Tysons Premier | Holiday 2024

Page 1


NVAR Realtor Johnny Hanna has over 35 years of experienc e in assisting buyers and sellers on real estate transactions in our market.

No stranger to foreign lands and cultures, Johnny Hanna is tuned into the needs of small and large families who are making a place from which to launch future generations of successful home ownership. Looking for Professional help buying and selling in The Tysons Area? We are at your service and as far as your telephone. We can’t wait to meet you!

Features

Sounds

of the Season Shows to Get You Into the Holiday Spirit!

Tis the season for holiday music, theatre, and dance. Our area offers a vast array of live entertainment to get you into the spirit! Whether you’re looking for Nutcracker ballets, traditional carols, rock, jazz, blues, or family-friendly theatre, this roundup of holiday concerts and shows has something for everyone.

Merry and Bright Holiday Light Displays

Gather your group together for a drive or walk through a winter wonderland of twinkling holiday lights. With our area’s traditional walk/drive through displays there’s plenty of holiday cheer and sparkle to be found!

2024 Holiday Markets

Shop small and support local business this season. Our area offers a variety of shopping options for unique gifts while getting into the spirit of the holidays. Fine art, crafts, food and drink, and more — the holiday markets on our list have something for everyone to enjoy!

Make A Holiday Memory with Santa

Santa Claus is coming to town! Nothing captures the magic of the season better than a visit with St. Nick! From meals with Santa to the traditional photos at the mall and more, our area offers many opportunities for you to make your holiday memory with Kris Kringle.

THE MAGAZINE FOR TYSONS | RESTON | ASHBURN | LEESBURG GREAT FALLS | MCLEAN | VIENNA | OAKTON | FALLS CHURCH HOLIDAY 2024

PRESIDENT & PUBLISHER Johnny Hanna

DIGITAL MEDIA ADVISOR/ CLIENT ADVOCATE Nawara Omary Elliott Tricia Leimbach

ART DIRECTOR / PRODUCTION MANAGER/ Robin Long

WEBSITE DESIGNER

TRAVEL CONTRIBUTOR Allison Chase Sutherland

WINE EDITOR Linda Barrett

VIDEOGRAPHY Kari Cannistraro

PHOTOGRAPHIC CONTRIBUTORS Greg Knott

CONTRIBUTING WRITERS Marcia McAllister

Tysons Premier Magazine | 703.585.3354 | 2108 Robin Way Court, Vienna, VA 22182 General inquiries and comments about this publication can be sent to: info@vivatysons.com. www.vivatysons.com www.facebook.com/vivatysons www.twitter.com/vivatysonsmag www.tasteoftysons.com twitter.com/tasteoftysons www.tysonstoday.com www.tysonshealthandbeauty.com

Subscriptions for Tysons Premier Magazine are available for $12 per year or $20 for two years. Please address requests to Tysons Premier, 2108 Robin Way Court, Vienna, VA 22182, or call us at 703.585.3354, or you can subscribe online at www.vivatysons.com.

Volume 5, Issue 4. Copyright © 2024 by Tysons Premier Magazine Inc. Tysons Premier Magazine is published every two months by Nova Premier, LLC 2108 Robin Way Court, Vienna, VA 22182. All rights reserved. All editorial material is fully protected and should not be reproduced in any matter without written permission. Nova Premier makes every effort to ensure the accuracy of the information we publish, but we cannot be held responsible for any consequences or claims due to errors or omissions. Retailers wishing to carry Tysons Premier at their locations and readers wishing to correspond with us are asked to write us at TheTysonsPremier@gmail.com.

Your Path to Living Greater Starts Here

We are a full-service wealth services firm dedicated to helping you live your best life.

It’s our passion, and we’ll be with you every step of the way.

Investment Management

Through personalized advice and a brand range of services, we’ll help you align your investments with your needs and goals. Our customized strategies will help you gain confidence to make decisions in support of your ideal life.

Financial Planning

Live greater with what you already have. We’ll help you consider all the areas beyond investments the can contribute to pursuing your financial goals, from insurance planning, to tax strategies, education expense planning and more.

Retirement Strategies

Retirement planning is a natural complement to financial planning and investment management. Make sure you’re enhancing your assets in ways that align with long-term considerations for living your best life in retirement.

Our Holistic, Collaborative Process

At VLP, we take a holistic approach to financial management, aligning your investment and financial decisions with your values. Through VLP’s team-based client service and a collaborative work environment, we’ll guide you through a deliberate, experienced process to help you discover your goals and identify your resoures in order to create a customized plan to help you grow, protect, leverage and transfer your legacy and wealth.

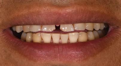
There Is Only One Smile That Matters. Yours!

OUR SERVICES INCLUDE:

• Cosmetic Dentistry

• Crowns & Bridges

• Implants

• TMJ Treatments

• Root Canals

You are in good hands! Dr. Makarita is the only accredited Fellow of the American Academy of Cosmetic Dentistry in Virginia.

Patients Enjoy Dr. Makarita's undivided attention serving just one patient at a time. You are our only focus. At every visit!

Breath Easy. Surgically Clean Air filtration in every treatment room for your safety and peace of mind.

• Same-day Crowns

• Full-mouth Restoration

• Gum Lifts BEFORE AFTER

HHHHH

“Amazing experience from start to finish! The office was super neat and tidy. They had safety precautions and pratices in place. Everyone was so friendly and made me feel at ease.”

– Kelsey s.

HHHHH

“I have been a patient of Dr. Makarita for the past twenty-one years. Going to see him doesn’t feel like you are going to the dentist, but more like you are going to a luxury spa.”

– RamiRez F.

Want to Love Your Smile?

At Tysons Aesthetic Dentistry Dr. Makarita has designed and equipped his practice with your smile in mind. Dedicated care and attention are just the beginning.

As a general dentist with a passion for aesthetic and cosmetic dentistry, whether a simple filling or a smile makeover, Dr. Makarita’s priority is to help you love your smile.

Since earning his doctorate from the Medical College of Virginia, Dr. Makarita has continually upgraded his skills and knowledge with continuing education so he can always bring you the most advanced options for all your dental needs.

About Dr. H.R. Makarita

• Accredited Fellow, American Academy of Cosmetic Dentistry

• Master, Academy of General Dentistry

• Master, International Congress of Oral Implantologists

• Master, Las Vegas Institute for Advanced Dental Studies

Sounds of the Season

SHOWS TO GET YOU INTO THE HOLIDAY SPIRIT!

Tis the season for holiday music, theatre, and dance. Our area offers a vast array of live entertainment to get you into the spirit! Whether you’re looking for Nutcracker ballets, traditional carols, rock, jazz, blues, or family-friendly theatre, this roundup of holiday concerts and shows has something for everyone.

McLEAN COMMUNITY CENTER THE ALDEN THEATRE

1234 Ingleside Ave. McLean, VA 22101 www.mcleancenter.org

“L’CHAIM II: A TRIBUTE TO THE JEWISH LEGACY OF BROADWAY (AND CHRISTMAS)”

Sunday, December 15 | 2:00pm

$40/$30 students and seniors

$25 MCC district residents

“L’Chaim” for Christmas!? Who do you think wrote all the best Christmas songs? Four Broadway singers return to The Alden for the sequel to their wildly popular “L’Chaim” performance last year. More than just stellar voices singing the best of Broadway’s Jewish composers (everyone but Cole Porter), “L’Chaim II” traces the history of musical theater with the parallel history of Jewish Americans. But mostly, it’s great music sung by great singers.

“IT’S A JAZZY CHRISTMAS!”

Saturday, December 21 | 7:00pm

$30/$25 students and seniors

$20 MCC district residents

“Spectacular.” “Amazing.” “Even better than expected.” With comments like this about last year’s “Jazzy Christmas,” not bringing it back would be like finding a lump of coal in your stocking. Saxophonist Lil’ Maceo, gospel violinist Eric Taylor and the rest of the gang join the stellar house band for an evening that will hit your holidays out of the park.

CAPITAL ONE HALL

7750 Capital One Tower Road Tysons, VA 22102 www.capitalonehall.com

CHAPEL HART: HARTFELT CHRISTMAS TOUR

Friday, November 29 | Doors 7:00pm Tickets start at $45.00 Lights, cameras, microphones, a prayer & HERE THEY GO!

Danica and Devynn Hart along with their cousin Trea Swindle, make up Chapel Hart and have proven they are truly a force to be reckoned with. These ladies have found a way to gift wrap their Mississippi roots & Louisiana spunk and share it with listeners around the world.

NUTCRACKER! MAGICAL CHRISTMAS BALLET Sunday, December 1

Doors 12:00pm & 4:00pm Tickets start at $35.00

Give the gift of NUTCRACKER! Magical Christmas Ballet to the whole family. Celebrate America’s favorite Christmas tradition with an international all-star cast that blends world-class ballet with whimsical puppets, lavish costumes, and stunning acrobatics! Share the tradition of pure Holiday magic and Tchaikovsky’s timeless score with friends and family of all ages. Don’t miss this chance to create memories of a lifetime.

