N7-Jupiter Living-Vol.563

Page 1

JUPITER Living Mailing Admiral’s Cove & Bear’s Club VOL. 563-N7 Index Page 9 MYLIVINGMEDIA.COM Your journey to optimal health, wellness & beauty begins here.
Page 13 Hurricane Protection Pgs.2-3, 17 First Impressions Pgs.4-5 Mocean Therapy Pgs.60-61
See
2 VOL. 563 N Copyrighted© My Living Media. 2023 All Rights reserved. To Advertise call 772-247-6849 www.myhurricanewindow.com Don’t Get Caught Off Guard, Use Florida’s #1 Rated Hurricane Window HURRICANE PROTECTION • HOME SECURITY • REDUCED INSURANCE COSTS • HURRICANE SEASON IS DAYS 90
VOL. 563 N 3 Copyrighted© My Living Media. 2023 All Rights reserved. To Advertise call 772-247-6849 561-566-5629 772-932-5629 *FINANCING DISCLOSURE. $9 per month per window offer based on 24”x36” single hung or sale price of $1080. Prices will vary for larger sizes or different style windows. Contractor in neither a broker nor a lender. Financing is provided by third-party lenders unaffiliated with contractor, under terms and conditions arranged directly between the customer and such lender, all subject to credit requirements and satisfactory completion of finance documents. Any finance terms advertised are estimates only. Free Quote! Call Today! Scan to schedule your APPOINTMENT! LICENSED & INSURED SCC131151738 Hurricane Season Begins June 1st! CALL NOW and order before March 31st to have your windows installed BEFORE peak hurricane season for as little as $9 per month per window FINANCING AVAILABLE $9PER MONTH PER WINDOW Some Restrictions Apply • ENERGY EFFICIENCY EFFICIENCY • SOUND REDUCTION LESS THAN AWAY! AWAY!

Make a Great First Impression with New Entry Doors!

Steven Gross, co-owner of First Impression Doors & More, Inc., saw an opportunity to help South Floridians protect their homes from impending hurricanes without compromising on quality or customer service. Prior to joining First Impression Doors & More, Inc., Steven had a di cult experience with another door company when he replaced his own entry doors. As a result, he wanted to make the process easier and o er the highest quality products for homeowners.

Steven has an extensive background in sales and marketing, and his business partner/co-owner Randy Dobkins has years of experience in fabrication and custom millwork. Together, Steven and Randy knew that they could create a business that would work exclusively with quality, respected brands while also providing impeccable customer service. And they were right, they could... First Impression Doors & More, Inc. has a 4.8/5 star rating on Google and a 5 star rating on Facebook! e testimonials don’t lie-- clients love working with the experts at First Impression Doors & More, Inc. and rave about everything from the company’s e ciency and a ordability to the sta ’s knowledge and friendliness.

As Palm Beach County’s largest specialty door store, First Impression Doors & More, Inc. has a plethora of options to satisfy any style and t any budget:

• Impact Resistant Fiberglass & Mahogany Entrance Doors

• Impact Resistant Decorative Glass Inserts

• Impact Resistant French & Sliding Glass Doors

• Interior Doors

• Baseboard & Crown Moulding

• Specialty Lumber

• And More!

Need More Coupons - MyLivingMedia.com
License #CBC037800

Additionally, First Impression Doors & More, Inc. is NAMI (National Accreditation & Management Institute, Inc.) certi ed and able to create custom-sized, impact resistant doors for your home!

e bene ts of upgrading your home with impact resistant products are endless, but the main advantages are heightened protection/security and higher property values. Impact resistant products are your strongest defense against a hurricane’s highforce winds, and can be one of the key determinants for whether your home will survive a storm. Further, impact resistant glass is virtually impossible to breach, meaning that you, your family, your home, and your possessions are safe from any unsavory characters.

From start to nish, First Impression Doors & More, Inc. will handle your home renovations with the utmost professionalism. Even if you’re more of a do-it-yourself person, then First Impression Doors & More, Inc. can still provide you with rst-rate products from distinguished and respected manufacturers.

Let First Impression Doors & More, Inc. open new doors for you with the best products and customer-focused service! If you’re undecided, then go to the First Impression Doors & More, Inc. website and read the endless list of glowing testimonials from real clients. You’ll be amazed at how many of their customers have taken the time to commend them! en you’ll work with the company yourself and understand why. Before you know it, you’ll be writing your own raving review as you sit in the comfort and security of your upgraded home with beautiful new impact doors.

Transform your home by installing new custom interior doors without the mess and hassle of major construction. Choose from a wide variety of contemporary, traditional door styles.

• New Solid Core Doors

• New Door Hardware

• New Hinges

LICENSE # CBC037800

FINANCING AVAILABLE

Impact Resistant Fiberglass & Mahogany Entry Doors • Impact Resistant Decorative Glass Inserts Interior Doors • Impact Resistant French & Sliding Glass Doors Call today 561.464.6102 to schedule your FREE SHOWROOM appointment or schedule online Floridadoors.com

BOCA RATON | 9858 Clint Moore Rd., Suite C-128 • Boca Raton, FL 33496

Tuesday - Friday • 9am - 5pm Saturday • 9am - 4pm

WEST PALM BEACH | 346 Pike Road, Suite 6, West Palm Beach, FL 33411

Monday - Friday • 7am - 4:30pm Saturday • 9am - 2pm

JUPITER | 75 E. Indiantown Road, Suite 507, Jupiter, FL 33477

Tuesday - Friday • 9am - 5pm Saturday • 9am - 4pm

- MyLivingMedia.com
Need More Coupons
6 VOL. 563 N Copyrighted© My Living Media. 2023 All Rights reserved. To Advertise call 772-247-6849 Need More Coupons - MyLivingMedia.com Call for a free in home design consultation and estimate Imagine your home, totally organized! Custom Closets, Garage Cabinets, Home Offices, Pantries, Laundries, Hobby Rooms and more... 40% Off Plus Free Installation Terms and Conditions: 40% off any order of $980 or more or 30% off any order of $680-$979 on any complete Custom Closet, Garage Cabinets, Home Office, Pantry, Laundry, Wall Bed, Wall Unit, Hobby Room or Garage Flooring system. Not valid with any other offer. Free installation with any complete unit order of $600 or more. Expires in 30 days. Call for a free in home design consultation and estimate (561)203-4745 www.closetsbydesign.com MSJ Follow us 2020 © All Rights Reserved. Closets by Design, Inc. Walk-In-Closets Laundry Rooms Home Offices Garage Cabinets Follow us www.closetsbydesign.com CGC1509325 & MC1900055 (772) 207-3265 MS
VOL. 563 N 7 Copyrighted© My Living Media. 2023 All Rights reserved. To Advertise call 772-247-6849 Need More Coupons - MyLivingMedia.com Make a GREAT First Impression with new Front Doors! New Solid Core Doors • New Door Hardware • New Hinges We are Palm Beach County’s Largest Specialty Door Store WE HAVE DOORS TO FIT ANY BUDGET! Transform your home by installing new custom interior doors without the mess and hassle of major construction. Choose from a wide variety of contemporary, traditional and transitional door styles. License # CBC037800 FINANCING AVAILABLE Impact Resistant Fiberglass & Mahogany Entry Doors • Impact Resistant Decorative Glass Inserts Interior Doors • Impact Resistant French & Siding Glass Doors • Impact Resistant Windows Call Today to schedule your FREE SHOWROOM appointment or schedule online www.FLORIDADOORS.COM BOCA RATON | 9858 Clint Moore Rd., Suite C-128 • Boca Raton, FL 33496 Tuesday - Friday • 9am - 5pm Saturday • 9am - 4pm • 561-621-5963 WEST PALM BEACH | 346 Pike Road, Suite 6, West Palm Beach, FL 33411 Monday - Friday • 7am - 4:30pm Saturday • 9am - 4pm • 561-220-3634 JUPITER | 75 E. Indiantown Road, Suite 507, FL 33477 Tuesday - Friday • 9am - 5pm Saturday • 9am - 4pm • 561-464-6102 15% OFF Installed Doors * Offer not valid on prior sale. Applies to installed exterior & interior doors only. Offer ends 4/ 30/2023
DIRECT MAIL High-quality printed post cards & inserts allow you to target specific zip codes every two weeks FREE digital, mobile, & social media marketing for every one of our direct mail clients Mailing Martin, St. Lucie, Indian River, Okeechobee, & Palm Beach Counties my LIVING MEDIA ON THE WEB We are Florida’s Premier Direct Mail & Multimedia Marketing Company FREE FRONT COVER including 2-Page Editorial FREE Buy 2 Zones, Get 1 Free CONNECT TO YOUR COMMUNITY… 772-247-6849 101UNIQUE COMMUNITY MAGAZINES BUY 2, GET 1
MY LIVING CONTENTS - ZONE N Volume 563 March 2023 For advertising rates and information Email: sales@mediaoms.com Call 772-247-6849 © 2023 by My Living Media. All rights reserved. Although some parts of this publication may be reproduced and reprinted, we require that prior permission be obtained in writing. My Living Magazine is a free publication distributed locally and is supported by our advertisers. Please call to find a location near you or if you would like copies placed at your business. We do not necessarily endorse the views expressed in the articles and advertisements, nor are we responsible for the products, and services advertised. We are not responsible for licensing or certifying businesses, nor are we responsible for verification of these requirements. We welcome your ideas, articles and feedback. *Dining pictures shown are for illustration purposes only. Actual products may vary due to product enhancement. ANIMAL AND PETS Health E Pets 50 AUTOMOTIVE Ace of Carts 42 Pelican Car Wash ..................... 20 Prime Golf Cars 35 BEAUTY Aesthetics by Kallee 44 Amanda Ghattas Jupiter Hair 44 Great Clips PBG ....................... 52 Hamilton Aesthetics 18 Salon 1 Studios 29 CLEANING SERVICES Honor Carpet Cleaning 62 Oliver Twist Pressure Washing..50 Stanley Steemer 11 The Groutsmith Grout Cleaning 32 DINING AND ENTERTAINMENT Beneditti’s Pizza 25 Blue Water Taco 22 Brio Italian Grille ...................... 27 Burrito Social 24 Copacabana 23 Doris Italian Market and Bakery .... 26 Island Vibes Kava Bar 50 Mero Mero Cantina 25 Pierogi Bros ............................. 42 Plant Based Ma a 24 Poke N Go 26 Thai West................................. 22 Tiramisu Pizzeria and Trattoria 22 Uncle Joe’s Chinese 27 FITNESS AND SPORTS F45 Training 45 HOME IMPROVEMENT Advanced Re nishing .............. 18 Affordable and Superior Painting ... 38 Alliance Group Roo ng 43 Allied Aluminum and Railing..... 33 Alternate Power Solutions 54 Apex Pavers and Pools ............. 57 Bill sh Air Conditioning 53 Brilliant Roo ng 46 Budget Gutters......................... 38 Camco Custom Pools 45 Closets By Design ...................... 6 Coastal Closets and Showers 36 Complete Synthetic Turf 39 Du-All Plumbing ....................... 20 East Coast Electric Screening 30 Eco View Windows ................... 58 Fencing South Florida 11 First Impression Doors and More 7 FoxHaven Roo ng .................... 55 Jupiter Sod and Landscaping 36 Jupiter Tree Care ..................... 52 Kamrell Windows and Doors 47 Kitchen Tune Up 43 Level Best Roo ng ................... 49 Marzo Roo ng Inc 39 Mattress Market 4 Max Guard Hurricane Windows...17 Nex Floors 16 North County Plumbing ............ 38 OX Floor Coating 19 Plantation Shutters Florida 44 Plumb Rite Plumbing 45 PS Flooring Inc. 59 Quality Air of America...............21 Roo ng Systems of FL 33 Seaglass Window.....................36 Stott Brothers Electric 35 Stuart Roo ng 63 Superior Tile and Remodeling .. 35 Total Image 46 Tropical Pools 16 Window Replacement Group .... 56 Windowz and More 51 INSURANCE AND BENEFITS Boss Public Adjusting ............... 54 JEWELRY Bergman Jewelers ................... 15 M & J Jewelers 42 Oteri’s Wholesale Jewelry ........ 32 IMA Landscaping 46 Saul Tree Services 40 Abacoa Podiatry ....................... 14 Alpaca Audiology 47 Angelo G Forte ......................... 48 Appearance Implant and Family Dentistry 12 Begin Anew Med ...................... 13 Dentistry By Design 30 Dr. Samuel Holcroft .................. 34 MMJ Health 10 Premier Dentistry 37 Stretch Zone ............................ 41 ADT Advanced Home Security 63 Demented Graphics 63 Dryer Vent Cleaner, The 40 Mr. Tint of America 54 REAL ESTATE Beach Front Realty 14 RETAIL Prestige Pawn .......................... 48 The Lamp Connection 40 The Summer House 31 The Yankee Peddler Market 28 Village Bootery 39 TRANSPORTATION Travel by Solstice 18
10 VOL. 563 N Copyrighted© My Living Media. 2023 All Rights reserved. To Advertise call 772-247-6849 MMJ Health Make the Appointment Use our patient qualification system to see if you qualify for medical marijuana. See the Marijuana Doctor See one of our qualified physicians at one of our many locations in Florida. Get Your Card You will be able to visit and get delivery from any dispensary in Florida. Let Dr. Morgan, The Highest Rated MMJ Doctor, at MMJ Health find your Alternative to Pharmaceuticals! Anne L. Morgan, M.D. When it comes to finding medical marijuana (MMJ) doctors, you can trust the helpful and professional staff at MMJ Health. Serving patients in Palm Beach, Martin, & St. Lucie Counties. Call MMJ Health to schedule an appointment with a Florida Medical Marijuana Doctor: WINNER OF BEST DISPENSARY, BEST MEDICAL MARIJUANA CARD PROVIDER, BEST CBD STORE, AND FINALIST FOR BEST PLACE TO WORK HOW IT WORKS Treasure Coast 772-212-4032 Palm Beach 561-631-7994
VOL. 563 N 11 Copyrighted© My Living Media. 2023 All Rights reserved. To Advertise call 772-247-6849 Need More Coupons - MyLivingMedia.com FAMILY OWNED & OPERATED • SCHEDULE ONLINE TODAY AT: WWW.STANLEYSTEEMER.COM FIRE, WATER, & MOLD DAMAGE RESTORATION SERVICE Immediate Response 24-HOUR EMERGENCY Minimum charges apply. Cannot combined with other offers. Residential and Commercial. Must present this MLM Coupon at time of service. Valid at participating locations only. Certain restrictions may apply. Call for details. Lic. #CMC014066 772-758-2505 WWW.STANLEYSTEEMER.COM STANLEY STEEMER SERVICES ® FREE ESTIMATES FOR ALL COMMERCIAL BUSINESSES WE PRETREAT YOUR FLOORS AND MOVE YOUR FURNITURE AT NO CHARGE WE PRETREAT YOUR FLOORS AND MOVE YOUR FURNITURE AT NO CHARGE $99 $129 Expires 4/15/23 MLM Expires 4/15/23 MLM TILE & GROUT OR WOOD FLOOR CLEANING Only PER ROOM 3 ROOMS CARPET CLEANING Wool carpets extra. Area rugs not included in wall-towall cleaning. *Any Room Up to 300 sq. ft. Home & Of ce Air Puri er Removes Viruses, Bacteria, Mold, & Pollen MARBLE & STONE CLEANING $50 OFF Expires 4/15/23 With MLM Coupon Proud to be Endorsed by Cystic Fibrosis Foundation $160 Expires 4/15/23 MLM HOME Which Air Are You Breathing? AIR DUCT CLEANING Up To 8 Vents BEFORE AFTER OFFICE FREE ESTIMATES CALL TODAY COMMERCIAL & RESIDENTAL WHOLESALE FENCING INSTALLATIONS & REPAIRS HOME OF THE LOWEST PRICE GUARANTEE Honest, Trustworthy, Hassle-Free Service From A Family-Owned Business FREE GATE WITH PURCHASE OF EVERY 150 FT. OF FENCING. UP TO A $450 VALUE FENCING SOUTH FLORIDA 561-612-2018 With this MLM coupon. Not valid with any other offer or prior purchases. Offer expires 4/14/23 PVC/VINYL FENCING CHAIN LINK FENCING “We guarantee to beat any price you have from any legitimate fence company” Licensed &Insured Broward 11-F-17403-X Palm Beach U-21752 WWW.FENCINGSOUTHFLORIDA.COM OFFICE 561-612-2018 SERVING BROWARD & PALM BEACH FREE REMOVAL OF EXISTING FENCE WITH PURCHASE OF NEW FENCING NO MINIMUM REQUIRED (excludes hurricane damaged fencing) FENCING SOUTH FLORIDA 561-612-2018 With this MLM coupon. Not valid with any other offer or prior purchases. Offer expires 4/14/23 Visit our website to see our episode on Designing Spaces NOW INTRODUCING OUR NEW ART DIVISION Custom Metal Works in Any Shape and Style added to your fence, gates, entry door, and interior or exterior house walls WOOD FENCING ALUMINUM FENCING WE DO IT RIGHT THE FIRST TIME FOR LESS.

