
7 minute read
COMPLICACIONES DE LA CIRUGIA BARIATRICA
Erick Ibarguen Médico
La obesidad, según la definición de la Organización Mundial de la Salud, es una acumulación anormal o excesiva de grasa que puede perjudicar la salud. Más objetivamente se define como un índice de masa corporal (IMC) mayor de 30 donde el IMC = peso en (kg) / altura en (m2) (World Health Organization, 2013)
Advertisement
La obesidad afecta la salud física, psicológica y social y es un importante factor de riesgo de muerte por cardiopatía isquémica, diabetes mellitus y cáncer bariátrica debe ser, además de efectiva en cuanto a lograr la pérdida ponderal deseada, segura, con una morbilidad inferior al 10% y una mortalidad menor del 1%, debe ofrecer una buena calidad de vida y producir efectos secundarios mínimos. Así, los bypass intestinales fueron abandonados por los efectos indeseables que producían (diarreas y fallos orgánicos). La gastroplastia vertical, la técnica más habitualmente realizada en el tratamiento de la obesidad está siendo cuestionada en el momento actual por la alteración en la calidad de vida que produce, además de por sus fallos a largo plazo. Ello hace que técnicas como el bypass gástrico o el bypass biliopancreático se perfilen en el momento actual como las técnicas de elección.

Una intervención bariátrica debe ser segura, con una morbilidad inferior al 10% y una mortalidad menor del 1%, ofrecer una buena calidad de vida y producir efectos secundarios mínimos.
Introducci N
La cirugía de la obesidad patológica se inició en la década de los cincuenta en los EE.UU., con el bypass intestinal de Varco. Más de 30 técnicas han sido desarrolladas desde entonces. Una buena intervención


Bypass yeyunoileal según técnica descrita por Salmon (septiembre de 1978)
Gastrogastrostomía (febrero de 1985)

La obesidad es el trastorno nutricional más frecuente en los países desarrollados, y constituye un grave problema social, económico y médico. Hablamos de obesidad mórbida o clínicamente grave cuando el índice de masa corporal es mayor de 40 o el paciente tiene 45 kg de sobrepeso (por encima del peso ideal) o el sobrepeso en porcentaje es superior al 100%. La obesidad mórbida conlleva un aumento del riesgo vital al asociarse a patología cardiovascular (arteriosclerosis, hipertensión, cardiopatía isquémica, varices o hemorragia cerebral), enfermedades respiratorias (hipoventilación o síndrome de apnea-sueño), digestivas (colelitiasis, hernia de hiato o esteatosis hepática), osteoarticulares, metabólicas (diabetes mellitus o dislipemia) o aumento de la incidencia de algunos tipos de neoplasias (mama o endometrio)
La mayoría de los pacientes obesos mórbidos son incapaces de lograr una pérdida de peso mantenida en el tiempo mediante tratamiento dietético, psicoterápico o farmacológico. Por ello, se acepta que la cirugía es el tratamiento más efectivo de la obesidad mórbida.
Según Fobi, una buena técnica bariátrica debe tener, como primera característica, la seguridad, es decir, una morbilidad inferior al 10% y una mortalidad inferior al 1%. Aunque en el seguimiento a corto plazo muchas técnicas cumplen estas características, a largo plazo el porcentaje de complicaciones se eleva de tal manera que obliga a su abandono. El tipo de complicaciones que puede aparecer depende, lógicamente, del tipo de cirugía practicada y podrán ser tanto las propias de la cirugía abdominal (infección de herida operatoria, evisceración, eventración, complicaciones respiratorias, fístulas digestivas, abscesos intraabdominales, etc.) como las específicas de la técnica.
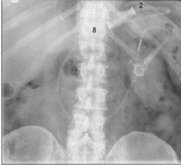
Bypass biliopancreático según técnica de Scopinaro, con la modificación de Holian.
Los bypass, o cortocircuitos intestinales, fueron las primeras técnicas anti obesidad en popularizarse. Todos los modelos de bypass intestinal pueden producir complicaciones tanto precoces como tardías. Entre las complicaciones precoces se encuentran las diarreas que, si bien pueden considerarse «fisiológicas» tras este tipo de intervención (por disminución de la superficie intestinal absortiva), pueden dar lugar a trastornos hidroelectrolíticos (hipopotasemia, hipocalcemia o hipomagnesemia) y déficits vitamínicos (A, B12, D y K) y pueden obligar a la reconversión del bypass. Como consecuencia de las diarreas pueden aparecer trastornos anales como proctitis o fisuras. Entre las complicaciones tardías destacan: disfunción e incluso fallo hepático, hipersecreción gástrica, hipergastrinemia, colelitiasis, nefrolitiasis por cálculos de oxalato, desmineralización ósea por malabsorción de vitamina D y artralgias migratorias (probablemente en relación con reacciones de hipersensibilidad frente a antígenos absorbidos en el intestino excluido, por sobrecrecimiento bacteriano). Pueden aparecer también complicaciones intestinales como el denominado “síndrome de distensión gaseosa del intestino excluido” (que cursa con flatulencia, dolor abdominal, distensión, pudiendo simular un cuadro oclusivo) o la enteritis del bypass, por colonización bacteriana del mismo (E. coli o anaerobios), que cursa con fiebre, aumento del número de deposiciones, dolor abdominal y distensión, y que responde bien al tratamiento antibiótico.

