ou brunâtres. D’une part, ces substances se déposent sur la surface des dents dans ce qu’on appelle la «pellicule». Plus la surface des dents est rugueuse, plus ces dépôts seront importants et se formeront rapidement, ce que l’on désigne sous l’appellation «coloration extrinsèque». D’autre part, du fait de porosités ou de

fissures, les pigments peuvent s’insinuer dans l’émail et pénétrer la dentine ensuite. Cette forme de pigmentation est appelée «coloration intrinsèque» des dents.

C’est pourquoi, parmi les agents de blanchiment des dents, on distingue les produits qui éliminent la coloration extrinsèque superficielle et les produits qui suppriment la coloration intrinsèque des dents.

Les produits classiques de blanchiment des dents se basent sur la chimie bien connue des espèces réactives de l’oxygène (ERO/Reactive oxygen species ROS), dont le principal représentant est le peroxyde d’hydrogène (H2O2). Déjà dans le numéro 3/22 du magazine Dimensions, l’un des auteurs a évoqué les problèmes dus au blanchiment des dents par les ERO. Il a, en particulier, parlé des dommages causés par les ERO et étudiés en médecine générale. Ces derniers ont généralement un impact à un âge avancé et peuvent affecter sensiblement les défenses immunitaires. De courte durée, les effets secondaires locaux, dont se préoccupe la médecine dentaire, sont certes plutôt mineurs comparés aux modifications génétiques induites par les ERO et à l’influence qu’ils peuvent avoir sur les cellules cancéreuses et sur la constitution des tumeurs (tumorigenèse). Néanmoins, on note que les régulations ont fortement tendance à limiter les produits de blanchiment des dents produisant des ERO, sinon dans leur utilisation, tout au moins dans leur concentration. Se pose donc la question de savoir quelles sont, en l’état actuel des connaissances scientifiques,

SCIENCE 12 DIMENSIONS 3 2023 SCIENCE
U. P. Saxer Prof. Dr méd. dent. Forch I. Krejci Prof. Dr méd. dent. Université de Genève

les alternatives médicalement inoffensives aux produits classiques de blanchiment des dents basés sur le peroxyde d’hydrogène. Cet article se propose de présenter des substances qui, en l’état actuel des connaissances scientifiques, contribuent à la préservation d’une belle dentition blanche sans causer de dommages irréversibles.

En général, on peut éliminer les colorations extrinsèques par aéropolissage ou grâce à des dentifrices soigneusement sélectionnés, combinés à un brossage manuel ou sonique.

En ce qui concerne le blanchiment des dents intrinsèque, on fait appel à différents groupes de substances:

1) Enzymes: extraits de fruits: la papaïne se trouve dans la papaye. La bromélaïne est une enzyme qui se trouve dans l’ananas et la ficine est une enzyme extraite du latex de figuier. Certains dentifrices blanchissants contiennent ces enzymes.

2) L’acide lactique, l’acide ascorbique (vitamine C) et les acides des agrumes ont généralement aussi un léger effet blanchissant: ils agissent comme des oxydants à la surface de l’émail. Ils présentent toutefois un risque d’érosion de l’émail si le brossage est effectué immédiatement après leur consommation.

3) Charbon actif et bicarbonate de sodium basique.

4) Il y a une vingtaine d’années, un pigment artificiel a été produit, le «Blue Covarine» ou Phthalocyanine, un colorant non «blanchissant» qui, par sa couleur bleutée, confère à la surface jaunâtre des dents une nuance de bleu. Ce colorant est souvent allié à un acide doux, par exemple l’acide phtalimidoperoxycaproïque (PAP). L’application de telles préparations à un groupe test a donné pour résultat que 39 % des dents analysées présentaient, immédiatement après le traitement, une amélioration de leur coloration de quatre unités de valeur chromatique et 20 % une amélioration de trois respectivement sept unités.

5) Lorsqu’ils sont utilisés régulièrement, les composés de phosphate de calcium (hydroxyapatite HA) blanchissent légère-

ment. Ils peuvent se présenter sous différentes formes, par exemple sous forme de crèmes (CPP-ACP, f-TCP), de dentifrices contenant 3 à 15 % d’hydroxyapatite (3–15 %) ou de sérum d’émail à appliquer sur les dents; ce dernier, en association avec la peptide P11–4, qui fait effet de «colle» et prolonge la durée de maintien des cristaux HAP sur la surface de l’émail. En règle générale, ces produits renforcent le brillant de la surface de l’émail, produisant ainsi un «effet d’éclaircissement». Le sérum d’émail est ici particulièrement intéressant car une étude pilote préliminaire non encore publiée a pu démontrer que l’application répétée de cette formule pouvait réduire préventivement la coloration des dents, ce qui permettrait une nouvelle approche du problème de la coloration des dents, à savoir la prévention. Toutes les substances évoquées dans le présent article sont nettement moins efficaces que les agents classiques de blanchiment des dents basés sur la chimie des ERO. Si les dents sont fortement colorées, l’effet de blanchiment obtenu sera donc faible. Mais l’exemple du sérum dentaire semble établir une nouvelle stratégie de traitement de la coloration des dents. Au lieu d’attendre que les dents soient fortement colorées avant de procéder à un blanchiment intense et agressif à l’aide de formules hautement concentrées en peroxyde d’hydrogène, à l’avenir, dans le cadre d’un blanchiment doux, on pourrait plutôt prévenir les colorations dentaires ou annuler les colorations légères par l’application régulière de substances actives exemptes d’EROs.

Les sources peuvent être obtenues auprès des auteurs.

Correspondance:

Prof. Ulrich P. Saxer Forchweg 3

8127 Forch ulrichp.saxer@uzh.ch

DIMENSIONS 3 2023 SCIENCE 13

Incapacité de travail et vacances – quelles règles s’appliquent?

Les jours de vacances «manqués» peuvent-ils se récupérer?

Le «plaisir des vacances» n'est pas toujours garanti pendant les vacances: une grippe, des maux d'estomac ou une coupure peuvent obliger à passer la plupart des jours de congé dans un lit d'hôtel, voire à l'hôpital, ce qui gâche sérieusement la période de villégiature. Dans ce cas, il convient d’établir si les jours de vacances pendant lesquels on a été malade en tant qu’employé-e peuvent être récupérés ultérieurement.

Dans ce contexte, il est important de souligner que «incapacité de travail» ne signifie pas nécessairement «incapacité de vacances». Dans ces cas de figure, la question se pose de savoir si, malgré les problèmes de santé, le but récréatif des vacances est encore garanti ou non. La maladie doit donc présenter une certaine durée et une certaine gravité. Un aprèsmidi de maux de tête ne donne pas droit à un rattrapage des heures correspondantes. Même si, au lieu de la randonnée en montagne prévue, seule une petite promenade est possible, cela ne signifie pas qu'il y ait «incapacité de vacances». Il est possible de se remettre.

Mais si vous souffrez de troubles considérables pendant plusieurs jours, vous devriez vous faire établir un certificat médical sur votre lieu de vacances, qui confirme l'incapacité de profiter des vacances. Ce n'est qu'alors qu'il existe un droit de récupération des jours perdus. Le salaire est dû pour les jours de maladie, comme s'il y avait eu maladie pendant le temps de travail. En cas d'accident, c'est

l'assurance-accidents qui est compétente.

Il est recommandé d'informer immédiatement l'employeur-euse si vous tombez malade ou vous subissez un accident pendant les vacances.

Les vacances sont-elles permises malgré un arrêt maladie?

Partir en vacances malgré une incapacité de travail (100 %) – est-ce permis? Comme mentionné, «incapacité de travail» ne signifie pas nécessairement «incapacité de vacances». L'évaluation de la capacité ou de l'incapacité d'une personne employée à prendre des vacances est en principe une tâche médicale. C'est pourquoi les certificats médicaux comportent souvent la mention «Pendant la période d'incapacité de travail attestée par le présent certificat, il existe également une incapacité de prendre des vacances». Si le médecin atteste une «incapacité de vacances» à l'employé-e avant l’envol pour sa destination, en tant qu'employeur-euse je m'y conformerais, dans le cadre du principe de confiance habituel en Suisse, c'est-à-dire que je n'aurais pas d'autres doutes. Si l'employeur-euse met en doute le certificat médical, il peut demander à l'employé-e de consulter un médecin-conseil. Les frais de la visite sont à la charge de l'employeur-euse. Le ou la médecin doit faire preuve de diligence lors de l'établissement du certificat et y consigner sa conviction médicale en son âme et conscience.

NOTICES 14 DIMENSIONS 3 2023 NOTICES
David Herren Dr iur. Sursee

Produits

Brosse à dents électrique

Oral-B iO™ Series 4

Le système d'entraînement magnétique innovant de la brosse à dents Oral-B iO™ Series 4 fournit de l'énergie avec précision à l'extrémité des soies. La tête de brosse ronde glisse d'une dent à l'autre avec des micro-vibrations douces et des mouvements oscillants pour une expérience de brossage efficace et agréable. Le contrôle intelligent de la pression avertit par un voyant rouge si la pression est trop forte, et le voyant passe au vert lorsque la pression est optimale. Quatre programmes de brossage sont disponibles pour répondre aux différents besoins: «Nettoyage quotidien», «Éclaircissement», «Sensitif» et «Super Sensitif». Un voyant jaune signale quand la tête de brosse doit être remplacée. La minuterie informe sur le temps de brossage recommandé de deux minutes. La brosse à dents peut se connecter via Bluetooth à l'application Oral-B afin de suivre les habitudes de brossage et de personnaliser les réglages. Oral-B iO™ Series 4 est disponible en trois couleurs: Quiet white, lavender, Matte black.

Pour en savoir plus: www.oralb.de

La nouvelle gamme de dentifrice au fluor de TePe

La gamme TePe Daily est conçue pour un nettoyage en douceur des dents lors des soins dentaires quotidiens. Pour les adultes elle contient 1450 ppm de fluor, pour les bébés de 0 à 2 ans 1000 ppm de fluor, et pour les enfants de 3 à 6 ans également 1000 ppm de fluor. Le dentifrice TePe Daily™ pour adultes est peu moussant et a un agréable goût de menthe. L’arôme du dentifrice TePe Daily™ pour enfants est extra doux. Le dentifrice TePe Daily™ pour bébés ne contient pas de colorants ni d'arômes. La gamme TePe Pure™ convient aux patient-e-s présentant une gencive sensible, une muqueuse buccale sensible (aphtes) ou en cas de sécheresse buccale (par exemple syndrome de Sjögren). La ligne TePe Pure™ contient 1450 ppm de fluor et est disponible en deux versions: TePe Pure™ sans exhausteur de goût et TePe Pure™ Peppermint à l’agréable goût mentholé. Les deux lignes de dentifrice ont peu d'ingrédients sélectionnés, évitent le SLS et le dioxyde de titane et sont végétaliennes.

Informations complémentaires: www.tepe.com

Miracle Easy Clean Flosser

Le Miracle Easy Clean Flosser du leader du marché scandinave Jordan Oral Care est un support innovant qui rend l'utilisation du fil dentaire plus facile et plus efficace. Il offre ainsi une solution pratique à ceux qui ont des difficultés à utiliser correctement le fil dentaire traditionnel. La poignée ergonomique assure une manipulation parfaite, de sorte que tous les espaces interdentaires peuvent être atteints sans effort. Les arcs de fil dentaire sont interchangeables d’un simple clic.

Informations complémentaires: www.jordan-oral-care.de

NOTICES DIMENSIONS 3 2023 NOTICES 15
Marlis Donati Hygiéniste dentaire dipl. ES Bâle

Nouvelle loi sur la protection des données (nLPD) au 1.9.2023

L'actuelle Loi fédérale sur la protection des données (LPD; en vigueur depuis 1992) a pour but de protéger la personnalité et les droits fondamentaux des personnes physiques dont les données personnelles font l'objet d'un traitement. La loi sur la protection des données (nLPD) totalement révisée entrera en vigueur le 1er septembre 2023. Elle assurera une protection encore meilleure des données personnelles tout en garantissant la compatibilité avec le règlement général de l’UE sur la protection des données (RGPD).

Qu'est-ce qui ne change pas?

Ceux qui, jusqu'ici, traitaient de manière correcte des «données personnelles sensibles» notamment, telles que des données relatives à la santé, ne rencontreront pas de problèmes majeurs avec la nouvelle LPD. En effet, les principes essentiels du traitement ne changeront pas. Comme à l’heure actuelle, le traitement de données personnelles «générales» ne nécessitera pas le consentement exprès de la personne concernée, pour autant que les principes de la transparence (obligation d'informer), de la finalité, de la proportionnalité et de la sécurité des données soient respectés. En ce qui concerne les «données personnelles sensibles» telles les données relatives à la santé, le consentement exprès de la personne concernée au moment de la collecte des données restera nécessaire.