Diplomates are AAID members who have become Diplomates of the American Board of Oral Implantology/Implant Dentistry (ABOI/ID). The ABOI/ID is a certification agency that serves independently to protect members of the public who seek dental implant care. This designation signifies that these dentists have met the highest criterions in oral implantology; that they have met educational and experiential standards, have reached an in-depth level of knowledge and acquired a proficient level of skill and ability.

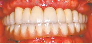
12 VOL. 563 N Copyrighted© My Living Media. 2023 All Rights reserved. To Advertise call 772-247-6849 Need More Coupons - MyLivingMedia.com OPEN FOR EMERGENCIES | AFFORDABLE DENTAL EXCELLENCE IS NOW HERE! WE ARE PRIVATELY OWNED, NOT A CHAIN OR CORPORATE ENTITY. WE SPECIALIZE IN FULL MOUTH RECONSTRUCTION Additional services we offer include CLEAR TOOTH ALIGNERS, SINGLE IMPLANTS, DENTURES & MORE!!! FREE IMPLANT CONSULTATION (Exam & Digital X-Ray or 3D Cone Beam) (D0150, D9310, D0330 & D0383) SureSmile® OR CLEAR TEETH ALIGNERS OUR EXPERIENCED DENTISTS HAVE PLACED THOUSANDS OF IMPLANTS You Des ve a Beautiful Smile! SALVATORE MELITA, DDS ALANA SHIELDS, BSN, RN, DMD JOSEPH GAETA JR., DDS Better On 8™ Cleaning Porcelain Fused to Metal Crown Zirconium All Porcelain Crown $79 $699 $899 Includes Free Exam & X-Rays New Patients Only LIMITED OFFER (D1110, D0150, D4355,D0330) (D2751) (D2740) FULL ROUND HOUSE BRIDGE A Better Alternative to All-On-4 Benefits • Very little, if any speech changes • Does not cover any part of the palate • Can be cleaned just like bridges on teeth • Require no special abutments (All-on-4 protocol requires angle correct on abutments which are not bone or gum tissue friendly) • Usually do not need pink porcelain at the gumline (because aggressive bone removal is not necessary) D6010, D6056, D6240, D6060 BETTERON8.COM D6010, D6056, D5863, D5865, D5862 PER ARCH WITH LOCATORS PER ARCH D6010, D6056, D6065, D6060 50% SAVINGS WE USE MEGAGEN IMPLANT SYSTEMS Implant, Abutment, and Zirconium Crown Implant, Abutment, and Crown Only$1,899 Only$2,099 D7140 DENTURES ECONOMY $359 INTERMEDIATE $999 DELUXE $2,000 D5810/D5811 D5130/D5140 D5110/D5120 With Simple Extractions Starting at $99 We will beat any like-priced quote $9,999 Implant and Abutments Placed Crown and Bridge Porcelain Fused to Metal Implant Abutments Placed $14,500 FULL MOUTH RECONSTRUCTION ROUND HOUSE BRIDGE 8/6 IMPLANTS & 12 UNITS OF CROWNS starting at starting at WE WILL MEET OR BEAT ANY WRITTEN ESTIMATE ON IMPLANTS, ROOT CANALS, & CROWNS! WALK-INS WELCOME EVENING APPOINTMENTS AVAILABLE PRICES ARE SUBJECT TO CHANGE WITHOUT NOTICE WITH THE EXCEPTION OF PREVIOUSLY SCHEDULED TREATMENT PLANS. THE PATIENT AND ANY OTHER PERSON RESPONSIBLE FOR PAYMENT HAS THE RIGHT TO REFUSE TO PAY, CANCEL PAYMENT OR BE REIMBURSED FOR ANY SERVICE EXAMINATION OR TREATMENT WHICH IS PERFORMED AS A RESULT OF AND WITHIN 72 HOURS OF RESPONDING TO THE ADVERTISEMENT FOR THE FREE, SERVICE, EXAMINATION OR TREATMENT. LIC #DN10761 561-250-6307 6390 W. Indiantown Rd., #32 • Jupiter, FL 33458 At the West End of the Chasewood Plaza AppearanceImplants.com SCAN HERE OPEN MON.-FRI. EVENING HOURS AVAILABLE Dr. Gaeta is a Board Certified Implant Dentist with over 35 years of experience. Dr. Gaeta is a General Dentist and is a Diplomate of The American Board of Oral Implantology/Implant Dentistry
Fellow at Misch Implant Institute
an Associate
at the
(ABOI/ID), a
and
Fellow
American Academy of Implant Dentistry (AAID).
Need More Coupons - MyLivingMedia.com Our luxury medical spa in Jupiter is your destination for the latest wellness and aesthetics solutions. We pair proven anti-aging technologies with regenerative solutions. Your journey to optimal health, wellness and beauty begins here. Our Services: Botox & Filler Morpheus8 RF Microneedling Microneedling + PRP Body Contouring Acne Lasers Testosterone Therapy Nutrient IV's & Injections Sexual Performance Peptide Therapy Medical Weight Loss BeginAnew? Are you ready to $75 off any Dermal Filler Semaglutide Peptide Therapy $699 8 Week Program Monthly InBody Test Fat Burner Shot BeginAnewMed.com 337 E Indiantown Road Suite E-13 Jupiter, FL 33477 561-781-3578 IPL & Fraxel Tattoo & Vein Removal Bioidentical Hormone Therapy Pellet Therapy Specialized Testing Morpheus8 RF Microneedling for Face or Body Discover the most powerful skin tightening technology on the market. Botox JUST $10/unit (regularly $14) Dysport JUST $4/unit (regularly $8) SAVE $300 Offers expire 4/30/23
14 VOL. 563 N Copyrighted© My Living Media. 2023 All Rights reserved. To Advertise call 772-247-6849 Need More Coupons - MyLivingMedia.com Who Do You Want to Represent the Sale of Your Property? 561-933-6338 4 bedrooms 3 bath luxury home in beautiful “Sanctuary’’. So many renovation including new roof, new sprinkler system, new pool heater and pump, new upstairs air conditioning unit, new appliances, 2 ovens & 2 refrigerators. New closet organizing systems. In addition, all 3 bathrooms are updated and the entire interior and exterior of the home has been painted. There is a new barbecue entertainment center and a new backyard patio paver system. This home is truly spectacular!! MLS#R10857998 $1,350,000 Call Je rey Ginsburg 40 Years of Representing Buyers & Sellers 561-993-6338 for a Private Showing An Old Dog with 40 Years of REAL ESTATE Experience A Baby wth No Experience in REAL ESTATE or FREE CONSULTATION on the Value of Your Home 561.468.8230 THE PATIENT AND ANY OTHER PERSON RESPONSIBLE FOR PAYMENT HAS A RIGHT TO REFUSE TO PAY, CANCEL PAYMENT, OR BE REIMBURSED FOR PAYMENT FOR ANY OTHER SERVICE, EXAMINATION, OR TREATMENT THAT IS PERFORMED AS A RESULT OF AND WITHIN 72 HOURS OF RESPONDING TO THE ADVERTISEMENT FOR THE FREE, DISCOUNTED FEE, OR REDUCED FEE SERVICE, EXAMINATION, OR TREATMENT. SCAN FOR WEBSITE & SERVICES We accept most major insurance plans & Medicare 4601 Military Trail #202, Jupiter HOURS MONDAY-FRIDAY 8:30AM-5:00PM FOOT, ANKLE, OR VEIN ISSUES? WE CAN HELP! Rel … DR. ORLANDO CEDENO DPM Podiatrist Foot & Ankle Surgeon Located in Jupiter, FL $100 OFF SCLERO VEIN THERAPY With this MLM coupon. Expires 4/1/23 • Foot Ankle Surgery • Bunion Surgery • Cysts & Warts • Fractures & Breaks • Ankle Arthritis • Diabetic Foot Conditions • Minimally Invasive Foot Surgery • Hammer Toe • Ingrown Toe Nails • Varicose Veins Treatment • Neuropathy Solutions • Wound Care • Nerve Decompression in Foot BEFORE AFTER Bunionectomy® & Hammer Digit Minimal Pain…Minimal Incisions…Impressive Results
5340 Donald Ross Rd., Suite 110, Palm Beach Gardens (In Alton Town Center right next to Petsmart) www.bergmanjewelers.net Open Monday to Friday 10AM-6PM • Open Saturday 11AM-3PM 561-627-0900 We offer a large selection of ne Jewelry, Watch Repair, Jewelry Repair, and Custom Designs. Specializing in larger, G.I.A.-Certi ed Diamonds, as well as a Huge Selection of Lab-Grown Diamonds. How Much Is My Jewelry Worth? Come in for a FREE Evaluation! BUYING FINE WATCHES ROLEX and Other Fine Swiss Watches! Diamond Studs Tennis Necklace Diamond Oval Diamond Eternity Band BEST PRICES ON LAB-GROWN DIAMONDS Your Best Source for Pre-Owned Rolex! BERGMAN JEWELERS FULL ROLEX SERVICE AVAILABLE Bring in this ad & receive 30% off ALL LAB-GROWN DIAMONDS Expires 4/01/23
16 VOL. 563 N Copyrighted© My Living Media. 2023 All Rights reserved. To Advertise call 772-247-6849 Need More Coupons - MyLivingMedia.com Renovate Your Existing Pool Today! Your Pool Heating and Renovation Specialist FREE Estimate! 561-745-1163 HEATING & RENOVATION A COLD POOL IS NO POOL Heat Pumps • Solar • Gas Salt Chlorination Pool & Spa Automation Pool Pumps & Filters Pool Resurfacing Coping • Tile Look No Further for the Experts in Pool Heating • Heat Pumps • Solar • Gas FAMILY OWNED AND OPERATED STATE LICENSES #CP-CO57115 • #CVC 56745 • NAT/LP 26278 FREE SAME-DAY ESTIMATES 5% Off Purchase Price Of Any Salt Chlorinator, Pool/Spa Automation, Pump, or Filter With this MLM Coupon. Expires 4/15/23 HUGE DISCOUNTS! On Factory Direct Heat Pumps tropicalpoolheating.com *See dealer for details THE BEST CHOICE NOW OPEN IN JUPITER! COME VISIT OUR NEW SHOWROOM 561-277-9943 OFFERING A WIDE VARIETY OF LUXURY HARDWOOD • LAMINATE • VINYL • BASEBOARDS AND MORE! MON-FRI: 9AM-6PM SAT: 9AM-2PM SUN: CLOSED CONTRACTORS WELCOME! 2562 WEST INDIANTOWN RD, SUITE B-3 • JUPITER LOCATED NEXT TO DOMINOS IN THE GREEN TURTLE PLAZA FAMILY OWNED & OPERATED FREE IN HOME ESTIMATE FINANCING AVAILABLE FIND US ON 5 STAR REVIEW SPECIALGRANDOPENING 20%SAVINGS OffAPPLIESTOFLOORINGONLY Expires 5/15/2023 WE CARRY LUXURY HARDWOOD, LAMINATE AND VINYL FLOORING FROM THE USA AND EUROPE.