THE NUTCRACKER SWEET 2024

Wednesday, December 11

Thursday, December 12

Friday, December 13

Doors 6:30pm

Tickets $25.00

Join the Dance Academy of Virginia as we step into a world of magic and wonder with “The Nutcracker Sweet”, an abridged version of the timeless holiday classic. Join Clara on her enchanting journey where her beloved toy Nutcracker comes to life to battle the Mouse Queen, dancing snowflakes guide her to the Land of Sweets, and the graceful Sugar Plum Fairy leads her celebration of sweets to dance for Clara. This captivating ballet, with its stunning choreography and Tchaikovsky’s iconic score, brings the spirit of the season to life. Experience the joy, beauty, and festive charm of “The Nutcracker Sweet” and make unforgettable memories with your loved ones this holiday season!

THE MCLEAN SYMPHONY PRESENTS

A CHRISTMAS FESTIVAL

Friday, December 13 | Doors 6:30pm

Tickets $40.00

Festive music for the whole family! Featuring ‘Twas the Night Before Christmas’ with full symphony orchestra, alongside music from Christmas movies including Home Alone, the Polar Express, and It’s A Wonderful Life. Sing-along carols complete the perfect holiday concert.

VIRGINIA BRONZE HANDBELL ENSEMBLE: A HOLIDAY CONCERT

Saturday, December 14

Doors 6:00pm Tickets start at $25.00

This enchanting evening features songs of the season, performed on handbells and handchimes, by the region’s first advanced community handbell ensemble. Virginia Bronze began in 2006 and has gained local and national recognition over the last 17 years as a top community handbell ensemble.

RAVEL DANCE STUDIO PRESENTS THE NUTCRACKER

Sunday, December 15 | Doors 1:00pm

Tickets start at $45.00

Get ready for an unforgettable holiday experience! The Ravel Dance Studio proudly presents its enchanting production of the beloved *Nutcracker Ballet* – a magical tradition that will sweep you off your feet! On Christmas Eve, step into the wonder of the Stahlbaum family home, where young Clara receives a special Nutcracker from her mysterious Uncle Drosselmeyer. As the night unfolds, Clara drifts into a dreamlike adventure, where the dazzling Sugar Plum Fairy and a gallant Cavalier guide her and her Nutcracker through a sparkling pine forest filled with angels and snowflakes, all the way to the dazzling Kingdom of Sweets. This premier production, featuring Ravel’s talented dancers, stunning costumes, and breathtaking sets, is a holiday spectacle you won’t want to miss!

VIRGINIA NATIONAL BALLET

THE NUTCRACKER

Saturday December 21

Doors 12:00pm & 5:00pm

Tickets start at $39.00

VNB’s annual performances of The Nutcracker are very popular at Capital One Hall in Tysons. Our professional productions feature world class dancing, great choreography, and beautiful sets, costumes, and special effects. VNB is thrilled to perform the 12th annual Nutcracker in 2024 at Capital One Hall, featuring beautiful new sets, costumes, and choreography!

NATALIE BROOKE’S HOLIDAY SUPER JAM

Saturday, December 21

Doors 7:00pm

Tickets $19.00

Join us in The Vault on December 21 for an electric show with Natalie Brooke and Gordon Sterling featuring Special Guest Ron Holloway.

HANDEL’S MESSIAH

Monday, December 23

Doors 6:30pm

Join National Philharmonic for the ultimate holiday classic –Handel’s Messiah – led by guest conductor Anthony Blake Clark with Baltimore Choral Arts Society. Four exceptional soloists – soprano Aundi Marie Moore, mezzo soprano Lucia Bradford, tenor Norman Shankle, and baritone Jorell Williams – return to the NatPhil stage to reprise their celebrated interpretations of George Frideric Handel’s timehonored oratorio. No holiday season is complete without it!

CREATIVE CAULDRON

410 South Maple Avenue, Retail 116 Falls Church, VA 22046 www.creativecauldron.org

MADELINE'S CHRISTMAS

December 6 – December 22

Tier One $30.00, Tier Two $20.00 Students $18.00

A Holiday tradition at Creative Cauldron! “In an old house in Paris, covered in vines, lived 12 little girls in two straight lines.” And with that familiar phrase, author and illustrator Ludwig Bemelmans sets in motion the adventures of the brave and resourceful Madeline! In this musical adaptation, Madeline’s schoolmates and tutor are all sick in bed on Christmas Eve, unable to go home for Christmas to be with their families. So it’s Madeline to the rescue! And with the help of a magical rug merchant she takes her friends on a Christmas journey they will never forget.

HOLIDAY CABARET SERIES

December 2024

Tier One $30.00, Tier Two $25.00 VIP Tables: $90.00 / 2, $180.00 / 4 Live Stream $15.00

This series is sure to put you in the holiday spirit. Get in the festive spirit or shake off some holiday blues with these seasonal cabarets that blend creativity and classics!

GEORGE MASON CENTER FOR THE ARTS

4373 Mason Pond Drive Fairfax, VA 22030

cfa.gmu.edu

CANADIAN BRASS

Saturday, November 30 | 8:00pm

Tickets: $60.00, $51.00, $36.00; halfprice for youth through Grade 12

Experience one of the world’s most famous brass quintets in a genre-bending and infectiously positive performance that includes original arrangements and signature takes on beloved holiday classics such as “I’ll Be Home for Christmas,” “Christmas Time is Here,” “Silver Bells,” “Jingle Bell Rock,” and songs of Hanukkah.

SQUIRREL NUT ZIPPERS

December 7 | 8:00pm

Tickets start at $33.00

Swing into the holiday season with platinum-selling jazz-rock band Squirrel Nut Zippers. Serving up a boisterous blend of Delta blues, big band, klezmer jazz, and calypso sound in their holiday program Christmas Caravan, Squirrel Nut Zippers is sure to get audiences dancing along.

AMERICAN FESTIVAL POPS ORCHESTRA

December 14 | 4:00pm

Tickets start at $36.00

The American Festival Pops Orchestra (AFPO) continues its annual tradition of spreading musical goodwill and cheer in this audience favorite! Enjoy a festive evening of seasonal favorites designed for the entire family, including "Night Before Christmas" with George Mason University Dean of the College of Visual and Performing Arts Rick Davis, toe-tapping classics from the orchestra's embedded Big Band, and an appearance by the Mason Jazz Vocal Ensemble under the direction of Darden Purcell.

THE NUTCRACKER WITH THE FAIRFAX SYMPHONY & FAIRFAX BALLET

Saturday, December 21 & Sunday, December 22 4:00pm

Tickets start at $44.00

The Fairfax Symphony joins The Fairfax Ballet in collaboration to present the timeless holiday favorite, The Nutcracker. This production is unique in the Washington metro region as one of few presented with LIVE musical accompaniment. The Fairfax Ballet Company dances to Tchaikovsky’s score performed live by the Fairfax Symphony.

JAMMIN’ JAVA

227 Maple Ave E Vienna, VA 22180

www.jamminjava.com

BILL KIRCHEN’S HONKY TONK HOLIDAY PARTY

Friday, December 6 | 8:00pm

Tickets start at $35.00

Bill Kirchen and his Turtle Doves will make a stop on their annual Honky Tonk Holiday Tour at Jammin’ Java on Friday 12/6. Featured is a sleigh-full of rarely heard holiday numbers from the blues, rock ‘n’ roll and honky tonk bags: “Silent Surfin’ Night,” “Truckin’ Trees for Christmas,” “Santa Claus Wants Some Lovin,” and more. So mark your calendars and check ’em twice – Santa Claus is back in town!

LAURA TSAGGARIS –GET IN THE MOOD TOUR

December 14 | 8:00pm

Tickets start at $20.00

Featuring songs from the criticallyacclaimed 2021 Christmas album, “Get in the Mood,” Laura and her band put classic rock, acoustic, and funky spins on Christmas classics like Elvis’ “Blue Christmas,” Mariah Carey’s “All I Want for Christmas is You,” and “Christmas Time Is Here” from “A Charlie Brown Christmas.”

RESTON COMMUNITY CENTER THE CENTERSTAGE

2310 Colts Neck Rd. Reston, VA 20191 www.restoncommunitycenter.com

RESTON TOWN CENTER

HOLIDAY PERFORMANCES

Saturdays, November 30 – December 21 12:00pm – 3:00pm Reston Town Center

Enjoy holiday performances in the fresh air at Reston Town Center. Catch the spirit of the season while you shop.

RAVEL DANCE STUDIO –THE NUTCRACKER

Saturday, December 7 | 11:00am Sunday, December 8 | 3:00pm the CenterStage

Founded in 1990, the Ravel Dance Company was formed to give young dancers an opportunity to perform original works of dance in a variety of dance genres so they may be better prepared to enter the professional world of dance or to gain acceptance to a university dance program. The Ravel Dance School educates young dancers through high school in classical ballet and pointe while offering additional opportunities to perform. Through an audition process, a dancer may be eligible to perform new and innovative works with the Ravel Dance Company.