Principales nouveautés de la loi révisée sur la protection des données1 Bien que les principes de traitement ne changent pas fondamentalement, il convient de connaître quelques changements majeurs. Ainsi le catalogue des «données personnelles sensibles» se voitil élargi: les données relatives à la santé sont désormais complétées par des données «biométriques» et «génétiques». De nouvelles notions sont introduites, comme le «profilage», la «protection des données dès la conception et par défaut». La personne responsable est tenue de

mettre en place des mesures techniques et organisationnelles (logiciel et matériel) appropriées au regard de l'état de la technique et de garantir que le traitement soit limité au minimum requis par la finalité poursuivie.

Déclaration de protection des données / cookies / remise de données Désormais, une déclaration de protection des données proactive – c'est-à-dire une information adéquate sur chaque traitement de données personnelles – sera obligatoire. Il est recommandé de placer sur son site web une déclaration de protection des données qui informe également sur l'utilisation de cookies. Une bannière de cookies ne devra toutefois être affichée qu’en cas de relations commerciales avec l'UE2. En outre, le droit des personnes concernées à la remise de données sera renforcé.

Registre des activités de traitement

Les organisations comptant moins de 250 collaborateurs/-trices (c'est-à-dire les petites organisations/les indépendants) devront tenir un registre si elles traitent des données personnelles sensibles (p. ex. données relatives à la santé comme des données de base et de contact de patient-e-s, de collaborateurs/trices, notes sur le déroulement d'un traitement, diagnostics, résultats de laboratoire, radiographies, médicaments prescrits, etc.)

NOTICES 16 DIMENSIONS 3 2023 NOTICES
Roman Obrist juriste lic. iur., MAS Sursee 1 Vous trouverez des explications détaillées sur les principaux changements dans l'aide-mémoire sur la nouvelle loi sur la protection des données avec focus sur les «données personnelles sensibles» sur https://dentalhygienists.swiss/fr/membre/service-juridique 2 c'est-à-dire lorsque des produits/services sont également proposés à des personnes de l'UE

Annonce de violations et durcissement des sanctions pénales

En vertu de la nouvelle LPD, les responsables devront annoncer toute violation de la sécurité des données (par ex. perte de données, cyberattaque) susceptible d'entraîner un risque élevé pour la personnalité ou les droits fondamentaux de la personne concernée. L’annonce devra être adressée dans les plus brefs délais au PFPDT (Préposé fédéral à la protection des données et à la transparence) et à toutes les parties potentiellement concernées, afin d'éviter des sanctions ou d'autres complications.

Pour ce qui est de la responsabilité pénale, il faut savoir que la violation de certaines obligations entraîne la responsabilité pénale non pas de l'entreprise, mais de la personne physique qui a commis l’infraction. Les personnes responsables peuvent être aussi bien des membres de la direction que d'autres personnes habilitées à prendre des décisions au sein de l'entreprise, mais aussi des personnes qui ont violé une obligation (par exemple, violation du secret). Toutefois, seule la violation intentionnelle est punissable.

DIMENSIONS 3 2023 NOTICES 17

Treatment of Endodontic Infection

Autors: José F. Siqueira, Jr/ Isabela N. Rôças, 2. Edition 2022, pages: 576, Picture: 717, ISBN 978-1-78698-112-7, EUR 198

The ultimate goals of endodontic therapy are to prevent and treat apical periodontitis, which is one of the most common inflammatory diseases that affect humans and is caused by microbial infection of the root canal system. Endodontology as a clinical and scientific discipline has expanded and evolved tremendously alongside medical advances generally over the past decades. A thorough understanding of the etiology and pathogenesis of apical periodontitis is essential for high-quality endodontic practice based on a solid scientific foundation. The first section of the book deals with microbiologic and pathophysiologic aspects of the different manifestations of apical periodontitis, while the second section describes the best evidence for predictable treatment and prevention of the disease. Clinical techniques and protocols to treat endodontic infections are described in detail. The content is supplemented with numerous full-colour illustrations and radiographs.

An Atlas of Dental Vascularity & Innervation

Author: Barrington, Craig, Quintessence Publishing Germany, 1st Edition 2022, pages: 144, pictures: 178, ISBN 978-1-64724-066-0, EUR 118

Our understanding of internal dental anatomy has remained limited by our inability to see inside a tooth without sectioning it. However, for one dentist working to find a way to see inside a tooth, the answer was diaphanization. This atlas represents the breath-taking results of photographing human teeth that have been made transparent. The images in this atlas showcase the internal anatomy of the teeth, with a special emphasis on the innervations and vascular structure and their distribution within the dentin chamber. For each image, the author follows a complex diaphanization method to make an extracted tooth transparent, before photographing the intact internal dental anatomy. Therefore, the images display structures that have rarely been seen so clearly and in three dimensions, including the pulp chamber, apical anatomy, tooth channels, as well as pulpal pathology.

NOTICES 18 DIMENSIONS 3 2023 NOTICES
Books
Marlis Donati Dipl. Dentalhygienikerin HF Basel

Des idées de communication fraîches, jeunes et innovantes pour Swiss Dental Hygienists

Dans le cadre d'une coopération avec la Haute école des sciences appliquées de Zurich (ZHAW), Swiss Dental Hygienists est intervenu en tant que donneur de cas. Les étudiants suivent un Bachelor à l'IAM Institut für Angewandte Medienwissenschaft de la ZHAW et en sont à leur quatrième semestre. L'atelier, pour lequel Swiss Dental Hygienists a joué le rôle de donneur de cas, s’est tenu dans le module Communication organisationnelle. L'atelier a duré sept semaines, avec environ deux jours à disposition par semaine. Les étudiants se sont répartis en trois groupes, chacun agissant en tant qu'agence de communication (mandataire). Il y a eu un kick-off commun suivi d'entretiens avec les trois agences et une présentation des différents concepts à la fin de l'atelier. Pendant l'atelier, les agences de communication ont pu poser des questions à Swiss Dental Hygienists. Les étudiant-e-s ont été encadré-e-s par le Dr Patrik Scherler, chargé de cours à la ZHAW et directeur de BENROX AG (Coaching, Consulting et Connecting), et Andrea Trussardi, responsable du module à l'IAM (Institut für Angewandte Medienwissenschaft) ainsi que directrice d'afire GmbH (communication et concepts).

Les étudiants avaient pour mission d'élaborer un concept de communication pour l'association professionnelle Swiss Dental Hygienists sur la base des informations disponibles. Les critères décisifs étaient l'augmentation de la notoriété de la profession d'hygiéniste dentaire diplômé-e ES en Suisse et donc la transmission des messages centraux aux groupes cibles

définis. Les étudiant-e-s étaient libres de choisir les moyens et les mesures. Les canaux de communication existants devaient cependant être davantage pris en compte. Les groupes cibles définis étaient les personnes et les associations dans le domaine du sport et les parents avec des adolescent-e-s.

Les trois agences de communication (groupes d'étudiant-e-s) ont marqué des points grâce à une présentation professionnelle et à des idées fraîches et innovantes.

L'agence High Five nous a convié-e-s à un tour à vélo dont le slogan était «Une visite régulière chez l'hygiéniste dentaire est la

ASSOCIATION DIMENSIONS 3 2023 ASSOCIATION 19
wamag Sursee Figure 1: Les étudiants du 4e semestre Bachelor en communication à l'IAM et leur professeur, Dr Patrik Scherler

clé d'un sourire éclatant et d'une santé (buccale) optimale!» Une mesure ou une étape prévue lors du tour à vélo est un slow-up. Il est proposé ici d'attirer l'attention sur le slogan avec une célébrité, un vélo affichant l’impression correspondante et au moyen de petits présents également. L'événement est soutenu sur les médias sociaux par des posts de collaboration Instagram. De plus, l'agence a développé un petit concept de talks Instagram, appelés «Auf den Zahn gefühlt». High Five prévoit également la participation de Swiss Dental Hygienists aux championnats suisses de boxe en 2024. Un jeu-concours est prévu, avec à la clé un protège-dents – pour un sourire sans faille. Une gourde a été spécialement conçue par l'agence pour cet événement. La gourde spécifique au groupe cible (voir image à la page 21) augmente la visibilité, marque les esprits et elle est personnelle. Le code QR sur l'étiquette renvoie au site internet, qui répond à la question «Pourquoi un protège-dents est-il important?».

L'agence See Through a opté pour le message clé ombrelle «Préserver sa santé grâce à une hygiène dentaire régulière et économiser ainsi des frais». Le message est souligné par le slogan «caring right, smiling bright» (figure 2). Dans le domaine de la sensibilisation, le groupe a marqué des points avec une idée audacieuse:

une action de guérilla pendant le «Zibelemärit» de Berne. Pour cela, des slogans de marques connues sont repris et reformulés sur le thème des «dents saines». Par exemple Gillette: «Pour le meilleur dans la bouche» (au lieu de: «Pour le meilleur dans l'homme»). Dans le cadre de l'action, les images sont projetées sur des édifices connus, tels que le bâtiment Loeb, la Zytglogge et la cathédrale. La faisabilité de cette idée créative devrait se heurter au cadre juridique. Pour atteindre le groupe cible «parents avec adolescent-e-s», See Through propose des dark posts sur Facebook. Les dark posts sont des posts qui s'affichent dans le flux des utilisateurs-trices comme des posts normaux, mais qui n'apparaissent pas dans le profil de Swiss Dental Hygienists.

L'agence Fleur s'est intéressée de près au canal de médias sociaux TikTok et en conclut qu'il s'agit également d'un canal approprié pour Swiss Dental Hygienists. Sur TikTok, il est possible de publier des vidéos au contenu éducatif, pédagogique et informatif. Il est par exemple possible de présenter la profession et les domaines d'activité de l'hygiéniste dentaire avec une série «Hesch gwüsst, dass...». Les TikToks à succès sont reflétés sur YouTube-Shorts, Instagram-Reels et Facebook-Watch. Ainsi, les parents avec des adolescent-e-s peuvent également être atteints via Facebook, Instagram et YouTube.

Pour la présence de l'association professionnelle dans les salons, l'agence Fleur prévoit, outre un dépliant d'information et un kit d'hygiène bucco-dentaire, un jeu qui favorise l'interaction au stand. Un grand sourire découpé avec du rouge à lèvres rouge doit faire office de panier. Des pommes vertes en peluche servent de balles. Les pommes en peluche doivent être associées au dicton «An apple a day keeps the doctor away». L'objectif est de lancer cinq pommes en peluche dans le «panier». Différents petits présents sont prévus en guise de prix. Les étudiant-e-s ont réussi à se familiariser en peu de temps avec un thème qui leur était inconnu. Les propositions élaborées servent de précieuses apports à la communication de notre association.

20 DIMENSIONS 3 2023 ASSOCIATION
Figure 2: Le slogan de l'agence See
Through

Swiss Oral Health Days 2023 Concours d’aiguisage

Participez pour gagner un couteau Julien Guiraud ou un instrument M23CN Rose pour les 19 finalistes !

Requêtes à admin@deppeler.ch

Publireportage

Deppeler récompense* le bon entretien de vos instruments.

Deppeler récompense* le bon entretien de vos instruments.

Deppeler belohnt* die richtige Pflege Ihrer Instrumente.

Vous savez combien nous aimons parler d’aiguisage et il nous semble important de continuer pour vous accompagner au mieux dans votre activité.

Sie wissen, wie gerne wir über das Schärfen sprechen, und es erscheint uns wichtig, dies auch weiterhin zu tun, um Sie bei Ihrer Tätigkeit bestmöglich zu unterstützen.

Vous savez combien nous aimons parler d’aiguisage et il nous semble important de continuer pour vous accompagner au mieux dans votre activité.

Pourquoi nous aimons l’aiguisage ?

Tout d’abord parce que maintenir le tranchant d’un instrument signifie travailler avec plus d’aisance, plus rapidement et plus précisément. C’est à la fois plus de plaisir pour vous, et pour le patient c’est plus agréable. Ensuite, le fait de maintenir un outil en bon état d’usage permet de le conserver plus longtemps et d’éviter un réachat trop fréquent, voire du gaspillage. Enfin un en tretien régulier permet de gagner du temps dans votre pratique au quotidien.

elle va s’user mais moins vite. Avec le risque in fine de s’habituer à utiliser un outil émoussé. Afin de garder un bon tranchant, sans bavures qui pourraient rendre l’instrument très agressif, un affutage régulier le long de la lame est notre

sich langsamer abnutzen. Dadurch besteht die Gefahr, dass man sich an ein stumpfes Instrument gewöhnt. Um eine gute Schärfe ohne Grate zu erhalten, die das Instrument sehr aggressiv machen könnten, ist regelmäßiges Schärfen entlang der Klinge unsere Lösung.

Pourquoi nous aimons l’aiguisage?

Tout d’abord parce que maintenir le tranchant d’un instrument signifie travailler avec plus d’aisance, plus rapidement et plus précisément.