VOL. 563 N 17 Copyrighted© My Living Media. 2023 All Rights reserved. To Advertise call 772-247-6849 HURRICANE SEASON ISLESS THAN DAYS AWAY! 90 www.myhurricanewindow.com Don’t Get Caught Off Guard, Use Florida’s #1 Rated Hurricane Window 561-566-5629 772-932-5629 *FINANCING DISCLOSURE. $9 per month per window offer based on 24”x36” single hung or sale price of $1080. Prices will vary for larger sizes or different style windows. Contractor in neither a broker nor a lender. Financing is provided by third-party lenders unaf liated with contractor, under terms and conditions arranged directly between the customer and such lender, all subject to credit requirements and satisfactory completion of nance documents. Any nance terms advertised are estimates only. Free Quote! Call Today! Scan to schedule your APPOINTMENT! LICENSED & INSURED SCC131151738 Hurricane Season Begins June 1st! CALL NOW and order before March 31st to have your windows installed BEFORE peak hurricane season for as little as FINANCING AVAILABLE $9 PER MONTH PER WINDOW Some Restrictions Apply $9 per month per window
18 VOL. 563 N Copyrighted© My Living Media. 2023 All Rights reserved. To Advertise call 772-247-6849 Need More Coupons - MyLivingMedia.com 561-782-3078 travelbysolstice.com/kylaLicensed & Insured Specializing in Travel Experiences in Luxury Destinations Luxury Travel Agent • Luxury Trips • Group Trips • Business Trips • River Cruises • Destination Weddings Medical Director Dr. Allyson Deziel, MD FACS Board Certi ed Facial Plastic Surgeon. The patient and any other person responsible for payment has a right to refuse to pay, cancel payment or be reimbursed for payment for any other service, examination or treatment that is performed as a result of and within 72 hours of responding to the advertisement for the free, discounted fee or reduced fee service, examination or treatment. New customer Discount Offer cannot be combined with any other offers, services or discounts. EMPOWER YOURSELF EMFACE® NON-INVASIVE FACELIFT Call NOW for your FREE consultation 30% FAT REDUCTION 25% MORE MUSCLE EMSCULPTNEO® Glenda Grady ARNP-C Dysport or Botox! www.advanced-re nishingllc.com UGLY TUB & TILE? • Bathrooms • Kitchens • Jacuzzis • Showers • Epoxy Floors 772-266-5115 CABINET REFINISHING TUB REFINISHING $100 OFF $20 OFF With this MLM coupon. Cannot be combined with any other offers or specials. Expires 4/15/23 With this MLM coupon. Cannot be combined with any other offers or specials. Expires 4/15/23 BEFORE AFTER Don’t Replace It… REGLAZE IT!
Copyrighted© My Living Media. 2023 All Rights reserved. To Advertise call 772-247-6849 Garages Patios Pool Decks Driveways & Much MORE! SCAN ME GET STARTED TODAY! Offer Valid for Same-Day Service Only FREE IN-HOME ESTIMATE 30% OFF WE TAKE THE BORING OUT OF YOUR FLOORING!TM 10X STRONGER BOND THAN EPOXY YOUR BEAUTIFUL NEW FLOORING IS JUST A CALL AWAY! 772-277-7562 • 561-277-0375 OXFLOORS.COM WITH THIS MLM COUPON. OFFER EXPIRES 4/15/23 PLUS
20 VOL. 563 N Copyrighted© My Living Media. 2023 All Rights reserved. To Advertise call 772-247-6849 Need More Coupons - MyLivingMedia.com Buy a PLATINUM YACHT WASH and RECEIVE a PLATINUM YACHT WASH for Free ($35 Value) Now starting at Now starting at 2ND CAR AT NO CHARGE FOR FIRST 3 MONTHS Also receive 1 month of our SILVER UNLIMITED WASH PLAN at NO CHARGE 11370 US-1 NORTH PALM BEACH 5616009281 Come Visit Our Newly Remodeled Store & Indoor Customer Waiting Area AC, TV, ATM, Cold Beverages & Snacks WE ALSO SPECIALIZE The New Pelican Car Wash $3685 $125 FREE NEW OWNERS! NEW EQUIPMENT /pelican_car_wash /PelicanAutoWash ALL Prices Subject to change. Prices Will Vary Due to Size & Condition of Your Vehicle PLATINUM YACHT WASH MEMBERSHIP SPECIAL UNLIMITED MEMBERSHIPS COMPLETE DETAIL SPECIAL Expires 4/14/23. Pelican Car Wash. Expires 4/14/23. Pelican Car Wash. Expires 4/14/23. Pelican Car Wash. Men’s Day Every Tuesday Women’s Day Every Wednesday Prices Will Vary Due to Size & Condition of Your Vehicle & Up Reg. Starting at $150 Don’t Spend $8k - $12k on a NEW DRAIN FIELD! Available Nights, Weekends, & Holidays! Serving All of Martin & St. Lucie Counties DUALLPLUMBERS.COM • Lic. #CFC1429556 $50 $100 $250 off off off ANY SEPTIC PUMPING ANY DISTRIBUTION BOX REPLACED ANY NEW DRAIN FIELD INSTALLATION Not valid with other offers or prior services. Must present MLM coupon. Limit 1 coupon per service call. Not valid with other offers or prior services. Must present MLM coupon. Limit 1 coupon per service call. Not valid with other offers or prior services. Must present MLM coupon. Limit 1 coupon per service call. M M M LET DU-ALL PLUMBING SAVE YOU THOUSANDS! CALL TODAY! 772-918-9399 FULL SEPTIC CLEANING PACKAGE INCLUDES: • No damage to lawns or property • 1-year warranty on septic system • 1 Septic tank maintenance pump out within rst 1 year • 30% credit towards a new drain eld if installed by DU-All Plumbing • New lter installed • Filter cleaned at no charge for rst 1 year • FREE bacteria treatment & 1 year of bacteria packets
CALL US FOR A FREE, NO OBLIGATION QUOTE Guaranteed Pricing for Customized Solutions Technicians are certified by the EPA Licensed, insured, and direct employees 100% Happiness Guarantee Mention Code “FBL23” FREE DUCT SANITAZATION with Air Duct Cleaning! 21-point HVAC inspection Complete AC report card - emailed after service Deep drain line flush Lubricate motors, clean unit housing Ductwork camera inspection A Homeowner’s Essential to Prevent Breakdowns During the Hottest Months! Avoid thousands in repair costs! ONLY $99 • • • Free Air Duct Sanitization is valid when purchased with Air Duct Cleaning and expires on 4/14/23. local@ lterbuy.com (c) 2023 Filterbuy, INC. All rights reserved Florida’s A/C & Duct Cleaning Experts 24 HOUR EMERGENCY HVAC SERVICE FREE SERVICE CALL WITH ANY REPAIR WHITE GLOVE A/C INSTALLATION Virtual or in person consultations Site visits by technicians, not salespeople No worry ownership - 5-year and 10-year Extended Labor Warranties Avoid future headaches - FREE UV lights, surge protectors and drain guards with every install FREE A/C ESTIMATES INTEREST-FREE FINANCING! Includes 2 years of our premium maintenance contract: • FREE air filters • FREE annual condenser coil cleaning • FREE annual replacement parts, surge protectors, and drain guards EXPERT HVAC TUNE-UP 772-208-8155
22 VOL. 563 N Copyrighted© My Living Media. 2023 All Rights reserved. To Advertise call 772-247-6849 Need More Coupons - MyLivingMedia.com HAPPY HOUR 3-6 PM Daily WINE DOWN WEDNESDAY 50% OFF All Wines by the Glass & Bottle ALL DAY!! FREE Bottle of Wine with $50 Purchase $25 3-Course Menu $58-$60 Family Meals to Go (Temporary hours: 3-9 pm) INDOOR/OUTDOOR Social Distance Dining Available TAKEOUT • CURBSIDE PICKUP FREE DELIVERY (with $20 or more within 5 miles) ORDER ONLINE 561.444.3345 MONDAY & TUESDAY LARGE CHEESE PIZZA $10 Pick Up Only Cash Only With this MLM coupon. Not valid with any other offers. Expires 4/01/23 WEDNESDAY BUY 2-TOPPING PIZZA GET ONE LARGE CHEESE PIZZA  Pick Up Only & Delivery Only With this MLM coupon. Not valid with any other offers. Expires 4/01/23 FREE 12100 Hwy., US-1 Ste A • North Palm Beach www.TiramisuPizzeria.com • Like & Follow Us! THAI WEST LUNCH · DINNER · SMOOTHIES · ICE CREAM · COFFEE · BAKERY Now Open in Jupiter Farms! SCAN FOR MENU 9260 W. INDIANTOWN RD. #B4 • JUPITER (SIERRA SQUARE PLAZA) 561-842-9378 NOW SERVING BOBA TEA AUTHENTIC THAI FOOD $5 OFF *$40 or more CASH ONLY Expires 4/1/23 FREE 10% OFF Cannot be combined with other offers. Exp. 4/1/23 Cannot be combined with other offers. Exp. 4/1/23 561-277-9954 2525 Military Trail #105, Jupiter BLUE WATER TACO CO. FOLLOW US ON SOCIAL AUTHENTIC HOME-MADE TACOS, BURRITOS & QUESADILLAS SCAN ME Chips And Guac With Any $20 Order With any order of $30 or more TACOS QUESADILLAS SIDES CHIPS & DIPS BURRITOS TOSTADAS
VOL. 563 N 23 Copyrighted© My Living Media. 2023 All Rights reserved. To Advertise call 772-247-6849 Need More Coupons - MyLivingMedia.com OPENING HOURS Monday-Thursday 11:00AM-10:00PM Friday-Saturday 11:00AM-Midnight Sunday 11:00AM-10:00PM 1209 Main Street Suite 101 • Jupiter, FL 33458 561-360-3378 $500 OFF $25 Purchase With this MLM coupon. Cannot be combined with other offers. Expires 4/15/23 50% OFF Buy 1 Entrée at Regular Price Get The Second at Valid for Dinner only - With this MLM coupon. Cannot be combined with other offers. One coupon per table. Expires 4/15/23 (With the purchase of an adult entrée) *AT THE BAR ONLY Kids Under 12 Eat FREE & Tuesdays Thursday ALL DAY 12PM to 6PM “Authentic Cuban Cuisine Just Got A Little Closer To Home” Live Music every Wednesday thru Sunday!
