St. Olave's Academic Journal 2024

Page 1

The Academic Journal 2024

Contents Foreword 3 “Law Making in the UK; is it democratic?” 4 Trijagati Senthil-Kumar “Latin Squares” 7 Aashman Kumar “5G: Why Clash Royale always buffers even with 5G signal” 14 Chen Hui Wang “The exploration of Q* into the unknown” 18 Folabomi Adenugba “Exploring the Links Between Behavioural Economics and Environmental 26 Economics” Wafi Ali “Foreign Aid: Good or Bad?” 32 Isha Revindharan “The Impact of Climate Change on Health Care Services: A Looming Crisis” 36 Devadutt Kuragayala “From above the grocer’s to the steps of Number 10: The Rise of the Iron Lady” 45 George Clements “Soft Robotics” 50 Barayturk Aydin “The Taiwan Iceberg – Why Taiwan is set to Become the Most Important Site of 57 the Century” Leo Maile “A Quick Glance at the Judicial System of the Great Qing” 60 Chris Choi “The Pipe Organ – the most complex instrument in the world?” 65 Yiming Guo 2

Foreword

Though I have only spent two short years at Saint Olave’s, it is always striking for me to consider how many immense privileges I have enjoyed here. Perhaps the most striking of these privileges is the incredible, perpetual academic fascination I witness daily from both students and staff, and the opportunities to nurture and explore this shared fascination – for want of a better term, the opportunity to nerd out, pretty much constantly.

Accordingly, I am delighted to present the Academic Journal of 2024, a brilliant celebration of Saint Olave’s collective curiosity. As always, its contents represent the diversity of interests present across the school, from mathematics to artificial intelligence to medicine; modern, historical, and even ancient politics; articles attacking pressing contemporary concerns, and articles tackling narrower thought experiments. Thank you to everybody who has contributed to this journal, as well as every society leader and attendee who all continue to foster an inclusive, inquisitive environment.

My sincerest hope is that there is something here for everybody, and that this could inspire you to go down your own Wikipedia rabbit-hole, seek your own radiant beam of knowledge, and come out the other end a little wiser – perhaps even clutching an article for next year’s journal. For now, enjoy!

3

Trijagati Senthil-Kumar

Law Making in the UK; is it democratic?

Democracy underpins British political identity; from the foundations of parliament referenced in the Magna Carta to the constant discourse on the nature of the representative legislative system in, today’s, post-Brexit UK. But to what extent is the legislative process in the UK democratic? Democratic metrics generally place the UK as being less democratic than other full democracies such as Norway and Sweden (as suggested in the EUI’s democratic index in 2021); the worst scores for the UK were in the categories of political culture and functioning of government which suggests that, on a broad scale, there is significant remit to improve the current systems in place.

Considering the wider electoral and political administration of the UK is critical in identifying inhibiting factors in affecting democracy within the UK. Lingering in recent British political memory, is the Brexit 2016 referendum; voter turnout for those aged above 65 was identified as around 90% whereas the most generous estimates suggest a 64% voter turnout for those aged 18-25. Discrepancy in participation across age groups has resulted in a democratic system that is ineffective at electing representatives for the legislative process. Widespread disillusionment with government, a first-past the post electoral system and a further cache of interconnected factors ultimately leads to the production of a House of Commons that is only moderately representative.

Though it is significant to consider the wider context in which the legislative process fits, the focus of this article will be on considering this question with a greater emphasis on the processes of legislative process, namely the committee state and report stage in Commons. Comprised of the House of Lords and the House of Commons, the dual chamber system in parliament aims to achieve parliamentary scrutiny and affect democracy through the production of necessary legislation

4

efficiently. Initially, the House of Lords (the unelected chamber comprised of peers appointed by the acting Prime Minister) seems to be a glaring inhibitor of democracy. Whilst Lords is undemocratic in isolation, the complimentary nature of the two Houses enables the chamber to act as an effective check on the ‘executive’ (governing majority) which largely dominates the legislative process. The Committee Stage, in Commons, is widely regarded as most vulnerable to the domination of the government which can hinder parliament’s ability to influence legislation. Line-by-line scrutiny ((as well as evidence taking) take place during this stage and these processes are carried out temporary Public-Bill Committees (PBCs). The process by which members are elected for PBCs is heavily influenced by government whips though there being an expectation to elect those with relevant expertise and represent the Party distribution in the House of Commons. As the committee selection is heavily whipped, this poses two risks to the democratic nature of the Committee Stage. The first is the lack of representation for dissenting members within in the Second Reading of the legislative process in committee stages; for example, though 17% of members expressed opposition to the Education Act 2004, only one member was chosen for the committee as there is no requirement to select members representative of the spectrum of opinions within a party. The second vulnerability is lack of expertise in the Committee Stage due to the vague requirements for choosing PBCs. The heavily whipped nature of committees leads to government members voting along party lines with adversarial interchange across parties. Ultimately this renders the Committee Stage, in Commons, unable to affect democracy leading to almost all government amendments to legislation being tabled as opposed to half a percent of non-governmental amendments raised.

5

Immediately following, the Report Stage is an opportunity for all members of Commons to debate the amendments proposed. However, the limitations of the Report Stage most critically are due to the timing constraints Commons operates under; ‘programming’, the allocation of time for the consideration of different parts of bills, acts to limit the extent to which parliament can influence legislation. As a result of these timing constrains, large swathes of bills can pass through without being considered; this threatens the extent to which democracy is upheld through the scrutiny of bills in Commons. Non-governmental amendments are less likely to chosen by the Speaker to be debated which when paired with timing constrains results in the Report Stage only moderately acting as a vehicle for democratic influence in Commons.

By focusing on the Committee and Report Stages in Commons, the points at which the most significant change and scrutiny usually occurs, the overall impression is of a system that works only moderately and is unable to restrain the dominance of the executive. This analysis must be contextualised with reference to the House of Lords (as a house without a government majority) which acts in parallel to scrutinise governmental amendments. Lords does this to an extent with bills being more likely to be rejected in Lords across the legislative process; however, Lords’ is obliged by convention and legislation to defer to Commons in contentious cases (particularly when considering finance bills) allowing, ultimately, for the dominance of Commons. Overall, the ineffectual election process paired with the dominance of government in the legislative process cumulatively produces a legislative process that does not effectively allow for parliament to influence legislation with critical areas such as the Committee and Report Stages being significantly limited.

6

Aashman Kumar Latin Squares

Here is a problem due to Euler: there are 36 officers, belonging to 6 different regiments and having 6 different ranks such that each combination of regiment and rank occurs only once. Can the officers march in a 6 by 6 grid such that in any row or column each regiment and rank occurs only once?

Take a moment to give it a try, maybe with a smaller square.

The answer for 36 officers is no. The proof is not pleasant; Euler himself could not find it and it was finally proved by exhausting every possibility by hand in 1900.

Unfortunately, work on the generalization of this problem continued in the same vein. Euler speculated that all arrangements of n^2 officers were possible so long as n wasn’t of the form 4k +2. This pattern did not exist; other than the case of n = 6, 7

which he originally considered, and the case n=2, every other possible arrangement works. This proof was provided computationally.

Luckily, this work was not entirely without satisfaction. Supposed we considered the officers again but relaxed the requirements on rank and only considered regiment, so that each regiment only occurs once in each column and row, but rank doesn’t matter at all. This sort of arrangement is called a Latin square and is a wonderfully useful tool.

An example Latin Square: instead of regiments, each number occurs once in a row and column.

Surely, this is no mathematical innovation, but just a Sudoku grid? Before you make your judgement, let’s look a bit deeper into the structure of these Latin Squares. How else could we think about what we’ve done here? Here’s one way to look it at: consider an upcoming (heteronormative) ballroom dance, in which n boys are to be paired up with n girls for n dances. Then we may let the (i,j) position on the square correspond to the number of the dance between the ith girl and the jth boy. Naturally, since each column i corresponds to a girl, she will have her timetable full, with a dance at every timeslot, and she will never be double booked. The same can be said for each boy, who’s timetable is encoded in the jth row. (maybe try making sense of this in your head with the example square above)

This is sort of cool and (slightly boring) use cases can be conceived from this view in scheduling and managing operations. But wait; it seems that we’ve skipped over something: how do we know we can even always construct Latin squares of all sizes? Is there a procedure that we could use to reliably generate Latin squares? Well let’s start by filling in the first row with the symbols from {1,2,3…n}:

8

From here, it is obvious that every subsequent row is just going to be some rearrangement of our original. What could we do to produce every row that follows? Could we try just shifting every subsequent row to the right by 1?

That seems to work. What if we tried to do it by 2? If n was even, that would mean about halfway down the table in the right column we would see n again! Or if we tried 3, then if n was a multiple of 3 we would see n two more times in its initial column. In general, it seems that if the size of our shift is a factor of n, then n is going to show up again and again in its own column which is against our rules. Therefore, the size of our shift “m” and “n” ought to be coprime. Also, if m>n, the shift m is equivalent to the shift of size m-n, since m = n +(m-n) and a shift of n just brings you back to where you started (i.e; is equivalent to a shift of 0)

Let’s state our rule for cyclically generating a Latin square then:

Take an initial arrangement of the items {1,2..n} in the top row. For each subsequent row, move each item to the right m places, where m is any integer such that 1<= m < n and m and n are coprime.

Applying such a rule n-1 times generates a Latin square as follows. If you apply it the nth time however, you end up back where you started at the original arrangement,

9

since each item has moved nm slots to the right in total, and moving any integer multiple of n is the same as not moving at all. So, we have repeatedly applied a transformation until we have come back to identity.

This directly corresponds to a cyclic group.

A group is simply defined as a set equipped with an operation that fits a few criteria:

• applying the operation to members of a group results in another member of the group (the group is “closed” under the operation)

• the group has an identity element. Applying the operation with the identity element does nothing

• every element has an inverse, so that if you apply the operation on an element and its inverse you come out with the identity

• the operation is associative

Groups are a powerful tool which we can use to understand transformations and symmetry (and show their face in all sorts of areas of mathematics and physics, such as famously the proof that there is no quintic formula, and they are also intimately involved in the symmetry conditions of Noether’s theorems, for example)

Let’s look at a concrete example of a group to make sense of things. Think about the set of rotations of an equilateral triangle. Specifically, look at this set: {0,120,240}, corresponding to rotations by those values in degrees. We can define a group with this set under the operation of applying rotations to the triangle. Check for yourself that it satisfies all the axioms we laid out for groups earlier.

With this set, you might notice something interesting: each item in the group can be obtained by repeatedly applying the 120-degree rotation. We call this a cyclic group.

Now, back to Latin Squares. Try and verify that repeatedly shuffling the rows by ‘m’ corresponds to a cyclic group and try and see if you can say specifically explicitly what the items in the set look like and what the operation actually is.

10

So far, this is a neat correspondence, but it’s all just trivia it seems. Why does it matter that we can rewrite this procedure as a cyclic group? The link between Latin Squares and groups goes deeper than you might expect.

Let’s relax our conditions on groups a little bit. We can define a quasigroup as following all the axioms of groups but associativity, and instead they satisfy “left” and “right” division. This means that for elements gi and gk there exists a gj such that gi*gj = gk, and for elements gj and gk there exists a gi such that gi*gj =gk. (Trivial though this may seem, keep in mind we haven’t even specified whether the operation * follows associativity or commutativity. These are quite lawless and strange structures!)

