G1-Stuart Living-Vol.564

Page 1

See Pages 4-5 for Details FREE BOXSPRING SALE Stuart Mailing Mariner Sands Living VOL. 564G1 Index Page 9 MYLIVINGMEDIA.COM For What It’s Worth Pg. 34 Albany Aesthetics Pgs. 76-77 Puzzle Page Pg. 62 Hurricane Protection Pgs. 14 & 40
2 VOL. 564 G Copyrighted© My Living Media. 2023 All Rights reserved. To Advertise call 772-247-6849 40% RAMEY PROMISE FREE!! YOU’LL LOVE THE WAY YOUR NEW FLOOR LOOKS, OR WE’LL REPLACE IT 30-DAY BEAUTIFUL GUARANTEE: RAMEY WILL REPLACE THE FLOORING - ASK YOUR SALES ASSOCIATE FOR DETAILS SAVE UP TO Serving the Treasure Coast since 1984 Stuart 1975 SE Fischer St. (Next to Lowes) 772-232-8854 CABINETS • LIGHTING • PLUMBING FIXTURES • FLOORING FURNITURE • CEILING FANS • AREA RUGS • WINDOW TREATMENTS FREE Financing Available RameyFloorandHome.com KITCHEN DESIGNS CARPET VINYL WOOD
VOL. 564 G 3 Copyrighted© My Living Media. 2023 All Rights reserved. To Advertise call 772-247-6849 Need More Coupons - MyLivingMedia.com License# CAC057227 “Taking Pride in Our Work Since 1974” Complete AC System Purchase One… and Get Get More… Save More! LOW PRICE GUARANTEED WE SERVICE ALL MAJOR BRANDS 772.577.1228 FREE U.V. Light & Sanitation System All Access Drainline Kit Honeywell T2 Pro Series Thermostat Lifetime Warranty $129 Value $250 Value $150 OR OR GAS CARD $29.95 AIR CONDITIONING DIAGNOSTIC SPECIAL Includes Trip Fee • License Number CAC057227 During normal business hoursExcludes holidays. Limited time offer. May be withdrawn at anytime without notice. Cannot be combined with any other offers. Does not include repairs Don’t be HOT... Be Cool! FREE FREE FREE www.pridekeepsyoucool.com
FREE : DELIVERY FREE : BED PACK FREE : FINANCING Owners Steve & Janice Milesic VERO BEACH EAST 772-562-6007 1602 US Hwy. 1 Vero Beach VERO BEACH WEST 772-217-2877 6310 20th Street Vero Beach JENSEN BEACH 772-232-6672 3548 NW Federal Hwy. Jensen Beach * * * *SEE STORE FOR DETAILS *SEE STORE FOR DETAILS *SEE STORE FOR DETAILS M A S S A G E C H A I R S OHCO M.8 Brio Sport Sol Katana 700 Exclusively at Mattress Market SALE VERO BEACH EAST 772-244-6308 1602 US Hwy. 1 Vero Beach VERO BEACH WEST 772-244-6322 6310 20th Street Vero Beach JENSEN BEACH 772-238-2111 3548 NW Federal Hwy. Jensen Beach
6 VOL. 564 G Copyrighted© My Living Media. 2023 All Rights reserved. To Advertise call 772-247-6849 The Most Trusted Name in Optical and Hearing Guaranteed Best Prices Ask a Friend! We Are Proud Of Our Service (772)286-4327 Hearing Mon.-Fri. 9AM-6PM ; Sat. by Appt. 2341 SE Federal Hwy. Stuart, FL 34994 In Front of TJ Maxx and Home Goods Kevin M. McCurdy H.A.S., BC-HIS Licensed Hearing Aid Specialist Tinnitus Specialist Insurance Accepted Financing Available The Original Schmidt’s Hearing Is Located Inside Schmidt’s Optical Largest Selection of Hearing Aids To Better Serve Our Patients’ Needs We Will Beat Any Competitor’s Pricing By At Least 10% • Tinnitus Treatment • Repairs On All Hearing Aids • Free Diagnostics Of Your Current Hearing Aids FREE Quality Hearing Exam with Consultation Digital Hearing Aids Starting at $279 For Mild Hearing Loss

1-Hour Service

Free Eye Exam

By Receiving $49 Off Your Designer Eyewear Purchase

By Receiving $49 Off Your Designer Eyewear Purchase

$60-$170 OFF Designer Eyewear

Family Owned and Operated Since 1978

Plus

$60-$170 OFF Designer Eyewear

Plus

Free 2nd Pair (Including Progressives)

Free 2nd Pair

(Including Progressives)

Our Sales Are Better!

Our Sales Are Better!

Why Pay More with Less Options?

Why Pay More with Less Options?

Largest Selection of Quality Sale Frames

Largest Selection of Quality Sale Frames

Single Vision $28

Single Vision $28 That's 2 for $56

That's 2 for $56

Progressive $74

That's 2 for $148

Progressive $74 That's 2 for $148

We work directly with the frame and lens manufactures to Guarantee the highest quality materials and latest products.

We work directly with the frame and lens manufactures to Guarantee the highest quality materials and latest products.

World Class Selection of Eyewear & Sunwear Brands New Full Collections In Stock

World Class Selection of Eyewear & Sunwear Brands New Full Collections In Stock

Akoni , Armani Exchange, Balmain , Bolle, Bottega Venetta , Boucheron , Caroline Abram , Carrera, Cartier , Caviar, Cazal, Chrome Hearts , Clicks, Coach, CocoSong, Costa, Dior, DITA , Dolce & Gabana, Etnia Barcelona, Fendi , Gucci , Guess, Lafont , Lindberg , Maui Jim, Michael Kors, Missoni, Nine West, Oakley, Oliver Peoples, OnGuard Safety, Persol , Pomellato , Porsche , Prada, Ralph Lauren, Rayban, Revo , Roberto Cavalli, Serengetti , Silhouette, Tiffany , Tom Ford , Tory Burch, Trina Turk, Vera Bradley, Vera Wang, Versace, 7Eye & Many More!!!

Akoni , Armani Exchange, Balmain , Bolle, Bottega Venetta , Boucheron , Caroline Abram , Carrera, Cartier , Caviar, Cazal, Chrome Hearts , Clicks, Coach, CocoSong, Costa, Dior, DITA , Dolce & Gabana, Etnia Barcelona, Fendi , Gucci , Guess, Lafont , Lindberg , Maui Jim, Michael Kors, Missoni, Nine West, Oakley, Oliver Peoples, OnGuard Safety, Persol , Pomellato , Porsche , Prada, Ralph Lauren, Rayban, Revo , Roberto Cavalli, Serengetti , Silhouette, Tiffany , Tom Ford , Tory Burch, Trina Turk, Vera Bradley, Vera Wang, Versace, 7Eye & Many More!!!

