

PDS life the

Dear PDS ® Teammates,
Message From the PRESIDENT
MAKING THE MOUTH-BODY CONNECTION ™ AND CREATING HEALTHIER, HAPPIER PATIENTS ™
Today I’m more excited about our industry than at any other time in the almost three decades I’ve been working in the dental field. One of the reasons for my excitement is due to what we’ve coined the Mouth-Body Connection. We’re likely to look back at this time in our history as a pivotal moment for dentistry, and perhaps PDS. Though it has been almost 20 years since the Surgeon General reported a connection between the oral cavity and the rest of the body, it was almost 100 years ago that a biological chemist named William Gies raised questions about dentistry being separate from medicine. And it’s only been within the past couple of years that we’ve seen momentum by industry leaders and progressive organizations to do something tangible with this information.
Several years ago, we made a concerted effort to learn more about Oral Systemic Health because we knew that if there were a direct link between oral health and overall health, then educating and expanding awareness would be beneficial to the patients PDS-supported dentists serve. We established an adhoc committee and started identifying key opinion leaders and organizations who were leading the way. We tracked their progress and started putting time and energy behind these groups and individuals. Last year we helped fund a study that led to a letter to the Centers for Medicare and Medicaid Services (CMS) signed by 15 US Senators. It stated that “oral health and related illnesses have a significant impact on the severity of chronic diseases including cardiovascular disease, diabetes, oral cancer, and Alzheimer’s disease.” The letter asks CMS to add dental coverage to Medicare.
While there has long been a relationship between people’s oral health and systemic diseases, we now know that it’s causal. Data, real data, now provides the evidence many in healthcare have been looking for to support this effort that many have been intuitively all too aware of. For example:
• ADA Research in 2014 shows that treating gum disease could lower annual costs for stroke victims by over $5K per person and reduce hospital admissions by 21.2%
• Journal of AHIMA in 2016 stated that more than 120 systemic diseases originate in the mouth
• According to Diabetes Care, a publication by the American Diabetes Association, if 60% of diabetes patients better managed their periodontal (gum) disease, they could save roughly $1,485 per diabetic person
• Estimated savings are in the billions nationally if we treat periodontal disease ($63BIL minus $7.2BIL in expenses from 2016-2025 treating it)
• 84% of people with cardiovascular disease have periodontal disease according to ISRN Cardiology Journals 2013
• 47% of US adults have periodontal disease. These people are:
• 4.5 times more likely to suffer from stroke and 2.6 times more likely to develop Alzheimer’s disease
• 2-3 times more likely to suffer from a heart attack and have a higher risk of cardiovascular disease
• 24-35% more likely to develop plaque in their coronary arteries and more likely to have inflammation in their major arteries, especially in the neck and heart
• They’re also at a greater risk for:
• Chronic lung infections and influenza
• Diabetes and pancreatic cancer
• Pregnancy complications, such as preterm birth and low birth weight
• Erectile Disfunction
To put this data to practice, we, as leaders in the dental field, began an experiment in Nevada last year with Dr. Ali Shahrestani at Canyon Pointe Dental Group and Dr. Steven Waltman, a primary care physician (PCP). We opened a medical practice called Canyon Pointe Health Care next to the dental office. They communicate daily, often referring patients back and forth for services and second opinions. We will be expanding the experiment in Colorado with Dr. Scott Cairns and another PCP at Fountain Health Care later this year. Regardless of the outcome of these experiments, we are confident that striving to help dentists provide their patients with the latest learnings and the best care is always the right thing to do.
Sincerely,

Stephen Thorne IV, President
WHAT’S INSIDE
02 2016 YEAR IN REVIEW
Catch a glimpse of the good accomplished and the amazing achievements PDS® and our supported dentists achieved in 2016.
09 AWARD NOMINEES
The 2017 Annual Award Nominees have been announced! Check it out and congratulate your friends or pat yourself on the back.
10 PRESIDENT’S CLUB AND OM CHAMPION’S CLUB
Meet the President’s Club and OM Champion’s Club winners who went above and beyond in 2016, earning our respect, appreciation and a wonderful, well-deserved getaway.
20 WE SERVE HOURS
PDS Team members now get a full 8 hours of paid We Serve Time per year. What will you do with yours?
21 DATE YOUR MATE
See the winning couple from 2016's challenge on their holiday dream date!
22 HOLIDAY PARTIES
From elegant dinners to ugly Christmas sweater contests and everything in between, PDS team members and supported offices found lots of fun ways to cap off 2016 and celebrate the season!



YEAR IN REVIEW
In 2016, we helped open 65 supported offices, bringing us to more than 550 PDS®-supported dental offices in 17 states. Here’s a glimpse of the exciting developments that PDS and supported owner dentists experienced in 2016. There are many reasons for these achievements—check out the Anniversaries section for just a few!

FINANCIALS
PDS-supported practices closed out 2016 with strong results across the board. On a gross production, non-GAAP basis, the supported offices’ revenues grew significantly, and overall NOI dollars improved.
REVENUE GROWTH BY SPECIALTY
PROFESSIONAL PARTNERSHIPS
Clinicians choose PDS ® for the platform: the owner dentist model, the focus on modern dentistry and the culture of Clinicians Leading Clinicians in Clinical Excellence ®
ASSOCIATE SUCCESS
We intentionally focused on Clinical Excellence; exceptional outcomes and experiences for healthier, happier patients and ended 2016 with a strong attention to patient centricity.
• PDS-supported owner dentists onboarded 429 associate dentists.
• 55+ Dental schools were represented in 2016 hires, including eight international u niversities.
CLINICAL EXCELLENCE
69% of CEREC ® completed same day
QISS Update
• Starting on March 1, 2017 the ICN metric has been added into QISS and the CCX Booked metric has been removed. There was a need to have specialty referral representation in the GP version of QISS which is reflected in ICN. It was also necessary to remove the CCX Booked metric as it is not a fair representation of actual office activity. The report itself has also been cosmetically finessed for easier viewing. All metrics will be consistent throughout 2017 to provide a solid baseline of QISS going forward.
PDS INSTITUTE ®
The PDS Institute provides more continuing education than any other dental support organization in the world. The primary goal of the PDS Institute is to champion Clinical Excellence. We pledge that we will continually push the bounds of knowledge and expand our development offerings every year so that PDS-supported clinicians have access to the very best education that induces action, builds confidence, and helps you make tangible, positive change in your practices.
• Focus on three phases of development —ICE, WTR, and STM— to fulfill the needs and desires of PDS-supported clinicians at every stage of their careers.
• 168 ICE program graduates
• 24 Subject Matter Experts/Faculty supporting 24 STM Tracks
• 27,000+ CE Hours issued to dentists and 31 STM Tracks completed in 2016
• 530+ hours of unique CE content for PDS-supported clinicians
OWNER DENTIST DEVELOPMENT:
• 84 new owner dentists onboarded in 2016
• 64 single-office ODs
• 15 multiple-office ODs
• 5 pediatric unit ODs
OWNER DENTISTS
ONBOARDED 429 (ICE) INTRODUCTION TO CLINICAL EXCELLENCE (WTR) WARM-UP, TRANSITION & RAMP (STM) SPECIALTY TRAINING & MASTERY
ASSOCIATE DENTISTS
69%
SAME DAY
CEREC ® CAD/CAM RESTORATIONS
349 PDS-SUPPORTED OWNER DENTISTS
OPERATIONS SUPPORT
Expansion into a new state and 65 new PDS ®-supported offices were two of the biggest 2016 highlights from Operations Support.
NEW SUPPORTED OFFICES & EXPANSION INTO A NEW REGION
PDS helped our supported dentists open 65 offices in 2016! We entered a new region with offices in Florida. And we’re not stopping there. In 2017, plans include continued expansion into Virginia and helping to open a total of 78 PDS-supported offices.
Numbers represent PDS-supported offices opened in that state
REVENUE OPERATIONS CENTER (ROC)
• Collections: 95.8% (down 0.2 points)
• Adjustments: 3.39% (down 0.2 points)
• Over 90’s: 9.1% (up 1.3 points)
MARKETING
65 NEW OFFICES
1 NEW STATE (FL)
17 TOTAL STATES
78
TARGET FOR NEW OFFICES IN 2017
• Non-ortho credits: 10.8% (up 0.9 points)
In 2016, PDS-supported offices experienced another year of growth in new and continuing care patients by continuing to leverage the PDS marketing platform.
• Over 90’s collected: 73.5% (down 2.2 points) OF
ADJUSTMENTS
3. 39 %
Specialties continue to have strong performance. In 2016, total revenue from specialty constituted 47% of the organizational service mix! The quality of the GP referral continues to be a key driving factor in the supported clinicians’ success.
• 47.7% of total revenue ($516.89MIL in specialty production)
• 20% year-over-year growth:
Orthodontics: 17.2%
Endodontics: 22.5%
Oral Surgery: 27%
• ICN holding strong at 48%
Periodontics: 22.1%
Hygiene: 20%
Pediatrics: 9%
KID'S DENTISTRY:
In 2016 PDS ® deployed a Kid’s Dentistry ownership model to help position the pediatric dentists as the gatekeeper of oral health for kids.
The synergy between pediatrics and orthodontics enables PDS-supported practices to offer better access to our patients in a comprehensive care environment, increasing patient satisfaction and helping to create Patients For Life™.
The model is working and helping to attract and retain the best pediatric dentists and orthodontists in the industry. Helping more patients get healthier, happier smiles also yields financial benefits. In 2016, we had five offices achieve over two million in Kid’s Dentistry production. Four offices achieved approximately one million in orthodontic production, with nine offices achieving over 750,000 in orthodontic production.
194.34K
TOTAL FACEBOOK PAGE LIKES
52.56K
TOTAL GP & PEDO FACEBOOK PAGE LIKES
47.7% OF TOTAL REVENUE
ORTHODONTICS:
In 2016, PDS-supported orthodontists were leaders in the orthodontic industry with 25,510 case starts.
25,510 CASE STARTS
141.78K
TOTAL SMILE GENERATION® FACEBOOK PAGE LIKES
PEOPLE AND LEARNING (PAL)
In support of the company’s vision and values, we provide quality people and learning services to attract, develop, inspire, and retain a diverse workforce through a supportive work environment.
RECRUITING
• Onboarded 3,638 team members (13.5% increase year over year)
• 1,040 clinicians
• 2,598 non-clinicians
• 2016 marked the tenth year in a row PDS ® was listed on Inc. 5000
ORGANIZATIONAL AND TALENT DEVELOPMENT
PEOPLE AND LEARNING SYSTEMS:
• 1,258 continuing education courses offered
• 38,355 continuing education credits awarded to PDS-supported clinicians
• 554 OMT completed training
• Trai ner certification completed for 30 new PDS trainers and calibration of the FO Trainer on updated content
PEOPLE SERVICES:
• Completed successful benefits renewal with Anthem for team members
• Entered the new benefits plan year with no increases to premiums, and reduced PPO deductibles
• Mobile Health Consumer Application introduced to Anthem plan participants allowing access to insurance cards, deductibles and balances
• Designed, developed and deployed HRIS system replacing UltiPro System
• Configuration of recruitment platform from Ultimate to MY Success Center
• $4.6MIL in 401K matching was contributed to team member accounts
• Fitbit preferred pricing on activity trackers made available
• Introduced nationwide “Fitness Friday” program
• Released a newly enhanced and revised Team Member Handbook
• Enhanced MY Success Center compensation tools for manager
3,638 TEAM MEMBERS
10 YEARS IN A ROW ONBOARDED IN 2016
AMERICA’S FASTING-GROWING PRIVATE COMPANIES
38,355 CONTINUING EDUCATION CREDITS AWARDED
EXPANDED MOBILE WELLNESS OFFERINGS
401( k ) MATCH
$4.60 MIL CONTRIBUTED TO TEAM MEMBER ACCOUNTS
WE SERVE
Across the PDS ® family, 2016 was an incredible year of service. PDS team members and supported clinicians logged more than 50,000 volunteer hours and implemented the 3D’s (Dentistry, Drives, Do Something) locally, nationally and internationally to impact the lives of thousands. Below are some of the amazing highlights:
DENTISTRY
• Nearly $7.1MIL in donated dentistry to over 3,800 patients
4,400 VOLUNTEERS
$7.1 MIL IN DONATED DENTISTRY
3,800 PATIENTS SERVED
DRIVES
• 1,066 drives totaling over $373,000 in collected goods
• $732,000 raised for charity: water
DO SOMETHING
1,066
DRIVES
$732,000
DONATED TO BUILDING WELLS IN ETHIOPIA
• We built two playgrounds with KaBoom! ® (Altadena, CA and San Diego, CA)
• Over 50,000 volunteer hours
TWO PLAYGROUNDS BUILT
WE SERVE NATION:
50,000+ VOLUNTEER HOURS
SAN DIEGO
ALTADENA
2016 was a good year for the Pacific Dental Services Foundation, and we were proud to help make it a great year for others.
MOBILE DENTAL CLINIC
• 27 events, with over 1,000 patients served and $700,000+ in donated dentistry
27 EVENTS OVER
1,000 PATIENTS SERVED $700,000 IN DONATED DENTISTRY
INTERNATIONAL DENTAL CLINICS
• Serving Guatemala, Ethiopia and Fiji
• Combined international outreach served over 2,000 patients with $1.5MIL in donated dentistry
2,000 PATIENTS SERVED OVER
$1.5+ MIL DONATED DENTISTRY
SPECIAL NEEDS ADVOCACY AND TRAINING PROGRAM
• Fou r national training events, over 300 attendees
• Conversion of first sensory integrated practice: Sugarland Modern Dentistry
DR. CAROLYN GHAZAL DENTAL ASSISTING SCHOLARSHIP
• Four scholarships granted, one extern/graduate
4 SCHOLARSHIPS GRANTED
300 CONTINUING EDUCATION CREDITS AWARDED
1 EXTERN/ GRADUATE $ $
2016 ANNUAL AWARD NOMINEES
This year’s 2016 Annual Awards will be announced during the XP 2017 Gala, taking place in Las Vegas, NV on May 5-7. Congratulations to all the contenders! And the nominees are ...
OFFICE OF THE YEAR CONTENDERS
#117 Buckeye 1
#150 Fontana 2
#254 Lakewood CA
#288 Long Beach 1
#234 Maricopa 1
#67 Pacific Beach
#152 Perris
#74 Redlands
#38 Riverside 5
#272 Seal Beach
#246 Tucson 2
#153 Turlock
DE NOVO OF THE YEAR CONTENDERS
#802 Blue Springs 1
#298 Downey
#555 Fountain 2
#181 Kensington
#490 Reno 4
#403 Santee 3
#295 West Covina