24 VOL. 563 N Copyrighted© My Living Media. 2023 All Rights reserved. To Advertise call 772-247-6849 Need More Coupons - MyLivingMedia.com Grand Opening March 18th! Route1 1Route Jupiter Jupiter Green & Artisan Market Taco Bell Fast Food E Indiantown Rd E Indiantown Rd 251 S US Highway 1 Jupiter, Fl 33477 Hours of Operation: Sunday thru Thursday 11:00 am to 10:00pm. Friday & Saturday 11:00 am to 11:00 pm @ burritosocial_jupiter burritosocial.com 561 401 9330 • 561 781 3954 “The best restaurant I’ve ever been to, the food is amazing.” –Nina Charles ENTIRE MENU • Award-Winning Sweet-Heat Marinara • 1.5 Years in Business • Close to 700 reviews and 99% of them are ★★★★★ • Owners are (2) Italians and (1) Irishman from New York www.plantbasedma a.com 561-783-5131 7100 Fairway Drive, Suite 52 Palm Beach Gardens Sun - Thurs 11am to 9pm Fri - Sat 11am to 10pm Sat - Sun - Bangin Brunch 11am to 3pm Must present this coupon to your server. Not valid on tax or gratuity. Cannot be combined with other offers. One coupon per table per visit. Expires 4/01/23. 15%OFF
VOL. 563 N 25 Copyrighted© My Living Media. 2023 All Rights reserved. To Advertise call 772-247-6849 Need More Coupons - MyLivingMedia.com 950 SE Indian St, Stuart (772) 888-1854 • MeroMeroCantina.com Kids Eat FREE on Sundays Everyday 3-6 (All Day Tuesdays & Sundays) HAPPY HOUR Offers are good for dine in only With the Purchase of Adult Entree LUNCH SPECIAL DINNER SPECIAL BIRRIA TACO Buy One, Get OneBuy One, Get One FREE FREE FREE (Of equal or lesser value) One coupon per visit. Cannot be combined with other coupons. Expires 4/15/23 (Of equal or lesser value) One coupon per visit. Cannot be combined with other coupons. Expires 4/15/23 With the purchase of any food item (With exception of sides) One coupon per visit. Cannot be combined with other coupons. Expires 4/15/23 SCAN HERE 3755 Military Trail Suite B8 Jupiter • www.benedittis.com 561-250-6523 Mon.- Thur: 11am - 8pm Fri. & Sat: 11am-9pm • Sunday 12pm-9pm BEST PIZZA IN TOWN DINE-IN TAKE-OUT DELIVERY 2 LARGE CHEESE PIZZAS WITH ONE TOPPING MON-WED CASH SPECIAL LARGE CHEESE PIZZA 1 LARGE CHEESE PIZZA AND 10 WINGS $2999 $2599 Must present MLM coupon. Cannot be combined with other offers. Dine in, Take out, or Delivery Expires 4/1/23 Must present MLM coupon. Cannot be combined with other offers. Dine in, Take out, or Delivery Expires 4/1/23 Must present MLM coupon. Cannot be combined with other offers. Dine in, Take out, or Delivery Expires 4/1/23 $1249 Pickup Only
26 VOL. 563 N Copyrighted© My Living Media. 2023 All Rights reserved. To Advertise call 772-247-6849 Need More Coupons - MyLivingMedia.com St. Patricks Day Dinner Packages, Irish Soda Bread, and St. Joseph’s Pastries CELEBRATE ST. PATRICK’S & ST. JOSEPH’S DAY WITH DORISMARKET.COM North Palm Beach | 11239 US Highway 1 | 561-517-8488 * Must present coupon at time of purchase Not Valid on previous transactions or with other coupon offers Not Valid with holiday catering packages Not Valid with gift card activations Exp. 3/31/23 $2 OFF * Any Purchase of $25 or more NOW AVAILABLE SIMPLE • HEALTHY • FRESH! 1155 MAIN ST #112 JUPITER 561-557-3949 SCAN FOR MENU On Any Boba Teas FREE Buy 1 Tea, Get 1 Cannot be combined with any other coupons or offers. Expires 4/1/23 • Build Your Own Poke Bowl • Boba Teas • Japanese Desserts Located at Downtown Abacoa
VOL. 563 N 27 Copyrighted© My Living Media. 2023 All Rights reserved. To Advertise call 772-247-6849 Need More Coupons - MyLivingMedia.com From our fresh seafood, grilled steaks and house-made pastas, our dishes are sure to satisfy. See for yourself and join us for lunch or dinner today! The Gardens Mall / 3101 / PGA Boulevard / Palm Beach Gardens 561.622.0491 THE PERFECT DINNER FROM ROMANTIC ITALY Call Today To Make A Reservation! To Go/Curbside/Delivery Available The Perfect Start to Any Meal FREE APPETIZER! Enjoy One FREE Appetizer with the Purchase of Two Entrees* Must purchase two entrees at full price to receive free appetizer. Dine in only. May not be combined with any other offers or discounts. Present coupon to redeem offer. Dine In Only! Expires 4/1/23 Sun -Thurs: 11am - 9 pm Fri -Sat: 11 am -10 pm www.brioitalian.com JOIN US FOR OUR FAMOUS HAPPY HOUR MONFRI 3PM  6PM 561-799-9883 ($15 min. Limited Delivery) www.UncleJoesChineseFood.com Eat In Take-Out/Curbside Pick Up • Delivery Exotic Soups, Vegan Fare & Traditional Favorites! 4367 Northlake Blvd. (Northlake & Military Tr.) Palm Beach Gardens Mon.-Thurs. 11am - 10pm Fri.- Sun. 11am- 11pm SCAN TO SEE OUR MENU! Prices May Change
ANY PURCHASE OF $35 OR MORE ANY PURCHASE OF $70 OR MORE With this MLM coupon. Expires 4/14/23 With this MLM coupon. Expires 4/14/23 FRESH DAILY LOCAL $5 OFF $10 OFF 12174 US-1 · NORTH PALM BEACH 561-556-6022 Now Selling Beer & Wine! MON-FRI 8AM-6PM · SAT 8AM-5PM · SUN 10AM-3PM
VOL. 563 N 29 Copyrighted© My Living Media. 2023 All Rights reserved. To Advertise call 772-247-6849 Need More Coupons - MyLivingMedia.com JUPITER, FL THREE PALMS CENTER Suite Rental Chair Rental Stylist Commission (561)748-3334 ULTIMATE HAIR SALON
30 VOL. 563 N Copyrighted© My Living Media. 2023 All Rights reserved. To Advertise call 772-247-6849 Need More Coupons - MyLivingMedia.com Cosmetic & Family Dentistry NEW YEAR NEW BENEFITS • Emergency Care • Walk Ins Welcome ACCEPTING NEW PATIENTS • Family Dentistry • Cosmetic Dentistry PORT ST. LUCIE Hablamos Español JUPITER Dentistry By Design 3889 Military Trail, Ste.102 Jupiter, FL 33458 www.dbdfl.com Tel: 561-861-2611 GREENACRES Most Dental Insurance Plans Accepted Motorized Roll-Up Screens for Garages, Patios, or Lanais YOUR LOCAL SCREEN & AWNING DEALER. RATED #1 IN SERVICE 561-349-6788 FlaScreens.com Serving Port St Lucie to Boca Raton • Visit Our Showroom at: 2885 Jupiter Park Dr. • Suite 1900A • Jupiter, FL 33458 • Power Screens • Retractable Awnings • Nano Bugmesh • Solar Fabrics • FREE In-House Estimates ENTERTAIN OUTDOORS YEAR ROUND! Let The Fresh AIR IN, Keep the BUGS OUT. Lic.# U-20970
The Salt, Sand, & Sea Classic & Timeless Furniture, Unique Coastal Lighting, Accessories, & Rugs Located in the YumYum Plaza 815 S. US Hwy. 1 Jupiter FL summerhousefurniture.com Mon.-Sat. 10am-6pm | Sun. 12:30pm-5pm HOME FURNISHINGS INSPIRED BY 561-781-3696
32 VOL. 563 N Copyrighted© My Living Media. 2023 All Rights reserved. To Advertise call 772-247-6849 Need More Coupons - MyLivingMedia.com Located at: 651 W. Indiantown Rd., Jupiter • 561-746-2345 FREE Cleaning 50% Off Any Watch Battery MLM Coupon expires 4/1/23 MLM Coupon expires 4/1/23 MLM Coupon expires 4/1/23 20% Off Any Repair Make Your Shower & Floors Look New Again! • Tile & Grout Cleaning • Grout Restoration • Tile & Grout Repair • Loose & Hollow Tile Rebonding • Shower Repairs & Regrouting • Non-Slip Tile Treatment Call today for a FREE Estimate • 772-224-3011 or 1-800-561-3736 • www.GroutsmithStuart.com SEE THE DIFFERENCE WE CAN MAKE IN THE LOOK OF YOUR HOME! Your Grout & Tile Cleaning Experts $30OFF ANY JOB OF $300 OR MORE $50OFF ANY JOB OF $500 OR MORE With this MLM coupon only. Cannot be combined with any other offers or specials. Expires 4/14/23 No More Dirty Grout! Before Before After After With this MLM coupon only. Cannot be combined with any other offers or specials. Expires 4/14/23 Guaranteed for 10 Years! THE GROUTSMITH
VOL. 563 N 33 Copyrighted© My Living Media. 2023 All Rights reserved. To Advertise call 772-247-6849 Need More Coupons - MyLivingMedia.com $500 OFF $75 OFF FREE Any New Roof $8000 & Up Any Roof Repair $750 & Up Estimates On Roofs & Repairs Expires 4/17/23 Expires 4/17/23 Expires 4/17/23 561-566-5601 www.myroofsystem.com WHERE QUALITY & SERVICE MAKES THE DIFFERENCE CALL FOR A FREE ROOF EVALUATION TODAY! From… PROTECT YOUR PROPERTY WITH EXPERT ROOFING • ROOF REPAIR • ROOF REPLACEMENT • ROOF LEAK DETECTION • NEW CONSTRUCTION Fences • Gates • Railings • Wood • Chain Link • PVC • Aluminum ALLIED ALUMINUM & RAILING (Minimum of 100 ft) With this MLM coupon. Expires 4/01/23 $100 Off Keep What You Love Safe! Licensed & Insured License #U-17525 94-7491-FX MC1800195 CALL TODAY FOR YOUR FREE ESTIMATES! 561.232.2757 www.alliedaluminum.us
34 VOL. 563 N 2560 RCA Blvd. Suite 101 PBG • 33410 • www.pbgdentist.com The patient and any other person responsible for payment have the right to refuse to pay, cancel payment, or be reimbursed for any other services, examination, or treatment which is performed as a result of and within 72 hours of responding to the advertisement for the free service, examination, or treatment. Please Mention Code MLM for discounted prices when booking. 561-622-5600 Samuel J. Holcroft D.M.D., P.A. • 0% Financing through Care Credit • PPO Dental Insurance Plans • We Treat Adults & Teens • Nitrous Oxide Gas & Oral Sedation Available • We are a Humana Dental Care Provider • Tooth Colored llings & Bonding • Crowns & Veneers • Implants & Implant Support Bridges • Partials & Dentures • Root Canals • Grinding Guards • Extractions WHY US? CONTACT US NOW WELCOMING NEW PATIENTS! NEW PATIENT SPECIAL $79 With this MLM coupon. Please mention this ad when calling for appointment. Cannot be combined with any other offer. Expires 3/31/23 Including FMX (DO210), EXAM (D0150) & CLEANING (D1110) REGULAR CROWN PRICE $200 off Offer is for a single regular priced crown. New Patients only, and may be used with one other offer. Expires 3/31/23 TOOTH ACHE? $50 EMERGENCY PATIENT SPECIAL Including X-Ray (D0220) and Exam (D0140) With this MLM coupon. Please mention this ad when calling for appointment. Cannot be combined with any other offer. Expires 3/31/23