*The Free Exam® works as a credit in the amount up to $49 that is credited off the Buy One Get One Free Sale. $49 Off excludes $19 & $74 Sale. Must present coupon prior to purchase. Not valid with any other offers, sales or vision plans. Restrictions Apply. (772) 283-2622 Optical Insurance Accepted 2341 SE Federal Hwy Stuart, FL 34994 (In Front of TJMAXX & Home Goods) Eye Exams by: Dr. Suivski & Associates Independent Dr. of Optometry (772) 283-4240
Eye Exam
Free
DIRECT MAIL High-quality printed post cards & inserts allow you to target specific zip codes every two weeks FREE digital, mobile, & social media marketing for every one of our direct mail clients Mailing Martin, St. Lucie, Indian River, Okeechobee, & Palm Beach Counties my LIVING MEDIA ON THE WEB We are Florida’s Premier Direct Mail & Multimedia Marketing Company FREE FRONT COVER including 2-Page Editorial FREE Buy 2 Zones, Get 1 Free CONNECT TO YOUR COMMUNITY… 772-247-6849 101UNIQUE COMMUNITY MAGAZINES BUY 2, GET 1
ZONE
ANIMAL & PETS Bark N Lounge 64 Treasure Coast Wildlife Center 13 AUTOMOTIVE Ace of Carts 41 Hobe Sound Full Service Hand Car Wash 45 Islands Auto Spa 17 JLD Auto ................................................... 34 Paradise Car Wash 47 Stuart Brake and Auto Repair 36 The Porsche Guy 46 BEAUTY Albany Aesthetics 20 Lemon Tree Hair Salon 31 Organic Touch Salon ................................. 24 CLEANING SERVICE Absolute Cleaning Service.........................38 East Coast Window Cleaning ..................... 48 Florida’s Finest Carpet Cleaning 54 Honor Carpet Cleaning 78 Magic Bubbles Pressure Cleaning 41 Platinum Pressure Washing 71 Stanley Steemer 11 The Groutsmith Grout Cleaning 46 Titan Pressure Washing.............................66 Well Maid Cleaning Service 44 Wonder Sisters Cleaning Service 21 DINING & ENTERTAINMENT Bagel Bistro 27 Busters 25 Casa G’s Italian Restaurant 26 Casa Tequila 30 Fiorentino’s 25 Fresh Catch 29 Hudsons on the River 28 Hurricane Grill Palm City 27 Mero Mero Cantina 26 Mocean Therapy 68 Mr. Jalapeno 29 Pete’s Supreme Pizza................................29 Pirate’s Cove Resort and Marina 28 Salerno Pizza 24 Splatter and Sip 33 Taco Leah Food Truck 24 The Grove 51 Two Brothers Pizza 25 FUNERAL HOMES & CREMATION Affordable Choice Cremation.....................70 GOLF Birdie Shack 39 HOME IMPROVEMENT A Great Fence LLC 15 AC Now LLC..............................................72 Accent Garage Doors 42 Affordable and Superior Painting 38 All Coast Septic Services .......................... 64 Alliance Group Roo ng 79 Apex Builder Contractor Co 65 Apex Pavers and Pools 73 Bill sh Air Conditioning ............................. 43 Blackstone Kitchen and Bath 18 Bob’s Mirror Removal................................64 Brilliant Roo ng 47 Brite Concepts Window and Sliding Door Repair 66 Budget Blinds of Hobe Sound 50 Budget Fence............................................56 Camco Custom Pools ................................ 39 Closets By Design 12 Coastal Closets and Showers 38 Code Red Roofers 63 Color Restoration 60 Como Oil & Propane 60 Complete Sliding Doors 58 Crystal Cabinet and Furniture Co 49 db Home Improvements 48 Doing Roo ng Co. 50 DTR Tile Restorations 45 Du-All Plumbing 42 Du-All Plumbing 79 Eco View Windows 74 First Impression Doors and More...............10 G & S Painting & Fine Finishes 48 Holt’s Reliable Garage Doors 47 Kitchen Bath and Home Design 59 Krauss and Crane 50 Level Best Roo ng 57 Liberty Impact Windows and Doors 49 Max Guard Hurricane Windows 40 Max Guard Hurricane Windows 14 NVP Gutters and More 72 Oasis Brick Pavers 56 Over the Top Roof Repair...........................21 OX Floor Coating 19 P and C Garage Doors Inc 51 Palm City Sod 21 Pioneer Screen LLC 66 Plantation Shutters Florida 44 Plumb Rite Plumbing 56 Precision Door Service 45 Pride Air Conditioning..................................3 PS Flooring Inc. 55 Quality Air of America................................61 Quality Plumbing & Drains 52 Ramey Floor & Home 2 Ramos Tree Service 75 Sanders Screening....................................11 Shoreline Roo ng and Repair .................... 52 Steve Frontera Roo ng, Inc ....................... 75 Stott Brothers Electric ............................... 52 Stuart Roo ng ........................................... 64 Superior Tile and Remodeling ................... 36 The Shutter Factory .................................. 36 Total Image ............................................... 54 Treasure Coast TrimLight .......................... 71 Window and Door Storm Protection...........70 Windowz and More ................................... 53 INSURANCE Florida Health Group-Compass Health ....... 22 South Shore Insurance .............................. 33 JEWELERY Joseph’s Jewelry ...................................... 13 LAWN & GARDEN IMA Landscaping 72 May ower Landscaping 46 Tomcat Treework 44 Tree Trimmers USA 71 Tree Works 64 Wholesale Mulch LLC................................42 MEDICAL & HEALTH Appearance Implant and Family Dentistry........23 Grab Bar 39 MMJ Health 32 Premier Dentistry 35 Schmidt’s Optical 6 Stretch Zone 37 Symphony of Stuart 33 PROFESSIONAL SERVICES All Dry USA 16 Dryer Vent Cleaner, The 58 FM Custom Upholstery 71 Honor Dryer Vent Cleaning 49 Judith Ann Just 71 Wet Out Restoration 51 REAL ESTATE Leslie Gould Leibowitz Realty 41 RETAIL Cozy Corner 31 Village Bootery 67 Volume 564 March 2023 For advertising rates and information Email: sales@mediaoms.com Call 772-247-6849 © 2023 by My Living Media. All rights reserved. Although some parts of this publication may be reproduced and reprinted, we require that prior permission be obtained in writing. My Living Magazine is a free publication distributed locally and is supported by our advertisers. Please call to find a location near you or if you would like copies placed at your business. We do not necessarily endorse the views expressed in the articles and advertisements, nor are we responsible for the products, and services advertised. We are not responsible for licensing or certifying businesses, nor are we responsible for verification of these requirements. We welcome your ideas, articles and feedback. *Dining pictures shown are for illustration purposes only. Actual products may vary due to product enhancement.
MY LIVING CONTENTS -
G
10 VOL. 564 G Copyrighted© My Living Media. 2023 All Rights reserved. To Advertise call 772-247-6849 Need More Coupons - MyLivingMedia.com Make a GREAT First Impression with new Front Doors! New Solid Core Doors • New Door Hardware • New Hinges We are Palm Beach County’s Largest Specialty Door Store WE HAVE DOORS TO FIT ANY BUDGET! Transform your home by installing new custom interior doors without the mess and hassle of major construction. Choose from a wide variety of contemporary, traditional and transitional door styles. License # CBC037800 FINANCING AVAILABLE Impact Resistant Fiberglass & Mahogany Entry Doors • Impact Resistant Decorative Glass Inserts Interior Doors • Impact Resistant French & Siding Glass Doors • Impact Resistant Windows Call Today to schedule your FREE SHOWROOM appointment or schedule online www.FLORIDADOORS.COM BOCA RATON | 9858 Clint Moore Rd., Suite C-128 • Boca Raton, FL 33496 Tuesday - Friday • 9am - 5pm Saturday • 9am - 4pm • 561-621-5963 WEST PALM BEACH | 346 Pike Road, Suite 6, West Palm Beach, FL 33411 Monday - Friday • 7am - 4:30pm Saturday • 9am - 4pm • 561-220-3634 JUPITER | 75 E. Indiantown Road, Suite 507, FL 33477 Tuesday - Friday • 9am - 5pm Saturday • 9am - 4pm • 561-464-6102 15% OFF Installed Doors * Offer not valid on prior sale. Applies to installed exterior & interior doors only. Offer ends 4/ 30/2023
VOL. 564 G 11 Copyrighted© My Living Media. 2023 All Rights reserved. To Advertise call 772-247-6849 Need More Coupons - MyLivingMedia.com FAMILY OWNED & OPERATED • SCHEDULE ONLINE TODAY AT: WWW.STANLEYSTEEMER.COM FIRE, WATER, & MOLD DAMAGE RESTORATION SERVICE Immediate Response 24-HOUR EMERGENCY Minimum charges apply. Cannot combined with other offers. Residential and Commercial. Must present this MLM Coupon at time of service. Valid at participating locations only. Certain restrictions may apply. Call for details. Lic. #CMC014066 772-758-2505 WWW.STANLEYSTEEMER.COM STANLEY STEEMER SERVICES ® FREE ESTIMATES FOR ALL COMMERCIAL BUSINESSES WE PRETREAT YOUR FLOORS AND MOVE YOUR FURNITURE AT NO CHARGE WE PRETREAT YOUR FLOORS AND MOVE YOUR FURNITURE AT NO CHARGE $99 $129 Expires 4/28/23 MLM Expires 4/28/23 MLM TILE & GROUT OR WOOD FLOOR CLEANING Only PER ROOM 3 ROOMS CARPET CLEANING Wool carpets extra. Area rugs not included in wall-towall cleaning. *Any Room Up to 300 sq. ft. Home & Of ce Air Puri er Removes Viruses, Bacteria, Mold, & Pollen MARBLE & STONE CLEANING $50 OFF Expires 4/28/23 With MLM Coupon Proud to be Endorsed by Cystic Fibrosis Foundation $160 Expires 4/28/23 MLM HOME Which Air Are You Breathing? AIR DUCT CLEANING Up To 8 Vents BEFORE AFTER OFFICE FREE ESTIMATES CALL TODAY COMMERCIAL & RESIDENTAL Sanders Screening and Repair Family Owned & Operated Serving your Community for 23 Years 3730 SE Dixie Hwy., Stuart, FL 34997 We Build & Repair Window Screens 772-362-2762 Licensed & Insured MC2000068 www.SandersScreeningFL.com Info@sandersscreeningfl.com NOW HIRING!
12 VOL. 564 G Copyrighted© My Living Media. 2023 All Rights reserved. To Advertise call 772-247-6849 Need More Coupons - MyLivingMedia.com Call for a free in home design consultation and estimate Imagine your home, totally organized! Custom Closets, Garage Cabinets, Home Offices, Pantries, Laundries, Hobby Rooms and more... 40% Off Plus Free Installation Terms and Conditions: 40% off any order of $980 or more or 30% off any order of $680-$979 on any complete Custom Closet, Garage Cabinets, Home Office, Pantry, Laundry, Wall Bed, Wall Unit, Hobby Room or Garage Flooring system. Not valid with any other offer. Free installation with any complete unit order of $600 or more. Expires in 30 days. Call for a free in home design consultation and estimate (561)203-4745 www.closetsbydesign.com MSJ Follow us 2020 © All Rights Reserved. Closets by Design, Inc. Walk-In-Closets Laundry Rooms Home Offices Garage Cabinets Follow us www.closetsbydesign.com CGC1509325 & MC1900055 (772) 207-3265 MS
VOL. 564 G 13 Copyrighted© My Living Media. 2023 All Rights reserved. To Advertise call 772-247-6849 Need More Coupons - MyLivingMedia.com • 293-Acre Facility • After Hours Wildlife Drop Off • We Accept ALL Donations • Live Education • Be a Member or Volunteer HOURS: Thursday - Sunday 11am - 3pm — Open to the Public 8626 SW Citrus Blvd, Palm City (772) 325-1094 www.jewelryofstuart.com 50 F F Jewelry & Watch Repair *Up to $10 value. Limit one per customer. Parts, Watch sizing, & Pearl restringing not included. With this MLM-G coupon only. Expires 4/28/23 % *Most Watches. Limit Two, up to $5 VALUE. With this MLM-G coupon only. Expires 4/28/23 50 O F F Watch Batteries % With this MLM-G coupon only. Expires 4/28/23 FREE Jewelry Cleaning & Inspection 5250 SE Federal Hwy., Stuart MONDAY-FRIDAY: 9:30AM-5:30PM • SATURDAY: 9:30AM-4:00PM (772) 221-1779 Celebrating 33 Ye s!
14 VOL. 564 G Copyrighted© My Living Media. 2023 All Rights reserved. To Advertise call 772-247-6849 DAYS AWAY! 60 www.myhurricanewindow.com Don’t Get Caught Off Guard, Use Florida’s #1 Rated Hurricane Window 772-932-5629 *FINANCING DISCLOSURE. $9 per month per window offer based on 24”x36” single hung or sale price of $1080. Prices will vary for larger sizes or different style windows. Contractor in neither a broker nor a lender. Financing is provided by third-party lenders unaf liated with contractor, under terms and conditions arranged directly between the customer and such lender, all subject to credit requirements and satisfactory completion of nance documents. Any nance terms advertised are estimates only. Free Quote! Call Today! LICENSED & INSURED SCC131151738 CALL NOW and order before April 15th to have your windows installed BEFORE peak hurricane season for as little as FINANCING AVAILABLE $9 PER MONTH PER WINDOW Some Restrictions Apply 12 to 14 Weeks Installation* *12 Week Delivery is from date of factory order. Contractor is not responsible for HOA permit or manufacturer delays. Scan to schedule your APPOINTMENT! HURRICANE SEASON ISLESS THAN Martin County’s Local Premier Window Contractor
VOL. 564 G 15 Copyrighted© My Living Media. 2023 All Rights reserved. To Advertise call 772-247-6849 Need More Coupons - MyLivingMedia.com • Aluminum Railing • Estate Gates • Temp Fence • Chain Link • Wood • PVC/Vinyl • Aluminum • All Kinds of Welding • Automatic Operators for Gates Licensed & Insured 772-232-7303 AGreatFence.com Call A Great Fence Today! A Great Fence SLC-23954 PSL-9089 MCFE-5176 FTP-16141 Free Estimates... No Waiting! Gate Access Control & Cameras 772-758-5160 Call A Great Access Control! • Gate Operators • Access Control • Telephone Entry • Hardware • Accessories • Repairs • New Installs • Maintenance • Cameras • Key Pads • Intercoms
Copyrighted© My Living Media. 2023 All Rights reserved. To Advertise call 772-247-6849 Need More Coupons - MyLivingMedia.com WATER & MOLD DAMAGE EXPERTS WATER & MOLD DAMAGE EXPERTS 24/7 EMERGENCY RESPONSE 24/7 EMERGENCY RESPONSE (772) 310-4101 (772) 310-4101 FULLY LICENSED & INSURED ALLDRYUSA.COM FULLY LICENSED & INSURED ALLDRYUSA.COM NO MONEY DOWN!! WATER DAMAGE & MOLD REMEDIATION NO MONEY DOWN!! WATER DAMAGE & MOLD REMEDIATION GIVE US A CALL IF YOU SEE... GIVE US A CALL IF YOU SEE... WATER STAINS FLOOR BUCKLINGKITCHEN LEAKMOLD BUILDUP QUALITY PROFESSIONAL RESTORATION IS OUR PROCESS QUALITY PROFESSIONAL RESTORATION IS OUR PROCESS OUTSTANDING RESULTS IS OUR GUARANTEE OUTSTANDING RESULTS IS OUR GUARANTEE CALL CALL (772) 310-4101 (772) 310-4101 TODAY FOR A FREE INSPECTION TODAY FOR A FREE INSPECTION $100 REBATE $100 REBATE ON MOLD SERVICES ON MOLD SERVICES MUST MENTION CODE LMM MUST MENTION CODE LMM NO INSURANCE? NO NO INSURANCE? NO PROBLEM! PROBLEM! DIRECT PAY & FINANCING DIRECT PAY & FINANCING OPTIONS AVAILABLE OPTIONS AVAILABLE Fully Licensed Contractors & Mold Remediators #CGC1525977 #MRSR3558
VOL. 564 G 17 Copyrighted© My Living Media. 2023 All Rights reserved. To Advertise call 772-247-6849 Any Detail Package On a Ceramic Coating plus 1 FREE MONTH Unlimited Car Washes Every Wednesday Exterior Wash $300 Off $599 NOT TO BE COMBINED WITH ANY OTHER OFFERS. PRESENT THIS MLM COUPON TO REDEEM THE OFFERS. PROMOTIONS EXPIRES 4/28/23 NOT TO BE COMBINED WITH ANY OTHER OFFERS. PRESENT THIS MLM COUPON TO REDEEM THE OFFERS. PROMOTIONS EXPIRES 4/28/23 NOT TO BE COMBINED WITH ANY OTHER OFFERS. PRESENT THIS MLM COUPON TO REDEEM THE OFFERS. PROMOTIONS EXPIRES 4/28/23 NOT TO BE COMBINED WITH ANY OTHER OFFERS. PRESENT THIS MLM COUPON TO REDEEM THE OFFERS. PROMOTIONS EXPIRES 4/28/23 “ e Di erence Is Our Attention to Detail” 12101 SE FEDERAL HWY. HOBE SOUND (Directly on US 1. Just South of Bridge Road) 772546330 Gi Cards Available For More Information Visit Us at: www.IslandsAutoSpa.com $10 Off OUR WACKY WEDNESDAY (Cash Only) WE WILL HONOR ANY OTHER CAR WASH COUPONS EQUAL TO OUR WASH OR DETAIL Any Car Wash $5 Off
BLACKSTONE KITCHEN & BATH Kitchens Bathrooms Additions Flooring Countertops 561-823-2835 6743 W. Indiantown Rd • Jupiter
Copyrighted© My Living Media. 2023 All Rights reserved. To Advertise call 772-247-6849 Garages Patios Pool Decks Driveways & Much MORE! SCAN ME GET STARTED TODAY! Offer Valid for Same-Day Service Only FREE IN-HOME ESTIMATE 30% OFF WE TAKE THE BORING OUT OF YOUR FLOORING!TM 10X STRONGER BOND THAN EPOXY YOUR BEAUTIFUL NEW FLOORING IS JUST A CALL AWAY! 772-277-7562 • 561-277-0375 OXFLOORS.COM WITH THIS MLM COUPON. OFFER EXPIRES 4/28/23 PLUS
20 VOL. 564 G Copyrighted© My Living Media. 2023 All Rights reserved. To Advertise call 772-247-6849 Need More Coupons - MyLivingMedia.com LASER TREATMENTS | LIQUID RHINOPLASTY | FACIALS | LASHES NEUROTOXINS | MICRONEEDLING | FILLERS | FACIAL CONTOURING BASIC FILLERS With this MLM Ad • Exp. 4/30/23 $50 OFF 2750 S Kanner Hwy • Stuart 772-362-2121 FULL SYRINGE $30 OFF ANY NEUROTOXIN BOTOX, DYSPORT, JEUVEAU ANY PURCHASE IN OUR BOUTIQUE With this MLM Ad • Exp. 4/30/23 With this MLM Ad • Exp. 4/30/23 OFF20% Albany Aesthetics The Secret to Timeless Beauty!
VOL. 564 G 21 Copyrighted© My Living Media. 2023 All Rights reserved. To Advertise call 772-247-6849 Need More Coupons - MyLivingMedia.com Palm City Sod_0091-5319_HI564 772-214-3780 5350 SW Martin Hwy • Palm City FL 34990 SOD INSTALLATION, BAHIA, FLORATAM, SEEDING, & MULCHING Since 1977 With this MLM coupon. Cannot be combined with any other offer. Prices subject to change. FLORATAM $ 235 MUCK BASED 500 sf Rates for Delivery Only. PALLET 450 sf BAHIA $ 135 Rates for Delivery Only. WWW.PALMCITYSOD.US With this MLM coupon. Cannot be combined with any other offer. Prices subject to change. Now Offering Delivery of Various Types of Mulch by the Pallet Above All Else... 772-828-2805 www.overthetoproofrepair.com FREE ESTIMATES 2ND GENERATION ROOFING CONTRACTOR SERVING ALL OF THE TREASURE COAST • Tile Repair • Shingle Repair • Metal Repair • Flat Roof Repair & Coatings • 50 Year Material Warranty Standard on All Coatings With this MLM Coupon. Limitations apply. With this MLM Coupon. Expires 4/28/23 • Residential & Commercial “We will Beat Any Written Estimate for e Same Repair!” Let Us Take the “CHORE” Out of Your Chores • Move-In & Move-Out Services • • Weekly • Biweekly • Monthly • • One Time & Seasonal • EXPERIENCED • THOROUGH • DEPENDABLE RELIABLE • HONEST • AFFORDABLE Owners on Every Job References Upon Request SATISFACTION GUARANTEED! 772.812.8780 • 772.418.5635 LICENSED/INSURED/BONDED • FREE Estimates • 20% OFF Second Cleaning 20% OFF 40% OFF Third Cleaning Add up the Savings! SAVE A TOTAL OF Not valid with any other offer. Expires 4/29/23 Not valid with any other offer. Expires 4/29/23 AFTER YOUR 3RD CLEANING Not valid with any other offer. Expires 4/29/23 ➡ ➡ NEW CUSTOMER SPECIAL
Copyrighted© My Living Media. 2023 All Rights reserved. To Advertise call 772-247-6849 Need More Coupons - MyLivingMedia.com Visit us at our LOCAL Retail Locations West Palm Beach Palm Beach Gardens • Tequesta Hobe Sound • Port St. Lucie Fort Pierce • Vero Beach Call Today for Coverage TOMORROW 772-251-4868 compasshealthinsurance.com info@compasshealthinsurance.com FLORIDIANS HELPING FLORIDIANS SINCE 2007 • HEALTH & MEDICARE We can and will enroll you $0 premium plans available • PREPAID CREMATION Chosen by over 70% of Floridians - $35/mo • INCOME PROTECTION Small businesses make up 99% of all businesses in FL. What would happen to your business if you got sick? • DENTAL INSURANCE Everyone needs and uses it for only $1 a day Compass Health Your Plan. Your Choice. We are Here All Year ‘round in 2023! Is Your Family Safe & Sound?

Dr. Gaeta is a Board Certified Implant Dentist with over 35 years of experience. Dr. Gaeta is a General Dentist and is a Diplomate of The American Board of Oral Implantology/Implant Dentistry (ABOI/ID), a Fellow at Misch Implant Institute and an Associate Fellow at the American Academy of Implant Dentistry (AAID).

Diplomates are AAID members who have become Diplomates of the American Board of Oral Implantology/Implant Dentistry (ABOI/ID). The ABOI/ID is a certification agency that serves independently to protect members of the public who seek dental implant care. This designation signifies that these dentists have met the highest criterions in oral implantology; that they have met educational and experiential standards, have reached an in-depth level of knowledge and acquired a proficient level of skill and ability.