THE RESTON CHORALE: THE WONDER OF THE SEASON

December 7 | 4:00pm & 7:00pm

$25.00 Seniors | $30.00 Adults the CenterStage

Don’t miss a moment of the music being made this year by The Reston Chorale. Join your friends and neighbors, bring the family and savor the musical feast. Experience the wonder of the season when The Reston Chorale presents two performances of holiday favorites. It’s a musical treat for all ages!

STAGECOACH THEATRE COMPANY

20937 Ashburn Road, Suites 115 and 120 Ashburn, VA 20147 www.stagecoachtc.com

A CHRISTMAS STORY

December 7 – December 23

Tickets $25.00

Humorist Jean Shepherd’s memoir of growing up in the midwest in the 1940s follows 9-year-old Ralphie Parker in his quest to get a genuine Red Ryder BB gun under the tree for Christmas. Ralphie pleads his case before his mother, his teacher and even Santa Claus himself at Higbee’s Department Store. The consistent response: “You’ll shoot your eye out!” All the elements from the beloved motion picture are here. A Christmas Story is destined to become a theatrical holiday perennial.

WOLF TRAP

The Barns 1635 Trap Road Vienna, VA 22182 www.wolftrap.org

BLIND BOYS OF ALABAMA CHRISTMAS SHOW

Thursday, December 5 | 8:00pm

Tickets start at $53.00

Kick off the holiday season with the living legends of gospel music! Known as the longest-running group in American music, the Blind Boys of Alabama prove their soul-stirring melodies are just as resonant now as they were during the Civil Rights movement. The 2024 Grammy winners for Best Roots Gospel Album have reinvented and refined their sound with collaborations with Béla Fleck and Black Violin. Lift your spirits with traditional festive standards and selections from their Grammy-winning holiday albums Go Tell It on the Mountain and Talkin’ Christmas.

CHERRY POPPIN’ DADDIES

WWII TIKI XMAS CANTEEN

December 6 | 8:00pm

Tickets Start at $56.00

Relive radio’s glory days with the Cherry Poppin’ Daddies! Best known for their hit “Zoot Suit Riot,” Steve Perry and his band treat you to a retro, South Pacificstyle Christmas celebration with a whole lot of big band energy!

WOLF TRAP

HOLIDAY SING-A-LONG

December 7 | 3:00pm

Free - Registration Required

Kick off the holiday season with family and friends at Wolf Trap’s Annual Holiday Sing-A-Long! This musical celebration hosts a performance by the United States Marine Band and a Sing-A-Long of Christmas carols and Hanukkah songs with local choir and vocal groups from the Washington, DC metro area. v

WOLF TRAP

HOLIDAY SING-A-LONG

December 7

Photo courtesy Wolf Trap

›› Class A Building with high quality midsize to large suites available for lease

›› Luxury finishes, modern decor, and updated common areas

›› Modern Gym and locker rooms

›› Four-level structured parking with 308 spaces.

›› Easily accessible road access to Leesburg Pike, Chain Bridge Rd, the Capital Beltway, and the Dulles Toll Road

›› Next to the Tysons West Center featuring the Walmart Supercenter, Basic Burger, Jersey Mikes, Moby Dick House of Kabob, Dunkin Donuts, and Rooming Rooster

›› Located near all of the Tysons Corner Shopping centers, including the Boro, the Tysons Galleria, and the Tysons Corner Center

›› Within four-minute walking distance of the Spring Hill Metro Center

Shop small and support local business this season. Our area offers a variety of shopping options for unique gifts while getting into the spirit of the holidays. Fine art, crafts, food and drink, and more — the holiday markets on our list have something for everyone to enjoy!

MOSAIC HOLIDAY VILLAGE WEEKENDS BY URBNMARKET

Saturday, December 14 & Sunday, December 15 11:00am – 4:00pm

Mosaic District 2905 District Ave. Fairfax, VA 22031

Shop unique gifts from 65+ talented makers at our holiday market. Celebrate the season, support local artisans, and finish your holiday shopping with us!

NVHG THANKSGIVING

ART & CRAFT SHOW

Friday, November 29 & Saturday, November 30 10:00am – 5:00 pm

Sunday, December 1 11:00am – 4:00pm

Admission: $3

Vienna Community Center Vienna, VA

This show, which has run for over 30 years, offers original, handmade arts and crafts, including decorative painting; fused, etched, painted, and stained glass; ceramics and pottery; woodworking; handweaving; paintings and drawings; textiles;

jewelry; and other crafts.

MCLEAN HOLIDAY

ART & CRAFTS FESTIVAL

Friday, December 6

10:00am – 7:00pm Saturday, December 7 10:00 am – 6:00 pm Sunday, December 8 10:00am – 4:00pm

Admission: $5; free for children ages 12 and younger. The admission price is good for all three days of the show.

McLean Community Center 1234 Ingleside Ave. McLean, VA 22101

Experience seasonal cheer at this delightful three-day indoor juried show featuring approximately 80 talented, regional artisans. For more than 40 years, this one-ofa-kind show has offered gifts for every budget including pottery, glass, jewelry, holiday decor, mixed media, fashion accessories, wood, fine art, artisanal foods, soap and more. Stroll to music as you shop and enjoy a beverage or lunch at the onsite café. Make it a Friday night date and join us for a fun, new Happy Hour from 4-7 p.m.

FAIRFAX CITY HOLIDAY MARKET

1st two weekends of December December 6 – 8 December 13 – 15

Fridays: 5:00pm – 8:00pm Saturdays: 12:00pm – 6:00pm Sundays: 12:00pm – 5:00pm Old Town Square Fairfax, VA

Support your local artist and do some Holiday shopping during the first two weekends in December! Craft vendors will vary between the two weekends, bringing you a variety of vendors to check out. While you’re shopping around, enjoy the sounds of live music, dance, and more!

HOLIDAY FINE ARTS AND CRAFTS SHOW

Saturday, December 7 9:00am – 4:00pm Sunday, December 8 10:00 am – 4:00 pm

Ida Lee Recreation Center Leesburg, VA

No big-box shopping here! This show features local and regional artisans selling hand-made items including candles, stained glass,

carved wood, jewelry, table linens, and more. Find something for everyone on your shopping list and a little something to brighten your home this season. Admission and parking for this show are free.

HOLIDAY GIFT AND CRAFT SHOW

Saturday, December 7 8:30am – 3:00pm Sunday, December 8 10:30am – 3:30pm Falls Church Community Center Falls Church, VA

Deck the halls during the holiday season with special gifts from the annual Holiday Gift and Craft Show at the Falls Church Community Center (223 Little Falls St.). Dozens of crafters and holiday vendors showcase their wares, sell unique handmade items, gifts, and baked goods during the first weekend in December. Enjoy live holiday music from local FCCPS musicians and performers throughout both days! Parents shop away downstairs with plenty of fun upstairs for the kids, activities include crafts, the Saturday-only Children’s Holiday Shoppe, hot cocoa, and more.

CHILDREN’S HOLIDAY SHOPPE

Saturday, December 7 9:00am – 3:00pm Falls Church Community Center Falls Church, VA

With the help of volunteers, kids can pick out gifts ($6 and less) for their friends and family. Volunteers can also wrap the gifts for free! The Children’s Shoppe is hosted by the Friends of Cherry Hill Farmhouse!

GIFTS FROM THE HEART SHOPPING EVENT

Saturday, December 7 10:00am – 3:00pm RCC Lake Anne Reston, VA

Join us for this unique holiday gift shopping event. Beautiful original artwork, remarkable ceramics, stunning jewelry and many other one-of-a-kind items will be sold by the artists. This event takes place in conjunction with the Annual “Gifts from the HeART” Exhibit, which showcases original works of art in a variety of media and a wide range of sizes and prices. Artists are asked to donate 10% of the proceeds to benefit the ongoing community work of Cornerstones.

HOLIDAY MAKER MARKET AT NOVA LABS MAKERSPACE

Saturday, December 7 10:00am – 4:00pm

Nova Labs

3850 Jermantown Rd Fairfax, VA

Join us at Nova Labs for a festive and fun Holiday Maker Market! Get ready to discover a wide variety of handmade gifts that are perfect for spreading holiday cheer. From unique jewelry to beautifully crafted home decor, you’ll find something special for everyone on your list.

SNOW DAZE

Saturday, December 7 12:00pm – 5:00pm

Aslin Beer Company 767 Elden Street Herndon, VA 20170

Save the date for the return of our annual holiday market full of local makers, limited edition beer drops, and so much cheer.

CELEBRATE FAIRFAX PRESENTS WINTER MARKET 2024

Saturday, December 14

12:00pm – 5:00pm

The PARC at Tysons 8508 Leesburg Pike Tysons, VA

Immerse yourself in a festive winter wonderland and shop local this season from 15-20 local makers, artisans, and crafters offering unique gifts perfect for the holiday season. Enjoy a day filled with holiday cheer, fun family activities, and creative inspiration.

