UNIVERSITY OF PITTSBURGH | SWANSON SCHOOL OF ENGINEERING | OFFICE OF RESEARCH FACULTY RESEARCH SUMMARY OF 2023
Swanson School of Engineering, Summary of Faculty Research 2023
On behalf of the Swanson School of Engineering (SSoE) and Interim Dean of Engineering Sanjeev Shroff, we are proud to present the newest edition of the SSoE Summary of Faculty Research Booklet. Within the contents of the booklet are highlights and descriptions of the research conducted in individual faculty research laboratories as well as some of the SSoE-based centers and institutes. Research capabilities and expertise from faculty within each of SSoE’s six departments are represented. These summaries are written for the “scientific lay person,” and much more information on any specific faculty member or center/institute can be found on the SSoE website at engineering.pitt.edu. Contact information is provided to encourage collaboration, and we invite you to contact any faculty of potential interest to discuss possibilities.
Sincerely,
David A. Vorp, PhD
Senior Associate Dean for Research and Facilities Swanson School of Engineering
Bioengineering Steven Abramowitch, PhD 8 Aaron Batista, PhD 9 Kurt E. Beschorner, PhD 10 Harvey Borovetz, PhD 11 Bryan N. Brown, PhD 12 Rakié Cham, PhD 13 Xinyan Tracy Cui, PhD 14 Moni Kanchan Datta, PhD 15 Lance A. Davidson, PhD 16 Richard E. Debski, PhD 17 William Federspiel, PhD 18 Neeraj J. Gandhi, PhD 19 Mark Gartner, PhD 20 Alan D. Hirschman, PhD 21 Tamer S. Ibrahim, PhD 22 Bistra Iordanova, PhD 23 Katrina M. Knight, PhD 24 Takashi “TK” Kozai, PhD 25 Mangesh Kulkarni, PhD 26 Prashant N. Kumta, PhD 27 Patrick J. Loughlin, PhD 28 Spandan Maiti, PhD 29 Ramakrishna Mukkamala, PhD 30 Mark Redfern, PhD 31 Partha Roy, PhD 32 Warren C. Ruder, PhD 33 Joseph Thomas Samosky, PhD 34 Daniel Shiwarski, PhD 35 Sanjeev G. Shroff, PhD 36 George Stetten, MD, PhD 37 Gelsy Torres-Oviedo, PhD 38 Jonathan Vande Geest, PhD 39 David A. Vorp, PhD 40 Justin S. Weinbaum, PhD 41 Savio L-Y. Woo, PhD, D.Sc., D.Eng. 42 Ioannis Zervantonakis, PhD 43 Chemical and Petroleum Engineering Ipsita Banerjee, PhD 46 Eric J. Beckman, PhD 47 Robert M. Enick, PhD 48 Susan Fullerton, PhD 49 J. Karl Johnson, PhD 50 John A. Keith, PhD 51 Lei Li, PhD 52 Steve R. Little, PhD 53 James R. McKone, PhD 54 Badie Morsi, PhD 55 Giannis Mpourmpakis, PhD 56 Tagbo Niepa, PhD 57 Robert S. Parker, PhD 58 Jason E. Shoemaker, PhD 59 Sachin S. Velankar, PhD 60 Götz Veser, PhD 61 Christopher E. Wilmer, PhD 62 Judith C. Yang, PhD 63 Civil and Environmental Engineering Amir H. Alavi, PhD 66 Melissa Bilec, PhD 67 Andrew P. Bunger, PhD 68 Lei Fang, PhD 69 Alessandro Fascetti, PhD 70 Sarah Haig, PhD 71 Kent A. Harries, PhD, FASCE, FACI, FIIFC, P.Eng 72 Xu Liang, PhD 73 Jeen-Shang Lin, PhD, P.E. 74 Carla Ng, PhD 75 Piervincenzo Rizzo, PhD 76 David V.P. Sanchez, PhD 77 Aleksandar Stevanovic, PhD, P.E., FASCE 78 Julie M. Vandenbossche, PhD, PE 79 Radisav Vidic, PhD 80 Meng Wang, PhD 81 Table of Contents
Mechanical Engineering and Materials Science
Mai Abdelhakim, PhD 84 Masoud Barati, PhD 85 Alan D. George, PhD, FIEEE 86 Brandon M. Grainger, PhD, SMIEEE 87 Jingtong Hu, PhD 88 Theodore Huppert, PhD 89 Alex K. Jones, PhD 90 Hong Koo Kim, PhD 91 Rajkumar Kubendran, PhD 92 Alexis Kwasinski, PhD 93 Inhee Lee, PhD 94 Guangyong Li, PhD 95 Zhi-Hong Mao, PhD 96 Gregory F. Reed, PhD 97 Rob A. Rutenbar, PhD 98 Feng Xiong, PhD 99 Jun Yang, PhD 100 Nathan Youngblood, PhD 101 Minhee Yun, PhD 102 Industrial Engineering Mostafa Bedewy, PhD 106 Mary Besterfield-Sacre, PhD 107 Karen M. Bursic, PhD 108 Youngjae Chun, PhD 109 Renee M. Clark, PhD 110 Joel M. Haight, PhD, P.E., CSP 111 Oliver Hinder, PhD 112 Daniel R. Jiang, PhD 113 Taewoo Lee, PhD 114 Paul W. Leu, PhD 115 Lisa M. Maillart, PhD 116 Amin Rahimian, PhD 117 Jayant Rajgopal, PhD, P.E. 118 M. Ravi Shankar, PhD 119 Scott Streiner, PhD 120
Electrical and Computer Engineering
Hessam Babaee, PhD 124 Heng Ban, PhD, PE 125 Markus Chmielus, PhD 126 Minking K. Chyu, PhD 127 William W. Clark, PhD 128 Daniel G. Cole, PhD, PE 129 Zachary Harris, PhD 130 Katherine Hornbostel, PhD 131 Tevis D. B. Jacobs, PhD 132 Jung-Kun Lee, PhD 133 Scott X. Mao, PhD 134 Juan José Mendoza Arenas, PhD 135 Ian Nettleship, PhD 136 David Schmidt, PhD 137 Inanc Senocak, PhD 138 Patrick Smolinski, PhD 139 Albert C. To, PhD 140 Jeffrey Vipperman, PhD 141 Guofeng Wang, PhD 142 Jörg M.K. Wiezorek, PhD 143 Wei Xiong, PhD, D.Eng. 144 Xiayun (Sharon) Zhao, PhD 145
Table of Contents (continued ) Research Laboratories Office of Industry and Economic Partnerships 148 Biomedical Computing Laboratory 149 Center for Energy 150 Center for Faculty Excellence 151 Center for Medical Innovation 152 Coulter Translational Research Partners II Program 153 Electric Power Systems Laboratory 154 Engineering Education Research Center 155 Human Factors Engineering Laboratory 156 Human Movement and Balance Laboratory 157 Mascaro Center for Sustainable Innovation 158 Materials Micro-Characterization Laboratory (MMCL) 159 McGowan Institute for Regenerative Medicine 160 NSF Center for Space, High-performance, and Resilient Computing (SHREC) 161 Orthopaedic Robotics Laboratory 162 Gertrude E. and John M. Petersen Institute of NanoScience and Engineering (PINSE) Nanoscale Fabrication and Characterization Facility (NFCF) 163 Watkins Haggart Structural Engineering Laboratory 164
BIOENGINEERING DEPARTMENT OF
Steven Abramowitch, PhD
Associate Professor, Musculoskeletal Research Center
Associate Professor, Department of Obstetrics, Gynecology and Reproductive Sciences
Tissue Mechanics Laboratory
Dr. Steven Abramowitch is the Director of the Tissue Mechanics Laboratory (TML), which is located in the Musculoskeletal Research Center (MSRC) where he serves as Associate Director. Dr. Abramowitch’s expertise is in the areas of female pelvic floor biomechanics and orthopedic biomechanics, and more specifically, the structural and functional mechanics of soft tissues in these systems. Currently, the research focus of the TML is on the impact of pregnancy, delivery, and other life changing events (aging, menopause, etc.) on the structural integrity of the pelvic floor, in women. In addition, the lab aims to understand how changes in the structural integrity of the pelvic floor contributes to the pathogenesis of pelvic organ prolapse (POP), and if current clinical treatments and diagnostic measures for this disorder are effectively addressing the underlying pelvic floor abnormalities. Thus, the ultimate goals of these research efforts are to develop preventative treatment options for POP, and more effective, patient specific treatments.
The TML is equipped with experimental testing systems that measure the structural and mechanical properties of soft tissues and biomaterials in response to both quasi-static and dynamic loading conditions, including uniaxial and multi-axial tension, compression and shear. Computational mechanical analyses in the TML are based on custom codes for 3D image segmentation, reconstruction, and analysis of patient specific geometries obtained via various medical imaging modalities (MRI, CT, ultrasound, etc.). These data along with those from mechanical testing serve as inputs for finite element analyses (FEA). These techniques are used to 1) rigorously characterize normal, healing, and diseased soft connective tissues, 2) to develop robust models that describe tissue function, and 3) to teach students and clinical fellows to conduct proper mechanical testing experiments and analysis.
Selected Referenced Journal Articles
1. Feola, A.J., Moalli, P.M., Alperin, M., Duerr, R., Gandley, R.E., Abramowitch, S.D. Impact of Pregnancy and Vaginal Delivery on the Passive and Active Mechanics of the Rat Vagina. Annals of Biomedical Engineering, 39(1), 549-58, 2010.
2. Abramowitch, S., Zhang, X., Curran, M., Kilger, R.: A Comparison of the Quasi-state Mechanical and Nonlinear Viscoelastic Properties of the Human Semitendinosus and Gracilis Tendons. Clinical Biomechanics, 25(4), pp. 325-31, 2010.
3. Abramowitch, S.D., Feola, A., Jallah, Z., Moalli, P.A.: Tissue mechanics, animal models, and pelvic organ prolapse: A review (Review Article). European Journal of Obstetrics Gynecology and Reproductive Biology, Volume 144, Supplement 1, pp. S146-S158, 2009.
8 DEPARTMENT OF BIOENGINEERING BIOENGINEERING
409 Center for Bioengineering | 300 Technology Drive | Pittsburgh, PA 15219 P: 412-383-9618 C: 412-648-2001
sdast9@pitt.edu
that requires continuous
302 Benedum Hall | 3700 O’Hara Street | Pittsburgh, PA 15261
P: 412-383-5394
aaron.batista@pitt.edu
https://smile.pitt.edu
sensory-driven motor interaction with a simplified The task can be scaled in the future to embody more complex interactions. predictions about neural responses in sensory and motor areas of the concert to integrate sensory information for the control of ongoing movements combine multielectrode neurophysiology with quantitative analysis of organized to inform a computational model of sensory-motor interaction
Sensory-Motor Integration Laboratory and Engineering
Dr. Aaron Batista’s research group examines the neural control of visually-guided action. We seek to understand basic principles that underlie the function of the cerebral cortex, and to use those discoveries to improve the function of clinical brain-computer interface (BCI) systems as a treatment for paralysis. Here we describe two of the research endeavors taking place within the laboratory.
Aaron Batista, PhD Professor
RESEARCH LETTER
our research is the Critical Stability Task (CST), wherein subjects must (vision and/or tactile) in order to make corrective actions to maintain a computer display for several seconds. Corrective actions to move the cursor movements, or via BCI control. The CST was originally formulated [31] dynamics governed by the differential equation, !" ! !" = ! ! ! + ! ! , ! > 0, ! ≥ 0 (1)
Neural constraints on learning
Why are some new skills learned relatively quickly, while others take far longer? What changes in the brain when we learn, so that pre-existing abilities are retained even as we learn new skills? We are examining the neural underpinnings of learning using a novel paradigm, brain-computer interface control, which allows us to study the neural basis of learning more directly than is possible with arm movements. We can directly request of our animals that they generate specific patterns of neural activity across a population of 100 or so neurons. We can then observe whether the animals are capable of generating the patterns we requested. Mathematical tools drawn from machine learning enable us to predict which new neural activity patterns (and, corresponding skills) are relatively easy to learn (a day or so), and which will be more difficult (a week or two), just by examining the pre-existing patterns of neural activity prior to learning.
This work is pursued along with colleagues Byron Yu and Steve Chase of Carnegie Mellon University. It is currently supported by an NIH R01 grant from the National Institute of Child Health and Human Development.
Multisensory Integration in Action
Our actions are shaped by our perceptual experience. Consider the fine adjustments a violinist makes to play the correct pitch. Sensory experience is often multimodal:
we see, hear, and feel the thing with which we are interacting, and our movements are adjusted on-the-fly to achieve our objectives. We seek to understand how
the cursor (with x>0 representing the cursor to the right of center), ! ! generated by the subject, and t=0 indicates the start of the trial. The of the parameter, ! . Because ! is positive, the cursor position will diverge compensating actions (control commands) are issued by the subject [89]. As ! faster, and the CST is more challenging. The maximum ! (which has units of control the cursor is related to the bandwidth of the stabilized closed-loop instability value ” (CIV) since, beyond that value, the closed-loop system CIV, the more effective is the subject’s sensorimotor control. the investigation of motor control that requires sensory feedback, consider required to keep the cursor from drifting, i.e., what is ! (! ) such that the cursor condition (!" (! ) !" = 0) into Eq. (1) shows that the subject must generate a equal and opposite to the current cursor position: ! ! = ! (! ) . Thus, must know the state of the cursor A subject who could issue this perfect 100% accurate) would be able to keep the cursor completely still command is not possible because of sensorimotor noise and nervous system will continuously move, and maintaining control – keeping it from rapidly ongoing sensory-guided motor action (Fig. 1). With adequate sensory command signal that keeps the cursor centered about an equilibrium point subject’s CIV. A subject’s CIV captures important aspects of their speed and accuracy with which he or she can react to sensory input. The effective the CIV provides an measure of several type of our sensory control), the movements or and the and less motor faster modality or establish the CIV for each animal
the brain uses sensory information to guide action, we train animals to perform challenging balancing tasks in a virtual environment. We record from motor and sensory areas, in the hope of discovering how the areas communicate to send detailed sensory information to sculpt the activity of motor neurons.
This work is pursued along with my Pitt Bioengineering colleague Pat Loughlin. It is supported by an NIH R01 grant from the National Institute of Child Health and Human Development.
Figure1 | Usingabrain–computerinterfacetostudylearning.a movedtheBCIcursor(bluecircle)toacquiretargets(greencircle)by modulatingtheirneuralactivity.TheBCImappingconsistedoffirstmapping thepopulationneuralactivitytotheintrinsicmanifoldusingfactoranalysis, thenfromtheintrinsicmanifoldtocursorkinematicsusingaKalmanfilter. Thistwo-stepprocedureallowedustoperformoutside-manifoldperturbations (bluearrows)andwithin-manifoldperturbations(redarrows).D,dimensions. b,Asimplified,conceptualillustrationusingthreeelectrodes.Thefiringrate (FR)observedoneachelectrodeinabriefepochdefineapoint(greendots) intheneuralspace.Theintrinsicmanifold(yellowplane)characterizesthe prominentpatternsofco-modulation.Neuralactivitymapsontothecontrol space(blackline)tospecifycursorvelocity. c,Controlspacesforanintuitive mapping(blackarrow),within-manifoldperturbation(redarrow)andoutsidemanifoldperturbation(bluearrow). d,Neuralactivity(greendot)elicits differentcursorvelocities(opencirclesandinset)underdifferentmappings. Arrowcoloursasin c.
9 DEPARTMENT OF BIOENGINEERING BIOENGINEERING
b BCI mapping Neural activity Time Units Neural Intrinsic a c Outside-manifold perturbation control space Neural activity: Intrinsic Kinematics: Dimensionalities Intrinsic manifold ExcitatoryInhibitory Intuitive d Unit2FR Unit 1 FR Unit2FR Unit3FR Unit 1 FR Unit2FR Cursor velocity Within-manifold perturbation control space control space Unit 1 Unit 2 Unit 3
under each of the configurations of
Fig. 1. Two CST trials. 1st row: (schematic of) visual [left] and (spectrogram of) vibrotactile [right] feedback. 2nd row: cursor and hand position traces. Bottom left: raster of multichannel neural activity from M1.
Kurt E. Beschorner, PhD Associate Professor, Human Movement and Balance Lab
Research Mission: Dr. Beschorner’s research focuses on the development of ergonomic solutions for preventing falling accidents through the utilization of core competencies in biomechanics and tribology. Dr. Beschorner’s current research topics include 1) developing and applying innovative methods to model and assess the tribological interaction between shoe and floor surfaces in order to prevent slips and falls; 2) identify the personal and
Tribology of Slip and Fall Accidents
environmental factors that contribute to falls from ladders and develop strategies to reduce these falls; and 3) assessing the negative effects of multifocal lens glasses (bifocals/progressive lens glasses) on walking balance and identifying solutions that improve balance in this population.
Dr. Beschorner’s research has been funded by the National Institute of Occupational Safety and Health, Department of Labor and the National Institutes of Health.
Slip and fall accidents are among the leading causes of injuries in the workplace and for older adults. The slipperiness of the shoe-floor interface is a major modifiable contributor to slip events. Dr. Beschorner’s research focuses on the development of new experimental (right, top figure) and modeling techniques that guide interventions and improve our understanding about the tribological causes of slipping accidents. This research has led to the development of an under-shoe fluid pressure paradigm for mapping the fluid-drainage capability across shoe tread (right, bottom figure) and finite element modeling approaches that predict friction based on material properties and surface properties. Dr. Beschorner currently works with industry partners to enhance workplace safety through training, footwear programs, and workplace design.
Background: Dr. Beschorner received his BS in Mechanical Engineering from University of Illinois Urbana-Champaign and his PhD in Bioengineering from University of Pittsburgh. He also spent four years as an Assistant Professor of Industrial Engineering at the University of Wisconsin-Milwaukee where he founded and directed the Gait Analysis & Biodynamics Lab and the Human Tribology Lab.
Biomechanics of Fall Accidents
The biomechanical response to balance perturbations is dependent on a complex interaction between personal and environmental factors. Dr. Beschorner’s research aims to characterize this complex interaction by measuring the biomechanical response to high fall risk scenarios in a safe, controlled laboratory environment. This approach is being applied to examine the impacts of ladder design and climbing style on fall risk (left figure) and to understand the personal and environmental factors that influence the fall risk and functional balance of wearers of bifocals and progressive lens glasses.
10 DEPARTMENT OF BIOENGINEERING BIOENGINEERING
402 Benedum Hall | 3700 O’Hara Street | Pittsburgh, PA 15261 P: 412-624-7577 beschorn@pitt.edu
323 Benedum Hall | 3700 O’Hara Street | Pittsburgh, PA 15261
P: 412-624-4725 C: 412-855-0717
borovetz@pitt.edu
The PediaFlow® Pediatric Ventricular Assist Device (VAD)
PediaFlow R&D
With the support of two NHLBI contract awards, our consortium has developed mixedflow turbodynamic (continuous flow) pediatric ventricular assist devices (VAD) utilizing a magnetically levitated impeller capable of producing 0.3-1.5 liters per minute (LPM) of blood flow for supporting infants and small children weighing 3-15 kg for up to six months duration. A particular focus of our work has been on achieving exceptional biocompatibility of our prototypes through state-of-the art CFD design of the blood flow path. The goal of our program is to operate our pediatric VAD clinically with minimal anticoagulation requirement and optimal biocompatibility.
Over 20 design variations were initially considered, with three pump topologies selected for further design refinement and evaluation. The three designs, two centrifugal and one mixed-flow pumps, were judged based on a multi-component objective function which factored several criteria including anatomic fit, estimated biocompatibility, heat generation and transfer, magnetically levitated suspension robustness, and manufacturability. This evaluation led to selection of the mixed-flow configuration.
The design was improved using computational fluid dynamics to minimize flow-induced blood damage via modification of the geometry of the predicted blood flow path. The housing was modified to improve surgical fixation. A transparent replica of the blood flow path was built to perform validation of the computer predictions by flow visualization analyses.
Other ongoing efforts were focused on controller development, materials selection, biocompatible coating application, nanotechnology based infection control, cannula design, and overall assessment of hemodynamic performance and cellular biocompatibility.
Pre-clinical testing of the current PediaFlow prototype ventricular assist device (the smallest mag lev blood pump to date, the size of an AA cell battery) was performed in vitro and in vivo. Our most recent 60-day implant demonstrated very low levels of both hemolysis and platelet activation. No thrombi were noted on explant, further validating the excellent biocompatibility of the PediaFlow pediatric VAD in anticipation of eventual clinical trial testing.
Harvey Borovetz, PhD
Distinguished Professor of Bioengineering (The PediaFlow Consortium)
11 DEPARTMENT OF BIOENGINEERING BIOENGINEERING
BIOENGINEERING
Bryan N. Brown, PhD Associate Professor
Brown Laboratory
The Brown Laboratory is an interdisciplinary team housed within the McGowan Institute for Regenerative Medicine. The overarching mission of the Brown Laboratory is to couple a mechanistic understanding of the host inflammatory response in injury and disease with the development of context-dependent biomaterial-based strategies for tissue engineering and regenerative medicine. The focus of our current research is upon clinical applications where few effective solutions currently exist, with increasing emphasis upon unmet clinical needs in women’s health.
Our laboratory is highly collaborative within the University of Pittsburgh, the University of Pittsburgh Medical Center, the McGowan Institute for Regenerative Medicine as well as a number of outside collaborations spanning basic science, engineering, medical and veterinary disciplines. Most of the ongoing projects within the Brown Laboratory combine basic science and immunology with engineering concepts towards the design, evaluation, and implementation of biomaterials in tissue engineering and regenerative medicine applications.
Under the direction of Dr. Bryan Brown consists of approximately eight undergraduate students, six graduate students, two postdoctoral associates, a laboratory technician, and administrative staff. In addition, it is common to have one or more clinician-surgeons or veterinarian involved with each ongoing project. The capabilities of the Brown Laboratory span a full spectrum of bench-top science and pre-clinical models and we can support first-in-human and clinical studies through collaborations with the University of Pittsburgh Medical Center.
Major Research Interests
• Macrophage Phenotype and Polarization
• Host Response to Biomaterials
• Extracellular Matrix Biomaterials
• Injectable Hydrogels
• Biomaterials Development
• Tissue Engineering
Active Research Projects
• Assessment of the host response following mesh placement in pelvic organ prolapse
• Investigation of macrophage phenotype in pathogenesis of endometriosis
• Regenerative Medicine
• Stem Cells
• Preclinical Disease Models
• Women’s Health
• Veterinary Medicine
• Clinical/Commercial Translation
• Macrophage polarization and aging in the context of regenerative medicine
• A regenerative medicine approach to TMJ meniscus restoration
brownb@upmc.edu
• Development of tissue specific hydrogels for peripheral nerve reconstruction
• Exploratory study of the application of regenerative medicine to the equine airway
12 DEPARTMENT OF BIOENGINEERING
P: 412-624-5273
304 Schenley Place | 4420 Bayard Street | Pittsburgh, PA 15213
P: 412-624-7227
rcham@pitt.edu
www.engineering.pitt.edu/hmbl
Background and Research Overview
Dr. Cham holds a B.Sc. degree and an M.Sc. degree in Physics from McGill University. Her doctoral training is in Bioengineering from the University of Pittsburgh.
Dr. Cham’s interests are focused on understanding (1) underlying biomechanical mechanisms of falls, e.g. postural strategies generated in response to slips and trips, and (2) human (e.g. sensory deficits, central nervous impairments) and environmental
Examples of Ongoing Research Projects
Anthropometry
Body segment parameters (e.g. segment mass, center of mass location) are needed in many applications, including ergonomics and occupational biomechanics. They are also needed in biomechanical models to study joint loading during various tasks, gait and more. In this project, imaging methods are used (1) to assess the impact of body shape, specifically being obese or overweight, on body segment parameters in men and women, and (2) to develop regression models that accurately predict these variables.
Autism
Rakié Cham, PhD Associate Professor Department of Physical Therapy Human Movement and Balance Laboratory
(e.g. lighting) factors contributing to balance and gait impairments. Her populations of interest include young and older healthy adults, as well as clinical populations such as individuals with autism, neurological conditions and visionrelated conditions, e.g. glaucoma, age-related macular degeneration. Dr. Cham’s research is supported by the National Institutes of Health (NIH), the National Institute of Occupational Safety and Health (NIOSH), industry and various foundations. Her collaborations with scientists from a very wide range of disciplines at the University of Pittsburgh and across other academic institutions are a key component of her research.
The goal of this project is to determine the reasons for balance and gait impairments in Autism Spectrum Disorders (ASD). We focus on the relationship between these impairments and attention. Experiments involve adults with autism and control subjects standing and walking in challenging environments (dimmed lighting and/or walking on a soft carpet) while performing a secondary task (pushing a button when hearing an auditory stimulus). Findings will enhance our understanding of gross motor impairments and balance
Vision Impairments
difficulties in ASD, both of which may contribute to the development of novel and more effective therapeutic approaches.
Visual field losses are a common type of vision impairment found in age-related ocular pathologies such as glaucoma and age-related macular degeneration. Falls are a serious public health concern in adults who have such conditions. One of Dr. Cham’s project is to determine the impact of visual field losses on balance and gait. Findings will improve our understanding of the etiology of falls in older adults who have vision problems. Another related project of Dr. Cham and her collaborators is to develop standard methods that evaluate the efficacy and quality of emerging technologies and therapies on patients’ lives with vision-related conditions.
13 DEPARTMENT OF BIOENGINEERING BIOENGINEERING
BIOENGINEERING
Xinyan Tracy Cui, PhD
William Kepler Whiteford Professor of Bioengineering McGowan Institute for Regenerative Medicine and Center for Neural Basis of Cognition (Secondary) Director, Neural Tissue-Electrode interface and Neural Tissue Engineering Laboratory (NTE Lab)
Overview
NTE lab research focuses on the understanding and modulation of interactions between neural tissue and smart materials and implantable devices. Several fields of neural engineering research require the fundamental understanding of these interactions, including neural interface technology, neural tissue engineering, implantable biosensors and drug delivery. We design advanced functional biomaterials and implantable micro/ nano devices that will intimately integrate with the host neural tissue. Concurrently, electrochemical, biological, surgical, histological, optical and electrophysiological methods are being developed to comprehensively and accurately evaluate these novel materials and devices.
Advanced Materials and Device Configuration for Neural Electrodes
Neural electrode arrays are implanted in the peripheral and central nervous system for neural recording and stimulation. Current arrays encounter significant reliability and stability issues over long-term implantation due to undesired host tissue responses and material degradation. Several approaches are being explored in our lab to modify the device architecture and surface, including soft conductor and flexible probe design, antifouling coatings, biomolecule immobilization and nanoparticle surface modification to promote neuronal health and adhesion while suppressing glial activation and scar formation, conductive polymer and nanocarbon electrode coatings to improve recording quality, charge injection capacity, while maintaining a more intimate interaction with the host neurons via electrically triggered drug release directly from the electrode surface.
Multimodal Neural Interface Devices
Neural probes that can recording and stimulate neural activity while sensing neurotransmitter release can greatly enhance our ability to dissect the neural circuitry in vivo, uncover the mechanism of neurological disorders and guide the development of treatments. Taking advantage of advanced materials and nano/micro technology, we integrate additional functionality to the probes to enable focal neurochemical delivery, optical imaging and stimulation. Multimodal devices will maximize the technological capability without increasing the footprint of the implants.
Neural Tissue Engineering
Biomaterials for neural tissue repair and regeneration have been a hot area of research. Our work in this area have included the following: 1) develop a material platform that can be used to study material- neural stem cell/progenitor cell interaction with a specific emphasis on the neurogenesis and functional integration. Electroactive conducting polymers based nano-composites are developed, and the unique properties of these polymers allow us to systematically change their surface ligands, release soluble factors at a high spatial and temporal resolution and apply electrical stimuli in order to promote stem cell differentiation and function integration. 2) develop neural interface devices to track the regeneration of neural tissue and accelerate the regeneration via electrical and biochemical stimulation. Efforts are also made to enable on demand degradation of these devices.
14 DEPARTMENT OF BIOENGINEERING
5065 Bioscience Tower 3 | 3501 Fifth Avenue | Pittsburgh, PA 15260 P: 412-383-6672 xic11@pitt.edu https://www.engineering.pitt.edu/nte-lab
819 Benedum Hall | 3700 O’Hara Street | Pittsburgh, PA 15261
P: 412-624-9729 412-624-9751
mkd16@pitt.edu
Research Interests
Dr. Datta’s current research is focused on two broad areas of biodegradable biomaterials, and energy harvesting and storage. He has a strong solid background in Metallurgical Engineering (PhD), Materials Engineering (MS), as well as Nanotechnology along with a thorough understanding of Physical chemistry and various electrochemistry aspects of solid-state materials. His group mainly conducts fundamental, transformative and innovative biomaterials and energy related research in collaboration with Dr. Kumta, Dr. Roy, Dr. Jampani and Dr. Velikokhatnyi directed at fostering clean energy, regenerative therapies, national security and human welfare. The main focus of Dr. Datta’s research in all of these areas is to develop (a) rapid experimental synthesis and processing tools; quantitative analytical and characterization tools; accelerated testing and rapid prototyping; techniques to validate and advance materials theory and (b) computational tools for predictive modeling, exploration, simulation and design.
Biodegradable Biomaterials Related Research
In the area of biomaterials, Dr. Datta’s group’s goal is to create implantable devices and regenerative therapies by merging advances in biology, engineering, and materials sciences. Particularly, he aims to develop materials that will not only be compatible with patients, but can also direct the cellular responses of the patient in a desired manner. In this direction, his research is directed in identifying a novel class of suitable load bearing, non-toxic biocompatible and biodegradable metal alloys aided by density functional theory (DFT) calculations as a hard tissue substitute for orthopedic and craniofacial applications. Processing of near-net shape biocompatible and biodegradable porous 3D scaffolds exhibiting controlled corrosion and mechanical properties mimicking normal bone without eliciting any toxicity while regenerating new bone is under research and development by powder metallurgy (PM) and additive manufacturing (AM) processing techniques. In addition, Dr. Datta’s research has directed towards development and optimization of stable organic and inorganic bioactive coatings on implants to decrease the alloys’ corrosion rate and hydrogen evolution as well as increase the alloys’ surface bioactivity, thus increasing the clinical relevance of biodegradable alloys. Surface functionalized micro- and meso-porous bio-composites is also under study for tunable delivery of biologics and drugs from the regenerative bone scaffolds.
Moni Kanchan Datta, PhD Research Assistant Professor
Energy Harvesting and Storage Related Research
The ultimate vision of energy related research is the development of a coherent computational model and concomitant advanced experimental tools enabling rapid screening, development and manufacturing of advanced energy related materials with significant cost benefits. His group focuses on identification of ultra-low noble metal/non-noble metal electrocatalysts for water electrolysis, fuel cell and air battery, and carbon capture through CO2 conversion to fuel. In the field of electrical energy storage technologies based on rechargeable batteries (Li-ion, Na- ion, Mg- ion batteries), supercapacitor and flow batteries, his research is directed at fulfilling the vision for meeting the EV (electric vehicle) everywhere grand challenge and Renewable Energy Storage goal of DOE. In this direction, his research is focused on rapid synthesis and advanced characterization of next-generation energy related materials in 1D nanotube, nanowire, 2D nono-film, nano-sheet or 3D hierarchical structures consisting of nano-particles or nanocomposite.
15 DEPARTMENT OF BIOENGINEERING BIOENGINEERING
Research and development of electricity as electric vehicle fuel
Lance A. Davidson, PhD
Professor, Wellington C. Carl Faculty Fellow Professor in Developmental Biology Professor in Computational and Systems Biology Director, Mechanics of Morphogenesis Laboratory
Mechanics of Morphogenesis
Our group has two long-term objectives: (1) to understand the mechanical processes that control morphogenesis, and (2) to apply principles of morphogenesis as a technology to advance cell and tissue engineering.
The Biomechanics of Tissue Elongation
Morphogenesis is the central process of tissue self-assembly that couples physical processes that move cells and tissues with the biological processes that give cells their identity, establish tissue architecture and physiological
The elongation of the vertebrate body, from head to tail, during early development and the elongation of structures such as long bones during growth are driven by collective cell rearrangement of mesenchymal cells. Our research has uncovered hidden mechanical phenotypes where losses in force production can be compensated by reduced mechanical resistance. Genetic and cell signaling control actomyosin complexes responsible for the mechanics of early embryonic tissues but their spatial organization is regulated by cell geometry and architectural features of the embryo. Our studies in this area require development of microscale mechanical testing, high resolution confocal imaging, and theoretical and computational modeling. Discoveries from this project have provided novel insights into integration of genetic and mechanical programs of development and how these systems are robust against the variation in their environment.
function. By necessity our research lies at the interface between cell biology, mathematics, physics, and engineering. Projects typicaly involve overlapping expertise that combine cell biological, biophysical, and bioengineering methods.
Cardiac Progenitors Sense Mechanical Cues as they Assemble the Heart
The heart is assembled from cells that migrate halfway across the early embryo. As these cells migrate they take instruction from their surroundings, either through chemical signaling or through mechanical cues. These cues drive cells to transition from one type to another. Recently, we have found a fundamental transition, that converts cells from a loose mass to a structured sheet, requires cells sense their mechanical environment. An altered environment, leading to delayed or precocious transitions during these early stages, produce commonly seen structural defects analogous to those seen in human congenital heart defects.
Advancing Cell and Tissue Engineering
In these projects we seek to actuate morphogenetic programs within engineered microenvironments to achieve specific end-points. For instance, using 3D microfabricated structures to direct either single cell or collective migration within tissues. We utilize additive and subtractive manufacturing and scaffold-free engineering to enhance ‘organs-in-a-dish’ and ‘organs-on-a-dish’ applications. We develop microfluidic tools in order to control the local biochemical microenvironment enabling high spatial and temporal resolution actuation to be combined with rapid non-invasive interrogation by live-cell reporters.
16 DEPARTMENT OF BIOENGINEERING
BIOENGINEERING
5059 Bioscience Tower 3 | 3501 Fifth Avenue | Pittsburgh, PA 15261 P: 412-383-5820 C: 412-352-8505 lance.a.davidson@pitt.edu
408 Center for Bioengineering | 300 Technology Drive | Pittsburgh, PA 15219
P: 412-648-1638 C: 412-383-8788
genesis1@pitt.edu
Dr. Debski’s Background and Research Interests
Richard E. Debski, PhD received both his BS (1991) and PhD (1997) in Mechanical Engineering from the University of Pittsburgh. Dr. Debski’s research interests focus on orthopaedic biomechanics and are aimed at elucidating the contribution of ligaments, tendons, muscles, and bone to joint stability throughout the musculoskeletal system. Specifically, experimental and computational analyses are performed to examine the properties of the ligaments and joint capsules; determine ligament forces and joint kinematics; and evaluate the effect of injuries and repair procedures on joint motion. Novel experimental techniques such as a robotic testing system and Dynamic Shoulder Testing Apparatus rev.4 are utilized to answer research questions. Recent major projects have focused on improvement of diagnoses and repair procedures for injuries to the ligaments, capsules, and bony structures at the shoulder; improvement of rehabilitation for rotator cuff injuries; quantification of knee stability during the pivot shift test; and robotic technology for biomechanical testing.
Orthopaedic Robotics Laboratory
The mission of the Orthopaedic Robotics Laboratory is the prevention of degenerative joint disease by improving diagnostic, repair, and rehabilitation procedures for musculoskeletal injuries using state-of-the-art robotic technology. Thus, diarthrodial joint function will be elucidated and the roles of the bony and soft tissues assessed. The
technology in the laboratory includes novel robotic systems and the lab serves as a multi-disciplinary CORE facility with collaboration promoted between investigators. The Orthopaedic Robotics Laboratory is a collaboration between the Department of Orthopaedic Surgery and Department of Bioengineering.
Richard E. Debski, PhD Professor, Bioengineering Professor, Orthopaedic Surgery Co-Director, Orthopaedic Robotics Laboratory William Kepler Whiteford Faculty Fellow
17 DEPARTMENT OF BIOENGINEERING BIOENGINEERING
BIOENGINEERING
William Federspiel, PhD
William Kepler Whiteford Professor, Professor of Bioengineering, Professor of Critical Care Medicine and Chemical Engineering, Director, Medical Devices Laboratory
Under the direction of Dr. William Federspiel, the Medical Devices Laboratory is developing highly translatable medical devices by utilizing bio and chemical engineering principles such as biotransport, mass transfer, and fluid mechanics. Advanced respiratory assist devices for patients with acute and chronic lung injuries are being designed and investigated, in addition to particle-based adsorption technologies for the removal of targeted solutes from whole blood for the treatment of pathogenic
reactions. Biotransport modeling, computational fluid dynamics, and in vitro and in vivo testing are employed in the development of these medical devices. The highly collaborative research efforts of the Medical Devices Laboratory combine the expertise and strengths of academic researchers, clinicians, and industrial partners. Translation of research into formal product development and clinical trials is a primary focus of the laboratory so that the technological advancements can benefit those in need.
Respiratory Assist Devices
Each year nearly 350,000 Americans die of some form of lung disease. To address the limitations of existing methods of respiratory support, such as mechanical ventilation (MV) and extracorporeal membrane oxygenation (ECMO), the Medical Devices Lab is developing respiratory assist devices that could provide improved treatment. The Modular Extracorporeal Lung (ModEL) integrates a blood pump and highly efficient gas exchanging unit into a wearable device intended to replace ECMO and MV as a bridge to transplant or recovery during lung failure. The modular design enables configuration of the device with different gas-exchanging units depending on the type of support needed, resulting in a respiratory assist platform technology able to treat a variety of adult, and even pediatric, patients. Prior work in this area within the Medical Devices Lab led to the commercialization and market approval of the Hemolung Respiratory Assist System, a product of ALung Technologies. Development of novel bioactive coatings to improve device efficiency and hemocompatibility is also a focus of the Medical Devices Lab. Current efforts focus on the use of zwitterionic copolymers to reduce intra-device thrombus formation and carbonic anhydrase to enhance CO2 removal efficiency.
Blood Conditioning Devices
Sepsis, a systemic inflammatory response due to an infection, is a major health problem that kills nearly 250,000 Americans each year and costs upwards of $20 billion annually. The Medical Devices Lab is designing novel extracorporeal blood purification devices to reduce organ damage in sepsis. These devices alter leukocyte response by selectively removing excess cytokines from circulation or ‘reprogramming’ immune cell behavior through cell-cell interactions. These treatments are hypothesized to both improve clearance of infection and reduce injury to remote organs. A device which removes blood antibodies to generate universal donor plasma is also under development. After treatment, the universal plasma can be safely transfused to all patients, regardless of blood type.
18 DEPARTMENT OF BIOENGINEERING
302E Benedum Hall | 3700 O’Hara Street | Pittsburgh, PA 15261 P: 412-383-9499 wfedersp@pitt.edu www.mcgowan.pitt.edu/medicaldevices
404 Benedum Hall | 3700 O’Hara Street | Pittsburgh, PA 15261
P: 412-647-3076
neg8@pitt.edu
www.pitt.edu/~neg8/
The nervous system continuously monitors the environment and produces overt or covert orienting behavior in response to relevant sensory stimulation. Research in the Cognition and Sensorimotor Integration (CSI) lab investigates neural mechanisms involved in the multiple facets
of sensory-to-motor transformations, including cognitive processes. We employ a combination of experimental (extracellular recording, microstimulation, chemical microinjections, transient blink perturbation) and computational tools. An understanding of the cognitive and
Neural Coding through Population Dynamics
The instantaneous firing rate of individual neurons has traditionally been assumed to be the primary neural correlate of sensory, cognitive, and motor processes. Although this so-called rate code can explain a number of perceptual and behavioral phenomena, it falls short in other instances. One of the research directions in the CSI lab involves considering alternatives to standard rate-based coding. This requires zooming out to the systems level and studying the dynamics of activity in a network or population of neurons. Using pooled single-unit recordings, we have found that the temporal structure of population activity fluctuates in the visual burst but remains stable in the motor burst of visuomovement neurons, specifying a code to distinguish between incoming sensory output and premotor output. We plan to further explore the role of the population temporal code in sensorimotor integration using multi-electrode techniques as well as testing the robustness of the code using computational modelling.
Neeraj J. Gandhi, PhD Professor
motoric processes that produce integrated orienting behavior has implications for neural prostheses as well as diagnostic value for deficits resulting from neuropsychiatric disorders (e.g., ADHD, schizophrenia) and ocular dysmotility (e.g., strabismus).
Interception of Moving Stimulus
While navigating through their local environment, primates combine rapid (saccadic) and slow (pursuit) voluntary eye movements in an effort to gather visual information from stationary and moving objects. Throughout much of the twentieth century, these eye movements were mostly studied in isolation; however, recent experiments in several laboratories have shown that their neural substrates may overlap significantly. Future experiments in our laboratory will combine behavioral, neurophysiological, and computational techniques to compare the role(s) of the cortex, superior colliculus and oculomotor brainstem in the planning and execution of saccades to both static and moving stimuli. Basic knowledge gathered from these experiments will allow us to test specific hypotheses concerning the role of these structures in the maintenance of saccade accuracy and precision to both static and moving targets as well as the selection of targets in more complex environments.
19 DEPARTMENT OF BIOENGINEERING BIOENGINEERING
Mark Gartner, PhD Professor of Practice
Interdisciplinary Design Education
Dr. Gartner’s research interests include interdisciplinary medical product design education. He is the instructor of the two-semester “Senior Design” course in the Department of Bioengineering focusing on the risk-based medical product design process in context of the requirement of the Food and Drug Administration (FDA) and Centers for Medicare and Medicaid Services (CMS). An interdisciplinary partnership between the School of Nursing and the Department of Bioengineering embeds Senior-level nursing students into bioengineering design teams as the basis for expanded interactions in the clinical environment. This partnership also provides nursing students with an understanding of the medical product design, regulatory, reimbursement, and commercialization processes that can be leveraged in future patient-centric activities. Most importantly, this partnership provides an opportunity to prepare both students for future professional interactions and improve healthcare delivery. This work is supported by a five-year grant awarded by the National Institute for Biomedical Imaging and Bioengineering (R25 EB025793-01).
Conservation Engineering
Dr. Gartner’s laboratory activities include the development of novel tools to address unmet needs in wildlife conservation and leverages bioengineering and mechatronic principles as the basis for a spectrum of devices and tools. Tools currently in
development include an institutional tracking system for green sea turtle rehabilitation, the development of a low-cost manatee tracking device, and a system to allow physical examination of conscious polar bears. Dr. Gartner has
worked on a range of conservation and education efforts with the Pittsburgh Zoo and PPG Aquarium including recently harvesting coral from the Navy’s Mole Pier in Key West, Florida.
Medical Product Design
Dr. Gartner has led the development of a range of medical products in his career. This work has ranged from minimally invasive cardiological tool through cardiac and cardiopulmonary support systems. Most recently, his laboratory is collaborating with colleagues from the University of Massachusetts in the clinical trial of a vibro-tactile stimulation device for infants with neonatal abstinence syndrome. This technology represents the first non-pharmacological treatment intervention for abstinence and drug withdraw in newborn infants.
Biography
Mark Gartner earned a PhD in biomedical engineering from Carnegie Mellon, an ME in mechanical and biomedical engineering from Carnegie Mellon, and an MBA from the University of Pittsburgh.
20 DEPARTMENT OF BIOENGINEERING
BIOENGINEERING
327 Benedum Hall | 3700 O’Hara Street | Pittsburgh, PA 15261 gartnerm@pitt.edu
325 Benedum Hall | 3700 O’Hara Street | Pittsburgh, PA 15261
P: 412-624-1177 C: 412-996-9773
Alh138@pitt.edu
www.engineering.pitt.edu/cmi
Resesarch Interests
Dr. Hirschman’s primary interest is in the application of technology to translational medicine and medical product innovation. He has been instrumental in the development of a Professional Master of Science in Bioengineering oriented toward Medical Product Engineering. This work also recently resulted in the Provost’s approval of a Professional Certificate in Medical Product Innovation offered through the Swanson School of Engineering. He has developed several courses (Medical Product Ideation, Medical Product Development) to help train future product developers, managers, entrepreneurs, and investors in the medical product domain.
Biographical Highlights
Alan D. Hirschman, PhD Professor of Bioengineering Executive Director, Center for Medical Innovation
As Executive Director of the Center for Medical Innovation at the Swanson School of Engineering since 2011, Dr. Hirschman is responsible for tactical and strategic direction. His work is focused on matching physicians with engineers and students in SSOE to create funded project teams focused on the advancement of technologies into clinical practice. Also, as a former executive at Bayer (MEDRAD® division), Dr. Hirschman is interested in bringing best industry practices to the new innovation and entrepreneurship efforts underway at the University of Pittsburgh.
Dr. Hirschman came to the University of Pittsburgh in 2010 as a visiting professor in the Department of Bioengineering. In 2013 he received a full appointment as Professor of Bioengineering. Most of his career (30+ years) was in the medical device industry as an inventor, biomedical product development engineer, business development professional and corporate executive. Earlier in his career he worked as a research physicist and electrical/computer engineer. Dr. Hirschman earned his PhD in Electrical Engineering from Carnegie Mellon University and a Bachelor’s in Physics from New York University. He is a Fellow of AIMBE and a Life Member of the IEEE.
21 DEPARTMENT OF BIOENGINEERING BIOENGINEERING
BIOENGINEERING
Tamer S. Ibrahim, PhD
Professor and Director, RF Research Facility Department of Radiology School of Medicine
7 Tesla Neuroimaging Studies with the Tic-Tac-Toe Radiofrequency Coil System
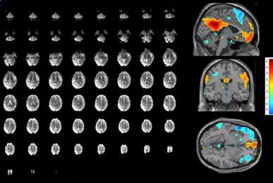
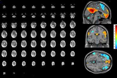
Introduction
Recently FDA-approved 7 Tesla (T) MRI can provide improved signal-to-noise ratio, resolution, and image contrast when compared with standard clinical MRI scanners (usually 1.5T or 3T). However, proton imaging at higher frequencies (~300MHz) and shorter wavelength (~13cm in brain tissues) can lead to inhomogeneities in the images and potentially cause high localized radiofrequency (RF) power deposition in the tissue. The Tic-Tac-Toe (TTT) RF coil system provides improved homogeneity and reduced power deposition. It is achieved thanks to an innovative coil design and a methodology of operation. Several clinical MRI sequences have been performed and compared with commercial RF coils, demonstrating the superior performance of the Tic-Tac-Toe RF coil system. Numerous clinical studies including NIH funded studies (~2,000 subjects) are currently being conducted using this coil at the University of Pittsburgh.
Material and Methods
Results
22 DEPARTMENT OF BIOENGINEERING
1038 BioScience Tower 3 | 3501 Fifth Avenue | Pittsburgh, PA 15260 P: 412-383-6946 C: 412-865-7719 tibrahim@pitt.edu
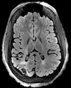
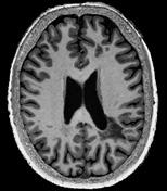
b) a) c) The Tic-Tac-Toe (TTT) radiofrequency head coil for 7T MRI Fig 1: in a), the implemented 16-channel TTT transmit RF coil; in b), the computational RF coil in c), the implemented RF coil with an 32-channel receive insert Fig. 2: The B1+ (magnetic field responsible for spin excitation) field homogeneity is highly degraded at 7T MRI due to a higher operational frequency (~297MHz). The TTT presents a more homogeneous field distribution when compared with the NOVA coil (a commercial coil) [1]. Measured Tic-Tac-Toe Measured Nova coil Regions with low B Simulated Tic-Tac-Toe B + maps in the brain: TTT vs NOVA RF coils TTT coil NOVA coil TTT coil NOVA coil Image comparison with the 32-channel NOVA commercial RF coil a) b) Fig. 3: In a), Turbo spin echo (TSE) sequence using the TTT coil with resolution of 0.4x0.4x2mm. In b), the same TSE sequence acquired with the commercial NOVA coil. In c), FLAIR sequence acquired with TTT coil with resolution of 0.7x0.7x2mm. In d), the same FLAIR sequence acquired with NOVA coil. The arrows point to regions of dark spots in the NOVA coil images and compare with similar regions on the TTT coil images [1]. c) d) High-resolution susceptibility weighted images showing cortical microvessels Fig 4 SWI images acquired at 0 2x0 2x1 5mm resolution In a) an axial slice of the whole brain image acquisition In b) and c), zoomed versions of a), detailing the micro-structures a) b) c) High resolution angiography without contrast agents 380μm a) b) Fig 5: Maximum intensity projection orientation and small vessels detectability isotropic image showing whole brain isotropic acquisition In d), 0 20mm are only detectable at higher resolution
Finger tapping task: activation of Functional MRI a) Diffusion MRI and fiber tracking Post-mortem a) a) b) Fig 7 In a), an structural MPRAGE image acquired at 0 75mm isotropic (skull removed using FSL package) In b), fiber tracking based on DTI acquisition, 64 directions, 1 5mm isotropic resolution The colors are defined for different orientations of the fibers Fig 8: In a), susceptibility weighted images acquired at 0 35mm isotropic, 32 min acquisition time, in a post-mortem brain fixated with formalin In b), a photograph of similar slice in the same brain Table 1: 7T MRI studies conducted at the RF Research Facility at University of Pittsburgh White matter legions (circle): Multiple Sclerosis study Stroke (circle): sickle cell disease study Automatic hippocampus segmentation: Midlife Neurocognitive Lacunar infarct (arrow): depression study White matter hyperintensities (arrows): Healthy Brain aging study (left) and Small Vessels disease in preclinical Alzheimer’s disease study (right) Fig 9: Sample of some studies listed in Table 1 using the developed 16 array (Fig a) There are 4 completed studies and 13 ongoing patient studies with approximated 2 000 patients scheduled FUTURE DIRECTIONS 64-channel Tic-Tac-Toe RF transmit coil for 7T MRI 0 Fig 10: In a), the 64-channel transmit coil computational modeling [2] To improve the field of view of the projector/monitor in fMRI studies, the frontal panels can be removed, resulting in a 56-channel coil In b), one assembled side of the coil In c), simulated B1+ field distribution: for an 8kW power amplifier capabilities (default in older 7T MRI scanners) a homogeneity (measured by the coefficient of variationCV) of 15 2% is achieved in the brain For an 16 kW power amplifier (available for the recently FDA approved Siemens 7T MAGNETOM Terra), an CV of 10 6% can be achieved in the brain 16 kW power amplifier: 8 kW power amplifier: a) b) c) max
Bistra Iordanova, PhD Research Assistant Professor
We develop multimodal neuroimaging platforms to explore system-level neurovascular and metabolic events during neurogenesis, normal development and neurodegeneration. We are interested in the life of brain cells inside living animals, particularly in the context of neuronal activity, oxygen, glucose and iron metabolism. In pursuit of this knowledge we employ a set of interdisciplinary approaches that combine molecular tools such as optogenetics and reporter protein design with systems-level methods such as Magnetic Resonance Imaging, two-photon and intrinsic optical imaging. We seek to identify accessible molecular targets connected to brain dysfunction. Our work delivers cellularlevel insights into human functional and metabolic imaging.
