EBOOK Cirugía de Tórax y CV V3_PI2023

Page 1

CIRUGÍA DE TÓRAX Y CARDIOVASCULAR

Í NDICE Definición Etiología Epidemiología Etiología Diagnóstico 01 Epidemiología Etiología Diagnóstico Tratamiento Trauma torácico Lesión traquebronquial Definición Fisiopatología Diagnóstico pág. 11 02 pág. 15 03 pág. 17 Definición Etiología Clasificación Epidemiología Etiología Clasificación Diagnóstico Definición Epidemiología Definición Epidemiología Factores de riesgo Fisiopatología Clasificación Definición Epidemiología Etiología Estenosis aórtica (EA) Factores de riesgo Fisiopatología Diagnóstico Tratamiento Epidemiología Etiología Diagnóstico Tratamiento Complicaciones Pronóstico Definición Factores de riesgo Fisiopatología Clasificación Diagnóstico Hemotórax 04 pág. 19 Neumotórax 05 pág. 25 Taponamiento cardiaco 06 pág. 27 Ruptura traumática de aorta 07 pág. 29 Lesión diafragmática 08 pág. 31 09 pág. 33 Tórax inestable (tórax flotante o volet costal) Insuficiencia venosa crónica 10 pág. 39 Trombosis venosa profunda (TVP) 11 pág. 45 12 pág. 49 Tratamiento Complicaciones Diagnóstico Tratamiento Complicaciones Fisiopatología Diagnóstico Tratamiento Tratamiento Tratamiento Pronóstico Tratamiento Complicaciones Etiología Diagnóstico Diagnóstico Tratamiento Complicaciones Tratamiento Complicaciones Prevención Pronóstico Definición Epidemiología Etiología Insuficiencia aórtica (IA) Fisiopatología Diagnóstico Tratamiento

51 14 pág. 53

Insuficiencia mitral (IM)

15 pág. 55 Valvulopatías derechas 16 pág. 57

19 pág. 71 Disección de aorta

Clasificación

Fisiopatología Diagnóstico

Tratamiento

20 pág. 77

Tumores de mediastino Etiología Fisiopatología Diagnóstico Insuficiencia pulmonar Tratamiento

Tumores de mediastino anterior Tumores de mediastino medio Tumores de mediastino posterior

Definición
Epidemiología 13 Definición Etiología Fisiopatología Diagnóstico Estenosis mitral (EM) pág.
Estenosis tricuspídea Insuficiencia tricuspídea Estenosis pulmonar Definición Etiología Clasificación Diagnóstico
Definición Epidemiología Definición Epidemiología Factores de riesgo Clasificación Fisiopatología Diagnóstico
Isquemia
Enfermedad arterial periférica (EAP) 17 pág. 63
aguda de las extremidades 18 pág. 65 Aneurisma de aorta
Tratamiento
Etiología
Tratamiento Tratamiento Definición Epidemiología Factores de riesgo Clasificación Diagnóstico
Pronóstico Tratamiento Prevención
Complicaciones Prevención

01. TRAUMA TORÁCICO

Epidemiología

El traumatismo torácico cerrado es más común

El traumatismo torácico penetrante es más mortal

Etiología

Trauma torácico cerrado:

Las colisiones de vehículos de motor representan la causa más común de lesión torácica importante entre los pacientes del servicio de urgencias

Las características de los ocupantes de alto riesgo incluyen:

♦ Edad ≥60

♦ Ocupación del asiento delantero

Mecanismo de lesión

Recuerda

♦ No usar cinturón de seguridad

♦ Rápida desaceleración: da como resultado fuerzas de cizallamiento que causan desgarros vasculares, así como contusiones y roturas de órganos huecos y sólidos.

♦ Compresión y aplastamiento externos

Etiología de mortalidad por trauma a nivel mundial

Trauma torácico penetrante

Heridas de bala

Heridas de arma blanca

Mecanismo de lesión

El ventrículo derecho es la cámara que se lesiona con más frecuencia en los traumatismos penetrantes debido a su posición anterior dentro de la cavidad torácica.

♦ Las lesiones de velocidad media se caracterizan por una destrucción tisular primaria mucho menor que las heridas de alta velocidad

♦ La hemorragia y la infección son los mecanismos más importantes responsables de la morbilidad y la mortalidad

Herida punzante anterior penetrante, oblicua en el pecho izquierdo, aprox. 4 cm por encima del pezón. El objeto utilizado para causar la herida de arma blanca debe permanecer in situ hasta la extracción intraoperatoria.

www.qxmedic.com PAG. 11
Figura 1.
Otro* 21% Envenenamiento 6% Guerra 3% Caídas 8% Homicidio 11% Incendios 6% Suicidio 15% Ahogo 7% Accidentes de tránsito 23%
Figura 2.

Diagnóstico

La tarea más importante cuando se trata a pacientes que han sufrido un traumatismo en la pared torácica es evaluar la presencia de lesiones intratorácicas, intraabdominales u otras lesiones potencialmente mortales.

Anamnesis y exploración física

La pregunta inicial es si el paciente tiene un riesgo bajo o alto de lesión interna.

Los signos vitales y el estado mental son los factores más importantes para tomar esta determinación.

Las lesiones de la pared torácica que se asocian con una lesión intratorácica o intraabdominal significativa incluyen:

Fracturas de costillas múltiples o desplazadas

Fractura de escápula

Tórax inestable

Fractura esternal

Luxación esternoclavicular posterior

Los hallazgos físicos del traumatismo de la pared torácica que son compatibles con una lesión intratorácica o intraabdominal incluyen:

Hipoxia o signos de dificultad respiratoria (uso de músculos accesorios)

Movimiento paradójico de un segmento del tórax durante la respiración (tórax inestable)

Inestabilidad hemodinámica (hipotensión)

Signo de cinturón de seguridad en el cuello o la pared abdominal

Sensibilidad sobre múltiples segmentos de costillas (fracturas múltiples de costillas)

Deformidad palpable del esternón o de múltiples segmentos costales.

Sensibilidad abdominal o rebote (+)

Paciente hemodinamicamente estable

Radiografía de tórax

TAC tórax (Gold estándar)

Paciente hemodinamicamente inestable

Evaluación torácica

Radiografía de tórax (↑especificidad)

♦ Es la prueba inicial para todos los pacientes con trauma torácico cerrado

♦ Económico, no invasivo y fácil de obtener

♦ Evidencia de hemotórax (↑ radiopacidad), neumotórax (↑ radiolucidez), contusión pulmonar (infiltrados), fracturas y lesión aórtica.

www.qxmedic.com CIRUGÍA DE TÓRAX Y CARDIOVASCULAR PAG. 12
Figura 3. Signo de cinturón de seguridad en abdomen Figura 4. Signo de cinturón de seguridad de cuello

Recuerda

La contusión

cardiaca es una lesión cardíaca secundaria a un traumatismo cardíaco cerrado que produce dolor torácico, arritmias y shock cardiogénico. El hallazgo más frecuente en las Rx de tórax tras un traumatismo torácico levemoderado es la fractura costal.

Eco FAST (↑sensibilidad)

♦ Principalmente para evaluar el taponamiento pericárdico y la lesión intraabdominal.

♦ También se realiza habitualmente en el servicio de urgencias para descartar o diagnosticar neumotórax o hemotórax

ECG

♦ Infarto de miocardio → disección de arterias coronarias y trombosis

♦ Contusión cardiaca → taquicardia persistente inexplicable o nuevo bloqueo de rama CRITERIOS NEXUS

Edad> 60 años

Mecanismo de alta energía:

♦ Caída de > 6 metros de altura

♦ Accidente en vehículo a > 65 km/h Dolor torácico espontaneo

Dolor selectivo a la palpación

Intoxicación

Estado de alerta / estado mental anormal

Lesiones dolorosas distractoras (fracturas en extremidades, fracturas faciales)

Si todos los criterios están ausentes el riesgo de lesión intratorácica es muy bajo → no estarían indicadas las pruebas de imagen en el tórax.

Si uno o más de estos criterios están presentes no se puede excluir la presencia de una lesión intratorácica → por lo que es necesario Rx simple de tórax en dos proyecciones (posteroanterior y lateral)

SIGNOS DE ALARMA

Localización y número de fracturas:

♦ ≥ 3 fracturas costales

♦ Afectación de arcos costales 1º-3º

♦ Afectación de arcos costales 8º-12º

Antecedentes personales y Exploración física:

♦ Deformidad costal

Pruebas Complementarias:

♦ Analítica:

– Descenso de Hb (<8) /HTO

– Pulsioximetría alterada: ↓ Saturación O2 (<95%)

♦ Rx de Tórax AP y Lateral:

– Derrame pleural – Ensanchamiento mediastínico

♦ Fracturas costales desplazadas

♦ Volet costal – Movimiento torácico paradójico

♦ Dolor y defensa abdominal

– Neumotórax

– Neumomediastino

– Enfisema subcutáneo

– Fractura de esternón y/o escápula y/o luxación articulación esternoclavicular posterior

– Contusión pulmonar

Si se encuentra presente alguno de los signos de alarma → evaluaremos la necesidad de realizar otras pruebas de imagen complementarias → generalmente una TAC torácica

REVISIÓN SISTEMÁTICA ATLS PRIMARIA

Las lesiones inmediatas que amenazan la vida por traumatismo contundente en el pecho incluyen:

Obstrucción vía aérea

Neumotórax a tensión

Neumotórax abierto

SECUNDARIA

Neumotórax simple o cerrado

Contusión pulmonar

Injuria cardiaca cerrada

Hemotórax masivo

Taponamiento cardiaco

Lesiones traqueobronquiales

Ruptura de aorta traumática

Injuria diafragmática

www.qxmedic.com PAG. 13
CIRUGÍA DE TÓRAX Y CARDIOVASCULAR

Tratamiento

Todo paciente politraumatizado se debe evaluar en primer lugar el ABCDE (evaluación de 10 segundos) siguiendo los principios del soporte vital avanzado para traumatismos (ATLS):

Recuerda

Tratar primero neumotórax a tensión o descartar una lesión traqueobronquial antes de proceder a la intubación endotraqueal. Se intuba a los pacientes con dificultad respiratoria, inestabilidad hemodinámica marcada o lesiones graves.

A. VIA AÉREA Y COLUMNA CERVICAL

Maniobra tracción mandibular Glasgow menos de 8 → intubación endotraqueal Colocación de collarín cervical

B. VENTILACIÓN

Descartar neumotórax a tensión → drenaje torácico inmediato (toracostomía)

Descartar neumotórax abierto → Apósito simple con sello en 3 de 4 lados Descartar hemotórax masivo → toracotomía de emergencia

C. CIRCULACIÓN Y CONTROL DE HEMORRAGIA

2 catéteres periféricos EV gruesos → fluidoterapia

Proporcione solo 1 l de líquido de cristaloides (NaCl 0.9%) precalentado (37 ° C a 40 ° C) en la reanimación inicial para comprobar la respuesta del paciente. Si no hay respuesta, administre productos sanguíneos lo más rápidamente que pueda (hemoderivados)

Se recomienda el uso de ácido tranexámico en las primeras 3 horas Descartar taponamiento cardiaco → pericardiocentesis

La disección aórtica puede ser tratada con betabloqueantes → labetalol EV (el control de la FC y la PA pueden disminuir el riesgo de rotura)

D. DISFUNCIÓN NEUROLÓGICA

Recuerda

Se define transfusión masiva a la necesidad de > 10 unidades de concentrados de hematíes en las primeras 24 horas o 4 unidades en 1 hora.

Escala de coma de Glasgow, exploración pupilar Descartar consumo de alcohol, hipoglicemia o intoxicación por narcóticos

E. EXPOSICIÓN Y CONTROL AMBIENTAL

Retire toda la ropa del paciente → examen completo de zonas afectadas Mantas calientes y fluidos precalentados → evitar la hipotermia

www.qxmedic.com
PAG. 14
CIRUGÍA DE TÓRAX Y CARDIOVASCULAR
Figura 5. Maniobra tracción mandibular

02. LESIÓN TRAQUEBRONQUIAL

Epidemiología

La lesión traqueobronquial → una complicación rara pero potencialmente mortal del traumatismo torácico severo

El bronquio principal derecho está afectado con mayor frecuencia (generalmente entre 1 y 2 cm de la carina → lesión transversal) → en casos de trauma cerrado

La tráquea cervical es la zona más afectada → traumas penetrantes

Etiología

Cervical

Torácico Complejo Bronquio principal izquierdo

Bronquio principal derecho Vista anterior Vista posterior

Bronquio principal derecho Bronquio principal izquierdo

Las frecuencias representativas de estas lesiones son las siguientes: (A) Lesión transversal (74 %): cervical, torácica, bronquio principal derecho (RMB + común), LMB, lobar. (B) Lesión longitudinal (18 %): cervical, torácica (+ común), RMB, LMB. Las lesiones complejas que involucran la carina (8 %) involucran patrones de lesión tanto transversal como longitudinal.

La lesión de la tráquea intratorácica es el resultado de un trauma de alta energía, generalmente colisiones de vehículos de motor y, a veces, lesiones por aplastamiento.

También puede ser producido por lesiones penetrantes

La mayoría de las lesiones traqueales o bronquiales ocurren como parte de un traumatismo múltiple y se acompañan de lesiones adicionales en los pulmones y la pared torácica

Diagnóstico

Hemoptisis

Ronquera

Afonía

Enfisema subcutáneo cervical

Neumotórax bilateral o neumomediastino Fuga de aire significativa y un neumotórax o neumomediastino que se reacumula a pesar de la toracostomía con tubo Radiografía → paciente inestable

www.qxmedic.com PAG. 15
Figura 6. A. Transversal B. Longitudinal

Recuerda

Signo de Hamman → neumomediastino, dato semiológico de la auscultación que consiste en un ruido de crujido o chasquido que se oye sincrónico con los latidos del corazón, sobre el precordio y mejor en decúbito lateral, debido a la presencia de aire en los tejidos.