HOLIDAY ARTS

AND CRAFTS SHOW

Sunday, December 8 10:00am – 4:00pm

Herndon Community Center 814 Ferndale Ave.

Herndon, VA

Over 70 artisans and craftspeople will exhibit and sell their work at this annual arts and crafts show sponsored by the Town of Herndon Department of Parks and Recreation. A variety of handcrafted items and fine art will be on sale including wreaths, jewelry, Christmas ornaments, decorations, original artwork, photography, stained glass, and more. Delectable homemade goodies and treats will also be for sale including cookies, macarons,

salsas, and dip and soup mixes, to extra flavor to your holiday and gift-giving!

WINTER CAPITAL ART & CRAFT FESTIVAL

Friday, December 13 & Saturday, December 14 10:00am – 5:00pm Sunday, December 15 10:00am – 4:00pm Dulles Expo Center Chantilly, VA

Join the 300+ artists and vendors, and thousands of attendees at the Winter Capital Art and Craft Festival. Enjoy shopping for beautiful one-of-a-kind art, jewelry, clothing, furnishings, pottery, décor, and more.

HERNDON WINTERMARKT

Saturday, December 14 12:00pm -7:00pm

Lynn Street in front of the Municipal Center Herndon, VA

The Herndon WinterMarkt is bringing the Old World charm of Christmas in Europe to our community. Our market is focused on showcasing the diversity of our community and the surrounding DC Metro area, in our lovely historic town. This event is a family-focused with entertainment, and activities for all members of the household while bringing the charm of this European tradition to Herndon.

BLEND’S ANNUAL GERMAN CHRISTMAS MARKET

Saturday, December 14 2:00pm – 6:00pm Blend Coffe0e Bar Ashburn, VA

The market will feature the adorable (and delicious) Happy Crepe food truck, fresh baked local pretzels by The Nordic Knot, German desserts & baked goods, Gluwhein (mulled wine for guests 21+), hot chocolate & hot coffee, grilled brats, carolers, over 20+ local artisan vendors featuring beautiful handmade gifts, decor, and treats, and all the Christmas cheer. v

Gather your group together for a drive or walk through a winter wonderland of twinkling holiday lights. With our area’s traditional walk/drive through displays there’s plenty of holiday cheer and sparkle to be found!

WINTERFEST 2024

December 5 – December 7

5:00pm – 9:00pm

Browns Chapel Park 1525 Browns Chapel Rd Reston, VA 20194

Free for RA Members, $8 for nonmembers ages 3-17, and $18 for non-members 18+

Don’t miss your chance to walk the Light Up the Park trail, enjoy s’mores at the firepits, sip on local adult beverages, listen to live musical performances, visit with local vendors, or bring the kids to visit with the Grinch and Santa. It’s all a part of this year’s Winterfest.

HOLIDAY ON THE FARM

December 6 – December 21 Fridays & Saturdays 4:30pm – 7:30pm

Frying Pan Farm Park Herndon, VA

$15 person pre-sale

$20 per person at gate Reservations recommended

Come celebrate the holidays at Frying Pan Farm Park with an evening of wagon rides, indoor activities, food, animal interactions, campfires and visits with Santa.

Bring the whole family and see the farm in a festive way.

MEADOWLARK’S WINTER WALK OF LIGHTS

November 8 – December 5 5:30pm – 10:00pm

December 6 – January 5, 2025 5:00pm – 10:00pm

Meadowlark Botanical Gardens Vienna, VA

$18 online

Meadowlark’s Winter Walk of Lights is an elegant garden trail aglow with countless sparkling lights. Take an evening walk through the enchanting Meadowlark Botanical Gardens adorned with lighted trees and displays featuring nature, winter, and holiday themes. Our halfmile Winter Walk paved trail is wheelchair and stroller accessible.

BULL RUN FESTIVAL OF LIGHTS

November 15 – January 5, 2025

Tickets are available every night 5:30pm – 7:30pm or 7:30pm –9:30pm

Bull Run Regional Park Centreville, VA

Tickets are $30 online or $40 at the door

Bus tickets are $75 for 15+ passenger buses.

Every year from November until just after New Year’s Day, you can experience the Bull Run Festival of Lights, 2.5 miles illuminated by holiday light displays. Drive the festival route from the comfort of your car; turn off your headlights and just follow the magical glow.

WINTER LANTERN FESTIVAL through January 12, 2025 Thursday – Sunday 5:00pm – 9:30pm last entrance at 8:30pm

Lerner Town Square at Tysons II 8025 Galleria Dr Tysons, VA 22102

Tickets start at $21.99 for adults

Step into a dazzling world of light with over 1000 Chinese lanterns; all handmade by artisans with decades of experience. A whimsical walk-through experience to light up and warm up the season!

Featuring live entertainment by the Zigong Acrobatic Troupe, food, drinks and gifts, there’s something for the whole family to enjoy. v

Santa Claus is coming to town! Nothing captures the magic of the season better than a visit with St. Nick! From meals with Santa to the traditional photos at the mall and more, our area offers many opportunities for you to make your holiday memory with Kris Kringle.

SATURDAY, DECEMBER 7

BREAKFAST WITH SANTA

8:00am – 9:30am

Tysons Corner Center Food Court on 3 Tysons, VA

Tysons Corner Center invites families for some up-close and personal time with Santa, by continuing its long-standing ‘Breakfast with Santa’ tradition. A complimentary catered breakfast, child-focused entertainment, face painting, and crafts with CAMP make this a family favorite and must-attend event during the Tysons Corner Holiday season.

MAGGIANO’S TYSON’S CORNER BREAKFAST WITH SANTA 8:00am – 10:00am

Maggiano’s Tyson’s Corner McLean, VA

$40 per Child | $30 per Adult

Come Join Santa Claus for a delicious breakfast buffet, take some photos and create some special crafts for the Holiday season!

Children will enjoy breakfast, write letters to Santa and decorate

their own holiday themed cookies. Santa’s elves will even help to assist them in making their own “magic reindeer food”, in hopes that Santa and his reindeer will come and visit on Christmas Eve.

DONUTS WITH SANTA

8:00am – 8:50am 9:00am – 9:50am 10:00am -10:50am

Vienna Community Center

120 Cherry St. SE Vienna, VA 22180

Santa will visit the Vienna Community Center to hear all your holiday wishes. Mrs. Claus has set up a donut bar for all the wonderful children. There will also be music, crafts, and lots of holiday spirit!

JINGLE ON THE LAKE ANNUAL CHRISTMAS FESTIVAL 8:00am – 4:00pm Lake Anne Plaza Reston, VA

Join the Lake Anne and Reston Community for a day long holiday celebration, starring Santa himself, arriving with a decorated boat parade (made possible thanks to Reston Lakeside Cluster) and accompanied by Santa’s elves on paddleboards!

BREAKFAST WITH SANTA 10:00am – 12:00pm

Holy Trinity Lutheran Church Falls Church, VA

Grab a hot breakfast, write a letter to Santa, and create Christmas crafts at our workshop tables. Oh, and don’t forget to visit Santa himself for a cute family photo. This event is free and everyone is welcome!

JINGLE BELL BASH AT THE BORO 11:00am – 2:00pm Boro Park

8350 Broad Street Tysons, VA 22102

Guests of all ages are invited to kick off the holiday season and enjoy a fun-filled morning of kids’ holiday crafts and giveaways, DJ dance party, hot chocolate bar, holiday-themed bounce house, stocking decorating, custom ornament calligraphy and more!

Don’t forget to get your picture with Santa in our vintage toy shoppe holiday installation!

SUNDAY, DECEMBER 8

SENSORY-SANTA 9:30am – 10:30am

Dulles Town Center 21100 Dulles Town Circle Dulles, VA 20166

Sensory Santa is a sensory-friendly opportunity for children with special needs and their families to enjoy a private photo session and visit Santa Claus in a calming and supportive setting, before the mall opens to the public. Join us on Sunday 12/8 from 9:30am –10:30am for a magical experience.

BREAKFAST WITH SANTA 10:00am – 11:00am

Neiman-Marcus – Tysons Galleria McLean, VA

$70 General Admission Adults/$55 Kids 3 – 12, Under 3 Gratis

Neiman Marcus Tysons Galleria invites you and your family to join us for BREAKFAST WITH SANTA. Straight from the North Pole, Santa will read a story for all the children and don’t forget to get your photo!!

SANTA CARES DAY –TYSONS CORNER CENTER 10:00am – 11:00am

Tysons Corner Center Tysons, VA

Santa Cares events allow people of all ages and abilities to enjoy Santa Magic photo experiences in an inclusive environment that improves comfort, enjoyment and participation among children with sensory sensitivities.

SANTA CARES DAY –TYSONS GALLERIA 9:30am – 10:30am

Tysons Galleria McLean, VA

Santa Cares events allow people of all ages and abilities to enjoy Santa Magic photo experiences in an inclusive environment that improves comfort, enjoyment and participation among children with sensory sensitivities.

