N8-North Gardens Living-Vol.565

Page 1

See Pages 4 & 5 Organize Your Wardrobe Space Living Gardens NORTH VOL. 565-N8 Index Page 9 MYLIVINGMEDIA.COM For What It’s Worth Pg. 38 Hurricane Protection Pg. 3 Village Bootery Pgs. 76-77
5340 Donald Ross Rd., Suite 110, Palm Beach Gardens (In Alton Town Center right next to Petsmart) www.bergmanjewelers.net Open Monday to Friday 10AM-6PM • Open Saturday 11AM-3PM 561-627-0900 We offer a large selection of ne Jewelry, Watch Repair, Jewelry Repair, and Custom Designs. Specializing in larger, G.I.A.-Certi ed Diamonds, as well as a Huge Selection of Lab-Grown Diamonds. How Much Is My Jewelry Worth? Come in for a FREE Evaluation! BUYING FINE WATCHES ROLEX and Other Fine Swiss Watches! Diamond Studs Tennis Necklace Diamond Oval Diamond Eternity Band BEST PRICES ON LAB-GROWN DIAMONDS Your Best Source for Pre-Owned Rolex! BERGMAN JEWELERS FULL ROLEX SERVICE AVAILABLE Bring in this ad & receive 30% off ALL LAB-GROWN DIAMONDS Expires 4/30/23
VOL. 565 N 3 Copyrighted© My Living Media. 2023 All Rights reserved. To Advertise call 772-247-6849 www.myhurricanewindow.com Don’t Get Caught Off Guard, Use Florida’s #1 Rated Hurricane Window 561-782-7447 Free Quote! Call Today! LICENSED & INSURED SCC131151738 Scan to schedule your APPOINTMENT! HURRICANE SEASON ISLESS THAN Palm Beach County’s Local Premier Window Contractor *FINANCING DISCLOSURE. Prices will vary for larger sizes or different style windows. Contractor in neither a broker nor a lender. Financing is provided by third-party lenders unaf liated with contractor, under terms and conditions arranged directly between the customer and such lender, all subject to credit requirements and satisfactory completion of nance documents. Any nance terms advertised are estimates only. *8-10 Weeks Delivery is from date of factory order. Contractor is not responsible for HOA permit or manufacturer delays. Some Restrictions Apply FINANCING AVAILABLE **ZERØ! Until 2025! Ø Interest Ø Payments Or starting at Whole House of Windows and Doors per month $169 DAYS AWAY! 49 Installation 8 to 10 Weeks*

Closet Designs to Fit Your Style and Budget

A closet is more than a place to stow your suits and sweaters… it’s the place where you prepare for the day ahead and where you begin to undress and unwind at the end of the night! So it should be a soothing space, one that doesn’t add to your stress.

The spacious walk-in closets from Closets by Design of the Palm Beaches and Treasure Coast allow you to dress and undress in style while your clothing and accessories are neatly displayed within easy reach. There’s no clutter or chaos, just expert craftsmanship and aesthetically-pleasing design; and, it can all be achieved within your budget!

Closets by Design of the Palm Beaches and Treasure Coast is passionate about maximizing home storage without affecting the beauty of your interior. They design, build, and install custom

reach-in closets, walk-in closets, and kids’ closets. Additionally, the company offers custom designs along with production and installation of garage cabinets, home of ces, laundries, pantries, media centers, hobby rooms, wall beds, wall units, and so much more. Ask Closets by Design of the Palm Beaches and Treasure Coast about their garage wall organizers, garage ooring, work benches, custom jewelry drawers, wine racks, book shelves, cedar paneling and hampers, too… they do it all!

The process starts with the experts at Closets by Design of the Palm Beaches and Treasure Coast measuring your space and itemizing your belongings, then showing you ideas and samples to help you nd a style that’s just right for you. From there, your designer will work with you to custom design your space using dozens of material options and hundreds of features from one of their 4 collections.

Once your designs are exactly the way you want them, your units are custom built using the nest materials from the Closets by Design of the Palm Beaches and Treasure Coast

Copyrighted© My Living Media. 2022 All Rights reserved. To Advertise call 772-247-6849

Need More Coupons -

factory. The company then professionally installs everything exactly to the speci cations of your designs from the collection you chose.

There are four collections to choose from at Closets by Design of the Palm Beaches and Treasure Coast: the Everyday Collection, Classic Collection, Regency Collection, and Brio Collection.

Everyday Collection™

Fresh and modern, the Everyday Collection™ offers a sleek solution for your closet clutter. This design includes 3/4-inch straightedge panels, adjustable shelves, and half-overlay at face doors. Best of all, it’s available at a price that’s equally as pleasant as its appearance.

Classic Collection™

Combine simplicity and style with the Classic Collection™. It unites essential organization with stylish design to create the practical closet you’ve been looking for. This collection features our exclusive soft edge treatment and half

overlay doors and drawers.

Regency Collection™

The Regency Collection™ incorporates 1 1/8” thick panels with 3/4” shelving for a sophisticated look you’ll love for years. Add tilt-out hampers, islands, and countertops to create a convenient, stylish space that has everything you need.

Brio Collection™

When you’re in the mood for something modern and bold, the Brio Collection™ answers the call. Sleek corners and clean edges surround the system of atfront doors and drawers. Display your carefully curated wardrobe against a clean nish for a timeless look.

Closets by Design of the Palm Beaches and Treasure Coast has been earning a reputation for integrity since 1982. As the industry leader in customer service

and innovative home design, their values are rooted in a deep passion for delivering

home transformations that transform lives. So what are you waiting for? Schedule a FREE in-home design consultation and estimate from Closets by Design of the Palm Beaches and Treasure Coast!

Closets by Design of the Palm Beaches and Treasure Coast is open Mondays through Fridays from 8AM-5:30PM. For more information, call 772-2073265 or visit palmbeach. closetsbydesign.com.

