D2-Jupiter Farms Living-Vol.565

Page 1

See Pages 4 & 5 Organize Your Wardrobe Space Farms Jupiter VOL. 565-D2 Living MYLIVINGMEDIA.COM Index Page 9 For What It’s Worth Pg. 28 Puzzle Page Pg. 66 Hurricane Protection Pg.3
2 VOL. 565 D Copyrighted© My Living Media. 2023 All Rights reserved. To Advertise call 772-247-6849 Need More Coupons - MyLivingMedia.com LASER TREATMENTS | LIQUID RHINOPLASTY | FACIALS | LASHES NEUROTOXINS | MICRONEEDLING | FILLERS | FACIAL CONTOURING BASIC With this MLM Ad • Exp. 4/30/23 2750 S Kanner Hwy • Stuart 561-823-2731 FULL SYRINGE $30 $40 $50 20% OFF OFFOFF OFF ANY ANY FACIAL FILLERS BOTOX, DYSPORT or JEUVEAU ANY PURCHASE IN OUR BOUTIQUE With this MLM Ad • Exp. 4/30/23With this MLM Ad • Exp. 4/30/23With this MLM Ad • Exp. 4/30/23 Albany Aesthetics The Secret to Timeless Beauty!
VOL. 565 D 3 Copyrighted© My Living Media. 2023 All Rights reserved. To Advertise call 772-247-6849 www.myhurricanewindow.com Don’t Get Caught Off Guard, Use Florida’s #1 Rated Hurricane Window 561-782-7298 Free Quote! Call Today! LICENSED & INSURED SCC131151738 Scan to schedule your APPOINTMENT! HURRICANE SEASON ISLESS THAN Palm Beach County’s Local Premier Window Contractor *FINANCING DISCLOSURE. Prices will vary for larger sizes or different style windows. Contractor in neither a broker nor a lender. Financing is provided by third-party lenders unaf liated with contractor, under terms and conditions arranged directly between the customer and such lender, all subject to credit requirements and satisfactory completion of nance documents. Any nance terms advertised are estimates only. *8-10 Weeks Delivery is from date of factory order. Contractor is not responsible for HOA permit or manufacturer delays. Some Restrictions Apply FINANCING AVAILABLE **ZERØ! Until 2025! Ø Interest Ø Payments Or starting at Whole House of Windows and Doors per month $169 DAYS AWAY! 49 Installation 8 to 10 Weeks*

Closet Designs to Fit Your Style and Budget

A closet is more than a place to stow your suits and sweaters… it’s the place where you prepare for the day ahead and where you begin to undress and unwind at the end of the night! So it should be a soothing space, one that doesn’t add to your stress.

The spacious walk-in closets from Closets by Design of the Palm Beaches and Treasure Coast allow you to dress and undress in style while your clothing and accessories are neatly displayed within easy reach. There’s no clutter or chaos, just expert craftsmanship and aesthetically-pleasing design; and, it can all be achieved within your budget!

Closets by Design of the Palm Beaches and Treasure Coast is passionate about maximizing home storage without affecting the beauty of your interior. They design, build, and install custom

reach-in closets, walk-in closets, and kids’ closets. Additionally, the company offers custom designs along with production and installation of garage cabinets, home of ces, laundries, pantries, media centers, hobby rooms, wall beds, wall units, and so much more. Ask Closets by Design of the Palm Beaches and Treasure Coast about their garage wall organizers, garage ooring, work benches, custom jewelry drawers, wine racks, book shelves, cedar paneling and hampers, too… they do it all!

The process starts with the experts at Closets by Design of the Palm Beaches and Treasure Coast measuring your space and itemizing your belongings, then showing you ideas and samples to help you nd a style that’s just right for you. From there, your designer will work with you to custom design your space using dozens of material options and hundreds of features from one of their 4 collections.

Once your designs are exactly the way you want them, your units are custom built using the nest materials from the Closets by Design of the Palm Beaches and Treasure Coast

Copyrighted© My Living Media. 2022 All Rights reserved. To Advertise call 772-247-6849

Need More Coupons -

factory. The company then professionally installs everything exactly to the speci cations of your designs from the collection you chose.

There are four collections to choose from at Closets by Design of the Palm Beaches and Treasure Coast: the Everyday Collection, Classic Collection, Regency Collection, and Brio Collection.

Everyday Collection™

Fresh and modern, the Everyday Collection™ offers a sleek solution for your closet clutter. This design includes 3/4-inch straightedge panels, adjustable shelves, and half-overlay at face doors. Best of all, it’s available at a price that’s equally as pleasant as its appearance.

Classic Collection™

Combine simplicity and style with the Classic Collection™. It unites essential organization with stylish design to create the practical closet you’ve been looking for. This collection features our exclusive soft edge treatment and half

overlay doors and drawers.

Regency Collection™

The Regency Collection™ incorporates 1 1/8” thick panels with 3/4” shelving for a sophisticated look you’ll love for years. Add tilt-out hampers, islands, and countertops to create a convenient, stylish space that has everything you need.

Brio Collection™

When you’re in the mood for something modern and bold, the Brio Collection™ answers the call. Sleek corners and clean edges surround the system of atfront doors and drawers. Display your carefully curated wardrobe against a clean nish for a timeless look.

Closets by Design of the Palm Beaches and Treasure Coast has been earning a reputation for integrity since 1982. As the industry leader in customer service

and innovative home design, their values are rooted in a deep passion for delivering

home transformations that transform lives. So what are you waiting for? Schedule a FREE in-home design consultation and estimate from Closets by Design of the Palm Beaches and Treasure Coast!

Closets by Design of the Palm Beaches and Treasure Coast is open Mondays through Fridays from 8AM-5:30PM. For more information, call 772-2073265 or visit palmbeach. closetsbydesign.com.

Copyrighted© My Living Media. 2022 All Rights reserved. To Advertise call 772-247-6849
MyLivingMedia.com
40% O Plus Free Installation Terms and Conditions: 40% o any order of $980 or more or 30% o any order of $680-$979 on any complete custom closet, garage cabinets, home o ce, pantry, laundry, wall bed, wall unit, hobby room or garage ooring system. Not valid with any other o er. Free installation with any complete unit order of $600 or more. Expires in 30 days.
6 VOL. 565 D Copyrighted© My Living Media. 2023 All Rights reserved. To Advertise call 772-247-6849 Need More Coupons - MyLivingMedia.com Call for a free in home design consultation and estimate Imagine your home, totally organized! Custom Closets, Garage Cabinets, Home Offices, Pantries, Laundries, Hobby Rooms and more... 40% Off Plus Free Installation Terms and Conditions: 40% off any order of $980 or more or 30% off any order of $680-$979 on any complete Custom Closet, Garage Cabinets, Home Office, Pantry, Laundry, Wall Bed, Wall Unit, Hobby Room or Garage Flooring system. Not valid with any other offer. Free installation with any complete unit order of $600 or more. Expires in 30 days. Call for a free in home design consultation and estimate (561)203-4745 www.closetsbydesign.com MSJ Follow us 2020 © All Rights Reserved. Closets by Design, Inc. Walk-In-Closets Laundry Rooms Home Offices Garage Cabinets Follow us www.closetsbydesign.com CGC1509325 & MC1900055 (561) 203-4745 MSJ

Dr. Gaeta is a Board Certi ed Implant Dentist with over 35 years of experience. Dr. Gaeta is a General Dentist and is a Diplomate of The American Board of Oral Implantology/Implant Dentistry (ABOI/ID), a Fellow at Misch Implant Institute and an Associate Fellow at the American Academy of Implant Dentistry (AAID).

Diplomates are AAID members who have become Diplomates of the American Board of Oral Implantology/Implant Dentistry (ABOI/ID). The ABOI/ID is a certi cation agency that serves independently to protect members of the public who seek dental implant care. This designation signi es that these dentists have met the highest criterions in oral implantology; that they have met educational and experiential standards, have reached an in-depth level of knowledge and acquired a pro cient level of skill and ability.