FRIDAY, DECEMBER 13

SELFIES WITH SANTA 5:00pm – 7:00pm

Tysons West 1500 Cornerside Blvd Vienna, VA 22182

Bring the whole family to Tysons West on Friday, December 13th from 5-7pm for a photo-op with Santa! We will have a live DJ, holiday games and crafts, and much more!

SATURDAY, DECEMBER 14

CLAUS AND COOKIES 11:00am & 12:30pm

Old Town Hall | Fairfax, VA

Decorate you own cookie and grab a photo with Santa!

Pre-registration is required.

SANTA AT THE MILL 12:45pm

Colvin Run Mill | Great Falls, VA

Experience old-fashioned holiday fun at Colvin Run Mill. Visit Santa in the Mill, tour the Miller’s House decorated for the holidays, roast a marshmallow, and enjoy cocoa. Festive music and children’s crafts complete the experience. Most families spend about an hour at this event.

SUNDAY, DECEMBER 15

BREAKFAST WITH SANTA 10:00am – 1:00pm

The Ritz-Carlton – Tysons Corner McLean, VA

Enjoy a wonderful holiday breakfast buffet with a magical appearance from Santa Claus at Breakfast with Santa.

BRUNCH WITH SANTA 10:00am – 3:00pm Ornery Beer Company Fairfax, VA

$39 for adults

$19 for children under 13 5 & Under – Free

For you pictures, Santa will be on his big throne with decorations and Christmas tree.

Bring your cameras, heck, bring your photographer!

Brunch will be a delicious buffet with all your breakfast favorites, including Belgian Waffles, Banana French Toast, Egg Benedicts to order, a slow roasted Angus Beef & Smoked Ham carving station, plus delicious lunch selections including Roasted Salmon, Whitty Chicken, Jambalaya Pasta, Caprese Mushrooms, all the sides, rotating pizzas, and more.

SANTA AT THE MILL 11:30am

Colvin Run Mill

Great Falls, VA

Experience old-fashioned holiday fun at Colvin Run Mill. Visit Santa in the Mill, tour the Miller’s House decorated for the holidays, roast a marshmallow, and enjoy cocoa. Festive music and children’s crafts complete the experience. Most families spend about an hour at this event.

SATURDAY, DECEMBER 14 & SUNDAY, DECEMBER 15

SANTAS JUST LIKE ME 12:00pm – 7:00pm

Neiman-Marcus Tysons Galleria 2255 International Dr McLean VA 22102

Santas Just Like Me, “The Black Santa Experience”, will be returning this Holiday Season! Have your photo taken with Santa and enjoy the holiday in-store experience.

SATURDAY, DECEMBER 21

PHOTOS WITH SANTA AT LEESBURG VOLUNTEER FIRE PANCAKE BREAKFASTS

7:30am – 12:00pm 215 Loudoun St SW Leesburg, VA 20175

Santa will be visiting LVFC during our Pancake Breakfast in November and December!

This year for the FIRST time we are offering 11am-12pm for pet friendly photos with Santa.

MONDAYS, NOVEMBER 18 –DECEMBER 9

PET NIGHTS WITH SANTA –TYSONS CORNER CENTER

Tysons Corner Center Santa Set, Lower Level near Wasabi Tysons, VA

Tysons Corner Center invites you to bring your pets in their Holiday best for photos with Santa! This much-loved event has become a signature and well-attended theme night for Tysons Holiday.

MONDAYS & TUESDAYS

NOVEMBER 25 –DECEMBER 10

PAWS-ITIVELY MAGICAL Tysons Galleria Level 1, Near Sweetgreen McLean, VA

Whether they’ve been naughty or nice, treat your furry friends to the spirit of Christmas. Stop in for pet photos with Santa and create a new holiday tradition that’s totally un-fur-gettable.

MONDAYS. DECEMBER 2 –DECEMBER 16

PET NIGHT –

PHOTOS WITH SANTA!

Dulles Town Center

21100 Dulles Town Circle Dulles, VA 20166

A Purr-fectly Merry Moment: When

pets meet Santa for a photo session. We’ve reserved special times for your furry friends to join in your family photos with Santa.

THROUGH

DECEMBER 24

PHOTOS WITH SANTA Tysons Corner Center Santa Set, Lower Level near Wasabi Tysons, VA

The magic of the holiday season comes alive with a visit to Santa’s winter wonderland. Santa will be here starting November 7 and has moved to the lower level near Wasabi. A visit with Santa is always free and photo packages are available for purchase.

PHOTOS WITH SANTA Dulles Town Center 21100 Dulles Town Circle Dulles, VA 20166

Bring your family and friends to Dulles Town Center and celebrate the most magical time of the year in the merriest and traditional of ways!

PHOTOS WITH SANTA Fair Oaks Mall Fairfax, VA

Capture the magic of the season!

NOVEMBER 22 –DECEMBER 24

PICTURES WITH SANTA AT TYSONS GALLERIA Tysons Galleria Level 1, Near Sweetgreen McLean, VA

All the way from the North Pole, Santa has stopped by to spread holiday joy and cheer! Kids of all ages can meet the jolly big guy, take pictures, share their Christmas list, and make lifelong memories.

NOVEMBER 29 –DECEMBER 24

SANTA AT MOSAIC Mosaic District Avenue Fairfax, VA 22031

Join us as Santa makes his annual visits to Mosaic. Bring your children and have your family photos taken with Santa! Santa is located in Angelika.

HOLIDAY KICK-OFF CELEBRATION 2024

Friday, November 15 6:00pm – 8:00pm

The Plaza at Tysons Corner Center Tysons, VA

Join us for an enchanted evening to celebrate the start of the Holiday season!

Enjoy Santa’s grand arrival, Holiday performances, complimentary s’mores and custom beverages, a fireworks display, retailer market, giveaways, and more – in the midst of our expanded Enchant Holiday Light Experience sponsored by George Mason University!

TREE LIGHTING FESTIVAL 2024

Saturday, November 16 2:00pm – 7:00pm

Village at Leesburg Leesburg, VA

Kick off the holidays at our annual Tree Lighting Festival! Join us for an afternoon of familyfriendly entertainment from local performance groups, carolers, ice skating, train rides, and much more. Santa and Mrs. Claus will also be onsite, and they cannot wait to snap a photo with you!

HOLIDAY PARADE & TREE LIGHTING

Friday, November 29

Parade: 11:00am Tree Lighting: 6:00pm Reston Town Center Reston, VA

Celebrating its 32nd year, the one-ofa-kind, one-hour, half-mile parade along Market Street also welcomes the arrival of Santa and Mrs. Claus in a horse-drawn carriage. Since 1992, rain or shine, the parade has been an annual tradition on the day after Thanksgiving. After the parade, the Clauses will return for the Tree Lighting at 6:00 PM on Market Street.

HOLIDAY TREE LIGHTING + SANTA FIRETRUCK PARADE

Friday, November 29 5:00pm – 9:0pm

Strawberry Park at Mosaic District Fairfax, VA

Join us at Mosaic to welcome the arrival of the holiday season with a merry and bright tree lighting. Bring your family and friends to experience the Jolly Man as he spreads holiday cheer and makes his way through Mosaic on a firetruck and greets onlookers. Visitors can also meet and greet Santa in the Target lobby after the tree lighting.

CELEBRATION OF LIGHTS

Sunday, December 1 3:00pm – 6:00 pm

Great Falls Village Field Great Falls, VA

Enjoy hot cocoa and cookies next to the fire as you listen to our local children’s choral groups sing seasonal music. Visit the petting zoo and pony rides before Santa and Mrs. Claus arrive by fire truck to light the tree at 5:00. Children are then welcome to share their holiday wishes with Santa.

TREE LIGHTING CEREMONY

Sunday, December 1 5:00pm – 7:00pm Cascades Overlook Town Center Sterling, VA

Bring your gently used and new coats for the coat drive and help us light up the tree with special musical entertainment from a DJ!

CHURCH STREET

HOLIDAY STROLL

Monday, December 2 6:00pm

Historic Church Street Vienna, VA

Enjoy live holiday music from local groups, a tree lighting led by Mayor Linda Colbert and great deals from local Church Street businesses!

Celebrate the start of the season — gather outside with your friends, family and community to enjoy the glow of the neighborhood holiday tree!

Santa will arrive at 6:15 p.m. on the Vienna Volunteer Fire Department’s antique truck to help Mayor Colbert light the Town tree.

HOLIDAY TREE LIGHTING

Saturday, December 7

6:00pm

Town Green 25 West Market Street Leesburg, VA 20176

The Town of Leesburg will hold this year’s holiday tree lighting ceremony on Town Green beginning at 6:00pm. Join us for lights, live music, holiday characters and community cheer!

FESTIVAL OF LIGHTS AND CAROLS

Saturday, December 7 12:00pm – 6:00pm Tree Lighting at 5:30pm Old Town Square Fairfax, VA

Come listen to live holiday music and caroling, enjoy s’mores and hot cider, and the lighting of the Christmas Tree at Old Town Square!