MOST IMPROVED OF THE YEAR CONTENDERS
#584 Clinton 1
#177 Henderson 2
#524 Loveland 1
#902 Marietta
#303 Oregon City
#347 Puyallup
#62 Rancho Cucamonga
PEDIATRIC OFFICE OF THE YEAR CONTENDERS
#802 Blue Springs 1
#192 La Habra
#634 Pearland 1
#203 Phoenix 4 EKD
#266 Queen Creek 3
REGIONAL MANAGER/DIRECTOR OF THE YEAR CONTENDERS
Alex Creelman
Alicia Lowry
Amanda Holbrook
Crystal Aguilar
Emmett Grealy
Jeremy Fuls
Michael Nguyen
Sarah Groft
Stephanie Ross
Sue Rudow
SPECIALTY REGIONAL MANAGER/DIRECTOR OF THE YEAR CONTENDERS
Greg King
Jen Coll
Travis Hill
REGION OF THE YEAR CONTENDERS
Desert Mountain –Kevin Lawton
Rocky Mountain –Joe Saporito
Southwest –
Joanna Rodgers
Tennessee –Jack Knudsen



4+ YEARS
Dr. David Watkins Desert Mountain
2017 PRESIDENT’S CLUB
Los Cabos, Mexico, April 27–30, 2016
President’s Club is a prestigious honor reserved for a select few PDS® -supported owner dentists, associate dentists and specialists. This year’s President’s Club winners will enjoy some well-deserved R&R at Las Ventanas al Paraiso in Los Cabos, Mexico.
Dr. Walter Jefferson Pacific South Coast
Dr. Don Parker Desert Mountain
Dr. Katie McCann Rocky Mountain
Dr. Nathaniel Leng Pacific South Coast
Dr. Alex Sharifian Pacific South Coast
Dr. Jeff Davis Desert Mountain
Dr. Kelby Gale Desert Mountain
Dr. Amish Patel
Desert Mountain
Dr. Bindu Kansagra Pacific South Coast
Dr. Eric Genenbacher Desert Mountain
Dr. Marcos Magar Pacific South Coast
Dr. Kelley Ryals Rocky Mountain
Dr. David Lee Southwest
Dr. Elyssa Hoopes Desert Mountain
Dr. Franklin Chu Southwest
Dr. Brian Freeman Desert Mountain
Dr. Dyanadewi Iskaq Pacific South Coast
Dr. Todd Vincent Rocky Mountain
Dr. Tyler Pickett Rocky Mountain
Dr. Priya Bhatia Pacific South Coast
Dr. Brian Mowrey Southwest
Dr. Sophia Quinn Desert Mountain
Dr. Greg Bocash Southwest
Dr. Dhaval Patel Northern CA
Dr. Christina Kraft Desert Mountain
Dr. Zhixin Jason Guan North Central TX
Dr. Brian Nelson Desert Mountain
Dr. Jimmy Cheung Southwest
2–4 YEARS
Dr. Arvin Ahmadieh Desert Mountain
Dr. Ekta Dilawri Gulf Coast
Dr. Harry Jaswal Gulf Coast
Dr. Sam Abadi Desert Mountain
Dr. Sean Hanna Desert Mountain
Dr. Janki Patel Georgia
Dr. Cody Mugleston Desert Mountain
Dr. Miran Ho Desert Mountain
Dr. Mark Dindal Desert Mountain
Dr. Chris Steiger North Central TX
Dr. Nicole Smith Pacific South Coast
Dr. Ashley Hopkins North Central TX
Dr. Christopher Oates Pacific South Coast
Dr. Nick Bell Midwest
Dr. Matthew Yip Midwest
Dr. Tina Sampat Georgia
0–2 YEARS
Dr. Victoria Nguyen Pacific South Coast
Dr. Christian Peralta Desert Mountain
Dr. Ronny Le Southwest
Dr. Maysam Salehpour Southwest
Dr. Craig Gaugh Midwest
Dr. Adam Schaefer Desert Mountain
ASSOCIATES
Dr. Sherly Sohal Southwest
Dr. Christian Schmidt Pacific South Coast
Dr. Vincent Martinez Desert Mountain
Dr. James Rho Northern CA
Dr. Tommy Sediq Pacific South Coast
Dr. Baharak Ghaffarzadegan Pacific South Coast
Dr. Sundus Abudayyeh Southwest
Dr. Mohammed Khakwani Desert Mountain
Dr. Roberto Benevides North Central TX
Dr. Lisa Ferguson Southwest
SPECIALISTS
Dr. Michael Nguyen Endodontics
Dr. Tommy Yun Periodontics
Dr. Shahin Madi Periodontics
Dr. Kouros Izadi Oral Surgery
Dr. Kenny Lam Oral Surgery
Dr. Boyd Martin Orthodontics
Dr. Yung Lee Pediatrics
Dr. Christine Aquino Pediatrics
Dr. Eric Ellis Pediatrics
49+ MONTHS
Samantha Berry Tucson 2
Kim Valko Perris
Angela Davis Fontana 2
Daniel Blair Buckeye 1
Scott Bishop Aurora 2
Florence Anaya Lake Elsinore 1
Jen Flores Yucaipa
Lisa Chatwood Redlands
Rey Lorenzo Tustin
Melanie Stewart Phoenix 4
Ariel Roberts Tramonto
Alicia Masteller Tierrasanta 2
Amanda Fordyce Tolleson
Stephanie Gleason Riverside 5
Julie Delgado Irvine 1
Tracy Kaus Surprise 2
Callaigh Propes Superstition
Melanie Smith Norco
Euliza Connelly Huntington Beach 2
Jasmine Martinez Santa Fe
Chamath Siriwardena San Jacinto
Michelle Hallmark Phoenix 5
Kari Walters Temecula 3
Cindy Parsick Las Vegas 1
Chassatie Davila Mountains Edge
Sharon Brown Queen Creek 3
Kirstin Caldwell Loveland 1
Angela Gregorio Colorado Springs 1
2017 OM CHAMPION’S CLUB
San Francisco, CA, March 2–5, 2017
OM Champion’s Club honors operations managers for the hard work they do to help supported dentists perform at their best. This year’s OM Champion’s Club winners will enjoy a well-deserved getaway at the Four Seasons in San Francisco! Congratulations and thanks for all you do!
25 – 48 MONTHS
Joanna Kotrba Long Beach
Claudia Uzeda Maricopa 1
Kelly Wilkerson Turlock
Matthew Ornelas Tucson 7
Marcus Gautreaux Houston 2
Amanda Vorhes Huntington Beach 3
Mayra Villa Torrance 1
Kayla Carlson Scottsdale 2
Mila Kilcrease Marietta
Jessica Panepinto Irvine 2
Katie Orscheln Kansas City 4
Matthew Hornbeck Kansas City 2
0 – 24 MONTHS
Kimberly Orozco Pacific Beach
Heather Dickerhoff Santee 3
Marissa Hernandez Claremont
Sandra Dessens Tucson 7
Nargess Askar La Costa
Miranda Branson Reno 4
Bianca Sierra Misson Hills
Erika Martinez Phoenix 8
Sarah Gerdes Northglenn
Jennifer Muller-Andronis Katy 3
Galyna Saltkovska Blue Springs 1
PEDIATRICS
Ernestine Macias Queen Creek 3
Desiree Slane Las Vegas 1
Stephanie Maddox Rancho Cucamonga 3
Dorothy Wittman-Ilano Surprise 2
Imelda Velasco La Habra