For a given quasigroup, if gi*gj = gk, with the quasigroup G = {g1, g2 … ,gn}, then we can define a matrix A such that each entry a(i,j) is equal to k. But notice, by left divisibility if we look at a column i then for each different k, there must exist a unique j, and we know each k must be unique because to go from gi to gk theres only one other element in the set that allows us to do this. (try to prove to yourself that if there were multiple, theyd all be the same using the given axioms) So in each column i, every value k is unique. But of course, we could easily construct the same argument by right divisibility to show a similar result for each row. This means that every item appears in each row or column at most once.

This means that if a set with an operation is a quasigroup, the matrix we generate must be a Latin square! Now we have a way to translate between every quasigroup and Latin square. This is very interesting because it allows us to translate between the nebulous algebraic quasigroups whose properties we’ve defined very weakly, and Latin Squares, which can be treated with tools from linear algebra or combinatorics, and which have very specific constraints and criteria.

We can use this connection to do all sorts of things, such as work out an upper bound on the total number of groups (groups are a very small subset of quasigroups; the condition of associativity is quite the constraint!) or perform operations between quasigroups like direct products.

11

(A direct product is not quite the same as the matrix products that you know and love. Instead, the direct product between a square of n^2 and one of m^2 produces one of scale (nm)^2, with the resultant being formed of n^2 copies of m arranged in a grid, with each copy multiplied by the term in n^2 that lies in the same position as the copy of m)

Let’s bring everything we’ve learned back to the beginning with Euler’s officers. We said that we could get Latin squares by considering just one feature: rank or regiment. What if we wanted to look at both? A good guess would be to first construct a Latin square for rank and then one for regiment, as follows:

Above are Latin squares for rank and regiment respectively. Mutually orthogonal Latin squares are also called Graeco-Latin squares for a reason evident here.

If we try to mash these squares together to get something encoding both rank and regiment, we get the following:

Here, every combination of symbols occurs only once. This is equivalent to each combination of rank and regiment occurring only once, and we know from our

12

original two Latin squares that each rank and regiment occurs only once in each row and column. Hence here is a solution to the officer problem for the case of n = 3. We call a pair of Latin squares that produces a resultant Latin square that has the properties of this one “mutually orthogonal Latin squares” or MOLS for short.

It is clear now that Euler’s original work on his officer problem, and later work on computational proofs were studying the much broader and more widely applicable MOLS, not just his soldiers.

What else can we find out about MOLS, without exhaustively grinding through every possibility?

Many questions we can ask about MOLS are soluble particularly elegantly by translating the problem to quasigroups and then using the properties of groups and fields to identify the structure. This is a recurring theme of sorts, where seemingly different fields and ideas are just shadows of a deeper idea that defines them both. This is true in the most arcane fields of mathematics and has formed the basis of recent breakthroughs like the proof of Fermat’s last theorem. The pleasing interrelated nature of mathematics doesn’t just have to be found in hefty, groundbreaking theory though; sometimes, you can spot it just by playing around with Sudoku grids.

13

5G: Why Clash Royale always buffers even with 5G signal

“I swear I always lag out when I’m about to win”

You’ve heard of 5G. The brand-new technology that’s 10x faster than 4G. The EE Guy always talks about it on the ads. It’s the 5th standard coming after 4G and before 6G. But even though on paper it’s the fastest download/upload speeds us consumers can get whilst out and about, why do we still struggle with buffering when we’re watching a YouTube video or about to take the enemy’s king tower on Clash Royale? The answer is simple, but also complex.

Before you understand why 5G sometimes seems so slow, we first need to talk about how our little metal boxes called phones can be connected to the Internet on the tap of a button. 5G is in fact a mobile networking standard, where a service area is divided into small areas called cells & all wireless devices capable of 5G communicate to a cell tower via radio waves through their antenna. After establishing a secure connection, your device transmits and receives data to and from the internet by sending these waves to the cell tower. Many network operators even use millimetre waves, which have a range between 30 and 300 gigahertz, and have a wavelength between 1 and 10mm, hence the name millimetre. This larger frequency allows for higher data transfer rates. However, mmWaves have a shorter range than microwaves (not the one you use to heat up your ramen at 3am) meaning they have trouble passing through walls and buildings. Because of this, 5G has a denser network of smaller cells.

14
A Three 5G cell tower

5G is implemented in three main bands: low, mid and high-band mmWave. Lowband 5G frequency is similar to 4G frequency (600-900 MHz), which means that download speed is only slightly better, and low-band cell towers have coverage and range similar to 4G towers. Mid-band uses microwaves with a frequency of 1.7 to 4.7GHz. These towers were the most widely deployed, with the majority being installed in 2020. High-band uses frequencies of 24-47 GHz, near the bottom of the mmWave band, and download speeds are often in the gigabit range, much faster than the 5-250Mbps achieved by the low-band 5G. As the coverage of high-band cell towers are smaller than mid or low-band towers, high-band cells are only deployed in areas where people crowd or in dense urban areas, however the deployment of many of these cells were hampered by 5G conspiracy theories.

According to Ookla, that one website your friends use to show off their 1 x 10 7Mbps download speed, the latency of 5G averages around 17-26ms in the real world, compared with 36-48ms for 4G. 5G is also known to be capable of a peak data rate of up to 20Gbps, with average download speeds of 186.3Mbps in the US by TMobile, and 432Mbps in South Korea, and is designed to have a higher data capacity too. Midband 5G is capable of 100 to 1000 Mbps in the real world, and a much greater coverage than mmWave, compared with 18-36Mbps with 4G. However, you need to take these numbers with a pinch of salt, as usually when you are downloading something the data rate fluctuates. It doesn’t always stay at the peak rate; in fact it rarely reaches its advertised peak rate.

15
A motorway illustrating what can influence bandwidth

This is a large factor for why you can experience buffering whilst streaming a video or playing a game. When you’re streaming a video off the internet, the video is actually being pre-downloaded whilst you watch it. The part of the video that your computer has finished downloading is what the light grey bar on the red bar shows; if you look at it closely if your red bar meets the grey bar your video starts to buffer. Sometimes this can be referred to as bandwidth, meaning the maximum amount of data your device can receive over a set period of time, most commonly Mbps (megabits per second) and Gbps (gigabits per second), as referred to earlier.

Bandwidth can be thought of like a motorway. If there’s only a couple of lanes, there’s obviously going to be issues, like traffic jams etc when more people connect to the network. However, the more lanes and wider the motorway (representing the frequency of the signal), the faster speed you will experience as there is more space to allocate to each user. 5G aimed to maximise the number of lanes in the network to increase speed for each person. In addition, the less users connected to a cell, the faster speed you will also experience, as again the tower can allocate more space to each user.

However, there is also another factor that can affect your experience on the network: signal strength. You may be familiar with this from the bars on the top of your phone screen, with the more bars the better. This essentially represents the quality of the signal you are receiving, most often the largest factor affecting this being the distance from your nearest cell tower, and another being the amount of walls and the thickness of them the signal has to travel through (hence why you lose all your signal when you enter the tunnel before Elmstead Woods on the train). Although you associate the number of bars you have with the quality of your experience on the cellular network, it’s not the biggest factor, as if you have 4 bars but a million people are connected to your cell tower, you’ll still experience a sluggish speed.

16 Bad
Clash Royale
signal icon in
What you see on your phone screen showing signal strength; in this case, 3 bars of 4G signal on LycaMobile

Essentially, when you’re buffering, your phone isn’t receiving data fast enough to keep up with video playback or the speed of the game your playing, whether it’s due to amount of people connected in your cell, the frequency of your signal (in this case it’s most likely not the issue as 5G has a much larger frequency), or your signal strength. So, the next time your opponent spams the hee-hee-hee-haw emote after you lose a game of Clash Royale owing to bad signal, you can blame your phone for downloading the data so slow.

17

Folabomi Adenugba

The exploration of Q* into the unknown

On Wednesday 22nd November 2023, a small revolution occurred. OpenAI, the creators of ChatGPT announced that their artificial intelligence model, Q*, could solve simple math problems. Prior to this, language models like ChatGPT and GPT-4 could not do math very well or reliably. This is because these models work to absorb large amounts of data, then use this to discover patterns and make inferences before making a response. In contrast, Q* was not only able to do all of this but had been trained by rewarding chains of thought instead of producing a correct output, almost as if it had a cognisant ability to understand theoretically what it was doing. This is why Sam Altman, the former CEO of OpenAI, described this innovation as ‘pushing the veil of ignorance back, and the frontier of discovery forward’. Ultimately this could be the breakthrough needed to create artificial general intelligence capable of being implemented into society to work more efficiently than humans.

Machine Learning algorithms:

Learning algorithms are a set of fundamental rules applied by the artificial intelligence to perform tasks and make judgments. The Artificial intelligence, Q*, is trained on these algorithms to ‘teach’ how it should use input data to produce an output. This output is then evaluated by a loss function to judge the success of each model based on the labelled outputs or the discrepancy between outputs and inputs. This feedback from the loss function is then used for optimization where the weights are adjusted to improve the model until a threshold accuracy is met. Once the model has been sufficiently optimised, it allows the Artificial intelligence, in this case Q*, to apply its ‘knowledge’ in solving math problems.

Supervised learning

When developers have both sets of inputs and labelled outputs, supervised learning is utilised to train the artificial intelligence model. During this process, input data is

18

fed into the model with corresponding outputs to allow the model to encode the relationship between the inputs and the outputs. This encoded relationship is found through 2 methods:

Classification: where an algorithm recognises trends in the form of classes which is then used to predict the category of another input data. Regression: where an algorithm works to understand the relationship between dependent and independent variables, commonly applied to projections such as sales and revenue for businesses.

Unsupervised learning algorithms

In circumstances where developers can’t access labelled data and instead only have troves of data, unsupervised learning is employed to find patterns within the data (unlabelled inputs). The algorithm receives unlabelled inputs, which it then uses to create clusters between similar inputs and thus allow outliers to be identified. In turn, this allows novel inputs to be placed in the most similar group from which decisions can be made thereafter. Unsupervised learning is utilised in Netflix recommendation algorithms to identify clusters of users with similar viewing habits to recommend additional streams to viewers. This is possible due to the lack of outcomes which as a result allows the artificial intelligence to autodidact and make innovative insights into the data.

19

Reinforcement learning algorithms

In situations where an artificial intelligence is in a controlled environment, it can act as an agent, observing and recording its actions then evaluating their successes. Reinforcement learning is the most human-like form of learning algorithm as it involves a human defined start, end state and reward function which the agent trains itself on in the controlled environment. It recognises the fact that there are many ways to reach the end state and thus works through trial and error and where after each trial a results function judges how successful each approach was. Reinforcement learning is effective as AI can train themselves, hundreds, thousands, and billions of times a day, whilst also receiving constant feedback from digital processors.

To build upon this, OpenAI’s Q* utilises Q learning which builds upon basic reinforcement learning where the goal is to find the most efficient action for any given state(position). An optimal action-value function, estimates the expected cumulative reward an agent can achieve from taking any possible action, providing the agent with its own decision-making capabilities. This loss function compares the predicted q value with the estimated target Q values using a separate target network (a copy of the main neural network). To further enhance the training of the agent, it uses a memory storage buffer to store past experiences as ‘memories’ which allows the network to learn from a diverse set of experiences, improving stability and sample efficiency.

