1.2.1.
1.4. Badanie neuropsychologiczne
Anna Kocwa-Karnaś
1.4.1. Zakres badania neuropsychologicznego funkcji poznawczo-behawioralnych
1.4.2. Praktyczne zastosowanie badania neuropsychologicznego w neurologii
1.4.2.1. Wartość różnicowa diagnozy neuropsychologicznej
1.4.2.2. Wartość prognostyczna diagnozy neuropsychologicznej
1.5. Badanie logopedyczne
Małgorzata Polit
1.5.1. Dyzartria
1.6. Metodologia i zastosowanie wybranych badań laboratoryjnych w diagnostyce chorób układu nerwowego
Agnieszka Andrzejczak-Sobocińska, Paulina Fonderska, Joanna Cegielska, Katarzyna Stopińska, Lidia Bińkowska, Anna Łapaj
1.6.1.
Konwencjonalna diagnostyka rentgenowska
Tomografia komputerowa
1.6.1.3.
1.6.2. Badanie płynu mózgowo-rdzeniowego
1.6.3. Badania neurofizjologiczne
1.6.3.1. Badanie elektroencefalograficzne
1.6.3.2. Badanie elektromiograficzne/elektroneurograficzne
1.6.3.3. Badanie potencjałów wywołanych
1.6.4. Inne badania diagnostyczne
1.6.4.1. Morfologia krwi
1.6.4.2. Znaczenie badania moczu w chorobach układu nerwowego 133
1.6.4.3. Badania biochemiczne kr wi 133
1.6.4.4. Badania immunologiczne w chorobach układu nerwowego
1.6.4.5. Badania genetyczne w neurologii
Choroby jednogenowe
Dziedziczenie autosomalne dominujące
Dziedziczenie autosomalne recesywne
Dziedziczenie sprzężone z chromosomem X
Uwarunkowanie wieloczynnikowe 138
Dziedziczenie mitochondrialne 138
Anna Puczyńska, Anna Kocwa-Karnaś
1.7.1. Podstawowe grupy objawów neurologicznych wraz z ich podłożem funkcjonalnym i anatomicznym
1.7.2. Wybrane zespoły neurologiczne
1.7.2.1. Zespoły wynikające z uszkodzenia układu piramidowego
Wzmożone napięcie mięśniowe typu spastycznego a spastyczność
Wybrane zespoły, w których obecny jest zespół piramidowy
Zespół połowiczy torebkowy
Zespół twarzowo-ramienny
rzekomoopuszkowy
motoneuronu obwodowego
Wybrane zespoły, w których występuje zespół motoneuronu obwodowego
korzeniowe
ogona końskiego
Zespoły z obecnością uszkodzenia ośrodkowego i obwodowego motoneuronu
pniowe – naprzemienne
Inne zespoły pniowe
Zespoły rdzeniowe – zespół połowiczego uszkodzenia rdzenia kręgowego (zespół Browna-Séquarda) 154
Zespoły rdzeniowe – zespół poprzecznego uszkodzenia rdzenia kręgowego 155
Zespoły rdzeniowe – zespół nadstożka rdzeniowego 156
Zespoły rdzeniowe – zespół stożka rdzeniowego 157
1.7.2.2. Zespoły wynikające z uszkodzenia innych układów ruchowych
157
Zespół móżdżkowy 157
Zespół parkinsonowski 159
1.7.2.3. Zespoły wynikające z uszkodzenia układu czuciowego
Zespół wzgórzowy
159
159
1.7.2.4. Zespoły wynikające z uszkodzenia innych układów i struktur ośrodkowego układu nerwowego 160
Zespół kąta mostowo-móżdżkowego 160
Zespół Hornera
Zespół oponowy
Zespół wzmożonego ciśnienia śródczaszkowego 163
1.7.2.5. Zespoły tętnic mózgowych 163
1.7.2.6. Inne zespoły neurologiczne
1.7.3. Objaw y zaburzeń poznawczo-behawioralnych 166
1.7.3.1. Zaburzenia mowy. Afazje
1.7.3.2. Zaburzenia ruchowe. Apraksje
1.7.3.3. Zaburzenia percepcji. Agnozje 168
1.7.3.4. Zaburzenia pamięci. Amnezje 169
2.1. Wprowadzenie
Michał Białobrzewski
2.2. Udar niedokr wienny mózgu i rdzenia kręgowego
Michał Białobrzewski
2.2.1. Definicja udaru niedokr wiennego
2.2.2. Etiologia
2.2.3. Objaw y kliniczne
2.2.3.1. Objawy udaru z zakresu przedniego unaczynienia mózgu
2.2.3.2. Objawy udaru z zakresu tylnego unaczynienia mózgu
2.2.3.3. Objawy udaru rdzenia kręgowego 181
2.2.4. Różnicowanie udaru niedokrwiennego
2.2.5.1. Tomografia komputerowa mózgu
2.2.5.2. Rezonans magnetyczny mózgu
2.2.5.3.
