Bienestar Total Professional Edition Agosto 2023

Page 1

Cáncer de mama en la comunidad

LGBTQIA+: Barreras y oportunidades

1 PROFESSIONAL
EDITION

CONTENIDO

12
en portada
22
34
Nutrición Temas de Salud

CARTA

Cáncer de mama en la comunidad

LGBTQIA+: un tema del que sí hay que hablar

En esta edición de Bienestar Total Professional Edition presentamos desde la portada -y a tono con la conmemoración en octubre, del Mes de la Concienciación sobre el Cáncer de Mama- el tema de Cáncer de mama en la comunidad LGBTQIA+: Barreras y oportunidades. Una colaboración muy importante realizada por Edna M. Mora, MD, MS, FACS, QBRSCM, quien además es directora del Biobanco de Investigación del Centro Compresivo de Cáncer de la Universidad de Puerto Rico.

Para la Dra. Mora el tema de cáncer de mama en personas transgénero es muy importante porque entienden que uno de esos temas de los que no habla. ¿Deben las personas transgénero seguir un programa de detección temprana para cáncer de mama? Es la pregunta obligada que cuya respuesta debería ser tema activo entre la clase médica.

En su escrito, además de aclararnos dudas sobre las personas transgéneros nos presenta alternativas para lograr que más personas de la comunidad LGBTQIA+ se realicen las debidas pruebas de cernimiento para detectar cáncer a tiempo.

Las personas transgéneros son aquellas que nacieron con sexo físico, pero se identifican emocionalmente con otro. Por ejemplo, una mujer transgénero es una persona con sexo masculino, pero su identidad (o género) es femenino. Del mismo modo, un hombre transgénero, es una persona nacida con sexo femenino que identifica su género como masculino. Como parte del proceso

de estimular características del género, algunas de estas personas se someten a tratamientos hormonales para que su físico exprese su género. “Dado que estos tratamientos afectan el tejido de los senos en ambos casos — transfemenino y transmasculino— se han desarrollado guías para determinar qué grupos necesitan seguir un programa de detección temprana para cáncer de mama y cuáles procedimientos son indicados.

Estas recomendaciones se basan en el riesgo de desarrollar cáncer de mama debido a tratamiento hormonal, historial familiar y riesgo personal (como, por ejemplo, predisposición genética, historial de radiación en área del pecho entre los 10 a 30 años, o portadores de mutaciones en los genes BRCA1/2)”, explica la Dra. Mora. Es por esta razón que la también catedrática en el Departamento de Cirugía de la Escuela de Medicina del Recinto de Ciencias Médicas, de la Universidad de Puerto Rico, se ha enfocado en presentar esta información para concienciar a estas poblaciones a que busquen información para el grupo apropiado, y que junto a su médico sigan las guías establecidas. “Como pueden ver, estos grupos son variados y cada uno tiene unas recomendaciones específicas que deben ser utilizadas por sus proveedores de salud para la detección temprana de cáncer de mama. Al igual que para la población general, la Dra. Mora exhorta a los profesionales de la salud a establecer o continuar un programa de detección temprana para la comunidad LGBTQIA+.

GRUPO EDITORIAL

VICEPRESIDENTE DE CONTENIDO EDITORIAL

Carlos Otero

EDITORA

Yaira Solís Escudero

EDITOR AUXILIAR

Arnaldo Rivera Braña

REPORTERA

Melissa Cruz Ríos

DIRECTOR DE ARTE

Héctor L. Vázquez Berríos

GRUPO ADMINISTRATIVO

PRESIDENTE

Salvador Hasbún

VICEPRESIDENTE DE MERCADEO Y OPERACIONES COMERCIALES

Michelle Pérez

EJECUTIVA DE CUENTAS

Madeline Diaz Vega

DIRECTORA DE TRÁFICO

Johanna Hance

Bienestar Total es propiedad exclusiva de PUBLI-INVERSIONES, Inc. y es publicada mensual por la empresa para ser distribuida en Puerto Rico. No se permite la reproducción parcial o total del contenido sin previa autorización escrita de la empresa.

EL VOCERO DE PUERTO RICO, PO Box 15074, San Juan, Puerto Rico 00902 Miramesiempre@elvocero.com

4 Bienestartotal

La verdad es

CRISIS DE

La verdad te necesita para cambiar realidades. La verdad no tiene precio.

CRISIS DE BASURA EN PUERTO RICO

que tenemos que recicclar más y tener conciencia.
>VIERNES, 18 DE NOVIEMBRE DE 2022 >NUM 14809 >SAN JUAN, PUERTO RICO La verdad no tiene precio

COLABORADORES

EDNA M MORA, MD, MS, FACS, QBRSCM Profesora en el Departamento de Cirugía, Escuela de Medicina, Recinto de Ciencias Médicas, UPR, UPR; Investigadora y Directora de Biobanco de Centro Comprensivo de Cáncer de la Universidad de Puerto Rico (UPRCCC), Cirujana de Seno en el hospital I González-Martínez; Intereses de investigación: investigación clínica, traslacional y epidemiológica de cáncer de mama.

MARCIA CRUZ-CORREA, MD, PHD, AGAF, FASGE

La Dra. Cruz-Correa es la directora ejecutiva del Centro Comprensivo de Cáncer de la Universidad de Puerto Rico. Completó estudios de medicina en la Universidad de Puerto Rico (UPR). Hizo la residencia en Medicina Interna en la UPR y un fellowship en Gastroenterología y Hepatología, en la Universidad Johns Hopkins, en Maryland. Completó el doctorado en Investigación Clínica y Epidemiología Genética en la Escuela de Salud Pública de Jophns Hopkins Bloomberg, en Maryland. Es profesora de Medicina en la UPR, profesora asociada adjunta de Medicina en la Universidad Johns Hopkins, en Baltimore, Maryland, y profesora adjunta de Oncología quirúrgica en el MD Anderson Cancer Center, en Houston, Texas. Es la investigadora principal en múltiples becas auspiciadas por los Institutos Nacionales de Salud (NIH) de Estados Unidos, y dirige un programa de investigación enfocado en el cáncer gastrointestinal, cáncer hereditario y la quimioprevención. También es la principal oficial médico (CMO) de PanOncology Trials, organización dedicada a la conducción de protocolos clínicos para el diagnóstico, tratamiento y prevención del cáncer. Participa activamente en organizaciones profesionales, incluida la Asociación Americana para la Investigación del Cáncer (AACR), de la que actualmente es miembro de la junta directiva. En 2021 fue elegida miembro de la junta directiva de la Asociación Americana del Instituto del Cáncer (AACI) y de la Fundación Alianza para la Oncología Clínica. Recientemente, fue elegida como la primera mujer puertorriqueña miembro de la Asociación Científica Honoraria de Médicos Americanos. Fue nombrada por el presidente Barack Obama a la Junta Nacional Asesora Sobre Cáncer, del Instituto Nacional de Cáncer.

LCDO. JAVIER O. BERBERENA

En el mundo del vino, el Lcdo. Berberena es: diplomado de la Wine & Spirit Education Trust (WSET), educador certificado de vinos, sommelier certificado de la Corte de Master Sommelier, y especialista en vinos de la Society of Wine Educators, entre otros. Comenzó su carrera en educación de vinos y licores en 1995 en la Escuela Hotelera de Puerto Rico, seguido de la Universidad de Puerto Rico, la Universidad del Este — International School of Tourism & Hotel Management, y en Wine & Spirit Educa¬tion Trust, a través del Wine Center de Puerto Rico. Es el primer puertorriqueño en presidir un recinto del Wine & Spirit Education Trust (WSET) conocido como Approve Programm Provider Academy of the WSET. Completó su diploma de la WSET con certificación del nivel más alto de la WSET, y requisito para la admisión del programa de Master of Wine en Inglaterra. Recibió la certificación de nivel avanzado, Level 3 Spirti Award con honores, en enero de 2020. Es el instructor primario y educador especializado para los cursos de Certificación Avanzada en Vinos y Licores Nivel 3, y de la Certificación Intermedia en Vinos y Licores. Es miembro activo en: The Rummeliers; Society of Wine Educators, Court of Master Sommelier (London England), The Worship Company of Distillers (Great Britain), American Sommelier Association, Institute of Wines and Spirits y varias asociaciones de vinos en Puerto Rico, Florida y New York.

JARLINE ENCARNACIÓN MEDINA

Obtuvo su maestría en Ciencias Farmacéuticas en la Universidad de Puerto Rico, Recinto de Ciencias Médicas. Tiene ocho años de experiencia en la investigación de cáncer, alrededor de 20 publicaciones, incluyendo cáncer de seno. En 2023, publicó un artículo, junto al equipo de trabajo, en el área de marcadores genéticos en sangre para contribuir al desarrollo de biopsia líquida para identificar el cáncer seno agresivo. Actualmente, se desempeña como supervisora de laboratorio en el Ponce Research Institute bajo la supervisión del Dr. Jaime Matta.

LCDA. ALANA MARRERO GONZÁLEZ, MHSN, LND

La Lcda. Marrero González es nutricionista y dietista desde 2009. Completó un bachillerato en Nutrición en la Universidad de Puerto Rico, Recinto de Río Piedras, seguido de una maestría en Ciencias de la Salud y Nutrición, en el Recinto de Ciencias Médicas. Su doctorado en Nutrición Clínica, lo completó en la Universidad de North Florida. Fue Presidenta de la Academia de Nutrición y Dietética de Puerto Rico y actualmente es afiliada a la junta. Trabaja en el Centro Ararat, y tiene práctica privada. Sigue activa en áreas de investigación relacionada con poblaciones de minorías

CARMEN M. ORTIZ-SÁNCHEZ

Obtuvo su doctorado en Ciencias Biomédicas en Ponce Health Sciences University en 2016. Cuenta con un récord de alrededor de 37 publicaciones científicas relacionadas al campo del cáncer, y alrededor de 10 años de experiencia en la investigación de cáncer de seno. Actualmente, trabaja como Research Scientist y Program Manager del primer proyecto de investigación de cáncer de próstata, subvencionado por el Departamento de Defensa de los Estados Unidos, dirigido por el Dr. Jaime Matta.

La Fuerza Alivia está de tu lado siempre Envíenos sus recetas Médico especialista: Única farmacia especializada con acceso a todos los planes médicos 787-925-1989 (Pacientes) 787-925-1999 (Médicos) 787-925-1015 (Fax) www.aliviahealth.com Contáctanos

Tratamientos personalizados en la lucha contra el cáncer

POR AGRAEL OROZCO

Las pruebas de diagnósticas para identificar el cáncer en etapas tempranas y los tratamientos personalizados son claves en la batalla contra esta enfermedad, que cada año registra cerca de 16 mil nuevos casos y 5 mil muertes en la Isla.

“En Puerto Rico ha aumentado la cantidad de diagnósticos de cáncer. Sin embargo, es importante destacar que el cáncer puede tratarse efectivamente si se detecta a tiempo. Por suerte, se han desarrollado pruebas diagnósticas que permiten perfilar tratamientos personalizados, lo que incrementa las posibilidades de una recuperación exitosa”, expresó el licenciado Freddie Vargas, presidente del Colegio de Tecnólogos Médicos de Puerto Rico (CTMPR).

Unas de las pruebas diagnósticas más eficaces son: los métodos moleculares para detección de mutaciones y el perfil genómico completo (CGP). Ambas buscan detectar el cáncer en etapas tempranas.

Las pruebas moleculares o análisis del “perfil molecular” consisten en el uso de varias tecnologías para entender las características subyacentes de las células cancerosas. Los biomarcadores son moléculas que muestran signos o procesos normales o anormales que ocurren en el cuerpo. Los signos anormales podrían indicar la presencia de enfermedad.

Las pruebas moleculares pueden emplearse para identificar biomarcadores específicos del cáncer que están asociados con la respuesta, la falta de respuesta o la resistencia a ciertas opciones de tratamiento. Esta información puede conducir al desarrollo de tratamientos dirigidos, diseñados para ser más eficaces para

8 Bienestartotal
ACTUALIDAD

un determinado perfil tumoral (el término “perfil” se refiere a la información acerca de los genes presentes en las células cancerosas).

¿CÓMO FUNCIONAN LAS PRUEBAS MOLECULARES?

Las pruebas moleculares identifican la molécula específica de ADN (ácido desoxirribonucleico), ARN (ácido ribonucleico) o proteína que está asociada con una enfermedad específica. En primer lugar, se realiza una biopsia al paciente para obtener una muestra de tejido tumoral, médula ósea, ganglio linfático (en el caso de algunos tipos de cáncer de la sangre) o de sangre periférica, si las células tumorales están circulando en la sangre. La muestra se envía a un laboratorio donde se realizan pruebas moleculares para identificar los biomarcadores particulares que indican el tipo de cáncer que tiene el paciente.

El Instituto Nacional del Cáncer define el perfil genómico como el método de laboratorio en el que se usa una muestra de tejido, sangre u otro líquido corporal para obtener información, especialmente de los genes de una persona o de un tipo de célula específica, así como la forma en que esos genes interactúan entre sí y con el ambiente.

El perfil genómico se usa para averiguar por qué algunas personas presentan ciertas enfermedades y otras no. En ocasiones también se hace para buscar mutaciones u otros cambios genéticos en el ADN de un tumor. Esto ayuda a que los equipos médicos comprendan cómo se forman distintos tipos de cáncer y cómo reaccionan al tratamiento, lo cual permite formular nuevos métodos de diagnóstico, tratamiento y prevención de cáncer. También se llama caracterización genómica.

“Los métodos moleculares para analizar ADN buscan mutaciones y proteínas que liberan las células cancerosas en la sangre, para detectar la presencia de cáncer y determinar su tipo. Mediante estas pruebas, se pueden determinar marcadores tumorales a partir de una muestra de sangre o tejido”, detalló el presidente del CTMPR.

En el caso del Perfil Genómico Completo (CGP), este es “un enfoque de secuenciación de próxima generación (NGS) que utiliza un solo análisis para evaluar cientos de genes, incluyendo biomarcadores de cáncer relevantes, establecidos en protocolos y ensayos clínicos, para la orientación terapéutica”, dijo el licenciado Vargas.

El CGP, reduce el tiempo y la cantidad de muestras necesarias porque puede detectar múltiples biomarcadores con una sola prueba, también puede identificar “alteraciones genómicas que son clínicamente relevantes y puede ofrecer tanto resultados accionables como potencialmente accionables, para ayudar a identificar caminos terapéuticos más efectivos y opciones innovadoras de ensayos clínicos para pacientes con cancer”, señaló el líder del Colegio de Tecnólogos Médicos de Puerto Rico.

Cabe mencionar que estas pruebas aún se encuentran en proceso de investigación, pero Vargas espera que pronto puedan ser certificadas por la Administración de Alimentos y Medicamentos de los Estados Unidos (FDA, en inglés), para que se hagan más accesibles al público y se puedan utilizar en favor de los pacientes.

“Muchas de estas pruebas son emergentes, que todavía están en un proceso de investigación. Por lo tanto, no es que están disponibles para el público en general. Están disponibles por medio de ensayos clínicos de investigación y hay laboratorios que ya la están ofreciendo, pero no para fines de diagnóstico, sino que los médicos pueden usar esa data para posibles interacciones, posibles malformaciones o patologías que pueda tener ese paciente. Al ser una prueba bajo protocolo, no está validada por el FDA y normalmente no las pagan los planes médicos”, aclaró. Según el presidente del CTMPR, uno de los grandes beneficios de la detección temprana por medio de estas pruebas, es que el paciente puede recibir un tratamiento personalizado para lograr la remisión del cáncer.

“El beneficio está en una detección temprana, se puede hacer como si fuera una prueba de cernimiento, y si sale un marcador tumoral, el médico puede indagar. Esto llevaría a que al paciente se le realice una prueba específica, según el marcador tumoral que se obtuvo. Entonces, el paciente tiene la mitad del camino andado. Así se le da un tratamiento personalizado y adecuado”, concluyó el licenciado.

9

Relación de la vitamina D y la reparación del ADN en mujeres con cáncer de seno

En Puerto Rico, al igual que en otros países del mundo, se estima que una de cada ocho mujeres será diagnosticada con cáncer de seno a lo largo de su vida. En Estados Unidos, este representa la segunda causa de muerte relacionada a cáncer en mujeres. Sin embargo, el cáncer de seno

representa la causa principal de muerte por cáncer en mujeres puertorriqueñas.

Usualmente, el cáncer de seno afecta a mujeres mayores de 50 años. No obstante, la enfermedad también puede afectar a mujeres más jóvenes.

El cáncer de seno es una enfermedad en la cual las células del seno se dividen sin control. Es una enfermedad compleja y su desarrollo se puede atribuir a varios factores incluyendo genéticos —relacionados al ADN—, epigenéticos, y ambientales.

10 Bienestartotal

Debido a la complejidad de esta enfermedad, el cáncer de seno se ha subdividido en lo que se conoce como subtipos moleculares. La clasificación de estos subtipos se basa en ciertas características del tumor y, dependiendo del subtipo, existen alternativas de tratamiento específicas que pueden mejorar la sobrevida de las pacientes.

El Ponce Research Institute (PRI) de la Ponce Health Sciences University se ha especializado, entre otros, en estudiar la reparación del ADN en mujeres puertorriqueñas bajo la

supervisión del Dr. Jaime Matta. La reparación del ADN es la capacidad que tienen las células del cuerpo para prevenir daño directo al material genético —ADN— y a su vez, evitar mutaciones que podrían eventualmente contribuir al desarrollo de cáncer.

Estudios previos en el PRI han señalado que el tener una reparación genética reducida es un factor de riesgo para el desarrollo de cáncer de seno. Razón por la que se estudió la relación entre la vitamina D y la reparación del ADN en mujeres puertorriqueñas con cáncer de seno.

Por más de tres décadas el uso de vitaminas, multivitaminas y suplementos —calcio— ha sido atractivo para la prevención del cáncer, incluyendo la vitamina D. Esta última tiene diversas funciones en el cuerpo humano incluyendo la prevención del cáncer por sus propiedades antioxidantes, que sirven como defensa a las células del cuerpo.

Para esto, se midió la reparación del ADN en los linfocitos de las participantes que incluían 91 mujeres con cáncer de seno recientemente diagnosticadas —antes de recibir tratamiento— y 92 mujeres sin la enfermedad. Los linfocitos son un tipo de glóbulo blanco que es parte del sistema inmune y en el campo de la reparación del ADN se utiliza como un marcador de la capacidad global de reparación del individuo. También, se midió los niveles de vitamina D en la sangre de las participantes para realizar los análisis.

Los resultados demostraron una relación positiva entre los niveles de vitamina D y la reparación del ADN en mujeres sin diagnóstico de cáncer de seno. Sin embargo, lo opuesto se observó en el grupo de las mujeres con cáncer. Esto quiere decir, que en las mujeres sin cáncer de seno con mayor capacidad de reparar el ADN, tenían mayores niveles de vitamina D en su sangre. Por otra parte, en mujeres con cáncer de seno, a mayores niveles de reparación del ADN tenían menor nivel vitamina D activa en su sangre. Es importante mencionar que la edad y el porciento de masa corporal fueron variables consideradas en este estudio.

Los hallazgos mostraron evidencia sobre los beneficios de mantener niveles óptimos de vitamina D en mujeres sin cáncer de seno. Como antes mencionado, el tener niveles reducidos de capacidad de reparación del ADN, es un factor de riesgo para el desarrollo de cáncer de seno.

Es por esto que mantener niveles óptimos de vitamina D puede servir como una herramienta adicional para la prevención de cáncer. Interesantemente, en mujeres con cáncer de seno observamos lo contrario. Esto podría deberse a que una vez se desarrolla la enfermedad los niveles de vitamina D se alteran. Es por esto, que es importante consultar con un médico antes de comenzar a utilizar suplementos y vitaminas si la persona ha sido diagnosticada con cáncer de seno. Otros estudios como el de la Dra. Christine Ambrose del Centro Comprensivo de Cáncer de Roswell Park (Buffalo, NY) también han sugerido recomendaciones similares, sobre todo cuando las mujeres con cáncer de seno comienzan su tratamiento.

La relación positiva entre niveles de reparación al ADN y niveles de vitamina D en mujeres sin cáncer sugiere, que mantener unos niveles saludables de vitamina D pueden ser beneficiosos para la salud. Dependiendo de la etapa de la vida en la que se encuentre será la necesidad de vitamina D diaria. El Instituto Nacional de la Salud recomienda que el consumo diario de vitamina D para adultos de 19 a 70 años debe ser de 15 mcg (600 UI). Para conocer más sobre el consumo de vitamina D en personas saludables se puede visitar la página web del Instituto Nacional de la Salud.

