Skip to main content

infocus Magazine - Issue 77, March 2025

Page 1


Specimen observation in 4 steps

We developed the JEM-120i with the concept of "Compact", "Easy To Use", and "Expandable". With the new external appearance, this instrument has evolved into a useful tool that anyone can use easily, from operation to maintenance.

It takes only 4 steps from loading a specimen to completing observation. The JEM-120i is equipped with an enhanced TEM control system and fully automated apertures, eliminating the need for switching magnification modes and selecting an aperture. Observation operations can be performed more smoothly than with previous models.

www.jeol.com • salesinfo@jeol.com 978-535-5900

Thomas

infocus is the Magazine of the Royal Microscopical Society (RMS) –the only truly international microscopical society. The RMS is dedicated to advancing science, developing careers and supporting wider understanding of science and microscopy.

infocus Magazine

37/38 St Clements

Oxford, OX4 1AJ, UK

Tel. +44 (0)1865 254760

Email: infocus@rms.org.uk Website: www.infocus.org.uk

Scientific Editor

Leandro Lemgruber, University of Glasgow, UK

Editor

Owen Morton

Tel. + (0)1865 254763, Email: editor@infocus.org.uk

Editorial Board

Susan Cox, King’s College, London, UK

Rebecca Higginson, Loughborough University, UK

Myfanwy Adams, John Innes Centre, Norwich, UK

Maadhav Kothari, Zeiss Microscopy, UK

Hilary Sandig, Cancer Research, UK

Trevor Almeida, University of Glasgow, UK

Mark Rigby, Nikon UK

Advertising

Email: advertising@infocus.org.uk

ISSN: 1750-4740

© 2025 Royal Microscopical Society

infocus is published four times per year by the RMS. Designed and produced by Creative Design. Reproduction in whole or in part without permission from the RMS is forbidden. Views expressed in the Magazine are those of the individual contributors and do not necessarily reflect those of the RMS.

FROM THE SCIENTIFIC EDITOR

Dear Readers,

Happy New Year!

I hope you have had a great start to 2025, and that whatever your interest in microscopy, and wherever you are in the world, you are looking forward to digesting this year’s first issue of infocus!

In this issue, it is our absolute pleasure to present six fantastic project reports from last year’s RMS Summer Studentship recipients – and one from a Studentship completed in 2003. This is a great annual scheme in which undergraduates receive up to £2,000 each to cover the cost of undertaking microscopy-themed projects outside term-time. For many students benefitting from the scheme, this opportunity provides their first deep-dive into microscopy, and is often instrumental in shaping their future choices as early career scientists. I hope you enjoy reading about their experiences as much as I have.

Also in this issue, we welcome back Professor Brian Ford, Hon FRMS, with his latest insights into the accomplishments of microscope pioneer Antony van Leeuwenhoek. Brian has been described as the “world’s leading expert” on Leeuwenhoek, with some 270 research publications on the man popularly known as the ‘father of microbiology’. Here, he reconciles original drawings of Leeuwenhoek’s observations with presentday reality, providing further compelling evidence of the Dutch pioneer’s achievements as a microscopist.

One of the most significant recent developments at the RMS has been the formation of an entirely new Scientific Section representing Data Analysis in Imaging (DAIM). This is among the fastest growing areas within the microscopy community, and the new committee – which started life as a ‘Focussed Interest Group’ – has responded brilliantly to the need for a cohesive community of scientific image data analysts. In a timely article, Committee members Martin Jones and Tom Slater document their journey to date, and some of the ways in which the new Science Section is seeking to help disseminate rapid technological advancements, and bring together fledgling communities across a range of scientific domains.

Being part of a Scientific Section is a great way to work closely with fantastic people and to the benefit of the Society. If you are interested, please contact the RMS or the committee chairs to ask about joining.

Finally, since this is our first issue of 2025, I would be remiss if I failed to mention we are once again in an ‘mmc’ year! This really is a magnificent event for the microscopy, imaging and flow cytometry community, and I would urge you all to visit the mmc-series website and register to attend mmc2025 in Manchester!

In the meantime, I hope you enjoy all the content in our latest issue of infocus Magazine. Slàinte!

Leandro Lemgruber

COVER IMAGE: Red Blood Cells in Single File. By Marc Isaacs, Cardiff University. A capillary with blood cells moving through one cell at a time. Ponceau fuchsin and methyl blue. Olympus BX41, 40x objective, GXCAM HR4 camera.

Fluorescent Drugs for Difficult Bugs: Quantitative Imaging of Fluorescent Antibiotics to Track Antibiotic Uptake and Resistance in Biofilms

Student: Ash Eana

Supervisors: Dr Liam Rooney & Professor Gail McConnell

Project location: Strathclyde Institute of Pharmacy & Biomedical Sciences, University of Strathclyde, Glasgow, UK

Lay Summary:

Biofilms are communities of microbes bound together by a network of extracellular substances such as proteins, lipids, and DNA. This matrix not only provides biofilms with increased protection to antibiotics, but it also provides the optimal environment for rapid transfer of genetic information, including acquisition of antimicrobial resistance (AMR) genes. Biofilms are also large in size and structurally complex, making them difficult to image with most low- magnification commercial objectives, as these typically have low resolution. Networks of nutrient-transport channels have previously been found in E. coli biofilms using the Mesolens, a giant objective lens capable of acquiring sub-cellular resolution over a 108 mm3 imaging volume, making it ideal for imaging the highly detailed structure of biofilms.

This project focused on using the Mesolens to determine whether these channels are involved in the uptake of antibiotics, as well as the distribution of dead cells after treatment. Using advanced imaging and image analysis techniques, dead cells were observed to gather in these nutrient transport channels after treatment, and it was determined that antibiotic was diffusing through the channel networks which we have previously described. Further analysis showed channels at the outer edges of the biofilm fill up with antibiotics over time, suggesting these channels are involved in drug uptake in E. coli biofilms. These findings set the foundation for future work into developing new and improved biofilm drug delivery methods.

1. Imaging and analysis of antibiotic uptake in E. coli biofilms. (a) Zoomed-in dual-channel image of an E. coli biofilm showing distribution of live and dead cells following treatment with 3.75 mg colistin. Live cells are shown in magenta, while dead cells are shown in cyan. (b) Graph showing the normalised mean intensity of SYTOX Green for all treatment points. The control consisted of biofilms treated with dH2O for 8 hours as opposed to colistin; p value = 0.0036. (c) Graph representing complexity score against radial distance from the centre for different treatment times. On the x-axis, 0 represents the centre of the biofilm while 1 represents the outermost region. (d) Zoomed in composite image of an E. coli biofilm treated with BOCILLIN-FL Live cells are shown in magenta, dead cells are shown in cyan, and BOCILLIN-FL signal is shown in yellow. The green colour within many of the channels is due to overlap of dead.

Report:

Using a mesoscopic approach, this project aimed to visualise and quantify the uptake of various fluorescent antibiotics in E. coli nutrient transport channels, as well as to track the appearance of celldeath patterns, the emergence of resistant subpopulations, and localised antibiotic tolerance.

Firstly, I treated E. coli biofilms with bactericidal antibiotic, colistin (3.75 mg), aiming to measure cell death as a proxy for antibiotic uptake. The experiment involved dual channel imaging of the treated biofilms, where one channel captured signal from the HcRed1 protein expressed by the biofilm-

forming E. coli, representing live cells, and the other channel captured SYTOX Green signal, representing cell death as this viability dye can only penetrate dead cells.

My second experiment involved a 3-channel mesoscopic imaging protocol, with a channel once again assigned to HcRed1, a channel assigned to SYTOX Blue, another viability dye, and the third channel assigned to signal from BOCILLIN-FL, a fluorescent version of penicillin. Care was taken here to ensure there was no spectral overlap between any of the channels. A radial intensity analysis method (Sholl analysis) was performed on

Figure

2024 SUMMER STUDENTSHIP REPORT

images obtained from the BOCILLIN-FL channel as a measure of morphometric complexity and to determine whether channels were transporting the fluorescent antibiotic.

When treating E. coli biofilms with non-fluorescent colistin, there was an accumulation of dead cells in the biofilm nutrient transport channels (Fig.1a). By analysing mean SYTOX Green (dead cells) intensity data from this experiment (Fig. 1b), I concluded there was significantly more cell death when biofilms are treated with colistin than when treated with the control, showing the antibiotic is penetrating the biofilm matrix. There was no significant difference between individual time points, and the variability between each repeat was quite high, but the increasing trend of cell death versus treatment time was clear.

Sholl analysis data from the fluorescent antibiotic experiment (Fig. 1c) showed a clear trend of increasing morphological complexity in the periphery of the biofilms with increasing treatment time. Sholl analysis dictates that when there is more structure, i.e. when channels are full, the morphological complexity is higher. In this case, this trend in increasing complexity over time corresponds to channels in the periphery filling up with BOCILLIN-FL over time, suggesting antibiotic uptake in E. coli biofilms occurs via nutrient transport channels.

Furthermore, composite channel imaging of biofilms treated with BOCILLIN-FL (Fig. 1d) showed overlap of the BOCILLIN-FL and SYTOX Blue signal in the nutrient transport channels. This provides further evidence that the transport channels were facilitating the uptake of the fluorescent antibiotics, resulting in the localised patterns of cell death along the length of the channel structures. These data set the foundation for future work exploring the exploitation of nutrient transport channels for new targeted drug delivery approaches.

Participating in this project helped me develop a myriad of skills and learn many new concepts, especially in the field of microscopy. It has boosted my self-confidence and resilience, allowed me to develop new research skills, and has been a source of valuable hands-on laboratory experience which will no doubt be extremely helpful and relevant in my upcoming studies, especially during my final-year project.

As a microbiology student, starting this project was a bit intimidating at first due to my previously limited knowledge of microscopy. However, my supervisors expertly answered all my questions and by the end of the project I had a much deeper knowledge of the techniques I was using. Furthermore, I was allowed to sit in on various lectures during the Strathclyde Optical Microscopy Course, which further developed my understanding of many microscopy concepts such as confocal laser scanning and light sheet microscopy, as well as image analysis and fluorescent probe chemistry. This project has also solidified my desire to pursue a PhD in the future. Working alongside current PhD students has given me a good understanding of what it takes to succeed in this pursuit, and I am determined to join them in the future. As part of this project, I submitted an abstract to talk about my project at the Glasgow Microbiology Collective and presented my research to an audience of senior microbiology academics, PhD students and postdocs from the four universities across Glasgow. Following the presentation, I won the best talk prize at the conference, which was a great way to finish off the project. I believe this experience will prove to be advantageous when it comes to pursuing a PhD, and it also allowed me to expand my network and make many valuable connections.Additionally, I thoroughly enjoyed the mostly microscopical aspect of this project, and I hope to have the chance to do more research in a microscopy-related field in the future.

Exploring the Capabilities of Secondary Electron Hyperspectral Imaging for the Analysis of Pharmaceutical-Based Materials

Student: Daniel J Hopper

Supervisor: Nicole Hondow

Project location: Leeds Electron Microscopy and Spectroscopy Centre (LEMAS)

Lay Summary

The surface characterisation of pharmaceutical-based powders is a challenge due to their beam sensitivity. Secondary electron hyperspectral imaging (SEHI) is a novel surface analysis technique which filters secondary electrons (SE) energies using mirror electrodes to generate a spectrum. SEHI utilises low-voltage scanning electron microscopy (LV-SEM) to allow for the analysis of beam-sensitive materials; however, due to the low interaction of LV-SEM, regular coating of the samples with a conductive material is not possible. Hence, new sample preparation approaches have been developed to reduce charging in the SEM. Embedding powders in a low melting point alloy (Field’s metal) has been identified as the most suitable sample preparation technique.

SEHI is extremely susceptible to carbon contamination in the SEM and therefore analysis of the SEHI spectra of highly ordered pyrolytic graphite (HOPG) has identified the peak position of carbon bonding (sp2-/sp3-like) which allows the identification of carbon contamination peaks for non-carbon-based samples.

Finally, it has been found that SEHI could possess the ability to discriminate between phases of a material as SEHI was able to successfully distinguish rutile and anatase (phases of TiO2). The phase sensitivity of SEHI has been attributed to two differences in the work functions of the two phases which impact the relative amount of SE emissions.

Project Aims and Objectives

The project aim is to determine whether SEHI is a viable material characterisation technique for pharmaceutical-based powders, where the following goals are set.

• Identification of appropriate sample

preparation methods for insulating powders

• Exploring the effects of carbon contamination

• Exploring SEHI’s phase sensitivity

Materials

and Methods

To generate a SEHI spectrum, first a stack of SE

images is taken. Each image in the image stack is energy filtered differently using mirror electrodes; in this case, the images were taken on the FEI Helios G4 CX DualBeam FIB-SEM.These mirror electrodes set the mirror voltage which ranges from 20.4V to -15V stepping down in -0.6V increments per image. This image stack can then be loaded into an image processing software such as ImageJ. In ImageJ, 3 to 5 regions of interest (ROIs) should be selected per image stack, where the ROIs should avoid areas of large topological variation and/or charging. An S-curve can then be plotted (Figure 1b) which plots intensity (brightness) against the mirror voltage. It should be noted that a drift correction plugin such as StackReg should also be used to ensure that ROIs do not drift. Finally, using stage bias adjustments, a calibration curve can be plotted which allows for the “Intensity” and “Mirror Voltage” to be converted to relative “SE Emissions” and “Energy” to generate a SEHI spectrum (Figure 1c).

Sample preparation is relatively simple, a small quantity of powder is placed into a mould (Figure 2a) and Field’s metal is melted into the mould, an SEM stub is then placed into the sub where the metal will solidify to the stub with the powder embedded inside (Figure 2b).Additional preparation, e.g. placing a TEM grid on a ROI, can also be done after this stage (Figure 2c). Focused Ion Beam (FIB) liftouts are also explored however, lamella preparation is done within the FIBSEM.

Figure 2. (a, b, c, left to right) Powdered sample in a mould; example Field’s metal sample; example Field’s metal sample with a TEM.
Figure 1. a) Concept of a SEHI image stack, b) Example S-curve, c) Example SEHI Spectrum.

Results and Discussion

Effect of Sample Preparation

For selecting the most appropriate sample preparation technique, accuracy and reproducibility were the main concerns. Figure 3 shows the SEHI spectra from the three sample preparation techniques with anatase as the sample. For the FIB “liftouts” a Gallium ion FIB and a Xenon plasma FIB were both used to assess implantation into the sample.

The suspected peak position of the Ti-O bonds present in TiO2 is 1.5-3 eV, hence the Field’s metal sample and the Xenon FIB sample appear to show the expected results.The Gallium FIB peak at 0-1 eV is a consequence of Gallium implementation from the FIB which is a concern for FIB liftout samples. The TEM grid sample preparation shows anomalous results for all samples like the behaviour in Figure 1, as the tedious nature of applying the grid normally results in sample charging. All sample preparation techniques significantly reduced charging. Ultimately, the Field’s metal sample preparation was selected as it provides the same accuracy and reproducibility as the Xenon Plasma FIB "liftouts" but is significantly less time-consuming.

Effect of Carbon Contamination

Understanding carbon contamination is essential for SEHI as it ensures that peaks that appear “characteristic” of a sample are not misidentified due to contamination. Figure 4 shows the HOPG

SEHI spectrum which is used to identify carbon bonding peaks which in non-carbon based samples, would be a sign of carbon contamination on the sample surface or in the SEM chamber.

Energies between 2 and 3 eV are identified to be a sp2-like bonding in HOPG. Amorphous carbon contamination (ACC) is mostly graphitic and is therefore primarily sp2 in nature, therefore, care should be taken when assigning characteristic peaks in that region. Energies between around 4.3 and 5.7 eV are representative of sp3-like bonds which could provide evidence of carbon contamination in non-carbon-based samples. Carbon contamination is caused primarily through electron beam-induced deposition (EBID) which polymerises carbon on the surface of the sample. Further research is needed into contamination as the proposed Ti-O bonding peaks appear to overlap with the sp2-like peak which causes uncertainty into the validity of the Ti-O peak.

Phase Discrimination of TiO2 Systems

The main goal of phase identification is to distinguish between the rutile and anatase (two phases of TiO2). Figure 5 shows SEHI spectra comparing rutile and anatase.

Figure 5 provides evidence that SEHI can distinguish between phases. The work function is identified as the reason SEHI can distinguish between phases. Rutile typically has a higher work function than anatase (this can vary depending on crystallographic planes) hence, more energy is required to liberate

Figure 3. SEHI Spectra of anatase from different sample preparation approaches.
Figure 4. SEHI spectrum of HOPG highlighting carbon bonding energy regions.

secondary electrons, resulting in lower SE emissions as shown above.

What I learned from the Project

This summer studentship has allowed me to obtain invaluable experience using the scanning electron microscopes in the University of Leeds’ microscope facility. This has enabled me to gain a much better understanding of how the microscope works and behaves - an insight I would have not been able to achieve without the studentship. This handson experience with the SEMs is the aspect I have enjoyed the most throughout the studentship as it allowed me to plan and carry out my experiments. Being involved in the entire experimental process helped with my understanding of the project, which, in turn, allowed me to produce better-quality results.

Along with hands-on experience with the SEM, having the opportunity to attend parts of the RMS Electron Microscopy Summer School in Leeds allowed me to get a broader understanding of other material characterisation techniques such as TEM. Opening my eyes to other techniques gives me a wider range of techniques that I can consider using in future research (i.e. Masters and PhD)

My Long-Term Goals and Aims

Coming into this project, I had always strongly considered studying a PhD, however, I was unsure what area of material science I would like to

research. This project has allowed me to explore electron microscopy to a much deeper level than what is traditionally available on a standard undergraduate course, and it is this experience that has allowed me to decide to hopefully do PhD research in an electron microscopy-related field.

Secondly, as much as a PhD has always been the end goal for the last two years, getting some real research experience throughout this project has firmed my decision to apply to study for a PhD.

Figure 5: SEHI spectra comparing rutile and anatase.

A Tale of Two Microscopes: A Comparison of the Imaging Capabilities of the Zeiss 880 Airyscan Versus M2 Aurora Lightsheet for Drosophila Wing Analysis

Student: Elizabeth Barnett

Supervisors: Nikki Paul, Peter Thomason, and Andrew Davidson

Location: Cancer Research UK – Scotland Institute

Phagocytosis is the process by which macrophages, key cells of the innate immune system, engulf and destroy pathogens and dead cells. This uptake of dead cells induces the release of various growth factors to promote cell proliferation and protein synthesis, enhancing the healing process around the site of dead or damaged cells. This research topic explores how the uptake of apoptosis at the site of cell death in tumours may inadvertently promote tumour growth through growth factor release after phagocytosis.

Using Drosophila as a model organism, fluorescently labelled macrophages and dead cells found in the fly wing were imaged to capture phagocytosis events. My research focused on identifying the best imaging technique for fly pupae through comparison of the Zeiss 880 Airyscan and M2 Aurora lightsheet microscopes, providing guidance for future experiments using various cancer model pupae. A key finding was that lightsheet imaging of pupae in air, without an immersion medium, provided the best approach for long-term live imaging.

The aim of this exploratory project was to determine the best method of imaging the fluorescently labelled patch stripe cells and macrophages contained in the developing wing of a Drosophila pupa, for a greater understanding of how phagocytosis and cell death may be prompting the growth of cancer.

How to Address the Aim:

The following Drosophila cross was completed:

The desired fly has genotype Ptc >gfp/srpQF>10xQUAS-6xeGFP; Uas-CharOFF. Ptc>gfp yields green fluorescence of live cells in the patch stripe found in the Drosophila wing, while CharOFF causes red

fluorescence of dead patch stripe cells. srpQF>gfp results in green fluorescence of macrophages. This allows for visualisation of movement of the green macrophages and cells in patch stripe, giving the ability to observe cell death via the green to red colour change. Therefore, phagocytic events of macrophages eating dead cells from the patch stripe can be observed.

