Solución Médica | Septiembre 2024 | Arquímedes & Dorsch

Page 1


Venciendo al cáncer de mama

Evita la muerte súbita en el deporte

Conoce todo sobre el Parkinson

Laboratorios

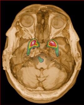
Arquimedes & Dorsch presenta: Resonancia Magnética de última tecnología en Toluca.

¿QUÉ ES?

La resonancia magnética (RM) es una técnica de imagen médica avanzada que utiliza campos magnéticos y ondas de radio para crear imágenes detalladas del interior del cuerpo.

BENEFICIOS DE LA RESONANCIA MAGNÉTICA:

Mejor Calidad de Imagen.

Estudios en la mitad de tiempo. Mayor comodidad menor ansiedad.

Integración y Análisis de Datos con IA. Diagnóstico preciso.

INTELIGENCIA ARTIFICIAL en la RESONANCIA MAGNÉTICA:

El SIGNA™ Explorer 1.5T con inteligencia artificial representa un avance significativo en la resonancia magnética, combinando la tecnología avanzada con capacidades de IA para ofrecer una experiencia de diagnóstico más precisa, eficiente y cómoda tanto para los pacientes como para los profesionales de la salud. Esto se traduce en mejores resultados clínicos, una mayor eficiencia operativa y una experiencia general superior en la atención médica.

SOMOS LA MÉTRICA DE TU SALUD.

CRÉDITOS EDITORIALES

Ana Karen Díaz Martínez

Directora General

Abraham Apon Espinosa

Director Comercial

José Manuel Zurita

García de Alba

Director Editorial

Dr. Ricardo Escandón Martínez

Colaborador Especial

¡PROMUEVE TU LÍNEA FARMACEÚTICA EN LOS

MEJORES HOSPITALES PRIVADOS DE LA CDMX!

SÍGUENOS

EN NUESTRAS REDES SOCIALES

Revista Solución Médica

@revista.solucionmedica

Revista Solución Médica

@solucionmedica

Escaners de un paciente con cáncer de pulmón

Dra. Saray Borja Medina & Dra Susana Nápoles Medina

Cáncer de mama, el enemigo a vencer

Dr. Martín Tulio Santa Rita Escamilla

Embolización de miomas uterinos

Dr. Jorge Guerrero Ixtláhuac & Dr. Gerardo Sánchez Montañez

Nutrición y Fertilidad

Elisa Montaño Morales

Cicatrización, todo lo que debes saber

Dra. Blanca Eugenia Duffy Verdura

Enfermedad de Parkinson

Dr. Uvi Cancino

Tratamiento Rezum para la próstata

Dr. Sylvain Collura Merlier

Nesajar - Alidado #1 contra la colitis

¿Cómo evitar la muerte súbita en el deporte?

Dr. Ricardo Escandón Martínez

¿Cómo detectar una Enfermedad Vascular a tiempo?

Adriana Corona

Cefalea ¿Cuándo acudir con un especalista?

Dr. Gustavo Juarez Jimenez

Superando los Desafíos Diarios

Karin Boes

Anemia por deficiencia de Hierro

Dra. Yvette Neme Yunes

CONTÁCTANOS

Somos una empresa 100% responsable con el medio ambiente. ¡Recíclame y juntos ayudemos al planeta! ventas@revistasolucionmedica.com

Impreso por Grupo Editorial DM México, S.A. de C.V., Dirección: Periférico Sur 4349, Local 4-12, Municipio Tlalpan, Colonia Jardines de la Montaña, C.P. 14210. CDMX.

Distribuida por Grupo Editorial DM México, S.A. de C.V., Dirección: Periférico Sur 4349, Local 4-12, Municipio Tlalpan, Colonia Jardines de la Montaña, C.P. 14210. CDMX.

¡SUSCRÍBETE A NUESTRA REVISTA DIGITAL!

Reserva de Derechos al Uso Exclusivo No. 04-2023-080310203300-102, otorgado por el Instituto Nacional del Derecho de Autor.

Número de Certificado de Licitud de Título y de Contenido (en trámite). Certificado FSC-C1131999

SOLUCIÓN MÉDICA, año 1. No. 4, septiembre 2024 – octubre 2024, es una publicación bimestral editada por Grupo Editorial DM México, Periférico Sur 4349, Local 4-12, Municipio Tlalpan, Colonia Jardines de la Montaña, C.P. 14210. CDMX. www.revistasolucionmedica.com Editor responsable José Manuel Zurita García de Alba. Responsable de la última actualización de este número, Grupo Editorial DM México, Periférico Sur 4349, Local 4-12, Municipio Tlalpan, Colonia Jardines de la Montaña, C.P. 14210. CDMX. Fecha de última modificación 31 agosto 2024.

Queda prohibida la reproducción parcial o total, modificación, distribución, transmisión, re-publicación, exhibición o ejecución de lo contenido en esta obra, incluyendo cualquier medio sin la debida autorización por escrita de Grupo Editorial DM México, S.A. de C.V., en términos de la legislación autoral y, en su caso, de los tratados internacionales aplicables, la persona que infrinja esta disposición se hará acreedora a las sanciones correspondientes.

El contenido de los artículos, así como de los anunciantes y proveedores refleja única y exclusivamente el punto de vista de su autor. Los contenidos, promociones y materiales de los mismos son responsabilidad de su autor. Todos los materiales publicitarios que contengan alguna imagen o material que requiera de alguna licencia, serán responsabilidad de su autor o de la empresa anunciada. Grupo Editorial DM México, S.A. de C.V. se deslinda de cualquier responsabilidad en los materiales publicitarios elaborados por las distintas marcas que aparecen en esta publicación. Todos los nombres, marcas, diseños, fotografías, etc. Registrados o no, propias o de terceros son responsabilidad del anunciante.

Hecho en México. Esta revista utiliza tipografías Helvetica Neue, Sofia Sans, Sofia Pro y Zilla Slab diseñadas para una mejor lectura.

CÁNCER DE PULMÓN

INTRODUCCIÓN

El cáncer de pulmón de células no pequeñas,(CPCNP) es la causa más común de muerte por cáncer en todo el mundo, con adicional morbilidad y mortalidad relacionadas con metástasis pulmonares. De acuerdo a datos de GLOBOCAN, en México ocurren 190,667 casos incidentes de cáncer al año, de los cuales 7811 corresponden a casos de cáncer de pulmón. En términos de mortalidad, en México se produjeron un total de 33,781 muertes por cáncer de pulmón desde 2012 a 2016. Sólo en 2016, 7044 muertes fueron atribuibles a cáncer de pulmón, lo que la convierte en la enfermedad neoplásica de mayor mortalidad en México; además, el CP es una enfermedad subdiagnosticada, por lo que esta cifra podría ser mayor. Las muertes por CP en México son más frecuentes en hombres, en una proporción de 1.6: 1, personas de mayor edad, presentándose el 53% del total de muertes en pacientes mayores de 70 años, y afectan con mayor frecuencia a la región norte del país. Las mujeres mexicanas tienden a presentar la enfermedad a una edad más temprana, con una mediana de edad al diagnóstico de 59 años.

Uno de los factores más importantes en nuestro país es la exposición a biomasa (particularmente humo de leña), por encima de la exposición a humo de tabaco, lo que deriva en diferentes características de la enfermedad, incluyendo una mayor frecuencia de mutaciones en EGFR (34%) y una menor frecuencia de mutaciones en KRAS de(15.9%) en comparación con otros países de Norteamérica y Europa.

Otro factor importante a considerar en México es la contaminación ambiental, un carcinógeno del grupo 1 en el humano, la cual se ha asociado consistentemente con el riesgo de CP, y al menos 38,000 personas en México murieron entre 2001 y 2005 debido a la exposición a niveles considerables de contaminación ambiental (>70 μg/m3).

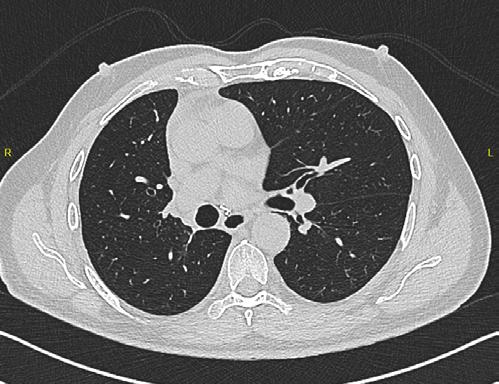
La TC de baja dosis, es la modalidad de imagen más utilizada como método de escrutinio para la detección de lesiones pulmonares, es un estudio rápido, que no requiere preparación previa. ESCANERS DE UN PACIENTE CON

Figura 1-4. Estudio de tomografía simple de tórax, con reconstrucción volumétrica, multiplanares con ventana para pulmón y en mediastino (, en donde se observa el nódulo pulmonar sólido de bordes lobulados hipodensos.

