
La importancia de la salud mental en la lucha contra el CÁNCER INFANTIL.

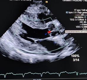
¿QUÉ ES UN ECOCADIOGRAMA?
El ultrasonido del corazón.
NUTRICIÓN Y CARDIOLOGÍA
Cuidar de tu alimentación es cuidar tu corazón.








![]()

La importancia de la salud mental en la lucha contra el CÁNCER INFANTIL.

¿QUÉ ES UN ECOCADIOGRAMA?
El ultrasonido del corazón.
NUTRICIÓN Y CARDIOLOGÍA
Cuidar de tu alimentación es cuidar tu corazón.








Ana Karen Díaz Martínez
Directora General
Valeria
Díaz Martínez
Directora Comercial
José Manuel Zurita García de Alba
Director Editorial
Dr. Ricardo Escandón Martínez
Colaborador Especial
¡PROMUEVE TU LÍNEA FARMACEÚTICA EN LOS MEJORES HOSPITALES PRIVADOS



EN NUESTRAS REDES SOCIALES
Revista Solución Médica
@revista.solucionmedica
Revista Solución Médica
@solucionmedica

Estenosis Aórtica
Dr. Ricardo Escandón Martínez
¿Qué es un ecocardiograma?
Dra. María Lucía Oliveros Ruiz
¿Qué hacer si presencias un paro cardiaco en la calle?
Dr. Uriel Encarnación Martínez
Nutrición y Cardiología
LCN. Martha Graciela Sánchez Jerez
Enfermedad de Parkinson
Dr. Uvi Cancino
Efectos adversos por el uso de vapeadores
Dra. Alejandra Laura Castañón Pérez Allende
Diabetes Mellitus, un reto global para el Siglo XXI
Dr. Guillermo Torres Noguez
Crecimiento Prostático
Dr. Carlos Alberto González Espinosa
Hernia umbilical y epigástrica
Dr. Mario Caneda Mejía
La importancia de la salud mental en la lucha contra el cáncer infantil
Aquí Nadie Se Rinde I.A.P.
Somos una empresa amigable con el medio ambiente. Bolsa 100% biodegradable. Revista 100% reciclable. ventas@revistasolucionmedica.com
Impreso por Grupo Editorial DM México, S.A. de C.V., Dirección: Periférico Sur 4349, Local 4-12, Municipio Tlalpan, Colonia Jardines de la Montaña, C.P. 14210. CDMX.
Distribuida por Grupo Editorial DM México, S.A. de C.V., Dirección: Periférico Sur 4349, Local 4-12, Municipio Tlalpan, Colonia Jardines de la Montaña, C.P. 14210. CDMX.

¡SUSCRÍBETE A NUESTRA REVISTA DIGITAL!
Reserva de Derechos al Uso Exclusivo No. 04-2023-080310203300-102, otorgado por el Instituto Nacional del Derecho de Autor.
Número de Certificado de Licitud de Título y de Contenido (en trámite). Certificado FSC-C1131999
SOLUCIÓN MÉDICA, año 3, No. 6, febrero 2025 - marzo 2025, es una publicación bimestral editada por Grupo Editorial DM México, Periférico Sur 4349, Local 4-12, Municipio Tlalpan, Colonia Jardines de la Montaña, C.P. 14210. CDMX. www.revistasolucionmedica.com Editor responsable José Manuel Zurita García de Alba. Responsable de la última actualización de este número, Grupo Editorial DM México, Periférico Sur 4349, Local 4-12, Municipio Tlalpan, Colonia Jardines de la Montaña, C.P. 14210. CDMX. Fecha de última modificación 31 agosto 2024.
Queda prohibida la reproducción parcial o total, modificación, distribución, transmisión, re-publicación, exhibición o ejecución de lo contenido en esta obra, incluyendo cualquier medio sin la debida autorización por escrita de Grupo Editorial DM México, S.A. de C.V., en términos de la legislación autoral y, en su caso, de los tratados internacionales aplicables, la persona que infrinja esta disposición se hará acreedora a las sanciones correspondientes.
El contenido de los artículos, así como de los anunciantes y proveedores refleja única y exclusivamente el punto de vista de su autor. Los contenidos, promociones y materiales de los mismos son responsabilidad de su autor. Todos los materiales publicitarios que contengan alguna imagen o material que requiera de alguna licencia, serán responsabilidad de su autor o de la empresa anunciada. Grupo Editorial DM México, S.A. de C.V. se deslinda de cualquier responsabilidad en los materiales publicitarios elaborados por las distintas marcas que aparecen en esta publicación. Todos los nombres, marcas, diseños, fotografías, etc. Registrados o no, propias o de terceros son responsabilidad del anunciante. Hecho en México. Esta revista utiliza tipografías Helvetica Neue, Sofia Sans, Sofia Pro y Zilla Slab diseñadas para una mejor lectura.


La estenosis aórtica es una enfermedad del corazón en la que la válvula aórtica se estrecha, dificultando el flujo sanguíneo desde el corazón hacia el resto del cuerpo. Esta condición puede provocar síntomas como fatiga, dificultad para respirar y dolor en el pecho. En casos severos puede llevar a insuficiencia cardíaca y poner en riesgo la vida.
Las válvulas cardíacas son estructuras dentro del corazón que regulan el flujo de sangre aseguran que esta circule en una sola dirección. Hay cuatro válvulas en el corazón: mitral, tricúspide, pulmonar y aórtica. Cada una se abre y se cierra en el momento adecuado para permitir que la sangre fluya correctamente entre las cavidades cardíacas y hacia el resto del cuerpo. Cuando una de estas válvulas no funciona adecuadamente, como en el caso de la estenosis aórtica, el corazón debe esforzarse más para bombear la sangre, lo que puede llevar a complicaciones graves.
La válvula aórtica es la encargada de permitir el paso de la sangre desde el corazón hacia la arteria aorta, que distribuye la sangre al resto del cuerpo. Cuando esta válvula se estrecha, el corazón debe hacer un esfuerzo mayor para bombear la sangre, lo que con el tiempo puede debilitar el músculo cardíaco. La estenosis aórtica es una de las enfermedades valvulares más comunes en adultos mayores. En México, su
prevalencia ha ido en aumento debido al envejecimiento de la población. Se estima que afecta a alrededor del 3% de las personas mayores de 75 años. Sin tratamiento, la esperanza de vida se reduce considerablemente en pacientes con estenosis aórtica severa.
1. ¿CÓMO RECONOCER LA ESTENOSIS AÓRTICA?
Los síntomas pueden variar según la gravedad de la enfermedad. Los más comunes incluyen: • Falta de aire, especialmente al realizar actividades físicas.
• Dolor o presión en el pecho.
• Desmayos o mareos.
• Palpitaciones o latidos irregulares.
• Fatiga y debilidad generalizada. Si experimentas alguno de estos síntomas, es importante acudir a un médico para una evaluación adecuada.
2. DIAGNÓSTICO Y TRATAMIENTO
Para diagnosticar la estenosis aórtica, los médicos pueden utilizar diferentes estudios como el ecocardiograma, electrocardiograma y pruebas de esfuerzo. El tratamiento dependerá de la severidad de la enfermedad:
• Casos leves a moderados: Se rea-


