SPECIAL ISSUE | Rick Anson
BEYOND THE NEEDLE
SUBLINGUAL GLP-1 FAST MELTS: A NEW PATH TO METABOLIC WELLNESS



![]()
SPECIAL ISSUE | Rick Anson
BEYOND THE NEEDLE
SUBLINGUAL GLP-1 FAST MELTS: A NEW PATH TO METABOLIC WELLNESS



Our mission and purpose at TopDoctor Magazine is to foster connections within the health and wellness community and empower our readers to make well-informed healthcare and lifestyle decisions. We pride ourselves on being the ultimate resource for interviews with health and wellness leaders, trending medical news, and healthy living topics.
We understand that choosing a healthcare provider is a crucial decision. Our in-depth interviews with esteemed doctors and medical professionals aim to bridge the gap between them and their clients. By providing our readers with personal insights, philosophies, and areas of expertise, we facilitate a deeper understanding of the individualsresponsible for your health and well-being. We also strive to highlight our outstanding practitioners, showcasing their dedication to their patients and contributions to the medical community.
The field of medicine is constantly evolving, with new practices, therapies, and technologies emerging at a rapid pace. At TopDoctor Magazine, we strive to keep you updated on the latest advancements in the medical world. Our comprehensive coverage of trending medical news equips both doctors and patients with the knowledge they need to make informed choices about healthcare options.
Building strong connections within the medical community is essential for enhancing patient care and driving medical progress. Our magazine serves as a bridge, connecting medical companies with doctors and vice versa. By facilitating these connections, we aim to catalyze collaborations that can lead to innovative solutions and improved healthcare outcomes for everyone.
It is our firm belief that well-informed individuals make better decisions about their health. By providing you with insights into established and emerging medical trends and technologies, we empower you to take an active role in your healthcare choices.
Whether you are a healthcare professional seeking to stay updated on the latest advancements or a patient eager to make informed decisions about your well-being, TopDoctor Magazine is here to support you.
In every issue, we strive to uphold the highest standards of journalistic integrity, accuracy, and relevance. Our dedicated team of writers, editors, and medical experts work tirelessly to bring you well-researched and compelling content that is both educational and engaging. Moreover, our graphic design team is committed to delivering an aesthetically pleasing reading experience where captivating design seamlessly merges with informative content, ensuring each issue becomes an engaging journey of discovery.
As we embark on this mission to serve as your trusted source of medical information and insights, we encourage you to join us on this exciting journey. Your feedback and suggestions are invaluable to us, and we look forward to hearing from you.
Thank you for being a part of the TopDoctor Magazine community. Together, let us embrace knowledge, forge connections, and make informed decisions to lead healthier lives.
With warmest regards,
Hannah H. Editor in Chief TopDoctor Magazine

Publisher: John Highland
Editor In Chief: Hannah H.
Editorial Assistant: Jillian Fast
Graphic Designers: Laura Poyner, Dylan R-N
Contributing Authors: Evelyn Flaharty, Riley George, Sydney Good, Joshua Wheeler
Vice President of Development: Mark Carvalho
Fractional Marketing Officer: Craig Handley
Advisory Board: Dr. Arthur Katona, Dr. Francisco Cabal, Dr. Kianor Shah



9 15 19 29 41
Electrolytes in Your Daily Whole Foods
Why the 9-5 Workday was Built for Men
Beyond the Needle: Rick Anson’s BrainIQ
Health Sciences Innovates Weight Loss and Wellness with Oral GLP-1 Alternatives
The Secret to Flawless Skin
Natural Cold and Flu Remedies


Wild caught by hand. Delivered to your Wild caught by hand. Delivered to your door. Ready to steal the show. door. Ready to steal the show.
When it comes to dinner, subtlety has its place.
When it comes to dinner, subtlety has its place
This is not that place. This is not that place
This is the kind of lobster tail that earns silence at the
This is the kind of lobster tail that earns silence at the table followed by applause. table followed by applause.
Caught by hand off the coast of the Nor th Atlantic.
Caught by hand off the coast of the Nor th Atlantic. Flash-frozen the day it's landed. Flash-frozen the day it's landed.