Copyrighted© My Living Media. 2022 All Rights reserved. To Advertise call 772-247-6849
MyLivingMedia.com
40% O Plus Free Installation Terms and Conditions: 40% o any order of $980 or more or 30% o any order of $680-$979 on any complete custom closet, garage cabinets, home o ce, pantry, laundry, wall bed, wall unit, hobby room or garage ooring system. Not valid with any other o er. Free installation with any complete unit order of $600 or more. Expires in 30 days.
6 VOL. 565 N Copyrighted© My Living Media. 2023 All Rights reserved. To Advertise call 772-247-6849 Need More Coupons - MyLivingMedia.com Call for a free in home design consultation and estimate Imagine your home, totally organized! Custom Closets, Garage Cabinets, Home Offices, Pantries, Laundries, Hobby Rooms and more... 40% Off Plus Free Installation Terms and Conditions: 40% off any order of $980 or more or 30% off any order of $680-$979 on any complete Custom Closet, Garage Cabinets, Home Office, Pantry, Laundry, Wall Bed, Wall Unit, Hobby Room or Garage Flooring system. Not valid with any other offer. Free installation with any complete unit order of $600 or more. Expires in 30 days. Call for a free in home design consultation and estimate (561)203-4745 www.closetsbydesign.com MSJ Follow us 2020 © All Rights Reserved. Closets by Design, Inc. Walk-In-Closets Laundry Rooms Home Offices Garage Cabinets Follow us www.closetsbydesign.com CGC1509325 & MC1900055 (561) 203-4745 MSJ
VOL. 565 N 7 Copyrighted© My Living Media. 2023 All Rights reserved. To Advertise call 772-247-6849 Need More Coupons - MyLivingMedia.com Make a GREAT First Impression with new Front Doors! New Solid Core Doors • New Door Hardware • New Hinges We are Palm Beach County’s Largest Specialty Door Store WE HAVE DOORS TO FIT ANY BUDGET! Transform your home by installing new custom interior doors without the mess and hassle of major construction. Choose from a wide variety of contemporary, traditional and transitional door styles. License # CBC037800 FINANCING AVAILABLE Impact Resistant Fiberglass & Mahogany Entry Doors • Impact Resistant Decorative Glass Inserts Interior Doors • Impact Resistant French & Siding Glass Doors • Impact Resistant Windows Call Today to schedule your FREE SHOWROOM appointment or schedule online www.FLORIDADOORS.COM BOCA RATON | 9858 Clint Moore Rd., Suite C-128 • Boca Raton, FL 33496 Tuesday - Friday • 9am - 5pm Saturday • 9am - 4pm • 561-621-5963 WEST PALM BEACH | 346 Pike Road, Suite 6, West Palm Beach, FL 33411 Monday - Friday • 7am - 4:30pm Saturday • 9am - 4pm • 561-220-3634 JUPITER | 75 E. Indiantown Road, Suite 507, FL 33477 Tuesday - Friday • 9am - 5pm Saturday • 9am - 4pm • 561-464-6102 15% OFF Installed Doors * Offer not valid on prior sale. Applies to installed exterior & interior doors only. Offer ends 6/30/23
DIGITAL...SOCIAL DIRECT MAIL 772-247-6849 100 + UNIQUE COMMUNITY MAGAZINES Reach the most affluent communities in Florida, Mailing Palm Beach, Martin, St. Lucie, Indian River & Okeechobee Counties Direct Mail, High Quality Glossy Postcards & Inserts allowing you to target specific affluent zip codes Specializing in Digital, Mobile, & Social Media Marketing my LIVING MEDIA FLORIDA’S PREMIER DIRECT MAIL & MULTIMEDIA MARKETING COMPANY FRONT COVER FREE Some Restrictions Apply. Please call for details. Some Restrictions Apply. Please call for details. Buy 1, Get 1 Free including 2-Page Editorial 50,000 HOMES Any Size Ad • Some Restrictions Apply. Please call for details. BUY 10 ZONES, GET 3 FREE FREE MAILING Per Home * 24¢ Designed, printed and mailed for Postcards Living Magazines Per Home1¢ Direct Mail Your Customers for less than… GROW YOUR BUSINESS
MY LIVING CONTENTS - ZONE N Volume 565 April 2023 For advertising rates and information Email: sales@mediaoms.com Call 772-247-6849 © 2023 by My Living Media. All rights reserved. Although some parts of this publication may be reproduced and reprinted, we require that prior permission be obtained in writing. My Living Magazine is a free publication distributed locally and is supported by our advertisers. Please call to find a location near you or if you would like copies placed at your business. We do not necessarily endorse the views expressed in the articles and advertisements, nor are we responsible for the products, and services advertised. We are not responsible for licensing or certifying businesses, nor are we responsible for verification of these requirements. We welcome your ideas, articles and feedback. *Dining pictures shown are for illustration purposes only. Actual products may vary due to product enhancement. ANIMAL AND PETS Health E Pets ................................. 52 AUTOMOTIVE Ace of Carts 36 Pelican Car Wash 16 Prime Golf Cars 30 BEAUTY Aesthetics by Kallee 28 Albany Aesthetics .......................... 47 Amanda Ghattas Jupiter Hair 37 BeautyFi MedSpa 28 Begin Anew Med 10 Great Clips PBG 18 Salon 1 Studios.............................. 31 Signature Lashes & Beauty 53 CLEANING SERVICES Honor Carpet Cleaning 78 Oliver Twist Pressure Washing........37 Stanley Steemer 11 The Groutsmith Grout Cleaning 49 DINING AND ENTERTAINMENT Island Vibes Kava Bar 26 Aladdin Mediterranean Grill ............ 53 Beneditti’s Pizza 22 Blue Water Taco 20 Burrito Social 23 Copacabana 21 Jersey MIke’s PBG 24 Juno Beach Fish House 22 Mocean Therapy ............................ 40 Pierogi Bros 48 Poke N Go ...................................... 23 Pontiki Stuart 72 Sunfest 59 Thai West 20 Tiramisu Pizzeria and Trattoria 20 Uncle Joe’s Chinese ....................... 24 Vinny’s Pizza 26 FITNESS F45 Training 48 HOME IMPROVEMENT AC Now LLC...................................49 Affordable and Superior Painting 35 All Shutters Solutions 58 Alliance Group Roo ng 66 Allied Aluminum and Railing 74 Alternate Power Solutions 54 Apex Pavers and Pools 73 Bill sh Air Conditioning .................. 67 Blackstone Kitchen and Bath ......... 13 Brilliant Roo ng ............................. 39 Camco Custom Pools ..................... 30 Closets By Design ............................ 6 Coastal Closets and Showers 16 Complete Synthetic Turf 35 Continuum Electric LLC 48 Crystal Cabinet and Furniture Co 50 Du-All Plumbing 68 East Coast Electric Screening 54 Eco View Windows 29 Fencing South Florida 32 Filterbuy 15 First Impression Doors and More 7 Floortek Concrete Coatings 34 Hitching Post 12 Jupiter Sod and Landscaping 42 Jupiter Tree Care 18 Kamrell Windows and Doors 75 King of Kitchens 55 Kitchen Tune Up 39 Level Best Roo ng ......................... 51 Marzo Roo ng Inc .......................... 35 Max Guard Hurricane Windows . 62,63 Mister Roof .................................... 11 Nex Floors ..................................... 32 North County Plumbing 53 OX Floor Coating 19 Plantation Shutters Florida 52 Plumb Rite Plumbing 46 PS Flooring Inc. 65 Roo ng Systems of FL 79 Scollo Painting 42 Seaglass Window......................26,39 Stott Brothers Electric 46 Sweet Industries 80 Total Image 70 Treasure Coast Trimlight 43, 44-45 Tropical Pools 79 Window Replacement Group 69 Window World of the Space Coast 36 Windowz and More 71 Florida Health Group-Compass Health 60 Ocean Point Claims 66 JEWLERY Bergman Jewelers 2 Blue Water Coins 46 M & J Jewelers .............................. 36 Oteri’s Wholesale Jewelry .............. 70 LANDSCAPE AND GARDEN IMA Landscaping ........................... 68 Saul Tree Services 38 MEDICAL AND HEALTH Abacoa Podiatry 56 Alpaca Audiology 42 Appearance Implant and Family Dentistry 57 Dentistry By Design 50 Dr. Samuel Holcroft 27 Habashy Dental 4 MMJ Health 14 Premier Dentistry 61 Stretch Zone 33 PROFESSIONAL SERVICES ASAP Dryer Vent Cleaning 58 Business Technology Solutions 50 Demented Graphics ....................... 37 Dryer Vent Cleaner, The .................. 74 Hooked accounting ........................ 30 Mr. Tint of America ......................... 34 RETAIL Prestige Pawn 56 The Lamp Connection 34 The Summer House 17 The Yankee Peddler Market 25 Village Bootery 28 TRANSPORTATION Travel by Solstice 30
Our luxury medical spa
your
for the latest wellness and aesthetics solutions. We
proven anti-aging technologies with regenerative solutions. Your
to optimal health, wellness and beauty begins here. Our Services: Botox & Filler Morpheus8 RF Microneedling Microneedling + PRP Body Contouring Acne Lasers Testosterone Therapy Nutrient IV's & Injections Sexual Performance Peptide Therapy Medical Weight Loss BeginAnew? Are you ready to IPL & Fraxel Tattoo & Vein Removal Bioidentical Hormone Therapy Pellet Therapy Specialized Testing Semaglutide Peptide Therapy $699 8 Week Program Monthly InBody Test Fat Burner Shot $75 off any Dermal Filler Botox JUST $10/unit (regularly $14) Dysport JUST $4/unit (regularly $8) SAVE $300 Morpheus8 RF Microneedling for Face or Body Discover the most powerful skin tightening technology on the market. Offers expire 4/30/23 BeginAnewMed.com 337 E Indiantown Road Suite E-13 Jupiter, FL 33477 561-781-3578 *Bloodwork may be required *
in Jupiter is
destination
pair
journey
VOL. 565 N 11 Copyrighted© My Living Media. 2023 All Rights reserved. To Advertise call 772-247-6849 Need More Coupons - MyLivingMedia.com FAMILY OWNED & OPERATED • SCHEDULE ONLINE TODAY AT: WWW.STANLEYSTEEMER.COM FIRE, WATER, & MOLD DAMAGE RESTORATION SERVICE Immediate Response 24-HOUR EMERGENCY Minimum charges apply. Cannot combined with other offers. Residential and Commercial. Must present this MLM Coupon at time of service. Valid at participating locations only. Certain restrictions may apply. Call for details. Lic. #CMC014066 561-404-5668 WWW.STANLEYSTEEMER.COM STANLEY STEEMER SERVICES ® FREE ESTIMATES FOR ALL COMMERCIAL BUSINESSES WE PRETREAT YOUR FLOORS AND MOVE YOUR FURNITURE AT NO CHARGE WE PRETREAT YOUR FLOORS AND MOVE YOUR FURNITURE AT NO CHARGE $99 $129 Expires 5/13/23 MLM Expires 5/13/23 MLM TILE & GROUT OR WOOD FLOOR CLEANING Only PER ROOM 3 ROOMS CARPET CLEANING Wool carpets extra. Area rugs not included in wall-towall cleaning. *Any Room Up to 300 sq. ft. Home & Of ce Air Puri er Removes Viruses, Bacteria, Mold, & Pollen MARBLE & STONE CLEANING $50 OFF Expires 5/13/23 With MLM Coupon Proud to be Endorsed by Cystic Fibrosis Foundation $160 Expires 5/13/23 MLM HOME Which Air Are You Breathing? AIR DUCT CLEANING Up To 8 Vents BEFORE AFTER OFFICE FREE ESTIMATES CALL TODAY COMMERCIAL & RESIDENTAL PREVENT LEAKS AND WATER DAMAGE CALL TODAY for your FREE Roof Inspection! • Residential Specialist • Roof Replacements • Re-Roo ng • Storm Damage • Roof Inspections • Hail Damage CALL US 24 Hrs. 772-277-2340 • Florida License #CCC1333947 • Fully Insured • $100 Off $500 Off Any Repairs Any Re-Roof With this MLM Coupon. Expires 5/12/23 With this MLM Coupon. Expires 5/12/23 YOUR RESIDENTIAL SPECIALISTS SERVING ALL OF SOUTH FLORIDA! • TILE • METAL • SHINGLE • FLAT • T 100% FINANCING Not Based on Credit Score No Money Down Financial
A better Backyard A greater Outdoors All structures meet high wind and velocity requirements. Outdoor Furniture • Synthetic Turf • Fire Pits • Animal Enclosures • Pavillions Gazebos • Wood & Vinyl Playsets • Arbors • Sheds • Pergolas • Hammocks & more! Many models an sizes to choose from in Vinyl or Wood 4013 W. Atlantic Ave, Delray Beach 561-783-3315 www.hitchingposts .com Tues-Sat 9-5 CLOSED SUNDAY & MONDAY Since 1979 Visit or Call Us Today! $ $ $ $ $400 Off PURCHASE OF $2,000 OR MORE. MLM COUPON EXPIRES 5/15/23 BACKYARD BUCKS
BLACKSTONE KITCHEN & BATH Kitchens Bathrooms Additions Flooring Countertops 561-823-2835 6743 W. Indiantown Rd • Jupiter
14 VOL. 565 N Copyrighted© My Living Media. 2023 All Rights reserved. To Advertise call 772-247-6849 Palm Beach 561-631-7994 MMJ Health Make the Appointment Use our patient qualification system to see if you qualify for medical marijuana. See the Marijuana Doctor See one of our qualified physicians at one of our many locations in Florida. Get Your Card You will be able to visit and get delivery from any dispensary in Florida. Let Dr. Morgan, The Highest Rated MMJ Doctor, at MMJ Health find your Alternative to Pharmaceuticals! Anne L. Morgan, M.D. When it comes to finding medical marijuana (MMJ) doctors, you can trust the helpful and professional staff at MMJ Health. Serving patients in Palm Beach, Martin, & St. Lucie Counties. Call MMJ Health to schedule an appointment with a Florida Medical Marijuana Doctor: WINNER OF BEST DISPENSARY, BEST MEDICAL MARIJUANA CARD PROVIDER, BEST CBD STORE, AND FINALIST FOR BEST PLACE TO WORK HOW IT WORKS Treasure Coast 772-212-4032
CALL US FOR A FREE, NO OBLIGATION QUOTE Guaranteed Pricing for Customized Solutions Technicians are certified by the EPA Licensed, insured, and direct employees 100% Happiness Guarantee Mention Code “FBL23” FREE DUCT SANITAZATION with Air Duct Cleaning! 21-point HVAC inspection Complete AC report card - emailed after service Deep drain line flush Lubricate motors, clean unit housing Ductwork camera inspection A Homeowner’s Essential to Prevent Breakdowns During the Hottest Months! Avoid thousands in repair costs! ONLY $99 • • • Free Air Duct Sanitization is valid when purchased with Air Duct Cleaning and expires on 5/12/23. local@ lterbuy.com (c) 2023 Filterbuy, INC. All rights reserved Florida’s A/C & Duct Cleaning Experts 24 HOUR EMERGENCY HVAC SERVICE FREE SERVICE CALL WITH ANY REPAIR WHITE GLOVE A/C INSTALLATION Virtual or in person consultations Site visits by technicians, not salespeople No worry ownership - 5-year and 10-year Extended Labor Warranties Avoid future headaches - FREE UV lights, surge protectors and drain guards with every install FREE A/C ESTIMATES INTEREST-FREE FINANCING! Includes 2 years of our premium maintenance contract: • FREE air filters • FREE annual condenser coil cleaning • FREE annual replacement parts, surge protectors, and drain guards EXPERT HVAC TUNE-UP 772-208-8155
16 VOL. 565 N Copyrighted© My Living Media. 2023 All Rights reserved. To Advertise call 772-247-6849 Need More Coupons - MyLivingMedia.com Buy a PLATINUM YACHT WASH and RECEIVE a PLATINUM YACHT WASH for Free ($35 Value) Now starting at BEGINNING APRIL 1ST 2ND CAR AT NO CHARGE FOR FIRST 3 MONTHS $13.00 FULL SERVICE FROM 8:30AM-9:30AM (MON-FRI) 11370 US-1 NORTH PALM BEACH 5616009281 Come Visit Our Newly Remodeled Store & Indoor Customer Waiting Area AC, TV, ATM, Cold Beverages & Snacks WE ALSO SPECIALIZE The New Pelican Car Wash $3685 $6.55 FREE NEW OWNERS! NEW EQUIPMENT /pelican_car_wash /PelicanAutoWash ALL Prices Subject to change. Prices Will Vary Due to Size & Condition of Your Vehicle PLATINUM YACHT WASH EXPRESS EXTERIOR MEMBERSHIP SPECIAL UNLIMITED MEMBERSHIPS COMMUTER SPECIAL! Expires 5/12/23. Pelican Car Wash. Expires 5/12/23. Pelican Car Wash. Expires 5/12/23. Pelican Car Wash. Men’s Day Every Tuesday Women’s Day Every Wednesday & Up (plus tax) CUSTOM CLOSETS AND SHOWERS DOORS Licenced Contractor #MCN56662 #SCC131152195 561-810-1305 | www.coastalclosetsandshowers.com Visit our factory showroom at 4483 SE Commerce Ave, Stuart, FL 34997 Up to $300 off your new Custom Closet* We love to put a spring in your step! closet | office garage | wall bed wall units shower doors glass wine rooms store front glass Lifetime Warranty & FREE Glass Protection on your Custom Glass Shower Offers valid until M May 15, 2022 Coupon must be presented at time of consultation. *purchase of $2500 or more necessary.
The Salt, Sand, & Sea Classic & Timeless Furniture, Unique Coastal Lighting, Accessories, & Rugs Located in the YumYum Plaza 815 S. US Hwy. 1 Jupiter FL summerhousefurniture.com Mon.-Sat. 10am-6pm | Sun. 12:30pm-5pm HOME FURNISHINGS INSPIRED BY 561-781-3696