liza un seguimiento regular con medicamentos para controlar los síntomas.
• Casos severos: Puede requerirse intervención quirúrgica para reemplazar la válvula aórtica mediante cirugía abierta o implante transcatéter de válvula aórtica (TAVI), una alternativa menos invasiva.
Algunos factores pueden aumentar el riesgo de desarrollar estenosis aórtica, como: • Edad avanzada.
• Presión arterial alta.
• Colesterol elevado.
• Diabetes.
• Historial de fiebre reumátic.
Para prevenir su progresión, es importante mantener un estilo de vida saludable con una dieta equilibrada, ejercicio regular y control adecuado de enfermedades crónicas.
RECUERDA:
• La detección temprana es clave para mejorar la calidad de vida.
• No ignores los síntomas, consulta a un especialista.
• Existen tratamientos efectivos para esta condición.
1. American Heart Association. (2021). Valvular Heart Disease Guidelines. Circulation, 143(5), e72-e227.
2. Instituto Nacional de Cardiología Ignacio Chávez. (2023). Estenosis Aórtica en México: Diagnóstico y Manejo. Revista Mexicana de Cardiología, 34(2), 45-60.
3. Organización Mundial de la Salud. (2022). Cardiovascular Diseases Prevention and Control. WHO Press.
CARDIÓLOGO


Un ultrasonido del corazón, también conocido como Ecocardiograma, es una técnica de examen médico que utiliza ondas de ultrasonido para crear imágenes del corazón en movimiento y de los vasos sanguíneos (en tiempo real), aplicando gel en el área cardíaca y luego se mueve el transductor sobre la zona.
Una computadora convierte las ondas sonoras en imágenes del corazón; es una herramienta inofensiva, no invasiva, relativamente barata, ampliamente disponible y una de las más utilizada en la cardiología porque permite detectar y evaluar una gran variedad de enfermedades tanto en la estructura como de la función cardíaca, permite verificar si el tejido cardíaco recibe suficiente flujo de sangre y oxígeno, detecta anomalías como aumento del grosor de las paredes, aumento del tamaño del corazón y si éste tiene la suficiente fuerza para bombear la sangre a todo el cuerpo; evalúa en tiempo real la función y anatomía del corazón, el ta-

maño de las cavidades, defectos en las válvulas, en la aorta y/o arteria pulmonar; además permite medir el flujo sanguíneo dentro del corazón y los grandes vasos, detecta problemas estructurales o funcionales así como monitorea el estado del corazón después de un evento cardiovascular, cirugía o tratamiento; así como detectar cardiopatías congénitas. También puede detectar otros problemas como derrame pericárdico, pericarditis, disección de la aorta, etc. El estudio lo realiza un Cardiologo o Cardióloga, especialista en imágenes cardíacas; realiza e interpreta el estudio y en base en los resultados puede diagnosticar enfermedades cardíacas, recomen-
dar o modificar tratamientos como medicamentos o cirugías; su médico puede solicitar un Ecocardiograma si como paciente presentas:
• Dolor en el pecho.
• Falta de aire al caminar.
• Angina de pecho infarto.
• Arritmias.
• Insuficiencia cardíaca.

• Hipertensión arterial o Hipotensión arterial.
• Síncope o pérdida del conocimiento. ¿PARA QUÉ SE REALIZA?
1. Confirmar un diagnóstico: Identificar soplos cardíacos, arritmias, o sospecha de insuficiencia cardíaca.
2. Evaluar síntomas: Dolor en el pecho, dificultad para respirar, fatiga, palpitaciones o desmayos
3. Monitorear condiciones crónicas: Hipertensión arterial, enfermedad valvular o cardiopa-

tías congénitas.

4. Post-tratamiento: Después de intervenciones como reemplazo de válvulas o cirugía de bypass, colocación de stents.
5. Para identificar coágulos o masas dentro del corazón.
6. Enfermedad coronaria: Aunque un ecocardiograma no diagnostica arterias bloqueadas directamente, puede mostrar efectos secundarios como zonas del corazón que no se mueven correctamente debido a un infarto o con inadecuado aporte de flujo sanguíneo y oxigenación deficiente (angina de pecho)

7. Hipertensión pulmonar: A través de la presión en el lado derecho del corazón. En algunos casos los Ecocardiogramas pueden complementarse con otros estudios como angiografías o resonancias magnéticas, cateterismo, etc.
CARDIÓLOGA ECOCARDIOGRAFISTA


