

FUNCTIONAL EDUCATION
CATALOG
Functional Educators by orthoplus
Orthoplus: science in action
The SFODF's first report on the "contribution to the study of the relationship between the respiratory tract and dentofacial orthopedics" dates back to... 1959! Numerous studies have subsequently demonstrated the responsibility of function in facial growth disorders, and in the etiology of malocclusions.
It was at this time that the Bernard Dreux laboratory was founded in the Paris region.
Serving the pioneers of orthodontics, the laboratory enabled the treatment of a first generation of patients.
As the specialty grew, Thierry Dreux, his son, founded Orthoplus in 1986. His taste for innovation and his vision of the future of the profession enabled him to develop an extensive range of orthodontic and functional treatments with many of your colleagues.
Since 2022 Romain Dreux, the third generation, has managed the company and its teams with the same high standards and the same goals:
• How can we best serve the men and women offering treatment?
• How can we provide them with the most effective and easiest-to-use tools?
• How do you convert new and increasingly evidence-based scientific data into effective and safe medical devices?
• Every patient progresses differently, requiring you to adapt your practice. Every day, we strive to offer you the best solutions to support your patients.
We have therefore defined:
The EF Classic range
This historic product, which underpins the very concept of Functional Education, was developed thanks to the convictions of an outstanding practitioner. The Classique range enables early treatment in two phases that respect the patient's biological rhythms.
The EF Specific range
Targeted at specific functions with precise muscular actions, and supported by simple devices with proven efficacy, this segmented approach is particularly useful in complicated cases.
The EF Mechanical range
This range provides support for fixed appliances. It combines orthopedics, orthodontics and functions in the same treatment period for a holistic approach to patient care.
Functional Educators

Functional Educators
the 6 keys to Functional Education devices

Double splint
With high lingual and vestibular shields to free the tooth corridor from muscular interference and contribute to healthy tooth growth.
Arch shape
Accu Form shape. This wide shape keeps the musculature at bay and frees up growth in the tryearsverse direction.
Lip Bumper
The integrated lip bumper helps normalize muscle tone in the lower lip and chin-labial fold.
Tongue guide
To ensure that the tongue rests against the roof of the mouth every time a patient swallows. This passive re-education guides the patient towards the correct position and helps develop the tryearsverse direction.
Overlay
Airplane wing-shaped rear thickness. This allows decompression of the TMJs and release of mandibular growth.
Indentations
Some appliances feature indentations on the maxilla and mandible. This improves dental alignment and the centering of dental midlines.
Pictograms glossary
In this catalog, you'll find a complete range of devices for implementing Functional Education in your practice.
To support you:
The pictograms will direct you to the most appropriate device for your patient, according to the treatment plan you have defined. Dental
Patient
Technical specifications
tryearsverse section shows the inter-arch relationship of each appliance: • physiological rest
mandibular propulsion
maxillary protraction range



Functional Educators
How do I choose the right device?
EF Classic





































Selection wheel


























Functional Educators
EF Classic range
Kid
• Lip tab for lip contact and gripping.
• Vents for salivary circulation and eliminating the sensation of suffocation when worn at night.
Available in 3 colors:



EF Start

Physiological rest

3 by 3 indentations
• Universal maxillary and mandibular 3 by 3 indentations for centering the midlines.




Physiological rest

Available in 3 colors: 3 by 3 dental marking
EF Class III Petit
• Maxillary protraction range for bite jump.
• 3 by 3 maxillary tooth markings for device positioning.
Available in 3 colors:



EF T Slim

Maxillary protraction range

3 by 3 indentations
• Universal maxillary and mandibular 3 by 3 indentations for centering the midlines.
Available in 4 colors:






Vents
EF T Pro
• 30° torque on upper incisors
• Indentation on upper and lower 3s and 4s for eruption guide
Available in 1 color - 2 sizes:




EF T Slim Long
• Universal maxillary and mandibular 3 by 3 indentations for centering the midlines.
• Distal extension for handling 6's and 7's.
Available in 4 colors:





3 by 3 indentations

EF Class II Slim
• Lingual resting area to support the dome of the tongue on the palate.
• Limited vestibular band height for patient comfort.
• Short bumpers for shallow labial-chin folds.
Available in 4 colors:






Functional Educators
EF Classic range
EF Class II Standard
• Deep bumpers to normalize muscle tone in the lower lip and labial-chin fold.
• High vestibular bands to accommodate vestibular lateral incisors and ectopic canines.