BY SYDNEY GOOD
Gone are the days when everyone had to work a 9-5. Since 2020 especially, more and more people have been working from home and creating a schedule tailored to them. Come to find out, the 9-5 is best suited for men. Let’s explore why.
We all have daily cycles. That’s our circadian rhythm, which determines when we wake up and go to bed.¹ When you have a system or a routine, your body will naturally want to get up and sleep at the same time each day.
If you think about it, we should all be suitable for a 9 to 5 workday, right? After all, we (in theory) are ready to conquer our day in the morning when we get up. Over the day, we progressively lose steam, and by the time 5 o’clock rolls around, we’re ready to be done. We have just enough time for dinner and downtime before bed.
However, men and women do feel differently each day based on their hormones.
In addition to a normal circadian rhythm, men also experience a diurnal rhythm of testosterone.2 That means they experience the same thing every day with their hormones. When testosterone levels are normal, testosterone is at its highest in the morning and decreases over the day.³ As men sleep, testosterone rises, so it’s at its peak again the next day.
Hypothetically, women should feel the same way based on their circadian rhythm. However, any woman knows she doesn’t feel the same each day, and it’s not just in her head. That’s because a woman’s cycle works on roughly a 28day pattern. A woman’s key hormones, progesterone and estrogen, dramatically shift over this time. The main events in a woman’s cycle are ovulation and menstruation, but the body’s hormones are still working in between these points.⁴
All that to say, a woman will feel energized and have more mental clarity to complete tasks at specific points during the month. But at other times, she’ll feel grateful if she just makes it out of bed.
Though stress is disadvantageous for both men and women, adding insult to injury, stress can hurt women more than men when it comes to fertility.⁵ When chronically stressed, our body enters a fight-or-flight mode, halting essential functions and causing gut imbalances. Stress causes our cortisol to spike, which, again, isn’t good for anyone's health overall. However, while men have cortisol, their testosterone doesn’t come from it. In other words, they won’t experience fertility problems from stress quite like women.
Women, on the other hand, primarily use the hormones progesterone and cortisol to conceive children. Cortisol is not bad, but when stress causes it to swell, everything else is imbalanced, making it difficult for women to have children. That likely explains why 1 out of 5 women experience infertility during the time they should be most fertile. Even if a woman doesn’t intend to have children, she’ll still be hurt by high cortisol with depression, anxiety, and mood swings,

The good news is that women can track their cycles to understand what’s going on with their hormones. Even if they’re not planning to have kids right now, knowing what’s going on to prepare is helpful. This app called 28 is a great resource to track your cycle.⁶ If you don’t have a cycle, you can establish a monthly routine to help regulate it—which can help bring it back! The same app uses the moon as a monthly schedule if you so choose.
Once you know your cycle, you can eat and exercise along with it.⁷ As you might’ve guessed, there are times in the month when more intense exercise would be beneficial. At other points, though, it’s best to take a step back and relax. You can also eat foods that help balance your hormones. Getting in touch with your cycle can help regulate your hormones and make it easier to function.
You must do what you can to alleviate stress. If possible, take a step back from certain responsibilities in order to not overwhelm yourself. Don’t be hard on yourself when you’re at that time of the month. You can also trick your body into calming itself by activating the vagus nerve.⁸
Though atypical job trends are rising, that doesn’t mean we can completely abandon the 9-5. But if women track their cycles, they can learn how to work with their hormones to make the most of every day.


C60 has been characterized as the most powerful antioxidant known. It’s hundreds of times more powerful than conventional antioxidants.
Crossing the blood-brain barrier, C60 works at the cellular level to support mitochondrial function. C60 fights inflammation, lifts the oxidative burden, and neutralizes toxic free radicals.
Unlike conventional antioxidants, C60 won’t interfere with any other supplements, vitamins, or medications. It can reset itself, again and again. Take it before your other supplements to boost your morning routine supplement stack.
Most users note an increase in ENERGY and MENTAL CLARITY within 30 days when incorporating C60 Power into their morning routine. Many users note FASTER RECOVERY and IMPROVED PERFORMANCE within this same time frame.