20

Neural networks:

Q* would be built upon neural networks working to mirror neurons in the brain. Regularly, neural networks contain multiple layers where each neural network takes in a vector (which encode information in a format that our model can process) and applies a nonlinear transformation to the input vector through a weights matrix. Connections between neurons are built more specifically through weights (determine the strength of the connection) and parameters (the factors that define the model).

The process is as such:

Initially, the Input layer is determined.

Weights are then given to each neuron in each layer to determine its significance, which is determined through minimising loss algorithms such as gradient descent. These algorithms work to find the lowest point on a loss function graph, by adjusting parameters based on the predicted outputs and their desired values in the direction of the steepest descent, until this lowest loss point is found.

Inputs to a neuron are multiplied by the weights matrix and then summed.

An activation function is applied to the output of each activation unit. It introduces non-linearity into the network, allowing it to model complex relationships in the data.

21

Yet unlike regular neurons, the neural networks in Q* also work to incorporate qlearning. Therefore, the input layer would instead receive a state representation which it would then encode into a vector, allowing for a non-linear transformation to be applied in the hidden layers. This way an output of the estimated q values for possible actions are produced. As the layers progress, the representation of the outputted data becomes more abstract since neurons’ threshold weight becomes more complex whilst also extracting more complex patterns from the data. This in turn allows for the maximum cumulative rewards for that given state and thus the most efficient policies (method) can be calculated.

The arrangement of layers within the Q* artificial intelligence neural network builds a neural network topology. Different neural network topologies create different the arrangement of layers, to determine the way data flows between neurons and the interrelationship between layers within a neural network. This provides each topology with the ability to maximise the learning capacity of the given agent for its given task/s.

Regular neural networks use topologies such as:

22

Feedforward neural networks

On the simplest of scales, feedforward neural networks, consist of densely connected layers, where data flow is unidirectional throughout the whole topology. As a result, inputs are limited to only moving forward through each layer once a nonlinear activation function has been applied. This then produces an output commonly used as a prediction for a specific value, allowing for flexible functional approximation. Due to its simplicity, feedforward network can easily be understood, as well as provide the ability to be manipulated to account for specific needs of the model so that it can easily be trained.

Fully connected layers

To build upon feedforward neural networks, fully connected layers consist of layers where all the neurons from one layer are connected to all the neurons on the next layer allowing for comprehensive program flow. However, due to the large number of connections these topologies are limited to smaller models. Yet on the contrary the numerous connections allow them to be fit for use in hidden layers as fundamentally, hidden layers create a hierarchical relationship between layers which can be created through the large amounts of output data produced from each fully connected layer.

Convoluted layers

Increasing in complexity, Q* would use convoluted neural networks that work by reducing the input vector into a smaller output vector using filters to detect patterns in data so that in future, these patterns can be recognised by the model and in turn be used to make accurate predictions on the expected Q value.

The vector output of the input layer is then processed by a convolutional layer of which a filter (a Matrix of ‘n’ by ‘n’ weights) is applied over a receptive field (segment of the input vector). Within this process, each element within the receptive field is multiplied by the filter to produce a dot product, before being repeated for other receptive fields. Since the dimensions of the filter don’t match the size of the inputted state vector, the output vector for each neuron is smaller than or equal to the input vector. Before moving onto the neuron in the next layer, a

23

Rectified Linear Unit (ReLU) transformation is applied to the feature map, introducing nonlinearity to the model.

The outputs from the convoluted layer are then passed to the pooling layer which transforms the data into a more manageable form. In this layer, a different filter, that lacks any form of weights applies an aggregation function to take a series of inputs and find the maximum/ average value which it sends to an output array. Furthermore, this output from the layer has reduced dimensions without the need for setting parameters and thus has a much smaller computation time.

Deconvoluted layers then act as a reverse function of the convoluted layers and they are used to up sample data to recover features and increase the dimensions once again if needed. This provides the neuron with the ability to recover lost details from down sampling such as spatial information (arrangement of elements within input/output) which have been extracted from the pooling and convoluted layers. The output array is then processed by the fully connected layer, connected to the output layer. All neurons connected in the fully connected layer are directly connected to all other neurons in the previous layer, allowing a SoftMax activation function to easily classify inputs appropriately. This SoftMax activation produces a probability distribution over the different classes of q values so that the class with the highest probability output by the SoftMax function is considered the predicted q value.

Loss function is then applied to evaluate the success of the neural network. If the loss is successfully minimized, this process is repeated for different states providing the model with the ability to find the most effective action for each state. If not, it adjusts the weights to repeat the process until loss is minimised.

24

The significance of Q* is undeniable due to its complexity and efficiency. Moreover, it pioneers a way for an Artificial intelligence model to ‘think’. However as defined by OpenAI themselves, an artificial general intelligence should surpass humans in most economically valuable tasks. This is practically impossible. Firstly, an artificial general intelligence would require a vast amount of data to be trained upon spanning all possible tasks that a human could work in, requiring large amounts of resources to gather. Even if this were possible how could it be ensured that the method the model creates to complete each task is possible and does not endanger human life? Most importantly, the fundamental concept of an artificial intelligence is to work like humans, which is inherently flawed due to artificial intelligence’s lack of sentience and thus emotion. This prevents an artificial general intelligence from exhibiting any empathy and would prevent it from making a substantial mark in the creative industry for example where a deeper and emotional connection with the work produced is required. Despite this, the development of Q* is an undisputable turning point for artificial intelligence and progressing in artificial intelligence logic and thinking. Although they won’t replace us, we should work in tandem with such a powerful tool in the coming years of their development.

25

Wafi

Ali, Year 13

Exploring the Links Between Behavioural Economics and Environmental Economics

Behavioural economics analyses the deviations of human thinking and decisionmaking from rational choice theory, the standard economic decision-making model for Homo Economicus. In this brief article, I delve into some of the connections between concepts within behavioural economics and climate-related disaster mitigation, not just a topical issue, but a fundamental strand of research which can be used to explain (although it is a bit of a stretch) why many low income countries (which perhaps are also correlated with likelihood of climate disaster in some regions) tend not to expand as quickly and catch up with countries at the top of the charts. The graph (left) portrays that lower income and middle income countries tend to be more vulnerable and prone to climate disasters naturally, but economically, they have less capacity to adapt in accordance with their risk, whether this is through building disaster-proof infrastructure or by other means.

Graph source: (IMF, 2015)

26

Rational choice theory has an intricate link to climate disaster mitigation, especially in how much victims are likely, in preparation, to save for themselves and in protection for the relative good. A study conducted by R. Hasson, A. Löfgren, and M. Visser, studied disaster mitigation as public good investment, and therefore initially used a prisoner’s dilemma matrix to depict the likelihood of investment, where ‘adaptation’ means to invest for oneself, and ‘mitigation’ is investment for the wider good. In the case of disaster, 100% investment in mitigation results in higher protection for everyone, higher than overall payoff if everyone invested 100% in themselves. The diagram below shows this, where the Nash Equilibrium is investing in oneself, according to rational choice theory.

Although for the diagram above, there are many more parameters that need to be valid for the exact numbers to show, both tables depict that in both levels of vulnerability, the prevailing option is to Adapt. Therefore, society ends up in a Pareto-inferior outcome. The socially optimum position of full mitigation is all investment in the bottom right cell. The risk/return ratios (the loss from free riding)

27
Graph source: (Hasson, Löfgren, Visser, 2009)

are constant for both levels of vulnerability, yet the overall payoffs in the lowvulnerability table are greater than in the high vulnerability table.

The reason I start with this model is that deeper study within the model actually showed that there is a negative correlation between vulnerability of the potential victims and the amount they invest The Olavian Economist 2024 5 in mitigation. Therefore, in countries that are the most likely to be affected heavily by climate change, smaller economies such as Bangladesh and Sri Lanka, for example, which are closer to sea level, the investment is more likely to be uncoordinated, ‘selfish’ investment, whereas these are the areas which have the greatest likelihood of natural disaster and greatest need for investment in mitigation. Yet this result is not surprising, firstly as it is more costly, in terms of a cost of a disaster, to mitigate in the high vulnerability scenario, and second as in both scenarios, less than 30% on average of participants in a separate questionnaire study, stated that they believed other participants would invest in mitigation. This certainly has implications for binding international commitments as the uncertainty regarding preferences for cooperation by others greatly reduces an individual agent’s own willingness to engage in cooperative measures.

Behavioural economics also links into business decision-making when it comes to the cognitive bias of hyperbolic discounting, which, in simple terms, refers to the tendency to value immediate, though smaller, rewards more than long-term larger rewards, implying an inverse relationship between the discount rate and the size of the delay. Perhaps the discount rate is not actually a function of relative location in time, but a function rather of time delay. In

Fig. 1.: phrase plane trajectories of optimal sustainable and collapse solutions (solid), with a constant discount rate, and with a natural growth rate with critical depensation that follows the curve shown by the dashed line. The sustainable trajectory converges to the optimal sustainable yield (*) while the collapse solution converges to zero stock

28

any case, the application of hyperbolic discounting in the real world is in human selfcontrol problems, for example, substantial credit-card borrowing at high interest rates, and substantial illiquid wealth accumulation at lower interest rates. These issues inextricably link to resource management in environment-related sectors, fishing being one. I will below briefly explain how the bias of hyperbolic discounting can differentiate the business sustainability of the committed businessman and the business collapse of the naïve hyperbolic discounter businessman.

Fig. 2.: Plot of trajectories for optimal sustainable solutions (solid), with the ‘hyperbolic’ discount function described by Eq. (12). The dashed curve shows the locus of the natural growth function F(x) = h and the location of the sustainable equilibrium, (xs, hs), is marked by an asterisk. The trajectory of a continuously re-optimising naive planner is shown by the dotted curve.

The renewable resource of fishery is used in this example, but within environmental economics, this same model could be representative for problems such as water scarcity, forestry, and the Earth’s carbon cycle. The model determines consumption (in the form of harvesting of stock) and stock pathways for a businessman who is either committed, in the sense that they choose an optimal path planned for, or naïve, in that they believe themselves to be committed but in fact re-optimise and adjust their plan continuously as time passes, believing the discount rate to be relatively high and continuing to harvest. Assuming that there is constant elasticity of utility in this model, there are two trajectories that form. The graph Fig.1 shows the solid line of the committed businessman, who’s harvesting rate is high in the initial period, when the discount rate is high. The result is that fish stocks initially decrease. Yet, as the discount rate falls over time, the businessman will reduce the harvest rate temporarily, to allow the stock to rise to equilibrium level.

Yet, the hyperbolic bias affects the naïve businessman, who succumbs to the temptation to reoptimize as time passes. This naïve businessman will discount the

29

future hyperbolically, such as that the discount rate ‘now’ is high, while the future discount rate will be lower: this statement if consistently used, will mean that the harvest rate continues to increase. The dotted curve on the graph Fig.2 shows this trajectory. The initial harvest rate is also set to lead to the *equilibrium point, yet with very short intervals, the businessman is starting on a The Olavian Economist 2024 6 new path to equilibrium, and every new curve represents this new intention per change. As time passes, stock levels fall.

