2024 BME Innovations Magazine

Page 1


BME INNOVATIONS

Multimodal AI model may guide personalized treatments for tuberculosis

University of Michigan researchers developed a multimodal AI model to predict treatment outcomes of tuberculosis (TB) patients.

Page No. 4

Page No. 16

Atlas of the Human Ovary

A new map of the ovary provides a deeper understanding of how oocytes mature.

Page No. 13

Harnessing Intercellular Mechanical Forces to Build

Capillaries

16

Atlas of the human ovary

A new ‘atlas’ of the human ovary provides insights into how healthy eggs develop and hormones are produced.

13 Harnessing Intercellular Mechanical Forces to Build Capillaries Engineering capillaries to form a multicellular network

LETTER FROM THE CHAIR

I am delighted to welcome you to our U-M BME Fall 2024 BME Innovations magazine.

This is an exciting time to be a part of the University of Michigan and our Biomedical Engineering community. As we highlight our research, showcase our award-winning faculty, staff and students, and profile connections with our alumni and industry partners, we capture the energy that inspires our department and its innovations.

Our magazine provides a window into our world, but it is only a glimpse of U-M BME and the work we do. Together, we are working to advance our mission of leadership in education, research, and clinical translation to the benefit of humanity.

U-M BME is uniquely positioned as a joint department between Michigan Engineering and the U-M Medical School, and our BME Bachelor’s of Science in Engineering Program just achieved ABET reaccreditation through 2030. In addition, we offer collaborative research and educational opportunities within the many globally recognized schools of the University of Michigan, which is ranked as one of the top public universities in the United States.

The features in this issue take readers behind-the-scenes of our research and education, highlighting the talents of our faculty, staff, students, and alumni who have received university and global professional recognition for their work. We feature our endowed Coulter Translational Research Partnership Program, where we have awarded $1.2M for FY25, to support multidisciplinary research teams developing promising technologies within their research laboratories that are progressing towards commercialization and clinical practice.

From the latest biomedical research advances employing artificial intelligence and machine learning, to incorporating people-first engineering in our BME student design projects, to implementing innovations in engineering education, we are presenting a holistic view of our field. Further, the importance of our people as drivers of knowledge isn’t lost in the conversation, as we spotlight the significance of mental and emotional health and well-being–essential components that must accompany intellectual and technological advances.

We’re excited to share our news with you through our print and digital communications, and we hope you will continue to visit us–either in person or virtually–so we can continue to share our latest innovations.

Thank you, and Go Blue!

MULTIMODAL AI MODEL MAY GUIDE PERSONALIZED TREATMENTS FOR TUBERCULOSIS

A team of University of Michigan researchers, led by Sriram Chandrasekaran, Associate Professor, Biomedical Engineering, and postdoctoral fellow Awanti Sambarey developed a multimodal

TB is the world’s deadliest infectious disease, affecting millions of people each year. The goal of my lab is to develop new innovative solutions to stop the spread of drug resistant pathogens like those that cause TB.”

AI model to predict treatment outcomes of tuberculosis (TB) patients. Their analysis of real-world worldwide patient data may lead to personalization of TB treatment.

“TB is the world’s deadliest infectious disease, affecting millions

of people each year. The goal of my lab is to develop new innovative solutions to stop the spread of drug resistant pathogens like those that cause TB,” Chandrasekaran said.

In the study, which was published in iScience on February 16, 2024, the researchers analyzed multimodal data including diverse biomedical data from clinical tests, genomics, medical imaging and drug prescription from TB patients. By analyzing data from patients with varying levels of drug resistance, they discovered biomedical features predictive of treatment failure. They also uncovered drug regimens effective against specific sets of drugresistant TB patients.

“This was a highly interdisciplinary study involving U-M faculty in the School of Medicine, Public Health and Engineering,” Chandrasekaran said.

“Our multimodal AI model accurately predicted treatment prognosis and outperformed existing models that focus on a narrow set of clinical data,” Chandrasekaran added.

“A main finding was identifying drug regimens that were effective against certain types of drugresistant TB across countries. This is very important due to the spread of drug-resistant TB,” added Sambarey.

Using AI, the team examined more than 5,000 patients. “This is real-world data we’re talking about, so patients from different countries have different admission protocols,” she said. “We worked with more than 200 biomedical features in our analysis; we examined demographic information such as age and gender as well as prior treatment history. We also noted if the patients had other comorbidities, such as HIV, and then we worked with several imaging features such as their X-ray, CT scans, data from the pathogens, drugresistance data, as well as genomic features and what mutations the pathogen had.”

“It’s really difficult clinically to look at the data all together,” Sambarey said. “Typically, you would look at it separately. I think that’s where AI comes in handy. When clinicians look at all of this data, it can be overwhelming. Here, our research is able to identify the most meaningful clinical features.”

The team also studied the impact of the type of drug resistance that was present. “You can look at a specific snapshot of the data, such as genomic features and find what mutations the infecting pathogen had, and ask what some of the long-

term treatment implications are,” she added.

Surprisingly, they found certain drug combinations worked better in patients with some types of resistance but not others, leading to treatment failure.

The researchers also found that drugs with antagonistic pharmaceutical interactions could result in worse outcomes. “Using AI to weed out antagonistic drugs early in the drug-discovery process can avoid treatment failure down the line,” Chandrasekaran noted.

“The AI model can also be

eventually tailored to identify drug regimens suitable for individuals with certain comorbidities,” he added. “One thing I definitely want to say is instead of a one-size-fits-all treatment approach, we hope that the study of multimodal data will help physicians treat patients with more personalized treatments to provide the best outcomes,” said Sambarey. This study was funded by various programs at the University of Michigan, including the Precision Health Initiative, the Office of ViceProvost for Research, the Michigan Institute of Clinical and Health

Research (MICHR), the Michigan Medicine Pandemic Research Recovery program, and MCUBED. The authors are also grateful for the US National Institute of Health grants R56AI150826 and R01AI150826 for funding this study.

Co-authors include Professor Zhenhua Yang from the Department of Epidemiology and Professor Prachi Agrawal from the Department of Radiology. BME students Kirk Smith, Carolina Chung and Harkirat Singh Arora also contributed to this study.

U-M BME AWARDS $1.2M IN FUNDING TO 10 MULTIDISCIPLINARY TEAMS VIA THE COULTER

TRANSLATIONAL RESEARCH PARTNERSHIP

PROGRAM

Congratulations to the 10 teams who have been selected to receive FY25 funding through U-M BME’s Coulter Translational Research Partnership Program.

Established with a $20M endowment, the U-M BME Coulter Translational Research Partnership Program supports research directed at promising technologies within research laboratories that are progressing towards commercial development and clinical practice. Outcomes of previous Coulter funding and support include the formation of 20 + start-up companies and over $544 million raised in angel or venture capital.

“On behalf of the Coulter Program’s Oversight Committee, I am delighted to congratulate these teams of engineering and clinical investigators on receiving these awards in support of their translational research projects,” said Mary-Ann Mycek, William and Valerie Hall Department Chair, Biomedical Engineering and Professor, Biomedical Engineering. “The Oversight Committee selected an exciting portfolio of projects from across biomedical engineering research areas and we look forward to impactful project outcomes over the coming year.”

“The U-M BME Coulter Translational Research Program has been in existence since 2006 and employs a proven model of funding and support to foster translation of laboratory research towards commercial development with follow-on funding,” said Thomas Marten, Managing Director, Coulter Program, Biomedical Engineering. “The 10 projects selected for funding this year are well-positioned to continue the success of the program and include a wide range of novel technologies spanning from medical devices to diagnostics to regenerative medicine.”

Project Title Project Team

“Regenerative reprogramming to revert trauma-induced fibrosis”

“Subcellular carbon fiber electrodes for human brain recording”

“Osteo-Sleeve”

“Rapid extracellular vesicle isolation and identification as a versatile disease biomarker”

“Asleep intraoperative directional functional mapping for deep brain stimulation”

“Dialy-Safe” needle – The smart dialysis needle that converts pain to promise by improving cannulation and reducing infiltration”

“Endoscopic microdiscectomy device for safe and efficient removal of cartilaginous endplates in minimally invasive lumbar fusion surgeries”

“In situ continuous observation of metastasis with engineered tissues (iCOMET)”

“Multimodal, head worn interface for blind assistive technology”

“Original focused flat ultrasound transducer (Focused FUTure) for Histotripsy treatment of shallow tumors”

Read details for each team project on our website:

PIs: Carlos Aguilar, PhD, Biomedical Engineering & Paul Cederna, MD, Plastic Surgery

PIs: Cynthia Chestek, PhD, Biomedical Engineering & Oren Sagher, MD, Neurosurgery

PIs: Alexis Donneys, MD, MS, Orthopaedic Surgery

Claudia Loebel, MD, PhD, Materials Science and Engineering

Kurt Hankenson, DVM, PhD, Orthopaedic Surgery

Jaimo Ahn, MD, PhD, Orthopedic Surgery

PIs: Nicholas A Kotov, PhD, Chemical Engineering & Scott VanEpps, MD, Emergency Medicine

PIs: Enrico Opri, PhD, Biomedical Engineering & Daniel Leventhal, MD, PhD, Neurology

PIs: Albert Shih, PhD, Mechanical Engineering & Karthik Ramani, MD, Internal Medicine, Nephrology

PIs: Albert Shih, PhD, Mechanical Engineering & Yamaan Saadeh, MD, Neurosurgery

PIs: Lonnie Shea, PhD, Biomedical Engineering & Jacqueline Jeruss, MD, PhD, Surgery, Pathology, Biomedical Engineering

PIs: James Weiland, PhD, Biomedical Engineering

Sherry Day, OD, FAAO, Ophthalmology and Visual Sciences

Josh Ehrlich, MD, Ophthalmology and Visual Sciences

PIs: Zhen Xu, PhD, Biomedical Engineering & Andrzej Dlugosz, MD, Cutaneous Oncology, Dermatology

U-M RESEARCHERS AWARDED $500K GRANT TO DEVELOP A CYSTIC FIBROSIS RESEARCH CENTER AT

U-M

A team of U-M researchers has been awarded a $500,000 grant by the Cystic Fibrosis Foundation (CFF). Alexandra Piotrowski-Daspit, Ph.D., the PI, is a faculty member at the Center for RNA Biomedicine, and Assistant Professor of Biomedical Engineering and Internal Medicine – Pulmonary and Critical Care Medicine Division. Lindsay Caverly, M.D., the Co-PI, is a Clinical Assistant Professor of Pediatrics – Pulmonary Medicine. Michelle Hastings, Ph.D., Pfizer Upjohn Research Professor of Pharmacology and Director of RNA Therapeutics at the Center for RNA Biomedicine, and John LiPuma, M.D., James L. Wilson Research Professor Emeritus of Pediatrics, are the other members of the leadership team.

The grant will fund the development of a CFF Research Development Program (RDP) at the University of Michigan. In collaboration with a cohort of CF research and clinical colleagues, this initial funding will enable the development of the research infrastructure needed to garner additional extramural support for this program in 2026.

Deepak Nagrath, Professor, Biomedical Engineering, is part of the leadership team for the Center for Transcriptional Medicine (CTM), which brings together more than 40 researchers from seven universities with the common goal of alleviating the burden of end-stage organ diseases through mRNA-LNP therapies.

A microporous scaffold implant can serve as a minimally invasive tool to accumulate cells, allowing for frequent biopsies without surgery.

U-M RESEARCHERS RECEIVE LUPUS INNOVATION AWARD TO INVESTIGATE NOVEL DIAGNOSTIC AND TREATMENT APPROACHES

A team of U-M researchers, led by Aaron Morris, Assistant Professor, Biomedical Engineering, recently received a Lupus Innovation Award (LIA) from the Lupus Research Alliance. The LIA, a grant of up to $450,000 for three years, provides early-stage support for highly innovative approaches to addressing major challenges in lupus research.

Dr. Morris is working with J. Michelle Kahlenberg, M.D., Ph.D., a rheumatologist at Michigan Medicine; Celine Bertheir, Ph.D., an associate research scientist in the Michigan Kidney Translational Medicine Center, Internal Medicine, at Michigan Medicine; and Jeffrey Hodgin, M.D., Ph.D., an associate professor of pathology and investigative renal pathologist. The team’s goal is to examine novel ways that might be useful in assessing if a patient is developing lupus nephritis.

“My lab studies autoimmune disease, and we mostly have focused on multiple sclerosis, an autoimmune disease that affects the central nervous system,” said Dr. Morris, “but I was interested in thinking about autoimmunity more generally and what we might be able to do to help other autoimmune conditions.”

Dr. Morris had heard about the work that Dr. Kahlenberg is conducting in lupus research.

“She’s a physician scientist and treats patients who have lupus,” Dr. Morris said. “Dr. Kahlenberg also runs a lab that studies the basic mechanisms of the disease. I told her about some of the work we had done in multiple sclerosis, and said that maybe we could collaboratively

apply our resources in lupus research.”

Lupus, also known as systemic lupus erythematosus (SLE), is a complicated disease that can affect different organ systems. The most common symptom is a “butterfly” rash, which is a very distinctive rash people often get. Sometimes this leads to a quick diagnosis. However, not every lupus patient experiences these rashes.

“Even in people who get the rashes, there are other parts of the disease that can be hard to diagnose,” Dr. Morris said. “Lupus nephritis is the autoimmunity affecting the kidneys, and that can be really challenging to monitor. Unfortunately, patients who develop lupus are at risk for lupus nephritis. Right now, the medical community doesn’t have a quick way to determine who will ultimately get it. About 5 million people worldwide have lupus, and lupus nephritis develops in almost half of those patients. The question is not only will it develop, but when will it develop and what to do about it.”

