101164328

Page 1


Spis treści

Ustalenie wysokości zgryzu na podstawie badania radiologicznego stawów

Leczenie przedprotetyczne u pacjenta z aktywnym bruksizmem

Leczenie zaniżonego zwarcia na tle bruksizmu. Opisy przypadków

„Kiedy cierpi umysł, krzyczy ciało. Z mózgu bowiem i z mózgu jedynie początek swój biorą wszystkie rozkosze nasze i radości, śmiech oraz żarty, a takoż smutki nasze i bóle, żale i łzy...”.

Hipokrates

Ostatni punkt Przyrzeczenia Lekarskiego brzmi: „stale poszerzać swą wiedzę lekarską i podawać do wiadomości świata lekarskiego wszystko to, co uda mi się wynaleźć i udoskonalić”.

Od dłuższego już czasu zajmuję się leczeniem dysfunkcji w układzie ruchowym narządu żucia i teraz nadszedł moment podzielenia się nabytymi doświadczeniami i wnioskami dotyczącymi tej dziedziny naszej praktyki lekarskiej. Książka ta jest podsumowaniem wieloletnich doświadczeń naukowych i klinicznych, w których niejednokrotnie musiałem z pokorą pokłonić się zdolnościom adaptacyjnym ludzkiego organizmu. Opisane doświadczenia bazują na przypadkach kilkunastu tysięcy pacjentów, u których podstawową przyczyną zaburzeń skroniowo-żuchwowych okazał się bruksizm. W trakcie leczenia tej choroby zrozumiałem, jak ważne jest uświadomienie pacjentowi jej istoty i utrzymywanie z nim szczególnej więzi na wszystkich etapach terapii.

Mam nadzieję, że książka zmieni podejście do utartych schematów etiologii zaburzeń skroniowo-żuchwowych.

Dużą uwagę poświęciłem problemowi ustalania zgryzu, a szczególnie jego jednej fazy, jaką jest jego wysokości. W publikacji Czytelnik znajdzie również diagnostykę różnicową bólu głowy, przydatną zwłaszcza lekarzom medycyny ogólnej. Wiele poglądów tu zawartych może

wydawać się kontrowersyjnych. Dotyczy to zwłaszcza mojego punktu widzenia co do przyczyn dysfunkcji układu ruchowego narządu żucia. W diagnostyce i planowaniu leczenia zawsze przyświecało mi podejście holistyczne, czego obraz Czytelnik znajdzie w książce.

Publikacja jest przeznaczona dla każdego lekarza oraz studenta stomatologii i medycyny. Opisane problemy postanowiłem przekazać w sposób graficzny i nieskomplikowany, licząc na to, że taka forma przypadnie odbiorcom do gustu i nie znudzi ich. Przedstawiony obrazowo specyficzny charakter chorób w prosty sposób pozwoli Czytelnikowi zorientować się w etiologii, diagnostyce i mechanizmach rządzących tą częścią organizmu człowieka. Rozwijająca się w burzliwy sposób omawiana dziedzina wiedzy pokazuje, jak istotne dla całego organizmu skutki może mieć zaniechanie u młodego człowieka leczenia podstawowego czynnika destrukcji układu ruchowego narządu żucia, jakim jest bruksizm, oraz niedoceniane w terapii możliwości adaptacyjnych naszego organizmu.

Serdecznie dziękuję za cenne uwagi przy ostatecznej redakcji książki dr hab. n. med. Aleksandrze Niteckiej-Buchcie.

Dziękuję tech. dent. Tadeuszowi Sabatowskiemu za pomoc w technicznych procedurach wykonawstwa szyny MMD.

prof. dr hab. n. med. Stefan Baron

( 1 )

Czy leczymy kobiety w czasie ciąży?

Badanie czynnościowe URNŻ

Czy leczymy kobiety w czasie ciąży?

Dlaczego

opieka stomatologiczna

Wywiad

w ciąży jest ważna

Dlaczego opieka stomatologiczna w ciąży jest ważna

Dorota Olczak-Kowalczyk Angelika Kobylińska

Zagadnienia omówione w rozdziale:

Zagadnienia omówione w rozdziale:

Zależności zdrowia ciężarnej, przebiegu ciąży i zdrowia dziecka.

Zależności zdrowia ciężarnej, przebiegu ciąży i zdrowia dziecka.

Czynniki wpływające na zgłaszalność kobiet w ciąży do dentysty.

Czynniki wpływające na zgłaszalność kobiet w ciąży do dentysty.