CASO CLÍNICO

Se presente al caso de un masculino de 80 años de edad que acude por presentar tos en estudio de 3 meses de evolución, sin datos de fatiga, como antecedente de importancia tabaquismo por lapso de 40 años a razón de 1 cajetilla y media diaria (exposición de 60 paquetes año), actualmente suspendido.

Se le realiza estudio de tomografía simple de tórax en donde se encontró en el segmento anterior del lóbulo inferior derecho nódulo sólido, con diámetro de 22mm, volumen de 2.9ml, condiciona disminución del bronquio segmentario, con secreciones endoluminales distales, de acuerdo a la clasificación de LUNG RADS con categoría 4B, alta sospecha de malignidad. Sin evidencia de lesiones nodulares en el resto del parénquima.

Posteriormente, se realiza estudio de PET-CT con 18FDG , con hallazgos de metabolismo asociado y SULmax de 2.0, se recomienda realizar biopsia.

Se realiza cirugía con lobectomía inferior derecha, con resultado histopatológico de tumor carcinoide atípico, se realiza seguimiento con tomografía simple de tórax sin complicaciones en el lecho quirúrgico.

Figura 5. Estudio de PET-CT con FDG que muestra hipercaptación del radiofármaco en el nódulo pulmonar, lo que traduce en metabolismo aumentado.

Figura 6. Estudio de seguimiento postlobotomía.

DISCUSIÓN

Los programas de tamizaje para cáncer de pulmón con TC de tórax de baja dosis, han demostrado disminuir la mortalidad, con una reducción de hasta 26% en algunas series.

El sistema LUNG RADS para la evaluación de nódulos pulmonares observados en TC de tórax de baja dosis, establece categorías del 0 al 4, dividiendo ésta última en 4A, 4B y 4X, en el caso de los nódulos 4B se establece que son nódulos sólidos con diámetro de 15 mm en el estudio basal o nódulos subsólidos con porción sólida de 8 mm, en la versión actualizada del 2022, se agregan quistes aéreos atípicos con engrosamiento mural o componente nodular mural. La recomendación para esta categoría es la realización de PET CT y/o toma de biopsia.

La estandarización del reporte y las recomendaciones para el seguimiento dadas por el sistema LungRADS permiten una sistematización del abordaje, estableciendo parámetros de sospecha de cáncer de pulmonar que permitan realizar el diagnóstico temprano, así como disminuir los falsos positivos y sobrediagnóstico del cáncer pulmonar.

CONCLUSIÓN

El cáncer pulmonar es la primera causa de muerte por cáncer en todo el mundo. Este tipo de cáncer ha aumentando su incidencia en los últimos años.

En nuestro país aún no se ha concretado una estrategia para establecer un programa nacional de tamizaje, el cual debe ir de la mano de la implementación de los diferentes avances en abordaje diagnóstico, quirúrgico y acceso a los

nuevos tratamientos que mejoran el pronóstico de esta enfermedad con alta mortalidad. El resultado favorable del presente caso hace evidente el impacto de los estudios de imagen, dentro de un sistema de abordaje escalonado y sistematizado que permite evidenciar la fortaleza y los retos actuales que se tienen para poder mejorar los resultados en el manejo del cáncer pulmonar.

BIBLIOGRAFIA

Azour, Lea, et al. «Combined Whole-Lesion Radiomic and Iodine Analysis for Differentiation of Pulmonary Tumors». Scientific Reports, vol. 12, n.o 1, julio de 2022, p. 11813. DOI.org (Crossref), https://doi.org/10.1038/s41598-022-15351-y.

Arrieta, Oscar, et al. «Lung Cancer in Mexico». Journal of Thoracic Oncology, vol. 14, n.o 10, octubre de 2019, pp. 1695-700. DOI.org (Crossref), https://doi.org/10.1016/j.jtho.2019.05.018.

Christensen, Jared, et al. «ACR Lung-RADS V2022: Assessment Categories and Management Recommendations». Journal of the American College of Radiology, vol. 21, n.o 3, marzo de 2024, pp. 473-88. DOI.org (Crossref), https://doi.org/10.1016/j.jacr.2023.09.009.

De Koning, Harry J., et al. «Reduced Lung-Cancer Mortality with Volume CT Screening in a Randomized Trial». New England Journal of Medicine, vol. 382, n.o 6, febrero de 2020, pp. 503-13. DOI.org (Crossref), https://doi.org/10.1056/NEJMoa1911793.

Martin, Maria D., et al. «RadioGraphics Update: Lung-RADS 2022». RadioGraphics, vol. 43, n.o 11, noviembre de 2023, p. e230037. DOI.org (Crossref), https://doi.org/10.1148/rg.230037.

DRA. SARAY BORJA MEDINA

DRA. SUSANA NÁPOLES MEDINA

CÁNCER DE MAMA

EL ENEMIGO A VENCER

En más de dos décadas el cáncer de mama ocupa el primer lugar como causante de muertes en mujeres a nivel mundial y esto tiene varias connotaciones a resaltar, no es solo el que existan un aumento en el número de casos, sino que se están haciendo más diagnóstico por el acceso a atención médica y a estudios que permiten hacer diagnósticos que en el mejor de los escenarios pueden ser oportunos y en otros tantos no desafortunadamente.

El conocimiento a nivel popular de este padecimiento se ha elevado gracias a las múltiples campañas que los países y sus dependencias de salud han implementado con las campañas que se difunden por muchos medios de comunicación por el mes internacional de prevención y atención del cáncer de mama que se instauró en octubre, resaltando la autoexploración como la oportunidad de que en su caso si se llega a palpar la presencia de alguna lesión acudan a revisión médica calificada para su análisis y estudios pertinentes, el tener algún antecedente familiar cercano o directo con este padecimiento, la indicación de realizar después de los 40 años el estudio de mastografía y ultrasonido de mama como controles anuales o bianuales según el caso y bajo la supervisión médica.

Todo esto ha contribuido para que los grupos de investigación médica aporten cada día nuevos conocimientos en el estudio de este cáncer, diagnósticos cada vez más oportunos, específicos y desde luego con tratamientos tanto quirúrgicos como farmacológicos de alta especialidad para disminuir la mortalidad y elevar la sobrevida con mejoría en la calidad de vida en las pacientes que sufren de este padecimiento que es y seguirá siendo muy importante.

El cáncer de mama en estados tempranos suele no causar síntomas, por lo que si se detecta se debe a los programas de salud encaminados a la prevención de este padecimiento que incluye los estudios comentados y la visita con el

médico especialista, es importante mencionar que cualquier síntoma que se presente en las mamas sin importar la edad debe ser tomado en cuenta por la paciente y por el médico, el diagnóstico oportuno ha mostrado que disminuye las tasas de mortalidad siendo uno de los factores que mejores resultados muestran., los más frecuentes son; presencia de tumoración que es referida como “bolita en la mama”, cambio en el tamaño de la glándula, zona de dolor, cambio de coloración, retracción del pezón, salida de algún líquido o material a través del mismo, dolor en las axilas así como fiebre y pérdida de peso.

La autoexploración ha sido investigada por muchos organismos internacionales y no ha demostrado beneficios en la disminución de la mortalidad sin embargo es uno de los factores primordiales para que la paciente acuda a la consulta.

La mastografía anual o bianual a partir de los 40 años y el ultrasonido de mama son los pilares para la presunción del diagnóstico oportuno de cáncer de mama, la Resonancia Magnética tiene su mayor aplicación cuando se requiere estudio en paciente jóvenes por las características de mayor densidad de la mama Ante la importancia de tener criterios estandarizados se creó un sistema de evaluación que aplica en prácticamente todo el mundo lo que ha permitido disminuir los errores en la interpretación y acceder a acciones diagnósticas más precisas es el sistema BI-RADS. (Breast Imaging Reporting and Data System). Los avances

en genética han permitido que con el estudio conocido como BRCA (Breast Cancer Gene) en sus diferentes modalidades muestran la predisposición que se puede tener para presentar cáncer de mama y/o cáncer de ovario y así ofrecer tratamientos curativos aun antes de presentar la enfermedad, la toma de biopsias ya sea con aguja fina, aguja gruesa o incisional dan la pauta para descartar o reafirmar el diagnóstico de cáncer de mama, la cirugía está encaminada a retirar el tumor para su clasificación histológica procurando ser conservadora en la medida de lo posible, la mastectomía total es la cirugía del retiro de la mama que se utiliza por la extensión y tipo de tumor con toma de muestra de ganglios de la axila, siendo curativa en alto porcentaje. Lo que determina el pronóstico de sobrevida en estas pacientes tiene que ver con aspectos hormonales y genéticos complejos que se le realizan al tumor para evaluar si la paciente va requerir quimioterapia o radioterapia para elevar la sobrevida y la posible curación completa.

