

Dear PDS ® Teammates,
Message From the PRESIDENT
![]()


Dear PDS ® Teammates,
Message From the PRESIDENT
Congratulations on finishing 2015 strong! PDS hit both top- and bottomline targets—a huge achievement for a company and supported dentists who set lofty goals each year. We continue to raise the bar, and all of your hard work and dedication has not gone unnoticed.
As we continue to expand and grow, it becomes more and more essential to stay aligned around our Strategic Imperatives.
Strategic Imperatives
1. Same Practice Growth – 80 percent of PDS-supported offices achieve their production budget or vintage class growth %; and, combined the PDSsupported offices achieve aggregate production target
2. Continuing Care Growth – Patients For Life™: Increase total CCX count for GP and pediatric patients by 22 percent from 864,208 to 1,054,334
3. Ow ner Doctor Growth – Profitable Partner Growth: Increase aggregate owner dentist distributions by 30 percent
4. Be st Teams – Attract and retain talented people. Achieve a quarterly Promoter Score of 76 percent
Strategic Imperatives (Long-Term Drivers; Multi-Year):
1. Same Practice Growth
2. Best Team
3. Clinical Excellence
4. Patients For Life
5. Profitable Partner Growth
6. Live the PDS “We Believes”
Our imperatives are critical drivers for our business—both in the short- and longterm; the multi-year strategic imperatives keep us focused on PDS’s long-term strategy while we manage the company year-to-year and day-to-day. The first and foremost PDS strategic imperative is SAME PRACTICE GROWTH. Same practice growth is the engine that drives our growth, focuses us on the office-tooffice execution of the business model, and ensures that we continue to fulfill our promise to each of our supported owner dentists. Continued same practice growth will be accomplished via our second and third imperatives, which are having the BEST TEAM in place, facilitating CLINICAL EXCELLENCE in a “Clinicians Leading Clinicians in Clinical Excellence ®” environment. Our fourth imperative is
to create PATIENTS FOR LIFE through the Perfect Patient Experience ®, which helps us achieve our fifth imperative, PROFITABLE PARTNER GROWTH. And we accomplish all of this while we LIVE out the PDS WE BELIEVES, our sixth strategic imperative.
There is no better platform out there than the PDS Platform to evolve as the industry evolves. Thank you for your continued hard work and support in helping us to become The Greatest Dental Company in America. Looking forward to what we can accomplish in 2016!
Sincerely,

Stephen Thorne IV, President
It was a year of great accomplishments for PDS ® and its supported dentists. Get the complete picture of the progress we made and the good we did.
From the Mobile Dental Clinic to international dental clinics to special needs advocacy and oral health scholarships, it was a great year serving others.
Meet the President’s Club and OM Champion’s Club winners who logged the extra miles in 2015 and earned our respect, admiration and appreciation along the way.
It’s the premier summit advancing women’s health. And this year was the first time dentistry was included in the discussion.
There are so many ways to celebrate the season, and so many wonderful people to celebrate with when you work at PDS or one of our supported offices.



In 2015, we experienced significant growth in helping to open 67 supported offices, bringing us to nearly 500 PDS®-supported dental offices in 16 states. There are many reasons to which we can attribute these achievements. This “Year in Review” will give you a glimpse into all the exciting developments that PDS and their supported owner dentists experienced in 2015.
PDS-supported practices closed out 2015 with strong results across the board. On a gross production, non-GAAP basis, the supported offices’ revenues grew significantly, and overall margins were improved.
1.9%
OPERATING MARGIN IMPROVEMENT +1.9%
GROWTH BY SPECIALTY
Clinicians choose PDS ® for our platform: our owner dentist model, our focus on modern dentistry and our culture of Clinicians Leading Clinicians in Clinical Excellence ®
We exemplified the Clinicians Leading Clinicians in Clinical Excellence model with PDS-supported dentists and we ended 2015 with a strong brand presence.
• PDS-supported owner dentists onboarded 419 dentists
• 55 U.S. dental schools represented in 2015 hires; Approximately 10 universities outside U.S.
Clinical Excellence is exceptional outcomes and experiences for healthier, happier patients.
• Since the advent of CEREC, PDS-supported clinicians have completed more than 1 million CEREC CAD/CAM restorations
• 71% of CEREC completed same day
QUALITY IMPROVEMENT SUCCESS SCORE (QISS)
The Quality Improvement Success Score for GP was rolled out in early 2015. This allowed automatic QISS reporting to each individual supported GP. In late 2015, the supported owner dentists were provided access to their associate GP scores as well. 2016 will see the finalized creation of the QISS score and reporting for both pediatrics and hygiene.
PDS INSTITUTE ®
Learning doesn’t stop after dental school. The PDS Institute provides the broadest and deepest dental continuing education of any DSO in the world. Our goal: exceptional outcomes and experiences for healthier, happier patients. We journey together with the commitment to improve lives, inspire one another, and build the model for “education in practice.”
• 15 Faculty members, four chairs and growing...
• 20+ disciplines and over 500 hours of in-house CE
• Focus on the three phases of development–ICE, WTR, and STM to match the needs and wants of PDS-supported clinicians at all stages of their careers.
In 2015, 74 additional supported dentists became owner dentists, bringing the total of PDS-supported owner dentists to 296 clinicians including 14 pediatric owner dentists.
QISS: OWNER DENTISTS
CLINICAL EXCELLENCE
PERFECT P ATIENT EXPERIENCE
EFFICIENT & ACCESSIBLE MODERN DENTISTR Y
PDS-SUPPORTED OWNER DENTISTS
Expansion into two new states, new PDS ®-supported offices–these are just a few of the 2015 highlights from Operations Support.
PDS helped our supported dentists open 67 offices in 2015! We expanded an existing region with supported offices in Louisiana. We entered a new region with offices in Tennessee. And we’re not stopping there. In 2016, plans include continued expansion into Florida and helping to open a total of 70 PDS-supported offices.
67 NEW OFFICES
2 NEW STATES
Numbers represent PDS-supported offices opened in that state *PDS-supported offices opened in February 2016.
Setting new records!
• Collections: 96.0% – up 0.3 points
• Adjustments: 3.55% – down 0.1 points
• Over 90’s: 7.8% – down 1.3 points
16 TOTAL STATES MARKETING
• Non-ortho credits: 9.9% – down 0.1 points
• Over 90’s collected: 75.7% – up 3.5 points
In 2015, PDS-supported offices experienced another year of growth in new and continuing care patients by continuing to leverage the PDS marketing platform.
465,443
748,467
Specialties continue to have strong performance. In 2015, total revenue from Specialty constituted 47% of the organizational service mix! The quality of the GP referral continues to be a key driving factor in the supported clinicians’ success.
• 136 specialists onboarded by PDS ®-supported owner dentists
• More than 240 supported hygienists trained in HICE
• Engaged 100 residencies
• 28,486 specialty days added
• ICN at all-time high at 48%
NUMBER OF SPECIALTY DAYS BY SPECIALTY:
PEDIATRIC DENTISTRY
PEDIATRIC DENTISTRY:
The 81 PDS-supported pediatric offices had a fantastic year and continue to offer parents and children a great experience in a fun, safe environment. In 2015, four PDS-supported pediatric owner dentists were added, bringing the total to 14 supported pediatric owner dentists. The supported offices offer parents and children comprehensive dental care under one roof, increasing patient satisfaction and helping to create Patients For Life™.
• The leading PDS-supported pediatrics practices see 40 kids a day
497, 00 0 UNIQUE VISITORS TO SMILEGENERATION.COM
128,00 0 LIKES ON THE SMILE GENERATION®’S FACEBOOK PAGE
47% OF TOTAL REVENUE
ORTHODONTICS:
In 2015, PDS-supported orthodontists were leaders in the orthodontic industry with 22,000 case starts.
22,000 CASE STARTS
9.71MIL
SUPPORTED OFFICE SCORES WERE VIEWED ON YELP (81% INCREASE)
“In support of our company’s vision, and values, we provide quality people and learning services to attract, develop, inspire, and retain a diverse workforce through a supportive work environment.”
• Received more than 100,000 applications in 2015
• Onboarded 3,204 team members, including more than 400 associate dentists for our supported owner dentists
• 2015 marked the ninth year in a row PDS ® was listed on Inc. 5000
• Total team member growth –2013: 5,010 | 2014: 5,961 | 2015: 7,036
ORGANIZATIONAL AND TALENT DEVELOPMENT
PEOPLE AND LEARNING SYSTEMS:
• Simplification continued with roll-out of more MY Success Center modules
• 15,200 hours of Instructional Design Services
• 798 Continuing Education courses
• 27,624 Continuing Education credits awarded to PDS-supported clinicians
• Successfully rolled out trainer certification and new field curriculum
• 524 Operations Managers completed PDS workshops
PEOPLE SERVICES:
• Continuation of generous 401(k) contributions
• Introduced “paperless” onboarding experience for all new hires
• Improved benefits and expanded enterprise-wide wellness offerings
3,204 TEAM MEMBERS
524 OMs COMPLETED PDS WORKSHOPS ONBOARDED IN 2015
25% INCREASE IN HIRES
401( k)
27,624 CONTINUING EDUCATION CREDITS AWARDED
10.3% PORTFOLIO RETURN (3 YEAR AVERAGE)
EXPANDED WELLNESS OFFERINGS
WE SERVE
Across the PDS ® family, 2015 was an incredible year of service. PDS team members and supported clinicians logged more than 40,000 volunteer hours and implemented the 3D’s (Dentistry, Drives, Do Something) locally, nationally and internationally to impact the lives of thousands. Below are some of the amazing highlights:
DENTISTRY:
• Over $6.1 million in donated dentistry to over 3,400 patients
SMILE GENERATION SERVE DAY:
3,700 VOLUNTEERS
$3.75 MIL IN DENTISTRY DONATED
2,100 PATIENTS SERVED
DRIVES:
• Over 930 drives collecting over $327K worth of goods
• charity: water $478,000 donated to Ethiopia
DO SOMETHING:
BRAVEHEART:
930
$478,000 DONATED TO ETHIOPIA DRIVES
PDS team members and supported clinicians volunteered their time to build two new playgrounds and provided onsite donated dentistry.
$65,000 IN DENTISTRY DONATED THE FRIENDLY CENTER AND GARDEN GROVE BAPTIST CHURCH
130 PATIENTS
WE SERVE NATION:
40,000+ VOLUNTEER HOURS
81 PATIENTS
$47,440 IN DENTISTRY DONATED MENTORKIDS™
2015 was a great year for the Pacific Dental Services Foundation. More importantly, we helped make it a great year for thousands of others.
The Pacific Dental Services Foundation held 37 Mobile Dental Clinic events in 2015. Through these events, the Foundation served more than 1,300 patients and donated dentistry totaling over $700,000
The Pacific Dental Services Foundation significantly expanded our global impact through increased international outreach and the development of a new international dental clinic in Guatemala. This clinic provides dental, medical and nutritional education to promote overall health and wellbeing. Our combined international outreach served 1,650 patients around the world with more than $1.1 million in donated dentistry