11

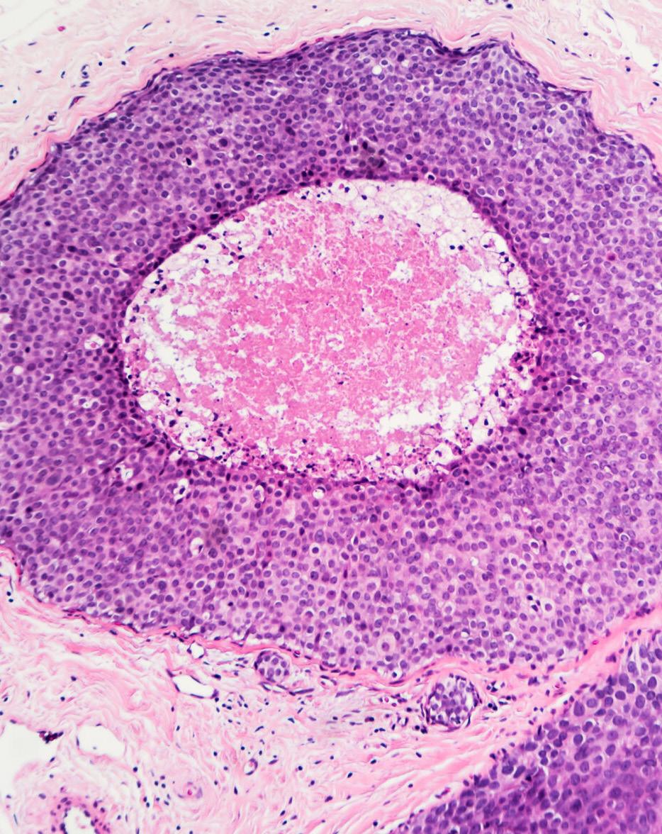
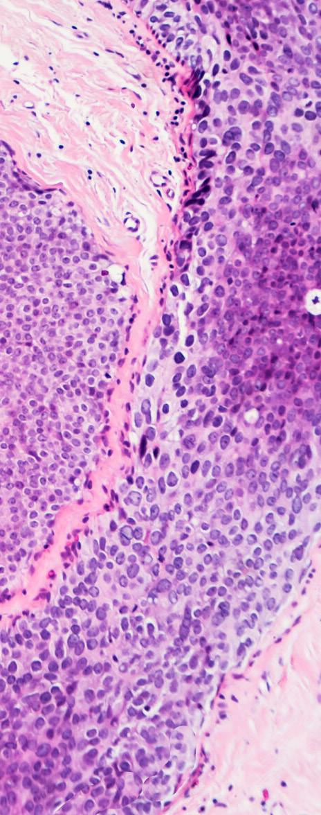
Cáncer de mama en la Comunidad LGBTQIA+: Barreras y oportunidades

DE PORTADA

Catedrática en el Departamento de Cirugía de la Escuela de Medicina del Recinto de Ciencias Médicas, Universidad de Puerto Rico; Directora, Biobanco de Investigación del Centro Comprensivo de Cáncer, Universidad de Puerto Rico.

Las estadísticas indican que la comunidad LGBTQIA+ — en adelante la comunidad— es una población transparente para la comunidad médica.

En general, esta comunidad tiene tres barreras generales:

• Baja incidencia de cernimiento para cáncer de mama.

• Pocos datos con respecto a su cernimiento y datos sobre tratamientos.

• Estadísticas vitales.

Las razones para que esto suceda incluyen que: los sistemas de salud no promueven preguntar la información apropiada, y no hay leyes o guías para obtenerlas. Por esta razón, entendemos es importante visibilizar esta situación, de manera que se promueva la educación, la infraestructura y las estadísticas en esta comunidad.

13
POR EDNA M. MORA, MD, MS, FACS, QBRSCM

¿QUIÉNES ESTÁN INCLUIDOS EN ESTA COMUNIDAD?

LGBTQIA+ es una abreviación para individuos que se identifican como lesbianas, gay, bisexual, transgénero, queer, (questioning), intersexo, asexual, y + otros. Aquí incluyo algunas definiciones:

• Lesbiana

Una mujer que siente una atracción física, romántica o emocional duradera hacia otra mujer. Algunas de estas mujeres prefieren ser identificadas como ‘gay’.

• Gay

Un individuo que siente una atracción física, romántica y emocional duradera hacia personas de su mismo sexo, y prefieren ser identificadas como ‘gay’.

• Bisexuales

Un individuo que siente una atracción física, romántica y emocional duradera hacia otro individuo del mismo género o más de un género. No se necesita tener una experiencia específica para identificarse como bisexual.

• Transgénero

Es un término amplio para aquellas personas cuya identidad o expresión de género es diferente de lo que es típicamente asociado con el sexo al nacer. Algunos individuos transgéneros son tratados con hormonas por sus médicos, para que su cuerpo refleje su identidad de género. Algunas personas también se realizan cirugías con el

mismo propósito. Sin embargo, no todos los individuos transgéneros optan por estas opciones. La identidad transgénero no depende de la apariencia física o los procedimientos médicos.

• Queer

Es un adjetivo usado por algunas personas cuya orientación sexual no es exclusivamente heterosexual. Incluye individuos que tienen identidades clasificadas como no binarias y género fluido. Este término no es totalmente aceptado universalmente, o en la comunidad.

• Questioning

Individuos que se exploran o cuestionan su orientación sexual, identidad sexual o género. Estas personas están en una etapa de exploración por lo cual no se identifican con los términos anteriores.

• Intersexo

Un individuo con uno o más características sexuales, incluyendo genitales, órganos reproductivos internos, y cromosomas, que se salen de los conceptos tradicionales de cuerpos masculino/femenino. No todas las personas identificadas como intersexo son parte de la comunidad.

• Asexual

Individuo que no experimenta atracción sexual y que no se describe como mujer u hombre. No binario.

14 Bienestartotal
Los cánceres más comunes en la comunidad LGBTQIA+ incluyen: anal, mama, cervical, colorrectal, endometrio, pulmón y próstata.

Se utiliza para incluir otras identidades de género y orientación sexual por letras o palabras que no se pueden identificar hasta el momento.

DATOS GENERALES

Los datos publicados por la oficina del Censo de los Estados Unidos revelan que más de 20 millones de adultos en los Estados Unidos se identifican como parte de la comunidad, lo cual representa un 8% de su población adulta.

Hay un millón de sobrevivientes de cáncer en Estados Unidos identificados como parte de la comunidad. Se estima que para el final de este año —2023— se reportarán alrededor de 152,000 nuevos casos en la comunidad y más de 48,785 muertes en la comunidad únicamente. Estos datos no incluyen a los menores en esta comunidad.

Los cánceres más comunes en la comunidad LGBTQIA+ incluyen: anal, mama, cervical, colorrectal, endometrio, pulmón y próstata.

Un estudio realizado en 2021 con miembros de la comunidad que también son pacientes de cáncer, reflejó que el 40% de los encuestados reportaron no haber recibido recomendación para la realización de pruebas de cernimiento para cáncer, previo a recibir su diagnóstico. Igualmente, un 35% de estos pacientes de

cáncer e integrantes de la comunidad, reportó que su proveedor de salud nunca discutió con ellos ni los educó sobre la necesidad de realizarse pruebas de cernimiento para detectar cáncer.

Ciertamente, los participantes de la comunidad LGBTQIA+ tienen un riesgo más alto de desarrollar cáncer de mama comparado con las personas fuera de la comunidad. Los datos hasta el momento indican que esto no se debe a factores biológicos, pero sí —mayormente— a los estilos de vida. Por ejemplo, los participantes de la comunidad fuman más que el resto de la población fuera de la comunidad; además, reportaron la existencia de otros factores de riesgo como: no tener hijos o tenerlos a mayor edad que la comunidad en general, tener mayor incidencia de obesidad, y mayor uso de bebidas alcohólicas. Sin embargo, una de las mayores barreras para que la comunidad LGBTQIA+ tenga mayor riesgo de padecer cáncer de mama es la falta de servicios —para ellos— de pruebas de cernimiento para cáncer.

No solo faltan servicios para la comunidad sino que enfrentan barreras para llegar a esos servicios. Por ejemplo, se ha demostrado que los integrantes de la comunidad LGBTQIA+ dilatan la acción de visitar a un médico porque piensan que serán discriminados, que no será atendidos con respeto y que el médico no estará interesado en sus necesidades, por lo tanto, no los entenderá y atenderán como merecen. Tanto el miedo al “que

BANDERAS QUE IDENTIFICAN A LOS INTEGRANTES DE LA COMUNIDAD LGBTQIA+

15 • +
Otros

dirán” los empleados del médico sobre ellos —integrantes de la comunidad—, o “lo que dirán” otros pacientes y el médico, son barreras que otras poblaciones no presentan. A esta situación se suma, que la mayoría de los integrantes de la comunidad no tienen plan médico. Realidad que implica que ellos — integrantes de la comunidad— deberán cubrir sus gastos médicos (mayormente en Estados Unidos).

En adición, cuando integrantes de la comunidad van al médico, usualmente no es para realizar una prueba de cernimiento, sino para recibir un diagnóstico y tratamientos para sus condiciones de salud. Condiciones para las cuales ha debido presentar síntomas por mucho tiempo.

En el caso de cáncer de mama, los pacientes llegan a recibir un diagnósitco cuando están en estadios más avanzados, tienen más riesgo de recurrencia y hasta riesgo de morir.

Un estudio realizado en Florida, evaluó el conocimiento, las actitudes y las conductas de oncólogos en la práctica con pacientes de cáncer de la comunidad, para los siete tipos de cánceres más comunes —anal, mama, cervical, colorrectal, endometrio, pulmón y próstata— que en términos generales reveló que: todos los proveedores tenían un pobre conocimiento de las necesidades específicas de la comunidad . Esto se puede traducir en prácticas de cuidado subóptimo para esta población. En adición, solo 47% entendían estaban bien informados sobre las necesidades de la comunidad LGBTQIA+. Y, con respecto a las actitudes, la mayoría de los proveedores estuvieron de acuerdo en ser incluidos en una lista de proveedores sensitivos a las necesidades de la comunidad.

RECOMENDACIONES DE CERNIMIENTO PARA CÁNCER DE MAMA EN ESTA POBLACIÓN:

El Colegio Americano de Radiología desarrolló unas guías para la detección temprana de cáncer de mama entre integrantes de la comunidad LGBTQIA+. Dichas guías están basadas en: sexo asignado al nacer, edad, riesgo personal para desarrollar

cáncer de mama, desarrollo del seno, cirugía de seno en personas transmasculinos y para personas transféminas, y el uso de tratamiento hormonal con el propósito de demostrar físicamente su género.

OPORTUNIDADES PARA ATENDER LAS NECESIDADES DE ESTA COMUNIDAD —LLAMADO A LA ACCIÓN—

Nuestro llamado a las entidades que atiende la salud de las personas de la comunidad LGBTQIA+ es a la educación y a tomar acción preventiva e inmediata.

Algunas organizaciones han hecho un llamado para incluir educación de la comunidad a proveedores de servicios. Por ejemplo, se anima a los proveedores a preguntar sobre la orientación sexual del paciente, de manera que se pueda crear un ambiente de confianza entre el proveedor y el paciente. Incluso, es importante señalarle al paciente que esta pregunta no es para discriminar, sino para poder orientar debidamente sus estrategias de pruebas de cernimiento y de tratamiento. De esta manera se aumenta la confianza del paciente y el resultado de las intervenciones.

Tanto la American Medical Association, el National Summit on Cancer in the LGBT Communities, como la American Cancer Society han desarrollado programas para atender específicamente a esta población. En Puerto Rico, la Sociedad Americana Contra el Cáncer lo está desarrollando.

Finalmente, pero no menos importante, es imperante educar a los proveedores de servicios de salud sobre los riesgos, las necesidades y las mejores estrategias para ayudar a esta comunidad que tanto lo necesita. Por eso, esperamos que este artículo sea una oportunidad de educación y un llamado a la acción para todos los involucrados en servicios a pacientes de cáncer, desde los aspectos administrativos (gobierno), unidades de servicios de salud, proveedores, aseguradoras, educadores en salud e investigadores, entre otros.

16 Bienestartotal

RECOMENDACIONES ACTUALES: (COLEGIO AMERICANO DE RADIOLOGÍA)

17

INDICATIONS1

INDICATIONS1

Hypothyroidism

Hypothyroidism

SYNTHROID® (levothyroxine sodium) tablets for oral use is an L-thyroxine (T4) indicated in adult and pediatric patients, including neonates, as a replacement therapy in primary (thyroidal), secondary (pituitary), and tertiary (hypothalamic) congenital or acquired hypothyroidism.

SYNTHROID® (levothyroxine sodium) tablets for oral use is an L-thyroxine (T4) indicated in adult and pediatric patients, including neonates, as a replacement therapy in primary (thyroidal), secondary (pituitary), and tertiary (hypothalamic) congenital or acquired hypothyroidism.

Pituitary Thyrotropin (Thyroid Stimulating Hormone, TSH)

Suppression

Pituitary Thyrotropin (Thyroid Stimulating Hormone, TSH) Suppression

SYNTHROID is indicated in adult and pediatric patients, including neonates, as an adjunct to surgery and radioiodine therapy in the management of thyrotropin-dependent well-di erentiated thyroid cancer.

SYNTHROID is indicated in adult and pediatric patients, including neonates, as an adjunct to surgery and radioiodine therapy in the management of thyrotropin-dependent well-di erentiated thyroid cancer.

Limitation of Use

Limitation of Use

SYNTHROID is not indicated for suppression of benign thyroid nodules and nontoxic di use goiter in iodine-su cient patients, as there are no clinical benefits and overtreatment with SYNTHROID may induce hyperthyroidism.

SYNTHROID is not indicated for suppression of benign thyroid nodules and nontoxic di use goiter in iodine-su cient patients, as there are no clinical benefits and overtreatment with SYNTHROID may induce hyperthyroidism.

SYNTHROID is not indicated for treatment of hypothyroidism during the recovery phase of subacute thyroiditis.

SYNTHROID is not indicated for treatment of hypothyroidism during the recovery phase of subacute thyroiditis.

IMPORTANT SAFETY INFORMATION1

IMPORTANT SAFETY INFORMATION1

WARNING:

WARNING:

Thyroid hormones, including SYNTHROID, either alone or with other therapeutic agents, should not be used for the treatment of obesity or for weight loss. In euthyroid patients, doses within the range of daily hormonal requirements are ine ective for weight reduction. Larger doses may produce serious or even life-threatening manifestations of toxicity, particularly when given in association with sympathomimetic amines such as those used for their anorectic e ects.

Thyroid hormones, including SYNTHROID, either alone or with other therapeutic agents, should not be used for the treatment of obesity or for weight loss. In euthyroid patients, doses within the range of daily hormonal requirements are ine ective for weight reduction. Larger doses may produce serious or even life-threatening manifestations of toxicity, particularly when given in association with sympathomimetic amines such as those used for their anorectic e ects.

CONTRAINDICATIONS

CONTRAINDICATIONS

• SYNTHROID is contraindicated in patients with uncorrected adrenal insu ciency.

• SYNTHROID is contraindicated in patients with uncorrected adrenal insu ciency.

WARNINGS AND PRECAUTIONS

WARNINGS AND PRECAUTIONS

• SYNTHROID has a narrow therapeutic index. Overtreatment or undertreatment with SYNTHROID may have negative e ects on growth and development, cardiovascular function, bone metabolism, reproductive function, cognitive function, gastrointestinal function, and glucose and lipid metabolism in adult or pediatric patients. In pediatric patients with congenital and acquired hypothyroidism, undertreatment may adversely a ect cognitive development and linear growth, and overtreatment is associated with craniosynostosis and acceleration of bone age. Titrate the dose of SYNTHROID carefully and monitor response to titration to avoid these e ects.

• SYNTHROID has a narrow therapeutic index. Overtreatment or undertreatment with SYNTHROID may have negative e ects on growth and development, cardiovascular function, bone metabolism, reproductive function, cognitive function, gastrointestinal function, and glucose and lipid metabolism in adult or pediatric patients. In pediatric patients with congenital and acquired hypothyroidism, undertreatment may adversely a ect cognitive development and linear growth, and overtreatment is associated with craniosynostosis and acceleration of bone age. Titrate the dose of SYNTHROID carefully and monitor response to titration to avoid these e ects.

• In the elderly and in patients with cardiovascular disease, SYNTHROID should be initiated at lower doses than those recommended in younger individuals or in patients without cardiac disease. If cardiac symptoms develop or worsen, the SYNTHROID dose should be reduced or withheld for one week and restarted at a lower dose.

• In the elderly and in patients with cardiovascular disease, SYNTHROID should be initiated at lower doses than those recommended in younger individuals or in patients without cardiac disease. If cardiac symptoms develop or worsen, the SYNTHROID dose should be reduced or withheld for one week and restarted at a lower dose.

• Patients with coronary artery disease who are receiving SYNTHROID should be monitored closely during surgical procedures for cardiac arrhythmias. Monitor patients during concomitant administration of SYNTHROID and sympathomimetic agents for signs and symptoms of coronary insu ciency.

• Patients with coronary artery disease who are receiving SYNTHROID should be monitored closely during surgical procedures for cardiac arrhythmias. Monitor patients during concomitant administration of SYNTHROID and sympathomimetic agents for signs and symptoms of coronary insu ciency.

• Use of oral thyroid hormone is not recommended in myxedema coma. Products formulated for IV administration should be used to treat myxedema coma.

• Use of oral thyroid hormone is not recommended in myxedema coma. Products formulated for IV administration should be used to treat myxedema coma.

• Patients with adrenal insu ciency should be treated with replacement glucocorticoids prior to initiating treatment with SYNTHROID. Failure to do so may precipitate an acute adrenal crisis when thyroid hormone therapy is initiated.

• Patients with adrenal insu ciency should be treated with replacement glucocorticoids prior to initiating treatment with SYNTHROID. Failure to do so may precipitate an acute adrenal crisis when thyroid hormone therapy is initiated.

• Addition of levothyroxine therapy in patients with diabetes mellitus may worsen glycemic control and result in increased antidiabetic agent or insulin requirements. Carefully monitor glycemic control after starting, changing, or discontinuing SYNTHROID.

• Addition of levothyroxine therapy in patients with diabetes mellitus may worsen glycemic control and result in increased antidiabetic agent or insulin requirements. Carefully monitor glycemic control after starting, changing, or discontinuing SYNTHROID.

• Increased bone resorption and decreased bone mineral density may occur as a result of levothyroxine over-replacement, particularly in postmenopausal women. To mitigate this risk, patients receiving SYNTHROID should be given the minimum dose necessary that achieves the desired response.

• Increased bone resorption and decreased bone mineral density may occur as a result of levothyroxine over-replacement, particularly in postmenopausal women. To mitigate this risk, patients receiving SYNTHROID should be given the minimum dose necessary that achieves the desired response.

ADVERSE REACTIONS

ADVERSE REACTIONS

• Adverse reactions associated with SYNTHROID therapy are primarily those of hyperthyroidism due to therapeutic overdosage.

• Adverse reactions associated with SYNTHROID therapy are primarily those of hyperthyroidism due to therapeutic overdosage.

• In pediatric patients receiving levothyroxine therapy, pseudotumor cerebri and slipped capital femoral epiphysis have been reported. Overtreatment may result in craniosynostosis in infants who have not undergone complete closure of the fontanelles, and in premature closure of the epiphyses in pediatric patients still experiencing growth with resultant compromised adult height.

• In pediatric patients receiving levothyroxine therapy, pseudotumor cerebri and slipped capital femoral epiphysis have been reported. Overtreatment may result in craniosynostosis in infants who have not undergone complete closure of the fontanelles, and in premature closure of the epiphyses in pediatric patients still experiencing growth with resultant compromised adult height.

DRUG INTERACTIONS

DRUG INTERACTIONS

• Many drugs and some foods a ect thyroid hormone pharmacokinetics and metabolism and may alter the therapeutic response to SYNTHROID. In addition, thyroid hormones and thyroid status have varied e ects on the pharmacokinetics and actions of other drugs. Administer at least 4 hours before or after drugs that are known to interfere with absorption. Evaluate the need for dose adjustments when regularly administering within one hour of certain foods that may a ect absorption. Prescribers should consult appropriate reference sources for additional information on drug or food interactions with SYNTHROID.

• Many drugs and some foods a ect thyroid hormone pharmacokinetics and metabolism and may alter the therapeutic response to SYNTHROID. In addition, thyroid hormones and thyroid status have varied e ects on the pharmacokinetics and actions of other drugs. Administer at least 4 hours before or after drugs that are known to interfere with absorption. Evaluate the need for dose adjustments when regularly administering within one hour of certain foods that may a ect absorption. Prescribers should consult appropriate reference sources for additional information on drug or food interactions with SYNTHROID.

USE IN SPECIFIC POPULATIONS

USE IN SPECIFIC POPULATIONS

• SYNTHROID should not be discontinued during pregnancy, and hypothyroidism diagnosed during pregnancy should be promptly treated. TSH levels may increase during pregnancy, so TSH should be monitored and SYNTHROID dose adjusted as needed.

• SYNTHROID should not be discontinued during pregnancy, and hypothyroidism diagnosed during pregnancy should be promptly treated. TSH levels may increase during pregnancy, so TSH should be monitored and SYNTHROID dose adjusted as needed.