Written by Riley George
In a healthcare landscape increasingly dominated by injectables, a next-generation metabolic weight loss disruptor is emerging from the world of bioscience and advanced medical nutrition. Rick Anson, founder of
BrainIQ Health Sciences, is drawing on decades of experience in the pharmaceutical industry to develop a portfolio of drug-free “pharmaceutical-grade” dietary supplements and medical foods designed to offer safer, more effective alternatives to traditional drug therapies but with similar health benefits as drugs.
Anson’s flagship innovation is GLP-1 Fast Melts, a line of oral sublingual, clinically proven metabolic wellness products aimed squarely at the multibillion-dollar weight-loss market, currently saturated with injectable GLP-1 agonists.
Anson’s journey into the world of novel ingredients and pharmaceutical-grade products began unexpectedly on the soccer field. Growing up in Idaho and playing Division I soccer in California, he sought a competitive advantage that led him overseas.
"I went to Europe and played semi-pro looking for any competitive edge I could find,” Anson recalled. “Back then, there just weren’t all the modalities and technology we have now.”
This quest for a physical and mental edge—to “think a little faster, jump a little higher, run a little quicker”—drove him to gain experience working for several pharmaceutical companies. It was here that he gained a deep understanding of different pharmaceutical ingredients and their functions. “I worked with three major pharmaceutical companies in Europe, learning how novel ingredients function in the body,” Anson said, noting the core idea behind his future work. “When products are pharmaceutical-grade, it comes down to purity, potency, and advanced absorption.”
After returning to the United States, Anson leveraged this expertise to found Wellness Labs, creating products initially sold into global network marketing companies. His trajectory then shifted profoundly after partnering with several food, pharmaceutical, and bioscience companies, leading him to compound peptides and gain firsthand knowledge of the rapidly emerging GLP-1 drug market and the inherent limitations of GLP-1 injectable drugs.


Seeing the demand for GLP-1 weight-loss drugs — and limitations — of injectable GLP-1 drugs, Anson created a safer, longterm oral alternative: GLP-1 Fast Melts.
“Twenty-five percent of Americans won’t take injections, and nearly half quit GLP-1 drugs within weeks due to side effects and poor adherence,” Anson explains.
This insight led to BrainIQ Health Sciences and its flagship innovation: a clinic-backed sublingual GLP-1 solution for weight loss and long-term management.
The product’s ingredients boast compelling clinical results:
• 28.1 pounds of weight loss in 10 weeks
• 6.7 inches of waist reduction in 10 weeks
• 16% lower body composition change over 10 weeks
• 27% lower LDL cholesterol in 10 weeks
The Fast Melts help mimic the natural effects of GLP-1 by influencing key hunger-regulating hormones, including leptin — the body’s primary “satiety hormone.” This helps promote faster fullness and longer-lasting appetite control.

The formula is designed to stimulate thermogenesis, increasing metabolic rate and calorie burning throughout the day for continuous metabolic support.
Beyond appetite and metabolism, the Fast Melts target adipose tissue directly, helping reduce the physical size of fat cells for improved body composition. Together, these three mechanisms deliver a comprehensive, science-driven approach to modern weight management.
The quality of the Ageless Peptides is outstanding. As we continue to scale Inspire Body Centers nationally with these peptides and GLP-1 Fast Melts, excited to offer unique blends across all of our clinics.
Testing & Verification:
• 99%+ Purity Guaranteed
• Triple Third-Party Testing (or Independent Third-Party Tested)
• Batch-Specific Certificates of Analysis
• HPLC Verified (High-Performance Liquid Chromatography)
Testing Partners:
• Third Party, CLIA certified labs (Clinical Laboratory Improvement Amendments)

Manufacturing & Compliance:
• USA GMP Manufacturing Guidelines
• ISO and cGMP Compliant
• Full Chain of Custody Documentation
• ISO/IEC 17025 accredited testing (gold standard)
Service & Delivery:
• Same-Day Shipping
• 2-4 Day Delivery
Quality Assurance:
• Zero Fillers or Additives
• Pharmaceutical-Grade Quality
• Research-Grade Compounds

GLP-1 Fast Melts can be used as a standalone weight-loss and weight-maintenance solution or alongside GLP-1 injections. As a drug companion, they help support appetite control and adherence between injection cycles.
BrainIQ Health Sciences offers a full portfolio of advanced-absorption products for weight loss, pain management, cognitive performance, sleep, and NAD+ support—all built on the same pharmaceutical-grade technology for purity and potency.
“BrainIQ Health products are formulated for advanced absorption through the mucous membranes in the mouth, helping bypass the gut and liver,” said Anson.
BrainIQ Health Sciences supports national metabolic health initiatives by delivering accessible, non-injectable wellness solutions. In partnership with leading universities and a U.S.-based peptide company, BrainIQ also offers advanced peptide therapies for clinical wellness.

