Skip to main content

PZ03_05.02.2026

Page 1


KOMMEN SIE VORBEI!

gültig in den MPREIS Märkten Bruneck

Str. 12A

Montag – Samstag 08:00 – 19:00

TITELTHEMA

Olympische Winterspiele: Der Funke sprang über 4

POLITIK & VERWALTUNG

Überlaute Warnrufe aus dem Westen und Osten des Landes 10

DIES & DAS

Bus, Schiene oder Seil: Zukunft gehört den Öffis 12

SOZIALES & GESUNDHEIT

Wiedersehen mit Musik, Herz und Solidarität 16

Wenn das eigene Kind von Mobbing betroffen ist... 17

Harley-Heads-Motorrad-Club Südtirol: Hart, aber herzlich 18 MENSCHEN IM PORTRÄT

Lisa Leoni: Türen öffnen und Hemmschwellen senken 22 WIRTSCHAFT & UMWELT

Die neue Hoi-Card: Ein echter Heimvorteil 26

Pustertalbahn: Wichtiger Meilenstein für die Mobilität im Tal 27

VEREINE & VEREINSLEBEN

Ferienprogramm UFO: Der „Puschtra Sommer“ steht wieder an 34 Benefizmarkt Alkava+: Die Welt von morgen mit Herz gestalten 35 BILDUNG & SCHULE

Digitale Geräte und künstliche Intelligenz in den Oberschulen: Chance oder Herausforderung? 36

5aM des SOWI Bruneck: Ein „exqueenes“ Musical 38 Buch von Heinrich Sartori: Gegen das Vergessen 40 KULTUR & KUNST

Ausstellung im Pinta Pichl in Bruneck: „Design meets art!“ 42 Ausstellung: Un...d perfekt, wertvoll und wunderschön 44 Von Ötzi bis Ausgehkultur: Das neue Museumsjahr 48

SPORT & FREIZEIT

49. Langlauf Toblach-Cortina: Sportliche Höchstleistungen und gelebte Tradition vom besten 50

SONDERTHEMA

Hochzeit und Reisen 53

ZWISCHEN RÜCKGRAT UND BELASTUNGSPROBE KOMMENTAR

von Chefredakteur Reinhard Weger

Der Tourismus ist und bleibt eine der tragenden Säulen der Südtiroler Wirtschaft. Er schafft Arbeitsplätze, sichert Einkommen in peripheren Regionen und ermöglicht Investitionen in Infrastruktur, von denen oft auch die einheimische Bevölkerung profitiert. Diese Bedeutung ist unbestritten und sie rechtfertigt, dass dem Tourismus politisch Aufmerksamkeit geschenkt wird. Doch weil er so wichtig ist, braucht er Maß, Steuerung und Weitsicht. Zudem ist klar, dass die Situationen vor Ort unterschiedlich sind. Nicht alles lässt sich in einen Topf werfen.

Aktuell verdichten sich aber die Diskussionen rund um Großereignisse wie die Olympischen Winterspiele 2026, den Bettenstopp, die Debatte um rund 12.000 zusätzliche Betten sowie zahlreiche touristische Bauprojekte, die noch „rechtzeitig“ realisiert werden sollen. Diese Gemengelage wirft eine zentrale Frage auf: Geht es noch um nachhaltige Entwicklung oder zunehmend um kurzfristige Expansion?

Das gilt auch für Olympia. Diese „sportliche“ Großveranstaltung wird häufig als Katalysator für Investitionen und Modernisierungen angeführt. Tatsächlich können internationale Großereignisse Impulse setzen. Gleichzeitig bergen sie die Gefahr, Entscheidungen zu beschleunigen, die langfristige Auswirkungen auf Raumordnung, Landschaft und Lebensqualität haben. Wenn Projekte mit dem Argument der Dringlichkeit durchgesetzt werden, bleibt oft zu wenig Raum für eine nüchterne Abwägung von Nutzen und Folgen.

IMPRESSUM

Sitz, Redaktion und Verwaltung: Oberragen 18, 39031 Bruneck, Tel.: 0474 550 830, E-Mail: info@pz-media.it Egtr. Trib. BZ Nr. 23/89 v. 2.10.1989 Internet: www.pz-media.it; Einzelnr.: 1,00 Euro; Jahresabo: 25,00 Euro; Erscheinung: 14-täglich; Verantw. Direktor: Reinhard Weger (Chefred.); Sekretariat: Michaela Huber; Akquisition: Hans Paulmichl, Josef Tasser; Redaktion: dott. Reinhard Weger, MA; Dr. Willy Pöder; Dr. Judith Steinmair; Dr. Verena Duregger; Monika Gruber; Barbara Pöder; Dominik Faller; Alexander Dariz; Grafik: Andreas Rauchegger, Kerstin Voigt; Herausgeber: Pustertaler Medien GmbH - Oberragen 18, 39031 Bruneck, Im PT-Abo vert. ROC-Nummer: 2717, ISSN 2532-2567 Mitglied der USPI (Unione Stampa Periodica Italiana) Druck: Athesia Druck, Bozen – PEFC-zertifiziert: Dieses Produkt stammt aus nachhaltig bewirtschafteten Wäldern, Recycling und kontrollierten Quellen; PZ-WhatsApp Nummer: 371 7678970

Titelbild: Franz Niederkofler

PEFC/18-31-166

PEFC-zertifiziert

Ihre personenbezogenen Daten werden gemäß dem G.v.D. Nr. 196/2003, der EU-Verordnung 679/2016 (DSGVO) sowie dem G.v.D. Nr. 101/2018 verarbeitet. Die vollständige Aufklärung über die Verarbeitung Ihrer personenbezogener Daten und Ihre Rechte, wie z.B. das Recht auf Löschung, sind auf unserer Website veröffentlicht: www.pz-media.it/datenschutz.html . Falls Sie die Pustertaler Zeitung nicht mehr erhalten möchten, schreiben Sie uns dies einfach an folgende E-Mail Adresse: info@pz-media.it oder rufen Sie an: 0474 550830

DiesesProdukt stammtaus nachhaltig bewirtschafteten Wäldern,Recycling undkontrollierten Quellen

www.pefc.org

Der Bettenstopp in Südtirol ist ähnlich zu sehen und sollte ursprünglich genau hier ansetzen: Ungebremstes Wachstum entschleunigen, Qualität stärken, Druck aus dem System nehmen. Die Diskussion über tausende neue Betten und zusätzliche Bauvorhaben lässt jedoch Zweifel aufkommen, ob dieses Ziel noch konsequent verfolgt wird. Mehr Betten bedeuten mehr Verkehr, höheren Ressourcenverbrauch, steigende Bodenversiegelung und zusätzlichen Druck auf Wohnraum und Infrastruktur. Das sind Herausforderungen, die auch im Pustertal vielerorts bereits spürbar sind.

Tourismus darf aber kein Selbstzweck sein. Er muss sich an der Tragfähigkeit des Landes orientieren und an den Bedürfnissen jener Menschen, die hier leben und arbeiten. Südtirol lebt von seiner Landschaft, seiner Kultur und seiner Lebensqualität. Das sind Werte, die nicht beliebig vermehrbar sind. Ein „Mehr“ an Tourismus kann schnell zu einem „Zuviel“ werden, wenn klare Leitplanken fehlen.

Was es jetzt braucht, ist keine ideologische Debatte für oder gegen den Tourismus, sondern eine ehrliche Bestandsaufnahme: Wie viel Wachstum verträgt unser schönes Land noch? Wo sind qualitative Verbesserungen sinnvoller als quantitative? Und wie lassen sich wirtschaftliche Interessen mit Umwelt-, Raum- und Sozialverträglichkeit in Einklang bringen? Wie gesagt: Die Wichtigkeit des Tourismus ist unbestritten! Gerade deshalb ist diese Diskussion – bitte transparent und ehrlich! - derzeit wichtiger denn je. Damit wir gemeinsam an unserer Zukunft bauen können.

Der Funke sprang über

Viel wurde im Vorfeld darüber geschrieben, positiv und hoffnungsvoll, aber auch kritisch und sorgenvoll, und jetzt ist es tatsächlich so weit: Die 25. Olympischen Winterspiele starten, und wir im Pustertal sind mittendrin. Die Begeisterung der Menschen, als das Olympische Feuer durch das Pustertal und andere Landesteile getragen wurde, war sichtlich und greifbar. Die PZ war bei diesem historischen Moment in Bruneck dabei und hat einige Stimmen vor Ort und darüber hinaus eingefangen. Zudem bringen wir in der aktuellen Ausgabe das Interview zur Mobilität mit Landesrat Daniel Alfreider, das bereits in der vergangenen Ausgabe angekündigt war. von Judith Steinmair

Kindergartenkinder, Schülerinnen und Schüler sämtlicher Schulstufen, Sportvereine, Vertreterinnen und Vertreter öffentlicher Institutionen, Bürgerinnen und Bürger jeglichen Alters, Touristen, unzählige Sicherheitskräfte und Mitarbeiterinnen und Mitarbeiter usw. sowieso, was sich vergangene Woche entlang des Olympischen Feuer-Parcours so tummelte, war schon gewaltig. Ob im Hochpustertal, Toblach, in Antholz - dem eigentlichen Schauplatz der Spiele-, in Bruneck – unter anderem in der Stadtgasse, am Tschurtschenthaler Platz und in der Intercable Arena – oder auf dem Kronplatz, der Zuspruch der Menschenmenge für Olympia war unübersehbar. Ein einmaliges Erlebnis, und ja, auch eine Ehre, sowohl die Präsenz der Olympischen Flamme als auch die Funktion als Austragungsort, so der Grundtenor unter den Zuschauerinnen und Zuschauern. Dass das Interesse dabei in besonderem Maße den Biathlon-Bewerben gilt, ging eindeutig hervor. Wir haben unsere Gespräche und

Kurzinterviews sowie Fragen im Folgenden ein wenig zusammengefasst, um ein Stimmungsbild einzufangen…

STEFANIE PEINTNER

Stadträtin Bruneck

Heute dürfen wir hier in Bruneck die Energie und den Geist der Olympischen Spiele spüren, eines der größten Sportereignisse der Welt, bei dem es um Leistung, aber auch um Freundschaft, Respekt und Zusammenhalt geht – und das Olympische Feuer steht genau für diese Werte. Für dieses besondere Ereignis haben zwei Künstler mit Beeinträchtigungen der Kunstwerkstatt Akzent Bruneck - Monika Hochgruber und Julian Messner – sich mit dem Thema Olympia beschäftigt und dazu kreative Bilder geschaffen, die für die gesamte Dauer der Olympiade im Eingangsbereich der Gemeinde Bruneck zu sehen sind. Und damit sehen wir auch: Sport, Kunst und Gemeinschaft gehören zusammen.

BRUNO WOLF

Bürgermeister Bruneck

Das heute ist eine einzigartige Geschichte, und wir sind sehr stolz darauf, dass die Flamme durch unsere Stadt getragen wird. Persönlich hat mich der Wintersport ja ein Leben lang begleitet, als Hotelier am Fuße des Kronplatz bin ich seit jeher begeisterter Skifahrer, mein Vater war selbst im Jahre 1956 bei den Winterspielen in Cortina als Teilnehmer beim Skisprung dabei, der Biathlet Lukas Hofer ist ja mein Schwager und auch unsere drei Kinder sind ihrerseits begeisterte Biathleten. Und damit wir den Olympischen Geist hier in Bruneck so hautnah wie möglich spüren können, haben wir ja das Public Viewing auf die Beine gestellt.

MARTIN HUBER

Präsident des Tourismusvereins Bruneck Public Viewing gibt es landesweit nur in Bozen und Bruneck, wobei in der Landeshauptstadt lediglich auf die Übertragungen

Ein netter Schnappschuss aus dem Biathlon-Zentrum. Zweiter von rechts OK-Chef Lorenz Leitgeb.

gesetzt wird, bei uns in Bruneck wird das Ganze auch mit Speis und Trank, organisiert von Brunecker Vereinen, abgerundet. Wir decken dabei die gesamte Olympiade ab, das heißt wir starten am 6. Februar und übertragen bis zum 22. Februar, immer täglich von 10 Uhr morgens bis 22 Uhr abends gibt es im Tschurtschenthaler Platz Live-Übertragungen. Los geht‘s also am Freitag, 6. Februar um 18 Uhr mit der Eröffnung, wir sind quasi live dabei mit der Schaltung zur Eröffnungsfeier in Mailand. Und am Montag, 9. Februar kommt dann auch das Olympia-Maskottchen bei uns in Bruneck vorbei. Also kommt gerne alle vorbei zum Public Viewing!

KURT BRUGGER

>>

Fackelträger, Olympiasieger im Rodeln/ Doppelsitzer 1994 (mit Wilfried Huber) Natürlich gibt es bei Veranstaltungen Ein großer Empfang wurde dem langen Tross samt Fackelträgerinnen und -trägern in Toblach geboten. Mit dabei war auch Bürgermeister Martin Rienzner.

Viele Menschen wohnten am Kronplatz diesem besonderen Olympia-Moment bei, als die berühmte Friedensglocke - passend zur Botschaft - ertönte.
Letztes Kapitel auf einer langen Strecke: In Antholz brachten die Santer-Schwestern das Feuer.
Fotos: Reinhard Weger, Judith Steinmair, Franz Niederkofler

dieser Größenordnung auch Kritikpunkte, aber wir sollten doch versuchen, immer auch das Positive zu sehen, der Großteil der Bevölkerung scheint auf alle Fälle mittlerweile positiv gestimmt zu sein und das Flair einer Olympiade genießen zu wollen. Gerade in Zeiten wie diesen brauchen wir doch auch positive Nachrichten, Frieden und Gemeinschaft, es wäre ja wünschenswert,

wenn auch mancher Weltpolitiker sich den olympischen Geist zu Herzen nehmen würde… Und für einen Sportler ist so eine Olympiade sowieso etwas ganz Besonderes und insofern auch für den Nachwuchs sicherlich Ansporn und Motivation. Persönlich wäre mein Credo für künftige Olympiaden „Zurück zu den Wurzeln“, sprich die alten Olympiastätten wieder aufleben zu lassen

und die bestehenden Infrastrukturen auf Vordermann zu bringen, nicht immer alles neu und größer und immer mehr!

NATHALIE SANTER

Fackelträgerin, mehrmalige Olympiateilnehmerin im Biathlon

Eine Olympiade lässt sich mit nichts vergleichen, auch nicht mit einer Weltmeister-

Der große Fackelumzug durch Bruneck war für viele Menschen ein ganz besonderes Erlebnis. Auch viele Schulklassen waren in erster Reihe mit dabei.
Die Spannung stieg unermesslich und der Jubel war groß, als die Fackelträger durch Bruneck zogen. Alles war bis ins kleinste Detail geplant...
Fotos: Reinhard Weger, Judith Steinmair, Franz Niederkofler

schaft, das ist ein einmaliges Erlebnis, auch für Südtirol, das sicherlich viel Geld kostet, aber das sich in vielerlei Hinsicht auszahlt, auch wenn wir das womöglich erst in einigen Jahren verstehen werden. Für einen Sportler ist eine Olympiade sowieso eine ganz besondere Erfahrung, ich habe ja selbst fünfmal teilgenommen, diesen Olympischen Geist zu spüren ist unvergesslich. Gerade auch die Olympische Fackel tragen

zu dürfen, noch dazu im Stadion in Antholz und gemeinsam auch mit meinen Schwestern, war Gänsehaut pur und eine absolute Ehre. Was den Biathlon betrifft haben wir in Antholz sicherlich eines der schönsten, bestausgerüsteten und auch rundum genutzten Stadien, wir dürfen uns auf ein tolles olympisches Flair dort freuen. Also auf alle Fälle dabei sein vor Ort, wenn jemand die Möglichkeit hat! //

EVENT-NOSTALGIE-ABENDE IM VEREINSHAUS VON ANTHOLZ-MITTERTAL

BIATHLON ANTHOLZ - RICHTIG BÄRIG WIE FRÜHER

Wenn in Antholz der Winter Einzug hält, dann erinnert er viele an eine Zeit, in der Sport, Musik und Begegnung noch ganz selbstverständlich zusammengehörten. An diese besondere Atmosphäre knüpfen in der Olympiazeit die EventNostalgie-Abende „Biathlon Antholz – wie früher“ an.

Am 13. und 14. Februar sowie am 20. und 21. Februar 2026 wird im Vereinshaus von Antholz-Mittertal jeweils ab 19.30 Uhr rund um den Biathlonsport nicht das Spektakel, sondern das Miteinander in den Mittelpunkt gestellt. Ohne große Bühnen, ohne laute Effekte, aber dafür mit viel Herz und Nähe. Begleitet werden die Tage von Volksmusik, wie man sie kennt und schätzt. Musik, die nicht übertönt, sondern verbindet, bei der man stehen bleibt, zuhört und vielleicht ein bekanntes Gesicht trifft. Ein Angebot für Familien, für Einheimische und für alle, die den Winter in Antholz bewusst und in Ruhe erleben möchten. „Biathlon Antholz – wie früher“ versteht sich als Alternative zu den großen Olympia-Events: kleiner, überschaubarer, persönlicher. Ein Ort, an dem man gemeinsam Zeit verbringt, Erinnerungen teilt und neue schafft – ganz so, wie es früher einmal war. Alle sind herzlich eingeladen, sich diese netten Feiern aus der Nähe anzuschauen und natürlich kräftig mitzufeiern! // hoi Arthur Rainer (im Bild) organisiert die besondere Feier mit seinem Team.

Großer Einzug in die Intercable-Arena in Bruneck. Rechts im Bild ein sportliches Wiedersehen mit Bruno.

STIMMEN AUS DEM PUBLIKUM

Wir haben extra die Mittagspause bei der Arbeit verlegt, um dabei sein zu können, denn wenn man so etwas schon einmal erleben kann hier bei uns, darf man das nicht versäumen. Wir schauen ganz allgemein viel und gerne Wintersport im Fernsehen an. In diesem speziellen Fall freuen wir uns ganz besonders auf die Biathlon-Wettbewerbe, dafür haben wir uns auch schon Karten besorgt, um auch live dabei sein zu können.

(Familie, Mutter und Sohn)

Auf alle Fälle ist das heute etwas ganz Besonderes und auch eine Ehre, dass sie das Olympische Feuer durch unsere Stadt tragen. Als Puschtra bin ich natürlich vor allem an Biathlon und an Eishockey interessiert, aber natürlich auch an den alpinen Skiwettbewerben. Auf alle Fälle hebe ich allen Südtiroler Sportlerinnen und Sportlern die Daumen, dass so viele dabei sind, ist super! (Brunecker Bürger)

Wir schauen uns von den ganzen Bewerben eigentlich nur Skifahren an. Aber da haben wir zum Glück ja eine große Medaillen-Hoffnung mit dem Franzoni… Und ja, das wäre schon ein Traum,

ANTHOLZ ODER NUR „ANTERSELVA“?

ZOFF

wenn wir eines Tages auch mal bei den Olympischen Spielen dabei sein könnten, wer weiß…

(Mädchen und Jungs vom Ski-Team Kronplatz)

Volle eine coole Sache heute hier dabei sein zu können und das Olympische Feuer zu sehen, das ist auf alle Fälle besser als in der Schule zu sitzen! Und die einen oder anderen von uns machen ja selbst Wintersport, Biathlon zum Beispiel, also schauen wir das schon auch im Fernsehen an. Und logisch heben wir allen die Daumen!

(Schülerinnen und Schüler der Mittelschule Ursulinen)

Wirklich toll hier bei der Übergabe dabei sein zu können, ich hoffe, das Feuer kommt auch wirklich aus Griechenland… (Brunecker Künstlerin)

Das ist das erste Mal in meinem Leben, dass ich so etwas miterlebe, hier dabei zu sein war für mich also ein Muss! Und ich ergreife natürlich auch die Chance, Biathlon-Bewerbe in Antholz live zu verfolgen.

(Brunecker Unternehmer)

EXKLUSIV

Es ist eine absolute Ehre, dass das Olympische Feuer bei uns durchzieht und dass die Olympischen Spiele bei uns stattfinden. Es ist nicht so, dass wir nur an den Skialpin-Bewerben interessiert sind, wir schauen natürlich auch andere Sportarten an, ganz klar auf alle Fälle Biathlon! (Skilehrer Kronplatz)

Eigentlich bin ich eher zufällig hier auf dieses Event aufmerksam geworden, aber wenn ich jetzt schon mal da bin, dann schaue ich mir die Olympischen Fackelträger auch an. Ansonsten verfolge ich im Fernsehen eher Tennis als Wintersport. (ehemaliger Brunecker Kaufmann)

Wir sind hier in der Umgebung schon seit vielen Jahren im Urlaub und sind heute zum Shoppen nach Bruneck gekommen, eine tolle Stadt übrigens mit vielen schönen Geschäften, Cafés usw.und haben bei dieser Gelegenheit von einem Verkäufer erfahren, dass heute hier das Olympische Feuer durchkommt, und das durften wir uns natürlich nicht entgehen lassen! (Gäste aus Deutschland) // jst

UM EINSPRACHIGE

BEZEICHNUNG IM TAL

KRONPLATZ AUF EXPANSIONSKURS?

Die einsprachige Bezeichnung „Anterselva“ am Olympia-Austragungsort Antholz muss in eine zweisprachige Bezeichnung abgeändert werden. Dies forderte Gouverneur Arno Kompatscher vor kurzem. Die Polemik war ausgebrochen, nachdem das Biathlonzentrum in Antholz als Austragungsort miteinbezogen wurde und dort vom nationalen Olympia-OK nur einsprachige Hinweisschilder angebracht wurden. Die Vorgabe der zweisprachigen Verweise wurde nicht eingehalten. Nun muss demnächst die Beschilderung richtiggestellt werden, wie Kompatscher forderte. Die Pustertaler Schützten hatten auf die einsprachige Bezeichnung hingewiesen. In einer Medienmitteilung sprachen sie von einem waschechten „Skandal“. // rewe

Hinter den Kulissen der Südtiroler Seilbahn- und Tourismusbranche mehren sich Hinweise darauf, dass der Kronplatz seine strategische Ausrichtung weiter ausbaut. Nach fundierten Informationen aus gut informierten unternehmerischen Kreisen hat das Skigebiet eine Beteiligung am Speikboden übernommen. PZ und Radio Holiday haben aus ihren jeweiligen digitalen Kanälen als erste Medien darüber berichtet. Dem Vernehmen nach betrifft der Einstieg etwa ein Fünftel der Anteile. In diesem Zusammenhang werden unter anderem Skistar Christof Innerhofer sowie der ehemalige Speikboden-Direktor Gottfried Beikircher als Verkäufer genannt.

Eine offizielle Bestätigung der beteiligten Parteien liegt derzeit nicht vor. Die Transaktion könnte aber darauf hindeuten, dass der Kronplatz einen weiteren strategischen Schritt zur Stärkung seiner Position im Südtiroler Skitourismus unternommen hat. // rewe

EIN NACHRUF VON SENATOR MEINHARD DURNWALDER

Zum Abschied von Professor Roland Riz

Mit dem Tod von Roland Riz verliert Südtirol nicht nur einen seiner bedeutendsten Politiker der Nachkriegszeit, sondern den juristischen Architekten unserer Autonomie. Wenn wir heute auf ein Land blicken, das friedlich zusammenlebt und über weitreichende Gesetzgebungs- und Verwaltungsbefugnisse verfügt, dann blicken wir auf das Lebenswerk dieses Mannes zurück. Roland Riz war über Jahrzehnte hinweg das autonomiepolitische und verfassungsrechtliche Gewissen unseres Landes und der Südtiroler Volkspartei sowie eine Stimme der Vernunft in den oft bewegten und turbulenten Verhältnissen der Südtiroler Nachkriegszeit.

Es ist schwer, in wenigen Zeilen ein Leben zu würdigen, das so umfassend war. Als junger Politiker, als Abgeordneter zur Kammer, als Senator und als Parteiobmann hat er die entscheidenden Phasen der Geschichte unseres Landes und der Politik Südtirols nach den Unzeiten des Faschismus und den Wirren des Zweiten Weltkriegs nicht nur begleitet, sondern maßgeblich mitgeprägt. Er war als Politiker und Verfassungsrechtler einer der Väter des Südtirol–Pakets und dabei jener, der die komplizierten politischen Forderungen in handfeste und zukunftssichere juristische Texte umwandelte. Eines seiner bedeutendsten Meisterstücke war zweifellos der Abschluss der Streitbeilegungserklärung im Jahr 1992, bei der er als Obmann der Südtiroler Volkspartei mit großem Verhandlungsgeschick und viel politischem Gespür einen historischen Meilenstein in der Geschichte unseres Landes setzte. Während andere die politischen Parolen lieferten, formulierte Roland Riz die Paragraphen, die Bestand hatten. Er verstand es wie kein Zweiter, in Rom hart in der Sache, aber verbindlich im Ton zu verhandeln. Sein Ansehen über die Parteigrenzen hinweg war ebenso groß wie der Respekt, der ihm im römischen Parlament stets entgegengebracht wurde. Diese Wertschätzung

Fehlende Werte

Jetzt wird Werbung für öffentliche Stellen beim Land gemacht. Es gibt aber ein Stillschweigen über fehlende Werte in Gesellschaft, Politik und in diesem Arbeitsbereich auch im Berufsbild des Schulwarts. Menschen werden eben im öffentlichen Bereich nicht geschult als Führungskräfte zu arbeiten, Kompetenz als Fachkraft reicht schon… Das heißt konkret: Menschen kann man nicht auf emotionaler Ebene und mit innerer Autorität führen und ohne einer menschlichen Wertebasis (Mitarbeiter sind

darf ich noch heute in vielen Gesprächen in Rom erleben. Roland Riz war kein Populist, er suchte nicht den schnellen Applaus. Roland Riz war ein Realpolitiker im besten Sinne. Er wusste, was rechtlich möglich war und wie weit man gehen konnte, ohne das Erreichte zu gefährden. Seine Weitsicht hat Südtirol den Weg der schrittweisen Festigung unserer Kompetenzen und somit zur heutigen Autonomie geebnet. Ich hatte das Privileg, Roland Riz auch als Professor für Verfassungs- und Autonomierecht an unserer Landesuniversität Innsbruck erleben zu dürfen, eine von mehreren seiner Professuren neben jenen an der Universität Modena, an der Universität Padova und der Päpstlichen Lateranuniversität. Die Klarheit seiner Gedanken auch bei komplexen Themen und seine Leidenschaft für das Recht haben dabei in mir bleibende Spuren hinterlassen. Er verstand es wie kein anderer, juristische Fragen interessant und lebendig werden zu lassen und uns zu zeigen, dass Recht weit mehr als ein System von Regeln, nämlich Ausdruck menschlicher Würde und moralischer Haltung ist. Von ihm habe ich nicht nur Wissen, sondern vor allem Orientierung und Inspiration mitgenommen. Meine Dissertationsarbeit, die ich bei ihm schreiben durfte und die von ihm auch signiert wurde, hat bis heute einen Ehrenplatz in meinem Büro. Nach dem Studium durfte ich auch meine ersten beruflichen Schritte in seiner Rechtsanwaltskanzlei machen. Diese Zeit war für mich eine Schule fürs Leben, weit über die Jurisprudenz hinaus. Roland Riz war als Lehrmeister fordernd und präzise. Er lehrte mich als jungen Anwalt, dass das Recht ein Instrument ist, um Gerechtigkeit und Ordnung zu schaffen. In dieser Zeit lernte ich die Arbeitsweise kennen, die ihn auszeichnete: Genauigkeit, Hingabe und eine fast unerschöpfliche Ausdauer, wenn es darum ging, eine Lösung für jedes Problem zu finden. Diese Haltung hat mich bis heute geprägt.

Subjekte und keine Objekte) ist eine Abwärtsspirale von Unternehmen und vor allem vorprogrammiert. Das bedeutet den Verfall der Strukturen!

Doch Systeme, die nur durch die Selbstausbeutung ihrer Mitglieder funktionieren, sind bereits gescheitert. Das System lebt davon, dass Menschen Dinge ertragen, für die sie eigentlich nicht verantwortlich sein können. Zuerst zerfallen die Systeme innerlich (Motivation, Verantwortung, Sinn), dann äußerlich (Qualität, Reputation, Personal). Das wiederum bringt eine hohe Fluktuation, wechselnde Anweisungen und Frustration

Als ich später als einer seiner Nachfolger das Mandat im Senat übernahm, waren es große Fußstapfen, in die ich trat. Es ist mir eine Ehre und Verpflichtung zugleich, die Arbeit an jener Stelle fortzusetzen, an der er so lange gewirkt hatte. Auch nachdem er sich in den vergangenen Jahren zunehmend aus der Öffentlichkeit zurückgezogen hatte, riss unser Kontakt nicht ab. Es waren Begegnungen geprägt von gegenseitigem Respekt. Bis zuletzt blieb er ein aufmerksamer Beobachter des politischen Geschehens. Sein Rat war nie aufdringlich, aber immer fundiert und wohl durchdacht. Wenn man ihn fragte, blitzte bis in sein hohes Alter hinauf sofort jener scharfe Verstand auf, der ihn stets ausgezeichnet hatte.

Roland Riz hat sich um unser Land verdient gemacht, dieser Satz wurde schon zu seinen Lebzeiten oft gesagt, doch bei ihm wiegt er schwer. Er hinterlässt ein Erbe, das wir nicht nur verwalten, sondern in seinem Sinne weiterentwickeln müssen: Mit Sachverstand, mit Geduld und mit juristischer Festigkeit. Wir verneigen uns vor einem Lebenswerk, das in den Geschichtsbüchern Südtirols einen festen Platz hat. Mein Mitgefühl gilt in diesen Stunden seiner Familie. Südtirol wird dem Vizebürgermeister der Stadt Bozen, dem Kammerabgeordneten, dem Senator, dem SVPObmann, dem Professor, dem Rechtsanwalt aber vor allem dem Menschen Roland Riz ein ehrendes Andenken bewahren. //

sind systemische Folgen. Mehrarbeit, Kündigung und Krankheit des Personals, allgemeines Chaos und Mehrkosten sind die logische Folge.

Unternehmen könnten sehr wohl unabhängig von äußeren Einflüssen gut und menschlich geführt werden, wenn sie sich eine menschliche Wertebasis schaffen. Das gelingt aber nur, indem jeder Mitarbeiter als Subjekt und nicht als Objekt gesehen wirdauf echtem Interesse an menschlichem Aufbau, wie die Menschheit überleben kann.