2016 YEAR END BLOCK REVIEW
Pacific Dental Services ® -supported dentists retain the autonomy to choose which blocks they use in their CEREC ® mills. We as an organization, and I as an individual dentist, have not tried to sway the preference that the providers have towards certain types of materials or manufacturers. It has been interesting to watch the progressive shift in material choices over the last several years.
In 2010, about one third of the block choices were Vita® Mark II, one third e.max ® and one third Empress®. Of course, there were fewer block choices available for the dentists at that time. Now, with the year-end totals for 2016, we can see more significant shifts occurring. It is clear that, when available, dentists will choose strength, as evidenced by the fact that 52% of the blocks being milled are e.max. This is a good thing overall, and even more so now that Ivoclar Vivadent ® has restated the strength at an average of 500 megapascals (MPa), making it the current strongest same-day choice for PDS® -supported dentists.
Empress is the next most frequently used block at 21%, and no doubt typically preferred for more cosmetic cases. From Vita North America, we have the Vita Mark II block still in the mix at 17%, and several dentists use this block exclusively while being very happy with it. A newcomer from Dentsply arrived in 2015—the Celtra Duo block—and it is making rapid headway, having just passed 5%. At 210 MPa, Celtra Duo is the strongest block straight out of the box, and it becomes much stronger if sintered, although it does require a different oven cycle. The remaining three blocks—Enamic ®, Cerasmart™ and the Lava™ Ultimate—are all considered "hybrid" blocks. Each of these three blocks has roughly 20-25% silica content in combination with ceramic.

It is not yet known what impact the in-office zirconia blocks will have. These blocks are the inCoris TZI by Sirona®, and they are currently being trialed at six locations. Preliminary feedback is good, especially regarding their use in posterior restorations. These blocks require the new SpeedFire oven to be sintered. For desired zirconia strength, they will be our only same-day choice at 900+ MPa.
I would have never imagined 10 years ago that I could write an article on such a specific individual item used by dentists. This single item becomes a huge consideration when looking at the
volume of utilization over a whole year. The number of blocks milled by PDS-supported dentists in 2016 exceeded 275,000 units! As one would imagine, maintaining a good relationship with our block manufacturers and suppliers continues to be important.


CHARLES RODGERS, DDS VP of Clinical Quality
MOTIVATIONAL INTERVIEWING IN DENTISTRY
This article was also published in the February 2017 Dental Economics eNewsletter.
How do we talk to patients so they will listen? How do we listen so patients will talk?
These simple questions capture the spirit of motivational interviewing (MI). MI is a counseling style that allows healthcare professionals to guide patients in recognizing their own reason for change, which can motivate them to commit to plans for change.
When it comes to behavior change, it can be hard for patients to accept our advice. For most dentists, giving advice is easily done. But many patients don't need information; they need motivation. Giving unsolicited information without establishing a trusting relationship can have the opposite effect. Telling patients
always be an obstacle. However, perceived need is subjective. The very language many dentists use to discuss treatment plans is the word “need.” For example, “Mrs. Jones, you have an infection in your gums. You need scaling and root planing.” People will pay for what they value before what they need.
Our primary task as dentists is finding out what patients value. When we tell patients what they need, it’s not very motivating or persuasive. Needs sustain ambivalence, and values trump ambivalence. For example, informing a patient they need scaling or root planing (SRP) to treat gum disease as opposed to taking the time to find out about their health goals. If a patient tells us they are on a diet and
BECOMING SKILLED IN MOTIVATIONAL INTERVIEWING CAN HAVE A PROFOUND EFFECT ON OUR PRACTICE. PATIENTS FEEL EMPOWERED TO BECOME ACTIVELY INVOLVED IN THEIR HEALTH CARE.
what to do presses the “pause” button on behavior change and can actually slow the process of resolving ambivalence.
Blaise Pascal said, “People are generally better persuaded by the reasons which they have themselves discovered than by those which have come into the mind of others.” When people tell us what to do, a part of our brain actually argues against that information and we become more resistant. When we hear ourselves thinking or talking against change, our brain lays down more neural pathways that validate our current position. As dentists, we often educate patients and assume we can persuade them with logic. Instead, we must be mindful of this tennis match that volleys the pros and cons of behavior change in the minds of patients, knowing that the patient may be convincing themselves that change is not necessary. Motivational interviewing can help resolve ambivalence and help elicit a person’s own motivation for change.
ADA research shows the top two reasons people do not get dental treatment are cost and perceived need. Finances will
exercising regularly, we can conclude they value a healthy lifestyle. Consequently, recommending SRP aligns with their values of improved health. Before we tell patients what they need, we should find out what they value.
The basic core skills of motivational interviewing can be developed using the acronym OARS: Open-ended questions, Affirmations, Reflective listening and Summaries.
OPEN-ENDED QUESTIONS
Open-ended questions are questions that cannot be answered with a yes or no, but rather invite the patient to elaborate and reflect. “What worries you about your current dental situation?” Or, “What do you know of oral health and its connection to overall health?”
AFFIRMATIONS
Affirmations are statements that recognize a patient’s behaviors, good intentions and efforts that are moving the patient forward. Affirmations are not praise. Think, “Thank you for coming on time today,” or, “I can tell you have been flossing.”
REFLECTIONS
Reflections are attempts by the dentist to give meaning to statements the patient says. An effective reflection is brief and concise, and causes the patient to talk more. Reflections are invaluable in MI. Reflections can be simple, where you repeat what the patient told you, or complex, where you give meaning to the statement or information the patient shared. For example, after a patient says, “I just want what my insurance covers,” a complex reflection could be, “We need to keep your dental care within your budget.”
SUMMARIES
Summaries are reflections that recap what a person has been saying. Effective summaries confirm to the patient that the dentist has been listening and has a grasp of the information the patient has shared.
By incorporating the OARS concept as part of our communication with patients, we can become skilled in MI and help our patients find value in the treatment they need. In health care, dentistry is unique with respect to behavior change. Money plays a big role in the decisions patients make. Dentists are realizing that different approaches to presenting treatment to patients are needed and MI is gaining traction. In fact, there is a new CDT code in 2017 for Motivational Interviewing D9993 (dental case management— motivational interviewing).
Becoming skilled in MI can have a profound effect on our practice. Patients feel empowered to become actively involved in their health care. In turn, we not only experience less stress, but also help patients achieve more favorable clinical outcomes.