Currently, physicians monitor kidney function with urine tests. “Unfortunately, often by the time we can tell that kidney function is compromised, the damage is done,” said Dr. Morris. “We would prefer to know sooner.” Some doctors perform ongoing kidney biopsies to monitor kidney function, but this can be an invasive, uncomfortable procedure that can expose a patient to possible risks and complications.

Dr. Morris’ team will focus on identifying a new diagnostic tool for monitoring lupus, specifically

lupus nephritis.

The team will use flow cytometry and RNA sequencing to examine how cell populations and their gene expression are changing in the implants in disease and whether that correlates with other tissues. The researchers will then conduct a more detailed analysis of single-cell sequencing of the implants in kidneys and other organs.

“What we hope we can find are changes that are specific to lupus nephritis,” Dr. Morris said.

The device that will be implanted is a small cylinder, 5 mm in diameter and 2 mm tall. It is made of an FDA-approved polymer, is very porous and looks a lot like a sponge. “We will take a biopsy of the cells that are collected in this site after about 3 to 6 weeks to determine their changes.”

I’m excited at the opportunity that we might be able to take this platform and make a real difference in lupus because it is an understudied disease that affects many people.”
-Aaron Morris,

RESEARCHERS STRIVE TO IMPROVE OUTCOMES FOR TRANSPLANT PATIENTS BY BOLSTERING AUTOIMMUNE FUNCTION

“Bending the Rules: Amplifying PD-L1 immunoregulatory function through flexible PEG synthetic linkers” recently published by Tissue Engineering Part A. The article was the inaugural study to come from the lab of Maria Coronel, Assistant Professor, Biomedical Engineering.

“In our lab, we design technologies for immune programming,” Dr. Coronel said. “The goal is to develop technologies that enable cells to achieve self-tolerance towards implants so that patients who undergo transplant treatments don’t have to take immunosuppressant drugs chronically.”

The ultimate goal is to provide drug-free transplantation in the future.

“In this particular study, we aimed to delve into

the biophysics of protein interactions and grasp the intricate dynamics of this process,” she said. “We aimed to elucidate that our bodies don’t operate like simple on/ off switches; rather, they respond akin to fine-tuning a radio dial, with nuanced responses resulting from subtle adjustments.”

Dr. Coronel added: “By implementing minor modifications to the polymers utilized for presentation, we’ve observed a remarkable enhancement in the immunoregulatory effects of the proteins resulting in over a 50% increase in the retrieval of regulatory cells from in vitro cultures and a 20-fold rise in in vivo transplant models. Such findings hold immense promise for our efforts in delivering biological analogs for transplantation and offer

substantial progress in cell manufacturing. Utilizing this simple approach can effectively tackle the existing challenges related to the variability in regulatory T cell manufacturing.”

Dr. Coronel noted that there is a big push for manufacturing regulatory T-cells in the context of treating people with autoimmune diseases like type 1 diabetes and for the induction of tolerance in transplant recipients.

“We’re trying to create these regulatory T-cell populations from the patient and then reintroduce them back into the body, allowing these cells to perform their intended functions,” she said. “However, this is a costly undertaking, and numerous clinical trials have faced setbacks due to difficulties in obtaining

STORY BY MICHELE SANTILLAN
BME student Nicole Racca and Maria Coronel, Assistant Professor, Biomedical Engineering.
“ WE DESIGN TECHNOLOGIES FOR IMMUNE PROGRAMMING TO ENABLE CELLS TO ACHIEVE SELF-TOLERANCE TOWARDS IMPLANTS SO THAT PATIENTS DON’T HAVE TO TAKE IMMUNOSUPPRESSANT DRUGS CHRONICALLY.” — MARIA CORONEL,

ASSISTANT PROFESSOR, BIOMEDICAL ENGINEERING, UNIVERSITY OF MICHIGAN

adequate cell dosages. Through our approach, we can effectively double the yield of cells, making it a simple addition to standard cell-manufacturing practices without necessitating significant changes. This can address the challenge of insufficient yield during manufacturing without significantly increasing costs. This is crucial to us as we are strong advocates for democratizing therapies and ensuring that state-of-the-art treatments are accessible to a broader population.”

Dr. Coronel said that in terms of cell manufacturing, clinical trials are currently ongoing to establish Treg

therapy; however, broader implementation in the context of transplantation is at least a decade away due to the need for

dosage, specificity, and cryopreservation. As patient studies come into play, there is a need for increased monitoring of patients

“The project that culminated in this paper was a really exciting and pivotal experience for my career here at the University of Michigan.”
-Nicole Racca, BME Ph.D. Candidate

meeting regulatory specifications and addressing challenges concerning

as well as the manufacturing processes involved in production.

Dr. Coronel added that it is a monumental moment as a new PI to publish her lab’s first paper. “It is very exciting to show the students that the ideas and the things that we do in the lab can have an impact in many different applications,” she said. “They’ve only been with me for a year-and-a-half, and they’ve been able to accomplish a lot, so that makes me very proud as a young assistant faculty.”

This fluorescence microscopy image shows endothelial cells (actin cytoskeleton in cyan and nuclei in yellow) that have self-assembled into capillary-like networks on a synthetic fibrous matrix (magenta). The Baker lab has been developing fibrous biomaterials to guide multicellular assembly with the goal of engineering capillaries for tissue replacement therapies.

HARNESSING INTERCELLULAR MECHANICAL FORCES TO BUILD CAPILLARIES

Can cells use mechanical forces as a means to communicate with each other and assemble into capillaries useful for tissue engineering and regenerative medicine? This is a question that Brendon Baker, Associate Professor, Biomedical Engineering, and members of his lab are investigating, as profiled in a paper published recently in Advanced Science.

“One major strategy to engineering capillaries is to disperse individual endothelial cells (ECs) within or on top of a biomaterial and allow the cells to find each other in space, connect and form a multicellular network,” Dr. Baker said. The assembly of multicellular networks is required for the formation of capillary beds that support flow.

“While previous studies have implicated secreted factors in helping cells

find each other, we were interested in whether tugging forces generated by cells are also important in this assembly process,” Dr. Baker added. His team is studying how cells transmit forces and how neighboring cells sense those forces in order to allow for intercellular communication.

“We determined the requisite material properties and then the key mechanisms that the cells use to home in on each other,” he said. “We used reductionist models to understand fundamentally what’s happening and then eventually applied our understanding to promote the assembly process in 3D biomaterials with translational potential,” Dr. Baker said.

Dr. Christopher Davidson, PhD, (U-M BME 2022) and current BME PhD graduate student Firaol Midekssa led this project. Their work, titled

“Mechanical intercellular communication via matrixborne cell force transmission during vascular network formation,” describes how cell force-mediated matrix displacements in deformable fibrous matrices underlie directional extension and migration of neighboring ECs towards each other prior, preceding formation of stable cell-cell connections. They also identified a novel role for calcium signaling and mechanosensitive ion channels during this assembly process.

Dr. Baker explained that the eventual goal of this research would be to use these vasculogenic matrices to engineer capillary beds that can improve blood flow to a patient’s tissues or organs, promote wound healing, or support the function of an engineered tissue graft.

RESEARCHERS USE WAVES TO MEASURE VASCULATURE WITH GOAL OF TARGETING DRUG DELIVERY AND OTHER TREATMENTS

A team of U-M biomedical engineers, partnered with an international team of researchers, is working to quantify vascular architecture, with the goal of using the physics of shear waves to measure and treat tumors and other medical challenges.

David Nordsletten, U-M Professor, Biomedical Engineering and Cardiac Surgery, along with Ralph Sinkus, INSERM and King’s College London, Chair and Professor, Biomedical Engineering and Research Director of CNRS/France, Paris, present a novel scattering theory, in conjunction with MRI-based elastography imaging, which enables the unraveling of a material’s innate constitutive and scattering characteristics. By overcoming a three-order-of-magnitude scale difference between wavelength and average inter-vessel distance, they demonstrate non-invasively a macroscopic measure of vascular architecture.

The physics of shear waves traveling through matter carries fundamental insights into its structure; for instance, quantifying stiffness for disease characterization. Researchers want to use the data they gather from these analyses to inform ways to target drug delivery in disease management. Their approach aims to broaden the field of imaging by using the dispersion properties of shear waves as macroscopic observable proxy for deciphering the underlying ultrastructure of vasculature.

“Mechanics is important, but how do you measure it?” asked Dr. Sinkus. “In geophysics, they are igniting dynamite to have waves that travel through the Earth, and then they look at the waves which come back on the surface, and from this they are deducing mechanics.”

Drs. Nordsletten and Sinkus explained that researchers can see waves inside an object using similar wave technology. The technology is based on seeing waves inside the object via MRI, where external vibrations are transmitted through the

body to show their spatial organization as they traverse organs and tissues. From these waves, it is possible to analyze the physics.

“Our dream was that these waves can tell us something about the underlying vasculature, which normally you cannot see because the vasculature is tiny,” Dr. Sinkus added. “Our image resolution is large, so you cannot see the results. Our goal is to employ our understanding of the physics of these waves propagating in heterogeneous materials to enable us to see something which we cannot see with the human eye.” With their developed theory, and evaluations in silico, in vitro,

“The research idea is that this would be a novel way of providing us insight into what drugs might be appropriate for different types of tumors.”
-David Nordsletten, Professor, Biomedical Engineering and Cardiac Surgery

in small animals and human tissues, they showed that vascular architecture leaves distinct signatures in the propagation of waves.

“Someone is pulling the brake: Somehow this wave, while fighting through this maze of vessels, is slowed or pulled back,” Dr. Sinkus said. “This is the theory we were working on. At the microscopic scale, you don’t see these vessels because they are way too small. But the wave will probe your tissue when it travels through and it will sense it. Imagine you want to shoot a football in a forest where all the trees are aligned. It’s

easy to shoot the football, but if the trees are randomly scattered, the football will go backwards, forward, backward, forward and fight its way through a maze of trees. We researched this link by how much this wave is pulled back with respect to the organization of the vessels. If the brake is pulled back, we have to ask what the cause of this pullback is.”

Dr. Giacomo Annio, the lead author of the study and a Marie Sklodowska Curie Fellow at Oslo University Hospital and Stanford Medicine, posed a thoughtprovoking question: “Why are vessels the key players in scattering, as opposed to other anatomical structures?” He elaborates, “Consider the brain’s intricate architecture. Many elements could be at play.” However, it is the exceptional rigidity of vessel walls’ components –particularly the smooth muscle cells, which are a thousand times stiffer than the surrounding tissue – that makes vessels the prime candidates. This striking stiffness differential holds the key to understanding their role as scatterers, ultimately unraveling the mystery.

Dr. Nordsletten continued the explanation of how these concepts serve as the foundation for ongoing research. “When you start getting tumors or cancer, there is ad hoc angiogenesis or development of vessels, and they become very unstructured and much more chaotic than what you see in native, healthy tissue,” he said. “Being able to actually measure that would be amazing to understand the structure of that tumor and potentially how effective treatments may be.

SCAN FOR FULL STORY:

It’s a pretty radical idea going from millimeters down to microns and being able to say that we can tell you something about what’s happening on a micron level.

Because you’re understanding the physics of the wave propagation, and you have a theory, you’re suddenly capable of extracting that information.”

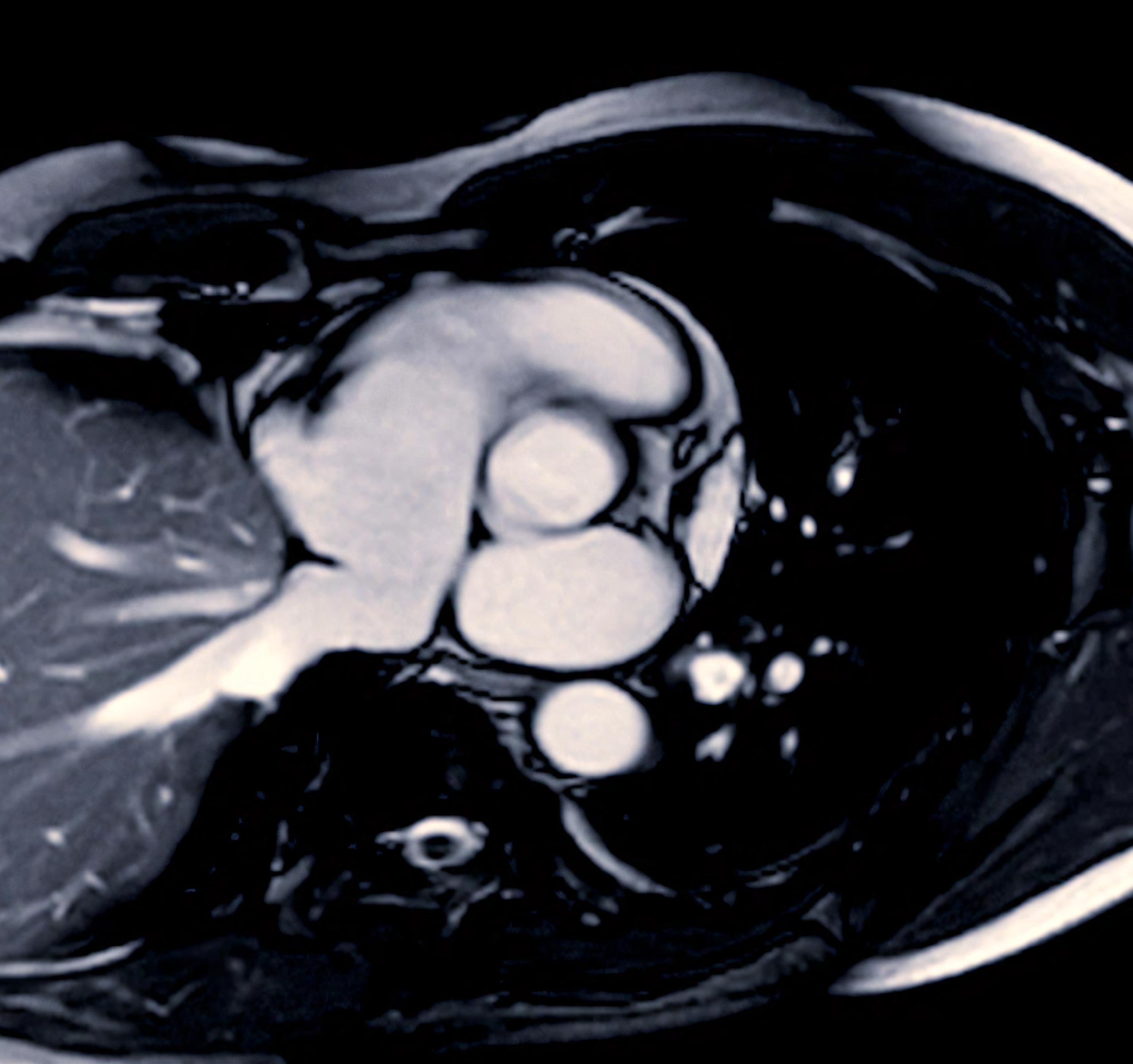
Cardiac MRI images are instrumental in assessing cardiac health, identifying heart abnormalities, and guiding treatment plans.
- David Nordsletten, Professor, Biomedical Engineering and Cardiac Surgery

SPATIAL ATLAS OF THE HUMAN OVARY WITH CELL-LEVEL RESOLUTION WILL BOLSTER REPRODUCTIVE RESEARCH

A new ‘atlas’ of the human ovary provides insights into how healthy eggs develop and hormones are produced. It could lead to new research to restore ovarian endocrine function and the ability to have biologically related children, according to University of Michigan researchers.

