Conoce sobre la Periodontitis

Page 1

Periodontitis

se conoce como enfermedad de las encías

Periodontitis

Es una enfermedad cronica e irreversible empezando por una gingivitis

P

Informacion

Entretenimiento 1

Periodontitis

causa de la periodontitis

Sintomas

Tratamiento

Anuncios

2 3

1Informacion

Periodontitis

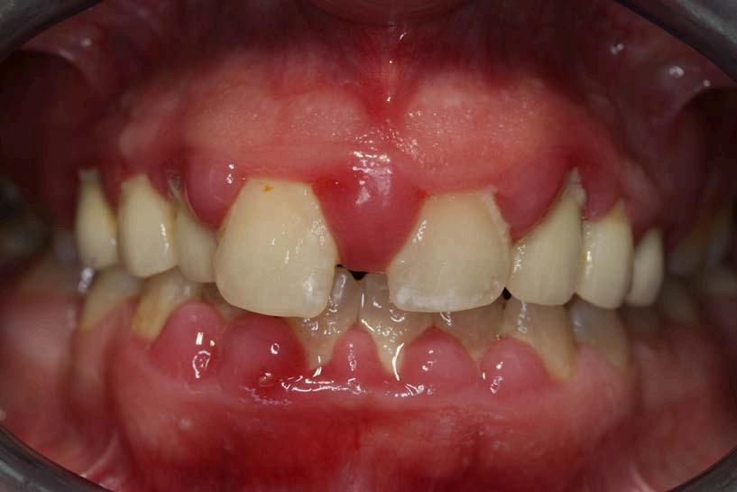
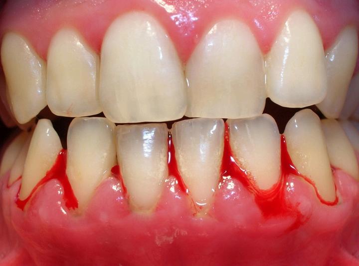
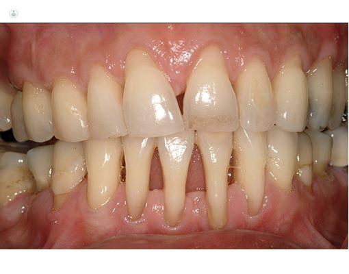
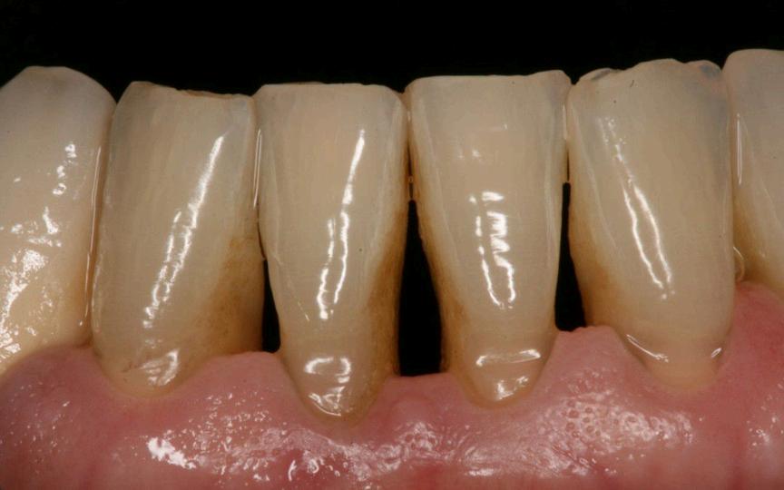
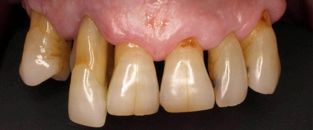
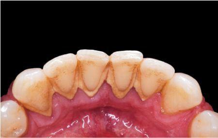
Es una infección grave de las encía que daña el tejido blando alrededor de los dientes. es una infección grave de las encías que daña el tejido blando alrededor de los dientes. Si no se trata, puede destruir el hueso en el que se apoyan los dientes, lo que puede causar que los dientes se aflojen o incluso se produzcan pérdidas dentales

Causa de la periodontitis

Si no tiene una buena higiene la placa y el sarro se acumulan en la base del diente, esto hace que la encia se inflame y esta misma se distancie de la superficie dentaria dando paso a una bolsa periodontal. Estas se llenan de bacterias provocando infecciones, si estas continuan con el tiempo, al final destruyen los tejidos y el hueso al rededor del mismo, asi perdemos estabilidad y sustencion de nuestro diente.

Ademas de poca higiene, la placa bacteriana, tambien existe otros factores locales y sistematicas que modifican la respuesta del huesped ante la irritacion bacteriana, como el tabaquismo, diabetes, disposicion genetica.

Sintomas

Mal aliento constante

Encias rojas o inflamadas

Dolor, sangrado en las encias

Dolor al masticas

Dientes flojos o sencibles

Cual es la bcteria que causa periodontitis?

Porphyromones gingivales

Treponema denticola

Tratamientos para la periodontitis

Raspado y alisado reticular (limpieza manual por debajo de las encias) junto a enseñanzas de instrucciones de higiene.

Cirugia de las encias para corregir los defectos que pueda haber dejado la enfermedad.

Programa a mantenimiento o seguimiento para prevenir o controlar la posible operacion.

Desde pequeños conocer la importacia de la higiene

dental

Lavarte los dientes diariamente

Uso del hijo dental

Prevencion

Reforzar el uso del labado con enjuague bucal

Evitar alimentos como azucares que se trasforman en acidos que atacan el Esmalte dental

Maxima precaucion ante ciertas enfermedades

Ir al dentista para prevenir

2Anuncios

SABIAS QUE...

La periodontitis puede causar perdidadetuhuesoycambiarla posicióndetusdientes.

Unaacumulaciónexcesivade bacteriasenlosdientesyencías debidoaunahigieneinsuficiente.

Laperiodontitisnosóloafectaalas encías,sinoquetambiénalhuesoque rodeaysujetaalosdientes.

Periodontitis

Cuidatusenciasyevitaperder tusdientes.

Bacteriasprovocanunenrojecimientoy sangradodelasencíasypuedenllegara causarlesionesgravesalostejidos.

Enelcasodelaperiodontitis,el tratamientoesmáscomplejo,yaquees unaenfermedadmásgrave.

Entretenimiento

3

Turn static files into dynamic content formats.

Create a flipbook
Conoce sobre la Periodontitis by Melissa Maldonado - Issuu