To image these flies, 18-hour-old pupae were staged and selected, with genotype confirmation through green fluorescence presence. The chosen pupae were then dissected from their casing and mounted according to the microscope being used. The fly

2024 SUMMER STUDENTSHIP REPORT

wing was imaged for a four-hour time period, as cell death is best characterised during the 18-to-24hour time frame. Also, this ensures imaging occurs before wing furling.

Multiple microscopes were tested for fly imaging, with success from the Zeiss 880 Confocal and Aurora lightsheet. The images produced from different microscopes were compared based on resolution, the ability to see phagocytic events, trackability of macrophages, and health of the flies.

What did you find out?

To best answer the aim, imaging on the Aurora lightsheet microscope with no immersion medium (in air) yields the best results.

Both the lightsheet and Airyscan microscopes

provide results at a high enough resolution that phagocytosis moments can be observed, and the general movement of macrophages can be tracked and analysed with statistical analysis. This was completed using FIJI (not shown), which showed that the macrophages behave similarly in both microscopes, confirming there is no bias depending on imaging method.

One of the biggest challenges with this project is the nature of the phagocytosis events: since they happen very quickly and sparsely, they are difficult to capture. While both microscopes allow for successful visualisation of the phagocytosis events, the lightsheet allows for a greater chance of observing them, through its advantageous ability to image the entire wing. The lightsheet can image much deeper and faster than the Zeiss LSM 880

A - C.

of the

from the 880 Airyscan Versus Aurora Lightsheet with Pupae Immersed in Multiple Media.

Drosophila pupae, aged 18 hours from the start of pupation, containing genotype Ptc >gfp/ srpQF>-10xQUAS- 6xeGFP; Uas-CharOFF were imaged for 4 hours. Live cells in the patch stripe are shown as cyan, dead cells in the patch stipe are shown as magenta. Macrophages are shown in cyan.

Scale Bars denote 50 μM.

A: 880 Airyscan imaging. Images taken from below the sample, with the imaged wing mounted firmly against the bottom of the dish. A.1 denotes the starting image of the timelapse, A.2 denotes +2 hours A.3 denotes +4 hours. Taken with 20x objective.

B: Lightsheet Imaging in air. Images taken from above the sample, with the imaged wing facing upwards. No liquid was used for immersion, therefore meaning the fly is imaged in air alone. B.1 denotes the starting image of the timelapse, B.2 denotes +2 hours, B.3 denotes +3 hours. Taken with 11.5x-15.3x objective, depending on refractive index.

C: Lightsheet imaging in multiple media. Images taken from above the sample, with the imaged wing facing upwards. A miniature experiment was run taking snaps of the same fly in multiple immersion media. C.1 denotes the fly wing in air, C.2 denotes the fly wing with a drop of agarose covering the fly, C.3 denotes the fly wing with a drop of agarose covering the fly and immersion in water. C.1.1 and C.3.1 denote zoomed in portions of C.1 (orange) and C.3 (red), respectively. Taken with 15.3x-17.9x objective, depending on refractive index.

Figures
4-hour Imaging
Drosophila Pupae Wing: Comparing Results

Airyscan, using gentler techniques, making it a great tool for live imaging dynamic events.

Initially, Figures C.1 and C.3 seem to suggest that imaging with the lightsheet with samples covered in agarose and immersed in water would be the best option. However, this is not the case as submerging the fly in agarose and water will drown the fly. Long-term imaging of a tissue requires the sample to be alive. Also, after imaging it is important to monitor the fly for proper development to ensure the dissection and imaging process did not cause significant damage. Killing the fly prevents both of these aspects from occurring, so immersion in water is not a viable option.

It can be observed that both microscopes experience photobleaching of the red fluorescent protein (RFP) used to tag dead patch stripe cells, a common issue with RFP. However, as new cells die, they will not be photobleached since CharOFF is activated upon cell death, allowing for imaging of dead cells over a 4-hour period.

Therefore, imaging with the lightsheet in air (no immersion medium) is the ideal technique, due to the high resolution yielded, the scale at which the wing is imaged, and the advantages the lightsheet provides that are not found with the Zeiss LSM 880. This result is surprising as the lightsheet has a dipping lens designed for use in an immersion media, so it was unexpected for the imaging to look well in air.

What did I learn:

I thoroughly enjoyed my overall experience working at the CRUK this summer! This was my first time working with Drosophila, and I enjoyed learning about their life cycle, the various markers used to identify genotypes, pupae dissection, and exploring methods of imaging them.

Comparing the methodology of imaging on different types of microscopes and the results they produced required me to develop an advanced understanding of the operation and usage of these microscopes. This also helped strengthen my critical thinking skills regarding planning future experiments: the importance of gaining the best results possible without negatively impacting the sample. Also, I further understood the importance of rational decision-making during the planning stages of experimentation to ensure success.

This experience also reinforced the necessity of clear communication and collaboration. These skills were essential when working with various CRUK members across two labs to be trained on microscopes, analyse results, and problem solve, which were essential tasks to obtain and analyse results.

Both the hands-on experience and analysis skills I gained during this internship are some I could not have acquired solely through my university coursework, and I am truly grateful for the opportunity to strengthen skills in the microscopy field.

Long Term Goals:

Before the undertaking of this project, I had a general interest but little experience in fluorescence microscopy from my university coursework, which prompted a desire to explore this research technique.After completing this project, I thoroughly intend to prioritise microscopy work in the future, it has inspired me to pursue further research in this field. Fluorescence microscopy is far more complex and versatile than I initially realised, and there are numerous applications I would be eager to explore further. Because of this, and the overall positive experience I had at the CRUK, this project has confirmed my desire to pursue a PhD. One of my main goals when seeking a summer internship was to gain insight into making this decision about my future and I am now confident in prioritising pursuing a PhD.

Elizabeth Barnett

Simulating Fluid Flow Driven Ciliated Tissue Remodelling

Location:

Ciliated tissues are extremely prolific in biological systems and are essential for the transport of particles and fluids throughout the human body — yet remarkably little is known about the mechanics that govern their development. Recent results from the host lab, as well as others, suggest that the forces arising from the interaction between cilia and extracellular fluid flow play a significant role in setting the internal forces that govern the structure of these tissues.

Detecting the signature of ciliary forces on cellular and tissue topology obtained from microscopy images is, however, challenging and requires augmentation with modelling.

The final goal of this project was to create a model capable of simulating the response of ciliated tissues to the forces exerted by beating cilia. The model had to be conceptually simple, and sufficiently lightweight (~1500 lines), to favour future coupling with microscopy systems and to pave the way to live imaging of cilia forces. By modelling a tissue as a simple spring network of cell centres, complex behaviour like cell elongation, T1 transitions and cell migration can all be predicted. This model is also supported by extensive plotting functionality and simulation multiprocessing — allowing for multiple concurrent tissue simulations.

What was the aim of your project?

The goal of this project was to produce a lightweight model of the mechanics that underlie ciliated tissues, placing an emphasis on conceptual simplicity and ensuring that the code is understandable and extensible. Additionally, we aimed to use this model to analyse microscopic images of these tissues.

How did you address the aim?

As an experimental model the ciliated skin of Xenopus embryos was placed in a flow chamber to perturb ciliary forces with an exogenous flow.This led to tissue remodelling through cell elongation and intercalation. However, it was difficult to determine the effect of the applied exogenous flow force and other mechanical forces on the tissue due to the topological complexity. So, a computational model was needed to add a

layer for the analysis of the mechanics behind these systems. Though there already exists numerous of powerful models used to describe tissue mechanics, this task requires a system capable of easily integrating the contributions of ciliary forces applied to specific ciliated cells. As such, I deemed it necessary to create a new model for the task, influenced heavily by existing Vertex Method [1] and Voronoi- based [2] models. In the end, the resulting model was a Voronoibased system that exerted forces through cell centres rather than vertices, resulting in a simple and efficient model designed to be easily extensible through documentation and a modular, object-oriented code structure. Once I had developed a functioning model, I examined the contributions of various parameters on the behaviour of the system and then compared these simulations against segmented images of ciliated tissues.

What did you find out?

Model Specifications

My work throughout this project has resulted in a compact (~1500 line) model with a robust plotting framework and multiprocessing capability. Furthermore, the model is capable of:

• Aperiodic tissues defined by a dynamic set of boundary cells,

• Arbitrary initial tissue dimensions, as well as random or hexagonal lattice layouts,

• User-defined, multiciliated cell density,

• Uniform or non-uniform cell shapes, friction coefficients and cilia force directions,

• A declarative tissue definition process permitting precise control of applied mechanical forces.

Additionally, the system allows for serialisation and deserialisation of simulations to and from a simple, extensible format. This allows previous simulations to be re-visited and even modified for the testing of a given tissue under different conditions.

By varying the definition of ciliary forces and certain parameters like the target cell area, and the rules governing cell-cell interactions, cell shapes and tissue fluidity can be controlled to match the conditions that the user wishes to simulate.

F. (f) Simulation for a ciliated cell in a tissue with more realistic tissue topology, showing a less clear +½ defect as in experiments.

Preliminary Results

Our initial results are consistent with the hypothesis that the external force applied by the cilia enters the mechanics of a ciliated tissue during development.

Fig. 1.d shows a segmented view of a live tissue sample (Fig. 1.c) with the major axis of extension plotted — we see the cells downstream of the force F tend to elongate in the direction of the force F (being pulled), while cells downstream tend to elongate in opposite direction (being pushed), reminiscent of a so called +½ defect along the direction of flow (opposite to F). Due to complex topology, this can be challenging to detect in vivo. We

Figure 1. (a, b) Side-view, and diagram of the cilia of a multiciliated cell (MCC), ~15 μm long. (c) Top view of ciliated Xenopus ectoderm stained by membrane RFP (green: cilia and fluorescent beads; red: cell membrane). (d) Segmentation of (c) showing the elongation axis of each cell. (e) Simulation for a ciliated cell (orange) at the centre of a hexagonal lattice of non-ciliated cells, exhibiting a clear +½ defect balancing the ciliary force.

2024 SUMMER STUDENTSHIP REPORT

can see simulated equivalents to this behaviour in both a random layout (Fig 1.f) and a hexagonal lattice layout (Fig 1.e). Following the application of F, the model also predicts cellular rearrangements into more stable meta-states, which might contribute to the observed tissue remodelling.

Future Work

In the future, a deep learning model will be trained based on the simulations produced by the model to create a system capable of revealing the external forces operating on cells in a ciliated tissue based solely on imaged cell shapes and tissue topology. Additionally, further work will be done to improve the efficiency and functionality of the model itself, with a focus on applying optimisation techniques to interpret the principles driving the development and evolution of these tissues.

What did you learn from participating in this project?

As a computer scientist with very limited experience in biology and microscopy, I particularly enjoyed learning the basics of microscope use and tissue imaging. In terms of enjoyable parts of the project, this was a highlight for me – especially being able to track movement of fluid across ciliated Xenopus tissue using fluorescent beads. Throughout this project I significantly developed my ability to interpret, replicate and develop on academic literature in the field of tissue mechanics. I believe that these skills will translate equally to other scientific fields and will serve me well throughout the rest of my academic career. I have also become more familiar with the process of developing software for scientific purposes, in which immediate targets are not necessarily known and development is very iterative and exploratory. I am sure that the ability to discuss complex concepts with an expert in the field in order to discern the direction for a project is a skill that will be broadly applicable in future research projects, independent of topic or domain.

How has this project affected your long-term goals?

Having completed this project, I am now certain that I want to pursue a PhD after my master’s studies. Specifically, I am interested in applied computing as opposed to purely theoretical computer science. I would love to pursue computational biology or bioinformatics as primary candidates for a potential PhD as they both provide interesting, complex challenges to which I believe computer science can offer many solutions. Most of all though, this project has served as an exciting introduction to the world of microscopy - which I would welcome as an avenue for further work as it has huge potential for the application of computational techniques like computer vision, deep learning and even more esoteric theoretical fields like graph theory.

References

Kim, S., Pochitaloff, M., Stooke-Vaughan, G.A. et al. Embryonic tissues as active foams. Nat. Phys. 17, 859–866 (2021). https://doi.org/10.1038/ s41567-021-01215-1

Barton DL, Henkes S, Weijer CJ, Sknepnek R (2017) Active Vertex Model for cell-resolution description of epithelial tissue mechanics. PLOS Computational Biology 13(6): e1005569. https://doi.org/10.1371/ journal.pcbi.1005569

Guillaume Macneil

Designing and Testing Optics Modules for the OpenFlexure Microscope

Supervisors:

Location: The University of Glasgow

This RMS studentship was focused on creating and then testing the functionality of an optics module that would use the Raspberry Pi High Quality Camera modules instead of the currently used Raspberry Pi Camera 2 in the OpenFlexure microscope. This promised to reduce the complexity of the system without increasing cost and my project was to design and test whether this could be achieved and to what extent this would impact the system’s functionality. During the project, I engaged in 3D design and printing to create the optics module and mount, as well as using OpenFlexure software and Python scripts to collect and process the data necessary to test system functionality. The results showed that unfortunately the High-Quality camera was not able to perform to the level of the Pi Camera in either tested configuration without significant performance losses in key areas.

Aim

During my project, the primary goal was to create and assess the viability of upgrading the Raspberry Pi Camera 2 and the accompanying optics module with the Raspberry Pi High Quality Camera. The new optics module will also be designed without the inclusion of the tube lens as this will decrease the complexity of the assembly for the end user as mounting the tube lens is one of the most challenging steps in the process. The removal of the tube lens would also mean one fewer part for users to order, increasing accessibility.

Addressing the aim

This was a diverse project in which a wide array of techniques and skills were required to be learned and developed. I was required to learn OpenSCAD a script-only based modeller to be able to design and subsequently print out the configurations of optics modules as part of a rapid prototyping process. For taking the images that would be analysed I used the OpenFlexure microscope and software as this would be the system the final optics module would be used in. Image analysis was a key part of this project with the Python being heavily used to read and process the data.

What did you find out?

When assessing the viability of the High-quality camera, there are the two key values that are to be compared between the systems: FOV and maximum resolution. There are two different configurations of the optics module for the High-Quality Camera with a 75mm back focal length and a 135mm back focal length, with the existing Pi Camera 2 using a 50mm assembly with a tube lens.The objective that is a finite conjugate objective with a back focal length of 150mm and we wanted to quantify any performance trade-offs that would occur in a shorter module compared to a longer one.

Figure 1. Jamie Wedlinscky with OpenFlexure Microscope and Optics Modules.

2024 SUMMER STUDENTSHIP REPORT

Configuration Field of View (μm)

Pi camera 2

High quality camera (75mm)

High quality camera (135mm)

Table 1. Field of View Measurement.

For the OpenFlexure Microscope (OFM), a larger field of view is desirable as it reduces the number of images required when scanning larger targets, thus reducing scan time (Table 1). It is clearly visible that the Pi Camera 2 is the best in this regard having 80% more area than the shorter High Quality optics module and nearly 260% increased area covered by its field of view compared to the longer module. This shows that when considering the field of view the old optics module is superior.

To measure the resolution performance of each configuration, a series of images were captured over a high-resolution target.This target is an opaque slide with a range of vertical and horizontal transparent slits with a corresponding spatial frequency measured in line pairs per millimetre (lp/mm). For each image captured both a visual inspection as well as a graph of intensity as a function of position was used to ensure that the image was resolvable at that resolution (Table 2). A higher maximum resolvable line pair count indicates better resolution performance, which is particularly important in applications that require high precision and detail.

These findings highlighted that the Pi Camera 2 was superior in terms of field of view and provides good resolution performance, the high-quality camera will not be able to be used in either of the configurations tested and further design and testing of an module optics module for the High Quality Camera with a tube lens included would be valuable.

What did you learn?

I enjoyed the collaborative working environment and the opportunity to learn about the other

354 x 266

262 x 197

179 x 134

research being conducted within the group. The work presented was at a good level of challenge, allowing me to improve both my technical and soft skills. I particularly enhanced my 3D design skills in OpenSCAD and improved my printing abilities, gaining hands-on experience in rapid prototyping. My data analysis skills also advanced, particularly through the use of Python, which enabled me to interpret experimental results more effectively.

I gained a deeper understanding of the mathematics involved in characterising images, such as point spread functions, line spread functions, and convolutions. Additionally, I learned about the structure and process of PhD research, giving me valuable insight into the academic world. This experience was rewarding and providing practical skills and a deeper appreciation for the field.

How does the project impact your future aspirations?

This has given me an appreciation of the work done as a part of a PhD and will be pivotal in informing my decisions going forwards. Working with the OpenFlexure microscope and engaging with the optics group has given me a deeper appreciation for the field and the work done as part of a PhD, which will be pivotal in informing my decisions going forward. I have particularly enjoyed the collaborative environment and interdisciplinary nature of the research, blending engineering, software development, and optics. Overall, this is a field I would like to explore further, whether staying academic or moving to an industry setting.

Table 2. Resolution Measurements in Line Pairs per Millimetre.

Using array tomography to obtain three-dimensional reconstructions of rotifers

Student: Odell Wong

Supervisor: Saskia

Project location: University of Warwick

Rotifers are microscopic animals found in freshwater that include wet soil and lakes. They belong to the phylum Rotifera, typically range in size from 50 to 500 micrometres. They contain corona, which are wheel-like structures that facilitate movement and feeding by generating water currents to draw in microorganisms. They help regulate algal populations and improve nutrient cycling in aquatic environments. The morphology and cellular structure remain underexplored despite their importance. The aim of this experiment was to look into rotifer morphology and cellular structure with array tomography. Array tomography is based on imaging resin-embedded sections on a flat substrate using a scanning electron microscope (SEM) and enables highresolution volumetric imaging of individual samples. It can capture three-dimensional ultrastructure in great detail.

Methods

Rotifers were cultured in petri dishes in the lab. For the experiment, they were immobilised using sparkling water and fixed for 1 hour at room temperature with 2.5% glutaraldehyde/2% paraformaldehyde and washed three times in water. They were then stained in 1% osmium tetroxide for 1 hour and washed. After stepwise dehydration 25%, 50%, 75% and 100% acetone, they were infiltrated with 50% resin for 1 hour followed by 100% resin for 24 hours. The Agar LV resin was cured at 60 degrees C overnight. After

ultrathin sectioning on an RMC ultramicrotome, 200 nanometre serial sections were mounted on a silicon wafer for imaging in the JEOL JSM-IT800.

Results

Images of a partial rotifer and more detailed images of the cilia around the mouthparts were obtained as shown in Figures 1 - 4. The Z-plane diagrams, Figures 1 and 4, showed the interior cellular arrangements, whereas the three-dimensional diagrams, Figures 2 and 3, showed the overview of their structures.

Discussion

The three-dimensional images provided by SEM were very useful when studying the rotifer cilia. They show the arrangement and their spatial connections of the cilia, which two-dimensional images could not show. In Figures 1 and 2, the outer membrane of the rotifer appeared to be disconnected. This might be caused by fixation or embedding issues, if part of the organism was not preserved well, giving an incomplete appearance. It might also be due to problems in the sections. The membrane might appear broken when sections bend or did not stick together.

2024 SUMMER STUDENTSHIP REPORT

The results shown were only part of the rotifer due to the limited time of the project. To further investigate the findings, it would be better to section the whole rotifer. This could provide insights on a larger part of the organism.Another possible improvement is to try cutting sections in different thicknesses.Thinner slices give a more accurate and precise three-dimensional view, especially for the cilia which require higher resolution to show their arrangements clearly. We found a more effective way for growing more rotifers in the culture. The fixation and embedding protocol have to be further optimised to increase specimen preservation. The rotifers could also be sectioned in different directions, so the high-resolution images run at different angles.

Conclusion

In conclusion, in this experiment we showed that array tomography can be used to study the precise morphology of rotifers. It also showed both the

interior and exterior structure of the organism.