18 VOL. 565 N Copyrighted© My Living Media. 2023 All Rights reserved. To Advertise call 772-247-6849 Need More Coupons - MyLivingMedia.com GOOD is a haircut you love. GREAT is a sweet price too. $ 999 OFFER EXPIRES: 10/31/22 ANY HAIRCUT Not valid with any other offers. Limit one coupon per customer. No copies. Taxes may apply. Valid at Frenchman’s Crossing, Donald Ross Village & Plaza at Lake Park. Masks may be required. LAKE PARK Plaza at Lake Park 1244 Northlake Blvd • 561-515-5410 PALM BEACH GARDENS Donald Ross Village 4650 Donald Ross Rd (Central Blvd & Donald Ross Rd) 561-624-7372 Frenchman’s Crossing 4073 Hood Rd (Next to Publix) • 561-768-7767 greatclips.com | jobs.greatclips.com | greatclipsfranchise.com 41309-001-Norman-Donald Ross Village-Frenchman's Crossing-Plaza at Lake Park-6.25 x 4.5325.indd 1 5/31/22 12:59 PM OFFER EXPIRES: 4/30/23 TREE TRIMMING TREE & STUMP REMOVAL • TREE TRIMMING & THINNING • TREE REMOVAL • TREE & SHRUB PLANTING • HAZARDOUS REMOVALS • STUMP GRINDING 561-222-1860 $30 OFF ANY SERVICE $300 OR HIGHER. Exp 4/30/23 SOUTH FLORIDA’S TREE CARE SPECIALIST SCAN HERE TO BOOK YOUR FREE ESTIMATE
Copyrighted© My Living Media. 2023 All Rights reserved. To Advertise call 772-247-6849 Garages Patios Pool Decks Driveways & Much MORE! SCAN ME GET STARTED TODAY! Offer Valid for Same-Day Service Only FREE IN-HOME ESTIMATE 30% OFF WE TAKE THE BORING OUT OF YOUR FLOORING! TM 10X STRONGER BOND THAN EPOXY YOUR BEAUTIFUL NEW FLOORING IS JUST A CALL AWAY! 772-277-7562 • 561-277-0375 OXFLOORS.COM WITH THIS MLM COUPON. OFFER EXPIRES 5/13/23 PLUS
20 VOL. 565 N Copyrighted© My Living Media. 2023 All Rights reserved. To Advertise call 772-247-6849 Need More Coupons - MyLivingMedia.com HAPPY HOUR 3-6 PM Daily WINE DOWN WEDNESDAY 50% OFF All Wines by the Glass & Bottle ALL DAY!! FREE Bottle of Wine with $50 Purchase $25 3-Course Menu $58$60 Family Meals to Go (Temporary hours: 3-9 pm) INDOOR/OUTDOOR Social Distance Dining Available TAKEOUT • CURBSIDE PICKUP FREE DELIVERY (with $20 or more within 5 miles) ORDER ONLINE 561.444.3345 MONDAY & TUESDAY LARGE CHEESE PIZZA $10 Pick Up Only Cash Only With this MLM coupon. Not valid with any other offers. Expires 4/30/23 WEDNESDAY BUY 2-TOPPING PIZZA GET ONE LARGE CHEESE PIZZA  Pick Up Only & Delivery Only With this MLM coupon. Not valid with any other offers. Expires 4/30/23 FREE 12100 Hwy., US-1 Ste A • North Palm Beach www.TiramisuPizzeria.com • Like & Follow Us! THAI WEST LUNCH · DINNER · SMOOTHIES · ICE CREAM · COFFEE · BAKERY Now Open in Jupiter Farms! SCAN FOR MENU 9260 W. INDIANTOWN RD. #B4 • JUPITER (SIERRA SQUARE PLAZA) 561-842-9378 NOW SERVING BOBA TEA AUTHENTIC THAI FOOD Full Sushi Bar NOW OPEN!! $5 OFF *$40 or more CASH ONLY Expires 4/30/23 FREE 10% OFF Cannot be combined with other offers. Exp. 4/30/23 Cannot be combined with other offers. Exp. 4/30/23 561-277-9954 2525 Military Trail #105, Jupiter BLUE WATER TACO CO. FOLLOW US ON SOCIAL AUTHENTIC HOME-MADE TACOS, BURRITOS & QUESADILLAS SCAN ME Chips And Guac With Any $20 Order With any order of $30 or more TACOS QUESADILLAS SIDES CHIPS & DIPS BURRITOS TOSTADAS
VOL. 565 N 21 Copyrighted© My Living Media. 2023 All Rights reserved. To Advertise call 772-247-6849 Need More Coupons - MyLivingMedia.com OPENING HOURS Monday-Thursday 11:00AM-10:00PM Friday-Saturday 11:00AM-Midnight Sunday 11:00AM-10:00PM 1209 Main Street Suite 101 • Jupiter, FL 33458 561-360-3378 $500 OFF $25 Purchase With this MLM coupon. Cannot be combined with other offers. Expires 5/15/23 50% OFF Buy 1 Entrée at Regular Price Get The Second at Valid for Dinner only - With this MLM coupon. Cannot be combined with other offers. One coupon per table. Expires 5/15/23 (With the purchase of an adult entrée) *AT THE BAR ONLY Kids Under 12 Eat FREE & Tuesdays Thursday ALL DAY 12PM to 6PM “Authentic Cuban Cuisine Just Got A Little Closer To Home” Live Music every Wednesday thru Sunday!
22 VOL. 565 N Copyrighted© My Living Media. 2023 All Rights reserved. To Advertise call 772-247-6849 Need More Coupons - MyLivingMedia.com 13980 US Highway One, Juno Beach www.junobeach shhouse.com 561-626-2636 Call ahead for reservations Carryout, Patio & Inside Dining Available 2 lb. Lobster Buy 1 Lunch at Regular Price, Plus 2 Beverages Monday-Friday 11:30 to 2:30PM Get 2nd Lunch… LUNCH: Mon.-Fri. 11:30-2:30 DINNER: Open at 5:00PM 7 Nights a Week TUESDAY & THURSDAY ONLY BUY ONE - GET ONE IS BACK! 5-6PM SUNSET MENU $2499 $4599 FREE Subject to market pricing. Excludes any Lobster Specials. Cannot be combined with any other offer, coupon or promotion. Expires 4/30/23. MUST PRESENT COUPON, PAPER OR DIGITAL 3755 Military Trail Suite B8 Jupiter • www.benedittis.com 561-250-6523 Mon.- Thur: 11am - 8pm Fri. & Sat: 11am-9pm • Sunday 12pm-9pm BEST PIZZA IN TOWN DINE-IN TAKE-OUT DELIVERY 2 LARGE CHEESE PIZZAS WITH ONE TOPPING MON-WED CASH SPECIAL LARGE CHEESE PIZZA 1 LARGE CHEESE PIZZA AND 10 WINGS $2999 $2599 Must present MLM coupon. Cannot be combined with other offers. Dine in, Take out, or Delivery Expires 4/30/23 Must present MLM coupon. Cannot be combined with other offers. Dine in, Take out, or Delivery Expires 4/30/23 Must present MLM coupon. Cannot be combined with other offers. Dine in, Take out, or Delivery Expires 4/30/23 $1249 Pickup Only
VOL. 565 N 23 Copyrighted© My Living Media. 2023 All Rights reserved. To Advertise call 772-247-6849 Need More Coupons - MyLivingMedia.com SIMPLE • HEALTHY • FRESH! 1155 MAIN ST #112 JUPITER 561-557-3949 SCAN FOR MENU On Any Boba Teas FREE Buy 1 Tea, Get 1 Cannot be combined with any other coupons or offers. Expires 4/30/23 • Build Your Own Poke Bowl • Boba Teas • Japanese Desserts Located at Downtown Abacoa
24 VOL. 565 N Copyrighted© My Living Media. 2023 All Rights reserved. To Advertise call 772-247-6849 Need More Coupons - MyLivingMedia.com 11604 US Highway 1 Palm Beach Gardens 561-360-3136 jerseymikes.com 1 S2.oooFF ANY SIZE SUB! • 1WM\l\iiMUMiiMiHWjjj,j: Expres5/31'2l. Valid at participatirg.lefl€\' Mike's Sobs. Ore coupon per iJ€M'l per visit per day. Not to be Clll11bired with other offers. No cash vall>'. Coupon redeemable in pers Difeo with promo codes may am be redeemed in our app. 23112 1111111111111111111111111111111111111111111111111111111 BUY 2 GIANT SUBS. GET A 3rd { GIANT FOR S2-'' •of equal or lesser value VALID ONLY AT 11604 US HIGHWAY 1 LOCATION VALID ONLY AT 11604 US HIGHWAY 1 LOCATION VALID ONLY AT 11604 US HIGHWAY 1 LOCATION Expires 4/30/23. Valid at participating Jersey Mike’s Subs. One coupon per person per visit per day. Not to be combined with other offers. No cash value. Coupon redeemable in person. Offers with promo codes may also be redeemed in our app. 2306 Expires 4/30/23. Valid at participating Jersey Mike’s Subs. One coupon per person per visit per day. Not to be combined with other offers. No cash value. Coupon redeemable in person. Offers with promo codes may also be redeemed in our app. 2312 Expires 4/30/23. Valid at participating Jersey Mike’s Subs. One coupon per person per visit per day. Not to be combined with other offers. No cash value. Coupon redeemable in person. Offers with promo codes may also be redeemed in our app. 23152 Spring is best enjoyed with 561-799-9883 ($15 min. Limited Delivery) www.UncleJoesChineseFood.com Eat In Take-Out/Curbside Pick Up • Delivery Exotic Soups, Vegan Fare & Traditional Favorites! 4367 Northlake Blvd. (Northlake & Military Tr.) Palm Beach Gardens Mon.-Thurs. 11am - 10pm Fri.- Sun. 11am- 11pm SCAN TO SEE OUR MENU! Prices May Change
ANY PURCHASE OF $35 OR MORE ANY PURCHASE OF $70 OR MORE With this MLM coupon. Expires 5/12/23 With this MLM coupon. Expires 5/12/23 FRESH DAILY LOCAL $5 OFF $10 OFF 12174 US-1 · NORTH PALM BEACH 561-556-6022 Now Selling Beer & Wine! MON-FRI 8AM-6PM · SAT 8AM-5PM · SUN 10AM-3PM
26 VOL. 565 N Copyrighted© My Living Media. 2023 All Rights reserved. To Advertise call 772-247-6849 Need More Coupons - MyLivingMedia.com 772-600-7734 2492 SE Federal Hwy. (In the Regency Plaza) STUART Mon-Sat 7am-2am • Sun 10am-12am Kava Shell or Herbal Tea! *First time customers only please. Must present ad. Expires 4/30/23 KAVA & HERBAL TEAS Our Kava & Herbal Teas Promote Relaxation And Are A Good, Healthy Alternative To Alcohol. JOIN US FOR A SHELL & EXPERIENCE KAVA! Try the best Kava & Herbal Teas. Come join the community & see what it’s all about. FREE M Seaglass Window Fashions American Made 561-932-3712 PBG, Jupiter, Palm City, Stuart, Port St. Lucie Plantation Shutters White Poly Vinyl SOLAR SHADES Manual or Motorized available • Zebra Shades • Woven Wood Shades • Honeycomb Shades • Sheer Shades • Wood Plantation Shutters White & Stained 6671 W. Indiantown Rd. (Winn Dixie Plaza & Central Blvd.) Summer Hours: Closed Monday; Tues-Thurs 11-9; Fri & Sat 11-10 • Sun 12-9 www.myvinnyspizza.com 2 REG. SLICES & Soda $625 11am to 3pm +tax Catering Available For All Occasions $ 10.99 TUESDAY SPECIAL Large 16” Cheese Pizza Pick Up & Cash Only Limit 3 Per Family. Toppings Additional. $ 17.99 ANY 2 HUGE 12” HOT SUBS • Chicken Parmesan • Eggplant Parmesan • Meatball Parmesan • Sausage, Pepper, Onion +tax +tax PIZZA PARTY $ 42.99 2 Large Pizzas with 1 Topping Each, 20 Wings (Hot or Mild), 12 Garlic Rolls +tax Pick Up and Delivery You Save up to $14 You Save up to $5 THE FARM PARM. $27.99 2 CHICKEN PARMESAN OR 2 MEATBALL PARMESAN DINNERS Includes Pasta, Salad, and Bread +tax +tax Pick Up and Delivery • Chicken Parmesan • Meatball Parmesan • Eggplant Parmesan Includes Pasta, Salad, & Bread LARGE 16” PIZZA PICK UP ONLY $1 4.95 1 FREE MENU TOPPING $37.99 FAMILY FEAST 1 Large 16” Cheese Pizza and Choose any Two Dinners: You Save up to $10 +tax Try Our New GLUTEN-FREE 12” PIZZA With this MLM Coupon 1 Per Customer. Not to be combined with any other offers. Limited Time Offer. With this MLM Coupon 1 Per Customer. Not to be combined with any other offers. Limited Time Offer. With this MLM Coupon 1 Per Customer. Not to be combined with any other offers. Limited Time Offer. With this MLM Coupon 1 Per Customer. Not to be combined with any other offers. Limited Time Offer. With this MLM Coupon 1 Per Customer. Not to be combined with any other offers. Limited Time Offer. With this MLM Coupon 1 Per Customer. Not to be combined with any other offers. Limited Time Offer. Gluten-Free pizza dough with a touch of honey 1/2 Topping…$1.00 Whole Topping…$1.50 Pick Up Only Pick Up Only Pick Up Only
Copyrighted© My Living Media. 2023 All Rights reserved. To Advertise call 772-247-6849 2560 RCA Blvd. Suite 101 PBG • 33410 • www.pbgdentist.com The patient and any other person responsible for payment have the right to refuse to pay, cancel payment, or be reimbursed for any other services, examination, or treatment which is performed as a result of and within 72 hours of responding to the advertisement for the free service, examination, or treatment. Please Mention Code MLM for discounted prices when booking. 561-622-5600 Samuel J. Holcroft D.M.D., P.A. • 0% Financing through Care Credit • PPO Dental Insurance Plans • We Treat Adults & Teens • Nitrous Oxide Gas & Oral Sedation Available • We are a Humana Dental Care Provider • Tooth Colored llings & Bonding • Crowns & Veneers • Implants & Implant Support Bridges • Partials & Dentures • Root Canals • Grinding Guards • Extractions WHY US? CONTACT US NOW WELCOMING NEW PATIENTS! NEW PATIENT SPECIAL $79 With this MLM coupon. Please mention this ad when calling for appointment. Cannot be combined with any other offer. Expires 4/30/23 Including FMX (DO210), EXAM (D0150) & CLEANING (D1110) REGULAR CROWN PRICE $200 off Offer is for a single regular priced crown. New Patients only, and may be used with one other offer. Expires 4/30/23 TOOTH ACHE? $50 EMERGENCY PATIENT SPECIAL Including X-Ray (D0220) and Exam (D0140) With this MLM coupon. Please mention this ad when calling for appointment. Cannot be combined with any other offer. Expires 4/30/23
28 VOL. 565 N Copyrighted© My Living Media. 2023 All Rights reserved. To Advertise call 772-247-6849 Need More Coupons - MyLivingMedia.com VILLAGE BOOTERY SHOE STORES 245 U.S. Highway One • Tequesta 561.746.3536 2641 S.E. Ocean Blvd. • Stuart 772.283.3833 $10 OFF Your next Village Bootery purchase Expires 4/30/23. Discount not available on sales merchandise. Put a Hold on Aging BEFORE AFTER BEFORE AFTER Ca for your A ointment Today 561-529-4982 $50 OFF $400 ABOUT OUR SEMAGLUTIDE SPECIAL Any Service Cannot be combined with other offers. Expires 4/30/23 Cannot be combined with other offers. Expires 4/30/23 NEW CLIENT SPECIAL LIP FILLER www.aestheticsbykallee.com STARTING AT: BEAUTYFI MEDICAL SPA 1132 W. INDIANTOWN RD. #204 • JUPITER 561-245-1588 SCAN HERE TO VISIT OUR WEBSITE TUESDAY · 11AM-3PM SATURDAY · 10AM-3PM HOURS Exp. 4/30/23. Use code MGZ22 Morpheus8 Skin Tightening Single $849 3 for $1,999 & Starting at… $999 a unit $499 $599 $399 LIP FILLER You! Spring Into a Fresher, More Luxurious… Exp. 4/30/23. Use code MGZ22 Exp. 4/30/23. Use code MGZ22 Exp. 4/30/23. Use code MGZ22
HURRICANE IMPACT WINDOW SALE OF THE TREASURE COAST Visit Our Showroom Location - 2820 SE Monroe St., Stuart LIC#CGC009090 EcoViewWindows.com/Treasure-Coast 772-758-8640 HIGHEST QUALITY AT THE LOWEST PRICE GUARANTEED! LEAD TIME 4-6 Weeks ∙ NO PRODUCTS ∙ U FACTOR 0.29 ∙ MISSILE-IMPACT RATING D $760 FREE INSTALLATION Starting as low as Call Today For A FREE Estimate UNDER 101 UI (Some restrictions apply)
Copyrighted© My Living Media. 2023 All Rights reserved. To Advertise call 772-247-6849 Need More Coupons - MyLivingMedia.com 561-782-3078 travelbysolstice.com/kylaLicensed & Insured Specializing in Travel Experiences in Luxury Destinations Luxury Travel Agency • Luxury Trips • Group Trips • Business Trips • River Cruises • Destination Weddings PRIMEGOLFCARS.COM SALES • RENTALS • REPAIRS HUNDREDS OF ELECTRIC LITHIUM & GAS GOLF CARTS AVAILABLE • New & Used Carts • Lithium Battery • Rims, Tires, & Lift Kits • 2, 4, 6, & 8 Passenger Seat Carts • American EV Golf Carts • Bintelli Golf Carts • E-Z-GO Golf Carts • Evolution Golf Carts • Elite EV Golf Carts • Club Car Golf Carts • Kodiak Golf Carts • Yamaha Golf Carts • Roadster Golf Carts 561-601-5671 7100 N MILITARY TRL., FL• RIVIERA BEACH VISIT OUR OTHER LOCATIONS IN LANTANA, FT. LAUDERDALE & MIAMI FINANCING AVAILABLE • New Pools • Renovations • Remodeling • Repairs • Resurfacing Your Backyard Oasis Awaits… New Pool Construction 561-782-4644 Camco Pools New Construction & Renovations $1500 off With this MLM coupon. Expires 5/13/23
VOL. 565 N 31 Copyrighted© My Living Media. 2023 All Rights reserved. To Advertise call 772-247-6849 Need More Coupons - MyLivingMedia.com JUPITER, FL THREE PALMS CENTER Suite Rental Chair Rental Stylist Commission (561)748-3334 ULTIMATE HAIR SALON
32 VOL. 565 N Copyrighted© My Living Media. 2023 All Rights reserved. To Advertise call 772-247-6849 Need More Coupons - MyLivingMedia.com THE BEST CHOICE NOW OPEN IN JUPITER! MON-FRI: 9AM-6PM SAT: 9AM-2PM SUN: CLOSED FIND US ON 5 STAR REVIEW C e Visit O New Sh r m FINANCING AVAILABLE FREE IN HOME ESTIMATES GRAND OPENING SPECIAL SAVINGS 20% Off APPLIES TO FLOORING ONLY Expires 5/15/2023 OFFERING A WIDE VARIETY OF LUXURY HARDWOOD LAMINATE • VINYL • BASEBOARDS FROM USA & EUROPE! 2562 WEST INDIANTOWN RD, SUITE B-3 • JUPITER • LOCATED NEXT TO DOMINOS IN THE GREEN TURTLE PLAZA FAMILY OWNED & OPERATED 561-277-9943 CONTRACTORS WELCOME! WHOLESALE FENCING INSTALLATIONS & REPAIRS HOME OF THE LOWEST PRICE GUARANTEE Honest, Trustworthy, Hassle-Free Service From A Family-Owned Business FREE GATE WITH PURCHASE OF EVERY 150 FT. OF FENCING. UP TO A $450 VALUE FENCING SOUTH FLORIDA 561-612-2018 With this MLM coupon. Not valid with any other offer or prior purchases. Offer expires 5/12/23 PVC/VINYL FENCING CHAIN LINK FENCING “We guarantee to beat any price you have from any legitimate fence company” Licensed &Insured Broward 11-F-17403-X Palm Beach U-21752 WWW.FENCINGSOUTHFLORIDA.COM OFFICE 561-612-2018 SERVING BROWARD & PALM BEACH FREE REMOVAL OF EXISTING FENCE WITH PURCHASE OF NEW FENCING NO MINIMUM REQUIRED (excludes hurricane damaged fencing) FENCING SOUTH FLORIDA 561-612-2018 With this MLM coupon. Not valid with any other offer or prior purchases. Offer expires 5/12/23 Visit our website to see our episode on Designing Spaces NOW INTRODUCING OUR NEW ART DIVISION Custom Metal Works in Any Shape and Style added to your fence, gates, entry door, and interior or exterior house walls WOOD FENCING ALUMINUM FENCING WE DO IT RIGHT THE FIRST TIME FOR LESS.