Discover how GLP-1 Fast Melts and BrainIQ’s pharmaceutical-grade wellness products are redefining weight loss, obesity care, and metabolic health.
To purchase GLP-1 Fast Melts: www.BrainIQHealth.com





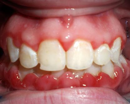
“L arge Study Links Gum Disease With Dementia”

“Periodontal disease may increase the risk of diabetes& heart disease”

“More
Evidence of Link Between Severe Gum Disease and Cancer Risk”


Clinically Proven to Reduce Biofilm 112x Better Than Brushing Alone

Inflammation in the mouth can affect the rest of the body Heart disease, Alzheimer's, pancreatic cancer and many more diseases are linked to gum disease. To fight gum disease, you must fight biofilm (dental plaque) and with up to 70% of adults having some form of gum disease, brushing and flossing are not enough. OraCare has been clinically proven to remove biofilm 112x better than brushing alone.









By Evelyn Flaharty
When it comes to skincare, it’s easy to get lost in the multitude of products in the market, the trends, and the complicated routines. From serums to exfoliants to 10-step regimens, you may have seen influencers posting on social media, which can feel overwhelming. But the truth is, great skin doesn’t have to be complicated. In fact, the secret to healthy, glowing skin is more straightforward than you think; it’s all about nourishment, listening to what your skin needs, and consistency in your skincare routine.
Skincare is more than just a routine. Skincare is an investment in your health, confidence, and overall well-being. Our skin is the body’s largest organ and serves as a protective barrier against the elements while also reflecting our inner health and lifestyle choices. From hydration and nutrition to the right products and daily habits, caring for your skin is a journey that evolves with time.
Whether you are aiming for a radiant glow, maintaining youthful elasticity, or simply embracing self-care, a smart and effective skincare routine can make all the difference. Understanding what your skin needs and treating it with intention can unlock the secret to a healthy, ageless complexion.
Your skin is constantly communicating with you. When it feels tight and flaky, it’s crying out for moisture. When it’s breaking out, it might be reacting to stress, diet, or an imbalance in your routine. It could be asking for more hydration, exfoliation, or a little extra sleep when it looks dull. The key is to pay attention and then take the appropriate action.
Caring for your skin at home doesn’t have to be complicated or expensive. Maintaining a consistent at-home skincare routine is key to keeping your skin healthy, youthful, and radiant. You don’t need a bathroom full of fancy or expensive products; just a few basic steps to be consistent with your skincare routine. A skincare routine can be simple and effective without feeling overwhelming. Sticking to a few essential steps can make a huge difference in your skin’s health. The best place to start is with the basics.
The first and most crucial step is cleansing. Washing your face is the foundation of skincare. Cleansing removes dirt, oil, sweat, makeup, and pollutants that can clog pores and cause breakouts. Use a gentle cleanser that suits your skin type, and avoid products that can strip your skin of its natural moisture and lead to dryness and irritation.
Hydration is key for all skin types. Even oily skin needs moisture to stay balanced. A good moisturizer helps lock in hydration and maintain your skin’s barrier. Moisturizer keeps your skin soft and smooth while protecting you from premature aging. This is where I would make an investment. Find a good moisturizer that works well for your skin type. Look for ingredients like hyaluronic acid for hydration or ceramides for barrier support.
Protection
Sunscreen is often overlooked, but it is the most crucial step in preventing premature aging. Think of it as the most powerful anti-aging product you can use daily. UV exposure leads to premature fine lines and wrinkles, dark spots, loss of elasticity, and even more serious skin conditions. Apply an SPF of at least 30 every morning, even on cloudy days, to protect your skin from damage. Applying sunscreen is a must for all skin complexions.
Once you have the essentials down, you can add a few extra steps to target specific skin concerns.
Exfoliation:
Removing dead skin cells helps brighten your complexion and allows skincare products to work better. Use a gentle exfoliant 2-3 times weekly, like a mild chemical exfoliant or a soft scrub.
Serums:
If you have concerns like dryness, wrinkles, or dark spots, serums with ingredients like vitamin C, retinol, or niacinamide can help. Serums penetrate deeper than moisturizers and deliver targeted benefits.
Face Masks:
A great way to give your skin an extra boost. Hydrating masks, clay masks, or sheet masks can be used weekly to address different concerns like dryness, oiliness, or dullness.