Long-range Brain Connectivity
Vascular Deficits in Alzheimer’s Disease
The brain has no significant energy storage, and cellular activity evokes adaptive changes in the blood flow to deliver oxygen. We survey the dynamic vascular and metabolic events that develop synergistically in the vessel and the tissue with the amyloid accumulation during Alzheimer’s disease (AD) progression. The aim is to deliver functional and mechanistic roadmap on how these interconnected processes contribute to AD pathogenesis and how they interact with sex, genetic and environmental factors. Our goal is to reveal which events lay at the origin of initial brain dysfunction in order to provide early diagnostic markers for AD as well as suitable targets for intervention.
Cortico-cortical interactions are inherently difficult to study. Using optogenetic tools, optical and functional MR brain imaging we explore the neurovascular activity that drives the transcallosal interaction of left and right brain and elucidate the observed variability in human functional imaging. These findings have significant implications in stroke recovery, investigating the spread of seizures from one side of the brain to the other and bilateral control of brain-machine interfaces.
Metalloprotein-based MRI
We combine molecular engineering and MRI to modulate contrast in brain cells via the expression of novel iron-binding, paramagnetic metalloproteins in the ferritin family. Following transgene expression, the ferritin shells sequester physiologically available iron, and biomineralization of the ferritin core renders the complex paramagnetic, producing MRI contrast. By combining an MRI reporter with a cellspecific expression, a multitude of applications exist. For example, we can track cell migration after neurogenesis. More recently, we have employed the same MRI approaches optimized for iron imaging to evaluate iron accumulation in models of Alzheimer’s disease.
23 DEPARTMENT OF BIOENGINEERING BIOENGINEERING
209 CNBIO | 300 Technology Drive | Pittsburgh, PA 15219 bei3@pitt.edu
Katrina M. Knight, PhD Assistant Professor
Biographical Highlights
Dr. Katrina M. Knight is an Assistant Professor in the Department of Bioengineering and a Primary Investigator at Magee-Womens Research Institute, the largest research institute dedicated to women’s health in the United States. She received her BS in Biochemistry from Claflin University (Orangeburg, SC), a Historically
Knight Laboratory
Black College and University, in 2009 and her PhD in Bioengineering from the University of Pittsburgh in 2017. Prior to joining the Bioengineering Faculty as an Assistant Professor in May 2021, Dr. Knight was a Postdoctoral Fellow in the Department of Obstetrics, Gynecology, and Reproductive Sciences, University of Pittsburgh, and in the Magee-Womens Research Institute and Foundation Postdoctoral Fellowship Program.
Dr. Knight is currently a NIH/ORWH K12 Building Interdisciplinary Research Careers
The overarching goal of the Knight Laboratory is to improve the lives of women with pelvic floor disorders through the development of novel and innovative devices and treatments. Specifically, the lab focuses on pelvic organ prolapse (prolapse), a common gynecologic condition characterized by the unnatural descent of the pelvic organs into the vaginal canal. Synthetic meshes are often used in the surgical repair of prolapse; however, complications have hindered the use of mesh with pain and exposure of mesh fibers through the vaginal epithelium (i.e., mesh exposure) most reported. The Knight lab is particularly interested in elucidating the biomechanics and biologic mechanisms that lead to complications associated with the use of synthetic mesh in prolapse repairs. This increased knowledge will then be used to develop a novel device to repair prolapse. To accomplish these goals, the Knight Laboratory utilizes an interdisciplinary approach that combines skills from biology (e.g., animal model development, biochemical analyses, histology) and engineering (e.g., CAD model design, computational modeling, device development, mechanical testing, tissue regeneration).
Research Interests
• Understand the pathogenesis of synthetic mesh complications
• Develop novel devices and treatments for urogynecological applications
• Define the impact of mechanics on vaginal cellular function
in Women’s Health (BIRCWH) Scholar and a member of the Diversity, Equity, and Inclusion Committee of Magee-Womens Research Institute. Outside of academia, Dr. Knight has a strong passion for giving back to her community. She is the Chief Engineering Officer and co-founder of Your Village Is My Village Incorporated, a 501c3 non-profit organization that aims to positively transform communities through mentoring and the education of at-promise youths.
• Understand the combined role of collagen, elastin, and smooth muscle in maintaining the structure and function of the vagina
• Regenerative medicine techniques for muscle injury repairs following vaginal delivery
24 DEPARTMENT OF BIOENGINEERING BIOENGINEERING
Magee-Womens Research Institute | 204 Craft Avenue Lab A430F | Pittsburgh, PA 15213 P: 412-641-4041 kmk144@pitt.edu
208 CNBIO | 300 Technology Drive | Pittsburgh, PA 15219
P: 412-383-9044
tdk18@pitt.edu
www.BIONICLab.org
Bio-Integrating Optoelectric Neural Interface & Cybernetics Lab
Our lab employs a highly transdisciplinary approach to understand interactions at micro-scale neural interfaces and to develop next-generation Neural Technologies that attenuate or reverse negative tissue interactions. Specifically, we focus on elucidating biological structures and biochemical pathways that control physiological function and bidirectional communication between the nervous system and neural interface technology. We then apply these newly discovered constraints and possibilities into designing novel technologies. In order to elucidate real-time long-term cellular and molecular tissue interactions
to chronically implanted medical devices, we employ in vivo functional electrophysiology, two-photon microscopy, electrochemistry, and electrical and optical stimulation techniques. In addition, we leverage principles in molecular and cellular neurobiology, electrical engineering, mechanical engineering, computer science, physics, biochemistry, material science, optics, and biomaterials. The availability of new optical methods to image brain function and new genetically engineered mice and rat models present a leading-edge opportunity to understand normal and pathological brain function in new ways with exquisite dynamic details.
Takashi “TK” Kozai, PhD Assistant Professor NeuroTech Center, Brain Institute
These technologies allow us to advance our understanding of the brain and brain interfaces, as well as create new avenues for diagnosis and treatment of brain pathologies.
Current Research Projects
1. Blood-brain barrier (BBB) dysfunction plays an important role in cellular damage in neurological diseases and brain injuries. This project quantifies structural, cellular, and molecular level tissue response to chronic implants in the brain in real-time through combining multiphoton imaging technology and neural engineering technology.
2. Microthread probes are new classes of ultrasmall neural interfaces that uses leading-edge biocompatible polymers to develop innovative ‘microthread neural probes’ that are ultra-small and flexible, with bioactive surfaces and nanostructured electrode sites for enhanced signal transduction. We create these microthread probes using advanced carbon nanotube (CNT) and bioactive polymer coating technologies for chronic recording, chronic electrical stimulation, chronic wireless stimulation, chronic chemical sensing, and chronic wireless drug delivery.
3. In vivo evoked two-photon imaging and electrophysiology. Past studies characterizing the CNS response to implants have used postmortem histology at discrete time points. This approach suffers from a large degree of variability and fails to capture the dynamic molecular, cellular and vascular changes of the host. To address this issue, we have developed an experimental set-up to directly image the electrode-tissue interface in live animals using 2-photon microscopy in conjunction with evoked electrical recording (Visual and Somatosensory Cortex). We employ this experimental setup to rigorously characterize dynamic tissue changes that occur around neural camouflage coated devices and a variety of pharmaceutical and genetic intervention strategies.
25 DEPARTMENT OF BIOENGINEERING BIOENGINEERING
Mangesh Kulkarni, PhD
Research Assistant Professor
Modulation of Molecular Disarray using Biomaterials-based Therapy
Dr. Mangesh Kulkarni is a research assistant professor of Bioengineering at University of Pittsburgh and a faculty member of McGowan institute of regenerative medicine. Following the completion of MD and M.Tech degrees in India, he received his PhD in biomedical engineering from National University of Ireland Galway in 2012. Dr. Kulkarni’s research is primarily translational in the fields of tissue engineering, regenerative medicine and molecular therapeutics.
Most of the regenerative processes are complex with multiscale structural/ functional organization and spatio-temporally controlled attributes. Therefore, a holistic understanding of stem cell biology & molecular events and development & application of novel bioengineering solutions is central to regenerative medicine. Employing techniques such as next generation sequencing, digital PCR, in situ hybridization, Dr. Kulkarni investigates the molecular signature of disease state to pinpoint players in the etiopathology of the disease aspects, for example regeneration and repair in diabetes. Dr. Kulkarni focuses on development of biomaterials based regenerative therapies that can be tuned either a) for modulating the function of stem cells and/or immune cells by delivery of the deficient biomolecules or repression of the overexpressed biomolecules or b) utilizing stem cells as factories producing an array of immunomodulatory and regenerative factors. He is working in close collaboration with Dr. Bryan Brown in the areas of innate immunity and host response to biomaterials.
Research Interests
• Tissue Engineering
• Regenerative Medicine
• Development of Biomaterials-based Delivery Systems
• Molecular Diagnostics and Therapeutics, particularly involving Non-coding RNA
• Cell-free Therapeutic Strategies such as Stem Cells Secretome Therapy
• Innate Immunity and Host Response to Biomaterials
26 DEPARTMENT OF BIOENGINEERING
BIOENGINEERING
BSPII, Suite 300 | 450 Technology Drive | Pittsburgh, PA 15219 P: 443-616-5495 kulkarnim2@upmc.edu
815C Benedum Hall | 3700 O’Hara Street | Pittsburgh, PA 15261
P: 412-648-0223
pkumta@pitt.edu
Brief Biography of Dr. Prashant Kumta
Professor Kumta’s research interests cover two broad areas: energy storage, generation, conversion and biomaterials. He earned his Bachelor of Technology with Honors in metallurgical engineering from the Indian Institute of Technology, Bombay, India in 1984. He then earned his MS and PhD in Materials Science and Engineering from the University of Arizona in 1987 and 1990, respectively. After graduation, Professor Kumta joined the Department of Materials Science and Engineering at Carnegie Mellon University, where he was promoted to Full Professor with tenure in 1999. He joined the University of Pittsburgh in 2007, where he now manages a large group of researchers, research faculty (Dr. Datta, Dr. Roy, Dr. Velikokhatnyi and Dr. Jampani) and students. Professor Kumta is the author or co-author of more than 270 refereed journal publications and has given more than 460 conference presentations. He is currently the Editor-in-Chief of “Materials Science and Engineering: B, Advanced Functional Solid-State Materials,” an International Journal by Elsevier Publications.
Research in Biomaterials
Prashant N. Kumta, PhD
Edward R. Weidlein Chair and Professor School of Dental Medicine McGowan Institute of Regenerative Medicine
In the biomaterials area, Professor Kumta’s group focuses on the creation of clinically relevant novel biomaterials for next-generation therapies in regenerative medicine. His group is also currently developing novel materials for craniofacial and orthopedic applications comprising new biodegradable metals and injectable calcium phosphate (CaP)-based resorbable bone cements and polymers for mineralized tissue regeneration and stem cell viability. Additive manufacturing techniques are also employed to generate user specific scaffolds using biocompatible and biodegradable metals and ceramics. Research is also on-going to understand the effects of morphology, and surface structures of CaP based nanoparticles for targeted and surface mediated non-viral gene delivery. Biodegradable stents and drug eluting coatings are also under development to prevent coronary and pediatric pulmonary arterial sclerosis, repair intracranial aneurysms, and fill atrial septal defects. Another area of biocompatible materials under development is the understanding of cell-surface interaction between organic and inorganic materials as well as generation of chemical and biosensors for detection of biomarkers for cardiovascular and traumatic brain injury related conditions. His laboratories house a wide range of state-of-the-art equipment for materials synthesis and characterization, cell and tissue culture, and 3D printing of advanced materials and structures.
Research in Energy Storage
Professor Kumta’s research group is involved in the study of novel reversible lithium-ion, sodium-ion, and magnesium-ion batteries. These energy storage systems utilize myriad nanostructured configurations and architectures that can be synthesized at low-temperatures using innovative vapor, solid and liquid phase methods. Research is also being conducted to develop improved supercapacitors, photoelectrocatalysts for water splitting and hydrogen generation as well as electrocatalysts for low temperature proton exchange membrane (PEM) based fuel cells. These technologies rely on nanostructured heterostructures and systems synthesized using indigenous low-temperature sol-gel and economic template approaches. His research also explores reduced noble metal containing electronically conductive and electrochemically stable catalysts for efficient hydrogen generation via acid based water electrolysis using density functional theory (DFT) based techniques.
27 DEPARTMENT OF BIOENGINEERING BIOENGINEERING
Patrick J. Loughlin, PhD Professor and Associate Chair
BioSignal and Systems Analysis Laboratory
Many biological and biomedical signals and systems change over time (e.g., speech, hearing, vision, balance), and tracking these changes is important for disease monitoring and understanding the underlying physiological processes. The BioSignal and Systems Analysis Laboratory conducts research into multisensory integration and motor control, nonstationary signal processing, and the quantitative analysis and modeling of biomedical signals and systems. Specific activities include human postural control (Fig. 1); frequency tracking and instantaneous frequency estimation of biomedical signals such as gait and heart rate (Fig. 2); and developing sensory substitution modalities (e.g., vibrotactile feedback) to improve impaired sensorimotor function or for brain-machine interfaces (Fig. 3).
Principal Investigator
Brief Biography
Patrick Loughlin earned a PhD in electrical engineering from the University of Washington, an MS in bioengineering from the University of Utah, and a BS in biomedical engineering from Boston University. He has been a faculty member at Pitt since 1993. Dr. Loughlin is a Member of the Editorial Board for the IEEE Transactions on Biomedical Engineering, and a Fellow of AIMBE, ASA and IEEE.
Selected Publications
• Quick et al., Assessing vibrotactile feedback strategies by controlling a cursor with unstable dynamics, IEEE EMBC, 2014.
• Cenciarini et al., Stiffness and damping in postural control increase with age, IEEE Trans. Biomed. Engrng., 2011
• O’Connor et al., Postural adaptations to repeated optic flow stimulation in older adults, Gait & posture, 2008
• Mahboobin et al., A model-based approach to attention and sensory integration in postural control of older adults, Neuroscience letters, 2007
• Loughlin et al., A Wigner approximation method for wave propagation, J. Acoust. Soc. Amer., 2005
• Mahboobin et al., Sensory re-weighting in human postural control during moving-scene perturbations, Exp. Brain Research, 2005
• Peterka et al., Dynamic regulation of sensorimotor integration in human postural control, J. Neurophys., 2004
• Loughlin et al., Spectral characteristics of visually induced postural sway in healthy elderly and healthy young subjects, IEEE Trans. Neural Sys. and Rehab. Engrng., 2001
• Loughlin, Spectrographic measurement of instantaneous frequency and the time-dependent weighted average instantaneous frequency, J. Acoust. Soc. Amer., 1999
• Loughlin et al., Time-varying characteristics of visually induced postural sway, IEEE Trans. Rehab. Engrng., 1996
• Loughlin et al., On the amplitude- and frequencymodulation decomposition of signals, J. Acoust. Soc. Amer., 1996
• Loughlin et al., Construction of positive timefrequency distributions, IEEE Trans. Signal Process, 1994
28 DEPARTMENT OF BIOENGINEERING
BIOENGINEERING
302 Benedum Hall | 3700 O’Hara Street | Pittsburgh, PA 15261 P: 412-624-9685 loughlin@pitt.edu
Fig. 1: Time-frequency analysis of human balance uncovers sensory adaptation [Peterka 2004, Mahboobin 2005].
Fig. 2: Frequency tracking of a noisy quasi-periodic signal.
Fig. 3: Subject performance in a control task with vibrotactile feedback [Quick 2014].
207 CNBIO | 300 Technology Drive | Pittsburgh, PA 15219
P: 412-624-4240 C: 908-307-3931
spm54@pitt.edu
Primary research interest of our group lies in the predictive modeling and simulation of constitutive and failure response of complex materials. We study the evolution of these systems in a multi-physics environment at multiple spatial and temporal scales. A general objective of our research is to provide quantitative descriptions of the relationship between the measurable features of the microstructures of materials and their emergent macroscopic behavior. We employ a full suite of experimentally validated theoretical and numerical tools to achieve this feat. Our effort involves development of advanced theoretical techniques and numerical algorithms for materials modeling, and computational frameworks to conduct large- scale simulations in a massively parallel environment. While we develop new numerical techniques whenever necessary, the emphasis of our research is on investigating and predicting the physical aspects of complex materials behavior.
Currently our research activities span two application areas: A) Biomechanical behavior of soft tissues and B) electrochemo-mechanical response of advanced energy storage materials. Of special interest are the microstructural features and events that lead to loss of mechanical integrity of these materials systems. We envisage that our research effort will unlock fundamental mechanisms responsible for damage, tear, and ultimate failure of these complex materials subjected to not only normal, but also altered operating environment.
Mechanical Failure of Native Tissues
Spandan Maiti, PhD Associate Professor
Clinical interventions resulting from biomechanical failure of soft fibrous tissues are common in occurrence. Yet, the microstructural mechanisms, associated biomechanical principles, and structureproperty relationships mediating onset and propagation of tears in tissues remain elusive. Our research group focuses on two particular instances: dissection of aortic wall (left), and tear of rotator cuff tendon. Our computational modeling approach is based on characterization of microstructural features by appropriate computer representation of experimental images obtained from different microscopic modalities and integration of this microstructural information in computational models using fracture mechanics based numerical techniques, and large scale patient-specific simulations to predict progression of disease mediated by onset and progression of tear in relevant soft tissues. Our research is expected to yield mechanism-based information of early disease progression resulting in timely clinical intervention.
Mechanical Reliability of Energy Storage Materials
Alkali ion based rechargeable batteries (AIB) are currently at the forefront of electrical energy storage technologies. However, advanced electrode materials for AIBs (right) often suffer from mechanical reliability issues over repeated electrochemical charge and discharge cycles, hindering their commercial potential. Thus there is a
critical need to tightly couple mechanical failure response of these materials with its electrochemical performance. Our research goal is to develop coupled multiphysics models for electrode materials linking atomistic scales to continuum, simulate their mechanical integrity under operating electrochemical conditions, and discover optimized material and morphology to meet specific performance goals. We develop a host of experimentally informed predictive modeling and simulation tools spanning multiple length and time scales to achieve this goal.
29 DEPARTMENT OF BIOENGINEERING BIOENGINEERING
BIOENGINEERING
Ramakrishna Mukkamala, PhD Professor
Professor, Anesthesiology and Perioperative Medicine Professor, Electrical and Computer Engineering Director, Cardiovascular Health Tech Laboratory
Laboratory Overview
The primary aim of the Cardiovascular Health Tech Laboratory is to establish new physiologic monitoring paradigms for unprecedented screening, diagnosis, and therapeutic guidance of the array of cardiovascular diseases. Our research integrates (1) physiology in the form of mathematical or qualitative models; (2) data analytics including signal processing, parameter estimation, system identification, and machine learning; and (3) sensors such as those already in clinical use or in mobile devices, emerging wearables, and multi-transducer systems. We collaborate with clinicians at UPMC to validate the integrated concepts in patients under diverse physiologic conditions. In this way, our multidisciplinary research may ultimately help in reaching the full potential of cardiovascular health technology.
Current Projects
• Cuffless blood pressure measurement to improve hypertension awareness and control
• Incorporation of absolute blood pressure sensing into smartphones
• Investigation of aortic pulse wave velocity for passive tracking of blood pressure changes
• Dissemination of knowledge in the burgeoning field
• Advanced hemodynamic monitoring to guide therapy in the operating room and intensive care unit
• Creation of a minimally invasive cardiac output monitor that is now being used in patients
• Development of a multi-parameter hemodynamic monitor via a single, convenient device
• Congestion monitoring to reduce hospitalizations
• Development of mobile devices and analytics to track heart pressures
• Application to heart failure patients and women with hypertensive disorders of pregnancy
• Convenient vascular assessment to improve screening and surveillance of aortic aneurysms
Select Publications
Yavarimanesh M, Cheng HM, Chen CH, Sung SH, Mahajan A, Chaer RA, Shroff SG, Hahn JO, Mukkamala R. Abdominal aortic aneurysm monitoring via arterial waveform analysis: towards a convenient, point-of-care device. npj Digital Medicine, 5(1):168, 2022.
Mukkamala R, Stergiou GS, Avolio AP. Cuffless blood pressure measurement. Annual Review of Biomedical Engineering, 24:203-230, 2022.
Mukkamala R, Yavarimanesh M, Natarajan K, Hahn JO, Kyriakoulis KG, Avolio AP, Stergiou GS. Evaluation of the accuracy of cuffless blood pressure measurement devices: challenges and proposals. Hypertension, 78(5):1161-1167, 2021.
Mukkamala R, Kohl BA, Mahajan A. Comparison of accuracy of two uncalibrated pulse contour cardiac output monitors in off-
pump coronary artery bypass surgery patients using pulmonary artery catheter-thermodilution as a reference. BMC Anesthesiology, 21(1):189, 2021.
Chandrasekhar A, Kim CS, Naji M, Natarajan K, Hahn JO, Mukkamala R. Smartphone-based blood pressure monitoring via the oscillometric finger pressing method. Science Translational Medicine, 10(431):eaap8674, 2018.
30 DEPARTMENT OF BIOENGINEERING
408 Benedum Hall | 3700 O’Hara Street | Pittsburgh, PA 15261 P: 412-624-8625 rmukkamala@pitt.edu https://www.engineering.pitt.edu/chtl
123 Benedum Hall | 3700 O’Hara Street | Pittsburgh, PA 15261
P: 412-624-5688
mredfern@pitt.edu
Background and Research Overview
Dr. Redfern is the William Kepler Whiteford Professor with a primary appointment in the Department of Bioengineering. He also holds secondary appointments in the Otolaryngology, Physical Medicine and Rehabilitation and Physical Therapy. His research spans a number of topics in the biomechanics, control of human movement and ergonomics. One of his long-standing research interests has been postural control and the rehabilitation
Examples of Ongoing Research Projects
of patients with balance disorders. He takes an engineering systems approach to modeling and understanding how various pathologies affect patients and what types of interventions can improve diagnosis and treatment. The influence of aging on balance control and the prevention of falls has been of particular interest. Dr. Redfern’s research is truly interdisciplinary, working on funded projects with researchers from Otolaryngology,
Mark Redfern, PhD
Interim Department Chair
William Kepler Whiteford Professor
Rehabilitation Science, Engineering (Industrial, Electrical, Mechanical), the Robotics Institute at CMU, Physical Therapy, Psychiatry, and others. He has published over 150 peer-reviewed journal articles and his work has been cited in over 5,000 publications. His past funding has come from a variety of sources including federal (NIH, NIOSH, NSF, VA, CDC), foundations, and industry, totaling $16.5 million.
Postural Control in the Elderly: Falls are the leading cause of injury in adults aged 65 and older. There are multiple factors involved, including reduced balance control, cognitive problems, poor vision, and medications. We are conducting studies to investigate how aging affects postural control resulting in instability and ultimately to falls. The most recent study investigates how reduced cognitive function impacts balance and stability. The study explores why certain aspects of cognition, such as decision processing speed, inhibitory function and visuospatial ability, have an impact on postural control and changes in these aspect of cognition can have a detrimental effect on balance and stability.
Vestibular Disorders: Patients with either central or peripheral vestibular disorders suffer from dizziness and imbalance. Current research conducted in partnership with the UPMC Center for Balance Disorders examines how patients with these disorders can improve function through vestibular rehabilitation therapies. The studies examine how sensory compensation occurs and explores improved therapeutic techniques, such as virtual reality to help patients suffering with different types of disorders.
Human Factors Engineering of Medical Devices: One critical aspect of developing and designing medical devices is understanding user-device interface. Human factors engineering focuses on designing devices to meet the capabilities of the user. One current project, in collaboration with the Food and Drug Administration, focusses on understanding the critical gaps in the design of medical devices from a human factors perspective and developing a decision support system to aid in the design process. Another recent project, the Human Factors of Aging, funded by the NIH, provides support for investigators who are translating their research into new devices and interventions for older adults.
31 DEPARTMENT OF BIOENGINEERING BIOENGINEERING
Partha Roy, PhD Associate Professor Department of Pathology
Actin Cytoskeleton in Health and Disease
Dynamic reorganization of actin cytoskeleton, a key feature of virtually all actin-dependent cellular processes, is orchestrated by concerted actions of various classes of actin-binding proteins and their transcriptional/posttranscriptional regulators. Dysregulation of many of these proteins contributes to a wide range of pathologies including malignant progression of cancer and metastasis, immune dysfunction and aberrant neovascularization in various disease contexts. Our overall research focus is studying the role of selective actin-associated proteins and their regulators (transcriptional and post-transcriptional) in physiology and pathology at the molecular levels. Specifically, we are aiming to 1) understand the role of some of these proteins in the regulation of tumor growth, specific steps of dissemination, metastatic colonization, and drug-sensitivity of cancer cells, 2) identify novel small molecules that have potential to suppress tumor metastasis, 3) identify novel anti-angiogenic compounds and 4) elucidate novel molecular regulation of key controllers of cell migration.
Major techniques: Protein biochemistry (immunoprecipitation, 2D gel electrophoresis), gene cloning, immunocyto/histochemistry, live cell imaging, cell migration/invasion, FRET, small molecule screening, mouse models of tumor progression (tumor graft, genetically engineered), angiogenesis assays (in vitro, ex vivo and in vivo), functional genomics and proteomics.
Selected Representative Publications:
1) Chakraborty S., Jiang C., Gau D., Oddo M., Ding Z., Vollmer L., Joy M., Schiemann W., Stolz D., Vogt A., Ghosh S., Roy P. (2018) Profilin-1 deficiency leads to SMAD3 upregulation and impaired 3D outgrowth of breast cancer cells British J. Cancer Oct 15. doi: 10.1038/s41416-018-0284-6.
2) Gau D., Lewis T., McDermott L., Wipf P., Koes D., Roy P. (2018) Structure-based virtual screening identifies a small molecule inhibitor of the profilin1-actin interaction. J. Biol Chem Feb 16; 293(7):2606-2616.
3) Joy M, Gau D, Castellucci N., Prywes R., Roy P. (2017) The Myocardin-related transcription factor MKL co-regulates the levels of two profilin isoforms J. Biol Chem May 25. pii: jbc.M117.781104. doi: 10.1074/ jbc.M117.781104.
4) Ding Z., Joy M., Bhargava R., Gunsaulus M., Lakshman N., Miron-Mendoza M. Petroll M., Condeelis J., Wells A., Roy P. (2014) Profilin-1 downregulation has contrasting effects on early vs late steps of breast cancer metastasis Oncogene 33(16):2065-74.
5) Bae Y., Ding Z., Das T. Wells A., Gertler F., Roy P. (2010): Profilin1 regulates PI(3,4)P2 and lamellipodin accumulation at the leading edge thus influencing motility of MDA-MB-231 cells PNAS 107(50): 21547-21552.
6) Zou L., Jaramillo M., Whaley D., Wells A., Panchapakesa V., Das T., Roy P. (2007): Profilin-1 is a negative regulator of mammary carcinoma aggressiveness. British Journal of Cancer 97: 1361-1371.
A. FRET imaging of protein-protein interaction
B. Sprouting angiogenesis from endothelial cell spheroids
C. Small molecule docking at protein-protein interface
D. Bioluminescence imaging of breast cancer metastasis
7) Ding Z., Lambrechts A., Parepally M., Roy P. (2006): Silencing profilin-1 inhibits endothelial cell proliferation, migration and cord morphogenesis. Journal of Cell Science 119: 4127-4137.
8) Rajfur Z., Roy P., Otey C., Romer L., Jacobson K. (2002): Dissecting the link between stress fibers and focal adhesions by CALI of EGFPfusion proteins. Nature Cell Biology 4(4): 286-293
9) Roy P., Rajfur Z., Jones D., Marriott G., Loew L., Jacobson K. (2001): Local photorelease of caged-Tß4 in locomoting keratocytes causes cell turning. Journal of Cell Biology 153 (5): 1035-1048.
32 DEPARTMENT OF BIOENGINEERING
BIOENGINEERING
306 CNBIO | 300 Technology Drive | Pittsburgh, PA 15219 P: 412-624-7867 F: 412-383-8788 par19@pitt.edu Partha.Roy@pitt.edu
210 Center for Biotechnology | 300 Technology Drive | Pittsburgh, PA 15219
P: 412-383-9744
warrenr@pitt.edu
www.warrenruder.com/
Engineered Living Systems and Synthetic Biology Lab
The Engineered Living Systems and Synthetic Biology Lab focuses on applying synthetic biology constructs, methods, and paradigms to solve a range of medical, industrial, and environmental problems. Our mission includes both understanding the fundamental biology of natural bioprocessing systems as well as re-engineering these systems with synthetic control circuits. We have expertise in multiple fields including gene circuit engineering, cell physiology and biomechanics, microfluidics, MEMS, and biomaterials. The research team currently develops new approaches in synthetic biology and links these technologies with biomimetic systems that mimic cell, tissue, and organism physiology. Active research areas include:
(1) creating synthetic control modules for 2nd-messenger signaling in neurons
(2) a living, bacterial microbiome for a
biomimetic, robotic host, (3) artificial and engineered living microbiome constituents that deliver nutrients within organ-on-achip systems, (4) synthetically engineered cells that control material assembly, and (5) a biomimetic biofilm that combines microfluidics with synthetic biology to enable the discovery and monitoring of
Warren C. Ruder, PhD Associate Professor
spatially segregated phenotypes within cell populations. These systems hold significant promise for both elucidating fundamental principles of physiology while also serving as new technologies for biomechanical engineering.
Biographical Highlights
Dr. Warren Ruder moved his research group to the University of Pittsburgh’s Bioengineering department in January of 2017. Previously, he spent four and half years as an assistant professor in Virginia Tech’s Biological Systems Engineering department, where he led the Engineered Living Systems Laboratory. His expertise is in synthetic biology, cellular and molecular biomechanics, and lab-on-a-chip systems. Dr. Ruder received his PhD in Biomedical Engineering and his M.S. in Mechanical Engineering from Carnegie Mellon University, and his BS in Civil and Environmental Engineering from MIT. From 2003-2005, he was a Health Science Specialist at the Veterans Affairs Boston Healthcare System and Harvard Medical School. From 2005-2009, Dr. Ruder was an inaugural NIH trainee in the Pitt-CMU Biomechanics in Regenerative Medicine program and a Dowd graduate fellow in the groups of Phil LeDuc and Jim Antaki. From 2010-2012, he was a postdoctoral research associate in the group of Jim Collins at Boston University (now at MIT), and Harvard University’s Wyss Institute for Biologically Inspired Engineering.
33 DEPARTMENT OF BIOENGINEERING BIOENGINEERING
Joseph Thomas Samosky, PhD Assistant Professor
Simulation and Medical Technology Laboratory
The Sim|Med|Tech Lab is a multidisciplinary research, development and innovation center directed by Dr. Joseph Samosky. Our mission is to integrate design, engineering and clinical medicine to invent next-generation enabling technologies for simulationbased healthcare training and new “smart” medical devices. Our ultimate goals are improving patient care and enhancing patient safety. Simulation-based training in healthcare offers hands-on, experiential learning with objective feedback while not exposing real patients to risk during training. Just as flight
simulation revolutionized crew training and dramatically improved safety in aviation, simulation-based experiences can promote learning and enable medical students, physicians, nurses and first responders to practice skills and receive quantitative feedback on their performance before treating actual patients. Our research centers on the development of both fundamental new enabling technologies and practical systems for healthcare simulation, the user-centric design of real-time interactions, sensors, advanced information displays, learner-adaptive feedback, and autonomous operation.
BodyExplorer Augmented Reality Simulator
BodyExplorer is a next-generation medical simulator designed to enhance the ability of healthcare trainees to learn anatomy, physiology and clinical procedures though naturalistic interaction with an augmented reality enhanced full-body simulated patient. BodyExplorer is designed to enable 24/7 on-demand training and self-learning for students by providing an intuitive interface, immediate feedback and automated instruction using a highly sensorized physical body, projected augmented reality (AR), and an integrated virtual instructor. AR enables “x-ray vision” views inside the body, enabling trainees to see the internal effects and consequences of their actions. We have developed novel sensor systems for common clinical procedures such as identifying injected drugs and sensing the depth of insertion of an endotracheal tube. Injection of cardioactive drug simulants, for example, results in automatic changes to heart rate, audible heart sounds and displayed ECG waveforms.
Laboratory Director Dr. Joseph Samosky
Dr. Samosky received his PhD in Medical Engineering from the Massachusetts Institute of Technology and the Harvard-MIT Division of Health Sciences and Technology. He received his MS in Electrical Engineering and Computer Science from MIT, and his BS in Behavioral Neuroscience and BSE in Electrical Engineering from the University of Pittsburgh. His work has been recognized with the first-place award for technology innovation at the International Meeting on Simulation in Healthcare, a Coulter Translational Research Award, and exhibition at the ACCelerate Creativity and Innovation Festival at the Smithsonian Institution. Dr. Samosky is an enthusiastic advocate of experiential learning, design thinking and project-based, hands-on engineering education. He has mentored over 150 bioengineering students in senior design projects and also teaches in the Department of Bioengineering’s Medical Product Innovation graduate program.
34 DEPARTMENT OF BIOENGINEERING BIOENGINEERING
329 Benedum Hall | 3700 O’Hara Street | Pittsburgh, PA 15261 P: 412-624-7351 jts35@pitt.edu
Thomas E. Starzl Biomedical Science Tower E1253 200 Lothrop Street | Pittsburgh, PA 15213
djss87@pitt.edu
Research Interest
Daniel Shiwarski, PhD Assistant Professor Department of Medicine Principal Investigator, Vascular Medicine Institute School of Medicine
Hypertension, or high blood pressure, is a vascular disease that effects over 116 million Americans (46% of the adult population) resulting in half a million deaths and $131 billion in healthcare costs annually. Considerable research has focused on hypertension and developing pharmacological treatments to lower blood pressure. Yet, we still lack an adequate understanding of how the vascular 3D microenvironment drives disease through the complex interdependence of cell generated forces, pulsatile flow, extra cellular matrix (ECM) production, and molecular signaling. The Shiwarski Tissue Engineer Laboratory is interested in how high blood pressure alters the structure and function of small diameter blood vessels. By integrating advanced 3D bioprinting, regenerative medicine, and microfluidics we develop novel experimental platforms to investigate relationships between engineered 3D tissue structure, extracellular matrix composition, biomechanical forces, and altered receptor signaling that drives vascular tissue maturation and hypertensive disease pathology.
Goal
To create an open and inclusive environment that encourages technical innovation and promotes the application of engineering principles to answer biological questions for clinical translation by integrating vascular mechanobiology with cell biology, microscopy, biomechanics, and tissue engineering.
Current Projects
1. Developing advanced bioengineering techniques to create functional tissues from collagenbased microfluidics with complete spatial control of the 3D cellular and ECM composition.
2. Engineering a small diameter resistance artery achieving control of vascular tone.
3. Investigating how pathologic ECM composition alters receptor trafficking and impairs vascular reactivity by developing biomaterials to replicate a healthy and hypertensive vessel microenvironment.
FRESH 3D Bioprinting of ECM CHIPS
The key innovation in Freeform Reversible Embedding of Suspended Hydrogels (FRESH) 3D bioprinting is the extrusion and embedding of an ECM hydrogel within a support bath that holds the extruded gel in place during printing. In a recent publication in Science we showcased FRESH by 3D printing collagen-I into functional components of the human heart. Multiple bioinks can be printed including alginate, fibrin, collagen-I, methacrylated hyaluronic acid, decellularized ECM, and Matrigel demonstrating our ability to utilize a range of bioinks to tune scaffold composition. Our lab continues to develop open source bioprinting hardware and software ensuring that our technology will be widely accessible to the scientific community. Recently, we created a collagenbased 3D bioprinted vascular microfluidic platform using FRESH bioprinting (CHIPS) as well as the development of a custom perfusion bioreactor for long-term perfusion culture (VAPOR). Together, these systems establish the foundation for design and fabrication to accurately and reproducibly bioprint any 3D fluidic channel design within a collagen-scaffold. At the University of Pittsburgh in the Departments of Bioengineering and Vascular Medicine Institute we collaborate with many investigators from the School of Medicine and Carnegie Mellon University to incorporate physiological readouts, bioelectronics, and real-time fluorescence imaging into our platforms for organ-on-chip systems to study human vascular, kidney, and pancreatic disease.
A) Render of collagen microfluidics.
B) Illustration of custom perfusion bioreactor.
C) Collagen microfluidic chip embedded in FRESH support bath.
D-E) Internal cross-sections of CHIPS acquired with optical coherence tomography
F) Dye perfusion of CHIPS
G-H) Perfusion System
I) Endothelial lining of CHIPS
35 DEPARTMENT OF BIOENGINEERING BIOENGINEERING
Sanjeev G. Shroff, PhD
Interim U.S. Steel Dean of Engineering
Distinguished Professor of and McGinnis Chair in Bioengineering Professor of Medicine
Cardiovascular Systems Laboratory
Our research interests are focused on three areas: (1) Relationships between left ventricular mechano-energetic function and underlying cellular processes, with a special emphasis on contractile and regulatory proteins and post-translational regulation of cardiac contraction (e.g., via phosphorylation or acetylation). Whole heart, isolated muscle (intact and detergent-skinned), and single cell experiments are performed using various animal models, including transgenic mice. (2) The role of pulsatile arterial load (vascular stiffness in particular) in cardiovascular function and potential therapeutic applications of vascular stiffness-modifying drugs
Post-translational Regulation of Cardiac Muscle Contraction
and/or hormones (e.g., relaxin). Novel noninvasive measurement techniques are used to conduct longitudinal human studies, which are complemented by in vivo and in vitro vascular and cardiac studies with animal models. (3) The role of regional contraction dyssynchrony in global ventricular mechanics and energetics. In addition to basic research, we work on developing novel mathematical models of biological systems for scientific inquiry, education, and engineering design. Two ongoing research projects are described below.
Phosphorylation-mediated regulation of cardiac muscle contraction has been studied extensively. Our group has been focusing on cardiac Troponin I (cTnI), especially the effects of PKA- vs. PKC-mediated cTnI phosphorylation on cardiac contraction under normal and pathological conditions.1,2 In collaboration with the Gupta laboratory (University of Chicago), we discovered a completely new post-translational modification, myofilament protein acetylation, that can regulate cardiac muscle contraction as potently as phosphorylation (acetylation ==> myofilament calcium sensitivity for force generation).3,4 Experiments are currently underway to determine the biophysical mechanisms responsible for this novel contractile regulation and to examine its physiological significance under in vivo conditions. This basic science information regarding the post-translational regulation of contraction is being used to develop novel inotropic therapies.
Role of Relaxin in the Cardiovascular System
Our group has been working on examining the role of relaxin, traditionally considered to be a pregnancy-associated hormone, in the cardiovascular system. We have shown that exogenous relaxin administration produces significant vasodilation ( systemic vascular resistance) and vasorelaxation ( global arterial compliance) in both male and female animals.5 Furthermore, relaxin-1 and its receptor mRNA are expressed in vascular tissues obtained from various mammals of both sexes, leading us to propose that the relaxin ligand-receptor system acts locally to regulate arterial function and the loss of one or both of these components may form the molecular basis of vascular aging.6 We and others have shown that relaxin is a potent anti-fibrotic agent. In collaboration with the Salama laboratory (University of Pittsburgh), we recently showed that relaxin administration completely suppressed induced atrial fibrillation in aged spontaneously hypertensive rats and both the reversal of myocardial fibrosis and an increase in myocyte sodium current contributed to this suppression.7 Current studies are aimed at further examining the therapeutic potential of relaxin in fibrosis-associated cardiovascular diseases (e.g., diastolic heart failure, atrial fibrillation).
36 DEPARTMENT OF BIOENGINEERING
BIOENGINEERING
302 Benedum Hall | 3700 O’Hara Street | Pittsburgh, PA 15261 P: 412-624-2095 sshroff@pitt.edu
1. MacGowan G, et al. Cardiovasc Res. 63:245-255, 2004.
2. Kirk JA, et al. Circ Res. 105:1232-1239, 2009.
3. Gupta MP, et al. J Biol Chem. 283 (15):10135-10146, 2008.
4. Samant SA, et al. J Biol Chem. 290:15559-15569, 2015.
5. Conrad KP, Shroff SG. Curr Hypertens Rep. 13:409-420, 2011.
6. Novak J, et al. FASEB J. 20:2352-2362, 2006.
7. Parikh A, et al. Circ Res. 113:313-321, 2013.
302 Benedum Hall | 3700 O’Hara Street | Pittsburgh, PA 15261
P: 412-624-7762
stetten@pitt.edu
http://www.vialab.org
Primary Research Areas
The Visualization and Image Analysis (VIA) Laboratory, directed by George Stetten, MD, PhD, is developing new methods of displaying and analyzing images, primarily for medical applications. We have introduced a new device called the Sonic Flashlight® for guiding invasive medical procedures by placing ultrasound images directly within the patient (see top figure below), so that the clinician can see the internal anatomy in-situ, visually fused with the external anatomy and the surgical tool. After extensive development and successful testing in patients for the placement of catheters in the deep veins
Background and Further Research
of the arm, we are currently looking for partners to commercialize the technology based on issued US and foreign patents to the University of Pittsburgh. With more than a decade of continuous funding from the NIH, we have extended the approach to holography-based displays and are currently developing a similar in-situ image guidance system to display optical coherence tomography under the surgical microscope to guide eye surgery. We are also developing a system called ProbeSight, using video cameras mounted on the ultrasound transducer to the incorporate visual information from the
Professor of Bioengineering, University of Pittsburgh and Adjunct Research Professor, Robotics Institute, CMU. MD, State University of New York, Health Science Center at Syracuse, 1991; PhD (Biomedical Engineering), University of North Carolina at Chapel Hill, 1999. Dr. Stetten’s recent research interests include image-guided surgery using an ultrasound device he invented called the Sonic Flashlight, and various adaptations of the underlying principle of in-situ image guidance, including one based on Optical Coherence Tomography for microsurgery. In addition, he is developing image analysis techniques for automated identification and measurement of anatomical structures, in particular vasculature in the brain and bones in joints using dynamic stereoscopic x-ray. He was a founding member of the National Library of Medicine’s Insight Toolkit for image segmentation and registration and is a fellow in the American Institute of Medical and Biological Engineering. Working with Roberta Klatzky in CMU Psychology, he has developed a technology called FingerSight for the vision impaired, which involves fingertip video cameras linked to vibratory stimulators. He is also developing a new surgical tool that magnifies the sense of touch, enabling the surgeon to feel forces during delicate procedures. His teaching efforts include the development of a new open-standard testing format, enabling instructors to create and score their own multiple choice exams, called LaTeX Open-Format Testing (LOFT) and a student-built electronics instrumentation package called the PittKit. He is the founding director of the Music Engineering Laboratory in the Swanson School of Engineering and teaches a new honors course in the Engineering Foundations of Music.
A list of publications can be found at: http://www.vialab.org/main/Publications/OriginalPapers.html
George Stetten, MD, PhD Professor
surface of the patient with the ultrasound data for better anatomical localization. Most recently, we are developing a new type of surgical tool, the Hand-Held Force Magnifier, which provides a magnified sense of force at the tip of the tool for microsurgery (lower figure), by actively pushing or pulling on the handle of the tool relative to a brace attached to the back of the hand. Other projects include FingerSight TM to allow visually impaired individuals to sense the visual world with their fingertip, as well as automated image analysis systems for 2D and 3D medical images.
37 DEPARTMENT OF BIOENGINEERING BIOENGINEERING
Gelsy Torres-Oviedo, PhD
Associate Professor Co-director, Human Movement Research Laboratory
Motor Adaptation Research Laboratory
We investigate the ability of the human motor system to adapt walking patterns and learn new movements upon sustained changes in the environment. I am interested in improving the gait of patients with unilateral cortical lesions, such as stroke. To this end, I also study how to stimulate learning mechanisms in post-stroke survivors via locomotor adaptation paradigms. I particularly focus on investigating 1) the adaptability of muscle coordination in patients and healthy subjects when they experience novel walking conditions, 2) the functional
Development of Personalized Gait Rehabilitation Post-stroke
consequences (i.e., biomechanical changes) of the adapted muscle activity, and 3) the generalization of adaptation effects from treadmill walking to over ground locomotor movements. To attain these goals, I am an expert in quantifying human motor behavior through kinematic, kinetic and muscle activity recordings. I also understand how to design adequate psychophysical experiments to observe the adaptation of locomotion in human subjects with and without neurological disorders. Three ongoing research projects are described below.
A major challenge in physical rehabilitation is developing treatments that are both effective and efficient. Most physical treatments follow a general protocol for all patients, but often do not achieve similar positive results. It is well accepted that personalized treatments would improve clinical outcomes. However, current standard measures are frequently insensitive to detect individual variations across patients. Thus, sensitive measures to patient-specific impairments are needed to customize treatments accordingly. In this project we have two main goals: 1) to examine patientspecific deficits leading to step asymmetry during gait in individuals with stroke, and 2) to develop strategies to specifically target these deficits. To this end, we developed an analytical model and an innovative experimental approach to evaluate what patientspecific deficits underlie step asymmetry post-stroke. Based on this information we target asymmetries specific to each patient. These are key steps towards developing personalized gait rehabilitation after stroke.
Understanding the Effect of Aging in Locomotor Learning
While walking without falling in an ever-changing environment is easily achieved by most of us, older adults frequently fall -leading to fatal and non-fatal injuries. A critical process enabling us to navigate with ease across different terrains is motor adaptation, which allows us to adjust our movements to match environmental demands. For example, we adapt our stepping when walking on icy-surfaces to avoid falling. Despite the relevance of motor adaptation for balance control in walking, little is known about how this process changes with age. Therefore, we investigate the motor adaptation mechanisms available to older adults during locomotion. To this end we will use an innovative split-belt treadmill paradigm, which can be used in the laboratory to create novel environmental conditions by moving the belts independently under each foot. While young adults can adapt their gait during split-belt walking and learn new locomotor patterns, it is not clear if these abilities change with age. This is relevant because if we understand the learning mechanisms available to older adults we will use them to optimize the use of the split-belt treadmill as a rehabilitation tool in older clinical populations.
Understanding Generalization of Locomotor Learning
A primary issue in rehabilitation robotics is the fact that devices like exoskeletons and treadmills correct patients’ movements while using the device but not without them. Several clinical trials have reported limited efficacy of robotic aid in gait rehabilitation -possibly because patients cannot improve their mobility during ‘real-life’ situations off of the training devices. To address this challenge our objective is to identify key factors that regulate the generalization of locomotor learning after stroke. Our rationale is that once factors mediating the generalization of learning are identified, they could be harnessed to develop interventions that would improve the mobility of stroke survivors beyond the clinical setting. In these projects we use a computational framework and experimental approaches that analyze step-to-step changes when subjects transition between treadmill and overground walking. Our results allow us to generate predictions on how to train patients to maximize the positive effects of treadmill-assisted learning to real-life situations.
38 DEPARTMENT OF BIOENGINEERING BIOENGINEERING
406 Benedum Hall | 3700 O’Hara Street | Pittsburgh PA 15213 P. 412-624-2660 gelsyto@pitt.edu
409 CNBIO | 300 Technology Drive | Pittsburgh, PA 15219
P: 412-624-6496 C: 412-383-8788
jpv20@pitt.edu
http://www.engineering.pitt.edu/stbl/
Principal Investigator
Brief Biography
Dr. Jonathan Vande Geest is a Professor in the Department of Bioengineering and holds affiliate faculty positions in the McGowan Institute for Regenerative Medicine, the Louis J. Fox Center for Vision Restoration, the Vascular Medicine Institute, and the Department of Mechanical Engineering and Material Science. He received his BS in Biomedical Engineering from the University of Iowa in 2000 and his PhD in Bioengineering from the University of Pittsburgh in 2005. Dr. Vande Geest joined University of Pittsburgh in January of 2016.
Dr. Vande Geest is a currently a member of the Biomedical Engineering Society (BMES), the American Society of Mechanical Engineers (ASME), the Association of Research in Vision and Ophthalmology (ARVO), the American Heart Association (AHA), the International Society for Applied Cardiovascular Biology (ISACB), and the American Physiological Society (APS). He currently serves as the Chair of the ASME Bioengineering Division Solids Technical Committee and as an Associate Editor for the Journal of Biomechanical Engineering
Current Active Projects
• Assessing the role of the extracellular matrix and cell mechanobiology in primary open angle glaucoma
• Development of a functional biopolymer-based compliance matched tissue engineered vascular graft using human tropoelastin and blood derived endothelial cells
Soft Tissue Biomechanics Laboratory
Jonathan Vande Geest, PhD Professor
The primary goal of the Soft Tissue Biomechanics Laboratory (STBL) is to develop and utilize novel experimental and computational bioengineering approaches to study the structure function relationships of soft tissues in human growth, remodeling, and disease. These relationships are then used to develop and fabricate the next generation of novel endovascular medical devices and bioactive drug therapies.