Please see accompanying full prescribing information or visit https://www.rxabbvie.com/pdf/synthroid.pdf

Please see accompanying full prescribing information or visit https://www.rxabbvie.com/pdf/synthroid.pdf

Reference: 1. SYNTHROID [package insert]. North Chicago, IL: AbbVie Inc.

Reference: 1. SYNTHROID [package insert]. North Chicago, IL: AbbVie Inc.

INDICATION Hypothyroidism SYNTHROID L-thyroxine neonates, (pituitary), hypothyroidism. Pituitary SYNTHROID neonates, management
© 2022 AbbVie. All rights reserved. US-SYNT-220312 November 2022
© 2022 AbbVie. All rights reserved. US-SYNT-220312 November 2022

FOR PUERTO RICO HEALTHCARE PROFESSIONALS

SynthroidHCPpr.com HCP WEBSITE

A new site with resources and support to help you manage your hypothyroidism patients and where you can request to contact an AbbVie Representative.

A new site with resources and support to help you manage your hypothyroidism patients and where you can request to contact an AbbVie Representative.

INDICATIONS1

INDICATIONS1

Hypothyroidism

Hypothyroidism

SYNTHROID® (levothyroxine sodium) tablets for oral use is an L-thyroxine (T4) indicated in adult and pediatric patients, including neonates, as a replacement therapy in primary (thyroidal), secondary (pituitary), and tertiary (hypothalamic) congenital or acquired hypothyroidism.

SYNTHROID® (levothyroxine sodium) tablets for oral use is an L-thyroxine (T4) indicated in adult and pediatric patients, including neonates, as a replacement therapy in primary (thyroidal), secondary (pituitary), and tertiary (hypothalamic) congenital or acquired hypothyroidism.

Pituitary Thyrotropin (Thyroid Stimulating Hormone, TSH) Suppression

Pituitary Thyrotropin (Thyroid Stimulating Hormone, TSH) Suppression

SYNTHROID is indicated in adult and pediatric patients, including neonates, as an adjunct to surgery and radioiodine therapy in the management of thyrotropin-dependent well-di erentiated thyroid cancer.

SYNTHROID is indicated in adult and pediatric patients, including neonates, as an adjunct to surgery and radioiodine therapy in the management of thyrotropin-dependent well-di erentiated thyroid cancer.

Limitation of Use

Limitation of Use

SYNTHROID is not indicated for suppression of benign thyroid nodules and nontoxic di use goiter in iodine-su cient patients, as there are no clinical benefits and overtreatment with SYNTHROID may induce hyperthyroidism.

SYNTHROID is not indicated for suppression of benign thyroid nodules and nontoxic di use goiter in iodine-su cient patients, as there are no clinical benefits and overtreatment with SYNTHROID may induce hyperthyroidism.

SYNTHROID is not indicated for treatment of hypothyroidism during the recovery phase of subacute thyroiditis.

SYNTHROID is not indicated for treatment of hypothyroidism during the recovery phase of subacute thyroiditis.

SAFETY CONSIDERATIONS1

SAFETY CONSIDERATIONS1

• SYNTHROID should not be used for the treatment of obesity or for weight loss.

• SYNTHROID should not be used for the treatment of obesity or for weight loss.

Please see Important Safety Information, including BOXED Warning regarding inappropriate treatment for obesity or for weight loss, on the adjacent page. Please see the following pages for a brief summary of the prescribing information.

Please see Important Safety Information, including BOXED Warning regarding inappropriate treatment for obesity or for weight loss, on the adjacent page.

Please see the following pages for a brief summary of the prescribing information.

SYNTHROID® (sin-throyd) (levothyroxine sodium) tablets, USP

WARNING: NOT FOR TREATMENT OF OBESITY OR FOR WEIGHT LOSS Thyroid hormones, including SYNTHROID, either alone or with other therapeutic agents, should not be used for the treatment of obesity or for weight loss.

In euthyroid patients, doses within the range of daily hormonal requirements are ineffective for weight reduction.

Larger doses may produce serious or even life-threatening manifestations of toxicity, particularly when given in association with sympathomimetic amines such as those used for their anorectic effects [see Adverse Reactions, Drug Interactions, and Overdosage]

INDICATIONS AND USAGE

Hypothyroidism

SYNTHROID is indicated in adult and pediatric patients, including neonates, as a replacement therapy in primary (thyroidal), secondary (pituitary), and tertiary (hypothalamic) congenital or acquired hypothyroidism.

Pituitary Thyrotropin (Thyroid-Stimulating Hormone, TSH) Suppression

SYNTHROID is indicated in adult and pediatric patients, including neonates, as an adjunct to surgery and radioiodine therapy in the management of thyrotropin-dependent well-differentiated thyroid cancer.

Limitations of Use

• SYNTHROID is not indicated for suppression of benign thyroid nodules

hyperthyroidism [see Warnings and Precautions]

• SYNTHROID is not indicated for treatment of hypothyroidism during the recovery phase of subacute thyroiditis.

CONTRAINDICATIONS

SYNTHROID is contraindicated in patients with uncorrected adrenal [see Warnings and Precautions]

WARNINGS AND PRECAUTIONS

Serious Risks Related to Overtreatment or Undertreatment with SYNTHROID

SYNTHROID has a narrow therapeutic index. Overtreatment or undertreatment with SYNTHROID may have negative effects on growth and development, cardiovascular function, bone metabolism, reproductive function, cognitive function, gastrointestinal function, and glucose and lipid metabolism in adult or pediatric patients.

In pediatric patients with congenital and acquired hypothyroidism, undertreatment may adversely affect cognitive development and linear growth, and overtreatment is associated with craniosynostosis and acceleration of bone age

Titrate the dose of SYNTHROID carefully and monitor response to titration to avoid these effects. Consider the potential for food or drug interactions and adjust the administration or dosage of SYNTHROID as needed

[see Drug Interactions]

Cardiac Adverse Reactions in the Elderly and in Patients with Underlying Cardiovascular Disease

Over-treatment with levothyroxine may cause an increase in heart rate, cardiac wall thickness, and cardiac contractility and may precipitate angina or arrhythmias, particularly in patients with cardiovascular disease and in elderly patients. Initiate SYNTHROID therapy in this population at lower doses than those recommended in younger individuals or in patients without cardiac disease

Monitor for cardiac arrhythmias during surgical procedures in patients with coronary artery disease receiving suppressive SYNTHROID therapy. Monitor patients receiving concomitant SYNTHROID and sympathomimetic agents for If cardiac symptoms develop or worsen, reduce the SYNTHROID dose or withhold for one week and restart at a lower dose.

Myxedema Coma

Myxedema coma is a life-threatening emergency characterized by poor circulation and hypometabolism and may result in unpredictable absorption of levothyroxine sodium from the gastrointestinal tract. Use of oral thyroid hormone drug products is not recommended to treat myxedema coma. Administer thyroid hormone products formulated for intravenous administration to treat myxedema coma.

Acute Adrenal Crisis in Patients with Concomitant Adrenal Insufficiency

Thyroid hormone increases metabolic clearance of glucocorticoids. Initiation of thyroid hormone therapy prior to initiating glucocorticoid therapy may

prior to initiating treatment with SYNTHROID [see Contraindications]

Worsening of Diabetic Control

Addition of levothyroxine therapy in patients with diabetes mellitus may worsen glycemic control and result in increased antidiabetic agent or insulin requirements. Carefully monitor glycemic control after starting, changing, or discontinuing SYNTHROID [see Drug Interactions]

Decreased Bone Mineral Density Associated with Thyroid Hormone

Over-Replacement

Increased bone resorption and decreased bone mineral density may occur as a result of levothyroxine over-replacement, particularly in postmenopausal women. The increased bone resorption may be associated with increased serum levels and urinary excretion of calcium and phosphorous, elevations in bone alkaline phosphatase, and suppressed serum parathyroid hormone levels. Administer the minimum dose of SYNTHROID that achieves the desired clinical and biochemical response to mitigate this risk.

ADVERSE REACTIONS

Adverse reactions associated with SYNTHROID therapy are primarily those of hyperthyroidism due to therapeutic overdosage [see Warnings and Precautions, Overdosage]. They include the following:

• General: fatigue, increased appetite, weight loss, heat intolerance, fever, excessive sweating

• Central nervous system: headache, hyperactivity, nervousness, anxiety, irritability, emotional lability, insomnia

• Musculoskeletal: tremors, muscle weakness, muscle spasm

• Cardiovascular: palpitations, tachycardia, arrhythmias, increased pulse and blood pressure, heart failure, angina, myocardial infarction, cardiac arrest

• Respiratory: dyspnea

PROFESSIONAL BRIEF SUMMARY CONSULT PACKAGE INSERT FOR FULL PRESCRIBING INFORMATION

• Gastrointestinal: diarrhea, vomiting, abdominal cramps, elevations in liver function tests

• Dermatologic:

• Endocrine: decreased bone mineral density

• Reproductive: menstrual irregularities, impaired fertility Seizures have been reported rarely with the institution of levothyroxine therapy.

Adverse Reactions in Pediatric Patients

Pseudotumor cerebri and slipped capital femoral epiphysis have been reported in pediatric patients receiving levothyroxine therapy. Overtreatment may result in craniosynostosis in infants who have not undergone complete closure of the fontanelles, and in premature closure of the epiphyses in pediatric patients still experiencing growth with resultant compromised adult height.

Hypersensitivity Reactions

Hypersensitivity reactions to inactive ingredients have occurred in patients treated with thyroid hormone products. These include urticaria, pruritus, (abdominal pain, nausea, vomiting and diarrhea), fever, arthralgia, serum sickness, and wheezing. Hypersensitivity to levothyroxine itself is not known to occur.

DRUG INTERACTIONS

Drugs Known to Affect Thyroid Hormone Pharmacokinetics

Many drugs can exert effects on thyroid hormone pharmacokinetics and metabolism (e.g., absorption, synthesis, secretion, catabolism, protein binding, and target tissue response) and may alter the therapeutic response to SYNTHROID (Tables 1 to 4).

Table 1. Drugs That May Decrease T4 Absorption (Hypothyroidism) by binding and delaying or preventing absorption, potentially resulting in hypothyroidism.

Drug or Drug Class Effect

Phosphate Binders (e.g., calcium carbonate, ferrous sulfate, sevelamer, lanthanum)

Table 3. Drugs That May Alter Hepatic Metabolism of T4 (Hypothyroidism)

Potential impact: Stimulation of hepatic microsomal drug-metabolizing enzyme activity may cause increased hepatic degradation of levothyroxine, resulting in increased SYNTHROID requirements.

Drug or Drug Class Effect

Phenobarbital Rifampin Phenobarbital has been shown to reduce the response to thyroxine. Phenobarbital increases L-thyroxine metabolism by inducing uridine 5’-diphospho-glucuronosyltransferase (UGT) and leads to lower T4 serum levels. Changes in thyroid status may occur if barbiturates are added or withdrawn from patients being treated for hypothyroidism. Rifampin has been shown to accelerate the metabolism of levothyroxine.

Table 4. Drugs That May Decrease Conversion of T4 to T3

Potential impact: Administration of these enzyme inhibitors decreases the peripheral conversion of T4 to T3, leading to decreased T3 levels. However, serum T4 levels are usually normal but may occasionally be slightly increased.

Drug or Drug Class Effect

Beta-adrenergic antagonists (e.g., Propranolol > 160 mg/day)

Glucocorticoids (e.g., Dexamethasone ≥ 4 mg/day)

Phosphate binders may bind to levothyroxine. Administer SYNTHROID at least 4 hours apart from these agents.

Orlistat Monitor patients treated concomitantly with orlistat and SYNTHROID for changes in thyroid function.

Bile Acid Sequestrants (e.g., colesevelam, cholestyramine, colestipol)

Ion Exchange Resins (e.g., Kayexalate)

Proton Pump Inhibitors

Sucralfate

Antacids (e.g., aluminum & magnesium hydroxides, simethicone)

Bile acid sequestrants and ion exchange resins are known to decrease levothyroxine absorption. Administer SYNTHROID at least 4 hours prior to these drugs or monitor TSH levels.

Gastric acidity is an essential requirement for adequate absorption of levothyroxine. Sucralfate, antacids and proton pump inhibitors may cause hypochlorhydria, affect intragastric pH, and reduce levothyroxine absorption. Monitor patients appropriately.

Table 2. Drugs That May Alter T4 and Triiodothyronine (T3)

Serum Transport Without Affecting Free Thyroxine (FT4) Concentration (Euthyroidism)

Drug or Drug Class Effect

Estrogen-containing oral contraceptives

Estrogens (oral)

Heroin / Methadone

5-Fluorouracil

Mitotane

Tamoxifen

Androgens / Anabolic Steroids

Asparaginase

Glucocorticoids

Slow-Release Nicotinic Acid

These drugs may increase serum thyroxine-binding globulin (TBG) concentration.

These drugs may decrease serum TBG concentration.

Potential impact (below): Administration of these agents with SYNTHROID results in an initial transient increase in FT4. Continued administration results in a decrease in serum T4 and normal FT4 and TSH concentrations.

Salicylates (> 2 g/day) Salicylates inhibit binding of T4 and T3 to TBG and transthyretin. An initial increase in serum FT4 is followed by return of FT4 to normal levels with sustained therapeutic serum salicylate concentrations, although total T4 levels may decrease by as much as 30%.

Other drugs:

Carbamazepine

Furosemide (> 80 mg IV)

Heparin

Hydantoins

Drugs - Fenamates

These drugs may cause protein-binding site displacement. Furosemide has been shown to inhibit the protein binding of T4 to TBG and albumin, causing an increase free T4 fraction in serum. Furosemide competes for T4-binding sites on TBG, prealbumin, and albumin, so that a single high dose can acutely lower the total T4 level. Phenytoin and carbamazepine reduce serum protein binding of levothyroxine, and total and free T4 may be reduced by 20% to 40%, but most patients have normal serum TSH levels and are clinically euthyroid. Closely monitor thyroid hormone parameters.

In patients treated with large doses of propranolol (> 160 mg/day), T3 and T4 levels change, TSH levels remain normal, and patients are clinically euthyroid. Actions of particular beta-adrenergic antagonists may be impaired when a hypothyroid patient is converted to the euthyroid state.

Short-term administration of large doses of glucocorticoids may decrease serum T3 concentrations by 30% with minimal change in serum T4 levels. However, long-term glucocorticoid therapy may result in slightly decreased T3 and T4 levels due to decreased TBG production (See above).

Other drugs: Amiodarone Amiodarone inhibits peripheral conversion of levothyroxine (T4) to triiodothyronine (T3) and may cause isolated biochemical changes (increase in serum free-T4, and decreased or normal free-T3) in clinically euthyroid patients.

Antidiabetic Therapy

Addition of SYNTHROID therapy in patients with diabetes mellitus may worsen glycemic control and result in increased antidiabetic agent or insulin requirements. Carefully monitor glycemic control, especially when thyroid therapy is started, changed, or discontinued [see Warnings and Precautions]

Oral Anticoagulants

SYNTHROID increases the response to oral anticoagulant therapy. Therefore, a decrease in the dose of anticoagulant may be warranted with correction of the hypothyroid state or when the SYNTHROID dose is increased. Closely monitor coagulation tests to permit appropriate and timely dosage adjustments.

Digitalis Glycosides

SYNTHROID may reduce the therapeutic effects of digitalis glycosides. Serum digitalis glycoside levels may decrease when a hypothyroid patient becomes euthyroid, necessitating an increase in the dose of digitalis glycosides.

Antidepressant Therapy

Concurrent use of tricyclic (e.g., amitriptyline) or tetracyclic (e.g., maprotiline) antidepressants and SYNTHROID may increase the therapeutic and toxic effects of both drugs, possibly due to increased receptor sensitivity to catecholamines. Toxic effects may include increased risk of cardiac arrhythmias and central nervous system stimulation.

SYNTHROID may accelerate the onset of action of tricyclics. Administration of sertraline in patients stabilized on SYNTHROID may result in increased SYNTHROID requirements.

Ketamine

Concurrent use of ketamine and SYNTHROID may produce marked hypertension and tachycardia. Closely monitor blood pressure and heart rate in these patients.

Sympathomimetics

Concurrent use of sympathomimetics and SYNTHROID may increase the effects of sympathomimetics or thyroid hormone. Thyroid hormones may are administered to patients with coronary artery disease.

Tyrosine-Kinase Inhibitors

Concurrent use of tyrosine-kinase inhibitors such as imatinib may cause hypothyroidism. Closely monitor TSH levels in such patients.

Drug-Food Interactions

Consumption of certain foods may affect SYNTHROID absorption thereby SYNTHROID from the gastrointestinal tract. Grapefruit juice may delay the absorption of levothyroxine and reduce its bioavailability.

Drug-Laboratory Test Interactions

Consider changes in TBG concentration when interpreting T4 and T3 values. Measure and evaluate unbound (free) hormone and/or determine the free-T4 index (FT4I) in this circumstance. Pregnancy, infectious hepatitis, estrogens, estrogen-containing oral contraceptives, and acute intermittent porphyria increase TBG concentration. Nephrosis, severe hypoproteinemia, severe liver disease, acromegaly, androgens, and corticosteroids decrease TBG concentration. Familial hyper- or hypo-thyroxine binding globulinemias have USE IN SPECIFIC POPULATIONS

Pregnancy

Risk Summary

The clinical experience, including data from postmarketing studies, in pregnant women treated with oral levothyroxine to maintain euthyroid state have not reported increased rates of major birth defects, miscarriages, or

other adverse maternal or fetal outcomes There are risks to the mother and fetus associated with untreated hypothyroidism in pregnancy. Since TSH levels may increase during pregnancy, TSH should be monitored and SYNTHROID dosage adjusted during pregnancy (see Clinical Considerations)

Animal reproductive studies have not been conducted with levothyroxine sodium. SYNTHROID should not be discontinued during pregnancy and hypothyroidism diagnosed during pregnancy should be promptly treated. The estimated background risk of major birth defects and miscarriage for the indicated population is unknown. All pregnancies have a background risk of birth defect, loss, or other adverse outcomes. In the U.S. general population, the estimated background risk of major birth defects and miscarriage in clinically recognized pregnancies is 2% to 4% and 15% to 20%, respectively.

Clinical Considerations

Disease-Associated Maternal and/or Embryo/Fetal Risk

Maternal hypothyroidism during pregnancy is associated with a higher rate of complications, including spontaneous abortion, gestational hypertension, pre-eclampsia, stillbirth, and premature delivery.

Untreated maternal hypothyroidism may have an adverse effect on fetal neurocognitive development.

Dose Adjustments During Pregnancy and the Postpartum Period

Pregnancy may increase SYNTHROID requirements. Serum TSH levels should be monitored and the SYNTHROID dosage adjusted during pregnancy. Since postpartum TSH levels are similar to preconception values, the SYNTHROID dosage should return to the pre-pregnancy dose immediately after delivery

Lactation

Risk Summary

Published studies report that levothyroxine is present in human milk following the administration of oral levothyroxine. No adverse effects on the breastfed infant have been reported and there is no information on the effects of levothyroxine on milk production. Adequate levothyroxine treatment during lactation may normalize milk production in hypothyroid lactating mothers with low milk supply. The developmental and health clinical need for SYNTHROID and any potential adverse effects on the breastfed infant from SYNTHROID or from the underlying maternal condition.

Pediatric Use

SYNTHROID is indicated in patients from birth to less than 17 years of age:

• As a replacement therapy in primary (thyroidal), secondary (pituitary), and tertiary (hypothalamic) congenital or acquired hypothyroidism.

• As an adjunct to surgery and radioiodine therapy in the management of thyrotropin-dependent well-differentiated thyroid cancer.

Rapid restoration of normal serum T4 concentrations is essential for preventing the adverse effects of congenital hypothyroidism on cognitive

development as well as on overall physical growth and maturation. Therefore, initiate SYNTHROID therapy immediately upon diagnosis. Levothyroxine is generally continued for life in these patients [see Warnings and Precautions]

cardiac overload and arrhythmias.

Geriatric Use

Because of the increased prevalence of cardiovascular disease among the elderly, initiate SYNTHROID at less than the full replacement dose [see Warnings and Precautions]. Atrial arrhythmias can occur in elderly with levothyroxine overtreatment in the elderly.

OVERDOSAGE

The signs and symptoms of overdosage are those of hyperthyroidism [see Warnings and Precautions and Adverse Reactions]. In addition, confusion and disorientation may occur. Cerebral embolism, shock, coma, and death have been reported. Seizures occurred in a 3-year-old child ingesting not appear until several days after ingestion of levothyroxine sodium.

Reduce the SYNTHROID dosage or discontinue temporarily if signs or symptoms of overdosage occur. Initiate appropriate supportive treatment as dictated by the patient’s medical status.

For current information on the management of poisoning or overdosage, contact the National Poison Control Center at 1-800-222-1222 or www.poison.org.

PATIENT COUNSELING INFORMATION

Inform the patient of the following information to aid in the safe and effective use of SYNTHROID:

Dosing and Administration

• Instruct patients to take SYNTHROID only as directed by their healthcare provider.