A few minutes of gentle massage while applying products can boost circulation, reduce puffiness, and promote a natural glow.
Despite all the hype around elaborate skincare routines, the fundamentals of healthy skin have always remained the same. A simple, consistent routine will always be more effective than an overloaded one.
Skincare isn’t just about what you apply to your face; it’s also about how you take care of yourself. Your skin reflects your overall health, so the choices you make in your daily life can have a significant impact. While using the right skincare products is essential, what you put into your body matters just as much.
Hydration and nutrition are crucial in maintaining healthy, glowing skin from the inside out. While skincare products help nourish and protect your skin externally, proper hydration and a nutrientrich diet provide the essential building blocks your skin needs to repair, regenerate, and maintain its natural glow.
Water is essential for every cell in your body, including those that make up your skin. When your skin is well-hydrated, it looks plumper and more radiant. On the other hand, when your skin is dehydrated, it will appear dull, dry, and more prone to fine lines and wrinkles. Drinking enough water throughout the day helps flush out toxins, maintain elasticity, and support overall skin function.
Your diet also plays an essential role in the health and appearance of your skin. Nutrient-rich foods provide the vitamins, minerals, and antioxidants necessary to fight inflammation, boost collagen production, and protect
against premature aging. Foods high in omega-3 fatty acids like salmon, walnuts, and flaxseeds help strengthen the skin barrier and reduce dryness. Vitamin C-rich foods like oranges, strawberries, and bell peppers promote collagen synthesis, keeping skin firm and youthful.
Antioxidants found in leafy greens, berries, and green tea help combat free radical damage, which can contribute to wrinkles and dullness. On the other hand, excessive consumption of processed foods, refined sugars, and unhealthy fats can lead to inflammation and breakouts and give your complexion a dull, uneven appearance. Focusing on a balanced diet filled with whole, nutrient-dense foods can support your skin’s natural ability to heal and maintain a radiant glow.
Your skin repairs itself while you sleep. During deep sleep, your body goes through a period of repair and regeneration, producing collagen, repairing damaged cells, and replenishing moisture levels. A lack of sleep can lead to increased cortisol levels, which can break down collagen and elastin, leading to premature aging, dullness, and even breakouts. Dark circles, puffiness, and a dull complexion are common signs that your skin isn’t getting a good night’s rest. This is why you should strive for 7-9 hours of quality sleep each night.
Lack of sleep isn’t the only thing you need to worry about. Managing stress is just as crucial for your skin’s health. Chronic stress triggers inflammation and increases oil production, which can contribute to acne, redness, and sensitivity. High stress levels also weaken the skin’s barrier, making it more prone to dehydration and environmental damage.
Finding ways to relax can help balance stress hormones and improve overall skin clarity. Relaxation techniques such as meditation, deep breathing, and yoga can help reduce stress and promote overall well-being. Additionally, activities like taking long walks, exercising, engaging in a hobby, or practicing mindfulness can positively impact both your mental health and the appearance of your skin.
By prioritizing rest and stress management, you’re giving your skin the best environment to heal, restore, and maintain its natural radiance.
Great skin doesn’t happen overnight; it’s the result of small, daily habits that add up over time. As with everything else, the key to seeing real results is consistency. Even the best products won’t work if they are only used occasionally. Sticking to a simple but effective daily routine will keep your skin looking and feeling its best.
There are ways to enhance your at-home skincare routine. One option is to get a professional facial from a qualified esthetician who can assess your skin’s needs, provide expert care, and even recommend products specific to your skin type. Professional facials offer deep cleansing, exfoliation, and hydration that go beyond what everyday products can achieve. They can help address concerns like acne, dryness, or signs of aging while promoting overall skin health. Regular treatments, combined with a consistent daily routine, can keep your skin looking its best.
For many, facials are seen as an occasional indulgence, something to treat yourself to before a big event or as part of a spa day. The truth is, professional facials are much more than just a luxury. A professional facial can offer deep, long-term benefits for your skin that go beyond what you can achieve with your at-home routine. It also complements the care you already give your skin, enhancing and supporting your efforts for even better results. Regular facials can help improve skin health, prevent aging, and enhance your overall well-being.
Even with a consistent skincare routine, dirt, oil, and environmental pollutants can build up deep in your pores over time. Professional facials offer a deeper level of cleansing beyond what you can do at home, similar to how a professional dental cleaning provides a deeper clean than daily brushing and flossing.
Estheticians use specialized products and techniques to remove impurities, unclog pores, and eliminate toxins, helping your skin breathe and function optimally. This deep cleansing process can prevent breakouts, reduce blackheads, and give your skin a fresher, healthier appearance.
One of the most significant benefits of facials is professional exfoliation. Over time, dead skin cells build up on the surface of your skin, leading to a dull, uneven complexion. While athome exfoliators help, professional treatments use advanced techniques like chemical peels, microdermabrasion, or enzyme treatments to gently remove dead skin cells, revealing brighter, smoother skin underneath. Regular exfoliation also helps improve the effectiveness of your skincare products, allowing serums and moisturizers to penetrate more deeply.
Keeping your skin hydrated enhances its appearance, strengthens its ability to withstand environmental damage, and slows down signs of aging. When your skin is hydrated, it looks youthful, plump, and radiant.
During a facial, estheticians use high-quality masks, serums, and moisturizers tailored to your skin type to hydrate and replenish your skin deeply. Professional treatments can help restore moisture balance, especially for those with flaky or dehydrated skin. One popular type of facial is the HydraFacial.
A HydraFacial is a non-invasive skincare treatment that deeply cleanses, exfoliates, hydrates, and nourishes the skin in one session. It uses a specialized device with a vacuum-like tip to remove dead skin cells, extract impurities, and infuse the skin with hydrating and antioxidant-rich serums. Alternating professional facials between anti-aging treatments and a HydraFacial for balanced skincare benefits is a great approach. In my experience, a 2-to-1 ratio works best for my oily, mature skin.