VOL. 563 N 35 Copyrighted© My Living Media. 2023 All Rights reserved. To Advertise call 772-247-6849 Need More Coupons - MyLivingMedia.com NOW HIRING CALL TODAY! Experienced Electricians $50 OFF ANY JOB OVER $500 Cannot be combined with other discounts or offers. With this MLM coupon. Expires 4/14/23 Need An Electrician? FREE ESTIMATES Lic # EC13007910 PRIMEGOLFCARS.COM SALES • RENTALS • REPAIRS HUNDREDS OF ELECTRIC LITHIUM & GAS GOLF CARTS AVAILABLE • New & Used Carts • Lithium Battery • Rims, Tires, & Lift Kits • 2, 4, 6, & 8 Passenger Seat Carts • American EV Golf Carts • Bintelli Golf Carts • E-Z-GO Golf Carts • Evolution Golf Carts • Elite EV Golf Carts • Club Car Golf Carts • Kodiak Golf Carts • Yamaha Golf Carts • Roadster Golf Carts 561-601-5671 7100 N MILITARY TRL., FL• RIVIERA BEACH VISIT OUR OTHER LOCATIONS IN LANTANA, FT. LAUDERDALE & MIAMI SCAN TO SEE OUR INVENTORY FINANCING AVAILABLE Vero Beach 1669 Old Dixie Hwy 32960 UPERIOR TILE REMODELING, INC & www.superiortileinteriors.com Serving the Treasure Coast & Palm Beaches 4348 SE Federal Hwy., Stuart, FL 34997(Palm Square Plaza) | Bonded & Insured Lic# CTM5781 - PBC#U-21539- PSL-11013 772-678-3948 TILE • MARBLE • GRANITE • STONE • FABRICATION • INSTALLATION • REPAIRS KITCHEN BATHROOM FLOORING REMODELING FREE ESTIMATES WE ARE THE EXPERTS! COMMERCIAL & RESIDENTIAL Visit Our Showroom Monday-Fri:. 9am-5pm; Saturday: 10am-3pm; Sunday By Appointment Only
36 VOL. 563 N Copyrighted© My Living Media. 2023 All Rights reserved. To Advertise call 772-247-6849 Need More Coupons - MyLivingMedia.com Seaglass Window Fashions American Made 561-932-3712 PBG, Jupiter, Palm City, Stuart, Port St. Lucie Plantation Shutters White Poly Vinyl SOLAR SHADES Manual or Motorized available • Zebra Shades • Woven Wood Shades • Honeycomb Shades • Sheer Shades • Wood Plantation Shutters White & Stained CUSTOM CLOSETS AND SHOWERS DOORS 561-810-1305 | www.coastalclosetsandshowers.com Visit our factory showroom at 4483 SE Commerce Ave, Stuart, FL 34997 Licenced Contractor #MCN56662 #SCC131152195 You deserve more than good luck. Up to $300 off your new Custom Closet* Lifetime Warranty & FREE Glass Protection on your Custom Glass Shower Offers valid until March 31 2022. Coupon must be presented at time of consultation. *purchase of $2500 or more necessary. closet | office garage | wall bed wall units shower doors glass wine rooms store front glass Offers valid until April 14,2023. Coupon must be presented at time of consultation. Jupiter Sod & Landscaping 561.768.1337 561.747.7856 FREE ESTIMATES FLORATAM • BAHIA • PALMETTO • BERMUDA Sod Removal & Installation 13049 W. Indiantown Rd. • Jupiter LANDSCAPE DESIGN ROCKS & MULCH PRODUCE HARDSCAPING Over 40 Years of Experience 1st Pallet 10% OFF With this MLM coupon. Expires 4/1/23
VOL. 563 N 37 Copyrighted© My Living Media. 2023 All Rights reserved. To Advertise call 772-247-6849 Need More Coupons - MyLivingMedia.com 561-903-4811 1001 W. INDIANTOWN ROAD • STE. 106 JUPITER, FL 33458 www.Yourpremierdentist.com WELCOME TO PREMIER DENTISTRY We are available for your dental emergencies! Having a smile you’re proud to share shouldn’t be dif cult or break the bank. We know how important it is to have a smile that lets you feel and look good, which is why our team strives to give you the dental care you deserve. Our dentists are committed to providing high-quality family, cosmetic, and advanced dentistry to each and every patient. PAYMENT PLANS FOR EVERYONE! Premier D entistry SMILE! YOU’RE IN GOOD HANDS TRUSTED & AFFORDABLE DENTAL CARE With this MLM coupon. Expires 4/1/23 New Patients Only $49 EMERGENCY EXAM With X-Rays With this MLM coupon. Limited time offer. New Patients Only WELCOMING HEALTHY MOUTH CLEANING $79 Exam & X-Rays With this MLM coupon. Expires 4/1/23 New Patients Only Complimentary Invisalign Consultation with $500OFF Treatment (full case) Premier D entistry SMILE! YOU’RE IN GOOD HANDS DR. CASEL
38 VOL. 563 N Copyrighted© My Living Media. 2023 All Rights reserved. To Advertise call 772-247-6849 Need More Coupons - MyLivingMedia.com Affordable Painting AFFORDABLE & SUPERIOR PAINTING affordableandsuperiorpainting@gmail.com 772-227-1398 20% 10% OFF OFF EXTERIOR PAINTING OVER $1595 One Per Customer. Must present this MLM coupon Cannot be combined with other offers. Expires 4/17/23 One Per Customer. Must present this MLM coupon Cannot be combined with other offers. Expires 4/17/23 INTERIOR PAINTING STARTING @ $2995 SPRING SPECIALS •INTERIOR PAINTING •EXTERIOR PAINTING •FENCE PAINTING •DECK STAINING •DRIVEWAY STAINING •CABINET PAINTING FREE DRIVEWAY POWERWASH W/EXTERIOR PAINTING FREE ESTIMATES & FINANCING AVAILABLE SCAN HERE TO VIEW OUR GALLERY myaffordableandsuperiorpainting.com 15% off May not be combined with other offers. Any Project Up to 52 ft. Installed 21 Colors $249 Hurricane Damage GUARANTEE up to a Category 3 any Falling Gutter or Downspout Replaced at NO CHARGE Only 6” & 7” Seamless Gutters FREE • Splash Blocks • Corners • Valley Shields BUDGET GUTTERS Seamless STOP PAYING TOO MUCH FOR SEAMLESS GUTTERS NO SEAMS NO LEAKS 561-667-4571 WWW.BUDGETGUTTERS.COM License # MC1800110 Insured & Workers Compensation Don’t be fooled by other ads. We guarantee the lowest price or the job is FREE! Family Owned & Operated since 1983 24-HOUR SERVICE 4 Generations of Plumbing & Knowledge! TOLL FREE 2647 President Barack Obama Hwy., Riviera Beach, FL 33404 561-625-9414 800-323-0263 www.NorthCountyPlumbing.org • Licensed • Bonded CFC026530 Serving All of Palm Beach County for 39 Years Strong & Still Growing! PLUMBING PROBLEMS? We can handle any plumbing repair, from Big to Small! 10% $1099 $ 425 $ 99 OFF ANY SERVICE CALL Maximum ($100 Discount) With this MLM coupon. Cannot be combined with any other offer. Expires 4/14/23 INSTALLED WATER HEATER SPECIAL Electric Only. 50 - 40 - 30 - Tall or Med. No Hidden Costs Regular Price $1199 - Special Price $1099 - SAVE $100 With this MLM coupon. Cannot be combined with any other offer. Expires 4/14/23 TOILET REBUILD SPECIAL Includes Fill Valve & Flapper. Standard Toilets Only Regular Price $148 - Special Price $99 - SAVE $49 With this MLM coupon. Cannot be combined with any other offer. Expires 4/14/23 In Garage on Floor Only. +TAX NEW TOILET Supply & Install White Round or Elongated Toilet With Seat, Standard Height. Reg. Price $499, Special Price $425 SAVE $75. Additional Charges Will Be Applied for Above 1st Floor Installations. With this MLM coupon. Cannot be combined with any other offer. Expires 4/14/23
VOL. 563 N 39 Copyrighted© My Living Media. 2023 All Rights reserved. To Advertise call 772-247-6849 Need More Coupons - MyLivingMedia.com • Lawn Grass • Batting Cages • Bocce Courts • HOA Playgrounds • Putting Greens • Pet Grass • Pool Areas • Paver Strips With a combined experience of 60+ years, Complete Synthetic Turf is the trusted choice for artificial grass installation on The Treasure Coast! Complete synthetic Turf has the look and feel of natural grass. Always picture perfect! 7715 SW Ellipse Way, Stuart 772.494-2481 We look forward to exceeding your expectations in everything we do! FREE CONSULTATION FREE DESIGN FREE ESTIMATE 100% Satisfaction Guaranteed! Like Us On Facebook RESIDENTIAL & COMMERCIAL • Shingles • Synthetic Shingles • Metal • Tile • Aluminum 1500 N Florida Mango Rd Suite 3 • WEST PALM BEACH (561) 264-6233 $500 Off $1000 Off Any Roof $10,000 or more. Any Roof $20,000 or more. Must present coupon when signing contract 4/14/23 Must present coupon when signing contract 4/14/23 not be co VILLAGE BOOTERY SHOE STORES 245 U.S. Highway One • Tequesta 561.746.3536 2641 S.E. Ocean Blvd. • Stuart 772.283.3833 $10 OFF Your next Village Bootery purchase Expires 4/1/23. Discount not available on sales merchandise.
40 VOL. 563 N Copyrighted© My Living Media. 2023 All Rights reserved. To Advertise call 772-247-6849 Need More Coupons - MyLivingMedia.com • Expert Lamp Repair & Restoration • Bring In Your Lamp For A Proper Fit! Best Selection of Lampshades in Florida! ANY SHADE IN THE STORE Expiration 4/15/23 $10 OFF $39.00 and Up 772.221.0222 Cedar Pointe Plaza 2461 SE Ocean Blvd. Stuart, FL 34996 Custom-Made Lamps & Shades ... Bring Your Lamp for a Proper Fit! Your Complete Source For All Your Trees 772-324-0449 TREE TRIMMING • TREE REMOVAL FREE On Site Estimate Same Day Service 10% off Any Job $100 or more. With this MLM coupon. Cannot be combined with any other offers. Limited Time Only. Other Services: • Full Service Yard Clean Up • Hedge Trimming • Mulching GUARANTEED BEST PRICES! We Will BEAT Any Written Estimate! www.saultreeservicesllc.com