La reconstrucción mamaria es otro gran avance que impacta en la vida cotidiana de las pacientes ya que les brinda seguridad personal, familiar y social.

El cáncer de mama sigue siendo un flagelo a vencer, mientras más se conozca de él más oportunidad habrá de atenderlo a tiempo con mejores resultados pero sin lugar a dudas la prevención es el armamento más importante con el que hay que enfrentarlo.

DR. MARTÍN TULIO

SANTA RITA ESCAMILLA

MÉDICO GINECO OBSTETRA

MEDICINA MATERNO FETAL

CIRUGÍA LAPAROSCÓPICA

EMBOLIZACIÓN DE MIOMAS

UTERINOS: UNA ALTERNATIVA A LA CIRUGÍA CONVENCIONAL

La radiología intervencionista es un área innovadora de la medicina que se encarga de solucionar problemas a través de procedimientos mínimamente invasivos. Realiza desde drenajes de líquido o tomas de biopsias, hasta procedimientos altamente complejos como embolizaciones tumorales intraarteriales. Esta rama de la medicina utiliza agujas, catéteres y guías para navegar a través de las arterias y venas para lograr llegar al sitio a tratar.

La embolización consiste en ocluir las arterias que nutren el tumor o el sitio a tratar. Este tratamiento ha sido altamente efectivo en pacientes oncológicos y en pacientes que presentan sangrados que no pueden ser controlados por otros métodos. Debido al alta de tasa de éxito clínico, este procedimiento se ha trasladado a múltiples padecimientos como los miomas uterinos.

Los miomas uterinos son crecimientos anormales de tejido fibroconectivo y muscular del útero, que puede presentarse hasta en el 70% de la población femenina. El 99% de los casos son benignos y suelen tener síntomas como aumento en la cantidad y frecuencia de la menstruación, sensación de plenitud abdominal, incrementos en la frecuencia y urgencia urinaria, dificultad para completar embarazos y estreñimiento. El tratamiento habitual es quirúrgico, ya sea retirar el útero o realizar una escisión en el útero para posteriormente retirarlos.

Gracias a los avances tecnológicos, hoy en día existe una alternativa de tratamiento mínimamente invasivo para las pacientes, con un éxito clínico mayor al 90%. A través de la introducción de un catéter y microcatéter por la arteria femoral y la guía fluoroscópica, podemos navegar hasta llegar a las arterias que alimentan a los miomas uterinos y embolizarlos con microesferas o micropartículas. Esto reduce de manera sustancial su tamaño y sintomatología. Es un procedimiento que dura aproximadamente 2 horas y únicamente un día de hospitalización, con riesgos de infección y sagrados mínimos. De igual forma, la cicatriz es mínima, menor a 0.5cm en el sitio de la punción de la arteria femoral.

La embolización de miomas uterinos es una alternativa efectiva y segura para el tratamiento de esta patología. Es una alternativa un tratamiento novedoso y revolucionario para solucionar un padecimiento con décadas de conocimiento.

DR. JORGE GUERRERO IXTLÁHUAC

NUTRICIÓN

Y FERTILIDAD

El día de hoy quiero hablar de un tema que considero muy importante y que es poco mencionado y por lo tanto no muy conocido por las mujeres que buscan embarazarse. El tema es la importancia que tiene la nutrición y el estilo de vida en la salud reproductiva de una mujer. Si eres una mujer que intenta embarazarse y no lo ha logrado, quédate porque esto es para ti. La infertilidad se define como la falla en lograr un embarazo después de 12 meses de sexo sin protección o por medio de inseminación artificial en mujeres menores de 35 años o después de 6 meses en mujeres mayores de 35 años. (1) Se ha visto que la infertilidad afecta alrededor del 15% de parejas a nivel mundial y a un 17.5% de parejas en México. (1,2)

Existen muchos factores por lo que una mujer no pueda embarazarse, algunos incluyen una baja reserva ovárica, una disfunción ovulatoria o anatómica, presentar algún tipo de condición como síndrome de ovario poliquístico o endometriosis o algún problema metabólico u hormonal. (3) La buena noticia es que muchos factores que se han asociado con la infertilidad son factores modificables relacionados con el tipo de alimentación, el sedentarismo, el consumo de sustancias, la composición corporal y el contacto con sustancias químicas como los famosos disruptores endócrinos.

¿Por qué es una buena noticia? Porque como mencioné, son factores modificables. Esto quiere decir que los podemos cambiar y mejorar. Se ha visto, que con simples cambios en alimentación y en estilo de vida las mujeres logran mejorar su salud reproductiva y en muchas ocasiones logran un embarazo exitoso.

Primero, comencemos con el pilar de estos factores modificables que es la alimentación. La alimentación es un factor importantísimo en cuestión de salud reproductiva. Si queremos aumentar la probabilidad de que una mujer logre embarazarse debemos mejorar su alimentación. Estudios

muestran que adherirse a un patrón de dieta saludable que incluya frutas, verduras, mariscos, carnes blancas y granos enteros mejora la fertilidad en mujeres y la calidad de semen en los hombres.(4) Ahora, te preguntarás, pero ¿cómo llevo una alimentación saludable? No te preocupes, te lo mencionaré a continuación. Primero que nada, es necesario incluir de 3 a 5 raciones de frutas y verduras al día. Procura que en tus tres comidas principales siempre incluyas algún tipo de verdura. Después, incluye granos enteros e integrales tales como arroz, pasta, frijoles, nueces, tortillas, entre otros. También debes incluir grasas saludables como aceite de oliva, de aguacate o algún aceite vegetal como canola o soya.

Intenta disminuir las grasas saturadas que vienen en productos animales y evita por completo las grasas trans que vienen generalmente en productos empaquetados como helados, galletas, entre otros. Por último, consume lácteos, pescados, pollo y de vez en cuando carnes rojas.

¿Qué alimentos debemos evitar? Todos los alimentos que son procesados como embutidos, galletas, helados, bollería, papas fritas, comida rápida, enlatados, etc. Esto es porque todos estos alimentos contienen altos contenidos de azúcares, grasas saturadas y trans y sodio. Mi recomendación es que siempre nos inclinemos hacia productos naturales y poco procesados.

En segundo lugar, tenemos la composición corporal. Refiriéndonos a que si presentamos bajo peso o un exceso de peso (sobrepeso u obesidad) existe un mayor riesgo de presentar infertilidad. Es importante acudir con un especialista en nutrición que te guíe hacia un peso saludable.

En tercer lugar, la actividad física. Mantenernos activos y hacer ejercicio es un pilar clave en la salud de un individuo y no es la excepción en una mujer que busque embarazarse. Se ha demostrado que, si una mujer practica con regularidad ejercicio, tiene una mayor probabilidad de em-

barazo. Por esto, es importante que por lo menos 3 veces por semana practiques algún tipo de ejercicio. Se recomienda ejercicio aeróbico como caminar, bicicleta, nadar y ejercicio de fuerza como pesas o pilates. Es importante que se incluyan los dos tipos de ejercicio en tu entrenamiento. Además, de mantenerse activo en el día. Esto quiere decir no pasar tanto tiempo sentados, caminar y subir las escaleras cuando sea posible hacerlo.

En cuarto lugar, se debe aprender a manejar el estrés por medio de técnicas de meditación, yoga o mindfulness.

En quinto lugar, se debe evitar exagerar de sustancias como el café y el alcohol y evitar por completo el tabaco.

Por último, les hablaré de los disruptores endócrinos. Son químicos que pueden limitar o alterar la acción de hormonas femeninas tales como bisfenol A (BPA), ftalatos, parabenos y percloratos, principalmente. Se encuentran sobre todo en materiales de plástico, latas, en el recubrimiento antiadherente de los sartenes y ollas, pesticidas y productos de higiene y de limpieza. Alteran la función hormonal de una mujer y causar daño disminuyendo la fertilidad. Se pueden ingerir de manera oral a través de frutas y verduras que fueron cultivadas con pesticidas o en alimentos que hayan tenido contacto con plásticos, latas o sartenes y ollas con teflón. También, por medio de contacto en la piel por medio de productos como champús, cremas o bloqueadores o en la casa con productos de limpieza.