2.2.5.4.
2.2.6. Leczenie
2.2.6.1.
2.3.
2.3.1.
2.3.4.
2.3.5.
2.3.6.
2.3.7.
2.4. Udar żylny, zakrzepica zatok żylnych
Patryk Sochań
2.4.1. Definicja
2.4.4. Różnicowanie
2.4.5.
2.4.6.
2.5.
2.6.
2.7.
Kocwa-Karnaś, Maciej Krawczyk 2.7.1.
fizjoterapii po udarze mózgu
2.7.4. Wczesny etap fizjoterapii pacjentów po udarze mózgu
Uruchamianie – torowanie zmian pozycji, stymulacja oddechowa, pionizacja
Profilaktyka przeciwodleżynowa, profilaktyka zachłystowego zapalenia płuc
Bark po udarze
2.7.6. Asymetria jako efekt przebytego udaru mózgu
2.7.6.1. Asymetria w pozycji leżącej
2.7.6.2. Asymetria w pozycjach wysokich
2.7.6.3. Antygrawitacyjne ustawienie kończyn po stronie zajętej
2.7.6.4. Fizjoterapia ośrodkowego uszkodzenia nerwu twarzowego
2.7.7. Zespół zaniedbywania połowiczego 268
2.7.7.1. Zespół wyuczonego nieużywania (learned nonuse syndrome)
2.7.8. Nadakty wność strony pośrednio zajętej
2.7.8.1. Diagnostyka różnicowa przechylenia na stronę zajętą
2.7.8.2. Fizjoterapia pacjentów z nadaktywnością strony pośrednio zajętej
2.7.9. Zespół odpychania
2.7.9.1. Fizjoterapia zespołu odpychania
pacjenta
terapii
2.7.9.2. Lateropulsja
2.7.10. Chód – fizjologia i zaburzenia po udarze mózgu
2.7.10.1. Ewolucja wzorca chodu po udarze mózgu
2.7.10.2. Fizjoterapia zaburzeń
2.7.11. Reakcje stowarzyszone i stereotypowe wzorce ruchowe
2.7.12.
2.7.13. Udar móżdżku
2.7.14. Terapia logopedyczna pacjenta po udarze mózgu
2.7.14.1. Terapia dyzartrii
2.7.14.2. Terapia dysfagii ustno-gardłowej (w udarze mózgu)
Skorowidz i
Badanie głowy, szyi i ocena poszczególnych nerwów czaszkowych
Należy wykonać badanie: czaszki – palpacja, opukiwanie, ocena symetrii, wysklepienia, obecności blizn kostnych i zniekształceń pourazowych i pooperacyjnych, skóry głowy – patrz tabela 1.11, ustawienia głowy i szyi: – utrzymywanie głowy w pozycji przymusowej, nieruchomej (choroby kręgów szyjnych, zapalenie opon mózgowo-rdzeniowych, tężec), – skośne ustawienie głowy (skurcz mięśnia mostkowo-obojczykowo-sutkowego, kręcz szyjny, dystonie, porażenie nerwu IV), – przymusowe ruchy głowy (np. dyskinezy, tiki), – opadanie głowy (zespoły miasteniczne), badanie poszczególnych nerwów czaszkowych (ryc. 1.13 i tab. 1.12).
NERWY CZASZKOWE
nerw węchowy
nerw wzrokowy
nerw okoruchowy
nerw bloczkowy
nerw trójdzielny
nerw odwodzący
nerw twarzowy
nerw przedsionkowo-ślimakowy
nerw językowo-gardłowy
nerw błędny
nerw dodatkowy
nerw podjęzykowy
włókna czuciowe somatyczne, zmysłowe i trzewne
włókna ruchowe
włókna przywspółczulne
Rycina 1.13. Nerwy czaszkowe.