Available in 4 colors: Mandibular propulsion


EF Class II 2 Steps
• Designed with a 6 mm overhang for progressive repositioning of the mandible.
• Thick bumpers to normalize muscle tone in the lower lip and labial-chin fold.
• Used as first-line treatment for patients with an overjet of more than 10 mm




Available in 4 colors: Mandibular propulsion

Guide
• Available in 8 sizes from 0 to 7.
• Maxillary and mandibular 4 by 4 indentations for retention, also used as eruption guides.
• Distal extension for 7s.
• Measurement with single-use strip
Available in 1 color:

Large vestibular band
Overhang - 6 mm

4 by 4 indentations


Thick bumpers
3 by 3 maxillary bumper
EF Class III Standard
• Maxillary protraction range for bite jump.
• Maxillary and mandibular 3 by 3 tooth markings for device positioning.
Available in 3 colors:




Maxillary protraction range
EF Class III Large
• Maxillary protraction range for bite jump.
• Maxillary and mandibular 3 by 3 tooth markings for device positioning.

3 by 3 maxillary bumper
Available in 1 color:



EF Profil CL I 8-12 years
• Choice of 2 different degrees of hardness (rigid and flexible).
• Vents for salivary circulation.
• Reduced height of maxillary lingual tray from the 3s for use with quad helix.
Available in 3 colors:





Évents
Functional Educators
EF Mécanical range










Functional Educators
EF Mécanical range
Class II Booster
• For anteroposterior direction management
• Right and left maxillary vestibular notches from the mesial areas of the canines: for fitting Class II correctors (1).
• Notches on the distal right and left mandibular areas from the first bicuspids upwards: for fitting the tube or button for the traction elastic.
• Rounded internal canals allow the device to be worn in parallel with braces.


Class I Stabilizer


• Maintaining Class I: whether the starting point is Class II or Class III, physiological resting maintains the Class I platform and avoids the use of elastics on fixed appliances.
• The "rebound" effect (recurrence) is well known. The Class I Stabilizer prevents immediate recurrence by repositioning the tongue and soft tissues while maintaining a Class I arch relationship.
• Rounded internal canals allow the device to be worn in parallel with braces


EF Braces
• Designed to be worn with braces.
• Canals for bracket positioning.
• Increased inter-molar thickness.


• Flexible bands for freedom from the mechanical actions of fixed appliances.



Rounded internal canals
Rounded internal canals
Notches
Incisive end-to-end relationship
(1) For example, Motion® by Carriere
Physiological rest
Canals for positioning brackets
Inter-molar thickness
• Designed to be worn with braces.
• Canal for placement of maxillary brackets.
• Increased inter-molar thickness.
• Daytime wear.
Available in 1 color:

S.M.A.R.T.

8-12 years
• Specially designed to be worn with aligners
• Tongue guide, extra molar thickness, double splint, arch form and bumpers - 5 of the 6 keys to the Orthoplus® EF Line concept, for functional corrections before and during splint aligner treatment.
• Dynamic Springs allow patients to tighten their devices while wearing aligner splints to enhance dental action
• Available in 2 versions:
- S.M.A.R.T ABC: for open bite, stimulating egression of the anterior sectors
- S.M.A.R.T: for other cases
• Each version is available in two different degrees of hardness