Reflection

This project provided me with a valuable learning experience. One of the challenges I had in the project was that consistent serial sections were hard to obtain. The major difficulty was keeping the sections intact, as they often did not stick together throughout the cutting process. Additionally, the sections were often curled up, making it hard to obtain a smooth, continuous series for imaging. During the course of the project, I attended an array tomography workshop where I had the chance to gain in-depth knowledge from experts in the field. The insights I gained from them, including ways for handling with the problems of serial sectioning, were very helpful. I am confident that with continued practice, particularly with the advice and techniques I learned from the workshop, my sectioning skills will improve significantly.

Figure 1. Whole rotifer sections in Z-plane. This provided a detailed cross-sectional view of the internal structure of the organism.
Figure 2. Whole rotifer sections in Z-plane. This offered a more comprehensive understanding of its morphology.
Figure 3. Whole rotifer sections in Z-plane. This showed the arrangement and structure of the cilia.
Figure 4. Whole rotifer sections in Z-plane. This showed more details of the organisation of the cilia structure.

Utilising Multimodal Methods of Microscopic Analysis with a focus on incorporating Second Harmonic Generation into the imaging of infarcted mouse cardiac tissue

Student: Caitlin Piper

Supervisors: Dr Ileana Micu and Dr Ryan Delaney

Location: Advanced Imaging Core Technology Unit, based in the WellcomeWolfson Institute for Experimental Medicine at Queen’s University Belfast

What was the aim of the studentship:

The aim of the studentship evolved significantly over the course of my placement with the Advanced Imaging Core Technologies Unit (AICTU). The central aim, however, of advancing my imaging skills across a range of microscopical and analytical techniques, remained consistent. Below I have

outlined a basic timeline of the studentship with details to explain how, and why, my aims evolved over time, as the placement progressed.

General Outline and Aims:

I spent 12 months working in the QUB AICTU, under the supervision and mentorship of Dr Ileana Micu and Dr Ryan Delaney. The original title of this studentship was the ‘Comparison of microscopy and image analysis approaches to elucidate structural information in biological samples’. This initial aim was deliberately vague to allow for expansion into a more specific project later in the year.This initial title, however, allowed me to gain practical experience across a range of microscopy techniques, including confocal and stimulated emission depletion (Leica Stellaris STED), epifluorescence microscopy (Leica DM5500), transmission electron microscopy (JEOL TEM-1400 Plus TEM), and multiphoton microscopy (Leica TCS SP8 multiphoton).

My first introduction to microscopes within the unit, as well as my first exposure to the use of LAS X imaging software, came as the DM5500 Epifluorescence Microscope, in use as a brightfield

Caitlin Piper (left) and fellow student Sarah Quinn engaged in outreach work as part of the Studentship project, by demonstrating some of their work to students at South Eastern Regional College (SERC).

moved on to learn about the Leica STED (confocal mode). The confocal proved to be a more complex microscope, and as such was capable of yielding images with a much greater level of detail than the older generation DM5500 Microscope. Benefits of using the STED confocal included enhanced resolution, greater sensitivity and the potential for 3D imaging. I familiarised myself with the use of the confocal microscope, and associated LAS X imaging software, through the use of a variety of practice samples. An example, of mouse kidney cells, is shown in Figure 2. This imaging practice included the use of the LAS X software to generate ‘Z stacks’ and ‘tile scans’, to gather the maximum amount of information about the sample that was available.

Following collection of these images using the confocal microscope, I was then introduced to Oxford Instruments ‘IMARIS’ image analysis software, which allowed me to further develop my analytical skills. I used a variety of confocal images, including mouse renal tissue (Fig. 2) and human fibroblast cells (Fig. 3), to generate 3D images. From these images I was also able to collect a range of statistical data, generated by IMARIS, for further analysis.

microscope. The DM5500 was used to visualise a range of practice patient samples – including cerebellum tissue (Figure 1A), adipose tissue (Figure 1B), dysfunctional alveoli from the lung of a patient who was a smoker (Figure 1C), as well as spinal cord and non-pathological cardiac tissue samples.

Following familiarisation with the DM5500 Microscope, and the associated software, I then

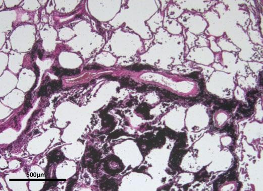
Figure 1. Representative images from brain, cardiac and lung samples, taken to demonstrate the applications of brightfield microscopy. A) Demonstrates murine cerebellum tissue. B) Demonstrates murine cardiac tissue, dense with adipocytes. C) Demonstrates dysfunctional alveoli from the lung tissue of a smoker (human patient). All sections were stained using Haematoxylin and Eosin (H&E) preparation. Scale bar: 500μm.
Figure 2. Mouse kidney cells, captured using Leica STED (confocal model). Image includes labels which indicate the glomerulus, and distal/ proximal convoluted tubules (DCT/PCT). Cells were sourced from Thermo Fisher Scientific. Cells were stained for DAPI (blue, identifying the nuclei), Alexa Fluor 488 (Wheat Germ Agglutinin) (green, identifying the plasma membrane) and Alexa Fluor 568 (Phalloidin) (pink, identifying the filamentous actin). Scale bar: 25µm.

3. Mouse fibroblast cells (HuFIB) captured using Leica STED (confocal mode). Fibroblast cells were obtained from Thermo Fisher Scientific. Cells were stained with DAPI (blue, identifying the nuclei), Alexa Fluor 488 Anti-TOMM20 antibody (green, identifying the mitochondria) and Alexa Fluor 555 (red/orange, identifying the actin filaments). The image demonstrates the resolution that can be achieved through the use of the Leica Stellaris STED in confocal mode. Scale bar: 25μm.

The focus to this point was to familiarise myself with a range of imaging platforms to better understand the unique attributes of each, along with the pros and cons of using them for different samples. It was intended that these initial investigations would then grant me the skills to apply my knowledge to a more specific research project.

A more specific research project began to take shape once mouse tissue was made available to

the AICTU (kindly donated by the QUB Biological Services Unit). The aim was to try to identify a fast and minimally disruptive protocol to identify structures within the tissue using autofluorescence, without affecting potential downstream uses of the tissue.

This could potentially enable researchers to extract additional information from their samples, without compromising the integrity of the tissue for other assessments (eg. immunofluorescent staining), effectively doing more with less. I gained experience in the tissue collection, handling, preservation, and dissection methods that precede image acquisition. I handled a range of murine tissue including heart, eye, and lung tissue. It was decided that the project would be based around optic nerve tissues, which allowed me to practice the procedure of preparing optic nerve tissue for imaging. The optic nerve was detached from the rest of the mouse eye, dissected into 1mm sections, and suspended in phosphatebuffered saline (PBS), before being plated on a slide with mounting medium. This sample was then protected with a coverslip and sealed with nail polish.

With sections prepared for imaging, I used the STED (confocal mode) to perform a range of exploratory investigations of the optic nerve, under x20 and x40 magnifications, with a range of wavelengths to

Figure
Figure 4. Figure showing transverse sections of mouse cardiac tissue, imaged using Leica Stellaris STED (confocal mode). A and B represent sections of the same mouse heart, taken at different levels of the Z axis. Blue and green sections represent structures imaged at varying wavelengths, with spectral detectors set from 450nm – 550nm. Scale bar: 50μm.

detect naturally occurring fluorescence. The initial investigation aimed to observe transverse optic nerve sections, across a range of microscopes including the STED, DM5500 and the multiphoton. However, suitably thin/uniform sections were difficult to produce without further processing (eg. using OCT/cryotome).

As a result, the focus of the project shifted to incorporate another type of tissue collected from the mice – cardiac tissue. The initial plan was to section the cardiac tissue into thin sections, by hand, and image by confocal and multiphoton microscopy. This was attempted, as seen in Figure 4, however, similar difficulties were observed as with optic nerve, ie. suitably uniform, thin sections were difficult to achieve.

The focus of the project shifted again, to incorporate the unique perspective of whole organ imaging.

The whole heart was loosely immobilised in dental wax and immersed in PBS. The intention was to generate both tile scans, to observe the section at a high level of magnification with a large field of view, as well as an attempt to create a ‘Z stack’ to assess structures within the heart tissue using multiphoton, with example images demonstrated in Figure 5. Unfortunately, I was unable to detect suitable structural detail within an acceptable timeframe for this approach to be viable. I did investigate the use of clearing protocols to increase the depth of visualisation, however, the delay introduced to imaging the sample (days/weeks), in addition to the potential effects of additional sample processing,

Figure 5. Figure demonstrating transverse optical sections of a whole mouse heart, imaged using Leica SP8 Multiphoton Microscope. A, B and C are taken from different levels of the Z axis of the same heart, and demonstrate how autofluorescence detection in the whole heart sections was limited to the outer layers of tissue when imaged using the Multiphoton. The cardiac tissue shown was imaged using a 405nm laser and spectral detectors set from 450nm to 500nm. Scale bar: 300μm.

Figure 6. Figure demonstrating a section of mouse heart tissue, with the infarct region in each highlighted by a white box. A (scale bar: 500μm) shows the cardiac section imaged using a 405nm laser and spectral detectors set from 450nm to 500nm, whilst B (scale bar: 500μm) shows the cardiac section under Second Harmonic Generation, with the infarct region highlighted in each image. C (j17scale bar: 50μm) shows a higher magnification image which demonstrates the disordered structure characteristic of the dense collagen fibres which make up the majority of the infarct region.

7. Figure demonstrating a section of a large mouse blood vessel, with the image captured using confocal microscopy. A) demonstrates the blood vessel section, imaged using a 405nm laser and spectral detectors set from 450nm to 500nm, whilst B) shows the blood vessel section under Second Harmonic Generation. B) shows a distinct green band, which reflects the collagen rich structure in the blood vessel wall, required to deal with the high pressure of blood in circulation. C) demonstrates A) and B) combined. Scale bar: 50μm.

made this approach unsuitable in relation to our overall goal.

As an alternative approach, the unit was able to acquire sections of cardiac tissue, featuring regions of myocardial infarct (kindly donated by Dr Kevin Edgar), and I chose to pivot my project towards imaging these samples. The sections were sourced from mouse models which had undergone experimental myocardial infarction, generating a significant infarct region. The infarct region is structurally distinct from the surrounding cardiac tissue, a result of the replacement of necrotic cardiomyocytes with excess extracellular matrix material, which is the body’s attempt to heal, by rescuing the structural integrity of the heart following cardiac injury. The main extracellular matrix constituent present in the scar region is collagen, likely type I and II.

The infarcted tissue section was excited by a 405nm laser in Fig. 6A, with the atypical infarcted region highlighted using a white box. Signal from this area is visibly lower compared to the surrounding typical cardiac tissue. The same section is shown in Fig. 6B, but imaged using ‘second harmonic generation’ (SHG) filter. SHG is a nonlinear imaging modality where two photons of a given wavelength interact with a nonlinear material to produce a single photon with approximately half the wavelength, and twice the energy, of the original two photons. This technique can be used to image collagen fibres, which are present within the infarct region of the cardiac tissue, as demonstrated in Figure 6B, highlighted by the white box.

Figure 7 illustrates another example of the uses of SHG imaging. Figure 7B and C were used to show how SHG can be used to highlight structures with a high collagen content compared to surrounding tissue.

In summary, I was able to develop my imaging skills across a range of microscopes including the multiphoton, STED, confocal, DM5500 and transmission electron microscopes. With this, came regular practice using LAS X imaging software,

Figure

and subsequent exploration of the available image analysis software, including IMARIS and ImageJ. Through the project I was able to demonstrate a viable alternative method of investigating scar tissue using SHG that could readily be applied to disease models containing fibrotic tissue (eg. myocardial infarction, wound healing models) in addition to immunostaining procedures. If set up correctly, this could free up an additional part of the visible spectrum for an alternative fluorophore, allowing researchers to investigate a wider variety of targets (ie. doing more with less).

Alongside these exploratory analyses of mouse optic nerve and cardiac tissue, I enhanced my dry lab skills through a range of activities across the course of the studentship. I engaged with an introductory course in the R programming language, prior to which I had no experience with, which provided an invaluable insight into the basics surrounding the language. Exposure to these approaches in data analysis highlighted their importance and their increasing relevance in biomedical research.

Aside from these lab-based skills, I also engaged in public outreach through the studentship, where I assisted with visiting students from the local South Eastern Regional College (SERC). A fellow studentship student, Sarah Quinn, and I manned the multiphoton microscope and demonstrated to the students a range of images we had obtained over the past few months, explaining methods of image collection, as well as details about the microscope itself. We also fielded any questions regarding university life, and general course content. I feel strongly that experiences like these, where I was able to practice science communication at a level that can be interpreted by the public, are essential in becoming a more well-rounded scientist, and as such was grateful for the opportunity.

What I learnt from participating in this project:

Aside from the microscope/image analysis-related

skills that I mentioned in the general outline, I developed a range of transferable skills from this studentship as well. As the studentship began prior to my bachelor’s project, it was my first hands-on experience of the process of experimental design. As such, it greatly enhanced my skills in problem solving. Several issues arose with image collection, such as immobilising whole heart tissue samples for STED and multiphoton imaging. This demonstrated the importance of troubleshooting problems and showed how, in some cases, it is necessary to pivot the project in a new direction. I was able to use skills learned from this process, and directly apply them to my subsequent undergraduate project, which came in very helpful.

How this project has affected my long-term goals:

I have received an offer to undertake a Master’s in the Wellcome-Wolfson Institute For Experimental Medicine, the research building within which the AICTU studentship was based. It is my intention to incorporate skills learnt during my studentship, both the transferable problem-solving skills already discussed, as well as the microscopy skills relevant to the lab-based project that will make up a large portion of the Masters.

I intend to carry my studies through to a PhD following the Masters, where I will continue to develop my experimental design and microscopy imaging skills that I was fortunate to learn over the course of this studentship.

Acknowledgements:

I would first like to thank the Royal Microscopical Society, for providing the funding and support that made this studentship possible.

I would also like to thank both Ileana and Ryan for their unwavering support across the course of the studentship within the AICTU, from start to finish. Both of whom provided expert tutorship and advice which massively enriched the entire experience.

Calendar

We are very pleased to continue offering a range of ‘in-person’ and virtual events this year, in order to maximise accessibility and provide opportunities to those who might not otherwise be able to attend.

The following information was correct at the time infocus went to print but could potentially be subject to change in the coming weeks. Please visit our event calendar at www.rms.org.uk for the latest updates.

If you have any questions about a booking you have already made for an event, or need any help or advice, please contact us at info@rms.org.uk

2025

March

3 – 6 Virtual Flow Cytometry Data Analysis Course Spring 2025, (Online)

10 Virtual Flow Cytometry Data Analysis Course Spring 2025 - Clinical Module, (Online)

24 – 27 Physics of Life, Harrogate, UK (RMS Exhibiting at event)

26 – 28 flowcytometryUK 2025, Newcastle, UK

31 March – 4 April

Electron Microscopy Spring School 2025, Leeds, UK

April

1 – 2 EBSD 2025, Glasgow, UK

8 – 9 Introduction to Image Analysis 2025, Galway, Ireland (RMS-hosted event)

15 MI-EM Network Event, Bedford, UK (RMS exhibiting at event)

May

14 – 16 Advanced imaging techniques in biomineralisation research Faraday Discussion, Edinburgh, UK (RMS sponsored event)

June

9 – 10 Light Microscopy Summer School 2025, York, UK

11 – 12 Getting the most from your Confocal Course 2025, York, UK

30 June – 3 July

mmc2025: Microscience Microscopy Congress 2025, Manchester, UK

July

4 Super-resolution Workshop 2025, Leeds, UK

For further information on all these events, please visit our Event Calendar at www.rms.org.uk

Featured RMS events

flowcytometryUK 2025

26 – 28 March, Newcastle, UK

Scientific organisers: Derek Davies, Derek Davies Cytometry; Rachael Walker, Babraham Institute

This meeting will consist of themed plenary sessions with talks from invited speakers. There will also be parallel scientific workshops organised by members of the cytometry

EBSD 2025

1 – 2 April, Glasgow, UK

Scientific organiser: Luke Daly, University of Glasgow

The EBSD 2025 meeting will be held in person in Glasgow at the Mazumdar-Shaw Advanced Research Centre, on the 1 and 2 April 2025.

This Annual UK-based EBSD meeting is an excellent opportunity for the multidisciplinary EBSD community to meet and share the newest developments and applications of EBSD, and EBSD-related techniques. EBSD is used to study materials across geoscience, materials science and engineering, and physical science. There are

Light Microscopy Summer School 2025

9 – 10 June, York, UK

Scientific organiser: Peter O’Toole, RMS

President, University of York

The Light Microscopy Summer School is a two day course held at the University of York covering the principles of light microscopy. Participants are also trained in practical issues surrounding light microscopy. After introductory presentations, the course is taught predominantly

community and parallel commercial workshops. There will be a large exhibition and the opportunity to network with flow and image cytometrists from all over Europe and beyond. The meeting will highlight advances in flow and image instrumentation, high content screening, cancer and stem cell biology, applications of clinical cytometry and the development of novel probes and approaches in many areas of biomedical research.

also exciting emerging applications of EBSD to the biological sciences. Talks will include stateof-the-art developments in instrumentation and software, new techniques, as well as a variety of applications and uses of EBSD, transmission Kikuchi diffraction (TKD), electron channelling contrast imaging (ECCI), and related microscopy modalities.

As part of this series, we continue to be excited to hear from those who use these techniques to further our understanding of applied science and engineering challenges, as well as industrial, energy and environmental challenges (including the use of EBSD data in Industry 4.0 and for the energy transition).

through hands-on practical sessions. The course is suitable for both novices and more experienced users wanting to gain a greater understanding of the microscope and feedback every year is always fantastic. Students usually come from a range of backgrounds, within both research and commercial organisations. All benefited greatly from the course and left with increased understanding and skills. The course is immediately followed by a two-day hands-on Confocal Course - Getting the most from your Confocal Course.

Getting the most from your Confocal Course 2025

11 – 12 June, York, UK

Scientific organiser: Peter O’Toole, RMS

President, University of York

This two-day, annual confocal course utilises many different sample types and fluorescent probes (DNA stains, classic antibody labels and fluorescent proteins) which are chosen to best demonstrate particular problems and techniques.

mmc2025: Microscience Microscopy

Congress 2025

30 June – 3 July, Manchester, UK

Co-chairs of organising committee: Andy Brown, University of Leeds; Maddy Parsons, King’s College London

Registration is now officially OPEN for mmc2025 incorporating EMAG 2025!

One of the biggest events of its kind in Europe, mmc2025 incorporating EMAG 2025 will bring you the very best in microscopy, imaging and cytometry from across the globe. With

Focus is always on the techniques they enable and the problems they generate, which will be applicable to any sample types.

Day 1 takes participants through the basic principles of confocal microscopy and then shows them how to configure and image multicolour, multidimensional samples using a confocal microscope.

Day 2 builds on the experience of day 1 and demonstrates FRAP and spectral profiling.

six parallel conference sessions, a world-class exhibition, workshops, satellite meetings, an international Imaging Competition and more, it is simply the place to be for anyone who uses a microscope for work, study or pleasure.

The Congresss also includes Frontiers in Bioimaging 2025 and AFM & Scanning Probe Microscopies 2025

Find out about our range of ticket options - including discount rates for RMS Members and students. As always attendance to the exhibition will be completely FREE throughout mmc2025.

1 - 3 July 2025, Manchester Central, UK

The Microscience Microscopy Congress is back for 2025!

mmc2023 incorporating EMAG 2023 saw a record-breaking 1,270 attendees, plus exhibitors, descend on Manchester Central as the Congress series returned to the iconic UK venue for the first time in four years.

What

will 2025 bring?