There are some cases where a collapse pathway however, is stable: if the productivity of the stock is not high enough to justify the ‘investment’ (in the form of foregone consumption) necessary to return stock levels to the sustainable equilibrium. This would mean that at some point, the businessman will reach a critical initial stock level, below which returns on the stock are not high enough, after which the collapse pathway will provide greater utility than sustainable management. This is analogous to liquidating the asset and investing in an alternative higher-yielding asset. The graph Fig.4 shows this, depicting the same critical initial stock level 1.3, but the more efficient solution once this is reached being the collapse pathway which more quickly ends the business, saving overall opportunity cost.

Fig. 4.: Utility for both the optimal sustainable (open square) and optimal collapse (open circle) solutions, plotted against initial stock level, x(0). The critical initial stock level, xc is shown by the vertical dashed line

The hyperbolic discounting bias has been found in many cases of fishing, one of which being the 1977 Canadian Cod management. In 1977, Canada extended its jurisdiction and took a wider role in the management of Newfoundland fish stocks, and during the course of the 1980s, fishery organisations employed virtual

30

population analysis to estimate and forecast Atlantic cod stock. This, even after advanced population analysis, was continually an overestimation in the years 1982, ‘83, ’84, ’86, and ’91. These overestimations encouraged harvesting at higher than optimal levels and was one of the principal factors in the demise of the northern Atlantic Cod. This was incredibly indicative of the hyperbolic bias among profitseekers through the consistency of overestimations, even with innovation in technology.

In conclusion, behavioural economics clearly has multiple intricate links with environmental decisionmaking and resource management, yet many would question whether in fact this behavioural failure on our part could be considered market failure. Some argue that market failure itself leads to behavioural failure, which leads to continued market failure, fundamentally because people are not isolated decisionmakers usually, rather their decisions are made in the context of markets, rewards, habits, and social rules. Therefore, the tests of rational behaviour must be considered holistically with the links with the experience provided by an institution, hence, researchers interested in policymaking should think about the power of ideas of rationality spill-overs and rationality crossovers. Studies have shown that arbitrage within an economy can have immediate effects on pushing people’s rationality towards rational choice theory, hence, many policymakers in the future may want to think about whether market-like arbitrage can reduce behavioural failures in the environmental sector, or whether artificial arbitrage-like government intervention or solution could be used to reduce behavioural failures. Yet, when questioning market failure and behavioural failure, there are many more questions that arise: for example, the theory of second-best that if behavioural failure and market failure are simultaneously existing, could solving one but not the other decrease social welfare even more? Out of the many behavioural failures, what if there is some degree of behavioural complementarity or substitutability across all the biases? Does that mean we must intervene to limit ineffective decision-making in regards to all the biases, or just some, and in what proportions. What is the curvature of the probability weighting function for each person in the target market? This topic is clearly one that has only made a ripple in the surface, and a colossal expanse of findings yet to discover.

31

Foreign Aid: Good or Bad?

Foreign aid is the transfer of capital, goods, and services from one government (or aid agency) to a recipient country. As the gap between the world’s richest and poorest continues to grow, aid has been subject to great scrutiny as people question how effective aid has been in global redistribution efforts. Within the foreign aid discussion, there are a range of differing voices and viewpoints to consider: some advocate for a ‘laissez-faire’ approach, arguing that the risk of recipient countries becoming dependent on aid far outweighs any possible benefits (therefore developing countries should be left alone to allow the market mechanism to distribute resources) while others argue that foreign aid corrects market failures and provides ‘one big push’ for individuals living in poverty within developing countries, providing them with more opportunities. Foreign aid has proven to be successful in some instances, however, ignorance on the part of aid workers and local policymakers often causes aid to be ineffective (and in some cases completely counter-effective).

‘Us’ and ‘Them’

Working with an Afghan Women’s Association in 2002, Dr Maliha Chishti circulated a needs assessment survey asking Afghan women what they needed from the Toronto-based NGO. Upon receiving an overwhelming response asking for access to basic healthcare, Dr Chishti drew up a plan for a mobile health clinic with a modest budget. However, her proposal was denied by the Canadian government, who offered her a much larger budget on the premise that she would instead provide a human rights training program for Afghan women. After arriving in Afghanistan, Dr Chishti found many other aid agencies offering workshops identical to hers, and yet there was not a single mobile health clinic to be seen. If the aid agencies had chosen to listen to the requests of the Afghan women, their resources could have made a

32

huge impact, however, they chose instead what they believed was necessary for the local women, leading to a wasteful duplication of resources.

Aid establishments determine the priority to offer one program instead of another based on their wishes regarding the future of a developing country. Ignoring the local citizens, aid agencies are often able to step in and implement policies whilst knowing very little about the local context (e.g. the role of religion and tradition, the political history, and the language) with the goal of reforming these countries to become more like their own. This can cause aid to be completely ineffective: it can lead to wasteful expenditure, unanticipated responses to changes, or simply a harmful power imbalance that can lead to further consequences. By dismantling this assumption that we know what is best for them, aid is more likely to work in favour of the recipients, as the policies revolve around providing help where it is wanted and needed by the local citizens rather than boosting the egos of the developed world.

A Guide to Entitlement

In some instances, aid is not just ineffective, it can harm economies.

Grants are often given to developing countries with the aim of injecting money into the economy (e.g. via government investment projects that have multiplier effects) and bringing about growth. However, individuals tend to assign value to things that come at an expense to them, and since these grants are viewed as ‘free’ funding for their governments, some economists argue that individuals subject to governments in receipt of grants care less about the actions of their governments. This allows

33
Dr Maliha Chishti

corruption to run rampant, with a clear example being Jacob Zuma (former president of South Africa) who spent US$16 million on security updates for his house. The reasoning behind this expenditure may have seemed somewhat reasonable at first, however, further investigation revealed a large proportion of the money was put towards constructing himself a swimming pool. When questioned, Zuma claimed it was a ‘firepool’ that served as a fire protection device, yet reporters found the ‘firepool’ to bare no significant difference from an ordinary swimming pool.

Although Zuma did eventually have to repay the government money he had spent, he faced no real disciplinary action and his presidency continued for a year. If Zuma’s actions were presented as though tax-payer money had been used to fund his extravagant expenditures, Zuma would likely have faced repercussions for his actions. However, since it was money donated to the country, individuals were much less concerned. In both scenarios, the gravity of the situation should be equal, as Zuma had used money intended to increase the welfare of the citizens for his own private gain. However, individuals tend to be loss-averse. Since tax represents a direct loss for individuals, they feel more entitled in regards to what the money is spent on. On the other hand, the aid income is simply a gain, and individuals typically care more about losses than gains. It could be argued, therefore, that aid switches off accountability demands.

I am by no means suggesting the solution is to raise taxes in developing countries. Those earning lower incomes tend to already be the most affected by existing indirect taxes (such as VAT and excise dukes). Perhaps if individuals were made more aware of how much tax they were paying, they would feel more inclined to demand that their governments take action and implement policies that stimulate growth across the country. In turn, corruption would be much harder to ignore, therefore, over time, aid contributions could be redesigned to work with the citizens of an economy.

Success stories

‘Gavi’ (the Global Alliance for Vaccines and Immunisation) was established in 2000 by the Bill & Melinda Gates Foundation with the aim to ensure access to vaccines for

34

all children around the world. Although countless new and effective vaccines were entering the global market, many developing countries simply could not afford them. Gavi stepped in to address this market failure. As the organisation grew in size (by working with governments and NGOs as well as various partners such as the World Health Organization, UNICEF, and the World Bank) they became increasingly able to negotiate more affordable vaccine prices for developing countries. Additionally, they share the costs of implementing these vaccines and, as a result, have helped to halve childhood mortality rates by averting more than 17.3 million future deaths. As children become healthier, their families, communities, and countries are in turn more able to become economically prosperous, helping to boost the economies of lower-income countries.

Gavi has managed to successfully overcome many of the issues typically associated with foreign aid. By working with local governments, Gavi ensures systems are in place to efficiently distribute the vaccines once they are delivered. By directly providing vaccines, there is no risk of corrupt politicians being the only ones to benefit from the aid. As of 2022, 19 countries have transitioned out of Gavi support and are now able to fully self-finance the vaccine programmes.

Conclusion

The world consists of countries, each at their own stage of development, working to sustain their growth and improve the future prospects and living conditions of their citizens. There is no ‘end goal’ that these countries are trying to achieve, as even some of the most developed countries are still pursuing economic growth. Foreign aid, when implemented after careful consideration and meticulous planning, can help to ensure there is equal access to opportunities for all, regardless of the level of the development of their country. Working directly with local governments and monitoring the effects based on how the policies work with respect to standards and expectations set by local people is vital in order to effectively help the developing world towards a path of economic prosperity.

35

The Impact of Climate Change on Health Care Services: A Looming Crisis

Introduction

Climate change is often regarded as one of the most pressing global challenges we currently face. As the consequences become more evident from the frequency of extreme weather events, rising temperatures and sea levels, its impact goes beyond environmental concerns with significant challenges being posed to healthcare services across the world. Though the infrastructure of hospitals and other healthcare providers across the world are likely to be tested severely, it is apparent that certain regions will experience more profound detriments.

Many of these regions house low and middle-income countries with inadequate healthcare provision, raising concerns about the accessibility of treatments to their populations[1] .

Global Warming

With global average temperatures set to rise by 1.3 by the first half of the decade ℃ 2030, extreme heat illnesses are becoming increasingly common particularly in Central Europe (see Figure 1).As a result of the unprecedented heatwaves in June and July of 2022, Europe saw 61,000 heat exposure deaths with a 57% rise in heatwave exposure for vulnerable groups[2] .

Most of these deaths were due to cardiopulmonary issues resulting from the excess strain put on the heart. When ambient temperatures exceed 37 - our core body ℃ temperature – blood flow is diverted towards the skin for excess heat to be radiated out. To maximise the heat loss, the heart is required to pump two to four times as much blood each minute as it does on cooler days[3]. This increases the risk of cardiovascular diseases like heart arrhythmia and cardiac arrest.

36

In some cases where the intestines are deprived of oxygen, their lining can become damaged and more permeable to endotoxins – a type of lipopolysaccharides found on the outer membrane of Gram-negative bacteria[3]. Contributing to inflammatory responses, they can lead to complications like sepsis, causing disruption to cell homeostasis and organ functions. However, endotoxins are not the only inflammatory mediators that are released by heat cytotoxicity[1]. In the pancreas, endothelial layers can be damaged leading to leukocyte infiltration and pancreatic inflammation.

Furthermore, dehydration from extreme heat also plays a role; as blood volume falls the heart needs to contract more forcefully to compensate for the fall in the amount of blood reaching body cells. To make sure the metabolic needs of cells are still met, the heart rate and blood pressure rises, increasing the risk of the endothelial lining of arteries being damaged.

Fig. 1.: Trends in heat related mortality incidence (annual death per million per decade) in Europe for the general population (2000-20)

Source: The Lancet (2022)

37

Pollution and Respiratory Diseases

It is also important to note that extreme heat can exacerbate pre-existing respiratory illnesses especially within the elderly. Higher temperatures can speed up reactions involving nitrogen oxides and volatile organic compounds (VOCs) - released from car exhausts, wildfires etc.- to form ground ozone[4]. Unlike other ambient air pollutants, ozone concentrations have failed to show a decline and it is estimated that the number of premature deaths linked to ozone pollution will increase into the 10,000s globally by 2030[5] .

