Quarterly publication of The Royal Australian and New Zealand College of Radiologists

![]()

President Prof John Slavotinek reflects on two years of change, achievement and the road ahead.
Also inside ASM Recap Highlights from the milestone Melbourne event.
2025 Honours Congratulations to our new College Honour recipients.
Vale
A special tribute to RANZCR Fellow A/ Prof Nina Sacharias.
Why can’t you have it all?

Complete freedom.
Limitless earning potential. Real balance.
I-TeleRAD makes it possible. Let’ s Chat!


Editor-In-Chief Dr Allan Wycherley
Editor Arizona Atkinson
in

Members
42 Diving Into the Archives The final instalment of our anniversary timeline. 44 Vale Tribute to A/Prof Nina Sacharias.
46 Branch Updates Reflections from branch Chair Dr Xavier Yu, A/Prof Martin Dobes and Dr Jash Agraval.
As his term concludes, the President reflects on workforce pressures, technological disruption, healthcare advocacy and future opportunities, highlighting the importance of curiosity, collaboration and wellbeing amid accelerating change across radiology and radiation oncology.

In this, my last Inside News article as President, I will briefly review the current state and work underway to address the challenges we face. I will also cover some of the key influences radiology, radiation oncology and the College are likely to encounter as the future unfolds. Australia and New Zealand, like most OECD countries, face multiple healthcare challenges. These include an ageing population with increasing comorbidity, high societal expectations, and an environment of increasing regulation and economic constraint. There is also a troubling and ongoing global trend toward politician use of power to influence healthcare and other areas of societal importance to serve various political ends. I have dedicated earlier Inside News
“This is my final message as President after a very busy but fulfilling two-year period...”
articles in March and June to recent local manifestations of political intervention and will therefore leave this topic aside.
Within our professions we manage an increasing quantity and quality of information. We are now indispensable to healthcare provision and we are experiencing commensurately greater demand for our services across diverse
practice settings. Coupled with this demand are workforce shortages and maldistribution of our (and other) healthcare professionals. These factors are longstanding but are increasing in degree. Against this background, technology, and in particular AI, represent both challenges and opportunities. Workload and workforce maldistribution are critical issues globally and this was a topic of discussion at the International Leaders forum held during RSNA 2025 in Chicago in early December. Locally we have over 900 trainees and 4‚700 members, a healthy number and higher per capita than most countries, but this is insufficient to meet demand. Importantly, our workforce is maldistributed with a growing rural and regional shortfall. It is now well established that to grow the rural and regional workforce it is vitally important that individuals who have spent their formative years in that environment are given the opportunity to train. The College has conducted and evaluated a highly successful Rural and Regional Training Program (RRTP) pilot with five positions (four clinical radiology, one radiation oncology) funded by government. Given this success, the next step is to attract substantially greater government funding and significantly expand this program. Private sector engagement will also be important in order to maximise training opportunities and potential.
Given the key role of government funding, healthcare advocacy, not just for training positions but also for adequate resourcing and access
to our services, continues to be important. At present the College is consulting with government about significant increases in access to MRI services. Expansion of requesting rights for GPs, in correct clinical circumstances in relation to the lumbar spine and musculoskeletal system is under consideration. Such changes, if brought to fruition, will benefit our profession and more importantly, our patients.
Within radiation oncology, aside from usual indications for malignant disease, there is growing global momentum for use of low-dose radiotherapy for non-malignant conditions. Accordingly, a working group has been established within the Faculty of Radiation Oncology to consider the addition of therapy for non-malignant disease and prepare the sector for the possibility of future increase in demand for this treatment.
Also within the College, implementation of the strategic plan continues with the focus in the first three years being upon member fulfilment, excellence in training and lifelong education, and increasing College influence as the voice of the sector. A review of member experiences and services is being completed with input from over 470 members and a range of changes and solutions will be forthcoming shortly. Unsurprisingly, capital expenditure to address wellrecognised deficiencies in the CPD platform and website will be among steps to follow.
In the above, I have indicated some of our current challenges and associated activity but the future
holds myriad opportunities and even greater complexity in store. AI is exerting significant influence upon society and our working environment. It promises to alter multiple aspects of our workflow such as booking studies, planning radiation therapy, protocolling radiology examinations, triaging studies for reporting, and lesion detection and assessment to name a few. We continue to have a superior understanding of clinical context and will need to maintain a supervisory role, and where needed, overrule AI findings.
Thus far, AI has remained largely task specific but many believe that with further development, large language models (LLMs) will exhibit general intelligence. In my view it is debatable whether LLMs and the process of ‘next token prediction’ embedded therein represent a model that will allow development of artificial general intelligence. Irrespective of this, it seems inevitable that the capability of task based AI will continue to develop and accurate autonomous interpretation of imaging studies is a real possibility.
As the above suggests, the pace of change continues to accelerate and there are consequences for society and for individuals. These are complex times and I do not have simple solutions but I would like to suggest the value of three characteristics. Firstly, curiosity —being curious, interested in the world around you and being open to new ideas and change is critically important in a world where technology, the geopolitical scene and our societies are evolving so
rapidly. Secondly, collaboration rather than competition is usually a superior long-term strategy and, of course, this includes working with and for your patients, other healthcare professionals and those around you.
Thirdly, given the multiple stresses in play it is important to care for and look after the wellbeing of yourself, your family, your friends and others close to you. Remember also that humour is a valuable ally.
This is my final message as President after completing what has been a very busy but fulfilling two-year period in this role. I would like to take this opportunity to extend my thanks and appreciation to all those who volunteer and support the work of the College. Without your efforts it would be impossible to make progress on so many issues. Equally indispensable are the efforts and dedication of College office staff and although I cannot recognise all, I would particularly like to thank Duane Findley, Melissa Doyle and Brendan Grabau, with whom I have worked most closely.
I am handing the baton on to a very capable new President in Rajiv Rattan and I have no doubt that he will be an excellent leader and advocate for our professions.
I wish you and your families a very happy and safe Christmas and a healthy and successful 2026. IN


RANZCR’s record-breaking 2025 ASM celebrated collaboration, global engagement and new partnerships.

Duane Findley, CEO
RANZCR has recently concluded its 2025 Annual Scientific Meeting (ASM), held in Melbourne Australia (our 75th ASM in our 90th year). Our ASM’s continue to grow and provide a wonderful opportunity for our members, allied health professionals, international colleagues, and other stakeholders to come together to learn, socialise, and grow. They are a showcase of what RANZCR can deliver when our dedicated convenors, organising committee, staff, presenters, and members all come together for a common purpose.
Several members commented to me during the ASM that they thought the clinical program was of high quality and thought-provoking; and that they felt a strong positive ‘vibe’ from the event. The RANZCR booth at the rear of the exhibition hall was almost overwhelmed at times by the number of members visiting to talk to RANZCR staff about their experiences, get assistance with their CPD requirements, or to secure a limited-edition pair of our 90th anniversary socks.
Rostered positions on the
RANZCR booth are highly sought after by our staff, for the opportunity to meet members in person and to immerse themselves in the member experience. College staff come away from the experience with a much better perspective on the needs of the membership and a renewed enthusiasm to deliver for our members.
For me, the ASM is a great opportunity to meet with and hear from a wider cohort of our members. It’s a time I value, and I try to incorporate the things I learn back into College activities.
Our international delegates also remarked that RANZCR holds the best graduation ceremony that they have seen, with equal amounts of gravitas, solemn ceremony, the centrality of the recognition of the achievements of the graduates, and the addition of that bit of fun and irreverence that they expect from this part of the world.
Allowing children of graduates into the ceremony is apparently not common in other parts of the world, but here, they are encouraged and welcomed. Hearing a child cry out “That’s my mummy/daddy!” when the graduate steps onto the stage always brings laughter and warmth to the room.
The Melbourne ASM broke several RANZCR ASM records:
Our largest number of registrations (at 2,000+).
The largest number of international delegates.
The largest number of exhibitors.
An increase in sponsorship over recent years.
Two important agreements were signed during the ASM, both of which align to the 2040 Strategic Plan objectives.
The first agreement, between RANZCR and Radiology Across Borders (RAB), commits RANZCR to working together with RAB to further radiology education, professional development, and capacity building both for trainees in ANZ and for radiology professionals in resourceconstrained settings.
RAB has an established an enviable record of delivering high-quality radiology education across the globe, supporting health professionals in emerging nations, and enriching training opportunities for radiology trainees in ANZ. RANZCR is also working with APROSIG to extend and enhance their philanthropic program across the Oceanic region.
The second agreement, between RANZCR and Students Interested in Radiology Training (SIRT), commits RANZCR and SIRT to work together to promote radiology as a desirable career option for medical students and junior doctors in WA, and to incorporate appropriate radiology training into university curricula.
SIRT was officially launched in March 2024 as a branch of the University of Western Australia Surgical Society (UWASS). SIRT promotes radiology as a career choice for undergraduate medical students and registrars and works with WA universities to improve radiology training in their medical education. RANZCR recognises that the model adopted by SIRT is replicable across ANZ and will be working to achieve this.
These are both important developments for RANZCR and expand our College’s influence into areas that we have not traditionally focused on, and that offer opportunities for interested members to get involved. IN
Highlights from the 2025 ASM in Melbourne.









It’s official—RANZCR’s 75th annual ASM, themed to celebrate the College’s 90th anniversary—was our biggest yet, with an incredible 2,017 registrations.
For those who couldn’t make it to Melbourne, here’s a recap of the three-day event.
On Thursday, the opening plenary session welcomed Senator Michelle Ananda-Rajah with updates on government policy, including Medicare urgent care clinics and regional health initiatives. Following an official welcome by our President, Prof John Slavotinek, this year’s Nisbet orator, Anders Sörman-Nilsson, delivered an entertaining keynote on AI integration and advice for adopting an AI growth mindset. “The promise of these technologies is actually to take the robot out of the human, so we can do less of the menial and the mundane, and actually focus more of our time on the meaningful and the humane,” he told the audience. He stressed that “science fiction is fast becoming science fact” and asked us to consider how we can lead from the front line and influence this systemic shift.
The next three days of sessions brought together an incredible line-up of international speakers presenting across three streams. Session topics were varied, covering clinical subject matters, environment and sustainability issues, and broader professional development themes. The program also featured College sessions including CPD overviews, AI Committee and Digital Health Committee updates, a research workshop, and tips for giving effective feedback and maximising performance in exams.
In line with the theme 'Celebrating 90 years of pushing boundaries and defining tomorrow', many sessions were future-focused, with thought-provoking presentations on AI and other new technologies. Equity was another strong theme, with panel discussions addressing inadequate access to care for regional/rural patients and Aboriginal and Torres Strait Islander people.
Friday morning's Women in Leadership breakfast featured presentations by Dr Reshma Jagsi, who spoke about her research into the gender gap in the authorship of academic medical literature, and Dr Susan Shelmardine, who shared her personal experiences of embracing failure and clarifying her values.
Later that morning Dr Suresh de Silva spoke about the work of Radiology Across Borders (RAB), a charity that focuses on teaching key clinical skills to radiologists, doctors and medical imaging staff in developing nations. "What we do is not just about education, it's also about soft diplomacy and bringing the world closer together", he said. The session concluded with the signing of a partnership agreement between RANZCR and RAB,









which will see a shared commitment towards furthering radiology education.
More than 100 new Fellows took to the stage on Friday evening for the Annual Ceremony, with a welcome address delivered by incoming president Dr Rajiv Rattan. It was heartening to see so many family members in the auditorium to celebrate our members' achievements.
Saturday morning's Targeting Cancer Fun Run had a great turnout, with more than 90 participants racing along the Yarra River to raise awareness of radiation therapy. Congratulations to our 2025 winners, Dr Dominic Ku, Dr William Yueng and Dr Jacinta Trang.
The final event in the program was the muchanticipated Gala Dinner, where gold dancers awaited guests dressed in their own ‘touch of gold’. Convenors Dr Rose Thomas, Dr Jyothirmayi Velaga, A/Prof Diederick De Boo and Prof Wee Loon Ong chaired the event, along with special guest Dr Rohan White. A 90th birthday cake was cut in celebration of the College anniversary, and the 2026 ASM video was unveiled following a powerful Kapa Haka performance by Ngā Mātai Pūrua.
We look forward to seeing you in Christchurch in 2026! IN