Available in 2 versions:
S.M.A.R.T

: D594 032

: D594 032H
Available in 2 versions: S.M.A.R.T ABC


: D594 030 HARD : D594 030H


• Suitable for transverse direction management.
• Choice of 2 different degrees of hardness.
• Vents for salivary circulation.
• Reduced height of maxillary lingual tray from the 3s for use with a quad helix.
• Low vestibular tray thickness for reduced bulk.
Available in 3 colors:





S.M.A.R.T
Functional Educators
EF Specific range

EF Specific
Lip re-education






Treatment of temporomandibular joint problems

Functional Educators
EF Specific range
Intercepteur labial Pediatric
• Correction of labio-labial incompetence
• Re-education of upper airway ventilation
• Transposition object for stopping thumb or pacifier sucking in case of prolonged sucking
• Lingual dysposture (low anterior)
• Hypertonia of the manducator y system





Intercepteur labial Pediatric with stop
• Correction of labio-labial incompetence
• Re-education of upper airway ventilation
• Transposition object for stopping thumb or pacifier sucking in case of prolonged sucking
• Lingual dysposture (low anterior)
• Hypertonia of the manducator y system
• Vertical locking in the case of deep bite and cross-bite Available in 3 colors:



Intercepteur labial
• Correction of labio-labial incompetence
• Re-education of upper airway ventilation
Anterior stop

• Transposition object for stopping thumb sucking or pacifier sucking in case of prolonged sucking
• Lingual dysposture (low anterior)
• Hypertonia of the manducator y system
Available in 3 colors:





Traction and gripping tab

Intercepteur labial 2 steps
• Correction of labio-labial incompetence
• Re-education of upper airway ventilation
• Transposition object for stopping thumb or pacifier sucking in case of prolonged sucking
• Lingual dysposture (low anterior)
• Hypertonicity of the manducatory system
• Allows labio-labial occlusion, which is difficult in Class II cases with significant overjet
Available in 3 colors:



Exerlangue ® Small
• ingual frenulum notch for patient comfort.
• Sub-lingual tray for high tongue position.
• Daytime wear
Available in 2 colors:


Exerlangue


tray

• Lingual frenulum notch for patient comfort.
• Sub-lingual tray for high tongue position.
• Daytime wear
Available in 2 colors:




tray

• Increased inter-molar thickness to relieve TMJ congestion.
• 3 by 3 maxillary and mandibular tooth markings for a centered positioning.
• Maxillary incisor positioning range for patient comfort.
Available in 1 color:



Sub-lingual
Vestibular band
Lingual frenulum notch
D599
D599
Sub-lingual
Vestibular band
Lingual frenulum notch
D595

Functional Educators
Cases treated using Functional Education

Functional Educators
Cases treated using Functional Education
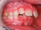
Case treated with EF Kid
Treatment time: 12 months
Jaya
• Skeletal Class I• Hyperdivergent facial typology • Inverted right incisor • Predisposition to previous DMD • Lingual dysfunction during swallowing

Wearing EF Kid



Results: incisor line restored
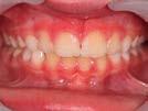
Case treated with EF Start






Results: a balanced face and a more uniform smile




















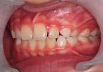
Case treated with EF Kid
Treatment time: 12 months
Mathilde
• Dental Class I, maxillary proalveolia • Hyperdivergent type • Severe crowding with narrow canine corridor
• Lingual dysfunction during swallowing




Case treated with EF Kid
Treatment time: 36 months
Wearing of EF Kid




Matyss
• Maxillary left endoalveolia • Referred by pediatrician for mandibular latero-deviation
Wearing of EF Kid for 24 months










Results: correction of latero-deviation
Wearing of EFT Slim for 12 months


Results: correction reinforced



Functional Educators
Cases treated using Functional Education
Andréa Case treated with EF Kid
Treatment time: 24 months
• Maxillary left endoalveolia • Severe dental crowding


Wearing of EF Kid for 12 months


7 y.o.