Sieglinde Steinhauser · Prettau

Roland Riz
SVP

Überlaute Warnrufe aus dem Westen und Osten des Landes

Die jüngsten Absagen bedeutender Sportveranstaltungen lassen die Alarmglocken in Südtirols Eventlandschaft schrillen. Mit dem Aus des Reschenseelaufs nach 25 Jahren und der bereits bekannten Einstellung des Südtirol-Dolomiti-Superbike (Hochpustertal) nach drei Jahrzehnten verschwinden zwei der traditionsreichsten Sportevents des Landes aus dem Veranstaltungskalender. Was bleibt, ist die wachsende Sorge um die Zukunft der Südtiroler Eventkultur.

Besonders bemerkenswert ist die solidarische Stellungnahme der Veranstalter des Südtirol-Dolomiti-Superbike, die das Aus des Reschenseelaufs ausdrücklich nachvollziehen. „Auch wir bedauern es sehr, dass mit dem Reschenseelauf ein weiteres großes Event Südtirols 2026 nicht mehr stattfinden wird“, erklärte Kurt Ploner, rühriger OKChef des Dolomiti Superbike, und gratulierte dem Organisationskomitee rund um Gerald Burger zu „einem höchst erfolgreichen Vierteljahrhundert“.

Der Vergleich zwischen den beiden Veranstaltungen macht die Dimension des Prob -

Der Landtagsabgeordnete und ehemalige Präsident der Südtiroler Event-Dienstleister, Alex Ploner und die Abgeordnete Maria Elisabeth Rieder.

lems deutlich: 30 Jahre Dolomiti-Superbike in Niederdorf im Osten des Landes, 25 Jahre Reschenseelauf im Westen – beide galten als Fixpunkte im Südtiroler Sportjahr und als überregionale Aushängeschilder. Und doch werden sie 2026 nicht mehr stattfinden.

GRÜNDE LIEGEN AUF DER HAND

Die Gründe für diese Entscheidungen seien nahezu identisch, wie Ploner offen darlegt: Der bürokratische Aufwand habe stetig zugenommen, ebenso die organisatorische Verantwortung und das finanzielle Risiko. Sponsoren zu finden und langfristig zu binden sei immer schwieriger geworden, während gleichzeitig Sicherheitsauflagen weiter verschärft wurden. „Fundamental für ein Event wie unseres ist zudem die Mitarbeit freiwilliger Helferinnen und Helfer“, so Ploner. Deren Bereitschaft, Zeit und Energie zu investieren, sei in den vergangenen Jahren spürbar gesunken. Hinzu komme ein weiteres strukturelles Problem: Es fehlt an motivierten Nachfolgerinnen und Nachfolgern, die bereit sind, Verantwortung zu übernehmen und solche Großprojekte in die nächste Generation zu führen. „Das hat uns in die Knie gezwungen – und nun leider auch den Reschenseelauf“, fasst Ploner zusammen.

POLITIK MUSS LIEFERN

Diese Einschätzung deckt sich mit den Warnungen von Landtagsabgeordnetem Alex Ploner, ehemaliger Präsident der Südtiroler Eventdienstleister und aktueller Landtagsabgeordneter des „Team K“. Er spricht von einem schleichenden Verlust an Identität: „Mit jedem Event, das eine lange Tradition hat und nicht mehr durchgeführt wird, verlieren wir ein Stück Südtirol.“ Seit Jahren fordere er eine landesweite Event-Strategie, um Planungssicherheit zu schaffen, Ehrenamt zu stärken und Bürokratie abzubauen. Ein entsprechender Vorschlag sei jedoch im Landtag abgelehnt worden. Besonders kritisch sieht er den Widerspruch zwischen millionenschweren Investitionen in internationale Großereignisse und dem gleichzeitigen Überlebenskampf lokaler, überwiegend ehrenamtlich organisierter Veranstaltungen.

Auch die Pustertaler Landtagsabgeordnete Maria Elisabeth Rieder zeigte sich tief betroffen vom Aus des Reschenseelaufs. Für sie sei der Lauf ein jährlicher Pflichttermin gewesen – nicht nur wegen der landschaftlich einzigartigen Strecke, sondern vor allem wegen der perfekten Organisation und des Einsatzes der vielen Freiwilligen. „Es ist kaum vorstellbar, dass es ihn nicht mehr gibt“, so Rieder.

Kurt Ploner, OK-Chef von Dolomiti-Superbike.

EINE GROSSE WERTSCHÖPFUNG

Dabei belegen WIFO-Zahlen, dass die Kultur- und Eventwirtschaft in Südtirol jährlich über eine Milliarde Euro Wertschöpfung erzielt und rund 16.000 Arbeitsplätze sichert. Der Reschenseelauf mit bis zu 4.000 Teilnehmenden und der Dolomiti-Superbike als jahrzehntelanges sportliches Aushängeschild von Niederdorf waren nicht nur sportliche, sondern auch wirtschaftliche und gesellschaftliche Motoren. Ob es für den Dolomiti Superbike eine Zukunft geben kann, wird derzeit sondiert. Das ist aber ein Unterfangen, das alles andere als einfach ist.

Großveranstaltungen wie das Dolomiti-Superbike sind wichtige Anziehungspunkte – nicht nur in wirtschaftlicher und gesellschaftlicher Hinsicht. Nun steht die Veranstaltung auf der Kippe. Armin Stuefer

Die kritischen und mahnenden Stimmen zeichnen jedenfalls ein klares Bild: Ohne konkrete politische Führung, ohne echten Bürokratieabbau, strukturelle Unterstützung und eine klare Event-Strategie droht der schritt-

ERLANGUNG DER LEHRBEFÄHIGUNG

weise Verlust jener Veranstaltungen, die das Land über Jahrzehnte geprägt haben. Die Warnung ist unmissverständlich und sie kommt längst nicht mehr nur von der Poli-

tik, sondern direkt von jenen, die diese Veranstaltungen jahrzehntelang mit Herzblut getragen haben – und zwar ehrenamtlich! // rewe

DIE NEUEN AUSBILDUNGSLEHRGÄNGE

STARTEN

IM AUGUST DIESES JAHRES

Die Deutsche Bildungsdirektion organisiert auch in diesem Jahr wieder Ausbildungslehrgänge zur Erlangung der Lehrbefähigung für Klassenlehrpersonen sowie Zweitsprachlehrpersonen an den deutschsprachigen Grundschulen. Der Start der neuen Lehrgänge ist für August 2026 vorgesehen.

Das Angebot richtet sich insbesondere an Quereinsteigerinnen und Quereinsteiger, die das 30. Lebensjahr vollendet haben und über eine mindestens dreijährige Berufserfahrung verfügen. Ziel ist es, qualifizierte Personen aus anderen Berufsfeldern für den Schuldienst zu gewinnen und damit einen wichtigen Beitrag zur Sicherung des Lehrpersonals zu leisten.

Für den Ausbildungslehrgang zur Klassenlehrperson stehen insgesamt 35 Studienplätze zur Verfügung, für den Bereich der Zweitsprache sind 15 Studienplätze vorgesehen. Die Ausbildungsdauer beträgt drei Jahre und verbindet theoretische Ausbildung mit praxisnahen Elementen. Achtung: Interessierte können ihr Zulas-

sungsgesuch noch bis spätestens 28. Februar 2026 beim Landesamt für Didaktik der Pädagogischen Abteilung einreichen. Mit diesen Ausbildungslehrgängen setzt die Deutsche

Bildungsdirektion einen weiteren Schritt, um dem Bedarf an qualifizierten Lehrpersonen an den Grundschulen nachhaltig zu begegnen. // bp

Zukunft gehört den Öffis

Seit zwei Wochen verkehrt der Pustertaler Zug auf der alten Linie zwischen Franzensfeste und Innichen wiederum im gewohnten Halbstundentakt. Die verkürzte Trasse übers Riggertal nach Brixen soll innerhalb des nächsten Jahres zur Verfügung stehen.

Ein sattes Jahr lang war die Linie zwischen Bruneck und Franzensfeste ob des Austausches der Oberleitungen, von Schwellen und Schienen sowie der Installation des Zugleitsystems nach europäischer Norm gesperrt. Während des einjährigen Verkehrsstopps wurde der Personentransport mittels Bussen durchgeführt. Diese Zeit wurde erfreulicherweise zur Generalsanierung von 13 Bahnhöfen, zur Beleuchtungsumstellung auf LED sowie zur Neuinstallation bzw. der Modernisierung von 18 Aufzügen genutzt. Darüber hinaus wurden Gehflächen im Ausmaß von dreiviertel Hektar erneuert und 7.000 Laufmeter taktile Wege für Menschen mit Behinderung verlegt. Schließlich, so ließ das Ressort für Mobilität wissen, wurden in Zusammenarbeit mit den Gemeinden auch die Bahnhofsbereiche sowie die Parkflächen verbessert. Auf Percha

Erste Fahrt nach einem Jahr des Stillstandes. wpz

trifft das allerdings nicht zu. Abgesehen davon, dass der Parkplatz dort „ausschließlich Gästen von Percha vorbehalten“ ist, wie ein mit dem Gemeindestempel versehener Aufkleber an der Schranken-Bediensäule kundtut, begeht die Gemeinde damit eine nicht nachvollziehbare Ungleichbehandlung. Außerdem gibt der Schotterplatz ob seiner

Unebenheiten und mangelnden Einzeichnungen nun wahrlich kein gutes Bild ab. BAHNHOFSGEBÄUDE IN BRUNECK Verwahrlost präsentiert sich auch das Bahnhofsgebäude von Bruneck, das seit nunmehr zehn Jahren vergeblich auf die damals seitens der Gemeinde versprochene Sanierung wartet. Allein ein neuer Toilettenbereich wurde im „Bahnhof des Jahres 2024“ jüngst untergebracht, zeitgemäß ausgestattet und vor zwei Wochen zur Benutzung freigegeben. Schalter- und Aufenthaltsbereich blieben vom „Innovationsschub“ unberührt. Sie sind alles eher als einladend und bieten den Beschäftigten bzw. den Fahrgästen nun wahrlich kein beneidenswertes Ambiente. Es war die erklärte Absicht der Verantwortlichen, den Bahnbetrieb zwischen Franzensfeste und Innichen noch vor dem Beginn der olympischen Winterspiele in Gang zu bringen. Und dem geschah so, wenn auch mit anfänglichen Schwierigkeiten, die Verspätungen und sogar Ausfälle von planmäßigen Fahrten zur Folge hatten. Davon unangenehm betroffen waren insbesondere Schülerinnen und

Schüler sowie die aus Arbeitsgründen täglichen Zugnutzerinnen und Zugnutzer. Ihren Frust darüber artikulierten sie in diversen Medien. Zum „Freudentag“, wie ihn Daniel Alfreider anlässlich der offiziellen Wiedereröffnungsfeier in Schabs (27. Januar 2026) bezeichnete, fanden sich nebst vielen anderen Geladenen die Führungsspitzen des italienischen Schienennetzbetreibers mit Paola Firmi (Präsidentin) und Aldo Isi (Geschäftsführer), der Provinzverwaltung mit Arno Kompatscher (Regierungspräsident) und Daniel Alfreider (Ressortchef) sowie des Staates mit Matteo Salvini (Verkehrsminister) in der Feuerwehrhalle zu Schabs ein, wo die hehre Gesellschaft von Bürgermeister Alexander Überbacher begrüßt und von der örtlichen Musikkapelle mit dem Lied „Wohl ist die Welt so groß und weit…“ auf Schiene gebracht wurde.

GROSSE BEDEUTUNG

DER EISENBAHN

In den diversen Ansprachen wurde die große Bedeutung der Eisenbahn fürs Pustertal hervorgehoben. Vor diesem Hintergrund reifte schließlich auch das schon vor langer Zeit ins Auge gefasste Riggertalprojekt heran, wobei von Antholz als Teilveranstalter der Winterspiele „Milano-Cortina 2026“ nach Darstellung Alfreider’s die entscheidende Schubkraft zur Projektumsetzung zu diesem Zeitpunkt ausgegangen war. Hinsichtlich der Investitionskosten hatte man sich ursprünglich auf 250 Millionen festgelegt; mittlerweile spricht man bereits von 300 Millionen. Mit großem Aufwand

verbunden sind die Unterquerung der A22 im Bereich „Ausfahrt Pustertal“ mittels eines rund 800 Meter langen Tunnels sowie die 185 Meter weite Überbrückung des Riggertales. Als Folge des Bahnbaus muss bei Schabs auch Strommasten der Freileitung „Mühlbach Eisackwerk-Vahrn 132 kV“ verlegt werden.

So sich den Bahnbauern keine unvorhergesehenen Erschwernisse in den Weg stellen, soll die neue Bahntrasse, die das Pustertal auf kürzestem Wege mit Brixen verbindet, noch innerhalb 2027 in Betrieb gehen. Im Laufe desselben Jahres dürfte wohl auch der Verkehr auf den Umfahrungen Kiens und Percha grünes Licht bekommen. // wp

Arbeiter bei der Verlegung eines Strommastens. wpz
Sanierung des Bahnhofgebäudes längst überfällig. wpz
Der Schalterraum im Bahnhofsgebäude von Bruneck. wpz

OLYMPIAKONZERT

Im Rahmen der Olympischen Spiele Milano-Cortina gibt die Militärkapelle der Luftwaffe im Gustav-Mahler-Saal zu Toblach am 16. Februar 2026 mit Beginn um 18 Uhr ein Konzert unter dem Titel „Begegnung der olympischen Kulturen von Peking 2022 bis Milano-Cortina 2026“.

Der Musikkapelle gehören vorwiegend Zeitsoldaten an, welche an diversen Konservatorien ihre musikalische Ausbildung durchgemacht haben. Ob der hohen Qualität ihres Spiels umrahmte der Klangkörper in der Vergangenheit nicht allein hohe Feiern militärischen Charakters, sondern musizierte beispielsweise auch in renommierten Kulturstätten wie dem „Auditorium Milano“, „Teatro Comunale di Bergamo“, „Teatro Regio di Parma“… Beim Konzert in Toblach, wo auch die chinesischen Sänger Fan Zhou (Sopran) und Wang San Lin (Tenor) auftreten, sollen dem Vernehmen nach auch Filmkompositionen vom Oscar-Preisträger Ennio Morricone zu hören sein. Der berühmte Komponist hat beispielsweise die Musik zu den Filmen: „Spiel mir das Lied vom Tod“, „Für eine Handvoll Dollar“, „Zwei glorreiche Halunken“, „Hateful Eight“ u. a. m. geschrieben.

GETRÜBTE FREUDE

Am vergangenen Dienstag fand als besonderes Ereignis nicht allein die Inbetriebnahme der Pustertal-Bahn auf ganzer Linie statt, sondern auch das Olympiafeuer betrat in Toblach erstmals Südtiroler Boden, reiste von dort weiter nach Niederdorf, um hierauf in die Biathlon Arena in Antholz-Obertal getragen zu werden. Danach ging’s weiter nach Rasen, wo es von der Musikkapelle und einer stattlichen Anzahl von Menschen begrüßt wurde; nach kurzem Aufenthalt setzte es seine Reise in Richtung Bruneck und den Kronplatz fort.

Ein einmaliges und freudiges Ereignis für Südtirol und für die Gemeinde Rasen-Antholz im Besonderen. Ihr wurde die Ehre zuteil, erstmals Austragungsort olympischer Wettbewerbe in Südtirol sein zu dürfen. Warum dann die an den Auslegern am Rathaus eingerollten und mit Trauerflor versehenen Fahnen Italiens und Europas? Und warum hing am dritten Ausleger die Fahne des

Die Militärkapelle vor dem Dom zu Mailand.

Das Konzert in Toblach steht unter dem Ehrenschutz der Olympiastiftung und findet mit deren Genehmigung statt. Die musikalische Aufführung und die zugleich im Foyer stattfindende Ausstellung von Skulpturen des Künstlers Friedrich Sebastian Feichter ist einer Gemeinschaftsinitiative zwischen Gemeinde, Tourismusverein und HGV entsprungen. Letzterer steht übrigens auch fürs abschließende Büffet gerade. Und die tollste Nachricht zum Schluss: Der Konzertzutritt ist frei! // wp

Sportclubs Rasen und nicht jene der Autonomen Provinz Bozen? Wie man sieht, sind Olympia und Politik auch im Kleinen unzertrennbar miteinander verbunden. // wp

Fotos: wpz

Gratisschätzung und Begutachtung

Hotel Spangla

Ahrntalerstr. 23, 39032 Sand in Taufers

Mi. 11. Februar - 10-19 Uhr

Hotel Lamm

Neustadt 16, 39049 Sterzing

Do. 12.-Fr. 13. Februar

Do.: 10-19 Uhr / Fr.: 10-17 Uhr

Das Auktionshaus hat Zweigstellen in Deutschland, Italien (Südtirol) und in der Schweiz. Bei uns erhalten Sie kostenlose und unverbindliche Schätzungen. Wir halten uns immer an den aktuellen Tageskurs und bieten Ihnen auch eine höhere Auszahlung , wenn wir Ihre Gegenstände weiterbearbeiten bzw. weiterverkaufen können. Das Südtiroler Auktionshaus ist der richtige Partner dafür!

Seit über 10 Jahren gibt es das Südtiroler Auktionshaus in Meran. Seitdem konnte sich das Auktionshaus mit Unternehmensleiter Jaime Stevens als seriöser und zuverlässiger Händler für den An- und Verkauf von Schmuckwaren wie auch mit dem Handel von Bildern und Antiquitäten sowie antiken Silberwaren etablieren. Seit Jahrzehnten ist das Unternehmen führend in Europa in Sachen Schmuck, Gemälde, Uhren und Antiquitäten. Der Ankauf von Gold und Goldschmuck wird in einer unserer Filialen abgewickelt.

MARK UND SEINE FREUNDE

WIEDERSEHEN MIT MUSIK, HERZ UND SOLIDARITÄT

Zehn Jahre nach ihrem ersten gemeinsamen Auftritt kehrten Mark Gartner und seine Freunde im Dezember 2025 noch einmal dorthin zurück, wo alles begann: in die Pfarrkirche von Pfalzen. Mit einem stimmungsvollen Weihnachtskonzert vor vollem Kirchenhaus wiederholten sie ein besonderes musikalisches Projekt. Sie bewiesen eindrucksvoll, dass Musik auch nach Jahren nichts von ihrer Kraft verliert.

Manche Geschichten verdienen eine Fortsetzung, besonders dann, wenn sie Menschen berühren und Gutes bewirken. Genau das zeigte sich in der Pfarrkirche von Pfalzen, als Mark Gartner und seine Freunde zehn Jahre nach ihrem ersten gemeinsamen Konzert erneut die Bühne betraten. Das Weihnachtskonzert wurde zu einem Abend voller Emotionen, Erinnerungen und gelebter Solidarität.

Mark Gartner stand schon früh im Rampenlicht: Bereits im Alter von dreieinhalb Jahren nahm er seinen ersten Werbespot für Pfiff Toys auf und wurde damit weit über die Landesgrenzen hinaus bekannt. Aus dieser frühen Bekanntheit wuchs im Laufe der Jahre ein außergewöhnliches Benefizprojekt. Mit Konzerten, CD-Veröffentlichungen und zahlreichen Initiativen konnten bisher rund 48.000 Euro für Menschen mit Beeinträchtigung gesammelt werden.

DIE NEUAUFLAGE

Nach einer längeren Pause kam die Idee zur Neuauflage des Konzerts nicht von ungefähr. „Wir wurden immer wieder darauf angesprochen, ob Mark noch singt“, berichtet Vater Werner Gartner, der selbst als Komponist und Liedautor arbeitet. Diese Nachfrage wurde zum Anstoß, das besondere Projekt wieder

aufleben zu lassen und zwar am selben Ort, mit denselben Künstlerinnen und Künstlern und demselben Geist wie vor zehn Jahren. Den Auftakt des Abends gestaltete erneut Mark Gartner, begleitet von seinem Vater Werner, diesmal auch gemeinsam mit Bruder Alex. Die stimmungsvolle Atmosphäre der voll besetzten Pfarrkirche wurde durch weitere musikalische Höhepunkte getragen: Der Minichor Bruneck, Mario und Christoph aus Nordtirol sowie Felix Grünbacher sorgten mit ihren Darbietungen für spürbare Gänsehautmomente und ein tief berührtes Publikum.

GROSSER ZUSPRUCH

Der große Zuspruch zeigte sich nicht nur im begeisterten Applaus, sondern auch in der beeindruckenden Spendenbereitschaft. Mehr als 5.000 Euro kamen an diesem Abend

zusammen. Dank der großzügigen Unterstützung von Pfiff Toys, Radio 2000 und Anjoka konnten sämtliche Einnahmen ohne Abzüge weitergegeben werden. 2.577,20 Euro gingen an die „Special Kickers“, eine Fußballmannschaft für Menschen mit DownSyndrom, sowie an die geschützte Werkstatt „Trayah“ in Bruneck. Im Namen der Eltern der „Special Kickers“ bedankte sich Johanna Lerchner herzlich für das Engagement. „Es ist sehr bewegend zu sehen, mit wie viel Offenheit und Wertschätzung unsere Kinder von so vielen Menschen angenommen werden“, betonte sie. Das Konzert von „Mark und seine Freunde“ hat Geschichte geschrieben. Es war ein Zeichen dafür, dass Engagement und Menschlichkeit auch nach vielen Jahren nichts von ihrer Kraft verlieren. So kann es gerne weitergehen! // rewe

Bei der Präsentation der tollen Aktion gab es nur lobende Worte. Ganz rechts: Mark Gartner. rewe

Wenn das eigene Kind von Mobbing betroffen ist und wie Eltern helfen können

Aufregend ist das Leben mit einem Kind allemal. Tägliche Herausforderungen, kleinere und größere Krisen gehören zum Alltag. Streit mit der Freundin, Ärger mit dem Lehrer, Traurigkeit, weil etwas nicht geklappt hat, kennen alle Eltern. Manchmal jedoch sind Änderungen im Verhalten der Kinder schleichend und es dauert einige Zeit, bis man merkt, dass es diesmal nicht vorüber geht. Sobald man jedoch merkt, dass etwas nicht stimmt, ist es entscheidend, als Eltern behutsam nachzufragen und aufmerksam zuzuhören. Mobbing hat nämlich viele Gesichter: gemeine Sprüche, Ausgrenzung oder sogar Schläge. Durch das Handy erhält Mobbing jedoch eine neue Dimension und findet im Gegensatz zu früher rund um die Uhr statt. Dabei werden Kinder über das Handy oder das Internet mit gemeinen Nachrichten, Beleidigungen oder Drohungen konfrontiert. Auch das Verbreiten von Lügen in Chats oder das gezielte Ausgrenzen in Gruppen ist eine häufige Methode.

Mit der richtigen Unterstützung können Eltern das Selbstvertrauen ihres Kindes stärken und ihm helfen, Lösungen zu finden, um mit der Situation umzugehen. In diesem Artikel geben wir Ihnen praktische Tipps, wie Sie Ihr Kind in dieser schwierigen Zeit begleiten können.

PRAKTISCHE TIPPS FÜR ELTERN:

• Zuhören und ernst nehmen: Zeigen Sie Ihrem Kind, dass es Ihnen vertrauen kann und dass seine Gefühle wichtig sind. Hören Sie zu, ohne zu unterbrechen oder zu urteilen, und lassen Sie es erzählen, was passiert ist.

• Gefühle bestätigen und unterstützen: Bestätigen Sie die Emotionen Ihres Kindes („Das muss wirklich schlimm für dich sein“). Es hilft Kindern oft zu wissen, dass ihre Gefühle normal und verständlich sind.

• Keine Schuldzuweisungen: Machen Sie Ihrem Kind klar, dass es keine Schuld am Mobbing trägt – die Verantwortung liegt immer beim Täter.

• Nach Details fragen: Fragen Sie konkret, was genau passiert ist, wer dabei war und wann und wo es geschehen ist. Je mehr Sie wissen, desto besser können Sie helfen.

• Gemeinsam Lösungen finden:

– Freundschaften stärken: Ermutigen Sie Ihr Kind, bestehende Freundschaften zu pflegen und neue zu schließen. Gemeinsam sind Kinder oft weniger angreifbar.

– Vertrauenspersonen suchen: Helfen Sie Ihrem Kind, Lehrer, Schulsozialarbeiter oder ältere Schülerinnen und Schüler zu finden, denen es sich anvertrauen kann. Wenn die Situation eskaliert, sollte Ihr Kind wissen, dass es jederzeit Hilfe holen kann.

– Selbstbewusstsein stärken: Üben Sie mit Ihrem Kind, klare und selbstbewusste Aussagen zu machen wie „Hör auf!“ oder „Lass mich in Ruhe!“. In vielen Fällen hilft es, den Mobbern keine Reaktionen zu zeigen – auch wenn das nicht immer leicht ist.

– Gefährliche Orte meiden: Wenn das Mobbing an bestimmten Orten oder zu bestimmten Zeiten stattfindet, überlegen Sie gemeinsam, ob Ihr Kind diese Situationen vermeiden kann (z. B. andere Pausenorte wählen).

• Schule einbeziehen: Nehmen Sie Kontakt zu Lehrpersonen oder der Schulleitung auf und schildern Sie Ihre Beobachtungen. Schulen haben oft Anti-Mobbing-Programme oder Beratungsangebote, die helfen können.

• Selbstbewusstsein fördern: Ermutigen Sie Ihr Kind, seine eigenen Stärken zu erkennen und sich selbst wertzuschätzen. Auch Hobbys oder Sportarten, in denen es

Erfolgserlebnisse hat, können ihm helfen, Vertrauen in sich selbst aufzubauen.

• Professionelle Hilfe: Wenn das Mobbing schwerwiegende Auswirkungen hat oder Ihr Kind psychisch leidet, kann es sinnvoll sein, professionelle Unterstützung in Anspruch zu nehmen. Eine Beratung bei einem Psychologen oder eine Familienberatung kann Ihrem Kind und Ihrer Familie helfen, mit der Situation besser umzugehen.

Es ist nie einfach, mit Mobbing umzugehen, besonders wenn das eigene Kind betroffen ist. Vertrauen Sie darauf, dass Ihre Hilfe einen großen Unterschied machen kann. Mit Aufmerksamkeit, Zuhören und der richtigen Unterstützung können Sie als Eltern Ihrem Kind helfen, die schwierige Zeit zu überstehen und stärker daraus hervorzugehen. Gemeinsam können Sie Lösungen finden und das Selbstbewusstsein Ihres Kindes langfristig stärken. // ph

Haben Sie Fragen zu Mobbing oder zur Erziehung allgemein? Dann melden Sie sich gerne bei der Erziehungsberatung „Puschtra FamilyCompass“ der Bezirksgemeinschaft Pustertal. Dieser neue Dienst unterstützt alle bei Fragen jeglicher Art rund um die Erziehung der Kinder. // ph

Hart, aber herzlich

Im Rahmen eines ausverkauften Heimspiels des HC Pustertal gegen Budapest kam es vor kurzem zu einem besonders emotionalen Moment: Die Mitglieder des Motoradclubs überreichten dem AEB –Aktive Eltern von Menschen mit Behinderung bereits zum vierten Mal einen Spendenscheck zugunsten von Kindern und Jugendlichen mit Down-Syndrom im Pustertal. Vor mehr als 3.000 Zuschauerinnen und Zuschauern und einem überzeugenden 5:1-Sieg der Wölfe wurde die Spendensumme von 11.750 Euro übergeben. Damit überstieg der Betrag das ohnehin tolle Ergebnis des Vorjahres noch einmal deutlich.

Was diese inzwischen lange anhaltende Freundschaft auszeichnet, ist weit mehr als finanzielle Unterstützung. Der eigens produzierte Song und das Video „Hart, aber herzlich“ bringen auf den Punkt, was über Jahre gewachsen ist: eine echte, verlässliche Verbundenheit zwischen den Harley Heads und den Familien der Jugendlichen mit Down-Syndrom. Regelmäßige gemeinsame Veranstaltungen sind zu heiß ersehnten Fixpunkten im Leben der Jugendlichen, die zunehmend selbstständig werden und für ihre Familien geworden.

Ein Höhepunkt im vergangenen Jahr war das Benefizevent „Rockers for Kids with Down Syndrom“ am 22.11.2025 mit Live-Musik, Verpflegung, Nikolausbesuch sowie breiter Unterstützung durch Wirtschaft, Bands und freiwillige Helferinnen und Helfern. Ebenso in bester Erinnerung ist das Sommerfest „We ride with our friends“ am 27.07.2025. Das Grillfest in der „Tenne“ von Brunecks Bürgermeister Bruno Wolf mit anschließender Bikerrundfahrt fand große mediale Resonanz, unter anderem bei Radio Holiday. Eine Wiederholung dieses Festes ist bereits geplant.

VIELE WERTVOLLE SCHRITTE

Berührend sind auch die vielen kleinen Gesten abseits der großen Events: Überraschungsbesuche an Geburtstagen zeigen, dass die Harley Heads ihr Herz wirklich „am rechten Fleck“ haben. Ein besonders berüh-

render Moment war, als Vicky von der Gruppe Down-Syndrom ein Gedicht vortrug, in dem es heißt: „Ihr nehmt euch Zeit für uns, ihr seid unsere Helden – mit einem Herz, das größer ist als jedes Motorrad. Ihr seid unsere besten Freunde auf der Straße des Lebens.“ Der AEB bedankt sich bei der gesamten Crew der Harley Heads und ihren Motorradfreunden aus nah und fern, besonders bei Tommy Stemberger und Hansjörg Tasser. Letzterer hat in diesem Jahr sogar sein Markenzeichen, einen gepflegten Bart, für den guten Zweck versteigert. Ein großer Dank gilt zudem allen Sponsoren, den Bands, dem Nikolaus, dem HC Falkensteiner Pustertal für die Autogrammstunde und die Eintrittskarten, den Mitarbeitenden sowie allen Unterstützerinnen und Unterstützern, die durch Sach- und Geldspenden diese vierte Scheckübergabe möglich gemacht haben.

ES TUT SICH VIEL BEIM VEREIN

„Als Vizepräsidentin des AEB, aber vor allem als Mama, bin ich zutiefst berührt“, so Irmhild Beelen. Denn dank des unglaublichen Engagements der Motorradfreunde können die Kinder und Jugendlichen mit Downsyndrom sich heuer den größten Wunsch erfüllen. Im Juli werden sie nämlich erstmals eine gemeinsame Urlaubswoche ohne Eltern verbringen können – begleitet von einem kreativen, engagierten Betreuungsteam - in Bungalows auf einem Campingplatz in Lazise am Gardasee. Zusätzlich sind zwei Erlebniswochenenden am Edenhof in Oberwielenbach wieder fix eingeplant.