Utilizing new genetic tools, U-M’s team was able to measure the activity of most genes in many locations in the ovary—particularly around the follicles, which produce hormones and carry the immature precursors of eggs, called oocytes. The work revealed the factors that enable oocytes to mature into healthy eggs.

This new map of the ovary, reported in Science Advances, provides a deeper understanding of how oocytes interact with the surrounding cells during the normal maturation process, and how the function of the follicles may break down in aging or fertility-related diseases. Such knowledge may also accelerate the development of “artificial ovaries”.

Currently, surgeons can implant previously frozen ovarian tissue—stored before exposure to toxic medical treatments such as chemotherapy and radiation for cancers— to temporarily restore hormone production and egg maturation. However, this does not work for long because so few follicles survive through reimplantation, the researchers say.

Given the small size of the follicles, a spatially resolved analysis down to a few tens of microns is required to learn the location and function of the key cells involved in maturing the oocyte. Spatial transcriptomics allowed researchers to read strands of RNA, which are like notes taken from the DNA strand, revealing which genes are being activated

in a local area. Working with an organ procurement organization, the team performed single-cell RNA sequencing of and spatial analyses on ovaries from five young donors without prior disease in the ovary.

“Now that we discovered dozens of new genes that are specifically expressed in the oocytes and supporting cells, we can test whether affecting these genes could result in creating a functional follicle,” said Ariella Shikanov , professor, biomedical engineering, who co-led the study with Jun Z. Li , professor of human genetics. “This can be used to create an artificial ovary, producing eggs that could eventually be fertilized and transplanted back into the body.”

During reproductive years, the majority of the follicles remain dormant in the ovary’s outer layer. Every month, a small portion of these follicles activate and migrate deeper into the ovary where they gradually mature. Only a few of them eventually produce mature eggs that get released into the fallopian tube.

“When analyzing single cells, we don’t know where they were in the tissue. With spatial analyses we can focus on cells in the most important locations” said Li, who is also associate chair for research of U-M’s Department of Computational Medicine and Bioinformatics. “This is especially helpful in the ovary, where the oocytes and supporting cells are very rare when compared to other cell populations.”

“This was the first time where we could target ovarian follicles and oocytes and perform a spatial transcription analysis, which enables us to see which genes are active and where,” Shikanov said. “This new data allows us to start building our understanding of what makes a good egg—what determines which follicle

is going to grow, ovulate, be fertilized and become a baby.”

With the ability to guide follicle development and control the environment around them, the team believes that engineered ovarian tissue could function for much longer than unmodified tissue. This means patients would have a longer fertility window as well as a longer period in which their bodies produce hormones that help regulate the menstrual cycle and support the health of other organs, such as the heart, breasts and bone.

The team’s ability to analyze the data that tracked all of the gene activity was supported by funding from the Chan Zuckerberg Initiative. U-M researchers are part of the initiative’s Female Reproductive System Seed Networks.

The study is part of the Human Cell Atlas project, which seeks to “map every cell type in the human body to transform understanding of health and disease.” The new spatial technology adopted by the team, NanoString GeoMx, was established in U-M by the Single-Cell Spatial Analysis Program, part of the Biosciences Initiative.

The majority of the study was carried out by two graduate students: Andrea S.K. Jones , who recently graduated with a PhD in biomedical engineering, and D. Ford Hannum , PhD student of bioinformatics. Jones and Hannum are co-first authors of the study. Sue Hammoud, Associate Professor of Human Genetics, and Erica Marsh, Professor of Obstetrics and Gynecology are also principal investigators of the U-M’s Seed Network and co-authors in this paper. Additional financial support was provided by the National Institutes of Health.

This new data allow us to start building our understanding of what makes a good egg—what determines which follicle is going to grow, ovulate, be fertilized and become a baby.”
-Ariella Shikanov, Professor, Biomedical Engineering and Obstetrics and Gynecology

A fluorescent image of a human ovarian follicle U-M researchers collected during spatial analysis— clearly showing all the different compartments including the oocyte (the small oval), surrounding hormone-producing cells, blood vessels, immune cells and compartments. The scale bar is 0.2mm. Image credit: University of Michigan

ANNE DRAELOS NAMED A 2024 SLOAN RESEARCH FELLOW IN NEUROSCIENCE

Congratulations to U-M BME’s Anne Draelos , who has been named a 2024 Sloan Research Fellow in Neuroscience. Awarded annually since 1955, the fellowships honor exceptional U.S. and Canadian researchers whose creativity, innovation, and research accomplishments make them stand out as the next generation of leaders.

Dr. Draelos, Assistant Professor, Biomedical Engineering and Computational Medicine & Bioinformatics and a Michigan Neuroscience Institute Affiliate, is one of 126 scientists receiving this award in 2024, and is one of three U-M faculty in this cohort.

“Sloan Research Fellowships are extraordinarily competitive awards involving the nominations of the most inventive and impactful early-career scientists across the U.S. and Canada,” says Adam F. Falk, president of the Alfred P. Sloan Foundation. “We look forward to seeing how Fellows take leading roles shaping the research agenda within their respective fields.”

Since the first Sloan Research Fellowships were awarded in 1955, 129 faculty from U-M have received this honor.

Open to scholars in seven fields—chemistry, computer science, Earth system science, economics, mathematics, neuroscience, and physics—the Sloan Research Fellowships are awarded in close coordination with the scientific community. Candidates must be nominated by their fellow scientists, and winners are selected by independent panels of senior scholars based on a candidate’s research accomplishments, creativity, and potential to become a leader in their field. More than 1,000 researchers are nominated each year. Winners receive a two-year, $75,000 fellowship which can be used flexibly to advance the Fellow’s research.

“U-M BME is immensely proud of Dr. Draelos, whose work addresses

problems that lie at the interface of modern computational and experimental neuroscience,” said MaryAnn Mycek, the William and Valerie Hall Department Chair of Biomedical Engineering and Professor, Biomedical Engineering. “By honoring her work, the Sloan Foundation and the scientific community reinforce the importance of Dr. Draelos’ contributions in helping U-M BME achieve our research and educational missions.”

“I feel very grateful to be receiving this honor,” Dr. Draelos said. “This award feels like an affirmation of my research plans, and it is exciting to me that the Sloan Foundation senses the same enthusiasm I do by including me in this program.”

We aim to use the same idea to determine how millions of neurons in a brain work together to do anything as simple as picking up coffee andit.”drinking
-Anne Draelos, Assistant Professor, Biomedical Engineering and Computational Medicine & Bioinformatics

The grant funding will support Dr. Draelos’ research, which focuses on using real-time adaptive machine learning. “We design computational methods to collect data, analyze it in real time, and use it to build a model of what is happening in the brain at that particular moment in time,” Dr. Draelos explained. “Then, using our current information, we design perturbations: ways to stimulate the neural circuit in order to learn something more than we

could just observe. This particular project would be to construct a certain kind of latent space, or lower dimensional space, that better represents neural activity patterns. These kinds of methods have been useful for understanding how neural activity drives simple behaviors.”

Dr. Draelos is working on doing the same thing in more complex naturalistic behaviors in real time so she and her team can immediately test models and examine potential causal relationships between neural latent dynamics and resultant changes in behavior.

She said that a somewhat simplistic real-world analogy describing the power behind her research would be adaptive games such as Wordle, Battleship or 20 Questions. “If you have played one of these games, for instance 20 Questions, you have solved this,” Dr. Draelos said. “By being intelligent and asking a series of yes or no questions, you can figure out what an unknown object is. You pick your next question based on all the other previous questions and answers. This lets you go from a huge list of possibilities to a quickly narrowed down set to ultimately solve the puzzle in fewer than 20 questions. We aim to use the same idea to determine how millions of neurons in a brain work together to do anything as simple as picking up coffee and drinking it.”

To read more please visit our website:

Heart muscle tissue under the microscope .

STRENGTHENING TISSUE: USING LIPID MEDIATOR TO COMBAT VOLUMETRIC MUSCLE LOSS

A team of researchers led by U-M BME’s Carlos Aguilar , Associate Professor, Biomedical Engineering, and graduate students Jesus Castor-Macias and Jacqueline Larouche , sought to address how lipid mediators, which are potent regulators of the immune response after an injury, varied with volumetric muscle loss (VML) injuries that heal or result in fibrosis. Their work recently was published in an article in eLife.

The acute traumatic or surgical loss of skeletal muscle, known as VML, is a devastating type of injury that results in exacerbated and persistent inflammation followed by fibrosis. The mechanisms that mediate the magnitude and duration of the inflammatory response and ensuing fibrosis after VML remain understudied, and as such, the development of regenerative therapies has been limited.

“My lab has a long-standing research interest in this area of muscle trauma,”

said Dr. Aguilar. “Part of the reason we have this interest is that this is a pervasive injury that happens more frequently than people think. VML is responsible for over 90% of all muscle conditions that lead to long-term disability and there are no therapies that have successfully translated into the clinic for this trauma. We tried to understand some of the cellular and molecular mechanisms that develop after this type of trauma occurs to generate and test new therapeutic modalities.”

Dr. Aguilar explained that when a muscle is hurt with VML, “there is a dysregulated immune response that drives a stiff and dense fibrotic scarring that turns off the muscles’ ability to heal themselves or regenerate.”

“We were intrigued with this relatively new class of signaling molecules called lipid mediators, that have previously been shown to have potent effects on immune reactions. In particular, we focused on Maresin 1 because this lipid

mediator has been found to attenuate the behavior of inflammatory cells like neutrophils and macrophages,” Dr. Aguilar added.

“When we delivered Maresin 1 after VML, we found that the amount of infiltrating neutrophils and macrophages and concomitant fibrosis went down. We also detected that muscle force went up when we treated VML with Maresin 1.” The long-term implications of the study point to the role of this class of signaling molecules as a potential therapeutic for severe muscle trauma.

“I think these results set the stage to explore immunomodulatory treatments to enhance muscle generation.”

Dr. Aguilar acknowledged the work of graduate students Jesus Castor-Macias and Jacqueline Larouche. “They are two amazing students who really drove this research,” he said. “I am so proud of them and how creative they were in using new mouse models and technologies to address these questions.”

STORY BY MICHELE SANTILLAN

ENGINEERING EDUCATION: A DEEP DIVE INTO U-M

BIOMEDICAL ENGINEERING’S FOCUS

ON MENTAL HEALTH AND WELLNESS

Overview

At U-M BME, engineering education is evolving rapidly. A team of researchers, with Karin Jensen, Assistant Professor, Biomedical Engineering, leading the way, is embedding a new research-driven approach to student and faculty wellbeing within the curriculum.

A Research-Driven Focus

Dr. Jensen and her team have initiated several projects aimed at understanding and supporting mental health and well-being. “We’ve developed new survey instruments to gather data from undergraduates, graduate students, and faculty,” she noted. This comprehensive data collection is already highlighting the dynamics of student stress and the factors influencing mental health over time.

As part of Dr. Jensen’s National Science Foundation (NSF) CAREER award, she and her team have highlighted research focusing on undergraduate students. The team has collected two years of longitudinal data, surveying several hundred students twice a semester. This approach reveals the dynamics of stress and students’ intention to remain in engineering, insight that is crucial for proactive mental health support. The team also recently received an NSF grant for a 3-year, $400k project that will support the continued development of curriculum and conduct related research, expanding from the pilot section first offered in Fall 2023.

Similarly, graduate students have been invited to participate in mixedmethod studies that combine surveys with longitudinal interviews conducted multiple times over the course of a year. Faculty well-being is also under study, with a recently awarded $1.5M NSF grant aimed at understanding mental health needs, barriers, and supports available so the team can broadly work to improve mental and well-being in higher education. Dr. Jensen is the lead PI on this $1.5M NSF grant focusing on faculty mental health and wellbeing.

Translating Research into Practice

One key initiative resulting from

this research is the Engineering 100 course section, first offered in 2023, titled Engineering Wellness. Here, undergraduate students learn about wellness technology and benefit from research-based strategies to support their own mental health and well-being in the process.