¿Cómo podemos disminuir el contacto con estos químicos? Debemos comprar utensilios de cocina como sartenes, ollas y recipientes de plástico y latas que sean libres de BPA. Debe decir que el producto es libre de estos. Asimismo, preferir materiales de vidrio para almacenar y calentar

Disponible en: http://dx.doi.org/10.1097/aog.0000000000003272

2. Cabrera Cabrera A, Ramos Kuri M, Hernández Valdez P, Llaca García E. Tasas de éxito en clínicas de fertilidad. Med Etica [Internet]. 2020;31(2):245–65. Disponible en: http://dx.doi.org/10.36105/mye.2020v31n2.01

3. Zegers-Hochschild F, Adamson GD, Dyer S, Racowsky C, de Mouzon J, Sokol R, et al. The international glossary on infertility and fertility care, 2017. Hum Reprod [Internet]. 2017;32(9):1786–801. Disponible en: http://dx.doi.org/10.1093/humrep/dex234

4. Gaskins AJ, Chavarro JE. Diet and fertility: a review. Am J Obstet Gynecol [Internet]. 2018;218(4):379–89. Disponible en: http://dx.doi.org/10.1016/j. ajog.2017.08.010

ELISA MONTAÑO MORALES

NUTRIÓLOGA ESPECIALISTA EN NUTRICIÓN DE LA MUJER Y NUTRICIÓN CLÍNICA

MÁXIMA PROTECCIÓN SOLAR

CICATRIZACIÓN TODO LO QUE DEBES SABER

Cada año, cien millones de personas en el mundo desarrollado, adquieren cicatrices después de una cirugía electiva o un traumatismo. 15% de ellas desarrollan cicatrices excesivas o no estéticas, ello puede constituir una fuente de insatisfacción sobre todo cuando se trata de cirugías estéticas. Es interesante saber que el 91% de los pacientes que se someten a cualquier procedimiento electivo valoran el éxito de la cirugía en relación con su proceso de cicatrización.

Tanto pacientes como cirujanos, deseamos que la herida quirúrgica o traumática se transforme en un tejido regenerado cuyo aspecto y funcionalidad sea lo más cercano a la piel original y que esto ocurra además en un tiempo razonable.

Después de la cirugía la cicatrización es una gran fuente de inconformidad, y es que la cicatrización anormal o excesiva tiene las siguientes consecuencias:

1. FÍSICAS: Dolor, aumento en la sensibilidad, prurito (comezón), rigidez o contractura.

2. ESTÉTICAS.

3. PSICOLÓGICAS: Baja autoestima, ansiedad, depresión.

4. SOCIALES: Estigmatización, disrupción de actividades del día a día.

Existe un amplio espectro de la cicatrización cutánea:

1. LINEAR, MADURA: Una cicatriz fina lineal de color de la piel o más clara. La que consideramos como normal y exitosa.

2. HIPERTRÓFICA; Aparecen al mes de la lesión inicial, son cicatrices elevadas pero que se mantienen en los límites de la herida original, permanecen eritematosas (rojas) por un periodo aproximado de seis meses, generan prurito (comezón). Por lo general se estabilizan o muestran regresión después de un año.

3. QUELOIDE: Aparecen tres semanas o mes y medio después de la lesión en individuos predispuestos genéticamente, de descendencia africana, asiática o hispana. En esta, la cicatriz invade el tejido sano adyacente. Genera prurito, dolor, aumento en la sensibilidad, y sensación de quemazón.

Cada herida es diferente y las estrategias de manejo deben de adaptarse a cada caso, pero cada estrategia debe tener bases científicas claras. Actualmente estas estrategias van encaminadas a prevenir, modular o reducir el PROCESO INFLAMATORIO que se desencadena de manera natural en las primeras horas después de ocurrida una lesión.

La prevención debe ocurrir antes (preoperatorio), durante (transoperatorio) y después (postoperatorio) de la cirugía.

1. PREOPERATORIO

Existen factores de riesgo que deben evitarse o controlarse:

TABAQUISMO: El humo del tabaco contiene más de 4000 ingredientes de los cuales, la nicotina, el monóxido de carbono

y el cianuro de hidrógeno, son los más importantes ya que los tres disminuyen el aporte de oxígeno a la herida.

DIABETES: Es sabido que un nivel de glucosa mayor a 200 mg/dl está asociado a un mal resultado. El aporte de oxígeno está disminuido, hay disfunción de las proteínas encargadas de modular el proceso inflamatorio y el riesgo de infección es elevado.

INFECCIÓN: La proliferación bacteriana en el lecho de una herida produce periodos prolongados de inflamación.

NUTRICIÓN: Una cirugía o un traumatismo aumenta la demanda metabólica. Una herida con una superficie promedio de 3 cm cuadrados y una profundidad de 1 mm requiere 900 kcal para producir la colágena necesaria. Por lo que un estado nutricional adecuado es básico para una cicatrización satisfactoria.

FÁRMACOS: Los esteroides a pesar de que disminuyen el proceso inflamatorio, inhiben la producción de colágeno que es el principal componente de la cicatriz, provocando un aumento en la probabilidad de dehiscencia de la herida e infección.

RADIACIÓN: Este daña directamente al DNA de las células productoras del colágeno, los fibroblastos.

ANATOMÍA: Existen sitios del cuerpo en donde la cicatrización tiende a ser de mala calidad:

CABEZA: Mejillas, lóbulos de la oreja, detrás de la oreja, parte inferior del cuello y la zona detrás del cuello.

Miembros: Hombro, codo, rodilla, parte anterior de la pierna.

TÓRAX: Pecho, parte superior y media de la espalda.

EDAD: Las cicatrices anormales son frecuentes en pacientes de 10 a 30 años, principalmente durante la pubertad y la adolescencia.

EMBARAZO: Debido a los picos hormonales, el embarazo aumentó el riesgo de presentar una cicatriz hipertrófica.

COLOR DE LA PIEL: 4-16% de personas de descendencia hispana desarrollan cicatrices anormales, sobre todo queloides. Los pacientes de raza blanca, menos del 1%.

2. TRANSOPERATORIO

A. Posición de la herida: El cirujano deberá planear el sitio de la herida, sobre, o paralela a una línea natural de la piel, conocida como línea de menor tensión. Es mejor también, extender un poco más la incisión con el fin de no lastimar el tejido sano, y así lograr un mejor resultado.

B. En caso de traumatismo o infección: Retirar el tejido que no es viable (necrótico) y lavar las heridas con antisépticos suaves que reducen la carga bacteriana pero no lastiman el tejido.

C. Minimizar la tensión durante el cierre de la herida: Es el único y más importante factor modificable en la prevención de la cicatrización anormal. Cerrar la herida con tensión genera exceso en la cicatrización, ya que se perpetúa la respuesta inflamatoria y aumenta la producción de colágeno. Y los tejidos deben de manejarse de manera gentil y delicada.

D. Aporte de oxígeno (perfusión): Es responsabilidad del cirujano prevenir el mal o poco aporte local de oxígeno. El adecuado flujo sanguíneo a la herida es vital para el correcto aporte de oxígeno y nutrientes. Se deben evitar situaciones que lo disminuyan como la hipovolemia (volumen bajo de sangre), medicamentos que cierren los vasos sanguíneos y el frío.

E. Tiras adhesivas: El uso de estas sobre la línea de la herida suturada, durante una o dos semanas, disminuyen la tensión y el movimiento de la piel hacia los lados, promoviendo una mejor cicatrización.

F. Oclusión: Una vez iniciado el proceso de cicatrización, el agua de las heridas se evapora de manera rápida. Mantener cubiertas las heridas (no infectadas) previene el exceso de cicatrización, restableciendo la barrera de agua.

3. POSTOPERATORIO

A. Evitar la exposición solar: Se recomienda el uso de bloqueadores solares dos semanas después del evento quirúrgico o traumático para evitar la hiperpigmentación de la cicatriz.

B. Uso de láminas de gel de silicón: Ocluyen la herida y como ya se explicó, restablecen la barrera de agua en la cicatriz, previniendo el exceso de colágeno en la misma.

C. Gel de silicón: Existen varias marcas comerciales y se recomiendan en partes del cuerpo en donde es difícil aplicar las láminas adherentes.

D. Pantenol 5%: Ayuda a restaurar la barrera cutánea procurando hidratación y previniendo infección.

E. Flavonoides: Tienen propiedades antiinflamatorias, e inhiben la proliferación de las células productoras de colágeno (fibroblastos).

F. Pirfenidona: Modula la liberación de sustancias proinflamatorias y profibróticas (producción de colágeno)

G. Emolientes: Reducen la incomodidad, el dolor, la rigidez y el prurito.

H. Toxina botulínica A: Inyecciones de dosis pequeñas reducen la tensión de la cicatriz, disminuyendo el riesgo de una cicatriz hipertrófica.