The Pacific Dental Services Foundation collaborated with Autism Speaks, American Academy of Developmental Medicine and Dentistry, A.T. Still University and Children’s Hospital of Los Angeles on the development of a special needs training program to teach behavioral and environmental techniques that clinicians, dental assistants, and the entire office teams can incorporate into their practices.
The Pacific Dental Services Foundation began accepting applications for the Dr. Carolyn Ghazal Dental Assisting Scholarship program. The scholarship was created to help disadvantaged women find financial independence through the pursuit of
The program will officially start in 2016, and we plan to hold 10 training seminars in the first year




education. The Foundation has partnered with Dress for Success and the Salvation Army to support their clients interested in a career in dental assisting. Throughout the program, the women will receive mentorship and career placement opportunities.
This year’s 2015 Annual Awards will be announced during the XP 2016 Conference, taking place in Las Vegas, NV May 20-22. Congratulations to all the contenders! And the nominees are...
OFFICE OF THE YEAR CONTENDERS
#12 Norco
#40 Wildomar 2
#150 Fontana 2
#152 Perris
#163 San Jacinto
#246 Tucson 2
#254 Lakewood, CA
#529 Fountain
#522 Aurora 2
#634 Pearland 1
#775 San Antonio 2
ROOKIE OF THE YEAR CONTENDERS
#181 Kensington
#269 Davis 1
#272 Seal Beach
#281 Hermosa Beach 1
#288 Long Beach 1
#403 Santee 3
#568 Rio Rancho 2

COMEBACK OF THE YEAR CONTENDERS
#173 Alexander
#183 Mira Loma
#202 Las Vegas 1
#230 Hacienda Heights
#638 League City 1
#644 Humble 1
#712 Rockwall 1
PEDIATRIC OFFICE OF THE YEAR CONTENDERS
#101 Stockton MKD
#258 Laveen
#266 Queen Creek 3 EKD
#644 Humble 1
REGIONAL MANAGER/DIRECTOR OF THE YEAR CONTENDERS
Nicole Brown
Mike Butler
Jeremy Fuls
Amy Gamboa
Theresa Klostermann
Michael Roelandts
Karen Rosson
SPECIALTY REGIONAL MANAGER/DIRECTOR OF THE YEAR CONTENDERS
Jennifer Coll
Luis Gutierrez
Travis Hill
REGION OF THE YEAR CONTENDERS
SouthwestJoanna Rodgers
Pacific South Coast -
Paula Larson
Rocky MountainJoe Saporito
Desert MountainKevin Lawton

President’s Club is a prestigious honor reserved for a select few of PDS®-supported owner dentists, associate dentists and specialists. This year’s President’s Club winners will enjoy some well-deserved R&R at the One&Only Palmilla resort in Los Cabos, Mexico. Felicidades a todos los ganadores!
Dr. Darren Do Sou thwest
Dr. David Watkins De sert Mountain
Dr. Walter Jefferson Pa cific South Coast
Dr. Bradford O’Neill Ro cky Mountain
Dr. Deepika Dhama Southwest
Dr. Katie McCann Ro cky Mountain
Dr. Don Parker De sert Mountain
Dr. Jessica Peters Ro cky Mountain
Dr. Bach Nguyen Pa cific South Coast
Dr. Neusha Najafi Pa cific South Coast
Dr. Judy Aldaz Southwest
Dr. Amish Patel De sert Mountain
Dr. Sumeet Pandhoh Pa cific South Coast
Dr. Brian Nelson De sert Mountain
Dr. Tanisha Jackson Pa cific South Coast
Dr. Swati Shetty Pa cific South Coast
Dr. Ross Stokes De sert Mountain
Dr. Chris Bringhurst De sert Mountain
Dr. David Lee Southwest
Dr. Bryant Vest Northern CA
Dr. David Carlisle Pa cific South Coast
Dr. Hambik Oktanyan Pa cific South Coast
Dr. Shannon Lee De sert Mountain
Dr. Marcos Magar Pa cific South Coast
Dr. Michael Hill De sert Mountain
Dr. Adrian Lee De sert Mountain
Dr. Tim Windham Gulf Coast
Dr. Andrea Janik North Central TX
Dr. Kelley Ryals Ro cky Mountain
Dr. James Mallory De sert Mountain
Dr. Scott Cairns Ro cky Mountain
Dr. Jonathan Richtsteig De sert Mountain
Dr. Ashley Elizondo Gulf Coast
Dr. Mario Herrejon-Ruiz Ro cky Mountain
Dr. Benjamin Poest North Central TX
Dr. Robert Leslie North Central TX
Dr. Harmohinderpal Jaswal Gulf Coast
Dr. Osama Abadi De sert Mountain
Dr. Brian Freeman De sert Mountain
Dr. Thanh Tran Southwest
Dr. Arvin Ahmadieh De sert Mountain
Dr. Victoria Nguyen Pa cific South Coast
Dr. Sergio Vicuna Northern CA
Dr. Kevin Miller Ro cky Mountain
Dr. Michael Lopez Northern CA
Dr. Christopher Oates Pa cific South Coast
Dr. Sherly Sohal Southwest
Dr. Albert Soriano Southwest
Dr. Charlene Pham Sou thwest
Dr. Christian Schmidt Pa cific South Coast
Dr. Ariella Pessah Pa cific South Coast
Dr. Amanda Mercer Southwest
Dr. Elyssa Hoopes De sert Mountain
Dr. Linda Vanson Pa cific South Coast
Dr. Natalie Le Southwest
Dr. Lisa Ferguson Southwest
Dr. Michael Nguyen Endodontics
Dr. Tanya Saour Orthodontics
Dr. Kouros Izadi Or al Surgery
Dr. Eric Ellis Pe diatrics
Dr. Tommy Yun Periodontics
OM Champion’s Club honors the extra miles our operations managers go in order to keep PDS® -supported practices running smoothly and help the supported dentists perform their best. This year’s OM Champion’s Club recipients will enjoy a special seaside getaway at the Montage Resort & Spa in Laguna Beach, CA. Congratulations to all the winners and a special thanks for all you do!
1. Kimberly Haag #152
2. Mae gan Gerrish #8 3
3. Samantha Barry #246
4. Andrea Goode #211
5. Ang ela Davis #150
6. Claudia Nguyen #2 37
7. Lisa Lewis # 40
8. Ar acely Diaz #5 33
9. Claudia Uzeda #2 34
10. Re becca Battistoni #73
11. Tom Merlo # 522
12. Jen Flores #12
13. Erica Stapleton #78
14. Alisha Guerrero #5 04
15. Sara Arrazola #6 38
16. Alex Creelman #254
17. Guadalupe Santos #61
18. Brian Taylor #5 6
19. Kris Sowersby #7 75
20. Florence Anaya #139
21. Rey Lorenzo #5 5
22. Marina Tejeda #76
23. Amanda Fordyce #121
24. Marcia Cortez #2 21
25. Tr acy Kaus # 215
26. Ro sa Ravadan #258
27. Lisa Chatwood #74
28. Christina Whisenant #529
29. Tamara Brooks #2 30
30. Melanie Smith #12
31. Chassatie Davila #188
32. Sharon Brown #26 6
33. Christina Arechiga #170
1. JoAnna Kotrba #288
2. Kelli Wilkerson #269
3. Jaime Shaw #2 72
4. St acey Rodriguez #151
5. Sar a Ettinger #281
6. Kimberly Orozco #6 7
7. Amanda Vorhes #283
8. Mary Murphy #5 47
9. Ste fan Bishop #5 68
10. Christopher Bishop #5 48
11. Mat thew Ornelas #153
12. He ather Dickerhoff Kain #4 03



Reminder to all dentists milling e.max® bridges in-office.
Officially, the 40mm e.max bridge blocks are NOT recommended to be milled in the office.
The 40mm block is categorized as a block for dental laboratory use. The block recommended for use in the office is the 32mm block. The in-office mill is called the "CEREC ® MC XL" and is different than the mill for dental lab use, which is called the "inLab® MC XL".
The inLab MC XL mill uses four burs to mill a 40mm block for "CAD on" bridges, as well as a different chuck to provide more support along the length of the 40mm block. It has been reported by the support personnel from Patterson that they believe the longer e.max block in the mill creates greater vibrations during the milling process. This, along with the fact that the in-office mill has only two burs, translates to roughly double the milling time compared with the inLab MC XL mill.
While, yes, the in-office mill allows for the milling of 40mm blocks, the blocks it can mill are the 40mm PMMA blocks, such as Telio, which are much softer than ceramic blocks such as e.max. One office had damage to a mill and a 40mm block which happened to be in the mill when this occurred, costing roughly $16,000 to repair. Apparently, the excessive vibrations damaged the chuck and caused the block to become irretrievable from the machine.
The first irony is that 40mm blocks are bigger and currently cheaper than the 32mm blocks, but this may change. While I appreciate the appealing economical sense, the
nominal profit per block will be insignificant compared to one catastrophic mill failure.
The second irony is that collectively PDS ®-supported offices have milled over 4,000 bridges with 40mm blocks prior to this first catastrophic failure by a mill, and yet we do not fully understand the amount of fatigue on the machine over larger volume units per mill.
The third irony is all e.max bridges are only recommended premolar and forward, though PDS-supported offices have done thousands of molar cases without a significant increase in failures thus far. Technically, the longer span and molar bridges are recommended to be "CAD on," which is e.max material on top of a supporting zirconia framework substructure.
It has never been my intention or the National Dental Advisory Board's intention to dictate which blocks to use in the office. In fact, we have sat back and been fascinated with how it