The STBL achieves this goal by seamlessly bringing together stateof-the-art techniques in tissue characterization, device fabrication, nonlinear optical microscopy, finite element modeling, and cell mechanobiology. This multifaceted approach allows members of the STBL and its interdisciplinary collaborators to expedite the mechanistic understanding and therapeutic treatment of human disease.
• Assessing the role of aortic compliance in the onset of idiopathic vocal fold paralysis
• Experimental and computational optimization of patient specific endovascular medical devices
• Experimental, analytical, and computational modeling of the multiphasic and chemo-mechanically driven growth and remodeling of soft tissues
• Extracellular matrix remodeling of murine aneurysm
39 DEPARTMENT OF BIOENGINEERING BIOENGINEERING
BIOENGINEERING
David A. Vorp, PhD
Senior Associate Dean for Research and Facilities and Professor
Chemical/Petroleum, Mechanical/Materials Science - Secondary Cardiothoracic Surgery, Surgery, Clinical and Translational Sciences Institute Director, Vascular Bioengineering Laboratory
Vascular Bioengineering Laboratory Mission
Pathologies of the vascular system are tightly linked to biomechanical alteration of the vessel wall during disease. By applying our strengths in computational and experimental biomechanics, image analysis, cellular and molecular biology, and tissue engineering, our research mission is to develop regenerative treatments for vascular diseases such as aortic aneurysm and coronary heart disease. In addition to our research
mission, we aim to train the researchers of tomorrow using the most cutting-edge technology available. Ongoing projects in the lab include:
• Assessing the mechanopathobiology of thoracic and abdominal aortic aneurysm
• Creating a novel regenerative therapy for abdominal aortic aneurysm
• Developing a translatable immunoregulatory tissue engineered vascular graft
Vascular Biomechanics: Our group performs both experimental and computational biomechanics studies on tubular tissues; recent studies have focused on aneurysms of the aorta (thoracic and abdominal) and cerebral arteries but we also have experience with the ureter, esophagus, and intestine. On the experimental end, we perform extensive mechanical testing of tissues including tensile and compression tests, indentation tests, perfusion tests, and dynamic mechanical tests. Using mechanical properties determined from experimental testing we build strain energy function models of these tissues and computationally analyze the progression of degenerative disease. We also work with imaging collaborators at the School of Medicine to obtain structural information on human blood vessels; the geometries of these tissues have allowed us to computationally model stress distributions and develop rupture potential indices.
Vascular Tissue Engineering and Regeneration: (1) Our group is developing an autologous tissue engineered vascular graft (TEVG) utilizing immunoregulatory and pro-regenerative cargo seeded into tubular porous synthetic scaffolds. Utilizing our novel cell seeding device which applies rotation and vacuum to a lumenally infused cargo suspension, we are able to seed our vascular grafts rapidly, evenly, and efficiently. Our TEVGs remain patent during rodent and sheep implantation, remodeling extensively in vivo towards a blood vessel-like architecture. (2) Our group is developing a regenerative therapy for abdominal aortic aneurysm that can be delivered adventitially, i.e. avoiding the intralumenal thrombus barrier common in this disease. This therapy, which is intended to preserve/restore the elastic fiber content of the aortic wall, is being developed in conjunction with the Associate Director of the lab, Dr. Justin Weinbaum.
• Using machine learning/artificial intelligence to improve clinical decision making
• Extending our biomechanical analysis to other tubular structures such as the urinary tract, intestine, and esophagus
Our best assets for collaboration pertain to the thrusts of vascular biomechanics and vascular tissue engineering and regeneration
40 DEPARTMENT OF BIOENGINEERING
123 Benedum Hall | 3700 O’Hara Street | Pittsburgh, PA 15261 P: 412-624-5317 vorp@pitt.edu www.engineering.pitt.edu/VorpLab/
Center for Bioengineering, #410 | 300 Technology Drive | Pittsburgh, PA 15219
P: 412-624-9242
juw51@pitt.edu
Twitter: @vascularECM
Engineering Renewal of the Vascular Elastic Matrix
Research Assistant
Justin S. Weinbaum, PhD
Professor of Bioengineering and Pathology Director, Vascular ECM Dynamics Laboratory
Associate Director, Vascular Bioengineering Laboratory Member, McGowan Institute for Regenerative Medicine
Our laboratory uses a multidisciplinary approach. At the fundamental biological level, we are dedicated to understanding how the native extracellular matrix (ECM) orchestrates tissue regeneration. As bioengineers, we use this information to innovate strategies to combat vascular disease. Our central published work has focused on fabricating smalldiameter vascular grafts and slowing the progression of abdominal aortic aneurysms in collaboration with Dr. David Vorp’s Vascular Bioengineering Laboratory. My primary areas of expertise are in ECM biology (particularly with respect to components of the elastic fiber and matricellular proteins), cell-matrix interactions, and three-dimensional biological scaffolds.
In addition to research, I am committed to personalized mentoring of trainees and communicating the importance of science to the greater community.
Established Projects
1) Tissue engineered vascular graft constructs that remodel in-situ to resemble a native vessel with host vascular cells and elastin-rich ECM
2) Elastic fiber regeneration in the context of abdominal aortic aneurysm
Exploratory Projects
3) Designing novel degradable scaffolds functionalized with matricellular protein domains to guide the behavior of smooth muscle cells
4) Establishing three-dimensional models for studying ECM turnover, vascular cell interactions, and behavior of aneurysmal cells
5) Harnessing secreted factors and extracellular vesicles from mesenchymal stem cells to control ECM degradation and regenerate vascular tissues
Smooth muscle cells (pictured) are experts at assembling an extracellular matrix rich in elastic fibers (red) and are the key to both producing elastin-rich vascular grafts and repairing aneurysmal blood vessels.
Selected Publications
Cunnane EM*, Ramaswamy AK*, Lorentz KL, Vorp DA, Weinbaum JS Extracellular Vesicles Derived from Primary Adipose Stromal Cells Induce Elastin and Collagen Deposition by Smooth Muscle Cells within 3D Fibrin Gel Culture. Bioengineering. (2021)
*=equal contribution
Nerger BA, Jones TM, Rose KWJ, Barque A, Weinbaum JS, Petrie RJ, Chang J, Vanhoutte D, LaDuca K, Hubmacher D, Naba A. The Matrix in Focus: New Directions in Extracellular Matrix Research from the 2021 ASMB Hybrid Meeting Biology Open. (2021)
Ramaswamy AK, Vorp DA, Weinbaum JS Functional Vascular Tissue Engineering Inspired by Matricellular Proteins. Frontiers in Cardiovascular Medicine. (2019)
41 DEPARTMENT OF BIOENGINEERING BIOENGINEERING
BIOENGINEERING
Savio L-Y. Woo, PhD, D.Sc., D.Eng.
Distinguished University Professor Emeritus Director, Musculoskeletal Research Center
Knee Joint Biomechanics & Robotics Laboratory
Tissue Mechanics Laboratory
Mechanobiology Laboratory
Dr. Savio L-Y. Woo is a Distinguished University Professor Emeritus of Bioengineering and the Founding Director of the Musculoskeletal Research Center (MSRC). Dr. Woo is a pioneer in bioengineering and is renowned for his 50+ years of translational research in healing and repair of tissues. Together with hundreds of students, residents, fellows and junior faculty members, the teams have published 311 original research papers in refereed journals as well as 158 book chapters and review articles. The outcome of their work has directly impacted the management of ligament and tendon injuries including clinical paradigm shifts that has led to significant improvement in patient outcome.
Dr. Woo’s research has focused on: 1) accurate measurement of the biomechanical properties of ligaments and tendons and in-vitro and in-vivo joint mechanics and function, and 2) using functional tissue engineering (FTE) strategies to biologically accelerate the healing and regeneration of ligaments and tendons. Dr. Woo is the inventor of the robotic/UFS testing system, or “Smart” Robot, to determine joint kinematics under unrestricted, multiple degrees-offreedom (DOF) motion and in-situ forces of soft tissues and their replacements in a non-contact way. The system collects data of ligaments and their replacement grafts from the same specimen; thus eliminates interspecimen variations and increases statistical power (repeated measures ANOVA). This powerful apparatus has been adopted by more than 30 other laboratories.
Dr. Woo has worked in collaboration at the Steadman Philippon Research Institute on using a bi-planar fluoroscopy system that can capture bone motions to within 0.2mm/0.2° accuracy. Thus, this new system can obtain in-vivo kinematic data to help characterize the function of the anterior cruciate ligament (ACL) and understand mechanisms of ACL injury that could lead to better ways for injury prevention.
More recently, Dr. Woo and his team have designed biodegradable and bioresorbable magnesium (Mg) devices. These devices can aid soft tissue (e.g. ACL) healing and then programmed to degrade so that the healing tissue would take over the loads so that it could become better and stronger. The devices can also be used together with extracellular matrix scaffolds and hydrogels to further accelerate the healing process.
Selected Referenced Journal Articles
Woo, S.L-Y., Fox, R.J., Sakane, M., Livesay, G.A., and Rudy, T.W.: Biomechanics of the ACL: Measurements of In Situ Force in the ACL and Knee Kinematics. Knee, 5:267-288, 1998.
Torry, M.R., Shelburne, K.B., Peterson, D., Giphart, J.E., Krong, J., Steadman, J.R., Woo, S.L-Y.: Knee Kinematic Profiles During Drop Landings: A Bi-Plane Fluoroscopy Study. Medicine & Science in Sports & Exercise, 43(3):525-532, 2011.
Farraro, K.F., Kim, K.E., Woo, S.L-Y., Flowers, J.R., McCullough, M.B.: Revolutionizing Orthopaedic Biomaterials: The Potential of Biodegradable and Bioresorbable Magnesium-Based Materials for Functional Tissue Engineering. J. of Biomechanics, 47(9):1979-1986, 2014.
42 DEPARTMENT OF BIOENGINEERING
405 Center for Bioengineering | 300 Technology Drive | Pittsburgh, PA 15219 P: 412-648-2000 F: 412-648-2001 ddecenzo@pitt.edu
ioz1@pitt.edu www.zervalab.org
Tumor Microenvironment Engineering Laboratory
Understanding cell behavior in native tumor microenvironments and developing new strategies to deliver therapeutics directly to tumor cells are critical in improving and extending patients’ lives. Our lab employs a quantitative approach that integrates microfluidics,
Research Projects
systems biology modeling, and in vivo experiments to investigate the role of the tumor microenvironment on breast and ovarian cancer growth, metastasis and drug resistance. Our goal is to develop bioengineered tumor microenvironment platforms and apply them to improve understanding of tumor-stromal
1. Cellular dynamics in stroma-rich breast cancer microenvironments
Advanced HER2+ breast cancer has a poor prognosis; improving patient outcomes will depend on elucidating mechanisms of therapy resistance. Motivated by our in vitro coculture studies, we hypothesized that fibroblasts activate tumor cell pro-survival signaling and contribute to drug resistance. To dissect mechanisms of fibroblast-mediated therapy resistance we measure the dynamics of breast cancer cells to HER2-targeting therapy using microfluidic tumor slice cultures and controlled co-culture assays. By integrating live cell death measurements with mathematical modeling we explore mechanisms of cell-cell communication and develop an integrative framework to predict therapy resistance in breast tumors that exhibit different stromal fibroblast densities.
2. Microfluidic models of ovarian cancer metastasis
Ovarian cancer is oftentimes not detected until after metastases have occurred. The mechanisms of tumor cell survival during metastatic spread and the role of biomechanical and biochemical factors on ovarian cancer invasion remain poorly understood. We have developed a microfluidic device to control the interactions of ovarian cancer cells with a mesothelial barrier and macrophages under fluid flow. The goal of this project is to determine the role of fluid flow-induced forces and biochemical factors secreted by macrophages on ovarian cancer invasion.
3. Localized drug release and single-cell technologies in cancer therapies
We have developed a 3D acoustofluidic platform to monitor heating-induced localized drug release and study mechanisms of thermal cytotoxic therapy enhancement in invasive ovarian cancer. To improve therapies targeting heterogeneous ovarian cancers we are engineering single-cell microwell assays that enable screening of patient-derived cells and xenograft models.
Ioannis Zervantonakis, PhD Assistant Professor UPMC Hillman Cancer Center
signaling mechanisms in order to: (1) discover biomarkers that guide new drug development and improve prognosis, (2) develop new strategies to improve existing treatment protocols and (3) engineer microfabricated tools that enable screening and personalization of cancer therapies.
43 DEPARTMENT OF BIOENGINEERING BIOENGINEERING
for Bioengineering | 300 Technology Drive | Pittsburgh, PA 15219
Center
DEPARTMENT OF
CHEMICAL & PETROLEUM ENGINEERING
CHEMICAL & PETROLEUM ENGINEERING
Ipsita Banerjee, PhD Associate Professor
Department of Bioengineering (Secondary) McGowan Institute for Regenerative Medicine
Our research group is organized around design and development of engineering strategies for next-generation therapy. On one hand we design engineering tools for stem cell based regenerative therapy.
In parallel we develop systems level mechanistic models of cell signaling pathways for various disease models as well as to understand self-renewal and differentiation of pluripotent stem cells.
Systems Analysis of Cell Signaling Pathways
Cells sense and respond to their surrounding environment via cell signaling pathways, which is critical for their normal function. Deregulation of these pathways results in pathogenic conditions. Our goal is to develop experimentally verified mathematical models of the cell signaling pathways critical for the normal function of the cells, and identify specific deregulations resulting in pathogenic conditions. In particular we have developed mechanistic model of the PI3K/ AKT pathway driving self-renewal of human pluripotent stem cells and TGFβ pathway driving their endoderm specific differentiation. These two pathways have strong interactions between them, which we resolve using Boolean models and Dynamic Bayesian Networks.
During the process of differentiation the cell cycle behavior of stem cells also undergo a rapid dynamic transition. We use stochastic population models to track this dynamics of cell cycle transition from population level experimental data. This approach allows us to quantify the heterogeneity in the cell population, and the evolution of heterogeneity with differentiation.
Engineering of Regenerative Organs
Functional organs typically rely on the coordinated function of multiple organ specific cell populations. Supporting vasculature and mesenchyme are also known to be key contributors to proper organ function. Our goal is to engineer human pancreatic islets by reconstructing the islet’s native microenvironment.
We are designing multi-component ‘organoid’ systems composed of stem cell derived pancreatic cell populations, engineered microvasculature, and supporting mesenchyme. The organoid spontaneously self-organizes on a designed hydrogel to synergize vascularization with islet maturation.
This platform allows us to closely capturing the intricate cooperative relationship between islet cell populations. We also design composite natural hydrogels to facilitate three dimensional culture and differentiation of stem cells. These scaffolds, derived from alginate, chitosan, fibrin, and native decellularized pancreas ECM provide physical cues to the encapsulated cells, along with enhancing the effect of soluble chemical cues. Cell-cell interactions established by the 3-D scaffolds along with cell-extracellular matrix interactions synergize towards enhanced functionality of the differentiated phenotype.
46 DEPARTMENT OF CHEMICAL AND PETROLEUM ENGINEERING
930 Benedum Hall | 3700 O’Hara Street | Pittsburgh, PA 15261 P: 412-624-2071 C: 412-624-2041 ipb1@pitt.edu
153E Benedum Hall | 3700 O’Hara Street | Pittsburgh, PA 15261
P: 412-624-4828
beckman@pitt.edu
We are interested in molecular design and engineering, both for the creation of more sustainable chemical products and for applications that will improve health care outcomes. In the case of the former, we endeavor to employ life cycle impact analysis to examine current solutions to identify key environmental bottlenecks, hence allowing creation of more sustainable alternatives. Our ultimate
Life Cycle Analysis and Polymer Design
Eric J. Beckman, PhD
George M. Bevier Professor of Engineering Co-Director, Mascaro Institute for Sustainable Innovation
goal is to fulfill the desired outcomes of the users of chemical technologies while reducing life cycle impacts across the board and thus avoiding the need to employ value judgments in a less-thanadequate way to deal with trade-offs. In collaboration with Robert Enick’s group, we are designing molecules that allow replacement of water by liquid CO2 in oil and gas production. Finally,
Bisphenol A has been identified as a possible endocrine disruptor, rendering the use of Bisphenol A polycarbonate (BAPC) in a number of human-contact applications suspect. At the same time, BAPC’s combination of transparency, high impact strength, and robustness at higher temperatures present high hurdles for competing materials. Eastman recently introduced a BPA-free copolyester designed to compete with BAPC, and we looked at its life cycle impacts.
we also employ molecular design to try to create products that improve healthcare outcomes. For example, tissue engineering work on lysine-based polyurethanes in our lab led directly to the creation of TissuGlu® surgical adhesive for use in eliminating the need for drains following flap surgery, as well as Sylys® surgical sealant for use in reducing anastomotic leakage following bowel surgery.
Upon comparing the LCIA of the BAPC process tree (shown above) and that of the Tritan copolyester (partial life cycle shown to the left), we found a number of interesting facets. First, although the phosgene used to make BAPC has received most of the attention in previous green re-design schemes, it is the phenol that dominates the overall life cycle impacts. Further, the life cycle impacts of the Tritan copolyesters are generally lower than the analogous scores for BAPC, However, if one compares bottles manufactured from each of the materials, we found that 30% more polymer is used to create the Tritan containers, wiping out any environmental gains presented by the material itself.
47 DEPARTMENT OF CHEMICAL AND PETROLEUM ENGINEERING
& PETROLEUM
CHEMICAL
ENGINEERING
Robert M. Enick, PhD
Bayer Professor
Vice Chair for Research, ChE & PetE NETL Researcher
High Pressure Phase Behavior and Viscosity Related to Enhanced Oil Recovery, Carbon Capture and Supercritical Fluid Technology
Our research lab focuses on the thermodynamic and transport properties of high pressure systems. For example, we are equipped with a high pressure (10,000 psi), low-high temperature (-4 to 356oF), windowed, agitated, invertible, variable-volume cell that allows direct observation of the phase behavior of gases, liquids and solids. This enables us to determine the optimal conditions for high pressure processes. For example, we can determine the pressure required for a solvent such as CO2 or propane to become miscible with a crude oil, or what types of polymeric liquids are best suited for selectively capturing CO2 from a high pressure that also contains water vapor and hydrogen, or the best temperature-pressure conditions needed to remove a contaminant from a commercial motor oil product using supercritical CO2
Our lab is also equipped with the world’s highest temperaturepressure (500oF - 40000 psi) rolling ball viscometer, which is mounted on tilting tables. This apparatus allows us to precisely measure the viscosity of hydrocarbons (e.g. hexane, decane) at extreme conditions that are representative of those found in the deepest petroleum-producing formations in the world.
We also have a unique windowed, high pressure reactor equipped with a high speed (6000 rpm) emulsification mixer for particle/fluid processing studies.
Design of CO2-soluble and CO2-philic Compounds for Chemical and Petroleum Engineering Applications
Dr. Enick and Dr. Beckman have teamed together to design, synthesize, purify, characterize and evaluate novel compounds that have been engineered to improve the performance of high pressure CO2. For example, supercritical CO2 (T > 88oF) is used extensively to recover crude oil from underground layers of porous sandstone or carbonate rock in the Unites States. Although CO2 is a good solvent for oil recovery, its viscosity is so low that it tends to "finger" from the injection well through the rock towards the producing wells, rather than uniformly sweeping the porous volume of the rock layer. Therefore Enick and Beckman are designing high molecular weight polymers
and small associating molecules that can not only dissolve in dense CO2, but also (at very dilute concentrations of ~0.1wt%) increase the CO2 viscosity to a value that is comparable to the oil viscosity.
Our lab has also identified and designed liquid polymeric solvents that can be used to selectively remove CO2 (but not water vapor or hydrogen) from a high temperature, high pressure stream in an IGCC power plant (a novel high efficiency power plant). These polymers (e.g. silicone oil) interact favorably with CO2, but have little or no affinity for water or hydrogen.
48 DEPARTMENT OF CHEMICAL AND PETROLEUM ENGINEERING CHEMICAL & PETROLEUM ENGINEERING
807 Benedum Hall | 3700 O’Hara Street | Pittsburgh, PA 15261 P:412-624-9649 C:412-277-0154 rme@pitt.edu
907 Benedum Hall | 3700 O’Hara Street | Pittsburgh, PA 15261
P: 412-624-2079
fullerton@pitt.edu
www.fullertonlab.pitt.edu
Next-generation Electronics
The Nanoionics and Electronics Lab reimagines the role of ions in electronics and smart materials. Applications include logic, memory, hardware security, neuromorphic computing, and biodegradable plastics.
Susan Fullerton is an Associate Professor, Bicentennial Board of Visitors Faculty Fellow, and Vice Chair for Graduate Education in the Department of Chemical and Petroleum Engineering. She earned her PhD in Chemical Engineering at Penn State in 2009, and joined the Department of Electrical Engineering at the University of Notre Dame as a Research Assistant Professor. In 2015 she established the Nanoionics and Electronics Lab at Pitt as a tenure-track Assistant Professor, and was promoted to Associate Professor in 2020. Fullerton’s work has been recognized by an NSF CAREER award, an Alfred P. Sloan Fellowship, a Marion Milligan Mason award for women in the chemical sciences from AAAS, and a Ralph E. Powe Jr. Faculty Award from ORAU. For her teaching, Fullerton was awarded the 2018 James Pommersheim Award for Excellence in Teaching in Chemical Engineering at Pitt.
CHEMICAL & PETROLEUM ENGINEERING
Susan Fullerton, PhD Associate Professor
Bicentennial Board of Visitors Faculty Fellow Vice Chair for Graduate Education
Beyond Batteries: Reinventing the Role of Ions in Electronics and Smart Materials
The interplay between ions and electrons governs processes as common as the biochemistry essential for life and the performance of devices as ubiquitous as batteries. The energy that powers our smart phones and laptops is stored by ions, yet when we peer past the battery and examine the device-scale electronics, ions are nowhere to be found. This is a missed opportunity because the coupling between ions and electrons/holes in unconventional electronic materials –such as two-dimensional (2D) semiconductors – has is uncovering exciting new properties of these ultra-thin materials (e.g., spin-polarization, superconductivity and others). While many groups use ions as a tool to uncover new properties of 2D semiconductors, we ions as an active device component to impart completely new device functionalities.
For example, we have invented a monolayer-thick ion-conductor that introduces bistability for application as a flash memory (Liang et al., Nano Letters 2019, 29, 12); we are custom-synthesizing electrolytes to induce strain in 2D materials (Woeppel et al., ACS AMI 2020, 12, 40850; Xu et al., ACS AMI 2019, 11, 35879); and we are using ions to make the next-generation of smart materials (Chao et al., Adv. Func. Materials 2019 1907950). Please visit www.fullertonlab.pitt.edu and check out our recent publications, including a review article highlighting ions and 2D materials (Xu & Fullerton-Shirey J. Physics: Materials 2020 3, 3).
Outreach: Polymer Crystallization on Your iphone
The Fullerton group enjoys teaching budding scientists about materials. We developed a demonstration where a smartphone can be turned into a microscope to observe polymer crystallization in real time!
49 DEPARTMENT OF CHEMICAL AND PETROLEUM ENGINEERING
CHEMICAL & PETROLEUM ENGINEERING
J. Karl Johnson, PhD
William Kepler Whiteford Professor Associate Director, Center for Research Computing
Molecular Modeling: A Tool for Development of New Materials
The Johnson research group uses computer simulation tools to discover, characterize, and optimize new materials from the bottom-up, starting at the levels of electrons, atoms, and molecules. Application areas studied by the Johnson group include designing new membrane materials for desalination of seawater,
as shown in Figure 1, design of nanoporous materials for gas separation, CO2 capture, and conversion of CO2 to useful products, as illustrated in Figure 2, and elucidation of reaction mechanisms on surfaces and in condensed phases.
Molecular modeling can be used to screen a range of materials for a given application, thereby saving time and money by identifying a relatively small collection of promising candidate materials that can be investigated experimentally. For example, we have employed this strategy for screening of complex metal hydrides for hydrogen storage using a set of criteria including gravimetric, volumetric, and thermodynamic metrics. We were able to screen millions of compositions and conditions in order to identify a small subset of a few promising candidate materials that had not previously been identified. Several of these materials were investigated experimentally and some were found to outperform existing complex hydrides in many respects. This basic approach can also be applied to designing tailored sorbent and membrane materials based on metal organic framework or similar materials. We also use the techniques of molecular modeling to study complex systems involving chemical reactions on surfaces and in condensed phases. For large-scale systems this demands a hybrid approach employing both quantum mechanical modeling, to account for bond breaking and bond forming events, and classical modeling to capture long-range interactions and physical collective phenomena that are difficult to describe from a purely quantum mechanical approach.
50 DEPARTMENT OF CHEMICAL AND PETROLEUM ENGINEERING
904 Benedum Hall | 3700 O’Hara Street | Pittsburgh, PA 15261 P: 412-624-5644 C: 412-680-1783 karlj@pitt.edu http://www.engineering.pitt.edu/KarlJohnson/
Figure 1. Molecular simulation (left) and experimental realization of a functionalized carbon nanotube membrane for desalination of seawater. Simulations first predicted that zwitterion functionalized nanotubes could be effective for desalination by imparting gatekeeper functionality to the nanotubes. The experiments verified the predictions, showing that a polyamide/carbon nanotube mixed matrix membrane has both higher flux and higher selectivity compared with plain polyamide membranes.
Figure 2. Porous metal organic framework, UiO-66, functionalized with a Lewis pair catalytic site for chemical reduction of CO2 to formic acid. This functional group was designed from first-principles simulations.
804 Benedum Hall | 3700 O’Hara Street | Pittsburgh, PA 15261
P: 412-624-7016
jakeith@pitt.edu
www.klic.pitt.edu
Keith Lab in Computational Catalysis
John A. Keith is the R.K. Mellon Faculty Fellow in Energy, a tenure-track assistant professor in the Chemical and Petroleum Engineering Department in the Swanson School of Engineering. His research interests are in the first-principles based computational modeling of reaction mechanisms,
Carbon Neutral Chemical and Fuel
Generation: Our society heavily relies on energy dense liquid fuels, but there is a pressing need to sustainably produce carbon neutral liquid fuels (CNLFs). Several independent researchers have reported energetically efficient CO2 reduction (CO2R) into methanol, but there are many open questions about the mechanisms for these processes. Our group aims to elucidate if and how this chemistry can occur. Our central hypothesis is that that if hydrogen transfer agents can catalyze CO2R, they do so serendipitously in specific electrochemical environments that facilitate unsuspected modes of hydrogenation. Our technique is to computationally characterize (electro) chemical phase diagrams for hypothetical catalysts to identify thermodynamically accessible states at ambient conditions as well as energetically efficient reaction pathways.
Funding: ACS Petroleum Research Fund, NSF
Recent publication: S. Ilic et al., “Thermodynamic Hydricities of Biomimetic Organic Hydride Donors,” J. Am. Chem. Soc. 140 (2018) 4569.
CHEMICAL & PETROLEUM ENGINEERING
John A. Keith, PhD
R.K. Mellon Faculty Fellow in Energy Associate Professor
particular those pertaining to homogeneous and heterogeneous catalytic transformations for energy and sustainability. Dr. Keith has ~20 years of experience in computational chemistry modeling atomic scale reaction mechanisms. Current research projects include:
Modeling
Local Solvation Effects:
Computationally modeling atomic scale chemical reaction mechanisms in solvents is very challenging. The reliable and robust schemes usually involve dynamics-based treatments with explicit solvation models that involve large numbers of electronic structure calculations. While such efforts can be very insightful, they can also bring very large computational costs and/or technical challenges that restrict their use in more complex systems. Our group is developing calculation schemes that can be used to better design environmentally green chelates and analyze local solvation effects in mixed composition ionic and molten solvents.
Funding: NSF, Pitt MCSI
Recent publication: Y. Basdogan and J. A. Keith, “A paramedic treatment for modeling explicitly solvated chemical reaction mechanism,” Chem. Sci. 9 (2018) 5341
Accelerated Methods for High-Throughput Screening of Catalyst Sites: Density functional theory (DFT)-based investigations of hypothetical catalysts are too computationally demanding for wide searches across materials space. We have been developing fast and accurate computational methods to accelerate characterizations of reaction energies and barrier heights across diverse materials space.
Funding: R. K. Mellon Foundation, Naval Research Lab
Recent publication: K. Saravanan, J. R. Kitchin, O. A. von Lilienfeld, J. A. Keith, “Alchemical Predictions for Computational Catalysis: Potential and Limitations,” J. Phys. Chem. Lett., 2017, 8, 5002-5007.
51 DEPARTMENT OF CHEMICAL AND PETROLEUM ENGINEERING
CHEMICAL & PETROLEUM ENGINEERING
Lei Li, PhD
Associate Professor
Li Lab: Surface, Interface and 2D Materials
Our research focuses on surface, interface and 2D materials.
We are interested in the molecular-level structure and dynamics at the interfaces and how they impact many important properties such as wetting and friction.
Ionic Liquid (IL) Nanofilms
Ionic liquids have attracted extensive attention in the past decades due their “green” nature and excellent physiochemical properties. The interface between ionic liquids and various solids are critical for applications in energy storage, electrochemistry, nanofluids and lubrication. We are uncovering the static and dynamic properties of ionic liquids confined to solid surfaces. (Gong, X.; Frankert, S.; Wang, Y. and Li, L. Chem. Commun. 2013, 49(71), 7804)
Surface Pproperties of Graphene and 2D Materials
Graphene is an atomically thin carbon atom lattice that has high thermal conductivity, high mechanical strength, and unique electrical properties. It is essential to understand the surface property for its future applications. In close collaboration with Prof. Haitao Liu’s research group in the Chemistry Department at Pitt., we are exploring the intrinsic wettability of CVD graphene and relating it to the adhesion, tribology and other properties. We aims to develop reliable coatings based on graphene and understand how to improve the reliability of Graphene-based device. (Li, Z. et. al. Nature Mater. 2013, 12, 925.; Kozbial, A. et.al. Carbon, 2014, 74, 218; Kozbial, A. et.al. Langmuir, 2014, 30(28), 8598)
Simultaneous Oleophobicity/Hydrophilicity
Simultaneous oleophobic/hydrophilic coatings are critical for applications in anti-fogging, self-cleaning and oil-water separation. However, the underlying mechanisms remain clear. We are investigating the governing mechanisms and exploring the approaches in real-life applications. (Li L.; Wang Y.; Gallaschun C.; Risch T. and Sun J. J. Mater. Chem., 2012, 22(33), 16719)
Nanometer Lubricants for Hard Disk Drives (HDD)
On magnetic media, there is a nanometerthick lubricant that provides low friction, anti-wear and anti-corrosion functions. The next-generation HDD technologies require the lubricant to be more thermally stable and cost-effective. We are developing novel materials to address the challenges.
(Wang Y.; Sun J. and Li L. Langmuir; 2012, 28, 6151; Wang Y.; Williams K. and Li L. Macromol. Chem. Physic. 2011, 212, 2685)
52 DEPARTMENT OF CHEMICAL AND PETROLEUM ENGINEERING
906 Benedum Hall | 3700 O’Hara Street | Pittsburgh, PA 15261 P: 412-624-3691 lel55@pitt.edu
940 Benedum Hall | 3700 O’Hara Street | Pittsburgh, PA 15261
P: 412-624-9630
che@engr.pitt.edu
www.che.pitt.edu
F: 412-624-9639
Research Focus Areas in the Little Lab
Researchers in Dr. Little’s Lab focus upon therapies that are biomimetic in that they replicate the biological function and interactions of living entities using synthetic systems. The areas of study include bioengineering, chemistry, chemical engineering, ophthalmology, and immunology. The health issues addressed include autoimmune disease, battlefield wounds, cancer, HIV, ocular diseases, and transplantation. Some of the ongoing research projects in the lab include: Mimicking Biological Structure and Behavior Using Polymeric Release Systems and Carbon Nanotubes, Treatments for Periodontitis that Restore Immunological Homeostasis, Sequential Delivery of Growth Factors for Regeneration of Tissues, and Thermo-gelling Eye Drops for the Delivery of Ophthalmic Therapies. The majority of the projects in the Little Lab utilize some aspect of controlled release for drugs, proteins, or other molecules. While such techniques are not uncommon in the field of drug delivery, our lab is unique in its ability to design such systems in silico, thereby avoiding unnecessary expenditure of time and resources on heuristic testing of controlled release formulations. Our expertise in fabricating and characterizing such systems in vitro and in vivo is augmented by our modeling capabilities.
Rational Design of Controlled Release Systems
Steve R. Little, PhD Chair Professor and Bicentennial Alumni Faculty Fellow
At the University of Pittsburgh, our laboratory has developed a unique technology that allows for the specific dosing and delivery needs of a particular therapy (e.g. therapeutic concentrations of chemokine over one month or longer) to be used as “input” to generate a unique and customized formulation “recipe”. This model-aided methodology can dramatically reduce (or even completely eliminate) the need for traditional trial and error based optimization of controlled release behavior. Importantly, this can be accomplished using well-established, biodegradable polymers that are biocompatible, biodegradable and have an extraordinary track record of safety and translatability with the United States Food and Drug Administration. This unique methodology is also not only is capable of saving months to years in development time, but also able to uniquely predict a final formulation’s sensitivity to future changes in critical processing parameters, allowing designs to be optimized for consistent performance through scale-up for preclinical and clinical studies. Through projects funded on a number of NIH, NSF, DoD, State, and Private Institute-funded grants, we have developed not only the tools needed to experimentally design, build, and validate a wide variety of controlled release vehicles but also the expertise needed to troubleshoot common road-blocks in this formulation development process.
53 DEPARTMENT OF CHEMICAL AND PETROLEUM ENGINEERING CHEMICAL & PETROLEUM ENGINEERING
Figure 1: The Little Lab often uses the biocompatible, biodegradable polymer poly (lactic-co-glycolic acid) (PLGA) to form controlled release microspheres (A). For aqueous drugs, proteins, and peptides, the polymer matrix contains a microemulsion of e ntrapped drug (B) that is controllably released as the microsphere degrades.
CHEMICAL & PETROLEUM ENGINEERING
James R. McKone, PhD Assistant Professor
Translational Research in Electrochemistry for Sustainable Energy
Our laboratory integrates fundamental and applied research in experimental electrochemistry to advance promising new technologies for energy and environmental sustainability.
Our research capabilities draw on multiple disciplines within the chemical sciences, including analytical electrochemistry,
Electrochemistry for a Solar-Powered Future
solid-state chemistry; inorganic materials synthesis, and engineering device design. Current research targets include: large-scale storage of renewable electricity: cost-competitive production of carbon-neutral fuels; and electrification of the commodity chemicals industry.
Sunlight is by far the most abundant source of renewable energy, but our ability to make use of sunlight for electricity is limited by the fact that solar energy is intermittent – the natural intensity variations of sunlight do not match well with energy usage patterns. Addressing this challenge requires a means of economically storing solar power. Electrochemistry provides a variety of technological opportunities in this area, including advanced batteries and efficient synthesis/utilization of fuels. The key difficulty lies in making solar energy conversion/ storage technologies efficient, robust, and scalable.
Prior to his appointment at Pitt, Dr. McKone developed considerable expertise related to potentially transformational electrochemical energy conversion and storage technologies, such as:
• artificial photosynthesis, which involves direct conversion of solar energy into chemical bonds in storable fuels like hydrogen or hydrocarbons, and
• redox flow batteries, which are promising for large-scale energy storage and can be readily combined with photovoltaic installations.
Our work at Pitt is expanding on these themes and exploring new avenues that combine traditional engineering approaches for catalysis and process design with cutting-edge materials synthesis and electrochemical characterization.
Dr. James R. McKone joined the faculty in the Department of Chemical and Petroleum Engineering in the Fall of 2016. He received a BA in chemistry and music from Saint Olaf College in 2008 and a PhD in chemistry from the California Institute of Technology in 2013. From 2013 to 2016 he was a postdoctoral researcher at Cornell University. Dr. McKone’s research interests include experimental electrochemistry and materials synthesis/processing with an emphasis on energy applications.
54 DEPARTMENT OF CHEMICAL AND PETROLEUM ENGINEERING
902 Benedum Hall | 3700 O’Hara Street | Pittsburgh, PA 15261 P: 412-383-7407 jmckone@pitt.edu
Above: conceptual basis and lab-scale prototype of a new energy storage technology called the “solar flow battery” currently under development in our lab.
809 Benedum Hall | 3700 O’Hara Street | Pittsburgh, PA 15261
P: 412-624-9650
morsi@pitt.edu
http://www.pitt.edu/~rapel
Professor Badie I. Morsi joined the Chemical and Petroleum Engineering Department, University of Pittsburgh in 1982 and currently is Director of the Petroleum Engineering Program. He received his BS in Petroleum Engineering from Cairo University, Cairo, Egypt, in 1972; and MS, PhD and ScD in Chemical Engineering from Ecole Nationale Supérieure des Industries Chimiques (ENSIC), Institut National Polytechnique de Lorraine (INPL) Nancy, France, in 1977, 1997, and 1982, respectively.
Professor Morsi’s research activities involve different aspects of Chemical, Environmental, and Petroleum Engineering. His recent research work focuses on: design and scaleup of multiphase reactors, and modeling and optimization of industrial processes with focus on the Fischer Tropsch Synthesis. CO2 sequestration in deep coal seams; CO2 capture from syngas and natural gas streams using chemical and physical solvents; and EOR using CO2 and alcohols. Professor Morsi is serving as the Executive Director for the Annual International Pittsburgh Coal Conference (PCC) and has been serving as a consultant to major corporations and organizations in the US and worldwide, in addition of being a reviewer for numerous scientific journals, conferences and agencies. Professor Morsi is the Editor, Proceedings of the International PCC; Associate Editor-in-Chief, International Journal of Clean Coal and Energy; Editorial Board, International Journal of Chemical Engineering; and Editorial Board, Journal of Materials Science and Chemical Engineering. Among his various honors are the Beitle-Veltri School of Engineering’s Outstanding Teaching Award (1999); CNG Faculty Fellow (1991-1995); The Richard A. Glenn Award, ACS National Meetings (1995&2002); Mentor of the Year Award, 2002-2003 Minority Engineering Mentoring Program; and George M. and Eva M. Bevier professorship (2001-2005). He is also a member of SPE, AIChE, ACS, and AFS.
CHEMICAL & PETROLEUM ENGINEERING
Badie Morsi, PhD
Program
Multi-Phase Reactor Design and Scaleup
The design, scaleup, modeling, and optimization of industrial processes require, among others, precise knowledge of the hydrodynamic, kinetics and heat as well as mass transfer parameters of the pertinent gas-liquid-solid systems under actual process conditions. The focus of our ongoing research is on characterization of the hydrodynamic and gas-liquid mass transfer parameters in several important industrial processes, including Fischer-Tropsch synthesis, propylene polymerization, cyclohexane oxidation, benzoic acid oxidation, toluene oxidation, hydrocracking of heavy oil residue, CO2 capture from fuel gas streams using chemical/ physical solvents, and SOx and well as NO x removal from flue gas using dry sorbents.
Novel Solvents for CO2 Capture from Hot Fuel Gas Streams
Carbon dioxide is the main contributor to global warming and therefore needs to be removed from fuel gas streams. Conventional processes for acid gas removal (AGR), including CO2 in power generation facilities are either chemical, using methyl-diethanolamine (MDEA); or physical process, using chilled methanol (Rectisol) or mixtures of dimethylethers of polyetheleneglycol (Selexol). The issue with using Selexol is that it is hydrophilic and the process is not energy efficient as it requires cooling the fuel gas and then heating it after CO2 absorption. Therefore, finding other solvents with more favorable properties is necessary to remove CO2 more efficiently.
Process Modelling and Optimization
Development of robust reactor and process models is of vital importance and interest to all branches of the chemical and petroleum, and biological process industries. Our ongoing modeling activities include process modeling and optimization of the FischerTropsch (F-T) Synthesis by incorporating different tail gas recycling options, in addition to 1-D and 2-D empirical modeling of Slurry Bubble Column Reactors (SBCRs) and 1-D empirical modeling of Microchannel reactors (MCRs) using the axial dispersion model. Moreover, multiphase Computational Fluid Dynamics (CFD) modeling with emphasis on F-T SBCRs through the developing of mathematical 3-D multi-Eulerian and/ or Eulerian-Lagrangian CFD model for investigating key spatio-temporal complexities and local hydrodynamics, and CFD modeling with emphasis on F-T MCRs to evaluate process intensification capabilities.
55 DEPARTMENT OF CHEMICAL AND PETROLEUM ENGINEERING
Professor and Director of the Petroleum Engineering
CHEMICAL & PETROLEUM ENGINEERING
Giannis Mpourmpakis, PhD
Bicentennial Alumni Faculty Fellow Associate Professor
Research in CANELA
In the Computer-Aided Nano and Energy Lab (CANELA), we use theory and computation to investigate the physicochemical properties of nanomaterials with potential applications in diverse nanotechnological areas, ranging
Research Thrusts
from energy generation and storage to materials engineering and catalysis. Our laboratory core expertise lies on “ab-initio” electronic-structure theoretical calculations. We develop structure-activity relationships and apply multiscale tools to
Nanocatalysis: Catalysis becomes extremely complex at nanoscale. The goal of this work is to understand the catalytic behavior of metal-oxide supported nanoparticles under realistic experimental conditions. We elucidate the bonding characteristics of adsorbates on nanoparticles and develop relationships predicting their binding energy versus the nanoparticle structural characteristics. Additionally, we investigate the catalytic mechanisms on both metals and metal oxide supports by taking into account complex physical phenomena (support effects and reconstruction) occurring on the catalyst. Finally, we propose novel nanocatalysts with optimal catalytic activity under experimental conditions.
Biomass Conversion: Dehydration reactions are the most important reactions for converting biomass to fuels and chemicals. A fundamental understanding of the dehydration mechanisms can help us elucidate and eventually control the selective dehydration of complicated biomass molecules, such as polyols, to value-added chemicals. In this work, we investigate the dehydration of simple alcohols on various meta-oxides in the presence of water. We develop dehydration relationships as a function of the metal-oxide acidity and the alcohols properties, aiming to predict the dehydration behavior of polyols on different oxides.
Nanoparticle Growth: The nanoparticle properties are directly related to their structural characteristics. Even though nanoparticles of different sizes and morphologies can be synthesized in the lab, their growth mechanisms are completely unknown. Here, we investigate the colloidal nanoparticle growth in the presence of solvents and capping agents. We provide insights into the nanoparticle growth mechanisms and propose design guidelines to control nanoparticle characteristics (size, shape, dispersity) during synthesis.
NSF-CAREER (2017), ACS-DNI (2016), Pommersheim Award for Excellence in Teaching (2016).
elucidate complex chemical processes that take place on nanomaterials. Ultimately, we design novel nanostructures with increased, molecular-level precision and tailored multifunctionality.
56 DEPARTMENT OF CHEMICAL AND PETROLEUM ENGINEERING
905 Benedum Hall | 3700 O’Hara Street | Pittsburgh, PA 15261 P: 412-624-7034 F: 412-624-9639 gmpourmp@pitt.edu
Au e------------------Support Effects on Nanoparticles Solution Chemistry Solvent Effects Chemistry on Nanoparticles Support Metal Nanoparticle Chemistry on Supports (Metal-Oxides) Solution Chemistry Solvent Effects Chemistry on Nanoparticles Support Effects on Nanoparticles Chemistry on Supports (Metal-Oxides) Support Metal Nanoparticle
926 Benedum Hall | 3700 O’Hara Street | Pittsburgh, PA 15261
P: 412-383-4265
tniepa@pitt.edu
Dr. Niepa is an Assistant Professor of Chemical and Petroleum Engineering with an expertise in microbial interactions with biointerfaces. He received a PhD in Chemical Engineering with honors from Syracuse University, focusing on electrochemical treatment of surfaceattached and drug-resistant bacteria. Upon graduating, He joined the University of Pennsylvania as a Postdoctoral Fellow for Academic Diversity. At UPenn, he worked with Professors Kathleen Stebe and Daeyeon Lee in Chemical and
Biomolecular Engineering, in collaboration with Professor Mark Goulian in Biology to develop new methods to study microbial dynamics in artificial microniches. He deciphered the interfacial properties of bacterial films at oil-water interfaces. This expertise provides a platform for him to make unique contributions to diverse fields ranging from microbialbased methods of oil recovery to the development of technologies having applications for personalized therapeutics, or in high-throughput
Research Interests
Our mission is to decipher how the interfacial properties of materials affect the physiological response of microorganisms and thereby develop new strategies to minimize the deleterious and optimize the beneficial activities of cells. The physicochemical mechanisms that regulate microbial growth in various settings remain poorly understood for reasons linked not only to the versatility of the microorganisms but also to the challenge of designing new platforms to study or control them. Our translational research program elucidates these mechanisms by developing sustainable control strategies for microbes relevant to health, industry and the environment. We are pursuing three interrelated research thrusts to: (1) Eliminate pathogenic microbial communities (biofilms) associated with implantable devices using conductive-substrate interfaces; (2) Model pathogenic and beneficial microbial communities (microbiomes) in artificial microniches made of soft biomaterial; and (3) Control beneficial interfacial biofilms using surface active compounds.
Building upon the understanding of the electrophysiology of highly drug-tolerant bacteria to cure chronic infections, we target the design of alternative ways to control microbial persistence and pathogenicity with conductive-substrates incorporated in medical devices. In our second thrust, we develop porous, semi-permeable or polyelectrolyte membranes (soft nanomaterials) for biotechnological applications. We direct their metabolic activity towards desired ends, e.g., the creation of new materials and bioproducts. Finally, our third thrust addresses interfacial phenomena influencing the metabolic activity of bacteria at fluid interfaces. By characterizing the interfacial and metabolic properties of bacterial films, we aim to elaborate new surface-active molecules to prevent the biodeterioration of economically relevant food and pharmaceutical products, while promoting crude oil remediation.
Tagbo Niepa, PhD Assistant Professor
screening of currently unculturable microbial communities relevant to biotechnology and drug discovery. His efforts in bioelectrochemistry led to the design of patent winning technologies for controlling of microbial pathophysiology with bioelectrical systems. Also, Dr. Niepa is a co-founder of Helios Innovative Technologies Inc. (now PurpleSun Inc.), a medical device company that develops automated sterilization systems to fight bacterial cross-contamination and hospital acquired-infections.
57 DEPARTMENT OF CHEMICAL AND PETROLEUM ENGINEERING
& PETROLEUM
CHEMICAL
ENGINEERING
CHEMICAL & PETROLEUM ENGINEERING
Robert S. Parker, PhD
Robert v.d. Luft Professor Associate Dean for Graduate Education
Systems Engineering at the Medical Interface
Advanced computation and analysis tools are sorely needed to help clinicians visualize, assimilate, and analyze the complex interplay of the measurements and data available to them. These tools provide a complement to the outstanding linear intuition of clinicians, as multiple variables of interest (actuations and/or measurements) are common and nonlinearities (such as saturation phenomena) are ubiquitous in biological systems.
We take a model-based approach to characterizing medical disease and treatment problems, working to understand the dynamics and mechanism of disease progression as well as treatment. We closely collaborate with clinical practitioners to formulate and solve clinically-relevant problems for societal benefit. The overall goal is to improve the efficacy and efficiency of health care delivery and policy by developing patient-tailored treatment approaches in such problem areas as:
• Cystic Fibrosis: Working with UPMC clinicians and scientists, we are characterizing the system (body) and cellular response to osmotic challenges and therapies. By focusing on easily
Patient-Tailored Cancer Treatment
Most cancer patients receive chemotherapy during their course of treatment. These agents impede cellular growth, thereby limiting the development and spread of cancerous tumors, but they are often toxic and lead to side-effects that ultimately limit the efficacy of chemotherapy treatment.
We follow the anecdotal evidence that “more is better” – patients receiving more cycles of therapy typically demonstrate better overall survival. Our focus, however, is on limiting the toxicities that lead to withholding or reduction of chemotherapy doses for patients.
In a model-based approach (top figure), we construct mathematical representations of drug concentration versus time profiles in the body (PK) and the impact of these
accessible cells (nasal epithelia), as a personalized model for bronchial epithelia, we target a patient-tailored understanding of disease dynamics in the individual and targeted treatment approaches and interventions.
• Glucose Control in Critical Care: Intensive care unit patients often manifest stress-induced hyperglycemia even though they are not diabetic. In collaboration with Critical Care Medicine, we are developing artificial pancreas-like control systems and a clinician-friendly interface and alarm layer to improve patient outcomes in intensive care.
• Inflammation and Sepsis: Pathogenic invasion excites the human inflammatory response system, and the role of these inflammatory mediator dynamics in survival is not well understood. We are working to model the dynamics of system response in order to characterize patient groups that are aided by existing or novel therapeutic interventions.
• Solid Tumor Cancer Chemotherapy: see below.
drug administrations in efficacy (PDeff) and toxicity (PDtox). By understanding the mechanisms of toxicity and the potential for rescue by administered agents (bottom figure), we can tailor our models to individuals using clinical measurements of toxicity, response,
and resistance. Ultimately, this systems medicine problem is solved via an engineering algorithm to provide the dose magnitude and schedule that provide controlled toxicity during treatment while also eliminating cancer cells.