Warum wir das Schärfen lieben? Erstens, weil die Erhaltung der Schärfe eines Instruments bedeutet, dass man leichter, schneller und präziser arbeiten kann. Das ist sowohl für Sie als auch für den Patienten angenehmer.

C’est à la fois plus de plaisir pour vous, et pour le patient c’est plus agréable.

Zweitens: Wenn Sie ein Werkzeug in einem guten Gebrauchszustand halten, bleibt es Ihnen länger erhalten und Sie vermeiden, es zu oft neu zu kaufen oder gar zu verschwenden. Und schließlich spart eine regelmäßige Pflege Zeit bei der täglichen Arbeit.

Ensuite, le fait de maintenir un outil en bon état d’usage permet de le conserver plus longtemps et d’éviter un réachat trop fréquent, voire du gaspillage. Enfin un entretien régulier permet de gagner du temps dans votre pratique au quotidien.

Toute matière s’use

Toute matière s’use

Il est facile d’être tenté par des matières dures qui s’usent moins vite et qui devraient donc nécessiter moins d’aiguisage. La mauvaise nouvelle c’est qu’une matière plus dure induit moins de tactilité. Plus difficile à réaffuter,

Il est facile d’être tenté par des matières dures qui s’usent moins vite et qui devraient donc nécessiter moins d’aiguisage. La mauvaise nouvelle c’est qu’une matière plus dure induit moins de tactilité. Plus difficile à réaffuter,

Jedes Material nutzt sich ab Es ist leicht, sich von harten Materialien verleiten zu lassen, die sich nicht so schnell abnutzen und daher weniger oft geschärft werden müssen. Die schlechte Nachricht ist, dass ein härteres Material weniger taktil ist. Es ist schwieriger nachzuschleifen und wird

elle va s’user mais moins vite. Avec le risque in fine de s’habituer à utiliser un outil émoussé. Afin de garder un bon tranchant, sans bavures qui pourraient rendre l’instrument très agressif, un affutage régulier le long de la lame est notre solution.

Die Deppeler-Methode

La méthode Deppeler

Das Schärfen nach Deppeler ist einfach und präzise. Ein feiner Stein könnte genügen, aber wir haben einige Hilfsmittel, die Ihnen die Arbeit erleichtern.

La méthode Deppeler

L’aiguisage selon Deppeler est facile et précis. Une pierre fine pourrait suffire, mais nous avons quelques outils pour vous faciliter la tâche. Visitez notre site afin d’en savoir un peu plus sur l’Easy Sharp Coach et sur l’Easy Sharp Device.

L’aiguisage selon Deppeler est facile et précis. Une pierre fine pourrait suffire, mais nous avons quelques outils pour vous faciliter la tâche. Visitez notre site afin d’en savoir un peu plus sur l’Easy Sharp Coach et sur l’Easy Sharp Device. Nous nous réjouissons de vous accueillir à notre stand aux Swiss Oral Health Days pour en discuter.

Besuchen Sie unsere Website, um mehr über den Easy Sharp Coach und das Easy Sharp Device zu erfahren.

Wir würden uns freuen, Sie an unserem Stand auf dem Oral Health Day begrüßen zu dürfen, um uns mit Ihnen darüber zu unterhalten.

Nous nous réjouissons de vous accueillir à notre stand à l’Oral Health Day pour en discuter.

Unsere Methode

Notre méthode

*das schärfste Set 1x Gracey, 1xScaler, 1xCurette erhält ein außergewöhnliches Küchenmesser

*le set 1x Gracey, 1xScaler, 1xCurette le mieux aiguisé recevra un couteau de cuisine hors norme

Sabine Hofmann Deppeler SA admin@deppeler.ch *Le set 1x Gracey, 1x Scaler, 1x Curette le mieux aiguisé recevra un couteau de cuisine hors norme.

TRISA – pour un sorire étincelant

Après la brosse TRISA Sonic Performance, élue «Kauftipp» (achat recommandé) par K-Tipp, TRISA lance une nouvelle brosse à dents sonique made in Switzerland. La TRISA Sonic Ultimate est déjà disponible dans le commerce.

Des études scientifiques démontrent l’efficacité exceptionnelle du brossage des dents électrique. Le formidable effet nettoyant allié à la sensation agréable et à la simplicité d'utilisation incitent toujours plus de personnes à opter pour une brosse à dents électrique. Beaucoup de spécialistes recommandent les brosses à dents soniques pour l'hygiène buccodentaire quotidienne.

Brosses à dents soniques TRISA

Depuis des années, la brosse Sonicpower permet à un vaste public d’acheter une brosse à dents sonique à un prix abordable. Devenue la brosse à dents sonique la plus vendue en Suisse, elle ravit aujourd'hui encore par son excellent rapport qualitéprix. La Sonic Performance de TRISA a reçu la mention «Kauftipp» lors du dernier test de brosses à dents électriques de K-Tipp. L’arrondi remarquable de ses poils a su convaincre en particulier.

Nouvelle génération

La nouvelle TRISA Sonic Ultimate satisfait aux exigences les plus poussées en termes de qualité et d'ergonomie. Avec ses 40 000 pulsations soniques/ minute de nettoyage en profondeur, cette innovation offre la satisfaction d’un brossage optimal. La fonction TIME CONTROL guide d’un secteur de la bouche à l’autre tout au long des deux minutes de brossage recommandées et le contrôle visuel de la pression module le nettoyage individuel. La puissante batterie au lithium-ion assure une longue durée d'utilisation jusqu'à deux semaines de brossage (2 x 2 minutes/jour). La brosse à dents sonique est équipée d'un écran intelligent et de trois modes de nettoyage: clean, sensitive et white.

Brossettes de rechange de qualité supérieure

Outre ses performances de pointe, la brosse à dents TRISA Sonic Ultimate séduit par la compacité et l’efficacité de sa

TRISA Sonic Ultimate – pour la satisfaction d’un brossage optimal.

brossette. Les fibres arrondies avec soin agissent en profondeur dans les espaces interdentaires et terrassent la plaque dentaire. Les brossettes à dents très appréciées Pro Clean et Fine Tip sont aussi compatibles avec la nouvelle brosse à dents sonique.

Contact:

TRISA AG

6234 Triengen

Tél. 041 935 35 35 info@trisa.ch www.trisa.ch

Renforcez la résistance des gencives

Effet antibactérien cliniquement prouvé1,2

Réduction de la plaque dentaire 28x plus importante2

80 % des personnes confirment une sensation agréable dans la bouche après avoir laver leurs dents3

Scannez pour en savoir plus ou visitez www.gabaprofessional.ch/fr-ch

meridol® PARODONT EXPERT est le système complet pour vos patients sujets à la parodontite et à la récession gingivale 1 Dentifrice meridol® PARODONT EXPERT, par rapport à un dentifrice classique (1.000 ppm F-, NaMFP), après 6 mois d‘utilisation régulière. Montesani, sep. 2020, data on file. 2 Bain de bouche meridol® PARODONT EXPERT, par rapport à un bain de bouche traditionnel (200 ppm F-, NaF), après 6 mois d‘utilisation régulière, Montesani, juin 2022, data on file. 3 Home Usage Test avec le dentifrice meridol® PARODONT EXPERT, 143 utilisateurs, Allemagne, 2022. Convient pour le soin des implants NOUVEAU avec de l’acide hyaluronique
Publireportage

EMOFLUOR ® Intensive Care

Gel für die Akutpflege von empfindlichen Zähnen

Die Universität Bern (Klinik für Zahnerhaltung, Präventiv- und Kinderzahnmedizin, Prof. Dr. Adrian em. Lussi) hat unterschiedliche in der Schweiz im Handel befindliche Zahnpflegeprodukte zum Schutz dentaler Erosionen getestet: EMOFLUOR Intensive Care Gel von Wild Pharma zeigte das beste Resultat.1)

DIMENSIONS 3 2023 ASSOCIATION | VERBAND 23
Dr. Wild & Co. AG | Hofackerstrasse 8 | 4132 Muttenz | Switzerland | www.wild-pharma.com EMOFORM Protect Candida Protect Professional Sensodyne Repair & Protect Migros Budget Anti-Caries (negative control) EMOFLUOR Protect Gel Professional Elmex Erosion Protection (positive
EMOFLUOR® Intensive Care Gel Emofluor® Intensive Care Gel: stabilisiertes Zinn-(II)-fluorid (1000 ppm F-, 3120 ppm Sn2+), RDA 18. 75 ml.
Intensive Care Optimale
Haftbarkeit
1) Wasser
G., Joao-Souza S., Lussi A., Carvalho TS., 2018, Erosion-protecting effect of oral-care products available on the Swiss market. Swiss Dental J. SSO, 2018, 128, 290-296.
control)
Der Gewinner
Konsistenz und

TEBODONT ®

Einzigartige Mund- und Zahnpflege mit Teebaumöl / Melaleuca alternifolia

Zahnpasten, Mundspülungen, Gel und Spray für die optimale Mund- und Zahnpflege

Wirksam

• antimikrobiell / fungizid 1)

• entzündungshemmend 2,3)

• kariesprotektiv/plaquehemmend 2)

Gut verträglich 2,3)

• keine Verfärbungen

• keine Geschmacksveränderungen

1) Kulik E., Lenkheit K., Meyer J. Antimikrobielle Wirkung von Teebaumöl (Melaleuca alternifolia) auf orale Mikroorganismen. Acta Med. Dent. Helv. 5, 125130. 2) Saxer U.P., Stäuble A., Szabo S.H., Menghini G. Wirkung einer Mundspülung mit Teebaumöl auf Plaque und Entzündung. Schweiz. Monatsschr. Zahnmed. 9, 985-990. 3) Soukoulis S. and Hirsch R., The effects of a tea tree oil-containing gel on plaque and chronic gingivitis, Austr. Dent. J., 2004, 49, 78-83.
Dr. Wild & Co. AG | Hofackerstrasse 8 | 4132 Muttenz | Switzerland | www.wild-pharma.com

EMOFORM ®

Brush ,n Clean / Duofloss / Triofloss

Optimale Lösungen für die tägliche Interdentalreinigung

EMOFORM® Brush‘n Clean ist eine metallund latexfreie Interdentalbürste. Sie passt sich dem Zahnzwischenraum an und schont Zahnfleisch und Zähne. Die hochwertigen Gummibürsten reinigen den Interdentalbereich schonend und ohne das Zahnfleisch zu verletzen. Sie können mehrmals verwendet werden und das enthaltene Natriumfluorid unterstützt die Kariesprophylaxe.

EMOFORM® Duofloss & Triofloss sind multifunktionale Flosse zur bedürfnisgerechten Reinigung der Zahnzwischenräume, von Implantaten und unter Brücken, Brackets und Spangen. EMOFORM® Duofloss besteht aus der bewährten Einfädelhilfe und dem weichen, Flauschfaden in zwei verschiedenen Stärken. EMOFORM® Triofloss besteht aus der bewährten Einfädelhilfe, dem Flauschfaden in zwei verschiedenen Stärken und aus normaler Zahnseide.

Erhältlich in zwei Grössen:

EMOFORM® Brush‘n Clean Ø 1.5 - 3,5mm

EMOFORM® Brush‘n Clean XL Ø 2.5 - 4,5mm

Erhältlich in vier Stärken:

EMOFORM® Duofloss Regular, Duofloss Fine

EMOFORM® Triofloss Regular, Triofloss Extrasoft

Dr. Wild & Co. AG | Hofackerstrasse 8 | 4132 Muttenz | Switzerland | www.wild-pharma.com

Optimale Konsistenz und Haftbarkeit

EMOFLUOR ®

Intensive Care, Twin Care & Daily Care

Gel, Zahnpasten und Mundspülung für die Rundumpflege von empfindlichen Zähnen und Zahnhälsen

EMOFLUOR Intensive Care Gel ist für die Intensivepflege von Zahn- und Zahnhalsempfindlichkeit. Das Gel versiegelt die Dentintubuli, schützt vor aggressiven Säuren und stimuliert die Remineralisierung der Zähne. In einer Schweizer Studie zeigte EMOFLUOR Intensive Care Gel das beste Resultat beim Schutz vor dentalen Erosionen.1)

EMOFLUOR Twin Care Zahnpaste verbindet das hochwirksame, mineralische Zinnfluorid mit der CUROLOX TECHNOLOGIE.

Die doppelte Schutzschicht beugt Erosionen effektiv vor und desensibilisiert schmerzempfindliche Zähne rasch durch Verschluss der Dentintubuli.

EMOFLUOR Daily Care Zahnpaste und Mundspülung sind für die alltägliche Pflege von empfindlichen Zähnen. Sie schützen empfindliche Zähne und freiliegende und schmerzempfindliche Zahnhälse, pflegen das Zahnfleisch und beugen Karies vor.

Dr. Wild & Co. AG | Hofackerstrasse 8 | 4132 Muttenz | Switzerland | www.wild-pharma.com
1) Wasser G., Joao-Souza S., Lussi A., Carvalho TS., 2018, Erosion-protecting effect of oral-care products available on the Swiss market. Swiss Dental J. SSO, 2018, 128, 290-296.