HOLIDAY TREE LIGHTING & SING-ALONG

Saturday, December 7

5:00pm – 6:00pm

Town Hall Square 730 Elden Street Herndon, VA

See and greet Santa as he rides in on his fire truck. Sing carols accompanied by the Herndon High School Band as Mayor Sheila Olem lights the tree!

12TH

ANNUAL HOLIDAY TREE LIGHTING

Saturday, December 7 5:00pm – 7:00pm One Loudon Ashburn, VA

The Holiday Tree Lighting at One Loudoun welcomes the community to celebrate the season. The event is designed to engage the broader community and to generate public awareness of One Loudoun and its merchants, restaurants, and partners! Attendance is free and open to the public.

CHANUKAH CELEBRATION

Thursday, December 26 6:00pm – 7:00pm

Center Court, Dulles Town Center 21100 Dulles Town Circle Dulles, VA 20166

In partnership with Jewish Loudoun, this heartwarming event will bring the community together for an evening of festivities you won’t want to miss!

MENORAH LIGHTING

Sunday, December 29

4:30pm – 6:30pm One Loudon Ashburn, VA 510/A Mill St, Vienna, VA 22180 vdc@frenchfurnishings.com (703) 255-0555

www.frenchfurnishings.com

s ELLIE BIRD

Falls Church | New American | $$$

Ellie Bird, the creation of Michelin-starred chefs Carey and Yuan Tang, is an upscale-casual dining location in the new development across from Meridian High School. Just established in April of this year at Founders Row, it has already been recognized as one of the 50 best restaurants in the United States by the New York Times.

125 Founder’s Ave | 703.454.8894 www.elliebirdva.com

s CAFE RENAISSANCE

Vienna | French | $$

Touted as the most romantic dinner in Northern Virginia, Cafe Renaissance is an elegant restaurant in the true sense of Parisian tradition and is Vienna’s most sophisticated dining experience. An old-world destination with an enormous wine list and ornate, gilded rooms, its cuisine is classic French with a modern twist and an Italian accent.

163 Glyndon St SE | 703.938.3311 www.caferenaissance.com

s RISTORANTE BONAROTI

Vienna | Italian | $$

Warm and romantic, Bonaroti’s is a favorite of Italian fine dining patrons. Enjoy an extensive wine list and culinary creations made of the freshest and finest ingredients from Italy. There is everything from calamari to antipasti dishes and entrées of seafood, veal, and lamb.

428 Maple Ave E. | 703.281.7550

www.bonarotirestaurant.com

s NOSTOS

Vienna | Greek | $$

Presenting a fresh take on Greek cuisine, Nostos offers fresh food in sharing-sized portions. Try one of their 50 different wines from different regions of Greece to complement your lunch or dinner. The menu showcases new and traditional Greek dishes, as well as fresh fish from the Mediterranean Sea.

8100 Boone Blvd. | 703.760.0690

www.nostosrestaurant.com

s PATSY’S AMERICAN

Vienna | American | $$

Great beer and cocktail selections. The blue crab and shrimp fritters come highly recommended. French dip sandwiches, shoestring fries. You can’t go wrong with this family chain by Great American Restaurants. 8051 Leesburg Pike | 703.552.5100

www.patsysamerican.com

s ZEFFIRELLI RISTORANTE ITALIANO

Herndon | Italian | $$

This upscale, white-tablecloth Tuscan-Italian restaurant serves pasta, seafood and popular veal chops. If you are looking for a quiet Italian dinner in Herndon, this is the place. They have great food, amazing service and make a wonderful cappuccino. 728 Pine St, Herndon, VA | 703.318.7000 www.zeffirelliva.com

s ARIAKE

Reston | Japanese | $$

Ariake was founded in 2005, providing a setting in the Reston community to enjoy Japanese cuisine with friends, family, colleagues and clients. Their chefs and servers strive to deliver a memorable experience for their customers. Ariake's well known and popular sushi assortments and specials delight your taste and their entrees satisfy your cravings with service that puts you first. 12184 Glade Drive | 703.391.9006 www.ariakerestaurant.com

s BEAR BRANCH TAVERN

Vienna | New American | $$

Bear Branch Tavern serves up hearty portions of classic bar food as well as interesting menu selections that cross cultures. For example, alongside the menu’s standard nachos with black beans, cheese, and jalapenos on tortilla chips are tuna poke nachos with seared yellowfin ahi, seaweed salad, poke sauce, and sriracha aioli over light and crispy wontons. 133 Maple Avenue East | 571.669.3663 www.bearbranchtavern.com

s DOLCE VITA

Fairfax | Italian | $

Stop at a bar along the piazza in sunny Sardinia, or linger at a trattoria in Venice’s San Marco Square and you will be invited to experience cicchetti (chi-KET-tee), small plates or side dishes from the legendary cuisine of Italy. Now you can also enjoy cicchetti closer to home, at Dolce Vita. These small plates offer a variety of flavors, from seafoods, salumes, and salads to skewered meats, risotto, and Mediterranean plates of olives and cheese.

10824 Fairfax Boulevard | 703.385.1530 www.dolcevitaitaliankitchenandwinebar.com

s L’AUBERGE CHEZ

FRANCOIS

Great Falls | French | $$$

Internationally acclaimed, L’Auberge Chez François transports diners to the Alsatian countryside in this rustic French country inn, nestled among lush woods and fragrant gardens. Well-known as the place to celebrate special occasions for more than 60 years, L’Auberge Chez François offers an authentic menu, full of the flavors of Alsace and traditional French cuisine. Expect professional fine dining service, extreme attention to detail in a casual yet elegant atmosphere. Reservations recommended.

332 Springvale Rd, Great Falls, VA | 703.759.3800 www.laubergechezfrancois.com

Having a big “Meshpokha?” Looking for a real genuine NY Catering Experience? Talk to Guy Brandt and the team at Brooklyn’s Catering. Real, Genuine kosher style meats and desserts with Dr. Browns Soda, Black and White Cookies, Fox’s U-Bet for those yummy egg creams...

This is the place ....

MEET THE TENANTS at 513 MAPLE AVE W!

Duo reflects our partnership in business, as well as the meaningful relationship between client and stylist.

We are so thankful for the relationships we have with our clients and know that those connections are the reason we are able to do this as our career.

We can’t wait to share this space with you all!

Hello! Exciting news—we are opening Lash and Spa by Neda in Virginia. In the hands of our very talented lash artists, who have been working with lashes for years, your beauty will not only look mesmerizing but also exceed your expectations. Aside from our lash services, we are professionals in permanent makeup, including lip liner, eyeliner, and microblading. We provide waxing services that can make you look and feel your best.

Grand Opening Special: 15% Off Your First Visit! Come and treat yourself at Lash and Spa by Neda. Book your appointment today—you deserve it!

lashesandspabyneda.com

Troika GastronomEuropean Grocery Store

Discover the Flavors of Eastern Europe!

Exciting news! We just relocated our beloved Grocery Store, specializing in an incredible selection of authentic Eastern European groceries and delicious home-cooked meals that taste just like mom’s. Craving something special for dinner? Planning a party? We’ve got you covered with custom orders tailored to your taste!

Special Offer: 30% Off When You Pay with Cash!

Stop by today and indulge in the rich, flavorful world of Eastern European cuisine. Treat yourself—you deserve it!

Dalisay Beauty

Have you ever stood in front of the mirror desperately trying to get your eyeliner just right? Or been worried about your makeup during an important event? Dalisay Beauty can shorten your makeup routine and allow your brows, lips, and eyeliner to look perfect everyday and every night. Here at Dalisay Beauty in Vienna, we specialize in permanent makeup techniques that create the longest lasting, most beautiful makeup you can get. Check out our artistry and decide for yourself at www.beautybydailsay.com or check out our IG at @dalisaybeautyva. We also offer waxing services to give your skin that clean, smooth, long lasting feel. Get the brows you’ve always wanted by booking your Dailsay appointment today.

Trippy Smoke Shop

Welcome to Trippy Smoke Shop in Vienna Virginia! With over 20 years of experience in this industry, we’re your go-to spot for all your smoking information and accessories, whether it’s dabs or flower. Conveniently located just minutes from the Metro DC area, we offer an unbeatable selection of glass water pipes, hand pipes, custom heady glass, and more. If you’re a seasoned glass enthusiast, just looking for something unique, or looking for just a pack of papers Trippy’s got you covered. Stop by Trippy Smoke Shop for the best gear in town!

Lashes and Spa by Nada

Walkable FUN Old Town Alexandria

POTOMAC RIVER VIEWS

ALEXANDRIA, VA | $1,650,000

Fabulous three-level rowhouse with skylights, open floorplan, hardwood floors and plenty of upgrades. Gorgeous kitchen with top-of-theline cabinetry, quartzite counters, designer backsplash and gas cooking. Primary suite with large bay window overlooking river and a gas fireplace. Two assigned parking spots.