Diese Initiative zeigt daher eindrucksvoll, wie gelebte Solidarität aussieht: laut, herzlich und mit nachhaltiger Wirkung! // ag

Erfreulicher Anlass: Bei der Spendenübergabe auf dem Eis in der Intercable-Arene vor ausverkauftem Hause.

HILFE NACH DEM BRAND BEIM „OBERPAHLERHOF“

Zu einer raschen und unkomplizierten Hilfe für die Betroffenen am „Oberpahlerhof“ rufen die Gemeindeverwaltung von Toblach und alle örtlichen, bäuerlichen Organisationen in Zusammenarbeit mit dem „Bäuerlichen Notstandsfonds – Menschen helfen“ (BNF) auf. Bei einem Dachstuhlbrand am zweiten Jänner 2026 wurde das Bauernhaus vom Feuer teilweise zerstört und durch Wasser (Löscharbeiten) in Mitleidenschaft gezogen. Das Haus ist momentan nicht bewohnbar und muss erneuert werden.

Dank des großartigen Einsatzes von verschiedensten Feuerwehren aus dem Oberpustertal und aus Silian konnten die Brandausbreitung verhindert und die direkt angebauten Nachbargebäude geschützt werden. Zum Glück gab es keine Verletzte. Auch die Tiere im Stall blieben verschont.

Doch die Schäden sind leider dennoch groß. Nun erfolgt der Aufruf, den Betroffenen in diesem sehr schwierigen Moment beizustehen. Denn Solidarität schenkt Hoffnung, Mut, Zuversicht und Kraft, die jetzt gebraucht wird. // ea

WICHTIGE INFORMATIONEN

Der „Oberpahlerhof“ in Wahlen bei Toblach wurde durch einen Großbrand am zweiten Jänner 2026 schwer getroffen. Nun läuft eine Spendenaktion.

Spenden können über die Spendenkonten des „Bäuerlichen Notstandsfonds“ (BNF) eingezahlt werden.

Kennwort: „Brand Oberpahlerhof – Toblach“

Raiffeisen Landesbank IBAN IT30 D 03493 11600 0003000 11231

Südtiroler Sparkasse IBAN IT67 D 06045 11600 0000000 34500

Südtiroler Volksbank IBAN IT15 U 05856 11601 05057000 4004

Spenden an den BNF können von Privatpersonen und von Betrieben in der Einkommenssteuererklärung abgesetzt werden. Bitte bei der Überweisung unbedingt den Namen, die Adresse und Steuernummer angeben.

• HEILSITZUNGEN

• ATLASREPONIERUNG

• COACHING IN PRÄSENZ & ONLINE

• CORE COACHING

MARION GRIESSMAIR

PRAXIS FÜR GEISTIGES HEILEN UND FUTURE - COACHING

Endlich frei von Rückenschmerzen und unendlich erleichtert…

Unter Rückenschmerzen verstehen wir alle leichten, mittleren oder starken Schmerzen im Rückenbereich, das bedeutet an unserer Wirbelsäule.

Die Wirbelsäule ist weit mehr als ein Knochengerüst, das von Sehnen und Bändern gehalten wird. Sie ist ein Informationsträger, der alles speichert, was wir erlebt und getan haben und was uns unsere Vorfahren mitgegeben haben. Die Wirbelsäule ist unsere Lebensstütze, intelligent und hochsensibel. Aus anatomischer Sicht besteht die Wirbelsäule aus 7 Halswirbeln, 12 Brustwirbel, 5 Lendenwirbel, dem Kreuzbein und dem Steißbein. Zu den häufigsten Rückenschmerzen gehören Hals und Nackenschmerzen, Schmerzen in der Lendenwirbelsäule, Kopfschmerzen, aber auch Schulterschmerzen, Hüftschmerzen, Knieschmerzen, Fußschmerzen, die durch Fehlstellungen, Verschiebungen oder Verdrehungen der Wirbelsäule ausgelöst werden können. Wenn also unsere Lebensstütze nicht zentriert und frei von Blockaden ist, dann belastet das unseren Körper, unsere Seele und unseren Geist. Rückenschmerzen können uns sehr viel Kraft und Energie rauben. In der Wirbelsäule wird alles gespeichert, was wir erlebt und auch

von unseren Vorfahren mitbekommen haben. Dadurch entstandene Blockaden können uns Schmerzen bereiten.

Rückenschmerzen können auch das ausdrücken, was dich gerade jetzt in deinem Leben belastet, z. B. Best. Bedingungen, Situationen, Menschen, … Rückenschmerzen zeigen dir auf, dass etwas gesehen und auch verändert werden darf. Rückenschmerzen treten auch dann auf, wenn dein erster Halswirbel, der Atlas, verschoben ist, wodurch es zu verengten Arterien und auch Druck auf Nervenbahnen, Lymphe oder auch Organe führen kann.

In meiner Praxis biete ich dir mit KAR die Möglichkeit, deinen Atlas sanft wieder in seine richtige Position zu bringen. Diese Methode zentriert und entlastet die Wirbelsäule und kann körperliche sowie emotionale Blockaden lösen. Wenn du deinen Alltag wieder frei gestalten möchtest, ohne Schmerzen oder Bewegungseinschränkungen, besser schlafen willst oder wieder Freude an Bewegung wie Tanzen oder Wandern haben möchtest, melde dich gerne bei mir. Ich freue mich auf dich. Marion Griessmair

3.500 EURO AN SPENDEN FÜR DIE FAMILIE TROGER

Am 17. Dezember 2025 ist der junge Familienvater Hannes Troger aus Terenten nach schwerer Krankheit verstorben. Er hinterließ seine Frau Barbara sowie die beiden Söhne Lukas und Simon. Dieser tragische Schicksalsschlag hat viele Menschen weit über Terenten hinaus tief betroffen gemacht. Auf Initiative von Simon Stolzlechner (Metzgerei Stolzlechner) wurde kurz vor Weihnachten in Gais eine Spendenaktion ins Leben gerufen. Unterstützung erhielt er sofort von Markus Knapp (Bäckerei Knapp), vom KVW sowie von der Katholischen Frauenbewegung Gais. So wurde am 23. und 24. Dezember vor der Metzgerei Stolzlechner ein Weihnachtsumtrunk mit Glühwein, Apfelglühmix und Keksen organisiert. Die Aktion fand großen Anklang, und viele Menschen zeigten ihre Solidarität durch großzügige Spenden.

VEREIN „KINDER IN NOT“ GEMEINSAM

DVor kurzem wurde in Gais der Spendenscheck über 3.500 Euro an die Familie Troger übergeben.

Insgesamt konnten 3.500 Euro gesammelt werden, die kürzlich Barbara Troger übergeben wurden, die gerührt war und sich sehr dankbar zeigte: „Ich bin überwältigt von der

HOFFNUNG SCHENKEN

er gemeinnützige Verein „Kinder in Not“ bittet dringend um Hilfe. Konkret wird ein Lagerplatz gesucht – etwa ein Stadel, eine Halle oder eine geeignete Freifläche, auf der Hilfsgüter zwischengelagert und verladen werden können. Wichtig ist dabei, dass ein LKW problemlos zufahren sowie auf- und abladen kann. Da alle Tätigkeiten im Verein ehrenamtlich erfolgen, ist es leider nicht möglich, Miete oder sonstige Kosten zu übernehmen. Mit gespendeter Kleidung, kleinen Möbeln und Stühlen hilft der Verein Menschen in großer Not im bitterarmen Pomirla in Rumänien. Besonders am Herzen liegt den Vereinsmitgliedern derzeit das Schicksal einer

Familie mit vier Kindern, deren Zuhause nach einem Brand noch immer nicht bewohnbar ist (die PZ hat darüber berichtet) Zwar konnten dank der großartigen Spenden die Sanierungs- und Bauarbeiten gut vorangetrieben werden, aber nun fehlen noch die Fenster. Ohne sie kann die Familie nicht zurück in ihr Heim ziehen.

Gebrauchte Fenster könnten hier einen entscheidenden Beitrag leisten und der Familie ein sicheres Zuhause und neue Hoffnung schenken. Darüber hinaus freut sich der Verein über Menschen mit Herz, die sich ehrenamtlich engagieren und die Arbeit von „Kinder in Not“ aktiv unterstützen möchten. Jede Hilfe zählt! // rewe

großen Solidarität und Hilfsbereitschaft, die uns überall entgegengebracht wurde, und möchte einfach von Herzen Danke sagen.” // aldar

WICHTIGE INFORMATIONEN

VEREIN „KINDER IN NOT“

Kontakt: Elsa Wolfsgruber +39 340 6161847

Bankverbindung:

Raiffeisenkasse Tauferer Ahrntal Kinder in Not – Hilfswerk Rumänien

IBAN: IT32 T082 8558 4220 0030 1004 140

Danke für jede Spende!

EIN STARKES ZEICHEN DER SOLIDARITÄT

Große Beteiligung, gelebter Zusammenhalt und ein beeindruckender Spendenbetrag: Die letzte Christbaumaktion beim Auslugerhof in St. Lorenzen erwies sich einmal mehr als voller Erfolg. Insgesamt konnten 4.168,95 Euro für den „Bäuerlichen Notstandsfonds – Menschen helfen“ (BNF) gesammelt werden. Der Erlös kommt einer Familie aus St. Lorenzen zugute, die durch die schwere Erkrankung eines Kindes vor erheblichen finanziellen Herausforderungen steht. Im Zentrum der Aktion standen regionale Christbäume aus nachhaltig bewirtschafteten heimischen Wäldern. Die kurzen Transportwege sowie die enge Zusammenarbeit innerhalb der bäuerlichen Organisationen unterstrichen den verantwortungsvollen Umgang mit Natur und Ressourcen. Mit dem Kauf eines Baumes sowie mit Speisen und Getränken leisteten die Besucherinnen und Besucher einen direkten Beitrag zur Unterstützung der betroffenen Familie.

VIELE WIRKTEN MIT

Ein besonderer Dank gilt den Bäuerinnen und der Bauernjugend, die mit großem Engagement zum reibungslosen Ablauf der Veranstaltung beigetragen haben. Für die

Im Beisein von SBO- und SBJ-Vertretern hat Gastgeber Joachim Knapp vom Auslugerhof in St. Lorenzen den Spendenscheck an BNF-Bezirksvertreter Paul Steger übergeben.

musikalische Umrahmung sorgten Galdino Brazzo und Magdalena Unterberger sowie Mirjam Putzer und Matthias Pueland, die mit ihren Darbietungen eine stimmungsvolle Adventatmosphäre schufen. Großzügige Unterstützung kam zudem von zahlreichen Lebensmittelspendern, darunter besonders die Metzgerei Baumgartner und der Ehrenreicherhof. Für wohlige Wärme während der Veranstaltung stellte „Bärnthal Holz“ das benötigte Brennholz zur Verfügung. Dank gilt ebenso allen Helferinnen und Helfern sowie der großen Zahl an Besucherin-

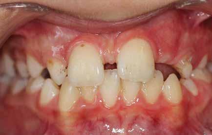
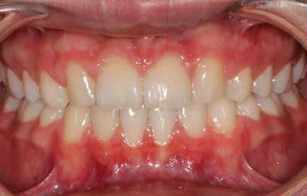
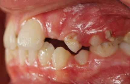
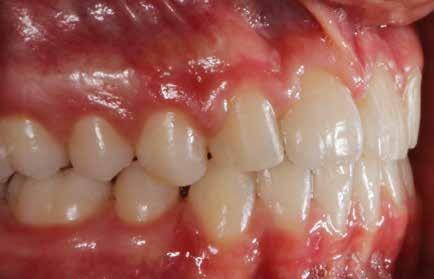
MODERNE ZAHNMEDIZIN

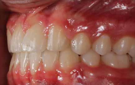
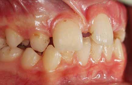
Abb. 1: Vor der Behandlung, frontal Abb. 2: Nach der Behandlung, frontal

Abb. 3: Vor der Behandlung, rechts

Abb. 5: Vor der Behandlung, links

Abb. 4: Nach der Behandlung, rechts

Abb. 6: Nach der Behandlung, links

Kieferorthopädie:

Wie in Abb.1 zu sehen ist, fehlen bei diesem Patienten im Oberkiefer die seitlichen Schneidezähne. In der kieferorthopädischen Therapie wurde ein Lückenschluss durchgeführt, sodass nun im Ergebnis beide Eckzähne im Oberkiefer die Position der seitlichen Schneidezähne einnehmen (Abb.2 blaue Pfeile) und die dahinterliegenden Prämolaren somit auf der Position der Eckzähne stehen. Die beiden Eckzähne wurden zu seitlichen Schneidezähnen umgeformt.

Um einen adäquaten Frontzahnüberbiss zu erreichen und eine perfekte Kl I Verzahnung einzustellen wurden im Unterkiefer als Ausgleich die

nen und Besuchern. Sie alle haben einmal mehr gezeigt, wie wertvoll Zusammenhalt und gegenseitige Unterstützung in der Gemeinde sind. Die Christbaumaktion hat eindrucksvoll bewiesen, dass gemeinsames Engagement viel bewegen kann.

Die betroffene Familie war von der einzigartigen Aktion und wertvollen Hilfe sehr zutiefst gerührt: „Wir möchten allen Organisatoren, Helfern und Spendern von Herzen danken. Die erfahrene Solidarität und Unterstützung bedeuten uns in dieser schwierigen Zeit unendlich viel.“ // ea

Zähne 34 und 44 extrahiert (Abb.3 und Abb.5 gelbe Pfeile).

Mit freundlichen Grüßen Dr. Josef Willeit und Dr. Paul Willeit

Dr. Josef Willeit

Facharzt für Zahn-, Mund- & Kieferheilkunde Facharzt für Kieferorthopädie

Dr. Paul Willeit

Zahnarzt, Facharzt für Kieferorthopädie

Adresse: Romstraße 3, Bruneck • Tel. 0474 555 409 info@willeit.it • www.willeit.it

Anzeige

Türen öffnen und Hemmschwellen senken

Seit 2022 leitet und kuratiert Lisa Leoni das „Eck Museum of Art“ in Bruneck. Im Interview spricht sie über die Arbeit hinter den Kulissen, über das Ziel, Kunst, Gesellschaft und Generationen stärker miteinander zu verbinden und wie zeitgenössische Kunst in einer kleinen Stadt erlebbar wird. Weil Kunst viel mehr ist als ein stiller Ausstellungsraum. Sie lebt vom Austausch und davon, dass sie etwas in uns auslöst.

PZ: Im Studium denkt man oft groß. Wie war das Ankommen in einer kleinen Realität?

Lisa Leoni: Ja, es ist wohl so, da hat man viele Träume. In unserem Bereich waren gerade damals die Positionen recht begrenzt. Mir war schon während des Studiums klar, dass ich in der Kunstszene arbeiten möchte. Aber es musste das Richtige sein. Ich habe an der Uni Bozen gearbeitet, als ich hörte, dass man in Bruneck jemanden für Leitung und Kuratierung der Kunstgarage suchte. Ich habe kurz überlegt, ob ich dem gewachsen bin. Da war ich selbstkritisch. Aber dann wurde mir klar, dass ich über die Jahre viel Erfahrung gesammelt habe, im Basismanagement, in der Organisation, auch in der Führung. Und die Kunst hat mich ohnehin ein Leben lang begleitet. Ich kam zum Schluss, es ist wie ein Zug, der vorbeifährt und den nehme ich jetzt. Das Bewerbungsgespräch war so auf Augenhöhe, ich merkte, dass ich eigenständig arbeiten und mich bei einem neuen Projekt wie der Kunstgarage und der Neuaus-

Unterwegs: Besuch in der Galerie 90 bei Alex Pergher

Lisa Leoni, 1979 geboren, lebt und arbeitet in Bruneck. Seit 2022 ist sie Direktorin und Kuratorin des Eck-Museum of Art Bruneck (ehemals Stadtmuseum). Sie studierte Kunstgeschichte in Innsbruck mit Schwerpunkten Klassische Archäologie, Philosophie und Japanisch. Vor ihrem Wechsel ins Museum war sie am UNIBZ-

richtung des Museums einbringen kann. Es ist besonders, bei etwas dabei zu sein, das neu entsteht.

Woher kommt diese Nähe zur Kunst? Aus der Familie. Meine Mama war Kunsterzieherin, wir sind mit Kunstbüchern, Malpinseln und dem ganzen Umfeld aufgewachsen, das war alles ganz normal. Und wir waren als Familie viel unterwegs, auch in diesem Bereich. Für mich war die Ferienakademie über Jahre wichtig. Wenn ich irgendwohin gereist bin, war immer klar: Kunst und Kultur gehören dazu.

Was ist das Ziel der Kunstgarage? Das Grundkonzept ist ein partizipativer

Campus Bruneck als Koordinatorin tätig und arbeitete davor im administrativen und organisatorischen Bereich des Front Office. Im Interview spricht sie darüber, wie sie den Übergang vom Stadtmuseum zum Eck-Museum mitgestaltet hat, warum ihr die Öffnung des Hauses und die Vermittlung besonders wichtig sind und wie sie zeitgenössische Kunst in einer kleineren Stadt erlebbar machen will. Lisa Leoni ist Mutter eines sechsjährigen Sohnes und Mitglied von Thrive+, einem Verein für nachhaltiges Female Empowerment, Personal Growth und Chancengerechtigkeit.

Aktuelle Ausstellung:

Durchreise: Die Ausstellung von Eder, Schuster und Tschenett zeigt Fotografie im Spannungsfeld von Fashion Editorial und zeitgenössischem Blick auf Bewegung, Moment und Inszenierung und ist auch eine fotografische Erkundung Südtirols. Zu sehen im Eck-Museum in Bruneck vom 07.02. bis 28.02.2026; Vernissage am 07.02.2026 um 18.00 Uhr. //

Raum. Nicht nur exklusiv für uns gedacht, sondern so, dass unterschiedliche Projekte Platz finden. Manche davon finden in Serie statt, wie eine Kooperation mit dem Kunstgymnasium oder Performances, die vor allem in die Sommerausstellung und das Atelierfest eingebettet sind.

Wie würden Sie den Übergang vom Stadtmuseum zum Eck-Museum of Art beschreiben?

2023 war ein Jahr der Neupositionierung –nicht nur architektonisch, sondern auch inhaltlich. Es sind neue Denkräume entstanden. Und man hat gesehen: Die Leute akzeptieren relativ schnell, dass da ein Umdenken stattfinden muss. Zeitgenössi-

Heinz Innerhofer

Wenn sich Pragser Wildsee und Venedig treffen, bleiben Spiegelbilder einer surrealen Begegnung: Ausstellung Ferragosto von Kuno Mayr. Heinz Innerhofer

sche Kunst soll nicht exklusiv sein, sie soll erlebbar sein. Der Zubau war eine Chance, die Türen zu öffnen, die Hemmschwellen zu senken und Kunst näher zu holen. Da muss man natürlich Berührungspunkte schaffen. Das gelingt uns durch Kooperationen und interdisziplinäre Projekte. Wir arbeiten mit anderen Kulturinstitutionen, mit Kollektiven, mit jungen Künstlerinnen und Künstlern zusammen. Im Zentrum meiner Arbeit geht es stark darum, Synergien zu schaffen zwischen Kunst, Gesellschaft und vor allem Generationen. Eine weitere Säule ist die Förderung von Künstlerinnen und Künstlern, besonders junger Positionen. Es geht nicht nur darum, Ausstellungsmöglichkeiten zu bieten, sondern um Austausch und darum, gemeinsam neue Formate zu entwickeln und Perspektiven zu schaffen. Diese Transformation verstehe ich als notwendige Zeit für Veränderung – eine Phase des Innehaltens, Hinterfragens und Neudefinierens dessen, was ein Museum heute sein kann und sein sollte. Förderung bedeutet dabei nicht nur Ausstellungsmöglichkeiten, sondern auch Vernetzung, Austausch und Begleitung.

Modern, klassisch, lokal, international: Gibt es einen Verteilungsschlüssel innerhalb eines Ausstellungsjahrs?

Wir planen eher im Rhythmus von zwei bis drei Jahren, weil es so viele Anfragen und Ideen gibt. Die Entscheidung liegt nicht

nur bei mir, es ist ein Zusammenspiel mit dem Vorstand. Der Vorstand ist wie eine Ideenwerkstatt: Wir legen Ideen auf den Tisch und schauen, wie daraus etwas entstehen kann. Es ist gut, wenn man nicht einfach ausstellt, sondern eine Idee wirklich durchdenkt. Wichtig ist, dass das Ausstellungsjahr stimmig ist und dass Berührungspunkte entstehen, nicht immer plakativ, aber so, dass man ein Gefühl hat, es hängt zusammen.

Welche Rolle spielt dabei die Museumssammlung?

Wir haben eine schöne Sammlung, und es macht keinen Sinn, eine Sammlung im Haus zu haben, wenn niemand weiß, dass es sie gibt. Sie muss zugänglich gemacht werden. Letzthin haben wir einzelne Stücke aus der Sammlung in zeitgenössische Kontexte gestellt, zum Beispiel bei der Ausstellung Metamorphosis mit zeitgenössischen Interpretationen. Gleichzeitig gibt es Themen wie die Fotosammlung, die für jeden zugänglich ist, sodass Menschen tatsächlich damit in Kontakt kommen. Grundsätzlich ist die Blickrichtung des Hauses zeitgenössisch, aber die Vergangenheit soll nicht weg sein. Man kann sie sichtbar machen, nur eben in einer passenden Form.

Wie verhält sich das zu klassischen Ausstellungen?

Austausch: Thina Adams (l.) und Lisa Leoni treffen Günther Oberhollenzer im Künstlerhaus, Wien.

Wir hatten vergangenes Jahr die große Ausstellung zum 30-jährigen Bestehen des Museumsvereins – 60 Jahre Bildende Kunst in Bruneck. Das war eine Hommage an Heinz Zelger, der von der ersten Stunde an eine wichtige Figur war. Das war im allgemeinen Verständnis eher eine klassische Ausstellung, auch wenn sich die Präsentation mit fast 390 Stücken abhob und jeder Raum anders konzipiert war.

Warum sind sogenannte Side-Events wie Lesungen, Musik, kleine Ausstellungen so wichtig?

Sie holen unterschiedliche Menschen ins Museum. Nicht jeder kommt wegen der großen Ausstellungen. Künstlergespräche, Performances, Konzerte sind Formate, die Berührung schaffen. So wird das Museum zu einem lebendigen Ort des Dialogs, der Kunst in ihrer gesellschaftlichen Relevanz erfahrbar macht. Manche sagen, sie haben mit Kunst nichts am Hut. Sie kommen vielleicht wegen eines Konzerts und merken dann, dass es eigentlich toll ist. Auch darum geht es.

Wenn man das Museum als Lernort betrachtet: Welche Zielgruppen sind am schwersten zu erreichen und was funktioniert gut?

Die Jugend ist ein Knackpunkt, einfach grundsätzlich. Wir sind motiviert und arbeiten viel, zum Beispiel mit einer nach-

WOHNSTUDIO & Tischlerei Mair Lorenz Antholzer Talstr. 31 - 39030 Oberrasen T: +39 (0474) 496 272 info@mairlorenz.it

DANSTUDIO Exklusiv d. Mair Lorenz

St. Lorenznerstr. 13 - 39031 Bruneck T: +39 (0474) 530 054 danstudio@mairlorenz.it

*www.mairlorenz.it 14.03. BIS 23.03.2026

Natürlich schlafen Besser leben

haltigen Kooperation mit dem Kunstgymnasium. Da stellen die vierten Klassen selbst bei uns aus, sie konzipieren die Ausstellung, organisieren die Vernissage und bekommen so einen Einblick, wie es nach einem eventuellen Studienabschluss an einer Akademie weitergehen könnte. Das funktioniert sehr gut. Wir sind auch vom klassischen Jugendwettbewerb weggegangen, weil wir gesehen haben, dass dadurch oft nicht die ganze Klasse erreicht wird.

Also eher Formate, bei denen die Schülerinnen und Schüler selbst etwas tun können?

Genau, wir machen oft eine Einführung und lassen sie danach selber los. Das ist etwas anderes, als wenn man eineinhalb Stunden durch die Ausstellung geführt wird und alles erklärt bekommt. Wir geben Handouts oder kleine Guidelines, damit sie eigenständig schauen können. Und wir haben freien Eintritt für Schülerinnen, Schüler und Studierende bis 26, damit sie jederzeit kommen können. Das Problem ist oft weniger Interesse als Zeit: Schule, Verpflichtungen, außerschulische Termine.

Wie schafft man in einer kleinen Stadt die Gratwanderung zwischen Nähe schaffen, aber nicht provinziell wirken und gleichzeitig international denken? Partizipative Projekte schaffen Berührungspunkte für Menschen, die sonst wenig Bezug zu Kunst haben. Durch Kooperationen und interdisziplinäre Projekte holen wir Kunst bewusst in den Alltag der Menschen. Junge Positionen funktionieren auch sehr gut. Ich glaube, wir können sehr gut mithalten mit größeren Museen. Eine große Aufgabe ist eher, Kunst und Kultur in der Gesellschaft zu stärken und für Wertschätzung und Akzeptanz zu sorgen. Dafür braucht es Vermittlungsarbeit. Und wir versuchen generationenübergreifend zu arbeiten mit lokalen Künstlern, die einen Namen haben, dazu junge Künstle-

rinnen und Künstler, die vielleicht aus Südtirol stammen, aber im Ausland waren und dann auch immer wieder Input von außen zu holen. Diese Mischung bringt uns weiter.

Wie setzt das Museum Standards in puncto Künstlerhonorare?

Künstlerhonorare stehen bei uns an erster Stelle. Für jede Ausstellung gibt es einen Finanzierungsplan, und die Honorierung ist ein zentraler Punkt, wobei das richtige Wort eher Wertschätzung ist. Denn große Summen können wir nicht bezahlen. Es gibt ein Dokument mit Standards, das vom Südtiroler Künstlerbund zusammen mit dem Amt für Kultur erarbeitet wurde. Daran halten wir uns. Wichtig ist, dass alle an einem Strang ziehen.

Wo kann man sparen?

Bei Leihgaben – vor allem bei älterer Kunst. Transport, Leihgebühren, Versicherungen: Das verursacht unglaubliche Kosten. Das haben wir stark reduziert, wir holen kaum mehr klassische Leihgaben. Bei zeitgenössischen Projekten gibt es oft eine große Kooperationsbereitschaft: Viele Künstlerinnen und Künstler helfen beim Aufbau und bringen Arbeiten selbst. Wir bündeln Ressourcen durch Kooperationen, teilen technische Geräte im Austausch mit Partnern, unterstützen uns gegenseitig. Im Hintergrund steckt sehr viel Kalkulation. Es wird oft vergessen, dass Künstler zu sein ein Beruf ist wie jeder andere. Und auch das Museum ist

Ungewöhnlicher Ausstellungsort:

nicht nur schöne Dinge: Es ist extrem viel Verwaltungsarbeit, wirtschaftliches Arbeiten, wie ein Unternehmen. Dieses Bild zu korrigieren ist wichtig.

Was nehmen Sie von den Begegnungen mit Künstlerinnen und Künstlern mit?

Man trifft oft Menschen, die zwischen Alltag, Terminen und Pflichten für nichts richtig brennen. Bei vielen Künstlerinnen und Künstlern ist dieser innere Antrieb sehr stark ausgeprägt, auch wenn nicht alle davon leben können und viele oft noch andere Jobs brauchen. Dieses Dranbleiben, dieser Auftrag, auch etwas verändern zu können, das ist eine Kraft, die mich begeistert.

Was soll das Museum in den nächsten Jahren weiterbringen?

Es gibt viele Ideen und sehr viele Anfragen, das zeigt, dass wir am richtigen Weg sind. Ein nächster Schritt ist, unsere Arbeit stärker nach außen zu tragen. Es gibt eine Idee und auch Unterstützung vom Amt für Kultur, Kunst in der Peripherie rund um Bruneck zu fördern. Nicht immer soll das Eck als Hauptakteur agieren, sondern mit unserem Know-how als Unterstützung für Institutionen und Kollektive.

Wie definieren Sie Kunst?

Für mich ist es ein Zusammenspiel aus vielem. Der Schlüssel ist Offenheit. Keine Berührungsangst, nicht das Gefühl zu haben, alles wissen zu müssen. Wenn ich offen bin, etwas zulasse und bereit bin, mich auf etwas einzulassen, dann erfüllt Kunst ihre Aufgabe.

Banksy, Kippenberger: Kunst sorgt manchmal für Reibung, dann reden plötzlich alle darüber. Ist das eine wichtige Aufgabe der Kunst?

Dass darüber gesprochen wird, ist wichtig. Die Sprache der Kunst kann Dinge anders auslösen als das gesprochene oder geschriebene Wort. Wir hatten auch mal Kontroversen bei einer Ausstellung, die in den Kirchen von Bruneck und Umgebung stattfand. Manche sagten, es sei zu wenig kritisch gewesen, für andere war der Ort unpassend. Dabei muss Kunst nicht laut sein, sie muss auch nicht immer polarisieren oder kritisch sein. Sie berührt auf vielen Ebenen.

// Interview: Verena Duregger

Oktopus: Workshop für Kinder mit Peter Volgger.
Epiphanie von Alois Steger, Spitalskirche Bruneck.
Heinz Innerhofer

SCHENKUNGEN VON IMMOBILIEN IN VERLETZUNG DES PFLICHTERBTEILS

–enge Termine,

um die Rückgabe einzuklagen

Die nächsten Verwandten (Kinder, Ehepartner, Eltern) sind bekanntlich sogenannte Pflichterben, d.h. ihnen steht ein vom Gesetz vorgesehener Teil der Hinterlassenschaft zu; wenn der Erblasser mittels Testament oder aber mit Schenkungen zu Lebzeiten sein Vermögen in Verletzung dieses Pflichterbteils verteilt, so können besagte Pflichterben sich ihren Pflichtteil beim Erben oder aber Beschenkten zurückholen. Hierzu sieht das Zivilgesetz die sog. Kürzungsklage vor, mittels welcher die Wiederherstellung der mit den Verfügungen des Erblassers verletzten Quoten ermittelt werden.