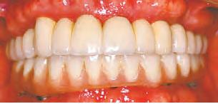
VOL. 565 D 7 Copyrighted© My Living Media. 2023 All Rights reserved. To Advertise call 772-247-6849 Need More Coupons - MyLivingMedia.com OPEN FOR EMERGENCIES | AFFORDABLE DENTAL EXCELLENCE IS NOW HERE! WE ARE PRIVATELY OWNED, NOT A CHAIN OR CORPORATE ENTITY. WE SPECIALIZE IN FULL MOUTH RECONSTRUCTION Additional services we offer include CLEAR TOOTH ALIGNERS, SINGLE IMPLANTS, DENTURES & MORE!!! FREE IMPLANT CONSULTATION (Exam & Digital X-Ray or 3D Cone Beam) (D0150, D9310, D0330 & D0383) SureSmile® OR CLEAR TEETH ALIGNERS OUR EXPERIENCED DENTISTS HAVE PLACED THOUSANDS OF IMPLANTS You Des ve a Beautiful Smile! SALVATORE MELITA, DDS ALANA SHIELDS, BSN, RN, DMD JOSEPH GAETA JR., DDS Better On 8™ Cleaning Porcelain Fused to Metal Crown Zirconium All Porcelain Crown $79 $699 $899 Includes Free Exam & X-Rays New Patients Only LIMITED OFFER (D1110, D0150, D4355,D0330) (D2751) (D2740) FULL ROUND HOUSE BRIDGE A Better Alternative to All-On-4 Benefits • Very little, if any speech changes • Does not cover any part of the palate • Can be cleaned just like bridges on teeth • Require no special abutments (All-on-4 protocol requires angle correct on abutments which are not bone or gum tissue friendly) • Usually do not need pink porcelain at the gumline (because aggressive bone removal is not necessary) D6010, D6056, D6240, D6060 BETTERON8.COM D6010, D6056, D5863, D5865, D5862 PER ARCH WITH LOCATORS PER ARCH D6010, D6056, D6065, D6060 50% SAVINGS WE USE MEGAGEN IMPLANT SYSTEMS Implant, Abutment, and Zirconium Crown Implant, Abutment, and Crown Only$1,899 Only$2,099 D7140 DENTURES INTERMEDIATE $999 DELUXE $2,000 D5130/D5140 D5110/D5120 With Simple Extractions Starting at $99 We will beat any like-priced quote $8,499 Implant and Abutments Placed Crown and Bridge Porcelain Fused to Metal Implant Abutments Placed $14,500 FULL MOUTH RECONSTRUCTION ROUND HOUSE BRIDGE 8/6 IMPLANTS & 12 UNITS OF CROWNS starting at starting at WE WILL MEET OR BEAT ANY WRITTEN ESTIMATE ON IMPLANTS, ROOT CANALS, & CROWNS! WALKINS WELCOME EVENING APPOINTMENTS AVAILABLE PRICES ARE SUBJECT TO CHANGE WITHOUT NOTICE WITH THE EXCEPTION OF PREVIOUSLY SCHEDULED TREATMENT PLANS. THE PATIENT AND ANY OTHER PERSON RESPONSIBLE FOR PAYMENT HAS THE RIGHT TO REFUSE TO PAY, CANCEL PAYMENT OR BE REIMBURSED FOR ANY SERVICE EXAMINATION OR TREATMENT WHICH IS PERFORMED AS A RESULT OF AND WITHIN 72 HOURS OF RESPONDING TO THE ADVERTISEMENT FOR THE FREE, SERVICE, EXAMINATION OR TREATMENT. LIC #DN10761 5612506307 6390 W. Indiantown
#32 •
the West End of the Chasewood Plaza AppearanceImplants.com SCAN HERE OPEN MON.FRI. EVENING HOURS AVAILABLE
Rd.,
Jupiter, FL 33458 At
DIGITAL...SOCIAL DIRECT MAIL 772-247-6849 100 + UNIQUE COMMUNITY MAGAZINES Reach the most affluent communities in Florida, Mailing Palm Beach, Martin, St. Lucie, Indian River & Okeechobee Counties Direct Mail, High Quality Glossy Postcards & Inserts allowing you to target specific affluent zip codes Specializing in Digital, Mobile, & Social Media Marketing my LIVING MEDIA FLORIDA’S PREMIER DIRECT MAIL & MULTIMEDIA MARKETING COMPANY FRONT COVER FREE Some Restrictions Apply. Please call for details. Some Restrictions Apply. Please call for details. Buy 1, Get 1 Free including 2-Page Editorial 50,000 HOMES Any Size Ad • Some Restrictions Apply. Please call for details. BUY 10 ZONES, GET 3 FREE FREE MAILING Per Home * 24¢ Designed, printed and mailed for Postcards Living Magazines Per Home1¢ Direct Mail Your Customers for less than… GROW YOUR BUSINESS
CONTENTS
ZONE
ANIMAL AND PETS Bark N Lounge Pet Resort 53 Health E Pets 36 AUTOMOTIVE Ace of Carts 39 Goodyear Indiantown Tire and Service 79 Islands Auto Spa 17 JLD Auto ................................................... 73 Prime Golf Cars 22 BEAUTY Aesthetics by Kallee .................................. 36 Albany Aesthetics 2 Amanda Ghattas Jupiter Hair 42 Anita Belcher-Sassy Scissors 40 BeautyFi MedSpa ...................................... 32 Begin Anew Med 12 Great Clips PBG 30 Jupiter Nails 48 Absolute Wellness Spa .............................. 39 CLEANING SERVICES Absolute Cleaning Service.........................42 Honor Carpet Cleaning 78 Jeae Cleaning Services LLC 64 Oliver Twist Pressure Washing...................44 Paul Stetson Pressure Cleaning 44 Royal Maid Service 62 Stanley Steemer 11 The Groutsmith Grout Cleaning 49 Wonder Sisters Cleaning Service 36 DINING AND ENTERTAINMENT Baldino’s Restaurant 23 Blue Water Taco 22 Burrito Social 25 Chicago Hot Dogs 41 China Jade 49 Jupiter Farms Pizza 25 Lindburgers 20 Lola’s Seafood 24 Performing Arts Academy of Jupiter 14 Thai West 22 The Connection for Subs and Sandwiches 21 The Grove 23 Vinny’s Pizza 21 Vulcano’s Italian Restraunt & Pizzeria 24 GOLF Riverbend Golf Club 34 HOME IMPROVEMENT A Master Closet 71 AC Now LLC..............................................73 Affordable and Superior Painting 79 All Shutters Solutions 45 Alliance Group Roo ng 50 Alternate Power Solutions 70 Bill sh Air Conditioning 75 Blackstone Kitchen and Bath 15 Brilliant Roo ng 40 Browns Milling-The Closet Clinic 48 Budget Fence............................................53 Camco Custom Pools 43 Closets By Design 6 Code Red Roofers 69 Como Oil & Propane 54 Complete Synthetic Turf ............................ 20 Du-All Plumbing 67 East Coast Electric Screening 68 Eco View Windows 18 Exceptional Painting 52 Fencing South Florida 79 Filterbuy 35 First Impression Doors and More...............10 Floortek Concrete Coatings ....................... 64 FoxHaven Roo ng 65 Galene 62 Gutters By TK 73 Hitching Post 63 Jupiter Sod and Landscaping 54 Jupiter Tree Care 60 Kamrell Windows and Doors 61 Kitchen Tune Up ........................................ 60 Level Best Roo ng 59 Marzo Roo ng Inc 54 Mister Roof 50 Mosquito Shield 46 Nex Floors 58 North County Plumbing 40 Ogden Custom Services Inc. 41 OX Floor Coating ....................................... 19 Palm City Sod 74 Pioneer Screen LLC 72 Plantation Shutters Florida 31 Plumb Rite Plumbing 43 Precision Door Service 42 PS Flooring Inc. 57 Scollo Painting 62 Screen Builders ........................................ 56 Seaglass Window......................................70 Stott Brothers Electric 43 Total Image 56 Triple M Brick Pavers 72 Tropical Pools 58 Wagner’s Refrigeration..............................53 Window Replacement Group 55 Window World of the Space Coast 41 Windowz and More 51 Yard Lites 68 Younique Custom Theater 53 INSURANCE AND BENEFITS Florida Health Group-Compass Health 29 JEWELRY M & J Jewelers 39 Oteri’s Wholesale Jewelry 37 LAWN AND GARDEN IMA Landscaping 52 Saul Tree Services 64 Tree Works 70 MARINE Sovereign Yachts 27 Top Side 28 MEDICAL AND HEALTH Abacoa Podiatry 13 Alpaca Audiology 30 Angelo G Forte .......................................... 13 Appearance Implant and Family Dentistry 7 Arroyo Health Labs 31 Dentistry By Design 34 Dr. Samuel Holcroft 16 MMJ Health 26 New Beginnings Medical 27 Premier Dentistry 38 PROFESSIONAL SERVICES Action Vacuum 52 ASAP Dryer Vent Cleaning 11 Demented Graphics 32 Dryer Vent Cleaner, The 74 Frederick Capitelli Music 44 RETAIL Hot Tub Sales 45 Jupiter Hardware 37 The Lamp Connection 68 The Summer House 33 Village Bootery 72 TRANSPORTATION TC Limo Services 53 Travel by Solstice 44 Volume 565 April 2023 For advertising rates and information Email: sales@mediaoms.com Call 772-247-6849 © 2023 by My Living Media. All rights reserved. Although some parts of this publication may be reproduced and reprinted, we require that prior permission be obtained in writing. My Living Magazine is a free publication distributed locally and is supported by our advertisers. Please call to find a location near you or if you would like copies placed at your business. We do not necessarily endorse the views expressed in the articles and advertisements, nor are we responsible for the products, and services advertised. We are not responsible for licensing or certifying businesses, nor are we responsible for verification of these requirements. We welcome your ideas, articles and feedback. *Dining pictures shown are for illustration purposes only. Actual products may vary due to product enhancement.
MY LIVING
-
D
10 VOL. 565 D Copyrighted© My Living Media. 2023 All Rights reserved. To Advertise call 772-247-6849 Need More Coupons - MyLivingMedia.com Make a GREAT First Impression with new Front Doors! New Solid Core Doors • New Door Hardware • New Hinges We are Palm Beach County’s Largest Specialty Door Store WE HAVE DOORS TO FIT ANY BUDGET! Transform your home by installing new custom interior doors without the mess and hassle of major construction. Choose from a wide variety of contemporary, traditional and transitional door styles. License # CBC037800 FINANCING AVAILABLE Impact Resistant Fiberglass & Mahogany Entry Doors • Impact Resistant Decorative Glass Inserts Interior Doors • Impact Resistant French & Siding Glass Doors • Impact Resistant Windows Call Today to schedule your FREE SHOWROOM appointment or schedule online www.FLORIDADOORS.COM BOCA RATON | 9858 Clint Moore Rd., Suite C-128 • Boca Raton, FL 33496 Tuesday - Friday • 9am - 5pm Saturday • 9am - 4pm • 561-621-5963 WEST PALM BEACH | 346 Pike Road, Suite 6, West Palm Beach, FL 33411 Monday - Friday • 7am - 4:30pm Saturday • 9am - 4pm • 561-220-3634 JUPITER | 75 E. Indiantown Road, Suite 507, FL 33477 Tuesday - Friday • 9am - 5pm Saturday • 9am - 4pm • 561-464-6102 15% OFF Installed Doors * Offer not valid on prior sale. Applies to installed exterior & interior doors only. Offer ends 6/30/23
VOL. 565 D 11 Copyrighted© My Living Media. 2023 All Rights reserved. To Advertise call 772-247-6849 Need More Coupons - MyLivingMedia.com FAMILY OWNED & OPERATED • SCHEDULE ONLINE TODAY AT: WWW.STANLEYSTEEMER.COM FIRE, WATER, & MOLD DAMAGE RESTORATION SERVICE Immediate Response 24-HOUR EMERGENCY Minimum charges apply. Cannot combined with other offers. Residential and Commercial. Must present this MLM Coupon at time of service. Valid at participating locations only. Certain restrictions may apply. Call for details. Lic. #CMC014066 561-404-5668 WWW.STANLEYSTEEMER.COM STANLEY STEEMER SERVICES ® FREE ESTIMATES FOR ALL COMMERCIAL BUSINESSES WE PRETREAT YOUR FLOORS AND MOVE YOUR FURNITURE AT NO CHARGE WE PRETREAT YOUR FLOORS AND MOVE YOUR FURNITURE AT NO CHARGE $99 $129 Expires 5/13/23 MLM Expires 5/13/23 MLM TILE & GROUT OR WOOD FLOOR CLEANING Only PER ROOM 3 ROOMS CARPET CLEANING Wool carpets extra. Area rugs not included in wall-towall cleaning. *Any Room Up to 300 sq. ft. Home & Of ce Air Puri er Removes Viruses, Bacteria, Mold, & Pollen MARBLE & STONE CLEANING $50 OFF Expires 5/13/23 With MLM Coupon Proud to be Endorsed by Cystic Fibrosis Foundation $160 Expires 5/13/23 MLM HOME Which Air Are You Breathing? AIR DUCT CLEANING Up To 8 Vents BEFORE AFTER OFFICE FREE ESTIMATES CALL TODAY COMMERCIAL & RESIDENTAL DRYER VENT CLEANING WHEN WAS YOUR DRYER VENT LAST CLEANED? • Speeds Up Drying Time • Reduces Fire Risk • Lowers Utility Costs (more ef cient) • Don’t Wait Until It’s Too Late With over 15,000 dryer res happening each year, IT MAKES SENSE! 561.331.LINT (5468) ✔ Dryer Vent Cleaning ✔ Dryer and Washer Installation ✔ Residential Services ✔ Commercial Services www.dryerventcleaningjupiter.com Licensed & Insured Serving Jupiter & the Palm Beaches Neighbors Discount Special *Washer & Dryer Repair Service $30Off Any Dryer Vent Cleaning Service With this MLM coupon. Must present coupon at time of service. Expires 4/30/23
Our luxury medical spa
your
for the latest wellness and aesthetics solutions. We
proven anti-aging technologies with regenerative solutions. Your
to optimal health, wellness and beauty begins here. Our Services: Botox & Filler Morpheus8 RF Microneedling Microneedling + PRP Body Contouring Acne Lasers Testosterone Therapy Nutrient IV's & Injections Sexual Performance Peptide Therapy Medical Weight Loss BeginAnew? Are you ready to IPL & Fraxel Tattoo & Vein Removal Bioidentical Hormone Therapy Pellet Therapy Specialized Testing Semaglutide Peptide Therapy $699 8 Week Program Monthly InBody Test Fat Burner Shot $75 off any Dermal Filler Botox JUST $10/unit (regularly $14) Dysport JUST $4/unit (regularly $8) SAVE $300 Morpheus8 RF Microneedling for Face or Body Discover the most powerful skin tightening technology on the market. Offers expire 4/30/23 BeginAnewMed.com 337 E Indiantown Road Suite E-13 Jupiter, FL 33477 561-781-3578 *Bloodwork may be required *
in Jupiter is
destination
pair
journey
VOL. 565 D 13 Copyrighted© My Living Media. 2023 All Rights reserved. To Advertise call 772-247-6849 Need More Coupons - MyLivingMedia.com 561.468.8230 THE PATIENT AND ANY OTHER PERSON RESPONSIBLE FOR PAYMENT HAS A RIGHT TO REFUSE TO PAY, CANCEL PAYMENT, OR BE REIMBURSED FOR PAYMENT FOR ANY OTHER SERVICE, EXAMINATION, OR TREATMENT THAT IS PERFORMED AS A RESULT OF AND WITHIN 72 HOURS OF RESPONDING TO THE ADVERTISEMENT FOR THE FREE, DISCOUNTED FEE, OR REDUCED FEE SERVICE, EXAMINATION, OR TREATMENT. SCAN FOR WEBSITE & SERVICES We accept most major insurance plans & Medicare 4601 Military Trail #202, Jupiter HOURS MONDAY-FRIDAY 8:30AM-5:00PM FOOT, ANKLE, OR VEIN ISSUES? WE CAN HELP! Rel … DR. ORLANDO CEDENO DPM Podiatrist Foot & Ankle Surgeon Located in Jupiter, FL $100 OFF SCLERO VEIN THERAPY With this MLM coupon. Expires 4/30/23 • Foot Ankle Surgery • Bunion Surgery • Cysts & Warts • Fractures & Breaks • Ankle Arthritis • Diabetic Foot Conditions • Minimally Invasive Foot Surgery • Hammer Toe • Ingrown Toe Nails • Varicose Veins Treatment • Neuropathy Solutions • Wound Care • Nerve Decompression in Foot BEFORE AFTER Bunionectomy® & Hammer Digit Minimal Pain…Minimal Incisions…Impressive Results …A Beautiful Smile is closer than you think. General, Cosmetic, & Implant Dentistry THE PATIENT AND ANY OTHER PERSON RESPONSIBLE FOR PAYMENT HAS THE RIGHT TO REFUSE TO PAY, CANCEL PAYMENT OR BE REIMBURSED FOR ANY SERVICES, EXAMINATION OR TREATMENT WHICH IS PERFORMED AS A RESULT OF AND WITHIN 72 HOURS OF RESPONSE TO THE ADVERTISEMENT FOR FREE OR DISCOUNTED SERVICES, EXAMINATION OR TREATMENT. 654 W. Indiantown Rd. Suite 105, Jupiter Lic#14440 Angelo Forte, DMD, PA. 561.747.2134 ! NEW PATIENT SPECIAL ZOOM2 WHITENING $89 $125 OFF Prophylaxis Cleaning, Exam, FMX, & Oral Cancer Screening Codes: D0150, D1610, D1674, D1110 Codes: D0003 RESTRICTIONS MAY APPLY. MLM COUPON EXPIRES 5/12/23 MLM COUPON EXPIRES 5/12/23 NOW OFFERING In-House Dental Discount Plan Ask for details
14 VOL. 565 D Copyrighted© My Living Media. 2023 All Rights reserved. To Advertise call 772-247-6849 performingartsacademyofjupiter.com 6743 W. Indiantown Rd, Suite 34, Jupiter 561-575-4422 get tickets SCAN ME performingartsacademyofjupiter.com 6743 W. Indiantown Rd, Suite 34, Jupiter 561-575-4422 get tickets APRIL 28-MAY 6 SCAN ME A Musical Comedy
BLACKSTONE KITCHEN & BATH Kitchens Bathrooms Additions Flooring Countertops 561-823-2835 6743 W. Indiantown Rd • Jupiter