Dr Dushiyanthi Rasanathan, Chair of the Radiation Oncology Trainee Committee, shared her highlights from the ASM in a recent special-edition blog post on the RANZCR website. Here’s an excerpt.
“The academic highlight of the final day of the conference for me was being a part of the Trainee Day. Our ASM trainee representatives Dr Chris Ip and Dr Jema Xu did a fantastic job putting together such a useful and interesting program. Overall, the RANZCR ASM was a wonderful event and the hard work of the organising team clearly paid off as they brought their vision to light. As a trainee, I would highly recommend attending this conference in the future. Seeing and building connections with our fellow colleagues, learning from some wonderful speakers and the attention to detail that went into each of the social events, all made for an inspiring and enjoyable experience.”
Read the full account at www.ranzcr.com


College Honours celebrate the significant contributions clinical radiologists and radiation oncologists make to the health of patients across Australia, New Zealand and internationally. Congratulations to our 2025 recipients.
The Roentgen Medal is awarded to Fellows of the College who have made a valuable contribution to the College over a significant period of time. In 2025 the Roentgen Medal has been awarded to Prof Bryan Burmeister of Maryborough, Queensland and Prof Ken Miles of Kangaroo Point, Queensland.

Prof Bryan Burmeister
Prof Bryan Burmeister received his medical degree in Cape Town in 1976. He completed his specialist training in Auckland in 1988. He directed radiation oncology at Princess Alexandra Hospital (2003–2014) and held leadership roles in several oncology groups. His research has focused on a variety of cancers. He has been involved in 30+ clinical trials, published over 180 papers, and regularly reviews for oncology journals. A faculty member at the University of Queensland since 1997, he teaches and supervises research. He served on the Wide Bay Hospital Board (2014–2021) and currently does locum work at GenesisCare Fraser Coast.

Prof Ken Miles
Prof Ken Miles earned his medical degree at Guy’s Hospital, London in 1982, subsequently training in radiology at Leicester and Nuclear Medicine at Cambridge. His work bridging these disciplines led to his pioneering demonstration of the feasibility of perfusion imaging using conventional CT systems. After relocating to Australia in 1995, he established a clinical PET service and radiological research program at the Wesley Hospital, Brisbane. He has authored over 150 peer-reviewed publications and contributed widely to the advancement of imaging science. Now retired from clinical practice, Ken holds an honorary professorship at University College London.
An Honorary Fellowship recognises individuals who have contributed to the advancement of clinical radiology or radiation oncology and allied sciences, either through original research or by special services to the College. In 2025, Honorary Fellowship has been awarded to Prof Dr Elizabeth Dick of London, UK.

Prof Elizabeth Dick
Prof Dick is a Consultant Radiologist and Professor of Practice at Imperial College NHS Trust (ICHT) with expertise in body MRI, emergency, trauma and MSK radiology—subjects she publishes and lectures about internationally. She completed an MSK Fellowship at Duke University and a Body MRI Fellowship at Imperial College, earning her doctoral degree. At ICHT she was Head of Trauma Radiology and is Associate Director of Medical Education, responsible for Faculty Development and Widening Access to Medicine. She was Visiting Professor at the University of Sydney (2019-20). She is Past President of the British Society of Emergency Radiology and of the European Society of Emergency Radiology.

The RANZCR Community Services Award acknowledges individuals whose contributions have had a significant positive impact on their community and/or society more broadly, either within or outside the fields of clinical radiology or radiation oncology. It is intended to recognise a person whose outstanding service to the community is deserving of national level recognition, and whose actions embody the College’s values of inclusivity, innovation, integrity and accountability. The recipient of the RANZCR Community Services Award in 2025 is Ms Lee Hunt of Burwood, NSW.

Ms Lee Hunt
Ms Lee Hunt is a cancer consumer and advocate. She was an executive member of Cancer Voices, a member of the Faculty of Radiation Oncology Council and the Targeting Cancer Management Committee; sat on the Radiation Oncology Roundtable that met with the Department of Health and the MBS Radiation Therapy Implementation Group. She has advocated for and supported successful campaigns for radiation therapy facilities at Dubbo Hospital and other regional locations around Australia. Lee is a member of several cancer research projects and clinical trials. She has presented at many conferences and has authored and co-authored cancer publications.















2025 ASM Organising Committee
Dr Rose Thomas and Dr Jyothirmayi Velaga
Co-Chairs, Clinical Radiology
A/Prof Diederick De Boo
Chair, Interventional Radiology/ Interventional Neuroradiology
Prof Wee Loon Ong
Chair, Radiation Oncology
Dr Christopher Troupis
Clinical Radiology Trainee Representative
Dr Chris Ip and Dr Jema XU
Radiation Oncology Trainee Representatives
ASM In Numbers
2,017 Registrations
7 Social Functions
11 Concurrent Streams
130+ Sessions
5 Workshops across 41 sessions
53 International Speakers
22 International Society Representatives
162 National Speakers
528 Abstracts Submitted
267 Accepted Posters
178 Accepted Orals
97 Fun Run Participants
132 New Fellows


9 Award Recipients
23 Abstract Prizes
40 Sponsors 90 Exhibitors
ASM 2025 Social Media Ambassadors
Dr Vidisha Vaidya
Dr Demi Markakis (Radfluencer)
Dr Kaiwen Cabbabe (Radfluencer)
Dr Chris Troupis (Radfluencer)
Godson Samuel (Radfluencer)
Vinh Tran (Radfluencer)
Dr Yeafan Xi (Radfluencer)
2025 Art Contest
Congratulations to Shohreh Sadrahami, winner of our RANZCR ASM Art Contest.
Her stunning piece embodies the College as a 90-year-old figure, while the skeletal hand recalls the first X-ray that began this journey. From him grows the Tree of Life, bearing 90 buds of progress and radiant images of the present and future.
Together, they reflect 90 years of pushing boundaries and defining tomorrow.
A huge thank you to all the other talented participants for sharing their incredible work and creativity with us!





22-24 OCT 2026 Te Pae, Christchurch, New Zealand
www.ranzcrasm.com
15-17 MAY 2026

Stockholm, Sweden
www.estro.org/Courses/2026/Foundations-of-Leadership-in-Radiation-Oncolog-(1)
www.trogasm.com.au/workshops
24-25 JULY 2026
INTELLIGENCE26RANZCR AI CONFERENCE
Swissotel Sydney 68 Market St, Sydney NSW
https://na.eventscloud.com/website/90423/
Find details on these events and many more on our website: www.ranzcr.com/whats-on/ events. For regular updates, in addition to the website listing, please “like” and “follow” our RANZCR social media accounts:
More details to come!
If you have any questions relating to any College events, please contact the Events team at events@ranzcr.edu.au

A RANZCR-funded tissue fiducial marker research project is a winner for breast cancer patients.
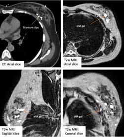
recently completed project on the efficacy of gel for post-lumpectomy cavity delineation in breast cancer has been a winner for RANZCR early career Fellow Dr Janice Yeh.
Dr Yeh, a radiation oncology consultant at Peter MacCallum Cancer Centre, conducted her project while a Clinical Research Fellow at the Olivia NewtonJohn Cancer and Wellness Centre as part of her PhD. She designed the project to learn if Barrigel, a hyaluronic acid gel used as a tissue fiducial marker, could improve the conformity index among radiation oncologists when contouring the post-lumpectomy tumour bed in breast cancer patients requiring adjuvant breast radiation therapy compared to surgical clips. The findings, that gel insertion as a marker was safe and feasible, and that it's a reliable alternative to surgical clips when MRI simulation planning scan is used, will mean a better outcome for breast cancer patients who undertake breast conserving surgery.
Dr Yeh is the recipient of a Breast Cancer Trials fellowship, and the project has resulted in a number of presentations and publications, including at the ASTRO Annual Meeting in San Diego, at the TROG ASM in Adelaide, and in Radiotherapy and Oncology (The Green Journal).

Inside News sat down with Dr Yeh to ask her about the project “As we know, adjuvant radiotherapy after breast conserving surgery plays a key role in the management of breast cancer, the most common cancer affecting women. In early-stage disease, treatment options have expanded to include partial breast irradiation, simultaneous integrated boosts, VMAT/IMRT techniques, and MR-guided radiotherapy. Regardless of technique, accurate tumour bed delineation and dose coverage remains fundamental in achieving optimum oncological outcome. This task has become more challenging as surgical techniques also evolve over time, particularly oncoplastic breast conserving surgery.

“These opportunities have fostered my enthusiasm to remain engaged in future projects.”
“My research investigates the use of hyaluronic acid gel as an alternative novel breast tumour bed marker to surgical clips. The gel is bioresorbable and visible on MRI, making it well suited to MRI-based radiotherapy simulation and treatment. The reliability of surgical clips alone to mark the tumour bed in certain types of oncoplastic breast conserving surgery has been questioned in the literature due to issues of clip migration. It is therefore important that alternative types of fiducial markers be investigated. As hyaluronic acid gel is inserted interstitially into breast tissue, theoretically it would have less risk of migration compared to clips and would warrant further investigation in this setting.
“I have been very fortunate to receive two sources of grant funding for my project. The RANZCR research grant and Breast Cancer Trials fellowship allowed me to complete my first prospective clinical trial, have the time to pursue a PhD while working as a junior consultant, and develop core research skills that have given me the confidence to collaborate with and mentor colleagues interested in research. These opportunities have fostered my enthusiasm to remain engaged in future projects. None of this would have been possible without the support of my amazing supervisors and the dedicated team at Austin Health Radiation Oncology.” IN
A variety of opportunities are available to support research projects and foster a culture of research at the College. If you would like to apply for a research grant, the College is now accepting applications. Visit www.ranzcr.com/college/grants-and-awards/ research-awards-and-grants
MA R CH 28-29 2 0


INTERNATIONAL KEYNOTE SPEAKERS

Professor of Radiology at the Montpellier Cancer Institute
Director of the PINKCC Lab
(Precision Imaging as a New Key in Cancer Care) at IRCM Montpellier, France

Prof Maxime Ronot
Université Paris-Cité
Head of the Department of Medical Imaging at Beaujon University Hospital Clichy, France