Ocena wzorca oddechowego jest subiektywnym elementem badania pacjenta, jednak dostarcza informacji o patologii związanej z wentylacją. Wzorzec oddechowy może być zmieniony przez uszkodzenie tworu siatkowatego w rdzeniu przedłużonym, ośrodka oddechowego w moście i/lub górnej części śródmózgowia, osłabienie siły mięśni oddechowych i zmianę stężenia gazów w krwi krążącej. W ośrodku oddechowym znajduje się ośrodek wdechowy odpowiedzialny za skurcz mięśni wdechowych, oraz ośrodek wydechowy, którego pobudzenie powoduje skurcz mięśni wydechowych. Oba te ośrodki są ze sobą ściśle powiązane, ich pobudzenie i hamowanie odbywa się nieustannie, regulując głębokość i rytm oddychania. Osłabienie mięśni oddechowych skutkuje nieefektywną wentylacją, nieefektywnym kaszlem (co sprzyja zaleganiu wydzieliny w drogach oddechowych i zwiększeniu ryzyka rozwinięcia się u tych pacjentów infekcji w klatce piersiowej, wydłużeniu hospitalizacji i śmierci) i nocną hipowentylacją. Przy osłabieniu mięśni wdechowych obserwuje się zmniejszenie pojemności życiowej i wypłaszczenie ścian klatki piersiowej. Przy osłabieniu mięśni wydechowych obserwuje się osłabienie siły kaszlu i upośledzoną funkcje wykonania pogłębionego wydechu.
Ocenę wzorca oddechowego i terapię zaburzeń oddechowych u pacjentów z zespołem połowiczym należy rozpocząć od analizy szeregu zmian zachodzących wskutek osłabienia siły i/lub napięcia mięśni tułowia. Wówczas może dojść do zmniejszenia ciśnienia śródbrzusznego, co negatywnie wpływa na warunki pracy przepony. Przepona w takiej sytuacji ustawia się wdechowo, a efektywność jej pracy jest ograniczona –ryc. 2.11.
Sprawia to, że pacjenci uruchamiają dodatkowe mięśnie oddechowe (pochyłe, mostkowo-obojczykowo-sutkowe, czworoboczny). U pacjentów z zespołem połowiczym należy zwrócić uwagę na możliwość pierwotnego osłabienia głównych mięśni wydechowych. Podsumowując – pacjent z zespołem połowiczym jest osobą wymagającą zarówno pracy nad fazą wdechu, jak i wydechu.
Selektywna praca przepony
Mięsień wielodzielny
Mięśnie pośladkowe
Mięśnie dna miednicy
Przepona
Prawidłowe ciśnienie
śródbrzuszne
Mięsień poprzeczny brzucha
Przepona ustawiona wdechowo
Zmniejszone ciśnienie śródbrzuszne
Zmiany powstałe wskutek udaru Ustawienie fizjologiczne
Rycina 2.11. Ustawienie przepony w zależności od wydolności antygrawitacyjnej mięśni tułowia.
2. Choroby naczyniowe ośrodkowego układu nerwowego
Przykładowe techniki stymulacji funkcji oddychania przedstawiono na rycinach 2.12 i 2.13. Przy programowaniu terapii oddechowej, prowadzonej u pacjentów zarówno wentylowanych mechanicznie, jak i tych na oddechu własnym, należy uwzględnić wpływ pozycji ułożeniowej na mechanizm oddychania, pracę przepony i ruchy klatki piersiowej. W pozycji leżenia tyłem przepona ustawiona jest wysoko, podpierana przez trzewia ustawiające się zgodnie z siłą ciężkości. Przepona w tej sytuacji zmuszona jest do intensywnej pracy – przy wdechu musi pokonać opór stawiany przez narządy jamy brzusznej. Pozycja leżenia tyłem jest korzystną pozycją do stymulacji fazy wydechu –pozwala korzystać z możliwości bezpośredniej stymulacji przepony.

Rycina 2.12. Stymulacja bezpośrednia przepony w pozycji leżenia tyłem. Terapeuta układa ręce pod łukami żebrowymi, wspomagając naturalny rytm oddechowy pacjenta.


Rycina 2.13. Propozycja terapeutyczna do torowania prawidłowego oddychania: A – widok od strony głowy pacjenta; B – widok od strony nóg pacjenta. Pozycja wyjściowa: leżenie na boku pośrednio zajętym. Ręce terapeuty ułożone na boku klatki piersiowej po stronie bezpośrednio zajętej. Nacisk należy zaaplikować w kierunku doogonowym i dośrodkowym. AB
Fizjoterapia po udarze mózgu
Zespoły rdzeniowe – zespół połowiczego uszkodzenia rdzenia kręgowego (zespół Browna-Séquarda)
Charakterystykę zespołu połowiczego uszkodzenia rdzenia kręgowego zamieszczono w tabeli 1.39.