Stan zdrowia ogólnego i jamy ustnej, styl życia kobiety w czasie ciąży, a także przebieg i sposób porodu są ważnymi czynnikami wpływającymi na dobrostan płodu, termin porodu, masę urodzeniową oraz zdrowie jamy ustnej dziecka. Zaniedbania higieniczne i choroby jamy ustnej, zwłaszcza skutkujące zmianami infekcyjnymi, zwiększają liczbę bakterii w jamie ustnej i niekorzystnie zmieniają skład mikrobiomu.

Badanie pacjenta pod kątem zaburzeń czynnościowych URNŻ to element rozpoznania choroby i możliwości leczenia. Analiza czynnościowa URNŻ powinna badającemu lekarzowi pozwolić na ustalenie związku przyczynowego dolegliwości z zaburzeniami czynności tkanek tzw. górnej ćwiartki. Dawniej używaliśmy pojęcia „układ stomatognatyczny”, który już w tym czasie bardzo poszerzył spojrzenie na diagnostykę stomatologiczną. Obecnie wiemy, że dysfunkcje związane z URNŻ mają swoje konsekwencje również w obrębie górnej części kręgosłupa. Fakt ten został potwierdzony dzięki obserwacjom i badaniom np. za pomocą urządzenia Zebris. W związku z tym odkryciem powinniśmy zwrócić uwagę również na dolegliwości tej strefy.

Stan zdrowia ogólnego i jamy ustnej, styl życia kobiety w czasie ciąży, a także przebieg i sposób porodu są ważnymi czynnikami wpływającymi na dobrostan płodu, termin porodu, masę urodzeniową oraz zdrowie jamy ustnej dziecka. Zaniedbania higieniczne i choroby jamy ustnej, zwłaszcza skutkujące zmianami infekcyjnymi, zwiększają liczbę bakterii w jamie ustnej i niekorzystnie zmieniają skład mikrobiomu.

Badanie rozpoczynamy od szczegółowej anamnezy. Lekarz stomatolog musi pamiętać, że pacjent siedzący na fotelu dentystycznym nie widzi powodu do zwierzeń dotyczących bólu głowy czy kręgosłupa szyjnego. Te wiadomości podświadomie rezerwuje on dla lekarzy innych specjalności.

Warto wiedzieć, że istnieje duże podobieństwo między mikrobiomem łożyska a mikrobiomem jamy ustnej kobiety w ciąży. W ludzkim łożysku stwierdzono obecność bakterii jamy ustnej, m.in. gatunki Streptococcus,  Fusobacterium, Neisseria, Prevotella i  Porphyromonas. Bakterie jamy ustnej mogą przedostawać się do krwi, następnie do płynu owodniowego. Niewielka bakteriemia występuje nawet podczas codziennych czynności, takich jak żucie czy szczotkowanie zębów. Uważa się, że obecność bakterii jamy ustnej w łożysku jest warunkiem wytworzenia tolerancji immunologicznej płodu na mikrobiom matki. Jednak

Warto wiedzieć, że istnieje duże podobieństwo między mikrobiomem łożyska a mikrobiomem jamy ustnej kobiety w ciąży. W ludzkim łożysku stwierdzono obecność bakterii jamy ustnej, m.in. gatunki Streptococcus,  Fusobacterium, Neisseria, Prevotella i  Porphyromonas. Bakterie jamy ustnej mogą przedostawać się do krwi, następnie do płynu owodniowego. Niewielka bakteriemia występuje nawet podczas codziennych czynności, takich jak żucie czy szczotkowanie zębów. Uważa się, że obecność bakterii jamy ustnej w łożysku jest warunkiem wytworzenia tolerancji immunologicznej płodu na mikrobiom matki. Jednak

W trakcie wywiadu szczególną uwagę powinniśmy poświęcić określeniu lokalizacji dolegliwości, z którymi pacjent się do nas zgłosił, oraz określeniu innych problemów zdrowotnych, niebędących wg pacjenta w tym momencie istotne. Interesuje nas również czas zaistnienia tych zaburzeń. Pomocny w anamnezie jest kwestionariusz wypełniany przez pacjenta przed wejściem do gabinetu. Pozwala on na spokojne zastanowienie się nad problemem oraz uzmysławia mu korelację z innymi

Czy leczymy kobiety w czasie ciąży?

Czy leczymy kobiety w czasie ciąży?