Prof Harriet C. Thoeny
Professor and Chairperson of Radiology University and Hospital of Fribourg Switzerland
Friday 27 March
•ARGANZ Workshop
•Young ARGANZ Trainee Day
DESTINATION SPONSOR
A recent project funded by a RANZCR research grant has shown how AI can be used in predicting brain tumour subtypes.
Arecently completed project in New Zealand has confirmed the potential for artificial intelligence in aiding tumour subtype identification.
This project, led by RANZCR Fellow Dr Hugh McHugh, has seen the development of an AI model to predict brain tumour subtypes from pre-operative MRI of New Zealand hospital patients who were suspected to have diffuse glioma, as well as several large publicly available datasets of MRIs.
Isocitrate dehydrogenase (IDH) mutation and 1p19q codeletion are the most important molecular markers in glioma in terms of survival outcomes. At present IDH and 1p19q status remains unknown until after tumour resection or surgical biopsy. There is growing evidence that it is possible to reliably and non-invasively predict IDH and 1p19q status from preoperative MRI using artificial intelligence (Al).
Dr McHugh’s project follows on from his Master's work, whereby an Al IDH and 1p19q prediction algorithm was retrospectively assessed on large NZ and overseas cohorts with high accuracy. The continuation of the project saw the addition of CNS lymphoma and metastasis to the predictive algorithm. Prof Sandeep Bhuta, a member of the RANZCR Clinical Radiology Research Committee, has confidence in the project, and said, “This topic is of very clinical relevance; glioma management these days is entirely dependent

on genetic and molecular markers and IDH status can only be known by invasive biopsy or debulking of brain tumour. If MRI and AI can noninvasively predict the IDH status it will be very helpful for radiation and medical oncologists.”
The design of the project led to a positive outcome, with confirmation of the AI model’s core functionality to predict molecular subtypes in suspected gliomas. Dr McHugh was successful in obtaining a RANZCR Clinical Radiology Research Grant, to support the writing of specialised software to facilitate the transfer of files to and from PACS, along with an Al capable server.
He has been able to present his

findings at a number of scientific meetings, include the ASNR, the RSNA, in ESNR, and the RANZCR ASMs in both New Zealand and Australia.
Dr McHugh is overseas on an INR fellowship in Vancouver, coming back to New Zealand in the new year. He said, “The RANZCR grant has been hugely beneficial for this research project. It can be very difficult to balance clinical work
with research which is almost always unpaid and done outside normal working hours. It was a great help having the backing of the RANZCR research grant which allowed me to bring on a research assistant with formal computer science training to consolidate and improve the codebase required to pull together this project.
“This was a big piece of work which involved putting together a customised DICOM anonymisation pipeline, as well as novel training methods and model architectures. Being in the midst of College exams and starting a family there was no way I could have done all this work on my own.
“I believe that support pathways like the College research grant are essential to fostering research among the radiology community in Australia and New Zealand, especially in fields like AI where it is key that radiologists remain on the forefront. I am very thankful for the support of the College in this and encourage others who are motivated to apply for the grant for their own projects.” IN
A variety of opportunities are available to support research projects and foster a culture of research at the College. If you would like to apply for a research grant, the College is now accepting applications. Visit www.ranzcr.com/college/ grants-and-awards/research-awardsand-grants




RANZCR research grants provide financial support for Fellows, Educational Affiliates and student members in clinical radiology and radiation oncology to conduct research and foster a culture of research at the College. Grants are awarded for sums between AU$5,000 and AU$30,000. APPLICATIONS CLOSE ON 8 JUNE 2026.
RANZCR Research Grants provide financial support for Fellows, Educational Affiliates and trainees. Applicants who are trainees must be supervised by a Fellow of the College. Grants are awarded for sums between AU$5,000 and AU$30,000.
This prize recognises a clinical radiology trainee or junior Fellow (up to five years post-Fellowship) who is the first author of a paper accepted for publication by The Journal of Medical Imaging and Radiation Oncology (JMIRO) or another Medline Indexed peer-reviewed journal. The value of the prize is AU$1,500.
This AU$2,000 prize is for Fellows, Educational Affiliates and trainees
and will be awarded in the case of high-quality clinical radiology research in Indigenous Health being published in a peer-reviewed journal.
RANZCR Research Grants provide financial support for Fellows, Educational Affiliates and trainees. Applicants who are trainees must be supervised by a Fellow of the College. Grants are awarded for sums between AU$5,000 and AU$25,000.
This AU$25,000 grant supports Fellows up to five years postFellowship and trainees post-Phase 2 exams to carry out significant research projects.
This AU$2,000 prize is for Fellows, Educational Affiliates and trainees
and will be awarded in the case of high-quality RO research in Indigenous Health being published in a peerreviewed journal.
This AU$2,000 prize is for Fellows, Educational Affiliates and trainees and will be awarded in the case of high-quality RO research in Indigenous health being published in a peerreviewed journal.
This AU$1,500 prize is awarded to a trainee who has written an exceptional trainee research requirement manuscript.
For more information, and to download application forms and guidelines, visit www.ranzcr.com/college/awards-andprizes/research-awards-and-grants or email gaps@ranzcr.edu.au

Nominations and applications for the College’s range of awards, honours and Fellowships are now open. These are available to recognise outstanding service by members to their professions, and to support members to further their knowledge and expertise by travelling overseas. APPLICATIONS CLOSE 6 APRIL 2026.
Gold Medal
The Gold Medal honours a Fellow who has rendered outstanding service or benefactions to the development, teaching or practice of clinical radiology or radiation oncology in Australia, New Zealand or Singapore.
Roentgen Medal
The Roentgen Medal is awarded to Fellows who have made a very valuable contribution to the College over a significant period of time.
Life Membership is awarded to Fellows over the age of 65 who have made an unusually significant contribution to their field or the College.
An Honorary Fellowship recognises individuals who have contributed to the advancement of clinical radiology or radiation oncology and allied sciences, either through original research or by special services to the College.
This award recognises members who have demonstrated outstanding longterm commitment, participation and leadership in training and education in radiation oncology.
This award recognises members who have demonstrated outstanding long-term commitment, participation and leadership in training and education in clinical radiology.
The Sally Crossing Award for Consumer Advocacy acknowledges outstanding commitment of consumers involved in healthcare advocacy. The award honours the memory of the late Sally Crossing AM, in recognition of her exceptional contributions to advocating for cancer patients.
The RANZCR Community Services Award acknowledges individuals whose contributions have had a significant positive impact on their community and/or society more broadly, either within or outside the fields of clinical radiology or radiation oncology.
Thomas Baker Fellowship
This Fellowship enables a clinical radiology or radiation oncology member up to six years postFellowship to further their knowledge by studying abroad for between three and 12 months. It is supported by a grant of AU$20,000 from The Baker Foundation.
This Fellowship supports a Fellow more than five years post-Fellowship for a period of intensive or overseas study (three to 12 months) or for attendance at an international short course (two weeks to one month) with a grant of AU$30,000.
In 2026, a clinical radiology or radiation oncology Fellow from Australia is sought to travel to New Zealand to attend the RANZCR New Zealand ASM. The Fellow is also expected to visit and present in their field of interest in three training centres in Australia, with the support of an AU$8,000 grant.
Indigenous Scholarship
This scholarship is available to support trainees who identify as Aboriginal, Torres Strait Islander or Māori during their studies. Six individual annual scholarships of up to AU$5,000 each are available, to be used towards expenses for educational activities.
Windeyer Fellowship
For more information, to nominate someone or to apply, visit www.ranzcr. com/college/grants-and-awards or email gaps@ranzcr.edu.au
This is a 12-month position for Fellows up to two years postFellowship or trainees post-Phase 2 exams that provides clinical research opportunities at the Mount Vernon Cancer Centre in the United Kingdom. The position is under the broad supervision of Prof Peter Hoskin.
Years of member collaboration have shaped the future of interventional radiology and interventional neuroradiology, positioning RANZCR to lead the next chapter of specialty recognition and patient-focused innovation.

Over the past nine years, a shared vision for the future of interventional radiology and interventional neuroradiology has been delivered by a broad team of College members. Led by the Interventional Radiology Committee (IRC) and overseen by the RANZCR Board and FCR Council, the futures of IR and INR as radiology specialties have come into focus. Recognising IR and INR as specialties in their own right is a critical evolution for clinical radiology that expands the patient-facing aspects of the profession, consolidates radiology as a clinical specialty, and increases the relevance and importance of radiologists to other specialties. It also brings Australia and New Zealand into alignment with international precedent and best practice.
The College stands on a strong foundation built through years of strategic effort, professional commitment and stakeholder consultation. Active engagement with College members on multiple fronts has been a regular feature of this work since 2017. Multiple College-wide consultations, member surveys, virtual roadshows, ASM sessions and regular updates via the College
communication channels have offered valuable opportunities for members to provide input and constructive feedback. This engagement has shaped and improved the outcomes. Members have contributed to key IR and INR documents including the Road Map, Standards of Practice, Range of Practice, Definitions, Grandparenting Pathway and the IR and INR Advanced Training Programs. This positions the College to confidently engage with stakeholders during the next phase of recognition to strengthen the role of IR and INR in delivering highquality care across Australia and New Zealand.
“This engagement has shaped and improved outcomes.”
A key part of the College’s strategy is a dedicated, local training pathway for specialist IRs and INRs. Importantly, this does not alter the core specialist training in radiology; its integration into the existing Clinical Radiology Training Program will enhance procedural training opportunities and experiences for all registrars. All FRANZCR Fellows will continue to graduate with the same broad scope of practice, including the full range of procedural radiology. Interventional procedures have long been a cornerstone of radiology training and practice, and these will remain an integral part of every radiologist’s expertise.
The recognition of IR and INR will not limit the range or number of procedures performed by radiologists—it will instead enable the growth of a specialised workforce to meet the increasing demands of modern healthcare.
This opens exciting opportunities for collaboration and growth, leading to expanded IR services within both regional and metropolitan hospitals, new training partnerships, and enhanced pathways for international medical graduates working in areas of need. Increasing IR and INR training opportunities within RANZCR will expand the workforce of both radiologists who are confident to perform radiological procedures and also specialist IRs and INRs. Increased numbers will facilitate delivery of procedural and interventional radiology to areas that are currently under-serviced; this is already occurring in many regional areas.
Being an IR or INR specialist encompasses much more than technical proficiency. It represents a commitment to the full continuum of patient care—assessing patients, making treatment decisions, performing procedures and providing ongoing follow-up. This holistic approach defines the principle of IR and INR: a blend of advanced technical skill and patient-centred practice.
As the College continues to support the growth and recognition of IR and INR, the opportunities for meaningful impact on patient outcomes have never been greater. The future of radiology in Australia and New Zealand is bright. IN




Many thanks to all the members (below) currently on RANZCR IR and INR committees.
Interventional Radiology Committee (established 2017)
A/Prof Nicholas Brown (Chair)
Dr Brendan Buckley
A/Prof Winston Chong
Mr Murray McLachlan (consumer representative)
Clinical A/Prof Albert Chiu
A/Prof William McAuliffe
Dr Andrew Cheung
Prof Warren Clements
A/Prof Ronil V Chandra
Dr Laetitia de Villers
Prof Hamed Asadi
Dr Hannah Scowcroft
Dr Nicholas Tsang
Dr Kwang Chin (FCR Councillor)
and INR Training Pathway Working Group (established 2020)
A/Prof Nicholas Brown
Dr Andrew Cheung (Co-Chair)
Dr Brendan Buckley (Co-Chair)
Dr Laetitia de Villiers
Dr Diederick De Boo
Dr Radha Popuri
A/Prof William McAuliffe
Dr Alexander Dunn
Dr Ryan Pereira
Dr Gregory Lock
Dr Matthew Lukies
Clinical A/Prof Albert Chiu
Dr Jonathan Tibballs
Dr Kartik Bhatia
Dr Deepak Jain
Dr Arockia Doss
and INR Accreditation Working Group (established 2024)
A/Prof Nicholas Brown
Dr Diederick De Boo (Co-Chair)
Dr Lee-Anne Slater (Co-Chair)
A/Prof William McAuliffe
Dr Gregory Selkirk
Dr Amer Mitchelle
Prof Warren Clements
Dr Brendan Buckley
Dr Jim Koukounaras
Dr Shane Lee
Dr Jules Catt
Clinical A/Prof Albert Chiu
Dr Jonathan Tibballs (Chair)
Dr Laetitia de Villiers
Dr Deepak Jain
Dr Arockia Doss
Dr Nicholas Cheung
Dr Kartik Bhatia
Dr Abysinia Sibanda
Dr Wei Che Tsai
Dr Sivasubramanian Srinivasan
Dr Abdallah Bessayah
Dr Jason Wenderoth
Dr Justin Whitley
A/Prof Nicholas Brown

RANZCR is strengthening support for First Nations and Māori trainees with initiatives that advance cultural safety and equity, foster meaningful connection, and build pathways that empower trainees to thrive and lead.