Handelt es sich bei der (zu Lebzeiten erfolgten) Schenkung um Liegenschaften und gelingt keine Einigung finanzieller Natur, kann der Pflichterbe Klage auf Herausgabe der Liegenschaft erheben. Für den Fall, dass der (zu Lebzeiten) mit Immobilien Beschenkte das erhaltene Gut weiterveräußert und zum Zeitpunkt der Eröffnung der Erbschaft nicht über ausreichend Vermögen verfügt, um den Pflichtteil wiederherzustellen / zurückzugeben, sah Art. 563 ZGB bis vor kurzem vor, dass der Pflichterbe, nach erfolgreicher Kürzungsklage nicht nur gegen den -unter Umständen- nicht mehr liquiden Beschenkten, sondern auch gegenüber dessen Rechtsnachfolgern vorgehen und die Rückgabe der im Schenkungswege übertragenen Liegenschaft verlangen kann; dies aber nur innerhalb von 20 Jahren nach erfolgter Verbücherung der Schenkung; wobei diese Frist durch einen notariell erstellten und formell zugestellten und verbücherten Widerspruch gegen die Schenkung unterbrochen werden konnte.

Diese im Interesse der Pflichterben vorgesehene Regelung beeinträchtigte verständlicherweise sämtliche nachfolgende Rechtsgeschäfte bezüglich der betroffenen Immobilie. Und aus eben diesem Grund ist mit Gesetz Nr. 182/2025, in Kraft seit 18.12.2025, diese Bestimmung für ab diesem Datum eröffnete Erbschaften aufgehoben worden.

Dasselbe Gesetz sieht dann für die Übergangsphase vor, dass bei Erbschaften, welche vor besagtem Datum eröffnet worden sind, die Rückgabe der (zu Lebzeiten) im Schenkungswege übertragenen Liegenschaft/en noch eingeklagt werden kann

- wenn vor dem 18.12.2025 die Kürzungsklage zugestellt und (im Grundbuch) angemerkt ist;

- wenn vor dem 18.06.2026 die Kürzungsklage oder aber der Widerspruch gegen die Schenkung (s.o.) zugestellt und verbüchert ist. //

HAUSHALTSGESETZ 2026

Dieter Pichler

Steuerberater und Wirtschaftsprüfer

Baumgartner.Partner GmbH Wirtschaftsprüfung und Steuerberatung Bruneck - www.baumgartner.tax

Privatisierung von Unternehmensgütern

Mit dem Haushaltsgesetz 2026 wird erneut die Möglichkeit für Gesellschaften und Einzelunternehmen geschaffen, bestimmte Unternehmensgüter steuerbegünstigt zu privatisieren.

Regelung für Gesellschaften

Anspruchsberechtigt sind Personen- und Kapitalgesellschaften, die bis zum 30. September 2026 Immobilien sowie in öffentlichen Registern eingetragene Güter (z.B. Fahrzeuge) an Gesellschafter zuweisen oder veräußern.

Es dürfen nur jene Güter privatisiert werden, die nicht betrieblich genutzt werden. Vermietete oder zum Warenbestand zählende Unternehmensgüter fallen damit in den Anwendungsbereich der begünstigten Zuweisung.

Die begünstigte Zuweisung ist nur für Gesellschafter möglich, die bereits am 30. September 2025 an der Gesellschaft beteiligt waren

Die Differenz zwischen dem Markt- oder Verkehrswert - oder alternativ dem aufgewerteten Katasterwert bei Immobilien - und dem Restbuchwert unterliegt einer Ersatzsteuer in Höhe von 8 % (bzw. 10,5 % bei sog. Scheingesellschaften), mit welcher die Einkommenssteuern und die IRAP abgegolten werden. Die Zahlung erfolgt in zwei Raten: 60 % bis zum 30. September 2026, die restlichen 40 % bis zum 30. November 2026. Ein möglicher Mindererlös bleibt steuerfrei.

Bei Übertragungen, die der Registergebühr unterliegen, reduziert sich diese auf die Hälfte, also auf 4,5 % des Verkehrswertes bzw. des aufgewerteten Katasterwertes. Kataster- und Hypothekargebühren bleiben unverändert.

Bei Kapitalgesellschaften ist zudem zu prüfen, ob die Zuweisung als Gewinnausschüttung zu werten ist, die entsprechend besteuert werden muss. Werden Rücklagen in Steueraussetzung (z.B. Aufwertungsrücklagen) verwendet, fällt zusätzlich eine Ersatzsteuer in Höhe von 13 % an.

Regelung für Einzelunternehmen

Im Falle von Einzelunternehmen dürfen nur Betriebsimmobilien privatisiert werden. Dazu gehören Immobilien, die ihrer Art nach als solche einzustufen sind, auch wenn sie vermietet sind.

Die Option zur Privatisierung , die bis spätestens 31. Mai 2026 ausgeübt werden muss, hat Wirkung ab 1. Jänner 2026, wobei die Zugehörigkeit der Immobilien zum Unternehmen zum 30. September 2025 gegeben sein muss.

Die Berechnung der Ersatzsteuer erfolgt nach denselben Modalitäten wie bei den Gesellschaften. Die beiden Raten sind bis zum 30. November 2026 und 30. Juni 2027 zu entrichten. Da keine Übertragung im Grundbuch und Katasteramt erfolgt, entfallen die Register-, Kataster- und Hypothekargebühren. //

Ein echter Heimvorteil

Mit der Hoi-Card erhält die Bevölkerung im Großraum Bruneck erstmals eine eigene Vorteilskarte: Am 23. Januar 2026 wurde das neue Angebot offiziell vorgestellt, der Startschuss fällt am 16. Mai 2026. Die Karte richtet sich gezielt an Einheimische und ermöglicht es, sechs Monate lang zahlreiche Freizeit- und Kultureinrichtungen der näheren Umgebung zu besonders attraktiven Konditionen zu nutzen.

Zum Leistungsumfang zählen unter anderem Bergfahrten von Reischach auf den Kronplatz, freier Eintritt ins Hallenbad „Cron4“, ins Freibad Bruneck sowie zum Issinger Weiher, Besuche im Kletterzentrum Heliks und in der Intercable-Arena (Publikumslauf) sowie Eintritte in mehrere Museen wie Lumen, MMM Corones und Ripa, das Eck-Museum, das Museum „Mansio Sebatum“, das Volkskundemuseum und das Feuerwehrhelmmuseum in Gais. Damit bündelt die Hoi-Card erstmals Sport, Natur, Kultur und Freizeit in einem einzigen Ticket für die lokale Bevölkerung.

ENGE ZUSAMMENARBEIT

Hinter der Hoi-Card steht eine enge Zusammenarbeit der Gemeinden Bruneck, St. Lorenzen, Pfalzen, Gais und Percha, die gemeinsam mit dem Tourismusverein Bruneck und dem MOKO – der zentralen Koordinierungsstelle des Südtiroler Gäste-Passes – ein starkes Zeichen für interkommunale Kooperation setzen. Die Karte wird teilweise aus touristischen Mitteln mitfinanziert und ist bewusst als Brücke zwischen Bevölkerung und Tourismus gedacht. Damit geht der Tourismusverein Bruneck einmal mehr neue Wege. Denn dieses Modell soll die touristische Akzeptanz fördern und Einheimischen einen echten Mehrwert bieten.

Die Bürgermeister der beteiligten Gemeinden und der Präsident des Brunecker Tourismusvereins, Martin Huber (Dritter von links) bei der Vorstellung der Karte.

Die erste Ausgabe der Hoi-Card ist vom 16. Mai bis 8. November 2026 gültig. Der Verkauf beginnt am 20. April 2026 und läuft bis zum 16. Juni 2026. Erhältlich ist die Karte online unter www.hoicard.com sowie im Tourismusbüro am Rathausplatz in Bruneck. Die Karte ist personalisiert, nicht übertragbar und kann sowohl physisch als auch digital am Smartphone genutzt werden. Für Bürgerinnen und Bürger der beteiligten Gemeinden gibt es einen reduzierten Sonderpreis.

WEITERE VORTEILE

MIT DEM FAMILIENTICKET

Besonders familienfreundlich zeigt sich das Familienticket, das für zwei Elternteile – alternativ kann ein Elternteil durch ein Großelternteil derselben Wohnsitzgemeinde ersetzt werden – und beliebig viele Kinder gilt.

Damit eröffnet die Hoi-Card vor allem Familien die Möglichkeit, das vielfältige Sommerangebot im Großraum Bruneck kostengünstig zu erleben.

Auch bei der Umsetzung wurde auf lokale Kompetenz gesetzt: Name, Kommunikation und Gestaltung stammen von Kreativen aus der Umgebung. So wurde der Auftritt der Karte vollständig vor Ort entwickelt. Das ist ein weiterer Baustein des Konzepts, um regionale Identität und Zusammenarbeit zu stärken. Mit der neuen Hoi-Card sagen die Initiatoren bewusst „hoi!“ zum Heimvorteil und schaffen ein zeitgemäßes Freizeitangebot, das Einheimischen zugutekommt und die Verbindung zwischen Lebensraum und Tourismus nachhaltig festigt. Weitere Details zu Leistungen und Preisen gibt es im Internet unter www.hoicard.com. // rewe

Die Macher der Hoi-Card, Alfred Unterkircher, Sophia Oberjakober und Bgm. Bruno Wolf (rechts).

Wichtiger Meilenstein für die Mobilität im Tal

Nach mehr als einem Jahr intensiver Bauarbeiten ist am 27. Jänner 2026 die gesamte Bahnstrecke im Pustertal wieder für den Zugverkehr freigegeben worden. Damit verkehren die Züge auf der Bestandsstrecke wieder durchgehend zwischen Bruneck und Franzensfeste. Die Wiederaufnahme des Bahnbetriebs markiert einen wichtigen Schritt für die Mobilität im Pustertal.

Im Zuge des Projekts wurden in Zusammenarbeit zwischen RFI (Rete Ferroviaria Italiana), dem Land Südtirol und dem Ministerium für Infrastrukturen und Verkehr insgesamt 13 Bahnhöfe saniert sowie rund 27 Kilometer Bahnlinie erneuert. Die abschließenden Tests mit Zügen von SAD und Trenitalia verliefen erfolgreich.

Bereits ab den frühen Morgenstunden informierten Mitarbeiterinnen und Mitarbeiter an Bahnhöfen und Bushaltestellen im Pustertal die Bevölkerung mit Flyern über die Neuerungen und den wieder aufgenommenen Zugbetrieb. Um 8.31 Uhr fuhren Gouverneur Arno Kompatscher, Landesminister Daniel Alfreider sowie der Geschäftsführer von RFI, Aldo Isi, gemeinsam mit lokalen Interessensvertretern mit dem Zug von Bruneck nach Franzensfeste.

EIN WICHTIGER SCHRITT

Den offiziellen Rahmen bildete eine Pressekonferenz um 10.00 Uhr in Schabs, bei der das Gesamtprojekt vorgestellt wurde. Mit dabei war auch Infrastruktur- und Ver-

kehrsminister Matteo Salvini. Gouverneur Kompatscher hob die Bedeutung der Wiedereröffnung hervor. Die Arbeiten auf der Bestandsstrecke seien bis zuletzt mit großem Einsatz vorangetrieben worden, um rechtzeitig vor den Olympischen Winterspielen wieder einen durchgehenden Bahnverkehr im gesamten Pustertal zu ermöglichen. Sein Dank gelte insbesondere den Arbeiterinnen und Arbeitern entlang der Strecke. Er bedankte sich zudem bei den Busfahrerinnen und Busfahrern sowie bei den Pendlerinnen und Pendlern für ihre Geduld während der Bauphase.

Daniel Alfreider bezeichnete die Wiedereröffnung „als wichtigen Meilenstein“ nach einem Jahr umfangreicher Bauarbeiten. Mobilität müsse den Menschen dienen, betonte

Bereits ab sechs Uhr morgens wurden an den Bahnhöfen (hier in Bruneck) und bei den Bushaltestellen im Pustertal Informationsblätter verteilt, um über die Neuerungen zu informieren. Ingo Dejaco

er. Die gesamte Strecke ist nun barrierefrei gestaltet und auch für Menschen mit Behinderungen zugänglich.

Die Arbeiten im Pustertal sind damit allerdings noch nicht abgeschlossen. In den kommenden Monaten wird nämlich insbesondere an der Riggertalschleife weitergearbeitet. Deren Inbetriebnahme ist bis Ende des Jahres 2026 vorgesehen. Damit soll die Fahrzeit zwischen Bruneck und Brixen künftig um rund 15 Minuten verkürzt werden. // bp

Unsere Leistungen! Virtual Tour Schätzungen Beratung/Betreuung Bürokratische Abwicklung Zugabe...

+39 348 1681544

Großer Bahnhof: Daniel Alfreider (links) begrüßte Minister Matteo Salvini. Tiberio Sorvillo

WASSERSTOFF- UND ELEKTROTANKSTELLE BRUNECK

DIE ERSTE TANKSTELLE DIESER ART IN GANZ ITALIEN

An der Ausfahrt Bruneck Ost wurde am 29. Januar 2026 die erste kombinierte Wasserstoff- und Elektrotankstelle Italiens eröffnet. Die von Alperia realisierte Anlage versorgt Fahrzeuge mit grünem Wasserstoff und erneuerbarem Strom. Die Anlage gilt als wichtiger Baustein für die Dekarbonisierung der Mobilität im Land.

Die Wasserstofftankstelle, geplant von Alperia und IIT Hydrogen und künftig von letzterem betrieben, ist für eine tägliche Abgabemenge von bis zu 800 Kilogramm ausgelegt. Sie verfügt über 350-bar-Zapfsäulen für Busse und Lkw sowie eine 700-bar-Säule für Pkw und Lieferfahrzeuge. Ergänzt wird das Angebot durch zwei 400-kW-Schnellladesäulen für Elektrofahrzeuge. Der benötigte Wasserstoff wird in Bozen produziert und per Trailer angeliefert.

„Nachhaltige Mobilität ist eine Priorität für Südtirol“, betonte Mobilitätslandesreferent Daniel Alfreider. Auch Alperia-Präsidentin

Alperia-Präsidentin Flora Kröss, Bürgermeister Bruno Wolf und Landesreferent Daniel Alfreider bei der Eröffnung der neuen Wasserstoff- und Elektrotankstelle in Bruneck Ost. Fotos: albi

Flora Kröss unterstrich den Mehrwert der Anlage für öffentlichen Verkehr, Wirtschaft und Schwerverkehr. Die Investitionskosten

SPEKTAKULÄRE SONNENWENDE...

von 12,6 Millionen Euro wurden teilweise über den EU-Wiederaufbaufonds PNRR finanziert. // rewe

Phantastischer Sonnenaufgang am 22. Dezember 2025 um 8.09 Uhr bei den Drei Zinnen – fotografiert von Tito Bertoni aus Bruneck von einer wunderbaren Stelle am Kofl am Kofl (Pfalzen) aus. Die Sonne

erreichte an diesem Tag ihren tiefsten Punkt (Wintersonnenwende). Dies markiert den kürzesten Tag sowie den astronomischen Winteranfang und die Mittagshöhe der Sonne ist minimal. // rewe Tito Bertoni

DAS WILDCAMPEN

MUSTERVERORDNUNG SOLL ABHILFE SCHAFFEN

Gerade in den Sommermonaten nimmt das Wildcampen im Pustertal spürbar zu. Die PZ hat im Vorjahr mehrfach darauf hingewiesen. Insbesondere Wohnmobile, die öffentliche Parkflächen oder sensible Naturbereiche als Übernachtungsplätze nutzen, sind den Menschen ein Dorn im Auge. Um dieser Entwicklung entgegenzuwirken, hat der Südtiroler Gemeindenverband gemeinsam mit dem zuständigen Landesressort eine Musterverordnung ausgearbeitet, die den Gemeinden nun als Grundlage für eigene einschneidende Regelungen dient.

Ziel der Verordnung ist es, das Parken und Übernachten außerhalb offiziell ausgewiesener Camping- und Stellplätze klar zu begrenzen. Damit sollen sowohl die dauerhafte Blockierung öffentlicher Parkflächen als auch hygienische und sicherheitsrelevante Probleme vermieden werden. Mehrere Gemeinden haben bereits entsprechende Maßnahmen umgesetzt oder angekündigt. Parallel dazu führt der Forstdienst weiterhin Kontrollen durch, insbesondere entlang gesperrter Forstwege und in Schutzgebieten, wo Übernachtungen außerhalb von Notfäl-

FinanzFlash

Zuversichtlicher Ausblick auf das Kapitalmarktjahr 2026

len grundsätzlich untersagt sind. Das Campieren und auch das Biwakieren auf öffentlichem Grund ist nur dort erlaubt, wo es ausdrücklich vorgesehen ist.

Mit diesen Maßnahmen wollen Land und Gemeinden einen besseren Ausgleich zwischen Tourismus, öffentlicher Ordnung und dem Schutz von Natur und Lebensraum schaffen, wie der für die Materie zuständige Landesminister Luis Walcher der PZ gegenüber aufzeigt. Dann bleibt zu hoffen, dass die nächsten Schritte – rechtzeitig vor dem großen Ansturm – erfolgen! // rewe

Luis Walcher kündigte die Musterverordnung gegen das Wildcampen bereits beim Speckfest in Bruneck an. rewe

Das Umfeld präsentiert sich chancenreich für Anleihen und Aktien.

Das Börsenjahr 2025 konnte trotz politischer Sorgen und zwischenzeitlichen Rezessionsängsten für viele Börsen mit zweistelligen Kursgewinnen beendet werden. Ähnlich positiv sind die Erwartungen für das Jahr 2026.

Das reale Wirtschaftswachstum in den USA wird auf sehr gute 2% geschätzt, getrieben von KI-Investitionen und Steuersenkungen. Für die europäische Volkswirtschaft rechnet man mit einem Wachstum von rund 1%, angekurbelt durch steigende Rüstungsausgaben und ein großes Infrastrukturpaket in Deutschland. Die vergangenen Zinssenkungen der EZB wirken

nach, und die niedrige Arbeitslosigkeit auf beiden Seiten des Atlantiks stützt den Konsum. Die Inflationsraten sind kräftig zurückgekommen und verharren voraussichtlich auf tiefen Niveaus. Dies erlaubt der europäischen Zentralbank den Leitzins bis weit ins nächste Jahr hinein auf 2% zu belassen, und der amerikanischen Notenbank die Zinsen weiter zu senken. Wachsende Unternehmensgewinne in den großen Wirtschaftsregionen tragen ebenfalls zum positiven Umfeld bei. Ist es nach dem starken Börsenanstieg der letzten Jahre zu spät für eine Investition? Nicht dort, wo die Unternehmen

gut verdienen im Verhältnis zum Preis ihrer Aktien. Zwischenzeitliche Rückschläge wird es am Aktienmarkt auch 2026 geben. Genau zu beobachten ist schließlich die Geopolitik. Ein Friedensschluss in der Ukraine würde attraktive Investitionschancen bringen, während die schwelenden Krisenherde im Nahen und Fernen Osten Risiken bergen. Dem professionellen Vermögensmanagement obliegt die Evaluierung der Entwicklungen und Anpassung der Anlagestrategien.

Micaela Andreolli Bereichsleiterin Private Banking

Werbeanzeige

WO TRADITION ZUKUNFT FORMT

„Gruber Türen GmbH“ in Bruneck ist ein traditionelles Südtiroler Familienunternehmen in dritter Generation. Was uns seit jeher auszeichnet, ist die Verbindung aus echter Handwerkskunst, hochwertigsten Materialien und dem Mut, neue Wege zu gehen.

In unserem über 500 m² großen Showroom wird diese Leidenschaft für Holz und Design greifbar.

Doch Qualität beginnt bei uns nicht erst beim Produkt, sondern bei den Menschen. Als Ausbildungsbetrieb legen wir großen Wert darauf, junge Talente zu fördern, zu begleiten und ihnen eine fundierte, vielseitige und zukunftssichere Ausbildung zu bieten. Wer bei Gruber Tür lernt, lernt fürs Leben – fachlich wie persönlich.

Ein Interview mit Lehrling Leon Wirth Rainer:

Was macht die Lehre bei Gruber Tür für dich besonders?

Leon Wirth Rainer: Die Firma Gruber Tür ist ein moderner Handwerksbetrieb, und das merkt man jeden Tag. Wir arbeiten viel mit Massivholz, was heute nicht mehr selbstverständlich ist, und gleichzeitig mit sehr modernen Maschinen. Diese Mischung aus traditionellem Handwerk und neuer Technik macht die Lehre extrem spannend und abwechslungsreich.

V.l.: Ausbilder Dietmar Oberleiter, Lehrling Leon Wirth Rainer und Ausbilder Werner Oberhammer.

dass mir gleich alle Bereiche gezeigt wurden – vom Arbeiten am Computer über die Produktion bis hin zu Kundenkontakt und Montage.

Wie ist das Lehrlingsprogramm bei Gruber Tür aufgebaut?

Wir suchen:

Wie wirst du als Lehrling im Betrieb unterstützt?

Neben der täglichen Begleitung gibt es ein zusätzliches Brainstorming, bei dem gezielt Stärken und Schwächen besprochen werden. Jeder Lehrling durchläuft zwar alle Bereiche, aber auf individuelle Stärken wird bewusst Rücksicht genommen und diese werden gezielt gefördert. Das motiviert total.

Wie würdest du das Arbeitsklima beschreiben?

Tischlerlehrling (W/M/D)

Sehr familiär und locker. Die Hierarchien sind flach, der Umgang ist respektvoll und persönlich – und es ist auch immer „a bissl a Hetz“ dabei. Man fühlt sich schnell als Teil des Teams.

Dein Herz schlägt für den Rohstoff Holz und Du bist auf der Suche nach einem spannenden Job?

Warum hast du dich für eine Lehre bei Gruber Tür entschieden?

Ich bin durch einen Mitarbeiter auf die Firma aufmerksam geworden. Schon davor habe ich viel Positives gehört, vor allem über das junge Team. Die Mundpropaganda von anderen Lehrlingen war richtig gut. Die Arbeit war komplett neu für mich, und von Anfang an wurde mir eine faire Bezahlung angeboten. Besonders cool fand ich,

Die Lehre dauert vier Jahre und funktioniert nach dem Rotationsprinzip. Alle drei Monate wechsle ich die Abteilung und lerne Schritt für Schritt alle Bereiche kennen –von der ersten Skizze bis zum fertigen Produkt. Die Firma ist sehr gut strukturiert, und man merkt, dass man sich Zeit für die Lehrlinge nimmt. Im Mittelpunkt steht nicht nur die Arbeit, sondern der Mensch mit seinen Fähigkeiten und Interessen. Zu Beginn bekommt man zwei ausgebildete Mitarbeiter zur Seite gestellt, die einen während der gesamten Lehrzeit begleiten. Davon profitiere ich enorm.

Dann bist Du bei uns genau richtig!

Spiegelt sich diese Ausbildung auch im Arbeitsalltag wider?

Was dich erwartet:

• Einführung in das Tischlerhandwerk

• Holz- und Oberflächenbearbeitung

• Sonderfertigung von Holzelementen

• Mitarbeiter die dir jederzeit weiterhelfen

Auf jeden Fall. Der ständige Austausch mit dem Ausbilder ist extrem wichtig. Ich kann jederzeit Fragen stellen und lerne kontinuierlich dazu. So entwickelt man sich fachlich und persönlich ständig weiter.

• Eine tolle Ausbildung in einem jungen und dynamischen Team

Würdest du Gruber Türen als Arbeitgeber weiterempfehlen?

Wir bieten:

• Flexible Arbeitszeiten

• Überdurchschnittliche Entlohnung

• Zukunftsvorsorge

• Modernster Maschinenpark

Ja, absolut. Ich lerne unglaublich viele Dinge, die mir auch im Alltag weiterhelfen, und bekomme Einblicke, die ich sonst nie hätte. Das fördert die persönliche Entwicklung enorm. Jedes Jahr werden rund drei Lehrlinge ausgebildet, und nach bestandener Gesellenprüfung wird immer darauf geachtet, neuen Jugendlichen diese Chance zu ermöglichen. Das zeigt, wie wichtig Ausbildung hier wirklich ist. // PR-Info

• Hervorragende Verpflegung

• Zukunftssicheres Familienunternehmen

• Hoch modernes ERP-System

Was du mitbringst:

• Handwerkliches Geschick

• Teamwork

Wir suchen:

• Wille zum Lernen

Tischlerlehrling

(W/M/D)

Wir suchen: Tischlerlehrling (W/M/D)

Wir freuen uns auf deine Bewerbung: barbara@gruber-tueren.com oder Tel. +39 0474 537 101

Dein Herz schlägt für den Rohstoff Holz und Du bist auf der Suche nach einem spannenden Job?

Dann bist Du bei uns genau richtig!

Dein Herz schlägt für den Rohstoff Holz und Du bist auf der Suche nach einem spannenden Job?

Dann bist Du bei uns genau richtig!

Was dich erwartet:

Wir bieten:

Kompetenz, die man hört

Gutes Hören bedeutet Lebensqualität –und genau dafür steht das Hörzentrum Südtirol sieben Mal in Südtirol, im Pustertal in Bruneck in der Stadtgasse. Unsere Fachgeschäfte verbinden modernste Hörakustik mit persönlicher Betreuung und einem Service, der weit über den Standard hinausgeht.

Im Mittelpunkt steht der Mensch: Es erwartet Sie ein kostenloser Hörtest, der professionell, präzise und völlig unkompliziert durchgeführt wird. Ohne lange Wartezeiten, ohne Verpflichtungen – dafür mit modernster Messtechnik und viel Einfühlungsvermögen. Das erfahrene Team nimmt sich Zeit, hört zu und erklärt verständlich, welche Lösungen wirklich zu Ihnen passen. Auf Nachfrage kriegen Sie einen Ausdruck Ihres Hörtests mit, damit Sie ihn mit Ihren Verwandten oder dem Arzt Ihres Vertrauens besprechen können.

Besonderes Augenmerk legt das Hörzentrum Südtirol auf innovative Hörgeräte der dänischen Marke „GN ReSound“. Diese zählen zu den technologisch führenden Hörsystemen weltweit und überzeugen durch natürliche Klangqualität, hohen Tragekomfort und smarte Funktionen wie Bluetooth-Anbindung an Smartphone, TV oder Tablet. So wird Hören wieder mühelos – bei der Arbeit, aber auch und vor allem in geselligen Momenten.

PERSÖNLICHE BETREUUNG

Nach dem Hörtest erklärt Ihnen die Hörakustikerin in Bruneck, Ramona Berger, ausführlich, ob Sie Hörgeräte benötigen. Zusammen mit Ihnen werden die passenden Hörgeräte ausgesucht, vor allem welche Qualität für Sie die richtige ist. Die Art des Hörgerätes wird in den meisten Fällen aufgrund der Art des Hörverlustes bestimmt: unser Hersteller

hat für jeden Hörverlust die passenden Geräte. Ob sehr kleine, aufladbare Geräte hinter dem Ohr oder auf Maß angefertigte Geräte im Hörkanal, Ramona Berger zeigt Ihnen, welches Gerät am besten zu Ihnen passt. Auch nach dem Kauf steht das Team des Hörzentrums Südtirol zuverlässig zur Seite – mit Feinanpassungen, Kontrollen und persönlicher Betreuung, kostenlos ein ganzes Hörgeräteleben lang!

Das Hörzentrum Südtirol zeigt, dass gutes Hören keine komplizierte Sache sein muss – sondern ein Gewinn an Lebensfreude. Wer Wert auf Qualität, Kompetenz und echte Nähe legt, ist hier in den besten Händen.

Kontaktieren Sie uns gerne telefonisch unter 0474 788033 oder per Direktbuchung auf unserer Homepage www.hoerzentrumsuedtirol.it. Wir freuen uns auf Sie!

//PR-Info

Hörakustikerin Ramona Berger

Die ersten Sonnenstrahlen im neuen Jahr

Winterlicher Sonnenaufgang vom Monte Piano
Brigitte Oberlechner aus Niederrasen
Ahrntal
Christina Mair zu Niederwegs aus Mühlwald
Winter in St. Vigil
Sarah Unterberger aus St. Lorenzen
Lois Kuen aus Dietenheim
Reinhard Walcher aus St.Peter/Ahrntal

Neves Stausee

Christian Rieder aus St. Johann

Klausen

Klara Brunner

Richtung Kronplatz...

Walter Pörnbacher

Maus und Spatz teilen sich das Futter...

Edi Rainer aus Winnebach

Mein schönstes

Liebe Leserinnen und Leser, schickt uns Eure schönsten, lustigsten, überraschendsten und/oder atemberaubendsten Bilder –wir zeigen sie dem Pustertal!

Klein gegen groß...

Anna Chizzali aus Gais

Zusendungen an:

E-Mail: info@pz-media.it oder PZ, Oberragen 18, 39031 Bruneck

Wichtig: Bitte geben Sie Ihren Namen, ihren Wohnort und das Kennwort „Leserfoto“ an!

Die PZ behält sich das Recht vor, Inhalte und Fotos aus ethischen und anderen Gründen abzulehnen.

Zirkus und Sprachwerkstatt gibt es heuer natürlich auch wieder.

FERIENPROGRAMM

Die Waldläuferbande ist auch heuer wieder unterwegs.

FÜR KINDER UND JUGENDLICHE IM UFO IN BRUNECK

DER „PUSCHTRA SOMMER“ STEHT WIEDER AN

Sie haben wieder angefangen oder stehen kurz bevor, die Einschreibungstermine für die Betreuungs- und Freizeitangebote für Kinder und Jugendliche in den Sommermonaten. Im Pustertal ist die entsprechende Angebotspalette breitgefächert, und mit dem „Puschtra Sommer“ gehört das Jugend- und Kulturzentrum UFO seit fast 30 Jahren ja zu den „alten“ Hasen“ und weiß, was den Kids gefällt, um sich kreativ und sportlich austoben zu können. Auch im heurigen Sommer setzt das UFO also wiederum auf ein vielfältiges Kursangebot, wo für alle etwas dabei ist. Aufgrund neuer Förderkriterien wurde das Angebot allerdings reduziert, wobei das Anliegen, für die Grund- und Mittelschülerinnen sowie -schüler des Pustertals weiterhin ein tolles Ferienprogramm zu realisieren, nach wie vor an erster Stelle steht. Achtung: Die Anmeldungen sind ab dem 23. Februar 2026 möglich.