16 VOL. 565 D 2560 RCA Blvd. Suite 101 PBG • 33410 • www.pbgdentist.com The patient and any other person responsible for payment have the right to refuse to pay, cancel payment, or be reimbursed for any other services, examination, or treatment which is performed as a result of and within 72 hours of responding to the advertisement for the free service, examination, or treatment. Please Mention Code MLM for discounted prices when booking. 561-622-5600 Samuel J. Holcroft D.M.D., P.A. • 0% Financing through Care Credit • PPO Dental Insurance Plans • We Treat Adults & Teens • Nitrous Oxide Gas & Oral Sedation Available • We are a Humana Dental Care Provider • Tooth Colored llings & Bonding • Crowns & Veneers • Implants & Implant Support Bridges • Partials & Dentures • Root Canals • Grinding Guards • Extractions WHY US? CONTACT US NOW WELCOMING NEW PATIENTS! NEW PATIENT SPECIAL $79 With this MLM coupon. Please mention this ad when calling for appointment. Cannot be combined with any other offer. Expires 4/30/23 Including FMX (DO210), EXAM (D0150) & CLEANING (D1110) REGULAR CROWN PRICE $200 off Offer is for a single regular priced crown. New Patients only, and may be used with one other offer. Expires 4/30/23 TOOTH ACHE? $50 EMERGENCY PATIENT SPECIAL Including X-Ray (D0220) and Exam (D0140) With this MLM coupon. Please mention this ad when calling for appointment. Cannot be combined with any other offer. Expires 4/30/23
VOL. 565 D 17 Copyrighted© My Living Media. 2023 All Rights reserved. To Advertise call 772-247-6849 “ e Di erence Is Our Attention to Detail” 12101 SE FEDERAL HWY. HOBE SOUND (Directly on US 1. Just South of Bridge Road) 772-546-3300 Gi Cards Available For More Information Visit Us at: www.IslandsAutoSpa.com WE WILL HONOR ANY OTHER CAR WASH COUPONS EQUAL TO OUR WASH OR DETAIL Any Detail Package $10 Off NOT TO BE COMBINED WITH ANY OTHER OFFERS. PRESENT THIS MLM COUPON TO REDEEM THE OFFERS. PROMOTIONS EXPIRES 5/13/23 On a Ceramic Coating plus 1 FREE MONTH Unlimited Car Washes $300 Off NOT TO BE COMBINED WITH ANY OTHER OFFERS. PRESENT THIS MLM COUPON TO REDEEM THE OFFERS. PROMOTIONS EXPIRES 5/13/23 Every Wednesday Exterior Wash $599 (Cash Only) NOT TO BE COMBINED WITH ANY OTHER OFFERS. PRESENT THIS MLM COUPON TO REDEEM THE OFFERS. PROMOTIONS EXPIRES 5/13/23 OUR WACKY WEDNESDAY NOT TO BE COMBINED WITH ANY OTHER OFFERS. PRESENT THIS MLM COUPON TO REDEEM THE OFFERS. PROMOTIONS EXPIRES 5/13/23 Ceramic Coating Includes Front End & Side View Mirrors $200 (Valued at $400) COMING SOON! LOVE BUG SEASON! Any Car Wash $5 Off NOT TO BE COMBINED WITH ANY OTHER OFFERS. PRESENT THIS MLM COUPON TO REDEEM THE OFFERS. PROMOTIONS EXPIRES 5/13/23
HURRICANE IMPACT WINDOW SALE OF THE TREASURE COAST Visit Our Showroom Location - 2820 SE Monroe St., Stuart LIC#CGC009090 EcoViewWindows.com/Treasure-Coast 772-758-8640 HIGHEST QUALITY AT THE LOWEST PRICE GUARANTEED! LEAD TIME 4-6 Weeks ∙ NO PRODUCTS ∙ U FACTOR 0.29 ∙ MISSILE-IMPACT RATING D $760 FREE INSTALLATION Starting as low as Call Today For A FREE Estimate UNDER 101 UI (Some restrictions apply)
Copyrighted© My Living Media. 2023 All Rights reserved. To Advertise call 772-247-6849 Garages Patios Pool Decks Driveways & Much MORE! SCAN ME GET STARTED TODAY! Offer Valid for Same-Day Service Only FREE IN-HOME ESTIMATE 30% OFF WE TAKE THE BORING OUT OF YOUR FLOORING! TM 10X STRONGER BOND THAN EPOXY YOUR BEAUTIFUL NEW FLOORING IS JUST A CALL AWAY! 772-277-7562 • 561-277-0375 OXFLOORS.COM WITH THIS MLM COUPON. OFFER EXPIRES 5/13/23 PLUS
20 VOL. 565 D Copyrighted© My Living Media. 2023 All Rights reserved. To Advertise call 772-247-6849 Need More Coupons - MyLivingMedia.com Hot off the Grill! Cooked to Order! 1695 W Indiantown Rd, Suite 2-5, Jupiter 561-768-9918 BUY 1 BURGER, GET THE 2ND FOR A… $1.00 Discount not to exceed $11.99. With the purchase of 2 beverages. Can be used on dine in or take out only. Expires 4/30/23 HOME OF THE 50 BURGERS • Lawn Grass • Batting Cages • Bocce Courts • HOA Playgrounds • Putting Greens • Pet Grass • Pool Areas • Paver Strips With a combined experience of 60+ years, Complete Synthetic Turf is the trusted choice for arti cial grass installation on e Treasure Coast! Complete synthetic Turf has the look and feel of natural grass. Always picture perfect! 7715 SW Ellipse Way, Stuart 772.494-2481 We look forward to exceeding your expectations in everything we do! FREE CONSULTATION FREE DESIGN FREE ESTIMATE 100% Satisfaction Guaranteed! Like Us On Facebook
VOL. 565 D 21 Copyrighted© My Living Media. 2023 All Rights reserved. To Advertise call 772-247-6849 Need More Coupons - MyLivingMedia.com 6671 W. Indiantown Rd. (Winn Dixie Plaza & Central Blvd.) Summer Hours: Closed Monday; Tues-Thurs 11-9; Fri & Sat 11-10 • Sun 12-9 www.myvinnyspizza.com 2 REG. SLICES & Soda $625 11am to 3pm +tax Catering Available For All Occasions $ 10.99 TUESDAY SPECIAL Large 16” Cheese Pizza Pick Up & Cash Only Limit 3 Per Family. Toppings Additional. $ 17.99 ANY 2 HUGE 12” HOT SUBS • Chicken Parmesan • Eggplant Parmesan • Meatball Parmesan • Sausage, Pepper, Onion +tax +tax PIZZA PARTY $ 42.99 2 Large Pizzas with 1 Topping Each, 20 Wings (Hot or Mild), 12 Garlic Rolls +tax Pick Up and Delivery You Save up to $14 You Save up to $5 THE FARM PARM. $27.99 2 CHICKEN PARMESAN OR 2 MEATBALL PARMESAN DINNERS Includes Pasta, Salad, and Bread +tax +tax Pick Up and Delivery • Chicken Parmesan • Meatball Parmesan • Eggplant Parmesan Includes Pasta, Salad, & Bread LARGE 16” PIZZA PICK UP ONLY $1 4.95 1 FREE MENU TOPPING $37.99 FAMILY FEAST 1 Large 16” Cheese Pizza and Choose any Two Dinners: You Save up to $10 +tax Try Our New GLUTEN-FREE 12” PIZZA With this MLM Coupon 1 Per Customer. Not to be combined with any other offers. Limited Time Offer. With this MLM Coupon 1 Per Customer. Not to be combined with any other offers. Limited Time Offer. With this MLM Coupon 1 Per Customer. Not to be combined with any other offers. Limited Time Offer. With this MLM Coupon 1 Per Customer. Not to be combined with any other offers. Limited Time Offer. With this MLM Coupon 1 Per Customer. Not to be combined with any other offers. Limited Time Offer. With this MLM Coupon 1 Per Customer. Not to be combined with any other offers. Limited Time Offer. Gluten-Free pizza dough with a touch of honey 1/2 Topping…$1.00 Whole Topping…$1.50 Pick Up Only Pick Up Only Pick Up Only FAVORITEJUPITER’SFOR 49 YEARS! The Connection SANDWICHES & SUBS & SUBS WE’RE HIRING! HOURS: MON - FRI 7AM - 3PM • SAT 7AM - 4PM SUNDAY 10AM - 3PM 561•746•2344 WE DELIVER! 141 CENTER ST., JUPITER SCAN FOR MENU 20% OFF $15 OFF In Store Only *Cannot be combined with other offers Expires 4/30/23 In Store Only *Cannot be combined with other offers Expires 4/30/23 Excludes Vegetarian & Lite Bites. Get your card stamped with each purchase of a sub or sandwich of $6.39 or more. When the card is filled, it is good for a retail value of $7.50 ANY SUB, WRAP, SANDWICH, OR PLATTER *WITH PURCHASE OF $45 OR MORE. *Excludes lite bites and veggies. In store Only SUB CLUB CARD COME IN & GET YOUR
22 VOL. 565 D Copyrighted© My Living Media. 2023 All Rights reserved. To Advertise call 772-247-6849 Need More Coupons - MyLivingMedia.com PRIMEGOLFCARS.COM SALES • RENTALS • REPAIRS HUNDREDS OF ELECTRIC LITHIUM & GAS GOLF CARTS AVAILABLE • New & Used Carts • Lithium Battery • Rims, Tires, & Lift Kits • 2, 4, 6, & 8 Passenger Seat Carts • American EV Golf Carts • Bintelli Golf Carts • E-Z-GO Golf Carts • Evolution Golf Carts • Elite EV Golf Carts • Club Car Golf Carts • Kodiak Golf Carts • Yamaha Golf Carts • Roadster Golf Carts 561-601-5671 7100 N MILITARY TRL., FL• RIVIERA BEACH VISIT OUR OTHER LOCATIONS IN LANTANA, FT. LAUDERDALE & MIAMI SCAN TO SEE OUR INVENTORY FINANCING AVAILABLE Vero Beach 1669 Old Dixie Hwy 32960 THAI WEST LUNCH  DINNER  SMOOTHIES  ICE CREAM  COFFEE  BAKERY Now Open in Jupiter Farms! SCAN FOR MENU 9260 W. INDIANTOWN RD. #B4 • JUPITER (SIERRA SQUARE PLAZA) 561-842-9378 NOW SERVING BOBA TEA AUTHENTIC THAI FOOD Full Sushi Bar NOW OPEN!! $5 OFF *$40 or more CASH ONLY Expires 4/30/23 FREE 10% OFF Cannot be combined with other offers. Exp. 4/30/23 Cannot be combined with other offers. Exp. 4/30/23 561-277-9954 2525 Military Trail #105, Jupiter BLUE WATER TACO CO. FOLLOW US ON SOCIAL AUTHENTIC HOME-MADE TACOS, BURRITOS & QUESADILLAS SCAN ME Chips And Guac With Any $20 Order With any order of $30 or more TACOS QUESADILLAS SIDES CHIPS & DIPS BURRITOS TOSTADAS
VOL. 565 D 23 Copyrighted© My Living Media. 2023 All Rights reserved. To Advertise call 772-247-6849 • Pizza • Pasta Specialties • Chicken • Fish • Veal Entrees • Incredible Italian Desserts, including Cheesecake & Tiramisu 791 North US Highway 1 • Tequesta 561-743-4224 WORLD’S GREATEST CHEESESTEAKS & PIZZERIA www.baldinositalianrestaurant.com WIDE VARIETY OF WINE & BEER! Carry-out only. Limit 1 per customer per day. Cannot be combined with any other offers. Expires 4/30/23 Dine in or carry-out only. Not valid on deliveries. Limit 1 per customer per day. Cannot be combined with any other offers. Expires 4/30/23 Buy Any Large 3-Topping or Specialty Pizza and receive a FREE 10” Cheese Pizza ANY PURCHASE OF $50 OR MORE 561-743-4224 561-743-4224 $8 WEEKDAY SPECIAL OFF SCAN HERE TO ORDER CARRYOUT OR DELIVERY! VALID MON-THURS ONLY • baldinositalianrestaurant.com baldinositalianrestaurant.com MONDAY-THURSDAY ONLY W E CATER EVENTS OF ALL SIZES ! Visit our website to join The Grove Wine Club, view our catering & dine-in menus, our upcoming wine dinners & events or reserve a table. The Grove Cucina & Wine Bar The Marketplace at Hobe Sound • 8815 SE Bridge Road • Hobe Sound, FL 33455 772-402-5410 • thegrovehobesound.com “The Grove serves every meal and glass with a heart of hospitality.” Jen & Luis Jen & Luis- Sommeliers, Owner/Operators
24 VOL. 565 D Copyrighted© My Living Media. 2023 All Rights reserved. To Advertise call 772-247-6849 Need More Coupons - MyLivingMedia.com $1495 Large 1-Topping Pizza Regular Topping Only. *MLM cannot be combined. Expires 4/30/23 $5 1/2 Any Order of $35 or More. *MLM cannot be combined. Expires 4/30/23 $1095 1 Large Cheese Pizza BOTTLES OF WINE *MLM cannot be combined. Expires 4/30/23 *MLM cannot be combined. Expires 4/30/23 *MLM cannot be combined. Expires 4/15/23 TUESDAY CARRY OUT SPECIAL THURSDAY NIGHTS CASH ONLY 221 South US 1 • Tequesta OPEN Tuesday-Sunday 3-10pm; Closed Monday www.vulcanositalianrestaurant.com 561-747-2880 Italian Restaurant & Pizzeria $1995 VULCANO SPECIAL SCAN HERE TO ORDER Chicken • Eggplant • Veal • Baked Ziti Shrimp • Pasta with Meatballs or Meat Sauce Dine In or Take Out From 3-6 off off O dining r m is en and we have td r seating. C e J n Us! STUART 300 SW Federal Hwy. Stuart, FL 34994 772-219-3340 PALM BEACH GARDENS 4595 Northlake Blvd. Palm Beach Gardens, FL 33410 561-622-2259 SAINT LUCIE WEST 962 St. Lucie West Blvd. Port St. Lucie, FL 34986 772-871-5533 TEQUESTA 181 N Hwy. 1 Tequesta, FL 33469 561-406-5000 Fish Tacos Ipswich Steamers www.lolasseafood.com OPEN 7 DAYS A WEEK! Lobster Roll
VOL. 565 D 25 Copyrighted© My Living Media. 2023 All Rights reserved. To Advertise call 772-247-6849 561-746-2900 OUR MENU Like us on Facebook Jupiter Farms Pizza & Subs Inc *All Prices Subject to Change. Specialty Toppings Extra. Thick Crust Extra. Not valid with any other offer. Established 1991 HOURS: Monday through Thursday 11 a.m. to 9 p.m. • Friday and Saturday 11 a.m. to 10 p.m. • Sunday 12 p.m. to 9 p.m. Please Call at Least 15 Minutes Before Closing for All Orders All Specials & Coupons cannot be combined. Expires 6/25/23 All Specials & Coupons cannot be combined. Expires 6/25/23 All Specials & Coupons cannot be combined. Expires 6/25/23 All Specials & Coupons cannot be combined. Expires 6/25/23 All Specials & Coupons cannot be combined. Expires 6/25/23 All Specials & Coupons cannot be combined. Expires 6/25/23 Lunch Specials served till 3:00pm Daily PICK UP ONLY! Italian Hot Dog –––––––––––Red & Green Peppers, Onions, Fried Potatoes, Mustard & Ketchup $8.99 Italian Sausage –––––––––––Provolone, Onions, Green Peppers, Mustard on a Philly Roll $9.99 Rodeo Burger –––––––––––Onions Rings & BBQ Sauce w/cheese $11.75 Breakfast Burger with Egg, Bacon & Cheese $11.75 Buffalo Burger Blue Cheese Dressing, Lettuce, Onion & Tomato $10.75 Rodeo Fried Chicken Sandwich –––––––––––Onions Rings & BBQ Sauce w/cheese $11.75 Add Fries for $1 more & a small fountain drink for $1.50 NEW PICK UP SPECIALS DAILY & EVERY DAY SPECIALS. NO COUPON NECESSARY. All Specials & Coupons cannot be combined. NO LIMIT 2 Medium 14” Thin Crust Pizzas With 1 Reg. Topping on Each $2899 All Specials & Coupons cannot be combined. Expires 6/25/23 Thursday Dinner for Two! Wednesday Night Special! X-Large 18” Pizza With 2 Reg. Toppings & One 2-Liter of Pepsi 1 Large Pizza, 10 Bone-in Wings, Garden Salad, & 2-Liter of Pepsi Product All Specials & Coupons cannot be combined. Expires 6/25/23All Specials & Coupons cannot be combined. Expires 6/25/23 NO LIMIT NO LIMIT $2099 $2899 NO LIMIT Monday Night Special! Large 2 Reg. Toppings Pizza Tuesday Night Special! 1 FREE Reg. Topping On Any Pizza All Specials & Coupons cannot be combined. Expires 6/25/23All Specials & Coupons cannot be combined. Expires 6/25/23 NO LIMIT $1665
26 VOL. 565 D Copyrighted© My Living Media. 2023 All Rights reserved. To Advertise call 772-247-6849 Palm Beach 561-631-7994 MMJ Health Make the Appointment Use our patient qualification system to see if you qualify for medical marijuana. See the Marijuana Doctor See one of our qualified physicians at one of our many locations in Florida. Get Your Card You will be able to visit and get delivery from any dispensary in Florida. Let Dr. Morgan, The Highest Rated MMJ Doctor, at MMJ Health find your Alternative to Pharmaceuticals! Anne L. Morgan, M.D. When it comes to finding medical marijuana (MMJ) doctors, you can trust the helpful and professional staff at MMJ Health. Serving patients in Palm Beach, Martin, & St. Lucie Counties. Call MMJ Health to schedule an appointment with a Florida Medical Marijuana Doctor: WINNER OF BEST DISPENSARY, BEST MEDICAL MARIJUANA CARD PROVIDER, BEST CBD STORE, AND FINALIST FOR BEST PLACE TO WORK HOW IT WORKS Treasure Coast 772-212-4032
VOL. 565 D 27 Copyrighted© My Living Media. 2023 All Rights reserved. To Advertise call 772-247-6849 Need More Coupons - MyLivingMedia.com Yacht Sales Professional Monday-Saturday 9-6; Sun. 9-5 • Regulator • Contender • Monterey • Sail sh Center Consoles / Yachts Connor Dunnam BUY - SELL - LIST - TRADE Habla Español 561-944-8604 • Rio Yachts • Majesty Yachts • And Many More Leading Brands 250 SW Monterey Rd. • Stuart, FL 34994 *TeleHCG.com or *NewBeginningsMedical.com Simple 3 Step Process Video Or Phone Dr. Consultation Go Online to* Delivered To Your Residence From A USA Pharmacy FREE Our 3 Most Popular Weight Loss Products HCG Human Chorionic Gonadotropin BELLA FDA Approved Phentermine SEMAGLUTIDE FDA Approved for Weight Loss Quick Weight Loss 30-60 Day Program Loss Up to 1Lb. Day 25-40Lbs. Yes Light Required Daily Injection Included Gradual Weight Loss 30 Day Program Appetite Suppressant Variable Weight Loss No Moderate Required Daily Pill Fee Initial Order Only Long-Term Weight Loss Monthly Program Avg Weight Loss 53Lbs. Over 68 Weeks No Moderate Required Weekly Injection Included Diet Exercise Prescription Dosage Dr. Consultation Need Help Deciding Which Is Best For You? Call now and experience a truly personal approach to Weight Loss CALL US (877) 424-9994

