REPORT ITCO-2025

Page 1


THYROID CANCER MONITOR

GESTIONE DEL CARCINOMA DELLA TIROIDE IN ITALIA

Una fotografia su una patologia complessa e in continua evoluzione

A cura di: ITCO FOUNDATION

ITALIAN THYROID CANCER OBSERVATORY

Editors: Giuseppe Novelli, Rocco Bellantone, Anna Crescenzi, Luigino Dal Maso, Cosimo Durante, Sebastiano Filetti, Stefania Frasson, Antonio Nicolucci, Walter Ricciardi, Federico Serra, Salvatore Vaccarella

Editor in chief

Giuseppe Novelli

Co-Editors

Rocco Bellantone, Anna Crescenzi, Luigino Dal Maso, Cosimo Durante,

Sebastiano Filetti, Stefania Frasson

Antonio Nicolucci, Walter Ricciardi, Federico Serra, Salvatore Vaccarella

Editorial Board

Gianluca

Salvatore

Alessandro

Maria Luisa

Emanuela

Daniele

Francesco

Francesco

Marco

Antonio

Rocco

Piergiorgio

Alfredo

Salvatore

Marco

Francesca

Antonella

Maria Grazia

Roberto

Mario

Graziano

Maria Grazia

Carmela

Loredana

Maurilio

Giovanni Guido

Francesco

Andrea

Laura

Ezio

Francesco

Andrea

AIMARETTI ALFIERI ANTONELLI APPETECCHIA ARVAT BARBARO BERTAGNA BOI BONIARDI BRUNETTI BRUNO CALÒ CAMPENNÌ CANNAVÒ CAPEZZONE CAPOCCETTI CARBONE CASTAGNA CASTELLO CENTANNI CERESINI CHIOFALO DE CREA DE PASQUALE DEANDREA DOCIMO FADDA FRASCA FRASOLDATI FUGAZZOLA GHIGO GIORGINO GIUSTINA

Managing Editors

Lara Capriotti

Federico Serra

Rinaldo

Andrea

Paolo

Laura

Bruno

Michela

Caterina

Salvatore

Nicola

Giorgio

Roberto

Anna

Fabio

Uberto

Enrico

Luisa

Arnoldo

Alfredo

Barbara

Efisio

Marco

Mario

Domenico

Massimo

Giovanna

Giovanni

Maria Laura

Vincenzo

Salvatore

Fabio

Marco

Federica

Maria Chiara

Stefania

GUGLIELMI

NAPOLI

NAPOLITANO NEGRO NELVA

ORLANDI

PAGOTTO

PAPINI

PETRONE

PICCARDO

PONTECORVI

PULIGHEDDU

PUXEDDU

RAFFAELLI

ROTONDI

SALVATORE

SALVATORI

SPIAZZI

TALLINI

TANDA

TRIGGIANI

TUMINO

VESCINI

VITALE

ZARDI

ZATELLI

ZOVATO

PROGETTO GRAFICO E STAMPA: SP SERVIZI PUBBLICITARI SRL Gruppo Creativa Via Alberese, 9 00149 Roma

Cent. +39 3277808873 Fax +39 06233216117

SEGRETERIA LOGISTICA: FASI S.r.l.

Via O. Tommasini 7 00162 Roma

Cent. +39 0697605610 info@fasieventi.com www.fasieventi.com

ADVERTISING:

ITCO FOUNDATION

Via O. Tommasini 7 00162 Roma

Cent. +39 0697605619 Fax +39 0697605650

info@itcofoundation.org www.itcofoundation.org

THYROID CANCER MONITOR è una rivista sui tumori della tiroide edita da ITCO

La rivista ospita periodicamente, in numeri monotematici, analisi, indagini, approfondimenti e documenti redatti da esperti che operano in diversi campi, con l’obiettivo di animare il confronto e la ricerca di soluzioni sui tumori della tiroide quale malattia di grande rilevanza clinico, sociale, epidemiologica, economica e politico-sanitaria.

Autori

Vincenza ADAMO

Gloria AGRIMONTI

Gianluca AIMARETTI

Salvatore ALFIERI

Marco ALFÒ

Maria Rosaria AMBROSIO

Alessandro ANTONELLI

Emanuela ARVAT

Andrea ATTARD

Daniele BARBARO

Giancarlo BASILI

Fulvio BASOLO

Alessandro BECATTI

Rocco BELLANTONE

Alfredo BERRUTI

Francesco BERTAGNA

Anna Maria BIANCIFIORI

Marco BIFFONI

Francesco BOCHICCHIO

Marco BONIARDI

Paolo BRAZZAROLA

Giulia BRIGANTE

Antonio BRUNETTI

Rocco BRUNO

Barbara CACCIA

Pietro Giorgio CALÒ

Alfredo CAMPENNÌ

Stefano CAMPO

Marco CAPEZZONE

Francesca CAPOCCETTI

Mariangela CAPORUSSO

Antonella CARBONE

Alessandra CARTOCCI

Alessandra CASSIO

Maria Grazia CASTAGNA

Roberto CASTELLO

Martina CAVALLO

Giada CAVIOLA

Simona CENSI

Marco CENTANNI

Graziano CERESINI

Loredana CERULLO

Valentino CHERUBINI

Maria Grazia CHIOFALO

Maria Serena CHIRICO

Angelo CIGNARELLI

Giuseppe COSTANTE Alessandro LAVIANO

Anna CRESCENZI

Umberto CROCETTI

Silvia D’ELIA

Luigino DAL MASO

Giuseppe DAMANTE

Simona DE ANGELIS

Carmela DE CREA

Simone DE LEO

Loredana DE PASQUALE

Maria Angela DE STEFANO

Maurilio DEANDREA

Desiree DEANDREIS

Christian DI CARLO

Cira DI GIOIA

Giovanni DOCIMO

Cosimo DURANTE

Giusy ELIA

Rossella ELISEI

Guido FADDA

Poupak FALLAHI

Francesco FELICETTI

Pierpaolo LIMONE

Pietro LOCANTORE

Laura LOCATI

Giuseppe LUCISANO

Bruno MADEO

Flavia MAGRI

Pasqualino MALANDRINO

Giulia MARSAN

Paolo MARZULLO

Michela MASSA

Gabriele MATERAZZI

Antonio MATRONE

Grazia MAURI

Gherardo MAZZIOTTI

Gerardo MEDEA

Chiara MELE

Domenico MERINGOLO

Caterina MIAN

Michele MINUTO

Teresa MONTESANO

Fabio MONZANI

Silvia Martina FERRARI Eleonora MORELLI

Marco FILETTI

Sebastiano FILETTI

Stefano FRARA

Andrea FRASOLDATI

Silvia MORELLI

Sonia MORETTI

Margherita NANNINI

Giorgio NAPOLITANO

Stefania FRASSON Francesco NARDI

Laura FUGAZZOLA

Carla GAMBALE

Piernicola GAROFALO

Roberto GASTALDI

Giacomo GAZZANO

Laura GIACOMELLI

Fiorenza GIANÌ

Francesco GIORGINO

Raffaele GIUBBINI

Dario GIUFFRIDA

Andrea GIUSTINA

Giorgio GRANI

Giovanni GRUOSSO

Rinaldo GUGLIELMI

Gualberto GUSSONI

Elisabetta IANNELLI

Livia LAMARTINA

Roberto NEGRO

Alice NERVO

Antonio NICOLUCCI

Francesca NISTICÒ

Roberto NOVIZIO

Antonella OLIVIERI

Miriam PACI

Furio PACINI

Maria A. PANTALEO

Italo PAOLINI

Enrico PAPINI

Mauro PAPOTTI

Valeria PECCE

Gabriella PELLEGRITI

Gianmaria PENNELLI

Sebastio PERRINI

Agnese PERSICHETTI

Andrea LANIA Francesca PERTICONE

PETRONE Domenico

SALVATORE

Luisa PETRONE Domenico SALVATORE

Salvatore VACCARELLA

PEZZULLO Massimo

SALVATORI

Luciano PEZZULLO Massimo SALVATORI

Elisa VACCARO

PIACENTINI Giulia

SAPUPPO

Paolo PIACENTINI Giulia SAPUPPO

Chiara VALENTI

PICARDO Giovanni

SAVOIA

Arnoldo PICARDO Giovanni SAVOIA

Andrea VALENTINI

PICCIOLA Sergio

SCACCABAROZZI

Valentino Marino PICCIOLA Sergio SCACCABAROZZ

Laura VALERIO

PIERANNUNZIO Martin

SCHLUMBERGER

Daniela PIERANNUNZIO Martin SCHLUMBERGER

Alberto VASSALLO

PIOVESAN Claudia

SCOLLO

Alessandro PIOVESAN Claudia SCOLLO

Annalisa VERDE

PONTECORVI Federico

SERRA

Alfredo PONTECORVI Federico SERRA

Antonella VERRIENTI

PORCELLI Luca

SESSA

Tommaso PORCELLI Luca SESSA

Riccardo VIGNERI

PRETE Erica

SOLAROLI

Alessandro PRETE Erica SOLAROLI

Maria Cristina VIGONE

PUXEDDU Clotilde

SPARANO

Efisio PUXEDDU Clotilde SPARANO

Camilla VIRILI

RAFFAELLI Giovanna

SPIAZZI

Marco RAFFAELLI Giovanna SPIAZZI

Marco VOLANTE

RAGUSA Marialuisa

SPONZIELLO

Francesca RAGUSA Marialuisa SPONZIELLO

Malgorzata WASNIEWSKA

REPACI Ilaria

STRAMAZZO

Andrea REPACI Ilaria STRAMAZZO

Maria Chiara ZATELLI

ROMEI Roberta

SUERI

Cristina ROMEI Roberta SUERI

Marco ZAVATTARO

RONCHI Giovanni

TALLINI

Anna RONCHI Giovanni TALLINI

Michele ZINI

RONGA Edoardo

Giuseppe RONGA Edoardo TALPACCI

ROSSI Matteo

Stefania ZOVATO

Ester Diana ROSSI Matteo TREVISAN

ROTONDI Giancarlo

TALPACCI TREVISAN TRONCONE

Daniela ROTONDI Giancarlo TRONCONE

ROTONDI Gerdi

TULI

Mario ROTONDI Gerdi TULI

RUSSO Salvatore

Diego RUSSO Salvatore TUMINO

RUSSO Silvia

Marco RUSSO Silvia UCCELLA

SALERNO Clara

TUMINO UCCELLA UGOLINI

Mariacarolina SALERNO Clara UGOLINI

EDITORIALE

CONTRIBUTI ISTITUZIONALI

Rocco Bellantone

Presidente Istituto Superiore di Sanità

Antonella Polimeni

Magnifica Rettrice Sapienza Università di Roma

Rossella Elisei

Presidente Associazione Italiana Tiroide (AIT)

Andrea Frasoldati

Presidente Associazione Medici Endocrinologi (AME)

Laura Fugazzola

President European Thyroid Association (ETA)

Gianluca Aimaretti

Presidente Società Italiana di Endocrinologia (SIE)

Valentino Cherubini

Presidente Società Italiana Endocrinologia e Diabetologia Pediatrica (SIEDP)

Alessandro Rossi

Presidente Società Italiana di Medicina Generale e delle Cure (SIMG)

Giovanni Docimo

Presidente Società Italiana Unitaria di Endocrinochirurgia (SIUEC)

OBIETTIVI DEL REPORT E NOTA METODOLOGICA

OSSERVATORIO DEI CARCINOMI TIROIDEI IN ITALIA (ITCO): Obiettivi e Mission

Cosimo Durante, Sebastiano Filetti

VERSO UNA NUOVA ERA NELLA GESTIONE DEL CARCINOMA TIROIDEO: IL POTERE DEI DATI E DELL'INNOVAZIONE

Sebastiano Filetti1, Cosimo Durante2, Federico Serra3

REAL-LIFE EVIDENCE IN ONCOLOGIA: IL CONTRIBUTO DEGLI STUDI OSSERVAZIONALI

Stefania Frasson, Sergio Scaccabarozzi, Gualberto Gussoni

NODULI E CARCINOMI DELLA TIROIDE: ASPETTI EPIDEMIOLOGICI E GESTIONALI

EPIDEMIOLOGIA DEL TUMORE DELLA TIROIDE IN ITALIA E NEL MONDO

Salvatore Vaccarella, Luigino Dal Maso

EPIDEMIOLOGIA DEL TUMORE DELLA TIROIDE: IL RUOLO DELLA SOVRADIAGNOSI

Salvatore Vaccarella, Luigino Dal Maso

GESTIONE DEI NODULI TIROIDEI IN MEDICINA GENERALE

Gerardo Medea, Italo Paolini

IL NODULO E IL CARCINOMA TIROIDEO: FATTORI GENETICI E AMBIENTALI

SUSCETTIBILITÀ GENETICA E CANCRO ALLA TIROIDE

Antonella Verrienti, Diego Russo, Giuseppe Damante, Valeria Pecce

SELENO-DESIODASI E CARCINOMA TIROIDEO: MECCANISMI MOLECOLARI E IMPLICAZIONI CLINICHE

Maria Angela De Stefano e Domenico Salvatore

LA NUOVA CLASSIFICAZIONE DELLA CITOLOGIA TIROIDEA

Fulvio Basolo, Anna Crescenzi, Gianmaria Pennelli, Guido Fadda, Giancarlo Troncone

LA SELEZIONE DEI NODULI TIROIDEI A RISCHIO DI MALIGNITÀ: RUOLO DELL’ECOGRAFIA, DELL’ESAME CITOLOGICO E DELLA BIOLOGIA MOLECOLARE

Andrea Frasoldati, Marialuisa Sponziello, Francesco Nardi, Graziano Ceresini, Luisa Petrone

NODULI TIROIDEI BENIGNI: GESTIONE PERSONALIZZATA

Giorgio Grani, Rocco Bruno, Giuseppe Costante, Sebastiano Filetti, Giuseppe Lucisano, Domenico Meringolo, Antonio Nicolucci, Efisio Puxeddu, Salvatore Tumino, Cosimo Durante

FATTORI AMBIENTALI E CARCINOMI TIROIDEI

CARCINOMA TIROIDEO: IMPATTO DELLA CARENZA IODICA

Silvia Martina Ferrari, Giusy Elia, Francesca Ragusa, Alessandro Antonelli, Poupak Fallahi

IL PROGRAMMA DI IODOPROFILASSI PER LA PREVENZIONE DEL GOZZO ENDEMICO:

UN SUCCESSO ITALIANO

Antonella Olivieri, Domenico Meringolo, Simona De Angelis, Daniela Rotondi, Osservatori Regionali per la Prevenzione del Gozzo

AMBIENTE VULCANICO, INQUINAMENTO DA METALLI E CANCRO DELLA TIROIDE

Riccardo Vigneri, Gabriella Pellegriti, Pasqualino Malandrino, Marco Russo, Fiorenza Gianì

CARCINOMA TIROIDEO: IMPATTO DELLE MINIERE DEL MONTE AMIATA

Marco Capezzone, Anna Ronchi, Paolo Piacentini, Francesca Nisticò, Andrea Valentini, Alessandra Cartocci, Alessandro Becatti

RADIAZIONI E CARCINOMA TIROIDEO: QUALI EVIDENZE?

ESPOSIZIONI A RADIAZIONI DIAGNOSTICHE

Elisa Vaccaro, Giovanni Gruosso, Francesco Felicetti, Alice Nervo, Alessandro Piovesan, Emanuela Arvat

LES ENSEIGNEMENTS DES ACCIDENTS DE TCHERNOBYL ET DE FUKUSHIMA SUR LA SURVENUE DE CANCERS DE LA THYROÏDE

Martin Schlumberger

PIANO DI EMERGENZA IN CASO DI INCIDENTE NUCLEARE: LINEE GUIDA PER LA IODOPROFILASSI

FARMACOLOGICA DI EMERGENZA E PER IL MONITORAGGIO DELLA SALUTE DELLA TIROIDE

Antonella Olivieri, Christian Di Carlo, Barbara Caccia, Francesco Bochicchio, Salvatore Vaccarella

I DATI ITALIANI DELLA GESTIONE DEL CARCINOMA TIROIDEO IN ITALIA

TIROIDECTOMIE E TRATTAMENTO CON RADIOIODIO IN ITALIA: UN'ANALISI

NAZIONALE BASATA SULLA POPOLAZIONE DAL 2001 AL 2018

Luigino Dal Maso, Daniela Pierannunzio

CARCINOMI DELLA TIROIDE IN ITALIA: UN'ANALISI DEI DATI DELL' OSSERVATORIO ITALIANO

CARCINOMI TIROIDEI

Silvia D’Elia, Simona Censi, Alice Nervo, Tommaso Porcelli, Clotilde Sparano, Giulia Brigante, Simone De Leo, Giorgio Grani, Bruno Madeo, Silvia Morelli, Andrea Repaci, Ilaria Stramazzo, Camilla Virili, Marco Alfò

VARIABILITÀ ISTOLOGICA DEL CARCINOMA TIROIDEO NELLE 5 MACROREGIONI ITALIANE:

DATI PROSPETTICI ITCO

Andrea Repaci, Erica Solaroli, Giovanni Tallini

REFERTO STANDARDIZZATO PER LA PATOLOGIA ONCOLOGICA TIROIDEA

Giovanni Tallini, Giacomo Gazzano, Esther Diana Rossi, Silvia Uccella, Marco Volante

LA DIGITAL PATHOLOGY COME STRUMENTO DI UNIFORMITÀ DI DIAGNOSI PATOLOGICA: Il PROGETTO ITCO

Anna Crescenzi, Giovanni Tallini, Cira di Gioia

IL TRATTAMENTO INIZIALE DEL CARCINOMA DELLA TIROIDE

DAL PASSATO AL FUTURO: EVOLUZIONE DELLE LINEE GUIDA SUL CARCINOMA TIROIDEO DIFFERENZIATO

Furio Pacini

EVOLUZIONE DELLA CHIRURGIA DEL CARCINOMA TIROIDEO IN ITALIA:

DALLA CERVICOTOMIA CONVENZIONALE ALLA MINI-INVASIVA E ALLA ROBOTICA

Marco Raffaelli, Andrea Attard, Luca Sessa, Rocco Bellantone

LOBECTOMIA VERSO TIROIDECTOMIA TOTALE: I DATI ITCO E DELLA SIUEC

Pietro Giorgio Calò, Eleonora Morelli, Giancarlo Basili, Paolo Brazzarola, Giovanni Docimo

LA CHIRURGIA DEI CARCINOMI AVANZATI DELLA TIROIDE

Marco Raffaelli, Marco Boniardi, Luciano Pezzullo, Maria Grazia Chiofalo, Marco Biffoni, Michele Minuto, Gabriele Materazzi

IL TRATTAMENTO RADIOMETABOLICO CON 131I NEL CARCINOMA DIFFERENZIATO DELLA TIROIDE: UNA ANCESTRALE TARGET THERAPY. STORIA DI UN SUCCESSO TERAPEUTICO

Giuseppe Ronga, Teresa Montesano, Raffaele Giubbini

DIAGNOSTICA E TERAPIA DEI CARCINOMI TIROIDEI DIFFERENZIATI CON 131I: OBIETTIVI, CONSENSO E CONTROVERSIE

Massimo Salvatori, Francesco Bertagna, Alfredo Campennì, Francesca Capoccetti, Arnoldo Piccardo

CARCINOMA TIROIDEO PAPILLARE A BASSO/BASSISSIMO RISCHIO: SORVEGLIANZA O TRATTAMENTO MINI-INVASIVO DI TERMOABLAZIONE?

Enrico Papini, Roberto Novizio, Daniele Barbaro, Maurilio Deandrea, Roberto Negro, Paolo Piero Limone, Rinaldo Guglielmi

MODULAZIONE DELLA TERAPIA SOSTITUTIVA CON L-TIROXINA NEL FOLLOW-UP

DEL CARCINOMA TIROIDEO: UN APPROCCIO BASATO SUL RISCHIO

Marco Centanni, Giovanna Spiazzi, Ilaria Stramazzo, Camilla Virili

TERAPIA TSH SOPPRESSIVA NEL CANCRO DELLA TIROIDE: IMPATTO OSTEOMETABOLICO

Stefano Frara, Alberto Vassallo, Francesca Perticone, Andrea Giustina

IL FOLLOW-UP DEL CARCINOMA DELLA TIROIDE

IL RUOLO DELLA TIREOGLOBULINA: I DATI DELL’OSSERVATORIO ITCO

Cosimo Durante, Roberto Castello, Rocco Bruno, Antonella Carbone, Salvatore Tumino, Giorgio Napolitano, Giorgio Grani

ECOGRAFIA DEL COLLO: STRUMENTO CHIAVE PER LA DIAGNOSI E IL MONITORAGGIO DEL CARCINOMA PAPILLARE DELLA TIROIDE

Giorgio Grani, Antonio Brunetti, Piernicola Garofalo, Giovanni Savoia, Michela Massa, Umberto Crocetti

LA GESTIONE DEL CARCINOMA AVANZATO DELLA TIROIDE

TERAPIE MIRATE PER IL CARCINOMA TIROIDEO AVANZATO: NUOVE FRONTIERE NEL TRATTAMENTO DEL TUMORE RADIO-REFRATTARIO – LINEE GUIDA ESMO

Laura D. Locati, Alfredo Berruti, Cosimo Durante, Sebastiano Filetti

GESTIONE DEI TUMORI SOLIDI CON LA PROFILAZIONE GENOMICA: VERSO UNA MEDICINA DI PRECISIONE

Salvatore Alfieri, Marco Filetti, Maria A. Pantaleo, Margherita Nannini

NUOVE FRONTIERE PER IL TRATTAMENTO DEL CANCRO TIROIDEO AVANZATO

NUOVE FRONTIERE PER IL TRATTAMENTO DEL CANCRO TIROIDEO AVANZATO: STRATEGIE INNOVATIVE DI REDIFFERENZIAZIONE

Livia Lamartina, Desiree Deandreis

IMMUNOTERAPIA

Efisio Puxeddu, Edoardo Talpacci, Sonia Moretti, Miriam Paci, Silvia Morelli

IL CARCINOMA TIROIDEO ANAPLASTICO: UNA ENTITA’ RARA E MORTALE

Simone De Leo, Matteo Trevisan, Laura Fugazzola

IL CARCINOMA TIROIDEO MIDOLLARE: NUOVE TERAPIE

Antonio Matrone, Carla Gambale, Alessandro Prete, Cristina Romei, Clara Ugolini, Rossella Elisei

POPOLAZIONI SPECIFICHE

IL CARCINOMA TIROIDEO NELLE DONNE: COSA DICONO I DATI DELL’OSSERVATORIO ITCO

Mario Rotondi, Flavia Magri

OBESITÀ E CARCINOMA TIROIDEO. LE OPPORTUNITÀ DELL’OSSERVATORIO ITCO

Mariangela Caporusso, Martina Cavallo, Annalisa Verde, Angelo Cignarelli, Sebastio Perrini e Francesco Giorgino

GESTIONE DEL CARCINOMA DELLA TIROIDE IN GRAVIDANZA: SORVEGLIANZA O CHIRURGIA

Carmela De Crea, Loredana De Pasquale, Laura Giacomelli, Pietro Locantore, Roberto Novizio, Alfredo Pontecorvi

CANCRO TIROIDEO: L'ETÀ FA LA DIFFERENZA?

IL CARCINOMA TIROIDEO IN ETA’ EVOLUTIVA: CARATTERISTICHE DISTINTIVE E CONSIDERAZIONI GESTIONALI NELLA POPOLAZIONE PEDIATRICA

Gerdi Tuli, Alessandra Cassio, Valentino Cherubini, Roberto Gastaldi, Antonella Olivieri, Mariacarolina Salerno, Maria Cristina Vigone, Malgorzata Wasniewska

IL CARCINOMA TIROIDEO NEGLI ANZIANI

Chiara Mele, Giulia Marsan, Marco Zavattaro, Grazia Mauri, Paolo Marzullo, Gianluca Aimaretti

IL CARCINOMA TIROIDEO DIFFERENZIATO: FORME FAMILIARI

(”FAMILIAL NON MEDULLARY THYROID CARCINOMA, FNMTC”)

Maria Grazia Castagna, Laura Valerio

Il CARCINOMA MIDOLLARE FAMILIARE: UN MODELLO GENETICO DI ONCOLOGIA PREVENTIVA

Simona Censi, Stefania Zovato, Caterina Mian

Il CARCINOMA DELLA TIROIDE NEL CONTESTO DEI QUADRI SINDROMICI

Maria Serena Chirico, Valentino Marino Picciola, Maria Rosaria Ambrosio, Maria Chiara Zatelli

CARCINOMA TIROIDEO: DALLA PARTE DEI PAZIENTI

NUTRIZIONE PERSONALIZZATA NEL PAZIENTE ONCOLOGICO: UN SUPPORTO ESSENZIALE ALLE TERAPIE

Alessandro Laviano, Chiara Valenti

QUALITA’ DI VITA DEI PAZIENTI CON CARCINOMA TIROIDEO

Giulia Brigante, Roberta Sueri, Gloria Agrimonti

VIVERE CON IL CARCINOMA TIROIDEO: LE VOCI, LE STORIE E LE SPERANZE DELLE PAZIENTI

Anna Maria Biancifiori

FAVO E LE SOCIETÀ SCIENTIFICHE: QUATTRO PRIORITÀ PER ATTUARE IL PIANO ONCOLOGICO NAZIONALE (PON) 2023-2027

Elisabetta Iannelli

CARCINOMA TIROIDEO: ASPETTI SOCIO-SANITARI

TERAPIA DEL NODULO TIROIDEO BENIGNO SINTOMATICO: CONSIDERAZIONI ECONOMICHE

Rinaldo Guglielmi, Roberto Novizio, Agnese Persichetti, Enrico Papini

IMPLICAZIONI ECONOMICHE DELLA GESTIONE DEI CARCINOMI DIFFERENZIATI DELLA TIROIDE

Rinaldo Guglielmi, Roberto Novizio, Agnese Persichetti, Enrico Papini

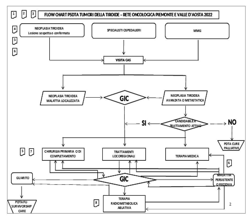
PERCORSI DIAGNOSTICO-TERAPEUTICI-ASSISTENZIALI

Michele Zini

I PDTA REGIONALI ATTIVATI

IL PERCORSO DIAGNOSTICO TERAPEUTICO ASSISTENZIALE (PDTA) DEL CARCINOMA

TIROIDEO IN PIEMONTE

Emanuela Arvat

IL PDTA DEL CARCINOMA TIROIDEO NELLA PROVINCIA DI REGGIO EMILIA

Michele Zini, Andrea Frasoldati, Loredana Cerullo, Giada Caviola

IL PDTA DEL NODULO E DEL CARCINOMA TIROIDEO IN CAMPANIA

Domenico Salvatore

IL PDTA DEL CARCINOMA TIROIDEO IN SICILIA

Gabriella Pellegriti, Stefano Campo , Giulia Sapuppo, Claudia Scollo, Vincenza Adamo , Dario Giuffrida

CONCLUSIONI

ORGANIGRAMMA ITCO

EVENTI

PREMI

CENTRI ITCO

RINGRAZIAMENTI

Editoriale

L’aumento esponenziale della prevalenza del carcinoma tiroideo a causa della sovradiagnosi ha reso questa neoplasia una delle più diffuse in Italia, con un’incidenza particolarmente elevata nel sesso femminile, rappresentando così una delle principali sfide per il Sistema Sanitario Nazionale. In questo scenario, l’Italian Thyroid Cancer Observatory (ITCO) ha sviluppato negli ultimi dieci anni una rete capillare di oltre 70 centri specializzati su tutto il territorio nazionale, creando un’infrastruttura d’eccellenza per il monitoraggio, la raccolta e l’analisi dei dati relativi a questa patologia.

Il Report ITCO 2025, elaborato da un comitato editoriale composto da esperti multidisciplinari, si propone di offrire una visione strategica e approfondita del fenomeno, analizzandone le implicazioni cliniche e delineando le prospettive future alla luce dell’esperienza maturata.

Razionale del Report

“Non si può gestire ciò che non si può misurare”questo principio fondamentale guida il Report ITCO 2025 nel suo obiettivo di colmare un vuoto conoscitivo cruciale nel panorama sanitario italiano. Per la prima volta, viene presentata un'analisi sistematica che integra dati epidemiologici, clinici ed economici relativi alle patologie tiroidee, con particolare attenzione ai costi sociali ed economici di queste condizioni.

L'approccio multidisciplinare dell'Osservatorio ha permesso di sviluppare uno strumento che si rivolge a tutti gli stakeholder del sistema salute - dai decisori politici ai clinici, dalle società scientifiche alle associazioni dei pazienti, fino all'industria. L'obiettivo è fornire una base solida di evidenze per progettare interventi mirati e sostenibili, promuovendo una collaborazione sinergica tra tutti gli attori coinvolti. In linea con le raccomandazioni delle linee guida, si auspica di ridurre le diagnosi e gli interventi non necessari, contribuendo a migliorare l'efficacia e l'efficienza del sistema sanitario.

Obiettivi Strategici

Il Report 2025 si articola su tre assi principali di intervento:

1. Analisi Epidemiologica e Gestione Clinica

• Ridurre e monitorare la sovradiagnosi del tumore della tiroide a livello nazionale e regionale

• Valutare la qualità della gestione clinica della patologia nodulare tiroidea benigna e maligna rispetto alle linee guida nazionali ed internazionali e alle raccomandazioni di buona pratica clinico-assistenziale

• Misurare le disparità di gestione tra i centri italiani

• Ottimizzare la gestione delle neoplasie aggressive attraverso:

o Valutazione degli approcci clinici e degli esiti

o Analisi dell'impatto dell’analisi genetica nei tumori sporadici e familiari

o Sperimentazione di nuovi protocolli diagnostici e terapeutici

2. Sistema di Monitoraggio Integrato

• Migliorare la qualità e completezza dei dati raccolti dal network ITCO

• Implementare la raccolta dei Patient Reported Outcomes (PRO) nel database

• Organizzare i dati clinici per integrarli con:

o Dati omici e morfologici da digital pathology

o Dati ottenuti direttamente dai pazienti (PRO)

• Collaborare con le istituzioni competenti (ISS, CENSIS, e altri) per interfacciare i dati ITCO con:

o Schede di dimissione ospedaliera

o Database delle prescrizioni farmaceutiche

o Registri specialistici

• Monitorare continuativamente gli esiti clinici, economici e sociali, e integrare i dati ITCO con quelli dei registri tumori di popolazione.

• Valutare l'efficacia delle strategie adottate

3. Benchmarking e Best Practices

• Promuovere il confronto tra realtà regionali e internazionali

• Stimolare il miglioramento continuo basato sulle evidenze

• Identificare e condividere modelli virtuosi di gestione clinica

• Creare una rete di esperienze condivise per stimolare il miglioramento continuo

Prospettive Future

Il Report ITCO 2025 si configura come uno strumento dinamico che va oltre la semplice fotografia della situazione attuale. I dati osservazionali raccolti in oltre dieci anni di attività evidenziano una questione cruciale nella gestione del carcinoma tiroideo: la necessità di evitare la trasformazione di individui sani in pazienti oncologici attraverso screening non appropriati. Questa strategia, che scoraggia le campagne di screening opportunistico e valorizza la qualità della vita dei pazienti, segna un cambio di paradigma significativo rispetto ai tradizionali sistemi di monitoraggio. Tale approccio non solo protegge i cittadini da percorsi diagnostici non necessari, ma assicura anche un'allocazione più efficace delle risorse sanitarie, concentrandole sui casi che realmente richiedono intervento terapeutico.

Questa documentazione servirà come base comune per un dialogo costruttivo tra tutti gli stakeholder del sistema salute, promuovendo una cultura della valutazione sistematica e del miglioramento continuo nell'assistenza sanitaria. Solo attraverso questo approccio sistematico e basato sulle evidenze sarà possibile affrontare efficacemente le sfide poste dalla crescente prevalenza delle patologie tiroidee nel nostro Paese.

CONTRIBUTI ISTITUZIONALI

È con profondo orgoglio che introduco il 1^ REPORT sulla gestione del carcinoma tiroideo in Italia, un’iniziativa pionieristica dell’Osservatorio ITCO che segna un momento notevole nella medicina endocrina nazionale. La mia soddisfazione nel presentare questo lavoro scaturisce da molteplici considerazioni, che desidero condividere.

Il mio percorso professionale come endocrinochirurgo presso il Policlinico Gemelli è stato caratterizzato da un impegno costante nell’innovazione della chirurgia tiroidea. Nel corso degli anni, abbiamo assistito a una vera e propria rivoluzione nelle tecniche chirurgiche, culminata nell’introduzione di procedure mini-invasive che hanno radicalmente trasformato l’approccio terapeutico. La creazione di una scuola di chirurgia endocrina, oggi riconosciuta come centro di eccellenza a livello internazionale, rappresenta non solo un traguardo personale, ma soprattutto un contributo significativo alla formazione delle nuove generazioni di specialisti.

La genesi di questo Report affonda le sue radici in un progetto visionario iniziato oltre dieci anni fa, quando, insieme a stimati colleghi, ponemmo le basi dell’Osservatorio ITCO. Vedere oggi come questa iniziativa si sia evoluta in una rete capillare che abbraccia l’intero territorio nazionale conferma la validità di quella visione iniziale e supera ogni più rosea aspettativa. ITCO è diventato un modello di riferimento per la collaborazione multidisciplinare in ambito sanitario.

Nel mio ruolo attuale di Presidente dell’Istituto Superiore di Sanità, ritengo che questo Report rappresenti uno strumento strategico di straordinaria importanza. I dati raccolti, caratterizzati da rigore metodologico e attualità, non si limitano a fornire un quadro epidemiologico dettagliato, ma offrono una prospettiva innovativa sugli aspetti socio-demografici e territoriali della patologia. L’incremento costante dell’incidenza del carcinoma tiroideo, unito alla sua complessità diagnostica e terapeutica, richiede un’attenzione particolare da parte delle istituzioni sanitarie.

Un elemento cruciale emerso dall’analisi è la necessità impellente di affrontare il fenomeno della sovradiagnosi, una problematica che comporta non solo un impatto si-

gnificativo sulla qualità di vita dei pazienti, ma anche un considerevole dispendio di risorse sanitarie. Le linee guida internazionali e nazionali, di cui l’Istituto Superiore di Sanità si è fatto promotore, enfatizzano l’importanza di un approccio diagnostico più selettivo e appropriato, volto a evitare interventi chirurgici non necessari e a ottimizzare l’allocazione delle risorse sanitarie.

Il Report mette in luce diverse criticità che richiedono interventi mirati e tempestivi. Tra queste, emergono le disparità territoriali nella gestione della patologia, l’esigenza di standardizzare i protocolli diagnostici e terapeutici, e la necessità di rafforzare i Percorsi Diagnostico-Terapeutico-Assistenziali (PDTA). Quest’ultimo aspetto risulta particolarmente rilevante per garantire un’assistenza specialistica uniforme e di alta qualità su tutto il territorio nazionale, pur nel rispetto delle specificità locali.

L’Osservatorio ITCO si distingue per il suo approccio inclusivo e multidisciplinare. La rete comprende non solo i centri di eccellenza, ma anche strutture sanitarie periferiche e territoriali, promuovendo una collaborazione sinergica tra diverse figure professionali: endocrinologi, internisti, oncologi, medici nucleari, endocrinochirurghi e patologi. Questa integrazione di competenze rappresenta un valore aggiunto fondamentale, che permette di ottimizzare le risorse del sistema sanitario e di garantire standard elevati di cura.

Il REPORT ITCO 2025 si propone come uno strumento dinamico e innovativo, destinato a diventare un riferimento essenziale per la comprensione e la gestione del carcinoma tiroideo in Italia. La ricchezza dei dati presentati e l’analisi approfondita delle problematiche esistenti costituiranno la base per orientare le future strategie sanitarie e per promuovere un continuo miglioramento dell’assistenza ai pazienti.

In conclusione, auspico che questo Report rappresenti non solo un punto di arrivo, ma soprattutto un punto di partenza per ulteriori sviluppi nella ricerca e nella pratica clinica. L’impegno di ITCO nel promuovere l’eccellenza nella gestione del carcinoma tiroideo continuerà a essere un faro guida per tutti gli operatori del settore, nell’interesse supremo della salute dei pazienti.

Antonella Polimeni

Magnifica Rettrice

Sapienza Università di Roma

L’Osservatorio Italiano dei Carcinomi Tiroidei:un decennio di ricerca e innovazione clinica

Desidero esprimere il mio profondo apprezzamento per il lavoro svolto in questi anni dall’Italian Thyroid Cancer Observatory (ITCO): un’iniziativa di Terza Missione che incarna l’impegno del nostro Ateneo nel promuovere ricerca, innovazione e trasferimento delle conoscenze al servizio della salute pubblica. La pubblicazione del primo Libro Bianco ITCO rappresenta un traguardo di straordinaria rilevanza per la comunità scientifica e clinica italiana. L’Italian Thyroid Cancer Observatory, coordinato dal Professor Cosimo Durante del Dipartimento di Medicina Traslazionale e di Precisione della Sapienza, è oggi una rete nazionale che riunisce 55 Centri di riferimento per la gestione dei carcinomi tiroidei, con una crescita che porterà presto ad accogliere complessivamente 80 strutture distribuite capillarmente sul territorio, che grazie a un database centralizzato avranno la possibilità di raccoglie e analizzare dati clinici e gestionali relativi a circa 15.000 pazienti, con un incremento annuo di 2.500 nuovi casi

La forza di ITCO risiede nella sua capacità di coniugare l’eccellenza dei principali Istituti Tumori italiani con le competenze delle strutture territoriali e periferiche, offrendo una rappresentazione completa e realistica del panorama sanitario nazionale. Questo modello virtuoso consente non solo di migliorare le strategie diagnosticoterapeutiche, ma anche di individuare le migliori pratiche cliniche e sviluppare percorsi di cura sempre più personalizzati. I dati raccolti da ITCO hanno già alimentato numerose pubblicazioni scientifiche e contribuito ad affrontare alcune sfide fondamentali, tra le quali la standardizzazione delle procedure diagnostiche e terapeutiche, riducendo le disomogeneità tra i diversi contesti clinici; la gestione del fenomeno della sovradiagnosi, promuovendo approcci più selettivi e mirati nella diagnosi del carcinoma tiroideo; e l’implementazione di

strategie terapeutiche personalizzate, con particolare attenzione ai casi avanzati. Oltre al valore scientifico e clinico, l’Osservatorio ITCO ha una fondamentale missione formativa, offrendo un’opportunità di crescita per giovani ricercatrici, ricercatori e clinici e favorendo un dialogo proficuo tra il mondo accademico, le istituzioni sanitarie e le associazioni dei pazienti presenti in tutto il territorio nazionale: un approccio multidisciplinare e partecipativo essenziale per garantire un sistema sanitario più equo ed innovativo.

Il Summit ITCO 2025, ospitato presso il Senato della Repubblica, rappresenta un momento cruciale di riflessione e programmazione. I risultati presentati non solo documentano il percorso compiuto fino ad oggi dall’osservatorio, ma delineano anche le strategie future per un sistema sanitario efficiente e sostenibile nella gestione dei carcinomi tiroidei. Sapienza continuerà a sostenere con convinzione l’Italian Thyroid Cancer Observatory, consapevole che solo attraverso l’integrazione tra ricerca, formazione e assistenza clinica sarà possibile promuovere l’innovazione, migliorare le strategie terapeutiche e costruire un sistema sanitario più sostenibile ed efficace.

Associazione

Il carcinoma della tiroide è un carcinoma raro, rappresentando solo il 5-6% di tutti i carcinomi umani ma è certamente il carcinoma endocrino più frequente. Inoltre, la prevalenza di pazienti con storia clinica di carcinoma tiroideo, guariti o con malattia persistente, è molto elevata grazie soprattutto al fatto che la mortalità dovuta al carcinoma tiroideo è molto bassa e non supera l’1% di tutti i casi. Sebbene esistano casi più aggressivi che possono anche portare al decesso del paziente, la maggior parte, e soprattutto le forme ben differenziate quali il papillare e il follicolare, hanno una sopravvivenza del 95% dei casi a 30 anni dalla diagnosi. Nelle ultime decadi inoltre, l’incidenza è andata aumentando soprattutto a seguito della introduzione di metodiche diagnostiche quali l’ecografia che sono in grado di rilevare la presenza di tumori maligni molto piccoli, subcentimetrici, il cui impatto clinico è stato dimostrato essere molto limitato almeno nella maggior parte dei casi al punto che oggi può anche essere proposta una sorveglianza attiva con controlli periodici e rinvio dell’intervento chirurgico al momento della evidente crescita del nodulo o della comparsa di micrometastasi linfonodali. Mentre in passato la terapia iniziale del carcinoma tiroideo era uguale per tutti i casi, e cioè tiroidectomia totale e terapia radiometabolica, negli ultimi anni, la comunità scientifica specialistica di questo settore si è orientata ad una medicina più personalizzata e pertanto, anche i casi che vengono sottoposti ad intervento chirurgico, vengono possibilmente trattati con interventi più limitati (ad esempio una lobectomia piuttosto che una tiroidectomia totale). La terapia radiometabolica inoltre viene oggi riservata solo a quei casi in cui possa esserci un vantaggio in termini di riduzione del rischio di recidiva, e quindi come terapia adiuvante, o se già presente una malattia extratiroidea e quindi a scopo prettamente terapeutico. Nonostante che questo atteggiamento più conservativo sia ormai indicato da circa 10 anni con la pubblicazione delle linee guida americane e europee, non tutti i sanitari coinvolti nel trattamento di questi pazienti hanno fatto

proprie queste indicazioni e continuano a trattare i pazienti in modo eccessivo e retrogrado. Uno delle ragioni apportate per sostenere questo atteggiamento è che non vi sono sufficienti dati scientifici a supporto della bontà di questo cambiamento. E questo non è del tutto errato perché spesso i lavori scientifici sono retrospettivi, su casistiche piuttosto limitate per la rarità del tumore, con brevi follow-up ed eseguite in centri di riferimento che spesso hanno una visione diversa da quella dei sanitari di comunità.

L’idea innovativa di ITCO è stata quella di creare un database nazionale aperto a tutti centri, sia terziari di riferimento sia periferici, in cui inserire i dati epidemiologici, clinici ed anatomopatologici dei pazienti con nuova diagnosi di carcinoma tiroideo. Il database ITCO è oggi un patrimonio eccezionale, con una quantità di informazioni sia di tipo epidemiologico che clinico importantissime. La crescente raccolta di dati dal mondo reale (real-world data) apre nuove opportunità, nonché sfide, per l’identificazione delle discrepanze di trattamento e per il miglioramento dei risultati terapeutici. Il prezioso lavoro svolto costantemente in questi ultimi anni da ITCO costituisce un importante riferimento per lo sviluppo di progettualità che consentano di incidere positivamente e significativamente sulle strategie di prevenzione e di cura di una patologia ad altissima prevalenza.

L’Associazione Italiana Tiroide (AIT) si pone pertanto al fianco di ITCO nell’intento di sostenere questo progetto e con l’auspicio che da questa raccolta di dati possa effettivamente emergere una maggiore certezza e una maggiore consapevolezza di quelli che devono essere le migliori indicazioni terapeutiche per i pazienti con questo carcinoma. L’augurio infine è che i dati ricavati dall’analisi del database ITCO riescano ad uniformare il trattamento del paziente con carcinoma tiroideo su tutto il territorio nazionale mediante il coinvolgimento nell’analisi dei dati di tutti i sanitari che spontaneamente partecipano alla raccolta dei dati.

Frasoldati

Associazione Medici Endocrinologi

Nell’ambito della patologia neoplastica, il carcinoma tiroideo occupa un posto di primo piano. Il suo impatto epidemiologico è infatti rilevante, trattandosi del quinto tumore per incidenza stimata e il terzo per prevalenza nella popolazione femminile del nostro Paese. Non solo: nella donna di età inferiore a 40 anni i tumori tiroidei si collocano per frequenza al secondo posto. Fortunatamente, la prognosi della malattia è nella maggior parte dei casi è eccellente, anche in virtù di una diagnosi precoce consentita da tecniche oggi di elevata accessibilità quali l’ecografia e l’agoaspirato. Il marcato incremento delle nuove diagnosi che ha caratterizzato l’andamento epidemiologico delle neoplasie tiroidee nel periodo compreso tra gli anni ’90 e la prima decade del nuovo millennio discende proprio dall’aumentata attenzione alla patologia nodulare tiroidea, estremamente diffusa nella popolazione, e dall’impiego su larga scala della diagnostica ecografica.

Il rovescio della medaglia è naturalmente rappresentato dal rischio di overdiagnosis e overtreatment di neoplasie probabilmente destinate ad un comportamento clinico indolente. Sul piano della ricerca, è proprio l’antinomia tra i casi, fortunatamente prevalenti, a bassa aggressività, le rare forme connotate da un comportamento altamente maligno rende le neoplasie tiroidee un modello di studio di estremo interesse per i ricercatori che investigano i meccanismi molecolari del cancro.

Da queste considerazioni, credo risulti immediato comprendere l’importanza di un progetto quale quello messo in campo da ITCO: un osservatorio in grado di registrare, analizzare e misurare in tempo reale, e in una prospettiva multicentrica di dimensione nazionale, il profilo epidemiologico del carcinoma tiroideo e soprattutto gli orientamenti e le scelte che ogni giorno in campo diagnostico e terapeutico i nostri medici condividono con i pazienti e i lori familiari.

Qui sta il valore aggiunto di ITCO: raccontare l’assistenza al paziente con carcinoma tiroideo nella real life, descrivendo ciò che avviene non solo nei centri di riferimento, dove operano equipe multidisciplinari dotate di elevato expertise e delle più avanzate tecnologie , ma anche nelle realtà più periferiche alle prese con minori risorse in termini di personale e strumentazioni. E la sfida non è soltanto quella di descrivere analogie e differenze in modalità trasversale ma anche di osservare come evolve l’assistenza nella dimensione longitudinale del tempo, attraverso il continuo aggiornamento dei percorsi diagnostico-terapeutici che si viene via via concretizzando sulla base di nuove conoscenze.

Un aspetto deve essere infine sottolineato: nel progetto ITCO c’è un ingrediente del tutto speciale che contribuisce al suo successo e che molti colleghi appartenenti ad AME, l’associazione di medici endocrinologi che presiedo, mi hanno in più circostanze testimoniato.

Non si tratta di un ingrediente segreto, ed è racchiuso in una semplice parola: partecipazione. I risultati di ITCO sono raggiunti grazie al lavoro di tanti e sono messi a disposizione delle idee di tutti i partecipanti al progetto. Se nel mondo della ricerca, come è inevitabile, la competizione tra le diverse realtà sembra talora assumere un significato prevalente su valori quali la condivisione, la collaborazione e, appunto, la partecipazione, ITCO riafferma l’importanza di un modello di ricerca basato in primo luogo sul sentirsi parte di un progetto comune. Un modello che merita a mio avviso di essere implementato in altri ambiti medico-specialistici.

The European Thyroid Association (ETA) is a scientific organization founded in 1965, dedicated to promote clinical and basic research in the thyroid field. One of the working groups of the Association is the ETA-Cancer Group (ETA-CG) which is devoted to those members whose primary focus is clinical, translational or molecular biology of thyroid cancer. ETA-CG is a platform of cooperation among ETA members but also with those investigators and clinicians from other medical associations who also focus on thyroid cancer with the goal to improve thyroid cancer diagnostics and treatments. ETACG gives a special focus to advances in the most innovative diagnostic and therapeutic procedures in thyroid cancer in its broader spectrum, either differentiated, medullary or anaplastic. All the translational aspects of thyroid cancer are covered, including future possible treatments or mechanistic discoveries, as well as the investigations in molecular biology pathways explaining the initiation of a thyroid cancer or the resistance to therapy. In recent years, the prevalence of thyroid cancer has increased significantly, becoming an emerging global health issue. This increase can be attributed to various factors, including improvements in diagnostic techniques that allow for the identification of very small tumors, as well as growing exposure to environmental and genetic risk factors. The increased incidence of thyroid cancer in recent years highlights the importance of prevention strategies, early diagnosis, and ongoing research to improve clinical outcomes and reduce the overall burden of this emerging disease. Although many thyroid cancers have a favorable prognosis, the rising number of diagnoses has a significant impact on the healthcare system, requiring greater efforts in the management, treatment, and follow-up of patients. One of the challenges pursued by the ETA is the homogenization of diagnostic and therapeutic availabilities across various European countries. In recent years, we have witnessed

significant therapeutic advancements with the availability of drugs capable of increasing the survival of patients with advanced and aggressive thyroid cancers. Unfortunately, these drugs, readily available in the United States, are only partially accessible in Italy and other European countries. Similarly, in recent years, the need has arisen to molecularly profile thyroid cancers as well, with the goal of treating patients with targeted therapies directed against the mutation underlying the tumor's development. However, molecular analyses are only rarely reimbursed or available in European countries, which inevitably leads to a reduction in the quality of the therapeutic offer. The goal of ETA is to advance knowledge in the field of thyroidology, particularly in thyroid cancer, by translating research findings into clinical practice. This can only be achieved by analysing epidemiological data, supporting basic research, and implementing clinical collaboration. ITCO represents a fundamentally important platform in this regard, as it provides high-quality and reproducible clinical data on the presentation and behavior of various thyroid tumor histotypes. ETA and ITCO share the mission to raise the standards of understanding and clinical practice in thyroid diseases, and ETA fully endorses all ITCO activities.

La Società Italiana di Endocrinologia (SIE) è una società scientifica con più di 1200 soci, di cui il 44% < 35 anni, fondata nel 1964. La SIE ha come scopo principale quello di promuovere la ricerca, la formazione e l’aggiornamento per i suoi soci in tematiche di scienza di base, traslazionale e clinica in Endocrinologia, Malattie del Metabolismo, Andrologia e Scienze della Riproduzione. La disciplina Endocrinologia è tra le prime in Italia e nel mondo per produzione e impatto scientifico e si occupa di patologie croniche dall’età pediatrica a quella geriatrica ad altissima epidemiologia: Diabete, Obesità, Tireopatie in genere, Disturbi della funzionalità sessuale e della fertilità, Osteoporosi e Malattie del Metabolismo

Calcio Fosforo, Dislipidemie e di più di 400 patologie rare e in alcuni casi rarissime. Tra le problematiche ad alta rilevanza epidemiologica, di evidente impatto clinico quotidiano e di interesse per attività di ricerca e formazione per l’endocrinologo, la gestione del paziente con carcinoma tiroideo (dalla diagnosi, alla terapia, al follow-up) rappresenta uno degli ambiti disciplinari che storicamente ha visto i membri della SIE più attivi nella produzione di evidenze scientifiche e nella cura dei pazienti.

L'ITCO rappresenta una rete nazionale che include 55 Centri di riferimento per la gestione dei carcinomi tiroidei, con una distribuzione capillare su tutto il territorio. Grazie a un database centralizzato, ITCO raccoglie ad oggi dati clinici e gestionali relativi a circa 15.000 pazienti, con un incremento annuo di circa 2.000 nuovi casi. Il valore della rete risiede nella capacità di integrare l'eccellenza dei Centri di riferimento per pazienti con carcinoma tiroideo, con le competenze delle strutture territoriali e periferiche (in un modello hub and spoke), garantendo una rappresentazione completa e realistica del panorama sanitario nazionale. I dati raccolti, già oggetto di numerose pubblicazioni scientifiche, costituiscono una risorsa unica per identificare le migliori pratiche cliniche e sviluppare strategie di gestione sem-

pre più efficaci.

Pertanto, in quest’ottica si deve intendere l’accordo di collaborazione tra la SIE e l’ITCO: unire expertise scientifiche e competenze cliniche allo scopo di definire approcci clinici integrati alla cura del paziente con tumore della tiroide. Solo da una stretta collaborazione inter- e multi-disciplinare e dalla raccolta e analisi di grandi volumi di dati è possibile realizzare modelli gestionali d'eccellenza per la cura di pazienti affetti da patologie Endocrino-Metaboliche e per colmare lacune di conoscenze scientifiche e di appropriato approccio clinico.

Presidente

Società Italianadi Endocrinologia e Diabetologia Pediatrica

La Società Italiana di Endocrinologia e Diabetologia Pediatrica (SIEDP), attraverso il proprio gruppo di studio, è impegnata nel sensibilizzare opinione pubblica e istituzioni sulle patologie tiroidee, dall’ipotiroidismo congenito al nodulo tiroideo.

La SIEDP promuove strategie per prevenire e contrastare queste condizioni, garantendo un’assistenza clinica di qualità.

Tra queste, il carcinoma tiroideo, pur essendo una malattia rara in età pediatrica, mostra un’incidenza in aumento. Nei giovani si manifesta in modo più aggressivo rispetto agli adulti, e rappresenta circa il 6% di tutte le neoplasie pediatriche. Nei minori è un’entità clinica distinta, caratterizzata da peculiarità biologiche, patologiche e terapeutiche che differiscono significativamente dalle manifestazioni osservate negli adulti.

La prognosi del carcinoma tiroideo è generalmente favorevole, se diagnosticato e curato nel modo adeguato. È per questo che la diagnosi precoce ha una rilevanza clinica primaria. In età pediatrica, la gestione richiede la presenza di un team multidisciplinare dedicato, che integri figure essenziali, tra cui il pediatra endocrinologo, l’esperto di imaging, lo psicologo e in alcuni casi il chirurgo e il medico nucleare. Inoltre, sono necessari protocolli diagnostici e di gestione peculiari per l’età. La chirurgia è centrale nel trattamento ma è essenziale evitare interventi eccessivi, preservando la qualità di vita. Inoltre, come per la gran parte delle malattie croniche clinicamente rilevanti, un follow-up strutturato consente anche un percorso di transizione efficace dal pediatra endocrinologo allo specialista endocrinologo dell’adulto, assicurandone la continuità assistenziale.

Per questi motivi la SIEDP è particolarmente felice di partecipare al 1° report nazionale sulla gestione dei Carcinomi Tiroidei in Italia promosso dall’Italian Thyroid Cancer Obeservatory (ITCO). Lo sviluppo di questa iniziativa permetterà di lavorare attraverso una forte collaborazione nazionale utilizzando sempre di più approcci condivisi. Dalle fasi successive di questo percorso potranno derivare importanti frutti sul piano organizzativo, assistenziale oltre che scientifico.

È con particolare soddisfazione che, come Presidente della Società Italiana di Medicina Generale e delle Cure Primarie (SIMG), presento il Report ITCO 2025 sulla Gestione del carcinoma tiroideo in Italia. Questo documento si inserisce nel quadro più ampio della riorganizzazione delle cure primarie e segna un momento cruciale nell’evoluzione dell’assistenza alle patologie tiroidee nel nostro Paese.

La SIMG, in sinergia con le più autorevoli società scientifiche del settore, promuove e si impegna con azioni concrete affinché tutte le persone con patologie tiroidee siano inserite in un percorso assistenziale virtuoso e multiprofessionale, coordinato dal MMG. La rilevanza epidemiologica dei noduli tiroidei – riscontrabili nel 4-7% della popolazione adulta tramite esame obiettivo e fino al 68% con valutazione ecografica – richiede un approccio sistematico e strutturato alla gestione di queste patologie.

L’adozione sistematica del Point-of-Care Ultrasound (POCUS) negli studi dei MMG rappresenta un elemento qualificante di questo percorso, permettendo una valutazione preliminare immediata della ghiandola tiroidea e un orientamento diagnostico precoce. La standardizzazione dei percorsi diagnostico-terapeutici, unitamente alla personalizzazione delle cure, rappresenta un obiettivo primario che richiede il coinvolgimento attivo di tutti gli attori del sistema sanitario.

Di particolare rilevanza è l’investimento nella formazione specialistica dei MMG, attraverso programmi di aggiornamento continuo e audit clinici che garantiscono l'acquisizione di competenze specifiche nella gestione delle patologie tiroidee. Questo processo formativo è accompagnato dall’implementazione di strumenti digitali avanzati per la raccolta e l’analisi dei dati clinici, fondamentali per una medicina di precisione.

Il Report ITCO 2025 costituisce un riferimento autorevole per la comunità medica, delineando standard assistenziali basati sulle più recenti evidenze scientifiche e proponendo soluzioni organizzative innovative. La standardizzazione dei percorsi diagnostico-terapeutici, unitamente alla personalizzazione delle cure, rappresenta un obiettivo primario che richiede il coinvolgimento attivo di tutti gli attori del sistema sanitario. Esso, pertanto, rappresenta non solo un documento programmatico, ma una concreta roadmap verso un sistema di cure più efficiente e sostenibile. La nostra Società continuerà a promuovere l’eccellenza scientifica e organizzativa, nell’interesse superiore della salute dei cittadini.

La SIMG mantiene ferma la convinzione che l’eccellenza nell’assistenza derivi dalla collaborazione strutturata tra professionisti e dall’adozione di protocolli condivisi. Il nostro ruolo di guida nel processo di innovazione si esprime attraverso il costante supporto ai MMG nell’implementazione di questi nuovi modelli assistenziali. Con l’auspicio che questo documento possa rappresentare un valido strumento di lavoro per tutti i professionisti coinvolti nella gestione delle patologie tiroidee, rinnovo l’impegno della SIMG nel perseguire standard assistenziali sempre più elevati.

Società

Il cancro della tiroide rappresenta la neoplasia più frequente del sistema endocrino ed il suo riscontro in continuo aumento negli ultimi 30 anni.

Tali evidenze hanno portato a sviluppare studi sempre più approfonditi tesi a proporre percorsi diagnostici e terapeutici appropriati ed in linea con le conoscenze acquisite.

Le linee guida internazionali e nazionali degli ultimi anni, alla cui stesura ha contribuito anche la Società Italiana Unitaria di Endocrinochirurgia (SIUEC), hanno portato da una parte a standardizzare il trattamento e dall’altra a favorire una gestione multidisciplinare del Paziente così da personalizzare le cure adattandole al singolo ben sapendo che i carcinomi tiroidei possono avere prognosi ed evoluzioni diverse.

Infatti se per i carcinomi tiroidei differenziati si arriva ad un tasso di sopravvivenza a 20 anni che va oltre il 95% per i carcinomi papillari ed oltre l’85% per i follicolari, tali percentuali scendono significativamente nei carcinomi midollari, divenendo talvolta drammatiche per le forme indifferenziate e per i carcinomi anaplastici. Da un lato quindi si è lavorato per migliorare le possibilità diagnostiche, dall’altra sono stati proposti studi multicentrici nazionali ed internazionali tesi a dimostrare evidenze cliniche e risultati utili a stilare linee guida sempre più efficaci.

La collaborazione anche con l’ITCO ci ha consentito di raccogliere i dati reali di quanto avviene e si fa in Italia, frutto delle informazioni fornite sia di ciò che viene fatto nei Centri a maggior volume di trattamento che dei Centri ove tali tumori vengono trattati con minore frequenza.

Dall’analisi di questi dati è stato possibile verificare una sempre maggiore appropriatezza nelle cure e nei trattamenti proposti, anche se esiste ancora una grande variabilità nell’applicazione delle linee guida.

Altro riscontro è che ancora numerosi sono i Centri Chirurgici Italiani nei quali il numero di tiroidectomie eseguite per anno risulta ancora molto basso e non in linea con quanto ci si auspichi.

Obiettivo futuro è quindi quello di rendere sempre più omogenei i trattamenti e di favorire l’identificazione ed il riconoscimento dei Centri a maggior volume ed a quindi migliori risultati ove i Pazienti possano rivolgersi, progetto cui la SIUEC ha dedicato molti sforzi negli ultimi anni, certificandoli.

OBIETTIVI DEL REPORT E NOTA METODOLOGICA

OSSERVATORIO DEI CARCINOMI TIROIDEI IN ITALIA

(ITCO): Obiettivi e Mission

Obiettivi

L’“Italian Thyroid Cancer Observatory Foundation” (ITCO) si è affermata come punto di riferimento nazionale nella ricerca e nella gestione delle patologie nodulari e tumorali della tiroide. Dalla sua fondazione nel 2013, l’Osservatorio ha sviluppato una rete di oltre 75 centri distribuiti capillarmente sul territorio nazionale, creando un database che monitora il follow-up di più di 15.000 pazienti, con un reclutamento negli anni 2023-24 di 2.500-3.000 nuovi casi per anno. Questa rete di centri è rappresentativa delle varie tipologie della gestione del carcinoma tiroideo in Italia, comprendendo centri di riferimento nazionale, IRCCS, ospedali metropolitani e periferici, nonché strutture territoriali. Ciò consente di ottenere una visione completa e realistica dell’approccio alla patologia nel Paese.1,2

Quest’ampia raccolta di dati rappresenta un valore aggiunto fondamentale: non limitandosi a descrivere l’esperienza dei centri di eccellenza e di ricerca, ma offrendo anche una panoramica della gestione nei contesti periferici e territoriali. In questo modo, il database dell’ITCO costituisce una risorsa unica, fornendo una fotografia dettagliata della gestione del carcinoma tiroideo in Italia, con un’analisi che integra le più avanzate tecnologie diagnostiche e terapeutiche con le specificità locali.3

Un altro punto di forza dell’ITCO risiede nella sua capacità di coniugare l’eccellenza scientifica con un approccio multidisciplinare, che considera non solo gli aspetti clinici, ma anche le implicazioni sociali, economiche e di politica sanitaria. Il database dell’Osservatorio rappresenta una risorsa strategica che, superando i limiti delle casistiche internazionali prevalentemente statunitensi, fornisce dati specifici del contesto italiano, essenziali per orientare le decisioni cliniche e le politiche sanitarie nazionali.

In questa prospettiva, l’ITCO si configura come una piattaforma scientifico-culturale innovativa, il cui obiettivo primario è promuovere l’ottimizzazione delle strategie diagnostico-terapeutiche, ridurre le disuguaglianze nell’accesso alle cure e fornire evidenze scientifiche robuste per il continuo miglioramento degli standard assisten-

ziali. L’Osservatorio rappresenta così un modello operativo all’avanguardia per il Sistema Sanitario Nazionale, impegnato a garantire un approccio sempre più efficace, personalizzato e sostenibile nella gestione del carcinoma tiroideo in Italia.

Italian Thyroid Cancer Observatory: la “mission”

L’Italian Thyroid Cancer Observatory (ITCO) si propone come piattaforma scientifica nazionale di riferimento per promuovere l’eccellenza nella ricerca, nell’assistenza e nella formazione nel campo delle neoplasie tiroidee, integrando le esigenze cliniche, sociali ed economiche in una visione multidisciplinare e innovativa.

Italian Thyroid Cancer Observatory: strumenti e metodologie”.

L’Osservatorio si basa su una banca dati centralizzata, accessibile online, per la raccolta e l’analisi dei dati clinici. La piattaforma web si basa attualmente sul software REDCap, che oltre a permettere la raccolta dei dati relativi alla diagnosi, trattamento ed esiti clinici dei carcinomi tiroidei diagnosticati in Italia, permette la flessibile aggiunta di informazione di interesse specifico di singole discipline mediche, come ad esempio la pediatria, la chirurgia, la medicina nucleare e l’anatomia patologica. I dati finora raccolti hanno già consentito di valutare l’efficacia prognostica a breve termine di un sistema di stratificazione proposto dalle linee guida statunitensi, nonché il ruolo prognostico di singoli fattori clinici e patologici4, esplorando specificamente il ruolo dell’estensione extratiroidea della neoplasia5 e della eventuale presenza di tiroidite autoimmune.6 Riunioni periodiche, sia in presenza che in videoconferenza, favoriranno lo scambio di esperienze tra i professionisti coinvolti. La rete sarà un catalizzatore per la promozione di “best practices” e per lo sviluppo di un approccio multidisciplinare alla gestione delle neoplasie tiroidee.

Italian Thyroid Cancer Observatory: Obiettivi Strategici e Attività

L’Italian Thyroid Cancer Observatory (ITCO) persegue la sua missione attraverso cinque aree strategiche di intervento:

1. Sorveglianza Epidemiologica e Analisi dei Dati

• Gestione di una banca dati nazionale sui carcinomi tiroidei sporadici e familiari

• Monitoraggio dell’incidenza della patologia, triplicata nell’ultimo decennio

• Elaborazione di mappe regionali per analizzare le differenze territoriali

• Produzione di report periodici per la comunità scientifica e le autorità sanitarie

2. Ricerca e Innovazione

• Studio dei fattori ambientali, genetici ed epigenetici alla base della patologia

• Promozione di studi multicentrici osservazionali e interventistici

• Supporto a trial clinici su nuovi farmaci e regimi terapeutici

• Valutazione dell’impatto socio-economico delle neoplasie tiroidee

• Collaborazione con giovani ricercatori e istituzioni accademiche

3. Standardizzazione delle Cure

• Sviluppo di linee guida basate su evidenze scientifiche internazionali

• Adattamento dei protocolli alle specificità del contesto italiano

• Promozione di un approccio multidisciplinare alla gestione della patologia

• Creazione di piattaforme per il confronto tra esperti nazionali e internazionali

4. Formazione e Comunicazione

• Organizzazione di corsi di alta formazione per operatori sanitari

• Collaborazione con le Società Scientifiche per programmi formativi specialistici

• Diffusione di informazioni certificate attraverso il portale ITCO

• Sviluppo di iniziative di comunicazione scientifica

5. Engagement degli Stakeholder

• Coinvolgimento attivo di pazienti e associazioni nelle strategie di intervento

• Dialogo costruttivo con le istituzioni sanitarie

• Creazione di reti collaborative tra centri clinici e di ricerca

• Promozione di partnership pubblico-private per l’innovazione

Attraverso queste attività integrate, ITCO si propone di migliorare la comprensione, la gestione e la cura del carcinoma tiroideo in Italia, contribuendo allo sviluppo di una sanità più efficace e basata sull’evidenza scientifica.

Prospettive future

L’ITCO guarda al futuro con l’obiettivo di consolidare la propria rete e ampliare l’impatto delle proprie attività. Le priorità includono:

• Espansione del database: Incrementare il numero di centri partecipanti e arricchire i dati raccolti, includendo informazioni dettagliate sui fattori genetici ed epigenetici.

• Medicina di precisione: Sviluppare approcci personalizzati che tengano conto delle caratteristiche individuali dei pazienti.

• Iniziative di sensibilizzazione: Promuovere campagne informative per migliorare la consapevolezza della popolazione sui tumori tiroidei.

Conclusioni

L’Italian Thyroid Cancer Observatory rappresenta un modello innovativo di eccellenza nella gestione delle patologie tiroidee, distinguendosi per la sua capacità di integrare molteplici dimensioni della pratica clinica e della ricerca scientifica. La sua unicità risiede nella capacità di fotografare e interpretare la straordinaria complessità del territorio italiano, caratterizzato da un patrimonio ambientale, territoriale e genetico di particolare ricchezza e variabilità.

L’approccio multidisciplinare dell’ITCO, che valorizza la sinergia tra diverse competenze specialistiche e la convergenza di saperi biomedici complementari, si è dimostrato fondamentale per

comprendere e affrontare le sfide emergenti nella gestione del carcinoma tiroideo. Attraverso il monitoraggio continuo e l’analisi sistematica dei dati raccolti dalla sua vasta rete di centri, l’Osservatorio è in grado di identificare le tendenze epidemiologiche, valutare l’efficacia delle strategie terapeutiche e proporre soluzioni innovative per il miglioramento degli standard assistenziali.

La roadmap tracciata dall’ITCO si sviluppa su tre orizzonti temporali complementari:

• Nel breve termine, ottimizzazione delle pratiche cliniche correnti e standardizzazione dei protocolli diagnostico-terapeutici

• Nel medio termine, implementazione di strategie innovative basate sulle evidenze emergenti dalla ricerca

• Nel lungo termine, sviluppo di un sistema integrato di gestione che bilanci efficacia clinica, sostenibilità economica e qualità della vita dei pazienti

L’Osservatorio Italiano dei Tumori Tiroidei (ITCO) rappresenta un modello virtuoso di collaborazione scientifica e operativa, unendo competenze multidisciplinari per affrontare la crescente complessità delle neoplasie tiroidee. Oltre a essere un prezioso strumento di raccolta e analisi dei dati, si configura come un catalizzatore di cambiamento nel panorama sanitario nazionale e internazionale. Promuovendo il dialogo tra clinici, ricercatori, istituzioni e pazienti, l’ITCO favorisce l’integrazione tra ricerca e pratica clinica, con l’obiettivo di migliorare gli standard di trattamento e garantire un’assistenza sempre più personalizzata, innovativa e sostenibile.

Bibliografia

1. Lamartina, L. et al. Are Evidence-Based Guidelines Reflected in Clinical Practice? An Analysis of Prospectively Collected Data of the Italian Thyroid Cancer Observatory. Thyroid 27, 1490–1497 (2017).

2. Lamartina, L. et al. 8th edition of the AJCC/TNM staging system of thyroid cancer: what to expect (ITCO#2). Endocr Relat Cancer 25, L7–L11 (2018).

3. Grani, G. et al. Real-World Performance of the American Thyroid Association Risk Estimates in Predicting 1-Year Differentiated Thyroid Cancer Outcomes: A Prospective Multicenter Study of 2000 Patients. Thyroid 31, 264–271 (2021).

4. Grani, G. et al. A Data-Driven Approach to Refine Predictions of Differentiated Thyroid Cancer Outcomes: A Prospective Multicenter Study. The Journal of Clinical Endocrinology & Metabolism 108, 1921–1928 (2023).

5. Forleo, R. et al. Minimal Extrathyroidal Extension in Predicting 1Year Outcomes: A Longitudinal Multicenter Study of Low-to-Intermediate-Risk Papillary Thyroid Carcinoma (ITCO#4). Thyroid 31, 1814–1821 (2021).

6. De Leo, S. et al. A Prospective Multicenter Study Examining the Relationship Between Thyroid Cancer Treatment Outcomes and the Presence of Autoimmune Thyroiditis. Thyroid® 33, 1318–1326 (2023).

VERSO UNA NUOVA ERA NELLA GESTIONE DEL CARCINOMA TIROIDEO:

IL POTERE DEI DATI E DELL'INNOVAZIONE

1Sapienza Università di Roma

2Dipartimento di Medicina Traslazionale e di Precisione, Sapienza Università di Roma

3Direttore generale ITCO

Misurando e condividendo i dati possiamo migliorare la vita delle persone

Nel panorama sempre più complesso della medicina moderna, la gestione della patologia oncologica sta vivendo una profonda trasformazione, guidata dalla rivoluzione digitale e dalla crescente importanza dei dati clinici. Mai come oggi, la capacità di misurare, analizzare e condividere informazioni si è rivelata così determinante per il progresso delle cure oncologiche. Questa evoluzione non riguarda solo l'aspetto puramente scientifico, ma abbraccia l'intero ecosistema della cura, dalla pratica clinica quotidiana fino alle decisioni strategiche in ambito sanitario.

La chiave di volta di questa trasformazione risiede nella capacità di comprendere a fondo lo stato attuale della patologia, un obiettivo che può essere raggiunto solo attraverso un monitoraggio costante e sistematico delle diverse realtà cliniche del nostro paese. Le differenze nei metodi di trattamento e nelle risorse disponibili tra i vari centri, da potenziali fattori di disparità nelle cure, diventano al contempo preziose fonti di informazione per individuare gli approcci più efficaci in specifici contesti. In questo scenario di cambiamento, l'Osservatorio Italiano del Cancro della Tiroide (ITCO) emerge come un modello guida. Nato nel 2013, l'ITCO non si limita a essere un semplice database, ma si configura come un vero e proprio osservatorio della realtà clinica italiana. La scelta del termine "osservatorio" non è casuale: riflette infatti la volontà di guardare oltre i numeri, di comprendere le sfumature della pratica clinica quotidiana, di identificare le buone pratiche cliniche e di promuovere un dialogo costruttivo tra i diversi centri di cura. L'avvento delle nuove tecnologie ha amplificato enormemente le possibilità di analisi e comprensione dei dati clinici. L'intelligenza artificiale e il machine learning stanno rivelando correlazioni nascoste tra le caratteristiche genetiche dei pazienti e la loro risposta alle terapie, aprendo la strada a trattamenti sempre più personalizzati. I dispositivi indossabili, dal canto loro, stanno rivoluzionando il monitoraggio dei pazienti, fornendo un flusso continuo di dati che permette di adattare le terapie in tempo reale, migliorando l’efficacia, la sicurezza e la tollerabilità delle cure.

Ma la vera rivoluzione sta nella capacità di integrare diverse fonti di informazione. L'Italian Thyroid Cancer Report rappresenta proprio questo: un ponte tra il rigore degli studi clinici controllati e la complessità della pratica clinica quotidiana. Se gli studi randomizzati controllati (RCT) ci forniscono le fondamenta scientifiche, sono i

dati del mondo reale a mostrarci come queste evidenze si traducano nella pratica quotidiana, con tutte le sue sfide e peculiarità.

Questa integrazione di prospettive sta producendo risultati tangibili. Le terapie si stanno estendendo a categorie di pazienti precedentemente sottorappresentate negli studi clinici, mentre l'identificazione delle criticità nella pratica quotidiana permette di affinare continuamente i protocolli di trattamento. La personalizzazione delle cure non è più un'aspirazione, ma sta diventando una realtà concreta, supportata da un'analisi sempre più sofisticata dei dati disponibili.

L'impatto di questo approccio va ben oltre il singolo paziente. La raccolta sistematica dei dati sta guidando le decisioni strategiche in ambito sanitario, permettendo un'allocazione più efficiente delle risorse e promuovendo un accesso più equo alle cure su tutto il territorio nazionale. I decisori politici possono ora basare le loro scelte su evidenze concrete, mentre i clinici hanno a disposizione strumenti sempre più raffinati per personalizzare le terapie.

Guardando al futuro, appare evidente come la continua evoluzione tecnologica aprirà scenari ancora più promettenti. L'analisi dei big data, combinata con l'intelligenza artificiale, potrebbe presto permetterci di prevedere con maggiore accuratezza l'evoluzione della malattia nei singoli pazienti, consentendo interventi sempre più tempestivi e mirati. Ma il vero successo di questa rivoluzione digitale risiederà nella nostra capacità di mantenere al centro dell'attenzione il paziente, utilizzando la tecnologia come strumento per migliorare non solo l'efficacia delle cure, ma anche la qualità della vita di chi affronta questa patologia.

In conclusione, non sarà possibile migliorare le cure per le malattie neoplastiche e croniche, incluso il carcinoma tiroideo, fino a quando non si arriverà ad una solida comprensione del loro stato attuale. Le strategie, i metodi di trattamento e i sistemi sanitari possono essere migliorati solo se si misurano e confrontano gli esiti in modo costante e continuo nelle realtà locali che spesso differiscono tra loro per tipologia di gestione e per risorse disponibili. La strada verso una gestione sempre più efficace del carcinoma tiroideo passa inevitabilmente attraverso la capacità di raccogliere, analizzare e condividere i dati in modo sistematico e intelligente. Solo attraverso questo approccio integrato potremo continuare a progredire verso cure sempre più personalizzate ed efficaci, garantendo al contempo un accesso equo e sostenibile alle migliori opzioni terapeutiche disponibili.

REAL-LIFE EVIDENCE IN ONCOLOGIA: IL CONTRIBUTO DEGLI STUDI OSSERVAZIONALI

Ricerca osservazionale, Real World Data e Real World Evidence

Negli ultimi decenni, la ricerca osservazionale ha assunto un ruolo sempre più rilevante. Oltre alla sua funzione tradizionale di descrivere in modo sistematico le pratiche sanitarie reali, le caratteristiche, le cause e le conseguenze delle malattie, nonché i fattori che ne influenzano l'andamento, essa è diventata un complemento essenziale agli studi sperimentali-interventistici. Questi ultimi, con il disegno randomizzato controllato (RCT) come gold standard, forniscono dati fondamentali sui trattamenti (farmacologici e non), ma presentano alcune limitazioni. Gli RCT, specialmente se condotti per finalità regolatorie, sono spesso caratterizzati da criteri di selezione rigidi, ambienti di studio altamente specializzati, elevata compliance dei pazienti e durata limitata del trattamento. Questi elementi possono ridurre la generalizzabilità dei risultati alla pratica clinica quotidiana, limitando la capacità di valutare il profilo complessivo del trattamento, in particolare per quanto riguarda la sicurezza.

L’impegno dei ricercatori per sviluppare modelli di studio che avvicinino dati sperimentali e real life, con un approccio pragmatico alla ricerca, è stato significativo ed ha per esempio portato, tra le diverse opzioni percorse, alla realizzazione di importanti progetti di comparative effectiveness research (1,2) e ad un approccio definito come “target trial emulation” che presuppone la progettazione e l’analisi di uno studio osservazionale in nlinea con un ipotetico RCT che affronta la stessa domanda di ricerca (3).

In generale, nell’ambito della ricerca clinica sempre maggiore attenzione è stata pertanto dedicata ai “Real World Data (RWD)”, dati relativi allo stato di salute del paziente raccolti attraverso fonti quali le cartelle cliniche, i registri di prodotto o di malattia, fino a tecnologie sanitarie digitali come i dispositivi indossabili. L'evidenza scientifica su benefici e rischi di una tecnologia per la salute (esempio farmaco) derivata dalla analisi di RWD, e quindi relativa all'impiego nel mondo reale, si definisce “Real World Evidence (RWE)”.

Real World Data / Evidence in Oncologia

L’ambito dell’Oncologia, che rappresenta il contesto specialistico a maggior volume di ricerca a livello globale, non fa eccezione a questa tendenza. Una analisi presentata da Anne Pellat al Congresso 2023 di ESMO (European Society of Medical Oncology) ha documentato un

incremento di oltre il 50%, fra il 2020 e il 2022, del numero di pubblicazioni di studi RWE su terapie targeted nei tumori solidi (da 328 a 502 articoli). A fronte di questo incremento in termini assoluti, va peraltro sottolineato come oltre la metà degli studi pubblicati erano stati condotti in Cina, il 40% delle ricerche erano monocentriche e meno del 10% aveva carattere internazionale (4).

In Oncologia, tra le diverse applicazioni del concetto di RWE possiamo per esempio considerare (i) RWE che fa seguito alla conduzione di studi interventistici randomizzati controllati (RCT) per meglio definire l’efficacia del trattamento nella pratica clinica (per esempio con coinvolgimento di sottogruppi di pazienti sottorappresentati nei RCT); (ii) RWE per descrivere l’affidabilità e la trasferibilità nella pratica clinica di procedure complesse come la diagnostica molecolare e i trattamenti multimodali; (iii) RWE per definire l’efficacia degli interventi in contesti in cui gli RCT non sono (ancora) disponibili, per esempio nel caso di rari sottogruppi molecolari in cui la conduzione di RCT "tradizionali" può essere particolarmente impegnativa; (iv) RWE per meglio definire la sicurezza del trattamento, soprattutto in termini di eventi avversi rari o a lungo termine più difficilmente intercettabili nei RCT (5). Un ulteriore ambito nel quale la RWE potrebbe produrre informazioni di interesse è quello degli effetti delle sequenze di trattamento, integrando le indicazioni fornite dagli RCT che nella gran parte dei casi sono focalizzati sul confronto fra terapie all’interno di una specifica linea di trattamento. Infine, i dati real world rappresentano una opportunità per valutare l’applicazione di un trattamento in uno specifico contesto geografico ed economico, fornendo utili indicazioni in termini di effectiveness e cost-effectiveness per le terapie antitumorali (6,7).

Utilizzo della Real World Evidence a finalità regolatoria

Un passaggio particolarmente rilevante, soprattutto in prospettiva futura, è il possibile utilizzo di RWE a finalità regolatoria. Già da alcuni anni, con The 21st Century Cures Act la Food and Drug Administration (FDA) è stata autorizzata ad utilizzare RWE oltre ai trial randomizzati controllati per le approvazioni di farmaci, e analoghe dinamiche sono in fase di attuazione a livello europeo (8). Allo stato attuale, nella grande maggioranza dei casi, per l’autorizzazione di nuovi farmaci o nuove indicazioni terapeutiche l’Autorità Regolatoria ha accettato di consi-

derare dati di RWE come supporto a risultati forniti da studi interventistici controllati. La prospettiva di un uso regolatorio della RWE impone in primo luogo di prestare attenzione alle limitazioni intrinseche dei dati di real world, per evitarne un uso fuorviante e potenzialmente dannoso. In primo luogo, mentre i dati provenienti da studi interventistici vengono raccolti e verificati in modo prospettico con regole e procedure consolidate che ne dovrebbero garantire una adeguata qualità, la raccolta di dati del mondo reale pone non indifferenti problemi metodologici, in termini di qualità delle fonti e dei dataset, e di verifica dei dati stessi. In aggiunta e in correlazione a ciò, un quesito fondamentale è quanto un medico che prescriva un trattamento in base a raccomandazione proveniente da studi osservazionali possa essere confidente sulla congruità di quella raccomandazione. O tradotto in termini più strettamente scientifici, quanto i risultati di uno studio osservazionale possano riprodurre (aggiungendo il vantaggio di una maggiore generalizzabilità) le evidenze prodotte da uno studio randomizzato controllato (quindi il gold standard) condotto per testare uno specifico trattamento per una specifica indicazione terapeutica. In ambito oncologico, i riscontri su questo aspetto appaiono contrastanti. Sono infatti disponibili studi nei quali sono state documentate significative differenze fra l’efficacia di trattamenti testati in RCT e quella ottenuta con analisi RWE (9,10), e due ampie analisi basate rispettivamente su revisione della letteratura e dati presenti nel registro National Cancer Database americano hanno segnalato che solo poco più del 60% degli studi osservazionali o di comparative effectiveness research riportavano hazard ratio per la sopravvivenza compresi all’interno degli intervalli di confidenza al 95% documentati nei corrispondenti RCT (11,12). Dall’altro lato però, non mancano esempi di analisi RWE che, in base alle interpretazioni degli Autori, hanno invece confermato i livelli di efficacia dimostrati nei RCT (6, 13-15).

Prospettive

In termini prospettici, il valore e il peso della ricerca real life, in generale e nello specifico settore dell’Oncologia, sembrano destinati a crescere ulteriormente, tenuto conto delle dinamiche di policy sanitaria che appaiono orientate a creare condizioni abilitanti per quantità e qualità dei dati disponibili (capacità del digitale di generare e gestire big data, maggiore attenzione alla interoperabilità dei dati, creazione dello European Health Data

Space etc.). La gestione di queste opportunità non potrà prescindere da un quadro regolatorio rigoroso ma non penalizzante in termini di protezione dei dati personali, per governare in maniera efficiente l’utilizzo secondario, a scopo di ricerca, di dati sanitari. Negli ultimi anni, anche con l’obiettivo di superare i vincoli in termini di privacy, e favorito dalla significativa affermazione dell’intelligenza artificiale generativa, si sta sviluppando un crescente interesse per la generazione di dati sintetici, cioè dati fittizi generati artificialmente in modo da risultare realistici rispetto a un dato originale di riferimento. Esempi riguardanti questa prospettiva di data generation innovativa sono già stati proposti anche in Oncologia (16). Anche in questo caso un passaggio critico è rappresentato dalla qualità della base dati che viene utilizzata per l’addestramento dell’algoritmo di intelligenza artificiale, e in tal senso la disponibilità di dataset costruiti con il modello della ricerca osservazionale / osservatori / registri (come il caso dell’Osservatorio ITCO) potrebbe offrire una significativa opportunità, verosimilmente garantendo maggiore controllo di qualità rispetto al dato sanitario grezzo.

Bibliografia

1. Brown SR. Scurvy: How a Surgeon, a Mariner, and a Gentleman Solved the Greatest Medical Mystery of the Age of Sail. New York: St. Martin's Press; 2003

2. RECOVERY Collaborative Group. Tocilizumab in patients admitted to hospital with COVID-19 (RECOVERY): a randomised, controlled, open-label, platform trial. Lancet 2021; 397 (10285): 1637-1645

3. Hubbard RA, Gatsonis CA, Hogan JW et al. “Target Trial Emulation” for Observational Studies — Potential and Pitfalls. N Engl J Med 2024; 392 (21): 1975-1977

4.https://www.univadis.it/viewarticle/esmo-2023-dati-realworld-sono-davvero-pronti-entrare-scena-2023a1000q99

5. Di Maio M, Perrone F, Conte P. Real-World Evidence in Oncology: opportunities and limitations. The Oncologist 2020; 25: e746-e752

6. Pasello G, Vicario G, Zustovich F et al. From diagnostic-therapeutic pathways to real-world data: a multicenter prospective study on upfront treatment for EGFR-positive non-small cell lung cancer (MOST Study). The Oncologist 2019; 24: e318–e326

7. Bentley C, Peacock S, Abelson J et al. Addressing the affordability of cancer drugs: using deliberative public engagement

to inform health policy. Health Res Policy Syst 2019; 17: 17

8. European Medicines Agency, Heads of Medicines Agencies. Real-world evidence framework to support EU regulatory decision-making. EMA/289698/2023 https://www.ema.europa. eu/en/documents/report/real-world-evidence-framework-support-eu-regulatory-decision-making-report-experience-gainedregulator-led-studies-september-2021-february-2023_en.pdf

9. Templeton AJ, Vera-Badillo FE, Wang L et al. Translating clinical trials to clinical practice: Outcomes of men with metastatic castration resistant prostate cancer treated with docetaxel and prednisone in and out of clinical trials. Ann Oncol 2013; 24: 2972–2977

10. Sanoff HK, Chang Y, Lund JL et al. Sorafenib effectiveness in advanced hepatocellular carcinoma. The Oncologist 2016; 21: 1113–1120

11. Soni PD, Hartman HE, Dess RT, et al. Comparison of population-based observational studies with randomized trials in oncology. J Clin Oncol 2019; 37(14): 1209-1216

12. Kumar A, Guss ZD, Courtney PT, et al. Evaluation of the use of cancer registry data for comparative effectiveness research. JAMA Netw Open 2020; 3(7): e2011985

13. Boegemann M, Khaksar S, Bera G et al. Abiraterone acetate plus prednisone for the management of metastatic Castration-Resistant Prostate Cancer (mCRPC) without prior use of chemotherapy: Report from a large, international, realworld retrospective cohort study. BMC Cancer 2019; 19: 60

14. Blomstrand H, Scheibling U, Bratthäll C et al. Real world evidence on gemcitabine and nab-paclitaxel combination chemotherapy in advanced pancreatic cancer. BMC Cancer 2019; 19: 40

15. Lee JY, Park JY, Park SY et al. Real-world effectiveness of bevacizumab based on AURELIA in platinum-resistant recurrent ovarian cancer (REBECA): a Korean Gynecologic Oncology Group study (KGOG 3041). Gynecol Oncol 2019; 152: 61–67

16. Azizi Z, Zheng C, Mosquera L, et al. Can synthetic data be a proxy for real clinical trial data? A validation study. BMJ Open 2021; 11: e043497

NODULI E CARCINOMI DELLA TIROIDE:

ASPETTI EPIDEMIOLOGICI

E GESTIONALI

EPIDEMIOLOGIA

DEL TUMORE DELLA TIROIDE IN ITALIA E NEL MONDO

Salvatore Vaccarella1, Luigino Dal Maso2

1Cancer Surveillance Branch, International Agency for Research on Cancer, Lione, Francia

2Epidemiologia Oncologica, Centro di Riferimento Oncologico di Aviano IRCCS, Aviano, Italia

Quadro generale

Il panorama epidemiologico dei tumori tiroidei ha subito cambiamenti significativi dagli anni '90, caratterizzati da un notevole incremento delle diagnosi sia in Italia che a livello globale, particolarmente tra le giovani donne adulte. Questo aspetto epidemiologico è attribuibile principalmente all’ampio uso degli ultrasuoni e allo screening opportunistico della tiroide, che hanno portato alla scoperta di numerosi tumori papillari di piccole dimensioni, spesso indolenti e privi di sintomi, ma la cui gestione clinica è generalmente aggressiva. Tuttavia, a fronte di questa crescita nell’incidenza, la mortalità rimane bassa e in costante declino, suggerendo un fenomeno di sovradiagnosi.

Incidenza dei tumori della tiroide in Italia

In Italia, nel periodo più recente disponibile per tutti i Registri Tumori (2013-2017), si osservano in media tassi di incidenza per tumori della tiroide tra con 25 e 30 per

100.000 donne e di circa 10 per 100.000 uomini (Figura 1.1), usando la standardizzazione sulla popolazione europea.

Tuttavia, si evidenziano notevoli variazioni geografiche: con tassi di incidenza particolarmente elevati nelle donne sono stati osservati nella provincia di Nuoro (45 per 100.000 donne) e Avellino (39), aree che mostrano i tassi più alti d’Italia anche per gli uomini. Tassi nettamente più alti della media sono stati osservati anche in EmiliaRomagna. Solo per le donne tassi oltre 32 per 100.000 sono stati registrati nella provincia di Brescia, in Toscana, Molise e Basilicata. Tassi di incidenza di tumori della tiroide inferiori a 20 per 100.000 donne e 8 per 100.000 uomini sono stati osservati a Milano, Bolzano, Torino e Valle d’Aosta che ha mostrato tassi pari a circa un quarto rispetto a Nuoro.

Fonte Bray et al 2023 [1]; Rashid et al 2024 [2].
Figura 1.1. Tassi standardizzati di incidenza per tumore della tiroide in Italia, 2013-2017
Donne Uomini

Nel 2024 possiamo stimare circa 11000 nuove diagnosi di tumori della tiroide in Italia, 8100 nelle donne e 3000 negli uomini [3]. Fondamentale ricordare che i dati sulla mortalità ISTAT [4] registrano un numero di decessi di circa 545 casi l’anno nel periodo 2012-2021 (ultimo anno disponibile), essenzialmente costanti e con numeri molto simili nelle donne (320 l’anno) e negli uomini (225).

L'ampia differenza tra il numero di diagnosi e di decessi (rapporto incidenza/mortalità pari a 20, 25 nelle donne e 13 negli uomini) suggerisce che la quasi totalità delle persone a cui viene diagnosticato questo tumore ha una speranza di vita attesa uguale a quella della popolazione generale e moriranno per cause non correlate al tumore della tiroide [5].

Trend di incidenza e mortalità nel mondo

A livello globale, negli ultimi 40 anni, i tassi di incidenza di tumori della tiroide sono aumentati in modo notevole (Figura 1.2), con tassi decuplicati in alcuni Paesi (Sud Corea, Cina ma anche Cipro e Turchia) sia negli uomini che nelle donne. Anche le differenze tra Paesi sono ragguardevoli con tassi di incidenza oltre 50 per 100 000 donne l’anno negli anni più recenti in Corea del Sud, Cipro ed Ecuador e oltre 10 per 100 000 uomini negli stessi Paesi e in Cina.

I tassi di mortalità, invece, sono molto bassi e mostrano variazioni molto limitate nel tempo e tra Paesi (Figura 1.2, linee rosse) intorno a 0,5 per 100.000, ma non superano mai 1-2 per 100.000, per entrambi i sessi e per tutto il periodo di studio.

Adattato da Li et al. LDE 2024 [6]
Figura 1.2. Variazioni dei tassi standardizzati di incidenza e mortalità per tumore della tiroide nel Mondo
Donne
Uomini

I tumori papillari della tiroide, specialmente di piccole dimensioni, hanno contribuito all'ampia variazione dell'incidenza dei tumori della tiroide (Figura 1.3). È necessario sottolineare che le proporzioni dei sottotipi nelle diverse popolazioni sono fortemente correlate ai livelli totali di incidenza. L’aumento dei casi totali a seguito di screening opportunistico è sempre determinato da un aumento della proporzione dei tumori papillari, a scapito delle percentuali degli altri sottotipi.

In Corea del Sud, il paese a più alta incidenza nel mondo, la proporzione del sottotipo papillare ha raggiunto il 97% per le donne. Le proporzioni di sottotipo follicolare nelle donne erano inferiori al 10% per la maggior parte dei Paesi, ma in diversi Paesi del Nord Europa (ad esempio, Regno Unito, Danimarca e Svezia) sono stati osservati valori più elevati. I tumori midollari e anaplastici della tiroide insieme rappresentano meno del 5% nella maggior parte dei Paesi. Tassi più bassi e proporzioni più basse dei sottotipi papillare e follicolare sono state osservate negli uomini rispetto alle donne.

Curve età-specifiche di incidenza e di mortalità L’aumento dell’incidenza è stato accompagnato dall’anticipazione dell’età alla diagnosi. La Figura 1.4 mostra la forma delle curve di incidenza età-specifiche per tumori della tiroide nelle donne in alcuni Paesi. Al contrario della mortalità, che cresce con l’età (linee rosse) in tutti i Paesi, i tassi di incidenza osservati specifici per età hanno mostrato una forma a U invertita in diversi Paesi (non in tutti), con un picco nei tassi di incidenza tra le donne di età compresa tra 45 e 64 anni. L’allontanamento dei tassi di incidenza dalla crescita con l’età, che si registrava fino agli anni ‘70 in tutti i Paesi, è alla base della stima della sovradiagnosi di cui si parlerà in dettaglio nel capitolo seguente.

Adattato da Li et al. LDE 2024 [6]
Figura 1.3. Tassi di incidenza di tumore della tiroide per sottotipo istologico nelle donne nel periodo 2013-17

Figura 1.4. Tassi di incidenza e mortalità osservati e attesi specifici per gruppo di età del tumore della tiroide nelle donne nel periodo 2013-17, Paesi selezionati

Adattato da Li et al. LDE 2024 [6]. Le linee continue rappresentano i valori osservati, quelle tratteggiate rappresentano i valori attesi.

Sopravvivenza, prevalenza e guarigione

Gli indicatori di sopravvivenza e di guarigione dopo tumori della tiroide, e le loro variazioni nel tempo, sono misure che devono essere interpretate con estrema cautela in un contesto di una forte e variabile pressione diagnostica (sovradiagnosi), poiché soggette ad aumentare artificiosamente senza rispecchiare un vero “progresso” nella prognosi della malattia.

Gli ultimi dati di sopravvivenza relativa dopo 5 anni dalla diagnosi di tumori della tiroide in Europa (cioè escludendo le morti per altre cause e/o l’attesa di vita nella popolazione generale) sono riferiti ai casi diagnosticati nel periodo 2000-2007, con una sopravvivenza a 5 anni dell'88% nelle donne e dell'81% negli uomini [7]. Le probabilità di sopravvivenza variavano a seconda del Paese, diminuivano con l'età (nelle donne >95% all'età di 15-54 anni, 57% all'età di 75+), e soprattutto per istologia: dal 98% nelle donne e 94% negli uomini con tumori papillare della tiroide al 14% nelle donne e 12% negli uomini con tumori anaplastici.

In Europa vivevano nel 2020 circa un milione di persone (800.000 donne e 200.000 uomini) dopo una diagnosi di tumori della tiroide [8].

In Italia, possiamo stimare vivano nel 2025 circa 235.000 persone con una diagnosi passata di tumori della tiroide

(180.000 donne e 55.000 uomini) [9]. L’aumento atteso sarà di oltre il 3% l’anno fino al 2030 quando saranno oltre 280 000 (65.000 uomini e 215.000 donne), paria allo 0,5% dell’intera popolazione ed il 7% di tutti i casi prevalenti.

Al momento della diagnosi, la probabilità di guarire (di avere la stessa attesa di vita di chi non si è ammalato) per i tumori della tiroide è più alta che qualsiasi altra forma neoplastica (circa 95%) [5,10]. Questo avviene, oltre che per la relativamente buona diagnosi del tumore della tiroide, perché chi viene sovradiagnosticato (la maggioranza dei pazienti) è in realtà già guarito, in quanto ha la stessa speranza di vita di chi non si è ammalato e ce l’avrebbe avuta anche se non diagnosticato/trattato per il tumore della tiroide.

Tra tutte le persone che vivono oggi dopo una diagnosi di tumori della tiroide, spesso da moltissimi anni, è fondamentale ricordare che la stragrande maggioranza (99%) non moriranno a causa del tumore (“guariranno”) ed hanno la stessa attesa di vita di chi non si è mai ammalato del tumore [9].

Fattori di rischio

In un contesto caratterizzato da una forte sovradiagnosi, studiare se e quanto un’esposizione aumenta o meno e

di quanto, il rischio di sviluppare tumori della tiroide nelle diverse popolazioni è complesso [11].

L'esposizione alle radiazioni è un fattore di rischio rilevante per i tumori della tiroide. Tra queste vi è l'esposizione alle radiazioni derivanti da alcuni trattamenti ed esami medici, nonché la ricaduta di radiazioni da incidenti in centrali elettriche o armi nucleari. Le esposizioni di gran lunga più probabili oggi in Italia sono le radiazioni da trattamenti medici; sottoporsi a trattamenti di radiazione alla testa o al collo durante l'infanzia aumenta il rischio di tumori della tiroide. Ciò include la radioterapia per il trattamento di tumori come il linfoma di Hodgkin, nonché la radioterapia somministrata prima di un trapianto di cellule staminali (trapianto di midollo osseo).

L'entità del rischio dipende dalla quantità e dall'età in cui vengono somministrate le radiazioni. In generale, il rischio aumenta con dosi maggiori e con la giovane età al momento del trattamento.

Alcune condizioni ereditarie sono certamente legate a un aumento del rischio di alcuni tipi di cancro della tiroide. In particolare, le persone affette da sindromi MEN (neoplasia endocrina multipla) di tipo 2, causate da diverse mutazioni nel gene RET, presentano un rischio elevato di tumore midollare della tiroide, oltre che di tumori di altre ghiandole endocrine. Nelle persone con queste condizioni, il tumore midollare della tiroide si manifesta spesso durante l'infanzia o la prima età adulta e tende a essere più aggressivo. Se la sindrome MEN2 è presente nella famiglia, predispone ad avere un rischio molto elevato di sviluppare un tumore midollare della tiroide.

Anche avere un parente di primo grado (genitore, fratello, sorella o figlio) affetto da tumore della tiroide, predispone a un rischio maggiore di sviluppare lo stesso tumore, anche in assenza di una sindrome ereditaria nota in famiglia. Tuttavia, la maggior parte delle persone affette da cancro della tiroide non ha una storia familiare della malattia.

Tra i fattori di rischio per alcuni tipi di tumori della tiroide c’è la carenza di iodio che causa il gozzo, un aumento di volume della tiroide, spesso caratterizzato da numerosi noduli benigni della ghiandola.

Esistono altri fattori che possono aver causato un numero anche rilevante di casi di tumori della tiroide in aree circoscritte (es.: radiazioni nei dintorni di Chernobyl, specifici inquinanti in qualche area). Tuttavia, l’impatto di questi fattori sembra limitato rispetto alla sovradiagnosi, principale responsabile dell’attuale aumento delle diagnosi.

Conclusioni

Il panorama epidemiologico dei tumori tiroidei evidenzia un’elevata incidenza rispetto ai decenni passati e ad altri Paesi europei, legata principalmente alla sovradiagnosi, con una mortalità stabile e bassa, e una forte variabilità tra aree italiane. Comprendere e ridurre l’impatto di questo fenomeno è essenziale per sviluppare strategie di diagnosi e gestione più appropriate, minimizzando diagnosi e trattamenti non necessari ed evitando di trasformare individui sani in pazienti.

Bibliografia

1. Bray F, Colombet M, Aitken JF, et al. editors (2023). Cancer Incidence in Five Continents, Vol. XII (IARC CancerBase No. 19). Lyon: International Agency for Research on Cancer. Available from: https://ci5.iarc.who.int, accessed [30/10/2024].

2. Rashid I, Cozza V, Bisceglia L. Panoramica sui numeri del cancro in Italia [Cancer figures in Italy: an overview]. Epidemiol Prev. 2024;48(1):24-39. Italian. doi: 10.19191/EP24.1. A715.018. PMID: 38482783.

3. AIOM, AIRTUM et al I numeri del Cancro in Italia 2014 Intermedia Editore, Available at https://www.aiom.it/wpcontent/uploads/2024/12/2024_NDC-def.pdf

4. ISTAT 2024. http://dati.istat.it/

5. Dal Maso L, Panato C, Guzzinati S, et al. Prognosis and cure of long-term cancer survivors: A population-based estimation. Cancer Med. 2019;8(9):4497-4507. doi: 10.1002/cam4.2276.

6. Li M, Dal Maso L, Pizzato M, Vaccarella S. Evolving epidemiological patterns of thyroid cancer and estimates of overdiagnosis in 2013-17 in 63 countries worldwide: a population-based study. Lancet Diabetes Endocrinol. 2024;12(11):824-836.

7. Dal Maso L, Tavilla A, Pacini F, et al. Survival of 86,690 patients with thyroid cancer: A population-based study in 29 European countries from EUROCARE-5. Eur J Cancer. 2017;77:140-152.

8. De Angelis R, Demuru E, Baili P, et al. Complete cancer prevalence in Europe in 2020 by disease duration and country (EUROCARE-6): a population-based study. Lancet Oncol. 2024;25(3):293-307.

9. Guzzinati S, Toffolutti F, Francisci S, et al. Patients with cancer who will be cured and projections of complete prevalence in Italy from 2018 to 2030. ESMO Open. 2024;9(7):103635.

10. Dal Maso L, Panato C, Tavilla A, et al. Cancer cure for 32 cancer types: results from the EUROCARE-5 study. Int J Epidemiol. 2020; 49(5):1517-1525. doi: 10.1093/ije/dyaa128.

11. Vaccarella S, Dal Maso L. Challenges in investigating risk factors for thyroid cancer. Lancet Diabetes Endocrinol. 2021;9(2):57-59. doi: 10.1016/S2213-8587(20)30426-5.

EPIDEMIOLOGIA DEL TUMORE DELLA TIROIDE: IL RUOLO

Salvatore Vaccarella1, Luigino Dal Maso2

1Cancer Surveillance Branch, International Agency for Research on Cancer, Lione, Francia

2Epidemiologia Oncologica, Centro di Riferimento Oncologico di Aviano IRCCS, Aviano, Italia

Tumore della tiroide e sovradiagnosi

La sovradiagnosi è definita come la diagnosi di un tumore che, se non rilevato, non avrebbe avuto alcun impatto negativo sulla salute della persona nel corso della sua vita, non avrebbe causato sintomi né portato al decesso. Alcuni tumori della tiroide non raggiungono mai la fase clinica o di vita di un individuo, come mostra schematicamente la figura seguente (area grigia).

Figura 2.1. Rappresentazione schematica dello screening dei tumori: causa sovradiagnosi quando vengono identificati tumori molto lenti o non progressivi che non avrebbero mai provocato danni alla salute.

DELLA SOVRADIAGNOSI

• Variabilità temporale e geografica dell’incidenza, senza evidenze di chiari cambiamenti nel tempo e tra aree contigue nella esposizione a fattori di rischio noti o presunti;

• Variazioni della curva età-specifica dell’incidenza.

Figura 2.2. Variazioni osservate rispetto a quelle attese nei tassi di incidenza specifici per età del tumore della tiroide per 100.000 donne, per periodo, Italia, 1998-2012, età 0-84 anni.

Modificata da Dal Maso et al 2018 [2] Le linee continue rappresentano i valori di incidenza osservati, quelle tratteggiate rappresentano i valori attesi in un ipotetico scenario senza sovradiagnosi.

Metodo per stimare la sovradiagnosi

Tre principali condizioni possono contribuire alla sovradiagnosi di tumori della tiroide:

1. Noduli indolenti (che non provocheranno sintomi clinici). Studi autoptici mostrano la presenza di piccoli noduli papillari nel 10-15% delle persone decedute per cause non legate alla tiroide.

2. Tecniche di imaging diagnostico (ultrasuoni), che consentono di identificare piccoli noduli asintomatici, non rilevabili con la sola palpazione.

3. Maggiore pressione diagnostica. L’aumento progressivo della sorveglianza verso questa patologia hanno portato a una crescita delle diagnosi nel tempo.

Le caratteristiche epidemiologiche del tumore della tiroide supportano l’ipotesi di una marcata sovradiagnosi:

• Forte aumento incidenza. La crescita riguarda quasi esclusivamente piccoli tumori papillari, mentre la mortalità resta bassa e relativamente stabile o in diminuzione.

Proprio il cambiamento della curva età-specifica può essere usato per stimare la sovradiagnosi di tumore della tiroide nella popolazione. Questa curva ha assunto sempre di più nel tempo la forma di una U rovesciata, e quindi con un picco in corrispondenza della mezza età, piuttosto che con tassi crescenti con l’età, come succedeva nel passato. La progressiva alterazione della curva età-specifica, insieme all’aumento dei tassi, rappresenta una caratteristica epidemiologica distintiva della recente epidemia dei tumori della tiroide, osservata sistematicamente in quasi tutti i Paesi e popolazioni analizzate [35]. La spiegazione più plausibile di questa alterazione risiede in una sorveglianza opportunistica più intensa della ghiandola tiroidea, specialmente nelle donne in età riproduttiva.