I. Presoterapia: El uso de prendas de compresión como mangas, guantes o chalecos reducen el aporte sanguíneo y la llegada de sustancias proinflamatorias y de producción de colágeno.

J. Masaje: Se recomienda después de la segunda semana, reduce la inflamación y remodela el acúmulo de colágeno.

K. Triamcinolona: El uso de este esteroide inyectado directamente en la cicatriz, está limitado a médicos expertos en su aplicación, tiene una respuesta del 50 al 100% para cicatrices hipertróficas y queloides, gracias a su efecto antiinflamatorio y antiproliferativo.

L. Crioterapia: El nitrógeno líquido administrado a través de una aguja directo en la cicatriz durante 10 a 20 segundos, en dos sesiones tiene un efecto benéfico en un 75% sobre todo en cicatrices hipertróficas.

M. Láser: El láser de colorante pulsado (PDL), mejora un 26 a 56% el aspecto de las cicatrices hipertróficas, el porcentaje es menor en cicatrices queloide.

N. Cirugía: Si una cicatriz permanece activa (roja, dura, dolorosa) y no se estabiliza después de un año, se recomienda el retiro quirúrgico de la misma, esto solo para cicatrices hipertróficas, si una cicatriz queloide se retira con cirugía sin agregar un tratamiento complementario, 70 a 100% recurren y se hacen de mayor tamaño.

Ñ. Radioterapia: Esta debe sin lugar a duda, acompañar a la cirugía de retiro de una cicatriz queloide para evitar su recurrencia.

DRA. BLANCA EUGENIA DUFFY VERDURA

CIRUGÍA PLÁSTICA Y RECONSTRUCTIVA

POR IMAGEN PARKINSON ENFERMEDAD DE

CARACTERÍSTICAS PRINCIPALES Y LOS MÉTODOS

INTRODUCCIÓN

DIAGNÓSTICOS

La enfermedad de Parkinson (EP) es una enfermedad neurodegenerativa crónica y progresiva, afecta principalmente al sistema nervioso central. Es el segundo trastorno neurodegenerativo más común después de la enfermedad de Alzheimer, y afecta al 3% de la población >65 años, aumentado la incidencia con la edad.(1) Se estima que cada año se diagnostican 60 000 nuevos casos. En 2003 se produjeron casi 18,000 muertes relacionadas con la EP tan solo en Estados Unidos(2).

Clínicamente se manifiesta por trastornos del movimiento caracterizados por temblores, rigidez, dificultad para caminar y problemas de equilibrio. Fisiopatológicamente existe pérdida de neuronas productoras de dopamina en la sustancia negra del cerebro, que lleva a la aparición de síntomas motores y no motores característicos (3)

El objetivo de esta publicación es presentar el abordaje de un paciente adulto con sospecha clínica de EP, así como la importancia y aporte al diagnóstico de los métodos de imagen con mayor sensibilidad en la detección de esta enfermedad.

CASO CLÍNICO

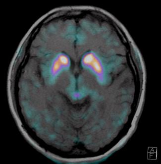
Femenino de 65 años, antecedente de hipertensión arterial de 20 años de evolución en control. Sin antecedentes familiares relevantes de enfermedades neurológicas. Acudió a consulta médica por deterioro progresivo en su capacidad motora y dificultades en las actividades diarias. Desde hace 2 años ha notado cambios en su marcha y en su habilidad para realizar movimientos finos con las manos principalmente del lado izquierdo, rigidez muscular, temblor en reposo siendo mayor del lado izquierdo y dificultad para iniciar y mantener el movimiento, especialmente al levantarse de una silla o al comenzar a caminar. Además, los familiares han observado que tiene una expresión facial inexpresiva y que su voz se ha vuelto más monótona. A la exploración física con expresión facial inexpresiva, temblor de reposo bilateral en manos de predominio izquierdo, rigidez muscular generalizada, más pronunciada en las extremidades superiores, bradicinesia evidente en la realización de movimientos finos de las manos, marcha festinante con pasos cortos y arrastrando los pies, reflejos osteotendinosos normales, no se observan déficits sensoriales. Se realiza adicionalmente la escala de Evaluación de la Enfermedad de Parkinson (UPDRS) con un total de 35 puntos, indicando moderada afectación de la enfermedad. Inicialmente se realiza una tomografía simple de cráneo, sin alteraciones estructurales, al no encontrar algún hallazgo se decide realizar posteriormente Resonancia Magnética Cerebral 1.5 Tesla: sin alteraciones estructurales significativas. Por este motivo y ante la alta sospecha clínica se realiza estudio de imagen molecular PET-RM con 6-[18F] FDOPA en equipo 3 Tesla en el cual se observa la disminución de la captación de la 6-[18F]FDOPA a nivel de putamen y caudado de predominio derecho evidenciando la degeneración dopaminérgica nigro presináptica a este nivel, con un patrón tipo 2 (Egg shaped) así como la mala definición de nigrosoma, estos hallazgos compatibles con enfermedad de parkinson. (Figura 1 y 2)

DISCUSIÓN

Actualmente, el diagnóstico del Parkinson se basa principalmente en métodos convencionales que incluyen: -Presencia de 2 de los 3 síntomas principales, con ausencia

axial fusionada de PET-RM 3T con

con disminución de la captación del radiotrazador a nivel de ambos putámenes en la región posterior y media de predominio derecho así como disminución en el caudado ipsilateral.

2. Reconstrucción tridimensional avanzada de imagen híbrida PET-RM 3T con 6-[18F]FDOPA observando disminución de la captación del radiotrazador a nivel de ambos putámenes en la región posterior y media así como en el núcleo caudado derecho.

Figura 1. Imagen
6-[18F]FDOPA
Figura

Figura 3. Reconstrucción mediante imagen molecular de imagen híbrida PET-RM 3T con 6-[18F] FDOPA observando disminución de la captación del radiotrazador a nivel de ambos putámenes en la región posterior, media y anterior así como en ambos núcleos ca dados de predominio derecho.

Figura 4. Reconstrucción mediante imagen molecular de imagen híbrida PET-RM 3T con 6-[18F]FDOPA observando captación adecuada y conservada del radiotrazador en el cuerpo estriado (ambos putámenes y núcleos caudados) en un paciente negativo para enfermedad de parkinson.

REFERENCIAS

de otros signos neurológicos durante el examen, -Sin antecedentes de uso de medicamentos tranquilizantes, traumatismo craneoencefálico o accidente cerebrovascular, -Capacidad de respuesta a los medicamentos para el Parkinson, como la levodopa. (3,4)

En cuanto al campo de los estudios de imagen convencional y de laboratorio no existe alguna prueba que pueda confirmar la enfermedad. Sin embargo, las imágenes de diagnóstico por métodos de imagen molecular del tipo no invasivas, como la tomografía por emisión de positrones (PET) en conjunto con un resonador de 3 tesla (RM 3T), pueden respaldar el diagnóstico de un médico, actualmente éste método tiene una sensibilidad diagnóstica de 95.4%, especificidad 100%, valor predictivo positivo del 100% y valor predictivo negativo del 87.5%. (5,6)

El tratamiento se dirige principalmente a iniciar la terapia con levodopa y carbidopa para controlar los síntomas motores, derivar al paciente a un especialista en neurología y trastornos del movimiento para un seguimiento más específico y ajuste del tratamiento, terapia física y ocupacional para ayudar a mantener la funcionalidad y calidad de vida. (3,4)

CONCLUSIONES

La enfermedad de parkinson es una enfermedad neurodegenerativa con afectación principalmente motora (temblor, rigidez y acinesia) de sospecha y diagnóstico clínico, ante la limitación de los estudios de laboratorio y métodos de imagen convencional para el diagnóstico toman gran relevancia las técnicas de imagen molecular no invasivas como el PET-RM y PET-CT con 6-[18F]FDOPA que cuentan con gran sensibilidad y especificidad para respaldar o descartar el diagnóstico médico ante la sospecha de la enfermedad de parkinson y algunas otras enfermedades del trastorno del movimiento.

Kalia, L. V., & Lang, A. E. (2015). Parkinson’s disease. The Lancet, 386(9996), 896-912.

Ascherio, A., & Schwarzschild, M. A. (2016). The epidemiology of Parkinson’s disease: risk factors and prevention. The Lancet Neurology, 15(12), 1257-1272.