At

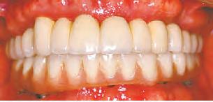
VOL. 564 G 23 Copyrighted© My Living Media. 2023 All Rights reserved. To Advertise call 772-247-6849 Need More Coupons - MyLivingMedia.com OPEN FOR EMERGENCIES | AFFORDABLE DENTAL EXCELLENCE IS NOW HERE! WE ARE PRIVATELY OWNED, NOT A CHAIN OR CORPORATE ENTITY. WE SPECIALIZE IN FULL MOUTH RECONSTRUCTION Additional services we offer include CLEAR TOOTH ALIGNERS, SINGLE IMPLANTS, DENTURES & MORE!!! FREE IMPLANT CONSULTATION (Exam & Digital X-Ray or 3D Cone Beam) (D0150, D9310, D0330 & D0383) SureSmile® OR CLEAR TEETH ALIGNERS OUR EXPERIENCED DENTISTS HAVE PLACED THOUSANDS OF IMPLANTS You Des ve a Beautiful Smile! SALVATORE MELITA, DDS ALANA SHIELDS, BSN, RN, DMD JOSEPH GAETA JR., DDS Better On 8™ Cleaning Porcelain Fused to Metal Crown Zirconium All Porcelain Crown $79 $699 $899 Includes Free Exam & X-Rays New Patients Only LIMITED OFFER (D1110, D0150, D4355,D0330) (D2751) (D2740) FULL ROUND HOUSE BRIDGE A Better Alternative to All-On-4 Benefits • Very little, if any speech changes • Does not cover any part of the palate • Can be cleaned just like bridges on teeth • Require no special abutments (All-on-4 protocol requires angle correct on abutments which are not bone or gum tissue friendly) • Usually do not need pink porcelain at the gumline (because aggressive bone removal is not necessary) D6010, D6056, D6240, D6060 BETTERON8.COM D6010, D6056, D5863, D5865, D5862 PER ARCH WITH LOCATORS PER ARCH D6010, D6056, D6065, D6060 50% SAVINGS WE USE MEGAGEN IMPLANT SYSTEMS Implant, Abutment, and Zirconium Crown Implant, Abutment, and Crown Only$1,899 Only$2,099 D7140 DENTURES INTERMEDIATE $999 DELUXE $2,000 D5130/D5140 D5110/D5120 With Simple Extractions Starting at $99 We will beat any like-priced quote $8,499 Implant and Abutments Placed Crown and Bridge Porcelain Fused to Metal Implant Abutments Placed $14,500 FULL MOUTH RECONSTRUCTION ROUND HOUSE BRIDGE 8/6 IMPLANTS & 12 UNITS OF CROWNS starting at starting at WE WILL MEET OR BEAT ANY WRITTEN ESTIMATE ON IMPLANTS, ROOT CANALS, & CROWNS! WALKINS WELCOME EVENING APPOINTMENTS AVAILABLE PRICES ARE SUBJECT TO CHANGE WITHOUT NOTICE WITH THE EXCEPTION OF PREVIOUSLY SCHEDULED TREATMENT PLANS. THE PATIENT AND ANY OTHER PERSON RESPONSIBLE FOR PAYMENT HAS THE RIGHT TO REFUSE TO PAY, CANCEL PAYMENT OR BE REIMBURSED FOR ANY SERVICE EXAMINATION OR TREATMENT WHICH IS PERFORMED AS A RESULT OF AND WITHIN 72 HOURS OF RESPONDING TO THE ADVERTISEMENT FOR THE FREE, SERVICE, EXAMINATION OR TREATMENT. LIC #DN10761 5612506307 6390 W. Indiantown
#32 •
33458
Rd.,
Jupiter, FL
the West End of the Chasewood Plaza AppearanceImplants.com SCAN HERE OPEN MON.FRI. EVENING HOURS AVAILABLE
24 VOL. 564 G Copyrighted© My Living Media. 2023 All Rights reserved. To Advertise call 772-247-6849 Need More Coupons - MyLivingMedia.com 772-286-5505 5557 SE Federal Hwy., Stuart (Winn Dixie Plaza, Corner of Salerno & US 1) mysalernopizza.com OPEN SUNDAY 2pm - 9pm FREE 6 Garlic Knots w/side of marinara When you pay cash for any order over $10 Monday/Tuesday pizza special included +TAX We Cater! THE STATEN ISLAND Cannot be combined with any other offer. Must Present this MLM coupon. Expires 4/28/23 X-Large18” Pizza with 1 Topping $15 00 +TAX +TAX MON/TUES PIZZA SPECIAL Not Valid For Delivery. Cannot be combined with any other offer. 16” Large Cheese Pizza $9 99 Topping Regular Price $10 00 Wings THURSDAY SPECIAL ALL DAY! Cannot be combined with any other offer. 10 Wings your way (mild, med, hot, hot garlic, teriyaki, sesame, BBQ, garlic parm) With Ranch or Blue Cheese & Celery We Deliver! Including West of 95 by the Florida Club SUNDAY SPECIAL $23 00 +TAX Cannot be combined with any other offer. 1 Large with 1-Topping & Order of Wings (Your Way) PALM CITY PRODUCE & MARKET 3706 SW Citrus Blvd, Palm City 772-248-4460 Burritos Tacos Quesadillas Tortas Breakfast Burritos 10% Off 25% Off 20% Off $25 or more $100 or more $50 or more Expires 4/28/23 Expires 4/28/23 Expires 4/28/23 We Also Do Catering HOURS: Mon-Fri 9-5 Sat 10-3; Closed Sun Hablamos Español 5130 SE Federal Hwy, Stuart 34997 STYLISTS • Julia •Bobbi • Amber • Alicia New Clients Only. Must Present Coupon. Expires 4/15/23 New Clients Only. Must Present Coupon. Expires 4/15/23 New Clients Only. Must Present Coupon. Expires 4/15/23 New Clients Only. Must Present Coupon. Expires 4/15/23 $85 $50 OFF TOUCH UP, COLOR, CUT, & BLOWDRY CONTROL THE FRIZZ! SPRING SPECIAL CUT & BLOW DRY We only use organic hair dye. NO PPD OR AMMONIA Keratin Treatment First-Time Customers Only organic touch salon By Julia 772-320-9475 $45 PARTIAL HIGHLIGHTS & BLOWDRY Reg. $125 $85 • Teeth Whitening • Permanent Make-up • Facials • Microneedling • Microdermabrasion Call Monica 561-596-7484 Package of 3 Microneedling Facials $250 (reg $300) Walk-ins Welcome
VOL. 564 G 25 Copyrighted© My Living Media. 2023 All Rights reserved. To Advertise call 772-247-6849 Need More Coupons - MyLivingMedia.com $2999 Seafood • Veal Chicken • Pastas • Variety of Vegetarian Dishes JOIN US FOR OUR 2FOR1 DINNER SPECIALS f All dinners served with garlic bread & soup or salad. 2571 SE Ocean Blvd., Cedar Pointe Plaza, Stuart Next to Dollar General Can’t be combined with other coupons or specials. MLM coupon expires 4/28/23 Take-Out Available! Authentic Italian Food 772.781.2400 Fi entino’s Cuisine BREAKFAST & LUNCH Home Baked Desserts & True Italian Gelato www.bustershobesound.com Burgers, Shakes & More Famous SMASH BURGER Always Fresh, Prepared to Order! 8855 Bridge Rd. Hobe Sound Mon-Fri 8am-2pm; Sat & Sun 9am-3pm HAPPY HOUR EVERYDAY! 772-546-4093 1/2 Off ANY BREAKFAST OR LUNCH With the purchase of any breakfast or lunch of equal or lessor value and purchase of 2 drinks. Expires 4/30/23 Dine In & Take Out Ice Cold Beer • Italian Gelato The Best New York Style 772-402-5056 8423 SE Church St., HOBE SOUND FREE DELIVERY 5-MILE RADIUS Pizza, Pasta, Strombolis, Calzones, Wraps, Salads, Entrées, Hot & Cold Subs, Wings, Gyros CALL US!! For Your Next Sports Event, Of ce Party, or Special Occasion www.twobrospizza .com Not valid with any other offer. With MLM coupon only. Expires 4/30/23 Cannot be used for online orders. Cannot be used for online orders. Cannot be used for online orders. Cannot be used for online orders. Not valid with any other offer. With MLM coupon only. Expires 4/30/23 Not valid with any other offer. With MLM coupon only. Expires 4/30/23 Not valid with any other offer. With MLM coupon only. Expires 4/30/23 $500 OFF Any Total Order of $25 or More PIZZA, ZITI, & SALAD 2 LARGE PIZZAS TWO BROTHERS LARGE (Pick-Up & Delivery)772-402-5056 (Pick-Up & Delivery)772-402-5056 $2695 (Pick-Up & Delivery)772-402-5056 (1) Large Cheese Pizza (1) Baked Ziti & (1) Large Salad $2695 1 Topping & 2-Liter Soda $1295 1-Topping Pizza Special TWO BROTHERS PIZZA (Pick-Up & Delivery)772-402-5056 PICK UP ONLY MONDAY CARRY-OUT SPECIAL Large Cheese Pizza $ 8 99
26 VOL. 564 G Copyrighted© My Living Media. 2023 All Rights reserved. To Advertise call 772-247-6849 Need More Coupons - MyLivingMedia.com 950 SE Indian St, Stuart (772) 888-1854 • MeroMeroCantina.com Kids Eat FREE on Sundays Everyday 3-6 (All Day Tuesdays & Sundays) HAPPY HOUR Offers are good for dine in only With the Purchase of Adult Entree LUNCH SPECIAL DINNER SPECIAL BIRRIA TACO Buy One, Get OneBuy One, Get One FREE FREE FREE (Of equal or lesser value) One coupon per visit. Cannot be combined with other coupons. Expires 4/30/23 (Of equal or lesser value) One coupon per visit. Cannot be combined with other coupons. Expires 4/30/23 With the purchase of any food item (With exception of sides) One coupon per visit. Cannot be combined with other coupons. Expires 4/30/23 SCAN HERE 205 SW Monterey Road, Stuart 772-732-4253 www.casagsitalianrestaurant.com DAILY 4PM TO 7PM Early Bird Specials OPEN 7 DAYS: Mon- urs 11am-9pm • Fri-Sat 11am-10pm; Sun 12pm-9pm Constantine Derosa relocated his 30 years of expertise from Jupiter to Stuart WIDE SELECTION OF GOURMET PIZZA, CONTEMPORARY ITALIAN CUISINE, FRESH SEAFOOD, HEALTHY SALADS, & WINGS. ENJOY OUR 900 sq. ft. OUTDOOR PATIO 18 BIG SCREEN TVS WITH MLM COUPON. EXP. 4/28/23 LUNCH SPECIAL $595 2 SLICES PIZZA AND FOUNTAIN DRINK LIVE MUSIC EVERY MONDAY & WEDNESDAY (Reservations Recommended) BOTTOMS UPBAR HAPPY HOUR 7 DAYS 3PM - 6PM Join Us at
VOL. 564 G 27 Copyrighted© My Living Media. 2023 All Rights reserved. To Advertise call 772-247-6849 Need More Coupons - MyLivingMedia.com Breakfast & Lunch All day Over 20 Different Bagels • Breakfast Sandwiches Quiche • Omelets • Wraps • Smoothies Crepes • Panini • Frozen Coffee • Lox • Lunch Sandwiches Pancakes • Salads • Lattes • In-house Baked Goods and more... Tequesta Shoppes 173 N. US Highway 1 Tequesta FL 33469 561-575-1755 2 GREAT LOCATIONS Skiptheline Order online COFFEE With purchase of a Dozen Bagels OPEN7 DAYS AWEEK Mon-Fri • 6:30 am - 3:00 pm Sat & Sun • 6:30 am - 2:00 pm Holidays • 6:30 am - 12:00 pm Ask About Catering! Seabranch Square 5663 SE Crooked Oak Ave. Hobe Sound, FL 33455 772-210-2137 BagelBistro.Square.Site With this MLM coupon. Expires 4/28/23 781-4295 Hours: Sun-Thurs 11am-10pm Fri-Sat 11am-11pm 2355 SW Martin Hwy., PALM CITY, FL 34990 HAPPY HOUR SPECIALS DAILY 1PM-6PM • Let Us Plan Your Next Fundraiser • Tuesday Night Trivia 6:00pm • Wednesday Kids’ Night Kids Eat FREE after 5pm Half-Price Arcade Games Face Painter and Balloon Artist • LIVE MUSIC Friday 6:00pm - 9:00pm $5 off Any Purchase of $25 or more. FREE Appetizer Any Purchase of $30 or more. $10 off Any Purchase of $50 or more. Dine-In only. Not valid with other offers. Only at Palm City location. Expires 4/28/23 Catch All The Games Here! (Value up to $11.00) Dine-In only. Not valid with other offers. Only at Palm City location. Expires 4/28/23 Dine-In only. Not valid with other offers. Only at Palm City location. Expires 4/28/23
28 VOL. 564 G Copyrighted© My Living Media. 2023 All Rights reserved. To Advertise call 772-247-6849 Need More Coupons - MyLivingMedia.com Breathtaking Wat t Dining SERVING LUNCH & DINNER • MON-SUN: 11am-10pm CLUB SAFARI FRIDAY & SATURDAY NIGHTS IN THE LOFT LOUNGE 8PM-1AM DRINK SPECIALS | DANCE MUSIC DANCE FLOOR | NO COVER WELCOMING ISLAND PRINCESS CRUISE! BOAT TOURS WWW.ISLANDPRINCESSCRUISES.COM FAMILY OWNED & OPERATED 4307 SE Bayview Street., Stuart | www.piratescoveresort.com | 772.287.2500 351 South West Flagler Ave, Stuart • 772-247-6062 A Unique Dining Exp ience the Riv SCAN HERE Sunday - Thursday 11am-9pm Friday - Saturday 11am-10pm Signature Calamari Buy One Entrée Get 2nd Entrée 1/2 off Dessert with purchase of any Entrée with purchase of any Entrée One coupon per visit can’t be combined with any other coupons. Expires 4/30/23 One coupon per visit can’t be combined with any other coupons. Expires 4/30/23 Of Equal or Lesser Value One coupon per visit can’t be combined with any other coupons. Expires 4/30/23 FREE 1/2 FREE OFF Live Music Friday, Sat day & Sunday
VOL. 564 G 29 Copyrighted© My Living Media. 2023 All Rights reserved. To Advertise call 772-247-6849 Need More Coupons - MyLivingMedia.com Under New Management & Newly Remodeled HAPPY HOUR ALL DAY On Monday & Tuesday HAPPY HOUR Everyday 3pm-6pm $5 House Margaritas $3 Drafts TACO TUESDAYS $1.49 Tacos with purchase of beverage FRIDAY NIGHT Latino Night 772-287-8161 In Plantation Plaza (Next to Stuart Bowl) 1602 SE Federal Hwy., STUART OPEN DAILY 11AM TO 10PM $8 off Any Purchase of $30 or more With this MLM Coupon. Not valid on Tuesdays, Holidays, special occasions, or with any other offers or specials. Expires 4/28/23 Minimum Purchase of $25 Not to be combined with other discounts. Dine in only. One coupon per table. Exp. Every Day 4-6pm $795 Appetizers $5 Wine $6 Martinis $5 Well Drinks $4 Beers 1411 SE Indian Street (First traf c light West of US#1) • www.FreshCatchStuart.com • 772-286-6711 OFF LUNCH OFF TAKE OUT Minimum Purchase of $25Minimum Purchase of $20 $ 5 $ 2 With this MLM coupon. Not to be combined with other discounts. Dine In Only. One coupon per table. Expires 4/28/23 With this MLM coupon. Not to be combined with other discounts. One coupon per table. Expires 4/28/23 G G OPEN FOR DINE-IN • TAKEOUT • CURBSIDE • DELIVERY OUTDOOR PATIO & SAFE DISTANCED TABLES 14” MED CHEESE + 5 WINGS 16” LG CHEESE + 6 GARLIC PARM KNOTS + 2 LITER (2) 16” LARGE CHEESE + 2 LITER $19 $21 $31 With MLM coupon. Expires 4/30/23 With MLM coupon. Expires 4/30/23 With MLM coupon. Expires 4/30/23 Dine In - Take Out - Delivery 6512 SE FEDERAL HWY. 772-287-8855 Pick up only EMPLOYMENT OPPORTUNITIES Available for Multiple Positions
30 VOL. 564 G Copyrighted© My Living Media. 2023 All Rights reserved. To Advertise call 772-247-6849 (Across the street from Stuart Auto Spa) 1725 SE Federal Hwy. | Stuart, FL | 772-600-5482 CASA TEQUILA Mexican Fine Dining Enjoy Live Mariachi Every Thursday Night 6 - 9 pm Order Online for Take-Out and Get $500 Off *Order Must be $25 or more. $7.99 Every Monday Enchilada Combo Includes Rice & Beans $7.99 Every Tuesday Combo Includes 3 Crunch or Soft Tacos with Rice & Beans Your Lunch or Dinner Bill of $50 or more With this MLM coupon. 1 coupon per table. Dine in only. Some restrictions apply. May not be combined with any other offer. Expires 4/28/23 (*Excludes Taco Tuesday Specials) & Monday Enchilada Combo $10 Off Your Lunch or Dinner Bill of $50 or more With this MLM coupon. 1 coupon per table. Dine in only. Some restrictions apply. May not be combined with any other offer. Expires 4/28/23 (*Excludes Taco Tuesday Specials) & Monday Enchilada Combo $10 Off
VOL. 564 G 31 Copyrighted© My Living Media. 2023 All Rights reserved. To Advertise call 772-247-6849 Need More Coupons - MyLivingMedia.com • Haircut • Styling • Standard and Designer Perms • Hair Treatments • Color and Highlighting Services • Waxing Walk-Ins Welcome or by Appointment 3322 SE Federal Hwy., Stuart • 772.758.5111 Book online at: lemontree.com/Stuart *Additional for Length & texture. Must Present MLM Coupon. Expires 4/28/23 Now Open SUNDAYS 10AM-4PM!!! Must Present MLM Coupon. Expires 4/28/23 First appointment only. We Are Open Until 7pm Mon. & Thurs. Brighten up your look for Spring! Receive a partial highlight with a toner & haircut plus a blow out. AND RECEIVE Our New Stylist! ALL FOR Schedule an appointment with our new talented stylist Laurie or Ivonne 15% COME MEET OFF $125* 20% OFF All Merchandise Present FREE GIFT Must present MLM coupon. Exp. 4/28/23 • CBD KRATOM • VAPORIZERS • WATERPIPES • HOOKAHS • DETOX & SO MUCH MORE FB@COZYCORNER2.0 COZYCORNER2.0 8-9-10 & Special Blends No Marijuana Card Needed 218-A SW FEDERAL HWY, STUART 772.600.7559 Home of the Delta-8 Must present MLM coupon. Exp. 4/28/23 With purchase of $50 or more FREE GIFT
32 VOL. 564 G Copyrighted© My Living Media. 2023 All Rights reserved. To Advertise call 772-247-6849 Palm Beach 561-631-7994 MMJ Health Make the Appointment Use our patient qualification system to see if you qualify for medical marijuana. See the Marijuana Doctor See one of our qualified physicians at one of our many locations in Florida. Get Your Card You will be able to visit and get delivery from any dispensary in Florida. Let Dr. Morgan, The Highest Rated MMJ Doctor, at MMJ Health nd your Alternative to Pharmaceuticals! Anne L. Morgan, M.D. When it comes to nding medical marijuana (MMJ) doctors, you can trust the helpful and professional sta at MMJ Health. Serving patients in Palm Beach, Martin, & St. Lucie Counties. Call MMJ Health to schedule an appointment with a Florida Medical Marijuana Doctor: WINNER OF BEST DISPENSARY, BEST MEDICAL MARIJUANA CARD PROVIDER, BEST CBD STORE, AND FINALIST FOR BEST PLACE TO WORK HOW IT WORKS Treasure Coast 772-212-4032
VOL. 564 G 33 Copyrighted© My Living Media. 2023 All Rights reserved. To Advertise call 772-247-6849 Need More Coupons - MyLivingMedia.com $5OFF ANY SESSION Sessions are $35 per person regularly. DATE NIGHT • LADIES NIGHT OUT • BIRTHDAY PARTIES • TEAM BUILDING HOURS SUN 12PM - 6PM WEDS 4PM - 8PM THURS 10AM - 8PM FRI 4PM - 8PM SAT 10AM - 9PM (Closed MON &TUES) BOOK YOUR SESSION TODAY 772-732-4041 8903 SE Bridge Rd, Hobe Sound, FL, United States Located in the Winn Dixie Plaza next to Scooters. SPLATTERANDSIP@GMAIL.COM 4900SEWilloughbyBlvd|Stuart,FL34997|SymphonyatStuart.com|772-618-1565 4900SEWilloughbyBlvd|Stuart,FL34997|SymphonyatStuart.com|772-618-1565 4900 SE Willoughby Blvd | Stuart, FL 34997 SymphonyatStuart.com Please call to schedule a time to come visit Stuart’s Premier Assisted Living Community 772-277-7114 Symphony at Stuart STOP OVERPAYING FOR HOMEOWNERS INSURANCE! PROTECT YOURSELF, YOUR FAMILY, AND YOUR WALLET. HOME • AUTO • PROPERTY • LIABILITY • PERSONAL • COMMERCIAL • BUSINESS FREE QUOTES WITHIN 24 HOURS. LET US REDUCE YOUR RATE Call South Shore, your local insurance agency, to reduce your homeowners insurance rates today. 772-426-9973 • 955 SE Central Parkway Stuart • @SouthShoreInsurance_ • jennie@southshore-insurance.com Homeowners Rate Increase? Call Today to Reduce Your Premium!