• Instruct patients to take SYNTHROID as a single dose, preferably on an empty stomach, one-half to one hour before breakfast.

• Inform patients that agents such as iron and calcium supplements and antacids can decrease the absorption of levothyroxine. Instruct patients not to take SYNTHROID tablets within 4 hours of these agents.

• Instruct patients to notify their healthcare provider if they are pregnant or breastfeeding or are thinking of becoming pregnant while taking SYNTHROID.

Important Information

• Inform patients that it may take several weeks before they notice an improvement in symptoms.

• Inform patients that the levothyroxine in SYNTHROID is intended to replace a hormone that is normally produced by the thyroid gland. Generally, replacement therapy is to be taken for life.

• Inform patients that SYNTHROID should not be used as a primary or adjunctive therapy in a weight control program.

• Instruct patients to notify their healthcare provider if they are taking any other medications, including prescription and over-the-counter preparations.

• Instruct patients to notify their physician of any other medical conditions they may have, particularly heart disease, diabetes, clotting disorders, and adrenal or pituitary gland problems, as the dose of medications used to control these other conditions may need to be adjusted while they are taking SYNTHROID. If they have diabetes, instruct patients to monitor their blood and/or urinary glucose levels as directed by their physician and immediately report any changes to their physician. If patients are taking anticoagulants, their clotting status should be checked frequently.

• Instruct patients to notify their physician or dentist that they are taking SYNTHROID prior to any surgery.

Adverse Reactions

• Instruct patients to notify their healthcare provider if they experience any of the following symptoms: rapid or irregular heartbeat, chest pain, shortness of breath, leg cramps, headache, nervousness, irritability, sleeplessness, tremors, change in appetite, weight gain or loss, vomiting, diarrhea, excessive sweating, heat intolerance, fever, changes in menstrual periods, hives or skin rash, or any other unusual medical event.

• months of SYNTHROID therapy, but this is usually temporary.

AbbVie Inc. North Chicago, IL 60064, U.S.A.

© 2022 AbbVie Inc.

Ref: 20075189 Revised: October 2022 LAB-8351 MASTER

US-SYNT-220312

Buscan reducir contagios de hepatitis C

La hepatitis C es una condición inflamatoria del hígado, que puede representar un gran peligro para el ser humano, en términos de morbilidad y posible mortalidad.

Se contagia por el contacto con sangre contaminada y en el 80% de los casos permanece en el tejido del hígado, causando inflamación al órgano. Durante muchos años fue difícil de tratar por su tendencia de ser asintomática en comparación con la hepatitis B, donde la persona presenta con distensión abdominal, piel y ojos con deposición de tinte amarillo debido a alteración en el metabolismo de la

bilirrubina, orina oscura y heces blancas.

A lo largo de los años se han desarrollado tratamientos eficientes para tratar y hasta curar la enfermedad. Sin embargo, continúa siendo objeto de gran interés para las autoridades de la salud y la clase médica a nivel mundial, por ser la principal causa de trasplante de hígado a nivel global. Asimismo, su progresión se traduce en fibrosis (endurecimiento del hígado) o cirrosis (estado final de la fibrosis). Ambas afecciones figuran como causante de cáncer hepático celular o fallo hepático.

“En caso de que la persona presente síntomas, no va más allá de quizás un cuadro gastrointestinal de dos o tres días. Por cada 100 personas que desarrolla la hepatitis C —en la mayoría de los casos— entre un 75% y 80% de ellas se tornan crónicos y

22 Bienestartotal
POR MELISSA M. CRUZ RÍOS
DE SALUD
TEMAS

solamente un 10 a un 15% desarrollan sus anticuerpos sin tener problemas mayores. Ante esta realidad, lo mejor es hacer la prueba de amplificación de ácido nucleico (NAAT, en inglés), también conocida como prueba de reacción en cadena de la polimerasa (‘polymerase chain reaction’, PCR), para poder establecer si hay virus y si se está replicando, para tratarlo”, explicó el Dr. Jorge Santana Bagur, infectólogo con 35 años de experiencia trabajando en el manejo de pacientes con el virus de la inmunodeficiencia humana (VIH) y hepatitis.

UNA ENFERMEDAD ACTUAL

Las recomendaciones de los Centros para el Control y la Prevención de Enfermedades (CDC) y entidades relacionadas

con la salud pública en los Estados Unidos recomiendan que toda persona mayor de 18 años, se realice la prueba de detección de anticuerpos de hepatitis C, por lo menos una vez en su vida si no tiene ningún factor de riesgo previsible.

Aunque años atrás, se asumía que la prevalencia más alta respondía a la población de adultos nacidos entre 1946 y 1965 —también conocida como la generación de los ‘Baby Boomers’, lo cierto es que esta población ya no transmite la enfermedad. Según el Dr. Santana Bagur, “muchos de ellos, si no se trataron efectivamente, han desarrollado cirrosis, están en estadios avanzados o han necesitado un trasplante de hígado.

No obstante, el virus continúa latente en las nuevas generaciones. Algunos de los principales factores de riesgo han

23

sido el uso de drogas inyectables, transfusiones de sangre antes del 1992, tener múltiples parejas sexuales (más de 10 al año). En el pasado, los pacientes recipientes de hemodiálisis representaban un grupo alto de riesgo, pero ya hoy día, con la institución de pruebas de tamizaje rutinarias en los laboratorios para toda sangre y sus productos derivados, este riesgo prácticamente ha desaparecido. Por último y muy importante, cabe mencionar también que la transmisión se ha relacionado con los tatuajes o ‘body piercings’, por la utilización de instrumentos no estériles.

“Estamos viendo sobre todo entre los jóvenes y los no tan jóvenes con tatuajes. Porque, aunque la aguja y el metal son estériles o se pueden esterilizar, es en los tintes donde el virus se aloja y puede permanecer por semanas”, explicó el infectólogo e investigador, al tiempo que exhortó a que al momento de decidir tatuarse “asegúrese de ir a un establecimiento regulado y certificado por el Departamento de Salud de Puerto Rico y que el envase de la tinta este sellado al frente suyo, antes de aplicarse. Es uno de los factores de riesgo más comunes actualmente. Y, desafortunadamente, en las prisiones, porque ocurre mucho esta práctica de tatuajes no regulados, así como mucho sexo sin

protección. Por eso también se está viendo un número aumentado de casos”, acotó.

VIENTO EN POPA PARA CREAR BASE DE DATOS

Hace más de una década que en Puerto Rico no se contaba con estadísticas sobre la prevalencia de la hepatitis C en la Isla, lo cual ha sido motivo de queja para la clase médica y agencias de seguridad sanitaria a nivel local. Sin embargo, el Dr. Santana Bagur asegura que los reclamos han llegado y esa historia está por cambiar.

“Por muchos años, cuando entrabas al Portal de Vigilancia y Datos Estadísticos del Departamento de Salud, en el renglón de hepatitis C, no había absolutamente nada. Afortunadamente, parece que el grito y mi crítica llegó y ya se comenzó a desarrollar lo que promete ser una base sólida de datos que nos va a decir cuánto es la incidencia y cuánto es la prevalencia. Recordando que la prevalencia es cuán presente está la enfermedad en una comunidad y la incidencia se refiere a cuántos casos nuevos se siguen reportando anualmente. La data se está recopilando. He conversado en varias ocasiones con el señor Héctor Quiñones Rosaly, que hace cerca de un año está destacado en la tarea de establecer una base de datos. Ciertamente, queda mucho por trabajar, pero sí tenemos el principio”, manifestó el galeno.

Dr. Santana Bagur, quien también es catedrático en el Recinto de Ciencias Médicas (RCM) de la Universidad de Puerto Rico (UPR), explicó que la importancia de contar con esta plataforma es conocer cómo se está transmitiendo la infección en la comunidad.

“Una vez la prevalencia baje, que es lo que esperamos ver, la incidencia va a bajar. Esto, conjunto a las alternativas de tratamiento que tenemos, es muy posible, nos ayudará a lograr que esa prevalencia llegue a un nivel muy bajo y eventualmente a que no haya más transmisión comunitaria que es lo que la Organización Mundial de la Salud (OMS), espera lograr para el 2030, convirtiendo la hepatitis C, en una enfermedad rara para futuras generaciones”, sostuvo.

REAFIRMAN LA IMPORTANCIA DE LA PRUEBA

Para obtener estos datos, es necesaria la participación ciudadana en la realización de la prueba.

“El laboratorio tiene que reportarlo al Departamento de Salud. Lo estaban haciendo, pero en algún escritorio se quedaba. Pero ya eso se está tabulando y, afortunadamente, estamos viendo casos probables y casos confirmados porque depende, si tiene anticuerpos es un caso probable, pero si tiene el PCR o NAAT, para ver si hay virus replicándose, eso es un caso confirmado”, abundó.

El Dr. Santana compartió que algunos de los datos que se han recopilado hasta 2021, por ejemplo, sugería que tanto la prevalencia como la incidencia venía en descenso y en 2022, hubo un repunte de casos probables y confirmados.

“En el informe se muestra más de 2,600 casos probables y 1,127 casos confirmados, de un total acumulativo de 40,650 casos —pruebas— reportadas. Esto quiere decir que de los 40,000 casos reportados, alrededor del 3% tendrían —potencialmente—

24 Bienestartotal
Dr. Jorge Santana, Centro Comprensivo de Cáncer.

hepatitis C activa según el reporte completo. La literatura te dice que por cada 100 casos de hepatitis C, 70% aun con anticuerpos tendrán enfermedad viral activa. No todos los casos de anticuerpos tienen cronicidad. Así que, esta data es importante porque por primera vez nos indicará las áreas y grupos de edades específicos en los cuales estamos viendo el problema mayor. De esta manera, se podrá dirigir terapias que sean estructuradas para atender a grupos de riesgo, en esas áreas determinadas. Después de todo, Puerto Rico es una isla con una población casi cautiva, independientemente de que hay mucho puente aéreo. Lo que quiere decir que se puede desarrollar una base de datos donde identifiquemos el paciente, dónde vive, si se trató o no, si se trató y si se curó”.

A juicio del Dr. Santana Bagur, quien por más de 23 años ha tenido oportunidad de ver la evolución del tratamiento de hepatitis C, las alternativas de tratamiento vigentes son “fabulosas”, ya que con medicamentos orales libres de inyectables logran curar hasta el 97% de las personas en un intervalo de 8-12

semanas. De la misma manera, el desarrollo de una base de datos es un primer paso bien importante. “Según informó el señor Quiñones Rosaly, los pasos subsiguientes serían empezar a enlazar el tratamiento y la cura de los casos reportados. Posteriormente, se evaluarán cuántos casos quedan por tratar y se determinará la estrategia que debemos utilizar para ciertas áreas”.

“Es importante que tanto el paciente como la comunidad médica estén conscientes que tenemos que hacer las pruebas de anticuerpos y de carga viral. Es un derecho del paciente exigir al médico la prueba para tomar control de su salud. Y es crucial que el médico, independientemente de la edad o sexo (varón o hembra) que tenga el paciente, se le haga la prueba. También, debe documentarse si ese paciente tiene o no, replicación viral y si necesita o no, tratamiento”, concluyó el galeno.

Existen varios medicamentos que se dan en forma oral, como pastillas una vez al día por dos a tres meses, con mínimos efectos secundarios y con gran efectividad de cura de más del 98% en la mayoría de los casos.

25

Evalúan tratamiento para la cirrosis descompensada

La cirrosis es una enfermedad crónica que se caracteriza por daño a las células hepáticas (hígado), como consecuencia de procesos inflamatorios que crean cicatrización en este tejido. Es una condición que suele tomar entre años en desarrollarse hasta provocar consecuencias graves para la salud de quien la padece.

Su etiología puede ser autoinmune, por consumo excesivo de alcohol o ciertos medicamentos hepatotóxicos, lo que se conoce como esteatohepatitis no alcohólica (NASH), hepatitis virales (hepatitis B o C), entre otras. La cronicidad de estas condiciones eventualmente puede desarrollar el tejido de cicatricial (fibrosis) y culminar en la formación de nódulos en el hígado. La cirrosis puede desembocar en muchísimas otras complicaciones de salud como el cáncer hepático, el desarrollo de descompensación y la necesidad de un trasplante de hígado.

POR MELISSA M. CRUZ RÍOS

Se estima que cerca de un 1% de la población en los Estados Unidos —Puerto Rico, incluido— padece de cirrosis hepática. Incluso, muchos pacientes pueden tener la condición en estadios tempranos y no saberlo.

La cirrosis tiene dos fases: compensada y descompensada. La compensada se refiere a la fase inicial de la condición, mientras que la descompensada se refiere a la etapa más avanzada, en la cual el hígado se encuentra tan dañado que no puede realizar funciones importantes para mantener el organismo de la persona en buen estado.

Entre las complicaciones que pueden surgir a raíz de la enfermedad se destacan problemas de coagulación, acumulación excesiva de líquido en el abdomen (ascitis), sangrado de varices del esófago y encefalopatía hepática, cáncer de hígado, entre

otros

“Nuestro equipo de investigadores está realizando estudios clínicos que buscan desarrollar terapias que logren revertir algunos de los daños causados por esta condición, hasta ahora considerada irreversible”, explicó el Dr. José Rodríguez Orengo, CEO del FDI Clinical Research, entidad con más de 20 años sirviendo en Puerto Rico, principalmente, tratando pacientes con hepatitis C en la Isla, así como otras condiciones hepáticas incluyendo hígado graso y esteatohepatitis no alcohólica.

El ensayo clínico, que se realizará entre Puerto Rico y Estados Unidos, pretende reclutar una decena de pacientes con cirrosis descompensada, mayores de 21 años y con un diagnóstico de —al menos— seis meses. El paciente será evaluado a través de laboratorios. De cualificar, para participar del estudio se le

28 Bienestartotal

administrará una dosis única de la droga de estudio.

“Este estudio representa una oportunidad única para contribuir al avance de la ciencia en el manejo de la cirrosis descompensada. Estamos buscando a personas valientes y comprometidas que deseen participar en la búsqueda de soluciones innovadoras para esta afección”, manifestó por su parte la Dra. Vivian Tamayo Agrait, investigadora de este estudio.

La galeno explicó, además, que se trata de un estudio de Fase I, que busca probar la seguridad y farmacocinética.

“Estamos en una etapa temprana con el desarrollo del medicamento. Cuando un fármaco se empieza a evaluar para una condición en particular, en sus primeras fases, lo que se busca es saber que un producto es seguro para usar en persona. Otro aspecto que se evalúa en esa etapa es la farmacocinética, que es conocer como ese medicamento cambia a través del tiempo en determinado paciente, en términos de absorción, cuánto tiempo dura en el cuerpo y cuáles serían los posibles efectos secundarios”, aclaró Tamayo.

“En estas etapas tempranas no se busca evaluar eficacia. Por eso es que para esta fase se reclutan pocos pacientes y el tratamiento se administra por poco tiempo. No podemos decir que al paciente que entre en esta fase de estudio vamos a ofrecerle el tratamiento con miras a curarlo o tratar la condición aún”, enfatizó la Dra. Tamayo con más de dos décadas carrera en medicina

Esta primera etapa del estudio conllevará un proceso de cernimiento de aproximadamente un mes, e iniciará en pacientes con condición avanzada, o sea, con cirrosis descompensada.

“Si en ellos se demuestra seguridad y una farmacocinética adecuada, se pasaría a una siguiente etapa con pacientes en la clasificación de ‘Child-Pugh B’ y posteriormente, ‘Child-Pugh A’. El total de pacientes que se va a considerar para cada una de las etapas son 10 personas, para un total de 30. El estudio se está realizando en cinco centros de investigación en los Estados Unidos, incluyendo FDI Clinical Research en Puerto Rico”, explicó Dra. Tamayo, quien cuenta con amplia experiencia en investigación.

La motivación tras el estudio

El fármaco que es objeto de estudio para la cirrosis descompensada, es de la familia de factores de crecimiento de fibroblastos (FGF), que son potentes reguladores de la proliferación y diferenciación celular, el cual se encuentra en etapas avanzadas de investigación para solicitar aprobación para tratar la fibrosis por esteatosis hepática no alcohólica (NASH).

Sin embargo, según la Dra. Tamayo, en estudios preclínicos el mismo ha presentado potencial de disminuir uno de los posibles precursores del daño al hígado, lo que ha dado luz al recién anunciado estudio en pacientes con cirrosis.

“En los estudios preclínicos se ha visto que el mecanismo de acción de la droga modula el depósito de grasa en las células hepáticas, disminuyendo la acumulación excesiva de grasa hepática. También, en otros estudios clínicos con esta droga, en pacientes con enfermedad de hígado graso, se ha visto mejoría

en el perfil de lípidos (colesterol); mejoría en el nivel de fibrosis (cicatrización) hepática, mejoría en el control glicémico (de azúcar) en pacientes diabéticos. En adición, se ha visto una tendencia en la disminución del peso corporal en estos otros estudios”, apuntó.

Por lo tanto, si durante la más reciente investigación se demuestra seguridad, el fármaco puede convertirse en una alternativa de tratamiento para los pacientes de cirrosis descompensada.

Importante los ensayos clínicos

Y es que, precisamente, las expectativas a largo plazo con este tratamiento es probar que puede revertir algunos de los efectos de la enfermedad.

“Participar de estudios como estos, representan una oportunidad de contribuir a la ciencia médica y potencialmente mejorar la calidad de vida de otros pacientes con la enfermedad. Este tipo de investigaciones son importantes porque son el primer paso para lograr revertir algo que hasta ahora es irreversible. Obviamente, puede haber algún beneficio al recibir la dosis del medicamento, solo que es algo que en este momento se desconoce y no podemos garantizar. No obstante, la colaboración de pacientes con el diagnóstico para este estudio Fase I, brinda la esperanza de que en un futuro no muy lejano exista una alternativa de tratamiento que pueda revertir la condición. Debe ser bastante frustrante para un paciente tener una condición que no tiene cura. Aunque no es una condición tan frecuente, cuando ocurre, resulta nefasto para el individuo”, enfatizó.

La Dra. Tamayo manifestó sentirse entusiasmada por la participación de pacientes puertorriqueños para este estudio.

“Definitivamente, siempre que sale un medicamento nuevo, es importante que haya participación de la población puertorriqueña. Nosotros somos una población particular y es importante que haya representación nuestra en lo que es el desarrollo de medicamentos. Especialmente, en fases tan tempranas en donde factores como la genética y la etnicidad pueden influir en la farmacocinética, lo que puede afectar lo que es la dosificación. También es importante para los pacientes saber, que todo lo que se hace como parte de un estudio investigación es totalmente libre de costo. Esto incluye evaluaciones médicas por doctores que tienen muchísima experiencia manejando estas condiciones, las pruebas de laboratorio que se realizan como parte del estudio, así como el producto de investigación, el cual también es libre de costo. Como parte de este estudio, al paciente también se le ofrece una compensación en metálico por su tiempo”, concluyó la investigadora de FDI Clinical Research, institución que además lleva a cabo estudios clínicos de investigación para otras condiciones oncológicas, como cáncer de seno, pulmón e hígado; estudios en alergias, inmunología y asma, entre otras diferentes áreas terapéuticas.

Para más información sobre este y otros estudios clínicos puedes comunicarte al FDI Clinical Research al 787.722.1248.

29

Cáncer gástrico en Puerto Rico

Factores

El cáncer gástrico (CG) es la cuarta causa principal de muerte por cáncer en todo el mundo. En 2023, aproximadamente 26,500 personas serán diagnosticadas con cáncer gástrico en los Estados Unidos y solo el 32 % sde estos sobrevivirá más de cinco años.

La incidencia y la mortalidad por cáncer gástrico varían significativamente entre los grupos raciales-étnicos. Los hispanos de los Estados Unidos continentales, los negros y los asiáticos o isleños del Pacífico tienen una mayor incidencia y mortalidad por este cáncer (GC) en comparación con los blancos no hispanos. Para los hispanos que viven en Puerto Rico, una subpoblación hispana mezclada genéticamente con diversos grados de ascendencia europea, africana y amerindia, el cáncer gástrico se encuentra entre las 10 principales causas de muerte por cáncer según los datos recopilados por el Registro Central de Cáncer de Puerto Rico 2020.

FACTORES DE RIESGO

Los factores que promueven la inflamación, como el microbioma, el nivel socioeconómico, la dieta, el tabaquismo y el alto consumo de alcohol están asociados con el desarrollo de metaplasia gástrica y cáncer gástrico.