58 DEPARTMENT OF CHEMICAL AND PETROLEUM ENGINEERING
931 Benedum Hall |3700 O’Hara Street | Pittsburgh, PA 15261 P: 412-624-7364 rparker@pitt.edu
Response Control Algorithm Patient Model Efficacy Toxicity Dose and Schedule PK PD + Desired Macrophage Uptake of apoptotic neutrophils IL-17 Stromal cell Mature neutrophil(T3) IL-23 Extravascular space Vascular space Spleen/ lymph nodes Bone marrow Progenitor (Pr) Metamyelocyte (T1) Band (T2) Marginal pool (Np) Circulating (Nc) Stem cell (S) Active T cell (Ta) Inactive T cell (Ti) CLP LPS Chemotherapy G-CSF rescue IL-1 G-CSF
932 Benedum Hall | 3700 O’Hara Street | Pittsburgh, PA 15261
P: 412-624-3318
jason.shoemaker@pitt.edu
www.shoemakerlab.pitt.edu
Systems Immunology
Jason E. Shoemaker, PhD Assistant Professor
We all fear disease but the unfortunate truth is that our bodies are often responsible for the damage wrought during disease progression. Our bodies have evolved several internalized sentinel programs that compromise our immune response. When functioning effectively, our immune response rapidly detects threatening pathogens and activates processes that assess and respond appropriately. But, occasionally, such as during certain viral and bacterial infections, our body responds too aggressively to the pathogen. These overly aggressive responses by our immune system results in major tissue inflammation and can greatly complicate patient recovery. We seek to develop immuno-modulatory therapies that work with the immune response to improve patient health.
Big Data-Driven Modeling of Lung Inflammation
Inflammation is a complex, multicellular process that is generally a protective response to a pathogen, but inflammation often becomes dysregulated, resulting in greater and occasionally fatal damage. New experimental techniques allow us to quantify changes across the genome in response to a pathogen, but the cellularly diverse environment makes it difficult to determine which genetic events are associated with inflammation and what specific immune cell populations may play a role in the response. We are developing approaches that combine individual gene expression profiles, dynamic clustering, and time-course gene expression to unravel the key genetic events associated with severe inflammation. Our early tools can be found at www.influenza-x.org/~jshoemaker/cten/
How Does Herpes Avoid Immune Detection?
Herpes simplex virus (HSV) and HIV are DNA viruses and both are very competent at avoiding our immune response. We are now working with our collaborators at UPMC to better understand how our cells detect DNA viruses and by what mechanisms might the virus be able to either avoid detection (Fig.1). We are developing mathematical models of the molecular interactions responsible for DNA virus detection and immune activation. Uniquely, these models can exploit immune response dynamics to identify hidden, disease-associated signaling mechanisms. Then combined with machine learning and protein similarity data, these models can provide deep insight into viral escape.
59 DEPARTMENT OF CHEMICAL AND PETROLEUM ENGINEERING CHEMICAL & PETROLEUM ENGINEERING
1
Fig.
CHEMICAL & PETROLEUM ENGINEERING
Sachin S. Velankar, PhD Professor
Soft Materials and Rheology Group Department of Mechanical Engineering and Materials Science (Secondary) McGowan Institute for Regenerative Medicine
The Soft Materials and Rheology group conducts fundamental research to support the materials science of soft materials including polymers, multiphase flow, colloids, interfacial phenomena, block copolymers, thin films, and rheology. Ongoing projects include:
Capillary phenomena in Particulate Systems
A sandcastle owes its strength to small menisci of water that induce attraction between the sand particles. This is a familiar example of how surface tension and wetting affect the microstructure and rheology of particulate systems. We are interested in understanding and exploiting capillary phenomena in three-phase mixtures comprising two fluid phases (often molten polymers) and one particulate species. We have constructed morphology-composition maps of such mixtures, exploited capillarity to create conductive plastics, and are now examining micromechanics of capillary forces between particles.
Buckling Phenomena
Slender objects readily buckle under compressive loads. We conduct research on a variety of aspects of thin film buckling including swelling induced buckling of crosslinked rubbery films, delamination of thin films, plasticity effects in thin film buckling, wrinkling and folding on viscous substrates, and the buckled topography of the luminal surface of arteries.
Plasticity Effects in Composites
Under tension, a rubber band stretches homogeneously, and then recovers its original length when released. In contrast, a strip of plastic often shows non-homogeneous strain (called “necking”), and remains deformed when released. We are examining the mechanics of rubberplastic composites, more specifically, elucidating the role of inelastic deformations. We have shown how the necking behavior of the plastic is modified by rubber, and are examining toughening mechanisms in such composites. We are also examining shape changes that appear by simply stretching and releasing such composites.
Other Research
We are examining the remarkable behavior of polymer-water mixtures which co-crystallize to form a hydrate. Complex material behavior (viscoelasticity, yielding, non-Newtonian rheology) is a common theme in our research. Our lab regularly assists researchers with rheological characterization of hydrogels. These include hydrogels prepared from Extracellular Matrix proteins (in collaboration with the Badylak lab at Pitt), or synthetic hydrogels used in medical or sensor applications.
60 DEPARTMENT OF CHEMICAL AND PETROLEUM ENGINEERING
927 Benedum Hall | 3700 O’Hara Street | Pittsburgh, PA 15261 P: 412-624-9984 velankar@pitt.edu http://www.pitt.edu/~velankar/www
Diversity of bicontinuity in fluid-fluid-particle mixtures
Wrinkling and folding of thin films on a viscous liquid
Necking and drawing of low-density polyethylene
Stretch-morphing of rubber-plastic composites
Cocrystallization at the water/polymer interface
806 Benedum Hall | 3700 O’Hara Street | Pittsburgh, PA 15261
P: 412-624-1042
gveser@pitt.edu
Götz Veser obtained a Diploma in chemical engineering at the University of Karlsruhe (now Karlsruhe Institute of Technology) and a PhD in physical chemistry at the Fritz Haber Institute, Berlin (with R. Imbihl and G. Ertl). Following two years as FeodorLynen Postdoctoral Fellow with Lanny Schmidt at the University of Minnesota, he returned to Germany as research associate at the University of Stuttgart and research group leader at the MaxPlanck-Institute for Coal Research (Mülheim an der Ruhr). In 2002, he joined the University of Pittsburgh.
Dr. Veser’s research interests are in catalytic reaction engineering with a focus on natural gas conversion and related energy technologies. Among his recent honors and awards are the Career Award of the National Science Foundation (2005), the R.A. Glenn Award of the Fuel Chemistry Division of the American Chemical Society (2007), and invited plenaries at the 6th World Congress on Oxidation Catalysis (Lille, France; 2009) and the 10th Natural Gas Conversion Symposium (Doha, Qatar; 2013), Dr. Veser is also RUA faculty at the U.S. Department of Energy’s National Energy Technology Laboratory, and currently serves on the editorial boards of multiple journals in the area of reaction engineering.
Nanotoxicity
Götz Veser, PhD
Nickolas A. DeCecco Professor
Process Intensification
“Process Intensification” (PI) is a conceptual approach to reaction engineering with the aim to radically reduce the physical and/or energy footprint of existing processes. The Veser group is developing intensified process schemes for natural gas conversion, focused on multifunctional reactor concepts via dynamic reactor operation. These include heatintegrated reactors via reverse-flow operation and so-called “chemical looping”, a reactor concept originally proposed for clean combustion but with broad applicability in fuel processing.
Nanomaterials for Catalysis
Tailoring of materials structure and composition on the nano- and subnanometer scale has enabled the “ engineering” of functional materials with unprecedented precision. Nanomaterials are hence becoming key enablers for a wide range of emerging technologies. The Veser lab is developing new approaches to endow nanomaterials with the stability and robustness required to withstand the often extremely demanding conditions of industrial catalytic processes.
(A. Cao et al.; PhysChemChemPhys., 12 (2010) 13499)
Despite increasing evidence that nanomaterials can show significantly elevated toxicity, they are finding increasingly widespread application in consumer products ranging from cosmetics over clothing to consumer electronics. There is hence urgency to establish appropriate toxicity tests for this emerging class of materials.
In collaboration with colleagues at UPMC, the Veser group is developing zebrafish assays as a fast screening tool for nanotoxicity. To-date, they have demonstrated that nanostructuring can have profound impact on the fate and toxicity of these materials, and can serve as an effective means to counter their toxicity.
61 DEPARTMENT OF CHEMICAL AND PETROLEUM ENGINEERING
CHEMICAL & PETROLEUM ENGINEERING
(G. Veser, “Multiscale process intensification for catalytic partial oxidation of methane: From nanostructured catalysts to integrated reactor concepts,” Catal. Today, 157 (2010) 24)
CHEMICAL & PETROLEUM ENGINEERING
Christopher E. Wilmer, PhD Associate Professor
The Hypothetical Materials Lab
What is the best possible material for hydrogen storage? For longer lasting batteries? For carbon capture? As experimental chemists and materials scientists approach the ability to synthesize any material, the question becomes which material should we be making? The Wilmer Lab tackles this question head on by using supercomputers to simulate the properties of millions of hypothetical materials and find the most promising ones for experimental groups to synthesize. Our research group is particularly interested in using this strategy to solve energy and environmental problems, and so we search for materials that can enable better carbon capture technologies and improve fuel cell technologies, for example.
We also investigate materials that can improve the energy efficiency of industrial processes, such as the production of pure xenon gas. Xenon and krypton gas are usually found mixed together, and they are very difficult to separate. By screening thousands of hypothetical filter geometries (pictured on left), we are able to find ones that can potentially trap the krypton while allowing the xenon gas to pass through.
Can an Electronic Nose Beat a Dog’s Nose?
Although we now have cameras that can see better than human eyes, we still lack an electronic device that can replicate the sensitivity and accuracy of the mammalian nose. A biological nose uses hundreds of distinct olfactory receptors to distinguish different odors. An electronic nose needs, correspondingly, hundreds of materials that each respond in a unique way to different odors. This is a classic “big data” problem, and our lab is exploring thousands of materials to find the combination that will out-smell a dog.
What porous material would let you make the most energy efficient carbon capture technology? By computationally simulating CO2 capture in each of over a hundred thousand porous materials (pictured above), we are able to ignore ineffective candidates (grey) and focus on promising ones (colored).
62 DEPARTMENT OF CHEMICAL AND PETROLEUM ENGINEERING
903 Benedum Hall | 3700 O’Hara Street | Pittsburgh, PA 15261 P: 412-624-9154 wilmer@pitt.edu www.wilmerlab.com
208 Benedum Hall | 3700 O’Hara Street | Pittsburgh, PA 15261
P: 412-624-8613
judyyang@pitt.edu
Dynamic Surface Reactions: Bridging the Gaps
The rational design of new and improved materials, such as for corrosionresistance or catalysis, requires an understanding of the relationship between their processing, structure, and performance and the underlying reaction mechanisms. The spatial and temporal scales of these processes span orders of magnitude, and no one technique covers them all. Another gap lies in the disconnect between the simple, idealized materials used for computation and the ill-defined “messy” materials of experiment. Our research focuses on bridging these gaps by coupling computational modeling with a host of experimental techniques. Of particular importance for this task is the environmental transmission electron microscope (ETEM), which enables the direct observation of the structure, chemistry, and composition of these materials at the meso- to atomic-scale in real time and under reaction conditions. Some of our current projects include:
Metal and Metal Alloy Oxidation
Understanding metal of metal oxidation is critical to corrosion control, catalysis, and advanced materials engineering. Classical oxidation theories assume a uniform oxide film growth; however, in situ TEM studies reveal this is far from the case. It is a complex set of (often coupled) processes involving physical and chemical changes at multiple scales. A great knowledge gap exists between the oxygen-induced
surface reconstructions of the early stages and the formation of the subsequent oxide structure. We are using ETEM in concert with DFT calculations to study early-stage oxidation to determine the structure of these reconstructed surfaces and how they depend on the metal surface faceting and environmental conditions (O2 pressure, temperature), such as the Cu(110) “sawtooth” reconstruction under O2 (Fig. 1).
Judith C. Yang, PhD Professor
Heterogeneous Catalysts and Nanomaterials
Bimetallic nanoparticle catalysts can exhibit enhanced activity and selectivity over their single-metal constituents, since each part can be tailored for a specific function. However, adding a second metal greatly increases the complexity of the bimetallic system, especially under environmental conditions; variation in the elements’ mixing patterns and reconfiguration (e.g., NiCo nanoparticles, Fig. 2) can affect the reaction mechanisms and thus catalytic performance. Our design cycle iterates between theory (DFT, MM), synthesis, characterization (TEM, X-ray), and testing to discover and optimize new catalysts. This mutually supportive approach yields insights that could not be achieved separately.
63 DEPARTMENT OF CHEMICAL AND PETROLEUM ENGINEERING CHEMICAL & PETROLEUM ENGINEERING
Fig. 1
Fig. 2
DEPARTMENT OF
CIVIL & ENVIRONMENTAL ENGINEERING
CIVIL & ENVIRONMENTAL ENGINEERING
Amir H. Alavi, PhD
Assistant Professor
Department of Bioengineering (Secondary)
Department of Mechanical Engineering and Materials Science (Secondary) iSMaRT Lab
We conduct rigorous fundamental research to advance the science of systems engineering to create integrative approaches for the design, additive manufacturing and computational modelling of complex engineered materials and structures. We are interested in harnessing the power of the created principles and concepts in the fields of civil, aerospace, and biomedical engineering. Our multidisciplinary scientific studies are organized around three research thrusts:
Thrust 1: Mechanics and Electronics of Multifunctional Materials
Our lab is focused on design, additive manufacturing and computational modelling of novel engineered material systems (e.g. mechanical metamaterials, composites) and understanding their multiscale mechanics and electronics. We are working on electronic architected materials with a wide range of functionalities including self-sensing, energy harvesting, mechanoelectricallogic digital computation, data storage, programmability, and mechanical tunability.
Thrust 2: Embedded Self-powered Sensing Systems
Our research group is primarily involved in design and fabrication of innovative solutions for structural health monitoring and condition assessment of structural systems. This will involve creating novel sensing, monitoring and automated technologies that are enhanced by engineering informatics for a better decision making.
Thrust 3: Data-driven Modeling of Engineering Systems
Our lab explores the capabilities of engineering systems informatics in various engineering domains. Our broad research portfolio in this arena involves designing computational models for datadriven discovery and design of materials, creating novel data mining algorithms for characterizing engineering systems, and developing advanced data interpretation/ fusion frameworks for processing and analyzing the SHM data.
66 DEPARTMENT OF CIVIL AND ENVIRONMENTAL ENGINEERING
209 Benedum Hall | 3700 O’Hara Street | Pittsburgh, PA 15261 P: 412-648-4385 alavi@pitt.edu
Barri et al. Adv. Funct. Mater., 32, 2203533, 2022. Barri et al. Nano Energy, 86, 106074, 2021.
Barri et al. Adv. Mater., 17643876, 2023. Barri et al. IEEE. Trans. Biomed. Eng., 69, 2022.
Zhang et al. Adv. Intell. Syst, 2300019, 2023. Zhang et al. Engineering, 7(12), 2021.
153 Benedum Hall | 3700 O’Hara Street | Pittsburgh, PA 15261
P: 412-648-8075
mbilec@pitt.edu
https://www.bilecbese.org/
Dr. Bilec is an associate professor in the Swanson School of Engineering’s Department of Civil and Environmental Engineering. Dr. Bilec’s research program focuses on sustainable healthcare, the built environment, and life cycle assessment. She is interested in improving the overall environmental performance of buildings while connecting the occupants in a more thoughtful manner.
She is the Principal Investigator in a multi-disciplinary and multiinstitutional research project, NSF EFRI-Barriers, Understanding, Integration – Life cycle Development (BUILD). She has worked in the sustainable engineering arena since 2004. As the assistant director of education outreach in the Mascaro Center for Sustainable Innovation, Pitt’s center for green design, she translates research to community outreach programs and develops sustainable engineering programs for K-12 education.
Melissa Bilec, PhD Professor
Assistant Director, Mascaro Center for Sustainable Innovation
The Built Environment and Life Cycle Assessment
Buildings are recognized as a technological sector where large improvements in sustainability-related categories are achievable. The question of what is environmentally sustainable is best addressed through the use of life cycle assessment (LCA).
Indoor Environmental Quality – Most LCAs do not include the building’s direct impacts on its occupants, though these impacts also occur primarily during the use phase and can be significant. For commercial buildings, some of the impacts on occupants may decrease their productivity, leading to lower revenue or otherwise reducing the owner’s financial return on investment.
Dynamic LCA – The long service life of buildings also introduces a need to examine the possibility of changes over time. However, the current state of the practice in LCA is to assume a static, unchanging set of values for the duration of the use phase, due to the additional data requirements for modeling system dynamics and generating multiple scenarios. Recent development in sensing and building automation technologies indicates that the additional data requirements of dynamic life cycle modeling may be within reach. Real-time measurements of building requirements such as energy usage and indoor air quality are already implemented in some automation and control systems. The needs of a sensor network used for life cycle modeling may not extend significantly beyond those for a building system diagnostic and control network. Such a network provides the dynamic building operations portion of the LCA database; when coupled with time-dependent information on external industrial and environmental systems, it could give true life cycle updates in real time.
Sustainable Healthcare
As environmental sustainability increases, the healthcare industry, with its relative size, costs, waste generation, and expected growth, is under pressure to improve its economic, social, and environmental sustainability. With these challenges and growing concerns about the US healthcare industry and the general health of the public, hospitals are called upon to be designed more sustainably and to improve the environmental sustainability of their processes and procedures. In order to implement more environmentally sustainable hospital building design and medical practices, healthcare decision-makers need proper tools and information about the industry’s current environmental footprint, which aspects of hospital design and function contribute most significantly to environmental and human health impacts.
67 DEPARTMENT OF CIVIL AND ENVIRONMENTAL ENGINEERING CIVIL & ENVIRONMENTAL ENGINEERING
CIVIL & ENVIRONMENTAL ENGINEERING
Andrew P. Bunger, PhD
Associate Professor, R.K. Mellon Faculty Fellow in Energy Department of Chemical and Petroleum Engineering (Secondary) Center for Energy NETL RUA Professor
Improving Effectiveness and Sustainability of Hydraulic Fracturing
Hydraulic fracturing has been the most important method for stimulating production of oil and gas for more than 60 years. With its critical role in the growth of shale gas/oil, hydraulic fracturing has now come to the forefront of conversations about energy and the environment as well as intensified research efforts aimed at ensuring it is done in a manner that is both effective for its purpose and sustainable for communities and the environment.
The effectiveness and sustainability of hydraulic fracturing operations go hand in hand. When the methods of hydraulic fracturing are optimal, the surface impacts
Experience and Facilities
and environmental risks are minimized. Similarly, poor practice that fails to minimize environmental and community impacts jeopardizes the benefits that can be achieved from responsible production of gas and oil emerging sources such as shale reservoirs.
Dr. Bunger’s research aims at achieving optimality of hydraulic fracturing processes by predicting and controlling the types of growth patterns that will be generated when high pressure fluid injection is used to break reservoir rocks. Dr. Bunger uses analytical, numerical, and experimental methods to understand fundamental
Dr. Bunger has 15 years of experience in experimental, analytical, and computational investigation of hydraulic fracturing, rock mechanics, and site testing including in situ stress measurement. The University of Pittsburgh Hydraulic Fracturing Laboratory supports research into hydraulic fracture propagation. It includes: 1) a true-triaxial cell, including hydraulic pump and pressure control, capable of applying up to 20 MPa of stress independently in each of 3 direction to specimens measuring up to 300 mm on a side, 2) multi-axis video monitoring that is enabled by viewing ports in the loading platens of the triaxial cell, backlight sources built into the loading platens, and digital video cameras 3) a syringe pump used for injecting fluid for hydraulic fracturing, 4) sensors for monitoring injection fluid pressure and temperature.
physical processes with an emphasis on contrasting network versus localized growth, growth that is contained to the reservoir versus growth out of zone, and practices that minimize versus exacerbate risk to well integrity and hence to groundwater resources due to the potential for contaminant migration along poorly completed or damaged wells. Dr. Bunger’s additional and complimentary research interests include the mechanics of hydraulic fractures, coupled fluid-shale interaction, and the emplacement dynamics of magma-driven dykes and sills.
68 DEPARTMENT OF CIVIL AND ENVIRONMENTAL ENGINEERING
710 Benedum Hall | 3700 O’Hara Street | Pittsburgh, PA 15261 P: 412-624-9875 C: 412-290-6345 bunger@pitt.edu
Top: Photo from “Modern Shale Gas Development in the United States: A Primer,” US Department of Energy, April 2009. Bottom: Sketch of laboratory equipment showing an example with a transparent PMMA specimen.
706 Benedum Hall | 3700 O’Hara Street | Pittsburgh, PA 15261
P: 412-624-8618
lei.fang@pitt.edu
Lei Fang, PhD Assistant Professor
Lei Fang is an Assistant Professor in Civil and Environmental Engineering at the University of Pittsburgh. His research focuses on turbulence dynamics and transport and mixing problems with particular emphasis on topics relevant to biology, environment, and health. Current interests include the transport of active non-spherical swimmers, biologically generated mixing, human crowd dynamics, and the development of new experimental methods. Prior to joining the faculty at the University of Pittsburgh, he received a PhD from Stanford University in the Civil and Environmental Engineering Department with a PhD minor in Computational and Mathematical Engineering.
The three main ongoing projects are:
Active Matters in Dynamic Flow Environment
Chaotic and turbulent fluid flow in natural and engineered systems is usually embedded with active matters, such as fish schools in the oceans and swarms of swimming/flying robots. Even though the dynamical transport barrier (the flow structures that partition the flow domain into disconnected regions) is an efficient way to understand and control the transport of inactive material, it is not the case for modeling and controlling active matters because the coupling between dynamical transport barriers and the active matter is more complicated than that of inactive matters. There are three major challenges. First, agents in the active matters have mobility, so they don’t follow the flow exactly. Second, agents will generate small scale flow, and they can couple back to the larger scale flow collectively. Third, the challenge also comes from the significant scale mismatching between the small scale agents and large scale transport barriers. Typically, agents are usually few orders of magnitudes smaller than the transport barriers.
We developed a combination of quasi-two-dimensional laboratory flow equipment, particle tracking velocimetry system, and light guiding system for the active matters. With the unique combination of the experimental system, we are able to tackle the complicated interactions with a wide range of parameter space.
Macroscopic Behavior of Social Distancing
The recent outbreak of COVID-19 has spread globally. We can prevent its spread by applying social distancing, which requires extra “buffer” space around each person, which poses significant constraints on transportation mobility.
From the perspective of civil and environmental engineers, we are facing a situation where we do not have means which would help us to assess, estimate, and model operations of pedestrians in the new reality of corona-impacted conditions.
A novel computational social distancing crowd model has been developed to study the macroscopic behavior with social distancing. Currently, the research goal is to identify the possibility of small modifications of existing infrastructure to enhance the transportation efficiency of the infrastructure. The proposed method will help develop mobility practices that can help us remain active and open our social and professional lives in pandemic and post-pandemic times.
Turbulence Behind Virus Transmission
The exhaled air of infected humans is one of the prime sources of contagious viruses, resulting from respiratory events such as coughing, sneezing, breathing, and talking. Coughing and sneezing have been widely studied because of higher exhalation velocity and droplet concentration. Less emphasis has been put on talking. However, talking can potentially have a strong effect due to longer duration and more direct exposure. Moreover, researchers have focused on contagious droplets, but surprisingly little attention has been paid to the turbulent nature of the carrier flows given their importance. Hence, our research focuses on the turbulence characterization of the talking plume.
The turbulent talking plume can play an essential role in virus transmission because turbulence characteristics can determine a wide range of parameters in contagious droplets, such as evaporation rate and travel distance. Virus transmission is more complicated in talking plumes than plumes from coughing or sneezing because of the wide range of turbulent plumes from different pronunciations. We are setting up a novel particle-tracking technology that can track droplet trajectories that are at least one order of magnitude longer than the traditional particle tracking techniques.
69 DEPARTMENT OF CIVIL AND ENVIRONMENTAL ENGINEERING CIVIL & ENVIRONMENTAL ENGINEERING
Alessandro Fascetti, PhD Assistant Professor
My research team investigates the physical processes that contribute to the degradation of the civil infrastructure of the Country at different length and time scales. The broader question and societal impact of our research lie in the definition of science-based decisionmaking procedures for the formal evaluation of the state of infrastructure networks at the national scale, by defining active and passive control mechanisms to guide the operation of the systems in ordinary (service life) and extraordinary (natural and manmade hazards) conditions. The ultimate goal is to provide a comprehensive framework for the classification and evaluation of the resilience of the transportation and geotechnical infrastructure of the Country. This allows for a knowledge-based platform that provides quantitative measures of the resilience of the systems and a rigorous description of the needs of the infrastructure for maintenance efforts, with the possibility of comparing different strategies and rationalize and optimize maintenance and future construction investments.
In recent research, we have developed smart digital platforms that synergistically combine computational mechanics tools, advanced surveying and Artificial Intelligence techniques to perform the quasi-real time resilience assessment of Flood Protection Infrastructure (FPI) systems. This novel toolkit leverages advanced multiscale computational models for the simulation of the degradation of the infrastructure and are based on novel random lattice modeling approaches developed and extensively validated by the research group. The algorithmic complexity of such advanced models, however, makes it impossible to perform detailed simulations at the observation scale that is of interest in the context of FPI resilience assessment. To overcome this limitation, we define Machine Learning-based approaches trained by means of large datasets of solutions retrieved from the numerical simulations. This innovative approach allows for the new interesting capability of performing quasi-real time simulations for problems that were computationally prohibitive before.
A core philosophy in how my group develops these numerical tools is that they should be inherently capable of interacting with the physical system, by means of embedded or remote sensors. The input parameters for the multiscale numerical model are, in fact, directly obtained from live measurements streaming from embedded and remote sensors and are augmented by advanced aerial remote sensing techniques. In particular, we
are interested in developing new data fusion approaches to leverage the use of UAVs for the digital reconstruction of the infrastructure by augmenting the photogrammetric results with LiDAR (laser-based) measurements. This approach can allow for a substantial increase in the information acquired through the remote sensing operations, which in turn can provide greater accuracy in the numerical models that use such data.
The overarching goal for our research is the definition of new tools to deploy actionable, science-based decision-making by combining the three pillars of the research (i.e., the random lattice models, the ML-based Reduced Order Models and advanced remote sensing), ultimately enabling groundbreaking advancements in operational control and maintenance of civil infrastructure systems for safer, more resilient and sustainable communities.
70 DEPARTMENT OF CIVIL AND ENVIRONMENTAL ENGINEERING
CIVIL & ENVIRONMENTAL ENGINEERING
726 Benedum Hall | 3700 O’Hara Street | Pittsburgh, PA 15261 P: 412-624-9884 fascetti@pitt.edu
Figure 1 - Overview of different applications of random lattice modeling for the solution of Civil Engineering problems
707 Benedum Hall | 3700 O’Hara Street | Pittsburgh, PA 15261
P: 412-624-9881
sjhaig@pitt.edu
Sarah Haig, PhD Assistant Professor
Understanding and Using Microbes to Improve our Built Environment
Follow us on Twitter @SarahJaneHaig
Today the water industry faces a huge challenge in supplying a sustainable, energy efficient, and safe supply of drinking water to an increasing world population. Research in the Haig group combines environmental microbiology, environmental chemistry, and public health to advance water quality with a focus on drinking water systems. Specifically, we are interested in the development of novel technologies to detect degraders of emerging contaminants. We are also interested in assessing and developing new mitigation approaches, such as the design of new surface plumbing material to reduce pathogen growth, in-building plumbing and exploring the ability to augment and manage existing microbial communities within engineered systems to optimize performance.
Does Drinking Water Pose a Threat to Human Health?
In the U.S. and other high-income countries, the majority of infectious disease deaths result from respiratory tract infections, many of which are caused by bacterial opportunistic pathogens (OPs) such as Legionella pneumophila. OPs are typically referred to as organisms that normally pose little threat to healthy individuals but can cause infection in immunocompromised people (e.g., the very young, elderly or individuals with chronic diseases or infection). Given the increase in reports attributing waterborne infectious disease outbreaks to OPs, as well as their presence in municipally treated drinking water, it is important to gain a better understanding of how household drinking water contributes to the acquisition of OPs. Our research aims to understand the biogeography of OPs throughout building water and explore the impact of various OP risk mitigation strategies
Removing Contaminants with Microbes
Increasing demand for drinking water has led and continues to lead to the reuse of water sources of varying quality, including treated wastewater. As a result, water treatment plants need to remove contaminants such as metals and pharmaceuticals which can affect human and environmental health. Unfortunately, our existing treatment systems do not completely remove these contaminants, therefore efforts must be
made to improve their removal. Biological removal approaches, such as the addition of microbial contaminant degraders, are somewhat faster, more economical, and energy efficient compared to physical and chemical approaches. Our research aims to develop “real time” methods capable of identifying and isolating potential microbial contaminant degraders and enriching such organisms into existing systems in order to improve contaminant removal
71 DEPARTMENT OF CIVIL AND ENVIRONMENTAL ENGINEERING CIVIL & ENVIRONMENTAL ENGINEERING
PhD, Civil and Environmental Engineering, University of Glasgow, UK MSci, Microbiology, University of Glasgow, UK Research Group Page: www.haiglab.net
CIVIL & ENVIRONMENTAL ENGINEERING
Kent A. Harries, PhD, FASCE, FACI, FIIFC, P.Eng
Professor, Structural Engineering and Mechanics
Courtesy Appointment: Architecture Design (ARC) Senior Editor and Principal Editor for Publishing Ethics, Construction and Building Materials
Chair, ACI Committee 440S - FRP Repair of Concrete Code
Lead, ISO 22156 - Bamboo Structural
Design
Infrastructure Renewal
The state of the Nation’s and the world’s civil infrastructure is poor and deteriorating rapidly. Innovative, cost-effective and sustainable means of repairing, retrofitting and rehabilitating our built environment are of critical importance. Dr. Harries’ expertise lies in developing and demonstrating these means. Harries is a structural engineer; his specialization in large- and full-scale structural testing, coupled with a background in applied mechanics places him in a unique position among university researchers. Harries’ infrastructure-related research focuses in the following areas:
• methods of repair and retrofit of concrete and steel structures with a focus on prestressed concrete bridge systems;
• innovative structural systems for high-rise structures;
• fiber-reinforced polymer (FRP) structural systems (bridge decks);
• applications of large- and full-scale structural testing;
• natural-hazards mitigation and seismic design and retrofit; and,
• forensic study and analysis of structural failures.
Non-traditional Materials in Civil Infrastructure
Harries’ research has a strong focus on the use of fiber-reinforced polymer (FRP) materials in civil infrastructure. This includes applications of:
• CFRP (carbon) for concrete and steel structural repair;
• GFRP (glass) at titanium for concrete reinforcement;
• Stability and long-term behavior of pultruded GFRP materials; and,
• spray applied materials for underground infrastructure applications.
In most cases, bond to the substrate material is a key limit state for repair material performance; Harries is a recognized international leader in the field of FRP bond behavior, particularly durability of bond under fatigue loading conditions.
Non-conventional Materials in Civil Infrastructure
Focusing on engineering and natural-hazards mitigation applications in the developing world, Harries has built a research expertise in the structural application and design of full-culm bamboo and standard test methods for quantifying the behavior of bamboo for structural applications. Harries’ is a leading participant in international efforts to produce design and test standards for bamboo materials. While a nascent field, this work has resulted in collaborations in Brazil, China, India, Nepal, Indonesia, France, Jamaica, Fiji, East Africa and the UK. This focus has also provided a large number of research opportunities for undergraduate students both at Pitt and abroad.
72 DEPARTMENT OF CIVIL AND ENVIRONMENTAL ENGINEERING
Office: 218B Benedum Hall Mail: 742 Benedum Hall | 3700 O’Hara Street | Pittsburgh, PA 15261 P: 412-624-9873 kharries@pitt.edu
forensic study of 2005 collapse of Lake View Drive bridge
fatigue behavior of CFRP-repaired concrete beams split-pin test of full-culm bamboo to determine fracture mechanics properties; test developed at Pitt
frequency (Hz) T r a n s m s b y X U 1000 100 10 1 0.1 1 10 X (=0) 1 X (=0) X=X (=) ∞ P Q = 1.38 = 1.79 = 0.38 = 0.12
stability of pultruded GFRP members
optimization of coupled high-rise structures
structural design of bamboo
728 Benedum Hall | 3700 O’Hara Street | Pittsburgh, PA 15261
P: 412-624-9872
xuliang@pitt.edu
www.engineering.pitt.edu/XuLiang/
Liang’s primary research interests are to discover and reveal fundamental laws that govern water and energy cycles, and to investigate how the water and energy cycles affect the health of our environment and ecological systems, and how they influence the transport and cycling of nutrients and pollutants at different spatial scales, such as at local, regional, continental, and global scales. Liang’s research work includes (1) land surface hydrology and modeling, (2) advanced hydroinformatics, and (3) environmental monitoring via wireless sensors and sensor network (WSN).
Advanced Informatics
Due to significant advancements in information and communication technologies, hydroinformatics, an emerging cross-disciplinary field, could change the way of hydrological and environmental research profoundly. Liang and her team have been developing new methodology to conduct data fusion and data assimilation by making good and effective use of various heterogeneous data sources. They have also been investigating decades-long difficult problems on improving prediction accuracies for ungauged basins by combining machine learning approaches.
Land Surface Hydrology and Modeling
The fields of surface water hydrology and atmospheric sciences were developed as two independent fields in the past. With the evolvement of the new interdisciplines, the atmosphere, land surface, and soil zone below the land surface are now viewed as one integrated system. Such new view provides great opportunities to understand the nature which have never been possible before, such as, how to connect climate change of global warming at different scales in order to conduct impact studies on flooding, drought, agricultural yields, water resources, human welfare, etc. One of the outstanding and difficult problems in resolving these connections is to effectively deal with different spatial scales associated with the climatemodel predictions of various physical variables, such as rainfall, snowfall, soil moisture, etc. from large spatial
Environmental Monitoring via WSN
Xu Liang, PhD
Professor
Land Surface Hydrology and Modeling
Advanced
Informatics
Environmental Monitoring via
WSN
domains in atmospheric models to much smaller spatial domains associated with hydrological models. Liang and her team are developing a new modeling strategy to address some of the emerging challenges in the field of land surface modeling.
Wireless sensor networks (WSNs) enable the continuous monitoring of various hydrological phenomena at unprecedented high spatial densities and long time durations and hence, open new exciting opportunities for numerous scientific endeavors. It is of paramount importance to deploy large scale monitoring WSNs for environmental monitoring. Because sensor nodes are battery-powered, one of the most critical challenges in WSNs is to minimize the use of power for data gathering. Liang and her team have worked on building their own sensors to significantly reduce the cost for making a large number of field deployment possible. In addition, collaborating with computer scientists, they have been investigating the energy characteristics of different types of sensors in environmental wireless sensor networks, and developing an innovative framework to significantly improve energy efficiency for large scale environmental monitoring using WSNs.
73 DEPARTMENT OF CIVIL AND ENVIRONMENTAL ENGINEERING CIVIL & ENVIRONMENTAL
ENGINEERING
ENGINEERING
Jeen-Shang Lin, PhD, P.E. Associate Professor
Mechanics of Rock Cutting and Modeling
Rock cutting is a fundamental problem facing engineers, as any structure that is placed on or in rocks would involve some degree of rock cutting. Yet it is a challenging problem from a modeling perspective. This challenge appears as a sequence of difficult problems: A contact problem first arises as a cutter advances and interacts with the target rock material. This is followed by the problem of determining when and whether or not the rock would fail. Subsequently, the problem of how to initiate the fragmentation process after the material failure has to be resolved. This cycle of problems then repeats starting with a new
Continuum-Discrete Analysis
contact problem after new surfaces are generated because of fracture. We have successfully applied both the discrete element and the finite element methods in capturing the various fracture phases of the fragmentation during rock cutting. We have also demonstrated the feasibility of modeling a drilling operation using computation mechanics. Other focus of our study included the modeling of failure mode transition from ductile to brittle as the depth of cut increases. In fact, we have shown that rock cutting also follows a size law if the depth of cut is used as the measure of size.
Many problems of importance involve interaction of continuum with discontinuum. For instance, bones may be viewed as discrete objects and tissues and muscles the continuum; dams the continuum and the fracture rocks foundation the discrete objects. A continuum may also rupture into several discrete objects. This class of problems requires a dedicated, efficient computational approach. We have worked on continuum damage mechanics together with element erosion in FEM to model fracture. We have also developed algorithms in a mesh based partition of unity method, also known as the numerical manifold method, to address interaction across discontinuities.
Constitutive Modeling of Hydrate-Bearing Soils
Methane hydrates have been touted as an important potential future source of energy. Production of gas hydrates faces significant challenges, such as the geomechanical changes brought about by hydrate dissociation. Specifically, the dissociation of gas hydrates could affect the structural integrity of unconsolidated hydrate-bearing sediments. In this connection, a good grasp of the geomechanics of hydrate-bearing sediments is also crucial in addressing potential geohazards resulting from global warming. We have been funded by NETL and successfully developed a new constitutive law for methane hydrate-bearing soils. We are currently focusing on implementation of this new law, and on coupling geomechanics code with multiphase flow code.
74 DEPARTMENT OF CIVIL AND ENVIRONMENTAL ENGINEERING
CIVIL & ENVIRONMENTAL
725 Benedum Hall | 3700 O’Hara Street | Pittsburgh, PA 15261 P: 412-624-8158 jslin@pitt.edu http://www.engineering.pitt.edu/JeenShangLin/
203 Benedum Hall | 3700 O’Hara Street | Pittsburgh, PA 15261
P: 412-383-4075
carlang@pitt.edu
www.pitt.edu/~carlang
Chemical Fate in the Anthropocene
Human influence on the environment has reached geologic scales, prompting a call to label our current epoch the “Anthropocene.” Our group studies how human activity interacts with physiological and ecological systems to drive the movement of hazardous chemicals and thereby affect human and environmental health.
We use a variety of complimentary approaches, including multimedia environmental fate models, physiologically based toxicokinetic (PBTK) models for organisms, and in vitro assays to
understand and predict the distribution of legacy and emerging organic chemicals. Chemicals of particular interest include per- and polyfluorinated alkyl substances (PFAS), current-use pesticides, and chemicals like flame retardants that find their way into food by accumulation from the environment or via food production, processing or packaging.
We also use and develop quantitative structure-activity relationships (QSARs) to predict environmental hazards of new chemicals and screen existing chemicals for substances of concern.
Global Food Trade as a Chemical Exposure Route
Food is a basic human need and also part of a complex system with social, environmental, and economic implications. One critical dimension of this system is chemical contamination. Food is a major pathway of human exposure to chemicals, and food production causes substantial contamination to surrounding environments.
We use an integrated modeling strategy, combining substance flow analysis, regional bioaccumulation and global chemical fate
What Makes a Chemical Bioaccumulative?
Per- and polyfluorinated alkyl substances (PFAS) are a class of extremely persistent contaminants increasingly found in the environment, humans, and wildlife on a global scale. PFAS redefined our understanding of bioaccumulation due to their unique toxicokinetics and tissue distributions. Students in my group are developing novel PBTK models that
Carla Ng, PhD Assistant Professor
Chemical & Petroleum Engineering (Secondary)
models to investigate how site-specific emissions intersect with global trade patterns to influence human exposure to hazardous chemicals. Our group recently showed how globally traded fish feed plays an outsized role in determining flame retardant concentrations in farmed salmon (see cover article in the June 19 issue of Environmental Science & Technology). Ongoing work compares seafood origin to dietary exposure contributions for this key class of toxic chemicals.
successfully describe PFAS behavior through their interactions with proteins and membrane transporters. We build predictive models for the many thousands of PFAS for which few data are available by combining molecular dynamics simulations with in vitro assays, providing guidance for ongoing policymaking and remediation efforts.
75 DEPARTMENT OF CIVIL AND ENVIRONMENTAL ENGINEERING CIVIL & ENVIRONMENTAL ENGINEERING
ENGINEERING
Piervincenzo Rizzo, PhD Professor Director, Laboratory for Nondestructive Evaluation and Structural Health Monitoring Studies
Prof. Rizzo has nearly 15 years’ experience in nondestructive evaluation (NDE), structural health monitoring (SHM), and signal processing. To date, Dr. Rizzo has published nearly 70 peerreviewed papers, over 120 conference proceedings, and he holds 2 patents. His research portfolio spans from the application of guided waves for the NDE of rails, pipes, and cable structures, to the use of infrared technology in NDE and sustainability. His research has been supported by the National Science Foundation, the Federal Railroad Administration, the American Society for Nondestructive Testing and the Pennsylvania Department of Transportation. Recently, he is applying some NDE techniques for biomedical applications.
HNSWs for the Prevention of Rail Thermal Buckling
One of the major structural problems in the railroads made of continuous welded rails is buckling in hot weather and breakage or pulling apart in cold weather. The prevention of buckling is related to the determination of the temperature, called rail neutral temperature, at which the net longitudinal force in the rail is zero. Our group is investigating the capability of a novel sensing system to indirectly measure applied stress in rails. This system consists of a simple and cost-effective transducer, recently developed at Pitt. The transducer enables the generation and detection of highly nonlinear solitary waves (HNSWs), which are compact non-dispersive stress waves that can form and travel in nonlinear systems such as granular materials.
Top: Example of buckling (http://www.powelectrics.co.uk/content/rail.jpg
Bottom:
EMI for the Assessment of Dental Implants
Missing teeth is a problem that involves people of any country and race. Dental implants are increasingly used to replace missing teeth, but the proper success of the therapy is related to the ability to assess the occurrence of full osseointegration, when a stable implant-bone interface is reached. We propose a new biomedical device to assess such stability. The device exploits the electro-mechanical impedance (EMI)
of a piezo-transducer glued to the abutment screwed to an implant. We hypothesize that the electrical impedance of this disposable transducer glued to the abutment inserted, during periodic visits, to the implant, can diagnose the progress of the implant therapy.
Guided Ultrasonic Waves (GUWs) for SHM Applications
The demand for robust and cost-effective SHM systems is on the rise. Among the several methods proposed to monitor waveguide-like structures, ultrasonic-based and impedance-based methods are gaining increasing attention in the research community. Dr. Rizzo’s group has positioned itself in the area of GUWs-based SHM. We developed a general paradigm that combines guided waves with discrete wavelet transform to extract a set of damage sensitive features that are fed to a supervised (artificial neural network) or an unsupervised learning (outlier analysis) algorithm. The paradigm aims at identifying and/or classifying damage.
76 DEPARTMENT OF CIVIL AND ENVIRONMENTAL ENGINEERING
CIVIL & ENVIRONMENTAL
729 Benedum Hall | 3700 O’Hara Street | Pittsburgh, PA 15261 P: 412-624-9575 C: 412-417-4846 pir3@pitt.edu http://www.pitt.edu/~pir3/
proposed NDE inspection scheme.
Examples of waveguides P Z T ( b) (a) (d ) (c) Examples of waveguides
Left: Photo of an artificial tooth supported by an implant. Right top: PZT bonded to an implant. Right bottom: finite element model for EMI study
153 Benedum Hall | 3700 O’Hara Street | Pittsburgh, PA 15261
P: 412-624-9793
davidsanchez@pitt.edu
The research conducted by Professor David Sanchez’s Sustainable Design Labs (SDL) at the University of Pittsburgh’s Swanson School of Engineering harnesses interdisciplinary research fields to develop technologies designed to track and treat contaminants of emerging concern (CEC) pollution in freshwater sources. CECs are a class of pollutants that are particularly perilous to the freshwater supply due both to the availability of limited data concerning the presence and potential adverse effects on human or environmental health and minimal regulatory oversight. They include a wide range of chemical compounds and microorganisms, such as pharmaceuticals and personal care products (PPCPs), hormone and endocrine disruptors, micro- and nanoplastics, and per- and polyfluoroalkyl substances (PFAS). SDL’s expertise includes analytical chemistry, electrochemistry, microbiology, material science, and environmental engineering.
Identifying and Monitoring Environmental Contaminants
Analytical chemistry techniques are employed to both identify and quantify CECs present in freshwater samples, nurdles, and fish to study the effects of CECs on the ecosystem. This entails creating novel approaches for identifying and quantifying CECs as well as improving current methodologies to detect chemicals at part per trillion/quadrillion concentrations. The lab works with solid phase extraction (SPE), gas-chromatography mass spectrometry (GC-MS), and liquid chromatography-tandem mass spectrometry (LC-MS/MS) to separate, identify, and quantity CECs in water samples. SDL’s long-term goal is to create real-time sensors that continuously monitor CECs from point-source and nonpoint-source locations thus enabling early detection and prompt action to mitigate the extent of contamination.
Design Treatments
SDL is conducting research concerning the treatment and removal of CECs in various water matrices. One approach to removing CECs involves the use of bacteria-catalyzed degradation, which can be
David V.P. Sanchez, PhD Associate Professor
Associate Director, Mascaro Center for Sustainable Innovation Faculty Director, ScholarCHEF (Frederick Honors College)
improved through electrochemical processes. SDL is investigating the use of biofilm-electrodes to increase the rate of microbial degradation of BPA via an NSF Sponsored grant. Additionally, SDL is exploring the use of nanobubbles (NBs) in advanced oxidative processes to enhance the effectiveness of current water treatment procedures. Overall, by creating novel analytical methods, real-time sensors, and sustainable treatment pathways, SDL is attempting to address the growing problem of CECs in water sources.
Sustainable Urban Agriculture
Dr. Sanchez oversees Pitt Hydroponics, Pitt Aquaponics, and ScholarCHEF in the Frederick Honors College. These initiatives look to promote the understanding and use of controlled environmental agriculture through community-engagement as means to create more sustainable food systems.
77 DEPARTMENT OF CIVIL AND ENVIRONMENTAL ENGINEERING
CIVIL & ENVIRONMENTAL ENGINEERING
ENGINEERING
Aleksandar Stevanovic, PhD, P.E., FASCE Associate Professor Director, Pittsburgh Intelligent Transportation Systems (PITTS) Lab
Traffic Signal Control for Greener Environment
Our traffic signals have been traditionally timed to reduce congestion and improve commuting times for traffic with predominantly private cars. As a society, we have not paid enough attention to retime traffic signals to decrease unnecessary fuel consumption and vehicular emissions. Extra fuel consumption does not only reflect energy inefficiency, but it generates extra emissions some of which could be harmful for human health (e.g., particulate matters) whereas others (e.g., CO2) can contribute to the climate change. Our recent research on this subject has revealed that correlation between signal operations and fuel consumption (as the main drive of vehicular emissions) is of complex nature. Any attempt to minimize excess fuel consumption, due to traffic signals, requires a sophisticated approach to find the right balance of signal timings taking in consideration a half of a dozen of factors representing various operational and traffic conditions. This line of research is currently supported by three sponsors: Pitt’s Mascaro Center for Sustainable Innovation, Lake County (IL) department of Transportation, and US Department of Energy (through a contract with the University of Tennessee – Chattanooga).
Flexible Utilization of Roadways for Traffic Management in Connected and Automated Vehicle Environment
With ever-increasing traffic demand our urban road infrastructure will soon reach a state of constant oversaturation where it will be difficult to distinguish between peak and non-peak traffic periods, all accompanied with long and unreliable travel times. At the same time, our technological advances in IT and Connected and Automated Vehicles (CAVs) have opened some opportunities for innovative traffic management concepts. We developed such a concept, whose first version we named Combined AlternateDirection Lane Assignment and Reservation-based Intersection Control (CADLARIC). In CADLARIC, vehicles can utilize any available lane, even the ones who have been traditionally reserved for the other direction. In such traffic control scheme CAVs
preposition themselves in a proper lane ahead of the downstream intersection, an action which enables traffic control logic to better resolve vehicular conflicts within the intersection boundaries. The proposed concept, through its numerous variations, has shown very promising results both in hypothetical and field-like networks. In such heavy-automated control environment vehicles constantly communicate (among themselves and with smart road infrastructure) to efficiently utilize any available road space. In this way they are able to reduce number of conflicts at intersections and improve travel times on urban arterials. This line of research is currently not funded but it is heavily utilized in a variety of proposals to NSF, DOE, FHWA, and similar sponsoring agencies.
78 DEPARTMENT OF CIVIL AND ENVIRONMENTAL ENGINEERING
& ENVIRONMENTAL
CIVIL
218D Benedum Hall | 3700 O’Hara Street | Pittsburgh, PA 15261 P: 412-383-3766 stevanovic@pitt.edu www.pittslab.pitt.edu
705 Benedum Hall | 3700 O’Hara Street | Pittsburgh, PA 15261
P: 412-624-9879
jmv7@pitt.edu
Dr. Vandenbossche’s research group focuses on the characterization of concrete and cementitious materials both in the lab as well as numerically. A large portion of their research is related to the design, analysis and performance prediction of concrete pavements.
Wellbore Simulation Chamber
Gas migration into and along cemented wellbore annuli has been recognized as both a safety and environmental risk for the oil and gas industries. This becomes most severe when formation gas is able to enter the wellbore annulus and travel vertically, potentially migrating to nearby freshwater aquifers. A novel laboratoryscale wellbore simulation device was developed to simulate this migration for a wide range of borehole conditions. The purpose of the study is to establish a correlation between the vulnerability of a cemented annulus to gas migration and the fundamental properties of the hydrating cement.
Dowel Performance in Concrete Pavements
Dowels are an integral part of many concrete pavements, decreasing the load borne by each slab. Dowels are particularly important to reduce faulting. However, dowel performance is poorly characterized, with little understanding of the temporal effects on field performance. In this study, a laboratory setup was developed to simulate dowel performance. This was combined with computational modeling to develop new mechanistic models that can be used for performance prediction and will lead to a more optimal design of pavements.
CIVIL & ENVIRONMENTAL ENGINEERING
Julie M. Vandenbossche, PhD, PE
William Kepler Whiteford Professor Associate Chair of Research Director, Impact Resilient Infrastructure Science and Engineering (IRISE)
They also are providing insight into the fundamental characteristics of the cement hydration process as it relates to gas migration through the cement annulus of a wellbore. Some of the recent projects include:
Effect of Superloads on Pavements
Vehicles that exceed statutory load limits (200,000 lbs) and occupy more than one lane are called superloads, and are often used to transport very large manufactured components on highways. Superloads require special permitting, but the basis for issuing permits tends to be nonscientific, with little consideration for the effect of the vehicle configuration and environmental conditions on the resulting damage to the roadway. In this project, tools were developed for assessing damage imposed by superloads commonly encountered in Pennsylvania so that a scientific basis for assessing future permits and protecting the roadway is now possible.