Every 5,000 miles, like clockwork, you take your car to get its oil changed and tires rotated. It’s basic, routine maintenance, but that consistent attention and upkeep is vital for your vehicle to run e ciently, especially over a number of years. Your body, much like your vehicle, requires regular care and treatment to keep it healthy. And, again like your automobile, your body needs support from someone other than yourself, a professional who can guide it to achieving its utmost abilities and to retaining its peak performance.

Getting older, playing sports, or having a condition like sciatica or arthritis shouldn’t hold you back from living your life! You can feel like your younger self again, the one who didn’t feel any aches or pains when walking, running, jumping, or even sitting… all you have to do is visit Stretch Zone.

Drew Brees, former quarterback of the New Orleans Saints, is the newest partner at Stretch Zone who advocates for people to regularly get stretched. A er personally going to Stretch Zone for an assisted stretching session, Drew was impressed with the uniquely e ective and nationally accredited Stretch Zone Method®, which is administered by a highly-trained and Stretch Zone-certi ed stretch practitioner.

Here’s How It Works:

1.) Your rst session begins with lling out an intake form and having a consultation with your experienced and knowledgeable stretch practitioner. Based on your medical background and your personal goals, the stretch practitioner will personalize the ensuing 30-minute assisted stretching session to meet your individual needs. On subsequent visits, you’ll simply do a check-in with the practitioner to update your medical pro le with any recent changes and/or any new pain or discomfort that you might be experiencing.

2.) e stretch practitioner initiates the rst steps of the approved Stretch Zone Method®, utilizing Stretch Zone’s special patented straps to encourage your body to relax and ease into the stretches. You won’t nd these straps anywhere else!

Comparable to a thunder jacket for your pets, they are meant to calm your mind so that your entire body is perfectly loose, thus allowing the stretch practitioner to stretch your body to its full potential and, as a result, provide you with both preventative maintenance and pain relief.

3.) Assisted stretching (a/k/a passive stretching) is di erent from physical therapy in that your body is being stretched by someone else, you’re not actually doing any work. roughout your 30-minute session, the stretch practitioner will be steadily interacting one-on-one with you, ensuring that you are completely comfortable and not experiencing any pain. Ultimately, you are in control of the stretch, even as your practitioner guides your body through each and every step, because you tell the practitioner when you feel your best stretching position. e more you communicate, the better results you’re going to get!

Take advantage of Stretch Zone’s incredible Special: get one FREE 30-minute

stretching session! Anybody and everybody can and should be stretched. In fact, one Stretch Practitioner I spoke with at Stretch Zone says, “98% of the people I see in front of me really need to be stretched. is is something you should not live without.” Remember, it’s just like getting your oil changed! Plus, celebrities and professional athletes have been getting stretched for years, so it’s time for the general population to be clued into the secret!

Get Stretch Zone’s Special for yourself or get them for a friend or loved one… what better way to say you care than to give the gi of making life easier, of feeling healthier, lighter, and younger, and of feeling like yourself again?

VOL. 565 N 33 Copyrighted© My Living Media. 2023 All Rights reserved. To Advertise call 772-247-6849 Need More Coupons - MyLivingMedia.com
DO YOU WANT TO: DISCOVER WHAT STRETCH ZONE CAN DO FOR YOU! JUPITER 6390 W Indiantown Road, Suite 4, Jupiter, FL 33458 561-529-2272 In the Chasewood Plaza PGA EAST 11940 US Hwy 1, Unit 145 Palm Beach Gardens, FL 33458 561-644-2970 In the Seminole Shoppes PGA WEST 6271 PGA Blvd., #209, Unit 145 Palm Beach Gardens, FL 33410 561-619-6029 In the Mirasol Plaza
GOLF
PERFORMANCE?
TENSION
STRESS
EFFECTIVELY?
EASE FRUSTRATING MUSCLE ACHES AND PAINS? ✓ INCREASE YOUR OVERALL HEALTH AND WELLNESS? IMPROVE FITNESS AND YOUR OVERALL WELL-BEING. GET YOUR FREE STRETCH IT’S TIME TO FOCUS ON YOU. BOOK YOUR TODAY! FREE STRETCH
✓ 3 HAVE MORE ENERGY TO DO ALL OF THE THINGS YOU LOVE? ✓ IMPROVE YOUR
GAME, TENNIS SKILLS OR OTHER SPORTS
✓ MANAGE
AND
MORE
34 VOL. 565 N Copyrighted© My Living Media. 2023 All Rights reserved. To Advertise call 772-247-6849 Need More Coupons - MyLivingMedia.com 4X Stronger than Epoxy! 1 Day Garage Floors $250 $350 $450 CallUsToday! Floortekconcretecoatings.com 561-783-3293 South Florida’s #1 Concrete Coating Company Lifetime Warranty off off off 1-Car Garage or Equivalent Size 2-Car Garage or Equivalent Size 3-Car Garage or Equivalent Size Expires 5/12/23 Expires 5/12/23 Expires 5/12/23 • Residential • Commercial • Marine WINDOW TINTING NO AUTOMOBILES off $30 Any order over $100 Exp. 4/30/23 Over 40 Years of Experience www.mrtintofamerica.com BEFORE AFTER • Expert Lamp Repair & Restoration • Bring In Your Lamp For A Proper Fit! Best Selection of Lampshades in Florida! ANY SHADE IN THE STORE Expiration 4/30/23 $10 OFF $39.00 and Up 772.221.0222 Cedar Pointe Plaza 2461 SE Ocean Blvd. Stuart, FL 34996 Custom-Made Lamps & Shades ... Bring Your Lamp for a Proper Fit!
VOL. 565 N 35 Copyrighted© My Living Media. 2023 All Rights reserved. To Advertise call 772-247-6849 Need More Coupons - MyLivingMedia.com RESIDENTIAL & COMMERCIAL • Shingles • Synthetic Shingles • Metal • Tile • Aluminum 1500 N Florida Mango Rd Suite 3 • WEST PALM BEACH (561) 264-6233 $500 Off $1000 Off Any Roof $10,000 or more. Any Roof $20,000 or more. Must present coupon when signing contract 4/30/23 Must present coupon when signing contract 4/30/23 not be co Affordable Painting AFFORDABLE & SUPERIOR PAINTING affordableandsuperiorpainting@gmail.com 561-530-2491 20% 10% OFF OFF EXTERIOR PAINTING OVER $1595 One Per Customer. Must present this MLM coupon Cannot be combined with other offers. Expires 4/30/23 One Per Customer. Must present this MLM coupon Cannot be combined with other offers. Expires 4/30/23 INTERIOR PAINTING STARTING @ $2995 SPRING SPECIALS •INTERIOR PAINTING •EXTERIOR PAINTING •FENCE PAINTING •DECK STAINING •DRIVEWAY STAINING •CABINET PAINTING FREE DRIVEWAY POWERWASH W/EXTERIOR PAINTING FREE ESTIMATES & FINANCING AVAILABLE SCAN HERE TO VIEW OUR GALLERY myaffordableandsuperiorpainting.com • Lawn Grass • Batting Cages • Bocce Courts • HOA Playgrounds • Putting Greens • Pet Grass • Pool Areas • Paver Strips With a combined experience of 60+ years, Complete Synthetic Turf is the trusted choice for arti cial grass installation on e Treasure Coast! Complete synthetic Turf has the look and feel of natural grass. Always picture perfect! 7715 SW Ellipse Way, Stuart 772.494-2481 We look forward to exceeding your expectations in everything we do! FREE CONSULTATION FREE DESIGN FREE ESTIMATE 100% Satisfaction Guaranteed! Like Us On Facebook
36 VOL. 565 N Copyrighted© My Living Media. 2023 All Rights reserved. To Advertise call 772-247-6849 Need More Coupons - MyLivingMedia.com 1-833-ACE-CART(223-2278) Aceofcarts.com Ace of Carts 4880 SE Federal Hwy., Stuart • 2nd Location 552 US Hwy. 1 North, Tequesta Over 200 Brand New Club Cars in Stock ! • SALES • SERVICE • PARTS Now Open in Tequesta! AUTHORIZED DEALER BIGGEST SAVINGS OF THE YEAR! Must be a 2022 Model Year Club Car from dealer stock. Offer expires 5/12/23 or while supplies last. Financing is available with standard rates. Not eligible for 0% Financing promotion; offers do not combine. $1000 OFF *MSRP on any Club Car from Dealer Stock EXPERT FULL SERVICE JEWELRY REPAIR JEWELRY 75 E. INDIANTOWN RD #504 • JUPITER WE BUY GOLD 561.406.2074 20% OFF 50% OFF 50% OFF Any Watch or Jewelry Repair Watch Battery New Diamond & Gemstone Jewelry *Exclusions may apply With this MLM coupon. Expires 4/30/23 With this MLM coupon. Expires 4/30/23 With this MLM coupon. Expires 4/30/23
Need More Coupons - MyLivingMedia.com 561-972-0875 226 Center Street, Jupiter, FL 33458 ALL SERVICES RECEIVE COMPLIMENTARY HAIR TREATMENT First-time clients only. Offers may not be combined. Expires 5/15/23 * restrictions may apply $50 cut and blow dry ($75 Value) $80 color, cut, & blow dry ($140 Value) $75 partial highlight w/blow dry ($140 Value) $300 Proaddiction Smoothing ($350 Value) HAIR SHOP Amanda Ghattas at Jupiter Pressure Washing & Roof Cleaning • Screen Enclosure Frames • Driveways • Paver Sealing • Eco Friendly • Much More! www.pwpbg.com Workman’s Comp • Licensed & Insured Our Guarantee - If your house doesn’t look 157% better than before, we will refund you 100% of your money. “We Clean Barrel Tile, Metal, Asphalt Shingle Roofs & Cedar Shake Roofs” GOT MOLD ON YOUR ROOF? CALL OLIVER TWIST TODAY! We Are Commercial Specialists! Call James for Specials! BEFORE AFTER OliverTwist 561-771-0310 Serving South Florida Since 1999 SENIOR DISCOUNTS CALL FOR DETAILS ·Signs ·Vehicle Wraps ·Boat Wraps ·T-Shirt/Apparel ·Printing ·Biz Cards ·Flyers ·Promotional Items ·Food Product Labeling ·Stickers 151 FERN STREET Unit #2, Jupiter SCAN HERE TO VISIT OUR WEBSITE (561) 748-7446 With MLM coupon. May not be combined with any other offer. Exp. 4/30/23 Did You Know We Also Do... • Business Cards / Flyers • Promotional Items • Brochures • Banners • Boat & Car Wraps $250 OFF any wrap $2,000 or more

For What It’s Worth

I know I’m not the sharpest tack in the box, but I must have been living under a rock not to have appreciated the full magnitude of AI. For those of you who do not know what those initials stand for, they are Arti cial Intelligence. You know those little boxes with the pictures in them, that you have to click on to make sure you’re not a robot. ey ask you to identify the squares with the motorcycles or trees or school buses? Well, apparently AI’s cannot think for themselves so they get stumped at the pictures because they have not been programmed to respond to them. Not yet. ankfully they can’t think for themselves. (I use the word “they” as if they have taken on a human form, but to date, they are just computerized machines as far as I know). You know what else they can do? Rumor has it that they can apply for jobs, on sites such as INDEED, which makes life easier for the applicant. But what if they could think for themselves? What if they evolve into a thinking and acting machine one day. e reason I ask is because I understand that people such as Elon Musk are asking for a “pause” on further development of AI’s because these people are “concerned” about what they might be able to do in the future if the rapid rate they are evolving continues. Now I don’t know about you, but when I hear the word “concerned,” it freaks me out. To me that is a code word for “what until you see what happens next”. Imagine if AI’s could actually think for themselves and begin to run amok. I have friends who say that is impossible. I’m sure Orville and Wilbur Wright were told

the same thing when they took their rst ight. Besides, AI’s don’t have to think for themselves to do damage. All they have to do is get programmed some whacko who wants to do harm to people or the country at large. And I don’t think I have to tell you we have bad people living among us.