Un índice de masa corporal (BMI) más alto, estilos de vida sedentarios y una dieta rica en alimentos procesados, carnes rojas, grasas saturadas y compuestos N-nitroso han sido identificados como factores de riesgo para el cáncer gástrico. Entre los factores ambientales más importantes está la infección por Helicobacter pylori —bacteria que se aloja en la mucosa gástrica— que se asocia con el 80% - 90% de

MARCIA CRUZ-CORREA, MD, PHD, AGAF, FASGE Gastroenteróloga, Oncóloga e Investigadora PanOncology Trials

Catedrática de Medicina & Bioquímica, Universidad de Puerto Rico, Recinto de Ciencias Médicas

de riesgo, genética molecular y estrategias para la prevención

Figura 1. Interacción entre la genetica del huesped, la infección con Helicobacter pylori, factores ambientales como el tabaquismo, alcohol, microbioma y la progresion de inflamación crónica gástrica hasta el desarrollo del cáncer gástrico (adaptado Hilmaris Centeno, MSc y María González-Pons PhD). >Suministrada

los nuevos casos de cáncer gástrico. La infección por H. pylori, clasificada como un carcinogene tipo 1 por la Organización Mundial de la Salud, induce cambios histopatológicos en el epitelio gástrico y promueve procesos inflamatorios que pueden dañar potencialmente el ADN. Existen, además, unas cepas de H. pylori con factores de virulencia (vacA y cagA), que tienen una mayor capacidad para colonizar el estómago y contribuir a la carcinogénesis gástrica. La seroprevalencia de H. pylori en Puerto Rico es de un 30% - 40% similar entre hombres y mujeres, y aumenta a medida que aumenta la edad. En Puerto Rico nuestro equipo de investigadores demostró que la seropositividad para H. pylori también es mayor entre aquellos con <12 años de educación, y los que residen en en áreas rurales. En un analisis preliminar de pacientes puertorriqueños con infección de Helicobacter pylori la prevalencia de las cepas virulentas vacA y cagA estaban presentes en el 67% y 33%, respectivamente.

Otros posibles factores de riesgo es la gastritis autoinmune, donde el paciente desarrolla autoanticuerpos contra las células parietales o el factor intrínseco, junto con la destrucción de la mucosa oxíntica gástrica mediada por células T, conduce al patrón característico de atrofia. La gastritis atrófica autoinmune es más común en mujeres, y en pacientes con historial de otras condiciones autoinmunes como la diabetes, el hipotiroidismo y el vitiligo.

La inflamación crónica gástrica progresa a metaplasia gástrica, considerada una importante lesión precancerosa intermedia, caracterizada por el reemplazo del epitelio gástrico normal con una estructura glandular similar a un intestino. La metaplasia gástrica se desarrolla después de una infección por

Helicobacter pylori o gastritis atrófica autoinmune.

La metaplasia gástrica se clasifica como incompleto o completo dependiendo de las características histológicas. Las personas con metaplasia gastrointestinal tienen 10 veces más riesgo de desarrollar cáncer gástrico en comparación con los que no la tienen.

La prevalencia de la metaplasia gástrica varía de acuerdo a la región y la raza-etnicidad. En Estados Unidos, las tasas generales de prevalencia de metaplasia gastrointestinal fueron cerca del 5%, con la prevalencia más alta observada entre hispanos y los puertorriqueños con prevalencias de 12% -13.5 % y 10.7 %, respectivamente. Sin embargo, no todas las personas con metaplasia gástrica desarrollarán cáncer, lo que sugiere que la genética del huésped de la línea germinal, incluidas las variantes en los genes relacionados con la inflamación, pueden desempeñar un papel fundamental en la progresión a cáncer gástrico.

CARCINOGÉNESIS GÁSTRICA

La carcinogénesis gástrica es un proceso multifactorial resultante de la compleja interacción entre la susceptibilidad genética de la línea germinal y los factores ambientales. Aunque la mayoría de los cánceres gástricos son esporádicos, se observa agrupación familiar hasta en el 10% de los pacientes, y los casos hereditarios representan entre el 1% - 3% de todos los cánceres gástricos. Ciertas condiciones hereditarias aumentan el riesgo de desarrollar cáncer gástrico, incluyendo mutaciones en ciertos genes como el e-cadhenin (síndrome de cáncer gástrico hereditario), los MMR genes (síndrome de Lynch), y el gene APC (poliposis adenomatosa familiar).

31

Figura

la “Cascada de Correa”. La inflamación gástrica prolongada que resulta de la infección crónica por H. pylori causa daño epitelial que conduce a la atrofia gástrica, caracterizada por la pérdida de células parietales y células principales y atrofia glandular. El epitelio gástrico se reemplaza por metaplasia intestinal, seguida de focos de displasia de bajo grado, que luego pueden desarrollar displasia de alto grado que luego puede convertirse en cáncer gástrico. (Polk DB, Nature Rev Cancer 2010; Correa P, Gastro 2007). >Suministrada

Los adenocarcinomas gástricos de tipo intestinal no familiar esporádico son los cánceres gástricos más comunes. Estos tumores surgen a través de una progresión escalonada conocida como Cascada de Correa, comenzando con inflamación, que lleva a atrofia, metaplasia gastrointestinal y displasia, antes de cáncer gástrico (Figura 2). Según este modelo, la inflamación crónica es el agente patógeno primario. Factor que conduce al desarrollo de cáncer gástrico.

CLASIFICACIÓN Y DIAGNÓSTICO DEL CÁNCER GÁSTRICO

El cáncer gástrico se clasifica en dos grupos principales: estadios tempranos o avanzados.

El pronóstico depende en gran medida de la etapa del tumor al momento de diagnóstico. La tasa de supervivencia a 5 años en pacientes con cáncer gástrico temprano se encuentra entre el 85% - 100%, mientras que para el cáncer gástrico avanzado es de solo 5% - 20%. El carcinoma gástrico en etapas tempranas se define como tumores malignos limitados a la mucosa o submucosa, independientemente de la invasión de los ganglios linfáticos. El carcinoma gástrico en etapa avanzada se clasifica de acuerdo con la extensión de la invasión y la apariencia endoscópica (lesiones polipoides, ulceradas con bordes bien definidos, ulceradas con bordes mal definidos o infiltrantes difusas sin evidencia de masa o úlceras).

El diagnóstico del cáncer gástrico se hace a través de una endoscopia donde se obtienen biopsias y se evalúan histológica y molecularmente.

La utilización de la endoscopia de ultrasonido (‘endoscopic ultrasound’) es un elemento esencial en la determinación del estadio del cáncer gástrico, ya que evalúa la extensión del tumor, incluyendo los ganglios linfáticos, además de obtener biopsias para el diagnóstico.

La ubicación del tumor dicta la clasificación anatómica como ‘cardia’ o ‘non-cardia’ (Figura 3). Los adenocarcinomas presentan diferentes características clínicas y epidemiológicas de acuerdo con su clasificación anatómica.

Los adenocarcinomas en el ‘cardia’ son agresivos, se caracterizan por su invasión rápida de las paredes gástricas y esofágicas, metatizan a los ganglios linfáticos locales y tienen un mal pronóstico. El cáncer gástrico ‘non-cardia’ se asocia con infecciones con H. pylori y comprende más del 60% de todos los casos de cáncer gástrico a nivel mundial.

CLASIFICACIÓN HISTOLÓGICA

El cáncer gástrico se clasifica como intestinal (con uniones intercelulares) o difuso (sin uniones intercelulares).

Los adenocarcinomas de tipo intestinal forman glándulas o túbulos revestidos por epitelio que se asemeja a la mucosa intestinal. Aunque la incidencia de cáncer gástrico de tipo intestinal ha disminuido recientemente, sigue siendo el tipo más frecuente de cáncer gástrico encontrado en poblaciones con alta incidencia de esta malignidad. Este tipo de cáncer gástrico por lo general ocurre en una proporción de dos hombres por cada mujer y en individuos entre 55-80 años.

Los adenocarcinomas gástricos de tipo difuso son más

32 Bienestartotal
2. Cascada de Correa de progresión de mucosa normal, gastritis atrófica, metaplasia gastrointestinal, displasia y cáncer. Progresión de lesiones en estómago según

agresivos y tienen un peor pronóstico, y son más frecuentes en personas con cáncer hereditario. No se ha observado diferencias en incidencia en este tipo de cáncer gástrico difuso entre géneros y generalmente se diagnostican en pacientes más jóvenes (40-60 años). Las células tipo difuso carecen de cohesión e invaden los tejidos de forma independiente o en pequeños grupos. El cáncer gástrico de tipo difuso puede estar asociado a infecciones con H. pylori, con la pérdida de expresión de E-cadherina y hasta la fecha, no se han definido lesiones pre-cancerosas.

PREVENCIÓN DEL CÁNCER GÁSTRICO

La prevención primaria tiene como objetivo prevenir la enfermedad antes de que ocurra, evitando así la exposición a factores de riesgo, cambiando las conductas no saludables, y actuando para prevenir el desarrollo de la enfermedad. Los cambios de estilo de vida recomendados para prevenir el cáncer gástrico incluyen limitar la exposición al tabaco y mantener un índice de masa corporal saludable. En términos de dieta, el consumo de frutas y hortalizas frescas uno o más días por semana reduce significativamente el riesgo de cáncer gástrico. La erradicación de la infección con H. pylori es esencial en la prevención del cáncer gástrico. Individuos de grupos raciales o étnicos con alto riesgo como los hispanos deben de ser evaluados

para la presencia de la infección y recibir antibióticos para su erradicación.

A las personas con metaplasia gástrica —incluyendo aquellos que tienen gastritis autoinmune— se les recomienda una endoscopía de vigilancia con biopsias gástricas cada 3-5 años. El uso de medicamentos anti-inflamatorios no esteroidales (NSAIDs) y aspirina se han investigado como agentes quimiopreventivos de cáncer gástrico. La cúrcuma, un polifenol con cualidades antiinflamatorias y antioxidantes, se ha evaluado en estudios celulares como agente de prevención de cáncer gástrico.

Nuestro grupo de investigación en el Recinto de Ciencias Médicas y el Centro Comprensivo de Cáncer de la Universidad de Puerto Rico, en conjunto con el Instituto Nacional del Cáncer completamos la fase de reclutamiento e intervención del primer estudio clínico utilizando la cúrcuma oral como agente de quimio prevención (número de ensayo clínico: NCT02782949).

Los resultados nos darán luz sobre el rol de la curcumina en el manejo de los pacientes con metaplasia gástrica (resultados esperados para 2024). Ya que más de la mitad de los individuos diagnosticados con cáncer gástrico mueren a causa de esta malignidad, es importante seguir investigando maneras de prevenir la progresión de lesiones precancerosas como la metaplasia gastrointestinal y conocer el historial familiar de cáncer.

Figura 3: Clasificación anatómica y molecular del cáncer gástrico. El cáncer gástrico se clasifica anatómicamente por la localización en el estómago (pilórico, antro, cuerpo, ‘fundus’ y ‘cardia’). Existen cuatro tipos de subtipos moleculares de cáncer gástrico basados en los biomarcadores y mutaciones específicos (Ver recuadros). (Bass AJ for TCGA, Nature, 2014). >Suministrada

33

OMS pide regular la publicidad de comida y bebida para niños

POR DR. AMÍN CRUZ

“Anivel mundial cantidades masivas de publicidad de comida malsana dirigida a los niños amenaza su salud y se aprovecha de las vulnerabilidades del desarrollo. Las empresas de alimentos han prometido motivar elecciones más saludables con

la mercadotecnia o ‘marketing’ dirigido a la infancia, pero la autorregulación de la industria ha fallado consistentemente en hacer una diferencia. Los gobiernos deben promulgar regulaciones para proteger a los niños de las prácticas dañinas y depredadoras de la publicidad de la comida”, dijo Dra. Jennifer Harris

La agencia sanitaria de la Organización de las Naciones Unidas (ONU) publica una nueva directriz para proteger a los

34 Bienestartotal
NUTRICIÓN

niños de los efectos nocivos de la comercialización de alimentos y bebidas con alto contenido de ácidos grasos saturados, azúcares y sal, ya que puede afectar la salud de los niños, sus comportamientos y sus creencias relacionadas con la comida.

La Organización Mundial de la Salud (OMS) ha publicado unas recomendaciones “más estrictas” para proteger a los niños de todas las edades de la comercialización de alimentos y bebidas con alto contenido de ácidos grasos saturados y trans, azúcares y sal.

La agencia pide ahora a los gobiernos que esta regulación sea obligatoria, mientras que antes permitía una mayor variedad de enfoques.

“La comercialización agresiva y generalizada de alimentos y bebidas con alto contenido en grasas, azúcares y sal dirigida a los niños es responsable de las elecciones dietéticas poco saludables que hacen”, afirmó el Dr. Francesco Branca, director del Departamento de Nutrición y Seguridad Alimentaria de la OMS.

“Los llamamientos a unas prácticas de comercialización responsables no han tenido un impacto significativo. Los gobiernos deberían establecer normativas firmes y exhaustivas”, añadió.

MERCADEO DE ALIMENTOS

La Organización Mundial de la Salud recomienda también “restringir el poder de persuasión de la publicidad de alimentos”, lo que implica limitar el uso de dibujos animados o técnicas que atraigan a los niños, como la inclusión de juguetes con los productos, la publicidad con canciones y el respaldo de famosos.

Según la agencia de la ONU, la recomendación actualizada se basa en los resultados de revisiones de pruebas recientes, que han analizado cómo la exposición y el poder de la comercialización de alimentos afecta a la salud de los niños. En resumen, la

mercadotecnia alimentaria sigue siendo una amenaza para la salud pública y continúa afectando negativamente la elección de alimentos por parte de los menores.

También influye negativamente en el desarrollo de las normas infantiles sobre el consumo de alimentos.

Otro cambio en la nueva directriz es el uso en las directrices de la definición de “niño” de la Convención sobre los Derechos del Niño, para dejar claro que las políticas deben proteger a todos los menores. Además, aboga por que los países utilicen un modelo de perfil nutricional, cuyo desarrollo sea dirigido por los gobiernos.

ADAPTACIÓN AL CONTEXTO LOCAL

Las decisiones políticas basadas en estas recomendaciones deben adaptarse a los contextos locales de las regiones y los Estados Miembros de la Organización Mundial de la Salud.

Para ello es necesario llevar a cabo consultas locales, con mecanismos para proteger la creación de políticas de salud pública de la influencia de conflictos de intereses.

Además, la agencia informó que las recomendaciones forman parte de un conjunto de directrices sobre políticas relativas al entorno alimentario que se publicarán próximamente.

Todas estas directrices pretenden ayudar a los gobiernos a crear entornos alimentarios saludables para facilitar las decisiones dietéticas, establecer hábitos alimentarios sanos para toda la vida y disminuir el riesgo de enfermedades no transmisibles en todo el mundo.

La OMS también sugiere que solo aquellos alimentos que dentro de su categoría cumplan con determinadas características nutricionales, deberían poder anunciarse “para los niños”.

O dicho de otra forma… si un determinado producto no cumple dichas características su fabricante debería tener prohibido

35
La Organización Mundial de la Salud recomienda también restringir el poder de persuasión de la publicidad de alimentos.

realizar campañas de ‘marketing’ y comercialización con los niños como público objetivo. En concreto esas características refieren exclusivamente al contenido de: grasa total; de grasas saturadas; de azúcares totales; de azúcares añadidos —es decir que no formen parte del alimento de forma consustancial y a diferencia del ítem anterior—; de edulcorantes distintos del propio azúcar; de sal; y de calorías.

Es decir, si la composición de un determinado producto excede un determinado valor de alguna de las categorías mencionadas en 3.5 onzas o 100 gramos de producto… dicho producto no debería tener permitido anunciarse. Seguro que te mueres por conocer las categorías y las recomendaciones de la Organización Mundial de la Salud, pues vamos a verlas:

• CATEGORÍA 1 — Chocolate y productos de confitería, barritas energéticas y postres, y aderezos “dulces”: No deberían poder anunciarse ninguno con independencia de su contenido en los ítems anteriormente señalados.

• CATEGORÍA 2 — Bollería, galletas dulces y pasteles; otros productos de pastelería dulces y las mezclas para su elaboración: No deberían poder anunciarse ninguno con independencia de su

contenido en los ítems anteriormente señalados.

• CATEGORÍA 3 — Aperitivos salados (palomitas de maíz y maíz; frutos secos; galletitas y pretzels salados; otros aperitivos a base de arroz, maíz, o patata): Solo deberían anunciarse aquellos elaborados con cero azúcares añadidos y con un máximo de 0,1g de sal por cada 100g de producto.

• CATEGORÍA 4 — Bebidas (este ítem se subdivide a su vez en cuatro apartados):

— Zumos: No deberían poder anunciarse ninguno con independencia de su contenido en los ítems anteriormente señalados.

— Bebidas lácteas: Solo deberían anunciarse aquellos que aportaran menos de .08 onzas o 2,5 gramos de grasas totales; con cero azúcares añadidos y con cero edulcorantes.

— Bebidas energéticas: No deberían poder anunciarse ninguna con independencia de su contenido en los ítems anteriormente señalados.

— Otras bebidas (Colas, limonadas, otros refrescos, bebidas azucaradas, aguas minerales y aguas “con sabores”… con azúcares añadidas o con edulcorantes: Solo deberían

36 Bienestartotal
“La comercialización agresiva y generalizada de alimentos y bebidas con alto contenido en grasas, azúcares y sal dirigida a los niños es responsable de las elecciones dietéticas poco saludables que hacen”
— Dr. Francesco Branca, director del Departamento de Nutrición y Seguridad Alimentaria OMS

anunciarse aquellos que tengan cero azúcares añadidos y cero edulcorantes.

• CATEGORÍA 5 — Helados: No deberían poder anunciarse ninguno con independencia de su contenido en los ítems anteriormente señalados.

• CATEGORÍA 6 — Cereales de desayuno: Solo deberían anunciarse aquellos que aporten menos 10 gramos de grasas totales; menos de 15 gramos de azúcares totales; y menos de 1.6 gramos de sal.

• CATEGORÍA 7 — Yogures, leches fermentadas, cremas y alimentos similares: Solo deberían anunciarse aquellos que aporten menos de 2.5 gramos de grasas totales; menos de 2,0 gramos de grasas saturadas; menos de 10 gramos de azúcares totales; y menos de 0,2 gramos de sal.

• CATEGORÍA 8 Quesos: Solo deberían anunciarse aquellos que aporten menos de 20 gramos de grasas totales; y menos de 1.3 gramos de sal.

• CATEGORÍA 9 — Comidas y platos precocinados o listos para comer: Solo deberían anunciarse aquellos que aporten menos de 10 gramos de grasas totales; menos de 4 gramos de grasas saturadas; menos 10 gramos de azúcares totales; menos de 1 gramo de sal; y menos de 225 kcal/100 gramos.

• CATEGORÍA 10

Solo deberían anunciarse aquellos que aporten menos de 20 gramos de grasas saturadas; y menos de 1,3 gramos de sal.

• CATEGORÍA 11

productos afines: Solo deberían anunciarse aquellos que aporten menos de 10 gramos de grasas totales; menos de 10 gramos de azúcares totales; y menos de 1,2 gramos de sal.

• CATEGORÍA 12

Pasta fresca o seca, arroz y otros cereales: Solo deberían anunciarse aquellos que aporten menos de 10 gramos de grasas totales; menos de 10 gramos de azúcares totales; y menos de 1,2 gramos de sal (lo mismo que en el caso de la categoría anterior).

• CATEGORÍA 13 Carne fresca y congelada, carne de aves, pescados y similares, huevos: Tienen libertad para anunciarse sin restricciones al respecto de su composición nutricional.

• CATEGORÍA 14 — Carnes procesadas, aves y pescados procesados: Solo deberían anunciarse aquellos que aporten menos de 20 gramos de grasas totales; y menos de 1,7 gramos de sal.

• CATEGORÍA 15 Fruta, verduras y hortalizas frescas o congeladas: Tienen libertad para anunciarse sin restricciones al respecto de su composición nutricional.

• CATEGORÍA 16 Frutas, verduras y hortalizas procesadas: Solo deberían anunciarse aquellos que aporten menos de 5 gramos de grasas totales; menos de 10 gramos de azúcares totales; cero azúcares añadidos y; menos de 1 gramo de sal.

• CATEGORÍA 17 — Salsas y aderezos, incluyendo los productos para dipear/untar: Solo deberían anunciarse aquellos que aporten menos de 10 gramos de grasas totales; cero azúcares añadidos y; menos de 1 gramo de sal.

Existen países, especialmente los escandinavos (Noruega, Dinamarca…) donde estas recomendaciones sobre la nutrición de los niños y similares se están haciendo cumplir, incluso, han servido de inspiración a la misma Organización Mundial de la

La versatil pasta...

COCINA

POR YAIRA SOLÍS ESCUDERO

Las pastas para rellenar son las más apreciadas por quienes gustan de comer pastas. Para que el plato sea exquisito es importante que la cantidad y el tipo de relleno conjuguen a la perfección con la pasta.

Los raviolis, los tortellinis, los canelones y la ‘lasagna’ son las pastas para rellenar más populares y con ellas se elaboran un sinnúmero de recetas creativas con salsas de todo tipo. Para distinguir cuáles son los tipos de pastas para rellenar solo ten en cuenta que:

• Los raviolis también se cortan de forma cuadrada, bastante grande, y se rellenan con tus ingredientes favoritos. Básicamente se coloca la pasta cortada en forma de cuadrado, se coloca el relleno en el centro y se coloca otra lámina de pasta para cerrarla, presionando los extremos, quedando el relleno en el mismo centro y algo abultado. Puedes hervirlas u hornearlas.