Bonded Concrete Overlays of Asphalt
Agencies are in need of efficient and reliable rehabilitation techniques to extend the service life of flexible pavements. Bonded Concrete Overlays of Asphalt (BCOA) pavements have gained increasing popularity, with Pitt’s BCOA-ME design tool being the leading method to design them across the country, as well as being used around the world. However, the prediction of faulting in BCOA pavements remained a gap in the tool. In this study, a first of its kind faulting model for BCOA was developed, incorporating computational analysis, machine learning, and field data. The tool is available online for users at: https://www.engineering.pitt.edu/ bcoa-me
79 DEPARTMENT OF CIVIL AND ENVIRONMENTAL ENGINEERING
Figure 1: Research projects a) Accelerated Load Frame (ALF) for large-scale accelerated testing of slabs under typical and overloaded axle loads b) lab setup to test the performance of dowel bars under repeated loading c) accelerated beam fatigue test to evaluate the effect of superload vehicles and d) wellbore simulation chamber test setup for simulating gas migration in cemented annuli
CIVIL & ENVIRONMENTAL ENGINEERING
Radisav Vidic, PhD
Department Chair and William Kepler Whiteford Professor Sustainability and Environmental Engineering Department of Chemical and Petroleum Engineering (Secondary) NETL RUA Faculty Fellow
Prof. Vidic has 25 years of experience in environmental engineering focused on physical/chemical/biological processes for water, wastewater and air treatment with main focus on advancing the applications of surface science by providing fundamental understanding of molecular-level interactions at interfaces. He published over 120 journal articles and over 150 conference proceedings and reports that were cited over 6,000 times in the scientific literature.
Municipal and Industrial Wastewater Reuse
Reuse of municipal and industrial wastewaters is often hindered by scaling, biofouling and corrosion issues that need to be addressed effectively and economically. Based on the fundamental understanding of these phenomena, we are developing solutions that include both wastewater treatment (i.e., chemical and non-chemical) and chemical addition (i.e., antiscalants, biocides and corrosion inhibitors) to provide optimal control strategies for specific situations. Pilot-scale validation of the proposed solutions using real wastewater is conducted to validate research results under relevant process conditions.
Water Management for Unconventional Gas Industry
Development of sustainable water management strategies for produced water generated by the unconventional gas industry is of critical importance for the development of this natural resource. Advancing the wastewater reuse through treatment and blending is the key strategy for accomplishing that goal. We are focused on fundamental understanding of physical and chemical processes governing the reuse practice and developing models that can be used to predict kinetics and equilibrium of chemical reactions (e.g, softening, sulfate precipitation) that govern effluent water quality. These insights into the chemistry of high salinity solutions is relevant for a number of shale plays in the U.S. We are developing treatment technologies that would be suitable for water recovery from high-salinity wastewater (e.g., membrane distillation, crystallization) when the reuse is no longer feasible in mature well fields. The origin and fate of Naturally Occurring Radioactive Materials (NORM) in the shale gas wastewater under a variety of water management scenarios (e.g., treatment, storage, reuse) is elucidate by both laboratory and field studies.
Control of Water Quality in Institutional Water Distribution Systems
Current regulations do not address best management practices to protect water quality in institutional distribution systems that may include miles of pipes, storage reservoirs, heating tanks and other features. Technical solutions offered by numerous vendors require validation under relevant process conditions based on scientifically sound understanding of key process parameters and their impact on long-term chemical and biological water quality. We have extensive experience with testing and development of technical solutions that offer public health protection and are compatible with design and operation of water distribution systems.
80 DEPARTMENT OF CIVIL AND ENVIRONMENTAL ENGINEERING
742 Benedum Hall | 3700 O’Hara Street | Pittsburgh, PA 15261 P: 412-624-9870 C: 412-979-0295 vidic@pitt.edu www.engineering.pitt.edu/RadisavVidic/
709 Benedum Hall | 3700 O’Hara Street | Pittsburgh, PA 15261
P: 412-624-9207
meng.wang@pitt.edu
Biological Carbon Mineralization to Sequestering CO2
Carbon dioxide sequestration has emerged as a crucial action to mitigate the unprecedented challenges of global warming. Carbon mineralization, a process whereby CO2 reacts with mineral cations to form carbonate precipitates, is a permanent way to sequester and store CO2. The biggest limitation of this approach, however, is the slow reaction kinetics of the hydration of aqueous CO2. Carbonic anhydrases form a family of enzymes that are widely used by organisms in accelerating the reaction between CO2 and water. They can bypass the rate-limiting hydration step by catalyzing the direct formation of bicarbonate from aqueous CO2. Our research aims to apply carbonic anhydrases in high salinity environments that contain abundant mineral cations to promoting carbon mineralization and sequestering CO2. Current areas of focus include seawater, saline soil, and manure composts.
Meng Wang, PhD Assistant Professor
Protein Compartment-based Nanoreactor for Biosynthesis and Resource Recovery
Engineering microbial metabolism to divert endogenous metabolic processes to designed biosynthetic pathways is a sustainable approach for synthesizing valuable products and recovering resources from wastes. Concentrating key pathway enzymes in confined spaces accelerates the conversion of intermediates and inhibits competing pathways, therefore greatly improving the overall yield of desired products. This mechanism is used by natural microorganisms to promote crucial cell functions (e.g., carbon fixation, iron mineralization, and ammonium oxidation) by forming intracellular compartments that consist of concentrated enzymes and act as subcellular nanoreactors. We are interested in designing and building protein compartmentbased subcellular nanoreactors to enhance microbial efficiencies in biosynthesis and resource recovery. We use genetic engineering and synthetic biology to assemble enzyme cascades in protein compartments through targeting-peptide tagging. We also modify protein compartments to create micro-environments that favor the catalysis of enzymes.
81 DEPARTMENT OF CIVIL AND ENVIRONMENTAL ENGINEERING CIVIL & ENVIRONMENTAL ENGINEERING
DEPARTMENT OF
ELECTRICAL & COMPUTER ENGINEERING
ELECTRICAL & COMPUTER ENGINEERING
Mai Abdelhakim, PhD Assistant Professor
Member Faculty, Center for Space, High-Performance, and Resilient Computing
Affiliate
Faculty, Laboratory for Education and Research on Security Assured Information Systems
Affiliate Scholar, The Institute for Cyber Law, Policy, and Security
Cyber Physcial Systems Security
Dr. Abdelhakim’s research focuses on IoT and Cyber physical systems (CPSs) security, reliability, and efficiency. Her research combines cybersecurity, communication networks, and data science. It includes modeling security threats, reliable decision making in autonomous systems, assessing trust of components or data, and developing methods for detecting and locating anomalies. Her research leverages stochastic modeling, machine learning and information theory to build secure, reliable, and efficient CPSs, with application to energy systems, space networks, autonomous vehicles, and cyber-manufacturing.
Biography: Mai Abdelhakim is an assistant professor in the department of electrical and computer (ECE) engineering at Swanson school of engineering at the University of Pittsburgh. She received her PhD degree in Electrical Engineering from Michigan State University, and bachelor’s and master’s degrees in Electronics and Communications Engineering from Cairo University. Prior to joining ECE, she was a faculty member at the school of computing and information at the University of Pittsburgh. She was a postdoctoral research scientist at OSRAM (2015-2016) and a postdoctoral research associate at Michigan State University (2014-2015). Her research interests include cyber-physical systems, cybersecurity, machine learning, stochastic systems modeling, and information theory.
84 DEPARTMENT OF ELECTRICAL AND COMPUTER ENGINEERING
1230 Benedum Hall | 3700 O’Hara Street | Pittsburgh, PA 15261 P: 412-383-5767
maia@pitt.edu
1231 Benedum Hall | 3700 O’Hara Street | Pittsburgh, PA 15261
P: 412-624-9690
masoud.barati@pitt.edu
Dr. Masoud Barati received his PhD in Electrical and Computer Engineering in Illinois Institute of Technology (IIT) at Chicago, 2013. His research interests are in the broad areas of large power system operation and planning, Bio-inspired models in energy systems, with emphasis on microgrids and distribution systems, wide area monitoring and protection, power system relaying, emergency management in power grids in natural disasters, smart grid technologies, and resilience assessment of interconnected infrastructures. He is also interested in various interdisciplinary problems in optimization theory and simulation, mathematical modeling, and data science.
High-Performance Grid Optimization for Power Systems
Masoud Barati, PhD Assistant Professor
Emergency Response to Enhance the Resiliency of Power Grids and Mobile Health Care in Disaster Management
We develop innovative power system optimization and control algorithms for the future power grid. Our solution methodology will develop transformational ways to solve power flow optimization problems across a wide range of operating conditions. This is the central challenge underlying all grid planning and operations tools. The main goal of this project is to increase power grid flexibility, reliability, safety, security, and efficiency, while lowering the costs of integrating renewable generation technologies into the grid system. This project is funded by National Science Foundation (NSF). Moreover, I collaboratively developed and direct a new global algorithm for quadratic nonconvex AC-OPF problem based on successive linear optimization and convex relaxation methods.
Power Grid Optimization
Data-Driven Faster Than Real-time Prediction of Disruptions in Power Grids using PMU
The disruptions, and cyber-attacks are growing in severity in power systems. The machine learning technique based on deep neural networks used to leverage the real-time operation of control center from historical data sources of synchrophasor measurements to predict abnormal conditions. Performance of our framework shows that our methods yield a significant lift of proposed evaluation metrics for the power system sustained oscillations on predicted disruptions.
The impacts of natural disasters are often greatly prolonged and exacerbated by disruptions to critical infrastructure systems. The overall goal of this research is to optimize and implement a data-based program for coordinated deployment of microgrid truck-mounted mobile emergency for resilient emergency response to natural disasters to restore critical loads by forming multiple microgrids. mobile health clinics play an important role in providing healthcare to at-risk populations in both urban and rural areas. The proposed emergency management framework can be applied to support the increasing healthcare access for at-risk-populations. The small scale mobile microgrids can also supply the required energy of mobile clinics at quarantine and risk-population areas.
85 DEPARTMENT OF ELECTRICAL AND COMPUTER ENGINEERING ELECTRICAL & COMPUTER ENGINEERING
ELECTRICAL & COMPUTER ENGINEERING
Alan D. George, PhD, FIEEE Chair Professor R&H Mickle Endowed Chair Director, NSF SHREC Center
Dr. George joined Pitt in January 2017 as Department Chair, R&H Mickle Endowed Chair, and Professor of Electrical and Computer Engineering. He is Founder and Director of the new NSF Center of Space, Highperformance Reconfigurable Computing (SHREC), a national research center and consortium founded in September 2017 and headquartered at Pitt. SHREC features 30 academic, industry, and government partners working on collaborative research in missioncritical computing. In this field, Dr. George’s research expertise and activities are in high-performance computer architectures, apps, networks, services, systems, and missions, featuring reconfigurable, parallel, distributed, and dependable computing, from satellites to supercomputers.
Dr. George is Fellow of the IEEE for contributions in reconfigurable and high-performance computing. He was lead recipient of the 2012 Alexander Schwarzkopf Prize for Technology Innovation by an NSF Industry/University Cooperative Research Center (I/UCRC) for leading the development of Novo-G, the most powerful reconfigurable supercomputer in the world at that time. Dr. George has won a variety of faculty awards, including college scholar and teacher of the year, university teacher of the year, college doctoral advisor of the year, college faculty mentor of the year, university service award, and university productivity award. He has served as principal investigator on research contracts and grants totaling well over $20M and, with his students, authored over 200 refereed journal and conference papers. During his 20 years on the faculty at the University of Florida, he established and led to prominence the computer engineering half of the ECE Department, and he led the university committee that founded the first supercomputer center in school history that has grown to become one of the largest campus facilities in the U.S.
One of the hallmarks of Dr. George’s research is demonstrable impact from close collaboration with industry and government partners. His group works closely with NASA, AFRL, NSA, ONR, and other federal agencies, as well as Lockheed Martin, BAE Systems, Harris, Intel, and many other companies on research in mission-critical computing. One recent example is a novel form of hybrid and reconfigurable space computer (called CSP), invented by his group and then adopted by many of these partners. Computing in space is of critical need, since future spacecraft must achieve high performance and reliability in computing to fulfill mission parameters for autonomous sensor processing, guidance, and control. However, computing in space is a daunting challenge, due to the limited resources (power, size, weight) and the hazardous environment (radiation, temperature, vacuum, vibration) of spaceflight. In March 2017, a pair of these CSP space computers with high-resolution camera on the DOD STP-H5 mission became operational on the International Space Station (ISS) and will serve as a research testbed for several years under Pitt control. A second research experiment for Pitt on the ISS, featuring a cluster of CSP space computers and dual high-resolution cameras on the DOD STP-H6 mission, is scheduled for launch in early 2019. Moreover, a series of CSP-based satellites for Earth orbit and lunar flyby are slated for launch in the next few years.
86 DEPARTMENT OF ELECTRICAL AND COMPUTER ENGINEERING
1238D Benedum Hall | 3700 O’Hara Street | Pittsburgh, PA 15261 P: 412-624-9664 alan.george@pitt.edu
802 Benedum Hall | 3700 O’Hara Street | Pittsburgh, PA 15261
P: 412-383-8148 C: 412-915-1816
bmg10@pitt.edu
Dr. Brandon Grainger holds a PhD in electrical engineering concentrating in kW / MW scale power electronic systems (device, magnetics, control, and circuit topology). Dr. Grainger has a master’s degree in electrical engineering with a concentration in electric power engineering and bachelor’s degree in mechanical engineering. He was also one of the first endowed R.K. Mellon graduate student fellows through the Center for Energy at the University of Pittsburgh.
ELECTRICAL & COMPUTER ENGINEERING
Brandon M. Grainger, PhD, SMIEEE
Associate Professor
Director, Electric Power Technologies Laboratory Associate Director, Energy GRID Institute
Co-Director, AMPED Consortium
His research concentrations and interests are in electric power conversion. This includes medium to high voltage power electronics (380Vdc and higher). Power semiconductor evaluation (SiC and GaN), DC/ DC converter and inverter topology design, advanced controller design, high power density design, optimized magnetic components, solid-state transformers, HVDC/FACTS, and other genres. He is a member of the IEEE Power Electronics Society and has 100+ articles published in leading IEEE journals and conference proceedings to date, one patent, and one research textbook. He has also served the IEEE at the local and national level in various roles.
“Presently 30% of all electric power generated uses power electronics technologies somewhere between the point of generation and end-use. By 2030, 80% of all electric power will flow through power electronics.” –Dept. of Energy
Power Electronic R&D Efforts in Modern Grid Architectures
Medium Voltage AC Testbed at the Energy GRID Institute
Testbed rated for 13.8kV and 5MVA designed for evaluating electrical products
Multiport Solid State Transformer
Schematic of Multiport, Medium Voltage Converter
Control Hardware-in-the-Loop Evaluation
Research and development needs are centered upon operational inverter improvements (harsh environment design, robust operation during fault conditions, improved overload, volume and weight reduction) and improved system yields. Dr. Grainger takes a bottom-up approach to solving global electric power issues. With colleagues and students, he is designing power electronic system solutions that help to resolve system level problems.
Analytical Modeling of Power Converter Architectures
Analytical routines and simulation studies to predict the performance of power converters.
Aerospace Electronic Systems
Low power, isolated and resonant converters utilizing wide bandgap devices have been designed for national labs and companies.
Flying Capacitor Multilevel Converter DC/DC Converter
Facility designed with equipment provided by Eaton and regulated with Emerson Ovation platform
Novel Machine Designs and Drives
Faculty in materials science and electrical engineering are designing EV machines that do not use rare earth magnets.
87 DEPARTMENT OF ELECTRICAL AND COMPUTER ENGINEERING
Power Flow in a Multiport Converter Topology
Optimized forward converter using GaN devices supported by Honeywell.
Torque-Speed profiles of interior permanent magnet machine designs using NdFeB and MnB
Ansys MotorCad and Optislang are used to design the electric vehicle motors.
ELECTRICAL & COMPUTER ENGINEERING
Jingtong Hu, PhD
Associate Professor
Self-powered computing devices that can run for decades with little maintenance are especially attractive to many sensor applications for which it is challenging to employ traditional battery or cable power since it is inconvenient, costly or even dangerous to replace or service them. Examples of such applications include implantable sensor, wearable health monitor, water pipeline or building HVAC status monitor, soil or water pollution monitor, etc. Energy harvesting techniques, which generate electric energy from their ambient environment using direct energy conversion techniques, provide a promising way to realize this goal. Energy harvesting can eliminate the need for batteries or wires and enable long-term running of these systems.
However, to achieve this goal, there are still several challenges. One of the intrinsic challenges is that the harvested energy sources are intermittent. Under frequently interrupted power, system running will be interrupted. Therefore, large tasks can never finish under such circumstances. To take advantage of unlimited free energy supply, a new computing paradigm which can make progress even under intermittent power supply is needed.
Non-Volatile Processor on Energy Harvesting Powered Embedded Systems
This project focuses on enabling correct and efficient software execution on non-volatile processors (NVP) for energy harvesting powered embedded systems. NVPs work with unstable harvested energy sources vital for applications such as wearable devices and the
Internet of Things (IoT). Software specifically optimized for NVPs is important in that it allows an NVP to function correctly and is key for realizing embedded systems that are energy efficient, user-friendly, and environmentallyfriendly. Compared with current devices that
need regular maintenance, this project will enable a new class of maintenance free NVP-based embedded devices which are more practical across a wide range of applications, including healthcare, and military innovation and technology.
Accelerating Deep Neural Networks with FPGAs
This project aims to exploit heterogeneous FPGAs to develop new cost-effective and flexible ways to implement Deep Neural networks (DNNs) in the era where the DNN complexity is dramatically increasing and Moore’s Law is approaching its limit. First, according to the application data set and the accuracy requirement, this project generates potentially optimal compressed neural networks by analyzing the expressive power of compressed DNNs and conduct early stage pruning. Second, this project deploys the compressed neural networks to multiple heterogeneous FPGAs to achieve super-linear performance by developing an accurate system model and proposing novel designs
to take advantages of high-bandwidth inter-FPGA links. Third, to further boost the overall performance, this project proposes the novel pipelined and scalable layer processor for each FPGA to maximize throughput and resource utilization. The success of this project will potentially revolutionize future FPGA-based HPC design and enable real-time inference of more complicated and accurate DNNs for a wide range of applications, including education, healthcare, industry, and even military applications, all of which are critical for the United States to drive its new strategies of innovation and technology.
88 DEPARTMENT OF ELECTRICAL AND COMPUTER ENGINEERING
1208 Benedum Hall | 3700 O’Hara Street | Pittsburgh, PA 15261 P: 412-383-4424 C: 469-734-5509 jthu@pitt.edu http://www.pitt.edu/~jthu/
Ambient Energy Energy Harvesting and Management Energy Storage Nonvolatile Processor Biofuel Piezoelectric Thermal Solar Non-volatile Data Storage EEG Sensor Voltage Detector Voltage Regulator B u s Register File NVM Architecture for a typical energy harvesting based sensing system Prototype
113 Schenley Place | 4420 Bayard Street | Pittsburgh, PA 15260
P: 412-383-5167
huppert1@pitt.edu
Multimodal Methods for Non-invasive Neuroimaging
Theodore Huppert, PhD
Associate Professor Professor, Computer Science (Courtesy) Department of Bioengineering (Secondary) Adjunct Professor of Bioengineering, University of Nebraska at Omaha
Dr Theodore Huppert is a research associate professor of Electrical and Computer Engineering. His lab specializes in signal processing and statistical analysis methods for non-invasive human neuroimaging techniques.
Functional near-Infrared Spectroscopy (fNIRS) FNIRS is a non-invasive imaging method that uses low levels of non-ionizing visible to near-infrared light (650-950nm) to spectroscopically measure the optical properties of tissues including the brain and muscle. Biological tissue has low intrinsic absorption in this range of wavelengths, which allows light to penetrate several centimeters into the tissue and deep enough to reach the outer 5-8mm of the surface of the brain’s cortex. Unlike other imaging methods, fNIRS is portable and can be used in a wide range of environments, which allows brain imaging to be performed in unique experiments. This technique is used in studies of brain activity during movement, pediatrics and child development, field research, and other topics. This technique is also used in several studies of social interaction using hyper-scanning, which measures synchronous brain fluctuations in two or more people during interactive tasks.
Functional Magnetic Resonance Imaging (fMRI). Dr Huppert’s lab supports many investigators at Pitt and elsewhere with analysis methods for MRI and functional MRI. These projects include curation and analysis of several large MRI such as the Human Connectome Project of Disease (Alzheimer’s population).
Electroencephalography (EEG). EEG is a non-invasive technique that measures the electrical signals generated by firing neurons in the brain. Like fNIRS, this technique uses a portable head cap worn by the participant to record brain signals. This technique can be used with other modalities such as concurrent EEG-fMRI, EEG-fNIRS, and EEG-MEG. This provides information about neural-vascular coupling in the brain and supports the development of analysis methods to model the relationships of electrical, metabolic, and vascular brain signals.
Magnetoencephalography (MEG). Like EEG, MEG measures the electrical signals generated by the brain. MEG uses highly sensitive magnetometers called SQUIDs (super conducting quantum interference devices) to measure the extremely small magnetic fields generated by the changing electrical currents generated by neurons. This technique requires both highly sensitive instrumentation and a dedicated, shielded imaging room to record these small magnetic fields.
Multimodal Neuroimaging. Each of these different modalities has strengths and weaknesses. These can be combined to recover information unavailable to just one modality alone, to address sources of error or assumptions in each modality, or to enhance signals by removing additional sources of noise. The Huppert lab works on combining multiple imaging methods through both top-down (data-driven) statistical modeling of this data and by bottom-up (biological/mechanistic) models. Of particular interest, the lab works on enhancing signal quality through analysis of mutual information contained in multimodal signals including joint statistical source localization and mutual information temporal modeling of signals.
89 DEPARTMENT OF ELECTRICAL AND COMPUTER ENGINEERING ELECTRICAL & COMPUTER ENGINEERING
ELECTRICAL & COMPUTER ENGINEERING
Alex K. Jones, PhD Professor Professor, Computer Science (Courtesy)
Quantum Computing
I am actively developing new superconducting quantum computer architectures. In collaboration with Professor Hatridge in Physics who builds superconducting qubits and modulators, we use a special modulator called a SNAIL. This SNAIL device allows significant advancements over commercial systems such as IBM and Google in terms of the types of quantum gates and topologies that we can build. Our research spans real prototypes that characterize potential hundred-qubit architectures. We are exploring novel tree and corral architectures as well as novel two-qubit and three-qubit (and beyond) gates. We are also demonstrating how to drive two-qubit parametric modulators simultaneously with individual qubits to further improve the quantum interactions. Finally, we are exploring how to use the “magic” of quantum gates (a real technical term) both in the context of doing more work and in accelerating quantum simulation.
Sustainable Computing
My research has been studying and reporting that manufacturing of computing systems, and in particular their semiconductor integrated circuits (computer chips). This is a growing and now demonstrably dominant source of greenhouse gas emissions such as CO2 and methane for many types of computing systems. My GreenChip tool is the first and remains the only artifact for reasoning about system design choices for sustainability metrics across multiple stages of the lifecycle (manufacturing, operation, end-of-life). Using this type of reasoning my group has developed chip fabrication models, memory, and solid-state disk models, and we study system tradeoffs of different architectures, fault tolerance and security choices, etc. We examine different tradeoffs of edge-class GPU, FPGA, and processing-in-memory accelerators for a variety of signal processing, high-performance computing, and machine learning applications among others.
Fast Data Access and Processing in Memory
A fundamental tenet of my research has been solving the problem of ensuring computing engines have efficient access to data. This has become the true bottleneck of post-Dennard scaling (end of Moore’s Law) in building next-generation computing systems. Towards this end I have worked on the SuperCISC reconfigurable fabric, the IBM PERCS project (led to the BlueGene supercomputer), and developing cross-layer designs for chip multiprocessors, networks-on-chip, and systems with novel new memories. These projects combined compilers and runtime system optimizations. Currently, I am developing systems using a new Spintronic device called Racetrack Memory (RM) that combines multiple bits into a nanowire. It has the challenge of requiring shifting to access the data. My work looks at turning this challenge into an opportunity. My research proposed an innovative multi-level memory structure called FusedCache to turn data movement from promotion and eviction into shifts. Moreover, lateral access of the RM device allows it to function as a multi-input polymorphic gate. This allows its usage to build processing-using-memory for exciting applications of signal processing, machine learning, and hyper-dimensional computing.
Fault Tolerance and Security of Data
In working with data movement and networks there were a variety of resulting fidelity challenges. It became a natural additional research direction to consider fault tolerance and security of data through encoding in various forms of memory. In DRAM, scaling has exacerbated crosstalk creating the security vulnerability of Row Hammering, where bits are flipped in a victim row by accessing neighboring aggressor rows. We solve this problem and many others such as predictable faults from radiation and faults in novel memories by crating fault maps. These repositories identify and protect weak cells to different types of fault modes. We also combine fault tolerance with encryption for secure and reliable memory systems.
90 DEPARTMENT OF ELECTRICAL AND COMPUTER ENGINEERING
1128 Benedum Hall | 3700 O’Hara Street | Pittsburgh, PA 15261 P: 412-624-9666 akjones@pitt.edu www.pitt.edu/~akjones
Figure 2: Comparison of GPU versus processing in memory for AI training.
Figure 1: Constructing trees using the SNAIL quantum modulator.
Figure 3: The polymorphic gate of Racetrack memory nanowires.
512 Benedum Hall | 3700 O’Hara Street | Pittsburgh, PA 15261
P: 412-624-9673
hkk@pitt.edu
Nano-optics and nano-electronics: materials and devices; hierarchical integration of nanoscale structures into systems for multifunctional operations. Study of plasmonic phenomena as a possible gateway to merging optics with electronics and overcoming their limits. Use of nanoscale void (air) channel
Nanoelectronics, Nanophotonics, and Plasmonics
Professor Kim’s research in nano-electronics area deals with developing a new class of devices that offer femtosecond transit time operating at a single-electron level at room temperature. The operating principle involves ballistic transport of electrons in localized nanochannels. This study aims at developing a fundamental understanding of the charge transport process and its application to ultrafast, low power device operation. His research in nano-optics area focuses on: elucidation of the mechanisms of the interactions of light and metal at nanoscale; visualization of surface plasmon dynamics and interplays between polarization charges, electromagnetic fields, and energy flow on nanostructured surfaces of metal and dielectrics; utilization of these interactions in a controlled manner to enable novel functions of beam shaping and spectral filtering that can go beyond the conventional diffractive/refractive optics limits.
In nanosystems-on-a-chip research his group investigates multiscale integration of nanostructures into hierarchical systems
Relevant Publications
1. H. K. Kim and M. Kim, “Suspended Graphene” (book chapter) in Carbon Nanomaterials Sourcebook, ed. K. D. Sattler (CRC Press), pp. 3-27 (2016).
Hong Koo Kim, PhD
Bell of Pennsylvania/Bell Atlantic Professor
as a medium for low-voltage, ultrafast transport of electrons. Nano-plasmonics as an enabling technology for implementing nanosystems-on-a-chip that offer multifunctionality across heterogeneous domains including optical, electrical, chemical, and biological domains.
involving various functional materials such as wide bandgap semiconductors, ferroelectric films, and plasmonic nanostructured materials. Single-domain ordered nanochannel arrays with controlled symmetry have been developed on macroscale area of wafer surface using a directed self-organization method, and have been investigated as an interaction medium.
Surface-plasmon phenomena occurring in nano-optic structures are of particular interest, since many novel properties can be derived from those and can be incorporated into an on-chip configuration for interaction with other functional materials. His group investigates plasmonics as an enabling technology for implementing nanosystems-on-a-chip that offer multifunctionality across heterogeneous domains.
He has authored five patents in nanotechnology area: selforganized nanostructured wafers; metal nanolenses; chip-scale optical spectrum analyzers and multispectral imaging devices; nano-optics-enabled photovoltaic devices; single-electron-level ballistic devices.
Science 340, 441-442 (2013).
91 DEPARTMENT OF ELECTRICAL AND COMPUTER ENGINEERING
ELECTRICAL & COMPUTER ENGINEERING
2. S. Srisonphan, M. Kim, and H. K. Kim, “Space charge neutralization by electrontransparent suspended graphene,” Scientific Reports 4, 3764(6) (2014).
3. H. K. Kim, G. W. Hanson, and D. A. Geller, “Are gold clusters in RF fields hot or not?”
4. S. Srisonphan, Y. S. Jung, and H. K. Kim, “Metaloxide-semiconductor fieldeffect-transistor with a vacuum channel,” Nature Nanotechnology 7, 504-508 (2012).
ELECTRICAL & COMPUTER ENGINEERING
Rajkumar Kubendran, PhD
Assistant Professor
Department of Bioengineering (Secondary) ENIGMA Lab
Dr. Rajkumar Kubendran is an Assistant Professor at the University of Pittsburgh, Department of Electrical and Computer Engineering since 2020, with a secondary appointment in Bioengineering. His academic interests include low power analog and mixed signal circuit design with emerging non-volatile memory devices to build event-driven architectures for computer vision, machine learning and neuromorphic applications. He has demonstrated and patented prototypes of extremely energy-efficient dynamic vision sensors (DVS) and compute-inmemory architectures. He also specializes in biomedical instrumentation and won several research awards such as the Pitt Innovation Challenge in 2022. He has proposed and taught a custom course on “Neuromorphic Systems Design”, enabling Pitt to be one of the few universities in the world to teach a graduate course in this subject. He received his PhD degree from the University of California San Diego, where he worked on energy-efficient Neuromorphic VLSI computing systems, spanning from devices to applications. He has interned with multiple analog and RF design teams in industry, including Intel, IMEC Belgium, MaxLinear and Qualcomm.
Research at Pitt
At the ENIGMA (Event-driven Neuromorphic Intelligence using Generative Models and Architectures) lab, we build event-based models and architectures that are inspired by the sensory and nervous systems found in biology.
Compute-In-Memory Processors
AI functionalities on tiny edge devices (mobile phones, IoT sensors etc) are limited by the energy provided by a battery. In today’s AI chips, data processing and data storage happen at separate places – a compute unit and a memory unit. The frequent data movement between these units consumes most of the energy during AI processing. In collaboration with world renowned scientists from Stanford University, University of California San Diego (UCSD) and Tsinghua University, we demonstrated a potential solution: a novel resistive random-access memory (RRAM) chip that does the AI processing within the memory itself, thereby eliminating the separation between the compute and memory units. The “compute-in-memory” (CIM) chip, called NeuRRAM, is about the size of a fingertip and does more work with limited battery power than what current chips can do. This work was published in Nature and IEEE ISSCC.
Neuromorphic Vision Sensors
We proposed and demonstrated a query-driven dynamic vision sensing (qDVS) approach to computational imaging that substantially improves on the achievable pixel density and energy efficiency of visual event coding. The chip architecture combines complementary advantages of traditional cameras (frame scanning Active Pixel Sensors) and neuromorphic cameras (event-driven Dynamic Vision Sensors). This work was published in IEEE CICC, a premier circuits conference. The qDVS camera was patented at UCSD and licensed by a startup company called Kelzal (2019-2022).
Biomedical Instrumentation
Vanish Therapeutics is a startup company focusing on biodegradable and programmable nerve stimulators for chronic pain relief. ENIGMA lab designed and fabricated a compact pulse generator Stimulator chip (ASIC) with multiple modes of operation - monophasic, biphasic current stimulation and long-term electrode degeneration with adaptive charge balancing using a chip-inthe-loop feedback by actively measuring the tissue-electrode impedance.
Selected Publications
Wan, W., Kubendran, R., Schaefer, C. et al. “A computein-memory chip based on resistive random-access memory.” Nature 608, pp. 504–512 (2022).
Wan, W., Kubendran, R., Eryilmaz, S.B. et al. “A 74 TMACS/W CMOS-RRAM Neurosynaptic Core with Dynamically Reconfigurable Dataflow and In-situ Transposable Weights for Probabilistic Graphical Models.” IEEE International Solid-State Circuits Conference (ISSCC), pp. 498-500, 2020.
R. Kubendran, A. Paul and G. Cauwenberghs, “A 256x256 6.3pJ/pixel-event Query-driven Dynamic Vision Sensor with Energy-conserving Row-parallel Event Scanning.” IEEE Custom Integrated Circuits Conference (CICC), pp. 1-2, 2021.
K. Liu, S. Hashemkhani, J. Rubin and R. Kubendran, “Neuromorphic Networks using Nonlinear Mixedfeedback Multi-timescale Bio-mimetic Neurons.”
Accepted at IEEE International Symposium on Circuits and Systems (ISCAS), 2023.
Kubendran, R., Lee, S., Mitra, S., & Yazicioglu, R.F. “Error correction algorithm for high accuracy bioimpedance measurement in wearable healthcare applications.” IEEE Transactions on Biomedical Circuits and Systems (TBioCAS), 8(2), 196-205, 2014.
92 DEPARTMENT OF ELECTRICAL AND COMPUTER ENGINEERING
1129 Benedum Hall | 3700 O’Hara Street | Pittsburgh, PA 15261 P: 412-624-1397 rajkumar.ece@pitt.edu https://sites.google.com/view/enigmalab/home
1105 Benedum Hall | 3700 O’Hara Street | Pittsburgh, PA 15261
P: 412-383-6744
akwasins@pitt.edu
http://www.pitt.edu/~akwasins
Prof. Kwasinski’s research is in the broad areas of sustainable and resilient power and energy systems, with a focus on microgrids, power electronics, controls, availability modeling, interdependencies characterization, smart grids, integration of energy storage devices and of renewable and alternative power sources, and advanced power distribution architectures. Prof. Kwasinski joined the University of Pittsburgh from The University of Texas at Austin where he reached the rank of Associate Professor with tenure. Early in his career he worked for almost 10 years in telecommunications power and outside
Alexis Kwasinski, PhD Associate Professor
R. K. Mellon Faculty Fellow in Energy
plant industry. This combination of academic and industry experience provided Dr. Kwasinski with a practical research perspective based on real world applications supported by thorough theoretical analyses and strong experimental validation. In his research vision, system analysis is supported and integrated with component level studies. At Pitt, Dr. Kwasinski founded the Laboratory for the Exploration of Advanced Energy Resilience Solutions (e-LEAdERS).
Resilient Power and Communications Infrastructures
Prof. Kwasinski has been studying characterization of power and communications infrastructures resilience and searching for solutions for improved performance to extreme events, such as the use of microgrids and integration of energy storage devices. He has also been developing availability models that include the effect of renewable energy sources and of lifeline infrastructures. Such models also consider the dynamic effect that local energy storage has to reduce or even prevent failure propagation from power grids into other dependent infrastructures.
Power Electronic Systems
Power electronics have been enabling technologies for electric power generation, distribution and utilization, such as microgrids, that have been revolutionizing the electric power industry by challenging decadesold paradigms. These paradigm shifts also influence novel views in power electronic research integrating system and component-level studies.
Prof. Kwasinski’s research is a leader in this field with studies that include advanced ac and dc power distribution architectures with active power distribution nodes, control and stabilization of constant-power loads, integration of energy storage and power generation units with multipleinput converters, and stability analysis and decentralized controls for microgrids. Prof. Kwasinski is applying this research in an NSF CyberSEES project in order to achieve more resilient and energy-sustainable wireless communication networks by integrating base station traffic, power generation and energy storage management.
Resilience planning and design studies have a quantitative approach that measures degree of dependency and resilience using availability metrics and that consider power and communications infrastructures as human-cyber-physical system-of-systems. In these studies
Prof. Kwasinski has conducted damage assessments in areas affected by natural disasters including hurricanes Katrina, Dolly (2008), Gustav, Ike, Isaac (2012) and Sandy, and earthquakes in Chile in 2010, New Zealand in 2011, Japan in 2011 and Napa, California, in 2014.
93 DEPARTMENT OF ELECTRICAL AND COMPUTER ENGINEERING
COMPUTER
ELECTRICAL &
ENGINEERING
ELECTRICAL & COMPUTER ENGINEERING
Inhee Lee, PhD Assistant Professor Pitt Integrated Circuit Design Lab
Dr. Inhee lee received his BS and MS degrees in electrical and electronic engineering from Yonsei University, Seoul, Korea, in 2006 and 2008, respectively, and a PhD degree in electrical engineering from the University of Michigan, Ann Arbor, MI, USA, in 2014. From 2015 to 2019, he was with the University of Michigan as an assistant research scientist. In 2019, he joined University of Pittsburgh as an assistant professor. His research includes adaptive circuit/ system design, ultra-low-power power management circuits, and energyefficient sensor interface circuits. Also, he is developing millimeter-scale or even smaller sensing/computing systems for ecological, biomedical, energy exploration, and internet-ofthings applications.
Miniature systems have been actively researched to provide a new solution with unprecedented small size to the market. As a result, they have been recently reduced to millimeter or even smaller scale. The miniaturization creates a new computing class called the Smart Dust or the Internet-of-Tiny-Things (IoT2). The systems include unique feature sets such as flexible programing, wireless communication, and energy harvesting. In the next era, smart miniature systems will lead the electronic markets by opening new application areas as a result of their small size. Their tiny size enables non-invasive, secure placement. Such systems will have significant societal impact in industrial, security, infrastructure, biomedical, and ecological applications, among others. My long-term research goal is to lead the development of smart miniature systems. For millimeter-scale (or even smaller) systems, the maximum physical battery size and storage capacity are severely limited, which leads to a design challenge for the electronics. For example, the average system power should be limited to 2−200 nW to achieve a lifetime of several days to a month without energy harvesting. To successfully meet this energy limitation, since 2010, he has been instrumental in the development of a millimeter-scale IoT2 platform, which had been recognized as the world smallest computer until 2017. He designed low-power energy-efficient analog/mixed-signal and digital circuits that included a sensor/sensor interface, energy harvester/power management/battery voltage management, optical receiver, timer, and voltage/current reference. In addition, he developed a number of complete IoT2 systems for specific applications in ecological, industrial and biomedical studies. Moreover, by pushing the size limit, he contributed to the development of a sub-millimeter IoT2 system, which is currently the world smallest computer.
94 DEPARTMENT OF ELECTRICAL AND COMPUTER ENGINEERING
1128 Benedum Hall | 3700 O’Hara Street | Pittsburgh, PA 15261 P: 412-383-3152 inhee.lee@pitt.edu
506 Benedum Hall | 3700 O’Hara Street | Pittsburgh, PA 15261
P: 412-624-9663
gul6@pitt.edu
www.pitt.edu/~gul6
Dr. Guagyong Li is an Associate Professor in the Department of Electrical and Computer Engineering. Li’s major research interests include micro/nano robotics; nanoscale characterization; thin film solar cells; biocellular mechanics.
Particularly, Li is interested in developing nanorobotic systems to manipulate materials at nanoscale; developing nanoscale metrological instruments and technologies to study fundamental physics of nanodevices and to characterize
Multiscale Modeling, Simulation and Optimization for Designing Organic Solar Cells
Organic solar cells hold the potential of being a low-cost, highly flexible renewable energy harvesting technology. But organic solar cells have not yet proven to be a viable alternative to silicon-based ones due to the limited understanding of charge transport behaviors across length scales of organic solar cells, yet such transport is crucial for device efficiency.
The objective of this research is thus to develop a multiscale simulation and optimization methodology for organic solar cells that directly links the basic materials properties(electronic and optical), nanoscale morphology and their dependency on processing conditions (e.g. temperature and time), bulk material properties (e.g. bulk mobility), and device designs, to device efficiency. We aim to merge simulation tools across multiple time and length scales using successive integration steps. The resulting tools would enable a holistic design approach where the design space will be systematically explored to dramatically improve the performance of organic solar cell devices.
Development of Kelvin Probe Force Microscopy for In Situ Characterization of thin Film Solar Cells
Kelvin probe force microscopy is able to differentiate work function of surfaces at nanoscale. It has evolved into an effective tool to study electrical properties of materials such as semiconductors, organic materials, biomolecules, and nanoscale materials. For example, it can directly observe the charge transfer at interface between two materials. The right figure shows the direct observation of hole transfer between a carbon nanotube and organic semiconductor polymer revealed by Kelvin probe force microscopy. Our
objectives in this research area include
(1) the fundamental study on Kelvin probe force microscopy with aim to improve the resolution and accuracy; (2) investigation of charge transfer among interfaces by Kevin probe force microscopy with aim to reveal the fundamental physics of organic/inorganic thin film solar cells;
(3) Characterization of junctions in organic/ inorganic thin film solar cells with aim to locate any barriers that deteriorate the performance of the cells.
Guangyong Li, PhD
Associate Professor
biomaterials at cellar and molecular levels; studying fundamental physics of organic/inorganic thin film solar cells through multiscale modeling and simulation as well as nanoscale characterization.
95 DEPARTMENT OF ELECTRICAL AND COMPUTER ENGINEERING ELECTRICAL & COMPUTER ENGINEERING
Fabrication Multiscale Modeling and Simulation Efficiency Optimization Multi-Scale Characterization Design
ELECTRICAL & COMPUTER ENGINEERING
Zhi-Hong Mao, PhD Professor
William Kepler Whiteford Faculty Fellow
Human-in-the-Loop Control Systems
This direction of research is aimed to understand the capabilities of human operators in human-machine interaction (HMI) and apply this understanding to the design of efficient and robust human-in-the-loop control systems. The complexity of HMI grows rapidly in modern control systems. Highly automated systems often rely heavily on human intervention, supervision, and maintenance. Therefore, it is important and critical to understand the human capabilities and to apply this understanding to control systems design. My current work tries to evaluate quantitatively the capabilities of the human neural system in manual control. We take a comprehensive approach that synergistically combines control theory, information theory, computational neuroscience, non-invasive human experiments, and computer simulations in the study of human-in-the-loop control systems.
Adaptive Control of Networked and Large-Scale Dynamical Systems
This direction of research is to develop an adaptive, learning architecture for control of networked and large-scale dynamical systems such as the power grid. The human brain is the most intelligent controller in nature. It is an ideal source for an enlightening study of advanced control for complex engineering systems. Our research goal is to understand the control and learning principles of the
human brain and to bring ideas inspired by neural principles to the control of complex engineering systems. Our current work consists of two tasks. The first task is to develop a brain-inspired adaptive control and learning architecture that takes advantages of the brain’s organizational and operational principles. The second task is to apply the brain-inspired control architecture for high-voltage direct-current
(HVDC) power system. This work creates interdisciplinary schemes for biologically inspired engineering design. The brain-like circuits and algorithms can be developed and embedded in the controllers of power systems, robots, and other automatic systems that will have capabilities of self-observation, self-healing, and self-improvement.
96 DEPARTMENT OF ELECTRICAL AND COMPUTER ENGINEERING
1204 Benedum Hall | 3700 O’Hara Street | Pittsburgh, PA 15261 P: 412-624-9674 maozh@engr.pitt.edu
Encoder Decoder Link
u
Decoder Encoder Link 10100010010 ... 11101011010 ...
Human controller Surgery robot x(k)
(k)
815 Benedum Hall | 3700 O’Hara Street | Pittsburgh, PA 15261
P: 412-383-9862 C: 412-389-7503
gfr3@pitt.edu
www.engineering.pitt.edu/Gregory_Reed/
Gregory F. Reed is the Director of the University of Pittsburgh’s Center for Energy and the Energy GRID Institute, Director of the Electric Power Systems Laboratory in the Swanson School of Engineering, and Professor of Electric Power Engineering in the Swanson School’s Electrical & Computer Engineering Department. Reed has over 30 years of combined industry and academic experience in the electric power and energy sector, including positions in engineering, research & development, and executive management throughout his career with the Consolidated Edison Co. of New York, ABB Inc., Mitsubishi Electric Corp., and DNV-KEMA. He is a member of the IEEE and ASEE. Reed earned his PhD in electric power engineering from the University of Pittsburgh (1997); M.Eng. in electric power from Rensselaer Polytechnic Inst. (1986), and BSEE with power concentration from Gannon Univ. (1985).
Professor Reed’s research interests, teaching activities, and related pursuits include:
• Advanced electric power grid and energy generation, transmission, and distribution system technologies;
• Power electronics and control technologies (FACTS and HVDC systems);
• Micro-grids and direct current (DC) infrastructure development;
• Renewable and alternative energy systems and integration;
• Smart grid technologies and energy storage applications.
ELECTRICAL & COMPUTER ENGINEERING
Gregory F. Reed, PhD Professor
Director, Center for Energy and the Energy GRID Institute Director, Electric Power Systems Laboratory
Electric Power Engineering and Technology Development
The Electric Power program at Pitt has been developed in close collaboration with industry, government, and other constituents to provide innovative education and collaborative research programs in the areas of electric power and energy engineering. Working together with our partners, Pitt is contributing to solutions that address the aging workforce issues in the electric power and energy sector through progressive modernized educational programs, as well as to advances in technology development through basic and applied research. The program also has a strong outreach component, including contributions to K-12 STEM programs.
In the area of electric power engineering education, concentrations have been developed at both the undergraduate (BS) and graduate (MS and PhD) levels, including a synchronous distance-learning based post-baccalaureate/ graduate certificate program in power. The curriculum consists of a strong set of courses addressing the core principals in electric power, while being augmented with new offerings in emerging technology areas.
The program’s research work spans the electric power grid chain from generation to
transmission and distribution to utilization. Specific expertise is based on emerging technology development needs for microgrid and bulk power grid-level power electronics technologies and supporting systems and components of both AC and DC system infrastructures, as well as aspects of renewable energy integration and smart grid applications – including advanced power electronics converter designs, semiconductor developments, transmission & distribution system control technologies, energy storage systems, and energy management concepts. The ability to conduct both micro-grid and large-scale systems integration research for modeling, simulation, and analysis is based on the application of key industry standard tools. Research is supported through industry partnerships and government grants.
Electric Power Systems and GRID Laboratories
The Electric Power Systems Laboratory at Pitt, sponsored in-kind by Eaton Corp., is a multi-use facility for both research and educational activities. The lab is located in Benedum Engineering Hall, and has a top-end power capacity of 480-V, 200 A, 75 kW. In addition, a new highpower/high-capacity lab is currently being constructed as part of the GRID Institute at the Energy Innovation Center near downtown Pittsburgh, and will have capabilities up to 15-kV, 5-MVA AC and 1.5-kV, 1-MVA DC, with advanced networking, controls, and real-time operating and testing facilities. These facilities provide opportunities for faculty and graduate students to perform advanced work in the areas of AC and DC micro-grid developments, smart grid technologies, power electronics devices and systems, renewable energy systems and integration, controls and communications, automation and relaying, distribution engineering, power quality, energy management, energy storage, and other emerging technology areas.
97 DEPARTMENT OF ELECTRICAL AND COMPUTER ENGINEERING
ELECTRICAL & COMPUTER ENGINEERING
Rob A. Rutenbar, PhD Professor Senior Vice Chancellor for Research Department of Computer Science, School of Computing and Information
Biography
Rob Rutenbar is Senior Vice Chancellor for Research at the University of Pittsburgh, where he has responsibility for Pitt’s research and innovation infrastructure, and also holds faculty appointments in the departments of Electrical and Computer Engineering (ECE) in the Swanson School of Engineering, and in Computer Science (CS) in the School of Computing and Information. He was previously Head of the Department of Computer Science at the University of Illinois at Urbana-Champaign, and before that, on the faculty in Electrical and Computer Engineering at Carnegie Mellon. He holds a PhD from the University of Michigan.
His research focuses on three broad areas: electronic design automation (EDA) tools for chip design, with particular focus on analog circuits/systems; methods for managing the statistics of nanoscale circuits; and custom hardware for AI applications. His most recent work focuses on accelerator architectures for Bayesian inference tasks, and hardware for homomorphic encryption for privacy-preserving data management. He has mentored 50+ graduate students, published roughly 200 papers, and received 14 US patents. He has also received numerous awards for his work, including the IEEE CAS Industrial Pioneer Award and the Semiconductor Research Corporation Aristotle Award. He has also launched two successful tech startups: Neolinear Inc., which introduced the first practical design tools for custom analog (acquired by Cadence Design Systems); and Voci Technologies Inc., which introduced ultra-high-speed speech recognition for enterprise voice analytics (acquired by Medallia Inc.). His Coursera MOOC courses on VLSI CAD have reached nearly 100,000 registered learners. He is a Fellow of the IEEE, ACM, AAAS, and National Academy of Inventors (NAI).
98 DEPARTMENT OF ELECTRICAL AND COMPUTER ENGINEERING
4200 Fifth Avenue | Pittsburgh, PA 15260 P: 412-624-4200
1202 Benedum Hall | 3700 O’Hara Street | Pittsburgh, PA 15261
P: 412-383-5306
f.xiong@pitt.edu
xionglab.pitt.edu
Biography
Dr. Feng Xiong is an Assistant Professor in the Electrical and Computer Engineering (ECE) Department at University of Pittsburgh (Pitt) since 2016. He received his PhD (2014) and M.S. (2010) in ECE from the University of Illinois at UrbanaChampaign (UIUC) and his B. Eng. in ECE (2008) from the National University of Singapore (NUS). Prior to joining Pitt, Xiong was at Stanford University as a postdoc fellow. His research interests are in energy-efficient electronics, next-generation memory devices, novel 1D and 2D materials, flexible electronics, nanoscale thermal transport and renewable energy harvesting. He received several awards including the Nano- and Quantum Science and Engineering Postdoctoral Fellowship, MRS Graduate Student Gold award, and TSMC Outstanding Student Research Gold Award. He is a member of IEEE and MRS.