Tratamiento

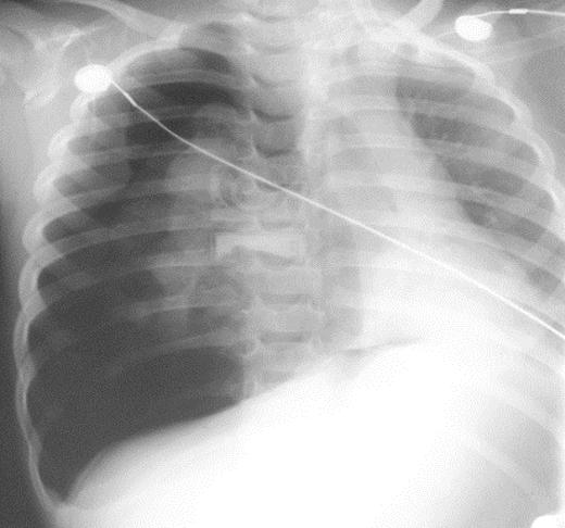
En este paciente se puede observar enfisema subcutáneo del cuello y la cara (especialmente los párpados) después de una rotura bronquial traumática.

Si se sospecha una lesión traqueobronquial, obtener una consulta quirúrgica inmediata.

Figura 8.

(A) Una radiografía de tórax muestra una clavícula derecha rota con un gran neumotórax derecho y neumomediastino en una mujer de 24 años atropellada por un automóvil. (B) Una radiografía obtenida después de la colocación de un tubo torácico muestra un neumotórax persistente. Se observó una gran fuga de aire del tubo. La broncoscopia reveló una rotura completa del bronquio principal derecho

Complicaciones

Quilotórax

Quilopericardio

Quilomediastino

www.qxmedic.com CIRUGÍA DE TÓRAX Y CARDIOVASCULAR PAG. 16
A B
Figura 7.

03. HEMOTÓRAX

Definición

Sangre en espacio pleural Hto pleural > 50% Hto sérico Coágulo > 50% del tubo (Ver Figura 9)

Etiología

Lesiones en el parénquima pulmonar y los vasos sanguíneos intercostales o mamarios

Las lesiones que conducen a un hemotórax masivo incluyen ruptura aórtica, ruptura del miocardio y lesiones de las estructuras hiliares.

Diagnóstico

Inspección → Colapso yugular

Percusión → Matidez (ESSALUD 2018)

Palpación → Abolición VV (ESSALUD 2018)

Auscultación → Ausencia MV

Radiografía → ↑ especificidad (↑radiopacidad, se necesitan > 200 a 300 ml para ser visible)

Eco FAST → ↑ sensibilidad (en manos expertas detecta > 20 ml)

TAC tórax: mayor precisión, indicado en casos estabilidad hemodinámica (↑sensibilidad y especificidad)

www.qxmedic.com PAG. 17
Figura 9. Hemotórax por acumulo de sangre en espacio pleural por laceración pulmonar Figura 10. Hemotórax → aumento de radiopacidad en hemitórax izquierdo Figura 11. La radiografía de tórax en posición vertical muestra una combinación de hemoneumotórax (flechas gruesas y delgadas, respectivamente). Figura 12. TAC tórax → ↑sensibilidad y especificidad para diagnóstico de hemotórax como se muestra en la imagen en lado izquierdo

Tratamiento

Toracostomía / drenaje torácico con tubo torácico de 28 a 32 French (Toracotomía mínima cerrada) (ESSALUD 2018) → a nivel del quinto espacio intercostal con la línea axilar anterior o media (triangulo de seguridad)

Recuerda

Un hemotórax, por pequeño que sea, siempre debe drenarse porque la sangre (ESSALUD 2018) en la cavidad pleural se coagulará si no se evacua, resultando en un pulmón atrapado o un empiema.

Profilaxis antibiótica

En caso de un neumohemotórax se trata también → con tubo de drenaje mediante toracostomía (Toracotomía mínima cerrada)

Retirar tubo de drenaje cuando < 50 ml en las últimas 6 hrs Toracotomía abierta (cirugía)

♦ Hemotórax masivo

Drenaje por tubo > 1500 ml

– Drenaje por tubo > 20 ml / Kg

Drenaje > 1/3 volemia

♦ Hemotórax continuo

Drenaje por tubo > 200 ml / hrs (en las últimas 2 a 4 horas)

– Drenaje con sangrado persistente → > 3 ml / kg / hora

Complicaciones

Hemotórax retenido

Empiema (cocos gram +)

Fibrotórax

www.qxmedic.com CIRUGÍA
CARDIOVASCULAR PAG. 18
DE TÓRAX Y
Figura 13. Toracostomía → colocación de tubo de drenaje torácico (ESSALUD 2018) Figura 14. Toracotomía abierta

04. NEUMOTÓRAX

Definición

Acumulación de aire dentro del espacio pleural entre el pulmón (pleura visceral) y la pared torácica (pleura parietal) que puede provocar un colapso pulmonar parcial o completo.

Etiología

Neumotórax espontaneo → acumulación de aire dentro del espacio pleural sin un evento desencadenante externo.

Primario → idiopático

Secundario → EPOC (enfisema), tuberculosis, neumonía

Neumotórax traumático

Traumatismo cerrado (Accidente automovilístico en el que el tórax o se produce una fractura de costilla)

Traumatismo penetrante (Bala, herida de arma blanca)

Neumotórax iatrogénico: ventilación mecánica con alta PEEP (barotrauma), toracocentesis, colocación de catéter venoso central, broncoscopia, biopsia pulmonar.

Neumotórax espontáneo Neumotórax

Primario Secundario Traumático Latrogénico

Clasificación

Neumotórax normotensivo

♦ Neumotórax Cerrado (simple)

♦ Neumotórax Abierto

Neumotórax a tensión

www.qxmedic.com PAG. 19
Primario Entrada de aire Pulmón Cavidad pleural Entrada de aire Primario Pulmón Cavidad pleural Entrada de aire Primario Pulmón Cavidad pleural Entrada de aire Primario Pulmón Cavidad pleural
Figura 15. Clasificación etiológica del neumotórax

CIRUGÍA DE TÓRAX Y CARDIOVASCULAR

Fisiopatología

Aumento de la presión intrapleural → colapso alveolar → disminución de la relación V / Q y aumento de la derivación de derecha a izquierda.

Neumotórax cerrado:

♦ el aire ingresa a través de un orificio en el pulmón (después de un traumatismo cerrado)

Neumotórax abierto:

♦ el aire ingresa a través de una lesión en la pared torácica (después de un traumatismo penetrante)

Neumotórax espontáneo Neumotórax

Primario

Cavidad pleural

Entrada de aire Pulmón

Neumotórax tensión

Pulmón Cavidad pleural Entrada de aire

Primario Entrada de aire Pulmón

Cavidad pleural

Pulmón Cavidad pleural Entrada de aire

Se desarrolla por un mecanismo de válvula unidireccional, que es causado por una lesión en el parénquima pulmonar o la pared torácica y permite que el aire ingrese al espacio pleural durante la inspiración (válvula abierta) pero no escape durante la espiración (válvula cerrada).

www.qxmedic.com
PAG. 20
Figura 16. Neumotórax abierto y cerrado
Espiración
Inspiración
Figura 17. Neumotórax a tensión

CIRUGÍA DE TÓRAX Y CARDIOVASCULAR

♦ El aire entra en el espacio pleural al inspirar y se filtra al exterior al espirar → mecanismo de válvula bidireccional

Neumotórax a tensión

♦ el aire ingresa al espacio pleural en la inspiración, pero no puede salir → mecanismo de válvula unidireccional

♦ aumento de la presión intratorácica → colapso pulmonar ipsilateral → desplazamiento del mediastino contralateral → comprime la vena cava, la tráquea y el pulmón contralateral → shock obstructivo (compromiso hemodinámico)

Diagnóstico

Recuerda

Frente a una disnea súbita y severa descartar neumotórax a tensión y tromboembolismo pulmonar.

Disnea o dolor pleurítico

Inspección → Ingurgitación yugular

Percusión → Hipersonoridad (timpanismo) unilateral (ESSALUD 2019)

Palpación → Abolición vibraciones vocales (VV)

Auscultación → Ausencia murmullo vesicular (MV)

Asocia fracturas costales (crepitación)

Enfisema subcutáneo en la pared torácica

Neumotórax a tensión

♦ Disnea súbita y severa

♦ Cianosis y diaforesis

♦ Hipotensión (ESSALUD 2019)

♦ Distención venosa yugular (ESSALUD 2019)

♦ Desplaza la tráquea de la línea media

Radiografía → ↑ especificidad (↑radiotransparencia)

Eco FAST → ↑ sensibilidad

TAC tórax: identifica neumotórax ocultos (↑sensibilidad y especificidad)

Tratamiento

Neumotórax Simple Observación → paciente hemodinamicamente estable y neumotórax < 15 a 20% (< 8 mm por TAC)

www.qxmedic.com PAG. 21
Figura 18. Neumotórax a tensión derecho
Desviación del mediastino Vena cava Corazón
Es evidente el desplazamiento marcado de las estructuras cardiomediastínicas hacia el hemitórax izquierdo.

CIRUGÍA DE TÓRAX Y CARDIOVASCULAR

Toracostomía (tubo de drenaje torácico con sello de agua/toracotomía mínima cerrada)

♦ Neumotórax > 15 a 20% (si el neumotórax aumenta de tamaño o el paciente presenta síntomas o aquellos que recibirán ventilación mecánica)

♦ En casos de hemoneumotórax→ utilice un tubo torácico de gran calibre → 36–40 Fr en adultos y 16–32 Fr en niños

Recuerda

El neumotórax a tensión es principalmente un diagnóstico clínico y deben evitarse los estudios diagnósticos prolongados a favor de iniciar un tratamiento inmediato (toracostomía o drenaje torácico).

Neumotórax Abierto → parche o apósito simple parcialmente oclusivo (pegados con cinta en 3 de los 4 lados de la lesión) → Esto crea un efecto de válvula de aleteo → el aire puede escapar libremente del espacio en el apósito durante la exhalación mientras que el apósito ocluye la herida durante la inhalación.

Figura 20. Parche o apósito simple parcialmente oclusivo (pegados con cinta en 3 de los 4 lados de la lesión)

www.qxmedic.com
PAG. 22
Figura 19. Manejo de un neumotórax → toracostomía (colocación de tubo de drenaje con sello de agua)

CIRUGÍA DE TÓRAX Y CARDIOVASCULAR

Neumotórax a tensión → Toracostomía inmediata / toracotomía mínima para drenaje (no debe retrasarse mediante estudios de imagen)

Descompresión con aguja utilizando un angiocatéter grueso y largo (Calibre 14) → a nivel del segundo espacio intercostal con la línea medioclavicular → Normalmente seguido de la inserción de un tubo torácico.

Se utiliza un tubo torácico francés de tamaño 28 a 32 Fr con sello de agua o succión (presión negativa de -20 a -25 cmH 2 O) → a nivel del quinto espacio intercostal con la línea axilar anterior o media (triangulo de seguridad)

Recuerda

Un neumotórax persistente a pesar de la colocación de un tubo de drenaje (toracostomía) debe hacernos pensar en descartar una lesión traqueobronquial.

Recuerda

Son sinónimos

toracostomía

= toracotomía

mínima cerrada = drenaje torácico = drenaje pleural

= colocación de tubo torácico, en cambio la cirugía se denomina

toracotomía abierta

= toracotomía de emergencia

El triángulo de seguridad es un término que se utiliza para describir los puntos de referencia anatómicos utilizados durante la inserción del drenaje torácico. La axila forma el ápice y el triángulo está formado por el borde lateral del pectoral mayor y el borde lateral del dorsal ancho

www.qxmedic.com PAG. 23
Figura 21. Figura 22. Toracostomía inmediata en casos de neumotórax a tensión

05. TAPONAMIENTO CARDIACO

Definición

Hemopericardio

Agudo > 250 ml (traumático)

Fisiopatología

Crónico > 2000 ml

Acumulación de sangre en el espacio pericárdico → ↓diástole (llenado ventricular) → compromiso hemodinámico (shock obstructivo).

Diagnóstico

Dolor torácico, disnea y / o taquipnea

Tríada de Beck

♦ Hipotensión arterial (↓PA)

♦ Ingurgitación yugular (↑PVC)

♦ Ruidos cardíacos apagados

Recuerda

El pulso paradojal se presenta en varias entidades como taponamiento cardiaco, embolismo pulmonar, pericarditis constrictiva y crisis asmática severa.

Recuerda

La ecocardiografía es una herramienta de diagnóstico rápida y segura para detectar derrames pericárdicos y taponamiento pericárdico.

Espiración

Pulso paradojal → disminución inspiratoria > 10 mmHg de la presión arterial sistólica Murmullo vesicular ↓ en bases de ambos hemitórax (↑silueta cardiaca)

Tríada de Beck: hipotensión + ingurgitación yugular + ruidos cardiacos apagados

Espiración Inspiración

Electrocardiograma → taquicardia, bajo voltaje, alternancia eléctrica del eje cardiaco(ESSALUD 2023)

Eco FAST → en pacientes hemodinamicamente inestables

Radiografía de tórax → silueta cardíaca agrandada con campos pulmonares claros → Signo de la botella de agua

Ecocardiograma → Prueba de elección → colapso de cavidades derechas (signo específico)

www.qxmedic.com PAG. 25
Figura 23. Figura 24. Pulso paradojal

Tratamiento Recuerda

La ventilación con presión positiva puede provocar una descompensación hemodinámica en pacientes con taponamiento cardíaco.

Pericardiocentesis urgente → procedimiento de elección

Hemodinamicamente inestable:

♦ Abordaje Subcostal (subxifoidea) → Introduzca la aguja 1 cm por debajo del ángulo xifocostal izquierdo → inclinación de 30 grados con la pared torácica → En ausencia de guía ecográfica

Hemodinamicamente estable:

♦ Abordaje Paraesternal izquierdo → Inserte la aguja sobre el borde cefálico de la quinta o sexta costilla inmediatamente adyacente al borde esternal (< 1 cm) → perpendicular a la piel (inclinación de 90 grados) → En presencia de guía ecográfica → ↑riesgo complicaciones cardiacas

♦ Abordaje apical → inserción de la aguja al menos 5 cm lateral al acceso paraesternal dentro del quinto espacio intercostal → haga avanzar la aguja sobre el borde cefálico de la costilla y hacia el hombro derecho del paciente → En presencia de guía ecográfica → ↑riesgo complicaciones pulmonares (neumotórax)

♦ Límite del drenaje → a menos de 500 ml → para evitar el síndrome de descompresión pericárdica.