• Los tortellinis se rellenan, se cierra la pasta en forma triangular y se enrolla en su parte alargada. Al final, luce como un barquito. Varios rellenos muy populares para los tortellinis son las espinacas, el queso ricotta o la combinación de quesos. También se sirve con boloñesa que se sirven con caldo (típico de la cena de Despedida de Año) o con una salsa cremosa.

• Los canelones se elaboran de la misma masa de la pasta, que se aplana, se cortada en forma rectangular y se rellena con carne, combinación de quesos o vegetales, que luego se enrollan y se cocinan al horno.

• La ‘lasagna’ son finas láminas de pasta que se cortan muy anchas y se sirven una encima de la otra con relleno de carne, vegetales, entre otros, entre medio. RIG

ATONI CON PIMIENTOS

Ingredientes:

3 dientes de ajo picados

1 tz. de cebollas picadas

2 tomates cortados

15 ozs. de pimientos asados, ligeramente cortados

14-1/2 ozs. de caldo de pollo bajo en grasa sal al gusto

1 lb. de rigatoni, tamaño pequeño

20 aceitunas Kalamata

1/4 tz. de albahaca triturada

pimientos verdes, cortados a la juliana (finamente)

Procedimiento:

Vierte mantequilla en una sartén grande. Añade los ajos y las cebollas, y cocina por dos minutos hasta que estén tiernas. Incorpora los tomates y los pimientos. Cuando esté bien caliente, añade el caldo de pollo y espera a que hierva. Baja el fuego a moderado o low y deja cocinar por 10 minutos para que los sabores se integren. Con mucho cuidado y con la ayuda de un batidor de mano eléctrico tritura los ingredientes hasta volverlos puré. Ten cuidado al batir para evitar quemaduras. Recuerda que una vez comiences a usar el batidor de mano, el calor del fondo de la sartén sube y podrías quemarte la mano si no lo haces con cuidado. Añade la sal y prueba. Una vez hecho el puré, déjalo a un lado, pero sobre la estufa para que no se enfríe.

Aparte, cocina los rigatoni en agua con sal hirviendo entre siete a 10 minutos, o hasta que estén tiernos. Una vez hervidos, descarta el agua con la ayuda de un colador. Lava la pasta ligeramente con agua fresca y sirve en un platón, aliña ligerametne con aceite de oliva y un toque de sal. Lleva la pasta y la salsa a la mesa. Agrega las aceitunas —cortadas finamente— a la pasta e integra los pimientos. Sirve al gusto la pasta con la salsa.

LASAGNA CON VEGETALES ASADOS

Ingredientes:

1 berenjena mediana

3 pimientos morrones, uno verde, uno rojo y uno amarillo

1 pqte. de 4 ozs. de setas bien frescas (que estén duritas,

LAS PASTAS MÁS COMERCIALIZADAS SON:

• PASTAS LARGAS: Hechas sin huevo. Se destacan el Cabello de ángel (ideal para sopa), el Espagueti (combina muy bien con salsas livianas y picantes), los Linguinis y Fussilli lunghi, con forma de cable de teléfono (armonizan con salsas pesadas hechas con carne y vegetales).

• PASTAS EN FORMA DE CINTAS: Fettuce (o cintas) son el tipo más popular de pastas caseras, entre los que se encuentran los Tagliatelle de Bolonia (perfectos con salsa boloñesa) y los Fettuccine, conocidos como Paglia e Fieno.

• PASTAS DE COLORES: Se dice que son más aceptadas fuera de Italia. Puesto que los italianos consideran que se enfrentan con la filosofía del gusto frente a la apariencia, han proliferado las pastas que juegan con la vista, como: pastas rojas (tomate), verde (espinaca), anaranjada (azafrán), rosada (remolacha), marrón (setas), o negra (tinta de calamar).

• PASTAS EN FORMAS ESPECIALES: La imaginación es el límite por eso hoy día es fácil encontrar pastas en forma de sombreros de barquillas, de lazos, conchas, caracoles, etc.

• PASTAS PARA SOPA: Con formas curiosas, principalmente para llamar la atención de los niños; así nacieron las conchitas, los caracolitos, los ‘farfallines’ y otras imitaciones de los granos de arroz, sopas de letras, estrellas o zoológicos en miniatura, entre otras.

• PASTAS EN FORMA TUBULAR: Macarrones, Penne, Helicoidales, Rigatonni o los artesanales Garganelli. Son de las más versátiles y sabrosas porque se acompañan muy bien con casi cualquier salsa, excepto los Gigantoni, que por su tamaño han de ser cocinados al horno.

40 Bienestartotal

puedes utilizar también seta portobello o cualquier otra variedad de tu agrado que estén disponibles en el supermercado)

1 cebolla blanca, con su piel

Procedimiento:

Limpia bien los vegetales, colócalos sobre una bandeja plana para hornear y engrásalos (los vegetales) sin pelar con aceite de oliva. Colócalos debajo de la salamandra del horno, recordando dejar la puerta del horno entre abierta. Una vez se doren los vegetales o se tornen un poco “quemados” voltéalos y déjalos cocinar hasta que casi luzcan “doraditos o quemaditos” a su alrededor. Remuévelos del horno y colócalos sobre un plato para que se refresquen y los puedas pelar con los dedos.

Las setas y los tomates tomarán menos tiempo en asarse, seguido por las berenjenas y los pimientos, y por último las cebollas. Una vez pelados, córtalos en pedazos como de un cuarto de pulgada. A la cebolla le vas removiendo la piel y las capas como si fueran pétalos de rosas. Sazónalos con sal y pimienta, y un poquito de romero. Colocas los vegetales uno sobre otros, como si fueran ‘layers’ o una ‘lasagna’ y ya están listos para disfrutar.

OTRAS RECETAS CON PASTAS

ESPAGUETIS CON SALSA DE TOMATE Y ALBAHACA

Ingredientes:

1 paquete de espaguetis (cocina según indica las instrucciones del fabricante)

2 tazas de salsa de tomate

2 dientes de ajo picados

1/4 taza de hojas de albahaca fresca

2 cucharadas de aceite de oliva sal y pimienta al gusto queso parmesano rallado (opcional)

Procedimiento:

Cocina los espaguetis en agua con sal según las indicaciones del paquete hasta que estén al dente. Escúrrelos y reserva un poco del agua de cocción. En una sartén grande, calienta el aceite de oliva a fuego medio y agrega el ajo picado. Cocina por unos segundos hasta que esté fragante. Vierte la salsa de tomate en la sartén y caliéntala a fuego medio-bajo durante unos 10 minutos, revolviendo ocasionalmente. Agrega las hojas de albahaca y sazona con sal y pimienta al gusto. Si la salsa está muy espesa, puedes agregar un poco del

agua de cocción reservada para ajustar la consistencia. Mezcla la salsa con los espaguetis cocidos y sirve caliente. Si lo deseas, espolvorea queso parmesano rallado por encima.

PENNE CON POLLO Y PESTO

Ingredientes:

1 caja de pasta penne

2 pechugas de pollo cocidas y cortadas en trozos pequeños

1/2 taza de pesto (puedes comprarlo o hacerlo casero)

1 taza de tomates ‘cherry’ cortados por la mitad

1/4 taza de piñones (opcional) queso parmesano rallado sal y pimienta al gusto

Procedimiento:

Cocina la pasta en agua con sal según las indicaciones del paquete hasta que

41

estén al dente. Escúrrelos y reserva un poco del agua de cocción. En una sartén grande, calienta el pollo cocido y los tomates ‘cherry’ a fuego medio-alto hasta que estén calientes. Agrega el pesto a la sartén y mezcla bien con el pollo y los tomates. Reduce el fuego a medio-bajo y cocina por unos minutos para calentar el pesto. Añade la pasta cocida a la sartén y mezcla todo para combinar los sabores. Si la pasta está muy seca, puedes agregar un poco del agua de cocción reservada para darle humedad. Aparte, en otra sartén, tuesta los piñones en una sartén pequeña sin aceite hasta que estén dorados y agrégalos a la pasta. Sirve caliente y espolvorea queso parmesano rallado por encima.

FARFALLE CON ESPINACAS Y QUESO DE CABRA

Ingredientes:

1 paquete de pasta de farfalle (pasta en forma de mariposa)

2 tazas de espinacas frescas

5 onzas de queso de cabra desmenuzado

1/4 taza de nueces picadas

2 cucharadas de aceite de oliva sal y pimienta al gusto

Procedimiento:

Cocina los farfalle en agua con sal según las indicaciones del paquete hasta que estén al dente. Escúrrelos y reserva un poco del agua de cocción. Mientras se cocinan los farfalle, aparte, en una sartén grande, calienta el aceite de oliva a fuego medio y agrega las espinacas frescas y saltea lhasta que se marchiten. Agrega el queso de cabra desmenuzado y mezcla bien con las espinacas hasta que se derrita y forme una especie de salsa. Añade los farfalle —previamente cocidos y escurridos— a la sartén y mezcla todo para que la pasta se impregne de la salsa de queso y espinacas. Si es necesario, agrega un poco del agua de cocción reservada para darle humedad. Espolvorea las nueces picadas por encima y sirve caliente.

PASTA CON AJO Y ACEITE

Ingredientes:

1 paquete de espagueti

3 dientes de ajo

3-1/2 ozs. de queso de oveja rallado o ricotta salado

3-1/2 ozs. de aceite de oliva

sal y pimienta al gusto

Procedimiento:

Fríe los dientes de ajo en abundante aceite, añade la sal y la pimienta. Cuece los espaguetis en agua hirviendo con sal hasta que estén al dente y cuélalos (sigue las indicaciones del fabricante en la caja o paquete). Condiméntalos con la preparación y espolvorea el queso.

MACARRONES CON BRÉCOL

Ingredientes:

3 tazas de macarrones

brécol fresco tanto como desees

1 cebolla morada cortada en rodajas finas o cubitos

2 filetes de anchoas saladas, cortadas finamente

1/2 tz. de aceite de oliva extra virgen

tomates en conserva al gusto

piñones al gusto queso Pecorino rallado hojas de albahaca al gusto

Procedimiento:

Lava y cuece el brécol y después corta las florecitas. Aparte, en una sartén, saltea la cebolla e incorpora los filetes de anchoas y cuando la cebolla esté dorada agrega el aceite de oliva, el tomate en conservas y el brécol. Mezcla todo muy bien y añade los piñones y los macarrones (previamente cocidos según las indicaciones del fabricante) y condiméntalos con la salsa y espolvorea el queso rallado y las hojas de albahaca.

42 Bienestartotal

LA GENOVÉS

Ingredientes:

2 lbs. de bíceps de buey

2 lbs. de cebollas picadas finamente

1 rama de apio (‘celery’) cortado, en rodajas pequeñas

perejil al gusto

2 ozs. de aceite de oliva

2 zanahorias cortadas en rodajas finas

3-1/2 ozs. de “salame” en trocitos

1 tz. de vino blanco seco de tu preferencia

sal al gusto

Procedimiento:

Vierte aceite de oliva en una sartén y saltea las cebollas, las zanahorias, el apio y el perejil; agrega la carne amarrada y el salame. Salpimienta al gusto y cuece con la sartén destapada

y a fuego lento, revolviendo de cuando en vez y cuidando que el sofrito no se seque demasiado al final de la cocción. Puedes agregar algunas cucharadas de agua de ser necesario. Después de algunas horas, la carne estará cocida y podrás retirarla de la sartén. Añade el vino blanco, poco a poco hasta que se evapore. Sirve la carne tibia, cortada en filetes con su jugo.

PARA AÑADIR A LA ECUACIÓN DE LA PASTA

Condimentos:

• El aceite de oliva virgen es el único que proporciona vitaminas A,E y C.

• La mantequilla se utiliza para la elaboración de salsas blancas y las pastas al horno.

• La tocineta y la ‘pancetta’ son ideales para aromatizarlas.

• Casi todos los rellenos llevan ajo, cebolla, tomates, zanahorias, variedad de pimientos y ‘celery’.

Especias aromáticas:

• La pimienta blanca, negra, rosada o verde son ideales para integrarle a las pastas, utilízalas molidas al momento.

• El perejil al igual que la albahaca, el orégano y la salvia son las hierbas más favorecidas para aromatizar las pastas. Son ricas en vitaminas A, B y C, y se pueden utilizar frescas o secas.

Quesos:

• El Parmesano casa a la perfección con las pastas.

• El Emmenthal o el Gruyere es el que mejor funde.

• El Requesón y el queso Mozzarella son los que menos calorías aportan al plato de pastas, por lo tanto, son muy considerados por quienes gustan de comer recetas de pastas bajas en calorías.

• El Manchego está entre los quesos españoles más utilizados para las pastas.

EN LA COCCIÓN ESTÁ LA CLAVE

• Un buen plato de pasta dependerá de que se cocine en el tiempo adecuado. Según sea la pasta fresca o seca, su grosor, la calidad del agua, la altura del recipiente y la intensidad del fuego —la mayoría de las pastas necesitan mínimo 10 minutos para que se cuezan correctamente— que apliques durante el proceso de cocción. Recuerda que las pastas elaboradas con harinas integrales necesitan más tiempo.

• Para que no se pegue la pasta se debe utilizar una cacerola u olla grande, la cual debes llenar con agua y a la que añadirás sal. Una vez el agua esté hirviendo, agregas la pasta y remueve de cuando en vez, con la ayuda de un tenedor.

• La pasta estará al dente cuando esté cocida por fuera, pero algo dura por dentro. Escúrrela inmediatamente.

• Las pastas “al dente” (significa que ofrecen resistencia al morder) son más digestivas que las cocidas por más tiempo.

• Una vez cocida la pasta deberás escurrirla, servirla y añadirle un poco de aceite de oliva para que no se peguen entre ellas.

• Para mantener caliente las pastas que no se gratinan en el horno, es preciso colocarlas en un bol que podrá integrar — Baño de María— en otro bol con agua caliente.

43

Relación entre el cuerpo y grado de alcohol en el vino

Existe una relación entre el cuerpo del vino y su grado de alcohol. Sin embargo, ambos elementos no son necesariamente sinónimos, como hace muchos años me dijo un profesor de la vieja escuela de vinos. Ese educador de la Corte de Master Sommelier, en una clase que yo tomaba, explicaba que el cuerpo del vino era equivalente al alcohol del vino. Decía que el “cuerpo es alcohol, y el alcohol es cuerpo”. Quedé un poco confundido.

Luego de varios años de continuar mis estudios sobre viticultura, vinificación y apreciación de vinos y licores, puede comprender que ciertamente hay ciertas diferencias entre ambas medidas. En primer lugar, el contenido de alcohol es una medición cuantitativa, que se

computa a base de alcohol por volumen o “ABV”. Esta medida es la cantidad de etanol en un volumen determinado de líquido, expresado como porcentaje. Como veremos más adelante, puede haber un vino con un grado menor de contenido de alcohol que otro, pero debido a otros componentes que se encuentran en él, puede que tenga igual o más cuerpo que el segundo.

La medida de ABV es el estándar mundial de medición del contenido de alcohol. Sin embargo, la aplicación de la medida para categorizar y clasificar estilos, varía dependiendo del tipo de industria o de bebida alcohólica a la que se aplique. Por ejemplo: los vinos de menos de 10.9% del alcohol por volumen (ABV), se consideran bajos en alcohol. Los vinos que se encuentran

44 Bienestartotal | Vol. XXXIII
BODEGAS
POR JAVIER O. BERBERENA, DIPWSET; CERTIFIED WINE EDUCATOR

entre 11-13.9% ABV son medianos en alcohol, y los vinos que están en o por encima de 14% ABV son los que tienen alto contenido de alcohol. La mayoría de los vinos son medianos en alcohol (11–13.9% ABV ). Actualmente, esto está tomando un nuevo giro debido al cambio climático.

Por su parte, en la industria cervecera, se considera que una cerveza tiene bajo contenido de alcohol si tiene 4.4% ABV o menos, mientras que la medida conocida como alcohol “normal” es de 4.5 a 6.0% ABV. Si una cerveza tiene de 6.1 a 7.5 % ABV, se considera como alcohol “elevado”, y un “alto” contenido de alcohol requiere entre 7.6 a 10% ABV. Todo ejemplar sobre esta última medida (10% o más ABV) es considerada que tiene “muy alto” contenido de alcohol.

Es importante que el consumidor conozcan el ABV del vino o bebida que consume para entender cuánto alcohol hay en cada copa. Por ejemplo: una copa de 5 ozs. de un Cabernet Sauvignon de Napa Valley (15.5% ABV) contiene un poco más del doble de alcohol que la misma copa de 5 ozs. de un vino italiano de la Denominación de Origen (D.O.) Asti (7% ABV). Cabe señalar, además, que por ley el contenido de alcohol real o verdadero del vino puede ser

hasta un 1.5% ABV superior o inferior al contenido de alcohol indicado en la etiqueta.

El contenido de alcohol es uno de los elementos que afecta el cuerpo de un vino —aparte de los taninos, niveles de azúcar residual, y otros—, porque el alcohol es más viscoso que el agua. Un vino con mayor contenido de alcohol tendrá un cuerpo más completo y rico, mientras que un vino con menos alcohol tendrá una percepción en boca más ligera y delicada al paladar.

Por todo ello, los ‘sommeliers’ o sumilleres, expertos y los consumidores informados, a pesar de observar el ABV del vino, basan sus decisiones y prestan más atención al cuerpo del vino.

El cuerpo del vino — a diferencia del ABV—, es una medida cualitativa. El cuerpo de un vino podría describirse con mayor precisión como la sensación, el peso en boca, la textura y la riqueza de un vino.

Un vino de cuerpo ligero tendrá una sensación en boca suave y ligera, mientras que un vino con cuerpo tendrá una sensación en boca marcada y viscosa.

Un ejercicio que hago con mis estudiantes de las clases de la WSET, es la comparación de productos lácteos. Hacemos una degustación de varios estilos de leche. En primer lugar, tomamos leche completamente descremada o sin grasa (‘fat free milk’), luego la comparamos con leche reducida solo al 2% y finalmente con leche regular (‘whole milk’). Cada estilo se evalúa en boca por varios segundos. La leche regular se siente cremosa y “pesada” comparada con la reducida en grasa. Esa es la diferencia en la sensación en boca entre un vino de cuerpo ligero, de cuerpo medio y de cuerpo completo. Existen productores de vinos que bajo una misma bodega y etiqueta, producen dos vinos con las mismas uvas y el mismo mosto, creando estilos, contenidos de alcohol y cuerpos diferentes en ambos. Por ejemplo: un productor de Riesling en la región de Rheingau, Alemania, vendimió sus uvas y obtuvo varios toneles de mosto (jugo de uva) listos para fermentar. La mitad de este mosto fue utilizado para producir el vino A y la otra mitad para el vino B. Todo el mosto tuvo la misma cantidad de azúcar fermentable. Al finalizar la producción, el enólogo produjo el vino A con 8% ABV y el vino B con 12.5% ABV. Pero, al evaluar ambos

vinos mediante una cata sistemática, el resultado fue que ambos vinos tenían un nivel de cuerpo medio. Esto se debió a, que a pesar de que el vino A tubo 4.5 % de ABV menos que el vino B, el mismo —a su vez— tuvo un grado de azúcar residual mucho mayor que su compañero B. La viscosidad y peso que brindó en alcohol del vino B en boca, fue sustituida en el vino A por viscosidad y peso de la azúcar residual. Ambos obtuvieron el mismo peso, pero de diferente forma.

Así que, el productor puede controlar, en cierta medida, el ABV final del vino, como en el ejemplo anterior. En este caso, el productor detuvo la fermentación del vino A antes de finalizar, filtrando la levadura en los tanques de fermentación. De esta manera obtuvo un vino con bajo ABV, pero de carácter dulce y mayor peso. Muchos de los vinos que encontramos en el mercado con un ABV de menos de 9% suelen a ser dulces o medio dulces, por la misma razón. Es decir, en muchas ocasiones la decisión del consumidor al escoger un estilo de vino se basa en preferencias personales: más alto contenido de alcohol o más alto contenido de azúcar residual en el vino.

Para que vayan practicando este proceso, les explico que la forma de evaluar el cuerpo de un vino en catas —profesionales— es utilizando las siguientes categorías de medición del cuerpo: poco, medio-bajo, medio, medio-alto, y mucho. Reconozco que, aunque existe un elemento subjetivo en este tipo de evaluación, de igual manera existe un consenso general en que, por ejemplo, un Pinot Grigio es un vino de poco cuerpo o cuerpo ligero, mientras que un Barolo tiene mucho cuerpo. Fíjense que ambos son vinos italianos de regiones ubicadas en el norte de Italia, pero son completamente diferentes. Sin embargo, la diferencia entre los grados de porciento de alcohol (ABV), entre ambos, es de solamente tres grados.