Komfortzone

Was ist überhaupt damit gemeint?

Wikipedia definiert, dass die Komfortzone einen individuellen Bereich des privaten oder gesellschaftlichen Lebens beschreibt, der durch Bequemlichkeit und Risikofreiheit geprägt ist. Das Wort wird alltagssprachlich oft abwertend gebraucht, der Ausdruck «Verlassen der Komfortzone» ist dagegen positiv konnotiert. Eine weitere Definition ist: «Ein Zustand, in welchem wir möglichen Ängsten neutral begegnen und eine begrenzte Anzahl von Verhaltensweisen einsetzen, um ein gleichmässiges Leistungsniveau zu erreichen – in der Regel stressfrei und ohne grössere Anstrengung» (vgl. White, 2008).

Bei der Komfortzone handelt es sich also um jenen Bereich, in dem ich mich wohlfühle, in welchem es bequem ist und ich keinerlei Anstrengung brauche, um etwas zu tun. Die Komfortzone bezeichnet nicht unbedingt einen Ort, sondern eine ganze Lebensweise.

Was passiert, wenn ich die Komfortzone verlasse? Zuerst komme ich in die Angstzone, in welcher ich Unsicherheit, Ablehnung und Ausreden überstehen muss, um nicht über einen Abbruch zurück in die Komfortzone zu kehren. Stattdessen gelange ich weiter in die Lernzone. In dieser gewinne ich neue Fähigkeiten und generiere Selbstvertrauen. Dadurch mache ich

Erfahrungen und komme in die Wachstumszone . Persönliches Wachstum wird hingegen nie stattfinden, wenn man die eigene Komfortzone nie verlässt, sich nicht durch die Angst-, Lern- und Wachstumszone hindurch begibt und mutig ist. Nun stellt sich mir die Frage: Ist es denn nötig, ständig zu wachsen? Coaches und Motivationstrainer regen stetig dazu an, die eigenen Grenzen zu überschreiten und mutig zu sein, um nicht auf der Stelle zu verweilen. Ich denke, dass es charakterabhängig ist, ob jemand gerne und ständig über seine Komfortzone hinausgeht oder ob es dieser Person angenehmer ist, sich stetig in der Komfortzone zu bewegen. Abhängig von installierten Glaubenssätzen (z. B. «das kann ich sowieso nicht, das kommt nicht gut, mehr Geld steht mir nicht zu, ich bin zu dumm») ist es eine Typfrage, ob man sich getraut, die Komfortzone zu verlassen. Ich persönlich habe mich früher zu gerne nur in meiner Komfortzone bewegt. Seit einigen Jahren verlasse ich sie immer wieder. Dabei merke ich, dass es mich immer mehr reizt, Neues zu wagen und daran zu wachsen. Mal schauen, wohin die Reise noch führen wird!

IMPRESSUM

Herausgeber

Swiss Dental Hygienists Bahnhofstrasse 7b, 6210 Sursee Tel. +41 (0)41 926 07 90 info@dentalhygienists.swiss

Redaktionskommission

Christine Bischof (Präsidentin)

Mara Bovo Marlis Donati

Petra Hofmänner

Corinne Kellenberger

Mia Navratil (Vizepräsidentin Zentralvorstand)

Redaktion und Layout wamag Bereich Kommunikation Bahnhofstrasse 7b, 6210 Sursee Tel. +41 (0)41 926 07 70 dimensions@dentalhygienists.swiss

Übersetzung

Jaime Calvé

Geschäftsinserate

Mara Bovo Mobile +41 (0)76 536 31 36 marabovo@hotmail.com

Stelleninserate

Siehe Adresse Herausgeber

Druck und Versand

Multicolor Print AG Sihlbruggstrasse 105a, 6341 Baar

Auflage 2400 Exemplare

Erscheinungsweise

4 Ausgaben pro Jahr

Abonnement

CHF 85.00 pro Jahr

Copyright

Die Rechte des Herausgebers und der Autor*innen bleiben vorbehalten. Eine allfällige Weiterverarbeitung, Wiederveröffentlichung oder Vervielfältigung zu gewerblichen Zwecken ohne vorherige ausdrückliche Zustimmung der Autorenschaft oder des Herausgebers ist nicht gestattet.

EDITORIAL DIMENSIONS 3 2023 EDITORIAL 27
Mara Bovo Redaktionskommission Mara

Teil 2: Klinik und Klassifizierung der Medikamenteninduzierten Osteonekrosen der Kiefer und Implikationen für die Behandlung von Patient*innen unter antiresorptiver Therapie

Teil 2: Medikamenten-induzierte Osteonekrosen der Kiefer

Drug-induced Osteonecrosis of the Jaws (DIONJ) – Implikationen für die zahnärztliche Praxis im Umgang mit Patient*innen unter Bisphosphonaten, Denosumab oder neueren Medikamenten

Zusammenfassung

Die Medikamenten-induzierte Osteonekrose der Kiefer («Drug-induced Osteonecrosis of the Jaws»/DIONJ) ist ein weit verbreitetes Krankheitsbild, welches hauptsächlich durch antiresorptive Medikamente (Bisphosphonate und Denosumab) verursacht wird. In den letzten 20 Jahren haben Erkenntnisse über die pathophysiologischen Mechanismen, welche zur Entstehung einer DIONJ führen, stetig zugenommen und den Umgang mit diesen Patient*innen entsprechend beeinflusst. Die orale Gesundheit spielt in der Prävention dieses Krankheitsbildes eine entscheidende Rolle. Die Durchführung einer Risiko-adaptierten Behandlung dieser Patient*innen setzt genaue Kenntnisse über die bisherige Exposition bzw. einer gegebenenfalls geplanten, weiteren antiresorptiven Behandlung voraus.

Klinik und Klassifizierung der Medikamenten-induzierten Osteonekrose der Kiefer

Von einer Medikamenten-induzierten Osteonekrose des Kiefers (DIONJ) kann gesprochen werden, wenn folgende Voraussetzungen erfüllt sind:

1. Laufende oder abgelaufene antiresorptive Therapie

2. Dehiszenz mit freiliegendem Knochen am Unter- und/oder Oberkiefer, die für mehr als acht Wochen persistiert

3. Keine vorausgegangene Radiotherapie im Bereich der Kiefer

Wie bereits in Teil 1 dieses Artikels erwähnt, treten Osteonekrosen deutlich

häufiger bei Patient*innen auf, welche diese Präparate hochdosiert, intravenös und über einen längeren Zeitraum erhalten haben. Dabei handelt es sich zumeist um die Verabreichung im Rahmen einer Krebstherapie. Bei diesen Patient*innen werden Osteonekrosen der Kiefer in der Literatur mit einer Inzidenz von 0.8–20 % beschrieben. Bei den niedriger dosierten Präparaten, wie sie in der OsteoporoseTherapie verwendet werden, ist das Auftreten einer DIONJ deutlich geringer (0.1– 4 %).

Oft entstehen Kiefernekrosen als Folge von oralchirurgischen Behandlungen, vornehmlich Zahnextraktionen. Auch Druckstellen von Prothesen, parodontale und apikale Infekte können den Ausgangspunkt für die Entstehung einer Osteonekrose bilden. In manchen Fällen treten die Nekrosen am Kiefer aber ohne erkennbaren äusseren Einfluss spontan auf.

Es gibt in der Literatur verschiedene Klassifizierungen der Bisphosphonatinduzierten Osteonekrosen des Kiefers. Eine der am häufigsten verwendeten Einteilungen ist diejenige der American Association of Oral- and Maxillofacial Surgeons (Tabelle 1).

Radiologisch manifestiert sich das Krankheitsbild der Osteonekrose im Kiefer bereits früh durch eine vermehrte Sklerosierung des Knochens. Diese tritt oftmals zuerst an der Lamina dura des Alveolarknochens auf, lange bevor eine Kiefernekrose klinisch manifest wird (Stadium 0 –Abbildung 1). In fortgeschrittenen Fällen weitet sich die Sklerose auf grössere Teile

WISSENSCHAFT 28 DIMENSIONS 3 2023 WISSENSCHAFT
Marc Baltensperger Dr. med. Dr. med. dent. Winterthur

der Kieferknochen aus. Infiziert sich der Knochen, kann dies zur Osteolysen, Sequester- und Fistelbildungen bis hin zur pathologischen Fraktur führen.

Bei der fortgeschrittenen DIONJ (ab Stadium 1) liegt der Kieferknochen an einer oder mehreren Stellen der Mundhöhle frei (Abbildungen 2 und 3). Der*die Patient*in

kann dabei weitgehend beschwerdefrei sein oder wenig bis starke Schmerzen verspüren. Das Ausmass der Beschwerden hängt dabei hauptsächlich von der Ausdehnung der Nekrose und von einer allfälligen Begleitentzündung (Stadium 2) oder weiteren Komplikationen (Stadium 3) ab (Abbildungen 4 und 5).

Stadium DIONJ Symptome/Klinische Befunde

0

• Unspezifische klinische Symptome (Knochenschmerzen, unspezifische Zahnschmerzen, erhöhte Zahnbeweglichkeit ohne andere Ursachen)

• Keine Knochennekrose nachweisbar

• Im Röntgenbild vermehrte Sklerose, v. a. im Bereich der Lamina dura

Tabelle 1: Stadieneinteilung DIONJ, adaptiert von der American Association of Oral- and Maxillofacial Surgeons (AAOMS)

1

• Freiliegender nekrotischer Knochen

• Asymptomatische Patient*innen

• Keine Infektion nachweisbar

2

• Freiliegender nekrotischer Knochen

• Symptomatische Patient*innen

• Infektion klinisch nachweisbar

3

• Freiliegender nekrotischer Knochen

• Symptomatische Patient*innen mit Schmerzen und Nachweis einer Infektion sowie mindestens einer der folgenden Komplikationen:

1. Pathologische Fraktur

2. Extraorale Fistel

3. Mund-Antrum-Fistel-Nachweis

4. Osteolyse, die sich auf den Unterrand des Unterkiefers oder den Sinus ausbreitet

Abbildung 1: Sklerosierte Lamina dura als Frühzeichen einer verstärkten Exposition durch antiresorptive Medikamente (Stadium 0) (Bild mit freundlicher Genehmigung Dr. H. Thuau)

Abbildung 2: Spontan aufgetretene Bisphosphonatinduzierte Osteonekrose am linken Unterkiefer bei einer Patientin nach mehrjähriger Therapie mit Ibandronat (Bondronat®) wegen einer metastasierenden Brustkrebserkrankung (Stadium 1)

Abbildung 3:

Patientin mit 3-jähriger Therapie mit Pamidronat (Aredia®) wegen einer metastasierenden Brustkrebserkrankung. Nach der Implantatversorgung im Unterkiefer bildete sich eine Osteonekrose um das eine Implantat, was später zum Implantatverlust führte (Stadium 2).

DIMENSIONS 3 2023 WISSENSCHAFT 29

Abbildungen 4 und 5:

(Stadium 3) Patientin mit fortgeschrittener Osteonekrose des Oberkiefers, die zur spontanen pathologischen Fraktur der Maxilla führte

(klinischer Befund mit korrespondierenden radiologischen Aufnahmen (DVT)

(Bild mit freundlicher Genehmigung

Dr. H. Thuau)

Abbildung 4

Implikationen für die Behandlung von Patient*innen unter antiresorptiver Therapie

Prinzipiell haben sich in den letzten Jahren keine grundlegenden Änderungen im Umgang mit Patient*innen unter antiresorptiver Therapie ergeben. Die bisherigen Strategien erweisen sich aufgrund der stetig wachsenden Datenlage als wirksam und zweckmässig. Vertiefte Kenntnisse des Krankheitsbildes haben sich nicht nur in zahnärztlichen Kreisen, sondern auch in der Ärzteschaft, welche die antiresorptiven Medikamente verschreibt, in den letzten zwei Jahrzehnten

deutlich verbessert. Der besondere Stellenwert der oralen Gesundheit als beste Prävention zur Verhinderung einer DIONJ ist unbestritten.

Die Behandlung von Patient*innen, welche Bisphosphonate oder Denosumab erhalten, richtet sich nach dem Stadium des Krankheitsbildes und den Beschwerden. Prinzipiell gibt es drei wesentliche Grundsätze, welche es bei diesen Patient*innen zu beachten gibt:

1. Die Prävention einer Kiefernekrose ist viel einfacher und effektiver als die Therapie einer manifesten Kiefernekrose. Ihr kommt deshalb eine zentrale Rolle zu.

2. Die Behandlung von Patient*innen unter antiresorptiver Medikation muss auf jeder Stufe Risiko-adaptiert erfolgen. Art des antiresorptiven Medikamentes, Verabreichungsform, Dosis und Therapiedauer spielen bei der Risikobeurteilung eine zentrale Rolle.