♦ El drenaje intermitente optimiza la permeabilidad del drenaje (cada cuatro a seis horas)

Soporte hemodinámico

Reanimación cautelosa con líquidos (solo en pacientes hipovolémicos)

Soporte inotrópico: dobutamina

Evite los agentes anestésicos y la ventilación con presión positiva Toracotomía en casos refractarios

www.qxmedic.com CIRUGÍA DE TÓRAX Y CARDIOVASCULAR PAG. 26
Figura 25. Ecocardiograma en taponamiento cardiaco, nótese colapso de la aurícula derecha Figura 26. Derrame pericárdico con configuración de botella de agua Figura 27. Abordaje subxifoideo Figura 28. Abordaje paraesternal izquierdo Figura 29. Abordaje apical

06. RUPTURA TRAUMÁTICA DE AORTA

Epidemiología

Casi el 80 % de una lesión aórtica cerrada → causan la muerte inmediata por sección aórtica

Lesión aórtica cerrada es la más letal de las lesiones torácicas cerradas

Ubicación típica: istmo aórtico distal a la salida de la arteria subclavia izquierda (70%) (Ver Figura 30)

Etiología

Traumatismo contuso de alta energía que implica una desaceleración rápida

Caída de más de 3 m (10 pies)

Colisión de un vehículo motorizado a velocidades > 65 km / hora

Clasificación

La lesión aórtica mínima → una anomalía de la íntima subcentimétrica o un hematoma intramural localizado sin deformidad del contorno externo (10 a 30% casos)

Las lesiones aórticas importantes → Hemorragia aórtica activa, rotura aórtica de espesor total, seudoaneurisma

Diagnóstico

Recuerda

No hay signos clínicos o hallazgos en la exploración física con suficiente sensibilidad o especificidad para detectar una lesión aórtica cerrada.

Dolor torácico o disnea

Se asocia con alguna otra lesión torácica (fractura de costilla, neumotórax)

En caso de rotura: signos de shock hemorrágico (taquicardia, hipotensión)

Hallazgos de la radiografía de tórax que sugieren una lesión aórtica cerrada (lesión de grandes vasos)

♦ Ensanchamiento mediastino (RX supino > 8 cm; RX vertical > 6 cm)

♦ Obliteración botón aórtico

♦ Desviación tráquea o sonda nasogástrica a la derecha

♦ Fractura primeras costillas

♦ Fractura de escápula

♦ Hemotórax izquierdo masivo

♦ Desviación del bronquio principal derecho hacia abajo

www.qxmedic.com PAG. 27
Figura 30. Ruptura de aorta en el istmo

Tomografía computarizada (TC) del tórax

♦ En pacientes hemodinamicamente estables

♦ Confirma el diagnóstico → prueba de elección

♦ Permite clasificar en grados:

– Tipo I: desgarro de la íntima

Ecocardiografía transesofágica (ETE) en quirófano

♦ En pacientes hemodinamicamente inestables

– Tipo II: hematoma intramural

– Tipo III: pseudoaneurisma

– Tipo IV: ruptura (Hematoma periaórtico, ruptura libre)

Si bien la angiografía es el estándar de oro tradicional, en la práctica no suele utilizarse, salvo la TAC no es concluyente.

Tratamiento

Recuerda

La lesión de la aorta torácica es una contraindicación para la oclusión de la aorta con balón endovascular de reanimación (REBOA).

Pronostico

La reanimación inicial → incluyen la colocación de dos catéteres intravenosos periféricos de gran calibre para la reanimación con medicamentos y líquidos.

Para los pacientes cuya presión arterial sistólica es superior a 100 mmHg, sugerimos una terapia antihipertensiva:

♦ Objetivo: PAS < 100 mmHg y Frecuencia cardiaca < 100

♦ Fármacos:

– Primera línea: beta bloqueadores (labetalol endovenoso)

Segunda lincea: nitroprusiato

Hemodinamicamente inestable → cirugía inmediata (endovascular o cirugía abierta)

Hemodinamicamente estable

♦ Lesiones de tipo I → sugerimos un tratamiento conservador, que consiste en un control agresivo de la frecuencia cardíaca y la presión arterial, e imágenes seriadas (TAC).

♦ Lesiones de tipo II, III y IV → recomendamos la reparación quirúrgica.

El 80% de los pacientes mueren antes de llegar al hospital.

www.qxmedic.com CIRUGÍA DE TÓRAX Y CARDIOVASCULAR PAG. 28
Figura 31. La radiografía de tórax (A) muestra un mediastino ensanchado después de una lesión contusa en el tórax (flechas). Figura 32. El aortograma en proyección anteroposterior (B) muestra un desgarro circunferencial del istmo (flecha). Se observa un pequeño pseudoaneurisma en el sitio de inserción del ligamento arterioso (punta de flecha).
A B

07. LESIÓN DIAFRAGMÁTICA

Epidemiología

La lesión diafragmática es poco común y representa menos del 1 % de todas las lesiones traumáticas

La rotura del lado izquierdo se produce aproximadamente con el doble de frecuencia que la rotura del lado derecho en pacientes con traumatismos cerrados

Etiología

El trauma penetrante (65%) es responsable de la mayoría de las roturas del diafragma

♦ Las heridas de arma blanca o de arma de fuego en la parte inferior del pecho a menudo implican una lesión del diafragma

Trauma cerrado (35%)

La gran mayoría de los casos se deben a lesiones de alta energía

Diagnóstico

Disnea

Disminución de los ruidos respiratorios

Cianosis

Ruidos hidroaéreos en el tórax

Dolor epigástrico y abdominal

Dolor referido en el hombro

Signos de obstrucción intestinal

En muchos casos de rotura del diafragma se producen graves lesiones concomitantes.

♦ Las lesiones del bazo y el hígado son relativamente frecuentes, al igual que el hemotórax y el neumotórax.

♦ También pueden ocurrir fracturas pélvicas y de huesos largos

Las lesiones del diafragma a menudo se diagnostican de manera incidental durante la laparotomía o toracotomía para tratar lesiones coexistentes.

La radiografía

♦ Es normal en hasta el 50 % de los pacientes

♦ Vísceras abdominales en el hemitórax

♦ Una sonda nasogástrica en el tórax

♦ Una constricción focal de las vísceras herniadas en el sitio del desgarro → signo del collar (compresión circunferencial)

♦ La hernia de los órganos abdominales (principalmente el estómago y el colon) en la pared torácica → Signo de reloj de arena

TAC: la prueba más utilizada para el diagnóstico en pacientes hemodinamicamente estables → confirma el diagnóstico

Puede ser necesaria una exploración laparoscópica o toracoscópica para obtener un diagnóstico (oportunidad de reparación) en el paciente para quien persiste un alto índice de sospecha de lesión diafragmática a pesar de los estudios de imagen negativos.

www.qxmedic.com PAG. 29
Figura 33. Ruptura de la hemidiafragma izquierda

Figura 34.

Se observa un marcado desplazamiento craneal del contorno diafragmático (línea discontinua blanca) y del estómago (la burbuja gástrica se indica en verde). Lo más probable es que este hallazgo sea una rotura diafragmática con desplazamiento intratorácico de los órganos abdominales.

Tratamiento

Todas las lesiones diafragmáticas del lado izquierdo y la mayoría de las lesiones del lado derecho → reparación quirúrgica

Las pequeñas lesiones diafragmáticas del lado derecho en pacientes hemodinamicamente estables → pueden tratarse de forma expectante.

Complicaciones

Hernia gastrointestinal → isquemia intestinal (+ mortalidad)

Secuelas pulmonares por alteración de la mecánica respiratoria

Parálisis del diafragma

Fístula pleural.

Pronóstico

La mortalidad general asociada con la lesión diafragmática es del 25 %

www.qxmedic.com CIRUGÍA DE TÓRAX Y CARDIOVASCULAR PAG. 30

08. TÓRAX INESTABLE (TÓRAX FLOTANTE O VOLET COSTAL)

Definición

Se produce por fracturas múltiples (tres o más costillas adyacentes) en dos puntos diferentes.

Epidemiología

Ocurre en el 5 al 13 % de los pacientes con lesión de la pared torácica.

Etiología

Lesiones contundentes (Accidente automovilístico, caídas, asalto)

Las lesiones penetrantes (Disparos)

Diagnóstico

Dolor al respirar

Dolor costal a la palpación

Crepitación (fracturas costales)

Movimiento respiratorio paradójico

♦ área de la pared torácica contraída con la inspiración y empujada hacia afuera con la espiración

♦ producido por el músculo serrato anterior

Asocia a contusión pulmonar (80%)

www.qxmedic.com PAG. 31
Figura 35. Tórax inestable por fractura de 3 costillas Figura 36. Respiración paradójica

Recuerda

La complicación más común de las fracturas costales traumáticas → neumonía

Tratamiento

Oxígeno húmedo

Analgesia

♦ Oral o parenteral: AINES → Opioides

♦ Anestesia local (intercostal)

Fluidoterapia controlada

Complicaciones

Neumotórax

Hemotórax

Atelectasia / neumonía Contusión pulmonar

♦ Complicación más común de traumatismo torácico cerrado.

♦ Generalmente se desarrollan durante las primeras 24 horas y se resuelven en aproximadamente una semana

♦ Cursa con disnea, hipoxia, taquipnea y hemoptisis

Intubación endotraqueal (ventilación mecánica)

♦ Pacientes con lesiones graves, dificultad respiratoria o deterioro progresivo de la función respiratoria (hipoventilación)

♦ Hipoxia e hipoxemia: pueden empeorar después de la administración de líquidos a medida que empeora el edema pulmonar.

♦ Radiografía de tórax → La opacificación irregular no lobulillar del parénquima pulmonar

♦ La TC de tórax proporciona una mejor resolución

Insuficiencia respiratoria Fractura de las costillas inferiores → lesión de órganos abdominales (riñón)

Figura

la

observa un área más pequeña y discreta de consolidación focal (flechas). Esto podría representar un área de contusión más severa o un hematoma.

www.qxmedic.com CIRUGÍA DE TÓRAX Y CARDIOVASCULAR PAG. 32
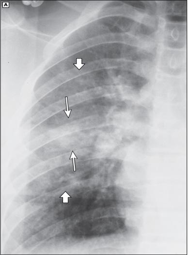
Figura 38. Contusión pulmonar → infiltrado en parches o difusas, que inicialmente pueden ser sutiles, pero empeorar en 24 a 48 horas 39. Contusión pulmonar leve limitada a la zona media del pulmón derecho (flechas gruesas). Solo en el centro de contusión se
A B
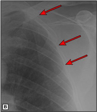
Figura 37. La radiografía portátil AP de tórax (imagen A y ampliada en la imagen B) revela fracturas agudas de las caras laterales de las costillas 2, 3 y 4 del lado izquierdo (flechas rojas) después de un traumatismo.

09. INSUFICIENCIA VENOSA CRÓNICA

Recuerda

Las várices son dilataciones de venas superficiales (diámetro> 3 mm) con desarrollo de venas tortuosas.

Epidemiología

Sexo: ♀ > ♂ (2: 1)

Definición

Aumento de la presión venosa que provoca alteraciones de la piel y las venas

Enfermedad vascular más frecuente: 20-30 %

Factores de riesgo

Mayor edad (>50 años) y sexo femenino Antecedentes familiares de enfermedad venosa.

Sedentarismo

Bipedestación prolongada

Obesidad

Fisiopatología

Más afectada en miembros inferiores → vena safena mayor o interna

El embarazo

Tabaquismo

Trombosis previa (síndrome postrombótico)

Traumatismo previo en una extremidad Anomalías congénitas

Presión venosa elevada → incompetencia de las válvulas venosas → reflujo de sangre hacia las venas superficiales → formación de venas varicosas

Venas varicosas → liberación de radicales libres → daño a la membrana basal capilar → pérdida de proteínas plasmáticas → formación de edema → ↓ suministro de oxígeno → hipoperfusión e hipoxia tisular → inflamación y atrofia → posiblemente formación de úlceras

Clasificación

VÁRICES PRIMARIAS

90% de las venas insuficientes

Disfunción valvular

Debilidad de la pared venosa

VÁRICES SECUNDARIAS

Malformaciones venosas

Fístulas

Síndrome postrombótico

Figura 40. La disfunción valvular producto de la hipertensión venosa es el principal mecanismo para formar várices.

www.qxmedic.com PAG. 33

Diagnóstico

Dolor, pesadez, calambres en las extremidades inferiores

♦ Empeora con el calor, reposo prolongado

♦ Mejora al caminar y levantar las piernas (ejercicios)

Prurito, hormigueo y entumecimiento.

Recuerda

En la insuficiencia venosa crónica la palpación de los pulsos arteriales están normales.