SONNY CHOKKA, DDS is a graduate of Loma Linda University School of Dentistry. He is a Pacific Dental Services ® -supported owner dentist and a faculty member of the PDS Institute ®

D4346 MANAGING GINGIVITIS AND TREATING PERIODONTAL DISEASE EARLY
ON JANUARY 1, 2017, THE AMERICAN DENTAL ASSOCIATION (ADA) adopted a new CDT code: D4346 Scaling in the presence of generalized moderate to severe gingival inflammation full mouth, after oral evaluation. This has been very exciting for the practice of dental hygiene within the PDS ® -supported offices. Until the addition of D4346, there was no therapeutic code for patients who presented with gingivitis, an infection in the gums that has not yet progressed into the supporting bone. D4346 bridges this gap between a healthy mouth prophy and periodontitis and allows the provider to accurately diagnose the patient and treat gingival inflammation early. I spoke with Dr. Leia Jackson from Spring Market Dental Group and Orthodontics to discuss how she and her team have successfully integrated ADA Code D4346 into their practice.
Jennifer: How did you first start implementing the new gingivitis scaling code D4346 into your practice?
Dr. Jackson: For us, the day we talked about it in our huddle was the day we started using it. It applies to so many patients. I think for implementing any procedure, you have to dive in feet first. Everyone has to embrace it in the practice. It can’t be just the hygienist or just one dentist; it has to be the entire team.
Jennifer: What do you see as the greatest challenge in implementing the code?
Dr. Jackson: The biggest challenge will be case acceptance. The best way to address this is to educate the patient on the procedure they need. Every patient is so different.
Jennifer: With the D4346 procedure, are you typically recommending adjunctive services?
Dr. Jackson: Typically, yes. For patients who have gingivitis, bleeding and inflammation, we were previously recommending a prophy with irrigation, bacterial decontamination and fluoride varnish. So at this point we have switched out the prophy code to a more proper coding and are calling it gingival scaling (D4346) and doing the adjunctive services that are needed.
Jennifer: What has the general response been from your patients?
Dr. Jackson: Where this code is appropriate, we have had 100% case acceptance.
Jennifer: What do you attribute to the success you have had to this point?
Dr. Jackson: It’s all about verbiage. You have to discuss it with the patient and explain that this is not a normal cleaning, but a specific type of cleaning for a patient with gingivitis. The charting, photographs and x-rays can be used as a tool to better educate the patients. We tell the patient they have an infection in their gums called gingivitis. The good news is that the infection has not progressed into the bone. By treating the infection now, we can heal the gum tissue and stop the progression of this infection into the bone which would be full blown gum disease.
Jennifer: There is concern that scaling and root planing may be downgraded if there is not proper documentation to support the diagnosis. What are your thoughts on this?
Dr. Jackson: I do not let insurance act as a barrier for the patient. Getting healthy is the bottom line. Now with that being said, are insurance carriers going to push back and challenge? Yes, they are, so we have to do the absolute best job we can to make sure
we are diagnosing appropriately, and the treatment they need is getting done and covered by insurance. We have so many options for documentation. Ask yourself, is the periodontal charting thorough? Are the x-rays diagnostic? Are intraoral photos being taken? Are treatment notes detailed and accurate? This is critical. PDS provides pre-populated notes for treatment, but actually going in and typing additional information about why the patient needs scaling and root planing is so important. I think for me, I do not want insurance to be a barrier. You have to do what’s appropriate for the patient and then document it properly.
Jennifer: Thank you so much, Dr. Jackson, for taking the time to provide insight into how the implementation of D4346 is going in your office.
Dr. Jackson: D4346 allows us to accurately treat disease and in its early stages, which is critical for the health of the patient. However, the new code will also present challenges as we learn not only how to effectively implement the code, but also how insurance companies will cover the procedure. Work with your team to ensure everyone understands the benefits and potential challenges with this new code. Be sure the entire team knows what is necessary for proper documentation to support this code and proper documentation to support scaling and root planing codes. Define and develop good verbiage and ensure that the entire team is saying the same thing.


JENNIFER TUMLINSON, RDH is a graduate of the University of Texas Health Science Center at Houston. She has been a practicing dental hygienist for 22 years and currently provides hygiene support to the Gulf Coast Region.
CONGRATULATIONS NEW OWNER DENTISTS
NOVEMBER 2016


Dr. Andrew Chang My Kid’s Dentistry ® & Orthodontics Pacific South Coast
DECEMBER 2016


Dr. Antonio Alfonso Parkway Dental Group Pacific South Coast


Dr. Kyne Homerstad Lake Jackson Modern Dentistry and Orthodontics Gulf Coast


Dr. Haritha Sambaraju Coppell Modern Dentistry North Central Texas
JANUARY 2017


Dr. Robert Benavides Culebra Smiles and Orthodontics Pacific South Coast
FEBRUARY 2017




Dr. Parvathi Jithendranathan Chaska Commons Dental Group Minnesota


Dr. Shahab Ariannejad La Mesa Modern Dental Group San Diego


Dr. Ardy Keshtkar Parkway Dental Group Northern California


Dr. Elizabeth Sasse Tigard Triangle Smiles Dentistry and Orthodontics Oregon


Dr. Bevan Fareid Packwood Creek Dental Group Northern California


Dr. Brian Graziano


Dr. Maria Huong Lam Lakewood Modern Dentistry Rocky Mountain


Dr. Katherine (Celeste) Babineaux Lafayette Modern Dentistry Gulf Coast


Dr. Mohammed Khakwani Canyon Modern Dentistry and Orthodonticsy Desert Mountain


Dr. Jennifer Thomas Festival Dental Group and Orthodontics Desert Mountain


Dr. Kratika Pareek Hiram Dental Group Georgia


Georgia


Dr. Isabel Simpson Every Kid’s Dentist ® Desert Mountain


Dr. Robert Fechner Olathe Smiles Dentistry Midwest


Dr. Maral Khazali Main Street Dental Group Pacific South Coast


Dr. Bianca Velayo Green Valley Smiles Dentistry Desert Mountain


Dr. Joonil Park Kent Smiles Dentistry Washington


Dr. Christian Schmidt
Pacific South Coast


Pacific South Coast


Dr. Joyce Pangilinan Fairfield Dentists and Orthodontics Northern California


Dr. Jennifer Williams-Tinnel Tiffany Springs Dental Group and Orthodontics Midwest
Sierra Lakes Dental Group and Orthodonticss
Dr. Sarah Johnson Crabapple Smiles Dental Group
Enchanted Hills Dentistry Rocky Mountain
Dr. Anjali Doshi Legends Dental Group and Orthodontics Midwest
Dr. Baharak (Tina) Ghaffarzadegan Thousand Oaks Dental Group and Orthodontics
EXCELLENCE IN CLINICAL & HUMAN OUTCOMES (ECHO)
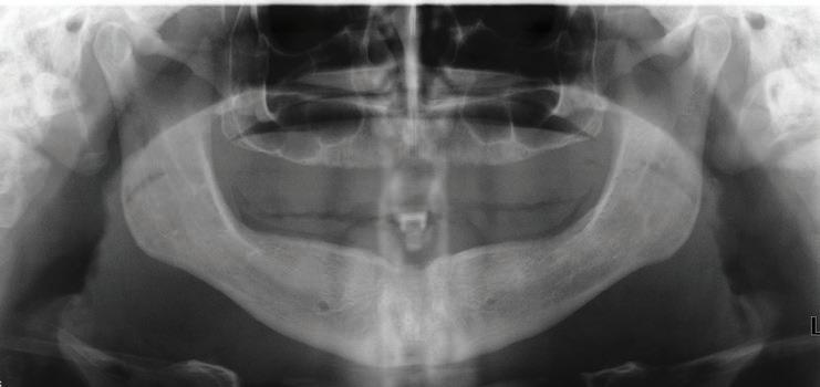
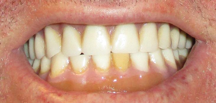
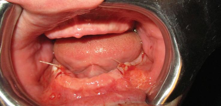
The following ECHO was authored by Dr. Nathan Vassiliades and selected from numerous cases for a presentation opportunity at the annual Owner Dentist Meeting in February. Dr. Vassiliades completed this ECHO as part of the post-work requirement for the PDS® Institute Implant-Retained Overdentures Specialty Training and Mastery (STM) Course instructed by faculty member Dr. Lance Rygg.
Clinician Name: Dr. Nathan Vassiliades
Office Name: 125 – Queen Creek
Case Name: Implant-Retained Dentures
Case Discussion:
This patient is a 34-year-old male. He works as a dental assistant. His chief concern was, “I have temporary dentures that are six years old. They are discolored and do not fit well. I cannot eat with them.”
The patient was initially injured while playing college baseball when he was hit in the mouth with a baseball. As a result of this injury, the patient lost all of his teeth. This event was six years ago.
Medical History: The patient suffers from anxiety and depression. He is a tobacco smoker, and has smoked half a pack a day for 10 years.
Rx. History: Xanax, Effexor
Implants were placed in areas of nos. 22 and 27. Implant no. 22 was Nobel Replace RP 4.3x11.5 torqued to 42.1 N/cm; implant no. 27 was Nobel Replace RP 4.3x11.5 torqued to 45.0 N/cm. Due to the patient wearing dentures, cover screws were placed and horizontal mattress sutures were placed. (The ends were clipped after the photos.) The patient was seen two days after and was healing well He was very happy with his treatment.