Of course the other side of the argument is that AI’s can do so much good in the health care eld, possibly coming up with solutions to medical problems and make advances that can save lives some day. at would be for the greater good, but there is potential to do the greater bad, and I don’t like it. On a personal level I am discouraged if not downright disgusted by the fact that AI’s have crept their way into the novel writing arena. If they are given a plot, some characters, and a genre, such as mystery or love story, they can come up with a pretty darn good book, and soon writers like me (who are still waiting to get my book on Amazon, but soon I hope) don’t have a chance, and what’s worse, when you, the buyer, purchase a book, you won’t know whether it was written buy a real author or an AI. AI’s have also made their way into the world of academia, and are doing homework, writing term papers and book reports, and even thesis papers as we speak. To me, all that might look good on paper, but it’s just going to make students stupid if they don’t have to do the work themselves.

Look, I don’t have all the facts, but from what I’ve heard, I’m getting a little nervous about the future. I mean we

already have enough trouble communicating with each other with the addition of texting, and social media substituting for actual phone calls and good old fashion letter writing. Imagine this scenario. You want to have a ght with your husband, but he always bullies you into giving up. He can’t win an argument with you because once you start crying, he caves. But suppose each spouse programs their AI (in the future of course, when they live with you) to ght each other while you both go to bed. Each of you enter the necessary information, and your AI’s duke it out, without emotions. en, you wake up in the morning and nd out who wins the argument. Science ction? Maybe. But what if it isn’t? For what it’s worth, I like a good old fashioned argument where we say stupid things, and then make up. It keeps the relationship new and our brains in good working order. We win some, and we lose some. If I want to make a point, I certainly don’t want to have a machine take the credit, but that’s just me.

Comments or Suggestions

38 VOL. 565 N Copyrighted© My Living Media. 2023 All Rights reserved. To Advertise call 772-247-6849 Need More Coupons - MyLivingMedia.com Your Complete Source For All Your Trees 772-324-0449 TREE TRIMMING • TREE REMOVAL FREE On Site Estimate Same Day Service 10% o Any Job $100 or more. With this MLM coupon. Cannot be combined with any other offers. Limited Time Only. Other Services: • Full Service Yard Clean Up • Hedge Trimming • Mulching GUARANTEED BEST PRICES! We Will BEAT Any Written Estimate! www.saultreeservicesllc.com
DrMelfi@mediaoms.com
VOL. 565 N 39 Copyrighted© My Living Media. 2023 All Rights reserved. To Advertise call 772-247-6849 Need More Coupons - MyLivingMedia.com METAL ROOFS just got MORE AFFORDABLE! • METAL ROOFING • TILE ROOFING • SHINGLE ROOFING Financing Available Satisfaction Guaranteed! Call Today (772) 291-1427 Lic. No. CCC1327906 American Made Plantation Shutters White Poly Vinyl SOLAR SHADES Manual or Motorized available • Zebra Shades • Woven Wood Shades • Honeycomb Shades • Sheer Shades • Wood Plantation Shutters White & Stained ing and refacing services, your original cabinet boxes stay in place –saving you the time, cost, and mess of a complete remodel. We’ll have your kitchen looking brand new in no time! Give us a call to schedule your free, in-home estimate. Before Refacing CALL TOD AY 561. 861.3532 DIEGO HERNANDEZ Locally Owned and Operated Serving Jupiter, FL and the surrounding area. Hassle-Free Kitchen Updates Choose a new color and style for your kitchen with cabinet refacing. kitchentuneup.com 1 DAY TUNE-UP • REFACING • REDOORING • CUSTOM CABINETS AND MORE!
40 VOL. 565 N Copyrighted© My Living Media. 2023 All Rights reserved. To Advertise call 772-247-6849 Need More Coupons - MyLivingMedia.com 772-362-1444 www.moceantherapycharters.com Captain Je 30 YEARS OF EXPERIENCE SPORTFISHING MOCEAN THERAPY CHARTERS
VOL. 565 N 41 Copyrighted© My Living Media. 2023 All Rights reserved. To Advertise call 772-247-6849 Need More Coupons - MyLivingMedia.com • Fishing Trips • Custom Cruises • Sightseeing • Events • Celebrations & Much More 34’ Center Console 30% OFF FULL DAY CHARTER SPORTFISHING Deep Sea Fishing Call for details. Expires 5/1/23
Copyrighted© My Living Media. 2023 All Rights reserved. To Advertise call 772-247-6849 Need More Coupons - MyLivingMedia.com 10% OFF Any Job Must Present This MLM Coupon Painting Interior/Exterior Popcorn Removal Knock Down Textures Crown Moulding Dry Wall Repairs John 561-306-1813 MC Lic # CPT 4946 • PBC Lic #U-14183 SCOLLOPAINTINGINC@GMAIL.COM Scollo Painting Inc Jupiter Sod & Landscaping 561.768.1337 561.747.7856 FREE ESTIMATES FLORATAM • BAHIA • PALMETTO • BERMUDA Sod Removal & Installation 13049 W. Indiantown Rd. • Jupiter LANDSCAPE DESIGN ROCKS & MULCH PRODUCE HARDSCAPING Over 40 Years of Experience 1st Pallet 10% OFF With this MLM coupon. Expires 4/30/23 Our Jupiter location is centrally located and We welcome you to meet Gabrielle Poplarchick, Jupiter’s One-Stop Shop For Your Hearing Needs! Schedule an appointment for you or a loved one: 2161B S. US Highway 1
VOL. 565 N 43 Copyrighted© My Living Media. 2023 All Rights reserved. To Advertise call 772-247-6849 772.773.6629 WWW.MYTCTRIMLIGHT.COM Minimum Purchase $4,000 Expires 4/30/23 Expires 4/30/23 Expires 4/30/23 $500 $200 Any Purchase of $2,000 or More! $1000OFF Minimum Purchase $7,000 OFF OFF • 16 Million Colors • On/Off Schedule • Dimmable Lights CALL FOR A LIGHTING DEMO! FREE OUTDOOR LIGHTING DESIGN & INSTALLATION Exterior Accent Lighting Company Scan Here

Treasure Coast Trimlight: For Life’s Moments

• Roo ine Lighting

• Patio Lighting

• Deck Lighting

• Commercial Lighting

• Downlights

• Pool Covers

• Boat Docks

• Pergolas and Awnings

Why Choose Treasure Coast Trimlight?

Awesome Warranty and 100% Guaranteed

Long-lasting and elegant, Treasure Coast Trimlight permanent lighting will have you feeling like every day is a holiday. e permanent lighting system is out tted with the highest quality RGB LED, energy-e cient lights that are bright and low pro le. Owners and operators, John and Brennan Brown discovered the endless possibilities and safety features of the Trimlight product when they purchased the system for their former home on the west coast. Now, residents of Port St. Lucie, John and Brennan have enlightened customers in communities on the Treasure Coast from Sebastian to Hobe Sound and Okeechobee. Enjoy year-round stunning aesthetic appeal with Trimlight’s patented channel system built to match your home and hide wires from view. is keeps your home looking beautiful and keeps the system HOA-compliant. Trimlight’s system is virtually invisible during the day and radiant at night allowing for 16 million light color options that are custom-catered to your every need. One installation and you have hands-free, yearround lighting built for any occasion.

From your design call, to install. John and Brennan are committed to their customers by providing the very best warranty on product and labor. Although all the bulbs are waterproof and designed to withstand adverse weather conditions, Treasure Coast Trimlight still o ers the following: Lifetime Guarantee On All Parts: is amount of time is dependent upon the usage the individual part sustains. ree Year Labor Warranty: is may include faulty bulbs, power supply parts, LED controllers, connections, aluminum channel nish, etc. In addition, if a bulb were to go out, John and Brennan are an easy phone call away.

ey will come out to your home to replace the bulb at no charge.

44 VOL. 565 N Copyrighted© My Living Media. 2023 All Rights reserved. To Advertise call 772-247-6849

Safety is a Priority

According to the Centers for Disease Control, “Each year in the U.S., more than 100 people die and thousands more are injured from ladder-related falls.” So why risk your health by stuggling to put up holiday lights with endless wires and cords year a er year? Treasure Coast Trimlight will provide you with a permanent, one-time install of bulbs that last ten times longer and use 1/10th of the energy! Treasure Coast Trimlight is not all about aesthetics. e system is a perfect solution to added security for you and your family.

e ush-mounted so t downlighting system easily attaches to your home and looks identical to current models of recessed can lighting. It provides a perfect splash of light that is not only curb appealing, but is perfect for security lighting.

Cutting Edge, User-Friendly Technology

e Trimlight app is amazing, making your entire lighting system completely customizable based on what you want to achieve from your lighting system. With virtually unlimited color and animation options, our programmable system gives customers the control and versatility to set their lights for every major holiday, sporting event, or any special occasion throughout the year. e app is extremely user-friendly and compatible with Android and Apple devices. e app comes with over 180 presets, pre-con gured holiday patterns, and daily timers, which is very helpful for those who are less

tech-savvy. For those who want complete customization, users caalso set custom sequences and make their own color combos as well as the ability to sync to music.

It is also Alexa and Google Home enabled. Set it and forget it. At the time of installation, customers will receive an overview and training on how to use the app, so they are good to go without any confusion or questions!

Fully licensed and insured, Treasure Coast Trimlight’s permanent programmable holiday and year-round lighting is designed to make your home or business stand out in excellence.

John and Brennan are happy to o er obligation-free complimentary design consultations at your home or virtually.

During the consultation, John and Brennan will discuss what your new lighting should accomplish, and what features you would like to accentuate. John explains, “Customers can pick and choose what they would like for their home.” Once you see the endless possibilities and bene ts of permanent lighting, you will sure to become one of many Treasure Coast Trimlight’s shiny, happy customers!

To schedule a consultation, call 772-919-5082 or visit www.treasurecoasttrimlight.com to see their gallery of photos and request aquote. Flexible nancing options are available.

Copyrighted© My Living Media. 2023 All Rights reserved. To Advertise call 772-247-6849