The course tackles real-world applications, such as wearable technology and sensors. “In addition to learning about how to improve products that they design and make them more useful and accessible for end-users, the students might also learn a module on sleep, where they study the physiology of the heart and how to measure heart rate so we can understand how heart-rate measurements can indicate sleep patterns and quality, integrating physiology with engineering technology,” Dr. Jensen said. “In addition to broad applications, we teach students about the importance of time management and rest and the need to get good sleep to support their own mental health and well-being so they can thrive as engineering students.”

“Although we are generally taking a research or theoretical approach, we have developed a way to translate our findings into the classroom,” Dr. Jensen said. “We are embedding practical strategies and wellness education directly in the class and offering students solutions they can support their wellbeing.”

A Cross-Disciplinary Influence

Dr. Jensen’s passion for integrating mental health awareness into engineering began at the University of Illinois Urbana-Champaign, where she was struck by how many students struggled with stress and mental health challenges. This experience led her to pursue research in mental health and a certification as a mindfulness instructor. She subsequently included some of the techniques she learned in her teaching.

“Students were very receptive to practicing mindfulness, often requesting sessions before exams,” she recalled. Dr. Jensen’s approach highlights the

importance of addressing mental health proactively and empathetically. “As time passed, I realized this was the most important thing that needed to be addressed, and I was really interested in how I could contribute and better support students, so our team initiated additional research projects in that space,” she added.

Expanding Awareness and Support

In addition to her classroom initiatives, Dr. Jensen has presented workshops on supporting student wellbeing at various conferences, including the Biomedical Engineering Society (BMES) Education Summit, American Institute of Chemical Engineers (AIChE), and American Society for Engineering Education (ASEE) meetings. These workshops train faculty on best practices for supporting student mental health, fostering a culture of well-being across educational institutions.

U-M’s BME department is a fertile ground for such interdisciplinary work. The department’s embedded model of engineering education allows for a seamless integration of wellnessfocused initiatives into the BME curriculum.

Looking Ahead

Dr. Jensen and colleagues from other leading institutions, along with BME graduate student Eileen Johnson, continue to spearhead projects in this space. They are committed to furthering understanding and fostering support structures for both students and faculty within the BME community.

As a graduate student instructor, Johnson teaches the laboratory portion of the Engineering Wellness course. “In addition to overseeing lab sections and supporting students, I helped develop the course alongside our technical instructor, Dr. Karin Jensen, and our technical communication instructors Dr. Fatima Albrehi and Dr. Robin Fowler,” Johnson said. “We created a semesterlong design project where student teams explore and redesign a commercially available wellness device. For the lab, I designed basic protocols to introduce

students to core BME concepts and skills, such as molecular diagnostics and biological assays. Further, we want students to build a strong foundation in scientific principles, so I like to bring in real-world examples of research and ethics in BME.”

“The faculty and staff really care about their students and want to give them the best education possible, but they also want to see their students personally succeed,” Johnson added. “Some courses have been redesigned to include more active learning, mental wellness resources have been added and made more accessible, and best of all, students of any grade level can use the recently renovated design space.”

Johnson noted that striving for excellence in academia often fosters the

Engineering is not about perfection. It’s not about getting everything right all the time. The heart of engineering is trial and error, and when you fail, you learn and try again.”
- BME

type of stress that ultimately reduces performance and effectiveness when it overtakes a person’s emotional well-being. “Engineering is not about perfection,” she said. “It’s not about getting everything right all the time. The heart of engineering is trial and error, and when you fail, you learn and try again. I want to change the expectation of learning as a transaction between the syllabus and a grade. Instead, we should cultivate students’ abilities to think like an engineer. If we don’t let students troubleshoot or try again, they’ll never reach their full potential.”

“Michigan BME has been a fantastic place to do this work,” says Dr. Jensen. “The department’s interdisciplinary nature and supportive environment have been critical to our success. And

one of the things I’m really interested in is, how can we, as an organization, or in the classroom, or in our departments, foster environments that are supportive of positive mental health and wellbeing? How do we best support that for ourselves, our colleagues, and our students?”

Conclusion

From survey development and data collection to practical classroom integration and faculty training, the U-M BME team is redefining what it means to support mental health and wellness in engineering education. Their work serves as a model for institutions nationwide, illustrating the transformative potential of a holistic, research-informed approach to engineering education.

graduate student Eileen Johnson

BME STUDENTS BRING PEOPLE-FIRST ENGINEERING TO LIFE

Students in BME Design Course 450 for Winter 2024 had the opportunity to parlay their classroom learning directly into a project that yielded immediate results for improving the quality of life for an individual.

Through a series of unique circumstances, the students connected with a Nebraska family who is caring for a relative with muscular dystrophy and designed a travel brace for her.

DeAndre Jamison, BME Laboratory/ Classroom Services Manager, has known the Kenworthy family for more than 15 years. Mallory LeSage, now in her 20s, was diagnosed in middle school with metachromatic leukodystrophy (MLD), a disease that affects nervous-system function.

“As the primary caregiver, her mother, LeaAnn, faces many challenges and

I feel like being on the ground doing something in which you know you are having a personal impact is really a fundamental motivatorbiomedicalfor engineering.”
-Elizabeth Mays, Ph.D. Lecturer III, Biomedical Engineering

presented a few of those to Dr. Lizzy Mays’ BME 450 student project teams,” Jamison said. “A fierce advocate for Mallory, LeaAnn is insistent upon providing her the highest quality of life possible. When the project proposal came to me, I thought this would be a wonderful opportunity for the students to really help someone.”

The 450 Design Course is organized around a capstone team project, where

the initial lecture was a project fair that showcased programs led by U-M research groups, professors, doctors and scientists. “This project stood out to me because it was the only one that worked directly with a family,” said student Mina Dizdarevic. “This personalized approach is what stood out to the group because it was able to offer a tangible solution to make a direct, meaningful impact.”

“In BME 450, each of the groups was randomly assigned, and one of the first weeks we were presented with multiple projects to select from. The project that stood out to our group the most was the Kenworthy’s project,” said another team member, Dane Barnes. “We were asked to rank which project each of the group participants wanted, and unanimously, we all ranked the Kenworthy’s as our top choice. Maanav (Kapur) wrote a note to Dr. Mays, specifically asking for this project because his brother also has a form of muscular dystrophy. We all felt that as well as having a personal interest, it would be rewarding to work with a family, rather than have to give our IP to a company afterward to try to make a difference.”

Dr. Mays noted that she assembles teams and assigns projects based on many factors and does not encourage students to lobby to work on a selected project. However, she said that this particular group had the right qualifications and experiences to position them for success.

“They could tell that we were going to make the greatest impact because the goal was to produce something tangible to hand to somebody that could change their life,” Dr. Mays added. “It was just a great attitude that this team started with. I was excited for the project because I feel like being on the ground doing something in which you know you are having a personal impact is really a fundamental motivator for biomedical engineering.“

The BME students comprising the group that worked on this project were

Kathryn Ackerman, Dane Barnes, Mina Dizdarevic, Rachel Goodin , Madeline Gustafson, Maanav Kapur, and Lucas Ponsock.

After the students communicated with Mallory’s family to learn their needs and then subsequently researched options, the team focused on the requirements that a device for traveling would have to provide for Mallory. The group targeted the following considerations and ranked these as the most significant out of more than 100 identified in the group’s initial brainstorming session:

• Stability - to be able to provide upper body stabilization

• Travel - the device would be used for travel, so it must follow the safety rules and guidelines for occupants in cars

• Comfort - the device needed to be stiff enough to keep the user upright, yet soft enough to ensure it would not hurt the user and would be comfortable

• Safety for user and care providersthe team had to consider the loading experience for the device in normal and extreme conditions, accounting for weather, space and time, among other factors

• Functionality - the device accommodates to one user and device is tailored to them

• Durability - the device needed to withstand force from the client when the device is in use

• Adjustability - ease of usability for various tolerances: clothing, weight gain/loss, manufacturing mishaps, differing vehicles, such as public transportation or the family car

Once the team focused on the device’s goals in meeting Mallory’s needs, the members set about navigating the challenges to bring their concept from imagination to reality.

Through email correspondence and multiple Zoom interviews, the team obtained all of Mallory’s measurements

from her family and had the chance to interact with them. “We let the team do a more personalized approach because this is a specific device for Mallory, but maybe in future long-term goals for the product concept, this device could be adapted to fit a wide range of people,” Dr. Mays said.

“We used the entire semester to curate the final product, which involved multiple ideas, and it took some time to deliberate on one since all the ideas were different from one another, yet solved very similar problems,” Dizdarevic said. “Additionally, we had to consider the different types of foams used for the device, since the device needed to adhere to structural integrity, along with comfort. We had some issues with the sewing machine, which caused it to be shut down for repair towards the end of the semester, but luckily DeAndre was quick to fix it. Shoutout to DeAndre!”

Barnes added that other adaptations were required as minor issues popped up during the design and production processes. “We had to pivot because of a few unexpected challenges, in addition to the sewing machine, such as sizing issues for the laser cutter when making our template, and an issue with incorporating the polyester skeleton when the design was scaled down for Mallory,” he said.

“But everyone on our project team was so motivated and dedicated to making our device the best that it could be, which made getting things done much easier,” said Rachel Goodin. “The biggest challenge for me was being able to finish this large and complex project

in such a short period of time, but I am overall extremely proud of our final product.”

Dr. Mays noted that the project team did not envision the brace as a safety feature in the vehicle, but as a device to be used in addition to a seat belt. Mallory’s family continues to adhere to all vehicle and passenger regulations for her safety, but wanted to use this brace as a supplement to regular safety equipment.

With the goal of adhering to the

“I’ll never forget the project or the work we did, and I hope that it is working well for them and has at least made a small improvement for both of their lives.”
-Dane Barnes, BME Graduate Student

requirements of a formal research-anddevelopment process, the students conducted verification and validation testing, as if the brace were a true safety device, to ascertain it would be strong enough to withstand varying situations in a vehicle, such as a sudden stop. Under such a circumstance, this brace could help bolster Mallory and keep her properly positioned within the seat belt, helping her to stay more comfortable than if the device were not present.

Team member Goodin added that having a chance to interact with

Mallory’s family via electronic meetings helped the team closely focus on her needs throughout the entire process. They accounted for Mallory’s comfort, in addition to the product’s performance requirements. “It was very important to us that the device not only be stable and functional, but also soft on the skin and soft to lean into during long car rides,” Goodin added.

“As a design instructor, I was pleased when I viewed the final device because of the simplicity of the design aesthetic,” Dr. Mays said. “Something like this should have been made years ago. Why is it taking a college design team to develop this? But I think that demonstrates just how good of a job the students did. The device looks like what it was manufactured to be–a professional-quality product for a real person.”

The fact that the student design team had the opportunity to present Mallory and her family with the bespoke device in its final form was a bonus event that the group will carry with them into their professional lives.

DONORS MAKE A DIFFERENCE: SUPPORTING BME WITH GENEROSITY

Your support helps us continue our mission of educating the next generation of the Leaders and Best in the biomedical engineering community. Donations to our various funds support scholarship opportunities for first-generation students and students from historically underrepresented communities. Donor support has helped us strengthen our programming and activities that we can offer through student organizations and research opportunities, and has helped us ensure we have modernized facilities that foster the collaborative spirit needed for success in industry and academia today. Your generosity also has allowed our students to travel to professional conferences, broadening their educational horizons beyond the classroom.

Three U-M BME students– Natalie Hanby , Nikita Lebedz , and George Rabadi –attended the 12th Naval Academy Science and Engineering Conference (NASEC), in Annapolis, Maryland, in November,, thanks to BME support originating from generous donations the department received from donors like you.

This event, titled “Genetics: Understanding and Addressing Today’s Challenges,” was organized around the themes of genetic technologies, use of genetic data, and genetics in public health, and offered a forum for future Navy and Marine Corps officers to interact with peers from other colleges and universities, both civilian and military, from across the country.

Hanby, who graduated in May 2024

with her BME bachelor’s degree and was one of the three students attending, expressed her gratitude to those who helped make her trip possible. “I had to reach out and say thank you,” Hanby wrote in an email. “This conference was truly life-changing, and I am beyond grateful to have experienced it. We had the honor of attending lectures from leaders in biomedical research, as well as meeting such wonderful students from around the country and world. I have never been so inspired by my peers, and excited for a future in science. Thank you for giving me this opportunity and supporting our academic and professional growth.”

Hanby, who was in the lab of BME Professor Ariella Shikanov before her graduation, highlighted some results from her research, which involves staining cell cultures. “My conference presentation focused on ovarian stromal cells,” she said. “I’ve been learning how to culture these cells and stain them so that we can characterize them. It’s like a mini project that I hope will supplement my PhD thesis, in which I am working to help Dr. Shikanov to develop an artificial ovary. Hopefully, I can support Dr. Shikanov’s research and the reproductive health research industry, in general, just because there’s such minimal focus on these cell types.”

To donate online, please use this link or the QR code: Link: https://donate.umich.edu/MZBW4

Gifts via check can be mailed to the following: Check payable to: “University of Michigan” Memo line: “BME IMPACT FUND” Mail to:

University of Michigan College of Engineering 1221 Beal Avenue Suite G264 Ann Arbor, MI 48109

Rabadi, who graduated in May with his Master’s degree, reinforced the importance of attending conferences to connect with other students and professionals in the field and was grateful for the opportunity. “More than anything, I think the biggest takeaway from the conference was meeting and talking to these amazing people,” Rabadi said. “We’re all invested in this kind of science and what it means for the world. The conference provided a forum to connect with others sharing my interests and it gave us all the chance to learn from each other.”