La sovradiagnosi può essere stimata confrontando le curve osservate con quella età-specifica "storica". La differenza tra i casi osservati (linee continue, a U rovesciata in figura 2.2) e quelli attesi (linee tratteggiate, con incremento che segue una legge di potenza) indica il numero di possibili sovradiagnosi.

Stime di sovradiagnosi nel mondo

Uno studio recente ha stimate circa 1,7 milioni di persone (1,3 milioni di donne) sovradiagnosticate in 5 anni (2013-2017) in 63 paesi, su un totale di 2,3 milioni di

Nessuna
Modificata da Welch et al 2013 [1]

diagnosi (Figura 2.3). In Italia, nello stesso periodo, il corrispondente numero è di circa 37.000 persone (28.000 donne e 9.000 uomini), cioè circa il 75% del totale dei casi diagnosticati.

Consequenze della sovradiagnosi

Il livello di sovradiagnosi del tumore della tiroide nel mondo è oramai elevatissimo [5-6]. A causa di ciò questo tumore è tra i primi tumori diagnosticati in tanti Paesi, specialmente tra i giovani adulti e le giovani donne in particolare.

Gli effetti della sovradiagnosi includono:

• Trattamenti non necessari: La maggior parte delle persone diagnosticate, inclusi i casi di sovradiagnosi, viene sottoposta a tiroidectomia totale (oltre il 90% dei casi) e, spesso, a radioterapia (50%). Le complicanze gravi si verificano nel 1-6% dei pazienti.

• Terapia ormonale sostitutiva: La rimozione della tiroide implica una dipendenza permanente dagli ormoni tiroidei, essenziali per regolare il metabolismo, la temperatura corporea e la frequenza cardiaca.

• Implicazioni fisiche, psicologiche e sociali: La diagnosi e il trattamento possono avere un impatto emotivo e fisico significativo oltre che indurre discriminazioni dei pazienti.

Inoltre, la sovradiagnosi comporta un notevole peso economico sia per il sistema sanitario che, in parte, per i pazienti. Le risorse destinate a trattamenti inutili potrebbero essere più efficacemente impiegate nella prevenzione e nella cura delle forme tumorali più aggressive.

Uno studio condotto in Francia[7]offre spunti significativi per stimare i potenziali costi legati alla sovradiagnosi e al sovratrattamento del carcinoma tiroideo anche in Italia, considerando le analogie tra i due Paesi. Sebbene la popolazione francese sia leggermente più numerosa, entrambi i contesti condividono un'incidenza crescente delle diagnosi di tumore della tiroide, un fenomeno particolarmente accentuato in Italia. Inoltre, ed i costi diretti per paziente risultano molto simili, rendendo possibile un'analisi comparativa tra i due sistemi sanitari. Tali somiglianze suggeriscono che le stime dei costi derivanti dalla sovradiagnosi in Francia possano essere utilizzate per orientare le previsioni economiche anche per l'Italia. Lo studio francese ha stimato che, tra il 2011 e il 2015, sono stati diagnosticati 33.911 casi di carcinoma tiroideo nelle donne e 10.846 negli uomini, con un costo medio per paziente di 6248 . Tra questi, si stima che tra 8.114 e 14.925 donne e tra 1.465 e 3.626 uomini siano stati trattati a causa di una sovradiagnosi. Il costo totale diretto della gestione del carcinoma tiroideo è stato pari a

203,5 milioni di euro, di cui tra 59,9 e 115,9 milioni sono attribuibili alla sovradiagnosi. Va inoltre considerato che lo studio non ha incluso i costi indiretti; ma è ragionevole ipotizzare che, qualora venissero inclusi, il peso economico complessivo potrebbe almeno raddoppiare le stime precedenti. Questo studio suggerisce che la sovradiagnosi rappresenta un significativo onere economico e sanitario, e che i costi per la gestione del carcinoma tiroideo in Francia potrebbero non differire troppo da quelli italiani. Ciò evidenzia l'importanza di considerare l'impatto economico complessivo della sovradiagnosi, che potrebbe risultare significativamente maggiore se si prendono in conto anche le perdite di produttività, i costi sociali e le implicazioni a lungo termine.

Conclusioni

La sovradiagnosi trasforma persone sane in pazienti, con rilevanti implicazioni fisiche, psicologiche e sociali ed economiche. Le implicazioni non si limitano ai trattamenti non necessari e alle complicanze mediche, ma includono anche un rilevante onere finanziario sia per gli individui che per il sistema sanitario. I dati evidenziano come la sovradiagnosi comporti uno spreco di risorse che potrebbero essere destinate alla prevenzione e alla gestione delle forme tumorali più aggressive, con benefici maggiori per la salute pubblica.

Un approccio più razionale alla diagnostica e al trattamento del carcinoma tiroideo consentirebbe di ridurre gli effetti negativi della sovradiagnosi, ottimizzando l’uso delle risorse disponibili e diminuendo il peso economico e sanitario di questa problematica. La sfida consiste nel bilanciare l’obiettivo di individuare tempestivamente i tumori clinicamente rilevanti con la necessità di evitare diagnosi e trattamenti superflui che penalizzano i pazienti e il sistema sanitario nel suo complesso.

Numero e proporzione di donne diagnosticate con tumori della tiroide in età 15-84 e sovradiagnosticate nel periodo 2013-2017

Figura 2.3.
Fonte Li et al. LDE 2024 [5]

Bibliografia

1. Welch GH, Schwartz LM, Woloshin S edito da Il Pensiero Scientifico, 2013. Sovradiagnosi. Come gli sforzi per migliorare la salute possono renderci malati – ISIN 9788849004700.

2. Dal Maso L, Panato C, Franceschi S, et al. The impact of overdiagnosis on thyroid cancer epidemic in Italy,19982012. Eur J Cancer. 2018 May;94:6-15. doi: 10.1016/j.ejca.2018.01.083.

3. Vaccarella S, Dal Maso L, Laversanne M, Bray F, Plummer M, Franceschi S. The Impact of Diagnostic Changes on the Rise in Thyroid Cancer Incidence: A Population-Based Study in Selected High-Resource Countries. Thyroid. 2015 Oct;25(10):1127-36. doi: 10.1089/thy.2015.0116.

4. Vaccarella S, Franceschi S, Bray F, Wild CP, Plummer M, Dal Maso L. Worldwide Thyroid-Cancer Epidemic? The Increasing Impact of Overdiagnosis. N Engl J Med. 2016;375(7):614-7. doi: 10.1056/NEJMp1604412.

5. Li M, Dal Maso L, Pizzato M, Vaccarella S. Evolving epidemiological patterns of thyroid cancer and estimates of overdiagnosis in 2013-17 in 63 countries worldwide: a population-based study. Lancet Diabetes Endocrinol. 2024;12(11):824-836.

6. Welch HG, Bergmark R. Cancer Screening, Incidental Detection, and Overdiagnosis. Clin Chem. 2024;70(1):179189. doi: 10.1093/clinchem/hvad127.

7. Li M, Meheus F, Polazzi S, et al. Thyroid Cancer Group FRANCIM. The Economic Cost of Thyroid Cancer in France and the Corresponding Share Associated With Treatment of Overdiagnosed Cases. Value Health. 2023;26(8):11751182. doi: 10.1016/j.jval.2023.02.016.

GESTIONE DEI NODULI TIROIDEI IN MEDICINA GENERALE

I noduli tiroidei rappresentano una condizione comune che i medici di medicina generale (MMG) affrontano frequentemente nella pratica clinica quotidiana. Una gestione efficace richiede la capacità di identificare i casi che necessitano di un approccio multidisciplinare, coinvolgendo anche endocrinologi, radiologi e chirurghi.

Prevalenza e scoperta dei noduli tiroidei

I noduli tiroidei sono rilevati in circa il 4-7% della popolazione adulta tramite palpazione fisica, ma l'uso dell'ecografia aumenta questa prevalenza fino al 19-68%.

La maggior parte dei noduli tiroidei è asintomatica e viene scoperta incidentalmente durante esami di imaging eseguiti per altre ragioni. Per tale motivo, l’iter diagnostico/gestionale inizia spesso proprio in un ambulatorio di Medicina Generale.

Valutazione iniziale

Oltre ad indagare su eventuali, rari, sintomi di compressione (disfagia, dispnea, disfonia) (se non già presentati dal paziente), è importante considerare anche la storia clinica (spesso ben conosciuta dal medico di famiglia e registrata sulla sua cartella).

Elementi chiave includono:

• Familiarità per carcinoma tiroideo o per altre neoplasie endocrine E

• Esposizione a radiazioni ionizzanti, specialmente durante l'infanzia

• Modalità di crescita più o meno rapida del nodulo.

Oltre alla palpazione (regione tiroidea e collo) il MMG procede poi alla prescrizione degli esami di laboratorio appropriati per il controllo della funzionalità tiroidea (con aggiunta, nella valutazione iniziale, della calcitonina) ed eventualmente (in base a quanto emerge dalla valutazione ecografica) prescrive l’Agoaspirato con Ago Sottile (Fine Needle Biopsy, FNAB), necessario per la definizione e classificazione citologica dei noduli tiroidei. La valutazione ecografica del nodulo e la definizione citologica dell’eventuale FNAB effettuata guidano le successive tappe terapeutiche e/o l’eventuale follow-up, qualora non sia necessaria una terapia medica o chirurgica risolutiva.

Ruolo del MMG nella gestione e nel follow-up Il MMG svolge un ruolo cruciale nella sorveglianza attiva dei noduli tiroidei. La pianificazione del follow-up che include, in molti casi, una sorveglianza attiva con un monitoraggio ecografico e di laboratorio deve essere integrata, nel piano assistenziale individuale del paziente, considerando eventuali patologie croniche co-esistenti. La frequenza dei controlli dipende sempre dalle

caratteristiche cliniche del/i nodulo/i e dal profilo di rischio del paziente.

L’utilizzo del POCUS (Point-of-Care Ultrasound)

Il medico di medicina generale può assumere un ruolo ancora più importante nel follow-up attraverso l’uso della tecnica POCUS (Point-of-Care Ultrasound) che offre numerosi vantaggi:

- Esclusione di cause tiroidee per sintomi come disfagia, presentati dal paziente e quindi consente di prospettare altre cause cliniche in diagnosi differenziale

- Valutazione della ecogenicità e vascolarizzazione della ghiandola per una possibile situazione infiammatoria da confermare con esami di laboratorio

- Valutazione della regolarità dell’ecostruttura e identificazione di alterazioni nodulari della stessa, acquisendo immediatamente la presenza di elementi che fanno presumere (come accade nella stragrande maggioranza dei casi) la benignità del/i nodulo/i (cisti) con la possibilità di comunicarlo subito al paziente e tranquillizzarlo già prima di un referto ufficiale.

Nella fase diagnostica iniziale in seguito alla refertazione ecografica del/i nodulo/i è molto importante anche che il MMG faccia una valutazione non solo di merito del referto ecografico, ma anche di metodo, circa le modalità di esecuzione, la qualità e chiarezza del referto, e la congruenza delle conclusioni con la descrizione dell’anatomia tiroidea. Il POCUS permette al MMG di acquisire informazioni preliminari e orientare il paziente nel percorso diagnostico

È logico da questo punto di vista che il MMG debba acquisire specifiche conoscenze e competenze in merito, basandosi su quanto previsto da documenti scientifici europei (classificazione EU-TIRADS) per decidere il precorso da seguire e l’eventuale ricorso a FNAB. (Tab.1)

Tabella1: classificazione EU-TIRADS

Collaborazione multidisciplinare

Un aspetto fondamentale nella gestione dei noduli tiroidei da parte del MMG è la collaborazione con specialisti di riferimento nella gestione del nodulo tiroideo (endocrinologo, chirurgo, radiologo), che devono essere consultati in base agli esiti dell’iter diagnostico e per eventuali necessarie terapie (es nodulo iperfunzionante, compressioni ecc).

Conclusioni

La gestione dei noduli tiroidei da parte del medico di medicina generale richiede un approccio sistematico e multidisciplinare. L'uso della POCUS da parte del MMG offre un'opportunità per la valutazione della ghiandola e la prima osservazione della presenza di noduli tiroidei, migliorando il successivo percorso diagnostico e, in definitiva, l'efficienza e la qualità delle cure. Il riscontro del nodulo, effettuato direttamente in corso di POCUS o valutato indirettamente in seguito ad esame ecografico completo (non POCUS) e la sua gestione deve poi avvalersi della collaborazione con specialisti come endocrinologi, radiologi e chirurghi, basata su criteri precisi e definiti nella valutazione dei noduli tiroidei (Tab.1). Questo è essenziale per garantire un percorso diagnostico e decisioni terapeutiche ottimali e un’assistenza personalizzata per il paziente.

IL NODULO E IL CARCINOMA TIROIDEO: FATTORI GENETICI

E AMBIENTALI

SUSCETTIBILITÀ GENETICA E CANCRO ALLA TIROIDE

Antonella Verrienti1, Diego Russo2, Giuseppe Damante3, Valeria Pecce1

1 Dipartimento di Medicina Traslazionale e di Precisione, “Sapienza” Università di Roma

2 Dipartimento di Scienze della Salute, Università "Magna Graecia" di Catanzaro

3 Dipartimento di Medicina, Università di Udine

Il cancro alla tiroide è una malattia la cui origine affonda le radici in una complessa interazione tra predisposizione genetica e fattori ambientali.

La maggior parte dei carcinomi della tiroide è di tipo non-midollare (NMTC), che possono manifestarsi sia in forma familiare (nel 5-15% delle situazioni) che sporadica.

L’NMTC familiare (FNMTC) comprende sia forme sindromiche che non sindromiche (1). Sebbene nel caso dell’FNMTC sindromico siano noti fattori di rischio genetico ben definiti, i meccanismi molecolari alla base della maggior parte dei casi familiari non sindromici rimangono in gran parte sconosciuti, nonostante i numerosi studi genetici condotti (2). Questo suggerisce che gli FNMTC siano influenzati da una complessa combinazione di varianti genetiche, piuttosto che da una singola mutazione dominante, e da fattori ambientali come l’esposizione a radiazioni, le abitudini alimentari (ad esempio l’apporto di iodio), l’obesità e l’esposizione agli xenobiotici (3) (4). Tra i fattori ambientali, l’esposizione a radiazioni è un fattore di rischio ben documentato per il carcinoma tiroideo differenziato (DTC). La complessa interazione tra predisposizione genetica e influenze ambientali, in particolare le radiazioni ionizzanti (IR), rappresenta uno dei principali temi di ricerca sul cancro alla tiroide (5). L’esposizione a IR, riconosciuta come fattore di rischio per il DTC da oltre sette decenni, causa danni diretti al DNA. L’efficacia dei meccanismi individuali di riparazione del DNA risulta cruciale per mitigare i danni a lungo termine indotti dalle radiazioni.

Recentemente, l’attenzione dei ricercatori si è focalizzata sui polimorfismi genetici costituzionali associati al DTC in popolazioni esposte alle radiazioni ionizzanti, rivelando dettagli significativi di suscettibilità genetica. Non sorprende quindi che numerosi SNP in geni coinvolti in diverse vie di riparazione del DNA (HR, NER e MMR) siano stati associati a una predisposizione al DTC (3). Inoltre, sono stati identificati anche SNP in geni coinvolti in funzioni biologiche fondamentali, tra cui il controllo del ciclo cellulare, l’apoptosi, l’autofagia, la disfunzione telomerica, la stabilità cromosomica, la trasduzione del segnale intracellulare, la regolazione trascrizionale, il metabolismo mitocondriale e la risposta immunitaria (3; 6).

Approfondimenti sulla Suscettibilità Genetica

Gli studi di associazione sull’intero genoma (GWAS) hanno identificato molteplici polimorfismi a singolo nucleotide (SNP) associati al rischio di DTC. Un aspetto singolare di queste ricerche è la variabilità geografica:

alcune variazioni genetiche sembra conferiscano una suscettibilità solo in determinate popolazioni (1). La forza di questa associazione viene misurata mediante l’Odds Ratio (OR; rapporto di probabilità) che indica quante volte è più probabile trovare tale variante nei malati rispetto ai sani. In Figura 1A sono riportate le principali varianti individuate nella popolazione europea e il corrispondente valore OR.

Tra le scoperte più significative emerge il ruolo del gene FOXE1, un fattore di trascrizione chiave nella morfogenesi tiroidea, nel carcinoma papillare della tiroide. La variante rs1867277, localizzata nel suo promotore, presenta un meccanismo di regolazione trascrizionale estremamente sofisticato, che coinvolge i fattori di trascrizione USF1/USF2. Studi funzionali hanno confermato l'impatto causale di questa variante nella predisposizione al cancro tiroideo. È stato ipotizzato che la variante rs7080536 (p.G534E) nel gene HABP2, una proteasi extracellulare coinvolta nei sistemi di coagulazione e fibrinolisi, sia coinvolta nel conferire suscettibilità all’FNMTC, ma questo dato è ancora dibattuto.

Tra le variazioni più frequentemente identificate vi sono quelle nei geni NKX2.1, codificante un fattore di trascrizione tiroide specifico, PTCSC3 e DIRC3, trascritti in RNA non codificanti, SRGAP1 che codifica per una GTPasi, e

Figura 1A

NRG1, codificante una glicoproteina di membrana.

In ogni caso, si tratta di variazioni a bassa penetranza. Non tutti i portatori sviluppano necessariamente il tumore, ma la combinazione di queste varianti può influenzare significativamente la suscettibilità al carcinoma tiroideo. (2).

È interessante notare che alcune varianti di suscettibilità sono state trovate nelle sequenze trascritte in microRNA, piccole molecole non codificanti di RNA che partecipano a molti processi biologici (1). Tra gli SNP all’interno delle sequenze di miRNA candidati per la suscettibilità ai DTC, quello più rilevante sembra essere l’rs2910164 (miR146a) (1). Anche lo SNP rs11077 nel gene XPO5, coinvolto nel trasporto dei pre-miRNA dal nucleo al citoplasma, sembra essere coinvolto con un rischio aumentato di carcinoma tiroideo (1).

Studi di sequenziamento dell’intero genoma (WGS) o esoma (WES) insieme a studi di linkage hanno identificato multipli altri geni e loci cromosomici, sebbene in molti casi i geni causali non siano stati ancora individuati (1) (Figura 2B).

Figura 2B Oltre ai carcinomi NMTC, esiste un altro piccolo gruppo di carcinomi della tiroide che originano dalle cellule parafollicolari (cellule C) tiroidee, i carcinomi midollari della tiroide (MTC). A differenza dei NMTC, l’MTC è caratterizzato da un forte determinismo genetico sia a livello germinale che somatico (7). Nell’88-95% delle forme familiari di MTC sono presenti mutazioni nel gene RET (REarranged during Transfection) (8) e queste, data l’esistenza di una stretta correlazione tra genotipo-fenotipo, possono suggerire un particolare fenotipo clinico e il suo decorso con implicazioni importanti per il trattamento delle famiglie. Nelle famiglie in cui non sono state identificate mutazioni germinali di RET è stato suggerito un possibile coinvolgimento di altri geni come ESR2 e MET (9,10).

Conclusione

Il cancro alla tiroide si conferma come una patologia di straordinaria complessità genetica, caratterizzata da un intricato dialogo tra molteplici geni e fattori ambientali. Sebbene siano stati fatti progressi significativi nell’identificazione delle varianti genetiche associate alla suscettibilità, persistono sfide rilevanti.

Infatti, nonostante le varianti identificate che conferiscono suscettibilità al carcinoma tiroideo, esse attualmente offrono una limitata utilità predittiva. La ricerca futura deve prioritizzare la validazione completa delle associazioni riportate, esplorare i meccanismi funzionali sottostanti e sviluppare approcci integrati che combinino fattori genetici e non genetici utili per una diagnosi precoce, anche mediante l’ausilio di screening genetici, e per affinare la stratificazione del rischio e gli interventi terapeutici mirati ed efficaci (11).

Geni Loci

MAP2K5 8q24 (PTCS

PLCB1 C1)

BROX 4q32

POT1 6q22

ATM 1q21

CHEK2 (fPTC,PRN)

NOP53 14q32 (MNG1)

NDUFA13/ 2q21 (NMTC1)

GRIM-19 8p23.1-p22

TIMM44 (FTEN)

SRRM2 19q13.2 (TCO)

ANXA3

NTN4

SERPINA1

FKBP10

PLEKHG5

P2RX5

SAPCD1

Bibliografia

1) Hincza K, Kowalik A, Kowalska A: Current Knowledge of Germline Genetic Risk Factors for the Development of NonMedullary Thyroid Cancer. Genes (Basel) 2019 Jun 26;10(7):482. doi: 10.3390/genes10070482

2) Kamani T, Charkhchi P, Zahedi A, Akbari MR: Genetic susceptibility to hereditary non-medullary thyroid cancer, Hered Cancer Clin Pract. 2022 Mar 7;20(1):9. doi: 10.1186/s13053022-00215-3

3) Santos, L.S., Gomes, B.C., Bastos, H.N., Gil, O.M., Azevedo, A.P., Ferreira, T.C., Limbert, E., Silva, S.N., Rueff, J.: Thyroid cancer: The quest for genetic susceptibility involving dna repair genes. Genes (Basel). 10, (2019). https://doi.org/10.3390/genes10080586

4) Moses W, Weng J, Kebebew E: Prevalence, clinicopathologic features, and somatic genetic mutation profile in familial versus sporadic nonmedullary thyroid cancer. Thyroid. 21, 367–371 (2011). https://doi.org/10.1089/thy.2010.0256

5) Zidane M, Cazier JB, Chevillard S, Ory C, Schlumberger M, Dupuy C, Deleuze JF, Boland A, Haddy N, Lesueur F, de Vathaire F. Genetic susceptibility to radiation-related differentiated thyroid cancers: a systematic review of literature. Endocr Relat Cancer. 2019 Oct;26(10): R583-R596. doi: 10.1530/ERC-190321.

6) Sánchez-Ares M, Cameselle-García S, Abdulkader-Nallib I, Rodríguez-Carnero G, Beiras-Sarasquete C, Puñal-Rodríguez JA, Cameselle-Teijeiro JM. Susceptibility Genes and Chromosomal Regions Associated with Non-Syndromic Familial NonMedullary Thyroid Carcinoma: Some Pathogenetic and Diagnostic Keys. Front Endocrinol (Lausanne). 2022 Feb 28; 13:829103. doi: 10.3389/fendo.2022.829103

7) Sahakian N, Castinetti F, Romanet P. Molecular Basis and Natural History of Medullary Thyroid Cancer: It is (Almost) All in the RET. Cancers (Basel). 2023 Oct 5;15(19):4865. doi: 10.3390/cancers15194865.

8) American Thyroid Association Guidelines Task Force; Kloos RT, Eng C, Evans DB, Francis GL, Gagel RF, Gharib H, Moley JF, Pacini F, Ringel MD, Schlumberger M, Wells SA Jr. Medullary thyroid cancer: management guidelines of the American Thyroid Association. Thyroid. 2009 Jun;19(6):565-612. doi: 10.1089/thy.2008.0403.

9) Smith J, Read ML, Hoffman J, Brown R, Bradshaw B, Campbell C, Cole T, Navas JD, Eatock F, Gundara JS, Lian E, McMullan D, Morgan NV, Mulligan L, Morrison PJ, Robledo M, Simpson MA, Smith VE, Stewart S, Trembath RC, Sidhu S, Togneri FS, Wake NC, Wallis Y, Watkinson JC, Maher ER, McCabe CJ, Woodward ER. Germline ESR2 mutation predisposes to medullary thyroid carcinoma and causes up-regulation of RET expression. Hum Mol Genet. 2016;25(9):1836-1845.

10) Sponziello M, Benvenuti S, Gentile A, Pecce V, Rosignolo F, Virzi AR, Milan M, Comoglio PM, Londin E, Fortina P, Barnabei A, Appetecchia M, Marandino F, Russo D, Filetti S, Durante C, Verrienti A. Whole exome sequencing identifies a germline MET mutation in two siblings with hereditary wild-type RET medullary thyroid cancer. Hum Mutat. 2018;39(3):371-377.

11) Capezzone, M., Robenshtok, E., Cantara, S., Castagna, M.G.: Familial non-medullary thyroid cancer: a critical review. J Endocrinol Invest. 44, 943–950 (2021). https://doi.org/ 10.1007/s40618-020-01435-x

SELENO-DESIODASI E CARCINOMA

E IMPLICAZIONI CLINICHE

TIROIDEO: MECCANISMI MOLECOLARI

Dipartimento di Sanità Pubblica, Universita’ degli Studi di Napoli Federico II, Via S. Pansini 5, 80131 Napoli

Introduzione

La famiglia delle desiodasi è costituita da tre isoenzimi (desiodasi di tipo 1, 2 e 3, D1-3), selenoenzimi fondamentali per il controllo della concentrazione di ormone tiroideo (OT) circolante ed intracellulare. La D1 e D2 convertono il pro-ormone T4 nella molecola biologicamente più attiva T3 contribuendo insieme all'80% della produzione giornaliera di T3 nell'uomo, mentre il restante 20% della T3 deriva direttamente dalla tiroide. La D3, al contrario, inattiva sia la T4 in T3 inversa (rT3), sia la T3 in T2 (1). Le desiodasi sono espresse in maniera specifica in vari tessuti, con la D1 espressa in tiroide, fegato e rene, mentre la D2 è presente in un’ampia varietà di tessuti, regolando i livelli intracellulari di OT in risposta a stress, malattie e altri stimoli fisiologici (2-4). La D3 è considerata una onco-feto proteina, espressa poco nella vita adulta e molto nei tessuti fetali; tuttavia, la sua espressione si riaccende in determinate condizioni cliniche quali l’infiammazione e la tumorigenesi.

In alcuni tumori, quali il cancro del colon (5), il carcinoma basocellulare (6), gli emangiomi neonatali, i tumori stromali gastrointestinali (GIST), glioblastomi e carcinoma

Tabella 1: Variazioni dei livelli delle desiodasi D1 e D2 nei tumori tiroidei umani

!"#$%&"%'()$*+% ,-% ,.% ,/% 0('$*+1233$%

!"#$%&'(")*'++%$'+"#,)-%#'%.,' /01 12(,&-"-' /01 3%(),-)"+4)567789

!"#$%&'(")*'++%$'+"#,)-%#'%.,'))))))12(,&-"-')))))12(,&-"-')))/01))))) 1#&"+.%),-)"+45677:9)

ovarico (7) si osserva un aumento dell'espressione di D3, mediato da vie oncogeniche quali: WNT-β-catenina e TGF-β Tuttavia, in seguito nella tumorigenesi, alcuni tumori avanzati necessitano di livelli intracellulari di OT più alti rispetto alle fasi iniziali. Questo avviene attraverso la down-regolazione di D3 e l'up-regolazione di D2, come osservato nel cancro del colon, nella tumorigenesi cutanea e tiroidea (5, 8, 9, 10).

Questa rassegna analizza l'espressione delle desiodasi nelle neoplasie tiroidee, evidenziando le differenze tra lesioni benigne, tumori differenziati e indifferenziati, e i meccanismi molecolari che ne modulano l'espressione, influenzando il comportamento delle cellule tumorali (Tabella 1).

Profilo di espressione delle desiodasi nei tessuti tiroidei sani e/o iper-proliferanti

Le cellule follicolari tiroidee umane esprimono normalmente la D1 e la D2, ma non la D3 (11).

L'espressione della D1 e della D2 aumenta nella malattia di Graves e negli adenomi iperfunzionanti, condizioni iper-proliferative conseguenti all’attivazione del recettore TSH (12). D1 è regolata dalla T3 a livello trascrizionale, mentre l'aumento di D2 dipende dall'attivazione del recettore TSH e dalla sintesi di cAMP.

!"#$%&'(")*'++%$'+"#,)-%#'%.,'))))))12(,&-"-')))))12(,&-"-')))/01))))) .,);'2<")=,>,#),-)"+4)5677:9)

!"#$%&'(")*'++%$'+"#,)-%#'%.,'))))))12(,&-"-')))))12(,&-"-')))/01))))) ?"@"&'),-)"+4)5677A9)

!"#$%&'(")*'++%$'+"#,)-%#'%.,'))))))12(,&-"-')))))12(,&-"-')))/01))))) =%>"2$B%),-)"+4)5677C9)

!"#$%&'(")D"D%++"#,)-%#'%.,'))))))/01)))))E%.'--')))/01))))) =2#"@"(%),-)"+4)5677F9)

!"#$%&'(")D"D%++"#,)-%#'%.,'))))))E%.'--')))))E%.'--')))/01))))) 1#&"+.%),-)"+4)5677:9)

!"#$%&'(")D"D%++"#,)-%#'%.,'))))))E%.'--')))))E%.'--')))/01))))) 1(G#'<%"@),-)"+4)5677:9)

!"#$%&'(")D"D%++"#,)-%#'%.,'))))))E%.'--')))))/01)))/01))))) .,);'2<")=,>,#),-)"+4)5677:9)

!"#$%&'(")D"D%++"#,)-%#'%.,'))))))/01)))))/01)))12(,&-"-'))))))) E'(%--%),-)"+4)567F6),)67FA9)

!"#$%&'(")"&"D+"H-%$') -%#'%.,') )))))E%.'--')))))12(,&-"-')))E%.'--'))))) I,);-,*"&'),-)"+4)567689)

Espressione della desiodasi negli adenomi e nei carcinomi follicolari della tiroide (FTC)

Nel gozzo multinodulare benigno, con TSH normale, D1 e D2 hanno espressione e attività simili al tessuto tiroideo normale (12, 13). Gli FTC mostrano espressioni variabili di D1 e livelli simili di D2 rispetto al tessuto normale (14). Nei pazienti con masse tumorali estese, l'elevata attività di D1 e/o D2 riduce il rapporto T4/T3 sierico, con un aumento di T3 (15). Nei FTC iperfunzionanti, mutazioni nei geni del recettore TSH o Gsα favoriscono la conversione T4-T3, portando a una riduzione di T4 e un aumento di T3 (16).

Profilo delle desiodasi nel carcinoma papillare della tiroide (PTC)

La riduzione di D2 nei PTC è stata inizialmente osservata da Murakami et al. (17) e confermata

da studi successivi, che hanno rilevato anche una diminuzione di D1 nei campioni di PTC (14, 18). Inoltre, due studi hanno evidenziato un significativo aumento di D3 nei PTC, dato correlato a bassi livelli di OT intracellulare, che favorirebbe la tumorigenesi (19, 20). In particolare, i PTC con mutazione BRAFV600E mostrano un'espressione di D3 più elevata rispetto ai controlli BRAF wildtype. Modelli cellulari in vitro confermano questi dati: nelle cellule PTC BRAFV600E (linea K1), DIO1 e DIO2 risultano down-regolati, mentre DIO3 è significativamente aumentato. La riduzione di DIO3 tramite “RNA-interference” ha diminuito l'espressione della ciclina D1, coinvolta nel ciclo cellulare (20). Sebbene i meccanismi che inducono D3 siano ancora poco chiari, si ipotizza che BRAFV600E aumenti il TGFB1, che tramite TGF-β potrebbe attivare D3 attraverso una via Smad-dipendente (21). In sintesi, i PTC riducono la produzione intra-tiroidea di T3 (bassa attività di D1 e D2) e aumentano D3, limitando l’ingresso di OT circolanti e favorendo la crescita tumorale. Il ruolo funzionale preciso della T3 intracellulare nei PTC è ancora ignoto.

Il carcinoma anaplastico della tiroide esprime D2 Il carcinoma anaplastico della tiroide (ATC), stadio finale della de-differenziazione dei tumori follicolari tiroidei (Figura 1) (9, 22), è raro (<1% dei tumori tiroidei) ma estre-

Figura 1: Schema delle desiodasi e dei livelli di ormoni tiroidei nelle fasi della tumorigenesi tiroidea (modificato da De Stefano et al., 2023)

mamente aggressivo, responsabile di un terzo dei decessi da cancro tiroideo (23). Negli ATC si osserva l’assenza di D1, marker di differenziamento tiroideo ed una bassa espressione di D3 (19). Recenti studi su 20 ATC umani hanno rilevato una riduzione di D1 ed un aumento di D2 (23). L'inibizione in vitro della D2 compromette la sopravvivenza delle cellule ATC, evidenziando il suo ruolo critico nella tumorigenesi (10). Modelli murini di ATC con mutazione BRAFV600E e perdita di SWI/SNF mostrano ridotta espressione di DIO1 ed espressione di DIO2 (24). Linee cellulari immortalizzate umane di ATC esprimono alti livelli di DIO2 e bassi di DIO1, con aumento del recettore THRα e riduzione del recettore THRβ, indicando un'azione mirata di T3 su alcuni geni espressi negli ATC. La mutazione di p53 induce DIO2, costituendo un meccanismo molecolare in grado di spiegare l’accensione della Dio2 in alcuni ATC p53 mutati (10)

Conclusioni

Le desiodasi regolano i livelli intracellulari di ormone tiroideo. Nelle cellule follicolari tiroidee normali, le desiodasi attivanti D1 e D2 contribuiscono alla produzione di OT. Durante la tumorigenesi tiroidea, il loro profilo di espressione si modifica per adattare i livelli di OT alle esigenze tumorali. Nei tumori differenziati studi iniziali e dati in silico hanno evidenziate una espressione di D3 (che inattiva il OT) riducendo la trascrizione T3-dipendente. Nei tumori indifferenziati avanzati, l'aumento di D2 e la riduzione di D3 incrementano la concentrazione intracellulare di OT, evidenziando ruoli distinti del OT nei vari stadi tumorali della tumorigenesi tiroidea. La modulazione dell’espressione delle desiodasi nella tumorigenesi tiroidea suggerisce che le variazioni della concentrazione intracellulare della T3 svolge un ruolo diverso (ed opposto) nelle diverse fasi della tumorigenesi tiroidea. Una comprensione più approfondita dei meccanismi che regolano l’espressione delle desiodasi potrebbe aprire la strada a nuovi approcci terapeutici mirati per il trattamento dei carcinomi tiroidei.

Bibliografia

1. BIANCO A. C., 2002. Biochemistry, cellular and molecular biology, and physiological roles of the iodothyronine selenodeiodinases. Endocr Rev.

2. SIMONIDES W. S., 2008. Hypoxia-inducible factor induces local thyroid hormone inactivation during hypoxic ischemic disease in rats. J Clin Invest.

3. MANCINO G., 2020. The Thyroid Hormone Inactivator Enzyme, Type 3 Deiodinase, Is Essential for Coordination of Keratinocyte Growth and Differentiation. Thyroid

4. DE STEFANO M. A., 2021. Thyroid Hormone Action in Muscle Atrophy. Metabolites.

5. DENTICE M., 2012. beta-Catenin regulates deiodinase levels and thyroid hormone signaling in colon cancer cells. Gastroenterology.

6. DI GIROLAMO D., 2016. Reciprocal interplay between thyroid hormone and microRNA-21 regulates hedgehog pathway-driven skin tumorigenesis. J Clin Invest.

7. MOSKOVICH D., 2021. DIO3, the thyroid hormone inactivating enzyme, promotes tumorigenesis and metabolic reprogramming in high grade serous ovarian cancer. Cancer Lett.

8. MIRO C., 2019.Thyroid hormone induces progression and invasiveness of squamous cell carcinomas by promoting a ZEB1/E-cadherin switch. Nat Commun.

9. DE STEFANO M.A., 2023. Deiodinases in thyroid tumorigenesis. Endocr Relat Cancer.

10. DE STEFANO M.A., 2023.Type 2 deiodinase is expressed in anaplastic thyroid carcinoma and its inhibition causes cell senescence. Endocr Relat Cancer.

11. GALTON, V. A., 2021. The Deiodinases: Their Identification and Cloning of Their Genes. Endocrinology.

12. SALVATORE D., 1996. Type 2 iodothyronine deiodinase is highly expressed in human thyroid. J Clin Invest.

13. PEREIRA V. S., 2012. Positive correlation between type 1 and 2 iodothyronine deiodinases activities in human goiters. Endocrine.

14. ARNALDI L. A., 2005. Thyroid.

15. KIM B. W., 2003. Overexpression of type 2 iodothyronine deiodinase in follicular carcinoma as a cause of low circulating free thyroxine levels. J Clin Endocrinol Metab.

16. BRUNETTI A., 2000. The 3',5'-cyclic adenosine monophosphate response element binding protein (CREB) is functionally reduced in human toxic thyroid adenomas. Endocrinology.

17. MURAKAMI M., 2001. Expression and regulation of type II iodothyronine deiodinase in human thyroid gland. Endocrinology.

18. DE SOUZA MEYER E. L., 2005. Decreased type 1 iodothyronine deiodinase expression might be an early and discrete event in thyroid cell dedifferentation towards papillary carcinoma. Clin Endocrinol (Oxf).

19. ROMITTI M., 2016. MAPK and SHH pathways modulate type 3 deiodinase expression in papillary thyroid carcinoma. Endocr Relat Cancer.

20. ROMITTI M., 2012. Increased type 3 deiodinase expression in papillary thyroid carcinoma. Thyroid.

21. RIESCO-EIZAGUIRRE G., 2009. The BRAFV600E oncogene induces transforming growth factor beta secretion leading to sodium iodide symporter repression and increased malignancy in thyroid cancer. Cancer Res.

22. FAGIN J. A., 2016. Biologic and Clinical Perspectives on Thyroid Cancer. N Engl J Med

23. LANDA I., 2016. Genomic and transcriptomic hallmarks of poorly differentiated and anaplastic thyroid cancers. J Clin Invest.

24. SAQCENA M., 2021. SWI/SNF Complex Mutations Promote Thyroid Tumor Progression and Insensitivity to Redifferentiation Therapies. Cancer Discov.

LA NUOVA CLASSIFICAZIONE DELLA CITOLOGIA TIROIDEA

Fulvio Basolo1, Anna Crescenzi2, Gianmaria Pennelli3, Guido Fadda4, Giancarlo Troncone5

1 Dipartimento di Patologia Chirurgica, Medica, Molecolare e dell'Area Critica - Università di Pisa

2 Dipartimento di Scienze Radiologiche, Oncologiche ed Anatomo Patologiche, Sapienza Università di Roma

3 Dipartimento di Medicina, Università degli Studi di Padova

4 Dipartimento di Patologia Umana, dell’Adulto e dell’Età Evolutiva “Gaetano Barresi”, Università di Messina

5 Dipartimento di Sanità Pubblica, Università degli Studi di Napoli, Federico II

I “reporting systems” per la citologia tiroidea sono utilizzati da circa 20 anni come strumento di standardizzazione del referto e comunicazione tra clinico e patologo in modo univoco e riproducibile. Affinché la gestione del paziente con nodulo tiroideo sia efficiente e indipendente dai fattori locali dove il paziente viene curato, è infatti necessario che sia utilizzato lo stesso schema di refertazione al quale sono anche collegate le azioni cliniche riconosciute dalla comunità scientifica per lo specifico inquadramento patologico. L’uso dei reporting system, infine, facilità la raccolta e la comparazione dei dati su tutto il territorio nazionale e tra Paesi diversi. In Italia il primo reporting system per la citologia tiroidea è stato pubblicato nel 2007 ed aggiornato nel 2014. Nella struttura del 2014 era proposto l’uso di 5 categorie diagnostiche in cui la categoria indeterminata era divisa in due sottocategorie a differente rischio di malignità, analogamente a quanto riportato nei principali sistemi internazionali (Bethesda system USA e RCPath UK). A 10 anni dalla pubblicazione dal primo Consenso Italiano per la Classificazione e Refertazione della Citologia Tiroidea (ICCRTC) si è reso necessario un aggiornamento, che lo rendesse strumento più attuale per l'interpretazione e la comunicazione della diagnosi citologica dei noduli tiroidei.

Le categorie dell’aggiornamento 2024 dell’ICCRTC (i.e. TIR1, TIR2, TIR3A, TIR3B, TIR4, TIR5) sono rimaste invariate rispetto alla precedente edizione 2014. Tale approccio ha permesso di stimare in modo retrospettivo il rischio di malignità (ROM) e la frequenza di utilizzo nelle diverse categorie citologiche, potendo così indirizzare il lavoro dei team multidisciplinari all’approccio della patologia nodulare tiroidea.

Il Gruppo di Lavoro ha considerato l’opportunità di applicare altre classificazioni internazionali, ma data la diffusione del Consenso precedente, considerate le esigenze locali, le risorse territoriali disponibili e l’incidenza della patologia tiroidea nel territorio italiano, gli editori hanno ritenuto indicato mantenere e utilizzare il sistema ICCRTC. Un confronto tra i ROM riportati per l'ultimo aggiornamento dell'ICCRTC, del sistema Bethesda e del sistema BTA/RCPath mostra le differenze nella progettazione delle diverse categorie e nel contesto clinico di utilizzo (Tabella 1).

Poiché il Consensus italiano è stato progettato per stratificare meglio i pazienti con citologia indeterminata in

sottogruppi con ROM diversi e considerando il raggiungimento di questo scopo in modo più efficace rispetto agli altri sistemi e l'uso consolidato dell'ICCRTC, gli editori hanno deciso di mantenere il sistema a 5 categorie e i sottogruppi indeterminati così come formulati nell'edizione 2014.

Nella pratica clinica, i referti citologici tiroidei devono essere utilizzati consensualmente ai dati clinici, radiologici e di laboratorio, e ove opportuno, discussi nell’ambito in team multidisciplinare per la correlazione clinico-radiologica-patologica.

DEFINIZIONE DELLE CATEGORIE DIAGNOSTICHE

NEL ICCRTC UPDATE 2024 E SINTESI

DELL’APPROCCIO CLINICO

TIR1

La categoria TIR1 comprende campioni caratterizzati da un numero insufficiente di cellule rappresentative della lesione e campioni compromessi da eccesso di sangue, fibrina o da artefatti tecnici che precludono un'interpretazione attendibile delle componenti cellulari. La ripetizione dell’agoaspirato è l’azione clinica di scelta. I campioni ottenuti da lesioni cistiche che risultano completamente fluide all'esame ecografico sono sottoclassificati come TIR1C (Cisti), in assenza di componente cellulare valutabile.

TIR2

La categoria TIR2 include i noduli giudicati benigni sulla base della morfologia citologica. Si osserva fondo colloide e materiale cellulare adeguato e ben conservato che mostra caratteristiche cito-architetturali di benignità. Sono inclusi anche i campioni derivanti da patologia infiammatoria (tiroidite) che mostrano alterazioni cellulari di tipo reattivo. I noduli con referto TIR2 sono gestiti come lesioni tiroidee benigne (non neoplastiche). Il rischio di una diagnosi falsa negativa è generalmente trascurabile. L’agoaspirato va ripetuto in presenza di caratteristiche cliniche o ecografiche sospette.

TIR3A

Questa categoria include campioni citologici adeguati caratterizzati da alterazioni che non hanno caratteristiche di malignità ma non consentono una classificazione benigna con certezza. Di solito si tratta di un incremento

della cellularità con disordine dell’architettura o dell’aspetto cellulare. Nella classificazione 2024 i noduli TIR3A sono definiti come lesioni indeterminate a basso rischio di malignità. Il paziente dovrebbe essere rivalutato entro 6 – 12 mesi e successivamente presi in considerazione la chirurgia o il follow up. Test molecolari possono essere di supporto se disponibili.

TIR3B

La categoria TIR3B, definita come lesione indeterminata con rischio intermedio di malignità, corrisponde ad una condizione simile al TIR3A ma con maggiore evidenza di ipercellularità, formazione di aspetti proliferativi (microfollicoli) o alterazioni dei nuclei delle cellule che aumentano il rischio di presenza di patologia neoplastica (Tabella 2). Se disponibili, possono essere considerati test molecolari o immunocitochimica e l’intervento chirurgico

dovrebbe essere proposto ai pazienti dopo completa valutazione interdisciplinare.

TIR4

Questa categoria indica un forte sospetto di patologia maligna e comprende campioni con marcate alterazioni cito-architetturali che sono quantitativamente o qualitativamente insufficienti per una diagnosi definitiva di malignità. Le cause possono essere la scarsa cellularità o aspetti diagnostici incompleti. L’escissione chirurgica rappresenta il gold-standar terapeutico. È raccomandata una rivalutazione ecografica per la stadiazione preoperatoria.

Tabella 1. ROM nelle categorie ICCRTC, classificazione Bethesda (TBSRTC) e classificazione BTA/RCPafh

TIR5

La categoria TIR5 comprende aspirati composti da cellule con caratteristiche maligne distintive. Nella maggior parte dei casi è possibile la diagnosi di uno specifico istotipo tumorale. La chirurgia è solitamente il trattamento di prima scelta nei pazienti con diagnosi di carcinoma papillare e carcinoma midollare.

Conclusioni

L'aggiornamento 2024 dell'ICCRTC conferma la validità e l'efficacia del sistema di classificazione italiano per la citologia tiroidea, mantenendo le cinque categorie diagnostiche principali con la suddivisione della categoria

indeterminata in due sottogruppi (TIR3A e TIR3B) che hanno dimostrato particolare utilità nella stratificazione del rischio. La standardizzazione della refertazione citologica, unitamente alla valutazione multidisciplinare che integra dati clinici, radiologici e di laboratorio, rappresenta uno strumento fondamentale per ottimizzare la gestione dei pazienti con noduli tiroidei sul territorio nazionale. Questo approccio sistematico non solo facilita la comunicazione tra clinici e patologi, ma consente anche la raccolta e il confronto di dati epidemiologici su scala nazionale e internazionale, contribuendo al continuo miglioramento degli standard diagnostici e terapeutici nella patologia nodulare tiroidea.

Tabella 2. La tavola illustra il complesso scenario che compone la classe diagnostica dei noduli indeterminati a rischio intermedio

LA SELEZIONE DEI NODULI TIROIDEI A RISCHIO DI MALIGNITÀ: RUOLO DELL’ECOGRAFIA, DELL’ESAME CITOLOGICO E DELLA BIOLOGIA MOLECOLARE

Andrea Frasoldati1, Marialuisa Sponziello2, Francesco Nardi3, Graziano Ceresini4 e Luisa Petrone5

1 SOC Endocrinologia, Arcispedale S. Maria Nuova IRCCS – ASL Reggio Emilia

2 Dipartimento di Medicina Traslazionale e di Precisione, SAPIENZA Università di Roma

3 Anatomia Patologica, SAPIENZA Università di Roma

4 Graziano Ceresini, Dipartimento ad attività integrata interaziendale Onco-Ematologico provinciale Azienda OspedalieroUniversitaria di Parma, Università di Parma

5 Luisa Petrone, Dipartimento Medico-Geriatrico,SOD Endocrinologia Azienda Ospedaliero-Universitaria Careggi

La definizione di nodulo tiroideo oggi universalmente accettata è quella di una lesione che si evidenzia all’ecografia o ad altre metodiche di imaging (TC, RM, doppler TSA, PET) come strutturalmente differente dal tessuto ghiandolare circostante. Da questa definizione, emerge un dato significativo: circa la metà della popolazione adulta presenta uno o più noduli tiroidei, nella maggior parte dei casi benigni (oltre il 90%), presentandosi come alterazioni di natura cistica o iperplastica, più raramente flogistica, del parenchima tiroideo.

Due concetti devono essere sottolineati:

a) solo il 4-5% dei noduli tiroidei che giungono all’attenzione dello specialista sono carcinomi;

b) Più del 90% delle neoplasie maligne tiroidee è rappresentato da carcinomi papillari, tumori spesso di piccole dimensioni e caratterizzati da una limitata aggressività.

Da questi dati discende la necessità di procedure diagnostiche mirate a due obiettivi principali:

• Identificare i noduli tiroidei che richiedono stretta sorveglianza o intervento chirurgico;

• Ottimizzare l'utilizzo delle risorse sanitarie nella gestione della diffusa patologia nodulare, che è in gran parte benigna.

Ruolo dell’ecografia

L’ecografia ricopre un ruolo centrale nella valutazione dei noduli tiroidei: una nutrita mole di studi e pubblicazioni, in parte risalente agli anni ’90, e i continui progressi tecnologici in campo ultrasonografico hanno permesso di definire parametri consolidati in grado di guidarci nell’interpretazione dell’immagine ecografica (Tabella 1.):

Tabella 1. Parametri che guidano la valutazione ecografica dei noduli tiroidei

• Struttura: solida o liquida.

• Ecogenicità: isoecogena, ipoecogena o anecogena.

• Margini: regolari o irregolari.

• Calcificazioni: assenti o presenti, con valutazione del tipo (micro o macro).

Questi elementi consentono di comporre una flow-chart diagnostica per distinguere noduli benigni da quelli sospetti per malignità. Ulteriori dati ancillari, quali la vascolarizzazione e l’elasticità del nodulo, rilevate rispettivamente dalle applicazioni doppler ed elastosonografiche, corroborano il giudizio ecografico. L’esame completo della regione cervicale, è utile per escludere (o evidenziare) l’eventuale presenza di linfonodi di aspetto patologico, talora indicative di localizzazioni metastatiche di un nodulo tiroideo neoplastico.

Nell’arco dell’ultimo decennio, i risultati dei numerosi studi dedicati alla definizione dei caratteri ecografici dei noduli tiroidei, sono stati condensati in alcuni documenti di consenso aventi lo scopo di definire veri e propri standard interpretativi condivisi su scala internazionale. Inoltre, non solo ci si è confrontati tra esperti sull’adozione di un lessico comune nella terminologia descrittiva dei parametri sopra riportati, ma si è anche cercato di individuare criteri il più possibile oggettivi sulla base dei quali selezionare i noduli da sottoporre ad esame citologico mediante agoaspirato. In altri termini, se l’esame ecografico resta una procedura operatore dipendente, si è tuttavia cercato di ridurre il più possibile la variabilità inter-osservatore nell’interpretazione dell’immagine ecografica e di conseguenza delle indicazioni scaturite dall’indagine. Come vedremo, un analogo percorso di standardizzazione è avvenuto per le categorie diagnostiche della citologia tiroidea e per le azioni cliniche correlate a ciascuna di esse.

Classificazione ecografica dei noduli tiroidei Nel presente documento faremo riferimento a titolo esemplificativo a due sistemi di classificazione ecografica dei noduli tiroidei. Il primo, pubblicato nel 2016 ad opera di due associazioni medico-scientifiche statunitensi, l’Association of Clinical Endocrinologists (AACE), e l’American College of Endocrinology (ACE) in collaborazione con l’Associazione Medici Endocrinologi (AME) e in parte ripreso in documento di consenso intersocietario italiano, individua 3 categorie ecografiche di rischio di malignità:

• Basso rischio (< 1%): noduli liquidi (cistici) o spongiosi.

• Rischio intermedio (5-15%): noduli solidi, isoecogeni o tenuemente ipoecogeni senza elementi di sospetto.

• Alto rischio (50-90%): noduli con segni sospetti per malignità.

I noduli con ecostruttura in tutto o in parte “liquida”, cioè cistica (Figura 1. pannelli A-C), o di tipo “spongioso” (Figura 1, pannello D), rientrano nella categoria

Noduli tiroidei con contenuto colloidocistico, a basso rischio di malignita. Immagini ecografiche di noduli caratterizzati da una significativa componente fluida anecogena (pannelli A-C), o di tipo “spongioso” (pannello D). La struttura parzialmente liquida o spongiosa, unitamente ai margini netti ed al profilo regolare conferisce a questi noduli un rischio di malignita decisamente ridotto (EU-TIRADS 2)

a rischio minimo, mentre i noduli ad ecostruttura prevalentemente solida, isoecogeni o tenuemente ipoecogeni e privi di elementi di sospetto, compongono l’ampia categoria a rischio intermedio. Si considerano invece a rischio elevato i noduli che presentano almeno un segno potenziale di malignità (Figura 3). La più articolata classificazione dell’European Thyroid Association (ETA), denominata EU-TIRADS, distingue 4 classi di rischio di malignità:

• EU-TIRADS 2: noduli cistici o spongiosi, virtualmente benigni (Figura 1);

• EU-TIRADS 3: noduli solidi isoecogeni, a basso rischio (Figura 2,pannelli A-B);

• EU-TIRADS 4: noduli tenuamente ipoecogeni, a rischio moderato (Figura 2, pannelli C e D);

Immagini ecografiche di noduli ad ecostruttura solida, isoecogena (pannelli A e B) o tenuemente ipoecogena (pannelli C e D). Margini e profilo sono regolari e non sono presenti caratteri ecografici francamente sospetti. I noduli isoecogeni hanno un rischio di malignità assai contenuto (EU-TIRADS 3, pannelli A e B), mentre il rischio aumenta in presenza di una struttura solida tenuemente ipoecogena (EU- TIRADS 4, pannelli

• EU-TIRADS 5: noduli con segni sospetti, ad alto rischio di malignità (Figura 3).

Immagini ecografiche di noduli caratterizzati da uno o più caratteri ecografici di sospetto: la marcata ipoecogenicità(pannelli B e C), il profilo “taller than wide” (pannelli A e B), la presenza di margini non del tutto regolari e/o mal definiti (pannelli A B C e D) e di spot iperecogeni riferibili a microcalcificazioni (pannelli A e D ). Categoria ecografica: EU-TIRADS 5

Figura 1. Noduli tiroidei a basso rischio di malignità
Figura 2. Noduli tiroidei “solidi” a rischio basso e intermedio di malignità.
Figura 3. Noduli tiroidei “a rischio elevato di malignità”.

La classe di rischio ecografico del nodulo e le sue dimensioni costituiscono i criteri su cui si fonda l’indicazione all’agoaspirato ecoguidato, procedura che consente di ottenere un campione per l’esame citologico del nodulo tiroideo (Tabella 2.) (cfr. capitolo dedicato alla citologia). L’introduzione di cut-off dimensionali nel guidare la decisione circa eseguire o meno l’agoaspirato del nodulo non deve essere attribuita ad un presunto maggiore rischio di malignità dei noduli più grandi, ma nasce dall’intento di contenere l’eccesso diagnostico e l’overtreatment di neoplasie di dimensioni millimetriche, un tema di grande attualità per clinici ed epidemiologi.

Ruolo dell’esame citologico e della biologia molecolare

Tabella 2. Classi di rischio Ecografico secondo EUTIRADS, rischio di malignità correlato e indicazioni ad agoaspirato

3. Classificazione citologica secondo ICCRT e correlato rischio di malignità

Se l’ecografia è quella di fornire una serie di elementi utili ad inquadrare il rischio di malignità di un nodulo tiroideo, l’esame citologico ha la finalità di accertarne la natura. Nella routine clinica tale indagine non viene riservata esclusivamente a noduli giudicati su base ecografica come “sospetti”. L’esame citologico può infatti rendersi opportuno anche per noduli di aspetto ecografico benigno (EU-TIRADS 2-3), le cui dimensioni sono tuttavia tali da causare sintomi e/o inestetismi, e per i quali si valuta pertanto l’eventuale indicazione a trattamenti specifici (es. alcolizzazione, termoablazione). Inoltre, la conferma citologica di benignità può costituire un’informazione utile per ridurre l’intensità della futura sorveglianza ecografica del nodulo. Come anticipato nel paragrafo introduttivo, anche per l’esame citologico si è da tempo delineata l’importanza di pervenire ad una standardizzazione sia della procedura sia della terminologia adottata nel referto. Tra i principali sistemi di classificazione del report citologico sono quello nordamericano denominato Bethesda, quello britannico della British Thyroid Association e del Royal College of Pathologists (BTA-RCP) e quello italiano, definito nella letteratura internazionale dall’acronimo ICCRCT (Italian Consensus for the Classification and Reporting of Thyroid Cytology), pubblicato nel 2014 e di cui è attualmente in corso di pubblicazione una revisione aggiornata (Tabella 3.).

Quindi, nei pazienti con patologia nodulare tiroidea, la combinazione del profilo di rischio ecografico e del risultato citologico consente un accurato inquadramento diagnostico (Figura 4.), da cui scaturirà l’adozione di provvedimenti clinici diversificati: dalla semplice sorveglianza ecografica per i noduli a rischio basso o intermedio con citologia negativa,

Figura 4. Diagramma riassuntivo delle combinazioni possibili tra classe di rischio ecografico (EU-TIRADS 2/3/4) e risultato citologico secondo la classificazione ICCRTC (Tir2/3/4/5).

In molti casi il risultato citologico conferma il giudizio ecografico di benignità o malignità, ma dato ecografico e citologico possono talora essere contrastanti. Inoltre, nei noduli con citologia indeterminata (TIR3), anche il giudizio ecografico può risultare incerto. Il quadro clinico-anamnestico e, in casi selezionati, l’impiego di test molecolari possono fornire elementi utili al decision making clinico.

Tabella
(Tratta da Trimboli et al., 2022 modificata)

all’indicazione chirurgica nei casi ad elevato sospetto, o certezza, di malignità, come riportato in forma semplificata nella Tabella 4.

Tabella 4. Azioni cliniche conseguenti al risultato citologico ottenuto in noduli con diverso profilo di rischio ecografico

L’area grigia della citologia indeterminata

Permane un’area grigia rappresentata dai noduli con citologia indeterminata, nei quali anche i caratteri ecografici possono non avere un ruolo dirimente nel decision making clinico. In queste situazioni può trovare spazio il ricorso alla diagnostica genetico-molecolare applicata al campione citologico. La diagnostica molecolare su cam-

Figura 5. Utilità dei test molecolari disegnati per “escludere” (test rule out) e/o “confermare” (test rule in) la malignitàdei noduli tiroidei indeterminati.

Algoritmo diagnostico semplificato: i pazienti che presentano noduli con citologia benigna richiedono unicamente un follow-up clinicoecografico, i pazienti con noduli con citologia maligna sono in genere candidati all’intervento chirurgico; i pazienti con noduli con citologia indeterminata possono essere sottoposti a test molecolari. La scelta del test ottimale deve tenere conto del quesito clinico. I test messi a punto per “escludere” la malignità (test rule out) si caratterizzano per un elevato valore predittivo negativo (NPV), cioè quando sono negativi, il rischio di malignità è trascurabile e il paziente può essere indirizzato alla sorveglianza. I test messi a punto per “confermare” la malignità (test rule in) hanno un elevato valore predittivo positivo (PPV): il risultato positivo del test indica la certezza virtuale della malignità e il paziente viene indirizzato alla chirurgia.

pione citologico, pertanto, può fornire indicazioni utili, in casi selezionati nei quali l’esito del test è in grado di modificare la decisione clinica (Figure 5). Infatti, un aspetto fondamentale dell'utilizzo dei test molecolari in questo contesto è la loro capacità di identificare correttamente i noduli benigni (11). Questo progresso è stato possibile grazie all’evoluzione dei pannelli molecolari, che ora combinano l’identificazione di mutazioni geniche con l’analisi di espressione di geni o microRNA (12). Questa strategia consente di ottenere informazioni complementari sulla natura del nodulo, aumentando il valore predittivo negativo del test (Figura 6). Inoltre, i test mo-

Figura 6. Evoluzione dei test molecolari per stimare preoperatoriamente la probabilità di malignita nei noduli tiroidei indeterminati.

lecolari hanno oggi un ruolo cruciale nel ridurre il margine di incertezza derivante dalle classificazioni di rischio ecografiche e citologiche. Questa capacità di stratificazione più precisa si traduce in una significativa riduzione degli interventi chirurgici inutili, in particolare delle tiroidectomie diagnostiche, che dovrebbero drasticamente diminuire grazie all’applicazione di queste metodologie avanzate. Molti di questi test sono versatili e possono essere applicati a diverse tipologie di campioni, migliorando l'accessibilità alla diagnostica. È infatti possibile utilizzare il wash-out dell'agoaspirato, i vetrini di un precedente agoaspirato, o anche il materiale residuo di un agoaspirato effettuato con metodica in fase liquida. (13).

Conclusioni

L’approccio integrato che combina ecografia, citologia e biologia molecolare rappresenta un modello diagnostico efficace per la gestione dei noduli tiroidei. Questo approccio multidisciplinare consente di migliorare la qualità della cura, presentando vantaggi significativi su più fronti:

Benefici clinici

• Permette una stratificazione del rischio più accurata e personalizzata

• Riduce significativamente l'incertezza diagnostica

• Consente di identificare con maggiore precisione i

casi che richiedono effettivamente un intervento chirurgico

• Minimizza il rischio di sovradiagnosi e sovratrattamento

Impatto sul paziente

• Offre un percorso diagnostico meno invasivo e più rassicurante

• Garantisce maggiore tranquillità grazie a diagnosi più accurate

• Riduce lo stress psicologico legato all'incertezza diagnostica

• Evita interventi chirurgici non necessari e le relative complicanze

Ottimizzazione delle risorse sanitarie

• Comporta un sostanziale risparmio economico grazie alla riduzione delle tiroidectomie diagnostiche

• Permette una razionalizzazione del follow-up, con monitoraggio meno intensivo nei casi a basso rischio

• Migliora l'allocazione delle risorse chirurgiche

• Aumenta l'efficienza complessiva del percorso diagnostico-terapeutico

Prospettive future

• L'implementazione diffusa di questo approccio standardizzato è fondamentale per garantire un'assistenza uniforme sul territorio

• La continua evoluzione delle tecniche molecolari promette ulteriori miglioramenti nella precisione diagnostica

• La formazione continua degli operatori sanitari, con l'aiuto indispensabile delle Società Scientifiche, diventa cruciale per ottimizzare l'utilizzo di questi strumenti diagnostici

• L'integrazione di dati clinici, strumentali e molecolari apre la strada a una medicina sempre più personalizzata

In conclusione, questo modello rappresenta un esempio virtuoso di come l'integrazione di diverse metodiche diagnostiche possa migliorare significativamente la qualità dell'assistenza sanitaria, bilanciando l'efficacia clinica con l'efficienza economica e il benessere del paziente. La sfida futura sarà quella di garantire l'accesso uniforme a questo approccio diagnostico integrato in tutti i centri specialistici, promuovendo la standardizzazione delle procedure e l'aggiornamento continuo degli operatori sanitari.

Bibliografia

1. Haugen BR, Alexander EK, et al. 2015 American Thyroid Association Management Guidelines for Adult Patients with Thyroid Nodules and Differentiated Thyroid Cancer. Thyroid. 2016; 26:1-133

2. Ross D.S. Non palpable thyroid nodules: managing an epidemic. J Clin Endocrinol Metab, 2002; 87: 1938-40.

3. Davies L Overdiagnosis of thyroid cancer BMJ 2016;355:i6312

4. Gharib H, Papini E, et al. AACE/ACE/AME medical guidelines for clinical practice for the diagnosis and management of thyroid nodules—2016 update. Endocr Pract. 2016;22: 622-639.

5. Tessler FN, Middleton WD, et al., ACR Thyroid Imaging, Reporting and Data System (TI-RADS): White Paper of the ACR TI-RADS Committee. J Am Coll Radiol. 2017, 14: 587595.

6. Russ G, Bonnema SJ, et al European Thyroid Association Guidelines for Ultrasound Malignancy Risk Stratification of Thyroid Nodules in Adults: The EU-TIRADS. Eur Thyroid J. 2017; 5:225-237.

7. Durante C, Hegedüs L, et al. 2023 European Thyroid Association Clinical Practice Guidelines for thyroid nodule management Eur Thyroid J 2023;12:e230067

8. Garber JR, Frasoldati A. et al., Editorial: Thyroid nodule evaluation: current, evolving, and emerging tools Front Endocrinol 2023;14:1276323

9. Durante C, Hegedüs L, et al. International Expert Consensus on US Lexicon for Thyroid Nodules. Radiology. 2023; 309: 1-14.

10. Trimboli P, Ferrarazzo G, et al., Thyroid Nodules with Indeterminate FNAC According to the Italian Classification System: Prevalence, Rate of Operation, and Impact on Risk of Malignancy. An Updated Systematic Review and Metaanalysis. J.Endocr Pathol. 2022;33:457-471.

NODULI TIROIDEI BENIGNI: GESTIONE PERSONALIZZATA

Giorgio Grani1, Rocco Bruno2, Giuseppe Costante3, Sebastiano Filetti1, Giuseppe Lucisano4, Domenico Meringolo5, Antonio Nicolucci4, Efisio Puxeddu6, Salvatore Tumino7, Cosimo Durante1

1Dipartimento di Medicina Traslazionale e di Precisione, Sapienza Università di Roma

2UOC Endocrinologia e Malattie Metaboliche Asm, Matera

3Dipartimento di Scienze della Salute, Università di Catanzaro Magna Graecia , Catanzaro e Department of Internal Medicine, Institut Jules Bordet Comprehensive Cancer Center, Bruxelles.

4Center for Outcomes Research and Clinical Epidemiology (CORESEARCH), Pescara

5Unità Operativa Semplice Dipartimentale di Endocrinologia, Ospedale di Bentivoglio, Bologna.

6Dipartimento di Medicina e Chirurgia, Università degli Studi di Perugia, Perugia, Italia

7Dipartimento di Medicina Clinica e Sperimentale, Università di Catania

La gestione dei noduli tiroidei benigni rappresenta una sfida terapeutica complessa, caratterizzata da un panorama in continua evoluzione che riflette l'emergere di nuove modalità diagnostiche e terapeutiche. Con una prevalenza che raggiunge oltre 50% nella popolazione generale attraverso screening ecografici, e tassi ancora più elevati in specifiche popolazioni come donne in età superiore ai 50 anni e residenti in aree a carenza iodica, questi noduli rappresentano un importante tema di salute pubblica. La definizione di benignità si basa su criteri citologici1, caratteristiche ecografiche rassicuranti applicando sistemi di classificazione del rischio ecografico2, e l'assenza di elementi clinici sospetti.

Sebbene l'elevata prevalenza di questi noduli richiederebbe una semplificazione dei percorsi clinici, la realtà rivela una situazione più articolata, influenzata da molteplici fattori che determinano le scelte e gli esiti terapeutici.

Evoluzione delle Terapie Tradizionali

L'approccio terapeutico ha subito una significativa evoluzione negli ultimi decenni. Storicamente, l'intervento chirurgico costituiva il paradigma terapeutico dominante, spesso applicato anche a noduli di dimensioni moderate senza chiari segni di malignità. L'introduzione e la diffusione dell'ecografia ad alta risoluzione hanno rivoluzionato questo approccio, migliorando notevolmente la capacità di caratterizzare i noduli e monitorarne la progressione. Questo progresso diagnostico ha però sollevato nuove sfide, come l'aumento della rilevazione di noduli subclinici e il conseguente rischio di sovradiagnosi e sovratrattamento.

La terapia soppressiva con tiroxina, ampiamente utilizzata tra gli anni '70 e '90, è stata progressivamente ridimensionata. Una serie di studi ne hanno dimostrato l'efficacia ridotta nella maggior parte dei casi, portando a una revisione critica del suo ruolo nella pratica clinica moderna.3 Questo esempio sottolinea l'importanza di riesaminare costantemente le pratiche consolidate alla luce di nuove evidenze scientifiche.

Le tecniche minimamente invasive hanno aperto nuove prospettive terapeutiche. L'ablazione con radiofrequenza

mostra tassi di successo del 78-85% nella riduzione volumetrica, pur sollevando interrogativi sulla selezione dei pazienti e sugli esiti a lungo termine. Questi approcci, sebbene promettenti per il mantenimento della funzione tiroidea e il recupero rapido, presentano disparità nell'accesso dovute a costi, competenze tecniche richieste e disponibilità di attrezzature.

Sorveglianza Attiva: Razionale ed Evidenze Negli ultimi dieci anni, l'osservazione e la sorveglianza attiva sono emerse come strategie ottimali nella gestione dei noduli tiroidei benigni. Questo approccio è sostenuto dall'avanzamento tecnologico (come l’uso di esami citologici e molecolari) e da una migliore comprensione della storia naturale di questi noduli, che raramente progrediscono verso la malignità. Studi longitudinali hanno dimostrato che la maggior parte dei noduli benigni cresce di pochi millimetri in un decennio e presenta rischi minimi di complicanze significative.4 Questo approccio riduce la necessità di interventi aggressivi e promuove un follow-up mirato, incentrato sul mantenimento dell’eutiroidismo e sul monitoraggio delle dimensioni del nodulo o della comparsa di nuove formazioni tiroidee.

Componenti Chiave della Sorveglianza

Valutazione Iniziale: Per una corretta valutazione iniziale del nodulo tiroideo è necessario raccogliere una dettagliata storia clinica e familiare, analizzare i fattori di rischio per il carcinoma tiroideo, documentare le caratteristiche ecografiche (dimensioni, ecogenicità, ecostruttura e margini) ed eventualmente effettuare un esame citologico della neoformazione. I noduli eleggibili ad un programma di sorveglianza sono:

• Noduli che non determinano sintomi compressivi

• Se disponibili valutazioni precedenti, noduli che non abbiano avuto una crescita significativa

• Caratteristiche ecografiche rassicuranti secondo applicando i sistemi di classificazione del rischio ecografico

• Noduli con citologia benigna (se effettuata)

• Preferenza del paziente per un approccio conservativo

Monitoraggio Ecografico di Routine: L'ecografia tiroidea è il pilastro della sorveglianza. La frequenza dei controlli ecografici dipende dalle caratteristiche del nodulo e dal profilo di rischio del paziente:

• Noduli a basso rischio: Per i noduli senza caratteristiche sospette all’ecografia e senza una crescita significativa in un periodo iniziale di osservazione, l’ecografia viene solitamente eseguita ogni 1-2 anni.

• Noduli a rischio maggiore: Per i noduli con alcune caratteristiche ecografiche di sospetto ma con citologia benigna, in una fase iniziale possono essere raccomandate ecografie più frequenti (ad esempio ogni 612 mesi).

Criteri di Crescita: La crescita è definita come un aumento del 20% in almeno due dimensioni (con un incremento minimo di 2 mm) o un aumento del volume del 50%. Un’evoluzione significativa può richiedere un esame citologico (o la ripetizione dell’esame citologico se non effettuato in precedenza).

Monitoraggio della Funzione Tiroidea: Sebbene la maggior parte dei noduli benigni sia non iperfunzionante, alcuni possono causare ipertiroidismo subclinico o manifesto. I test di funzione tiroidea (TSH, T4 libero) sono essenziali, soprattutto per noduli >2 cm, con sospetta iperfunzione o iperfunzione documentata. Vantaggi della Sorveglianza

• Approccio Non Invasivo: Evita i rischi di chirurgia, complicanze anestesiologiche, cicatrici e alterazioni vocali.

• Preservazione della Funzione Tiroidea: Garantisce l'integrità della ghiandola, evitando la necessità di terapia ormonale sostitutiva a vita.

• Costo-Efficacia: Riduce gli interventi non necessari, con un impatto positivo sui costi sanitari complessivi

Quando Optare per un Trattamento Attivo Sebbene l’osservazione sia la strategia preferita per i noduli benigni, alcune situazioni richiedono il passaggio a un trattamento attivo:

• Sviluppo di Sintomi: Se il nodulo inizia a causare sintomi compressivi, come difficoltà a deglutire o respirare, o provoca un rigonfiamento visibile del collo, può essere necessario un intervento.

• Problemi Estetici: Un nodulo che diventa prominente e impatta la qualità della vita del paziente può richiedere un trattamento.

• Cambiamenti Funzionali: I noduli che diventano iperfunzionanti (autonomi) e causano squilibri ormonali possono necessitare di terapia minimamente invasiva, iodio radioattivo o intervento chirurgico.

• Crescita Significativa o Modifiche Sospette: Se il monitoraggio evidenzia una rapida crescita del nodulo o nuove caratteristiche sospette, potrebbe essere indicata un’ulteriore valutazione (ripetizione dell’esame citologico su agoaspirato o test molecolari) e un possibile trattamento.

Educazione del Paziente e Decisione Condivisa

Un aspetto essenziale dell’osservazione è informare i pazienti e renderli consapevoli della natura benigna della loro condizione, della bassa probabilità di complicanze e dell’importanza dei controlli regolari (secondo calendari di visite che variano in base al nodulo tiroideo). La decisione condivisa consente ai pazienti di comprendere le le opzioni che sono loro offerte e di partecipare attivamente al piano di cura, migliorando l’adesione ai protocolli di sorveglianza.5

Conclusioni

Le evidenze attuali supportano un approccio individualizzato e conservativo nella gestione dei noduli tiroidei benigni. La sorveglianza attiva emerge come strategia preferenziale per noduli selezionati, mentre le tecniche minimamente invasive offrono un'alternativa valida in casi specifici. Le implicazioni economiche dei vari approcci di trattamento non possono essere ignorate. In un'era di costi sanitari crescenti, la relativa costo-efficacia di diversi interventi diventa una considerazione cruciale. Questa dimensione economica aggiunge un ulteriore livello di complessità al processo decisionale clinico, in particolare nei sistemi sanitari con risorse limitate.

La gestione dei noduli tiroidei benigni riflette molte delle sfide e opportunità della medicina moderna. Equilibrare approcci tradizionali e tecniche innovative, personalizzando la cura secondo le linee guida basate sulle evidenze, è cruciale per ottimizzare gli esiti clinici. Con il continuo avanzamento tecnologico e una crescente attenzione all’approccio centrato sul paziente, è prevedibile che le strategie di gestione evolveranno ulteriormente, migliorando la qualità della cura e l’efficacia dei trattamenti.

Bibliografia

1. Nardi, F. et al. Italian consensus for the classification and reporting of thyroid cytology. J Endocrinol Invest 37, 593–599 (2014).

2. Russ, G. et al. European Thyroid Association Guidelines for Ultrasound Malignancy Risk Stratification of Thyroid Nodules in Adults: The EU-TIRADS. Eur Thyroid J 6, 225–237 (2017).

3. Bandeira-Echtler, E., Bergerhoff, K. & Richter, B. Levothyroxine or minimally invasive therapies for benign thyroid nodules. Cochrane Database of Systematic Reviews 2014, (2014).

4. Durante, C. et al. The Natural History of Benign Thyroid Nodules. JAMA 313, 926 (2015).

5. Grani, G., Sponziello, M., Filetti, S. & Durante, C. Thyroid nodules: diagnosis and management. Nat Rev Endocrinol 20, 715–728 (2024).

FATTORI AMBIENTALI E CARCINOMI TIROIDEI

CARCINOMA

TIROIDEO: IMPATTO DELLA CARENZA IODICA

Silvia Martina Ferrari1, Giusy Elia1, Francesca Ragusa1, Alessandro Antonelli1, Poupak Fallahi2

1 Dipartimento di Patologia Chirurgica, Medica, Molecolare e dell'Area Critica, Università di Pisa, Pisa, Italia

2 Dipartimento di Ricerca Traslazionale e delle Nuove Tecnologie in Medicina e Chirurgia, Università di Pisa, Pisa, Italia

Lo iodio (I) è un elemento chimico facente parte del gruppo degli alogeni di numero atomico 53, che si presenta in natura come ioduro. Una quantità significativa di iodio si trova negli oceani, dove la sua concentrazione è all’incirca di 50 μg/L. Attraverso un processo fotochimico a cui partecipano ozono atmosferico, e fitoplancton e alghe marine, lo ioduro viene ossidato in iodio elementare. Successivamente, lo iodio evapora nell'atmosfera e torna attraverso le precipitazioni sotto forma di aerosol o forme gassose, verso la superficie del suolo e le piante (1). Questa circolazione può risultare alterata in molte aree del mondo, per cui l'acqua potabile ed il suolo contengono soltanto tracce di questo elemento. Questo può portare a livelli di iodio bassi nelle colture, pertanto i prodotti alimentari provenienti da tali regioni del mondo possono contenere quantità diverse di iodio. Le aree con carenza di iodio sono prevalentemente aree montane, con frequenti inondazioni, come regioni interne dell’Asia centrale, dell’Africa, dell’Europa centrale e orientale, in Italia alcune zone delle Alpi e degli Appennini (2).

Lo iodio è essenziale per la funzione tiroidea. La profilassi costante con iodio e l’aumento dell’assunzione di iodio

riducono gradualmente i disturbi della tiroide legati alla carenza iodica (3). L’eccesso di iodio, dovuto ad una grande esposizione ambientale allo iodio oltre allo scarso monitoraggio, è un fattore ambientale che può indurre allo sviluppo dei disordini autoimmuni tiroidei (AITD), e quantità eccessive di iodio sono state associate all’insorgenza di tiroidite autoimmune (AT) (4-8).

Tra i carcinomi tiroidei, le tipologie più frequenti sono le forme differenziate (come follicolare o papillare), mentre sono più rari il carcinoma anaplastico della tiroide e il carcinoma midollare della tiroide.

Esperimenti su animali (9-11) hanno dimostrato un chiaro aumento dell'incidenza dei carcinomi tiroidei dopo una prolungata carenza di iodio, in quanto la ridotta sintesi di ormoni tiroidei dovuta alla carenza di iodio comporta un’iperstimolazione della ghiandola da parte della tireotropina (TSH).

Tabella 1. Riepilogo degli studi pubblicati dall’anno 2000 che valutano la relazione tra assunzione di iodio e rischio di carcinoma tiroideo e/o tipi istopatologici di carcinoma tiroideo.

;/6/4/+#!<!$+!/&:!=>?@ 233A!B$68/1#/!ACD!%/7#$1+#!.'1! ./6.#1'

In questi esperimenti fu osservato inizialmente che la tiroide presentava iperplasia e già allora fu ipotizzato che l'iperplasia e lo sviluppo del cancro fossero dovuti ad un’iperstimolazione del TSH, che è il principale fattore di crescita della tiroide, sebbene ne esistano molti altri. Alcuni di questi fattori di crescita, come il fattore di crescita epidermico (EGF) e il fattore di crescita insulino-simile I (IGF-1), sembrano essere necessari affinché il TSH induca il suo effetto di stimolazione della crescita (12).

HI:!! K/!%6'E#&/**#!.'1!#')#'!#1E&,$17/!&/!)#*+6#-,7#'1$!)$#!+#%#!

HI!$!./,*/!,1!/,8$1+'!)$&!6/%%'6+'!+6/! GHI!$!;HI!

8$7!L$('5#/!M!$+!/&:!=>D@ 233A!F,*+6#/!CNA!%/7#$1+#!.'1! HI! F,8$1+'!)$&&O#1.#)$17/!)$&!G

HI!1$&&/!%'%'&/7#'1$!/),&+/:!"#),7#'1$!)$&!6/%%'6+'! +6/!GHI!$!;HI!1$&&/!%'%'&/7#'1$!)#!$+P!#1E$6#'6$!/#!A3! /11#!

L$4$*+$)+!H!$+!/&:!=>C@ 233D!Q/1#8/6./!22AR!%/7#$1+#!.'1! HI! =)#!.,#! >>S3! GHIT!?C2!;HIT!2DD FHI!$!2N> UHI@ V$**,1/!)#EE$6$17/!1$&&O#1.#)$17/!+'+/&$!)#!HIT!1W!1$&&$! #1.#)$17$!)#!GHI!$!;HI!+6/!),$!6$(#'1#!)$&&/! Q/1#

Tuttavia, l’incidenza complessiva del carcinoma differenziato della tiroide non è generalmente considerata influenzata dall’assunzione di iodio di una popolazione, mentre la distribuzione dei tipi di carcinoma della tiroide sembra essere correlata all’assunzione di iodio, con una minore prevalenza di carcinomi follicolari aggressivi e anaplastici ed una maggiore di carcinomi papillari nelle aree ricche di iodio (13,14) (Tabella 1).

Ulteriori prove sono state ottenute da studi condotti in aree di carenza iodica prima e dopo la profilassi con iodio, dimostrando che la supplementazione di iodio ha modificato la distribuzione degli istotipi di carcinoma della tiroide verso quelli meno aggressivi (i.e. papillare), mentre l’incidenza/prevalenza del cancro follicolare e anaplastico è diminuita (15,16). Tuttavia, altri studi non hanno dimostrato alcuna associazione tra la presenza di gozzo endemico/carenza di iodio e il rischio di cancro alla tiroide (17,18). Inoltre, una re-

cente meta-analisi condotta su otto studi caso-controllo, che hanno valutato l’associazione tra assunzione di iodio e cancro alla tiroide, ha suggerito un effetto protettivo dell’assunzione eccessiva di iodio (>300 μg/giorno) o del consumo di alimenti ad alto contenuto di iodio (pesci di acqua salata o crostacei) contro il cancro alla tiroide (24).

Tuttavia, questa meta-analisi presentava alcuni limiti, in quanto gli studi inclusi erano studi caso-controllo, che hanno valutato retrospettivamente l'esposizione allo iodio utilizzando questionari.

Dati ottenuti dal database della World Health Organization (WHO) suggeriscono indirettamente che la riduzione della mortalità per cancro alla tiroide registrata nel decennio dal 2000 al 2010, almeno per le donne, possa essere associata all’aumento dell’assunzione di iodio nello stesso periodo. Inoltre, è emersa una relazione inversa tra assunzione di iodio e cancro alla tiroide, molto probabilmente correlata alla conseguente riduzione della prevalenza/incidenza di gozzo e noduli. Pertanto, le variazioni nell’assunzione di iodio nella popolazione dopo la profilassi con iodio non sembrano influenzare il rischio di cancro alla tiroide, ma la correzione della carenza di iodio può spostare i sottotipi di carcinoma della tiroide verso forme meno aggressive (25).

Ad oggi, lo stato nutrizionale dello iodio sembra esercitare un ruolo meno rilevante nell’aumento mondiale dell’incidenza di carcinoma papillare della tiroide, che si è verificato allo stesso modo nei paesi con assunzioni di iodio in diminuzione, stabile e in aumento (26), mentre altri fattori ambientali e nutrizionali hanno acquisito importanza nel cambiamento epidemiologico del cancro differenziato della tiroide.

Conclusioni

La gestione della carenza iodica è un elemento chiave nella prevenzione delle patologie tiroidee. Sebbene l’apporto di iodio nella popolazione non sembri influenzare direttamente il rischio complessivo di sviluppare un carcinoma tiroideo, emerge un suo ruolo significativo nella distribuzione degli istotipi tumorali. In particolare, la correzione della carenza iodica, attraverso programmi di profilassi adeguati, contribuisce, non solo, a ridurre la prevalenza di gozzo e noduli, ma a favorire l’insorgenza di forme tumorali meno aggressive come il carcinoma papillare.

Tuttavia, le evidenze scientifiche indicano che lo stato nutrizionale dello iodio, da solo, non determina l’aumento globale dell’incidenza del carcinoma papillare,

dovuta piuttosto al fenomeno della sovradiagnosi, oltre che a fattori ambientali e nutrizionali ancora da identificare.

L’adozione di programmi di profilassi iodica e il monitoraggio costante dello stato iodico della popolazione rimangono, tuttavia, interventi fondamentali per migliorare la salute pubblica, contribuendo a prevenire le patologie tiroidee.

Bibliografia

1. Winder M, Kosztyła Z, Boral A, Kocełak P, Chudek J. The Impact of Iodine Concentration Disorders on Health and Cancer. Nutrients. 2022 May 26;14(11):2209.

2. Zimmermann MB. Iodine deficiency. Endocr Rev. 2009 Jun;30(4):376-408.

3. Papanastasiou L, Vatalas IA, Koutras DA, Mastorakos G. Thyroid autoimmunity in the current iodine environment. Thyroid. 2007 Aug;17(8):729-39.

4. Luo Y, Kawashima A, Ishido Y, Yoshihara A, Oda K, Hiroi N, Ito T, Ishii N, Suzuki K. Iodine excess as an environmental risk factor for autoimmune thyroid disease. Int J Mol Sci. 2014 Jul 21;15(7):12895-912.

5. Ferrari SM, Fallahi P, Antonelli A, Benvenga S. Environmental Issues in Thyroid Diseases. Front Endocrinol (Lausanne). 2017 Mar 20;8:50.

6. Ragusa F, Fallahi P, Elia G, Gonnella D, Paparo SR, Giusti C, Churilov LP, Ferrari SM, Antonelli A. Hashimotos' thyroiditis: Epidemiology, pathogenesis, clinic and therapy. Best Pract Res Clin Endocrinol Metab. 2019 Dec;33(6):101367.

7. Antonelli A, Ferrari SM, Corrado A, Di Domenicantonio A, Fallahi P. Autoimmune thyroid disorders. Autoimmun Rev. 2015 Feb;14(2):174-80.

8. Ferrari SM, Fallahi P, Elia G, Ragusa F, Ruffilli I, Paparo SR, Antonelli A. Thyroid autoimmune disorders and cancer. Semin Cancer Biol. 2020 Aug;64:135-146.

9. Schaller RT Jr, Stevenson JK. Development of carcinoma of the thyroid in iodine-deficient mice. Cancer. 1966 Aug;19(8):1063-80.

10. FORTNER JG, GEORGE PA, STERNBERG SS. Induced and spontaneous thyroid cancer in the Syrian (golden) hamster. Endocrinology. 1960 Mar;6:364-76.

11. al-Saadi A. Precursor cytogenetic changes of transplantable thyroid carcinoma in iodine-deficient goiters. Cancer Res. 1968 Apr;28(4): 739-45.

12. Kaplan MM. Progress in thyroid cancer. Endocrinol Metab Clin North Am. 1990 Sep;19(3):469-78.

13. Lind P, Langsteger W, Molnar M, Gallowitsch HJ, Mikosch P, Gomez I. Epidemiology of thyroid diseases in iodine sufficiency. Thyroid. 1998 Dec;8(12):1179-83.

14. Feldt-Rasmussen U. Iodine and cancer. Thyroid. 2001 May;11(5):483-6.

15. Farahati J, Geling M, Mäder U, Mörtl M, Luster M, Müller JG, Flentje M, Reiners C. Changing trends of incidence and prognosis of thyroid carcinoma in lower Franconia, Germany, from 1981-1995. Thyroid. 2004 Feb;14(2):141-7.

16. Gomez Segovia I, Gallowitsch HJ, Kresnik E, Kumnig G, Igerc I, Matschnig S, Stronegger WJ, Lind P. Descriptive epidemiology of thyroid carcinoma in Carinthia, Austria: 1984-2001. Histopathologic features and tumor classification of 734 cases under elevated general iodination of table salt since 1990: population-based age-stratified analysis on thyroid carcinoma incidence. Thyroid. 2004 Apr;14(4):277-86.

17. Sehestedt T, Knudsen N, Perrild H, Johansen C. Iodine intake and incidence of thyroid cancer in Denmark. Clin Endocrinol (Oxf). 2006 Aug;65(2):229-33.

18. Teng W, Shan Z, Teng X, Guan H, Li Y, Teng D, Jin Y, Yu X, Fan C, Chong W, Yang F, Dai H, Yu Y, Li J, Chen Y, Zhao D, Shi X, Hu F, Mao J, Gu X, Yang R, Tong Y, Wang W, Gao T, Li C. Effect of iodine intake on thyroid diseases in China. N Engl J Med. 2006 Jun 29;354(26):2783-93.

19. Horn-Ross PL, Morris JS, Lee M, West DW, Whittemore AS, McDougall IR, Nowels K, Stewart SL, Spate VL, Shiau AC, Krone MR. Iodine and thyroid cancer risk among women in a multiethnic population: the Bay Area Thyroid Cancer Study. Cancer Epidemiol Biomarkers Prev. 2001 Sep;10(9):979-85.

20. Cléro É, Doyon F, Chungue V, Rachédi F, Boissin JL, Sebbag J, Shan L, Bost-Bezeaud F, Petitdidier P, Dewailly E, Rubino C, de Vathaire F. Dietary iodine and thyroid cancer risk in French Polynesia: a case-control study. Thyroid. 2012 Apr;22(4):4229.

21. Memon A, Varghese A, Suresh A. Benign thyroid disease and dietary factors in thyroid cancer: a case-control study in Kuwait. Br J Cancer. 2002 Jun 5;86(11):1745-50.

22. Truong T, Baron-Dubourdieu D, Rougier Y, Guénel P. Role of dietary iodine and cruciferous vegetables in thyroid cancer: a countrywide case-control study in New Caledonia. Cancer Causes Control. 2010 Aug;21(8):1183-92.

23. Przybylik-Mazurek E, Hubalewska-Dydejczyk A, KuniarzRymarz S, Kie-Klimczak M, Skalniak A, Sowa-Staszczak A, Gołkowski F, Kostecka-Matyja M, Pach D. Dietary patterns as risk factors of differentiated thyroid carcinoma. Postepy Hig Med Dosw (Online). 2012 Jan 10;66:11-5.

24. Cao LZ, Peng XD, Xie JP, Yang FH, Wen HL, Li S. The relationship between iodine intake and the risk of thyroid cancer: A meta-analysis. Medicine (Baltimore). 2017 May; 96(20):e6734.

25. Zimmermann MB, Boelaert K. Iodine deficiency and thyroid disorders. Lancet Diabetes Endocrinol. 2015 Apr;3(4):286-95.

26. Zimmermann MB, Galetti V. Iodine intake as a risk factor for thyroid cancer: a comprehensive review of animal and human studies. Thyroid Res. 2015 Jun 18

IL PROGRAMMA DELLA IODOPROFILASSI PER LA PREVENZIONE DEL GOZZO ENDEMICO: UN SUCCESSO ITALIANO

Antonella Olivieri1, Domenico Meringolo2, Simona De Angelis1, Daniela Rotondi1, Osservatori Regionali per la Prevenzione del Gozzo

1Osservatorio Nazionale per il Monitoraggio della Iodoprofilassi in Italia-OSNAMI, Dipartimento di Malattie Cardiovascolari Endocrino-Metaboliche e Invecchiamento, Istituto Superiore di Sanità, Roma.

2Unità di Endocrinologia, Istituto Ramazzini, Bologna.

Un’adeguata nutrizione iodica è essenziale per il corretto funzionamento della ghiandola tiroidea. Gli ormoni tiroidei, di cui lo iodio è componente essenziale, svolgono un ruolo cruciale nei processi di crescita e sviluppo cerebrale, oltre a regolare l'equilibrio metabolico nell'età adulta. (1-2).

Gli effetti della carenza nutrizionale di iodio si manifestano in tutte le fasi della vita con il gozzo come conseguenza più comune (Tab. 1). Tuttavia, gli effetti più gravi si riscontrano durante la gravidanza e la prima infanzia, con possibili sequele neurocognitive che si possono determinare, anche in presenza di lieve carenza iodica (3). Per prevenire i disordini da carenza iodica l’Organizzazione Mondiale della Sanità (OMS) raccomanda l’uso del sale iodato a livello di popolazione (iodoprofilassi) (4).

Il Programma Italiano di Iodoprofilassi

Nel 2005, l’Italia, ha avviato un programma di iodoprofilassi su base volontaria, con l’approvazione della Legge n. 55 “Disposizioni finalizzate alla prevenzione del gozzo endemico e di altre patologie da carenza iodica” (5). La normativa prevede una serie di misure finalizzate a promuovere il consumo di sale arricchito di iodio (30 mg iodio/kg sale) su tutto il territorio nazionale.

A sostegno della normativa, l’Intesa in Conferenza StatoRegioni del 26 febbraio 2009 ha istituito l’ Osservatorio Nazionale per il Monitoraggio della IodoprofilassiOSNAMI, affidandone la responsabilità scientifica all’ Istituto Superiore di Sanità (www.iss.it/osnami). L’OSNAMI ha il compito di:

1. Verificare l’efficienza del programma di iodoprofilassi,

analizzando i dati di consumo di sale iodato e la concentrazione urinaria di iodio nei bambini in età scolare, in linea con le direttive dell’OMS (4);

2. Monitorare l’efficacia della iodoprofilassi, attraverso la riduzione della frequenza delle patologie connesse alla carenza nutrizionale di iodio, in particolare la frequenza di gozzo tiroideo in età scolare;

3. Fornire raccomandazioni utili per eventuali azioni correttive.

Dal marzo 2016, è attivo anche il Gruppo di Coordinamento Nazionale delle Attività per la Iodoprofilassi presso la Direzione Generale per l’Igiene e la Sicurezza degli Alimenti e la Nutrizione del Ministero della Salute. Questo organismo coordina le attività di iodoprofilassi sul territorio nazionale, delinea le azioni programmatiche per la formazione e l’informazione sulla iodoprofilassi, produrre nuovo materiale divulgativo per le politiche di iodoprofilassi destinato alla popolazione generale, ai medici ed al personale sanitario.

Risultati del Programma

Grazie a questi provvedimenti presi a livello nazionale e al lavoro dei medici del territorio, delle Società Scientifiche e delle Associazioni dei pazienti, che congiuntamente hanno promosso la formazione del personale sanitario e l’informazione della popolazione sull’utilizzo del sale iodato, oggi lo stato nutrizionale iodico della popolazione italiana è migliorato rispetto al passato. L’Italia, infatti, ha raggiunto la iodosufficienza, così come dimostrato dai dati dell’ultima sorveglianza nazionale condotta dall’OSNAMI (6).

Figura 1: Range dei valori mediani di ioduria in età scolare rilevati in Italia nel periodo 1980-2019

Sebbene il sale iodato fosse disponibile nel nostro Paese già dal 1972, il suo utilizzo era molto basso fino all’approvazione della Legge 55/2005. Negli anni 80-90 meno del 20% della popolazione lo utilizzava. Dal 2005 si è registrato un progressivo aumento e oggi quasi l’80% degli italiani consuma sale iodato (6).

Come illustrato nella Fig. 1, il progressivo incremento dell’utilizzo del sale iodato ha portato ad un parallelo aumento della concentrazione urinaria di

iodio con valori mediani di questo marcatore in età scolare che oggi sono superiori al valore soglia di 100 mcg/L, fissato dal WHO come indicativo di iodosufficienza nella popolazione (4). Parallelamente, come mostrato in Fig.2, si è osservata una progressiva riduzione della frequenza di gozzo in età scolare che nell’ultima sorveglianza OSNAMI risulta essere inferiore al valore soglia del 5%, indicato dal WHO come il valore al di sopra del quale si parla di gozzo endemico.

La drastica riduzione del gozzo in età scolare riveste una particolare importanza, dal momento che il gozzo può avere una evoluzione nodulare e, sebbene la maggior parte dei noduli tiroidei risulti di natura benigna, vi è una piccola percentuale che può presentare al suo interno un tumore tiroideo (7).

Prospettive future

L’approvazione della Legge 55/2005 ha rappresentato un impegno politico cruciale del nostro Paese per contrastare i gravi effetti della carenza di iodio sulla salute pubblica. Il raggiungimento della iodosufficienza rappresenta un traguardo importante per la salute pubblica con benefici sia in termini di prevenzione delle patologie tiroidee, come il gozzo e le sue complicanze nodulari, sia di risparmio sui costi sociosanitari.

In tale contesto, l’obiettivo che il Paese ora dovrà porsi per il futuro sarà quello di garantire la “sostenibilità” di questo importante programma di prevenzione. La sostenibilità del programma rappresenta ora la sfida principale, ma i dati indicano che la concentrazione di iodio nel sale commercializzato in Italia (30 mg/kg) è attualmente adeguata a mantenere i livelli di iodosuffi-

cienza, nonostante la riduzione del consumo complessivo di sale nella popolazione.

Conclusioni

Il programma della iodoprofilassi per la prevenzione del gozzo rappresenta uno straordinario successo dell’organizzazione sanitaria italiana. Questo successo è frutto di una straordinaria sinergia tra il mondo scientifico e le istituzioni. La collaborazione virtuosa tra ricercatori, epidemiologi, società scientifiche e l'Istituto Superiore di Sanità, insieme alla lungimiranza della classe politica, ha reso possibile la realizzazione di un programma di prevenzione efficace e capillare. Grazie a questa iniziativa, i benefici di una legislazione mirata alla tutela della salute pubblica sono arrivati all'intera popolazione, migliorando la qualità di vita di molti, spesso senza che ne fossero consapevoli.

Si ringraziano gli Osservatori Regionali per la Prevenzione del Gozzo:

Agrimi D (Puglia); Andò S, Bonofiglio D (Calabria); Bagnasco M (Liguria); Bellitti P (Basilicata); Boi F (Sardegna); Doveri G (Aosta, Valle D’Aosta); Cristofaro M (Molise); Lanzetta P (Campania); Meringolo D (Emilia Romagna); Mian C (Veneto e Friuli Venezia Giulia); Napolitano G (Abruzzo); Puxeddu E (Umbria); Moleti M (Sicilia); Taccaliti A (Marche); Tanda ML (Lombardia); Tonacchera M (Toscana); Ulisse S (Lazio)

Figura 2: Range dei valori percentuali di gozzo in età scolare rilevati in Italia nel periodo 1980-2019

Bibliografia

1. Zimmermann MB, Jooste PL, Pandav CS. Iodine deficiency disorders. Lancet. 2008;372(9645):1251-1262.

2. Andersson M, Braegger CP. The role of iodine for thyroid function in lactating women and infants. Endoc Rev. 2022;43(3):469-506.

3. Bath SC, Steer CD, Golding J et al. Effect of inadequate iodine status in UK pregnant women on cognitive outcomes in their children: results from the Avon Longitudinal Study of Parents and Children (ALSPAC). Lancet. 2013; 382(9889):331-7.

4. World Health Organization (WHO), United Nations Children’s Fund (UNICEF), International Council for Control of Iodine Deficiency Disorders (ICCIDD) (2007) Assessment of iodine deficiency disorders and monitoring their elimination: a guide for programme managers, 3rd edn. WHO, Geneva. http://whqlibdoc.who.int/publica tions/2007/ 9789241595827_eng.pdf

5. Gazzetta Ufficiale 2005, Serie Generale n.91 del 20 Aprile 2005. Legge 21 marzo 2005, n.55. Disposizioni finalizzate alla prevenzione del gozzo endemico e di altre patologie da carenza iodica.

6. De Angelis S, Medda E, Rotondi D et al. Fifteen Years of Iodine Prophylaxis in Italy: Results of a Nationwide Surveillance (Period 2015-2019). J Clin Endocrinol Metab 2024, 109, e495–e507

7. Durante C, Grani G, Lamartina L et al. The diagnosis and management of thyroid nodules. A Review. JAMA 2018, 319(9): 914-924.

8. Aghini-Lombardi F, Antonangeli L, Vitti P. Epidemiologia del gozzo endemico in Italia. Ann Ist Sup Sanità 1998, 34(3):311-314

9. Olivieri A, Vitti P. Attività di monitoraggio del programma nazionale per la prevenzione dei disordini da carenza iodica. Roma: Istituto Superiore di Sanità. Rapporti ISTSAN. 2014; 14/6. Disponibile al sito https://www.iss.it/documents/20126/45616/14_6_web.pdf/f06d7444-48e5-d8aeca0c-22296691ff66?t=1581095383479

AMBIENTE VULCANICO, INQUINAMENTO DA METALLI E CANCRO DELLA TIROIDE

Endocrinologia, Ospedale Garibaldi-Nesima e Dipartimento di Medicina Clinica e Sperimentale dell’Università di Catania, 95122 Catania

Epidemiologia

L’aumento dei carcinomi tiroidei nelle aree vulcaniche è noto fin dall’inizio degli anni ’80 con le osservazioni in diverse zone vulcaniche (Islanda, Hawaii, arcipelago Vanuatu, Polinesia francese, Azzorre e Nuova Caledonia). Questi studi riguardano piccole comunità isolate e mancano di popolazioni di controllo. Per questo motivo lo studio epidemiologico in Sicilia, dove l’incidenza dei tumori della tiroide è più che raddoppiata nella popolazione dell’area del vulcano Etna rispetto alla popolazione delle zone non vulcaniche (FIG. 1), che ha caratteristiche genetiche, stato socio-economico, stile di vita e assistenza sanitaria del tutto simili, ha confermato definitivamente che l’ambiente vulcanico è un fattore di rischio per il tumore della tiroide. L’aumento riguarda essenzialmente l’istotipo papillifero senza specificità di età (anche in età pediatrica) o di genere (1).

Nella zona dell’Etna sono aumentati significativamente, ma meno del cancro della tiroide, anche la leucemia linfatica e inoltre linfoma di Hodgkin, cancro del seno e dello stomaco nelle donne e cancro della prostata negli uomini. Un rapporto causale dell’ambiente vulcanico sull’aumento dei tumori è suggerito dalla maggior frequenza di danno del DNA negli abitanti delle aree di vulcani attivi.

Eterogeneità dei vulcani e biocontaminazione umana

Nel mondo oltre 500 milioni di persone vivono in zone vulcaniche. I vulcani attivi inquinano l’ambiente circostante con l’emissione di gas e cenere e con l’eruzione di lava. Ma vi sono importanti differenze quantitative e qualitative negli elementi tossici emessi dai diversi vulcani e un ruolo importante hanno i veicoli di contaminazione come le falde acquifere: per esempio l’Etna (continuamente attivo) ha un grande acquifero che fornisce acqua a quasi un milione di residenti mentre il Vesuvio (inattivo da 80 anni) non fornisce acqua agli abitanti locali. L’inquinamento ambientale vulcanico (atmosfera, suolo, acqua), si riflette ovviamente nei prodotti alimentari locali (vegetali e animali) e anche nella biocontaminazione umana.

Molti vulcani inquinano l’ambiente con metalli e loro composti. Nella zona dell’Etna vi è un aumento di numerosi metalli sia nei licheni (indicatori dell’inquinamento atmosferico) sia nell’acqua e nei vegetali. La biocontaminazione degli abitanti è documentata dall’au-

mento di molti metalli nelle urine: in particolare sono aumentati di due o più volte le concentrazioni di Cd, Hg, Mn, Pd, Tl, U, V e W (2). Tuttavia, seppur significativamente aumentati rispetto alle urine dei controlli, nella maggioranza dei casi i valori dei metalli sono ancora entro i limiti della norma.

Meccanismi

Il rapporto causa-effetto di un aumento solo lieve dei metalli ambientali e con azione specie sulla tiroide è supportato da diverse evidenze.

a) Perché la tiroide? Le cellule follicolari della tiroide sono esposte costantemente ad alti livelli di H2O2 (stress ossidativo) necessari per la sintesi degli ormoni. Inoltre queste cellule si dividono solo 5-6 volte nell’età adulta e questo basso turnover favorisce l’accumulo di mutazioni da insulti ambientali: il loro tasso di mutazioni è 8-10 volte più alto rispetto a fegato e polmone. Infine, rispetto a tessuto muscolare e adiposo, la tiroide accumula maggiormente As, Cd e Hg, tutti ben noti carcinogeni (3). Tutti questi fattori possono rendere la tiroide particolarmente sensibile all’effetto dei metalli.

b) Bassi livelli di inquinamento da metalli. I residenti di aree vulcaniche sono esposti a inquinamento da metalli di basso livello ma multiplo (molti metalli insieme) e cronico (tutta la vita, inclusa la vita fetale).

L’esposizione cronica a B, Cd e Mo a concentrazioni simili a quelle della zona vulcanica non causa effetti tossici in ratti predisposti al tumore della tiroide (dieta ipoiodica e MMI) ma compaiono segni istologici di trasformazione nella tiroide (4). In vitro non c’è alcun effetto dei bassi livelli di metalli su morfologia, vitalità e proliferazione dei tireociti umani maturi, ma questi effetti sono evidenti nelle tireosfere (aggregati di cellule tiroidee staminali e precursori immaturi). Dopo esposizione cronica a Cu, Hg, Pd, W o Zn nel range nanomolare (come nelle urine degli abitanti dell’area vulcanica) nelle tireosfere aumenta la proliferazione cellulare con un effetto bimodale, più evidente a basse concentrazioni (5). L’effetto è più marcato se invece di un singolo metallo si usa una miscela di metalli. Si riscontrano anche alterazioni geniche e molecolari e nei tireociti maturi differenziati da queste tireosfere si trovano alterazioni geniche compatibili con una iniziale trasformazione (6).

Conclusioni

L’ambiente vulcanico è un fattore di rischio per il cancro della tiroide. Questo è dovuto all’esposizione cronica

degli abitanti a un inquinamento ambientale con metalli. Anche con un basso aumento questi metalli modificano la biologia delle cellule staminali della tiroide, alterandone i processi di differenziazione e dando origine a una progenie di tireociti predisposti alla trasformazione maligna.