Wywiad

Dlaczego opieka stomatologiczna w ciąży jest ważna

Dlaczego opieka stomatologiczna w ciąży jest ważna

dolegliwościami chorego. Przykład takiego formularza zamieszczam poniżej.

Nazwisko …………………………………………… Imię ………………………………… Wiek ……………..

1. Czy występują u Pana/Pani bóle głowy, karku? TAK/NIE

Jeśli TAK, to proszę o zaznaczenie na rycinach lokalizacji bólu głowy:

2. Proszę określić, od kiedy występują dolegliwości bólowe:

□ krócej niż 3 miesiące □ dłużej niż 3 miesiące

3. Czy zauważył/a Pan/Pani występowanie u siebie dźwięków w stawie skroniowo-żuchwowym, takich jak:

□ trzaski □ trzeszczenia

□ przeskakiwania □ tarcie

4. Jeśli tak, w którym stawie występowały te zjawiska?

□ w prawym □ w lewym □ w obu

5. Czy zauważył/a Pan/Pani u siebie takie objawy jak: a) sztywność lub zmęczenie mięśni głowy, szyi i karku?

□ rano po przebudzeniu □ wieczorem

6. Czy w ostatnim czasie stwierdził/a Pan/Pani mniejszy zakres otwarcia ust?

TAK/NIE

7. Czy wystąpił u Pana/Pani uraz w okolicy ucha/stawu? TAK/NIE

8. Czy ktoś zwrócił uwagę na to, że Pan/Pani zgrzyta zębami w nocy?

TAK/NIE

9. Czy zaciska Pan/Pani zęby w ciągu dnia? TAK/NIE

Badanie czynnościowe

10. Czy budzi się Pan/Pani z zaciśniętymi zębami? TAK/NIE

11. Czy budzi Pana/Panią ból głowy w nocy? TAK/NIE

12. Czy w ostatnim czasie przebył/a Pan/Pani leczenie ortodontyczne?

TAK/NIE

13. Czy w ostatnim czasie przebył/a Pan/Pani leczenie protetyczne ?

TAK/NIE

Analiza wypełnionego przez pacjenta kwestionariusza ułatwia dalszą rozmowę i doprecyzowanie diagnozy.

Badanie zewnątrzustne

Badanie progu bólu

Aby badanie palpacyjne było wiarygodne, rozpoczynamy je od ustalenia progu bólu. Ból pełni rolę ostrzegawczo-ochronną. To jego najważniejsze zadanie. Po pierwsze, ostrzega o uszkodzeniu tkanek, a po drugie –chroni organizm, wyzwalając procesy mające ograniczyć do minimum wspomniane uszkodzenie. Próg bólu definiuje się jako najmniejsze natężenie danego bodźca − dźwięku, doznań termicznych czy  dotyku − przy którym człowiek zaczyna odczuwać ból. To indywidualna reakcja bólowa na określony bodziec bólowy – w naszym wypadku na nacisk palca na badaną okolicę mięśnia. Osoby o niskim progu bólowym raportują silne odczuwanie bólu na niewielki bodziec i odwrotnie – osoby o wysokim progu bólowym są na bodziec bólowy bardziej odporne. Nasze badanie palpacyjne należy przeprowadzać właśnie z takim naciskiem, przy którym pacjent podczas sprawdzania tego progu zaczyna odczuwać ból. Będziemy wtedy mieli pewność, że nasze badanie stwierdza zakwaszenie mięśnia, a nie po prostu sprawia ból. Tę umiejętność lekarz powinien wyćwiczyć. Do owego badania najczęściej wybieramy mięsień przedramienia. Naciskamy go, zwiększając siłę nacisku aż do momentu, kiedy pacjent zaczyna odczuwać wyraźny ból. Badanie palpacyjne przeprowadzamy z naciskiem mniejszym od tego, którym sprawiliśmy pacjentowi ból. Należy pamiętać, że próg bólu jest zależny od płci i pory dnia. Podwyższony próg bólu często stwierdza się u kobiet i jest on związany genetycznie z prokreacją.

45

Badanie zewnątrzustne

W drugim punkcie naszego kwestionariusza pytamy pacjenta o czas trwania odczuwanego bólu. Pytanie to zadajemy nie bez przyczyny.

Otóż Międzynarodowe Stowarzyszenie Badania Bólu (The International Association for the Study of Pain) zdefiniowało ból przewlekły jako „taki, który utrzymuje się dłużej niż normalny czas gojenia się tkanek”.