Find out more

Reflecting Realities –Leeuwenhoek’s Limner and the Engraving of Life

Historical accounts of Antony van Leeuwenhoek, the microscope pioneer, repeatedly refer to his drawings of microbes and of microscopic structure. In fact, not one of the drawings was made by his hand. Born 24 October 1632 in Delft, the Netherlands, he lived in that town all his life and died on 26 August 1723. From the age of forty he laid the groundwork for present-day microscopists with detailed and precise descriptions of the microscopic realm. This programme of research means that, for the first time, we can now reconcile the original drawings with present-day reality.

In a letter that Leeuwenhoek sent to Henry Oldenburg dated 15 August 1673, in which he had reported his observations on bees, the transport of sap in wood, the composition of air, and food for body lice, Leeuwenhoek added: ‘As I am not a draughtsman myself, I have had them drawn for me … ’ He said again to Oldenburg in his letter of 22 January 1676: ‘Sir, be assured that my microscope showed the same as clearly and distinctly as one can imagine to see figures with the naked eye but the fault is mine, since I cannot draw.’ The figures accompanying Leeuwenhoek’s letters were not his. But were they representative of reality?

I am now revealing how true to life they were. His letter of 25 December 1702 is accompanied by a vivid drawing of aquatic microbes, drawn by an unknown hand. Leeuwenhoek’s limners are mostly anonymous though Willem van der Wilt is known to have drawn microscopical images for Leeuwenhoek during the eighteenth century, though Wilt would have been only 11 at the time of this letter.

Scholars have tended to doubt the worth of the earliest investigators, including J. Sachs1 who dismissed Leeuwenhoek as ‘inconsequential’ and L. M. Becking2 who denigrates him as an ‘immortal dilettante’ J.D. Bernal3 was equally dismissive in his monumental work Science in History, a view born with Voltaire in 1733 who, in Philosophical Letters, dismissed the early microscopists as preoccupied with ‘counting microbes in a drop of water’ rather than being serious investigators. E.G. Ruestow4 remarked on Leeuwenhoek’s lack of formal academic training as an obstacle to acceptance.

The accuracy of Leeuwenhoek’s observations has remained a matter of conjecture, and Nick Lane5 has emphasised that the response of some members of the Royal Society to Leeuwenhoek’s depictions was of consternation. Still nobody knew exactly what he saw, and questions about the nature of Leeuwenhoek’s microbes remain unresolved. Lane states, ‘Even with the powerful tools of modern biology, the answers are far from resolved—these

questions still challenge our understanding.’ Nick Lane was kind enough to add: ‘Only the galvanizing work of Brian J. Ford … resurrected the glory of the single-lens microscope’.

Can a pioneer’s drawings reflect reality?

How can we reconcile those earliest microscopical investigations with our present-day understanding of microbiology? There are opportunities for invention and exaggeration at every stage of discovery: firstly, when Leeuwenhoek wrote up his original observations in his voluminous letters, again when his limner set out to record what had been observed as sketches on paper. There is the further possibility for error when the drawings are transcribed for publication, and the process of engraving images of a vital, limpid living organism introduces an essential artifice; the impression of the original specimen is conveyed with crisp, sharply delineated lines which cannot accord with what we observe in life. Each stage represents a compromise.

A century of curiosity

The first person to attempt to reconcile Leeuwenhoek’s drawings and the modern microscopical image was Jan Cornelis Mol, a popular documentary film producer in the Netherlands 100 years ago.

Modern accounts by non-scientist scholars refer incorrectly to the filming of microscopic organisms as ‘microcinematography’6. This term definitively connotes the making of a film of minute size, analogous to microphotography (the science of creating minuscule photographs). The discipline of taking photographs through a microscope is photomicrography, and making movies of microorganisms is cinephotomicrography, a term apparently unknown to literary historians.

Mol’s method was simple. He attached a 16mm camera to a standard Carl Zeiss bench microscope, and throughout 1923-4 he acquired a film archive of microscopical images at low and medium

1a. A single cell of Vorticella captured by Hendrik van Seters in 1924 for Jan Cornelis Mol’s silent film Antony van Leeuwenhoek. The micrograph was taken through a Zeiss microscope and was the first attempt to provide a contemporaneous comparison to Leeuwenhoek’s seventeenth-century observations. 120x.

1b. Single lens microscopy, utilising a simple microscope with a soda-lime lens ground for me by Es Reid, provides this image of a living Vorticella cell. The lens magnifies 160x and it offers a view comparable to what could have been attained by the pioneering microscopists using lenses they ground by hand. 150x.

Figure
Figure

2a. Antony van Leeuwenhoek sent this drawing of sessile rotifers to London on 25 December 1702, now at Shelfmark: L-408 of the Royal Society of London and originally shown to me by Sir Andrew Huxley in 1981. Leeuwenhoek’s limner captured two organisms, one fully extended.

2b. Engraving for publication was typically carried out using a steel needle on a polished copper plate, and the accuracy of the rendition is remarkable. The studies by Leeuwenhoek’s limner were faithfully conveyed on the printed page, though scholars have debated how realistic was the final portrayal.

Figure
Figure

Figure 2c. Here I have extracted images of two sessile rotifers from still frames of the Mol movie. The sequence was filmed to exemplify the microscopical appearance of the organisms in the Leeuwenhoek correspondence and published in Philosophical Transactions. The organisms were identified by van Seters as Cothurnia.

2d. The sense of vitality and proportion in the Leeuwenhoek drawings can be compared with this dark-ground study of rotifers by Dr Robert Berdan. They have been extracted and retouched to give a useful comparison with the previous images, and to substantiate how accurate was the original portrayal. 175x.

Figure

Figure 3a. Antony van Leeuwenhoek discovered vorticellid protozoa and had them drawn by his limner for his letter to London at the close of 1702. The independent origination of each stalk from the substrate suggests this is fully extended Vorticella. It was identified by van Seters as Carchesium, though that genus features divided suspensory stalks which are not evident in this sketch.

3b. When published in London the drawing was copied for engraving with a steel scribe on a polished copper plate. It was published in Philosophical Transactions of the Royal Society volume 23 pp 1304-1311 (1703) and, in spite of the uncompromising nature of the printed line, the flowing structure and vital essence of the living organisms was conveyed with a degree of insight.

Figure

Figure 3c. Twelve photomicrographs of living Vorticella, each separately imaged with a replica single lens microscope, are here selected to provide the discrete cells in this montage to match the sketch in the Leeuwenhoek letter. The 60x lens was ground for this research by my Cambridge colleague Es Reid.

Figure 3d. Living Vorticella through modern phase-contrast optics completes the sequence. We can now relate the earliest drawings of protozoa ever made to the appearance that would be familiar to a present-day microscopist. This study resolves details of the food vacuoles, peristome and buccal cavity which were unresolved but indicated by stippling in the original drawing from 1702. 80x.

magnification, including aquatic protozoa ranging from Stylonychia to Vorticella, and of multicellular genera including Cyclops and Hydra. Mol was advised and assisted throughout by Hendrik van Seters, an authority on biological microscopy. The results, now a century old, were the first to show contemporaneous micrographic images in comparison with the published Leeuwenhoek studies. Comparing 17th-century published images with micrographs from 20th-century microscopes was enlightening, but what we needed to see was the same specimen imaged through microscopes ancient and modern.

Enter the simple microscope

We can travel back over a half-century when I published my first cautious experiments in this unexplored area. Charles Lavell was prominent in the English literary scene and one day, at my London club, he set down a screw-barrel microscope on the table in front of me. His questions were elementary: What was it? And what could it do? This little device was a Wilson screw-barrel microscope. It concealed a single lens mounted into a brass cylinder, focusing on a slider that would contain the specimen. The design was actually originated by the Dutch physicist, Nicholas Hartsoeker in 1694, and it offered a more robust version of the simple microscope utilised by Leeuwenhoek. James Wilson, an English instrument maker, took up the idea, manufactured hundreds for the burgeoning community of amateur microscopists, and has had his name attached to it ever since.

Next day I examined the little instrument. This was my first view through an original single lens microscope, and the detail that was visible was astonishing. I arranged it to capture images with a 35 mm SLR camera and took micrographs of hairs, then of fern sporangia. The most complex experiment followed; I set up a squamous-cell preparation lightly stained with methylene blue and captured a micrograph of a cell surrounded by commensal bacteria with the screw-barrel

microscope mounted on an optical bench. Then I set about identifying precisely the same area through my Leitz microscope. The field of view measured about 100μm in diameter and, by tracking methodically across the microscope slide in successive parallel passes, I was eventually able to locate the same field. I now had correlated images of the same cell through instrumentation spanning some 250 years7

Are the Leeuwenhoek images true to life?

In the decades following the 1970s I pursued this line of research and captured many images of microscopical preparations through a range of early microscopes. Novel methods were developed for capturing an image from an instrument designed without that in mind, and the results of this research attracted international attention.8

There remained the question of how these results had originally been communicated. Flagrant plagiarism has long been rife in microscopical research (and is becoming increasingly widespread). Many of the published engravings from the seventeenth and eighteenth century were crudely distorted images copied from the true pioneers. Robert Hooke, who frequently complained about other philosophers plagiarising his research, was himself a plagiarist in his 1665 book Micrographia. 9

How can we reconcile the original sketches with the published versions known to historians of science? To clarify this matter I took examples of the drawings from the original Leeuwenhoek letters now in the archives of the Royal Society of London. Using Photoshop where necessary, I repositioned micrographs of similar specimens to match, so we can now peruse those alongside the original drawings and relate those to the published engravings.

Conclusions

These unprecedented results are revealing. We can at last view the sight that Leeuwenhoek approved

for transmission to London at the time of his discoveries, in conjunction with the organisms themselves viewed through single-lens microscopes and instruments from the 20th and 21st centuries. The microscopical detail that this pioneer could reveal can be seen to relate accurately to the published versions from Philosophical Transactions, and the clarity of the single-lens image compares favourably with that obtained from modern microscopy.

Acknowledgements

I remain indebted to Sir Andrew Huxley, Professor Peter-Hans Kylstra, Mr Esmond Reid, Sir Sam Edwards, Mr Horace Dall, Professor Denis Bellamy, and Dr Robert Berdan; also to the Royal Society and the universities of Cambridge, Cardiff and Utrecht.

References

1: Julius von Sachs, History of Botany, Oxford: Clarendon Press, 1906.

2: L.M. Becking, Leeuwenhoek, Science Monthly, New York, 18: 547, 1924.

3: J.D. Bernal, Science in History, London: Watts & Co, 1954.

4: E.G. Ruestow, The Microscope in the Dutch Republic, Cambridge: University Press, 1996.

5: Nick Lane, The unseen world: reflections on Leeuwenhoek (1677) ‘Concerning little animals’, Philosophical Transactions of the Royal Society, April 2015, https://doi.org/10.1098/rstb.2014.0344.

6: Mieneke te Hennepe,Van Leeuwenhoek – the film: remaking memory in Dutch science cinema 1925–1960, British Journal for the History of Science, 2023. 56 (3): 329-349. doi:10.1017/S000708742300016X

7: Brian J Ford, A Reconstruction of the Microscopic view of Nature Two-and-a-half Centuries Ago, British Journal of Photography, 118 (5793): 682-685, 30 July 1971.

8: Brian J Ford, The Earliest Views, Scientific American, 278 (4): 42-45, April 1998.

9: Brian J Ford, The Cheat and the Microscope: Plagiarism Over the Centuries, The Microscope 58 (1): 21-32, 2010.

About the author

Brian J Ford was elected a Fellow of the RMS in 1962, and an Honorary Fellow in 2017. During the past 60 years he has authored some 270 research publications on Leeuwenhoek and is the leading Leeuwenhoek scholar of our age. His research appears in Nature, New Scientist, the British Medical Journal, Cell, and Scientific American, and many other journals. Recreating the pioneering microscopical observations, and relating them to the modern age, has him described in Nature as the ‘world’s leading expert on the topic’. Professor Ford’s research on Leeuwenhoek has featured at both the Conversazione and the Soirée of the Royal Society, where he has also lectured on his revelations. He is the author of over thirty books published in some 140 editions around the world, many devoted to microscopy. His bestselling books The Revealing Lens, Mankind and the Microscope, and The Optical Microscope Manual were published fifty years ago. Professor Ford is associated with the universities of Cambridge, the Open university (where he is a former Fellow), Cardiff University (where he is a Fellow) and others. He lectures around the world and has been awarded medals by the State Microscopical Society of Illinois and New York Microscopical Society.

Professor Brian J Ford.

From Research to Teaching: “What can this transition offer us?”

Contact: https://www.linkedin.com/in/tien-thuy-quach/

Some people will wonder what the transition from research to teaching can offer us. My brief answer is that the research experience, along with certain supports from mentorsfacilitators can help a lot, particularly for both professional and personal development. I am happy to highlight some key observations from my experience making this academic transition.

Firstly, I would like to share that I had an opportunity to become a Research Associate at the University of Nottingham throughout my final year of PhD (Figure 1). I gained a range of knowledge and skills throughout the time working across multiple Universities, and actually co-led the Knowledge

Exchange Project on Multi-Materials Additive Manufacturing, started between UK and Vietnamese Institutions. More outputs from my research as well as my collaborators can be summarised at https://www.nottingham.ac.uk/research/groups/ cfam/documents/programme-grant-enablingnext-generation-additive-manufacturing-finalreport-2024.pdf (page 40).

After that, I moved forward to the teaching job at Aston University where I could freely share my ideas with other Health and Life Sciences colleagues in the Learning & Teaching Retreat. I could also contribute to MPharm and MSc Programmes, supervise several research projects for postgraduate students, become personal tutor to advise different MPharm students, continue supporting the invigilation-marking-moderation for several examinations, and fulfil other tasks at Aston Pharmacy School (Figure 2). Additionally, I recently kicked off the new workshop series “WIDENING POSITIVE IMPACTS”, by collaborating with several invited speakers who were able to pass on their experiences in higher education in the UK, via their personal journey through specific types of visas such as Global Talent Visa, Skilled Worker

Figure 1. I celebrated my PhD graduation with my parents, who took a long flight from Vietnam to the UK for the first time.

Visa, Graduate Visa etc. Recent speakers included Dr. Minh Ngoc Nguyen (as British Council Fellow) and Dr. Diviya Santhanes (as KTP Associate) at Aston University. More details can be found at:

https://www.linkedin.com/posts/syscoedu_ wideningpositiveimpacts-globaltalentvisaactivity-7238798148259753987-PAuR?utm_ source=share&utm_medium=member_desktop

These contributions and experiences enabled me to receive an opportunity to deliver the lecture “Development of robust methodology for ink-jet coprinting multi-functional multi-materials to enable Point-Of-Care manufacturing in pharmaceutics and engineering” at the 60th Assembly of Advanced Materials Congress (EAMC 2024). The Congress took place from 26 to 28 August on the M/S Gabriella Cruise (Conference Center)* in Stockholm, Sweden, hosted by the International Association of Advanced Materials (IAAM).

One thing that makes IAAM events and conferences stand out is the unique format of “Knowledge Experience at Sea” (Figure 3). All the IAAM events and conferences are organised on a cruise that takes the delegates on a voyage filled with scientific exploration and knowledge. By providing this unparalleled and unprecedented experience to attendees, IAAM has set a benchmark for the

Figure 2. I joined the Aston academics to honour MPharm students at their graduation date.
Figure 3. A beautiful sea view on M/S Gabriella Cruise.

other organisations working in the sphere of advanced materials. Link: https://www.iaamonline. org/knowledge-experience-at-sea.”

Furthermore, I was so happy to discuss advanced materials and emerging technologies with different professionals, and to share my ideas for new workshops/symposia to benefit the young generation. We also had a chance to explore the unique culture and beautiful landscapes of Stockholm, Sweden, and Helsinki, Finland, via a bus tour (Figures 4 and 5).

There was more good news when I received the IAAM “Advanced Materials Young Scientist Medal” for contributions to “Advanced Healthcare Materials” (Figure 6). Finally, for enabling my participation in this Congress, I would like to give thanks to Aston Pharmacy School (especially my line manager, Dr Daniel Kirby), the IAAM Organising Team 2024, Early Career Researchers Fund 2024 from the Institute of Physics (IOP), and Travel Bursary 2024 from the Royal Microscopical Society (RMS).

More details about the Congress: www.advancedmaterialscongress.org/europe.

Figure 4. I joined a small group of lecturers and research students on a visit to Stockholm.
Figure 5. I was honoured to receive the “Advanced Materials Young Scientist Medal” at EMAC2024.

A Glimpse into the Future of Microscopy: Highlights from the

17th European Microscopy Conference 2024 (emc2024)

Copenhagen, 25 – 30 August

For early career microscopists and seasoned researchers alike, there’s nothing quite as inspiring as seeing the images and innovations that top microscopes and world-class scientists can produce. This was the very essence of the 17th European Microscopy Conference (EMC2024), held in the vibrant city of Copenhagen, Denmark, from August 25th to 30th, 2024.

Over five packed days, the conference buzzed with seminars, lectures, workshops, and sponsor exhibitions, celebrating the ever-expanding horizons of microscopy. We were treated to a stunning showcase of cutting-edge technologies that are redefining imaging science. From pushing fluorescence imaging into the nano and microscales (including the wings of butterflies!) to leveraging advanced artificial intelligence for faster, more affordable, and precise high-throughput microscopy, the conference demonstrated how innovation continues to accelerate the field. Each session was a testament to the creativity and dedication driving modern imaging research.

But it wasn’t just the science that made EMC2024 unforgettable—it was also the backdrop. Copenhagen welcomed attendees with perfect sunshine and warm weather, giving the event an almost Mediterranean charm.The city’s iconic canals became a hot spot for swimming and relaxation for the locals, offering a taste of summer in Denmark’s capital and a delightful contrast to the intense pace of the conference.

The conference featured an array of captivating talks, with highlights including a mind-bending explanation for “How to do Quantum State Tomography”, and an invaluable discussion into Kankaanpää et al.’s 2012 publication in Nature Methods, which delved into

BioImageXD—a pivotal tool advancing quantitative bioimaging analysis. Equally compelling was a presentation by the engaging Dr. Nalan Liv from the Centre of Molecular Medicine in Utrecht, who masterfully showcased the intricacies of correlative light and electron microscopy (CLEM). This method, which marries the strengths of both microscopies held particular significance for me, since my poster focused on applying CLEM to study bone cells mineralising their matrix in vitro. This holds a special place in my scientific career, as it unveils unprecedented insights into this fundamental process found in calcified systems across nature, alongside our own skeletons.

As a third-year PhD student in a four-year program, I was thrilled with the reception of my work at the conference. I presented a cohesive narrative outlining the background of my project, its aims, and the key questions driving our research, alongside some exciting and novel findings in cell biology and microscopy. My CLEM method, which combines data from the TESCAN Clara scanning electron microscope at the University of Cambridge and the newly installed Zeiss ELYRA 7 super-resolution confocal at the University of Edinburgh, was particularly well-received. The positive feedback sparked engaging discussions and opened doors to further presentation opportunities, for which I am

incredibly grateful. It was an immensely rewarding experience that affirmed the impact of our work and the value of sharing it with the broader scientific community.

As with any great conference, the social events were a crucial success of EMC 2024. A beautifully organized conference dinner featuring a live band set the tone for a lively evening, while drinks receptions during the evening poster sessions provided the perfect backdrop for informal networking. These moments allowed conversations to flow naturally, giving me the chance to connect with incredible microscopists from across the globe—ranging from the sunny shores of Australia to the familiar accents of my hometown, Manchester.

A special shoutout goes to the sponsors, who went above and beyond in showcasing ground-breaking microscopes and technologies. TESCAN and ZEISS were especially popular, as were many of the smaller booths. A standout moment was DENSsolutions’ creative touch: their fluorescent green gin, aptly named “Gin-situ,” distilled to celebrate their 10th anniversary. Its unique recipe blended “traditional botanicals such as juniper berries and orange, but has an unexpected infusion of pink pepper and chilli pepper that results in an elegant, complex and tantalising flavour”.