Figura 1. Incidenza del cancro della tiroide nelle diverse province della Sicilia (valori per 100.000 abitanti per anno nelle donne -F e negli uomini -M). L’area scura indica il vulcano Etna e l’area grigia la provincia di Catania

Bibliografia

1. Pellegriti G., De Vathaire F., Scollo C., Attard M., Giordano C., Arena S., Dardanoni G., Frasca F., Malandrino P., Vermiglio F., Previtera D.M., D’Azzò G., Trimarchi F., Vigneri R. Papillary Thyroid Cancer Incidence in the Volcanic Area of Sicily J Natl. Cancer Inst. 101: 1575-1583, 2009

2. Malandrino P., Russo M., Ronchi A., Minoia C., Cataldo D, Regalbuto C., Giordano C., Attard M., Squatrito S., Trimarchi F., and Vigneri R. Increased thyroid cancer incidence in a basaltic volcanic area is associated with non–anthropogenic pollution and biocontamination Endocrine: DOI 10.1007/s12020-0150761-0, 2015

3. Malandrino P., Russo M., Ronchi A., Moretti F., Gianì F., Vigneri P., Masucci R., Pellegriti G., Belfiore A. and Vigneri R. Concentration of metals and trace elements in the normal human and rat thyroid: comparison with muscle and adipose tissue and volcanic versus control areas. Thyroid: doi: 10.1089/thy.2019.0244, 2020

4. Luca E., Fici L., Ronchi A., Marandino F., Rossi E.D., Caristo M.E., Malandrino P., Russo M., Pontecorvi A., Vigneri R., and Moretti F. Intake of Boron, Cadmium, and Molybdenum enhances rat thyroid cell transformation Journal of Experimental & Clinical Cancer Research: doi: 10.1186/s13046017-0543-z, 2017

5. Gianì F., Masto R., Trovato M.A., Franco A., Pandini G., and Vigneri R. Thyroid Stem Cells but not Differentiated Thyrocytes are sensitive to Slightly increased concentrations of Heavy Metals Front. Endocrinol: 12: 652675, doi: 10.3389, 2021

6. Gianì F., Masto R., Trovato M.A., Malandrino P., Russo M., Pellegriti G., Vigneri P., Vigneri R. Heavy Metals in the Environment and Thyroid Cancer Cancers: 13, 4052: doi: 10.3390/cancers13164052, 2021

CARCINOMA TIROIDEO: IMPATTO DELLE MINIERE DEL MONTE AMIATA

Marco Capezzone1, Anna Ronchi2, Paolo Piacentini3, Francesca Nisticò3, Andrea Valentini4, Alessandra Cartocci5, Alessandro Becatti6

1 UOSD di Endocrinologia, Ospedale Misericordia, Grosseto

2 Laboratorio di Tossicologia Clinica e Sperimentale, Istituti Clinici Scientifici Maugeri, Pavia

3 U.O.C. Sistema Demografico ed Epidemiologico Dipartimento di Prevenzione, Azienda USL Toscana Sud Est, Grosseto

4 Agenzia Regionale per la Protezione Ambientale della Toscana (ARPAT)-Dipartimento di Grosseto

5 Dipartimento di Scienze Mediche, Chirurgiche e Neuroscienze, Università di Siena

6 Azienda USL Toscana Sud Est Laboratorio di Sanità Pubblica - Sede Operativa di Siena

L’impatto delle miniere del Monte Amiata: storia, ambiente e salute

Il Monte Amiata, con un’altitudine di mt. 1.738, è stato un vulcano attivo per un breve intervallo di tempo durante il tardo Pleistocene, tra 305.000 e 231.000 anni fa (1). Situato tra le province di Grosseto e Siena, ha rappresentato la più importante realtà mineraria italiana per l’estrazione del cinabro (solfuro di mercurio) e la produzione del mercurio metallico, rappresentando il terzo produttore mondiale con oltre 100.000 tonnellate di mercurio liquido imbottigliato, soprattutto tra la fine del XIX secolo e gli anni '70 (2). Il distretto minerario del monte Amiata (DMMA) includeva 42 siti minerari e le attività cessarono nel 1982 (Figura 1). Molte delle miniere

Figura 1. Localizzazione delle miniere di Mercurio nel territorio dell’Amiata

del distretto amiatino e dei connessi impianti metallurgici per l’estrazione del mercurio (Hg) sono situate nei bacini idrografici dei fiumi Paglia, dell’Albegna, del Fiora e del sistema Orcia-Ombrone. Studi condotti nel bacino dei fiumi Paglia-Tevere hanno evidenziato una grave situazione di inquinamento determinata dalla presenza di sedimenti contaminati da Hg depositati sulle rive del fiume Paglia a valle di punti di confluenza con gli affluenti provenienti dall’area mineraria. Sono state infatti riportate concentrazioni di Hg tra 25 e 1500 mg/kg per le calcine (scarti di lavorazione del mercurio), valori che sono nettamente superiori al limite di 5 mg/kg previsto dal DLgs152/06 per i suoli industriali (3-5).

Inquinamento e monitoraggi ambientali Nel triennio 2019-21, i dati dell’Agenzia Regionale per la Protezione Ambientale della Toscana (ARPAT) relativi alla ricerca di sostanze pericolose nel biota (pesci, specie target), mostrano un indice di classificazione “non buono” su tutti i corsi d’acqua toscani monitorati, determinata, fra l’altro, dal superamento della Concentrazione Massima Ammissibile (CMA) per il Hg (6). Anche il monitoraggio delle acque marino-costiere condotto nello stesso triennio da ARPAT ha evidenziato, per quanto concerne il mercurio, una contaminazione ubiquitaria sul biota, confermando l’elevata capacità di bioaccumulo di questo metallo pesante (7). La natura vulcanica del territorio ha inoltre comportato anche la presenza di anomalie geogeniche che si manifestano con elevati livelli di altri metalli e per decenni le popolazioni residenti nell’area dell’Amiata sono state esposte anche a concentrazioni di arsenico (As) nell’acqua potabile più alte degli attuali limiti normativi (8). Non sorprende pertanto che, dopo più di 40 anni dalla chiusura delle miniere, considerati i ritardi negli interventi di bonifica, l’area del Monte Amiata è ancora fortemente colpita dagli effetti ambientali dell’attività mineraria (9) (Figure 2 e 3).

3. Andamento delle concentrazioni di mercurio

monitorate

Figura 2. Miniera di Mercurio, Abbadia San salvatore Siena
Figura
(Hg)
in Santa Flora Grosseto

Attività geotermica e implicazioni sanitarie

Agli inizi degli anni’90 nel territorio amiatino è andata sviluppandosi anche l’attività geotermica e per tale motivo è stato attivato da parte di ARPAT un programma di controlli sulle emissioni delle centrali geotermiche che evidenziano un sostanziale incremento delle concentrazioni di Hg in vicinanza dei siti minerario-metallurgici dismessi da bonificare o in corso di bonifica (10-12).

(Figura 4 e 5). Nel 1998 l’Asl 7 di Siena, in collabora-

zione con l’Istituto Superiore di Sanità (ISS) ha condotto uno studio sulla popolazione residente nei comuni dell’area senese del Monte Amiata per valutare le fonti di esposizione ad As e Hg nell’area, evidenziando un’associazione tra i livelli nelle matrici umane dei due metalli pesanti con il consumo di acqua dell’acquedotto locale. Lo stesso studio riportava il dato sulla mortalità totale nella popolazione residente che, fino agli anni Cinquanta, risultava significativamente più elevata rispetto alla media regionale (13). Successivamente nel 2010 una indagine epidemiologica condotta da Fondazione Monasterio, CNR Pisa e Agenzia Regionale di Sanità (ARS) ha evidenziato in Amiata una grave situazione sanitaria con una mortalità negli uomini statisticamente significativa del +13 % per tutte le cause di morte rispetto ai comuni limitrofi e alla media regionale, dato che diventava +30 % riguardo alle morti per tumori, in particolare per il tumore del polmone e del fegato, nei comuni di Arcidosso, Piancastagnaio e Abbadia S. Salvatore (14).

Carcinoma tiroideo e contaminazione ambientale

Le prime informazioni relative al carcinoma della tiroide (CT) nella popolazione residente nel territorio amiatino sono stati forniti dallo studio “Invetta”, una indagine di biomonitoraggio e Valutazioni

Epidemiologiche a Tutela della salute nei Territori dell’Amiata (15). I dati sul CT provenivano da questionari in cui i pazienti riportavano una storia di tumori della tiroide autoriferita oppure dalle schede di dimissione ospedaliera per ricovero per tumori della tiroide (ICD9: 193). I risultati dello studio mostravano che l’aumento delle concentrazioni di acido solfidrico, arsenico e mercurio erano associati ad un incremento di rischio di

Figura 4. Andamento delle concentrazioni di Mercurio (Hg) monitorate in Abbadia
S. Salvatore (SI)
Figura 5.

CT anche se, secondo gli autori dello studio, il risultato poteva essere affetto da imprecisione dovuta a una bassa numerosità della casistica (Figura 6). Recentemente uno studio che ha utilizzato i dati forniti dall’Istituto per lo Studio, la Prevenzione e la Rete Oncologica (ISPRO), che gestisce il Registro Tumori della Toscana, del Registro di Mortalità Regionale, nonché delle Mappe di rischio oncogeno e del Centro Operativo Regionale (COR) per i tumori professionali, ha riportato una elevata incidenza di CT in provincia di Grosseto, nel periodo compreso tra il 2013 ed il 2017. Nella provincia grossetana, che appartiene territorialmente alla USL Toscana Sud-Est insieme alle province di Siena ed Arezzo, i tassi di incidenza del CT per entrambi i sessi (per gli uomini 17,66 e per le donne 34.16) risultavano infatti significativamente più elevati non solo rispetto alle altre due province toscane ma anche rispetto alla media nazionale (16) (Tabella1).

Recenti studi hanno evidenziato un'elevata incidenza di carcinoma tiroideo nell'area, con tassi significativamente superiori alla media nazionale. In particolare:

• Incidenza particolarmente elevata nell'area del Monte Amiata (IR=28.7)

• Prevalenza di carcinomi papillari (94%)

• Elevata presenza del sottotipo solido (15%)

• Diametro medio dei tumori di 1.8 cm

Una indagine preliminare e attualmente in corso sui tessuti tiroidei dei pazienti nati e residenti nei comuni dell’Amiata, sottoposti a tiroidectomia, evidenzia la presenza di elevate concentrazioni di metalli pesanti, in particolare di Hg, che risulta maggiormente concentrato nel tessuto tiroideo neoplastico rispetto al tessuto tiroideo sano controlaterale degli stessi pazienti. Risultati analoghi sono già stati riportati in Letteratura anche in un altro studio italiano che riguardava i pazienti affetti da CT residenti nella provincia di Catania, in prossimità del vulcano Etna (17). Il mercurio, analogamente ad altri metalli pesanti già riconosciuti come agenti cancerogeni, ha un impatto su diverse vie molecolari implicate nella carcinogenesi e la sua propensione al bioaccumulo nella tiroide potrebbe suggerire un suo potenziale effetto patogenetico. Diversi studi hanno dimostrato infatti una associazione tra l’esposizione al mercurio e il rischio di carcinoma tiroideo (18,19). Una recente meta-analisi conferma come l'esposizione al mercurio può rappresentare un potenziale fattore di rischio per il carcinoma tiroideo (20).

6. Associazioni tra esposixione a mercurio in aria e tumori: variazioni percentuali dei rapporti di prevalenze e intervalli di confidenze al 95%

Figura
Tabella 1. Incidenza del Carcinoma Tiroideo nella Toscana
Sud-Est e in Italia Vedi richiamo tabella

Conclusioni

Le evidenze scientifiche documentano chiaramente l’impatto ambientale e sanitario delle attività minerarie nel Monte Amiata. In particolare, la contaminazione da metalli pesanti, e soprattutto da mercurio, rappresenta un fattore di rischio significativo per la salute della popolazione locale, contribuendo all’incidenza e all’espressione fenotipica del carcinoma tiroideo.

Bibliografia

1) Marroni M, Moratti G, Costantini A, et al. (2015) Geology of the Monte Amiata region, Southern Tuscany, Central Italy. Ital J Geosci 134: 171–199.

2 Ferrara R, Mazzolai UB, Edner H, Svanberg S, Wallinder E. Atmospheric mercury sources in the Mt. Amiata area. Italy Sci Total Environ.1998;213:12–23.

3) Gray JE, Rimondi V, Costagliola P, Vaselli O, Lattanzi P. Longdistance transport of Hg, Sb, and As from a mined area, conversion of Hg to methyl-Hg, and uptake of Hg by fish on the Tiber River basin, west-central Italy. Environ Geochem Health. 2014 Feb;36(1):145-57

4) Rimondi V, Gray JE, Costagliola P, Vaselli O, Lattanzi P. Concentration, distribution, and translocation of mercury and methylmercury in mine-waste, sediment, soil, water, and fish collected near the Abbadia San Salvatore mercury mine, Monte Amiata district, Italy. Science of the Total Environment 414 (2012) 318–327

5) Pattelli G, Rimondi V, Benvenuti M, Chiarantini L, Colica A, Costagliola P, Di Benedetto F, Lattanzi P, Paolieri M, Rinaldi M. Effects of the November 2012 flood event on the mobilization of Hg from the Mount Amiata Mining District to the sediments of the Paglia River Basin. Minerals, 2014, 4, 241-256

6) Monitoraggio ambientale dei corpi idrici superficiali (fiumi, laghi, acque di transizione) - Triennio 20192021ARPAT(2022)https://www.arpat.toscana.it/documentazione/catalogo-pubblicazioni-arpat/monitoraggio-ufficiale-delle -acque-superficiali/monitoraggio-ambientale-dei-corpi-idricisuperficiali-fiumi-laghi-acque-di-transizione-triennio-20192021

7) Monitoraggio acque marino costiere della Toscana - triennio 2019-2021 – D. Verniani Arpat Settore Marehttps://www.arpat .toscana.it/documentazione/catalogo-pubblicazioni-arpat/monitoraggio-acque-marino-costiere-della-toscana-triennio-20192021

8) Nuvolone D, Stoppa G, Petri D, Voller F. Long-term exposure to low-level arsenic in drinking water is associated with causespecific mortality and hospitalization in the Mt. Amiata area (Tuscany, Italy). BMC Public Health. 2023 Jan 10;23(1):71.

9) Rimondi V, Vaselli O. Environmental impact of past Hg mining activities in the Monte Amiata district, Italy: A summary

of recent studies. AIMS Geosciences, 2022, 8(4): 525–551.

10) Concentrazioni in aria di idrogeno solforato e mercurio nelle aree geotermiche toscane - Anno 2020 ARPAT (2022) https://www.arpat.toscana.it/documentazione/report/reportgeotermia/verifiche-autocontrollo-enel/concentrazioni-in-ariadi-h2s-e-hg-nelle-aree-geotermiche-toscane-anno-2020

11) Concentrazioni in aria di idrogeno solforato e mercurio nelle aree geotermiche toscane - Anno 2021ARPAT (2023) https://www.arpat.toscana.it/documentazione/report/reportgeotermia/verifiche-autocontrollo-enel/concentrazioni-in-ariadi-h2s-e-hg-nelle-aree-geotermiche-toscane-anno-2021

12) Concentrazioni in aria di idrogeno solforato e mercurio nelle aree geotermiche toscane - Anno 2022 ARPAT (2024) https://www.arpat.toscana.it/documentazione/report/reportgeotermia/verifiche-autocontrollo-enel/concentrazioni-in-ariadi-h2s-e-hg-nelle-aree-geotermiche-toscane-anno-2022

13) Profili F, Nuvolone D, Barbone F, Aprea C, Centi L, Frazzetta R, Belli S, Voller F. Health effects among a cohort exposed to low-level arsenic in a geothermal area of Tuscany, Italy. Int Arch Occup Environ Health. 2018 Nov;91(8):971-979

14) Bustaffa E, Minichilli F, Nuvolone D, Voller F, Cipriani F, Bianchi F. Mortality of populations residing in geothermal areas of Tuscany during the period 2003-2012 Ann Ist Super Sanità 2017 | Vol. 53, No. 2: 108-117

15) Nuvolone, D.; Stoppa, G.; Petri, D.; Profili, F.; Bartolacci, S.; Monnini, M.; Crocetti, M.; Voller, F. Geotermia e Salute in Toscana; Florence, Italy, 2021; Volume 1–3. https://www.ars.toscana.it/2‐articoli/4688‐geotermia‐e‐salute‐in‐toscanarapporto ‐2021.html

16) Capezzone M, Tosti Balducci M, Morabito EM, Durante C, Piacentini P, Torregrossa L, Materazzi G, Giubbolini G, Mancini V, Rossi M, Alessandri M, Cartocci A. High Incidence of Thyroid Cancer in Southern Tuscany (Grosseto Province, Italy): Potential Role of Environmental Heavy Metal Pollution. Biomedicines. 2023 Jan 20;11(2):298

17) Malandrino P, Russo M, Ronchi A, Moretti F, Gianì F, Vigneri P, Masucci R, Pellegriti G, Belfiore A, Vigneri R. Concentration of Metals and Trace Elements in the Normal Human and Rat Thyroid: Comparison with Muscle and Adipose Tissue and Volcanic Versus Control Areas. Thyroid. 2020 Feb;30(2):290-299

18) Chung HK, Nam JS, Ahn CW, Lee YS, Kim KR. Some Elements in Thyroid Tissue are Associated with More Advanced Stage of Thyroid Cancer in Korean Women. Biol Trace Elem Res. 2016 May;171(1):54-62

19) Zaichick VYe, Tsyb AF, Vtyurin BM. Trace elements and thyroid cancer. Analyst. 1995 Mar;120(3):817-21.

20) Webster AM, Pinion D, Pineda E, Aboueisha H, Hussein MH, Fawzy MS, Toraih EA, Kandil E. Elucidating the link between thyroid cancer and mercury exposure: a review and meta-analysis. Environ Sci Pollut Res Int. 2024 Feb;31(9):12841-12855

Richiamo tabella

Tabella 1. Incidenza del Carcinoma Tiroideo nella ToscanaSud-Est e in Italia

RADIAZIONI E CARCINOMA TIROIDEO: QUALI EVIDENZE?

DIAGNOSTICHE

S.C. Endocrinologia Oncologica U, Dipartimento di Scienze Mediche, Università degli Studi di Torino, AOU Città della Salute e della Scienza di Torino, Torino. ESPOSIZIONI A RADIAZIONI

Negli ultimi decenni, l’incremento di efficacia e sensibilità delle tecniche diagnostiche basate sull’impiego delle radiazioni ha aumentato significativamente il loro utilizzo nella medicina moderna, finendo tuttavia per sollevare preoccupazioni riguardo ai possibili effetti di questa crescente esposizione.

L'idea di un’associazione tra esposizione alle radiazioni in età infantile e rischio di sviluppare un carcinoma della tiroide è emersa fin dagli anni ‘50. Infatti, diversi studi retrospettivi hanno confermato il legame tra irradiazione e carcinoma tiroideo partendo da due osservazioni principali: (a) i pazienti con tumore alla tiroide presentavano spesso un’anamnesi di esposizione a radiazioni e (b) i pazienti sottoposti a radioterapia mostravano una maggiore incidenza di neoplasia tiroidea rispetto alla popolazione generale.

Il carcinoma della tiroide rappresenta di gran lunga il più comune fra i tumori che interessano il sistema endocrino e la sua incidenza nelle ultime decadi è in crescita in quasi tutti i Paesi, sebbene questo tumore presenti una mortalità relativamente bassa rispetto ad altri tipi di neoplasie.

Secondo la World Health Organization vengono eseguiti nel mondo annualmente più di 3600 milioni di esami radiologici diagnostici e più di 37 milioni di indagini di medicina nucleare.

Nell’ambito della radiologia diagnostica, le dosi più elevate di radiazioni ionizzanti provengono dalla tomografia computerizzata (TC) e in minor misura da radiografie e fluoroscopie. La maggior parte delle radiografie, delle panoramiche dentali e delle scansioni TC somministra dosi alla tiroide che vanno da una frazione di milligray (mGy) a pochi mGy, con una relazione diretta con la vicinanza anatomica fra la zona esaminata e la tiroide (fino a circa 35 mGy).

In medicina nucleare diagnostica si utilizzano i radioisotopi per esaminare lo stato funzionale di un organo o tessuto, tramite esami come la tomografia a emissione di singolo fotone (SPECT) o la tomografia a emissione di positroni (PET). I radiofarmaci somministrati si accumulano preferenzialmente o specificamente nell'organo bersaglio grazie a una molecola “veicolo” a cui è legato il radioisotopo. Raramente la tiroide ne è l’organo bersaglio, ma può comunque essere esposta alle radiazioni di dispersione provenienti da un organo vicino o dalla circolazione sanguigna, con dosi erogate alla tiroide sti-

mate in circa 7 -10 mGy. La dose sarà inevitabilmente più elevata in caso di procedure mirate ad indagare funzione e struttura tiroidea (circa 60 mGy, considerando i traccianti utilizzati quali 123I, 99mTc-pertechnetate, e 131I); si tratta tuttavia di tecniche di uso non comune e assai raramente ripetuto nel tempo. (Fig. 1)

Dosi in mGy assorbite dalla tiroide in corso di procedure diagnostiche radiologiche e di medicina nucleare. (A) Stime delle dosi da esami radiologici per un adulto di riferimento (media tra maschi e femmine); dosi tiroidee medie da TC cranio e torace per bambini neonati, 5 anni e 15 anni (stella, triangolo e quadrato rispettivamente); dosi tiroidee medie da TC del collo per bambini di eta media di 8 anni (diamante). (B) Media stimata di dosi in mGy assorbite dalla tiroide in corso di esami di medicina nucleare nel primo decennio degli anni 2000.

Radiation-Related Thyroid Cancer. Vladimir Saenko and Norisato Mitsutake. Endocrine Reviews, 2024, 45, 1–29

L’uso di tecniche di combinazione fra radiologia tradizionale e medicina nucleare (CT-PET o CT-SPECT) comporterà esposizioni maggiori.

I tireociti sono cellule fortemente radiosensibili e il rischio di sviluppare un carcinoma tiroideo è direttamente proporzionale alla dose cumulativa di radiazioni ricevuta e alla frequenza delle esposizioni, persistendo per molti anni dopo l’irradiazione. Quindi, se la probabilità di sviluppare un tumore dopo un singolo esame radiologico è estremamente bassa, il rischio può diventare significativo già a dosi cumulative intorno a 0,1 Gy.

Figura 1.

Le dosi di radiazioni assorbite dalla tiroide dipendono tuttavia da fattori legati al paziente stesso (esiste una correlazione inversa tra massa corporea e dose totale di radiazioni assorbita), al sito di esposizione, al tipo d’indagine e alla durata dell’esame. In particolare, la TC quando eseguita con iniezione di mezzo di contrasto o secondo protocolli che prevedono esposizione per più tempo o a dosi massicce di radiazioni ionizzanti (TC spirale o multifasica) ne comporterà una maggior quantità. Dagli anni 1960 agli anni ‘90 l’evoluzione delle tecniche radiologiche ha consentito di ridurre in modo significativo le dosi erogate alla tiroide, che si mantengono invece costanti dagli anni 2000 al giorno d’oggi. È quindi essenziale valutare l’indicazione di ogni indagine radiologica/medico nucleare, soprattutto in pazienti giovani, con una pregressa esposizione a radiazioni o altri fattori di rischio per lo sviluppo di neoplasie.

Per bilanciare i benefici diagnostici e i rischi potenziali, è fondamentale seguire alcune raccomandazioni:

• minimizzazione dell'esposizione e ottimizzazione della dose, secondo il principio ALARA (“As Low As Reasonably Achievable”): prescrivere esami radiologici solo quando clinicamente necessari e preferire metodi senza radiazioni, come l'ecografia o la risonanza magnetica, o cercare di minimizzare l’esposizione preferendo l’utilizzo di protocolli senza mezzo di contrasto, quando possibile;

• protezione: è raccomandato l’utilizzo di dispositivi di protezione (es. collari piombati), durante esami che coinvolgono testa o collo, quando possibile senza inficiarne il valore diagnostico;

• educazione e sensibilizzazione: formare professionisti sanitari sulla gestione dell'esposizione alle radiazioni e informare i pazienti sui potenziali rischi;

• monitoraggio e ricerca: continuare a monitorare le esposizioni e condurre ricerche per comprendere meglio la correlazione tra radiazioni e tumore tiroideo.

Conclusione

L'uso delle radiazioni è alla base di molte tecniche diagnostiche oggi imprescindibili e l’impiego di tali esami è destinato ad aumentare. La valutazione del rischio di cancerogenesi, non solo tiroidea, derivante dall'esposizione alle radiazioni diagnostiche avrà quindi una rilevanza sempre maggiore per la salute pubblica. Ulteriori ricerche sono necessarie per chiarire i meccanismi sottostanti e per sviluppare linee guida più efficaci per la gestione del rischio oncologico associato all'uso di radiazioni in ambito diagnostico.

Bibliografia

- Radiation-Related Thyroid Cancer. Vladimir Saenko and Norisato Mitsutake. Endocrine Reviews, 2024, 45, 1–29

- Thyroid cancer risk after radiation exposure in adults-systematic review and meta-analysis. Nafiseh Beygom Mirkatouli , Seiko Hirota , Shinji Yoshinaga. J Radiat Res. 2023 Nov 21;64(6):893-903.

- Thyroid Cancer-Risks and Causes. Oncology & Hematology Review. Bonnefond S, Davies TF. 2014;10(2):14451.

-Medical exposure to radiation and thyroid cancer; S J Schonfeld , C Lee, A Berrington de González; Clin Oncol (R Coll Radiol) . 2011 May;23(4):244-50.

- Linee guida AIOM “Tumori della tiroide” – Edizione 2021

- Radiation dose evaluation in 64-slice CT examinations with adult and paediatric anthropomorphic phantoms; K.Fujii, T. Aoyama, C. Yamauchi-Kawaura, et al. Br J Radiol, 82 (984) (2009), pp. 1010-1018

-Ionizing radiation; D. Schottenfeld, J.F. Fraumeni Jr (Eds.), Cancer epidemiology and prevention (3rd ed.), Oxford University Press, Oxford (2006), p. 260

- Mechanisms, models and risks of radiation carcinogenesis. Muriel VP, Serrano NO. 2004, Clinical and Translational Oncology 6:506-514.

- Medical diagnostic x rays and thyroid cancer; P.D. Inskip, A. Ekbom, M.R. Galanti, L. Grimelius, J.D. Boice Jr. J Natl Cancer Inst, 87 (21) (1995), pp. 1613-1621

LES ENSEIGNEMENTS DES ACCIDENTS DE TCHERNOBYL ET DE FUKUSHIMA SUR LA SURVENUE DE CANCERS DE LA THYROÏDE

En fonctionnement normal, les centrales nucléaires ne provoquent aucune conséquence sanitaire sur les populations vivant à proximité. Les accidents de Tchernobyl (survenu à la suite d’erreurs humaines) et de Fukushima (survenu à la suite d’un tsunami) sont les deux plus graves accidents de centrales nucléaires. Lors de ces accidents des quantités considérables d’isotopes radioactifs ont été libérées dans l’atmosphère. Les iodes radioactifs peuvent alors contaminer les populations, être concentrés dans la thyroïde et l’irradier. L’objectif de cet article est d’analyser les conséquences sanitaires de ces deux accidents et les mesures de protection des populations à mettre en place en cas d’accident.

Les iodes radioactifs et l’irradiation de la thyroïde Les iodes radioactifs sont apportés par la consommation d’aliments contaminés et par l’inhalation ; ils sont concentrés par la thyroïde et vont l’irradier : la dose d’irradiation reçue par la thyroïde sera plus de 1000 fois supérieure aux doses reçues par les autres organes. L’efficacité de la concentration des iodes radioactifs par la thyroïde dépend de l’apport alimentaire en iode stable : elle augmente en cas de carence et diminue en cas de surcharge en iode stable.

Chez des sujets irradiés pour raisons médicales (pour lesquelles la dose délivrée à la thyroïde est connue), deux paramètres déterminent le risque cancérigène lié à l’irradiation : la dose d’irradiation reçue par la thyroïde, le risque augmentant de manière linéaire avec la dose audelà d’une dose de 100mSv et le jeune âge lors de l’exposition, le risque diminuant avec l’âge et devenant faible au-delà de 20 ans.

L’accident de Tchernobyl (1986)

En raison de l’absence d’enceinte de confinement autour du réacteur, une quantité considérable de radioactivité (7,4.105 TBq) a été libérée dans l’environnement. Aucune mesure de protection des populations (confinement, restrictions alimentaires, prise d’iodure de potassium, évacuation) n’a été prise pendant plusieurs jours. Environ deux millions d’enfants et d’adolescents âgés de moins de 18 ans vivaient dans des régions fortement contaminées de Biélorussie, d’Ukraine et de Russie. L’irradiation thyroïdienne a résulté de la concentration dans la thyroïde des isotopes radioactifs de l’iode. Cette concentration a été importante en raison de la carence alimentaire en iode stable qui existait dans

ces pays. L’isotope 131 dont la demi-vie est de 8 jours a été responsable de 85 % de l’irradiation. La dose moyenne estimée reçue par la thyroïde a été de 100 mSv en Ukraine, 400 mSv en Russie, 700 mSv en Biélorussie. Les premiers cancers de la thyroïde ont été observés en 1990 chez des enfants de moins de 14 ans. En 2005, environ 7000 personnes âgées de moins de 18 ans lors de l’accident avaient développé un cancer thyroïdien et environ 15 décès par cancer de la thyroïde ont été constatés. L’augmentation du nombre des cancers de la thyroïde touche plus particulièrement les enfants de moins de 15 ans avec une large prédominance (90 %) d’enfants âgés de moins de 5 ans au moment de l’accident ou contaminés in utero. Ces cancers sont pour la plupart de type papillaire. Les cancers de survenue précoce chez les jeunes enfants étaient de sous-type solide ou sclérosant diffus, ils étaient volumineux lors du diagnostic, bilatéraux, multifocaux et souvent métastasés au niveau des ganglions cervicaux et des poumons. La majorité des cancers de la thyroïde survenus chez les enfants et les adolescents pendant les premières années après l’accident sont imputables à l’accident car, à cet âge, l’incidence du cancer de la thyroïde non radio-induit et cliniquement décelable est très faible (un cas/an/million d’enfants). Les cancers papillaires survenus plus tardivement chez des sujets volontiers plus âgés lors de l’accident étaient de sous-type classique, moins étendus lors du diagnostic et d’excellent pronostic à long-terme. Son incidence actuelle reste élevée et ne diminue pas, mais l’incidence des cancers non radio-induits augmente avec l’âge et il est difficile à l’âge adulte de faire la part entre les cancers radio-induits et non radio-induits, d’autant plus qu’un meilleur dépistage peut rendre compte d’une partie de l’augmentation actuelle des cancers de la thyroïde. L’augmentation du risque est identique chez les filles et chez les garçons. Ce risque n’est pas augmenté chez les personnes nées plus d’un an après l’accident, alors qu’il n’existait plus de risque de contamination par les iodes radioactifs. Par ailleurs, ces cancers de la thyroïde représentent la seule pathologie cancéreuse radioinduite observée dans la population générale, l’excès de risque en fonction de la dose étant voisin de celui observé après irradiation externe. Certaines personnes ont rapproché l’accident de Tchernobyl et l’augmentation de l’incidence des pathologies thyroïdiennes en Europe Occidentale. En effet, entre 1975 et 2010, l’incidence des cancers thyroïdiens dia-

gnostiqués dans ces pays a augmenté de 3 à 6 % par an et a été multipliée par trois pendant cette période. Cette augmentation s’observe aussi bien chez les adultes que chez les sujets jeunes et est liée essentiellement à la détection de cancers papillaires infracentimétriques. Il n’y a aucun argument permettant de penser que cette augmentation soit liée à un « effet Tchernobyl » car : 1. la dose à la thyroïde a été faible, au maximum de quelques mSv à une dizaine de mSv (rappelons que l’irradiation annuelle est de 2-3 mSv, et qu’un scanner radiologique délivre une dose de 5 à 10 mSv) ; 2. cet accroissement, présent dans toutes les régions industrialisées du monde, a été constaté dès 1975 et son taux ne s’est pas majoré après 1986 ; 3. il n’est pas observé d’augmentation préférentielle des cancers thyroïdiens chez les sujets qui étaient enfants ou adolescents au moment de l’accident en 1986. En fait, il existe un réservoir important de cancers thyroïdiens infra-cliniques dans la population générale, ce qui a été quantifié à 11% chez des personnes autopsiées après décès par d’autres causes. Cette augmentation du nombre de cancers thyroïdiens diagnostiqués résulte d’un meilleur dépistage lié aux pratiques médicales (palpation systématique de la loge thyroïdienne) et techniques (échographie, cytologie).

Accident de Fukushima (2011)

Lors l’accident de Fukushima, la quantité de radioactivité libérée dans l’atmosphère a été environ 10 fois moindre que lors de l’accident de Tchernobyl. Il faut noter des progrès majeurs dans la diffusion de l’information et dans les actions entreprises pendant les 12 premières heures pour protéger les populations. Le gouvernement japonais a pris en considération, dès le premier jour de l’accident, le seuil le plus bas (20 mSv par an) recommandé pour les situations d’urgence par l’ICRP afin de minimiser le risque sanitaire. Cela a conduit au déplacement de plus de 146 000 personnes dont 85 000 personnes dès le premier jour de l’accident. Par ailleurs, des consignes de confinement et restrictions alimentaires ont été diffusées. Le régime alimentaire japonais est riche en iode stable et la concentration de l’iode radioactif dans la thyroïde est faible. Les doses reçues lors de ces deux accidents sont très différentes. Par exemple, chez les enfants âgés de 1 an, les doses moyennes délivrées à la thyroïde s’élevaient de 2000-3000 mSv dans les zones évacuées d’Ukraine et de Biélorussie contre 3 à 4 mSv dans les territoires évacués de Fukushima et celles aux thyroïdes des enfants non évacués étaient de 1-2 mSv

au maximum.

L’incidence du cancer de la thyroïde clinique chez les enfants et adolescents qui vivaient dans le district de Fukushima n’a pas augmenté depuis 2011. Les autorités japonaises ont mis en place un dépistage par échographie des cancers de la thyroïde pour tous les enfants de la préfecture de Fukushima, tous les deux ans jusqu’à leurs 20 ans, puis tous les cinq ans jusqu’à la fin de leur vie. La première campagne incluant 300 000 enfants s’est déroulée d’avril 2011 à 2014. L’incidence s’est élevée à 33 cas pour 100 000 chez les moins de 18 ans, correspondant aux cancers existants sans pouvoir déterminer leur date d’apparition. Des données similaires ont été observées dans des préfectures non concernées par l’accident de Fukushima. Par la suite, l’incidence annuelle se situe entre six et 15 nouveaux cas pour 100 000. La majorité de ces cancers sont de petite taille et d’excellent pronostic. De plus, les mutations sont les mêmes que dans les cancers thyroïdiens non-radio-induits (mutations ponctuelles des gènes BRAF et RAS), et différentes de celles observées dans les cancers observés dans les suites de l’accident de Tchernobyl (ou les réarrangements chromosomiques, notamment du gène RET sont fréquents).

La question de l’impact du dépistage du cancer de la thyroïde par échographie chez ces enfants se pose. En effet, le dépistage par échographie met en évidence des cancers de la thyroïde dont la plupart sont de petite taille et dont la majorité, s’ils n’avaient pas été dépistés, serait resté inconnu et n’aurait sans doute pas évolué. Il n’est pas démontré que leur traitement à un stade précoce soit bénéfique en termes de pronostic à long terme mais il peut provoquer des complications, et de plus peut avoir des conséquences psychologiques et sociales importantes.

Conclusion et perspectives

L’augmentation des cancers de la thyroïde est la seule pathologie radio-induite observée dans les populations contaminées dans les suites de l’accident de Tchernobyl. Les deux facteurs de risque sont l’âge jeune lors de l’accident et la dose d’irradiation élevée à la thyroïde. Ces cancers peuvent être évités en protégeant la thyroïde de la contamination, et celle des enfants en priorité par le confinement, les restrictions alimentaires, la prise précoce d’iodure de potassium si la dose projetée à la thyroïde est supérieure à 50mSv (d’où l’intérêt de sa pré-distribution) et si nécessaire l’évacuation.

La surveillance des sujets contaminés n’est justifiée que

si la contamination a eu lieu à un âge jeune et si la dose à la thyroïde a été supérieure à 100mSv. Rappelons qu’aucune augmentation de l’incidence des cancers de la thyroïde n’a été observée à la suite de l’accident de Fukushima.

Parmi les questions à résoudre, citons les mécanismes de la radio-cancérogenèse, les différences éventuelles permettant de considérer qu’un cancer est radio-induit ou non-radio-induit, mais aussi les différences de radiosensibilité en fonction de l’âge, le traitement optimal des cancers radio-induits de la thyroïde. De plus, une information objective sur le fonctionnement des centrales nucléaires comprenant leurs avantages et leurs risques en incluant les moyens de protection en cas d’accident est nécessaire pour leur acceptation par l’opinion publique.

Bibliographie

UNSCEAR, Sources, effects and risks of ionising radiation, United Nations Scientific Committee on the Effects of Atomic Radiation. 2000 report to the general assembly, annex g. New York United Nations, 2000.

Pacini F, Vorontsova T, Demidchik EP, Molinaro E, Agate L, Romei C, Shavrova E, Cherstvoy ED, Ivashkevitch Y, Kuchinskaya E, Schlumberger M, Ronga G, Filesi M, Pinchera A. PostChernobyl thyroid carcinoma in Belarus children and adolescents: comparison with naturally occurring thyroid carcinoma in Italy and France. J Clin Endocrinol Metab. 1997 Nov;82(11):3563-9. doi: 10.1210/jcem.82.11.4367. PMID: 9360507.

Cardis E, Kesmininiene A, Ivaniov V, Malakhova I, Shibata Y, Khrouch V, et al. Risk of thyroid cancer after exposure to 131I in childhood. J Natl Cancer Inst 2005;97:724–32.

Yamashita S, Suzuki S, Suzuki S, Shimura H, Saenko V. Lessons from Fukushima: Latest Findings of Thyroid Cancer After the Fukushima Nuclear Power Plant Accident. Thyroid. 2018 Jan;28(1):11-22.

Ory C, Leboulleux S, Salvatore D, Le Guen B, De Vathaire F, Chevillard S, Schlumberger M. Consequences of atmospheric contamination by radioiodine: the Chernobyl and Fukushima accidents. Endocrine. 2021 Feb;71(2):298-309.

Le Guen B. Distribution d’iode autour des centrales nucléaires [Iodine distribution around nuclear power plants]. Rev Prat. 2018 May;68(5):551-553. In French.

Sintesi

La storia di due incidenti nucleari ci ha insegnato molto sui rischi e sulla gestione delle emergenze nel settore dell'energia atomica. Mentre le centrali in funzionamento normale non presentano rischi per la popolazione circostante, gli eventi di Chernobyl nel 1986 e Fukushima nel 2011 hanno mostrato scenari molto diversi tra loro.

L'incidente di Chernobyl, causato da errori umani, ha rappresentato uno dei momenti più drammatici nella storia dell'energia nucleare. L'assenza di un'adeguata struttura di contenimento e la mancanza di misure protettive immediate hanno portato a un rilascio massiccio di radioattività nell'ambiente. La popolazione locale, caratterizzata da una carenza di iodio nella dieta, si è trovata particolarmente vulnerabile all'assorbimento dello iodio radioattivo. Le conseguenze sono state severe soprattutto per i più giovani: circa 7.000 persone che all'epoca erano minorenni hanno sviluppato tumori alla tiroide, con una particolare incidenza nei bambini sotto i 5 anni.

La storia di Fukushima racconta invece un'esperienza molto diversa. Sebbene l'incidente, scatenato da un devastante tsunami, sia stato anch'esso gravissimo, la risposta è stata più efficace. Le autorità giapponesi hanno agito tempestivamente, evacuando oltre 146.000 persone nelle prime ore. La popolazione locale, abitualmente esposta a una dieta ricca di iodio, si è trovata naturalmente più protetta. Le dosi di radiazioni ricevute sono state drasticamente inferiori rispetto a Chernobyl, e non si è registrato alcun aumento significativo dei tumori tiroidei attribuibile all'incidente.

Questi due eventi ci hanno insegnato quanto sia cruciale la prevenzione e la rapidità d'intervento. Le misure protettive come il confinamento, le restrizioni alimentari e la somministrazione tempestiva di ioduro di potassio possono fare la differenza tra un disastro sanitario e un evento gestibile. È particolarmente importante proteggere i più giovani, che sono i più vulnerabili agli effetti delle radiazioni sulla tiroide.

La comunità scientifica continua a studiare questi eventi per comprendere meglio i meccanismi della radio-cancerogenesi e le differenze di radiosensibilità in base all'età. Ma la lezione più importante è che la trasparenza nella comunicazione e un'informazione obiettiva sul funzionamento delle centrali nucleari sono fondamentali per costruire una consapevolezza pubblica informata su questa tecnologia.

PIANO DI EMERGENZA IN CASO DI INCIDENTE NUCLEARE: LINEE GUIDA PER LA IODOPROFILASSI FARMACOLOGICA DI EMERGENZA E PER IL MONITORAGGIO DELLA SALUTE DELLA TIROIDE

Antonella Olivieri1, Christian Di Carlo2, Barbara Caccia2, Francesco Bochicchio2, Salvatore Vaccarella3

1 Dipartimento di Malattie Cardiovascolari, Endocrino-Metaboliche e Invecchiamento, Istituto Superiore di Sanità

2 Centro Nazionale per la Protezione dalle Radiazioni e Fisica Computazionale, Istituto Superiore di Sanità

3 International Agency for Research on Cancer, Lione, Francia

Introduzione

Durante un incidente nucleare, lo iodio radioattivo, insieme a molti altri elementi radioattivi (o radioisotopi), può essere rilasciato nell’ambiente, contaminando aria, cibo e acqua potabile. L'inalazione e l'ingestione di queste sostanze possono portare a esposizioni interne alle radiazioni, con rischi significativi per la salute umana. Tra questi, l’assorbimento di iodio radioattivo da parte della tiroide, un problema particolarmente rilevante, aumentando il rischio di tumore tiroideo, specialmente nei soggetti più giovani al momento dell’esposizione (1-3).

La tiroide, infatti, utilizza lo iodio per produrre ormoni tiroidei che regolano processi fondamentali del nostro organismo, ma non distingue tra iodio stabile e iodio radioattivo. È stato anche messo in evidenza che popolazioni residenti in aree iodocarenti sono esposte ad un maggior rischio di tumore tiroideo indotto dalle radiazioni (4).

Tuttavia, la somministrazione di dosi farmacologiche (molto elevate) di iodio stabile, opportunamente modulate per età, se effettuata in modo tempestivo, può prevenire l’assorbimento di iodio radioattivo da parte della tiroide, saturandola e bloccandone temporaneamente il funzionamento.

Iodoprofilassi farmacologica di emergenza

L’assunzione di dosi farmacologiche di iodio stabile è quindi considerata una strategia efficace per mitigare i rischi associati all’esposizione a iodio radioattivo in caso di incidenti nucleari (5). Tuttavia, è fondamentale comprendere che questa misura non riduce i rischi legati ad altri radioisotopi presenti nell’ambiente contaminato, a seguito di un incidente nucleare.

Tempistica e modalità di somministrazione

La somministrazione di dosi farmacologiche di iodio stabile è raccomandata solo nella fase iniziale di un incidente nucleare. Il periodo ottimale di somministrazione è compreso tra meno di 24 ore prima e 2 ore dopo l’atteso inizio dell’esposizione che, plausibilmente, avverrà per inalazione di aria contaminata. Una somministrazione tardiva – a partire da 24 ore dopo l’inizio dell’esposizione – può invece produrre più danni che effetti positivi, in particolare prolungando la permanenza all’interno della tiroide di iodio radioattivo già accumulato al momento dell’assunzione di iodio stabile. Nei giorni suc-

cessivi e, in generale, nelle prime settimane dopo l’incidente e il conseguente inizio dell’esposizione, il modo più efficace di limitare l’introduzione di iodio radioattivo (e di altri radioisotopi) è quello di ridurre il consumo di cibo, acqua e latte contaminati.

Formulazioni e distribuzione

Lo iodio stabile in situazioni di emergenza nucleare viene comunemente somministrato nella forma chimica di ioduro di potassio (KI), anche se altre forme chimiche sono ugualmente valide (come lo iodato di potassio, KIO3). Generalmente la somministrazione avviene in un’unica soluzione e solo in caso di esposizione prolungata a contaminazioni elevate potrebbe essere necessaria una seconda somministrazione.

La distribuzione preventiva alla popolazione di dosi farmacologiche di iodio stabile è prevista nelle aree prossime a impianti nucleari laddove, cioè, le tempistiche con cui lo iodio radioattivo contaminerebbe l’aria non consentirebbero una distribuzione tempestiva da parte delle autorità. In Paesi, come l’Italia, in cui non sono attivi impianti nucleari per la produzione di energia elettrica, la distribuzione alla popolazione coinvolta avviene solo in occasione di emergenze nucleari.

In Italia la iodoprofilassi farmacologica è prevista dal Piano nazionale per la gestione delle emergenze radiologiche e nucleari (6), coordinato dalla Protezione Civile. Lo iodio stabile, nella forma di ioduro di potassio, è conservato sul territorio nazionale in depositi gestiti dal Ministero della Salute nell’ambito della Scorta strategica Nazionale Antidoti e Farmaci (SNAF).

Indicazioni specifiche

La somministrazione è raccomandata per individui fino a 40 anni di età, con priorità a bambini, adolescenti e donne in stato di gravidanza o allattamento (Tabella 1). Nei neonati, nelle donne in gravidanza e nei soggetti oltre i 60 anni, somministrazioni ripetute sono sconsigliate in caso di esposizione prolungata (7).

Confronto tra i piani di emergenza nucleare di Italia e Francia

I piani di emergenza per incidenti alle centrali nucleari, specialmente quelle di grandi dimensioni per la produzione di energia elettrica, dipendono dal numero, dalla dislocazione e dalle caratteristiche delle centrali stesse.

Tabella Dosaggio raccomandato per un’unica somministrazione di iodio stabile per le diverse classi di eta (adattato da ref. 6)

Bambini (da 1 mese a 3 anni di età)

Bambini (da 3 fino a 12 anni)

Adulti e adolescenti (sopra i 12 anni)

Ad esempio, la Francia dispone di oltre 50 reattori nucleari operativi, mentre l’Italia ha 4 reattori in fase di dismissione e nessuno in funzione. Di conseguenza, la Francia deve gestire emergenze nucleari connesse alla presenza di centrali sia interne che esterne al proprio territorio nazionale, mentre l’Italia ha programmi di gestione di emergenze nucleari connesse a incidenti a centrali esclusivamente transfrontaliere, che produrrebbero esposizioni alla popolazione italiana ovviamente inferiori a quelle delle popolazioni più prossime alla centrale. La Francia ha sviluppato un sistema regolato dalla Legge sulla Trasparenza e Sicurezza Nucleare (TSN 2006/686). Questo sistema prevede piani particolari di intervento per ogni centrale, coprendo un’area con raggio di 20 km attorno ad essa, con misure quali evacuazioni, distribuzione preventiva di iodio (da usarsi comunque solo in caso di emergenza) e monitoraggio della radioattività. Le esercitazioni sono frequenti e coinvolgono anche i cittadini, affiancate da campagne di sensibilizzazione mirate. In Italia, il Piano Nazionale per le Emergenze Radiologiche e Nucleari (6) si concentra sulla gestione dei rischi da incidenti in impianti nucleari transfrontalieri. Le misure includono il riparo al chiuso, la distribuzione di compresse di iodio, il monitoraggio del livello di radiazioni e la comunicazione tramite i media, mentre le esercitazioni restano limitate e coinvolgono principalmente le autorità competenti. Il piano francese comprende anche misure per la gestione delle conseguenze a lungo termine, incluso il monitoraggio sanitario della popolazione esposta (*https://ec.europa.eu/eurostat/statisticsexplained/index.php?title=Nuclear_energy_statistics).

Monitoraggio della salute tiroidea Un gruppo di esperti internazionali convocato dall'IARC (International Agency for Research on Cancer) ha formulato raccomandazioni sulle strategie per il monitoraggio della salute della tiroide dopo incidenti nucleari, pubblicate nella "IARC Technical Publication No. 46" (8). Gli incidenti di Chernobyl, Fukushima e Three Mile Island hanno evidenziato i rischi associati all'esposizione alle radiazioni, in particolare per il cancro alla tiroide durante l'infanzia e l'adolescenza. In situazione di normalità, l'introduzione di programmi di screening di massa, oppure opportunistici, ha portato ad una significativa sovradiagnosi, come dimostrato in Corea del Sud ed in altri paesi inclusa l’Italia, dove l'aumento dell'uso di ecografie tiroidee ha fatto salire drasticamente l'incidenza osservata di cancro alla tiroide, senza causare cambiamenti significativi della mortalità, identificando cioè tumori che non avrebbero mai causato sintomi o problemi clinici, ma che hanno portato a interventi medici inutili con complicazioni e impatti psicologici negativi (9-10).

Raccomandazioni per il monitoraggio

Per questo motivo, il gruppo di esperti raccomanda di non eseguire lo screening ecografico di massa della tiroide in seguito a incidenti nucleari, poiché i rischi superano i benefici. In alternativa, raccomanda un monitoraggio a lungo termine per individui ad alto rischio, ossia coloro che sono stati esposti in utero o durante l'infanzia/adolescenza a dosi di radiazioni superiori a 100–500 mGy.

Questo programma dovrebbe includere:

• Educazione sanitaria.

• Registrazione dei partecipanti.

• Raccolta centralizzata dei dati.

L’obiettivo è consentire scelte informate in base ai propri valori e preferenze. Le raccomandazioni mirano a bilanciare i benefici della diagnosi precoce con i rischi della sovradiagnosi, con un approccio basato sull'evidenza e adeguato alle risorse sanitarie disponibili, alle implicazioni socioeconomiche e ai valori sociali. I programmi di monitoraggio dovrebbero proseguire fino all'età adulta, con esami ad intervalli personalizzati e una gestione integrata che includa comunicazione efficace e sorveglianza sanitaria.

Conclusioni

La iodoprofilassi farmacologica e l’eventuale successivo monitoraggio della salute tiroidea per i soggetti ad alto rischio rappresentano strumenti essenziali per mitigare i rischi dello iodio radioattivo durante emergenze nucleari, nelle quali la popolazione è comunque esposta anche ad altri elementi radioattivi. Tuttavia, deve essere accompagnata da una gestione attenta delle risorse, da strategie di educazione sanitaria e da programmi di monitoraggio mirati e proporzionati ai rischi. L'approccio deve essere basato sull'evidenza scientifica, considerando attentamente il rapporto rischio-beneficio di ogni intervento per garantire la massima protezione della salute pubblica

Bibliografia

1. Kazakov V, Demidchik E, Astakhova L. Thyroid cancer after Chernobyl. Nature 1992; 359(6390):21.

2. Cardis E, Kesminiene A, Ivanov V, Malakhova I, Shibata Y, Khrouch V et al. Risk of thyroid cancer after exposure to 131I in childhood. Journal of the National Cancer Institute. 2005; 97(10):724–732.

3. Zablotska LB, Ron E, Rozhko AV, Hatch M, Polyanskaya ON, Brenner AV et al. Thyroid cancer risk in Belarus among children and adolescents exposed to radioiodine after the Chornobyl accident. Br J Cancer. 2011; 104:181–187.

4. Shakhtarin VV, Tsyb AF, Stepanenko VF, Orlov MY, Kopecky KJ, Davis S. Iodine deficiency, radiation dose, and the risk of thyroid cancer among children and adolescents in the Bryansk region of Russia following the Chernobyl power station accident. Int J Epidemiol. 2003; 32(4):584–591.

5. World Health Organization. Iodine thyroid blocking. Guidelines for use in planning for and responding to radiological and nuclear emergencies. 2017 Geneva.

6. DPCM. Adozione del Piano nazionale per la gestione delle emergenze radiologiche e nucleari previsto dal comma 2 dell'art. 182 del decreto legislativo 31 luglio 2020, n. 101. GU Serie Generale n.112 del 14-05-2022.

7. DPCM. Determinazione dei livelli di riferimento per le situazioni di esposizione di emergenza radiologiche e nucleari e dei criteri generici per l’adozione di misure protettive da inserirsi nei piani di emergenza di cui al Titolo XIV, Capo I, del decreto legislativo 31 luglio 2020, n. 101. GU Serie Generale n.150 del 29-06-2023.

8. IARC Expert Group on Thyroid Health Monitoring after Nuclear Accidents Thyroid health monitoring after nuclear accidents IARC Technical Publication No. 46. International Agency for Research on Cancer, Lyon, 2018.

9. .Li M, Dal Maso L, Pizzato M, Vaccarella S. Evolving epidemiological patterns of thyroid cancer and estimates of overdiagnosis in 2013-17 in 63 countries worldwide: a population-based study. Lancet Diabetes Endocrinol. 2024;12(11):824-836.

10. Vaccarella S, Franceschi S, Bray F, Wild CP, Plummer M, Dal Maso L. Worldwide Thyroid-Cancer Epidemic? The Increasing Impact of Overdiagnosis. N Engl

I DATI ITALIANI DELLA GESTIONE DEL

CARCINOMA TIROIDEO IN ITALIA

TIROIDECTOMIE E TRATTAMENTO CON RADIOIODIO IN ITALIA: UN'ANALISI NAZIONALE BASATA SULLA POPOLAZIONE DAL 2001 AL 2018

Luigino Dal Maso1, Daniela Pierannunzio2

1 Epidemiologia Oncologica, Centro di Riferimento Oncologico di Aviano IRCCS, Aviano, Italia

2 Centro Nazionale per la Prevenzione delle Malattie e la Promozione della Salute Istituto Superiore di Sanità, Roma, Italia

Due studi recenti hanno riportato la frequenza e gli andamenti temporali delle tiroidectomie e dei trattamenti con radioiodio in Italia nell'arco di due decenni [1,2]. Queste analisi hanno fornito un riassunto dettagliato delle procedure chirurgiche tiroidee per tipologia (tiroidectomia totale o parziale), diagnosi (tumore della tiroide e altre malattie della tiroide), sesso ed età, offrendo un quadro completo per l’intera popolazione italiana sulla gestione chirurgica delle malattie tiroidee e sull’aderenza alle linee guida nazionali e internazionali, che si sono susseguite negli ultimi 20 anni.

Fonti e Metodologia

In Italia, gli ospedali (pubblici e privati) presentano le loro richieste di rimborso all'autorità sanitaria regionale. Queste richieste sono raccolte in un unico database nazionale che contiene informazioni a livello individuale (database delle dimissioni ospedaliere-SDO). Ogni record si riferisce a un singolo ricovero ospedaliero e comprende:

• Informazioni demografiche (data di nascita, sesso, luogo di nascita e residenza)

• Dati clinici (diagnosi principale e fino a cinque diagnosi secondarie, codificate secondo ICD9-CM)

• Informazioni amministrative (codificate sulla base del sistema di codifica dei Diagnosis Related GroupsDRG- e le date di ricovero e dimissione)

Dal 1999, il Ministero della Salute applica procedure di controllo della qualità dei dati e pubblica annualmente rapporti sulla completezza delle variabili descritte che sono tutte obbligatorie. L’archivio delle dimissioni ospedaliere utilizzato negli studi descritti in seguito comprendeva tutti i ricoveri avvenuti in Italia dal 2001 al 2018 a causa di interventi chirurgici alla tiroide, classificati in base alla diagnosi di dimissione in tre gruppi principali: “tumori maligni della tiroide”, “neoplasie tiroidee di comportamento incerto” e “adenomi tiroidei”, e “gozzo o altre diagnosi”.

Tiroidectomie: Frequenza e Tendenze

Tra il 2001 e il 2018, sono state segnalate 542.143 tiroidectomie in Italia per le donne e 162.380 per gli uomini [1], corrispondenti a circa 40.000 interventi l’anno. L'età media al momento dell'intervento chirurgico era di 52 anni per le donne e 54 anni per gli uomini. Nelle donne, le percentuali di tiroidectomie totali tra tutte le tiroidectomie sono più alte per il Centro (88%) e il Sud-Isole (88%) rispetto al Nord Italia (77%) e sono aumentate fino al 2012 (dal 78% all'87% e dal 72% all'83% nelle donne e negli uomini) per poi stabilizzarsi. C'è stata una tendenza all'aumento della proporzione di tiroidectomie

per tumore maligno in entrambi i sessi e in tutte le aree di residenza: era circa il 20% nel periodo 2001-2006 e il 30% nel periodo 2013-2018.

Figura 1. Tassi standardizzati (ASR per 100.000 persone, media annua) di tiroidectomie nelle regioni italiane per sesso, 2001-2008

I tassi (interventi l’anno per 100.000 persone) complessivi di tiroidectomie sono stati di 88 per 100.000 donne e 27 per 100.000 uomini nel periodo 2001-2018 (Figura 1). È stata osservata una differenza di oltre due volte nella frequenza di tiroidectomie tra le regioni italiane, con i tassi più alti osservati nelle regioni meridionali e nel Lazio in entrambi i sessi, e i più bassi in tutte le regioni settentrionali (tranne che in Emilia-Romagna). Complessivamente in Italia, il rapporto tra tiroidectomie

Donne
Uomini

totali e parziali è aumentato bruscamente dal 2001 (2,2 nelle donne e 1,7 negli uomini) al 2012 (7,8 nelle donne e 5,4 e negli uomini) e successivamente è diminuito a 4,5 e 3,3 nelle donne e negli uomini, rispettivamente, nel 2018. In altre parole, nel 2001 si facevano 2 tiroidectomie totali (TT) per ogni tiroidectomia parziale (TP), si è poi arrivati a 7 TT per ogni TP nel 2012; nel 2018 sono state effettuate circa 4 TT per ogni TP. Va sottolineata la marcata variabilità geografica tra le regioni, con Sud e Isole che mostrano un rapporto TT/PT più alto arrivando fino a oltre 10 TT per ogni TP nel 2012, oltre il doppio rispetto al Nord Italia.

I tassi di tiroidectomie per tumore maligno sono aumentati fino al 2013-2014 fino a 24 per 100.000 donne (9 per 100.000 uomini) e successivamente sono rimasti sostanzialmente stabili per uomini e donne (Figura 2). I tassi di tiroidectomia per neoplasie benigne o incerte sono leggermente diminuiti nelle donne (>7 per 100.000 donne fino al 2007 e <7 dopo il 2015), e sono stati più bassi e meno variabili durante tutto il periodo di studio negli uomini (circa 2,5 per 100.000 uomini). I tassi di tiroidectomie per gozzo tiroideo sono diminuiti per entrambi i sessi, ma la diminuzione è stata particolarmente evidente nelle donne con tassi >70 per 100.000 fino al 2004 e <50 dopo il 2015.

Figura 2. Andamenti temporali (tassi standardizzati per 100.000 persone) delle tiroidectomie per sesso e tipo di diagnosi. Italia, 2001-2018.

Donne, gozzo

Uomini, gozzo Donne, tumori maligni Uomini, tumori m Donne, noduli Uomini, noduli

Tra le quasi 600.000 TT eseguite tra il 2001 e il 2018 [2], circa 150.000 (26%) sono state effettuate a seguito di ricoveri per tumore alla tiroide.

Trattamenti con Radioiodio (RAI)

Durante l'intero periodo di studio, il 58% delle TT è stato seguito da un trattamento con radioiodio (RAI) entro 12 mesi (58% nelle donne e 60% negli uomini); il tempo mediano tra l’intervento e il trattamento è stato di 3,3 mesi, con una tendenza alla riduzione nei due decenni analizzati (da circa 4 mesi nel primo periodo a 3 mesi nel

periodo 2013-2018). Il ricorso alla RAI è aumentato dal 2001-2006 (57% nelle donne, 59% negli uomini) al 2007-2012 (62% nelle donne, 64% negli uomini) ed è diminuito negli ultimi anni (54% nelle donne, 58% negli uomini). Lo stesso andamento temporale è stato osservato in tutti i gruppi di età (Fig. 3).

Nell'intero periodo di osservazione, il ricorso al RAI è stato più elevato nei pazienti con carcinoma tiroideo di età inferiore ai 20 anni (>70% in tutti i periodi di studio, sulla base di ~100 TT l'anno seguite da RAI), mentre è diminuito nei giovani adulti di età compresa tra 20 e 39 anni (75% nel 2007, 59% nel 2018), negli adulti di età compresa tra 40 e 59 anni (65% nel 2007, 47% nel 2018), e nei pazienti di 60 anni o più (56% nel 2007, 41% nel 2018).

Nel periodo più recente, dal 2016 al 2018, quando erano disponibili le linee guida dell’American Thyroid Association [3] più recenti, è stata osservata una marcata diminuzione della proporzione di RAI dopo TT con diagnosi di tumore alla tiroide, corrispondente a una diminuzione di quasi il 20% in numero assoluto, da 5.220 trattamenti RAI nel 2016 a 4.219 nel 2018 [2].

Figura 3. Percentuale di tiroidectomie totali con diagnosi di tumore alla tiroide seguite da trattamento con iodio radioattivo, per sesso ed età. Italia, 2001-2018.

Uomini <20

Lo studio ha mostrato che l'uso di RAI dopo TT è diminuito nell'ultimo decennio in tutte le età, in entrambi i sessi e in tutte le aree. La diminuzione dell'uso di RAI è stata leggermente meno marcata negli uomini e nelle regioni meridionali. L'Osservatorio italiano sul cancro della tiroide [4] ha riferito che l'uso di RAI è generalmente coerente con le raccomandazioni stratificate per rischio neoplastico del paziente. Tuttavia, persiste il suo frequente uso nei tumori tiroidei di piccole dimensioni (<1 cm), nonostante la mancanza di evidenza di beneficio.

Conclusioni

L'analisi della casistica nazionale 2001-2018 evidenzia una marcata disparità geografica nell'approccio chirurgico, con una netta prevalenza di tiroidectomie totali nel Centro-Sud (88%) rispetto al Nord (77%). La notevole variabilità territoriale nelle pratiche chirurgiche è ulteriormente evidenziata dal rapporto TT/TP, che ha raggiunto picchi superiori a 10 nel Sud nel 2012. Per quanto riguarda il trattamento post-chirurgico, si è osservata una significativa diminuzione dell'uso del radioiodio nell'ultimo decennio, in linea con le raccomandazioni cliniche basate sul rischio. Tuttavia, persiste un frequente utilizzo del RAI nei tumori di piccole dimensioni (<1 cm), nonostante l'assenza di evidenze di beneficio. Questi dati suggeriscono la necessità di interventi mirati per uniformare i trattamenti e ottimizzare l'aderenza alle linee guida su tutto il territorio nazionale.

Bibliografia

1. Pierannunzio D, Fedeli U, Francisci S, et al. Thyroidectomies in Italy: A Population-Based National Analysis from 2001 to 2018. Thyroid. 2022;32(3):263-272. doi: 10.1089/ thy.2021.0531.

2. Dal Maso L, Pierannunzio D, Francisci S, et al. Trends in radioactive iodine treatment after total thyroidectomy in Italy, 2001-2018. Eur Thyroid J. 2023;12(4):e230051. doi: 10.1530/ETJ-23-0051.

3. Haugen BR, Alexander EK, Bible KC, et al. 2015 American Thyroid Association Management Guidelines for Adult Patients with Thyroid Nodules and Differentiated Thyroid Cancer: The American Thyroid Association Guidelines Task Force on Thyroid Nodules and Differentiated Thyroid Cancer. Thyroid. 2016;26(1):1-133. doi: 10.1089/thy.2015.0020.

4. Lamartina L, Durante C, Lucisano G, et al. Are evidencebased guidelines reflected in clinical practice? An analysis of prospectively collected data of the Italian Thyroid Cancer Observatory. Thyroid 2017 27 1490–1497. https://doi.org/10.1089/thy.2017.0299

CARCINOMI DELLA TIROIDE IN ITALIA: UN'ANALISI DEI DATI DELL' OSSERVATORIO ITALIANO CARCINOMI TIROIDEI

Silvia D’Elia1, Simona Censi2, Alice Nervo3, Tommaso Porcelli4, Clotilde Sparano5, Giulia Brigante6, Simone De Leo7, Giorgio Grani8, Bruno Madeo9, Silvia Morelli10, Andrea Repaci11, Ilaria Stramazzo12, Camilla Virili13, Marco Alfò1

1 Dipartimento di Scienze Statistiche, Sapienza Università di Roma

2. UOC di Endocrinologia, Dipartimento di Medicina (DIMED), Università degli Studi di Padova

3. Endocrinologia Oncologica, Dipartimento di Oncologia, Citta della Salute e della Scienza di Torino

4. Dipartimento di Sanità Pubblica, Università degli Studi di Napoli “Federico II”

5. SODc Endocrinologia, Dipartimento di Scienze Biomediche Sperimentali e Cliniche, Università di Firenze

6 Unità di Endocrinologia, Dipartimento di Scienze Biomediche, Metaboliche e Neuroscienze, Università di Modena e Reggio Emilia, Modena, Italia

7 Dipartimento di Medicina Endocrino-Metabolica, IRCCS, Istituto Auxologico Italiano, Milano

8. Dipartimento di Medicina Traslazionale e di Precisione, Sapienza Università di Roma

9 UOC di Endocrinologia, Ospedale Civile di Baggiovara, Azienda Ospedaliero-Universitaria di Modena

10. Sezione di Medicina Interna e Scienze Endocrine e Metaboliche, Dipartimento di Medicina e Chirurgia, Università degli Studi di Perugia

11. Divisione di Endocrinologia e Prevenzione e Cura del Diabete, IRCCS Azienda Ospedaliero-Universitaria di Bologna

12. UOC Endocrinologia Universitaria, Ospedale SM Goretti, Latina; Dipartimento di Medicina Sperimentale, Sapienza Università di Roma

13. UOC Endocrinologia Universitaria, Ospedale SM Goretti, Latina; Dipartimento di Scienze e Biotecnologie Medico-Chirurgiche, Sapienza Università di Roma

Il notevole aumento delle diagnosi di carcinoma tiroideo registrato in Italia, in linea con il trend osservato a livello internazionale1, ha evidenziato la necessità di creare un osservatorio nazionale dedicato per documentare e analizzare il panorama epidemiologico e clinico di questa patologia. In questo contesto, la Fondazione ITCO (Italian Thyroid Cancer Observatory) ha avviato nel 2013 uno studio osservazionale prospettico di ampio respiro, che ad oggi coinvolge 50 centri distribuiti sul territorio nazionale, con ulteriori 20 centri in fase di attivazione. Questo progetto di ricerca mira a costituire un registro nazionale dei carcinomi tiroidei per approfondire la conoscenza scientifica e ottimizzare i percorsi diagnosticoterapeutici. I risultati finora pubblicati2–8 hanno fornito evidenze significative su aspetti controversi delle principali linee guida internazionali, contribuendo a chiarire questioni di rilevante impatto clinico.

L’osservatorio rappresenta uno strumento essenziale per documentare lo stato attuale della gestione del carcinoma tiroideo in Italia, offrendo una panoramica dettagliata della pratica clinica nazionale. Nelle sezioni successive verranno presentati i dati più significativi emersi da questo decennio di osservazione sistematica.

I dati ITCO sul carcinoma tiroideo in Italia I dati ITCO confermano la nota maggiore prevalenza del cancro tiroideo nel sesso femminile (73%) rispetto a quello maschile (27%) (Figura 1).

Figura 1: distribuzione del sesso nella popolazione affetta da carcinoma tiroideo in Italia secondo i dati ITCO

Figura 2: Frequenza percentuale delle varianti di carcinoma tiroideo di origine follicolare secondo i dati ITCO. FTC: carcinoma follicolare della tiroide; OCC: carcinoma tiroideo oncocitico; PTC: carcinoma papillare della tiroide

L’età mediana alla diagnosi è di 50 anni (intervallo interquartile: 39-60 anni). L’American Thyroid Association (ATA), una delle più importanti società scientifiche che

si occupano di malattie della tiroide, nel 2015 ha pubblicato una linea guida sulla gestione del tumore tiroideo dove ha proposto una classificazione che permette di stabilire, alla diagnosi, quale sia il rischio di recidiva tumorale (basso, intermedio o alto rischio), sulla base dei dati istologici e di alcuni dati clinici/molecolari. Dai dati ITCO, poco più della metà dei pazienti (50.5%) presenta alla diagnosi un rischio di recidiva basso, un’altra consistente quota (41.6%) presenta un rischio intermedio, mentre solo una parte minoritaria (7.9%) presenta un rischio elevato di recidiva (Figura 3).

Figura 3: Frequenza percentuale delle classi di rischio di recidiva del carcinoma tiroideo secondo i dati ITCO. Rischio “low” ovvero basso, rischio “intermediate” ovvero intermedio e rischio “high” ovvero alto, secondo la classificazione dell’American Thyroid Association contenuta nelle linee guida del 2015

La prima scelta terapeutica per il carcinoma tiroideo è l’intervento chirurgico, che molto spesso è risolutivo. Talvolta, data la natura indolente di questi tumori, se inferiori al centimetro e privi di elementi clinici o radiologici di rischio, si può addirittura decidere col paziente di praticare una sorveglianza attiva ecografica, riservando la terapia chirurgica ad un’eventuale evoluzione del quadro. Tuttavia, non abbiamo ad oggi dati ITCO su questa opzione terapeutica. La terapia chirurgica può consistere in una tiroidectomia totale (rimozione di tutta la tiroide), oppure in una lobectomia (rimozione del lobo della ghiandola tiroidea sede del tumore). Quest’ ultima opzione chirurgica, in pazienti adeguatamente selezionati, si è dimostrata altrettanto efficace per la risoluzione della malattia (in termine di prognosi a lungo termine) rispetto alla risoluzione più radicale (tiroidectomia totale) ma con alcuni vantaggi non irrilevanti: i) assenza di lesioni chirurgiche delle paratiroidi (le ghiandole che regolano il

metabolismo del calcio e che si trovano dietro alla tiroide), la cui lesione può dare una riduzione dei valori del calcio nel sangue in maniera transitoria o definitiva (cronica); ii) minori lesioni del nervo laringeo ricorrente, che possono provocare alterazione della voce transitoria o definitiva, perché è il nervo che fa muovere le corde vocali; iii) minore durata del ricovero ospedaliero; iv) alta probabilità di non dover assumere una terapia sostitutiva cronica con ormone tiroideo. Pertanto, quando praticabile, una scelta chirurgica meno radicale, oltre ad essere curativa, porta con sé un miglioramento della qualità di vita dei pazienti operati per carcinoma tiroideo e naturalmente un complessivo risparmio di spesa pubblica. La selezione del paziente da sottoporre a lobectomia si basa su alcune caratteristiche ben descritte dalle linee guida che consentono di proporla ai pazienti addirittura come tipo di chirurgia di prima scelta (per noduli entro il cm in assenza di metastasi linfonodali - locali - e a distanza e senza sospetto di estensione del tumore al di fuori della ghiandola tiroidea) o come scelta alternativa alla tiroidectomia (per noduli tra 1 e 4 cm, sempre in assenza di evidenza di metastasi o di estensione extraghiandolare del tumore). Dopo la tiroidectomia totale, si può decidere, in base al rischio di recidiva del paziente, di procedere o meno alla somministrazione di iodio radioattivo (RAI,131I), allo scopo di ridurre il rischio di recidiva e mortalità malattia correlata. Lo 131I è un tracciante captato quasi esclusivamente dalle cellule tiroidee dotate del trasportatore specifico per lo iodio, e in minima parte dalla ghiandola mammaria nelle donne in allattamento e dalle ghiandole salivari. Essendo un tracciante radioattivo, che rilascia raggi β dannosi per la cellula, è in grado di distruggere eventuali cellule tiroidee residue, normali o tumorali. Questo trattamento può essere eseguito a scopo ablativo (per eliminare cellule tiroidee residue dopo la chirurgia, agevolando il successivo follow-up), a scopo adiuvante (per distruggere eventuali cellule tumorali residue nei pazienti a rischio di recidiva), o curativo (quando ha come target una malattia residua/persistente). Attualmente, secondo i dati ITCO, nonostante la maggior parte dei pazienti sia portatore di una malattia a basso rischio, la gestione chirurgica prevalente rimane la tiroidectomia totale con successiva RAI (nel 55.0% dei casi), seguita dalla tiroidectomia totale senza RAI (nel 40.4% dei casi), mentre la lobectomia risulta praticata solo in una porzione trascurabile di pazienti (il 4.6%) (Figura 4).

Figura 4: Frequenza percentuale di ricorso alla lobectomia, alla tiroidectomia totale o alla tiroidectomia totale con radioiodio nella gestione terapeutica iniziale del carcinoma tiroideo secondo i dati ITCO.

Dalla pubblicazione delle ultime linee guida sulla gestione del nodulo e del carcinoma tiroideo (2015 per le linee guida americane, 2018 per la Consensus italiana) che hanno valorizzato il ruolo di approcci mini-invasivi in pazienti a basso rischio di recidiva, il ricorso alla lobectomia è aumentato, ma rimane ancora marginale. Infatti, secondo i dati ITCO, dal 2013 al 2023, la percentuale di carcinomi tiroidei trattati con lobectomia è incrementata dal 1.3% al 5.2%, una frequenza 4 volte maggiore, ma ancora decisamente bassa, se si considera il numero di pazienti con noduli potenzialmente candidabili (Figura 5).

Figura 5: Frequenza percentuale del ricorso alla lobectomia, alla tiroidectomia totale o alla tiroidectomia con radioiodio, suddivisa per anno di osservazione, dal 2013 al 2023, secondo i dati ITCO.

D’altra parte, in linea con le medesime linee guida che, sulla base del comportamento generalmente indolente del carcinoma tiroideo, suggeriscono che spesso “less is more”, risulta rassicurante il dato sul ricorso alla tiroidectomia totale + RAI, sceso dal 56.1% del 2013 al

43.1% del 2023. E’ salita, specularmente, la quantità di pazienti trattati con la sola tiroidectomia (Figura 5). Focalizzandoci sul dato della lobectomia, le principali motivazioni per cui si effettua questo intervento sono due: i) nei pazienti con nodulo tiroideo maligno, purché soddisfino i criteri sopra citati; ii) nei pazienti con nodulo tiroideo indeterminato, ovvero un nodulo per il quale l’analisi citologica pre-operatoria non riesce a stabilire se si tratti di una malattia maligna o benigna. Nel primo caso quindi viene eseguita a scopo “terapeutico”, nel secondo caso a scopo “diagnostico”. Complessivamente, prendendo in considerazione tutti gli anni in analisi (2013-2023), la maggior parte delle lobectomie vengono eseguite a scopo diagnostico (52.7%), mentre solo in un terzo dei casi (esattamente il 29.8%) viene eseguita come scelta terapeutica su un nodulo maligno (Figura 6).

Figura 6: Frequenza percentuale delle indicazioni alla lobectomia (diagnostica, terapeutica o altro), secondo i dati ITCO.

Tuttavia, l’analisi del trend delle indicazioni alla lobectomia nel corso degli anni restituisce un dato incoraggiante. Mentre negli anni 2013-2014 non è stato registrato nessun caso di lobectomia a scopo terapeutico, successivamente il ricorso alla lobectomia terapeutica è decisamente aumentato, raggiungendo il suo picco proprio nell’ultimo anno disponibile, il 2023, nel quale questa percentuale raggiunge il 72.7% (Figura 7).

Figura 7: Frequenza percentuale delle indicazioni alla lobectomia (diagnostica, terapeutica o altro), suddivisa per anno di osservazione, dal 2013 al 2023, secondo i dati ITCO

Si registra ovviamente una speculare discesa delle indicazioni alla lobectomia diagnostica, dato anch’esso promettente, se si considera il fatto che in circa l’80% dei casi i noduli indeterminati corrispondono ad una patologia istologicamente benigna.

Nel porre o meno l’indicazione all’impiego del RAI, è essenziale effettuare in fase post-operatoria una stratificazione del rischio di recidiva e di mortalità, volta a collocare i pazienti in diverse categorie di rischio - basso, intermedio o alto - per cui il ricorso al RAI dovrebbe essere evitato, può essere preso in considerazione oppure è indicato.

Secondo i dati ITCO la percentuale di casi sottoposti a RAI è pari al 55.0% del campione totale (Figura 8).

Figura 8: Percentuale di impiego del radioiodio nella gestione terapeutica iniziale del carcinoma tiroideo secondo i dati ITCO.

Come si osserva in Figura 9, la proporzione di casi sottoposti a RAI aumenta sensibilmente al crescere della dimensione tumorale, passando dal 21.7% nei microcarcinomi al 50.9% in caso di neoplasia compresa tra 1

e 4 cm, fino all’84.7% in caso di dimensione superiore ai 4 cm. Il ricorso a terapia con RAI è influenzato anche dall’entità dell’estensione extratiroidea: nello specifico, la somministrazione di RAI è stata effettuata nel 65.9% e nel 92.0% dei casi con estensione minima o estesa, rispettivamente. Inoltre, il RAI è stato impiegato nella maggior parte dei pazienti con metastasi linfonodali (81.1% in caso di coinvolgimento del comparto centrale e 90.3% in presenza di localizzazioni del comparto laterocervicale) e in tutti i pazienti con metastasi a distanza, in accordo con la necessità di un trattamento iniziale più intensivo. Si osserva, in sintesi, una gestione non omogenea stratificando i pazienti in base a determinate caratteristiche tumorali (dimensione, estensione extratiroidea, coinvolgimento linfonodale, metastasi a distanza).

Figura 9: Percentuale di impiego del radioiodio nella gestione terapeutica iniziale del carcinoma tiroideo in base ad alcune caratteristiche tumorali (dimensione, entità dell’estensione extratiroidea, presenza di metastasi linfonodali cervicali, evidenza di metastasi a distanza) secondo i dati ITCO (in arancione i pazienti sottoposti a radioiodio). ETE: estensione extratiroidea, L: metastasi linfonodali.

Le linee guida suggeriscono di modulare l’attività di 131I da somministrare in relazione ai parametri di rischio clinico; in particolare, l’utilizzo di attività più elevate va considerato nei pazienti a rischio intermedio-alto, mentre è possibile impiegare un approccio meno aggressivo in caso di basso rischio.

In poco meno della metà dei pazienti ITCO sottoposti a RAI (48.8%) l’attività somministrata risulta elevata (uguale o maggiore a 100 mCi) (Figura 10).

Figura 10: Attività radiante impiegata nella gestione terapeutica iniziale del carcinoma tiroideo secondo i dati ITCO.

Questo dato non sorprende se si considera che la percentuale della popolazione ITCO appartenente a una categoria di rischio ATA intermedio o alto si attesta al 49.5%.

Anche in questo caso, analizzando separatamente i pazienti in base alle caratteristiche tumorali, è possibile evidenziare un atteggiamento variabile nella scelta dell’attività radiante da somministrare (Figura 11).

Figura 11: Attività radiante impiegata nella gestione terapeutica iniziale del carcinoma tiroideo in base ad alcune caratteristiche tumorali (dimensione, entità dell’estensione extratiroidea, presenza di metastasi linfonodali cervicali, evidenza di metastasi a distanza) secondo i dati ITCO. ETE: estensione extratiroidea, L: metastasi linfonodali.

Per esempio, in caso di microcarcinoma papillifero l’impiego di attività contenute di 131I risulta la scelta nettamente prevalente (82.8%), diversamente da ciò che accade per i soggetti che si collocano in altre categorie associate a un rischio intermedio o alto.

Al momento della somministrazione del RAI, per garantirne l’efficacia, è necessario raggiungere livelli elevati di TSH sierico. Tale incremento può essere ottenuto per via endogena, mediante la sospensione del trattamento con ormone tiroideo per alcune settimane, oppure per via esogena, mediante somministrazione di TSH ricombinante. Quest’ultima è considerata una valida alternativa alla sospensione della terapia ormonale nei pazienti a basso rischio e può essere presa in considerazione in quelli a rischio intermedio, mentre, al momento, non è raccomandata nei casi ad alto rischio. Ovviamente, quando non è possibile la sospensione della terapia con ormone tiroideo perchè controindicato dalla presenza di altre malattie (comorbidità), si ricorre al TSH ricombinante, indipendentemente dalla classe di rischio a cui appartiene il paziente. Inoltre, anche il contenimento della spesa sanitaria rientra al momento tra i fattori che influenzano la scelta tra questi due metodi. Secondo i dati ITCO, in poco più della metà dei pazienti sottoposti a RAI (56.6%) è scelta una preparazione con TSH ricombinante (Figura 12).

Figura 12: Tipo di preparazione (sospensione della terapia ormonale o utilizzo del TSH ricombinante) scelta per la somministrazione di radioiodio nella gestione terapeutica iniziale del carcinoma tiroideo secondo i dati ITCO. rhTSH: TSH ricombinante.

La scintigrafia post RAI contribuisce alla stadiazione di malattia permettendo di rilevare eventuali zone di localizzazione tumorale. Inoltre, consente di evidenziare l’avidità per il RAI da parte delle localizzazioni di malattia. Come mostrato in Figura 13, nella maggior parte dei pazienti ITCO sottoposti a RAI (87.9%), si evidenzia una captazione limitata al letto tiroideo o assente, mentre in una quota minoritaria si osserva una captazione a livello dei linfonodi del collo (2.3%) o di metastasi a distanza (8.5%).

Anche la presenza di focolai iodocaptanti al di fuori del letto tiroideo varia in relazione alle dimensioni tumorali, all’entità dell’estensione extratiroidea e alla presenza di

Figura 13: Esito della scintigrafia post radioiodio nel contesto della gestione terapeutica iniziale del carcinoma tiroideo secondo i dati ITCO. LC: linfonodi cervicali.

coinvolgimento linfonodale cervicale o di metastasi a distanza (Figura 14). A tal proposito, è opportuno sottolineare che la presenza di metastasi a distanza è rilevata anche nella categoria dei microcarcinomi papilliferi, in una percentuale bassa ma non trascurabile (2.4%). Inoltre, è presente una piccola quota di pazienti con localizzazioni metastatiche a distanza non iodocaptanti ab initio (5.6%).

Dati di follow-up

Una volta completato l’inquadramento iniziale, sulla base dell’istologia, della classe di rischio di recidiva di malattia secondo le linee guida ATA e dell’eventuale esito del trattamento con radioiodio, per ciascun paziente affetto da cancro differenziato della tiroide (DTC) viene impostato un preciso programma di monitoraggio (follow-up). Il follow-up dei pazienti affetti da DTC richiede un’ampia e accurata disamina dei fattori che possono associarsi a ripresa di malattia nel breve o lungo periodo. In accordo con le ultime linee guida ATA del 2015 , durante il monitoraggio iniziale dei pazienti viene richiesto il dosaggio dei marcatori tumorali, tireoglobulina (Tg) e anticorpi anti-tireoglobulina (Tg-Ab), dopo 612 mesi oppure in tempi più brevi e frequenti in casi a rischio di recidiva ATA intermedio-alto o alto. Contestualmente alla valutazione biochimica, si associa un iniziale inquadramento con ecografia del collo, essendo la recidiva loco-regionale quella più probabile e più frequente nella fase post-operatoria.

Figura 14: Esito della scintigrafia post radioiodio nel contesto della gestione terapeutica iniziale del carcinoma tiroideo in base ad alcune caratteristiche tumorali (dimensione, entità dell’estensione extratiroidea presenza di metastasi linfonodali cervicali, evidenza di metastasi a distanza) secondo i dati ITCO. ETE: l’estensione extratiroidea: metastasi linfonodali cervicali.

La cadenza e l’intensità del successivo monitoraggio biochimico e strumentale dipendono dall’esito della valutazione iniziale e/o del trattamento RAI. Nei pazienti con una risposta al trattamento iniziale definita “eccellente”, senza cioè evidenza di malattia biochimica (ovvero con Tg sierica < 0.2 ng/ml) e strutturale (ovvero assenza di tessuto tumorale) al primo controllo post-trattamento, il follow-up ha cadenza generalmente annuale poiché il rischio di recidiva di malattia è molto basso (1 e 4%). Similmente, si predilige un follow-up non intensivo anche per i pazienti che non hanno eseguito ablazione del residuo tiroideo e abbiano dei livelli bassi ma dosabili di Tg (<1 ng/ml con Tg-Ab negativi), classificati come risposta “indeterminata”. Le tempistiche di monitoraggio di tale categoria sono, talvolta, ancora oggetto di discussione, potendosi celare, in una quota minoritaria di questi casi, un numero di pazienti con effettiva micromalattia residua, emergente nel medio-lungo periodo. Tuttavia, con pochissime eccezioni, i pazienti con risposta eccellente ed indeterminata rappresentano la quota maggioritaria dei casi e godono di prognosi a lungo termine globalmente favorevole sia in termini di recidiva che di mortalità.

Nei casi a rischio ATA intermedio o alto, l’intensità del follow-up è solitamente maggiore. Infatti, nei pazienti che in corso di monitoraggio mostrano risposta di malattia “biochimica incompleta” (ovvero con Tg sierica > 1 ng/ml) e/o

“strutturale incompleta” (per persistenza di tessuto tumorale all’ecografia del collo e/o per la presenza di metastasi linfonodali o a distanza), le valutazioni devono avere una cadenza più ravvicinata (ogni 3 o 6 mesi) e avvalersi di indagini strumentali di secondo livello quali la tomografia computerizzata (TC) e/o la risonanza magnetica (RM). Questi approfondimenti consentono di definire più accuratamente la presenza, la tendenza evolutiva e la velocità di progressione della malattia, individuando il momento più opportuno per intraprendere l’azione terapeutica, locale o sistemica. Infine, per i pazienti che nel corso della presa in carico perdono la sensibilità a fissare lo 131I in presenza di sicura malattia morfologica e biochimica, possiamo avvalerci di altre tecniche, come la FDG-PET, che si caratterizza per un’elevata sensibilità nell’individuazione di malattia iodio-refrattaria.

Sulla base di queste premesse, sono stati analizzati i dati di follow-up della popolazione con carcinoma della tiroide raccolti nel database ITCO. La casistica consta di 6341 pazienti, di cui 1683 di genere maschile (26.5%) e 4658 di genere femminile (73.5%), con un’età media di 49.7 anni (IQR 39-60). Solo 3489 (55%) sono stati sottoposti a trattamento con RAI dopo tiroidectomia totale, mentre il restante 45% unicamente a terapia chirurgica (Tabella 1). Al controllo di follow-up dopo 12 mesi, 3170 pazienti (50%) e ulteriori 2532 pazienti (39.9%) sono stati classificati rispettivamente come risposta eccellente e indeterminata al trattamento iniziale. Globalmente, quindi, circa il 90% ha avuto una risposta al trattamento iniziale soddisfacente ed è stato indirizzato a un monitoraggio annuale con ecografia del collo e valutazione biochimica inclusiva di marcatori di tessuto tiroideo (Tg e Tg-Ab).

Al contrario, 401 pazienti (6.3%) avevano una risposta biochimica incompleta e 238 pazienti (3.8%) una risposta strutturale incompleta. Dei pazienti con risposta strutturale incompleta 161 presentavano metastasi a distanza già al momento della diagnosi iniziale. Benché rappresentino una quota minoritaria, i pazienti con persistenza/ recidiva strutturale di malattia sono quelli più a rischio di cronicizzazione della propria condizione oncologica. Pertanto, essi richiedono un follow-up biochimico e strumentale più ravvicinato, calibrato sul singolo paziente ed estensivo dal punto di vista radiologico e scintigrafico.

Tabella 1. Risposta al trattamento di prima linea (chirurgia ± radioiodio) di 6341 pazienti affetti da carcinoma differenziato della tiroide. SIR, risposta strutturalmente incompleta; BIR, risposta biochimicamente incompleta; IND, risposta indeterminata; ER, risposta eccellente.

Risposta al trattamento ad un anno

In conclusione, sebbene il 90% dei casi di pazienti affetti da DTC presenti una risposta al trattamento iniziale (chirurgico ± RAI) classificata come eccellente/indeterminata e abbia quindi un rischio di recidiva di malattia basso, circa il 10% dei casi mostra al follow-up una risposta al trattamento iniziale incompleta. Secondo i dati dell’ATA, solo il 20% circa dei pazienti con risposta biochimica incompleta mostrerà al follow-up una recidiva di malattia strutturale. Tra i pazienti con risposta strutturalmente incompleta al trattamento iniziale, invece, oltre il 50% dei casi mostrerà persistenza di malattia nonostante un atto terapeutico di seconda linea.

Bibliografia

1. Vaccarella, S. et al. Worldwide Thyroid-Cancer Epidemic? The Increasing Impact of Overdiagnosis. N. Engl. J. Med. 375, 614–617 (2016).

2. Lamartina, L. et al. Are Evidence-Based Guidelines Reflected in Clinical Practice? An Analysis of Prospectively Collected Data of the Italian Thyroid Cancer Observatory. Thyroid. 27, 1490–1497 (2017).

3. Lamartina, L. et al. 8th edition of the AJCC/TNM staging system of thyroid cancer: what to expect (ITCO#2). Endocr. Relat. Cancer 25, L7–L11 (2018).

4. Grani, G. et al. Real-World Performance of the American Thyroid Association Risk Estimates in Predicting 1-Year Differentiated Thyroid Cancer Outcomes: A Prospective Multicenter Study of 2000 Patients. Thyroid. 31, 264–271 (2021).

5. Forleo, R. et al. Minimal Extrathyroidal Extension in Predicting 1-Year Outcomes: A Longitudinal Multicenter Study of Low-to-Intermediate-Risk Papillary Thyroid Carcinoma (ITCO#4). Thyroid. 31, 1814–1821 (2021).

6. Grani, G. et al. A Data-Driven Approach to Refine Predictions of Differentiated Thyroid Cancer Outcomes: A Prospective Multicenter Study. J. Clin. Endocrinol. Metab. 108, 1921–1928 (2023).

7. De Leo, S. et al. A Prospective Multicenter Study Examining the Relationship Between Thyroid Cancer Treatment Outcomes and the Presence of Autoimmune Thyroiditis. Thyroid 33, 1318–1326 (2023).

8. Grani, G. et al. Data-driven Thyroglobulin Cutoffs for Lowand Intermediate-risk Thyroid Cancer Follow-up: ITCO Realworld Analysis. J. Clin. Endocrinol. Metab. (2024) doi:10.1210/clinem/dgae559.

VARIABILITÀ ISTOLOGICA DEL CARCINOMA TIROIDEO NELLE 5 MACROREGIONI ITALIANE:

DATI PROSPETTICI ITCO

Andrea Repaci1, Erica Solaroli2 e Giovanni Tallini3

1 Dipartimento di Endocrinologia e Prevenzione e Cura del Diabete, IRCCS Azienda Ospedaliero-Universitaria di Bologna.

2 Unità di Endocrinologia, Azienda USL di Bologna.

3 Dipartimento di Scienze Mediche e Chirurgiche (DIMEC), Università di Bologna; Anatomia Patologica, IRCCS Azienda Ospedaliero-Universitaria di Bologna.

L'incidenza e la prevalenza del tumore della tiroide sono aumentate notevolmente in tutto il mondo negli ultimi 40 anni con una diversità di genere tra donne e uomini (1). Rappresenta oggi il quinto tumore in assoluto, con un tasso di incidenza standardizzato per età aumentato del 20% dal 1990 al 2013 (2). A livello globale sono note importanti differenze geografiche. Tra i paesi ad alto reddito, Corea del Sud, Israele, Canada, Stati Uniti, Italia e Francia, presentano tassi più alti (>25 casi per 100.000 donne) se confrontati con i tassi di Paesi Bassi, Regno Unito e Danimarca (<8 casi su 100.000). Analogamente, in paesi a basso e medio reddito il maggior numero di casi è registrato in Turchia, Costa Rica, Brasile ed Ecuador, mentre il minor numero di casi è rilevato in Uganda e India (3) (Fig. 1)

Fig.1 Da “Kim J, Gosnell JE, Roman SA. Geographic influences in the global rise of thyroid cancer. Nat Rev Endocrinol. 2020 Jan;16(1):17-29) Variabilità geografica mondiale di incidenza del carcinoma tiroideo

il 1998-2002 e il 2008-12 (4). In Italia, tra il 1991 e il 2005, è stata osservata un'ampia variazione geografica nell'incidenza del PTC, con tendenze eterogenee all'aumento, suggerendo che questa variazione possa essere associata a un livello locale di sorveglianza medica (5). Tuttavia, recentemente sono stati ipotizzati anche altri fattori, oltre alla sovradiagnosi, come l'aumento dell'obesità, fattori ambientali come le aree vulcaniche e inquinanti chimici e ambientali, che spiegano un aumento dell'incidenza in aree come la provincia di Catania (6), Napoli (7-8), Grossetto (9) Nel 2013 grazie all’intuizione illuminata del Prof. Filetti è nato in Italia ITCO (Italian Thyroid Cancer Observation) che ha il compito di raccogliere in maniera prospettica i dati real-life di oltre 50 centri italiani sparsi lungo la penisola che trattano i tumori tiroidei. Pertanto l’obiettivo del nostro studio è stato quello di verificare se esistessero delle differenze tra le 5 macroregioni italiane indicate dall’Istat: Nord-Ovest, Nord-Est, Centro, Sud, Isole

Distribuzione istologica ed Analisi trend temporale Dal 2013 al 2023 sono stati inseriti nel database ITCO circa 15000 casi di carcinoma tiroideo. Come si apprezza dalla figura 2, la maggioranza dei tumori è censita nel Nord e nel Centro Italia (25-30%) rispetto al Sud (13,4%) ed alla Isole (3%).

I tassi di incidenza all'interno delle diverse nazioni possono variare fino a 45 volte, con le maggiori differenze osservate tra aree rurali e urbane in Canada, Brasile, India e Cina. Se consideriamo l'istologia, nel periodo compreso tra il 1998 e il 2012, i rapidi aumenti dell'incidenza del tumore della tiroide hanno principalmente riguardato il carcinoma papillare della tiroide, il tipo di tumore che ha maggiori probabilità di essere riscontrato in forma subclinica e quindi individuato attraverso programmi di screening, in particolare in Asia. Per il carcinoma follicolare e midollare i trend temporali non hanno mostrato modelli coerenti tra i vari Paesi. Il carcinoma anaplastico della tiroide - la forma più aggressiva di cancro tiroideo - ha mostrato una leggera diminuzione tra

Fig.2. Distribuzione dei pazienti con carcinoma tiroideo in Italia secondo registro ITCO

Tale distribuzione è sovrapponibile ai dati inerenti gli interventi per tumore tiroideo in Italia secondo la fonte Programma Nazionale Esiti (PNE). Come si può notare nel

2023 (Fig. 3) la Lombardia, il Veneto, l’Emilia-Romagna, il Lazio, la Campania sono le regioni dove si effettuano più interventi per tumore tiroideo.

Fig. 3. Numero interventi tumore tiroideo in Italia nel 2023: dati Programma Nazionale Esiti

Il carcinoma papillare rappresenta il tumore tiroideo maggiormente diagnosticato (86,5%), seguito dal carcinoma follicolare (6%), dal carcinoma midollare 3% e dal NIFTP 2%. Rimane bassissima la prevalenza del carcinoma anaplastico (Vedi Grafico 1).

Grafico 1. Torta di distribuzione della diagnosi istologica di carcinoma tiroideo: dati ITCO

Secondo i dati derivanti dal Programma Nazionale Esiti si è osservato un progressivo aumento del numero di interventi per tumore maligno della tiroide dal 2015 al 2023 con una fisiologica riduzione nel 2020 causa pandemia COVID. Come si può osservare nel grafico 2, il numero di interventi per tumore tiroideo nel 2023 (12753) ha superato quelli di epoca pre-pandemia che erano di 10662 nel 2015 e di 10237 nel 2019.

Grafico 2. Andamento temporale per numero di ricovero per tumore tiroideo in Italia: dati PNE

Considerando il trend temporale di 10 anni (2013-2023) si è osservata una riduzione delle diagnosi istologiche di PTC partendo dal 90,2% del 2013 al 83,2% del 2023 (Grafico 3). Sono rimaste pressoché invariate le linee temporali per il FTC, per il MTC, per ATC. Dal 2016, dopo la promulgazione dei criteri istologici di NIFTP, si è osservato un trend via via crescente dal 1% del 2016 al 3.5% del 2021 con attuale stallo della diagnosi di questo istotipo di tumore

Grafico 3. Andamento temporale della diagnosi istologica di carcinoma tiroideo: dati ITCO

Distribuzione geografica

Come risulta dalla figura 4 abbiamo osservato delle variazioni piccole, ma significative, tra i diversi tipi più frequenti fra le 5 macroregioni italiane. In particolare il PTC è maggiormente diagnosticato nel centro (89,6%) e nelle isole (87,9%) rispetto al resto di Italia (82-85%); il carcinoma follicolare è più presente nelle isole (9%) e Nord-Ovest (7,48%) rispetto al centro Italia (4,6%). A livello del Nord-ovest si registrano un maggior numero di MTC (4,34%) rispetto al resto della nazione (2,452,68%). La diagnosi di NIFTP prevale nel Nord Italia (circa 3%) rispetto al Centro (0,88%) ed Isole (0,43%). Il carcinoma anaplastico è maggiormente diagnosticato nel

Nord-Ovest (0,54%) rispetto alle altre macroregioni (0,15-0,29%).

Grafico 4: Dimensioni (espressi in mediana) del carcinoma tiroideo nelle 5 macroregioni italiane: dati ITCO

Fig 4. Distribuzione geografica dei principali istotipi fra le 5 macroregioni italiane: dati ITCO

Per quanto riguarda i sottotipi del carcinoma papillare abbiamo osservato differenze significative tra le diverse macroaree. Come si osserva dalla figura 5 il carcinoma papillare nella sua forma classica è maggiormente diagnosticato nel centro-Sud-Isole (55%), mentre il sottotipo follicolare del carcinoma papillare principalmente nel centro Italia (28,9%), il sottotipo a cellule alte (“Tall cell”) nel Sud Italia (5,7%), così come gli altri sottotitpi aggressivi del carcinoma papillare (inclusi forme solido/trabecolari, colonnari, hobnail, sclerosanti diffuse) nel 3,58%.

Fig 5. Distribuzione geografica dei diversi istotipi del carcinoma papillare in Italia: dati ITCO

Infine, abbiamo notato differenza significativa per quanto concerne la mediana delle dimensioni dei tumori tra le varie macroregioni. In particolare come si nota nel grafico 4I tumori di dimensioni maggiori si osservano nel

Nord-Ovest (13 mm) e nelle Isole (12 mm) rispetto al resto della nazione (10-11 mm).

Discussione

Questo lavoro dimostra che esiste una variabilità geografica, anche se minima, della presentazione del tumore tiroideo tra le 5 macroregioni italiane. Restano da capire i motivi di queste differenze. Una prima banale spiegazione potrebbe dipendere dalla variabilità diagnostica di un differente numero di patologi che sono sparsi sul territorio nazionale. Rimane comunque da comprendere la diversa distribuzione di alcuni importanti tipi di tumore, come il carcinoma follicolare (prevalente nel Nord-Ovest) oppure i sottotipi a cellule alte (“Tall cell “) e sottotipi aggressivi di carcinoma papillare che sono maggiormente prevalenti nel sud Italia. Tra le possibili spiegazioni c’è la presenza di inquinanti ambientali. Un lavoro del 2020 dimostra come l’incidenza di tumore tiroideo risulti più alta in entrambi i sessi in aeree di maggiore inquinamento (10) (Fig. 6): 1 = Brescia-Caffaro; 2 = Laghi di Mantova; 3 = Fidenza; 4 = Sassuolo; 5 = Venezia-Porto Marghera; 6 = Terni-Papigno; 7 = Area Industriale Val Basento; 8 = Taranto; 9 = Brindisi; 10 = Milazzo; 11 = Priolo; 12 = Gela; 13 = Area industriale Porto Torres.

Fig. 6. Da “Benedetti M, Zona A, Contiero P, D'Armiento E, Iavarone I, Airtum Working Group. Incidence of Thyroid Cancer in Italian Contaminated Sites. Int J Environ Res Public Health. 2020 Dec 29;18(1):191”

Ulteriori inquinanti noti per i loro effetti di carcinogenesi tiroidea sono sostanze denominate PFAS (Perfluorinated alkylated substances). In Italia, in particolare in Veneto, esiste un triangolo, costituito da circa 30 comuni fra le province di Vicenza, Verona, Padova, in cui la produzione di PFAS è attiva dagli anni 60 esponendo circa 140 mila persone agli effetti nocivi di tali sostanze (11). In aggiunta a tali sostanze industrialmente prodotte esiste tutta una serie di inquinanti ambientali rappresentati da metalli pesanti (cadmio, piombo, mercurio, tungsteno, bisfenolo A, diossina, pesticidi etc..) che sono stati messi in relazione con lo sviluppo di carcinoma tiroideo. Ne sono un esempio sia le aree vulcaniche come Catania e Napoli, ma anche altre zone come la provincia di Grossetto (Monte Amiata) oppure le miniere sarde del Sulcis. Anche se rimane un’analisi puramente descrittiva, il merito di questo lavoro è quello di aver valutato in maniera prospettica e per 10 anni la diagnosi di carcinoma tiroideo in Italia, basandoci sui dati reali forniti dalle diagnosi istologiche. I dati inseriti nel database ITCO, infatti, non fanno riferimento a SDO oppure a prescrizioni mediche, ma rispecchiano realmente quelli inseriti dai singoli centri italiani affiliati al database. Per questo abbiamo potuto analizzare in dettaglio la distribuzione dei differenti tipi di tumore ed anche le loro singole dimensioni. Fa riflettere come i tumori diagnosticati nel Sud/isole - i cui numeri sono sostanzialmente inferiori rispetto a quelli del resto dell’Italia – siano di maggiori dimensioni ed appartengano più spesso a sottotipi aggressivi di carcinoma papillare. Viene da chiedersi se ciò dipenda da un ritardo della diagnosi, da presenza di inquinanti ambientali, da un minor ricorso alla medicina preventiva (nel Nord sono più diffuse assicurazioni sanitarie che permetto pacchetti di prevenzione).

Bibliografia

1. Lim H, Devesa SS, Sosa JA, Check D, Kitahara CM. Trends in Thyroid Cancer Incidence and Mortality in the United States, 1974-2013. JAMA. 2017 Apr 4;317(13):1338-1348.

2. Kim J, Gosnell JE, Roman SA. Geographic influences in the global rise of thyroid cancer. Nat Rev Endocrinol. 2020 Jan;16(1):17-29.

3. Lortet-Tieulent J, Franceschi S, Dal Maso L, Vaccarella

S. Thyroid cancer "epidemic" also occurs in low- and middle-income countries. Int J Cancer. 2019 May 1;144(9):2082-2087.

4. Miranda-Filho A, Lortet-Tieulent J, Bray F, Cao B, Franceschi S, Vaccarella S, Dal Maso L. Thyroid cancer incidence trends by histology in 25 countries: a population-based study. Lancet Diabetes Endocrinol. 2021 Apr;9(4):225-234. doi: 10.1016/S22138587(21)00027-9. Epub 2021 Mar 1. PMID: 33662333

5. Lise M, Franceschi S, Buzzoni C, Zambon P, Falcini F, Crocetti E, Serraino D, Iachetta F, Zanetti R, Vercelli M, Ferretti S, La Rosa F, Donato A, De Lisi V, Mangone L, Busco S, Tagliabue G, Budroni M, Bisanti L, Fusco M, Limina RM, Tumino R, Piffer S, Madeddu A, Bellù F, Giacomin A, Candela G, Anulli ML, Dal Maso L; AIRTUM Working Group. Changes in the incidence of thyroid cancer between 1991 and 2005 in Italy: a geographical analysis. Thyroid. 2012 Jan;22(1):2734.

6. Malandrino P, Russo M, Gianì F, Pellegriti G, Vigneri P, Belfiore A, Rizzarelli E, Vigneri R. Increased Thyroid Cancer Incidence in Volcanic Areas: A Role of Increased Heavy Metals in the Environment? Int J Mol Sci. 2020 May 12;21(10):3425. doi: 10.3390/ijms21103425. PMID: 32408629; PMCID: PMC7279170;

7. Marotta V, Malandrino P, Russo M, Panariello I, Ionna F, Chiofalo MG, Pezzullo L. Fathoming the link between anthropogenic chemical contamination and thyroid cancer. Crit Rev Oncol Hematol. 2020 Jun;150:102950.

8. Marotta V, Grumetto L, Neri I, Russo G, Tortora A, Izzo G, Panariello I, Rocco D, Pezzullo L, Vitale M. Exposure to Bisphenol A increases malignancy risk of thyroid nodules in overweight/obese patients. Environ Pollut. 2023 Jan 1;316(Pt 1):120478.

9. Capezzone M, Tosti Balducci M, Morabito EM, Durante C, Piacentini P, Torregrossa L, Materazzi G, Giubbolini G, Mancini V, Rossi M, Alessandri M, Cartocci A. High Incidence of Thyroid Cancer in Southern Tuscany (Grosseto Province, Italy): Potential Role of Environmental Heavy Metal Pollution. Biomedicines. 2023 Jan 20;11(2):298.