THE PROFESSION OF DENTAL ASSISTING
By Judy Forsythe, Director of Dental Assistant National Strategyeting
If you’re a dental assistant, have you ever caught yourself saying, “I’m just a dental assistant”? What does that even mean? Of course, it may depend on the situation in which the statement was used. If you were frustrated with something, not feeling valued or perhaps a little overwhelmed, it might be excused. I know that many years ago, I said it myself and at the time, I felt it. In the hierarchy of the dental office, the dental assistant can often feel like they are at the bottom. I have been there, too, but now I’m here to tell you that statement is far from the truth. So stop telling yourself that!
Everyone needs to feel validated. It’s human nature. There are days when you feel like no one is listening to anything you have to say. That’s when you feel like you are “just a dental assistant,” right? You don’t always have to receive validation from someone else. Start with giving yourself praise. Stop the self-defeating behavior and start thinking more positively and take action.
What can you do to feel more validated in your role? Actually, there are numerous ways you can be recognized for your contribution to the profession! When dental assistants get involved by promoting dental assisting and networking with others, they find a common bond and form lifelong friendships. How can you get more involved? Well, I’m glad you asked!
JOIN YOUR PROFESSIONAL ORGANIZATION.
When you join the American Dental Assistant Association (ADAA), you also become a member of your state and local organizations, similar to the tripartite membership dentists have with the ADA. Attending meetings will expose you to a whole new side of the dental assisting profession—your profession! Additionally, PDS® -supported lead assistants and specialty lead assistants are eligible for membership at no cost. To enroll, see the banner on the Back Office or Specialty DA MY Job page.
SIT ON AN ADVISORY BOARD AT A DENTAL ASSISTING SCHOOL.
EDUCATE YOU RSELF ON YOUR STATE BOARD ACTIVITIES.
Go to your state board website and look up the meeting minutes and agendas from past meetings so you can stay current with board changes and new regulations. If you can, attend a board meeting! Many states even have positions on their boards for dental assistants.
RAISE YOUR HAND AND VOLUNTEER WITH THE PACIFIC DENTAL SERVICES® FOUNDATION.
Whether through community events, mobile dental clinic days, international mission trips, or simply Smile Generation® Serve Day, find ways to give back to the community and the world.
I realize everyone is a at different stage of life. You might have small children, or perhaps you are going to school in your spare time, or have other responsibilities that make it difficult for you to commit to the giving of your time. One more thing on your plate could just send you over the edge. I would encourage you to steal some time away for yourself. Put that smartphone or tablet to good use by seeking out webinars and podcasts on leadership and dental assisting instead of looking at what your friends are doing on Facebook, Instagram and Twitter. Go to websites of dental assistant-related organizations like ADAA and the Dental Assisting National Board (DANB) to stay current or read white papers and articles online.
You should feel valued for your contribution to the dental assisting profession because you’re a critical component in the dental practice. By broadening your view and getting more involved with your chosen profession, you won’t hear that voice saying, “I’m just a dental assistant” any longer.
If you’re interested in becoming more active in the dental assisting community and you’re not sure where to start, I would be happy to help! Reach out to me at ForsytheJ@pacden.com.
What an incredible difference dental assistants are making in dentistry today!

PEDIATRIC SEDATION SAFETY GUIDELINES
RECENTLY THERE HAVE BEEN A NUMBER OF REPORTS of adverse events, including fatal outcomes, related to the use of sedation during the treatment of children in dental offices. Many state dental boards (most recently California and Texas) have reacted to this by modifying pediatric sedation licensure requirements and guidelines. Many of the latest guidelines require dentists to have additional training before administering sedation to pediatric patients. Our MKD ® / EKD ® brand is in full support of this.
Since I opened my first MKD/EKD office, my primary goals have been the safety of the patient and to set the highest standards of care. All PDS® -supported pediatric dentists are residency-trained specialists. As a result, they meet or exceed the new requirements.
The PDS Pediatric National Dental Advisory Board’s focus includes the safety and welfare of pediatric patients, and providing residency-trained clinicians with all safety equipment and ongoing training necessary to provide this care. Our Pediatric National Dental Advisory Board is constantly evaluating new materials, techniques and safety equipment to best support clinicians in an ever-evolving pediatric marketplace.


ERIC ELLIS, DMD
Diplomate of the American Academy of Pediatric Dentistry
Chairman of the Pediatric National Dental Advisory Board
He is a graduate of Case School of Dental Medicine in Cleveland, OH and completed his specialty training at Children’s Hospital of Michigan in Detroit.

4 WAYS BUSY PARENTS CAN PRIORITIZE THEIR LIVES
REGARDLESS OF YOUR TITLE, your position, your economic reality, or even your ethnicity, the one constant that binds all of us together is 1,440 minutes a day. Unfortunately, you can’t make more time in your day. To succeed in relationships, you must take the time that you’ve been given and direct it to those closest to you.
In this issue of PDS® Life, let’s consider time spent with your children.
Working parents are constantly battling to be more present in their kids’ lives. I know this is true. I’ve spoken with a lot of people from the PDS family who want to be great parents. We live with tension and guilt knowing that our children need more time and we want to give them more time … but just can’t seem to pull it off. Even focused, intentional parents feel like failures in this area. Unfortunately, the cruel reality of time continues to fly by! Time doesn’t wait for us to get our act together or rearrange our priorities. All we have is right now.
The stakes are too high to not give consistent thought on how to spend more time and be more present with your kids. How you spend your time points back to what you prioritize, and I want to share with you four ideas to help you spend more time with your children:
1. Ruthlessly Eliminate Stress. No one can get their priorities straight if they’re constantly racing through life and living “under the gun.” If there’s so much stress in your life that you’re finding it difficult to keep your priorities in order, lighten your load ASAP! It’s not going to reduce itself—hence the word “ruthlessly.” Saying “yes” to stress says “no” to your family.
2. Schedule Silence into Your Day. Even 15 minutes of silence per day (no phone, no noise, no agenda, no hurry) can make a big difference in your mood and lower your stress level. Silence is essential to slow you down and create an environment to help you recalibrate your priorities. This short time of silence is not easy to find because it’s not native to your world. You wake up to noise, you’re around noise all day, and often fall asleep to noise. If you’re going to find silence, you must work for it. No one will
miss you if you “take 15” for yourself every now and then. Find some quiet and see what it does for your heart.
3. Be Aware of “Emotional Leftovers.” It may appear noble to “give your all” at work, but if you give “your all,” what does that leave for your family? Nothing. It’s no secret that many of us gain our identity from working hard and being successful in the marketplace. That’s fine as long as there’s also some hard work aimed at your family. Anyone can do your job, but not just anyone can be the mom or dad to your children. Those 1,440 minutes a day are adding up and moving on, and real success in life is based on relationships. Your family needs more than your emotional table scraps. They need you content, so you too can become healthier and happier.
4. Don’t Wait for Others to Change. This is your life and if you’re waiting for someone else to come alongside you and tell you how to live your life, you’re in for a long wait. The people around you aren’t going to change. The expectations of you won’t change. You’re the only one who can make the needed changes to spend more time with your kids. The time to make the changes is now!
As an advocate for children and a fan of parenting, I’ll be the first to admit this is tough to do. But let’s be honest, anything worthwhile is tough to do. These thoughts are not about guilt; they’re about growth. Don’t allow guilt to paralyze you … all of us have made mistakes and could be better parents. Don’t look back. Look ahead. Your kids are waiting for you.
We’re going to launch a trial relationship podcast for the PDS family. Do you have a topic you would like to hear Doug talk about? Email us at Podcast@pacden.com and your topic may be discussed in a future podcast.

FIELDS is a communicator, consultant and writer. He’s the author of 50+ books – primarily on relationships, and he works with the HomeWord Center for Youth/Family at Azusa Pacific University.
DOUG






WHAT CAN YOU DO IN 8 HOUR S ?
By Kyle Guerin, Sr. Manager, We Serve
It’s the amount of hours doctors recommend you sleep at night.
You can drive from Irvine, CA to San Francisco, CA with a stop for lunch … assuming traffic is moving.
You could watch four of the seven movies from the Star Wars series. That’s not counting Rogue One




For team members of Pacific Dental Services®, it’s the amount of paid time you get to serve. That’s right! PDS® team members receive eight hours of paid We Serve time.
Last year over 770 people took advantage of a portion of those eight hours. During the workweek, people took a couple of hours out of their day to volunteer at soup kitchens and their kid’s schools; they picked food from farms and helped tutor kids; they used it for mission trips and playing games with the elderly.
For the average person, it’s your standard workday.
We are a service organization at our core, and we know the impact we can have to build social and economic value in our communities. The better you serve your communities, the better you serve each other, and the better you serve your patients. I will leave you with this question: how will you spend your eight hours? To find opportunities to serve during your workweek, or for more information on the eight hours, visit the We Serve HQ at pds.volunteermatch.org

By Kyle Guerin, Sr. Manager, We Serve

Date YOUR MATE CHALLENGE:
This past December, we held our third Date Your Mate Challenge. We received over 1,000 pictures of you dating your mates! The winner of the challenge was Zenia Castillo, Operations Manager from The Woodlands Modern Dentistry in the Gulf Coast Region. Zenia and her husband chose to spend their date in beautiful Austin, TX. Here is what Zenia had to say about the date:
“It was a really nice experience! We drove out to Austin, a trip we always enjoy. We arrived at the Four Seasons Hotel, and the treatment at the reception was top notch! We were given a tour of the spa and then led to the locker room so we could get ready for our massages. The room setup created a very relaxing, peaceful atmosphere.
FALL IN LOVE
By Kyle Guerin, Sr. Manager, We Serve
When we got to our room, we walked into bright sunlight with the curtains open and ready to receive us. We were also surprised with chocolate-covered strawberries. We took a nap and then got ready for our night! We got dressed up and headed to Eddie V’s, but before we left the hotel, we had to take a couple of pictures in the lobby near the Christmas tree.
At Eddie V’s, the service was excellent! Yolanda, our waitress, was super attentive. She was mindful of the show we had to get to and made sure we got out on time.
The Nutcracker was great! We’ve seen the show in Houston and San Antonio, but this was the first time that we were so close! We had a great time while there, posing with props. This was the perfect getaway weekend. And it was only us! It couldn’t have happened at a more perfect time for us.
Thank you so much, PDS®.”
Let ’ s Keep
DATING OUR MATES!
Be on the lookout for our next Date Your Mate challenge ‘Spring into Love’ beginning in March.