At RANZCR, we are proud to have a total of 22 First Nations and Māori trainees across clinical radiology and radiation oncology—eight Aboriginal and Torres Strait Islander trainees and 14 Māori trainees—representing a significant step forward in developing a workforce that truly reflects the communities we serve.
As the First Nations Trainee Liaison Officer, I have the privilege of working alongside these talented trainees and seeing firsthand the strength, resilience, and leadership they bring to their training. Each of them carries a unique story and a
shared commitment to improving health outcomes within their communities and beyond. Their presence enriches the College and strengthens our collective commitment to equity, inclusion, and cultural safety across Australia and Aotearoa New Zealand.
Guided by the Māori, Aboriginal and Torres Strait Islander Empowerment Committee (MATEC), RANZCR continues to embed cultural safety and representation into all aspects of College operations. MATEC’s leadership ensures that First Nations and Māori perspectives remain central to decision-making and that the systems supporting trainees are both equitable and culturally responsive.
Through MATEC’s advice and the College’s Indigenous Health and Engagement work, we have expanded pathways into our specialties, enhanced mentoring and professional development, and ensured that our First Nations trainees feel connected and supported throughout their journey. These efforts are part of a broader vision to not only increase representation but to create a culturally safe environment that encourages genuine belonging and
long-term success.
RANZCR’s First Nations trainee selection pathway remains a key initiative in achieving this. Aboriginal, Torres Strait Islander, and Māori applicants continue to progress directly to interview, ensuring that selection processes recognise diverse experiences, cultural knowledge, and community contribution—not just academic performance. Beyond entry, we’ve also strengthened our follow-up and support for applicants by offering individualised feedback, CV preparation, and reapplication guidance to those who are not successful in their first attempt. This process ensures that no applicant is left behind and that every candidate is given the tools and encouragement to reapply with confidence. It’s a small but powerful way to reinforce that RANZCR is committed to building pathways, not barriers.
Recently, in Australia, we introduced a new initiative—the Quarterly Yarning Circle—providing a culturally safe space for our Aboriginal and Torres Strait Islander trainees to connect, collaborate, and share their experiences. The first session was a huge success, with
trainees coming together to reflect on their journeys, exchange advice, and discuss ways to strengthen peer support and learning opportunities within the College. The feedback was overwhelmingly positive, highlighting the importance of creating informal spaces for connection, belonging, and shared growth. Many trainees expressed how valuable it was to meet others navigating similar challenges and to celebrate the collective strength of their cohort.
Moving forward, the Yarning Circle will continue quarterly, providing an ongoing space for open conversation, mentorship, and collaboration. I warmly encourage any Aboriginal or Torres Strait Islander fellows who are interested in collaborating to reach out to me directly to learn more about these sessions and how to get involved.
In 2026, the College will continue to explore ways to strengthen culturally grounded networks for Aboriginal, Torres Strait Islander, and Māori trainees. This will include ongoing collaboration with MATEC, Fellows and trainees to understand what forms of connection and support are most meaningful and sustainable.
The focus will be on learning from
current initiatives, sharing insights across both nations, and identifying opportunities to enhance belonging and wellbeing within training pathways. Through this continued engagement, the College aims to build on existing relationships and ensure that approaches to trainee support remain culturally responsive and community-informed.
Looking ahead, our focus remains on expanding these supports and continuing to promote First Nations and Māori representation and leadership within our specialties. We are exploring ways
culturally safe pathways into radiology and radiation oncology. We are also committed to further developing mentoring programs, leadership opportunities, and crosscultural education for all trainees, ensuring that every member of the College contributes to a culture of understanding and respect.
“Their presence enriches the College and strengthens our collective commitment to equity, inclusion and cultural safety...”
to partner with universities, health organisations, and professional networks to reach students early in their careers; providing clear,
The progress we have made —from record trainee numbers to the launch of initiatives like the Yarning Circle—reflects what can be achieved through collaboration, listening, and genuine commitment. But it also reminds us that our work is ongoing. Promoting and supporting First Nations and Māori excellence in medicine is not the role of one individual or committee —it’s a shared responsibility across the College. By continuing to build strong relationships, support systems, and culturally safe spaces, we can ensure that every trainee feels empowered to succeed and proud to bring their full identity into their professional journey. Together, we are shaping a future where radiology and radiation oncology are not only clinically outstanding but also culturally rich, inclusive, and reflective of the communities we are privileged to serve. IN
APROSIG continues its partnership with the National Cancer Centre in Ulaanbaatar, Mongolia, delivering advanced stereotactic radiotherapy training and fostering sustainable growth in cancer care.


Supported by a RANZCR International Development Fund Grant in 2024, representatives from the Asia-Pacific Radiation Oncology Special Interest Group (APROSIG) undertook a further in person Mission to the National Cancer Centre, Ulanbaataar, Mongolia in September 2025. This Mission also comprised members representing the Asia-PacificSpecial-Interest-Group (APSIG), established by the Australasian College of Physical Scientists & Engineers in Medicine (ACPSEM) and Australian Society of Medical Imaging and Radiation Therapy (ASMIRT). Mission members were Radiation Oncologists Prof. Madhavi Chilkuri and A/Prof Siddhartha Baxi, Medical Physicist Mr Abdurrahman Ceylan and Radiation Therapist Mr Craig Opie, with oversight and coordination from Radiation Oncologist A/Prof. Eng-Siew Koh. Key leadership from the Mongolian team included Senior Radiation Oncologists Dr Minjmaa Minjgee and Dr Uranchimeg Tsegmed and Senior Radiation Physicist, Ms Enkhee Vanchinbazar.
The focus of the 2025 Mission was stereotactic radiotherapy, both

intracranial and stereotactic body radiotherapy, with a tumour site focus on CNS, Upper GI, liver and lung. The two week long training program also covered external beam radiotherapy techniques for gynaecological and prostate cancers, the latter now showing an increasing incidence with an ageing local population.
It was in 2018 when APROSIG members first undertook an incountry Mission to Ulanbaataar. At that time, there was a focus on supporting implementation and transition from 3DCRT to IMRT. Since then, APROSIG and affiliated groups have continued to foster a successful continued relationship through ongoing in-person and online training, support and mentoring over these years. It has been impressive to witness and contribute to the substantial growth and evolution of both Radiation Oncology and Cancer Services in Mongolia, which serve a population of 3.5 million, spread over a vast geographic area, with 50 per cent residing in Ulanbaataar and 50 per cent regionally based or nomadic populations. Mongolia currently has one centralised Radiation Oncology service comprising 11 Radiation Oncologists, 7 Physicists and 13 Radiation Therapists, with three linear accelerators and a gynaecology brachytherapy service.
The 2025 Mission program covered didactic teaching, review and local adaptation of guidelines
and spanned process review from patient selection, simulation, planning and treatment delivery. The Mission team had the opportunity to be a part of the first patient case involving free-breathing liver SABR delivery. Breath-hold liver SABR techniques were also reviewed and further optimised.
The Mission team was also involved in presenting several Grand Round lectures with the added opportunity for local media coverage, resulting in greater advocacy and education to the broader community.
Overall, the relationship between APROSIG, in collaboration with APSIG and ASMIRT and the local team at the National Cancer Centre, Ulanbaataar continues to strengthen and mature. Ongoing outreach occurs through regular online training with case presentations to review management and radiation techniques. In 2026, selected members of the National Cancer Centre team will be hosted in Victoria via an IAEA-supported Fellowship to receive two months of further training in SABR technology and techniques. There is a strong sense of commitment to quality improvement and ongoing development of multi-disciplinary care that meets the needs of the Mongolian population. APROSIG, in collaboration with APSIG and ASMIRT are collectively proud to contribute to this ongoing effort. IN
The Faculty of Radiation Oncology Genito-urinary Group (FROGG) shares highlights from recent events.

It has been a very busy year for the FROGG executive committee, who were thrilled to welcome a record turnout of attendees for the triennial FROGG Workshop in Brisbane.
The FROGG executive would like to thank the event sponsors as well as Leishmann & Associates, our conference organisers.
The theme of the meeting this year was Precision Strikes, with a focus on advancing prostate cancer care with stereotactic radiation therapy (SBRT). We received overwhelmingly positive feedback regarding the high-caliber program, particularly the dynamic presentations and case based panel discussions involving our invited international speakers, Prof Vedang Murthy and Prof Andrew Loblaw. Attendees ranged from those with extensive experience in prostate SBRT to those looking to commence this technique at their centres.
Prior to the workshop, there was a survey of the wider