Hallazgos cutáneos

♦ Edema

♦ Telangiectasias

♦ Pigmentación de la piel de color marrón amarillento o marrón rojizo de la parte inferior de la pierna (eritrocitos extravasados liberan hemosiderina)

www.qxmedic.com
PAG. 34
CIRUGÍA DE TÓRAX Y CARDIOVASCULAR
Figura 41. Telangiectasia (arañas vasculares) de la extremidad inferior Figura 42. Varices prominentemente dilatadas y tortuosas asociadas con hiperpigmentación moderada. Figura 43. LIPODERMATOSCLEROSIS una paniculitis fibrosante caracterizada por hiperpigmentación avanzada e induración Figura 44. Atrofia blanca

CIRUGÍA DE TÓRAX Y CARDIOVASCULAR

♦ Dermatitis por estasis; una erupción pruriginosa y escamosa

♦ Varices (venas tortuosas)

♦ Lipodermatoesclerosis: inflamación crónica localizada y fibrosis de la piel y los tejidos subcutáneos de la parte inferior de la pierna

♦ Piel dolorida, indurada y endurecida

♦ Atrofia blanca: placas atróficas blancas debido a la ausencia de capilares en el tejido fibrótico. Estadios clínicos

C0: ausencia de signos clínicos

C1: telangiectasias (< 1 mm) venas reticulares (1 – 3 mm)

C2: várices (> 3 mm)

C3: Edema

C4: Cambios cutáneos

C5: Úlcera inactiva (fibrosis)

C6: Úlcera activa (sangrante)

Examen físico

♦ Prueba de Perthes: evalúa el sistema venoso profundo

♦ Prueba de Shwart: evalúa el sistema venoso superficial

♦ Prueba de Trendelenburg: examina la función del cayado safenofemoral y comunicantes

♦ Prueba de Pratt: evalúa las venas perforantes Ecografía doppler → prueba de elección (ideal)

♦ Cuando el diagnóstico clínico es dudoso

♦ El tratamiento conservador ha fracasado

♦ Evaluación del sistema profundo Venografía por resonancia magnética (VRM)

♦ Mejor sensibilidad y especificidad

♦ Normalmente se utiliza en casos complicados

♦ Cuando la ecografía doppler no es concluyente.

Flebografía

♦ Prueba invasiva

♦ Gold standard (↑sensibilidad y especificidad)

La presencia de reflujo venoso confirma el diagnóstico

www.qxmedic.com PAG. 35
C0 C1 C2 C3 C4 C5 C6 Figura 45. Ecografía doppler es la prueba de elección de insuficiencia venosa crónica

Complicaciones

Úlcera varicosa

♦ Ocurren con mayor frecuencia justo por encima del tobillo (maléolos)

♦ Úlcera poco profunda con bordes irregulares.

♦ Por lo general, dolor leve, pruriginoso

♦ Húmeda con edema

ORIGEN CAUSA

Arterial (isquémica)

EAP severa, Enf. Buerguer

Venosa Insuficiencia venosa crónica

Neuropática

Diabetes, déficit vitamínico

Tromboflebitis superficial

♦ Dolor, sensibilidad, induración y eritema que recubre una vena superficial, a menudo con un cordón palpable (la vena trombosada)

♦ Ocurre en el trayecto de las venas varicosas

LOCALIZACIÓN DOLOR APARIENCIA

Dedos, pie y tobillo Severo

Maléolos, tibial anterior Leve

Superficie plantar, zonas prominentes, de presión o fricción

No

Varias formas, base pálida y seca

Irregular, base rosada y húmeda

Circundad por callo, + profunda e infectada Deformidad asociada

EAP: enfermedad arterial periférica

IVC: insuficiencia venosa crónica

www.qxmedic.com CIRUGÍA DE TÓRAX Y CARDIOVASCULAR PAG. 36
Tabla 1. Diagnóstico diferencial de úlceras en la parte inferior de la pierna. Figura 46. Úlcera venosa Figura 47. Úlcera arterial Figura 48. Úlcera neuropatía

Tratamiento Recuerda

La elastocrompresión está contraindicado cuando hay enfermedad arterial periférica por eso debemos evaluar Índice tobillo-brazo (ITB) (valor normal > 0.9).

TRATAMIENTO CONSERVADOR

Elevación frecuente de las piernas

Ejercicio

Elastocompresión con medias elásticas

TRATAMIENTO DEFINITIVO

Indicaciones

♦ Enfermedad venosa sintomática con causa corregible de reflujo

♦ Casos complicados (úlceras sangrantes)

♦ Casos recurrentes

TRATAMIENTO DE LAS COMPLICACIONES

Úlcera varicosa sangrante

♦ Desbridamiento y cuidado de la piel

Fisioterapia

Evite períodos prolongados de bipedestación y el calor

Procedimientos

♦ Primera línea: ablación térmica endovenosa (láser y radiofrecuencia)

♦ Alternativa: ablación química (escleroterapia)

♦ Cirugía (escisión quirúrgica → safenectomía

♦ Las sustancias irritantes locales (Antibióticos tópicos) deben evitarse

♦ Elevación piernas

♦ Vendaje compresivo

♦ Aspirina 300 mg → acelera la cicatrización

♦ Antibióticos sistémicos en signos de infección (celulitis y erisipela)

♦ Injerto de piel en úlceras grandes o refractarias Tromboflebitis superficial

♦ Manejo conservador → Elevación piernas

♦ Anticoagulación por 45 días (6 semanas)

– Afecta la vena safena mayor por encima de la rodilla

– Trombo con > 5 cm de longitud

www.qxmedic.com PAG. 37
CIRUGÍA DE TÓRAX Y CARDIOVASCULAR

10. TROMBOSIS VENOSA PROFUNDA (TVP)

Definición

Recuerda

Enfermedad de Paget-Schroetter (TVP de las extremidades superiores) → trombosis aguda de una vena braquial, axial o subclavia.

Clasificación

La formación de uno o más coágulos de sangre en una vena profunda, típicamente de las extremidades inferiores (+ frecuente en el lado izquierdo).

Tromboembolismo venoso: término general que engloba la TVP y la embolia pulmonar (EP)

Proximal → afecta a la vena iliaca, femoral, y/o la vena poplítea (+ común y + grave)

Distal → afecta a la vena tibial y/o peroné

Factores de riesgo

Factores del paciente

♦ Edad > 60 años

♦ Antecedentes personales o familiares de Tromboembolismo venoso

Condiciones protrombóticas

♦ Embarazo

♦ Consumo de anticonceptivos

♦ Cáncer activo

♦ Síndrome nefrótico

Trastornos autoinmunes

♦ Síndrome antifosfolipídico

Trombofilia hereditaria

♦ Obesidad

♦ Tabaquismo

♦ Reposo prolongado (≥ 3 días)

– Cirugía mayor (ortopédica)

– Viajes prolongados

– Parto por cesárea

♦ Enfermedad inflamatoria intestinal

♦ Mutación del Factor V Leiden (factor hereditario + frecuente)

♦ Mutación de protrombina

Fisiopatología

La tríada de Virchow se refiere a los tres componentes fisiopatológicos principales de la formación de trombos.

Hipercoagulabilidad

Daño endotelial Estasis venosa

FLUJO SANGUÍNEO ANORMAL

INJURIA ENDOTELIAL

TROMBOSIS

HIPERCOAGULABILIDAD

www.qxmedic.com PAG. 39
Figura 49. La tríada de Virchow

Diagnóstico Recuerda

Síndrome de May - Thurner → compresión de la vena ilíaca izquierda entre la arteria ilíaca derecha y un espolón vertebral lumbar (ocurre en > 20% de los adultos).

Puede ser asintomático

Edema o hinchazón de miembro inferior generalmente unilateral Eritema y calor

Sensibilidad progresiva, dolor sordo

Signo de Homans: dolor en la pantorrilla en flexión dorsal del pie

Signo de Meyer: la compresión de la pantorrilla provoca dolor.

Signo de Payr: dolor cuando se aplica presión sobre la parte medial de la planta del pie.

Distensión de las venas superficiales (insuficiencia venosa crónica)

Síntomas generales: fiebre Posibles signos de embolia pulmonar: disnea súbita, dolor torácico.

La puntuación de Wells para la TVP (criterios de Wells), se utiliza para calcular la probabilidad de TVP de las extremidades inferiores. (Ver Tabla 2)

Hay edema y eritema difusos en el miembro inferior izquierdo. El diámetro de la pantorrilla izquierda es visiblemente mayor que el de la derecha

Interpretación:

0: bajo (probabilidad de TVP < 10%)

1-2: intermedio (probabilidad de TVP < 25%)

≥ 3: alto (probabilidad de TVP > 50%)

www.qxmedic.com CIRUGÍA DE TÓRAX Y CARDIOVASCULAR PAG. 40
Figura 50. Trombosis venosa profunda (TVP)
Parámetro clínico Puntaje Cáncer activo 1 TVP previamente documentada 1 Parálisis o inmovilización de miembro inferior 1 Reposo en cama >3 días o cirugía mayor en las últimas 12 semanas 1 Dolor en el trayecto del sistema venoso profundo 1 Edema en toda la extremidad 1 Pantorrilla con aumento > 3 cm de la extremidad afectada 1 Edema con fóvea en la pierna sintomática 1 Circulación venosa colateral superficial 1 Dx alternativo tan probable o más probable que TVP -2
Figura 51. Signo de Homans → dolor en la pantorrilla a la dorsiflexión del pie Tabla 2. Criterios de Wells modificados para la trombosis venosa profunda

CIRUGÍA DE TÓRAX Y CARDIOVASCULAR

Recuerda

Un dímero D negativo puede descartar TVP en un paciente con probabilidad clínica baja (Wells 0 puntos).

Dímero D

♦ ↑ valor predictivo negativo y sensibilidad → su utilidad es para descartar

♦ ↓ especificidad → poco útil para confirmar el diagnostico

♦ Usado principalmente en casos de baja probabilidad (puntaje Wells = 0)

– Negativo (< 500 ng / mL): TVP descartada

Positivo (≥ 500 ng / ml): posible TVP → Proceda a la ecografía doppler

Ecografía doppler o de compresión

♦ Prueba de elección (ideal) para confirmar el diagnóstico

♦ Indicaciones

Para probabilidad intermedia o alta (Wells ≥ 1)

– Probabilidad baja (Wells = 0) con dímero D positivo

♦ Resultados

Positivo: confirma TVP

– No compresibilidad de la vena obstruida (hallazgo + importante)

Masa intraluminal hiperecoico (trombo)

– Distensión de la vena afectada

Aumento inadecuado del flujo venoso en la compresión distal de la pantorrilla o maniobra de Valsalva

Sospecha de TVP

Calcula la puntuación de Wells para la TVP

Probabilidad baja de preprueba Inconcluso

Probabilidad intermedia de preprueba

Probabilidad alta de preprueba

+

no si+

Inconcluso -

Repetir ultrasonido en una semana si no hay diagnóstico alter nativo

Se descarta TVP Diagnóstico de TVP

Ultrasonido de comprensión de toda la pier na con dúplex venoso

Inconcluso

Repetir ultrasonido en una semana si no hay diagnóstico alter nativo

Se descarta TVP Diagnóstico de TVP

Considerar la venografía, venografía por TAC o venografía por RMN

Figura 52. Abordaje diagnóstico de la TVP

www.qxmedic.com PAG. 41
1 - 2 0 2 - 3 - +
-
+ +
-
Enabarazada o postoperatoria Dímero Ultrasonido de comprensión de toda la pier na con dúplex venoso Se descarta TVP

♦ Negativo

Probabilidad intermedia y baja: TVP descartada

– Probabilidad alta: repita la ecografía dentro de una semana

♦ Venografía, Venografía por TAC o Venografía por RM

Hallazgos no concluyentes de la ecografía doppler o de compresión

– Incapacidad para realizar la ecografía doppler o de compresión (Obesidad, edema severo o yeso de inmovilización)

Complicaciones

Flegmasia cerulea dolens

♦ Una forma grave de flebotrombosis caracterizada por la obstrucción de todas las venas de una extremidad, con la consiguiente restricción del flujo arterial.

Embolia pulmonar:

♦ Origina con mayor frecuencia en las venas profundas proximales de las extremidades inferiores (venas ilíacas, femorales o poplíteas).

Síndrome postrombótico (insuficiencia venosa crónica)

Tratamiento

Manejo expectante

♦ Examen de detección de trombofilia

Trombosis en pacientes <45 años

– Localización inusual de trombos (vena porta, vena mesentérica)

Antecedentes familiares positivos

♦ Detección de neoplasias malignas ocultas

Causas no provocadas (especialmente pacientes > 50 años)

TEV recurrente

Localización inusual del trombo

♦ Indicado en pacientes con TVP distal asintomática de bajo riesgo

♦ Ecografía venosa seriada sin anticoagulación

Anticoagulación parenteral inicial (durante los primeros 5 a 10 días)

♦ Heparina de bajo peso molecular (HBPM →Enoxaparina)

– Indicado en mujeres embarazadas y pacientes con función renal normal, enfermedad hepática o cáncer activo.

– Dosis: enoxaparina 1mg/Kg cada 12 horas

♦ Fondaparinux (inhibidor del factor Xa)

– Preferido en pacientes con antecedentes de trombocitopenia inducida por heparina o ↑ riesgo de hemorragia (adultos mayores)

♦ Heparina no fraccionada (HNF)

– Preferido en pacientes con insuficiencia renal, absorción subcutánea inadecuada (obesidad mórbida) y aquellos con alto riesgo de hemorragia.

Necesita monitorización (TPTa: tiempo parcial de tromboplastina activada)

Anticoagulación a largo plazo (durante 3 a 6 meses)

♦ Anticoagulantes orales directos: Inhibidores directos del factor Xa → rivaroxabán, Inhibidores directos de la trombina → dabigatrán

– Tratamiento de primera línea

No se requiere un control regular de monitorización

– Asociado con un menor riesgo de hemorragia mayor

Terapia de continuación (no superposición), no es necesario iniciarlo juntamente con la anticoagulación parenteral.

www.qxmedic.com CIRUGÍA DE TÓRAX Y CARDIOVASCULAR PAG. 42
Figura 53. Flegmasia Cerúlea Dolens

♦ Antagonistas de la vitamina K → Warfarina

Terapia de segunda línea

– Necesita monitorización con INR (TP: tiempo de protrombina)

Requiere terapia puente (superposición), iniciar simultáneamente con la anticoagulación parenteral inicial

Continuar la anticoagulación parenteral con warfarina durante al menos 5 días y hasta que el INR terapéutico se haya mantenido durante 48 horas.

Requiere ajuste de dosis para mantener un INR objetivo de 2-3

♦ HBPM → Enoxaparina

Preferido en mujeres embarazadas y en pacientes con cáncer activo

Prevención secundaria (TVP recurrente):

♦ Anticoagulación prolongada, debe ser

Recuerda

Los efectos de la HNF, a diferencia de los de la HBPM, son completamente reversibles con sulfato de protamina.