For What It’s Worth by

I know I’m not the sharpest tack in the box, but I must have been living under a rock not to have appreciated the full magnitude of AI. For those of you who do not know what those initials stand for, they are Arti cial Intelligence. You know those little boxes with the pictures in them, that you have to click on to make sure you’re not a robot. ey ask you to identify the squares with the motorcycles or trees or school buses? Well, apparently AI’s cannot think for themselves so they get stumped at the pictures because they have not been programmed to respond to them. Not yet. ankfully they can’t think for themselves. (I use the word “they” as if they have taken on a human form, but to date, they are just computerized machines as far as I know). You know what else they can do? Rumor has it that they can apply for jobs, on sites such as INDEED, which makes life easier for the applicant. But what if they could think for themselves? What if they evolve into a thinking and acting machine one day. e reason I ask is because I understand that people such as Elon Musk are asking for a “pause” on further development of AI’s because these people are “concerned” about what they might be able to do in the future if the rapid rate they are evolving continues. Now I don’t know about you, but when I hear the word “concerned,” it freaks me out. To me that is a code word for “what until you see what happens next”. Imagine if AI’s could actually think for themselves and begin to run amok. I have friends who say that is impossible. I’m sure Orville and Wilbur Wright were told

the same thing when they took their rst ight. Besides, AI’s don’t have to think for themselves to do damage. All they have to do is get programmed some whacko who wants to do harm to people or the country at large. And I don’t think I have to tell you we have bad people living among us.