In a similar light (no pun intended), the 17th European Microscopy Conference didn’t just showcase the future of imaging; it celebrated the community, collaboration, and elegant creativity that fuel progress in the field. For young and experienced

microscopists alike, it was a week to remember, filled with inspiration and new possibilities.

I am incredibly grateful to the Royal Microscopical Society for providing funds allowing me to attend this event, and I will be keeping a close eye on events hosted by the RMS in future. Mark your calendars microscopists, because the future of the field is brighter—and closer—than ever.

Charlotte Clews

PhD student, The Roslin Institute, University of Edinburgh

New Microscopes @ Nottingham: ‘Holds tighter’ and ‘penetrates deeper’

Biological Sciences at the University of Nottingham marked a significant milestone last year with the arrival of two new pieces of equipment - an advanced optical trapping system (holds tighter) and a multiphoton microscope (penetrates deeper). A launch event ‘New Microscopes @ Nottingham’ was held to celebrate the arrival of this new cutting-edge equipment.

Both instruments were funded by the 2022 BBSRC ALERT scheme and are set to revolutionise research capabilities at UoN and the surrounding region. A key feature of the University of Nottingham’s microscopy strategy is the end-to-end process capabilities. Our microscopy facilities can make use of the UoN Biodiscovery Institute’s new shared wet laboratory facility building. Perfect for regional and other external users. The event was sponsored by Lumicks, Evident and the UoN School of Medicine and School of Life Sciences.

Holds tighter: The Lumicks C-Trap Edge 450 is a state-of-the art optical trapping system boasting four traps, integrated microfluidics and widefield fluorescence, TIRF and IRM label-free imaging capabilities. This instrument introduces a new era of molecular biophysics to Nottingham, providing

researchers with unprecedented resolution and control in the manipulation of biological molecules. Presentations by Mina Brett-Pitt and Artur Kaczmarczyk, representing Lumicks, introduced the extensive capabilities of the C-Trap including the study of protein folding, nucleic acid-protein interactions, phase separation and cytoskeletal filament function. Dr Tania Mendonca (UoN) described how she harnesses the power of the C-Trap to manipulate chromosomes.Tania no longer needs to make a seven-hour round trip to carry out this work. Prof Neil Kad (University of Kent) then told us about his lab’s exciting work, sharing insights into how the C-Trap has become an indispensable tool in illuminating the complexity of DNA-protein interactions.

Penetrates Deeper: The multiphoton microscope is an

Speakers at the New Microscopes @ Nottingham Launch Event.
From left to right: Chris Jones (Evident), Dr Colin Ratcliffe (Crick Institute), Dr Tania Mendonca, Dr Kim Chisholm, Dr Artur Kaczmarczyk (Lumicks), Dr Claire Friel (UoN), Dr Mina Brett-Pitt (Lumicks), Prof Neil Kad (UoKent) and Prof Kim Hardie (UoN).

advanced imaging system that will give the ability to image deep into tissue, including in live 3-dimensional cultures, tissues and whole animals. This instrument will for the first time, enable intravital imaging for the entire research community at Nottingham. This multiphoton will include the newest in singlephoton counting detectors (SilVIR Detectors), two 2-photon lasers and an integrated photostimulation module (RAPP Geo Laser Stimulation system).

Chris Jones from Evident (formerly known as Olympus) and Kim Chisholm (UoN) described the range of new imaging capabilities that a multiphoton microscope will bring to Nottingham and Dr Colin Ratcliffe (Crick Institute) shared his work and insights into the use of multiphoton microscopy for advanced 3D tissue culture and in vivo imaging. We were also treated to presentations from Dr Jacqui Hicks, who introduced the fluid force AFM and Prof Kim Hardie, who told us about the capabilities of the new high-throughput, high-content confocal imaging system.

Both these instruments were secured through BBSRC ALERT funding won by the University of Nottingham in 2020 and 2021. Nottingham’s recent success in enhancing our technology infrastructure

for molecular manipulation and biological imaging will allow the UK Midlands to remain at the forefront of biological sciences research. To build on this enhanced equipment infrastructure, the University of Nottingham will host the next UK Midlands Biophysics Network Meeting on 12th September 2025. Networking meetings of this type provide an environment for exchange of ideas and expertise allowing Midlands researchers to make the best use of the excellent research infrastructure available in the region. The future is bright at high resolution and with exquisite control.

Claire Friel, Kenton Arkill and Kim Chisholm (University of Nottingham)

Dr Huong Vu (UoN) using the C-Trap for RNA trapping experiments.
A chromosome (white) stretched between two optically trapped beads. Image generated using Lumicks C-Trap and shown here courtesy of Dr Tania Mendonca (UoN).

Microscopy Journal of

The Journal of Microscopy publishes top quality research articles, review articles and Hot Topic papers covering all aspects of microscopy and analysis. This includes cutting-edge technology and innovative applications in physics, chemistry, material and biological sciences.

You can read the latest Early View papers online at www.journalofmicroscopy.org

They include:

ORIGINAL ARTICLE - Open access

Automated Euler number of the alveolar capillary network based on deep learning segmentation with verification by stereological methods

Julia Schmidt, Jonas Labode, Christoph Wrede, Yannick Regin, Jaan Toelen, Christian Mühlfeld

Bronchopulmonary dysplasia (BPD) is a developmental disruption of the lung, often found in premature newborns. BPD and other diseases affect the development of the blood vessels in the lung. This includes the alveolar capillary network (ACN), a mesh-like structure of blood vessels that envelops the end segments of the airways. It facilitates the exchange of gas between air and blood. The development of the lung is highly dependent on the development of the ACN. Thus, efficient methods to analyse the ACN are needed to perform comparative studies between healthy and diseased lungs.The ACN can be imaged using scanning electron microscopy (SEM). This is a technique to take high-resolution images of a sample. Individual images can then be combined to a 3-dimensional (3D) image of the sample. From the 3D sample image, a 3D model of the ACN can be generated. Therefore, the ACN

needs to be segmented on the sample images. Segmentation is a method to digitally label structures in images. It is a time-consuming process when done manually or only with the help of basic image filters. Deep learning (DL) is another computer tool that can be used for segmentation tasks. It makes use of complex structures inspired by biological brains. To use DL methods, a training procedure using already segmented images is necessary. In this study, segmentation results of the ACN generated by a DL approach were compared to results generated by an established method using basic image filters. The segmentation results were used to generate 3D models of the ACN.

To understand what changes the ACN in diseases, it needs to be measured and compared to healthy ACNs. Measuring can be performed in the 2D SEM images using stereology. This is a set of manual methods for taking unbiased sample measurements of 3D structures. It ensures representative results. Given a 3D ACN model, measurements can also be taken automatically using a computer program. In this study, automatically obtained measurements were compared to stereological measurements to check if the automated method is able to obtain reliable results.

It was shown that the DL approach made the ACN segmentation process more efficient. Furthermore, the automatically obtained ACN measurements were reliable.

ORIGINAL ARTICLE - Open access

Native state structural and chemical characterisation of Pickering emulsions: A cryoelectron microscopy study

Dario Luis Fernandez Ainaga, Teresa RoncalHerrero, Martha Ilett, Zabeada Aslam, Cheng Cheng, James P. Hitchcock, Olivier J. Cayre, Nicole Hondow

Among microscopy techniques, transmission electron microscopy boasts high-resolution imaging for inorganic samples. However, in the case of soft matter where the natural state of the sample is hydrated, the vacuum in the microscope will affect the sample

structure and therefore show an inaccurate representation of the sample. A commonly used solution to this issue in life sciences relies on freezing the sample before viewing in the microscope; this technique is however not fully explored when applied to inorganic materials.This study explores the application of commonly used techniques in transmission electron microscopy to cryogenically frozen samples (specifically, Pickering emulsions) to understand the advantages and limitations of this sample preparation method. A variety of imaging and elemental analysis techniques were successfully applied to obtain 2D and 3D information on the structure and elemental composition of the sample and were discussed in terms of their suitability for cryogenically frozen samples.

METHODS AND PROTOCOLSOpen access

ApoNecV: A macro for cell death type differentiation

Marketa Kolarikova, Barbora Hosikova, Jiri Tesarik, Katerina Langova, Hana Kolarova

The evaluation of large experimental datasets is a fundamental aspect of research in every scientific field. Streamlining this process can improve the reliability of results while making data analysis more efficient and faster to execute. In biomedical research it is often very important to determine the type of cell death after various treatments.Thus, differentiating between viable, apoptotic, and necrotic cells provide critical insights into the treatment efficacy, a key aspect in the field of drug development. Fluorescent microscopy is perceived as a widely used technique for cell metabolism assessment and can therefore be used

to investigate treatment outcomes after staining samples with cell death detection kit. However, accurate evaluation of therapeutic results requires quantitative analysis, often necessitating extensive postprocessing of imaging data. In this study, we introduce a complementary tool designed as a macro for the Fiji platform, enabling the automated postprocessing of fluorescent microscopy images to accurately distinguish and quantify viable, apoptotic, and necrotic cells.

REVIEW ARTICLE

Ultrastructure expansion microscopy: Enlarging our perspective on apicomplexan cell division

Sofía Horjales, Florencia Sena, María E. Francia

Apicomplexans, a large phylum of protozoan intracellular parasites, well known for their ability to invade and proliferate within host cells, cause diseases with major health and economic impacts worldwide. These parasites are responsible for conditions such as malaria, cryptosporidiosis, and toxoplasmosis, which affect humans and other animals. Apicomplexans exhibit complex life cycles, marked by diverse modes of cell division, which are closely associated with their pathogenesis. All the unique structural and evolutionary characteristics of apicomplexan parasites, the biology underlying life stage transitions, and the singular mechanisms of cell division alongside their associated biomedical relevance have captured the attention of parasitologists of all times.

Traditional light and electron microscopy have set the fundamental foundations of our understanding of these parasites, including the distinction among their

of cell division.

This has been more recently complemented by microscopy advances through the implementation of superresolution fluorescence microscopy, and variants of electron microscopy, such as cryo-EM and tomography, revealing intricate details of organelles and cell division. Ultrastructure Expansion Microscopy has emerged as a transformative, accessible approach that enhances resolution by physically expanding samples isometrically, allowing nanoscale visualisation on standard light microscopes.

In this work, we review the most recent contributions of U-ExM and its recent improvements and innovations, in providing unprecedented insights into apicomplexan ultrastructure and its associated mechanisms, focusing particularly on cell division. We highlight the power of U-ExM in combination with protein-specific labelling, in aiding the visualisation of long oversighted organelles and detailed insights into the assembly of parasite-specific structures, such as the conoid in Plasmodia, and the apical-basal axis in Toxoplasma, respectively, during new parasite assembly. Altogether, the contributions of U-ExM reveal conserved and unique structural features

across species while nearing super resolution. The development of these methodologies and their combination with different technologies are crucial for advancing our mechanistic understanding of apicomplexan biology, offering new perspectives that may facilitate novel therapeutic strategies against apicomplexan-caused diseases.

ORIGINAL ARTICLE - Open Access

In situ quantification of ribosome number by electron tomography

Mounir El Hankouri, Marco Nousch, Aayush Poddar, Thomas Müller-Reichert, Gunar Fabig

Ribosomes, discovered in 1955 by George Palade, were initially described as small cytoplasmic particles preferentially associated with the endoplasmic reticulum (ER). Over the years, extensive research has focused on both the structure and function of ribosomes. However, a fundamental question – how many ribosomes are present within whole cells –has remained largely unaddressed. In this study, we developed a microscopic method to quantify the total number of ribosomes in hTERT-RPE-1 cells and in nematode cells from various tissues of Caenorhabditis elegans hermaphrodites. Using electron tomography of high-pressure frozen, freeze-substituted and resinembedded samples, we determined that the ribosome number in hTERT-RPE-1 cells is in the same order of magnitude as biochemical measurements obtained via RNA capillary electrophoresis. As expected, control worms exhibited a higher number of ribosomes compared to RNA polymerase I A subunit (RPOA-1)depleted worms in two out of three analysed tissue types. Our imaging-based approach complements established biochemical methods by enabling direct quantification of ribosome numbers in specific samples. This method offers a powerful tool for advancing our understanding of ribosome localisation and distribution in cells and tissues across diverse model systems.

THEMED ISSUE ARTICLE - Open Access

Cryo-SEM and large volume FIB-SEM of Arabidopsis cotyledons:

Degradation of lipid bodies, biogenesis of glyoxysomes and reorganisation of organelles during germination

Gerhard Wanner, Elizabeth SchroederReiter, Farhah F. Assaad

Until recently,the lack of three-dimensional visualisation of whole cells at the electron microscopic (EM) level has led to a significant gap in our understanding of the interaction of cellular organelles and their interconnection. This is particularly true with regard to the role of the endoplasmic reticulum (ER). In this study, we perform three-dimensional reconstructions of serial FIB/SEM stacks and anaglyphs derived from volume rendering, cryo-scanning electron microscopy (cryo-SEM) and state-of-the-art electron microscopy immobilisation and imaging techniques. The results show that glyoxysomes are formed de novo in large numbers and in characteristic clusters on the ER upon germination in mesophyll cells of Arabidopsis cotyledons. The degradation of lipid bodies during germination occurs not only via the ER, which enlarges by taking up polar lipids resulting from enzymatic degradation by lipases, but also via glyoxysomes, which engulf lipid bodies. Dictyosomal (Golgi-derived) vesicles, which fuse with glyoxysomes or their precursors, also appear to be involved in the differentiation of glyoxysomes from segments of the ER. The formation of the central vacuole is the result of the fusion of protein storage vacuoles (protein bodies), which become complex three-dimensional structures during germination. Our observations also suggest that the vacuole plays a role in the degradation of glyoxysomes. The evidence provided in three dimensions shows that the endoplasmic reticulum plays a central role in the biogenesis and degradation

of lipid bodies, the ontogeny of glyoxysomes and the development of plastids in the mesophyll cells of Arabidopsis cotyledons.

ORIGINAL ARTICLE - Open Access

Compressive electron backscatter diffraction imaging

Zoë Broad, Alex W. Robinson, Jack Wells, Daniel Nicholls, Amirafshar Moshtaghpour, Angus I. Kirkland, Nigel D. Browning

Electron backscatter diffraction (EBSD) has developed over the last few decades into a valuable crystallographic characterisation method for a wide range of sample types. Despite these advances, issues such as the complexity of sample preparation, relatively slow acquisition, and damage in beamsensitive samples, still limit the quantity and quality of interpretable data that can be obtained.To mitigate these issues, here we propose a method based on the subsampling of probe positions and subsequent reconstruction of an incomplete data set.The missing probe locations (or pixels in the image) are recovered via an inpainting process using a dictionary-learning based method called beta-process factor analysis (BPFA). To investigate the robustness of both our inpainting method and Hough-based indexing, we simulate subsampled and noisy EBSD data sets from a real fully sampled Ni-superalloy data set for different subsampling ratios of probe positions using both Gaussian and Poisson noise models. We find that zero solution pixel detection (inpainting un-indexed pixels) enables higher-quality reconstructions to be obtained. Numerical tests confirm high-quality reconstruction of band contrast and inverse pole

figure maps from only 10% of the probe positions, with the potential to reduce this to 5% if only inverse pole figure maps are needed. These results show the potential application of this method in EBSD, allowing for faster analysis and extending the use of this technique to beam sensitive materials.

Submit to the Journal of Microscopy

1. No submissions fees

2. No page or colour charges

3. No page limit

4. Simple online submission

5. Helpful, friendly editorial team

6. Average time from submission to first decision is less than 50 days

7. High readership figures

8. Online tracking system – authors can easily check the status of an article in production and receive emails at key stages

9. Rapid publication with Early View papers published online in advance of print, significantly shortening time from acceptance to publication

10. Free electronic offprints

Journal of Microscopy App Available for iPhone and Android

Search for Journal of Microscopy on the App Store or Google play and access your personal or institutional subscription wherever you are, whenever you want.

Submit online at https://mc.manuscriptcentral.com/jmi

View the Guidelines for Authors and full submission details online at: www.journalofmicroscopy.org

Journal of Microscopy News

New special issue in the Journal of Microscopy “Botanical Microscopy”

We are pleased to announce the publication of a new special issue (March 2025) which features papers arising from the 12th International Botanical Microscopy meeting. The meeting was hosted by the RMS at the John Innes Centre, Norwich, from 2-6 April 2023.

The issue features one review paper and six original articles. The cover features an image by Dr Jen McGaley which shows confocal laser scanning microscopy of a fluorescent reporter, revealing the intricate structure of an arbuscular mycorrhizal fungus inside a living rice root cell. Image is coloured by depth. Scale bar = 5μm.

Journal of Microscopy Scientific Editor Dr Ulla Neumann, who edited this issue, said: “We are happy to announce the publication of the Botanical Microscopy special issue. This issue features interesting papers from the popular Botanical Microscopy meeting in 2023 and Kim Findlay (John Innes Centre, Norwich) has written an informative introduction to the issue.Topics covered in this issue range from suborganelle to whole organ imaging, from live cell imaging to electron microscopy and from hardware to software tools for analysing plant samples. Scientists interested in plant microscopy can already start looking forward to the 13th International Botanical Microscopy Meeting to be held in Spring 2027.”

The issue features the following papers:

Introduction to special issue ‘12th International Botanical Microscopy Meeting’ Kim Findlay

Suborganellar resolution imaging for the localisation of human glycosylation enzymes in

tobacco Golgi bodies – OPEN ACCESS

Alastair J. McGinness, Susan A. Brooks, Richard Strasser, Jennifer Schoberer, Verena Kriechbaumer

Live cell imaging of plant infection provides new insight into the biology of pathogenesis by the rice blast fungus Magnaporthe oryzae – OPEN ACCESS

Berlaine G. Quime, Lauren S. Ryder, Nicholas J. Talbot

The AMSlide for noninvasive time-lapse imaging of arbuscular mycorrhizal symbiosis – OPEN ACCESS

Jennifer McGaley, Ben Schneider, Uta Paszkowski

On the pixel selection criterion for the calculation of the Pearson’s correlation coefficient in fluorescence microscopy – OPEN ACCESS

Sergio G. Lopez, Sebastian Samwald, Sally Jones, Christine Faulkner

A rapid freezing method to determine tissue layer thickness in drought-stressed leaves – OPENACCESS

Maryam Alsadat Zekri, Carina Leimhofer, Nicole Drexler, Ingeborg Lang

Mitophagy in plants: Emerging regulators of mitochondrial targeting for selective autophagy – OPEN ACCESS

Patrick J. Duckney, Pengwei Wang, Patrick J. Hussey

The photosensitive endoplasmic reticulumchloroplast contact site – OPEN ACCESS

Sara N. Maynard, Lawrence R. Griffing

https://onlinelibrary.wiley.com/ toc/13652818/2025/297/3

Data Analysis in Imaging: The journey from focussed interest group to full RMS section

Summary

One of the fastest growing areas within the UK microscopy community is the analysis of imaging data. This article describes the formation of the Data Analysis in Imaging (DAIM) section of the Royal Microscopical Society (RMS), formed to represent the interests of RMS members in this rapidly expanding field. The need for a cohesive community of scientific image data analysts is highlighted to develop and disseminate rapid technological advancements, and to bring together disparate fledgling communities across a range of scientific domains. Previous initiatives to build such communities, such as NEUBIAS and the RMS Image Analysis Focussed Interest Group, are described, and the DAIM section is introduced, explaining its short and long-term goals to contribute to the international community of scientific image data analysts.

Identifying community needs

Recent years have seen astonishing advances in imaging and microscopy across many scientific domains. Innovations in both technologies and techniques have given rise to datasets with everincreasing scale and complexity, promising to permit deeper insight into many important research questions across the physical and life sciences. However, these innovations have resulted in a vastly increased requirement for complex computational analysis in order to tease hard-earned scientific breakthroughs from these deluges of data.

