Estomatologia em Foco
Paula Moreno
Rita de Cássia Soler
Ana Cristina Kfouri Camargo
Bianca Maria Liquidato




![]()
Paula Moreno
Rita de Cássia Soler
Ana Cristina Kfouri Camargo
Bianca Maria Liquidato




Coordenadora Científica da Residência Médica da Policlínica de Botafogo, Rio de Janeiro
Doutorado em Otorrinolaringologia pela Faculdade de Ciências Médicas da Santa Casa de São Paulo
Medical Fellow na Case Western Reser ve Univer sit y of Cleveland –EUA
Presidente da Sociedade de Otorrinolaringologia do Estado do Rio de Janeiro– Biênio 2021/2022
Especialista em Otorrinolaringologia pela Associação Brasileira de Otorrinolaringologia e Cirurgia Cervicofacial (ABORL-CCF)
Preceptora da Residência Médica do Serviço de Otorrino Seul de São Paulo
Otorrinolaringologista do Institu to de Infec tologia Emílio Ribas, São Paulo
Mestre e Doutora em Otorrinolaringologia pela Faculdade de Ciências
Médicas da Santa Casa de São Paulo
Estomatologista da Santa Casa de São Paulo
Especialista em Otorrinolaringologia pela Associação Brasileira de Otorrinolaringologia e Cirurgia Cervicofacial (ABORL-CCF)
Médica Assistente do Depar tamento de Otorrinolaringologia da Faculdade de Ciências Médicas da Santa Casa de São Paulo
Mestre e Doutora em Otorrinolaringologia pela Faculdade de Ciências
Médicas da Santa Casa de São Paulo
Especialista em Otorrinolaringologia pela Associação Brasileira de Otorrinolaringologia e Cirurgia Cervicofacial (- CCF) ABORL
Professora Assistente do Depar tamento de Morfologia da Faculdade de Ciências Médicas da Santa Casa de São Paulo
Mestre e Doutora em Otorrinolaringologia pela Faculdade de Ciências
Médicas da Santa Casa de São Paulo
Especialista em Otorrinolaringologia pela Associação Brasileira de Otorrinolaringologia e Cirurgia Cervicofacial (- CCF) ABORL
Paula Moreno
Rita de Cássia Soler
Ana Cristina Kfouri Camargo
Bianca Maria Liquidato
T hieme
Rio de Janeiro• St ut tgar t• New York•Delhi
Dados Internacionais de Catalogação na Publicação (CIP) (eDOC BRASIL, Belo Horizonte/MG)
E79
Estomatologia em foco/Paula Moreno... [et al.]. –Rio de Janeiro, RJ: Thieme Revinter, 2025.
18,5 x 27 cm
Inclui bibliografia.
ISBN 978-65-5572-362-5
eISBN 978-65-5572-363-2
1. Otorrinolaringologia. 2. Odontologia. I. Moreno, Paula. II. Soler, Rita de Cássia. III. Camargo, Ana Cristina Kfouri. IV. Liquidato, Bianca Maria.
CDD 616.31075
Elaborado por Maurício Amormino Júnior – CRB6/2422
Contato com a autora: Paula Moreno paluci@icloud.com
© 2025 Thieme. All rights reserved.
Thieme Revinter Publicações Ltda. Rua do Matoso, 170 Rio de Janeiro, RJ CEP 20270-135, Brasil http://www.thieme.com.br
Thieme USA http://www.thieme.com
Design de Capa: © Thieme
Impresso no Brasil por Forma Certa Gráfica Digital Ltda.
5 4 3 2 1
ISBN 978-65-5572-362-5
Também disponível como eBook: eISBN 978-65-5572-363-2
Nota: O conhecimento médico está em constante evolução. À medida que a pesquisa e a experiência clínica ampliam o nosso saber, pode ser necessário alterar os métodos de tratamento e medicação. Os autores e editores deste material consultaram fontes tidas como confiáveis, a fim de fornecer informações completas e de acordo com os padrões aceitos no momento da publicação. No entanto, em vista da possibilidade de erro humano por parte dos autores, dos editores ou da casa editorial que traz à luz este trabalho, ou ainda de alterações no conhecimento médico, nem os autores, nem os editores, nem a casa editorial, nem qualquer outra parte que se tenha envolvido na elaboração deste material garantem que as informações aqui contidas sejam totalmente precisas ou completas; tampouco se responsabilizam por quaisquer erros ou omissões ou pelos resultados obtidos em consequência do uso de tais informações. É aconselhável que os leitores confirmem em outras fontes as informações aqui contidas. Sugere-se, por exemplo, que verifiquem a bula de