By Charles Rodgers, DDS, VP of Clinical Quality
has evolved. There are no guidebooks to reference for the record-setting volume of units being milled in PDS-supported offices. No doubt we are pushing the limits of material and machine, with overall positive outcomes. We are creating the learning as we grow, and have become the benchmark reference along with the associated risks inherent in this role.
Regardless of the many ironies, I'll close with where I started:
Officially, the 40mm e.max bridge blocks are NOT recommended to be milled in the office.
Further information is available at http://bit.ly/1S1fLUc


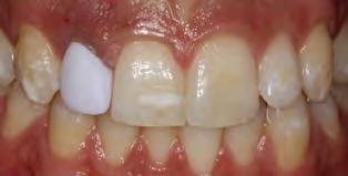
One of the hardest things to do in dentistry is to match a single tooth to the rest of the teeth. If this happens to be an anterior tooth, the difficulty is even greater. Anterior teeth are especially challenging because they have different line angles, incised edge position, embrasures, shade and texture.
A patient came in for an emergency exam with the chief complaint that he broke his front tooth trying to open a beer bottle (Fig. 1). On examination, we found that #7 had a class 4 fracture of the incisal edge leading into the lingual fossa, not involving the cingulum. The tooth was vital and responded normal to pulp tests. We discussed different treatment choices for the patient, and he chose to veneer the tooth.
It was the patient’s expectation that the new restoration would match the contralateral tooth #7 in terms of size, shape, shade position and characterization.
The tooth was prepped for a veneer, conserving the cingulum, and a scan was taken with the CEREC® Omnicam (Fig. 2). The CEREC software has a unique design method to match restorations to contralateral teeth, called biogeneric reference. This method is utilized when a tooth requires restoration but the existing shape, size, form and/or position is not desirable. The biogeneric reference generates a computer-controlled match of the contralateral tooth as the restoration design. In this case, the veneer on #7 was designed using #10 as reference (Fig. 3). The patient wished to have the slight facial overlap of the lateral incisor over the central, as can be seen with #9 and #10. Utilizing this tool, the final design was completed.
An e.max ® HT B1 block was chosen to mill the veneer, and the veneer
was milled with the MCXL milling unit. After the mill, the sprue was removed and the veneer was tried in for fit and margin verification (Fig. 4). Once satisfied, some facial re-contouring was done with a fine diamond bur to create primary and secondary developmental grooves. This was followed by using porcelain wheels to thin out the margins and emergence profile, which helps create extremely thin margins that will disappear in the mouth.
The restoration was cleaned, and received cervical and body staining to create incisical translucency to match #10 in appearance. The veneer was then put through a firing cycle in the oven to lock in the stain. After the first firing cycle, glaze was applied and the veneer was put thorough a second fire. Doing this in two separate cycles prevents the stain from being washed away when the glaze is applied.
After the second firing cycle, the veneer was tried in for patient approval, and then it was etched, silaned, and prepared for bonding. A selective etch technique was used, along with NX3 and XTR to bond the veneer.
The final result shows that the new restoration blends in very nicely with the rest of the teeth, matching in shade, appearance, and texture (Fig. 5). The close-up view shows the staining and incised translucency that was achieved with the two-cycle firing method (Fig. 6).








Maharashtra
is a PDS ® -supported owner dentist of Pleasant Grove Dental Group and Orthodontics in Roseville, CA. Dr. Patel serves as a mentor, associate trainer and dental advisory board member for PDS. He is also a faculty member and subject matter expert for CEREC within the PDS Institute ®. His high-quality case examples have been published in Compendium of Continuing Education in Dentistry and Inside Dentistry, and presented at dental meetings such as Dentaltown’s Townie Meeting, California Dental Association’s CDA Presents and CEREC 30.

I WANT
I’M SO BUSY!
How often have you found yourself saying, “There just aren’t enough hours in the day?”
If your answer is “I say/think that a lot!”, you’re definitely not alone.
One of the common frustrations coming from busy people is that there isn’t enough time to do everything they want to do. While it’s a fair frustration, it’s rooted in faulty logic. The concept of time isn’t going to change … ever. Every day we’re given 1,440 minutes to choose how to use.
While we’re facing the battle of time, we all know we’re wired for relationships. We long for quality marriages, strong connections with our kids, soul-nurturing times with our friends, and meaningful connections with those we work with. Relationships give us life.
The tension arises over time. Healthy relationships require time and time is one thing busy people don’t have.
Since we can’t increase the gift of 1,440 minutes a day, we’re forced into a corner to make difficult choices with our time if we truly desire to have strong relationships.
Choices are everything! And, as much as we don’t want to acknowledge it, our own busyness is a result of our choices. You could say, “Busyness is a choice.”
By Doug Fields, PDS® Director of Strengthening Relationships
When you do an inventory on your busyness you’ll find it rooted in the decisions you’ve made. They may have been good decisions based on good intentions, but good intentions can pile up and soon become distractions from what’s most important.
Busy people struggle with relationships because the pace of life we choose makes relational pursuit, health and repair very difficult. You can’t be a text-message parent, a drive-by spouse, or a good friend only through Facebook or Instagram.
While you may not have a plaque hanging in your house reading, “Busy is Better” … there’s a good chance you’ve unconsciously adopted it as part of your lifestyle. It’s not unusual for us to greet friends, whom we haven’t seen in a while, with the simple question, “How are you doing—keeping busy?” For some reason, we’ve embraced the lie that busy is better.
When it comes to quality relationships, busy isn’t better … choosing better is better.
Life comes down to making courageous daily choices with our 1,440 minutes. We’re often forced to choose between great and greater. Life is not a series of easy choices: “Do I pet this puppy or get a colonoscopy?” In order to have time for
relationships, we’ve got to learn to say “no” to some great things in order to say “yes” to greater relationships.
When I began the serious pursuit of choosing better in order to have space for the most important relationships, I soon came to the realization that others can do my job. There are literally thousands of others who can do my job. Yours too. But there is only ONE person who can be the husband to Cathy Fields and the dad to my children. So, when I’m saying “yes” to more work opportunities I’m saying “no” to what is most important.
Every “yes” is a “no” to someone.
My hope is that everyone connected to PDS would take time to slow their life down long enough to evaluate what is most important. When you win in your primary relationships, we’re confident that you’ll also win at work. We want to help you choose what is better.

DOUG FIELDS
Doug Fields is a communicator, consultant and writer. He’s the author of 50+ books – primarily on relationships, and he works with the HomeWord Center for Youth/Family at Azusa Pacific University.

By Lacey Schicker | Program Manager, PDS Institute
The PDS Institute faculty is committed to providing world-class education and authoring articles to share their knowledge with the greater clinician community. During quarter four of 2015 and through January of 2016, faculty members and supported clinicians capitalized on the following opportunities to grow their personal and professional brand.
Dr. Scott Cairns presented two breakout sessions at the Rocky Mountain Dental Convention, “HANDS-ON Basic Dental Photography” and “Digital Photography for the Busy Dental Office—6 Shots That Will Change Your Practice; 4 That Will Improve Your Dentistry.”
Dr. Cari Callaway-Nelson created a continuing education course for Dentaltown.com, "Life as a Young Dentist: How to be Successful in the Real World," which was highlighted in the Dentaltown Magazine New Grad Edition.
Dr. Sonny Chokka presented a continuing education seminar, “Your Lips are Moving, but I Can’t Hear What You Say!” for members of the Tri-County Dental Society. Dr. Chokka also presented on the topics of influence and emotional intelligence to over 30 support team members at the PDS® National Support Center.
Dr. Dhaval Patel created a video for the Pacific South Coast Region's Q4 supported doctor meeting covering the five reasons why he loves having CEREC® technology in his office!
Dr. Lance Rygg presented a live webinar for Dental Tribune's DT Study Club. In this one-hour webinar, "Using Implants to Improve the Success of the Dreaded Full Mandibular Denture," Dr. Rygg reviewed various methods to attach the implants to the lower denture for improving the stability and functionality of a patient’s full lower denture.
Dr. Ashley Spooner authored the article, "The Power in a Question: What Can I do for You Today?" which was published in the winter issue of the The New Dentist magazine. In addition, Dr. Spooner authored the article, "Learning to Lead," which was published in the Dentaltown Magazine new grad edition.
Dr. Jamie Toop collaborated with Tom von Sydow, vice president of strategy and platform development for surgical services at PDS, and co-authored the article, "Oral Systemic Health and THE BIG THREE," which was published in the December issue of Dentaltown Magazine. Dr. Toop also collaborated with Rebecca Sorci, dental education manager at PDS, and co-authored the article, "The Oral-Systemic Link: Monsters in Your Mouth," which was published in the October issue of Inside Dentistry
In addition to these articles, Dr. Toop presented at Prevention Magazine’s R3 Summit in partnership with Dr. Cynthia Blendermann and Dr. Brad Guyton During this presentation, the doctors led an interactive workshop, which encouraged attendees to dive deeper into understanding the oral-systemic connection and prevention of chronic diseases. Throughout the Prevention R3 Summit, Dr. Scott Keys and Dr. Rajat Diwan conducted oral cancer screenings at the Smile Generation® booth in the main hall. Dr. Brad Guyton presented on oral-systemic health as part of the main stage microbiome panel discussion moderated by Dr. Jennifer Ashton of the television program The Doctors

Matt Hall, vice president of marketing for PDS, co-authored the article, "What Really Works in Dental Marketing," which was published in the December issue of Inside Dentistry
Dr. Cody Mugleston authored the article, "Giving Back and Changing Lives: The Impact of Dental Outreach," which was published in the November issue of Dental Economics.
Dr. Michael Perpich received the Leadership Article award from the International College of Dentists for his "Changing Times" article. This was published last year in Northwest Dentistry, the journal of the Minnesota Dental Association.
Dr. Sergio Vicuna, member of the Sacramento District Dental Society (SDDS), authored the article, "A Path to Ownership," which was published in the October issue of The Nugget, the monthly publication distributed to all SDDS members.
We take this time to celebrate all PDS-related publication and education achievements for Q4 2015 and January 2016. Thank you for your contributions and for sharing your knowledge with the PDS community as well as the dental industry!
Supported dentists or hygienists interested in becoming PDS Institute faculty members can contact Lacey Schicker to get signed up for the 2016 try-outs.
*To access full articles or education, please visit the publication referenced in the description.