Imagínate que caminas por la calle y de repente ves a una persona desplomarse. No respira, no responde y no tiene pulso detectable. Estos son signos claros de un paro cardíaco, una situación de extrema urgencia en la que cada segundo cuenta. Es fundamental actuar de inmediato, ya que sin intervención, la muerte puede sobrevenir en pocos minutos. Actuar rápido y correctamente puede salvar una vida.
EPIDEMIOLOGÍA DEL PARO CARDÍACO EN MÉXICO
El paro cardíaco es una de las principales causas de muerte en México. Se estima que al menos 200,000 personas mueren cada año debido a enfermedades cardiovasculares, muchas de ellas por paros cardíacos. La mayoría de estos eventos ocurren fuera del hospital, donde la posibilidad de sobrevivir depende en gran medida de la respuesta inmediata de los testigos. En contraste, la mortalidad por paro cardíaco intrahospitalario es menor, aunque sigue siendo un problema significativo a pesar de la disponibilidad de personal capacitado y equipamiento adecuado.
la tráquea, o en la muñeca sobre la arteria radial. Si no sientes latidos en 10 segundos, es posible que la persona esté en paro cardíaco y necesite reanimación inmediata.
Acércate y sacúdelo suavemente los hombros mientras le hablas en voz alta: “¿Estás bien?” Si no responde y no respira o lo hace de forma anormal (boqueas, respiración irregular), podría tratarse de un paro cardíaco.
2. Pide ayuda de inmediato Llama al servicio de emergencias (en México, 911) y diles claramente:
Un paro cardíaco ocurre cuando el corazón deja de latir de manera efectiva y la respiración se detiene. Sin oxígeno, el cerebro y otros órganos vitales comienzan a sufrir daños en pocos minutos. Sin una respuesta rápida, la muerte puede sobrevenir en muy poco tiempo. Es importante diferenciarlo de un desmayo simple, ya que en el paro cardíaco la persona no responde y no respira normalmente.
1. Verifica el estado de la persona
Para detectar el pulso, coloca dos dedos (índice y medio) en la cara lateral del cuello, justo al lado de
• Que hay una persona inconsciente sin respiración normal.
• La ubicación exacta.
• Si hay un desfibrilador automático (DEA) disponible.
Si hay personas cerca, pídeles que llamen a emergencias y busquen un DEA mientras tú inicias maniobras de reanimación.
3. Realiza compresiones torácicas (RCP)
Si la persona no respira normalmente, inicia de inmediato la RCP:

• Coloca tus manos en el centro del pecho, una sobre la otra.
• Usa el peso de tu cuerpo para hacer compresiones rápidas y firmes, al ritmo de 100-12 por minuto (como la canción Stayin’ Alive de los Bee Gees).
• Empuja el pecho 5 cm hacia abajo y deja que se expanda completamente entre compresiones.
• Continúa sin parar hasta que llegue ayuda o alguien con más experiencia tome el relevo.
4. Si hay un desfibrilador (DEA), úsalo
Los desfibriladores automáticos están diseñados para ser usados por cualquier persona.
• Enciende el dispositivo y sigue las instrucciones.
• Coloca los electrodos según las imágenes del DEA.
• Si el dispositivo indica una descarga, asegúrate de que nadie
toque al paciente y presiona el botón de choque.
• Luego, reanuda las compresiones torácicas.
5. No te detengas hasta que llegue ayuda profesional
La RCP debe mantenerse hasta que la persona recupere la conciencia, los servicios médicos lleguen o alguien capacitado te releve. Posibles causas de un paro cardíaco El paro cardíaco puede ocurrir por diversas razones, entre ellas:
• Ataque cardíaco: Ocurre cuando una arteria del corazón se bloquea, impidiendo el flujo sanguíneo.
• Arritmias severas: Alteraciones en el ritmo cardíaco que pueden hacer que el corazón deje de latir correctamente.
• Ahogamiento: La falta de oxígeno prolongada puede llevar a un paro cardíaco.
1. American Heart Association. (2020). Guidelines for Cardiopulmonary Resuscitation and Emergency Cardiovascular Care. Circulation, 141(2), S366-S468.
2. Instituto Nacional de Cardiología Ignacio Chávez. (2022). Epidemiología del Paro Cardíaco en México. Revista Mexicana de Cardiología, 33(1), 12-25.
3. Organización Mundial de la Salud. (2021). Global Status Report on Noncommunicable Diseases 2020. WHO Press.
CARDIOLOGÍA - TERAPIA INTENSIVA CARDIOVASCULAR
• Sobredosis de drogas o intoxicaciones: Algunas sustancias pueden deprimir el sistema respiratorio y causar un paro.
• Traumatismos severos: Golpes fuertes en el pecho o la cabeza pueden afectar la función cardiorrespiratoria.
• Electrocución: Una descarga eléctrica puede interrumpir el funcionamiento del corazón. Recuerda:
• No tengas miedo de hacer RCP; es mejor hacer algo que no hacer nada.
• Las compresiones de alta calidad son lo más importante.
• Aprender RCP puede marcar la diferencia. Considera tomar un curso de primeros auxilios. Saber cómo actuar puede significar la diferencia entre la vida y la muerte. ¡Anímate a aprender comparte esta información con otros!

Cómo mantener un equilibrio entre una dieta saludable y disfrutar de una vida plena.
Las enfermedades cardiovasculares son una de las principales causas de muerte a nivel mundial. Según la Organización Mundial de la Salud (OMS), la alimentación es uno de los factores modificables más significativos que influyen en la salud cardiovascular, por lo que es preciso señalar que con una dieta equilibrada puedes contribuir a tener un corazón sano, manteniendo un balance entre comer saludable y disfrutar de una vida social y plena.
Hoy en día vivimos en un mundo en el que la mayor parte de nuestro día estamos inmersos en intensa actividad, intentando cumplir con todos los compromisos que requiere la vida actual. Por eso es tan importante poder sentarse a la mesa y disfrutar de nuestros alimentos, compartiendo momentos con amigos y familia, sin menoscabo de nuestra salud. Lo anterior resulta un verdadero desafío cuando se busca tener un equilibrio entre mantener una dieta saludable y disfrutar de una vida social activa.
Las salidas con amigos y reuniones en familia pueden ser el camino a los excesos. Sin embargo, atendiendo algunas recomendaciones nutricionales sencillas es posible el llevar un estilo de vida saludable sin renunciar a las interacciones sociales, porque se entiende que lo más importante para
cualquier ser humano es tratar de gozar de una vida plena. Algunas recomendaciones prácticas para que puedas disfrutar de ambas cosas; comida y bienestar físico se señalan a continuación:
Una de las claves más importantes para mantener una dieta equilibrada es la planificación. Antes de acudir a una reunión social, laboral o familiar, trata de planificar tus comidas. Si sabes que esa noche cenarás fuera, intenta mantener un menú de comida ligero. Esto te permitirá disfrutar de tu cena sin sentirte culpable y evitar el exceso de calorías.
2. OPTA POR OPCIONES SALUDABLES EN EL MENÚ
Cuando llegues a un restaurante, date unos minutos para revisar el menú. Busca las opciones que sean más saludables, como ensaladas, platos a la parrilla o preparaciones al vapor. Intenta pedir modificaciones a los platos como pedir el aderezo a un lado o sustituir las guarniciones fritas por verduras asadas o ensalada.
3. CONTROLA LAS PORCIONES
Las porciones en algunos restaurantes son más grandes de lo que realmente necesitamos. Cuando este sea el caso, inten-