BME Ph.D. students Adrian Porras Laura and Rebecca Pereles also expressed gratitude. “We are thankful for the donations that allow us to focus on our research without any financial stress,” Porras Laura said. “We just wanted to say thank you so much for your donations,” Pereles added. “We really appreciate your support.”

Please consider a gift to the BME Impact Fund . Use the giving link or instructions below to make your gift. Your support means the world to our BME community. As our students said, thank you for your generosity, and Go Blue!

I had to reach out and say thank you. This conference was truly life-changing, and I am beyond grateful to have experienced it.... Thank you for giving me this opportunity and supporting our academic and professional growth.”

ANNUAL BME SYMPOSIUM PROVIDES FORUM FOR COLLABORATION

The annual BME Symposium with Glenn V. Edmonson Lecture welcomed 216 attendees on May 8. The Biomedical Engineering Symposium is intended to build the BME community across campus. Throughout the day, BME faculty and graduate students presented their research and networked with colleagues from various departments and units.

The Glenn V. Edmonson Lecture honors the legacy of the first graduate chair of the Biomedical Engineering program, thanks to the generosity of the Edmonson Family, whose members support and attend the event each year. As part of our annual symposium, 50 graduate students received 88 nominations during the Edmonson Scholarship competition.

Congratulations to:

• Breanna Campbell (Excellence in research and classroom; co-author on multiple abstracts, leading project; mentor to undergrad researchers; instructional aide for multiple classes)

• Paula Fraczek (Excellence in research including seven publications with two in review and an award-winning conference presentation; strong peer mentor to undergrads)

• Javiera Jilberto Vallejos (Excellence in research including five recent publications and award-winning conference presentation; dedicated to helping lab members excel, including direct undergrad mentoring)

• Vatsala Singh (Excellence in classroom, research and as GSI; active in GradSWE and BME community)

Distinguished finalists included Harkirat Singh Arora, Samantha Lukpat, Andrea Jacobson, Zoie Jones, Joel Pingel, Eleanor Plaster, Yinying Yang, Irene Zhang and Di Zu.

DR. KARL J. JEPSEN FEATURED AS 2024 GLENN V. EDMONSON LECTURER

Dr. Karl J. Jepsen served as the 2024 Glenn V. Edmonson Lecturer . Dr. Jepsen, a U-M BME graduate, is the Associate Dean for Research and a Professor in the Departments of Orthopaedic Surgery and Biomedical Engineering at the University of Michigan. Dr. Jepsen highlighted “Giving a Voice to a Silent Disease” in his presentation. Dr. Jepsen received his Ph.D. from the University of Michigan in Bioengineering and did his postdoctoral training at Case Western Reserve University in Orthopaedic Surgery. He had expertise in bone biomechanics and imaging, and studied bone as a complex adaptive system during growth and aging with the goal of identifying individual pathways leading to skeletal fragility. His scientific area of interest provided a strong appreciation for how multiple components within a system work together to generate a

functional outcome and how disease mechanisms are often resolved through interactions among scientific disciplines. His research program had been funded through grants from federal, industry, and foundation sources such as the National Institutes of Health, Department of Defense, and Doris Duke Charitable Foundation. In addition to serving as Associate Dean for Research, his administrative qualifications also included Chair of the Research and Academic Safety Committee, Director of the Michigan Integrative Musculoskeletal Core Center, and a former role as Associate Chair of Research for the Department of Orthopaedic Surgery.

SCAN FOR FULL STORY:

BME CELEBRATES FIRST MASTER’S OF ENGINEERING DEGREE PROGRAM GRADUATES

BME’s new professional Master’s of Engineering (MEng) degree program, Advanced Medical Product Engineering and Development (AMPED), graduated the first cohort of 20 students in May 2024.

“Back in January of 2021, when then BME Department Chair Lonnie Shea first brought the idea of a professional Master’s of Engineering degree for BME students to my attention, I thought it was an important educational innovation to pursue and I was pleased to provide College of Engineering resources to support degree program development via my role as the Associate Dean for Graduate and Professional Education,” said MaryAnn Mycek, the William and Valerie Hall Department Chair and Professor, Biomedical Engineering. “Now threeand-a-half years later, it is immensely gratifying to see BME’s MEng degree program not only approved and officially launched, but impacting the broader BME community by celebrating its first class of Master’s graduates. I’d like to thank our BME faculty for supporting this new degree program, and credit BME Professor Jan

Some highlights of BME’s new MEng program include:

• Designed to give students a broader perspective on medical product development and enhance their effectiveness as engineers in industry.

Stegemann in particular for leading this educational initiative and making this vision a reality for our students.”

As part of the curriculum, students presented their final projects, which were the culmination of the Biomedical Product Realization Practicum course, a design-build-test sequence in which student teams work with a clinical mentor to solve a current clinical problem. By working with clinicians, the teams identified clinical problems, working over the course of two academic terms to cover a wide range of topics, including clinical need finding; definition of user needs; development of design inputs; creation of device design, testing and verification; human factors engineering; risk management; intellectual property; regulatory strategy; manufacturing, and monetization. The experiential component was augmented by courses covering quality systems, risk management, regulatory structures, and professional development.

“It is always exciting and impressive to see the students’ work,” said Jan Stegemann, Professor, Biomedical Engineering and BME MEng Program

• 27-credit professional Master‘s degree (MEng) designed to be completed in 2-3 academic terms.

• Create new product concepts to address clinical problems as part of a team, and in collaboration with clinicians.

Director. “One of the guests during the presentations commented that as good as the projects were, the way the students answered questions was even more impressive, since it showed how deeply the students understood the clinical problems and their concept for solving them. I agree, and it was great to watch the students demonstrate their expertise in the field of medical technology.”

The projects spanned a wide range of clinical areas including screening mammography, breast reconstruction, orthopaedic surgery, thoracic surgery, nursing, and pediatric cardiology. Eight clinicians from U-M-Ann Arbor and U-M-Flint served as mentors this year.

BME’s AMPED MEng program continues to evolve with a focus on enrollment growth, establishing formal guidance from industry partners, and expansion of the curriculum to address the needs of the changing medical technology industries. Applications for the next admissions cycle opened in mid-September and are due by January 15.

• Learn from and work with guest speakers and mentors from industry.

• Open to students with a variety of backgrounds and experiences.

• Tuition rate is similar to a conventional BME Master‘s degree

MEET SOME OF OUR BME STUDENT ORGANIZATIONS

The Michigan Synthetic Biology Team (MSBT) is an entirely student-run research and engineering design team in the biological sciences. Each year, the team develops and executes a research project in the area of synthetic biology for submission to the International Genetically Engineered Machine (iGEM) competition. Participating in student-led research gives team members the opportunity to do everything from practicing foundational wet lab techniques and troubleshooting experimentation, to synthesizing and presenting results.

MSBT has had great success at iGEM in recent years, winning back-to-back gold medals in 2022 and 2023, as well as a nomination for best undergraduate diagnostics project in 2023. MSBT’s mission is to prioritize the building of an excellent space for diverse, talented, and dedicated team members. The current team consists of 31 students, roughly a third of whom are affiliated with BME. The team greatly benefits from faculty guidance in departments such as BME and MCDB, as well as grad student advisors in BME and chemical biology.

In 2024, the team is designing a bioremediation system that utilizes bacteria to degrade and remove 1,4-Dioxane, a group 2B carcinogen, from Ann Arbor area water. Apart from wet lab experimentation and the supporting dry lab modeling, MSBT prioritizes community outreach with each year’s project. Recently, the team has guest-taught lectures on genetics and synthetic biology at a nearby middle school, engaged with the local Coalition for Action on Remediation of Dioxane, and produced a poster series for community education of 1,4-Dioxane contamination.

Each of M-HEAL’s unique teams have spent the year researching, designing, and prototyping their medical devices. Their teams are at various stages of the design process, but members were able to assist each other in their learning at the annual External Design Review this past Winter. In addition to the work they have done at Michigan, five M-HEAL teams were able to travel to their partner communities around the world over summer or spring break. These trips allow students in our organization to actively engage with community members and physicians at their partner clinics and organizations and get feedback from the people who will be using and interacting with the devices they create. They are excited to continue making progress while ensuring they are still actively making socially engaged design choices by working with partner communities.

Sling Health is a national, student-run incubator that brings together engineering, medical, business, and arts and sciences students to invent novel devices and software applications targeting unmet clinical needs. In 2023, the Ann Arbor Sling Health chapter sent three of its five teams to the Sling Health national competition, securing both first and second place. This past year, the team hosted the national competition in Ann Arbor, and won second place overall. Over the past two years, the teams have collectively raised more than $50,000 in follow-on funding, underscoring the commercial potential of the projects started in the Ann Arbor Chapter. Additionally, U-M had the honor of hosting the 2024 nationals, further solidifying our presence and influence in the national organization.

Looking ahead, the team plans to greatly enhance the educational programming they offer. In the coming year, they intend to introduce workshops focusing on intellectual property (IP) and regulatory strategy, as well as provide guidance on securing follow-on funding. These initiatives are designed to better equip U-M teams with the knowledge and skills necessary to navigate the complex landscape of biomedical innovation and entrepreneurship, increasing their chances of success in future competitions and endeavors.

The Graduate Student Council (GSC) ensures that the interests of graduate students of the BME department are represented. GSC works alongside departmental leadership to improve the graduate student experience. GSC hosts DEI-related, academic, and social events intended to support the graduate student body and facilitate community building. Additionally, GSC organized the graduate student recruitment weekend, orientation, and annual department retreat. Last academic year, the GSC had more than 100 members, including 13 Social Committee members, 17 Academic Committee members, and 15 DEI Committee members.

Highlights in GSC’s social activities in the past year included BMEGSC/MEGC ice skating, mini-golf with RGSC, several football tailgates, morning bagel/breakfast socials, a solar eclipse watch party, and a March Madness tournament challenge. GSC-sponsored DEI- and mental health-focused activities included a pumpkin patch trip, candlemaking, de-stress events with yoga, trivia, and a TED talk night on inclusive teaching. GSC-sponsored academic events included writing hours, an industry panel, Qualifying Exam practice nights, and a first-year mentorship program. Plans for the upcoming 20242025 academic year include a GitHub/resume workshop, DEI movie nights, mental health craft events, a pumpkin carving contest, the annual BME 5K, other events co-sponsored with other U-M student organizations, and more. For the 2024-2025 academic year, GSC has already hosted writing hours, a couple of tailgates, organized intramural sports groups, and the annual department retreat.

Beta Mu Epsilon achieved significant milestones across various initiatives. More than $1,700 was successfully raised for the American Cancer Society through fundraising efforts. Members supported the Ronald McDonald House with donations and volunteer work and participated in community events such as the Out of Darkness Walk, Relay for Life, and blood drives. Ingenuity was showcased in the BMEathon innovation competition, where members created and presented revolutionary biomedical engineering prototypes, and collaborated on biomedical challenges during Inno Day. Informational and academic events like the Minor Expo, weekly study groups, and a backpacking event to guide course selection were also hosted. For professional development, the group organized alumni speed dating, career fair preparations, LinkedIn and resume workshops, and various interview preparation sessions. Socially, members bonded through activities like cider mill visits, tailgates, intramural sports, bowling nights, and a Friendsgiving celebration. Looking ahead, the organization plans to continue these popular events while introducing new opportunities for growth and engagement. A notable addition is the upcoming graduate school workshop, where SUGS, Master’s, and Ph.D. members will share their insights into advanced academia. The aim is also to strengthen industry connections by hosting events with companies such as Eli Lilly and Ethicon. Membership is expanding, reflected in over 100 new sign-ups and the distribution of 240 flyers at recent festivals, indicating growing interest and involvement in the organization.

CONGRATULATIONS TO OUR 2024 BME GRADUATES!

FALL 2023-SUMMER 2024

BME honored our 251 graduates on Friday, May 3, 2024, afternoon during our 2024 commencement reception in the Lurie Biomedical Engineering Building Atrium. Faculty, staff, students, graduates and their family and friends enjoyed an open house and the opportunity to share in this celebration of achievement. Welcome to our newest BME alumni and Forever Go Blue!

BACHELOR’S DEGREES

Amirah Maher Aabed

Kathryn Elaine Ackerman

Abbas Kassem Ajami

Rishi Ashwin Amladi

Ambar Aimee Amoros-Gomez

Alyssa Jane Anderson

Kirti Aplash

Christina Raquel Araujo

Matthew Andres Arrieta

Sheng Bai

Vikram Bala

Emily J. Baker

Dane Boman Barnes Rushi Barot

Neil Ajay Bhate

Austen Bloembergen

Drew Robert Bobeldyk

Samantha Noelle Boutt

Breanna McKenzie Campbell

Nicole Marie Carpentiere

Sophia M. Cavanaugh

Siyi Chen

Kevin Chen

Teresa J. Chen

Amanda Wing Nah Cheung

Lucia Seongyeon Choi

David Bancolita Cook Jr.

Andrew Stephen Cronin

Cecelia Rose Crowther

Gihan Dasanayaka

Justin R. Desmet

Mina Ajnija Dizdarevic

Olivia Mai Ellis

Mohamed H.M. Elrayyes

Giuliana Beatriz Fagre Guerriero

Zeshan Fahim

Peyton F. Krajcarski

Kritikos

Sabine

Eli

Rami F. Mourad

Suyash U. Naik

Namit Deepak Padgaonkar

Nolan

MASTER’S DEGREES

PH.D.

DEGREES

“METABOLISM & PRECISION HEALTH: A BIOMEDICAL ENGINEERING WORKSHOP” HIGHLIGHTS RESEARCH ADVANCES

U-M BME hosted its first of two 2024 installments of the BME Summer Workshops @ Michigan series, focusing on “Metabolism & Precision Health.” Held on July 25 and 26, this interdisciplinary workshop, which welcomed 165 people, assembled leading researchers, clinicians, staff and students for two days of informative presentations, dynamic discussions, and valuable networking opportunities.