10. Benedetti M, Zona A, Contiero P, D'Armiento E, Iavarone I, Airtum Working Group. Incidence of Thyroid Cancer in Italian Contaminated Sites. Int J Environ Res Public Health. 2020 Dec 29;18(1):191

11. Valsecchi S., Polesello S. 2013. Risk associated with the presence of perfluoroalkyl substances (PFAS) in drinking water and receiving water bodies of industrial areas in the Province of Vicenza and surrounding areas. IRSA-CNR March 25, 2013

REFERTO STANDARDIZZATO PER LA PATOLOGIA ONCOLOGICA TIROIDEA

La produzione di un referto è responsabilità primaria del medico Anatomopatologo

Giovanni Tallini1, Giacomo Gazzano2, Esther Diana Rossi3, Silvia Uccella4, Marco Volante5

1 Anatomia Patologica - Dipartimento di Scienze Mediche e Chirurgiche (DIMEC), Università di Bologna; IRCCS Azienda Ospedaliero-Universitaria di Bologna.

2 Laboratorio di Anatomia Patologica e Biologia Molecolare Somatica, Istituto Auxologico Italiano IRCCS, Milano.

3 Anatomia Patologica-Policlinico Universitario Agostino Gemelli IRCCS

4 Dipartimento di Scienze Biomediche, Università Humanitas; IRCCS Humanitas Research Hospital

5 Dipartimento di Oncologia, Università di Torino, AOU San Luigi Gonzaga, Orbassano, Torino

Le Radici Storiche dell'Anatomia Patologica

L’Anatomia Patologica rappresenta il fondamento della medicina moderna. La disciplina è nata in Italia, grazie al lavoro di un gigante della medicina, Giovanni Batista Morgagni (1682 –1771) (Figura 1), autore del fonda-

Figura 1. Giovanni Battista Morgagni (Forlì, 25 febbraio 1682 – Padova, 5 dicembre 1771).

mentale De Sedibus et Causis Morborum per Anatomen Indagatis (Venezia, 1761) (Figura 2). Questo testo pone le basi della correlazione clinico-patologica e della classificazione della malattie umane, ruolo riconosciutogli da un altro gigante della medicina, il patologo tedesco Rudolf Virchow (1821–1902), che ha coniato il temine “Concetto anatomico” riferendosi alle intuizioni scien-

Figura 2. Frontespizio del libro De Sedibus et Causis Morborum per Anatomen Indagatis (Venezia, 1761).

Public domain (2024)
Public domain (2024)

3. Il concetto anatomico di Morgagni, presentazione di Rudolph Virchow al IX congresso medico internazionale (Roma, 1894).

tifiche di Morgagni (Figura 3): Anatomia, dal greco “dissezione”, per Morgagni è intesa non tanto o solo come atto fisico, ma come dissezione intellettuale alla ricerca di quelle alterazioni patologiche oggettive e misurabili che sono le cause della malattia (Figura 4).

4. Il

anatomico di Morgagni è fondamento della medicina moderna.

G. Introduction to Anatomic

Course 84393, Medical degree program, University of Bologna (2024).

Il Ruolo dell'Anatomopatologo Moderno

In una parola, il ruolo dell’Anatomia Patologica è quello di definire la prognosi delle malattie, cioè di definire quali conseguenze la malattia porterà alla salute del paziente dopo l’analisi di materiale biologico attraverso:

• osservazione macrosopica al tempo di Morgagni,

• osservazione microscopica da Virchow in poi,

• osservazione subcellulare e molecolare.

In ambito oncologico, il referto patologico, per definire la prognosi, si basa su tre elementi principali (Figura 5):

• Diagnosi, che identifica la natura specifica della malattia,

• Grado, che valuta l'aggressività biologica del tumore,

• Stadio, che determina l'estensione della malattia secondo la classificazione TNM.

Figura 5. Ruolo di diagnosi, grado e stadio nella definizione della prognosi.

Quanto sopra espresso si estrinseca ad opera del patologo nella formulazione di un referto strutturato, definito dalla produzione di un documento che debba dunque contenere in modo chiaro e preciso quegli elementi che caratterizzano la malattia in esame e ne determinino la prognosi.

In ambito oncologico, tre elementi chiave sono la definizione della Diagnosi (di che neoplasia si tratta), delle dimensioni del tumore (quanto è grande la neoplasia), la localizzazione del tumore nell’ambito del pezzo operatorio (dove si trova la neoplasia ed il suo rapporto con i

Figura
Public domain (2024).
Figura
concetto
Tallini.
Pathology,
Tallini G. Postgraduate course. Diagnostic Thyroid Pathology and Cytology. Med Campus Graz, Graz, Austria (2024).

margini di resezione). Oltre a questi e ove applicabile, devono essere specificati grado e stadio. Il grado di una neoplasia diagnosticata come maligna si basa sulla differenziazione, cioè sulla similitudine delle cellule neoplastiche alle cellule del tessuto normale da cui originano e su caratterisitche citologiche (cellularità, atipie, necrosi e mitosi). La stadiazione segue la classificazione TNM (T: tumore; N: coinvolgimento linfonodale; M: metastasi a distanza).

La Patologia Oncologica Tiroidea

Nella patologia neoplastica tiroidea, la classificazione delle neoplasie segue le linee guida della WHO (5ª edizione). Per quanto riguarda la cellula di origine si riconoscono tumori che derivano da ( Istotipi sec. WHO 5a Edizione)

• cellule follicolari,

• cellule C,

• cellule follicolari e cellule C (tumori a derivazione mista),

• vari tipi cellulari non normalmente presenti nella ghiandola tiroidea (es. tumori paratiroidei intratiroidei, tumori timici intratiroidei, tumori embrionali)

• cellule di origine non definita (tumori a istogenesi incerta).

Sulla base di questi parametri i tumori tiroidei delle cellule follicolari si suddividono in (Figura 6):

a) tumori benigni

b) tumori a basso rischio

c) tumori maligni

Il grado delle neplasie maligne tiroidee è valutato sulla base di attività mitotica e presenza di necrosi tumorale. La stadiazione segue il sistema TNM (American Cancer Society.org, 2024).

Figura 6. Classificazione dei tumori tiroidei delle cellule follicolari.

Ruolo dell'Anatomopatologo nella diagnostica oncologica tiroidea

Oggi l’anatomopatologo è un medico altamente specializzato. Attraverso tecniche avanzate, come l'immunoistochimica e la patologia molecolare, è in grado di fornire dati indispensabili non solo dal punto di vista diagnostico e prognostico, ma anche predittivo di risposta alla terapia. Gli aspetti predittivi sono un campo in continua espansione giacchè specifiche lesioni molecolari rappresentano oggi bersagli terapeutici nell’ambito della medicina personalizzata. Tali terapie vengono definite nell’ambito di specifici percorsi diagnostico terapeutici, alle cui riunioni il patologo è una delle figure essenziali. Nell’ambito della patologia tiroidea, l’analisi molecolare fornisce ulteriori dati prognostici (es. mutazioni del promotore del gene TERT caratterizzano neoplasie a prognosi sfavorevole) e predittivi (es.nel carcinoma anaplastico della tiroide, tumore molto aggressivo, la presenza della mutazione BRAF p.V600E rappresenta un efficace bersagio molecolare).

Referto Anatomopatologico Standardizzato

Un referto standardizzato di anatomia patologica deve essere chiaro, inequivocabile e dettagliato, utilizzando terminologia univoca per ridurre rischi di ambiguità. Deve utilizzare una terminologia standard al fine di facilitare il confronto ed eliminare possibilità di interpretazioni equivoche. Tali caratteristiche identificano “il referto standardizzato” che deve essere strutturato sul rispetto degli standard nazionali e internazionali, garantendo così elevati livelli di qualità e sicurezza e facilitare l’inserimento e la gestione dei dati nei sistemi informatici e cartelle cliniche elettroniche, migliorando efficienza e tracciabilità. I referti prodotti dai vari servizi di anatomia patologica differiscono per caratteristiche secondarie, dovute all’utizzo di vari sistemi gestionali informatici. L’utilizzo di un referto standardizzato garantisce perciò che tutte le informazioni necessarie vengano incluse. Tali informazioni sono raccolte nel referto standardizzato definito dal Gruppo di Patologia Endocrina (GIPE) della Società Italiana di Anatomia Patologica e Citopatologia (SIAPEC) secondo i dettami dell’ International Collaboration on Cancer Reporting (ICCR). Esse vengono inserite nel database ITCO che comprende non solo dati patologici, ma anche molecolari.

Tipologie di Referti

Nel percorso diagnostico-terapeutico del nodulo tiroideo ci sono due tipi di referto che l’anatomopatologo produce, diversificati in base alla natura del campione su cui egli dovrà effettuare l’analisi, ovvero:

a) Referto citologico. Basato su campioni ottenuti tramite agoaspirazione, e costituito prevalentemente da cellule;

b) Referto istologico. Basato su campioni chirurgici, ottenuto tramite intervento chirurgico di resezione dell’organo (intero o parziale).

L’esame citologico ha il compito di definire la natura della lesione prima dell’eventuale inervento chirurgico in linea con le indicazioni del Gruppo Italiano di Citologia Tiroidea (SIAPEC) e con la diagnosi definita secondo le categorie diagnostiche incluse nella Classificazione citologica tiroidea Italiana (Italian consensus for the classification and reporting of thyroid cytology, ICCRTC) (Tabella 1 e Figura 7).

Tabella 1. Italian consensus for the classification and reporting of thyroid cytology (ICCRTC)

Italian Consensus for the Classification and Reporting of Thyroid Cytology (ICCRTC): Nardi F, Basolo F, Crescenzi A, Fadda G, Frasoldati A, Orlandi F, Palombini L, Papini E, Zini M, Pontecorvi A, Vitti P. Italian consensus for the classification and reporting of thyroid cytology. J Endocrinol Invest. 2014 Jun;37(6):593-9

Figura 8. Immagine istologica del corrispondente pezzo operatorio diagnosticato come carcinoma follicolare capsulato angioinvasivo.

L’esame istologico eseguito sul campione chirurgico (Figura 8 e 9) definisce le caratteristiche necessarie alla definizione della prognosi e alle scelte terapeutiche.

Figura 7. Immagine microscopica di campione citologico diagnosticato TIR3B.
G. Tallini, Università di Bologna. Archivio didattico personale.
G. Tallini, Università di Bologna. Archivio didattico personale.

Figura 9. A. pezzo operatorio di tiroidectomia totale con neoplasia al lobo destro (freccia), diagnosticata come carcinoma papillare. B, Focolai di invasione neoplastica vascolare. C, estensione neoplastica ai tessuti molli peritiroidei e rapporto con il margine di resezione marcato con china (freccia). D, infiltrazione neoplastica del tessuto muscolare striato peritiroideo

G. Gazzano, Anatomia Patologica-Istituto Auxologico di Milano. Archivio didattico personale.

Tabella 2. Informazioni contenute nel referto standardizzato per le neoplasie tiroidee sec. la Società Italiana di Anatomia Patologica e Citopatologia (SIAPEC) e l’International Collaboration on Cancer Reporting (ICCR)

Il referto istologico standardizzato dovrà dunque contenere le informazioni riportate nella Tabella 2 secondo quanto stabilito da SIAPEC e ICCR (Tabella 2 ICCR e SIAPEC).

L’applicazione di un referto standardizzato per la patologia delle neoplasie tiroidee permette all’ITCO di definire con precisione dati ottenuti dal mondo reale (“Real-world data”), prerequisito ad ogni studio ed aggiornamento di alta valenza pubblica e scientifica.

Conclusioni

Il referto standardizzato rappresenta molto più di un semplice documento tecnico: è uno strumento essenziale per garantire qualità, precisione e uniformità nella diagnosi e gestione della patologia oncologica tiroidea.

L'integrazione di dati clinici, istologici e molecolari permette all'anatomopatologo di svolgere un ruolo centrale nel percorso diagnostico-terapeutico, fornendo informazioni cruciali per la prognosi e la scelta di terapie mirate. L'adozione di questo approccio standardizzato, conforme agli standard SIAPEC e ICCR, facilita non solo la comunicazione tra specialisti, ma contribuisce anche alla raccolta di real-world data, fondamentali per il progresso scientifico e il miglioramento continuo dei percorsi terapeutici.

LA DIGITAL PATHOLOGY COME STRUMENTO DI UNIFORMITÀ DI DIAGNOSI PATOLOGICA: Il PROGETTO ITCO

1 Dipartimento di Scienze Radiologiche, Oncologiche ed Anatomo Patologiche, Sapienza Università di Roma

2 Anatomia Patologica - Dipartimento di Scienze Mediche e Chirurgiche (DIMEC), Università di Bologna; IRCCS

Azienda Ospedaliero-Universitaria di Bologna.

Considerata la rilevanza clinica della patologia tiroidea e l’incidenza nella popolazione in tutte le fasce di età, nasce l’esigenza di andare oltre le attuali strategie diagnostiche ed offrire un’opportunità di consulto telematico tra patologi per la risoluzione di casi di dubbia e complessa interpretazione. La fondazione ITCO, che da anni osserva e monitorizza la patologia neoplastica tiroidea su tutto il territorio nazionale, ha avviato un progetto mirato a favorire la collaborazione tra patologi realizzando un hub di riferimento per la standardizzazione del referto istologico e lo sviluppo di algoritmi di Intelligenza Artificiale di valore prognostico e predittivo. La digital pathology può supportare tale iniziativa provvedendo ad associare i vetrini digitalizzati al corredo di informazioni cliniche fornite per ciascun caso inserito nel data base ITCO sia al momento della diagnosi che nel follow up.

Digital Pathology

La Digital Pathology è parte integrante della trasformazione digitale in ambito sanitario e consiste nella trasformazione in file digitale dei preparati istologici e citologici sui quali si basa la diagnosi anatomo patologica. L’attività diagnostica istologica, infatti, ha come cardine il vetrino per microscopia recante una sezione di tessuto biologico trattata per l’osservazione al microscopio e da cui il patologo trae la deduzione della natura della malattia in base alle modifiche presenti nel campione osservato rispetto alla condizione fisiologica di normalità. I vetrini istologici contengono pertanto tutti gli elementi morfologici necessari a definire la specifica malattia del paziente e devono essere conservati a lungo per permetterne eventuali rivalutazioni in corso di terapia o confronto con altri patologi in caso di diagnosi complesse. L’introduzione commerciale degli scanner per imaging da vetrino istologico completo (whole-slide imaging o WSI), circa 20 anni fa, ha aperto la strada all’uso della patologia digitale come risorsa per applicazioni cliniche, didattico-formative e di ricerca. La capacità di digitalizzare un vetrino istologico, unita ai continui progressi tecnici nelle tecnologie di imaging ottico, consente la condivisione di informazioni microscopiche tra i patologi senza spostamento fisico dei vetrini istologici. Oggi, gli scanner WSI sono in grado di produrre automaticamente immagini ad altissima risoluzione che replicano i vetrini istologici, le immagini possono essere ingrandite con zoom digitali analogamente agli obiettivi del microscopio, permettono misurazioni accurate di pa-

rametri prognostici, e sono accessibili da remoto per teleconsulti. La digital pathology è la base indispensabile per lo sviluppo di algoritmi di Intelligenza artificiale in diagnostica anatomo-patologica. In tempi più recenti, infatti, lo sviluppo della patologia computazionale ha reso possibile l’elaborazione di grandi set di dati da WSI, aprendo la strada ad applicazioni che migliorano e velocizzano il lavoro del patologo.

Integrazione database ITCO con digital pathology

Ciascun Centro afferente al ITCO dovrà fornire i preparati istologici relativi al caso inserito nel registro o in forma di digital slide (vetrino digitale) o come vetrino istologico fisico che sarà digitalizzato presso l’hub di riferimento.

La digitalizzazione di tutti i casi inseriti nel registro ITCO rappresenterà il primo database prospettico nazionale con disponibilità dell’istologia digitale. L’inserimento di ciascun caso nel database e la sua classificazione si basano sulla diagnosi istologica effettuata al momento della chirurgia. Un team di patologi specializzati è la chiave determinante per l’analisi dei vetrini digitalizzati di casi complessi, come garanzia di concordanza e riproducibilità dei dati archiviati nel database. Poiché dai grandi database dei tumori sono ricavate le informazioni statistiche di carattere epidemiologico, prognostico e terapeutico, è necessario che, affinché l’analisi statistica sia significativa ed affidabile, ci sia una uniformità di linguaggio nella espressione di tutte le informazioni inserite nel sistema e soprattutto una standardizzazione della reportistica diagnostica.

Ulteriore vantaggio della disponibilità dei vetrini digitali nel database ITCO, è la possibilità di poter integrare il referto istologico individuando caratteri morfologici di sottotipi non comuni, mettendoli in relazione al comportamento clinico della neoplasia e correlandoli ad esempio a caratteristiche del tumore associate ad una maggiore aggressività o a diffusione metastatica. Non da ultimo, i WSI sottoposti a consultazione e pertanto validati da patologi esperti, costituiscono un forte supporto didattico per patologi, specializzandi e studenti.

Applicazione di Intelligenza Artificiale

Ulteriore obiettivo del progetto ITCO è sviluppare un sistema computerizzato a supporto della classificazione diagnostica del carcinoma tiroideo insieme a un algoritmo di deep learning affidabile per stratificare questi pazienti in gruppi prognostici in funzione del rischio di

progressione del tumore. Altri obiettivi includono il prototipo di un algoritmo di intelligenza artificiale affidabile per identificare le alterazioni molecolari target dall’analisi morfologica e correlare i dati istologici, molecolari e clinici per fornire un profilo completo di questi tumori. Questo progetto collaborativo riunisce Patologi, Endocrinologi e specialisti in Computer Vision e Machine Learning e sarà condotto presso la Sapienza Università di Roma in collaborazione con il Dipartimento SuperComputing Applications and Innovation (SCAI) del Cineca. La disponibilità di un’ampia raccolta di immagini digitali di cui le etichette patologiche sono coerenti e validate è la base indispensabile per alimentare correttamente un modello di deep learning. La disponibilità del supercalcolatore rappresenta una garanzia per il superamento dei limiti noti per le applicazioni di analisi d’immagine in istologia.

Dopo lo sviluppo del sistema AI sulle immagini istologiche selezionate, tutti i casi presenti nel database ITCO saranno sottoposti all’analisi dell’algoritmo. Il clustering di casi risultante sarà confrontato con il follow-up registrato nel database ITCO per testare e migliorare le prestazioni dell’algoritmo. L’assemblaggio di algoritmi diagnostici, prognostici e predittivi come modello unico di IA per uso clinico dovrebbe generare un nuovo approccio per i pazienti con carcinoma tiroideo, integrando i criteri morfologici e clinici convenzionali con il profilo del paziente generato dall’IA al momento dell’intervento. Grazie al supporto digitale dell’intelligenza artificiale, i patologi e i medici saranno in grado di determinare per ogni paziente la classificazione diagnostica e la gestione più appropriata, indipendentemente dalle risorse della Struttura in cui si trovano ad operare

Conclusioni

Il progetto ITCO si configura come un importante passo avanti nell’evoluzione della diagnostica del carcinoma tiroideo in Italia, rappresentando una sintesi innovativa tra expertise clinica consolidata e tecnologie digitali all’avanguardia. L’implementazione sistematica della Digital Pathology, unita alla creazione di un database nazionale standardizzato, abbatte le barriere geografiche e colma il divario tra centri periferici e centri di riferimento, superando definitivamente il concetto obsoleto di migrazione sanitaria e la necessità di trasferimento fisico dei preparati istologici.

In particolare, l’integrazione della Digital Pathology nel progetto ITCO permetterà di raggiungere molteplici obiettivi strategici:

• Standardizzazione e armonizzazione diagnostica: La condivisione digitale dei casi permette ai patologi dei centri periferici di accedere istantaneamente alle competenze degli esperti, trasformando ogni consulto in un’opportunità di crescita professionale e di acquisizione di esperienza specifica. Questo processo virtuoso riduce progressivamente il divario diagnostico tra centri, garantendo standard elevati di accuratezza diagnostica su tutto il territorio nazionale.

• Ottimizzazione dell’analisi morfologica: L’automazione di processo non solo minimizzerà l’impatto delle variabilità individuali, ma consentirà anche l’elaborazione sistematica e oggettiva di parametri morfologici complessi, tradizionalmente time-consuming e soggetti a variabilità interpretativa.

• Potenziamento della formazione professionale: La piattaforma diventa un ponte digitale che connette l’esperienza dei centri di riferimento con le realtà periferiche, permettendo una crescita continua delle competenze locali e riducendo progressivamente la necessità di second opinion.

• Integrazione multidimensionale dei dati: La fusione sistematica di dati clinici, morfologici e molecolari permetterà una comprensione più profonda e sfaccettata di ogni caso, facilitando il dialogo interdisciplinare e supportando decisioni terapeutiche sempre più personalizzate.

Questa iniziativa multidisciplinare non solo ottimizza i percorsi diagnostico-terapeutici, ma rappresenta un vero e proprio cambio di paradigma nella gestione del carcinoma tiroideo, eliminando le disparità territoriali nell’accesso all’expertise diagnostica. La validazione di algoritmi di Intelligenza Artificiale su un’ampia casistica nazionale costituirà un ulteriore strumento per supportare i patologi nella loro pratica quotidiana, indipendentemente dalla loro collocazione geografica.

Il progetto ITCO incarna la visione di una medicina di precisione accessibile, dove l’innovazione tecnologica abbatte le barriere logistiche e geografiche, garantendo equità di accesso a diagnosi di elevata qualità su tutto il territorio nazionale. Questa iniziativa pionieristica non solo ridefinisce gli standard attuali della diagnostica oncologica, ma apre la strada a un futuro dove la distanza fisica tra centri periferici e centri di riferimento non rappresenterà più un ostacolo alla qualità delle cure, stabilendo nuovi paradigmi di eccellenza nella medicina diagnostica del XXI secolo.

Bibliografia

Liron Pantanowitz, Ashish Sharma, Alexis B. Carter, Tahsin Kurc, Alan Sussman, and Joel Saltz. Twenty Years of Digital Pathology: An Overview of the Road Travelled, What is on the Horizon, and the Emergence of VendorNeutral Archives. J Pathol Inform. 2018; 9: 40.

Araújo ALD, Arboleda LPA, Palmier NR, Fonsêca JM, de Pauli Paglioni M, Gomes-Silva W, Ribeiro ACP, Brandão TB, Simonato LE, Speight PM, Fonseca FP, Lopes MA, de Almeida OP, Vargas PA, Madrid Troconis CC, Santos-Silva AR. The performance of digital microscopy for primary diagnosis in human pathology: a systematic review. Virchows Arch. 2019 Mar;474(3):269-287.

Komura D, Ishikawa S. Machine learning approaches for pathologic diagnosis. Virchows Arch. 2019 Aug;475(2):131-138. doi: 10.1007/s00428-019-02594w. Epub 2019 Jun 20. Review. PubMed PMID: 31222375.

McGenity, C., Clarke, E.L., Jennings, C. et al. Artificial intelligence in digital pathology: a systematic review and meta-analysis of diagnostic test accuracy. npj Digit. Med. 7, 114 (2024). https://doi.org/10.1038/s41746024-01106-8

Percorso diagnostico con digital pathology

Campione operatorio di tiroide rimossa chirurgicamente per presenza di voluminoso nodulo

Esame macroscopico del resecato chirurgico di tiroide con esame dell’aspetto della lesione nodulare

Vetrino istologico digitale per l’osservazione delle caratteristiche microscopiche del nodulo tiroideo. Il patologo esamina a video tutto il campione per formulare la diagnosi. Può condividerlo via web con Colleghi in caso di dubbio diagnostico.

Percorso diagnostico con digital pathologye supporto di algoritmo di Intelligenza Artificiale

L’intera immagine digitale del vetrino istologico (Whole slide image o WSI) viene scomposta in sottoaree(Image Tiling) che vengono esaminate dall’algoritmo AI singolarmente e rapidamente.

L’algoritmo AI identifica l’area di interesse ove risiede una delle caratteristiche morfologiche diagnostiche o prognostiche che è stato addestrato a riconoscere. Cornice gialla.

Il patologo esamina l’area indicata dall’algoritmo AI e identifica rapidamente uno dei caratteri diagnostici (invasione vascolare da parte del tumore, mappata da linea rossa), che permette la diagnosi di carcinoma follicolare della tiroide.

Workflow per lo sviluppo di algoritmo AI per vetrini istologici digitali (AI per Digital Pathology

Selezione delle immagini ottenute dalla digitalizzazione dei vetrini istologici fisici convenzionali

Validazione dell’algoritmo AI su immagini diverse da quelle del training set e con verifica della prestazione mediante revisione del team dei patologi

Verifica qualità ed esclusione di contaminazione dei dati da parte di immagini non pertinenti

Suddivisione dell’immagine digitale in Tiles Annotazione da parte del patologo delle aree di interesse ROI delineando i caratteri morfologici di interesse

Verifica della performance sul set di immagini selezionato per il training.

Sviluppo dell’algoritmo attraverso reti neurali

Ripetizione del training fino al raggiungimento di uno score di performance adeguato

IL TRATTAMENTO INIZIALE DEL CARCINOMA DELLA TIROIDE

DAL PASSATO AL FUTURO: EVOLUZIONE DELLE LINEE GUIDA SUL CARCINOMA TIROIDEO DIFFERENZIATO

Dipartimento

Negli ultimi 70 anni, la gestione del carcinoma tiroideo differenziato ha subito una trasformazione significativa, passando da approcci uniformi e aggressivi a strategie personalizzate basate sul rischio individuale del paziente.

Il Passato: Approcci Generalizzati e Invasivi

Fino agli anni ’70, il trattamento del carcinoma tiroideo si fondava su tre pilastri principali:

1. Tiroidectomia totale: rimozione completa della ghiandola tiroidea, spesso estesa ai linfonodi cervicali.

2. Terapia radiometabolica con iodio radioattivo: somministrata per eliminare eventuali residui tumorali dopo l’intervento.

3. Terapia con ormoni tiroidei: utilizzata per sopprimere il TSH (ormone stimolante la tiroide), riducendo il rischio di recidive.

Questi trattamenti, applicati indiscriminatamente, comportavano notevoli disagi per i pazienti, tra cui effetti collaterali severi e frequenti periodi di ipotiroidismo indotto. L’assenza di tecnologie diagnostiche avanzate, come TAC, RMN o PET, e di marcatori tumorali affidabili, giustificava in parte un approccio così radicale.

La scintigrafia total-body con iodio radioattivo, pur essendo il principale metodo diagnostico dell’epoca, non era completamente affidabile, poiché circa il 50% delle metastasi non captano lo iodio. Tuttavia, nonostante queste limitazioni, l’80% dei pazienti trattati secondo questi protocolli raggiungeva una remissione completa.

Gli Anni ’80: La Svolta Diagnostica

L’introduzione di nuove tecnologie ha segnato una prima rivoluzione nella gestione del carcinoma tiroideo. Tra queste:

• Dosaggio ematico della tireoglobulina (Tg): questo marcatore tumorale, prodotto esclusivamente da cellule tiroidee normali o tumorali, ha permesso di identificare la presenza di tessuto metastatico con maggiore precisione. In assenza di tireoglobulina circolante, il paziente poteva essere dichiarato in remissione completa, riducendo la necessità di esami invasivi.

• Ecografia del collo: divenuta lo strumento di riferimento per rilevare metastasi linfonodali loco-regionali.

Il binomio tireoglobulina-ecografia è diventato un pilastro delle linee guida internazionali, migliorando il monitoraggio post-operatorio e riducendo l’uso di tecniche diagnostiche più impegnative.

Gli Anni ’90: Terapie Personalizzate Negli anni ’90, la disponibilità del TSH umano ricombinante ha ulteriormente migliorato la qualità della vita dei

pazienti. Questa sostanza stimola la produzione di tireoglobulina senza richiedere la sospensione della terapia ormonale, evitando così periodi di ipotiroidismo. Inoltre, ha reso possibile eseguire la scintigrafia total-body senza indurre uno stato ipotiroideo.

Questi progressi hanno permesso di stratificare i pazienti in base al rischio di recidiva (basso, intermedio o alto), introducendo il concetto di medicina di precisione. Circa il 60-70% dei pazienti è stato escluso da protocolli terapeutici aggressivi, con un miglioramento significativo della qualità di vita.

Dal 2000 in poi: Chirurgia e Terapie Sempre più Mirate

L’uso diffuso dell’ecografia ha portato a una diagnosi più frequente di carcinomi tiroidei subclinici, molti dei quali non avrebbero avuto un impatto clinico significativo. Di conseguenza, le linee guida hanno raccomandato:

• Lobectomia anziché tiroidectomia totale per tumori di piccole dimensioni (<1 cm) in assenza di metastasi.

• Limitare la terapia con iodio radioattivo ai pazienti ad alto rischio o con recidive.

Anche per i pazienti sottoposti a tiroidectomia totale, sono state adottate dosi di iodio radioattivo più basse (30-50 mCi), riducendo l’esposizione a radiazioni ionizzanti. La disponibilità di test ultrasensibili per la tireoglobulina ha ulteriormente semplificato il follow-up diagnostico.

Le Prospettive Future

Per i pazienti ad alto rischio, che rappresentano circa il 10% dei casi, la terapia radicale rimane fondamentale. Tuttavia, i nuovi farmaci a bersaglio molecolare, come gli inibitori delle tirosinochinasi, hanno mostrato promettenti risultati nel rallentare la progressione della malattia metastatica.

Le innovazioni future potrebbero includere:

• Monitoraggio attivo senza intervento chirurgico per tumori di piccole dimensioni.

• Terapie ablative con radiofrequenze o laser.

• Applicazione dell’immunoterapia, già utilizzata con successo in altri tumori.

Conclusioni

L’evoluzione delle strategie diagnostiche e terapeutiche del carcinoma tiroideo differenziato testimonia l’importanza di adattare le cure alle più recenti evidenze scientifiche. Le linee guida internazionali, benché simili nei contenuti, dovrebbero essere selezionate in base al contesto epidemiologico, geografico e socioeconomico locale, garantendo il miglior approccio possibile per ciascun paziente.

EVOLUZIONE DELLA CHIRURGIA DEL CARCINOMA TIROIDEO IN ITALIA: DALLA CERVICOTOMIA CONVENZIONALE ALLA MINI-INVASIVA E ALLA ROBOTICA

Marco Raffaelli1,2, Andrea Attard3, Luca Sessa3,4, Rocco Bellantone5

1 U.O.C. Chirurgia Endocrina e Metabolica, Fondazione Policlinico Universitario Agostino Gemelli IRCSS

2 Centro di Ricerca in Chirurgia delle Ghiandole Endocrine e dell’Obesità (C.R.E.O.), Università Cattolica del Sacro Cuore, Rome, Italy

3UOS Chirurgia Endocrina, Fondazione Istituto G. Giglio, Cefalù, Palermo

4 Università Unicamillus – Saint Camillus International University of Health Sciences, Rome, Italy

5 Istituto Superiore di Sanita’, Rome, Italy

Il carcinoma tiroideo rappresenta una delle neoplasie endocrine più frequenti, con un’incidenza in costante aumento negli ultimi decenni. Il suo trattamento ha subito una notevole evoluzione, passando da approcci altamente invasivi a tecniche sempre più conservative e personalizzate, grazie ai progressi delle tecniche chirurgiche e nell’innovazione tecnologica applicata alla chirurgia del collo.

La chirurgia rappresenta il trattamento di elezione per il carcinoma tiroideo. La tiroidectomia è un intervento complesso che richiede una meticolosa dissezione per preservare strutture vitali come nervi laringei, paratiroidi e trachea. Sebbene in passato fosse gravata da alti tassi di mortalità dovuti a emorragie e infezioni, i progressi in anestesia, antisepsi e tecnica operatoria tra XIX e XX secolo hanno reso l’intervento sempre più sicuro.

Theodor Kocher, agli inizi del 1900 grazie al suo innovativo stile operatorio basato sulla identificazione precisa delle strutture anatomiche, ha posto le basi per una chirurgia sicura ed efficace, ed è universalmente riconosciuto come “il padre della chirurgia tiroidea”.

Da Interventi Demolitivi a Tecniche Conservative Fino al secolo scorso, i tumori tiroidei venivano trattati con interventi invasivi e radicali. Tuttavia, la linfadenectomia funzionale introdotta da Suarez e Bocca ha consentito di salvaguardare strutture essenziali come la vena giugulare e il nervo accessorio spinale, migliorando significativamente gli esiti.

Negli ultimi decenni, l’incidenza di carcinoma tiroideo è aumentata, ma la diagnosi precoce ha permesso di adottare approcci chirurgici meno aggressivi rispetto al passato (1,2). La tiroidectomia convenzionale è la tecnica standard per il trattamento delle patologie della tiroide da oltre un secolo. L’accesso alla loggia tiroidea è permesso da un’incisione orizzontale o leggermente concava verso l’alto posta due dita trasverse sopra il giugulo. Inizialmente lunga 10 cm, è stata ridotta a 3-6 cm a seconda delle abitudini del chirurgo e delle caratteristiche del paziente e della neoplasia. Questo approccio offre un’esposizione eccellente, ma il rischio di ipertrofia cicatriziale e la ricerca di risultati estetici migliori hanno portato allo sviluppo di tecniche mini-invasive (3,4).

Mini-Invasività: la MIVAT

Introdotta in Italia negli anni ‘90, la Minimally Invasive

Video-Assisted Thyroidectomy (MIVAT) ha rivoluzionato la chirurgia tiroidea. Il suo principale vantaggio è legato all’ingrandimento endoscopico che consente al

chirurgo di identificare più facilmente le strutture che devono essere preservate e di eseguire le stesse fasi della tiroidectomia convenzionale attraverso un’incisione di un paio di centimetri. La MIVAT è una tecnica riproducibile, sicura ed efficace che può dare gli stessi risultati della chirurgia convenzionale, offrendo al contempo un migliore risultato estetico e riduzione del dolore postoperatorio. Non comporta costi aggiuntivi rispetto alla chirurgia convenzionale e, in casi selezionati, può essere eseguita in anestesia locale.

L’accurata selezione dei pazienti gioca un ruolo fondamentale nel garantirne il successo. Inizialmente proposta per patologia benigna, studi successivi hanno dimostrato che la MIVAT è paragonabile alla tiroidectomia convenzionale anche in termini di radicalità oncologica (confermato da studi con follow-up superiore a 10 anni). Con l’aumentare dell’esperienza, i criteri di selezione per la MIVAT sono stati ampliati e, ad oggi, pazienti selezionati con carcinoma papillare della tiroide possono essere operati con questa metodica. In assenza di coinvolgimento linfonodale massivo, anche la linfadenectomia del compartimento centrale può essere eseguita in corso di tiroidectomia mini-invasiva video-assistita con eccellenti risultati anche in termini di radicalità oncologica (5,6,7).

Accessi Remoti e Chirurgia Robotica

L’impatto negativo di una cicatrice sul collo che può comportare, soprattutto per giovani donne, disagi psicologici e sociali, ha portato negli ultimi decenni allo sviluppo di tecniche con accesso remoto. Inizialmente accolte con scetticismo a causa delle difficoltà tecniche che comportano, delle preoccupazioni sulla radicalità oncologica e sui costi e della descrizione di nuove complicanze, alcune tra queste tecniche sono diventate sempre più popolari tra i chirurghi endocrini e sono state introdotte anche in Europa e in Italia.

Con l’arrivo dei robot chirurgici sono stati superati i limiti della chirurgia endoscopica: la visione ingrandita e tridimensionale insieme alle multiarticolazioni dei bracci, consentono una dissezione chirurgica finissima. La tiroidectomia transascellare robot-assistita (RATT) è stata resa popolare da Chung, che ha pubblicato la sua esperienza con migliaia di casi nel 2018. Le differenze nell’indice di massa corporea (BMI) e nelle caratteristiche antropometriche dei pazienti, le maggiori dimensioni di gozzi e tumori, i costi elevati e la necessità di formazione specifica, hanno inizialmente ostacolato la diffusione di questo approccio in Europa. Ad oggi, sebbene la RATT abbia mostrato risultati promettenti in termini di fattibilità e sicurezza, nel mondo occidentale svolge un ruolo

di nicchia nel trattamento di pazienti con tumore della tiroide in centri ad alto volume. Alcune review e metaanalisi hanno documentato risultati oncologici simili in studi comparativi tra la RATT e tiroidectomia convenzionale. Non sono state documentate differenze statisticamente significative rispetto alla tiroidectomia classica nei livelli sierici di tireoglobulina, nei tassi di recidiva locoregionale e nella sopravvivenza libera da malattia. La tecnica ha riportato buoni risultati oncologici anche in caso di linfadenectomia laterocervicale associata alla tiroidectomia in caso di evidenza di metastasi linfonodali laterocervicali (8,9).

L’approccio bilaterale ascellare-pettorale (BABA) è attualmente una delle tecniche di tiroidectomia endoscopica più diffuse al mondo. Con l’introduzione del sistema robotico molti svantaggi tecnici della BABA endoscopica sono stati superati e le indicazioni per la tiroidectomia robotica BABA (BABA-RT) sono state ampiamente estese. Non sono state osservate differenze significative nei livelli di tireoglobulina stimolata, nell’uptake alla scintigrafia dopo terapia radiometabolica (RAI), nel numero di sedute RAI e nella dose complessiva di radioiodio tra BABA-RT e tiroidectomia convenzionale. Le evidenze sulla recidiva locoregionale e sulla sopravvivenza malattia-specifica dopo BABA-RT sono ancora limitate. La chirurgia robotica ha costi da due a sei volte superiori rispetto alla chirurgia convenzionale. In tal senso è auspicabile una riduzione dei costi, in un futuro si spera non troppo lontano, grazie all’evoluzione dei sistemi e degli approcci chirurgici al fine di permettere una ulteriore diffusione delle tecniche robot-assistite (10,11). La tiroidectomia transorale con accesso vestibolare (TOETVA) è stata sviluppata da Anuwong ed è l’unica tecnica che non lascia cicatrici cutanee. Essa fornisce inoltre un accesso al sito chirurgico simmetrico, su entrambi i lati della trachea. Ha dimostrato risultati promettenti, pur necessitando di ulteriori studi a lungo termine per valutarne l’efficacia oncologica (12,13).

Altre tecniche con accesso remoto sono state sviluppate e messe a punto negli anni ma hanno una diffusione minore rispetto a quelle descritte. Nonostante i costi elevati e la necessità di formazione specifica, la chirurgia robotica si sta affermando come opzione di nicchia nei centri ad alto volume.

Verso un Approccio Personalizzato

Il gold standard del trattamento del carcinoma differenziato della tiroide, a prescindere dalla tecnica utilizzata, è stato per molto tempo considerato la tiroidectomia totale seguita dalla terapia radiometabolica (RAI). La maggior parte dei tumori tiroidei che oggi diagnostichiamo ha un’ottima prognosi e le evidenze scientifiche degli ultimi due decenni hanno portato a riconsiderare questa posizione. Oggi è comunemente accettato che i pazienti

con carcinoma papillare a basso rischio, che costituiscono la maggior parte dei pazienti affetti da tumore della tiroide, non necessitino di RAI post-operatoria, riducendo anche la necessità di ricorrere alla tiroidectomia totale. È stato dimostrato che, in pazienti con carcinoma papillare a basso rischio la loboistmectomia ha gli stessi outcome oncologici della tiroidectomia totale, riducendo di fatto il rischio di complicanze operatorie e la necessità di trattamento sostitutivo con levotiroxina a vita (14,15).

Innovazioni Tecnologiche

L’introduzione di nuove tecnologie ha trasformato la chirurgia tiroidea in una procedura sempre più precisa e sicura per il paziente, riducendo significativamente il rischio di complicanze post-operatorie. Al fine di minimizzare i rischi di complicanze operatorie e di rendere l’intervento di tiroidectomia sempre più sicuro, sono state introdotte negli anni nuove tecnologie e strumentazioni. Il monitoraggio intraoperatorio del nervo ricorrente è una metodica complementare allo standard di identificazione visiva del nervo laringeo inferiore e che consente di valutare la conservazione della sua integrità funzionale durante l’intervento. Il suo utilizzo è oggi raccomandato nella chirurgia del cancro della tiroide, nei pazienti con malattia localmente avanzata e/o con coinvolgimento linfonodale, nei reinterventi e in caso di precedente paralisi delle corde vocali documentata. Tuttavia, esso rappresenta un valido ausilio in tutti gli interventi chirurgici sulla tiroide ed è oggi utilizzato sistematicamente dalla maggior parte dei chirurghi endocrini afferenti a centri di riferimento. Altri sistemi per prevenire le complicanze operatorie che si sono ampiamente diffusi negli ultimi anni comprendono l’autofluorescenza e la fluorescenza con verde indiocianina per una più precisa individuazione delle paratiroidi e della loro vascolarizzazione, i dispositivi di elettrocoagulazione, gli agenti emostatici e la magnificazione dell’immagine ottenuta con lenti chirurgiche ed endoscopi (16,17).

Conclusioni

Oltre un secolo di studio continuo delle problematiche fisiopatologiche ed anatomo-chirurgiche, unito al progresso tecnico e tecnologico, ha permesso di raggiungere eccellenti risultati, un tempo insperati. Oggi la chirurgia tiroidea può offrire approcci personalizzati garantendo al contempo massima sicurezza e radicalità oncologica.

Bibliografia

1. Slough CM, Rhian J, Randolph GW, et al. History of thyroid and parathyroid surgery. In: Randolph GW, editor. Surgery of the thyroid and parathyroid glands. Philadelphia: Saunders; 2003. p. 3–11.

2. Rutkow IM. William Halsted and Theodor Kocher: “an exquisite friendship”. Ann Surg. 1978;188(5):630–7

3. Cady B. History of thyroid and parathyroid surgery. In: Cady B, Rossi RL, editors. Surgery of the thyroid and parathyroid glands. Philadelphia: Saunders; 1991. p. 1–4.

4. Sun GH, DeMonner S, Davis MM. Epidemiological and economic trends in inpatient and outpatient thyroidectomy in the United States, 1996–2006. Thyroid. 2013;23(6):727–33.

5. Miccoli P, Pinchera A, Cecchini G, et al. Minimally invasive, videoassisted parathyroid surgery for primary hyperparathyroidism. J Endocrinol Investig. 1997;20(7):429–30.

6. Bellantone R, Lombardi CP, Raffaelli M, et al. Minimally invasive, totally gasless video-assisted thyroid lobectomy. Am J Surg. 1999;177(4):342–3.

7. Bellantone R, Raffaelli M, De Crea C et al. Video-Assisted Thyroidectomy for Papillary Thyroid Carcinoma: Oncologic Outcome in Patients with Follow-Up 10 Years. World J Surg. 2018 Feb;42(2):402-408. doi: 10.1007/s00268-017-4392-x.

8. Kim MJ, Nam KH, Lee SG, et al. Yonsei experience of 5000 gasless transaxillary robotic thy- roidectomies. World J Surg. 2018;42(2):393–401.

9. Pan JH, Zhou H, Zhao XX, et al. Robotic thyroidectomy versus conventional open thy- roidectomy for thyroid cancer: a systematic review and meta-analysis. Surg Endosc. 2017;31(10):3985–4001.

10. Choi JY, Lee KE, Chung KW, et al. Endoscopic thyroidectomy via bilateral axillo-breast approach (BABA): review of 512 cases in a single institute. Surg Endosc. 2012;26(4):948–55.

11. Lee KE, do Koo H, Im HJ, et al. Surgical completeness of bilateral axillo-breast approach robotic thyroidectomy: comparison with conventional open thyroidectomy after propensity score matching. Surgery. 2011;150(6):1266–74.

12. Anuwong A. Transoral endoscopic thyroidectomy vestibular approach: a series of the first 60 human cases. World J Surg. 2016;40(3):491–7.

13. Zhang D, Park D, Sun H, et al. Indications, benefits and risks of transoral thyroidectomy. Best Pract Res Clin Endocrinol Metab. 2019;33(4):101280.

14. Li M, Dal Maso L, Vaccarella S, Global trends in thyroid cancer incidence and the impact of overdiagnosis. Lancet Diabetes Endocrinol. 2020;8(6):468-70.

15. Hauch A, Al-Qurayshi Z, Randolph G, Kandil E. Total thyroidectomy is associated with increased risk of complications for low- and high-volume surgeons. Ann Surg Oncol. 2014 Nov;21(12):384452. doi: 10.1245/s10434-014-3846-8. Epub 2014 Jun 19.

16. Barczynski M, Konturek A, Cichon S. Randomized clinical trial of visualization versus neuro- monitoring of recurrent laryngeal nerves during thyroidectomy. Br J Surg. 2009;96(3):240–6.

17. Schneider R, Randolph GW, Dionigi G, et al. International neural monitoring study group guideline 2018 part I: staging bilateral thyroid surgery with monitoring loss of signal. Laryngoscope. 2018;128(Suppl 3):S1–17.

LOBECTOMIA VERSO TIROIDECTOMIA

TOTALE: I DATI ITCO E DELLA SIUEC

Pietro Giorgio Calò1, Eleonora Morelli2, Giancarlo Basili3, Paolo Brazzarola4, Giovanni Docimo5

1 Dipartimento di Scienze Chirurgiche, Università di Cagliari, Cagliari, Italia.

2 UOC Endocrinochirurgia, Azienda Ospedaliera Universitaria Integrata Verona, Verona, Italia.

3 UOSD Chirurgia della Tiroide, Ospedale Pontedera, Azienda USL Toscana Nord-Ovest, Italia

4 Dipartimento Chirurgia Generale, Ospedale Sacro Cuore Don Calabria di Negrar, Verona, Italia

5 UOSD Chirurgia Tiroidea, Azienda Ospedaliera dell’Università “Vanvitelli” di Napoli, Italia

INTRODUZIONE

L’ITCO rappresenta uno dei principali osservatori nazionali del carcinoma tiroideo coinvolgendo i principali Centri di Riferimento della patologia Tiroidea distribuiti su tutto il territorio nazionale. L’obiettivo del Report è l’analisi della gestione del carcinoma tiroideo e di come il suo management si sta modificato nel tempo.

Epidemiologia

Il cancro tiroideo è la quinta neoplasia più frequente nelle donne in Italia e la terza negli uomini, la sua frequenza è in aumento a livello mondiale sia per un effettivo incremento dei casi sia a causa di una diagnostica più evoluta e sensibile, ma anche più diffusa, che sta portando a un fenomeno di overdiagnosi (1-2). Il carcinoma tiroideo differenziato (DTC) è caratterizzato da una prognosi favorevole con un tasso di sopravvivenza a 20 anni del 98-99% per i carcinomi papillari e 80-90% per i carcinomi follicolari (3).

Diagnostica strumentale e citologica

I noduli tiroidei sono spesso diagnosticati incidentalmente durante esami diagnostici per altre patologie, oppure possono manifestarsi clinicamente come tumefazioni al collo; più raramente possono causare disturbi clinici come la disfonia. L’ecografia del collo è l’esame principale nella diagnostica del nodulo tiroideo, permette di valutare le caratteristiche morfologiche per selezionare il nodulo sospetto da sottoporre ad agoaspirato. L’esame citologico identifica con elevata accuratezza le neoplasie tiroidee, ma presenta alcune

1.

l'American

• Metastasi a distanza

• Metastasi linfonodale>3 cm

• Tg elvata al momento dell'ablazione con I131

• Minima estensione extratiroidea

• Varianti istologiche aggressive

• Invasione vascolare

• Metastasi linfonodale clinicamente evidente o linfonodi documentati all'istologia

• PTC intratiroideo (1-4 cm) BRAF+

• MicroPTC multifocale BRAF+

• Tumore intratiroideo

• Assenza di metastasi linfonodale o a distanza

• <5 linfonodi documentati all'istologia (diam <2 mm) MicroPTC BRAF+

limitazioni legate al tasso di campioni inadeguati (510%) e alla diagnosi di categorie indeterminate (2025%). I sistemi classificativi più utilizzati (Classificazione Italiana, Americana e Inglese) sono basati su schemi a 5 o 6 categorie come riportato in Tabella 1 (4).

Tabella 1. Confronto fra la classificazione citologica Italiana, Americana e Inglese

ITALIA: SIAPEC-IAP, AIT, AME, SIE

TIR1. Non diganostico TIR1c. Non diagnostico cistico

TIR2. Non maligno

TIR3A. Lesione indeterminata a basso rischio

TIR3B. Lesione indeterminata ad alto rischio

USA: Bethesda UK: RCPath

I. Non diagnostico. Cistico Thy 1/ Thy 1c. Non diagnostico. Cistico

II. Benigno Thy 2/ Thy 2c. Non neoplastico

III. Atipie di signi昀cato indeterminato o lesione follicolare (AUS/FLUS)

Thy 3a. Possibile neoplasiaatiia/non diagnostico

IV. Neoplasia follicolare o sospetta per neoplasia follicolare Thy 3f. Possibile neoplasia/suggestivo di neoplasia follicolare

TIR4. Sospetto di malignità V. Sospetto di malignità Thy 4. Sospetto di malignità

TIR5. Maligno VI. Maligno Thy 5. Maligno

Trattamento

Considerando l’ottima prognosi, la gestione terapeutica del carcinoma tiroideo si è evoluto nel tempo con l’obiettivo di evitare over treatment. Al paziente con nodulo tiroideo < 1 cm senza ulteriori fattori di rischio (assenza di segni clinici ed ecografici d’infiltrazione della capsula tiroidea, assenza di metastasi locoregionali e/o a distanza), in assenza di patologia nodulare controlaterale può essere proposta la loboismectomia. La sorveglianza attiva può essere un’alternativa solo nei noduli topograficamente distanti dalla trachea e dal nervo ricorrente. Il management terapeutico del DTC a rischio intermedio rimane ancora controverso soprattutto in pazienti con diametro tumorale di 3-4 cm. Il nodulo > 4 cm o noduli sospetti bilaterali a prescindere dalle dimensioni, sono candidati a tiroidectomia totale.

Rischio di recidiva. In base alle caratteristiche istologiche si può definire il rischio di recidiva tumorale (linee guida dell’American Thyroid Association (ATA) riportate in Figura 1 e la necessità di procedere a terapia radiometabolica.

TIROIDECTOMIA VERSUS LOBECTOMIA

Dal database ITCO sono stati selezionati 8108 pazienti con diagnosi istologica di DTC di cui 7458 (91,98 %) sono stati sottoposti a tiroidectomia totale (TT) o quasi totale (qTT), 650 (8,02%) a loboismectomia tiroidea (LT).

Figura
Definizione della classe di rischio secondo
Thyroid Association (ATA)

La TT è più frequentemente eseguita nei pazienti di sesso femminile, con un’età più elevata e un diametro tumorale maggiore come riportato in Tabella 2. Tutte queste variabili sono risultate statisticamente significative. I noduli a citologia TIR3 vengono più frequentemente sottoposti a LT, a differenza dei noduli a citologia TIR4 e TIR5 dove la scelta si orienta maggiormente verso la TT (p<0,001). Nelle neoplasie con ATA risk basso è stata più frequentemente eseguita la loboismectomia, mentre nel tumore a rischio intermedio/elevato è stata maggiormente effettuata una tiroidectomia totale (Tabella 2). Dei 650 pazienti, inizialmente sottoposti a lobectomia, 138 (21,23%) sono stati successivamente totalizzati. Nei pazienti a rischio ATA basso viene più frequentemente confermata una lobectomia, mentre i pazienti a rischio ATA intermedio vengono più frequentemente totalizzati come riportato in Tabella 3. Dall’analisi dei dati emerge che dal 2013 al 2019 c’è stata una prevalenza crescente di lobectomie, passando dal 2,2% nel 2013 al 11,1% nel 2019. Dal 2020 ad oggi la prevalenza è rimasta intorno al 10% (Figura 2).

Tabella 2. Confronto delle variabili ITCO tra Tiroidectomia (TT) e Lobectomia (LT)

Età anni (mediana)

(mediana)

(66%)

(21,7%)

(35,4%)

(49%)

(6,4%)

Tabella 3. Distribuzione delle totalizzazioni dopo lobectomia in base al rischio di recidiva ATA

Rischio recidiva

Intermedio 130 (25,4%) 78 (56,5%) Alto 10 (2%) 3 (2,2%)

Figura 2. Andamento lobectomia e tiroidectomia dal 2013 al 2023

Tiroidectomia versus Lobectomia

Esperienza SIUEC.

Nel 2021 è stato pubblicato uno studio multicentrico retrospettivo osservazionale che ha coinvolto 16 Centri Italiani di Riferimento per la patologia tiroidea appartenenti alla Società Italiana Unitaria di Endocrinochirurgia (SIUEC) (6). Nello studio sono stati arruolati 564 pazienti sottoposti ad intervento chirurgico di TT (499, 88,4%) o LT (65, 11,6%) tra il Gennaio 2017 e Dicembre 2019 per DTC unilaterale a rischio intermedio (1-4 cm di diametro). La mediana del follow up è stata di 20,21 mesi. La TT confrontata con la LT è associata a un maggior rischio di complicanze post-operatorie rispettivamente del 17,8% e 7,7% (p=0,04) e una mediana di degenza ospedaliera maggiore rispettivamente di 3 giorni (1-12) e 2 giorni (1-5) (p<0,001). I pazienti trattati con TT confrontati con quelli sottoposti a LT, hanno più frequentemente una diagnosi citologica pre-operatoria di TIR4 e TIR5, un diametro tumorale maggiore (mediana TT 15 mm, LT 11 mm, p<0,001). Dei 65 pazienti sottoposti a lobectomia, 17 (26,2%) sono stati successivamente totalizzati sulla base delle caratteristiche istologiche della neoplasia (infiltrazione della capsula tiroide, infiltrazione del tessuto peritiroideo, istologia aggressiva, metastasi linfonodali). Dall’analisi multivariata emerge che i pazienti con diagnosi citologica pre-operatoria di TIR4 e TIR5 e noduli con diametro maggiore sono associati ad una maggiore probabilità di essere sottoposti a tiroidectomia totale. Il 17,3% (9/52) dei pazienti con diametro tumorale <20 mm sono stati sottoposti a reintervento, mentre la percentuale cresce al 58,3% per pazienti con diametro20 mm (7/12) (p=0,006).

Conclusioni

La scelta tra tiroidectomia totale e lobectomia nel trattamento del carcinoma tiroideo richiede un’attenta valutazione personalizzata del paziente. Questa decisione deve basarsi su molteplici fattori: la storia clinica del paziente ( inclusa l’eventuale esposizione a radiazioni, e la familiarità per cancro tiroideo), le sue comorbidità e soprattutto, un’accurata stadiazione ecografica pre-operatoria che permetta di identificare la presenza di noduli sospetti bilaterali, infiltrazione della capsula e linfoadenopatie sospette.

La tiroidectomia totale rappresenta l’approccio chirurgico più radicale, offrendo diversi vantaggi significativi: minore rischio di recidive, e la possibilità di una stadiazione più accurata. Inoltre, consente una stadiazione accurata. Inoltre, questo approccio consente la possibilità di somministrare terapia radiometabolica ed un monitoraggio post-operatorio basato sul dosaggio della Tg.

La lobectomia, d’altra parte, presenta vantaggi considerevoli in termini di minori complicanze post-operatorie, e qualità di vita del paziente. Preservando, infatti, parte della funzionalità tiroidea, solo il 30-40% dei pazienti necessita di terapia sostitutiva. Tuttavia, la lobectomia comporta alcune limitazioni: un maggior rischio di reintervento per eventuali totalizzazioni basate sulle caratteristiche istologiche della neoplasia, l’impossibilità di eseguire la terapia radiometabolica e un follow-up più limitato per l’impossibilità di monitorare efficacemente i livelli di tireoglobulina.

I dati raccolti da ITCO e SIUEC mostrano che in Italia persiste una netta preferenza per la tiroidectomia totale, specialmente per noduli superiori ai 2cm e con citologia pre-operatoria TIR4 e TIR5. Sebbene la frequenza delle lobectomie sia aumentata nell’ultimo decennio, stabilizzandosi intorno al 10% circa dal 2020 ad oggi, questa percentuale rimane significativamente inferiore rispetto ai dati riportati dalla letteratura internazionale (7,8). Questo andamento riflette la storia delle principali linee guida italiane, che per molti anni hanno fortemente raccomandato la tiroidectomia totale. Solo recentemente le nuove raccomandazioni hanno aperto la possibilità di eseguire la lobectomia nel cancro tiroideo (9,10). Attualmente, la lobectomia è fortemente raccomandata per tumori unilaterali inferiori a 1 cm senza ulteriori fattori di rischio. Tuttavia, per i tumori a rischio intermedio di recidiva i dati rimangono controversi. Lo studio SIUEC ha evidenziato un dato particolarmente significativo: i pa-

zienti sottoposti a lobectomia per noduli superiori ai 20 mm presentano un rischio di reintervento sei volte maggiore rispetto ai pazienti con con noduli di dimensioni inferiori, un fattore cruciale da considerare nella pianificazione del trattamento.

Bibliografia

1- http://www.registritumori.it/PDF/AIOM2016/1_ numeri_del_cancro_2019.pdf

2- Worldwide Thyroid-Cancer Epidemic? The Increasing Impact of Overdiagnosis. Salvatore Vaccarella, Silvia Franceschi, Freddie Bray, Christopher P Wild, Martyn Plummer, Luigino Dal Maso. N Engl J Med. 2016 Aug 18;375(7):6147.

3- Thyroid surgery for differentiated thyroid cancer - recent advances and future directions. Nat Rev Endocrinol. 2018 Nov;14(11):670-683. Tracy S Wang 1, Julie Ann Sosa.

4- Italian consensus for the classification and reporting of thyroid cytology. Francesco Nardi , Fulvio Basolo, Anna Crescenzi, Guido Fadda, Andrea Frasoldati, Fabio Orlandi, Lucio Palombini, Enrico Papini, Michele Zini, Alfredo Pontecorvi, Paolo Vitti. J Endocrinol Invest. 2014 Jun;37(6):593-9.

5- 2015 American Thyroid Association Management Guidelines for Adult Patients with Thyroid Nodules and Differentiated Thyroid Cancer: The American Thyroid Association Guidelines Task Force on Thyroid Nodules and Differentiated Thyroid Cancer. Bryan R Haugen, Erik K Alexander, Keith C Bible, Gerard M Doherty, Susan J Mandel, Yuri E Nikiforov, Furio Pacini, Gregory W Randolph, Anna M Sawka, Martin Schlumberger, Kathryn G Schuff, Steven I Sherman, Julie Ann Sosa, David L Steward, R Michael Tuttle, Leonard Wartofsky. Thyroid. 2016 Jan;26(1):1-133.

6- Hemithyroidectomy versus total thyroidectomy in the intermediate-risk differentiated thyroid cancer: the Italian Societies of Endocrine Surgeons and Surgical Oncology Multicentric Study. C Dobrinja, N Samardzic, F Giudici, M Raffaelli, C De Crea , L Sessa, G Docimo, G L Ansaldo, M Minuto, E Varaldo, G Dionigi, S Spiezia, M Boniardi, I Pauna, L De Pasquale, M Testini, A Gurrado, A Pasculli, A Pezzolla, S Lattarulo, P G Calò, G Graceffa, A Massara, L Docimo, R Ruggiero , D Parmeggiani, M Iacobone , N Innaro, C P Lombardi, N de Manzini . Updates Surg. 2021 Oct;73(5):1909-1921.

7- Total vs hemithyroidectomy for intermediate risk papillary thyroid cancer: A 23 year retrospective study in a tertiary center. Kwan Pok Tsui, Wai Yin Kwan, Tam Lin Chow. Am J Otolaryngol. 2019 May-Jun;40(3):431-434

8- Well-differentiated thyroid cancer: Thyroidectomy or lobectomy? Wouter P Kluijfhout, Lorne E Rotstein, Jesse D Pasternak. CMAJ. 2016 Dec 6;188(17-18)

9- Italian consensus on diagnosis and treatment of differentiated thyroid cancer: joint statements of six Italian societies. J Endocrinol Invest. Pacini F, Basolo F, Bellantone R, et al. 2018;41:849–76

10- Total Thyroidectomy Versus Lobectomy for Thyroid Cancer: Single-Center Data. Carla Colombo, Simone De Leo, Marta Di Stefano, Matteo Trevisan, Claudia Moneta, Leonardo Vicentini, Laura Fugazzola. Ann Surg Oncol. 2021 Aug;28(8):4334-4344

LA CHIRURGIA DEI CARCINOMI AVANZATI DELLA TIROIDE

Marco Raffaelli1,2, Marco Boniardi3, Luciano Pezzullo4,5, Maria Grazia Chiofalo6, Marco Biffoni7, Michele Minuto8,9, Gabriele Materazzi10

1U.O.C. Chirurgia Endocrina e Metabolica, Fondazione Policlinico Universitario Agostino Gemelli IRCSS, Roma, - 2Centro di Ricerca in Chirurgia delle Ghiandole Endocrine e dell’Obesità (C.R.E.O.), Università Cattolica del Sacro Cuore, Roma, - 3SS di Chirurgia Endocrina, SC di Chirurgia Oncologica e Mininvasiva, ASST Grande Ospedale Metropolitano Niguarda, Milano, - 4 Dipartimento di Medicina, Chirurgia e Odontoiatria, Scuola Medica Salernitana, Università degli Studi di Salerno, - 5Pineta Grande Hospital, Castelvolturno (CE), - 6 Dipartimento Testa Collo, SC Chirurgia Oncologica della Tiroide, Istituto Nazionale Tumori IRCCS G. Pascale Napoli, 7 Dipartimento di Chirurgia Generale e Specialistiche, Università Sapienza di Roma, UOSD Chirurgica del Sistema Endocrino, AOU Policlinico Umberto I, Roma, - 8 Dipartimento di Scienze Chirurgiche (DISC), Università degli Studi di Genova, 9U.O.S. Chirurgia Endocrina, IRCCS Ospedale Policlinico San Martino, Genova, - 10 Chirurgia Endocrina Università di Pisa

I carcinomi tiroidei rappresentano una patologia oncologica relativamente comune, ma solo in una minoranza dei casi (meno del 5%) si presentano in forma “avanzata”. La recente pubblicazione di una Consensus da parte della Società Europea di Chirurgia Endocrina (European Society of Endocrine Surgeons – ESES) ha fornito importanti linee guida sulla definizione e il trattamento di queste neoplasie complesse (1).

Definizione e Classificazione

I carcinomi tiroidei localmente avanzati (CTLA) sono identificati come tumori T4, secondo la classificazione TNM (AJCC Ottava Edizione). Questi tumori si estendono oltre la capsula tiroidea, invadendo le strutture circostanti come il nervo laringeo inferiore, la trachea, la laringe, l’esofago (1-4). Vengono considerati come avanzati anche i tumori con massivo coinvolgimento linfonodale con estensione extra-nodale e/o tumori con metastasi a distanza già alla diagnosi (1).

La prognosi dei CTLA è influenzata da numerosi fattori, tra cui l’istotipo, la resecabilità e la possibilità di trattamenti adiuvanti e, eventualmente, neoadiuvanti (1-3,58).

In quest’ottica, l’accurato studio pre-operatorio, l’inquadramento e il trattamento multidisciplinare dei pazienti affetti da CTLA risulta fondamentale avendo come obiettivi da un lato quello di evitare quanto più possibile che questa entità sia una sorpresa al tavolo operatorio e dall’altro quello di garantire il controllo locoregionale della malattia e incrementare le probabilità di sopravvivenza del paziente (1,2,5).

Presentazione Clinica e Diagnosi

La presentazione clinica dei pazienti affetti da CTLA può essere varia. Alcuni pazienti sono completamente asintomatici alla diagnosi, altri potranno presentare una massa cervicale fissa e dura o dolore al collo e presentare rigidezza, raucedine, tosse, disfonia, emottisi, stridore e dispnea, disfagia e/o flushing a livello del viso da ingorgo del circolo venoso per infiltrazione neoplastica. Sintomi acuti che si presentino improvvisamente, associati a una massa cervicale in rapida crescita, dovrebbero far supporre la presenza di una patologia con componente istologica scarsamente differenziata o anaplastica (5,8).

Lo studio pre-operatorio si avvale, oltre che degli esami di funzionalità tiroidea e del dosaggio calcitonina e dell’esame ecografico, di altre metodiche di imaging (TC, RMN, in alcuni casi PET-FDG TC) che permettono una accurata valutazione dell’estensione della malattia (cervicale / mediastinica, coinvolgimento linfonodale cervicale / extracervicale, invasione/compressione di altre strutture anatomiche) (1). La citologia, l’eventuale core biopsy ed eventuali indagini di biologia molecolare permettono una quanto più accurata definizione dell’istotipo e dell’aggressività biologica permettendo innanzitutto una diagnosi differenziale tra carcinomi anaplastici e carcinomi differenziati/scarsamente differenziati o carcinomi midollari al fine di poterne valutare anche i trattamenti adiuvanti possibili (131I, terapia sistemica, radioterapia esterna) (1). Di fondamentale importanza, inoltre, nell’inquadramento clinico del paziente con CTLA, sospetto o accertato, lo studio della motilità delle corde vocali con fibrolaringoscopia e, in casi selezionati, la tracheoscopia e l’esofagoscopia atte a valutare l’eventuale infiltrazione tracheale e/o esofagea (1,5). (Tab. 1)

TAB. 1. Carcinomi tiroidei localmente avanzati

Gli strumenti diagnostici includono:

Esami di laboratorio: funzionalità tiroidea, dosaggio della calcitonina.

Imaging: ecografia, TC, RMN e, in alcuni casi, PETFDG.

Citologia e biologia molecolare: per definire l’istotipo e l’aggressività biologica.

Endoscopie: fibrolaringoscopia, tracheoscopia ed esofagoscopia per valutare l’infiltrazione di strutture critiche

Strategie Chirurgiche

I pazienti con CTLA vanno indirizzati e seguiti, in centri specialistici ad alto volume, da team multidisciplinari composti da chirurghi endocrini, endocrinologi, anatomo-patologi, radiologi, anestesisti, medici nucleari, radioterapisti, oncologi, otorinolaringoiatri e, in casi

selezionati, chirurghi toracici e/o vascolari.

Il team multidisciplinare ha il compito di personalizzare il trattamento per ogni singolo paziente. Questa personalizzazione deve basarsi su diversi fattori cruciali: l’aggressività biologica della neoplasia, le opzioni chirurgiche disponibili, la presenza di eventuali comorbidità e la compliance del paziente. Gli interventi demolitivi vengono presi in considerazione solo quando offrono un effettivo beneficio in termini di outcome oncologico, e garantiscono al paziente una qualità di vita accettabile. Questa valutazione complessiva permette di bilanciare efficacemente l’obiettivo terapeutico con le esigenze e le condizioni specifiche del paziente.

La gestione chirurgica dei carcinomi tiroidei avanzati segue due percorsi distinti in base alla resecabilità iniziale del tumore. In caso di tumori non resecabili, si opta per trattamenti neoadiuvanti e/o palliativi, rivalutando successivamente la possibilità chirurgica attraverso una ristadiazione. L’intervento viene proposto solo se la risposta alla terapia indica concrete possibilità di miglioramento l’esito oncologico.

Per i tumori giudicati resecabili, la pianificazione chirurgica richiede un’attenta valutazione di molteplici fattori.

L’estensione della malattia determina l’approccio operatorio, che può variare da cervicotomia isolata a procedure più complesse (cervicotomia e sternotomia).

L’intervento può richiedere il coinvolgimento di più specialisti durante l’intervento (ad es. chirurgo toracico, chirurgo vascolare) e l’utilizzo di strumentazione specifica tra cui:

• Sistemi di monitoraggio neurologico intraoperatorio

• Tecniche di autofluorescenza e angiografia con verde di indocianina per la identificazione/preservazione delle paratiroidi

• Dispositivi chirurgici ad energia avanzata (energy-devices) per la resezione e la sigillatura simultanea dei tessuti

• Materiali protesici specifici

L’obiettivo primario rimane il raggiungimento della massima radicalità oncologica, bilanciando però questo obiettivo con la necessità di minimizzare gli esiti mutilanti. Questa strategia viene modulata considerando l’istotipo tumorale, le preferenze del paziente e le possibilità di trattamenti adiuvanti disponibili.

In particolare, nei quadri di invasione del nervo laringeo inferiore si cerca di preservarne l’integrità anatomica in caso di evidenza pre-operatoria di normale motilità delle corde vocali; la resezione en bloc del tratto cervicale del nervo laringeo inferiore si preferisce in caso di evidenza

preoperatoria di paralisi cordale o in casi in cui la resezione en bloc è necessaria per una resezione R0 (in assenza di altri siti di invasione tumorale macroscopica) (1,2). In caso di infiltrazioni tracheali si preferisce una resezione superficiale limitata (tracheal shaving) in caso di invasione tracheale minima (1,9), considerando necessaria una resezione completa con anastomosi termino-terminale solo in caso di infiltrazione tracheale massiva (1,9). Allo stesso modo, in caso di infiltrazione laringea, si cerca di evitare quanto più possibile interventi di laringectomia preferendo sempre quando possibile una shave resection. In caso di invasione dell’esofago e/o della giunzione faringoesofagea, è sempre consigliabile evitare resezioni mutilanti per di più gravate da importanti tassi di complicanze post-operatoria, in casi selezionati possono essere lasciate in situ clip in titanio per delimitare il sito di infiltrazione con margini positivi (resezioni R1 o R2) al fine di facilitare una eventuale radioterapia esterna. (Tab. 2)

In caso di coinvolgimento linfonodale laterocervicale è indicata la dissezione dei livelli IIa, III , IV e Vb conside-

• Infiltrazione del Nervo Laringeo Inferiore

Con normale motilità delle corde vocali: preservazione del nervo.

Con paralisi cordale o necessità di resezione R0: resezione en bloc.

• Infiltrazione Tracheale o Laringea

Minima invasione: tracheal shaving. Infiltrazione massiva: resezione con anastomosi termino-terminale. Invasione laringea: preferibile una shave resection, evitando la laringectomia quando possibile.

• Esofago e Giunzione Faringoesofagea

Evitare resezioni estese per l'alto tasso di complicanze post-operatorie

Strategie conservative:

Posizionamento di clip in titanio per delimitare aree di infiltrazione residua

Marcatura dei margini positivi (R1 o R2) per guidare la radioterapia

TAB. 2. Gestione delle Strutture Coinvolte

rando necessaria la dissezione dei livelli I, IIb e Va solo in caso di metastasi linfonodali accertate anche a tali livelli (1).

In caso di infiltrazione unilaterale di una vena giugulare interna è consigliata la resezione en bloc senza ricostruzione previa evidenza di vena giugulare interna controlaterale pervia.

Gli approcci descritti ben si adattano alla maggioranza dei casi di carcinomi differenziati localmente avanzati giudicati operabili, si tende, invece, ad un approccio tendenzialmente più aggressivo nei pazienti affetti da carcinomi midollari localmente avanzati. In tali casi, se si vuole ottenere un discreto controllo loco-regionale di malattia in grado di favorire eventuali trattamenti adiuvanti, sono necessarie resezioni del nervo laringeo inferiore, della trachea, dell’esofago, della laringe e linfadenectomie del compartimento centrale ed eventualmente laterocervicali (1).

Dopo l’intervento chirurgico, è essenziale una successiva valutazione del team multidisciplinare per pianificare ulteriori modalità di trattamento, tenendo conto dei margini di resezione chirurgica ottenuti (R0, R1, R2), del decorso postoperatorio (tipo e gravità di eventuali complicanze, mutilazione chirurgica, compliance del paziente) e dell’esame istologico definitivo.

In caso di tumore differenziato pT4 è sempre prevista la terapia radiometabolica con 131I capace di ablare residui microscopici di malattia ed eventuali metastasi a distanza garantendo un buon controllo loco-regionale di malattia (1,6). In alcuni pazienti le cellule tumorali perdono la capacità di accumulare iodio e dunque di essere efficacemente trattate con iodio radioattivo e la resistenza al trattamento con iodio è un indice di dedifferenziazione e dunque di maggiore aggressività del tumore e peggiore prognosi rispetto ai tumori iodo-captanti (6). L’individuazione precoce dei tumori iodo-negativi è fondamentale per stabilire la strategia terapeutica più appropriata, che può comprendere il reintervento, il ricorso alla radioterapia a fasci esterni o alla terapia sistemica (10,11).

Nei casi in cui la terapia radiometabolica risulti non sufficiente, per una mancata risposta al trattamento con il radioisotopo o per un elevato rischio di recidiva locale a causa di fattori prognostici avversi, una possibile opzione terapeutica adiuvante è rappresentata dall’impiego della radioterapia a fasci esterni (11). I possibili scenari in cui la radioterapia a fasci esterni potrebbe essere considerata un’alternativa terapeutica comprendono: pazienti con notevole residuo di malattia post-chirurgico non

candidabili a nuovo intervento o con malattia non resecabile; pazienti con massiccia infiltrazione laringotracheale e/o esofagea già sottoposti a resezione e ricostruzione e non ulteriormente trattabili chirurgicamente; in alternativa o per ritardare l’intervento di laringectomia laddove non esistano ulteriori opzioni terapeutiche; infine in caso di metastasi a distanza localizzate o non resecabili ossee o cerebrali, soprattutto in caso di malattia resistente alla terapia con radioiodio (11).

La terapia sistemica si prende in considerazione quando le altre opzioni di trattamento non sono applicabili ed è modulata in base all’istotipo e all’estensione della malattia (10).

Conclusioni

Il trattamento di pazienti con CTLA richiede un approccio multidisciplinare in centri altamente specializzati. Una gestione dinamica consente di adeguare le scelte terapeutiche all’aggressività biologica e alle necessità e alle scelte del paziente, bilanciando rischi e benefici oncologici con la qualità di vita.

Bibliografia

1. Raffaelli M, Voloudakis N, Barczynski M, et al. European Society of Endocrine Surgeons (ESES) consensus statement on advanced thyroid cancer: definitions and management. Br J Surg. 2024 Aug 2;111(8):znae199.

2. Sessa L, De Crea C, Voloudakis N, Pennestri’ F, Revelli L, Gallucci P, Perotti G, Tagliaferri L, Rossi E, Rossi ED, Pontecorvi A, Bellantone R, Raffaelli M. Single Institution Experience in the Management of Locally Advanced (pT4) Differentiated Thyroid Carcinomas. Ann Surg Oncol. 2024 Sep;31(9):5515-5524.

3. Shonka DC Jr, Ho A, Chintakuntlawar AV, et al. American Head and Neck Society Endocrine Surgery Section and International Thyroid Oncology Group consensus statement on mutational testing in thyroid cancer: Defining advanced thyroid cancer and its targeted treatment. Head Neck. 2022 Jun;44(6):1277-1300. doi: 10.1002/hed.27025.

4. Amin MB, Edge S, Greene F, et al. AJCC Cancer Staging Manual. 8th ed. New York: Springer; 2017.

5. Shindo ML, Caruana SM, Kandil E, et al. Management of invasive well-differentiated thyroid cancer: an American Head and Neck Society consensus statement. AHNS consensus statement. Head Neck. 2014 Oct;36(10):1379-90. doi: 10.1002/hed.23619.

6. Haugen BR, Alexander EK, Bible KC, et al. 2015 American Thyroid Association Management Guidelines for Adult Patients with Thyroid Nodules and Differentiated Thyroid Cancer: The American Thyroid Association Guidelines Task Force on Thyroid Nodules and Differentiated Thyroid Cancer. Thyroid. 2016 Jan;26(1):1-133. doi: 10.1089/thy.2015.0020.

7. Wells SA Jr, Asa SL, Dralle H, et al. American Thyroid Association Guidelines Task Force on Medullary Thyroid Carcinoma. Revised American Thyroid Association guidelines for the management of medullary thyroid carcinoma. Thyroid. 2015 Jun;25(6):567-610. doi: 10.1089/thy.2014.0335.

8. Bible KC, Kebebew E, Brierley J, et al. 2021 American Thyroid Association Guidelines for Management of Patients with Anaplastic Thyroid Cancer. Thyroid. 2021 Mar;31(3):337-386. doi: 10.1089/thy.2020.0944. Erratum in: Thyroid. 2021 Oct;31(10):1606-1607.

9. Shin DH, Mark EJ, Suen HC, Grillo HC. Pathologic staging of papillary carcinoma of the thyroid with airway invasion based on the anatomic manner of extension to the trachea: a clinicopathologic study based on 22 patients who underwent thyroidectomy and airway resection. Hum Pathol 1993;24: 866–870.

10. Filetti S, Durante C, Hartl DM, et al. ESMO Clinical Practice Guideline update on the use of systemic therapy in advanced thyroid cancer. Ann Oncol. 2022 Jul;33(7):674-684. doi: 10.1016/j.annonc.2022.04.009.

11. Groen AH, van Dijk D, Sluiter W, Links TP, Bijl HP, Plukker JTM. Postoperative external beam radiotherapy for locoregional control in iodine refractory differentiated thyroid cancer. Eur Thyroid J. 2022 Jan 25;11(1):e210033. doi: 10.1530/ETJ-210033.

IL TRATTAMENTO RADIOMETABOLICO CON 131I NEL CARCINOMA DIFFERENZIATO DELLA TIROIDE: UNA ANCESTRALE TARGET THERAPY. STORIA DI UN SUCCESSO TERAPEUTICO

Giuseppe Ronga1, Teresa Montesano2, Raffaele Giubbini3,4

1 già docente di Medicina Nucleare - Sapienza Università di Roma

2 Medicina Nucleare - Sapienza Università di Roma

3 già Professore Ordinario - Università di Brescia

4 Istituto di Endocrinologia, Ospedale San Raffaele, Milano

Il trattamento radiometabolico con 131I rappresenta una pietra miliare nella terapia del carcinoma tiroideo, essendo in uso clinico dai primi anni ‘50 del ‘900. Questa metodica sfrutta il meccanismo, comune allo iodio stabile (127I) e ai suoi numerosi isotopi radioattivi, di essere captato elettivamente dalle cellule tiroidee. L’isotopo utilizzato è il 131I, la cui emivita di 8,01gg ed il profilo di emissione radioattiva lo rendono ideale per questo impiego. Fin dagli anni ’40, grazie all’emissione elettromagnetica si è dimostrato il più idoneo agli studi morfofunzionali in tiroide, mentre l’emissione ne ha permesso l’impiego terapeutico nei carcinomi tiroidei e negli ipertiroidismi (fig. 1). La radiazione , penetrando nel tessuto tiroideo per una profondità di 2-3 mm, ne determina la inattivazione funzionale o l’ablazione fisica in maniera pressoché selettiva, a seconda del dosaggio somministrato. La somministrazione avviene in forma di compresse o soluzione per via orale, con controindicazioni assolute limitate alla gravidanza e all’allattamento. La capacità di captazione del radioiodio all’esame scintigrafico ha permesso di classificare i noduli tiroidei in due categorie principali: i noduli funzionanti (‘noduli caldi’) e i non funzionanti (‘noduli freddi’). Tra questi ultimi, una percentuale significativa, tra il 5 e il 15%, risulta essere di natura neoplastica all’esame istologico.

Il radioiodio ha dimostrato una notevole efficacia nel trattamento dell’ipertiroidismo e, in casi selezionati, nella riduzione di gozzi voluminosi non candidabili a chirurgia o a terapia farmacologica, anche attraverso la somministrazione di più dosi (8-16 mCi).

Nel carcinoma tiroideo differenziato, che rappresenta oltre il 90% delle neoplasie tiroidee, le cellule tumorali mantengono spesso la capacità di captare lo iodio. Questa caratteristica viene sfruttata nei pazienti tiroidectomizzati con un duplice scopo terapeutico: l’ablazione del tessuto tiroideo residuo post-chirurgico, mediante dosi di 30-50 mCi, e il trattamento delle metastasi iodocaptanti, con dosi che possono raggiungere i 150 mCi.

La gestione della radioprotezione varia in base al dosaggio somministrato. Per dosi più basse, sono sufficienti precise norme igienico-comportamentali da seguire a domicilio per 10-15 giorni. Per le dosi più elevate, invece, è necessario il ricovero in ambiente

ospedaliero protetto per un periodo di 3-4 giorni, al fine di garantire la sicurezza del paziente e della popolazione. Fino agli anni recenti, il protocollo standard per il carcinoma tiroideo prevedeva invariabilmente la tiroidectomia totale, talvolta eseguita in due tempi chirurgici. La fase diagnostica successiva si svolgeva dopo 4-5 settimane dall’intervento, tempo necessario per l’incremento del TSH endogeno, che ottimizza la captazione dello iodio. In questa fase, la somministrazione a scopo diagnostico di 131I permetteva di valutare sia l’eventuale presenza di tessuto tiroideo residuo post-chirurgico, sia le possibili captazioni in sedi atipiche, indicative di localizzazioni metastatiche. Questa metodica ha consentito frequentemente la diagnosi precoce di diffusione di malattia, anche in fase asintomatica e in assenza di evidenze radiologiche, non sempre rilevabili con le tecniche dell’epoca. Anche in presenza del solo residuo ghiandolare, si procedeva sistematicamente alla sua ablazione con 131I (50-80 mCi), sia per prevenire eventuali recidive di malattia, sia per eliminarne la competizione nella captazione del radioisotopo che avrebbe potuto mascherare eventuali metastasi.

L’imaging diagnostico post-somministrazione ha attraversato un’evoluzione tecnologica significativa. Nei primi decenni l’esame scintigrafico, dopo dose diagnostica o terapeutica di radioiodio (scintigrafia corporea globale -WBS o TBS) veniva effettuato con apparecchiature di rilevazione della radioattività dotate di rivelatore unico (fig. 2), che “scandagliavano” il corpo del paziente con movimento bustrofedico (scanner); successivamente furono utilizzati più rivelatori fissi (fig. 3) in grande campo (gamma-camere). L’imaging veniva routinariamente integrato con radiografie del torace e dello scheletro.

Un’importante evoluzione nel monitoraggio della malattia si è verificata nei primi anni ‘80 con l’introduzione del dosaggio sierico della tireoglobulina (Tg), proteina normalmente confinata al tessuto tiroideo. Questo marcatore si è rivelato un indicatore sensibile di persistenza/recidiva di malattia nei pazienti tiroidectomizzati, guidando le decisioni sulla necessità di ulteriori somministrazioni diagnostiche o terapeutiche di radioiodio.

In presenza di metastasi iodocaptanti, il protocollo terapeutico prevedeva somministrazioni ripetute di 131I

con controlli scintigrafici a 5-7 gg, sino a negativizzazione dell’imaging. Nei casi di persistente positività la somministrazione di dosi multiple si basava sul razionale di un possibile rallentamento della progressione di malattia, con potenziale impatto sulla sopravvivenza. Oggi quest’ultimo punto rimane oggetto di dibattito nella comunità scientifica. L’efficacia del trattamento radiometabolico ha mostrato una significativa variabilità in relazione all’età dei pazienti e alle caratteristiche delle lesioni. Risultati eccellenti sono stati osservati nei pazienti giovani, nelle recidive locali, nelle metastasi linfonodali e nelle lesioni polmonari miliariche. Meno soddisfacenti sono stati gli esiti nelle metastasi polmonari di maggiori dimensioni e nelle meno frequenti metastasi ossee e cerebrali.

Lo studio seminale di Mazzaferri (1977) documentò una riduzione significativa delle recidive e della mortalità nei pazienti trattati con radioiodio per carcinomi operati maggiori di 1,5 cm. Questi risultati portarono a un’estensione del trattamento ablativo post-chirurgico, che arrivò a interessare circa il 70% dei casi (fig. 4-5). Nonostante le perplessità espresse da alcuni autori (Sisson 1983; Beyerwaltes 1984) sul valore prognostico del trattamento, studi retrospettivi successivi hanno riportato tassi di sopravvivenza notevoli: 80% a 5-30 anni nella malattia locoregionale, oltre 60% nelle metastasi polmonari e circa 10% in quelle ossee. Gli sviluppi recenti hanno seguito due direzioni principali. Da un lato, l’introduzione di studi dosimetrici ha permesso di ottimizzare le dosi tumoricide, particolarmente cruciali nei tumori scarsamente differenziati. Dall’altro, l’evoluzione diagnostica - con il perfezionamento del dosaggio della Tg come marker tumorale e l’introduzione di tecniche di imaging avanzate (ecografia, TC, RM, PET) - ha consentito una più accurata stratificazione del rischio, identificando precocemente i pazienti a basso-bassissimo rischio. Oggi, l’uso combinato delle nuove tecniche associato alla dosimetria biologica permette di acquisire preziosi dati diagnostici ai fini di un puntuale trattamento dei casi più complessi.

Considerazioni di radioprotezione hanno portato a una rivalutazione del rapporto rischio-beneficio, tenendo conto del potenziale rischio di seconde neoplasie radioindotte e degli effetti collaterali della terapia, quali scialoadenite, xerostomia, disturbi gastrointestinali, oltre alle limitazioni temporanee alla procreazione. Questo ha condotto a una progressiva ottimizzazione delle dosi e a

una più selettiva indicazione al trattamento. L’introduzione del TSH ricombinante (rhTSH) ha inoltre eliminato la necessità dell’ipotiroidismo iatrogeno, precedentemente necessario per la procedura.Il paradigma terapeutico tradizionale del carcinoma tiroideo differenziato si è basato su tre pilastri: chirurgia, terapia radiometabolica e terapia ormonale soppressiva del TSH. Quest’ultima, finalizzata a inibire potenziali stimoli proliferativi sulle cellule neoplastiche residue, è oggi oggetto di rivalutazione nei pazienti a basso rischio.

Conclusioni

In conclusione, il 131I ha rappresentato per oltre quattro decenni un cardine nella gestione del carcinoma differenziato della tiroide, mantenendo ancora oggi un ruolo insostituibile nei pazienti a medio e alto rischio, quando la chirurgia non risulti risolutiva.

È significativo notare come questo approccio terapeutico, sviluppato ben prima dell’era delle terapie mirate, si distingue come un precoce e brillante esempio di target therapy, grazie alla sua intrinseca selettività d’azione.

Bibliografia

Seidlin SM, Marinelli LD, Oshry E. Radioactive iodine therapy; effect on functioning metastases of adenocarcinoma of the thyroid. JAMA 1946;14:838-847.

Mazzaferri EL, RL Young, JE Oertel, WT Kemmerer, CP Page. Papillary thyroid carcinoma: the impact of therapy in 576 patients. Medicine (Baltimore). 1977; May;56(3):171-96.

Becker DV. The early history of the use of radioiodine in thyroid disease. American Thyroid Association: Presidential Address. 1983; Oct 7.

Sisson JC. Applying the radioactive eraser: 131I to ablate normal thyroid tissue in patients from whom thyroid cancer has been resected. J Nucl Med. 1983; Aug;24(8):743-5.

Beierwaltes WH. Radioiodinew therapy of thyroid Radioiodine therapy of thyroid disease. Int J Rad Appl Instrum B. 1987; 14(3): 177-81.

DeGroot LJ et al. Natural history, treatment and course of papillary thyroid carcinoma. JCE&M. 1990; 71: 414-424.

Pacini F, Cetani F, Miccoli P, Mancusi F, Ceccarelli C, Lippi F, Martino E, Pinchera A. Outcome of 309 patients with metastatic differentiated thyroid carcinoma treated with radioiodine. World J Surg. 1994; Jul-Aug;18(4):600-4.

Mazzaferri EL, SM Jhiang. Long-term impact of initial surgical and medical therapy on papillary and follicular thyroid cancer. The American journal of medicine. 1994; 97: 418-28.

Schlumberger MJ. Papillary and follicular thyroid carcinoma. New england journal of medicine. 1998; 338: 297-306.

Mazzaferri EL, RT Kloos. Current approaches to primary therapy for papillary and follicular thyroid cancer. The Journal of Clinical Endocrinology Metab. 2001; 86: 1447-62.

Lamartina L, Durante C, Filetti S, Cooper DS. Low-risk differentiated thyroid cancer and radioiodine remnant ablation: a systematic review of the literature. J Clin Endocrinol Metab. 2015; 100: 1748-1761.

Cooper DS. Radioiodine for Low-Risk Thyroid Cancer - the Swinging Pendulum. N Engl J Med. 2022; Mar 10;386(10):990-991.

Fig. 1 A popular article featuring Samuel Seidlin’s famous patient who was “cured” of thyroid cancer by radioactive iodine therapy, dated October 31, 1949 (Life Magazine)

Fig.2 Total body scanner: metastasi polmonari diffuse pre-terapia (a sinistra) e 12 mesi dopo terapia (a destra)

Fig.3 Total Body gamma camera: metastasi iodocaptanti diffuse

Fig.4 A confronto curve di sopravvivenza in pazienti sottoposti e non sottoposti ad ablazione del residuo tiroideo. Natural history, treatment and course of papillary thyroid carcinoma. DeGroot LJ et al.; JCE&M 1990;71: 414-424

Fig.5 Probabilità di eventi avversi a distanza dopo trattamento ablativo. DeGroot LJ et al., JCE&M 1990; 71: 414-424

DIAGNOSTICA E TERAPIA

DEI CARCINOMI TIROIDEI DIFFERENZIATI

CON 131I: OBIETTIVI, CONSENSO E CONTROVERSIE

Massimo Salvatori1, Francesco Bertagna2, Alfredo Campennì3, Francesca Capoccetti4, Arnoldo Piccardo5

1 Istituto di Medicina Nucleare, Università Cattolica del S. Cuore - Roma

2 Medicina Nucleare, Università degli Studi di Brescia, ASST Spedali Civili - Brescia.

3 Unità di Medicina Nucleare, A.O.U. Policlinico “Gaetano Martino” - Messina,

4 UOC di Medicina Nucleare, Centro PET, Centro Regionale di Terapia Radiometabolica - Macerata

5 Medicina Nucleare, E.O. Ospedali Galliera – Genova

Dopo quasi 80 anni dal primo impiego, il radioiodio (131I) mantiene un ruolo centrale e fondamentale nella diagnostica e terapia del carcinoma differenziato della tiroide (CDT). Questo radiofarmaco rappresenta in medicina nucleare il prototipo della teranostica, disciplina chiave della medicina di precisione orientata al trattamento personalizzato del paziente.

La terapia con radioiodio: caratteristiche e finalità

La terapia con radioiodio (radiofarmaco considerato per legge ad un farmaco ospedaliero) è un trattamento oncologico radiante di tipo sistemico, eseguito in regime di ricovero protetto nei reparti di Medicina Nucleare per motivi di radioprotezione e gestione clinica. Dopo l’intervento chirurgico iniziale, il radioiodio può essere somministrato a scopo terapeutico con tre diverse obiettivi terapeutici: come trattamento ablativo, adiuvante e per la terapia delle metastasi (Tab.1).

TIPOLOGIA SCOPO

Facilitare il follow-up Migliorare la stadiazione iniziale Migliorare la DFS Migliorare la DSS

Trattamento ablativo ++

Trattamento adiuvante +++

Terapia delle metastasi ++++

Terapia con radioiodio del CDT: tipologia e scopo delle diverse modalità di trattamento.

DFS: disease free survival, sopravvivenza libera da malattia

DSS: disease specific survival, sopravvivenza specifica da malattia

Trattamento ablativo, finalizzato all’eliminazione del tessuto tiroideo residuo (Fig.1), per facilitare il successivo follow-up e migliorare la stadiazione iniziale mediante l’esecuzione della scintigrafia corporea globale (TxWBS).

Trattamento adiuvante: impiegato per eliminare sospette malattie microscopiche residue e ridurre il rischio di recidiva

Trattamento ablativo in paziente con CDT.

A sinistra: residuo in loggia tiroidea evidente dopo intervento di tiroidectomia.

A destra: ablazione completa del residuo tiroideo dopo trattamento con radioiodio.

Terapia delle metastasi iodocaptanti loco-regionali o a distanza è utilizzata per migliorare la sopravvivenza libera da malattia e quella tumore-specifica, eliminando o riducendo il carico di malattia residua

Trattamento ablativo: controversie e prospettive L’indicazione al trattamento ablativo è oggi tra gli argomenti più controversi nel management del CDT poiché i dati attualmente disponibili derivano da studi retrospettivi ed osservazionali caratterizzati da non pochi limiti. Informazioni molto più complete e probabilmente decisive arriveranno dai risultati di due trials clinici prospettici randomizzati (PRCT) attualmente in corso (Estimabl 2, ClinicalTrials.gov NCT01837745; IoN study, ClinicalTrials.gov NCT01398085). Oggi l’indicazione al trattamento ablativo viene posta in base alla categoria di rischio ATA (rischio di malattia residua o di recidiva, con categorie a rischio basso, intermedio ed elevato), ma anche valutando lo stadio TNM (rischio di mortalità tumore-specifica), il valore della Tg, il risultato dell’ecografia del collo post-tiroidectomia oltre i cosiddetti local factors come ad esempio l’esperienza del chirurgo endocrino (basso o elevato volume operatorio) e/o la completezza del report istopatologico. I pazienti a basso rischio, senza nota o probabile malattia residua dopo chirurgia, non dovrebbero essere trattati di routine con 131I mentre il

Tab. 1.
Fig. 1.

radioiodio è da somministrare in tutti i pazienti a rischio elevato e, in maniera selettiva, nei pazienti a rischio intermedio (Tab.2).

Tab. 2. Indicazione al trattamento ablativo con 131I da linee guida e documenti di consenso sul CDT nazionali ed internazionali.

131IABLAZIONE

Raccomandata non di routine

Raccomandata con uso selettivo ed eventualmente in modo adiuvante

(2016)

Rischio ATA basso

Microcarcinoma papillifero

Rischio ATA intermedio/basso

Rischio ATA intermedio/alto

(2019)

Rischio ATA basso

Altre forme di rischio ATA basso

Rischio ATA intermedio

CONSENSUS (2018)

Rischio ATA basso

Rischio ATA intermedio/basso

Raccomandata di routine Rischio ATA altoRischio ATA altoRischio ATA intermedio/alto

Trattamento adiuvante

A differenza da quello ablativo, il trattamento adiuvante utilizza dosi più elevate di radioiodio più elevata per eliminare malattia microscopica residua sospettata ma non documentata. Tale trattamento viene utilizzato in pazienti ad alto rischio di recidiva al fine di migliorare la sopravvivenza libera da malattia.

Terapia delle metastasi

Nella maggior parte dei casi viene eseguita per trattare metastasi linfonodali non resecabili, polmonari o ossee. La terapia delle metastasi linfonodali, in alternativa alla chirurgia, presenta significativi limiti a causa del basso valore di dose assorbita raggiunto (Gy) e per la frequente coesistenza di piccole metastasi non-iodocaptanti. In casi selezionati, viene utilizzata a scopo adiuvante a completamento della chirurgia linfonodale anche se con risultati non sempre soddisfacenti. In caso di terapia delle metastasi polmonari si ottengono elevati tassi di risposta completa in presenza di micrometastasi iodocaptanti (<2mm, RX/TC negative) (Tab.3). Anche le macrometastasi polmonari iodocaptanti (RX/TC positive) vengono trattate con 131I ma la risposta terapeutica è molto variabile ed inferiore a quella delle forme micronodulari. L’intervallo di tempo tra un trattamento e l’altro e l’attività da somministrare vanno individualizzati tenendo conto di vari fattori, come la risposta clinica, l’età del paziente e la presenza di eventuali altre metastasi a di-

Rischio ATA alto

(2022)

Rischio ATA basso con Tg indosabile

Microcarcinoma papillifero

Rischio ATA basso con Tg dosabile

Rischio ATA intermedio

Rischio ATA alto

EANM (2022)

Rischio ATA basso (uso selettivo)

Rischio ATA intermedio

Rischio ATA alto

Tab. 3 Metastasi polmonari da CDT. Pattern scintigrafico/radiologico vs. outcome clinico (Casara D. et al., Journal of Nuclear Medicine)

2.

Metastasi ossee diffuse iodocaptanti da carcinoma follicolare della tiroide evidenti allo studio PET/TC con 124 I.

stanza. La terapia con 131I delle metastasi ossee (Fig. 2) viene spesso associata ad altre forme di trattamento diretto (chirurgia, EBRT, embolizzazione, cementoplastica, ablazione termica o con RF, vertebroplastica percutanea) o sistemico (bifosfonati). La terapia con 131I permette di controllare temporaneamente la progressione dimensionale delle metastasi, di ridurre la sintomatologia ed è associata ad aumento della sopravvivenza, anche se porta a guarigione completa solo in caso di piccole metastasi intensamente iodocaptanti. L’efficacia della terapia è inversamente proporzionale alle dimensioni delle metastasi e direttamente proporzionale all’intensità di captazione e al tempo di residenza del 131I nelle lesioni. Nei pazienti metastatici, l’approccio dosimetrico personalizzato dovrebbe essere preferito rispetto a quello empirico sia per massimizzare la possibilità di successo terapeutico (calcolo della dose in Gy erogata alle lesioni) che per somministrare al midollo osseo una dose assorbita 2 Gy (calcolo della dose assorbita massima tollerata).

Diagnostica con radioiodio

Nel management del CDT il radioiodio è utilizzato anche a scopo diagnostico attraverso la scintigrafia corporea globale (WBS), eseguita con basse attività di 131 I (DxWBS) oppure sfruttando le elevate attività somministrate a scopo terapeutico (TxWBS).

Il DxWBS viene prevalentemente eseguito in corso di follow-up e può fornire indicazioni sull’efficacia dell’ablazione, anche se la sua accuratezza diagnostica nell’evidenziare persistenza o recidiva di malattia non è molto elevata. Il DxWBS può anche essere eseguito con finalità dosimetriche allo scopo di stimare la dose in Gy erogata alle lesioni. In questo caso viene raccomandato di somministrare una bassa attività di 131I e di ridurre a 24-48 ore l’intervallo di tempo tra DxWBS e terapia con 131I.

Il TxWBS viene invece eseguito sempre dopo ogni trattamento con 131I (normalmente a distanza di 3-7 giorni) per la sua elevata accuratezza diagnostica, oggi notevolmente migliorata dall’impiego della SPECT/TC (Fig.3).

Fig. 3. Metastasi linfonodali iodocaptanti in pazienti con carcinoma papillifero della tiroide.

Caso n.1. Numerose metastasi evidenti dopo tiroidectomia totale all’imaging planare con 131I Caso n.2. Lo studio SPECT/TC in corso di TxWBS (B, C) permette di evidenziare, rispetto all’imaging planare (A), un linfonodo paratracheale destro (freccia bianca)

Prospettive future

L’orizzonte della gestione del carcinoma tiroideo si sta ampliando grazie all’innovazione tecnologica. In particolare, la diffusione della PET/TC con 124I (Fig.2) rappresenta un importante passo avanti nella diagnosi, consentendo calcoli dosimetrici di alta precisione.

Fig.

Questa maggiore accuratezza permetterà di personalizzare le terapie con 131I in base alle caratteristiche specifiche di ogni paziente, ottimizzando l’efficacia del trattamento e riducendo gli effetti collaterali.

Conclusione

Il radioiodio (131I) rimane una risorsa fondamentale nell’approccio moderno al carcinoma differenziato della tiroide. La sua versatilità lo rende uno strumento prezioso in tutto il percorso del paziente: dalla fase diagnostica iniziale, passando per il trattamento ablativo post-chirurgico, fino alla terapia delle recidive e delle metastasi. I risultati clinici dimostrano come questo approccio abbia migliorato significativamente la prognosi dei pazienti. L’integrazione con le più recenti tecnologie diagnostiche, come la PET/TC con 124I, sta aprendo nuove frontiere nella personalizzazione delle cure, consolidando il ruolo del radioiodio come pietra miliare della medicina nucleare di precisione. Questo costante progresso tecnologico, unito all’esperienza clinica accumulata, promette di rendere i trattamenti sempre più efficaci e su misura per ogni singolo paziente.

CARCINOMA TIROIDEO PAPILLARE A BASSO/BASSISSIMO RISCHIO: SORVEGLIANZA O TRATTAMENTO MINI-INVASIVO DI TERMOABLAZIONE?

Enrico Papini1, Roberto Novizio2, Daniele Barbaro3, Maurilio Deandrea4, Roberto Negro5, Paolo Piero Limone4, Rinaldo Guglielmi1

1Endocrinologia e Metabolismo, Ospedale Regina Apostolorum- Lifenet Health, Albano, Roma

2 UOC Medicina Interna, Endocrinologia e Diabete, Fondazione Policlinico A. Gemelli IRCCS, Università Cattolica del Sacro Cuore - Roma

3 Endocrinologia, Ospedale di Livorno

4 Endocrinologia, Ospedale Mauriziano di Torino

5Endocrinologia, Ospedale Vito Fazzi, Lecce

Contesto clinico

Nelle ultime decadi la diagnosi di carcinoma papillifero della tiroide ha registrato un incremento significativo (1). Questo aumento è attribuibile, sia a un possibile reale incremento dell’incidenza, sia alla maggiore diffusione dell’ecografia tiroidea e di altre di tecniche di immagine prescritte per motivi non correlati alla patologia tiroidea (eco-doppler carotideo, TAC, Risonanza Magnetica e 18FDG- PET).

Circa il 50% di questi tumori (in passato definiti clinicamente come ‘microcarcinomi’) ha dimensioni inferiori o poco superiori a 10 mm, istologia non aggressiva (in ge-

nere classificata come ‘carcinoma papillifero variante classica o follicolare’), minima tendenza all’accrescimento e prognosi globalmente favorevole. (2) È significativo notare che, nonostante l’aumento dell’incidenza, si osserva sul piano epidemiologico un lieve decremento della mortalità tumore-specifica per carcinoma tiroideo (3,4).

In assenza di metastasi linfonodali o a distanza, questi tumori sono classificati secondo il sistema TNM della WHO come pT1N0 e dalla American Thyroid Association (ATA) collocati nella categoria a “basso rischio” (5) (Figura 1 e Tabella 1)

Figura 1. Criteri ATA per la definizione dei tumori a basso, intermedio o alto rischio in rapporto al rischio di recidiva (5).

Note: ~, circa; FTC, carcinoma follicolare della tiroide; PTC, carcinoma papillare della tiroide; FV-PTC carcinoma papillare della tiroide – variante follicolare; PTMC, microcarcinoma papillare della tiroide

Tabella 1. Stadiazione TNM dei carcinomi tiroidei differenziati. (5) Vedi richiamo tabella

Categoria Sottocategoria Descrizione

T1

T (Tumore primitivo)

N (Linfonodi)

M (Metastasi)

T1a Tumore 2 cm confinato alla tiroide

T1b Tumore 1 cm

T2 Tumore >2 cm ma 4 cm, confinato alla tiroide

T3

T3a Tumore >4 cm confinato alla tiroide

T3b Estensione macroscopica ai muscoli extra-tiroidei

T4a Invasione di strutture vicine (laringe, trachea, nervo ricorrente, esofago)

T4b Invasione di strutture distanti (fascia prevertebrale, carotide o vasi mediastinici)

Nx Linfonodi loco-regionali non valutati

N0 Nessuna evidenza di metastasi linfonodali

N1

N1a Metastasi ai linfonodi del comparto centrale: livelli VI e VII

N1b Metastasi ai linfonodi laterocervicali: livelli I-V

M0 Nessuna metastasi a distanza

M1 Presenza di metastasi a distanza

Sulla base di queste considerazioni, l’approccio chirurgico attualmente raccomandato è conservativo e mira a ridurre il rischio di complicanze e la perdita di funzione tiroidea. (5) Tuttavia, anche interventi meno invasivi, come la lobo-istmectomia comportano ospedalizzazione e anestesia generale, e un impatto estetico (cicatrice cervicale) e la frequente necessità di una terapia sostitutiva, almeno parziale, della funzione tiroidea. Per questi motivi, la sorveglianza attiva e la termoablazione sono stati proposti come opzioni alternative alla chirurgia e hanno ottenuto la conferma della propria validità attraverso studi prospettici controllati di lunga durata. (6–10).

Vantaggi e limiti delle opzioni terapeutiche alternative alla chirurgia

Sorveglianza attiva.

La sorveglianza attiva rappresenta l’approccio meno invasivo e costoso nella gestione dei carcinomi a basso rischio e non è gravata da alcun rischio di complicanze o di effetti collaterali derivanti dai trattamenti. (9) Tuttavia, sono presenti alcuni limiti che inducono a suggerirla come approccio di prima linea prevalentemente nelle lesioni di piccole dimensioni:

• Nel 10-15% dei casi a 10 anni, soprattutto nei pazienti giovani, può verificarsi crescita tumorale significativa o diffusione linfonodale (9,16). In assenza di marker di predizione che consentano una precisa prognosi preoperatoria, queste circostanze potrebbero portare a una ritardata exeresi chirurgica, spesso associata alla necessità di una resezione cervicale più aggressiva.

• Un rilevante numero di pazienti in sorveglianza attiva sviluppa una condizione di ansietà, dovuta al peso psicologico di un follow-up protratto per anni, e opta, alla fine, per un intervento chirurgico conclusivo (17);

• Può risultare problematico, nella pratica clinica reale, assicurare l’accesso costante ai controlli clinici ed ecografici presso centri qualificati dei pazienti non sottoposti a trattamento attivo

• Il costo nel follow-up a distanza di alcune decadi può rivelarsi meno favorevole di quanto stimato.