HBPM, fondaparinux y los anticoagulantes orales directos (dabigatrán) no necesitan prueba de monitorización.

individualizado (pacientes con factores de riesgo crónicos)

Fibrinólisis o trombólisis

♦ Se prefiere la trombólisis dirigida por catéter a la sistémica

♦ Indicado en casos de TVP masiva (TVP iliofemoral), flegmasía cerulea dolens

Trombectomía (endovascular o quirúrgica)

♦ Indicado en casos de TVP masiva (TVP iliofemoral), flegmasía cerulea dolens

♦ Indicado en pacientes con contraindicaciones absolutas para la trombólisis

Filtro de vena cava inferior (filtro Greenfield)

♦ TVP con alto riesgo de EP (TVP proximal) y pacientes con contraindicaciones para la anticoagulación, para la trombólisis y la trombectomía.

www.qxmedic.com PAG. 43 CIRUGÍA
DE TÓRAX Y CARDIOVASCULAR
Medicación trombolítica (disuelve coágulos) Trombo (coágulo) Catéter Figura 54. Trombólisis dirigida por catéter Figura 55. Filtro de vena cava inferior (filtro Greenfield)

Recuerda

el tratamiento de elección del TVE (TVP y EP) es la anticoagulación, en casos de TVP masiva o EP severo → trombólisis, en casos que está contraindicado la anticoagulación o trombólisis → filtro de vana cava inferior.

Prevención

CIRUGÍA DE TÓRAX Y CARDIOVASCULAR

Las contraindicaciones absolutas → ANTICOAGULAR

♦ Sangrado activo

♦ Diátesis hemorrágica severa

♦ Cirugía mayor

♦ Historia de hemorragia intracraneal (HIC)

♦ Plaquetas < 50 mil Contraindicaciones absolutas → FIBRINÓLISIS O TROMBOLISIS

♦ Accidente cerebrovascular hemorrágico

♦ Accidente cerebrovascular isquémico en los últimos 3 meses.

♦ Cirugía intracraneal o intraespinal en los últimos 2 meses

♦ Disección de aorta

♦ Malformación arterio venosa cerebral (aneurismas)

♦ Neoplasia intracraneal

♦ Diátesis hemorrágica o hemorragia interna activa

♦ Traumatismo encéfalo craneano severo en los últimos 3 meses

La profilaxis de TVP debe elegirse en función de la presencia de factores de riesgo de trombosis y el riesgo estimado de hemorragia con la terapia anticoagulante

♦ Evaluación del riesgo trombosis

Neoplasia

ECV

Adulto mayor

Obesidad

♦ Evaluación del riesgo sangrado

ICC – IMA – Puntaje de CAPRINI (valora riesgo de trombosis en pacientes que serán sometidos a cirugía)

Coagulopatías Medidas preventivas generales

Hemorragia activa – Plaquetopenia

♦ Ejercicio regular

♦ Movilización posoperatoria precoz

♦ Fisioterapia

♦ Evite ciertos medicamentos (anticonceptivos)

Profilaxis farmacológica (antitrombóticos)

♦ Se recomiendan HBPM (enoxaparina 1mg/ Kg cada 24 horas)

♦ HNF en dosis bajas y anticoagulantes orales directos.

Profilaxis mecánica

♦ Medias de compresión graduada: preferidas en viajeros de larga distancia.

♦ Medias de compresión neumática intermitente: preferidas en pacientes médicos gravemente enfermos y en pacientes quirúrgicos.

www.qxmedic.com
PAG. 44
Figura 56. Medias de compresión neumática intermitente

11. ESTENOSIS AÓRTICA

Definición

Enfermedad valvular caracterizada por el estrechamiento de la válvula aórtica, lo que resulta en la obstrucción del flujo de salida de sangre desde el ventrículo izquierdo hacia la aorta durante la sístole.

Recuerda

Síndrome de Turner se asocia a coartación de aorta y válvula aórtica bicúspide.

El síndrome de Heyde es la asociación entre estenosis valvular aórtica y sangrado gastrointestinal, por angiodisplasia intestinal.

Epidemiología

Defecto de válvula más común en países industrializados

La prevalencia ha ido aumentando junto con la esperanza de vida media

Afecta predominantemente a hombres (3: 1)

Etiología

Calcificación degenerativa o fibrosis de la válvula aórtica (+ común en adultos mayores)

Fiebre reumática (asociado a compromiso de la válvula mitral)

Congénita: por válvula unicúspide o bicúspide (+ común en jóvenes)

Fisiopatología

Área valvular aórtica estrecha durante la sístole → obstrucción de la eyección del ventrículo izquierdo (VI) → aumento de la presión del VI → hipertrofia concéntrica del ventrículo izquierdo → aumento de la demanda de oxígeno del VI (angina) → reduce el gasto cardiaco → hipoperfusión cerebral (síncope) → reflujo de sangre hacia los capilares pulmonares (disnea)

Recuerda

Casi el 50% de los pacientes con estenosis aórtica severa tienen enfermedad coronaria crónica.

Factores de riesgo

El grado de calcificación valvular

Adultos mayores

Sexo masculino

Hipercolesterolemia

Tabaquismo

Diabetes Mellitus

www.qxmedic.com PAG. 45
Figura 57. Estenosis aortica → Área valvular aórtica estrecha durante la sístole

Clínica

Aparición a la 6ta década generalmente

Triada clásica

♦ Angina (+ frecuente)

♦ Sincope (esfuerzo > reposo)

♦ Disnea de esfuerzo (mal pronóstico)

Muerte súbita (10-20%)

Exploración física

♦ Pulso parvus tardus

♦ Soplo SISTÓLICO de eyección

Foco aórtico: 2 espacio paraesternal derecho – IRRADIACIÓN A LAS CARÓTIDAS

Crescendo-decrescendo (en forma de diamante)

♦ Segundo ruido cardiaco (S2) suave

Recuerda

El fenómeno de Gallavardin está descrito como la disociación entre los componentes ruidoso y musical del soplo cardíaco escuchado en la estenosis aórtica.

Ecocardiograma

♦ Prueba primaria recomendada y estándar de oro no invasivo que se utiliza para confirmar el diagnóstico y determinar la gravedad de la estenosis

♦ Hallazgos

– Calcificación y estrechamiento de la válvula aórtica.

Incremento del gradiente medio de presión aórtica y de la velocidad transvalvular – Hipertrofia concéntrica de ventrículo izquierdo

♦ Cateterismo cardiaco

–- Prueba de diagnóstico definitiva para evaluar el área de la válvula aórtica, el gasto cardíaco el gradiente medio de presión aórtica.

www.qxmedic.com CIRUGÍA DE TÓRAX Y CARDIOVASCULAR PAG. 46
Figura 59. El soplo sistólico de la EA se irradia a las carótidas
DIÁSTOLE SISTOLE 1R 1R P AO
Figura 58. Estenosis aortica Soplo sistólico de eyección crescendo-decrescendo (en forma de diamante)

Clasificación

ESTADIO DEFINICIÓN DESCRIPCIÓN

A En riesgo Pacientes con riesgo de desarrollar enfermedad valvular cardiaca (VHD)

B Progresiva Pacientes con HVD progresiva (leve-moderada y asintomática)

C Severo Asintomáticos con criterio de severidad: C1: Ventrículo derecho y/o izquierdo compensados

C2: Ventrículo derecho y/o izquierdo descompensados

D Severo sintomático Paciente sintomático como resultado de VHD

Tabla 3. AHA 2014 enfermedad valvular cardiaca

Tratamiento

Médico → estadio A y B

Dieta hiposódica

Diuréticos – IECA

Profilaxis endocarditis y fiebre reumática

NO ejercicio / beta block Seguimiento ecocardiográfico

Reemplazo o reparación valvular (RVA) → estadio C Y D

Indicaciones:

♦ Sintomáticos (angina, disnea)

♦ Asintomáticos con al menos 1 de las siguientes

– FEVI < 50%

– Estenosis grave < 1 cm2

– Calcificación severa de la válvula

Procedimiento

RVA quirúrgico

♦ Riesgo quirúrgico bajo a intermedio

♦ Si se asocia con enfermedad arterial coronaria grave → realizar cirugía de revascularización coronaria concomitantemente

RVA transcatéter o percutáneo

♦ Recomendado para pacientes con riesgo quirúrgico alto

♦ Si se asocia con enfermedad arterial coronaria grave → realizar antes angioplastia coronaria transpercutanea

Valvuloplastía percutánea con balón

♦ Indicado en niños, adolescentes y adultos jóvenes sin calcificación valvular

Pronóstico

Pacientes asintomáticos: la tasa de mortalidad es <1% en un año determinado.

– Hipertensión pulmonar severa

– Velocidad transaórtica ≥ 5.5 m/s

– Incremento en la velocidad transaórtica (>0.3 m/s de incremento por año)

– Gradiente de presión media ≥ 60 mmHg

♦ Expectativa de vida > 1 año

sintomática o asintomática con criterios de severidad (FEy < 50%)

Pacientes sintomáticos: la tasa de mortalidad en los primeros 2 años es > 50% si no se trata.

www.qxmedic.com PAG. 47 CIRUGÍA DE TÓRAX
Y CARDIOVASCULAR
Figura 60. Reemplazo o reparación valvular (RVA) está indicado en estenosis aortica

12. INSUFICIENCIA AÓRTICA (IA)

Definición

Enfermedad valvular caracterizada por un cierre incompleto de la válvula aórtica, que provoca reflujo de sangre desde la aorta hacia el ventrículo izquierdo durante la diástole.

Epidemiología

Edad de aparición: 40 a 60 años La gravedad aumenta con la edad

Etiología

IA AGUDA

Endocarditis infecciosa (causa valvular más común)

Disección aórtica tipo A (causa aórtica más común)

Traumatismo torácico

Fisiopatología

IA CRÓNICA

Fiebre reumática (causa más común en países subdesarrollados)

Espondilitis anquilosante

Aortitis luética (sífilis terciaria)

Conectivopatías (Marfan/Ehler Danlos)

Vasculitis (arteritis de la temporal)

Enfermedades reumáticas (AR, LES)

Aneurisma de la aorta torácica

Regurgitación de sangre desde la aorta hacia el ventrículo izquierdo → Aumento de la presión arterial sistólica y disminución de la presión diastólica → aumenta la presión de pulso

IA AGUDO

NO dilatación del ventrículo izquierdo → reflujo mayor a la circulación pulmonar → edema agudo de pulmón (IC descompensado)

IA CRÓNICO

SI dilatación del ventrículo izquierdo (Hipertrofia excéntrica) → reflujo menor a la circulación pulmonar → disnea leve al inicio (IC compensada)

www.qxmedic.com PAG. 49
Figura 61. Insuficiencia aortica → El ventrículo izquierdo recibe sangre de la aurícula izquierda y la aorta regurgitante, lo que genera una precarga más alta (↑ presión de pulso)

Diagnóstico

Recuerda

Persistencia del conducto arterioso y la insuficiencia aórtica generan pulso saltón.

Recuerda

Soplo de Austin

Flint → Causado por sangre regurgitante que golpea la valva anterior de la válvula mitral, lo que conduce a un cierre prematuro de las valvas mitrales (estenosis mitral).

IA AGUDO

Síntomas de edema agudo de pulmón cardiogénico (disnea severa)

Síntomas relacionados con la enfermedad subyacente

♦ Fiebre + soplo + esplenomegalia → endocarditis aguda

♦ Dolor torácico lancinante + diferencia de presión en ambos brazos → disección de aorta

IA CRONICO

Pueden permanecer asintomáticos

Síntomas de IC izquierda (cardiomegalia)

♦ Disnea leve a moderada

♦ Ortopnea

♦ Angina

Tercer ruido cardiaco (S3)

Exploración física

Pulso saltón o Celer (pulso del martillo en agua)

Soplo DIASTÓLICO

♦ Foco aórtico: 2 espacio paraesternal derecho

♦ Denominado SOPLO DE AUSTIN FLINT

Pulso de Quincke → pulsación rítmica del lecho ungueal

Pulso de Corrigan → pulsaciones carotideas prominentes

Pulso de Musset → mover la cabeza rítmicamente en sincronía con los latidos del corazón

Signo de Hill → PA sistólica pierna > a la de los brazos (≥ 30 mmHg)

Ecocardiografía

Evaluación de la estructura y función de la válvula aórtica, causa y gravedad de la regurgitación, ventrículo izquierdo y otras válvulas cardíacas.

Recuerda

Todos los pacientes con insuficiencia aórtica aguda grave deben someterse a un tratamiento quirúrgico urgente.

El Balón de contrapulsación intraaórtico aumenta el volumen regurgitado y está contraindicado en la insuficiencia aórtica aguda grave.

Radiografía de tórax

IA AGUDO → Silueta de corazón normal / Signos de congestión o edema pulmonar.

IA CRÓNICO → Silueta cardíaca agrandada (cardiomegalia)

Tratamiento

Médico

Calcios antagonistas

Beta bloqueadores

Profilaxis endocarditis

Cirugía (Prótesis) → Sustitución valvular

IA aguda grave

IA crónica sintomática

IA crónica asintomática severa (FEy < 50%)

www.qxmedic.com CIRUGÍA DE TÓRAX Y CARDIOVASCULAR PAG. 50
DIÁSTOLE SISTOLE 1R 1R 2R
Figura 62. Soplo diastólico en insuficiencia aórtica

13. ESTENOSIS MITRAL (EM)

Definición

Enfermedad valvular caracterizada por la obstrucción del flujo sanguíneo desde la aurícula izquierda hacia el ventrículo izquierdo durante la diástole.

Recuerda

El Síndrome de Lutembacher-Cossio corresponde a la coexistencia de estenosis mitral (fiebre reumática) más comunicación interauricular (ostium secundum).