Results: Closure of open bite • Improved arch rounding
… then with EF T Slim
Wearing of EFT Slim for 12 months


Results: guiding of adult teeth





Evan Case treated with EF Class II 2 Steps
Treatment time: 12 months


Wearing of EF Class II 2 Steps for 3 months


Results: improved overhang without rabbiting
…
then
Wearing of EF Class II Standard for 3 months


Results: improvement in overhang, then overlay












with EF Class II Standard …
then
with EF T Slim
Wearing of EF T Slim for 6 months














Results: Class II corrected • Waiting for lateral sectors (1 year after the start of treatment)
Functional Educators
Cases treated using Functional Education
Case treated with EF Classe II Slim




















Results: correction of












Elisabeth
Martin Case treated with EF T Slim
Treatment time: 12 months
• Class II 2 moderate
Before wearing EF T Slim




After 12 months wearing EF T Slim




Aurélien Case treated with EF T Slim Long
Treatment time: 12 months
• Skeletal Class I • Lingual dysfunction during swallowing
• Family history (mother treated with maxillofacial surgery and father treated for impacted maxillary canines)
Before wearing EF T Slim Long




After 12 months wearing EF T




Case treated with EF Classe II Slim
Treatment time: 12 months
Enzo
• Class II 1 • Predisposition to DMD• Skeletal Class II with maxillary proalveolia and mandibular retrognathia
• Lingual dysfunction during swallowing
Before wearing EF Class II Slim




After 12 months wearing EF Class II Slim




Functional Educators
Cases treated using Functional Education
























Case treated with
Class III Standard
Before wearing EF Class III Standard




After wearing EF Class III Standard




Julia Case treated with EF Profil
Before wearing EF Profil Treatment time: 12 months




Case treated with EF TMJ
• Skeletal Class I • Hyperdivergent facial typology • Severe anterior DMD
After 12 months wearing EF Profil
• Skeletal Class I • Hyperdivergent facial typology • Severe anterior DMD Wearing of an EF TMJ then an EF guide Before wearing EF TMJ












Functional Educators
Motivational kit

Functional Educators
Motivational kit
Orthoplus® launches its motivational kit for young patients
- Two contracts to empower both young and older patients
- A new tracking chart to monitor splint wearing
- A certificate of achievement
- Gifts to reward the child's efforts
Because everyone's needs are different, you can buy the complete kit or the individual tools separately.
Tracking Chart and Sticker Booklet
• A4 cardboard format
• A sheet of stickers to symbolize wearing the splint correctly during the day and at night
• Two-month follow-up
• Sold in packs of 50
Certificate of Achievement
• A4 cardboard format
• A way to promote children's success
• The practitioner's signature to finalize the treatment program
• Sold in packs of 50

• A5 cardboard format
• Several sucking habit options
• A tool for empowering children
• Sold in packs of 50

• A5 cardboard format
• Personalized by the practitioner
• A tool to help children learn how to wear their appliance properly
• Sold in packs of 50
Activity Book and Pencils
• 12-page A5 notebook + 4 colored pencils
• Various fun activities on orthodontics and oral hygiene
• Suitable for ages 3-7
• Sold in packs of 50







Functional Educators
Motivational kit
Window stickers
Discover our window stickers that can be positioned on a wall or window using static electricity.
Repositionable, no traces of glue, no staining; the conditions for successful treatment, right in your office!
Two formats available:
• 50 centimeters
• 1 meter











Poster (ref. : D590 106)
To provide parents with information in your waiting rooms...




















Flyers (Ref. : D590 108)
...and, for even more detailed information.