Regional Holiday Parties
PACIFIC SOUTH COAST
To celebrate another year of hard work, dedication and teamwork, the Pacific South Coast Region held its annual holiday party on Saturday, December 3, at the Pasadena Convention Center. The event provided the perfect opportunity to show appreciation for the amazing PSC team. Guests enjoyed a casino-themed night filled with games, raffle prizes, dancing, delicious food, and an unforgettable candy bar!
This special event was made possible by generous donations from owner dentists and specialists. As Paula Larson noted, “It’s always so much fun to celebrate the season with the team!”
DESERT MOUNTAIN
Teams throughout the Desert Mountain Region celebrated the holidays in style. From onesie pajamas and ugly sweaters to full plaid and poinsettia suits, everyone had a blast! Many of the parties featured bowling, photo booths, white elephant gifts, dinners, karaoke, arcades and more. Teams enjoyed spending time together outside the office and are looking forward to another excellent year!
OREGON
The Oregon Region had individual Christmas parties this year. Some did tree decorating in the office with cookies and hot chocolate, and others went out to dinner with holiday cheer! Everyone enjoyed spending some quality time together, looking ahead to a great 2017!















MIDWEST
The Midwest Region celebrated the holidays on Saturday, December 3, in Kansas City, with a party for the combined St. Louis and Kansas City markets. The highlights of the night included a photo booth, gifts donated by the regional team and dentists, and of course, the Midwest Region’s Annual Dance-Off. A good time was had by all celebrating both the holidays and the region’s successes for 2016.
SOUTH FLORIDA
The South Florida Region got together to eat, drink, and be merry for our 2016 holiday party! They celebrated in ugly sweater-style, enjoyed a delicious meal, shared stories and competed for best dressed. Regional Partner, Randee Lehrer, dedicated a toast to the region’s shared effort and future successes in the New Year.

















NORTH CENTRAL TEXAS
AUSTIN
The Austin team in North Central Texas enjoyed Tex-Mex food in ugly Christmas sweater-style, even though it was 60 degrees outside! Dentists and team members turned out for the ugly Christmas sweater contest, and even the waiters enjoyed all of the Christmas cheer. The group voted on the ugliest sweater of the night, and Dr. Guan from Cedar Park Modern Dentistry took home the prize.
SAN ANTONIO
The San Antonio regional offices enjoyed a wonderful holiday party at the San Antonio Riverwalk. The team enjoyed gathering together and looking ahead to 2017.


14 NEW OFFICES
Opened in November
Opened in December
Opened in January
1 RIVERSIDE 6
California. Opened 11/07/16. Riverside Plaza Dentistry
2 LAS VEGAS 5
7 BATON ROUGE 2
Louisiana. Opened 12/20/16. Baton Rouge Modern Dentistry 13 TUCSON 8
Nevada. Opened 11/15/16. Centennial Modern Dentistry and Orthodontics 8 LA MESA
3 SACRAMENTO 3
California. Opened 12/21/16. La Mesa Modern Dental Group
California. Opened 11/16/16. Midtown Modern Dental Group 9 CUMMING
Georgia. Opened 12/21/16. Cumming Smiles Dentistry 4 MURFREESBORO 2
Tennessee. Opened 11/17/16. Murfreesboro Smiles Dentistry 10 HEDWIG VILLAGE
Texas. Opened 12/22/16. Memorial Modern Dentistry
5 ST. CHARLES
Missouri. Opened 12/02/16. Lindenwood Dentistry 11 LAKEWOOD WA
6 CLERMONT
Florida. Opened 12/08/16. Clermont Smiles Dentistry
Washington. Opened 12/29/16. Lakewood Dentist Office
12 LAS VEGAS 6
Nevada. Opened 12/29/16. Dentists of Spring Valley
Arizona. Opened 12/30/16. Tortolita Dental Group and Orthodontics
Florida. Opened 1/06/17. Weston Modern Dentistry














Around the PDS® FAMILY

“Blue Santa came to visit the kids on the nice list at Baytown 1“
“Kansas City 5 was awarded Partner of the Year by a local school district“


“Roseville 1’s team enjoying time together at Top Golf“
“The Southwest Region at the Walk a Mile event in San Diego with the YWCA“

“Merry Christmas from Dr. Birrer and the Smyrna team“


“Elyse, Ashley and Jhalisson of Davie 1 sporting their ugliest sweaters“

“Fun on a Friday with the Gallatin team“

“The Southwest Region team at SG Serve Day at Calicinto Ranch with the MDC“
“Huntington Beach 3 flexing their smiles“

“The Regional Support team at the Southwest Region Braveheart build for winning Region of the Year 2015“

“Wilsonville 1’s toy drive“

“Kansas City 3 supports the Kansas City Chiefs by wearing red on Red Friday“


“It’s all smiles and sunshine at Clermont“

“Ugly Christmas sweater fun in the Pacific South Coast Region“

“Murrieta 4 MKD® team at their Santa day event“
“Ugly Christmas sweater day at Nashville 2“


“Hygiene is important to all of the patients of Lady Lake“


“Halloween candy buy-back haul at Thousand Oaks“
“Sugar


“Kansas City 3 had an emoji-themed Halloween“


“Dublin being their wacky selves and celebrating the holidays“
“Oregon team building fun“


“Encinitas 1 team at the Southwest Region’s Braveheart for winning Region of the Year 2015“
“Hedwig Village’s first office days“

“Decorating for the holidays in Gallatin“

“Murrieta 5 OD Dr. Jackson and team with their holiday toy drive collections“
“Tigard 2 snow angel“
Land 1 MKD hot chocolate social“

“Portland 2’s toy drive“

“The Valencia 1 team had a blast collecting blankets this winter“
“The team at Davie 1“


“Gallatin having fun on Halloween“
“Tennessee offices’ Toys for Tots donations“


“Baton Rouge 1 is wacky for tacky sweater day“
“OMs Monica and Maegan from Vista 1 & 2 at the Winterfest event“

“Gresham’s baby shower for Beth“

“Dr. Vu and the Clermont dream team“


“Dr. Vicuna and team at Sacramento 3 celebrate their grand opening“
“Kansas City 4 shows off their holiday sweaters“

“Dr. Vu and another happy patient at Clermont“

“Corona 2 team as minions for Halloween“


“Ventura Main helped employees use their benefits at an end of year health fair“

“Oakland Park’s Dr. Lozada won first place for this awesome Trunk or Treat creation“

“Clermont’s team making that smile even brighter“
“Arnold team welcomes Dr. Battaglia at St. Louis“

“Introducing the super heroes of dentistry at Miami 1“

“Clackamas 1 reindeer heads“


“CEREC® training class with the Tennessee team“
“A belated happy holidays from Natomas MKD® team“


“Baby shower fun at Costa Mesa 2“
“The smiling faces of Orlando 1“


“Fresno MKD and Fresno 1 offices did a great job with their annual toy drive“
“Pacific Beach team doing a beach clean up day“


“The Midwest Region hosted their annual kickball-a-palooza“

“Awesome holiday decorations at Missouri City 1“

“Lancaster was all smiles at a local health fair“

“Wildwood’s BC Ashley & DA Joan hanging the Christmas lights“

“The Manchester team standing up to cancer“
“The Woodland MKD® team staying warm at the annual Christmas parade“


“West Covina 1 had a blast in their ugly Christmas sweaters“
“Lancaster partnered with the LA Sheriff’s Department for a holiday toy drive“

“Ugly christmas sweater day at Nashville 2“


“The giving spirit is alive and well at Wildwood“
“Santa’s elves visit Sunrise“

“MKD Fresno and Visalia 1 are enjoying some Fresno State football“


“The Pacific South Coast making SBC meetings a little more fun“
“Smile Generation® had a blast at the Live Nation employee health fair“

“Norco’s OD Dr. Dhama and team at their holiday dinner“

“Merriam 1 held a food drive for a local food pantry“


“Merriam 1 collected toy donations for local kids“
ANNIVERSARIES


JAVIER DE LEON
Registered Dental Assistant 3/11/2002
It has been a pleasure to work with someone as talented as Javier these past three years. Javier’s passion for dentistry and work ethic have been instrumental in delivering on our CEREC ® brand and creating Patients for Life®. Thank you for all you do. We truly are blessed to have you on our team and look forward to celebrating many more years. Congratulations, Javier!
− Rebecca Battistoni

DORIS JOHNSTON
Registered Dental Assistant 02/04/2002
I can’t believe how fast time has gone with Doris in our office. She has grown tremendously as an assistant. She is one of the very best when it comes to designing CEREC restorations. She has been instrumental in training the externs as they become dentists, year after year. She is extremely meticulous with all the work that she does, remains fiercely loyal to the office as well as PDS and patients! Congratulations, Doris, for 15 years! We appreciate all that you do!
− Cindy Mcavene

ANNA LE
Registered Dental Hygienist 1/10/2002
Anna’s patients demand to see her and only her. She has such a great following and we are so lucky to have her in Anaheim Hills! She helped us achieve Hygiene Office of the Year for 2014 & 2015. We’re so proud of her!
− Brian Taylor


JANET ORTEGA
Dental Assistant, Lead 2/04/2002
We are so proud to have Janet as part of our team; I have had the pleasure of working with her for the last 15 years! Janet is such a hard-working, valuable team member. We greatly appreciate all you do for all us at Yorba Linda Dental Group and Yorba Linda Smiles! Thank you for being such an important asset to our team. Happy Anniversary, Janet!
− Beatriz Reyes
DORA STEWART
Receptionist 1/14/2002
Dora is a great, hardworking, dedicated employee. She always comes to work with a smile on her face, and she is the face of the office. Patients respect her and go to her for answers. She has helped the office throughout the years by always providing her knowledge to those who come on board. I’m glad to have her on our team. Keep it up, Dora!
− Dianna De La Torre

LAURA VILLANUEVA
Registered Dental Assistant 2/25/2002
Laura is instrumental to the success of this office. Her knowledge, work ethic and tenacity are evident and drive us to be better every day. We love you, Laura, and thank you for everything you do!
− Gina Sardina