Termoablazione

I trattamenti mini-invasivi, che utilizzano energia laser, radiofrequenza o microonde, stanno incontrando una crescente diffusione in Europa, Asia e Stati Uniti per pazienti selezionati. (10) Nella gestione dei carcinomi tiroidei a basso rischio, i vantaggi offerti dalla termoablazione sotto guida ecografica rispetto alla chirurgia tradizionale sono, infatti, potenzialmente rilevanti:

• Riduzione del numero di interventi chirurgici messi in atto può consentire una più appropriata allocazione delle risorse chirurgiche (10);

• Minori costi rispetto alla terapia chirurgica: non richiedono ospedalizzazione, anestesia generale o utilizzo della sala operatoria (11);

• Minimo impatto sulla vita quotidiana del paziente: i sintomi post-trattamento sono lievi e consentono di riprendere le attività lavorative entro 24-48 ore. (12);

• Basso rischio di complicanze maggiori, come disfonia e ipocalcemia, in centri qualificati, rispetto alle casistiche chirurgiche (13);

• Preservazione della funzione tiroidea, eliminando la necessità di terapia sostitutiva (13,14);

• Danno estetico assente, grazie all’assenza di cicatrici cervicali postoperatorie, evitando approcci chirurgici più complessi come quelli trans-ascellari o trans-orali. (12,14,15).

Implicazioni economiche per il Sistema Sanitario Nazionale

In Italia, si eseguono circa 40.000 tiroidectomie all’anno, di cui almeno un terzo per tumori maligni (10). I dati derivanti dall’Osservatorio Italiano per il Carcinoma Tiroideo (ITCO) pongono in evidenza come almeno il 50% di questi ultimi interventi riguardi carcinomi papilliferi a basso rischio secondo la classificazione ATA (dati non

pubblicati). È evidente il potenziale vantaggio ottenibile - in termini di qualità della vita ed economici - dalla scelta di un approccio non chirurgico per la parte dei pazienti che si rivelino idonei a queste modalità alternative di gestione clinica.

Estrapolando le valutazioni economiche effettuate nelle Linee Guida dell’Istituto Superiore di Sanità per le diverse modalità di gestione della patologia nodulare tiroidea (10) è possibile quantificare i costi diretti e indiretti derivanti dall’attuale approccio chirurgico ai carcinomi tiroidei a basso rischio e il potenziale risparmio derivante dalla adozione di una gestione alternativa, non chirurgica, di questo gruppo di tumori (Tabelle 2 e 3).

Tabella 2. Costi stimati per l’intervento chirurgico di tiroidectomia in Italia. (10)

Categoria di costo Costo (euro)

Pre-ospedalizzazione

Conclusioni

La sorveglianza attiva e la termoablazione rappresentano valide alternative alla chirurgia per i carcinomi tiroidei a basso rischio, offrendo vantaggi in termini di costi, rischi e qualità della vita. Queste opzioni riducono i rischi e i costi associati alla tiroidectomia, preservando la funzione tiroidea e la qualità della vita dei pazienti. (Tabelle 4 e 5) Tuttavia, la qualità delle evidenze scientifiche riguarTabella 4. Studi di confronto sorveglianza attiva vs chirurgia: principali outcomes Vedi richiamo tabella

Tabella 3. Costi stimati per l’intervento di termoablazione tiroidea in Italia. (10)

Categoria di costo Costo (euro)

Pros, prospettico; /, dato non riportato

Tabella 5. Studi di confronto chirurgia vs termoablazione Vedi richiamo tabella

/ , dato non riportato; Pros, prospettico; Retro., studio retrospettivo; TT, tiroidectomia totale, CND, dissezione del compartimento centrale; pts, pazienti

danti sia la completezza della ablazione del tessuto neoplastico sia il rischio di recidive locali nel tempo è ancora debole (18). In modo analogo, la possibilità di attuazione pratica su larga scala della sorveglianza attiva non è stata verificata né può essere escluso il rischio di un incremento di interventi tardivi per forme più estese di malattia.

Le tre opzioni terapeutiche disponibili per i carcinomi tiroidei a basso rischio - tiroidectomia, termoablazione e sorveglianza attiva – dovrebbero sempre essere valutate in team multidisciplinari, tenendo presente non soltanto i dati clinici e strumentali disponibili ma anche le preferenze del paziente e la validità delle risorse e competenze locali.

Raccomandazioni pratiche

Nelle more dell’acquisizione di più solide evidenze nella gestione non chirurgica dei carcinomi tiroidei a basso rischio e della diffusione di tali modalità nella pratica clinica comune, deve essere raccomandato di:

• Limitare la tipizzazione citologica delle lesioni tiroidee inferiori ai 10 mm

• In caso di carcinoma a basso rischio, privilegiare la lobo-istmectomia in assenza di patologia controlaterale o diffusione extratiroidea, limitando la chirurgia più estesa a casi selezionati.

• Valutare ogni caso in team multidisciplinari, considerando dati clinici, preferenze del paziente e risorse disponibili

Bibliografia

1. McLeod DSA, Zhang L, Durante C, Cooper DS. Contemporary Debates in Adult Papillary Thyroid Cancer Management. Endocr Rev. 2019 Dec 1;40(6):1481–99.

2. Baloch ZW, Asa SL, Barletta JA, Ghossein RA, Juhlin CC, Jung CK, et al. Overview of the 2022 WHO Classification of Thyroid Neoplasms. Endocr Pathol. 2022 Mar 14;33(1):27–63.

3. Davies L, Welch HG. Current thyroid cancer trends in the United States. JAMA Otolaryngol Head Neck Surg. 2014;140(4).

4. Roman BR, Morris LG, Davies L. The thyroid cancer epidemic, 2017 perspective. Curr Opin Endocrinol Diabetes Obes. 2017 Oct;24(5):332–6.

5. Haugen BR, Alexander EK, Bible KC, Doherty GM, Mandel SJ, Nikiforov YE, et al. 2015 American Thyroid Association Management Guidelines for Adult Patients with Thyroid Nodules and Differentiated Thyroid Cancer: The American Thyroid Association Guidelines Task Force on Thyroid Nodules and Differentiated Thyroid Cancer. Thyroid. 2016;26(1).

6. Jeon MJ, Kim WG, Chung KW, Baek JH, Kim WB, Shong YK. Active Surveillance of Papillary Thyroid Microcarcinoma: Where Do We Stand? Vol. 8, European Thyroid Journal. 2019.

7. Tuttle RM, Fagin JA, Minkowitz G, Wong RJ, Roman B, Patel S, et al. Natural history and tumor volume kinetics of papillary thyroid cancers during active surveillance. JAMA Otolaryngol Head Neck Surg. 2017;143(10).

8. Oda H, Miyauchi A, Ito Y, Yoshioka K, Nakayama A, Sasai H, et al. Incidences of Unfavorable Events in the Management of Low-Risk Papillary Microcarcinoma of the Thyroid by Active Surveillance Versus Immediate Surgery. Thyroid. 2016;26(1).

9. Oda H, Miyauchi A, Ito Y, Yoshioka K, Nakayama A, Sasai H, et al. Incidences of Unfavorable Events in the Management of Low-Risk Papillary Microcarcinoma of the Thyroid by Active Surveillance Versus Immediate Surgery. Thyroid. 2016 Jan;26(1):150–5.

10. Gestione del nodulo benigno della tiroide causa di sintomi locali. [cited 2023 Aug 19]; Available from: https://www.associazionemediciendocrinologi.it/images/pubblicazioni/pos-stat/ultrashort-LGnodulo-tiroideo.pdf

11. Papini E, Pacella CM, Solbiati LA, Achille G, Barbaro D, Bernardi S, et al. Minimally-invasive treatments for

benign thyroid nodules: a Delphi-based consensus statement from the Italian minimally-invasive treatments of the thyroid (MITT) group. International Journal of Hyperthermia. 2019;36(1).

12. Papi G, Novizio R, Brunetti M, Mauri G. Impact of the introduction of minimally invasive treatments of the thyroid (MITT) for benign thyroid nodules in an Italian hospital: a cost-minimization analysis. Endocrine. 2023 May 31;

13. Wang JF, Wu T, Hu KP, Xu W, Zheng BW, Tong G, et al. Complications following radiofrequency ablation of benign thyroid nodules: A systematic review. Vol. 130, Chinese Medical Journal. 2017.

14. Bergenfelz A, Jansson S, Kristoffersson A, Mårtensson H, Reihnér E, Wallin G, et al. Complications to thyroid surgery: Results as reported in a database from a multicenter audit comprising 3,660 patients. Langenbecks Arch Surg. 2008;393(5).

15. Pacella CM, Mauri G, Achille G, Barbaro D, Bizzarri G, De Feo P, et al. Outcomes and risk factors for complications of laser ablation for thyroid nodules: A multicenter study on 1531 patients. Journal of Clinical Endocrinology and Metabolism. 2015;100(10).

16. Ito Y, Miyauchi A, Kihara M, Higashiyama T, Kobayashi K, Miya A. Patient Age Is Significantly Related to the Progression of Papillary Microcarcinoma of the Thyroid Under Observation. Thyroid. 2014 Jan;24(1):27–34.

17. Miyauchi A, Ito Y, Oda H. Insights into the Management of Papillary Microcarcinoma of the Thyroid. Thyroid. 2018 Jan;28(1):23–31.

18. Papini E, Guglielmi R, Novizio R, Pontecorvi A, Durante C. Management of low-risk papillary thyroid cancer. Minimally-invasive treatments dictate a further paradigm shift? Endocrine. 2024 May 20;85(2):584–92.

Richiamo tabelle

Categoria Sottocategoria

T (Tumore primitivo)

N (Linfonodi)

T1

Descrizione

T1a Tumore 2 cm confinato alla tiroide

T1b Tumore 1 cm

T2 Tumore >2 cm ma 4 cm, confinato alla tiroide

T3a Tumore >4 cm confinato alla tiroide

T3

T3b Estensione macroscopica ai muscoli extra-tiroidei

T4a Invasione di strutture vicine (laringe, trachea, nervo ricorrente, esofago)

T4b Invasione di strutture distanti (fascia prevertebrale, carotide o vasi mediastinici)

Nx Linfonodi loco-regionali non valutati

N0 Nessuna evidenza di metastasi linfonodali

N1a

N1

M (Metastasi)

N1b

Metastasi ai linfonodi del comparto centrale: livelli VI e VII

Metastasi ai linfonodi laterocervicali: livelli I-V

M0 Nessuna metastasi a distanza

M1 Presenza di metastasi a distanza

Tabella 1. Stadiazione TNM dei carcinomi tiroidei differenziati. (5)

Tabella 4. Studi di confronto sorveglianza attiva vs chirurgia: principali outcomes

Tabella 5. Studi di confronto chirurgia vs termoablazione

Rosario

MODULAZIONE DELLA TERAPIA SOSTITUTIVA CON L-TIROXINA NEL FOLLOW-UP DEL CARCINOMA TIROIDEO: UN APPROCCIO BASATO SUL RISCHIO

1 UOC Endocrinologia Universitaria, Ospedale SM Goretti, Latina; Dipartimento di Scienze e Biotecnologie Medico-Chirurgiche, Sapienza Università di Roma

2 Unità Operativa di Endocrinologia Diabete e Metabolismo, Dipartimento di Medicina, Università e Azienda Ospedaliera Universitaria Integrata di Verona, Verona, Italia

3 UOC Endocrinologia Universitaria, Ospedale SM Goretti, Latina; Dipartimento di Medicina Sperimentale, Sapienza Università di Roma

La tiroidectomia totale rappresenta il trattamento chirurgico di scelta per il carcinoma tiroideo differenziato (DTC). La lobectomia, al momento, viene riservata esclusivamente alle forme a bassissimo rischio, che costituiscono circa il 10-15% dei casi di DTC. Entrambi questi approcci chirurgici comportano lo sviluppo di ipotiroidismo che richiede una terapia ormonale sostitutiva. In particolare, l'ipotiroidismo si manifesta nel 100% dei pazienti sottoposti a tiroidectomia totale e in una percentuale variabile (20-70%) dei pazienti sottoposti a lobectomia. Il trattamento standard prevede la somministrazione di levo-tiroxina, un analogo sintetico dell'ormone tiroideo umano.

Dosaggio e modalità di somministrazione

La terapia può essere somministrata in due modalità principali:

• Terapia sostitutiva standard: 1,6-1,8 μg/kg/die

• Terapia soppressiva: 2-2,2 μg/kg/die

Oltre alla sostituzione delle funzioni della ghiandola asportata, la terapia tiroxinica nel paziente con carcinoma tiroideo differenziato può essere utilizzata in modalità soppressiva del TSH, attraverso dosi ormonali più elevate (in media 2-2,2 μg/kg/die). L’ormone tireotropo (TSH) è infatti considerato un fattore di crescita per le cellule follicolari tiroidee, potenzialmente in grado di stimolare la progressione tumorale. I valori ematici di riferimento oscillano, a seconda del kit di dosaggio in uso, tra un minimo di 0,3-0,5 mUI/L e un massimo di 3,6-5 mUI/L. La terapia soppressiva lieve ha lo scopo di mantenere il TSH sierico tra 0,5 e 0,1 mUI/L, mentre quella moderata ha come obiettivo un target di TSH<0,1 mUI/L, con frazioni libere degli ormoni tiroidei (FT3 ed FT4) nell’intervallo di riferimento. Diversi studi hanno mostrato come la soppressione moderata del TSH sia favorevole in termini di sopravvivenza tumore-specifica nei pazienti con alto rischio di recidiva tumorale e con metastasi a distanza. Nei pazienti a basso rischio di recidiva tumorale invece, le evidenze a favore di un beneficio della terapia tiroxinica soppressiva sono tuttora limitate e contrastanti.

Effetti collaterali della terapia soppressiva con L-T4

La terapia soppressiva con tiroxina protratta nel tempo, pur inducendo solo un lieve ipertiroidismo subclinico, non è priva di effetti avversi. Tra i più frequenti, e talvolta

temibili, vi sono quelli cardiologici (tachicardia, disfunzione diastolica, fibrillazione atriale), l’osteopenia e l’osteoporosi (particolarmente nelle donne in post-menopausa) e gli effetti neuropsichiatrici. Il rischio di manifestare tali effetti avversi aumenta con la dose ormonale, nonchè con l’aumentare dell’età del paziente e della durata della terapia soppressiva.

Approccio personalizzato

In ultima analisi, sulla base delle contrastanti evidenze di efficacia e dei possibili effetti indesiderati della terapia tiroxinica soppressiva, le linee guida suggeriscono un approccio individualizzato basato sulla valutazione dei fattori di rischio del paziente (età>60 anni, stato post-menopausale, storia di osteopenia, tachicardia o fibrillazione atriale) e delle caratteristiche tumorali (rischio ATA, risposta alla terapia nel corso del follow up).

La figura 1 mostra i valori di TSH raccomandati in base

Figura 1

al rischio di recidiva tumorale (rischio ATA basso, intermedio, alto) stimato a seguito del trattamento iniziale. La tabella 1 mostra il target di TSH raccomandato in

Tabella 1

base ai fattori di rischio del paziente e alla risposta alla terapia nel corso del follow up. La soppressione moderata del TSH (valori < 0,1 mUI/l) è raccomandata solo in caso di pazienti con alto rischio ATA e con risposta incompleta alla terapia. Tuttavia, se il paziente è affetto da fibrillazione atriale, si consiglia nel corso del follow up una soppressione lieve in caso di risposta strutturale incompleta (valori di TSH tra 0,1-0,5 mUI/L) e nessuna soppressione in caso di risposta biochimica incompleta (valori di TSH tra 0,5-2 mUI/L).

I DATI ITCO: L'ESPERIENZA ITALIANA CON LA TERAPIA TIROXINICA NEL PAZIENTE CON TUMORE TIROIDEO DIFFERENZIATO

I dati sono stati estrapolati da una popolazione di 6000 pazienti affetti da tumore tiroideo differenziato e sottoposti ad un follow-up di almeno 1 anno dopo il trattamento iniziale. Purtroppo, non sono disponibili dati relativi alle comorbilità che, come precedentemente illustrato, sono fondamentali per stabilire il grado di soppressione del TSH raccomandato, nell'ottica di una medicina di precisione.

La Figura 2 mostra i valori di TSH mediani (linee nere all’interno delle barre colorate) raggiunti a seguito del trattamento iniziale dalla popolazione, divisa in base al rischio di recidiva tumorale (rischio ATA basso, intermedio, alto) e in base all'età minore o maggiore di 60 anni. I valori di TSH sono progressivamente decrescenti nelle 3 classi di rischio e sono più alti nei pazienti con età > 60 anni rispetto a quelli più giovani, a dimostrazione di

una corretta applicazione delle linee guida da parte degli endocrinologi italiani. L’altezza delle barre colorate, corrispondente ai valori di TSH compresi tra il 25° e il 75° percentile, quantifica la variabilità di questo parametro nella popolazione e mostra come, tuttavia, una quota di pazienti in tutti e 6 i gruppi non rientri nel target desiderabile di TSH.

Nella Tabella 2 sono riportati i valori mediani di TSH dopo un anno di follow up nel totale della popolazione, stratificata in base al rischio ATA iniziale e alla risposta alla terapia ad un anno. In linea generale, scorrendo i valori dall’alto verso il basso (verso la classe di rischio più alta) e da sinistra verso destra (verso la risposta incompleta alla terapia), questi si riducono, ad indicare un maggiore grado di soppressione esercitato con la terapia tiroxinica.

Tuttavia, anche nella tabella, si può notare come non tutti i valori di TSH siano a target rispetto a quanto consigliato dalle linee guida e tale discrepanza può dipendere da diversi fattori. In primo luogo, non è possibile calcolare per quanti pazienti i valori di TSH siano volutamente non a target, in particolare, per la presenza di comorbilità che controindicano un ipertiroidismo iatrogeno. In secondo luogo, si deve considerare che i valori di TSH riportati nella tabella sono quelli presentati dai pazienti dopo un anno dal trattamento iniziale, al momento della valutazione della risposta alla terapia: in base alla risposta migliore o peggiore è atteso che il clinico modifichi la terapia tiroxinica esercitando rispettivamente una minore o maggiore soppressione sul TSH. Questi “aggiustamenti” della terapia saranno visibili nei dati di follow-up successivi ad un anno.

Considerazioni conclusive

La terapia tiroxinica, pur nella sua apparente semplicità, richiede una gestione accurata e personalizzata, considerando fattori interferenti quali la compliance del paziente, la polifarmacoterapia e le condizioni di malassorbimento

Figura 2
Tabella 2

gastrointestinale. Nel paziente con tumore tiroideo differenziato, è fondamentale bilanciare attentamente l’efficacia terapeutica con la sicurezza, adattando il trattamento alle caratteristiche individuali del paziente e alla dinamica della malattia nel corso del follow-up. Questo approccio personalizzato rappresenta la chiave per ottimizzare gli esiti clinici e minimizzare i rischi associati alla terapia.

Bibliografia

1) Filetti S, Durante C, Hartl D, Leboulleux S, Locati LD, Newbold K, Papotti MG, Berruti A; ESMO Guidelines Committee. Electronic address: clinicalguidelines@esmo.org. Thyroid cancer: ESMO Clinical Practice Guidelines for diagnosis, treatment and follow-up†. Ann Oncol. 2019 Dec 1;30(12):1856-1883. doi: 10.1093/annonc/mdz400.

2) Gigliotti BJ, Jasim S. Differentiated thyroid cancer: a focus on post-operative thyroid hormone replacement and thyrotropin suppression therapy. Endocrine. 2024 Feb;83(2):251258. doi: 10.1007/s12020-023-03548-8.

3) Grani G, Ramundo V, Verrienti A, Sponziello M, Durante C. Thyroid hormone therapy in differentiated thyroid cancer. Endocrine. 2019 Oct;66(1):43-50. doi: 10.1007/s12020019-02051-3.

4) Haugen BR, Alexander EK, Bible KC, Doherty GM, Mandel SJ, Nikiforov YE, Pacini F, Randolph GW, Sawka AM, Schlumberger M, Schuff KG, Sherman SI, Sosa JA, Steward DL, Tuttle RM, Wartofsky L. 2015 American Thyroid Association Management Guidelines for Adult Patients with Thyroid Nodules and Differentiated Thyroid Cancer: The American Thyroid Association Guidelines Task Force on Thyroid Nodules and Differentiated Thyroid Cancer. Thyroid. 2016 Jan;26(1):1-133. doi: 10.1089/thy.2015.0020.

TERAPIA TSH SOPPRESSIVA NEL CANCRO DELLA TIROIDE: IMPATTO OSTEOMETABOLICO

Endocrinologia,

La terapia TSH-soppressiva, impiegata per prevenire le recidive del carcinoma differenziato della tiroide (DTC), solleva interrogativi importanti sulle sue potenziali complicanze, tra cui il rischio osteoporotico. Gli ormoni tiroidei e il TSH influenzano profondamente il rimodellamento e la mineralizzazione ossea, modulando l’equilibrio tra formazione e riassorbimento osseo. Questo articolo esplora i meccanismi alla base di tali processi, le evidenze cliniche sull’impatto della terapia TSH-soppressiva sull’osso e le implicazioni per la gestione personalizzata dei pazienti.

Basi Fisiopatologiche

Il TSH e gli ormoni tiroidei svolgono un ruolo fondamentale nel rimodellamento e nella mineralizzazione ossea [1]. Il TSH inibisce l’attività degli osteoclasti attraverso la modulazione del TNF- [2], e stimola la differenziazione e la funzione degli osteoblasti, tramite la promozione della trascrizione dell’osteoprotegerina (OPG) [3]. La triiodiotironina (T3) stimola la proliferazione e la differenziazione degli osteoblasti interagendo con i recettori nucleari degli ormoni tiroidei, modulando l’espressione dei marcatori della formazione ossea come l’osteocalcina, l’osteopontina e la fosfatasi alcalina (ALP) [4]. Tuttavia, studi sperimentali mostrano che la T3 ha un’azione anabolica durante lo sviluppo scheletrico, ma effetti catabolici sull’osso dei soggetti in età adulta [5]. Nella vita reale, l’eccesso di ormoni tiroidei, anche sotto forma di ipertiroidismo subclinico, è una causa accertata di osteoporosi secondaria mediata da un aumento del riassorbimento osseo [6]

Convenzionalmente, in tale contesto, l’osteoporosi è conseguenza sia degli elevati livelli di ormoni tiroidei circolanti (e in particolare di un aumento dell’azione del T3 sull’osso) che di bassi livelli di TSH, poiché il TSH è stato proposto quale regolatore negativo del rimodellamento osseo [7], come confermato da studi più recenti che hanno dimostrato che i pazienti con normali frazioni periferiche e livelli ridotti di TSH (subtireotossicosi) possono anche essere a rischio di sviluppare problematiche scheletriche [8,9].

Valutazione Diagnostica

L’osteoporosi è una malattia sistemica dello scheletro caratterizzata da ridotta massa ossea e da alterazioni qualitative (macro e microarchitettura, proprietà materiali) che si accompagnano ad aumentato rischio di fratturate. La più comune forma di osteoporosi è la cosid-

detta primaria, che comprende tutte quelle forme che compaiono dopo la menopausa (post-menopausale) o comunque con l’avanzare dell’età (senile); mentre le osteoporosi secondarie sono quelle determinate da un ampio numero di patologie e farmaci [10]. L’indagine densitometrica con metodica Dual Energy X-rays Absorptiometry (DEXA) consente oggi di misurare la densità minerale ossea (bone mineral density o BMD) in modo accurato e preciso a fronte di una esposizione minima a radiazioni ionizzanti. La diagnosi densitometrica di osteoporosi è definita sulla base del riscontro di valori di Tscore -2.5DS a livello lombare (L1-L4) e/o femorale [10].

Valori inferiori a tale limite sono stati invariabilmente associati a un significativo aumento del rischio di fratture nell’osteoporosi primaria [11], tuttavia le fratture da fragilità possono avvenire anche in presenza di una meno marcata riduzione della densità minerale ossea, come in condizioni di osteopenia (T-score compreso tra -1 e2.5DS), soprattutto in contesti di forme secondarie di osteoporosi [12].

La BMD è responsabile della resistenza meccanica dell’osso per il 60-80%, mentre la restante quota è determinata dalla qualità dell’osso, che può essere indirettamente stimata dalle scansioni DEXA mediante l’utilizzo di software specifici come, ad esempio, il Trabecular Bone Score (TBS) che determina il grado di textura ossea, ovvero la distribuzione spaziale delle trabecole ossee a livello vertebrale.

Osteoporosi e densità minerale ossea (BMD).

L’osteoporosi secondaria a tireotossicosi colpisce in misura maggiore e più severa le donne in post-menopausa e spesso porta i pazienti a presentare fratture da fragilità. Numerosi studi hanno dimostrato che l’eccesso di ormoni tiroidei riduce la densità minerale ossea (BMD) e aumenta il rischio di fratture [13-17], che rimane elevato per i successivi cinque anni [18]

La gestione dei pazienti con carcinoma differenziato della tiroide comporta spesso un trattamento prolungato con levotiroxina a dosi TSH-soppressive che possono essere dannose per l’osso, ma fino ad oggi gli studi hanno prodotto risultati contrastanti, soprattutto nelle donne e negli uomini in pre-menopausa. Una meta-analisi ha rilevato che gli effetti della terapia TSH-soppressiva sembrano variare in base al sesso, all’età e alla fase della vita riproduttiva. Nelle donne in premenopausa e negli uomini, l’evidenza di danni ossei è meno chiara. Nelle donne in postmenopausa è associata a perdita di massa ossea, deterioramento dell’architettura ossea e, in defi-

nitiva, aumento del rischio di fratture [19].

Evidenze recenti e implicazioni cliniche

La relazione tra basso TSH e bassa BMD è stata confermata soprattutto nei pazienti con livelli sierici di TSH inferiori a 0,1 mUI/L [20]. Kim et al. hanno dimostrato che nelle donne in post-menopausa, la terapia TSH-soppressiva era associata a una densità minerale ossea inferiore [21], mentre Mazziotti et al. hanno riportato che i livelli di TSH nella fascia bassa del range di normalità erano associati ad un aumento della prevalenza di fratture vertebrali nelle donne con bassa BMD [22]. Allo stesso modo, i markers biochimici di rimodellamento osseo sono correlati negativamente con il TSH circolante nelle donne eutiroidee in post-menopausa [23]. Al contrario, la somministrazione di TSH umano ricombinante (rhTSH) nelle donne in post-menopausa dopo intervento chirurgico e terapia radiometabolica per cancro differenziato della tiroide ha comportato una riduzione del riassorbimento osseo accompagnata da un aumento della formazione ossea, indipendentemente dagli ormoni tiroidei [24]

Fratture Vertebrali e terapia TSH-soppressiva.

Le fratture vertebrali rappresentano il segno distintivo della fragilità scheletrica; ma, sono spesso sottodiagnosticate o erroneamente diagnosticate poiché si presentano completamente asintomatiche o con lombalgie aspecifiche, responsive ai farmaci analgesici più comunemente utilizzati. Inoltre, la loro rilevanza da un punto di vista clinico è poco riconosciuta sia dai medici che dai pazienti, pertanto un approccio proattivo è obbligatorio per una valutazione completa della salute scheletrica, eseguendo la morfometria vertebrale sui Rx della colonna vertebrale, sulle immagini latero-laterali DEXA o opportunisticamente valutate su Rx del torace. Le fratture vertebrali sono classificate secondo la classificazione di Genant come fratture lievi (riduzione dell’altezza del 20-25%), moderate (riduzione dell’altezza del 25-40%) e severe (riduzione dell’altezza >40%) [25].

Mentre i risultati sono ad oggi contrastanti per quanto riguarda il rischio di frattura nelle persone con un valore di TSH superiore a 0,5 mUI/L [26,27], i dati di una recente meta-analisi hanno identificato un’associazione tra il TSH soppresso al di sotto di 0,1 mUI/L e un aumento del rischio di frattura sia a livello del femore che delle vertebre. A tal proposito, Mazziotti et al. hanno riportato un totale di 28,5% di fratture vertebrali radiologiche in 179 donne trattate con tiroidectomia totale per DTC e

quando i pazienti sono stati raggruppati in base ai livelli di TSH sotto terapia soppressiva (TSH <0,5 mUI/L, tra 0,5 e 1 mUI/L e >1 mUI/L), le fratture vertebrali erano significativamente più frequenti tra le donne del primo gruppo rispetto agli altri (44,6%, 24% e 3,3%, rispettivamente) [17].

Una recente meta-analisi ha infine investigato il ruolo del TBS nei pazienti con carcinoma differenziato tiroideo in terapia TSH-soppressiva. Nel complesso, le pazienti di sesso femminile in post-menopausa avevano un TBS inferiore e una riduzione significativa del TBS dopo aver ricevuto la terapia TSH-soppressiva. Inoltre, il TBS è risultato anche un predittore indipendente del rischio di frattura osteoporotica nelle donne in post-menopausa in corso di terapia TSH-soppressiva per carcinoma differenziato della tiroide. Tuttavia, a causa delle limitazioni nel numero di studi e nelle popolazioni studiate, questa evidenza non è sufficiente per dimostrare pienamente gli effetti avversi della terapia di soppressione del TSH sul TBS dei pazienti [28].

Conclusioni

La terapia TSH-soppressiva è un pilastro nella gestione del DTC, ma richiede un’attenta valutazione dei rischi associati, come le complicanze osteometaboliche e cardiache. A fronte di questa indicazione terapeutica, però, gli alert sulle possibili complicanze cardiache (in senso pro-aritmico) e scheletriche hanno acceso l’attenzione sul paziente da destinare a terapia TSH-soppressiva, che deve sempre essere gestita in team multidisciplinare, che si deve prendere in carico tutta la gestione del paziente, della sua patologia e delle possibili complicanze, individualizzando la terapia in un approccio di tailored-medicine (TAB 1).

TAB 1

TERAPIA TSH-SOPPRESSIVA IN DTC

Raccomandazioni Pratiche

Gestione multidisciplinare

Personalizzazione della terapia

Valutazione del rischio fratturativo

Coinvolgere endocrinologo, ortopedico e altri specialisti

Adattare il trattamento in base a sesso, età e fase della vita riproduttiva

Utilizzare DEXA e TBS per una diagnosi precoce e accurata

Monitoraggio della densità minerale ossea Controlli regolari per prevenire complicanze a lungo termine

Bibliografia

1. Bassett, J.H., Williams, G.R.: Role of Thyroid Hormones in Skeletal Development and Bone Maintenance. Endocrine reviews 37(2), 135-187 (2016). doi:10.1210/er.2015-1106

2. Hase, H., Ando, T., Eldeiry, L., Brebene, A., Peng, Y., Liu, L., Amano, H., Davies, T.F., Sun, L., Zaidi, M., Abe, E.: TNFalpha mediates the skeletal effects of thyroid-stimulating hormone. Proc Natl Acad Sci U S A 103(34), 12849-12854 (2006). doi:10.1073/pnas.0600427103

3. Ma, R., Morshed, S., Latif, R., Zaidi, M., Davies, T.F.: The influence of thyroid-stimulating hormone and thyroid-stimulating hormone receptor antibodies on osteoclastogenesis. Thyroid 21(8), 897-906 (2011). doi:10.1089/thy.2010.0457

4. Monfoulet, L.E., Rabier, B., Dacquin, R., Anginot, A., Photsavang, J., Jurdic, P., Vico, L., Malaval, L., Chassande, O.: Thyroid hormone receptor beta mediates thyroid hormone effects on bone remodeling and bone mass. J Bone Miner Res 26(9), 2036-2044 (2011). doi:10.1002/jbmr.432

5. Bassett, J.H., Nordstrom, K., Boyde, A., Howell, P.G., Kelly, S., Vennstrom, B., Williams, G.R.: Thyroid status during skeletal development determines adult bone structure and mineralization. Mol Endocrinol 21(8), 1893-1904 (2007). doi:10.1210/me.2007-0157

6. Vestergaard, P., Mosekilde, L.: Hyperthyroidism, bone mineral, and fracture risk—a meta-analysis. Thyroid 13(6), 585593 (2003). doi:10.1089/105072503322238854

7. Abe, E., Marians, R.C., Yu, W., Wu, X.B., Ando, T., Li, Y., Iqbal, J., Eldeiry, L., Rajendren, G., Blair, H.C., Davies, T.F., Zaidi, M.: TSH is a negative regulator of skeletal remodeling. Cell 115(2), 151-162 (2003). doi:10.1016/s00928674(03)00771-2

8. Grimnes, G., Emaus, N., Joakimsen, R.M., Figenschau, Y., Jorde, R.: The relationship between serum TSH and bone mineral density in men and postmenopausal women: the Tromso study. Thyroid 18(11), 1147-1155 (2008). doi:10.1089/thy.2008.0158

9. Doga, M., Formenti, A.M., Frara, S., Memo, M., Giustina, A., Mazziotti, G.: Subclinical thyrotoxicosis and bone. Curr Opin Endocr Metab Res 3, 25-30 (2018). doi:10.1016/j.coemr.2018.03.002

10. Rossini, M., Adami, S., Bertoldo, F., Diacinti, D., Gatti, D., Giannini, S., Giusti, A., Malavolta, N., Minisola, S., Osella, G., Pedrazzoni, M., Sinigaglia, L., Viapiana, O., Isaia, G.C.: Guidelines for the diagnosis, prevention and management of osteoporosis. Reumatismo 68(1), 1-39 (2016). doi:10.4081/reumatismo.2016.870

11. Cauley, J.A., Hochberg, M.C., Lui, L.Y., Palermo, L., Ensrud, K.E., Hillier, T.A., Nevitt, M.C., Cummings, S.R.: Long-term risk of incident vertebral fractures. JAMA 298(23), 27612767 (2007). doi:10.1001/jama.298.23.2761

12. Siris, E.S., Chen, Y.T., Abbott, T.A., Barrett-Connor, E., Miller, P.D., Wehren, L.E., Berger, M.L.: Bone mineral density thresholds for pharmacological intervention to prevent frac-

tures. Arch Intern Med 164(10), 1108-1112 (2004). doi:10.1001/archinte.164.10.1108

13. Tuchendler, D., Bolanowski, M.: Assessment of bone metabolism in premenopausal females with hyperthyroidism and hypothyroidism. Endokrynologia Polska 64(1), 40-44 (2013).

14. Barbosa, A.P., Rui Mascarenhas, M., Silva, C.F., Tavora, I., Bicho, M., do Carmo, I., de Oliveira, A.G.: Prevalence of silent vertebral fractures detected by vertebral fracture assessment in young Portuguese men with hyperthyroidism. European journal of endocrinology / European Federation of Endocrine Societies 172(2), 189-194 (2015). doi:10.1530/EJE-14-0602

15. Jodar, E., Munoz-Torres, M., Escobar-Jimenez, F., QuesadaCharneco, M., Lund del Castillo, J.D.: Bone loss in hyperthyroid patients and in former hyperthyroid patients controlled on medical therapy: influence of aetiology and menopause. Clinical endocrinology 47(3), 279-285 (1997). doi:10.1046/j.1365-2265.1997.2261041.x

16. Boonya-Ussadorn, T., Punkaew, B., Sriassawaamorn, N.: A comparative study of bone mineral density between premenopausal women with hyperthyroidism and healthy premenopausal women. J Med Assoc Thai 93 Suppl 6, S1-5 (2010).

17. Mazziotti, G., Formenti, A.M., Frara, S., Olivetti, R., Banfi, G., Memo, M., Maroldi, R., Giubbini, R., Giustina, A.: High Prevalence of Radiological Vertebral Fractures in Women on Thyroid-Stimulating Hormone-Suppressive Therapy for Thyroid Carcinoma. The Journal of clinical endocrinology and metabolism 103(3), 956-964 (2018). doi:10.1210/jc.2017-01986

18. Vestergaard, P., Mosekilde, L.: Fractures in patients with hyperthyroidism and hypothyroidism: a nationwide followup study in 16,249 patients. Thyroid 12(5), 411-419 (2002). doi:10.1089/105072502760043503

19. Ku, E.J., Yoo, W.S., Lee, E.K., Ahn, H.Y., Woo, S.H., Hong, J.H., Chung, H.K., Park, J.W.: Effect of TSH Suppression Therapy on Bone Mineral Density in Differentiated Thyroid Cancer: A Systematic Review and Meta-analysis. The Journal of clinical endocrinology and metabolism 106(12), 3655-3667 (2021). doi:10.1210/clinem/dgab539

20. Svare, A., Nilsen, T.I., Bjoro, T., Forsmo, S., Schei, B., Langhammer, A.: Hyperthyroid levels of TSH correlate with low bone mineral density: the HUNT 2 study. European journal of endocrinology / European Federation of Endocrine Societies 161(5), 779-786 (2009). doi:10.1530/EJE-09-0139

21. Kim, D.J., Khang, Y.H., Koh, J.M., Shong, Y.K., Kim, G.S.: Low normal TSH levels are associated with low bone mineral density in healthy postmenopausal women. Clinical endocrinology 64(1), 86-90 (2006). doi:10.1111/j.13652265.2005.02422.x

22. Mazziotti, G., Porcelli, T., Patelli, I., Vescovi, P.P., Giustina, A.: Serum TSH values and risk of vertebral fractures in euthyroid post-menopausal women with low bone mineral density. Bone 46(3), 747-751 (2010).

doi:10.1016/j.bone.2009.10.031

23. Zofkova, I., Hill, M.: Biochemical markers of bone remodeling correlate negatively with circulating TSH in postmenopausal women. Endocr Regul 42(4), 121-127 (2008).

24. Mazziotti, G., Sorvillo, F., Piscopo, M., Cioffi, M., Pilla, P., Biondi, B., Iorio, S., Giustina, A., Amato, G., Carella, C.: Recombinant human TSH modulates in vivo C-telopeptides of type-1 collagen and bone alkaline phosphatase, but not osteoprotegerin production in postmenopausal women monitored for differentiated thyroid carcinoma. J Bone Miner Res 20(3), 480-486 (2005). doi:10.1359/JBMR.041126

25. Genant, H.K., Wu, C.Y., van Kuijk, C., Nevitt, M.C.: Vertebral fracture assessment using a semiquantitative technique. J Bone Miner Res 8(9), 1137-1148 (1993). doi:10.1002/jbmr.5650080915

26. Bauer, D.C., Ettinger, B., Nevitt, M.C., Stone, K.L., Study of Osteoporotic Fractures Research, G.: Risk for fracture in women with low serum levels of thyroid-stimulating hormone. Annals of internal medicine 134(7), 561-568 (2001). doi:10.7326/0003-4819-134-7-200104030-00009

27. Wirth, C.D., Blum, M.R., da Costa, B.R., Baumgartner, C., Collet, T.H., Medici, M., Peeters, R.P., Aujesky, D., Bauer, D.C., Rodondi, N.: Subclinical thyroid dysfunction and the risk for fractures: a systematic review and meta-analysis. Annals of internal medicine 161(3), 189-199 (2014). doi:10.7326/M14-0125

28. Ran, B., Wei, F., Gong, J., Xu, H.: Application and prospect of trabecular bone score in differentiated thyroid cancer patients receiving thyrotropin suppression therapy. Frontiers in endocrinology 13, 1004962 (2022). doi:10.3389/fendo.2022.1004962

FOLLOW-UP

DEL CARCINOMA DELLA TIROIDE

IL RUOLO DELLA TIREOGLOBULINA: I DATI DELL’OSSERVATORIO ITCO

Cosimo Durante1, Roberto Castello2, Rocco Bruno3, Antonella Carbone3, Salvatore Tumino4, Giorgio Napolitano5, Giorgio Grani1

1 Dipartimento di Medicina Traslazionale e di Precisione, Sapienza Università di Roma

2 Dipartimento di Medicina, Azienda Ospedaliero Universitaria ed Università di Verona

3 UOC Endocrinologia e Malattie Metaboliche Asm, Matera

4 Dipartimento di Medicina Clinica e Sperimentale, Università di Catania

5 Dipartimento di Medicina University "G. d'Annunzio" of Chieti-Pescara.

La tireoglobulina (Tg) riveste un ruolo cruciale nel monitoraggio dei pazienti con carcinoma differenziato della tiroide (DTC). Questa glicoproteina, prodotta esclusivamente dalle cellule tiroidee, i tireociti, è utilizzata come marcatore tumorale dopo un intervento di tiroidectomia. Il dosaggio sierico della Tg consente di valutare la presenza di tessuto tiroideo residuo o di recidiva tumorale dopo il trattamento.

Sebbene i dosaggi di terza generazione abbiano migliorato l’accuratezza delle misurazioni, persistono limitazioni clinicamente significative. Una delle principali sfide è rappresentata dalla presenza di anticorpi anti-tireoglobulina (anti-Tg), che possono interferire con le misurazioni della Tg, rendendo i risultati inaccurati. Questo è particolarmente problematico perché gli anticorpi anti-Tg possono essere presenti in una parte significativa dei pazienti con carcinoma tiroideo, complicando l’interpretazione dei livelli di Tg. Inoltre, è nota una variabilità nelle misurazioni della Tg dovuta a differenze tra i vari kit di dosaggio disponibili sul mercato. Questa variabilità può portare a discrepanze nei risultati ottenuti in laboratori differenti.

I livelli di Tg sono influenzati da diversi fattori, tra cui il TSH (che ne stimola la produzione) e dalla presenza di tessuto tiroideo normale residuo, non necessariamente indicativo di malattia residua o recidiva tumorale1 Questo è particolarmente rilevante nei pazienti che non hanno subito un trattamento con il radioiodio, nei quali può persistere una piccola quota di tessuto tiroideo. Alla luce delle attuali linee guida, che promuovono strategie terapeutiche meno aggressive, limitando l’utilizzo del radioiodio, diventa essenziale rivalutare le soglie di Tg per ottimizzare la gestione clinica.

Studio del Gruppo ITCO

Il gruppo ITCO ha recentemente pubblicato uno studio volto a valutare l’efficacia del dosaggio della Tg sierica in due popolazioni differenti: pazienti sottoposti a tiroidectomia totale con ablazione del residuo tramite radioiodio (radioiodine remnant ablation, RRA) e pazienti trattati solo con tiroidectomia2

Le soglie comunemente utilizzate oggi per la Tg derivano principalmente da studi retrospettivi (spesso da centri di riferimento statunitensi) e dall’esperienza clinica accumulata nel tempo. Queste soglie sono state stabilite

considerando diversi fattori, tra cui il rischio di recidiva del paziente, il tipo di trattamento ricevuto (come la tiroidectomia totale e l’ablazione con radioiodio), e l’andamento dei livelli di Tg nel tempo. Tradizionalmente, esse sono state determinate in modo tale da bilanciare la sensibilità e la specificità del test della Tg, cercando di minimizzare i falsi negativi (mancata rilevazione di recidiva) e i falsi positivi (segnalazione errata di recidiva; Tabella 1)3. Tuttavia, abbiamo risposto ad un crescente

Tabella 1. Valori di tireoglobulina utilizzati per la stima della risposta al trattamento secondo le linee guida correnti dell’European Society for Medical Oncology (ESMO).

"#$%%$&'(%)!*(*+*$,'! -*./).%$!$,! %#$%%$&'(%)! "*#)*0'1%)&*$!%)%$,'!'! #$0*)*)0*)! 2),$!%*#)*0'1%)&*$!%)%$,'! 3)4'1%)&*$! !""#$$#%&# "#$%&!'&!&%$(&)(! )*($+&,&!"! "#$%&!'&!&%$(&)(!)*($+&,&! "! "#$%&!'&!&%$(&)(! )*($+&,&!"! -(./!&)'0#$/&1&!"! -(./!&)'0#$/&1&!"! -(./!&)'0#$/&1&!"! -(234562)(7%8!0!! -(!#+&%01$+$2392)(7%8! -(234562)(7%8!0!! -(!#+&%01$+$2392)(7%8! 8&,*11&!'&! +&:*0(10/;1&)$!#+$/&1&! '()"*(+(",(%")+.$#&,-"#$%&!'&!&%$(&)(! )*($+&,&!"! "#$%&!'&!&%$(&)(!)*($+&,&! "! "#$%&!'&!&%$(&)(! )*($+&,&!"! -(2<92)(7%8!=!! -(!#+&%01$+$!2<94!)(7%8! =!1&,*11&!'&!-(./!&)! &)>:*%*)+0! -(2?@2)(7%8!=!,$10:&!'&!-(! &)!&)>:*%*)+0!$!A$:&+B!'&! 1&,*11&!'&!-CD!=!1&,*11&!'&! -(./!&)!&)>:*%*)+0! ,$10:&!'&!-(!&)! &)>:*%*)+0!$!A$:&+B! '&!1&,*11&!'&!-CD!=! 1&,*11&!'&!-(./!&)! &)>:*%*)+0!

/&01&&10,$#(%")+.$#&,",&'*)E$!'&!%$1$++&$!#+:;++;:$1*!$(1&!*#$%&!'&!'&$()0#+&>$!A*:!&%%$(&)&! 2%3#&#0+(%,&,- F*A*:+&!$#A*>&G&>&!$(1&! *#$%&!'&!'&$()0#+&>$!A*:! &%%$(&)&!=!!

F*A*:+&!$#A*>&G&>&!$(1&! *#$%&!'&!'&$()0#+&>$!A*:! &%%$(&)&!=!!

F*A*:+&!$#A*>&G&>&! $(1&!*#$%&!'&! '&$()0#+&>$!A*:! &%%$(&)&! H$A+$E&0)*!)*1!1*++0! +&:0&'*0!$11$!#>&)+&(:$G&$! =!

H$A+$E&0)*!)*1!1*++0! +&:0&'*0!$11$!#>&)+&(:$G&$!=! -(!456I92)(7%8J!-(! #+&%01$+$!9I942)(7%8!=! 1&,*11&!'&!-(./!#+$/&1&!=!&)! '&#>*#$! -(!456K@2)(7%8J!-(! #+&%01$+$!6K942)(7%8J!=! 1&,*11&!'&!-(./!#+$/&1&!=!&)! '&#>*#$!

Tradotta da: Filetti, S. et al. Thyroid cancer: ESMO Clinical Practice Guidelines for diagnosis, treatment and follow-up†. Ann Oncol vol. 30 1856–1883 (2019).

interesse nell’adottare soglie più personalizzate e basate sui dati reali dei pazienti. Nel nostro studio, abbiamo incluso 540 pazienti con almeno 5 anni di follow-up ed anticorpi anti-Tg negativi. I pazienti dovevano inoltre essere classificati a rischio basso o intermedio di recidiva secondo il sistema di stratificazione suggerito dalle linee guida ATA, poichè i pazienti a rischio alto devono essere monitorati con maggiore attenzione indipendentemente dai livelli di tireoglobulina. Abbiamo valutato la capacità dei livelli sierici di tireoglobulina di predire la comparsa di persistenza o recidiva di malattia strutturale entro i 5 anni di monitoraggio. Dopo aver escluso 26 pazienti

con malattia strutturale rilevata in un qualsiasi momento del follow-up, la Tg mediana non differiva in modo significativo tra pazienti trattati con o senza radioiodio (Figura 1)

FIGURA 1. Distribuzione del valore della tireoglobulina sierica a 1 anno nei pazienti sottoposti a tiroidectomia totale con o senza trattamento con iodio radioattivosuggerito dalle linee guida ESMO)

Tradotta da: Grani, G. et al. Data-driven Thyroglobulin Cutoffs for Low- and Intermediate-risk Thyroid Cancer Follow-up: ITCO Realworld Analysis. The Journal of Clinical Endocrinology & Metabolism (2024) doi:10.1210/clinem/dgae559.

Abbiamo quindi stabilito delle soglie di Tg basate sui dati reali, ponendole al 97° percentile dei livelli di Tg in pazienti senza alcuna evidenza di malattia:

1,97 ng/mL per pazienti sottoposti a sola tiroidectomia (inferiore a quanto proposto dai dati del Memorial Sloan Kettering Cancer Center di New York e dalle linee guida della European Society for Medical Oncology)

0,84 ng/mL per pazienti sottoposti a trattamento con radioiodio post-chirurgico. Queste soglie hanno dimostrato una buona capacità predittiva, con un valore predittivo negativo del 98% nell’esclusione della malattia strutturale (Tabella 2).

T abella 2. Prestazioni diagnostiche del valore della tireoglobulina sierica a 1 anno nella previsione della malattia strutturale entro 5 anni (applicando i nuovi valori limite definiti dallo studio ITCO e il valore limite suggerito dalle linee guida ESMO)

Sensibilità (intervallo di confidenza al

Soglia delle linee guida ESMO

(intervallo di confidenza al

predittivo positivo (intervallo di confidenza al 95%)

predittivo negativo (intervallo di confidenza al 95%)

Tradotta da: Grani, G. et al. Data-driven Thyroglobulin Cutoffs for Low- and Intermediate-risk Thyroid Cancer Follow-up: ITCO Realworld Analysis. The Journal of Clinical Endocrinology & Metabolism (2024) doi:10.1210/clinem/dgae559

Implicazioni Cliniche

Le soglie personalizzate proposte dallo studio possono migliorare significativamente la capacità di identificare precocemente recidive nei pazienti a rischio e ridurre il numero di procedure diagnostiche non necessarie nei pazienti a basso rischio. Questo approccio potrebbe rappresentare un passo avanti verso una medicina più personalizzata e basata su dati reali, ottimizzando la gestione del carcinoma differenziato della tiroide.

Bibliografia

1. Giovanella, L. et al. Thyroglobulin and thyroglobulin antibody: an updated clinical and laboratory expert consensus. European Journal of Endocrinology 189, R11–R27 (2023).

2. Grani, G. et al. Data-driven Thyroglobulin Cutoffs for Low- and Intermediate-risk Thyroid Cancer Followup: ITCO Real-world Analysis. The Journal of Clinical Endocrinology & Metabolism (2024) doi:10.1210/clinem/dgae559.

3. Filetti, S. et al. Thyroid cancer: ESMO Clinical Practice Guidelines for diagnosis, treatment and follow-up†. Ann Oncol 30, 1856–1883 (2019).

ECOGRAFIA DEL COLLO: STRUMENTO CHIAVE PER LA DIAGNOSI E IL MONITORAGGIO

DEL CARCINOMA PAPILLARE DELLA TIROIDE

Giorgio Grani1, Antonio Brunetti2, Piernicola Garofalo3, Giovanni Savoia3, Michela Massa4, Umberto Crocetti4

1 Dipartimento di Medicina Traslazionale e di Precisione, Sapienza Università di Roma

2 Dipartimento di Scienze della Salute, Università “Magna Græcia” di Catanzaro

3 Centro di Endocrinologia Clinica "M. Attard", Palermo

4 Dipartimento di Medicina, U.O. di Endocrinologia, IRCCS Casa Sollievo della Sofferenza San Giovanni Rotondo (FG)

L'ecografia del collo è uno degli strumenti diagnostici più efficaci e non invasivi per la valutazione della tiroide e delle strutture circostanti, come descritto nel capitolo precedente relativo alla gestione del nodulo tiroideo. Questo esame è fondamentale per l’identificazione di noduli tiroidei sospetti per carcinoma e per guidare la scelta del tipo e dell’estensione dell’intervento chirurgico più appropriato.

L’ecografia è uno strumento fondamentale nel monitoraggio del carcinoma papillare della tiroide, che rappresenta il tipo più comune di tumore tiroideo. Si tratta di un esame sicuro, privo di radiazioni ionizzanti, che può essere ripetuto frequentemente senza rischi per il paziente. Inoltre, è relativamente economica e ampiamente disponibile, rendendola un esame accessibile alla maggior parte dei pazienti. La sua facilità d'uso e l'accuratezza diagnostica la rendono indispensabile nella pratica clinica quotidiana. Grazie alla sua alta risoluzione, l'ecografia del collo è in grado di rilevare linfonodi e noduli tiroidei anche di piccole dimensioni, spesso non palpabili durante un esame obiettivo. Per questo motivo, è l’esame principale utilizzato per la ricerca di eventuali recidive locali o metastasi nei linfonodi del collo. La sua capacità di fornire immagini in tempo reale consente ai medici di eseguire l’esame nel corso della valutazione clinica e di effettuare biopsie mirate su lesioni sospette, garantendo una gestione tempestiva e accurata della malattia e consentendo molto spesso una diagnosi precoce.

Come valutare le lesioni riscontrate nei linfonodi?

I linfonodi del collo nei pazienti operati per carcinoma tiroideo differenziato sono frequentemente riscontrati all’esame ecografico e devono essere attentamente classificati in base a diverse caratteristiche che possono suggerire benignità o, viceversa, malignità. I parametri principali da considerare sono:

• Ecostruttura interna: la presenza di spot iperecogeni (ad esempio, microcalcificazioni), una struttura interna disomogenea o la perdita dell'ilo iperecogeno centrale sono segni sospetti;

• Morfologia: I linfonodi benigni tendono ad avere una forma ovale, mentre quelli sospetti sono più spesso rotondi;

• Vascolarizzazione: L'ecografia Doppler può mostrare una vascolarizzazione periferica o caotica nei linfonodi sospetti, mentre quelli benigni tendono ad avere una vascolarizzazione centrale, in corrispondenza dell’ilo iperecogeno;

• Ecogenicità: Linfonodi iperecogeni rispetto al muscolo circostante (quindi simili al tessuto tiroideo) possono essere sospetti;

• Dimensione: Sebbene la dimensione da sola non costituisca un indicatore definitivo, linfonodi significativamente ingranditi, in particolare quelli con un diametro anteroposteriore superiore ai 10 mm, devono essere valutati con attenzione.

Queste caratteristiche vengono considerate complessivamente per classificare i linfonodi del collo come normali, indeterminati o sospetti, in base a un sistema di classificazione riconosciuto a livello internazionale (Tabella 1)1,2

T abella 1. Classificazione dei linfonodi del collo nel monitoraggio dei pazienti trattati per carcinoma tiroideo

Caratteristiche Rischio di malignità

82-100%

Linfonodi sospetti

Linfonodi con almeno una di queste caratteristiche: presenza di aree cistiche, foci iperecogeni; vascolarizzazione diffusamente aumentata, periferica, caotica; ecostruttura simile alla tiroide

Linfonodi indeterminati Linfonodi che non presentano alcuna delle caratteristiche di alto sospetto, ma con assenza di ilo iperecogeno visibile e almeno una di queste caratteristiche: forma tondeggiante, incremento dell’asse corto non stimabile (valore predittivo positivo intorno al 60%)

Linfonodi non sospetti Linfonodi che non presentano alcuna delle caratteristiche di alto sospetto, con forma ovoidale e/o ilo evidente (sia in Bmode che utilizzando il color-Doppler) non disponibile

Adattata e tradotta da Durante, C. et al. International Expert Consensus on US Lexicon for Thyroid Nodules. Radiology 309, e231481 (2023).

Al contrario, non esiste, ad oggi, un sistema di classificazione standardizzato per la categorizzazione delle lesioni del letto tiroideo, che richiedono una particolare esperienza da parte del medico esaminatore e un monitoraggio nel tempo.

Tutte le lesioni sospette necessitano di un trattamento? Il monitoraggio ecografico periodico viene raccomandato anche nei pazienti che non presentano segni evidenti di recidiva dopo il trattamento iniziale. L'ecografia può infatti identificare recidive “subcliniche” non rilevabili

attraverso la sola palpazione o il dosaggio della tireoglobulina sierica. Tuttavia, la frequenza e la necessità di tali ecografie devono essere bilanciate con il rischio individuale del paziente e la probabilità di recidiva. Infatti, non tutte le lesioni sospette riscontrate necessitano di trattamento.

Le linee guida ATA suggeriscono che i linfonodi sospetti con diametro inferiore a 8-10 mm possano essere monitorati senza ricorrere all’agoaspirato, prendendo in considerazione questa eventualità solo in caso di crescita progressiva o se il linfonodo minaccia strutture anatomiche vitali.3

E’ stato inoltre riportato che nei carcinomi papilliferi a rischio basso-intermedio secondo l’ATA, senza riscontri sospetti all’ecografia del collo effettuata all’inizio del monitoraggio e con una tireoglobulina sierica <1,0 ng/mL dopo il trattamento iniziale, è più probabile che un'ecografia ripetuta frequentemente identifichi anomalie che non richiedono trattamento piuttosto che una malattia clinicamente significativa.4,5

Conclusioni

L'ecografia del collo si conferma uno strumento insostituibile nella gestione del carcinoma papillare della tiroide, garantendo diagnosi precoce e monitoraggio accurato.

Tuttavia, è essenziale un approccio equilibrato che eviti sovradiagnosi e sovratrattamento, personalizzando la frequenza dei controlli in base al rischio individuale del paziente.

Figura 1. linfonodi laterocervicali classificati come sospetti per la presenza di spot iperecogeni interni
F igura 2. Linfonodo laterocervicale classificato come indeterminato per la morfologia rotondeggiante..

La sua accessibilità, sicurezza e accuratezza la rendono la metodica di scelta per il follow-up di questa patologia, permettendo di ottimizzare il percorso terapeutico e migliorare la prognosi dei pazienti.

Bibliografia

1. Durante, C. et al. International Expert Consensus on US Lexicon for Thyroid Nodules. Radiology 309, e231481 (2023).

2. Leenhardt, L. et al. 2013 European thyroid association guidelines for cervical ultrasound scan and ultrasound-guided techniques in the postoperative management of patients with thyroid cancer. Eur Thyroid J 2, 147–59 (2013).

3. Haugen, B. R. et al. 2015 American Thyroid Association Management Guidelines for Adult Patients with Thyroid Nodules and Differentiated Thyroid Cancer: The American Thyroid Association Guidelines Task Force on Thyroid Nodules and Differentiated Thyroid Cancer. Thyroid 26, 1–133 (2016).

4. Sek, K. S. et al. Frequent neck US in papillary thyroid cancer likely detects non‐actionable findings. Clinical Endocrinology 94, 504–512 (2021).

5. Grani, G. et al. Thyroid Cancer Patients With No Evidence of Disease: The Need for Repeat Neck Ultrasound. J Clin Endocrinol Metab. 104, 4981–4989 (2019).

LA GESTIONE DEL CARCINOMA AVANZATO DELLA TIROIDE

TERAPIE MIRATE PER IL CARCINOMA TIROIDEO AVANZATO: NUOVE FRONTIERE NEL TRATTAMENTO DEL TUMORE RADIO-REFRATTARIO – LINEE GUIDA ESMO

Laura D. Locati1, Alfredo Berruti2, Cosimo Durante3, Sebastiano Filetti4

1Dipartimento di Medicina Interna e Terapia Medica, Università di Pavia. Unità di Oncologia Medica, Istituti Clinici Scientifici Maugeri IRCCS. 2Unità di Oncologia Medica, Dipartmento di Specialità Mediche e Chirurgiche, Scienze Radiologiche e Sanità Pubblica, Università di Brescia, ASST Spedali Civili, Brescia. 3,4Dipartimento di Medicina Traslazionale e di Precisione, Sapienza Università di Roma.

Il trattamento con farmaci antiangiogenici o inibitori multichinasici (MKI) rappresenta la prima linea di terapia per il carcinoma tiroideo differenziato (DTC), avanzato e refrattario al radio-iodio. Tuttavia, negli ultimi anni lo sviluppo della medicina di precisione, ha portato ad una migliore caratterizzazione molecolare del carcinoma tiroideo. Più del 60% dei DTC presenta un’alterazione genica, mutazione o riarrangiamento, che può essere utilizzata come bersaglio per una cura farmacologica mirata (oncogene addicted DTC).

Tabella 1. Opzioni di terapia in prima e seconda linea nei DTC oncogene-addicted e non oncogene addicted

Carcinoma differenziato

Oncogene addicted Non oncogene addicted

1st linea Lenvatinib Lenvatinib

RET Selpercatinib

NTRK Entrectinib; Larotrectinib

2nd linea

Cabozantinib Cabozantinib

RET Selpercatinib

NTRK Entrectinib; Larotrectinib

L’alterazione più frequente è la mutazione BRAFV600E, presente in circa il 50-60% dei carcinomi papillari (PTC), seguita dai riarrangiamenti di RET e di NTRK, presenti in meno del 15% e nel 5-10% dei pazienti con PTC, rispettivamente. I carcinomi follicolari (FTC) invece sono caratterizzati dalle mutazioni dei geni della famiglia RAS (H-K-NRAS) nel 50% dei casi circa (1). Non ci sono dati di comparazione diretta fra l’impiego di MKI e i trattamenti target selettivi, per cui non è possibile esprimersi circa l’efficacia dell’uso in prima linea di questi ultimi, se non attraverso evidenze indirette derivate dagli studi clinici. La sequenza ottimale di MKI e inibitori chinasi selettivi nel DTC refrattario al radio-iodio non può essere determinata sulla base delle evidenze attualmente disponibili. Ad oggi, i vincoli normativi rappresentano il principale fattore decisionale in diversi paesi europei, Italia inclusa. Laddove entrambe le strategie terapeutiche siano praticabili, entrano in gioco diversi elementi nell’ algoritmo decisionale come la presenza di controindicazioni assolute all’utilizzo di MKI, la risposta attesa al trattamento, il profilo di sicurezza del farmaco e la preferenza dei pazienti. Di fatto, i pazienti con tumori

oncogene addicted hanno maggiori opportunità terapeutiche rispetto ai pazienti con tumore non-oncogene addicted.

L’evidenza su cui si basa l’impiego dei MKI deriva da due studi registrativi di fase III in cui sono stati testati i primi due farmaci di questa categoria, lenvatinib e sorafenib. Nello studio DECISION, 417 pazienti sono stati randomizzati (1:1) a ricevere sorafenib (400 mg due volte al giorno) o placebo, con possibilità di crossover a sorafenib alla progressione (2). Lo studio ha dimostrato che sorafenib prolungava significativamente la progressione mediana libera da malattia (PFS) fino a 10.8 mesi contro 5.8 mesi del braccio placebo, (HR 0.59, CI 95% 0.45–0.76, p = 0.001). Le risposte obiettive (tutte risposte parziali) sono state 12% con sorafenib e 0.5% nei pazienti trattati con placebo (p < 0.0001). La durata mediana della risposta era 10.2 mesi (95% CI 7.4–16.6). La sopravvivenza globale (OS) era simile nei due bracci (HR 0.80, 95% CI 0.54–1.19, P = 0.14) con la mediana di OS (mOS) non ancora raggiunta al momento del data cutoff (31 agosto 2012).

Nel trial SELECT, 392 pazienti sono stati randomizzati (2:1) a ricevere lenvatinib o placebo (3). Lenvatinib 24 mg prolungava significativamente la PFS mediana rispetto al placebo nei pazienti naïve (18.3 mesi contro 3.6 mesi nel braccio placebo; HR 0.21, 99% CI 0.14–0.31, p < 0.001) e nei pazienti pretrattati (15.1 mesi). Le risposte a lenvatinib (complete in 4 casi) sono state osservate nel 64.8% dei pazienti verso l’1.5% nel gruppo placebo (OR 28.87, 95% CI 12.46–66.86, p < 0.001). Le risposte sono state rapide (tempo mediano per la risposta obiettiva: 2 mesi; 95% CI 1.9–3.5 mesi). L’attività del farmaco è stata influenzata dalla sede della malattia, con migliore risposta nelle lesioni polmonari e linfonodali rispetto alle metastasi epatiche e ossee. Non è stata osservata una differenza di OS mediana (HR 0.73, 95% CI 0.50–1.07, p = 0.10), mentre l’analisi per sottogruppi ha rivelato un vantaggio significativo in OS nei pazienti > 65 anni (HR 0.53, 95% CI 0.31–0.91, p = 0.020) (4). A causa della percentuale di effetti collaterali > grado 3 (75.9%) riportati nello studio SELECT, è stato fatto uno studio che confrontasse la dose standard di lenvatinib, 24 mg verso la dose inferiore di 18 mg, con un disegno di non inferiorità. Endpoint primario di efficacia era l’ORR a 24 settimane. Per la tossicità, l’obiettivo era il

numero di eventi avversi farmaco relati (TEAE) > grado 3 osservati a 24 settimane. L’ORR è stato del 57.3% (CI al 95% 46.1%- 68.5%) nel braccio lenvatinib 24 mg e del 40.3% (CI al 95%, 29.3%-51.2%) nel braccio lenvatinib 18 mg, con un OR di 0.50 (CI al 95% 0.26, 0.96). La percentuale di TEAE > 3 sono stati del 61.3% con lenvatinib 24 mg vs 57.1% con lenvatinib 18 mg (CI 95%, 19.8%-11.4%) (5).

I dati di real-life con lenvatinib e sorafenib hanno evidenziato un’efficacia inferiore rispetto a quella osservata negli studi randomizzati, tuttavia i risultati più recenti sono migliori, verosimilmente legati alla maggiore conoscenza di questi farmaci e alla migliore gestione degli effetti collaterali (6, 7, 8, 9) Viste le limitate opzioni terapeutiche, la prima linea di terapia dovrebbe essere continuata fino a progressione, tossicità inaccettabile o volontà del paziente di interrompere il trattamento. In presenza di una oligoprogressione, si può considerare un trattamento loco-regionale (ad es. con radioterapia stereotassica, embolizzazione, radiofrequenza), proseguendo con la terapia sistemica. In caso di una progressione in più sedi, è necessario passare ad una terapia di seconda linea.

Cabozantinib è stato approvato da FDA e da EMA per il trattamento di adulti con DTC refrattario a iodio radioattivo, in progressione dopo sorafenib o lenvatinib. Il farmaco è stato studiato nel trial COSMIC-311 (NCT03690388), uno studio globale, randomizzato di fase III. I pazienti sono stati randomizzati (2:1) a ricevere cabozantinib 60 mg una volta al giorno o placebo. Sono stati arruolati 258 pazienti (cabozantinib, n = 170; placebo, n = 88). La PFS mediana è stata di 11.0 mesi (IC 96%, 7.4-13.8 mesi) per cabozantinib e 1.9 mesi (IC 96%, 1.9-3.7 mesi) per il placebo (HR 0.22; IC 96%, 0.15- 0.32; p<0.0001). L’ORR è stata 11.0% (IC 95%, 6.9%-16.9%) con cabozantinib (inclusa una risposta completa) verso 0% con placebo (IC 95%, 0.0%-4.1%) (p = 0.0003). TEAE > grado 3 si sono verificati rispettivamente nel 62% e nel 28% dei pazienti trattati con cabozantinib e placebo; i più comuni sono stati ipertensione (12% contro 2%), eritrodisestesia palmoplantare (10% contro 0%) e stanchezza (9% contro 0%). Non si sono verificati eventi di grado 5 correlati al trattamento (10). Più recente, è l’evidenza che pembrolizumab aggiunto in corso di progressione a lenvatinib, riesca ad indurre una risposta del 16% con una PFS mediana di 10 mesi (CI 95%, 7 mesi-17.9 mesi), posizionandosi come una potenziale strategia di salvataggio al

fallimento di levantinib (11), prima della somministrazione di una seconda linea con cabozantinib. Purtroppo pembrolizumab non è approvato in Europa.

Nonostante la mutazione BRAFV600E sia la più comune e nonostante studi clinici a favore dell’impiego di farmaci BRAF-inibitori, non vi sono composti approvati in Europa con questa indicazione. Vemurafenib, la combinazione dabrafenib e trametinib e, più recentemente encorafenib e binimetinib hanno dimostrato un’attività verso i DTC con mutazione BRAFV600E. Vemurafenib in particolare ha dimostrato un ORR del 38.5% (95% CI, 20.2%–59.4%) e del 27.3% (95% CI, 10.7%–50.2%) nei pazienti naïve e nei pazienti pretrattati, rispettivamente (12). Dabrafenib in combinazione con trametinib non ha ottenuto un ORR migliore rispetto a dabrafenib da solo (30% verso 35%), tuttavia la combinazione ha avuto una migliore efficacia rispetto a dabrafenib da solo, in termini di mPFS (15.1 mesi vs 10.7 mesi) e di mOS (47.5 mesi verso 37.9 mesi) (13). Più recente è il dato molto incoraggiante di risposta ottenuto con encorafenib e binimetinib (ORR 47.1%; 95% CI, 23.0%–72.2%), con mPFS e mOS non ancora raggiunte al momento del data cut-off (26 ottobre 2022) (14).

Nel 2020, due inibitori RET selettivi (selpercatinib e pralsetinib) sono stati approvati da FDA in diverse indicazioni, incluso il trattamento dei DTC avanzati/metastatici con riarrangiamento del gene RET, radio-iodio refrattari. Selpercatinib è stato approvato per il trattamento di pazienti > 12 anni che necessitano di terapia sistemica per un DTC avanzato/metastatico, con fusione di RET, refrattario o non idoneo alla terapia con radio-iodio. Le approvazioni di selpercatinib si sono basate sui risultati di uno studio clinico multicentrico, open-label (LIBRETTO001, NCT03157128) in pazienti con diversi tipi di tumori accomunati dal riarrangiamento di RET, inclusi i tumori tiroidei. L’efficacia per i DTC con riarrangiamento di RET è stata valutata in un gruppo di 65 pazienti resistenti al radio-iodio, di cui 54 con PTC, 6 con un carcinoma poco differenziato, 4 con carcinoma anaplastico e 1 con un carcinoma cellule di Hürthle. Quarantuno dei 65 pazienti avevano ricevuto una o più terapie sistemiche approvate (cioè lenvatinib, sorafenib, chemioterapia, etc). I principali endpoint di efficacia per questo studio erano la ORR secondo i Criteri di valutazione della risposta nei tumori solidi (RECIST) v.1.1 e la durata della risposta. L’ORR per i 41 che avevano già ricevuto terapia sistemica è stata del 85.4% (95% CI, 70.8%–94.4%), con una durata mediana di risposta di 26.7 mesi (95%CI, 12.1-non sti-

mabile). Nei 24 pazienti naïve, l’ORR è stato 95.8% (95% CI, 78.9%–99.9%), con una durata mediana di risposta non stimabile (95% CI, 42.8 mesi-non stimabile). Selpercatinib ha mostrato attività in tutti i tipi istologici di carcinoma tiroideo, indipendentemente dal partner di fusione di RET (15). La richiesta di approvazione di pralsetinib ad EMA è stata ritirata da parte dell’azienda produttrice, per cui selpercatinib è l’unico inibitore selettivo di RET disponibile al momento in Europa. La sicurezza di selpercatinib è stata valutata in 702 pazienti che avevano ricevuto selpercatinib nello studio LIBRETTO 001. Il 95% aveva ricevuto almeno una dose del farmaco alla dose raccomandata di 160 mg due volte al giorno. Il 65% dei soggetti arruolati era stato esposto al farmaco per 6 mesi e il 34% per più di un anno. Gli eventi avversi di grado 3 correlati al trattamento più comuni sono stati: ipertensione (18%), aumento dei livelli di alanina aminotransferasi (ALT) (9%) e aumento dei livelli di aspartato aminotransferasi (AST) (8%). Selpercatinib è stato permanentemente interrotto nel 2% dei pazienti a causa di un TRAE (aumento di ALT nello 0.4%, sepsi nello 0.4%, aumento di AST nello 0.3%, ipersensibilità al farmaco nello 0.3%, affaticamento nello 0.3% e trombocitopenia nello 0.3%). Nel 42% dei pazienti, sono state necessarie interruzioni della dose a causa di un TRAE, i più comuni dei quali erano aumenti di ALT e/o AST. Complessivamente, i TRAE più comuni (quelli che si verificano nel 25% dei pazienti) sono stati: aumenti di AST o ALT, aumento della glicemia, diminuzione dei globuli bianchi, diminuzione dell’albumina, diminuzione del calcio, bocca secca, diarrea, aumento della creatinina, aumento della fosfatasi alcalina, ipertensione, affaticamento, edema, diminuzione delle piastrine, aumento del colesterolo totale, eruzione cutanea, diminuzione del sodio e stipsi (16).

Larotrectinib ed entrectinib sono farmaci inibitori di NTRK. Sono stati approvati per il trattamento degli adulti e dei pazienti pediatrici con tumori solidi con riarrangiamento di NTRK, per cui non esistono alternative terapeutiche, o pazienti con malattia avanzata per cui l’intervento chirurgico risulterebbe gravato da un’eccessiva morbidità. L’indicazione agnostica con cui sono stati approvati, permette un potenzialmente utilizzo anche in prima linea. L’approvazione di larotrectinib è stata basata su un’analisi combinata di tre studi clinici multicentrici, open-label, a braccio singolo condotti su 55 pazienti con tumori solidi metastatici, con riarrangiamento di NTRK. E’ stato riportato un aggiornamento dei risultati di effi-

cacia e sicurezza, con un follow-up più lungo e un ulteriore arruolamento (159 pazienti, compresa la coorte originale). Larotrectinib è stato somministrato alla dose di 100 mg due volte al giorno per gli adulti e 100 mg/m² due volte al giorno (massimo di 100 mg per dose) per i pazienti pediatrici. Il gruppo di studio comprendeva 24 pazienti con DTC, il cui ORR è stato del 79% (95% CI 58%–93%). Gli eventi avversi > grado 3 più comuni sono stati: aumento di ALT (3%), anemia (2%) e riduzione della conta dei neutrofili (2%). Le riduzioni della dose e l’interruzione della terapia a causa di TRAE si sono verificate nel 8% e nell’1% dei 159 pazienti, rispettivamente (17). Entrectinib, potente inibitore di TRKA, TRKB, TRKC, ROS1 e della chinasi del linfoma anaplastico, è stato disegnato specificamente per attraversare la barriera emato-encefalica. La dose raccomandata del farmaco negli adulti è di 600 mg per via orale una volta al giorno, mentre per i pazienti pediatrici, la dose raccomandata si basa sulla superficie corporea. I dati di efficacia si basano su una popolazione composta da 54 pazienti. Sono stati trattati 10 tipi di tumore, con almeno 19 istologie distinte. I più comuni sono stati: il sarcoma (n = 13, 24%), il carcinoma polmonare non a piccole cellule (n = 10, 19%) e il carcinoma secretorio analogo mammario della ghiandola salivare (n = 7, 13%). Cinque (9%) erano tumori della tiroide. I requisiti di arruolamento includevano la presenza di malattia metastatica (o tale che la resezione chirurgica sarebbe probabilmente risultata in una grave morbilità) e progressiva (dopo trattamento o in assenza di qualsiasi terapia standard soddisfacente). Complessivamente, il 57% (95% CI, 43.2%–70.8%) dei pazienti ha avuto una risposta obiettiva. Le percentuali di risposta nel sottogruppo di pazienti con carcinoma della tiroide sono state 42.9%. Gli eventi avversi > grado 3 più comuni sono stati: aumento di peso (10%) e anemia (12%). Le riduzioni di dose o l’interruzione del trattamento a causa di eventi avversi si sono verificate nel 40% e nel 4% dei pazienti, rispettivamente (18).

Bibliografia

1) WHO classification of tumors: Endocrine Tumors, 5th edition 2022

2) Brose MS et al. Sorafenib in radioactive iodine-refractory, locally advanced or metastatic differentiated thyroid cancer: a randomised, double-blind, phase 3 trial. Lancet 2014; 384(9940):319-28. doi: 10.1016/S01406736(14)60421-9.

3) Schlumberger M et al. Lenvatinib versus Placebo in radioiodine-refractory Thyroid Cancer. N Engl J Med 2015; 372:621-30. DOI: 10.1056/NEJMoa1406470

4) Brose MS et al. Effect of age on the efficacy and safety of Lenvatinib in radioiodi ne-refractory differentiated thyroid cancer in the phase III SELECT trial. J Clin Oncol 2017; 35 (23) :2692-2699. doi: 10.1200/JCO.2016.71.6472.

5) Brose MS et al. A randomized study of Lenvatinib 18 mg vs 24 mg in patients with radioiodine-refractory differentiated thyroid cancer. J Clin Endocrinol Metab, 2022; 107(3):776-787. doi: 10.1210/clinem/dgab731.

6) Costante G. Multikinase inhibitors for the treatment of radioiodine refractory thyroid cancer: what have we learned from the 'real-world' experience? Curr Opin Oncol. 2021 Jan;33(1):3-8. doi: 10.1097/CCO.0000000000000693.

7) Jerkovich F et al. Ten years' real-life experience on the use of multikinase inhibitors in patients with advanced differentiated thyroid cancer. Endocrine 2024; 85(2):817826. doi: 10.1007/s12020-024-03867-4.

8) Locati LD et al. 1926MO Radioiodine-refractory differentiated thyroid cancer (RAI-R DTC) patients treated with lenvatinib monotherapy: real-world treatment patterns and clinical outcomes in Europe and Canada. Annals of Oncology (2024) 35 (suppl_2): S1122-S1128. 10.1016/annonc/annonc161

9) Worden F et al. Real-world treatment patterns and clinical outcomes in patients with radioiodine-refractory differentiated thyroid cancer (RAI-R DTC) treated with first line lenvatinib monotherapy in the United States. Endocrine 2024 May;84(2):663-669. doi: 10.1007/s12020-02303638-7.

10) Brose MS et al. Cabozantinib for previously treated radioiodine-refractory differentiated thyroid cancer: updated results from the phase III COSMIC-311 trial. Cancer, 2022;128(24):4203-4212. doi: 10.1002/cncr.34493

11) French JD et al. Combination Targeted Therapy with Pembrolizumab and Lenvatinib in Progressive, RadioiodineRefractory Differentiated Thyroid Cancers. Clin Cancer Res. 2024; 30(17):3757-3767. doi: 10.1158/10780432.CCR-23-3417.

12) Brose MS et al. Vemurafenib in patients with BRAF(V600E)positive metastatic or unresectable papillary thyroid cancer refractory to radioactive iodine: a non-randomised, multicentre, open-label, phase 2 trial. Lancet Oncol. 2016;17(9):1272-82. doi: 10.1016/S14702045(16)30166-8.

13) Busaidy NL et al. Dabrafenib Versus Dabrafenib + Trametinib in BRAF-Mutated Radioactive Iodine Refractory Differentiated Thyroid Cancer: Results of a Randomized, Phase 2, Open-Label Multicenter Trial. Thyroid. 2022 Oct;32(10):1184-1192. doi: 10.1089/thy.2022.011

14) Tahara M et al. A Phase 2 Study of Encorafenib in Combination with Binimetinib in Patients with Metastatic BRAFMutated Thyroid Cancer in Japan. Thyroid 2024;34(4):467-476. doi: 10.1089/thy.2023.0547

15) Wirth L et al. Durability of Response with Selpercatinib in Patients With RET-Activated Thyroid Cancer: Long-Term Safety and Efficacy From LIBRETTO-001 J Clin Oncol. 2024;42(27):3187-3195. doi: 10.1200/JCO.23.02503.

16) Bradford D, et al. FDA approval summary: selpercatinib for the treatment of lung and thyroid cancers with RET gene mutations or fusions. Clin Cancer Res. 2021;27(8):21302135.

17) Hong DS, DuBois SG, Kummar S, et al. Larotrectinib in patients with TRK fusion-positive solid tumours: a pooled analysis of three phase 1/2 clinical trials. Lancet Oncol. 2020;21(4):531-540.

18) Doebele RC, Drilon A, Paz-Ares L, et al. Entrectinib in patients with advanced or metastatic NTRK fusion-positive solid tumours: integrated analysis of three phase 1-2 trials. Lancet Oncol. 2020;21(2):271-282.

GESTIONE DEI TUMORI SOLIDI CON LA PROFILAZIONE GENOMICA: VERSO UNA MEDICINA DI PRECISIONE

Salvatore Alfieri1, Marco Filetti2, Maria A Pantaleo3,4, Margherita Nannini3,4

1. Fondazione IRCCS Istituto Nazionale dei Tumori, Milano

2. Phase 1 Unit, Fondazione Policlinico Universitario A. Gemelli IRCCS, Roma

3. Department of Medical and Surgical Sciences (DIMEC), University of Bologna, 40138, Bologna,

4. Oncology Unit, IRCCS Azienda Ospedaliero-Universitaria di Bologna, 40138, Bologna,

Nell’ultimo decennio, il trattamento del cancro ha subito una profonda trasformazione, dovuta ad una serie di fattori di cui uno dei più importanti è sicuramente la possibilità, sempre più approfondita sul piano tecnologico, di definire tutto il genoma del cancro (“sequenziamento”). Tali tecnologie, hanno permesso una comprensione sempre più approfondita dei meccanismi alla base della nascita e della progressione dei tumori maligni (1). Riuscire a leggere, attraverso il sequenziamento, il DNA e anche l’RNA (il cosiddetto materiale genetico) del tumore ha consentito infatti di tracciare una mappa genetica dettagliata di ciascun tumore, aprendo spesso la strada a un approccio terapeutico sempre più mirato e personalizzato, incentrato proprio sulle specificità genetico-molecolari di ciascun tumore (2).

La profilazione genomica dei tumori ha segnato una svolta fondamentale nell’oncologia medica, consentendo il passaggio da modelli di trattamento standardizzati basati solo sul sottotipo istologico (il cosiddetto modello “one size fits all”) a strategie che spesso riescono ad applicare terapie che colpiscono mutazioni identiche in tumori diversi (il cosiddetto modello “agnostico”) (3-4).

Inoltre, la possibilità di determinare il profilo genetico di ciascuna neoplasia permette non solo di identificare alterazioni genetiche, che possano rappresentare dei veri e propri bersagli terapeutici, ma può fornire anche indicazioni prognostiche nonché predittive di risposta o resistenza ai farmaci. In altre parole, la profilazione molecolare permette di stratificare a priori i pazienti sul piano biomolecolare, identificando coloro che possano beneficiare di un trattamento oncologico mirato, massimizzandone così l’efficacia.

La possibilità di sviluppare farmaci mirati contro specifici bersagli molecolari ha migliorato significativamente i risultati dei trattamenti oncologici in molti tumori solidi, da sempre considerati dei big-killers in oncologia, quali il carcinoma mammario, polmonare, colorettale e il melanoma, diventando, per molti di questi, l’attuale standard di cura (5-10). Per determinate neoplasie, la profilazione molecolare risulta ad oggi particolarmente significativa non solo nella gestione della malattia metastatica, dove la terapia sistemica costituisce l’elemento cardine del trattamento, ma sta progressivamente estendendo il proprio ruolo anche negli stadi precoci, ovvero sia in ambito pre-chirurgico (terapia neoadiuvante) che

post-chirurgico (terapia adiuvante) (11-14).

Pertanto, l’integrazione della profilazione genomica nei percorsi diagnostico-terapeutici di molte neoplasie solide maligne è ad oggi obbligatoria, perché ne guida, insieme all’istologia e alla conoscenza della biologia e dell’andamento della stessa malattia oncologica, la pianificazione della strategia di cura. Per altre neoplasie, ancora orfane di terapie efficaci, può rappresentare una fonte aggiuntiva di informazioni per l’accesso a nuovi farmaci o per lo sviluppo in futuro di protocolli clinici guidati da un razionale biologico.

Metodologie

L’approccio metodologico nella profilazione genomica assistenziale si basa sull’utilizzo di panel genetici mirati, tipicamente comprendenti poche decine di geni, selezionati per la loro rilevanza prognostica o predittiva rispetto a terapie specifiche.

Da metodiche di sequenziamento diretto di un singolo gene, ad oggi nella pratica clinica vengono utilizzate metodiche di sequenziamento di nuova generazione (NextGeneration Sequencing, NGS) in grado di analizzare contemporaneamente un ampio spettro di geni, su un numero elevato di campioni, riducendo così i costi e i tempi di analisi.

Nella pratica clinica vengono generalmente adottati pannelli creati ad hoc per le singole patologie di interesse. Quando le stesse metodologie di sequenziamento massivo vengono utilizzate a scopi scientifici e di ricerca, lo spettro di geni analizzati si amplia per poter ottenere una profilazione ancora più profonda del tumore.

L’analisi molecolare integra metodologie avanzate che, oltre all’identificazione delle alterazioni geniche principali coinvolte nella cancerogenesi, bersaglio di molti farmaci oncologici, include anche la valutazione di ulteriori biomarcatori, quali il Tumor Mutational Burden (TMB) e la Microsatellite Instability (MSI), in grado di predire la sensibilità all’immunoterapia, che è l’ultima rivoluzione terapeutica in campo oncologico.

Generalmente la profilazione genomica viene effettuata sul tessuto tumorale disponibile, anche se negli ultimi anni si sta affacciando una nuova metodica di analisi, detta “biopsia liquida” che cerca di ricavare le informa-

zioni genetiche del tumore dal DNA tumorale circolante, ovvero presente nel sangue del paziente. Tale metodica, ad oggi standard di pratica clinica solo nei tumori del polmone, permette di ottenere una fotografia dinamica della biologia tumorale, consentendo anche l’identificazione di alterazioni molecolari aggiuntive responsabili dello sviluppo delle resistenze secondarie all’uso dei farmaci oncologici.

Complessità della valutazione del profilo molecolare

La possibilità di avere una profilazione genomica del tumore, seppur rappresenti un passaggio indispensabile per alcune neoplasie solide, il cui approccio terapeutico si basa su farmaci oncologici di nuova generazione, nella pratica clinica presenta tuttavia alcune criticità significative, tra cui l’interpretazione del dato molecolare ottenuto e quindi la sua traduzione in interventi clinici efficaci. Non sempre, infatti, le informazioni genetiche che si ottengono da una profilazione genomica profonda hanno un ruolo certo di causa-effetto nello sviluppo di quel dato tumore e quindi non sempre hanno un risvolto terapeutico efficace. Per questo motivo è stato indispensabile l’istituzione di Molecular Tumor Board (MTB), ovvero di gruppi multidisciplinari volti ad interpretare i dati ottenuti dai test di profilazione genomica, traducendoli così in interventi clinici concreti (1516). Il MTB si configura come una fonte integrata di dati genomici e clinici, capace di affrontare la complessità dei profili molecolari e di proporre soluzioni terapeutiche attuabili per i pazienti. L’implementazione di piattaforme bioinformatiche dedicate e database condivisi consente inoltre di standardizzare l’interpretazione delle varianti genetiche identificate e di tracciare l’evoluzione molecolare della malattia nel tempo. In particolare, il MTB fornisce indicazioni specifiche su possibili opzioni terapeutiche, valutando se il profilo molecolare individuato consente l’impiego di farmaci già disponibili e rimborsati, farmaci disponibili ma non registrati per la specifica indicazione (off-label), o farmaci attualmente in fase di sperimentazione clinica. La gestione integrata attraverso il MTB garantisce inoltre un costante aggiornamento sulle nuove evidenze scientifiche e sulle opportunità terapeutiche emergenti, elemento essenziale in un campo in rapida evoluzione come l’oncologia medica in generale, e quella “di precisione” in particolare. Purtroppo, l’accesso ai trial clinici mirati a specifiche alterazioni genetiche, pur rappresentando un’importante opportunità terapeutica, è spesso limitato da molteplici

fattori: criteri di eleggibilità stringenti, limitazioni geografiche e disponibilità limitata dei trial stessi. Questi ostacoli possono determinare ritardi significativi nell’accesso a opzioni terapeutiche innovative potenzialmente benefiche per i pazienti eleggibili.

Limiti e sfide nell’implementazione della profilazione genomica

L’adozione della profilazione genomica in oncologia è accompagnata da numerose criticità che ne influenzano la diffusione e l’efficacia nella pratica clinica quotidiana. Queste limitazioni si manifestano in diverse aree chiave, ognuna delle quali rappresenta una sfida significativa. Uno dei principali ostacoli è legato all’accessibilità e alla sostenibilità economica. La profilazione genomica è spesso confinata a programmi sperimentali o di accesso anticipato, mentre l’assenza di politiche di rimborso adeguate da parte delle istituzioni sanitarie nazionali rappresenta un freno alla sua implementazione su larga scala. La valutazione economica dei companion diagnostics è resa ancora più complessa dalla limitata maturità delle evidenze cliniche disponibili al momento della loro introduzione sul mercato, creando difficoltà nei processi decisionali relativi alla rimborsabilità.

Anche nell’ambito della ricerca clinica emergono sfide operative rilevanti. Molti pazienti arruolati negli studi clinici non riescono ad accedere alle terapie più innovative, specificamente progettate per determinate alterazioni genetiche, a causa di vincoli regolatori e problemi di disponibilità. A ciò si aggiunge la complessità interpretativa dei risultati genomici, che richiede competenze specifiche. L’insufficiente formazione dei clinici in medicina di precisione e analisi genomica sottolinea la necessità di programmi educativi mirati, essenziali per migliorare la capacità di interpretare e integrare i risultati della profilazione genomica nella pratica clinica quotidiana (16-17).

La gestione bioinformatica rappresenta un ulteriore nodo cruciale. L’enorme quantità di dati genomici generati dalle tecnologie di sequenziamento ad alta processività necessita di strumenti bioinformatici avanzati e di professionisti specializzati. L’analisi delle varianti genetiche, la loro annotazione funzionale e l’interpretazione dei pathway molecolari richiedono risorse dedicate, che spesso non sono disponibili nelle strutture sanitarie. Questa carenza limita l’utilizzo ottimale della profilazione genomica, ostacolando il pieno potenziale di questa tecnologia innovativa. Dall’altra parte non si può offrire profilazione genomica estesa in tutti i tipi di tumori solidi

maligni al momento della diagnosi, perché questa condotta sarebbe gravata da uno sfavorevole rapporto costo-efficacia. E’ auspicabile che per singola patologia oncologica si possano costruire pannelli di sequenziamento patologia-specifici, volti alla ricerca di quelle alterazioni genetiche attese in quel determinato istotipo tumorale e la cui identificazione ha un risvolto terapeutico immediato, riservando una profilazione più estesa nei casi in cui non vi siano più terapie standard efficaci.

Applicazioni di successo della medicina di precisione: dai GIST ai tumori del polmone non a piccole cellule (NSCLC)

I tumori stromali gastrointestinali (GISTs) sono considerati da sempre uno dei principali paradigmi della medicina di precisione in oncologia [18].La scoperta infatti di mutazioni attivanti nei geni KIT o PDGFRA ha portato ad un cambiamento radicale nella gestione terapeutica dei pazienti affetti da questa rara neoplasia mesenchimale, la cui sopravvivenza per le forme metastatiche non superava i 6 mesi, data la loro chemio-resistenza. A partire da imatinib, farmaco diventato standard terapeutico per i GIST con mutazioni sensibili prima per la malattia avanzata poi anche per quella localizzata, ad oggi l’armamentario terapeutico di questa patologia si è arricchito di altri inibitori tirosin-chinasi, la cui efficacia è strettamente correlata al profilo mutazionale della malattia, con un miglioramento significativo della sopravvivenza e della qualità di vita (19).

Il carcinoma polmonare non a piccole cellule (NSCLC) rappresenta un altro esempio paradigmatico dell’utilità

della profilazione genomica. In questo contesto, la caratterizzazione molecolare si configura come uno standard diagnostico pre-terapeutico imprescindibile, soprattutto nei casi di istologia non-squamosa in fase avanzata, e sta acquisendo crescente rilevanza anche nelle fasi iniziali della malattia. I risultati della profilazione guidano l’ottimizzazione della strategia terapeutica, consentendo una scelta razionale tra diverse opzioni: terapie a bersaglio molecolare, approcci immunoterapici o protocolli chemio-immunoterapici combinati. L’individuazione di specifiche alterazioni molecolari, quali quelle dei geni EGFR, ALK, ROS1, RET, NTRK, KRAS e BRAF permette infatti di orientare i pazienti verso trattamenti mirati con farmaci biologici (Figura 1). Questo approccio ha determinato significativi miglioramenti negli esiti clinici, traducendosi in un aumento delle risposte terapeutiche e della sopravvivenza. Al contempo, ha contribuito a ridurre l’utilizzo di chemioterapie non specifiche, migliorando la qualità di vita dei pazienti e aprendo nuove prospettive nell’oncologia personalizzata.

Un ulteriore esempio di successo della medicina di precisione è il trattamento del melanoma avanzato. Le scoperte relative alle mutazioni attivanti nel gene BRAF, presenti in circa il 40-50% dei melanomi, hanno portato allo sviluppo di inibitori specifici come vemurafenib e dabrafenib. Questi farmaci, in combinazione con inibitori del gene MEK, hanno dimostrato un notevole miglioramento nella sopravvivenza globale e nei tassi di risposta nei pazienti con melanoma BRAF-mutato. Inoltre, l’avvento dell’immunoterapia con inibitori di checkpoint, come nivolumab e pembrolizumab, ha ulteriormente

Figura 1. Polmone

ampliato le opzioni terapeutiche personalizzate, offrendo una maggiore sopravvivenza a lungo termine per molti pazienti.

I tumori maligni della tiroide: l’impatto terapeutico grazie alla profilazione molecolare

Il carcinoma tiroideo che origina dalle cellule follicolari della tiroide rappresenta un insieme eterogeneo di neoplasie che vanno dai carcinomi tiroidei differenziati (DTC), circa l’80-90% dei casi, alle forme più aggressive, come il carcinoma tiroideo anaplastico (ATC), 1.2% dei casi. Il carcinoma midollare della tiroide (MTC) è un tumore raro (5-7%) di natura neuroendocrina che origina dalle cellule parafollicolari (o cellule C) della ghiandola tiroidea responsabili della produzione di calcitonina (CT).

Negli ultimi anni, la comprensione delle basi molecolari di queste patologie ha notevolmente modificato l’approccio diagnostico e terapeutico, arricchendo così l’armamentario terapeutico dei carcinomi della tiroide con

numerosi farmaci a bersaglio molecolare, per cui la profilazione genomica, o almeno la caratterizzazione di determinate mutazioni in DNA e di specifiche alterazioni in RNA (che andremo ad elencare qui sotto), è diventata indispensabile.

Mutazione BRAF V600E

Questa alterazione genetica, riscontrata con elevata frequenza nel carcinoma tiroideo papillare (PTC), gioca un ruolo cruciale nel processo di de-differenziazione cellulare. Il suo effetto principale si manifesta attraverso la riduzione dell’espressione del trasportatore sodio-dipendente dello iodio (NIS), una proteina essenziale per la captazione tiroidea dello iodio. La diminuzione dell’espressione di NIS compromette significativamente l’efficacia della terapia con iodio radioattivo, con un rischio di refrattarietà che raggiunge il 70% nei casi con mutazione BRAF V600E isolata (19).

La prognosi peggiora significativamente quando la mu-

figura 2. Mutazioni dei carcinomi della Tiroide

tazione BRAF V600E coesiste con altre alterazioni genetiche. In particolare, la presenza simultanea di una mutazione del promotore di TERT può aumentare il rischio di refrattarietà alla terapia con iodio radioattivo fino al 97%. Questa sinergia mutazionale rappresenta un marker prognostico critico e sottolinea l’importanza fondamentale della profilazione molecolare nella gestione clinica dei pazienti con carcinoma tiroideo avanzato.

Nei ATC la mutazione di BRAF rappresenta un target terapeutico di capitale importanza. Ad oggi, infatti, il riscontro di tale alterazione, presente in circa il 45% dei casi, consente l’utilizzo della combinazione di inibitori di BRAF (dabrafenib) e di MEK (trametinib), con tassi di risposta globale del 69% e finalmente con un impatto sulla sopravvivenza di questa patologia mai visto finora (20).

Alterazioni di RET

Le alterazioni del gene RET rappresentano un importante bersaglio terapeutico nel panorama dei tumori maligni tiroidei. Infatti, nei carcinomi ben differenziati (DTC) e, raramente nei ATC, le alterazioni di RET si presentano principalmente come riarrangiamento cromosomico (, mentre nei MTC si riscontrano prevalentemente sotto forma di mutazioni geniche, anche nelle forme non ereditarie. (). Il ruolo patogenetico dell’alterazione di RET ha portato allo sviluppo di farmaci inibitori multitarget e selettivi che hanno rivoluzionato il trattamento di questi tumori (vandetanib e selpercatinib).

Riarrangiamenti di NTRK

Le fusioni del gene NTRK, sebbene molto rare (1-2% del totale dei casi), rappresentano un altro esempio paradigmatico di target terapeutico agnostico, ovvero trattabile con farmaci uguali in tumori maligni a diversa istologia e localizzazione di origine. La presenza, infatti, di riarrangiamenti di NTRK, consente ad oggi di utilizzare inibitori selettivi specifici (larotrectinib e entrectinib), che hanno rivoluzionato i risultati oncologici di tutti i tumori sostenuti da questo stesso evento patogenetico.

Terapia di Redifferenziazione.

La terapia di redifferenziazione rappresenta un approccio innovativo nel trattamento del RAIR-DTC. Il trattamento si basa sull’utilizzo di inibitori delle MAPK, in particolare la combinazione di inibitori MEK e BRAF, seguito dalla somministrazione di iodio radioattivo (131I).

Questa strategia mira a ripristinare la capacità delle cellule tumorali di captare lo iodio radioattivo attraverso la riattivazione dei geni di differenziazione tiroidea. Gli studi, dalla ricerca preclinica ai trial clinici, hanno dimostrato risultati promettenti in termini di controllo della malattia, aprendo nuove prospettive terapeutiche per i pazienti con RAIR-DTC.

Conclusioni e Prospettive Future

La profilazione genomica ha segnato un punto di svolta nella gestione delle patologie oncologiche, affermandosi come strumento cardine per l’implementazione di strategie terapeutiche personalizzate. Le tecnologie di sequenziamento di nuova generazione (NGS) hanno rivoluzionato l’approccio diagnostico-terapeutico, permettendo l’identificazione di alterazioni genetiche clinicamente rilevanti e guidando le scelte terapeutiche in numerosi tumori solidi maligni.

Nonostante i notevoli progressi, il campo deve ancora affrontare sfide sostanziali. L’accessibilità economica e la sostenibilità della profilazione genomica rappresentano ostacoli significativi, particolarmente critici nei casi in cui non si identificano alterazioni genetiche sfruttabili sul piano terapeutico con farmaci mirati. La resistenza acquisita, sia attraverso mutazioni secondarie che mediante l’attivazione di vie di segnalazione alternative, continua a rappresentare uno dei principali limiti nella gestione a lungo termine dei pazienti oncologici (21-23).

L’integrazione di tecnologie innovative, come la biopsia liquida, offre nuove opportunità per superare queste sfide. Questo approccio non invasivo permette un monitoraggio dinamico dell’evoluzione molecolare tumorale, consentendo l’identificazione precoce delle mutazioni di resistenza e l’adeguamento tempestivo delle strategie terapeutiche. Parallelamente, lo sviluppo di approcci terapeutici combinati, che integrano terapie mirate e immunoterapia per colpire simultaneamente multiple vie di attivazione tumorale, si propone come strategia promettente per prevenire o ritardare l’insorgenza di resistenze.

L’emergere dell’intelligenza artificiale (IA) e l’analisi dei big data stanno aprendo nuovi orizzonti nella medicina di precisione. L’integrazione di dati clinici, molecolari e genomici attraverso modelli di IA promette di migliorare la predizione della risposta terapeutica, identificare nuove correlazioni genotipo-fenotipo e accelerare lo sviluppo di farmaci innovativi.

La continua evoluzione dell’approccio terapeutico oncologico, guidata dalla scoperta di nuove mutazioni e dallo sviluppo di farmaci innovativi, richiede un adeguamento dei sistemi sanitari. È auspicabile che il SSN implementi pannelli istotipo-specifici mirati, che includano le alterazioni genetiche per le quali esistono terapie mirate validate, ottimizzando così il rapporto costo-efficacia dell’approccio diagnostico-molecolare.

La sfida futura risiede nell’integrazione sinergica tra conoscenze molecolari e strumenti tecnologici avanzati, con l’obiettivo di offrire trattamenti sempre più personalizzati e adattabili. Questa evoluzione promette di migliorare significativamente sia la prognosi che la qualità di vita dei pazienti oncologici, segnando il passaggio definitivo verso una medicina oncologica di precisione accessibile ed economicamente sostenibile.

Bibliografia

1. Dancey JE, Bedard PL, Onetto N, Hudson TJ. The genetic basis for cancer decisions. Cell 2012, 148 (3), 409-20

2. Mateo J, Steuten L, Aftimos P, André F, Davies M, Garralda E, Geissler J, Husereau D, Martinez-Lopez I, Normanno N, Reis-Filho JS, Stefani S, Thomas DM, Westphalen CB, Voest E. Delivering precision oncology to patients with cancer. Nat Med. 2022 Apr;28(4):658-665. doi: 10.1038/s41591-022-01717-2. Epub 2022 Apr 19. PMID: 35440717.

3. Drilon A, Laetsch TW, Kummar S, DuBois SG, Lassen UN, Demetri GD, Nathenson M,Doebele RC, Farago AF, Pappo AS, Turpin B, Dowlati A, Brose MS, Mascarenhas L, Federman N, Berlin J, El-Deiry WS, Baik C, Deeken J, Boni V, Nagasubramanian R,Taylor M, Rudzinski ER, Meric-Bernstam F, Sohal DPS, Ma PC, Raez LE, HechtmanJF, Benayed R, Ladanyi M, Tuch BB, Ebata K, Cruickshank S, Ku NC, Cox MC,Hawkins DS, Hong DS, Hyman DM. Efficacy of Larotrectinib in TRK Fusion-PositiveCancers in Adults and Children. N Engl J Med. 2018 Feb 22;378(8):731-739

4. Valle JW, Lamarca A, Goyal L, Barriuso J, Zhu AX. New Horizons for Precision Medicine in Biliary Tract Cancers. Cancer Discov. 2017 Sep;7(9):943-962.

18. Le DT, Uram JN, Wang H, Bartlett BR, Kemberling H, Eyring AD, Skora AD, Luber BS, Azad NS, Laheru D, Biedrzycki B, Donehower RC, Zaheer A, Fisher GA, Crocenzi TS, Lee JJ, Duffy SM, Goldberg RM, de la Chapelle A, Koshiji M, Bhaijee F, Huebner T, Hruban RH, Wood LD, Cuka N, Pardoll DM, Papadopoulos N, Kinzler KW, Zhou S, Cornish TC, Taube JM, Anders RA, Eshleman JR, Vogelstein

B, Diaz LA Jr. PD-1 Blockade in Tumors with MismatchRepair Deficiency. N Engl J Med. 2015 Jun25;372(26):2509-20.

5. Haslam A, Kim MS, Prasad V. Updated estimates of eligibility for and response to genome-targeted oncology drugs among US cancer patients, 2006-2020. Ann Oncol. 2021 Jul;32(7):926-932. doi: 10.1016/j.annonc. 2021.04.003. Epub 2021 Apr 20. PMID: 33862157

6. Harbeck N, Penault-Llorca F, Cortes J, Gnant M, Houssami N, Poortmans P, Ruddy K,Tsang J, Cardoso F. Breast cancer. Nat Rev Dis Primers 2019, 5 (1), 66.

7. Rosell R, Carcereny E, Gervais R, Vergnenegre A, Massuti B, Felip E, Palmero R,Garcia-Gomez R, Pallares C, Sanchez JM, Porta R, Cobo M, Garrido P, Longo F, MoranT, Insa A, De Marinis F, Corre R, Bover I, Illiano A, Dansin E, de Castro J, Milella M,Reguart N, Altavilla G, Jimenez U, Provencio M, Moreno MA, Terrasa J, Muñoz-LangaJ, Valdivia J, Isla D, Domine M, Molinier O, Mazieres J, Baize N, Garcia-Campelo R,Robinet G, Rodriguez-Abreu D, Lopez-Vivanco G, Gebbia V, Ferrera-Delgado L,Bombaron P, Bernabe R, Bearz A, Artal A, Cortesi E, Rolfo C, SanchezRonco M,Drozdowskyj A, Queralt C, de Aguirre I, Ramirez JL, Sanchez JJ, Molina MA, TaronM, Paz-Ares L; Spanish Lung Cancer Group in collaboration with Groupe Français de Pneumo-Cancérologie and Associazione Italiana Oncologia Toracica. Erlotinib versus standard chemotherapy as first-line treatment for European patients with advancedEGFR mutation-positive non-small-cell lung cancer (EURTAC): a multicentre, openlabel, randomised phase 3 trial. Lancet Oncol. 2012 Mar;13(3):239-46.

8. Solomon BJ, Mok T, Kim DW, Wu YL, Nakagawa K, Mekhail T, Felip E, Cappuzzo F,Paolini J, Usari T, Iyer S, Reisman A, Wilner KD, Tursi J, Blackhall F; PROFILE 1014 Investigators. First-line crizotinib versus chemotherapy in ALK-positive lung cancer. N Engl J Med. 2014 Dec 4;371(23):2167-77.

9. Holderfield M, Deuker MM, McCormick F, McMahon M. Targeting RAF kinases for cancer therapy: BRAF-mutated melanoma and beyond. Nat Rev Cancer. 2014Jul;14(7):455-67.