The goal of the BME Summer Workshops @ Michigan series is to position the University of Michigan as a summer destination for the convergence of minds on significant research topics in biomedical engineering. Each workshop in the series is designed to foster a collaborative forum where participants can share current research

progress and discuss future research opportunities at the interface of engineering and medicine.

Numerous distinguished guest presenters shared their research and offered expert insights:

- Nathan Price, Ph.D., Professor and Co-Director of the Center for Human Healthspan at the Buck Institute for Research on Aging, and Chief Scientific Officer, Thorne Health

-Ahmet Coskun, Ph.D., Assistant Professor, Bernie Marcus Early Career Professorship, Georgia Tech

- Deepak Nagrath, Ph.D., Professor, Biomedical Engineering, University of Michigan

- Gary Patti, Ph.D., Michael and Tana Powell Professor, Washington University

- Marian Walhout , Ph.D., Professor and Chair, Department of Systems Biology, Maroun Semaan Chair in Biomedical Research, UMass Chan Medical School

- Miriam Udler, M.D., Ph.D., Assistant Professor of Medicine, Harvard Medical School

-Anna Mathew, MBBS, Assistant Professor, Internal Medicine, Nephrology, University of Michigan

- Kivanç Birsoy, Ph.D., Chapman-Perelman Associate Professor, Head of Laboratory of

Metabolic Regulation and Genetics, Rockefeller University

“It’s been a great experience and impressive to see the scale of the resources available at U-M, from the main campus to the Medical School and throughout the city,” said Dr. Price. “I think the topic of Metabolism and Precision Health is timely and highlights the central role of how so many diseases are tied together with these issues. In addition to listening to the presentations, I have enjoyed interacting with the students to learn about the projects they are developing.”

“It’s been a fantastic experience to speak here at U-M,” said Dr. Patti. “This is a tremendous gathering of the leading researchers in the world on this topic at a top university. It is a strong mix of experts who bring their research to this forum and are

Nathan Price, Ph.D., Professor and Co-Director of the Center for Human Healthspan at the Buck Institute for Research on Aging, and Chief Scientific Officer, Thorne Health, served as the event’s keynote speaker.

sharing their findings.

“It was great to be able to gather with a broad audience and get feedback on research while thinking of questions and challenges to explore in new ways,” said Dominik Awad, Ph.D., and a postdoctoral fellow in the Lyssiotis and Daley Labs. “I was honored to be selected to present and share my findings with this diverse professional group.”

“The workshop was a good opportunity to bring these amazing researchers into one room to discuss key issues facing our profession,” said Sriram Chandrasekaran, U-M Associate Professor, Biomedical Engineering. “This also was a great educational experience for students in my lab, especially those who had the chance to present their research. It provided them with feedback on their work and also exposed them to various perspectives in our field.”

In addition to these oral presentations, there were 32 poster presentations from students and postdocs in U-M labs. The

department is grateful to the participants who contributed to the collaborative spirit of the event through their active engagement in discussions and thoughtful questions that enriched the experience for everyone involved.

The conference was organized by:

• Sriram Chandrasekaran, Associate Professor, Biomedical Engineering

• Subramaniam Pennathur, Chief and Norman Radin Professor, Internal Medicine-Nephrology, Associate Professor, Molecular and Integrative Physiology and Director, Molecular Phenotyping and Metabolomics Core

• Arika Lycan, Member Engagement Manager, Precision Health

and the BME staff members who worked behind the scenes to ensure a successful event.

“Precision Health was excited to be a partner on this event,” Lycan said. “The caliber and range of speakers was excellent, and the intersections of Metabolism and precision health is something

of interest to many of our faculty members. We were encouraged by the enthusiasm for this event, and hope to partner on mutual interest projects with the Department of Biomedical Engineering again in the future!”

“It was a pleasure for U-M BME to partner with Precision Health and Internal Medicine to welcome this distinguished group of experts to our campus,” added Mary-Ann Mycek , U-M William and Valerie Hall Department Chair, and Professor, Biomedical Engineering. “The opportunity to share insights on research in metabolism and precision health from a biomedical engineering perspective gives us a glimpse into ways we can collaborate in the future to benefit all of society.”

SCAN FOR FULL STORY:

ACADEMIC LEADERS FOCUS ON MENTAL HEALTH, WELL-

BEING DURING BME SUMMER WORKSHOPS @ MICHIGAN

The recent “Thriving in Academia: Flourishing in a Culture of Burnout” workshop provided a much-needed platform for academic professionals to discuss and develop strategies for wellbeing in demanding STEM environments. Hosted by U-M BME, the event featured esteemed speakers from inside U-M and colleagues from other institutions while offering a variety of activities designed to nurture mental and emotional health. This session, held on August 13 in Ann Arbor, and attended by about 75 participants, was the second of the year’s two BME Summer Workshops @ Michigan

“The workshop proved to be an invaluable forum for addressing the challenges of burnout and promoting strategies for flourishing in academia,” said Mary-Ann Mycek , William and Valerie Hall Department Chair and Professor, Biomedical Engineering. “The hope is that this uniquely structured session has set a precedent for future discussions on enhancing well-being within the broader academic community, including faculty, staff and students at all institutions.”

The day began with a breakfast, followed by an overview plenary session, titled “Towards Holistic Well-Being: Raising Awareness, Addressing the Challenges, and Building Resilience,” presented by Angie Farrehi , Ph.D., Director of the U-M College of Engineering C.A.R.E. Center. The session set a positive tone and established the

key themes of the workshop.

“I was so excited to attend this event. I conduct research on undergraduate mental health in engineering, so being able to hear stories of the way others are able to prioritize mental health and wellness is extremely helpful,” said Sarah Wilson, Assistant Professor, Chemical Engineering, University of Kentucky, who was visiting for the workshop.

Participants engaged in a brief guided mindfulness session led by Wendy Dolen-Morawa from MHealthy, which transitioned into the second plenary session, “The Career-Long Skill of Developing Resilience as a Scientist & Engineer in Academia,” presented by Shayn Peirce-Cottler , Ph.D., Chair of Biomedical Engineering at the University of Virginia. Dr. Peirce-Cottler said that the day’s activities provided an opportunity to learn from colleagues throughout academia. “I enjoyed the informationsharing and hearing from a broad range of perspectives,” she noted.

The lunch break offered opportunities for informal conversation and networking among attendees. Lisa Pruitt, Ph.D., Lawrence Talbot Professor of Engineering at UC Berkeley, who then presented, “Engineering Your Life: How to Create an Authentic Life Filled with Purpose and Joy,” emphasized the importance of finding authenticity and purpose in one’s academic career, as well as overall life choices, through the decisions one makes in professional and personal realms.

Throughout the afternoon, event

Workshop attendees had the opportunity to enjoy pour painting as a creative outlet during one of the breakout sessions.

participants had the option to join wellbeing activities, including pour painting, standing yoga, and a guided mindful nature walk, each designed to offer relaxation and a creative outlet. William Herbert, a doctoral student at the Mayo Clinic, expressed his appreciation for the opportunity to attend: “I am enjoying hearing the diverse experiences and the expertise of the event presenters.”

The day continued with parallel breakout workshops that offered practical advice and strategies for

Lisa Pruitt, Ph.D., Lawrence Talbot Professor of Engineering at UC Berkeley, who then presented, “Engineering Your Life: How to Create an Authentic Life Filled with Purpose and Joy,” emphasized the importance of finding authenticity and purpose in one’s academic career, as well as overall life choices, through the decisions one makes in professional and personal realms.

I was so excited to attend this event. I conduct research on undergraduate mental health in engineering, so being able to hear stories of the way others are able to prioritize mental health and wellness is extremely helpful.”
- Sarah Wilson, Assistant Professor, Chemical Engineering, University of Kentucky

dealing with common challenges in academia. Topics included life design, supporting graduate student well-being, coping with stress and burnout, and the management of cognitive load and attention. Each workshop was led by a specialist with extensive experience in their respective fields.

The workshop concluded with a networking reception, where attendees

reflected on the day’s insights. Participants and organizers shared a renewed sense of purpose and community in moving forward.

“I look forward to continuing these conversations in our U-M BME community and beyond,” said Karin Jensen, Assistant Professor, Biomedical Engineering, who spearheaded the event’s theme and activities. “In the

workshop, we discussed how to thrive in a culture of burnout. I think an important next step is thinking about how we can dismantle cultures of overwork and burnout and move toward a culture that celebrates wellness in higher education. I am grateful for this opportunity from U-M BME to discuss this important topic and for Professor Mary-Ann Mycek’s support and leadership in this space.”

FACULTY AWARDS

Maria Coronel

• Juvenile Diabetes Research Foundation (JDRF) Innovator Award

Anne Draelos

• 2024 Sloan Research Fellow in Neuroscience

• Research Scouts Bold Science Grant Recipient

Paul Jensen

• National Science Foundation (NSF) Early Career Development Award

Jiahe Li

• Swim Across America--Motor City Mile Grants

• 2024 Cellular and Molecular Bioengineering Young Innovator Award

Aaron Morris

• Defense Advanced Research Projects Agency (DARPA) Young Faculty Award

• Lupus Innovation Award

Deepak Nagrath

• Rogel Scholar Award from Michigan’s Rogel Cancer Center

David Nordsletten

• Endowment for Basic Science (EBS) 2024 Teaching Award winner for the Biomedical Engineering Department.

Alexandra S. Piotrowski-Daspit

• Pharmaceutical Manufacturers Association (PhRMA) Foundation Faculty Starter Grant in Drug Delivery

• EDGE in Tech Athena Award

• Emily’s Entourage Grant

Lonnie Shea

• BME Department Faculty Award

Jonathan Sukovich

• College of Engineering’s Kenneth M. Reese Research Scientists Award

STAFF AWARDS

College of Engineering Staff Incentive Program Awardees

Kristi Haynes DeAndre Jamison

BME WELCOMES NEW FACULTY

Kevin C. Zhou, Ph.D., is joining the U-M BME Department as an Assistant Professor in Winter 2025, from UC Berkeley, where he was a Schmidt Science Fellow and postdoctoral scholar in Electrical Engineering & Computer Sciences. Prior to that, he completed his Ph.D. in Biomedical Engineering at Duke University, where he was supported by the National Science Foundation Graduate Research Fellowships Program, and his B.S. in Biomedical Engineering at Yale University, supported by the Barry Goldwater Scholarship.

Dr. Zhou’s research is motivated by limitations of current state-of-the-art microscopy techniques, which have limited spatiotemporal throughput -- that is, physical constraints of traditional hardware designs make it difficult to simultaneously improve in resolution, frame rate, field of view, and dimensionality. Such limitations render challenging many types of experiments, such as 3D imaging of freely behaving organisms, 3D voltage imaging, high-throughput screening, and high-speed hyperspectral imaging, among many others. As such, his interdisciplinary research focuses on developing both the optical instrumentation and machine learning-driven algorithms for scalable, ultra-high-throughput computational optical imaging systems to advance discovery broadly in biology and medicine.

Jeanne Sanders Michele Santillan

STUDENT AWARDS

Kathryn Ackerman

• U-M Big 10 Distinguished Scholars

Benjamin David

• Rackham Predoctoral Fellowship

Mary Dickenson

• National Science Foundation Graduate Research Fellowship Award

Giuliana Fagre-Guerreiro

• Arlen R. Hellwarth Award

Brooke Gietzen

• U-M Big 10 Distinguished Scholars

Wutt Hmone Kyi

• Rackham International Students Chia-Lun Lo Fellowship

Andrea Jacobson

• Derek Tat Memorial Award

Javiera Jilberto Vallejos

• Rackham Predoctoral Fellowship

Karen Jin

• Tau Beta Pi Tom S. Rice Award

Owen MacKenzie

• U-M Big 10 Distinguished Scholars

Arianna Markey

• Student Traineeship Award, Cystic Fibrosis Foundation

Mariana Masteling

• American Society of Biomechanics (ASB) Clinical Biomechanics Award and Three Minute Thesis Graduate Competition at the ASB conference

• Mistletoe Research Fellowship

Brennen McManus

• U-M Transportation Research Institute (UMTRI) Patricia F. Waller Scholarship

Mert Oral

• U-M Big 10 Distinguished Scholars

Tirth Patel

• Barry Goldwater Scholarship

Mariama Salifu

• Rackham Predoctoral Fellowship

Anjali Shankar

• Endowment for Basic Science (EBS) 2024 Research Staff Award winner for the Biomedical Engineering Department

Elizabeth Stanley

• National Science Foundation Graduate Research Fellowship Award

Yucheng (Jacky) Tian

• Richard F. and Eleanor A. Towner Prize for Distinguished Academic Achievement

Emily Wallace

• National Science Foundation Graduate Research Fellowship Award

Ari Wang

• Distinguished Academic Achievement Undergraduate Award from U-M Women in Science & Engineering

Xiaokai Wang

• Richard F. and Eleanor A. Towner Prize for Outstanding Ph.D. Research

BME Graduate Application Assistance Program Team (GAAP) - Donia Ahmed, Meagan Brucker-Hahn, Yuru Chen, Kelly Crumley, Firaol Midekssa, Jyotirmoy Roy, Samantha Schwartz, Margaret Stanley, Emily Thomas, Irene Zhang

• U-M Women in Science and Engineering’s Claudia Joan Alexander Trailblazer Award

Michigan Synthetic Biology Team

• International Genetically Engineered Machine (iGEM) Grand Jamboree Gold Award

Vasu Rao, Noelle Toong and Benjamin David

• Outstanding Poster Award at the Midwest Microbiome Symposium

Breanna Campbell, Paula Fraczek, Javiera Jilberto Vallejos, Vatsala Singh

• Edmonson Scholarship Winners

PLEASE WELCOME BME’S

NEW STAFF MEMBERS

DANI KOEL

Dani Koel is the new BME Student Services Manager. Her responsibilities include a variety of administrative tasks focused on collaborating with the department’s leaders, faculty, staff, and students to provide strategic direction and advice for all aspects of academic and student affairs services for our BME students. She brings a wealth of experience in student programming, academic strategic planning, and management. Most recently, she served as Student Life Program Manager in the School of Public Health.