Research Interests
• Energy-efficient electronics
• Device physics
• Flexible, wearable electronics
• Novel 1D/2D materials
• Electrochemical intercalation
• Tunable electronics
ELECTRICAL & COMPUTER ENGINEERING
Feng Xiong, PhD Assistant Professsor
Tunable Two-Dimensional (2D) Electronics
2D Transition metal dichalcogenides (TMDs) are widely considered to be promising candidates for beyond-Si computing due to their two-dimensional nature with no dangling bonds and unique material properties. They are studied for a range of applications such as transistors, optoelectronics, sensors, and electro-catalysis, which often have different material properties requirements. While researchers are actively looking for methods such as doping, strain, and nano-structuring to engineer the material properties of 2D films and optimize their performances for various applications, there has yet to be an effective way to manipulate their properties. We adopt a novel approach using electrochemical intercalation to engineer electrical, optical, and thermal properties in 2D materials and achieve “materials by design” for tunable electronics.
Low-Power Emerging Memories
In today’s big-data era, trillions of sensors will connect every aspect of our lives to the Internet, constantly producing an overwhelming amount of data. Traditional memory technologies such as DRAM and flash are approaching their fundamental limit and cannot satisfy the required throughput and energy efficiency. The Xiong group is working on alternative memory technologies such as phase change memory PCM and resistive memory (RRAM), which are highly scalable, energy-efficient with high-speed switching and excellent endurance.
• Next-generation memory devices (PCM and RRAM)
• Neuromorphic computing
• Electro-thermal transport
• Thermoelectric energy harvesting
99 DEPARTMENT OF ELECTRICAL AND COMPUTER ENGINEERING
Electronics Energy Efficient Tunable Electronics Flexible Electronics Energy Harvesting Materials Innovation
ELECTRICAL & COMPUTER ENGINEERING
Jun Yang, PhD Professsor
Emerging Non-volatile Memory Technologies
Data centers in the U.S. consume well over 100 billion kilowatt hours of energy yearly, according to U.S. Department of Energy. One of the most power hungry parts of data centers has traditionally been the processor. With technology scaling and applications’ growing demand for more memory, the majority of power consumption of data centers is shifting from the processor to main memory. Today’s memory technology cannot keep pace with this change and is reaching its limit in power consumption and density at data-center scales.
Nanophotonic Interconnection Network
Electrical on-chip networks are hitting great challenges in power, latency and bandwidth density with technology scaling. Such challenges are especially pronounced in the era of multi-core computing where high bandwidth, low power, and low-latency global transmission are required. For those reasons, and recent breakthroughs in nanophotonic devices, optical interconnection is again considered as a potential on-chip network for future
This project aims to solve the energy problem posed by memory. Rather than relying solely on DRAM, our approach integrates emerging non-volatile memories, e.g. Phase Change Memory, Spin-Torque-Transfer Magnetic RAM, to construct a high-capacity and energy-efficient memory system. The research is ambitious with fundamental and applied contributions in the design and development of energy-efficient computer servers. The fundamental research includes: a new integrated memory architecture that manages hybrid memory resources; novel techniques for energy, performance, endurance and fault tolerant management; and a new hybrid main memory controller. The applied contributions are our tools that we develop including simulation and analytic models and actual software/emulated hardware system.
many-core microprocessors. However, there are still fundamental limitations in nanophotonic networks that hinder their success in competing with their electrical counterpart. This project aims at future optical Networks-on-Chip, and target the bandwidth, performance, power/energy, and reliability, all being fundamental problem of on-chip optics. We use complementary solutions, joining devicelevel innovations, architectural novelties
Power and Thermal Management for Future Microprocessors
Many mobile embedded systems are designed to be small and compact to favor portability. As the user demand expands for more powerful, versatile, and integrated solutions, the designers endeavor to pack more and more devices into the small embedded form factors thanks to the technology advancement. In parallel with this trend, the microprocessor technology has evolved into an era of integrating multiple cores in one die, a.k.a. chip multiprocessor or CMP, to support concurrent execution of multiple applications. The recent promotion of the 3D stacking technology (stack multiple die vertically) further enables smaller chip
footprints and packaging at a higher transistor density. As can be foreseen, the marriage of the future embedded systems and future microprocessors brings forth concerns in increased power density which renders the thermal management a key challenge for embedded processors. This project recognizes the incessant power and thermal challenges and the limitations of the current approaches, and promotes a new suite of solutions at a higher level that address the drawbacks of existing solutions. It is important to raise the power and thermal awareness to a high level, such as the embedded operating system, where application thermal behavior are more
and operating system originalities into a systematic framework. The objective is to make on-chip nanophotonics a more practical and applicable technology for future many-core microporcessors.
explicit. The proposed techniques leverage the natural discrepancies in the power and thermal behavior among different application threads, and allocate, migrate, or schedule them among different cores. The goal is to minimize power consumption and thermal violations through proactive thread management at a high level.
100 DEPARTMENT OF ELECTRICAL AND COMPUTER ENGINEERING
1140 Benedum Hall | 3700 O’Hara Street | Pittsburgh, PA 15261 P: 412-624-9088 juy9@pitt.edu
Computer Engineering Program
1103 Benedum Hall | 3700 O’Hara Street | Pittsburgh, PA 15261
P: 412-383-7104
nathan.youngblood@pitt.edu www.pitt-photonics.github.io
Dr. Nathan Youngblood is an Assistant Professor in the Department of Electrical and Computer Engineering (ECE). His research explores new methods for high-speed and low-energy computation by combining new
Photonic Architectures for Ultrafast AI
Optics has the unique ability to perform linear operations with (theoretically) no energy consumption. This allows for high-speed, lowenergy matrix-vector multiplications in the optical domain. Since matrix multiplications form the basis for nearly all machine learning algorithms, hybrid hardware accelerators based on integrated photonics and electronics could significantly increase data throughput by leveraging the wavelength multiplexing and high modulation speeds of silicon photonics. We have already made significant contributions toward this goal by establishing the field of “in-memory photonic computing.” Borrowing from concepts developed for analog electronic accelerators, we have proposed (Science Advances, 2018) and demonstrated (Nature, 2021) the ability to perform multiple linear operations simultaneously in a photonic memory array at the speed of light, leading to a >1,000× improvement in compute density over state-of-the-art GPUs. Additionally, latency in
ELECTRICAL & COMPUTER ENGINEERING
Nathan Youngblood, PhD Assistant Professsor
discoveries in reconfigurable optical materials with innovative approaches to photonic integration. Before joining Pitt in 2019, Dr. Youngblood was postdoctoral fellow at the University of Oxford developing phase-change photonic devices.
our photonic accelerator is negligible, which would be transformative for applications requiring ultrafast AI such as high-speed qubit classification, plasma control in fusion reactors, real-time signal processing at radio frequencies, autonomous navigation, and ultrafast training of DNNs.
Waveguide-Integrated 2D Materials for High Performance Optoelectronics
The desirable optoelectronic properties of 2D materials such as graphene and black phosphorous, combined with their ability to be easily transferred to arbitrary substrates, make them a perfect candidate for integration with photonics. Placing 2D materials on top of a waveguide has the added benefit of overcoming the low out-of-plane absorption of these materials. Dr. Youngblood demonstrated the first waveguide-integrated black phosphorus photodetector, enabling the detection of telecommunications wavelengths with much higher efficiency than prior work using graphene (Nature Photonics, 2015). Our group is continuing to explore photonic integration of other novel 2D materials for modulation, detection, and storage of optical information.
Relevant Publications
• N. Youngblood, C. Talagrand, B. Porter, et al. “Broadly-tunable smart glazing using an ultra-thin phase-change material,” ACS Photonics 9(1), 90–100 (2022)
• J. Feldmann*, N. Youngblood*, M. Karpov*, et al. “Parallel convolution processing using an integrated photonic tensor core,” Nature 589, 52–58 (2021)
• N. Farmakidis*, N. Youngblood*, X. Li, et al. “Plasmonic nanogap enhanced phase change devices with dual electrical-optical functionality,” Science Advances 5(11), eaaw2687 (2019)
• C. A. Rios*, N. Youngblood*, Z. Cheng, et al. “In-memory computing on a photonic platform,” Science Advances 5(2), eaau5759 (2018)
• N. Youngblood, C. Chen, S. J. Koester, M. Li, “Waveguide-integrated black phosphorus photodetector with high responsivity and low dark current,” Nature Photonics, 9, 249–252 (2015)
101 DEPARTMENT OF ELECTRICAL AND COMPUTER ENGINEERING
ELECTRICAL & COMPUTER ENGINEERING
Minhee Yun, PhD Associate Professor Department of Bioengineering (secondary)
Highly Sensitive and Selective Biosensor Development
In this research, we have developed polyaniline (PANI)-based biosensors (top figures) for detecting four cardiac biomarkers in serum and human bloods, including Myo, cTnI, CK-MB, or BNP. The PANI was directly fabricated via both electrochemical deposition and chemical synthesis methods between pre-patterned Au electrodes. Hence our polymer growth is a mass producible and reproducible method. For the functionalization of the fabricated PANI (1-D and 2-D structures),
Graphene-Engineered Devices
the mAbs of cardiac markers were covalently attached to PANI by a surface immobilization method. After the PANI functionalization, the biosensing of cardiac biomarkers was carried out by measuring the conductance change of the biosensor. The conductance of PANI was monitored in the various conditions of the functionalized PANI, injecting phosphate buffer saline (PBS), bovine serum albumin (BSA), and target biomarkers. The conductance of nanowire can be modulated by the major
We are investigating graphene-based materials for various device applications. In particular, our current focus is infrared sensor development based on graphene and graphene-oxide materials. The goal of this research is to investigate thermoelectric graphene and thermal graphene oxide (GOx) infrared radiation (IR) sensors that will operate at uncooled temperatures. The specific aims of this research are; (1) understanding of critical parameters for IR detectors, (2) development of thermoelectric IR sensor based on graphene, and (3) development of thermal IR sensor (bolometer) based on GOx. The primary scientific focuses of this research are (i) to identify responsible parameter for producing the wideband IR and backgrounds so that the proposed work will improve the understanding of graphene and GOx properties for IR sensor applications, (ii) to determine the key advantages of the graphene/GOx based IR detector approach that offers inherent broad frequencies and enhanced sensitivities without the need for bulky filters, and (iii) to conduct wide range IR surveys of the thermal emissions from hot objects at room temperature.
Current Results:
To realize a proof of concept graphene-based IR sensor, we have fabricated thermopile devices using multilayer graphene (MLG) on the top of a freestanding SiNx membrane and established a substantial temperature gradient on the device as shown in the figure (bottom). To demonstrate the IR sensor operation, graphene channels were placed such that long and narrow MLG channels are positioned on free-standing SiNx membrane (hot zone), whereas a wide graphene heat sink is located on the top of Si substrate (cold zone).
carrier accumulation or depletion. The binding between immobilized mAbs and target biomarkers changes the net surface charge of the PANI and induces the carrier accumulation or depletion depending on the values of net surface charge and types of PANI. In addition, the developed biosensor shows non-response of conductance change to BSA or non-target proteins due to the mAbs specificity.
102 DEPARTMENT OF ELECTRICAL AND COMPUTER ENGINEERING
218 E Benedum Hall | 3700 O’Hara Street | Pittsburgh, PA 15261 P: 412-648-8989 miy16@pitt.edu
INDUSTRIAL ENGINEERING DEPARTMENT OF
INDUSTRIAL ENGINEERING
Mostafa Bedewy, PhD
Assistant Professor
The NanoProduct Lab (nanoproductlab.org), also known as the Bedewy Research Group , focuses on fundamental experimental research at the interface between nanoscience, biotechnology, and manufacturing engineering. We make basic scientific discoveries and applied technological developments in the broad area of advanced manufacturing at multiple length scales, creating solutions that impact major societal challenges in energy, healthcare, and the environment
Protein-based sustainable nanomanufacturing (e.g. using regenerated silk and interfacial protein assemblies)
Process-structureproperty relationship for nanomaterial fabrication, (e.g. nanotubes synthesis and nanoparticle selfassembly)
Biography
Medical device design, analysis and manufacturing (e.g. head immobilization devices for pediatric neurosurgery)
Self-folding of shape memory polymers for complex 3D geometries (e.g. bidirectional folding of prestrained polystyrene sheets)
Toward robust/secure manufacturing systems with connected cyberphysical components (e.g. analytics for process improvement)
Prior to Pitt, Dr. Bedewy was as a Postdoctoral Associate at MIT (2013-2016), and he received his PhD from the University of Michigan – Ann Arbor (2013). He has also recently received the Outstanding Young Manufacturing Engineer Award from the Society of Manufacturing Engineers (SME) in 2018, the Powe Junior Faculty Enhancement Award from the Oak
Ridge Associated Universities (ORAU) in 2017, the Meyer Award from the American Carbon Society in 2016, the Towner Prize for Distinguished Academic Achievement from the University of Michigan in 2014, and the Silver Award from the Materials Research Society (MRS) in 2013.
106 DEPARTMENT OF INDUSTRIAL ENGINEERING
1035 Benedum Hall | 3700 O’Hara Street | Pittsburgh, PA 15261 P: 412-624-2682 mbedewy@pitt.edu www.mostafabedewy.com
Advanced manufacturing research across multiple length scales Molecular Manufacturing Nanomanufacturing Biomanufacturing Origami/kirigamibased Manufacturing Cybermanufacturing
Original Improved Control
148 Benedum Hall | 3700 O’Hara Street | Pittsburgh, PA 15261
P: 412-624-9836 C: 412-596-1779
mbsacre@pitt.edu
www.engineering.pitt.edu/eerc
Assessment of Engineering Education Outcomes
My research area involves examining engineering education issues through the eyes of assessment. The work involves using primarily quantitative approaches and statistical modeling as well as mixed methods to study the impact of curricular innovations/pedagogies (e.g., model eliciting activities, flipped/ inverted classroom), and issues that affect engineering pathways (e.g., freshmen attitudes, gender/URM issues, K-12 STEM pipeline). As the figure below
indicates, our team has been successful in acquiring NSF, Department of Education and private foundation funding to study engineering education and have readily and comprehensively published the work. The heart of the work involves using assessment techniques to investigate how and whether particular learning outcomes develop in engineering students under different contexts, and subsequently determining ways to improve this learning. Specifically, the work focuses
INDUSTRIAL ENGINEERING
Mary Besterfield-Sacre, PhD
Senior Associate Dean for Academic Affairs
Nickolas A. DeCecco Professor Director, Engineering Education Research Center
on measuring process-oriented technical and professional skills (e.g., ethical reasoning, teamwork, innovation attributes, and more recently global competency/preparedness). Such processoriented outcomes are often hard to measure as the focus of measurement is not on the product produced but rather on students engaged in performing aspects of that outcome (i.e., the process).
Professional Skills
Technical Skills
Under prior funding on engineering problem solving and modeling, we have assessed how engineering students navigated problem solving and engineering modeling as evaluated through journaling and reflection, self-efficacy, and work sampling via personal digital devices given to students. More recently we have worked in the area of innovative design and entrepreneurship. We have developed measures to track innovativeness in engineering design. Complementary to this work, we developed a set of assessment tools to measure technical entrepreneurship in engineering education. It is through this work that we conducted a cross-institutional study with approximately 15 engineering schools measuring aspects of how engineering students develop entrepreneurship. This work is timely as innovation, entrepreneurship and the maker movement is coming to the forefront of education.
Investigating certain professional skills has been the other aspect of my research. Through NSF and Department of Education funding, ethical understanding and teamwork skills were thoroughly investigated, resulting in new instruments for the engineering education community. More recently, we have been assessing the spectrum of international undergraduate engineering educational experiences. The NAE together with a growing number of engineering education researchers have underscored the need for U.S. engineering graduates to be capable of effectively collaborating across national boundaries as their professional practice is becoming increasingly global in nature. Our research team has worked with 14 different engineering schools to measure the impact of international studies on engineering students and their global preparedness.
107 DEPARTMENT OF INDUSTRIAL ENGINEERING
INDUSTRIAL ENGINEERING
Karen M. Bursic, PhD Professor Undergraduate Program Director
Bio
Karen Bursic is a Professor and the Undergraduate Program Director for Industrial Engineering. She received her BS, MS, and PhD degrees in Industrial Engineering from the University of Pittsburgh. Prior to joining the department she worked as a Senior Consultant for Ernst and Young and as an Industrial Engineer for General Motors Corporation. She teaches undergraduate courses in engineering economics, engineering management, and probability and statistics in Industrial Engineering as well as engineering computing in the freshman engineering program. She is a senior member of the Institute of Industrial Engineers, American Society for Engineering Education and a registered Professional Engineer in the state of Pennsylvania.
Research Interests
Dr. Bursic’s research focus is on improving Engineering Education and she has over 20 years’ experience and numerous publications in this area. She has expertise in researching the effectiveness of state of the art teaching pedagogies including: Active Learning (instructional methods to increase student engagement in the learning process); Model-Eliciting Activities (complex, realistic, open-ended client-driven problems based on six specific principles that include model construction, reality, self-assessment, model documentation, generalizability, and an effective prototype); Student Response Devices (hand-held electronic devices that allows students to anonymously respond to a question posed by the instructor and then compare their response to the rest of the class, also known as “Clickers”); and Flipping (video lectures viewed by students outside of class and homework and problem solving done in class). She has also done research and published work in the areas of Engineering and Project Management with a particular focus on the use of teams in manufacturing organizations. She is a well-known and active member of
108 DEPARTMENT OF INDUSTRIAL ENGINEERING
1037 Benedum Hall | 3700 O’Hara Street | Pittsburgh, PA 15261 P: 412-624-9837 C: 412-889-2754 kbursic@pitt.edu
1041 Benedum Hall | 3700 O’Hara Street | Pittsburgh, PA 15261
P: 412-624-1193 C: 310-310-0622
yjchun@pitt.edu
www.pitt.edu/~yjchun/home.html
Some of the most challenging studies for medical devices today are in the interdisciplinary research on advanced material processing, biology/chemistry of interfaces, physics for design/ manufacturing (i.e., microfabrication), in-vitro/in-vivo tests, and clinical trials. Our group’s primary research focus is on designing, manufacturing, and testing of medical devices to treat vascular diseases (e.g., cerebral and aortic aneurysms, peripheral arterial disease, coronary artery diseases and heart valves disease, etc.) using smart artificial materials through minimally invasive surgery. Our research lab is collaborating with a wide range of researchers focused on developing a device for important or sustainment of human life. Besides a fundamental knowledge and technology in
A Microstent for Cerebral Aneurysm Occlusion
The current gold standard to treat cerebral aneurysms is endovascular therapy using platinum coils to fill the aneurysm sac. While coils are beneficial, they are only useful for aneurysms with “necks” narrow enough to hold coils in place. To address this issue, we developed a
Youngjae Chun, PhD Associate Professor Department of Bioengineering (Secondary)
design/manufacturing, we have a profound interest in biology, chemistry, and medicine because these complex interrelated topics represent the key challenges facing most medical devices used in the vascular system. In addition, we are expanding our research to implantable microsystems (e.g., sensors and actuators) for diagnose and treatment of vascular diseases, as well as more on circulatory diseases (i.e., cardiac, pulmonary, or renal) in the human body. Our goal of this research is to diagnose and help in the treatment of specific circulatory diseases concurrently using micro-scale devices implanted in the conduit of body. Our ultimate goal is to provide innovative minimally invasive surgical solutions based on new developments in science and engineering.
patterned hyper-elastic ultra-thin film nitinol (i.e., thickness <6μm). This work includes developing thin film nitinol materials with specific properties, designing hyper-elastic (i.e., >700% strain without mechanical failure) micro patterns using finite element modeling, developing innovative microfabrication techniques (i.e., a novel lift-off method) to create robust micro features, and conducting in-vitro/in-vivo testings.
During this work, we had to become knowledgeable on several fields including physics for device mechanism, chemistry for blood and device interaction, and biology for thrombogenic behavior. In one example, we successfully mounted a device we developed into a 3Fr (i.e., inner diameter = 0.69mm) micro delivery catheter, deployed in 3~5mm diameter arteries in vivo swine
Smart Prosthesis using Nitinol and Other Metallic Biomaterials
In addition to vascular devices and associated studies, our group focuses on prosthesis. One novel material for prosthetic devices is Nitinol. This material is a biocompatible, equiatomic alloy exhibiting shape memory properties. It has many desirable attributes ideal for body replacement. The thermally induced phase transformation from martensite to austenite allows it to be deployed using the natural heat generated by the body, exhibiting superelastic behavior. The unique properties of nitinol material such as superelasticity, thermally induced mechanical property control, and lightweight enables the prosthesis to be simple, light, and
models overcoming many engineering challenges. More importantly, results showed 4 week patency in the arteries without thrombogenic complications and undesirable excessive neointimal hyperplasia, something that was previously not thought possible in small diameter vessels. In addition, we have found that one of the dominant concerns of thin film nitinol material (or for that matter any vascular device) is thrombosis when a device is used in small vessels (e.g., <4mm diameter). For many artificial materials thrombosis is directly related to hydrophilic and negatively charged surfaces on the materials. We have successfully demonstrated a new surface that is superhydrophilic and negatively charged, a feature that prevents thrombosis from occurring in small diameter vessels.
easy to control. Another novel material is Magnesium, which is a metallic biodegradable material that is ideally able to compromise its mechanical integrity and degradation during the tissue or bone remodeling period. Several magnesium alloys showed a prolonged degradation time during implantation as well as enhanced ductility for medical devices. The unique advantages of biodegradable magnesium provide a promising candidate material for prosthetic devices that are possibly totally resorbed in the healing process. Our group is also studying on other metallic biomaterials and manufacturing processes.
109 DEPARTMENT OF INDUSTRIAL ENGINEERING
INDUSTRIAL ENGINEERING
INDUSTRIAL ENGINEERING
Renee M. Clark, PhD
Research Assistant Professor Engineering Education Research Center (EERC)
Reflection and Metacognition Using Simulation
Dr. Renee Clark is research assistant professor of industrial engineering and director of assessment for the Engineering Education Research Center (EERC). She conducts research on both externally and internally-funded education-related projects with faculty interested in enhancing and assessing instructional practices within their classrooms and programs. Dr. Clark collaboratively works with instructors to implement and assess their instructional practices and ultimately publish the outcomes in conference proceedings and education journals. She specifically conducts research on techniques that focus on active learning and engineering professional development, including flipped classrooms, adaptive learning, reflection and metacognition, design thinking practice, and simple active learning to drive interactivity and practice.
Another current research area for Dr. Clark is ensuring the propagation of active learning throughout the Swanson School of Engineering (SSoE) based on a 2018 Innovation in Education Award from the Provost’s Office. This award involves leading and coaching a pilot group of faculty, from the Department of Electrical and Computer Engineering and the Department of Industrial Engineering, who are implementing or enhancing active learning in their classrooms, with a future project goal of propagation of active learning across the Swanson School.
Along with colleague Dr. Samuel Dickerson, Department of Electrical and Computer Engineering (ECE), Dr. Clark received a 2018 grant from the National Science Foundation (NSF) to assess the impact of the frequent and systematic use of reflective and metacognitive thought in the ECE classroom. Student reflection will primarily occur through the use of SPICE circuit simulation software to drive deeper thought by students regarding their analytical calculations, including reflection on opportunities for improvement and application of lessons learned to future careers or coursework.
Assessment and Evaluation
Dr. Clark focuses on assessment and evaluation of educational outcomes in her research and administrative responsibilities in the Swanson School. She conducts quantitative, statistical, and qualitative analysis and evaluation. Her career background in data analysis and IT supports her data management and analysis for educational projects. Dr. Clark also serves as an external evaluator on NSF-funded projects. She received her PhD in industrial engineering from the University of Pittsburgh and her MS in mechanical engineering from Case Western. Dr. Clark has 25 years of experience as an engineer and analyst in industry and academia. She completed her postdoctoral studies in engineering education at the University of Pittsburgh.
Dr. Clark has recently published her research in IEEE Transactions on Education, Computer Applications in Engineering Education, International Journal for the Scholarship of Teaching and Learning, and Advances in Engineering Education
110 DEPARTMENT OF INDUSTRIAL ENGINEERING
B-12 Benedum Hall | 3700 O’Hara Street | Pittsburgh, PA 15261 P: 412-648-5359 rmclark@pitt.edu
1036 Benedum Hall | 3700 O’Hara Street | Pittsburgh, PA 15261
P: 412-624-9839 C:814-883-5920
jhaight@pitt.edu
Biographical Sketch
Dr. Haight has a master’s and PhD in Industrial and Systems Engineering from Auburn University. He spent 19 years in the oil industry, four years at the Centers for Disease Control and Prevention (CDC) and in addition to his time at Pitt, he spent ten years as an Associate Professor of Energy and Mineral Engineering at Penn State. He has over 70 peer reviewed publications and is editor-in-chief and co-author of two large multi-volume handbooks in the safety engineering field.
Human Factors Engineering Research
Joel M. Haight, PhD, P.E., CSP Professor Director, Safety Engineering Program
Mathematical Modeling of Management Systems in a Safety Engineering Context
With much of his career being spent in industry both as an engineer and a researcher, Dr. Haight’s research takes on an applied nature. Most of his work has been done in the process industries of oil refining and gas processing, specialty chemicals, power generation and distribution and pharmaceuticals. His work centers on prevention of catastrophic loss of containment, general injury prevention and understanding the effectiveness of management systems to manage the risk of these types of loss incidents. The goal of this research is to develop and improve effective resource allocation decision making tools that allow industry management to determine which, at what quality and how much of their available resources (human and capital) can be committed to intervention activities designed to prevent these incidents. This work is titled intervention effectiveness research and it includes an operations research approach to optimizing performance of human driven systems. Dr. Haight has been exploring a multi-variant approach to analyzing the impact of and interaction between multiple performance variables in an injury/incident and safety-related performance context. Through this research Dr. Haight seeks to develop a robust mathematical model that explains the relationship between the management system intervention activities and the injuries and catastrophic loss incidents that they are expected to prevent.
Since humans contribute significantly to the outcomes and performance of management systems, Dr. Haight’s research also includes gaining a better understanding of human performance and human error contributions to loss events. His work includes human implications on automated control systems, age-related capacity loss and experience offsets as well as physiological stresses and information overload for operators in the oil and
chemical industries. Currently working with the mining industry. This has included numerous human factors/ergonomic and biomechanical case studies exploring both ergonomic and cognitive stresses on workers in health care settings, the specialty chemical industry and food packaging and distribution industries.
111 DEPARTMENT OF INDUSTRIAL ENGINEERING INDUSTRIAL ENGINEERING
INDUSTRIAL ENGINEERING
Oliver Hinder, PhD Assistant Professor
Biographical Sketch
Oliver Hinder joined the Industrial Engineering Department in the fall of 2020. Prior to that he was a visiting postdoctoral researcher at Google in the Optimization and Algorithms group in New York. In 2019, he received his PhD from the Department of Management Science and Engineering at Stanford University under the supervision of Professor Yinyu Ye. Oliver is has won the PACCAR Inc fellowship, the Dantzig-Lieberman fellowship, and Mascaro Center for Sustainability faculty fellowship.
Research Overview
Dr. Hinder aims to develop reliable and efficient optimization algorithms built on solid mathematical foundations. This research is motivated by applications in network optimization and machine learning that push the limits of current computational capabilities. Dr. Hinder’s work ranges from fundamental theoretical questions on the computational limits of optimization algorithms to the development of practical software for machine learning and operations research.
Research Projects
• Making stochastic gradient descent more user friendly. The basis for modern machine learning is stochastic gradient descent. Unfortunately, stochastic gradient descent is not very user friendly: users must tune its learning rate which can be a painful and time-consuming process. The goal of this work is to develop automatic methods for tuning the learning rate of SGD.
• Algorithms for the control of modern electric grids. As our electricity grids involve more and more renewable energy, energy supply becomes less predictable and controllable. These changes warrant the development of new algorithms that are better able to handle uncertainty and long planning horizons than traditional methods.
• Neural network certification. It is well-known that neural networks are susceptible to small perturbations to their input leading to wildly incorrect predictions. While heuristics have been developed to reduce this susceptibility, it difficult to certify that the resulting networks are indeed robust to perturbations. This work develops new techniques for certifying neural networks.
• First-order methods for large-scale linear programming. Linear programming is a key tool for operations research, finding uses in supply chains, blending materials, airline operation, network management and more. Classical methods for linear programming (Simplex and interior point methods) are based on factorizations which can run out of memory in large-scale instances. Our methods basic operation is matrix-vector multiplication which can scale to larger problems.
Industry Impact
Oliver’s research has had direct impact on industry: his research on nonconvex IPM inspired LocalSolver’s own implementation, his work on first-order methods for linear programming is soon to be part of the Google Operation Research tools package, and his work with DeepMind has led to state-of-the-art techniques for neural network certification.
112 DEPARTMENT OF INDUSTRIAL ENGINEERING
1033 Benedum Hall | 3700 O’Hara Street | Pittsburgh, PA 15261 ohinder@pitt.edu
1002 Benedum Hall | 3700 O’Hara Street | Pittsburgh, PA 15261
P: 412-624-1852
drjiang@pitt.edu
http://www.pitt.edu/~drjiang
Research Overview
Daniel Jiang’s research interests are in the area of sequential decision making in the presence of uncertainty, where he has a special interest in handling the theoretical and computational challenges introduced by risk. Previous research has focused on topics in energy, an application area that is not only timely and relevant considering today’s rapidly changing energy landscape, but has also proven itself to be a rich problem domain, due to inherent stochasticity, the often-present curse of dimensionality, and the importance of managing risk in a sequential way.
Research Projects
• Approximate dynamic programming algorithms that exploit structural properties of intractable sequential decision problems.
• Optimal policies for energy arbitrage involving dynamic bidding strategies.
• Data-driven methods for solving risk-averse sequential decision problems.
• Spectrum of risk-averse policies for electric vehicle charging policies.
• Monte Carlo tree search using information relaxation upper bounds applied to ride-sharing.
• Naloxone procurement and distribution amidst the opioid crisis.
• Policies for incentivizing voluntary demand response.
Biographical Sketch
Daniel Jiang joined the Department of Industrial Engineering in September 2016. He received his PhD in May 2016 and MA in May 2013 from Princeton University in the Department of Operations Research and Financial Engineering. He completed his Bachelor’s degrees in Computer Engineering and Mathematics from Purdue University in May 2011.
Daniel R. Jiang, PhD Assistant Professor
The methodologies developed in his dissertation, titled “Risk-Neutral and Risk-Averse Approximate Dynamic Programming Methods,” are readily applicable to sequential optimization problems related to the electricity market, energy storage, integration of renewables, demand response, and electric vehicles.
113 DEPARTMENT OF INDUSTRIAL ENGINEERING
INDUSTRIAL ENGINEERING
allorder–up–topolicies R ⇤ (B ) risk–averseoptimalpolicies B risk parameters
INDUSTRIAL ENGINEERING
Taewoo Lee, PhD Assistant Professor Operations Research and Analytics in Healthcare (ORAH) Laboratory
Quantifying Preferences from Decision Data
Taewoo Lee’s research interests are in the field of mathematical optimization with applications in healthcare delivery systems and medical decision-making.
Research Projects
• Personalized telescreening policy for patients at risk to address disparities in access to care in diabetic eye disease management
• Incentive design in outcome-based regulation for organ transplantation
• Knowledge-based, automated treatment design for radiation therapy
• Robustness, stability, and interpretability in inverse optimization in the presence of noisy decision data
Dr. Lee’s work on theoretical optimization has focused on the development of data-driven modeling techniques that bridge the gap between traditional optimization and statistical learning. In particular, he studies inverse optimization, an advanced and versatile preference learning technique that uses past decision data to quantify a decision maker’s preference in the form of an optimization model. His work on inverse optimization has been applied to the development of automated and personalized decision support tools in radiation therapy and disease screening. His recent work generalizes use of inverse optimization for noisy human decision data to improve interpretability and stability of preference elicitation, e.g., contextual inverse reinforcement learning to infer patientspecific utility from the patient’s noisy and inconsistent decision trajectory.
Healthcare Operations and Medical Decision-Making
Dr. Lee’s work in healthcare focuses on (i) sequential decision-making to determine adaptive intervention timing and intervals where a patient’s disease state evolves (probabilistically) over time; and (ii) stochastic optimization to improve operations and logistics of care delivery systems and healthcare policymaking, e.g., identifying cost-effective resource allocations in rural areas with limited geographic access to care or optimal incentive design in organ transplantation. His recent projects include the design of effective telehealth and mobile screening services for diabetic eye disease to mitigate disparities in access to care through collaborations with UPMC and a county-level safety-net hospital system.
114 DEPARTMENT OF INDUSTRIAL ENGINEERING
1008 Benedum Hall | 3700 O’Hara Street | Pittsburgh, PA 15261 taewoo.lee@pitt.edu
1004 Benedum Hall | 3700 O’Hara Street | Pittsburgh, PA 15261
C: 412-606-1275
pleu@pitt.edu
http://lamp.pitt.edu http://mds-rely.org
Biographical Sketch
Paul W. Leu is the director of the Laboratory for Advanced Materials at Pittsburgh (LAMP; http:// lamp.pitt.edu) and co-Director of the Center for Materials Data Science and Reliability (MDSRely; http://mds-rely.org). He received his PhD at Stanford University and was a postdoctoral research fellow at University of California,
INDUSTRIAL ENGINEERING
Paul W. Leu, PhD Associate Professor B.P. America Faculty Fellow
Berkeley. He has received the 2012 Oak Ridge Powe Junior Faculty, 2016 UPS Minority Advancement Award, and the 2016 NSF CAREER Award. His research has been featured in Industrial Engineering Magazine, Pittsburgh NPR, and Pittsburgh Magazine.
Dr. Paul W. Leu’s research group focuses on combining simulations and experiments to discover and characterize new advanced and functional materials. His lab simulates and fabricates various nanomaterials for a wide variety of functionalities such as light trapping, antireflection, antiicing, anti-fogging, stain-resistance, high durability, and antibacterial. These materials have a wide variety of applications from solar cells and organic light emitting diodes (OLEDs) to catheters and kitchen and bathroom surfaces. His research seeks to understand the various process – structure – property relationships of these nanomaterials to enable these functionalities.
Experiments are complimented by simulations, which synergistically explore various material prop-erties. These simulations are integrated with optimization and machine learning algorithms for rap-id design and inverse design algorithms to determine processes for fabricating these structures.
LAMP has worked with various researchers at University of Pittsburgh Medical Center to evaluate new nanostructured surfaces for antibiofouling (preventing adhesion), antibactericidal (killing bac-teria), self-cleaning, and durability properties. The lab is determining how various mechanisms such as surface energy, topography, surface chemistry may contribute to these antibacterial properties.
Dr. Leu also co-directs the NSF Industry University Center, the Center for Materials Data Science and Reliability (MDS-Rely) with Case Western Reserve University. The center focuses on applying data science methods to understanding and extending the lifetime of materials essential for various applications. Various industry and government lab members participate in the center as members.
115 DEPARTMENT OF INDUSTRIAL ENGINEERING
INDUSTRIAL ENGINEERING
Lisa M. Maillart, PhD
Interim Department Chair Professor
Founder and Co-Director, Stochastic Modeling, Analysis and Control (SMAC) Laboratory
The majority of Dr. Maillart’s work in maintenance optimization aims to optimally time inspections, replacements and/or repairs for one or more degrading components in an adaptive way (vs. an a priori manner) over time as information about the underlying deterioration level of the component(s) is either (i) observed directly or (ii) inferred from some signal that is probabilistically related to the true level of deterioration.
Research in medical decision making involves taking systematic approaches to decision making that will improve the health and clinical care of individuals and assist health policy formation. Dr. Maillart’s accomplishments in this area have focused on chronic disease screening (e.g., personalized mammography schedules) and organ transplantation (e.g., optimal transplantation timing).
Dr. Maillart’s work to date on the maintenance of implanted medical devices has focused on implanted cardiac
devices, i.e., pacemakers and defibrillators. This research has investigated optimal generator replacement policies as a function of patient type, age and the remaining battery capacity as well as dynamic extract/abandon policies for failed cardiac leads.
Dr. Maillart’s work to date on healthcare operations has focused on organ allocation system design; vaccine clinic operations; and donor milk bank operations. More specifically, she has considered the impacts of various healthstatus updating frequencies imposed by UNOS; dynamically adjusting hours of operation when administering doses from multi-dose vials (which do not last more than a day) to maximize coverage while minimizing open vial waste; and optimally blending milk from multiple donors, batching milk for pasteurization, and dispensing milk to hospital NICUs and outpatients.
Biographical Sketch
Lisa Maillart is a Professor and Co-Director of the Stochastic Modeling, Analysis and Control (SMAC) Laboratory in the Department of Industrial Engineering at the University of Pittsburgh. Prior to joining the faculty at Pitt, she served on the faculty of the Department of Operations in the Weatherhead School of Management at Case Western Reserve University. She received her MS and BS in industrial and systems engineering from Virginia Tech, and her PhD in industrial and operations engineering from the University of Michigan. Her primary research interest is in sequential decision making under uncertainty, with applications in medical decision making, health care operations and maintenance optimization. She is a member of INFORMS, SMDM & IIE, and was recently awarded a U.S. Scholar Fulbright Award for study in the Netherlands.
116 DEPARTMENT OF INDUSTRIAL ENGINEERING
1030 Benedum Hall | 3700 O’Hara Street | Pittsburgh, PA 15261 P: 412-624-9845 maillart@pitt.edu
http://www.engineering.pitt.edu/People/Faculty/Industrial/Primary/Maillart,-Lisa-Marie/
Amin Rahimian, PhD Assistant Professor
Research Overview
Amin Rahimian joined Pitt IE in the fall of 2020. Prior to that, he was a postdoc with joint appointments at MIT Institute for Data, Systems, and Society (IDSS) and MIT Sloan School of Management. He received his PhD in Electrical and Systems Engineering from the University of Pennsylvania, and Master’s in Statistics from Wharton School. Broadly speaking his works are at the intersection of networks, data, and decision sciences. He borrows
Research projects
• Improving Cooperation and Coordination in Heterogeneous Crowds of Soldiers and Robots (Army)
• Advancing Analytics Using Simulation Modeling to Improve Actionable Changes in the Opioid Overdose Epidemic (CDC)
• Socially Responsible Data Collection and Network Intervention Design (Pitt Momentum Funds)
tools from applied probability, statistics, algorithms, as well as decision and game theory. Some of his current focus is on the challenges of inference and intervention design in complex, large-scale sociotechnical systems, with applications ranging from online social networks, public health, e-commerce and collective decision/action platforms to modern civilian cyberinfrastructure and future battlefields. He is especially interested in the critical role that information plays in the operation of sociotechnical institutions and its societal implications, including on diversity, fairness, and privacy. He has served on the program committee of the
2021 ACM Economics and Computation conference and is currently serving on the advisory council of the vaccine confidence fund (a new industry alliance) as well as the program committee of the 2022 IISE annual conference (as the operations research track co-chair). He has published in the Proceedings of the National Academy of Sciences, the Operations Research journal, the Automatica journal, and several IEEE Transactions. At Pitt he teaches Stochastic Processes (IE 2084), Design of Experiments (IE 1072) and a new engineering elective (IE 1171) on “Data for Social Good” that is supported by the Pitt Year of Data and Society Initiative.
117 DEPARTMENT OF INDUSTRIAL ENGINEERING INDUSTRIAL ENGINEERING
1003 Benedum Hall | 3700 O’Hara Street | Pittsburgh, PA 15261 rahimian@pitt.edu
INDUSTRIAL ENGINEERING
Jayant Rajgopal, PhD, P.E. Professor and Graduate Program Director
Summary of Research Interests
Prof. Rajgopal’s research interests lie in two broad areas: optimization methods (especially continuous optimization) and the development of analytical and data-driven models to solve problems in supply chains, logistics, and operations. Of late, his primary application focus has been in the area of healthcare delivery. One specific topic he has worked on extensively is vaccine delivery in low and middle income countries. As part of an interdisciplinary team of public health professionals, engineers and computer scientists, he helped develop models to design, analyze and improve how vaccines work their way through the distribution chain from a central delivery location to hundreds of small clinics, many of which are in remote locations. There are many issues to be considered, including cold storage capacity, transportation, personnel, and vaccine wastage. The models
help with evaluating metrics related to these as well as with addressing many “what-if” scenarios, such as changes in resource availability, supply chain structure and vaccine regimens. A related topic is the development of mathematical models to optimize vaccine administration at clinics by minimizing so-called open vial waste, which results when a partially used vial of vaccine must be discarded at the end of a clinic day. Another area he has been working on more recently with personnel from the Pitt medical school is the improvement of processes to collect and safely deliver blood in low and middle income countries. In the past, he has also worked on improving operations in hospitals and clinics, including better utilization of operating room suites, management of hospital inventory items via better storage and inventory control schemes, and improved scheduling procedures at outpatient clinics.
•
• No. of trips
•
• No. stock-outs
• Avg. inventory
•
• Capacity utilization
• Inventory loss
Biographical
Jayant Rajgopal is a Professor in the Department of Industrial Engineering at the University of Pittsburgh. He holds a PhD in Industrial & Management Engineering from the University of Iowa and has been at Pitt since 1986. His current professional
interests are in mathematical modeling & optimization, operations and supply chain analysis, and applications of operations research to healthcare delivery. He has taught, conducted sponsored research, published or consulted in all of these areas.
Dr. Rajgopal is a Fellow of IISE, a member of INFORMS, and a licensed professional engineer in the state of Pennsylvania.
118 DEPARTMENT OF INDUSTRIAL ENGINEERING
1032 Benedum Hall | 3700 O’Hara Street | Pittsburgh, PA 15261 P: 412-624-9840 j.rajgopal@pitt.edu http://www.pitt.edu/~rajgopal
Sketch
No. of doses wasted
Open vial loss
• Unmet demand
Vaccine Supply Chain Modeling
Average time in supply chain
1034 Benedum Hall | 3700 O’Hara Street | Pittsburgh, PA 15261
P: 412-624-9835
ravishm@pitt.edu
M. Ravi Shankar, PhD
Professor, Industrial Engineering Professor, Mechanical Engineering and Materials Science (Courtesy) William Kepler Whiteford Faculty Fellow
The Shankar Research Group performs research in the Department of Industrial Engineering at the University of Pittsburgh under the direction of Prof. M. Ravi Shankar. Our research focuses on understanding the behavior of materials over length-scales ranging from the macro to the nano, as a function of composition, thermomechanical history and microstructural design. Research interests include thermal and mechanical behavior of nanocrystalline metals and amorphous alloys, mechanics and property evolution in nano and micro-manufacturing processes and design of multi-functional materials.
Multifunctional Nanograined Materials
We are studying how nano-scale grain structures can demonstrate novel functional properties that accompany their enhanced mechanical properties. We are examining scalable approaches for creating such microstructures at surfaces and in bulk-forms in Al, Mg and Ti alloys and their technological implications for structural and biomedical applications. Ongoing research in our group has also focused on identifying the underlying physical phenomena that leads to the creation of nanograined materials with specific microstructural attributes from severe shear deformation.
Direct Transduction of Photonic Energy into Mechanical Work
Azobenzene-functionalized polymers can transduce light directly into mechanical work either via trans-cis isomerization or via the trans-cis-trans reorientation of the azo groups. We are examining approaches centered on design of novel compositions and mechanical designs for enhancing the efficiency of this transduction and maximizing the achievable power densities.
Hierarchical Nanostructured Surfaces
Surfaces with hierarchies composed of nano-scale structures on micro-scale features endow novel functionalities in several instructive illustrations from the natural world. A common example is the self-cleaning, superhydrophobicity of the lotus-leaf that is characterized by a fine micro-scale texture that is superimposed with dense fibrillar nanostructures. In the animal world, hierarchical structures lead to low drag in textured, self-cleaning skin of the shark, the antireflective eye of the housefly and manifest the phenomenon of structural color in birds and fishes. We are working on new direct-write approaches for the scalable manufacture of such complex hierarchies in polymeric materials for engineering applications.
Mechanics of Deformations at the Micro-Scale
Understanding the implications of the stochasticity, size-effects and constitutive properties of deformation of metals at the micrometer and sub-micrometer length-scales is critical for controlling process and product outcomes in mechanical microforming. We are working on new experimental paradigms for exploring the mechanics of deformation and microstructural consequences in microdeformation configurations using a custom-designed platform that can perform multiaxial manipulation inside an electron microscope.
119 DEPARTMENT OF INDUSTRIAL ENGINEERING
INDUSTRIAL ENGINEERING
INDUSTRIAL ENGINEERING
Scott Streiner, PhD Assistant Professor Engineering Education Research Center (EERC)
Bio
Scott Streiner is an Assistant Professor in the Industrial Engineering Department, teaches in the First-Year Engineering Program and works in the Engineering Education Research Center (EERC). He received his BS and PhD degrees in Industrial Engineering from the University of Pittsburgh and his MS in Industrial and Systems Engineering from North Carolina State University. Prior to joining the department, Scott served as an Assistant Professor in the Experiential Engineering Education Department at Rowan University where he taught first- and second-year engineering students. He teaches undergraduate courses in probability and statistics, supply chain analysis, and is responsible for the Industrial Engineering Senior Design Capstone Course (IE1090). He also teaches a graduate course in probability and statistics. Finally, he teaches introduction to engineering analysis (ENGR11) and introduction to engineering computing (ENGR12). He is an active member of the Kern Engineering Entrepreneurship Network (KEEN), the Institute of Industrial and Systems Engineers (IISE), the American Society for Engineering Education (ASEE), and serves on the First-Year Engineering Education (FYEE) Conference Steering Committee.
Engineering Ethics Research
Design and Playful Assessment of Engineering Ethics Through Game-Based Interventions
Ethics education has been recognized as increasingly important to engineering over the past two decades, although disagreement exists concerning how ethics can and should be taught in the classroom. With the support from the National Science Foundation (NSF) Improving Undergraduate STEM Education (IUSE) program, we are investigating how game-based or playful learning with strongly situated components can influence first-year engineering students’ ethical knowledge, awareness, and decision making. These games provide opportunities to educate young engineers on the importance of ethical decision making while in the field.
We contend a better alternative to traditional engineering ethics education would be to address engineering ethics not solely in the abstract of philosophy or moral development, but as situated in the everyday decisions of engineers as they do their work. Drawing on the contemporary learning theory of situated learning , playful learning may enable instructors to create assignments that enable students to break free of the typical student mindset of finding the “right” answer, and use various game mechanisms to induce them to act more as themselves, as they would on-the-fly within a real engineering project context, drawing on personal reasoning and justifications, rather than simply right/ wrong answers. More information can be found here: https://sites.google.com/view/ engineering-ethics/home
Ethics Education Across Cultures
Ethics has long been recognized as crucial to responsible engineering, but the increasingly global environments of contemporary engineering present new challenges to effective engineering ethics training. With the support from the National Science Foundation (NSF) Ethical and Responsible Research (ER2) program, a collaboration of investigators from Virginia Tech, University of Pittsburgh, Delft University of Technology, and Shanghai Jiao Tong University are conducting a mixed-methods project examining the effects of culture and educational experiences on ethics training in undergraduate engineering students.
120 DEPARTMENT OF INDUSTRIAL ENGINEERING
1035 Benedum Hall | 3700 O’Hara Street | Pittsburgh, PA 15261 P: 704-264-6415 scs147@pitt.edu
DEPARTMENT OF
MECHANICAL ENGINEERING & MATERIALS SCIENCE
Hessam Babaee, PhD Assistant Professor
AStochasticFrameworkforComputationofSensitivitiesinChaoticFlows
Uncertainty Quantification and Stochastic Modeling
The work of Dr. Babaee’s research group is at the intersection of high performance computing, uncertainty quantification and predictive modeling. Advances in the field of machine learning provide a rigorous mathematical framework that have begun to allow combining data with variable fidelities from different sources to generate or improve predictive models. Furthermore, the advent of efficient numerical techniques, particularly in the field of stochastic differential equations and high performance computing have paved the way for quantifying uncertainty in complex engineering systems. The combination of these components is just starting to bear fruit and unprecedented opportunities exist for constructing predictive models endowed with rigorous certificates of fidelity in multi-physics/multi-scale engineering systems. This is the scope of Dr. Babaee’s research group.
Complex thermo-fluid systems are often poorly understood due to the uncertainties in the models, parameters, experimental measurements and numerical simulations, and operating conditions. Propagating and managing uncertainty in these systems is a daunting task. These systems are often governed by multi-physics/multiscale phenomenon – described by highdimensional coupled differential/integral equations – such as heat transfer in gas turbines or turbulent two-phase flows. Our group develops stochastic reduced order models (ROM) by exploiting the correlations among the different realizations of a physical system. ROM has orders of magnitude smaller dimension than the full-dimensional model and it serves two main purposes: (1) ROM is a diagnostic tool that can be used to characterize and analyze the behavior of complex dynamical systems; (2) ROM can be used instead of the full-dimensional model to significantly reduce the computational burden of propagating uncertainty in high-dimensional dynamical systems.
Figure2: PIBabaee’sresearchonaminimizationprincipleforbuildingtime-dependentmodes: (a)FeaturedontheCoverPageof ProceedingsoftheRoyalSocietyofLondonA:Mathematical, PhysicalandEngineeringSciences [33];(b)Smoke:volumerenderingofDNS;Iso-surface:optimally time-dependent(OTD)modes.
Multi-Fidelity Modeling for Design and Optimization
Engineering designs and resilient systems require management of data from a variety of sources, efficient allocation of computational resources, and, most importantly, quantification of uncertainty inherent in multi-physics models of variable fidelity and operating conditions, as well as utilization of such information in risk-averse decision making. Even for classical engineering systems that can be described at various levels of fidelity and for which experimental data may exist, currently there are no mathematically rigorous methods to combine these disparate information sources into a viable framework for the purpose of design and optimization. In our group we develop multi-fidelity framework by employing modern elements of machine learning – such as non-parametric Bayesian regression – that are capable of blending information from sources of different fidelity, and can
increasestheinfluenceoftheunresolvedfluctuationsbecomesmoresignificant.Insuchsituations, thenon-linearityofdynamicalsystemresultsingrowthoftheunresolvedfluctuations.Foraccurate predictionoftheflowstructure,itisessentialtoaccountforthee↵ not,thealiasingerrorswillsurelyleadtonon-physicalresults.Thisissuehasbeenattheheart ofcompressibleflowresearchforover60yeasnow[34–38].Thecruxoftheproblemisduetothe interactionofpressureandvorticitymodes,withescalatedcomplexityastheflowbecomesturbulent.