For What It’s Worth

There are two things you might want to know about me. e rst is that I’m sensitive. at doesn’t mean I don’t have a backbone, a er all I am originally a Jersey Girl, but spending more than half my life in Florida has so ened me, and DNA is the rest of it. I am blessed with an optimistic outlook, much to the chagrin of many people I have met along the way. I’ve been told that no one wants to hang out with a pollyanna day in and day out, so I try to temper my happy demeanor as much as possible. e reason I bring this up, is because it has come to my attention that my three latest columns about Cleveland Clinic, beginning with a negative attitude about the untimely medical service, then morphing into another column of those of you who agreed with me, with horror stories of your own in getting appointments, which nally turned into being invited to meet the president of Cleveland Clinic for a sit-down and let it all hang out in his o ce. Anyway, my last column has invoked angry words in someone. I have been accused of selling out so to speak, or being less than forthright, and perhaps even getting a long-awaited appointment with my doctor traded for a positive column about my hope that Cleveland Clinic will become the “patient- rst” hospital that we all want. I gave Dr. Singh a thumbs up, with cautious optimism, and I still do.

I have to say it. My feelings were hurt on several levels. First, I am not a paid employee of this magazine, and as such, I have no reason to write anything except what I personally think about topics in a truthful manner, hence, the title, For What It’s Worth. For some of you, it may be worth something. For others, it may be worth nothing at all. I am all about disagreement, a er all, that’s what makes the world go round, but we can disagree kindly. I am not

apologizing for my hopeful attitude. Most of my columns try to include, wonder, happiness, positivity and optimism. Sometimes, if something rubs me the wrong way, I may vent, but even then, I am always hopeful. If we don’t have hope, what do we have, a er all? I understand that I cannot please everyone all the time, and that is not my reason for writing this column, but it saddens me that it seems we can no longer have any optimism in an open forum, without hostility and anger toward the writer. To set the record straight, I am not a journalist, I am a nurse. I also did not major in English grammar in school, and at times there have been typos for which I apologize.

ere is an editor at the magazine who I count on to save me from myself, but sometimes she gets busy and lets me go under. My topics are varied. I am not trying to uncover hidden agendas or cast shade on people or places for the general public. I am just sharing a piece of myself and my thoughts through my column. If you like what I have to say, please keep reading. I am humbled by your positive messages and the time you have taken to email me. If you don’t like what I have to say, that’s ne too, but please skip over my column rather than wasting your time reading it, and making unkind and personal comments. We’re all just trying to do the best we can. Commenting on Cleveland Clinic was gutsy on my part. I thought long and hard about it, but I hoped it might lead to change. I think it may open up some positive avenues for all of us. It was never meant to be the explosion that it caused, but I hope that all of your emails will help to change the situation there, (no, I never disclosed your names) and I appreciate your input, as does Dr. Singh, President of Cleveland Clinic. To be clear, I am not and have never been, paid for my columns, I was not given any incentive to write a positive third column a er

my meeting with him, I was not given an earlier appointment with my physician, (still waiting until August!) and I am not an investigative reporter. I can’t do anything more than share my stories, and hope you will still share yours.

e second thing you should know about me is that I am writing under a pen name. is column was started six years ago as kind of a lark, to be short-lived and I thought anonymity would be best, since I still had an o ce practice. I am now retired, but the column continues, lol. I have written a novel, soon to be out on Amazon, ngers crossed, and at that time, I will have to let you know who I am, in the hopes that you might want to read it. For now, thank you for all your encouragement and support over the years. I will try not to let you down. I love writing, and I love that many of you have given me your kindest words over the years. It is the reason I keep going. I am sorry that I wasn’t able to personally write you back, but I couldn’t reveal my personal email without letting the cat out of the bag.

For what it’s worth, if you keep reading, I’ll keep writing.

34 VOL. 564 G Copyrighted© My Living Media. 2023 All Rights reserved. To Advertise call 772-247-6849 Need More Coupons - MyLivingMedia.com 3215 SE GRAN PARK WAY STUART, FL 34997 WHAT'S IN YOUR GARAGE? ® BUY, SELL, OR TRADE 561-202-3580 772-672-3080 BUY, SELL, OR TRADE ® SALES | STORAGE | CONSIGNMENT
Comments or Suggestions DrMelfi@mediaoms.com
VOL. 564 G 35 Copyrighted© My Living Media. 2023 All Rights reserved. To Advertise call 772-247-6849 Need More Coupons - MyLivingMedia.com 772-348-2181 5761 SE FEDERAL HWY • STUART Located in the Seacoast Bank Building at the intersection of Cove Road and US 1 772-238-2709 FAMILY & IMPLANT DENTISTRY OF STUART 2385 FEDERAL HWY • STUART WWW.FAMILYDENTISTRYSTUART.COM WELCOME TO FAMILY DENTISTRY OF STUART! NOW IN TWO LOCATIONS Having a smile you’re proud to share shouldn’t be dif cult or break the bank. We know how important it is to have a smile that lets you feel and look good, which is why our team strives to give you the dental care you deserve. Our Family Dentistry of Stuart is committed to providing high-quality family, cosmetic, and advanced dentistry to each and every patient. WE ARE AVAILABLE FOR YOUR DENTAL EMERGENCIES PAYMENT PLANS FOR EVERYONE! NOW OPEN SATURDAYS EMERGENCY EXAM FAMILY DENTISTRY OF STUART WELCOMING HEALTHY MOUTH CLEANING Exam & X-Rays $49 With this MLM coupon. Limited time offer. New Patients Only With this MLM coupon. Expires 4/15/23 New Patients Only For a Full Case of Invisalign $500 With this MLM coupon. Expires 4/15/23 New Patients Only OFF $79 With X-Rays
36 VOL. 564 G Copyrighted© My Living Media. 2023 All Rights reserved. To Advertise call 772-247-6849 Need More Coupons - MyLivingMedia.com STUART BRAKE & Auto Repair 409 SE Monterey Rd. , Stuart 772-618-4177 MV5423 Full Service Garage • Walk-Ins Welcome! www.StuartBrakeandRepair.com R1234YF Cos t Per Axle. Install Brake Pads, Replace Rotors & Service Caliper Slides. 24 month, 24,000 mile warranty. Plus sales tax & shop supplies. With this MLM Coupon. Expires 4/28/23 PREMIUM CERAMIC OR SEMI METALLIC PADS & 2 ROTORS $ 379 95 $ 239 95 $ 149 95 PREMIUM CERAMIC OR SEMI METALLIC BRAKE PADS Plus sales tax & shop supplies Expires 4/28/23 RESURFACE ROTORS COMPACT CARS ONLY COMPACT CARS ONLY Cos t Per Axle. Install Brake Pads, Replace Rotors & Service Caliper Slides. 24 month, 24,000 mile warranty. Plus sales tax & shop supplies. With this MLM Coupon. Expires 4/28/23 PREMIUM CERAMIC OR SEMI METALLIC PADS & 2 ROTORS $ 399 95 $ 249 95 PREMIUM CERAMIC OR SEMI METALLIC BRAKE PADS Plus sales tax & shop supplies Expires 4/28/23 RESURFACE ROTORS Sedans, SUV & Light Trucks Sedans, SUV & Light Trucks A/C failure requires diagnostic charge. Expires 4/28/23 Includes 1lb of 134a Refrigerant Plus sales tax & shop supplies. Most cars, SUVs, & light trucks A/C INSPECTION AND RECHARGE NEW FREON Most Cars & Light Trucks. With this MLM Coupon. May not be combined with other offers. Must present coupon at time of service. Expires 4/28/23 $ 299 95 plus FREON UPERIOR TILE REMODELING, INC & www.superiortileinteriors.com Serving the Treasure Coast & Palm Beaches 4348 SE Federal Hwy., Stuart, FL 34997(Palm Square Plaza) | Bonded & Insured Lic# CTM5781 - PBC#U-21539- PSL-11013 772-678-3948 TILE • MARBLE • GRANITE • STONE • FABRICATION • INSTALLATION • REPAIRS KITCHEN BATHROOM FLOORING REMODELING FREE ESTIMATES WE ARE THE EXPERTS! COMMERCIAL & RESIDENTIAL Visit Our Showroom Monday-Fri:. 9am-5pm; Saturday: 10am-3pm; Sunday By Appointment Only Licensed & Insured Martin County-Based Business Visit our website to read our story www.shutterfactory .com or scan the QR code with your smart phone FREE IN-HOME ESTIMATES With MLM coupon. Expires 4/28/23 772-742-5242 “Third Generation in the Window Treatment Business” American-Made Plantation Shutters Shutters Roller Shades Blinds Smart Home Compatible Motorization “From our family to yours, you’ll love getting American-made window treatments in as little as 2 weeks!” MEET TOM & ZETTA

E

Getting older, playing sports, or having a condition like sciatica or arthritis shouldn’t hold you back from living your life! You can feel like your younger self again, the one who didn’t feel any aches or pains when walking, running, jumping, or even sitting… all you have to do is visit Stretch Zone.

Drew Brees, former quarterback of the New Orleans Saints, is the newest partner at Stretch Zone who advocates for people to regularly get stretched. A er personally going to Stretch Zone for an assisted stretching session, Drew was impressed with the uniquely e ective and nationally accredited Stretch Zone Method®, which is administered by a highly-trained and Stretch Zone-certi ed stretch practitioner.

Here’s How It Works:

1.) Your rst session begins with lling out an intake form and having a consultation with your experienced and knowledgeable stretch practitioner. Based on your medical background and your personal goals, the stretch practitioner will personalize the ensuing 30-minute assisted stretching session to meet your individual needs. On subsequent visits, you’ll simply do a check-in with the practitioner to update your medical pro le with any recent changes and/or any new pain or discomfort that you might be experiencing.

2.) e stretch practitioner initiates the rst steps of the approved Stretch Zone Method®, utilizing Stretch Zone’s special patented straps to encourage your body to relax and ease into the stretches. You won’t nd these straps anywhere else!

very 5,000 miles, like clockwork, you take your car to get its oil changed and tires rotated. It’s basic, routine maintenance, but that consistent attention and upkeep is vital for your vehicle to run e ciently, especially over a number of years. Your body, much like your vehicle, requires regular care and treatment to keep it healthy. And, again like your automobile, your body needs support from someone other than yourself, a professional who can guide it to achieving its utmost abilities and to retaining its peak performance.Comparable to a thunder jacket for your pets, they are meant to calm your mind so that your entire body is perfectly loose, thus allowing the stretch practitioner to stretch your body to its full potential and, as a result, provide you with both preventative maintenance and pain relief.