Facials can be an excellent tool for maintaining youthful skin and preventing premature aging. Many professional treatments incorporate anti-aging techniques such as collagenboosting massages, peptides, LED light therapy, or microcurrent stimulation, which help improve skin elasticity and reduce the appearance of fine lines and wrinkles. Additionally, regular facials stimulate blood circulation, promoting cell regeneration and keeping your skin fresh and firm over time.
Skincare is not just about physical appearance; it’s also about well-being. The gentle massage techniques used during facials help relax facial muscles, release tension, and even promote lymphatic drainage, reducing puffiness and improving circulation. The experience itself is incredibly soothing, making facials a great way to relieve stress and practice self-care. Taking time for a facial can be a moment of relaxation in a busy world, benefiting your skin and mental health. You’ll feel refreshed and rejuvenated afterward.
One of the best things about professional facials is that they are tailored to your specific skin concerns. Unlike store-bought products that take a one-size-fits-all approach, estheticians analyze your skin and customize treatments based on its unique needs, whether acne, dryness, sensitivity, or signs of aging. They can also provide expert advice on which products and routines will work best for your skin type, helping you build an effective at-home routine.

While a single facial can leave your skin looking and feeling amazing, the real benefits come from consistency. Regular facials, ideally once a month, can help maintain skin health, prevent common issues like breakouts and dullness, and support long-term anti-aging efforts. Over time, you’ll notice improved texture, better hydration, and a more youthful glow.
Professional facials aren’t just about pampering; they’re a powerful tool for maintaining healthy, glowing skin. From deep cleansing and exfoliation to hydration and anti-aging benefits, facials provide results that go beyond what you can achieve with at-home skincare alone. Plus, the relaxation and stress relief that come with a facial make it an investment in your skin and overall well-being. If you’re looking to take your skincare to the next level, regular professional facials are a worthwhile addition to your beauty routine.
But skincare isn’t one-size-fits-all. Our skin changes over time due to age, environment, and lifestyle, meaning that what worked in the past may not be what your skin needs today. The key is tuning in, understanding what your skin craves, and giving it the love and attention it deserves. When you care for your skin, you’re not just enhancing your outer glow but investing in long-term health and confidence.
Skincare isn’t just about looking good. It’s also about feeling good. Our skin works hard for us every single day, protecting us against the elements and reflecting our overall health and lifestyle. It also reflects what’s happening inside our bodies, from hydration levels to overall health and well-being.
That’s why taking care of it isn’t just another step in your daily routine. It’s a way to invest in yourself! It’s self-love. Proper skincare habits can do more than just enhance your appearance. It can boost your confidence, promote relaxation, and even serve as a form of self-care.
The right habits and products can make all the difference. Whether you are aiming for a radiant glow, trying to keep your skin youthful and healthy, or simply taking a few moments to pamper yourself, a thoughtful skincare routine makes all the difference.
The secret to beautiful skin isn’t found in expensive treatments or endless products; it’s found in simple, consistent care and a little bit of self-love. There’s no one-size-fits-all approach, and your skin’s needs may change over time.