FROGG membership looking at contemporary patterns of practice of prostate SBRT across Australia and New Zealand. Prof Wee Loon Ong and Dr Therese Kang presented these results at the meeting. There was also an interactive session to help shape a new FROGG guideline on the use of SBRT for localised prostate cancer.
FROGG would like to extend our congratulations to the organising committee of the recent RANZCR ASM in Melbourne for another successful event. We appreciated the opportunity to chair a dedicated GU session and were delighted by the strong offering of GU proffered papers. Big congratulations to this year’s winner of the FROGG prize,
Dr Mario Guerrieri.
The ASM brought to a close the chairmanship of Dr Braden Higgs, to whom the executive is grateful for his efforts over a busy year.
Stepping into the role is Dr Renee Finnigan, with A/Prof Giuseppe Sasso as Deputy Chair. We gratefully acknowledge the outstanding service of A/Prof Amy Hayden who has recently stepped down from the committee.
In 2026, the FROGG executive will turn our focus to publication of the patterns of practice survey and guideline development for prostate SBRT. FROGG will also continue to support trainee education in all things GU… stay tuned for further details. IN
A new WA student-led initiative is transforming early radiology education, boosting imaging confidence, and building a clearer pathway into the specialty through national collaboration with RANZCR.
Radiology is fundamental to modern clinical practice, yet many junior doctors feel underprepared to interpret and utilise imaging effectively.
A recent survey of Western Australian (WA) junior doctors found that 52 per cent believed their undergraduate radiology education did not equip them adequately for clinical work. This skills gap coincides with increasing imaging volumes and a growing national shortage of radiologists.
To address these challenges and improve the visibility of radiology as a career, Students Interested in Radiology Training (SIRT) was founded in 2023 by Drs Aparna Baruah (Consultant Radiologist/ Director of Training), Alannah Paparo (Radiology Trainee), and Ben Milne (Intern).
Established at Sir Charles Gairdner Hospital in collaboration with the University of Western Australia, SIRT has rapidly expanded to partner with all three WA medical schools. As the state’s first dedicated radiology student interest group—and the first in Australia—SIRT aims to open the doors to a specialty often perceived as inaccessible to medical students.
The group delivers a broad suite of educational initiatives, including careers evenings, radiology masterclasses, and exam preparation workshops. These activities build foundational imaging competence, foster early professional connections, and encourage students and junior doctors to consider radiology as a viable and rewarding training

pathway. By engaging learners early in their medical careers, SIRT contributes to safer clinical practice and helps address long-term workforce shortages.
Looking ahead, SIRT plans to expand its reach and impact both locally and nationally. Within WA, the group intends to formalise student representation across each medical school and enhance engagement with junior doctors to establish a clear and supportive pipeline toward vocational training. Nationally, SIRT aims to guide the development of radiology interest groups at other medical schools, sharing resources, event templates, and governance structures to promote consistent, high-quality radiology exposure across Australia.
A major future initiative includes the creation of a student–junior doctor research collaborative. This platform will connect radiologists and trainees with motivated learners to support radiology-focused research, enhancing scholarly activity and providing prospective applicants with meaningful opportunities to demonstrate commitment to the specialty. SIRT also seeks to advocate for structured, minimumstandard radiology teaching within medical school curricula, ensuring all graduates possess essential imaging knowledge for safe patient care.
SIRT’s new partnership with RANZCR marks a significant milestone, strengthening the organisation’s capacity to deliver high-quality radiology education and outreach.
The RANZCR partnership enables SIRT to:
Identify as a RANZCR-endorsed organisation.
Increase awareness and visibility of radiology among medical students and junior doctors.
Provide access to high-quality teaching resources and imaging education materials.
Create a centralised hub for radiology-related learning tools, events, and training information.
Foster mentoring relationships between students, trainees, and consultant radiologists.
Support and promote student-led radiology events across Australia and New Zealand.
Guide other medical schools in establishing their own radiology interest groups.
Advocate for stronger, standardised radiology education within medical curricula. Through this collaboration, SIRT is poised to advance excellence in radiology education from the first day of medical training. IN




Recent activities highlight our profession’s shared commitment to collaboration, wellbeing, and advancing equitable access to radiation therapy worldwide.


Dr Lucinda Burke, Chair, Targeting Cancer Reference Panel Management Committee
Each year, the Targeting Cancer campaign celebrates the spirit of our radiation oncology community—in the clinic, at the conference and, memorably, on the running track. The 2025 ASM in Melbourne was no exception. Our Targeting Cancer Fun Run brought together over 100 clinicians, trainees, industry partners and families in the early morning light, united by a shared commitment to improving patient outcomes and promoting healthy living.
We extend a heartfelt thank you to everyone who joined in, to those who volunteered, and to those who cheered from the sidelines—and a special thank you to BrainLab for
their generous sponsorship. Your enthusiasm captured exactly what our campaign stands for: connection, wellbeing, and advocacy for equitable access to radiation therapy in Australia and beyond.
That same sense of purpose was reflected on the international stage just weeks earlier at the 67th Annual ASTRO Meeting in San Francisco, where plenary and clinical trial sessions unveiled data that will shape our field in the years ahead. The meeting was united by a common theme—shorter treatments, smarter technologies, and a renewed focus on quality of life.
The plenary program featured several landmark Phase III trials. The RADCOMP study—the first large randomised comparison of proton versus photon therapy in nonmetastatic breast cancer—showed that at six months, health-related quality of life was excellent and equivalent between both arms, demonstrating that each modality can maintain outstanding outcomes when appropriately selected. The TORPEdO trial (UK Phase III in oropharyngeal cancer) similarly found no meaningful difference between proton therapy and high-quality IMRT in swallowing function or feeding-tube dependence, confirming that contemporary IMRT continues to achieve excellent results.
In prostate cancer, the NRG-GU005 trial reported significantly fewer
clinically important bowel qualityof-life declines with SBRT compared with moderately hypofractionated IMRT (35% vs 44%), with comparable three-year disease-free survival— findings that strengthen the case for five-fraction protocols in wellresourced centres. The METIS trial in brain metastases from NSCLC showed that adding tumour-treating fields after stereotactic radiosurgery delayed intracranial progression without compromising cognition or quality of life.
Beyond the plenary, the clinicaltrials session continued the theme of innovation. A Korean multicentre randomised trial of low-dose radiotherapy (3 Gy in six fractions) for knee osteoarthritis showed clear short-term improvement in pain and function compared with sham treatment, with no safety signal. In parallel, the Australian-led DEPART study, headed by Prof Jarad Martin, reported minimal toxicity and preserved quality of life in patients receiving low-dose radiotherapy for Dupuytren’s disease, whether as primary or adjuvant therapy.
Together, these studies remind us that radiotherapy continues to evolve—not only as a curative cancer treatment but as a precision, anti-inflammatory therapy improving quality of life for patients across a widening spectrum of conditions. IN






Partner with Lungscreen for the National Lung Cancer Screening Program
• Supporting 60+ radiology companies
• First to integr ate with the National Cancer S c reening Register
• 7,000+ screening reports completed, all submitted v ia HL7
• Working with radiology providers across metro, regional & remote communities
• Helping bring the National Lung Cancer Screening P rogram to all A us tralians and s av e lives

Version 12.0 represents a major overhaul of the Standards of
.
RA NZCR and the Safety, Quality and Standards Committee are pleased to launch the latest Standards of Practice for Clinical Radiology v12.0. As with the previous versions, the main goals of these Standards are to set out “minimum standards to support and ensure the delivery of safe, high quality diagnostic imaging”. They provide a framework that can be used by practices to implement and maintain quality improvement, or as a benchmark for accreditation; they are the basis of the New Zealand Code of Radiology Management Practice.
This is the long-awaited update for v11.2 which was issued in 2020. An important part of the process has been to ensure that recommendations, and their supporting references, reflect current knowledge and working patterns in an environment that has changed markedly in the past five years. It sought to address concerns about the old Standards expressed by members and other stakeholders. The first round of consultation was carried out in 2022 and the responses from this led to extensive revision and another opportunity for stakeholder input in July and August 2025. Major considerations were:
Maintaining the accuracy and currency of recommendations
Ensuring recommendations are relevant across all the jurisdictions covered by the college
Ensuring recommendations could be adapted to varying practice situations without losing core elements

Reducing the length and complexity of the standards, in particular eliminating duplication and repetition.
Wherever possible, specific requirements were replaced by references to the most recent and appropriate external guidelines. This allows new information to be implemented sooner and better accommodates differences between jurisdictions.
Further flexibility was introduced by changing format from a standard paragraph linked with compliance indicators to a structure where each section starts with statements of overarching standards principles, followed by more specific recommendations arising from the statements, and examples of evidence that can be provided to show compliance. This again allows individual practices to tailor requirements and evidence to their needs.
A major criticism of the previous Standards was the degree to which similar content relating to equipment specifications and maintenance, personnel and supervision was repeated especially between the general and modality standards, and among different modalities, for example, in the case of medical radiation technologists, many of whom have specific advanced qualifications and registration requirements. Version 11.2 included these in the general standards under Personnel, but they were also part of modality requirements for bone mineral densitometry, magnetic resonance imaging, nuclear medicine, and
ultrasound. The revision identified the principles underlying all of the recommendations and consolidated them under the appropriate general categories, again referencing appropriate external regulations and guidelines. Where modality specific considerations exist, they are set out as individual requirements. Interventional radiology developed its own Standards after v11.2, so is no longer included in this document. Artificial intelligence and teleradiology had previously been considered as ‘modalities. In the time since v11.2 both technologies have come into even greater use in everyday practice. It was strongly felt they need to comply with overarching principles of safety and quality, rather than being treated as isolated tools. General requirements were therefore drafted with particular consideration of the impact of teleradiology and artificial intelligence, especially in regard to equipment, supervision, patient safety, privacy and auditing outcomes. Where particular issues arise, they are again set out as specific requirements.
Version 12.0 therefore represents a major overhaul of the Standards that we hope will be more accessible for users, incorporate more current evidence with scope to incorporate new information easily, and provide practices in different jurisdictions, and with different work types, with a robust framework to maintain and improve quality and safety. www.ranzcr.com/ college/document-library/ranzcrstandards-of-practice-for-clinicalradiology IN
How collaboration, consistent efforts on multiple fronts, and an unwavering focus on our patients continue to advance and sustain our specialty.