CHRIS MUELLER

Chris Mueller is a Student Services Assistant, who previously held a similar role in LSA Economics, handling Facilities, Curriculum Maintenance, and general program support. He handles Curriculum Maintenance and general program support for BME, with increasing responsibilities.

RYAN PEARCE

Ryan Pearce is a new BME Desktop Support Specialist. He was previously at U-M Health Information Technology & Services (HITS) as a customer support representative.

JOHNATHON PHILLIPS

Johnathon Phillips joined BME from the U-M Institute for Social Research (ISR) where he’s been an RA Intermediate for the last three years and had multiple roles prior to that within clinical trials, inpatient Surgery, Anesthesiology, MRI, Emergency departments and the Michigan Hospital Transplant Center since 2009, and received his MBA in 2023.

LAUREN YANAKEFF

Lauren Yanakeff joined BME in the new role of Event Planning Coordinator. Her responsibilities include a wide variety of administrative tasks centered around coordinating the planning, implementation, and execution of department and community-related events. Lauren graduated from the School of Hospitality Business at Michigan State University and is originally from the Ann Arbor area. Before joining BME, she was previously an Event Manager for the Conference and Events team at Michigan. Lauren has experience in hotel management, sales, wedding planning, event coordination and catering, spanning from Detroit wedding venues to the dedicated Student Life in Ann Arbor.

ALAN J. HUNT MEMORIAL LECTURE

SCHEDULED FOR NOVEMBER 15

Suzie Pun , Ph.D., the Washington Research Foundation Professor of Bioengineering, Director for the Molecular Engineering and Sciences Institute, and Associate Director of the Resuscitation Engineering Science Unit (RESCU) at University of Washington, will be the 2024 featured Alan J. Hunt Memorial Lecturer

Dr. Pun is a fellow of the U.S. National Academy of Inventors (NAI) and American Institute of Medical and Biological Engineering (AIMBE), and has been recognized with MIT Technology Review’s “Top 100 Young Innovators” designation, the Presidential Early Career Award for Scientists and Engineers, and as an AAAS-Lemelson Invention Ambassador. She was also recognized with the University of Washington’s Marsha Landolt Distinguished Graduate Mentor Award for her dedicated mentoring of students. She currently serves as an Associate Editor for ACS Biomaterials Science and Engineering and on the Science Board of Reviewing Editors.

The Alan J. Hunt Memorial Lecture was endowed in 2013, established in loving memory of Alan by his family, friends and numerous colleagues in the

U-M BME ANNOUNCES FALL SLATE OF BME 500 SEMINAR SPEAKERS

U-M BME has been presenting the fall schedule of our BME 500 Seminar Series. These in-person sessions, which occur every Thursday afternoon throughout the semester as a part of our BME 500 course, provide students with research information on trending topics in the field. Through talks from nationally and internationally recognized experts in various biomedical engineering subdisciplines, students will learn about current research problems and gain a sense of the breadth and excitement inherent to the field of biomedical engineering. The series will continue in January with our Winter slate of speakers.

Department of Biomedical Engineering. Professor Hunt was a truly talented and inspiring teacher. He helped to design a modern biomedical engineering curriculum with a strong focus on principles of cellular and molecular engineering. He served as a caring and supportive mentor to 10 Ph.D. students who have gone on to distinguished careers in academia and industry. Each year, this generous gift from his family enables the Department to bring to campus a distinguished scholar, who represents the intellectual standard achieved by Alan. Contributions to the Alan J. Hunt Memorial Lecture Endowed Fund may be made online at: https:// giving.umich.edu/basket/fund/796858

CAROLINE DUGOPOLSKI NAMED 2024 BME ALUMNI MERIT AWARD RECIPIENT

Congratulations to Caroline Dugopolski , B.S.E. 2000 Chemical Engineering - U-M, and M.S.E. 2001, Biomedical Engineering - U-M, who is the 2024 BME Department Merit Award recipient.

The College of Engineering established the Department Merit Awards to honor alumni who personify Michigan Engineering’s tradition of excellence and who have achieved significant accomplishments in their professional lives. The awards are given each year to graduates from each academic department.

Dugopolski is Vice President, Head of Bioprocess & Technical Operations at Cellino Biotech. She was honored with other College of Engineering department recipients during alumni awards activities on Homecoming Weekend, which was Friday, September 13 through Sunday, September 15.

“I felt both surprised and honored to have been selected for this award,” Dugopolski said. “There are countless paths that can be taken in a biomedical engineering career, and I appreciate the opportunity to represent a biomanufacturing path.”

Dugopolski said that she knew she wanted to pursue engineering when entering college, but was initially unsure of which area in the profession she wanted to focus. “At the time, there was no undergraduate BME program, so I ended up choosing to study chemical engineering (ChE) and found myself drawn less to traditional ChE applications and more to the biological interfaces,” she said.

CONNECT WITH US!

Alumni who would like to share their success stories with students and our broader community are invited to contact Karen Gates , our Student Career Planning and Alumni Engagement Coordinator, at kagates@umich.edu. Karen organizes The BME Exchange and other department activities to connect students with the professional world.

Dugopolski had several undergrad experiences that fostered her interest in leaning toward BME: a UROP (Undergraduate Research Opportunity Program) project in which she worked in a lab at the medical school; a ChE lab class in which she took on a project that had biomanufacturing applications; and a seminar in which she learned about biotechnology. “When I found out that there was a CUGS (Concurrent Undergraduate/Graduate Status) program that would allow me to earn a BME Master’s within five total years of study, I went for it,” she added.

Dugopolski credits U-M for teaching her critical thinking and effective communications skills.“Critical thinking skills play a significant role in biomanufacturing operations in everything from troubleshooting technical problems to long-term strategic planning,” she noted. “Communication skills that I practiced in school, such as technical writing, data illustration, and verbal presentations, remain a key part of my day-to-day job. On a technical level, the introductory knowledge that I gained in topics such as bioprocess unit operations, process controls, drug development, and regulatory guidelines helped to get me started in industry.”

In her work, Dugopolski aims to demonstrate the core values of her employer, Cellino, which encourages teams to: seek unity, be brave, and show kindness.

She advises that U-M BME students aspire to these values in their education and future professional endeavors.

RECENT U-M BME GRADUATE RECOGNIZED FOR LEADING QUIESCENCE RESEARCH USING AI

During his time as a senior completing his undergraduate BME degree, Alec Eames led a study on using artificial intelligence (AI) to study cell quiescence (cells that are sleeping or dormant). Eames conducted his undergrad research under Sriram Chandrasekaran, Associate Professor, Biomedical Engineering. “Usually undergrads co-author papers as a team, but this study was fully carried out by Alec,” the professor noted. The AI tool that Eames developed has applications in drug discovery for cancer, regenerative medicine, and in reversing aging, according to Dr. Chandrasekaran.

Eames has since graduated and is working at Harvard Medical School. His paper, “Leveraging Metabolic Modeling and Machine Learning to Uncover Modulators of Quiescence Depth,” was published in January 2024 by the Proceedings of the National Academy of Sciences (PNAS) Nexus.

“This project started about a year and a half ago,” Eames said. “Dr. Chandrasekaran shared a very intriguing research article about quiescence, and that was the inspiration for my own research, which was on the same topic.”

Quiescence is traditionally thought of as a uniform cell state. But as we’re increasingly realizing, it exists on a spectrum from shallow to deep quiescence, Dr. Chandrasekaran noted.

“The analogy I like here is sleep,” Eames quipped. “There’s both light and deep sleep, and when you’re in a deeper sleep, it’s harder to be woken up. The same is true of quiescence. Cells that

are in a deeper stage of quiescence are harder to activate.”

So making sure the depth of quiescence is tuned just right is critical for overall cellular health. For example, during an injury, quiescent stem cells need to be activated to regenerate lost tissue. However, stem cells enter deeper quiescence with age and lose regenerative capacity. “We’re starting to see that quiescence depth is often affected in diseases and during aging,” said Dr. Chandrasekaran.

“The first part of the research article was mainly about getting a better sense of what actually takes place in a cell when quiescence deepens. We used an approach called metabolic network modeling to simulate the metabolism of cells and subsequent epigenetic changes that take place as quiescence deepens,” Eames said.

As Eames explained, this is a prelude to the modulating part. “For this, we developed a machine learning tool (a type of AI algorithm) to predict quiescence depth,” he said.

“Essentially, this tool takes the activity levels of genes in a given cell to provide a score that quantifies the depth of quiescence for that cell. We found that there are certain genes that are able to predict the depth of quiescence remarkably well across different cell types and experimental conditions,” he added.

Eames used this tool for finding drugs and drug targets that might alter the depth of quiescence. He screened more than a thousand small molecules and

genes for their ability to alter quiescence depth. Through this computational study, he found that a remarkable percentage of the predictions seem to align with experimental evidence. For example, many of the chemical compounds that were predicted to deepen quiescence are known to halt growth of cancer cells.

“We also found that a high proportion of the genes that were predicted to deepen quiescence are considered to be tumor suppressor genes, meaning they slow down cell growth and cancer proliferation,” Eames said. “On the flip side, we found that many of the genes that were predicted to move a cell to shallower quiescence are considered to be cancer oncogenes or cancer drivers–the kind of genes that tend to activate cell growth.”

Dr. Chandrasekaran said that this approach could have long-term implications for identifying therapeutics for tissue regeneration and treating diseases where quiescence depth is altered. “In some cancers, for example, there are cells that become quiescent and are difficult to kill with existing drugs, so this approach might help in finding new quiescence-lowering drugs to address these cancer types,” Eames added.

This study was funded by grants from the National Institute of General Medical Sciences, part of the U.S. National Institutes of Health, and the Camille and Henry Dreyfus Foundation to Dr. Chandrasekaran.

ALEC EAMES
STORY BY MICHELE SANTILLAN

IN MEMORIAM: ANN LURIE

It is not an exaggeration to say that every student, faculty and staff member at Michigan Engineering has been touched by the generosity of Ann Lurie, who passed away on June 24, 2024. Ann’s husband Robert Lurie, who died in 1990, was a U-M alum (BSE IOE ’64, MSE ’66) and entrepreneur. Before his death, Ann and Robert created a plan for their philanthropy that Ann enacted and expanded. In particular, her passion for interdisciplinary research inspired her to endow the Ann and Robert H. Lurie Professorship in Biomedical Engineering currently held by BME Prof. Doug Noll, who develops technology for MRI machines. Her support has made this type of collaborative research and education possible at Michigan Engineering. Every researcher who prototypes in the Lurie Nanofabrication Facility, and every student who takes a class in the Lurie Biomedical Engineering Building feels the impact of her generosity.

IN MEMORIAM: SPENCER BEMENT

Spencer L. BeMent (Spence) died on July 4, 2024. He was born on April 1, 1937, in Detroit. He received his Bachelor’s and Master’s Degrees in electrical engineering from U-M, and in 1967, was one of the first three Ph.D. graduates of the then-new interdisciplinary U-M bioengineering program. After graduation, he accepted a faculty position at U-M, where he worked for 37 years.

CORE FACULTY

CORE FACULTY

ASSOCIATE FACULTY

Gorav Ailawadi, M.B.A., M.D.

Professor & Chair, Cardiac Surgery Professor, Biomedical Engineering

Ellen Arruda, Ph.D.

Tim Manganello / BorgWarner Department Chair

Maria Comninou Collegiate Professor, Mechanical Engineering Professor, Biomedical Engineering

Daniel Beard, Ph.D.

Carl J. Wiggers Collegiate Professor of Cardiovascular Physiology Professor, Molecular & Integrative Physiology Professor, Internal Medicine Professor, Emergency Medicine Professor, Biomedical Engineering

Omer Berenfeld, Ph.D. Professor, Internal Medicine Professor, Biomedical Engineering

Mark Burns, Ph.D.

Professor, Biomedical Engineering Professor, Chemical Engineering T. C. Chang Professor of Engineering

Paul Cederna, M.D.

Professor, Biomedical Engineering

Robert Oneal Collegiate Professor of Plastic Surgery, Department of Surgery

Luyun Chen, Ph.D.

Associate Research Scientist, Obstetrics and Gynecology

Associate Research Scientist, Biomedical Engineering

Rhima Coleman, Ph.D.

Associate Professor, Orthopaedic Surgery, Associate Professor, Biomedical Engineering

Omolola Eniola-Adefeso, Ph.D.

Associate Dean for Graduate & Professional Education Vennema Endowed Professor, Chemical Engineering University Diversity and Social Transformation Professor of Chemical Engineering Professor, Biomedical Engineering

Mario Fabiilli, Ph.D.

Associate Professor, Radiology Associate Professor, Biomedical Engineering

Jeffrey Fessler, Ph.D.

Professor, Biomedical Engineering

William L. Root Collegiate Professor, Electrical Engineering & Computer Science Professor, Radiology

J. Brian Fowlkes, Ph.D. Professor, Radiology Professor, Biomedical Engineering

Luis Hernandez-Garcia, Ph.D.

Research Professor, Radiology Research Professor, Biomedical Engineering

Deanna Gates, Ph.D. Professor, Movement Science Professor, Biomedical Engineering

Karl Grosh, Ph.D.