Im Juni, Juli und August finden somit insgesamt 19 Wochenkurse statt, die viele neue und coole Erfahrungen für die verschiedenen Altersgruppen versprechen. 192 Kursplätze stehen dabei heuer zur Verfügung. Der Fokus liegt dabei immer auf der Qualität der Begleitung, der Förderung von Talenten und ganz allgemein auf der Lebensfreude. Neben beliebten „Klassikern“ wie etwa die Töpferkurse werden beispielsweise auch die Mountainbike-Woche, ein Tauchkurs im Issinger Weiher, der Workshop „Young artists“ oder Experimentieren im Labor angeboten. Da ist noch nichts dabei? Wie wär’s dann mit der „Waldläuferbande“, dem Bauen und Spielen einer Ukulele oder einer Kalimba, dem Programmieren eines Roboters oder Calisthenics Training? Aber auch ganz neue Inhalte werden heuer angeboten, wie der Kurs „Jiu-Jitsu“, bei dem die Kids lernen, wie sie sich erfolgreich verteidigen können. Der „Kreativer Tanz“ verknüpft tänzerische Inhalte mit anderen Ausdrucksformen für die Bühne wie Basteln, Schminken und fantasievolle Verkleidung.

Und beim Zirkuskurs kann so ganz nebenbei die italienische Sprache vertieft werden.

TIEFE EINBLICKE

UND BREITES SPEKTRUM

Für welchen Kurs man sich auch immer entscheidet, eines ist allen gemein: Begleitet werden die Kinder und Jugendlichen von ausgebildeten Fachkräften, allesamt Profis in ihrem Bereich. Dieser Qualitätsanspruch hat oberste Priorität fürs UFO. Um eine bestmögliche Begleitung zu gewährleisten, ist die Teilnehmerzahl pro Kurslei-

ter/in dementsprechend auch auf acht Kinder und Jugendliche begrenzt.

„Mit unserem Projekt wollen wir Freude vermitteln und den Teilnehmerinnen und Teilnehmern Einblicke in die vielfältige Freizeitlandschaft in Bruneck und im Pustertal gewähren. Oftmals entstehen dabei neue Freundschaften. Und die Fähigkeiten der Jugendlichen im kreativen und sportlichen Bereich werden gefördert. Zudem bieten wir eine Berufsorientierung. So gibt es eine Metallwerkstatt, einen Chemiekurs und Hairstylekurse“, beschreibt UFO-Leiter Gunther Niedermair die Ziele des Ferienprojektes und hebt gleichzeitig auch die Wichtigkeit hervor, dass alle Kinder und Jugendlichen des Pustertals die Möglichkeit erhalten, hochwertige Kurse kostengünstig besuchen zu können: „Da das Projekt von der Familienagentur der Autonomen Provinz Bozen, von der Stadtgemeinde Bruneck und von Sponsoren gefördert wird, ist es möglich, erfahrene Referentinnen und Referenten zu engagieren und gleichzeitig die Kursgebühren familienfreundlich zu gestalten.“ // jst

WICHTIGE INFORMATIONEN

Die Broschüren mit den Kursangeboten werden in den Schulen an alle Kinder und Jugendlichen ausgeteilt, die Kurse sind aber auch online auf der Website www.puschtra-sommer.it ersichtlich. Dort können sie ab Montag, 23. Februar gebucht werden - ohne lange Wege und

Wartezeiten und unkompliziert bezahlbar mittels Kreditkarte. Alternativ sind sie auch direkt im Jugend- und Kulturzentrum UFO in Bruneck buchbar. Weitere Informationen unter der Telefonnummer: 0474-555770 oder info@ufobruneck.it. // jst

Das Tauchen ist beim Puschtra Sommer auch sehr beliebt. In der Metallwerkstatt wird wieder ordentlich gehämmert.

Fotos:
Gunther Niedermair

VIERTER BENEFIZMARKT VON ALKAVA+ IN BRUNECK

DIE WELT VON MORGEN MIT HERZ GESTALTEN

Der vierte Benefiz-Kreativmarkt von Alkava+ im Nobis in Bruneck hat alle Erwartungen übertroffen und die Organisatoren zutiefst im Herzen berührt. Neuer Standort, neuer Zeitpunkt – dies waren die Bedenken bei der Planung dieses Projektes. Doch mit viel Engagement, Kreativität und Herzlichkeit wurde wieder etwas ganz Besonderes umgesetzt. Am Ende konnten über 14.500 Euro für einen guten Zweck gesammelt werden.

Der Kreativmarkt hat gezeigt, wie viel Begeisterung und Gemeinschaft entstehen kann, wenn viele Menschen zusammenwirken. Im geschmückten Foyer des Nobis in Bruneck wurde an liebevoll dekorierten Ständen ein großes, ansprechendes Sortiment an handgefertigten Objekten zum Kauf angeboten.

Ein großartiges Rahmenprogramm hat dieses Wochenende bereichert und somit für jeden Besucher interessant gemacht. Namentlich gedankt wird der Two-Man-Group für das kleine und feine Konzert, der Familie Hintner (Gsiesa Goggilan) für die Zubereitung der köstlichen Waffeln, der Firma Gravur Design und Bäckerei Gatterer für die großzügigen Sachspenden, der Heimatbühne Antholz Mittertal für das dargebotene Theaterstück und ganz besonders dem Chor der Grundschule Antholz Mittertal. Dieser hat mit dem Konzert und dem her-

vorragenden Begleitorchester einen bewegenden Höhepunkt gebildet und mit seiner Freude und Begeisterung alle Anwesenden angesprochen. Diese begeisterten „Singkinder“ unter der Anleitung der Lehrpersonen Katharina und Giulia sind bereits fester Bestandteil dieses Projektes und haben mit ihrer Begeisterung und Freude das ganze Publikum gefesselt und zu Tränen gerührt. Ein großer Dank ergeht allen Beteiligten, allen fleißigen Helferinnen und Helfern, sowie den zahlreichen Besucherinnen und Besu-

chern. „Ihr alle habt dieses Projekt möglich gemacht und mit Leben gefüllt“, heißt es von Seiten der Organisatoren. Am Ende konnte ein stolzer Betrag von 14.537,35 Euro einem guten Zweck zugeführt werden. Ein Teil dieses Betrages geht wieder an „Südtirol hilft“ und einen Teil wird persönlich an eine durch einen Schicksalsschlag in Not geratene Familie übergeben. „Wir sind dankbar und überwältigt von dem Erfolg. Wir sehen dies als eine Brücke, die uns alle miteinander verbindet!“, so die Akteure. // alkava

Klasse 3bS (SOWI Bruneck). Von links, hintere Reihe: Lena Hofer, Tabea Hofer, Heidi Lamprecht, Leonie Niederkofler, Tina Plaickner, Nadine Reichegger, Linda Brugger, Reinhard Weger; von links, mittlere Reihe: Romy Brugger, Teresa Bürgstaller, Clara Cimbri, Julia Gruber, Ilvy Fuchsbrugger, Eva Hilber; von links, vordere Reihe: Matilde Bellani, Sofia Canali, Carmen Hanni, Laura Stravino, Sara Niederwolfsgruber und Michaela Stocker.

DIGITALE GERÄTE UND KÜNSTLICHE INTELLIGENZ IN DEN OBERSCHULEN

CHANCE ODER HERAUSFORDERUNG?

Smartphones, Tablets und Laptops gehören heute für viele Schüler zum Alltag. Sie helfen beim Lernen, beim Schreiben von Aufgaben und beim Recherchieren von Informationen. Auch in der Schule werden digitale Geräte immer mehr eingesetzt, zum Beispiel für Lern-Apps oder interaktive Übungen. Trotz der Vorteile können digitale Geräte auch Probleme machen. Sie lenken leicht ab, manche Schüler nutzen sie zu viel, und nicht alle Informationen im Internet sind richtig. Deshalb ist es wichtig, Geräte bewusst und verantwortungsvoll zu nutzen.

KÜNSTLICHE INTELLIGENZ UND DIGITALE GERÄTE BEI SCHÜLERN

Künstliche Intelligenz (KI) ist eine Technologie, die Computern erlaubt, Aufgaben zu erledigen, die normalerweise menschliche Intelligenz erfordern. Dazu gehören zum Beispiel das Erkennen von Sprache oder Bildern, das Lernen aus Daten und das Treffen von Entscheidungen. In der Schule wird KI immer häufiger genutzt, zum Beispiel durch Programme wie ChatGPT, die Schüler beim Schreiben von Texten, beim Recherchieren oder beim Verstehen von Lerninhalten unterstützen. Schüler verwenden viele digitale

Geräte wie Smartphones, Tablets, Laptops oder interaktive Whiteboards. Diese Geräte erleichtern den Zugang zu Informationen und unterstützen den Lernprozess. Die Nutzung von ChatGPT kann helfen, Aufgaben schneller zu erledigen oder schwierige Themen verständlicher zu machen. Gleichzeitig gibt es auch Nachteile: Schüler könnten sich zu stark auf die KI verlassen, Aufgaben nicht selbstständig bearbeiten oder falsche Informationen übernehmen, wenn sie die Ergebnisse nicht prüfen. Außerdem besteht die Gefahr, dass Kreativität und eigenes Denken eingeschränkt werden. //

von Heidi Lamprecht und Laura Stravino
Die

SINNVOLL ODER ÜBERFLÜSSIG?

Seit Beginn dieses Schuljahres gilt an unserer Schule ein striktes Handyverbot im Unterricht. Zu Stundenbeginn müssen die Smartphones in einer Handybox am Lehrerpult abgegeben werden. Ziel ist es, Ablenkungen zu reduzieren und die Konzentration der Schülerinnen und Schüler zu verbessern.

von Romy Brugger und Clara Cimbri

Einige begrüßen die Regelung. Clara aus unserer Klasse berichtet, dass der Unterricht ruhiger geworden sei: „Man greift nicht mehr automatisch zum Handy, wenn es kurz langweilig wird.“ Ihrer Meinung nach fällt es leichter, aufmerksam zu bleiben und mitzuarbeiten.

Andere sehen das Verbot kritischer. Romy steht ihm zwiegespalten gegenüber. Zwar

erkennt sie die Ablenkung durch Smartphones an, hält ein vollständiges Verbot aber nicht immer für sinnvoll. „Wir nutzen im Unterricht ohnehin Tablets oder Laptops, die ebenfalls ablenken können“, sagt sie. Das Handyverbot allein löse das Problem daher nicht.

Viele Schülerinnen und Schüler wünschen sich statt eines pauschalen Verbots klare Regeln und einen verantwortungsvollen Umgang mit digitalen Medien. Smartphones könnten auch sinnvoll zum Lernen eingesetzt werden, etwa für Recherchen oder Lern-Apps.

Insgesamt zeigt die Diskussion: Das Handyverbot kann die Konzentration fördern, sollte aber durch Medienkompetenz und klare Regeln ergänzt werden. Eine einfache Lösung für alle gibt es nicht. //

BEI DEN SCHÜLERINNEN UND SCHÜLERN NACHGEFRAGT

REALGYMNASIUM BRUNECK

Was würdest du dir für digitales Lernen an eurer Schule wünschen?

Ich würde mir in Zukunft wünschen, dass alle Unterlagen von Beginn an schon digital verfügbar sind, sodass wir sie nicht extra einscannen müssen.

- E. N.

Fühlst du dich mit digitalen Geräten im Unterricht manchmal überfordert?

Nein, weil es mich nicht überfordert, sondern eher fordert.

- L. B.

Was ist dein größter Vorteil und dein größter Nachteil beim digitalen arbeiten?

TECHNOLOGISCHE FACHOBERSCHULE BRUNECK

Sollten Lehrer öfter oder seltener digitale Methoden verwenden?

Deutlich öfter, weil man zu den Arbeitsaufträgen auch bestimmte Videos anschauen kann.

- L. T.

Motiviert dich digitales Arbeiten mehr als normaler Unterricht?

Ja, weil man die schulischen Materialien

Beim digitalen Arbeiten ist man mehr organisiert, man kann direkt auf dem Gerät recherchieren. Mein Nachteil dabei ist, dass ich häufig vergesse, die Dokumente zu speichern bzw. diese am falschen Ort abspeichere. Dann finde ich sie mitunter nicht mehr so zügig.

- B. S.

Motiviert dich digitales Arbeiten mehr als normaler Unterricht?

Nein eigentlich nicht, ich finde dass es mich eher abtörnt.

- S. K. P.

Fühlst du dich mit digitalen Geräten im Unterricht manchmal überfordert?

Ich verwende kaum digitale Geräte, da ich es umständlich finde, meinen Computer

nicht so oft nachkaufen muss und ich in meinen Unterlagen immer alles sauber löschen und bearbeiten kann so oft ich will. Teilweise kann man das digitale Gerät auch in der Freizeit nutzen.

- M. E.

Was würdest du dir für digitales lernen an eurer Schule wünschen?

Ich denke, wir sind beim digitalen Lernen in unserer Schule schon relativ fortgeschritten. Jeder Schüler hat die Möglichkeit, nach Interesse digital zu arbeiten und

mit in die Schule zu nehmen. Ich arbeite daher vor allem handschriftlich.

- V. T.

In welchen Fächern findest du digitales Arbeiten besonders sinnvoll?

Ich finde es gut für Philosophie und Geschichte, da sich die Lehrpersonen oft weigern, die Dokumente auszudrucken. Dann wird die Arbeit durchaus erleichtert.

- J. K.

Findest du, dass eure Schule gut digital ausgestattet ist oder nicht?

Ja, ich glaube, dass unsere Schule sehr gut ausgestattet ist - besonders jetzt mit den digitalen Tafeln in jeden Schulraum. Auch alle Aufträge werden digital vorgegeben.

- P. B. //

bekommt auch alle Unterlagen zur Verfügung gestellt.

- E. H.

Hast du das Gefühl, dass du durch digitale Medien schneller lernst?

Ja ich finde schon, dass es sehr viele Methoden gibt, um durch diese besser zu werden, besonders durch die Möglichkeiten der künstlichen Intelligenz kann man sich die Unterlagen gut zusammenfassen.

- P. M. //

von Sofia Canali, Linda Brugger und Julia Gruber

Ein „exqueenes“ Musical

In der letzten Ausgabe der PZ haben wir es bereits angekündigt, ab jetzt ist es wieder soweit: Die Schülerinnen und Schüler der 5aM des SOWI-Gymnasiums präsentieren in der Aula Magna am Tschurtschenthaler Platz ihr diesjähriges Musical. Und es wird definitiv wieder richtig cool! Premiere feiert das Stück am 5. Februar 2026, alle weiteren Termine (das Stück läuft bis zum 15. Februar) finden sich unter anderem auf der Homepage der Schule unter sowikunstgymbruneck.it. Don’t miss it!

Zum Inhalt: Heinrich VIII. – einer der berühmtesten englischen Könige – ist bis heute für seine Skandale, Ehekrisen und Hinrichtungen berüchtigt. Als er den Thron besteigt, führen seine Eheprobleme zu einer entscheidenden Wende in England. Seine erste Gemahlin, Caterina von Aragon, schenkt ihm keinen männlichen Thronerben. Der Papst verweigert die Annullierung der Ehe. Daraufhin sagt sich Heinrich VIII. von Rom los und gründet eine eigene Kirche – mit sich selbst als Oberhaupt.

Die Schülerinnen und Schüler der 5aM des SOWI-Gymnasiums (im Bild) präsentieren in der Aula Magna am Tschurtschenthaler Platz ihr diesjähriges Musical.

Dann vollzieht er selbst die Scheidung seiner Ehe, um die muntere Anne Boleyn zu heiraten. Bald darauf lässt er sie wegen angeblichen Betrugs hinrichten. Ehefrau Nummer drei, Jane Seymour schenkt ihm endlich den ersehnten männlichen Erben, stirbt jedoch kurz nach der Geburt. Heinrichs vierte Ehe mit Anna von Cleve endet schnell: Er findet sie hässlich und lässt sich prompt wieder scheiden. Danach wendet er sich Ka-

Englische Schulkinder lernen die berühmte Formel „divorced, beheaded, died; divorced, beheaded, survived“ („geschieden, geköpft, gestorben; geschieden, geköpft, überlebt“).

Wegen dieses wahrhaft königlichen Wiederholungszwanges und ungewöhnlichen Frauenverbrauchs ist Henry VIII. bis heute unvergessen.

tryn Howard, Frau Nummer fünf, zu. Auch sie wird der Untreue verdächtigt und ebenfalls hingerichtet. Schließlich heiratet er seine sechste und letzte Frau: Kate Parr – die Frau, die ihn überlebt.

GESCHICHTE EINMAL ANDERS

Unter der musikalischen Leitung von Adele Vikoler und Hannes Tschurtschenthaler, der Regie von Alexander Messner und der Choreografie von Mirjam Plank wird die altbekannte Geschichte auf der Bühne in Bruneck anders erzählt: Die EX-Queens sind sechs selbstbewusste Frauen aus der Gegenwart, die ihr Schicksal in einer Challenge messen. Dazu schauen sie sich ein Theaterstück über die wahren Ereignisse im 16. Jahrhundert an – und kommentieren diese auf ihre Art. // jst

DER BLICK HINTER DIE KULISSEN

Die PZ hat mit Alexander Messner, Lehrperson am SOWI-Gymnasium und Regisseur des Stücks, kurz hinter die Kulissen geblickt:

PZ: Wie immer ist es recht aufwändig in der Schule und mit den Schülerinnen und Schülern ein Musical auf die Beine zu stellen, oder?

Alexander Messner: Das stimmt, jedes Jahr stellen wir uns erneut den Herausforderungen, proben bereits ab Herbst und müssen schauen, dass die ganzen verschiedenen Bereiche eines Musicals schlussendlich harmonisch zusammenwirken, Tanz und Choreografie, Schauspiel, Musik ect. Es ist also schon immer ein echtes Mammut-Projekt so ein Musical!

Was unterscheidet diese Produktion von anderen, bisherigen?

Die Besonderheit dieser Produktion liegt im Stück selbst. Im Originalen heißt das Musical „Six“ und ist eine moderne Nacherzählung der Leben der sechs Ehefrauen von Heinrich VIII., der beziehungsweise dessen Leben uns ja hinlänglich bekannt ist… Im Originalstück messen sich diese sechs Frauen in einer Challenge um fest-

zustellen, wer am meisten unter dem Ehemann gelitten hat. Ausgetragen wird diese Challenge jeweils mittels eines Liedes, in welchem sie dann eben ihr Leben verarbeiten. Und die Musik ist echt gut, das war auch der Grund, warum wir uns für dieses Stück entschieden haben. Aber: Inhaltlich ist der Rest, sprich das Originalstück an sich, eher platt und oberflächlich. Da mussten wir dementsprechend Hand anlegen…

Will heißen?

Wir haben uns bemüht, mehr Geschichte und Hintergrundinformationen hineinzubringen, dem Ganzen quasi eine Struktur zu geben, und ich denke, dass uns das auch ganz gut gelungen ist. Der Inhalt unseres veränderten Musicals lässt sich also folgendermaßen zusammenfassen: Unsere sechs Exqueens treffen sich, und um zu eruieren, wem es denn jetzt tatsächlich am schlechtesten ergangen ist, schauen sie sich ein Theaterstück aus dem 16. Jahrhundert mit ihren jeweiligen Pendants an – sie unterbrechen diese Vorführung immer mal wieder und kommentieren das Ganze dann auch. Im Grunde sind es also zwei paral-

lel verlaufende Stücke, die sechs Frauen der Gegenwart und die sechs Frauen aus der Vergangenheit.

Klingt spannend!

Das hoffen wir doch! Unsere Aufgabe war es auch, bei all der Komplexität einen roten Faden zu finden, damit das Publikum den Durchblick behält. Natürlich sind gewisse Vorkenntnisse der entsprechenden Geschichte sicherlich nicht von Nachteil, ansonsten kann es womöglich schon ein wenig verwirrend werden mit den ganzen Persönlichkeiten, auf alle Fälle haben wir heuer den Flyer mit einer bisschen längeren Inhaltsangabe versehen.

Und zu empfehlen ist das Musical für welches Publikum?

Grundsätzlich sind bei unseren Aufführungen ja immer alle herzlich willkommen! Aber in diesem Jahr ist unser Musical sicherlich auch als Ergänzung des Geschichtsunterrichts ideal und ganz allgemein für alle geeignet, die sich ein wenig für englische Geschichte oder aber auch für (unterdrückte) Frauenrechte interessieren. // Interview: Judith Steinmair

WERDE TEIL UNSERES TEAMS UND GESTALTE DEINE ZUKUNFT MIT UNS!

Wir suchen Verstärkung in unserer Filiale in Bruneck:

LKW-Fahrer (Tagesfahrten) (m/w/d)

Führerschein C/E & CQC, gute Deutsch- und Italienischkenntnisse, Zuverlässigkeit

Magazineur (m/w/d) gültiger Staplerführerschein, gute Deutschkenntnisse, Flexibilität und Teamgeist

Technischer Mitarbeiter für die Arbeitsvorbereitung der Eisenverarbeitung und Schmiede (m/w/d) technisches Verständnis, Erfahrung im Lesen von Bauplänen, Organisationstalent, sehr gute Deutsch- und Italienischkenntnisse; Auch für Berufseinsteiger und technisch Interessierte ohne Erfahrung geeignet

Für unseren Hauptsitz in Bruneck suchen wir:

Senior Verwaltungsmitarbeiter (m/w/d) fundierte Berufserfahrung, strukturierte Arbeitsweise, sehr gute Deutsch- und Italienischkenntnisse

Junior Verwaltungsmitarbeiter (m/w/d) Genauigkeit, Zuverlässigkeit, Bereitschaft Verantwortung zu übernehmen

Du erkennst dich wieder? Dann bewirb dich jetzt und gestalte deine Zukunft mit bauexpert! Wir freuen uns auf deine Bewerbung: jobs@bauexpert.it

Die genauen Stellenausschreibung ndest du auf unserer Homepage

Gegen das Vergessen

„Unsere Ahnen, die eine so schreckliche Zeit erlebt haben, müssen wir respektieren und nicht vergessen, auch wenn sie uns jetzt alle verlassen haben. Wir müssen zu verstehen geben, was für ein Glück es ist, friedlich zusammenzuleben!“ Dies ist ein Zitat von Heinrich Sartori, geboren und aufgewachsen in St. Johann im Ahrntal. Er hat ein Buch geschrieben.

Der Physiker lebt in Paris, hat sich immer für die Geschichte seines Heimattals und die Menschen dort interessiert und kennt sich im Ahrntal gut aus. Akribisch hat er von den 123 Soldaten aus seinem Heimatdorf, die in den Zweiten Weltkrieg einziehen mussten, Bilder und Daten gesammelt. Mit Hilfe des Geschichtsvereins Ahrntal bezog er - unter anderem aus der Ahrntaler Chronik - seine Daten, Fotos und Informationen. Sein Anliegen ist es vor allem gegen das Vergessen anzukämpfen, denn all das Leid dieser Soldaten und ihrer Familien soll nicht ausgelöscht werden, auch wenn mittlerweile 80 Jahre seit dem Kriegsende vergangen sind. Besonders erwähnt werden auch die daheim zurückgebliebenen Eltern, Frauen und Kinder und ihre Schicksale. Mussten diese doch bei der Feld- und Stallarbeit die Väter und Söhne ersetzen, von denen oftmals nur eine pathetische Todesnachricht blieb. Der Autor hat Reime und Verse aus den Sterbebildern gesammelt, die häufig von der politischen Führung vorgegeben wurden. Ein Bild einer Begräbniszeremonie ist im Buch abgedruckt, der Sarg ist leer, dafür wurden Propagandareden und Hakenkreuze geschwun-

gen. Die trauernden Angehörigen sollten glauben, dass der Sohn, Bruder oder Vater ehrenvoll für das Vaterland sein Leben gelassen hat. Die Wahrheit war oft eine andere.

Heinrich Sartori hat fast alle Heimkehrer gekannt, im Gespräch mit ihnen und einigen Nachkommen hat er berührende Geschichten erfahren.

VIELE BESONDERE ERINNERUNGEN

Zum Beispiel die Geschichte von Albert, der das Attentat in der Via Rasella überlebte, bei dem 33 Menschen getötet und über 100 verletzt worden waren. Als Vergeltungsmaßnahme sollten die Überlebenden ihre Kameraden rächen, indem für jeden Getöteten zehn Häftlinge erschossen werden. Es sei eine Ehre für sie, diesen Racheakt ausüben zu dürfen. Obwohl ihre Gefährten getötet oder verwundet worden waren, sprach einer von ihnen für alle: er sagte, sie seien Katholiken und würden niemals unschuldige Bürger töten. Albert musste bei der Exekution nicht dabei sein, jedoch die Erzählungen seiner Kameraden waren schrecklich und haben ihn ein Leben lang begleitet. Oder die Geschichte von Seppl, der mit 19 Jahren für drei Jahre in den Krieg zur Wehrmacht einberufen wurde. „Er wurde verwundet und darauf nach Italien in ein Lazarett

Heinrich Sartori aus St. Johann - hier beim entsprechenden Vortrag - hat das Buch verfasst. privat

gebracht. Nach seiner Genesung wurde er mit dem Zug, an seinem Heimatort vorbei, auf direktem Weg ins Deutsche Reich zurückgebracht. Im Krieg stand er einmal bewaffnet einem russischen, ebenfalls bewaffneten, Soldaten gegenüber. Sie schauten sich tief in die Augen und kehrten sich den Rücken zu und gingen auseinander. (Man könnte sagen, diesem russischen Soldaten verdankt seine ganze Familie ihr Leben).“

SCHICKSALE DER DABLEIBER

„Dableiber wurden Ende 1943 gezwungen bei der Wehrmacht einzurücken. Viele waren gegen den Nationalsozialismus und weigerten sich: Sie wurden „Deserteure“. Der Hiäsl und Seppl hatten sich im Sommer zwischen Felsen und Mauern im Frankbachtal versteckt. Damit sie nicht verhungerten, wurde ihnen heimlich etwas zum Essen gebracht. Doch es gab Spitzel im Dorf, die herauszufinden versuchten, wo sie sich versteckten. Sie waren auch immer wieder auf der Suche nach ihnen. Im Winter schliefen sie im Heustadel von verschiedenen Bergbauern. Einem von ihnen erfror ein Bein und er hinkte von da an sein Leben lang. Die ärztlichen Behandlungen wurden aus Sicherheitsgründen heimlich und nur bei dunkler Nacht durchgeführt.“

Im Buch sind einige Geschichten und Brie fe enthalten, sowie Fotos jedes einzelnen Soldaten aus St. Johann mit den Daten von

Geburt, Tod, Stationierung und Namen der Eltern abgebildet. Bei der Buchvorstellung in der Bibliothek in St. Johann wurde dem Autor und seinem Werk eine große Aufmerksamkeit entgegengebracht. Im Publikum saßen auch viele Angehörige und zeigten reges Interesse. Der Beweis, dass diese Männer und ihre Lebensgeschichten nicht vergessen sind. Mit diesem Buch hat Heinrich Sartori ein

wertvolles Zeugnis geschaffen, und wie er sagt „Mir wäre es recht, wenn das Buch auch in den Schulen verwendet würde, denn man lernt viel über die Weltgeschichte und nicht genug über die eigene“ Das Buch ist mit Unterstützung des Geschichtsvereins Ahrntal entstanden und auch über diesen erhältlich. Durch einen großzügigen Beitrag der Fraktion St. Johann konnte dieses wertvolle Projekt realisiert werden. // mg

Der Blick zurück: Kriegsurlauber in der Heimat in St. Johann im Jahr 1943. Ahrntal Chronik

AUSSTELLUNG

„Design meets art!“

Das Cafè Pinta Pichl in der Brunecker Oberstadt ist schon längst nicht mehr nur eine Adresse für Kaffee, Aperitif und Co, sondern überdies ein Begriff für wechselnde Ausstellungen unterschiedlichster Künstlerinnen und Künstler. In ihrem Cafè-Atelier versteht es Chefin Marlene Pizzinini jungen, hoffnungsvollen Talenten sowie arrivierten Künstlerinnen und Künstlern ein spannendes Podium für ihre Exponate zu bieten und verbindet damit gekonnt Kaffee, Kunst und Begegnung. Derzeit und noch bis zum 15. Februar 2026 zu sehen: Markante Illustrationen von Helga Kasseroler. Wer die Zeit findet, sollte unbedingt mal vorbeischauen!

Im Jahre 1970 in Bozen geboren, ist Helga Kasseroler nach ihrem GrafikdesignStudium an der Werbe-Design-Akademie Innsbruck über 20 Jahre lang als Grafikerin und Illustratorin tätig und gestaltet in dieser Zeit zahlreiche Projekte im kulturellen, theatralischen, editorialen und informativen Bereich. In Folge unterrichtet sie auch an der Landesberufsschule Gutenberg/Bereich Grafik und Medien in Bozen. Heute widmet sich die Grafikdesignerin ganz der Illustration.

ZUR AKTUELLEN AUSSTELLUNG

IM PINTA PICHL

Illustration ist für Helga Kasseroler der Zugang zur Kunst. Ihre Inspiration entsteht aus einem Zusammenspiel von Fotografien,

Ausdrucksstark und formvollendet.

Handzeichnungen und alten Stoffmustern, die sie sammelt, selbst entwirft oder fotografiert. Aus diesem Material entwickelt sie grafische Darstellungen, die markant, kontrastreich und zugleich minimalistisch bunt wirken. Jede Illustration wird bis ins kleinste Detail ausgearbeitet und anschließend auf unterschiedliche Materialien gedruckt – ein experimenteller Prozess, aus dem das Motto „Design meets art“ entstanden ist. // jst

DIE PZ HAT BEI DER KÜNSTLERIN NACHGEFRAGT:

PZ: Sie sind Grafikdesignerin, Illustratorin, Künstlerin, wie spielt das alles zusammen? Als was sehen Sie sich vor allem anderen?