Dr Rajiv Rattan, Dean (FCR)
Sitting on a rather balmy afternoon in Sydney and reflecting over the past threeyear journey as Dean of the Faculty of Clinical Radiology, I write with profound gratitude for the collective endeavour that has sustained and advanced our specialty across Australia, New Zealand and around the world.
This period has been shaped less by singular acts than by steady, often unseen labour—the rigorous committee work, the careful position papers, and the sustained engagement with policy makers—all undertaken by volunteer members and College staff determined to improve patient outcomes and preserve and enhance the integrity of our practice.
Much of our most consequential work happens away from public view. Members and staff have contributed countless hours to expert working groups, (numerous) government consultations and standards development. These efforts often, by their very nature,
mature slowly but yield durable positive change. It is incumbent upon us to make that work visible to the membership, to demonstrate how advocacy and clinical leadership not only ensures high standards of radiology in Australia and New Zealand but also longevity of our profession.
We are a member organisation, and we are accountable and answerable to our membership. Member feedback has made clear that we must communicate even more effectively. Over the past few years, we have intensified efforts to do so, including: the ‘Know Your Committee’ feature in the Dean’s e-news, regular Board communiqués, clear breakdowns of how College fees are utilised, the DOT survey, NLCSP webinars, CPD roadshows and systematic recognition of volunteers. We will continue to listen and to refine how we share progress, rationale and outcomes with every Fellow and trainee. We remain committed to listening to every voice across both sides of the Tasman Sea as well as in Singapore.
National Lung Cancer Screening Program (NLCSP) Launched on 1 July 2025, the NLCSP is the first new national screening program in nearly two decades. It stands as a testament to exemplary collaboration between ANZSTR, Cancer Australia, the Department of Health, Disability and Ageing and an unprecedented number of College volunteers. Nearly 40,000 screening CTs have already been
performed, with meaningful, life-saving impact. The start of the NLCSP has been a stellar success.
Education and training ANZSTR has produced structured reporting tools and a comprehensive educational package to upskill radiologists for the screening program.
IR/INR subspecialisation The pilot of the Interventional Radiology / Interventional Neuroradiology (IR/ INR) advanced training program concluded successfully, positioning our trainees to be at the cutting edge of international standards in procedural practice.
Access and system reform
Following sustained advocacy, MRI licensing has been deregulated with practice-based licences introduced from July 2025 and staged upgrades to broaden Medicare-funded access by July 2027. We secured indexation for nuclear medicine imaging and succeeded in expanding Medicare to include rectal MRI restaging and surveillance.
Screening quality and reimbursement RANZCR’s advocacy for mandatory breast density reporting enhances detection equity in breast cancer screening.
Community and collegiality
The 75th RANZCR ASM in Melbourne—in the College’s 90th year—had an excellent scientific program; welcomed a record
attendance (2,000-plus attendees) and exceptional international representation, underscoring our standing in the Southeast Asia and the global radiology community.
Our committees MATEC (Māori, Aboriginal and Torres Strait Islander Empowerment Committee), DEIT (Diversity, Equity and Inclusion Taskforce) and the newly established ESGWG (Environmental Social Governance Working Group) are doing exemplary work advancing diversity, equity and environmental sustainability across the faculty, embedding these principles into education, policy and practice.
Rural and Regional Training Pathway To address rural and regional inequity of access, we have worked with the Federal government to establish the RRTP, where trainees will undertake the majority of their training at accredited regional sites.
International relations We are actively collaborating with radiology societies and associations worldwide, recognising that the challenges facing radiology are shared globally. RANZCR has played a leading role in this effort, notably co-authoring a landmark international guidance paper on the development, procurement, and implementation of artificial intelligence in clinical radiology practice.
Achievements and challenges often go hand in hand. We continue to confront significant challenges: workforce shortages (globally); constrained healthcare budgets;
rapid AI developments; expedited IMG pathways; a push from some providers for overseas teleradiology billing proposals; debates over role extension, creating credentialing for radiology procedures by other craft groups. These issues require unity, evidence-based advocacy and sustained principled engagement. We must defend patient safety, professional standards and equitable access to care.
As I finish my term as FCR Dean and prepare to assume the role of RANZCR President in January 2026, I offer my sincere thanks to fellow councillors, committee chairs and members, colleagues and staff for their dedicated service.
I welcome our new Faculty councillors and thank those departing for their immense and much valued contribution.
Dr Mark Phillips (Jan 2020–Dec 2025)
Dr Denver Khoo (Jan–Dec 2025) —Trainee Representative
Councillors returning for second term
Dr Ajay Taranath (SA)
Dr Jane McEniery (QLD)
New Councillors
Dr Satyanarayana Murthy Chennapragada
Trainee Rep (TBC)
Dr Jennifer Chang— FCR Chief Censor
Dr Kwang Chin—IRC Chair (new position on Council)
My warm congratulations to Dr Barry Soans, who will assume the Deanship on 1 January 2026. Barry is well known to most of the membership and comes with a vast experience in several roles in the College, most recently as Chief Censor, FCR. His stewardship will, I am confident, sustain the Faculty’s momentum. Together we have been strengthening the foundations of our specialty. Let us move forward with conviction, collaboration and an unwavering focus on the patients we serve. IN

As his term as Chief Censor concludes, Dr Barry Soans reflects on four years of innovation, collaboration, and the growing strength of trainee engagement across the Clinical Radiology Training Program.

Dr Barry Soans, Chief Censor (FCR)
Congratulations to the convenors on a very successful ASM. It was a truly impressive event, with an outstanding scientific program featuring many international speakers, informative sessions, and a vibrant social program. As always, one of the highlights for me was the opportunity to speak directly with many of our trainees, those considering clinical radiology as their future vocation as well as with our Clinical Supervisors. These conversations always reaffirm my confidence that the profession is in excellent hands for the years ahead.
As I complete my four-year term as Chief Censor, I have been reflecting on what has made this role so rewarding. One of the greatest privileges has been witnessing the elevation of the trainee voice across the College. We now have a more collaborative decision-making process—one that places the trainee experience at the centre of how we design, deliver, and continuously improve the training program. This
shift has led to a more dynamic and responsive approach to education and training, one that better reflects modern learning principles and the realities of contemporary medical practice.
I would like to sincerely thank everyone involved in delivering the training program—our Clinical Supervisors, Directors of Training, Network Training Directors, and all those who mentor and support trainees every day. Your dedication, generosity of time, and commitment to nurturing the next generation of radiologists underpin the success of our program. I also want to acknowledge the many members who have provided thoughtful feedback and constructive suggestions on how we can continue to strengthen our processes.
I would like to extend my heartfelt thanks to the Deputy Chief Censors I have had the pleasure of working with—Drs Mark Phillips, Jash Agrawal, and Lip Koon Ng—as well as our other senior office bearers. Their expertise, wise counsel, and collegiality have been invaluable. I have greatly appreciated their collaboration and support throughout my term. I look forward to continuing to work closely with them in my new role as the new Dean.
Over recent years, our key committees—the Clinical Curriculum and Assessment Committee (CRCAC), Clinical Radiology Examination Advisory Committee (CREAC) and the Clinical Radiology Education and Training Committee (CRETC)—have become more agile, innovative, and confident in their decision-making. A stronger culture
of continuous improvement has emerged, enabling more responsive and forward-looking approaches to supporting trainees and supervisors alike. This mindset has already led to tangible outcomes.
A recent significant development has been the introduction of an ‘overall cut score’ for the OSCER examination. This approach aligns with contemporary educational practice and provides greater clarity and equity in determining who must re-sit all seven stations versus only those not passed. Trainees with a score above the overall cut score will now only need to repeat any unsuccessful stations, while those below the cut score will need to repeat all seven.
Additionally, a borderline review process has been introduced to support candidates whose results are close to the cut score. Through this process, a Competence Review Panel (CRP) will review previous relevant examination results and workplace-based assessments to determine whether there is sufficient evidence of competence in the areas of concern.
It has been an honour and a privilege to serve as Chief Censor. I am deeply grateful for the trust, collaboration, and support of so many colleagues over the past four years. As I hand over the role to Dr Jennifer Chang, I do so with great confidence.
Dr Chang brings extensive experience, energy, and insight to the role and will no doubt continue to strengthen and enhance the Clinical Radiology Training Program into the future. IN
Submitting your CPD activities throughout the year makes the process smoother for you, and ensures the College can provide timely support when you need it most.

Dear friends, for many of us the final quarter of the year can feel like a sprint to the finish line as we juggle clinical responsibilities, personal commitments, and of course the mandatory completion of Continuing Professional Development (CPD) requirements before the deadline. Each year, the College CPD team sees the same patterns emerge: a large wave of submissions arriving in December and January, often following prompts by the College. Our clinical workload seems neverending, but leaving CPD activities to the final months creates unnecessary stress and limits the support the CPD team can provide when you need it most. A better approach is to spread out your CPD activity planning and submissions across the year. By completing and submitting activities early, you can avoid the year-end bottleneck, keep your records up to date, and ensure that your professional development reflects the ongoing learning that happens throughout your practice.
Our CPD team is dedicated to helping members meet their regulatory and professional obligations. However, as the December–January period approaches, the volume of queries and submissions increases dramatically, which inevitably impacts how quickly the team can respond to individual requests. Members who submit their Professional Development Plan (PDP) and initial activities early in the year—ideally by the end of March— benefit from faster turnaround times, more personalised assistance, and fewer delays in having their activities processed.
More than half of our members do not begin engaging with their CPD until the third or final quarter of the year. That concentrated surge can lead to delays in processing, longer response times to queries, and increases the risk of incomplete submissions or last-minute issues that can easily be avoided with earlier action.
By submitting in smaller, manageable increments, ideally as activities are completed or very shortly after, you reduce the risk of administrative hurdles and ensure you are meeting your obligations steadily and confidently throughout the year.
Although the CPD cycle ends in December, the College provides additional time to complete any
outstanding hours and evidence, finally closing off ePortfolio at the end of March. To support better compliance and to encourage earlier engagement with CPD requirements, the College will be introducing a new administration fee of AU$200 + GST from 2026 for members who need to submit CPD activities after the end of March close. This is designed not as a penalty, but as a practical measure to reduce late surges and reflects the additional staff time required to reopen ePortfolio and assist with late submissions.
I would like to suggest ideas to help make your CPD journey smoother and stress-free:
Submit your PDP early. Aim to have it completed by the end of March.
Log activities as you go. Submitting in real time makes it less likely you will forget to submit hours or lose track of any supporting evidence.
Set calendar reminders. A quick check-in each quarter can help keep you on track.
Reach out early if you need help. The CPD team has far greater capacity to support you during quieter periods.
Timely CPD submissions help maintain high professional standards across our profession and make the process easier for you as an individual member. Early engagement means less stress, better support, and a smoother end to the CPD year. So, for 2026, do not wait until the final quarter. Start early, submit often, and make CPD a more manageable and meaningful part of your professional journey. IN
Please note: Many of us receive certificates for work activities and event attendances in the latter part of the year, but we should not delay entering our CPD activities while we wait for those activities. We can hold those certificates in the event we are audited the following year.





Free, confidential support for you and your family – whenever you need it.

Converge International offers 24/7 assistance across Australia and New Zealand – helping you manage life’s challenges, big or small.


Access six free sessions each year for counselling, career or family support, and wellbeing coaching.











Looking back on a year that underscores the value of radiation therapy, the synergies between what is happening here and globally, and a future-focused approach to advance our shared aspirations.

When I started radiation oncology training, the Dean role was never on the horizon, and in fact, this is the last thing my friends and fellow trainees would have expected of me. For me, it has always been about patient care. And as the work advanced and became more complex, I became more interested and involved, and realised that the care can extend beyond my patients to include my colleagues, trainees and future generations of radiation oncologists.
This first year has been a humbling experience and has reinforced the importance of what we do at the College in cancer medicine, and illuminated the depth and breadth of this work, not least the synergies between what is happening here and globally.
This was reflected at the recent American Society of Radiation Oncology (ASTRO) annual meeting I attended in San Franscisco. Although much larger than Australia and New Zealand, there a lot of similarities and alignment with the
American experience, including a growing momentum to establish new indications that will expand the use of radiation medicine to treat functional conditions, e.g. osteoarthritis.
Our American, and European (ESTRO) counterparts also face similar challenges: scope creep from other professions, inequitable access, uncertainty around the role of AI and unsatisfactory funding models despite increased complexity of treatment—in short, issues that impact the sustainability of our profession.
At ASTRO, to highlight the inequities in access to radiation therapy, ASTRO CEO Dr Vivek Kavadi presented a compelling cost-benefit comparison between US$6billion spent on immunotherapy drugs, benefitting 67,000 patients, and US$4.5 billion which benefitted 340,000 patients (six times the impact for threequarters of the cost).
This underscores the value of radiation therapy as a cost-effective treatment and reaffirms that we should continue to be vocal about indications and access for radiation therapy given that it benefits so many people.
With its attention on the future, the Board recently announced the establishment of a new high-level advisory body, the Future Horizons Committee, with a remit to adopt a blue-sky, future-focused approach, scanning across disciplines, technologies, and broader system shifts to explore trends and ideas that may shape the future of radiology, radiation oncology, and
the College itself.
And, in response to member feedback, the Board also decided to reword the RANZCR purpose in the strategic plan to: “Excellence in diagnostic, interventional, cancer care and radiation medicine”.
As we reframe our thinking as a College, members can perhaps also reconsider what the College stands for and what we’re each prepared to contribute towards our individual and shared aspirations.
Wherever we are on the professional continuum—trainee, junior or senior Fellow—members are the lifeblood of College, in fact, we are the College. Whether we contribute to research, participate in working groups, in committees, or travel and engage with international peers, all are great opportunities to experience the College through a broader lens.
As a case in point, it’s noteworthy that although we are small, this is the second year in a row that Australians and New Zealanders have led ASTRO’s Presidential Symposium, which is the biggest health meeting for our profession.
While it’s a truism, the fact is that what we put in is what we get out of something. So, in whatever way we can, our individual and shared efforts do count. It’s genuinely a valuable experience to understand more fully what goes into the work behind the scenes and know you’ve made a difference in some way. Thank you to all the members who’ve contributed to the College in 2025, I look forward to continuing to work with you and advancing our specialties. IN