3.) Assisted stretching (a/k/a passive stretching) is di erent from physical therapy in that your body is being stretched by someone else, you’re not actually doing any work. roughout your 30-minute session, the stretch practitioner will be steadily interacting one-on-one with you, ensuring that you are completely comfortable and not experiencing any pain. Ultimately, you are in control of the stretch, even as your practitioner guides your body through each and every step, because you tell the practitioner when you feel your best stretching position. e more you communicate, the better results you’re going to get!

Take advantage of Stretch Zone’s incredible Special: get one FREE 30-minute

stretching session! Anybody and everybody can and should be stretched. In fact, one Stretch Practitioner I spoke with at Stretch Zone says, “98% of the people I see in front of me really need to be stretched. is is something you should not live without.” Remember, it’s just like getting your oil changed! Plus, celebrities and professional athletes have been getting stretched for years, so it’s time for the general population to be clued into the secret!

✓ 3 HAVE MORE ENERGY TO DO ALL OF THE THINGS YOU LOVE? ✓ IMPROVE YOUR GOLF GAME, TENNIS SKILLS OR OTHER SPORTS PERFORMANCE? ✓ MANAGE TENSION AND STRESS MORE EFFECTIVELY?

✓ EASE FRUSTRATING MUSCLE ACHES AND PAINS?

IT’S TIME TO FOCUS ON YOU. BOOK YOUR TODAY! FREE STRETCH

STUART • 772-325-1610 VISIT OUR STUART LOCATION 2885 SE Ocean Blvd. • Stuart, FL 34996 DO YOU WANT TO: DISCOVER WHAT STRETCH ZONE CAN DO FOR YOU!