Why AGE 7 is the Right Time for an Orthodontic Exam
In 2015, My Kid’s Dentist ® and Every Kid’s Dentist ® saw 51,516 new patients and 123,226 continuing care patients. How many of these children will eventually need orthodontic treatment? It is estimated that 15 to 20 percent of 7- to 10-year-olds get treatment (case starts are phase 1). At MKD and EKD, we have a great opportunity to refer these patients to PDS ® -supported orthodontists and help children prevent future orthodontic problems.
Because patients differ in both physiological development and treatment needs, the orthodontist’s goal is to provide each patient with the most appropriate treatment at the most appropriate time.
The American Association of Orthodontists recommends all children get a check-up with an orthodontic specialist no later than their eighth birthday.
Here’s why:
• Orthodontists can spot subtle problems with jaw growth and e merging teeth while some baby teeth are still present.
• While a child’s teeth may appear to be straight, there could be a problem that only an orthodontist can detect.
• A check-up may reveal that a child’s bite is fine. Or, the orthodontist may identify a developing problem but recommend monitoring the child’s growth and development, and then, if indicated, begin treatment at the appropriate time for the child. In other cases, the orthodontist might find a problem that can benefit from early treatment.
• Early treatment may intercept or prevent more serious problems from developing and may make treatment at a later age shorter and less complicated. In some cases, the orthodontist will be able to achieve results that may not be possible once the face and jaws have finished growing.
Early treatment may give your orthodontist the chance to:
• Guide jaw growth
• Lower the risk of trauma to protruded front teeth
• Correct harmful oral habits
• Improve appearance
• Guide permanent teeth into a more favorable position
• Cr eate a more pleasing arrangement of teeth, lips and face
How can this benefit the patient/parent?
• It introduces the parent and child to the orthodontist.
• It helps the parent to understand potential orthodontic problems that their child could have.
• If the child does need to start some form of orthodontic treatment, they can do it in the office where they have an existing relationship.
• No t all children will need to start treatment at an early age, but when they do, their parents will feel comfortable with the office.
How can you measure your pediatric to orthodontic referrals?
The ICN Pediatric to Orthodontic 30 Day Report is available on the ICN homepage and can be accessed on the MY Office and Pediatric MY Office homepages by clicking on the “ICN Appt. %” icon percentage, or on the MY Job page under Specialty.
For parents of children with orthodontic issues, My Kid’s Dentist and Every Kid’s Dentist can provide comprehensive dental care, which will create Patients For Life™!
*The Right Time for an Orthodontic Check-up: No Later than Age 7.(n.d.). Retrieved February 11, 2016 from www.aaoinfo.org.


ERIC ELLIS, DMD
When not busy fighting tooth decay, Dr. Ellis loves spending time with his wife, two children, and his French bulldog Daisy. He is a graduate of Case School of Dental Medicine in Cleveland, OH and completed his specialty training at Children’s Hospital of Michigan in Detroit.

PACIFIC DENTAL SERVICES ® 401(K) RETIREMENT SAVINGS PLAN
While many workers are not adequately prepared for retirement, you don’t have to be one of them. Your employer offers a retirement plan to help you save, so why not challenge yourself to make the most of it. It doesn’t matter if you are just starting out, nearing retirement, or anywhere in between, financial fitness will help you reach your retirement goals.
What is financial fitness?
Just like physical fitness relies on exercise, healthy eating, and avoiding alcohol and smoking, financial fitness also requires a little planning and determination on your part. And, while physical fitness increases your chances of living well in old age, financial fitness increases your ability to retire comfortably.
FOR THOSE BORN IN 1950 THE LIFE EXPECTANCY IS 68 YEARS AND IT INCREASES TO 77 YEARS FOR THOSE BORN IN 2000, WHICH MEANS THAT SAVING FOR RETIREMENT IS MORE IMPORTANT THAN EVER.
Follow these steps to increase your financial fitness:
Where do you want to be in five years? Ten years? Do you want to purchase a home or save for your children’s college education? How do you want to spend your retirement?
What do you want to achieve? Do you want:
To be debt free
Help send child(ren) to college
Purchase a home
Pay off mortgage
Save for remodeling projects
Go back to school
Travel
Enjoy your hobbies
As you set goals, you’ll have a better understanding of what you will need to do to reach those goals. With regular action, you’ll be able to work toward your future financial stability while tracking your immediate needs. Remember, short-term changes can have long-term effects.
What are some actions you can take to achieve your goals?
Create a monthly budget
Reduce credit card debt
Monitor credit report yearly
Research college savings options
Review and update your beneficiaries
Start an emergency fund
Do a retirement wellness checkup
It’s important to continue to take action to keep the momentum going. A financial professional is like your financial fitness trainer. They can help you put together a financial action plan based on your specific goals.
Set smaller goals for yourself along the way for both short- and long-term goals; this will help keep you motivated. Find a way to reward yourself as you reach a benchmark.
Having an accountability partner, such as a spouse, friend and/or financial professional, is another way to stay on track. By staying focused and remaining committed to your plan, you can reach your financial goals.
Get financially fit today!
Note:

By Rebecca Sorci, Dental Education Manager

There’s a growing body of evidence that oral health offers serious implications for overall body health—and Smile Generation ® -trusted dentists are leading the charge in spreading the word. Nowhere is this more evident than in The Smile Generation’s participation in Prevention Magazine’s National R3 Summit on Saturday, January 16 in Austin, TX. R3 is an annual event focused on advancing women’s health through education and interaction with some of the leading minds in health and wellness. This year was the first time dentistry was included in the discussion.
Charles Whitney, MD, one of the principal experts in oral systemic health, noted that this was the first time the topic of oral systemic health was highlighted in a large-scale public forum. As such, Prevention described The Smile Generation to R3 attendees as ‘the most progressive and influential aggregate of dentists promoting oral health.’
An estimated 1,000 people attended this year’s R3 event at Austin’s renowned Moody Theater, where award-winning journalist, news anchor and bestselling author Joan Lunden kicked off the event and served as keynote speaker. The programming on the main stage continued with doctors and health and wellness experts, including Dr. Jennifer Ashton and Dr. Travis Stork from the TV show The Doctors.
The Smile Generation booth was a hot-spot for guests throughout the day, with Dr. Scott Keys and Dr. Rajat Diwan conducting oral cancer screenings. Local dental hygienist Paula Drier-Smith supported the doctors in facilitating the screenings and providing valuable information to guests about the screening procedure and general preventive oral care. While attendees waited for their screening, local support
team members created a memorable experience for guests with giveaways and information on Smile Generation-trusted dentists in their area to follow up with full exams.
Taking the main stage in the afternoon, our own Dr. Brad Guyton, vice president of clinician development and dean of the PDS Institute ®, focused on the human microbiome. Dr. Guyton championed the importance of oral systemic health and the correlations between gum disease and chronic conditions in the body, including heart disease, stroke, diabetes and pregnancy complications (premature, low-birthweight infants). Dr. Jennifer Ashton moderated the panel, which also included Dr. Gary Kaplan, founder and medical director of the Kaplan Center for Integrative Medicine, and Dr. Carrie Daniel, assistant professor at the University of Texas MD Anderson Cancer Center.
Following Dr. Guyton’s panel discussion, Dr. Jamie Toop, PDS Institute faculty member and subject matter expert in oral systemic health, and Dr. Cynthia Blendermann, Smile Generation-trusted owner dentist and former registered nurse, led an interactive workshop that encouraged attendees to dive deeper in understanding the oral-systemic connection. The doctors helped teach participants how the oral bacteria causing chronic conditions in the mouth, including gum disease, cavities and endodontic abscesses, have been correlated with chronic systemic diseases, including seven out of the top eight leading causes of death reported by the CDC, as well as other harmful conditions such as pregnancy complications and erectile dysfunction.
Using a fire resistant balloon, Dr. Toop conducted an experiment demonstrating how disease prevention can protect the arteries. Attendees also learned about the significance of maintaining a balanced salivary pH through a healthy diet