Of course the other side of the argument is that AI’s can do so much good in the health care eld, possibly coming up with solutions to medical problems and make advances that can save lives some day. at would be for the greater good, but there is potential to do the greater bad, and I don’t like it. On a personal level I am discouraged if not downright disgusted by the fact that AI’s have crept their way into the novel writing arena. If they are given a plot, some characters, and a genre, such as mystery or love story, they can come up with a pretty darn good book, and soon writers like me (who are still waiting to get my book on Amazon, but soon I hope) don’t have a chance, and what’s worse, when you, the buyer, purchase a book, you won’t know whether it was written buy a real author or an AI. AI’s have also made their way into the world of academia, and are doing homework, writing term papers and book reports, and even thesis papers as we speak. To me, all that might look good on paper, but it’s just going to make students stupid if they don’t have to do the work themselves.

Look, I don’t have all the facts, but from what I’ve heard, I’m getting a little nervous about the future. I mean we

already have enough trouble communicating with each other with the addition of texting, and social media substituting for actual phone calls and good old fashion letter writing. Imagine this scenario. You want to have a ght with your husband, but he always bullies you into giving up. He can’t win an argument with you because once you start crying, he caves. But suppose each spouse programs their AI (in the future of course, when they live with you) to ght each other while you both go to bed. Each of you enter the necessary information, and your AI’s duke it out, without emotions. en, you wake up in the morning and nd out who wins the argument. Science ction? Maybe. But what if it isn’t? For what it’s worth, I like a good old fashioned argument where we say stupid things, and then make up. It keeps the relationship new and our brains in good working order. We win some, and we lose some. If I want to make a point, I certainly don’t want to have a machine take the credit, but that’s just me.

28 VOL. 565 D Copyrighted© My Living Media. 2023 All Rights reserved. To Advertise call 772-247-6849 Need More Coupons - MyLivingMedia.com CUSTOM CANVAS & UPHOLSTERY 6701 S. US Hwy, PSL • 772-212-9548 • Marine Canvas • Marine Enclosures • Marine Upholstery • Dodgers • Biminis • Sunshades $100 Off $1,000 or more Must present MLM coupon. Expires 5/13/23
Comments or Suggestions DrMelfi@mediaoms.com
VOL. 565 D 29 Copyrighted© My Living Media. 2023 All Rights reserved. To Advertise call 772-247-6849 Need More Coupons - MyLivingMedia.com Visit us at our LOCAL Retail Locations West Palm Beach Palm Beach Gardens • Tequesta Hobe Sound • Port St. Lucie Fort Pierce • Vero Beach Call Today for Coverage TOMORROW 561-468-3735 compasshealthinsurance.com info@compasshealthinsurance.com FLORIDIANS HELPING FLORIDIANS SINCE 2007 • $0* Monthly plan payments, if you qualify. • Doctor visits, labs, and generic drugs as low as $0 • Community specialists who can connect you to the latest nancial resources and support programs Your health is our priority For complementary enrollment assistance, contact Compass Health Losing Medicaid coverage doesn’t mean you have to go unisured. No one plans for the unexpected... Stay covered with an affordable health plan from
Copyrighted© My Living Media. 2023 All Rights reserved. To Advertise call 772-247-6849 Need More Coupons - MyLivingMedia.com GOOD is a haircut you love. GREAT is a sweet price too. $ 999 OFFER EXPIRES: 10/31/22 ANY HAIRCUT Not valid with any other offers. Limit one coupon per customer. No copies. Taxes may apply. Valid at Frenchman’s Crossing, Donald Ross Village & Plaza at Lake Park. Masks may be required. LAKE PARK Plaza at Lake Park 1244 Northlake Blvd • 561-515-5410 PALM BEACH GARDENS Donald Ross Village 4650 Donald Ross Rd (Central Blvd & Donald Ross Rd) 561-624-7372 Frenchman’s Crossing 4073 Hood Rd (Next to Publix) • 561-768-7767 greatclips.com | jobs.greatclips.com | greatclipsfranchise.com 41309-001-Norman-Donald Ross Village-Frenchman's Crossing-Plaza at Lake Park-6.25 x 4.5325.indd 1 OFFER EXPIRES: 4/30/23 Our Jupiter location is centrally located and We welcome you to meet Gabrielle Poplarchick, Jupiter’s One-Stop Shop For Your Hearing Needs! Schedule an appointment for you or a loved one: 2161B S. US Highway 1
VOL. 565 D 31 Copyrighted© My Living Media. 2023 All Rights reserved. To Advertise call 772-247-6849 Need More Coupons - MyLivingMedia.com NEED SHUTTERS THIS WEEK? Family Owned & Locally Manufactured Plantation Shutters & Motorized Shades Installed in as little as 7 Days • ANGLES & RAKES • ARCHES & SUNBURSTS • OTAGON, CIRCLE, HEXAGON • SILL COVERS & CAPS HORIZONTAL ARCH PLANTATION SHUTTERS SUNBURST PLANTATION SHUTTERS www.plantationshutters a.com Treasure Coast Palm Beach 772-600-4253 or 561-420-0418 Visit our manufacturing shop at: 406 Farmers Market Rd Ft Pierce, FL 34982 IN-HOME ESTIMATES FREE $1695 SQ. FT. INSTALLED Starting at We are the Real Manufacturer We Welcome Designers & Builders! Licensed & Insured CALL TODAY AND GET UP TO 10% DISCOUNT Restrictions may apply. is high-dosage Vitamin C IV is great for boosting your immune system. Feel better faster from a cold or the u. 561-972-4302 1535 Cypress Drive | Jupiter Arroyo Health Lab Center *Reg $120 each. Expires 4/30/23 DRIP LIST SPECIALS NUTRIENT INFUSIONS IV Helps keep your mind & body functioning properly & supports a wide range of cellular functions. Great for people always on the go, who feel stressed, fatigued, or travel o en. Give your system an extra boost to stay healthy! NATURAL DEFENSE THE EXECUTIVE B-COMPLEX CHEMOTHERAPY TREATMENT • PROFESSIONAL CARING STAFF • PRIVATE SETTING • LATEST TECHNOLOGY & TREATMENTS Medicare & All Insurances Accepted Ask About Our Special FDA Alzheimer’s Program 5 Sessions 30% OFF
32 VOL. 565 D Copyrighted© My Living Media. 2023 All Rights reserved. To Advertise call 772-247-6849 Need More Coupons - MyLivingMedia.com ·Signs ·Vehicle Wraps ·Boat Wraps ·T-Shirt/Apparel ·Printing ·Biz Cards ·Flyers ·Promotional Items ·Food Product Labeling ·Stickers 151 FERN STREET Unit #2, Jupiter SCAN HERE TO VISIT OUR WEBSITE (561) 748-7446 With MLM coupon. May not be combined with any other offer. Exp. 4/30/23 Did You Know We Also Do... • Business Cards / Flyers • Promotional Items • Brochures • Banners • Boat & Car Wraps $250 OFF any wrap $2,000 or more BEAUTYFI MEDICAL SPA 1132 W. INDIANTOWN RD. #204 • JUPITER 561-245-1588 SCAN HERE TO VISIT OUR WEBSITE TUESDAY · 11AM-3PM SATURDAY · 10AM-3PM HOURS Exp. 4/30/23. Use code MGZ22 Morpheus8 Skin Tightening Single $849 3 for $1,999 & Starting at… $999 a unit $499 $599 $399 LIP FILLER You! Spring Into a Fresher, More Luxurious… Exp. 4/30/23. Use code MGZ22 Exp. 4/30/23. Use code MGZ22 Exp. 4/30/23. Use code MGZ22
The Salt, Sand, & Sea Classic & Timeless Furniture, Unique Coastal Lighting, Accessories, & Rugs Located in the YumYum Plaza 815 S. US Hwy. 1 Jupiter FL summerhousefurniture.com Mon.-Sat. 10am-6pm | Sun. 12:30pm-5pm HOME FURNISHINGS INSPIRED BY 561-781-3696
Need More Coupons - MyLivingMedia.com Become a Member of Riverbend Golf Club! Now offering summer memberships! $800 Single $1000 Family Limited Number of Equity Memberships Currently Available. Call for Details. A perfect walking course. Walking is encouraged after 4pm. Riverbend Golf Club 9300 SE Riverfront Terrace Tequesta, FL 33469 561-660-9200 Web Site: www.RiverbendFl.com FREE Round of Golf Buy 1 Round of Golf & Get a FREE Round of Golf for a Friend! 1 coupon per household. Available Tues.-Sat. Call for details and to schedule tee time. Expires 6/1/23 A Private 18-Hole Country Club Designed by World Class Golf Architects, Tom & George Fazio, Known for Their “Jewel on the Loxahatchee” Cosmetic & Family Dentistry NEW YEAR NEW BENEFITS • Emergency Care • Walk Ins Welcome ACCEPTING NEW PATIENTS • Family Dentistry • Cosmetic Dentistry PORT ST. LUCIE Hablamos Español JUPITER Dentistry By Design 3889 Military Trail, Ste.102 Jupiter, FL 33458 www.dbdfl.com Tel: 561-861-2611 GREENACRES Most Dental Insurance Plans Accepted
CALL US FOR A FREE, NO OBLIGATION QUOTE Guaranteed Pricing for Customized Solutions Technicians are certified by the EPA Licensed, insured, and direct employees 100% Happiness Guarantee Mention Code “FBL23” FREE DUCT SANITAZATION with Air Duct Cleaning! 21-point HVAC inspection Complete AC report card - emailed after service Deep drain line flush Lubricate motors, clean unit housing Ductwork camera inspection A Homeowner’s Essential to Prevent Breakdowns During the Hottest Months! Avoid thousands in repair costs! ONLY $99 • • • Free Air Duct Sanitization is valid when purchased with Air Duct Cleaning and expires on 5/12/23. local@ lterbuy.com (c) 2023 Filterbuy, INC. All rights reserved Florida’s A/C & Duct Cleaning Experts 24 HOUR EMERGENCY HVAC SERVICE FREE SERVICE CALL WITH ANY REPAIR WHITE GLOVE A/C INSTALLATION Virtual or in person consultations Site visits by technicians, not salespeople No worry ownership - 5-year and 10-year Extended Labor Warranties Avoid future headaches - FREE UV lights, surge protectors and drain guards with every install FREE A/C ESTIMATES INTEREST-FREE FINANCING! Includes 2 years of our premium maintenance contract: • FREE air filters • FREE annual condenser coil cleaning • FREE annual replacement parts, surge protectors, and drain guards EXPERT HVAC TUNE-UP 772-208-8155
36 VOL. 565 D Copyrighted© My Living Media. 2023 All Rights reserved. To Advertise call 772-247-6849 Need More Coupons - MyLivingMedia.com Let Us Take the “CHORE” Out of Your Chores • Move-In & Move-Out Services • • Weekly • Biweekly • Monthly • • One Time & Seasonal • EXPERIENCED • THOROUGH • DEPENDABLE RELIABLE • HONEST • AFFORDABLE Owners on Every Job References Upon Request SATISFACTION GUARANTEED! 772.812.8780 • 772.418.5635 LICENSED/INSURED/BONDED • FREE Estimates • 20% OFF Second Cleaning 20% OFF 40% OFF Third Cleaning Add up the Savings! SAVE A TOTAL OF Not valid with any other offer. Expires 5/12/23 Not valid with any other offer. Expires 5/12/23 AFTER YOUR 3RD CLEANING Not valid with any other offer. Expires 5/12/23 ➡ ➡ NEW CUSTOMER SPECIAL Put a Hold on Aging BEFORE AFTER BEFORE AFTER Ca for your A ointment Today 561-529-4982 $50 OFF $400 ABOUT OUR SEMAGLUTIDE SPECIAL Any Service Cannot be combined with other offers. Expires 4/30/23 Cannot be combined with other offers. Expires 4/30/23 NEW CLIENT SPECIAL LIP FILLER www.aestheticsbykallee.com STARTING AT: YOUR NEXT PRODUCT PURCHASE EXCLUDING FOOD & GROOMING Natural Pet Food • Boutique • Grooming Catering to Your Pet’s Health! 155 Toney Penna Drive, Suite 6, Jupiter, FL 33458 1/2 mile South of Indiantown Road, between Alternate A1A & Military Trail Largest selection of natural, holistic & raw pet food including raw meaty bones, chicken necks & tripe. 561.748. PAWS (7297) info@healthepetsmarket.com WWW.HEALTHEPETSMARKET.COM Must present coupon at time of service. Not valid with any other offer. Expires 4/30/23 Certi ed NutritionPet Specialist Healthy options for cats and dogs include supplements and vitamins, plus all of your pet’s favorite treats. 10%off (Mon.-Sat.) • 8:30am - 7:00pm (Sunday) • 11:00am - 4:00pm Toys • Bones • Bedding • Leashes • Collars • Grooming Supplies and more.
VOL. 565 D 37 Copyrighted© My Living Media. 2023 All Rights reserved. To Advertise call 772-247-6849 Need More Coupons - MyLivingMedia.com & SUPPLY CORP Serving Jupiter Farms since 1987 Ph: 561-747-6166 Fax: 561-747-6156 9250 West Indiantown Road (In Sierra Square) “KNOWLEDGEABLE, PROMPT, COURTEOUS SERVICE” NEW EXPANDED FASTENER ASSORTMENT Mon.-Fri. 7am-6pm Sat. 8am-5pm Sun. 9am-4pm COMPETITIVE PRICES! With this coupon. Not valid with other offers or prior purchases. Offer Exp. 5/15/23 HOUSE KEY Just For Stopping By (Limit one per customer) FREE $1OFF Jupiter Hardware Sierra Square • 747-6166 THURSDAY PROPANE (Limit one per customer) 20# Tank Only With this coupon. Valid on Thursday’s ONLY. Cannot be combined with any other offers or prior purchases. Offer Exp. 5/15/23 SPECIAL Jupiter Hardware Sierra Square • 747-6166 Jupiter Hardware Sierra Square • 747-6166 Cannot be combined with any other offers. Cannot be used for delivered items. Valid only on regularly marked items. Offer Exp. 5/15/23 PURCHASE OF $25 OR MORE $200 OFF KNIFE SHARPENING Just For Stopping By (Limit one per customer) FREE With this coupon. Not valid with other offers or prior purchases. Offer Exp. 5/15/23 Jupiter Hardware Sierra Square • 747-6166 JUG OF CHLORINE 10¢ Off MUST PRESENT COUPON MUST PRESENT COUPON MUST PRESENT COUPON MUST PRESENT COUPON PER JUG MUST PRESENT COUPON Jupiter Hardware Sierra Square • 747-6166 With this coupon. Not valid with other offers or prior purchases. Offer Exp. 5/15/23 Located at: 651 W. Indiantown Rd., Jupiter • 561-746-2345 FREE Cleaning 50% O Any Watch Battery MLM Coupon expires 4/30/23MLM Coupon expires 4/30/23MLM Coupon expires 4/30/23 20% O Any Repair
38 VOL. 565 D Copyrighted© My Living Media. 2023 All Rights reserved. To Advertise call 772-247-6849 Need More Coupons - MyLivingMedia.com 561-903-4811 1001 W. INDIANTOWN ROAD • STE. 106 JUPITER, FL 33458 www.Yourpremierdentist.com WELCOME TO PREMIER DENTISTRY We are available for your dental emergencies! Having a smile you’re proud to share shouldn’t be dif cult or break the bank. We know how important it is to have a smile that lets you feel and look good, which is why our team strives to give you the dental care you deserve. Our dentists are committed to providing high-quality family, cosmetic, and advanced dentistry to each and every patient. PAYMENT PLANS FOR EVERYONE! Premier D entistry SMILE! YOU’RE IN GOOD HANDS TRUSTED & AFFORDABLE DENTAL CARE With this MLM coupon. Expires 4/30/23 New Patients Only $49 EMERGENCY EXAM With X-Rays With this MLM coupon. Limited time offer. New Patients Only WELCOMING HEALTHY MOUTH CLEANING $79 Exam & X-Rays With this MLM coupon. Expires 4/30/23 New Patients Only Complimentary Invisalign Consultation with $500OFF Treatment (full case) Premier D entistry SMILE! YOU’RE IN GOOD HANDS DR. CASEL
VOL. 565 D 39 Copyrighted© My Living Media. 2023 All Rights reserved. To Advertise call 772-247-6849 Need More Coupons - MyLivingMedia.com 1-833-ACE-CART(223-2278) Aceofcarts.com Ace of Carts 4880 SE Federal Hwy., Stuart • 2nd Location 552 US Hwy. 1 North, Tequesta Over 200 Brand New Club Cars in Stock ! • SALES • SERVICE • PARTS Now Open in Tequesta! AUTHORIZED DEALER BIGGEST SAVINGS OF THE YEAR! Must be a 2022 Model Year Club Car from dealer stock. Offer expires 5/12/23 or while supplies last. Financing is available with standard rates. Not eligible for 0% Financing promotion; offers do not combine. $1000 OFF *MSRP on any Club Car from Dealer Stock Relax, Recharge, Rejuvenate. Must present MLM Coupon for discount. Expires 5/15/23 Must present MLM Coupon for discount. Expires 5/15/23 Acupuncture Facial Rejuvenation Deluxe Hydrafacial MD Deep Tissue Massage Includes Celluma Light therapy BioElectric DDS Must present MLM Coupon for discount. Expires 5/15/23 www.absolutewellnessspa.com 221 Greenwich Cir #101 • Jupiter (Between Donald Ross and University Dr.) Call Linda or Greg 561-254-7572 Must present MLM Coupon for discount. Expires 5/15/23 Anti-Aging or Acne Facial OFF OFF $79 $25 $60 By Appointment Only $89 Reg.$180 60 min. Reg. $120 Reg. $90 Reg. $209 Gi Certi cates Available Facials, Massage & Acupuncture MM19098 MA46698 New Location Includes Microderm or Chemical Peel EXPERT FULL SERVICE JEWELRY REPAIR REPAIR 75 E. INDIANTOWN RD #504 • JUPITER WE BUY GOLD 561.406.2074 20% OFF 50% OFF 50% OFF Any Watch or Jewelry Repair Watch Battery New Diamond & Gemstone Jewelry *Exclusions may apply With this MLM coupon. Expires 4/30/23 With this MLM coupon. Expires 4/30/23 With this MLM coupon. Expires 4/30/23
40 VOL. 565 D Copyrighted© My Living Media. 2023 All Rights reserved. To Advertise call 772-247-6849 Call: 561-222-0835 17380 ALT A1A • JUPITER• LOCATED IN THE SHOPPES OF JONATHAN’S LANDING Disclaimer: Phenix Salon Suites® is not responsible for this ad. This ad is produced by Sassy Scissors located inside Phenix Salon Suites®. The holder and or purchaser of this offer agree to hold Phenix Salon Suites ® harmless from any offer made by Sassy Scissors. New Clients. With this OMS Coupon presented at time of service. May not be combined with other offers. Expires 4/30/23 Color, Cut & Style $79starting at METAL ROOFS just got MORE AFFORDABLE! • METAL ROOFING • TILE ROOFING • SHINGLE ROOFING Financing Available Satisfaction Guaranteed! Call Today (772) 291-1427 Lic. No. CCC1327906 FREE ESTIMATES $500 OFF Call Today! ANY ROOF REPLACEMENT Must present coupon at time of estimate for discount. Exp. 5/13/23 Family Owned & Operated since 1983 24-HOUR SERVICE 4 Generations of Plumbing & Knowledge! TOLL FREE 2647 President Barack Obama Hwy., Riviera Beach, FL 33404 561-625-9414 800-323-0263 www.NorthCountyPlumbing.org • Licensed • Bonded CFC026530 Serving All of Palm Beach County for 39 Years Strong & Still Growing! PLUMBING PROBLEMS? We can handle any plumbing repair, from Big to Small! 10% $1099 $ 425 $ 99 OFF ANY SERVICE CALL Maximum ($100 Discount) With this MLM coupon. Cannot be combined with any other offer. Expires 5/12/23 INSTALLED WATER HEATER SPECIAL Electric Only. 50 - 40 - 30 - Tall or Med. No Hidden Costs Regular Price $1199 - Special Price $1099 - SAVE $100 With this MLM coupon. Cannot be combined with any other offer. Expires 5/12/23 TOILET REBUILD SPECIAL Includes Fill Valve & Flapper. Standard Toilets Only Regular Price $148 - Special Price $99 - SAVE $49 With this MLM coupon. Cannot be combined with any other offer. Expires 5/12/23 In Garage on Floor Only. +TAX NEW TOILET Supply & Install White Round or Elongated Toilet With Seat, Standard Height. Reg. Price $499, Special Price $425 SAVE $75. Additional Charges Will Be Applied for Above 1st Floor Installations. With this MLM coupon. Cannot be combined with any other offer. Expires 5/12/23
VOL. 565 D 41 Copyrighted© My Living Media. 2023 All Rights reserved. To Advertise call 772-247-6849 Need More Coupons - MyLivingMedia.com 3960 Northlake Blvd. • Palm Beach Gardens (Located in the Home Depot Plaza on Northlake Blvd near I-95) HOURS: Monday CLOSED –––––Tuesday-Sunday 11am-6pm 561-469-9505 CURBSIDE & PICKUP AVAILABLE HOT DOGSChicago HELP WANTED Apply Within 100% ALL BEEF Fax us over your order 561-619-2900 FREE BUY 1 HOT DOG WITH FRIES (MUST PURCHASE LARGE DRINK) GET 2nd HOT DOG Cannot combine with any other offer. Expires 4/30/23 *Must present at time of purchase. Prices Subject to change. No Substitutions FAMILY/GROUP SPECIAL 2 Italian beef sandwiches, 3 regular hot dogs, 3 large fries, 4 regular drinks.$3695 Reg. $40.25 Cannot combine with any other offer. Expires 4/30/23 COME EAT WITH US OR TAKE IT TO GO! *Must present at time of purchase. Prices Subject to change. No Substitutions 772-242-9711 www.southfloridascreen.com • southfloridascreen@aol.com 100% FINANCING AVAILABLE POOL ENCLOSURES • New Insulated Roof Patios • New Pool Enclosures • Remote Controlled Electric Roll Down Screens • Concrete Patios & Flooring • Stamped Concrete Locally Owned & Operated • Licensed & Insured • Florida CGC #1509420 SUNROOM SCREEN ROOM DESIGNED & BUILT FOR 170 MPH PLUS WINDS 15% OFF VALID ON ANY JOB OVER $1000 With this MLM Coupon. Coupon must be presented on initial visit. Exp. 5/12/23
42 VOL. 565 D Copyrighted© My Living Media. 2023 All Rights reserved. To Advertise call 772-247-6849 Need More Coupons - MyLivingMedia.com $25 Off FIRST CLEANING *2-Hour Minimum Service With this MLM coupon. Expires 4/30/23 • Weekly • Bi-Weekly • Monthly • Move Out • Move In • Construction Cleanup 772.238.2595 Licensed, Bonded, & Insured FREE ESTIMATES 561-972-0875 226 Center Street, Jupiter, FL 33458 ALL SERVICES RECEIVE COMPLIMENTARY HAIR TREATMENT First-time clients only. Offers may not be combined. Expires 5/15/23 * restrictions may apply $50 cut and blow dry ($75 Value) $80 color, cut, & blow dry ($140 Value) $75 partial highlight w/blow dry ($140 Value) $300 Proaddiction Smoothing ($350 Value) HAIR SHOP Amanda Ghattas at Jupiter Live 24/7 Answering PDSMartin.com Locally Owned & Operated Our proprietary springs will not rust or corrode and last up to 4 times longer! 561-453-2971 200 OFF $50 OFF $50 OFF PDS 900 GARAGE DOOR OPENER Expires 4/30/23.
VOL. 565 D 43 Copyrighted© My Living Media. 2023 All Rights reserved. To Advertise call 772-247-6849 Need More Coupons - MyLivingMedia.com • New Pools • Renovations • Remodeling • Repairs • Resurfacing Your Backyard Oasis Awaits… New Pool Construction 561-782-4644 Camco Pools New Construction & Renovations $1500 off With this MLM coupon. Expires 5/13/23 EMERGENCY SERVICE-ANY DAY, ANY HOUR Licensed & Insured CFC1427336 • Sinks • Toilets • Water Heaters • Leak Detection • Showers • Bathtubs $30 OFF ANY SERVICE 561.533.7070 PlumbRitePlumber.net Service Interruption? 24-Hour Plumbing Repair Fast | Reliable | Trusted | Guaranteed Sewer & Drain Cleaning All Clogged Lines Corrected With this MLM coupon. NOW HIRING CALL TODAY! Experienced Electricians $50 OFF ANY JOB OVER $500 Cannot be combined with other discounts or offers. With this MLM coupon. Expires 5/12/23 Need An Electrician? FREE ESTIMATES Lic # EC13007910
44 VOL. 565 D Copyrighted© My Living Media. 2023 All Rights reserved. To Advertise call 772-247-6849 Need More Coupons - MyLivingMedia.com 561-782-3078 travelbysolstice.com/kylaLicensed & Insured Specializing in Travel Experiences in Luxury Destinations Luxury Travel Agency • Luxury Trips • Group Trips • Business Trips • River Cruises • Destination Weddings Pressure Washing & Roof Cleaning • Screen Enclosure Frames • Driveways • Paver Sealing • Eco Friendly • Much More! www.pwpbg.com Workman’s Comp • Licensed & Insured Our Guarantee - If your house doesn’t look 157% better than before, we will refund you 100% of your money. “We Clean Barrel Tile, Metal, Asphalt Shingle Roofs & Cedar Shake Roofs” GOT MOLD ON YOUR ROOF? CALL OLIVER TWIST TODAY! We Are Commercial Specialists! Call James for Specials! BEFORE AFTER OliverTwist 561-771-0310 Serving South Florida Since 1999 SENIOR DISCOUNTS CALL FOR DETAILS Call For Music Lessons! MUSIC LESSONS IN STUDIO OR LIVE VIRTUAL LESSONS! www.frederickcapitelli.com 561-575-0576 658 W Indiantown Rd Ste #210 • JUPITER *with experienced music teacher: Frederick Capitelli VOICE• GUITAR • BASS • MANDOLIN • BANJO VIOLIN • VIOLA • CELLO • UPRIGHT BASS • PIANO ACCORDION • SPINET & CONSOLE ORGAN DRUMS/BELLS INSTRUMENTS & ACCESSORIES PIANO TUNING & REFINISHING• RECORDING STUDIO Get Back Into Your Grove & Find Your Rhythm! Frederick Capitelli Licensed & Insured Commercial & Residential Accredited Business Since 1993 WE HAUL AWAY ALL DEBRIS! www.PaulStetson.com PAUL STETSON 561.373.8764 BEFORE AFTER PRESSURE CLEANING JUPITER FARMS RESIDENT & BUSINESS OWNER FOR OVER 30 YEARS! Pressure Cleaning of Roofs • Walls • Patios • Walkways • Driveways • Screen Enclosures • Gutters TREE & HEDGE TRIMMING, STUMP GRINDING, LAND & LOT CLEARING TREE REMOVAL FREE GUTTER CLEANING W/ ROOF CLEANING With this MLM coupon. Exp. 4/30/23 Cannot be combined with any other offers. Tree Service & Pressure Cleaning
VOL. 565 D 45 Copyrighted© My Living Media. 2023 All Rights reserved. To Advertise call 772-247-6849 Need More Coupons - MyLivingMedia.com • Hot Tubs • Swim Spas • Sales • Service • Installation *Restrictions apply. Must present MLM coupon at time of estimate. Cannot be combined with other offers. Expires 5/12/23 $1000 $2000 OFF OFF NEW HOT TUB SWIM SPA 0% FINANCING SAME AS CASH 18 Months, Equal Payments. *Some Restrictions Apply VISIT OUR BRAND NEW 10,000 SQ. FT. SHOWROOM 2555 Bonita St., Stuart www.hottubsales .com 772•758•2298 We Guarantee Your Happiness We Deliver, Install, & Service Your Hot Tub HOT TUB SALES SIMPLY GREAT SERVICE SALE! OR LIFE IS BETTER IN A HOT TUB NO RUST • NON-IMPACT DEFLECTS 80% OF HEAT & GLARE BLOCKS OVER 95% OF RAIN HIGHEST QUALITY PRODUCTS EXCELLENT SERVICE 20 YEARS OF EXPERIENCE REFERRALS AVAILABLE UPON REQUEST 772-252-6833 WWW.ALLSHUTTER.COM ACCORDION SHUTTERS ALUMINUM SUNSHADES IMPACT WINDOWS & DOORS FREE ESTIMATES Licensed & Insured | CC#07-G-14495-X | CC#04-11218-AE-X Prince Gives Us His Stamp of Approval! $600 Off $1000 Off ON ANY JOB $15K OR MOREON ANY JOB $20K OR MORE With this MLM coupon. Not to be combined with other offers or specials. Expires 4/30/23 With this MLM coupon. Not to be combined with other offers or specials. Expires 4/30/23