ta compartir el plato o pedir una entrada en lugar de un plato principal. Esto no solo reduce la ingesta de calorías, sino también te permite disfrutar de una conversación sin la presión de consumir grandes cantidades de comida.
El agua es fundamental para mantener una buena salud, por lo que debemos estar conscientes que en términos generales es recomendable consumir un mínimo 2 litros de agua por día. Lo anterior se torna complicado cuando estamos en eventos sociales donde normalmente hay refrescos, jugos procesados y bebidas alcohólicas. Es por esto que resulta conveniente beber un vaso de agua antes de cada comida. Si vas a consumir alcohol procura intercalar tu bebida alcohólica con agua durante la reunión; esto no solo te mantendrá hidratado, sino que también ayudará a moderar tu consumo de alcohol.
Incorporar de manera regular y constante ejercicio a nuestra vida, no solo se traduce en tener un corazón más sano, sino que también nos aporta incontables beneficios que nos acercan a una vida plena. La actividad física también es excelente para socializar. Unirte a un gimnasio, pertenecer a algún equipo o inscribirte a algunas clases grupales no solo nos mantiene activos sino también nos permite crear una relación con personas que estén buscando nuestro mismo estilo de vida.
Disfrutar de la comida es parte de la vida. Si en una ocasión rompes un poco tus hábitos, no te sientas mal por ello. La cla-
ve está en el equilibrio. Una comida indulgente no arruinará tus esfuerzos si, en general, mantienes una dieta saludable.
Mantener una dieta saludable mientras se lleva una vida social activa requiere de compromiso y decisiones conscientes, pero no es imposible. Con estas sencillas recomendaciones, podrás disfrutar de tus reuniones sociales sin comprometer tus objetivos de salud. Recuerda que un estilo de vida equilibrado no solo se traduce en lo que comes, sino también en cómo aprovechas y llenas de recuerdos los momentos que disfrutas con tus seres queridos.


Y REPARACIÓN DE LA PIEL. PROBADO DESPUÉS DE LÁSER ABLATIVO DESDE EL DÍA 7



Source: Study report Hyalu B5 Ampoule 2039034 27. Blind Test Study 120 woman HB5 Ampoules vs Mantiderm Flash






INTRODUCCIÓN
La enfermedad de Parkinson (EP) es una enfermedad neurodegenerativa crónica y progresiva, afecta principalmente al sistema nervioso central. Es el segundo trastorno neurodegenerativo más común después de la enfermedad de Alzheimer, y afecta al 3% de la población >65 años, aumentado la incidencia con la edad.(1) Se estima que cada año se diagnostican 60 000 nuevos casos. En 2003 se produjeron casi 18,000 muertes relacionadas con la EP tan solo en Estados Unidos(2). Clínicamente se manifiesta por trastornos del movimiento caracterizados por temblores, rigidez, dificultad para caminar y problemas de equilibrio. Fisiopatológicamente existe pérdida de neuronas productoras de dopamina en la sustancia negra del cerebro, que lleva a la aparición de síntomas motores y no motores característicos (3)
El objetivo de esta publicación es presentar el abordaje de un paciente adulto con sospecha clínica de EP, así como la importancia y aporte al diagnóstico de los métodos de imagen con mayor sensibilidad en la detección de esta enfermedad.
CASO CLÍNICO
Femenino de 65 años, antecedente de hipertensión arterial de 20 años de evolución en control. Sin antecedentes familiares relevantes de enfermedades neurológicas. Acudió a consulta médica por deterioro progresivo en su capacidad motora y dificultades en las actividades diarias. Desde hace 2 años ha notado cambios en su marcha y en su habilidad para realizar movimientos finos con las manos principalmente del lado izquierdo, rigidez muscular, temblor en reposo siendo mayor del lado izquierdo y dificultad para iniciar y mantener el movimiento, especialmente al levantarse de una silla o al comenzar a caminar. Además, los familiares han observado que tiene una expresión facial inexpresiva y que su voz se ha vuelto más monótona. A la exploración física con expresión facial inexpresiva, temblor de reposo bilateral en manos de predominio izquierdo, rigidez muscular generalizada, más pronunciada en las extremidades superiores, bradicinesia evidente en la realización de movimientos finos de las manos, marcha festinante con pasos cortos y arrastrando los pies, reflejos osteotendinosos normales, no se observan déficits sensoriales. Se realiza adicionalmente la escala de Evaluación de la Enfermedad de Parkinson (UPDRS) con un total de 35 puntos, indicando moderada afectación de la enfermedad. Inicialmente se realiza una tomografía simple de cráneo, sin alteraciones estructurales, al no encontrar algún hallazgo se decide realizar posteriormente Resonancia Magnética Cerebral 1.5 Tesla: sin alteraciones estructurales significativas. Por este motivo y ante la alta sospecha clínica se realiza estudio de imagen molecular PET-RM con 6-[18F] FDOPA en equipo 3 Tesla en el cual se observa la disminución de la captación de la 6-[18F]FDOPA a nivel de putamen y caudado de predominio derecho evidenciando la degeneración dopaminérgica nigro presináptica a este nivel, con un patrón tipo 2 (Egg shaped) así como la mala definición de nigrosoma, estos hallazgos compatibles con enfermedad de parkinson. (Figura 1 y 2)
DISCUSIÓN
Actualmente, el diagnóstico del Parkinson se basa principalmente en métodos convencionales que incluyen: -Presencia de 2 de los 3 síntomas principales, con ausencia



Figura 3. Reconstrucción mediante imagen molecular de imagen híbrida PET-RM 3T con 6-[18F] FDOPA observando disminución de la captación del radiotrazador a nivel de ambos putámenes en la región posterior, media y anterior así como en ambos núcleos ca dados de predominio derecho.