10. Kopetz S, Grothey A, Yaeger R, Van Cutsem E, Desai J, Yoshino T, Wasan H, Ciardiello F, Loupakis F, Hong YS, Steeghs N, Guren TK, Arkenau HT, Garcia-Alfonso P, PfeifferP, Orlov S, Lonardi S, Elez E, Kim TW, Schellens JHM, Guo C, Krishnan A, DekervelJ, Morris V, Calvo Ferrandiz A, Tarpgaard LS, Braun M, Gollerkeri A, Keir C, Maharry K, Pickard M, Christy-Bittel J, Anderson L, Sandor V, Tabernero J. Encorafenib, Binimetinib, and Cetuximab in BRAF V600E-Mutated Colorectal Cancer. N Engl J Med. 2019 Oct 24;381(17):1632-1643.

11. Wu YL, Dziadziuszko R, Ahn JS, Barlesi F, Nishio M, Lee DH, Lee JS, Zhong W, Horinouchi H, Mao W, Hochmair M, de Marinis F, Migliorino MR, Bondarenko I, Lu S, Wang Q, Ochi Lohmann T, Xu T, Cardona A, Ruf T, Noe J, Solomon BJ; ALINA Investigators. Alectinib in Resected ALK-

Positive Non-Small-Cell Lung Cancer. N Engl J Med. 2024 Apr 11;390(14):1265-1276.

12. Herbst RS, Wu YL, John T, Grohe C, Majem M, Wang J, Kato T, Goldman JW, Laktionov K, Kim SW, Yu CJ, Vu HV, Lu S, Lee KY, Mukhametshina G, Akewanlop C, de Marinis F, Bonanno L, Domine M, Shepherd FA, Urban D, Huang X, Bolanos A, Stachowiak M, Tsuboi M. Adjuvant Osimertinib for Resected EGFR-Mutated Stage IB-IIIA Non-Small-Cell Lung Cancer: Updated Results From the Phase III Randomized ADAURA Trial. J Clin Oncol. 2023 Apr 1;41(10):1830-1840. doi: 10.1200/JCO.22.02186. Epub 2023 Jan 31. Erratum in: J Clin Oncol. 2023 Aug 1;41(22):3877.

13. Dematteo RP, Ballman KV, Antonescu CR, Maki RG, Pisters PW, Demetri GD, Blackstein ME, Blanke CD, von Mehren M, Brennan MF, Patel S, McCarter MD, Polikoff JA, Tan BR, Owzar K; American College of Surgeons Oncology Group (ACOSOG) Intergroup Adjuvant GIST Study Team. Adjuvant imatinib mesylate after resection of localised, primary gastrointestinal stromal tumour: a randomised, double-blind, placebo-controlled trial. Lancet. 2009 Mar 28;373(9669):1097-104. doi: 10.1016/S01406736(09)60500-6. Epub 2009 Mar 18.

14. Long GV, Hauschild A, Santinami M, Atkinson V, Mandalà M, Chiarion-Sileni V, Larkin J, Nyakas M, Dutriaux C, Haydon A, Robert C, Mortier L, Schachter J, Schadendorf D, Lesimple T, Plummer R, Ji R, Zhang P, Mookerjee B, Legos J, Kefford R, Dummer R, Kirkwood JM. Adjuvant Dabrafenib plus Trametinib in Stage III BRAF-Mutated Melanoma. N Engl J Med. 2017 Nov 9;377(19):1813-1823. doi:

15. Mosele F, Remon J, Mateo J, et al. Recommendations for the use of next-generation sequencing (NGS) for patients with metastatic cancers: a report from the ESMO Precision Medicine Working Group. Ann Oncol 2020; 31: 1491-505

16. Tamborero D, Dienstmann R, Rachid MH, Boekel J, LopezFernandez A, Jonsson M, Razzak A, Braña I, De Petris L, Yachnin J, Baird RD, Loriot Y, Massard C, Martin-Romano P, Opdam F, Schlenk RF, Vernieri C, Masucci M, Villalobos X, Chavarria E; Cancer Core Europe consortium; Balmaña J, Apolone G, Caldas C, Bergh J, Ernberg I, Fröhling S, Garralda E, Karlsson C, Tabernero J, Voest E, Rodon J, Lehtiö J. The Molecular Tumor Board Portal supports clinical decisions and automated reporting for precision oncology. Nat Cancer. 2022 Feb;3(2):251-261. doi: 10.1038/s43018-022-00332-x. Epub 2022 Feb 24. Erratum in: Nat Cancer. 2022 May;3(5):649. doi: 10.1038/s43018-022-00378-x. PMID: 35221333; PMCID: PMC8882467.

17. Tsimberidou AM, Kahle M, Vo HH, Baysal MA, Johnson A, Meric-Bernstam F. Molecular tumour boards - current and future considerations for precision oncology. Nat Rev Clin Oncol. 2023 Dec;20(12):843-863. doi: 10.1038/s41571-023-00824-4. Epub 2023 Oct 16. PMID: 37845306.

18. Antonescu CR. The GIST paradigm: lessons for other kinase-driven cancers. J Pathol. 2011 Jan;223(2):251-6

19. Casali PG, et al. Gastrointestinal stromal tumours: ESMOEURACAN-GENTURIS Clinical Practice Guidelines for diagnosis, treatment and follow-up. Ann Oncol. 2022 Jan;33(1):20-33].

20. Liu J, Liu R, Shen X, Zhu G, Li B, Xing M. The Genetic Duet of BRAF V600E and TERT Promoter Mutations Robustly Predicts Loss of Radioiodine Avidity in Recurrent Papillary Thyroid Cancer. J Nucl Med. febbraio 2020;61(2):177–82.

21. Subbiah V, Kreitman RJ, Wainberg ZA, Cho JY, Schellens JHM, Soria JC, Wen PY, Zielinski C, Cabanillas ME, Urbanowitz G, Mookerjee B, Wang D, Rangwala F, Keam B. Dabrafenib and Trametinib Treatment in Patients With Locally Advanced or Metastatic BRAF V600-Mutant Anaplastic Thyroid Cancer. J Clin Oncol. 2018 Jan 1;36(1):7-13. doi: 10.1200/JCO.2017.73.6785. Epub 2017 Oct 26. PMID: 29072975; PMCID: PMC5791845.

22. Lawler M, Keeling P, Kholmanskikh O, Minnaard W, Moehlig-Zuttermeister H, Normanno N, Philip R, Popp C, Salgado R, Santiago-Walker AE, Trullas A, van Doorn-Khosrovani SBVW, Vart R, Vermeulen J, Vitaloni M, Verweij J. Empowering effective biomarker-driven precision oncology: A call to action. Eur J Cancer. 2024 Sep;209:114225. doi: 10.1016/j.ejca.2024.114225. Epub 2024 Jul 15. PMID: 39053288.

23. Gazola AA, Lautert-Dutra W, Archangelo LF, Reis RBD, Squire JA. Precision oncology platforms: practical strategies for genomic database utilization in cancer treatment. Mol Cytogenet. 2024 Nov 14;17(1):28. doi: 10.1186/s13039-024-00698-w. PMID: 39543667; PMCID: PMC11566986.

NUOVE FRONTIERE PER IL TRATTAMENTO

DEL CANCRO

TIROIDEO AVANZATO

NUOVE FRONTIERE PER IL TRATTAMENTO DEL CANCRO TIROIDEO AVANZATO: STRATEGIE INNOVATIVE DI REDIFFERENZIAZIONE

1. Gustave Roussy, Département d’imagerie médicale, Service d’oncologie endocrine, 94800 Villejuif, France.

2. Gustave Roussy, Département d’imagerie médicale, Service de médecine nucléaire, 94800 Villejuif, France.

La terapia radiometabolica con lo iodio radioattivo (I131) ha rappresentato storicamente il cardine del trattamento per il carcinoma tiroideo differenziato (CTD) metastatico (1,2). Introdotta negli anni ‘40, rimane ad oggi l’unica opzione terapeutica in grado di ottenere una remissione completa della patologia (3,4). Purtroppo, circa due terzi dei pazienti con CTD sono refrattari al trattamento con lo iodio radioattivo, con una conseguente riduzione della sopravvivenza rispetto ad i pazienti sensibili al trattamento (3).

Definizione e caratteristiche del CTD iodio-refrattario

La definizione di CTD iodio-refrattario si basa su criteri clinici specifici (5):

• Assenza di captazione alla scintigrafia con I131 in una o più lesioni metastatiche documentate radiologicamente

• Progressione tumorale rapida (12 mesi) nonostante una captazione significativa dello I131

• Mancata remissione completa dopo somministrazione di attività cumulativa di I131 600 mCi

In quest’ultimo gruppo di pazienti la probabilità di ottenere una remissione completa con ulteriori somminstrazioni terapeutiche dell’ I131 è marginale (3) ed il rischio di provocare una neoplasia radioindotta, seppur basso in termini assoluti, aumenta significativamente (6).

I principali fattori clinici associati alla refrattarietà includono (3,7):

• Età superiore ai 40 anni

• Istologia scarsamente differenziata

• Presenza di lesioni metastatiche macroscopiche o multiple lesioni extrapolmonari

• Captazione alla PET FDG

La ricerca di base ha permesso di comprendere i meccanismi molecolari alla base della resistenza al trattamento con lo iodio. Nel CTD sono alterati i due meccanismi fondamentali del metabolismo dello iodio nei tireociti : la captazione e l’organificazione. Questi processi sono compromessi a causa di un’espressione anomala dei geni della differenziazione tiroidea in particolare il trasporto

attivo sodio-iodio (NIS) o l’enzima tireoperossidasi (TPO). La caratterizzazione multi-omica dei CTD ha permesso di constatare che l’attivazione della via delle MAPK é inversamente correlata con l’espressione dei geni di differenziazione tiroidea. BRAFV600E, la mutazione “driver” più frequente nel CTD (50% circa), determina una potente attivazione della via delle MAPK. La repressione dell’espressione dei geni di differenziazione nei tumori BRAFV600E mutati é legata ad una repressione epigenetica mediata dall’azione dei ROS (reactive oxygene species) prodotti dalla NADPH ossidasi NOX4 (8). La presenza di una mutazione BRAFV600E si associa a un rischio di malattia refrattaria di circa il 70% e fino al 97% in caso di coesistenza della mutazione BRAFV600E con una mutazione del promotore di TERT (9).

Strategie innovative di redifferenziazione

Il trattamento con inibitori specifici (inibitori di MEK associati ad inibitori di BRAF) é capace di inibire la via delle MAPK e di aumentare l’espressione dei geni di differenziazione tiroidea (2).

Questa osservazione é stata dapprima verificata su modelli di laboratorio (linee cellulari, modelli murini) quindi in vivo in diversi studi clinici su pazienti affetti da CTD iodio-refrattario.

Le strategie terapeutiche di redifferenziazione si basano sull’associazione di inibitori delle MAPK e sulla somministrazione di un’attività terapeutica di I131

L’obiettivo é quello di permettere la captazione dello I131 nelle localizzazioni metastatiche del CTD e di ottenere un controllo tumorale, in termini di risposta tumorale o stabilizzazione prolungata della malattia.

Evidenze cliniche

Lo studio pionieristico del 2013 ha valutato l’efficacia di Selumetinib (un inibitore di MEK) in 24 pazienti affetti da CTD iodio-refrattario (10). Dopo 4 settimane di trattamento con Selumetinib la PET allo I124 ha dimostrato un aumento della captazione dello iodio in 12 pazienti su 20, di questi 8 che mostravano una captazione significativa hanno ricevuto il trattamento con lo iodio radioattivo e 7/8 hanno ottenuto una risposta parziale secondo RECIST. Da allora diversi studi e piccole coorti di pazienti trattati secondo la strategia di redifferenzizione sono stati pubblicati e sono sintetizzati nella

Tabella 1. Negli studi successivi, si é utilizzato un inibitore selettivo o una combinazione di inibitori selezionati sulla mutazione driver del tumore, ad esempio inibitori selettivi di BRAF associati o meno agli inibitori selettivi di MEK. Esperienze simili con inibitori di RET, ALK o NTRK sono pubblicate ma rimangono molto limitate in ragione della rarità di questi driver molecolari. Lo studio di fase

Tabella 1. Opzioni di terapia in prima e seconda linea nei DTC oncogene-addicted e non oncogene addicted

Vedi richiamo tabella

Sopravvivenza

Ho, 2012 Selumitinib+ 131I 20 BRAFV600E, RAS ed altri 8 (40%) 5 (25%) NS ( 6 mesi)

Rothenberg 2015 Dabrafenib + 131I 10 BRAF V600E 6 (60%) 2 (20%) NS ( 6 mesi)

Jaber 2018 antiMEK e/o antiBRAF + 131I 13 BRAFV600E, RAS ed altri 8 (62%) 3 (38%) NS ( 8 mesi)

Dunn, 2018 Vemurafenib+ 131I 12 BRAF V600E 4 (33%) 4 (25%) NS ( 6 mesi)

Iravani, 2019 antiMEK ± antiBRAF + 131I 6 BRAF V600E, RAS 4 (66%) 4 (66%) -

Weber, 2022

Leboulleux, 2023

Toro Tobon 2023

Ramos 2024 ATA proceedings

Trametinib ± dabrafenib + 131I 20 BRAFV600E, RAS ed altri 7 (35%) 1/7 (14%) NS

Trametinib + dabrafenib + 131I

Trametinib + 131I 21 10 BRAF V600E RAS 20 (95%) 6 (60%) 8 (38%) 2 (20%) A 24 mesi 68% -

Inibitore target + 131I 33 BRAFV600E, RAS, RET, ALK 19 (57%) 15 18 mesi

Inibitore target + 131I 116 BRAFV600E N=75, RAS N=35, RET, NTRK 76/116 (65%) 25% 23 mesi

2 francese MERAIODE, ha incluso pazienti con CTD iodio-refrattario, in progressione di malattia nei 18 mesi precedenti all’inclusione, con una malattia misurabile secondo i criteri RECIST ma con lesioni metastatiche >3 cm (11,12). I risultati più promettenti sono stati osservati nella coorte di 21 pazienti con mutazione BRAFV600E, che hanno ricevuto un trattamento con inibitori di BRAF e di MEK (Dabrafenib e Trametinib) per 6 settimane, seguito da una somministrazione di 150mCi (5.5GBq) di I131 dopo stimolo con TSH ricombinante umano. Il 95% dei pazienti ha ottenuto un ripristino della captazione dello iodio alla scintigrafia post terapeutica allo iodio e

dopo 6 mesi dalla fine del trattamento il 38% (n=8) ha ottenuto una risposta oggettiva secondo RECIST. Inoltre solamente 2 pazienti mostravano progressione di malattia a 6 mesi (11). Undici pazienti hanno ripetuto lo stesso schema di trattamento una seconda volta, e 8 hanno avuto una risposta di cui una risposta compelta. La sopravvivenza libera da progressione a 24 mesi è risultata del 68% (11).

Considerazioni e prospettive future

Un aspetto particolarmente rilevante del processo di redifferenziazione è la sua capacità di indurre modifiche morfologiche documentabili a livello istopatologico. Le biopsie effettuate durante il trattamento, confrontate con quelle pre-trattamento, hanno evidenziato un chiaro ripristino delle caratteristiche cellulari tipiche del tessuto tiroideo differenziato (13). L’efficacia di questa trasformazione biologica è stata ulteriormente confermata da diversi risultati clinici significativi: una marcata riduzione della massa tumorale dopo la somministrazione di iodio radioattivo (14), la risposta positiva al trattamento con iodio in un paziente che mostrava progressione su inibitori selettivi (15) e la possibilità di ottenere un controllo prolungato della malattia (11).

Le osservazioni cliniche confermano che la riprogrammazione biologica delle cellule tumorali consente di ripristinare l’efficacia terapeutica dello iodio radioattivo. Il protocollo di trattamento prevede una fase iniziale con inibitori, la cui durata varia da 3 a 6 settimane, seguita dalla somministrazione di iodio radioattivo. La durata del trattamento con inibitori é variabile (tra le 3 e le 6 settimane, o talvolta più prolungata) ma é generalmente interrotta dopo la somministrazione dello iodio-radioattivo, e permette quindi di limitare l’esposizione ai trattamenti target ed ai loro potenziali effetti collaterali, che sono limitati ma talvolta severi (11). Inoltre, questo approccio potrebbe offre un importante beneficio strategico: la possibilità di posticipare l’inizio della terapia cronica con inibitori multikinasici (Lenvatinb, Sorafenib, Cabozantinib). Sebbene, questi farmaci rappresentino lo standard terapeutico attuale per i CTD iodio-refrattari, sono caratterizzati da effetti collaterali frequenti che compromettono significativamente la qualità di vita dei pazienti (16).

Tuttavia, è necessario considerare alcune limitazioni:

• Ad oggi non sono state osservate risposte tumorali complete

• L’aumento cumulativa di I131 comporta a un rischio

Referenza Terapia N pop. Profilo molecolare Riprisitino della captazione dello iodio Risposta parziale radiologica
libera da progressione

crescente di effetti collaterali, anche se i casi di leucemia secondaria rimangano ad oggi aneddotici.

La ricerca si è concentrata anche sui meccanismi di resistenza alla strategia di redifferenziazione. Un ruolo chiave è stato identificato nelle mutazioni del complesso di rimodellamento della cromatina SWI/SNF è un fattore associato ad una resistenza primaria alla redifferenziazione in quanto mantiene la cromatina in uno stato “chiuso” impedendo quindi la (re)espressione dei geni di differenziazione tiroidea; tali mutazioni sono più frequenti nei tumori scarsamente differenziati (17). Per superare queste limitazioni, sono in corso studi su approcci combinati innovativi:

• Associazione di anti-BRAF con inibitori di ERBB2/ERBB3 (Vemurafenib + Lapatinib), già testata su una coorte pilota (18)

• Combinazione con inibitori del TGFbeta (19) o di PI3K testati in vitro (20).

Conclusioni

La redifferenziazione rappresenta una strategia terapeutica promettente per i CTD iodio-refrattari. I risultati clinici dimostrano la sicurezza e l’efficacia di questo approccio, aprendo nuove prospettive per il trattamento di questa patologia. Le sfide future includono l’ottimizzazione della selezione dei pazienti e il superamento dei meccanismi di resistenza.

Conflitto di interessi: dichiara i seguenti conflitti di interessi BAYER: tumor board, EISAI: tumor board, honoraria; LILLY: honoraria; IPSEN: tumor board, Support for attending meetings and/or travel; AAA Novartis: Support for attending meetings and/or travel; Roche: honoraria

Bibliografia

1. Sparano C, Moog S, Hadoux J, Dupuy C, Al Ghuzlan A, Breuskin I, et al. Strategies for Radioiodine Treatment: What’s New. Cancers (Basel). 4 agosto 2022;14(15):3800.

2. Lamartina L, Anizan N, Dupuy C, Leboulleux S, Schlumberger M. Redifferentiation-facilitated radioiodine therapy in thyroid cancer. Endocr Relat Cancer. 3 settembre 2021;28(10):T179–91.

3. Durante C, Haddy N, Baudin E, Leboulleux S, Hartl D, Travagli JP, et al. Long-term outcome of 444 patients with distant metastases from papillary and follicular thyroid carcinoma: benefits and limits of radioiodine therapy. J Clin Endocrinol Metab. agosto 2006;91(8):2892–9.

4. Sapuppo G, Hartl D, Fresneau B, Hadoux J, Breuskin I, Baudin E, et al. Differentiated Thyroid Cancer in Children and Adolescents: Long Term Outcome and Risk Factors for Persistent Disease. Cancers (Basel). 24 luglio 2021;13(15):3732.

5. Haugen BR, Alexander EK, Bible KC, Doherty GM, Mandel SJ, Nikiforov YE, et al. 2015 American Thyroid Association Management Guidelines for Adult Patients with Thyroid Nodules and Differentiated Thyroid Cancer: The American Thyroid Association Guidelines Task Force on Thyroid Nodules and Differentiated Thyroid Cancer. Thyroid. gennaio 2016;26(1):1–133.

6. Rubino C, de Vathaire F, Dottorini ME, Hall P, Schvartz C, Couette JE, et al. Second primary malignancies in thyroid cancer patients. Br J Cancer. 3 novembre 2003;89(9):1638–44.

7. Deandreis D, Al Ghuzlan A, Leboulleux S, Lacroix L, Garsi JP, Talbot M, et al. Do histological, immunohistochemical, and metabolic (radioiodine and fluorodeoxyglucose uptakes) patterns of metastatic thyroid cancer correlate with patient outcome? Endocr Relat Cancer. febbraio 2011;18(1):159–69.

8. Azouzi N, Cailloux J, Cazarin JM, Knauf JA, Cracchiolo J, Al Ghuzlan A, et al. NADPH Oxidase NOX4 Is a Critical Mediator of BRAFV600E-Induced Downregulation of the Sodium/Iodide Symporter in Papillary Thyroid Carcinomas. Antioxid Redox Signal. 20 maggio 2017;26(15):864–77.

9. Liu J, Liu R, Shen X, Zhu G, Li B, Xing M. The Genetic Duet of BRAF V600E and TERT Promoter Mutations Robustly Predicts Loss of Radioiodine Avidity in Recurrent Papillary Thyroid Cancer. J Nucl Med. febbraio 2020;61(2):177–82.

10. Ho AL, Grewal RK, Leboeuf R, Sherman EJ, Pfister DG, Deandreis D, et al. Selumetinib-enhanced radioiodine uptake in advanced thyroid cancer. N Engl J Med. 14 febbraio 2013;368(7):623–32.

11. Leboulleux S, Do Cao C, Zerdoud S, Attard M, Bournaud C, Lacroix L, et al. A Phase II Redifferentiation Trial with Dabrafenib-Trametinib and 131I in Metastatic Radioactive Iodine Refractory BRAF p.V600E-Mutated Differentiated Thyroid Cancer. Clin Cancer Res. 5 luglio 2023;29(13):2401–9.

12. Leboulleux S, Benisvy D, Taieb D, Attard M, Bournaud C, Terroir-Cassou-Mounat M, et al. MERAIODE: A Phase II Redifferentiation Trial with Trametinib and 131I in Metastatic Radioactive Iodine Refractory RAS Mutated Differentiated Thyroid Cancer. Thyroid. settembre 2023;33(9):1124–9.

13. Leboulleux S, Dupuy C, Lacroix L, Attard M, Grimaldi S, Corre R, et al. Redifferentiation of a BRAFK601E-Mutated Poorly Differentiated Thyroid Cancer Patient with Dabrafenib and Trametinib Treatment. Thyroid. maggio 2019;29(5):735–42.

14. Dunn LA, Sherman EJ, Baxi SS, Tchekmedyian V, Grewal RK, Larson SM, et al. Vemurafenib Redifferentiation of BRAF Mutant, RAI-Refractory Thyroid Cancers. J Clin Endocrinol Metab. 1 maggio 2019;104(5):1417–28.

15. Jaber T, Waguespack SG, Cabanillas ME, Elbanan M, Vu T, Dadu R, et al. Targeted Therapy in Advanced Thyroid Cancer to Resensitize Tumors to Radioactive Iodine. J Clin Endocrinol Metab. 1 ottobre 2018;103(10):3698–705.

16. Colombo C, De Leo S, Trevisan M, Giancola N, Scaltrito A, Fugazzola L. Daily Management of Patients on Multikinase Inhibitors’ Treatment. Front Oncol. 2022;12:903532.

17. Saqcena M, Leandro-Garcia LJ, Maag JLV, Tchekmedyian V, Krishnamoorthy GP, Tamarapu PP, et al. SWI/SNF Complex Mutations Promote Thyroid Tumor Progression and Insensitivity to Redifferentiation Therapies. Cancer Discov. maggio 2021;11(5):1158–75.

18. Tchekmedyian V, Dunn L, Sherman E, Baxi SS, Grewal RK, Larson SM, et al. Enhancing Radioiodine Incorporation in BRAF-Mutant, Radioiodine- Refractory Thyroid Cancers with Vemurafenib and the Anti-ErbB3 Monoclonal Antibody CDX-3379: Results of a Pilot Clinical Trial. Thyroid. marzo 2022;32(3):273–82.

19. Luckett KA, Cracchiolo JR, Krishnamoorthy GP, LeandroGarcia LJ, Nagarajah J, Saqcena M, et al. Co-inhibition of SMAD and MAPK signaling enhances 124I uptake in BRAF-mutant thyroid cancers. Endocr Relat Cancer. 18 maggio 2021; 28(6):391–402.

20. Lasolle H, Schiavo A, Tourneur A, Gillotay P, de Faria da Fonseca B, Ceolin L, et al. Dual targeting of MAPK and PI3K pathways unlocks redifferentiation of Braf-mutated thyroid cancer organoids. Oncogene. gennaio 2024;43(3):155–70.

Richiamo tabella

Tabella 1. Opzioni di terapia in prima e seconda linea nei DTC oncogene-addicted e non oncogene addicted

Referenza Terapia

Ho, 2012 Selumitinib+ 131I 20

Rothenberg 2015 Dabrafenib + 131I 10

Jaber 2018 antiMEK e/o antiBRAF + 131I

Dunn, 2018 Vemurafenib+ 131I 12

molecolare Riprisitino della captazione dello iodio Risposta parziale radiologica

RAS ed altri

RAS ed altri

Iravani, 2019 antiMEK ± antiBRAF + 131I 6 BRAF V600E, RAS

Weber, 2022 Trametinib ± dabrafenib + 131I 20 BRAFV600E, RAS ed altri

Sopravvivenza libera da progressione

Leboulleux, 2023

Trametinib + dabrafenib + 131I

Trametinib + 131I 21 10

Toro Tobon 2023 Inibitore target + 131I 33

Ramos 2024 ATA proceedings Inibitore target + 131I 116

BRAFV600E, RAS, RET, ALK 19 (57%) 15 18 mesi

BRAFV600E N=75, RAS N=35, RET, NTRK 76/116 (65%) 25% 23 mesi

IMMUNOTERAPIA

Sezione di Medicina Interna e Scienze Endocrine e Metaboliche, Dipartimento di Medicina e Chirurgia, Università degli Studi di Perugia, Perugia, Italia

Le neoplasie umane si caratterizzano per la loro capacità di eludere la risposta immunitaria dell'organismo. Quotidianamente, abbiamo migliaia di cellule che a causa della mutazione di oncogeni vengono trasformate, ma che allo stesso tempo in seguito alle modificazioni del pattern antigenico di superficie, vengono riconosciute come estranee o danneggiate da parte del sistema immunitario e vengono eliminate. Questo processo del sistema immunitario responsabile della eliminazione delle cellule tumorali è anche noto come il sistema della immunosorveglianza.

Tuttavia, alcune cellule trasformate riescono a resistere alla azione del sistema di immunosorveglianza. In una fase iniziale, queste cellule possono entrare in uno stato di "equilibrio" con il sistema immunitario, resistendo alla distruzione ma rimanendo inibite nella loro crescita dai linfociti, formando un tumore “dormiente”. La pressione di selezione esercitata dalle cellule del sistema immunitario può attivare, tuttavia, un accumulo di modifiche favorevoli allo sviluppo di una progressiva refrattarietà all’effetto contenitivo delle stesse cellule immunitarie in un processo chiamato “immunoediting”. Si tratta soprattutto di modificazioni che alterano il microambiente tumorale in un senso immunosoppressivo. Il processo di “immunoediting” culmina nello sviluppo di una completa resistenza delle cellule tumorali alle cellule immunitarie, consentendo al tumore di crescere, invadere e metastatizzare in modo svincolato dal sistema di immunosorveglianza. Questo fenomeno è noto come “immune escape”.

Tra i meccanismi che contribuiscono all'immunosoppressione dell'ambiente tumorale vi sono:

• Perdita dell'espressione antigenica

• Richiamo di cellule immunosoppressive

• Secrezione di citochine ad azione immunosoppressiva

• Attivazione di immune checkpoints inibitori

L'immunoterapia: un nuovo paradigma terapeutico

La comprensione di questi meccanismi ha riportato in auge un concetto antico: l’idea di trattare i tumori con misure terapeutiche in grado di riattivare il sistema immunitario contro le cellule neoplastiche. Oggi questo obiettivo può essere raggiunto utilizzando diverse strategie terapeutiche:

• “Adoptive cell therapies”, come le cellule CAR-T

• Somministrazione di anticorpi monoclonali, inclusi gli anticorpi bispecifici, che avvicinano i linfociti al tumore

• Terapia con citochine

• Virus oncolitici

• Vaccini anti-tumorali

• Inibitori degli immune checkpoint (ICI)

Tra queste, gli ICI rappresentano uno standard terapeutico per molte neoplasie. Le cellule tumorali esprimono sulla loro superficie molecole quali CTLA-4 e PD-L1, ma anche GAL9, PVR e FGL1, che legandosi rispettivamente ai recettori linfocitari inibitori B7 e PD-1, TIM3, TIGIT e LAG3, sopprimono la risposta linfocitaria verso il tumore (Fig. 1A). La comprensione di questi meccanismi ha por-

Figura 1.

Meccanismo d’azione degli ICI. (A) Le cellule tumorali esprimono molecole come PD-L1, che inibiscono la risposta linfocitaria legandosi a recettori inibitori come PD-1. (B) Anticorpi monoclonali umanizzati in grado di legare queste molecole e di bloccarne l’interazione (ICI) permettono di riattivare una risposta linfocitaria anti-tumorale

tato allo sviluppo di anticorpi monoclonali umanizzati in grado di legare queste molecole bloccandone le interazioni e di ripristinare la risposta linfocitaria. Per questo sono anche noti come “Immune Checkpoint Inhibitors”

(ICI). I primi anticorpi ad essere sviluppati sono stati Ipilimumab (Ab anti-CTLA-4), Nivolumab e Pembrolizumab (Ab anti-PD-1), Durvalumab, Atezolizumab e Avelumab (Ab anti-PD-L1) (Fig. 1B). Questi farmaci sono ora ampiamente utilizzati nella pratica clinica per trattare vari tumori, tra cui melanoma, carcinoma a cellule di Merckel, NSCLC (carcinoma polmonare non a piccole cellule), carcinomi renali e uroteliali. Sono anche autorizzati per neoplasie caratterizzate da instabilità dei microsatelliti o difetti nel sistema di riparazione mismatch caratterizzati con un elevato “Tumor Mutational Burden (TMB)” in cui è autorizzato l’uso agnostico. In monoterapia si osserva generalmente una risposta duratura nel 20% dei pazienti trattati.

I principali biomarcatori predittivi comprendono:

• Espressione di PD-L1

• Infiltrazione linfocitaria del tumore,

• Profilo di espressione genica arricchito in geni linfocitari o attivati dal -interferone,

• ElevatoTMB.

La combinazione Ipilimumab e Nivolumab che ottimizza in modo più potente la funzione della cellula T ha mostrato risultati promettenti nel melanoma avanzato. Recentemente è stato immesso in commercio un anticorpo anti-LAG3 (Relatlimab), utilizzato in combinazione con Nivolumab per il trattamento del melanoma avanzato con risultati sempre molto promettenti. Inoltre, la combinazione degli ICI con radioterapia o chemioterapia può esaltare l’azione terapeutica attraverso un potenziamento della espressione antigenica e del priming linfocitario. Analogamente, l'associazione con inibitori tirosino-chinasici (TKI) può migliorare l'efficacia terapeutica influenzando favorevolmente soprattutto il microambiente tumorale ed inibendo, attraverso il blocco del signaling del VEGF, l’espressione degli altri immune checkpoint inibitori.

Immunoterapia e cancro tiroideo

Gli ICI sono stati anche testati nei carcinomi tiroidei. Un primo studio di fase II, in cui Pembrolizumab è stato somministrato in monoterapia a 22 pazienti affetti da carcinoma differenziato della tiroide (DTC) refrattario al radioiodio localmente avanzato o metastatico in progressione, ha registrato solo 2 risposte parziali con un tasso di risposte oggettive (ORR) del 9,1% (1). Piu promettente è stato uno studio di fase I/II in cui l’Ab anti-PD-1 Spartalizumab è stato somministrato in monoterapia a 30 pazienti affetti da carcinoma anaplastico della tiroide (ATC): 6/30 (20%) hanno presentato una risposta oggettiva (2).

Questi dati sono coerenti con recenti studi che hanno analizzato con tecnologia NanoString il profilo di espressione genica nei carcinomi avanzati della tiroide (3). È emerso che i carcinomi poco differenziati della tiroide (PDTC) sono immunologicamente inerti, mentre gli ATC mostrano un profilo di espressione genica arricchito in geni linfocitari o attivati dal -interferone e una iperespressione di mediatori dei checkpoint immunitari. Ulteriori valutazioni hanno confermato che la maggior parte degli ATC presenta infiltrazione da cellule CD3-, CD4- e CD8-positive. Al contrario la maggior parte dei PDTC presentano un “deserto immunologico” o l’esclusione dei linfociti dall’interno del tumore. Pertanto, gli ATC rappresentano neoplasie con più alta probabilità di rispondere alle immunoterapie (4).

Studi recenti hanno esplorato la combinazione tra Pembrolizumab e TKI.

In particolare, nello studio di fase II NCT02973997 condotto su 30 pazienti affetti da DTC refrattario al radioiodio (e in progressione (<= 14 mesi) prima dell’arruolamento), la combinazione Pembrolizumab + Lenvatinib ha mostrato un tasso ORR del 62% e una sopravvivenza libera da progressione (PFS) ad un anno del 74% (5).

Analogamente, nello studio di fase II ALTEP condotto in 35 pazienti affetti da ATC, l’ORR è stato del 51,9% con una PFS mediana di 10 mesi (6).

Sulla base di questo ultimo studio, in data 31 Luglio 2024, i medicinali Pembrolizumab e Lenvatinib sono stati inseriti ai sensi della legge n.648 nell’elenco istituito col provvedimento della Commissione unica del farmaco, e sono erogabili, a totale carico del Servizio Sanitario Nazionale, per il trattamento dell’ATC localmente avanzato, metastatico e/o ricorrente, nel rispetto delle condizioni presenti nel registro di monitoraggio “web-based” AIFA. Numerose esperienze locali italiane sull’uso dei due farmaci in combinazione negli ATC stanno confermando i dati dello studio ALTEP.

Conclusione

La comprensione dei meccanismi di evasione immunitaria da parte delle cellule tumorali ha aperto nuove strade terapeutiche nella lotta contro il cancro. Le strategie immunoterapiche, in particolare l'uso degli inibitori degli immune checkpoint, hanno dimostrato un potenziale significativo nel riattivare il sistema immunitario e nel migliorare le risposte terapeutiche in diverse neoplasie. L'integrazione di queste terapie con altre modalità di trattamento, come i TKI e la chemioterapia, offre ulteriori

opportunità per ottimizzare i risultati clinici. Tuttavia, la variabilità delle risposte tra i pazienti sottolinea l'importanza di una personalizzazione dei trattamenti e della continua ricerca per identificare biomarcatori predittivi che possano guidare le decisioni terapeutiche. Con l'avanzamento della ricerca e delle tecnologie, ci si aspetta che le terapie immunologiche diventino sempre più integrate nella pratica clinica, migliorando così la qualità della vita e le prospettive di guarigione per i pazienti oncologici.

Bibliografia

1. Mehnert JM, Varga A, Brose MS, Aggarwal RR, Lin CC, Prawira A, de Braud F, Tamura K, Doi T, Piha-Paul SA, Gilbert J, Saraf S, Thanigaimani P, Cheng JD, Keam B. Safety and antitumor activity of the anti-PD1 antibody pembrolizumab in patients with advanced, PD-L1-positive papillary or follicular thyroid cancer. BMC Cancer. (2019) 4;19(1):196. doi: 10.1186/s12885-019-5380-3. PMID: 30832606; PMCID: PMC6399859.

2. Capdevila J, Wirth LJ, Ernst T, Ponce Aix S, Lin CC, Ramlau R, Butler MO, Delord JP, Gelderblom H, Ascierto PA, Fasolo A, Führer D, Hütter-Krönke ML, Forde PM, Wrona A, Santoro A, Sadow PM, Szpakowski S, Wu H, Bostel G, Faris J, Cameron S, Varga A, Taylor M. PD-1 Blockade in Anaplastic Thyroid Carcinoma. J Clin Oncol. (2020);38(23):2620-2627. doi: 10.1200/JCO.19.02727. Epub 2020 May 4. PMID: 32364844; PMCID: PMC7476256.

3. Giannini R, Moretti S, Ugolini C, Macerola E, Menicali E, Nucci N, Morelli S, Colella R, Mandarano M, Sidoni A, Panfili M, Basolo F, Puxeddu E. Immune Profiling of Thyroid Carcinomas Suggests the Existence of Two Major Phenotypes: An ATC-Like and a PDTC-Like. J Clin Endocrinol Metab. (2019);104(8):3557-3575. doi: 10.1210/jc.2018-01167. PMID: 30882858.

4. Moretti S, Mandarano M, Menicali E, Guzzetti M, Morelli S, Talpacci E, Colella R, Bini V, Giannini R, Ugolini C, Sidoni A, Basolo F, Puxeddu E. Wnt/B-catenin activation and TP53 mutations associate with distinct immune profiles in advanced thyroid cancer. J Clin Endocrinol Metab. 2024 Sep 27:dgae667. doi: 10.1210/clinem/dgae667. Online ahead of print. PMID: 39328078

5. French JD, Haugen BR, Worden FP, Bowles DW, Gianoukakis AG, Konda B, Dadu R, Sherman EJ, McCue S, Foster NR, Nikiforov YE, Farias TDJ, Norman PJ, Wirth LJ. Combination Targeted Therapy with Pembrolizumab and Lenvatinib in Progressive, Radioiodine-Refractory Differentiated Thyroid Cancers. Clin Cancer Res. 2024 Sep 3;30(17):3757-3767. doi: 10.1158/1078-0432.CCR-23-3417. PMID: 38922338

6. Dierks C, Seufert J, Aumann K, Ruf J, Klein C, Kiefer S, Rassner M, Boerries M, Zielke A, la Rosee P, Meyer PT, Kroiss M, Weißenberger C, Schumacher T, Metzger P, Weiss H, Smaxwil C, Laubner K, Duyster J, von Bubnoff N, Miething C, Thomusch O. Combination of Lenvatinib and Pembrolizumab Is an Effective Treatment Option for Anaplastic and Poorly Differentiated Thyroid Carcinoma. Thyroid. (2021);31(7):1076-1085. doi: 10.1089/thy.2020.0322 Epub 2021 Apr 15. PMID: 33509020; PMCID: PMC8290324.

!

IL CARCINOMA

TIROIDEO ANAPLASTICO: UNA ENTITA’ RARA E MORTALE

Unità di Endocrinologia Oncologica, Istituto Auxologico IRCCS, Milano e Dipartimento di Fisiopatologia Chirurgica e dei Trapianti, Università degli Studi di Milano

Il carcinoma anaplastico della tiroide (ATC) rappresenta il tipo di cancro tiroideo più raro e letale. Con un’incidenza stimata di 1-1.5 casi per milione di persone all'anno, rimasta sostanzialmente stabile negli ultimi quattro decenni, costituisce circa l'1-2% di tutte le diagnosi di carcinoma tiroideo [1,2].

Caratteristiche Patologiche e Manifestazioni

Cliniche

L'ATC si sviluppa probabilmente da carcinomi tiroidei differenziati (DTC) o scarsamente differenziati (PDTC). Tuttavia, dal punto di vista istologico, le cellule dell'ATC appaiono completamente prive di differenziazione, senza presentare le caratteristiche morfologiche e immunoistochimiche delle cellule follicolari tiroidee o di altre linee cellulari [3].

La manifestazione tipica è una massa cervicale a rapida crescita, che spesso può causare sintomi quali disfagia, dispnea, raucedine e dolore cervicale. La compressione e/o invasione dei tessuti extra-tiroidei, dei vasi sanguigni maggiori e degli organi del collo sono frequenti alla diagnosi, talvolta richiedendo interventi urgenti per prevenire la morte per asfissia.

Stadiazione e Prognosi

A causa della sua aggressività e della frequente presenza di metastasi a distanza già al momento della diagnosi, l'American Joint Committee on Cancer (AJCC) classifica tutti gli ATC come tumori di stadio IV, suddiviso come riportato in Tabella I [4, 5].

1. Classificazione AJCC del carcinoma anaplastico della tiroide

Stadio AJCC Classificazione istologica Pazienti con questo stadio alla diagnosi

IVA tumore è confinato alla tiroide

IVB estensione extra-tiroidea macroscopica e/o metastasi ai linfonodi cervicali

IVC metastasi a distanza

La sopravvivenza mediana dei pazienti con ATC è di circa 4 mesi, con poco più di un terzo dei soggetti che sopravvive almeno 6 mesi [2]. La prognosi è inversamente correlata all'estensione del tumore [6].

Gestione multidisciplinare

La gestione dei pazienti con ATC richiede un team specialistico multidisciplinare, che comprenda endocrinologi, oncologi, chirurghi, radioterapisti, radiologi e psicologi. Il paziente deve essere coinvolto attivamente in ogni fase del percorso diagnostico e terapeutico, specialmente nella definizione degli obiettivi del trattamento. Secondo le linee guida dell'American Thyroid Association (ATA) il trattamento primario per l'ATC prevede la tiroidectomia totale, associata alla rimozione dei linfonodi centrali e laterali del collo [7]. L'obiettivo della chirurgia è ottenere una resezione radicale, con margini chirurgici completamente (R0) o parzialmente indenni (R1) da neoplasia. Questo approccio è correlato a una sopravvivenza mediana migliore rispetto ai pazienti non operati (8 vs. 4 mesi) [8].

La chirurgia dovrebbe essere offerta a tutti i pazienti con ATC in stadio IVA e a quelli in stadio IVB per i quali l'intervento sia tecnicamente possibile. Tuttavia, per i pazienti in stadio IVB, si sconsigliano interventi demolitivi (ad esempio, laringectomie o resezioni tracheali ed esofagee), poiché tali procedure comportano un aumento della morbilità e della mortalità senza un beneficio significativo in termini di sopravvivenza [7].

Terapie Adiuvanti e Alternative Terapeutiche

I pazienti che hanno ottenuto una resezione R0 o R1 possono essere sottoposti a terapia adiuvante, basata principalmente sulla radioterapia esterna. Quest'ultima viene eseguita con tecnica a intensità modulata (IMRT),

Tabella
Figura 1.

per minimizzare i danni alle strutture circostanti. La radioterapia può essere combinata con la chemioterapia, utilizzando farmaci come antracicline, platino e/o taxani, in diversi schemi terapeutici. L'uso congiunto di chemioe radioterapia, da iniziare rispettivamente entro 1 e 6 settimane dall'intervento [7], è stato associato a un miglioramento della sopravvivenza in diversi studi retrospettivi, con i risultati più rilevanti riscontrati nei pazienti con tumori in stadio IVC [9-12]. A causa delle potenziali tossicità associate a questi trattamenti, è essenziale valutare attentamente lo stato generale di salute del paziente e ottenere il suo consenso prima di procedere. I pazienti con ATC in stadio IVB non resecabile o in stadio IVC possono, in alcuni casi, essere sottoposti a interventi chirurgici non radicali (R2, con margini di resezione macroscopicamente intaccati dalla neoplasia) a scopo palliativo, sebbene i benefici in termini di sopravvivenza non siano chiaramente definiti [7]. Più frequentemente, il trattamento iniziale prevede l'uso combinato di chemioe radio-terapia, con l'obiettivo di stabilizzare o rallentare la progressione della malattia e, in alcuni casi, ridurre il carico tumorale a tal punto da rendere possibile una chirurgia radicale (R0/R1). Tuttavia, i chemioterapici tradizionali hanno dimostrato una limitata efficacia in questo contesto. Allo stesso modo, anche i numerosi inibitori multi-chinasici testati, sia in monoterapia sia in combinazione con chemioterapici convenzionali, hanno prodotto risultati modesti, spesso con profili di tossicità difficilmente tollerabili [13,14].

Nuove Prospettive Terapeutiche

Negli ultimi anni, grazie a una maggiore comprensione del profilo molecolare dell’ATC, sono state testate nuove terapie mirate, che hanno portato a significativi miglioramenti nei tassi di sopravvivenza [15]. Tra queste, i risultati più promettenti sono stati ottenuti con la combinazione di dabrafenib (Tafinlar®) e trametinib (Mekinist®), inibitori rispettivamente delle tirosino-chinasi intracellulari BRAF e MEK. In presenza della mutazione BRAFV600E, che si riscontra in una percentuale variabile tra il 10% e il 45% dei casi di ATC [14], BRAF e MEK risultano costitutivamente attivati, contribuendo alla carcinogenesi tiroidea. L'efficacia e la tollerabilità della combinazione di dabrafenib e trametinib sono state dimostrate nello studio ROAR, uno studio multicentrico di fase II non randomizzato, in cui circa un terzo dei pazienti ha ottenuto una sopravvivenza superiore ai 2 anni [16, 17]. I risultati dello studio ROAR, successivamente avvalorati da diverse esperienze nazionali, inclusa una

recente italiana [18-20], hanno portato la Food and Drug Administration (FDA) ad approvare la combinazione di dabrafenib e trametinib per il trattamento dell’ATC con mutazione BRAFV600E. Questo trattamento rappresenta oggi una valida alternativa alla chemioterapia per i pazienti con ATC non resecabile. Di conseguenza, le linee guida raccomandano di valutare lo stato mutazionale di BRAF nelle fasi iniziali del percorso diagnostico-terapeutico dell'ATC [7]. Va però notato che l'uso di dabrafenib + trametinib non è ancora stato approvato dall'European Medicines Agency (EMA). In Italia, i due farmaci sono prescrivibili a carico del Sistema Sanitario Nazionale (SSN) ai sensi della Legge 648/96, per pazienti con ATC positivi alla mutazione BRAFV600E che siano già stati sottoposti a chirurgia e/o chemio-radioterapia.

L’ATC è estremamente complesso dal punto di vista molecolare, potendo presentare mutazioni in diverse proteine coinvolte nella trasformazione neoplastica [21]. Anche la ricerca di queste mutazioni dovrebbe essere effettuata nelle prime fasi diagnostiche, poiché la loro presenza rende il tumore potenzialmente responsivo a specifici farmaci tirosino-chinasici selettivi. Tuttavia, i risultati relativi a tali farmaci nella terapia dell’ATC sono ancora preliminari, per cui il loro utilizzo è raccomandato all'interno di trial clinici dedicati [7].

Immunoterapia

Un’alternativa agli inibitori tirosino-chinasici selettivi è rappresentata dai farmaci inibitori del checkpoint immunitario, che potenziano la risposta del sistema immunitario contro le cellule tumorali. In tal senso, i dati più promettenti riguardano la combinazione di pembrolizumab e lenvatinib. Pembrolizumab agisce bloccando PD1, una proteina recettoriale presente sulle cellule immunitarie. Quando PD-1 viene attivata dal ligando specifico PD-L1 (espresso nel 70-90% dei casi di ATC [22]), ne inibisce l'attività, riducendo così l'efficacia della risposta immunitaria contro il tumore. Pembrolizumab interrompe questa interazione, permettendo alle cellule immunitarie di riconoscere e attaccare più efficacemente il tumore. Nel trial di fase 2 ATLEP, condotto su 27 pazienti con ATC, è stata raggiunta una sopravvivenza mediana di circa 10 mesi, con oltre un quarto dei pazienti (7 su 27) ancora in vita a distanza di due anni dall'inizio del trattamento [23]. Sulla base dei dati di efficacia e sicurezza ottenuti, l'Agenzia Italiana del Farmaco (AIFA) ha approvato la prescrivibilità della combinazione di pembrolizumab e lenvatinib a carico del Sistema Sanitario Nazionale (SSN), ai sensi della Legge 648/96.

Conclusioni

Nonostante la prognosi dell'ATC rimanga infausta, le nuove terapie mirate e l'immunoterapia stanno aprendo prospettive promettenti. La caratterizzazione molecolare precoce del tumore è fondamentale per indirizzare le scelte terapeutiche verso i trattamenti più appropriati. Un approccio multidisciplinare e personalizzato rimane fondamentale per ottimizzare i risultati clinici.

Bibliografia

[1] Pereira M, Williams VL, Hallanger Johnson J, Valderrabano P. Thyroid Cancer Incidence Trends in the United States: Association with Changes in Professional Guideline Recommendations. Thyroid. 2020 Aug;30(8):11321140. doi: 10.1089/thy.2019.0415.

[2] Lin B, Ma H, Ma M, Zhang Z, Sun Z, Hsieh IY, Okenwa O, Guan H, Li J, Lv W. The incidence and survival analysis for anaplastic thyroid cancer: a SEER database analysis. Am J Transl Res. 2019 Sep 15;11(9):5888-5896.

[3] Cabanillas ME, Ryder M, Jimenez C. Targeted Therapy for Advanced Thyroid Cancer: Kinase Inhibitors and Beyond. Endocr Rev. 2019 Dec 1;40(6):1573-1604. doi: 10.1210/er.2019-00007.

[4] Tuttle RM, Haugen B, Perrier ND. Updated American Joint Committee on Cancer/Tumor-Node-Metastasis Staging System for Differentiated and Anaplastic Thyroid Cancer (Eighth Edition): What Changed and Why? Thyroid. 2017 Jun;27(6):751-756. doi: 10.1089/thy.2017.0102.

[5] Chen J, Tward JD, Shrieve DC, Hitchcock YJ. Surgery and radiotherapy improves survival in patients with anaplastic thyroid carcinoma: analysis of the surveillance, epidemiology, and end results 1983-2002. Am J Clin Oncol. 2008 Oct;31(5):460-4. doi: 10.1097/COC.0b013e31816a61f3

[6] Onoda N, Sugitani I, Ito KI, Suzuki A, Higashiyama T, Fukumori T, Suganuma N, Masudo K, Nakayama H, Uno A, Yane K, Yoshimoto S, Ebina A, Kawasaki Y, Maeda S, Iwadate M, Suzuki S. Evaluation of the 8th Edition TNM Classification for Anaplastic Thyroid Carcinoma. Cancers (Basel). 2020 Feb 27;12(3):552. doi: 10.3390/cancers12030552.

[7] Bible KC, Kebebew E, Brierley J, Brito JP, Cabanillas ME,

Clark TJ Jr, Di Cristofano A, Foote R, Giordano T, Kasperbauer J, Newbold K, Nikiforov YE, Randolph G, Rosenthal MS, Sawka AM, Shah M, Shaha A, Smallridge R, WongClark CK. 2021 American Thyroid Association Guidelines for Management of Patients with Anaplastic Thyroid Cancer. Thyroid. 2021 Mar;31(3):337-386. doi: 10.1089/thy.2020.0944

[8] Hu S, Helman SN, Hanly E, Likhterov I. The role of surgery in anaplastic thyroid cancer: A systematic review. Am J Otolaryngol. 2017 May-Jun;38(3):337-350. doi: 10.1016/j.amjoto.2017.02.005

[9] Sugitani I, Miyauchi A, Sugino K, Okamoto T, Yoshida A, Suzuki S. Prognostic factors and treatment outcomes for anaplastic thyroid carcinoma: ATC Research Consortium of Japan cohort study of 677 patients. World J Surg. 2012 Jun;36(6):1247-54. doi: 10.1007/s00268-012-1437-z

[10] Swaak-Kragten AT, de Wilt JH, Schmitz PI, Bontenbal M, Levendag PC. Multimodality treatment for anaplastic thyroid carcinoma--treatment outcome in 75 patients. Radiother Oncol. 2009 Jul;92(1):100-4. doi: 10.1016/j.radonc.2009.02.016

[11] Wendler J, Kroiss M, Gast K, Kreissl MC, Allelein S, Lichtenauer U, Blaser R, Spitzweg C, Fassnacht M, Schott M, Führer D, Tiedje V. Clinical presentation, treatment and outcome of anaplastic thyroid carcinoma: results of a multicenter study in Germany. Eur J Endocrinol. 2016 Dec;175(6):521-529. doi: 10.1530/EJE-16-0574

[12] Prasongsook N, Kumar A, Chintakuntlawar AV, Foote RL, Kasperbauer J, Molina J, Garces Y, Ma D, Wittich MAN, Rubin J, Richardson R, Morris J, Hay I, Fatourechi V, McIver B, Ryder M, Thompson G, Grant C, Richards M, Sebo TJ, Rivera M, Suman V, Jenkins SM, Smallridge RC, Bible KC. Survival in Response to Multimodal Therapy in Anaplastic Thyroid Cancer. J Clin Endocrinol Metab. 2017 Dec 1;102(12):4506-4514. doi: 10.1210/jc.2017-01180

[13] De Leo S, Trevisan M, Fugazzola L. Recent advances in the management of anaplastic thyroid cancer. Thyroid Res. 2020 Nov 24;13(1):17. doi: 10.1186/s13044-020-00091w

[14] Rao SN, Smallridge RC. Anaplastic thyroid cancer: An update. Best Pract Res Clin Endocrinol Metab. 2023 Jan;37(1):101678. doi: 10.1016/j.beem.2022.101678

[15] Maniakas A, Dadu R, Busaidy NL, Wang JR, Ferrarotto R, Lu C, Williams MD, Gunn GB, Hofmann MC, Cote G, Sperling J, Gross ND, Sturgis EM, Goepfert RP, Lai SY, Cabanillas ME, Zafereo M. Evaluation of Overall Survival in Patients With Anaplastic Thyroid Carcinoma, 2000-2019. JAMA Oncol. 2020 Sep 1;6(9):1397-1404. doi: 10.1001/jamaoncol.2020.3362

[16] Subbiah V, Kreitman RJ, Wainberg ZA, Cho JY, Schellens JHM, Soria JC, Wen PY, Zielinski C, Cabanillas ME, Urbanowitz G, Mookerjee B, Wang D, Rangwala F, Keam B. Dabrafenib and Trametinib Treatment in Patients With Locally Advanced or Metastatic BRAF V600-Mutant Anaplastic Thyroid Cancer. J Clin Oncol. 2018 Jan 1;36(1):7-13.

doi: 10.1200/JCO.2017.73.6785

[17] Subbiah V, Kreitman RJ, Wainberg ZA, Cho JY, Schellens JHM, Soria JC, Wen PY, Zielinski CC, Cabanillas ME, Boran A, Ilankumaran P, Burgess P, Romero Salas T, Keam B. Dabrafenib plus trametinib in patients with BRAF V600Emutant anaplastic thyroid cancer: updated analysis from the phase II ROAR basket study. Ann Oncol. 2022 Apr;33(4):406-415. doi: 10.1016/j.annonc.2021

[18] Hamidi S, Iyer PC, Dadu R, Gule-Monroe MK, Maniakas A, Zafereo ME, Wang JR, Busaidy NL, Cabanillas ME. Checkpoint Inhibition in Addition to Dabrafenib/Trametinib for BRAFV600E-Mutated Anaplastic Thyroid Carcinoma. Thyroid. 2024 Mar;34(3):336-346. doi: 10.1089/thy.2023.0573

[19] Bueno F, Smulever A, Califano I, Guerra J, Del Grecco A, Carrera JM, Giglio R, Rizzo M, Lingua A, Voogd A, Negueruela MDC, Abelleira E, Pitoia F. Dabrafenib plus trametinib treatment in patients with anaplastic thyroid carcinoma: an Argentinian experience. Endocrine. 2023 Apr;80(1):134-141. doi: 10.1007/s12020-022-03295-2

[20] Elisei R, Durante C, Colombo E, Leli C, Salvatore D, Fugazzola L, Bossi P, Zovato S, Magri F, Malovini A, Locati LD. Dabrafenib and trametinib in BRAFV600E anaplastic thyroid cancers: an Italian real-word series. Endocrine Abstracts (2024) 101 OP01-05. DOI: 10.1530/endoabs.101.OP-01-05

[21] Rashid M, Agarwal A, Pradhan R, George N, Kumari N, Sabaretnam M, Chand G, Mishra A, Agarwal G, Mishra SK. Genetic Alterations in Anaplastic Thyroid Carcinoma. Indian J Endocrinol Metab. 2019 Jul-Aug;23(4):480-485. doi: 10.4103/ijem.IJEM_321_19

[22] Cantara S, Bertelli E, Occhini R, Regoli M, Brilli L, Pacini F, Castagna MG, Toti P. Blockade of the programmed death ligand 1 (PD-L1) as potential therapy for anaplastic thyroid cancer. Endocrine. 2019 Apr;64(1):122-129. doi: 10.1007/s12020-019-01865-5

[23] 1646MO Phase II ATLEP trial: Final results for lenvatinib/pembrolizumab in metastasized anaplastic and poorly differentiated thyroid carcinoma. Dierks, C. et al. Annals of Oncology, Volume 33, S1295

IL CARCINOMA TIROIDEO MIDOLLARE: NUOVE TERAPIE

Antonio Matrone1, Carla Gambale1, Alessandro Prete1, Cristina Romei1, Clara Ugolini2, Rossella Elisei1

1 Endocrinologia, Dipartimento di Medicina Clinica e Sperimentale, Università di Pisa

2 Dipartimento di Patologia Chirurgica, Medica, Molecolare e dell’Area Critica, Università di Pisa

Panoramica sul Carcinoma Midollare della Tiroide (CMT)

Il carcinoma midollare della tiroide (CMT) origina dalle cellule parafollicolari (cellule C) della tiroide, che producono calcitonina (Ct), marcatore sensibile e specifico per la diagnosi ed il follow-up del CMT (Fig. 1). La malattia può presentarsi in forma sporadica (75%) o ereditaria (25%). I casi ereditari sono dovuti a mutazioni nel protoncogene RET e possono coesistere con altri tumori endocrini e manifestazioni non endocrine, configurando le sindromi da neoplasie endocrine multiple (MEN).

• A.B. Due immagini istologiche di carcinoma midollare.

• Le cellule appaiono rotondeggianti o ovoidali, plasmocitoidi, con abbondante citoplasma e nuclei per lo piu eccentrici con il tipico aspetto a «sale e pepe» della cromatina, organizzate in strutture cordonali o nidi, ma anche piccoli clusters.

• C. Positivita immunoistochimica per Cromogranina-A

• D. Positivita immunoistochimica per Calcitonina

• Entrambi markes fondamentali per la diagnosi di questa neoplasia.

Il CMT si diffonde sia per via linfatica che ematica, e presenta generalmente metastasi linfonodali (70%) e/o a distanza (10%) al momento della diagnosi [1]. Pur rappresentando solo il 5-10% di tutti i tumori tiroidei, la mortalità malattia specifica è elevata, sottolineando l’importanza di una una diagnosi precoce e terapie mirate.

Diagnosi e Approcci di Trattamento Iniziale

Il CMT si presenta tipicamente come un nodulo tiroideo con o senza metastasi linfonodali. La valutazione iniziale non può prescindere dal dosaggio sierico della calcitonina [2], che rappresenda l’esame fondamentale. Al contrario, l’ecografia tiroidea [3] e l’esame citologico su agoaspirato [4], sono esami complementari, presentando una sensibilità limitata nella diagnosi del CMT.

Il trattamento di prima linea è la tiroidectomia totale con svuotamento linfonodale profilattico del comparto centrale, soprattutto in assenza di metastasi linfonodali evidenziabili all’ ecografia [5]. La dissezione del comparto linfonodale laterocervicale è, invece, indicata solo in presenza di metastasi linfonodali identificate prima o durante l’intervento chirurgico. Nei pazienti con metastasi a distanza, il follow up prevede una valutazione oggettiva della progressione di malattia con tomografia assiale computerizzata (TAC) utilizzando criteri radiologici oggettivi quali i RECIST 1.1 (Response Evaluation Criteria in Solid Tumors) [6]. Parallelamente, è fondamentale monitorare periodicamente i livelli sierici di Ct e CEA per valutarne il tempo di raddoppiamento. Qualora venga documentata una progressione della malattia, sulla base di numerosità, localizzazione e crescita nel tempo delle metastasi, è raccomandata l’inizio di una terapia sistemica.

Profilo molecolare del CMT

Le mutazioni puntiformi del gene RET rappresentano il principale evento molecolare responsabile dell’oncogenesi nei casi ereditari e sporadici di CMT. Il gene RET, situato sul cromosoma 10q11.2 codifica per un recettore di mebrana tirosino-chinasico. Nelle forme ereditarie di CMT, quasi il 100% dei casi presenta mutazioni germinali attivanti soprattutto nel dominio extracellulare, in particolare nell’esone 11 (codone 634) e nell’esone 10 (Fig. 2). La mutazione M918T, sebbene rara, è tipica-

Figura 2. Rappresentazione grafica dei domini e codoni mutati di RET

Mutazioni puntiformi

Dominio extracellulare

Dominio transmembrana

Dominio intracellulare

G533C/G548S

C609F/G/R/S/Y C611F/G/S/W/Y/R C618F/G/R/S/Y/W C620F/R/S/Y/G/W C630R/Y D631Y C634F/G/R/S/W/Y K666E/N

E768D/Q781R L790F V804L/M A883F S891A R912P M918T

Figura 1.

mente associata alla MEN2B ed è la mutazione che caratterizza il CMT con maggiore aggressività. Anche nel CMT sporadico, la mutazione somatica di RET, e in particolare la M918T, rappresenta la mutazione prevalente (50% circa dei casi), e questa prevalenza aumenta con l’aumentare dell’aggressività della malattia (circa 85% nelle forme avanzate) [7].

Nei casi sporadici sono state descritte anche altre mutazioni di H-RAS, K-RAS, NF1 e altri geni, sebbene meno frequentemente rispetto alle mutazioni di RET [7, 8].

Terapie Sistemiche per CMT Avanzato.

Il CMT avanzato e in progressione necessita di una terapia sistemica. I farmaci oggi disponibili in prima linea sono gli inibitori multichinasici (MKI): vandetanib e cabozantinib [9, 10]. Questi farmaci inibiscono vari recettori tirosino-chinasici coinvolti nella crescita cellulare tumorale e nella angiogenesi (Tabella 1). Questi farmaci,

Tabella 1. IC50 dei principali farmaci studiati per il trattamento del CMT avanzato e progressivoT

Inibitori multichinasici Inibitori selettivi di RET

Cabozantinib Vandetanib Selpercatinib Pralsetinib

Emivita 55 ore 19 giorni 32 ore 14,7 ore IC50

EGFR / 0,5 / /

MET 1,3 / / /

VEGFR2 0,035 4 100 35

IC50 indica la concentrazione del farmaco necessaria per inibire il 50% dell’attività della proteina target ed è utilizzata comunemente per mostrare la potenza di un farmaco: minore è IC50, maggiore è la potenza. RET: Rearranged During Transfection, EGFR: Epidermal Growth Factor Receptor, MET: mesenchymal-epithelial transition proto-oncogene, VEGFR2: Vascular Endothelial Growth Factor Receptor 2

prevalentemente citostatici, stabilizzano la malattia anche per lungo tempo e riducono la massa tumorale grazie alla loro azione anti-angiogenetica, mediata dall’inibizione del recettore del fattore di crescita vascolare (VEGFR). Questa azione determina la riduzione dell’apporto ematico al tumore e quindi una sua necrosi a cui spesso consegue una riduzione della massa tumorale. Poiché i MKI hanno una attività inibitoria su molti recettori tirosino-chinasici, sono stati testati nei trials clinici indipendentemente dalla presenza/assenza della mutazione di RET. Tuttavia, l’ente regolatorio europeo (EMA)

e poi anche quello italiano (AIFA) dal gennaio 2023 hanno ristretto la prescrivibilità di vandetanib ai soli casi di CMT RET mutati ritenendo che il farmaco abbia una minore efficacia sui casi RET negativi. Cabozantinib invece rimane tutt’oggi prescrivibile in tutti i casi di CMT avanzato e in progressione indipendentemente dal profilo molecolare.

Proprio per questa loro azione multichinasica e soprattutto per l’azione anti angiogenetica, l’impiego di entrambi i farmaci è gravato da numerosi e vari effetti collaterali che rappresentano poi di fatto il principale motivo di riduzione/sospensione della terapia nel corso del tempo (Tabella 2).

Nuove terapie sistemiche per CMT avanzato

Gli inibitori selettivi di RET, selpercatinib e pralsetinib, poichè specificamente e pressochè esclusivamente diretti contro RET, mostrano maggiore efficacia e minore tossicità rispetto agli MKI.

Selpercatinib

Selpercatinib, inibitore selettivo di RET, è efficace contro, fusioni e mutazioni puntiformi di RET e anche nei confronti di mutazioni “gatekeeper” (e.g. V804L, V804M) che inducono resistenza al vandetanib in studi in vitro [11].

Gli studi principali che hanno valutato l’efficacia e la tollerabilità di selpercatinib nel CMT sono lo studio di fase I/II (LIBRETTO-001) [12] e lo studio di fase III (LIBRETTO531) [13].

Il LIBRETTO-001 è uno studio basket di fase I/II, che ha valutato l’efficacia e la sicurezza di selpercatinib in pazienti con tumori solidi di qualsiasi tipo che avessero una mutazione di RET. Nello studio, oltre a pazienti con carcinoma polmonare non a piccole cellule e carcinoma papillare della tiroide con riarrangiamenti di RET, sono stati inclusi 143 pazienti con CMT avanzato o metastatico in progressione, di età pari o superiore a 12 anni, sia naive (mai trattati con altri farmaci) che già trattati con altri farmaci. L’ objective response rate (ORR: risposta parziale+risposta completa secondo RECIST) è stata del 69% nei pazienti precedentemente trattati e del 73% nei pazienti naive. Dopo 12 mesi, l’82% dei pazienti già trattati e il 92% dei non trattati erano liberi da progressione di malattia. Gli eventi avversi di grado 3 o 4, riportati in Tabella 2, sono stati relativamente rari. Inoltre, sono stati descritti alcuni eventi avversi molto peculiari da selpercatinib, tra cui la comparsa di versamenti di natura chilosa sia a livello toracico (Fig. 3) che addominale

Tabella 2. Piu frequenti eventi avversi riportati negli studi clinici per vandetanib, cabozantinib, selpercatinib e pralsetinib

Studi clinici

Qualsiasi grado (%)

(incidenza ≥ 15%)

Grado ≥ 3 (incidenza ≥ 2%)

Vandetanib - Fase III (n=231) (22025146)

Diarrea (56)

Rash cutaneo (45)

Nausea (33)

Ipertensione (32)

Cefalea (26)

Astenia (24)

↓ Appetito (21)

Acne (20)

Secchezza cutanea (15)

Dermatite acneiforme (15)

Diarrea (11)

Ipertensione (9)

Allungamento QT (8)

Astenia (6)

↓ Appetito (4)

Rash cutaneo (4)

Cabozantinib - Fase III (n=214) (24002501)

Diarrea (63.1)

Sindrome mani-piedi (50)

↓ Peso (47.7)

↓ Appetito (45.8)

Nausea (43)

Astenia (40.7)

Disgeusia (34.1)

Modifica del colore dei

capelli (33.6)

Ipertensione (32.7)

Stomatite (29)

Diarrea (15.9)

Sindrome mani-piedi (12.6)

↓ Peso (4.7)

↓ Appetito (4.7) Astenia (9.3)

Ipertensione (8.4) Infiammazione mucosale (3.3)

Disfagia (4.2)

Selpercatinib - Fase I/II (n= 324) (39094065)

Bocca secca (36.7)

Ipertensione (33.6)

Astenia (29.9)

↑AST (27.2)

↑ALT (26.5)

Diarrea (25.6)

Edema (23.1)

Costipazione (22.2)

↑Creatinina (18.8)

Nausea (15.4)

Ipertensione (14.5)

↑ALT (7.4) ↑AST (5.9) Allungamento QT (3.4) Diarrea (2.2)

(32846061)

AST: aspartato aminotrasferasi; ALT: alanina aminotrasferasi

Selpercatinib - Fase III (n= 193) (37870969)

Ipertensione (42.5)

Bocca secca (31.6)

Diarrea (26.4)

↑AST (23.8)

↑ALT (26.4)

Cefalea (22.8)

Astenia (18.7)

Ipertensione (18.7) ↑ALT (10.4) ↑AST (4.7) Diarrea (3.1) Astenia (3.6)

[14]. Nel 2020, l’ente regolatorio americano (FDA) ha concesso l’approvazione accelerata per selpercatinib nei pazienti con CMT avanzato o metastatico RET mutato. L’utilizzo del selpercatinib ha mostrato che, oltre alla scarsa severità dei pochi effetti collaterali, si verifica un netto miglioramento della diarrea e più in generale della qualità della vita [15].

Recentemente, sono stati riportati i dati a lungo termine di LIBRETTO-001 su 324 pazienti con CMT e con un follow-up di 37 mesi che ha confermato l’ottima efficacia e la buona tollerabilità del farmaco.

Sulla base dei risultati di LIBRETTO-001, è stato avviato

Figura 3. A) Scansione TC toracica che mostra versamento pleurico bilaterale, prevalente a destra; B) Campione di natura chilosa ottenuto mediante toracentesi

Pralsetinib - Fase I/II (n= 123) (34118198)

↑ AST (33)

Costipazione (27)

leucopenia (26)

↑ ALT (22)

Iperfosforemia (22)

Astenia (22)

Neutropenia (20)

Anemia (19)

↑ Creatinina (18)

Dolore muscolo scheletrico (18)

Ipertensione (17) Neutropenia (13) Linfopenia (11) Anemia (10) leucopenia (8) Astenia (4) ↑ cretinfosfochinasi (4) Polmonite (3) Diarrea (2)

uno studio randomizzato di fase III (LIBRETTO-531) che ha confrontato l’efficacia e la sicurezza di selpercatinib rispetto alla terapia standard (vandetanib/cabozantinib) in prima linea in pazienti con CMT avanzato RET mutato in progressione. Sono stati inclusi 291 pazienti (con un rapporto selpercatinib vs vandetanib/cabozantinib di 2:1). A 12 mesi l’intervallo libero da progressione di malattia (PFS) era dell’86,8% e del 65,7% nel gruppo selpercatinib e nei controlli, rispettivamente. L’ ORR era del 69,4% e del 38,8% nel gruppo selpercatinib e nei controlli, rispettivamente. Gli eventi avversi hanno portato a una riduzione della dose nel 38,9% dei pazienti nel gruppo selpercatinib, e nel 77,3% nei controlli, e alla interruzione del trattamento nel 4,7% e nel 26,8%, rispettivamente.

Pralsetinib

A B

Pralsetinib è un inibitore di RET wild-type, delle fusioni e delle mutazioni di RET, incluse le “gatekeeper”. Lo studio ARROW di fase I/II ha valutato 61 pazienti con CMT precedentemente trattati con cabozantinib e/o vandetanib e 23 pazienti con CMT mai trattati, RET mutati. L’ORR era del 60% nei pazienti con CMT precedentemente trattati con MKI, mentre nel gruppo dei pazienti non trattati l’ORR era del 71%. Gli eventi avversi più frequenti sono riportati in Tabella 2. Eventi avversi gravi (SAE) sono stati segnalati nel 15% dei pazienti, con la polmonite come il più frequente (4%). La dose è stata ridotta nel 44% dei pazienti, principalmente a causa di anemia, linfopenia o neutropenia e ipertensione, e il 54% dei pazienti ha interrotto temporaneamente la dose a causa di eventi avversi. L’analisi aggiornata di questo studio [16] ha incluso 123 pazienti con CMT RET mutati, di cui 61 precedentemente trattati con cabozantinib o vandetanib, e 62 mai trattati. L’ORR era 55,7% e 77,4% nei pazienti precedentemente trattati e non trattati, rispettivamente. Era stato progettato uno studio di fase III allo scopo di confrontare pralsetinib con il trattamento standard (AcceleRET-CMT) (ClinicalTrials.gov identificativo: NCT04760288). Tuttavia, i produttori di pralsetinib hanno deciso di interrompere lo sviluppo dello studio clinico di fase III e hanno ritirato l’indicazione per il CMT con mutazione RET. Purtroppo per entrambi i farmaci sono già state rilevate mutazioni di nuova insorgenza durante il trattamento

che inducono resistenza al farmaco stesso. Tali mutazioni possono essere non solo “on-target”, cioè di RET stesso, ma anche “off-target”, cioè di altri oncogeni [17]. La sfida del prossimo futuro sarà l’identificazione di farmaci ancora più selettivi e specifici per tali mutazioni in modo da eludere la resistenza al farmaco e continuare la terapia.

I Test Genetici nell’era della terapia di precisione L’impiego in pratica clinica di inibitori selettivi di RET apre la problematica della analisi genetica e in particolare di quando e a chi farla. Lo screening genetico su DNA costitutivo estratto da linfociti, e quindi ottenuto con un semplice prelievo di sangue, è oggi un esame standard da eseguire in tutti i casi di CMT, sia quelli già evidentemente ereditari ma anche in quelli apparentemente sporadici data la possibilità che il 7-8% di questi risulti poi di fatto ereditario [18]. Ancora irrisolta è la domanda se fare la ricerca della mutazione somatica in tutti i casi sporadici o solo in casi selezionati. Vista l’elevata frequenza delle mutazioni di RET nei casi sporadici a peggior prognosi [19], e data la dimostrazione che esistono alcuni fattori prognostici che predicono quali casi persistenti biochimici andranno in progressione [20], si suggerisce che il test genetico per le mutazioni somatiche di RET sia utile nei casi avanzati e metastatici già all’esordio e in quei casi non definitivamente curati dalla chirurgia e che presentano fattori di rischio di progressione [21]. Poiché i trattamenti come gli inibitori selettivi di RET, ma oggi anche quello con vandetanib, dipendono dalla conoscenza dello stato mutazionale, è opportuno eseguire la ricerca della mutazione somatica ogni qual volta si presupponga che il paziente possa avere una malattia che potrebbe richiedere una terapia sistemica.

Conclusioni

Il CMT è un tumore tiroideo raro e molto peculiare per la difficoltà diagnostica e per la sua possibile origine sporadica o ereditaria. Sebbene la chirurgia sia il trattamento di prima linea, molte volte non è risolutiva. Le terapie molecolari, in particolare gli inibitori selettivi di RET, rappresentano una svolta, offrendo una gestione efficace e migliorando la qualità della vita dei pazienti. Tuttavia, la sfida futura consiste nello sviluppo di farmaci innovativi per superare le resistenze emergenti e prolungare ulteriormente la sopravvivenza dei pazienti.

Bibliografia

1. Gild, M.L., et al., Medullary Thyroid Cancer: Updates and Challenges. Endocr Rev, 2023. 44(5): p. 934-946.

2. Elisei, R., et al., Impact of routine measurement of serum calcitonin on the diagnosis and outcome of medullary thyroid cancer: experience in 10,864 patients with nodular thyroid disorders. J Clin Endocrinol Metab, 2004. 89(1): p. 163-8.

3. Matrone, A., et al., Ultrasound features and risk stratification systems to identify medullary thyroid carcinoma. Eur J Endocrinol, 2021. 185(2): p. 193-200.

4. Essig, G.F., Jr., et al., Fine needle aspiration and medullary thyroid carcinoma: the risk of inadequate preoperative evaluation and initial surgery when relying upon FNAB cytology alone. Endocr Pract, 2013. 19(6): p. 920-7.

5. Wells, S.A., Jr., et al., Revised American Thyroid Association guidelines for the management of medullary thyroid carcinoma. Thyroid, 2015. 25(6): p. 567-610.

6. Eisenhauer, E.A., et al., New response evaluation criteria in solid tumours: revised RECIST guideline (version 1.1). Eur J Cancer, 2009. 45(2): p. 228-47.

7. Ciampi, R., et al., Genetic Landscape of Somatic Mutations in a Large Cohort of Sporadic Medullary Thyroid Carcinomas Studied by Next-Generation Targeted Sequencing. iScience, 2019. 20: p. 324-336.

8. Ciampi, R., et al., NF1 Gene Inactivation Acts as Tumor Driver in RET/RAS Negative Medullary Thyroid Carcinomas. Eur J Endocrinol, 2023.

9. Wells, S.A., Jr., et al., Vandetanib in patients with locally advanced or metastatic medullary thyroid cancer: a randomized, double-blind phase III trial. J Clin Oncol, 2012. 30(2): p. 134-41.

10. Elisei, R., et al., Cabozantinib in progressive medullary thyroid cancer. J Clin Oncol, 2013. 31(29): p. 3639-46.

11. Carlomagno, F., et al., Disease associated mutations at valine 804 in the RET receptor tyrosine kinase confer resistance to selective kinase inhibitors. Oncogene, 2004. 23(36): p. 6056-63.

12. Wirth, L.J., et al., Efficacy of Selpercatinib in RET-Altered Thyroid Cancers. N Engl J Med, 2020. 383(9): p. 825-835.

13. Hadoux, J., et al., Phase 3 Trial of Selpercatinib in Advanced RET-Mutant Medullary Thyroid Cancer. N Engl J Med, 2023. 389(20): p. 1851-1861.

14. Prete, A., et al., Chylous effusions in advanced medullary thyroid cancer patients treated with selpercatinib. Eur J Endocrinol, 2022. 187(6): p. 905-915.

15. Wirth, L.J., et al., Patient-Reported Outcomes with Selpercatinib Treatment Among Patients with RET-Mutant Medullary Thyroid Cancer in the Phase I/II LIBRETTO-001 Trial. Oncologist, 2022. 27(1): p. 13-21.

16. Subbiah, V., et al., Pralsetinib in Patients with Advanced/Metastatic Rearranged During Transfection (RET)-Altered Thyroid Cancer: Updated Efficacy and Safety Data from the ARROW Study. Thyroid, 2024. 34(1): p. 2640.

17. Subbiah, V., et al., Adaptive Darwinian off-target resistance mechanisms to selective RET inhibition in RET driven cancer. NPJ Precis Oncol, 2024. 8(1): p. 62.

18. Romei, C., et al., RET genetic screening of sporadic medullary thyroid cancer (MTC) allows the preclinical diagnosis of unsuspected gene carriers and the identification of a relevant percentage of hidden familial MTC (FMTC). Clin Endocrinol (Oxf), 2011. 74(2): p. 241-7.

19. Romei, C., et al., New insights in the molecular signature of advanced medullary thyroid cancer: evidence of a bad outcome of cases with double RET mutations. J Med Genet, 2016.

20. Prete, A., et al., Clinical Evolution of Sporadic Medullary Thyroid Carcinoma With Biochemical Incomplete Response After Initial Treatment. J Clin Endocrinol Metab, 2023. 108(8): p. e613-e622.

21. Matrone, A., et al., Timing and Ideal Patient for an Appropriate Search for Somatic RET Mutation in Medullary Thyroid Cancer. JCO Precis Oncol, 2024. 8: p. e2400017.

POPOLAZIONI SPECIFICHE

IL CARCINOMA TIROIDEO NELLE DONNE: COSA DICONO

I DATI DELL’OSSERVATORIO ITCO

Il carcinoma tiroideo è l’unico tumore non riproduttivo che mostra una netta predominanza femminile. Dal 1992 al 2018, la sua incidenza ha registrato un incremento del 200%, con un impatto sproporzionatamente maggiore nelle donne, nelle quali si riscontra un’incidenza 3-4 volte superiore rispetto agli uomini.

Differenze di Genere nella Presentazione Clinica

La disparità di genere nell’incidenza del carcinoma tiroideo si manifesta in modo specifico per ciascuno tipo istologico. Mentre l’incidenza degli istotipi più aggressivi quali l’anaplastico e il midollare è simile tra i due sessi, i carcinomi differenziati (papillare e follicolare) presentano una netta predominanza nel sesso femminile. Sebbene l’incidenza del tumore tiroideo sia maggiore nel sesso femminile, i pazienti di sesso maschile tendono a sviluppare spesso forme più aggressive, caratterizzate da una malattia più avanzata alla diagnosi e un maggior tasso di recidiva. Le basi molecolare di queste differenze legate al sesso non sono ancora completamente comprese, tanto che l’approccio clinico e terapeutico attuale non considera il sesso come variabile decisionale.

Fattori Genetici Ambientali

È significativo notare che le differenze epidemiologiche e cliniche del tumore tiroideo sono più marcate dall’infanzia fino all’età adulta ma tendono a ridursi significativamente nelle fasce di età più avanzata. Tale osservazione potrebbe suggerire un ruolo degli ormoni sessuali sebbene i risultati sperimentali abbiano fornito risultati non univoci.

Alcuni studi ipotizzano che il dimorfismo sessuale del carcinoma tiroideo possa avere basi genetiche, mettendo in discussione il dogma dell’uguaglianza biologica e del codice genetico tra i sessi. Sono ad oggi disponibili in letteratura evidenze che supportano la presenza di una firma molecolare sesso-specifica capace di influenzare l’outcome del tumore della tiroide, sebbene molti di questi studi non abbiano considerato variabili chiave come lo stato menopausale o le caratteristiche demografiche e istologiche.

In futuro, tecnologie avanzate permetteranno di quantificare meglio queste differenze nella regolazione genetica ed epigenetica.

In aggiunta, i fattori epigenetici, noti per il loro ruolo nello sviluppo e nella progressione tumorale, potrebbero fornire ulteriori chiavi di lettura del dimorfismo sessuale osservato. In futuro quando tecnologie avanzate per-

metteranno di quantificare meglio le differenze nella regolazione genetica ed epigenetica delle vie sesso-specifiche influenzanti la patogenesi del tumore tiroideo. Un ruolo certamente importante è rappresentato dal sistema immunitario ed in particolare dalle differenze sesso specifiche nella risposta immunitaria e nella capacità di evadere la sorveglianza immunologica.

Inoltre, fattori ambientali e sociali, come lo stato nutrizionale, l’abitudine al fumo, il grado di adiposità, il differente apporto iodico e una diversa consapevolezza del proprio stato di salute e della sensibilità ai programmi di screening possono influenzare sia la frequenza di diagnosi e il diverso outcome del tumore tiroideo.

L’Analisi del Database ITCO

Il database prospettico dell’Italian Thyroid Cancer Observatory (ITCO) rappresenta uno strumento ideale per l’analisi delle interazioni tra sesso, epidemiologia, istologia, presentazione clinica e prognosi del carcinoma tiroideo. L’analisi del database per verificare l’impatto del genere sulla frequenza del carcinoma papillare, considerando i 4.365 pazienti con un follow-up a un anno, selezionati secondo specifici criteri di inclusione, ha confermano la netta prevalenza del sesso femminile nella distribuzione della malattia.

Utilizzando il sistema di classificazione dell’American Thyroid Association (ATA) per la valutazione del rischio di recidiva, è è emerso che le donne tendono a rientrare più frequentemente nelle classi di rischio più basse, mentre il sesso maschile mostra una maggiore prevalenza nelle classi di rischio più elevato (Fig 1)

Figura 1. Distribuzione delle classi di rischio per recidiva del carcinoma tiroideo dopo l’intervento chirurgico (sistema di classificazione dell’American Thyroid Association – ATA risk) nella popolazione ITCO (4365 soggetti) differenziata in rapporto al sesso

Con un’ulteriore analisi statistica si è quindi valutato quale fattore fosse significativamente associato all’outcome inteso come ATA risk intermedio alto. Il risultato dell’analisi ha confermato il ruolo significativo delle dimensioni del tumore ma ha altresì evidenziato il significato prognostico negativo del sesso maschile (Fig. 2)

Figura 2. Fattori di rischio indipendenti e significativamente associati ad un ATA risk intermedio alto

È però interessante notare che la stessa analisi, limitata al campione di soggetti di età superiore a 55 anni, ed escludendo quindi l’età riproduttiva femminile, non ha più confermato la relazione tra il sesso e la classe di rischio del tumore tiroideo.

Per quanto riguarda la risposta ad un anno dal trattamento iniziale, classificata secondo le linee guida ESMO, ancora una volta si riscontra un dimorfismo sessuale con il sesso femminile che si conferma un fattore prognostico positivo nel follow-up a breve termine del carcinoma differenziato tiroideo (Fig. 3). Nel modello di regressione multivariata, il sesso mantiene il ruolo di fattore di rischio indipendente per l’outcome a un anno dal trattamento ma perde la sua significatività dopo i 55 anni (Fig. 4).

Figura 3. Risposta ad un anno dal trattamento iniziale, classificata secondo le linee guida ESMO nella popolazione ITCO (4365 soggetti) differenziata in rapporto al sesso

Figura 4. Fattori di rischio indipendenti e significativamente associati alla risposta ad un anno dal trattamento iniziale, classificata secondo le linee guida ESMO

Conclusioni e Prospettive Future

L’analisi preliminare dei dati dell’Italian Thyroid Cancer Observatory (ITCO) non solo conferma la prevalenza femminile del tumore differenziato della tiroide, ma evidenzia anche un significativo dimorfismo sessuale nella presentazione clinica e nella risposta terapeutica. Le future analisi, mirate a valutare l’impatto di fattori demografici, clinici, diagnostici, citologici ed istologici potranno contribuire a chiarire le disparità di genere osservate nella prevalenza clinica e nella prognosi del tumore tiroideo.

L’integrazione di variabili come l’età riproduttiva, le modalità diagnostiche, l’istologia tumorale, le dimensioni del tumore, l’indice di massa corporea e il fumo fornirà ulteriori dettagli su come fattori ambientali e individuali influenzano lo sviluppo del carcinoma tiroideo.

Bibliografia

1. Surveillance, Epidemiology, and End Results (SEER) Program (www.seer.cancer.gov). SEER*Stat Database: Mortality -All COD, Aggregated With State, Total U.S. (1969-2020) <Katrina/Rita Population Adjustment>, National Cancer Institute, DCCPS, Surveillance Research Program, September 2022. Underlying mortality data provided by NCHS. Available from: www.cdc.gov/nchs [Last accessed: November 2023].

2. Shobab L, Burman KD, Wartofsky L. Sex Differences in Differentiated Thyroid Cancer. Thyroid. 2022 Mar;32(3):224235. doi: 10.1089/thy.2021.0361. PMID: 34969307.

3. Haugen BR, Alexander EK, Bible KC, Doherty GM, Mandel SJ, Nikiforov YE, Pacini F, Randolph GW, Sawka AM, Schlumberger M, Schuff KG, Sherman SI, Sosa JA, Steward DL, Tuttle RM, Wartofsky L. 2015 American Thyroid Association Management Guidelines for Adult Patients with Thyroid Nodules and Differentiated Thyroid Cancer: The American Thyroid Association Guidelines Task Force on Thyroid Nodules and Differentiated Thyroid Cancer. Thyroid. 2016 Jan;26(1):1-133. doi: 10.1089/thy.2015.0020. PMID: 26462967; PMCID: PMC4739132.

4. Filetti S, Durante C, Hartl D, Leboulleux S, Locati LD, Newbold K, Papotti MG, Berruti A; ESMO Guidelines Committee. Electronic address: clinicalguidelines@esmo.org. Thyroid cancer: ESMO Clinical Practice Guidelines for diagnosis, treatment and follow-up†. Ann Oncol. 2019 Dec 1;30(12):1856-1883. doi: 10.1093/annonc/mdz400. PMID: 31549998.

OBESITÀ E CARCINOMA TIROIDEO. LE OPPORTUNITÀ DELL’OSSERVATORIO ITCO

Mariangela Caporusso, Martina Cavallo, Annalisa Verde, Angelo Cignarelli, Sebastio Perrini e Francesco Giorgino

Sezione di Medicina Interna, Endocrinologia, Andrologia e Malattie Metaboliche, Dipartimento di Medicina di Precisione e Rigenerativa e Area Jonica, Università degli Studi di Bari Aldo Moro

Introduzione

L’obesità rappresenta una delle sfide sanitarie più significative del nostro tempo. A livello mondiale, circa il 38% della popolazione è affetta da sovrappeso o obesità.1 In Italia, circa il 32.7% della popolazione è in sovrappeso e circa il 10.4% è affetta da obesità e si prevede un aumento fino al 31% nei prossimi 10 anni.1 L’obesità è uno dei principali fattori di rischio per malattie cardiovascolari, Diabete Mellito di tipo 2 (DM2), ipertensione arteriosa, dislipidemia, sindrome delle apnee ostruttive del sonno, sindrome dell’ovaio policistico e malattie osteomuscolari.2 Negli ultimi anni, è stata dimostrata anche una possibile associazione tra obesità e diversi tipi di neoplasie (il carcinoma della mammella, del colon-retto, dell’endometrio, del rene, dell’ovaio, del pancreas e dell’esofago).3

Tessuto adiposo e cancro: meccanismi di tumorigenesi

I meccanismi con cui l’obesità promuove la cancerogenesi sono molteplici (Figura). Il tessuto adiposo è un organo endocrino, dove si realizza l’aromatizzazione degli androgeni in estrogeni; questi ultimi mediano la forma-

Figura. Obesita e carcinoma della tiroide meccanismi patogenetici

zione di specie reattive dell’ossigeno (ROS), attraverso la produzione di diverse citochine pro-infiammatorio (IL-1 , TNF ), promuovono la proliferazione cellulare e inibiscono il processo di riparazione del DNA danneggiato.4,5 Il tessuto adiposo in eccesso attraverso l’aumentata produzione di estrogeni potrebbe promuovere la comparsa dei tumori estrogeno-dipendenti (il carcinoma della

mammella, dell’utero, dell’ovaio).6 L’obesità è spesso associata all’insulino-resistenza; l’iperinsulinemia cronica che ne deriva attiva le vie mitogeniche mTOR-indotte, attraverso la sovra-regolazione del recettore dell’insulina e dell’IGF-1 (IGF-1R), favorendo la proliferazione delle cellule neoplastiche.3 Infine, il tessuto adiposo in eccesso è responsabile di uno stato proinfiammatorio cronico, secondario all’aumentato rilascio di alcune citochine con attività proliferativa e anti-apoptotica (leptina, IL-6, TNF , proteina C-reattiva) e alla riduzione di citochine con attività anti-proliferativa (adiponectina), promuovendo la cancerogenesi e la diffusione di metastasi.3

Questi stessi meccanismi, sottendono le basi fisiopatologiche dell’associazione tra obesità e carcinoma differenziato della tiroide.7 Nelle cellule tiroidee, il recettore degli estrogeni è associato al Recettore Tirosin Chinasico (RTK) che attiva il pathway di segnalazione mitotico mediato da MAPK e PI3K.8 Nel carcinoma papillare della tiroide, queste vie possono essere attivate in maniera costitutiva a seguito delle mutazioni dei geni RET/PTC o BRAF (che causano il riarrangiamento del RTK-A), o dell’eccesso dei livelli di estrogeni nelle donne e nei soggetti obesi.8 L’espressione di IGF-1 e del suo recettore (IGF-1R) è maggiore nei soggetti con adenomi tiroidei, con gozzo tiroideo e con carcinoma papillare della tiroide. L’iperinsulinemia cronica legando IGF-1R, potrebbe stimolare la proliferazione delle cellule tiroidee attraverso la via di mTOR e promuovere la progressione del carcinoma tiroideo 9,10 Alcune citochine come la leptina potrebbero promuovere la migrazione e la proliferazione delle cellule tiroidee e attraverso la via JAK/STAT aumentare l’aggressività del carcinoma tiroideo.7 È stato dimostrato, inoltre che il peso corporeo e la circonferenza addominale correlano positivamente con i livelli di TSH; quest’ultimo rappresenta il principale stimolo alla proliferazione delle cellule follicolari della tiroide.11 Infine, l’obesità sembra essere associata alla mutazione del gene BRAF V600E, la mutazione genica più comunemente riscontrata nei carcinomi differenziati della tiroide (DTC).12

Associazione tra obesità e carcinoma differenziato della tiroide: evidenze cliniche

L’Agenzia Internazionale per la Ricerca sul Cancro (IARC) ha ritenuto che vi fossero prove “sufficienti” di un ruolo patogeno dell’obesità nel rischio di cancro alla tiroide, infatti esiste un’ampia letteratura scientifica a supporto

della correlazione tra eccesso di peso corporeo e incidenza e aggressività del carcinoma tiroideo.13,14,15,16,17,18,19,20 (Tabella.1 e Tabella.2)

Tabella 1. Associazione tra obesita e incidenza del carcinoma tiroideo: studi clinici

Cari M Kitahara (2016)13

Pooled analysis (22 studi prospettici)

N=833.176 (uomini, 1.260.871 donne)

Haiyoung Son (2018)14

Studio di coorte retrospettivo

N=351.402 (181.709 uomini, 169.693 donne)

Li Xu (2014)15

Analisi aggregata da studi casocontrollo

1.917 PTC e 2.127 controlli sani (PTC: 557 uomini, 1.360 donne)

Cari M Kitahara (2020)16

Studio di coorte prospettico

N=457.331 (273.604 uomini e 183.727 donne)

Nord America, Europa, Australia e Asia

BMI basale e incremento del BMI nel tempo sono associati all’incidenza del carcinoma della tiroide:

BMI (per 5 kg/m2) HR=1,06 (IC:1,02-1,10)

Aumento BMI in età adulta (per 5 kg/m2) HR=1,07 (IC: 1,00-1,15)

Corea Il rischio di carcinoma della tiroide è maggiore con l’aumentare del BMI: Obesità (2529,9 kg/m2) HR=1,23 (IC: 1,131,34);

Obesità estrema ( 30 kg/m2)

HR=1,26 (IC: 1,02-1,50)

Germania, Italia e Stati Uniti

Il BMI e la percentuale di grasso corporeo sono associati al rischio di PTC:

Sovrappeso (BMI 25-29,9 kg/m2)

OR=1,72 (IC: 1,48-2,00); Obesità (BMI 30 kg/m2)

OR=4,17 (IC: 3,41-5,10)

Stati Uniti Il rischio di PTC è aumentato tra i soggetti in sovrappeso e obesi:

Sovrappeso (BMI 25-29,9 kg/m2)

HR=1,26 (IC: 1,05-1,52);

Obesità (BMI 30.0 kg/m2):

HR=1,30 (IC: 1,05-1,62); Il rischio di PTC>4 cm è aumentato tra i soggetti in sovrappeso e obesi:

Sovrappeso (BMI 25-29,9 kg/m2)

HR=2,93 (IC: 1,25-6,87);

Obesità (BMI 30.0 kg/m2):

HR=5,42 (IC: 2,24-13,1)

BMI: Body Mass Index; HR: Hazard Ratio; IC: Intervallo di Confidenza; OR: Odds Ratio; PTC: Papillary Thyroid Cancer

I risultati ottenuti sono molto eterogenei, probabilmente a causa delle differenze nella popolazione arruolata e nel disegno dello studio. Alcuni di questi studi hanno valutato esclusivamente le caratteristiche di aggressività alla diagnosi, mentre altri studi hanno valutato i pazienti nel tempo considerando la risposta alla terapia. Inoltre, gli studi presi in considerazione si riferiscono a popolazioni estratte da Paesi con diversa prevalenza di obesità, diverse abitudini alimentari e background genetico (per esempio, popolazione asiatiche vs occidentale).

Tabella 2. Associazione tra obesita e aggressivita del carcinoma tiroideo: studi clinici

Giorgio Grani (2019)17

Studio di coorte prospettico

N=432 (115 uomini, 317 donne)

Europa Nessuna caratteristica del carcinoma tiroideo avanzato è più frequente nei pazienti obesi, il BMI è predittore dell'estensione microscopica extratiroidea [OR=1,06 (IC:1,01-1,11)]

Antonio Matrone (2020)18

Studio di coorte prospettico

N= 1058 (300 uomini, 758 donne)

Europa Nessuna differenza significativa tra le classi di BMI e aggressività del carcinoma tiroideo alla diagnosi, nella classe di rischio ATA, nella risposta alla terapia e nel ricorso ad ulteriori trattamenti per persistenza o recidiva di malattia

Krzysztof Kaliszewski (2021)19

Studio di coorte retrospettivo

N= 523 (67 uomini, 456 donne)

Europa I pazienti con BMI>25 Kg/m2 hanno un rischio maggiore di bilateralità [OR=22,76 (IC: 6,3981,08)], multifocalità [OR=20,07 (IC: 9,54-42,24)], estensione extratiroidea [OR=2,34 (IC: 1,453,76)] e margini irregolari [OR=1,87, IC: 1,18-2,97)] rispetto ai pazienti normopeso

BMI: Body Mass Index; IC: Intervallo di Confidenza; OR: Odds Ratio; PTC: Papillary Thyroid Cancer; ATA: American Thyroid Association

Un ulteriore elemento di criticità sta nella definizione di obesità che per semplificazione viene valutata considerando il BMI, che rimane uno strumento limitato che non considera la distribuzione tra massa magra e massa grassa. Inoltre, molto spesso, l’obesità si associa ad altre comorbidità che hanno un potenziale ruolo nella tumorigenesi (fumo, dislipidemia, diabete) o all’uso di farmaci che possono influenzare l’insulino-resistenza.

Associazione tra obesità e carcinoma differenziato della tiroide: dati dell’Osservatorio ITCO

Lo studio dell’associazione tra obesità e carcinoma della tiroide rappresenta un tema di interesse crescente, ma, sono ancora limitati i dati italiani di associazione tra obesità e aggressività del carcinoma tiroideo. Pertanto, è stato proposto di analizzare i dati dell’Osservatorio ITCO, per studiare questa possibile associazione.

In quest’ottica, è stato chiesto di selezionare i pazienti affetti da carcinoma differenziato della tiroide, per i quali fossero disponibili i dati antropometrici e istologici al momento della diagnosi e con dati di follow-up disponibili dopo 5 anni dall’intervento.

L’end-point primario dello studio è stato quello di verificare se tra le diverse categorie di BMI (normopeso:

Autore Tipo studio Popolazione Area geografica Risultati

BMI24,9 Kg/m2, sovrappeso: BMI 25-29,9 Kg/m2, obesità: BMI30 Kg/m2) esistesse una diversa distribuzione di carcinomi a rischio basso, intermedio o alto (secondo il sistema di stratificazione del rischio ATA) al momento della diagnosi, se esistesse una diversa risposta al trattamento iniziale (risposta eccellente, indeterminata, biochimica e strutturale incompleta, secondo il sistema di stratificazione dinamica del rischio ATA) nel follow-up a 1, 2, 3, 4 e 5 anni e se ci fosse una diversa necessità di ricorrere a terapie adiuvanti durante i 5 anni di followup dal momento della diagnosi. Inoltre, è stato studiato se categorie di BMI più elevate fossero maggiormente associate a caratteristiche neoplastiche indicative di maggiore aggressività (varianti istologiche, invasione vascolare, invasione extratiroidea, metastasi linfonodali, dimensione del tumore).

Per tale scopo, sono stati analizzati i dati registrati fino a marzo 2024, relativi a parametri antropometrici, chirurgici, istologici, diagnostici e terapeutici di 1.611 pazienti, suddivisi per categorie di BMI (47,28% normopeso, 32,49% sovrappeso, 20,23% obesità).

Dai dati analizzati è emerso che nei pazienti obesi è significativamente più frequente l’estensione extratiroidea macroscopica, tuttavia, complessivamente il BMI più elevato non è significativamente associato ad un rischio

ATA più elevato al momento della diagnosi, i pazienti con diverse categorie di BMI mantengono la stessa risposta al trattamento iniziale e non necessitano di un differente ricorso a terapie aggiuntive nel corso del follow-up.

Questa analisi, seppur divergente dai risultati attesi, ma ugualmente in linea con altri studi condotti17,18, rappresenta un tassello aggiuntivo alla esigua letteratura esistente, utile a consolidare le scarse evidenze scientifiche ad oggi disponibili circa questa tematica.

Conclusioni

L’analisi dei dati dell’Osservatorio ITCO rappresenta un contributo significativo alla comprensione dell’associazione tra obesità e DTC. L’utilizzo di dati di alta qualità, raccolti in un contesto osservazionale e prospettico, offre una base solida per future indagini. Questo lavoro sottolinea l’importanza di strategie integrate per la gestione dell’obesità e delle sue complicanze oncologiche, fornendo nuove opportunità per il progresso scientifico e clinico in Italia.

Bibliografia

1. World Obesity Atlas 2023 | World Obesity Federation. Accessed November 8, 2024. https://www.worldobesity.org/resources/resourcelibrary/world-obesity-atlas-2023

2. Obesity and overweight. Accessed November 8, 2024. https://www.who.int/news-room/fact-sheets/detail/obesity-and-overweight

3. Pati S, Irfan W, Jameel A, Ahmed S, Shahid RK. Obesity and Cancer: A Current Overview of Epidemiology, Pathogenesis, Outcomes, and Management. Cancers (Basel). 2023;15(2):485. doi:10.3390/CANCERS15020485

4. Bhardwaj P, Au CMC, Benito-Martin A, Ladumor H, Oshchepkova S, Moges R, Brown KA. Estrogens and breast cancer: mechanisms involved in obesity-related development, growth and progression. J Steroid Biochem Mol Biol. 2019;189:161. doi:10.1016/J.JSBMB.2019.03.002

5. Gopinath P, Oviya RP, Gopisetty G. Oestrogen receptor-independent actions of oestrogen in cancer. Molecular Biology Reports 2023 50:11. 2023;50(11):9497-9509. doi:10.1007/S11033-023-08793-8

6. Renehan AG, Zwahlen M, Egger M. Adiposity and cancer risk: new mechanistic insights from epidemiology. Nat Rev Cancer. 2015;15(8):484-498. doi:10.1038/NRC3967

7. Ma XN, Ma CX, Hou LJ, Fu SB. The association of obesity with thyroid carcinoma risk. Cancer Med. 2022;11(4):1136. doi:10.1002/CAM4.4498

8. Derwahl M, Nicula D. Estrogen and its role in thyroid cancer. Endocr Relat Cancer. 2014;21(5):T273-T283. doi:10.1530/ERC-14-0053

9. Harikrishna A, Ishak A, Ellinides A, Saad R, Christodoulou H, Spartalis E, Paschou SA. The impact of obesity and insulin resistance on thyroid cancer: A systematic review. Maturitas. 2019;125:45-49. doi:10.1016/J.MATURITAS.2019.03.022

10. Zhao J, Yao J, Liao L, Zhang Q, Yang Y, Dong J. High prevalence of thyroid carcinoma in patients with insulin resistance: a meta-analysis of case-control studies. Aging (Albany NY). 2021;13(18):22232. doi:10.18632/ AGING.203529

11. Tiller D, Ittermann T, Greiser KH, Meisinger C, Agger C, Hofman A, Thuesen B, Linneberg A, Peeters R, Franco O, Heier M, Kluttig A, Werdan K, Stricker B, Schipf S, Markus M, Dörr M, Völzke H, Haerting J. Association of Serum Thyrotropin with Anthropometric Markers of Obesity in the General Population. Thyroid. 2016;26(9):1205-1214. doi:10.1089/THY.2015.0410

12. Lee J, Lee CR, Ku CR, Kang SW, Jeong JJ, Shin DY, Nam KH, Jung SG, Lee EJ, Chung WY, Jo YS. Association Between Obesity and BRAFV600E Mutation Status in Pa-

tients with Papillary Thyroid Cancer. Ann Surg Oncol. 2015;22 Suppl 3:683-690. doi:10.1245/S10434-0154765-Z

13. Kitahara CM, McCullough ML, Franceschi S, Rinaldi S, Wolk A, Neta G, Olov Adami H, Anderson K, Andreotti G, Beane Freeman LE, Bernstein L, Buring JE, Clavel-Chapelon F, De Roo LA, Gao YT, Gaziano JM, Giles GG, Håkansson N, Horn-Ross PL, Kirsh VA, Linet MS, Macinnis RJ, Orsini N, Park Y, Patel A V., Purdue MP, Riboli E, Robien K, Rohan T, Sandler DP, Schairer C, Schneider AB, Sesso HD, Shu XO, Singh PN, Van Den Brandt PA, Ward E, Weiderpass E, White E, Xiang YB, Zeleniuch-Jacquotte A, Zheng W, Hartge P, De González AB. Anthropometric Factors and Thyroid Cancer Risk by Histological Subtype: Pooled Analysis of 22 Prospective Studies. Thyroid. 2016;26(2):306318. doi:10.1089/THY.2015.0319

14. Son H, Lee H, Kang K, Lee I. The risk of thyroid cancer and obesity: A nationwide population-based study using the Korea National Health Insurance Corporation cohort database. Surg Oncol. 2018;27(2):166-171. doi:10.1016/J.SURONC.2018.03.001

15. Xu L, Port M, Landi S, Gemignani F, Cipollini M, Elisei R, Goudeva L, Müller JA, Nerlich K, Pellegrini G, Reiners C, Romei C, Schwab R, Abend M, Sturgis EM. Obesity and the risk of papillary thyroid cancer: a pooled analysis of three case-control studies. Thyroid. 2014;24(6):966-974. doi:10.1089/THY.2013.0566

16. Kitahara CM, Pfeiffer RM, Sosa JA, Shiels MS. Impact of Overweight and Obesity on US Papillary Thyroid Cancer Incidence Trends (1995-2015). J Natl Cancer Inst. 2020;112(8):810-817. doi:10.1093/JNCI/DJZ202

17. Grani G, Lamartina L, Montesano T, Ronga G, Maggisano V, Falcone R, Ramundo V, Giacomelli L, Durante C, Russo D, Maranghi M. Lack of association between obesity and aggressiveness of differentiated thyroid cancer. J Endocrinol Invest. 2019;42(1):85-90. doi:10.1007/S40618-018-

0889-X

18. Matrone A, Ceccarini G, Beghini M, Ferrari F, Gambale C, D’Aqui M, Piaggi P, Torregrossa L, Molinaro E, Basolo F, Vitti P, Santini F, Elisei R. Potential Impact of BMI on the Aggressiveness of Presentation and Clinical Outcome of Differentiated Thyroid Cancer. J Clin Endocrinol Metab. 2020;105(4):E1124-E1134. doi:10.1210/CLINEM/DGZ312

19. Kaliszewski K, Diakowska D, Rzeszutko M, Rudnicki J. Obesity and Overweight Are Associated with Minimal Extrathyroidal Extension, Multifocality and Bilaterality of Papillary Thyroid Cancer. J Clin Med. 2021;10(5):970. doi:10.3390/JCM10050970

20. Cao J, Zhu X, Sun Y, Li X, Yun C, Zhang W. Potential Impact of Body Mass Index on the Clinical Outcome of Papillary Thyroid Cancer After High-Dose Radioactive Iodine Therapy. Front Endocrinol (Lausanne). 2022;13. doi:10.3389/FENDO.2022.870530

GESTIONE DEL CARCINOMA DELLA TIROIDE IN GRAVIDANZA: SORVEGLIANZA O CHIRURGIA

Carmela De Crea1, Loredana De Pasquale2, Laura Giacomelli3, Pietro Locantore4, Roberto Novizio4, Alfredo Pontecorvi4

1 UOC Chirurgia Endocrina, Ospedale Isola Tiberina Gemelli Isola, Centro di ricerca in Chirurgia delle Ghiandole Endocrine e dell'Obesità, Università Cattolica del Sacro Cuore – Roma

2 UOS Thyroid Unit - Dipartimento di Chirurgia di Testa e collo - Asst Santi Paolo e Carlo - Ospedale Polo Universitario San Paolo - Milano

3 UOSD Chirurgia del sistema endocrino - Dipartimento di Chirurgia Generale e Specialistica - Università di Roma "Sapienza" Policlinico

Umberto I

4 UOC Medicina Interna, Endocrinologia e Diabete, Fondazione Policlinico A. Gemelli IRCCS, Università Cattolica del Sacro Cuore - Roma

La gestione del carcinoma tiroideo diagnosticato in gravidanza rappresenta una sfida complessa, richiedendo equilibrio tra il benessere materno e quello fetale (1). La gravidanza è una condizione particolare in cui gli ormoni tiroidei, gli estrogeni e i fattori placentari potrebbero influenzare la crescita tumorale.