OF THE PALM BEACHES

At Mosquito Shield of e Palm Beaches, the goal is to provide the best mosquito control with the highest level of customer service, thus allowing people to enjoy their homes and time with family to the fullest.

Owners Danielle and Brett Basinski have been in the South Florida area for 30+ years combined. ey are both avid golfers and love being outside enjoying sunny Florida with their 3 kids and Goldendoodle. ey are excited to help families in Palm Beach County enjoy their outdoor living space without the nuisance and health risk of mosquitos!

Danielle has more than 20 years of experience in the hospitality industry –speci cally in luxury, high-end country clubs and resorts – while Brett has worked in sales for more than 25 years. ey currently reside in Palm Beach Gardens and are very familiar with the territory.

When asked what attracted them to Mosquito Shield, they said, “We fell in love with the business model and the ‘turn-key’ blueprint provided to new owners. e corporate owner’s and executive management team are knowledgeable and receptive to feedback and answering all our questions. As small business owners, we are obsessive about providing our customers an exceptional experience when we are trusted with protecting families from the nuisance and health risk of mosquitos. One thing we realized when looking at potential businesses was everyone hates mosquitos! We look forward to helping you and your family enjoy the beautiful South Florida weather year-round.”

HOW IT WORKS:

Mosquito Shield creates a mosquito control barrier that keeps mosquitoes away. It takes just a few minutes of spraying for a typicalsized yard with their proprietary blend of mostly natural oils. You might detect just a hint of garlic immediately a er the spraying, but otherwise, you won’t notice a di erence. e mosquitoes, however, will de nitely know that something has changed... ey’ll stay away from your yard!

Mosquito Shield visits every 10-17 days to maintain that barrier against mosquitoes. Rather than setting you up with a rigid schedule, they watch the weather. Why? Because the weather dictates the life cycle of the mosquito, and that’s what Mosquito Shield wants to disrupt.

Copyrighted© My Living Media. 2023 All Rights reserved. To Advertise call 772-247-6849
Coupons - MyLivingMedia.com
Need More

You can’t control mosquitoes on a set number of sprays or visits. Unlike our competition, we service you year round, whatever it takes to provide superior results. This promise has awarded us an industry-leading customer retention rating of 90%.

We actively monitor both mosquito population and weather conditions and adjust your treatments as needed. On average, we spray every 10-17 days, a proven and effective approach that has us spraying 4-6 more times than the industry average.