Fisiopatología

Etiología

Fiebre Reumática (99% → causa más común Calcificación del anillo de la válvula mitral Enfermedades autoinmunes: LES, AR Mixoma auricular izquierdo

Estenosis de la válvula mitral → aumento de la presión auricular izquierda → reflujo de sangre a los pulmones → aumento de la presión capilar pulmonar → edema pulmonar cardiogénico (disnea) → hipertensión pulmonar → insuficiencia cardíaca retrógrada e hipertrofia ventricular derecha

Figura 63. Estenosis de la válvula mitral → provoca dilatación de la aurícula izquierda

Diagnóstico

Aparición a la 4ta década

Triada clínica

♦ Disnea (síntoma cardinal, precoz)

♦ Hemoptisis → ruptura de las venas bronquiales

♦ Embolismos sistémicos → asocia a fibrilación auricular

Disfonía (signo de ortner) → Compresión

del nervio laríngeo recurrente por la dilatación de la aurícula izquierda

Disfagia

Fatiga

Exploración física

♦ Soplo DIASTÓLICO en el ápex

♦ Primer ruido cardiaco fuerte

www.qxmedic.com PAG. 51

CIRUGÍA DE TÓRAX Y CARDIOVASCULAR

ECG:

♦ Dilatación de auricular izquierda → onda P ancha

♦ Fibrilación auricular → ausencia de onda P (onda f) + ritmo irregular Radiografía → Agrandamiento de la aurícula izquierda

♦ Los bronquios principales aparecen elevados y tienen una angulación > 90% (extendidos).

♦ Signo de doble contorno (↑ aurícula izquierda)

Ecocardiograma

♦ Prueba más importante para diagnosticar la estenosis mitral.

♦ ≤ 1,5 cm 2 se considera EM grave

♦ Crecimiento de la aurícula izquierda

Tratamiento

Médico

Beta bloqueadores → control de la frecuencia cardiaca

Diuréticos → síntomas congestivos

Digoxina → asocia IC + fibrilación auricular

Manejo intervencionista

Indicaciones

♦ Sintomático o embolismo previo

♦ Asintomático con criterios de severidad

Estenosis severa < 1.5 cm2 – HTP > 50 mmHg

Arriba: morfología de onda P normal Abajo (Onda P mitral): La onda P es ensanchada (≥ 0,12 s) y bífida (tiene dos picos) → dilatación de la aurícula izquierda

Profilaxis endocarditis

Prevención de embolismo

♦ Anticoagulación → Warfarina INR 2-3

Procedimientos

♦ Comisurotomía percutánea con balón de la válvula mitral

♦ Cirugía: Reemplazo valvular

www.qxmedic.com
PAG. 52
DIÁSTOLE SISTOLE 1R 1R 2R
Figura 64. Soplo diastólico retardado con decrescendo en la estenosis mitral
R R T T P P Q Q S S
Figura 65.

14. INSUFICIENCIA MITRAL (IM)

Definición

Enfermedad valvular caracterizada por la fuga de sangre del ventrículo izquierdo a la aurícula izquierda debido al cierre incompleto de la válvula mitral durante la sístole.

Epidemiología

Segundo defecto valvular más común Más común en mujeres

Etiología

Recuerda

¡Debe descartarse infarto de miocardio en pacientes que presenten insuficiencia mitral aguda!

Mujer con pectus excavatum y soplo sistólico (prolapso válvula mitral) sospecha en síndrome de Barlow.

Fisiopatología

IM AGUDA

Endocarditis infecciosa → destrucción valvular (cuerdas tendinosas) Infarto agudo de miocardio → rotura de músculo papilar

IM CRÓNICA

Fiebre reumática (+ común)

Síndrome de Barlow → prolapso de válvula mitral

Calcificación valvular

Funcional → miocardiopatía dilatada

IM aguda conduce a una sobrecarga de volumen y síntomas de insuficiencia cardíaca aguda (edema agudo de pulmón)

IM crónica para preservar el gasto cardíaco, la disfunción de la válvula se compensa inicialmente con remodelado cardíaco (hipertrofia excéntrica del ventrículo izquierdo) → con el tiempo, la remodelación afecta la FEVI y conduce a insuficiencia cardíaca.

Figura 66. Insuficiencia mitral crónica

→ produce dilatación de la aurícula izquierda e hipertrofia excéntrica del ventrículo izquierdo

www.qxmedic.com PAG. 53

Diagnóstico

IM AGUDA

Disnea severa

Edema agudo de pulmón

IM CRÓNICA

Disnea de esfuerzo

Fatiga

Palpitaciones → fibrilación auricular Exploración física

Soplo holosistólico → irradia a la axila izquierda

holosistólico en la insuficiencia mitral 1R 2R 3R

Ecocardiograma

Prueba de elección para evaluar el aparato valvular, el tamaño y la función del ventrículo y la aurícula izquierda, y calificar la gravedad de la insuficiencia mitral

IM Aguda → aurícula y ventrículo izquierdo normal

IM Crónica → cardiomegalia (aurícula y ventrículo dilatados)

ECG

IM aguda: ritmo sinusal / taquicardia sinusal / fibrilación auricular

IM crónica: onda P mitral + hipertrofia excéntrica del ventrículo izquierdo / fibrilación auricular

Radiografía de tórax

IM aguda → silueta cardiaca normal

IM crónica → cardiomegalia (dilatación de aurícula y ventrículo izquierdo)

Tratamiento

IM AGUDA Médico

Recuerda

Todos los pacientes con insuficiencia mitral aguda primaria deben someterse a reparación quirúrgica urgente o reemplazo valvular.

Nitroglicerina (vasodilatadores) → ↓poscarga

Furosemida → edema agudo de pulmón

IM CRÓNICA Médico

IECA (vasodilatadores) → ↓poscarga

Diuréticos → ↓ precarga

Cirugía o reparación mitral transcatéter

Cirugía (tratamiento de elección)

Reparación valvular

Reemplazo valvular

Terapia de revascularización → en IM isquémica con rotura del músculo papila

Beta bloqueadores

Pacientes asintomáticos con disfunción del VI (FEVI 30-60%)

Pacientes sintomáticos con FEVI 30 a 60%

Contraindicaciones: Una vez que la FEVI es <30%, generalmente no se recomienda la cirugía debido a la alta tasa de mortalidad

www.qxmedic.com
PAG. 54
CIRUGÍA DE TÓRAX Y CARDIOVASCULAR
Figura 67. Soplo
1R

15. VALVULOPATÍAS DERECHAS

Estenosis tricuspídea

Recuerda

La lesión la fiebre reumática más frecuente es la estenosis mitral (doble lesión junto con insuficiencia mitral crónica).

Insuficiencia tricuspídea

Recuerda

La anomalía de Ebstein se asocia al uso de litio durante el embarazo.

La endocarditis en ADVP afecta principalmente la válvula tricúspide (insuficiencia).

Estenosis pulmonar

Recuerda

El síndrome carcinoide es una afección causada por la secreción de serotonina de tumores neuroendocrinos extraintestinales → asocia a enfermedad valvular derecha (insuficiencia tricúspidea

> estenosis pulmonar).

Tetralogía de Fallot

Insuficiencia pulmonar

Recuerda

La estenosis mitral severa produce HTP

→ hipertrofia de ventrículo derecho

→ insuficiencia pulmonar (soplo de Graham Stell).

Soplo diastólico en 5 espacio paraesternal izquierdo Etiología → orgánica. fiebre reumática

Soplo sistólico en 5 espacio paraesternal izquierdo

Etiología

♦ Orgánica → endocarditis infecciosa en drogadictos (+ común) / síndrome carcinoide /anomalía de Ebstein (implantación baja de la válvula tricúspide)

♦ Funcional → hipertrofia del ventrículo derecho

Soplo sistólico en 2 espacio paraesternal izquierdo Etiología:

♦ congénita (+ común) → síndrome de Noonan, tetralogía de Fallot, rubeola congénita

♦ adquirido → síndrome de carcinoide

Soplo diastólico en 2 espacio paraesternal izquierdo Etiología → funcional: hipertrofia del ventrículo derecho (HTP)

www.qxmedic.com PAG. 55

16. ENFERMEDAD ARTERIAL PERIFÉRICA (EAP)

Definición

Afección crónica caracterizada por el estrechamiento luminal de arterias periféricas no coronarias debido a placas ateroscleróticas. (Normalmente se utiliza para describir la EAP de las extremidades inferiores)

Epidemiología

Incidencia máxima: 60 a 80 años

Factores de riesgo

Todos aquellos factores asociados → aterosclerosis

Recuerda

La EAP suele coexistir con la enfermedad de las arterias coronarias (cardiopatía isquémica).

¡Fumar es el factor de riesgo más importante para la EAP!

Clasificación

Sexo: ♂ = ♀

TabacoDiabetes Años HiperhisoteinemiaInsuficienciarenalHiperlipidemiaAfroamericanoHipertensiónGéneromasculino

Tomaremos como referencia la clasificación de FONTAINE

Etapa I

♦ EAP asintomática

Estadio II

♦ Dolor de esfuerzo (claudicación intermitente)

IIA: claudicación a una distancia de caminata > 200 m

IIA: distancia a pie de claudicación < 200 m

Estadio III

♦ Dolor isquémico en reposo

Estadio IV

♦ Necrosis, úlceras o gangrena.

www.qxmedic.com PAG. 57
0.0
1.0 2.0 3.0 4.0 Odds ratio 5.0
Figura 68. Factores de riesgo para enfermedad arterial periférica

Estadio I

Estadio II

Estadio III

Estadio IV

IIb > 200m

IIb < 200m

Diagnóstico

Hasta un 20-50% de los pacientes con EAP son asintomáticos

Claudicación intermitente (10 a 35%de los pacientes) → ↑especificidad

♦ Dolor, calambres o parestesia distal a la oclusión arterial

♦ Empeora con el esfuerzo

♦ Mejora con el reposo o bajando la extremidad

Enfermedad aortoilíaca (síndrome de Leriche)

♦ Nivel de la bifurcación aórtica u oclusión bilateral de las arterias ilíacas

♦ Tríada clínica

– Claudicación a nivel de cadera y muslo

Disfunción eréctil

– Pulsos femorales disminuidos o ausentes

Enfermedad femoral (más común) → claudicación en 2/3 superiores pantorrilla

Enfermedad poplítea → claudicación en 1/3 inferior de la pantorrilla

Enfermedad tibio - peroné → claudicación en el pie

Dolor al reposo → indica isquemia grave

♦ Típicamente en metatarsianos distales

♦ Empeora al recostarse (Al dormir)

♦ Mejorado al colgar los pies sobre la cama o al estar de pie

Pulsos arteriales ausentes o disminuidos

♦ Arteria femoral

♦ Arteria poplítea

♦ Arteria tibial posterior (maléolo medial)

♦ Arteria dorsal del pie

www.qxmedic.com CIRUGÍA DE TÓRAX Y CARDIOVASCULAR PAG. 58
Gangrena seca Gangrena húmeda Figura 69. Clasificación de Fontaine de EAP

AORTO-ILIÁCO

FEMORAL POPLÍTEO

Recuerda

TIBIO PERONÉ

Claudicación a nivel cadera y múslo

Claudicación a nivel de 2/3 superiores pantorrilla

Claudicación a nivel de 1/3 superior pantorrilla

Claudicación a nivel del pie

Figura 70. Territorios arteriales comprometidos en la EAP, así como la zona afectada donde se produce el dolor (claudicación)

La EAP más frecuente es la afectación de la arteria femoral superficial que suele estar ocluida (en el canal de Hunters).

Cambios tróficos

♦ ↓ temperatura de la piel

♦ ↓ transpiración

♦ ↓ vello en las piernas

♦ Uñas quebradizas

♦ Músculos atrofiados

♦ Piel seca, atrófica, brillante y / o decoloración azulada de la piel

♦ Livedo reticularis (enfermedad avanzada)

♦ Gangrena, úlceras, necrosis (enfermedad en etapa terminal)

Prueba de Buerger +

♦ Palidez de la piel cuando la extremidad está elevada e hiperemia reactiva de dependencia

Isquemia crítica de miembros

♦ Dolor en reposo

♦ Úlcera

♦ Pérdida de tejido (gangrena)

Palpación del pulso a nivel de la arteria tibial posterior y dorsal del pie

www.qxmedic.com PAG. 59 CIRUGÍA DE
TÓRAX Y CARDIOVASCULAR
Figura 71 Prueba de Buerger para EAP Figura 72

CIRUGÍA DE TÓRAX Y CARDIOVASCULAR

Índice tobillo-brazo (ITB)

♦ Prueba de diagnóstico de primera línea (alta especificidad y sensibilidad)

♦ Definido como la relación entre la presión arterial (PA) sistólica del tobillo y la PA sistólica braquial

Valor normal: ITB = 1.0-1.30 (límite = 0,91-0,99)

♦ Valores patológicos

< 0,90 = EAP leve a moderada → claudicación

< 0,40 = EAP grave → dolor en reposo (isquemia crítica de la extremidad)

> 1.3 = esclerosis medial de pared vascular (generalmente vasos calcificados)

índice tobillo-brazo derecho

índice tobillo-brazo izquierdo

Recuerda

¡Un ITB bajo en EAP también predice un mayor riesgo de mortalidad cardiovascular y por todas las causas!

Recuerda

Medir la PA sistólica en ambas arterias y utilizar el valor más alto

Arteria tibial posterior Arteria pedia dorsal

Índice tobillo-brazo = PA sistólica en el tobillo PA sistólica braquial

Medir la PA sistólica braquial en ambos brazos y utilizar el valor más alto Arteria braquial

Angiografía por TAC Angiografía por RM Angiografía por sustracción digital (DSA): estándar de oro

Las mediciones del ITB en pacientes diabéticos o de edad avanzada pueden ser inexactas debido a la esclerosis de Monckeberg (arterias de mediano y pequeño calibre sufren calcificación de la capa media).

Figura

Angiografía por sustracción digital: enfermedad arterial periférica (EAP) con oclusión de las arterias ilíacas izquierdas

www.qxmedic.com
PAG. 60
Figura 73. Índice tobillo-brazo (ITB) 74.