Griffen reconoce una morbilidad del 50% y una mortalidad próxima al 10%, cifras consideradas como inaceptables, afirmando que este tipo de intervención debe ser abandonada en el tratamiento de la obesidad.
En la cirugía restrictiva se distinguen dos tipos de técnicas: los bypass gástricos y las gastroplastias, cuyo prototipo es la gastroplastia vertical con banda según técnica de Mason. Tras el bypass gástrico pueden aparecer complicaciones como estenosis del estoma, úlcera de boca anastomótica, dilatación aguda del reservorio y del estómago y perforación, por isquemia o por úlceras, que también pueden producir hemorragia digestiva, obstrucción del estoma, bezoares o síndrome de dumping.

Las complicaciones técnicas características de la gastroplastia vertical son las siguientes:
Disrupción de la línea de grapas, que es la más frecuente de las mismas, aunque no siempre se asocia a fallo de adelgazamiento o reengorde.
Estenosis del estoma, que produce vómitos y puede ser tratada mediante dilataciones endoscópicas, aunque a veces precisa de la retirada de la banda de refuerzo del estoma.
Dilatación del reservorio, que sí se asocia con frecuencia a reengorde.
Otras complicaciones propias de la gastroplastia vertical son:

La obstrucción del estoma.
El reflujo gastroesofágico y la esofagitis por reflujo.
La necrosis del reservorio en el postoperatorio inmediato
En los pacientes sometidos a cirugía bariátrica pueden aparecer tres tipos de complicaciones potencialmente mortales: la malnutrición proteica, el síndrome de realimentación y el síndrome de Wernicke-Korsakoff. El síndrome de realimentación (Silvis y Paragus, 1971) aparece en sujetos con una carencia total de proteínas, por caída brusca de las concentraciones de fosfatos en sangre al iniciar la nutrición parenteral. El síndrome de Wernicke-Korsakoff aparece tras vómitos mantenidos varios meses, y cursa con sintomatología central y periférica; su progresión puede detenerse mediante la administración precoz de tiamina por vía intravenosa.
BANDA GÁSTRICA AJUSTABLE LAPAROSCÓPICA (LAGB)
Es un procedimiento restrictivo que implica la colocación de un anillo de silicona ajustable debajo de la unión gastroesofágica para crear una bolsa. Está conectado a un puerto que se coloca en el tejido subcutáneo y se puede inflar o desinflar para aumentar o disminuir el grado de restricción. Es reversible y generalmente se considera un procedimiento más seguro ya que no se ingresa al tracto gastrointestinal y no hay anastomosis. Sin embargo, surgen complicaciones menos tardías y se ha informado una tasa de reoperación de 10 a 20% (Lancaster & Hutter, 2008). Deslizamiento de la banda, agrandamiento de la bolsa, erosión de la banda y las complicaciones en el sitio del puerto son los problemas más comunes asociados con LAGB.
El síndrome del remanente gástrico es una secuela rara de obstrucción, pero el hecho de no reconocer su aparición puede provocar perforación, peritonitis y, posteriormente, la muerte. Las características incluyen dolor epigástrico, distensión, hipo, distensión y timpánica en la parte superior del abdomen, disnea o taquicardia. Una radiografía simple de abdomen puede mostrar una burbuja de aire gástrico y el diagnóstico se puede confirmar en la tomografía computarizada con contraste oral.