3. Die (chirurgische) Behandlung einer Kiefernekrose sollte sich nach dem Grundsatz «so viel wie nötig, so wenig als möglich» richten und gehört in die Hände eines Spezialisten oder einer Spezialistin.

Der antiresorptiv vorbelastete Alveolarknochen kann aufgrund seines reduzier-

Abbildung 5

30 DIMENSIONS 3 2023 WISSENSCHAFT

ten Umbauvermögens bedeutend schlechter abheilen. Es ist deshalb wichtig, Traumatisierungen und Infektionen dieses Gewebes zu vermeiden. Idealerweise werden Patient*innen, bei denen die Indikation für eine antiresorptive Therapie gestellt wurde, vor Therapiebeginn zur Zahnärztin bzw. zum Zahnarzt für eine Herdabklärung und eine allfällige Sanierung geschickt. Dabei sollten alle aktiven und potenziellen Entzündungsherde beseitigt werden.

Steht der*die Patient*in unter einer antiresorptiven Therapie oder hat bereits früher solche Medikamente erhalten, sollte die Mundhygiene auf einem möglichst perfekten Niveau gehalten werden. Oralchirurgische Eingriffe (Extraktionen, Wurzelspitzenresektionen, Knochenaufbauten, Implantate etc.) sind bei diesen Patient*innen immer mit einem gewissen erhöhten Risiko für die Bildung einer Kiefernekrose verbunden. Dieses Risiko muss von der behandelnden Zahnärztin bzw. vom behandelnden Zahnarzt bei jeder Patientin, bei jedem Patienten individuell abgewogen werden und ist stark von der Art des Medikamentes und der bisher verabreichten Menge (Dauer, Dosierung, Verabreichungsart) abhängig. Bei Patient*innen, welche bereits eine manifeste DIONJ aufweisen, muss vor einer zu raschen und aggressiven chirurgischen Vorgehensweise gewarnt werden.

Da der Alveolarknochen nur eine reduzierte Heilungskapazität aufweist, ist nach Eingriffen mit grösseren Komplikationen im Sinne von Wundheilungsstörungen und einer weiteren Nekrosebildung zu rechnen. Konservative Massnahmen wie Mundspülungen und die Behandlung von begleitenden Infekten mit Antibiotika sind das erste Mittel der Wahl. Ebenfalls hilfreich kann das (temporäre) Absetzen der antiresorptiven Therapie sein (sog. «Drug Holiday»). Obwohl die Wirksamkeit dieser Massnahme in der Literatur noch umstritten ist, insbesondere wegen der niedrigen Evidenz, hat sich diese Massnahme im klinischen Alltag eingebürgert. In der Theorie geht man davon aus, dass eine Pausierung der antiresorptiven Medikamente es dem Knochengewebe erlaubt, sich wieder etwas zu erholen. Ein solcher «Drug Holiday» muss stets in Abstimmung mit der behandelnden Ärztin bzw. dem behandelnden Arzt der Patientin, des Patienten erfolgen, um eventuelle Nachteile, welche sich durch die Absetzung der antiresorptiven Medikamente ergeben, möglichst gering zu halten. Falls eine chirurgische Therapie unumgänglich ist, sollte diese möglichst schonend erfolgen und sich v. a. auf die Entfernung von Sequestern und totem Knochengewebe beschränken. In Fällen einer ausgedehnteren Knochennekrose muss jedoch nicht selten ein grösserer

Abbildung 6: Algorithmus zur Behandlung von Patient*innen unter antiresorptiver Therapie Teil I – Risikoabklärung

Flussdiagramm adaptiert nach Nicolatou-Galitis O. et al. Medication-related osteonecrosis of the jaw: definition and best practice for prevention, diagnosis, and treatment

Oral Surg Oral Med Oral Pathol Oral Radiol 2019;127:117–135

DIMENSIONS 3 2023 WISSENSCHAFT 31
* *
* (vgl. Tabelle 2 im Teil 1 des Artikels)

Abbildung 7: Algorithmus zur Behandlung von Patient*innen unter antiresorptiver Therapie Teil II – Risiko adaptierte Behandlung

Der Autor

Dr. med. Dr. med. dent. Marc Baltensperger

Facharzt FMH Mund-, Kiefer- und Gesichtschirurgie

Fachzahnarzt SSO Oralchirurgie

2003 Facharzt FMH Kiefer- und Gesichtschirurgie

2003 Fachzahnarzt SSO Oralchirurgie

2003–2004 Oberarzt Klinik für Mund-, Kiefer- und Gesichtschirurgie, Kantonsspital Luzern (Prof. Dr. Dr. med. N. Hardt)

2004 Gemeinschaftspraxis für Kiefer- und Gesichtschirurgie zusammen mit Dr. Dr. med. R. Lebeda in Winterthur

2008 Gemeinschaftspraxis für Kiefer- und Gesichtschirurgie Dr. Dr. Th. Bottler, Dr. Dr. R. Lebeda und Dr. Dr. M. Baltensperger in Baden

2008 Gründung Institut für Dentomaxillofaciale Radiologie und virtuelle Planung

2009 Gründung der Plattform für Plastisch-Ästhetische Gesichtschirurgie

2017 Fähigkeitsausweis Vertrauensarzt des KVGs

Korrespondenzadresse:

Fachärzte für Mund-, Kiefer- und Gesichtschirurgie Plastisch-ästhetische und rekonstruktive Gesichtschirurgie, Dentomaxillofaciale Radiologie und virtuelle Planung

Dr. med. Dr. med. dent. Marc Baltensperger

Zürcherstrasse 7

8400 Winterthur

baltensperger@kiefergesichtschirurgie.ch www.kiefergesichtschirurgie.ch

Teil des Kiefers – mit anschliessend aufwendiger Rekonstruktion des Defektes –chirurgisch entfernt werden. Da die Risikoadaptierte Behandlung einer manifesten DIONJ viel Erfahrung bedarf, sollte sie nur durch Spezialist*innen erfolgen.

Ein zusammenfassender Algorithmus zur Risiko-Abklärung und Risiko-adaptierten Behandlung von Patient*innen unter antiresorptiver Therapie ist in den Abbildungen 6 und 7 dargestellt.

Empfohlene weiterführende Literatur

• Marx RE

Drug-induced Osteonecrosis of the Jaws: How to Diagnose, Prevent, and Treat It Quintessence Pub Co; 2022

• Nicolatou-Galitis O. et al.

Medication-related osteonecrosis of the jaw: definition and best practice for prevention, diagnosis, and treatment

Oral Surg Oral Med Oral Pathol Oral Radiol 2019; 127:117-135

• Otto S (Herausgeber)

Medication-Related Osteonecrosis of the Jaws: Bisphosphonates, Denosumab, and New Agents Springer; 2015

• Ruggiero SL, Dodson TB, Aghaloo T, Carlson ER, Ward BB, Kademani D. American Association of Oral and Maxillofacial Surgeons' Position Paper on Medication-Related Osteonecrosis of the Jaws-2022 Update

J Oral Maxillofac Surg. 2022 May;80(5):920-943

32 DIMENSIONS 3 2023 WISSENSCHAFT

Geeignet zur Implantatpflege

mit Hyaluronsäure

Stärken Sie die Widerstandskraft des Zahnfleischs

Klinisch bestätigte antibakterielle Wirksamkeit1,2

28x stärkere Plaquereduktion2

80 % der Verwender:innen bestätigen ein angenehmes Mundgefühl nach dem Zähneputzen3

meridol® PARODONT EXPERT ist die Zahnfleischpflege mit System für Patient:innen, die zu Parodontitis und Rezession neigen 1 meridol® PARODONT EXPERT Zahnpasta, im Vergleich zu einer herkömmlichen Zahnpasta (1.000 ppm F-, NaMFP), nach 6 Monaten bei regelmässiger Anwendung. Montesani, Sep. 2020, data on file. 2 meridol® PARODONT EXPERT Mundspülung, im Vergleich zu einer herkömmlichen Mundspülung (200 ppm F-, NaF), nach 6 Monaten mit 2x täglicher Anwendung, Montesani, Juni 2022, data on file. 3 Home Usage Test mit meridol® PARODONT EXPERT Zahnpasta,

Scannen um mehr zu erfahren oder gehen Sie auf www.gabaprofessional.ch

Publireportage

TRISA – für ein strahlend schönes Lachen

Nach der vom K-Tipp zum «Kauftipp» gekürten TRISA Sonic Performance lanciert TRISA eine neue Schallzahnbürste – made in Switzerland. Die TRISA Sonic Ultimate ist ab sofort im Handel erhältlich.

Wissenschaftliche Studien belegen die hohe Effizienz des elektrischen Zähneputzens. Die gute Reinigungswirkung, das angenehme Putzgefühl und die einfache Handhabung veranlassen immer mehr Menschen, ihre Zähne mit einer elektrischen Zahnbürste zu putzen. Fachleute empfehlen häufig Schallzahnbürsten für die tägliche Mundhygiene.

TRISA Schallzahnbürsten

Die Sonicpower ermöglicht seit Jahren einer breiten Bevölkerungsschicht den Zugang zu einer preiswerten Schallzahnbürste. Sie entwickelte sich zur meistverkauften Schallzahnbürste der Schweiz und besticht auch heute noch durch ihr hervorragendes Preis-Leistungs-Verhältnis. Mit Sonic Performance hat TRISA eine Schallzahnbürste auf dem Markt, die im letzten Elektrozahnbürsten-Test des K-Tipp mit dem Prädikat «Kauftipp» ausge-

zeichnet wurde. Insbesondere die hervorragende Borstenabrundung überzeugte im Test.

Neue Generation

Die neue TRISA Sonic Ultimate erfüllt höchste Ansprüche an Qualität und Ergonomie. Mit bis zu 40 000 tiefenreinigenden Bewegungen pro Minute sorgt die Innovation für ein ultimatives Putzerlebnis. Eine Time-Control-Funktion führt durch die empfohlene Reinigungsdauer von zwei Minuten und die Andruckkontrolle unterstützt die individuelle Reinigung. Der leistungsstarke Lithium-Ionen-Akku sorgt für eine lange Nutzungsdauer von bis zu 2 Wochen Zähneputzen (2 x 2 Minuten am Tag). Die Schallzahnbürste ist mit einem Smart Display und den drei Reinigungsmodi clean, sensitive und white ausgestattet.

Hochwertige Aufsteckbürsten

Nebst ihrer Top-Performance überzeugt die TRISA Sonic Ultimate mit einer

besonders kompakten und effizienten Aufsteckbürste. Die sorgfältig abgerundeten Filamente wirken bis tief in die Zahnzwischenräume und entfernen Zahnbeläge effektiv. Die beliebten Aufsteckbürsten Pro Clean und Fine Tip sind auch mit der neuen Schallzahnbürste verwendbar.

Kontakt:

TRISA AG

6234 Triengen Tel. 041 935 35 35 info@trisa.ch www.trisa.ch

143 Verwender:innen mit schweren Zahnfleischproblemen, Deutschland, 2022.
NEU
TRISA Sonic Ultimate – für ein ultimatives Putzerlebnis.

«Sanfte» Möglichkeiten der Zahnaufhellung

Die Bedeutung von hellen Zähnen ist unzweifelhaft gross und die Produkte, die durch die Industrie angeboten werden, sind vielfältig. Die zur Zahnaufhellung angebotenen Produkte werden durch die Hersteller und in der wissenschaftlichen Literatur häufig an bovinen Schmelzplättchen geprüft, die zuvor mit Farbstoffen eingefärbt worden sind. Dabei wird gemessen, wie gut das entsprechende Produkt die zuvor aufgenommenen Farbstoffe wieder entfernen kann, wobei diese Farbveränderungen mit digitalen Zahnfarbmessgeräten der VITA Zahnfabrik (Deutschland) oder dem Spectroshade (MHT Optic, Schweiz) quantifiziert werden können.

Die zahnverfärbenden Pigmente stammen nicht nur von Lebens- oder Genussmitteln wie z. B. Zigarettenrauch, Kaffee, Rotwein oder Schwarztee. Antiseptika, metallische Salze bzw. Medikamente können Zahnverfärbungen ebenso fördern wie Nahrungsmittel.

Zahnverfärbende Tannine und Gerbstoffe kommen auch in Blättern, Früchten und Wurzeln vor. Diese Stoffe dienen meist der Lebensmittelkonservierung. Durch Gerbsäuren werden Eisen und andere Metalle gebunden oder Proteine gefällt.

Dabei entstehen Niederschläge, die meist gelblich bis bräunlich sind. Diese Stoffe lagern sich einerseits auf der Oberfläche der Zähne im sogenannten Pellicle ein. Je rauer die Zahnoberfläche, desto intensiver und rascher erfolgt diese Anlagerung, welche als die sogenannte extrinsische Verfärbung bezeichnet wird.