Helga Kasseroler: Meine künstlerische Reise begann mit dem Besuch des Kunstgymnasiums in Cagliari, bei dem ich erste Erfahrungen mit der Ölmalerei hatte. Nach meiner Ausbildung zur Grafikerin arbeitete ich viele Jahre im Grafikdesign, bevor ich mich vor rund zehn Jahren zunehmend dem Zeichnen, Malen und Illustrieren zuwandte. Mit diesem Schritt konnte ich das Analoge mit dem Digitalen verbinden und meine zeichnerischen Fähigkeiten weiterentwickeln. Parallel dazu habe ich vor etwa acht Jahren begonnen, Illustration, und Design zu unterrichten – eine Tätig-

keit, die mir großen Freude macht. Heute steht das Illustrative und Künstlerische im Mittelpunkt meiner Arbeit – geprägt von meinem grafischen Hintergrund, aber nicht mehr im klassischen Grafikdesign verankert. Wenn ich mich selbst einordnen müsste, sehe ich mich nun vor allem als Illustratorin – weil dort mein inneres Gespür, meine Ideen und meine Freude am visuellen Erzählen am stärksten zusammenkommen. Die Kunst ist für mich eine Erweiterung davon, ein natürlicher Ausdruck, der sich aus dem Zusammenspiel von Illustration und digitaler Gestaltung ergibt. Kreatives Arbeiten hat mir schon immer ein gutes Bauchgefühl gegeben – dieses innere Bedürfnis, Ideen sichtbar zu machen, war immer da.

Was reizt Sie denn so besonders an der Illustration als künstlerische Ausdrucksform?

An der Illustration reizt mich besonders, wie vielfältig und frei sie ist. Ich arbeite in vielen unterschiedlichen Stilen – mal bunt, mal reduziert, mal verspielt – und kann damit sehr verschiedene Stimmungen ausdrücken. Meine Arbeiten sind vielseitig, Inspiration bekomme ich auch durch alte Fotografien, aber auch Stoffmuster aus meiner Kindheit, eigene Zeichnungen oder spontane Skizzen in der Natur. Ich liebe es, Motive mit Farbe zum Leben zu erwecken oder ihnen eine neue Perspektive zu geben. Ob Kinderbuchillustrationen, die Gestaltung von Hotelzimmern mit meinen Moti-

ven oder das Leiten von Workshops – immer geht es darum, Geschichten sichtbar zu machen und Emotionen zu wecken.

Ihre Arbeiten und Tätigkeiten sind, wie sie gerade auch beschrieben haben, mannigfaltiger Natur - wie würden Sie denn Ihr Schaffen und die Motivation dahinter ganz allgemein beschreiben?

In letzter Zeit haben mich alte Fotografien aus der Nachkriegszeit besonders bewegt. Diese Bilder von harten, schweren Momenten haben mich tief berührt. Einige davon habe ich in Öl auf Leinwand übertragen und in leuchtende Farben gehüllt, um ihnen Hoffnung, Wärme und ein neues Leben zu geben. Illustration ermöglicht mir genau das: Vergangenes neu zu sehen, zu transformieren und emotional aufzuladen. Genauso inspirieren mich alltägliche Dinge – zum Beispiel ein alter Stoff meiner Oma mit roten Rosen. Aus diesem Muster entstand eine Illustration mit roten und pinken Rosen auf schwarzem Hintergrund und sogar einer rot pinken Kuh als verspieltes Motiv. Solche Momente zeigen mir, wie sehr mich Farben, Muster und Erinnerungen antreiben.

Auch meine eigenen Zeichnungen – ob Bleistiftskizzen oder spontanes Gekritzel – belebe ich gern neu, färbe sie bunt ein oder ergänze sie digital. Illustration ist für mich ein Raum, in dem ich Ideen weiterentwickeln, Stimmungen verstärken und Bilder in eine neue Ebene heben kann.

Die aktuelle Ausstellung im Pinta Pichl zeigt was? In der aktuellen Ausstellung im Café Atelier Pinta Pichl zeige ich eine Auswahl meiner Porträt Illustrationen. Diese Arbeiten entstehen in unterschiedlichen Techniken: mit Acryl, Öl, Fineliner und oft auch digital ergänzt. Ich experimentiere gern mit neuen Materialien, die ich als Mal- oder Druckfläche einsetze, und lasse so immer wieder neue Ausdrucksformen entstehen. Besonders am Herzen liegen mir die drei neuesten Ölbilder in kräftigen Farben. Eines basiert auf einem alten Foto einer Oma aus der Nachkriegszeit auf der Alm. Ein weiteres zeigt Mäher auf der Alm – ein Motiv, auf dem auch mein Vater in jungen Jahren zu sehen ist. Das dritte Bild zeigt fünf Personen und erzählt von der ersten Begegnung zwischen drei Bergbauern und zwei Touristen. Diese Motive berühren mich tief, weil sie Erinnerungen, Geschichte und persönliche Emotionen miteinander verbinden. // Interview: Judith Steinmair

Die Künstlerin Helga Kasseroler stellt im Pinta Pichl in Bruneck aus.

AUSSTELLUNG IM BRUNECKER RATHAUS

UN…D PERFEKT, WERTVOLL UND WUNDERSCHÖN

Im Rathaus der Gemeinde Bruneck findet bis zum 26. Februar 2026 eine besondere Upcycling-Kunstausstellung statt. Unter dem Titel „Un...d Perfekt – Wertvoll – Wunderschön” stellen Menschen mit Beeinträchtigung aus dem Sozialzentrum „Seeburg“ in Brixen ihre Werke aus. Sie zeigen anhand von eindrucksvollen Bildern wie Nachhaltigkeit, Kreativität und ein soziales Miteinander zusammenwirken. Die fünf Künstler Elsa, Roberta, Verena, Helga und Stefan erzählen dabei ihre Geschichten in bunten Farben und verwandeln alte Plakate in abstrakte sowie farbenfrohe Kunstwerke. Im Mittelpunkt steht der Mensch, der nicht perfekt, aber dennoch wertvoll und einzigartig ist. Begleitet werden die Künstlerinnen und Künstler von Dorothea Taferner von „Farben lieben Leben“. Die Initiative wird von der Inklusiven Volkshochschule Südtirol unterstützt. Bei dieser besonderen Ausstellung geht es darum, eine Botschaft weiterzutragen, wenn Worte nicht mehr ausreichen. Selbstwahrnehmung, innerliche Ruhe, Gedankenordnung und gestärktes Vertrauen

JETZT ANMELDEN! www.vhs.it

sind die Punkte, die durch das intuitive Malen besonders zum Ausdruck kommen.

Dabei sollen die Zuschauenden mit Erstaunen die Werke erleben können. Alle Wer-

KURSE | SEMINARE | VORTRÄGE

IVHS Zweisprachigkeit leicht gemacht

ab Do. 05.03.26 | 15.05-16.35 Uhr - St. Georgen

Englisch Konversation - English Easy Conversation ab Mo. 23.02.26 | 16.30-18 Uhr - Toblach

Das mittelalterliche Bruneck - Familienführung

Sa. 28.03.26 | 14-16 Uhr - Bruneck

ke können im Rahmen der Ausstellung für eine angemessene Spende zugunsten des Sozialzentrums „Seeburg“ käuflich erworben werden. // bp

Kräuterspaziergang mit Tami - Kräuterzwillinge entd ecken

Fr. 24.04.26 | 17-19 Uhr - Oberrasen

Zeichnen mit Bleistift

Sa. 07.03.26 | 9-16 Uhr - St. Georgen

und noch mehr ...

KULTURZENTRUM TOBLACH

VIELE KULTURHIGHLIGHTS IM NEUEN JAHR STEHEN AN

Im Kulturzentrum Toblach erwartet das Publikum auch 2026 ein vielfältiges Kulturprogramm. Eröffnet wurde das Kulturjahr am dritten Januar mit den „Queenz of Piano“, die eindrucksvoll zeigten, wie sich Klassik und Moderne zu einem mitreißenden Gesamterlebnis verbinden lassen. Am 24. Januar folgt mit „Winto.klong“ ein in der Südtiroler Musikszene etabliertes Festival, das heuer erstmals als „Best-of“-Ausgabe stattfindet. Als Special Act beschließt Sepp Messner Windschnur den Abend. Am 21. Februar sorgt das Improtheater mit spontanen und humorvollen Szenen für beste Unterhaltung. Eine besondere Neuerung 2026 ist die zeitliche Verlegung des „Festivals Dolomites”. Nach fünfzehn erfolgreichen Sommerausgaben findet es erstmals im März statt. Unter dem Titel „GlücksGriffe“ verbindet das Festival sinfonische Musik mit Jazz und Literatur. Der musikalische Frühling setzt sich mit der Pustertaler Gruppe „Aulång“ am 29. März, dem Kinderkonzert „Mission Planet B“ am 9. Mai sowie mit einem besonderen Höhepunkt am 17. Mai fort, wenn die ladinische Band „Ganes“ nach Toblach kommt.

VIELE BESONDERE MOMENTE

Auch 2026 wird der Park des Kulturzentrums musikalisch zum Blühen gebracht. Das Langis.Klong-Festival am 6. Juni sowie die beiden Ausgaben von „Musik im Park“ am 4. Juli und am 22. August laden dazu ein, den Sommer unter freiem Himmel bei guter Musik zu genießen. Die Gustav-Mahler-Musikwochen vom 11. bis zum 26. Juli prägen seit Jahren das musikalische Jahr Toblachs und den Sommer im Kulturzentrum.

CARAMBOLAGE Improtheater

BEST IMPRO OF R 21 02 26

Hochkarätige Orchesterkonzerte mit der Musikakademie der Studienstiftung des Deutschen Volkes (1. August), dem Bayerischen Landesjugendorchester (8. August) und der Gustav Mahler Academy (5. September) füllen den Gustav-Mahler-Saal mit eindrucksvollen Klangbildern. Die Toblacher Gespräche setzen Ende September inhaltliche Akzente mit Vorträgen und Diskussionen. Am 23. Oktober gastiert die Südtirol Filarmonica in ihrer Heimat, dem Kulturzentrum Toblach. Am 3. November folgt ein Liederabend mit dem bekannten Bariton André Schuen aus Wengen. Mit dem Volksmusikfestival „Herbischt.klong“ am 14. November und dem Konzert von Max von Milland am 28. November setzt sich die musikalische Vielfalt fort. Am 5. Dezember treten die St. Florianer Sängerknaben auf, bevor das Jahr am 30. Dezember mit dem traditionellen Silvesterkonzert feierlich ausklingt. // mm

“BEST OF IMPRO” IN TOBLACH IMPROTHEATER

DER BESTEN SORTE

Den Alltag kurz beiseiteschieben, Sorgen vergessen und ganz im Moment ankommen: Wenn das Improtheater „Carambolage“ in Toblach Halt macht, wird der Spiegelsaal zum Schauplatz spontaner Kreativität. Geschichten entstehen aus dem Augenblick heraus – inspiriert von Zurufen aus dem Publikum und völlig unvorhersehbar. Ob Drama, Seifenoper oder pointierter Humor: Alles wird live erfunden und sorgt für berührende wie höchst unterhaltsame Momente. Eines ist sicher: Jeder Abend ist einzigartig. Und wer nicht dabei ist, verpasst etwas. Das Theater geht am 21. Februar, um 18.00 Uhr im Spiegelsaal im Kulturzentrum in Toblach über die Bühne. Weitere Informationen gibt es unter www.kulturzentrum-toblach.eu. // mm

Im Kulturzentrum in Toblach gibt es musikalische und kulturelle Darbietungen vom Feinsten. lunah photo
Ganes (im Bild) kommen auch nach Toblach. Christoph Jorda

LEON LÖWENTRAUT IM LUMEN-MUSEUM

KUNST, SPORT UND OLYMPISCHER GEIST

Parallel zu den 25. Olympischen Winterspielen 2026 präsentiert das Lumen-Museum am Gipfel des Kronplatzes bis zum ersten März 2026 die Ausstellung „What does it take to be a Champion?“ mit Werken des deutschen Künstlers Leon Löwentraut. Die Schau ist Teil der offiziellen Kulturolympiade von MilanoCortina 2026 und bringt Kunst, Sport und zeitgenössische Fragestellungen in einen gemeinsamen Kontext.

Gezeigt werden insgesamt zwölf neue Arbeiten des 27-jährigen Künstlers, darunter auch großformatige Werke, die sich thematisch mit Leistungsbereitschaft, Disziplin und innerer Haltung auseinandersetzen – Eigenschaften, die sowohl im Spitzensport als auch in der Kunst eine zentrale Rolle spielen. Die Dolomiten dienen dabei nicht nur als Kulisse, sondern auch als Inspirationsraum. Löwentraut selbst beschreibt die Berglandschaft als „majestätisch“ und spricht von einer besonderen Energie, die von diesem Ort ausgehe. Die Ausstellung wurde am Dienstag, 27. Januar 2026, im Rahmen einer Vernissage im Lumen Museum eröffnet. Im Anschluss daran fand eine Charity-Auktion statt, bei der ein Werk aus Löwentrauts Serie „Olympia“ in Kooperation mit der Initiative „Home of atheltes“ versteigert wurde. Der Erlös der Auktion kommt der Südtiroler Sporthilfe zugute. Damit wurde bewusst ein Zeichen für die Verbindung von kulturellem Engagement und Sportförderung gesetzt. Ein weiterer Programmpunkt am Eröffnungstag war die Übergabe der olympischen Fackel an der Friedensglocke „Concordia 2000“ am Kronplatz-Gipfel. Die Station des Fackellaufs in Südtirol unter-

strich die symbolische Bedeutung des Ortes im Rahmen der Winterspiele und verband die Ausstellung zusätzlich mit dem olympischen Leitgedanken von Frieden und internationaler Gemeinschaft.

BESONDERE NOTE

Leon Löwentraut hatte sich seit Herbst 2025 intensiv mit dem Thema Olympia beschäftigt. Unter anderem arbeitete er im Rahmen eines Workshops mit aktiven Olympionikinnen und Olympioniken, aus dem sich zentrale Impulse für die nun präsentierte Werkserie entwickelten. Inhaltlich verzichtet der Künstler bewusst auf konkrete Deutungen und überlässt die Interpretation den Betrachterinnen und Betrachtern. Seine Arbeiten sollen, so Löwentraut, im konzentrierten Dialog mit dem Publikum ihre eigene Geschichte entfalten. Das Lumen-Museum der Bergfotografie, das seit 2018 auf 2.265 Metern Höhe besteht, bietet mit seiner Lage und Architektur einen

Leon Löwentraut

besonderen Rahmen für die Ausstellung. Auf vier Ebenen und rund 1.800 Quadratmetern Ausstellungsfläche verbindet das Museum zeitgenössische Fotografie und Kunst mit dem alpinen Raum der Dolomiten, die zum Unesco-Welterbe zählen. Die Ausstellung „What does it take to be a Champion?“ ist während der Olympischen Winterspiele öffentlich zugänglich. Der Eintritt ins Museum sowie die Teilnahme an den Eröffnungsveranstaltungen sind kostenpflichtig, eine Anmeldung ist erforderlich. Weitere Informationen sind auf der Website des Lumen abrufbar. // bp

Hast auch du Zipperle-Erinnerungen? Teile sie mit uns!

#zipperlememories

Seitdem kleben wir zusammen.

Ein ausgeschütteter Traubensaft, ein Erröten, ein erstes Lächeln –manchmal schreibt das Leben die besten Geschichten. Seit 75 Jahren ist Zipperle Teil solcher Momente. Zum Jubiläum präsentieren sich unsere Etiketten frischer denn je.

Das neue Museumsjahr

Mit Digitalisierung, Forschung sowie vielen Ausstellungen zu Geschichte, Gesellschaft und Natur befassten sich die Südtiroler Landesmuseen 2025. Auch heuer stehen wieder Ausstellungen – von Bergbau über Tourismus und Ausgehkultur bis hin zu zeitgenössischer Kunst –sowie ein ganz besonderes Jubiläum, Forschung und die Wiederöffnung des Museum Eccel Kreuzer auf dem Programm. Zudem feiert heuer das Museum in Dietenheim sein 50-jähriges Jubiläum.

Im Südtiroler Archäologiemuseum standen 2025 die Digitalisierung und die Konservierung der Sammlung im Mittelpunkt. Internationale Forschungsprojekte nutzten moderne Analyse- und KI-Methoden um etwa 3-D-„Zwillinge“ der weltweit bekannten Objekte rund um den Mann aus dem Eis zu erstellen. Die Ausstellung, „Under Propaganda - Archäologie zwischen Krieg und Frieden“ - noch bis November zu sehen – beleuchtet hingegen, wie archäologische Forschung zwischen 1920 und 1972 von faschistischen und nationalsozialistischen Ideologien instrumentalisiert wurde. Auch die Festung Franzensfeste setzte 2025 Akzente in der zeitgeschichtlichen Auseinandersetzung: Mit der Ausstellung „Hitler entsorgen: Vom Keller ins Museum“ stellte sie grundlegende Fragen zum Umgang mit NS-Relikten. Ergänzt wurde das Programm durch fotografische Arbeiten von Gregor Sailer zur Festung und zum Brennerbasistunnel sowie durch eine Ausstellung zu den drei monotheistischen Weltreligionen von Hans-Günther Kaufmann. Die Aktion „art X women“ verband Kunst mit gesellschaftlichem Engagement gegen Gewalt an Frauen. Das Landesmuseum für Volkskunde in Dietenheim nahm das Thema der Bauernkriege auf und rückte mit der Ausstellung „gewisper – gerüchte – geschreӱ. Wirtshaus und Bauernkrieg 1525“ die Gaststube als sozialen Resonanzraum des Bauernkriegs in den Mittelpunkt. Ergänzt wurde diese durch eine neue Themenführung zum „Blauen Schurz“ und eine intensive Forschungstätigkeit zu strohgedeckten Wirtschaftsgebäuden, die über Jahrhunderte die Kulturlandschaft Südtirols prägten.

Fort Biennale 01, Ellinor Aurora Aasgaard und Zayne Armstrong: In der Festung Franzensfeste findet heuer die zweite Ausgabe dieser beliebten Kunstausstellung statt. Tiberio

„Under Propaganda“ im Südtiroler Archäologiemuseum. Die Ausstellung zeigt, wie archäologische Forschung von faschistischen und nationalsozialistischen Ideologien instrumentalisiert wurde. Manuela Tessaro

Sorvillo

VIELSEITIGES PROGRAMM

Das Jahr 2026 verspricht erneut ein vielseitiges Programm: Im Naturmuseum Südtirol folgt von Februar 2026 bis Februar 2027 die Sonderausstellung „Funga – a hidden world“, begleitet von Fotoausstellungen und reger Forschungstätigkeit. Das Planetarium Südtirol setzt sein Programm aus Wissenschaft, Musik und Vermittlung fort. Ein besonderes Highlight erwartet das Landesmuseum für Volkskunde, das 50 Jahre Museumsgeschichte feiert. Eine Sonderausstellung von Mitte April bis Ende Oktober sowie ein Festakt am 28. August markieren das Jubiläum. Zudem widmet sich ab August eine neue Ausstellung der Ausgehkultur und dem Aufkommen von Tanzlokalen, Diskotheken und neuen Freizeitformen. Im Landesmuseum Bergbau wird die Sonderausstellung „Silber, Blei und Bauernkrieg. Michael Gaismair und der Bergbau“ in Ridnaun gezeigt. Führungen, Schaustollen und Tagestouren vertiefen den Blick auf die historische Bergbaulandschaft. Das Museum Ladin richtet hingegen die Trienala Ladina und den Richard Agreiter Preis aus und eröffnet im Museum Ladin Ursus ladinicus, der Zweigstelle in Sankt Kassian, eine neue Ausstellungssektion zum 7.800 Jahre alten Elchgeweih vom Campolongopass.

Die Festung Franzensfeste bietet unter anderem die zweite Ausgabe der „FORT bien-

Restaurierung (hier die

nale“, während das ebenfalls im Betrieb Landesmuseum angesiedelte Zentrum für Regionalgeschichte seine wissenschaftliche Arbeit 2026 fortsetzt: Auf dem Programm stehen zentrale Forschungsprojekte, etwa jenes über faschistisch und nationalistisch belastete Straßennamen, Tagungen (zum Beispiel die Tagung zu 80 Jahre Pariser Vertrag) und die Vermittlungsinitiative „History on Tour“, womit die Verbindung zwischen Forschung und Öffentlichkeit gestärkt wird.

Insgesamt 613.829 Eintritte verzeichneten die Museen im Besitz der Autonomen Provinz Bozen im Jahr 2025. Die meisten Besuche schaffte wieder das Südtiroler Archäologiemuseum in Bozen (277.754), gefolgt vom Touriseum (94.487), dem Landesmuseum Bergbau mit seinen vier Standorten Ridnaun, Schneeberg, Steinhaus und Prettau mit Klimastollen (57.168) und Schloss Tirol (47.716). // vg

Nach einer aufwendigen
Renovierung der verschiedenen Fresken) öffnet das Museum Eccel Kreuzer im Frühjahr wieder seine Tore. Greta Stufer

SPORTLICHE HÖCHSTLEISTUNGEN UND GELEBTE TRADITION VOM BESTEN

Am 17. und 18. Januar 2026 fand die 49. Ausgabe des Volkslanglaufs Toblach-Cortina statt. Es ist dies eine der traditionsreichsten Langlaufveranstaltungen im Alpenraum. Für die Jubiläumsveranstaltung im nächsten Jahr werden unter Herbert Santer und seinem Team schon heute die Weichen gestellt.

Das Rennprogramm umfasste am Samstag, 17. Januar, einen Lauf über 26 Kilometer in klassischer Technik sowie am Sonntag, 18. Januar, ein Rennen über 26 Kilometer in freier Technik (Skating). Insgesamt nahmen an den beiden Wettkampftagen rund 1.200 Athletinnen und Athleten teil. Beim Start waren 32 Nationen vertreten, was den hohen internationalen Stellenwert der Veranstaltung unterstreicht. Im Elitefeld war eine gute Beteiligung italienischer und internationaler Spitzenathleten zu verzeichnen. Bei den Hobby- und Amateursportlern stellten insbesondere Teilnehmende aus Schweden, Norwegen, Tschechien, Deutschland und Österreich einen großen Anteil.

SCHWIERIGE BEDINGUNGEN

GUT GEMEISTERT

Aufgrund der geringen Schneemengen mussten Strecke und Programm angepasst werden. Start und Ziel beider Rennen befanden sich in der Nordic-Arena in Toblach, während Rennbüro, Pasta-Party und die offiziellen Siegerehrungen im Grandhotel in Toblach abgehalten wurden. Trotz der schwierigen Rahmenbedingungen präsentierte sich die Strecke technisch anspruchsvoll, bestens beschneit und perfekt präpariert und eignete sich sowohl für ambitionierte Amateure als auch für leistungs-

orientierte Athleten. Die bewährte Organisation sorgte für eine herzliche Betreuung der Teilnehmenden. Besonders positiv hervorgehoben wurden die Pasta-Party sowie das Startpaket, das durch seine Fülle und die Qualität der enthaltenen Gadgets überzeugte. Das Rennen am Sonntag zählte zudem als Italienische Meisterschaft der Amateure Master (FISI) und verlieh der Veranstaltung zusätzlichen sportlichen Wert. Für besondere Eindrücke sorgten auch Teilnehmende in traditioneller ampezzanischer Tracht, Vertreter der ULDA (Unione Ladis d’Ampezo), welche die kulturelle Verbundenheit mit der Region sichtbar machten.

WEICHEN SIND GESTELLT

Der Erfolg der 49. Ausgabe war dem Engagement der institutionellen Partner und Sponsoren, dem großen Einsatz der zahlreichen freiwilligen Helferinnen und Helfer sowie

der professionellen Arbeit des Organisationskomitees zu verdanken, das den Teilnehmenden eine Veranstaltung auf hohem Qualitätsniveau bot.

Bereits jetzt laufen die Vorbereitungen für die 50. Jubiläumsausgabe, die am 6. und 7. Februar 2027 stattfinden wird und wieder auf das traditionelle erste Februarwochenende zurückkehrt.

In enger Zusammenarbeit mit den beiden beteiligten Gemeinden wird daran gearbeitet, den klassischen Streckenverlauf mit Start am Flughafen Toblach und Ziel im Zentrum von Cortina d’Ampezzo zu realisieren. Geplant sind am Samstag, 6. Februar 2027, ein Rennen in klassischer Technik und am Sonntag, 7. Februar 2027, ein Rennen in freier Technik (Skating). Das detaillierte Programm befindet sich derzeit noch in Ausarbeitung, aber es nimmt schon Formen an. Damit steigt auch die Vorfreude! // rewe Weichenstellung: Ehrengäste und die fleißigen Mitglieder des Haupt-Organisationsteams

49. LANGLAUF TOBLACH–CORTINA

CURLING-TEAM KANADA

OLYMPISCHE

VORBEREITUNG IN BRUNECK

Vom 25. Jänner bis zum 9. Februar 2026 trainiert das Curling-Team aus Kanada im Curling-Zentrum in der Intercable-Arena in Bruneck. Das Team Brad Jacobs tritt mit Ben Herbert, Marc Kennedy und Brett Galant in Cortina an. Brad Jacobs hat bei den Spielen in Sotschi bereits Gold geholt. Die Frauen sind hingegen durch das Team der dreifachen Weltmeisterin Rachel Homan mit Sarah Wilkes, Tracey Fleury und Emma Miskew vertreten. Im Mixed Doubles startet das Ehepaar Jocelyn Peterman und Brett Ga-

lant, auch schon Weltmeister und Olympiabronze-Gewinner. Kanada zählt in allen drei Kategorien zum Favoritenkreis. Dass die Vorbereitung auf das große Event eine entscheidende Rolle spielt, wird auch durch die Tatsache untermauert, dass Icemaker Marck Shirek samt Equipment eigens aus Kanada eingeflogen wurde, um die Eisaufbereitung im Curling-Center in Bruneck vorzunehmen. Durch den unermüdlichen Einsatz des ASC Curling Südtirol ist es gelungen, echte Curlinggrößen, wie es die ka-

Ein Interview mit Dr. Carlo Sacchi

nadischen Mannschaften sind, in die Intercable-Arena zu bringen, wo sie vom Verein betreut und begleitet werden. Auch ein Freundschaftsspiel zwischen dem Team Jacobs und dem ASC Curling Südtirol/Team Spiller steht auf dem Programm.

Noch eine wichtige Information zum Schluss: Vom 24. Februar bis zum 3. März 2026 werden sich dann die kanadischen Paralympics-Teams in der Intercable-Arena auf die Spiele in Cortina vorbereiten. // ht

Schienbeinkopffraktur – häufig und sehr schmerzhaft

Im Gespräch mit Dr. Carlo Sacchi, Facharzt für Orthopädie und Traumatologie im Med Center Sexten und in der Praxis Orthosacchi in Bruneck werfen wir einen Blick auf die Schienbeinkopffraktur.

Dr. Sacchi, wo genau befindet sich der Schienbeinkopf?

Der Schienbeinkopf befindet sich am oberen Ende des Unterschenkels und ist Teil des Kniegelenks. Er bildet gemeinsam mit dem Oberschenkel das Kniegelenk und spielt eine zentrale Rolle für dessen Stabilität und Beweglichkeit.

Wie kommt es zu einer Schienbeinkopffraktur? Schienbeinkopffrakturen sind Gelenksfrakturen und daher besonders kritisch, weil das Gelenk keine Stufenbildung toleriert. Eine Stufe von nur ein bis zwei Millimetern kann zu langfristigen Problemen führen, wie etwa einer Abnutzung des Kniegelenks. In den letzten Jahren haben diese Frakturen aufgrund moderner Skitechniken, wie Carving-Ski, zugenommen. Beim Sturz auf das Kniegelenk entsteht eine enorme Belastung, die zu einer Fraktur im Schienbeinkopf führen kann.

Muss eine Schienbeinkopffraktur immer operiert werden?

Wenn die Fraktur sehr minimal ist, kann sie auch konservativ behandelt werden. Das heißt, in Gips und mit Ruhestellung kann der Bruch über einen Zeitraum von etwa drei Monaten heilen. Aber sobald eine Stufe entsteht, muss die Fraktur operativ behandelt werden, um das Gelenk wieder in seine ursprüngliche Form zu bringen.

Wie verläuft die Behandlung nach der Operation?

Nach einer Operation folgt eine Heilungsdauer von etwa drei Monaten. Der Knochen muss zunächst biologisch heilen, und die Schrauben allein können den täglichen Belastungen nicht standhalten. Nach etwa vier bis sechs Wochen können Patienten mit Physiotherapie beginnen, das Knie zu beugen und das operierte Bein schrittweise zu belasten.

Wie erkennt man eine Schienbeinkopffraktur und ist eine Bildgebung notwendig?

Die Symptome einer Schienbeinkopffraktur sind oft sofort sichtbar – das Kniegelenk wird instabil

und das Bein kann nicht mehr belastet werden. Um die genaue Schwere der Fraktur zu bestimmen, ist jedoch eine Bildgebung notwendig. Wir führen in solchen Fällen ein Röntgenbild und gegebenenfalls weitere Diagnostik durch, um festzustellen, ob eine Operation notwendig ist oder ob die Fraktur konservativ behandelt werden kann.

Wie lange dauert es, bis man wieder voll belastend laufen kann?

Die vollständige Belastung des Beins dauert in der Regel etwa zwei bis drei Monate. Es ist wichtig, Geduld zu haben und den Heilungsprozess nicht zu überstürzen, um langfristige Schäden zu vermeiden.

Eine Schienbeinkopffraktur ist eine ernsthafte Verletzung, die nicht unterschätzt werden sollte. Mit der richtigen Diagnose und Behandlung können Betroffene jedoch wieder schnell auf die Beine kommen.

Med Center Sexten

Dolomitenstraße 45/1 - Sexten

E-Mail: medcentersexten@gmail.com

Tel.: 0474 869 233 - 377 357 422

Orthosacchi

Stadtgasse 43 - Bruneck

E-Mail: medcentersexten@gmail.com

Tel.: 349 818 0024

Das gesamte Curlingteam aus Kanada bereitet sich in der Intercable-Arena auf die olympischen Bewerbe in Cortina vor. Canadian Curling Federation

Das Team von Karate Mühlbach (im Bild) hat bei einem interregionalen Karate-Turnier in Maser (TV) wieder ordentlich abgeräumt.

KARATE MÜHLBACH SCHLÄGT ERNEUT ZU

WAS FÜR EINE AUSBEUTE!

Vor kurzem hat in Maser die erste von drei Etappen eines interregionalen Karate-Turniers stattgefunden, an dem rund 900 Athleten aus Nord-Ost-Italien teilgenommen haben – darunter auch 18 Athleten von Karate Mühlbach.