Figura 4. Reconstrucción mediante imagen molecular de imagen híbrida PET-RM 3T con 6-[18F]FDOPA observando captación adecuada y conservada del radiotrazador en el cuerpo estriado (ambos putámenes y núcleos caudados) en un paciente negativo para enfermedad de parkinson.

de otros signos neurológicos durante el examen, -Sin antecedentes de uso de medicamentos tranquilizantes, traumatismo craneoencefálico o accidente cerebrovascular, -Capacidad de respuesta a los medicamentos para el Parkinson, como la levodopa. (3,4)
En cuanto al campo de los estudios de imagen convencional y de laboratorio no existe alguna prueba que pueda confirmar la enfermedad. Sin embargo, las imágenes de diagnóstico por métodos de imagen molecular del tipo no invasivas, como la tomografía por emisión de positrones (PET) en conjunto con un resonador de 3 tesla (RM 3T), pueden respaldar el diagnóstico de un médico, actualmente éste método tiene una sensibilidad diagnóstica de 95.4%, especificidad 100%, valor predictivo positivo del 100% y valor predictivo negativo del 87.5%. (5,6)
El tratamiento se dirige principalmente a iniciar la terapia con levodopa y carbidopa para controlar los síntomas motores, derivar al paciente a un especialista en neurología y trastornos del movimiento para un seguimiento más específico y ajuste del tratamiento, terapia física y ocupacional para ayudar a mantener la funcionalidad y calidad de vida. (3,4)
CONCLUSIONES
La enfermedad de parkinson es una enfermedad neurodegenerativa con afectación principalmente motora (temblor, rigidez y acinesia) de sospecha y diagnóstico clínico, ante la limitación de los estudios de laboratorio y métodos de imagen convencional para el diagnóstico toman gran relevancia las técnicas de imagen molecular no invasivas como el PET-RM y PET-CT con 6-[18F]FDOPA que cuentan con gran sensibilidad y especificidad para respaldar o descartar el diagnóstico médico ante la sospecha de la enfermedad de parkinson y algunas otras enfermedades del trastorno del movimiento.
Kalia, L. V., & Lang, A. E. (2015). Parkinson’s disease. The Lancet, 386(9996), 896-912.
Ascherio, A., & Schwarzschild, M. A. (2016). The epidemiology of Parkinson’s disease: risk factors and prevention. The Lancet Neurology, 15(12), 1257-1272. Parkinson’s Disease Symptoms, Diagnosis and Treatment. (s. f.). https://www.aans.org/en/Patients/Neurosurgical-Conditions-and-Treatments/ Parkinsons-Disease. Enfermedad de Parkinson - Diagnóstico y tratamiento - Mayo Clinic. (2023, 2 agosto). https://www.mayoclinic. org/es/diseases-conditions/parkinsons-disease/diagnosis-treatment/drc-20376062
Ibrahim, N., Kusmirek, J., Struck, A. F., Floberg, J. M., Perlman, S. B., Gallagher, C., & Hall, L. T. (2016). The sensitivity and specificity of F-DOPA PET in a movement disorder clinic. American Journal of Nuclear Medicine and Molecular Imaging, 6(1), 102
Poewe, W., Seppi, K., Tanner, C. M., Halliday, G. M., Brundin, P., Volkmann, J., & Lang, A. E. (2017). Parkinson disease. Nature reviews Disease primers, 3(1), 1-21.

Los dispositivos para “vapear” se conocen con varios nombres: cigarros electrónicos, vapeadores, hookas, etc y vienen en diferentes tamaños y modelos. Todos funcionan de la misma manera que es, calentar un líquido e inhalar los vapores que se desprenden. Esta acción hace que el pulmón se exponga a químicos que son dañinos como la nicotina, mariguana, saborizantes, glicerina, acetato de vitamina E y otros.
Los vapeadores se crearon en China en el año 2000 y se introdujeron en Estados Unidos en 2007. Esto convierte a esta moda en algo muy nuevo y que en muy poco tiempo ha ganado gran popularidad en la juventud mundial.
De los productos dañinos que contienen los cigarros electrónicos estos son junto con los efectos adversos que producen en el organismo:
• Nicotina: Produce daño cardiaco y genera propensión a arritmia. También aumenta la presión sanguínea y el riesgo de sufrir infarto al miocardio.
• Propilenglicol y glicerol: Son aceites que inhalados producen disminución de la función pulmonar, hiperreactividad bronquial (síntomas tipo asma) y daño renal.

• Saborizantes y endulzantes: Producen inflamación importante tal como bronquitis crónica, enfermedad pulmonar obstructiva crónica (EPOC), bronquiolitis y fibrosis pulmonar que es un grave e irreversible daño en el pulmón.
• Metales: Son resultado del calentamiento de los líquidos dentro de los dispositivos de metal. El níquel y el cromo son cancerígenos para el cuerpo humano.
Las personas que consumen con frecuencia estos productos son más susceptibles a adquirir infecciones respiratorias tanto de la vía aérea superior como inferior y desarrollar mayores complicaciones por las mismas pues disminuye la respuesta inmune local desde la nariz hasta los pulmones.
Además de los efectos cardiovasculares y pulmonares se ha encontrado que el uso de cigarrillos electrónicos aumenta el riesgo de sufrir algún evento vascular cerebral (embolia cerebral), incrementa la posibilidad de desarrollar demencia y trastornos psiquiátricos por varios factores, entre ellos la disminución del suplemento de oxígeno al cerebro mas la toxicidad de las sustancias químicas inhaladas.
En últimos años se detecto la aparición de una nueva enfermedad llamada EVALI (Daño agudo pulmonar asociado al uso de vapeadores). Este es un daño agudo y potencialmente mortal a los pulmones después de dias o semanas de usar estos dispositivos. Y ocurre por un daño súbito derivado de la inhalación los productos del vapeo , principalmente la vitamina E. Los síntomas son los siguientes:
• Tos
• Falta de aire
• Dolor en pecho o abdomen
• Latidos rápidos
• Frecuencia respiratoria elevada
• Náusea, vómito o diarrea
• Pérdida de peso involuntaria
• Fiebre
• Fatiga
Es una situación de extrema gravedad que debe tratarse de manera inmediata mediante hospitalización y soporte respiratorio. La mortalidad es elevada y las secuelas permanentes son tales que evitan a las personas tener una calidad de vida adecuada después de un evento como este.
El impacto de problemas respiratorios graves y muertes, dejan gran preocupación e inquietud. El daño del cigarrillo electrónico en la salud debe de seguir siendo objeto de estudio.
Las autoridades sanitarias y organizaciones mundiales deben regular el uso de cigarrillos tradicionales, electrónicos y derivados del tabaco ya que esto es un problema de salud pública mundial.