cada medicamento que pretendam administrar, a fim de certificar-se de que as informações contidas nesta publicação são precisas e de que não houve mudanças na dose recomendada ou nas contraindicações. Esta recomendação é especialmente importante no caso de medicamentos novos ou pouco utilizados. Alguns dos nomes de produtos, patentes e design a que nos referimos neste livro são, na verdade, marcas registradas ou nomes protegidos pela legislação referente à propriedade intelectual, ainda que nem sempre o texto faça menção específica a esse fato. Portanto, a ocorrência de um nome sem a designação de sua propriedade não deve ser interpretada como uma indicação, por parte da editora, de que ele se encontra em domínio público.
Todos os direitos reservados. Nenhuma parte desta publicação poderá ser reproduzida ou transmitida por nenhum meio, impresso, eletrônico ou mecânico, incluindo fotocópia, gravação ou qualquer outro tipo de sistema de armazenamento e transmissão de informação, sem prévia autorização por escrito.
E ste livro é dedicado ao nosso querido professor Ivo Bussoloti Filho, mentor e amigo. Pessoa fundamental em nossa paixão pela Estomatologia.
ALINE ELIAS DIAS
Residência Médica em ORL pela OtorrinoSeul de São Paulo
Especialista em Otorrinolaringologia pela Associação
Brasileira de Otorrinolaringologia e Cirurgia
Cervicofacial (ABORL-CCF)
AMANDA ANDRÉ MONTEIRO
Residência Médica em Otorrinolaringologia pela
Faculdade de Ciências Médicas da Santa Casa de São Paulo
Especialista em Otorrinolaringologia pela Associação
Brasileira de Otorrinolaringologia e Cirurgia
Cervicofacial (ABORL-CCF)
AMANDA AZEVEDO BITTENCOURT
Infectologista do Instituto de Infectologia Emílio Ribas, São Paulo
ANA ANGELICA BULCÃO PORTELA LINDOSO
Médica Infectologista do Instituto de Infectologia Emílio
Ribas, São Paulo
ANA CLARA MIOTELLO FERRÃO
Especialista em Otorrinolaringologia pela Associação
Brasileira de Otorrinolaringologia e Cirurgia
Cervicofacial (ABORL-CCF)
Residência Médica em Otorrinolaringologia pela Policlínica de Botafogo, Rio de Janeiro
Fellowship em Cirurgia Endoscópica Nasal e de Base de Crânio pela Policlínica de Botafogo, Rio de Janeiro
ANA JÚLIA RODRIGUES FERREIRA
R3 da Otorrino SEUL de São Paulo
CAMILA ALVES COSTA SILVA
Especialista em Otorrinolaringologia pela Associação
Brasileira de Otorrinolaringologia e Cirurgia
Cervicofacial (ABORL-CCF)
Residência Médica em Otorrinolaringologia pela Policlínica de Botafogo, RJ
Preceptora do Serviço de Otorrinolaringologia da Santa Casa da Bahia
CAMILA RAMOS CAUMO
Especialista em Otorrinolaringologia pela Associação
Brasileira de Otorrinolaringologia e Cirurgia
Cervicofacial (ABORL-CCF)
Residência Médica em Otorrinolaringologia pela
Policlínica de Botafogo, Rio de Janeiro
Supervisora do Departamento de Otoneurologia da Clínica Jesus Moreno, Rio de Janeiro
CAMILA RODRIGUES
Médica Infectologista e Preceptora da Residência Médica do Instituto de Infectologia Emílio Ribas, São Paulo
Médica Referência de Genotipagem pelo Ministério da Saúde
Membro Consultor do Comitê de HIV/AIDS da Sociedade
Brasileira de Infectologia (SBI)
Doutoranda na Disciplina de Infectologia da Universidade Federal de São Paulo (Unifesp)
CLEONICE HITOMI WATASHI HIRATA
Mestre em Otorrinolaringologia pela Universidade Federal de São Paulo (Unifesp)
Doutora em Medicina pela Escola Paulista de Medicina (EPM) da Unifesp
Coordenadora do Setor de Estomatologia da Unifesp
Coordenadora do Setor de Estomatologia do Hospital
Paulista de Otorrinolaringologia e do Hospital Edmundo Vasconcelos, São Paulo
GERALDO DE OLIVEIRA SILVA JÚNIOR
Professor Associado do Departamento de Diagnóstico e Terapêutica da Faculdade de Odontologia da Universidade do Estado do Rio de Janeiro (FO/UERJ)
Mestre e Doutor em Morfologia (Biologia Humana e Experimental) pela UERJ