Different sectors have historically progressed at different rates, driven largely by the domainspecific technological and experimental demands of their imaging workflows and the size of their communities. For example, within the life sciences, fluorescence microscopy in its various flavours has benefited from a very large community of practitioners, leading to many bioimage analysis advances being pioneered in this field. However, parallels can frequently be drawn to other imaging modalities, where tools and techniques can be

borrowed and, if necessary, adapted to different types of data. A common example across all imaging techniques is image segmentation, which is often a necessary step to extract quantitative information from images, by separating the objects of interest from the background. Segmentation tools across commonly used platforms (e.g. ImageJ/Fiji and scikit-image) have been deployed across multiple techniques in the life and physical sciences (Figure 1 demonstrates an identical Otsu threshold applied to images using different techniques from life and physical sciences).

In contrast, an all-too-common impediment to efficient image analysis is the widespread practice of inadvertently “reinventing the wheel”, whereby researchers feel driven to write whole analysis pipelines from scratch when tools for some or all of the task already exist. The reasons for this are manifold: limited experience in the field can lead to a lack of familiarity with the literature; the trend of highly innovative and useful image analysis methods frequently being relegated to supplementary information; an unfamiliarity with the way

from https://doi.org/10.1038/sdata.2017.18

programmers typically distribute and maintain their software; multiple tools to choose from; and the language barrier that often exists between coders and experimentalists. Taking the example of image segmentation, the application of machine learning techniques has been rapidly expanding in this field, but the training and application of techniques are often repeated for different imaging modalities with no reference to previous applications elsewhere.

This brings up an important requirement for our community, namely the capacity to disseminate techniques and best-practice models as effectively as possible, rather than relying on the unpredictable and notoriously slow diffusion between each scientific discipline.

A success story that image data analysts can use as inspiration is the Research Software Engineering (RSE) community, which built bridges across disciplines and has created a huge network that plays a part in many different scientific fields.

Establishing networksNEUBIAS

From the life sciences side, a crucial factor in coordinating the disparate group of image analysts into an increasingly cohesive community was the COST funded Network of European Bioimage Analysts (NEUBIAS). This five-year funded programme ran from 2016-2020 and formalised a range of key concepts that were targeted and developed by a set of workgroups. A central aim

Figure 1. Image analysis is often equivalent between imaging techniques, scales and sample types. a) A fluorescent microscopy image of cell nuclei and b) the corresponding labels segmented using an Otsu threshold using scikit-image, highlighting the objects of interest. c) An annular dark field scanning transmission electron microscopy image of gold nanoparticles and d) the corresponding labels segmented using an Otsu threshold using scikit-image. The image in (a) is part of a public dataset

was to establish the independent role of “bioimage analyst”, as distinct from the existing subdivisions in bioimaging. Broadly speaking, the role of bioimage analyst acts as a bridge between experimentalists and software developers, providing a means for both communities to benefit from each others’ expertise.

Focusing attention - the Image Analysis Focused Interest Group (IAFIG)

As a result of NEUBIAS, the IAFIG was formed by Dominic Waithe, one of the UK’s management committee representatives for NEUBIAS. Recognising the time-limited funding of the NEUBIAS COST action, the IAFIG was formed to be a long-term continuation of the work established in NEUBIAS, under the umbrella of the Royal Microscopical Society (RMS), the oldest organisation of its kind in the world. By embedding

the group within the established machinery of the RMS, the hope was to raise the profile of the role of image analysis within the Society and the community at large.

The flexibility afforded to RMS Focused Interest Groups allowed the group to rapidly grow and explore the needs of the community, but having come largely from NEUBIAS, this initial group was very strongly biased towards the life sciences. Much of the early activity of the IAFIG was centred around training, including a train-the-trainers course (Figure 2) and a Python for Bioimage Analysis training course (Figure 3), both in Cambridge.

Focussed Interest Groups and Science Sections in the RMS

Focussed Interest Groups are associated with and supported by the RMS, but do not follow the stricter rules and regulations of the Science Sections. They can be set up for a short period of time for specific activities, or as the first step to becoming a formal section of the Society. The Science Sections act to advise the Society on the latest advancements and developments in their respective fields to enable the RMS to provide the best in training and resources for the community.

Chief Executive of the RMS, Sali Davis, spoke of her vision for the FIGs and Sections overseen by RMS saying “Both FIGs and Sections are the perfect platforms for all communities within our sector to contribute to their professions, to give back in a meaningful way and to support the recruitment and retention of future members of the profession. Our aim as a staff team is to support the functions of the FIGs and the Sections and in doing so further promote and enhance the scientific eco-system in which we work on a national and international basis.”

Data Analysis in Imaging (DAIM)

To follow on from the success of the IAFIG and the foundations laid down by NEUBIAS, the DAIM section was created, demonstrating the RMS’s ongoing commitment to supporting science and scientists in microscopy and imaging.

Figure 2. Members of the image analysis focussed interest group (IAFIG) with staff at the European Bioinformatics Institute (EMBL-EBI) at a train-the-trainers course for image analysts. Photograph from Dominic Waithe.
Figure 3. Tutors and participants at an IAFIG Python for Bioimage Analysis training course in Cambridge in 2019. Photograph from Dominic Waithe.

What’s in a name?

To begin with, we should explain why the new section chose the name “Data Analysis in Imaging” (DAIM, pronounced /'daɩm/), rather than, say, “Image Analysis in Microscopy”. The reason for this was that the committee wanted the section to be as inclusive as possible to the different types of analysis it intended to cover. Since not all data acquired during the process of imaging are images (for example spectra), and medical image analysis often extends to non-microscopy based data (e.g. CT scans), we chose to use DAIM.

Remit

An important distinction between the remit of NEUBIAS and that of the RMS is the broader scientific scope of the latter. Whilst the domainspecific details of the underlying data may be quite different, the computer vision methods employed are generally conceptually rather similar. Being under the umbrella of the RMS gives us the opportunity to link up communities that could really benefit from each other’s experience, but that rarely get the opportunity to interact.

In building the first committee for DAIM, we endeavoured to include representation from as many relevant communities as possible. In particular a variety of different imaging modalities across physical, biological and medical domains are represented, as are other types of community including RSE, Early Career Researchers and industry. As a result of this, we ended up being slightly in excess of the usual quota for a Section committee. However, the RMS team, in particular the Chief Executives, Allison Winton and her successor Sali Davis, were very encouraging in allowing us to slightly bend the rules, with the understanding that it is more important to have the right group of enthusiastic people involved at the beginning than to strictly adhere to a quota. This has been particularly important given the very diverse makeup of the committee from across the RMS’s remit, reflective of the wide range of disciplines image/data analysts come from, and the

natural turnover of committee members has since brought us back down to the size of a standard RMS Section committee.

The goals of the section

In the short term, the goal of the DAIM section is to gain a better understanding of the state and requirements of the community as it currently exists. To do this, we continue to work with other related communities and initiatives working in the same space. As we better understand these needs, the section is working towards filling any gaps or strengthening ongoing efforts. In practical terms, the DAIM committee addresses these challenges via a number of “Working Groups”, each consisting of a team, drawn from both the committee and the broader community, working together on a focussed task.

One of the most pressing current community needs highlighted by recent surveys is the need for accessible and up-to-date training across a wide range of imaging and analysis domains. A major goal of the DAIM section is to help in the provision of such training, whether developing whole new curricula, or simply signposting to some of the excellent training resources that already exist. In such a dynamic field, we expect that keeping pace with training requirements for new developments will also be a significant challenge, which we hope DAIM will be well placed to tackle. In the following section, we highlight our initial efforts to both determine the training needs of the community and to begin to deliver training in image analysis.

Our long-term goals for the future of DAIM are for the section to evolve to track the needs of the community, in parallel to the rapid advances being made. To do this we will need to build and maintain good relationships with practitioners across a number of different domains. We hope that in the future the DAIM section will be a respected source of advice and experience that the whole community, from experimental scientists through to software engineers, can feel engaged with.

Current activities

The first few DAIM committee meetings were spent identifying some key target areas where we felt that we could effectively contribute. As NEUBIAS and similar initiatives previously demonstrated, the need for accessible high quality training provision is clear, so our first act was to set up a Training Working Group, led by Stefania Marcotti and Dave Barry. This Working Group has been investigating the ever-evolving needs of the community as well as planning and coordinating training materials and activities, including the delivery of courses in the UK and Ireland. To assess these needs, the Working Group teamed up with counterparts in the Center for Open Bioimage Analysis (COBA) and Bioimaging North America (BINA) to conduct a survey of image analysts across the biological and physical sciences. Many important insights were gleaned from this survey and it is expected that this and future iterations will help to steer the direction of activities of DAIM and similar organisations to ensure maximum benefit for the community. The

outcomes of this survey can be found in interactive figures at https://coba-nih.github.io/2023_ ImageAnalysisSurvey/ (static examples of which are included in Figures 4 and 5).

The outcome of the survey was published in the DAIM special issue of the Society’s Journal of Microscopy, along with several other scientific articles focusing on analysis methods.The coordination of this special issue was driven by a working group led by Rocco D’Antuono, working closely with Michelle Peckham, at a time when the Journal has been undergoing a major shift towards Open Access publishing. The Open Science movement has historically been very well adopted amongst scientists working on computational analysis, with open source software and open data being key enabling principles in rapid and transparent advancement of the field. Many practitioners see Open Access publishing as a natural extension of this and the move towards this model will increase the accessibility of the research literature.

The DAIM committee has also been involved in the scientific organisation of the RMS’s flagship conferences in recent years, including MMC and Frontiers in Bioimaging, ensuring that researchers working on the latest analysis techniques are given plenty of opportunities to present their work and interact with their peers from across other domains to foster networking and collaborations.

One of the big success stories of the growth of a lively community over recent years has been the image. sc forum, which was formed as an amalgamation of several software specific forums and mailing lists. It has rapidly become the go-to place to ask questions and seek advice on many image analysis problems, particularly in the life sciences. Based upon this, and to add another dimension to the networking opportunities, the DAIM committee ran two “image. sc live!” events, led by Dale Moulding and funded by a Crick Networking Fund. The events were run on January 18-19th 2024, and 10-11th April 2024, with experts and participants joining in across

Figure 4. Graphic from Sivagurunathan et al.showing the distribution of respondents in terms of role, location and domain experience.
Figure 5. Graphic from Sivagurunathan et al.showing a range of different approaches taken to image analysis (A), and word clouds showing image analysis problems that are well solved in life sciences (B) and physical sciences (D), as well as problems that are in need of better solutions in life sciences (C) and physical sciences (E).

three different time zones (Europe/Africa, North/ South America and Australia/Asia). The goal was to extend the traditional written format of image.sc to live virtual events, where people could discuss their problems with experts from around the world in a collaborative multi-user virtual platform (Gather Town, shown in Figure 6). As well as solving analysis problems, this was a good opportunity for experts and novices alike to network with their peers all around the world. Particular efforts were made to include researchers outside of Europe/ North America that may have historically had fewer opportunities to interact with the global community.

Future

The RMS has some incredible schemes for school outreach, in particular the Microscope Activity Kits and the Hitachi Global STEM Outreach Project, which have reached over 200,000 students around the UK. The committee has been investigating ways to produce a similarly shareable activity for image analysis, with Stephen Cross taking up the challenge to extend his MIA workflow builder plugin in Fiji to make it suitable for schools. Although still a work in progress, we are very excited that this could be

an accessible and scalable tool to reach all those budding scientists in schools, see the sneak preview in Figure 7 below!

Computational analysis techniques are evolving rapidly, for example the use of AI methods are revolutionising many aspects of research and are likely to continue doing so for some time to come. This makes the DAIM committee a crucial component in keeping the RMS at the forefront of image and data analysis techniques, which are increasingly critical for scientific discovery. In this article we have outlined the formation of the DAIM section, based on the growing needs of the UK’s imaging community. We have highlighted a number of activities that the DAIM section have organised and which are currently under development. The future of microscopy increasingly requires complex image analysis, and the formation of the DAIM section will ensure that the UK remains at the forefront of the field.

Figure 6. A view of the “Image.sc Island” on the gather.town platform, as used in the “Image.sc Live!” events led by the DAIM team.
Figure 7. An interactive online tool developed to teach the basics of image analysis to schoolchildren, based upon the ModularImageAnalysis (MIA) Fiji/ImageJ plugin written by DAIM committee member Stephen Cross.

New Member Welcome

The Royal Microscopical Society would like to welcome our new members who have joined us in the last three months. We hope they enjoy a long and rewarding membership with the RMS.

Mr Rob Simpson

Mr Maziyar Makaremiesfarjani

Miss Maria Lugojanu

Miss Amy Truesdale

Dr Patrick Trimby

Miss Ashvatti Durai

Mr George Deakin

Dr Svetlana Menkin

Alberto Diaspro

Dr Peng Wang

Mr Pui Chun Thierry Lau

Mrs Greeshma Pradeep S

Mr Nishan Nathoo

Miss Rebecca Hughes

Mrs Kokila Wickramanayake

Dr Christopher Smith

Dr Linda Osei

Miss Sophie Baig

Miss Ioanna Bezirtzoglou

Ms Dua Khan

Dr Robert Lees

Mr Jack Thorne

Ms Sameen Khan

Dr Sophia Breusegem

Dr Johannes Lehmann

Professor Jeffrey Bamber

Mr Benedict Brown

Ms Gloria Gao

Miss Shayma Abukar

Dr Karyn Cooper

If you know of anyone who might be interested in becoming a member of the Royal Microscopical Society and if you would like us to contact them, please send their details to our Membership Administrator, Debbie Hunt – debbie@rms.org.uk

Application forms are available to download at www.rms.org.uk/membership

Don't forget you can now log into the RMS website and check your membership status, renew and download receipts. If you have never logged into the RMS website, please enter the email address that is linked to your membership and then click 'forgotten password'.

If you have any queries or questions about your membership please contact Debbie Hunt debbie@rms.org.uk

Member Profiles

Name Mayank Singh

Tell Us About You?

I'm Mayank Singh, an 18-year-old microbiology enthusiast with a passion for advancing modern biology.

As a member of the American Society for Microbiology (ASM) and the American

Association for Cancer Research (AACR), I'm eager to explore the intersections of microbiology, genetics, and biomedical research. My goal is to contribute meaningful insights to the field and help push the boundaries of scientific discovery.

Why did you become a member of the RMS?

I'm passionate about research and advancing modern biology, aiming to contribute meaningful discoveries in microbiology and biomedical sciences.

How do you feel being an RMS member benefits you?

Being an RMS member connects me with experts, provides access to cutting-edge research, enhances my microscopy skills, and offers networking, training, and career opportunities to advance my contributions to microbiology and biomedical sciences.

Why did you become a member of the RMS?

As a biomedical scientist, I became an RMS member because I believe in the importance of combining scientific inquiry with ethical considerations. I wanted to be part of a community that values evidence-based practices, promotes critical thinking, and encourages the application of scientific knowledge to address real-world challenges, particularly in the fields of health and medicine.

How do you feel being an RMS member benefits you?

As an RMS member, I believe I will gain access to a network of like-minded individuals who are passionate about science, research, and ethical practices. Being part of this community will allow me to exchange ideas, collaborate on projects, and stay updated on the latest developments

Tell Us About You?

Dr Luis Acevedo is a visionary leader in neurobiological data science and AI-driven monitoring technologies, serving as the Chief

in the biomedical field. Additionally, it offers an opportunity for personal and professional growth, as I’ll be able to engage in discussions that challenge my perspectives and help refine my skills in both scientific inquiry and communication.

Technology Officer of NeuroAI Monitoring. With a rich background in optoelectronics, photonics, and medical diagnostics, Dr Acevedo spearheads research and development initiatives focused on leveraging neurobiological data to advance seizure monitoring and patient care during clinical trials.

Why did you become a member of the

I became a member of the RMS to contribute towards new microscopy technology alongside my peers, as I do as Co-Chair of Quarep-Limi, to improve the protocols for FLIM, Illumination and detection of microscopy systems.

How do you feel being an RMS member benefits you?

Membership provides access to training courses, conferences and networking opportunities to discuss new trends and find collaborations. I look forward to participating in conferences and courses in the near future.

From the RMS President

Dear Readers,

For many people on the academic facility side of microscopy, the start of the calendar year tends to be a less busy time in the wet lab – as things get up and running again after the Christmas break.Traditionally, this has made it a good window of opportunity to hold RMS events, as it’s usually a time when people have more flexibility to attend external meetings. As such, the Society kicked off the New Year with a flurry of events, including Flow Cytometry Facilities Meeting 2025 and UK Light Microscopy Facility Meeting 2025 in early January, followed by the 12th UK FIB & Prep Meeting and EM-UKI 2025 in early February. Since our last issue of infocus, we have also hosted the second Virtual European Flow Core Meeting 2024. This is a virtual equivalent of the UKfocused flow cytometry meeting, enabling ease of access for people across Europe and reducing costs and environmental impacts in the process. It was great to see participants from over 30 countries and some really positive feedback. Thanks to all the organisers and sponsors of these events for making them so impactful and successful.

I had the pleasure of attending the virtual Flow, and in-person LM and Flow Facilities Meetings, which all attracted really strong numbers of participants. This is hugely encouraging given the financial constraints currently affecting the University sector and academic institutions generally. At both these events we welcomed representatives from the UKRI, who were able to provide updates on their latest activities and potential funding options. More importantly they also listened to attendees’ concerns about the futureboth on a personal level, and in terms of the support they would like to see for the research community in general. It’s worth remembering that as much as these RMS meetings are terrific opportunities for networking at an individual level (and they are!) they can also serve as a powerful forum for voicing our collective concerns as a community.

The Society recently announced an ‘open call’ for

Dr Peter O'Toole.

new members of its Science Sections and Council, and hopefully this will have attracted responses from far and wide by the time you read this! We also have a newly proposed RMS Histology Focussed Interest Group, which is seeking its first members. Our expanding network of FIGs is a good example of how the RMS responds to areas of need within our community, identifying and supporting opportunities to provide representation and leadership.

We want to ensure we are reaching the widest possible audience and being as inclusive as possible in terms of the membership of our committees. While we may not be able to accommodate all our applicants, there are many different ways in which you can support your Society – from helping run new events or outreach activities, to submitting an article to the Journal of Microscopy. We are also in the process of strengthening our RMS Ambassador scheme, which seeks volunteers to raise awareness of RMS activities and encourage new members to join.

All membership-based organisations thrive both on their ability to attract new people, and to retain the support of those who have made generous contributions for many years. I was delighted to note that RMS membership increased by more than 20 per cent during 2024, including a large proportion of student members who we hope will go on to have a long and happy association with the Society. Speaking of students, in this issue you can read about the fascinating microscopy projects undertaken by our 2024 Summer Studentship recipients. This scheme provides invaluable opportunities to undergraduates seeking experiences that may not be available as part of their degree courses. Applications for this year’s Studentships are open until 30 March, and I’m really looking forward to seeing what the ‘Class of 2025’ can produce!

Finally, I would like to thank all our members, whether recent or longstanding - for your ongoing loyalty and support; as ever, our aim is to ensure the RMS is delivering for the whole of the microscopy, imaging and flow cytometry community. Returning to those funding conversations at the January meetings, I hope one way in which we can achieve that is by providing a platform for our community to make its voice heard.

My very best wishes, Dr Peter O’Toole, RMS President.

RMS celebrates 50 years at ‘Snowflake House’

Society moved to offices on St Clements, Oxford, in December 1974

RMS staff have been celebrating the 50th anniversary of the Society’s move to ‘Snowflake House’ in Oxford.

The premises, at 37/38 St Clements, were acquired in December 1974, and have served as the RMS’s central administrative hub ever since. In addition to office space for staff, the building also includes a library and meeting room.

Staff enjoyed a slice of cake on Monday (2 December) to mark the occasion, and posed for photos outside the famous blue door.