VOL. 565 D 47 Copyrighted© My Living Media. 2023 All Rights reserved. To Advertise call 772-247-6849 Need More Coupons - MyLivingMedia.com Why Mosquito Shield? SHIELD YOUR LOVED ONES 561-567-8929 OF THE PALM BEACHES BETTER RESULTS MORE SPRAYS BETTER VALUE
Shield provides the best value in mosquito control services because of how we treat your yard using The Mosquito Shield Tailored Treatment System™. We don’t use a xed schedule, identical product, “one-sizets-all” service program.
Mosquito
$25 FIRST MONTH Expire 5/15/23 OFF
48 VOL. 565 D Copyrighted© My Living Media. 2023 All Rights reserved. To Advertise call 772-247-6849 Need More Coupons - MyLivingMedia.com • Acrylic: Tips-Overlay • Gel Manicure • Waxing • Gels • Pink & White • Manicure • Pedicure • Deluxe Pedicure • Nexgen Nails SERVICES 561.693.3921 In Jupiter Farms • Farms Shopping Center (Publix Plaza) HOURS: MON - FRI 9AM - 7PM • SAT 9AM - 6PM • SUNDAY CLOSED All Equipment Sterilized Non-Yellow Acrylics Two Week Guarantee All Nail Techs Experienced Walk-Ins Welcome Expert Manicure Services Pampering PedicuresSkilled Waxing Services BUY FACTORY DIRECT & SAVE 15821 Mercantile Court, Ste. #4 • Jupiter 561.935.9548 www.theclosetclinic.com – Established 1979 –Florida’s Oldest Custom Closet Manufacturer the closet clinic ANY PURCHASE $300 OFF custom closet interiors OVER $3,000 Complete Service Including: • Custom Design • Manufacturing • Top-Quality Installation • Closets • Home Of ces • Wall Units • Murphy Beds • Garage Storage Systems FREE Home Estimates MURPHY BEDS GARAGE STORAGE SYSTEMS CUSTOM DESIGNS HOME OFFICES
VOL. 565 D 49 Copyrighted© My Living Media. 2023 All Rights reserved. To Advertise call 772-247-6849 Need More Coupons - MyLivingMedia.com Healthy & Delicious • We Use Only White Meat Chicken 100% Vegetable Oil • Finest & Freshest Jupiter Farms Shopping Center 10150 W. Indiantown Road • Jupiter (Phone) 561.748.0203 (Fax) 561.748.6152 Open Hours: Mon-Thurs. 10:30am-10:00pm Fri & Sat. 10:30am-10:30pm • Sun. 12noon-10:00pm China Jade With this MLM coupon. Cannot be combined with other offers. Lunch not included. With this MLM coupon. Cannot be combined with other offers. Lunch not included. With this MLM coupon. Cannot be combined with other offers. Lunch not included. $2 $3 off off off $5 Minimum $20 Purchase Minimum $30 Purchase Minimum $50 Purchase CASH ONLY CASH ONLY CASH ONLY Best Chinese Food To Take Out Make Your Shower & Floors Look New Again! • Tile & Grout Cleaning • Grout Restoration • Tile & Grout Repair • Loose & Hollow Tile Rebonding • Shower Repairs & Regrouting • Non-Slip Tile Treatment Call today for a FREE Estimate • 772-224-3011 or 1-800-561-3736 • www.GroutsmithStuart.com SEE THE DIFFERENCE WE CAN MAKE IN THE LOOK OF YOUR HOME! Your Grout & Tile Cleaning Experts $30OFF ANY JOB OF $300 OR MORE $50OFF ANY JOB OF $500 OR MORE With this MLM coupon only. Cannot be combined with any other offers or specials. Expires 5/12/23 No More Dirty Grout! Before Before After After With this MLM coupon only. Cannot be combined with any other offers or specials. Expires 5/12/23 Guaranteed for 10 Years! THE GROUTSMITH
50 VOL. 565 D Copyrighted© My Living Media. 2023 All Rights reserved. To Advertise call 772-247-6849 Need More Coupons - MyLivingMedia.com PREVENT LEAKS AND WATER DAMAGE CALL TODAY for your FREE Roof Inspection! • Residential Specialist • Roof Replacements • Re-Roo ng • Storm Damage • Roof Inspections • Hail Damage CALL US 24 Hrs. 772-277-2340 • Florida License #CCC1333947 • Fully Insured • $100 Off $500 Off Any Repairs Any Re-Roof With this MLM Coupon. Expires 5/12/23 With this MLM Coupon. Expires 5/12/23 YOUR RESIDENTIAL SPECIALISTS SERVING ALL OF SOUTH FLORIDA! • TILE • METAL • SHINGLE • FLAT • T 100% FINANCING Not Based on Credit Score No Money Down Financial
VOL. 565 D 51 Copyrighted© My Living Media. 2023 All Rights reserved. To Advertise call 772-247-6849 Need More Coupons - MyLivingMedia.comHURRICANE IMPACT WINDOWS & DOORS • Hurricane Protection • Home Security • Save on Energy Bills • Save on Insurance Costs • Increase Property Value • Noise Reduction Your Expert in Single Family Homes & Condos! “Our service & products are second to none!” The People’s Choice In Hurricane Protection! 561-336-6511 SAME DAY Appointments! FINANCING Available! We Beat ALL Competitors’ Pricing CALL FOR DETAILS INSTALLATION & NO SALES TAX. EXP 4/30/23 License #CBC1264950 & INSURED Serving Palm Beach, Martin, & St. Lucie Counties 50% Off(Some restrictions apply) Protect What’s Precious to You! AS MUCH AS SPRING INTO ACTION SALE
52 VOL. 565 D Copyrighted© My Living Media. 2023 All Rights reserved. To Advertise call 772-247-6849 Need More Coupons - MyLivingMedia.com Exceptional Quality • Exceptional Service “We Paint Every Home Like It’s Our Own” 561-475-5944 Wellington, FL Exceptional Painting_0110-4918_HI565 www.exceptionalpainting.com Insured and Bonded | Palm Beach Co. U-18412 | Free Estimates • Interior Painting • Exterior Painting • Small Drywall Repairs • Small Concrete Repairs • Wallpaper Removal • Wallpaper Installation • Wood and Fiberglass Staining • Concrete Staining • Epoxy Coatings • Pressure Cleaning • Color Consultants • Touch-Up Specialists • Lacquer Painting • Small General Repairs Prior to Painting With this MLM Coupon FREE STUMP REMOVAL Get 1 Free Stump Removed w/Purchase of 3 Stump Removals Lic & Ins 772-783-9517 I.M.A.Landscaping@gmail.com IMA LANDSCAPING TREE & PALM SERVICES Serving PSL, Martin, Palm Beach TREE & PALM TRIMMING We Beat AnyEstimateWritten WE SPECIALIZE IN TREE REMOVAL • Rock & Stone Install • Palm/Tree Removal • Irrigation install & Services • Stump Grinding • Mulching & Sod Installed • Tree Trimming • Synthetic Turf • Pressure Washing • Brazilian Pepper Tree Cut Back & Removal • Installation/Design • Lawn Maintenance • Clean Ups/Hauling • Weeding & Much More • H.O.A. Complaint Letters • H.O.A Approved • Hazardous trees that are too close to the roof Come see the largest showroom in the area, featuring: Miele, Riccar, Hoover, Dyson, and Much More! 561-359-0996 201 North US Highway 1 • Suite B3, Jupiter Next the Jupiter Movie Theater www.actioncentralvacuum.com www.jupitervacuum.com $5OFF ANY VACUUM REPAIR Excludes Electric Brooms & Hand Vacuums WITH THIS MLM AD. CANNOT BE COMBINED EXPIRES 5/15/23 $100 OFF Limited Quantity ACT NOW!!! MSRP SELECT MIELE MODELS Family Owned & Operated FACTORY AUTHORIZED DEALERS! $20OFF (Reg. $85) CENTRAL VAC SERVICE CALL WITH THIS MLM AD. CANNOT BE COMBINED • EXPIRES 5/15/23 WE COME TO YOU! Is Your Central Vacuum Running Sluggish? We Restore it to New Condition. $200 The Most Amazing Grout Cleaner... BEATS ALL! WITH THIS OMS AD. CANNOT BE COMBINED • EXPIRES 5/15/23 $200OFF VACUUM BAGS ANY PACKAGE WITH THIS OMS AD. CANNOT BE COMBINED • EXPIRES 5/15/23 OFF
VOL. 565 D 53 Copyrighted© My Living Media. 2023 All Rights reserved. To Advertise call 772-247-6849 Need More Coupons - MyLivingMedia.com WAGNER’S • WAGNER’S • WAGNER’S W ’ W ’ • WAGNER’S • WAGNER’S • WAGNER’S WAGNER’S • WAGNER’S • WAGNER’S • WAGNER’S • WAGNER’S • WAGNER’S • WAGNER’S • WAGNER’S W AGNER ’ S • W AGNER ’ S • W AGNER ’ S • W AGNER ’ S W AGNER ’ S W AGNER ’ S • W AGNER ’ S • W AGNER ’ S • W AGNER ’ S W AGNER ’ S ‘Cause you like it cool… WAGNER’S REFRIGERATION & AIR CONDITIONING Your Satisfaction is our Guarantee! 561-743-5759 Lic#CAC057855 Central Air Conditioning • Commercial Refrigeration Ice Machine Specialists Any A/C Install $10000off It’s Hard To Stop A Trane.® Wagner's Refrigeration_0074-1118_HI565 Your Pets Home Away from Home $50 Any 3 Night Stay 772-218-5131 With this MLM coupon. Expires 5/12/23 Off LIC #U-22038 LIC #MCFE6928 We’ll Beat Reasonable Estimates From Comparable Licensed Companies & Product Offerings Some Restrictions Apply AUTOMATIC GATE OPENER SPECIALIST 561-899-4574 www.budgetfenceandgate.com Since 1950 RESIDENTIAL COMMERCIAL Se Habla Español ASK ABOUT OUR Promotion for Eligible Projects. or Interest, Payments for Months Options! Down, Low Monthly Payments 0 0 0 24 VETERAN & SENIOR DISCOUNTS All Your Handyman Needs 772-281-9730 Veteran Owned • Licensed • Insured Call or Text Finish Trim Work Interior Carpentry Crown Molding Younique Custom Theater Trim & Design LLC facebook.com/theatertrim/ Find us on AIRPORT TRANSPORTATION CAR SERVICE LOW RATES! / OPEN 24/7 West Palm (PBI) $80 Fort Lauderdale (FLL) $160 Orlando (MCO) $175 Miami Airport (MIA) $175 Cruise Ports Doctor Visits ($25 Per Hour) (INCLUDES TOLLS & LUGGAGE) DISCOUNT ON ROUNDTRIP FARES. FAMILY TRAVELING CALL NOW! (772) 940-9186 TCLIMOSERVICES.COM BOOK ONLINE SAVE 10% CODE: SAVE10
54 VOL. 565 D Copyrighted© My Living Media. 2023 All Rights reserved. To Advertise call 772-247-6849 Need More Coupons - MyLivingMedia.com Jupiter Sod & Landscaping 561.768.1337 561.747.7856 FREE ESTIMATES FLORATAM • BAHIA • PALMETTO • BERMUDA Sod Removal & Installation 13049 W. Indiantown Rd. • Jupiter LANDSCAPE DESIGN ROCKS & MULCH PRODUCE HARDSCAPING Over 40 Years of Experience 1st Pallet 10% OFF With this MLM coupon. Expires 4/30/23 RESIDENTIAL & COMMERCIAL • Shingles • Synthetic Shingles • Metal • Tile • Aluminum 1500 N Florida Mango Rd Suite 3 • WEST PALM BEACH (561) 264-6233 $500 Off $1000 Off Any Roof $10,000 or more. Any Roof $20,000 or more. Must present coupon when signing contract 4/30/23 Must present coupon when signing contract 4/30/23 not be co Locally Owned and Operated Since 1967 3586 SW Martin Hwy, Palm City, FL 34990 1701 Commerce Ave Vero Beach, FL 32960 4251 SE Commerce Ave Stuart, FL 34997 772-562-6666 No Runout GUARANTEE! Customerservice@como orida.com www.como orida.com Como Can Do That! Gas Piping: Interior and Exterior Propane Tank Installation & Excavation Generator: Sales, Service & Installation Appliance: Sales, Service & Installation Bulk Fuel Delivery Cardlock Stations (all three locations) Generator 4G LTE monitoring Dockside Fueling: Fuel Your Boat at Your Home or Marina Cylinder Filling MONITORED DELIVERY $250 COMO’S
VOL. 565 D 55 Copyrighted© My Living Media. 2023 All Rights reserved. To Advertise call 772-247-6849 561-468-7281 www.windowreplacementgroup.com SCC# 131152429 CBC# 1264555 IMPACT WINDOWS & DOORS The Group of Professionals You Can Trust! Energy Saving Enhance Home’s Appearance & Value Hurricane & Burglary Protection Reduce Insurance Cost Sound Reduction TM *Offers cannot be combined. Exp. 4/30/23 *Offers cannot be combined. Exp. 4/30/23 FREE SPECIAL ENTRY DOOR *WITH PURCHASE OF FULL HOUSE INSTALL ASK ABOUT OUR PRICING FOR IMPACT WINDOWS, PATIO & ENTRY DOORS TM TM
56 VOL. 565 D Copyrighted© My Living Media. 2023 All Rights reserved. To Advertise call 772-247-6849 Need More Coupons - MyLivingMedia.com FREE CONSULTATION 10% OFF 561.855.6595 Let Us Make Your Dream A Reality! LIC# CGC1525942 825 15th Street Lake Park • Custom Cabinets • Closets • Kitchens • Bathrooms • Doors & Windows • Custom Millwork Any Remodeling Job. Must Book Before 4/30/23 Total Ima g e With this MLM coupon • Screen Enclosure Makeover (rescreening & rusted screw replacement with caps for a new look) • Pool, Patio, and Porch Screen Enclosure • Sun Window Rooms and Accordion Shutters • All Types of Aluminum Fencing & Custom Railing • Electric Roll-Down Screens with Remote Control Inventor of the Hurricane Removable Screen Panel Removable Screen Panels Allow Hurricane Winds to Blow Through Screen Builders www.screenbuildersinc.com Licensed and Insured U#22179 Screen Builders & Fencing 561.693.6825 Florida’s Largest Screen Enclosure & Fence Specialists We install 1,500 ft. of fence per week Celebrating 36 Years in SinceBusiness! 1987 Doing business with GL Homes & Minto Homes We Are on Our 110,086 110,155 Job Installed
57 Copyrighted© My Living Media. 2023 All Rights reserved. To Advertise call 772-247-6849 SCAN HERE!
58 VOL. 565 D Copyrighted© My Living Media. 2023 All Rights reserved. To Advertise call 772-247-6849 Need More Coupons - MyLivingMedia.com Renovate Your Existing Pool Today! Your Pool Heating and Renovation Specialist FREE Estimate! 561-745-1163 HEATING & RENOVATION A COLD POOL IS NO POOL Heat Pumps • Solar • Gas Salt Chlorination Pool & Spa Automation Pool Pumps & Filters Pool Resurfacing Coping • Tile Look No Further for the Experts in Pool Heating • Heat Pumps • Solar • Gas FAMILY OWNED AND OPERATED STATE LICENSES #CP-CO57115 • #CVC 56745 • NAT/LP 26278 FREE SAME-DAY ESTIMATES 5% Off Purchase Price Of Any Salt Chlorinator, Pool/Spa Automation, Pump, or Filter With this MLM Coupon. Expires 5/15/23 HUGE DISCOUNTS! On Factory Direct Heat Pumps tropicalpoolheating.com *See dealer for details THE BEST CHOICE NOW OPEN IN JUPITER! MON-FRI: 9AM-6PM SAT: 9AM-2PM SUN: CLOSED FIND US ON 5 STAR REVIEW C e Visit O New Sh r m FINANCING AVAILABLE FREE IN HOME ESTIMATES GRAND OPENING SPECIAL SAVINGS 20% Off APPLIES TO FLOORING ONLY Expires 5/15/2023 OFFERING A WIDE VARIETY OF LUXURY HARDWOOD LAMINATE • VINYL • BASEBOARDS FROM USA & EUROPE! 2562 WEST INDIANTOWN RD, SUITE B-3 • JUPITER • LOCATED NEXT TO DOMINOS IN THE GREEN TURTLE PLAZA FAMILY OWNED & OPERATED 561-277-9943 CONTRACTORS WELCOME!
VOL. 565 D 59 Copyrighted© My Living Media. 2023 All Rights reserved. To Advertise call 772-247-6849 YOUR TRUSTED ROOFERS $500 ANY NEW ROOF $10,000 & Up Must present this MLM coupon. Expires 5/12/23 off $150 ROOF REPAIR Must present this MLM coupon. Expires 5/12/23 off Roof Repair • Roof Replacement Insurance Restoration LICENSED & INSURED • #CCC133746 5 Stars Google FREE In-home Estimate 772-222-6760 819 SW Federal Hwy. Ste #201 • Stuart www.levelbestroo ng.com
60 VOL. 565 D Copyrighted© My Living Media. 2023 All Rights reserved. To Advertise call 772-247-6849 Need More Coupons - MyLivingMedia.com ing and refacing services, your original cabinet boxes stay in place –saving you the time, cost, and mess of a complete remodel. We’ll have your kitchen looking brand new in no time! Give us a call to schedule your free, in-home estimate. Before Refacing CALL TOD AY 561. 861.3532 DIEGO HERNANDEZ Locally Owned and Operated Serving Jupiter, FL and the surrounding area. Hassle-Free Kitchen Updates Choose a new color and style for your kitchen with cabinet refacing. kitchentuneup.com 1 DAY TUNE-UP • REFACING • REDOORING • CUSTOM CABINETS AND MORE! TREE TRIMMING TREE & STUMP REMOVAL • TREE TRIMMING & THINNING • TREE REMOVAL • TREE & SHRUB PLANTING • HAZARDOUS REMOVALS • STUMP GRINDING 561-222-1860 $30 OFF ANY SERVICE $300 OR HIGHER. Exp 4/30/23 SOUTH FLORIDA’S TREE CARE SPECIALIST SCAN HERE TO BOOK YOUR FREE ESTIMATE
VOL. 565 D 61 Copyrighted© My Living Media. 2023 All Rights reserved. To Advertise call 772-247-6849 Need More Coupons - MyLivingMedia.com THE DOOR SYSTEM YOU CAN BELIEVE IN THE DOOR OF BEAUTY AND INOVATION HURRICANE PREPARATION TIM E I S HERE! Call us today for your FREE WINDOW & DOOR Replacement Estimate! FAMILY OWNED & OPERATED SINCE 1999 8200 SW LOST RIVER ROAD • STUART, FLORIDA 34997 KAMRELL When You Want It Hung Well... TRUST THE WINDOW & DOOR SPECIALIST LICENSED & INSURED CGC061180 772-288-6205 WWW.KAMRELL.COM
62 VOL. 565 D Copyrighted© My Living Media. 2023 All Rights reserved. To Advertise call 772-247-6849 Need More Coupons - MyLivingMedia.com 10% OFF Any Job Must Present This MLM Coupon Painting Interior/Exterior Popcorn Removal Knock Down Textures Crown Moulding Dry Wall Repairs John 561-306-1813 MC Lic # CPT 4946 • PBC Lic #U-14183 SCOLLOPAINTINGINC@GMAIL.COM Scollo Painting Inc Licensed, Bonded, & Insured 561-748-5353 With this MLM coupon, 1 coupon per household. Cannot be combined with any other offer. OFF FIRST CLEAN $10 Call for a FREE Estimate • Residential • Commercial • Move In/Out • Seasonal Cleaning • One-Time Cleaning GIFTAVAILABLECERTIFICATES We clean your home like it’s our own! Call Galene Water today at (561) 376-2953 or visit us at GaleneWT.com † Offer valid for whole house systems only. Cannot be combined with any other offers. ^ Up to 4 years | Expires 4/30/2023. Go to galenewt.com for APR and nancing details. THE ULTIMATE WHOLE HOMEWATER SYSTEM MORE FILTRATION, BETTER SERVICE WITH THE BEST VALUE! GALENE EASY SYSTEM Maintenance free up to 4 years* (*For chlorine only) Reduces Hundreds of Chemicals Most Eco-Friendly Water Treatment System 90-DAY MONEY BACK GUARANTEE MAINTENANCE FREE* NO WASTED WATER NO SALT BAGS NO HASSLE NO ELECTRICITY NEW 20% OFF † LIMITED TIME
A better Backyard A greater Outdoors All structures meet high wind and velocity requirements. Outdoor Furniture • Synthetic Turf • Fire Pits • Animal Enclosures • Pavillions Gazebos • Wood & Vinyl Playsets • Arbors • Sheds • Pergolas • Hammocks & more! Many models an sizes to choose from in Vinyl or Wood 4013 W. Atlantic Ave, Delray Beach 561-783-3315 www.hitchingposts .com Tues-Sat 9-5 CLOSED SUNDAY & MONDAY Since 1979 Visit or Call Us Today! $ $ $ $ $400 Off PURCHASE OF $2,000 OR MORE. MLM COUPON EXPIRES 5/15/23 BACKYARD BUCKS
64 VOL. 565 D Copyrighted© My Living Media. 2023 All Rights reserved. To Advertise call 772-247-6849 Need More Coupons - MyLivingMedia.com Your Complete Source For All Your Trees 772-324-0449 TREE TRIMMING • TREE REMOVAL FREE On Site Estimate Same Day Service 10% o Any Job $100 or more. With this MLM coupon. Cannot be combined with any other offers. Limited Time Only. Other Services: • Full Service Yard Clean Up • Hedge Trimming • Mulching GUARANTEED BEST PRICES! We Will BEAT Any Written Estimate! www.saultreeservicesllc.com 4X Stronger than Epoxy! 1 Day Garage Floors $250 $350 $450 CallUsToday! Floortekconcretecoatings.com 561-783-3293 South Florida’s #1 Concrete Coating Company Lifetime Warranty off off off 1-Car Garage or Equivalent Size 2-Car Garage or Equivalent Size 3-Car Garage or Equivalent Size Expires 5/12/23 Expires 5/12/23 Expires 5/12/23 PROFESSIONAL CLEANING SERVICE •Residential •Commercial •Post Construction AVAILABILITY 561-878-0412 FOLLOW US ON JEAE CLEANING SERVICES LLC. JeaeCleaningService.com OFF 15% With MLM coupon. Expires 4/30/23 NEW CLIENT SPECIAL
We Don’t Just Sell Roofs… We Build Relationships. 772-258-4989 $500 OFF ANY NEW ROOF OF $10,000 or MORE