Mestre e Doutor em Odontologia para Pacientes com Necessidades Especiais pela Associação Brasileira de Odontologia (ABO-RJ)
Coordenador do Curso de Especialização em Estomatologia da FO/UERJ
EDUARDO TAKASHI HIRATA
Residência Médica em Otorrinolaringologia na Faculdade de Ciências Médicas da Santa Casa de São Paulo
Especialista em Otorrinolaringologia pela Associação
Brasileira de Otorrinolaringologia e Cirurgia
Cervicofacial (ABORL-CCF)
ELIANA RODRIGUES BIAMINO
Doutora pela Universidade de São Paulo (USP)
Especialista em Otorrinolaringologia pela Associação
Brasileira de Otorrinolaringologia e Cirurgia
Cervicofacial (ABORL-CCF)
Coordenadora de Estomatologia do Hospital do Servidor
Público do Estado de São Paulo e da Beneficência
Portuguesa de São Paulo
JEQUÉLIE CÁSSIA GOMES DUARTE
Médica Infectologista do Instituto Clemente Ferreira (ICF), São Paulo
Docente de Medicina da Faculdade das Américas (FAM), São Paulo
JORGE LUIZ DE BARROS TORRESI
Médico Residente do 2º Ano de Infectologia do Instituto de Infectologia Emílio Ribas, São Paulo
JOSÉ ANGELO LAULETTA LINDOSO
Médico Infectologista do Instituto de Infectologia Emilio Ribas, SP
JULIANA BERTOLDI FRANCO
Cirurgiã-Dentista Chefe do Serviço de Odontologia do Instituto da Criança e do Adolescente (ICr)
Cirurgiã-Dentista Assistente da Divisão de Odontologia do Instituto Central do Hospital das Clínicas da Faculdade de Medicina da Universidade de São Paulo (FMUSP)
Cirurgiã-Dentista do Serviço de Odontologia do Hospital de Clínicas da Universidade Estadual de Campinas (Unicamp)
Especialista em Odontologia para Pacientes com Necessidades Especiais e em Odontologia Hospitalar Doutora em Patologia Oral Maxilofacial e Pacientes Especiais - FOU/SP
JULIANA GIRARDI BRUNIERA SALUSTIANO
Acadêmica de Medicina na Universidade de Ribeirão Preto do Campus Guarujá (Unaerp – GUARUJÁ)
Presidente da Liga de Dermatologia e Cirurgias Dermatológicas da Universidade de Ribeirão Preto do Campus Guarujá (Unaerp – GUARUJÁ)
KAIQUE ARRIEL
Dermatologista pela Universidade Santo Amaro, São Paulo
Fellow em Dermatoses Infectoparasitárias do Instituto de Infectologia Emílio Ribas, São Paulo
LÍVIA VIEIRA DE ALMEIDA
Médica Infectologista do Ambulatório de Doenças Mucosas do Instituto de Infectologia Emílio Ribas, São Paulo
MARIA ANGELA BIANCONCINI TRINDADE
Pesquisadora Científica VI, Divisão de Clínica
Dermatológica, Laboratório de Investigação Médica, Hospital das Clínicas da Faculdade de Medicina da Universidade de São Paulo (HCFMUSP)
Professora Titular da Pós-Graduação do Mestrado
Profissional, Instituto de Saúde, Secretaria de Estado da Saúde de São Paulo
Professora Eventual da Pós-Graduação do Departamento de Dermatologia da FMUSP
MARIA VICTÓRIA QUARESMA
Médica Assistente da Divisão de Clínica Dermatológica do Hospital das Clínicas da Faculdade de Medicina da Universidade de São Paulo (HCFMUSP)
Professora Titular do Curso de Medicina da Universidade de Ribeirão Preto – Campus Guarujá (Unaerp – GUARUJÁ), Disciplina de Dermatologia
MARÍLIA HEFFER CANTISANO
Professora Titular do Departamento de Diagnóstico e Terapêutica da Faculdade de Odontologia da Universidade do Estado do Rio de Janeiro (FO/UERJ)
Mestre em Diagnóstico Bucal pela Universidade de São Paulo (USP)
Doutora em Estomatologia pela Universidade Estadual Paulista (Unesp/Araçatuba)
MATHEUS COSTA FREITAS
Médico Residente em Infectologia do Instituto de Infectologia Emílio Ribas, São Paulo
PATRÍCIA GUIMARÃES PASTORE
Médica Residente em Otorrinolaringologia do Serviço de Otorrino Seul de São Paulo
PEDRO MORENO FRAIHA
Residência Médica em Otorrinolaringologia pela Policlínica de Botafogo, Rio de Janeiro
Fellow em Otologia pela Policlínica de Botafogo, Rio de Janeiro
Diretor Supervisor da Clínica Jesus Moreno
RACHEL PINHEIRO
Especialista em Otorrinolaringologia pela Associação Brasileira de Otorrinolaringologia e Cirurgia
Cervicofacial (ABORL-CCF)