and proper oral hygiene to help prevent oral bacteria from proliferating and causing cavities and gum disease.
Dr. Blendermann led participants through a breakout activity to measure their own salivary pH and see where they currently fall on the pH scale. The workshop ended on a high note with quiz questions on oral systemic health that were used to give away Oral-B ® electric toothbrush kits to the first two attendees answering correctly.
Overall, the impact of The Smile Generation® at the event far exceeded expectations. A record 150 oral cancer screenings were conducted in a single day, and the knowledge and tools shared by the clinicians will help attendees understand how to achieve whole body health and share their learnings with friends and family.
The Smile Generation was proud to sponsor this event and honored to have its trusted clinicians be the first to utilize this type of platform in promoting oral systemic health.
We’d like to extend a heartfelt thank you to the six clinicians who were vital in making this event a success, as well as the support team members from both NSC and the North Central Texas Region who worked tirelessly in the planning and execution. The Smile Generation and its trusted clinicians remain committed to promoting oral systemic health and collaborating with Prevention Magazine to support individuals in pursuing a healthy lifestyle and achieving overall health and wellness.
By Gary Pickard, Director of Government & Industry Affairs
Throughout 2015, we shared the successes and achievements accomplished by many PDS ® -supported dentists; from dental board appointments to industry nominations, from articles written by and about them to invitations to participate at industry events and speak to other industry leaders.
This edition of PDS Life is dedicated to our growth and the successes of 2015, so I thought I’d take this opportunity to share some of the work behind the scenes that helps contribute to those successes.
A favorite quote of mine that I hear regularly around PDS is from Arnold H. Glasow, a successful American businessman from the early 20th Century – “One of the tests of leadership is the ability to recognize a problem before it becomes an emergency.” The leadership at PDS understands this and works hard to pass this test.
The Legal/Legislative team recognized several problems in the regulatory and legislative arenas this last year that had the potential of becoming emergencies. In Washington, we continue to protect dentists’ choice with proposed legislation. In Texas, we’re working to prevent an overreaching dental board from imposing more unnecessary regulations. In Minnesota, we seek to persuade the dental board away from moving forward with unauthorized audits and harassment of DSOs. In Georgia, we’re working with the board on new rules. In all of these states and more, we’re establishing dialogue and developing relationships with state and local dental components to improve understanding and avoid future requests for needless regulations and/or legislation. Likewise, we’ve met with influential state legislators— governors, attorney generals, senators, representatives and even a U.S. congresswoman. Many have visited supported offices and met with team members in those practices, generating a greater understanding and appreciation for what we provide their constituents and community. Thank you to all of those owner doctors, associate doctors, hygienists and non-clinical team members for their leadership and willingness to help.
We also continue to partner with DSOs in other states on various regulatory and legislative issues via the Association of Dental Support Organizations. This cooperation even extends to states where we aren’t yet operating—such as Maryland, Wisconsin, New Jersey, Indiana, Iowa, Virginia and Illinois—in anticipation of future needs.
The landmark Supreme Court decision in Federal Trade Commission vs. North Carolina State Board of Dental Examiners benefitted our industry greatly. The FTC has sent letters to dental boards who have overreached, such as the boards in North Carolina and Texas. States have received guidelines from the FTC on how to interpret the decision and what it means to them and their boards. State boards have had visits or communication from their attorney general’s offices further explaining the decision, and often warning them against engaging in potentially anti-competitive behavior.






By being proactive and working closely with supported clinicians and their practices, we ultimately reduce the cost of business and increase the opportunities for those we support today and in the future.

By Dr. Brad Guyton, Vice President of Dentist Development and Dean of the PDS Institute®, and Matt Hall, Vice President of Marketing
This is an abbreviated version of the article published in the December 2015 issue of Inside Dentistry
This collaborative effort was an opportunity for the authors to share their expertise regarding current marketing trends to support the dental community at large.
Two decades ago, dentists didn’t need to worry much about marketing. Now, spending ranges from 1% to 10+% on the P&L statements of most dental offices. Patients not only expect dentists to market the services they offer, but they also expect exceptional experiences. How do we keep continuing care patients and attract new ones in 2016? The answer lies in coordinated and branded touch points. It takes the average consumer six outstanding touches to finally pull the trigger.
We sifted through all the marketing options and summarized what really works for practices in ten easy-to-implement best practices:
1. VISIBILITY MATTERS
The location of the dental practice can be one of the best marketing tools to attract new patients. Gone are the days of hiding an office in the back of a medical complex. Regardless of location, we must be involved in our local communities and host community events at least two times each year.
2. CRAFT A MARKETING PLAN
Create a targeted marketing plan by first identifying the area where you want patients to come from in your community. Second, determine what types of patients you want to see and where to find them. Third, determine your budget and stay within it.
3. TRACK YOUR SPENDING
We must set up ways to track every touch point so we can guide the patient through the office experience predictably. Many digital companies have unique ways to measure your campaign ROI. A good rule of thumb is to maintain a minimum ROI of 5:1 on marketing spend. Shoot for an ROI goal of 10:1 or 15:1.
4. SEEK OUT NEW PATIENTS
The average value of a new patient over the first 12-month period ranges from $1,200 to $1,500. At that value, loss leader marketing (free exams or whitening) may be a worthwhile investment. When current patients have a great experience, ask for referrals by simply handing them business cards. The fastest way to grow a practice with loyal patients is still from within the practice.
5. KEEP CURRENT PATIENTS
Continuing care patients are essential to any practice. Spoil patients with on-time service, painless same-day dentistry, after-hour care calls, unparalleled accessibility and a confident, caring attitude. Continue to evolve customer experience touch points so that patients always have one more reason not to leave.
Patients not only expect dentists to market the services they offer, but they also expect exceptional experiences.
6. WOW THEM WITH YOUR WEBSITE
Keep websites simple and current. Consumers want to find a phone number fast and learn more about the practice team. Using pay-perclick services on Google, Bing and Yahoo can also be an extremely effective marketing tool with high ROI when managed properly.
7. USE SOCIAL MEDIA OR DON’T
The concept is simple—only engage in social media if the owner or a team member is willing to keep it current with meaningful, unique content for patients. Facebook remains the most valuable social media site for practices; Instagram and Twitter have not proven as effective to-date.
8. COORDINATE YOUR CUSTOMER TOUCHES
Today, phone call reminders still prove to be effective, and email is preferred for adults 18 to 54. Text messaging is now a standard method of communication, as long as FCC rules are followed. Direct mail can still be useful, but expect only a 1% to 2% rate of return. The key is finding the right balance to attract new patients and bring continuing care patients back.
9. FOCUS ON FEEDBACK
Yelp and other review sites can make or break a practice. Learn from the occasional negative review. Service customers by listening to what they want, and act on their requests quickly. The best practice for responding to a negative review is to send a private message and apologize. A public response should be avoided if possible.
10. ROLL OUT THE RED CARPET
New patients are important, and retaining patients is even more important. Listening to patients and helping them have a positive experience will go a long way in gaining their trust and loyalty, and promoting organic referrals.
By utilizing these fundamental best practices, practice owners can maximize their marketing ROI. Quality dentistry and exceptional patient experiences still trump any external marketing magic bullets.
PDS ® is proud to announce the newest additions to our family of supported owner dentists. The progression from associate dentist to owner dentist is significant, not only for these amazing individuals, but for the future of the company. Every owner dentist who chooses to invest in a practice supported by PDS is an indication of the growing strength of the PDS platform. Congratulations!

Dr. Mark Dindal Sahuarita Modern Dentistry and Orthodontics
Desert Mountain November 2015


Dr. Kevin Tan Green Valley Modern Dentistry
Desert Mountain November 2015


Dr. Franklin Chu
Meadows Dental Group Southwest January 2016


Dr. Stephen Brown
Prescott Modern Dentistry and Orthodontics
Desert Mountain February 2016


Dr. Sean Hanna
Broadway Smiles Dentistry and Orthodontics
Desert Mountain November 2015


Dr. Lindsey Alexander-Varghese
Rayford Modern Dentistry
Gulf Coast December 2015


Dr. Ariella Pessah Downey Promenade Dental Group
Pacific South Coast January 2016


Dr. Albert Soriano Menifee Dental Group and Orthodontics Southwest February 2016


Dr. Judd Boehme Lemmon Valley De ntal Group
Desert Mountain November 2015


Dr. Russell Mitchell Pinnacle Modern Dentistry
Desert Mountain November 2015


Dr. Tasnim Arsiwala Woods Dental Group and Orthodontics
Gulf Coast December 2015


Dr. Lavanya Rudrapatna Village Smiles Dentistry and Orthodontics
North Central Texas January 2016


Dr. Mitchell C. Wilkinson
Woodbury Smiles
Dentistry
Minnesota February 2016


Dr. Jessica Raber
Ballard Modern Dentistry
Pacific Northwest November 2015


Dr. Willie Cradoc
The Heights Modern Dentistry
Gulf Coast November 2015


Dr. Beatriz Springer
Keller Modern Dentistry and Orthodontics
North Central Texas November 2015


Dr. Winston Lin (Pediatric Owner) Elk Grove Dental Group and Orthodontics
Northern California
December 2015


Dr. Adam Schaefer 7th and Bell Dental Group and Orthodontics
Desert Mountain January 2016


Dr. Brian Polillo Lynnwood Crossroads Modern Dentistry and Orthodontics
Pacific Northwest December 2015


Dr. Todd Vincent Loveland Modern Dentistry and Orthodontics
Rocky Mountain January 2016


CORRECTION
Dr. Nathaniel Leng
Imperial Dental Practice and Orthodonticss
Pacific South Coast
September 2015

Across the PDS ® regions, peers and families gathered to celebrate the holidays together and to close out the year with a bang!
The Desert Mountain Region was full of holiday cheer, hosting several parties across Arizona and Nevada. From a festive bowling extravaganza to a westernthemed steakhouse dinner to small dinner parties, we ran the gamut of celebrations. In keeping with our regional culture of teamwork and giving back, we made sure to incorporate charity elements into our celebrations. Each of these events created a wonderful occasion to celebrate all the hard work and close bonds formed with our fellow DMR teammates!
The Georgia Region held their Christmas party at No Mas! Mexican Cantina in beautiful downtown Atlanta. The night was filled with great food, great people and a lot of great times. It was an amazing night of fellowship and such a wonderful way to thank everyone for a great 2015.
The Midwest Holiday Party was held December 5 at the Stoney Creek Lodge. Everyone enjoyed great food, drinks and a terrific DJ. Team members were included in a raffle to receive prizes such as signed Kansas City Chiefs helmets, a 50” screen TV, gift cards, tickets to sporting events, a Kate Spade purse, an Amazon Fire and many other great prizes. The night could not be completed without the Annual Midwest Holiday Party Dance-Off. A great time was had by all!
The Northern California Region enjoyed some regional holiday revelry with gatherings in Livermore, Petaluma and Sacramento. Dublin’s Dr. Karleen Boparai and Sabrina Sudarsana celebrated a year of success with their team, led by Regional Manager Steve Arbabi, at SAUCED in Livermore. Brentwood’s Dr. Mark Nakhla and his team also joined the group at SAUCED for a good time! Regional Manager Stephanie Ross hosted a celebratory dinner for her teams from Fairfield, Castro Valley, Rohnert Park, Novato, Petaluma, Vacaville and Pinole. Sacramento took some celebratory selfies in costume with Regional Managers Ashlee Adams and Julie LaZar as well as Regional Support Manager Katrina Davis, and their spouses.
The Pacific South Coast Region celebrated another year of hard work, dedication and teamwork, with two family picnics! Neither rain at Sylmar nor 100+ degree temperatures in San Dimas could stop us from having a blast at the inaugural Pacific South Coast Family Fun Day! Children enjoyed face painting and jumping in the bounce houses, while we all enjoyed kettle corn, cotton candy, ice cream, hamburgers, hotdogs and more! The biggest hit was the “game master” who got us up and out of our seats to compete in fun and whacky games with both the kids and adults. With plenty of prizes and laughter, Paula Larson noted, “It was so much fun to celebrate and meet the families of all our teams!”
Centerville 1 had the opportunity to get together for a night of Paint and Sip to honor the holiday season! A night of celebration was spent with a wonderful group that we are so grateful to be a part of! Merry Christmas and happy holidays!