Wewouldliketoexamineseveralmeansofaccountingforthee↵ectsoftheunresolvedmodesin highReynoldsnumberflows.Werecognizethattherearecertainsimilaritiesbetweentheloworder modaldecompositionandthefilteringoperationasemployedinLES[39].Therefore,wespeculate thatsomeoftheideasissubgridscale(SGS)modelingmaybeusefulforourpurpose.Essentially, theissueisclosureofthecorrelation: uj ].TheliteratureofLESdescribes manyofsuchclosures[39–41].Someofthemappearpromisingforourpurposeandwillbetriedhere.
provide an information-fusion framework, in which prediction for quantities of interest and their associated uncertainties are determined.
First,wewouldliketoexaminethe scale-similaritymodel (SSM)[42–44]asthismodelappearsvery naturalforourpurpose.Withthismodel,simulationswillbeconductedwith(atleast)twosetsof resolutions.Thiscanbeachievedbyincreasing r .Theseresultswillbeusedtoprovideamodelfor theunresolvedfluctuations.Anotherpossibilitywouldbethe mixedmodel basedonthecombinationoftheSSMandthegeneralSGSviscositytypemodel.Again,twosetsof simulationswithvaryingresolutionsareneededtodeterminethee↵ectsoftheunresolvedfluctuations.
Wewillalsoconsiderastochasticmethodology.Sincethismethodisnew,abitofmoredescription
124 DEPARTMENT OF MECHANICAL ENGINEERING AND MATERIALS SCIENCE
&
MECHANICAL ENGINEERING
MATERIALS SCIENCE
1102 Benedum Hall | 3700 O’Hara Street | Pittsburgh, PA 15261 P: 412-383-0560 h.babaee@pitt.edu
(a) (b)
Time-Dependent Basis
Figure 1
Figure 2
803 Benedum Hall | 3700 O’Hara Street | Pittsburgh, PA 15261
P: 412-624-0325 C: 412-566-9332
heng.ban@pitt.edu
My research is in the broad area of thermal sciences and material performance. The scientific focus is to understand the relationship between material microstructure change and its thermal
Material Microstructural Change and Thermophysical Property
MECHANICAL ENGINEERING & MATERIALS SCIENCE
Heng Ban, PhD, PE
Associate Dean for Strategic Initiatives
R.K. Mellon Professor in Energy Director, Stephen R. Tritch Nuclear Energy Program
properties. The work covers experimental and computational material thermophysical properties and measurement science and technology. The research has applications in nuclear fuels and materials, micro-
scale measurements, and hot-cell and/or in-pile sensors and instrumentations. My group also conduct integral and separate effect experiments and modeling for fuel performance and safety assessment.
Measurement Science and Technology
Irradiation-caused damage to the microstructure of materials has a significant impact on their thermal properties, especially thermal conductivity. For instance, the thermal conductivity of silicon carbide can reduce to 5 percent of its starting value as its microstructure turns into amorphous under irradiation. My lab has developed methods to measure thermophysical properties of ion or neutron irradiated samples. The experimental capabilities promise significant advances in both fundamental and applied contexts. Our research also focuses on energy transfer at material interfaces such as grain boundaries or gas-solid interfaces, which are important in energy applications.
Advanced measurement capabilities are essential for creation of new pathways for discovery and innovation. My lab has been developing new measurement techniques for thermophysical properties. These techniques include nano- and micro-scale thermal characterization methods, bench scale techniques, and in-pile sensors and instrumentations. A key element of these techniques is the thermal wave method that relies on phase delays rather than heat flux or temperature values to determine thermal properties. In my lab, the heating can involve an AFM tip, a thin film or fiber joule heating, or an intensity-modulated laser, and the detection can use a variety of options including optical (reflectance or radiometry), spectroscopic (quantum dot fluorescence), or electrical resistance (AFM, or thin film or fiber). A major forcus is optical fiber-based techniques for hot-cell and in-pile applications.
Transient Fuel Performance: Experiment and Modeling
Transient fuel performance plays a key role in safety assessment of design-based accidents for nuclear reactors. Fuel transients involve multiple physical processes, such as fuel fracturing and fragmentation, gap conductance, clad ballooning and rupture, and coolant (water) phase change and transient boiling. We are involved in Idaho National Lab’s transient test reactor (TREAT) program, and in-pile instrumentation effort. We collaborate with multiple universities, national and international labs, and nuclear industry in modeling, separate effect experiments, and reactor experiments.
125 DEPARTMENT OF MECHANICAL ENGINEERING AND MATERIALS SCIENCE
Markus Chmielus, PhD Associate Professor
Advanced Manufacturing & Magnetic Materials – AM³
The work of Dr. Chmielus’s research group is focused on the influences and relationship of composition, impurities, manufacturing, and processing parameters on the microstructure and properties of structural and multifunctional metals in bulk, foam, thin films, and single crystalline form with a focus on 3D structures produced by additive manufacturing
In additive manufacturing, we work on identifying the effects of powder properties, printing and processing parameters on green and further processed (e.g. sintering and aging) samples’ microstructure, porosity, residual stresses, mechanical, fatigue and multifunctional properties. We focus on all aspects of binder jet 3D printing and sintering but also use direct energy deposition, and selective laser melting/sintering and built custom-made printers for very small print volumes and magnetic materials. We have expertise working with a large variety of materials including Ni-based, Ti-, Cr-Co-alloys and other biocompatible materials, steels, carbides, multifunctional Heusler alloys.
The main focuses of this research group in functional materials is in ferromagnetic shape-memory alloys, high temperature shape memory, and magnetocaloric materials. We are mostly interested in microstructure, phase transformations, mechanical, thermal, magnetic properties. Since composition, impurities, manufacturing and processing parameters have an essential effect on the microstructure and properties of samples, we investigate the relationship between them and how to reach an optimum combination of desired properties. For functional materials, we work with poly- and single-crystalline materials and 3D structures produced via additive manufacturing. Micro-computed x-ray tomography (top left) is used to identify and quantify porosity and flaws.
In metal thin films and coatings, we are mostly interested in the effects of impurities and processing parameters on as-deposited films, but also phasetransformations, texture transformations and final properties, including resistivity, magnetization, texture, and mechanical properties. Furthermore, we investigate stresses during deposition and cycling.
We use custom-made equipment, if necessary, during all stages of research (left bottom), characterize microstructure, stress, other properties at Pitt and collaborators facilities or in collaboration with large user facilities and national labs (e.g. for synchrotron and neutron diffraction techniques).
126 DEPARTMENT OF MECHANICAL ENGINEERING AND MATERIALS SCIENCE MECHANICAL ENGINEERING & MATERIALS SCIENCE
505 Benedum Hall | 3700 O’Hara Street | Pittsburgh, PA 15261 P: 412-624-8176 chmielus@pitt.edu www.chmieluslab.org
626 Benedum Hall | 3700 O’Hara Street | Pittsburgh, PA 15261
P: 412-624-9784 C: 412-656-1020
mkchyu@pitt.edu
http://www.engineering.pitt.edu/MinkingChyu
The Chyu Group’s focuses are energy technology, gas turbine engines, heat and mass transfer, manufacturing and thermoelectrics. Current research efforts are investigating high efficient cooling systems for high temperature applications, including advanced jet impingement heat transfer, transpiration/lattice cooling and application of additive manufacturing to turbine airfoils.
Introduction
Gas turbine engine is one of the most important components in modern power generation and propulsion. As a result, increase in engine efficiency and reduction in emission have a wide-reaching impact. One way to achieve these is by improving the aero-thermal performance of the gas turbine blades. This requires development of new cooling technologies and protective materials, which is the primary focus of this group.
MECHANICAL ENGINEERING & MATERIALS SCIENCE
Minking K. Chyu, PhD Professor
Leighton and Mary Orr Chair Professor Distinguished Service Professor Associate Dean, International Initiatives
Advanced Cooling Technologies
Since gas turbine blades are subject to environment with temperatures much above the melting point of the material, both internal and external cooling technologies are needed to ensure safe operation. The Chyu group focuses on both these fronts. Some examples of the recent research efforts include development of novel cooling technologies which utilize inline wall jets, swirling coolant flows, lattice networks, and transpiration microchannels to augment cooling in the gas turbine airfoil. These cooling technologies seek at complex 3D manipulation of the flow field to achieve favorable coolant redistribution to eliminate hotspots and reduce coolant consumption. The main experimental techniques include transient liquid crystal technology, PIV and IR imagery. A significant amount of computational simulation is also carried out to visualize and quantify the otherwise invisible flow behavior inside these channels.
Additively Manufactured ODS Coating and Cooling Structures
Collaborating with the Department of Energy and West Virginia University, the Chyu group became one of the first who implemented Additive Manufacturing to fabricate protective coating/cooling structures for turbine airfoils using oxide dispersion strengthened (ODS) alloy. ODS alloy has high oxidation resistance and excellent high-temperature creep strength, but is not amenable to conventional manufacturing. The capability of metallic additive manufacturing makes the integration of the ODS alloy and the advanced cooling technology possible. The cooling technology utilizes cool air coming from the compressor to cool down hot components. The coolant flow inside the cooling passages actively removes the heat from turbine blades and then effuses to hot stream outside through transpiration holes to form a thin coolant film above the outer surface of blades as an insulation layer. The objective of the research work aimed to design, fabricate and optimize the transpiration/lattice structures to improve cooling efficiency by more than 50% compared to conventional film and internal cooling.
127 DEPARTMENT OF MECHANICAL ENGINEERING AND MATERIALS SCIENCE
MECHANICAL ENGINEERING & MATERIALS SCIENCE
William W. Clark, PhD Professor
The Clark Lab’s research focus is in the field of dynamic systems and controls. Current research focuses on cyber-physical
Cyber-Physical Systems
Cyber Physical Systems (CPS) are playing an increasingly significant role in everyday life. There are expected to be 34 billion internet-connected devices by the year 2020, not to mention the many stand-alone autonomous devices. Medical devices, self-driving cars, industrial process control systems, traffic control systems, agricultural systems, etc. are examples of CPS that integrate physical systems with sensors, actuators, and embedded computers. The Clark lab is currently working on a variety of cyber-physical systems across fields including medical, rehabilitation, and agriculture. Example research problems include an embedded control system for a hybrid prosthetic exoskeleton (with the Sharma research group) that enables development and testing of advanced control algorithms; development of
Medical Mechatronic Devices
A growing body of research in the Clark lab has focused on development of medical devices that are at their core mechatronic systems. For example, there is an unmet clinical need for nurses and medical staff to be able to accurately and successfully place an IV catheter on a first try in patients with difficult veins such as diabetics, the elderly and infants. We are working with
Inertial Measurement of Human Motions
systems with specific emphasis on mechatronic systems and measurements.
smart urban agriculture systems; modular control hardware and algorithm for a novel chemical computing system (with the Meyer and Garrett-Roe groups in Chemistry); and a variety of novel sensing systems for medical applications.
the Dezfulian research group to develop a system to use sensor-based feedback to quickly, accurately, and easily place an IV, thus maximizing successful placement on the first attempt. Another example is the development of a retrievable perfusion stent. Hemorrhage of the torso is a leading preventable cause of death of soldiers on the battlefield. In collaboration with the
The science of human performance continues to see increasing interest for applications such as physical therapy and sports. Our lab is studying the use of wearable inertial sensors (e.g. accelerometers and rate gyros) and advanced data analysis techniques for human motion applications. In one study we are investigating the use of inertial measurements for stroke rehabilitation. The system evaluates stroke severity through motion patterns using supervised machine learning algorithms, and suggests rehab tasks that are appropriate for the specific patient in his or her recovery process. In another study, inertial sensors are used to monitor lifting tasks in nurses in an effort to correlate measurable motion features with risky techniques.
Tillman, Cho, and Chun research groups we are developing a retrievable stent that enables hemorrhage control while still allowing branch perfusion. The device is to be deployable by field medics and will allow for rapid removal, accurate device positioning and measurement of patient vitals.
128 DEPARTMENT OF MECHANICAL ENGINEERING AND MATERIALS SCIENCE
636 Benedum Hall | 3700 O’Hara Street | Pittsburgh, PA 15261 P: 412-624-9794 wclark@pitt.edu www.engineering.pitt.edu/MEMS/
605 Benedum Hall | 3700 O’Hara Street | Pittsburgh, PA 15261
P: 412-624-3069
dgcole@pitt.edu
The Cole Group’s focus is instrumentation and controls and the application of dynamic systems, measurement and control theory to modern industrial and energy systems. Current research efforts are investigating Bayesian techniques for system estimation and control, the application of advanced computing tools for control, supervisory control of nuclear and energy systems, and cyber security for industrial control systems.
Supervisory Control of Nuclear Systems
Daniel G. Cole, PhD, PE Associate Professor
Director, Stephen R. Tritch Program in Nuclear Engineering
Bayesian Techniques for Control
Feedback control is very good at handling uncertainty in systems. As systems become more complex, there is a need to develop advanced approaches for handling uncertainty. Probability theory provides flexible and comprehensive techniques for describing uncertainty, and Bayes’ rule provides an important tool for statistical inference and updating probabilities and estimates with new measurements. This research looks at applying probabilistic tools, like Bayes’ rule, Bayesian networks, and Monte Carlo techniques, to control problems. These tools provide techniques for describing control systems that can be used at different time scales and levels of hierarchy.
Advanced Computing for Control
Supercomputers have been pushed to incredible speeds and are ever more capable at handling huge computational problems. Oddly, the tools and techniques of highperformance computing (HPC) have found little use in control systems, which often depend upon single processors or highly decentralized controllers. This research is investigating the application of advanced computing tools, like parallel computing, to controls. These advanced tools can be used for controller design, using for example HPC, or for controller implementation, using parallel banks of controllers.
A significant challenge for making viable SMRs (small modular reactors) is the need to reduce demands for labor-intensive surveillance, testing, and inspection. In this research, we are using advanced control techniques to enable automated online, in-situ monitoring of SMR instrumentation and control components. This will allow engineers to rapidly measure system dynamics and loop processes, and tune these loops to optimize conditions for
Cyber Security for Industrial Control Systems
As the industrial internet grows, more industrial systems will be digital, enabling robust and resilient operation of industrial processes, and improved system monitoring, fault tolerance, and data acquisition. To achieve this, I&C systems will include networks that connect systems, and supervisory control will require the transfer of information throughout the
peak performance. A significant advantage is that these tools can be used during reactor operation to monitor components. This effort includes modeling and control of light-water, moltensalt, and advanced high-temperature reactors, the development of supervisory control to manage multi-unit SMR plants, and advanced decision-making techniques to meet economic and safety objectives.
control system hierarchy from basic process and safety systems to site command and control to corporate decision making. These interdependencies presents the possibility of cyber incidents compromising plant safety, security, and emergency preparedness. This research is developing cybersecurity approaches for industrial systems that diagnose and inform decision
makers about potential attacks and that provide procedures and protocols to react to such attacks. Specifically, this research will address the challenges unique to the nuclear power enterprise. The research will develop methods and approaches that can rigorously evaluate the vulnerabilities of cyber-physical systems, and will propose tools that can mitigate these vulnerabilities.
129 DEPARTMENT OF MECHANICAL ENGINEERING AND MATERIALS SCIENCE
MATERIALS
MECHANICAL ENGINEERING &
SCIENCE
MECHANICAL ENGINEERING & MATERIALS SCIENCE
Zachary Harris, PhD Assistant Professor
Dr. Zachary Harris joined the University of Pittsburgh as an Assistant Professor in September 2022. Prior to Pitt, he was a Research Scientist in the Center for Electrochemical Science and Engineering within the Department of Materials Science and Engineering at the University, where he also received his PhD in Materials Science and Engineering in 2018. His research combines advanced materials characterization with high-fidelity mechanical testing to understand the microscale processes governing environment-induced degradation of structural metals. Specific areas of interest include high-temperature fatigue and deformation, stress corrosion cracking in atmospheric, marine, and nuclear-related environments, corrosion-induced fatigue, hydrogen-assisted cracking, and mechanical behavior of emerging materials. Current projects focus on the environment-assisted cracking behavior of additively manufactured (AM) metallic materials in marine environments and developing accelerated fracture mechanics-based test methods for measuring environment-assisted cracking susceptibility.
Environment-Assisted Cracking of AM Materials
It is important to understand the influence of the unique microstructural features inherent to the AM process on environment-assisted cracking behavior. For example, porosity is commonly observed in AM components. Prior studies by Prof. Harris and collaborators have demonstrated that this porosity can enhance plastic damage ahead of the crack tip in a AM 17-4PH stainless steel (shown in Figure 1), leading to 10-fold increases in crack growth rate relative to conventionally manufactured 17-4PH. Such insights can be leveraged to refine AM build and post-processing approaches to ensure that damaging features are mitigated.
Designing New Testing Methods for Environment-Assisted Cracking
Current standardized fracture mechanics-based testing methods for environment-assisted cracking can take up to 10,000 hours to complete (more than one year!), which makes testing both time and resource-intensive to execute. Prof. Harris has been studying the ability of a more time efficient ‘rising K’ testing method to provide conservative environment-assisted cracking susceptibility metrics. Experiments conducted on Al, Fe, Ti, and Ni-based alloys in marine environments revealed that the ‘rising K’ approach of Prof. Harris and collaborators does generate conservative data at test durations as fast as 1-2 days, representing a >100-fold increase in testing efficiency. These data, and that from ongoing projects, are now being utilized as the basis for a new testing standard for environment-assisted cracking.
130 DEPARTMENT OF MECHANICAL ENGINEERING AND MATERIALS SCIENCE
538D Benedum Hall | 3700 O’Hara Street | Pittsburgh, PA 15261 zdh13@pitt.edu
Figure 1 – Correlative (a) electron micrograph, (b) grain orientation map, and (c) kernel average misorientation of a crack tip in additively manufactured 17-4PH stainless steel that underwent hydrogen environmentassisted cracking demonstrating the concentration of plastic damage at sub-micrometer porosity along a grain boundary ahead of the crack tip (indicated by white dashed oval).
207 Benedum Hall | 3700 O’Hara Street | Pittsburgh, PA 15261
P: 412-383-4623
hornbostel@pitt.edu
https://www.engineering.pitt.edu/KatherineHornbostel/
Dr. Hornbostel’s research group focuses on modeling novel clean energy systems, with an emphasis on carbon capture. Her expertise in thermal sciences, chemical engineering and simulations is applied to range of projects for traditional carbon capture, direct air/ocean carbon capture, and nuclear systems.
MECHANICAL ENGINEERING & MATERIALS SCIENCE
Katherine Hornbostel, PhD Assistant Professor
Dr. Hornbostel’s work is done in collaboration with universities, companies and national laboratories, and is funded by NETL, ARPA-E and the Sloan Foundation. Several of Dr. Hornbostel’s currently active research projects are highlighted below.
131 DEPARTMENT OF MECHANICAL ENGINEERING AND MATERIALS SCIENCE
Developing core-shell metal-organic-frameworks (MOFs) for direct air capture
Modeling flat-sheet membranes for postcombustion carbon capture
Optimizing membrane contactors for ocean carbon capture
Modeling a novel natural gas/direct air capture hybrid power plant
Investigating resuspension of nuclear fission particles in small modular reactors
MECHANICAL ENGINEERING & MATERIALS SCIENCE
Tevis D. B. Jacobs, PhD Associate Professor
Nanoscale Contact Phenomena
The focus of the Jacobs Research Group is to reveal the atomic-scale processes governing the mechanical and transport properties of surfaces and interfaces at the nanoscale. Contacting surfaces are of critical importance in advanced nanoscale applications, including micro-/nano-electromechanical systems, manufacturing schemes, and microscopy applications. The function of such applications depends on the ability to precisely predict and control contact parameters such as contact stiffness, contact area, adhesion, and electrical contact resistance. Our group uses novel combinations of scanning probe microscopy, electron microscopy, and mechanical testing techniques to interrogate the mechanical behavior of contacts between nanoscale bodies, and the interdependence between mechanical properties and functional properties of the contact.
Mechanical and Transport Properties of Individual Small-scale Contacts
Scanning probe techniques are used inside of a transmission electron microscope (TEM). By simultaneously achieving Angstrom-scale spatial resolution and nanonewton force resolution, we can interrogate individual nanoscale bodies – including the formation and separation of their contact, and its evolution under load. Using an in situ TEM nanomanipulator with specialty scanning probe microscopy tips, we can simultaneously measure transport properties – such as electrical contact resistance and heat transfer. This enables the quantitative interrogation of the load-dependence of functional properties, and the effects of surface properties, such as roughness or structure/ chemistry of surface layers.
Scaling up Insights from Nanocontacts to Describe Behavior of Micro- and Macro-scale Surfaces
Nano-/micro-mechanical testing is performed on rationally designed multi-point contacts – either few-asperity tips, or nominally flat surfaces with nanoscale roughness. Insights from single nanocontacts are used to describe larger-scale behavior. Our goal is to develop quantitative, fundamental, and predictive understanding of nanoscale contact behavior, which will enable tailored properties for advanced technologies across length scales.
132 DEPARTMENT OF MECHANICAL ENGINEERING AND MATERIALS SCIENCE
538-E Benedum Hall | 3700 O’Hara Street | Pittsburgh, PA 15261 P: 412-624-9736 tjacobs@pitt.edu
Figures: Left, top: Scanning probe microscopy techniques are employed in the transmission electron microscope.
Right: An example lattice-resolved image of a nanoscale contact during an in situ loading test.
Left, bottom: A micro-mechanical tester is used on larger samples enabling connections across length scales.
538H Benedum Hall | 3700 O’Hara Street | Pittsburgh, PA 15261
P: 412-648-3395
jul37@pitt.edu
Dr. Jung-Kun Lee joined the Department of Mechanical Engineering and Materials Science (MEMS) at the University of Pittsburgh (Pitt) in September 1, 2007, after spending more than 5 years at Los Alamos National Laboratory as a Technical Staff Member as well as a Director’sfunded Postdoctoral Fellow. From this background and in concert with Pitt’s strategic emphasis on energy and nanoscience, he has established the “Advanced Functional Materials Laboratory.”
Solar Energy Harvesting
MECHANICAL ENGINEERING & MATERIALS SCIENCE
Jung-Kun Lee, PhD Professor
William Kepler Whiteford Faculty Fellow
His primary research interest is to explore the functional properties of nanostructured materials to address an ever-increasing energy demand. This is a very broad and inter-disciplinary field. Therefore, he established inter-disciplinary research projects covering materials science, electrochemistry, applied physics, and photovoltaic device fabrication. His passion and commitment to high quality science have led to more than 130 publications in peer-review journals and more than 20 invited presentations. These numbers
Dr. Lee has worked on solar-electricity and solar-fuel conversion using surface plasmons and shape-controlled nanomaterials. One of his approaches is to explore new types of plasmonic particles to enhance the light absorption of the solar cells containing such particles. To address the issue of the inefficient light absorption in the hybrid solar cells, he has investigated surface plasmons of the nanoshell to control the passage of photons. While the role of surface plasmons has been extensively explored in several types of the solar cells, there has been limited research to implement the surface plasmons in hybrid solar cells such as dye sensitized solar cells (DSSCs).
Advanced Material Manufacturing
clearly indicates that his research quantity is far better than his peers at a same stage of the academic career. Quantitative index of his research also proves that the scientific quality of his research is very high and academic communities appreciate his achievements. His papers on functional materials have been cited more than 1500 times and the h-index of his papers is 21, which shows that he has focused on important issues of communities rather than trivial problems.
Therefore, the gain in the efficiency of DSSCs employing existing plasmonic structures has been marginal.
To effectively apply surface plasmons to DSSCs, it is essential to explore the physical interactions among surface plasmons, solar light modulation, and carrier/exciton generation in the nanostructured films. In recent research, Dr. Lee has investigated the influence of dielectric core-metallic nanoshell particles on solar energy conversion in DSSCs. His results demonstrate that the optical resonances and the near electromagnetic field response can be tuned by changing the dimension of the core and shell components. The incorporation of plasmonic particles consisting of metallic nanoshells and dielectric core into TiO2 mesoporous photoelectrodes enlarges the optical cross-section of dye sensitizers coated onto the photoelectrode and increases the energy conversion efficiency of DSSCs. The enhanced photonelectron conversion is attributed to tunable surface plasmons of the nanoshell.
Dr. Lee’s group has also focused on advanced material manufacturing. This includes powder synthesis, green body processing (printing, pressing, slip casting), sintering and microstructure characterization. His approach is to explore the development of disruptive manufacturing techniques that can solve fundamental problems of materials and change an inherent structure-property relation in materials. His research interest in the area of manufacturing lies in 1) high contrast hydrophobic-hydrophilic patterns by an ink-jet printing of metal and ceramic nanoparticles to change interactions between water and material surface, 2) low temperature processing of bimodal SiC ceramic composites with high mechanical strength and machinability for nuclear fuel cladding, 3) synthesis of anisotropic carbide/nitride nanoparticles showing both metallic and catalytic properties for the counter electrode of electrochemical devices.
133 DEPARTMENT OF MECHANICAL ENGINEERING AND MATERIALS SCIENCE
MECHANICAL ENGINEERING & MATERIALS SCIENCE
Scott X. Mao, PhD
William Kepler Whiteford Professor
Revealing the real-time atomic-scale structural evolution is central to understanding and controlling the mechanical degradation of high-performance engineering and energy materials. However, it has been an outstanding challenge to explore those processes due to technical difficulties. Here, we developed a novel in-situ
Formation of Monatomic Metallic Glasses
How to make a monatomic metallic glass by vitrification has been a longstanding challenge for materials scientists. Here we find an experimental method to approach the vitrification of monatomic metallic liquids by achieving an ultrahigh quenching rate of 1014 K/s. Using this method, liquid bodycentered cubic metals (e.g. pure tantalum and vanadium) are successfully converted into monatomic metallic glasses, offering unique possibilities for studying the structureproperty relationships of glasses. We further show the great controllable process of reversible vitrification–crystallization. The ultrahigh cooling rate also makes it possible to explore the fast kinetics and structural behavior of supercooled metallic liquids.
(Nature, (2014) 512, 177-180)
nanomechanical/electrochemical testing setup inside transmission electron microscope (TEM), which provides an unprecedented in-situ atomistically-resolved approach for discovering the previously unknown mechanisms in nanosized engineering and energy materials.
Deformation-Induced Stacking Fault Tetrahedra
Stacking fault tetrahedral (SFT), the 3D crystalline defects, are often observed in quenched or irradiated face-centred cubic metals and alloys. All of the stacking fault tetrahedra experimentally observed till date are supposed to originate from vacancies. We discovered that surface-nucleated dislocations can strongly interact inside the confined volume of Au nanowires, leading to a new type of dislocation-originated SFT, in distinct to the widely believed vacancyoriginated SFT. This discovery sheds new light onto the size effect on the mechanical behavior of small-volume materials and advances our fundamental knowledge of the 3D volume defects. (J.W. Wang, et al. Nature Communications (2013) 4, 2340).
Twin-Size Dependent Deformation and Failure
Although nanoscale twinning is an effective mean to enhance the strength of metals, twin-size effect on the deformation and failure of nanotwinned metals remains largely unexplored, especially at the minimum twin size. Here, a new type of size effect in nanotwinned Au nanowires (NWs) is presented. As twin size reaches the angstrom-scale, Au NWs exhibit a remarkable ductile-to-brittle transition that is governed by the heterogeneousto-homogeneous dislocation nucleation transition. Quantitative measurements show that approaching such a twin size limit gives rise to the ultra-high strength in Au NWs,close to the ideal strength limit of perfect Au. (J.W. Wang, et al. Nature Communications (2013) 4, 1742).
Atomic-Scale Lithiation Process of Si Anodes
Understanding the atomic-scale structural evolution during the electrochemical reactions in solid-state electrodes is critically important to the development of high-performance Li-ion batteries. Here, we show the first atomic-scale lithiation process of both crystal-Si (c-Si) and amorphous-Si (a-Si). The lithiation of c-Si is controlled by the atomic-scale ledge mechanism, resulting in the crystallographic orientation
dependence of lithiation-induced swelling; while the lithiation of a-Si is mediated by an unexpected twophase mechanism, in contrast to the widely believed single-phase mechanism. These discoveries elucidate the atomistic origin of morphological change and degradation in lithiated electrodes. (Nature Nanotechnologies (2012) 7, 749-756; Nano Letters (2013) 13, 709-715; Science (2010), 330, 1515-1520).
134 DEPARTMENT OF MECHANICAL ENGINEERING AND MATERIALS SCIENCE
538D Benedum Hall | 3700 O’Hara Street | Pittsburgh, PA 15261 P: 412-624-9602 C: 412-624-4846 sxm2@pitt.edu
1108 Benedum Hall | 3700 O’Hara Street | Pittsburgh, PA 15261
P: 412-857-6452
jum151@pitt.edu
MECHANICAL ENGINEERING & MATERIALS SCIENCE
Juan José Mendoza Arenas, PhD Assistant Professor
Department of Physics and Astronomy, University of Pittsburgh (Secondary)
Computational Simulation of Nonequilibrium Quantum Materials
From processes we find in our daily life, to effects in nanoscale devices, interactions between different constituent elements of a system are of vital importance. Several prominent cases take place in quantum materials, where many-body correlations are responsible for spectacular collective phenomena such as magnetism and superconductivity. A huge effort has been made for several decades to understand the nature and consequences of these correlations in diverse systems. However, many questions remain to be solved. For example, the mechanism underlying high-Tc superconductivity has not been clarified, or the extent to which quantum heat-to-work
conversion devices truly outperform classical machines is yet to be firmly established. The field of correlated many-particle systems is full of exciting and wide-open problems, whose solution would provide society with new clean and efficient technologies.
A key property of quantum materials is their high sensitivity to external stimuli, which manifests in their wide variety of electric, magnetic, optical, mechanical and thermal responses. Because of this, they are very promising for implementing and selectively controlling diverse phases for technological applications. In recent years, seminal advances have led to the development of control strategies whose potential lies in driving
quantum matter to far-from-equilibrium states, which have the potential to feature effects absent or more robust than those in (close to) equilibrium setups.
My computational research aims at unravelling the physics of such nonequilibrium states, determine the conditions under which they optimally perform certain processes, and establish scenarios in which they can be implemented. For this I consider two mechanisms of out-of-equilibrium driving, namely boundary driving by unequal leads (Figure 1) and excitation by light in cavities (Figure 2), corresponding to different paths for implementing cutting-edge technologies.
Quantum-Inspired Simulation of Partial Differential Equations
To analyze the physics of these scenarios, my research mostly relies on specialized numerical simulations based on tensor network theory. The latter constitutes the most powerful family of algorithms for the study of strongly-correlated quantum systems. Its vast success, however, has made it a key methodology in many other areas of science. A remarkable recent example corresponds to the solution of systems of differential equations, for example those governing classical fluid turbulence; this new approach has proven to be more efficient than direct numerical simulations [4]. Some of my future research, in collaboration with several Pitt researchers and supported by the Airforce Office of Scientific Research and the Naval Nuclear Laboratory, will apply and enhance this approach to study fluid turbulence for technological problems.
[1] J.J. Mendoza-Arenas and S.R. Clark, arXiv:2209. 11718 (2022).
[2] M. Brenes, J.J.Mendoza-Arenas et al., Phys. Rev. X 10, 031040 (2020).
[3] F.P.M. Méndez-Córdoba, J.J. Mendoza-Arenas et al., Phys. Rev. Res. 2, 043264 (2020).
[4] N. Gourianov et al., Nat. Comput. Sci. 2, 30 (2022).
135 DEPARTMENT OF MECHANICAL ENGINEERING AND MATERIALS SCIENCE
Figure 1. A quantum system is coupled to two reservoirs which can have different temperature (T) or chemical potential (μ). This induces energy or particle currents which depend on the interplay between particle interactions, geometry, correlations to reservoirs, and further control mechanisms such as laser pulses. In recent collaborative research, I have shown how interactions strongly enhance rectification [1] and thermoelectric [2] responses of such systems.
Figure 2. Direct or (e.g., phonon/magnon) mediated particle-particle interactions can be engineered by photons in a cavity (i.e., an arrangement of mirrors that produces a standing light wave). In a recent collaborative work, I showed that this type of control can be used to tune the topological phase transition of a superconductor featuring Majorana quasiparticles [3].
MECHANICAL ENGINEERING & MATERIALS SCIENCE
Ian Nettleship, PhD Associate Professor
Research Capabilities and Experience
Ian Nettleship’s research focuses on powder processing of ceramics. He has worked in this area for 30 years. Most of his research has focused on sintering; the high temperature process by which the porosity is removed from ceramics and the internal microstructure and properties evolves to their final state. Over the last 10 years Dr. Nettleship has also worked on the processing of macroporous ceramics for specific applications, including low-cost filters for removing of harmful bacteria and parasites from drinking water and also highly porous ceramics used in bioreactor cores for bone marrow stem cell culturing. The Nettleship research laboratory has facilities for powder processing of ceramic materials using pressing and colloidal based techniques such as slip casting. The laboratory also has high temperature furnaces and facilities for preparing hard ceramic materials for microstructure analysis.
Current Projects and Recent Interests
Dr Nettleship has recently extended his work into sustainable materials through a research collaboration called PittNOCMAT. The goal of this collaboration is to enhance and broaden the impact of materials research by combining it with service learning on sustainably (typically locally) sourced materials and appropriate technologies that empower underserved communities. Specific examples include clay based materials for low-cost ceramic water filters and bamboo construction materials. In this new approach, Dr Nettleship collaborates closely with NGOs who work in the field to put stateof-the art research in the service of marginalized communities. In return, the real-life experience of these communities informs research at the graduate and the undergraduate level as well as student design projects.
Recent project reflect the continued interests of the Nettleship group in multidisciplinary research on: (i) sintering of ceramics, (ii) processing of highly porous ceramics and (iii) sustainable materials.
For sintering, the research projects involve additive manufacturing of ceramics. In particular, the dry powder printing methods used in additive manufacturing of metals are being adapted to ceramics through post printing infiltration with ceramic precursors and sintering aids. The objective is to print complex ceramic structures, minimize shrinkage on sintering and improve reproducibility.
The research in highly porous ceramics continues to be focused on filters for water treatment. In particular, the processing of low-cost clay water filters for removing parasites and bacteria
from drinking water. This is a Pitt NOCMAT initiative in which the research involves 3D imaging of filter pore structures and surface nanoparticle functionalization to add extra capability to the filters (such as removal of chemical contaminants). The service learning component collaborates with NGOs to provide quantitative information to small, local filter makers concerning the effects of processing variables on the properties of the clay filters.
Finally, research on sustainable materials is a Pitt-NOCMAT collaboration focused on providing engineering standards for bamboo construction materials that can accommodate the variability in natural materials. The service learning projects provides new engineering field tests for NGO practitioners.
136 DEPARTMENT OF MECHANICAL ENGINEERING AND MATERIALS SCIENCE
502 Benedum Hall | 3700 O’Hara Street | Pittsburgh, PA 15261 P: 412-624-9735 nettles@pitt.edu
Ceramic with oriented pore channels processed by freeze casting and sintering
Collaboration with small, local ceramic water filter makers in Nigeria
509 Benedum Hall | 3700 O’Hara Street | Pittsburgh, PA 15261
P: 412-625-9755 C: 412-445-2185
des53@pitt.edu
David Schmidt received his PhD in 2009 from Carnegie Mellon University in the area of computational mechanics. His dissertation research developed predictive simulation approaches tailored to the soft tissue biomechanics of cardiovascular systems. Prior to his doctoral studies, Dr. Schmidt developed a career in industry focused on the integration of engineering design, manufacturing and computational modeling. His industry experience includes aerospace, defense, automotive, biomedical and manufacturing. The experience based developed in these industrial environments serves as a core component in his approach to research. A central aim of among his research projects is to bridge the gap between traditional engineering techniques and the evolving state simulationbased technologies. His recent research activity has been in the area of middle ear gas exchange mechanisms, multi-scale tissue biomechanics, robotic assisted surgery, biodegradable magnesium alloys and powder metal materials processing.
Middle Ear Gas Exchange and Pressure Regulation
Gas exchange within the middle ear mucosa is a dominant mechanism associated with middle ear pressure regulation. Diseased states associated with middle ear inflammation can be attributed to complex structure-function relationships linking mucosa-scale gas exchange and aggregate pressure regulation. Dr. Schmidt’s research has developed a computational model to explore the inter-related roles of constituent tissue mechanisms driving gas conductance. The adopted meso-scale approach has been used to quantity gas exchange as a function of mucosa thickness, capillary morphology, gas media and blood flow characteristics. Physiologically consistent models of capillary microstructure have been derived from multi-photon fluorescence imaging. A primary objective of this research is to establish exchange rate-limiting mechanisms under pathologic conditions associated with middle ear pressure dysregulation, Eustachian tube function and the disease state of otitis media.
Near Net Shape Materials
Hot isostatic processing is an industrial metal powder forming process aimed at the manufacturing of high performance mechanical parts. The processing involves the densification of a metal powder preform under elevated pressure and temperature conditions. Central to the process is the ability to achieve final part dimensions or “near-net-shape,” as minimization of traditional machining is a primary objective of the processing strategy. Research has developed a constitutive material tailored to the densification of high performance alloys. The simulation tool provides a foundation to explore the complex relationships linking preform geometry and processing parameters with final part shape. This generalized approach can be leveraged to explore densification behavior of preforms developed using additive manufacturing techniques.
David Schmidt, PhD Associate Professor
Soft Tissue Biomechanics
Motivated by the study of pathology and tissue engineering, researchers have leveraged computational-based predictive models to gain insight into the complex biomechanical response of soft tissues. Simulation approaches have become an essential component in cardiovascular research. Computational models have been used to advance basic science, develop engineered tissue alternatives and guide medical device development. Dr. Schmidt’s research has developed a constitutive model based on the characterization of the collagen microstructure as is morphology governs load-bearing tissue response. A primary objective of this research has been to guide the design of engineered tissue scaffolds associated with aortic heart valve replacement.
137 DEPARTMENT OF MECHANICAL ENGINEERING AND MATERIALS SCIENCE
MECHANICAL ENGINEERING & MATERIALS SCIENCE
MECHANICAL ENGINEERING & MATERIALS SCIENCE
Inanc Senocak, PhD Associate Professor
High Performance Simulation Laboratory for Energy and Environment
Our research vision is to contribute toward the creation of a sustainable energy economy by providing innovative computational solutions to engineering problems that arise at the intersection of energy and environment. We work toward this vision by developing high performance computing solutions that transcend traditional disciplines. In our research, we integrate fundamentals of thermal and fluid sciences with computational mathematics and supercomputing. We routinely use parallel rendering and data analysis tools to elucidate the fundamental processes underlying the problem and improve our models.
Grid Integration of Wind Power
We apply the large-eddy simulation technique to simulate air flow through wind farms over complex terrain. We deploy the computing power of multiple graphics processing units to predict and forecast variable power generation for potential applications in power scheduling and energy trading.
Weather-aware Transmission Lines
Engineering Simulation Software Development
With ever-increasing-computing power, engineering simulation software has to evolve along with new computer architectures and programming models. In our research, we apply modern software engineering principles to develop scalable parallel solvers and versatile computational geometry algorithms to tackle a variety of large-scale simulation problems that can easily overwhelm high-end workstations.
Congestion in transmission lines is a growing concern and hinders integration of the renewable energy resources into the grid. The common practice of static rating of transmission lines operates on conservative assumptions on local weather conditions to avoid excessive line sag. However, for windy locations, these assumptions create unnecessary bottlenecks limiting transmission capacity. In our research we have developed computational tools to challenge the static rating practice in favor of the dynamic line rating, where we have computed and made use of local wind conditions (i.e., speed and direction) imminent on the transmission lines crossing complex terrain (shown above). We have shown that ampacity can be increased by 40-50% without jeopardizing the structural integrity of transmission lines. By tailoring our computational tools for emerging computing hardware, we enable forecasting of local wind conditions to better schedule transmission. availability. Our research also showed that industry standards to operate transmission lines could benefit from adopting modern numerical methods.
138 DEPARTMENT OF MECHANICAL ENGINEERING AND MATERIALS SCIENCE
609 Benedum Hall | 3700 O’Hara Street | Pittsburgh, PA 15261 P: 412-624-5430 senocak@pitt.edu
608 Benedum Hall | 3700 O’Hara Street | Pittsburgh, PA 15261
P: 412-624-9788
patsmol@pitt.edu
Biography
Dr. Smolinski graduated with a PhD in Theoretical and Applied Mechanics from Northwestern University. Prior to coming to the University of Pittsburgh, he was a Senior Research Engineering at the General Motors Research Laboratory. Professor Smolinski is a Fellow of the American Society of Mechanical Engineers (ASME) and a Founding Member of the United States Society Association for Computational Mechanics (USACM). In 2013 he was selected as the Outstanding Mentor, PrePhD Summer Research Experience at the Swanson School of Engineering, University of Pittsburgh. He has directed research projects that have been chosen as a finalist in Achilles Orthopaedic Sports Medicine Research Award from the International Society of Arthroscopy Knee Surgery and Orthopaedic Sports Medicine (2011), was 2nd Place in the John J. Joyce Award, International Society of Arthroscopy Knee Surgery and Orthopaedic Sports Medicine (2009), won the Best Paper Award from Asia Arthroscopy Conference (2008), Arthroscopy Association of North America, Resident/Fellow Scholarship Award 2007 (Basic Science).
MECHANICAL ENGINEERING & MATERIALS SCIENCE
Patrick Smolinski, PhD Associate Professor Orthopaedic Surgery
Areas of Research
Prof. Smolinski’s research includes both computational simulation and biomechanics. Computational studies involve the development of efficient computational algorithms and the application of computational methods to novel problems. Computational simulations have been applied to device design, the study of manufacturing processes and metal forming, response of structures under extreme loading environments, analysis of surgical methods and the study of human injury mechanisms.
Biomechanical studies has involved the characterization of biological tissue structure, form and function including tissue material properties, anatomical features, morphology and tissue in-situ forces. Studies of surgical techniques include anterior cruciate ligament (ACL) and other ligament reconstruction with experimental evaluation. Computer simulations of ACL surgical repair techniques have been used to assess graft stresses and strains. Computational methods have been used for the optimization of joint replacement components to minimize component wear and the bone remodeling associated with joint replacement.
139 DEPARTMENT OF MECHANICAL ENGINEERING AND MATERIALS SCIENCE
MECHANICAL ENGINEERING & MATERIALS SCIENCE
Albert C. To, PhD
Professor, CNG Faculty Fellow Director, ANSYS Additive Manufacturing Research Laboratory (AMRL) Director, MOST-AM Consortium
Biography
Dr. Albert To joined University of Pittsburgh as an assistant professor in 2008 and has been associate professor since 2014. He is also directing the ANSYS Additive Manufacturing Research Laboratory – a 1,200 ft2 space that houses several advanced metal 3D printers. He did his undergraduate study at UC Berkeley and master’s study at MIT. He received his PhD from UC Berkeley in 2005 and was a postdoctoral fellow at Northwestern University from 2005-2008. He is an Editorial Board Member of Additive Manufacturing. His research has been supported by NSF, America Makes, NASA, DOE-NETL, Army, ANSYS, etc. He is also a recipient of the NSF BRIGE award in 2009.
Areas of Research
The primary research interests of his research group are in design optimization for additive manufacturing (AM), computational mechanics, and multiscale methods. Currently, his group is actively working on developing the “Lattice Structure Design Optimization” software for generating optimal lightweight and multi-physics design for AM. Ongoing research activities also include process-microstructure-property relationship of AM metals and support structure design optimization for AM.
Design and Optimization for Additive Manufacturing
The goal of this project is to develop robust software for design and optimization of additive manufactured (AM) structural designs based on cellular structures. The key innovation in this technology is the utilization of micromechanics models for capturing the effective behavior of cellular structures in finite element analysis (FEA). This will enable solving topology optimization problems via FEA much more efficiently. The computational tools developed will help cut time in design phase, lower manufacturing cost, and reduce time to market for new AM structural product development.
140 DEPARTMENT OF MECHANICAL ENGINEERING AND MATERIALS SCIENCE
508 Benedum Hall | 3700 O’Hara Street | Pittsburgh, PA 15261 P: 412-624-2052 albertto@pitt.edu www.pitt.edu/~albertto
504 Benedum Hall | 3700 O’Hara Street | Pittsburgh, PA 15261
P: 412-624-1643
jsv@pitt.edu
Modeling and Testing of Systems
My lab group has been conducting intricate computational/numerical studies, with experimental validation, of vibration, of acoustics, controls, and signal processing. Projects include acoustic cloaking, thermoacoustic power sensing, modeling of blood coagulation and precision motion control. Acoustic cloaks can make something acoustically invisible (no reflections or “shadows”). This has major ramifications for devices that either need defy detection, such as submarines, or for quieting noisy devices, such as a piece of machinery in a factory. Our modeling methods have shown that some of our
Medical Device Development
MECHANICAL ENGINEERING & MATERIALS SCIENCE
Jeffrey Vipperman, PhD Vice Chair Professor, Mechanical Engineering Professor, Bioengineering
proposed discretization approaches for realizing cloaks are feasible, and can be manufactured with 3D printing.
Thermoacoustic power sensors (TAPS) were developed by Westinghouse and Idaho National Lab. They are wireless and are installed inside the core of a nuclear reactor, making nuclear power safer and more economical. Next-generation reactors will have very high temperatures, and be cooled by gases, liquid metals, or molten salt. The sensors don’t need external power and temperature). We are developing measurement methods and
My lab is equipped with a number of capabilities for developing medical devices, including 3D printing, embedded systems programming, prototype creation, electronics design, and signal measurement and processing. One device, “SoundSentinel” listens to the sound of a cranial drill and alerts the surgeon as he or she nears the dura. Unintentionally drilling into the dura increases morbidity and mortality. Our device measures acoustic and vibration signatures, processes the signals, and then uses a classifier to decipher whether the dura has been reached.
Another device consists of novel ways of doing bipolar RF ablation, which will allow for much better control of the cutting process. The technique could result in safer and more efficient laparoscopic resection and then removal of organs.
A third device is monitors nerve impulses during brain surgeries in an effort to better protect the nerves during tumor extraction and predict the amount of sometimes inevitable nerve damage that has occurred.
The final device provides an articulable column which provides single point retraction in a matter of seconds. In addition to
signal processing techniques to interpret vibrations that are measured externally.
Another exciting project is developing an advanced model of blood clotting in order to develop a decision support system for emergency medical care. Administering a coagulant or anticoagulant medication at the wrong time can have fatal consequences. Our models are lending insight into the early, rapid detection of blood clotting disorders, coagulopathies, and their interventions. New, point of care blood testing methods will likely result.
efficiency gains, the device is fast enough to use for trauma units. It can also be used as a laparoscopic tool holder. Both this device and SoundSentinnel are in the early stages of commercial development.
141 DEPARTMENT OF MECHANICAL ENGINEERING AND MATERIALS SCIENCE
MECHANICAL ENGINEERING & MATERIALS SCIENCE
Guofeng Wang, PhD Professor
Computational Materials Science Laboratory
The Wang laboratory at Pitt focuses on studying the composition-structure-processingproperty relation of materials using computational materials science techniques. The primary objective of the research is to develop computer simulation/modeling into a powerful scientific technique that accelerates, achieves, and amplifies scientific discoveries in the field of materials science and engineering. Computer simulation, as important as theory and experiment, is an integral part of contemporary basic and applied material sciences. It provides great opportunities to design, characterize, and optimize materials before the expensive experimental process of synthesis, characterization, assembly, and testing.
Research Activities
The main research activities of the laboratory are to develop and apply multi-scale simulation methods to solve problems related to material design and processing. Particularly, we are interested in the development and application of such atomistic simulation methods as density functional theory (DFT), molecular dynamics (MD), Monte Carlo (MC) and kinetic Monte Carlo (kMC) methods, for revealing the microscopic processes underlying the macroscopic properties of materials.
Current Research Projects
• Computational Design of Electrocatalysts: We predict the active sites, reaction energetics, and reaction rate for oxygen reduction reaction on Pt-segregated Pt alloy nanoparticles and pyrolyzed non-precious metal catalysts. The acquired knowledge will advance polymer electrolyte membrane fuel cell technology.
• Atomistic Simulation of Magnetic Alloy Nanostructures: We study the influence of surface segregation on the magnetic properties of CoPt and FePt nanostructures. The project is aimed at enhancing the performance of magnetic alloy nanomaterials for their application in high-density magnetic recording media.
• Mechanical Behavior of High Entropy Alloys: Using atomistic simulation techniques, we investigate the material physics mechanism underlying the superior mechanical properties of high entropy alloys.
• Modeling Diffusion in Metal Oxides: Using the firstprinciples DFT computation method, we predict the diffusion coefficient of charged ions through the lattice and grain boundaries of Al2O3, Cr2O3 and NiO crystal. Furthermore, we study the formation and growth of these metal oxides on high temperature alloys.
142 DEPARTMENT OF MECHANICAL ENGINEERING AND MATERIALS SCIENCE
538B Benedum Hall | 3700 O’Hara Street | Pittsburgh, PA 15261 P: 412-624-3325 guw8@pitt.edu
Figure 1. An equilibrium atomic structure of CoCrFeNi high entropy alloy attained from the MC simulation.
Figure 2. (a) Nanoparticles of FePt L10 alloy. The gray and orange balls represent Pt and Fe atoms respectively. (b) Charge distribution of charged Al vacancy diffusion in a-Al2O3. The gray and red balls represent Al and O atoms respectively.