As I come to the end of my three-year term as Chief Censor, I’ve been reflecting on what these years have meant. It’s been a privilege to serve in this role and to work with such dedicated colleagues, trainees, education support officers, and College staff. This time has been full of collaboration, problem-solving, and a lot of good humour along the way.
This year’s Annual Scientific Meeting (ASM) was a real highlight. It was wonderful to see so many familiar faces and to welcome a fantastic line-up of international speakers. The program was excellent—both scientifically and socially. And, as always, our specialty proved that when it comes to dancing, we bring the same enthusiasm and coordination we bring to our day jobs. My sincere thanks to Prof Wee Loon Ong, Drs Jema Xu and Chris Ip, and their team for delivering such a memorable event.
I also had the pleasure
of spending time with our Singaporean colleagues, who, though small in number, play a vital role in our training network. Their dedication, collaborative spirit and energy continue to strengthen the program.
By the time this is published, Drs Mary Xu and Angela Allen will have delivered a very successful Phase 2 Mock Exam Workshop in Brisbane, part of the Centralised Learning Program. It’s a great initiative that gives trainees valuable experience, with recordings available through the College’s media site. My thanks to Mary, Angela, College staff, and Micaele Howard for their commitment—and to the examiners who, once again, gave up their own time to support it.
I’d also like to thank my Deputy Chief Censors, A/Prof Alex Tan and A/Prof David Kok, for their wisdom, support, and friendship. Working with them has been one of the real privileges of this role. A special thank you to Alex, who finishes his term as Chief of Examinations this year. His calm leadership, humour, and good sense have made a lasting difference. I am truly grateful
to have been part of their team. And to the College staff—thank you for your generosity, professionalism, and endless patience. You keep everything running and make us all look far more organised than we probably are. Someone asked me recently what legacy I hoped to leave—which made me laugh. I’m not sure I’ve left a legacy, but I do hope I’ve helped strengthen relationships across the College by encouraging a more open, collaborative way of working between staff, trainees, and members. I hope everyone continues to speak up, share ideas, and know that their voices matter. That’s how we keep improving— together.
As I hand over to Dr Apsara Windsor, our incoming Chief Censor, I know the program is in excellent hands. Apsara brings deep experience and a real passion for education that will carry us forward with energy and care.
It truly has been a ride— challenging at times, but always meaningful and often a lot of fun. Thank you for the opportunity to serve, to learn, and to be part of this wonderful community. IN

As the year closes, we reflect on achievements, challenges, and the ongoing evolution of CPD across the College community.

Dr Ziad Thotathil, CHoPP (FRO)
Dear friends,
As we arrive at the tail end of 2025, it is time to reflect on the year that was. We have worked hard to ensure that our patients received the best care possible. Some of us may have enjoyed additional successes on the professional or personal fronts, or indeed both. We have seen developments in radiation oncology that have resulted in improvements in treatment outcomes or displayed promise to do so. The College had a very successful ASM in Melbourne, and we were able to celebrate the 90th anniversary of RANZCR in style with a ‘touch of gold’.

Transitioning to a changed system is never easy, and I understand that it may have impacted your routines. Your feedback has been invaluable and has already helped us make adjustments to improve the member experience.
“Your feedback has been invaluable and has already helped us improve the member experience.”
This is my first year as Chief of Professional Practice, and although I had been involved with College committees for some time prior to taking on this role, there was certainly an element of anxiety. Working with a good team on the Professional Practice Committee has helped, and of course the support from the College CPD team within the Training and Lifelong Learning Unit has been invaluable. On the CPD front, the year was marked by further changes to the program. These changes were imposed on us by the regulatory authorities, and the Professional Practice Committee and the staff in the CPD team at the College have tried to make the changes as easy as possible for everyone to follow. I want to acknowledge that this involved a learning curve for everyone. We appreciate your patience as we all worked to implement these significant changes.
We are committed to making the CPD program as seamless as possible and we shall be looking at ways to improve the user interface of our CPD platform. New resources explaining the PLR requirements have been published on the RANZCR website. It is important to keep in mind that meeting the PLR conditions does not necessarily require additional CPD. Understanding the PLR categories using the College resources will help you choose the correct options when you submit your usual CPD activities. As always, the CPD team at the College is ready to clarify any questions you may have.
Thank you again for your continued commitment to excellence. We look forward to supporting your professional development in the year ahead. Enjoy a well-deserved rest over the holidays, and get ready for an exciting new year of opportunities. Wishing you all a peaceful holiday season! IN


The College purchases and moves into offices in Druitt Street, Sydney.


The Faculty of Radiation Oncology was formed in 1994. Their first meeting is held in Christchurch in October this same year.
A history of the College, researched and written by professional historian Audrey Tate and entitled Shadows and Substance: The History of the Royal Australian and New Zealand College of Radiologists 19491999 is published.

The Faculty of Radiation Oncology annual meeting is held in celebration of our now wellestablished training program in Singapore, with a program organised by Dr Rahul Mukherjee.

2007
The New Zealand Branch takes up residence in its new premises at 3/139 The Terrace, Wellington Central.
This year has marked 90 years since the founding of what is now The Royal Australian and New Zealand College of Radiologists. In the previous three issues of Inside News we’ve revisited milestone events from the 1930s to the 80s. In our final instalment, we revisit the 1990s to the present day.

Introduction of the InsideRadiology website, www. insideradiology. com.au. Originating from a College project commissioned in 2006 and previously funded by the Commonwealth Department of Health, InsideRadiology has been designed to fill the gap in the general public's health literacy around clinical radiology tests, procedures and professions.


The College becomes increasingly involved in advocacy and promotion, including the Targeting Cancer campaign.

The IR and INR Training Pathway Working Group was established by the IRC in August 2020 and tasked with developing an advanced training program for radiologists to pursue specialist IR and INR skills within a structured program beyond the scope of the College’s Clinical Radiology Training Program.
The first fully virtual ASM.


The College surpasses 5,000 total members, with 4,837 active members, 531 retired members and 578 IMGs.
Launch of the National Lung Cancer Screening Program. “The National Lung Cancer Screening Program is Australia’s first new screening program in 20 years, and it provides a significant step forward in the early detection and diagnosis of lung cancer,” said Prof John Slavotinek, RANZCR President.

Nina was recognised for her knowledge and skill throughout her career. The College awarded her with the Roentgen Medal in 2011 and she was made a Life Member in 2002.
She became a member of FRACR in 1962 and completed her FFR (Fellow of the Faculty of Radiologists, UK) in 1963. She practised her whole career at The Alfred in Melbourne after achieving her qualification in radiology.
Nina’s training was fairly unstructured, with no formal teaching program in those days.
The clinicians’ involvement in teaching was much greater then— a lost resource, I’m sure. She learnt much from vascular surgeons, neurosurgeons and several physicians, particularly in cardiology and respiratory medicine. Dr Hal Luke was the well-known and respected Director of Radiology at The Alfred for many years, and he enlisted Nina to his friendly department.
Nina was attracted to angiography early in her career. She was given a lot of freedom to work in the Angio Suite, and
developed her skills in intervention, as it evolved. Embolisation of angiomatous lesions, occasional carotico—cavernous fistula, and other catheter techniques were skilfully performed by Nina. She was always a keen teacher and encouraged her registrars to become skilful at angiography as well. She adopted the placement of IVC filters early, and encouraged others to learn the technology.
Nina was Australia’s (and perhaps New Zealand’s) evangelist for the use of mammography and ultrasound in the diagnosis and localisation of breast disease, particularly cancer.
Previously, very little imaging of breast disease was thought warranted but, using Xero mammography, she demonstrated what it could reveal to the Alfred surgeons—and slowly imaging of breast disease spread further afield.
She developed an extensive breast imaging teaching file of images and techniques, which she used to develop a two-day course for radiologists. This was delivered 10 times around Australia and New Zealand (Tauranga) in the early
One of the College’s most distinguished Fellows, A/ Prof Nina Sacharias, passed away aged 92 in September 2025. Here, RANZCR member Dr Michael Moran pays tribute to her remarkable life and career achievements.
1980s. She presented two one-day courses for surgeons in Melbourne as well.
Nina was an advocate for the development of a breast screening service to allow access to mammography for all women in at-risk age groups. The idea of screening had undergone rigorous trials since 1963 in New York, and later the UK, with the Forest Report confirming what was needed for a breast screening program that could detect breast cancer long before a palpable lump was evident.
This led her to be part of the Scientific Advisory Committee, BreastScreen Victoria. She was thrilled to see the program instituted nationwide in Australia and New Zealand in the early 1990s. One of two BreastScreen vans serving rural Victoria was named “Nina” in her honour.
As a general radiologist, Nina was most competent and was relied on heavily by clinicians and resident staff at The Alfred. She became Deputy Director of The Alfred Radiology department in 1972, and on Hal Luke’s passing she became Acting Director in 1984–1985,


followed by Director of Radiology from 1985–1997.
Her style was to run a department that was always pleasant and encouraging, with very little hierarchy or rigid structure. Hence the hospital had many loyal and capable radiographers, nurses, and of course radiologists and registrars.
Nina has made a major contribution to radiology teaching, as evidenced by the large number of radiologists that she had as registrars holding senior and key positions in our hospital system in Victoria, and some interstate.
She was recognised for her expertise and useful guidance of clinicians by the award of several honorary positions, including Associate Member of the Neurosurgical Society of Australasia (1981-2011); Senior Member: World Federation of Interventional and Therapeutic Neuroradiology (19912002); and Monash University Adjunct Clinical Associate Professor,


“Nina was Australia’ s evangelist for the use of mammography and ultrasound in the diagnosis and localisation of breast disease, particularly cancer.”
Central Clinical School, Faculty of Medicine, Nursing and Health Sciences. In 2016 she was awarded an OAM by the Governor-General, of which she was proud.
Nina’s early life was very difficult and touched with tragedy. She was born in Estonia, where her father was an architect and her mother a dentist. All the family were affected by the Russian invasion of Estonia, which saw the killing of some
relatives and the ‘disappearance’ of her godmother in the middle of the night.
The family escaped the Russian onslaught to Germany during WW2 and spent the rest of the war and after near Berlin, suffering great privation, particularly after the end of the war. Arriving with her parents in Adelaide in the early 1950s gave her a new start, and she excelled at Adelaide High School and in medicine at Adelaide University, doing her residency at Royal Adelaide Hospital.
She met her husband, Reinhart Rippert, at university, and he became an anaesthetist at The Alfred, pioneering cardiac surgery anaesthesia. Nina was a remarkable, happy and entertaining woman, who was able to thrive at The Alfred, and in her family life.
She and Reiny had two daughters, Anni and Louise. She is survived by three grandchildren and one great grandchild. IN




After a decade of service to the RANZCR Victorian Branch Committee, outgoing Chair Dr Xavier Yu reflects on the challenges, achievements and rewards of College governance — and the importance of collegiality in shaping the future of radiology.