Parkinson’s Disease Symptoms, Diagnosis and Treatment. (s. f.). https://www.aans.org/en/Patients/Neurosurgical-Conditions-and-Treatments/ Parkinsons-Disease. Enfermedad de Parkinson - Diagnóstico y tratamiento - Mayo Clinic. (2023, 2 agosto). https://www.mayoclinic. org/es/diseases-conditions/parkinsons-disease/diagnosis-treatment/drc-20376062

Ibrahim, N., Kusmirek, J., Struck, A. F., Floberg, J. M., Perlman, S. B., Gallagher, C., & Hall, L. T. (2016). The sensitivity and specificity of F-DOPA PET in a movement disorder clinic. American Journal of Nuclear Medicine and Molecular Imaging, 6(1), 102

Poewe, W., Seppi, K., Tanner, C. M., Halliday, G. M., Brundin, P., Volkmann, J., & Lang, A. E. (2017). Parkinson disease. Nature reviews Disease primers, 3(1), 1-21.

TRATAMIENTO REZUM PARA LA PRÓSTATA

La hiperplasia benigna (HPB) es el nombre que recibe el agrandamiento excesivo de la próstata. Se trata de un problema que afecta a un alto porcentaje de la población en edades avanzadas, siendo muy extraño desarrollarlo antes de los 50 años. El agrandamiento de la próstata suele causar varios problemas miccionales, infecciones importantes y dolores muy incómodos.

¿EN QUÉ CONSISTE EL SISTEMA REZUM?

El Sistema Rezum, utiliza la energía del vapor de agua, siendo el tratamiento menos invasivo para solucionar la hiperplasia benigna de próstata. Mediante esta técnica, se inyecta en la glándula prostática del paciente el vapor de agua que, al generar energía térmica, permite eliminar el tejido sobrante de la próstata.

Al devolver a la próstata a su tamaño normal, se pone solución a la obstrucción de la orina, disminuyendo progresivamente los problemas mencionados anteriormente.

VENTAJAS:

• Se preserva por completo la función sexual masculina, incluida la eyaculatoria.

• Es un procedimiento rápido y mínimamente invasivo (entre 30 minutos y una hora).

• Se realiza sin anestesia general.

• No es necesaria la hospitalización.

• La recuperación es rápida y provoca menos molestias que las ocasionadas con otros procedimientos.

¿EN QUÉ PACIENTES SE INDICA?

• Síntomas obstructivos, (micción en 2 tiempos, micción nocturna, vaciado incompleto, chorro débil, goteo y urgencia miccional, etc.)

• Próstatas mayores a 30 gr y menores a 80 gr

• Que no quieran recibir medicación por sus efectos indeseables (hipotensión, eyaculación retrograda, disfunción eréctil, etc) o que no toleren la misma por sus efectos adversos.

• Pacientes que quieran una recuperación rápida y sin internación.

DR. SYLVAIN COLLURA
MERLIER
UROLÓGO ONCÓLOGO ESPECIALISTA EN CIRUGÍA ROBÓTICA

Nesajar

Tu Aliado Número 1 en la lucha contra la Colitis y el Síndrome de Intestino Irritable.

¿Sufres de malestares digestivos como dolor abdominal, distensión, gases o cambios en tus hábitos intestinales?

Millones de personas en todo el mundo lidian con condiciones como la colitis y el Síndrome de Intestino Irritable (SII) a diario. Sin embargo, hay esperanza y solución para aquellos que buscan alivio efectivo.

Nesajar, es tu aliado en el manejo de la colitis y el SII. Nesajar es una fórmula innovadora en cápsula de gelatina blanda en presentación de 16 y 32 cápsulas, que actúa en minutos diseñado para brindar un rápido alivio rápido y efectivo, gracias a su combinación única de ingredientes activos.

¿Qué es la colitis y el síndrome

de intestino irritable?

La colitis y el síndrome de intestino irritable son trastornos gastrointestinales comunes que afectan la calidad de vida de quienes los padecen. La colitis, una inflamación del colon, puede causar síntomas como diarrea, sangrado rectal, dolor abdominal y fatiga. Por otro lado, el síndrome de intestino irritable se caracteriza por dolor abdominal, cambios en los hábitos intestinales y distensión abdominal, sin que haya una causa orgánica identificable.

Ambos trastornos pueden afectar significativamente la vida diaria de quienes los experimentan, interfiriendo con el trabajo, las relaciones y las actividades cotidianas.

Nesajar, el número 1 en la lucha contra la colitis.

Nesajar ofrece una solución integral para aquellos que buscan alivio de los síntomas molestos asociados con la colitis y el SII. Su fórmula única en cápsula blanda e inconfundible color rojo combina dos ingredientes activos clave:

Pinaverio: Actúa como un espasmolítico, ayudando a relajar los músculos del intestino y reduciendo así el dolor abdominal y los calambres asociados con la colitis y el SII.

Dimeticona: Esta sustancia tiene propiedades antiflatulentas, lo que significa que ayuda a reducir la formación y la acumulación de gases en el tracto gastrointestinal, aliviando la sensación de hinchazón y malestar abdominal.

Beneficios de Nesajar:

Conclusión:

Alivio rápido y efectivo del dolor abdominal y los calambres.

Reducción de la distensión abdominal y la sensación de hinchazón.

Mejora de los hábitos intestinales irregulares, como la diarrea o el estreñimiento.

Fórmula segura y bien tolerada, adecuada para uso a largo plazo bajo la supervisión de un profesional de la salud.

Nesajar es un antiespasmódico, regulador de tránsito intestinal y supresor de gases en cápsula blanda, que actúa contra los síntomas de dos de los trastornos digestivos más comunes: la colitis y el SII (síndrome de Intestino Irritable).

Si estás cansado de lidiar con los síntomas molestos de la colitis y el SII, Nesajar puede ser la solución que has estado buscando. Nesajar ofrece alivio rápido y duradero para ayudarte a retomar el control de tu salud digestiva y disfrutar de una vida plena y activa.

No dejes que la colitis y el síndrome de i Ntesti No irritable te detengaN.

Con Nesajar, si la vida no para, tú tampoco. Recuerda siempre consultar a tu médico.

¿CÓMO EVITAR LA MUERTE SÚBITA EN EL DEPORTE?

Uno de los primeros casos documentados de muerte súbita en el deporte se remonta a la antigua Grecia con el soldado Filipides. Filipides corrió aproximadamente 42 kilómetros desde la ciudad de Maratón hasta Atenas para anunciar la victoria griega sobre los persas. Según la leyenda, tras entregar su mensaje, colapsó y murió, probablemente debido a un evento cardíaco agudo causado por el esfuerzo extremo.

En la actualidad, la muerte súbita en el deporte sigue siendo un problema significativo. Según estudios recientes, la incidencia de muerte súbita cardíaca entre atletas jóvenes (de 12 a 35 años) se estima en aproximadamente 1 por cada 50,000 atletas al año. Sin embargo, esta cifra puede variar según el tipo de deporte y la población estudiada.

La muerte súbita en el deporte es particularmente alarmante debido a varias razones: su imprevisibilidad, el impacto emocional en la comunidad y su prevalencia no despreciable. Aunque no es común, cada caso resalta la necesidad de mejores medidas preventivas.

En los últimos años, la cardiología del deporte ha tomado una importancia creciente. Esta especialidad se enfoca en identificar a aquellos deportistas con mayor riesgo de sufrir un infarto al miocardio, arritmias cardíacas u otras enfermedades relacionadas que podrían llevar a una muerte súbita. Los cardiólogos del deporte utilizan técnicas avanzadas para evaluar el riesgo cardiovascular de los atletas y proporcionar estrategias para mitigar estos riesgos.

La prevención es la clave para reducir el riesgo de muerte súbita en el deporte. Algunos pasos esenciales incluyen una historia clínica

La muerte súbita se define como un cese inesperado de la actividad cardíaca que lleva a la pérdida de conciencia y, si no se trata de inmediato, te lleva a la muerte. Esta condición puede ocurrir en personas aparentemente sanas, y es particularmente preocupante en el ámbito deportivo, donde la demanda física es alta.

completa que incluya antecedentes familiares de enfermedades cardíacas y síntomas como dolor torácico, desmayos o palpitaciones. Los chequeos médicos regulares pueden detectar signos de condiciones cardíacas subyacentes que podrían predisponer a la muerte súbita.

Un electrocardiograma (ECG) puede detectar anomalías en el ritmo cardíaco que podrían indicar un riesgo elevado de eventos cardíacos. Un ecocardiograma permite visualizar la estructura y función del corazón, identificando posibles anomalías como la miocardiopatía hipertrófica, una de las principales causas de muerte súbita en atletas jóvenes. Las pruebas de esfuerzo evalúan cómo responde el corazón al ejercicio y pueden revelar problemas que no son evidentes en reposo. En pacientes especiales, se realizan angiotomografías y resonancia magnética cardíaca para una evaluación más detallada.

La educación y preparación también son fundamentales. Todos los entrenadores, personal de apoyo y, en lo po-

sible, los atletas, deben estar capacitados en reanimación cardiopulmonar (RCP) y el uso de desfibriladores automáticos externos (DEA). Tener DEAs accesibles en instalaciones deportivas puede salvar vidas al proporcionar una desfibrilación inmediata en caso de un evento cardíaco.