Andererseits können Pigmente durch

Porositäten oder Risse in den Schmelz eindringen und danach weiter ins Dentin penetrieren. Diese Art der Pigmentierung wird als intrinsische Zahnverfärbung bezeichnet.

Zahnaufhellungsmittel lassen sich dementsprechend in Produkte einteilen, welche die oberflächlichen, extrinsischen Verfärbungen entfernen und in Produkte, welche die intrinsische Zahnverfärbung beheben.

Klassische Zahnaufhellungsprodukte basieren auf der bekannten Chemie der sogenannten Reactive oxygen species (ROS), deren Hauptvertreter das Wasserstoffperoxid (H2O2) ist. In der DimensionsAusgabe 3/22 berichtete bereits einer der Autoren über die Probleme der Zahnaufhellung mittels ROS. Insbesondere wurde über die im Rahmen der Allgemeinmedizin auftretenden Schädigungen durch ROS berichtet. Diese spielen meist im höheren Alter eine Rolle und können die Immunabwehr deutlich beeinträchtigen. Die lokalen, kurzfristig auftretenden Nebenwirkungen, welche vornehmlich im Zusammenhang mit der Zahnmedizin diskutiert werden, sind zwar gegenüber den durch die ROS bedingten Genveränderungen und deren Einfluss auf Krebszellen und Tumorgenesis eher nebensächlich. Nichtsdestotrotz besteht von der regulatorischen Seite her die klare Tendenz, ROS-bildende Zahnaufhellungsprodukte in ihrem Gebrauch oder zumindest in ihrer Konzentration stark einzuschränken. Damit stellt sich die Frage, welche nach heutigem Stand der Wissenschaft medizinisch unbedenk lichen

WISSENSCHAFT 34 DIMENSIONS 3 2023 WISSENSCHAFT
U. P. Saxer Prof. Dr. med. dent. Forch I. Krejci Prof. Dr. med. dent. Universität Genf

Alternativen zu den klassischen Wasserstoffperoxid-basierten Zahnaufhellungsprodukten verfügbar sind. Hierzu wird in diesem Beitrag auf Substanzen eingegangen, die nach heutigem Stand der Wissenschaft zum Erhalt von schönen, hellen Zähnen beitragen, ohne bleibende Schäden zu hinterlassen.

Extrinsische Verfärbungen lassen sich in der Regel abrasiv mittels Pulver-Wasserstrahl bzw. mittels sorgfältig ausgewählten Zahnpasten in Kombination mit Handoder Schallzahnbürsten entfernen.

Zur intrinsischen Zahnaufhellung stehen verschiedene Stoffgruppen zur Verfügung:

1) Enzyme aus Früchten: Papain kommt in der Papaya Frucht vor. Bromelain ist ein Enzym, das sich in der Ananaspflanze findet und Ficin ist ein Enzym aus dem Milchsaft des Feigenbaumes. Gewisse aufhellende Zahnpasten enthalten diese Enzyme.

2) Milchsäure, Ascorbinsäure (Vitamine C) und Säuren aus Zitrusfrüchten haben im Allgemeinen ebenfalls eine leicht bleichende Wirkung, indem sie wie Oxidationsmittel auf der Oberfläche des Zahnschmelzes wirken. Sie bergen aber die Gefahr der Schmelzerosion, wenn unmittelbar nach deren Genuss gebürstet wird.

3) Aktivkohle und das basische Natriumbicarbonat

4) Vor ca. 20 Jahren wurde das künstliche Pigment «Bluecovarine» oder Phthalocyanin, ein nicht «bleichender» Farbstoff, eingeführt, der durch seine bläuliche Farbe einfach die Zahnoberfläche eines gelblichen Zahnes in Richtung blau verändert. Dieser Farbstoff wird oft mit einer milden Säure kombiniert, so zum Beispiel mit Phthalimidoperoxycapron (PAP). Mit solchen Präparaten wurden in einer Testgruppe 39 % der untersuchten Zähne unmittelbar nach der Behandlung mit einer Farbverbesserung um vier Farbwerteinheiten, und bei 20 % mit einer Verbesserung um drei bzw. um sieben Einheiten gefunden.

5) Calcium-Phosphat Verbindungen (Hydroxyapatit), die bei regelmässiger Anwendung leicht aufhellen. Sie kön-

nen in verschiedenen Darreichungsformen vorliegen, wie z. B. in der Form von Cremes (CPP-ACP, f-TCP), in der Form von Zahnpasten mit 3–15 % Hydroxylapatit (3–15 %) oder als Paint-on Schmelzserum, bei dem die Kombination mit dem Peptid P11-4, welcher als «Kleber» wirkt, die Verweildauer der HaP-Kristalle an der Schmelzoberfläche verlängert. In der Regel führen diese Produkte zu einem höheren Oberflächenglanz des Schmelzes und damit zu einem «Aufhellungseffekt». Das Paint-on Schmelzserum ist dabei besonders interessant, da in einer vorläufigen, nicht veröffentlichten Pilotstudie gezeigt werden konnte, dass die wiederholte Anwendung dieser Formulierung die Zahnverfärbung präventiv reduzieren kann, was eine neue Herangehensweise an die Problematik der Zahnverfärbung erlauben könnte, nämlich diejenige der Prävention. Alle im vorliegenden Artikel diskutierten Wirkstoffe sind deutlich weniger effizient als die klassischen, auf der Chemie der ROS basierten klassischen Zahnaufhellungsmittel. Stark verfärbte Zähne werden somit eher mild aufgehellt. Das Beispiel des Paint-on Zahnserums zeigt aber die Möglichkeit einer neuen Behandlungsstrategie der Zahnverfärbung auf. Anstatt zu warten, bis die Zähne stark verfärbt sind und dann mit hochkonzentrierten Wasserstoffperoxid-Formulierungen intensiv und aggressiv aufzuhellen, könnte es in Zukunft beim sanften Aufhellen vielmehr darum gehen, Zahnverfärbungen zu verhindern bzw. leichte Verfärbungen durch die regelmässige Applikation von ROS-freien Wirkstoffen rückgängig zu machen.

Die Quellen können bei den Autoren angefragt werden.

Korrespondenzadresse:

Prof. Ulrich P. Saxer Forchweg 3

8127 Forch

ulrichp.saxer@uzh.ch

DIMENSIONS 3 2023 WISSENSCHAFT 35

Arbeitsunfähigkeit und Ferien – was gilt?

Können «verpasste» Ferientage nachgeholt werden?

Nicht immer ist der «Feriengenuss» in den Ferien gewährleistet: Eine Grippe, Magenbeschwerden oder eine Schnittverletzung können dazu führen, dass man die freien Tage mehrheitlich im Hoteloder gar Spitalbett verbringen muss und die Ferientage damit gehörig verpatzt werden. In diesen Fällen stellt sich die Frage: Können die Ferientage, an denen man als Arbeitnehmer*in krank war, zu einem späteren Zeitpunkt nachgeholt werden?

In diesem Zusammenhang ist es wichtig zu betonen, dass «Arbeitsunfähigkeit» nicht unbedingt auch «Ferienunfähigkeit» bedeuten muss. In diesen Konstellationen stellt sich die Frage, ob trotz der gesundheitlichen Probleme der Erholungszweck der Ferien noch gewährleistet ist oder nicht. Die Erkrankung muss also eine gewisse Dauer und Schwere aufweisen. Ein Nachmittag lang Kopfschmerzen berechtigt nicht zu einem Nachholen der entsprechenden Stunden. Auch wenn statt der gewünschten Bergwanderung nur ein kleinerer Spaziergang möglich ist, heisst das nicht, dass eine «Ferienunfähigkeit» vorliegt. Eine Erholung ist nach wie vor möglich.

Wenn Sie jedoch tagelang unter massiven Beschwerden leiden, sollten Sie sich am Ferienort ein Arztzeugnis ausstellen lassen, welches die Ferienunfähigkeit bestätigt. Nur dann besteht ein Nachholrecht für die ausgefallenen Tage. Für die Krankheitstage ist der Lohn geschuldet, wie wenn während der Arbeitszeit eine Erkrankung vorläge. Liegt ein Unfall vor, ist

die Unfallversicherung zuständig. Es ist empfehlenswert, umgehend den oder die Arbeitgeber*in zu informieren, wenn Sie während der Ferien erkranken oder verunfallen.

Sind Ferien trotz Krankschreibung erlaubt?

Trotz Arbeitsunfähigkeit (100 %) in die Ferien fliegen – ist dies erlaubt? Wie erwähnt, bedeutet Arbeitsunfähigkeit nicht unbedingt auch «Ferienunfähigkeit». Die Beurteilung, ob eine angestellte Person arbeitsrechtlich als «ferienfähig» resp. als «ferienunfähig» einzuordnen ist, ist grundsätzlich eine medizinische Aufgabe. Bei ärztlichen Zeugnissen findet sich daher oft der Zusatz «Während des Zeitraumes der mit diesem Zeugnis attestierten Arbeitsunfähigkeit besteht auch eine Ferienunfähigkeit.». Falls der Arzt oder die Ärztin der angestellten Person vor dem Abflug eine «Ferienunfähigkeit» attestiert, würde ich mich als Arbeitgeber*in im Rahmen des in der Schweiz üblichen Vertrauensprinzips daran orientieren, sprich keine weiteren Zweifel hegen. Wird das ärztliche Attest seitens Arbeitgeber*in angezweifelt, kann er/sie die*den Angestellte*n dazu anweisen, einen Vertrauensarzt bzw. eine Vertrauensärztin aufzusuchen. Die Kosten für die Untersuchung muss von dem*der Arbeitgeber*in getragen werden. Die Ärztin resp. der Arzt muss bei der Ausstellung des Zeugnisses alle Sorgfalt anwenden und nach bestem Wissen und Gewissen die ärztliche Überzeugung im Zeugnis zum Ausdruck bringen.

NOTIZEN 36 DIMENSIONS 3 2023 NOTIZEN
David Herren Dr. iur. Sursee

Produkte

Oral–B iO™ Series 4 elektrische Zahnbürste

Das innovative, magnetische Antriebssystem der Oral-B iO™ Series 4 liefert Energie punktgenau an die Borstenspitzen. Der runde Bürstenkopf gleitet mit sanften Mikrovibrationen und oszillierenden Bewegungen von Zahn zu Zahn, um ein effektives und angenehmes Putzerlebnis zu erzielen. Die intelligente Andruckkontrolle warnt mit rotem Licht vor zu viel Druck, und sie leuchtet grün, wenn der Druck optimal ist. Für die unterschiedlichen Bedürfnisse stehen die vier Putzprogramme «Tägliche Reinigung», «Aufhellen», «Sensitiv» und «Super Sensitiv» zur Auswahl. Ein gelbes Licht signalisiert, wann der Bürstenkopf ausgetauscht werden sollte. Der Timer gibt Auskunft über die empfohlene Putzzeit von zwei Minuten. Die Zahnbürste kann über Bluetooth mit der Oral-B-App verbunden werden, um das Putzverhalten zu verfolgen und die Einstellungen zu personalisieren. Die Oral-B iO™ Series 4 ist in drei Farben erhältlich: Quiet white, lavender, Matte black.

Weitere Infos: www.oralb.de

Die neuen Fluoridzahnpasta-Linien von TePe

Die TePe Daily-Linie ist für die sanfte Reinigung der Zähne bei der täglichen Zahnpflege geeignet. Für Erwachsene mit 1450 ppm Fluorid, für Babys von 0 bis 2 Jahren mit 1000 ppm Fluorid und für Kinder von 3 bis 6 Jahren ebenfalls mit 1000 ppm Fluorid. Die TePe Daily™Zahnpasta für Erwachsene ist schaumarm und hat einen milden Minzgeschmack. Der Geschmack der TePe Daily™-Kinderzahnpasta ist extra mild. Die TePe Daily™Zahnpasta für Babys enthält weder Farbstoffe noch Aromastoffe. Die TePe Pure™-Linie ist für Patient*innen mit sensibler Gingiva, empfindlicher Mundschleimhaut (Aphthen) oder bei Mundtrockenheit (z. B. Sjögren-Syndrom) geeignet. Die TePe Pure™-Linie enthält 1450 ppm Fluorid und ist in zwei Ausführungen erhältlich: TePe Pure™ ohne Geschmacksverstärker und TePe Pure™ Peppermint mit mildem Minzgeschmack. Beide Zahnpasta-Linien haben wenige ausgewählte Inhaltsstoffe, vermeiden SLS und Titandioxid und sind vegan.

Weitere Infos: www.tepe.com

Miracle Easy Clean Flosser

Der Miracle Easy Clean Flosser vom skandinavischen Marktführer Jordan Oral Care ist ein innovativer Zahnseidenhalter, der die Verwendung von Zahnseide einfacher und effektiver macht. Dadurch bietet er eine praktische Lösung für diejenigen, die Schwierigkeiten haben, herkömmliche Zahnseide richtig zu benutzen. Der ergonomische Griff des Flossers sorgt für eine perfekte Handhabung, sodass alle Zahnzwischenräume mühelos erreicht werden können. Die Zahnseidebögen sind per Klick austauschbar.