A pesar de los beneficios bien documentados de la cirugía laparoscópica, su uso en el bypass gástrico en Y de Roux se asocia con un aumento en la formación de hernias internas. Se cree que esto se debe a menos adherencias que se desarrollan después de un abordaje laparoscópico. Los sitios de herniación potencial incluyen (a) el defecto en el mesocolon transversal si la extremidad de Roux se coloca en una posición retrocólica (mesocólica)
(b) el espacio entre el mesenterio de la extremidad de Roux y el mesocolon transversal (Peterson’s hernia)

(c) el defecto mesentérico en el sitio de la yeyuno-yeyunostomía (ver Fig. 9).
Conclusi N
La obesidad está alcanzando proporciones epidémicas en todo el mundo a pesar de las crecientes iniciativas e intervenciones de promoción de la salud destinadas a la modificación del estilo de vida. Actualmente, la cirugía es la única intervención comprobada para lograr y mantener la pérdida de peso a largo plazo y tener un impacto positivo en las comorbilidades relacionadas con la obesidad, como la diabetes mellitus.
Con un número cada vez mayor de estos procedimientos que se realizan en centros especializados, los cirujanos bariátricos especialistas abordan las complicaciones postoperatorias tempranas. Sin embargo, los pacientes con complicaciones tardías se presentarán con mayor frecuencia en centros no especializados. Una comprensión de la anatomía postoperatoria que ocurre después de la cirugía facilitará la comprensión de estas presentaciones y ayudará en la interpretación de las investigaciones apropiadas.
Los cirujanos generales deben tener en cuenta las posibles complicaciones tardías de los procedimientos quirúrgicos bariátricos comunes para garantizar que los pacientes sean investigados y manejados adecuadamente. Las complicaciones específicas de deslizamiento de la banda, agrandamiento de la bolsa, obstrucción del intestino, hernia interna y síndromes remanentes gástricos deben ser reconocidos y manejados por el cirujano general de emergencia, mientras que las complicaciones como la erosión de la banda y la estenosis estomal pueden remitirse a un cirujano bariátrico para una mayor administración.

Como se menciona en el presente articulo las complicaciones del procedimiento de la cirugía bariátrica son muchas que van desde complicaciones tempranas como hemorragias, dehiscencias de las suturas, herniación, infección del sitio operatorio, peritonitis por filtraciones o perforaciones. También pueden ser tardías asociadas a los síndromes malabsortivos que llevan a desequilibrio nutricional con implicaciones severas en la inmunidad. Otras complicaciones pueden ser de tipo mecánico asociado a la técnica quirúrgica.
En cierto modo la cirugía bariátrica puede ser de ayuda al inicio, sin embargo, en mi experiencia como experto en obesidad siempre he visto que en un alto porcentaje hay reganacia de peso, síndromes depresivos asociados a algunos resultados adversos.
Siempre que su deseo sea realizarse un procedimiento como este asegúrese de estar bien enterado de todas las complicaciones y no busque un camino rápido para bajar peso, tome la consciencia y haga un proceso de cambio en sus hábitos alimentarios que lo lleve a una pérdida de peso segura y duradera.

Walter Mendoza Paulini Ingeniero

¿EL CEREBRO SE ESTUDIA A SI MISMO?
¿PORQUE NOS INTRIGA TANTO ESTE ORGANO?
Autor:
Walter Mendoza Paulini es Ingeniero en Electrónica por la UNMSM de Lima – Perú, especialista y perito en equipos biomédicos por el Colegio de ingenieros del Perú, y con una especialidad en Neurociencias por la facultad de medicina de la Universidad Peruana Cayetano Heredia de Lima
Con más de 25 años de experiencia en Gestión, diseño, instalación y mantenimiento de equipos biomédicos en hospitales de baja, mediana y alta complejidad.
En la actualidad ejerce la asesoría y consultoría en temas técnicos/ legales de ingeniería hospitalaria a organismos privados waltermendozapaulini@gmail.com