El tratamiento más importante es la prevención cardiovascular, que incluye el control de colesterol y glucosa, el manejo adecuado de la hipertensión y la evitación del tabaco. Adoptar hábitos de vida saludables y realizar chequeos médicos periódicos son medidas esenciales para reducir el riesgo de eventos cardíacos en deportistas.

En conclusión, la muerte súbita en el deporte es una tragedia que puede afectar a cualquier atleta, independientemente de su aparente estado de salud. Sin embargo, con medidas preventivas adecuadas, incluyendo chequeos médicos regulares y educación en primeros auxilios, es posible reducir significativamente el riesgo. La prevención es esencial y puede marcar la diferencia entre la vida y la muerte en estos casos.

DR. RICARDO

ESCANDÓN MARTÍNEZ

CARDIÓLOGO

¿CÓM DETECTAR

UNA ENFERMEDAD VASCULAR A TIEMPO?

La enfermedad vascular cerebral (EVC) es la séptima causa de muerte en México, ocasionando más de 37 mil muertes al año y es la primera causa de discapacidad en personas adultas a nivel mundial.

El EVC es una emergencia médica que debe identificarse en los primeros minutos para poder atenderse de manera oportuna y así evitar secuelas irreversibles, hasta la muerte, dado que cada minuto que transcurre en un EVC se mueren millones de neuronas.

Las personas que obtienen tratamiento dentro de las primeras 3 horas, tienen menos probabilidad de morir o de terminar con una discapacidad importante, por ello es importante poder identificar cuando una persona está sufriendo un EVC, y eso se puede hacer en cualquier lugar en la casa, trabajo, o en la calle.

¿QUÉ ES UN EVC?

Primero es necesario entender que es un EVC para poder identificarlo. La enfermedad vascular cerebral se refiere a todos los trastornos repentinos que afectan el cerebro de forma transitoria o permanente, que provoca la muerte de las neuronas al no recibir oxígeno y nutrientes, y se clasifica en dos grupos: la isquemia y la hemorragia.

La isquémica representa el 85% de todos los EVC y es causado por la falta de aporte sanguíneo al cerebro por un bloqueo (a esté también se le conoce como infarto cerebral) y el hemorrágico representa en 15% y es ocasionado por la rotura de un vaso sanguíneo en el cerebro.

Lo más importante es que tú puedas identificar los síntomas más comunes de un EVC lo más rápido posible y trasladarlo a un centro de urgencias hospitalaria.

¿CÓMO PUEDES RECONOCER UN EVC?

Existen varias escalas para identificar un EVC de manera prehospitalaria, pero la escala FAST ha demostrado ser la mejor para evaluar rápidamente a un paciente con EVC fuera del hospital. FAST es una mnemotecnia por sus siglas en inglés:

• Face / cara: Debes pedirle a la persona que sonría mostrando los dientes o que saque la lengua y ver la simetría de ambos lados de la cara, si detectas que un lado de la cara se paraliza es probable que tenga una parálisis facial por un EVC.

• Arms / brazos: Debes pedirle a la persona que cierre los ojos y que eleve ambos brazos y los mantenga por 10 segundos, es importante ver si uno de los brazos se encuentra a un nivel más bajo que otro, si uno se debilita o si se cae es probable que tenga un EVC.

• Speech / habla: Debes de pedirle a la persona que repita una frase simple (por ejemplo: “perro viejo no aprende trucos nuevos” o “treinta y tres, treinta y tres, treinta y tres”) e identificar si hay problemas para pronunciar alguna palabra o que arrastre las palabras es probable que tenga un EVC.

• Time / tiempo: En caso de notar una alteración en alguno de los 3 puntos anteriores se debe de sospechar en un EVC y debe de solicitar ayuda de manera inmediata para trasladar a la persona a urgencias y recibir tratamiento lo más pronto posible.

Con solo tener 1 punto positivo tiene el 72% de probabilidad dei tener un EVC. El uso de está escala permite la identificación rápida y precisa de los pacientes con una alta sospecha de EVC. Lo más importante es mantener la calma, solicitar ayuda y actuar con rapidez, ya que cada minuto es de suma importancia y de está manera se puede salvar una vida y evitar secuelas a largo plazo.

BIBLIOGRAFIA

Choreño-Parra JA, Carnalla-Cortés M, Guadarrama-Ortíz P. Enfermedad vascular cerebral isquémica: revisión extensa de la bibliografía para el médico de primer contacto. Med Int Méx. 2019 enero-febrero;35(1):61-79. https://doi.org/10.24245/mim. v35i1.2212

Enfermedades cerebrovasculares. In: Ropper AH, Samuels MA, Klein JP, Prasad S. eds. Adams y Victor. Principios de Neurología, 12e. McGraw-Hill Education; 2023.

CEFALEA

¿CUÁNDO ACUDIR CON UN ESPECIALISTA?

La cefalea es el término médico designado para el dolor de cabeza. El dolor de cabeza es un síntoma que puede estar ocasionado por varias enfermedades, Según la Organización Mundial de la Salud (OMS) la cefalea tensional y la migraña ocupan el segundo y tercer puesto entre las enfermedades más discapacitantes. Así mismo la cefalea es el motivo más frecuente de consulta en neurología, la migraña y la cefalea tensional representan aproximadamente el 90% de estas. Las cefaleas se clasifican en primarias, cuando no hay una lesión que explique la génesis del dolor como en la migraña, y secundarias cuando existe una lesión estructural la cual es la causa del dolor como en un tumor cerebral. Es importante clasificar e identificar el origen de la cefalea ya que de esto dependerá el tratamiento, pronóstico y recuperación del paciente, por lo mismo se debe de aunar a profundidad en las características del dolor como inicio, duración, intensidad, tipo de dolor, predominio de horario, si presenta otros síntomas, si hay algún factor que modifique el dolor, y respuesta a tratamiento utilizado.

En la mayoría de los casos los pacientes inician algún tipo de tratamiento antes de visitar al médico como paracetamol, ácido acetil salicílico y demás medicamentos anunciados en medios de difusión, cuando no hay respuesta con estos medicamentos es cuando deciden acudir a un médico en el mejor de los casos ya que en algunas ocasiones el paciente se acostumbra a el dolor y piensa que es normal vivir con dolor de cabeza.

El médico de primera línea (médico general o familiar) deberá de instaurar un tratamiento basado en su experiencia y las gigas actuales, sin embargo al no tener respuesta a este tratamiento es cuando se deberá de considerar acudir con el especialista ya que la mayoría de las veces en lugar

de acudir con especialista simplemente se decide cambiar a otro médico para continuar un nuevo tratamiento, sin embargo esto retrasa el diagnóstico aparte del gasto económico que representa iniciar otro tratamiento completo. Es importante que se realice una valoración con especialistas del sistema nervioso ya que de esto depende que, además de un tratamiento adecuado y una mejor calidad de vida, se instaure un tratamiento oportuno cuando nos encontramos ante una cefalea secundaria y el dolor es ocasionado por una lesión estructural llámese tumor cerebral, malformación vascular, aneurisma cerebral, entre otras causas.

¿CUÁNDO VISITAR A UN ESPECIALISTA?

1.- Cuando se ha recibido tratamiento por un médico y los síntomas no mejoran.

2.- Cuando es un dolor recurrente y el cual mejora por un periodo pero regresa con la misma intensidad.

3.- Cuando el dolor va en aumento e incluso incapacita las actividades diarias.

4.- Cuando se acompaña de algún síntoma neurológico como alteración del lenguaje o disminución de la fuerza de alguna extremidad.

5.- Cuando existe el antecedente de un golpe en la cabeza.

6.- Cuando se realiza estudio de imagen (tomografía o resonancia) y se observa una lesión intracraneal.

CONCLUSION

No es normal vivir con dolor de cabeza, el retrasar el diagnóstico y tratamiento de la enfermedad causal son indispensables para salvaguardar la integridad y calidad de vida del paciente por tal motivo es de suma importancia acudir a cita con el médico especialista.

¿QUÉ QUEREMOS?

Generar conciencia sobre la importancia de la donación de órganos y tejidos en México, así como apoyar a las familias que necesitan este tipo de tratamientos médicos.

Buscamos generar una comunidad que apoye esta práctica, la promueva y crea en este proceso.