Via oxidative injury (damage from excess radicals being present), ozone can react with molecules in the airway lining to cause acute inflammation as shown in Figure 2. Responsive mechanisms to this include the buildup of fluid (Edema) and constriction of muscles, trapping air in the alveoli and making it harder to breath [4].

Acute exposure to ozone concentrations has seen increased hospital admissions to respiratory diseases like COPD (Chronic Obstructive Pulmonary Disease), asthma and pneumonia, especially in the Asia-Pacific region, with increased damage to lung tissues. With the added consequences of heat waves, mortality rates from pollution can rise by up to 175%[5] .

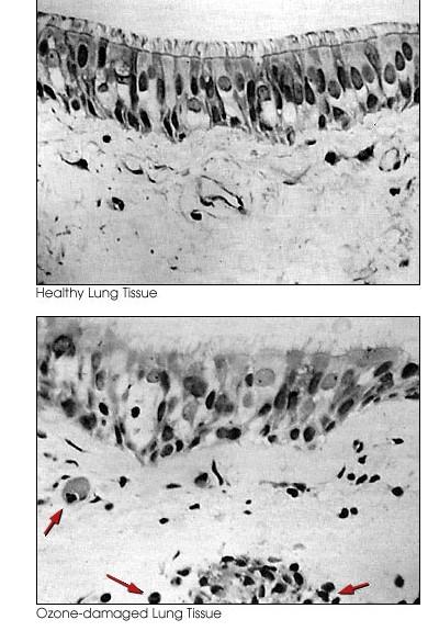
Fig. 2.: Comparison of Healthy Lung Tissue to Ozone-damaged Lung Tissue

In the control image (upper) from the lung of a person exposed only to air, the tiny cilia that clear the lungs of mucus appear along the top of the image in a neat and regular row. In the lung exposed to ozone added to the air for four hours during moderate exercise, many cilia appear missing and others appear. Magnification: x400. Source : the American Thoracic Society, from American Review of Respiratory Diseases, Vol. 148, 1993, Robert Aris et al., pp. 1368-1369.)

38

The Spread of Water-Borne Diseases

Studies have shown the frequency of extreme weather events to correlate with the risk of water-borne diseases, for instance, malaria and dengue fever[2]. As precipitation levels rise with rising temperatures, the water cycle intensifies leading to frequent flooding especially in regions like Southeast Asia (Figure 3). This leads to the risk of flooding becoming more alarming, carrying the risk of contaminating drinking water sources and recreational water sites. Storm surges also have the potential to damage water treatment plants by exceeding the cubage through runoffs. Subsequently, exposure to water-borne diseases increases due to the household water supplies being contaminated by animal wastes, pollutants, and pesticides – all which pose a risk to health. In September 2022, Pakistani health officials reported over 90,000 cases of diarrhoea (commonly due to E-coli infections) in one region severely affected by the 2022 flooding[3] .

Fig. 3.: Map showing the different levels of exposure to flooding

Source: Rentschler, J, Salhab, M and Jafino, B. 2022. Flood Exposure and Poverty in 188 Countries. Nature Communications.

Malaria

Malaria – the world's deadliest parasitic disease, infecting 257 million people in 2021 – is most spread by the anopheline mosquito. Long-term variations in temperature, humidity, and rainfall patterns, which are primarily linked to changes in the El Niño cycle, have a significant impact on the longevity and development of mosquitoes.

39

Consequently, malaria transmissions have increased, particularly in areas of higher altitudes, i.e. the Andes and the Himalayas, resulting in cases in areas where the incidence was previously quite low. This proves problems in remote areas situated in these regions, where healthcare provisions are already limited[6] .

Moreover, in dry climates, heavy rainfall can provide good breeding grounds for mosquitoes by creating water pools. Increased humidity and droughts can also turn rivers into strings of pools. Due to the stagnant conditions, the bodies of water provide ideal conditions for eggs to hatch into larvae, increasing the number of vectors to transmit the disease. This has been the case in Southern Africa where countries had experienced epidemics after periods of unusual rainfall[7] .

V.vulnificus

Associated with sepsis and amputations, non-cholera vibrio bacteria can lead to severe gastrointestinal, skin and eye infections. Increases in global sea temperatures over the last few years haves meant more coastal areas are exposed to brackish waters – suitable breeding grounds for the vibrio bacteria[8]. Despite originally being endemic to the south-eastern USA, Vibrio.spp. infections have emerged in the Baltic regions, and in 2020, research showed that conditions in the Baltic Sea were a suitable breeding ground by 96.6%-100%[2] .

One infection of concern is V.vulnificus. Able to infect through small skin lesions, it can quickly become necrotic with symptoms showing as soon as 48 hours. As the most pathogenic of the vibrio genus, it is also the most expensive to treat with annual costs being $320 million per year in the US[8]. Due to the lack of high-quality epidemiological data, it is hard to map out the incidence and cost of the infection on healthcare services in different regions. Current predictions are based on the probable presence of Vibrio.spp. bacteria rather than the disease risk[8] .

Food Security and Malnutrition

Climate change also has the ability to influence diets and nutrition with global warming and erratic rainfall patterns posing risks to crop yield potentials. Low-

40

income and middle-income countries in Africa and Southeast Asia are said to experience the largest reductions in food availability, increasing deaths linked to being underweight[9] .

Recent studies have shown a negative correlation between carbon dioxide levels in the atmosphere and mineral contents of plants. For instance, in legume plants and certain grains, elevated carbon dioxide levels were linked with the increased risk of iron and zinc deficiencies. This can affect nearly two billion people in low income and middle-income countries in Southeast Asia and Africa who rely on these crops for nutrition. In high income countries, reduced fruit, and vegetable consumption due to climate change have become a risk factor for non-communicable diseases like type 2 diabetes[9] .

In addition, economic burdens in low-income populations can be expected to rise as the price of staple crops increases, driving malnutrition as well as obesity-linked diseases, as people resort to cheaper and less nutritious foods.

Fig. 4.: Maps showing the prevalence of stunting, wasting and undernutrition from 2010 to 2019 DHS across the 31 Sub-Saharan African Countries. (A) Stunting (%) (B) Wasting (%) (C) Underweight (%)

Source : Research Gate (I. Amadu, A.Seidu, E.Duku)

41

Stunting

As one of the leading indicators in malnutrition, stunting is also the most prevalent form of malnutrition with over 149.2 million children suffering from it globally in 2020[9]. Stunting can begin from the uterus, with inadequate maternal nutrition and poor antenatal care resulting in an unhealthy intrauterine environment. Early pregnancies also increase the risk of stunting significantly as competition between the foetus’ growth and the mother’s pubertal development compromises both of their growths. This poses a challenge to healthcare services across Sub-Saharan Africa (Figure 4) where adolescent pregnancy – 143 per 1000 girls- is the highest. This not only heightens the risk of stunting but also maternal & infant mortality in the region where over 26.5 million people face severe food severity[1] .

Impact of Climate Change on Mental Health

A commonly forgotten issue is the impact of climate change on mental health [10]. After Hurricane Katrina in 2005, it was reported that poor mental health rose by 4 % in the areas affected[11]. The destruction, loss and displacement from extreme weather events can lead to people experiencing a range of mental health problems, ranging from PTSD (Post Traumatic Stress Disorder) to suicidal thoughts. The onset of psychological distress is attributed to fears surrounding the prospects of homelessness, unemployment, relocation, and the potential lack of support with damages to healthcare services[12] .

Research has been carried out to show rises in ambient temperatures have increased mental health-related emergency department visits[13]. Acting as an exogenous stressor, heat itself is not specific to a particular condition, exacerbating an array of issues e.g., schizophrenia, anxiety, PTSD etc. One mechanism relates to sleep deprivation during extended periods of uncomfortable, elevated temperatures, increasing negative emotional responses to stressors. Another biological pathway could be due to continuous discomfort heightening feelings of hopelessness and fear due to the anticipation of climate change and potential extreme events[13] .

42

Conclusion

The effects of climate change on health are very much multifaceted through its effects on various aspects of physical, mental, and social wellbeing. There is a growing concern on whether healthcare services have enough funding and suitable infrastructure to cope with the impending problems. Without coordinated and efficient actions being made, it is likely for us to see the gap between the developed and developing countries grow even bigger in multiple ways, as current healthcare systems are already struggling to cope with today’s issues.

Bibliography

1. (No date) Effects of climate change on malnutrition in Sub-Saharan ... - linkedin. Available at: https://www.linkedin.com/pulse/effects-climate-change-malnutrition-sub-saharanafrica-ebrima-barrow (Accessed: 19 July 2023).

2. van Daalen, K. et al. (2023) Towards a climate-resilient healthy future: The Lancet countdown in Europe [Preprint]. doi:10.5194/egusphere-egu23-13565.

3. Thornton, A. (2021) How does heat exposure affect the body and mind?, Boston University. Available at: https://www.bu.edu/articles/2021/how-does-heat-exposure-affect-the bodyand-mind/ (Accessed: 19 July 2023).

4. Association, A.L. (no date) Ozone, American Lung Association. Available at: https://www.lung.org/clean-air/outdoors/what-makes-air-unhealthy/ozone (Accessed: 19 July 2023).

5. Ozone pollution is linked with increased hospitalizations for cardiovascular disease (2023) ScienceDaily. Available at: https://www.sciencedaily.com/releases/2023/03/230310103451.htm#:~:text=Ozone %20pollution%20is%20linked%20with%20increased%20hospitalizations%20for %20cardiovascular%20disease,-Date%3A%20March%2010&text=Summary%3A,attack%2C %20heart%20failure%20and%20stroke. (Accessed: 19 July 2023).

6. Hassan, S. (2022) Malaria and diseases spreading fast in flood-hit Pakistan, Reuters. Available at: https://www.reuters.com/world/asia-pacific/pakistan-flood-victims-hit-bydisease-outbreak-amid-stagnant-water-2022-09-21/ (Accessed: 19 July 2023).

43

7. Climate change and malaria - a complex relationship (no date) United Nations. Available at: https://www.un.org/en/chronicle/article/climate-change-and-malaria-complexrelationship#:~:text=Climate%20change%20greatly%20influences%20the,breeding %20conditions%20for%20the%20mosquitoes. (Accessed: 20 July 2023).

8. Archer, E.J. et al. (2023) ‘Climate warming and increasing vibrio vulnificus infections in North America’, Scientific Reports, 13(1). doi:10.1038/s41598-023-28247-2.

9. Fanzo, J.C. and Downs, S.M. (2021) ‘Climate change and nutrition-associated diseases’, Nature Reviews Disease Primers, 7(1). doi:10.1038/s41572-021-00329-3.

10.de Onis, M. and Branca, F. (2016) ‘Childhood stunting: A global perspective’, Maternal &amp; Child Nutrition, 12, pp. 12–26. doi:10.1111/mcn.12231.

11. Kessler, R. (2006) ‘Mental illness and suicidality after Hurricane Katrina’, Bulletin of the World Health Organization, 84(12), pp. 930–939. doi:10.2471/blt.06.033019.

12.How climate change affects our mental health, and what we can do about it (2023) How Climate Change Affects Mental Health, What We Can Do About It | Commonwealth Fund. Available at: https://www.commonwealthfund.org/publications/explainer/2023/mar/howclimate-change-affects-mental-health (Accessed: 19 July 2023).