“Most momentous move”

The Society initially moved from London to Oxford in 1967, renting rooms at Canterbury House on Cowley Road. For a short period in the early 1970s, offices were taken up at Clarendon House on Cornmarket Street, before the purchase in 1974 of ‘Snowflake House’ in St Clements.

Gerard L’E Turner’s definitive history of the RMS, God Bless the Microscope, describes the event as the Society’s “most momentous move to its first freehold premises in a large, Edwardian house in St Clements, just east of Magdalen Bridge, popularly known as Snowflake House.”

Read more about the history of the RMS

RMS staff celebrating the 50th anniversary of the Society’s move to ‘Snowflake House’ in St Clements, Oxford.

Kerry Thompson elected Chair of Microscopy Society of Ireland (MSI)

RMS Hon Secretary for Education takes on new role

The RMS is delighted to learn that Dr Kerry Thompson has been elected as the new Chair of the Microscopy Society of Ireland (MSI).

Kerry, who is currently RMS Executive Honorary Secretary for Education, was elected to her new role at the MSI’s recent annual symposium. She will serve in the post for the next two years.

The MSI is an all-island society of experts from a broad range of microscopical disciplines, covering both life and physical sciences. Since its foundation in the 1970s, it has become a well-established and influential voice within the European microscopy community. Its annual symposium brings together established researchers and students to hear

presentations on state-of-the-art techniques and new developments in microscopy by leading experts.

Kerry has been a lecturer in Anatomy since 2017 and is currently seconded to a research role at the Core Imaging Facility at the University of Galway Her current research is focused on the development of correlative imaging workflows and technologies, and the development of training programmes and resources. She cochairs a Global Bioimaging Working Group on Career Paths for Imaging Scientists, and is a keen advocate for the importance of community building both nationally and internationally.

In 2014/15 she led a project to bring Microscope Activity Kits from the RMS into Irish Primary Schools for the first time in collaboration with MSI, and is currently Chair of the RMS Outreach and Education Committee.

Kerry said: “I am honoured to have been nominated to lead the MSI over the coming term and represent the members. I hope to encourage wider inclusive participation nationally, with a review of the current structure to ensure we engage with as many scientists, engineers, clinical and corporate colleagues as possible in technical, core, academic and industry roles. This will be key in developing a new strategy for the Society as we approach our 50th anniversary.”

mmc2025: Register now!

Registration is now officially OPEN for mmc2025 incorporating EMAG 2025!

The Microscience Microscopy Congress is back for 2025! One of the biggest events of its kind in Europe, mmc2025 incorporating EMAG 2025 will bring you the very best in microscopy, imaging and cytometry from across the globe. With six parallel conference sessions, a world-class exhibition, workshops, satellite meetings, an international Imaging Competition and more, it is simply the place to be for anyone who uses a microscope for work, study or pleasure.

Find out about our range of ticket optionsincluding discount rates for RMS Members and students. As always attendance to the exhibition will be completely FREE throughout mmc2025.

Find out more and take advantage of our ‘Early Bird’ prices by booking now! >

Kerry Thompson.

Updated Resource Handbook for RMS committee members

Latest version of guidance now available

We are pleased to announce the release of the latest version of our resources for all section and Focussed Interest Group (FIG) members.

The Members Handbook has been reviewed following a governance review to ensure that we are supporting our membership and that we remain compliant with the Charities Commission. We hope that this new resource better supports our valued section and FIG members and encourages more of our communities to play an active part in the way in which the RMS is run.

The handbook will be reviewed and refreshed each year and we are always grateful to receive any feedback from members about how we can improve this resource. Highlights in the resource now include links to all necessary documents such as Expense Claims and guidance on running and delivering an event for your community.

If you aren’t a member of a section or FIG please keep an eye out for our annual open calls. We encourage applications from any member and we look forward to hearing your comments.

View the Members Handbook

Microscopy meets telescopy in artwork created for RMS offices

CAB member Huw Thomas presents eye-catching paintings to RMS staff

Staff at the RMS office were delighted to receive a visit from Corporate Advisory Board (CAB) Member - and talented artist - Huw Thomas, who kindly presented the Society with a pair of his latest paintings.

Based on images captured by the microscope and telescope, the colourful impressions depict a powerful supernova and - from the much smaller

end of the spectrum - a macrophage preparing to devour invading microbes.

The paintings, which were presented to Chief Executive Sali Davis in the RMS Library, are among Huw’s latest creations - many of which can be viewed on his Facebook page.

Huw is currently UK & Ireland Sales Director at Telight, promoting the company’s range of super resolution and QPI microscopes.

image: Impression of a supernova. These are cataclysmic explosions that occur during the last evolutionary stages in the life of a massive star. Such events that occurred approximately 65 million years ago may have contributed to a mass extinction on our planet. Typically images are acquired by advanced space telescopes such as the Hubble and James Webb. Inset image: Impression of a macrophage. These macrophages extend filopodia projections that can ingest and destroy invading microbes and even cancer and diseased cells. Imaged with a SEM @ x 875 magnification.

Huw Thomas presenting his paintings to RMS Chief Executive Sali Davis. Main

2025 RMS Scientific Imaging Competition: Entries now open!

Image and video submissions welcome from across all microscopy disciplines

Entries are officially open for the 2025 RMS Scientific Imaging Competition.

Taking place every two years, this exciting, international competition showcases the breathtaking and engaging beauty of the microscopical world. It is also a great opportunity for microscopists spanning all disciplines to display their technical and artistic talents on an international stage.

This year’s competition will be taking place as part of mmc2025 incorporating EMAG 2025, being held from 1 - 3 July at the Manchester Central conference centre. An exhibition of shortlisted entries will be on display throughout the conference and the winners will also be announced during the event.

The competition consists of seven different categories, including a short video section. The deadline for submissions is 6 May.

Find out more and submit your images!

Data Analysis in Imaging (DAIM): New ‘Slack channel’ launched to

support image analysts

Join the discussion, share resources and build a community!

The RMS Data Analysis in Imaging (DAIM) Section has launched a Slack channel aimed at providing a dynamic online forum to support those working in the DAIM field in the UK and Ireland.

Hosted by BioimagingUK, the Slack channel is an informal online space for image analysts to find support, advertise events and workshops, share resources, and create a broader sense of community.

If you are interested in joining the channel, please email BioimagingUK Project Officer Georgina Fletcher with your name and affiliation to gain access to the BioImagingUK workspace. Once you’re in, you can find the channel as #uk-ireland-imageanalysts - we look forward to seeing you there!

The DAIM Section would like to thank BioImagingUK and the RMS for hosting us!

RMS welcomes Professor Kang-Nee Ting to hear update on Malaysian Outreach project

It was a real privilege to receive a visit from Professor Kang-Nee Ting of the University of Nottingham Malaysia at the RMS offices in December.

RMS staff and members of the Society’s Outreach and Education Committee were on hand to hear her presentation on the fantastic work she has been engaged in, bringing microscopy and science education to children in Malaysia, in partnership with the RMS.

The long-running project, involving use of the Society’s Microscopy Activity Kits (MAKs), has been

making a real difference, helping tackle inequalities and providing crucial opportunities for children to learn science.

The project, established in 2017 and still going strong, has grown from microscope loans and school visits, to wider activities including involvement in science fairs and national science events in Malaysia. The partnership has also offered activities to refugee learning centres to supplement their science learning.

A full infocus report on the project is planned for later this year.

Staff and members of the RMS Outreach and Education Committee welcomed Professor Kang-Nee Ting to the RMS offices, where she gave a presentation on her outreach work in Malaysia.
Professor Kang-Nee Ting

RMS bids fond farewell to PhD student Malika

The RMS recently bade a fond farewell to PhD student Malika Zahedi, who has completed an internship with the Society.

Malika, who is currently in the third year of her studies at Leeds University, spent three months working with RMS staff on a project to boost the Society’s Ambassador scheme.

RMS Ambassadors help promote the Society at events and in the course of their professional activities. Malika has been in close contact with current ambassadors, and working with RMS staff on a package of measures to support the role they perform. This has included the creation of a ‘toolkit’ of promotional materials, and a shared framework for ambassadors to actively engage with the global microscopy community,

serving as a mutually-supporting team of advocates. Malika took on the internship with a view to sharpening up her writing skills and boosting her confidence outside the lab environment.

She said:“I have really enjoyed my time here – not just the work, but all the interactions with people and the networking opportunities. It has been great working with the RMS staff, who have been so supportive and made me feel so welcome. It is such a professional, but also very friendly environment here.”

Malika’s PhD project concerns the specificity of Affimers, non-antibody binding protein, screened against smooth muscle myosin-2 (SMM-2) and nonmuscle myosin-2a (NM2a), which can then be used as a tool to study SMM-2 and NM2A in cells. She also studies SMM-2 filament organisation in smooth muscle cells and smooth muscle tissue using FIB-SEM and Cryo-EM.

Looking into the future, she said: “If I get the opportunity, I would like to stay in academia and become a post-doc. Having attended a number conferences during my time at the RMS, I have been really inspired by the way in which academics come together to share their incredible work, and with the freedom to set their own projects. That’s definitely something I would like to continue to be a part of.”

Find out more about RMS Professional Internships

Malika (front left) with RMS staff on her last day at the office.
Malika Zahedi.

In Memoriam

Peter Hawkes, 1937 - 2024

The RMS was saddened to learn of the death of Peter Hawkes, who passed away in the Autumn of 2024 at his home in Toulouse, France, at the age of 87.

Peter was the Founder-President of the European Microscopy Society and internationally renowned for his work as a pioneering researcher in the field of electron microscopy.

He will be remembered by all who knew him as a remarkable scientist, communicator and educator who made fundamental and ground-breaking progress in the world of electron optics, aberrations and digital imaging. His publications have been instrumental in shaping modern microscopy techniques.

In December 2022, Peter was interviewed by Rebecca Pool for Wiley Analytical science . The below text, based on a series of extracts from that interview and reproduced with kind permission, shines a light on Peter’s extraordinary career and legacy.

When as a young Cambridge graduate Peter joined Ellis Cosslett’s Electron Microscopy Group in the Cavendish Laboratory in 1959, he knew very little about lens aberrations. He’d come across the chromatic aberration of glass lenses during A-Level Physics lessons but didn’t know much about spherical, or indeed any other aberrations.

Cosslett, already well-known in the world of electron microscopy, was keen to demystify the brilliant and intricate calculations on aberrations already laid out by Peter Sturrock, a pure mathematician who had completed his PhD in his group some years earlier. Peter noted that “Sturrock was a really top mathematician who had picked up earlier work by the great Austrian electron optician Walter Glaser and put this into a formal structure – this had made it really accessible to mathematicians, but not quite so accessible to the physicists.”

Thankfully Peter had both a solid grounding in physics, and a natural leaning towards maths, making him ideal to continue Sturrock’s fine electron optics work. “The possibility of aberration correction was now on everybody’s minds”, and as Cosslett wanted someone to study this, Peter fitted the bill.

Cosslett handed him Sturrock’s 1955 book, as well as a handful of his papers and left Peter to it. The work wasn’t easy, but from the start he embraced the challenge.

At the time there were only a few ways to correct electron lens aberrations, and a promising avenue was to use a system of quadrupole-octopole

correction lenses. In such a set-up, the system of lenses could provide an equal but opposite effect to the aberrations caused by a lens. Once he’d read and eventually digested Sturrock’s publications, Peter started to apply his methods to the aberrations of other lens systems - a first for the world of microscopy - starting with quadrupoles and octopoles, and then moving onto related multipole lenses.

He also discovered and published the fact that sextupoles were relevant to aberration correction. He had realised that sextupoles suffer from an aberration of the same nature as the spherical aberration of round lenses, and given this, knew these should be able to correct it.

Peter spent all of the 1960s and a lot of the 1970s in Cosslett's group with several research fellowships. He described his time at Cambridge as “all research, which was very nice”.

With interest in aberration correction continuing to gather momentum, Peter was invited to participate in a six-week international electron microscopy workshop at the US-based Argonne National Laboratory, organised by STEM inventor, Albert Crewe. During this time, Peter helped to design a high voltage electron microscope with a quadrupoleoctopole aberration corrector, with a view to obtaining funds from the US National Science Foundation to build it.

The rationale behind this was in part intended to help the US catch up in electron optics, which at that time was very much a European activity. However, despite a superb design and application, funding did not ensue and Crewe’s proposal was turned down.

Still, life at Cambridge wasn’t always about pushing back the boundaries of lens aberrations. Peter was, by his own admission, a ‘voracious reader’ and spent a year editing The Cambridge Review: A Journal of University Life and Thought.

Peter would also become more immersed in editing and writing the many articles and books for which he

will long be remembered.

Peter never held a tenured post at Cambridge, and in 1975 moved to the CNRS Laboratory of Electron Optics in Toulouse, France. This was home to the world’s first high voltage (1 MeV) electron microscope, and the director Bernard Jouffrey suggested Peter should launch image processing at the laboratory. Peter remained there until his retirement in 2002, having become Director in 1987.

In 1980, Peter was awarded a Doctor of Science degree from the University of Cambridge. And by 1982, he had also become editor-in-chief of Advances in Electronics and Electron Physics – an important book series for all electron microscopists today.

Peter was “especially pleased with the thematic volumes on aberration-corrected microscopy and cold field emission electron microscopy,” and “a high point was editing a supplement on ‘The Beginnings of Electron Microscopy’.”

Many books, and fond memories followed, including Peter’s work with the late John Spence in editing The Science of Microscopy and its successor, the Springer Handbook of Microscopy. Peter also had a long involvement with the journal Ultramicroscopy. On joining the editorial board he started to write reports on papers and published conference proceedings, a very useful and highly entertaining survey of what was going on globally in electron microscopy.

By the late 1980s, Peter had started to work on the well-known Principles of Electron Optics with the late Erwin Kasper. According to Peter, he and Kasper drafted various sections of the books, which took some years to put together. The latest updates include very recent developments in ptychography, electron vortex optics, a proposal for a quantum microscope, phase plates and statistical methods of extracting information from micrographs.

One of the major highlights for Peter was the announcement that electron lens aberrations had first been corrected. It was 1997, and he had been invited to give a talk at the EMAG meeting

in Cambridge. At the same meeting, physicist and developer of electron-optics instrumentation, Ondrej Krivanek, revealed that he and colleagues had succeeded in reducing the spherical aberration of a STEM using quadrupoles and octopoles.

“I knew that Ondrej was giving a paper, but I didn’t know beforehand exactly what it was about,” Peter recalled. “When he stood up and said that for the first time in fifty years, we’ve succeeded in correcting spherical aberration, there was almost a standing ovation – it was such an exciting moment.”

Peter was also the Founder-President of the European Microscopy Society (EMS) of which the RMS is a member Society. Looking back on his long career in electron microscopy, Peter described it as ‘filled with lots of incremental contributions to optics and image processing as well as a growing

interest in the history of electron optics and microscopy’.

Referring to the Handbook of Microscopy he edited with John Spence a few years ago, Peter noted: “I knew this was highly respected as a book but when Springer told me it had hundreds of thousands of downloads - a phenomenal number - I had to telephone them back to check.”

The book’s success says a lot about Peter, his crystal-clear comprehension of microscopy and his unwavering passion to drive the understanding of microscopy forward for everyone. As he put it: “It just shows there is a terrific need to have authoritative access to the latest results in sciencethis has always been the case but I have a feeling that this need is particularly strongly felt at the moment, now more than ever.”

Submit to infocus

infocus welcomes submissions of articles of general interest to microscopists.

You provide the text and images and we take care of the rest. It’s the ideal way to share your work with the microscopical community.

Full submission information and guidelines are available at www.infocus.org.uk.

To submit an idea or if you have any questions about the process please email the Editor (editor@infocus.org.uk)

Grand MXene Canyon

The authors attempted to etch Aluminium from Titanium Aluminum Carbide (MAX Phase) using Tetramethyl Ammonium Hydroxide (TMAOH) by magnetic stirring for 24 h. The image showcases features of multi-layered MXene that resemble the formations of the Grand Canyon.

A Crystal-Clear Solution to Sustainable Energy

Amino acid crystals create electricity when pressure is applied to them and can be used in sensors, energy harvesting, medical devices, structural health monitoring and more. The crystals have arranged in a unique and beautiful way to create an amazing polycrystalline assembly. They are not only beautiful but also hold the potential to be the next energy solution.

Olympus BX51 Light Microscope.

A beautifully shaped salt crystal in soy sauce solution.

Home Science Tools Ultimate Home Microscope, Cross-Polarized Filters, iPhone XR camera.

Cross-Shaped Salt Crystal in Soy Sauce

Partially 3D reconstructed cube of the cerebellar cortex of a small volume 2 x 2 x 2 μm. The spatial network of glial processes coloured in blue, neural elements omitted. These beautiful shapes sculpted by nature offer an aesthetic experience in addition to their scientific content.

Computer-aided serial electron microscopy.

Cube of cerebellar cortex

CN Tech partner with Physical Electronics

In January 2025, CN Tech partnered with Physical Electronics becoming their exclusive distributor in the UK and Ireland. Physical Electronics (PHI) specialises in developing high-performance surface analysis instrumentation to provide detailed surface chemical characterisation, nano-scale feature analysis and thin film characterisation.

Their instruments are used for research and development of advanced materials in several high technology fields including nanotechnology, microelectronics, storage media, bio-medical, and basic materials such as metals, polymers, and coatings.

PHI’s innovative X-ray Photoelectron Spectroscopy (XPS), Auger Electron Spectroscopy (AES), and Time-of-Flight Secondary Ion Mass Spectrometry (TOF-SIMS) technologies provide unique tools to solve challenging materials problems and accelerate the development of new materials and products. Their team of scientists have a deep knowledge of

surface analysis applications and problem solving, and the benefit of always having access to the latest instrument technology. PHI’s product lineup includes advanced instruments like the PHI Genesis, a fully automated XPS system with auto-tuning and calibration and multiple parking positions for high throughput.

The PHI 710 Scanning Auger Nanoprobe is a unique, high performance Auger Electron Spectroscopy AES instrument that provides elemental and chemical state information from sample surfaces and nano-scale features, thin films, and interfaces.

The PHI nanoTOF 3 provides superior sensitivity, low spectral background, the unique ability to image highly topographic surfaces, high mass accuracy and mass resolution, and unambiguous peak identification with parallel tandem MS imaging capability.

This partnership will combine CN Tech and PHI’s expertise which will add significant value to surface analysis solutions in the UK and Ireland.

www.cntech.co.uk

Gentle imaging around UK

Both Q-Phase and LiveCodim are either traveling or being demonstrated across the UK. We are thrilled that so many scientists are interested in our new technology and have the opportunity to experience what it’s like to have their cells gently imaged.

With this, Telight aims to showcase that any

laboratory or research institute can benefit from gentle live-cell imaging technology. If you’d like to see what your sample would look like, just drop a message to Huw Thomas—he’ll make the magic happen!

Over the past few months, Telight has had the opportunity to showcase its approach to gentle live-cell imaging at several prestigious institutions, including Warwick University, Oxford University, Cambridge University, and the Crick Institute in London. They provide free sample imaging and consultations on how to image your cells without disturbing them.

www.telight.eu

CN Tech partner with Inert

CN Tech are excited to announce their partnership with Inert, an industry leading innovative provider of the most dependable standardised and custombuilt inert atmosphere glove boxes, gas management systems and solvent purification systems at the most competitive prices.

Inert’s glove boxes, solvent purification, and gas management systems can be leveraged in a multitude of industries, and integrated with virtually any OEM tool, equipment and technology.

Their products are widely used in industries such as aerospace, pharmaceuticals, battery research, electronics manufacturing, and materials science, where contamination control is crucial.

By partnering with Inert, CN Tech can now offer:

• Gloveboxes in a variety of configurations and sizes, as well as unique glove box solutions.