VOL. 565 N 45
46 VOL. 565 N Copyrighted© My Living Media. 2023 All Rights reserved. To Advertise call 772-247-6849 Need More Coupons - MyLivingMedia.com Licensed & Insured CFC1427336 561-533-7070 PlumbRitePlumber.com $30 OFF ANY SERVICE With this MLM coupon. We have got your plumbing problems covered. Services we offer: • Sewer, Drain Stoppages, and Clogged Lines • Plumbing Leaks and Repairs • Water Heater Installation, Repair, and Replace • Electric Roto-Rooter Service • High Water Pressure Sewer Jetting • Leak Detection • Camera Inspection 24/7 EMERGENCY SERVICE • Jewelry • Diamonds • Rolex Watches PLUS… • Bullion • Paper Money • Coins • Stamps Greg Harding, A Full-Time, PROFESSIONAL COIN DEALER with over 35 years of experience. • Foreign Coins • Ancient Coins • Shipwreck Coins • Set of Coins • Bags of Coins • Albums of Coins • Graded Coins • Coin Collections Email your coin list to BlueWaterCoins@gmail.com U.S. MINT COMPETITIVE BUYER CALL ME Blue Water Coins SCAN HERE for Website COMPETITIVE BULLION BUYER Professional Coin & Stamp Buyer 772-529-1008 GET CASH INSTANTLY FOR: NOW HIRING CALL TODAY! Experienced Electricians $50 OFF ANY JOB OVER $500 Cannot be combined with other discounts or offers. With this MLM coupon. Expires 5/12/23 Need An Electrician? FREE ESTIMATES Lic # EC13007910
Copyrighted© My Living Media. 2023 All Rights reserved. To Advertise call 772-247-6849 Need More Coupons - MyLivingMedia.com LASER TREATMENTS | LIQUID RHINOPLASTY | FACIALS | LASHES NEUROTOXINS | MICRONEEDLING | FILLERS | FACIAL CONTOURING BASIC With this MLM Ad • Exp. 4/30/23 2750 S Kanner Hwy • Stuart 561-823-2731 FULL SYRINGE $30 $40 $50 20% OFF OFFOFF OFF ANY ANY FACIAL FILLERS BOTOX, DYSPORT or JEUVEAU ANY PURCHASE IN OUR BOUTIQUE With this MLM Ad • Exp. 4/30/23With this MLM Ad • Exp. 4/30/23With this MLM Ad • Exp. 4/30/23 Albany Aesthetics The Secret to Timeless Beauty!
48 VOL. 565 N Copyrighted© My Living Media. 2023 All Rights reserved. To Advertise call 772-247-6849 Need More Coupons - MyLivingMedia.com Authentic Scratch-Made Pierogies from Our Family to Yours! Nationwide shipping, local dine in, takeout & delivery. (561) 720-2498 • 813 Donald Ross Rd, Juno Beach $5 Off Order Here Scan for Menu When you spend $20 or more! With this MLM coupon. Expires 4/30/23 IF YOU ARE WAITING FOR A SIGN THEN THIS IS IT! WAHLBERG WEEK. 7 BRAND NEW WORKOUTS. MEMBERS & NON MEMBERS WELCOME. GET READY! TEAM TRAINING. LIFE CHANGING. RESULTS DRIVEN. 5500 MILITARY TRAIL, JUPITER 561-400-0505 • FUNCTIONAL TRAINING • BUILDING A COMMUNITY • INDUSTRY-LEADING TECHNOLOGY f45training.com F45 Jupiter 5500 Military Trail Jupiter Fl 33458 561-644-8110 (Located in the Publix Plaza) F45 Palm Beach Gardens – NOW OPEN 4773 PGA Blvd Palm Beach Gardens, FL 33458 561-400-0505 *New Clients Only JOIN TODAY BY TEXTING OR CALLING ONE FREE WEEK FROM APRIL 17-23RD ONLY ELECTRIC 772.732-4478 YOUR TRUSTED ELECTRICAL EXPERTS $50OFF *With Any Repair or Upgrade with this MLM Coupon. Exp. 4/30/23 Experienced • Reliable • On Time • Honest FREE QUOTES for Panel Replacements & Electrical Vehicle Chargers 24/7 Emergency Service Lighting Upgrades Panel Replacements Trouble Shooting Electrical Vehicle Charger
VOL. 565 N 49 Copyrighted© My Living Media. 2023 All Rights reserved. To Advertise call 772-247-6849 Need More Coupons - MyLivingMedia.com Make Your Shower & Floors Look New Again! • Tile & Grout Cleaning • Grout Restoration • Tile & Grout Repair • Loose & Hollow Tile Rebonding • Shower Repairs & Regrouting • Non-Slip Tile Treatment SEE THE DIFFERENCE WE CAN MAKE IN THE LOOK OF YOUR HOME! Your Grout & Tile Cleaning Experts No More Dirty Grout! Before After Guaranteed for 10 Years! THE GROUTSMITH Call A/C Now for Service that Wows! Air Conditioning Repair, Maintenance, Installation Heating Pool Heating Commercial Residential Safe Vendor Certi cation 561-823-2676 Serving Martin & N. Palm Beach County Veteran Owned & Operated 30 Years Experience acnowllc.com FREE $69 $45 $65 SERVICE CALL REPLACE YOUR AC SYSTEM FOR AS LOW AS PER MONTH AIR CONDITIONER TUNE UP HOME AIR QUALITY EVALUATION **With Repair During Normal Business Hours With this MLM coupon. Expires 5/12/23With this MLM coupon. Expires 5/12/23With this MLM coupon. Expires 5/12/23 *with approved nancing
Need More Coupons - MyLivingMedia.com Cosmetic & Family Dentistry NEW YEAR NEW BENEFITS • Emergency Care • Walk Ins Welcome ACCEPTING NEW PATIENTS • Family Dentistry • Cosmetic Dentistry PORT ST. LUCIE Hablamos Español JUPITER Dentistry By Design 3889 Military Trail, Ste.102 Jupiter, FL 33458 www.dbdfl.com Tel: 561-861-2611 GREENACRES Most Dental Insurance Plans Accepted Crystal Cabinet & Furniture “Where Price and Quality mean everything!” (772) 773-1411 RESIDENTIAL • COMMERCIAL LICENSED & INSURED FREE FREE BATH VANITY ESTIMATES *With Any New Kitchen. Some restrictions apply. Exp. 5/12/23 • Resurfacing Kitchens • Custom Cabinets • Quartz/Granite Countertops • Vanities • Wall Units HELPING YOUR BUSINESS BECOME MORE EFFICIENT WHILE SAVING MONEY! 561-419-9530 CARRIER ASSESSMENT Complimentary (Valued at $350) With this MLM Coupon • CARRIER SERVICES • VoIP SERVICES • VIDEO CONFERENCING • NETWORKING & WIFI Treasure Coast 772-210-3530 Palm Beach
VOL. 565 N 51 Copyrighted© My Living Media. 2023 All Rights reserved. To Advertise call 772-247-6849 YOUR TRUSTED ROOFERS $500 ANY NEW ROOF $10,000 & Up Must present this MLM coupon. Expires 5/12/23 off $150 ROOF REPAIR Must present this MLM coupon. Expires 5/12/23 off Roof Repair • Roof Replacement Insurance Restoration LICENSED & INSURED • #CCC133746 5 Stars Google FREE In-home Estimate 772-222-6760 819 SW Federal Hwy. Ste #201 • Stuart www.levelbestroo ng.com
52 VOL. 565 N Copyrighted© My Living Media. 2023 All Rights reserved. To Advertise call 772-247-6849 Need More Coupons - MyLivingMedia.com YOUR NEXT PRODUCT PURCHASE EXCLUDING FOOD & GROOMING Natural Pet Food • Boutique • Grooming Catering to Your Pet’s Health! 155 Toney Penna Drive, Suite 6, Jupiter, FL 33458 1/2 mile South of Indiantown Road, between Alternate A1A & Military Trail Largest selection of natural, holistic & raw pet food including raw meaty bones, chicken necks & tripe. 561.748. PAWS 7297 info@healthepetsmarket.com WWW.HEALTHEPETSMARKET.COM Must present coupon at time of service. Not valid with any other offer. Expires 4/30/23 Certi ed NutritionPet Specialist Healthy options for cats and dogs include supplements and vitamins, plus all of your pet’s favorite treats. 10%off (Mon.-Sat.) • 8:30am - 7:00pm (Sunday) • 11:00am - 4:00pm Toys • Bones • Bedding • Leashes • Collars • Grooming Supplies and more. NEED SHUTTERS THIS WEEK? Family Owned & Locally Manufactured Plantation Shutters & Motorized Shades Installed in as little as 7 Days • ANGLES & RAKES • ARCHES & SUNBURSTS • OTAGON, CIRCLE, HEXAGON • SILL COVERS & CAPS HORIZONTAL ARCH PLANTATION SHUTTERS SUNBURST PLANTATION SHUTTERS www.plantationshutters a.com Treasure Coast Palm Beach 772-600-4253 or 561-420-0418 Visit our manufacturing shop at: 406 Farmers Market Rd Ft Pierce, FL 34982 IN-HOME ESTIMATES FREE $1695 SQ. FT. INSTALLED Starting at We are the Real Manufacturer We Welcome Designers & Builders! Licensed & Insured CALL TODAY AND GET UP TO 10% DISCOUNT Restrictions may apply.
VOL. 565 N 53 Copyrighted© My Living Media. 2023 All Rights reserved. To Advertise call 772-247-6849 Need More Coupons - MyLivingMedia.com Family Owned & Operated since 1983 24-HOUR SERVICE 4 Generations of Plumbing & Knowledge! TOLL FREE 2647 President Barack Obama Hwy., Riviera Beach, FL 33404 561-625-9414 800-323-0263 www.NorthCountyPlumbing.org • Licensed • Bonded CFC026530 Serving All of Palm Beach County for 39 Years Strong & Still Growing! PLUMBING PROBLEMS? We can handle any plumbing repair, from Big to Small! 10% $1099 $ 425 $ 99 OFF ANY SERVICE CALL Maximum ($100 Discount) With this MLM coupon. Cannot be combined with any other offer. Expires 5/12/23 INSTALLED WATER HEATER SPECIAL Electric Only. 50 - 40 - 30 - Tall or Med. No Hidden Costs Regular Price $1199 - Special Price $1099 - SAVE $100 With this MLM coupon. Cannot be combined with any other offer. Expires 5/12/23 TOILET REBUILD SPECIAL Includes Fill Valve & Flapper. Standard Toilets Only Regular Price $148 - Special Price $99 - SAVE $49 With this MLM coupon. Cannot be combined with any other offer. Expires 5/12/23 In Garage on Floor Only. +TAX NEW TOILET Supply & Install White Round or Elongated Toilet With Seat, Standard Height. Reg. Price $499, Special Price $425 SAVE $75. Additional Charges Will Be Applied for Above 1st Floor Installations. With this MLM coupon. Cannot be combined with any other offer. Expires 5/12/23 TRAVEL LASH ARTIST NOW OFFERING MICROBLADING & OMBRE BROWS Lash Styles Additional Services • Classic • Hybrid • Volume • Much More • All Face Waxing • Lash Lift & Tint • Eyebrow Tint $20 Off 1st Time Customer With this OMS Coupon. Expires 5/1/23 Text/Call 954-770-6210 signaturelashesandbeauty.com SIGNATURE LASHES • Homemade Pastries • Hummus • Tabouli •Kibbe •Falafel •Lamb or Chicken Kabob •Gyro Platters •Kafta Kabob •Chicken Shawarma Platters Authentic Lebanese & Greek Cuisine DAILY LUNCH SPECIAL Healthy, Lean, Nutritious Foods, Gluten-Free, and Vegetarian! ENJOY OUR OUTDOOR DINING 561-622-1660 • 561-677-1273 Mon-Sat 9am-9pm • Sun 10am-9pm www.aladdionmediterranean.com 3896 Northlake Blvd (Home Depot Plaza) ENJOY OUR NEW EVERYDAY SPECIALS $5 O on purchase of $30 Dine-in or take out. All day, every day. With this MLM coupon. Cannot be combined with any other coupon or offers. Expires 5/15/23 MLM Dine-in or take out. All day, every day. With this MLM coupon. Cannot be combined with any other coupon or offers. Expires 5/15/23 MLM $10 O on purchase of $50 Hookah Bar Belly Dancing Show Friday 7:00 pm & 8:00 pm Follow us on DAILY DINNER SPECIALS OFFERED EVERY DAY ALSO! SPECIAL RAMADAN MENU Ask Your Server Today! DAILY LUNCH SPECIALS DINNER SPECIALS Starting atStarting at $799 $1650 *NO SUBSTITUTIONS OR COMBINATION WITH ANY OTHER COUPONS.
54 VOL. 565 N Copyrighted© My Living Media. 2023 All Rights reserved. To Advertise call 772-247-6849 Need More Coupons - MyLivingMedia.com Motorized Roll-Up Screens for Garages, Patios, or Lanais YOUR LOCAL SCREEN & AWNING DEALER. RATED #1 IN SERVICE 561-349-6788 FlaScreens.com Serving Port St Lucie to Boca Raton • Visit Our Showroom at: 2885 Jupiter Park Dr. • Suite 1900A • Jupiter, FL 33458 • Power Screens • Retractable Awnings • Nano Bugmesh • Solar Fabrics • FREE In-House Estimates ENTERTAIN OUTDOORS YEAR ROUND! Let e Fresh AIR IN, Keep the BUGS OUT. Lic.# U-20970 Elec. Lic # EC13002031 Gas: 24513 CALL TODAY FOR YOUR FREE IN HOME ESTIMATE 561-202-3535 www.PowerRestored.com *Must Have Promo Present At Time of Signing* DON’T WAIT UNTIL HOME STANDBY HURRICANE SEASON! GENERATORS Supplies are Very Limited! Reserve Your Generator Today! • Turnkey Installations! • Electric and Gas Contractors! • Fully Licensed and Insured! • Factory Authorized Technicians! • Service and Mainteance! • Celebrating 35 Years in Business! $1,000 Up To OFF! Limited Time Offer! Valid Through 05/2023
VOL. 565 N 55 Copyrighted© My Living Media. 2023 All Rights reserved. To Advertise call 772-247-6849 Call Today for a FREE ESTIMATE 561-612-0214 • 615 Industrial St. • Lake Worth Open: Mon-Fri 9am-5:30pm; Sat 9am-2:30pm www.KingOfKitchen.com Send Us a Photo of Your Kitchen and we’ll send you a FREE Initial Estimate for Granite Countertops & Cabinets Send to: info@kingofkitchen.com OR TEXT to 561-291-9414 Over 36,000 Sq. Ft. of Showroom & Warehouse • 100% Wood Cabinets • Brazilian Natural Stone Countertops • Factory Direct to the Public • White Shakers Available 10’x10’ Kitchen Cabinets & Granite $1,999** Modern Kitchens Also Available Granite Installation Starting at $999 *measurement and sink not included
56 VOL. 565 N Copyrighted© My Living Media. 2023 All Rights reserved. To Advertise call 772-247-6849 Need More Coupons - MyLivingMedia.com …not your typical pawn shop! FREE 30% Off 561-575-5656 20% Off FREE Cleaning & Evaluation 360 W Indiantown Rd | JUPITER Certi ed Diamond Rings & Jewelry UP TO Cleaning Cloth with purchase of any jewelry over $300 Designer Handbags *Most Jewelry Pieces. Expires 4/30/23 Expires 4/30/23 *Exclusions May Apply. Expires 4/30/23 Expires 4/30/23 561.468.8230 THE PATIENT AND ANY OTHER PERSON RESPONSIBLE FOR PAYMENT HAS A RIGHT TO REFUSE TO PAY, CANCEL PAYMENT, OR BE REIMBURSED FOR PAYMENT FOR ANY OTHER SERVICE, EXAMINATION, OR TREATMENT THAT IS PERFORMED AS A RESULT OF AND WITHIN 72 HOURS OF RESPONDING TO THE ADVERTISEMENT FOR THE FREE, DISCOUNTED FEE, OR REDUCED FEE SERVICE, EXAMINATION, OR TREATMENT. SCAN FOR WEBSITE & SERVICES We accept most major insurance plans & Medicare 4601 Military Trail #202, Jupiter HOURS MONDAY-FRIDAY 8:30AM-5:00PM FOOT, ANKLE, OR VEIN ISSUES? WE CAN HELP! Rel … DR. ORLANDO CEDENO DPM Podiatrist Foot & Ankle Surgeon Located in Jupiter, FL $100 OFF SCLERO VEIN THERAPY With this MLM coupon. Expires 4/30/23 • Foot Ankle Surgery • Bunion Surgery • Cysts & Warts • Fractures & Breaks • Ankle Arthritis • Diabetic Foot Conditions • Minimally Invasive Foot Surgery • Hammer Toe • Ingrown Toe Nails • Varicose Veins Treatment • Neuropathy Solutions • Wound Care • Nerve Decompression in Foot BEFORE AFTER Bunionectomy® & Hammer Digit Minimal Pain…Minimal Incisions…Impressive Results

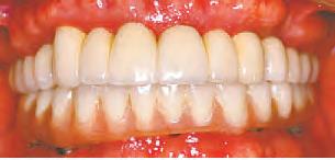
Dr. Gaeta is a Board Certified Implant Dentist with over 35 years of experience. Dr. Gaeta is a General Dentist and is a Diplomate of The American Board of Oral Implantology/Implant Dentistry (ABOI/ID), a Fellow at Misch Implant Institute and an Associate Fellow at the American Academy of Implant Dentistry (AAID).