College governance may seem daunting and uninteresting. However, it has been my honour to have been part of the RANZCR Victorian Branch Committee for the past 10 years, including the past three as Chair.
I joined the Victorian Branch Committee in 2015, co-opted as the trainee representative from the Radiology Trainee Committee (now CRTC). When Prof John Troupis relinquished his role as Chair in August 2022 and handed this position to me, most of the other Committee members also left, aside from myself and the Branch Education Officer of that time, Dr Paul Beech (now one of the College’s Trainee Wellbeing Officers).
Fortunately, in this case of ‘last man standing’, I had just completed a Master of Business Administration (which I studied alongside my regular clinical work—a story for another day). Those MBA-acquired skills enabled me to quickly recruit
members to form a new Victorian Branch Committee, of which almost all are still with me today.
Success for the Victorian Branch Committee to fulfil its duties relies on three things: a collegiate group of members on the Committee; staff from the College who understand what you want; and membership to ‘buy in’ to the events and activities you organise.
I’d say that over the past three years we have managed to get pretty close to getting all these components to align. Due to changing member preferences and the advent of online meetings over the past 10 years, we have seen less in-person attendances at education events, reducing opportunities for Victorian radiologists to convene, network and share experiences.
However, I am particularly proud we were able to inherit an idea from the previous Chair and finally host a sold-out inaugural 'Back To Basics' Victorian Branch Meeting in July 2023, followed by
“Do your little bit of good where you are it’s those little bits of good put together that overwhelm the world.”
– DESMOND TUTU
an equally well-presented ‘What’s Hot Or Not’ meeting the following year. Although we have taken a break in 2025 due to the RANZCR ASM being held in Melbourne, I am pleased to announce our next Victorian Branch Meeting in early May 2026 themed ‘Controversies In Radiology’. It will be held at the RACV Club Melbourne—stay tuned for more details.
In addition to the above Branch activities, we have engagement with other Colleges in Victoria through the Committee of Chairs of Medical Colleges of Victoria, which has been an opportunity to hear and share information about the challenges and opportunities for our various medical specialties. We also have ongoing representation within the Australian Medical Association (Victoria), which is of particular importance for the coming year for our public sector colleagues in the light of upcoming Enterprise Bargaining Agreement negotiations with the Victorian Government. I do accept we need to do better to embrace the interests of our members who work in private practice, which will be the new challenge for the Committee after I step down from my role as Chair at the end of this year.
I thank the College, particularly Prof John Slavotinek (current President), Dr Rajiv Rattan (incoming President) and Duane Findley (CEO) for their support of the Branches. Thanks also go to my fellow colleague Branch Chairs across the country and over the Tasman for their participation in the occasional meetings we have held (we should
do more!), with a special shout out to my Queensland counterpart
Dr Arjuna Somasundaram. I have particularly enjoyed the opportunity to sound out ideas over the past couple of years with Arj (who is also stepping down this year from his Chair position), and also facilitate with him a joint Victorian and Queensland Branch Virtual Cases Review online event earlier this year.
My role as Branch Chair has been a lot of work behind the scenes, but I have immensely enjoyed the journey and want to finally thank my amazing and devoted fellow Committee members for being so supportive and enthusiastic: Drs Yuan Ling, Paul Beech, Shu Su, David Wang, Tony Chen, Rachel Gordon, Rose Thomas and Prof Kevin Shaw. Thank you also to Drs Jenny Pham, Subha Sreedharan and Paul Watson for their contributions as trainee representatives, and to the hardworking College managers and staff (Mel, Mereana, Malin, Sarah and Abbey, to name just a few!)
I will assist the Victorian Branch Committee as they wish for their transition to a new Chair, but I am looking forward to a break from College governance to pursue other interests—including guiding the Australian Doctors Orchestra as its president through its current constitutional reform process. I would encourage colleagues who haven’t taken up a volunteer role within RANZCR before to explore the many opportunities currently available to ‘do their little bit of good’. www.ranzcr.com/college/ volunteering. IN
A huge thank you to our Branch Chairs and Branch Committee members for their hard work and dedication. Your commitment has helped deliver fantastic events and valuable education for our members.
We bid farewell to the three outgoing chairs below and thank them sincerely for their tireless dedication and contributions.
QLD – Dr Arjuna Somasundaram
VIC – Dr Xavier Yu WA – Dr Sharmistha Bose
The Branch Chair roles are now vacant if you’re interested in getting involved or would like to learn more, please get in touch via branches@ ranzcr.edu.au



































































































The ACT Branch gathered for the RANZCR Education Evening, combining insightful presentations with the annual Branch of Origin competition to celebrate excellence across the medical community.

In August, ACT Branch members gathered for another engaging education evening, including the annual Branch of Origin event. The evening brought together a diverse
group of professionals, including those from radiation oncology, radiology, public and private practice, trainees and medical students.
Drs Kundan Vemuganti, Jingyao Zhang and Chloe Hinckfuss delivered an informative and thought-provoking education session, covering topics from PMSA to inflammatory bowel disease. Their presentations sparked robust discussion and valuable discourse among attendees.
The highly anticipated Branch of Origin competition featured dynamic talks from Drs Mike van Alphen, Connor Larson, and Luke Crimston-Smith. Congratulations to all speakers on their excellent contributions.


This year’s Branch of Origin title was awarded to Dr Connor Larson for her insightful presentation, ‘Radiology Registrar Learning in an Online World’. Her talk explored the paradoxes of modern medical education and highlighted ways the College can support evolving learning models. A special thank you to our MC, Dr Rowan Stephenson, and our esteemed judges: A/Prof John Cockburn, Dr Melissa Craft and Dr Jade Lee. We also extend our sincere thanks to Abbey McDonald (Territory Manager) for her exceptional effort in organising the evening, and to the College for their continued support of the Canberra medical community. It was another wonderful night of learning, connection and community building. IN

Dr Jash Agraval, NZ Branch Chair
Kia ora Tatou,
As I sit down to write this article, I can’t quite believe how quickly the year has flown by. It’s been a rewarding time, and I’ve genuinely enjoyed my role. One of the biggest surprises has been discovering just how much advocacy our New Zealand Committees —alongside our small but mighty Wellington team—are involved in.
I know that for some, the College can feel a bit faceless, and you may wonder where your fees actually go. Over the next year, we’re committed to changing that perception. We’ll be sharing more of our successes and pulling back the curtain to showcase the incredible amount of work that goes on behind the scenes.
We’re proud to be recognised by key stakeholders as experts in our field. Whether it’s ACC, MCNZ, the Health and Disability Commissioner, Te Whatu Ora, Health Workforce NZ, or even other Colleges—we’re regularly asked for advice and
The New Zealand Branch highlights a year of strong advocacy, collaboration with key health agencies, and continued commitment to supporting trainees, members, and the wider medical community.
collaboration. In fact, those requests come in almost weekly. It’s a clear sign that we are seen as a trusted, knowledgeable voice within the sector.
Congratulations to the organising committee for an amazing ASM in Melbourne, there was good attendance by New Zealand members and this is always a great opportunity to catch up with Australian colleagues. I attended a productive meeting with the Australian Branch chairs—sharing common aims and goals. Novel ideas and sessions in this ASM were very welcome heralding the 90th year of RANZCR and the 75th ASM.
It’s been interesting to see how closely aligned New Zealand is becoming with regulators in Australia. More often than not, the consultations we receive reflect similar themes and priorities across both countries—which makes it even

more powerful when our voice is united. So far this year, the NZ Branch has responded to 26 consultations from our key stakeholders. These responses reflect the depth of our expertise and the value of our input. You can find all our submissions and responses on our website at www.ranzcr.com.
The College proudly sponsored a booth at the Te ORA Hui-ā-Tau, held in Ōtaki in September. Te ORA represents a significant portion of the Māori medical workforce and provides strong medical leadership within the health sector.
A special thank you to Dr Aroha Siilata (below), a Clinical Radiology Fellow and member of the College’s MATEC Committee, who supported College staff at the event. Aroha’s passion and enthusiasm were evident throughout the day. She was a standout during the Shark Tank session—no sharks were harmed,

but a few rival colleges might’ve been left treading water. Her pitch had medical students seriously considering careers in clinical radiology or radiation oncology (because let’s face it, our specialties are cooler... and our College is too).
Thank you
I would like to say a heartfelt thank you to our wonderful trainee representatives Dr Hannah
Scowcroft (Clinical Radiology) and Dushi Rasanathan (Radiation Oncology), who will complete their term at the end of the year. Having a trainee voice at the table is incredibly important—it brings fresh perspectives, ensures the trainee experience is considered in our decisions and strengthens the work of our committees
Dr Hugh Roberts, who has been our Branch Education Officer
for clinical radiology for the past five years, completes his term in December. We thank him for his time in the role and acknowledge his contribution to supporting the training program during this period. Lastly, as we head into the silly season, I hope you have the chance to relax, recharge, and spend quality time with your whānau. Wishing you a safe and restful break as we prepare for the year ahead. IN

After 12 years in our Lambton Quay office, the New Zealand RANZCR team has moved to bigger and brighter surroundings on the Terrace. The transition has been a trans-Tasman team effort with support from our IT team and People & Culture, with Melissa Doyle and CEO Duane Findley joining us for the blessing of our new office.
The College values our NZ members and recognises the vital role they play and their ongoing contributions. Members are welcome to work from the office or host meetings—please contact nzbranch@ranzcr.org.nz.
Our Wellington team has grown, and our new space provides flexibility and room to support that growth to align with our strategic plan. Meet the team:
Jenna Howell (Manager, NZ) With 9.5 years at the College, Jenna knows the ins and outs
of what’s happening across NZ. She leads the NZ team and makes sure the rest of the College stays in the loop. Jenna is all about supporting our NZ members and making sure their voices are front and centre.
Ella Steele (Program Officer) Ella keeps our NZ committees on track and has organised our response to 26 consultations from government and key stakeholders. Ella works part-time and is also writing her master’s thesis on food taxes and public health.
Gracie Talamaivao (Education and Workforce Support Officer) Gracie is new to the College and brings experience from the vocational education and classroom teaching sectors. She is responsible for managing selection in NZ, workforce advocacy, and is our NZ Trainee Liaison Officer.
Lucy Webber (Admin Assistant) Lucy joined us earlier this year and
quickly became part of our crew. While studying nursing, she supports selection, our radiation oncology trainees and training network. Lucy brings great energy to the office—especially at 3pm when she rallies the team for a quiz break and a good laugh to recharge.
Felicity Murray (Project Officer) Felicity looks after the Phase 2 written examinations in the Training and Lifelong Learning Unit at the College. With teammates located in Perth, Melbourne and Sydney, she manoeuvres multiple time zones while communicating with clinicians in the Phase 2 written committees.
Meghann Voigt (P&C Advisor) Meghann joined the College’s People & Culture team three years ago, a year after HR was first brought in-house. She works closely with colleagues in Australia, supporting staff across both countries. IN

SWISSOTEL SYDNEY, NSW, 24-25 JULY 2026