Weitere Infos: www.jordan-oral-care.de

NOTIZEN DIMENSIONS 3 2023 NOTIZEN 37

Neues Datenschutzgesetz (DSG) per 1.9. 2023

Das geltende Bundesgesetz über den Datenschutz (DSG; seit 1992 in Kraft) bezweckt den Schutz der Persönlichkeit und der Grundrechte von natürlichen Personen, deren Personendaten bearbeitet werden. Am 1. September 2023 tritt das revidierte Datenschutzgesetz (DSG) in Kraft. Es sorgt für einen noch besseren Schutz von Personendaten und stellt gleichzeitig die Kompatibilität mit der europäischen Datenschutzgrundverordnung (DSGVO) sicher.

Was bleibt gleich?

Wer bis dato vor allem «besonders schützenswerte Personendaten» wie Gesundheitsdaten gemäss dem geltenden Gesetz korrekt bearbeitet hat, wird auch mit dem neuen DSG vor keine grösseren Probleme gestellt. Denn die wesentlichen Bearbeitungsgrundsätze verändern sich nicht. Wie bisher ist für die Bearbeitung von «allgemeinen» Personendaten keine ausdrückliche Einwilligung der betroffenen Person nötig, sofern die Bearbeitungsgrundsätze der Transparenz (Informationspflicht), der Zweckbindung, der Verhältnismässigkeit sowie der Datensicherheit eingehalten werden. Bezüglich der «besonders schützenswerten Personendaten» wie Gesundheitsdaten braucht es weiterhin eine ausdrückliche Einwilligung der Betroffenen zum Zeitpunkt der Datenerhebung.

Wichtigste Neuerungen des revidierten Datenschutzgesetzes1 Auch wenn sich die Bearbeitungsgrundsätze nicht grundlegend ändern, gilt es, einige neue Punkte zu kennen. So wird der bestehende Katalog der «besonders schützenswerten Personendaten» ausgebaut: Die Gesundheitsdaten werden neu mit «biometrischen» und «genetischen» Daten erweitert. Neue Begriffe wie «Profiling», «Datenschutz durch Technik und datenschutzfreundliche Voreinstellungen» werden eingeführt. Die verant-

wortliche Person ist verpflichtet, die Datenbearbeitung technisch und organisatorisch (Soft- und Hardware) so auszugestalten, dass sie dem neusten Stand der Technik entspricht und auf das für die Bearbeitung nötige Mindestmass beschränkt ist.

Datenschutzerklärung / Cookies / Datenherausgabe

Eine proaktive Datenschutzerklärung –d. h. eine angemessene Information über jede Verarbeitung von Personendaten wird neu zur Pflicht. Es ist zu empfehlen, eine entsprechende Datenschutzerklärung auf der Website zu schalten. Darin ist auch über die Verwendung von Cookies zu informieren. Ein Cookie-Banner ist nur dann aufzuschalten, sobald EU-Traffic2 generiert wird. Überdies wird das Recht der Betroffenen auf Datenherausgabe verstärkt.

Verzeichnis der Bearbeitungstätigkeiten Organisationen mit weniger als 250 Mitarbeitenden (d. h. kleinere Organisationen/Selbstständige) müssen ein Verzeichnis führen, sofern sie besonders schützenswerte Personendaten (z. B. Gesundheitsdaten) bearbeiten (z. B. Stammund Kontaktdaten von Patient*innen, Mitarbeiter*innen, Aufzeichnungen über den Verlauf einer Behandlung, Diagnosen, Laborresultate, Röntgenbilder, Medikationen etc.).

NOTIZEN 38 DIMENSIONS 3 2023 NOTIZEN
Roman Obrist Jurist lic. iur., MAS Sursee 1 Detaillierte Ausführungen zu den wichtigsten Änderungen sind dem Merkblatt zum neuen Datenschutzgesetz mit Fokus «Besonders schützenswerte Personendaten» auf https://dentalhygienists.swiss/mitglied/rechtsberatung zu entnehmen. 2 d. h. wenn Produkte/Dienstleistungen auch Personen aus der EU angeboten werden

Meldung von Verletzungen und verschärfte Strafbestimmungen

Nach dem neuen DSG müssen Verantwortliche eine Verletzung der Datensicherheit (z. B. Datenverlust, Cyberangriff), die zu einem hohen Risiko für die Persönlichkeit oder die Grundrechte der betroffenen Person führen können, so rasch als möglich dem EDÖB (Eidg. Datenschutz- und Öffentlichkeitsbeauftragter) und allen potenziell betroffenen Parteien melden, um Sanktionen oder andere Komplikationen zu vermeiden.

In Bezug auf die Strafbarkeit ist zu berücksichtigen, dass die Verletzung gewisser Pflichten eine Strafbarkeit begründet, welche nicht das Unternehmen trifft, sondern die dafür verantwortliche natürliche Person. Die verantwortlichen Personen können sowohl Mitglieder der Geschäftsleitung als auch andere entscheidungsbefugte Personen im Unternehmen oder aber auch diejenigen Personen sein, welche eine Pflichtverletzung (z. B. Verletzung der Geheimhaltung) begangen haben. Es ist jedoch nur die vorsätzliche Begehung strafbar.

DIMENSIONS 3 2023 NOTIZEN 39

Bücher

Du kannst dich mal … gesund erholen!

Effektive Impulse für wohltuende Regeneration im Alltag

Ben Baak, 1. Auflage 2023, KVM Verlag (Ein Unternehmen der QuintessenzVerlagsgruppe), 284 Seiten, ISBN 978-3-86867-648-8, EUR 20

Ruhe, Regeneration oder Erholung rücken erst im Laufe des Lebens stärker ins Bewusstsein. Mit dem Alter nehmen die Herausforderungen des Alltags zu. Verantwortung bei der Arbeit und zu Hause, Familie, Kinder usw. fordern Energie. Der Bedarf an Regeneration scheint mit dem Alter zuzunehmen. Es zeigt sich aber auch, dass viele Menschen zu wenig über Regeneration wissen. In der Sport- und Trainingswissenschaft weiss man schon lange: ohne Regeneration kein Fortschritt. Regeneration ist keine Frage von gelegentlichen Auszeiten wie Urlaub, sondern von täglichem Engagement. So gibt es körperliche, mentale und soziale Regeneration und alle werden in diesem Buch so beschrieben, dass sie einfach zu nutzen sind. Dann kann Nahrung als Medizin, Kontakt zu anderen als Immundusche, Bewegung zur Erholung und Schlaf als Heilung wirken. Auch die Atmung, Gedanken und vieles mehr steuern die körpereigene Regeneration weit stärker als man denkt. In umfassenden und praxisrelevanten Sammlungen stellt Ben Baak die unterschiedlichsten Facetten wirkungsvoller Regenerationsmethoden für den Alltag bereit.

Kieferorthopädie up to date

Björn Ludwig/Jens Johannes Bock, 1. Auflage 2023, Quintessenz Verlags GmbH, Berlin, 316 Seiten, 890 Abbildungen, ISBN 978-3-86867- 658-7, EUR 138

Früher waren es vor allem Kinder und Jugendliche, die kieferorthopädisch behandelt wurden. Doch der Anteil erwachsener Patient*innen, die eine kieferorthopädische Behandlung wünschen, nimmt stetig zu. Die Zusammenstellung der aktuellen Behandlungsmethoden soll diesem Wandel in der Zahnheilkunde und der Kieferorthopädie gerecht werden. Das Buch ist in folgende Kapitel unterteilt: Erwachsenenkieferorthopädie, digitale Kieferorthopädie, Biomechanik, klinische Kieferorthopädie (Techniken, Patient*innenbeispiele, klinische Perlen) und differenzialdiagnostisch interessante Patient*innenbeispiele sowie radiologische Verdachtsdiagnosen. Farblich hervorgehobene Zusammenfassungen und zahlreiche Abbildungen runden die Informationen ab.

NOTIZEN 40 DIMENSIONS 3 2023 NOTIZEN
Marlis Donati Dipl. Dentalhygienikerin HF Basel

Frische, junge und innovative

Kommunikationsideen

für Swiss Dental Hygienists

Im Rahmen einer Kooperation mit der Zürcher Hochschule für Angewandte Wissenschaften (ZHAW) trat Swiss Dental Hygienists als Fallgeberin auf. Die Studierenden absolvieren einen Bachelor in Kommunikation am Institut für Angewandte Medienwissenschaft der ZHAW und befinden sich im vierten Semester. Im Modul Organisationskommunikation fand die Werkstatt, bei welcher Swiss Dental Hygienists als Fallgeberin fungierte, statt. Die Werkstatt dauerte sieben Wochen, pro Woche standen rund zwei Tage zur Verfügung. Die Studierenden teilten sich in drei Gruppen auf und agierten jeweils als Kommunikationsagentur (Auftragnehmerin). Es gab ein gemeinsames Kick-off mit anschliessenden Gesprächen mit den drei Agenturen sowie eine Präsentation der verschiedenen Konzepte am Schluss der Werkstatt. Während der Werkstatt konnten die Kommunikationsagenturen mit Fragen an Swiss Dental Hygienists gelangen. Betreut wurden die Studierenden von Dr. Patrik Scherler, Dozent an der ZHAW sowie Geschäftsführer bei BENROX AG (Coaching, Consulting und Connecting), und Andrea Trussardi, Modulverantwortliche am IAM (Institut für Angewandte Medienwissenschaft) sowie Geschäftsführerin der afire GmbH (Kommunikation und Konzepte).

Die Studierenden hatten den Auftrag, auf Basis der vorhandenen Informationen ein Kommunikationskonzept für den Berufsverband Swiss Dental Hygienists zu erarbeiten. Entscheidende Kriterien waren die Erhöhung der Bekanntheit des Berufes der dipl. Dentalhygieniker*innen HF

in der Schweiz und damit die Vermittlung der zentralen Botschaften an die definierten Zielgruppen. Die Wahl der Mittel und Massnahmen stand den Studierenden frei. Bestehende Kommunikationskanäle sollten aber verstärkt mitberücksichtigt werden. Als Zielgruppen wurden Personen und Vereine im Bereich Sport und Eltern mit Jugendlichen definiert. Alle drei Kommunikationsagenturen (Studierendengruppen) punkteten mit einem professionellen Auftritt sowie mit frischen und innovativen Ideen.

Die Agentur High Five nahm uns mit auf eine Velotour, die unter dem Motto «Ein regelmässiger Besuch bei der Dentalhygienikerin ist der Schlüssel zu einem

VERBAND DIMENSIONS 3 2023 VERBAND 41
Nina Hänsli Geschäftsführerin / Leiterin Beratung wamag Sursee Abbildung 1: Die Studierenden des 4. Semesters Bachelor in Kommunikation am IAM mit ihrem Dozenten Dr. Patrik Scherler

strahlenden Lächeln und einer optimalen (Mund-)Gesundheit!» stand. Eine geplante Massnahme bzw. Etappe auf der Velotour ist ein Slow-Up. Hier wird vorgeschlagen, mit einem Promi, einem beschrifteten Fahrrad sowie Give-aways auf das Motto aufmerksam zu machen. Unterstützt wird der Event auf den sozialen Medien mit Instagram Collaboration Posts. Weiter hat die Agentur ein kleines Konzept für Instagram Talks entwickelt, diese Talks heissen «auf den Zahn gefühlt». High Five sieht weiter die Teilnahme von Swiss Dental Hygienists an den Schweizermeisterschaften im Boxen 2024 vor. Geplant ist ein Gewinnspiel, bei dem es einen Zahnschutz zu gewinnen gibt – für ein Lächeln ohne Lücken. Speziell für diesen Event wurde von der Agentur eine Wasserflasche (siehe Bild auf S. 41) designt. Die Flasche ist zielgruppenspezifisch, erhöht die Sichtbarkeit, ist einprägsam und persönlich. Der QR-Code auf dem Etikett lockt auf die Website, auf der die Frage «Wieso ist ein Zahnschutz wichtig?» beantwortet wird. Die Agentur See Through hat sich für die Dachbotschaft «Durch eine regelmässige Dentalhygiene die Gesundheit bewahren und dadurch Kosten sparen» entschieden. Unterstrichen wird die Botschaft durch den Slogan «caring right, smiling bright». (Abbildung 2).

Im Bereich «Awareness» punktet die Gruppe mit einer gewagten Idee: eine Guerilla-Aktion während des Berner «Zibelemärit». Dafür werden bekannte Markenslogans aufgenommen und auf das Thema «gesunde Zähne» umformuliert. Beispielsweise Gillette: «Für das Beste im Mund» (statt: «Für das Beste im Mann»).

Die Bilder werden im Rahmen der Aktion auf bekannte Gebäude projiziert, wie etwa das Loeb-Gebäude, die Zytglogge und das Münster. Die Umsetzbarkeit dieser kreativen Idee dürfte an den rechtlichen Rahmenbedingungen scheitern.