Definicja przewlekłego bólu określa go jako trwający lub nawracający w okresie dłuższym niż 3 miesiące. Czas ten jest ważny, ponieważ ból przewlekły można określić mianem choroby samej w sobie, która wymaga wielokierunkowego postępowania terapeutycznego. Dlatego tak ważne jest wczesne wykrycie przyczyny zaburzeń URNŻ i jak najszybsze wprowadzenie przyczynowego leczenia bruksizmu.

Badanie stawów skroniowo-żuchwowych i mięśni narządu żucia

Badanie rozpoczynamy od palpacji SSŻ. Prowadzimy je jednocześnie po stronie prawej i lewej. W pierwszej kolejności musimy obustronnie wyczuć głowę żuchwy pod palcem środkowym, polecając pacjentowi otwierać usta. Jednocześnie z badaniem ruchu głowy żuchwy po stoku guzka stawowego obserwujemy wzrokiem tor odwodzenia. Odwodzenie powinno się odbywać w linii symetrii. Prawidłowy zakres odwodzenia żuchwy to ok. 45 mm. Zaburzenie tego toru wiele nam mówi o symetrii pracy mięśni (patrz ryc. 5.4). Wymiar do 25 mm mierzony pomiędzy brzegami siecznymi zębów górnych i dolnych (zgryz ortognatyczny) będzie świadczyć o prawdopodobnym przemieszczeniu krążka z zablokowaniem, zaś zakres ok. 30 mm o przykurczu mięśniowym np. po nocnym ataku bruksizmu (patrz ryc. 5.4).

Badając ruch głów stawowych, otrzymujemy informację o tym, czy praca kompleksu głowa żuchwy−krążek stawowy jest właściwa, czy też występuje dysharmonia manifestująca się trzaskiem w stawie lub nadwichnięciem kompensacyjnym. Jeżeli trzask występuje, to w której fazie odwodzenia? Będziemy mogli określić, czy jest nieregularny, czy też charakterystyczny dla przemieszczenia krążka bez zablokowania (ryc. 5.1). Następnie badamy mięśnie żwaczowe, nadgnykowe, podgnykowe, karku i pleców. Badając te mięśnie, szukamy punktów spustowych i oceniamy ich napięcie.

5. Badanie czynnościowe URNŻ

Rycina 5.1a, b. Badanie ruchów wolnych żuchwy: a) zbaczanie żuchwy z powrotem do linii symetrii − przemieszczenie krążka stawowego bez zablokowania po stronie lewej; b) przemieszczenie krążka z zablokowaniem lub przykurcz mięśniowy na tle nocnego ataku bruksizmu w lewym SSŻ

Badanie wewnątrzustne

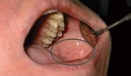
Badanie wewnątrzustne rozpoczynamy od badania uzupełniającego badanie mięśni. W tym badaniu dostępne są przyczepy i brzuśce mięśnia skrzydłowego bocznego (ryc. 5.2), skrzydłowego przyśrodkowego, żwacza oraz mięśni nadgnykowych.

Badanie wewnątrzustne

Rycina 5.2. Badanie mięśnia skrzydłowego bocznego

Następnie przystępujemy do badania błony śluzowej policzka i języka, szukając linea alba (patrz ryc. 5.5). Biaława linia anemizacji na błonie śluzowej policzków powstaje na skutek wtłaczania błony śluzowej pomiędzy zaciśnięte zęby przez kurczące się mięśnie żwacze, zaś na języku przez kurczący się na boki i do przodu język.

Badanie czynnościowe

Rycina 5.3. Zakres fizjologiczny odwodzenia żuchwy

Rycina 5.4. Sytuacja kliniczna zaburzonego ruchu odwodzenia strony prawej po nocnym ataku bruksizmu

Długotrwała aktywność parafunkcjonalna nie pozostaje obojętna również dla zębów. Do najczęstszych wewnątrzustnych objawów bruksizmu zaliczamy: ubytki klinowe, tarczki wytarcia, ubytki w brzegach siecznych, recesje dziąsła (patrz ryc. 1.11a–c), pęknięcia szkliwa.

Rycina 5.5. Linea alba − anemizacja błony śluzowej policzków na wysokości powierzchni żujących zębów bocznych. Powstaje w wyniku wtłoczenia przez napięte mięśnie żwacze błony śluzowej policzka pomiędzy zaciśnięte zęby

Turn static files into dynamic content formats.

Create a flipbook
Issuu converts static files into: digital portfolios, online yearbooks, online catalogs, digital photo albums and more. Sign up and create your flipbook.