Dimensioni del Problema

I noduli tiroidei in gravidanza sono relativamente comuni, con una prevalenza che varia dal 3% al 21%. (2). Di questi noduli, tra il 12% e il 43% risultano essere maligni, anche se questi dati potrebbero risentire di bias di selezione. (3-4). La valutazione è complicata dalle modifiche fisiologiche della gravidanza, quali l’aumento del volume tiroideo, della vascolarizzazione ghiandolare e le variazioni dei livelli degli ormoni tiroidei e agli effetti e modifiche della gonadotropina corionica umana (1).

Influenza della gravidanza sulla progressione del carcinoma tiroideo

Non vi sono prove univoche che la gravidanza aumenti il rischio di insorgenza o peggiori la prognosi del carcinoma tiroideo (1).

La gestione richiede un approccio multidisciplinare per bilanciare i rischi di una diagnosi tardiva con la sicurezza materno-fetale, ottimizzando la tempistica e il tipo di trattamento. Sebbene la maggior parte dei carcinomi tiroidei differenziati abbia un decorso indolente, alcune forme aggressive o situazioni particolari possono richiedere interventi tempestivi (1,5). La necessità di garantire un approccio individualizzato per ogni paziente rappresenta una delle principali sfide per il clinico.

Qual è la strategia diagnostica dei noduli tiroidei insorti in gravidanza?

La strategia diagnostica ottimale include:

• Valutazione della funzione tiroidea: Correzione dell’ipotiroidismo con levotiroxina per il benessere materno-fetale e la riduzione del rischio di crescita del carcinoma. Il dosaggio va ripetuto ogni 4-6 settimane (1). Non vi è una indicazione univoca sul dosaggio routinario della calcitonina nei pazienti con noduli tiroidei in gravidanza (5).

• Ecografia tiroidea: Indicata in presenza di masse clinicamente evidenti o alterazioni tiroidee significative. Non è raccomandata come screening di routine in assenza di sintomatologia specifica. L’ecografia guida la stratificazione del rischio e il monitoraggio dei noduli durante la gravidanza (1, 5).

• Agoaspirato con ago sottile (FNAC): Gold standard per la valutazione citologica. La procedura è sicura in tutti i trimestri. L’indicazione all’esecuzione dell’agoaspirato viene stabilita sulla base dei sistemi di stratificazione del rischio ecografico (5). In casi di noduli indeterminati, si può posticipare l’esame a dopo il parto (1, 5). La scelta del timing ottimale di esecuzione dell’agoaspirato, stante l’assenza di significative differenze in termini di outcome, deve tener conto anche delle preferenze della paziente.

Gestione clinica: sorveglianza attiva

La sorveglianza attiva rappresenta una strategia sicura e appropriata per la gestione della maggior parte dei carcinomi tiroidei diagnosticati in gravidanza (1, 6-7). La sorveglianza attiva è indicata in presenza di carcinomi a basso rischio, in assenza di caratteristiche cliniche o ecografiche di aggressività (1, 6-7), quali per esempio segni e/o sintomi di estensione extracapsulare, sospetto di metastasi linfonodali.

In questi casi, il decorso generalmente indolente della malattia consente di posticipare ulteriori trattamenti senza aumentare il rischio di progressione significativa durante la gravidanza.

Nelle pazienti sottoposti a sorveglianza attiva è necessario instaurare un monitoraggio ecografico, da effettuare ogni trimestre per valutare eventuali variazioni di volume del carcinoma, l’estensione extracapsulare e lo stato linfonodale. Qualora si osservi una crescita significativa o cambiamenti sospetti durante il follow-up, può essere necessario rivalutare l’approccio terapeutico (1).

Gestione clinica: trattamento chirurgico

L’intervento chirurgico rappresenta il trattamento di scelta nella gran parte dei casi di carcinoma della tiroide (5). Tuttavia, nel carcinoma tiroideo in gravidanza la dilazione dell’intervento chirurgico dopo il parto non si associa ad un peggioramento della prognosi (1, 8).

Pertanto, una attenta disamina delle eventuali complicanze materno-fetali è mandatoria prima di indicare un intervento chirurgico durante la gravidanza. Sebbene la qualità dei dati ad oggi disponibili, non consente di trarre conclusioni definitive, sembrerebbe che le donne in gravidanza sottoposte a tiroidectomia presentino un significativo incremento del rischio di complicanze specifiche e generali e degenze più lunghe (9). Tuttavia, il volume del Centro/chirurgo rappresenta un fattore determinante inversamente correlato al rischio di complicanze postoperatorie (10). Il secondo trimestre è considerato il periodo ideale per eseguire l’intervento chirurgico, rappresentando il momento di minor rischio per la madre e per il feto (11). Durante il primo trimestre, infatti, il rischio di aborto è maggiore, mentre nel terzo trimestre l’intervento potrebbe indurre il travaglio prematuramente (11). Pertanto nei casi in cui l’intervento chirurgico è indicato o “richiesto” dovrebbe essere effettuato nel secondo trimestre da un chirurgo esperto (1).

Tuttavia, nella maggior parte dei carcinomi differenziati della tiroide nei quali la stratificazione clinica ed ecografica indichi un basso rischio ed in assenza di segni di progressione del carcinoma tiroideo durante la gravidanza, l’intervento chirurgico può essere programmato dopo il parto. Il timing dell’intervento chirurgico risente indubbiamente della percezione del rischio oncologico da parte della madre. Generalmente, si consiglia di eseguire la tiroidectomia non oltre i sei mesi dal termine della gravidanza, garantendo così un margine di sicurezza senza compromettere il decorso naturale della malattia (1).

Considerato che elevati livelli di TSH possono associarsi ad una progressione di malattia, in attesa dell’intervento chirurgico, può essere ragionevole una terapia con levotiroxina al fine di mantenere il TSH <2 mU/L (1). In casi di franca progressione tumorale è necessario eseguire l’intervento chirurgico durante la gravidanza.

Indicazioni all’intervento durante la gravidanza

• Crescita significativa del tumore (incremento del 50% in volume o del 20% su due diametri).

• Segni di aggressività clinica, come infiltrazione extracapsulare o linfonodi metastatici.

• Carcinomi differenziati localmente avanzati, carcinoma midollare o anaplastico (1).

Sebbene non sia noto l’impatto della gravidanza sulla biologia tumorale nel caso del carcinoma midollare ed anaplastico, è verosimile che una significativa dilazione

dell’intervento possa rappresentare un fattore prognostico sfavorevole (1).

Considerazioni

La gestione chirurgica deve includere anestetici sicuri per il feto, un posizionamento adeguato della madre durante l’intervento (evitare la compressione della vena cava e prevenire l’ipotensione supina) e il continuo del feto durante la procedura e una ottimizzazione dei tempi chirurgici ed evitare perdite ematiche. (1). In alcuni casi selezionati, si può considerare la tiroidectomia in anestesia locale, che si è dimostrata sicura e riproducibile in alcune esperienze (12).

Nel postoperatorio, è necessario prevenire condizioni di ipotiroidismo e trattare eventuali situazioni di ipocalcemia, monitorando le possibili complicanze per il benessere fetale (1, 5).

Terapia con radioiodio

La terapia con iodio radioattivo (I-131) è controindicata durante la gravidanza. Il radioiodio attraversa la placenta e può accumularsi nella tiroide fetale a partire dalla 12ª settimana di gestazione e può avere potenziali effetti teratogeni. Per questo motivo, in caso di indicazione, la terapia deve essere posticipata fino al termine della gravidanza e dell’allattamento. È necessario interrompere l’allattamento almeno 4-6 settimane prima del trattamento con iodio radioattivo al fine di ridurre l’accumulo di radioiodio nel tessuto mammario trofico (1).

Follow-up in gravidanza delle pazienti con anamnesi di carcinoma tiroideo trattato

Durante il follow-up delle pazienti in gravidanza che hanno già subito un intervento chirurgico per carcinoma tiroideo differenziato le principali aree di attenzione includono:

• Terapia sostitutiva con levotiroxina: Ottimizzare i livelli di TSH nel range trimestre-specifico e ed eventualmente con calcio e calcitriolo in caso di ipopara• tiroidismo,

• Monitoraggio della tireoglobulina: Non raccomandato di routine, poiché i suoi livelli possono essere influenzati da variazioni fisiologiche o da interferenze anticorpali; salvo sospetto clinico di recidiva (1).

• Ecografia del collo: Indicata solo in caso di persistenza morfologica di malattia o sospetto clinico (1).

Conclusioni

La gestione del carcinoma tiroideo durante la gravidanza richiede un approccio personalizzato basato su un algoritmo decisionale che bilanci i rischi e i benefici per la madre e il feto.

La gestione ottimale del carcinoma tiroideo in gravidanza richiede la collaborazione di un team multidisciplinare, per valutare con precisione le implicazioni cliniche delle decisioni terapeutiche, garantire la sicurezza materna e fetale e fornire supporto psicologico alla paziente. Un dialogo costante tra i membri del team e una comunicazione efficace con la paziente sono cruciali per una corretta gestione dei rischi.

Bibliografia

1. Alexander EK, Pearce EN, Brent GA, Brown RS, Chen H, Dosiou C, Grobman WA, Laurberg P, Lazarus JH, Mandel SJ, Peeters RP, Sullivan S. 2017 Guidelines of the American Thyroid Association for the Diagnosis and Management of Thyroid Disease During Pregnancy and the Postpartum. Thyroid, 2017; 27(3): 315-389.

2. Kung AW, Chau MT, Lao TT, Tam SC, Low LC. The effect of pregnancy on thyroid nodule formation. J Clin Endocrinol Metab, 2002; 87:1010–1014.

3. Tan GH, Gharib H, Goellner JR, van Heerden JA, Bahn RS. Management of thyroid nodules in pregnancy. Arch Intern Med, 1996; 156:2317–2320.

4. Marley EF, Oertel YC. Fine-needle aspiration of thyroid lesions in 57 pregnant and postpartum women. Diagn Cytopathol, 1997; 16:122–125.

5. Haugen BR, Alexander EK, Bible KC, Doherty GM, Mandel SJ, Nikiforov YE, Pacini F, Randolph GW, Sawka AM, Schlumberger M, Schuff KG, Sherman SI, Sosa JA, Steward DL, Tuttle RM, Wartofsky L. 2015 American Thyroid Association management guidelines for adult patients with thyroid nodules and differentiated thyroid cancer: the American Thyroid Association Guidelines Task Force on thyroid nodules and differentiated thyroid cancer. Thyroid, 2016; 26:1–133.

6. Sugitani I, Ito Y, Takeuchi D, Nakayama H, Masaki C, Shindo H, Teshima M, Horiguchi K, Yoshida Y, Kanai T, Hirokawa M, Hames KY, Tabei I, Miyauchi A. Indications and Strategy for Active Surveillance of Adult Low-Risk Papillary Thyroid Microcarcinoma: Consensus Statements from the Japan Association of Endocrine Surgery Task Force on Management for Papillary Thyroid Microcarcinoma. Thyroid, 2021; 31(2):183-192.

7. Filetti S, Durante C, Hartl D, Leboulleux S, Locati DL, Newbold K, Papotti MG, Berruti A; ESMO Guidelines Committee. Thyroid cancer: ESMO Clinical Practice Guidelines for

diagnosis, treatment and follow-up. Ann Oncol 2019; 30(12):1856-1883.

8. Yasmeen S, Cress R, Romano PS, Xing G, Berger-Chen S, Danielsen B, Smith LH. Thyroid cancer in pregnancy. Int J Gynaecol Obstet, 2005; 91:15–20.

9. Kuy S, Roman SA, Desai R, Sosa JA. Outcomes following thyroid and parathyroid surgery in pregnant women. Arch Surg, 2009; 144:399–406.

10. Patel N, Scott-Coombes D. Impact of surgical volume and surgical outcome assessing registers on the quality of thyroid surgery. Best Pract Res Clin Endocrinol Metab, 2019; 33(4):101317.

11. Uruno T, Shibuya H, Kitagawa W, Nagahama M, Suino K Ito K. Optimal timing of surgery for differentiated thyroid cancer in pregnant women. World J Surg, 2014; 38:704–708.

12. Modesti C, Aceto P, Masini L, Lombardi CP, Bellantone R, Sollazzi L. Approach to thyroid carcinoma in pregnancy. Updates Surg, 2017; 69(2):261-265.

CANCRO TIROIDEO: L'ETA’

FA LA DIFFERENZA?

IL CARCINOMA TIROIDEO IN ETA’ EVOLUTIVA: CARATTERISTICHE DISTINTIVE E CONSIDERAZIONI GESTIONALI NELLA POPOLAZIONE PEDIATRICA

Gerdi Tuli1,2, Alessandra Cassio3, Valentino Cherubini4, Roberto Gastaldi5, Antonella Olivieri6, Mariacarolina Salerno7,8, Maria Cristina Vigone9, Malgorzata Wasniewska10,11

1 SSD Endocrinologia Pediatrica, Ospedale Infantile Regina Margherita, Torino

2 Dipartimento di Scienze Pediatriche, Università di Torino

3 Università degli Studi di Bologna

4 Unità di Endocrinologia e Diabetologia Pediatrica, AOU G. Salesi, Ancona

5 Clinica Pediatrica IRCCS Giannina Gaslini Genova

6 Dipartimento di Malattie Cardiovascolari Endocrino-Metaboliche e Invecchiamento, Istituto Superiore di Sanità, Roma

7 Dipartimento di Scienze Mediche Traslazionali, Università di Napoli Federico II

8 Programma di Endocrinologia Pediatrica, DAI Materno Infantile AOU Federico II, Napoli

9 Unità di Endocrinologia, UO Pediatria, IRCCS Ospedale San Raffaele, Milano

10Dipartimento di Patologia Umana dell’adulto e dell’età evolutiva “G. Barresi”, Università degli Studi di Messina

11UOC Pediatria, AOU Policlinico “G. Martino”, Messina

Il carcinoma tiroideo nella popolazione pediatrica rappresenta un’entità clinica distinta, caratterizzata da peculiarità biologiche, patologiche e terapeutiche che differiscono significativamente dalle manifesta-zioni osservate negli adulti. Il carcinoma tiroideo è la più frequente neoplasia endocrina e rappresenta il 6% di tutte le neoplasie dell’età evolutiva. L’incidenza è aumentata negli ultimi anni a causa della mag-gior risoluzione ecografica e della maggiore sensibilizzazione nei confronti delle categorie a rischio (familiarità per tireopatia nodulare, storia di irradiazione al collo, carenza di iodio, tireopatie autoim-muni, predisposizione genetica). Si tratta comunque di forme rare rispetto all’adulto ma con un rischio di malignità molto più elevato (22-26% vs 510%).

Il carcinoma differenziato (DTC), che include le forme papillari, follicolari e la variante a cellule onco-citiche (rara), rappresenta oltre il 90% dei casi. La diagnosi è generalmente ecografica o tramite palpa-zione della ghiandola tiroidea in caso di nodulo voluminoso e superficiale. Gli esami di funzionalità tiroidea, gli anticorpi anti-tiroide ed eventualmente il dosaggio della calcitonina devono essere richiesti alla diagnosi, se non effettuati recentemente, anche se nella maggior parte dei casi la funzionalità tiroi-dea viene conservata.

Presentazione Clinica e Prognosi

In età pediatrica, il DTC si presenta spesso con noduli di dimensioni maggiori e con una maggiore estensione rispetto agli adulti, con interessamento linfonodale nel 60-80% dei casi e metastasi a distan-za, generalmente polmonari, nel 25% dei pazienti. Nonostante questa presentazione più aggressiva, la prognosi è eccellente, con una sopravvivenza a 10 anni superiore al 90%

Metodologia Diagnostica

I noduli con caratteristiche sospette per malignità vengono sottoposti a biopsia con ago sottile (FNAB) che permette lo studio citologico. La classificazione più usata in campo internazionale è quella Bethe-sda, mentre in Italia

la classificazione attualmente utilizzata è stata elaborata nel 2014 da Società Scien-tifiche Nazionali (AME, SIE, AIT, SIAPEC-IAP) e rappresenta uno strumento fondamentale per l’indirizzo terapeutico del paziente. In tutte le categorie citologiche, in particolare quelle a citologia in-determinata, il rischio di malignità è più elevato in età pediatrica che in età adulta, pertanto l’atteggiamento terapeutico dovrebbe essere differente anche se le LG pediatriche non sono conclusive su questo tema (disaccordo fra le LG americane e quelle europee). Negli ultimi anni alcuni markers genetici (mutazioni somatiche di BRAF, RET, RAS, PIK3CA, TP53 o alcuni riarrangiamenti) sono stati valutati anche in età pediatrica in ottica di avere una maggior accuratezza nella definizione del nodo citologicamente indeterminato.

La diagnosi definitiva si realizza mediante la stadiazione post-operatoria e l’esame istologico sul tessu-to tiroideo dopo l’intervento chirurgico di tiroidectomia totale. Uno strumento importante per la stadia-zione del carcinoma tiroideo è quello proposto dall’ATA (American Thyroid Association) e sintetizza-to nella classificazione TNM/ AJCC (American Joint Committee on Cancer) che prende in considera-zione le caratteristiche del tumore (T), la presenza di linfonodi regionali interessati (N) e le metastasi a distanza (M). In base al punteggio raggiunto si può eseguire una stratificazione dei pazienti in tre cate-gorie di rischio: basso, intermedio o elevato. Questa suddivisione in base alla classe di rischio è fon-damentale per orientare l’iter terapeutico successivo all’intervento chirurgico e l’eventuale terapia ra-diometabolica.

Caratteristiche Molecolari

Il carcinoma tiroideo pediatrico presenta caratteristiche molecolari distinte rispetto ai casi degli adulti. A differenza degli adulti, che presentano comunemente mutazioni puntiformi di BRAF e RAS, i casi pediatrici sono caratterizzati da riarrangiamenti cromosomici, con le fusioni del gene RET/PTC che ri-sultano le più prevalenti, seguite dalle fusioni di BRAF (Paulson VA, 2019; RicarteFilho & Franco, 2023). Le mutazioni del promotore di

TERT, che sono marcatori di aggressività negli adulti, sono rare nei bambini (de Sousa MSA 2024). Le mutazioni di DICER1 potrebbero svolgere un ruolo chiave nei carcinomi tiroidei papillari e follicolari pediatrici, (Mastnikova K et al 2024). Questo panorama mole-colare unico del carcinoma tiroideo pediatrico, è stato associato alla differente presentazione clinica, sulle differenze di sottotipi istologici, sull'estensione della malattia (Paulson VA et al., 2019; Guleria et al., 2022).

Considerazioni Terapeutiche

L’intervento chirurgico, generalmente una tiroidectomia totale con dissezione linfonodale appropriata, rimane il pilastro del trattamento. L’approccio chirurgico spesso richiede una dissezione più estesa a causa dell’elevata incidenza di coinvolgimento linfonodale. Le Linee Guida Internazionali sul mana-gement dei pazienti con noduli tiroidei maligni raccomandano che la chirurgia della tiroide venga ese-guita soltanto da chirurghi dedicati ed esperti (alto volume annuale di almeno 30 interventi sulla tiroi-de). Nel caso del carcinoma papillare le linee guida dell’ATA raccomandano l’esecuzione di una tiroidectomia totale, mentre l’approccio conservativo attraverso la lobectomia nel carcinoma non invasivo o minimamente invasivo, rimane oggetto di dibattito. La radioterapia (RAI) metabolica con Iodio131 è la pratica utilizzata in caso di residuo post-chirurgico, in caso di tumore voluminoso (>4 cm), di coinvolgimento linfonodale importante e in presenza di me-tastasi a distanza. Lo iodio radioattivo, captato dalle cellule tumorali residue, causa la loro distruzione cellulare oppure ne limita l’attività biologica. Il sistema di stratificazione dei pazienti in classi di rischio è di aiuto per individuare i pazienti da sottoporre a questo tipo di terapia. Le indicazioni per la RAI re-stano dibattute (raccomandate in tutti i pazienti con DTC vs raccomandate in quelli con rischio intermedio ed elevato). La gestione della somministrazione adiuvante della RAI, deve essere personalizzata sulla base di un'attenta valutazione multidisciplinare.

Sorveglianza Post-Trattamento I protocolli di sorveglianza per i pazienti pediatrici con carcinoma tiroideo richiedono un monitoraggio più frequente rispetto a quelli per gli adulti. Esami ecografici regolari e il monitoraggio della tireoglo-bulina sierica e quando necessari esami di imaging diagnostico (Scintigrafia con I131, TAC o PET) so-no essenziali per la diagnosi precoce di recidive. Il follow-up a lungo termine deve affrontare sia la sorveglianza oncologica sia le potenziali complicazioni legate al trattamento.

Carcinoma Midollare della Tiroide

Una forma molto rara di carcinoma tiroideo è rappresentata dal carcinoma midollare, originato dalle cellule parafollicolari tiroidee produttrici di calcitonina. Esso rappresenta il 5 % circa dei carcinomi ti-roidei. Il carcinoma midollare è una neoplasia aggressiva con alta frequenza di coinvolgimento meta-statico linfonodale e, rispetto alle forme di carcinoma differenziato, ad un più elevato tasso di mortalità. Il carcinoma midollare della tiroide (MTC) nella maggior parte dei casi presenta una distribuzione fa-miliare e rappresenta una manifestazione della sindrome di Neoplasia Endocrina Multipla (MEN) cau-sata dalla mutazione del gene RET. In base al tipo di mutazione di RET i carcinomi midollari si suddividono in forme ad altissimo rischio (MEN2B, mutazione M918T di RET) e forme ad alto rischio (mutazione C634 e A883F di RET). La prognosi del carcinoma midollare è peggiore rispetto alle for-me differenziate, e la tiroidectomia totale associata ad asportazione dei linfonodi interessati è la terapia di scelta. La terapia radiometabolica in questa tipologia di pazienti non è utile in quanto la neoplasia non deriva dalle cellule follicolari tiroidee. La tiroidectomia profilattica deve essere eseguita entro il primo anno di vita nei pazienti ad altissimo rischio, entro i 5 anni nei pazienti ad alto rischio (anche ad un’età più precoce in rapporto ai livelli ematici elevati di calcitonina) e ad una età variabile da valutare in base al monitoraggio dei livelli di calcitonina ed al risultato dell’ecografia nei pazienti a rischio mo-derato.

Conclusioni

Il carcinoma tiroideo pediatrico rappresenta un’entità clinica distinta che richiede protocolli gestionali specializzati. Le caratteristiche biologiche uniche, le considerazioni terapeutiche e le implicazioni pro-gnostiche necessitano di un approccio dedicato per questa popolazione. La gestione del carcinoma tiroideo in età pediatrica richiede, pertanto, la presenza di un team multidi-sciplinare coordinato dall’endocrinologo pediatra con esperienza in patologia neoplastica della tiroide. Le linee guida più utilizzate al momento sono quelle redatte dalla American Thyroid Association nel 2015 e quelle più recenti dalla European Thyroid Association nel 2022. Tuttavia, vi sono ancora degli argomenti di dibattito nella gestione del carcinoma tiroideo in età pediatrica che richiedono studi multi-centrici internazionali per avere a disposizione la maggior casistica possibile per poter uniformare la gestione clinica e migliorare i risultati per questa categoria di pazienti.

Bibliografia

1. Francis GL , Waguespack SG , et al. Management guidelines for children with thyroid nodules and differentiated thyroid cancer. Thyroid . 2015;25(7):716–759

2. Lebbink CA, Links TP, et al. 2022 European Thyroid Association Guidelines for the management of pediatric thyroid nodules and differentiated thyroid carcinoma. Eur Thyroid J. 2022 Nov 29;11(6):e220146.

3. Bojarsky M, Baran JA, et al. Outcomes of ATA Low-Risk Pediatric Thyroid Cancer Patients Not Treated With Radioactive Iodine Therapy. J Clin Endocrinol Metab. 2023 Nov 17;108(12):3338-3344

4. Nardi F, Basolo F, et al. Italian consensus for the classification and reporting of thyroid cytology. J Endocrinol Invest. 2014 Jun;37(6):593-9.

5. Vuong HG, Chung DGB, et al. The Use of the Bethesda System for Reporting Thyroid Cytopathology in Pediatric Thyroid Nodules: A Meta-Analysis. Thyroid. 2021 Aug;31(8):1203-1211

6. Tuttle RMM, Haugen BRM, et al. The updated AJCC/TNM staging system for differentiated and anaplastic thyroid cancer (8th edition): what changed and why. Thyroid. 2017.

7. Kim M, Kim BH. Current Guidelines for Management of Medullary Thyroid Carcinoma. Endocrinol Metab (Seoul). 2021 Jun;36(3):514-524.

8. Gild ML, Tsang VHM, et al. Multikinase inhibitors in thyroid cancer:timing of targeted therapy. Nat Rev Endocrinol. 2021 Apr; 17(4):225-234

9. Moleti M, Aversa T, Crisafulli S, Trifirò G, Corica D, Pepe G, Cannavò L, Di Mauro M, Paola G, Fontana A, Calapai F, Cannavò S, Wasniewska M. Global incidence and prevalence of differentiated thyroid cancer in childhood: systematic review and meta-analysis. Front Endocrinol (Lausanne). 2023 Sep 19;14:1270518.

10. Tuli G, Munarin J, Agosto E, Matarazzo P, Quaglino F, Mormile A, de Sanctis L. Predictive factors of malignancy in pediatric patients with thyroid nodules and performance of the Italian classification (SIAPEC 2014) in the outcome of the cytological FNA categories. Endocrine. 2021 Nov;74(2):365-374.

11. Paulson VA, Rudzinski ER, Hawkins DS. Thyroid Cancer in the Pediatric Population.Genes (Basel). 2019 Sep 18;10(9):723. doi: 10.3390/genes10090723.

12. Ricarte-Filho Julio C., Franco Aime T.The evolving genomic landscape of pediatric papillary thyroid cancerCurrent Opinion in Endocrine and Metabolic ResearchVolume 33, December 2023, on Thyroid Cancer (2023); Edited by Vicki Smith and Jennifer SiposDOI https://doi.org/ 10.1016/j.coemr.2023.100483

13. de Sousa MSA, Nunes IN, Christiano YP, Sisdelli L, Cerutti JM.Genetic alterations landscape in paediatric thyroid tumours and/or differentiated thyroid cancer: Systematic re-

view.Rev Endocr Metab Disord. 2024 Feb;25(1):35-51. doi: 10.1007/s11154-023-09840-2. Epub 2023 Oct 24.

14. Mastnikova K, Bulanova Pekova B, Kuklikova V, Vaclavikova E, Carkova J, Katra R, Fialova L, Vlcek P, Kodetova D, Chovanec M, Drozenova J, Matej R, Pacesova P, Novak Z, Procykova K, Vcelak J, Bendlova B.DICER1 Variants in Pediatric and Young Adult Thyroid Nodules.Thyroid. 2024 Oct;34(10):1225-1233. doi: 10.1089/thy.2024.0188. Epub 2024 Sep 27.

IL CARCINOMA TIROIDEO NEGLI ANZIANI

Chiara Mele1,2, Giulia Marsan1,2, Marco Zavattaro2, Grazia Mauri2, Paolo Marzullo1,2, Gianluca Aimaretti1,2

1 Dipartimento di Medicina Traslazionale, Università del Piemonte Orientale, Novara;

2 Divisione di Endocrinologia, AOU “Maggiore della Carità”, Novara.

L’età rappresenta un fattore di rischio significativo sia per l’insorgenza del carcinoma differenziato tiroideo (CDT), che per alcune forme neoplastiche più rare tra cui il carcinoma scarsamente differenziato ed il carcinoma anaplastico della tiroide (1). Oltre ad una maggiore incidenza, il carcinoma tiroideo risulta essere più aggressivo nella popolazione anziana. L’età è stata riconosciuta come fattore prognostico negativo indipendente dai principali sistemi di stadiazione.

Epidemiologia e caratteristiche cliniche

Nei pazienti con età superiore a 65 anni, il CDT, spesso si presenta con neoplasie multifocali, estensione extratiroidea, invasione vascolare e metastasi linfonodali e/o a distanza già alla diagnosi. Inoltre, il rischio di recidiva in questa fascia d’età è doppio rispetto ai pazienti con età inferiore a 65 anni (2), con una prognosi peggiore ed una riduzione della sopravvivenza globale. I principali fattori di rischio associati alla recidiva sono le dimensioni tumorali >4 cm e la presenza di metastasi linfonodali e/o polmonari alla diagnosi (3).

Gestione e approccio terapeutico

Le modalità di trattamento e follow-up del carcinoma tiroideo nel paziente anziano sono oggetto di dibattito. Le comorbidità e i rischi associati alla chirurgia tiroidea rappresentano aspetti critici, soprattutto nei pazienti fragili, caratterizzati da declino cognitivo, malnutrizione, comorbidità, politerapia, e altre condizioni che aumentano il rischio di complicanze chirurgiche e mortalità (4).

Trattamento Chirurgico

Nonostante le controversie sugli esiti della chirurgia nell’anziano, questa rimane il trattamento di prima linea per i carcinomi tiroidei a medio e alto rischio. Alcuni studi non evidenziano un aumento significativo incremento del tasso di complicanze chirurgiche in base alla tipologia di intervento (tiroidectomia totale vs lobectomia), mentre altri riportano un rischio maggiore di complicanze posttiroidectomia totale, in particolare un aumentato rischio di emorragia post-intervento (OR=3.4, IC 95% 1.4-8.0), di ipoparatiroidismo (OR=2.2, IC 95% 1.4-3.5) e di lesione del nervo laringeo ricorrente (OR=1.4, IC 95% 0.63.3) (5). I fattori di rischio prevalentemente associati all’insorgenza di complicanze sono risultati essere un indice di comorbidità >2 ed il sesso femminile. Per quanto riguarda la gestione del carcinoma tiroideo a basso rischio, la letteratura esistente è ambivalente riguardo al significato dell'età sui risultati del trattamento

chirurgico rispetto a quello non chirurgico. Indicativamente, nel caso di CDT a basso rischio, è possibile considerare anche la sorveglianza attiva o le tecniche mininvasive come l’ablazione con alcool, l’ablazione laser, la radiofrequenza, l’ablazione con microonde, la crioablazione o l’ablazione con ultrasuoni ad alta intensità, che possono essere prese in considerazione nel caso di pazienti anziani fragili, con controindicazioni alla chirurgia o che rifiutano tecniche chirurgiche invasive (6). Terapia con levotiroxina

Dopo l’intervento chirurgico, è necessario iniziare la terapia con levotiroxina che può essere sostitutiva, semisoppressiva o soppressiva in base alla classe di rischio della neoplasia. Rispetto ai soggetti più giovani, nei pazienti anziani occorre una dose del 20-30% inferiore per raggiungere un’adeguata soppressione del TSH (7), considerando che nell’anziano, soprattutto con età 80 anni, si verifica una riduzione della conversione periferica della tiroxina con un aumento del feedback negativo a livello ipofisario ed una conseguente riduzione della secrezione di TSH. Pertanto, risulta necessario monitorare attentamente i livelli di TSH e fT4 per l’elevato rischio di tireotossicosi iatrogena, che potrebbe peggiorare eventuali condizioni cardiologiche o di fragilità ossea (8). Nella scelta dell’eventuale grado di soppressione da raggiungere devono quindi essere sempre tenute in considerazione le condizioni generali del paziente e la presenza di comorbidità che potrebbero risentirne negativamente.

Terapia radiometabolica

La terapia radiometabolica (RAI), è generalmente ben tollerata anche nel paziente anziano (9). Gli eventi avversi che sono stati documentati dopo il trattamento comprendono prevalentemente xerostomia e xeroftalmia, mentre dosi di radioiodio superiori a 150-200 mCi spesso comportano l'esposizione del midollo osseo a più di 200 cGy di radiazioni con rischio di soppressione midollare, per cui gli studi dosimetrici sono fortemente raccomandati soprattutto per i pazienti di età superiore ai 70 anni. Inoltre, la stimolazione con rhTSH dovrebbe essere preferita alla sospensione di levotiroxina quando le condizioni generali del paziente e la presenza di comorbidità controindicano l’instaurarsi di una condizione di ipotiroidismo.

Gestione dei tumori radio-iodio refrattari Nei casi di carcinoma tiroideo radio-iodio refrattario, se il paziente è asintomatico o la progressione di malattia è lenta, è consigliabile proseguire con una sorveglianza

attiva considerando che le terapie sia locali che sistemiche possono causare tossicità significative, soprattutto nei soggetti anziani con comorbidità. Invece, in caso di comparsa di sintomatologia o di progressione rapida della neoplasia, è indicato l’utilizzo di farmaci inibitori delle tirosin-chinasi (TKI), che presentano una documentata efficacia nel trattamento sia della malattia localmente avanzata che della malattia metastatica. Tuttavia, questi farmaci possono provocare eventi avversi significativi, che influiscono negativamente sulle condizioni generali del paziente e sulla qualità della vita. In Italia, i due TKI attualmente approvati per il trattamento del CDT sono lenvatinib (prima linea) e cabozantinib (seconda/terza linea). In una sotto-analisi dello studio SELECT (studio registrativo di lenvatinib), la sopravvivenza libera da progressione di malattia risultava inferiore nei pazienti con età superiore a 65 anni rispetto ai pazienti con età inferiore a 65 anni (16,7 mesi vs 20,2 mesi), dato che da un lato conferma la maggior aggressività della neoplasia nei pazienti anziani, e dall’altro riflette la maggior incidenza di eventi avversi correlati al farmaco (89% nei pazienti sopra i 65 anni vs 67% nei pazienti sotto i 65 anni), con conseguente riduzione di posologia o sospensione del farmaco (10). Anche cabozantimib si è dimostrato efficace nel paziente anziano, mostrando una buona risposta in tutti i sottogruppi analizzati nello studio COSMIC-311 (dimensioni della neoplasia, sito metastatico, terapia precedente e istologia del CDT), ma non sono disponibili dati relativi all’incidenza ed alla severità degli eventi avversi in questa popolazione (11). Nuovi farmaci sono ad oggi disponibili per il trattamento dei tumori tiroidei RET-mutati localmente avanzati e metastatici, ma non sono ancora disponibili dati di efficacia e sicurezza nel paziente anziano.

La Tabella 1 riassume i punti chiave della gestione del carcinoma tiroideo nell’anziano.

Conclusioni

La gestione del carcinoma tiroideo nell'anziano richiede un approccio personalizzato che tenga conto delle caratteristiche specifiche del paziente, delle comorbidità e dei rischi associati ai vari trattamenti. La crescente aspettativa di vita della popolazione rende necessari ulteriori studi mirati sulla popolazione geriatrica per ottimizzare le strategie terapeutiche.

Tabella 1. Punti chiave e indicazioni nella gestione terapeutica del carcinoma tiroideo nell’anziano

Descrittori Indicazioni e punti chiave nell’anziano

Sorveglianza attiva

Chirurgia

Tecniche mininvasive

Terapia semi-soppressiva/soppressiva

Terapia radiometabolica (RAI)

Inibitori delle tirosin-chinasi (TKI)

- Tumori a basso rischio

- Controindicazioni alla chirurgia

- Rifiuto della chirurgia

- Trattamento di I linea nella gestione del carcinoma tiroideo a medio ed alto rischio

- Nei tumori a basso rischio è possibile considerare la sola lobectomia

- Possibile aumento delle complicanze postchirurgiche nell’anziano

- Tumori a basso rischio

- Controindicazioni alla chirurgia

- Rifiuto della chirurgia

- Valutare il grado di soppressione in base alla classe di rischio della neoplasia e alle comorbidità del paziente

- Monitorare con attenzione i livelli di TSH e fT4 per l’elevato rischio di tireotossicosi iatrogena

- Ben tollerata nell’anziano

- Indicati studi dosimetrici nell’anziano che riceve una dose di radioiodio >150-200 mCi per rischio di soppressione midollare

- Indicati nel trattamento del tumore tiroideo localmente avanzato e metastatico anche nell’anziano

- Maggior incidenza di eventi avversi correlati al farmaco

Bibliografia

1. Colombo C, De Leo S, Fugazzola L. Il carcinoma della tiroide nell’anziano: terapia e follow-up. L'Endocrinologo 2021; 22(1):108-110.

2. Trimboli P, Piccardo A, Signore A, Valabrega S, Barnabei A, Santolamazza G, Di Paolo A, Stati V, Chiefari A, Vottari S, Simmaco M, Ferrarazzo G, Ceriani L, Appetecchia M, Giovanella L. Patient Age Is an Independent Risk Factor of Relapse of Differentiated Thyroid Carcinoma and Improves the Performance of the American Thyroid Association Stratification System. Thyroid. 2020 May;30(5):713-719.

3. Garg A, Chopra S, Ballal S, Soundararajan R, Bal CS. Differentiated thyroid cancer in patients over 60 years of age at presentation: a retrospective study of 438 patients. J Geriatr Oncol. 2015 Jan;6(1):29-37.

4. Korc-Grodzicki B, Downey RJ, Shahrokni A, Kingham TP, Patel SG, Audisio RA. Surgical considerations in older adults with cancer. J Clin Oncol. 2014 Aug 20;32(24):2647-53.

5. Joseph KR, Edirimanne S, Eslick GD. Thyroidectomy for thyroid cancer in the elderly: A meta-analysis. Eur J Surg Oncol. 2019 Mar;45(3):310-317.

6. Lauretta R, Bianchini M, Mormando M, Puliani G, Appetecchia M. Focus on Thyroid Cancer in Elderly Patients. Endocrines. 2023; 4(4):757-771

7. Mariotti S, Franceschi C, Cossarizza A, Pinchera A. The aging thyroid. Endocr Rev. 1995 Dec;16(6):686-715

8. Jonklaas J, Sarlis NJ, Litofsky D, Ain KB, Bigos ST, Brierley JD, Cooper DS, Haugen BR, Ladenson PW, Magner J, Robbins J, Ross DS, Skarulis M, Maxon HR, Sherman SI. Outcomes of patients with differentiated thyroid carcinoma following initial therapy. Thyroid. 2006 Dec;16(12):122942.

9. Mihailovic J, Stefanovic L, Malesevic M, Markoski B. The importance of age over radioiodine avidity as a prognostic factor in differentiated thyroid carcinoma with distant metastases. Thyroid. 2009 Mar;19(3):227-32.

10. Schlumberger M, Tahara M, Wirth LJ, Robinson B, Brose MS, Elisei R, Habra MA, Newbold K, Shah MH, Hoff AO, Gianoukakis AG, Kiyota N, Taylor MH, Kim SB, Krzyzanowska MK, Dutcus CE, de las Heras B, Zhu J, Sherman SI. Lenvatinib versus placebo in radioiodine-refractory thyroid cancer. N Engl J Med. 2015 Feb 12;372(7):621-30.

11. Brose MS, Robinson B, Sherman SI, Krajewska J, Lin CC, Vaisman F, Hoff AO, Hitre E, Bowles DW, Hernando J, Faoro L, Banerjee K, Oliver JW, Keam B, Capdevila J. Cabozantinib for radioiodine-refractory differentiated thyroid cancer (COSMIC-311): a randomised, double-blind, placebo-controlled, phase 3 trial. Lancet Oncol. 2021 Aug;22(8):1126-1138.

IL CARCINOMA TIROIDEO DIFFERENZIATO: FORME FAMILIARI (”FAMILIAL NON MEDULLARY THYROID CARCINOMA, FNMTC”)

UOC

Introduzione

I carcinomi familiari, a differenza di quelli ereditari causati da una mutazione genetica identificata, sono definiti dalla presenza della neoplasia in più membri di una stessa famiglia, in assenza di una mutazione germinale nota. Sebbene molte delle neoplasie umane abbiano una componente ereditaria, alcune forme di cancro mostrano una trasmissione familiare più evidente. Anche il carcinoma non midollare della tiroide (NMTC), nonostante sia in prevalenza sporadico, può essere familiare in circa il 10% dei casi [1] (Figura 1).

Figura 1. Prevalenza delle forme sporadiche e familiari di carcinoma non midollare della tiroide

Carcinoma familiare non midollare della tiroide (FNMTC)

Il carcinoma familiare non midollare della tiroide (FNMTC) è una forma di carcinoma tiroideo che si manifesta tra i membri di una stessa famiglia e coinvolge prevalentemente il carcinoma papillare e, in misura minore, quello follicolare.

Per quanto riguarda il FNMTC, sono state descritte tre presentazioni cliniche distinte:

Primo Fenotipo - Forma Sindromica Familiare: rara, associata a malattie non tiroidee come la sindrome di Gardner, la sindrome di Cowden, la sindrome di Werner e il complesso di Carney, in cui pattern genetico è noto [28]

Secondo Fenotipo: anch’esso raro, in cui il FNMTC è associato ad un particolare istotipo con loci di suscettibilità ben definiti [2, 9-13]

Terzo Fenotipo: è la forma più comune, in cui il carcinoma tiroideo papillare familiare (FPTC) è l’unica manifestazione clinica, in assenza di geni noti di suscettibilità [2, 14-15].

Forma non sindromica di FNMTC

Definizione

Tradizionalmente il FNMTC è definito dalla presenza del tumore in due o più familiari di primo grado. Tuttavia, tale definizione è stata messa in discussione, in quanto la presenza di due soli familiari potrebbe rappresentare, secondo uno studio di simulazione statistica, l’associazione casuale di due tumori sporadici in circa il 66% dei casi. Se i familiari affetti sono invece tre, il rischio di un’associazione casuale si riduce a meno del 5% [16]. Nella pratica clinica, tuttavia, le famiglie FNMTC costituite da tre o più membri affetti, rappresentano solo il 5% dei casi [17].

Recentemente è stato suggerito di utilizzare, nelle famiglie con due soli affetti, l’età alla diagnosi come criterio differenziale. Secondo questo studio, se il probando e il familiare affetto hanno entrambi, al momento della diagnosi della malattia, un’età inferiore ai 45 anni, il rischio di un’associazione casuale potrebbe essere minimo dal momento che le forme familiari sono generalmente caratterizzate da una precoce età di insorgenza e dal fenomeno dell’anticipazione genica [18-19].

Genetica

Per il FNMTC isolato, non è stato individuato alcun locus di suscettibilità né sono state dimostrate mutazioni germinali. Le alterazioni genetiche classiche più comunemente descritte nel carcinoma papillare tiroideo (mutazioni puntiformi di BRAF e RAS e riarrangiamenti di RET/PTC, PPAR e TRK) non sono state rilevate a livello germinale nel FNMTC. Ricerche recenti indicano che il FNMTC potrebbe essere dovuto ad un’ereditarietà di tipo poligenico, influenzata da più alleli a bassa penetranza ed espressività variabile [20-24].

Caratteristiche cliniche

Il FNMTC comprende soprattutto il carcinoma papillare della tiroide (PTC) e, in misura minore, il carcinoma follicolare. Raramente, altri tipi istologici possono essere presenti, ma con una frequenza molto bassa. È controverso in letteratura se il FNMTC abbia un comportamento clinico diverso rispetto al carcinoma differenziato sporadico. Tuttavia, la maggioranza degli studi sottolineano come il FNMTC abbia generalmente un fenotipo più aggressivo alla diagnosi [18, 25-27].

Le caratteristiche cliniche che vengono generalmente associate al FNMTC includono:

• Età più giovane alla diagnosi

• Maggior frequenza di multicentricità e bilateralità della neoplasia

• Maggior tasso di metastasi linfonodali.

La precoce età di insorgenza della malattia nel FNMTC può essere spiegata con il cosiddetto “fenomeno dell’anticipazione”, in cui le generazioni successive alla prima sviluppavano la malattia precocemente e in forma più aggressiva rispetto a quelle precedenti [18] (Figura 2).

Figura 2. Caratteristiche cliniche e patologiche del carcinoma familiare non midollare della tiroide in confronto con la controparte sporadica

Un aspetto ancora oggi molto discusso riguarda il ruolo prognostico della familiarità nei pazienti affetti da NMTC. Sebbene ci sia sufficiente consenso sul fatto che il tasso di mortalità non sia differente tra le forme sporadiche e le forme familiari, controverso è ancora l’impatto della familiarità sul rischio di recidiva di malattia in corso di follow-up. Un recente lavoro ha documentato come, a fronte di un maggior tasso di persistenza di malattia dopo il trattamento iniziale (39.5 vs 28.6%, p=0.04), alla fine del follow-up (mediana di follow-up: 9 anni) il tasso di remissione clinica di malattia non era differente tra pazienti con carcinoma papillare sporadico e familiare (79.3 vs 84.3%, p=0.26) [27]. I risultati di questo studio suggeriscono che, sebbene il FNMTC sia più aggressivo della controparte sporadica, se adeguatamente trattato (trattamento aggiuntivo durante il follow-up quando necessario), ha un tasso di remissione clinica non differente da quello osservato nella forma sporadica (Figura 3).

Figura 3. Confronto tra forme sporadiche e forme familiari di carcinoma non midollare della tiroide in merito allo stato di malattia in corso di follow-up

Screening

Per quanto riguarda lo screening del FNMTC, studi dimostrano che, mentre gli individui provenienti da famiglie con due membri affetti hanno una prevalenza simile a quella della popolazione generale, quelli provenienti da famiglie con tre o più membri affetti hanno un tasso di FNMTC significativamente più alto [28-32]. Le linee guida attuali raccomandano lo screening ecografico nelle famiglie con forma sindromiche e nelle famiglie con tre o più membri affetti a partire dall’età di 20 anni o prima, mentre per le famiglie con solo due membri affetti non ci sono specifiche indicazioni per quanto riguarda lo screening in quanto le evidenze attuali sono insufficienti [33-34].

Approccio Terapeutico

Le evidenze scientifiche di una maggiore estensione di malattia alla diagnosi e di una peggiore risposta al trattamento iniziale non devono, tuttavia, portare a una gestione terapeutica e di follow-up più aggressiva generalizzata nella forma familiare di NMTC [35-36]. Un approccio terapeutico e di follow-up personalizzato dovrebbe essere il percorso da seguire nel paziente affetto da FNMTC.

Conclusioni

Il carcinoma familiare non midollare della tiroide pone sfide diagnostiche e gestionali, richiedendo un equilibrio tra identificazione precoce e approccio terapeutico mirato. Sebbene manchino loci genetici specifici per le forme non sindromiche, lo screening nelle famiglie ad alto rischio e la sorveglianza mirata restano essenziali per migliorare gli esiti clinici. Ulteriori ricerche sono fondamentali per comprendere appieno le basi genetiche di questa patologia e ottimizzare le strategie di gestione.

Bibliografia

[1] Capezzone M, Robenshtok E, Cantara S, Castagna MG (2021) Familial non-medullary thyroid cancer: a critical review. J Endocrinol Invest 44(5):943–950

[2] Valerio L, Cantara S, Puxeddu E, Castagna MG. Editorial: Non-Syndromic Familial Non-Medullary Thyroid Carcinoma: Clinical and Genetic Update. Front Endocrinol (Lausanne). 2022 Apr 6;13:891903. doi: 10.3389/fendo.2022.891903. PMID: 35464069; PMCID: PMC9018980.

[3] Peiling Yang S, Ngeow J (2016) Familial non-medullary thyroid cancer: unraveling the genetic maze. Endocr Relat Cancer 23:R577–R595

[4] Cetta F, Montalto G, Gori M, Curia MC, Cama A, Olschwang S (2000) Germline mutations of the APC gene in patients with familial adenomatous polyposis-associated thyroid carcinoma: results from a European cooperative study. J Clin Endocrinol Metab 85:286–292

[5] Liaw D, Marsh DJ, Li J et al (1997) Germline mutations of the PTEN gene in Cowden disease, an inherited breast and thyroid cancer syndrome. Nat Genet 16:64–67

[6] Stratakis CA, Courcoutsakis NA, Abati A et al (1997) Thyroid gland abnormalities in patients with the syndrome of spotty skin pigmentation, myxomas, endocrine overactivity, and schwannomas

(Carney complex). J Clin Endocrinol Metab 82:2037–2043

[7] Yu CE, Oshima J, Fu YH et al (1996) Positional cloning of the Werner’s syndrome gene. Science 272:258–262

[8] Rio Frio T, Bahubeshi A, Kanellopoulou C et al (2011)

DICER1 mutations in familial multinodular goiter with and without ovarian Sertoli-Leydig cell tumors. JAMA 305:68–77

[9] Canzian F, Amati P, Harach HR, Kraimps JL, Lesueur F, Barbier J, Levillain P, Romeo G, Bonneau D (1998) A gene predisposing to familial thyroid tumors with cell oxyphilia maps to chromosome 19p13.2. Am J Hum Genet 63:1743–1748

[10] Bevan S, Pal T, Greenberg CR, Green H, Wixey J, Bignell G, Narod SA, Foulkes WD, Stratton MR, Houlston RS (2001) A comprehensive analysis of MNG1, TCO1, fPTC, PTEN, TSHR, and TRKA in familial nonmedullary thyroid cancer: confirmation of linkage to TCO1. J Clin

Endocrinol Metab 86:3701–3704

[11] Malchoff CD, Sarfarazi M, Tendler B, Forouhar F, Whalen G, Joshu V, Arnold A, Malchoff DM (2000) Papillary thyroid carcinoma associated with papillary renal neoplasia: genetic linkage analysis of a distict heritable tumor sindrome. J Clin Endocrinol Metab 85:1758–1764

[12] McKay JD, Thompson D, Lesueur F, Stankov K, Pastore A, Watfah C, Strolz S, Riccabona G, Moncayo R, Romeo G, Goldgar DE (2004) Evidence for interaction between the TCO and NMTC1 loci in familial non-medullary thyroid cancer. J Med Genet 41:407–412

[13] McKay JD, Lesueur F, Jonard L et al (2001) Localization of a susceptibility gene for familial nonmedullary thyroid carcinoma to chromosome 2q21. Am J Hum Genet 69:440–446

[14] Frich L, Glattre E, Akslen LA (2001) Familial occurrence of nonmedullary thyroid cancer: a populationbased study of 5673 firstdegree relatives of thyroid cancer patients from Norway. Cancer Epidemiol Biomarkers Prev 10:113–117

[15] Goldgar DE, Easton DF, Cannon-Albright LA, Skolnick MH (1994) Systematic population-based assessment of cancer risk in first-degree relatives of cancer probands. J Natl Cancer Inst 86:1600–1608

[16] Charkes ND (2006) On the prevalence of familial nonmedullary thyroid cancer in multiply affected kindreds. Thyroid 16(2):181–186

[17] Nixon IJ, Suárez C, Simo R et al (2016) The impact of family history on non-medullary thyroid cancer. Eur J Surg Oncol 42(10):1455–1463

[18] Capezzone M, Marchisotta S, Cantara S et al (2008) Familial nonmedullary thyroid carcinoma displays the features of clinical anticipation suggestive of a distinct biological entity. Endocr-Relat Cancer 15(4):1075–1081

[19] Capezzone M, Sagnella A, Pilli T, Maino F, Forleo R, Cantara S, Cartocci A, Castagna MG. Role of Age at Diagnosis in Defining Potential Familial Nonmedullary Thyroid Cancer in Kindreds With Two Affected Members J Clin Endocrinol Metab. 2021 Jan 23;106(2):e855-e865.

[20] Gara SK, Jia L, Merino MJ, Agarwal SK, Zhang L, Cam M, Patel D, Kebebew E (2015) Germline HABP2 Mutation Causing Familial Nonmedullary Thyroid Cancer. N Engl J Med 373:448–455

[21] He H, Bronisz A, Liyanarachchi S et al (2013)

SRGAP1 is a candidate gene for papillary thyroid carcinoma susceptibility. J Clin Endocrinol Metab 98(5):E973–E980

[22] Pereira JS, da Silva JG, Tomaz RA, Pinto AE, Bugalho MJ, Leite V, Cavaco BM (2015) Identification of a novel germline FOXE1variant in patients with familial non-medullary thyroid carcinoma (FNMTC). Endocrine 49:204–214

[23] Ngan ES, Lang BH, Liu T, Shum CK, So MT, Lau DK, Leon TY, Cherny SS, Tsai SY, Lo CY, Khoo US, Tam PK, Garcia-Barceló MM (2009) A germline mutation (A339V) in thyroid transcription factor-1 (TITF-1/NKX2.1) in patients with multinodular goiter and papillary thyroid carcinoma. J Natl Cancer Inst 101:162–175

[24] Ye F, Gao H, Xiao L et al (2019) Whole exome and target sequencing identifies MAP2K5 as novel susceptibility gene for familial non-medullary thyroid carcinoma. Int J Cancer 144:1321–1330

[25] Robenshtok E, Tzvetov G, Grozinsky-Glasberg S et al (2011) Clinical characteristics and outcome of familial nonmedullary thyroid cancer: a retrospective controlled study. Thyroid 21(1):43–48

[26] Uchino S, Noguchi S, Kawamoto H et al (2002) Familial nonmedullary thyroid carcinoma characterized by multifocality and a high recurrence rate in a large study population. World J Surg 26(8):897–902

[27] Mazeh H, Benavidez J, Poehls JL et al (2012) In patients with thyroid cancer of follicular cell origin, a family history of nonmedullary thyroid cancer in one first-degree relative is associatedwith more aggressive disease. Thyroid 22(1):3–8

[28] Mazeh H, Sippel RS (2013) Familial nonmedullary thyroid carcinoma. Thyroid Off J Am Thyroid Assoc 23:1049–1056

[29] Park YJ, Ahn HY, Choi HS, Kim KW, Park DJ, Cho BY (2012) The long-term outcomes of the second generation of familial nonmedullary thyroid carcinoma are more aggressive than sporadic cases. Thyroid Off J Am Thyroid Assoc 22:356–362

[30] Tavarelli M, Russo M, Terranova R, Scollo C, Spadaro A, Sapuppo G, Malandrino P, Masucci R, Squatrito S, Pellegriti G (2015) Familial non-medullary thyroid cancer represents an independent risk factor for increased cancer aggressiveness: a retrospective analysis of 74 families. Front Endocrinol 6:117

[31] Fan YF, Zhang B, Yang X, Shang ZH, Liu HF, Xie Y, Liu YW, Gao WS, Wu Q, Li XY (2015) Clinicopathologic features of familial nonmedullary thyroid carcinoma. Chin Med J (Engl) 128:1037–1041

[32] Uchino S, Noguchi S, Kawamoto H, Hi Yamashita, Watanabe S, Yamashita H, Shuto S (2002) Familial nonmedullary thyroid carcinoma characterized by multifocality and a high recurrence rate in a large study population. World J Surg 26:897–902

[33] Haugen BR, Alexander EK, Bible KC et al (2016) American Thyroid Association Management Guidelines for Adult Patients with Thyroid Nodules and Differentiated thyroid cancer: the American Thyroid Association Guidelines Task Force on thyroid nodules and differentiated thyroid cancer. Thyroid 26:1–133

[34] Francis GL, Waguespack SG, Bauer AJ, Angelos P, Benvenga S, Cerutti JM, Dinauer CA, Hamilton J, Hay ID, Luster M, Parisi M, Rachmiel M, Thompson GB, Yamashita S, American Thyroid Association Guidelines Task Force (2015) Management guidelines for children with thyroid nodules and differentiated thyroid cancer. Thyroid Off J Am Thyroid Assoc 25:716–759

[35] Capezzone M, Castagna MG. Il carcinoma familiare non midollare della tiroide non sindromico. L’Endocrinologo (2021) 22:389–393

[36] Capezzone M, Secchi C, Fralassi N, Cantara S, Brilli L, Ciuoli C, Pilli T, Maino F, Forleo R, Pacini F, Castagna MG. Should familial disease be considered as a negative prognostic factor in micropapillary thyroid carcinoma? J Endocrinol Invest. 2019 Oct;42(10):1205-1213.

IL CARCINOMA MIDOLLARE FAMILIARE: UN MODELLO GENETICO DI ONCOLOGIA PREVENTIVA

1 UOC di Endocrinologia, Dipartimento di Medicina (DIMED), Università degli Studi di Padova, Padova, Italia

2 Istituto Oncologico Veneto. IOV-IRCCS, Padova, Italia

La tiroide è nota per la funzione di produzione di ormoni tiroidei, compito principale delle cellule follicolari, le più numerose nella ghiandola. Nella tiroide ci sono però anche altre cellule, molto meno numerose (circa 1% del totale), le cellule C o cellule parafollicolari, deputate alla produzione di calcitonina, un ormone con un ruolo (marginale) nella regolazione del calcio (Figura 1).

sto di una sindrome familiare, per la stragrande maggioranza dei casi riconducibile a mutazione germinale (ovvero congenita), dell’oncogene RET, caratteristica della sindrome da neoplasie endocrine multiple di tipo 2 (MEN-2). La MEN-2 o sindrome di Sipple, dal medico che per primo la descrisse nel 1959, è una malattia estremamente rara, con una prevalenza di 13-24 casi per milione. Si distinguono due forme: MEN-2A e MEN-2B.

MEN-2A

Figura 1: La tiroide e la sua anatomia macroscopica e microscopica e lo sviluppo di MTC a partire dalle cellule parafollicolari. Created in BioRender.

Cos’è il carcinoma midollare della tiroide?

Da queste cellule può derivare un raro tumore, il carcinoma midollare della tiroide (MTC) che rappresenta circa il 2-3% di tutti i tumori tiroidei e circa lo 0.3-0.5% di tutti i noduli tiroidei. Alla diagnosi, l’MTC presenta spesso metastasi linfonodali o a distanza rendendolo un tumore aggressivo. Molto spesso alla diagnosi di MTC sono già presenti metastasi linfonodali o a distanza: si tratta quindi di un tumore tiroideo aggressivo. Tuttavia, la prognosi varia significativamente in base alla tempestività della diagnosi. Se diagnosticato quando ancora confinato alla tiroide, la prognosi risulta eccellente. La capacità di questo tumore di produrre calcitonina, rende la stessa un marker preziosissimo per una diagnosi precoce e quindi un trattamento chirurgico radicale.

Che cos’è la sindrome da neoplasie endocrine multiple di tipo 2 (MEN-2)?

Circa il 25% dei casi di MTC si manifestano in un conte-

La MEN-2A si caratterizza per un’alta frequenza (praticamente del 100%), di MTC, che compare con una tempistica variabile nel corso della vita a seconda del tipo specifico di mutazione di RET, associato, con frequenza non uniforme tra i pazienti affetti, a feocromocitoma e iperparatiroidismo primitivo.

Il feocromocitoma è un tumore del surrene, in genere benigno nel contesto della MEN-2, in grado di causare ipertensione arteriosa e crisi ipertensive, con aumento del rischio di eventi cardiovascolari (ictus e infarto).

L’iperparatiroidismo primitivo, dovuto ad iperplasia o adenoma delle paratiroidi, si caratterizza per un’alterazione del metabolismo del calcio, con possibile ipercalcemia, e talvolta calcoli renali e osteoporosi.

Altre manifestazioni minori comprendono il lichen cutaneo amiloidosico (lesione cutanea, nella parte superiore della schiena, talvolta pruriginosa e più scura rispetto alla pelle circostante) e l’Hirschsprung (anomalia dell’innervazione dell’intestino inferiore, che si manifesta clinicamente con stipsi ostinata) (Figura 2). Pur trattandosi di manifestazioni minori, dato che possono manifestarsi prima del MTC o del feocromocitoma, possono rappresentare preziose

Figura 2: caratteristiche cliniche della MEN-2A. Created in BioRender. Created in BioRender.

“red flag”, utili per una diagnosi precoce di MEN2A.

MEN-2B

La MEN-2B si caratterizza per la comparsa di MTC entro i primi mesi di vita, da un’alta frequenza di feocromocitoma (50%) e da paraganglioneuromatosi (neuromi a livello della mucosa della lingua, delle labbra, della congiuntiva e del tratto gastrointestinale e urinario) e aspetto “marfanoide” ovvero caratterizzato da arti lunghi e sottili, magrezza, petto escavato e altre malformazioni ossee. Un altro sintomo caratteristico è l’alacrimia, ovvero l’incapacità di produrre lacrime (Figura 3).

Figura 3: Caratteristiche cliniche della e della MEN2B. Created in BioRender. Created in BioRender.

Analisi genetica: chi deve sottoporsi al test?

MEN-2B

Data la rapida insorgenza dell’MTC dell’MTC, risulta fondamentale la tiroidectomia entro l’anno di vita del bambino. Tuttavia, l’elemento che caratterizza la MEN-2B è il suo presentarsi come sindrome “de novo” in più di tre quarti dei casi. Ovvero, nella stragrande maggioranza di casi, i genitori del bambino non sono portatori di questa mutazione e quindi sta al clinico identificarla il più precocemente possibile. Questo particolare contesto genico, associato al rapido manifestarsi del MTC, rende fondamentale sospettare la patologia sulla base dei sintomi “minori” di accompagnamento, quali le malformazioni ossee, la stipsi ostinata e l’alacrimia (un neonato costipato e che non lacrima dovrebbe farci sospettare la sindrome e richiedere l’analisi genetica per mutazioni di RET) (Figura 4).

MEN-2A

In tutti i pazienti con MTC, data l’alta frequenza di forme familiari, è necessaria un’analisi genetica per escludere che si tratti di una MEN-2A (Figura 4). Saperlo è utile sia per il paziente stesso (per escludere patologie a carico delle paratiroidi e patologie anche potenzialmente fatali a carico dei surreni), sia per i suoi familiari di primo

grado. In caso di positività, infatti, anche i parenti di primo grado (genitori/figli/fratelli e sorelle) devono andare incontro all’analisi genetica. La MEN-2 si trasmette in modo autosomico dominante, quindi i familiari di primo grado hanno un 50% di possibilità di essere portatori anch’essi della mutazione. L’analisi si esegue su sangue periferico o da brushing della mucosa orale, pre-

Figura 4: Indicazioni alla esecuzione del test genico per ricerca di mutazione germinale dell’oncogene RET. Created in BioRender.

"#$%& "''"(&#)&*&#)& +',("-.$, C?D4E&+3)(#3+( .#/'(&+&#0" -.//1&#,).',23456

!""#$%%&$'()$*$+$,&%$-!.(/0(12&3'(1)$.31,(#4 *(,+&(5$1&-467879:799749;<9679=4*(+4,(1(4>?@

Al tipo di mutazione si associa anche un diverso rischio di patologia a carico dei surreni, delle paratiroidi e le manifestazioni minori (vedi Tabella 1). I gene-carriers dovranno quindi iniziare un monitoraggio dei valori di calcitonina (basale e dopo test di stimolo che oggi si esegue tramite infusione di calcio), per individuare e trattare precocemente l’MTC con tiroidectomia. Lo scopo può essere una tiroidectomia profilattica (quando ancora l’MTC non si è manifestato) o una tiroidectomia curativa. Entrambe le opzioni hanno un buon impatto prognostico. Si può scegliere l’opzione curativa piuttosto che profilattica perché i vantaggi di un intervento profilattico vanno soppesati coi rischi chirurgici. I familiari affetti possono infatti essere bambini, nei quali il tasso di complicanze a seguito di intervento chirurgico alla tiroide è maggiore rispetto a quello dell’adulto.

via raccolta del consenso informato per l’analisi di RET (Figura 4). Va ricordato che prima di eseguire l’analisi genetica, il soggetto adulto o i familiari per i minori di età inferiore di 18 anni, devono sottoscrivere il consenso informato all’esecuzione del test.

Gestione dei portatori di mutazione (gene-carriers)

Per i gene-carriers, ovvero i soggetti riscontrati positivi alla mutazione, è prevista, dal sistema sanitario nazionale, un’esenzione per malattia rara (RCG 162) per agevolare i controlli periodici di sorveglianza.

Nei portatori di mutazione germinale RET, l’MTC si manifesta sempre, ma con tempistica di insorgenza nel corso della vita variabile in base al tipo specifico di mutazione:

• Altissimo rischio (es. M918T, MEN-2B): insorgenza precoce nei primi mesi di vita;

• Alto rischio (es. codone 634, MEN-2A): insorgenza nei primi anni di vita;

• Rischio moderato: insorgenza tardiva, fino alla quinta-sesta decade.

Il monitoraggio per l’MTC dei gene-carriers si basa sulla misura periodica dei valori di calcitonina ed ecografie del collo. Si possono prendere in considerazione i valori di calcitonina basali o ci si può aiutare con un test di stimolo con calcio gluconato, per aumentare la sensibilità nel rilevare una proliferazione delle cellule parafollicolari. La tiroidectomia è indicata per valori di calcitonina basale o stimolati aumentati. In caso di mutazioni ad alto rischio, il monitoraggio biochimico deve iniziare precocemente, al II-III anno di vita, nel caso di mutazioni a rischio moderato può iniziare anche più tardi, il tutto allo scopo di individuare il momento migliore della tiroidectomia, in modo da coniugare rischi e benefici. A partire dagli 11

Tabella 1: correlazione tra le mutazioni germinali dell’oncogene RET, il rischio di MTC, l’incidenza di feocromocitoma (FEO), iperparatiroidismo primitivo (IPT), lichen amiloide cutaneo (CLA) e Hirschsprung (HD). Vedi richiamo tabella

10

10

10

C630R/Y 11

D631Y 11

C634F/G/R/S/W/Y 11

11

13

13

14

14

15

S891A 15

R912P 16

M918T 16

Note: incidenza di FEO e IPT: +: attorno al 10%, ++: tra il 20-30%, +++: attorno al 50%.

anni per le mutazioni a rischio alto e altissimo e dai 16 per quelle a rischio moderato deve iniziare anche lo screening per individuare precocemente il feocromocitoma, mediante misura dei metaboliti urinari delle catecolamine (metanefrine urinarie). Fondamentale è che queste patologie vengano seguite da centri ad alta esperienza e che gli interventi, specie quelli pediatrici, vengano eseguiti da chirurghi “ad alto volume” ovvero con molte chirurgie tiroidee da vantare nel proprio curriculum (Figura 5 e Tabella 2).

Conclusioni

Il carcinoma midollare familiare della tiroide rappresenta un modello esemplare di oncologia preventiva, dove l’integrazione tra analisi genetica, sorveglianza clinica e intervento chirurgico tempestivo può modificare radicalmente la storia naturale della malattia. La gestione di questa patologia richiede un approccio multidisciplinare che coinvolge endocrinologi, genetisti, chirurghi e altri specialisti, in un percorso diagnostico-terapeutico che deve essere personalizzato per ogni paziente e nucleo familiare. La diagnosi precoce, facilitata dall’analisi genetica e dal dosaggio della calcitonina, insieme a un follow-up strutturato, permette di ottenere risultati eccellenti in termini di sopravvivenza e qualità della vita. Questo modello di medicina preventiva, basato sulla genetica, rappresenta un esempio virtuoso di come la moderna medicina possa anticipare e prevenire lo sviluppo di patologie oncologiche gravi, trasformando una malattia potenzialmente letale in una condizione gestibile e controllabile.

di rischio della mutazione

Rischio altissimo

Tabella 2: Monitoraggio del paziente con MEN2, a seconda del livello di rischio della mutazione.

Sindrome Tiroidectomia Inizio monitora ggio del MTC (eco collo e Ct)

Inizio monitoraggi o del FEO (metanefrine urinarie)

Inizio monitoraggio del IPT (metabolismo fosfo-calcico)

M918T MEN2B Entro il primo anno di vita -- * 11 anni ---

Rischio alto C634 MEN2A A 5 anni di età, o prima in base ai livelli di Ct 2-3 anni 11 anni 11 anni

A883F MEN2B ---

Rischio moderato Altre mutazioni MEN2A All’elevazione della Ct 5 anni 16 anni 16 anni

Note: ATA: American Thyroid Association, Ct: calcitonina; feocromocitoma (FEO), iperparatiroidismo primitivo (IPT), MTC: carcinoma midollare della tiroide. *: non si esegue un vero e proprio monitoraggio, alla luce del rapido sviluppo di MTC e dei valori di Ct non valutabili nel primo anno di vita.

Figura 5: monitoraggio del paziente MEN2A. Created in BioRender
Classe
Mutazione

Richiamo tabella

Tabella 1: correlazione tra le mutazioni germinali dell’oncogene RET, il rischio di MTC, l’incidenza di feocromocitoma (FEO), iperparatiroidismo primitivo (IPT), lichen amiloide cutaneo (CLA) e Hirschsprung (HD). Note: incidenza

Il CARCINOMA DELLA TIROIDE NEL CONTESTO DEI QUADRI SINDROMICI

1 Sezione di Endocrinologia, Geriatria e Medicina Interna, Dipartimento di Scienze Mediche, Università di Ferrara, Ferrara

Il carcinoma della tiroide (CT) può manifestarsi come componente di rare sindromi genetiche, rappresentando un importante elemento diagnostico e prognostico in diversi quadri sindromici ereditari. (Fig 1).

Poliposi Adenomatosa Familiare (PAF)

Figura 1: Rappresentazione grafica dell’associazione tra tumori tiroidei e quadri sindromici, con relativi geni coinvolti e codici OMIM

Poliposi Adenomatosa Familiare (APC) OMIM: 175100

S. Werner (WRN) OMIM: 277700

AtassiaTelangectasia (SLC26A4) OMIM: 208900

Carney Complex (CNC1, CNC2) OMIM: 160980

La Poliposi Adenomatosa Familiare è associata a mutazioni germinali del gene APC nelle forme a trasmissione AD e caratterizzata dalla comparsa, in giovane età, di multipli polipi adenomatosi colon-rettali. I pazienti con tali mutazioni mostrano nel 2-12% dei casi una variante cribriforme morulare del carcinoma papillare tiroideo (CPT), una rara forma di tumore tiroideo (TT), che, se riscontrata, soprattutto in giovane età, è altamente indicativa di FAP. Tale variante ha una buona prognosi e raramente si presenta in forma aggressiva. 1-3-4

S. Pendred (SLC26A4) OMIM: 274600

Sindrome di Cowden (SC)

S. Peutz-Jeghers (STK11) OMIM: 175200

S. Cowden

S. BannayanRiley-Ruvalcaba (PTEN) OMIM: 158350

Carney Complex (CC)

Neoplasia Endocrina Multipla tipo 1 (MEN1) OMIM: 131100

S. Li-Fraumeni (TP53) OMIM: 151623

S. Dicer1 (DICER1) OMIM: 601200

Il Carney Complex (CC), è una patologia a trasmissione autosomica dominante (AD), causata da alterazioni dei geni CNC1 e CNC2. Si caratterizza per lesioni pigmentate della pelle e delle mucose, mixomi cutanei, cardiaci e mammari, e diversi tumori endocrini e non. I pazienti CC con mutazioni nel locus CNC1 manifestano nel 460% dei casi un CT, sebbene le forme tipiche siano gli adenomi follicolari. Il locus CNC1 include il gene PRKAR1A, codificante per la subunità R1 dell’enzima protein chinasi A (PKA), che nel CC risulta costitutivamente attivato, promuovendo la proliferazione cellulare con conseguente aumento del rischio di tumorigenesi.12-3

La Sindrome di Cowden (SC) è determinata nel 25% dei casi da mutazioni germinali del gene PTEN, che causano alterazioni del ciclo cellulare e dell’apoptosi. SC è caratterizzata da amartomi multipli e aumentato rischio di sviluppare tumori cerebellari, mammari, renali, endometriali, colon-rettali e tiroidei. L’incidenza di TT è elevata in presenza di tale mutazione, con un rischio maggiore per le donne rispetto agli uomini. Nel 60% dei casi si tratta di CPT e nel 45% di carcinoma follicolare tiroideo (CFT), con possibili coesistenze di lesioni benigne. Nella SC l'incidenza cumulativa dei CT è >10%.1-3-5

Bannayan-Riley-Ruvalcaba

Anche la sindrome di Bannayan-Riley-Ruvalcaba è associata alla mutazione germinale di PTEN. Diagnosticata principalmente nell'infanzia, si presenta con amartomi, lipomi, macrocefalia congenita, anomalie vascolari, macule pigmentate genitali e un aumentato rischio neoplastico. In particolare, il rischio di sviluppare TT è del 21-38%, presentando CFT come istotipo più frequente. 6-7

Sindrome di Werner

La Sindrome di Werner è una patologia a trasmissione autosomica recessiva (AR), causata nel 90% dei casi da mutazioni germinali del gene WRN, che codifica per un'elicasi. È caratterizzata da invecchiamento precoce e aumentato rischio di neoplasie, come TT, melanoma, sarcomi dei tessuti molli, meningiomi, leucemie e osteosarcomi. In particolare, nella tiroide possono presentarsi CPT, CFT e carcinomi anaplastici con un'incidenza complessiva >18%.1-3

Sindrome DICER1

Questa sindrome è causata da una mutazione germinale del gene DICER1, che codifica per una proteina coinvolta nello sviluppo dei micro-RNA. Alcuni studi hanno evidenziato che cisti polmonari e noduli tiroidei sono associati a mutazioni che comportano la perdita di funzione della proteina DICER1. In genere, l’insorgenza di CT è rara.3-8

Neoplasia endocrina multipla di tipo 1 (MEN1)

Questa sindrome autosomica dominante, causata da mutazioni germinali del gene MEN1 alle quali segue la perdita di eterozigosità (LOH) nel DNA tumorale, si associa allo sviluppo di tumori principalmente nelle ghiandole paratiroidi, nel pancreas endocrino e nell'adenoipofisi. È stata descritta la presenza di carcinoma midollare della tiroide (CMT) in un paziente con mutazione germinale c.549G>A (p.Trp183*) nell'esone 3 del gene MEN1 e LOH nel tessuto tumorale in assenza di mutazione germinale del gene RET. Questo suggerisce che il CMT possa essere una manifestazione della sindrome MEN1. Inoltre, sono stati descritti casi di CMT in portatori di mutazioni germinali di MEN1 e mutazioni somatiche del gene RET nonché casi di CPT in pazienti con MEN1.910-11-12

Sindrome di Pendred (SP)

La Sindrome di Pendred, è dovuta a mutazioni trasmesse con modalità AR nel gene SLC26A4 che codifica per la proteina pendrina, le cui alterazioni compromettono il trasporto di iodio nelle cellule tiroidee e alterano il movimento degli ioni cloruro e bicarbonato nell'orecchio interno. Di conseguenza, nella tiroide si verifica un’organificazione inadeguata dello iodio, che può portare a gozzo ed ipotiroidismo, mentre lo squilibrio ionico nel labirinto cocleare può causare sordità neurosensoriale. L’incidenza del CT nella SP è intorno all’1%. Sono stati descritti casi di associazione tra SP e diverse forme di CT, tra cui il CFT, il carcinoma anaplastico e la variante follicolare del CPT.13-14-15-16-17

Atassia-telangectasia (AT)

Malattia a trasmissione AR causata da mutazioni nel gene ATM, il quale è fondamentale per la riparazione del DNA e per la risposta allo stress ossidativo. Si manifesta con atassia, telangectasia e immunodeficienza. In pazienti con AT di età compresa tra 9 e 36 anni sono stati descritti casi di CPT, CPT variante follicolare e CFT. 18-19-20-21

Sindrome di Li-Fraumeni (LF)

E’ una patologia a trasmissione AD legata a mutazioni nel gene TP53, che codifica per la proteina p53, fondamentale per il controllo del ciclo cellulare. È caratterizzata dalla predisposizione a sviluppare tumori multipli. Uno studio brasiliano condotto su 193 portatori della mutazione TP53 p.R337H provenienti da 58 famiglie ha evidenziato una prevalenza del 10,9% di CT (3 uomini e 8 donne), tutti CPT, con un’età media alla diagnosi di 44 anni. Questi risultati suggeriscono un’associazione tra la mutazione TP53 p.R337H e il CPT.22 Al contrario, una coorte francese di 415 portatori di LF ha riportato un'incidenza di cancro alla tiroide dello 0,9% con età media alla diagnosi di 42 anni.23

Sindrome di Peutz-Jeghers (SPJ)

E’ una condizione a trasmissione AD causata da mutazioni nel gene STK11/LKB1, che comporta un aumento del rischio di sviluppare tumori. È caratterizzata dalla presenza di polipi amartomatosi nel tratto gastrointestinale e macchie pigmentate cutanee e mucose. È stata osservata la presenza di CPT variante follicolare in pazienti con SPJ, sebbene nel campione tumorale non sia stata riscontrata alcuna alterazione somatica dei geni STK11/LKB1.24

Conclusioni

La conoscenza e la comprensione delle correlazioni tra sindromi genetiche e carcinoma tiroideo risulta fondamentale per una corretta gestione clinica e follow-up dei pazienti affetti da queste rare condizioni. L'identificazione precoce delle mutazioni genetiche permette un approccio preventivo e terapeutico mirato. La valutazione genetica rappresenta quindi uno strumento essenziale nel percorso diagnostico-terapeutico, consentendo non solo l'identificazione dei soggetti a rischio ma anche l'implementazione di protocolli di sorveglianza personalizzati. Questo approccio integrato, basato sulla caratterizzazione molecolare delle diverse sindromi, può migliorare significativamente l'esito clinico attraverso interventi tempestivi e strategie terapeutiche specifiche per le singole mutazioni genetiche identificate.

Bibliografia

1. Capezzone, M., Castagna, M.G. Il carcinoma familiare non midollare della tiroide non sindromico. L'Endocrinologo 22, 389–393 (2021). https://doi.org/10.1007/s40619-02100950-0

2. Sachdev, Chetna et al. “Carney Complex and Its Association With Thyroid Cancer, Molecular Pathway, and Treatment.” Cureus vol. 15,11 e48503. 8 Nov. 2023, doi:10.7759/cureus.48503

3. WHO Classification of Tumours of Endocrine Organs, 4th Edition, pagina da 275 a 281, Volume 10, 2017

4. Aydemirli, M D et al. “A unique case of two somatic APC mutations in an early onset cribriform-morular variant of papillary thyroid carcinoma and overview of the literature.” Familial cancer vol. 19,1 (2020): 15-21. doi:10.1007/s10689-019-00146-4

5. Nieuwenhuis, Marry H et al. “Cancer risk and genotypephenotype correlations in PTEN hamartoma tumor syndrome.” Familial cancer vol. 13,1 (2014): 57-63. doi:10.1007/s10689-013-9674-3

6. Haddadi, Nahal et al. “Toward Systems Pathology for PTEN Diagnostics.” Cold Spring Harbor perspectives in medicine vol. 10,5 a037127. 1 May. 2020, doi:10.1101/cshperspect.a037127

7. Plamper, Michaela et al. “PTEN hamartoma tumor syndrome in childhood and adolescence-a comprehensive review and presentation of the German pediatric guideline.” Molecular and cellular pediatrics vol. 9,1 3. 21 Feb. 2022, doi:10.1186/s40348-022-00135-1

8. Schultz, Kris Ann P et al. “DICER1 and Associated Conditions: Identification of At-risk Individuals and Recommended Surveillance Strategies.” Clinical cancer research: an official journal of the American Association for Cancer Research vol. 24,10 (2018): 2251-2261. doi:10.1158/10780432.CCR-17-3089

9. Aranda Velazquez, Gloria Beatriz et al. “Medullary thyroid carcinoma as manifestation of the loss of heterozygosity in a patient with MEN1.” Endocrinologia y nutricion : organo de la Sociedad Espanola de Endocrinologia y Nutricion vol. 63,7 (2016): 371-3. doi:10.1016/j. endonu.2016.03.005

10. Cetani, Filomena et al. “Incidental occurrence of metastatic medullary thyroid carcinoma in a patient with multiple endocrine neoplasia type 1 carrying germline MEN1 and somatic RET mutations.” Journal of surgical oncology vol. 116,8 (2017): 1197-1199. doi:10.1002/jso.24793

11. Desai, D et al. “Genetic analysis of a papillary thyroid carcinoma in a patient with MEN1.” Annals of surgical oncology vol. 8,4 (2001): 342-6. doi:10.1007/s10434-001-0342-8

12. Vortmeyer, A O et al. “Multiple endocrine neoplasia type 1: atypical presentation, clinical course, and genetic analysis of multiple tumors.” Modern pathology: an official journal of the United States and Canadian Academy of Pathology, Inc vol. 12,9 (1999): 919-24.

13. Lacka, K et al. “Follicular thyroid cancer in a patient with Pendred syndrome.” Annales d'endocrinologievol. 82,6 (2021): 622-624. doi:10.1016/j.ando.2021.05.001

14. Nosé, Vânia. “Thyroid cancer of follicular cell origin in inherited tumor syndromes.” Advances in anatomic pathology vol. 17,6 (2010): 428-36. doi:10.1097/ PAP.0b013e3181f8b028

15. Camargo, R et al. “Aggressive metastatic follicular thyroid carcinoma with anaplastic transformation arising from a long-standing goiter in a patient with Pendred's syndrome.” Thyroid: official journal of the American Thyroid Association vol. 11,10 (2001): 981-8. doi:10.1089/1050 72501753211073

16. Sakurai, Kanako et al. “Papillary thyroid carcinoma in one of identical twin patients with Pendred syndrome.” Endocrine journal vol. 60,6 (2013): 805-11. doi:10.1507/endocrj.ej12-0396

17. Tong, Guo-Xia et al. “Targeted Next-Generation Sequencing Analysis of a Pendred Syndrome-Associated Thyroid Carcinoma.” Endocrine pathologyvol. 27,1 (2016): 70-5. doi:10.1007/s12022-015-9413-4

18. Ohta, S et al. “Ataxia-telangiectasia with papillary carcinoma of the thyroid.” The American journal of pediatric hematology/oncology vol. 8,3 (1986): 255-7.

19. Sandoval, C et al. “Parotid and thyroid gland cancers in patients with ataxia-telangiectasia.” Pediatric hematology and oncology vol. 18,8 (2001): 485-90. doi:10.1080/088800101753328448.

20. Narita, T, and K Takagi. “Ataxia-telangiectasia with dysgerminoma of right ovary, papillary carcinoma of thyroid, and adenocarcinoma of pancreas.” Cancervol. 54,6 (1984): 1113-6. doi:10.1002/1097-0142(19840915)54: 6<1113::aid-cncr2820540632>3.0.co;2-c

21. Brasseur, Benoit et al. “Papillary thyroid carcinoma in a 9year-old girl with ataxia-telangiectasia.” Pediatric blood & cancer vol. 50,5 (2008): 1058-60. doi:10.1002/pbc.21016

22. Formiga, Maria Nirvana da Cruz et al. “Frequency of Thyroid Carcinoma in Brazilian TP53 p.R337H Carriers With Li Fraumeni Syndrome.” JAMA oncology vol. 3,10 (2017): 1400-1402. doi:10.1001/jamaoncol.2016.6389

23. Bougeard, Gaëlle et al. “Revisiting Li-Fraumeni Syndrome From TP53 Mutation Carriers.” Journal of clinical oncology: official journal of the American Society of Clinical Oncology vol. 33,21 (2015): 2345-52. doi:10.1200/JCO.2014. 59.5728

24. Triggiani, Vincenzo et al. “Papillary thyroid carcinoma in Peutz-Jeghers syndrome.” Thyroid: official journal of the American Thyroid Association vol. 21,11 (2011): 1273-7. doi:10.1089/thy.2011.0063

CARCINOMA TIROIDEO: DALLA PARTE DEI PAZIENTI

NUTRIZIONE PERSONALIZZATA NEL PAZIENTE ONCOLOGICO: UN SUPPORTO ESSENZIALE ALLE TERAPIE

Dipartimento di Medicina Traslazionale e di Precisione, Sapienza Università di Roma.

"Il buon medico cura le malattie, ma il grande medico cura le persone con malattia". Questo celebre aforisma di William Osler (1849-1919), tra i padri fondatori della medicina moderna, evidenzia la necessità di superare l'approccio incentrato solo sulla malattia per mettere il paziente e le sue necessità al centro dell'attenzione medica.

Così facendo, si potrà ristabilire l’equilibrio tra terapia eziologica, i.e., terapia che agisce sui meccanismi della malattia, es. antibiotici contro le infezioni batteriche, e terapia di supporto, i.e., terapia che risponde alle necessità dei pazienti, es. antipiretico nella influenza febbrile.

La Malattia Oncologica e le Sue Implicazioni

Sistemiche

La malattia oncologica è oggi considerata una malattia sistemica: indipendentemente dalla sede di origine del tumore, gli effetti della sua crescita si riverberano su molti organi e tessuti, anche a distanza dal tumore primario. Negli ultimi decenni, la prognosi del paziente neoplastico è significativamente migliorata, grazie alla prevenzione, agli screening che consentono diagnosi precoci, ed ai miglioramenti delle terapie (1). Di conseguenza è aumentato il numero dei pazienti che vivono anche a lungo con il tumore o ne sono guariti. Tale aumento, però, è per la maggior parte dovuto a pazienti sopravviventi con limitazioni funzionali (2). Questo evidenzia come la medicina contemporanea, pur eccellendo nel controllo della malattia oncologica, fatichi ancora nel preservare lo stato funzionale del paziente.

Il Rischio di Malnutrizione nei Pazienti Oncologici

Il paziente oncologico è intrinsecamente a rischio di sviluppare malnutrizione, una condizione patologica caratterizzata dalla progressiva perdita delle riserve energetiche e funzionali. La frequente perdita di peso involontaria nasconde un profondo sovvertimento della composizione corporea, con una perdita soprattutto di massa muscolare rispetto al tessuto adiposo. Se entrambe le perdite impattano negativamente sulla prognosi, è la riduzione della massa muscolare a compromettere in modo specifico la forza fisica, limitando le attività quotidiane e peggiorando significativamente la qualità di vita del paziente.

Inoltre, la riduzione della massa muscolare altera il volume di distribuzione dei farmaci antineoplastici idrofilici, il cui dosaggio si basa sulla superficie corporea e non sulla composizione corporea. Ne consegue che nel paziente oncologico malnutrito si determina spesso un sovradosaggio dei farmaci antineoplastici, da cui consegue

tossicità, riduzione della dose prevista e riduzione dell’efficacia della terapia stessa (3).

Malnutrizione: Prevenzione e diagnosi

Prevenire la malnutrizione, minimizzarne la gravità e favorire il recupero nutrizionale e funzionale sono dunque obbiettivi condivisi da numerose società scientifiche (4) e dalle raccomandazioni ministeriali. Purtroppo, nella pratica clinica, l’attenzione verso la malnutrizione oncologica è quanto meno insufficiente se non proprio inesistente: un recente studio condotto negli Stati Uniti ha evidenziato che lo staff dei centri di riferimento oncologico comprende in media 1 dietista ogni 2,300 pazienti (5).

Il primo passo per la prevenzione ed il trattamento della malnutrizione è saperla riconoscere. Come per tutte le malattie, e la malnutrizione va considerata come tale, il percorso diagnostico si basa sulla implementazione di test di screening che selezionano la popolazione oncologica a rischio di malnutrizione. Questi ultimi vengono poi sottoposti ad un percorso diagnostico, che si basa sul riscontro di fattori eziologici (i.e., riduzione assunzione di cibo, aumento risposta infiammatoria) e fenotipici (i.e., perdita di peso, basso indice di massa corporea, perdita di massa muscolare), e che consente di accertare la presenza di malnutrizione (6).

Strategie Terapeutiche Personalizzate

La terapia della malnutrizione è efficace quanto più contrasta i fattori che l’hanno determinata. Di conseguenza, una terapia che vada bene per tutti non esiste o quanto meno può portare a risultati limitati. La terapia nutrizionale, pertanto, deve essere personalizzata per massimizzarne l'efficacia. I

La malnutrizione nel paziente oncologico deriva principalmente dipende da due fattori:

• riduzione dell’assunzione di calorie e proteine con la dieta per scarso appetito o per alterazioni del gusto/odorato o per riduzione del transito intestinale o per tossicità gastrointestinale e inefficacia dei meccanismi di digestione,

• aumento della spesa energetica e dei meccanismi di degrado della massa muscolare, in genere secondario ad un aumento della risposta infiammatoria dell’ospite contro le cellule tumorali (7).

Sulla base della corretta diagnosi, la terapia della malnutrizione (8) si basa su diverse strategie.

• Counseling Nutrizionale: Il primo approccio nutrizionale al paziente oncologico è il counseling nutrizionale. Questa strategia nutrizionale si basa sul-

l’ascolto attento dell’esperienza sensoriale del paziente ed il conseguente adattamento personalizzato della dieta. Ad esempio, ad un paziente disfagico dopo radioterapia del tratto testa/collo viene suggerita la modificazione della consistenza del cibo; ad un paziente con scarso appetito e sazietà precoce viene suggerito di alimentarsi con pasti piccoli e frequenti; ad un paziente con alterazioni del gusto/odorato viene suggerito l’uso di spezie per coprire i sapori sgraditi.

• Supplementi Orali Nutrizionali (ONS): Nel caso il counseling nutrizionale non fosse efficace, si passa alla supplementazione della alimentazione residua con supplementi orali nutrizionali (ONS). Gli ONS sono alimenti a fini medici speciali che riescono a fornire in piccoli volumi liquidi elevate concentrazioni di macro- e micronutrienti. Gli ONS non sono dunque pasti sostitutivi, ma prodotti atti a coprire il gap tra quello che il paziente dovrebbe mangiare e quello che invece riesce a mangiare. La formulazione liquida e la composizione in macro- e micronutrienti variabile consentono di prescriverli con appropriatezza a secondo delle esigenze nutrizionali e metaboliche del singolo paziente.

• Nutrizione Artificiale: Se poi il paziente oncologico non è in grado di incrementare in alcun modo la propria dieta, si deve passare alla nutrizione artificiale, i.e., alla nutrizione enterale e alla nutrizione parenterale. La nutrizione enterale si realizza infondendo soluzioni nutritive nel tratto gastroenterico attraverso un sondino in genere nasogastrico, o attraverso il confezionamento di una gastrostomia. La nutrizione parenterale si attua infondendo soluzioni nutritive per via endovenosa attraverso un accesso stabile all’albero venoso centrale. La tecnologia oggi consente di nutrire tutti i pazienti, ma come tutte le terapie, la terapia nutrizionale ha chiare indicazioni per quando iniziare e per quando sospendere o interrompere. Non nutrire un paziente oncologico deve quindi essere una decisione ragionata e condivisa dal paziente, e non una semplice dimenticanza. Soprattutto perché i risultati clinici che si ottengono sono di pieno interesse per il paziente. La terapia nutrizionale migliora la qualità di vita e la prognosi di pazienti oncologici ospedalizzati a rischio di malnutrizione (9). Il supporto nutrizionale post-chirurgia oncologica addominale migliora la composizione corporea (10) e la risposta alle terapie oncologiche adiuvanti (11).

La terapia nutrizionale nel paziente oncologico è giustamente considerata come terapia di supporto, e dunque non in grado di interferire con la crescita neoplastica e incapace di influenzare la prognosi. Ma oltre a proteggere e ricostituire la massa e forza muscolare, migliorando la qualità di vita, la terapia nutrizionale esercita

anche effetti indiretti. Favorendo infatti l’efficacia delle terapie oncologiche, la terapia nutrizionale consente al paziente di trarne il massimo beneficio possibile contribuendo così al buon esito delle terapie, siano esse mediche o chirurgiche. Un po’ ad effetto, si può concludere che la terapia nutrizionale consente di vivere più a lungo e meglio. Un effetto tutt’altro che irrisorio.

Conclusioni

La terapia nutrizionale nel paziente oncologico, pur essendo una terapia di supporto, ha un impatto indiretto significativo sulla prognosi. Migliorando la massa e la forza muscolare e ottimizzando l’efficacia delle terapie antineoplastiche, consente ai pazienti di vivere meglio e più a lungo. Un risultato di grande valore, che merita di essere pienamente integrato nella gestione clinica del paziente oncologico.

Bibliografia

1. Goddard KAB et al. JAMA Oncol 2024 (published online December 5, 2024)

2. Patel VR et al. JAMA Oncol 2023; 9:1001

3. Prado CM et al. Clin Cancer Res 2009; 15;2920

4. Arends J et al. ESMO Open 2021; 6:100092

5. Trujillo EB et al. J Oncol 2019; 2019:7462940

6. Cederholm T et al. Clin Nutr 2019; 10:207

7. Compton SLE et al. Annu Rev Nutr 2024; 44:77

8. Arends J et al. Clin Nutr 2017; 36:11

9. Bargetzi L et al. Ann Oncol 2021; 32:1025

10. Meng Q et al. Clin Nutr 2021; 40:40

11. Tan S et a. Nutrition 2025; 129:112597

LA QUALITÀ DI VITA NEI PAZIENTI AFFETTI DA CARCINOMA TIROIDEO

1. Unità di Endocrinologia, Dipartimento di Scienze Biomediche, Metaboliche e Neuroscienze, Università di Modena e Reggio Emilia, Modena, Italia

2. Dipartimento di Medicine Specialistiche, Azienda Ospedaliero-Universitaria di Modena, Modena, Italia

L’attenzione alla qualità di vita dei pazienti (QoL) è sicuramente un concetto fondamentale emerso in medicina negli ultimi decenni in particolare nell'ambito dell'oncologia e delle malattie croniche. I pazienti con carcinoma tiroideo si trovano in una posizione unica poiché ricevono una diagnosi di “tumore maligno” e affrontano trattamenti variabili, spesso invasivi, mentre convivono con la malattia e le sue conseguenze per anni, diventando di fatto malati cronici. Questo tumore è caratterizzato da una bassa mortalità, specialmente per gli istotipi più comuni, rispondendo in maniera eccellente alle terapie, e consentendo una lunga sopravvivenza (1). Durante il percorso terapeutico e di monitoraggio, i pazienti devono sottoporsi a visite mediche continue, esami diagnostici – molti dei quali invasivi - ecografie del collo, eventuali altre indagini radiologiche, trattamenti chirurgici. Inoltre, è necessario assumere terapie ormonali sostitutive a causa della rimozione della ghiandola tiroidea. La storia clinica di questi pazienti è quindi complessa e si articola in diverse fasi che influenzano la loro qualità di vita.

Impatto della diagnosi e dei trattamenti

La diagnosi di carcinoma di per sé ha un impatto significativo sulla QoL, con effetti negativi già nel primo anno dalla diagnosi (2, 3).

Le terapie successive possono avere effetti collaterali complessi. Ad esempio, la tiroidectomia comporta non solo l'impatto estetico della cicatrice sul collo, ma anche la rimozione di una ghiandola fondamentale per la regolazione ormonale e metabolica. Inoltre, la tiroidectomia può complicarsi con l’asportazione delle ghiandole paratiroidee, che regolano i livelli di calcio nel sangue, obbligando il paziente ad assumere anche altri ormoni e il calcio stesso per bocca, terapia spesso mal tollerata a livello gastrico e con conseguente compromissione ulteriore della qualità di vita (4). Le complicanze chirurgiche possono includere danni ai nervi laringei ricorrenti con compromissione del tono della voce o paralisi di entrambe le corde vocali fino a ridurre lo spazio aereo e richiedere una incisione chirurgica della trachea, per aprire una via respiratoria alternativa a quella naturale (tracheotomia), il cui impatto sulla qualità di vita è drammaticamente evidente (5).

Terapie post-operatorie e loro effetti

Dopo la chirurgia, molti pazienti, anche se sempre meno negli ultimi anni, vengono sottoposti ad ablazione di eventuali residui con una metodica di medicina nucleare che utilizza lo iodio radioattivo (I131). Sebbene questa terapia sia indolore, comporta un ricovero in isolamento e può generare nel paziente una certa ansia legata sia al risultato del trattamento sia alla radioattività (6). Per di

più, una delle modalità di preparazione a questa fase implica la sospensione della terapia sostitutiva con ormone tiroideo, che provoca uno stato di ipotiroidismo temporaneo con possibile compromissione delle capacità fisiche e cognitive del paziente (7). Dopo l’ablazione, i pazienti vengono trattati con ormone tiroideo, anche ad alto dosaggio al fine di sopprimere il TSH, fattore di crescita di eventuali residui di cellule tumorali. Proprio questa fase di voluto trattamento con alte dosi di levotiroxina, l’ormone tiroideo sostitutivo che inibisce il TSH, può portare alla comparsa di fastidiosi sintomi da tireotossicosi, quali tachicardia, insonnia, ansia (8). Fortunatamente, la maggior parte dei pazienti tollera bene questa terapia, arrivando addirittura a preferirla rispetto alla terapia sostitutiva standard (7, 9).

Personalizzazione della terapia ormonale

Un altro aspetto cruciale è la personalizzazione della terapia ormonale dell’ipotiroidismo acquisito. E’ noto che sia un sovradosaggio che un sottodosaggio degli ormoni tiroidei aumentano il rischio di mortalità (10). Tuttavia, è anche ormai dimostrato che l’equilibrio ormonale tiroideo post-tiroidectomia non viene perfettamente ricreato dalle formulazioni terapeutiche attualmente disponibili (11, 12). Molti pazienti, soprattutto di sesso femminile, lamentano la persistenza di sintomi ed un peggioramento della QoL, pur in presenza di valori sierici di TSH perfettamente nel range atteso (7, 13). Purtroppo, la ricerca in questo ambito è ancora lontana da una soluzione, poiché la QoL è un aspetto fondamentale, ma difficilmente misurabile. Esistono questionari specifici per pazienti affetti da patologia tiroidea (14), ma questi strumenti richiedono un numero molto elevato di pazienti per avere un risultato statisticamente rilevante da uno studio clinico, essendo molteplici i fattori che influiscono sulla QoL.

Conclusioni

In sintesi, i pazienti affetti da carcinoma tiroideo affrontano una serie complessa di sfide che influenzano significativamente la loro qualità di vita. È essenziale adottare un approccio multidisciplinare nella cura a lungo termine dei sopravvissuti al carcinoma tiroideo, che consideri non solo gli aspetti fisici ma anche quelli psicologici e sociali. Studi prospettici e multicentrici sono necessari per approfondire questi aspetti fondamentali nella gestione della salute dei pazienti.

Bibliografia

1. Wu L, Vaccarella S, Feng CY, Dal Maso L, Chen Y, Liu WW, et al. Mortality among papillary thyroid cancer patients by detection route: a hospital-based retrospective cohort study. European thyroid journal. 2023;12(6).

2. Crevenna R, Zettinig G, Keilani M, Posch M, Schmidinger M, Pirich C, et al. Quality of life in patients with non-metastatic differentiated thyroid cancer under thyroxine supplementation therapy. Supportive care in cancer : official journal of the Multinational Association of Supportive Care in Cancer. 2003;11(9):597-603.

3. Sawka AM, Goldstein DP, Brierley JD, Tsang RW, Rotstein L, Ezzat S, et al. The impact of thyroid cancer and post-surgical radioactive iodine treatment on the lives of thyroid cancer survivors: a qualitative study. PloS one. 2009;4(1):e4191.

4. Ivanovic-Zuvic D, Chelebifski S, Uribe B, Quintana C, Domínguez JM, Olmos R, et al. Impaired Quality of Life in Patients with Post-Surgical Hypoparathyroidism. J Bone Metab. 2024;31(2):140-9.

5. Vargas M, Sutherasan Y, Brunetti I, Micalizzi C, Insorsi A, Ball L, et al. Mortality and long-term quality of life after percutaneous tracheotomy in Intensive Care Unit: a prospective observational study. Minerva Anestesiol. 2018;84(9):1024-31.

6. von Müller F, Happel C, Reinhardt J, Kranert WT, Bockisch B, Gröner D, et al. Evaluation of fear of radiation and isolation before and after radioiodine therapy. Thyroid : official journal of the American Thyroid Association. 2014;24(7):1151-5.

7. Monzani ML, Piccinini F, Boselli G, Corleto R, Margiotta G, Peeters RP, et al. Changes in quality of life after thyroidectomy in subjects with thyroid cancer in relation to the dose of levothyroxine. Journal of endocrinological investigation. 2022.

8. Do Cao C, Wémeau JL. Risk-benefit ratio for TSHsuppressive Levothyroxine therapy in differentiated thyroid cancer. Annales d'endocrinologie. 2015;76(1 Suppl 1):1s47-52.

9. Ito M, Miyauchi A, Morita S, Kudo T, Nishihara E, Kihara M, et al. TSH-suppressive doses of levothyroxine are required to achieve preoperative native serum triiodothyronine levels in patients who have undergone total thyroidectomy. European journal of endocrinology. 2012;167(3):373-8.

10. Lillevang-Johansen M, Abrahamsen B, Jørgensen HL, Brix TH, Hegedüs L. Over- and Under-Treatment of Hypothyroidism Is Associated with Excess Mortality:

A Register-Based Cohort Study. Thyroid : official journal of the American Thyroid Association. 2018;28(5):566-74.

11. Gullo D, Latina A, Frasca F, Le Moli R, Pellegriti G, Vigneri R. Levothyroxine monotherapy cannot guarantee euthyroidism in all athyreotic patients. PloS one. 2011;6(8):e22552.

12. Brigante G, Santi D, Boselli G, Margiotta G, Corleto R, Monzani ML, et al. Randomized double-blind placebo-controlled trial on levothyroxine and liothyronine combination therapy in totally thyroidectomized subjects: the LEVOLIO study. European journal of endocrinology. 2024;190(1):12-22.

13. Hegedüs L, Bianco AC, Jonklaas J, Pearce SH, Weetman AP, Perros P. Primary hypothyroidism and quality of life. Nature reviews Endocrinology. 2022;18(4):230-42.

14. Watt T, Cramon P, Hegedüs L, Bjorner JB, Bonnema SJ, Rasmussen Å K, et al. The thyroid-related quality of life measure ThyPRO has good responsiveness and ability to detect relevant treatment effects. The Journal of clinical endocrinology and metabolism. 2014;99(10):3708-17.

VIVERE CON IL CARCINOMA TIROIDEO: LE VOCI, LE STORIE E LE SPERANZE DELLE PAZIENTI

C.A.P.E., Comitato Associazioni Pazienti Endocrini (Italia)

"È stato come un fulmine a ciel sereno." Con queste parole inizia la mia storia, simile a quella di tante altre donne che si trovano ad affrontare una diagnosi di carcinoma tiroideo. Non immaginavo che potesse trattarsi di qualcosa di così serio, e inizialmente mi sono sentita confusa, sopraffatta dall'incertezza di cosa mi aspettava.

I Numeri che Raccontano la Nostra Storia

In Italia, circa 40.000 persone all'anno si sottopongono a una tiroidectomia totale. Di queste, ben 32.000 sono donne, un dato che evidenzia quanto questa patologia colpisca principalmente l'universo femminile. Tra noi, 8.000 affrontano l'intervento a causa di un carcinoma, un percorso che cambia profondamente la vita di ognuna di noi.