Residência Médica em Otorrinolaringologia pela Policlínica de Botafogo, Rio de Janeiro
RAQUEL CORDEIRO MENDES
Médica pela Faculdade de Medicina da Universidade de São Paulo (FMUSP)
Residente em Infectologia no Instituto de Infectologia Emílio Ribas, São Paulo
RENATA ZORAIDA RIZENTAL DELGADO
Especialista em Odontopediatria pela Universidade
Estadual de Londrina - Bebê Clínica
Especialista em Odontologia Hospitalar Mestre em Odontologia pela Universidade Estadual do Oeste do Paraná (Unioeste)
Doutora em Odontopediatria pela Faculdade de Odontologia de Ribeirão Preto da Universidade de São Paulo (FORP/USP)
RODRIGO ANTONIO DE MESQUITA SILVA
Médico Residente em Infectologia do Instituto de Infectologia Emílio Ribas, São Paulo
RODRIGO PORTELLA
Médico Residente de Infectologia do Instituto de Infectologia Emílio Ribas, São Paulo
RUTH TRAMONTANI RAMOS
Professora do Curso de Especialização da Faculdade de Odontologia da Universidade do Estado do Rio de Janeiro (FO/UERJ)
Mestre em Patologia Bucodental pela Universidade Federal Fluminense (UFF)
Doutora em Clínica Médica pela Faculdade de Medicina da Universidade Federal do Rio de Janeiro (UFRJ)
Especialista em Estomatologia pela UFRJ
Coordenadora II do Curso de Graduação de Odontologia da Universidade Estácio de Sá, Rio de Janeiro
THAIS MONTEIRO SILVA
Especialista em Otorrinolaringologia pela Associação
Brasileira de Otorrinolaringologia e Cirurgia
Cervicofacial (ABORL-CCF)
Residência Médica em Otorrinolaringologia pela Policlínica de Botafogo, Rio de Janeiro
Fellow em Estomatologia pela Policlínica de Botafogo/ Clínica Jesus Moreno
Lívia Vieira de Almeida Jequélie Cássia Gomes Duarte Raquel Cordeiro Mendes
SEÇÃO
Ana Júlia Rodrigues Ferreira Rita de Cássia Soler
Aline Elias Dias Rita de Cássia Soler
6.4
José Angelo Lauletta Lindoso Matheus Costa Freitas Rodrigo Antonio de Mesquita Silva
Bianca Maria Liquidato
Bianca Maria Liquidato
Ana Cristina Kfouri Camargo
Kfouri Camargo
Ana Cristina Kfouri Camargo
SEÇÃO
Ana Cristina Kfouri Camargo
Ana Cristina Kfouri Camargo
Ana Cristina Kfouri Camargo
Camila Rodrigues
Ana Cristina Kfouri Camargo
Ana Cristina Kfouri Camargo
Amanda André Monteiro Ana Cristina Kfouri Camargo
SEÇÃO 9.4
Amanda André Monteiro Ana Cristina Kfouri Camargo
Amanda André Monteiro Ana Cristina Kfouri Camargo
SEÇÃO 9.6
Amanda André Monteiro Ana Cristina Kfouri Camargo
SEÇÃO 9.7
Ana Angelica Bulcão Portela Lindoso
Jorge Luiz de Barros Torresi Rodrigo Portella
Maria Victória Quaresma Juliana Girardi Bruniera Salustiano Maria Angela Bianconcini Trindade
Marília Heffer Cantisano Geraldo de Oliveira Silva Júnior
Ruth Tramontani Ramos
As lesões elementares ou fundamentais são modificações da mucosa e da pele determinadas por processos inflamatórios, degenerativos, circulatórios, tumorais, metabólicos ou defeitos de formação. Correspondem elo que unem a clínica ao processo diagnóstico, permitindo a comunicação padronizada entre as áreas clínicas da saúde. O objetivo desde capítulo é desenvolver o conhecimento acerca destas lesões uma vez que as hipóteses diagnósticas formuladas, em decorrência de um quadro clínico obtido, fundamentam-se na história clínica da doença e das características clínicas da lesão elementar.
Manchas
São alterações de cor da mucosa ou pele, uniformes e sem relevo, podendo variar desde colorações mais claras, brancas até as mais enegrecidas, amarronzadas e arroxeadas, dependendo do tipo de pigmento. Não apresentam tamanho definido, podem ser puntiformes ou atingirem alguns centímetros (Fig. 1-1).
Exemplos: melânicas (pigmentos endógenos [Fig. 1-2], e exógenos [Fig. 1-3]), hemáticas (vasculares e hemorrágicas [Fig. 1-4]).
Vale lembrar que, classicamente, para as manchas secundárias devemos denominá-las de mácula, como por exemplo as manchas melânicas (Fig. 1-5) e eritematosas após trauma.

























































