• Gas purification systems designed to integrate with a variety of enclosures and processes to create the ideal working environment.

• Solvent purification systems that allow you to dry and dispense solvents safely, quickly, and with ease.

• A complete range of spare parts to keep glove boxes and solvent purification systems in perfect working order.

Inert is certified to the ISO 9001:2015 standard, demonstrating their commitment to the highest quality in their products and services.

Clive Nottingham, director of CN Tech, expressed his enthusiasm about the partnership, stating, “Collaborating with Inert allows us to broaden our product range and deliver state-of-the-art inert atmosphere solutions to our customers in the UK & Ireland. By combining our expertise and resources, we can better meet the evolving needs of the industries we serve.”

www.cntech.co.uk

If you would like your Company News to appear on these pages, please contact infocus Magazine at advertising@infocus.org.uk

The announcements in this Section are compiled by the manufacturers. They in no way represent a recommendation by the Royal Microscopical Society for any particular instrument or equipment. The Royal Microscopical Society does not endorse, support, recommend or verify the information provided on these pages.

NEW PRODUCTS

A complete workflow solution for large-scale 3D light sheet microscopy

Vasculatures and neuronal networks are complex structures, spanning a spectrum from micrometers to centimeters in a 3D space. Imagine analysing them as a whole, without the need for tissue sectioning. Revolutionise your research with our state-of-

the-art, high-resolution, automated 3D light sheet microscopy solution, the UltraMicroscope Platform, designed for samples of various sizes. Examine your intact samples entirely, delving into intricacies at the single-cell level.

Best of all, it’s simpler than you think! Miltenyi Biotec provides an all-encompassing workflow solution, saving you time and resources. This integrated approach is suitable for all who want to streamline their research, whether you’re a seasoned microscopy expert or just starting your 3D light sheet imaging journey!

https://www.miltenyibiotec.com/GBen/lp/complete-solution-for-largescale-3d-imaging.html

Introducing Park FX200: The Most Advanced AFM for 200-mm Samples by Park Systems

Park Systems, a leading manufacturer of nanometrology systems, launched its latest innovation in atomic force microscopy (AFM) last year. The Park FX200 is the ideal choice for research and industry for automated measurement of samples up to 200mm and offers significant advancements in AFM technology.

The FX200 features an advanced mechanical structure with low noise levels and minimal thermal drift, leading to increased stability and accuracy. Enhanced Z-servo performance enables rapid and precise scanning. The improved sample view with autofocus delivers exceptional clarity and detail, allowing for uniquely intuitive navigation.

Automated functions optimise operation and maximize efficiency. Automatic detection and replacement of the probe eliminate manual adjustments and minimize probe breakage, while the reduced laser spot size and automatic alignments

improve accuracy and consistency.

The FX200 is designed to be user-friendly, featuring automatic AFM scan parameter settings that boost productivity. Due to its high performance, the FX200 is suitable for a variety of applications, including surface morphology investigation, mechanical and electrical property characterisation, and the exploration of nanoscale phenomena. The Park FX200 delivers reliable results and represents a significant advancement in AFM technology with improved precision, automation, and visualisation. www.parksystems.com

NEW PRODUCTS

Gatan launches the EDAX

Elite T Ultra EDS system

Gatan, Inc., a business of AMETEK Inc. as well as a global leader focused on enhancing and extending the operation and productivity of electron microscopes, has launched the EDAX Elite T Ultra energy dispersive x-ray spectroscopy (EDS) system for (scanning) transmission electron microscopy (STEM).

The Elite T Ultra is ideal for compositional analysis and in-situ electron microscopy in the STEM. Previously, rapid elemental mapping was challenging due to the low signal levels generated from thin samples in the STEM. However, utilising a proprietary windowless 160 mm2 x-ray sensor, the Elite T Ultra now delivers outstanding detection efficiencies to address a broader range of elements and accelerate compositional mapping during material characterization studies.

“The Elite T Ultra offers exceptional data collection rates and sensitivity to light and heavy elements,”

said Dr. David Stowe, Senior Product Manager, Gatan.“Using a sensor 80% larger than conventional large-area detectors while maintaining a compact sensor design with an unobstructed high solid collection angle (up to 2.3 steradian), the Elite T Ultra detector can be inserted close to the sample, maximising the collection of x-rays emitted by your sample.”

“Utilizing eaSI™ technology, the Elite T Ultra system can record synchronised STEM signals including EDS, electron energy loss spectroscopy, or EELS, 4D STEM, and cathodoluminescence from multiple detectors simultaneously,” commented Narayan Vishwanathan, Vice President and Business Unit Manager of AMETEK Electron Microscopy Technologies. “It links multi-dimensional datasets seamlessly to give users a complete view of their specimen in conventional and in-situ analyses.”

www.gatan.com/EliteT

Introducing the EDAX Octane

Elite Ultra EDS system

Gatan, Inc., a business of AMETEK Inc. as well as a global leader focused on enhancing and extending the operation and productivity of electron microscopes, has launched the EDAX Octane Elite Ultra energy dispersive x-ray spectroscopy (EDS) system for scanning electron microscopes.

The Octane Elite Ultra EDS establishes a new benchmark for EDS systems by introducing a proprietary windowless 160 mm2 detector. This detector delivers superior light and heavy elements sensitivity while providing accurate analytical results at all accelerating voltages.

“For many years, researchers needing extreme sensitivity in their elemental analysis have been forced to forego accurate analytical results or invest in additional detectors. Due to interference from other signals in the microscope, EDS detectors optimised for sensitivity permitted qualitative investigations only,” said Dr. David Stowe, Senior Product Manager, Gatan.

“Combining a large active area

and harnessing the power of an electron trap to prevent pollution of the signal, the Octane Elite Ultra makes compromise a thing of the past.”

“With an active area >80% larger than other detectors and an ability to provide precise quantitative results, the Octane Elite Ultra is the first EDS detector that provides the cutting edge of research while also permitting routine analytical measurements,” commented NarayanVishwanathan, Vice President and Business Unit Manager of AMETEK Electron Microscopy Technologies. “It eliminates the need to switch between detectors for different measurements, allowing users to focus on the most important thing: their research.”

MACS® Deep Clearing Kit

The MACS Deep Clearing Kit enables the immunostaining and clearing of whole mouse brain for the subsequent three dimensional (3D) imaging analysis. Specific protocol have been developed using the MACS Deep Clearing Kit for the easy, fast and effective immunostaining and clearing whole mouse brain or brain hemisphere. After clearing, tissue can be analysed using different microscopy systems, such as light sheet fluorescence microscopy, confocal or two-photon microscopy.

https://www.miltenyibiotec.com/GBen/products/macs-deep-clearing-kit. html#130-136-470

Linkam launches CMS196V4 stage for cryoCLEM microscopy

Linkam Scientific Instruments has announced new updates to its specialist CMS196 cryo-stage. The CMS196V4 supports cryo-correlative light and electron microscopy (cryo-CLEM) and allows researchers to investigate samples at cryogenic temperatures down to < -195 °C.

The latest updates to the CMS196V4 stage include an improved user interface featuring a touch-panel and joystick, alongside an encoded and motorised XY stage which allows high-precision automated mapping of sample grids. The new stage also features different sample holders and interface options for the newly interchangeable optical bridge for imaging. Improved cable management and simplified topology improve ease of installation and use. It also features a cordless magnetic heated lid; Auto-fill dewar with drip-feed; and an objective lens heater for superior drift performance.

Cryo-CLEM microscopy integrates the benefits of fluorescence and electron microscopy, and the CMS196V4 supports full cryo-CLEM workflows. Sample safety remains a key feature of the CMS196V4 stage, with researchers able to handle and transfer cryo samples without risk

of contamination.

Linkam has also developed a Modular Imaging Platform, which offers significant improvements to sample access. It features a motorised Z-axis control and sliding mechanism to make it easier to access samples, and a modular design to support multiple microscopy techniques.

Clara Ko, Sales and Marketing Director, Linkam Scientific Instruments, comments: “The modifications to our market-leading cryo-stage provide researchers with a valuable tool to unlock new insights using Cryo-CLEM microscopy. As a company at the forefront of microscopy instrument innovation, Linkam collaborates closely with customers to understand how we can improve our range of stages. The new features will allow researchers to exert more control over their stage configuration, while also enjoying simplified set-up with improved topology and overall user experience. We look forward to supporting customers at the frontier of scientific discovery and helping them get the most out of the newest

Q-Phase innovation

Telight has continued to innovate technologically, with the next generation of Q-Phase bringing major improvements in modularity, mobility, and functionality. All Q-Phases are now eligible for an update of a reference sample carousel. This improvement has been introduced based on the feedback from our users, so the observed sample can be imaged right away while the reference glass gets automatically selected.

AI segmentation for the Q-Phase instrument is being tested on the KAR0L1NA supercomputer, pushing the boundaries of microscopy data analysis.

As it happens, the data produced by the Q-Phase microscope are ideal for AI analysis, as they provide not only visual data but quantitative data. This data can be then used as an input for AI neural network training.

www.telight.eu

Super-resolution imaging with LiveCodim

Any laboratory can be upgraded with the advanced optical imaging unit, LiveCodim—great news for all busy confocal microscopes! Connecting your widefield microscope to the LiveCodim unit has never been easier, instantly transforming it into a super-resolution platform. And that’s not all—it can also function as a confocal microscope!

Widefield microscope

Improved resolution between wide-field (left) and super-resolution mode (right) of the LiveCodim instrument on Yersinia pestis biofilms. The bacteria express GFP. Sample courtesy Robert Markus, Faculty of Medicine & Health Sciences, University of Nottingham.

www.telight.eu

LiveCodim super-resolution

NEW PRODUCTS

Peak Metrology and Digital Surf launch advanced profilometry software for precision surface analysis

Peak Metrology, automated metrology equipment designer and manufacturer, and Digital Surf, editor of analysis software solutions for profilometry, microscopy and spectroscopy, have announced the release of Peak Metrology Surface Analysis, a profilometry software package powered by Mountains® technology that enables engineers, scientists and metrologists across industries to analyse precision scanned surface data.

The key capabilities of this analysis software include:

Comprehensive surface characterisation: Peak Metrology Surface Analysis analyses surface geometry, profiles and topography with exceptional precision, supporting measurements from microns to nanometres.

Versatile sensor compatibility: the software works seamlessly with Peak Metrology scanning equipment and supports data from multiple sensor types including confocal sensors and microscopes, laser profile sensors, interferometers and other non-contact optical measurement devices.

Automation and replication: users can build recipes and templates that allow for automated surface analysis that minimises or eliminates the need

for operator intervention. Measurements can be performed repeatably and without common error sources that plague operator-driven software packages.

Peak Metrology Surface Analysis software includes a suite of tools allowing the extraction of actionable data from the raw surface measurements generated by the scanning equipment. Main customer applications include:

• Measuring flatness and coplanarity of surfaces.

• Measuring surface geometry such as distances, areas, step heights, angles and volumes.

• Analysing individual layer thicknesses and total thickness variation (TTV) of surfaces.

• Calculating and evaluating surface roughness and texture.

“Our collaboration with Digital Surf marks a major advancement for our customers,” said RJ Hardt, President of Peak Metrology. “By combining our cutting-edge scanning equipment with Digital Surf’s renowned analysis software, we are delivering a powerful, seamless solution for precision surface analysis that empowers our customers to achieve unmatched accuracy and reliability.”

“Partnering with Peak Metrology has allowed us to extend the reach of our software into new, innovative applications,” said Christophe Mignot, CEO of Digital Surf. “Together, we are providing users with an automated, user-friendly solution that converts raw surface measurements into meaningful results, enabling breakthroughs in research and industrial quality control.”

https://www.digitalsurf.com/

Agilent Announces the Innovative Mito-rOCR Assay Kit for Mitochondrial Research

Agilent Technologies Inc. (NYSE: A) announces the new Mito-rOCR Assay Kit.This easy and streamlined end-to-end solution makes sophisticated analysis of mitochondrial function available to researchers of all skill levels. Whis cost-effective and versatile kit, researchers can easily incorporate functional assessment of relative mitochondrial respiration into their cell physiology and disease pathology studies.

Mitochondria are central to energy production processes that drive cellular activity, and mitochondrial dysfunction is linked to numerous diseases and conditions. The Mito-rOCR assay enables more researchers to explore this crucial aspect of biology with accuracy and ease. The assay can be used with various compatible fluorescent plate readers and multimode imagers that meet its requirements for sensitivity, detection capabilities, and environmental control.

For example, the BioTek Cytation series of fluorescence plate readers and multimode imagers are ideal for the Mito-rOCR assay. Their advanced software allows them to handle various applications, maintain optimal conditions, and automate processes, making them reliable and adaptable for different research needs.

The Mito-rOCR assay measures cells’ relative oxygen consumption rate (rOCR), enabling sensitive detection of changes in mitochondrial function.This approach offers thorough insights into mitochondrial health and performance. With the Mito-rOCR Assay Kit, compounds are reconstituted directly in the assay medium, eliminating the need for additional solvents.

Notably, the assay is also reversible; the reagent remains outside the cells to prevent interference with cellular processes and can be easily removed to allow further downstream analyses. Data analysis is conducted using the Mito-rOCR Analysis Module within Agilent Seahorse Analytics. This cloud-based software makes importing data, linearising signals, calculating slopes, and generating data tables and bar charts easy and streamlined.

Chris Braun, associate vice president of Marketing in Agilent’s Cell Analysis Division, commented on the importance of this announcement. “The Agilent Mito-rOCR Assay Kit was developed in direct response to customer feedback, as they told us they needed an easy-to-use assay that works with various fluorescence plate readers. The MitorOCR Assay Kit delivers this with a robust assay that supports multiplexing. This innovative assay democratises the measurement of relative oxygen consumption rate in live cells, enabling more researchers to study cellular respiration and related biological processes.”

https://www.agilent.com/

If you would like your new product information to appear on these pages, contact infocus Magazine at advertising@infocus.org.uk

The announcements in this Section are compiled by the manufacturers. They in no way represent a recommendation by the Royal Microscopical Society for any particular instrument or equipment. The Royal Microscopical Society does not endorse, support, recommend or verify the information provided on these pages.

Submission Guidelines

infocus is the Royal Microscopical Society’s (RMS) vibrant and striking quarterly magazine for members. It provides a common forum for scientists & technologists who use any form of microscope, including all branches of microscopy. Published four times a year, infocus is free to members of the RMS. infocus features articles on microscopy related topics, techniques and developments, an events calendar, news, event reports, book reviews, new product information, and much more. infocus welcomes submissions of:

Articles - Full articles or reviews of general interest to microscopists, of approximately 30004000 words (excluding references), with images/ figures (as many as appropriate, 4-8 as a guide). Longer articles can also be considered.

Short Articles - Short topical articles, review articles or articles providing hands-on help for microscopy methods.

Primer Articles - Short general articles that are focussed on specific techniques.

Debuts - Student articles publishing emerging results from a project. Results may still be incomplete, but areas of progress/problems should be highlighted, with the aim of provoking feedback.

Book Reviews – if you are a member of the RMS and are interested in writing book reviews for infocus, please contact Owen Morton owen@rms.org.uk.

Please see recent issues of infocus for examples of articles and reviews. To request a sample copy of infocus contact owen@rms.org.uk

If you are interested in submitting to infocus, contact: editor@infocus.org.ukj

Article Text

• Text should be in a standard font (e.g. Times New Roman or Arial) at a size of 12 pt.

• Articles should begin with a brief summary, which accurately summarises the content and is intelligible without reference to the text.

• Footnotes and appendices should not be used unless absolutely necessary.

• The hierarchy of headings within the text should be clear.

• Spelling should conform with The Concise Oxford Dictionary and SI units must be used.

• Abbreviations should be used sparingly and only if a lengthy name/expression is repeated throughout the article. When used, the abbreviated name or expression should be cited in full at first usage, followed by the abbreviation in parentheses.

• Authors should provide a photograph, brief biography as well as contact information that will be published.

References

References in the text should be in the form Joy (2000) or Joy & Williams (2000). For three or more authors, use the form Echlin et al. (2000). The reference list should:

• be listed in alphabetical order of first authors’ surnames.

• (where a journal is cited) - include authors’ surnames and initials, date of publication, title of paper, name of journal, volume number, and first and last page numbers.

• (where a book is cited) - include authors’ surnames and initials, title of book, year of publication, edition, followed by publisher and town, county/state (and country if necessary) of publication.

• (where a URL is cited) – include authors’ surnames and initials, year of publication, title of page, URL and date accessed.

Images / Figures

• Figures can be one column/half page width, 65.5 mm or two column/full page width, 135 mm.

• Larger images may fill the page/spread. A full page of the magazine is 170 x 250 mm, a double page is 340 x 250 mm.

• Text in figures (labels, axis labels, legends, etc) should be Helvetica or Arial, 8pt size.

• Figure and table captions should be listed numerically at the end of the article text

• Line weights and line strokes should have a maximum value of 1 and a minimum of 0.25.

• For graphs and plots, whenever possible, please submit vectorized images.

• As much as possible, please avoid white spaces.

• All images must be high resolution – 300dpi or more.

• Submission files should be in CMYK format and can be supplied as tiff, jpeg or eps files.

• Images MUST include scale bars or field widths where relevant.

Double page of magazine, 340 x 250mm (Trim size)

• Total number of images/figures/tables should not exceed 15 including tables.

Proofs

Prior to publication, authors will be sent a PDF of the article by email for approval.

Authors should ensure articles are thoroughly checked before submission – proof amendments should be limited to minor corrections only.

Offprints

Five hard copies of the issue in which the article is published will be sent to the author, together with an emailed PDF of the article.

Copyright

Authors are requested to assign copyright to the RMS. However, authors may make copies of their own articles without seeking permission from the RMS, provided that such copies are for free distribution only (they must not be sold) and provided that infocus is properly acknowledged (issue number, month and page number should be given). Permission to reproduce material from infocus in other publications will not be given to third parties except with the consent of the authors concerned.

Authors are responsible for obtaining permission to reproduce copyright material from other sources. Approval for reproduction/modification of any material (including figures and tables) published elsewhere should be obtained by the authors before submission of the manuscript and the source of the material should be properly acknowledged. Authors are responsible for any copyright fee involved.

One column/half page width, 65.5mm

Authors are requested to complete and submit a signed copy of our copyright sign-off form. This is available on the RMS website (www.infocus.org.uk).

Figure 1. Width of figure or table confined to one column.
Figure 2. Width of figure or table spanning full width of page.
Two column/full page width, 135mm

MACS® iQ View – 3D Large Volume

Unlocking superior quality with just a few clicks

MACS iQ View – 3D Large Volume is a user-friendly light sheet microscopy image processing software tailored for managing, stitching, and processing large 3D datasets captured by the UltraMicroscope Blaze™. It empowers you to gain meaningful insights and enhance image quality with ease. Its user-friendly interface simplifies navigation and operation, making it accessible to users of all skill levels. Its comprehensive toolkit covers various tasks, including 3D cropping, destriping, denoising, deconvolution, stitching, and contrast compression.

u miltenyibiotec.com/iqview

Miltenyi Biotec Ltd. | Almac House, Church Lane | Bisley, Surrey GU24 9DR | UK | Phone +44 1483 799 800 | Fax +44 1483 799 811 | macsuk@miltenyi.com | www.miltenyibiotec.com

Miltenyi Biotec provides products and services worldwide. Visit www.miltenyibiotec.com/local to find your nearest Miltenyi Biotec contact.

Unless otherwise specifically indicated, Miltenyi Biotec products and services are for research use only and not for therapeutic or diagnostic use. MACS, Blaze, and the Miltenyi Biotec logo are registered trademarks or trademarks of Miltenyi Biotec B.V. & Co. KG and/or its affiliates in various countries worldwide. Copyright © 2024 Miltenyi Biotec and/or its affiliates. All rights reserved.

Turn static files into dynamic content formats.

Create a flipbook