The key is to stay patient, listen to your skin, and give it the care it deserves. When you focus on maintaining healthy habits, both inside and out, your skin will naturally reflect that effort. And remember, skincare isn’t about perfection; it’s about embracing and taking care of the skin you’re in.




By Riley George
When cold and flu season strikes, it’s common for many of us to seek comfort in home remedies and natural solutions. From drinking herbal teas to inhaling essential oils, natural remedies have been passed down through generations, offering relief from symptoms like congestion, sore throats, and headaches. But not all remedies are created equal, and it’s essential to distinguish between what actually works and what’s simply a myth. In this article, we’ll explore the most effective home remedies for colds, the flu, and congestion while addressing common misconceptions about natural treatments.



Staying hydrated is one of the simplest and most effective remedies for colds and flu. When you have a fever, the body loses fluids through sweat, leading to dehydration. Drinking water, herbal teas, and broths can help thin mucus, reduce congestion, and ease symptoms like sore throats.¹ Warm liquids, in particular, can provide immediate relief for nasal congestion and sore throats by improving mucus flow.
Honey is an age-old remedy for soothing coughs and sore throats. Its thick consistency coats the throat, providing temporary relief from irritation. Research supports honey’s effectiveness, showing that it can be as effective as over-the-counter cough suppressants, especially in children one year and older.² Honey also has antibacterial properties that may help fight infections.
How to use: Mix 1-2 teaspoons of honey in warm water or tea for relief.


Steam inhalation is a well-known natural remedy for relieving nasal congestion. Inhaling warm, moist air can loosen mucus, making breathing easier. You can enhance the experience by adding essential oils like eucalyptus, which has antiviral and anti-inflammatory properties.³
How to use: Boil water, pour it into a bowl, drape a towel over your head, and inhale the steam for 10-15 minutes.

Saltwater gargles are simple yet effective for treating a sore throat. The salt helps reduce swelling by drawing out excess moisture from inflamed tissues, and it can also loosen mucus, making it easier to expel.⁴
How to use: Mix 1/4 to 1/2 teaspoon of salt in 8 ounces of warm water and gargle several times daily.
Herbal teas made from ingredients like ginger, echinacea, and chamomile are popular cold and flu remedies. Ginger has anti-inflammatory properties that can reduce throat pain and congestion. Echinacea is believed to boost the immune system, and chamomile can promote relaxation and better sleep, which is crucial for recovery.⁵

How to use: Steep fresh ginger slices or herbal tea bags in boiling water for 5-10 minutes and drink throughout the day.
There are many myths surrounding cold and flu treatments. Let’s separate fact from fiction.
Fact: While vitamin C is essential for a healthy immune system, research shows it doesn’t prevent the common cold. However, regularly taking vitamin C supplements can slightly reduce the duration and severity of cold symptoms, especially for individuals who engage in intense physical activity or are exposed to cold environments.⁶


Fact: Antibiotics treat bacterial infections, not viral infections like the common cold or flu. Unnecessarily taking antibiotics can contribute to antibiotic resistance.⁷ The best way to manage viral infections is through supportive care, such as rest, fluids, and symptom relief.
Fact: There’s no scientific evidence to support starving yourself during a fever. In fact, it’s essential to nourish your body with easy-to-digest, nutrient-rich foods to help your immune system fight off infection. Soups, fruits, and vegetables provide essential vitamins and minerals that aid in recovery.⁸