OTORRINOLARINGOLOGÍA Y
OTORRINOLARINGOLOGÍA PEDIÁTRICA



La diabetes mellitus es un problema de salud pública en constante ascenso en la mayor parte del mundo. El aumento de la prevalencia ha sido favorecido en distintas zonas del mundo en vías de desarrollo, ya que el estilo de vida ha cambiado, así como la alimentación y la actividad física favoreciendo el aumento de peso y obesidad. En México, la prevalencia es particularmente elevada por las características generales de la población; hábitos de alimentación inadecuadas y sedentarismo, que vinculados con el síndrome metabólico han encontrado un ambiente favorable para su expresión. El diagnóstico de DM2 se suele realizar de forma tardía en un entorno como el nuestro, donde alrededor de la mitad de los pacientes con diabetes lo desconocen. La DM2 es una enfermedad crónica, degenerativa, progresiva, pero potencialmente controlable, ya que la historia natural va mostrando alteraciones metabólicas que se desarrollan en el transcurso de años, tal vez décadas que preceden y acompañan al estado de glucosa elevada persistente. Es por esto que la detección temprana por su médico familiar o general deberá incidir en la educación, información y recomendaciones que lleven a mejorar el estilo de vida, como una alimentación adecuada, ejercicio, manejo del estrés, eliminación del tabaquismo y apego al tratamiento para estar en metas de control, asimismo direccionar en forma oportuna a los diferentes especialistas para evitar, evaluar y tratar las posibles complicaciones inherentes, como son interconsultas al cardiólogo, nefrólogo, oftalmólogo, neurólogo y otras especialidades que en conjunto ofrecerán un tratamiento integral y exitoso.


Clases de barre
8 clases al mes. $ 1,550
16 clases al mes. $1,950
Ilimitado $2,350
Reserva tu lugar: @barrexossakka



¿QUÉ ES LA HIPERPLASIA BENIGNA DE PRÓSTATA?
La hiperplasia de la próstata, también conocida como crecimiento de próstata o próstata inflamada, se refiere al crecimiento de células en la glándula prostática, lo que puede causar una obstrucción al flujo de orina.
A medida que la próstata se agranda, puede ejercer presión sobre la uretra y obstaculizar el flujo normal de la orina. Esto puede dar lugar a una serie de síntomas incómodos que afectan la calidad de vida de los hombres.

SÍNTOMAS DEL CRECIMIENTO DE PRÓSTATA
Si presentas uno o varios de los siguientes síntomas, puedes tener afectación por el crecimiento prostático:
• Dificultad para orinar.
• Micción frecuente.
• Sensación de no poder vaciar completamente la vejiga.
• Flujo de orina débil o interrumpido.
• Necesidad urgente de orinar.
• Despertarse varias veces durante la noche para orinar.

¿A PARTIR DE QUÉ EDAD HAY QUE REVISARSE LA PRÓSTATA?
Todos los hombres a partir de los 45 años deberán de realizarse un check-up masculino. Si hay antecedentes de familiares con cáncer de próstata, es importante realizarse esta revisión a partir de los 40 años.
¿CÓMO SE DIAGNOSTICA
EL CRECIMIENTO PROSTÁTICO?
El diagnóstico del crecimiento prostático obstructivo generalmente se realiza a través de una evaluación médica y ayudado de estudios de laboratorio e imagen, como una ecografía para obtener una evaluación más precisa.
LOS PILARES DEL TRATAMIENTO
Existen 2 tipos de tratamiento; el primero es el tratamiento con medicamentos que buscan reducir la presión que la próstata ejerce sobre la uretra, ayudando así a un correcto flujo de orina y un vaciado completo.
El segundo tratamiento es el tratamiento quirúrgico en el cual, mediante una cirugía de mínima invasión, se va a extraer el tejido prostático obstructivo, mejorando así notablemente el flujo de orina y regresando a tener una adecuada calidad de vida.
LA MEJOR CIRUGÍA PARA EL CRECIMIENTO PROSTÁTICO OBSTRUCTIVO
El tratamiento es individualizado a cada paciente, sin em-
bargo; la cirugía láser de la próstata (HoLEP), es una cirugía de vanguardia y más efectiva para tratar el crecimiento prostático, al ser mínimamente invasiva, implica sangrado mínimo, mejor perfil de seguridad para el paciente y menor tiempo de uso de sonda urinaria. Excelente alternativa a técnicas tradicionales con resección transuretral de próstata (RTUP) y cirugía abierta.
NO DUDES EN CONTACTAR A UN ESPECIALISTA EN UROLOGÍA.
ESPECIALISTA EN UROLOGÍA



Cerca de un 10% de todas las hernia primarias consisten en hernia epigástricas y umbilicales, estas llevan su nombre asociado al sitio en donde se presentan, así pues, las hernias epigástricas ocurren en la línea media que abarca desde cicatriz umbilical hasta el apéndice xifoides, esto traducido a palabras sencillas corresponde a la zona abdominal que va desde donde termina el esternón hasta el ombligo y siempre en la línea media. Y como su nombre lo indica las hernias umbilicales se producen en el ombligo.
La definición de hernia puede ser abordada desde el punto de vista de un defecto o debilidad de las capas de sostén del abdomen o de la protrusión de algún órgano a través de un orificio anormalmente mayor a su tamaño original, indudablemente los dos aspectos son importantes y la mejor forma de entender una hernia es pensando que para que se produzca debe haber un defecto (orificio) en la pared por el cual puede protruir algún órgano o estructura intraabdominal.
HERNIA UMBILICAL
Hay 3 tipos de hernia umbilical, las cuales son clasificadas de acuerdo al momento en que se desarrollan; 1) la hernia congénita, también llamada onfalocele, la cual se produce en etapa fetal o embrionaria, 2) la hernia infantil, la cual se produce desde el recién nacido y durante toda la infancia y 3) la hernia umbilical del adulto.
El onfalocele fetal ocurre después de la semana 8 de gestación, cuando el intestino debe retornar a la cavidad abdominal, cuando este desarrollo no ocurre un defecto abdominal se produce y el intestino se hernia dentro de un saco peritoneal que no esta cubierto por piel, este defecto se acompaña de otras anormalidades hasta en un 10% de los casos. En contraste el onfalocele embrionario se produce por una falla en el cierre de la pared abdominal antes de la semana 8 de gestación y consiste en un defecto de la pared abdominal a través del cual no protruye saco peritoneal, el intestino puede estar herniado junto con el hígado y múltiples anomalías pueden estar presentes hasta en un 50% de