Um die Zielgruppe «Eltern mit Jugendlichen» zu erreichen, schlägt See Through Dark Posts auf Facebook vor. Dark Posts sind Posts, die im Feed der Nutzer*innen wie normale Posts angezeigt werden, allerdings nicht im Profil von Swiss Dental Hygienists erscheinen.

Die Agentur Fleur befasste sich intensiv mit dem Social-Media-Kanal TikTok und kommt zum Schluss, dass dies auch ein geeigneter Kanal für Swiss Dental Hygienists ist. Auf TikTok können Videos mit aufklärendem, edukativem und informativem Inhalt publiziert werden. Es können beispielsweise der Beruf und die Aufgabenbereiche der Dentalhygienikerin mit einer «Hesch gwüsst, dass…»-Serie vorgestellt werden. Erfolgreiche TikToks werden auf You-Tube-Shorts, InstagramReels und Facebook-Watch gespiegelt. So können auch Eltern mit Jugendlichen über Facebook, Instagram und YouTube erreicht werden.

Für die Präsenz des Berufsverbandes an Messen sieht die Agentur Fleur nebst einem Info-Flyer und einem MundhygieneSet ein Spiel vor, das die Interaktion am Infostand fördert. Ein grosses ausgeschnittenes Lächeln mit rotem Lippenstift soll als Korb agieren. Grüne Plüschäpfel dienen als Bälle. Die Plüschäpfel sollen mit der Redewendung «An apple a day keeps the doctor away» assoziiert werden. Ziel ist es, fünf Plüschäpfel in den «Korb» zu werfen. Als Gewinn werden verschiedene Give-aways vorgesehen. Den Studierenden ist es gelungen, sich in kurzer Zeit in ein für sie unbekanntes Thema einzuarbeiten. Die erarbeiteten Vorschläge dienen als wertvolle Inputs für die Kommunikation unseres Verbandes.

42 DIMENSIONS 3 2023 VERBAND
Abbildung 2: Der Slogan der Agentur See Through

Swiss Oral Health Days 2023 Schleif-Wettbewerb

Machen Sie mit und gewinnen Sie ein Julien Guiraud-Messer oder ein M23CN Rosa Instrument für die 19 Finalisten!

Anfragen an admin@deppeler.ch

Publireportage Sie wissen, wie gerne wir über das Schärfen sprechen, und es erscheint uns wichtig, dies auch weiterhin zu tun, um Sie bei Ihrer Tätigkeit bestmöglich zu unterstützen.

Deppeler belohnt* die richtige Pflege Ihrer Instrumente.

Deppeler belohnt* die richtige Pflege Ihrer Instrumente.

Sie wissen, wie gerne wir über das Schärfen sprechen, und es erscheint uns wichtig, dies auch weiterhin zu tun, um Sie bei Ihrer Tätigkeit bestmöglich zu unterstützen.

Warum wir das Schärfen lieben? Erstens, weil die Erhaltung der Schärfe eines Instruments bedeutet, dass man leichter, schneller und präziser arbeiten kann. Das ist sowohl für Sie als auch für den Patienten angenehmer.

Warum wir das Schärfen lieben? Erstens, weil die Erhaltung der Schärfe eines Instruments bedeutet, dass man leichter, schneller und präziser arbeiten kann. Das ist sowohl für Sie als auch für den Patienten angenehmer.

sich langsamer abnutzen. Dadurch besteht die Gefahr, dass man sich an ein stumpfes Instrument gewöhnt. Um eine gute Schärfe ohne Grate zu erhalten, die das Instrument sehr aggressiv machen könnten, ist regelmässiges Schärfen entlang der Klinge unsere Lösung.

sich langsamer abnutzen. Dadurch besteht die Gefahr, dass man sich an ein stumpfes Instrument gewöhnt. Um eine gute Schärfe ohne Grate zu erhalten, die das Instrument sehr aggressiv machen könnten, ist regelmäßiges Schärfen entlang der Klinge unsere Lösung.

Die Deppeler-Methode

Die Deppeler-Methode

Das Schärfen nach Deppeler ist einfach und präzise. Ein feiner Stein könnte genügen, aber wir haben einige Hilfsmittel, die Ihnen die Arbeit erleichtern.

Das Schärfen nach Deppeler ist einfach und präzise. Ein feiner Stein könnte genügen, aber wir haben einige Hilfsmittel, die Ihnen die Arbeit erleichtern.

Zweitens: Wenn Sie ein Werkzeug in einem guten Gebrauchszustand halten, bleibt es Ihnen länger erhalten und Sie vermeiden, es zu oft neu zu kaufen oder gar zu verschwenden. Und schliesslich spart eine regelmässige Pflege Zeit bei der täglichen Arbeit.

Zweitens: Wenn Sie ein Werkzeug in einem guten Gebrauchszustand halten, bleibt es Ihnen länger erhalten und Sie vermeiden, es zu oft neu zu kaufen oder gar zu verschwenden. Und schließlich spart eine regelmäßige Pflege Zeit bei der täglichen Arbeit.

Besuchen Sie unsere Website, um mehr über den Easy Sharp Coach und das Easy Sharp Device zu erfahren.

Besuchen Sie unsere Website, um mehr über den Easy Sharp Coach und das Easy Sharp Device zu erfahren.

Jedes Material nutzt sich ab Es ist leicht, sich von harten Materialien verleiten zu lassen, die sich nicht so schnell abnutzen und daher weniger oft geschärft werden müssen. Die schlechte Nachricht ist, dass ein härteres Material weniger taktil ist. Es ist schwieriger nachzuschleifen und wird

Jedes Material nutzt sich ab Es ist leicht, sich von harten Materialien verleiten zu lassen, die sich nicht so schnell abnutzen und daher weniger oft geschärft werden müssen. Die schlechte Nachricht ist, dass ein härteres Material weniger taktil ist. Es ist schwieriger nachzuschleifen und wird

Wir würden uns freuen, Sie an unserem Stand an den Swiss Oral Health Days begrüssen zu dürfen, um uns mit Ihnen darüber zu unterhalten.

Wir würden uns freuen, Sie an unserem Stand auf dem Oral Health Day begrüßen zu dürfen, um uns mit Ihnen darüber zu unterhalten.

Unsere

Sabine Hofmann Deppeler SA admin@deppeler.ch

*das schärfste Set 1x Gracey, 1xScaler, 1xCurette erhält ein außergewöhnliches Küchenmesser

*das schärfste Set 1x Gracey, 1x Scaler, 1x Curette erhält ein aussergewöhnliches Küchenmesser.

Unsere Methode
Methode

Offres d’emploi | Stellenangebote

La carte de crédit Cornèrcard Gold gratuite.

En tant que membre de votre association, vous recevrez la Cornèrcard Gold personnelle toujours gratuitement au lieu de CHF 190 par an.

D’autres avantages vous attendent:

pas besoin de compte bancaire ou postal

Offre valable pour jusqu’à cinq membres de votre famille et aussi pour ceux qui travaillent à temps partiel

Assurance voyage et couverture des achats valable dans le monde entier

jusqu’à 11% de cashback pour les achats effectués via okcashback.ch

Possibilité de remboursement par acomptes

Pour en savoir plus, consultez le site web de l’association ou commandez la carte en ligne en utilisant ce code QR.

Hygiéniste dentaire

Möchten Sie ein Inserat in unserer Fachzeitschrift «Dimensions» schalten?

Weitere Informationen dazu finden Sie auf unserer Website (Mediadaten).

Le cabinet dentaire des Drs Pauline Scherwey et Jacques Hostettler s’inscrit dans la tradition des cabinets à dimension humaine.

Pour notre patientèle «familiale» Nous recherchons une Hygiéniste dentaire 20 % à 60 %, les mardi, mercredi et vendredi.

Vous désirez publier une annonce dans notre revue «Dimensions»?

Vous trouverez plus d’informations concernant le tarif des annonces sur notre site web (tarif des annonces).

Diplôme valide en Suisse, indispensable. Très bonnes conditions salariales, souplesse pour le choix des vacances.

Merci de faire parvenir votre offre par poste ou par courriel. Nous nous réjouissons de faire votre connaissance.

Cabinet Scherwey & Hostettler

Bd de Pérolles 23

1700 Fribourg

www.dentistehostettler.ch

44 DIMENSIONS 3 2023 ASSOCIATION | VERBAND

Dentalhygienikerin oder DH-Praktikantin

20–80 % in Bern gesucht

Zur Verstärkung unseres Teams suchen wir ab dem 3. Januar 2024 oder nach Vereinbarung eine einfühlsame und aufgestellte Dentalhygienikerin. Wir freuen uns auf Ihre Bewerbung! banu.balkan@dentcenter.ch oder

Dentcenter Bern

z. H. Frau B. Balkan

Weltpoststrasse 16 3015 Bern

Tel. 031 333 66 66

Swiss Dental Hygienists goes Instagram

Folgen Sie uns auf Instagram!

Suivez-nous sur Instagram!

15.03.2024

Solothurn

Mehr Informationen zu unseren

Events:

Vous trouverez plus d’informations sur nos événements sous:

DIMENSIONS 3 2023 ASSOCIATION | VERBAND 45
GetTogether 2024
Online-Fachtagung 08.11.2024 GetTogether 2024
à Soleure Colloque en ligne 08.11.2024
15.03.2024

Agenda 2023

12 Sektion Zürich: Generalversammlung Zentrum für Zahnmedizin Zürich

14 Sektion Ostschweiz/Graubünden: Generalversammlung

14 Sektion Zentralschweiz: Generalversammlung

15 Sektion Nordwestschweiz: Generalversammlung

20 Sektion Bern: Generalversammlung

info@dentalhygienists.swiss

Sektion Zürich sektion_zuerich@dentalhygienists.swiss

Tibits, St. Gallen Sektion Ostschweiz/Graubünden sektion_ostschweiz_gr@dentalhygienists.swiss

Informationen folgen Sektion Zentralschweiz sektion_zentralschweiz@dentalhygienists.swiss

Informationen folgen Sektion Nordwestschweiz sektion_nordwestschweiz@dentalhygienists.swiss

Hotel Holiday Inn, Bern Sektion Bern sektion_bern@dentalhygienists.swiss

30 Section Romande: Assemblée générale Alpha Palmiers, Lausanne Section Romande sektion_romande@dentalhygienists.swiss

Oktober Octobre 6 Sektion Tessin: Generalversammlung

7 Système de management de la qualité –Directives – règlement – certificat

25 Sektion Zürich: Einführung in die biologische Zahnmedizin oder warum der Zahn 11 Blasenentzündung generieren kann, Dr. med. dent Eliana Gati

27 QMS-Kurs: Qualitätsmanagement – Richtlinien – Reglement –Zertifikat

Die kostenlose Gold Kreditkarte.

Die private Cornèrcard Gold Kreditkarte erhalten Sie als Mitglied Ihres Verbandes immer kostenlos statt für CHF 190 pro Jahr.

Weitere Vorteile warten auf Sie:

kein Bank- oder Postkonto notwendig

Angebot gültig für bis zu fünf Familienmitglieder und auch für Teilzeitarbeitende

Hotel Ristorante la Perla, Sant'Antonino Sektion Tessin sezione_ticino@dentalhygienists.swiss

Lausanne Swiss Dental Hygienists info@dentalhygienists.swiss

Zentrum für Zahnmedizin, Zürich

Sektion Zürich sektion_zuerich@dentalhygienists.swiss

Olten Swiss Dental Hygienists info@dentalhygienists.swiss

Reise-Versicherung mit Kostendeckung für Annullierung oder Reiseunterbrechung

bis zu 11% Cashback bei Einkäufen via okcashback.ch

Teilzahlung möglich

Mehr Informationen finden Sie auf der Website des Verbandes oder bestellen Sie die Karte gleich online mit diesem QR Code.

46 DIMENSIONS 3 2023 ASSOCIATION | VERBAND
Monat | Mois Tag | Jour Thema/Referent | Thème/Orateur Ort | Lieu Organisator | Organisateur August Août 31 Swiss Oral Health Days Basel Swiss Dental
September Septembre 1 Swiss Oral Health Days Basel Swiss
Hygienists info@dentalhygienists.swiss
Dental Hygienists

Personal suchen. Personal finden.

Das Stellenportal für zahnmedizinisches Praxispersonal

Jetzt kostenlos die beliebten PersonalChecklisten bestellen: info@dentalstellen.ch

SONIC Ultimate

Gründliche und überlegene Tiefenreinigung

Innovative Schalltechnologie

3 Reinigungsmodi clean, sensitive, white

4-Quadranten-Timer

Visuelle Andruckkontrolle

Finest Swiss Oral Care
NEW

Turn static files into dynamic content formats.

Create a flipbook
Issuu converts static files into: digital portfolios, online yearbooks, online catalogs, digital photo albums and more. Sign up and create your flipbook.