ONE BLOCK TO RIVER

ALEXANDRIA, VA | $1,628,000

Amazing community of Queens Row right across the street from Founders' Park and the Potomac River. Wonderful upgrades including completely remodeled kitchen with new whitecabinetry, marble counters and stainless steel appliances. Upgraded primary bath. Fenced slate patio with southern exposure!

OLD TOWN FURNISHED RENTAL

ALEXANDRIA, VA | $4,500

Luxury two-bedroom, two-bath, fifth floor corner unit.

Just blocks to the River and near two Metro stops.

Six to 24 month furnished lease.

THE BRIDGES

OF OAKTON

OAKTON, VA | $2,800,000

WOW!!! This completely remodeled home on nearly two acres has a NEW exquisite kitchen, upgraded sumptuous baths, hardwood floors, lighting, fabulous bars, linear fireplaces, deck, patio, outdoor kitchen, and more. Nearly 11,000 sq. ft. with steam shower, stunning main level library and walk-out lower level. Represented the purchaser.

AMAZING HIDDENBROOK

HERNDON, VA | $739,000

Updated three-level colonial on nearly a thirdacre overlooking trees and common area. Gorgeous kitchen and family room with brick wood-burning fireplace. Four bedrooms with two full-upper-level remodeled baths. Private brick patio with western exposure. Wonderful community with walking trails and tennis courts.

Over 90 percent of our homes sell the first weekend!!!

Laurie Mensing

Forbes Global Properties

Ranked in the top 1% of agents nationwide, Laurie Mensing eclipsed the $800 million mark in real estate sales by the end of 2018. Her strategy, treating every transaction as if it’s her own, has proved to be the key to her overwhelming success. In 2018 Laurie was ranked the #1 Agent Long & Foster McLean, #1 for the entire NOVA region for Long and Foster and #3 in the state of VA. Laurie’s success is the result of the extraordinary service she’s provided to her clients in Virginia, Maryland, DC. Her local knowledge and ambition to provide impeccable service to a wide range of clients with different price points, truly separates her from her counterparts. Consider Laurie YOUR trusted real estate advisor.

Specialties:

New Construction, Works With First-Time Home Buyers, Specializes in Relocations, Resale Residential, Historic Homes, Downsizing

Casey Margenau

Fine Homes & Estates

With exceptional credentials, Casey uses his 30 years of experience to help his clients maximize the value of their real estate transactions. His experience, extensive knowledge and understanding of Northern Virginia’s Real Estate market have helped him to sell over $3 Billion of homes. For 5 years straight, Casey was the #1 agent worldwide because of the fact that he enjoys helping families as well as individuals find the best homes, or the land to build their forever homes. The homes that Casey specializes in are some of the finest homes Northern Virginia has to offer. He has always been an innovator in marketing the properties he sells, using digital, print, and social media marketing. His reach is global, national, regional, and local to make sure that people, no matter where they are, see the homes that he has to offer so they can find the perfect home that meets their unique needs.

Specialties:

Area’s Premier Luxury Home Builder and Realtor

Mark Goedde

Quality Real Estate Service

Mark Goedde has been exceeding his clients expectations in quality real estate service throughout Northern Virginia. Mark has the financial and investment experience to help you make smart decisions concerning your home and/or your real estate portfolio, representing YOU when you’re ready to either buy or sell a home. He can assist you with multimillion dollar homes and mid-level properties and has been serving residential real estate needs for over 30 years in Fairfax, Loudoun and Arlington Counties and the Cities of Alexandria, Fairfax and Falls Church. Mark is a full-service Realtor with mortgage, insurance, property management and title partners to serve your every need.

Specialties:

Investment Property, New Construction, Works With FirstTime Home Buyers, Specializes in Relocations, Resale Residential, Single Family Homes and Townhomes, Associate Broker, Luxury

c: 703-965-8133

w: 703-873-5193

1355 Beverly Rd, Suite 109 McLean, VA 22101

www.lauriemensing.com

703-827-5777

8478 Tyco Rd, Vienna, VA 22182 www.margenau.com

c: 703-850-8129 w: 703-790-1990

markgoedde@LNF.com www.markgoedde.com

Andy Boone

Only The Best Deals

A native Virginian, Andy has grown up loving the area, the people, and the community his entire life and is an Oakton High school and George Mason Alum. He is a fully devoted Realtor who loves doing his job everyday. Out of work he enjoy sports, and training children with disabilities and high school athletes, instilling in them the tools to be better athletes and people. Andy feels that in real estate he has found another way to give back to my community by helping his clients achieve the dream of owning. a home. He is a determined agent, and will do whatever it takes to get you exactly what you are looking for.

Specialties:

Investment Property, Works With First-Time Home Buyers, Resale Residential, Suburban Living, Serving The Military, Single Family Homes and Townhomes, Luxury

Richie Hanna

Real Estate Customer Service Expert

Richie is an award winning sales professional that has worked in the sales/customer service industry his entire adult career. Over 20 years of sales experience perfected his skills needed to not only achieve his client’s expectations but exceed them! Acquiring knowledge of schools, commute, surrounding amenities, and indispensable business relationships supplies him with the ability to help you buy or sell with the utmost confidence. If you are looking for a Real Estate Customer Service Expert that sets their expectations high, is totally up front with you, thrives on customer satisfaction, and is a fearless yet effective negotiator then “Real Estate Richie” is the right agent for you. Richie takes great pride in the relationships he builds and always works relentlessly to ensure his clients best interest!

Specialties:

Over 70+ Five Star Reviews on Zillow and Google

99.8% Sale Price to List Price Ratio

12 Days on Market Average

30+ Homes Sold Per Year Integrity - Service - Results

Lori Shafran

Over 100 Years of Real Estate Tradition

With over 35 years of career experience in residential real estate sales, luxury home sales and marketing, office leasing and real estate settlement services, Lori has in-depth knowledge and experience in the Northern Virginia housing market and provides her clients with a comprehensive level of support in buying or selling their home. In every real estate transaction, her focus is to meet and exceed the needs of her clients. She is committed to providing personalized sales support with attention to detail and responsive service--working closely with each buyer or seller to carefully understand their specific goals and needs of home ownership. Whether the purchase or sale is a single-family home, townhouse or condominium, she provides clients with the information they need to make wise investment decisions in buying or selling a home. Her background in real estate settlements is a powerful asset to both her selling clients as well as purchasers. With an in-depth understanding of the settlement process as a former settlement agent, she is able to share this knowledge and successfully guide her clients through all phases of selling or buying a home— from contract to closing

c: 703-350-2275

w: 703-790-1990

Andy.Boone@LNF.com www.AndyBooneRealEstate.com

c: 703-967-0909

w: 703-790-3330

1309 Vincent Place

McLean, Virginia 221010

www.lorishafran.com

Local Real Estate Experts

Missy Whittington

Fastest Growing Agent

Missy Whittington has lived in Vienna for 50+ years and is trusted and respected within the community. Her finance and accounting background led her to real estate in the fall of 2019, and within that short period of time, she has sold over $5 Million of homes. She received the “Fastest Growing Agent Award” earlier this year and plans to continue this upward trajectory into 2022. She attributes TRUST as the number one reason for her success saying, “when you hire a realtor to take on the sale of your home or to purchase a new one, you have to trust that this person will get you to settlement in a timely manner without drama and will continue to serve the client well after the transaction has closed.”

Missy has grit and perseverance in her DNA and learned this about herself on the softball field as a youth. “When the going gets tough, the tough get going” and I’ve taken that to heart from the softball diamond to the real estate arena.”

Let Missy be the one you can count on in Northern Virginia when it comes to your real estate needs. Seize the Day!

703-943-7595

melissalynnwhittington@gmail.com

361 Maple Avenue W #100 Vienna, VA 22180

Poppy Cole

Exceptional Results… One Client at a Time Poppy completely understands that no two transactions are the same. Each transaction involves different people with different driving forces, different seasonal markets, locations, and property features. Poppy’s background in nursing with its lessons in assessment, analysis, listening and team management are vital tools in a Real Estate transaction. The ability to bring these tools together and use modern technology in marketing and targeting specific audiences are a winning combination for clients. Having grown up in the Northern Virginia area, Poppy is familiar with the different neighborhoods and what they have to offer. A full-time Realtor since 2002, consistently a top 100 Mid Atlantic Coldwell Banker Realtor, and a Certified Negotiation Expert, Poppy has the experience to deliver successful results for her clients.