Every 5,000 miles, like clockwork, you take your car to get its oil changed and tires rotated. It’s basic, routine maintenance, but that consistent attention and upkeep is vital for your vehicle to run e ciently, especially over a number of years. Your body, much like your vehicle, requires regular care and treatment to keep it healthy. And, again like your automobile, your body needs support from someone other than yourself, a professional who can guide it to achieving its utmost abilities and to retaining its peak performance.

Getting older, playing sports, or having a condition like sciatica or arthritis shouldn’t hold you back from living your life! You can feel like your younger self again, the one who didn’t feel any aches or pains when walking, running, jumping, or even sitting… all you have to do is visit Stretch Zone.

Drew Brees, former quarterback of the New Orleans Saints, is the newest partner at Stretch Zone who advocates for people to regularly get stretched. A er personally going to Stretch Zone for an assisted stretching session, Drew was impressed with the uniquely e ective and nationally accredited Stretch Zone Method®, which is administered by a highly-trained and Stretch Zone-certi ed stretch practitioner.

Here’s How It Works:

1.) Your rst session begins with lling out an intake form and having a consultation with your experienced and knowledgeable stretch practitioner. Based on your medical background and your personal goals, the stretch practitioner will personalize the ensuing 30-minute assisted stretching session to meet your individual needs. On subsequent visits, you’ll simply do a check-in with the practitioner to update your medical pro le with any recent changes and/or any new pain or discomfort that you might be experiencing.

2.) e stretch practitioner initiates the rst steps of the approved Stretch Zone Method®, utilizing Stretch Zone’s special patented straps to encourage your body to relax and ease into the stretches. You won’t nd these straps anywhere else!

Comparable to a thunder jacket for your pets, they are meant to calm your mind so that your entire body is perfectly loose, thus allowing the stretch practitioner to stretch your body to its full potential and, as a result, provide you with both preventative maintenance and pain relief.

3.) Assisted stretching (a/k/a passive stretching) is di erent from physical therapy in that your body is being stretched by someone else, you’re not actually doing any work. roughout your 30-minute session, the stretch practitioner will be steadily interacting one-on-one with you, ensuring that you are completely comfortable and not experiencing any pain. Ultimately, you are in control of the stretch, even as your practitioner guides your body through each and every step, because you tell the practitioner when you feel your best stretching position. e more you communicate, the better results you’re going to get!

Take advantage of Stretch Zone’s incredible Special: get one FREE 30-minute

stretching session! Anybody and everybody can and should be stretched. In fact, one Stretch Practitioner I spoke with at Stretch Zone says, “98% of the people I see in front of me really need to be stretched. is is something you should not live without.” Remember, it’s just like getting your oil changed! Plus, celebrities and professional athletes have been getting stretched for years, so it’s time for the general population to be clued into the secret!

Get Stretch Zone’s Special for yourself or get them for a friend or loved one… what better way to say you care than to give the gi of making life easier, of feeling healthier, lighter, and younger, and of feeling like yourself again?