13. Schmahl, C. and Hepp, J. (2022) ‘Faculty opinions recommendation of association between ambient heat and risk of emergency department visits for Mental Health AmDong Us Adults, 2010 to 2019.’, Faculty Opinions – Post-Publication Peer Review of the Biomedical Literature [Preprint]. doi:10.3410/f.741736435.793595764.

44

George Clements

From above the grocer’s to the steps of Number 10: The Rise of the Iron Lady

It seems only appropriate that, shortly after the 10th anniversary of her passing, we should remember and pay homage to Margaret Thatcher, the first female Prime Minister of the United Kingdom. There can be no denying that during her decadelong tenure as PM, she oversaw significant changes to our country’s identity, both socially and economically; the footprint she left behind following her departure was certainly not a faint one. Whatever your views on Mrs Thatcher, she was undeniably a woman of principle, and her strong, decisive leadership gave rise to her being commonly referred to as “The Iron Lady” by many. But how did it all begin? In this article, we explore how a middle-class grocer’s daughter from Grantham became such a prominent and influential figure in politics and British society.

45

From Grantham to Oxford

Margaret Hilda Roberts was born on 13th October 1925. She was the daughter of a successful small businessman, who owned a tobacconists and grocery store in the Lincolnshire market town of Grantham. She attended Huntingtower Road Primary School and won a scholarship to Kesteven and Grantham Girls' School, a grammar school, serving as Head Girl from 1942-43. Roberts was accepted for a scholarship to study chemistry at Somerville College, Oxford, a women's college, starting in 1944, although after another candidate withdrew, Roberts entered Oxford in October 1943. It was here that she began to become involved with politics, serving as the President of the Oxford University Conservative Association in 1946. Despite the scientific nature of her degree, it is believed that she drew significant inspiration from Austrian economist Friedrich Hayek’s The Road to Serfdom while studying at university. This book is widely known for condemning economic intervention by government, which may have influenced her to strive towards the “Thatcherite” economic policies for which she is so well known. She graduated in 1947 with a second-class degree, specialising in X-ray crystallography.

From Oxford to Westminster – the dawn of a political career

After graduating, Roberts moved to Colchester in Essex to work as a research chemist for BX Plastics. In 1948, she applied for a job at Imperial Chemical Industries (ICI) but was rejected after the personnel department assessed her as "headstrong, obstinate and dangerously self-opinionated". Roberts joined the local Conservative Association and attended the party conference at Llandudno, Wales, in 1948, as a representative of the University Graduate Conservative Association. One of her Oxford friends was also a friend of the Chair of the Dartford Conservative Association in Kent, who were looking for candidates. Officials of the association were so impressed by her that they asked her to apply, even though she was not on the party's approved list; she was selected in January 1950 (aged 24) and added to the

46

approved list. It was during this time that she met her husband-to-be, Denis Thatcher, a wealthy businessman.

In the 1950 and 1951 general elections, Roberts was the Conservative candidate for the Labour seat of Dartford. The local party selected her as its candidate because, though not a dynamic public speaker, Roberts was well-prepared and fearless in her answers. A prospective candidate, Bill Deedes, recalled: "Once she opened her mouth, the rest of us began to look rather second-rate." She attracted media attention as the youngest and the only female candidate; in 1950, she was the youngest Conservative candidate in the country. She lost on both occasions to Norman Dodds but reduced the Labour majority by 6,000 and then a further 1,000. During the campaigns, she was supported by her parents and by her future husband Denis Thatcher, whom she married in December 1951. Denis funded his wife's studies for the bar; she qualified as a barrister in 1953 and specialised in taxation. Later that same year their twins Carol and Mark were born. After a by-election loss in Orpington in 1955, it was at the 1959 election when, after a tireless campaign, she was finally elected to parliament as the Conservative Member of Parliament for Finchley.

From MP to PM – rising through the ranks

Thatcher’s talent and drive led to her being promoted to the frontbench as Parliamentary Secretary to the Ministry for the Pensions by Prime Minister Harold MacMillan. After the 1966 election defeat, she was not appointed as a member of the shadow cabinet, although her influence remained strong, with regular speeches criticising Labour’s high-tax policies “as a move towards communism”. During this time, she also voted in favour of decriminalising male homosexuality and in favour of abortion, a

one of only a few Conservative MPs to do so. She was appointed as a transport minister in the Shadow Cabinet in the late 1960s, before being promoted to Education Secretary following Ted Heath’s election victory in 1970. In this role, she supported the retention of grammar schools, and was famously involved in the 1971 decision to discontinue the provision of free milk to all children aged 7-11, which gave rise to her well-known nickname “the Milk Snatcher”. However, it later emerged that she herself was not in favour of this policy and was instead persuaded by the Treasury to introduce it. Following Heath’s election loss in 1974, Thatcher was not initially seen as the obvious replacement, but she eventually became the main challenger, promising a fresh start. Her main support came from the parliamentary 1922 Committee and The Spectator, but Thatcher's time in office gave her the reputation of a pragmatist rather than that of an ideologue. She defeated Heath on the first ballot, and he resigned from the leadership. In the second ballot she defeated Whitelaw, Heath's preferred successor. Thatcher's election had a polarising effect on the party; her support was stronger among MPs on the right, and also among those from southern England, and those who had not attended private schools or Oxbridge. She became Conservative Party leader and Leader of the Opposition on 11 February 1975. During her time in this role, she continued to push for a wide range of neoliberal economic policies, criticising the Callaghan’s Labour government for the high unemployment rate and hundreds of public-sector strikes impacting local services in the 1978-9 “Winter of Discontent”.

With much frustration at the high rate of inflation and lack of confidence about the direction of the country, support for the government began to weaken. A vote of no confidence in Callaghan’s leadership was called in early 1979, which he lost, resulting in a general election being called. Throughout her campaign, she continued to exploit the failures of Callaghan’s government, promising a new style of leadership, a reduction in the size of the state, and various other neoliberal economic reforms, focusing on tackling inflation and the militant unions who had caused so much havoc the previous winter, and of course, advocating the Right to Buy scheme whereby tenants would be able to purchase their council-owned homes. Her campaign was also centred around attracting the traditional Labour-voting working class, amongst whom her promises of major social and economic reforms proved popular.

48

Her election manifesto was published on 11th April 1979, outlining 5 key policy pledges:

1. “to restore the health of our economic and social life, by controlling inflation and striking a fair balance between the rights and duties of the trade union movement”

2. “to restore incentives so that hard work pays, success is rewarded and genuine new jobs are created in an expanding economy

3. “to uphold Parliament and the rule of law”

4. “to support family life, by helping people to become home-owners, raising the standards of their children’s education and concentrating welfare services on the effective support of the old, the sick, the disabled and those who are in real need”

5. “to strengthen Britain’s defences and work with our allies to protect our interests in an increasingly threatening world”

The general election was eventually held on Thursday 3rd May 1979. Opinion polling suggested a substantial albeit decreasing Conservative majority during the final few weeks prior to the election, with many polls indicating a hung parliament with neither of the main parties achieving a majority in the House of Commons. Despite this, the Conservatives ended up achieving 43.9% of the popular vote, a vote share which has yet to be matched by a Conservative leader at any general election since. She also won 339 seats to Labour’s 269, a substantial majority of 44, which would go on to be increased significantly in the following election. Thatcher became Prime Minister on 4th May 1979, the start of an 11-year period as leader which would see countless economic reforms, 2 general elections, a major shift of Britain’s position on the world stage, and substantial alterations to the way British society operated. It is, perhaps, no surprise that during her premiership, she was often referred to as the most powerful woman in the world.

49

Barayturk Aydin

Soft Robotics

Abstract

Soft robotics is a subfield of robotics that deals with the construction of robots with flexible and soft parts, as opposed to traditional rigid links and structures. This article will illustrate the peculiar materials used to construct soft robots and elaborate on the applications of these machines, involving the fields of medicine and ecology as the design of these robots is inspired by nature, from organisms that use their soft parts for efficient movement, like octopuses. Evolutionary algorithms are used to determine optimal solutions for the construction of microarchitectures and materials for the robots.

Differential Evolution

This is a metaheuristic algorithm which initialises candidates and their parameters/properties within populations using mathematical objects and arrays called matrices. The values within these matrices can represent any chemical or physical property for an individual.

Candidates are mutated using binary masks where matrix multiplication operation is used on matrices. Candidates are then crossed over by calculating the differences between two different matrices of two different individuals, resulting in the formation of an offspring of the next generation.

Flowchart illustrating the common workflow of an evolutionary algorithm

50

Offsprings with best fitness values can be calculated by calculating the overall deviation in a candidate from a theoretical or an expected value, in which offsprings with the best fitness values can be selected and mutated and crossed over for generations until a certain condition is met.

This algorithm essentially acts as a neural network and finds an optimal solution by performing mathematical operations for generations of populations.

Elastomer Actuators and Shape Memory Polymers

An actuator is a component of a machine that can convert an electrical or a mechanical input to produce a force or a torque. Additive manufacturing processes such as 3D Printing are used to produce actuators that can exhibit bending, twisting, grabbing and contracting motion.

Shape memory polymers can revert to their original shape due to weak cross-links and semi-crystalline structures

Elastomer Actuators deform under an electromagnetic field (opposite of piezoelectricity)

electrical or mechanical stress and return to their original shape when the stress is removed. These materials are used to mimic functions of biological organisms as they are responsive to changes in temperature, mechanical stress, and electricity.

51

Hydrogels

Hydrogel is biphasic substance that contains a water-insoluble permeable 3D network of natural polymers and a fluid.

Hydrogels are used in tissue regeneration and 3D Bioprinting to create tissue-like structures in soft robotics. They are also used in soft-contact lenses as they allow oxygen permeability.

Hydrogels are also used in breast implants and artificial skins. Hydrogels are commonly used for soft robotics, as they are highly biocompatible, non-toxic, and easily return to their original form by changes in external stimulus such as pH, temperature, or ion concentration.

Zwitterions

A zwitterion is an ion that contains an equal number of positively and negatively charged functional groups, that are neutral overall (for example, a dissolved amino acid with O- and NH3+ group).

Zwitterionic polymers have a stronger ability to bind to water after being dissolved, which prevents other contaminants from adhering to the surface of the material. As a result, zwitterions are used in antifouling coatings and can be used in the transport of biological tissue.

Anisotropy

A material is said to be anisotropic if it has different physical or chemical properties according to the direction of measurement. Some of the common anisotropic materials are wood, graphite and ice.

Wood is much easier to split along its “grain” than across it

52
Cellulose nanocrystals

Conversely, isotropic materials have identical chemical properties across all directions. For example, forces exerted on glass or plastic materials will result in the same amount of strain experienced by the material.

Now that we have covered the key concepts encompassing soft robotics, we can have a look at the coeval developments and advancements!

Soft Grippers

A team of scientists led by Prof. Dr Hamed Shahsavan have recently utilised cellulose nanocrystals and zwitterionic hydrogel actuators to build medical soft robots to transport biological materials, in this case, chicken tissue.

Cellulose nanocrystals have been used to introduce anisotropy in hydrogels, and to act as a nano-reinforcer.

Anisotropy in hydrogels results in programmable stimuli-responsive shape transformation of hydrogels.

Zwitterionic hydrogels were used since they have minimal protein adsorption, which makes them excellent candidates for minimising foreign body reactions.