Fig. 1-1. Esquema geral das principais lesões elementares. (a) Mancha, (b) pápula, (c) nódulo, (d) bolha, (e) úlcera e ulceração (superficial), (f) atrofia.






Placa
São lesões planas, elevadas, destacáveis ou não e palpáveis, com mais de 1 centímetro de diâmetro.
Exemplos: leucoplasia, candidíase, psoríase, líquen plano e dermatite atópica (Fig. 1-6).
Vesículas, Bolhas e Pústulas
São lesões de características semelhantes, onde ocorre o acúmulo de líquido (conteúdo seroso ou mucoso) intra ou subepitelial, proporcionando uma elevação do epitélio. A diferença clínica entre estes processos é que a vesícula é considerada até 3 mm (Fig. 1-7), a bolha acima de 3 mm (Figs. 1-8 e 1-9) e a pústula é uma vesícula ou bolha de conteúdo purulento.
Exemplos: herpes simples, catapora, herpes zóster, pênfigo vulgar, penfigoide, impetigo.

Pápulas
São formações sólidas pequenas, com até 5 mm de tamanho, elevadas da mucosa podendo ser arredondadas ou ovaladas e regredirem espontaneamente sem deixar cicatriz. A mucosa que recobre é íntegra e, geralmente, acompanha a tonalidade da mucosa adjacente (Fig. 1-9).
Exemplos: grânulos de Fordyce, verruga vulgar e hiperplasia fibrosa.
Nódulos
Os nódulos são formações subcutâneas ou submucosas podendo localizar-se na profundidade dos tecidos ou mais próximos da superfície, elevando a pele ou a mucosa com tamanho de até 3 cm (Fig. 1-10).
Exemplos: lipoma, linfonodo, hiperplasia por prótese mal adaptada.