VOL. 563 N 41 Copyrighted© My Living Media. 2023 All Rights reserved. To Advertise call 772-247-6849 Need More Coupons - MyLivingMedia.com
DO YOU WANT TO: DISCOVER WHAT STRETCH ZONE CAN DO FOR YOU! JUPITER 6390 W Indiantown Road, Suite 4, Jupiter, FL 33458 561-529-2272 In the Chasewood Plaza PGA EAST 11940 US Hwy 1, Unit 145 Palm Beach Gardens, FL 33458 561-644-2970 In the Seminole Shoppes PGA WEST 6271 PGA Blvd., #209, Unit 145 Palm Beach Gardens, FL 33410 561-619-6029 In the Mirasol Plaza
GOLF
PERFORMANCE?
TENSION
STRESS
EFFECTIVELY?
EASE FRUSTRATING MUSCLE ACHES AND PAINS? ✓ INCREASE YOUR OVERALL HEALTH AND WELLNESS? IMPROVE FITNESS AND YOUR OVERALL WELL-BEING. GET YOUR FREE STRETCH IT’S TIME TO FOCUS ON YOU. BOOK YOUR TODAY! FREE STRETCH
✓ 3 HAVE MORE ENERGY TO DO ALL OF THE THINGS YOU LOVE? ✓ IMPROVE YOUR
GAME, TENNIS SKILLS OR OTHER SPORTS
✓ MANAGE
AND
MORE
42 VOL. 563 N Copyrighted© My Living Media. 2023 All Rights reserved. To Advertise call 772-247-6849 Need More Coupons - MyLivingMedia.com 1-833-ACE-CART(223-2278) Aceofcarts.com Ace of Carts 4880 SE Federal Hwy., Stuart • 2nd Location 552 US Hwy. 1 North, Tequesta Over 200 Brand New Club Cars in Stock ! • SALES • SERVICE • PARTS Now Open in Tequesta! AUTHORIZED DEALER BIGGEST SAVINGS OF THE YEAR! Must be a 2022 Model Year Club Car from dealer stock. Offer expires 4/15/23 or while supplies last. Financing is available with standard rates. Not eligible for 0% Financing promotion; offers do not combine. $1000 OFF *MSRP on any Club Car from Dealer Stock EXPERT FULL SERVICE JEWELRY REPAIR JEWELRY 75 E. INDIANTOWN RD #504 • JUPITER WE BUY GOLD 561.406.2074 20% OFF 50% OFF 50% OFF Any Watch or Jewelry Repair Watch Battery New Diamond & Gemstone Jewelry *Exclusions may apply With this MLM coupon. Expires 4/1/23 With this MLM coupon. Expires 4/1/23 With this MLM coupon. Expires 4/1/23 Authentic Scratch-Made Pierogies from Our Family to Yours! Nationwide shipping, local dine in, takeout & delivery. (561) 720-2498 • 813 Donald Ross Rd, Juno Beach $5 Off Order Here Scan for Menu When you spend $20 or more! With this MLM coupon. Expires 4/1/23
VOL. 563 N 43 Copyrighted© My Living Media. 2023 All Rights reserved. To Advertise call 772-247-6849 Need More Coupons - MyLivingMedia.com ing and refacing services, your original cabinet boxes stay in place –saving you the time, cost, and mess of a complete remodel. We’ll have your kitchen looking brand new in no time! Give us a call to schedule your free, in-home estimate. Before Refacing CALL TOD AY 561. 861.3532 DIEGO HERNANDEZ Locally Owned and Operated Serving Jupiter, FL and the surrounding area. Hassle-Free Kitchen Updates Choose a new color and style for your kitchen with cabinet refacing. kitchentuneup.com 1 DAY TUNE-UP • REFACING • REDOORING • CUSTOM CABINETS AND MORE!
44 VOL. 563 N Copyrighted© My Living Media. 2023 All Rights reserved. To Advertise call 772-247-6849 Need More Coupons - MyLivingMedia.com 561-972-0875 226 Center Street, Jupiter, FL 33458 ALL SERVICES RECEIVE COMPLIMENTARY HAIR TREATMENT First-time clients only. Offers may not be combined. Expires 4/15/23 * restrictions may apply $50 cut and blow dry ($75 Value) $80 color, cut, & blow dry ($140 Value) $75 partial highlight w/blow dry ($140 Value) $300 Proaddiction Smoothing ($350 Value) HAIR SHOP Amanda Ghattas at Jupiter Put a Hold on Aging BEFORE AFTER BEFORE AFTER Ca for your A ointment Today 561-529-4982 $50 OFF $400 ABOUT OUR SEMAGLUTIDE SPECIAL Any Service Cannot be combined with other offers. Expires 4/1/23 Cannot be combined with other offers. Expires 4/1/23 NEW CLIENT SPECIAL LIP FILLER www.aestheticsbykallee.com STARTING AT: NEED SHUTTERS THIS WEEK? Family Owned & Locally-Manufactured Plantation Shutters • ANGLES & RAKES • ARCHES & SUNBURSTS • OTAGON, CIRCLE, HEXAGON • SILL COVERS & CAPS HORIZONTAL ARCH PLANTATION SHUTTERS SUNBURST PLANTATION SHUTTERS www.plantationshutters a.com Treasure Coast Palm Beach 772-600-4253 or 561-420-0418 Visit our manufacturing shop at: 406 Farmers Market Rd Ft Pierce, FL 34982 IN-HOME ESTIMATES FREE $1695 SQ. FT. INSTALLED Starting at Plantation Shutters Florida™ Your Plantation Shutter Specialist Plantation Shutters Florida™ We are the Real Manufacturer Licensed & Insured CALL TODAY AND GET UP TO 10% DISCOUNT Restrictions may apply.
VOL. 563 N 45 Copyrighted© My Living Media. 2023 All Rights reserved. To Advertise call 772-247-6849 Need More Coupons - MyLivingMedia.com IF YOU ARE WAITING FOR A SIGN THEN THIS IS IT! RESULTS DRIVEN. TEAM TRAINING. LIFE CHANGING. STRONG TOMMORROW. TEAM TRAINING. LIFE CHANGING. RESULTS DRIVEN. 5500 MILITARY TRAIL, JUPITER 561-400-0505 • FUNCTIONAL TRAINING • BUILDING A COMMUNITY • INDUSTRY-LEADING TECHNOLOGY f45training.com $7 for 7 Days F45 Palm Beach Gardens –Gardens, FL 33458 561-400-0505 *New Clients Only Expires 4/13/23 JOIN TODAY BY TEXTING OR CALLING • New ���������� • Ren��������i��n�� • Rem��������in�� • Rep�������� • Res��������ci���� Your Backyard Oasis Awaits… New Pool Construction 561-782-4644 Camco Pools New Construction & Renovations $1500 off With this MLM coupon. Expires 4/16/23 EMERGENCY SERVICE-ANY DAY, ANY HOUR Licensed & Insured CFC1427336 • Sinks • Toilets • Water Heaters • Leak Detection • Showers • Bathtubs $30 OFF ANY SERVICE 561.533.7070 PlumbRitePlumber.net Service Interruption? 24-Hour Plumbing Repair Fast | Reliable | Trusted | Guaranteed Sewer & Drain Cleaning All Clogged Lines Corrected With this MLM coupon.
46 VOL. 563 N Copyrighted© My Living Media. 2023 All Rights reserved. To Advertise call 772-247-6849 IMA LANDSCAPING TREE & PALM SERVICES • Rock & Stone Install • Palm/Tree Removal • Irrigation install & Services • Stump Grinding • Mulching & Sod Installed • Tree Trimming • Pressure Washing TREE & PALM TRIMMING WE SPECIALIZE IN TREE REMOVAL METAL ROOFS just got MORE AFFORDABLE! • METAL ROOFING • TILE ROOFING • SHINGLE ROOFING Financing Available Satisfaction Guaranteed! Call Today (772) 291-1427 Lic. No. CCC1327906 FREE ESTIMATES $500 OFF Call Today! ANY ROOF REPLACEMENT Must present coupon at time of estimate for discount. Exp. 4/15/23 FREE CONSULTATION 10% OFF 561.855.6595 Let Us Make Your Dream A Reality! LIC# CGC1525942 825 15th Street Lake Park • Custom Cabinets • Closets • Kitchens • Bathrooms • Doors & Windows • Custom Millwork Any Remodeling Job. Must Book Before 4/01/23 Total Ima g e With this MLM coupon
VOL. 563 N 47 Copyrighted© My Living Media. 2023 All Rights reserved. To Advertise call 772-247-6849 Need More Coupons - MyLivingMedia.com Our Jupiter location is centrally located and We welcome you to meet Gabrielle Poplarchick, Jupiter’s One-Stop Shop For Your Hearing Needs! Schedule an appointment for you or a loved one: 2161B S. US Highway 1 THE WINDOW & DOOR SPECIALIST 772-288-6205 WWW.KAMRELL.COM KAMRELL When You Want It Hung Well... TRUST FAMILY OWNED & OPERATED SINCE 1999 8200 SW LOST RIVER ROAD STUART, FLORIDA 34997 Financing Options Available On Our Website LICENSED & INSURED CGC061180 THE DOOR SYSTEM YOU CAN BELIEVE IN THE DOOR OF BEAUTY AND INOVATION
48 VOL. 563 N Copyrighted© My Living Media. 2023 All Rights reserved. To Advertise call 772-247-6849 Need More Coupons - MyLivingMedia.com …not your typical pawn shop! FREE 30% Off 561-575-5656 20% Off FREE Cleaning & Evaluation 360 W Indiantown Rd | JUPITER Certified Diamond Rings & Jewelry UP TO Cleaning Cloth with purchase of any jewelry over $300 Designer Handbags *Most Jewelry Pieces. Expires 4/1/23 Expires 4/1/23 *Exclusions May Apply. Expires 4/1/23 Expires 4/1/23 …A Beautiful Smile is closer than you think. General, Cosmetic, & Implant Dentistry THE PATIENT AND ANY OTHER PERSON RESPONSIBLE FOR PAYMENT HAS THE RIGHT TO REFUSE TO PAY, CANCEL PAYMENT OR BE REIMBURSED FOR ANY SERVICES, EXAMINATION OR TREATMENT WHICH IS PERFORMED AS A RESULT OF AND WITHIN 72 HOURS OF RESPONSE TO THE ADVERTISEMENT FOR FREE OR DISCOUNTED SERVICES, EXAMINATION OR TREATMENT. 654 W. Indiantown Rd. Suite 105, Jupiter Lic#14440 Angelo Forte, DMD, PA. 561.747.2134 ! NEW PATIENT SPECIAL ZOOM2 WHITENING $89 $125 OFF Prophylaxis Cleaning, Exam, FMX, & Oral Cancer Screening Codes: D0150, D1610, D1674, D1110 Codes: D0003 RESTRICTIONS MAY APPLY. MLM COUPON EXPIRES 4/14/23 MLM COUPON EXPIRES 4/14/23 NOW OFFERING In-House Dental Discount Plan Ask for details
VOL. 563 N 49 Copyrighted© My Living Media. 2023 All Rights reserved. To Advertise call 772-247-6849 YOUR TRUSTED ROOFERS $500 ANY NEW ROOF $10,000 & Up Must present this MLM coupon. Expires 3/31/23 off $150 ROOF REPAIR Must present this MLM coupon. Expires 3/31/23 off Roof Repair • Roof Replacement Insurance Restoration LICENSED & INSURED • #CCC133746 5 Stars Google FREE In-home Estimate 772-222-6760 819 SW Federal Hwy. Ste #201 • Stuart www.levelbestroofing.com
50 VOL. 563 N Copyrighted© My Living Media. 2023 All Rights reserved. To Advertise call 772-247-6849 Need More Coupons - MyLivingMedia.com YOUR NEXT PRODUCT PURCHASE EXCLUDING FOOD & GROOMING Natural Pet Food • Boutique • Grooming Catering to Your Pet’s Health! 155 Toney Penna Drive, Suite 6, Jupiter, FL 33458 1/2 mile South of Indiantown Road, between Alternate A1A & Military Trail Largest selection of natural, holistic & raw pet food including raw meaty bones, chicken necks & tripe. 561.748. PAWS 7297 info@healthepetsmarket.com WWW.HEALTHEPETSMARKET.COM Must present coupon at time of service. Not valid with any other offer. Expires 4/1/23 Certi ed NutritionPet Specialist Healthy options for cats and dogs include supplements and vitamins, plus all of your pet’s favorite treats. 10%off Toys • Bones • Bedding • Leashes • Collars • Grooming Supplies and more. (Mon.-Sat.) • 8:30am - 7:00pm (Sunday) • 11:00am - 4:00pm 561-557-9736 4050 US1 • Unit 306 JUPITER Sun-Thur 10am-1am Fri-Sat 10am-2am Single Kava or Small Herbal Tea! *First time customers only please. Must present MLM ad. Expires 4/14/23 KAVA & HERBAL TEAS Our Kava & Herbal Teas Promote Relaxation And Are A Good, Healthy Alternative To Alcohol. COME JOIN OUR COMMUNITY! FREE Try the best Kava & Herbal Teas. See what it’s all about. Pressure Washing & Roof Cleaning • Screen Enclosure Frames • Driveways • Paver Sealing • Eco Friendly • Much More! www.pwpbg.com Workman’s Comp • Licensed & Insured Our Guarantee - If your house doesn’t look 157% better than before, we will refund you 100% of your money. “We Clean Barrel Tile, Metal, Asphalt Shingle Roofs & Cedar Shake Roofs” GOT MOLD ON YOUR ROOF? CALL OLIVER TWIST TODAY! We Are Commercial Specialists! Call James for Specials! BEFORE AFTER OliverTwist 561-771-0310 Serving South Florida Since 1999 SENIOR DISCOUNTS CALL FOR DETAILS
VOL. 563 N 51 Copyrighted© My Living Media. 2023 All Rights reserved. To Advertise call 772-247-6849 Need More Coupons - MyLivingMedia.comHURRICANE IMPACT WINDOWS & DOORS PROTECT WHAT’S PRECIOUS TO YOU! • Hurricane Protection • Home Security • Save on Energy Bills • Save on Insurance Costs • Increase Property Value • Noise Reduction Your Expert in Single Family Homes & Condos! “Our service & products are second to none!” The People’s Choice In Hurricane Protection! 561-336-6511 SAME DAY Appointments! FINANCING Available! We Beat ALL Competitors’ Pricing CALL FOR DETAILS INSTALLATION & NO SALES TAX. EXP 4/1/23 License #CBC1264950 & INSURED Serving Palm Beach, Martin, & St. Lucie Counties 50% Off(Some restrictions apply) (Some restrictions apply) AS LOW AS $120 MO. AS MUCH AS