El cuerpo o peso del vino es un factor de suma importancia también al tomar decisiones para parear comidas con vinos. La regla general es que un vino de mucho cuerpo requiere una comida de igual complejidad y peso.

Mi recomendación es no impresionarnos por la medida del ABV indicada en la etiqueta del vino y, en su lugar, evaluar o catar el vino para poder determinar su cuerpo o peso en boca, debidamente.

45

Razones para degustar los vinos de Rías Baixas

Hace 35 años —28 de julio— que una orden ministerial del Ministerio de Agricultura, Pesca y Alimentación de España ratificó la Denominación de Origen Rías Baixas, la aprobación de su reglamento y de su Consejo Regulador.

Los orígenes de la denominación se remontan a 1980, cuando el Boletín Oficial del estado español reconoció la Denominación Específica Albariño y años más tarde, aprobaron su reglamento y su Consejo Regulador. Posteriormente, en 1988, la denominación cambió su apelativo a Denominación de Origen Rías Baixas, adaptando la legislación española a la de la Unión Europea, que procura que las denominaciones de origen se identifiquen por el apelativo de un territorio.

La exportación pronto se convirtió en una de las fuerzas importantes de la denominación, que, con solo tres años de fundada, empezó a exportar vinos a Puerto Rico. Actividad económica que ha hecho posible la creación de vínculos estrechos entre la D.O. Rías Baixas y sus bodegas, y todos quienes han hecho de la uva albariño y sus vinos parte del ADN de la puertorriqueñidad.

¿POR QUÉ SE LLAMA RÍAS BAIXAS?

Las rías son accidentes geomorfológicos donde el agua se adentra elevada en la tierra en valles, en la desembocadura de los ríos. En Galicia hay Rías Altas y Rías Baixas. Las Baixas comprenden el territorio que bordea las rías de Muros-Noia, Arousa, Pontevedra y Vigo, que son las rías más al sur en la costa atlántica de la tierra gallega.

47

RÍAS BAIXAS 2022: MUY BUENA

La añada 2022 en la DO Rías Baixas ha sido calificada a fines de junio como “muy buena” por el pleno del consejo regulador en base a un detallado informe técnico elaborado por el Órgano de Control y Certificación que evaluó las cualidades y características de los vinos elaborados en la denominación. El informe técnico incluye también datos relativos al ciclo vegetativo de la cosecha 2022, así como los resultados comparados del análisis sensorial y físico-químico de 817 muestras pertenecientes a 139 bodegas.

Asimismo, el panel de expertos destacó en su informe, la intensidad media-alta de los vinos con aromas complejos de frutas, predominando las frutas con pepita, mayor graduación alcohólica, estructura, aromaticidad, acidez integrada, equilibrio y madurez en boca, mostrando la gran posibilidad de guarda de los vinos de la D.O. Rías Baixas.

LA AÑADA 2022

El ciclo vegetativo de la añada 2022 se caracterizó por un invierno cálido y seco, seguido de un marzo con buena y homogénea tasa de brotación y fertilidad media-alta. La primavera cálida y seca permitió una óptima floración con una incidencia mínima de mermas, especialmente por enfermedades. Tras un verano seco y cálido con altas temperaturas en julio y agosto, la vendimia que llegó en septiembre estuvo marcada en su inicio por las lluvias, que luego se disiparon, generalizándose la vendimia con total normalidad a través de toda la denominación. La uva entró en las bodegas con un perfecto estado sanitario y buen nivel de calidad.

CAMBADOS, EPICENTRO DEL ALBARIÑO

En 2023 se cumplen las primeras siete décadas desde que un grupo de amigos se reuniera en Cambados para escoger el mejor vino de albariño de la cosecha anterior. Fue así como en agosto

de 1953 nació la Festa do Albariño, que hoy atrae a ese destino a decenas de miles de visitantes para brindar por la variedad de uva reina de las Rías Baixas, en una celebración que recuerda nuestras Fiestas de la Calle San Sebastián, pero protagonizada por el vino, y que continúa escogiendo al mejor albariño de la cosecha anterior de la mano de un riguroso jurado de profesionales del vino.

El pueblo costero de Cambados, en la provincia de Pontevedra, es el epicentro alrededor del cual se ubican muchas de las bodegas del valle del Salnés. Es, además, un destino turístico muy atractivo con un Museo del Vino, numerosos restaurantes donde degustar frescos frutos de mar, bares y vinotecas para deleitarse en los vinos, y un conjunto histórico artístico con iglesia, puente, plaza y el Pazo de Fefiñane. Esta es una céntrica construcción señorial del siglo XVI que, además de una residencia familiar con abolengo, tiene dos bodegas, una de ellas la del Palacio de Fefiñanes, que puede visitarse para degustar y conocer los secretos de elaboración del Albariño de Fefiñanes, el Fefiñanes 1583, el Albariño de Fefiñanes III Año y el Armas de Lanzós, los tres primeros distribuidos por La Enoteca de Ballester.

RÍAS BAIXAS ES ‘VEGAN FRIENDLY’

La conciencia por la preservación del entorno, consideraciones religiosas, cambios en los hábitos alimenticios que hacen que se integren cada vez más vegetales en la dieta, entre otras razones, han contribuido al interés por los vinos veganos, un producto en boga, cada vez más mainstream y solicitado por el consumidor, especialmente los consumidores más jóvenes.

Los vinos veganos son aquellos, que una vez recogida la uva y llevada a la bodega para la elaboración del vino, no hay intervención de productos animales o derivados de estos. El proceso donde esto sucede de manera más evidente es la clarificación, una manera de remover minúsculas partículas en suspensión antes de embotellar. La cola de pescado, la caseína de la leche o la albúmina del huevo son agentes clarificantes derivados del reino animal. Como alternativa, los vinos veganos utilizan agentes clarificantes no derivados de animales como pueden ser las arcillas, las algas o las proteínas vegetales como las de guisante o papa.

Las bodegas de la D.O. Rías Baixas son muy conscientes del creciente interés del consumidor por los vinos veganos, además de por la comida vegana, y por ello son cada vez más los vinos elaborados sin elementos animales, contando muchos de ellos con certificación V-label otorgada por la Unión Europea a los vinos veganos, que incluso no permiten que se sellen con parafina que tenga cera de abeja.

La primera bodega de la D.O. Rías Baixas, y también de Galicia, en obtener una certificación V-label para sus vinos fue Marqués de Vizhoja, que elabora Torre La Moreira, Señor da Folla Verde y la colección Playas Boricuas, distribuidos en Puerto Rico por Fine Wine Imports. Los dos primeros vinos tienen certificación V-Label y Playas Boricuas es vegano, aunque sin esta certificación.

Otras bodegas con presencia en Puerto Rico y que tienen vinos donde no hay intervención de productos animales o

48 Bienestartotal

derivados de éstos incluyen a Adegas Galegas (Plaza Cellars – La Boutique du Vin), Agro de Bazán (La Bodega de Méndez), Altos de Torona (Fine Wine Imports), As Laxas (El Almacén del Vino de B. Fernández), Condes de Albarei (El Almacén del Vino de B. Fernández), La Val (El Almacén del Vino de B. Fernández), Martín Códax (La Enoteca de Ballester), Paco & Lola (Plaza Cellars – La Boutique du Vin), Pazo Baión (El Almacén del Vino de B. Fernández), Valmiñor (La Cava de Serrallés) y Vionta (CC1).

ALBARIÑOS Y COCINA CRIOLLA

Si gustas de salir con familiares y amigos a realizar turismo interno por nuestros pueblos de la costa o el interior, donde abundan puestos de comida o chinchorros con nuestros sabores más autóctonos de campo y mar, te compartimos algunas ideas de maridaje con albariños, otros vinos blancos y tintos de la D.O. Rías Baixas.

• Bacalaítos y alcapurrias: la armonía perfecta para las frituras son las burbujas y cualquier Rías Baixas Espumoso de Calidad va bien con unos bacalaítos crujientes o unas alcapurrias, lo mismo si los comes en Piñones que en los revitalizados kioskos de Luquillo.

• Chillo frito con salsa criolla y tostones o mofongo: cualquier Rías Baixas sin contacto con madera.

• Granos: Rías Baixas Espumosos, Rías Baixas con blend de variedades de uva, o con poca crianza sobre lías ayudan a equilibrar la grasa de esta fritura de arroz típica de Humacao.

• Langosta en la costa: el maridaje con langosta depende de la preparación de este fruto de mar. Para ensaladas de langosta, un Rías Baixas joven fermentado en acero inoxidable y con acidez vibrante. Para langosta a la parrilla o asopao de langosta, un Rías Baixas blanco con alguna crianza en lías o con un par de años de elaborado durante los que ha ganado estructura, así como también Rías Baixas con blend de variedades autóctonas. Para guisos con langosta, vinos con mayor crianza en lías o con fermentación en madera, así como de variedades como la caíño blanco, que tiene más estructura.

• Morcilla y lechón: tanto tintos como blancos y espumosos de Rías Baixas son buenos complementos para el manjar porcino ayudando a compensar la suculencia de la grasa con la acidez del vino. Ya sabes qué pedir si andas por Guavate.

• Longanizas en Orocovis: Rías Baixas tintos...

• Ostiones: Rias Baixas espumosos y Rías Baixas jóvenes elaborados en acero inoxidable y sin contacto con la madera.

• Brazo gitano en Mayagüez: Albariños semi secos de Rías Baixas, que han detenido su fermentación alcohólica para conservar una mayor cantidad de azúcar residual, son buenas alternativas para el postre por no ser excesivamente dulces.

49

Raúl Pérez: 30 años desafiando al vino

En más de una ocasión ha sido reconocido como “Enólogo del Año” y “Mejor Enólogo del Mundo”, por su capacidad extraordinaria para trabajar el vino. Ha tenido más 200 etiquetas en la lista The Wine Advocated de Robert Parker, pero, la humildad del reconocido enólogo, bodeguero y viticultor español Raúl Pérez, supera ampliamente su genialidad. Virtud que se percibe tanto al verlo como al escucharlo hablar sobre su relación con las viñas.

Pérez proviene de una familia de viticultores residentes en Valtuille de Abajo, un pequeño pueblo de 70 habitantes en la comarca del Bierzo, región vinícola en el noroeste de Castilla y León, España; cuya primera documentación haciendo vino se remonta al 1752.

Tanto su abuela como sus tíos, primos —y muchos ancestros más— se han dedicado generación tras generación a la producción del vino a través de las bodegas Castro Ventosa. Quiere decir que, desde antes de tener uso de razón, Pérez estuvo involucrado en la industria del vino en su pueblo natal.

“No sabemos de otra cosa, todo el pueblo hace vino”, manifestó Pérez, quien a pesar de su herencia nunca tuvo como primera opción hacer del vino su carrera profesional. Más bien, estaba orientado a la medicina, y no fue hasta sus años de estudiante en Oviedo, que comenzó a ver el vino de una manera más sofisticada en comparación al producido por su familia. Ellos elaboran un vino más tradicional con uvas cultivadas en su propia tierra, para garantizar la personalidad de sus vinos. Entonces, Pérez identificó un área de oportunidad y decidió formarse como enólogo.

“Estudié Enología, luego ingeniería y en 1993 me incorporé a la empresa familiar. Ese mismo año fue mi primera cosecha, una

malísima y con una helada muy grande”, recordó Pérez. Durante 10 años lideró la producción de la bodega familiar, pero en 2005 decidió seguir sus propios instintos y emprender Bodegas y Viñedos Raúl Pérez. Un proyecto personal con el cual, desde el principio, pretendió “seguir con las variedades de uva del Bierzo, pero en otras zonas”. Así, Pérez pasó de no querer relacionarse con la vid, a convertirse en un referente de los vinos de la región del Bierzo.

Es precisamente esta gesta la que ha distinguido al enólogo y le ha merecido ser reconocido como un “visionario” o “genio” en el mundo del vino.

UN POCO DE HISTORIA...

Aunque fue en 2005 que se dio a la tarea de seguir las varietales del Bierzo, ya para 1999 y 2000 había coqueteado con esta idea. Pues su curiosidad le habría llevado hasta a Monterrei, Galicia —al sureste de la provincia de Ourense, que colinda con la frontera de Portugal—, junto a un grupo de amigos para realizar vinos elaborados con la varietal Mencía. Esta varietal tinta es autóctona del noroeste de España, y se cultiva en suelos de pizarra aluviales de la región del Bierzo. También es la variedad principal en denominaciones de origen, de Valdeorras, Monterrei y Ribeira Sacra en la vecina Galicia.

De Monterrei, Pérez partió a Ribeira Sacra y posteriormente a Rías Baixas buscando bases de Mencía en vinos tintos.

“En este trayecto me encontré gente buena con quienes tuve la oportunidad de colaborar en algunos proyectos en su momento; y con otros continúo colaborando”, precisó, quien ha trabajado en proyectos vinícolas tanto en Castilla y León, Asturias, Ávila, Madrid, Alicante y Almansa, todos en España; así como a nivel internacional, en Portugal, Sudáfrica, Burdeos, y algunas vendimias en Chile y Argentina. Y es que su trabajo en la producción de un vino “responde al arte de combinar las

50 Bienestartotal | Vol. XXXIII
POR MELISSA M. CRUZ RÍOS

uvas emblemáticas de la región, no en el ‘terroir’ ni en la bodega”, describió Pérez.

“Con todas esas cosas que fui aprendiendo en este recorrido tan largo, regresé a mi casa en el Bierzo y segmentamos los viñedos en diferentes zonas, porque había diferentes altitudes, orientaciones y perfiles. Entonces, desarrollamos un proyecto bonito con cinco bodegas pequeñas y es un poco el soporte que tenemos. Todo este viaje sirvió para entender lo que tenemos y lo que no apreciamos dentro del Bierzo. Vivimos en una zona que es increíble y que recientemente ha evolucionado en la elaboración de vinos de parcela y zonificación... Un poco como lo que vimos en Borgoña, Francia”, explicó el bodeguero.

SIMPLICIDAD Y ELEGANCIA

Ultreia es una expresión antigua que significa “vamos allá” y era utilizada por los peregrinos del Camino de Santiago para saludar. También es el nombre de uno de los vinos más conocidos y reconocidos de Bodegas Raúl Pérez.

El propio Raúl describe a Ultreia Saint Jacques como “el vino más importante” que ha creado. Se trata de un vino tinto elaborado bajo la Denominación de Origen Bierzo, mayormente con uvas Mencía, Bastardo (Trousseau), Garnacha Tintorera (Alicante Bouschet), cultivadas en varios viñedos de suelo arcilloso de Valtuille de Abajo, cuyas plantaciones datan de 1900 a 1940. Valorado con 93 y 91 puntos por Robert Parker y la Guía Peñín, respectivamente.

Ultreia refleja mucho del estilo simple de este artista del vino y su forma tan particular de trabajar y entender las uvas para crear productos “muy alternativos y muy de tendencias”, destacó Pérez, quien nos explicó que su carrera como enólogo ha sido muy desafiante. “He sido muy criticado y alabado a la vez, porque, aunque trabajar con uvas enteras es una cosa de la que puedes hablar hoy, hace 25 años era algo impensable y que solo hacían unos trastornados de Borgoña. Igualmente sucedía con las maceraciones largas. Todavía hoy tenemos gente que habla de hacerlo de tres, seis o nueve meses...”.

¿Cuál ha sido el desafío más grande que has enfrentado a lo largo de tu carrera? —preguntamos. “Siempre hay un desafío y un riesgo. He estado en proyectos muy desafiantes y zonas que no se conocían porque nunca he querido ir a trabajar a Rioja, Ribera ni a ninguna otra zona que fuese muy conocida. He preferido regiones que hoy pegan, como la Ribera Sacra o Monterrei, y así como hemos embotellado grandes vinos hemos tirado muchos por el desagüe, por errores, caminos equivocados… No siempre se llega directamente a la fórmula. Recuerdo haber llegado a zonas donde no habían ni barricas, y haber podido establecer un trabajo muy interesante. Lo segundo que te hace continuar en este tipo de proyectos es la gente. He tenido que dejar proyectos muy bonitos

porque la gente no era buena, pero también he sabido luchar por proyectos complicados porque la gente lo merecía”, subrayó el enólogo y viticultor cuyo reto más reciente fue elaborar Kolor, de la mano del artista plástico español Okuda San Miguel.

Kolor es un vino tinto, elaborado con uvas de la varietal Mencía, cosechadas de viñedos de 50 años con suelos arcillosos, situados en el Valtuille Abajo, en Bierzo. Su fermentación de racimos enteros se realiza en grandes tinas de roble, durante dos a cinco meses, con una crianza en barrica de roble y cemento por un año, que se traduce en un vino refrescante con aromas frescos y marcada mineralización.

Sin embargo, aunque suena básico, es un vino vivaz y lleno de matices tanto a nivel de imagen como en boca. Cualidades propias de San Miguel que contrastan con el estilo simplista y elegante de hacer vino que caracteriza a Pérez.

De hecho, fue el lanzamiento de Kolor 2019 —distribuido localmente por Fine Wine Imports—, lo que recientemente trajo a Pérez a Puerto Rico. “Es un vino particular. Más que un vino es una experiencia para los sentidos. Está dirigido a un sector de personas que gustan probar nuevos vinos y su etiqueta aporta

51
El artista plástico español Okuda San Miguel y Raúl Pérez. >Suministrada

mucho a todo esto, porque es super llamativa. Yo no me lo podía creer, porque mi estilo de etiqueta es el más clásico del mundo: blanco y negro. Es así hasta para mi forma de vestir”, manifestó entre risas. “Cuando vez la mayoría de mis etiquetas —pensadas en la Borgoña clásica—, en comparación con Kolor es chocante, pero divertido. Ya estoy más acostumbrado. Para gente que ya tenemos nuestra edad, incluso nos refresca mucho porque te mete en otro plan. Fue un proyecto diferente donde no solo se trató de hacer un vino y ponerle la etiqueta. Fue más complejo que eso, porque requería interpretar la obra del artista, para traducirla en un producto emocionante”, explicó sobre el proyecto que, aunque le dio bastante trabajo, dio como resultado una obra única.

PREOCUPACIÓN ANTE EL CAMBIO CLIMÁTICO

Recordando sus pininos en la producción de vino y la helada que afectó su primera cosecha en 1993, Pérez reflexionó sobre como el clima ha variado drásticamente en todo este tiempo y

como tales variaciones trastocan directamente al vino.

“En 1993 fue una añada muy lluviosa y helada. Luego, se dieron unas más frescas, pero de repente, en 2003, empezaron a suceder añadas muy secas que no se habían visto en dos décadas. Cada vez hemos estado viendo que llueve menos. En la añada pasada tuvimos 400 milímetros (15.64 pulgadas) de precipitación, cuando para nosotros la media es 1,000 milímetros (39.3 pulgadas); este año han caído casi 1,000 en cuatro meses. Estamos viviendo un desajuste de la climatología. Nuestra lluvia generalmente era entre diciembre y marzo. Aunque hay veces que en diciembre no ha llovido nada y hace mucho más calor. Registrar entre 30 y 34 grados Celsius —86 grados F.— en Bierzo no lo recordaba nadie. Y ahora hay veces que en verano la temperatura supera esta, lo cual se transmite al viñedo. Si continuamos en esta línea es probable que tengamos que adecuar los viñedos con riego que actualmente no tenemos, y de volverse más extremo tendremos que cambiar las variedades de uvas a unas más resistentes y que se adapten a todas partes”, expresó el enólogo.

Raúl Pérez destacó que mucha gente tiene la teoría de que es cíclico, pero siendo los ciclos tan grandes, siempre habrá una parte que las generaciones actuales no van a poder ver. “He llegado a pensar que el mundo del vino acabará siendo todo Garnacha, la varietal que más se adapta desde Sudáfrica. Está pasando en Bierzo, Burdeos. Esto está influenciando indirectamente la forma de vinificar” añadió.

En el caso de Bodegas y Viñedos Raúl Pérez, el titular explicó que sus vinificaciones responden a la usanza tradicional —con los pies— como recuerda de la “casa madre” o bodega familiar hace 40 o 50 años, cuando no habían máquinas.

Procuran mantener esa parte de la uva entera y no trabajan con sistema de control de frío, por entender “que hay perfiles de vino demasiado técnicos y afrutados”. También, conserva como parte de su producción la maceración larga, como se hacía históricamente.

¿Qué va a pasar si la temperatura y la maduración continúan incrementando y acelerándose? —insistimos saber. “Pues tendremos que modicar la técnica de trabajo, porque, trabajar con raspones y uvas enteras a niveles alto de alcohol es muy grande así como la extracción de amargos. Somos muy fieles al estilo, que es excesivamente clásico, pero hay factores que, eventualmente, obligarán a cambiar el estilo de producción si continuamos a este ritmo. En los últimos 10 a 15 años hemos visto cambios muy grandes. Es verdad que hemos tenido añadas frías, pero antes había dos calientes y ocho frías —temperaturas—y ahora hay dos frías y ocho calientes. Si nosotros en el Bierzo hablábamos ya del cambio climático, porque lo estábamos pasando mal, los productores de vinos del sur de España lo estarán pasando peor”, acotó.