Fountain 1 – It was a privilege to have the opportunity to get all of these wonderful people together in one place, at one time! Fountain 1 couldn’t be happier to have so many amazing people to work with and to celebrate this joyful time of year with! Here’s to a blessed holiday season and a happy New Year!
Highlands Ranch 2 – Highlands Ranch decided to put their bowling shoes on while celebrating this holiday season! We had a night full of bowling, laughs and GREAT company! There’s nothing better than sharing this time of year with such a great team!
RMR Support – What a great time of year to spend with such an amazing group! The Rocky Mountain Region Support team got together for a holiday meal in downtown Golden, CO. Cheers to a healthy holiday season and to a great year!
The Southwest Region hosted their holiday party at Wilson Creek Winery in Temecula, CA! There was a Havana Nights theme, and we all showed up dressed to impress. Some activity highlights were salsa dance performers and lessons, cigar rolling, wine tasting in the Barrel Room and no shortage of laughter and letting loose with our PDS family!




















































Opened in November
Opened in December
Opened in January
SEATTLE 1
Washington. Opened 11/03/15. Ballard Modern Dentistry
RANCHO SAN DIEGO 2
California. Opened 11/04/15. Rancho San Diego Dentists
SCOTTSDALE 4
Arizona. Opened 11/10/15. Pinnacle Modern Dentistry
LAS VEGAS 2
Nevada. Opened 11/17/15. Spring Valley Dentist Office
HENDERSON 5
Nevada. Opened 11/17/15. Green Valley Modern Dentistry
HOUSTON 9
Texas. Opened 11/17/15. Windermere Dental Group
CHANHASSEN
Minnesota. Opened 11/24/15.
ROSWELL
Georgia. Opened 12/02/15. Roswell Smiles Dentistry
TIGARD 2
Oregon. Opened 12/08/15. Tigard Modern Dentistry and Orthodontics
EAGAN
Minnesota. Opened 12/08/15. Eagan Smiles Dentistry
BATON ROUGE 1
Louisiana. Opened 12/10/15. Acadian Modern Dentistry
FRIENDSWOOD
Texas. Opened 12/15/15. Friendswood Modern Dentistry
KANSAS CITY 5
Missouri. Opened 12/15/15. Liberty Oaks Dental Group
SMYRNA
Tennessee. Opened 12/22/15.
Smyrna Modern Dentistry
California. Opened 12/29/15. East Village Dental Group
SAN DIEGO 1
California. Opened 12/29/15. Downtown SD Modern Dentistry
LONGMONT, CO
Colorado. Opened 12/29/15. Longmont Modern Dentistry and Orthodontics
DENVER 3
Colorado. Opened 12/29/15. Highlands Dentists
SPRING 4
Texas. Opened 12/29/15. Rayford Modern Dentistry
LADUE
Missouri. Opened 12/29/15. Ladue Dental Group
FOUNTAIN 2
Colorado. Opened 12/30/15. Cheyenne Mountain Modern Dentistry and Orthodontics
PEACHTREE CITY
Georgia. Opened 12/30/15. Peachtree Dental Group
HENDERSON 6
Nevada. Opened 12/31/15. Green Valley Smiles Dentistry
SILVERDALE
Washington. Opened 1/19/16. Silverdale Smiles Dentistry
LAFAYETTE
Louisiana. Opened 1/21/16. Lafayette Modern Dentistry
MODESTO
California. Opened 1/21/16. Modesto Modern Dentistry




























“The Reno and Sparks OMs took time for a team building activity“
“Cottonwood had the Force with them at the town’s holiday parade“

“Santee 1, 2 & 3 Christmas group photo“

“Dr. Cuenca has a special patient at Fresno1. HO HO HO!“


“Riverside 5 Toys For Tots toy drive“
“Dr. Arora at My Kid’s Dentist® in Folsom tries to wrangle all of her ‘Things’ on Halloween“


“Dr. Lopez and his team at Livermore 1 celebrate a very successful toy drive benefiting Toys for Tots“
“East


“Dr. Abdelkarim & teamholiday breakfast“
“Dr. Bautista and his team from West Sacramento enjoy a Sacramento Kings Suite Night as the winners of the Benefits Remaining contest!“





“Goodyear hosted a toy drive collecting over 80 toys for local kids in need“

“Eastvale office picnic team outing“
“Dr. Hsieh & teamholiday breakfast“


“Palmdale 2 Toy Drive for CHIPS“
“We Run the City 2015 team picture“


“Palmdale 1, Palmdale 2 and Lancaster at the Palmdale Color Vibe Run“
“Race for the Cure“


“Yucaipa supporting We Run the City“
“Dr. Henry Nguyen of Orange and his ‘Super’ team“

“Chino Hills volunteering with The Let it Be Foundation“


“High Desert OMs receive an award for their offices’ donations to Ft. Irwin’s Santa’s Workshop“
“Palm Desert 2 attended Paint El Paseo Pink event in honor of breast cancer awareness“

“Camarillo 2 was excited to see Santa at a local 5k“


“Dr. Janki Patel with the Marietta office dropping off Toys for Tots donations“

“La Verne Halloween circus“

“Eagan rocks funky sox“
“Happy Birthday Dr. Choi from the Midwest Region“

“Dr. Bratcher and the Lewisville team celebrating the holidays in style.“

“Albuquerque 7 was filled with ‘JOY’ for their grand opening this holiday season!“


“Rockin’ the Park with Fort Worth 3“
“Holli Gallaher and team celebrating the life in BRONCO’S COUNTRY!!!“


“Fountain 2 hit the ground running with their grand opening!“
“Blue Springs had some fun with their holiday sweaters“


“Kansas City 5 OM Patrick and RDH Liz showing their smiles“
“Sugar Land 1 MKD hot chocolate social“


“NCT offices partnered with Genesis Women’s Shelter to collect gifts for families in need.“
“Fall in love with the team at League City1“


“The start of our Toys for Tots drive at Katy 3“

“St. Louis 1 team cleaning OM Maria’s teeth“

“Castle Rock enjoyed a visit from the big man himself!“
“Longmont welcomed friends and family before their grand opening!“


“Manchester team photo“
“Doing Christmas in style at Colorado Springs 3!“


“Who’s got ugly sweaters? Loveland 1 has ugly sweaters!“
“Ringing in the New Year at Lone Tree!“


“The employees at Colorado Springs 1 shared their favorite holiday traditions!“
“Lake Jackson1 ribbon cutting ceremony“

“Merry Christmas from the team at Lone Tree“


“Spring 4 hosted a ribbon cutting ceremony with the Woodlands Area Chamber of Commerce“
“Smile Generation® had a blast at the Live Nation employee health fair“

“The team at Nashville 2’s grand opening“


“Lee’s Summit showing their goofy side“


DR. EDWIN ESPELETA
Owner Dentist
1/01/2001
I t i s a pleasure to work with and support Dr. Espeleta. We started working together 15 years ago in the first Murrieta practice. Over the years I have seen him grow both personally and professionally. Through all the years of working with him, his character and loyalty to his partners, staff and patients has never wavered. I wish him and his practice continued success. I am proud of you Doc. Congratulations on a great 15 years!
Mike Butler

3/01/1996
Gloria worked her way up to OM2 from receptionist. Her drive and desire to succeed is exemplified in the success of the Chino Hills office. Gloria has earned the respect and loyalty of her employees, as well as her peers as she truly cares about her patients and her entire staff.
−Dolores Von Felden-cain

Registered Dental Assistant 1/17/2001
Congratulations Nichole on your 15-year anniversary! Ni chole is our only RDAEF in the office. She is an extraordinary a s sistant and a huge part of our office. Nichole has an amazing passion to serve. She is always eager to volunteer and has participated at Braveheart, Special Olympics, Give Kids a Smile, and other various We Serve events. Thank you Ni ckins for all you do! Redlands Dental Group appreciates you. And from Dr. Tanisha Jackson: Where have the years gone!15 years ago she became my new dental assistant at Bear Valley Dental Group in Victorville, CA. Since then she has become an RDAEF and an irreplaceable member of the R D G family. She enthusiastically volunteers for many We Serve events and has taken a special interest in serving the Ethiopian community. She will be making her sixth trip to Mekele with the Smile Generation ® team this April. Patients and coworkers appreciate Nichole for her blend of loyalty, honesty and charm. Congratulations on celebrating your 15-year anniversary. RDG is lucky to have you, Nickins!
Lisa Chatwood

Dentist 3/22/2006
Dr. Aguilar sets the highest standards in comprehensive care, her results show it, and her patients are extremely loyal to her! She is a solid leader who is well respected by the entire team! We all loving working with her!
Dr. Carolyn Ghazal

Registered Dental Assistant 1/11/2006
People make a difference in all avenues of life, I'm pleased to have someone on my staff that has the ability to help give people back their smile. Thank you for all your hard work Annette.
Mayra Torres

Dental Assistant, Lead 1/04/2006
Nicole’s kind demeanor has served as our back office “rock” for the last 10 years. Patients love seeing her gentle smile and caring manner. She serves as an excellent example of what an RDA should be and we are so lucky to have her!
Alissa Olivieri

Operations Manager 1/25/2006
I have had the pleasure of working with Michelle for 9.5 years. She is a huge asset to not only the company but our team. Her commitment to her role and desire to have financial results sets her apart from her peers and allows her to be a huge resource. Looking forward to 2016 as well as years to come! Thank you for all your hard work and dedication, you are a joy to work with!
Sarah Groft