Im Kumite (Zweikampf) haben Maria Peintner und Anna Gallmetzer (beide 13 Jahre alt) viele überrascht – zum ersten Mal haben die beiden Athletinnen in der Kategorie der Braunund Schwarzgurte teilgenommen und mit beeindruckenden Leistungen auf sich aufmerksam gemacht: Maria Peintner hat Gold, Anna Gallmetzer hat Silber gewonnen. Genauso stark ging es bei der 17-jährigen Laura Peintner weiter – nach einer längeren Durststrecke ist es ihr gelungen, das, was beim Training eingeübt wurde, auf der Kampffläche in eindrucksvoller Weise um-

FF MÜHLBACH/TESSELBERG

zusetzen, was ihr den dritten Platz gesichert hat. Bronze errungen haben auch die 13-jährige Julia Mair und der 45-jährige Norbert Öttl, der seinen ersten Wettkampf bestritten hat; sein Talent war dem Trainerteam bewusst. „Das Potenzial beim Training zu sehen, ist das eine; der Wettkampf, die Kampffläche, der Umgang mit dieser herausfordernden Situation, ist etwas anderes. Aber Norbert hat überzeugt und sogar erfahrene Gegner ins Wanken gebracht.“, so Trainer Martin Pezzei.

MEDAILLEN UND

ERFAHRUNG GEWONNEN

Das Podest verpasst haben der 20-jährige Florian Fischnaller und der 12-jährige Jonas Malleier (beide Platz fünf), wobei Jonas seinen ersten Kumite-Wettkampf bestritten hat. Platz sieben ging an den 20-jährigen Ja-

kob Silgoner. Im Kata (Formwettkampf) waren Greta Fischer und Tobias Erschbaumer in ihren Kategorien eine Klasse für sich und haben souverän gewonnen. Bronze konnte Maria Peintner für sich entscheiden. Das Podest verpasst haben Julia Mair und Alan Stifter (beide Platz vier), wobei Alan erstmals an einem Karate-Wettkampf teilgenommen hat; außerdem Anna Gallmetzer (Platz 5), Pia Putzer und Noel Stifter (beide Platz sieben). Nicht ins Finale der besten acht geschafft haben es: Jonas Malleier, Michaela Amort, Hannah Bruni, Leni Rastner, Nina Seebacher und Linda Inkinen. Das Resümee ist durchwegs positiv: Für manche war es ihre erste Wettkampferfahrung und dabei wurden sie von den erfahrenen Athleten unterstützt und begleitet. Diese Team-Erfahrung zeichnet Karate Mühlbach aus und beweist, dass gelebte Werte wertvoller sind als Medaillen, Gemeinschaft und Verbundenheit tragender als der Erfolg des Einzelnen – aber alles gemeinsam dann auch zu starken Leistungen beitragen und führen kann. // mp

PUSTERTALER MEISTERSCHAFT BEIM PREISWATTEN

Am 17.01.2026 wurde wieder die traditionelle Pustertaler Meisterschaft im Preiswatten abgehalten. Die FF Mühlbach/Tesselberg hat dazu Watter aus nah und fern eingeladen. Im Vereinssaal von Mühlbach ging dann ein spannendes Turnier über die Bühne.

Den Titel sicherten sich Christian Pfattner und Andreas Pfattner. Sie wurden zu den „Pustertaler Watt-Meistern 2026“ gekürt. Herzliche Gratulation! // fn

Von links nach rechts: Schiedsrichter Hanskarl Wolfsgruber, Christian Pfattner, Andreas Pfattner und Kommandant Markus Wolfsgruber. Die Pustertaler Watter-Meisterschaft stieß auf großes Interesse.

SONDERTHEMA

HOCHZEIT UND REISEN

DIE PERFEKTE TRAUMHOCHZEIT

Tipps und Ideen für eine unvergessliche Feier

Eine Hochzeit im Sommer verspricht eine wunderschöne Kulisse, strahlend blauen Himmel und eine entspannte Atmosphäre. Kein Wunder, dass diese Jahreszeit so beliebt für Hochzeiten ist.

Doch wie gelingt es, den Traum einer Sommerhochzeit zu verwirklichen? Der Sommer bietet mit seinen drei Monaten – Juni, Juli und August – verschiedene Optionen, je nachdem, wie warm und sonnig es sein soll. Der Juni punktet mit milden Temperaturen und einer blühenden Natur, während der Juli ideales Hochzeitswetter für diejenigen bietet, die die Sonne lieben. Der August lockt mit langen, warmen Tagen, jedoch sollte man die Hitze gut einkalkulieren und für ausreichend Abkühlung sorgen. Die Wahl der Location ist ein weiteres Highlight einer Sommerhochzeit. Ob unter freiem Himmel in einem öffentlichen Park, im Garten eines historischen Anwesens oder direkt am Strand: Sommerhochzeiten bieten zahlreiche wunderschöne Möglichkeiten. Für diejenigen, die eine rustikale Atmosphäre bevorzugen, eignen sich Scheunen oder Weingüter als romantische Kulissen. Wer

DIE KRISTALLALM IN STEINHAUS

Besonderer Ort für besondere Feiern

Eine Hochzeit auf der etwas anderen Alm in Südtirol? Kein Problem! Die Kristallalm am Klausberg in Südtirol ist eine der romantischsten Hochzeitslocations der Region und verzaubert mit einem atemberaubenden Panoramablick auf majestätische Berge und das weitläufige Tal. Hoch über dem Alltag, auf über 1.600 Metern, wird Ihr Hochzeitstag zu einem unvergesslichen Erlebnis voller Gefühl, Natur und alpiner Eleganz. Umgeben von beeindruckender Berglandschaft bietet unsere Alm die perfekte Kulisse für romantische Hochzeiten, emotionale Jubiläen oder stilvolle Feiern mit bis zu 300 Gästen. Warme Holzdetails, stimmungsvolles Licht und die besondere Ruhe der Berge schaffen eine Atmosphäre, die Nähe, Liebe und Geborgenheit ausstrahlt. Hier verbinden sich alpine Tradition und moderne Leichtigkeit zu einem Ort, an dem Herzen höherschlagen und Erinnerungen fürs Leben entstehen. Schreiben Sie uns eine E-Mail und reservieren Sie Ihren Wunschtermin unter: hochzeit@klausberg.it. // PR-Info

das Besondere sucht, kann auch auf einem Boot oder einer Jacht den Bund fürs Leben schließen. Auch die Dekoration spielt eine wichtige Rolle, um eine Sommerhochzeit einzigartig zu gestalten. Leuchtende Farben wie Pastellrosa, Lavendel oder kräftige Töne wie Koralle und Sonnengelb bringen Frische und Lebensfreude in die Feier. Blumen wie Rosen, Pfingstrosen und Sonnenblumen passen perfekt zu einer Sommerhochzeit. Wer ein natürliches Flair bevorzugt, kann Wildblumen einsetzen oder kreative Blumenarrangements wie hängende Installationen wählen. Eine stimmungsvolle Beleuchtung sorgt für magische Abendmomente, Lichterketten, Kerzen und Fackeln setzen dabei zauberhafte Akzente. //

sagenhafte Ausblickeentspannte Momente

IHRE

Traumhochzeit

AUF 1.600 METERN

Pixabay

Leicht, luftig, elegant

Der Sommer ist die ideale Jahreszeit für eine Hochzeit, in der der Sonnenschein, blühende Blumen und die warme Atmosphäre zu einer unvergesslichen Feier beitragen. Bei der Wahl des perfekten Sommerhochzeitskleids gibt es zahlreiche Optionen, die für jede Braut das richtige Modell bereithalten.

Sommerhochzeitskleider zeichnen sich durch leichte, luftige Stoffe aus, die eine erfrischende, sommerliche Atmosphäre vermitteln. Häufig bestehen sie aus Tüll, Chiffon oder Spitze, die nicht nur angenehm zu tragen sind, sondern auch den fließenden, zarten Charakter eines Sommertages widerspiegeln. Besonders beliebt sind leichte A-Linien-Silhouetten mit feinen Trägern, die sich abnehmen lassen und so zwei Looks in einem Kleid ermöglichen. Ebenso im Trend liegen schlichte, elegante Kleider aus fließendem Kreppstoff, die mit tiefem V-Ausschnitt und einer Knopfleiste am Rücken klassische Elemente mit zeitgemäßer Zu-

rückhaltung verbinden. Für eine lockere Sommerhochzeit mit entspanntem Boho-Charakter eignen sich Kleider mit breiten Spitzenträgern und geschwungenem Ausschnitt. Auch für kurvige Bräute gibt es wunderschöne Varianten: etwa Kleider mit tailliertem Oberteil, zarter Spitze und luftigen Röcken, die sowohl schmeichelhaft als auch angenehm zu tragen sind. Besonders bei Sommerhochzeiten im Freien sind Kleider aus leichten Materialien ideal, da sie sich den ganzen Tag über bequem anfühlen. Bei der Wahl der Accessoires sollte der sommerliche Charakter des Tages beachtet werden. Luftige Schleier oder florale Details passen hervorragend zu einem Sommerhochzeitskleid. Für den Schuhstil empfiehlt sich, bei einer Hochzeit im Freien auf flache Schuhe oder Keilabsätze zurückzugreifen, um sicheren Halt auf unebenem Boden zu gewährleisten. // freepik

Hintergasse 3/B - 39031 Bruneck +39 346 848 3151 www.freya-brautmode.com

Wir sind Rosi und Hanka. Beide aus Bruneck, beide verliebt in schöne Dinge und glückliche Fügungen. Etwa, wenn eine zukünftige Braut bei uns ihr Perfect Match findet. In unserem Geschäft in Brunecks Hintergasse warten wahre Schätze in Spitze, Tüll und Seide auf eine erste Anprobe. Wir bieten fachkundige und individuelle Beratung in Sachen Brautmode und Accessoires. Neben Brautkleidern haben wir auch Designerkleider für Hochzeitsgäste und die Braut, die nicht in Weiß heiraten möchte. Elegante Outfits für das Standesamt, After Party , Maturaball oder den Galaabend in verschiedenen Farben, Schnitten und Stilen runden unser Sortiment ab. Finde dein Kleid, das dich strahlen lässt. Weitere Informationen gibt es im Internet (www.freya-brautmode.com). Wir freuen uns auf dein Kommen!

FREYA BRAUTMODE

AESTHETIC MEDICINE

DAUERHAFT

• SCHWEISSFREI

• GERUCHSFREI

NEU

Regenerative Infusionstherapie

Hochzeitstraum mit Panoramablick!

Filler & Botox

Krampfader-Behandlung ohne Operation

Schlupflider-Behandlung ohne Operation

Dauerhafte Achselschweiß-Behandlung

Soft Surgery: miniinvasive, narbenfreie

Haut-Chirurgie in Lokalanästhesie

Carboxy- und Sauerstofftherapie

Natürliche ästhetische Medizin & Therapie

Natürliche Fettreduktion + Fatburning

Natürlicher Fettaufbau im Gesicht

Faden-Lifting ohne Operation

Peeling & Needling

Gewebsstraffung an Oberarmen, Hals und Dekolleté

Laser & IPL (gepulstes Licht)

Haarentfernung, Akne, Besenreiser, Pigmentflecken, Couperose, Rosacea

TERMINE & INFOS

BOZEN Praxis Dr. Lentsch Tel. 0471 974419

Sparkassenstraße 8 Tel. 366 4382864

BRUNECK Josef-Seeber-Straße 14 Tel. 366 4382864

DR. PETER LENTSCH

Internationaler Universitärer Master Level II in Ästhetischer Medizin

Facharzt in Gynäkologie und Geburtshilfe

lentsch@gmx.net www.peterlentsch.it

Genießen Sie Köstlichkeiten und familiären Service in unserer einzigartigen Location.

Feiern Sie Ihre Liebe inmitten der herrlichen Natur.

Reservieren Sie jetzt unter…

Tel. 0474 559 993 oder hotel@amaten.it

Eine Hochzeit im Freien

Eine Hochzeit im Freien bietet eine ganz besondere Atmosphäre und eine unvergessliche Kulisse. Es gibt zahlreiche Locations, die sich hervorragend für eine Hochzeit unter freiem Himmel eignen. Ob im eigenen Garten oder auf einem romantischen Weingut – die Möglichkeiten sind nahezu unbegrenzt. Wer ausreichend Platz hat und auf das Wetter hoffen kann, für den bietet sich eine Feier im eigenen Garten an. Mit der richtigen Dekoration und Beleuchtung kann der heimische Garten in eine zauberhafte Hochzeitslocation verwandelt werden. Eine andere wunderschöne Option sind Parkanlagen, die durch blühende Blumen und schattige Bäume eine malerische Kulisse bieten und viel Platz für größere Gesellschaften bereithalten. Botanische Gärten sind ebenfalls eine traumhafte Wahl, denn die gepflegte Flora sorgt für eine idyllische Atmosphäre. Sollten Wetterumschwünge drohen, bieten viele Gärten die Möglichkeit, die Trauung bei schlechtem Wetter nach drinnen zu verlegen. Wer die Natur noch intensiver erleben möchte, kann eine Hochzeit im Wald in Betracht ziehen. Inmitten von Bäumen und üppigem Grün entsteht eine romantische und rustikale Atmosphäre. Für eine ländliche Hochzeit bietet sich ein Bauern- oder Reiterhof an, wo nicht nur viel Platz für große Gästezahlen zur Verfügung steht, sondern auch die Möglichkeit besteht, bei schlechtem Wetter in Innenräume auszuweichen. Ähnlich romantisch ist eine Hochzeit auf einem Weingut, das durch seine malerische Lage und charmante Atmosphäre besticht. Hier kann man sich nicht nur an einer traumhaften Aussicht erfreuen, sondern auch die ein oder andere edle Flasche Wein ge-

nießen. Für ein rustikales Ambiente sorgt ein Biergarten, der mit der richtigen Dekoration eine besondere Atmosphäre schafft. Und wer das Meer liebt, kann sich eine Hochzeit am Strand oder See vorstellen. Der Blick auf das Wasser bietet eine traumhafte Kulisse, während die Frische des Wassers den Tag zu einem unvergesslichen Erlebnis macht. //

ALMDORF HAIDENBERG

Heiraten und Feiern im Almdorf

Ob Hochzeit, Valentinstag, Geburtstag oder einfach gemütlich zusammen Feiern– im Almdorf Haidenberg werden Herzenswünsche wahr.

Wenn Liebe gefeiert wird braucht es einen besonderen Ort. Im Almdorf wird Ihr schönster Tag zu einem unvergesslichen Erlebnis.

Umgeben von rustikalem Charme, warmer Atmosphäre und der Schönheit der Natur erleben Sie romantische Augenblicke, die für immer bleiben. // PR-Info

freepik

Lasst Blumen sprechen!

Eure Hochzeit ist etwas Besonderes und genauso persönlich sollte auch die florale Gestaltung sein. Bei der Gärtnerei „Grünes & Co.“ sorgen wir mit viel Erfahrung, Kreativität und einem klaren Blick fürs Wesentliche für Hochzeitsfloristik, die perfekt zu euch passt. Professionell geplant, unkompliziert umgesetzt und zuverlässig bis ins kleinste Detail. Vom Brautstrauß über Anstecker und Tischdekoration bis hin zum Blumenschmuck für Trauung und Location begleiten wir euch von der ersten Idee bis zum Hochzeitstag. Wir hören zu, beraten ehrlich und setzen eure Wünsche stilsicher um –immer abgestimmt auf Jahreszeit, Location und Budget. Als offizieller Partner von „Heiraten in Südtirol“ wissen wir genau, worauf es bei Hochzeiten in der Region ankommt. Ergänzend bieten wir eine große Auswahl an Leihware wie Vasen, Gefäße, Kerzenständer und Dekoelemente an. Gärtnerei Grünes & Co. – Hochzeitsfloristik mit Herz, Erfahrung und dem guten Gefühl, bestens begleitet zu sein. // PR-Info

BRAUTMODEN TIROL - IN MIEMING

Einfach „Ja“ sagen…!

Heuer ist es soweit und Sie wollen mit Ihrem Liebsten bzw. Ihrer Liebsten vor den Traualtar? Bei Brautmoden Tirol in Mieming finden Heiratswillige eine beeindruckende Auswahl von über 450 wunderschönen Traumkleidern von Gr. 32 bis 60 in ganz unterschiedlichen Stilen.

„Glitzer, Tüll oder Spitze? Boho, Princess oder doch die klassische A-Linie? Wir beraten Sie ganz persönlich bei der Suche nach Ihrem Traumkleid“, versichert Dagmar Melmer, die sich mit ihrem professionellen Team um die Kundinnen bemüht und die neuesten Trends präsentiert: „Wir helfen den Bräuten, das Kleid zu finden, das der Persönlichkeit Ausdruck verleiht“, erklärt Dagmar und ergänzt: „Bei den aktuellen Trends hat man dabei die Wahl zwischen „Clean Chic“ mit fließenden Stoffen, Romantik mit 3D-Blüten und Blättern, sexy Elementen wie Beinschlitz und Wandelbarkeit, etwa mit abnehmbaren Überröcken.“ Natürlich sind in Mieming auch alle Accessoires wie Schleier, (Braut-)Schmuck für alle Anlässe, Schuhe und Dessous erhältlich. Ein zusätzlicher Service: Brautmoden Tirol bietet auch ein professionelles Schneiderinnenservice in Südtirol an. „Wir bitten um Terminvereinbarung und freuen uns auf die persönliche Beratung, z.B. auch beim VIP-Termin „Bride and friends“, buchbar jeden Donnerstag und Freitag von 18.30 bis 21.00 Uhr.“ Neben Brautmode findet man auch für die schönen Ballnächte bei Brautmoden Tirol in Mieming das passende (Matura-)Ballkleid. Wichtig: Bei einem Kauf eines Brautkleides (Mindestwert 700€) bekommen Bräute mit dem Kennwort „PZBMT26“ einen Rabatt von 50€ auf ihr Brautkleid! // PR-Info

©FreigeistinFotografie

©FreigeistinFotografie

Dein Traumkleid - unsere

Herzensangelegenheit!

Herzensangelegenheit!

Herzensangelegenheit!

Wir bitten um Terminvereinbarung!

Wir bitten um Terminvereinbarung!

Wir bitten um Terminvereinbarung!

Barwies 245, A-6414 Mieming | T +43 (0) 5264 43491 | termin@brautmoden-tirol.at | www.brautmoden-tirol.at

Barwies 245, A-6414 Mieming | T +43 (0) 5264 43491 | termin@brautmoden-tirol.at | www.brautmoden-tirol.at

Barwies 245, A-6414 Mieming | T +43 (0) 5264 43491 | termin@brautmoden-tirol.at | www.brautmoden-tirol.at

SOMMERLICHES HOCHZEITSMENÜ

Leicht und saisonal

Der Sommer gilt nicht ohne Grund als die beliebteste Jahreszeit zum Heiraten – warme Abende, blühende Landschaften und ausgelassene Stimmung schaffen die ideale Kulisse für den schönsten Tag im Leben. Doch wer eine Hochzeit im Sommer plant, steht schnell vor der Frage, wie das kulinarische Konzept aussehen soll. Schließlich soll das Essen nicht nur schmecken, sondern auch zum sommerlichen Flair passen. Ein serviertes Menü bietet dabei zahlreiche Vorteile gegenüber einem Buffet: Es wirkt eleganter, vermeidet unnötiges Gedränge und sorgt durch klar getaktete Abläufe für einen entspannten Abend. Zudem lässt sich die Menge besser kalkulieren, was Lebensmittelverschwendung vorbeugt. Besonders beliebt ist ein dreigängiges Menü, da es ausreicht, um die Gäste zu verwöhnen, aber nicht zu üppig, um das Abendprogramm mit Tanzen, Spielen und Reden nicht zu unterbrechen. Wer möchte, kann selbstverständlich auch Zwischengänge oder einen Mitternachtssnack ergänzen. Saisonale

WELLNESS-AUSZEIT

IN MERAN

Therme & Träume

Gönnen Sie sich eine kleine Pause vom Alltag: Entspannen Sie unter der Woche im stilvollen Ambiente des Hotel Kolping Meran – mit freiem Eintritt in die Therme Meran und allen Annehmlichkeiten unseres Hauses.

2 Übernachtungen mit Halbpension + Tageskarte der Therme ab 204,00€ p.P.

Sichern Sie sich Ihr Valentins-Special jetzt – info@kolpingmeran.it

Zutaten wie frisches Gemüse, aromatische Kräuter und sonnengereiftes Obst bilden die Grundlage für ein gelungenes Sommermenü. Dabei sollte auf leichte Speisen gesetzt werden, die den Gaumen erfreuen, aber nicht beschweren, wie beispielsweise zartes Fischfilet, gegrilltes Gemüse oder raffinierte vegane Alternativen. Ob marinierte Garnelen, Zitronenrisotto, Burrata mit Tomaten oder gegrillte Auberginensteaks: Für Fleischliebhaber ebenso wie für Vegetarier oder Veganer lässt sich eine Auswahl zusammenstellen, die alle Geschmäcker berücksichtigt und für kulinarische Höhepunkte sorgt.

Auch beim Dessert darf es sommerlich-fruchtig zugehen – ein Wassermelonen-Sorbet, eine Kokos-Panna Cotta mit Kirschsauce oder ein Kirsch-Tiramisu mit Holunderblütensirup bieten einen süßen Abschluss mit Frischekick. //

KOLPINGHAUS MERAN

Ein Zuhause auf Zeit

Das Kolping-Schülerheim in Meran bietet Jugendlichen zwischen 16 und 19 Jahren aus ganz Südtirol während ihrer Schulzeit ein Zuhause. 90 Ober- und Berufsschüler/-innen finden im Wohnheim Platz und werden durch pädagogisch ausgebildetes Personal begleitet. „In unserem Schülerheim in Meran legen wir großen Wert darauf, die persönliche Entfaltung und gemeinschaftliche Bildung der Jugendlichen zu fördern“, so Heimleiter Josef Weiss. Für weitere Infos und Anmeldungen: heim@kolpingmeran.it oder 0473 253200. // PR-Info

Pexels
Pexels

ITV CASCADE IN SAND IN TAUFERS

Die neue Kultur des Wohlbefindens

Wohlbefinden wird zum Ritual – eine Einladung, innezuhalten, neue Energie zu schöpfen und Körper wie Geist in Einklang zu bringen. ITV Cascade steht für eine zeitgemäße Wellnesskultur, die alle Sinne anspricht und zu jeder Jahreszeit erlebbar ist. In Sand in Taufers verbindet sich moderne Architektur mit der Kraft der alpinen Natur.

ITV Cascade versteht Wellness nicht als reine Dienstleistung, sondern als ganzheitliche Erfahrung. Körper, Geist und Emotionen werden in Harmonie mit den Jahreszeiten und der Region angesprochen

rend Erwachsene entspannen und die frische Bergluft sowie die natürliche Umgebung genießen können. Im Außenbereich fügen sich Liegewiese, natürlicher Badeteich sowie Spiel- und Sportflä-

Nikolaus erGeschenund Apfel

Großmutters hergaben, verschwendet, wurgemacht. – wie KöstÄpfel, Rosinen, 100 Teelöffel

Den eigenen Horizont finden und erweitern

Reisen ist ein fester Bestandteil des modernen Lebens und erfüllt sowohl private als auch gesellschaftliche Funktionen. Menschen reisen aus unterschiedlichen Gründen, darunter Erholung, Bildung, berufliche Verpflichtungen oder kulturelles Interesse. Dabei hat sich das Reisen im Laufe der Zeit stark verändert, insbesondere durch technologische Entwicklungen und die Globalisierung.

Ein zentraler Aspekt des Reisens ist die Erweiterung des persönlichen Horizonts. Durch den Besuch anderer Länder und Regionen lernen Reisende neue Kulturen, Sprachen, Traditionen und Lebensweisen kennen. Diese Erfahrungen fördern interkulturelles Verständnis und Toleranz und tragen zur persönlichen Weiterentwicklung bei. Besonders Bildungsreisen und Austauschprogramme spielen hierbei eine wichtige Rolle. Darüber hinaus dient das Reisen der Erholung und dem Ausgleich zum Alltag. Urlaubsreisen

SCHMIDHOFER SCHMIDHOFER

AUTOUNTERNEHMEN GmbH

Familie Bischof

SCHMIDHOFER REISEN

KULTUR- und GENUSS

Reisen vom Feinsten

AUSZUG AUS DEM REISEPROGRAMM 2024

20. bis 22. März WIEN mit Musicalbesuch und Tour durch WIEN

WELLNESS • KULTUR • WANDERN • GENUSS

€ 550,00 pp im DZ

2 x Ü/F im 4-Sterne Hotel, 1 Abendessen, Musicalkarte „MARIA THERESIA“ Kat. B, Erkundungstour durch das unbekannte Wien und große Panorama Rundfahrt.

12. und 13. Mai GRADO, Aquileia, Spilimbergo, Insel Barbana

€ 350,00 pp im DZ Halbpension im 4-Sterne Hotel, Stadtführungen, Besuch der Mosaikschule, Bootsfahrt zur Insel Barbana, Weinverkostung mit Imbiss.

14. bis 18. Juni BUDAPEST – Perle an der Donau € 985,00 pp im DZ 4 x Halbpension im 4-Sterne Hotel, Stadtbesichtigungen in Budapest und Szentendre, Ausflug in die Puszta mit Reitervorführung, Schloss Gödöllö und vieles mehr.

28. bis 29. Juli BREGENZER FESTSPIELE „La Traviata“ € 380,00 pp im DZ ÜF im 4-Sterne Hotel in Feldkirch, Karte für die Seebühne, Führung auf der Seebühne, Stadtführung in Feldkirch und Schnitzelessen auf der Schattenburg.

WANDERREISEN

Das besondere

Reiseerlebnis

Mit besonderen Reiseerlebnissen lädt das neue Programm zu unvergesslichen Momenten ein. Ein echtes Pilgerhighlight ist der Franziskusweg von Assisi nach Rom, der spirituelles Wandern mit einem einzigartigen Höhepunkt verbindet: Ostern in der Ewigen Stadt.

24. bis 30. Mai Wandern in der WACHAU, Teil 2 04. bis 08. Oktober Wanderreise ins ELSASS

MEHRTAGESREISEN

PILGERREISEN

8. bis 10. März WIEN mit Musical „FALCO“ und Führung durch „Das Parlament Österreich“

28.03. bis 05.04. FRANZISKUSWEG „Von ASSISI nach ROM“ (Ostern in ROM)

23. bis 29. August SCHWEIZER JAKOBSWEGE

13. bis 17. März FRÜHLINGSREISE nach PORTOROZ

„Von EINSIEDELN nach FRIBOURG

20. bis 23. März ASSISI und CASCIA geistliche Begleitung durch Pfarrer Josef Mair

17. bis 20. April WOHLFÜHLREISE nach BIBIONE ins Hotel SAVOY BEACH*****

24. bis 28. April

Nähere Informationen und Anmeldungen: www.schmidhofer-reisen.at 9932 Innervillgraten, Gasse 83 a Tel: 0043 4843-5322 · info@schmidhofer-reisen.at

KULTUR- und GENUSSREISE „LA DOLCE VITA in der TOSKANA“

20. bis 24. Mai WANDERREISE GARDASEE mit ISEOSEE und FRANCIACORTA WEINBAUGEBIET

9. bis 13.Juni STÄDTEREISE

Für Naturliebhaber bieten sorgfältig ausgewählte Wanderreisen eindrucksvolle Landschaften und genussvolle Wege, etwa auf dem Welterbesteig Wachau oder im Elsass, wo Weinberge, charmante Dörfer und die Vogesen eine ideale Kulisse für entspannte Wanderungen bilden. Ergänzt wird das Angebot durch ausgewählte Kulturreisen, die mit besonderen Erlebnissen, musikalischen Höhepunkten und kultureller Vielfalt begeistern. Das ist eine Einladung, unterwegs zu sein und mit allen Sinnen zu genießen. // PR-Info

alle Bilder: unsplash

ermöglichen es, Stress abzubauen, neue Energie zu schöpfen und Abstand vom Berufs- und Schulalltag zu gewinnen. Beliebte Reiseformen sind Badeurlaube, Städtereisen, Natur- und Aktivurlaube sowie Wellnessreisen.

VIELFACHE BEDEUTUNG

Auch aus wirtschaftlicher Sicht ist das Reisen von großer Bedeutung. Der Tourismus stellt in vielen Ländern einen wichtigen Wirtschaftszweig dar und schafft zahlreiche Arbeitsplätze, etwa im Transportwesen, in der Hotellerie und in der Gastronomie. Gleichzeitig bringt er jedoch auch Herausforderungen mit sich, wie Umweltbelastungen oder die Übernutzung touristischer Regionen.

In den letzten Jahren gewinnt das Thema nachhaltiges Reisen zunehmend an Bedeutung. Immer mehr Reisende achten auf umweltfreundliche Verkehrsmittel, regionale Unterkünfte und einen respektvollen Umgang mit Natur und Kultur der bereisten Orte. Ziel ist es, die negativen Auswirkungen des Reisens zu reduzieren und langfristig verträgliche Formen des Tourismus zu fördern. Zusammenfassend lässt sich festhalten, dass Reisen eine wichtige Rolle im individuellen und gesellschaftlichen Leben spielt. Es bietet Chancen zur Erholung, Bildung und wirtschaftlichen Entwicklung, erfordert jedoch zugleich ein verantwortungsbewusstes Handeln, um Mensch, Umwelt und Kultur zu schützen. // bp

Erlebnisreisen 2026

Wanderreise MARKEN mit Bartolo Park, Gradara, Scotaneto

20. – 25. April (6 Tage)

Bus, 5x im 4* Hotel Alexander in Gabicce Mare inkl. Pool, 4x geführte Wanderausflüge laut Programm € 950,-

Wellnessparadies NOVIGRAD – Istrien –

4* Hotel Maestral 05. – 08. März (4 Tage)

Bus, 3x HP, Getränke zum Abendessen inklusive, Hallenbad, Whirlpool € 350,-

Donaumetropole BUDAPEST 12. – 15. März (4 Tage)

Bus, 3x NF im 4* Mövenpick Budapest Centrum, 2x halbtägige Stadtführung inkl. Audioguides € 485,Musikreise nach Slowenien – Im Klang der OBERKRAINER 13. – 15. März (3 Tage)

Bus, 2x NF im 4* Hotel Park in Bled inkl. Wellnessbereich, 1x Abendessen, Eintrittskarte €399,Saisoneröffnungsfahrt ROVINJ –

4* Hotel Eden 18. – 22. März (5 Tage)

Bus, 4x HP im 4* Hotel Eden, Innenpool, Ausflug Porec inkl. RL € 599,OSTERKREUZFAHRT 2026 mit der COSTA PACIFICA

ins westliche Mittelmeer 30. März – 04. April (6 Tage)

Bustransfer, Kreuzfahrt in der gebuchten Kabinenkategorie, Vollpension, inklusive Trinkgelder ab € 879,(Kinderfestpreis: 199 € in der Kabine der Eltern)

ANDALUSIEN Sternfahrt mit Sevilla, Granada, Cordoba, Ronda, Malaga 09. – 16. April (8 Tage) Bustransfer; Flug ab/bis München, 7x HP im 4* Hotel, 4x Ausflüge inkl. Eintritte (u.a. Kathedrale Sevilla, Alhambra, Moschee von Cordoba) € 1975,VENETO Deluxe – Wohlfühltage im 5* Abano Ritz Hotel 15. – 19. April (5 Tage) Bus, 4x HP im 5* Hotel inkl. Sauna, Thermalbecken, Spa-Kit, geführte Stadtbesichtigungen Padua und Chioggia, Ausflug euganeische Hügel € 899,GRIECHENLAND Rundreise – Von Meteora nach Altkorinth mit Athen 17. – 26. April (10 Tage) Bus, 2x Fähre inkl. NF, 6x HP, Besichtigungen und Eintritte lt. Programm inkl. RL (u.a. Meteora Klöster, Delphi, Mykene, Olympia, Epidaurus und Altkorinth), Bootsfahrt Kanal von Korinth € 1585,Insel ELBA – 4* Hotel La Perla del Golfo 16. – 20. September (5 Tage) € 885,Bus, Fähre, 4x HP, Inselrundfahrt, Bootsfahrt, Weinprobe, örtl. Reiseleitung

Detailinformationen zu diesen und vielen weiteren Reisen finden Sie in unserem aktuellen Erlebnisreisenkatalog 2026 (wir schicken Ihnen gerne ein Exemplar postalisch zu) oder auf www.alpenland-reisen.at

Alle Zustiege ab Bruneck, östliches Pustertal, Sillian, Lienz bzw. entlang der Fahrtstrecken inklusive. Weitere auf Anfrage!