los casos, estas anomalías pueden ser defectos cardiacos, trisomía 21 y anormalidades renales entre otras.
En contraste con estos serios defectos la hernia umbilical infantil se presenta sólo como un defecto en las facias del ombligo, a diferencia del onfalocele, siempre esta cubierta por piel y se presenta sobretodo en recién nacidos sobretodo prematuros. En muchos infantes el defecto cerrara por si sólo, defectos menores de 1 cm de diámetro cerrarán espontáneamente en 5 años hasta en un 95% de los casos. En todas estas alteraciones la reparación quirúrgica estará indicada cuando haya un encarcelamiento del saco herniario, o cuando el defecto sea mayor de 1 cm de diámetro, o en niños mayores de 4 años.
Las hernia umbilicales del adulto por lo general son adquiridas, 90% de los casos, y sólo un pequeño porcentaje corresponde a una hernia umbilical infantil que persistió. Los principales factores predisponentes para su formación son la obesidad y el embarazo o cualquier otro factor que aumente la presión intraabdominal, generalmente son de mayor tamaño que las infantiles y están formadas por un saco peritoneal el cual generalmente contiene epiplón que es la capa de grasa que cubre a los intestinos o menos frecuentemente algún otro órgano intraabdominal.

Las hernia epigástricas protruyen a través de la línea media, también conocida como línea alba, entre el ombligo y el apéndice xifoides que es el cartílago donde termina el esternón, por esta razón también son conocidas como hernias de la línea alba. Originalmente se les considero como una hernia congénita, pero ahora se sabe que son un defecto adquirido el cual esta asociado a un defecto en el patrón de desarrollo de las fibras tendinosas de esta zona.
Aproximadamente 3-5% de la población tiene hernia epigástricas, es más común en hombres que en mujeres, sobretodo entre los 20 y 50 años. Cerca de 20% de las hernia epigástricas son múltiples, los defectos pueden variar desde unos pocos milímetros hasta varios centímetros, siendo las más pequeñas las más frecuentes conteniendo sólo grasa preperitoneal, pero más predispuestas a la encarcelación o al estrangulamiento, por lo que se recomienda su reparación en cuanto son diagnosticadas.
En general una hernia es sospechada al notar que hay una protrusión o “bolita” que puede desaparecer con el reposo y aumentar con los esfuerzos, algunas veces es difícil diferenciarlas de lipomas, neurofribromas y fibromas subcutáneos, por lo que algunas veces es necesario realizar estudios para apoyarnos tales como Ultrasonido o Tomografía de abdomen sobretodo en pacientes con sobrepeso.
En general el tratamiento es quirúrgico, no existe ningún tipo de medicación, maniobra o aparato externo que corrija un defecto herniario, como ya mencionamos en hernia infantiles se puede mantener vigilancia y esperar cierre primario cuando no son mayores a 1 cm, pero si son hernias de mayor tamaño siempre deberán ser valoradas por un experto para su reparación debido a su alta tendencia a una complicación al estrangularse o encarcelarse. En los adultos la cirugía siempre estará indicada ya que la tendencia es que la o las hernias crezcan con el paso del tiempo y aumente la posibilidad de una complicación.
Actualmente la reparación puede realizarse por cirugía abierta o laparoscopia y la tendencia es a colocar mallas especiales de materiales derivados del nylon para corregir el defecto sin causar tensión en los tejidos. La cirugía de hernia no complicada tiene un alto indice de efectividad y de seguridad por lo que el paciente debe sentirse confiado en que todo saldrá bien, sobretodo atendiéndose a tiempo con un cirujano experto en el tema.

LA IMPORTANCIA DE LA SALUD MENTAL EN LA LUCHA CONTRA
En México, el cáncer infantil es la primera causa de muerte por enfermedad en niñas, niños y adolescentes. De acuerdo con el Global Cancer Observatory, nuestro país registra anualmente 7 mil nuevos casos, de los cuales, el 56% logra la sobrevida. Estas cifras muestran la urgente necesidad de fortalecer los sistemas de salud, invertir en investigación, garantizar el acceso al tratamiento y una adherencia puntual al mismo.
Recibir el diagnóstico de cáncer infantil es el inicio de un complejo camino, lleno de desafíos, tanto físicos como emocionales, que transforman la vida de los pacientes y sus familias. Esto se debe a que los tratamientos suelen ser intrusivos, largos y complejos, generando incertidumbre sobre el futuro, miedo a lo desconocido y resistencia a la adherencia al tratamiento.
Al respecto, Sabaté y la Organización Mundial de la Salud, señalan que la adherencia es el grado en que una persona sigue las indicaciones médicas, incluyendo tomar los medicamentos, seguir una dieta o realizar cambios en su estilo de vida. La adherencia al tratamiento es un fenómeno complejo, en el que influyen múltiples factores, entre los que se encuentran: el curso social, factores socioeconómicos, fallas de las intervenciones en la salud pública y los modelos culturales de salud y enfermedad (Martin
En la lucha contra el cáncer infantil, la adherencia se refiere a la capacidad de los pacientes y su familia a cumplir de forma óptima con el tratamiento, limitada por aspectos interrelacionados, que involucran al individuo, su entorno social y económico. (Suárez et al., 2011).
Entre los factores personales y familiares que intervienen se encuentran las creencias que tengan respecto al diagnóstico y tratamiento, lo que influirá en la manera en la que asimilen la información médica y la toma de decisiones. Por lo anterior, es indispensable una intervención multidisciplinaria para abordar los problemas de adherencia(Méndez et al., 2004) :
• Un componente educacional: que permita al niño y a su familia obtener la información sobre la enfermedad y el tratamiento, eliminar las dudas y creencias erróneas.
• Estrategias para mejorar las habilidades de autocontrol, por parte del niño, fomentando una participación más activa en las conductas de autocuidado.
• Estrategias de intervención conductual
• Atención para problemas psicológicos o desajuste emocional en los padres.
En la adherencia al tratamiento de las infancias con cáncer, están involucrados tanto el paciente como sus cuidadores, por lo que la atención integral a la familia es de vital importancia para favorecer la continuidad del tratamiento.
Conscientes de la importancia de procurar el bienestar integral de los pacientes y sus familias, desarrollamos un modelo Bio-psicosocial de acompañamiento, con el que buscamos el bienestar biológico, personal y social de los pacientes oncológicos.
Apoyamos integralmente a las familias con una hija o hijo con cáncer, financiando trasplante de médula ósea y medicamentos oncológicos; terapias psicológicas a toda la familia, actividades lúdicas, recreativas y pedagógicas; capacitación productiva a cuidadores primarios, mejoramos la economía de las familias al otorgar despensas, artículos de higiene, entre otros insumos; financiamos la investigación médica y capacitación del cuerpo médico.
Entre los objetivos del acompañamiento psicológico está apoyar a los pacientes y sus familias a adaptarse al diagnóstico, al tratamiento y a los efectos secundarios de la enfermedad. También ayudamos a los involucrados a adherirse al tratamiento y el autocuidado, brindándoles herramientas emocionales, conductuales y de pensamiento que les per-
mitan afrontar la enfermedad de una manera funcional. Durante nuestra intervención, detectamos que la enfermedad afecta a todos los integrantes de la familia, observando sintomatología depresiva y ansiosa, no solo en el paciente sino también en los hermanos y cuidadores primarios. En algunos casos se presenta un nivel de desesperanza elevado, generando ideas suicidas.
Además de lo anterior, los hermanos suelen presentar problemas de conducta, que interfieren con sus actividades cotidianas como la escuela, la interacción con los padres y su relación con el hermano o hermana diagnosticada.