538i Benedum Hall | 3700 O’Hara Street | Pittsburgh, PA 15261
P: 412-624-0122
wiezorek@pitt.edu
Professor Wiezorek’s research expertise and interest center on the study of processing-structureproperty relationships in advanced materials systems. Transmission electron microscopy (TEM) based imaging, quantitative diffraction and analytical spectroscopic methods, and other modern micro-characterization techniques feature prominently in his research. Combining the principles and practice of physical metallurgy and metal physics with electron microscopy observation and measurements with appropriate computer simulations, the research leads to the discovery of novel materials and materials behaviors, explanations of the mechanical, magnetic and other physical properties of modern materials, with an emphasis on intermetallic and metallic systems. Current research thrusts include:
(1) Determination of the electron density of transition metals and intermetallics by quantitative electron diffraction and DFT;
(2) Surface modification for enhanced performance of structural materials for harsh environments;
(3) Ultrafast (nano-scale spatio-temporal resolution) in-situ TEM of pulsed laser induced transformations (e.g. rapid solidification) in metals and alloys;
(4) Innovative manufacturing processes for the sustainable preparation of high performance permanent magnet materials.
MECHANICAL ENGINEERING & MATERIALS SCIENCE
Jörg M.K. Wiezorek, PhD Professor
Unique New Capabilities – Quantitative TEM
Orientation imaging microscopy (OIM) enables effective quantification of microstructural metrics (e.g. grain size, texture, grain boundary character) for polycrystalline materials and is popularly implemented with SEM instruments. Using precession electron diffraction (PED) patterns obtained with 2nm spatial resolution a new TEM-OIM method facilitates automated phase mapping, grain size and texture determination at length scales not accessible by SEM-OIM, permitting study of many previously inaccessible problems in nanoscaled crystalline materials. Texture and grain scale evolution in pulsed laser processed nano-sale metal and alloy thin films (e.g. Figure top) and the origin of the extraordinary strengthening in severe plastic deformation processed steels were determined successfully by TEM-OIM [McKewon et al. (2014) Acta Mat. 65, p56; Idell et al 2013) Scripta Mat. 68, p667].
Validation of density functional theory (DFT) calculated materials properties is often hampered by lack of suitable experimental data for the material of interest. Comparisons of the electronic charge density distribution obtained from quantitative convergent beam electron diffraction (CBED) can provide a new experimental metric for rapid DFT validation protocols. Our CBED method for simultaneous measurements of Debye-Waller factors and structure factors is broadly applicable to crystalline materials. It has been used to determine the nature of bonding (e.g. metallic ‘bonds’ visualized in magenta between blue-green electron charge depleted atoms in FePd, Figure bottom) in transition metals (e.g. Cr, Fe, Ni, Cu) and intermetallics (e.g. NiAl, TiAl, FePd, Ni2MnGa). Comparison with DFT calculated results indicate need for improved theoretical treatments [Sang et al. (2013) J. Chem. Phys 138, 084504].
Research Themes and Expertise
• Processing-Structure-Properties in Advanced Metals & Alloys
• Physical Metallurgy & metal physics
• Electron Microscopy/Diffraction/Spectroscopy by SEM & TEM/STEM, structure & composition (HREM, EDS/EELS, CBED, PED OIM, EBSD OIM, in-situ TEM).
• X-ray diffraction (phase ID & fractions, texture, stress/strain, crystallite size).
• Property measurements (mechanical, magnetic, thermal/calorimetric).
• Processing of metals and alloys by… e.g. Conventional & Severe Plastic Deformation (e.g. ECAP), Heat treatments (T≤1200˚C, in air-, controlled atmosphere, vacuum), Melting & Solidification, Laser Irradiation (surface melting, annealing, shocking, sintering), Physical Vapor Deposition (E-beam evaporation, pulsed-laser deposition, sputtering).
143 DEPARTMENT OF MECHANICAL ENGINEERING AND MATERIALS SCIENCE
MECHANICAL ENGINEERING & MATERIALS SCIENCE
Wei Xiong, PhD, D.Eng.
Associate Professor, William Kepler Whiteford Faculty Fellow Director, Physical Metallurgy and Materials Design (PMMD) Laboratory
Biography
Wei Xiong is the director of the Physical Metallurgy and Materials Design Laboratory at the University of Pittsburgh. Dr. Xiong got his PhD degree (Alloy Thermodynamics and Physical Metallurgy) from KTH Royal Institute of Technology in Sweden. After his PhD research program, he stayed one year at the University of Wisconsin – Madison (2012-2013) before joining Northwestern University as a research associate for alloy design research (2013-2016). Using the CALPHAD-based ICME methods, Dr. Xiong works in materials design and process optimization, which covers a wide range of inorganic materials, and focuses on new materials/processing design and phase transformations. Xiong serves as an associate editor of journal: Science and Technology of Advanced Materials (impact factor: 4.787, Year 2018). Since joined Pitt in Sept 2016, Dr. Xiong has been funded by NASA, ONR, DOE-NEUP, DOE-NETL, STTR and NSF performing research on additive manufacturing and new materials development with his expertise on materials design and processing optimization.
Media links on Dr. Wei Xiong’s research:
https://bit.ly/pmmdam1
https://bit.ly/pmmdam2
Areas of Research
Researchers at the PMMD (Physical Metallurgy and Materials Design) Lab are working on alloy development and processing design based on fundamentals of materials thermodynamics and physical metallurgy. PMMD lab research covers a variety of inorganic materials including but not limited to steels, high entropy alloys, Nickel and Cobalt superalloys, light-weight alloys. One of the core-efforts at PMMD is to perform alloy design and processing optimization for advanced manufacturing. Both experiments and simulation are combined for developing new alloys and optimizing manufacturing processes at the PMMD lab. Regarding simulation, the so-called CALPHAD-based ICME methods (CALPHAD: Calculation of Phase Diagrams, ICME: Integrated Computational Materials Engineering) are applied to understand the mechanism of process-structureproperty relation in different alloy systems and their processing. The experimental techniques cover thermal analysis, microstructure characterization, mechanical property measurements, thermal analysis, and alloy manufacturing such as casting and additive manufacturing. The PMMD lab performs materials manufacturing using a systems design approach to develop new materials to further increase the efficiency of advanced manufacturing of high-performance materials.
144 DEPARTMENT OF MECHANICAL ENGINEERING AND MATERIALS SCIENCE
606 Benedum Hall | 3700 O’Hara Street | Pittsburgh, PA 15261 P: 412-383-8092 F: 412-624-4846 weixiong@pitt.edu https://www.pitt.edu/~weixiong
609 Benedum Hall | 3700 O’Hara Street | Pittsburgh, PA 15261
P: 412-648-4320
xiayun.zhao@pitt.edu
Dr. Xiayun Zhao joined the University of Pittsburgh as an assistant professor in Advanced Manufacturing in August 2018. Her interdisciplinary background cultivates her research interest in integrating precision engineering and additive manufacturing to realize the vision of advanced manufacturing. Her research lab, the ZIPAM (ZXY Intelligent Precision – Advanced Manufacturing) Laboratory, aims to lead significant area of “Measurement Science and Control Technologies for Additive Manufacturing.” With key research thrusts to improve and innovate a variety
Research Areas
• Additive Manufacturing
• Cyber Manufacturing
• Measurement Science
• Process Control
• Precision Engineering
MECHANICAL ENGINEERING & MATERIALS SCIENCE
Xiayun (Sharon) Zhao, PhD
Assistant Professor
ZXY Intelligent Precision – Advanced Manufacturing (ZIP-AM) Laboratory
of manufacturing methods, ZIP-AM Lab members (“Zippers”) are motivated to bridge the critical gaps within and between two interrelated research lines that are critical in manufacturing process quality assurance and control: (1) processstructure-property, and (2) modelingmeasurement-control. Harnessing the advancements in data science and computing, Dr. Zhao directs studies on measurement science and metrology systems, advanced control strategies, along with high-fidelity process modeling and simulation, to establish closed-loop processes and systems that feature new capabilities and unusual performance. Meanwhile, capitalizing on fundamental science and multidisciplinary studies, the ZIP-AM team is dedicated to perform convergence research and create novel manufacturing paradigms. Ultimately,
Zippers will demonstrate the application of advanced manufacturing technologies to efficiently realize quality or innovative products for broad industries including those demanding and emerging sectors. Currently, as a lead PI, Dr. Zhao is working with her collaborators and research team on several projects related to improving metal 3D printing and innovating photopolymerization based 3D printing. These projects are sponsored by the Department of Energy (University Turbine Systems Research program) and National Science Foundation (Future Manufacturing program), as well the Manufacturing Pennsylvania Innovation Program. More details about Dr. Zhao’s research are available at her lab website: https:// www.zipam.pitt.edu/
145 DEPARTMENT OF MECHANICAL ENGINEERING AND MATERIALS SCIENCE
RESEARCH LABORATORIES, CENTERS, AND INSTITUTES
CENTERS, INSTITUTES, AND LABORATORIES
Office of Industry and Economic Partnerships
https://oiep.pitt.edu
Mission
Created in 2015, Pitt’s Office of Industry and Economic Partnerships (OIEP) was formed to create and implement an economic development framework that enhances the University’s mission to advance teaching, research, and public service. The framework is designed to increase Pitt’s ability to partner on economic opportunities, connect the University to the global economy, and accelerate growth in the regional economy. The framework is built on several strategies.
Corporate Engagement
OIEP functions as an ambassador to the business community, helping companies leverage Pitt’s world-class resources to gain a competitive advantage. That includes research services, product development, licensing our IP, recruiting Pitt students, developing employee training programs, increasing brand visibility on campus and participating in community development.
Global Partnerships
Currently, the University of Pittsburgh has 235 cooperation agreements in 73 countries aimed at finding answers to global challenges through cutting-edge research and problem-solving. Partnership models include research, commercialization centers, collaborations, faculty exchange, joint research agreements, clinical research support, community engagement and strategic philanthropy.
Venture Capital
OIEP promotes Pitt startups to venture capital funds, facilitates introductions and opens doors for funding opportunities. One resource for OIEP supports is LifeX Labs, a life science accelerator that provides resources and expertise to help entrepreneurs quickly move their ideas from the benchtop to the bedside.
Key Initiatives
Access to Core Facilities and Labs
Associate Vice Chancellor
Cynthia Sweet cynthia.sweet@pitt.edu
Director
of Partnerships
Brian Vidic vidicba@pitt.edu
The fee-for-service partnership program helps businesses access Pitt’s world-class research, facilities, and faculty expertise to make their businesses more competitive. That, in turn, facilitates knowledge transfer from Pitt to industry, government and nonprofits in the fields of science, technology and health, as well as generates additional revenue for the university.
GRID Institute
Pitt’s Energy Grid Research and Infrastructure Development (GRID) Institute is a global consortium focused on modernizing the power grid and energy infrastructure in Pittsburgh, the U.S. and ultimately the world. OIEP helped launch the project in 2016 with $5 million in funding and 20,000 square feet of laboratory space at the Energy Innovation Center in Pittsburgh’s Hill District.
Life Science Opportunity Analysis
As part of its goal of develop Pittsburgh’s potential as a biotech hub, OIEP engaged an economic development consulting firm to analyze the region’s current strengths and weaknesses in the life sciences and develop a growth strategy. The report concluded Pitt’s strength in healthcare and research can be amplified by expanding the region’s life sciences ecosystem.
Brookings Report
The Brookings Institute studied alternatives for growing the biotech industry in the Pittsburgh region and it recommended developing innovation clusters, supporting highgrowth entrepreneurs and increasing workforce development efforts. InnovatePGH, a public private partnership, is now working to implement the Brookings recommendations.
Innovation District
OIEP has played an active role in founding The Pittsburgh Innovation District, which is centered on the Oakland neighborhood and bridges innovation assets in the Strip District, Lawrenceville, East Liberty + Bakery Square, Hazelwood Green, the South Side, Uptown, Downtown, the North Side and beyond. InnovatePGH is working to advance the Brooking’s Innovation District project.
148 CENTERS, INSTITUTES, AND LABORATORIES
PI
Liang Zhan, PhD liang.zhan@pitt.edu
Mission
My Lab is interested in the bio signal modeling and computing. We collaborate with many other researchers in medical school and use the bio signals (e.g. EEG, MRI) to study different brain diseases (Alzheimer’s disease, Parkinson disease, bipolar disorder, 22qDS, depression, TBI and stroke etc). Our mission is to identify the possible non-invasive imaging biomarkers to assist the clinical diagnosis and lower the healthcare costs.
Objective 1
Big Data for Healthcare
CENTERS, INSTITUTES, AND LABORATORIES
Biomedical Computing Laboratory
To build novel tools to fuse all available clinical biomarkers, images, genomes, across data types, diseases and continents worldwide to discover optimal biomarkers for different brain diseases.
Objective 2
Mapping Brain Modular Longitudinal Pattern
Mapping brain functions, activities and clinical measures to each modular structure and create a thorough modular progression model for different brain diseases and normal aging for each gender
Objective 3
Build Genetics-Modular-Function Correspondence
Traditional imaging genetics focus on finding the genetic correlations with some measures from voxel level or ROI level. To develop a computation framework for mapping the high dimensional genetic-modular correspondence and associate this correspondence with brain functions and diseases.
149 CENTERS, INSTITUTES, AND LABORATORIES
CENTERS, INSTITUTES, AND LABORATORIES
Center for Energy
www.energy.pitt.edu
Objectives
Mission
• Facilitate campus-wide energy-related research programs and initiatives
• Support educational program development and curriculum across energy disciplines
• Promote energy-related research and education through outreach and coordination of activities
• “Rise to the Challenge” of positioning our region for the future in the energy sector, working collaboratively with industry and community partners
Focus Areas of Energy Research
• Resources and Development
• Delivery and Infrastructure
• Utilization and Efficiency
• Materials and Storage
• Markets and Policy
• Education and Training
heng.ban@pitt.edu
Established in 2008, the Center is a unifying entity for faculty members to collaborate with each other, with regional energy industry leaders, and with government agencies to address the many challenges and opportunities associated with the generation, transmission, and utilization of energy. The Center is ideally situated to accomplish this mission, given the Pittsburgh region’s abundant natural resources and leadership in the development of clean energy technologies and energy infrastructure, the presence of leading global energy companies, and engaged community and government constituents. As the Center for Energy grows, along with the development of the Pittsburgh region’s energy nexus, it will attract and train high-quality undergraduate and graduate students, postdoctoral researchers, and visiting scientists, all of whom are important elements to evolving and sustaining the Center as an internationally prominent, university-based energy program.
Summary
The Center for Energy (www.energy.pitt.edu) is a University-wide endeavor that leverages the energy-related expertise of approximately 100 faculty members across campus from multiple disciplines and departments across the Swanson School of Engineering, Dietrich School of Arts and Sciences, Law School, Business School and the Graduate School of Public and International Affairs. The Center serves as an easily accessible entry point for industry in identifying energy-related research expertise, forming collaborations, and participating in research at the University.
150 CENTERS, INSTITUTES, AND LABORATORIES
Interim Director Heng Ban, PhD
Dr. Gregory Reed (right) in the Electric Power Systems Lab
Dr. Götz Veser (right) in the Catalytic Reaction Engineering Lab
Founding Director and Associate Dean of Faculty Development
Anne M. Robertson, PhD
The Center for Faculty Excellence
The Center for Faculty Excellence (CFE) supports the professional development and success of faculty in the Swanson School of Engineering. Central components of the CFE include Program LE2AP – Leveraging Excellence in Engineering Assistant Professors, the Executive Coaching Program for Associate Professors, professional development workshops and grant writing programs. The CFE also contributes to faculty recruitment and retention. The success of the CFE rests on the commitment of senior faculty mentors, as well as its close collaboration with department chairs and offices in the SSoE including the Office of Research, the Office of Diversity and the Engineering Education Research Center (EERC).
CFE by the Numbers
Since Program LE2AP was initiated in 2016, 100% of LE2AP junior faculty (18) have been promoted to the rank of Associate Professor. Since 2017, 19 LE2AP faculty were awarded NSF CAREER awards during their tenure period. As of June 2021, 36 junior faculty are enrolled in LE2AP and 132 mentoring committee meetings have been held. A total of 109 faculty mentors have contributed to faculty development, drawn from the Swanson School of Engineering (68), departments at Pitt outside of the SSoE (17), UPMC (12) and engineering departments at Carnegie Mellon University (14). As of Spring 2021, nine faculty have completed the Executive Coaching Program for Associate Professors. In a post-program survey, the program was scored 4.9 on a scale of 1-5 for satisfaction with the program.
Executive Coaching Program for Associate Professors
The period following promotion to Associate Professor with tenure is an important time to reflect on past activities, develop new long range plans and acquire further leadership skills. In addition, it is a time for re-energizing and reassessing past approaches to leading
and balancing work and family. Through the executive coaching initiative, recently promoted Associate Professors work directly with an executive coach to address these topics through a personalized program that includes 360 reviews and a range of leadership-driven adult-learning methods in areas such as organization, negotiation, problem solving, strategic planning, networking, goal setting, providing feedback, conflict management and relationship strengthening.
Program LE2AP – Leveraging Excellence in Engineering Assistant Professors
The mission of the Program LE2AP is to enhance the ability of the tenure track faculty in the SSoE to navigate the tenure period – not just to manage it, but rather to exit this period with a foundation for continued academic excellence and leadership. The central components of this individualized program are Senior Mentoring Committees, Professional Consultations, Lectures on the Tenure and Promotion Process, Professional Development Workshops and Peer to Peer Networking Lunches.
LE2AP Senior Mentoring Committees
Each junior faculty member in LE2AP forms a senior mentoring committee of four to five senior faculty members, at least one of whom is outside the department and is potentially at another university. The committee and junior faculty member meet twice per year in a formal meeting. These mentors provide scientific and strategic insights, professional connections, regular performance feedback and advocacy for the junior faculty member. During these meetings, the junior faculty member presents an updated CV in the tenure format, including information about their research, teaching and service activities.
151 CENTERS, INSTITUTES, AND LABORATORIES CENTERS, INSTITUTES, AND LABORATORIES Center for Faculty Excellence Center_for_Faculty_Excellence@pitt.edu
CENTERS, INSTITUTES, AND LABORATORIES
Center for Medical Innovation
www.engineering.pitt.edu/cmi
The Center for Medical Innovation (CMI) is an interdisciplinary program housed within the Department of Bioengineering. The Center’s purpose is to stimulate, guide, and promote the development and commercialization of technological innovations to improve health care. The CMI provides an organizational structure that links faculty, students, and clinicians across the University of Pittsburgh through collaboration among the Swanson School of Engineering (SSoE), Schools of the Health Sciences, the Katz Business School, the School of Law, the Coulter Translational Research Partnership, and the Innovation Institute. As of 2018 more than 60 early-stage projects have received seed funds totaling $1.2 million from CMI out of 240 competitive proposals considered since program inception in 2012. Nine of these clinical translation projects have attracted significant external investment for commercialization, and all have resulted in significant intellectual property development. Other projects have successfully competed for large external awards from government and private foundations as a result of the CMI Early Stage Seed Grant Funding Program. A few projects have resulted in new company formation.
CMI’s research mission is to serve as a “matchmaker” between the engineering faculty in the Swanson School and the clinical faculty of the Schools of Health Sciences. CMI catalyzes the development of such partnerships between engineers, clinicians, and students who have interests in translating their applied research into
commercial products meeting the needs of healthcare delivery.
CMI’s educational mission to train the next generation of medical product innovators, managers, and developers is met through the Master of Bioengineering/ Medical Product Engineering curriculum. The 30-credit MS program, established in 2012, is aimed at providing clinical project experience, introduction to new product methodologies considered state of the art in industry, and networking opportunities with regional players in the medical product development industry. Most of our program graduates go on to careers in medical product development, marketing, regulatory affairs, consulting, and entrepreneurship.
Projects identified and funded by CMI have resulted in partnerships between most of the engineering departments at SSoE and many of the clinical disciplines at the Schools of Health Sciences. Additional outreach efforts have resulted in partnerships with Carnegie Mellon University and the Allegheny Health Network. The CMI has contributed to career development of our graduates by collaborating with industry partners to place students in jobs and internships.
Dr. Alan D. Hirschman, Professor of Bioengineering, serves as CMI’s Executive Director. After a career of more than 30 years in research and industry, Dr. Hirschman joined the faculty of the Department of Bioengineering in 2011. He and his colleague, Dr. Kilichan Gurleyik, Assistant Professor of Bioengineering and CMI’s Associate Director of Education,
Executive Director
Alan D. Hirschman, PhD
have primary responsibility for guiding the research and educational missions of CMI. They are assisted by a multidisciplinary team of engineering faculty, clinical faculty, and representatives of the Innovation Institute. An industry Board of Advisors provides input into CMI’s direction.
152 CENTERS, INSTITUTES, AND LABORATORIES
Dr. Alan D. Hirschman, PhD Dr. Kilichan Gurleyik, DSc
Coulter Translational Research Partners II Program
Vision
To provide the anchor for translating University of Pittsburgh biomedical and engineered technologies to commercialization. The Coulter Translational Research Program (Coulter) envisions itself playing a key leadership role in translational biomedical research, education, and commercialization, making significant contributions to enhancing healthcare, educating future innovators and entrepreneurs, and promoting economic development in our region.
Mission
• To identify, select, develop, and commercialize promising technologies originating from faculty sponsored biomedical research that address significant unmet clinical needs and promise to improve patient care worldwide.
• To create a culture of innovation and entrepreneurial thinking across the biomedical engineering community by uniting faculty and students from engineering or the physical sciences with clinicians from the Schools of Health Sciences, students from the Joseph M. Katz Graduate School of Business (Katz) and the School of Law, and members of the business community.
Objectives
Translational Research and Commercial Preparedness. Since the Program’s funding by the Wallace H. Coulter Foundation in 2011, along with additional matching funds from the Swanson School of Engineering (ENGR), the Schools of the Health Sciences, and the Innovation Institute, Coulter has accelerated the translation of new technologies to improve healthcare and address challenging unmet clinical needs. Our primary objective is to advance projects toward commercial endpoints by way of a unique risk reducing process comprised of business and stakeholder analysis, mentorship, and hands-on project management.
Competitive Grants. The Program also awards competitive grants to deserving research teams that have advanced their technologies to the point where they may be considered for license or new business formation. Coulter aims to further reduce technical and business adoption risk by funding pre-clinical and clinical work that may pave the way for commercial and clinical adoption. Collaboration. We view ourselves as part of the continuum of innovation from basic research to commercial translation. Housed within the Bioengineering Department of the Swanson School of Engineering, we collaborate closely with the Center for Medical Innovation (CMI) and the Clinical Translational Science Institute (CTSI) that support pilot projects, which often then advance through the Coulter Program. Ultimately, we work with the Innovation Institute to help assure a successful transition to commercial enterprises. Our objective is to continue to strengthen these relationships and partner with other programs across campus.
Education. Our educational objective is to engage faculty and students in the process of innovation and entrepreneurship by way of our rigorous and immersive process. Scientific and clinical PI’s work together with fellows and students to develop regulatory, reimbursement, IP and business strategies. We also recruit graduate students from ENGR, Katz and Law schools to assist project teams during 14-weeks of Coulter Coaching intended to align the technology-based solutions with real world needs.
Summary
Since its inception, the Coulter Program has established a new model to assure that Pitt’s world-class biomedical research ideas become commercial solutions to real-world problems. In its short history, the Coulter Program has:
• Attracted over 218 applications covering medical devices, drug delivery systems, and diagnostics
• Funded 36 projects and 71 principal investigators with an awarded total of over $3.5 million in direct grant support
• Enabled formation of SEVEN companies with $13 million in professional funding
• Enabled granting of FOUR licenses, and four additional licenses expected before end of FY2019
• Generated an additional $14 million in follow-on grant funding to the University
• Directly and indirectly impacted 125+ students and 35 departments across Pitt
153 CENTERS, INSTITUTES, AND LABORATORIES
INSTITUTES, AND LABORATORIES
CENTERS,
http://www.engineering.pitt.edu/coulter/
CENTERS, INSTITUTES, AND LABORATORIES
Electric Power Systems Laboratory
www.engineering.pitt.edu/power
Electric Power Systems Lab
The Electric Power Systems Lab at the University of Pittsburgh, sponsored in-kind by Eaton, is a multi-use facility for both research and educational activities. The lab is located on the Swanson School of Engineering’s Energy Floor in Benedum Hall, and the design of the facility was inspired by Eaton’s Power System Experience Center in Warrendale, PA. Through innovative research and education the ultimate purpose of the lab is to equip and train up the next generation of electric power engineers.
Objectives
Director
Gregory Reed, PhD
gfr3@pitt.edu
The lab provides opportunities for faculty and graduate students to perform advanced work in the areas of AC and DC micro-grid developments, smart grid technologies, power electronics devices and systems, renewable energy systems and integration, controls and communications, automation and relaying, distribution engineering, power quality, electrical safety, energy management, energy storage, and other emerging electric power technology areas. The educational components integrate new course developments in electric power engineering focused on these same emerging areas, utilizing the equipment and technologies of the laboratory.
Summary
• Technical Specifications: Maximum power capacity: 480-V, 200-A, and 75-kVA.
• Core Equipment: Main Electrical infrastructure, motor control centers, switchboard, protection, M-G sets, UPS, data-servers, power factor correction, isolation transformers, and other miscellaneous components.
• External Components (as of 2014): Solar PV panels, donated by John A. Swanson, PhD ‘66 and located on the Benedum Hall roof, are integrated into the lab (including both AC and DC interfaces).
• Future Enhancements: Provisions have also been made for incorporating a gas-fired generator and potentially a micro-wind turbine. A sag generator has been integrated into the main infrastructure, and a surge generator is under construction.
The Workbenches: Six custom-designed workbenches are innovative features of the Laboratory. The workbenches were designed, prototyped, and tested by Eaton and Pitt throughout 2013, and are now integrated into the overall laboratory environment, and are compatible with the other power system equipment and components.
Each bench is capable of functioning as a stand-alone entity. The overall objective of the workbench design is to seamlessly combine the configurable load banks and programmable logic controller (PLC) into the workstations, providing a wide array of functionality, while minimizing space within the facility. Each bench includes resistive, inductive, capacitive, and harmonic loads, with auxiliary connections for other lads and the capability to feed an external motor control center (MCC). Advanced metering devices are integrated to communicate readings throughout the entirety of the lab and allow students to clearly view all of the electrical phenomena within the bench.
154 CENTERS, INSTITUTES, AND LABORATORIES
Director Mary Besterfield-Sacre, PhD
Engineering Education Research Center
http://www.engineering.pitt.edu/eerc/
Mission
The Center strives to engage faculty in the integration of research-based practices to enhance their teaching, as well as to engage faculty in utilizing research to better understand learning of engineering. The vision of the EERC is to expand engineering education research and produce new approaches to learning that engage students.
The Engineering Education Research Center’s (EERC) mission is twofold: 1) enhance the teaching and learning of engineering within the Swanson School of Engineering; and 2) expand engineering education
Center/Program Structure
The EERC consists of a Director, Mary Besterfield-Sacre, as well as the following:
research efforts at the University. The overarching goals of the EERC are to:
1. Nucleate the Swanson School of Engineering’s (SSoE) strong research programs to educational innovations at the graduate, undergraduate, and K12 levels.
2. Conduct high quality engineering education research.
3. Foster opportunities for faculty and future faculty development in teaching excellence.
Impact
1. Director for Assessment, 2. Assistant Director of Professional Development, Director of Special Projects. In addition, the center has faculty that work part time who are involved in special projects. These individuals help to operationalize certain school-wide initiatives. One person works to help with professional development of future faculty, one person works to help foster innovation and entrepreneurship activities in the engineering school, and one person helps to assess new programs. These individuals are non-tenure stream faculty, who are supported to work beyond their teaching obligations on various STEM educational efforts. We also have two technicians that work for us – one for Flipping and Innovation/Entrepreneurship.
Description of Programming
New faculty and future faculty (grad students and post docs) development. Innovation and Entrepreneurship activities.
• Flipping the classroom
• Research in engineering education
• Faculty Development and evaluation of a new joint institute with Sichuan University
We are young, but our activities in the SSoE along with support from our dean have allowed us to be successful along a number of lines. Students and faculty are actively involved and we definitely have positive presence in our school. We believe that our greatest achievement is that recently the Provost, who initially supported our start up, was so impressed with our work, that she is funding the start up and creating a sister center (DisiciplineBased Science Education and Research Center) in the School of Arts and Sciences.
155 CENTERS, INSTITUTES, AND LABORATORIES
INSTITUTES, AND LABORATORIES
CENTERS,
CENTERS, INSTITUTES, AND LABORATORIES
Human Factors Engineering Laboratory
Human Factors Engineering Laboratory
The Human Factors Engineering (HFE) Laboratory is a team-based teaching and research laboratory for undergraduate and graduate students. The laboratory focuses on cognitive, ergonomic, and environmental aspects of human factors, and their influence on safety, productivity and quality. The lab has a wide array of hardware and software including the University of Michigan’s
Joel M. Haight, PhD, P.E., CIH, CSP jhaight@pitt.edu
3D SSPP for Static Strength Prediction based ergonomic studies and “Energy” the University of Michigan’s Metabolic Energy Expenditure Prediction Program, Discovery Machine virtual reality software for teaching energy isolation, as well as Minitab, SPSS and NVivo7 for data analysis.
156 CENTERS, INSTITUTES, AND LABORATORIES
Investigators
April Chambers, PhD
Rakié Cham, PhD
Kurt Beschorner, PhD
Mark Redfern, PhD
Mission
The mission of the Human Movement & Balance Laboratory (HMBL) is fall and musculoskeletal injury prevention in healthy and clinical young/elderly adult populations. We achieve these goals by gaining a thorough understanding of the
Objectives
biomechanical and postural control principles that govern human movement, balance during standing/walking, and performance of occupational tasks. A multidisciplinary group of researchers including biomechanical engineers,
Current research projects include a wide range of experimental studies examining fall prevention following external disturbances such as slipping or tripping, prosthetics, ergonomic-related research, cognitive research and imaging applications in various population types. In conjunction with experimental studies, biomechanical computer modeling is used to gain a greater understanding of the impact of environmental and human factors on the risk of falls and injury.
Summary
Our laboratory is a full gait analysis facility specifically designed to conduct locomotion studies related to postural control but also capable of capturing small finger movements involved in typing. Three dimensional motions and foot forces as well as electromyographic data can be collected during walking or other daily tasks including activities such as stopping, turning, multitasking, etc. We are also equipped with an electromyography and accelerometer system, a Biodex strength machine, a Biolog heart rate and skin conductance monitor. The motion data is collected and synchronized with ground reaction forces and other biomechanical data. Thus, this system allows the collection of all gait variables required to provide a complete description of whole body biomechanics. Motion capture is possible on our level walkway, uneven walkway, ramp, uneven ramp, or stairs. We are also able elicit perturbations of slips, stumbles, and trips.
http://engineering.pitt.edu/hmbl/
physicians (geriatricians, neurologists and psychiatrists), and physical/occupational therapists work in close collaboration to achieve our research goals. HMBL is a state of the art space designed and equipped to analyze the dynamics of human motion.
157 CENTERS, INSTITUTES, AND LABORATORIES
INSTITUTES, AND LABORATORIES
CENTERS,
Human Movement and Balance Laboratory
The two images above are examples of the biomechanical analysis and computer modeling able to be done to better understand the factors involved in normal gait, slips, trips, and falls.
CENTERS, INSTITUTES, AND LABORATORIES
Mascaro Center for Sustainable Innovation
http://www.engineering.pitt.edu/MCSI/
Mission
Established in 2003, the Mascaro Center for Sustainable Innovation promotes the incorporation of sustainable engineering concepts and practices through the University of Pittsburgh Swanson School of Engineering. Its mission is to create and nurture innovations that benefit the environment, positively impact the University and community-at-large
INNOVATE Sustainable Research
Deputy Director
Melissa Bilec, PhD Co-Directors
Eric J. Beckman, PhD Gena Kovalcik
and improve quality of life. MCSI has a holistic approach to sustainability. Through the integration of curriculum, groundbreaking research and social engagement, the Center engages students, faculty and staff as well as everyday citizens to explore and experience sustainability in practice and performance.
An interdisciplinary team of faculty researchers engage with the Center to develop the next generation of sustainable engineering solutions for humanity. These faculty are passionate about the impact their research can have on areas including green building design and construction, infrastructure and materials. Participating faculty and PhD students come from all six engineering departments at the Swanson School as well as from the University’s Joseph M. Katz Graduate School of Business, and the schools of Education, Medicine, Public and International Affairs and Public Health.
EXPLORE Interdisciplinary Education
Believing that sustainability can’t simply be taught from a text book, the Mascaro Center encourages students to explore hands-on research through an undergraduate summer program in sustainable engineering. This competitive program culminates in a sustainability conference where student present their research findings to peers, faculty mentors, and community leaders. MCSI also administers two undergraduate certificates in Sustainability and Engineering for Humanity. Both provide students with a more competitive pedigree upon graduation. MCSI also partners with and mentors student groups including competitively awarded service-oriented projects aimed at implementing solutions that benefit the University and / or the greater community.
ENGAGE Community Impact
Sustainable engineering is most effective and impactful when students and faculty engage directly with communities. The Mascaro Center is committed to help underserved and distressed communities develop sustainable, affordable solutions for everyday life from home energy audits and sustainability landscapes to new hydropower generation technologies for Pennsylvania’s many rivers. MCSI faculty and student also engage one-on-one with middle and high school programs to introduce sustainability concepts and practices and also pique their curiosity and interest in STEM fields.
What’s In a Name
The Mascaro Center was named in honor of John C. “Jack” Mascaro, founder of Mascaro Construction Company, LP, one of the Pittsburgh
regions leading sustainable development and construction companies. MCSI is guided by Mr. Mascaro’s philosophy to pursue sustainable
outcomes that exist outside the lab and directly impact the community.
158 CENTERS, INSTITUTES, AND LABORATORIES
Director
Jörg Wiezorek, PhD wiezorek@pitt.edu
Mission
The MMCL supports research and innovation at the University of Pittsburgh and beyond by providing access to state-of-the-art experimental tools, effective techniques, and expertise of its personnel for complete materials micro-characterization. This encompasses visualization of the surface and internal structure
Facility Description
The MMCL is located on the 5th floor of Benedum Hall and is part of the Mechanical Engineering and Materials Science Department, but is also coordinated with the PINSE NFCF. The MMCL capabilities can be accessed by use-request via the webbased system FOM at https://fom.nano.pitt.edu/fom/welcome. Current characterization resources of the MMCL include a versatile X-ray diffractometer (XRD), two complementing scanning electron microscopes (SEM), and an analytical high-resolution transmission electron microscope (TEM), a multi-mode scanning probe microscope (SPM), and a nano-mechanical testing system. Additionally, a complete suite of modern sample preparation equipment is accessible in the Fischione Center of Excellence for EM-sample Preparation.
Instrument Descriptions
• The XRD (Empyrean, PANalytical) offers non-destructive characterization of solutions for solids, fluids, thin films and nano-materials with Cu- or Co-K-alpha X-ray beams regarding phase constitution, crystallographic texture, crystal quality, lattice strains and/or nanoparticle size distributions and shape.
• The JEOL JSM 6610-LV is a low-vacuum (Environmental) SEM equipped for surface imaging and elemental composition measurements by energy-dispersive X-ray spectroscopy (EDS) with sub-micron resolution.
• The FEI Apreo Hi-Vac is a field-emission gun (FEG) highresolution SEM optimized for crystal orientation and phase mapping by back-scatter diffraction (EBSD) orientation imaging
CENTERS, INSTITUTES, AND LABORATORIES
Materials Micro-Characterization Laboratory (MMCL)
of materials and associated changes across microscopic to nearatomic length scales. Characterizations can also include locally resolved measurements of materials composition, structure, micro- to nano-mechanical properties, and specialized specimen preparation needs.
microscopy (OIM) and EDS capable of imaging with 1nm (1.3nm) at 15kV (1kV) without beam deceleration and 1nm at 1kV with beam deceleration.
• The FEI Tecnai G2 F20 S-Twin is FEG-TEM offering atomic column resolution (0.11nm info-limit) in combination with a specimen tilt range of ≤±35˚, and is capable of forming intense electron probes as small as ≈0.5nm in diameter for composition and diffraction analysis. Equipped with a 2kx2k CCD camera, EDS, and precession-electron-diffraction assisted automated crystal orientation mapping (NanoMegas Topspin) it permits analysis of microstructural and micro-chemical changes, crystal defects, as well as mapping of texture, strain and phase fractions at micrometer to sub-nanometer length scales.
• The DI Dimension 3100 SPM offers multi-modal surface morphology and property characterization (AFM/STM/MFM).
• The Hysitron TI900 Triboindenter nano-mechanical test system offers nano-Newton resolution depth-resolved measurements of hardness and elastic modulus. Normal (hardness) and lateral (friction) force loading configurations provide a sub-micron scale testing arena with nanometer resolution in-situ SPM imaging.
• The Fischione Lab uniquely offers access to world-class expertise and a complete suite of state-of-the-art equipment for high-fidelity electron microscopy sample preparation by conventional mechanical, electro-chemical, Argon-ion-beam and plasma-based approaches.
159 CENTERS, INSTITUTES, AND LABORATORIES
TEM images of solidification microstructures in Al-Cu alloys after laser melting, and Cu distribution map in Al-19Cu.
Contact the academic Director of the MMCL, Professor Jörg Wiezorek, e-mail at Wiezorek@pitt.edu, or call 412-624-0122, if you are interested or have questions regarding the MMCL use and offerings.
McGowan Institute for Regenerative Medicine www.mcgowan.pitt.edu
Objectives
Director William R. Wagner, PhD Executive Director John Murphy
Mission
The McGowan Institute serves as the focal point for the University’s leading engineering, scientific and clinical faculty who are working in the areas of tissue engineering, cellular therapies, and medical devices. The Institute’s mission is
• To provide a national center of expertise in regenerative medicine focused on developing and delivering therapies that reestablish tissue and organ function impaired by disease, trauma or congenital abnormalities;
• To foster the generation of scientific knowledge in regenerative medicine and to share that knowledge with researchers, clinicians and the public through educational activities, training and publications;
• To educate and train scientists and engineers to pursue technologies related to regenerative medicine, and train a generation of clinicians in the implementation of regenerative therapies, and;
• To support the commercialization of technologies in regenerative medicine and thereby accelerate the translation of research discoveries to clinical implementation and patient benefit.
There are over 255 McGowan affiliated faculty, all of whom are independently recognized for their respective expertise, who have elected to work in multidisciplinary teams for the advancement of the core sciences, the development of innovative devices, procedures and clinical protocols, and the pursuit of rapid commercial transfer of new technologies related to regenerative medicine.
Many McGowan affiliated faculty are clinically active, seeing patients every day. These clinicians work with the collaborating engineers and scientists in the identification of research needs and the pursuit of solutions for such needs. This bidirectional clinical translation helps keep projects “on-target” and expedites the adaptation of new technologies in the clinic. Also critical to the mission is the education and training of the next generation of scientists, clinicians and engineers who will be carrying the field forward toward the ultimate goal of improving the quality of life and the reduction in health care costs. Graduates who are mentored by McGowan faculty are eagerly recruited by commercial, academic and governmental entireties. Training includes opportunities in the laboratory as well as in clinical settings, a combination that is not available at many other institutions.
Technologies developed by McGowan affiliated faculty has resulted in the formation of 28 companies. These start-ups now employ over 480 people and have raised over $600 million in external funding. These companies are an essential component of the McGowan Institute commitment of rapidly moving technologies from the lab bench to the bedside.
Summary
The McGowan Institute eagerly seeks opportunities for collaboration with academic, governmental and commercial partners. The Institute Director is William R. Wagner, PhD, who is a professor in the Department of Surgery at the University of Pittsburgh, with joint appointments in the Departments of Bioengineering and Chemical Engineering. For more information, please see www.mcgowan.pitt.edu.
160 CENTERS, INSTITUTES, AND LABORATORIES CENTERS, INSTITUTES, AND
LABORATORIES
Director Alan D. George, PhD, FIEEE alan.george@pitt.edu
Associate Director
Alex K. Jones, PhD
NSF Center for Space, High-performance, and Resilient Computing (SHREC)
www.nsf-shrec.org www.shrec.us
The following is a list of founding partners in this new NSF Center headquartered at Pitt:
1. AFRL Sensors
2. AFRL Space Vehicles
3. Army Research Laboratory
4. BAE Systems
5. Boeing
6. Brigham Young University
Under the auspices of the Industry/ University Cooperative Research Centers (IUCRC) program at the National Science Foundation (NSF), a national research Center has been jointly established in September 2017, the Center for Space, High-performance, and Resilient Computing (SHREC). This new Center consists of four university Sites, including the University of Pittsburgh (Pitt) as lead institution, and Brigham Young University (BYU), the University of Florida (UF), and Virginia Tech (VT) as partner institutions. The NSF SHREC Center is dedicated to assisting U.S. industrial
partners, government agencies, and research organizations in mission-critical computing, with research in three domains: space computing for Earth science, space science, and defense; high-performance computing and data analytics for a broad range of grand-challenge apps; and resilient computing for dependability in harsh or critical environments. The university Sites of the NSF SHREC Center will help address the shortage in the mission-critical computing workforce by training many students with the knowledge and skills necessary to solve the many challenges facing this growing industry.
With the complementary nature of expertise at each Site, the NSF SHREC Center will address research challenges facing the three domains of mission-critical computing, by exploiting a variety of existing and emerging computing technologies, including digital signal processors, field-programmable gate arrays (FPGAs), graphical processing units (GPUs), hybrid processors, advanced memories, and high-speed interconnects. For space computing, a specialty at the Pitt and BYU Sites, the Center will develop, evaluate, and deploy novel forms of space architectures, apps, computers, networks, services, and systems, while leveraging commercial and radiation-hardened or -tolerant technologies. For high-performance computing, a specialty at the Pitt, VT, and UF Sites, the Center will explore the application and productive use of heterogeneous computing technologies and architectures in support of high-speed, mission-critical computing. For resilient computing, a specialty at the Pitt and BYU Sites, the Center will exploit its expertise in fault injection and mitigation as well as radiation testing to demonstrate unique reliability concepts and solutions, including adaptive hardware redundancy, fault masking, and software fault tolerance.
161 CENTERS, INSTITUTES, AND LABORATORIES
CENTERS, INSTITUTES, AND LABORATORIES
Physical
Alamos National Laboratory
Lincoln Laboratory
Ames
Goddard
NASA Johnson
NASA Kennedy
NASA Langley
National Science Foundation
National Security Agency
Naval Research Laboratory
Office of Naval Research
Raytheon
Sandia National Laboratories
Satlantis
Space Micro
University of Florida
University of Pittsburgh
Virginia Tech
7. Draper Laboratory 8. Harris 9. Honeywell 10. Intel/Altera 11. Laboratory for
Sciences 12. Lockheed Martin Space 13. Los
14. MIT
15. NASA
16. NASA
17.
18.
19.
20.
21.
22.
23.
24.
25.
26.
27.
28.
29.
30.
CENTERS, INSTITUTES, AND LABORATORIES
Orthopaedic Robotics Laboratory
genesis1@pitt.edu
Mission
The mission of the Orthopaedic Robotics Laboratory is the prevention of degenerative joint disease by improving diagnostic, repair, and rehabilitation procedures for musculoskeletal injuries using state-of-the-art robotic technology. Thus, diarthrodial joint function will
Robotic Technology
be elucidated and the roles of the bony and soft tissues assessed. The technology in the laboratory includes novel robotic systems and the lab serves as a multi-disciplinary CORE facility with collaboration promoted between investigators. The Orthopaedic Robotics
The MJT Model FRS2010 is a six-axis test robot with a compact workspace and high stiffness. The hybrid control system that uses position and force feedback is quite robust and allows a wide range of applications. Operators can modify every control parameter for their desired purpose. Thus, the MJT can be customized easily. Other advantages of the MJT Model FRS2010 are portabIility, low maintenance costs, universal programming language, and realistic loading conditions. This robotic technology can also be used to examine the function of multiple joints such as the knee, glenohumeral joint, acromioclavicular joint, spine, elbow, hip and ankle.
These capabilities are enhanced by supporting equipment that can measure joint contact pressures; tissue deformations and forces during joint loading; and tissue properties. State-of-the-art fluoroscopy, ultrasound, and arthroscopy systems are available. In addition, the laboratory includes the Shoulder Testing Apparatus r4 (STAR4) that allows simulation of muscle forces at the glenohumeral joint and measures resulting motion and joint contact forces. Recently, this device has been upgraded to include the capability to test knees.
Co-Directors
Volker Musahl, MD
Richard E. Debski, PhD
Laboratory occupies 1800 sq ft in the Center for Bioengineering (CNBIO) and is a collaboration between the Department of Orthopaedic Surgery and Department of Bioengineering.
162 CENTERS, INSTITUTES, AND LABORATORIES
Director David Waldeck, PhD Technical Director
Esta Abelev, PhD
Mission
Founded in 2002 on the University of Pittsburgh’s Oakland campus, the Gertrude E. and John M. Petersen Institute of NanoScience and Engineering (PINSE) fosters collaboration and innovation for members of the University community, as well as researchers throughout the region. To support the mission, PINSE established the Nanoscale Fabrication and Characterization Facility (NFCF) in 2006 through an endowment by alumnus Gertrude E. and John M. Petersen. The NFCF mission is to provide state-of-the-art characterization and fabrication services and scientific expertise for University of Pittsburgh researchers, as well as others in academics, government, and industry.
CENTERS, INSTITUTES, AND LABORATORIES
Gertrude E. and John M. Petersen Institute of NanoScience and Engineering (PINSE)
Nanoscale Fabrication and Characterization Facility (NFCF)
www.nano.pitt.edu
Objectives
The primary objective of the NFCF facility is to provide the infrastructure, equipment, and staff support that enables faculty, as well as academic and corporate partners, to undertake competitive research and development in the growing number of fields that rely on nanofabrication and materials characterization. NFCF is a University shared-user facility located in Benedum Hall. This 4,000 square foot facility serves the nanofabrication and characterization needs of internal and external users by providing state-of-the-art equipment that is core to nanoscience and nanotechnology research. NFCF is designed to support fabrication and characterization of nanoscale materials and structures, and integration of devices at all length scales. The NFCF Characterization facility houses state-of-the art electron microscopy and spectroscopy equipment: X-ray diffractometer (XRD), two electron microscopes (JEOL JSM 6510LV and Zeiss FEG-SEM Sigma500V) that are equipped with Oxford EDAX detectors for elemental composition, two transmission electron microscopes (JEOL 2100F STEM and Environmental Hitachi TEM H9500) that are equipped with EDAX detectors for elemental composition; the JEOL 2100F has a fieldemission electron source tool with EELS capabilities. In addition, the facility provides an electron probe micro analyzer (JEOL JXA-8530F EPMA), scanning probe microscopy, ellipsometer, FTIR microscopy, and Raman microscopy tools. The NFCF fabrication facility houses advanced equipment with core nano-level (20 nm) capabilities for fabrication, including electron-beam lithography system (Raith e-line 30KV), dual-beam system (FEI Scios FIB/SEM DB), plasma etching, thin film deposition (e-beam evaporation, sputtering, chemical vapor deposition, and pulsed laser deposition), soft lithography (Suss MJB3 and Quintel 4000 mask aligners), and more.
163 CENTERS, INSTITUTES, AND LABORATORIES
SEM image of Pt nano-particles on Au prisms (Jill Millstone group).
Optical image of free standing IR detector (Minhee Yun group).
CENTERS, INSTITUTES, AND LABORATORIES
Watkins Haggart Structural Engineering Laboratory
Facility Description
The Watkins-Haggart Structural Engineering Laboratory is the facility at the heart of the experimental structural engineering research efforts at the University of Pittsburgh. This unique facility is located in the sub-basement of Benedum Hall on the main campus of the University of Pittsburgh in Oakland. The Lab is a 4000 ft2 (370 m2) high-bay testing facility with a massive reaction floor. The high-bay testing area is serviced by a 10 ton radio controlled bridge crane and other heavy material handling equipment.
Major Test Equipment
As a compliment to the reaction floor, the Lab also has an extremely versatile self-contained reaction frame and the following major equipment:
• 200 kip (900 kN) servo-hydraulic universal testing machine (UTM) with 15 ft (4.5 m) opening (customized MTS)
• 200 kip (900 kN) hydraulic UTM with 6 ft (2 m) opening (MTS customized Baldwin)
• 124 kip (550 kN) servo-hydraulic material test frame (Satec)
• 20 kip (90 kN) servo-hydraulic fatigue rated UTM (MTS)
• 500 kip (2220 kN) hydraulic concrete cylinder frame (Gilson)
• 300 kip (1300 kN) reconfigurable test frame
• 50 kip (220 kN) fatigue test capacity (MTS)
• 225 kip (1000 kN) in situ field testing capacity (Enerpac)
The laboratory maintains a number of computer controlled data acquisition systems that allow for the automated reading and recording of over 130 discrete channels of instrumentation. The lab has full-scale nondestructive evaluation equipment, a digital image correlation system, and field-testing equipment suitable for a variety of in situ test programs. Since 2004, the laboratory has specialized in conducting large scale fatigue testing at load ranges up to 50,000 pounds (220 kN).
To date, fatigue tests totaling over 120 million load cycles have been conducted. The largest tests conducted by the Watkins-Haggart lab team where the 2006 tests of a pair of 90 foot long (28 m), 70 ton long prestressed girders recovered from the collapsed Lake View Drive Bridge. The lab has also conducted extensive research for PennDOT, NCHRP and various other public and private agencies. Directed by Kent A. Harries, PhD, FACI, P.Eng.
164 CENTERS, INSTITUTES, AND LABORATORIES
Contact Kent A. Harries PhD. FACI, P.Eng. Associate Professor of Structural Engineering and Mechanics Department of Civil and Environmental Engineering 412-624-9873 kharries@pitt.edu
Director Kent A. Harries, PhD, FACI, P.Eng.
The information printed in this document was accurate to the best of our knowledge at the time of printing and is subject to change at any time at the University’s sole discretion. The University of Pittsburgh is an affirmative action, equal opportunity institution. 08/2023 University of Pittsburgh Swanson School of Engineering Associate Dean for Research Office 123 Benedum Hall 3700 O’Hara Street Pittsburgh, PA 15261