Hydrogel actuators were used due to their shape-memory effect as they can swell/shrink with an external stimulus. This has led to shape transformations in hydrogel such as twisting, bending, and folding. The materials were used to create a soft gripper that could grip onto and release various objects.

Furthermore, the researchers have also attached magnetic patches to the soft robot so that it can be navigated by an external magnetic field. This was accomplished by changing the pH of the solution the soft robot was in, resulting in a deformation of the hydrogel.

Self-Healing Electronic Skin

A team of researchers led by Prof. Dr Zhengwei You have utilized modified elastomers that exhibit suitable softness and strength to produce artificial skins. Incorporating additional Hydrogen bonds and cross-linked networks has allowed the elastomer to mimic the roles of collagen and elastin fibres.

53

As a result, when attached to real human tissue, the elastomers could sustain the stretch and the compression of human motions. These elastomers could be used to construct artificial muscles, pressure sensors and tissue engineering scaffolds, providing structural support for cell attachment and subsequent tissue development.

Dragonflies and Biomimicry

Engineers at Duke University, led by Prof. Dr Shyni Varghese have developed a soft robot shaped like a dragonfly (a) to act as an environmental sensor.

The soft robot comprises self-healing hydrogel that can react to changes in pH rapidly, and microchannels that react to air pressure and carry the air into the front wings, allowing the soft robot to skim across water and react with its surroundings.

The hydrogel “heals” by allowing functional groups within it to bond when the pH is raised, thus forcing the front wing to fuse with the back wing. The resulting imbalance causes the soft robot to spin in a circle. A change in acidity causes the hydrogel to form new bonds, which are completely reversible when the pH returns to its original levels.

54

Furthermore, the researchers have added sponges under the wings for early detection of oil spills, as the sponges soak the oil up and change colour to the corresponding colour of the oil. These mechanisms could be used within soft robots to detect freshwater acidification and oil spills to prevent decline in aquatic life population.

The Gist

Soft robotics is a field of robotics that focuses on creating robots with flexible and deformable bodies.

Soft robots are made of materials that can change shape and adapt to their environment, allowing them to interact with objects and navigate through complex spaces.

Hydrogels are chemicals that can absorb large amounts of water and are able to react to changes in pH and temperature.

Deformation of objects under an electric/magnetic field, pH, temperature, and mechanical stress can induce grabbing and twisting motion. Evolutionary algorithms can be used to construct optimal microarchitectures for soft robots.

55

Terms:

Metaheuristic Algorithm: an algorithm that is used to search for an optimal solution to a complex problem

Binary Mask: a matrix comprising 1s and 0s randomly distributed within

Piezoelectricity: the ability of a material to generate electricity under mechanical stress, caused by deformation of crystalline regions with different overall charges

Biphasic: a material that contains substances in two different physical states like in solid and liquid

Nano-reinforcer: a material to increase strength of the overall structure

Resources:

Learn more about elastomers from the Harvard Biodesign Lab: https://biodesign.seas.harvard.edu/soft-robotics

The multifacted applications of hydrogels: https://www.nature.com/articles/nmeth.3839

Programmable nanocomposites of cellulose nanocrystals and zwitterionic hydrogels for soft robotics: https://www.nature.com/articles/s41467-023-41874-7

Mechanically and biologically skin-like elastomers for bio-integrated electronics: https://www.nature.com/articles/s41467-020-14446-2

Professor Varghese’s dragonfly soft robot: https://pratt.duke.edu/news/drabot/

56

The Taiwan Iceberg – Why Taiwan is set to Become the Most Important Site of the Century

Roughly 100 miles off the coast of mainland China lies an island slightly smaller than the Netherlands, with a population of 23.57 million people. While it may seem insignificant at first, Taiwan is disputed between the People's Republic of China (The Government of Mainland China) and the Republic of China (The Government of Taiwan). This dispute is only the tip of the iceberg in a battle of ideals, a battle of 2 dominant world powers, a battle of the Pacific Ocean as a whole.

So how did we get here? In 1912 the Republic of China was set up in China after the Xinhai Revolution of 1911 bought an end to 2000 years of imperial rule. By 1927, the republic had plunged into civil war between the nationalist government and the Red Army of the Communist Party. Hostilities halted during WW2 as China fought against Japan, but after this the two sides fought each other once again until the victory of the Communists in 1949 as communist leader Mao Zedong proclaimed the founding of the People's Republic of China on 1 October with its capital in Beijing. The nationalist forces, led by Chiang Kai-shek, retreated to Taiwan, as the new PROC crushed remaining forces on the mainland. Communist forces attacked Taiwan in the Battle of Guningtou, but failed, and thus set the scene for over 70 years and counting of conflict. Soon after, Chiang proclaimed Taipei as the temporary capital of the ROC, while still asserting his government as the sole legitimate rulers of China proper. Realistically, though, he had no control over anywhere other than Taiwan, as with the capturing of the Wanshan Islands in August 1950. the PROC had total control.

In the beginning. Western governments recognised only the ROC, but the tides would soon turn. Britain recognised the PROC in 1960 and this prompted many to do the same. In 1971, despite being a founding member, the ROC was expelled from the United Nations in favour of the PROC. As of 21st April 2023, the only nations that

57

recognise Taiwan as a country are Marshall Islands, Eswatini, Paraguay, Nauru, Palau, Vatican City, Saint Lucia, Saint Vincent and the Grenadines, Guatemala, Haiti, Belize, Tuvalu, and St Kitts and Nevis. 13 insignificant nations, most so insignificant that China doesn't care. Everyone recognises China apart from Taiwan and Bhutan, who, strangely, have never recognised the ROC or PROC. While countries like the USA, UK and other nations aligned with them publicly support Taiwan, they operate on a "One China Policy", and besides, recognition of Taiwan would almost certainly end any element of trade one has with China, which no major power is ready for.

China nowadays is a huge world power. By far the most powerful communist nation left, with the 2nd biggest GDP at over 14 trillion US$ and set to overtake 1st place USA this century. It is a leading exporter in, to name but a few things, electrical machinery, computers, furniture, military equipment, and vehicles. In 2021 it made over 3 trillion USS in exports, making it the world's biggest exporter. Most NATO members are reliant on these exports and can't afford to lose them. Thus, for the foreseeable future, the West may show support to Taiwan, but never recognise it. So, what if war does happen? While it remains unlikely, China recently did simulate missile strikes on the island, perhaps some unsubtle foreshadowing. The USA has said that it would come to Taiwan's defence, perhaps part of the reason why China has never invaded Taiwan since the civil war. I have already mentioned China's massive economic influence, and whether China turns off the tap or American allies bring it upon themselves, the impact would be huge. Taiwan is a major exporter of superconductors, and there would be a worldwide shortage in this scenario. But this is not just about Taiwan; it is also about two superpowers maintaining their pride. China is an authoritarian regime, meaning that the government has a huge part in people's lives, and the government enforces strict obedience on the people. It is also a communist country, run by the CCP. While democracy does exist, it is only on a local scale, and the CCP controls the country. On the other hand, the USA is a democracy, though on the democracy scale it is ranked as a flawed democracy. The US has always hated communism, after all, much of the latter part of the 20th century were spent trying to fund rebellions to topple the Soviet Union. The two have been battling over the pacific, with angry messages and demonstrations of military power as they try to win over the Pacific nations.

58

It all boils down to Taiwan, but the conflicts spread way further. Of course, we have the Korean Peninsula. It has been divided between the Democratic People's Republic of Korea in the north (In fact one of the least democratic nations in the world), and the Republic of Korea in the south. Nowadays, the DPRK is infamous for the dictatorship of the Kim family, the mass famines and poverty, and the intrusive nuclear tests that could soon reach the USA. The south is incredibly modern, an example of modem democracy and home to huge companies like LG, Samsung, Hyundai and more. But it may surprise you that it used to similarly be a dictatorship, but under capitalism. The North aligns with China and the South with the US, as does Japan, which is now one of the closest American allies, a huge economy and regional power. Australia and New Zealand are also aligned with the US, and are both members of Five Eyes, one of the leading world intelligence sharing communities in the world – The USA, Canada, UK, New Zealand and Australia. Extensions of this include Nine Eyes, which also includes France, Norway, The Netherlands and Denmark, and 15 Eyes, which has even more members.

Africa is also a point of interest to both the USA and China. Both sides have been battling to win over the nations on the continent. China is Africa's largest 2-way trade partner, and Chinese business and influence is abundant. In Ethiopia, the Chinese are building a major railway line across Ethiopia's challenging geography, for example. Some natives are critical of this, saying that the Chinese don't care about human rights. The USA and NATO also have influence, and routinely intervene in African conflicts, for example in Libya and The Sahel (The band of Savanah south of the Sahara including countries such as Mali and Burkina Faso), which has also drawn criticism.

One thing is for certain: neither state will back down. China and the USA will stand their ground, knowing full well that submission to the other would put Taiwan in a position that it doesn't want. On 26th March 2023, Honduras stopped recognising Taiwan and began recognising China, causing outrage in Taiwan. Will our grandchildren learn about the "Pacific Cold War"? Now war is more dangerous than ever, with modem weapons and the dreaded Nuclear Bomb. Move over, Berlin –now our eyes must go eastwards.

59

A Quick Glance at the Judicial System of the Great Qing

The Qing Dynasty, formally the Great Qing, spanning over three centuries from 1644 to 1912, stands as one of the most remarkable periods in Chinese and Asian history, being the last imperial dynasty of China before the Republican Era, and covering the largest land mass of any civilisation that considered themselves Chinese. Emerging from the ashes of the Great Ming, the Qing Empire rose to become one of the largest and most powerful dynasties in world history, shaping the socio-political landscape of East Asia and beyond, with its effects even reverberating to the late 20th century, finding its way into the legal systems of the People’s Republic of China and British Hong Kong. Central to the Qing's governance was its intricate justice system, which reflected the dynasty's blend of Confucian philosophy, imperial authority, and practical governance. The judicial system and Legal Code of the Qing dynasty was one of the most detailed in East Asia at the time, having derived some of it from previous dynasties, all the way back to the Tang dynasty, considered the golden age of China. Therefore, it is quite important to go back in time to understand and analyse this judicial system, arguably just as important as the British judiciary system, that is often overlooked by us in the Western World. Before we continue into the interesting world of Qing law and politics, it is important to note that what will be discussed will be mostly based on the so-called ‘High Qing Era’, during the reigns of the Emperors Kangxi, Yongzheng, and Qianlong, between 1683 and 1799, when the Qing dynasty was at its height of power, long before its slow decline as a result of corruption and invasions by foreign powers.

Like many absolute monarchies, and to an extent constitutional monarchies, of the time, the Emperor was the fount of all justice, bestowed upon him with the Mandate of Heaven, the right to rule all under the heavens, as Son of Heaven. This mandate extended to the realm of justice, where the Emperor was regarded as the ultimate

60

arbiter of law and order. However, it was simply unrealistic and unviable for the Emperor to constantly be involved in the judiciary, for the Emperor had vast administrative duties, ranging from overseeing the bureaucracy to managing foreign affairs and military matters. Being the role of ‘chief judge’ would have been impractical given the immense scope of imperial governance, and it would have detracted from the Emperor's primary responsibilities as the supreme ruler of the empire. Furthermore, this elevated status of Son of Heaven placed the Emperor above mundane matters of justice, as their role was to embody the moral and cosmic order rather than directly involve themselves in legal proceedings. Therefore, like the imperial dynasties and royal kingdoms that preceded the Great Qing, a system was needed to maintain the Emperor’s authority.