52 VOL. 563 N Copyrighted© My Living Media. 2023 All Rights reserved. To Advertise call 772-247-6849 Need More Coupons - MyLivingMedia.com GOOD is a haircut you love. GREAT is a sweet price too. $ 999 OFFER EXPIRES: 10/31/22 ANY HAIRCUT Not valid with any other offers. Limit one coupon per customer. No copies. Taxes may apply. Valid at Frenchman’s Crossing, Donald Ross Village & Plaza at Lake Park. Masks may be required. LAKE PARK Plaza at Lake Park 1244 Northlake Blvd • 561-515-5410 PALM BEACH GARDENS Donald Ross Village 4650 Donald Ross Rd (Central Blvd & Donald Ross Rd) 561-624-7372 Frenchman’s Crossing 4073 Hood Rd (Next to Publix) • 561-768-7767 greatclips.com | jobs.greatclips.com | greatclipsfranchise.com 41309-001-Norman-Donald Ross Village-Frenchman's Crossing-Plaza at Lake Park-6.25 x 4.5325.indd 1 5/31/22 12:59 PM OFFER EXPIRES: 4/15/23 TREE TRIMMING TREE & STUMP REMOVAL • TREE TRIMMING & THINNING • TREE REMOVAL • TREE & SHRUB PLANTING • HAZARDOUS REMOVALS • STUMP GRINDING 561-222-1860 $30 OFF ANY SERVICE $300 OR HIGHER. Exp 4/15/23 SOUTH FLORIDA’S TREE CARE SPECIALIST SCAN HERE TO BOOK YOUR FREE ESTIMATE
Lic# CAC1819096 Bill shAC.com SCAN HERE Neutralize odors, particulate, air pollutants, smoke, mold bacteria and viruses. FREE Customizable Auto delivery FREE SERVICE CALL WITH REPAIR ($85 Value) Must be during regular hours. Must mention at time of order. With this MLM coupon. Cannot be combined with other offers or specials. Expires 3/30/23 With this MLM coupon. Cannot be combined with other offers or specials. Expires 3/30/23 FREE DUCT EVALUATION! AIR FILTER SUBSCRIPTION USING THERMAL IMAGING REME HALO AIR PURIFIER With this MLM coupon. Cannot be combined with other offers or specials. Expires 3/30/23 With this MLM coupon. Cannot be combined with other offers or specials. Expires 3/30/23 OFF $150 10% OFF Air Conditioning Air Conditioning MAINTENANCE PROGRAM Includes 2 Visits Precision Tune-Up Clean and chemically treat drain line Check refrigerant level Check for air ow Check for air leak on plenum duct system Check fan motors Check all electrical connections for loose or burned wire, tighten all caps Check relays and contactors Replace screws if missing Check evaporator coil & wash condenser coil Coil sanitation for bad odors and bacteria, when accessible Check heating element, run heat cycle, system analysis Calibrate thermostat for maximum accuracy Check for microbial growth on coil ✔ ✔ ✔ ✔ ✔ ✔ ✔ ✔ ✔ ✔ ✔ ✔ FINANCING AVAILABLE! REG. $189 Expires 3/30/23 $19 $189 OR PER MONTH ANNUALLY Call for pricing on multiple systems 772.276.7537 Sign up online! Bill shAC.com ✔ ✔ WITH ✔ Program Perks Priority Scheduling 10% off Repairs No Overtime Charges ✔ ✔
54 VOL. 563 N Copyrighted© My Living Media. 2023 All Rights reserved. To Advertise call 772-247-6849 Need More Coupons - MyLivingMedia.com DAMAGED HOME? LET US MAXIMIZE YOUR CLAIM TODAY! 561-861-2677 10-POINT INSPECTION SPECIAL FREE Policy claim and review FREE BOSS Commercial & Residential Public Adjusting WE WILL GET YOU MONEY FOR REPAIRS GUARANTEED OR YOU DON’T PAY US A PENNY! NO RECOVERY • NO FEE S ave Your Money $$ • Residential • Commercial • Marine WINDOW TINTING NO AUTOMOBILES off $30 Any order over $100 Exp. 4/14/23 Over 40 Years of Experience www.mrtintofamerica.com BEFORE AFTER Elec. Lic # EC13002031 Gas: 24513 CALL TODAY FOR YOUR FREE IN HOME ESTIMATE 561-202-3535 www.PowerRestored.com *Must Have Promo Present At Time of Signing* DON’T WAIT UNTIL HOME STANDBY HURRICANE SEASON! GENERATORS Supplies are Very Limited! Reserve Your Generator Today! • Turnkey Installations! • Electric and Gas Contractors! • Fully Licensed and Insured! • Factory Authorized Technicians! • Service and Mainteance! • Celebrating 35 Years in Business! $1,000 Up To OFF! Limited Time Offer! Valid Through 05/2023
We Don’t Just Sell Roofs… We Build Relationships. 772-258-4989 $500 OFF ANY NEW ROOF OF $10,000 or MORE
56 VOL. 563 N Copyrighted© My Living Media. 2023 All Rights reserved. To Advertise call 772-247-6849 561-468-7281 www.windowreplacementgroup.com SCC# 131152429 CBC# 1264555 IMPACT WINDOWS & DOORS The Group of Professionals You Can Trust! Energy Saving Enhance Home’s Appearance & Value Hurricane & Burglary Protection Reduce Insurance Cost Sound Reduction TM *Offers cannot be combined. Exp. 4/1/23 *Offers cannot be combined. Exp. 4/1/23 FREE SPECIAL ENTRY DOOR *WITH PURCHASE OF FULL HOUSE INSTALL ASK ABOUT OUR PRICING FOR IMPACT WINDOWS, PATIO & ENTRY DOORS TM TM
VOL. 563 N 57 Copyrighted© My Living Media. 2023 All Rights reserved. To Advertise call 772-247-6849 Need More Coupons - MyLivingMedia.com CALL TODAY FOR A free estimate! DRIVEWAYS • WALKWAYS • PATIOS • POOL DECKS • RETAINING WALLS CUSTOM POOL REMODELS • NEW POOL CONSTRUCTION • CLEAN & SEAL PAVERS • REPAIRS MARTIN 772-419-5151 PALM BEACH 561-844-9370 apexpaversandpools.com LICENSED & INSURED: CPB #4701 • U-20589 • U-20796 • RP #4701 *WITH APPROVED CREDIT. OFFERS CANNOT BE COMBINED. Apex Pavers & Pools, Inc. 725 SE Monterey Rd., Stuart, FL 34994 COME VISIT OUR SHOWROOM! POOLS TRANSFORMING THE ORDINARY TO Extraordinary FINANCING AVAILABLE CONTACT US TODAY TO LEARN MORE* CALL TODAY FOR A free estimate! DRIVEWAYS • WALKWAYS • PATIOS • POOL DECKS • RETAINING WALLS CUSTOM POOL REMODELS • NEW POOL CONSTRUCTION • CLEAN & SEAL PAVERS • REPAIRS MARTIN 772 - 419-5151 PALM BEACH 561-844-9370 apexpaversandpools.com LICENSED & INSURED: CPB #4701 • U-20589 • U-20796 • RP-252555006 *WITH APPROVED CREDIT. OFFERS CANNOT BE COMBINED. Apex Pavers & Pools, Inc. 725 SE Monterey Road, Stuart, FL 34994 POOLS TRANSFORMING THE ORDINARY TO Extraordinary 12 MONTHS SAME AS CASH NO INTEREST, NO PAYMENTS FOR 12 MONTHS* COME VISIT OUR NEW SHOWROOM! DRIVEWAYS • WALKWAYS • PATIOS • POOL DECKS • RETAINING WALLS CUSTOM POOL REMODELS • NEW POOL CONSTRUCTION • CLEAN & SEAL PAVERS • REPAIRS LICENSED & INSURED: CPB #4701 • U-20796 • RP-252555006 • CPC 1458696 Visit Our Showroom
HURRICANE IMPACT WINDOW SALE OF THE TREASURE COAST Visit Our Showroom Location - 2820 SE Monroe St., Stuart LIC#CGC009090 EcoViewWindows.com/Treasure-Coast 772-758-8640 HIGHEST QUALITY AT THE LOWEST PRICE GUARANTEED! LEAD TIME 4-6 Weeks ∙ NO PRODUCTS ∙ U FACTOR 0.29 ∙ MISSILE-IMPACT RATING D $760 FREE INSTALLATION Starting as low as Call Today For A FREE Estimate UNDER 101 UI (Some restrictions apply)
59 Copyrighted© My Living Media. 2023 All Rights reserved. To Advertise call 772-247-6849 Need More Coupons - MyLivingMedia.com
2 VOL. 563 H/K Copyrighted© My Living Media. 2022 All Rights reserved. To Advertise call 772-247-6849 Need More Coupons - MyLivingMedia.com 772-362-1444 www.moceantherapy.com Captain Je 30 YEAR IN EXPERIENCE SPORTFISHING MOCEAN THERAPY CHARTERS
VOL. 563 H /K 3 Copyrighted© My Living Media. 2022 All Rights reserved. To Advertise call 772-247-6849 Need More Coupons - MyLivingMedia.com • Fishing Trips • Custom Cruises • Sight Seeing 34’ Center Console • 60’ Sport Fish 40% OFF FULL DAY CHARTER SPORTFISHING Deep Sea Fishing Limited time o er. Call for details
62 VOL. 563 N Copyrighted© My Living Media. 2023 All Rights reserved. To Advertise call 772-247-6849 *Additional charges may apply for heavily soiled areas Serving the Treasure Coast from Vero to Palm Beach 772-919-7163 • 561-250-0088 WWW.CarpetCleanerInFlorida.com 3 ROOMS $68 2 ROOMS $42 5 ROOMS $99 TILE & GROUT CLEANING 39¢ SQ. FT. 100 SQ. FT. MINIMUM FURNITURE CLEANING $60 SOFA OR LOVE SEAT OR 2 CHAIRS AREA RUGS $40 AND UP PREVENTS FIRES DRYER VENT CLEANING FREE DEODORIZER, SANITIZER, & DISINFECTANT $85FROM & SPEEDS DRYING TIME OFFER #MS3-2 CARPET CLEANING Licensed Ask about ...dries in half the time!
Need More Coupons - MyLivingMedia.com 132 NE Dixie Hwy., Stuart, FL 34994 Licensed & Insured State Certi ed License #CCC024411 Serving Martin & Palm Beach Counties for Over 30 Years! “You’ve tried the rest…now call the Best!” Re-Roof & Repair Specialists METAL ROOFS Starting At Starting At $17,500 TILE ROOFS (Minimum 3500 Sq Ft of Roof) $24,500 (Minimum 3500 Sq Ft of Roof) 772-692-9854 Re-roofs • Repairs • New Construction • Cement & Clay Tile Fiberglass Shingles • Wood Shakes • 5-V & Standing Seam Metal Built-up Modi ed Rubber • Residential & Commercial 25- to 50-Year Material Warranty Available 5- to 10-Year Labor Warranty Available Martin County’s Trusted Name Since 1980! ·Signs ·Vehicle Wraps ·Boat Wraps ·T-Shirt/Apparel ·Printing ·Biz Cards ·Flyers ·Promotional Items ·Food Product Labeling ·Stickers 151 FERN STREET Unit #2, Jupiter SCAN HERE TO VISIT OUR WEBSITE (561) 748-7446 With MLM coupon. May not be combined with any other offer. Exp. 4/1/23 Did You Know We Also Do... • Business Cards / Flyers • Promotional Items • Brochures • Banners • Boat & Car Wraps $250 OFF any wrap $2,000 or more Let Us Protect Your HOME • FREE Google Nest Cameras • FREE Google Nest Doorbell • FREE Command Touch Screen License EG0000142 $99.00 Customer Installation Charge. 36-Month Monitoring Agreement required at $45.99 per month ($1,655.64). Certain restrictions may apply. Offer valid for new ADT Authorized Dealer customers only and not on purchases from ADT Security Services, Inc. Other rate plans available. Cannot be combined with any other offer. ADVANCED HOME SECURITY 772-265-1ADT $100 GIFT CARD TO FIRST 20 CALLERS! (238) SCANHERETOSTARTPROTECTINGYOURFAMILYTODAY!
Residential Customer PRSRT STD ECRWSS US POSTAGE PAID PERMIT #145 STUART, FL 2081 SE Ocean Blvd. • Suite 4 Stuart, Florida 34996 • 772-334-2121 www.myhurricanewindow.com Don’t Get Caught Off Guard, Use Florida’s #1 Rated Hurricane Window Licensed & Insured SCC131151738 561-566-5629 772-932-5629 *FINANCING DISCLOSURE. $9 per month per window offer based on 24”x36” single hung or sale price of $1080. Prices will vary for larger sizes or different style windows. Contractor in neither a broker nor a lender. Financing is provided by third-party lenders unaffiliated with contractor, under terms and conditions arranged directly between the customer and such lender, all subject to credit requirements and satisfactory completion of finance documents. Any finance terms advertised are estimates only. Free Quote! Call Today! Scan to schedule your APPOINTMENT! Hurricane Season Begins June 1st! CALL NOW and order before March 31st to have your windows installed BEFORE peak hurricane season for as little as $9 per month per window FINANCING AVAILABLE $9PER MONTH PER WINDOW Some Restrictions Apply • HURRICANE PROTECTION • HOME SECURITY • ENERGY EFFICIENCY • REDUCED INSURANCE COSTS • SOUND REDUCTION HURRICANE SEASON IS LESS THAN DAYS AWAY! 90

Turn static files into dynamic content formats.

Create a flipbook
Issuu converts static files into: digital portfolios, online yearbooks, online catalogs, digital photo albums and more. Sign up and create your flipbook.