Diplomates are AAID members who have become Diplomates of the American Board of Oral Implantology/Implant Dentistry (ABOI/ID). The ABOI/ID is a certification agency that serves independently to protect members of the public who seek dental implant care. This designation signifies that these dentists have met the highest criterions in oral implantology; that they have met educational and experiential standards, have reached an in-depth level of knowledge and acquired a proficient level of skill and ability.

At

VOL. 565 N 57 Copyrighted© My Living Media. 2023 All Rights reserved. To Advertise call 772-247-6849 Need More Coupons - MyLivingMedia.com OPEN FOR EMERGENCIES | AFFORDABLE DENTAL EXCELLENCE IS NOW HERE! WE ARE PRIVATELY OWNED, NOT A CHAIN OR CORPORATE ENTITY. WE SPECIALIZE IN FULL MOUTH RECONSTRUCTION Additional services we offer include CLEAR TOOTH ALIGNERS, SINGLE IMPLANTS, DENTURES & MORE!!! FREE IMPLANT CONSULTATION (Exam & Digital X-Ray or 3D Cone Beam) (D0150, D9310, D0330 & D0383) SureSmile® OR CLEAR TEETH ALIGNERS OUR EXPERIENCED DENTISTS HAVE PLACED THOUSANDS OF IMPLANTS You Des ve a Beautiful Smile! SALVATORE MELITA, DDS ALANA SHIELDS, BSN, RN, DMD JOSEPH GAETA JR., DDS Better On 8™ Cleaning Porcelain Fused to Metal Crown Zirconium All Porcelain Crown $79 $699 $899 Includes Free Exam & X-Rays New Patients Only LIMITED OFFER (D1110, D0150, D4355,D0330) (D2751) (D2740) FULL ROUND HOUSE BRIDGE A Better Alternative to All-On-4 Benefits • Very little, if any speech changes • Does not cover any part of the palate • Can be cleaned just like bridges on teeth • Require no special abutments (All-on-4 protocol requires angle correct on abutments which are not bone or gum tissue friendly) • Usually do not need pink porcelain at the gumline (because aggressive bone removal is not necessary) D6010, D6056, D6240, D6060 BETTERON8.COM D6010, D6056, D5863, D5865, D5862 PER ARCH WITH LOCATORS PER ARCH D6010, D6056, D6065, D6060 50% SAVINGS WE USE MEGAGEN IMPLANT SYSTEMS Implant, Abutment, and Zirconium Crown Implant, Abutment, and Crown Only$1,899 Only$2,099 D7140 DENTURES INTERMEDIATE $999 DELUXE $2,000 D5130/D5140 D5110/D5120 With Simple Extractions Starting at $99 We will beat any like-priced quote $8,499 Implant and Abutments Placed Crown and Bridge Porcelain Fused to Metal Implant Abutments Placed $14,500 FULL MOUTH RECONSTRUCTION ROUND HOUSE BRIDGE 8/6 IMPLANTS & 12 UNITS OF CROWNS starting at starting at WE WILL MEET OR BEAT ANY WRITTEN ESTIMATE ON IMPLANTS, ROOT CANALS, & CROWNS! WALKINS WELCOME EVENING APPOINTMENTS AVAILABLE PRICES ARE SUBJECT TO CHANGE WITHOUT NOTICE WITH THE EXCEPTION OF PREVIOUSLY SCHEDULED TREATMENT PLANS. THE PATIENT AND ANY OTHER PERSON RESPONSIBLE FOR PAYMENT HAS THE RIGHT TO REFUSE TO PAY, CANCEL PAYMENT OR BE REIMBURSED FOR ANY SERVICE EXAMINATION OR TREATMENT WHICH IS PERFORMED AS A RESULT OF AND WITHIN 72 HOURS OF RESPONDING TO THE ADVERTISEMENT FOR THE FREE, SERVICE, EXAMINATION OR TREATMENT. LIC #DN10761 5612506307 6390 W. Indiantown
#32 •
33458
Rd.,
Jupiter, FL
the West End of the Chasewood Plaza AppearanceImplants.com SCAN HERE OPEN MON.FRI. EVENING HOURS AVAILABLE
58 VOL. 565 N Copyrighted© My Living Media. 2023 All Rights reserved. To Advertise call 772-247-6849 Need More Coupons - MyLivingMedia.com DRYER VENT CLEANING WHEN WAS YOUR DRYER VENT LAST CLEANED? • Speeds Up Drying Time • Reduces Fire Risk • Lowers Utility Costs (more ef cient) • Don’t Wait Until It’s Too Late With over 15,000 dryer res happening each year, IT MAKES SENSE! 561.331.LINT (5468) ✔ Dryer Vent Cleaning ✔ Dryer and Washer Installation ✔ Residential Services ✔ Commercial Services www.dryerventcleaningjupiter.com Licensed & Insured Serving Jupiter & the Palm Beaches Neighbors Discount Special *Washer & Dryer Repair Service $30Off Any Dryer Vent Cleaning Service With this MLM coupon. Must present coupon at time of service. Expires 4/30/23 NO RUST • NON-IMPACT DEFLECTS 80% OF HEAT & GLARE BLOCKS OVER 95% OF RAIN HIGHEST QUALITY PRODUCTS EXCELLENT SERVICE 20 YEARS OF EXPERIENCE REFERRALS AVAILABLE UPON REQUEST 772-252-6833 WWW.ALLSHUTTER.COM ACCORDION SHUTTERS ALUMINUM SUNSHADES IMPACT WINDOWS & DOORS FREE ESTIMATES Licensed & Insured | CC#07-G-14495-X | CC#04-11218-AE-X Prince Gives Us His Stamp of Approval! $600 Off $1000 Off ON ANY JOB $15K OR MOREON ANY JOB $20K OR MORE With this MLM coupon. Not to be combined with other offers or specials. Expires 4/30/23 With this MLM coupon. Not to be combined with other offers or specials. Expires 4/30/23
VOL. 565 N 59 Copyrighted© My Living Media. 2023 All Rights reserved. To Advertise call 772-247-6849 Download the SunFest 2023 app, to create your custom schedule POWERED BY FORD Tickets are limited. Reserve yours in advance • SunFest.com • 1-800-SUNFEST (786-3378) A BOOGIE WIT DA HOODIE 311 • ALL TIME LOW • DROPKICK MURPHYS FLO RIDA • SURFACES • ZIGGY MARLEY ALO • ANABEL ENGLUND • ARDN • CHARLOTTE SANDS • FEDD THE GOD GATLIN • THE HIP ABDUCTION • LAYA • PLS&TY • SURFER GIRL ALLEGRA MILES • EAST HARBOR • GVIN • LEAVE IT TO US • THE NAMELESS NOSTALJAH • PRATO • RAZZAMOORE • SOULPAX • VIBES FARM
Copyrighted© My Living Media. 2023 All Rights reserved. To Advertise call 772-247-6849 Need More Coupons - MyLivingMedia.com Visit us at our LOCAL Retail Locations West Palm Beach Palm Beach Gardens • Tequesta Hobe Sound • Port St. Lucie Fort Pierce • Vero Beach Call Today for Coverage TOMORROW 561-468-3735 compasshealthinsurance.com info@compasshealthinsurance.com FLORIDIANS HELPING FLORIDIANS SINCE 2007 • $0* Monthly plan payments, if you qualify. • Doctor visits, labs, and generic drugs as low as $0 • Community specialists who can connect you to the latest nancial resources and support programs Your health is our priority For complementary enrollment assistance, contact Compass Health Losing Medicaid coverage doesn’t mean you have to go unisured. No one plans for the unexpected... Stay covered with an affordable health plan from
VOL. 565 N 61 Copyrighted© My Living Media. 2023 All Rights reserved. To Advertise call 772-247-6849 Need More Coupons - MyLivingMedia.com 561-903-4811 1001 W. INDIANTOWN ROAD • STE. 106 JUPITER, FL 33458 www.Yourpremierdentist.com WELCOME TO PREMIER DENTISTRY We are available for your dental emergencies! Having a smile you’re proud to share shouldn’t be dif cult or break the bank. We know how important it is to have a smile that lets you feel and look good, which is why our team strives to give you the dental care you deserve. Our dentists are committed to providing high-quality family, cosmetic, and advanced dentistry to each and every patient. PAYMENT PLANS FOR EVERYONE! Premier D entistry SMILE! YOU’RE IN GOOD HANDS TRUSTED & AFFORDABLE DENTAL CARE With this MLM coupon. Expires 4/30/23 New Patients Only $49 EMERGENCY EXAM With X-Rays With this MLM coupon. Limited time offer. New Patients Only WELCOMING HEALTHY MOUTH CLEANING $79 Exam & X-Rays With this MLM coupon. Expires 4/30/23 New Patients Only Complimentary Invisalign Consultation with $500OFF Treatment (full case) Premier D entistry SMILE! YOU’RE IN GOOD HANDS DR. CASEL

Don’t Wait Until

The Top 9 Bene ts of Hurricane Impact Windows

1.) Stronger Protection and Greater Insulation from Storms Impact windows (a/k/a hurricane windows) are designed to withstand Category-5 hurricane winds (200-mph+). An interlayer is situated between two thick layers of glass, ensuring that absolutely no water, debris, and/or wind will enter your home to cause damage. Even if the outer glass of the window is somehow punctured, the glass is designed to crack in a spiderweb pattern, thus eliminating the possibility of the window blowing out entirely.

2.) Energy-Ef cient

Hurricane windows seal off the interior of your home so well that your air conditioning bill can decrease. You don’t have to worry about your air, or your money, going out the window—literally.

3.) Less Time, Energy, and Anxiety

With alternative storm protection methods, you need to invest your time and energy preparing your home for the impending storm. This preparedness can cause you stress if something suddenly does not work or requires more than one person to work. Hurricane windows, on the other hand, are hassle-free and require no work on your part.

4.) Increased Lighting with UV Protection

In the event of a hurricane, with impact windows, you can rely on having natural light as a resource without compromising your security. Additionally, the glass has greater UV protection, so any light that does come through will not cause fading on your carpeting or furniture.

5.) Noise Reduction

Impact windows are thicker, so you can relax in your home without having to hear the hustle and bustle of the outside world... or any neighbors’ pets.

6.) Intruder Protection

If 200-mph winds cannot destroy hurricane windows, then burglars stand no chance! Would-be intruders will be disappointed to learn that your home has impact windows because there is little chance that they will be able to break them.

7.) Lower Insurance Rates

Your insurance company will be so excited to learn that you are giving your home the best protection possible that it will likely reduce your rates.

8.) Higher Property Values

Homes with hurricane windows have higher property values. If you ever sell your house in the future, you will attract buyers who are willing to pay more for the added protection.

9.) Made in the U.S.A.

Hurricane windows from Max Guard are crafted entirely in the United States of America. When you choose Max Guard impact windows, you are supporting the American workforce and economy!

So, what are you waiting for? Give the professionals at Max Guard a call today to nd out more about how their hurricane windows will protect you, your family, and your home.

The new Max Guard Hurricane Windows showroom is located at 2257 Vista Parkway, Suite 28, in West Palm Beach. It is open Monday through Friday from 9AM to 6PM and Saturday 10AM to 2PM. For more information, please call 561-566-5MAX (5629) or visit MaxGuardHurricane.com.

*MaxGuard is not responsible for delays outside of it’s reasonable control including but not limited to HOA and permitting approval or manufacturing delays.
**ZERØ! – Until 2025! –Ø Interest Ø Payments
Licensed & Insured SCC131151738 Until It’s Too Late! You Are Here! 561-782-7447 FREE Quote *Some Restrictions Apply OR... starting at Per Month Whole House of Windows and Doors $169