Functional Education videos
Take advantage of our Functional Education videos to support your patients throughout their treatment:
• Video 1: Functional Education Treatment
• Video 2: Cleaning, wearing and placing the device in your mouth
• Video 3: Breathing exercises
• Video 4: Muscular and swallowing exercises




















Éducateurs Fonctionnels
La Gamme EF Classique
Cat's got your tongue?
Booklet presenting simple methods for correcting 3 functions. For parents, to involve them in their child's treatment:
• Swallowing
• Breathing
• Posture
• Integration of the 3 functions
Ref.
D000 135
Hygiene kits
For the little ones...
Kit recognizable by the phrase "Growing up is child's play"
Your patient will find:
• a strawberry toothpaste
• a small suction-cup toothbrush
• two disinfectant and cleansing tablets for the EF Line device.
Ref. D605 440

Motivational cards
• packaged in bundles of 50
410
… and for big kids too
Your patient will find:
• a mint toothpaste
• a standard toothbrush
• two disinfectant and cleansing tablets for the EF Line device.
420









































Terms & Conditions of Sale
1 - PURPOSE
The present terms and conditions are intended to apply to each order placed with Orthoplus ("the Seller") and, consequently, to govern the rights and obligations of Orthoplus within the framework of the said sales to its Customers ("the Buyers"). In the absence of a contract between Orthoplus and its Customer, or general or special conditions of purchase expressly accepted by Orthoplus, sales are subject to these Terms and Conditions. Consequently, all orders for products or services supplied by Orthoplus imply the unreserved acceptance by the Customer of these Terms and Conditions of Sale, to the exclusion of any catalog, prospectus or other advertising document, which are only indicative. These Terms and Conditions of Sale apply to each order, unless otherwise expressly agreed by the Parties.
2 - PRICES
All orders will be invoiced at the rate in effect on the day the order is placed and acceptance by Orthoplus. The prices of items and services offered by Orthoplus are expressed in euros and exclusive of VAT (HT). The VAT rates in force on the day the order is placed will be added to the prices quoted, as well as shipping costs and any other additional charges. Prices are subject to change without notice.
3 - PAYMENT TERMS
Payment for orders must be made in cash upon receipt of goods or upon delivery of services by any means of payment. The following methods of payment are accepted: credit card, bank transfer, cheque, direct debit and American Express card, subject to the following conditions: For payments by direct debit, its implementation will be effective subject to completion of banking formalities Discount for early payment: None. All prices indicated in the price list are carriage paid for metropolitan France and Monaco, subject to a minimum invoice amount of €200 including VAT. Below this amount, a flat-rate charge of €15 including VAT will be applied. For material weighing more than 30 kilos, transport conditions must be accepted by the customer in advance. For French overseas territories, all costs related to the sale, transport and customs formalities are at the Buyer's expense and will be invoiced at the actual cost of shipment. The mode of transport will be at the Buyer's choice, expense and risk.
Late payment:
Any invoice not paid in accordance with the conditions stipulated herein, or any postponement of the due date without the agreement of Orthoplus, will be subject to late payment interest at the conventional rate of 1% per fortnight of delay, without prior formal notice. In addition, a flat-rate indemnity for collection costs of €45 inclusive of tax will be immediately applied.
4 - DISCOUNTS AND REBATES
Goods and services supplied by Orthoplus are invoiced according to the price list in force at the time of the order, as shown in the catalog. Special discounts may be applied. They cannot be combined with discounts linked to promotional operations which are the subject of a specific communication. A certain number of items in the Orthoplus catalog are not eligible for discounts. They are specifically indicated in the current sales documentation, subject to price modifications as provided for in article 2 hereof.
5 - DELIVERY TERMS / SHIPPING TIME / PLACE OF MANUFACTURE AND RECEIPT
Terms of delivery / shipment:
Delivery times are given as an indication only and Orthoplus cannot be held responsible for them. Goods travel in all cases at the sole risk of the recipient. Orthoplus cannot be held responsible for delays due to the failure of service providers. Delivery times are therefore given as an indication only. Delays do not justify the cancellation of an order, except by prior agreement. Orders for specific and/or non-catalog products are subject to special delivery times, subject to the Customer's agreement. Specific and/or non-catalog products cannot be returned or exchanged.
Hidden defects:
However, Orthoplus guarantees the Buyer against all hidden defects in accordance with French law, under the applicable provisions of articles 1641 et seq. of the French Civil Code. Upon receipt of the delivery, it is the responsibility of the buyer to check the condition of the delivery, to immediately notify the transporter of any complaints, and to notify the transporter within 48 hours by registered letter in accordance with article 105 of the French Commercial Code. At the same time, the buyer undertakes to notify Orthoplus at the same time, providing proof of the defects or anomalies claimed. In return, Orthoplus undertakes to examine the complaint as quickly as possible, and, where appropriate, to take all legal steps necessary to guarantee against hidden defects.
Order splitting:
Orthoplus reserves the right to split orders in the event of partial deliveries of an order, and undertakes to bear the shipping costs of additional deliveries.
6 - SATISFACTION
In the event of dissatisfaction, goods may be returned to Orthoplus, at the Customer's full and complete expense, within 90 working days from the date of receipt of the order, provided that they are duly accompanied by the fully completed return form. Goods which are not returned within this period, or goods which are not in their original packaging, or whose original packaging is defective, will not be taken back or exchanged. If the returned goods are accepted, a credit note will be issued, valid for 6 months.
7 - PENALTY CLAUSE
Failure to pay in full or in part will automatically, and without prior notice, result in the payment to Orthoplus of a late payment penalty equal to one and a half times (1.5) the legal interest rate. This penalty is calculated on the total amount due, all taxes included. It runs from the due date of the price until full payment. The reference legal interest rate is that in force on the day of use of the present terms and conditions of sale.
8 - CANCELLATION CLAUSE
If, within thirty (30) days following the implementation of the "penalty clause" article, the Customer has still not paid the sum due in respect of the order placed with Orthoplus, the sale will be cancelled ipso jure, without further formality, upon receipt of the formal notice sent by Orthoplus. In addition, Orthoplus reserves the right to claim damages from the defaulting Customer. The existence of the present clause does not prevent Orthoplus from renouncing the benefit of this clause and demanding full payment.
9 - OWNERSHIP CLAUSE
By express agreement and in accordance with Law n°80.335 of May 12, 1980, Orthoplus reserves ownership of the goods supplied and sold as defined in the order form or invoice until full payment of the price by the Customer. During the period of ownership retention, the customer shall bear the risk of loss or destruction of the goods sold upon delivery, regardless of the form of delivery. In case of cessation of activity of the Customer, whatever the cause, the ownership of products and services delivered and remained unpaid may be claimed by Orthoplus. In case of use or resale of goods supplied by Orthoplus while the Customer has not paid the full price, the latter undertakes to inform any purchaser of this clause of ownership reservation encumbering the goods and the right of Orthoplus to claim either the goods concerned, or the price thereof.
10 - COMMITMENTS
Orthoplus undertakes to carry out the task specified in the "purpose" article in accordance with the rules of the trade and in the best possible manner. Orthoplus cannot be held responsible for the use of its products. The consumables offered by Orthoplus are designed and manufactured for single use only. The versions of bonding brackets offered by Orthoplus do not claim to be endorsed in any way by the doctors named in the product titles. The photos in the catalog are not contractual and are not binding upon Orthoplus.
Article 11 - FORCE MAJEURE
Orthoplus shall not be held liable for non-performance or delay in performance of any of its obligations if due to an event beyond its control. This includes any external, unforeseeable and irresistible event as defined in article 1148 of the French Civil Code.
12 - ASSIGNMENT OF JURISDICTION
Any dispute relating to the interpretation, performance or termination of the present contract shall be governed by French law. The only jurisdiction recognized and accepted by the parties is the Evry Commercial Court.
Article 13 - ECOSYSTEM MEMBERSHIP
Orthoplus (SIRET N°: 339 696 320 00011) has been awarded the unique identifier FR000663_05H6KX by ADEME, attesting to its registration with the register of producers of the EEE sector, in application of article L.541-10-13 of the French Environment Code. This identifier attests to the company's compliance with its obligation to register with the Registre des Producteurs d'Equipements Electriques et Electroniques (Register of Electrical and Electronic Equipment Producers), and to the completion of its declarations of marketing with ecosystem.