CIRUGÍA DE TÓRAX Y CARDIOVASCULAR

Tratamiento

Conservador

Estilos de vida saludables (evitar tabaco)

Terapia de ejercicio graduada supervisada

Evite las temperaturas frías Médico

La terapia antiplaquetaria reduce la morbilidad y la mortalidad

♦ Aspirina (100 mg/día): inhibición irreversible de la ciclooxigenasa 1 de las plaquetas → disminución de la síntesis de tromboxano A2

♦ Clopidogrel (75 mg/día) / Ticagrelor: inhibición del receptor de ADP Agente hipolipemiante (generalmente estatinas)

Tratamiento antihipertensivo (HTA)

Control de la hiperglucemia (DM)

Cilostazol

♦ Inhibición de la fosfodiesterasa 3 (PDE3) → aumento de AMPc → aumento de la actividad de la proteína quinasa A → reducción de la agregación plaquetaria

♦ Inhibición de la cinasa de cadena ligera de miosina →relajación del músculo liso vascular→ vasodilatación arterial

♦ Medicamente más eficaz en el manejo de la claudicación Revascularización

Indicaciones

♦ Isquemia crítica de miembros

♦ Fracaso del tratamiento conservador y farmacológico

♦ Incapacidad para realizar trabajos o actividades normales debido a la claudicación

♦ La anatomía de la lesión permite un éxito de la intervención a largo plazo y de bajo riesgo

Procedimientos

♦ Angioplastia transluminal percutánea (ATP)

– Para lesiones proximales, únicas, segmento corto y uniforme

♦ Cirugía de derivación o By pass:

– Se usa una vena autóloga (Vena safena mayor)

Para lesiones distales, múltiples, segmentos largos y heterogéneos

Amputación

Último recurso en caso de gangrena (isquemia aguda irreversible)

Procedimiento

Claudicación intermitente → buen pronóstico

Dolor en reposo y / o úlceras isquémicas → mal pronóstico

Aumento de la mortalidad cardiovascular → alto riesgo de infarto de miocardio o accidente cerebrovascular secundario

www.qxmedic.com PAG. 61

17. ISQUEMIA AGUDA DE LAS EXTREMIDADES

Definición

Una emergencia vascular con un riego sanguíneo arterial críticamente reducido de una o más extremidades.

Etiología

Oclusión arterial

Trombosis (+ comúnt)

♦ Enfermedad arterial periférica → rotura de placa de ateroma

♦ Trombosis de stent o injerto

♦ Trombosis aneurismática (poplíteos)

♦ Vasculitis, trombofilia (rara)

Embolia

♦ Émbolos cardíacos → Fibrilación auricular (más común)

♦ Embolia de colesterol → Síndrome del dedo del pie azul

Diagnóstico

La extremidad inferior se ve afectada en > 80% de los casos

Trombosis arterial: inicio subagudo; antecedentes de dolor por claudicación

Embolia: inicio agudo: antecedentes de enfermedad cardíaca (fibrilación auricular)

Las 6 P distales al sitio de la oclusión

♦ Pain (Dolor) → Dolor en reposo que empeora con el movimiento

♦ Palidez → luego puede haber cianosis

♦ Pulso ↓

♦ Parálisis → puede progresar a una forma irreversible

♦ Parestesia → anestesia

♦ Poiquilotermia → fría al tacto (de acuerdo con el ambiente)

Ecografía Doppler

♦ Prueba inicial de elección: Doppler arterial y venoso

La angiografía por sustracción digital (DSA)

♦ Prueba de confirmación

♦ Es la modalidad de imagen de elección

♦ Alternativas: angiografía por TAC o RM

♦ TVP → embolia paradójica a través de un foramen oval permeable

♦ Émbolos sépticos → Por endocarditis

♦ Disección aórtica

♦ Síndrome compartimental → compresión extraluminal

Vasoconstricción arterial

Shock

Fármacos vasoactivos (Norepinefrina)

Fenómeno de Raynaud

Oclusión venosa

Flegmasia cerulea dolens

aguda unilateral de las extremidades. Se puede observar una marcada decoloración violácea (cianosis) del pie izquierdo

www.qxmedic.com PAG. 63
Figura 75. Isquemia

CIRUGÍA DE TÓRAX Y CARDIOVASCULAR

Clasificación

Déficit sensitivo Déficit Motor Doppler arterial Doppler venoso

I Viable NO NO + +

IIA Amenaza marginal Mínimo NO +/- +

IIB Amenaza inmediata Pie—dedos Dolor Moderado - +

III Irreversible Completo anestesia parálisis Rigor - +

Tomaremos como referencia la clasificación de RUTHERFORD

Tratamiento

Isquemia aguda debido a tromboembolia

Fluidoterapia endovenosa

Anticoagulación sistémica (heparina → bolo seguido de infusión)

Miembro viable (Rutherford I) → Evaluación urgente

♦ Angiografía urgente para localizar el sitio de la oclusión.

♦ Procedimiento de revascularización en un plazo de 6 a 24 horas

Extremidad amenazada (Rutherford II) → Revascularización urgente (IIA) / de emergencia (IIB)

♦ Revascularización dentro de 6 horas

♦ Primera línea: trombólisis intraarterial o tromboembolectomía transcatéter (Embolectomía con catéter con balón → catéter de Fogarty)

♦ Segunda línea: tromboembolectomía abierta

Miembro no viable (Rutherford III) → Amputación

♦ Amputación de un miembro

Contraindicaciones de la fibrinólisis para la oclusión de la arteria periférica

♦ ABSOLUTAS

– Evento cerebrovascular establecido (incluidos los AIT recientes)

Diátesis hemorrágica

– Sangrado gastrointestinal reciente (<10 días)

Neurocirugía reciente (dentro de los 3 meses) (intracraneal, espinal)

– Traumatismo intracraneal reciente

♦ RELATIVAS

– Reanimación cardiopulmonar reciente

Traumatismo o cirugía mayor no vascular reciente

– Hipertensión incontrolada:> 180 mmHg sistólica,> 110 mmHg diastólica

– Punción de vaso no compresible

– Tumor intracraneal

– Cirugía ocular reciente

Isquemia aguda debido a síndrome compartimental Fasciotomía

Isquemia aguda debido a una disección de aneurisma

La colocación de stent y / o la reparación quirúrgica

www.qxmedic.com
PAG. 64

18. ANEURISMA DE AORTA

Definición

Aneurisma → Dilatación anormal de una arteria debido a una pared vascular debilitada.

AORTA TORÁCICA → Dilatación de las tres capas de la aorta > 150% del diámetro normal

Aorta ascendente: aprox. > 5 cm

Aorta descendente: aprox. > 4 cm

AORTA ABDOMINAL → Dilatación de las tres capas de la aorta > 50% del diámetro normal

Aorta descendente: aprox. ≥ 3 cm

Epidemiología

Incidencia máxima: 60 a 70 años (raro en pacientes < 50 años)

Sexo: ♂ > ♀: 2: 1

Forma más frecuente es el aneurisma aórtico abdominal (infrarrenal)

Factores de riesgo

Recuerda

La nicotina y otros componentes del humo causan daño celular, inflamación y reparación celular deteriorada en las células del músculo liso vascular. Esto debilita la pared del vaso, lo que aumenta el riesgo de desarrollar un aneurisma y una ruptura del aneurisma.

Edad avanzada

Historia familiar

Raza caucásica

Tabaco (más importante → aneurisma de aorta abdominal)

Ateroesclerosis (más frecuente → aneurisma de aorta abdominal)

Hipertensión

Dislipidemia

Traumatismo

Enfermedades del tejido conectivo (síndrome de Marfan, síndrome de Ehlers-Danlos) → aneurisma de aorta torácica (ascendente)

Sífilis terciaria (endarteritis obliterante) → aneurisma de aorta torácica (ascendente)

www.qxmedic.com PAG. 65
TORÁCICA ABDOMINAL Figura 76. Aneurismas de aorta

CIRUGÍA DE TÓRAX Y CARDIOVASCULAR

Clasificación

AORTA TORÁCICA

Aorta ascendente (ubicación más común)

Aorta descendente (toracoabdominal)

Arco aórtico

Aneurisma de aorta torácica ascendete

AORTA ABDOMINAL

Infrarrenal: debajo de las arterias renales

→ Ubicación más común

Suprarrenal: por encima de las arterias renales.

Aneurisma de aorta torácica

Aneurisma de arco aortico Aneurisma de aorta torácica desscendete

Aneurisma de aórtico abdominal

Aneurisma de aórtico infrarrenal

Aneurisma de aórtico infrarrenal

www.qxmedic.com
PAG. 66
Figura 77. Aneurisma de la aorta torácica Figura 78. Aneurismas aórticos abdominales Aneurisma sacular Aneurisma fusiforme Figura 79. Aneurismas de aorta abdominal sacular (↑ rotura) y fusiforme (↑ frecuentes)

Fisiopatología

Aneurisma de la aorta torácica ascendente → con mayor frecuencia debido a necrosis quística medial

Aneurisma de la aorta torácica descendente y abdominal → típicamente como resultado de la aterosclerosis

Diagnóstico

Los aneurismas aórticos son en su mayoría asintomáticos o tienen síntomas inespecíficos.

A menudo se descubren incidentalmente en las imágenes (ecografía o tomografía)

AORTA TORÁCICA

Presión torácica

Dolor de espalda torácico

Características de la compresión mediastínica, como:

♦ Disfagia (esófago)

♦ Síndrome de vena cava superior

♦ Disfonía (nervio laríngeo recurrente)

Radiografía de tórax

♦ Tos, sibilancias, estridor (tráquea)

♦ Síndrome de Horner (tronco simpático)

♦ Puede realizarse como estudio de imagen inicial en pacientes con dolor torácico y / o disnea.

♦ Mediastino ensanchado

♦ Desviación traqueal Tomografía computarizada de tórax (Angio TAC)

♦ Prueba confirmatoria de elección y para vigilancia

♦ Evaluación detallada de la extensión, longitud, angulación y diámetro del aneurisma

♦ Dilatación de la aorta

♦ Posible trombo mural (sin realce)

♦ Posible disección, perforación o ruptura

Angiografía por resonancia magnética de tórax (Angio RM)

♦ Considérelo como una alternativa a la TAC Ecocardiografía transtorácica

♦ Evaluación rápida en pacientes hemodinamicamente inestables Angiografía con catéter (aortografía)

♦ Las técnicas de imagen no invasivas la han reemplazado

www.qxmedic.com PAG. 67 CIRUGÍA
DE TÓRAX Y CARDIOVASCULAR
Figura 80. Mediastino ensanchado secundario a rotura aórtica Figura 81. Un aneurisma gigante de la aorta ascendente

AORTA ABDOMINAL

Dolor lumbar

Masa abdominal pulsátil al nivel del ombligo o por encima del mismo Soplo abdominal en la auscultación

Trombosis periférica y fenómenos ateroembólicos distales (Síndrome del dedo del pie azul y livedo reticularis)

Disminución del índice tobillo-brazo

Ecografía abdominal

♦ Prueba inicial en pacientes asintomáticos o con dolor abdominal

♦ Cribado y vigilancia

♦ Dilatación de la aorta ≥ 3 cm

♦ Puede haber trombo

Angiografía por tomografía computarizada (Angio TAC)

♦ Estudio de imagen de elección en pacientes sintomáticos y para la planificación previa a la intervención

♦ Evaluación más detallada de la ubicación, el tamaño y la extensión del aneurisma, la participación de las ramas de los vasos y la presencia de trombo o ruptura.

♦ Dilatación de la aorta ≥ 3 cm y posiblemente vasos ramificados

♦ También puede haber trombo.

Complicaciones

Embolia: causada por material trombótico del aneurisma.

Recuerda

El principal factor predictor de rotura de aneurisma es su diámetro. Tratamiento

Recuerda

La monitorización periódica (aneurisma torácico →

TAC, aneurisma abdominal → ecografía) es esencial porque el tamaño del aneurisma y la velocidad de expansión son fuertes predictores del riesgo de rotura.

Insuficiencia valvular aórtica: por dilatación de la raíz aórtica (aneurisma de aorta torácica)

Disección aórtica torácica

♦ Dolor torácico lancinante o desgarrante

♦ Diferencial de presión de pulso en ambos brazos (> 20 mmHg)

♦ Ensanchamiento de mediastino Rotura de aneurisma abdominal

♦ Dolor abdominal o lumbar intenso de aparición súbita

♦ Hipotensión (shock hipovolémico)

♦ Masa pulsátil dolora

Todos los pacientes → manejo conservador con reducción de factores de riesgo cardiovascular

Manejo de la presión arterial → beta bloqueadores o IECAS

♦ Menos de 140/90 mm Hg en pacientes sin diabetes

♦ Menos de 130/80 mm Hg en pacientes con diabetes o enfermedad renal crónica

Dejar de fumar → Reduce el riesgo de expansión y rotura

Optimización del perfil lipídico: en pacientes con aneurismas aórticos ateroscleróticos

♦ Colesterol LDL objetivo: < 70 mg / dL

♦ Agente preferido: estatina (Atorvastatina)

Pacientes inestables (sospecha de rotura) → reparación vascular de emergencia (< 90 minutos)

Pacientes sintomáticos (rotura inminente) → reparación vascular urgente

Pacientes asintomáticos → vigilancia de aneurismas cada 6 a 12 meses (valorar diámetro)

www.qxmedic.com
PAG. 68
CIRUGÍA DE TÓRAX Y CARDIOVASCULAR

CIRUGÍA DE TÓRAX Y CARDIOVASCULAR

Recuerda

Derivar a todos los pacientes con sospecha de aneurisma roto para una evaluación quirúrgica inmediata.

Cuando se superan los umbrales de tamaño o crecimiento → reparación vascular electiva en pacientes asintomáticos cuando:

Aneurisma de aorta ascendente

♦ Umbral general: ≥ 5,5 cm

♦ Síndrome de Marfan, Síndrome de Ehlers-Danlos > 5 cm

♦ Casos especiales: > 4,5 cm

– Cirugía de válvula aortica – Enfermedad coronaria

– Bloqueo completo de rama izquierda

♦ Tasa de crecimiento: > 0,5 cm / 6 meses o > 1 cm / año

Tipos de reparación vascular:

Reparación quirúrgica abierta

Aneurisma descendente

♦ Umbral general ≥ 6,5 cm

Aneurisma abdominal

♦ Umbral general: ≥ 5,5 cm

♦ En caso de mujeres > 5 cm

♦ Casos especiales: > 4,5 cm

– Quimioterapia

– Radioterapia

– Trasplante de órganos sólidos

– Aneurisma sacular

♦ Tasa de crecimiento: > 0,5 cm / 6 meses o > 1 cm / año

↑ morbilidad y mortalidad asociadas preferido en pacientes jóvenes con pocas comorbilidades y bajo riesgo quirúrgico y pacientes con trastornos del tejido conectivo (síndrome de Marfan)

Aneurismas sintomáticos que involucran la aorta ascendente o el arco aórtico

♦ Se prefiere en rotura de aneurisma torácico (ascendente)

Aneurisma micótico o injerto infectado

Indicado cuando hay contraindicaciones para reparación endovascular como:

♦ Aneurisma de segmento largo (no hay una buena zona de aterrizaje)

♦ Aneurisma con cuello corto y angulado.