SUDOKU PUZZLE

64 VOL. 565 N Copyrighted© My Living Media. 2023 All Rights reserved. To Advertise call 772-247-6849 Need More Coupons - MyLivingMedia.comPUZZLE PAGE
PUZZLE PAGE CROSSWORD ACROSS 1 Feedbag bit 4 Chilled 8 Theatergoer’s souvenir 12 Show to a seat, slangily 13 Cleopatra’s river 14 Poi base 15 Dance syllable 16 Fabric fastener 18 Klum of “Project Runway” 20 Hide-hair insert 21 Early birds? 24 Apple intruders 28 Wind-driven toy 32 Tidy 33 Altar af rmative 34 Fusses 36 Log chopper 37 Region (Abbr.) 39 Flag-shaped blazer accessory 41 Pago Pago’s place 43 Sleuth Wolfe 44 Sphere 46 Lively dance 50 Yankee uniform pattern 55 Squeak stopper 56 Clue 57 One-named supermodel 58 Buddy 59 Conks out 60 Like lemons 61 Supplement, with “out” DOWN 1 “That hurts!” 2 Tennis great Arthur 3 Bangkok language 4 Perception 5 Espionage org. 6 Sprite 7 TV chef Paula 8 “Sophie’s Choice” author 9 Spigot 10 Swiss canton 11 “-- voyage!” 17 AAA job 19 Morning moisture 22 Earth sci. 23 Auto style 25 Harvest 26 Extra-long 27 British gun 28 Plum centers 29 Notion 30 Standard 31 Easy gait 35 Eden tempter 38 Perches 40 Privy 42 Illustrations 45 Telly watcher 47 Earring site 48 “Star Trek” captain 49 Medicinal plant 50 Prof’s degree 51 Three, on a sundial 52 Away from SSW 53 “-- Little Teapot” 54 Standard Solutions See Page 68
65 Copyrighted© My Living Media. 2023 All Rights reserved. To Advertise call 772-247-6849 SCAN HERE!
66 VOL. 565 N Copyrighted© My Living Media. 2023 All Rights reserved. To Advertise call 772-247-6849 Need More Coupons - MyLivingMedia.com
Lic# CAC1819096 Bill shAC.com SCAN HERE Neutralize odors, particulate, air pollutants, smoke, mold bacteria and viruses. FREE Customizable Auto delivery FREE SERVICE CALL WITH REPAIR ($85 Value) Must be during regular hours. Must mention at time of order. With this MLM coupon. Cannot be combined with other offers or specials. Expires 5/13/23 With this MLM coupon. Cannot be combined with other offers or specials. Expires 5/13/23 FREE DUCT EVALUATION! AIR FILTER SUBSCRIPTION USING THERMAL IMAGING REME HALO AIR PURIFIER With this MLM coupon. Cannot be combined with other offers or specials. Expires 5/13/23 With this MLM coupon. Cannot be combined with other offers or specials. Expires 5/13/23 OFF $150 10% OFF Air Conditioning Air Conditioning MAINTENANCE PROGRAM Includes 2 Visits Precision Tune-Up Clean and chemically treat drain line Check refrigerant level Check for air ow Check for air leak on plenum duct system Check fan motors Check all electrical connections for loose or burned wire, tighten all caps Check relays and contactors Replace screws if missing Check evaporator coil & wash condenser coil Coil sanitation for bad odors and bacteria, when accessible Check heating element, run heat cycle, system analysis Calibrate thermostat for maximum accuracy Check for microbial growth on coil ✔ ✔ ✔ ✔ ✔ ✔ ✔ ✔ ✔ ✔ ✔ ✔ FINANCING AVAILABLE! REG. $189 Expires 5/13/23 $19 $189 OR PER MONTH ANNUALLY Call for pricing on multiple systems 561.559.4317 Sign up online! Bill shAC.com ✔ ✔ WITH ✔ Program Perks Priority Scheduling 10% off Repairs No Overtime Charges ✔ ✔
68 VOL. 565 N Copyrighted© My Living Media. 2023 All Rights reserved. To Advertise call 772-247-6849 Need More Coupons - MyLivingMedia.com With this MLM Coupon FREE STUMP REMOVAL Get 1 Free Stump Removed w/Purchase of 3 Stump Removals Lic & Ins 772-783-9517 I.M.A.Landscaping@gmail.com IMA LANDSCAPING TREE & PALM SERVICES Serving PSL, Martin, Palm Beach TREE & PALM TRIMMING We Beat AnyEstimateWritten WE SPECIALIZE IN TREE REMOVAL • Rock & Stone Install • Palm/Tree Removal • Irrigation install & Services • Stump Grinding • Mulching & Sod Installed • Tree Trimming • Synthetic Turf • Pressure Washing • Brazilian Pepper Tree Cut Back & Removal • Installation/Design • Lawn Maintenance • Clean Ups/Hauling • Weeding & Much More • H.O.A. Complaint Letters • H.O.A Approved • Hazardous trees that are too close to the roof S U D O K U Solution CROSSWORD SOLUTION SOLUTION TIME: 25 MINS. PUZZLE SOLUTIONS PUZZLE SOLUTIONS 561-509-5577 Serving all of Palm Beach County Any New Hot Water Heater or Tankless Heater Any New Toilet Any New Garbage Disposal Clearing Any Sink, Toilet, or Main Sewer Line Your Next Service Call $65 OFF $50 OFF $35 OFF $37 OFF Not valid with other offers or prior services. Must present MLM coupon. Limit one coupon per service call. Not valid with other offers or prior services. Must present MLM coupon. Limit one coupon per service call. Not valid with other offers or prior services. Must present MLM coupon. Limit one coupon per service call. Not valid with other offers or prior services. Must present MLM coupon. Limit one coupon per service call. Not valid with other offers or prior services. Must present MLM coupon. Limit one coupon per service call. Celebrating 40 Years of Excellence www.duallplumbers.com N N N N N Lic. #CFC1429556 Any Job Big or Small We Do Them All! Available Nights, Weekends, & Holidays Plumbing Repairs & Water Heater Installations Senior Citizen & Veteran Discounts Available! $30 OFF
VOL. 565 N 69 Copyrighted© My Living Media. 2023 All Rights reserved. To Advertise call 772-247-6849 561-468-7281 www.windowreplacementgroup.com SCC# 131152429 CBC# 1264555 IMPACT WINDOWS & DOORS The Group of Professionals You Can Trust! Energy Saving Enhance Home’s Appearance & Value Hurricane & Burglary Protection Reduce Insurance Cost Sound Reduction TM *Offers cannot be combined. Exp. 4/30/23 *Offers cannot be combined. Exp. 4/30/23 FREE SPECIAL ENTRY DOOR *WITH PURCHASE OF FULL HOUSE INSTALL ASK ABOUT OUR PRICING FOR IMPACT WINDOWS, PATIO & ENTRY DOORS TM TM
70 VOL. 565 N Copyrighted© My Living Media. 2023 All Rights reserved. To Advertise call 772-247-6849 Need More Coupons - MyLivingMedia.com Located at: 651 W. Indiantown Rd., Jupiter • 561-746-2345 FREE Cleaning 50% O Any Watch Battery MLM Coupon expires 4/30/23MLM Coupon expires 4/30/23MLM Coupon expires 4/30/23 20% O Any Repair FREE CONSULTATION 10% OFF 561.855.6595 Let Us Make Your Dream A Reality! LIC# CGC1525942 825 15th Street Lake Park • Custom Cabinets • Closets • Kitchens • Bathrooms • Doors & Windows • Custom Millwork Any Remodeling Job. Must Book Before 4/30/23 Total Ima g e With this MLM coupon
VOL. 565 N 71 Copyrighted© My Living Media. 2023 All Rights reserved. To Advertise call 772-247-6849 Need More Coupons - MyLivingMedia.comHURRICANE IMPACT WINDOWS & DOORS • Hurricane Protection • Home Security • Save on Energy Bills • Save on Insurance Costs • Increase Property Value • Noise Reduction Your Expert in Single Family Homes & Condos! “Our service & products are second to none!” The People’s Choice In Hurricane Protection! 561-336-6511 SAME DAY Appointments! FINANCING Available! We Beat ALL Competitors’ Pricing CALL FOR DETAILS INSTALLATION & NO SALES TAX. EXP 4/30/23 License #CBC1264950 & INSURED Serving Palm Beach, Martin, & St. Lucie Counties 50% Off(Some restrictions apply) Protect What’s Precious to You! AS MUCH AS SPRING INTO ACTION SALE
72 VOL. 565 N Copyrighted© My Living Media. 2023 All Rights reserved. To Advertise call 772-247-6849 gopontiki.com // 833-755-8454 Come experience our beautiful tropical waterways aboard the PonTiki and save $50 on your upcoming cruise. Beer and wine are included in the price of your ticket. Call or visit our website at to see our schedule and book your cruise! 772.247.3156 Stuart, FL Enjoy complimentary beverages as we cruise the blue waterways of Stuart. Book Online at Gopontiki.com BOAT CRUISES BOOK YOUR RESERVATION FOR SPRING BREAK & EASTER Hop on a Pontiki Boat Cruise! Cruises Available Daily! NEW STUART LOCATION IS NOW OPEN!!!
VOL. 565 N 73 Copyrighted© My Living Media. 2023 All Rights reserved. To Advertise call 772-247-6849 Need More Coupons - MyLivingMedia.com CALL TODAY FOR A free estimate! DRIVEWAYS • WALKWAYS • PATIOS • POOL DECKS • RETAINING WALLS CUSTOM POOL REMODELS • NEW POOL CONSTRUCTION • CLEAN & SEAL PAVERS • REPAIRS MARTIN 772-419-5151 PALM BEACH 561-844-9370 apexpaversandpools.com LICENSED & INSURED: CPB #4701 • U-20589 • U-20796 • RP #4701 *WITH APPROVED CREDIT. OFFERS CANNOT BE COMBINED. Apex Pavers & Pools, Inc. 725 SE Monterey Rd., Stuart, FL 34994 COME VISIT OUR SHOWROOM! POOLS TRANSFORMING THE ORDINARY TO Extraordinary FINANCING AVAILABLE CONTACT US TODAY TO LEARN MORE* CALL TODAY FOR A free estimate! DRIVEWAYS • WALKWAYS • PATIOS • POOL DECKS • RETAINING WALLS CUSTOM POOL REMODELS • NEW POOL CONSTRUCTION • CLEAN & SEAL PAVERS • REPAIRS MARTIN 772 - 419-5151 PALM BEACH 561-844-9370 apexpaversandpools.com LICENSED & INSURED: CPB #4701 • U-20589 • U-20796 • RP-252555006 *WITH APPROVED CREDIT. OFFERS CANNOT BE COMBINED. Apex Pavers & Pools, Inc. 725 SE Monterey Road, Stuart, FL 34994 POOLS TRANSFORMING THE ORDINARY TO Extraordinary 12 MONTHS SAME AS CASH NO INTEREST, NO PAYMENTS FOR 12 MONTHS* COME VISIT OUR NEW SHOWROOM! LICENSED & INSURED: CPB #4701 • U-20796 • RP-252555006 • CPC 1458696 Visit Our Showroom DRIVEWAYS • WALKWAYS • PATIOS • POOL DECKS • RETAINING WALLS CUSTOM POOL REMODELS • NEW POOL CONSTRUCTION • CLEAN & SEAL PAVERS • REPAIRS
74 VOL. 565 N Copyrighted© My Living Media. 2023 All Rights reserved. To Advertise call 772-247-6849 Need More Coupons - MyLivingMedia.com Fences • Gates • Railings • Wood • Chain Link • PVC • Aluminum ALLIED ALUMINUM & RAILING (Minimum of 100 ft) With this MLM coupon. Expires 4/30/23 $100 Off Keep What You Love Safe! Licensed & Insured License #U-17525 94-7491-FX MC1800195 CALL TODAY FOR YOUR FREE ESTIMATES! 561.232.2757 www.alliedaluminum.us
VOL. 565 N 75 Copyrighted© My Living Media. 2023 All Rights reserved. To Advertise call 772-247-6849 Need More Coupons - MyLivingMedia.com THE DOOR SYSTEM YOU CAN BELIEVE IN THE DOOR OF BEAUTY AND INOVATION HURRICANE PREPARATION TIM E I S HERE! Call us today for your FREE WINDOW & DOOR Replacement Estimate! FAMILY OWNED & OPERATED SINCE 1999 8200 SW LOST RIVER ROAD • STUART, FLORIDA 34997 KAMRELL When You Want It Hung Well... TRUST THE WINDOW & DOOR SPECIALIST LICENSED & INSURED CGC061180 772-288-6205 WWW.KAMRELL.COM
4 VOL. 565 H/K Copyrighted© My Living Media. 2022 All Rights reserved. To Advertise call 772-247-6849 Need More Coupons - MyLivingMedia.com Serving Palm Beach VILLAGE BOOTERY $10 OFF Your next Village Bootery purchase Expires 4/30/23
Need More Coupons - MyLivingMedia.com VILLAGE BOOTERY SHOE STORES 245 U.S. Highway One • Tequesta 561.746.3536 2641 S.E. Ocean Blvd. • Stuart 772.283.3833 CELEBRATING OVER 50 YEARS MARTIN & ST. LUCIE COUNTIES “Cloud” in Denim
78 VOL. 565 N Copyrighted© My Living Media. 2023 All Rights reserved. To Advertise call 772-247-6849 *Additional charges may apply for heavily soiled areas Serving the Treasure Coast from Vero to Palm Beach 772-919-7163 • 561-250-0088 WWW.CarpetCleanerInFlorida.com 3 ROOMS $68 2 ROOMS $42 5 ROOMS $99 TILE & GROUT CLEANING 39¢ SQ. FT. 100 SQ. FT. MINIMUM FURNITURE CLEANING $60 SOFA OR LOVE SEAT OR 2 CHAIRS AREA RUGS $40 AND UP PREVENTS FIRES DRYER VENT CLEANING FREE DEODORIZER, SANITIZER, & DISINFECTANT $85FROM & SPEEDS DRYING TIME OFFER #MS4-1 CARPET CLEANING Licensed Ask about ...dries in half the time!
VOL. 565 N 79 Copyrighted© My Living Media. 2023 All Rights reserved. To Advertise call 772-247-6849 Need More Coupons - MyLivingMedia.com $500 OFF $75 OFF FREE Any New Roof $8000 & Up Any Roof Repair $750 & Up Estimates On Roofs & Repairs Expires 4/30/23 Expires 4/30/23 Expires 4/30/23 561-566-5601 www.myroofsystem.com WHERE QUALITY & SERVICE MAKES THE DIFFERENCE CALL FOR A FREE ROOF EVALUATION TODAY! From… PROTECT YOUR PROPERTY WITH EXPERT ROOFING • ROOF REPAIR • ROOF REPLACEMENT • ROOF LEAK DETECTION • NEW CONSTRUCTION Renovate Your Existing Pool Today! Your Pool Heating and Renovation Specialist FREE Estimate! 561-745-1163 HEATING & RENOVATION A COLD POOL IS NO POOL Heat Pumps • Solar • Gas Salt Chlorination Pool & Spa Automation Pool Pumps & Filters Pool Resurfacing Coping • Tile Look No Further for the Experts in Pool Heating • Heat Pumps • Solar • Gas FAMILY OWNED AND OPERATED STATE LICENSES #CP-CO57115 • #CVC 56745 • NAT/LP 26278 FREE SAME-DAY ESTIMATES 5% Off Purchase Price Of Any Salt Chlorinator, Pool/Spa Automation, Pump, or Filter With this MLM Coupon. Expires 5/15/23 HUGE DISCOUNTS! On Factory Direct Heat Pumps tropicalpoolheating.com *See dealer for details
Residential Customer PRSRT STD ECRWSS US POSTAGE PAID PERMIT #145 STUART, FL 2081 SE Ocean Blvd. • Suite 4 Stuart, Florida 34996 • 772-334-2121 Peace of Mind: Choose The Standby Power People Turnkey Installation • Certi ed Technician • Customer For Life GeneratorSupercentorofMelbourne.com GeneratorSupercentorofThePalmBeaches.com Mention Promo Code: MAINTENANCE 1 *Receive 3 months FREE with signing of 2-year Maintenance and Monitoring contract. Expires 05/13/23 772-758-2430 2609 W New Haven Avenue• West Melbourne, FL 32904 2271 Palm Beach Lakes Blvd. • West Palm Beach, FL 33409

Turn static files into dynamic content formats.

Create a flipbook
Issuu converts static files into: digital portfolios, online yearbooks, online catalogs, digital photo albums and more. Sign up and create your flipbook.