As escamas são lâminas epidérmicas secas que tendem ao desprendimento visível das camadas superficiais do epitélio (Fig. 1-11).
Exemplos: dermatite seborreica (caspa), psoríase, queimadura pelos raios solares, queilite esfoliativa.
As queratoses correspondem às modificações circunscritas ou difusas da espessura da mucosa ou pele que se tornam mais consistentes em consequência do espessamento da camada superficial de queratina (Fig. 1-12).
Exemplos: queratose friccional, queratose solar, queratose senil e linha branca alba, Morsicatio.

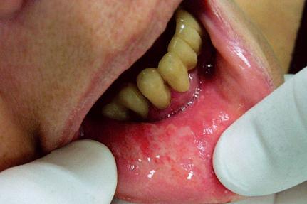
Fig. 1-11. Escama localizada em vermelhão de lábio inferior com diagnóstico clínico de queilite esfoliativa.


1-12. Queratose superficial em vermelhão do lábio inferior em paciente com diagnóstico clínico de queilite esfoliativa.
Vegetação
Vegetações são lesões sólidas, elevadas, salientes, cônicas, lobulares, filiformes ou com aspecto de couve-flor, de consistência mole e agrupadas em maior ou menor quantidade (Fig. 1-13).
Exemplos: hiperplasia papilar palatina, condiloma acuminado, leishmaniose, carcinoma de células escamosas, paracoccidioidomicose, verruga vulgar.
Fístula
É um trajeto de conexão entre uma cavidade, um órgão ou vaso sanguíneo, que percorre tecido são para outra estrutura similar ou meio externo (Fig. 1-14).
Exemplos: actinomicose, abcesso dentoalveolar.

Crosta
É o ressecamento de uma secreção patológica ou de um líquido (seroso, purulento, sanguíneo) (Fig. 1-15).
Exemplos: hemáticas, serosas, sero-hemáticas, purulentas, seropurulentas, necrobióticas.
Cicatriz
Sequela decorrente da proliferação de tecido fibroso por reparação no local em que a mucosa ou pele perdeu as suas características originais (Fig. 1-16).
Exemplos: estéticas (lisas, não aderidas), inestéticas ou viciosas: irregulares, retraídas, queloides, hipertróficas, atróficas, papilomatosas.

resultantes do ressecamento de lesões de conteúdo seropurulento e hemático de paciente com eritema multiforme menor.


Escara
É resultante da anoxia do tecido na área afetada, evoluindo de eritema até necrose, produzida por queimaduras ou corrosivos (Fig. 1-17).
Exemplos: queimaduras pelo ácido acetilsalicílico (AAS) e soluções cáusticas irrigadoras usadas na endodontia.
Atrofia
É o adelgaçamento da pele ou mucosa que se torna fina, lisa, translúcida e pregueada. Pode ser fisiológica como na atrofia senil ou determinada por agentes mecânicos ou físicos.

Fig. 1-17. Escara em mucosa labial inferior, ocasionada por queimadura após contato com soda clorada usada em tratamento endodôntico.

1-18. Atrofia papilar central em dorso de língua com etiologia de infecção por Candida sp.
Exemplo: atrofia de papilas linguais (carência nutricional), língua geográfica, língua crenada (Fig. 1-18).
Tumor
É uma lesão sólida, elevada ou não, circunscrita e maior do que 3 cm (Fig. 1-19).
Exemplos: adenoma pleomórfico, celulite facial, angina de Ludwig.
Ulceração
Corresponde à perda de substância aguda ou subaguda com tendência à cicatrização (Fig. 1-20).
Exemplo: trauma protético.