♦ Presencia de trombo en aneurisma

♦ Arteriopatía periférica oclusiva en los vasos de acceso

Reparación endovascular de aneurisma torácico

♦ Procedimiento mínimamente invasivo

♦ preferido en pacientes con alto riesgo quirúrgico y comorbilidades

♦ Aneurismas aórticos descendentes degenerativos o traumáticos.

Se prefiere en rotura de aneurisma abdominal

♦ Necesario una buena "zona de aterrizaje" o anclaje (2-3 cm) para el injerto de stent.

www.qxmedic.com PAG. 69
Aneurisma aórtico abdominal PROCEDIMIENTO EVAR 1 4 5 6 7 2 3
(EVAR) de aneurisma aórtico abdominal
Figura 82. Reparación de aneurisma endovascular

Prevención

Prevención primaria

Comer frutos secos, frutas y verduras más de tres veces por semana.

Hacer ejercicio más de una vez a la semana

Dejar de fumar

Prevención secundaria

Detección de aneurisma abdominal con ecografía → hombres de 65 a 75 años

♦ Antecedentes de tabaquismo

♦ Antecedentes familiares positivos

♦ Considere la posibilidad de realizar un nuevo cribado después de 10 años si el diámetro aórtico era > 2,5 cm, pero < 3 cm en la evaluación inicial.

Prevención terciaria

Reparación electiva para prevenir la rotura

Vigilancia de aneurismas

Dejar de fumar

www.qxmedic.com CIRUGÍA DE TÓRAX Y CARDIOVASCULAR PAG. 70

19. DISECCIÓN DE AORTA

Definición

Desgarro en la íntima de la pared aórtica que hace que la sangre entre la íntima y la media o adventicia a alta presión y separe estas capas, lo que crea una falsa luz.

Epidemiología

Incidencia máxima: 60 a 80 años

En pacientes con síndrome de Marfan: incidencia máxima entre 30 y 50 años)

Etiología

ADQUIRIDO

Hipertensión (factor de riesgo más común)

Trauma (accidente automovilístico)

Sexo: ♂ > ♀

Aorta ascendente: 65% de los casos (más frecuente)

Lesión iatrogénica durante reemplazos de válvulas o cirugía de injerto Vasculitis con afectación aórtica (Sífilis, arteritis de Takayasu)

Uso de anfetaminas y cocaína Embarazo en el tercer trimestre (o período posparto temprano)

Aterosclerosis

CONGÉNITO

Enfermedad del tejido conectivo (síndrome de Marfan, síndrome de Ehlers-Danlos Síndrome)

Válvula aórtica bicúspide

Coartación de la aorta

Clasificación

Clasificación de Stanford

Tipo A: la disección involucra la aorta ascendente o el arco aórtico

Tipo B: la disección involucra solo la aorta descendente (distal al origen de la arteria subclavia izquierda)

Clasificación de DeBakey

Tipo I: la disección involucra la aorta ascendente y descendente

Tipo II: la disección involucra solo la aorta ascendente (hasta la arteria braquiocefálica)

Tipo III: la disección involucra solo la aorta descendente (distal al origen de la arteria subclavia izquierda)

♦ Tipo IIIa: limitado a la aorta torácica descendente por encima del nivel del diafragma

♦ Tipo IIIb: se extiende por debajo del diafragma

www.qxmedic.com PAG. 71

Standford tipo A

Debakey tipo I Debakey tipo II

Fisiopatología

Standford tipo B

Debakey tipo III

Desgarro transversal en la íntima aórtica ("entrada") → la sangre entra en la capa media de la aorta y forma una falsa luz en el espacio íntima- media → Esto crea una aorta de doble cañón, que consta de la luz verdadera (luz aórtica) y la luz falsa recién formada (luz íntima- media) → se forma el hematoma y se propaga longitudinalmente hacia abajo → produciendo al final rotura u oclusión de los vasos ramificados

Desgarro de la íntima (entrada)

Lumen falso

Túnica adventicia + túnica media

Túnica media + túnica intima

Lumen verdadero Desgarro de la íntima (entrada)

Un desgarro en la túnica íntima (desgarro de entrada en la ilustración) permite que la sangre entre en la túnica media.

www.qxmedic.com
PAG. 72
CIRUGÍA DE TÓRAX Y CARDIOVASCULAR
Figura 83. Clasificaciones de disección aórtica Figura 84. Disección aórtica

CIRUGÍA DE TÓRAX Y CARDIOVASCULAR

Diagnóstico Recuerda

Dolor lancinante o desgarrante migratorio, repentino y severo Localización

♦ Tórax o espalda → raíz de la aorta

♦ Dolor interescapular o retroesternal → aorta descendente

♦ Cuello y mandíbula → arco aórtico

♦ Abdomen o periumbilical, dolor tipo cólico → abdominal Hipertensión o hipotensión

Asimetría de presión arterial y pulso entre las extremidades. Síncope, diaforesis, confusión o agitación.

La triada clásica de disección de aorta torácica es un dolor lancinante o desgarrante en el tórax + diferencia de presión o pulso en ambos brazos + ensanchamiento de mediastino Radiografía de tórax (vista PA)

♦ Puede ser normal

♦ Mediastino ensanchado (> 8 cm)

Angiografía por TAC

Indicaciones: pacientes estables, planificación quirúrgica

Ventajas: ↑↑sensibilidad y especificidad (Standa oro)

Hallazgos sugerentes

♦ Colgajo de disección íntima

♦ Doble lumen

♦ Dilatación aórtica

Ecocardiografía transesofágica

♦ Pacientes inestables

♦ Visualización intraoperatoria

♦ Insuficiencia renal o alergia al contraste.

Triada clásica de disección de aorta (dolor lancinante o desgarrante en el tórax + diferencia de presión o pulso en ambos brazos + ensanchamiento de mediastino)

♦ Regiones de mala perfusión

♦ Hematoma aórtico

♦ Fuga de contraste: indica ruptura

www.qxmedic.com PAG. 73
Figura 85.

sagital

observa una disección compleja de Stanford tipo A, que involucra la aorta ascendente, el arco y la aorta descendente.

1: aorta descendente; 2: arteria subclavia izquierda;

3: aorta ascendente

Complicaciones

Rotura aórtica

♦ Dolor abdominal o lumbar intenso de aparición súbita

♦ Hipotensión (shock hipovolémico)

♦ Masa pulsátil dolora

Complicaciones de las disecciones tipo A de Stanford

♦ Infarto de miocardio (oclusión de la arteria coronaria)

♦ Insuficiencia aórtica (extensión de la disección a la válvula aórtica)

♦ Taponamiento cardíaco

♦ Pericarditis (extensión lenta de la disección hacia el pericardio)

♦ Accidente cerebrovascular (extensión de la disección a las carótidas)

Complicaciones tanto de la disección de Stanford tipo A como de la disección de Stanford tipo B

♦ Oclusión de Tronco celíaco, arteria mesentérica superior / inferior → abdomen agudo, colitis isquémica

♦ Oclusión Arterias renales → insuficiencia renal aguda

♦ Oclusión Arterias espinales → debilidad de las extremidades inferiores o paraplejía

♦ Oclusión completa de la aorta distal → Síndrome de Leriche

oclusiva aortoilíaca)

www.qxmedic.com CIRUGÍA DE TÓRAX Y CARDIOVASCULAR PAG. 74
(enfermedad Figura 86. Mediastino ensanchado. Radiografía de tórax (vista PA) de un paciente con disección tipo A de Stanford Figura 87. Disección aórtica tipo A de Stanford TC de tórax (con contraste; vista axial) Figura 88. Disección aórtica Tomografía computarizada de tórax (con contraste; reconstrucción oblicua). Se

Recuerda

La disección aórtica ascendente (Stanford A o DeBakey tipo I y II) es una emergencia quirúrgica.

La disección de aorta es una contraindicación absoluta de la terapia fibrinolítica o trombolítica

Tratamiento Prevención

El control de la presión arterial es fundamental en todos los pacientes para prevenir la progresión de la disección.

Cirugía inmediata

♦ Disección de Stanford A

♦ Disección de Stanford B con complicaciones (rotura)

♦ Técnica de elección → Cirugía abierta (implante de injerto de poliéster) / Endovascular (stent) → solo en disección tipo B o alto riesgo quirúrgico

Tratamiento conservador

♦ Disección de Stanford B sin complicaciones

♦ En pacientes con hipertensión arterial

PAS objetivo 100-120 mm Hg y FC ≤ 60 latidos por minuto

– Elección → beta bloqueadores (labetalol o esmolol EV)

– Alternativa → calcios antagonistas (verapamilo)

– Casos refractarios → nitroprusiato de sodio

♦ En pacientes con hipotensión arteria

– PAM objetivo de 70 mm Hg o euvolemia

– Líquidos intravenosos

– Soporte vasopresor → Noradrenalina

– Evitar inotrópicos (dobutamina, epinefrina)

– Tratar la causa subyacente (taponamiento cardiaco o insuficiencia aortica grave)

Control de la presión arterial

Dejar de fumar

Detección y reparación de aneurismas de rápida expansión

www.qxmedic.com PAG. 75
CIRUGÍA DE TÓRAX Y CARDIOVASCULAR

20. TUMORES DE MEDIASTINO

Aspectos generales

Con relación a la anatomía recordar las estructuras del mediastino:

Mediastino superior

Grandes vasos (cayado de aorta)

Esófago

Tráquea

Mediastino inferior

ANTERIOR

♦ Timo

♦ Arteria mamaria interna

MEDIO

♦ Corazón

♦ Pericardio

♦ Nervio frénico

Epidemiología

POSTERIOR

♦ Vena cava inferior

♦ Esófago

♦ Aorta descendente

♦ Nervio vago (x)

♦ Cadena simpática

♦ Conducto torácico

♦ Vena ácigos

Los tumores de mediastino anterior son los más frecuentes → timomas (adultos)

Los tumores neurogénicos predominan en mediastino posterior

Tumores de mediastino anterior

Timoma → tumor más frecuente en el adulto (neoplasias epiteliales malignas)

Tumor de células germinales → el mediastino es la ubicación más común de los tumores extragonadales de células germinales en adultos

♦ Benigno: teratoma

♦ Maligno: seminomas > no seminomas

Linfoma → destaca en la edad pediátrica, pero también en adultos

♦ linfoma de Hodgkin esclerosante nodular

♦ linfoma de células B mediastínico primario

Tejido tiroideo → bocio intratorácico

Tumores de mediastino medio

Linfadenopatía → es la lesión más común que se presenta como una masa en el compartimento medio del mediastino

♦ Linfoma

♦ Tumor sarcoide

♦ Cáncer de pulmón metastásico

Tumor quístico benigno

♦ Los quistes broncogénicos → son la lesión quística más común

♦ Los quistes esofágicos

♦ Los quistes pericárdicos

www.qxmedic.com PAG. 77

Tumores de mediastino posterior

Tumores neurogénicos → representan más del 60 % de la masa en mediastino posterior

♦ Schwannomas (neurofibromas) → son lesiones benignas que surgen de la vaina del nervio intercostal → constituyen el 90 % de los tumores neurogénicos en adultos.

♦ Los neuroblastomas → se originan en los ganglios simpáticos → son tumores malignos que ocurren con mayor frecuencia en niños

Diagnóstico

Hallazgo incidental en las imágenes (radiografía o tomografía)

Efectos de masa mediastínica (afectación directa o compresión)

♦ Tos, estridor, hemoptisis, disnea, dolor, disfagia, ronquera.

♦ Hinchazón facial y / o de las extremidades superiores debido a la compresión vascular (Síndrome de la vena cava superior)

♦ Hipotensión (taponamiento o compresión cardíaca)

♦ Síndrome de Horner (afectación de la cadena simpática).

Efectos sistémicos:

♦ Síntomas B: fiebre, sudores nocturnos y pérdida de peso → linfoma

♦ Síndromes paraneoplásicos → como la miastenia gravis → timoma.

Estudios de laboratorio

♦ Anticuerpos antirreceptores de acetilcolina: miastenia gravis → Timoma

♦ Marcadores tumorales: AFP, HCG, LDH → tumores malignos de células germinales (no seminomas extragonadales)

Imagen: tomografía de tórax → prueba de elección

Biopsia → diagnóstico definitivo

♦ Percutánea (aguja gruesa guiada por tomografía)

♦ Endobronquial (masa mediastínica se encuentra inmediatamente adyacente a una vía aérea)

♦ Quirúrgica (Mediastinoscopia, toracoscopia asistida por video, mediastinotomía anterior)

89. Radiografía de tórax anormal en paciente con una gran masa mediastínica anterior

www.qxmedic.com CIRUGÍA DE TÓRAX Y CARDIOVASCULAR PAG. 78
Figura
www.qxmedic.com PAG. 79 CIRUGÍA DE TÓRAX Y CARDIOVASCULAR
Figura 90. Los teratomas pueden contener elementos de grasa, líquido y hueso y, si las imágenes son convincentes de que el teratoma es el diagnóstico más probable, no es necesaria una biopsia. Figura 91. Tomografía por emisión de positrones (PET-CT) de un paciente con adenopatía en el mediastino medio secundaria a linfoma Figura 92. Mediastinoscopia cervical Figura 93. Ilustración del procedimiento de Chamberlain (Mediastinotomía anterior)

Turn static files into dynamic content formats.

Create a flipbook
Issuu converts static files into: digital portfolios, online yearbooks, online catalogs, digital photo albums and more. Sign up and create your flipbook.