Operations Manager 3/29/2006
Marissa has been a huge success in all the offices she has worked at in the Pacific South Coast. Her drive to succeed is evident by her working her way up the ladder into the OM role. As an OM, Mari has exceeded expectations at Claremont Modern Dentistry. Her relationship and partnership with her owner doctor, Soojin Lee, is one of the best in my region. She consistently lives the PDS ® “We Believes” and her competitive drive is second to none. Congratulations on 10 years!
−Erin Ortega

ANDREA AMESCUA
Benefits Coordinator 3/29/2006
Andrea’s achievements begin with an idea. Her innovations put those ideas in front. When others rush headlong into new undertakings, Andrea remains mindful of the finishing touches that make a good job a superior job. Success can never be achieved unless someone like her has the vision and desire to initiate it. This is the direct result of her dedicated effort towards reaching her goal. She takes pride in her daughter, Sophie. She honors her daughter by her continued efforts in her goal to be the best role model she could possibly be.
Florence Anaya

Registered Dental Assistant 2/15/2006
We are truly lucky to have such a dedicated RDA who has helped support the office from day one. Yasaret’s commitment to patients and team is phenomenal.
Erica Bailey-Gutierrez


Dental Assistant 2/01/2006
I have had the pleasure of working with Brian since he began this journey and he has developed into a very strong assistant in the Foothill Ranch office. He is fun and outgoing and is able to establish a special relationship with his patients! He is such a pleasure to work with! Cheers to 10 years, Brian!!
Lisa Bradley

Dental Assistant, Orthodontics 1/11/2006
Cecilia is an important and vital asset to this office. Her commitment, efficiency and overall leadership qualities are what keep our ortho program reaching new goals! She is an incredible ortho assistant and the Southwest Region is lucky to have her. Thank you for your dedication and 10 years of service!
Monica Cabral

Specialty Benefits Coordinator 1/09/2006
Gia has been a shining star in the Pacific South Coast for 10 years. She is well known across the region for being the first one to sign up for any We Serve opportunities and serve with energy and enthusiasm. Her willingness to mentor, support and develop others in any office shows her leadership and commitment to her team, PSC and PDS overall. Thank you, Gia, for all you have done and continue to do!
Christine Reeher


BETSY JAUREGUI
Dental Assistant
2/14/2006
Betsy is a ray of sunshine for every patient she interacts with; her charisma is vibrant and her energy is contagious. The office is fortunate to have an RDA that makes patient care a priority.
Jennifer Kahane

JENIK KOCHARIAN
Registered Dental Assistant, Lead
2/01/2006
Jenik has been one of the hardest working, most loyal and dependable employees I have ever had the pleasure of working with. We are so lucky to have someone as caring and kindhearted as Jenik in our team. Thank you for your support and dedication. Congratulations on your 10-year anniversary with PDS!
−Mahnaz Tavakoli

ISAAC LOREDO
Dental Assistant
3/08/2006
Isaac is a pleasure to work with and patients LOVE him! He acknowledges patients in the waiting room and sets them at ease while they are waiting. Isaac is a team player and helps out however he can whenever he can, even taking care of responsibilities that haven't been assigned to him. He is quick, efficient, knowledgeable and always smiling. We appreciate all of Isaac's hard work!
−Jessica Panepinto

JESSICA MALDONADO
Operations Manager
1/18/2006
Jessica is an exemplary employee and a top performer who possesses superior leadership and patient service skills. Jessica embodies the intelligence, compassion and acumen required to lead a winning team and bring the mission to life in serving our supported ODs, clinicians and platform. Congratulations Jessica! Wishing you another 10+!
−Maha Said-Shariff

Registered Dental Hygienist 2/24/2006
Thank you for all your hard work. You have built the hygiene program in Menifee by taking care of each patient as if they were your family. The passion and focus you put into the quality of your work is inspiring. You have added so much value to the practice and are instrumental in growing our p erio program to six days a month. As many have said, you are world class with a heart of gold. C ongrats on 10 years of creating
Patients For Life™!
−Erica Stapleton

LORENE KING
Senior Cash Reconciliation Specialist
3/29/2006
Lorene started her role at PDS ® as an accountant but I persuaded her to come over to the dark side and join the cash team. We are so thankful she did. Lorene plays such a vital role on the team, from month-end processing to our resident birthday guru. Thank you Lorene for your 10 years of service!
Tammy Spicer

EVELYN LINDLEY
Operations Manager
2/22/2006
Evelyn is a highly dedicated and outstanding employee who exudes confidence, compassion and a commitment to excellence. She has incredible energy and enthusiasm that is absolutely contagious. Evelyn embodies the operational knowledge and financial acumen to lead her team towards growth and success. Congratulations Evelyn on a great 10 years; wishing you many more to follow!
−Daniel Rodriguez

CHRISTINA LOWE
Regional Manager
3/22/2006
Christina has had multiple impacts in several regions since coming to the RMR. We appreciate her drive and commitment to helping us succeed!
−Joe Saporito

Owner Dentist 2/22/2006
Dr. Giselle Mar leads her team with passion and fun. Her OM, Kevin, sees her as one of his mentors and respects her approach with patients and the “family” relationships she earns with them. I know Dr. Mar’s love of teeth started at an early age—always knowing that she would be a dentist. Her love of what she does is evident to her patients and team. Happy 10-year anniversary!
−Paula Larson

Dental Assistant, Lead 3/29/2006
Thank you Jess for all your hard work and loyalty to me, the team, patients and Dr Ghazal. It’s a big ship to run and you do it very well. Congrats on 10 years of service and your beautiful baby girl!
−Erica Stapleton

Dentist
2/20/2006
Dr. Kimmie has been a rock solid and integral part of the offices from her first day. It is not often that a dentist thrives on the energy of more patients and never lets her warmth and professionalism slip. Dr. Kimmie has found a wonderful balance between her work here and her lovely family. I hope for many years of working alongside Dr. Kimmie. Way to GO!
−Dr. Steven Lynn

Business Architect
2/15/2006
Tim brings considerable dental experience, technical expertise, passion and a sense of humor to IT. He is an extremely valuable player on the PDS ® team and I have been lucky to work with him for 10 years now.
Thanks Tim!
−Erik Jackley

Registered Dental Assistant
2/22/2006
Hilda is one of our amazing RDAs at Walnut Smiles. Her smile can really make a patient feel at ease. She can be soft spoken, but she really has a way of connecting and creating a strong bond with the patients she helps in the office. Thanks for being amazing Hilda!!! Congrats and here's to 10 more years!
−Marcia Cortez

Registered Dental Hygienist
3/22/2006
Freida joined our team in June of 2015. She has brought a wealth of experience to our office and hygiene program and has been able to support Dr. Bautista and associates with providing our patients with the quality of service and treatment they deserve. The difference Freida has made to hygiene services at South River Dental is incredible.
−Benjamin Mole


MARY RODRIGUEZ
Registered Dental Assistant
2/01/2006
Thank you, Mary, for your hard work. You always show so much compassion to your patients and the team loves you. Your positive energy gets everyone going. You are a great asset to this office. Congrats on your 10-year anniversary!!!
−Arelys Martinez

Registered Dental Assistant, Lead 3/29/2006
Juliet has been a staple here at Promenade Dental Group. Her work ethic is admirable and she is always willing to go the extra mile! We are lucky to have Juliet as the cornerstone to not only our back office team, but the office as a whole.
−Jennifer Neill

Owner Dentist
2/08/2006
Dr. Dhaval Patel is both a clinical and industry leader whose passion for patient care is unparalleled. His advanced knowledge in utilizing CEREC® has been recognized on the national speaking circuit as well as being published on multiple occasions. His involvement with the PDS Institute ® will ensure all clinicians have access to his cutting edge skills and insight.
−Koert Takkunen

Corporate Counsel 2/15/2006
For 10 years, Sarah has helped PDS and our supported offices to navigate through sometimes complex issues, each time helping our team members come to the right answer. Perhaps what is most remarkable about Sarah is that she uses each matter to help PDS and each of us to learn and continuously improve. We are better because of Sarah. Cheers!
−Daniel Burke

Assistant Manager 2/01/2006
Tiffany has done it all! She started at PDS as a dental assistant; from there she became a lead assistant. She has also been in the roles of BC/SBC to now her current role as Assistant OM. Tiffany’s experience is invaluable, she can jump in and support wherever she is needed and always does with a smile. Her dedication to the company and her team are greatly appreciated. I’m very lucky to have her as part of my team.
−Lisa Lewis

Accounts Receivable Clerk
3/08/2006
Lisa is a great asset to our office. She is always helping out wherever and whenever is needed and never says no. I can depend on her through good times and bad. Lisa, I am so glad you have been a part of our team after all these years. I couldn’t ask for a better person to be on our team. Thank you for all your years of hard work and dedication to our Murrieta family.
−Theresa Ortega-Gomez

Receptionist
3/29/2006
Liliana has helped with the success of our office with her hard work and positive attitude. Her passion around We Serve and her stories about Braveheart have influenced our team to do more volunteering. Laguna Niguel would not be the same without her.
−Karlene Belani

Dentist
1/13/2006
Her patients love her, we love working with her and she is a great provider all around. She is amazing at her implants. She is loved by all patients in many different offices. She has that factor which leaves a lasting impression.
−Sonia Martin


DR. SWATI SHETTY
Multiple-Office Owner Dentist
1/04/2006
Dr. Shetty, Owner of Tri-City Smiles in Hacienda Heights CA, continues to raise the bar for what is possible. Setting new records in 2015 with her full-time presence continues to represent what is possible. Her “small but mighty” team and practice are an example, in many ways, of what is possible with incredible focus and commitment. Congratulations on your 10 year anniversary!
−Paula Larson