VOL. 564 G 37 Copyrighted© My Living Media. 2023 All Rights reserved. To Advertise call 772-247-6849 Need More Coupons - MyLivingMedia.com
By Gabby Gregory GET YOUR FREE STRETCH
Get Stretch Zone’s Special for yourself or get them for a friend or loved one… what better way to say you care than to give the gi of making life easier, of feeling healthier, lighter, and younger, and of feeling like yourself again?
✓ INCREASE YOUR OVERALL HEALTH AND WELLNESS?
38 VOL. 564 G Copyrighted© My Living Media. 2023 All Rights reserved. To Advertise call 772-247-6849 Need More Coupons - MyLivingMedia.com $25 Off FIRST CLEANING *2-Hour Minimum Service With this MLM coupon. Expires 4/30/23 • Weekly • Bi-Weekly • Monthly • Move Out • Move In • Construction Cleanup 772.238.2595 Licensed, Bonded, & Insured FREE ESTIMATES Affordable Painting AFFORDABLE & SUPERIOR PAINTING affordableandsuperiorpainting@gmail.com 772-227-1398 20% 10% OFF OFF EXTERIOR PAINTING OVER $1595 One Per Customer. Must present this MLM coupon Cannot be combined with other offers. Expires 4/30/23 One Per Customer. Must present this MLM coupon Cannot be combined with other offers. Expires 4/30/23 INTERIOR PAINTING STARTING @ $2995 SPRING SPECIALS •INTERIOR PAINTING •EXTERIOR PAINTING •FENCE PAINTING •DECK STAINING •DRIVEWAY STAINING •CABINET PAINTING FREE DRIVEWAY POWERWASH W/EXTERIOR PAINTING FREE ESTIMATES & FINANCING AVAILABLE SCAN HERE TO VIEW OUR GALLERY myaffordableandsuperiorpainting.com CUSTOM CLOSETS AND SHOWERS DOORS Licenced Contractor #MCN56662 #SCC131152195 772-213-1117 | www.coastalclosetsandshowers.com Visit our factory showroom at 4483 SE Commerce Ave, Stuart, FL 34997 Up to $300 off your new Custom Closet* We love to put a spring in your step! closet | office garage | wall bed wall units shower doors glass wine rooms store front glass Lifetime Warranty & FREE Glass Protection on your Custom Glass Shower Offers valid until May 15 2022 Coupon must be presented at time of consultation. *purchase of $2500 or more necessary.
VOL. 564 G 39 Copyrighted© My Living Media. 2023 All Rights reserved. To Advertise call 772-247-6849 Need More Coupons - MyLivingMedia.com INDOOR GOLF NOW A MONTH A MONTH 6130 SE FEDERAL HWY MON - WED - THURS: 7AM-8PM FRI - SAT: 7AM-11PM/CLOSED TUES & SUN 772-362-1374 $7499 STUDENT MEMBERSHIP UNLIMITED INDIVIDUAL MEMBERSHIP WITH THIS MLM COUPON. EXP. 4/30/23 $5 BOOKING FEE $12499 • New ���������� • Ren��������i��n�� • Rem��������in�� • Rep�������� • Res��������ci���� Your Backyard Oasis Awaits… New Pool Construction 561-782-4644 Camco Pools New Construction & Renovations $1500 off With this MLM coupon. Expires 4/30/23 772-475-6446 WWW.TREASURECOASTGRABBARS.COM Always Reachable at… MCN6340 Your Independence is PRICELESS, Call Today! MCNS6340 Drilling charges may apply for marble, granite, or porcelain. 2 Bar Designer Packages Starting From $340 to $400 $290 COMPLETE INSTALLATION PACKAGE Includes 2 Moen Stainless Steel Anti-Slip Concealed Screw Grab Bars (16” & 24”). Bathroom Safety Bars Call, Before You Fall! Many Designer Bars Available Bobby Gauthier • Your Bathroom Safety Specialist GOOD FOR 2023
www.myhurricanewindow.com Don’t Get Caught Off Guard, Use Florida’s #1 Rated Hurricane Window 772-932-5629 Free Quote! Call Today! LICENSED & INSURED SCC131151738 FINANCING AVAILABLE Some Restrictions Apply 12 to 14 Weeks Installation* *12 Week Delivery is from date of factory order. Contractor is not responsible for HOA permit or manufacturer delays. Scan to schedule your APPOINTMENT! 60 DAYS AWAY Martin County’s Local Premier Window Contractor You Are Here! ARE YOU READY? **ZERØ! Until 2024! Ø Interest Ø Payments New orders only. Minimum purchase required. O er not valid with any other o er, or previous job. Contractor is neither a broker or lender. Financing is provided by third party lenders una liated with Contractor, under terms and conditions arranged directly between the customer and such lender, all subject to credit requirements and satisfactory completion of all documents. Any nance terms advertised are estimates only. Some restrictions apply. Or starting at Whole House of Windows and Doors per month $169
VOL. 564 G 41 Copyrighted© My Living Media. 2023 All Rights reserved. To Advertise call 772-247-6849 Need More Coupons - MyLivingMedia.com THE LESLIE GOULD TEAM LOST LAKE RESIDENT • BROKER ASSOCIATE 20 YRS EXPERIENCE Integrity • Responsiveness • Accessibility set us apart! We’d Love to help you in your Home Selling or Buying Journey 561.676.7996 LESLIEGOULD@GMAIL.COM Magic Bubbles Pressure Cleaning_(BGLM)-0239-1023_CS564 PRESSURE CLEANING SAVE NOW. CLEAN NOW. HIGH & LOW PRESSURE CLEANING PATIO ROOF CLEANING DRIVEWAY Licensed & Insured Unbelievably Clean TWO SERVICES Cannot be combined with any other offers. DRIVEWAY CLEANING SPECIAL Special Expires 4/15/23. Must present this ad. $49 $25Off $75Off COMPLETE HOUSE PACKAGE Cannot be combined with any other offers. Expires 4/15/23 Expires 4/15/23 We handle everything year round, with REGULARLY SCHEDULED SERVICE to ALL OF YOUR EXTERIOR SURFACES. One low monthly payment is all it takes, and we do the rest. $49 ASK US ABOUT OUR MAGIC MEMBERSHIP Starting at per month 772-291-1888 Ron@MagicBubblesWash.com MagicBubblesWash.com *With purchase of roof cleaning. *For standard 2 car driveway only. 1-833-ACE-CART(223-2278) Aceofcarts.com Ace of Carts 4880 SE Federal Hwy., Stuart • 2nd Location 552 US Hwy. 1 North, Tequesta Over 200 Brand New Club Cars in Stock ! • SALES • SERVICE • PARTS Now Open in Tequesta! AUTHORIZED DEALER BIGGEST SAVINGS OF THE YEAR! Must be a 2022 Model Year Club Car from dealer stock. Offer expires 4/30/23 or while supplies last. Financing is available with standard rates. Not eligible for 0% Financing promotion; offers do not combine. $1000 OFF *MSRP on any Club Car from Dealer Stock
42 VOL. 564 G Copyrighted© My Living Media. 2023 All Rights reserved. To Advertise call 772-247-6849 Need More Coupons - MyLivingMedia.com Wholesale Mulch, LLC. PICK-UP OR DELIVERY! 1295 SE Cutoff Road, Stuart (772) 419-0300 Wholesale LLC. MULCH - ROCK - SOIL & MORE! Are You Ready to… MULCH? Plus tax & delivery fee. Must present OMS coupon. Cannot be combined with other o ers/discounts. Expires 4/30/23 $270 2 cu bag Earthwise MULCH 2 cu bag Plus tax & delivery fee. Must present OMS coupon. Cannot be combined with other o ers/discounts. Expires 4/30/23 $280 Cypress Blend MULCH 2 cu bag Plus tax & delivery fee. Must present OMS coupon. Cannot be combined with other o ers/discounts. Expires 4/30/23 $285 Red MULCH G G G Pavers Sand Shells Fabrics Edging Tools April specials Bonded • Licensed & Insured • Lic. #CDG 5581 Martin • Lic # CDG 9994 St. Lucie Emergency Service Available SAME DAY On Garage Door Replacement FREE ESTIMATES We Repair & Replace WAYNE DALTON • AMAAR CLOPAY OVERHEAD DOORS www.garagedoorrepair .com www.accentgarage .com (772) 232-8780 AAA Accent Garage Doors 15% OFF Garage Door Repair or Spring Replacement FREE OUTSIDE KEYPAD with Opener Lifetime Warranty $75 OFF $150 OFF Single Garage Door Replacement Double Garage Door Replacement With this MLM Coupon. Expires 4/29/23 With this MLM Coupon. Expires 4/29/23 With this MLM Coupon. Expires 4/29/23 Treasure Coast 772-408-9009 Serving all of Martin & St. Lucie Counties Any New Hot Water Heater or Tankless Heater Any New Toilet Any New Garbage Disposal Clearing Any Sink, Toilet, or Main Sewer Line Your Next Service Call $65 OFF $35 OFF $30 OFF $37 OFF Not valid with other offers or prior services. Must present MLM coupon. Limit one coupon per service call. Not valid with other offers or prior services. Must present MLM coupon. Limit one coupon per service call. Not valid with other offers or prior services. Must present MLM coupon. Limit one coupon per service call. Not valid with other offers or prior services. Must present MLM coupon. Limit one coupon per service call. Not valid with other offers or prior services. Must present MLM coupon. Limit one coupon per service call. G G G G G Celebrating 40 Years of Excellence www.duallplumbers.com Lic. #CFC1429556 Any Job Big or Small We Do Them All! Available Nights, Weekends, & Holidays Plumbing Repairs & Water Heater Installations Senior Citizen & Veteran Discounts Available! $50 OFF
Lic# CAC1819096 Bill shAC.com SCAN HERE Neutralize odors, particulate, air pollutants, smoke, mold bacteria and viruses. FREE Customizable Auto delivery FREE SERVICE CALL WITH REPAIR ($85 Value) Must be during regular hours. Must mention at time of order. With this MLM coupon. Cannot be combined with other offers or specials. Expires 4/30/23 With this MLM coupon. Cannot be combined with other offers or specials. Expires 4/30/23 FREE DUCT EVALUATION! AIR FILTER SUBSCRIPTION USING THERMAL IMAGING REME HALO AIR PURIFIER With this MLM coupon. Cannot be combined with other offers or specials. Expires 4/30/23 With this MLM coupon. Cannot be combined with other offers or specials. Expires 4/30/23 OFF $150 10% OFF Air Conditioning Air Conditioning MAINTENANCE PROGRAM Includes 2 Visits Precision Tune-Up Clean and chemically treat drain line Check refrigerant level Check for air ow Check for air leak on plenum duct system Check fan motors Check all electrical connections for loose or burned wire, tighten all caps Check relays and contactors Replace screws if missing Check evaporator coil & wash condenser coil Coil sanitation for bad odors and bacteria, when accessible Check heating element, run heat cycle, system analysis Calibrate thermostat for maximum accuracy Check for microbial growth on coil ✔ ✔ ✔ ✔ ✔ ✔ ✔ ✔ ✔ ✔ ✔ ✔ FINANCING AVAILABLE! REG. $189 Expires 4/30/23 $19 $189 OR PER MONTH ANNUALLY Call for pricing on multiple systems 772.276.7537 Sign up online! Bill shAC.com ✔ ✔ WITH ✔ Program Perks Priority Scheduling 10% off Repairs No Overtime Charges ✔ ✔
44 VOL. 564 G Copyrighted© My Living Media. 2023 All Rights reserved. To Advertise call 772-247-6849 Need More Coupons - MyLivingMedia.com Well Maid Cleaning Service, LLC email: wellmaidcleaningservice@gmail.com Call Tara Today! FREE Estimates 772.828.2741 • Weekly, Bi-Weekly, Monthly • Seasonal or One Time • Move In/Move Out • Affordable Rates • Trustworthy & Reliable • Residential & Commercial • References Available $ 20 OFF $150 Or More With this Ad. License & Insured Tara L. Walsh, Owner Well Maid Cleaning Service, LLC Accepted LIKE US ON FACEBOOK! We Have Gone GREEN! We now only use green, plant-based products. Services of NEED SHUTTERS THIS WEEK? Family Owned & Locally Manufactured Plantation Shutters & Motorized Shades Installed in as little as 7 Days • ANGLES & RAKES • ARCHES & SUNBURSTS • OTAGON, CIRCLE, HEXAGON • SILL COVERS & CAPS HORIZONTAL ARCH PLANTATION SHUTTERS SUNBURST PLANTATION SHUTTERS www.plantationshutters a.com Treasure Coast Palm Beach 772-600-4253 or 561-420-0418 Visit our manufacturing shop at: 406 Farmers Market Rd Ft Pierce, FL 34982 IN-HOME ESTIMATES FREE $1695 SQ. FT. INSTALLED Starting at We are the Real Manufacturer We Welcome Designers & Builders! Licensed & Insured CALL TODAY AND GET UP TO 10% DISCOUNT Restrictions may apply. Licensed & Insured Call Thomas, Martha & the Tomcat Team! 772-634-6104 • Trees Trimmed • Hazardous Tree and Limb Removal • Stump Grinding • Bush & Lot Clearing • Tractor and Excavator Work • Hauling & Disposal • 14ft. Roll-off Cans Available for Trash Serving the Treasure Coast 20% Off All Services up to $500 Expires 4/28/23 FREE ESTIMATES TOMCAT TREEWORK
VOL. 564 G 45 Copyrighted© My Living Media. 2023 All Rights reserved. To Advertise call 772-247-6849 Need More Coupons - MyLivingMedia.com Full Service • Complete Wash Plus • 48-Hour Raincheck • Cupholders & Center Console Cleaned • RainX • Express Wash Plus • Dash Wiped • Windows • Tire Shine • Vacuum The Works Complete Express • Exterior Car Wash • Towel Dry • Rims Cleaned REGULAR PRICE$2195 REGULAR PRICE$1495 + Tax + Tax Mon-Sat 8:00-5:30 • Sun 9:00-4:00 561-631-7552 LEATHER DETAIL • HEADLIGHT RESTORATION BUG REMOVAL • EXPRESS WAX • CARPET SHAMPOO 11790 SE FEDERAL HWY HOBE SOUND In the Publix Plaza at the Sunoco Station HOBE SOUND REGULAR PRICE$895 + Tax $ 29 99 Dash & Door ARMOR ALL Full Detail $9995 Starting at Depending on Vehicle Size & Condition Starting At Starting At Starting At Hand Car Wash DISCOUNT SAVINGS $1195 THE COMPLETE Plus Tax Extra charge for larger vehicles. With this MLM coupon. Not to be combined with other offers. Expires 4/15/23 Save $300 $2999 The EXPRESS WAX +THE WORKS WASH Plus Tax (Includes Works Wash) Extra charge for larger vehicles. With this MLM coupon. Not to be combined with other offers. Expires 4/30/23 $1695 THE WORKS Plus Tax Save $500 Extra charge for larger vehicles. With this MLM coupon. Not to be combined with other offers. Expires 4/30/23 DTR Tile Restorations_0071-0823_HI564 772-871-6183 TILE RESTORATIONS Licensed & Insured www.DTRtreasurecoast.com Tile Bucking, Hollow, or Loose? FREE Estimates INTERIOR • EXTERIOR • RESIDENTIAL • COMMERCIAL Don’t Replace It, Let Us Repair It! CLEAN & SEAL GROUT TILE REPAIR SHOWER RE-GROUT AFTER BEFORE Live 24/7 Answering PDSMartin.com Locally Owned & Operated Expires 4/15/23. Our proprietary springs will not rust or corrode and last up to 4 times longer! 772-202-6587 $200 OFF PDS 900 GARAGE DOOR OPENER $50 OFF $50 OFF
46 VOL. 564 G Copyrighted© My Living Media. 2023 All Rights reserved. To Advertise call 772-247-6849 Need More Coupons - MyLivingMedia.com Residential & Commercial 30 Years Experience 772.232.8929 Licensed & Bonded May ower Landscaping, LLC & More! TREE TRIMMING LAWN SPECIALIST Call for details. Expires 4/29/23 Expires 4/29/23 DECORATIVE ROCK French Drains & Mulch PALM TREE & TREE REMOVAL $25 Cannot be combined with any other offers. Off Off$50 Off$50 Call for details. Expires 4/29/23 • Full Service Lawn Care & Maintenance • French Drain Installation • Clean Up & Haul Away • Junk Removal • Rock Stone Installation • Stump Grinding & Removal • Pressure Treated Retaining Walls • Landscape / Hardscape • Transplant-Trees & Shrubs • & Much More Make Your Shower & Floors Look New Again! • Tile & Grout Cleaning • Grout Restoration • Tile & Grout Repair • Loose & Hollow Tile Rebonding • Shower Repairs & Regrouting • Non-Slip Tile Treatment Call today for a FREE Estimate • 772-224-3011 or 1-800-561-3736 • www.GroutsmithStuart.com SEE THE DIFFERENCE WE CAN MAKE IN THE LOOK OF YOUR HOME! Your Grout & Tile Cleaning Experts $30OFF ANY JOB OF $300 OR MORE $50OFF ANY JOB OF $500 OR MORE With this MLM coupon only. Cannot be combined with any other offers or specials. Expires 4/28/23 No More Dirty Grout! Before Before After After With this MLM coupon only. Cannot be combined with any other offers or specials. Expires 4/28/23 Guaranteed for 10 Years! THE GROUTSMITH FREE SERVICE CALL WITH ANY PREVENTATIVE MAINTENANCE. Expires 4/30/23 CALL TODAY! BY APPOINTMENT ONLY! 772-310-7899 THE PORSCHE GUY SERVICE AT HOME CERTIFIED PORSCHE MASTER TECHNICIAN 23 YEARS I COME TO YOU!
VOL. 564 G 47 Copyrighted© My Living Media. 2023 All Rights reserved. To Advertise call 772-247-6849 HoltsReliableGDR.com 772-774-3424 Hurricane & Impact-Rated Garage Doors Save On Homeowners Insurance $200 Off GARAGE DOOR REPLACEMENT With MLM Coupon. Expires 4/28/23 METAL ROOFS just got MORE AFFORDABLE! • METAL ROOFING • TILE ROOFING • SHINGLE ROOFING Financing Available Satisfaction Guaranteed! Call Today (772) 291-1427 Lic. No. CCC1327906 FREE ESTIMATES $500 OFF Call Today! ANY ROOF REPLACEMENT Must present coupon at time of estimate for discount. Exp. 4/30/23 Visit Our Beautiful Gift Shop - Gifts for All Occasions & Something for Everyone! 2670 SE FEDERAL HWY. (BARON SHOPPES) 772.380.WASH(9274) VISIT www.PARADISECW.com FOR MORE DETAILS Sign Up for Our VIP Program! OPEN 7 DAYS A WEEK! • Mon-Sat 8:30am-5pm • Sun 8:30am-3pm $2399 Off Ocean Breeze Car Wash 20% CAR WASH • Full Service Wash • Triple Foam • Clear Coat • Underbody Wash • Wheel Brightener • Tire Shine NOW ONLY… Reg $2999 SUVs, Trucks, Mini Vans Additional $1.50 Good at All Locations. With this MLM coupon. Expires 4/28/23 3999 Carnauba Hand Wax with Ultimate Car Wash Reg $7999 DETAIL CAR WASH JOIN OUR UNLIMITED CAR WASH CLUB $2499 Limited Time Only Starting at +TAX Complimentary Disinfectant on All Full Service Packages! STUART LOCATION ONLY • Full Service Car Wash • Interior Conditioner • Clear Coat • Underbody Wash • Wheel Brightener • Triple Foam • Tire Shine • RainX • Hot Wax • Paradise Ceramic Coating Cannot be combined with any other offer. SUVs, Trucks, Mini Vans Additional $10.00 With this MLM coupon. Expires 4/28/23
48 VOL. 564 G Copyrighted© My Living Media. 2023 All Rights reserved. To Advertise call 772-247-6849 Need More Coupons - MyLivingMedia.com Dirty Windows? Let us clean all your home windows • Window Washing • Pressure Cleaning • Gutter Cleaning www.eastcoastcleaningservices.com Licensed & Insured Residential Window Cleaners *UP TO 15 WINDOWS, TWO STORY HOMES SLIGHTLY EXTRA. CALL FOR DETAILS 772-621-9800 FREE Estimates New customers only. Not valid with other offers or prior services. $ 69 99 * EXTERIOR G&S PAINTING & FINE FINISHES 877-202-4000 GSFine nishes.com Locally Owned and Operated • Residential & Commercial • Interiors • Exteriors • Laquer • Faux Finish • Epoxy • French Polish • Paints • Stains • Latex • Oil EXPERTS IN HIGH QUALITY FINISHES For Our Complete Services, Extensive Photo Galleries, & Customer Reviews Visit Us at www.dbhiproducts.com 772-353-0140 Since 2006 LICENSED & INSURED, STATE CERTIFIED CRC1330776 Wood Rot Repair NEW SIDING - ANY COLOR 10% Off YOUR PROJECTS Up to $500 • With this MLM coupon. Limited time offer. Because Rot Never Sleeps SPECIAL FINANCING AVAILABLE – CALL FOR DETAILS –We Specialize in... • Sof ts & Fascia • Hardie Siding • Fiber Cement Siding • PVC Moulding FREE ESTIMATES 5-STAR REVIEWS
VOL. 564 G 49 Copyrighted© My Living Media. 2023 All Rights reserved. To Advertise call 772-247-6849 Need More Coupons - MyLivingMedia.com DRYER TAKING TOO LONG? ANNOYING Waiting Longer For Your Clothes To Dry Is STARTING AT 772-919-7163 | 561-250-0088 DRYER VENT CLEANING $85 MAINTENANCE CLEANOUT FIRE DISASTER But experts say it’s Really an impending CGC#1528257 772-732-3600 IMPACT WINDOWS & DOORS www.libertyimpactwindows.com GENERAL CONTRACTORS WITH OVER 30 YEARS OF EXPERIENCE HIGHEST QUALITY WINDOWS, ENTRY DOORS, SLIDING DOORS, FRENCH DOORS, IMPACT WINDOWS & NO SALES TAX ON ALL MATERIALS Crystal Cabinet & Furniture “Where Price and Quality mean everything!” (772) 773-1411 RESIDENTIAL • COMMERCIAL LICENSED & INSURED FREE FREE BATH VANITY ESTIMATES *With Any New Kitchen. Some restrictions apply. Exp. 4/28/23 • Resurfacing Kitchens • Custom Cabinets • Quartz/Granite Countertops • Vanities • Wall Units
50 VOL. 564 G Copyrighted© My Living Media. 2023 All Rights reserved. To Advertise call 772-247-6849 Need More Coupons - MyLivingMedia.com 833-367-6630 $150 off Any Roof Repair Over $600 WE BEAT ANY WRITTEN ESTIMATE* With this OMS coupon. Expires 4/30/23 *Some Restrictions Apply doingroo ng.com ROOF REPAIR & REPLACEMENT Lic# CCC1332511 • Tile • Metal • Shingle • Wood Shake • Roof Accessories • Pipes • Goosenecks • Skylights • Fascia Blinds | Shades | Shutters | Drapes | Smart Shade Automation 772-677-8482 8882 SE Bridge Rd., Hobe Sound BudgetBlinds.com Exclusive Lutron Dealer With MLM coupon. May not be combined with any other offer. Expires 4/30/23 1 FREE REMOTE With Automation Purchase 15 % OFF With MLM coupon. May not be combined with any other offer. Expires 4/30/23 Financing Now Available NORMAN WOODLORE COMPOSITE PLANTATION SHUTTERS LEADER IN RELIABILITY SINCE 1957 YEARS OF BUSINESS 66 STAY COOL K&C KNOWS A/C WITH THESE HOT DEALS 772.261.9AIR (9247) License: CAC1818726 KCIAC.COM /KRAUSSANDCRANE 20% off ONE COUPON PER HOUSEHOLD PER YEAR WITH MLM COUPON ONLY. NOT TO BE COMBINED WITH OTHER OFFERS MUST MENTION BEFORE SCHEDULING. CASH OR CHECK ONLY EXPIRES 4/30/23 ONE COUPON PER HOUSEHOLD PER YEAR WITH MLM COUPON ONLY. NOT TO BE COMBINED WITH OTHER OFFERS MUST MENTION BEFORE SCHEDULING. EXPIRES 4/30/23 ONE COUPON PER HOUSEHOLD PER YEAR FOR ACTIVE DUTY SERVICE, VETERANS, AND 1ST RESPONDERS DIAGNOSTIC CHARGE FOR SERVICE AND/OR REPAIRS ONLY (8AM-5PM WEEKDAYS) $ 66 $ 66 ONE TIME TUNE-UP
VOL. 564 G 51 Copyrighted© My Living Media. 2023 All Rights reserved. To Advertise call 772-247-6849 Need More Coupons - MyLivingMedia.com LIC. & INS. MC1800074 • PSL 13746 • Ft Pierce 1700029078 PCGARAGEDOOR.COM 772-200-2323 Se Habla Español • RESIDENTIAL • GARAGE DOOR REPAIR • INSTALLATION & SERVICE Broken Spring Replacement Noisy Garage Door? Lift Master 2-Car Garage Door 1-Car Garage Door 1 Spring……$10 Off 2 Springs……$20 Off With this MLM Coupon. May not be combined with any other offers or discounts. Expires 4/29/23 With this MLM Coupon. May not be combined with any other offers or discounts. Expires 4/29/23 Garage Door Opener One Remote & Push Buttons With this MLM Coupon. May not be combined with any other offers or discounts. Expires 4/29/23 $ 75 off With this MLM Coupon. May not be combined with any other offers or discounts. Expires 4/29/23 16’x7’ $50 off 8’x7’ or 9’x7 With this MLM Coupon. May not be combined with any other offers or discounts. Expires 4/29/23 $15 Silencing Package • Lube Door • New 13 Ball Bearing Nylon Rollers • Check Electric Motor Settings • 25 Point Safety Inspection 1417 SW Biltmore St • PSL 34983 pandcgaragedoor@gmail.com off $14999 SERVICES • Water Restoration • Mold Remediation • Disaster Clean Up • Fire Clean up • Water Extraction 1562 SE Village Green Dr., Suite 1, Port St. Lucie 772-266-5302 FREE HOME INSPECTION MOLD DAMAGE WATER EXTRACTION WATER DAMAGE We Get The Wet Out / Mold Out Visit our website to join The Grove Wine Club, view our catering & dine-in menus, our upcoming wine dinners & events or reserve a table. The Grove Cucina & Wine Bar The Marketplace at Hobe Sound • 8815 SE Bridge Road • Hobe Sound, FL 33455 772-402-5410 • thegrovehobesound.com “The Grove serves every meal and glass with a heart of hospitality.” Jen & Luis Jen & Luis- Sommeliers, Owner/Operators