CHRISTOPHER AGUON
Vice President of Real Estate
2/07/2007
Chris has been a wonderful asset to PDS ®. His position as the Vice President of Real Estate is an integral part of the growth of PDS, and he’s done a wonderful job leading the team. His knowledge and leadership style have built a department that earns much respect internally and externally. Thank you, Chris, for being a part of the team … looking forward to many more years working together.
− Jon Thorne

ANA APARICIO
Dental Assistant, Orthodontics
2/14/2007
Ana is a great assistant and hard worker. Congrats on 10 years!
− Morgan Sanchez

CYNTHIA ARCE
Dental Assistant, Lead
3/14/2007
Cindy has been the heart of Hemet for over 10 years. She not only plays a huge role in our office but for the region in general. She is always willing and ready to teach and share her knowledge with anyone who crosses her path, as she wants everyone to be successful in their career. Her passion, drive and work ethic are unmatched. She truly makes this team thrive and we couldn’t do it without her. Cheers to many more!
− Karlee Bell

ERICA BAILEY-GUTIERREZ
Operations Manager
3/14/2007
Erica has been extremely instrumental in the long-term growth at Canyon Springs. She executes the PDS fundamentals very well, creating a culture of winning. Her competitive spirit and detailed operational skills are awesome! I look forward to seeing her grow even further. Congrats on an incredible 10-year ride, Erica!
− Dolores Von Felden-Cain



MARIKO BOMBARD
Registered Dental Assistant 3/07/2007
Mariko is such a big part of our team! She consistently puts her patients and team first, and shows great passion when providing the PPE®. She is dedicated and positively impacts our office by inspiring others to follow her example. She always works hard to stay busy, helps wherever she is needed and has the most infectious laugh! Mariko, we all love you and congratulate you on your 10 years, and many more to come.
− Kari Walters
ROSA (SUSY) CARRERA
Specialty Benefits Coordinator
1/24/2007
Susy, aka “Susy Q” is my quiet-spirited one in the office. She has a calmness about her that is gratifying. Her inner ambition triggers an openness of opportunities for her to achieve her goals. She is a person of heart and dedication. Susy is earnest and very humble. She is genuinely special.
− Florence Anaya

JENNETTE ALVARADO
Receptionist
3/28/2007
It’s been a pleasure having Jennette as part of our team at La Verne Dental Group. Thank you for your hard work and dedication to our office throughout the years! Happy 10-year anniversary, Jennette!
− Dr. Dyanadewi Iskaq

VIOLET AQUINO
Office Support Lead
2/21/2007
Violet has been a great team member. She can be consistently relied upon to put the extra effort in every time. She is a seasoned professional and her quality of work is consistently high. She has been a great asset to the company for the past 10 years and many more to come.
− Michael Paulson
ANGELA ARREGUIN
Biller
3/14/2007
Angela’s vast knowledge of billing and positive attitude allows her to be an asset when implementing new ideas and helping new team members. She is a valued member of the Billing team and a pleasure to work with. Thank you for your 10 years of excellent service!
− Austin Kane

JOSE BELTRAN
Biller
2/12/2007
Jay is a highly dedicated, dependable and hardworking asset for the Billing team. His knowledge and experience has been greatly appreciated amongst his team members, and has been incredibly beneficial to each supported office in which he had served for the past 10 years. Congratulations on your 10-year milestone. We look forward to 10 more with you.
− Rory Perez

JUANA CAMPOS
Registered Dental Assistant 3/28/2007
Congratulations Juanita on your 10 years with PDS! You are fun, caring and generous. Your compassion for patients, attention to detail and clinical expertise give both Dr. Vu and Dr. Watanabe great confidence and peace of mind when you are chair side with them. You are a primary reason our office enjoys a strong community reputation in Murrieta.
− Chip Rawlings

JOHANNA CARRILLO
Legal Assistant 2/20/2007
Johanna provides seamless assistance to our Legal team, moving transactions along smoothly and efficiently. She takes ownership of her responsibilities and is always willing to roll up her sleeves and help others. She shows an eagerness to learn more and is dedicated to her personal development. She’s a tremendous asset to our department. We all appreciate her and are very proud to have her as part of our team. Thank you, Joey!
− Christi Kulpa

DIANNA DE LA TORRE
Operations Manager
3/21/2007
I am honored to say I have worked with Dianna for the past 10 years! She is knowledgeable, hardworking, enthusiastic and willing to always find time for others. Her positive attitude is contagious. I know she will continue to grow and develop within PDS ® ! Thanks, Dianna, for all you give everyone around you!
− Diana Palkiewicz

DONALD FOULK
Owner Dentist
2/12/2007
Dr. Foulk is an inspiration to all who have had the privilege of working with him. His warmth and genuineness is palpable and contagious. One moment with him and you immediately feel like family. With more than 40 years of dentistry under his belt, he has been an incredible mentor and adviser to his owner dentist peers as well as associate dentists in the NorCal Region. I am exceptionally grateful to support him as a regional partner, and also to be able to call him a friend.
− Koert Takkunen

ESTELA (MARGIE) GUINTO
Dental Assistant, Orthodontics
1/02/2007
Margie is enthusiastic, energetic and always willing to go the extra mile! This has made her very popular with all her offices and patients. Congratulations, Margie, on your 10 years.
− Pearl Vaca

DYANADEWI ISKAQ
Owner Dentist
3/15/2007
Caring, loyal and supportive are all words to describe Dr. Iskaq. Your high-quality services as well as your contributions to the Pacific South Coast Region are greatly valued and well respected. Additionally, your commitment to your associates and their clinical development are a testament to your leadership.
We appreciate your hard work and loyalty. Thank you and congratulations on your 10-year anniversary!
− Paula Larson

MONICA MEZA
Dental Assistant, Lead 1/31/2007
Monica has been a valued team member that helped contribute to the growth of Montecito in the last 10 years. We appreciate everything you’ve done to help support the success of the office and the individuals you’ve worked with.
− Danielle Moody


TAMMY RODRIGUEZ
Legal Assistant 1/10/2007
Tammy is a valued member of our department and an asset to the organization. She approaches each assignment and interaction with thoughtfulness and attention to detail. She handles a heavy workload with efficiency and grace, always willing to help on any urgent matter at hand. Her positive attitude is contagious. Everyone loves Tammy! We appreciate her hard work and dedication. Congratulations on 10 years!
− Christi Kulpa

KIMBERLY DESOUZA
Insurance Claims Auditor
3/07/2007
Kim joined the ROC Audit team two years ago and we are so lucky to have her. Her experience working in the field has enabled Kim to provide valuable insight and identify opportunities to improve the way we do business. Kim, the Audit team wouldn’t be the same without you. Thank you for your 10 years of dedication.
− Nicholas Sottosanto

CATHERINE FUENTES
Collections Clerk
2/28/2007
Cathie has been with the company 10 years and has been a valuable member of the PDS team. She comes to work every day with the We Believes incorporated into everything she does and every interaction she has. Her commitment to the long-term vision and beliefs of the organization are truly appreciated, and we value her contributions to the Patient Payments team!
− Jonathan Roberts

FRANK HILTON
Dental Assistant, Orthodontics
1/24/2007
Frank is a big asset to our ortho team. He is in charge of our region’s back office ortho training, and has had tremendous success. He always has a big smile on his face and a joke up his sleeve. The patients love him and our team really enjoys having him around. Congrats on your 10 years!
− Luz Salido

CINDY MCAVENE
Operations Manager
1/17/2007
Cindy has played a significant role as an OM in the San Diego region. She has helped open De Novo offices as well as manage existing practices, always giving her best level of care and skills to the staff and patients. She plays a significant role as an SME for the region and contributes her talent in the development of new team members for her office and this region. I cannot wait to see what Cindy does in the future.
− Carol Garner

VIVIANA OLIVER
Operations Manager Trainee 1/31/2007
Viviana is a rock star; she was recently promoted to the OMT program and is slated to open up a De Novo office in the summer. Viviana is passionate about her job and is loved by everyone she works with. We all congratulate her on this milestone.
− Theresa Klostermann

PATTY SANCHEZ
Dental Assistant, Orthodontics
2/28/2007
Patty has been a dedicated team member at PDS and has served as an RDA for the general dentists, as well as her current position as an ortho assistant. Patty is always willing to jump in and help wherever needed and brings with her extensive experience and a great can-do attitude. Congrats, Patty!
− Lisa Lewis

FRANCINE SIMMONS
Benefits Coordinator 1/03/2007
Francine embodies what it means to deliver exceptional patient care, and it is an absolute privilege to come into work and see her smiling face each and every day. Ten years have just flown by and we are so thankful that she chooses to be a part of our team year after year. Thank you for all that you do for our patients and your peers. We appreciate you, Franny!
− Alissa Olivieri

CEDRIC TATE
Dental Assistant, Orthodontics 3/28/2007
Cedric is loved by his patients and offices. He has such a great smile that you can’t help to feel joy when you see Cedric. Congratulations on your 10 years!
− Pearl Vaca

VITRUC TRAN
Registered Dental Hygienist
2/23/2007
I have had the pleasure of working with Vitruc for over eight years now and couldn’t be more proud to have her as part of the team. Vitruc exemplifies the meaning of being a team player; she is the first one to jump in and ask how she can help or if there is anything her team needs. Thank you, Vitruc, for all you do for us, we truly appreciate it!
− Maegan Gerrish
ANGELA WILLIAMS
Biller
3/14/2007
I’ve had the privilege of getting to know and work alongside a seasoned biller like Angela. Angela has always been a dependable and knowledgeable worker, her passion and expertise for her work is greatly appreciated amongst her team members. Congratulations on all of your accomplishments over the last 10 years!
− Rory Perez


FELISHA TARANGO
Receptionist 1/03/2007
Felisha is an essential part of our office. Her compassion, motivation and team spirit are apparent on a daily basis. Felisha is results oriented and can accomplish the work of three people—all with a smile on her face. Felisha, thank you for all you do for the office, team and patients. I look forward to 10 more years together.
− Jessica Maldonado