SUDOKU PUZZLE

66 VOL. 565 D Copyrighted© My Living Media. 2023 All Rights reserved. To Advertise call 772-247-6849 Need More Coupons - MyLivingMedia.comPUZZLE PAGE
PUZZLE PAGE CROSSWORD ACROSS 1 Feedbag bit 4 Chilled 8 Theatergoer’s souvenir 12 Show to a seat, slangily 13 Cleopatra’s river 14 Poi base 15 Dance syllable 16 Fabric fastener 18 Klum of “Project Runway” 20 Hide-hair insert 21 Early birds? 24 Apple intruders 28 Wind-driven toy 32 Tidy 33 Altar af rmative 34 Fusses 36 Log chopper 37 Region (Abbr.) 39 Flag-shaped blazer accessory 41 Pago Pago’s place 43 Sleuth Wolfe 44 Sphere 46 Lively dance 50 Yankee uniform pattern 55 Squeak stopper 56 Clue 57 One-named supermodel 58 Buddy 59 Conks out 60 Like lemons 61 Supplement, with “out” DOWN 1 “That hurts!” 2 Tennis great Arthur 3 Bangkok language 4 Perception 5 Espionage org. 6 Sprite 7 TV chef Paula 8 “Sophie’s Choice” author 9 Spigot 10 Swiss canton 11 “-- voyage!” 17 AAA job 19 Morning moisture 22 Earth sci. 23 Auto style 25 Harvest 26 Extra-long 27 British gun 28 Plum centers 29 Notion 30 Standard 31 Easy gait 35 Eden tempter 38 Perches 40 Privy 42 Illustrations 45 Telly watcher 47 Earring site 48 “Star Trek” captain 49 Medicinal plant 50 Prof’s degree 51 Three, on a sundial 52 Away from SSW 53 “-- Little Teapot” 54 Standard Solutions See Page 74
Need More Coupons - MyLivingMedia.com • Plumbing Repairs • Water Heaters • Toilet Installation • Garbage Disposals • Clearing Sewer Lines • Septic Services • Distribution Boxes • New Installations PLUMBING REPAIRS & WATER HEATER INSTALLATIONS - WE GIVE SENIOR CITIZENS & VETERANS DISCOUNTS! Lic. #CFC1429556 Available Nights, Weekends & Holidays ANY JOB Big or Small We Do Them All! $65 OFF $50 OFF $35 OFF Not valid with other offers or prior services. Must present MLM coupon. Limit one coupon per service call. Not valid with other offers or prior services. Must present MLM coupon. Limit one coupon per service call. Not valid with other offers or prior services. Must present MLM coupon. Limit one coupon per service call. $30 OFF Not valid with other offers or prior services. Must present MLM coupon. Limit one coupon per service call. D D D D $100 OFF Not valid with other offers or prior services. Must present MLM coupon. Limit one coupon per service call. $50 OFF Not valid with other offers or prior services. Must present MLM coupon. Limit one coupon per service call. D $250 OFF Not valid with other offers or prior services. Must present MLM coupon. Limit one coupon per service call. FREE Not valid with other offers or prior services. Must present MLM coupon. Limit one coupon per service call. Not valid with other offers or prior services. Must present MLM coupon. Limit one coupon per service call. Celebrating 40 Years of Excellence Your Next Service Call Any New Hot Water Heater or Tankless Heater Any New Toilet Clearing Any Sink, Toilet, or Main Sewer Line Any New Garbage Disposal Any Septic Pumping Any Distribution Box Replaced $37 OFF BACTERIA TREATMENT with Pumping and Backwashing Any New Drain Field Installed D D D D
68 VOL. 565 D Copyrighted© My Living Media. 2023 All Rights reserved. To Advertise call 772-247-6849 Need More Coupons - MyLivingMedia.com 772-362-5487 OFF $100 INSTALLATION OUTDOOR LIGHTING Designed & Installed By Professionals • Decks / Led • Multi Colored • Landscape / Yard • Underwater / Dock • Security High-Quality, Low Voltage Landscape Lighting www.yardlites.com With this MLM coupon. Cannot be combined with other offers. Expires 4/30/23 • Expert Lamp Repair & Restoration • Bring In Your Lamp For A Proper Fit! Best Selection of Lampshades in Florida! ANY SHADE IN THE STORE Expiration 4/30/23 $10 OFF $39.00 and Up 772.221.0222 Cedar Pointe Plaza 2461 SE Ocean Blvd. Stuart, FL 34996 Custom-Made Lamps & Shades ... Bring Your Lamp for a Proper Fit! Motorized Roll-Up Screens for Garages, Patios, or Lanais YOUR LOCAL SCREEN & AWNING DEALER. RATED #1 IN SERVICE 561-349-6788 FlaScreens.com Serving Port St Lucie to Boca Raton • Visit Our Showroom at: 2885 Jupiter Park Dr. • Suite 1900A • Jupiter, FL 33458 • Power Screens • Retractable Awnings • Nano Bugmesh • Solar Fabrics • FREE In-House Estimates ENTERTAIN OUTDOORS YEAR ROUND! Let e Fresh AIR IN, Keep the BUGS OUT. Lic.# U-20970
VOL. 565 D 69 Copyrighted© My Living Media. 2023 All Rights reserved. To Advertise call 772-247-6849 Need More Coupons - MyLivingMedia.com Locally Owned and Operated for 19 Years coderedroofers.com 3341 SE Slater Street Stuart, FL 34997 Call us today (772) 247-6067 METAL · SHINGLE · TILE · FLAT · REPAIRS
70 VOL. 565 D Copyrighted© My Living Media. 2023 All Rights reserved. To Advertise call 772-247-6849 Need More Coupons - MyLivingMedia.com Specializing in… • Hazardous Tree & Limb Removal • Palm Tree Trimming • Total Tree Care Licensed & Insured 20% Off All Services MLM coupon expires 5/12/23 772.361.6187 FREE ESTIMATES! Seaglass Window Fashions American Made 561-932-3712 PBG, Jupiter, Palm City, Stuart, Port St. Lucie Plantation Shutters White Poly Vinyl SOLAR SHADES Manual or Motorized available • Zebra Shades • Woven Wood Shades • Honeycomb Shades • Sheer Shades • Wood Plantation Shutters White & Stained Elec. Lic # EC13002031 Gas: 24513 CALL TODAY FOR YOUR FREE IN HOME ESTIMATE 561-202-3535 www.PowerRestored.com *Must Have Promo Present At Time of Signing* DON’T WAIT UNTIL HOME STANDBY HURRICANE SEASON! GENERATORS Supplies are Very Limited! Reserve Your Generator Today! • Turnkey Installations! • Electric and Gas Contractors! • Fully Licensed and Insured! • Factory Authorized Technicians! • Service and Mainteance! • Celebrating 35 Years in Business! $1,000 Up To OFF! Limited Time Offer! Valid Through 05/2023
VOL. 565 D 71 Copyrighted© My Living Media. 2023 All Rights reserved. To Advertise call 772-247-6849 Need More Coupons - MyLivingMedia.com MCNS6082 MCGLA03190 Closets – Entertainment Centers – Pantries – Garage Systems – Mudrooms O ce Systems – Mirrors – Shower Enclosures – Glass – Windows Sliding Glass Doors and Much More! Call Today for A Free Estimate & Design! Or Visit Our Showroom Located at: 7917 SW Jack James Dr. Suite 2 Stuart, FL 34997 (772) 781-7357 www.Facebook.com/AMasterCloset/ $300 O Any Organizational System Over $2500 Coupon Must Be Presented At Time of Purchase. Cannot Be Combined With Other O ers.
72 VOL. 565 D Copyrighted© My Living Media. 2023 All Rights reserved. To Advertise call 772-247-6849 Need More Coupons - MyLivingMedia.com POOL SCREEN ENCLOSURES THE ORIGINAL Locally Owned & Operated Since 1990 • Pool Screen Enclosures • Patio & Lanai Screens • Poly Aluminum Roofs • All Work Guaranteed • All Repairs • FREE Estimates • www.pioneerscreen.com 561-771-0287 38 Years of Experience Licensed & Insured To Protect You $100 OFF ANY RE-SCREEN OR REPAIR OVER $1000 WE WILL MEET OR BEAT ANY LICENSED CONTRACTOR’S ESTIMATE WITH THE SAME QUALITY PRODUCTS! Family-Owned Since 1997 the Original Paving Contractor InstallationWeSpecializeIn&Repair • A+BBB • 10-Year Warranty • Over 50 Years of Experience in Brick Paving 561-257-5775 PAVERS ARTIFICIAL GRASS 312 Center Street • Jupiter, FL 33458 www.TripleMBricks.com • MMMBRICKPAVERS@AOL.COM • Paver Repairs • Interlocking Brick Pavers • Old Chicago Bricks • Travertine • Driveways • Walkways • Patios • Pool Decks • Pool Remodeling - KID & DOG FRIENDLY - NO WATER - NO FERTILIZER - NO MUD - NO ITCHY GRASS - GREEN YEAR ROUND Refresh your Backyard with Arti cial Grass, an Outdoor Kitchen, and Pavers With this MLM Coupon. May not be combined with other offers. Expires 4/30/23 ANY INSTALLATION $100 OFF FREE ESTIMATES! Licensed and Insured License#U20229 BRICK PAVERS & ARTIFICIAL GRASS VILLAGE BOOTERY SHOE STORES 245 U.S. Highway One • Tequesta 561.746.3536 2641 S.E. Ocean Blvd. • Stuart 772.283.3833 $10 OFF Your next Village Bootery purchase Expires 4/30/23. Discount not available on sales merchandise.
VOL. 565 D 73 Copyrighted© My Living Media. 2023 All Rights reserved. To Advertise call 772-247-6849 Need More Coupons - MyLivingMedia.com Call A/C Now for Service that Wows! Air Conditioning Repair, Maintenance, Installation Heating Pool Heating Commercial Residential Safe Vendor Certi cation 561-823-2676 Serving Martin & N. Palm Beach County Veteran Owned & Operated 30 Years Experience acnowllc.com FREE $69 $45 $65 SERVICE CALL REPLACE YOUR AC SYSTEM FOR AS LOW AS PER MONTH AIR CONDITIONER TUNE UP HOME AIR QUALITY EVALUATION **With Repair During Normal Business Hours With this MLM coupon. Expires 5/12/23With this MLM coupon. Expires 5/12/23With this MLM coupon. Expires 5/12/23 *with approved nancing WWW.TKGUTTERS.COM 772-692-9727 | 561-250-2184 Authorized Dealer For PRESERVE & PROTECT YOUR HOME, FOUNDATION, & LANDSCAPING FROM WATER DAMAGE • Seamless • Modern Box • Half Round • Commercial • Aluminum • Copper Steel • Installation • Cleaning • Manufacturing • Repair • Maintenance • 5-YEAR WARRANTY FREE ESTIMATES Licensed & Insured License #MCNS4803 3215 SE GRAN PARK WAY STUART, FL 34997 WHAT'S IN YOUR GARAGE? ® BUY, SELL, OR TRADE 561-202-3580 772-672-3080 BUY, SELL, OR TRADE ® SALES | STORAGE | CONSIGNMENT
74 VOL. 565 D Copyrighted© My Living Media. 2023 All Rights reserved. To Advertise call 772-247-6849 Need More Coupons - MyLivingMedia.com S U D O K U Solution CROSSWORD SOLUTION SOLUTION TIME: 25 MINS. PUZZLE SOLUTIONS PUZZLE SOLUTIONS Palm City Sod_D-0040-1518_HI565 Now Offering Delivery of Various Types of Mulch by the Pallet Since 1977 Jupiter 3 pallet minimum. Palm Beach 6 pallet minimum With this MLM coupon. Cannot be combined with any other offer. Prices subject to change. FLORATAM $235 MUCK BASED 500 sf Rates for Delivery Only. PALLET 450 sf BAHIA $135 Rates for Delivery Only. Free Delivery! 772-214-3780 5350 SW Martin Hwy • Palm City FL 34990 SOD INSTALLATION, BAHIA, FLORATAM, SEEDING, & MULCHING WWW.PALMCITYSOD.US Jupiter 3 pallet minimum. Palm Beach 6 pallet minimum With this MLM coupon. Cannot be combined with any other offer. Prices subject to change.
Lic# CAC1819096 Bill shAC.com SCAN HERE Neutralize odors, particulate, air pollutants, smoke, mold bacteria and viruses. FREE Customizable Auto delivery FREE SERVICE CALL WITH REPAIR ($85 Value) Must be during regular hours. Must mention at time of order. With this MLM coupon. Cannot be combined with other offers or specials. Expires 5/13/23 With this MLM coupon. Cannot be combined with other offers or specials. Expires 5/13/23 FREE DUCT EVALUATION! AIR FILTER SUBSCRIPTION USING THERMAL IMAGING REME HALO AIR PURIFIER With this MLM coupon. Cannot be combined with other offers or specials. Expires 5/13/23 With this MLM coupon. Cannot be combined with other offers or specials. Expires 5/13/23 OFF $150 10% OFF Air Conditioning Air Conditioning MAINTENANCE PROGRAM Includes 2 Visits Precision Tune-Up Clean and chemically treat drain line Check refrigerant level Check for air ow Check for air leak on plenum duct system Check fan motors Check all electrical connections for loose or burned wire, tighten all caps Check relays and contactors Replace screws if missing Check evaporator coil & wash condenser coil Coil sanitation for bad odors and bacteria, when accessible Check heating element, run heat cycle, system analysis Calibrate thermostat for maximum accuracy Check for microbial growth on coil ✔ ✔ ✔ ✔ ✔ ✔ ✔ ✔ ✔ ✔ ✔ ✔ FINANCING AVAILABLE! REG. $189 Expires 5/13/23 $19 $189 OR PER MONTH ANNUALLY Call for pricing on multiple systems 561.559.4317 Sign up online! Bill shAC.com ✔ ✔ WITH ✔ Program Perks Priority Scheduling 10% off Repairs No Overtime Charges ✔ ✔
561-746-2900 OUR MENU Like us on Facebook Jupiter Farms Pizza & Subs Inc *All Prices Subject to Change. Specialty Toppings Extra. Thick Crust Extra. Not valid with any other offer. Established 1991 HOURS: Monday through Thursday 11 a.m. to 9 p.m. • Friday and Saturday 11 a.m. to 10 p.m. • Sunday 12 p.m. to 9 p.m. Please Call at Least 15 Minutes Before Closing for All Orders All Specials & Coupons cannot be combined. Expires 6/25/23 All Specials & Coupons cannot be combined. Expires 6/25/23 All Specials & Coupons cannot be combined. Expires 6/25/23 All Specials & Coupons cannot be combined. Expires 6/25/23 All Specials & Coupons cannot be combined. Expires 6/25/23 All Specials & Coupons cannot be combined. Expires 6/25/23 Lunch Specials served till 3:00pm Daily PICK UP ONLY! Italian Hot Dog Red & Green Peppers, Onions, Fried Potatoes, Mustard & Ketchup $8.99 Italian Sausage Provolone, Onions, Green Peppers, Mustard on a Philly Roll $9.99 Rodeo Burger Onions Rings & BBQ Sauce w/cheese $11.75 Breakfast Burger –––––––––––with Egg, Bacon & Cheese $11.75 Buffalo Burger –––––––––––Blue Cheese Dressing, Lettuce, Onion & Tomato $10.75 Rodeo Fried Chicken Sandwich –––––––––––Onions Rings & BBQ Sauce w/cheese $11.75 Add Fries for $1 more & a small fountain drink for $1.50 NEW PICK UP SPECIALS DAILY & EVERY DAY SPECIALS. NO COUPON NECESSARY. All Specials & Coupons cannot be combined. NO LIMIT 2 Medium 14” Thin Crust Pizzas With 1 Reg. Topping on Each $2899 All Specials & Coupons cannot be combined. Expires 6/25/23 Thursday Dinner for Two! Wednesday Night Special! X-Large 18” Pizza With 2 Reg. Toppings & One 2-Liter of Pepsi 1 Large Pizza, 10 Bone-in Wings, Garden Salad, & 2-Liter of Pepsi Product All Specials & Coupons cannot be combined. Expires 6/25/23All Specials & Coupons cannot be combined. Expires 6/25/23 NO LIMIT NO LIMIT $2099 $2899 NO LIMIT Monday Night Special! Large 2 Reg. Toppings Pizza Tuesday Night Special! 1 FREE Reg. Topping On Any Pizza All Specials & Coupons cannot be combined. Expires 6/25/23All Specials & Coupons cannot be combined. Expires 6/25/23 NO LIMIT $1665 & SUPPLY CORP Serving Jupiter Farms since 1987 Ph: 561-747-6166 Fax: 561-747-6156 9250 West Indiantown Road (In Sierra Square) “KNOWLEDGEABLE, PROMPT, COURTEOUS SERVICE” NEW EXPANDED FASTENER ASSORTMENT Mon.-Fri. 7am-6pm Sat. 8am-5pm Sun. 9am-4pm COMPETITIVE PRICES! With this coupon. Not valid with other offers or prior purchases. Offer Exp. 5/15/23 HOUSE KEY Just For Stopping By (Limit one per customer) FREE $1OFF Jupiter Hardware Sierra Square • 747-6166 THURSDAY PROPANE (Limit one per customer) 20# Tank Only With this coupon. Valid on Thursday’s ONLY. Cannot be combined with any other offers or prior purchases. Offer Exp. 5/15/23 SPECIAL Jupiter Hardware Sierra Square • 747-6166 Jupiter Hardware Sierra Square • 747-6166 Cannot be combined with any other offers. Cannot be used for delivered items. Valid only on regularly marked items. Offer Exp. 5/15/23 PURCHASE OF $25 OR MORE $200 OFF KNIFE SHARPENING Just For Stopping By (Limit one per customer) FREE With this coupon. Not valid with other offers or prior purchases. Offer Exp. 5/15/23 Jupiter Hardware Sierra Square • 747-6166 JUG OF CHLORINE 10¢ Off MUST PRESENT COUPON MUST PRESENT COUPON MUST PRESENT COUPON MUST PRESENT COUPON PER JUG MUST PRESENT COUPON Jupiter Hardware Sierra Square • 747-6166 With this coupon. Not valid with other offers or prior purchases. Offer Exp. 5/15/23
• Acrylic: Tips-Overlay • Gel Manicure • Waxing • Gels • Pink & White • Manicure • Pedicure • Deluxe Pedicure • Nexgen Nails SERVICES 561.693.3921 In Jupiter Farms • Farms Shopping Center (Publix Plaza) HOURS: MON - FRI 9AM - 7PM • SAT 9AM - 6PM • SUNDAY CLOSED All Equipment Sterilized Non-Yellow Acrylics Two Week Guarantee All Nail Techs Experienced Walk-Ins Welcome Expert Manicure Services Pampering PedicuresSkilled Waxing Services Healthy & Delicious • We Use Only White Meat Chicken 100% Vegetable Oil • Finest & Freshest Jupiter Farms Shopping Center 10150 W. Indiantown Road • Jupiter (Phone) 561.748.0203 (Fax) 561.748.6152 Open Hours: Mon-Thurs. 10:30am-10:00pm Fri & Sat. 10:30am-10:30pm • Sun. 12noon-10:00pm China Jade With this MLM coupon. Cannot be combined with other offers. Lunch not included. With this MLM coupon. Cannot be combined with other offers. Lunch not included. With this MLM coupon. Cannot be combined with other offers. Lunch not included. $2 $3 off off off $5 Minimum $20 Purchase Minimum $30 Purchase Minimum $50 Purchase CASH ONLY CASH ONLY CASH ONLY Best Chinese Food To Take Out
78 VOL. 565 D Copyrighted© My Living Media. 2023 All Rights reserved. To Advertise call 772-247-6849 *Additional charges may apply for heavily soiled areas Serving the Treasure Coast from Vero to Palm Beach 772-919-7163 • 561-250-0088 WWW.CarpetCleanerInFlorida.com 3 ROOMS $68 2 ROOMS $42 5 ROOMS $99 TILE & GROUT CLEANING 39¢ SQ. FT. 100 SQ. FT. MINIMUM FURNITURE CLEANING $60 SOFA OR LOVE SEAT OR 2 CHAIRS AREA RUGS $40 AND UP PREVENTS FIRES DRYER VENT CLEANING FREE DEODORIZER, SANITIZER, & DISINFECTANT $85FROM & SPEEDS DRYING TIME OFFER #MS4-1 CARPET CLEANING Licensed Ask about ...dries in half the time!
VOL. 565 D 79 Copyrighted© My Living Media. 2023 All Rights reserved. To Advertise call 772-247-6849 Need More Coupons - MyLivingMedia.com Affordable Painting AFFORDABLE & SUPERIOR PAINTING affordableandsuperiorpainting@gmail.com 561-530-2491 20% 10% OFF OFF EXTERIOR PAINTING OVER $1595 One Per Customer. Must present this MLM coupon Cannot be combined with other offers. Expires 4/30/23 One Per Customer. Must present this MLM coupon Cannot be combined with other offers. Expires 4/30/23 INTERIOR PAINTING STARTING @ $2995 SPRING SPECIALS •INTERIOR PAINTING •EXTERIOR PAINTING •FENCE PAINTING •DECK STAINING •DRIVEWAY STAINING •CABINET PAINTING FREE DRIVEWAY POWERWASH W/EXTERIOR PAINTING FREE ESTIMATES & FINANCING AVAILABLE SCAN HERE TO VIEW OUR GALLERY myaffordableandsuperiorpainting.com Indiantown Tire & Service Center 772-597-3741 AFTER HOURS: 772-323-5168 16087 SW War eld Blvd. • INDIANTOWN ONLY 20 MINUTES FROM JUPITER FARMS! A/C System Check Oil Change Special Tire Special Cooling System Maintenance Service Includes: • Performance system check • Leak-test all components & connections • Check heating & cooling systems • Check drive belts & hoses Reg. $69.95 $3995 Most Vehicles ($5000 Savings) Must present MLM at time of service Cannot be combined with any other specials or discounts. See Store for Details. Expires 5/12/23 Must present MLM at time of service Cannot be combined with any other specials or discounts. See Store for Details. On Most Vehicles. Expires 5/12/23 Must present MLM at time of service. Cannot be combined with any other specials or discounts. See Store for Details. Expires 5/12/23 Must present MLM at time of service Cannot be combined with any other specials or discounts. See Store for Details. Expires 5/12/23 (Most Vehicles) $2495 Up to 5 Qts. $4999 $2495 Up to 2 Gal. + Tax, Disposal & Shop Supplies Includes: • Vehicle inspection ($49 value FREE) • Check and top-off all uids • FREE 4- tire rotation Semi-Synthetic Oil & New Filter Inspection of coolant system, coolant condition, & coolant replacement We Also Repair Agricultural & Commercial Tires Rotation & Balance WHOLESALE FENCING INSTALLATIONS & REPAIRS HOME OF THE LOWEST PRICE GUARANTEE Honest, Trustworthy, Hassle-Free Service From A Family-Owned Business FREE GATE WITH PURCHASE OF EVERY 150 FT. OF FENCING. UP TO A $450 VALUE FENCING SOUTH FLORIDA 561-612-2018 With this MLM coupon. Not valid with any other offer or prior purchases. Offer expires 5/12/23 PVC/VINYL FENCING CHAIN LINK FENCING “We guarantee to beat any price you have from any legitimate fence company” Licensed &Insured Broward 11-F-17403-X Palm Beach U-21752 WWW.FENCINGSOUTHFLORIDA.COM OFFICE 561-612-2018 SERVING BROWARD & PALM BEACH FREE REMOVAL OF EXISTING FENCE WITH PURCHASE OF NEW FENCING NO MINIMUM REQUIRED (excludes hurricane damaged fencing) FENCING SOUTH FLORIDA 561-612-2018 With this MLM coupon. Not valid with any other offer or prior purchases. Offer expires 5/12/23 Visit our website to see our episode on Designing Spaces NOW INTRODUCING OUR NEW ART DIVISION Custom Metal Works in Any Shape and Style added to your fence, gates, entry door, and interior or exterior house walls WOOD FENCING ALUMINUM FENCING WE DO IT RIGHT THE FIRST TIME FOR LESS.
Hand Tossed Brick Oven Pizzas & More! See Page 75 JUPITER FARMS 9260 W. INDIANTOWN ROAD • JUPITER (1/2 mile West of the Turnpike in the Sierra Square Plaza) 561-746-2900 Established 1991 Residential Customer PRSRT STD ECRWSS US POSTAGE PAID PERMIT #145 STUART, FL 2081 SE Ocean Blvd. • Suite 4 Stuart, Florida 34996 • 772-334-2121

Turn static files into dynamic content formats.

Create a flipbook
Issuu converts static files into: digital portfolios, online yearbooks, online catalogs, digital photo albums and more. Sign up and create your flipbook.