52 VOL. 564 G Copyrighted© My Living Media. 2023 All Rights reserved. To Advertise call 772-247-6849 Need More Coupons - MyLivingMedia.com PLUMBING DONE RIGHT RESIDENTIAL & COMMERCIAL NO JOB TOO BIG OR TOO SMALL! LICENSED & INSURED LICENSE # CFC1430284 (772) 337-7757 The Sewer and Drain Cleaning Specialist WHOLE HOUSE RE-PIPE PERMITS ($150 Value*) ANY PLUMBING REPAIR No Service Charge With Repair $7995 *With this MLM coupon. Can’t be combined with any other offer. *Some restrictions apply. Expires 4/29/23 *With this MLM coupon. Can’t be combined with any other offer. *Some restrictions apply. Expires 4/29/23 $30 FREE With purchase & installation of a new water heater *Free Permit is included in Water Heater total FROM OFF • Water Heater Installation & Repairs • Clogged Drains • Leak Detection • Kitchen Faucet Installation & Repairs • Garbage Disposal Installation qualityplumbingdrains.com Serving The Treasure Coast Since 2009 NOW HIRING CALL TODAY! Experienced Electricians $50 OFF ANY JOB OVER $500 Cannot be combined with other discounts or offers. With this MLM coupon. Expires 4/29/23 Need An Electrician? FREE ESTIMATES Lic # EC13007910 Responsible Roofers Who Show Up! $500 $100 O F F O F F Any New Roof Any Roof Repair With this MLM coupon only. Expires 4/28/23 With this MLM coupon only. Expires 4/28/23 (Over $1,000) • Residential • Commercial • Repairs Licensed & Insured Lic #CCC1331170 ShorelineRoo ng@yahoo.com FREE Estimates 772.260.9565
VOL. 564 G 53 Copyrighted© My Living Media. 2023 All Rights reserved. To Advertise call 772-247-6849 Need More Coupons - MyLivingMedia.comHURRICANE IMPACT WINDOWS & DOORS PROTECT WHAT’S PRECIOUS TO YOU! • Hurricane Protection • Home Security • Save on Energy Bills • Save on Insurance Costs • Increase Property Value • Noise Reduction Your Expert in Single Family Homes & Condos! “Our service & products are second to none!” The People’s Choice In Hurricane Protection! 772-251-2474 SAME DAY Appointments! AS LOW AS $120 MO. FINANCING Available! 50% Off We Beat ALL Competitors’ Pricing CALL FOR DETAILS License #CBC1264950 & INSURED Serving Palm Beach, Martin, & St. Lucie Counties INSTALLATION & NO SALES TAX. EXP 4/15/23 (Some restrictions apply) AS MUCH AS (Some restrictions apply)
54 VOL. 564 G Copyrighted© My Living Media. 2023 All Rights reserved. To Advertise call 772-247-6849 Need More Coupons - MyLivingMedia.com Florida’s Finest Carpet Cleaning Carpet Cleaned Like You’ve Never Seen Our System Guarantees Your Satisfaction • We use the most advanced truck mounted carpet cleaning system • Exclusive double step process for high traf c areas (no extra charge) • Pet stain removal • Environmentally-safe products (safe for children and pets) • Family owned and operated • NO HIDDEN FEES Serving Our Customers Since 1982 Lic# 92275163 Palm Beach County Martin County Only Only Only (561) 747-9793 (772) 220-2290 Carpet Cleaning Special Carpet Cleaning Special Furniture Cleaning Special FREE Demonstration FREE ESTIMATES Two Rooms & Hallway 5 Rooms and Hallway Any Size Sofa or 2 Chairs Grout Special Area Rug Cleaning Free Pick-Up & Delivery $79.95 $79.95 39¢ $139.95 (Maximum 200 sq. ft. per room) FREE DEODORIZER With MLM coupon expires 4/30/23 (Maximum 200 sq. ft. per room, max 5 rooms) FREE DEODORIZER With MLM coupon expires 4/30/23 With MLM coupon expires 4/30/23 With MLM coupon expires 4/30/23 (Minimum 200 sq. ft.) • We’ll make your soiled furniture look beautiful again. • We use the best cleaning methods available for each individual fabric. • Haitian Cotton, sectionals, modulars and dry-clean only fabric priced separately. • 3M Scotchguard® and DuPont Te on® protection available. Per Sq. Ft. FREE CONSULTATION 10% OFF 561.855.6595 Let Us Make Your Dream A Reality! LIC# CGC1525942 825 15th Street Lake Park • Custom Cabinets • Closets • Kitchens • Bathrooms • Doors & Windows • Custom Millwork Any Remodeling Job. Must Book Before 4/15/23 Total Ima g e With this MLM coupon
Need More Coupons - MyLivingMedia.com SCAN HERE!
56 VOL. 564 G Copyrighted© My Living Media. 2023 All Rights reserved. To Advertise call 772-247-6849 Need More Coupons - MyLivingMedia.com LIC #U-22038 LIC #MCFE6928 We’ll Beat Reasonable Estimates From Comparable Licensed Companies & Product Offerings Some Restrictions Apply AUTOMATIC GATE OPENER SPECIALIST 561-899-4574 www.budgetfenceandgate.com Since 1950 RESIDENTIAL COMMERCIAL Se Habla Español ASK ABOUT OUR Promotion for Eligible Projects. or Interest, Payments for Months Options! Down, Low Monthly Payments 0 0 0 24 772-291-0705 License # PSL 15672 MC 1900082 • Pool Resurfacing • Brick Pavers • Travertine Pavers • Marble Pavers BRICK PAVERS & CUSTOM OUTDOOR KITCHENS, FIREPLACES, & FIRE PITS Financing Available FREE FIRE PIT with any job over 1200 sq. ft. With this MLM coupon. Expires 4/30/23 www.oasisbrickpavers.com EMERGENCY SERVICE-ANY DAY, ANY HOUR Licensed & Insured CFC1427336 • Sinks • Toilets • Water Heaters • Leak Detection • Showers • Bathtubs $30 OFF ANY SERVICE 772.871.2500 PlumbRitePlumber.net Service Interruption? 24-Hour Plumbing Repair Fast | Reliable | Trusted | Guaranteed Sewer & Drain Cleaning All Clogged Lines Corrected With this MLM coupon.
VOL. 564 G 57 Copyrighted© My Living Media. 2023 All Rights reserved. To Advertise call 772-247-6849 YOUR TRUSTED ROOFERS $500 ANY NEW ROOF $10,000 & Up Must present this MLM coupon. Expires 4/30/23 off $150 ROOF REPAIR Must present this MLM coupon. Expires 4/30/23 off Roof Repair • Roof Replacement Insurance Restoration LICENSED & INSURED • #CCC133746 5 Stars Google FREE In-home Estimate 772-222-6760 819 SW Federal Hwy. Ste #201 • Stuart www.levelbestroo ng.com
58 VOL. 564 G Copyrighted© My Living Media. 2023 All Rights reserved. To Advertise call 772-247-6849 Need More Coupons - MyLivingMedia.com Complete Sliding Doors and Windows Family Owned & Operated Since 2005 State Certified General Contractor CGC 1514380 •Custom Screen Windows/Doors •Hardware Replacement •Impact/Non-Impact Glass SLIDING DOOR REPAIR ROLLER REPLACEMENT, SCREEN AND WINDOW REPAIR www.completeslidingdoors.com FREE ESTIMATES Screen Doors and Window Screens 772-675-5555 COMPLETE SLIDING DOORS • 772-675-5555 Must be presented at time of estimate - NO EXCEPTIONS. Cannot be combined with other coupons or discounts. Not valid on previous orders or estimates. Exp. 4/29/23 COMPLETE SLIDING DOORS • 772-675-5555 Must be presented at time of estimate - NO EXCEPTIONS. Cannot be combined with other coupons or discounts. Not valid on previous orders or estimates. Exp. 4/29/23 COMPLETE SLIDING DOORS • 772-675-5555 Must be presented at time of estimate - NO EXCEPTIONS. Cannot be combined with other coupons or discounts. Not valid on previous orders or estimates. Exp. 4/29/23 $25 OFF Broken Roller Replacement FREE Track Repair With the Purchase of Roller Replacement $50OFF Bear Screen Doors When You Purchase Two Ask Us About Frameless Shower Doors
VOL. 564 G 59 Copyrighted© My Living Media. 2023 All Rights reserved. To Advertise call 772-247-6849 Need More Coupons - MyLivingMedia.com Cabinets, Countertops, Backsplash, Flooring, Windows & Doors... UP TO 10% OFF CABINETRY SPRING SALE Expires April 30, 2023 Present This Coupon
60 VOL. 564 G Copyrighted© My Living Media. 2023 All Rights reserved. To Advertise call 772-247-6849 Need More Coupons - MyLivingMedia.com Want Your Home Painted? $1295 FREE Remote Estimate Available Single story up to 1,800 sq. ft., includes Sherwin Williams Paint. WORKING FOR YOUR PROTECTION AGAINST COVID-19 ExteriorSpecialPainting Experience and Quality at an Affordable Price Licensed #CGC1526200 & Insured 772-888-0886 www.YourHomePainter.com Color Restoration & Construction Interior & Exterior Painting • PROPANE DELIVERY • STANDBY GENERATORS • TANK SETS • CARDLOCK • CYLINDER FILLS • DOCKSIDE FUELS • MAINTENANCE CONTRACTS • TANK & GENERATOR MONITORING • AND MANY MORE PROGRAMS TO CHOOSE FROM WEST PALM BEACH 1 2 VERO BEACH STUART PROUDLY SERVING THE PALM BEACH & TREASURE COAST SINCE 1967 772.617.8648 MAKE COMO OIL & PROPANE YOUR HURRICANE HEADQUARTERS SECURE YOUR ASSETS WITH $500 OFF New Generator Purchase Call to nd out about our other Promotions
CALL US FOR A FREE, NO OBLIGATION QUOTE Guaranteed Pricing for Customized Solutions Technicians are certi ed by the EPA Licensed, insured, and direct employees 100% Happiness Guarantee Mention Code “FBL23” FREE DUCT SANITAZATION with Air Duct Cleaning! 21-point HVAC inspection Complete AC report card - emailed after service Deep drain line ush Lubricate motors, clean unit housing Ductwork camera inspection A Homeowner’s Essential to Prevent Breakdowns During the Hottest Months! Avoid thousands in repair costs! ONLY $99 • • • Free Air Duct Sanitization is valid when purchased with Air Duct Cleaning and expires on 4/14/23. local@ lterbuy.com (c) 2023 Filterbuy, INC. All rights reserved Florida’s A/C & Duct Cleaning Experts 24 HOUR EMERGENCY HVAC SERVICE FREE SERVICE CALL WITH ANY REPAIR WHITE GLOVE A/C INSTALLATION Virtual or in person consultations Site visits by technicians, not salespeople No worry ownership - 5-year and 10-year Extended Labor Warranties Avoid future headaches - FREE UV lights, surge protectors and drain guards with every install FREE A/C ESTIMATES INTEREST-FREE FINANCING! Includes 2 years of our premium maintenance contract: • FREE air lters • FREE annual condenser coil cleaning • FREE annual replacement parts, surge protectors, and drain guards EXPERT HVAC TUNE-UP 772-208-8155
62 VOL. 564 G Copyrighted© My Living Media. 2023 All Rights reserved. To Advertise call 772-247-6849 Need More Coupons - MyLivingMedia.comPUZZLE PAGE SUDOKU
PUZZLE PAGE CROSSWORD ACROSS 1 Slightly wet 5 Wild canine 9 Yoga pad 12 Close 13 Actress Perlman 14 Green pre x 15 Requiring low temperatures 17 Moo -- pork 18 Boy, in Barcelona 19 Big name in racing 21 Antlered animals 24 Jubilation 25 Billions of years 26 German 30 Aachen article 31 Postpone 32 Wildebeest 33 Romance-free, as a relationship 35 Head, to Henri 36 Sweet wine 37 King of Judea 38 Snapshot 40 Graceful bird 42 Slithery sh 43 Looking good on the tube, say 48 Part of TNT 49 Lettuce unit 50 Turner or Fey 51 Billboards 52 Evergreens 53 Crisp cookie DOWN 1 Org. for a major party 2 -- Lingus 3 Spring month 4 Plug parts 5 Wee songbird 6 “It can’t be!” 7 Floral necklace 8 Teaching staff 9 Courier 10 Dull pain 11 Go sightseeing 16 USO patrons 20 Ultramodernist 21 Leak out slowly 22 Work hard 23 Maryland’s capital 24 Avocado dip, for short 26 Camp shelter 27 Peyton’s brother 28 Grooving on 29 Prompted 31 Girl in “The Wizard of Oz” 34 Nanny’s charge 35 Beliefs 37 Crone 38 Anti-fur org. 39 Cattle group 40 Cabbage salad 41 Marries 44 Shoe width 45 Diarist Anais 46 -- tizzy 47 Bottle top Solutions See Page 75
PUZZLE
Call us today (772) 247-6067 or 561-293-4909
64 VOL. 564 G Copyrighted© My Living Media. 2023 All Rights reserved. To Advertise call 772-247-6849 Need More Coupons - MyLivingMedia.com 772•882•4437 772•353•6884 • Services Calls • Pump Outs • Pump Replacements • Outlet and Inlet Repairs • Filter Installations and Cleaning • Commercial Grease Traps • Drain Field Installations PUMP OUT SERVICE CALL $25 OFF $15 OFF Must present this MLM coupon.Must present this MLM coupon. Your Pets Home Away from Home $50 Any 3 Night Stay 772-218-5131 With this MLM coupon. Expires 4/30/23 Off BOB’S MIRROR REMOVAL Serving: Palm Beach, Martin, St. Lucie, & Indian River Counties 772-486-4589 FREE Estimates Bob's Mirror Removal_0113-0223_HI564 • Prompt, Courteous Service • Over 30 Years of Experience • Remove Mirror Walls & Vanity Mirrors • Secure Loose Mirrors • Hang Your Framed Mirrors MIRROR REMOVAL Licensed & Insured Specializing in… • Hazardous Tree & Limb Removal • Palm Tree Trimming • Total Tree Care Licensed & Insured 20% Off All Services MLM coupon expires 4/28/23 772.361.6187 FREE ESTIMATES! 132 NE Dixie Hwy., Stuart, FL 34994 Licensed & Insured State Certi ed License #CCC024411 Serving Martin & Palm Beach Counties for Over 30 Years! “You’ve tried the rest…now call the Best!” Re-Roof & Repair Specialists METAL ROOFS Starting At Starting At $17,500 TILE ROOFS (Minimum 3500 Sq Ft of Roof) $24,500 (Minimum 3500 Sq Ft of Roof) 772-692-9854 Re-roofs • Repairs • New Construction • Cement & Clay Tile Fiberglass Shingles • Wood Shakes • 5-V & Standing Seam Metal Built-up Modi ed Rubber • Residential & Commercial 25- to 50-Year Material Warranty Available 5- to 10-Year Labor Warranty Available Martin County’s Trusted Name Since 1980!
VOL. 564 G 65 Copyrighted© My Living Media. 2023 All Rights reserved. To Advertise call 772-247-6849 Need More Coupons - MyLivingMedia.com ONE-STOP SOURCE for All Your Construction Needs • Windows & Doors Replacement • Exterior & Interior Painting • Home Additions • Flooring: Tile, Marble, & Wood • Wall Pictures, Windows Case, Base, Etc. Over 15 Years of Experience Licensed & Insured CBC#1261628 Upgrade Your Floor AND RECEIVE A FREE 5 1/4 WOOD BASE BOARD ANY JOB $25K OR MORE! Offer cannot be combined. • Expires 4/28/23Offer cannot be combined. • Expires 4/28/23 Call For FREE ESTIMATE contact@apexbuildercontractor.com www.apexbuildercontractor.com 772-232-7128 772-232-7114 $2,500 OFF WE SPECIALIZE IN HOME ADDITIONS New Homes & Commercial Kitchen Remodeling Windows & Doors Bathroom Remodeling
66 VOL. 564 G Copyrighted© My Living Media. 2023 All Rights reserved. To Advertise call 772-247-6849 Need More Coupons - MyLivingMedia.com POOL SCREEN ENCLOSURES THE ORIGINAL Locally Owned & Operated Since 1990 • Pool Screen Enclosures • Patio & Lanai Screens • Poly Aluminum Roofs • All Work Guaranteed • All Repairs • FREE Estimates • www.pioneerscreen.com 772-232-8607 38 Years of Experience Licensed & Insured To Protect You $100 OFF ANY RESCREEN OR REPAIR OVER $1000 WE WILL MEET OR BEAT ANY LICENSED CONTRACTOR’S ESTIMATE WITH THE SAME QUALITY PRODUCTS! UP TO Veteran Owned 13+ years Experience Fully Insured PRESSURE WASHING ROOF CLEAN & SEAL! Roof Cleaning 10%OFF $50OFF Coupons cannot be combined. 1 o er per visit. Exp 4/30/23 Coupons cannot be combined. 1 o er per visit. Expires 4/30/23 Service (Roof Max $50) Single Cleaning • Track Repair • Roller Replacement • Window Repair • New Locks & Latches Insured & Registered Since 1993 “CALL THE LOCAL COMPANY” Martin & St. Lucie Counties Before push! After easy slide! 10% OFF REPAIRS Must present this coupon prior to any service. Cannot be combined with other offers or discounts. Expires 4/29/23 Sliding Door & Window Repair FREE ESTIMATES 772-219-0724
VOL. 564 G 67 Copyrighted© My Living Media. 2023 All Rights reserved. To Advertise call 772-247-6849 VILLAGE BOOTERY SHOE STORES $10 OFF Your Next Village Bootery Purchase Expires 4/15/23 245 U.S. Highway One • Tequesta 561.746.3536 Discount not available on sales merchandise. VILLAGE BOOTERY SHOE STORES
68 VOL. 564 G Copyrighted© My Living Media. 2023 All Rights reserved. To Advertise call 772-247-6849 Need More Coupons - MyLivingMedia.com 772-362-1444 www.moceantherapy.com Captain Je 30 YEAR IN EXPERIENCE SPORTFISHING MOCEAN THERAPY CHARTERS
VOL. 564 G 69 Copyrighted© My Living Media. 2023 All Rights reserved. To Advertise call 772-247-6849 Need More Coupons - MyLivingMedia.com • Fishing Trips • Custom Cruises • Sight Seeing 34’ Center Console • 60’ Sport Fish 40% OFF FULL DAY CHARTER SPORTFISHING Deep Sea Fishing Limited time o er. Call for details
70 VOL. 564 G Copyrighted© My Living Media. 2023 All Rights reserved. To Advertise call 772-247-6849 Need More Coupons - MyLivingMedia.com PRESSURE-FREE ESTIMATES License #SCC131152686 8721 US-1 South • Port St. Lucie 34952 772-617-4026 StormProtectionPros.com YOUR HOMETOWN WINDOW & DOOR COMPANY FAMILY OWNED & OPERATED Instant Rebate on Whole House SOME RESTRICTIONS APPLY UP TO$5000 OFF HURRICANE & IMPACT RESISTANT • WINDOWS • ENTRY DOORS • SLIDING GLASS DOORS • BI-FOLD WINDOWS & DOORS APPROVED CONTRACTOR affordable choice cremation LOCAL • CONVENIENT • TRUSTED 772.595-2811 1241 SE Indian St. • Unit 110 • Stuart www.affordablechoicecremation.com FLORIDA COMMUNITIES WE SERVE: Port St Lucie, Fort Pierce, Vero Beach, Jensen Beach, Stuart, Hobe Sound THE LOW COST CREMATION OPTION $795* From *A Medical Examiner’s Fee of $50 May Apply Family Owned and Locally Operated for 5 Generations 7410 S. US Hwy. 1 • Unit 400 • Port St. Lucie
VOL. 564 G 71 Copyrighted© My Living Media. 2023 All Rights reserved. To Advertise call 772-247-6849 Need More Coupons - MyLivingMedia.com Scan here to schedule your FREE estimate 772.773.6629 WWW.MYTCTRIMLIGHT.COM Pre-Set Patterns for: Homes • Businesses • Pool Enclosures • Special Events & Holidays • 16 Million Colors • On/Off Schedule • Dimmable Lights • Lifetime Product Warranty PERMANENT LED COLOR-CHANGING LIGHTS RAINBOW LIGHTS SELECTED ON APP WHITE LIGHTS SELECTED ON APP MOBILE APP ACCESSIBLE Purchase over 150LF Expires 4/30/23 $375OFF 772.238.3181 DRIVEWAYS • PATIOS HOUSES • ROOFS & MORE! NEED YOUR PAVERS REPAIRED? Pressure Washing, Pavers, & Surface Restoration and Repair 30 Years of Experience Driveway Special $39 MLM Coupon Expires 4/30/23 (UP TO 450 SQ. FT.) WITH A HOUSE & ROOF CLEANING MLM Coupon Expires 4/30/23 15 % OFF Any Service Over $500 Driveway Special $59 MLM Coupon Expires 4/30/23 (UP TO 450 SQ. FT.) WITH A HOUSE OR ROOF CLEANING Wills, Trusts, & Probate Elder Law • Real Estate Estate Planning & Administration Will Travel to Client 561-547-0549 Fax: 561-420-6300 Judith Ann Just Attorney, P.A. Jensen Beach, FL The hiring of a lawyer is an important decision that should not be based solely on advertisement. Before you decide, ask me to send you some written information about my quali cations and experience. www.judithjust.com Email: judithjust01@hotmail.com AS SEENONTV SAVE 50% On the First $200 of Work MINIMUM JOB $350 Must be presented at time of estimate. With this coupon. Cannot be combined with other offers. Expires 4/30/23 FM CUSTOM UPHOLSTERY 772.209.3433 FABRICATOR • NO MIDDLE MAN • Cars, All Convertible Tops • Boats • Planes • Homes & Commercial • Complete Mobile Service Specializing in All Upholstery FREE ESTIMATES 20% OFF ALL SERVICES With this OMS coupon. Expires 4/28/23 WE COME TO YOU!
72 VOL. 564 G Copyrighted© My Living Media. 2023 All Rights reserved. To Advertise call 772-247-6849 Need More Coupons - MyLivingMedia.com FREE TREE & PALM TRIMMING We Beat AnyEstimateWritten WE SPECIALIZE IN TREE REMOVAL • Rock & Stone Install • Palm/Tree Removal • Irrigation install & Services • Stump Grinding • Pressure Washing • Brazilian Pepper Tree Cut Back & Removal • Installation/Design • Lawn Maintenance • H.O.A Approved • Hazardous trees that are too close to the roof Choose Us for All of Your Gutter Needs! Call Now! 772-238-5589 $50 15% Call A/C Now for Service that Wows! Air Conditioning Repair, Maintenance, Installation Heating Pool Heating Commercial Residential Safe Vendor Certi cation 772-362-2769 Serving Martin & N. Palm Beach County Veteran Owned & Operated 30 Years Experience acnowllc.com FREE $69 $45 $65 SERVICE CALL REPLACE YOUR AC SYSTEM FOR AS LOW AS PER MONTH AIR CONDITIONER TUNE UP HOME AIR QUALITY EVALUATION **With Repair During Normal Business Hours With this MLM coupon. Expires 4/15/23With this MLM coupon. Expires 4/15/23With this MLM coupon. Expires 4/15/23 *with approved nancing
VOL. 564 G 73 Copyrighted© My Living Media. 2023 All Rights reserved. To Advertise call 772-247-6849 Need More Coupons - MyLivingMedia.com CALL TODAY FOR A free estimate! DRIVEWAYS • WALKWAYS • PATIOS • POOL DECKS • RETAINING WALLS CUSTOM POOL REMODELS • NEW POOL CONSTRUCTION • CLEAN & SEAL PAVERS • REPAIRS MARTIN 772-419-5151 PALM BEACH 561-844-9370 apexpaversandpools.com LICENSED & INSURED: CPB #4701 • U-20589 • U-20796 • RP #4701 *WITH APPROVED CREDIT. OFFERS CANNOT BE COMBINED. Apex Pavers & Pools, Inc. 725 SE Monterey Rd., Stuart, FL 34994 COME VISIT OUR SHOWROOM! POOLS TRANSFORMING THE ORDINARY TO Extraordinary FINANCING AVAILABLE CONTACT US TODAY TO LEARN MORE* CALL TODAY FOR A free estimate! DRIVEWAYS • WALKWAYS • PATIOS • POOL DECKS • RETAINING WALLS CUSTOM POOL REMODELS • NEW POOL CONSTRUCTION • CLEAN & SEAL PAVERS • REPAIRS MARTIN 772 - 419-5151 PALM BEACH 561-844-9370 apexpaversandpools.com LICENSED & INSURED: CPB #4701 • U-20589 • U-20796 • RP-252555006 *WITH APPROVED CREDIT. OFFERS CANNOT BE COMBINED. Apex Pavers & Pools, Inc. 725 SE Monterey Road, Stuart, FL 34994 POOLS TRANSFORMING THE ORDINARY TO Extraordinary 12 MONTHS SAME AS CASH NO INTEREST, NO PAYMENTS FOR 12 MONTHS* COME VISIT OUR NEW SHOWROOM! LICENSED & INSURED: CPB #4701 • U-20796 • RP-252555006 • CPC 1458696 Visit Our Showroom DRIVEWAYS • WALKWAYS • PATIOS • POOL DECKS • RETAINING WALLS CUSTOM POOL REMODELS • NEW POOL CONSTRUCTION • CLEAN & SEAL PAVERS • REPAIRS
74 VOL. 564 G Copyrighted© My Living Media. 2023 All Rights reserved. To Advertise call 772-247-6849 Need More Coupons - MyLivingMedia.com SUMMIT PROFESSIONAL PAINTING, LLC FREE ESTIMATES $ 200 OFF ANY PROJECT NO DEPOSIT REQUIRED. PAY UPON COMPLETION Present this MLM Ad at time of Estimate OF $1000 OR MORE THE PAINTING PROS 772-785-6257 17 YEARS OF EXPERIENCE ON THE TREASURE COAST Fully Licensed & Insured • License # CPTG5882 BEAUTIFY YOUR YARD! FREE ESTIMATE QUALITY GUARANTEED 772.626.3704 CALL US TODAY! About Us: • Locally Owned & Operated • Licensed & Insured • Over 10 Years Serving the Treasure Coast • Create Relaxation Space • Landscape & Hardscape Design • Tree Removal/Trimming • Stump Grinding • Bob Cat • Lot/Land Clearing • Site Work & More We Honor Those Who Serve Evolution Forestry & Landscaping evolutionforestry.com New or Revitalized Landscaping Project $1,000 or more. (*Max Discount of $100). With this AD. Expires 4/29/23 $100OFF
VOL. 564 G 75 Copyrighted© My Living Media. 2023 All Rights reserved. To Advertise call 772-247-6849 Need More Coupons - MyLivingMedia.com S CROSSWORD SOLUTION SOLUTION TIME: 25 MINS. PUZZLE SOLUTIONS PUZZLE SOLUTIONS 10% OFF Ramos TREE SERVICE ✔ Tree Removal ✔ Tree Trimming ✔ Tree Topping YOUR LOCAL TREE TRIMMING EXPERTS! Best Rates In Town! QUALITY SERVICE YOU CAN TRUST Call A/C Now for Service that Wows! Air Conditioning Repair, Maintenance, Installation Heating Pool Heating Commercial Residential Safe Vendor Certi cation 772-362-2769 Serving Martin & N. Palm Beach County Veteran Owned & Operated 30 Years Experience acnowllc.com FREE $69 $45 $65 SERVICE CALL REPLACE YOUR AC SYSTEM FOR AS LOW AS PER MONTH AIR CONDITIONER TUNE UP HOME AIR QUALITY EVALUATION **With Repair During Normal Business Hours With this MLM coupon. Expires 4/15/23With this MLM coupon. Expires 4/15/23With this MLM coupon. Expires 4/15/23 *with approved nancing