Specialties: Certified Negotiation Expert

c: 703-304-1420

w: 703-938-5600

2070 Chain Bridge Rd Ste #103 Vienna, VA 22182 www.poppycole.com

Ahmed Gomaa

McGillicuddy Commercial Properties, Vice President

Virginia has been Ahmed’s home since 1998 which gave him exceptional knowledge of the DMV market and community. He has always loved real estate and received his REALTOR® license in 2016. To further his mission to provide topquality service and provide expert advice to his clients, he continued his education and completed ABR® designation, PSA certification, and SFR® certification. Ahmd Gomaa has a Bachelor degree in Accounting and Marketing, equipping him with the skills needed to engage in outstanding marketing and effective negotiation, always striving to get his buyers and sellers the best price on the best terms with as little stress as possible. He is always available to help you achieve your homeownership dreams and looks forward to connecting with you!

c: 703-364-8506 w: 703-378-8810

A.gomma@aol.com 8521 Leesburg Pike, Suite 300 McLean, Virginia 22182

Powered by Samson Commercial 703-378-8810

Mackenzie Horne

Executive-Level Consulting Experience

Mackenzie (Mack) Horne has over 10 years of executive-level consulting experience with a proven track record of successful sales and business development. She uses her knowledge and experience every day in each of her real estate transactions. Whether she is helping sellers prepare their property and negotiating top dollar, or guiding buyers as they find the right home at the right price, Mack is authentically dedicated to her clients every day of the week. She is known for being organized, focused, and passionate. Mack is a nationally recognized thought leader and a versatile salesperson.

Specialties: Negotiations Passionately Committed To Her Clients Collaboration

c: 571-594-9136 w: 703-738-9577 mhorne@mcenearney.com www.mackenziehorne.com

Greg McGillicuddy

McGillicuddy Commercial Properties, President

Greg has more than 35 years of experience in real estate, and has managed over a million and a half square feet of properties in the Greater Washington Metropolitan area. Mr. McGillicuddy is a licensed broker in Virginia, Maryland, and the District of Columbia. He specializes in Industrial, Land, Office, Retail, Flex, Specialty, Multi-Family property types. Greg volunteers as the chair of the Annandale “Revitalization Committee,” and is a member of the Annandale Chamber of Commerce. He is an active advocate for change in Annandale and other Revitalization Districts in greater Fairfax.

Specialties: Commercial Leasing, Sales, Retail Investments, and Industrial investments

c: 703-625-0714 w: 703-378-8810

GregMcGillicuddy@gmail.com

8521 Leesburg Pike, Suite 300 McLean, Virginia 22182

Powered by Samson Commercial 703-378-8810

We successfully turn around troubled assets, and under-performing properties returning properties to the capital markets for multi-million-dollar sales and profits.

We are multi-lingual, speaking English, Spanish and Arabic. Licensed in Virginia., Maryland and the District of Columbia

So next time you are considering a commercial Broker, consider this, Nothing Sweeps Like a New Broom!

703-378-8810

8521 Leesburg Pike

Tis the Season of Giving

As we revel in the joy and wonder of the holiday season that is upon us, many of us often look outside our immediate world to consider the challenges that our neighbors throughout Northern Virginia may face. There are so many worthwhile groups doing super work to help the marginalized around us.

The needs are numerous and great and people already have favorite causes or projects to support, especially at their church, Toys for Tots, or the children’s school efforts. However if you are looking to do more, here are some organizations that have a significant and far-reaching mission to accomplish in this area that can really use your help.

You will note that every organization listed has opportunities to donate AND to volunteer and more. It’s not only funds that are needed but your time that can make a huge difference.

Donate food, donate funds, volunteer Hunger exists in every single area in the region. The Capital Area Food Bank partners with 444 community organizations in Virginia, DC, and Maryland and helps over a half-million people each year get good and healthy food. That’s 12% of our region’s mothers, fathers, sisters, and brothers. More than 90,000 people in Northern Virginia are living in poverty and 30% are children.

CAFB provides incredible programs through those food assistance partners such as weekend bags of groceries for children, senior brown bags – monthly groceries for income-qualified seniors, nutrition education, mobile markets, summer lunches for children, kids afterschool meals programs, farmers marketstyle distribution of produce and bread,

and so much more.

You can help by donating with a onetime contribution, becoming a sustaining donor, running a food drive, and donating through United Way or the Combined Federal Campaign (CFC). You can also volunteer as an individual or group at either the DC or Lorton warehouse to help sort and pack thousands of pounds of food distributed to partners and neighbors.

Donate funds, donate supplies, adopt a pet, purchase animalfriendly license plates

Each year more than 5000 domestic animals arrive at the Fairfax County Animal Shelter and costs exceed what the shelter can afford. The Friends group, an all-volunteer organization, raises money to help these animals. Donors make possible emergency medical treatment, equipment and supplies, food, additional staff training, special adoption events, and much, much more.

The FFCAS mission is to provide additional resources and aid to the shelter, to promote adoption of homeless domestic animals, and to educate the community on the importance of spaying and neutering pets.

Opportunities to help include donating money on a one-time or recurring basis, including CFC. You can also attend special FFCAS fund-raising events. The shelter maintains a donation wish list at

fairfaxcounty.gov/animalshelter/donate.

Many may choose to help by adopting an animal. Other support options include purchasing animal friendly license plates.

Donate funds, join a giving society, volunteer

More than 181,000 (16%) of Fairfax County residents live in or just above poverty. More than 52,000 children (more than 25%) who attend Fairfax County Public Schools qualify to receive free or reducedprice meals.

The families served by Britepaths (formerly Our Daily Bread) are working several jobs to make ends meet, but an illness, car repair or other crisis, coupled with the high cost of living in our area, can quickly put them on the brink of hunger and homelessness. Through their programs such as Stabilize Families, Food Bridge, financial assistance, financial literacy, the Naomi Project, and much more, Britepaths helps families with critical short-term needs while guiding toward long-term self-sufficiency.

There are numerous ways you can help including monetary donations, by volunteering for events or food raisers or offering your talents as attorney, financial planner, or mentor. You can even organize a drive or host your own benefit event.

Donate blood, donate funds or in-kind products and services, volunteer, host a blood drive

Inova Blood Donor Services supplies lifesaving blood and blood products to different hospitals in Northern Virginia and the Washington, DC, metro area. For a different but important way to give, consider being a blood donor. It’s free and you will help save lives, whether donating whole blood or blood components through apheresis.

Other giving opportunities include monetary donations and in-kind donations from businesses. Again there are opportunities to volunteer including donor registration, monitoring, and recruiting, and administrative support.

Inova Blood Donor Services (IBDS) collects approximately 60 to 70 percent of its blood from local blood drives. If you would like to sponsor a blood drive

at your business, church, or community, you could make a big difference in helping IBDS reach its donation goals. Contact the center for more information.

Donate funds, volunteer, donate to wish lists, and much more

When we think holidays, we think children. Beyond the toy drives like local giving trees, another organization serves children every day by providing a place for families to be together when a child is sick in the hospital – Ronald McDonald House. A non-profit organization that relies on the generosity of donors and volunteers, the Ronald McDonald House Charities of Washington, DC also operates a mobile clinic for underserved children in Washington, as well as the RMH Family Rooms at Inova Fairfax and Children’s National Medical Center. Your monetary donation supports all three programs and helps ease the suffering of very sick children. You can also raise money or collect items for the Wish List at your own events. And don’t forget to drop your change in the RMHC donation boxes at the local McDonald’s restaurants. Go to their website for more details. v

CAFB

www.capitalareafoodbank.org

4900 Puerto Rico Avenue NE Washington, DC 20017 202.644.9800

6833 Hill Park Drive, Lorton, VA 22079 571.482.4770

Britepaths

www.britepaths.org

4080 Chain Bridge Road, Massey Annex Fairfax, VA 22030-4080 703.273.8829

FFCAS

www.ffcas.org PO Box 2321,Centreville, VA 20122 571.212.9858

Inova Blood Donor Services www.inovablood.org

Locations in Annandale, Centreville, Sterling, Alexandria See website for addresses and hours 866-256-6372

RMHCDC

www.rmhcdc.org

3312 Gallows Road Falls Church, VA 22042 703.698.7080

Embellish Choco lat es and special occasion gif ts for personal and corporate events.

Our Chocolates and Delights

With over 40 different flavors, each piece is carefully selected from artisans around the world using the highest quality ingredients. Craving for Chocolate’s hand-picked selections have evolved over the years to include a decadent taste for the sophisticated palette. We invite you to discover both our permanent and seasonal collections that we take pride in choosing.

Suzanne Nader and Dalia Hidayat

PHONE: 703-679-8782 | MOBILE: 703-407-4112

EMAIL: info@cravingforchocolate.com

Monday - Friday 11AM - 4PM Saturday by appointment | Sunday closed 2108-A Gallows Road, Vienna, Virginia 22182

›› This Tysons Corner Office Building has a wide range of large to small offices to suit your needs!

›› Available spaces range from 400 SF to 11,800 SF

›› Located conveniently on Route 7, inside the Beltway, and down the road from the West Falls Church Metro!

›› Easy access to I-495 HOT Lanes, Dulles Toll Road, and I-66!

›› Across the street from Tysons Corner Center, Tysons Galleria Mall, the Greensboro Silver Line Metro, and surrounded by the vibrant neighborhoods of Tysons Corner and Falls Church

Turn static files into dynamic content formats.

Create a flipbook
Issuu converts static files into: digital portfolios, online yearbooks, online catalogs, digital photo albums and more. Sign up and create your flipbook.