KIVA THOMAS
Benefits Coordinator 3/21/2007
Kiva is truly one of a kind! She is full of compassion and always strives to be and do her best. She has helped create and mold the welcoming family atmosphere here at Sierra Commons Dental. She’s a pleasure to work with!
− Jacqueline Morales

EMILIO URIBE
Dental Assistant, Orthodontics
3/01/2007
Congratulations on your 10 years of service with PDS ® Emilio is an awesome edition to our ortho team. He is a strong assistant and rest assured it is never a dull moment when he is around. Thank you for all your hard work and dedication.
− Berenice Aguirre

ZAFIRO ZAPANTA
Dentist
1/02/2007
Since joining the High Desert offices 10 years ago, Dr. Zapanta has continually provided quality dental care with professionalism and confidence. Both patients and staff love his easygoing manner and quiet efficiency developed through many years of clinical practice. We are truly lucky to have Dr. Zapanta as part of our practice and look forward to his continued leadership
− Louis Stromberg DDS
DESERT MOUNTAIN
ALBERT BARBOSA
Dental Assistant, Pediatrics 3/12/2012
AARON GALLEGOS
Lead Dental Assistant 1/03/2012
CANDALI NDAHIRO
Dental Assistant, Pediatrics 1/23/2012
INGRID SPENCE
Benefits Coordinator 2/06/2012

LYSSETT BAUTISTA
Dental Assistant, Pediatrics 2/15/2012
LAUREN HANEY Assistant Manager 2/27/2012
NANCY O’KEEFE Dental Assistant 3/12/2012
CATHIE WILD Regional Manager 1/09/2012
GEORGIA
NIKKI WINDERS
Regional Front Office Trainer 3/07/2012
MIDWEST
SIMON ABRAHMS Regional Partner 1/30/2012
DALE NIEDERGALL Regional Collection Specialist 2/01/2012
NATIONAL SUPPORT CENTER
LAUREN AUSTIN Insurance Collections Specialist 3/20/2012
MIKE POLIFKA
IT Service Desk Analyst 1/11/2012
CATRINA BRIGGS-BRADLEY Biller 1/04/2012
TRACIE RIGGS Patient Relations Analyst 2/08/2012
LAURA CAMACHO
Dental Assistant 2/01/2012
MARIA HAZELL
Benefits Coordinator 1/23/2012
ERIKA RAMIREZ Operations Manager 3/27/2012
TROY CHRISTENSEN Orthodontist 3/01/2012
TEJPAUL JOHL
Endodontist 3/01/2012
DEVON SERAFINO-COLEY Dental Assistant, Periodontics 2/22/2012
BLANCA FERNANDEZ
Lead Dental Assistant, Orthodontics 2/14/2012
JOHN MORRIS Orthodontist 3/06/2012
TONYA SMITH Dental Assistant 2/10/2012
GULF COAST
SARA ALLEN Regional Manager 3/29/2012
JULIE ARREDONDO
Registered Dental Hygienist 2/06/2012
ALLISON JOHNSON Quality Assurance Analyst 1/25/2012
SARAH ROLLINS Insurance Collections Specialist 1/09/2012
THOMAS LEON Collections Clerk 2/15/2012
DENISE SANDERS
Insurance Claims Auditor 1/23/2012
TAMARA MARTINEZ
Regional Back Office Manager 1/03/2012
LESLIE OCHOA Supervisor, Plan Benefits 1/16/2012
NORTH CENTRAL TEXAS
SYLVIA CORDOVA
Lead Dental Assistant 2/27/2012
CRYSTAL ORDONEZ
Registered Dental Assistant 1/03/2012

KELLI CREECH Dental Assistant, Oral Surgery 3/01/2012
ORISSA SMITH Dental Assistant, Oral Surgery 1/12/2012
NORTHERN CALIFORNIA
VERONICA ALARCON
Dental Assistant, Periodontics 1/23/2012
TESSA CRACOLICI
Registered Dental Assistant 2/13/2012
MAGGIE FRAUSTO
Registered Dental Assistant 1/04/2012
LEANNE ZUKOWSKI
Registered Dental Hygienist 2/02/2012
CRYSTAL MARKS
Dental Assistant, Oral Surgery 3/19/2012
JASON MORGAN
Regional Manager 3/19/2012
OREGON
HEATHER HIGHFILL Operations Manager 3/19/2012
THAO PHUONG Dental Assistant 3/14/2012
KIM WRIGHT Operations Manager II 3/05/2012
JAMIE STRANG
Dental Assistant, Oral Surgery 1/30/2012
MARIA MENCHACA
Lead Dental Assistant, Orthodontics 2/01/2012
PACIFIC SOUTH COAST
CLARA BOR NAJERA Receptionist 2/16/2012
NICHOLE HUGHES Specialty Benefits Coordinator 3/05/2012
JESSICA RAMIREZ
Registered Dental Hygienist 1/30/2012
MARY SWEENEY
Registered Dental Hygienist 2/17/2012
MARISSA CASTANEDA Registered Dental Assistant 2/08/2012
TASHA MATLOCK Operations Manager 2/08/2012
SANDRA SANCHEZ Benefits Coordinator 2/01/2012
CHRISTINA TAMAYO Lead Dental Assistant 1/17/2012
SOLEDAD CORRAL Registered Dental Assistant 1/17/2012
JERRY MEZA Operations Manager 1/18/2012
KELLY SCHOFFSTALL Registered Dental Hygienist 3/05/2012
CECILLY TORRES Registered Dental Assistant 1/23/2012
CLAUDIA DUARTE Specialty Benefits Coordinator 2/27/2012
ASHLEY OLD ELK Dental Assistant, Orthodontics 3/12/2012
CHANELL SCURLOCK Dental Assistant 3/14/2012
MONICA TUMENGKO Benefits Coordinator 3/05/2012
JEFFREY YANG Periodontist 1/05/2012
MARISA GARCIA Registered Dental Assistant 3/07/2012
ABBY QUINTANA Dental Assistant, Orthodontics 2/15/2012
CHRISTINE STONER Dental Assistant, Oral Surgery 3/28/2012
CECILIA VIGIL
Lead Dental Assistant 2/27/2012
ROCKY MOUNTAIN
RACHEL BAUMHOVER
Lead Dental Assistant 1/03/2012
SILVIANA GONZALES
Dental Assistant 2/29/2012
STACEY TELLIS
Lead Dental Assistant 2/21/2012

SAN DIEGO
JOE LAWLOR
Registered Dental Assistant 1/18/2012
JAMES BERWICK Oral Surgeon 1/12/2012
BRIAN HARWARD Owner Dentist 2/27/2012
LINDSEY NUNEZ Receptionist 1/13/2012
SOUTH INLAND EMPIRE
INDIRA ABAZA Operations Manager 3/08/2012
DANA HARWARD Regional Front Office Trainer 3/05/2012
CRYSTAL PAINIA
Dental Assistant, Pediatrics 2/14/2012
VANESSA ARRIAZA Dental Assistant, Orthodontics 1/03/2012
KYNDALL KESSLER Lead Dental Assistant 2/27/2012
GRISELDA PRADO Registered Dental Assistant, Lead 3/15/2012
ADAM BURR Multi-Office Owner Dentist 3/19/2012
MARTHA HOLLIDAY Orthodontist 1/30/2012
MORGAN RECELY GOETZ Operations Manager II 3/26/2012
SCOTT CAIRNS Multi-Office Owner Dentist 3/19/2012
TINI CLARK Benefits Coordinator 3/26/2012
DUSTIN HOPKIN Oral Surgeon 2/01/2012
ARLENE STEIN Endodontist 1/23/2012
IRIS CANO Dental Assistant, Periodontics 2/27/2012
TIFFANY LONG Registered Dental Assistant 2/27/2012
ALEX RIVERA Specialty Benefits Coordinator 1/16/2012
ARACELI FEGEL Specialty Benefits Coordinator 3/27/2012
CORRINA MARTINEZ Specialty Benefits Coordinator 3/19/2012
ELVIRA SOLORIO Registered Dental Assistant 3/28/2012
ANDREA GOODE Operations Manager 3/07/2012
ANNA MOUNTAIN Specialty Benefits Coordinator 1/16/2012
CONGRATULATIONS
What’s New with Organizational & Talent Development
Working Together for the Patient
ACROSS
4. The PDSconnect ROC page has tools for _________ insurance reimbursements.
6. The first P in PPE®
7. We believe that quality performance at every job, every day, every hour is _______.
12. The second P in PPE.
14. The E in PPE.
15. Schedule for _____, and then tomorrow.
16. NSC department that helps with community involvement. (2 words)
17. Performing a proper hand-off of the patient during the PPE creates _____.
18. NSC department that helps with branding and promotion.
1. The __________ is often the first point of contact for the patient.
2. ”People don’t care how much you know until they know how much you ____.”
(John C. Maxwell quote)
3. Actively _______ to patients shows them your interest and concern.
5. We believe that everyone has the will to _______ and can make proper decisions.
8. We want to create long-lasting ______ with our patients.
9. Pick up the phone by the _____ ring.
10. We strive to be The ____ Dental Company in America.
11. The PPE often starts with the initial patient _____ ____. (2 words)
Need hints?
Check out the We Believes, the front office job aids and QRGs in the MY Success Center!
19. We believe that the way we do _______ is as critical as whether business is good or bad.
The following online courses are now available in the Specialty Training & Mastery (STM) phase of dentist development:
• Anterior CEREC® Instructor-led training (CE:12)
• Treating Patients with Special Needs Instructor-led training (CE:6)
Please reference your PDS Institute® Clinical Course Catalog for additional details.
You can access these online courses through the MY Success Center.
13. We believe in the power of _________.