Directly below the Emperor in the hierarchical government system was the Grand Secretariat, an administrative secretariat in charge of memorials to the Emperor, and the Six Ministries. One of the most prominent of the Six Ministries was the Ministry of Justice, or more literally, the Ministry of Punishments, forming part of the Three Judicial Offices, a concept continued on from the Ming dynasty. The Ministry of Justice, aptly headed by a Minister of Justice, was in charge of most of the judiciary, overseeing the operation of prisons, managing the transportation of criminals, and coordinating the execution of judicial sentences. Additionally, the ministry played a role in drafting and enforcing legal codes and regulations, as well as providing advice to the Emperor on matters of criminal justice.

The second Judicial Office was that of the Grand Court of Judicial Review. The responsibilities and roles of the Grand Court were carried over from many dynasties past, all the way back to the Tang dynasty. This court, as the name suggests, acted somewhat like a nominal Supreme Court of our time, reviewing cases from lower courts, under the authority of the Ministry of Justice, and passing judgements on cases considered extraordinary, although this was rare by the time the Emperor Kangxi came into power, with it only nominally having a greater authority than the Ministry of Justice.

The third of the Judicial Offices was that of the Censorate, nicknamed by historians as the eyes and ears of the government. This office supervised and kept a close eye

61

on the mandarins of the Empire, ensuring that they did not commit corruption or any other actions of disrepute. Mandarins in the Censorate would travel around the country and ensure magistrates did their jobs well, and there were also censors that kept a close eye on officials in the palace, alongside the Judicial Department within the palace, which will be discussed later.

All three Judicial Offices had the authority to adjudicate some cases by themselves, but when the case was likely to become capital, I.e. involve capital punishment or some other form of serious and grave punishment, all three judicial offices had to adjudicate the case together. Each judicial office would then present a memorial to the Emperor, who would then choose the memorial that was most agreeable to himself and his government, then he would order whichever office that presented that memorial to him to carry out the case and/or punishment. However, since the Emperor was the fount of all justice, it wasn’t uncommon for him to circumvent this entire process of the offices co-adjudicating a case and just order one of the three Judicial Offices to try the case.

Further down the hierarchy were the judicial commissioners and county magistrates, the main difference between them being that the judicial commissioners were slightly higher up the food chain and only focused on judicial matters, and county magistrates’ time were split mainly between taxation and judicial matters. The county magistrate and commissioner dealt with the day to day matters within the counties and provinces of Qing China, tasked with determining the admissibility of cases, orchestrating the collection of evidence and witness testimonies, and presiding over trials. As the sole arbiter of guilt or innocence, the magistrate also wielded the power to determine appropriate punishments or compensation for parties involved. However, the magistrate's decisions were subject to scrutiny and review by higher-ranking officials, such as the governor of the area in which the county magistrate carried out their work. Given the potential repercussions for errors or oversights, magistrates often enlisted the aid of specialised clerks or secretaries well-versed in legal matters and administrative protocols. The commissioners and magistrates were allowed to carry out punishments in the name of the Emperor (hence the kowtowing to them), with the punishments being the Five Punishments as detailed in the Great Qing Legal Code, including beating with a

62

thin stick, beating with a thick stick on the backside, penal labour, exile, or death, though punishments involving death had to be brought up to higher parts of the hierarchy, such as the Three Judicial Offices as stated above.

It is also important to note that members of the Imperial Clan or Household were tried outside of the usual judicial system, under the authority of the Imperial Clan Court, which was headed by either a Head or Director, sometimes a high ranking member of the Imperial Clan itself, such as in the case of Yixin, the Prince Gong of the First Rank. Alongside criminal offences, the Imperial Clan Court also dealt with more civil cases, such as inheritance, succession and title issues (though not of the Emperor, for the Emperor himself decided on his own successor), and property claims. Despite this, as with the ‘normal’ judicial system, the Emperor could overrule the Head of the Imperial Clan Court and make his own ultimate decision on matters regarding his family. The Imperial Clan Court also compiled the genealogy of the Imperial Clan, recording births, deaths, and marriages. The Imperial Household Department, the internal affairs department of the palace tasked with the maintenance of the palace, growing of food, palace necessities, the stud of the palace, amongst other things, was also tasked with lesser palace justice. An internal police department was tasked with ensuring the palace eunuchs were not up to no good, alongside ensuring that palace maids and other bondservants would not cause trouble.

In conclusion, the Qing dynasty’s judicial system was a complex and multifaceted institution that played a pivotal role in governing one of the largest and most diverse empires in history. Rooted in Confucian principles of hierarchy, for central to Confucian thought was the concept of hierarchy, emphasising the importance of filial piety, respect for authority, and the proper conduct of individuals within society; moral rectitude, and social harmony, the Qing justice system sought to maintain order and stability across its vast territories. With the judicial system spanning from the upper echelons of society, starting with the Lord of Ten Thousand Years (another title for the Emperor), with the Three Judicial Offices helping him to carry out justice, to the lowly magistrates who dished out everyday justice and law, the Qing judicial system effectively upheld morals and legal principles during the High Qing Era. Despite its adherence to tradition and imperial authority, the Qing judicial system

63

faced challenges such as corruption, social unrest, and external pressures, with the Great Qing ultimately coming to an end in 1912, marking the conclusion of one of the most significant eras in Chinese history and signalling the transition to a new era of governance and legal practices.

64

Yiming Guo 12R

The Pipe Organ – the most complex instrument in the world?

In a world where pop and contemporary music dominates the music charts, we don’t hear much about classical music anymore, and even less so about one genre of music played on a specific instrument.

Pipe organs are mighty instruments which have been decreasing in popularity over time. They are associated with churches, and you may hear some organ music from time to time, but have you ever wanted to know the physics behind such a large musical machine?

We will discuss the many different types of key action (the mechanism linking a pipe to a key), but first, let’s discuss the basics behind how a pipe organ works!

How does the pipe organ work?

Firstly, we need a blower! Most organs nowadays run on electric blowers which maintain a constant wind supply with a pressure between 2-100 inches of water (100” ≈ 3.6psi) to sound the pipes. Many centuries ago, organs were hand-pumped instruments; could you imagine the physicality required for such a job?

Fig. 1.: stop sliders shown with front and side view

65

Pretty much every organ will contain a collection of stops. Each stop controls a rank (a set of pipes) which all have the same sound texture, i.e. one rank could be a set of trumpet pipes. When a stop is pulled at the organ console (where the organ is played), a slider – which “stops” and blocks air from reaching the pipes – moves sideways by a few centimetres. This allows the holes on the sliders to line up with the pipes on top, allowing air to be fed towards the pipes. (See Figure 1)

Now that you’ve got a wind connection established to the pipes through an open stop, how can we sound the pipe? When a key is pressed, a pallet (valve) is pulled open in the windchest. This allows wind to enter the pipe, and now any pipes with an open slider AND an open pallet will produce a sound at a specific frequency. (See Figure 2)

So how could you make an organ louder? Greater air pressure, pressing more keys and/or activating more stops can all collectively increase the volume of the instrument!

66
Fig. 2.: opening a pallet and sounding a pipe

Types of key action

Now that we’ve explored how the wind is fed to a pipe, we can now investigate the linkages between a key on the organ console and its corresponding valve(s). There are three distinct systems found in most pipe organs nowadays.

Tracker action

This was one of the earliest inventions by organ builders, although it is believed that organs used to have systems which involved water pushing wind through pipes!

This type of action includes a mechanical link between key and valve. Levers in the organ connect trackers & stickers together, which allow a valve to be pulled downwards when a key is pressed.

Tracker action is great in that it allows for a quick release time, meaning the sound is [pretty much] immediate. However, it can sometimes cause the touch to be very heavy, meaning a greater force is required to depress the key!

The school organ in the Great Hall uses this type of action. It is one of the most commonly used mechanisms today by organ builders.

Tubular-pneumatic action

In the late 19th century English and French organ builders created a new way of building organs, replacing the “norm” of tracker action which was used for many centuries before.

67

Tubular-pneumatic organs operate using hundreds of lead tubes to connect the organ console to the pipes. Pressing a key causes a change of air pressure in the tubing which opens the valve. This can be achieved in two ways:

• The “pressure” system, where the air pressure in the tube is 1 atm. When a key is pressed the pressure is increased in the tube, inflating the pneumatic and opening the valve.

• The “exhaust” system, where the air pressure in the tube is at blower pressure. Pressing a key leads to a decrease in air pressure within the lead tube, collapsing the pneumatic and opening the valve.

This type of action allowed a lighter touch on the keys, but the biggest problem with tubular pneumatic was the slow valve release. Nowadays, tubular-pneumatic systems are very rarely used in new organs, due to the excessive delay between pressing the key and the pipe sounding.

Electric action

The development of electricity also caused a turning point in the organ world. Builders began to experiment using electric currents, and eventually created a whole new way of opening valves…

Electric action involves electromagnet solenoids directly opening a valve as a key is pressed. This mechanism is becoming increasingly prevalent in the construction of new organs, due to its light touch and efficient release. However, with larger organs, a lot of wiring would be required to accomplish a fully functioning instrument. It is believed that the largest organ in the world (located at Boardwalk Hall, New Jersey) contains more than 137,500 miles (221,300 kilometres) of wire!

Types of organ pipes

There are two different ways a pipe can produce a tone in an organ.

• Flue pipes simply vibrate air molecules to produce the distinctive “organ sound”. Flue pipes have varying diameters; string pipes (viola, violin) are thin which causes a silky sound. Principal/diapason pipes have a medium diameter

68

and produce the “foundation” tone associated with organs. Flute pipes have the largest diameter and sound rather mellow.

• Reed pipes produce a sound using a vibrating reed which beats against a surface, very similar to a woodwind reed instrument. This creates a sound wave in an enclosed air column, and a resonator reinforces and projects this sound. Some examples of reed pipes include oboes, trumpets, clarinets and chamades (very loud, horizontal trumpets!).

The future of the pipe organ

In a few years’ time we will probably have organs which can play themselves and won’t require an organist to play them. This is already possible through some built-in replay systems, which allows an organist to play back their music exactly as they had performed it. However, with the increasing capabilities of artificial intelligence, the demand for church musicians could decrease dramatically with a lack of pipe organ promotion.

Many organisations seek to promote organ music, such as the Royal College of Organists, founded in 1864. This organisation provides distinguished diplomas, courses & materials to guide organ students on their pathways. Each year the RCO also holds an International Organ Day which introduces people of all ages to the mighty instrument!

If you didn’t know the explanations behind pipe organs before, I hope this article has given you an insight into the lesser-known world of organ building. When I was first introduced to this amazing instrument, I was really inspired by the scale of engineering behind it to produce such a beautiful sound, and I hope you will be too! I have visited several buildings around the country all with their own unique organs, such as having time on the organ at St George’s Chapel or playing the closing voluntary at Southwark Cathedral for a school service. The opportunities are truly endless in the organ world. As Mozart once said,

“To

my eyes and ears the organ will ever be the King of Instruments.”
69
Graphs made in Desmos Graphing Calculator

Turn static files into dynamic content formats.

Create a flipbook
Issuu converts static files into: digital portfolios, online yearbooks, online catalogs, digital photo albums and more. Sign up and create your flipbook.