Alpenland Erlebnisreisen Manfreda GmbH & Co KG Dolomitencenter - Amlacherstraße 2 - A-9900 Lienz Tel. +43 (0) 485 265 111 - www.alpenland-reisen.at

Bruneck · Sand in Taufers · Tel 0474 410933 · www.zieglauer.it
PARFUMERIE - DROGERIE

Reservieren Sie jetzt Ihre Anzeige in der meistgelesenen Zeitung im Pustertal!

Die PZ-Ausgaben mit allen Sonderthemen auch online auf www.pz-media.it

PAKET A

1/4 Seite Inserat in der PZ + 1/4 Seite Gratis-PR-Info

PAKET B

1/2 Seite Inserat in der PZ + 1/2 Seite Gratis-PR-Info

100 Werbespots auf Radio Holiday (30 Sek. + Spotproduktion inklusive) Gesamtpreis: 1.757,00- € + MwSt AM BESTEN IM KOMBI-PAKET (PZ und Radio Holiday)

50 Werbespots auf Radio Holiday (30 Sek. + Spotproduktion inklusive) Gesamtpreis: 990,00- € + MwSt

Simons Traum von Gold

Simon möchte gerne einmal Olympiasieger sein. Natürlich wäre es gut, er würde auch einen Sport betreiben. Aber er hat schon etwas im Sinn... Welche Sportart hat er sich ausgesucht?

Zwei Biathleten sind auf der Loipe unterwegs: Sagt der eine: „Du hast eben eine Schnecke überfahren! Pass gefälligst auf.“ Worauf der andere keuchend erwidert: „‘tschuldigung. Ich konnte nichts machen! Die kam von hinten.....“

Die Winterspiele im Antholz!

Bumsi muss genau schauen... Da hat sich tatsächlich ein falscher Olympiasportler unter den ganzen Biathleten verirrt. Welcher ist es?

Winterspiele 2026

Finde die 10 Unterschiede!

Winter Olympiade 2026 !

Ohne dem Olympischen Feuer können die Winterspiele nicht beginnen! Hilfst du die Fackel ins Stadion zu tragen?

Eishockey
Abfahrt-Ski Eiskanal-Rodeln

KLEINANZEIGER

AUTO & ZUBEHÖR

Stegen: Verkaufe 4 neuwertige Sommerreifen mit Felgen 205/55/16 Zoll (von Toyota Verso) an Selbstabholer um 50€/ Reifen. Tel. 347 7391189

- Alle Modelle - BaujahrePreisklassen

- Auch Fahrzeuge mit hohen Kilometerstand, sowie Unfall-, Getriebe-, oder Motorschaden Wir suchen Gebrauchtwagen

- Bruneck - Pustertal

d. Nuka Dardan

Fabrikstraße 2 (gegenüber

Karosserie Leitner) | Bruneck

Tel.: +39 347 732 49 95

nuka.autonita@outlook.it

ANNAHMESCHLUSS

Tel. 0474 550 830

E-Mail: info@pz-media.it

Rubrik: Kleinanzeiger www.pz-media.it

· Ordentliche Wartung

· Außerordentliche Wartung

· Automatikgetriebe

· Elektronische Reparaturen

· Reifenservice

· Motorwäsche

TIERE & ZUBEHÖR

Bruneck: Abtrennbarer Vogelkäfig für Kanarienvögel inklusive einem zitronengelben Kanarienweibchen gegen freiwillige Spende an Selbstabholer abzugeben. Tel. 347 5132664

ALLES MÖGLICHE

Trockenes Scheiterholz (25-40cm Länge), ggf. Lieferung möglich, zu verkaufen.

Tel. 338 7508026

Johann Georg Mahl Str. 10, Bruneck Tel. 0474 790076 www.ms-garage.it

FREIZEIT

Ein Herr aus Welsberg sucht eine Dame für gemeinsame Unternehmungen und die ihm ein wenig im Haushalt hilft. Tel. 329 7363951 oder 339 2116393

Sand in Taufers: Neue (nie gebrauchte) handgefertigte „Patzleiner“ Kniebundhose Größe 52 in echtem Leder (schwarz) und Trachtenhemd aus Leinen in Größe 52 zu verkaufen. Tel. 349 6604585

Sand in Taufers: Neue Trachtenschuhe für Herren in Größe 43, Farbe braun und neue beige Kniestrümpfe Größe 43 zu verkaufen. Tel. 349 6604585 Kaufe alte Truhen, Kästen und antike Hinterlassenschaften

Tel. 328 4555755

www.zahnarzt-ungarn-heviz.de

www.zahnarzt-ungarn-heviz.de

• seit über 15 Jahren erfolgreich in Südtirol

• seit über 15 Jahren erfolgreich in Südtirol

•seit 20 Jahren erfolgreich in Südtirol

•ganzjährig geöffnete Partnerpraxis für Vorund Nachbehandlungen in VINTL

• ganzjährig geöffnete Partnerpraxis für Vor- und Nachbehandlungen in VINTL

• ganzjährig geöffnete Partnerpraxis für Vor- und Nachbehandlungen in VINTL

•Ungarns größte Zahnklinik mit 45-jähriger Erfahrung

• eine der größten Kliniken Ungarns mit 45-jähriger Erfahrung

• eine der größten Kliniken Ungarns mit 45-jähriger Erfahrung

•bestens ausgestattete Räumlichkeiten und 21 hochqualifizierte Zahnärzte

• bestens ausgestattete Räumlichkeiten und 21 hochquali zierte Zahnärzte

• bestens ausgestattete Räumlichkeiten und 21 hochquali zierte Zahnärzte

• Top-Qualität und beste Behandlungsmöglichkeiten für Angstpatienten auch im Dämmerschlaf

•Top-Qualität und beste Behandlungsmöglichkeiten für Angstpatienten auch im Dämmerschlaf

• Top-Qualität und beste Behandlungsmöglichkeiten für Angstpatienten auch im Dämmerschlaf

•wöchentlicher Transfer im Dental-Taxi

• wöchentlicher Transfer im Dental-Taxi

• wöchentlicher Transfer im Dental-Taxi

•Professionalität und Herzlichkeit sprechen für uns

• Professionalität und Herzlichkeit sprechen für uns

• Professionalität und Herzlichkeit sprechen für uns

339 10 70 714

Arbeiten, wo sich Einsatz lohnt. Eurospin Sand in Taufers & St. Johann stellen ein!

Freu dich auf flexible Arbeitsmodelle, faire Bedingungen und eine gute Entlohnung. Dazu kommen 2 Monate gratis Einkaufen und über 200 exklusive Benefits. Werde jetzt Teil unseres Teams!

Bewerbungen unter personal@anjoka.it oder 0474 529 580

1.000 Gesundheitswochen.

Ab 395 € Südtirol – europaweit. Yoga, Wellness. Entschlacken, entspannen, abnehmen. Intervall-, Basen- und Rohkostfasten. Fastenwanderleiter-Ausbildung im Okt. Ganzjährig. Tel. 0049(0)631-47472 www.fasten-wander-zentrale.de Verschenke größere Küche mit Geräten. Ab Mitte Februar in St. Lorenzen abholbar. Fotos können per WhatsApp geschickt werden. Tel. 347 0734610 Entrümpelungs-und Umzugsservice im Pustertal: Seeber Andreas. Tel.349 6648312 oder seeber.andreas74@gmail.com

WIR SUCHEN

VERSTÄRKUNG FÜR UNSERE LOGISTIKABTEILUNG IN VOLLZEIT mit guten PCKenntnissen für die Kommissionierung, Verpackung und Versand

UNTERSTÜTZUNG IN TEILZEIT mit familienfreundlichen Arbeitszeiten von 8:00 bis 13:00 oder von 9:00 bis 14:00 Uhr!

INTERESSIERT? WIR FREUEN UNS AUF DICH! personal@zirkonzahn.com 0474 066 603

Staubfreies Schleifen, Bürsten,Ölen/Lackieren von Holzböden

Tel. 348 5182231 info@pescosta-boden.it

FREUNDSCHAFT & LIEBE

Partnervermittlung

Herzblatt

Infogespräche auch in Brixen

M: 335 1244186 info@herzblatt.it www.herzblatt.it

STELLENMARKT

Stellensuche

Angehende ganzheitliche Ernährungsberaterin und Pilatestrainerin sucht Mini-/Nebenjob mit fixem Einkommen, 4-5 Tage/Woche, Wochenende frei, Raum Bruneck. Tel. 389 593 9996

Stellenangebot

Baufirma Durnwalder aus Pfalzen sucht Mitarbeiter am Bau: Vorarbeiter, Maurer und Hilfsarbeiter. Wir freuen uns über Ihre Bewerbung: 0474/ 528174 oder info@durnwalder.com

Antholz: Gesucht wird ab Frühjahr 2026 ein Pächter für eine Pizzeria mit bestehendem treuem Kundenstamm im Dorfkern von Antholz Mittertal Tel. 348 6925676

Puschtra Trachten in Montal/St. Lorenzen sucht Verkäuferin / Mitarbeiterin / Pensionistin für das Trachtengeschäft. evtl. Teilzeit möglich 3487150018

ASSISTENZ DER DIREKTION KRONPLATZ HOTELS (M/W/D)

Aktive Mitverantwortung in der operativen Führung des Hotel Restaurant Ander in Bruneck mit Fokus auf Gastgeberrolle, F&B und bereichsübergreifende Koordination. Ziel ist eine kontinuierliche Zusammenarbeit mit mittel- langfristiger Perspektive innerhalb der Unternehmensgruppe Kronplatz.

HAUPTAUFGABEN

• Führung des operativen Tagesgeschäfts in enger Abstimmung mit der Direktion

• Präsenz als Gastgeber mit Gesamtüberblick und Entscheidungsfähigkeit

• Sicherstellung von Standards, Servicequalität und effizienten Abläufen

• Mitverantwortung für die Weiterentwicklung des Betriebes

• Übernahme und Umsetzung ausgewählter Sonderprojekte

ANFORDERUNGSPROFIL

• Ausbildung in Hotellerie/Gastronomie oder vergleichbarer Werdegang

• F&B-Kompetenz und operative Erfahrung (Hotel, Gastronomie)

• Führungsanspruch und unternehmerisches Denken

• Kommunikationsstärke und sicheres Auftreten

• Leistungsorientierung, Verantwortungsbewusstsein, Zuverlässigkeit

WIR BIETEN

• Moderner Betrieb mit klarer Positionierung

• Gestaltungsspielraum und Verantwortung

• Enge Zusammenarbeit mit der Direktion

• Schlüsselposition mit langfristiger Entwicklungsperspektive im Management

Einen aussagekräftigen Lebenslauf mit Bewerbungsschreiben bitte an: hannes.niedermair@kronplatz-hotels.it

jobs.zirkonzahn.com

STUDIO DE BETTIN®

STUDIO DE BETTIN®

CONSULENZA FISCALE – SOCIETARIA – DEL LAVORO

STUDIO DE BETTIN®

CONSULENZA FISCALE – SOCIETARIA – DEL LAVORO

CONSULENZA FISCALE – SOCIETARIA – DEL LAVORO

CONSULENZA FISCALE

WIRTSCHAFTS- STEUER U.

WIRTSCHAFTS- STEUER U. ARBEITSRECHTSBERATUNG in Bruneck sucht Mitarbeiter: innen MIT ERFAHRUNG für den Bereich

WIRTSCHAFTS- STEUER U. ARBEITSRECHTSBERATUNG in Bruneck sucht Mitarbeiter: innen MIT ERFAHRUNG für den Bereich

STUDIO DE BETTIN®

WIRTSCHAFTS- STEUER U. ARBEITSRECHTSBERATUNG in Bruneck sucht Mitarbeiter: innen MIT ERFAHRUNG für den Bereich

in Bruneck sucht Mitarbeiter: innen MIT ERFAHRUNG für den Bereich LOHNBUCHHALTUNG

LOHNBUCHHALTUNG

LOHNBUCHHALTUNG

LOHNBUCHHALTUNG

Bewerbungen an filippo@debettin.it 0474 050050

Bewerbungen an filippo@debettin.it 0474 050050

Bewerbungen an filippo@debettin.it 0474 050050

Bewerbungen an filippo@debettin.it 0474 050050

WIR SUCHEN DICH!

» Teamleader Bereich Elektro

» Mitarbeiter Disposition

» Magazineur

» Metallfacharbeiter Bereich Montage in Tagschicht oder Früh- und Spätschicht

 personal@euroclima.com

0474/570900

Sei dabei!

Wir suchen:

Reinigungskraft (m/w/d)

Sorge für den glänzenden Rahmen unseres Burg-Erlebnisses.

Als Reinigungskraft hältst du die historischen Räumlichkeiten im Kulinarium Burg Heinfels der A. Loacker Tourismus GmbH in einwandfreiem Zustand und trägst so maßgeblich zum Wohlfühlambiente bei.

Das bringst du mit:

· Faible für Sauberkeit

· Sorgfalt und Pünktlichkeit

· Zuverlässigkeit und Lernbereitschaft

Das bieten wir dir:

· Einen Arbeitsplatz in einzigartiger BurgAtmosphäre im oberen Pustertal

· Fünftagewoche mit Durchrechnung

· Möglichkeit zur Mitgestaltung eines jungen, dynamischen Projekts mit regionaler Strahlkraft

· kleines Team mit flachen Hierarchien

· Qualitätsorientierung mit Fokus auf Regionalität und Nachhaltigkeit

· Mitarbeiterkarte der Fa. Loacker

Bereit für eine neue Herausforderung? Dann bewirb dich online unter www.jobs.loacker.com

mit Garten

Kleiderkammer

Bruneck

Offener Kleiderschrankdie Kleiderkammer im Gedi Center:

Öffnungszeiten: Mittwoch von 14.00 – 17.00 Uhr, Donnerstag von 9.00 – 11.00 Uhr und jeden letzten Samstag im Monat von 9.30 – 17.00 Uhr

Kleiderkammer vom Vinzenzverein Bruneck Öffnungszeiten: jeden 1. und 3. Donnerstag im Monat von 14.30 bis 16.30 Uhr in der Mühlgasse 2

Toblach

Kleiderkammer der Vinzenzvereinigung Toblach Öffnungszeiten: jeden 1. und 2. Samstag im Monat von 9:00 bis 11:00 Uhr und jeden 3. Dienstag von 15:00 bis 17:00 Uhr im Bahnhofsgebäude von Toblach.

Recyclinghof

Gemeinde Bruneck

Öffnungszeiten:

Dienstag u. Donnerstag:

07.15 - 12.15 Uhr & 13.4517.30 Uhr, Mittwoch u. Samstag: 07.15 - 12.15 Uhr

Selbsthilfegruppen

Bruneck

Parkinson Selbsthilfegruppe

Pustertal:

> Bewegung mit Musik in der Gruppe (Musiktherapie)

Das nächste Treffen: Mittwoch, 11.02.2026 von 10-11 Uhr mit Annemarie im „Haus der Vereine“ (Ex-Bocciahalle).

> Dance Wall mit Sonja

Das nächste Treffen: Freitag, 20.02.2026 von 10-11 Uhr im „Haus der Vereine“ (Ex-Bocciahalle).

Nähere Auskünfte unter: Tel. 0474 410832 oder Tel. 328 1473035

Selbsthilfegruppe Fibromyalgie Pustertal

Am 2. Freitag des Monats im Krankenhaus Bruneck um 18 Uhr (beim Portier). Tel: 379 1280532

Nächster Termin: 13.02.2026

Selbsthilfegruppe bei Depression & Angststörungen

Bruneck: Montag, 17.00 Uhr 14-tägliche Treffen.

Wichtig: Anmeldung beim Verein LICHTUNG; Tel: 333 4686220 oder info@lichtung-girasole.com Teilnahme nur möglich nach Erstgespräch mit der Gruppenleiterin. Angehörige & Freunde von Alkoholikern

Kontakt Südtirol: 0474 944 469 Treffen: Bruneck (Seeböckhaus) am Dienstag, 15.00 Uhr und Brixen (Domgasse 2) jeden 2. + 4. Montag im Monat, 15.00 Uhr

Lebenshilfe

Südtiroler Krebshilfe

WIR SIND FÜR SIE DA!

Kapuzinerplatz 9 – 39031

Bruneck, Tel. 0474 551327

Montag: 13.00 – 17.00 Uhr, Dienstag, Mittwoch und Donnerstag: 8.30 – 12.00 Uhr

Gustav-Mahler-Straße 3b –39034 Toblach, Tel. 3351211392, Montag bis Mittwoch von 9.00 – 11.00 Uhr, Donnerstag von 9.00 – 11.00 Uhr und von 16.00 – 18.00 Uhr

Verein Frauen helfen Frauen

Paul-von-Sternbach-Str. 6, I-39031 - Bruneck (BZ) , Tel. 0474 410 303, info@frauenhelfenfrauenbruneck.it www.frauenhelfenfrauenbruneck.it

Öffnungszeiten: Montag - Freitag: 8.30 - 11.30 Uhr, Mittwoch: 15.00 - 17.00 Uhr oder nach Vereinbarung

Anonyme Alkoholiker

ALKOHOLPROBLEME? Es gibt eine Lösung. Nehmen Sie mit uns Kontakt auf! Tel. +39 334 8314515 sotirol@anonyme-alkoholiker.at www.anonyme-alkoholiker.at

IMMOBILIEN

Mietsuche

Ortsansässige Familie mit 2 Kindern und stabilem Einkommen sucht ein langfristiges Mietverhältnis zu marktgerechtem Preis. Pünktliche Mietzahlungen sind selbstverständlich. Gerne Altbauwohnung, Holzofen und Hobbyraum.

Tel. 333 8020936

Mietangebote

Bruneck: Sonnige neue Einzimmerwohnung vollmöbliert mit getrenntem Schlafbereich, Klimahaus A direkt in Bruneck an Ortsansässige zu vermieten.

Tel. 349 8621908

Schönes Café und vielseitige Räumlichkeiten zur Vermietung in der Umgebung von Bruneck.

Mobil: 349 6151598

Bruneck: zu vermieten kleinen BÜRORAUM, möbliert, bezugsfertig mit IT-Anschlüsse, keine Mietnebenkosten, jederzeit kündbar, zentrumsnah, mit Parkmöglichkeit in unmittelbarer Nähe.

Tel. 335 1017471

Immobilienangebot

Bruneck: Geräumige 3-Zimmerwohnung mit Keller und Garage „E.Kl. C“ in energetisch saniertem Haus in sonniger Lage zu verkaufen. Tel. 349 8204433 info@messner-immobilien.it

Bruneck: Neue 3-Zimmerwohnung in kleinem Haus mit 3 Wohneinheiten, E.KI. „A2“ zu verkaufen. Tel. 349 8204433 info@messner-immobilien.it

St. Georgen: Große 3-Zimmerwohnung, vollkommen möbliert mit Keller und Garage „E.Kl. E“ zu verkaufen. Tel. 349 8204433 info@messner-immobilien.it

Olang: Schöne/freie 2-Zimmerwohnung mit Wintergarten, teilmöbliert in Mitterolang zu verkaufen, E.Kl. „B“. Tel. 349 8204433 info@messner-immobilien.it

Gsies: Tausche (verkaufe) halb fertiges Haus in sonniger Lage, gegen fertige Wohnung Tel. 331 341744

Fußboden

Bodenleger

Fußboden

Immobiliensuche

Sanierte 4-Zimmerwohnung mit Garagenstellplatz und Keller

Große Gartenwohnung für Ansässige

IMMOBILIEN NIEDERKOFLER GMBH 0474 410 400 info@immobil-niederkofler.it

Zur Homepage

Toblach: Exklusiv: freies Reihenhaus in Toplage! EK E

Sexten: Wohnungen mit auslaufender Konventionierung, EK B, ab 375.000 € Sie möchten Ihre Immobilie verkaufen?

Rufen Sie uns unverbindlich an für eine kostenlose Werteinschätzung!

www. mair-real.it

Tel: 340 4 668 669 info@mair-real.it

Dachgeschosswohnung mit großer Terrasse Penthousewohnung mit großer Terrasse

3-Zimmerwohnung in ruhiger Lage, mit Keller und Garage

2, - 3- und 4-Zimmerwohnungen

BACHER METALLBAU

Sand in Taufers - 0474 678313 bachermetallbau@gmail.com

2-Zimmerwohnung

Wir suchen:

- Geschlossene Höfe

- Alte Häuser

- Baugründe

- Landw. Grundstücke KOSTENLOSE ERSTBERATUNG!

EINGANGSANLAGE

BÄCKEREI EPPACHER, SAND IN TAUFERS Automatische Schiebe- und Falttüren Garagentore Türen Balkonverglasungen Alufenster Glasbau Windfänge Vordächer

Ihr Bodenschleifer

Tel. +39 392 6711700 - Bruneck +39 393 8800880 www.rentabox.it Mo.-Fr. 08-12 / 14-18 Wir lösen ihr Platzproblem rentabox Self Storage

Bruneck:

Schleifen, Ölen oder Lackieren von Holzböden sowie Grundreinigung von geölten Holzböden

Antholz/Niedertal:

AUR1573-10: In privilegierter Lage entsteht ein Wohnprojekt mit Anspruch – nachhaltig gebaut in KlimaHaus A Nature-Ausführung. Diese Eckwohnung im zweiten Stock überzeugt mit lichtdurchfluteten Räumen, Panoramafenstern und zwei sonnigen Balkonen mit schönem Ausblick. Die Inneneinteilung ist noch frei gestaltbar. Keller inklusive, Außenstellplatz optional. 318.000 € + Mehrwertsteuer

- Mittertal | 5268

VERANSTALTUNGEN UND KURSE

T. 0474 550 830 • info@pz-media.it • Rubrik: Veranstaltungen ohne Gewähr

Bruneck / Reischach

Winter-Bauernmarkt

Jeden Freitag von 08.00-12.30 Uhr auf dem Rathausplatz.

Wochenmarkt

Jeden Mittwoch von 8.00 bis 14.00 Uhr auf dem Rathausplatz

Langlaufen am Abend

Jedem Dienstag, Mittwoch und Freitag bis 27.02.2026 bis 20:00 Uhr auf der beleuchtete Langlaufloipe in Reischach.

Disco on Ice - Arena Bruneck

Am Freitag, 06.02.2026 von 19.30 - 22.00 Uhr in der Intercable Arena

Winterspiele: Public Viewing

Ab Freitag, 06.02. bis Sonntag, 22.02.2026. Von 10.00 bis 22:00 Uhr werden die Wettbewerbe auf LED Screens in der Fan Village am Paul-Tschurtschenthaler-Platz gezeigt.

Gottesdienst der CGS Bruneck

Am Sonntag 08.02.2026 um 10.00 Uhr im Haus der Vereine (Bocciahalle)

St. Georgen

Vortrag: Mit Power durch die Wechseljahre

Am Freitag 06.02.26, um 19.30 Uhr in der Öff. Bibliothek mit der Referentin Evi Hellweger.

Percha

Vortrag: Cybersecurity

Am Freitag 13.02.2026 um 19.30 Uhr im KiBiZ mit dem Referent: Matthias von Wenzl.

Olang

Infoabend und Workshop: Zyklusshow für Mädchen zwi-

schen 10 und 12 Jahren

Elternabend: Am Freitag 06.02.2026 um 19.00 Uhr

Zyklusshow: Am Samstag, 07.02.2026, von 9.00 - 14.00 Uhr im Versammlungsraum der FF Mitterolang. Anmeldung: Per WhatsApp 340 246 1915 Meransen

Skitourenabend auf der Gitschhütte

Jeden Donnerstag Abend bis 26. Februar 2026 ist die Gitschhütte bis 22 Uhr geöffnet. (Achtung: die Bergbahn ist NICHT in Betrieb)

Terenten

Nachtskilauf bei Flutlicht

Jeweils Freitags bis 06.03. von 19.00 bis 22.00 Uhr beim Skilift Panorama

Ahrntal

Nachtrodeln am Klausberg Jeden Dienstagabend bis 17.03.2026 ab19.30 bis 22.00 Uhr in der Skiarena Klausberg in Steinhaus.

Antholz

Olympia in Antholz:

Sonntag 08.02. (14.05 Uhr):

Mixed Staffel 4x6 km

Dienstag 10.02. (13.30 Uhr):

Einzel Männer 20 km

Mittwoch 11.02. (14.15 Uhr):

Einzel Frauen 15 km

Freitag 13.02. (14.00 Uhr):

Sprint Männer 10 km

Samstag 14.02. (14.00 Uhr): Sprint Frauen 7,5 km

LÖSUNGEN: SUDOKU, KREUZWORT- UND KINDERRÄTSEL

Simons Traum vom Gold

Die Goldmedaille möchte er mit Eishockey erreichen. Mit seinen ganzen Freunden!

Die Winterspiele im Antholz! Bumsi hat ihn gleich gesehen... den Abfahrtskifahrer.

Der muss ja nach Bormio!

Sonntag 15.02. (11.15 Uhr & 14.00 Uhr): Verfolgung Frauen 10 km & Männer 12,5 km

Dienstag 17.02.2026 (14.30 Uhr): Staffel Männer 4x6 km

Mittwoch 18.02. (14.45 Uhr):

Staffel Frauen 4x6 km

Freitag 20.02. (14.15 Uhr): Massenstart Männer 15 km

Samstag 21.02. (14.15 Uhr): Massenstart Frauen 12,5 km im der Biathlon Arena

Biathlon Gaudi - Dorffest Am 07.-08.02., am 10.&11.02.; am 13.-15.02.; 17.&18.02. und 20. & 21.02.2026 im Biathlon Gaudi Dorf in Antholz Mittertal. Niederdorf

Vortrag: Die Kraft der Gefühle Am Dienstag 10.02.26, ab 19.30 Uhr im Haus Wassermann mit der Referentin: Angelika Burgmann. Toblach

Nachtlanglaufen in Toblach

Jeweils Dienstag und Donnerstag von 17.15 bis 20.15 Uhr in der Nordic Arena

Innichen

Nachtskilauf & Rodeln am Haunold

Jeden Dienstag und Freitag von 19.00 bis 22.00 Uhr im Skigebiet Haunold

Sexten

Sternenlanglauf in Sexten Immer Montag, Donnerstag und Samstag von 17.00 bis 21.00 Uhr auf der Rundloipe Waldheim

Ungarische Zahnklinik mit Assistenz in Südtirol

TURNUSAPOTHEKEN

Der Dienstwechsel der Apotheken findet jeweils am Freitag um 19 Uhr statt.

Die unten angegebenen Öffnungszeiten beziehen sich auf Werktage. Am Sonntag gelten folgende Öffnungszeiten: 9 - 12 Uhr und 16 - 19 Uhr.

Der Notdienst gilt außerhalb der Öffnungszeiten für dringende Fälle und erfordert die Vorlage eines ärztlichen Rezeptes.

06. - 13. 02. 2026

Apotheke Kron - Reischach Öffnungszeiten 08:30 - 12:30 / 15:00 - 19:00 Uhr

Tel. Erreichbarkeit: 00:0023:59 Uhr, Tel. 0474 548440

Apoteca Alta Badia - Abtei Öffnungszeiten 09:00 - 12:00 / 15:30 - 18:30 Uhr

Tel. Erreichbarkeit: 00:00 - 23:59 Uhr, Tel. 0471 847152

Karbacher Sexten - Sexten Öffnungszeiten 08:30 - 12:30 / 15:00 - 19:00

Tel. Erreichbarkeit: 00:0023:59 Uhr, Tel. 0474 710460

13. - 20. 02. 2026

Apotheke v. ZieglauerBruneck Öffnungszeiten 08:30 - 12:30 / 15:00 - 19:00 Uhr

Tel. Erreichbarkeit: 00:0023:59 Uhr, Tel. 0474 555358

Apotheke Dr. AichnerSand in Taufers Öffnungszeiten 08:00 - 12:00 / 15:00 - 18:00 Uhr

Tel. Erreichbarkeit: 00:0023:59 Uhr, Tel. 0474 678035

Apotheke Pütia - St. Martin in Thurn, Öffnungszeiten: 08:00 - 12:00 / 15:00 - 19:00 Uhr

Tel. Erreichbarkeit: 00:0023:59 Uhr, Tel. 0474 523020

Schlossapotheke - Welsberg Öffnungszeiten: 08:30 - 12:00 / 15:00 - 19:00 Uhr

Tel. Erreichbarkeit: 00:0023.59 Uhr, Tel. 331 9116797

www.provinz.bz.it/gesundheit-leben/ gesundheit/turnusapotheken.asp

Turn static files into dynamic content formats.

Create a flipbook