1-19. Lesão tumoral com diagnóstico após exame anatomopatológico de adenoma pleomórfico da região do palato.

Fig. 1-20. Ulceração localizada em fundo de vestíbulo superior provocada por aparelho protético.
Úlcera
É uma ulceração crônica que não tende a cicatrizar espontaneamente (Figs. 1-21 e 1-22).
Exemplos: infecções crônicas e carcinomatosas, afta de Sutton.
Segundo etiologia e evolução clínica, as úlceras podem ser classificadas em:
Serpiginosa: cura por um extremo e avança por outro.


Terebrante: avança em profundidade.
Crateriforme: profunda de bordas elevadas.
Gangrena: corresponde a associação de necrose e putrefação microbiana.
• Exemplo: Granuloma letal da linha média e necrose por aplicação de agente emoliente (Fig. 1-23).
Necrobiose: corresponde a morte tissular lenta, parcial.
• Exemplo: aftas (Fig. 1-24).


Erosão ou Abrasão
Perda de substância superficial por mecanismos patológicos que compromete apenas a mucosa superficial. Quando a erosão for de origem traumática, chama-se escoriação. Exemplo: remoção do rolinho de algodão após algum tempo (Fig. 1-25), cigarro no lábio.
Exemplos: erosão decorrente do herpes simples (Fig. 1-26) e aftas herpetiformes.
Fissura ou Rágades
Perda de substância linear e estreita, que admite mecanismos etiopatogênicos diferentes. São


mais comuns nas pregas mucocutâneas (comissura labial) (Fig. 1-27).
Exemplos: queilite angular, fissura labial congênita.
Perda de substância, em forma oval, que envolve todas as camadas de um setor topográfico, provocando comunicação com as cavidades vizinhas (seio maxilar, fossas nasais) (Fig. 1-28).
Exemplos: goma sifilítica, zigomicose e comunicação buconasal ou bucossinusal

localizada em comissura labial bilateral com diagnóstico clínico de queilite angular.

bucossinusal (seta) em região de prémolares superiores.
LESÕES ELEMENTARES
O conhecimento das lesões fundamentais auxilia na elaboração do diagnóstico e são fundamentais para a comunicação entre os profissionais da área da saúde. Todo diagnóstico norteia-se pela história e pelas características clínicas da lesão, que se
enquadram dentro de algum tipo de lesão elementar já estudada. Esse agrupamento auxilia na padronização e facilita o estudo das alterações de mucosa e pele. A descrição de uma lesão requer atenção aos detalhes e precisão. No detalhamento da lesão devem ser analisadas algumas características simplificadas no Quadro 1-1.
Quadro 1-1. Descrição das características clínicas da lesão elementar
Consistência
Superfície
( ) Firme ( ) Irregular ( ) Elevadas ( ) Dias ( ) Lisa
( ) Dura ( ) Redondo ( ) Planas ( ) Semanas ( ) Irregular
( ) Mole ( ) Fusiforme
( ) Flutuante
( ) Outro
Qual?
( ) Meses ( ) Papilar
( ) Anos ( ) Moriforme
( ) Congênita ( ) Ulcerada ( ) Crostosa
Cor Contorno Dor Base
( ) = a região ( ) Regular ( ) Sim ( ) Séssil
( ) Vermelha ( ) Irregular ( ) Não ( ) Pediculada
( ) Branca
( ) Outra
Qual? Tamanho ____x____cm

Uma ampla abordagem sobre as doenças da cavidade oral e suas manifestações sistêmicas, ricamente ilustrada.
Este livro tem como público-alvo médicos e odontólogos que possuam interesse nas doenças da cavidade oral e suas manifestações sistêmicas. Com uma abordagem ampla sobre este vasto tema, é, sem dúvida, muito útil a quem necessita de uma leitura para aprimorar o conhecimento em uma área tão fascinante.
ISBN 978-65-5572-362-5