LA TIERRA ES SU LEGADO

Raúl Pérez Bodegas y Viñedos ubica en el Bierzo. Sin embargo, sus vinos, no solo se producen en estas tierras, también se producen en Rías Baixas, Monterrei y Ribeira Sacra. Esto como reflejo de su filosofía orgánica y enfocada en la interpretación del suelo y en ejercer la menor influencia sobre las uvas. Este respeto

52 Bienestartotal
Raúl Pérez ha sido reconocido como “Enólogo del Año” y “Mejor Enólogo del Mundo”, en más de una ocasión. >Suministrada

hacia la Naturaleza es parte de lo que el artífice le gustaría fuera su legado para las nuevas generaciones en la viticultura y la enología. Especialmente, ante los cambios ambientales recientes.

“Entiendo que la gente quiera mecanizar todo, pero al hacerlo se pierde una parte. Por ejemplo: una cepa de 100 años no va a sufrir el cambio climático como una de cinco años, porque tiene una raíz a 25, 12 y 10 metros (82, 39 y 30 pies, respectivamente) de profundidad. Mientras que una cepa joven tiene una raíz a 50 centímetros (1.6 pies). Hay que pensar que va a llegar y es necesario proteger a las plantas para que puedan soportar el calor en el futuro, para que absorban el agua que está abajo, porque el agua mientras más cerca de la superficie a temperatura alta se va a evaporar más rápido”, dijo, al tiempo que enfatizó sobre la necesidad de que las nuevas generaciones desarrollen sensibilidad con el entorno, las plantas, la tierra y que entiendan que deben cuidarlos.

“Si no lo cuidamos —el viñedo y a la Naturaleza— los que viene detrás van a ser los más afectados, y peor será para quienes vengan más atrás de ellos, porque no les va a quedar nada. Todo lo que hacemos en las viñas necesita cuidados”, agregó.

Sostuvo el enólogo que, incluso, cuando una viña es más vieja sus cualidades se traducirán en un vino más complejo, igual que un vino con 40 o 50 años de añejamiento que aún está vivo, su olor y complejidad serán mayor, en comparación con uno joven.

Sobre el legado que le gustaría dejar en el mundo del vino, Pérez destacó que será “lo que he hecho”.

“El legado es tener una historia y que la agradezcas. Yo no tengo obsesión de que mis hijos trabajen en el mundo del vino y continúen lo que empecé. Si quieren aprender del vino, bien, pero les toca a ellos indagar cómo se hace y aprender lo que significa la tierra. Por mi parte, lo que aspiro es a abrir mis botellas dentro de 20 o 30 años y que estén bien”, concluyó.

Para la elaboración del vino Kolor (botella arriba), el enólogo Raúl Pérez debió hacer un vino, que fuese su interpretación del trabajo del artista plástico español Okuda San Miguel. >Suministrada

No queremos sistemas paralelos de enseñanza médica

La calidad del servicio que ofrece cualquier médico está directamente asociada al entrenamiento estructurado que recibió por un periodo determinado, después de graduarse de medicina general, que pueden consistir en tres a siete años adicionales de estudios postgrado. n 1950 comenzó la Escuela de Medicina como parte del Sistema Universitario del Estado, graduando la primera clase en 1954.

Los médicos emigraban a los Estados Unidos para conseguir una especialidad. Con el regreso de estos médicos especialistas y entrenados, se comenzaron a estructurar residencias estatales. Cada uno de esos médicos tenía un certificado de entrenamiento y un diploma de especialidad o subespecialidad. Era elegible para tomar los exámenes del The National Board of Medical Examiners de la especialidad y se certificaba por el ‘board’. El ‘board’ de cada especialidad médica se encarga que sus entrenados sigan estudiando

54 Bienestartotal
FORO

y adiestrándose en los nuevos avances de la medicina, de forma tal que se estableció que cada cierto tiempo —5 o 10 años— es requisito mantener la certificación vigente con exámenes dados por cada uno de esos ‘boards’ de especialidades. Todo este sistema de enseñanza estadounidense de la medicina la controla el Concilio de Acreditación de Educación Médica Graduada o Accreditation Council for Graduate Medical Education (ACGME, en inglés;| https://www.acgme.org), la institución que se encarga de supervisar el proceso de entrenamiento, cuidado médico, experiencia educativa, y la certificación de las residencias estadounidenses en cada una de las diferentes especialidades de la medicina.

El Concilio de Acreditación de Educación Médica Graduada. Es una organización privada, sin fines de lucro, que establece los estándares de la educación médica graduada en programas de residencia o ‘fellowship’. Acredita todos los diferentes 75 programas de residencia médica de la Isla. Es un proceso voluntario de evaluación y repaso del programa de forma anual, para que la calidad del médico que se gradúa en esa especialidad sea del más alto rendimiento, la que menos problemas medicolegales pueden atraer, la que más seguridad y mejores resultados en el cuidado médico puede proveer.

En el Concilio de Acreditación de Educación Médica Graduada los evaluadores son expertos en cada una de las diferentes especialidades médicas y trabajan de forma voluntaria evaluando oportunamente cada una de las diferentes residencias

de los Estados Unidos, Guam y Puerto Rico.

En 2020 existían aproximadamente 865 instituciones acreditadas por el ACGME, que mantenían un promedio de 12,000 programas de residencia y ‘fellowship’ en 182 especialidades y subespecialidades a través de los Estados Unidos.

El Concilio de Acreditación de Educación Médica Graduada tiene unos criterios de cuidado estándar bien estrictos. De un zarpazo y después de estar instruyéndolos, puede eliminar un programa de residencia de cualquier estado, tal y como ocurrió con el programa de residencia de Neurocirugía del País, que tendrá que esperar unos siete años más, antes de graduar un residente de Neurocirugía, una vez comience el programa en algún momento de los próximos dos años. Una especialidad extremadamente necesaria para muchos pacientes en nuestra isla.

El proyecto del Senado 1134 (PS-1134) pretende que la Junta de Licenciamiento Médico (JLM) tome las virtudes y procesos de ACGME, entrene y expida certificados de especialidad en varias disciplinas. Un sistema paralelo que no estaría avalado por ACGME. Es como regresar a las décadas del 50’ y del 60’ de la medicina en Puerto Rico. Todo esta certificación no le sería útil al residente que se gradúa, si desea practicar esa especialidad en los Estados Unidos o hacer una subespecialidad adicional.

El PS-1134 pretende que si usted ha estado amasando pan por 10 a 20 años, usted es chef de pan. Que si usted ha estado atendiendo pacientes en Sala de Emergencia por un lapso de años como médico generalista, usted podrá ser elegible a un certificado de Especialidad en Medicina de Emergencia. Una de las especialidades más estrictas y necesarias que existen en el ACGME. Entonces, qué hacemos con ese médico que recibe esa certificación local o “criolla” cuando se mete en un problema medicolegal asociada a una desviación en el cuidado médico de un enfermo, en la Sala de Emergencia. ?Le estaremos dando inmunidad para que pueda seguir practicando con seguridad? Eso es la definición de mediocridad.

El Concilio de Acreditación de Educación Médica Graduada (ACGME ) es una institución compleja que no puede ser sustituida por una junta de licenciamiento. Aunque esto lo han tratado de hacer algunos estados, afortunadamente los gobernantes y el pueblo han parado este doble estándar de cuidado y entrenamiento en una especialidad médica y este concilio ha prevalecido.

Múltiples asociaciones médicas, las escuelas de medicina del País, educadores expertos en Medicina, y la clase médica de Puerto Rico no avalan el PS-1134 según está redactado. La razón es que no queremos sistemas paralelos de enseñanza médica que comprometan la salud del pueblo.

Resulta más conveniente y duradero aumentar el número de programas acreditados, acreditar los que salieron como Neurocirugía, que competir con el ACGME y su estructura diversificada en la educación médica postgraduada.

No permitamos que el PS-1134 progrese. Compromete nuestra salud, compromete nuestro futuro.

55

Presentan iniciativa para ayudar a pacientes con endometriosis

Una investigación llevada a cabo por un equipo compuesto por estudiantes de High School (CROEV) y de Medicina de la Ponce Health Sciences University (PHSU), concluyó que los síntomas menstruales afectaron sustancialmente el estudio y la concentración del 38% de las adolescentes, mientras que un 33% de las participantes indicó que dichos síntomas afectaron su la asistencia a la escuela. El estudio titulado, Salud menstrual y educación entre adolescentes de Puerto Rico buscaba, entre otros, evaluar las características del ciclo menstrual y la prevalencia de desregulaciones del ciclo menstrual y condiciones de salud ginecológica entre adolescentes en Puerto Rico y obtener información sobre las fuentes de educación sobre salud menstrual que utilizan. Las participantes de este estudio cursaban sexto grado hasta segundo año de universidad con representación de todo Puerto Rico.

Del estudio, que estuvo dirigido por la Dra. Idhaliz Flores, también se desprende que la educación menstrual que recibieron las participantes fue principalmente en las escuelas (67 %), seguido por el hogar (62 %) y un 39% dijo educarse a través de las redes sociales. Las madres fueron la fuente más confiable de información sobre la menstruación (85%). De igual forma, de los datos recopilados se desprende que las estudiantes de escuelas públicas recibieron más educación sobre la menstruación que las de escuelas privadas (75% vs 60%), quienes también informaron una menor comprensión sobre este tema. Las participantes más jóvenes (14 años o menos) recibieron menos educación y se sintieron menos cómodas respecto al tema.

Por otro lado, los síntomas menstruales más comunes entre las participantes fueron baja energía (74%), irritabilidad (74%) y cambios emocionales (64%). El 63 % informó el uso de analgésicos que no requieren recetas médicas durante el periódo menstrual.

“Durante la pubertad, pueden ocurrir interrupciones del ciclo menstrual que a menudo se resuelven espontáneamente; sin embargo, en algunos casos existe la necesidad de tratamiento médico o seguimiento. El conocimiento de las características normales y anormales del ciclo menstrual es clave para reconocer las condiciones ginecológicas que requieren atención médica, expresó Amanda Detrés, quien recién se graduó del Programa de Medicina de PHSU, es residente de primer año del Programa de Residencia de Obstetricia y Ginecología del Hospital Episcopal San Lucas en Ponce y fue reconocida en la Conferencia Científica Anual de Ponce Research Institute.

Por su parte, la doctora Flores indicó que este estudio en curso ayudará a mejorar la educación sobre la salud menstrual en los planes de estudios escolares para promover una mejor comprensión y disminuir el estigma en torno a este proceso biológico. Flores explicó que se encuentran en el proceso de reclutamiento de participantes entre los 11 a 20 años para conducir una segunda fase de este estudio. Las interesadas pueden comunicarse al 787-840-2575 x 2206 o enviar correo electrónico a iflores@psm.edu. En el estudio Salud menstrual y educación entre adolescentes de Puerto Rico también participaron Christy Rosado; Braulio I. Rivera, MPH; Laura Blondet, BSc; Maricarmen Díaz-Colón, PhD; Valery Rubinsky, PhD y Angela Cooke-Jackson, PhD, MPH.

56 Bienestartotal
REDACCIÓN BTP
POR
BTP-NEWS

Más acreditaciones en el Recinto de Ciencias Médicas

El Recinto de Ciencias Médicas (RCM) de la Universidad de Puerto Rico logró la reacreditación de los programas de Citotecnología, Tecnología Veterinaria y Tecnología Oftálmica.

El programa de Citotecnología fue reacreditado por la Commission on Accreditation of Allied Health Education Programs (CAAHEP), el de Tecnología Veterinaria por el Committee on Veterinary Technician Education Activities of the American Veterinary Medical Association (CVTEA-AVMA), y el de Tecnología Oftálmica por el International Council of Accreditation (ICA). Todos los programas son parte de la oferta académica de la Escuela de Profesiones de la Salud (EPS).

“Estos logros reconocen la excelencia en la formación de profesionales de la salud del Recinto de Ciencias Médicas. La CAAHEP, el CVTEA y el ICA son organismos reconocidos a nivel de Estados Unidos, que establecen los estándares de calidad para programas académicos de diversas disciplinas de la salud. Estas acreditaciones son el resultado del compromiso continuo del RCM, nuestra rectoría, facultad y estudiantes con la excelencia académica y la mejora continua de la educación en el campo de la salud”, dijo el profesor Carlos Ortiz, del RCM.

Cabe destacar que tanto la CAAHEP y el ICA han otorgado la reacreditación continua al programa de Citotecnología y de Tecnología Oftálmica respectivamente por alrededor de 30 años

sin señalamientos. Esta distinción se basa en el cumplimiento demostrado por ambos programas con los rigurosos estándares establecidos por sus respectivas agencias acreditadoras. El programa de Tecnología Veterinaria lleva también más de 20 años acreditado.

La acreditación continua de estos programas asegura la calidad y la excelencia de la educación en el campo de la Citotecnología y Tecnología Oftálmica, así como de la Tecnología Veterinaria.

Tanto la CAAHEP, el CVTEA como la ICA otorgaron reacreditación completa a los programas de Citotecnología, Tecnología Veterinaria y Tecnología Oftálmica por el tiempo máximo otorgado en sus respectivas agencias acreditadoras.

De igual forma, el Programa de Patología del Habla y Lenguaje, también de la EPS, recibió su visita del Council on Academic Accreditation in Audiology and Speech-Language Pathology (CAA) de la American Speech-LanguageHearing Association (ASHA).

La Escuela de Enfermería también recibió su visita del Council on Accreditation of Nurse Anesthesia Educational Programs (COA) y de la Commission on Collegiate Nursing Education (CCNE) para la acreditación inicial del programa de Doctor en Práctica de Enfermería con especialidad en Anestesia al ser un nuevo ofrecimiento de la Escuela. Cabe destacar que los comentarios de la visita de ambos programas fueron excelentes. La determinación final se recibirá luego de que se reúna la comisión de sus respectivas agencias acreditadoras, la cual se espera resulte en la acreditación de ambos programas.

Estudiantes trabajan en proyectos ambientales de la EPA

POR REDACCIÓN BTP

Cinco estudiantes del Departamento de Ciencias Naturales de la Universidad de Puerto Rico en Aguadilla (UPRAg) fueron seleccionados para participar en el internado auspiciado por el Departamento de Educación Federal de los Estados Unidos, bajo el programa: Title III-Minority Science and Engineering Improvement Program (MSEIP), en colaboración con la Agencia de Protección Ambiental (EPA). Los estudiantes seleccionados: Víctor Nieves-Santiago, Gil Valentín-Vázquez, Luis Pratts-Pérez, Paola Rodríguez-Montoya y Dyandra Lassalle-Vega, fueron elegidos por sus logros académicos, su dedicación a causas ambientales y por sus estudios con enfoques en Tecnología Ambiental y Biología, de dicha institución.

Durante su internado, los estudiantes tendrán la oportunidad de contribuir con proyectos ambientales de la EPA en Cincinnati, Ohio y Chattanooga, Tennesse. Cada estudiante recibirá una subvención financiera de más de $17,000 para cubrir sus gastos.

“Este internado de la EPA es una oportunidad única para que los estudiantes adquieran experiencia práctica en un ambiente real de trabajo, mientras contribuyen al cuidado del medio ambiente y la protección de la salud humana”, dijo el profesor

57
del Departamento de Ciencias Naturales de la UPRAg, el Dr. Lee-Borges. De izquierda a derecha aparecen: Víctor Nieves-Santiago, Gil ValentínVázquez, Luis Pratts-Pérez, Paola Rodríguez-Montoya, y Dyandra Lassalle-Vega.
POR REDACCIÓN BTP

Aprueban medicamento para la alopecia areata severa

POR REDACCIÓN BTP

Pfizer Inc. (NYSE: PFE) anunció recientemente que la Administración de Alimentos y Medicamentos de Estados Unidos (FDA, por sus siglas en inglés) aprobó Litfulo™ (ritlecitinib), un tratamiento oral de una vez al día, para personas mayores de 12 años con alopecia areata severa. La dosis recomendada aprobada es de 50 mg. Es el primer y único tratamiento aprobado por la FDA para adolescentes (12+) con dicha condición.

“Aunque algunos pacientes pueden comenzar a desarrollar síntomas de alopecia areata a cualquier edad, la mayoría de las personas empiezan a mostrar signos en la adolescencia, entre los 20 a los 30 años”, afirmó la Dra. Brittany Craiglow, profesora asociada adjunta del Departamento de Dermatología en la Escuela de Medicina de Yale. “Litfulo es una opción de tratamiento especialmente importante para los pacientes más jóvenes con pérdida considerable de cabello, quienes a menudo luchan con una enfermedad tan visible”.

Se trata de un inhibidor de cinasa que inhibe la cinasa de Janus 3 (JAK3) y la familia de las cinasas tirosinas expresadas en el carcinoma hepatocelular (TEC).

La aprobación de la FDA se fundamentó en los resultados de los ensayos clínicos en alopecia areata. El ensayo Allegro Fase 2b/3, en el que participaron 718 pacientes con un 50% o más de pérdida de cabello según el Severity of Alopecia Tool (SALT), evaluó la eficacia y seguridad de Litfulo en 118 centros en 18 países. En este estudio central, el 23% de los pacientes tratados con dicho medicamente en dosis de 50 mg tenían una cobertura del 80% o más del cuero cabelludo (SALT≤20) luego

de seis meses comparado con el 1.6% con placebo. La eficacia y seguridad de Litfulo fue concordante entre adolescentes (de 12 a 17 años) y adultos (de 18 años en adelante). Los efectos secundarios más comunes (ES) notificados en al menos un 4% de los pacientes que tomaron Litfulo incluyó dolor de cabeza (10.8%), diarrea (10%), acné (6.2%), erupción cutánea (5.4%) y urticaria (4.6%). Los resultados completos del estudio Allegro Fase 2b/3 fueron publicados por The Lancet en abril de 2023.

“Las personas que viven con alopecia areata a menudo son incomprendidos y su experiencia se trivializa con ‘es solo pelo’. Sin embargo, se trata de una enfermedad autoinmune grave que puede tener repercusiones negativas considerables más allá de los síntomas físicos”, señaló Nicole Friedland, presidenta y directora general de la National Alopecia Areata Foundation (NAAF).

POR REDACCIÓN BTP

Un nuevo tratamiento de acción prolongada permite reducir la frecuencia de las inyecciones diarias a una semanal en niños con deficiencia de la hormona del crecimiento

Pfizer Inc. (NYSE: PFE) y OPKO Health

Inc. (NASDAQ: OPK) anunciaron que hoy la Administración de Alimentos y Medicamentos de Estados Unidos (FDA, por sus siglas en inglés) aprobaron Ngenla (somatrogon-ghla), un análogo de la hormona del crecimiento humana que se administra una vez a la semana y que está indicado para el tratamiento de pacientes pediátricos a partir de los tres años o más, con retraso en el crecimiento debido a una secreción inadecuada de la hormona de crecimiento endógena. Se espera que esté disponible para su prescripción en EE. UU. durante este mes de agosto (2023).

La deficiencia de la hormona del crecimiento (GHD, por sus siglas en inglés) es una enfermedad poco frecuente que se caracteriza por la secreción inadecuada de somatropina, la

hormona del crecimiento, por parte de la glándula pituitaria (hipófisis) que afecta aproximadamente a uno de cada 4,000 a 10,000 niños. Sin tratamiento, los niños tendrán una atenuación persistente del crecimiento, una estatura muy baja en la edad adulta y la pubertad puede retrasarse. Los niños que viven con GHD también pueden experimentar problemas en relación a su salud física y su bienestar mental.

La aprobación de la FDA está respaldada por los resultados de un estudio fase 3 multicéntrico, aleatorizado, abierto, controlado activamente, que evaluó la seguridad y eficacia de Ngenla cuando se administra una vez a la semana en comparación con la somatropina una vez al día. El estudio alcanzó su objetivo primario de no inferioridad del nuevo medicamento en comparación con la somatropina, medido por la velocidad de crecimiento a los 12 meses. En general, Ngenla fue bien tolerado en el estudio y presentó un perfil de seguridad comparable a la somatropina. El medicamento está aprobado para el tratamiento de la GHD pediátrica en más de 40 mercados, incluidos Canadá, Australia, Japón y los estados miembros de la Unión Europea.

58 Bienestartotal
> Suministrada
Con más tratamientos la deficiencia pediátrica de la hormona del crecimiento

L a verdad es que la igualdad se debe garantizar para todos.

FALTA DE PUESTOS DE LIDERAZGO

La verdad te necesita para cambiar realidades. La verdad no tiene precio.

PARA MUJER >VIERNES, 18 DE NOVIEMBRE DE 2022 >NUM 14809 >SAN JUAN, PUERTO RICO WWW.ELVOCERO.COM La verdad no tiene precio
It's your moment to shine. www.elvocero.com/revistas/mirame

Turn static files into dynamic content formats.

Create a flipbook
Issuu converts static files into: digital portfolios, online yearbooks, online catalogs, digital photo albums and more. Sign up and create your flipbook.