En el caso de los pacientes observamos ansiedad ante los procedimientos médicos y hospitalizaciones prolongadas, y al intentar retomar actividades cotidianas cuando están en vigilancia. También identificamos que desarrollan síntomas depresivos cuando el tratamiento ha sido prolongado o ge neró fuertes efectos secundarios o secuelas graves como disfunciones motoras o cognitivas.
PODEMOS
BIR SUS AS!

En Aquí Nadie Se Rinde el 43 por ciento de los usuarios del servicio de psicología son pacientes oncológicos, el 42 por ciento son cuidadores primarios, siendo en su mayoría ma más, y el 15 por ciento hermanos de paciente.
cáncer infantil es la de muerte por en niñas y niños. salud, genera un en la economía de gastos aumentan %. ¡En esta batalla, que alcancen!
Entre los problemas que reportan los pacientes oncológicos se encuentran la negativa a continuar con el tratamiento, irritabilidad, miedo a ir al hospital y dificultades para cooperar con la toma de muestras o lo que implique piquetes. Mientras que los cuidadores presentan síntomas de ansiedad y depre sión, irritabilidad, dificultades con la crianza del paciente o de los otros hijos y problemas en sus relaciones de pareja.
ra lucha donando mensual, nos ear un mundo donde el final.
Por otra parte, los hermanos reportan sintomatología ansio sa y depresiva estando presentes sobre todo percepciones de abandono. Se identifican dificultades para comprender la enfermedad e identificar su rol en la nueva dinámica familiar, lo que genera cambios en su comportamiento en casa y en ocasiones en la escuela.
co-oncología, al abordar sus necesidades psicológicas, juega un papel fundamental en esta lucha. Como señala María Die Trill en su libro Psico-Oncología, esta disciplina tiene como fin disminuir el sufrimiento, amortiguar el impacto emocional, facilitar el proceso de adaptación del paciente y su familia, e identificar y desarrollar sus propios recursos para afrontar las dificultades asociadas a la nueva situación. La intervención psico-emocional debe abordar las necesidades de todos los involucrados, posicionándose como una herra-

DONATIVOS QUE CAMBIAN VIDAS:
El cáncer infantil representa un desafío complejo en la salud emocional de los pacientes y la de toda su familia. La psi
LES
ar la amilias $300 MENSUALES



Nuestros pacientes y sus hermanos podrán seguir aprendiendo y $500



MENSUALES

Abrazarás el corazón de los pacientes con

mienta indispensable para mejorar su calidad de vida y favorecer la adherencia al tratamiento. Los resultados de nuestra intervención resaltan que es imperativo brindar atención integral que considere no sólo los aspectos físicos, sino también los psicosociales del cáncer infantil. Al brindar apoyo psicológico individual y especializado, fortalecemos la adhesión al tratamiento y la resiliencia de las familias.
$1,000 MENSUALES
Salvarás la vida de una niña o niño con cáncer,


JUNTOS PODEMOS

REESCRIBIR SUS HISTORIAS!
En México, el cáncer infantil es la primera causa de muerte por enfermedad en niñas y niños. Además de la salud, genera un gran impacto en la economía de las familias: sus gastos aumentan hasta en un 732%. ¡En esta batalla, no hay recursos que alcancen!
Súmate a nuestra lucha donando una cantidad mensual, nos ayudarás a crear un mundo donde el cáncer no es el final.


$100
MENSUALES
Ayudarás a mejorar la economía de las familias que luchan contra el cáncer, apoyando los talleres de fortalecimiento económico y autoempleo


$300


MENSUALES

$500
MENSUALES
Nuestros pacientes y sus hermanos podrán seguir aprendiendo y desarrollando sus habilidades, a través de nuestra intervención
Luchando juntos, podemos escribir historias de fortaleza, esperanza y vida ¡Súmate!
www aquinadieserinde org.mx
TU DONATIVO ES 100% DEDUCIBLE DE IMPUESTOS
CONTÁCTANOS: 55 3328 7214 atencionadonantes@aquinadiserinde org.mx

$1,000
MENSUALES
Abrazarás el corazón de los pacientes con cáncer y sus familias, con sesiones de acompañamiento psicológico de médula ósea lúdico-pedagógico
Salvarás la vida de una niña o niño con cáncer, apoyando el financiamiento de estudios de laboratorio, medicamento y trasplante

Escanea el QR y descubre como puedes ayudar