The Secret to Timeless Beauty!

Your all-in-one beauty lounge, boutique, and surgery center! Albany is here to help you feel con dent and beautiful in your skin. Albany is home to it all, from toxins & llers to lashes & brows, a surgery center and boutique lled with jaw-dropping pieces. Visit Albany Aesthetics

today, located in Stuart and Vero Beach. Kiera DiCicco, master injection specialist and owner of Albany Aesthetics is a licensed nurse practitioner and advanced nurse anesthesiologist with 7+ years of experience. She also owns Beauty Sleep Anesthesia, a practice that provides anesthesia services for local surgeons.

Kiera is a professional, and her artistry is awless. Other injectors have tried to recreate Kiera’s technique due to its success. Stop by Albany to get #KyssedbyKiera; Kiera and her highly-trained professionals look forward to enhancing your natural beauty. Make all your injectable dreams come true by choosing Albany Aesthetics.

“I am truly passionate about my work and pride myself on the ability to expertly analyze problem areas and make suggestions for clients to perform precise procedures which will help clients feel con dent and beautiful.”

4 VOL. 564 H/K Copyrighted© My Living Media. 2022 All Rights reserved. To Advertise call 772-247-6849 Need More Coupons - MyLivingMedia.com
– Kiera
Albany
BASIC FILLERS With this MLM Ad • Exp. 4/30/23 $50 OFF FULL SYRINGE $30 OFF ANY NEUROTOXIN BOTOX, DYSPORT, JEUVEAU ANY PURCHASE IN OUR BOUTIQUE With this MLM Ad • Exp. 4/30/23 With this MLM Ad • Exp. 4/30/23 OFF20%
Aesthetics
LASER TREATMENTS | LIQUID RHINOPLASTY FACIALS | LASHES NEUROTOXINS | MICRONEEDLING FILLERS | FACIAL CONTOURING 2750 S Kanner Hwy • Stuart 772-362-2121
78 VOL. 564 G Copyrighted© My Living Media. 2023 All Rights reserved. To Advertise call 772-247-6849 *Additional charges may apply for heavily soiled areas Serving the Treasure Coast from Vero to Palm Beach 772-919-7163 • 561-250-0088 WWW.CarpetCleanerInFlorida.com 3 ROOMS $68 2 ROOMS $42 5 ROOMS $99 TILE & GROUT CLEANING 39¢ SQ. FT. 100 SQ. FT. MINIMUM FURNITURE CLEANING $60 SOFA OR LOVE SEAT OR 2 CHAIRS AREA RUGS $40 AND UP PREVENTS FIRES DRYER VENT CLEANING FREE DEODORIZER, SANITIZER, & DISINFECTANT $85FROM & SPEEDS DRYING TIME OFFER #MS3-3 CARPET CLEANING Licensed Ask about ...dries in half the time!
VOL. 564 G 79 Copyrighted© My Living Media. 2023 All Rights reserved. To Advertise call 772-247-6849 Need More Coupons - MyLivingMedia.com Don’t Spend $8k - $12k on a NEW DRAIN FIELD! Available Nights, Weekends, & Holidays! Serving All of Martin & St. Lucie Counties DUALLPLUMBERS.COM • Lic. #CFC1429556 $50 $1 00 $2 50 off off off ANY SEPTIC PUMPING ANY DISTRIBUTION BOX REPLACED ANY NEW DRAIN FIELD INSTALLATION Not valid with other offers or prior services. Must present MLM coupon. Limit 1 coupon per service call. Not valid with other offers or prior services. Must present MLM coupon. Limit 1 coupon per service call. Not valid with other offers or prior services. Must present MLM coupon. Limit 1 coupon per service call. G G G LET DU-ALL PLUMBING SAVE YOU THOUSANDS! CALL TODAY! FULL SEPTIC CLEANING PACKAGE INCLUDES: • No damage to lawns or property • 1-year warranty on septic system • 1 Septic tank maintenance pump out within rst 1 year • 30% credit towards a new drain eld if installed by DU-All Plumbing • New lter installed • Filter cleaned at no charge for rst 1 year • FREE bacteria treatment & 1 year of bacteria packets 772-408-9009 All things work together for good. 772.882.ROOF $500off (7663) stormproofroofinginc.com • Re-Roo ng • Installation • Repairs • New Construction DISCOUNTS FOR SENIORS & VETERANS! ANY NEW ROOF With this MLM coupon. Expires 4/29/23 License # RC29027829
Second Location 4880 SE Federal Hwy. • Stuart 552 US Hwy. 1 North • Tequesta (LOCATED IN THE PUBLIX PLAZA) 1-833-ACE-CART 223-2278 Second Location Aceofcarts.com Ace of Carts Authorized Club Car Dealer Now Open in Tequesta! Ace of Carts has the Area’s Largest Selection of Golf Carts! SALES• SERVICE • PARTS Residential Customer PRSRT STD ECRWSS US POSTAGE PAID PERMIT #145 STUART, FL 2081 SE Ocean Blvd. • Suite 4 Stuart, Florida 34996 • 772-334-2121 OVER 200 BRAND NEW CLUB CARS IN STOCK! Must be a 2022 Model Year Club Car from dealer stock. Offer expires 4/30/23 or while supplies last. Financing is available with standard rates. Not eligible for 0% Financing promotion; offers do not combine. $1000 OFF *MSRP on any Club Car from Dealer Stock BIGGEST SAVINGS OF THE YEAR!

Turn static files into dynamic content formats.

Create a flipbook
Issuu converts static files into: digital portfolios, online yearbooks, online catalogs, digital photo albums and more. Sign up and create your flipbook.