Fact: Despite this common belief, scientific studies have found no significant link between dairy consumption and increased mucus production. For most people, drinking milk when they have a cold is perfectly fine and may even provide needed calories and nutrients.⁹
While natural remedies can provide comfort and relief for cold and flu symptoms, it’s important to recognize when symptoms warrant professional medical attention. Seek medical help if you experience:
- High fever lasting more than three days
- Difficulty breathing or shortness of breath
- Chest pain or pressure
- Severe headache or confusion
- Persistent vomiting
These could be signs of a more severe infection, such as pneumonia, bronchitis, or complications from the flu.
A balanced approach is key when dealing with colds, flu, or congestion. Combining timetested home remedies with proper rest, hydration, and over-the-counter medications (as needed) can help your body recover more comfortably. However, it’s essential to avoid falling for common myths and misconceptions about cold and flu treatments. While natural remedies like honey, steam inhalation, and herbal teas can offer relief, it’s crucial to understand the limitations of these treatments and when to seek professional care.
Natural remedies provide valuable support during cold and flu season but are not substitutes for medical treatment when symptoms escalate. Be cautious of myths, stick to sciencebacked remedies, and remember that prevention—through hand washing, getting enough rest, and staying hydrated—is often the best remedy of all.

1. Wempen, Kristi. “The Wonders of Watermelon.” Mayo Clinic Health System, July 27, 2021. https:// www.mayoclinichealthsystem.org/hometown-health/speaking-of-health/the-wonders-of-watermelon.
2. Manaker, Lauren. “Skip the Sugary Sports Drinks—These 20 Electrolyte-Boosting Foods Can Help You Stay Hydrated.” Health, November 8, 2023. https://www.health.com/foods-with-electrolytes-8349000.
3. Leonard, Jayne. “Foods That Are High in Electrolytes.” www.medicalnewstoday.com, May 15, 2020. https://www.medicalnewstoday.com/articles/electrolytes-food.
4. Cleveland Clinic Writing Team. “Rebalance, Replenish: 4 Sources of Electrolytes.” Cleveland Clinic, September 22, 2023. https://health.clevelandclinic.org/best-electrolyte-sources.
Experience clean, medical-grade sun and skincare without compromise. Explore EthoSun’s reef-safe, non-toxic product line and support a mission rooted in transparency, science, and planetary responsibility.
1. Discover the collection at www.ethosun.com and become part of the Skin First. Planet Always. movement.
1. To learn more and partner with BrainIQ Health on GLP-1 Fast Melts, custom peptide therapies, and the full portfolio of innovative health solutions, contact: contact@BrainIQHealth.com
2. To purchase GLP-1 Fast Melts, visit www.BrainIQHealth.com
3. Scan the QR code to receive the Top Doctors 15% discount purchase code
You can find more from Evelyn through her website or social media channels:
1. Website: EvelynFlaharty.com
2. YouTube: Evelyn Flaharty
3. YouTube: Workouts With Evelyn Flaharty
4. Instagram: ffmusclesandcurves
5. TikTok: @evelynifbbpro
6. Facebook: Evelyn Flaharty
1. Harvard Health Publishing. "Hydration and Colds: What You Need to Know." Harvard Health. https://www.health.harvard.edu.
2. Mayo Clinic. "Honey as a Cough Suppressant." Mayo Clinic. https://www.mayoclinic.org.
3. Healthline. "Steam Inhalation: Benefits for Colds and Flu." Healthline. https://www.healthline.com.
4. WebMD. "Gargling Salt Water for a Sore Throat." WebMD. https://www.webmd.com.
5. National Institutes of Health. "Herbal Teas for Colds: What Works?" NIH. https://www.nih.gov.
6. WebMD. "Vitamin C and the Common Cold: Myths vs. Facts." WebMD. https://www.webmd.com.
7. Centers for Disease Control and Prevention. "Antibiotic Use and Resistance." CDC. https://www. cdc.gov.
8. Harvard Health Publishing. "Hydration and Colds: What You Need to Know." Harvard Health. https://www.health.harvard.edu.
9. Cleveland Clinic. "Dairy and Mucus Production: The Myths." Cleveland Clinic. https://www.clevelandclinic.org.