TAMMY SPICER
Cash Manager
3/01/2006
Tammy has been an integral part of the accounting and finance team over the last 10 years. She has been head of the cash treasury team and developed into a strong leader and a valuable resource. She has been instrumental in maintaining an efficient team through processes improvements in the cash treasury department and working with our bank to stay up to date with the latest technology in payment solutions. Her dedication, positive attitude and work ethic have long been appreciated. We are blessed to have her as a part of the team. Congrats on your 10 years with PDS® !!
−Emilio Mariolis

Specialty Benefits Coordinator
3/22/2006
Sherrie joined our team in March of 2014 after being with PDS for eight years in various successful roles prior. Sherrie instantly made a huge and positive impact to the success of the office and the team with her wealth of knowledge and experience. We are lucky to have her at South River Dental Group and Orthodontics.
−Benjamin Mole

Registered Dental Assistant 2/01/2006
Marisa is an exceptional employee. She is knowledgeable, friendly and committed to her team and patient care. It is an honor to work with Marisa. I look forward to working with her for another 10 years!!!!
−Jessica Maldonado

Registered Dental Hygienist
3/15/2006
Partima has been a key to our consistent hygiene success. With her magnetic and memorable personality, her patients and peers look forward to seeing her day-in and day-out. Thank you so much for all of your hard work and dedication! Here’s to another 10!
−Alissa Olivieri

Registered Dental Assistant 2/22/2006
Angeles is a pleasure to work with, exemplifying exceptional knowledge, and patient care. Angeles is always positive and brings joy to the patients and team. Congratulation on 10 years!!!
−Jessica Maldonado

Dental Assistant 2/01/2006
I am extremely thankful having Krystyle working in our office. She is an amazing employee and an asset to our My Kid’s family. From performing as our “Air Traffic Controller” by directing and maintaining our office flow, to creating awesome and cost-conscious ideas for marketing as our office’s “Celebratory Officer”. She is a part of PDS’ history as she was one of our first dental assistants when My Kid’s Dentist ® opened their doors for the first time as pedo was introduced to our specialty program. Thank you for all that you do. I appreciate YOU!
−Scott McAuley





CORINNE AGUILAR
Registered Dental Assistant, Lead 3/09/2011

YOLANDA ARROZOGARAY Dental Assistant 3/02/2011
MARLA BODDY Regional Support Manager 3/14/2011

MONICA BUSTAMANTE
Operations Manager 2/15/2011

RAYMOND CHO Senior Analyst, Business Intelligence 1/17/2011



TONYA ALCOCER
Registered Dental Hygienist 1/21/2011
ALINA BANAKH
Registered Dental Assistant 2/22/2011


BORACK Web Developer 1/04/2011
APOLLONIA CAMACHO
Benefits Coordinator 2/17/2011

CONNIE CONTRERAS
Registered Dental Hygienist 2/18/2011
ROGER DEMOND IT Service Desk Analyst I 2/07/2011


CASEY ECHETO
Registered Dental Hygienist 2/28/2011
DR. TIM ANGELUS Dentist 2/21/2011

MONICA BARRETO Registered Dental Assistant 2/07/2011
LETICIA BROWN
Dental Assistant, Oral Surgery 1/19/2011


ILSE CASADO
Dental Assistant, Oral Surgery 1/26/2011

JENNIFER COLL Specialty Regional Manager 2/07/2011

KIRSTIE DARBY Dental Assistant, Lead 2/25/2011

DR. JACOB DENT
Multiple-Office Owner Dentist 1/17/2011

DR. DARWIN EVANS Dentist 1/04/2011

LAKISHA CONEY
Dental Assistant, Orthodontics 3/28/2011

AMBER DAVIES
Insurance Claims Auditor 3/09/2011

MARIA DIAZ Pediatric Manager 3/14/2011

JESUS FRANCOGARCIA Dental Assistant 1/24/2011
MANSI ARORA
Registered Dental Hygienist 3/02/2011
KATIE BENAVIDES
Registered Dental Hygienist 3/04/2011
CLAUDIA BUENO
Assistant Manager 1/25/2011
BRITTANY CERVANTES
Benefits Coordinator 2/08/2011
DR. JASON CONRAD Dentist 1/04/2011
EIMAN DAWUD
Registered Dental Hygienist 2/17/2011
HEATHER DICKERHOFF Operations Manager II 1/19/2011
CHAPONICA FREEMAN Pediatric Manager 3/22/2011




TARA FROST Regional Support Manager 1/12/2011

DR. ROY HAYASHI Endodontist 3/02/2011

NURIA HIDALGO Supervisor, Plan Benefits & Fees 1/05/2011

DWAYNE HOWELL Registered Dental Assistant 2/07/2011




DR. PEDRAM MARHABI Oral Surgeon 2/18/2011

ADRIENNE MCCRAY Operations Manager 3/14/2011

DR. RICHARD MOORHOUSE Oral Surgeon 3/01/2011

BONNIE GILES Dental Assistant, Lead 3/14/2011

DUANE HELFRICK Director, Risk Management 3/07/2011
SHALONDA HILL Registered Dental Hygienist 2/01/2011


ANDREW HOYT Eligibility Specialist 1/17/2011

CHRISTINA GONZALEZ Dental Assistant 3/08/2011

LETICIA HENNINGER Dental Assistant 3/29/2011

NATASHA HOLMES Benefits Coordinator 2/01/2011

HANG HUYNH
Dental Hygienist 1/03/2011

CESAR GUTIERREZ
Dental Assistant, Lead 3/14/2011
JASON HEWITT Dental Assistant, Lead 1/16/2011
DR. DANIEL HOWARD Owner Dentist 2/14/2011
AMY JACKMAN
Coordinator 2/18/2011

MARINA KING Credentialing Administrator 3/14/2011

CYNTHIA MARTINEZ Operations Manager 2/01/2011

SHAKEIBA MEHR

LILIAN MURILLO Benefits Coordinator 2/09/2011


HOLLY LATA Pediatric Manager 2/07/2011 SHAYNA LAUER Assistant Manager 3/24/2011

MARTIN MARTINEZ Dental Assistant, Periodontics 1/03/2011 DR. ANDRES MARTINEZ Pediatric Dentist 1/11/2011
RUTH MENA


DENISE NGUYEN Registered Dental Hygienist 2/28/2011

JOANNE MILES Regional Support Manager 3/21/2011
ROXANNE ONOFRE
2/14/2011
SOLEDAD OROZCO Biller 3/30/2011






KRISTY PECINA
Registered Dental Hygienist 3/15/2011


JERILYN RILEY
Regional Collections Specialist 2/14/2011

KAREN RUIZ
Insurance Claims Auditor
3/28/2011

DR. GEORGE SPINE
Owner Dentist 3/14/2011

BRIAN TAYLOR
Operations Manager II 2/28/2011

BRENDA VALDEZ
Dental Assistant 3/30/2011

ALLISON PARISH
Assistant Manager 3/08/2011

JESUS PENA
Dental Assistant 1/06/2011

DR. KAREN ROBERTSON
Owner Dentist 3/14/2011

LAURA SCHROEDER
Registered Dental Hygienist 2/24/2011
AMBROSIA STELJES
Registered Dental Assistant 1/31/2011


JENNIFER THOMANN Operations Manager 3/14/2011

AMANDA WALDE
Call Center Team Lead 3/07/2011

RACHAEL PARKER We Serve Specialist 2/09/2011

DR. LISA PHILLIPS Pediatric Dentist 1/01/2011

DANIEL RODRIGUEZ
Regional Manager 2/07/2011

CECILIA SERRANO
Dental Assistant, Lead 3/14/2011

KOERT TAKKUNEN
Regional Partner 3/07/2011

DR. BINH TRAN Orthodontist 1/07/2011

DR. BENJAMIN WALDER Orthodontist 3/01/2011

DR. CHARLES PATTERSON
Multiple-Office
Owner Dentist 1/12/2011
LESLIE QUINONEZ
Registered Dental Assistant, Lead 1/03/2011
BLANCA ROMO Receptionist 3/21/2011

TIFFANY SMITH
Dental Assistant, Lead 1/04/2011
KIRSTIN TAYLOR Supervisor, Payment Solutions 1/03/2011
BRANDI TURNER
Dental Assistant, Lead 2/23/2011
DR. JEFFREY WING
Orthodontist 2/01/2011
3. One thing oral surgeons specialize in is removal of the ____ teeth.
6. Bone ____ serve as a platform for the regrowth of bone.
8. ____ fillings are composed of several different metals and mercury.
9. Orthodontists specialize in improving jaw and tooth ____.
12. Amalgam fillings are held in by ____ retention.
14. Inlays and onlays fit into a tooth like a ____ piece.
16. Composite fillings are held in place by a ____ agent.
17. ____ replace one or more missing teeth in the same arch.
18. One advantage to composite fillings is they are highly ____.
1. Removable dentures and appliances should be rinsed and carefully cleaned ____.
2. Onlays involve at least one ____, while inlays do not.
4. CAD/CAM fillings are made from a ____ model of the tooth.
5. One disadvantage to amalgam fillings is they may ____ the tooth.
7. ____ dentures improves their fit and patient comfort.
10. ____ dentures are recommended to patients who need teeth extracted before receiving a denture.
11. ____ is the official term for involuntary grinding or clenching of teeth.
Need hints?
Check out the performance review QRGs in the MY Succes Center!
19. Endodontists diagnose and treat issues with the dental ____.
20. Dental ____ use a titanium screw to hold a replacement tooth in place.
As the PDS University continues to expand its offerings, this February will see the launch of the Leadership and Management Development Platform. We have designed the platform to include programs, tools, and resources that build both the personal and organizational leadership skills. One of the resources coming available in February is the Leadership/Management Online Curriculum (LMOC). Available to all RPs, RDs, RMs, OMs and NSC people managers, this set of 88 one-hour interactive learning modules can be used whenever you need to quickly learn, review, and even practice key leadership skills such as: “Preparing for Difficult Conversations”, “Motivating Employees”, and “Planning for Performance”, and are all aligned with our eight books and eight competencies.
For more information about the Leadership and Management Development Platform, please contact the Organization Development team at OrgDev@pacden.com.
13. ____ cover broken-down or decayed teeth.
15. Periodontics is the branch of dentistry that focuses on the ____ surrounding and supporting teeth.