Professor, Biomedical Engineering Professor, Mechanical Engineering

Vikas Gulani, M.D., Ph.D.

Fred Jenner Hodges Professor and Chair, Radiology Professor, Biomedical Engineering

Alfred Hero, Ph.D. Professor, Biomedical Engineering Professor, Electrical Engineering & Computer Science Professor, Statistics

Jane Huggins, Ph.D.

Research Associate Professor, Physical Medicine & Rehabilitation

Research Associate Professor, Biomedical Engineering

Mohammed Islam, Ph.D.

Professor, Electrical Engineering and Computer Science Professor, Biomedical Engineering

Karl Jepsen, Ph.D.

Associate Dean for Research, Professor of Orthopaedic Surgery, Medical School Professor, Biomedical Engineering

Jacqueline Jeruss, Ph.D., M.D. Professor, Surgery Professor, Biomedical Engineering Professor, Pathology

Kenneth Kozloff, Ph.D.

Steven A. Goldstein, PhD, Collegiate Professor in Orthopaedic Surgery Professor, Biomedical Engineering

Oliver Kripfgans, Ph.D.

Associate Professor, Radiology Associate Professor, Biomedical Engineering

Chandramouli Krishnan, Ph.D.

Associate Professor, Physical Medicine & Rehabilitation

Associate Professor, Biomedical Engineering Associate Professor, Robotics Associate Professor, School of Kinesiology

Joerg Lahann, Ph.D. Professor, Chemical Engineering Professor, Biomedical Engineering Professor, Materials Science and Engineering

Lisa Larkin, Ph.D.

Professor, Molecular and Integrative Physiology Professor, Biomedical Engineering

Sasha Cai Lesher-Pérez, Ph.D.

Assistant Professor, Chemical Engineering

Assistant Professor, Biomedical Engineering

Allen Liu, Ph.D.

Professor, Mechanical Engineering Professor, Biomedical Engineering

Claudia Loebel, M.D., Ph.D.

Assistant Professor, Materials Science and Engineering

Assistant Professor, Biomedical Engineering

Gary Luker, M.D.

Professor, Radiology Professor, Microbiology and Immunology Professor, Biomedical Engineering

Peter Ma, Ph.D.

Richard H. Kingery Endowed Collegiate Professor, Biologic and Materials Sciences, School of Dentistry Professor, Materials Science and Engineering, Professor, Biomedical Engineering

Tristan Maerz, Ph.D.

Associate Professor, Orthopaedic Surgery, Associate Professor, Internal Medicine, Associate Professor, Biomedical Engineering

James Moon, Ph.D.

J. G. Searle Professor, Pharmaceutical Sciences Professor, Biomedical Engineering

Sunitha Nagrath, Ph.D.

Professor, Chemical Engineering Professor, Biomedical Engineering

Jon-Fredrik Nielsen , Ph.D.

Research Associate Professor, Radiology Research Associate Professor, Biomedical Engineering

Parag Patil, Ph.D., M.D.

Associate Professor of Neurosurgery, Neurology, Anesthesiology and Biomedical Engineering

Scott Peltier, Ph.D.

Research Scientist, Radiology Research Scientist, Biomedical Engineering

Steven Schwendeman, Ph.D.

Chair and Ara G. Paul Professor, Pharmaceutical Sciences Professor, Biomedical Engineering

Nicole Seiberlich, Ph.D.

Professor, Radiology Professor, Biomedical Engineering

Albert Shih, Ph.D.

Professor, Biomedical Engineering Professor, Mechanical Engineering

Jason R. Spence, Ph.D.

H. Marvin Pollard Collegiate Professor of Gastroenterology Professor, Internal Medicine Professor, Cell & Developmental Biology Professor, Biomedical Engineering

William Stacey, M.D., Ph.D. Professor, Neurology Professor, Biomedical Engineering

Muneesh Tewari, Ph.D., M.D. Ray and Ruth Anderson-Laurence Sprague Memorial Research Professor Professor, Internal Medicine Professor, Biomedical Engineering

Greg Thurber, Ph.D.

Associate Professor, Chemical Engineering Associate Professor, Biomedical Engineering

Thomas Wang, M.D., Ph.D. Professor, Internal Medicine Professor, Biomedical Engineering Professor, Mechanical Engineering H. Marvin Pollard Collegiate Professor of Endoscopy Research

Kevin R. Ward, M.D. Professor, Emergency Medicine Professor, Biomedical Engineering

Margaret Westfall, Ph.D.

Associate Professor, Surgery/Cardiac Surgery Section

Associate Professor, Molecular and Integrative Physiology

Associate Professor, Biomedical Engineering

Matthew Willsey, Ph.D. Associate Professor, Neurosurgery Associate Professor, Biomedical Engineering

Euisik Yoon, Ph.D. Professor, Electrical Engineering & Computer Science Professor, Biomedical Engineering

AFFILIATE FACULTY

Omar Ahmed, Ph.D. Associate Professor, Psychology & Neuroscience

Jaimo Ahn, M.D., Ph.D. Gehring Professor, Orthopaedic Surgery

Thomas Armstrong, MPH, Ph.D. Professor, Industrial & Operations Engineering

Ryan Bailey, Ph.D.

Robert A. Gregg Professor, Department of Chemistry

James Balter, Ph.D. Professor, Radiation Oncology

Amanda Kiely Bicket, M.D., M.S.E. Assistant Professor, Ophthalmology & Visual Sciences

Marco C. Bottino, D.D.S., MSc., Ph.D. Professor, Department of Cariology Professor, Restorative Sciences Professor, Endodontics

David T. Burke, Ph.D. Professor, Department of Human Genetics

Nicholas Burris, M.D. Associate Professor, Radiology

Yue Cao, Ph.D. Professor, Radiation Oncology

Jiande Chen, Ph.D. Professor, Division of Gastroenterology and Hepatology, Internal Medicine

Timothy Chupp, Ph.D. Professor, Physics

Rodney C. Daniels, M.D.

Clinical Associate Professor, Pediatric Critical Care Medicine

Joseph Decker, Ph.D.

Assistant Professor, Cariology Assistant Professor, Restorative Sciences Assistant Professor, Endodontics

Kamran Diba, Ph.D. Associate Professor, Anesthesiology

Mark Draelos, M.D., Ph.D. Assistant Professor, Robotics Assistant Professor, Ophthalmology

Renny Franceschi, Ph.D. Professor, Dentistry Professor, Biological Chemistry

Jianping Fu, Ph.D. Professor, Mechanical Engineering Professor, Cell & Developmental Biology

Shinichi Fukuhara, M.D.

G. Michael Deeb, M.D. and Nancy Deeb Research Professor, Cardiac Surgery

Craig Galbán, Ph.D. Professor, Radiology

Lana Garmire, Ph.D.

Associate Professor, Computational Medicine and Bioinformatics Associate Professor, Biostatistics

Robert Gregg, M.S., Ph.D.

Associate Professor, Electrical Engineering & Computer Science

Hitinder Gurm, M.D. Professor of Medicine, Cardiovascular Medicine

Jesse Hamilton, Ph.D. Assistant Professor, Radiology

Kurt Hankenson, Ph.D., D.V.M. Professor, Orthopaedic Surgery

Diane Harper, M.D., M.S., MPH Professor, Family Medicine Professor, Obstetrics and Gynecology

Idse Heemskerk, Ph.D. Assistant Professor, Cell and Developmental Biology

Anthony Hudetz, Ph.D. Professor, Anesthesiology

Richard Hughes, Ph.D. Associate Professor, Orthopaedic Surgery Associate Professor, Industrial & Operations Engineering

Yun Jiang, Ph.D. Assistant Professor, Radiology

Ajit Joglekar, Ph.D. Associate Professor, Cell and Developmental Biology

Darnell Kaigler, Jr., Ph.D., D.D.S., M.S. Associate Professor, Dentistry Associate Professor, Periodontics Associate Professor, Oral Medicine

Kimberlee Kearfott, Sc.D. Professor, Nuclear Engineering and Radiological Sciences

Adjunct Professor, Radiology

Stephen Kemp, Ph.D. Associate Professor, Surgery

Megan Killian, M.S., Ph.D. Associate Professor, Orthopaedic Surgery

Jinsang Kim, Ph.D. Professor, Materials Science and Engineering Professor, Chemical Engineering Professor, Chemistry

Nicholas Kotov, Ph.D. Professor, Chemical Engineering

Ron Larson, Ph.D. George Granger Brown Professor, Chemical Engineering

A.H. White Distinguished University Professor, Mechanical Engineering

Christian Lastoskie, Ph.D. Associate Professor, Civil and Environmental Engineering

Daniel Leventhal, Ph.D., M.D. Clinical Associate Professor, Neurology

Xiaoxia Lin, Ph.D. Professor, Chemical Engineering

Changyang Linghu, Ph.D.

Assistant Professor, Cell and Developmental Biology

David Lipps, Ph.D. Associate Professor, Movement Science

Isabelle Lombaert, M.S., Ph.D. Associate Professor, Biologic and Materials Sciences

Pedro Lowenstein, M.D., Ph.D. Professor, Neurosurgery

Richard Schneider Collegiate Professor of Neurosurgery Professor, Cell and Developmental Biology

Anahita Mehta, Ph.D. Assistant Professor, Otolaryngology-Head and Neck Surgery

Edgar Meyhofer, Ph.D. Professor, Mechanical Engineering

Jouha Min, Ph.D. Assistant Professor, Chemical Engineering

Stephanie Moon, Ph.D. Assistant Professor, Human Genetics

Jacques Nor, D.D.S., M.S., Ph.D.

Donald A. Kerr Professor, Dentistry Professor, Otolaryngology

Gabe Eston Owens, M.D., Ph.D. Clinical Professor, Pediatric Cardiology

Joseph Potkay, Ph.D. Research Associate Professor, Surgery

Indika Rajapakse, Ph.D. Professor, Computational Medicine & Bioinformatics Professor, Mathematics

Arvind Rao, Ph.D. Professor, Computational Medicine and Bioinformatics, Radiation Oncology

William Woodruff Roberts, M.D. Professor, Urology

Anna Schwendeman, Ph.D. Professor, Pharmaceutical Sciences and Biomedical Engineering

Kathleen Sienko, Ph.D.

Arthur F. Thurnau Professor, Mechanical Engineering

Tomer Stern, M.S., Ph.D. Assistant Professor, Biologic and Materials Sciences & Prosthodontics

Peter Tessier, Ph.D.

Albert M. Mattocks Professor of Pharmaceutical Sciences, Chemical Engineering

J. Scott VanEpps, Ph.D., M.D.

Associate Professor, Emergency Medicine Associate Professor, Macromolecular Science and Engineering

Angela Violi, Ph.D. Professor, Chemical Engineering Professor, Mechanical Engineering Professor, Biophysics

Henry Wang, Ph.D. Professor, Chemical Engineering

Zhong Wang, Ph.D. Professor, Cardiac Surgery

Brendon Watson, Ph.D., M.D. Assistant Professor, Psychiatry

Pamela Wong, Ph.D. Research Associate Professor, Internal Medicine

Qiong Yang, Ph.D. Associate Professor, Biophysics Associate Professor, Physics

Bo Yang, M.D.

Frankel Research Professor of Aortic Surgery J Maxwell Chamberlain M.D. Collegiate Professor, Cardiac Surgery

Ron Zernicke, D.Sc., Ph.D. Professor, Orthopaedic Surgery Professor, Kinesiology

David Zopf, M.D., M.S. Associate Professor, Otolaryngology - Head and Neck Surgery

BME EXTERNAL ADVISORY BOARD

Samuel Achilefu, Ph.D. Professor and Lyda Hill Distinguished University Chair in Biomedical Engineering University of Texas Southwestern Medical Center

Victoria Augustine, M.S.E. Acting Director, Office of Patent Automation (OPA), United States Patent and Trademark Office (USPTO); Supervisory Patent Examiner, USPTO

Robert DeRyke, M.B.A. President and CEO, Terumo Cardiovascular Group Executive Officer, Terumo Corporation

Caroline Dugopolski, M.S.E. Vice President, Head of Bioprocess & Technical Operations, Cellino Biotech

David Knapp, Ph.D. Vice President R&D, Vascular Boston Scientific President, Boston Scientific Foundation

Scott Merz, Ph.D. Lecturer, U-M Center for Entrepreneurship (CFE), College of Engineering

Aftin Ross, Ph.D. Deputy Division Director Division of All Hazards Response, Science and Strategic Partnerships (DARSS), Office of Strategic Partnerships & Technology Innovation (OST), Center for Devices and Radiological Health U.S. Food and Drug Administration

Jason Weidman, M.B.A. SVP and President Coronary & Renal Denervation Medtronic

Erin West Farrell, Ph.D. Director, Toxins Strategic Projects AbbVie

Desmond Yeo, Ph.D. Technology Manager MRI & Superconducting Magnets Technology & Innovation Center (R&D) GE Healthcare

1125 GERSTACKER, 2200 BONISTEEL BLVD., ANN ARBOR, MI 48109

FOLLOW BME ON SOCIAL MEDIA

DESIGN: MASON HINAWI

© 2024 REGENTS OF THE UNIVERSITY OF MICHIGAN

Did You Know?

The University of Michigan created the nation’s first university-owned-andoperated hospital when the regents allocated $582.12 for its establisment in 1869. It was housed on North University Avenue, above the Diag, in a square, two-story building with a basement.

Turn static files into dynamic content formats.

Create a flipbook
Issuu converts static files into: digital portfolios, online yearbooks, online catalogs, digital photo albums and more. Sign up and create your flipbook.
2024 BME Innovations Magazine by UMBME - Issuu