Il Momento della Diagnosi

La diagnosi di carcinoma tiroideo arriva spesso inaspettata, generando uno stato di shock e smarrimento. L'incredulità iniziale è comune: "Non è possibile che io abbia il cancro" è un pensiero che attraversa la mente di molte di noi. Nonostante questo tumore sia generalmente considerato curabile, l'idea di affrontare interventi chirurgici e terapie radioattive può risultare opprimente, soprattutto per noi donne che spesso dobbiamo bilanciare la malattia con gli impegni familiari e lavorativi.

La Vita Dopo la Tiroidectomia

Vivere senza tiroide è possibile, ma comporta cambiamenti significativi. Spulciando attraverso internet ho compreso che gli ormoni tiroidei sono fondamentali per il nostro organismo: regolano il metabolismo, il battito cardiaco, l'umore e il sistema nervoso. L'asportazione della tiroide ci fa dipendere da una pillola quotidiana sostitutiva della tiroide, un cambiamento che richiede tempo, pazienza e supporto per essere accettato e assorbito.

L'Esperienza della Terapia Radiometabolica: i Giorni di Solitudine

Dopo l'intervento chirurgico, molte di noi devono affrontare uno dei momenti più difficili del percorso: la terapia con iodio radioattivo. Non si tratta solo di un trattamento, ma di un’esperienza che lascia un segno profondo. Ricordo ancora il momento in cui mi hanno spiegato che avrei dovuto trascorrere 5-7 giorni in completo isolamento, in una stanza blindata con pareti di piombo.

Le ore in quella stanza sembrano infinite. Sei sola con i tuoi pensieri, mentre i muri spessi attutiscono ogni rumore, come a voler contenere anche le tue paure. La solitudine fisica si trasforma in un peso emotivo difficile

da sostenere. I pensieri si accavallano, e le domande diventano un tormento: "Quando potrò riabbracciare mio figlio? Dovrò tenere lontani i miei genitori anziani? Per quanto tempo sarò 'radioattiva'? "

La preoccupazione più grande, soprattutto per noi giovani donne, riguarda la possibilità di avere altri figli. "Le radiazioni comprometteranno la mia fertilità? Potrò allattare? I miei futuri bambini saranno sani?" Sono domande che pesano come macigni nelle lunghe ore di isolamento. E poi c'è l'angoscia di dover forse ripetere il trattamento, di dover tornare in quella stanza, di dover ancora una volta allontanarci dai nostri cari. L’incertezza legata agli effetti delle radiazioni aggiunge ulteriore ansia a un’esperienza già emotivamente difficile.

L'Impatto Emotivo e Fisico

La malattia non lascia segni solo sul corpo, ma anche sulla nostra immagine di donne. Le cicatrici al collo, le possibili variazioni di peso e altri cambiamenti fisici possono mettere alla prova la nostra autostima. La stanchezza cronica e gli sbalzi d'umore diventano compagne di viaggio e accettare questi cambiamenti richiede forza e supporto.

Come donne, l’impatto sulla nostra immagine corporea e sulla percezione della femminilità può essere particolarmente difficile da affrontare. Ma giorno dopo giorno, molte di noi imparano ad accettarsi e a guardare oltre le cicatrici, riscoprendo che la nostra forza va ben oltre l'aspetto fisico.

Il Valore del Supporto e della Condivisione

"Il supporto dell'associazione è stato fondamentale," confesso spesso alle altre pazienti che iniziano questo percorso. Sapere che altre donne vivevano una situazione simile alla mia mi ha dato speranza. Le associazioni di pazienti diventano una seconda famiglia, offrendo uno spazio sicuro per condividere esperienze, ricevere informazioni e affrontare insieme le paure, senza sentirci giudicate. Parlare con uno psicologo e con altre donne che stanno vivendo la stessa esperienza mi ha aiutato tanto: finalmente potevo aprirmi, raccontare le mie paure e trovare la forza per andare avanti giorno dopo giorno.

Convivere con l'Incertezza

La parte più difficile? Imparare a vivere con il pensiero che la malattia potrebbe tornare. I controlli diventano una costante della nostra vita: oggi gli esami del sangue, domani un'ecografia, poi magari una scintigrafia. Il calendario si riempie di appuntamenti e ogni volta, mentre aspetto i risultati, il cuore batte più forte. Mi hanno spiegato che il tumore può ripresentarsi anche dopo tanto tempo, per questo dovrò fare controlli per tutta la vita. All'inizio questa cosa mi spaventava tantissimo, ora ho

imparato a conviverci. Ho segnato sul telefono tutti i controlli da fare e cerco di non pensarci troppo tra una visita e l'altra. È come se il mio corpo mi chiedesse più attenzioni di prima, e piano piano ho imparato ad ascoltarlo.

Guardando al Futuro con Speranza

Piano piano, giorno dopo giorno, impariamo a riprendere in mano la nostra vita. Certo, non è più come prima: devo ricordarmi di prendere le medicine, fare i controlli, stare attenta a tante piccole cose. Ma si va avanti, si sorride di nuovo, si fanno progetti. A volte mi sorprendo di me stessa: non avrei mai pensato di avere tutto questo coraggio dentro di me. E quando incontro altre donne che stanno iniziando questo percorso, voglio dir loro che sì, è dura, ma ce la possiamo fare. Siamo più forti di quanto pensiamo.

Conclusione

Il viaggio attraverso il carcinoma tiroideo è costellato di momenti di profonda solitudine, come quelli vissuti durante la terapia radiometabolica, ma anche di grande forza e resilienza. Come donne, affrontiamo sfide uniche in questo percorso, dalla gestione delle terapie all'impatto sulla nostra vita familiare. Le nostre storie di sopravvivenza, con tutte le paure e le vittorie che le caratterizzano, diventano faro di speranza per chi si trova all'inizio di questo cammino. Non siamo sole: ogni donna che ha attraversato questa esperienza porta con sé una testimonianza preziosa di coraggio e determinazione.

FAVO E LE SOCIETÀ SCIENTIFICHE: QUATTRO PRIORITÀ PER ATTUARE IL PIANO ONCOLOGICO NAZIONALE (PON) 2023-2027

Segretario Generale FAVO – Federazione italiana delle Associazioni di Volontariato in Oncologia

La Federazione italiana delle Associazioni di Volontariato in Oncologia (FAVO), insieme alle altre associazioni dei pazienti oncologici e alle società scientifiche del settore, ha contribuito attivamente all'elaborazione del Piano Oncologico Nazionale (PON) 2023-2027, "Documento di pianificazione e indirizzo per la prevenzione e il contrasto del cancro” in attuazione delle indicazioni della Commissione Europea, che attraverso la Mission on Cancer e il Piano europeo di lotta contro il cancro ha chiesto a tutti gli Stati membri di impegnarsi concretamente per salvare almeno tre milioni di vite e aumentare dal 47 al 75 per cento il tasso di sopravvivenza per tutti i tumori entro il 2030. Questo piano rappresenta un passo fondamentale verso l'equità e la qualità delle cure oncologiche in Italia. Tuttavia, emergono preoccupazioni riguardo alla sua implementazione e al finanziamento necessario per realizzarlo.

Le associazioni sono intervenute in ripetute occasioni per dare un contributo proattivo all’attuazione del Piano Oncologico Nazionale (PON), identificando le maggiori criticità nella strategia di controllo dei tumori nel nostro Paese, e prospettandone 4 priorità di intervento . Nel maggio 2024 in occasione della XIX Giornata nazionale del Malato Oncologico è stata evidenziata l'urgenza di stabilire un modello di governance centrale per guidare l’attuazione del PON, monitorarne i progressi e valutarne i risultati. È stata proposta la creazione di una cabina di regia, che, partendo dalle priorità identificate ne garantisca l’esecuzione ed il coordinamento, attraverso un’interazione strutturata che comprenda i diversi livelli istituzionali nazionali (Ministero della Salute, AGENAS, AIFA e ISS) e regionali, coinvolgendo attivamente il mondo professionale, le società scientifiche e le associazioni dei pazienti.

La FAVO e le società scientifiche oncologiche hanno individuato 4 priorità di azioni per dare attuazione del PON, ridurre le disuguaglianze nell'accesso alle cure e garantire il miglioramento della qualità della vita dei pazienti oncologici.

Le quattro priorità strategiche

Priorità n. 1: Attivazione delle Reti Oncologiche Regionali sull’intero territorio nazionale

Le Reti Oncologiche Regionali costituiscono la base per una gestione integrata delle patologie oncologiche. Attualmente, tre principali modelli organizzativi sono adottati in Italia: Hub e Spoke, Comprehensive Cancer Care Network, e un modello misto. Questi modelli variano in

base alla regione, con alcune differenze significative nelle tempistiche di attuazione e nei livelli di performance. Il Piano Oncologico Nazionale (PON) 2023-2027 sottolinea la necessità di completare l'implementazione delle Reti Oncologiche in tutte le regioni, al fine di migliorare l'integrazione tra ospedale e servizi territoriali con il coinvolgimento dei MMG e delle case della salute, implementare la digitalizzazione, e valorizzare il ruolo dei medici di medicina generale.

Il PON evidenzia l'importanza di un forte coordinamento centrale, attraverso l’attivazione del Coordinamento Generale delle Reti Oncologiche (CRO) e della Cabina di Regia Nazionale, per monitorare l’attuazione del PON, garantire l'omogeneità dell'assistenza, superare le disomogeneità territoriali, raggiungere standard di trattamento elevati, semplificare l'accesso ai servizi e i percorsi di diagnosi e cura, avvicinare l'offerta sanitaria al contesto di vita del paziente, utilizzare strumenti informatici avanzati per migliorare la cura e la condivisione dei dati. Per raggiungere questi obiettivi, è stato istituito il CRO presso il Ministero della Salute ma per riconoscere il ruolo istituzionale delle Reti Oncologiche sono necessarie risorse dedicate e autonomia di spesa.

Priorità n. 2: Realizzazione e diffusione dei Percorsi Diagnostico-Terapeutici Assistenziali (PDTA), strettamente connessi alle Reti Oncologiche Regionali, di cui rappresentano l’elemento portante

Le associazioni di pazienti oncologici considerano di rilevante centralità l’attivazione dei Percorsi DiagnosticoTerapeutici Assistenziali (PDTA), strumenti indispensabili per la presa in carico dei malati di cancro, per il miglioramento dell'assistenza oncologica e per l'integrazione tra ospedale e territorio. In sintesi le principali richieste:

1. Definizione dei PDTA: realizzazione e diffusione dei PDTA come elemento fondamentale delle Reti Oncologiche Regionali, riconoscendo che sono il modello più efficiente per la gestione delle patologie oncologiche ed ematologiche.

2. Risorse Essenziali: assegnazione di risorse indispensabili per coprire le figure necessarie (clinical study coordinator, psico-oncologi, nutrizionisti, fisiatri, assistenti sociali, ecc.) attualmente mancanti in modo diffuso.

3. Integrazione Ospedale-Territorio: definizione di percorsi di continuità e integrazione assistenziale tra ospedale e territorio, inserendo il territorio come "Nodo della Rete" per garantire una presa in carico continua e integrata.

4. Coinvolgimento dei MMG: coinvolgimento dei Medici di Medicina Generale (MMG) nei PDTA, riconoscendo il loro ruolo critico nel monitoraggio del paziente e nella gestione della cronicizzazione della malattia.

5. Supporti per la Riabilitazione: necessità di supporti per la riabilitazione psico-sociale e di tutte le figure professionali che consentono l'esercizio dei "diritti civili" dei pazienti.

6. Modelli Organizzativi Innovativi: Smart Care Best Model, che prevede equipe itineranti, attività oncologica territoriale e presa in carico congiunta con MMG.

7. Risorse Economiche e Professionali: necessità di programmare e rendere disponibili risorse economiche e professionali per attuare efficacemente i PDTA e i percorsi di cura.

8. Raccomandazioni per la Continuità Assistenziale: definizione di raccomandazioni chiare che garantiscano qualità, sicurezza e reale continuità assistenziale tra ospedale e territorio.

9. Coinvolgimento dei Pediatri di Famiglia: coinvolgimento attivo dei Pediatri di Famiglia, per garantire gli obiettivi di salute in particolare dei bambini affetti da patologie oncologiche.

Queste richieste mirano a creare un sistema di assistenza oncologica più integrato, efficiente e centrato sul paziente, migliorando la qualità della vita e le prospettive di guarigione per tutte le persone con il cancro.

Priorità n. 3: Programmazione e valorizzazione del personale sanitario del Servizio Sanitario Nazionale

La terza priorità per dare attuazione al Piano Oncologico Nazionale (PON) 2023-2027 è la programmazione e valorizzazione del personale sanitario del Servizio Sanitario Nazionale (SSN). Si evidenzia la necessità urgente di colmare la carenza di forza lavoro sanitaria ed è pertanto essenziale disporre di un numero adeguato di medici e professionisti sanitari per soddisfare i bisogni della popolazione e mantenere la qualità dell'assistenza del SSN. Le azioni concrete richieste dal PON includono la valutazione numerica del fabbisogno di personale sanitario, la pianificazione dell'offerta formativa e l'adozione di sistemi di incentivi per attrarre e mantenere i professionisti nel settore sanitario. Si sottolinea l'importanza di affrontare le carenze attuali e di prepararsi a un futuro caratterizzato da innovazioni tecnologiche, come la robotica, l'intelligenza artificiale e la medicina di precisione, che richiedono nuove competenze e una trasformazione dei ruoli professionali esistenti.

È necessario uno "skill-mix" delle professioni per adattarsi ai cambiamenti nei servizi sanitari, con nuove pro-

fessionalità che intersecano vari livelli di competenza e responsabilità. La condivisione strategica tra Ministeri, Università e Regioni è cruciale per coordinare la formazione e la programmazione delle risorse umane nel settore sanitario.

La valorizzazione del personale sanitario attraverso una programmazione attenta e il sostegno all'innovazione sono fondamentali per garantire una medicina di valore, sempre più vicina alla vita del paziente e capace di rispondere ai bisogni clinici e sociali emergenti.

Priorità n. 4: Attivazione e operatività diffusa della Rete Nazionale Tumori Rari (RNTR)

FAVO con la rete delle associazioni di pazienti oncologici ad essa afferenti sottolinea la necessità urgente di attivare e rendere operativa la Rete Nazionale Tumori Rari (RNTR) per superare le criticità esistenti e razionalizzare la migrazione sanitaria. Attivata con l'Intesa Stato-Regioni del 21 settembre 2017, la RNTR è organizzata in diversi livelli: i provider, centri di riferimento con elevate competenze per teleconsultazioni e cure specialistiche; gli user, centri qualificati a livello regionale e riconosciuti per far parte delle reti europee; e i nodi funzionali, che integrano la presa in carico del paziente. Tuttavia, persistono criticità attuative, come la mancanza di risorse e infrastrutture adeguate e indicatori di monitoraggio poco efficaci. Le associazioni richiedono che il PON 2023-2027 definisca, programmi e velocizzi la piena realizzazione della RNTR.

Particolare attenzione è rivolta alla rete per i Tumori Pediatrici, data la complessità clinica, emozionale, psicologica e logistica della gestione dei giovani pazienti. In Italia, ogni anno circa 2.500 bambini e adolescenti ricevono una diagnosi oncologica, con un tasso di guarigione superiore all'80%. Nonostante i progressi, permangono criticità come la disomogeneità nel numero di casi trattati per centro, la disparità di competenze e l'accesso diseguale ai servizi.

Per la piena realizzazione della RNTR, è centrale rendere operativo il Coordinamento Generale delle Reti Oncologiche (CRO), destinare adeguati finanziamenti alle reti e definire percorsi efficaci per la presa in carico dei pazienti pediatrici, specialmente nelle regioni senza centri specialistici. Queste misure garantiranno una qualità uniforme delle cure, ridurranno la migrazione sanitaria e miglioreranno la qualità della vita di pazienti e famiglie.

Conclusioni

Il Piano Oncologico Nazionale 2023-2027 offre un'opportunità unica per trasformare l'assistenza oncologica in Italia. L'adozione di un modello di governance centrale, sostenuto da una cabina di regia efficace, è indispensabile per superare le disomogeneità regionali, ottimizzare le risorse e garantire il diritto alla salute per tutti i cittadini. La collaborazione tra istituzioni, professionisti e associazioni di pazienti è il pilastro per raggiungere questi obiettivi ambiziosi e costruire un sistema oncologico più equo, efficiente e vicino alle esigenze delle persone.

Bibliografia

16° Rapporto sulla condizione assistenziale dei malati oncologici – 2024 https://osservatorio.favo.it/sedicesimo-rapporto/introduzione/priorita-16-rapporto/ “Le quattro priorità dal XVI Rapporto sulla condizione assistenziale dei malati oncologici per l’attuazione del Piano Oncologico Nazionale (PON) 2023-2027: garantire equità, accesso e appropriatezza nella strategia di controllo dei tumori” a cura di C. Pinto – FICOG; F. Perrone – AIOM; C. Nicora – FIASO; F. Fagioli – AIEOP; M. Vignetti – Fondazione GIMEMA; P. Casali – Rete Nazionale Tumori Rari; E. Iannelli – Aimac; F. De Lorenzo – F.A.V.O.

CARCINOMA TIROIDEO: ASPETTI SOCIO-SANITARI

TERAPIA DEL NODULO TIROIDEO BENIGNO SINTOMATICO: CONSIDERAZIONI ECONOMICHE

1 Endocrinologia, Ospedale Regina Apostolorum, Albano, Roma

2 Endocrinologia, Università Cattolica del Sacro Cuore, Roma

3 Ministero dell'Interno, Corpo dei Vigili del Fuoco, Roma

Introduzione

I noduli tiroidei rappresentano una condizione clinica frequente, con la maggior parte di essi che si rivela di natura benigna. La gestione di questi noduli segue un approccio differenziato: mentre molti richiedono solo una sorveglianza clinica attraverso un follow-up personalizzato, altri necessitano di interventi terapeutici attivi a causa della loro sintomatologia.

Il follow-up dei noduli asintomatici si basa su una valutazione multifattoriale che considera l’età del paziente, le eventuali comorbidità e il tasso di crescita nodulare, generalmente caratterizzato da una progressione lenta. In questi casi, un monitoraggio ecografico anche biennale si è dimostrato efficace nel bilanciare le esigenze di controllo clinico con la necessità di contenere sia l’ansia del paziente che i costi sanitari.

Tuttavia, quando i noduli benigni diventano sintomatici e richiedono un trattamento attivo, si aprono scenari terapeutici diversi con importanti implicazioni sia cliniche che economiche. Mentre per il gozzo multinodulare la tiroidectomia totale rimane il trattamento di scelta, per i noduli singoli esistono alternative terapeutiche che impattano diversamente sui costi sanitari e sulla qualità della vita dei pazienti. In particolare, per i noduli singoli, due sono le principali opzioni terapeutiche attualmente disponibili:

a) Emitiroidectomia che rappresenta l’approccio chirurgico tradizionale, caratterizzato da procedure standardizzate e validate dalla comunità scientifica nazionale ed internazionale (1).

b) Termo-ablazione percutanea, una tecnica mini-invasiva di più recente introduzione nella pratica clinica, meno standardizzata e necessita di un percorso di formazione specifico degli operatori per essere proposta diffusamente sul territorio nazionale (2).

In Europa, la maggior parte degli interventi chirurgici sulla tiroide sono dovuti a patologia benigna sintomatica e solo il 25% degli interventi riguarda patologia maligna. Questa tendenza emerge da recenti casistiche come documentato da due vaste casistiche recentemente raccolte in Francia (3) e Germania (4). Una proporzione simile tra patologia maligna e benigna tra gli operati è stata riscontrata In Italia: negli ultimi 20 anni sono state eseguite ogni anno circa 40.000 tiroidectomie (tra totali e parziali), di cui circa 10.000 sono motivate dalla pre-

senza di patologia maligna (5). Nello stesso lavoro viene evidenziato come sia il numero totale di tiroidectomie sia la percentuale di quelle dedicate a patologia benigna si stia riducendo nel tempo (5).

I dati italiani (5) sono stati ottenuti dalla valutazione delle Schede di Dimissione Ospedaliera (SDO). Tale raccolta, come ben espresso nello studio, purtroppo presenta alcune limitazioni:

• Accuratezza con cui vengono compilate le SDO;

• Incompletezza della diagnosi istologiche al momento della compilazione;

Limitazione delle informazioni cliniche presenti sulla SDO (dove sono riportate la diagnosi principale, le comorbilità significative, se influenzanti la diagnosi principale, e le procedure eseguite). Sono invece assenti le informazioni relative al numero di noduli presenti, alle loro dimensioni e alle caratteristiche ecografiche e scintigrafiche e le informazioni riguardanti i dati di laboratorio;

Esclusione degli interventi completamente privati (indipendentemente dal fatto che il pagamento venga effettuato direttamente dal paziente o tramite una copertura assicurativa).

Sono compresi nella valutazione gli interventi eseguiti in strutture private accreditate,

Opzioni Terapeutiche e Implicazioni Economiche

Nelle linee guida nazionali (6) dedicate al trattamento del nodulo tiroideo, sulla base dell’esperienza clinica presso i centri specialistici di appartenenza, gli esperti di tutte le Società Scientifiche coinvolte, hanno ritenuto che la valutazione economica debba essere fatta considerando che un terzo degli operati per patologia benigna sia affetto da gozzo uni-nodulare o da gozzo multi-nodulare con un nodulo francamente dominante che motiva l’intervento a causa degli effetti compressivi. Queste sono condizioni in cui il trattamento ablativo percutaneo è un’alternativa all’intervento chirurgico. Secondo i dati di Pierannunzio (5), tali pazienti oscillano tra 8.000 e 10.000 all’anno.

Questo tipo di condizione clinica è quella in cui il trattamento ablativo percutaneo è un’alternativa all’intervento chirurgico. Secondo i dati di Pierannunzio et al (5) tali pazienti oscillano tra gli 8.000 e i 10.000/anno.

Il numero di trattamenti eseguibili rispetto alle condizioni cliniche è molto più basso perché i centri in cui l’ablazione è eseguibile non sono al momento adeguatamente rappresentati su tutto il territorio nazionale italiano ed in una buona percentuale di casi erogati privatamente e quindi non tracciati dalle SDO. Questi due elementi, in attesa di una retribuzione in convenzione con il SSN, creano disparità di trattamento per i cittadini.

Inoltre, il fatto che il trattamento viene consigliato in regime di ricovero diurno (2), porta a dividere i cittadini in categorie con potenzialità di cura molto differenti:

• Pazienti con disponibilità economica personale o che sono assicurati e che possono accedere in tempi brevi a questo trattamento

• Pazienti che vivono in aeree del Paese in aree senza disponibilità del trattamento o in strutture accreditate con costi parzialmente coperti. dove la disponibilità del trattamento non c’è o che sono seguiti presso strutture ospedaliere accreditate dove la prestazione viene permessa in regime di ricovero diurno di tipo medico ( non essendo previsto l’utilizzo della sala operatoria né la presenza di anestesista) indipendentemente dalla specialità dell’operatore (chirurgo, endocrinologo, radiologo interventista) pari al 20% circa del costo reale della prestazione (4)

• Pazienti che vivono in aree dove la prestazione viene erogata da strutture pubbliche in modo contingentato come se fosse una prestazione di day surgery e quindi inseriti all’interno di liste di accesso che prevedono tempi di attesa notevolmente lunghe. Si stima che al momento circa 3000/pazienti/anno ricevano il trattamento ablativo. Questo numero corrisponde ad un terzo (9.000) dei pazienti idonei al trattamento (5).

Impatto economico

Secondo le stime evincibili dallo valutazione economica effettuata sulla Linea Guida Multisocietaria promossa nel 2022 dall’Associazione dei Medici Endocrinologi (AME) sul Trattamento del Nodulo Tiroideo Benigno Sintomatico presente sul portale dell’ISS (5), il risparmio per ciascun singolo trattamento ablativo percutaneo in sostituzione dell’emitiroidectomia è stimabile in 2651 euro (costo medio dell’emitiroidectomia di 4211 euro a fronte del costo medio di un trattamento ablativo di 1560 euro).

Per tale motivo, il risparmio complessivo stimato per il SSN oscillerebbe da un minimo di 7.953.000 euro/anno già possibile al momento, ai potenziali 23.859.000 euro/anno a regime, quando cioè l’offerta assistenziale sarà in grado di soddisfare completamente la domanda.

Nelle suddette linee Guida nazionali (5) il rimborso per l’emitiroidectomia è stato stimato considerando tutti i possibili costi diretti sanitari e non. Le Strutture Ospedaliere Pubbliche e/o Convenzionate con il SSN non sono romborsate a piè di lista ma il rimborso è “definito” dagli Enti Regolatori (7) e risulta più basso rispetto ai costi stimati nella linea guida dell’ISS.

Infatti il rimborso massimo erogabile da parte delle Regioni alle Strutture Ospedaliere (4) l’intervento chirurgico di emitiroidectomia (ICD9-CM 06.2, 06.3, 06.51) produce il DRG 290, con un rimborso massimo di 3340 euro per il ricovero ordinario (peraltro costo identico se viene praticata la tiroidectomia totale).

Le prestazioni interventistiche di ablazione percutanea non sono ancora “codificate” da tale Decreto come prestazione terapeutica erogabile. Nella pratica clinica, la maggior parte delle Strutture Ospedaliere ha codificato la prestazione come “altro intervento chirurgico sulla tiroide” (codice ICD9-CM 06.98), da eseguire in regime di ricovero diurno. Per tale prestazione il Decreto del Ministero della Salute del 2012 prevede un rimborso di 1373 euro (rimborso per DRG 290 erogato in regime di ricovero diurno).

Applicando pertanto i costi previsti dal SSN, la differenza tra le due prestazioni è di 1967 euro in meno per le procedure ablative. Pertanto, la stima del risparmio per il SSN prevede una forbice da 5.901.000 (3000 pazienti che si stima siano trattabili al momento) a 17.703.000 euro (se tutti i pazienti idonei potessero essere trattati).

Variabili Economiche soggette a modifiche nel tempo.

Diversi fattori possono influire sui costi e sulla sostenibilità economica delle due procedure:

Costo dei materiali: suscettibile a fluttuazioni di mercato ( in rapporto alle variazioni dei prezzi dei materiali d’uso impiegati per la termo-ablazione e per la chirurgia; Rischio di recidiva: la percentuale di rischio di recidiva per le procedure ablative con necessità di ulteriore trattamento riportata in letteratura (e considerata in questa analisi) è di circa il 15% (2). Tale dato, fornito da Centri che utilizzano la metodica, è probabile che che potrebbe aumentare con una maggiore diffusione della tecnica.

Follow-up: l’analisi dei costi considera lo stesso followup in termini temporali per i 3 interventi considerati (le due procedure chirurgiche e quelle termo-ablative). Questo porta a una sotto-stima dei costi per le procedure ablative. Un nodulo trattato con procedure ablative dovrebbe andare incontro a controllo ecografico ripetuto, come suggerito dalle LG cliniche (2): a 1, 6 e 12 mesi dal trattamento e poi annualmente, in caso di nodulo singolo; anche più frequentemente se è stato trattato un nodulo dominante nell’ambito di un gozzo multi-nodulare. Nel caso di emitiroidectomia, l’ecografia del lobo residuo indenne può essere effettuata cautelativamente a un anno e poi con le stesse modalità impiegate per un soggetto affetto da ipotiroidismo;

Costi indiretti: il costo della terapia con L-T4 e di altre terapie sostitutive richiesto in caso di complicanze croniche della chirurgia e il costo del monitoraggio e dei controlli da esse indotti necessitano di una verifica nel tempo

Conclusioni

La termoablazione percutanea rappresenta una valida alternativa all’emitiroidectomia per il trattamento dei noduli tiroidei benigni sintomatici, con vantaggi in termini di mini-invasività e risparmio economico per il SSN. Tuttavia, la mancanza di una codifica chiara e di un’adeguata distribuzione sul territorio nazionale limita l’accesso equo a questa terapia. Investire nella standardizzazione della termoablazione e nella formazione del personale potrebbe ridurre ulteriormente i costi sanitari e migliorare l’accessibilità per i pazienti.

Bibliografia

1. Gharib H, Papini E, Garber JR, Duick DS, Harrell RM, Hegedüs L, Paschke R, Valcavi R, Vitti P; AACE/ACE/AME Task Force on Thyroid Nodules. AMERICAN ASSOCIATION OF CLINICAL ENDOCRINOLOGISTS, AMERICAN COLLEGE OF ENDOCRINOLOGY, AND ASSOCIAZIONE MEDICI ENDOCRINOLOGI MEDICAL GUIDELINES FOR CLINICAL PRACTICE FOR THE DIAGNOSIS AND MANAGEMENT OF THYROID NODULES--2016 UPDATE. Endocr Pract. 2016 May;22(5):622-39. doi: 10.4158/EP161208.GL. PMID: 27167915.

2. Papini E, Monpeyssen H, Frasoldati A, Hegedüs L. 2020 European Thyroid Association Clinical Practice Guideline for the Use of Image-Guided Ablation in Benign Thyroid Nodules. Eur Thyroid J. 2020 Jul;9(4):172-185. doi: 10.1159/000508484. Epub 2020 Jun 8. PMID: 32903999; PMCID: PMC7445670.

3. Mathonnet M, Cuerq A, Tresallet C, et al. What is the care pathway of patients who undergo thyroid surgery in France and its potential pitfalls? A national cohort. BMJ Open 2017, 7: e013589. DOI: 10.1136/bmjopen-2016-013589.

4. Bartsch DK, Dotzenrath C, Vorländer C, et al. Current practice of surgery for benign goitre - An analysis of the prospective DGAV StuDoQ|Thyroid Registry. J Clin Med 2019, 8: 477–86. DOI: 10.3390/jcm8040477.

5. Pierannunzio D, Fedeli U, Francisci S, et al. Thyroidectomies in Italy: A population-based national analysis from 2001 to 2018. Thyroid 2022, 32: 263-72. DOI: 10.1089/thy.2021.0531. h

6. hpps://www.iss.it/snlg-nodulo-benigno-tiroide

7. 4. Remunerazione prestazioni di assistenza ospedaliera per acuti, assistenza ospedaliera di riabilitazione e di lungodegenza post acuzie e di assistenza specialistica ambulatoriale. (13A00528) (GU Serie Generale n.23 del 28-01-2013 - Suppl. Ordinario n. 8)

8. htpps://www.iss.it/snlg-nodulo-benigno-tiroide

IMPLICAZIONI ECONOMICHE DELLA GESTIONE DEI CARCINOMI DIFFERENZIATI DELLA TIROIDE

1 Endocrinologia, Ospedale Regina Apostolorum, Albano, Roma

2 Endocrinologia, Università Cattolica del Sacro Cuore, Roma

3 Ministero dell'Interno, Corpo dei Vigili del Fuoco, Roma

Nel 2023, in Italia sono stati registrati 307.000 nuovi casi di tumore, di cui 12.200 (3700 uomini e 8700 donne) sono stati quelli relativi ad una diagnosi di Carcinoma della Tiroide (1) . Pur essendo quindi il 10° tumore in ordine di incidenza in realtà la prevalenza nella popolazione generale di pazienti affetti da neoplasia maligna della tiroide è molto alta grazie all’elevata sopravvivenza (a 5 anni 92% per gli uomini e 96% per le donne). Per tale motivo a fine 2023 le persone viventi dopo una diagnosi di tumore della tiroide erano 212.900 (46.000 uomini e 166.900 donne) (1). L’età media della diagnosi è relativamente bassa (V-VI decade) per cui le ricadute cliniche dell’intervento inziale (eventuale terapia sostitutiva e possibili complicanze) vista la lunga aspettativa di vita hanno un impatto significativo sui costi sanitari e sulla qualità della vita a lungo termine (1).

Incidenza e sovradiagnosi

L’incidenza della neoplasia, soprattutto nelle forme differenziate, è aumentata notevolmente negli ultimi decenni. La sovra-diagnosi probabilmente è la principale causa dell’incremento di incidenza del carcinoma differenziato della tiroide (DTC), sia papillare (PTC) che follicolare (FTC). Tale sovradiagnosi riguarda principalmente le forme di dimensioni più piccole (< 1cm) (2). A conferma, l’incidenza in entrambi i sessi risulta 3 volte maggiore nei Paesi ad alto e molto alto Human Development Index (HDI) rispetto ai Paesi a medio e basso HDI, a fronte di una mortalità sovrapponibile (1). Negli ultimi dieci anni, il tasso di raddoppio delle diagnosi di DTC è stato osservato in un periodo molto più breve rispetto ai 30 anni osservati precedentemente (2). La sovradiagnosi è dovuta alla enorme diffusione dell’ecografia nella pratica clinica: la conferma più eclatante viene dai dati della Sud Corea, dove lo screening ecografico sistematico della patologia tiroidea, attuato per 8 anni, ha aumentato di 15 volte l’incidenza del carcinoma tiroideo rispetto al periodo antecedente lo screening (3).

Modifiche nelle linee guida e approccio chirurgico

In risposta a questa sovra-diagnosi le linee guida (LG) dell’America Thyroid Association (ATA) del 2015, per il carcinoma differenziato della tiroide nell’adulto, hanno proposto approcci meno invasivi:

• Loboistmectomia invece della tiroidectomia totale per carcinomi di 1-4 cm senza metastasi o estensione extratiroidea.

• Uso meno estensivo del radioiodio nei tumori a basso rischio di recidiva.

• Introduzione della sorveglianza attiva (AS) per il carcinoma papillifero della tiroide <1 cm (PTMC) in assenza di fattori di rischio (4).

Contrariamente a quanto atteso, negli USA i trattamenti chirurgici meno invasivi sono aumentati di poco e la loboistmectomia è praticata nel 25% dei PTC e nel 30% dei PTMC (5) nonostante le evidenze di una sicurezza della loboistmectomia nei carcinomi differenziati della tiroide meno aggressivi (6).

In Italia l’approccio chirurgico è ancora più tradizionale con un uso molto estensivo della Tiroidectomia Totale. I dati ITCO, su una casistica di 7244 carcinomi operati, ci dicono che la loboistmectomia è considerata quasi esclusivamente nel PTMC (6% dei casi). Se si rimuovono i PTMC < 5 mm, che corrispondono in molti casi a riscontro incidentale di neoplasie nell’ambito di gozzo multinodulare, la % delle loboistmectiomia sale di poco (7.14 %) (7).

In considerazione del riscontro di una sovradiagnosi dei PTMC (2) l’attuale valutazione economica è focalizzata sui PTMC al fine di trovare un equilibrio tra la corretta gestione clinica dei pazienti, il loro benessere e un contenimento dei costi.

Tab 1. Loboistmectomia vs Tiroidectomia Totale nei PTMC: complicanze cliniche

Stesso rischio di danno estetico e stesso costo dell’intervento (almeno in Italia): fattori che peraltro non incidono sui costi della gestione clinica successiva all’intervento

Stesso rischio di danno estetico e stesso costo dell’intervento (almeno in Italia): fattori che peraltro non incidono sui costi della gestione clinica successiva all’intervento

Tab 2. Loboistmectomia vs Tiroidectomia totale nei

PTMC: confronto costi

Riadattamento dei costi per il follow up del paziente operato nelle linee guida dell’Ipotiroidismo nell’adulto (14) basandosi sui rimborsi previsti dal tariffario nazionale delle prestazioni di assistenza specialistica ambulatoriale del 19/11/2024 (15)

° previsti i costi simili per il controllo delle analisi, dei costi sanitari diretti e dei costi indiretti per un singolo controllo/annuo. In aggiunta ai costi standard previsto un controllo dell’ecografia tiroidea, di Tg e TgAb / anno

§: calcolo di minima per terapia sostitutiva media (forme complete e forme parziali) con 2 cpr di calcitriolo 0.5 mg/die (costo farmaco generico 7.30 euro 30 cpr) pari a costo di 459 euro/annuo + calcio carbonato 500 mg 1 cp/die (costo farmaco generico pari a circa 0.2 euro a cp) pari a 73 euro . Costo totale di 532 euro per paziente trattato per % intermedia delle forme permanenti (1.5 %) = 8 euro

§§ Per la forma transitoria di ipoparatiroidismo stesso costo di quello permanente (532 euro/anno) x 10% delle LIT e del 27% (28.5% transitorio medio – 1.5% forme permanenti) delle TT (costo sovrastimato dal fatto che le forme transitorie non durano quasi mai un anno ma la definizione di permanente prevede la persistenza a 12 mesi dall’intervento)

§§§ Il costo è stato valutato per le forme transitorie poiché nelle forme permanenti il trattamento previsto viene eseguito nelle prime fasi e non ripetuto: il costo è stato stimato sulla base di 2 controlli clinici ORL

(26.2 euro a visita) e di 2 cicli di 10 sedute (12.5 euro a seduta) di logopedia (312 euro complessivi x 1.2% se LIT e per 6.5% se TT)

§§§§ Il reintervento è stato calcolato sui dati ITCO (5% circa dei PTMC) e con rimborso pari 3340 (come per intervento iniziale

NB. Al fine di ridurre le incertezze nelle considerazioni economiche non sono stati calcolati i costi non quantificabili relativi alla sensazione di benessere soggettivo ed alla qualità della vita: a) lo stress legato al rischio di episodi di ipocalcemia sintomatica e i disturbi legati all’assunzione cronica di farmaci a base di calcio b) le difficoltà incontrate nella vita di relazione e nella vita lavorativa in caso di disfonia da paralisi delle corde vocali (cambiamento del timbro e della potenza della voce con affaticamento soprattutto in caso di professioni in cui la voce è strumento di lavoro; peggioramento del quadro clinico in occasioni di flogosi delle prime vie aeree)

Implicazioni economiche.

La sovradiagnosi dei PTMC ha spinto a una revisione dei costi di gestione per bilanciare l’efficacia clinica con il contenimento delle spese. Un’analisi ha stimato un risparmio finale di 40 euro/anno per singolo paziente sottoposto a loboistmectomia rispetto alla tiroidectomia totale. Se si estende la percentuale di PTMC su tutta la casistica (45%) dell’Osservatorio ITCO ai 12200 carcinomi operati in Italia, il numero stimato di PTMC dovrebbe essere 5500 pazienti. Il risparmio complessivo sarebbe di circa 220.000 euro annuo, pari a 8 milioni di euro su un periodo di followup di 40 anni. Tuttavia, il beneficio maggiore della loboistmectomia è nella qualità della vita, grazie all’assenza di necessità di terapia sostitutiva e alla riduzione delle complicanze.

Sorveglianza Attiva dei microcarcinomi tiroidei

La sorveglianza attiva (AS) è stata introdotta recentemente nella pratica clinica (4) per la gestione clinica dei PTMC sulla base del decorso indolente e della bassa mortalità di tali neoplasie (14). Tuttavia, i costi e l’accettazione da parte dei pazienti variano notevolmente e soprattutto sono influenzati dai differenti Sistemi Sanitari dei paesi in cui questa strategia è applicata da alcuni anni.

Nei giovani tale trattamento non viene consigliato visto l’alto rischio di progressione clinica e la lunga aspettativa di vita: la possibilità di progressione clinica è due volte superiore nei soggetti con età < 45 anni verso quelli di età superiore (16,17). L’esperienza clinica maggiore viene dall’estremo oriente ed il recente studio di analisi dei costi effettuato sulla popolazione coreana (18) ha mostrato che nei pazienti giovani (< 40 anni) la Chirurgia precoce è cost-effettive rispetto alla AS. Gli autori concludono che è necessario monitorare vantaggi e svantaggi clinici ed economici costantemente nel tempo

perché per avere una valutazione economica complessiva e definitiva è necessario avere una più ampia diffusione della strategia ed un tempo di osservazione più lungo.

In Italia l’AS non è stata ancora adottata diffusamente nella pratica clinica ed è confinata ad alcuni Centri accademici di III livello. Uno studio pubblicato nel 2020 ha mostrato che nei 93 pazienti seguiti per 19 mesi si assisteva ad una progressione clinica nel 3% dei casi (19). Oltre ai costi è necessario tener conto anche della sensibilità dei pazienti dei paesi in cui la strategia è applicata. Nello stesso studio italiano (19), infatti, veniva riportata una percentuale di conversione spontanea a chirurgia (ravvedimento da parte dei pazienti) molto più alto (20%) che negli studi effettuati in Korea, Giappone ed USA (20) nonostante un periodo molto più breve di osservazione. Inoltre, la AS era stata accettata solo dal 50% dei pazienti a cui era stata proposta: Gli autori sottolineano che l’approccio non era stato proposto in presenza di uno o più fattori sfavorevoli per l’evoluzione clinica come suggerito dalla letteratura e dalle linee guida (4, 16, 21).

L’ accettazione di solo il 50% dei pazienti viene confermata anche dai dati provenienti dal Giappone dove è stato messo a punto e dove la disciplina sociale è maggiormente sentita (19). Sulla base delle valutazioni nel tempo delle casistiche cliniche più ampie, inoltre, sono stati fornite le caratteristiche cliniche (dimensioni, aspetto ecografico, caratteristiche citologiche e molecolari, età) che riducono ancora maggiormente il numero dei pazienti a cui può essere proposta (16). Va considerato che il 20% dei pazienti italiani (19) già dopo un periodo breve (< 2 anni) spontaneamente decide di operarsi nonostante i pazienti fossero stati arruolati presso un centro di III livello. Pertanto la strategia della AS sarà di non è al momento di facile applicazione nelle strutture di I e II livello Italiane per diverse ragioni: a) difficoltà a seguire i pazienti (bisogna assicurare controlli costanti con la stessa Equipe multidisciplinare) b) variabilità e della soggettività dell’ecografia tiroidea che stabilisce la presenza o meno di progressione clinica. Tale argomento è molto sentito nei paesi dove tale strategia è più attuata per cui recentemente sono comparse le linee guida ecografiche destinate proprio all’inquadramento ed al follow up dei microcarcinomi papilliferi (22) al fine di rendere più standardizzato l’approccio ai pazienti.

Ablazione Termica (TA) Percutanea dei micorcarcinomi tiroidei

Le tecniche di ablazione termica percutanea (laser, radiofrequenza, microonde) si è dimostrata efficace quanto la chirurgia nel trattamento dei PTMC a basso rischio con meno complicanze rispetto alla chirurgia tradizionale (23,24).

Come già osservato nel paragrafo dedicato al trattamento del nodulo benigno sintomatico nella pratica clinica, in assenza di un codice ICD10-CM specifico per la procedura, nella maggior parte delle Strutture Ospedaliere Italiane il trattamento viene effettuato in regime di ricovero diurno (“altro intervento chirurgico sulla tiroide” - codice ICD9-CM 06.98). Tale prestazione, secondo il Decreto del Ministero della Salute del 2012, prevede un rimborso di 1373 euro (rimborso per DRG 290 erogato in regime di ricovero diurno) a fronte del rimborso dell’emitiroidectomia di 3340 euro.

Applicando pertanto i costi previsti dal SSN, la differenza tra le due prestazioni è di 1967 euro in meno per le procedure ablative.

A fronte del costo, comunque modesto delle complicanze dello Loboistmectomia (vedi tab 1 e 2) ci sono due fonti di costo aggiuntive per l’ablazione termica percutanea ( 25,26):

• Necessità di follow-up ecografici prolungati, per la valutazione del successo terapeutico e la ripetizione di eventuali agoaspirati in caso di dubbio

• Necessità di un secondo trattamento in una percentuale di circa il 10% dei casi che inficia sostanzialmente il vantaggio economico iniziale

• Scarsa diffusione di centri con operatori esperti in Italia

In via teorica il trattamento mininvasivo può essere considerato più economico nei casi in cui è praticabile (27).

Conclusioni

La Loboistmectomia dovrebbe essere preferita alla tiroidectomia totale nei casi di PTMC a basso rischio non solo per motivi economici ma anche per migliorare la qualità della vita che assicura ai pazienti. La gestione economica del paziente sottoposto a Tiroidectomia totale presenta costi sanitari e non, diretti ed indiretti più alti. Gli elementi che incidono maggiormente sono la ne-

cessità di terapia sostitutiva ed un numero più elevato e di maggiore severità delle complicanze chirurgiche.

La Sorveglianza Attiva è economicamente vantaggiosa se l’aspettativa di vita è inferiore a 15-20 anni come viene dimostrato in studi provenienti dall’estremo oriente. In Italia al momento non è valutabile l’impatto economico per la scarsa diffusione dell’approccio clinico. La ridotta pratica è dovuta alla carenza di Centri con grande esperienza ecografica degli operatori, con presenza di team multidisciplinare dedicati e con un accesso facilitato per i pazienti.

L’ Ablazione Termica Percutanea rappresenta una valida alternativa alla chirurgia, rappresentando uno strumento efficace e gravato da minori complicanze, ma la sua diffusione è ostacolata dalla mancanza di centri specializzati e dalla variabilità dei dati dovuta alla varietà delle fonti di energia termica erogata nei singoli studi (laser, radiofrequenza, microonde). Esiste inoltre la difficoltà legata ai rimborsi economici vista l’assenza di un codice ICD10-CM dedicato. Una maggiore standardizzazione e formazione potrebbero migliorare l’accessibilità e l’efficacia di queste opzioni terapeutiche in futuro.

5) Pasqual E, Sosa JA, Chen Y, Schonfeld SJ, Berrington de González A, Kitahara CM. Trends in the Management of Localized Papillary Thyroid Carcinoma in the United States (2000-2018). Thyroid. 2022 Apr;32(4):397-410. doi: 10.1089/thy.2021.0557. Epub 2022 Mar 15. PMID: 35078347; PMCID: PMC9048184.

6) Vargas-Pinto S, Romero Arenas MA 2019 Lobectomy com pared to total thyroidectomy for low-risk papillary thyroid cancer: a systematic review. J Surg Res 242:244–251.

7) Dati Osservatorio Italiano per il Carcinoma della Tiroide (ITCO)

8) Zatelli MC, Lamartina L, Meringolo D, Arvat E, Damiani L, Grani G, Nervo A, Durante C, Giacomelli L. Thyroid nodule recurrence following lobo-isthmectomy: incidence, patient's characteristics, and risk factors. J Endocrinol Invest. 2018 Dec;41(12):1469-1475. doi: 10.1007/s40618-018-0946-5. Epub 2018 Sep 4. PMID: 30182360.

9) Beom Heo D, Piao Y, Hee Lee J, Ju SH, Yi HS, Su Kim M, Won HR, Won Chang J, Seok Koo B, Eun Kang Y. Completion thyroidectomy may not be required for papillary thyroid carcinoma with multifocality, lymphovascular invasion, extrathyroidal extension to the strap muscles, or five or more central lymph node micrometastasis. Oral Oncol. 2022 Nov;134:106115. doi: 10.1016/j.oraloncology.2022.106115. Epub 2022 Sep 12. PMID: 36108524.

Bibliografia

1) https://www.aiom.it> i-numeri-del-cancro-in-italia.

2) Davies L, Welch HG. Increasing Incidence of Thyroid Cancer in the United States, 1973-2002. JAMA. 2006;295(18):2164–2167. doi:10.1001/jama.295.18.2164.

3) Ahn HS, Kim HJ, Welch HG. Korea's thyroid-cancer "epidemic"--screening and overdiagnosis. N Engl J Med. 2014 Nov 6;371(19):1765-7. doi: 10.1056/NEJMp1409841. PMID: 25372084.

4) Haugen BR, Alexander EK, Bible KC et all : 2015 American Thyroid Association management guidelines for adult patients with thyroid nodules and differentiated thyroid cancer: the American Thyroid Association Guidelines Task Force on Thyroid Nodules and Differentiated Thyroid Cancer. Thyroid 26:1–133.

10) Alameer E, Eagan A, Scholfield DW, Woods RSR, Tuttle RM, Wong RJ, Patel SG, Ganly I. Partial Thyroidectomy With Incidental Metastatic Lymph Nodes. JAMA Otolaryngol Head Neck Surg. 2024 Jan 1;150(1):49-56. doi: 10.1001/jamaoto.2023.3668. Erratum in: JAMA Otolaryngol Head Neck Surg. 2024 Apr 1;150(4):358. doi: 10.1001/jamaoto.2024.0198. PMID: 37971746; PMCID: PMC10654922.

11) Edafe O, Antakia R, Laskar N, Uttley L, Balasubramanian SP 2014 Systematic review and meta-analysis of predictors of post-thyroidectomy hypocalcaemia. Br J Surg 101:307–320.

12) Jeannon JP, Orabi AA, Bruch GA, Abdalsalam H, Simo R (2009) Diagnosis of recurrent laryngeal nerve palsy after thyroidectomy: a systematic review. Int J Clin Pract 63:624–629

13) Laccourreyre O, Gorphe P, Menard MI, Cauchois R, Badoual C. Paralysie laryngée unilatérale après loboisthmectomie intra capsulaire sans repéérage du nerf laryngé inférieur [Unilateral laryngeal paralysis after intra capsular loboisthmectomy without laryngeal nerve dissection]. Rev Laryngol Otol Rhinol (Bord). 2011;132(1):459. French. PMID: 21977702.

14) https://www.iss.it/-/gestione-ipotiroidismo-primarioadulti-nongravid

15)

https://www.salute.gov.it/portale/news/p3_2_4_1_1.jsp?li ngua=italiano&menu=salastampa&p=comunicatistampa&id=6039

16) Ito Y, Miyauchi A, Kihara M, Higashiyama T, Kobayashi K, Miya A. Patient age is significantly related to the progression of papillary microcarcinoma of the thyroid under observation. Thyroid 2014;24(1):27-34.

17) Oh HS, Ha J, Kim HI, et al. Active surveillance of low-risk papillary thyroid microcarcinoma: a Multi-Center Cohort Study in Korea. Thyroid. 2018;28(12):1587–1594. doi:10.1089/thy.2018.0263

18) Baek HS, Ha J, Kim K, Bae J, Kim JS, Kim S, Lim DJ, Kim C. Cost-Effectiveness of Active Surveillance Compared to Early Surgery of Small Papillary Thyroid Cancer: A Retrospective Study on a Korean Population. J Korean Med Sci. 2023 Aug 28;38(34):e264. doi: 10.3346/jkms.2023.38.e264. PMID: 37644680; PMCID: PMC10462480.

19) Molinaro E, Campopiano MC, Pieruzzi L, Matrone A, Agate L, Bottici V, Viola D, Cappagli V, Valerio L, Giani C, Puleo L, Lorusso L, Piaggi P, Torregrossa L, Basolo F, Vitti P, Tuttle RM, Elisei R. Active Surveillance in Papillary Thyroid Microcarcinomas is Feasible and Safe: Experience at a Single Italian Center. J Clin Endocrinol Metab. 2020 Mar 1;105(3):e172–80. doi: 10.1210/clinem/dgz113. PMID: 31652318; PMCID: PMC8105780.

20) Miyauchi A, Ito Y, Fujishima M, Miya A, Onoda N, Kihara M, Higashiyama T, Masuoka H, Kawano S, Sasaki T, Nishikawa M, Fukata S, Akamizu T, Ito M, Nishihara E, Hisakado M, Kosaka K, Hirokawa M, Hayashi T. Long-Term Outcomes of Active Surveillance and Immediate Surgery for Adult Patients with Low-Risk Papillary Thyroid Microcarcinoma: 30-Year Experience. Thyroid. 2023 Jul;33(7):817-825. doi: 10.1089/thy.2023.0076. Epub 2023 May 29. PMID: 37166389; PMCID: PMC10354707.

21) Filetti S, Durante C, Hartl DM, Leboulleux S, Locati LD, Newbold K, Papotti MG, Berruti A; ESMO Guidelines Committee. Electronic address: clinicalguidelines@esmo.org. ESMO Clinical Practice Guideline update on the use of systemic therapy in advanced thyroid cancer. Ann Oncol. 2022 Jul;33(7):674684. doi: 10.1016/j.annonc.2022.04.009. Epub 2022 Apr 28. PMID: 35491008.

22) Lee JY, Lee MK, Lim HK, Lee CY, Sung JY, Yoon JH, Hahn SY, Shin JH, Kim JH, Jung SL, Chung SR, Baek JH, Na DG; Korean Society of Thyroid Radiology (KSThR); Korean So-

ciety of Radiology. Standardized Ultrasound Evaluation for Active Surveillance of Low-Risk Thyroid Microcarcinoma in Adults: 2024 Korean Society of Thyroid Radiology Consensus Statement. J Korean Soc Radiol. 2024 Nov;85(6):1060-1082. doi: 10.3348/jksr.2024.0132. Epub 2024 Nov 15. PMID: 39660311; PMCID: PMC11625847.

23) Comparison of Thermal Ablation and Surgery for LowRisk Papillary Thyroid Microcarcinoma: A Systematic Review and Meta-Analysis

24) Cho SJ, Baek SM, Na DG, Lee KD, Shong YK, Baek JH. Five-year follow-up results of thermal ablation for lowrisk papillary thyroid microcarcinomas: systematic review and meta-analysis. Eur Radiol. 2021 Sep;31(9):64466456. doi: 10.1007/s00330-021-07808-x. Epub 2021 Mar 13. PMID: 33713168.

25) Li X, Li Y, Yan L, Xiao J, Yang Z, Jing H, Zhang M, Luo Y. Sonographic Evolution and Pathologic Findings of Papillary Thyroid Cancer After Radiofrequency Ablation: A Five-Year Retrospective Cohort Study. Thyroid. 2024 Jan;34(1):54-63. doi: 10.1089/thy.2023.0415. Epub 2023 Nov 20. PMID: 37885207.

26) Papini E, Guglielmi R, Novizio R, Pontecorvi A, Durante C. Management of low-risk papillary thyroid cancer. Minimally-invasive treatments dictate a further paradigm shift? Endocrine. 2024 Aug;85(2):584-592. doi: 10.1007/s12020-024-03864-7. Epub 2024 May 20. PMID: 38767774; PMCID: PMC11291527.

27) Sugitani I, Ito Y, Takeuchi D, Nakayama H, Masaki C, Shindo H, Teshima M, Horiguchi K, Yoshida Y, Kanai T, Hirokawa M, Hames KY, Tabei I, Miyauchi A. Indications and Strategy for Active Surveillance of Adult Low-Risk Papillary Thyroid Microcarcinoma: Consensus Statements from the Japan Association of Endocrine Surgery Task Force on Management for Papillary Thyroid Microcarcinoma. Thyroid. 2021 Feb;31(2):183-192. doi: 10.1089/thy.2020.0330. Epub 2020 Nov 2. PMID: 33023426; PMCID: PMC7891203.

PERCORSI DIAGNOSTICO-TERAPEUTICI-ASSISTENZIALI

Unità Operativa di Endocrinologia– IRCCS Arcispedale S. Maria Nuova, Reggio Emilia

Il Percorso Diagnostico-Terapeutico-Assistenziale (PDTA) rappresenta uno strumento fondamentale nella gestione clinica moderna.

Cosa è un PDTA

Conosciuto anche come “Percorso assistenziale” o “Percorso clinico” (clinical pathway in inglese), il PDTA è un documento che definisce le modalità operative per la gestione di specifiche problematiche cliniche in un determinato contesto locale.

L’ “ambito locale” può riferirsi a contesti di piccola scala (es. singole unità operative o l’insieme di alcune unità operative) o a strutture più ampie, come singoli istituti di cura o organizzazioni sanitarie provinciale. Difficilmente lo stesso PDTA potrà essere applicato in ambiti più vasti come una regione o, ancora meno, una nazione, data la specificità delle esigenze locali.

Un PDTA non può nascere dall’esperienza empirica, non si limita a descrivere la pratica corrente, ma è necessario che il PDTA riporti in ambito locale le raccomandazioni contenuto in una o più linee-guida di buona qualità, alle quali si possa fare riferimento per costruzione del PDTA. In questo senso, potremmo affermare un PDTA costituisce l’interazione tra linee-guida e contesto locale.

Un PDTA deve includere sia elementi clinici, tecnici e scientifici (derivati dalle linee-guida cliniche) che elementi organizzativi e gestionali (caratteristici del contesto locale).

Un PDTA non è quindi di per sé una linea-guida, così come non è un protocollo. A volte questi termini vengono erroneamente interscambiati.

Peraltro, da quando detto sopra ne deriva che, su temi clinici che non dispongono di buone evidenze primarie e sui quali quindi non potranno essere disponibili lineeguida di elevato livello qualitativo, la costruzione di un PDTA risulterà velleitaria.

Il PDTA non è uno strumento per la formazione professionale. Non si può partire da un PDTA, così come non si può partire da una linea-guida, per costruire una attività clinica che non sia già esistente e ben strutturata. Una volta che questa esiste, allora il PDTA è lo strumento per qualificarla, parametrarla alle linee-guida, delinearne gli snodi, chiarire gli ambiti di competenza, valutarne la qualità, garantirne l’aggiornamento.

Perché un PDTA – Scopi

Un PDTA viene sviluppato per rispondere a necessità specifiche, spesso originate da criticità rilevate in una determinata realtà sanitaria.

Gli scopi principali di un PDTA includono:

1. Aumentare l’appropriatezza clinica, identificando le scelte cliniche corrette raccomandate dalle lineeguida.

2. Adattare le raccomandazioni di buona pratica clinica al contesto locale, considerando tutte le variabili strutturali, tecnologiche, organizzative, professionali, sociali, culturali, economiche e normative che possano ostacolarne la applicazione.

3. Ridurre la variabilità delle scelte cliniche tra gli operatori. Identificare gli ambiti specifici di intervento dei singoli operatori, evitando sia sovrapposizioni di competenze che passaggi scoperti o non assegnati e superando la frammentarietà delle singole fasi armonizzando le interfacce.

4. Ottimizzare le tempistiche: tra uno snodo e l’altro, tenendo conto delle risorse disponibili, identificando anche eventuali criticità che necessitino di interventi o allocazione di risorse.

Struttura e contenuto di un PDTA

Per sviluppare un PDTA è fondamentale identificare il momento di inizio-ingresso (in) e il momento di fineuscita (out) di un paziente.

Quanto maggiore è la distanza tra in e out, tanto più complesso sarà il percorso con rischio di insuccesso del PDTA. Per esempio, è più pratico suddividere un percorso complesso, come quello dal nodulo tiroideo incidentale al follow-up del carcinoma tiroideo, in PDTA separati con obiettivi più specifici. Un modello efficace prevede la suddivisione di un PDTA in processi e procedure. In questo modello, più procedure compongono un processo, e più processi compongono il PDTA, secondo una tipica struttura nidificata.

Se la linea-guida indica cosa fare, il processo è la parte del PDTA che riporta anche chi (i professionisti incaricati), come (procedura operativa), dove (in quale ambito) e quando (tempistica appropriata) ciò deve essere fatto.

La procedura è la declinazione sufficientemente

dettagliata di come si esegue una specifica manovra diagnostica, terapeutica o assistenziale. In sintesi:

• Il processo definisce cosa fare, chi deve farlo, come, dove e quando.

• La procedura specifica dettagliatamente come eseguire una manovra diagnostica, terapeutica o assistenziale.

Valutare l’impatto di un PDTA – Gli indicatori –L’audit clinico

Una volta implementato, il PDTA deve essere valutato per garantirne l’efficacia. I principali strumenti di monitoraggio includono:

• Indicatori di processo: Per valutare se il PDTA viene effettivamente applicato, misurando quanto è lo scostamento della pratica clinica rispetto ai criteri declinati nel PDTA e se possibile rispetto alla pratica storica antecedente alla implementazione del PDTA.

• Indicatori di esito. Per valutare se l’applicazione del PDTA modifica gli esiti assistenziali, e in termini di miglioramento o peggioramento e la loro entità. Il processo periodico e ciclico con il quale si verifica l’andamento nel tempo degli indicatori si definisce audit clinico. Se l’audit rileva scostamenti in difetto rispetto allo standard prestabilito, si devono intraprendere le azioni di miglioramento finalizzate a far sì che l’indicatore si avvicini allo standard, in una ottica di miglioramento continuo.

Il PDTA in Oncologia

In oncologia i PDTA hanno un impatto significativo sulla gestione dei pazienti oncologici, garantendo:

• Uniformità nelle prestazioni erogate: riducendo gli eventi straordinari e migliorandone la standardizzazione.

• Continuità assistenziale: definendo ruoli e responsabilità dei professionisti coinvolti.

• Approccio multidisciplinare: fondamentale per affrontare la complessità dei tumori, assicurando una strategia terapeutica ben strutturata.

Impatto del PDTA sulla qualità delle cure

I PDTA favoriscono una gestione più efficace dei pazienti oncologici, migliorando la definizione dello stadio della malattia e l’adozione di trattamenti mirati. Questo approccio ha un impatto significativo sulla qualità delle cure in oncologia medica. E’ stato osservato l’adozione

dei PDTA contribuisce a standardizzare l’assistenza, garantendo uniformità nelle prestazioni erogate e riducendo gli eventi straordinari. Studi italiani hanno dimostrato che i pazienti seguiti da un team multidisciplinare hanno una maggiore sopravvivenza, specialmente negli stadi avanzati della malattia. Questo approccio integrato consente di offrire una strategia terapeutica ben strutturata e personalizzata per ogni paziente con tumori. Inoltre, il PDTA promuove la continuità assistenziale e definisce chiaramente ruoli e responsabilità dei professionisti coinvolti, migliorando così la qualità complessiva delle cure oncologiche.

PDTA e approccio multidisciplinare

L’approccio multidisciplinare è fondamentale per garantire una gestione efficace dei tumori. Il PDTA favorisce la collaborazione tra diverse figure professionali, creando un team dedicato alla cura del paziente oncologico. Questo modello organizzativo, noto come Gruppo Oncologico Multidisciplinare (GOM), comprende oncologi, chirurghi, radioterapisti e altri specialisti. La loro sinergia permette di offrire una strategia terapeutica personalizzata e completa. Studi recenti hanno dimostrato che i pazienti seguiti da team multidisciplinari hanno una maggiore sopravvivenza, specialmente negli stadi avanzati della malattia (1,2). Questo approccio integrato consente di ottimizzare il percorso di cura, migliorando la qualità dell’assistenza in oncologia medica e garantendo una presa in carico globale del paziente.

In definitiva, il PDTA si conferma uno strumento prezioso per migliorare la qualità dell’assistenza oncologica. Promuovendo la continuità assistenziale e definendo chiaramente ruoli e responsabilità, questo percorso consente di ottimizzare la cura, garantendo una presa in carico globale del paziente. L’integrazione delle migliori evidenze scientifiche, adattate al contesto locale, rende il PDTA un approccio flessibile e efficace per affrontare la complessità dei tumori

Ruolo del Paziente nei PDTA Oncologici

Nel percorso diagnostico terapeutico assistenziale (PDTA) per i tumori, il paziente assume un ruolo centrale e attivo. Fin dall’inizio della presa in carico, il paziente è parte integrante di un approccio multidisciplinare che ruota intorno alle sue esigenze. La partecipazione attiva del paziente è fondamentale per migliorare l’aderenza ai percorsi di assistenza e garantire una maggiore

autonomia, con benefici sulla qualità di vita del paziente stesso e dei suoi familiari. È importante che il paziente condivida feedback, ansie e dubbi con il team medico, in quanto questo può aiutare gli specialisti a migliorare il loro approccio e offrire soluzioni terapeutiche più adeguate. La comunicazione efficace tra paziente e team multidisciplinare è essenziale, soprattutto considerando la complessità dei tumori e il loro impatto sulla percezione corporea e sulla sessualità.

Conclusioni

Il PDTA rappresenta uno strumento prezioso per migliorare la qualità dell’assistenza sanitaria. In oncologia, in particolare, favorisce un approccio sistematico, multidisciplinare e personalizzato, garantendo continuità assistenziale e una presa in carico globale del paziente. Grazie all’integrazione delle migliori evidenze scientifiche con il contesto locale, i PDTA si confermano un modello efficace per affrontare la complessità dei tumori e ottimizzare la cura.

Bibliografia

1. Pillay B, Wootten AC, Crowe H, Corcoran N, Tran B, Bowden P, Crowe J, Costello AJ. The impact of multidisciplinary team meetings on patient assessment, management and outcomes in oncology settings: A systematic review of the literature. Cancer Treat Rev. 2016 Jan; 42:56-72. doi: 10.1016/j.ctrv.2015.11.007. Epub 2015 Nov 24. PMID: 26643552.

2. Dubois C, De Schutter H, Leroy R, Stordeur S, De Gendt C, Schillemans V, Kohn L, Van Eycken L, Vrijens F. Multidisciplinary work in oncology: Populationbased analysis for seven invasive tumours. Eur J Cancer Care (Engl). 2018 Mar;27(2):e12822. doi: 10.1111/ecc.12822. Epub 2018 Jan 29. PMID: 29377309.

I PDTA REGIONALI ATTIVATI

IL PERCORSO DIAGNOSTICO TERAPEUTICO ASSISTENZIALE (PDTA) DEL CARCINOMA TIROIDEO IN PIEMONTE

Emanuela Arvat

S.C. Endocrinologia Oncologica U., Dipartimento di Scienze Mediche, Università degli Studi di Torino, AOU Città della Salute e della Scienza di Torino, Torino.

Presentazione del documento

La condivisione di percorsi diagnostici terapeutici e assistenziali (PDTA) rappresenta un elemento fondamentale di “governance” delle Reti Oncologiche. Tale processo mira a garantire qualità ed efficienza della gestione delle patologie oncologiche e a rendere omogeneo su tutto il territorio della Rete il percorso del paziente, personalizzato in tutte le fasi della malattia, attraverso un continuum di azioni basate sulle più recenti evidenze scientifiche e sui singoli bisogni.

La definizione del PDTA garantisce anche una corretta allocazione di risorse indispensabile per rendere governabile il sistema ed il miglioramento dell’offerta terapeutica attraverso il monitoraggio di indicatori e procedure di audit interni ed esterni

Modello organizzativo

La Regione Piemonte ha identificato con delibera del 23 novembre 2015 (D.G.R.51-2485/2015, “Individuazione dei centri HUB nell’ambito del dipartimento della Rete Oncologica”):

• Centri HUB: centri sovraordinati, con maggiore specializzazione diagnostica e terapeutica, identificati sulla base di specifiche caratteristiche e competenze;

• Centri Spoke: strutture di primo livello, generalmente le strutture intraospedaliere, con possibilità di assistenza qualificata completa che copra la massima parte della diagnosi e cura delle principali patologie oncologiche con la stessa qualità di prestazione degli HUB.

Il modello organizzativo generale di presa in carico in atto in Regione Piemonte prevede la presenza di Centri Accoglienza e Servizi (CAS) e Gruppi Interdisciplinari Cure (GIC), in modo da garantire un rapido accesso a pazienti con sospetto diagnostico ed un efficiente indirizzamento verso i relativi GIC di riferimento per il prosieguo dell’iter terapeutico-assistenziale.

Criteri di ingresso

Tutti i pazienti con diagnosi di elevato sospetto clinico o citologico (TIR3B, TIR4 e TIR5) o diagnosi anatomo-patologica confermata di neoplasia tiroidea accedono alla visita CAS.

Nel percorso PDTA sono coinvolti :

• Reti Ospedaliere

• Dipartimento di Prevenzione

• Distretti Sanitari

• Medici di famiglia / Case della Salute

• Servizi di cure domiciliari e palliative

• Hospice

• Servizi sociali ospedalieri e territoriali

• Progetto Protezione Famiglie Fragili

• Associazioni di pazienti e di volontari

Descrizione dello sviluppo complessivo del PDTA

Prevenzione primaria: controllo dei fattori di rischio.

Prevenzione secondaria: programmi di identificazione precoce della malattia (soggetti con familiarità per patologia tiroidea maligna, pregressi trattamenti radioterapici che abbiano interessato la regione anteriore del collo, in particolare se eseguiti in età pediatrica, soggetti sottoposti a irradiazione ambientale accidentale).

Prevenzione terziaria: programmi di follow-up dei pazienti liberi da malattia dopo i trattamenti.

Fa parte della prevenzione terziaria anche la riabilitazione oncologica (prevenzione e gestione delle complicanze correlate con la malattia e i suoi trattamenti, supporto al recupero della migliore qualità di vita).

Prevenzione socio assistenziale: la Rete Oncologica Piemonte e Valle d’Aosta tutela i propri assistiti con l’erogazione, di fronte al solo sospetto diagnostico, dell’esenzione ticket provvisoria 048, l’attivazione del Progetto Protezione Famiglie Fragili ove necessario; tutela inoltre i care-giver (riconoscimento dei benefici di legge, es. 104). Le Assistenti sociali di Rete Oncologica e le Associazioni di volontariato sono importanti interlocutori per questi aspetti.

I vari step del PDTA prevedono la presa in carico mediante: visita CAS (valutazione medica, definizione diagnostica, stadiazione, valutazione infermieristica, gestione amministrativa) - GIC (valutazione multidisciplinare pre- e/o post-operatoria, definizione di una strategia diagnostica e terapeutica condivisa, con la partecipazione degli specialisti necessari per una completa valutazione).

Diffusione ed implementazione del PDTA

Sono previste le seguenti attività:

1) diffusione attraverso il sito della Rete Oncologica del Piemonte e della Valle d’Aosta;

2) eventi formativi ECM rivolti agli operatori sanitari coinvolti nel percorso di cura;

3) diffusione di brochure informative orientate all’utenza,

4) pubblicazione del PDTA sui siti aziendali,

5) le Direzioni Aziendali provvedono, per quanto di loro competenza, alla compilazione di documenti atti a descrivere la mappatura dei Servizi integrati nel PDTA e a fornire i tempi di attesa per l’accesso agli stessi, oltre che ad elaborare procedure per il monitoraggio degli indicatori;

6) condivisione e coinvolgimento delle Organizzazioni di volontariato (ODV).

Verifica dell’applicazione e indicatori

La verifica dell’applicazione del PDTA viene effettuata attraverso le autovalutazioni e gli audit. Le autovalutazioni sono realizzate dal personale della struttura, gli audit interni da personale della Rete Oncologica della Regione Piemonte e quelli esterni da personale non appartenente all’organizzazione.

Aspetti di struttura, processo ed esito vengono selezionati e valutati sistematicamente, in rapporto ad espliciti criteri. Dove è indicato, i cambiamenti vengono realizzati a livello individuale, di team o di servizio e vengono effettuati successivi monitoraggi per confermare il miglioramento dell’assistenza sanitaria erogata.

Gli indicatori proposti derivano dal set di indicatori definiti dal gruppo di lavoro della Rete Oncologica del Piemonte e della Valle d’Aosta che ha elaborato il PDTA, con revisioni e integrazioni necessarie per renderli calcolabili centralmente attraverso l’uso integrato dei dati sanitari pseudonimizzati presenti nel datawarehouse del CSI Piemonte. Tutti gli indicatori calcolabili a livello centrale sono calcolati per l’intera regione, per ASL di residenza e per struttura che eroga la prestazione. I confronti tra centri e tra periodi di alcuni indicatori possono richiedere procedure statistiche di standardizzazione per renderli più confrontabili

Aggiornamento e archiviazione

E’prevista una revisione biennale ed una archiviazione su supporto informatico in modo da consentire l’immediata disponibilità ed accessibilità per la consultazione del personale.

Link per la visione dettagliata del suddetto PDTA: http://www.reteoncologica.it/

Fig. 1. RAPPRESENTAZIONE SINTETICA DEL PDTA

IL PDTA DEL CARCINOMA TIROIDEO NELLA PROVINCIA DI REGGIO EMILIA

Michele Zini1, Andrea Frasoldati1, Loredana Cerullo2, Giada Caviola2

1Unità Operativa di Endocrinologia e 2Ufficio Qualità – IRCCS Arcispedale S. Maria Nuova, Reggio Emilia

con il contributo di tutte le Unità Operative afferenti al Centro Malattie Tiroidee dell’IRCCS Arcispedale S. Maria Nuova, Reggio Emilia: Endocrinologia, Medicina Nucleare, Anatomia Patologica, ORL, Chirurgia Toracica, Laboratorio di analisi Chimiche, Radioterapia, Oncologia, Biologia Molecolare, Radiologia

Il carcinoma tiroideo rappresenta una delle patologie oncologiche più gestibili quando diagnosticata tempestivamente e trattata secondo protocolli standardizzati.

Presupposti storici: perchè un PDTA sul carcinoma tiroideo

Nell’ Arcispedale S. Maria Nuova, Reggio Emilia, la gestione sistematica delle patologie tiroidee, e tra queste il gozzo, i noduli ed il carcinoma tiroideo ha una lunga tradizioni. Ogni anno vengono diagnosticati circa 150 nuovi casi di carcinoma tiroideo.

La gestione di questi pazienti è affidata ad un gruppo multidisciplinare, costituito principalmente da Endocrinologia, ORL, Anatomia Patologica e Medicina Nucleare, con il supporto di tutte le altre unità operative dell’ospedale.

La disponibilità di linee-guida di ottima qualità sul carcinoma tiroideo ha progressivamente influenzato la nostra pratica clinica, portando alla formalizzazione di un Percorso Diagnostico-Terapeutico Assistenziale (PDTA) rivolto a tutti coloro che all’interno della nostra realtà sono coinvolti nella gestione di questa patologia.

Gli obiettivi principali del PDTA erano:

• Recepire le raccomandazioni di gestione clinica, riportate nelle linee-guida, adattandole al contesto locale con le sue caratteristiche specifiche,

• Ridurre la variabilità delle scelte cliniche (la valutazione del singolo paziente è molto più efficiente se avviene alla luce di criteri clinici generali già definiti),

• Delineare un percorso razionale per il paziente con descrizione delle interfacce e degli snodi tra un passaggio e l’altro dell’iter diagnostico-terapeutico,

• Aggiornare le indicazioni cliniche in base ai nuovi dati di letteratura, e misurare l’impatto del PDTA sulla pratica clinica corrente.

Il documento

Il PDTA adottato contiene sia elementi clinici, tecnici e scientifici, basati sulle linee-guida cliniche, che elementi organizzativi e gestionali adattati al contesto locale. Nella parte clinica sono riportate le le migliori pratiche per diagnosi, stadiazione, terapia e follow-up dei pazienti con carcinoma tiroideo differenziato. La parte gestionale descrive il percorso del paziente in modo sistematico, indicando anche i tempi di passaggio tra uno snodo e il successivo e la gestione delle interfacce.

Il PDTA è tipicamente organizzato per processi (8, pre-

ceduti da un ulteriore processo preliminare), ognuno dei quali è nidificato in alcune procedure. Il percorso del paziente inizia (in) con la diagnosi di un nodulo tiroideo a citologia indeterminata, sospetta o positiva per carcinoma. Esso termina (out) con la impostazione del follow-up dopo 5 anni dalla diagnosi di carcinoma. Ogni processo indica chi, come, dove e quando deve essere effettuato il cosa fare indicato dalla linea-guida.

A titolo esemplificativo, la Figura 1 riporta uno schema riassuntivo semplificato dei primi 3 processi del PDTA. Per ogni procedura che lo richieda, vengono dettagliati i criteri clinici specifici, come:

• Criteri ecografici per il sospetto di malignità di un nodulo tiroideo,

• Classificazione citologica,

• Indicazione alla estensione della chirurgia, e criteri di stadiazione prechirurgica,

• Classificazione istologica,

• Criteri per la terapia radiometabolica, le

• Modalità di stadiazione postchirurgica e del followup.

Il documento è corredato di brochure informative per i pazienti, per migliorare la comunicazione e il coinvolgimento.

Valutazione dell’impatto del PDTA: Indicatori e audit clinico

Il PDTA prevede il monitoraggio di 20 indicatori chiave, sui quali viene periodicamente (annualmente) condotto un ciclo di audit clinico. Per ogni indicatore vengono riportati definizione esatta, metodo di calcolo, standard ottimale con la relativa fonte, risultato ottenuto ed eventuali eccezioni previste.

Gli indicatori si suddividono in:

• 5 indicatori sulla continuità di applicazione del PDTA, valutando il numero di incontri collegiali e pazienti discussi;

• 8 indicatori sui tempi tra snodi/interfacce, per garantire tempestività e ridurre i ritardi;

• 5 indicatori clinici, per misurare la conformità alle linee guida;

• 2 indicatori standard, comuni a tutti i PDTA ospedalieri.

Risultati dell’audit clinico 2023

Nel 2023, il 19% dei pazienti non soddisfaceva 1 solo indicatore, il 19% dei pazienti non soddisfaceva 2 indicatori, il 14% dei pazienti non soddisfa 3 indicatori, il

5% dei pazienti non soddisfaceva 4 indicatori e l’1% dei pazienti non soddisfaceva 5 indicatori. Tra gli indicatori clinici, di particolare interesse per la loro rilevanza e per la innovazione che comportano rispetto alla prassi clinica consolidata sono a) la percentuale di pazienti con stadiazione pT¬1N0M0 sottoposti a trattamento radioablativo (Figura 2) e b) la percentuale di pazienti con nodulo a citologia indeterminata sottoposti a trattamento chirurgico con un istologico definitivo positivo. Per l’indicatore a), (la Figura 2 riporta la relativa pagina del report dell’audit clinico) che rappresenta una delle innovazioni introdotte dalle ultime linee-guida, il risultato è 7%, contro uno standard prestabilito <10%, raggiungendo quindi l’obbiettivo. Per l’indicatore b), anch’esso oggetto di frequenti revisioni e aggiornamenti in letteratura nel tentativo di evitare procedure chirurgiche non necessarie, il risultato è stato 48%, contro uno standard predefinito >40%, anch’esso quindi soddisfatto.

Conclusioni

L’introduzione del PDTA per il carcinoma tiroideo differenziato ha offerto l’opportunità di analizzare la correttezza delle scelte cliniche, e ha migliorato l’omogeneità delle decisioni cliniche, grazie anche alla valutazione collegiale nei passaggi chiave. La codifica di standard locali, basati sulle linee guida, ha reso più efficaci le discussioni dei casi, trasformandole in momenti di confronto guidati da criteri predefiniti di appropriatezza. Il PDTA consente inoltre di identificare e analizzare gli scostamenti dagli standard, promuovendo una riflessione sulle cause e favorendo l’adozione di strategie per prevenirli.

L’aggiornamento periodico degli standard è facilitato, e il PDTA verrà presto adattato alle nuove linee guida dell’American Thyroid Association previste per il 2025. Questo percorso continuo di miglioramento rappresenta un esempio virtuoso di integrazione tra evidenze scientifiche e gestione clinica locale.

IL PDTA DEL NODULO E DEL CARCINOMA TIROIDEO IN CAMPANIA

Salvatore

Dipartimento di Sanità Pubblica, Universita’ degli Studi di Napoli Federico II, Via S. Pansini 5, 80131 Napoli

Il PDTA (Percorso Diagnostico Terapeutico Assistenziale)

è uno strumento di organizzazione sanitaria che fornisce delle linee guida per un percorso ottimale di gestione di una specifica patologia. Il PDTA regionale viene creato per standardizzare e migliorare la qualità delle cure al-

l'interno di una stessa regione, garantendo che tutti i pazienti ricevano un'assistenza coerente e basata su linee guida scientifiche aggiornate indipendentemente da dove vengano curati.

Il PDTA nodulo tiroideo della Regione Campania, in particolare, ha come scopo quello di tracciare le linee guida per il percorso di gestione migliore dei pazienti con nodulo tiroideo e per adattare la gestione diagnostico-terapeutica ai pazienti con cancro della tiroide. Come per altri PDTA, la sua caratteristica più importante è multidisciplinarietà, poiché esso coinvolge tutte le diverse figure professionali (medici, infermieri, specialisti, farmacisti) che operano intorno al paziente per garantire un approccio completo e integrato. In secondo luogo, il PDTA tiroide stabilisce un iter preciso per la diagnosi, il trattamento, il monitoraggio e l'assistenza dei pazienti con cancro tiroideo, personalizzato in base alla gravità di malattia ma applicabile a tutti i pazienti che ne soffrono. Include esami diagnostici, terapie farmacologiche, interventi chirurgici e assistenza riabilitativa, se necessaria.

Gli obiettivi del PDTA nodulo tiroideo sono in primo luogo quello di migliorare la qualità delle cure e uniformare la gestione del malato con cancro tiroideo per ridurre ogni eventuale variabilità di trattamento delle pratiche cliniche. Poi, quello di assicurare un accesso equo alle cure e di migliorare la comunicazione tra pazienti e operatori sanitari. In ultimo, di razionalizzare i costi del sistema sanitario per ridurre sprechi derivanti da pratiche cliniche inappropriate e/o dall’esecuzione di esami diagnostici e visite specialistiche non necessarie.

In conclusione, il PDTA tiroide della Regione Campania ha come scopo quello di creare un percorso chiaro e condiviso per la gestione del nodulo e del cancro tiroideo, assicurando che ogni paziente venga seguito in modo omogeneo e secondo le migliori evidenze disponibili.

IL PDTA DEL CARCINOMA TIROIDEO IN SICILIA

Gabriella Pellegriti1, Stefano Campo2, Giulia Sapuppo1, Claudia Scollo3, Vincenza Adamo4, Dario Giuffrida 5

1.Endocrinologia, Ospedale Garibaldi-Nesima e Dipartimento di Medicina Clinica e Sperimentale dell’Università di Catania, Catania2. Assessorato Regionale della Salute Regione Sicilia, Palermo, - 3 Servizio di Endocrinologia afferente UOC Medicina Ospedale Maggiore di Modica, Modica, - 4.Coordinamento Rete Oncologica Siciliana-Re.O.S., Assessorato Salute Regione Sicilia, Palermo; Clinical Trial Center Dipartimento Oncologico A.O. Papardo, Messina, - 5. Istituto Oncologico del Mediterraneo Viagrande, Catania

Il Percorso diagnostico terapeutico assistenziale (PDTA) per la gestione del paziente affetto da tumore della tiroide della Regione siciliana è stato approvato con Decreto dell’Assessorato della Sanità Regionale il 20 Luglio 2021 (1) (http://www.gurs.regione.sicilia.it/Gazzette/g2135o2/g21-35o2.pdf) nell’ambito del Progetto Rete Oncologica Siciliana (Re.O.S.: https://www.costruiresalute.it/?q=rete-oncologica-siciliana).

Il PDTA è stato redatto da un gruppo di lavoro multispecialistico, individuato e proposto dal Coordinamento regionale della rete oncologica, ed ha visto coinvolte le seguenti Aree di Aggregazione: Endocrinologia, Oncologia, Endocrino-chirurgia, Anatomia Patologica, Medicina Nucleare, Radiologia, Psicologia Clinica, Radioterapia.

Attraverso la revisione ed integrazione delle raccomandazioni delle linee guida nazionali ed internazionali sul tumore della tiroide, stabiliti i criteri di inclusione dei pazienti nel PDTA, sono state individuate tre Fasi:1. Diagnostica; 2. Terapeutica; 3. di Gestione Clinica.

Obiettivo del PDTA è garantire l’erogazione delle cure ai pazienti affetti da tumore della tiroide in condizioni di appropriatezza, efficacia, efficienza, equita, qualita e sicurezza, attraverso la diffusione ed il recepimento del percorso stesso dalle strutture sanitarie regionali che abbiano requisiti minimi organizzativi, strutturali, professionali, tecnologici e di attivita per realizzare il PDTA stesso.

A tal fine:

1. sono stati definiti gli standard strutturali, di attività e di organizzazione ed è stata creata una Check-List (Allegato 1: Check-List Oncologica Cancro della Tiroide) che è stata inviata a tutte le strutture sanitarie regionali. Indicati quali requisiti minimi, di struttura e di volume o attività, debbano essere soddisfatti per poter aderire al PDTA, è stato possibile identificare le strutture che erogano assistenza dedicata a questa patologia a diversi livelli, primario, secondario e terziario (Centri di Riferimento Regionali).

2. è stata quindi eseguita la rilevazione degli indicatori di performance (Allegato 2: Indicatori di Processo ed Esito del PDTA sul Carcinoma Tiroideo) che prevede la valutazione di indicatori indiretti della applicazione del presente PDTA da parte delle strutture sanitarie regionali al fine di valutare la corretta attuazione delle attivita indicate e le eventuali criticita presenti nel percorso diagnostico-terapeutico.

Le criticità raccolte Informano:

- sulla avvenuta erogazione del processo assistenziale in maniera appropriata secondo quanto definito dagli standard di riferimento del PDTA;

- sull’esito finale della cura (quantificazione del miglioramento o peggioramento dello stato di salute, complicazioni ed effetti iatrogeni della terapia) inclusa la soddisfazione degli utenti.

Il PDTA fornisce inoltre un’ampia modulistica: dai consensi informati per le diverse procedure diagnostico-terapeutiche (esame citologico, intervento chirurgico, consulenza genetica, terapia radiometabolica con Iodio 131) agli allegati relativi al supporto psico-oncologico e ai questionari di gradimento del paziente. Fornisce inoltre indicazioni sulla gestione delle neoplasie in età pediatrica-adolescenziale, delle neoplasie in gravidanza e delle forme di tumore avanzato quale il tumore radioiodio-refrattario sino al carcinoma anaplastico della tiroide che rappresenta uno dei tumori più aggressivi dell’uomo.

I contenuti scientifici del PDTA sono soggetti a revisione periodica alla luce di nuove acquisizioni in tema di diagnosi e trattamento del tumore tiroideo.

CONCLUSIONI

Report ITCO 2025 sulla Gestione del Carcinoma Tiroideo in Italia

Il Report ITCO 2025 offre una panoramica completa e aggiornata sulla gestione del carcinoma tiroideo in Italia, caratterizzata da significativi progressi diagnostici e terapeutici, ma anche da importanti sfide da affrontare. L'analisi approfondita della situazione attuale ha permesso di delineare un quadro completo delle criticità e delle opportunità nel contesto nazionale.

Scenario Epidemiologico e Diagnostico

Il panorama epidemiologico del carcinoma tiroideo in Italia si distingue per un’elevata incidenza rispetto ad altri Paesi europei. Il contesto italiano si caratterizza per un paradosso epidemiologico: da un lato si registra un significativo aumento dell'incidenza del carcinoma tiroideo, dall'altro la mortalità rimane stabile e contenuta. Questo fenomeno è largamente attribuibile alla sovradiagnosi, aspetto che richiede una profonda riflessione sulle attuali strategie diagnostiche. Inoltre, il report sottolinea l'importanza di prestare attenzione a non trasformare individui sani (asintomatici con una probabilità bassissima di sviluppare una malattia mortale) in pazienti oncologici, riducendo la sovradiagnosi e il sovratrattamento, che attualmente raggiungono livelli molto elevati, in accordo con le linee guida delle società scientifiche.

Prevenzione e Fattori di Rischio

La ricerca ha messo in evidenza l'importanza di diversi fattori di rischio, tra cui l'esposizione a radiazioni, la contaminazione ambientale (particolarmente nelle aree vulcaniche e minerarie), la carenza iodica e la predisposizione genetica. Il programma nazionale di iodoprofilassi rappresenta un esempio virtuoso di collaborazione tra comunità scientifica e istituzioni, dimostrando l'efficacia di interventi preventivi su larga scala.

Innovazione diagnostica

L’integrazione di ecografia, citologia e biologia molecolare rappresenta il gold standard per la stratificazione del rischio, riducendo del 30-40% le tiroidectomie non necessarie. Il sistema di classificazione ICCRTC 2024, con le categorie TIR3A/TIR3B, ottimizza la gestione clinica, mentre l’implementazione della Digital Pathology nel progetto ITCO può abbattere le disparità territoriali, garantendo accesso uniforme all’expertise diagnostica. L’In-

telligenza Artificiale, in fase di validazione, promette di automatizzare l’analisi morfologica e integrare dati clinico-molecolari per decisioni terapeutiche più precise.

Evoluzione degli Approcci Terapeutici

Trattamento e disparità regionali

L’analisi delle pratiche cliniche in Italia tra il 2001 e il 2018 ha evidenziato significative disparità geografiche nei trattamenti chirurgici: le tiroidectomie totali rappresentano l’88% degli interventi al Centro-Sud vs il 77% al Nord, con un rapporto tiroidectomie totali/tiroidectomie parziali che ha raggiunto picchi >10 nel Sud nel 2012. La lobectomia, raccomandata per noduli <1 cm a basso rischio, è applicata solo nel 10% dei casi (vs 2530% a livello internazionale). Nonostante il calo dell’uso del radioiodio (RAI) nell’ultimo decennio, il 20% dei casi con tumori <1 cm riceve ancora RAI senza evidenze di beneficio.

La gestione terapeutica sta evolvendo verso un approccio sempre più personalizzato, che integra:

• Sorveglianza attiva per casi selezionati a basso rischio.

• Impiego di tecniche minimamente invasive, come la termoablazione.

• Utilizzo di terapie molecolari mirate, particolarmente efficaci per le forme aggressive e refrattarie.

• Introduzione di protocolli immunoterapici innovativi per il trattamento dei casi più complessi.

Gestione personalizzata

• Pazienti pediatrici: Necessità di linee guida specifiche per l’età pediatrica (<18 anni), con protocolli distinti rispetto agli adulti per ridurre il rischio di complicanze a lungo termine

• Pazienti anziani: Richiedono protocolli dedicati, con attenzione alla tossicità a lungo termine delle terapie e alla qualità di vita.

• Gravidanza: L’approccio conservativo è preferito, con monitoraggio ecografico e intervento post-partum nei casi a basso rischio.

• Carcinoma midollare familiare: Lo screening genetico e la tiroidectomia profilattica riducono la mortalità del 90% nei portatori di mutazioni RET.

Raccomandazioni per il Futuro

L'analisi complessiva suggerisce le seguenti priorità d'azione:

1. Ottimizzazione Diagnostica: Assicurare il rispetto delle linee guida, che raccomandano di non eseguire lo screening del tumore della tiroide nella popolazione generale,con particolare attenzione alla riduzione della sovradiagnosi e alla razionalizzazione delle indagini citologiche per lesioni sub-centimetriche.

2. Standardizzazione Terapeutica: Promuovere protocolli terapeutici uniformi su scala nazionale, con particolare enfasi sull'appropriato utilizzo della lobectomia nei casi idonei a basso rischio.

3. Approccio Multidisciplinare: Rafforzare la gestione integrata del paziente, garantendo un approccio personalizzato e evidence-based.

4. Medicina di Precisione: Espandere l'utilizzo di tecniche di profilazione genomica e terapie mirate, ottimizzando l'efficacia dei trattamenti.

5. Equità di Accesso: Ridurre le disparità territoriali nell'accesso alle cure, garantendo standard uniformi su scala nazionale.

6. Monitoraggio e Ricerca: Potenziare la raccolta e l'analisi dei dati di real-world attraverso il database ITCO, per ottimizzare continuamente i percorsi terapeutici.

Prospettive Future

Il futuro della gestione del carcinoma tiroideo in Italia si basa su un delicato equilibrio tra aderenza alle linee guida evidence-based, in particolare per ridurre l’elevata sovradiagnosi di tumore della tiroide, innovazione tecnologica, personalizzazione terapeutica e sostenibilità del sistema sanitario. L'integrazione di competenze multidisciplinari, supportata da una solida infrastruttura di raccolta dati e analisi, rappresenta la chiave per continuare a migliorare gli outcome clinici e la qualità di vita dei pazienti. Su questa base, il progetto ITCO può rappresentare uno strumento fondamentale per guidare questo processo di evoluzione e ottimizzazione dell'assistenza oncologica tiroidea sul territorio nazionale.

Call to action: L'implementazione efficace del modello proposto richiede un impegno sinergico e coordinato tra clinici, decisori politici e ricercatori. Solo attraverso questa collaborazione sarà possibile tradurre l'evidenza scientifica in prassi cliniche uniformi, riducendo la sovradiagnosi e assicurando a ogni paziente, indipendentemente dalla collocazione geografica, l'accesso a percorsi diagnostici precisi e terapie sostenibili nel tempo. Questo duplice obiettivo di precisione diagnostica e sostenibilità terapeutica rappresenta non solo una sfida organizzativa, ma anche un imperativo etico per il sistema sanitario nazionale.

ITCO ORGANIGRAMMA

SOCI FONDATORI

ATTARD Marco

BELLANTONE Rocco

BRUNO Rocco

CARACCIO Nadia Maria

D'ERASMO Emilio

DURANTE Cosimo

FILETTI Sebastiano

GIACOMELLI Laura

GIUSTINA Andrea

LOMBARDI Celestino Pio

MERINGOLO Domenico

MONZANI Fabio

PUXEDDU Efisio

RONGA Giuseppe

SERRA Federico

TORLONTANO Massimo

TUMINO Salvatore

Presidenti onorari: Rocco Bellantone

Sebastiano Filetti

Consiglio Direttivo (2024-2027):

1. Durante C. Presidente Roma

2. Crescenzi A. Vicepresidente Vicario Roma

3. Meringolo D. Vice Presidente Bologna

4. Grani G. Tesoriere Roma

5. Centanni M. Latina

6. Fugazzola L. Milano

7. Papini E. Roma

8 Pezzullo L. Napoli

9. Salvatore D. Napoli

Direttore Generale: Federico Serra Roma

Commissione Scientifica

1. Efisio Puxeddu (coordinatore) Perugia

2. Cosimo Durante (ex officio) Roma

3. Laura Fugazzola Milano

4. Alessandro Piovesan Torino

5. Caterina Mian Padova

6. Giovanni Tallini Bologna

7. Castagna Mariagrazia Siena

8. Pietro Giorgio Calò Cagliari

9. Salvatori Massimo Roma

10. Locati Laura Deborah Milano

Data Analysis committee

1. Sebastiano Filetti (coordinatore) Roma

2. Giulia Brigante Modena

3. Simona Censi Padova

4. Simone De Leo Milano

5. Giorgio Grani Roma

6. Bruno Madeo Modena

7. Silvia Morelli Perugia

8. Alice Nervo Torino

9. Clotilde Sparano Firenze

10. Andrea Repaci Bologna

11. Camilla Virili Latina

12. Ilaria Stramazzo Roma

Statistici: Marco Alfò - Sapienza - Università di Roma Silvia D’Elia - Sapienza - Università di Roma

Ingegnere Informatico: Umberto Ferraro Petrillo

Sapienza - Università di Roma

Informatici: Giulio Pandolfelli - Luca Pizzato

Past President

Bellantone Rocco

Filetti Sebastiano

Lombardi Celestino Pio

2013 Furio Pacini
2014 Henning Dralle
2018 James A. Fagin 2019 Paolo Miccoli
PREMIO ITCO ALDO PINCHERA
2015 Martin Schlumberger 2016 Yuri Nikiforov
2025 Massimo Santoro

PREMIO ITCO ERNST MAZZAFERRI

2025

2017

Riccardo Vigneri
PREMIO ITCO MARCO ATTARD
Adele Maniglia 2018 Giorgio Grani
PREMIO ITCO ARTEM CELESTINO PIO LOMBARDI
2025 Silvia D’Elia 2025 Simone De Leo

Centri ITCO

Regione

Abruzzo

Basilicata

Calabria

Campania

Campania

Campania

Campania

Campania

Emilia Romagna

Emilia Romagna

Emilia Romagna

Emilia Romagna

Emilia Romagna

Emilia Romagna

Emilia Romagna

Emilia Romagna

Emilia Romagna

Emilia Romagna

Emilia Romagna

Friuli Venezia Giulia

Lazio

Lazio

Lazio

Lazio

Lazio

Lazio

Lazio

Lazio

Lazio

Lazio

Città

Chieti

Matera

Catanzaro

Napoli

Napoli

Napoli

Napoli

Salerno

Bologna

Bologna

Bologna

Ferrara

Forlì

Modena

Modena

Parma

Ravenna

Reggio Emilia

Rimini

Udine

Albano

Latina

Roma

Roma

Roma

Roma

Roma

Roma

Roma

Roma

Centro

Università degli Studi "G. d'Annunzio" Chieti – Pescara, Azienda Sanitaria Locale di Pescara

Azienda Sanitaria Locale di Matera

Università Magna Græcia di Catanzaro, Azienda Ospedaliero Universitaria Mater Domini

Università degli Studi di Napoli Federico II, Azienda Ospedaliera Universitaria Federico II - "Policlinico"

Università degli Studi della Campania Luigi Vanvitelli, Azienda Ospedaliero-Universitaria Vanvitelli

Istituto Nazionale Tumori IRCCS Fondazione Pascale

A.O.R.N. “A. Cardarelli” di Napoli

Università degli Studi di Salerno, AOU S. Giovanni di Dio e Ruggi D'Aragona

Università di Bologna, Policlinico di Sant'Orsola

Ospedale Maggiore

Ospedale di Bentivoglio – Azienda USL di Bologna

Università degli Studi di Ferrara, Azienda Ospedaliero-Universitaria di Ferrara Arcispedale Sant'Anna

AUSL Romagna

Università degli Studi di Modena e Reggio Emilia, Azienda Ospedaliero-Universitaria di Modena

Azienda Unità Sanitaria Locale di Modena

Università degli Studi di Parma, Azienda Ospedaliero-Universitaria di Parma

AUSL Romagna Osp Civile S. Maria delle Croci - Ravenna

AUSL-IRCCS di Reggio Emilia

AUSL Romagna - Ospedale "Infermi" di Rimini

Università degli Studi di Udine, Azienda sanitaria universitaria Friuli Centrale

Ospedale Regina Apostolorum

Sapienza Università di Roma, ASL Latina

Sapienza Università di Roma, Azienda Ospedaliero Universitaria Policlinico Umberto I

Sapienza Università di Roma, Azienda Ospedaliero Universitaria Sant'Andrea

Università Cattolica del Sacro Cuore, Fondazione Policlinico Universitario Agostino Gemelli IRCCS

ASL Roma 1 – Presidio Santo Spirito - UOSD Endocrinologia

Ospedale Isola Tiberina - Gemelli Isola

Ospedale San Carlo di Nancy

Istituto Nazionale Tumori Regina Elena-IFO IRCCS

Università Campus Bio-Medico di Roma, Policlinico Universitario Campus Bio-Medico

Lazio Lazio Liguria Liguria

Piemonte

Piemonte

Piemonte

Puglia

Puglia

Puglia

Puglia

Puglia

Sardegna

Sicilia

Sicilia

Sicilia

Sicilia

Toscana

Toscana

Toscana

Azienda Ospedaliera San Camillo Forlanini

ASL ROMA 2. Complesso Ospedaliero S. Eugenio - C.T.O.“A. Alesini”

Ospedali Galliera

Università degli Studi di Genova, IRCCS Ospedale Policlinico San Martino

Humanitas Gavezzani

Università degli Studi di Brescia, ASST Spedali Civili di Brescia

Ospedale Carlo Poma, ASST Mantova

Università degli Studi di Milano, Auxologico IRCCS

Università degli Studi di Milano, Policlinico di Milano

Ospedale San Raffaele

Humanitas University, Humanitas Medical Care

ASST Santi Paolo e Carlo

ASST Grande Ospedale Metropolitano Niguarda

Fondazione IRCCS Istituto Nazionale Tumori di Milano

Università di Pavia, Istituto Maugeri IRCCS Pavia

ASST Settelaghi Varese - Ospedale di Circolo e Fondazione Macchi S.C. Endocrinologia

Azienda Ospedaliero Universitaria delle Marche

ASUR Macerata-Marche

AOU SS. Antonio e Biagio e Cesare Arrigo

ASL Sanitaria Locale di Biella

FPO-IRCCS Candiolo Cancer Institute

Azienda Ospedaliera S.Croce e Carle Cuneo

Università del Piemonte Orientale, Azienda Ospedaliero Universitaria Maggiore della Carità Novara

Presidio Sanitario Humanitas Gradenigo Centro 1

Presidio Sanitario Humanitas Gradenigo Centro 2

Università degli Studi di Torino, A.O.U. Citta della Salute e della Scienza di Torino

Azienda Ospedaliera Ordine Mauriziano di Torino

Università degli Studi di Bari, Azienda Ospedaliero-Universitaria "Consorziale Policlinico"

Università degli Studi di Foggia, Ospedali Riuniti - Foggia

ASL Lecce – Presidio Ospedaliero “Vito Fazzi”

I.R.C.C.S. Casa Sollievo della Sofferenza San Giovanni Rotondo Ospedale SS. Annunziata di Taranto

Università degli Studi di Cagliari, Azienda Ospedaliero-Universitaria di Cagliari

Università degli Studi di Messina, Azienda Ospedaliero Universitaria Gaetano Martino

Università di Catania, Presidio Ospedaliero Garibaldi-Nesima

Università degli Studi di Messina, Azienda Ospedaliero Universitaria Gaetano Martino

Università degli Studi di Palermo, Policlinico P. Giaccone

Azienda USL Toscana Centro

Università degli Studi di Firenze, Azienda Ospedaliero-Universitaria Careggi

Azienda USL Toscana Sud-Est, Presidio Ospedaliero Misericordia di Grosseto

Azienda Usl Toscana nord ovest, Ospedali Riuniti di Livorno

Azienda USL Toscana Centro, Ospedale SS Cosma e Damiano di Pescia

Università di Pisa, Azienda Ospedaliero Universitaria Pisana

Università degli Studi di Siena, Azienda Ospedaliero-Universitaria Senese

Azienda Sanitaria dell'Alto Adige

Ospedale Santa Chiara, Azienda Provinciale dei Servizi Sanitari (APSS) Trento

Università degli Studi di Perugia, Azienda Ospedaliera di Perugia

IRCCS "Sacro Cuore - Don Calabria"

Università degli Studi di Padova, Azienda Ospedale-Università Padova

IOV - Istituto Oncologico Veneto - IRCCS

Azienda Ospedaliera Universitaria Integrata Verona, Ospedale Borgo Trento

Ringraziamenti

Il database che oggi rappresenta il fulcro del nostro lavoro è il frutto di un decennio di impegno collettivo straordinario. Questo traguardo è stato possibile grazie al contributo di numerose persone che, con dedizione e passione, ci hanno permesso di superare ogni sfida nel perseguimento di obiettivi così rilevanti per la collettività.

Esprimiamo la nostra più sincera gratitudine alle Istituzioni che hanno creduto e sostenuto questa iniziativa: il Rettore emerito Eugenio Gaudio, la Rettrice Antonella Polimeni, i Direttori di Dipartimento Emilio D’Erasmo, Guido Valesini e Marcello Arca, e i Direttori Generali del Policlinico Umberto I, Ubaldo Montaguti e Fabrizio D’Alba.

Un prezioso contributo è giunto dai colleghi dei Dipartimenti della Sapienza di Statistica, Informatica, Ingegneria Informatica, Automatica e Gestionale “Antonio Ruberti” (DIAG) e di Fisica, le cui idee innovative hanno arricchito costantemente il nostro dialogo interdisciplinare.

Il personale infermieristico, in particolare la Sig.ra Francesca Fozzi e la Sig.ra Vittoria Delle Chiaie, ha fornito un supporto indispensabile, così come la Sig.ra Silvana Neri dell’ufficio di segreteria del nostro dipartimento, con il suo instancabile impegno.

Un particolare e sentito ringraziamento va al Dr. Roberto Poscia, Direttore dell’Unità di Ricerca Clinica & Clinical Competence del Policlinico Umberto I , e a tutto il suo team per il prezioso e costante supporto fornito. La loro eccezionale competenza professionale e la dedizione dimostrata sono state fondamentali per superare le molteplici sfide che caratterizzano gli studi non-profit, rendendo possibile il raggiungimento dei nostri obiettivi di ricerca.

Un ringraziamento particolare va agli ingegneri informatici Nicola Lacquaniti e Nicola Romeo Arena per aver sviluppato un software eccezionale, user-friendly e affidabile, e a Stefano Marino per la sua preziosa opera di manutenzione. La competenza del Dr. Francesco Grasso nella gestione della piattaforma informatica e il supporto della Dr.ssa Diana Bruno sono stati fondamentali per il successo del progetto.

Riconosciamo il contributo essenziale della Sig.ra Fabrizia Rossetti, della Sig.ra Annarita Pazzaglini e della Sig.ra Lara Capriotti della FASI, che hanno saputo guidarci attraverso le sfide organizzative con esperienza e professionalità.

Un caloroso grazie va a tutti i colleghi dei Centri partecipanti, la cui collaborazione, basata sul rispetto reciproco e sulla condivisione degli obiettivi, ha reso possibile questo lungo viaggio esplorativo. In particolare si ringraziano: Nadia Caraccio (Pisa), Cecilia Francese (Salerno), Teresa Montesano (Roma), Fabio Monzani (Pisa), Giuseppe Ronga (Roma), Luciano Pezzullo (Napoli) per il contributo fondamentale alle attività di ITCO nel corso degli ultimi 10 anni.

Infine, il nostro più profondo ringraziamento va ai pazienti, vero cuore del nostro impegno. Il loro supporto, i loro consigli e le loro competenze hanno dato senso e direzione a questo progetto, che dedichiamo a loro con l’obiettivo di costruire un futuro sempre più attento alle loro esigenze.

PER SCARICARE IL REPORT

CON IL CONTRIBUTO NON CONDIZIONATO DI

Turn static files into dynamic content formats.

Create a flipbook
Issuu converts static files into: digital portfolios, online yearbooks, online catalogs, digital photo albums and more. Sign up and create your flipbook.