1. Infórmate.

2. Comunica tu decisión a tus familiares.

3. Regístrate como donador y REGALA VIDA.

SUPERANDO LOS DESAFÍOS DIARIOS

MÁS ALLÁ DE LA ENFERMEDAD CRÓNICA Y LA ESCUELA

Desde fuera, las aulas universitarias parecen unos simples espacios para impartir conocimientos y formar futuros especialistas. Pero dentro de estas ocupadas paredes se esconde una realidad compleja y variada: cada estudiante tiene su propia historia de lucha y progreso. Mi historia está particularmente marcada por los desafíos actuales de mi enfermedad intestinal crónica, una batalla silenciosa que ha dejado una profunda huella en mis experiencias académicas y personales.

Me despierto todas las mañanas sin saber cómo reaccionará mi cuerpo ese día. Me encontré con una fatiga abrumadora que a menudo me impidió alcanzar mis objetivos académicos. Estos son los días en los que el dolor de estómago se vuelve insoportable pero tengo que seguir adelante porque la vida universitaria no espera buena salud. Esto se refiere a ausencias frecuentes o fuertes dolo-

res de estómago mientras asisto a la escuela. Esto significa una reposición constante de electrolitos para evitar la deshidratación y tomar medicamentos varias veces al día para evitar la parálisis intestinal.

A pesar de estos desafíos, he aprendido a convertir cada obstáculo en una oportunidad de crecimiento. Esta enfermedad me ha obligado a administrar mi tiempo de manera más efectiva, priorizar tareas y reconocer cuándo necesito pedir ayuda (aunque a veces sea difícil). Cada día es una lección de resiliencia: estudiar mucho para aprobar un examen, recuperar las clases perdidas debido a una hospitalización o concentrarse cuando el dolor parece insoportable.

Desde que tengo memoria, muchos profesores le decían a mis padres que no llegaría muy lejos debido a mi enfermedad, creían que la escuela sería solo una pérdida de tiempo porque no podría estar siempre al pendiente de mis

estudios y mi salud. Este desafío ha sido una constante en mi vida, pero al final se convirtió en mi mayor motivación para alcanzar mis metas.

Durante mi carrera universitaria, conocí profesores compasivos y profesores insensibles a la realidad de las personas que enfrentan problemas de salud crónicos. Recuerdo vívidamente la confusión de algunos profesores, lo que generó más obstáculos, como que reprobara una materia por el tiempo de recuperación que requirió quitarme el intestino grueso. Pero también aprecio mucho a los profesores que no sólo comprendieron mis necesidades, sino que también me apoyaron activamente en el camino hacia graduarme.

A través de este proceso, he aprendido una lección invaluable: mi salud debe siempre estar en primer lugar. Aunque las materias, las calificaciones y los logros académicos son importantes, no se comparan a mi bienestar físico y emo-

KARIN BOES

cional. Esta nueva perspectiva me permite enfrentar cualquier desafío con una mentalidad más equilibrada y concentrarme en mi salud. Comprender que lo fundamental es estar viva, tener las habilidades necesarias para superar obstáculos y reconocer que mi inteligencia no se refleja en las calificaciones de las materias, sino en la superación de los desafíos y en cómo he crecido a través de ellos. Mi experiencia universitaria fue más que académica. Ha sido un viaje de autodescubrimiento y desarrollo de fortalezas que nunca imaginé. A través de las luchas de mi enfermedad, encontré una nueva determinación para lograr mis metas y un profundo aprecio por las pequeñas cosas bonitas de cada día. Al final del día, mi enfermedad crónica no define quién soy ni lo que he logrado. Esto es parte de mi historia, una historia de resiliencia, crecimiento y búsqueda continua de sueños académicos y personales.

ANEMIA

POR DEFICIENCIA DE HIERRO

La anemia se refiere a una disminución en la cifra de hemoglobina. Se define como:

< 13 g/dL

< 12 g/dL

¿CÓMO SABER SI TENGO ANEMIA?

Los síntomas y signos comunes en la anemia dependerán del grado de la misma, pero en términos generales se puede presentar:

• Cansancio.

• Mareos.

• Dolores de cabeza.

• Palpitaciones.

• Molestias en mucosa oral como ardor.

• Fatiga o falta de aire con el esfuerzo (inclusive en reposo cuando es más grave).

• Caída de pelo.

• Uñas quebradizas.

• Falta de concentración.

ANEMIA POR DEFICIENCIA DE HIERRO

Es la anemia más común en el mundo, sobre todo en mujeres en edad reproductiva (el embarazo y la menstruación), aunque también las pérdidas de sangre gastrointestinales, desnutrición y malabsorción son causa de este tipo de anemia. 2

Se diagnostica por medio de la biometría hemática, en donde comunmente encontraremos eritrocitos disminuidos y con un perfil de hierro, en donde se encuentran niveles bajos de hierro junto con índice de saturación bajo y ferritina, también disminuída junto con capacidad de fijación de hierro elevada.3

Es fundamental determinar la causa de la deficiencia de hierro además de iniciar tratamiento de sustitución.2

La reposición de hierro se puede hacer vía oral o bien, vía parenteral en las personas que no toleren o no absorban adecuadamente el hierro oral. Se debe ver un aumento en la hemoglobina en las siguientes 2-4 semanas al inicio de tratamiento. Teóricamente, 500 mg de hierro absorbido debería de ser suficiente para aumentar la Hb en al menos 2 g/dl. Se deben de tomar en consideración en los pacientes que no responden al tratamiento oral que se continúe con pérdida sanguínea, malabsorción, mal apego al tratamiento.

FALLA AL TRATAMIENTO ORAL

Los pacientes con anemia por deficiencia de hierro en general presentan una mejoría en la cuenta de reticulocitos en los primeros 3-7 días del tratamiento, seguido de un aumento en la Hb en las siguientes 2-4 semanas. Sin embargo, en ocasiones, el aumento de la hemoglobina no es el esperado con el tratamiento de sustitución oral. Teóricamente, 500 mg de hierro absorbido debería de ser suficiente para aumentar la Hb en al menos 2 g/dl. Se deben de tomar consideraciones en los pacientes que no responden al tratamiento oral (p. ej. que el paciente continúe sangrando, mala absorción, revalorar el diagnóstico o mal apego al tratamiento).

TABLA 1. PREPARACIONES COMUNES DE HIERRO ORAL

TRATAMIENTO CON HIERRO INTRAVENOSO

El hierro parenteral está indicado cuando las pérdidas sanguíneas superan la capacidad de absorción del hierro, malabsorción, o que el tratamiento oral no sea suficiente o que sea poco tolerado. Existen varias presentaciones disponibles de hierro intravenoso: hierro sucrosa, gluconato férrico, carboximaltosa ferrica, hierro isomoltoside-1000, ferumoxytol, hierro dextran (de bajo peso molecular). 4

TABLA 2. ABSORCIÓN ORAL DEL HIERRO

EFECTOS EN LA ABSORCIÓN DEL HIERRO

INHIBE LA ABSORCIÓN

Café, té, cereal, leche, fibra, bebidas carbonadas que contengan fosfato. Multivitamínicos que contengan Calcio, Zinc, Magnesio o Cobre. Antiácidos, bloqueadores H2, inhibidores de la bomba de protones, quinolonas, tetracicilinas.

FACILITA LA ABSORCIÓN

Vitamina C, comidas ácidas, tabletas sin capa entérica, toma de los suplementos de hierro en ayuno.

YVETTE NEME YUNES HEMATÓLOGA

REFERENCIAS:

1. Moya Arnao M, Blanquer Blanquer M, Moraleda Jiménez JM. Anemias carenciales. Med [Internet]. 2016;12(20):1136–47. Available from: http://dx.doi.org/10.1016/j.med.2016.10.002

2. Indivualized treatment for iron deficeincy anemia.

3. New insights in iron deficeincy

4. Iron Anemia Lancet

La calidad de imagen excepcional el procesamiento rápido y el tamaño reducido dejan en claro qué camino tomar. Con Senographe Nova de GE Healthcare, es hora de que ingrese a una nueva era de mamografía digital: rápida, simple y accesible.

El Futuro de la Mamografía con el Senographe Nova de GE

En Laboratorios Arquímedes & Dorsch, nos enorgullece presentar nuestro nuevo equipo de mamografía: el Senographe Nova de GE. Con un avanzado sistema diseñado para ofrecer la mejor tecnología en diagnóstico mamográfico, proporcionando imágenes de alta calidad y una experiencia mucho más cómoda para nuestras pacientes.

Ventajas del Senographe Nova:

Imágenes de Alta Definición Mayor Comodidad Detección Temprana

La forma rápida, fácil y económica de tener una mamografía digital con los beneficios de un Producto premium GE de primera clase.

Turn static files into dynamic content formats.

Create a flipbook
Issuu converts static files into: digital portfolios, online yearbooks, online catalogs, digital photo albums and more. Sign up and create your flipbook.