Tabela 1.39. Zespoły rdzeniowe – zespół połowiczego uszkodzenia rdzenia kręgowego
Poniżej i po stronie uszkodzenia: porażenie spastyczne
zniesienie czucia głębokiego: wibracji, ułożenia i dyskryminacji bodźców (przy zachowaniu czucia prostego)
zaburzenia wegetatywne, ból korzeniowy oczekiwana ataksja nie do oceny z powodu porażenia
Poniżej i po stronie przeciwnej: zniesienie czucia bólu i temperatury najczęściej segment lub dwa poniżej uszkodzenia
Na poziomie uszkodzenia: przeczulica segmentarny wiotki niedowład z zanikiem neurogennym mięśni
porażenie wiotkie porażenie spastyczne zniesienie czucia bólu i temperatury zniesienie czucia ułożenia i różnicowania bodźców pas przeczulicy
Miejsce uszkodzenia i przyczyny: połowicze uszkodzenie rdzenia w przebiegu: złamań kręgosłupa (zgięciowych, zgięciowo-rotacyjnych), tępych urazów rdzenia kręgowego, procesów rozrostowych w kanale kręgowym
Zespoły rdzeniowe – zespół poprzecznego uszkodzenia rdzenia kręgowego
Charakterystykę zespołu poprzecznego uszkodzenia rdzenia kręgowego zamieszczono w tabeli 1.40.
Tabela 1.40. Zespoły rdzeniowe – zespół poprzecznego uszkodzenia rdzenia kręgowego
Objawy poprzecznego uszkodzenia rdzenia kręgowego
Uszkodzenie na wysokości C7
N. musculocutaneus
N. radialis
Na poziomie uszkodzenia: pas przeczulicy porażenie wiotkie mięśni unerwianych przez dany segment rdzenia osłabienie lub brak odruchów ścięgnistych
Poniżej poziomu uszkodzenia: porażenie spastyczne wzmożenie odruchów ścięgnistych zaburzenia zwieraczowe, pęcherz neurogenny opróżniający się odruchowo przy przepełnieniu zniesienie odruchów skórnych zniesienie wszystkich rodzajów czucia zaburzenia móżdżkowe nie do oceny z powodu porażenia
Miejsce uszkodzenia i przyczyny: całkowite uszkodzenie segmentów rdzenia kręgowego w dowolnym odcinku, w przebiegu urazu, krwotoku, rozmiękania, guza, poprzecznego zapalenia rdzenia, mielopatii). W wypadku częściowego uszkodzenia rdzenia objawy mogą być niepełne.
Cechy szczególne w zależności od poziomu uszkodzenia
Uszkodzenie segmentów C1–C4: stan ogólny pacjenta ciężki, zatrzymanie oddechu niedowład piramidowy czterokończynowy (tetraplegia)
Uszkodzenie segmentów C1–C3: zatrzymanie oddechu (przepona unerwiona jest przez C3, C4)
Uszkodzenie segmentu C4: możliwe oddychanie przeponowe
Uszkodzenie segmentów C5–Th1: niedowład kończyn górnych w zajętych segmentach jest wiotki, może być niepełny i dotyczy głównie mięśni dłoni, niedowład piramidowy w kończynach dolnych
Uszkodzenie segmentów poniżej Th1: niedowład piramidowy dotyczy tylko kończyn dolnych (paraplegia)
Neurologiczne zespoły objawowe
Tabela 2.14. Rekomendowane narzędzia terapeutyczne dla pacjentów z zaburzeniami chodu, którzy w fazie podostrej i przewlekłej są w stanie przemieszczać się samodzielnie
Faza podostra Faza przewlekła
TRZEBA stosować – –
POWINNO
SIĘ stosować
MOŻNA stosować
Intensywny, progresywny trening chodu: konwencjonalny lub z użyciem bieżni mechanicznej
Oparty na zadaniach trening chodu z wykorzystaniem wyobrażenia ruchowego
Funkcjonalną elektrostymulację (FES)
Elektroakupunkturę
Przybory pomocnicze (laska, kij, balkonik, ambona)
U pacjentów z końsko-szpotawym ustawieniem stopy – iniekcje z toksyny botulinowej w celu uniknięcia konieczności stosowania przyborów pomocniczych
Intensywny, progresywny trening chodu oparty na zadaniach Intensywny, progresywny trening z wykorzystaniem wirtualnej rzeczywistości
Tabela 2.15. Wytyczne do poprawy równowagi (statycznej i dynamicznej) oraz redukcji liczby upadków podczas chodu.
Faza podostra Faza przewlekła
TRZEBA stosować – –
POWINNO
SIĘ
stosować
MOŻNA stosować
Intensywny trening chodu zawierający elementy ćwiczeń równoważnych, bez wykorzystania bieżni mechanicznej lub
Intensywny trening chodu zawierający elementy ćwiczeń równoważnych, z wykorzystaniem bieżni mechanicznej lub
Intensywny, progresywny, nadzorowany program treningowy wykonywany przez pacjentów w domu (trening siły, wytrzymałości i równowagi)
Programy nauczania motorycznego –
Standardowy trening chodu zawierający elementy ćwiczeń równoważnych, połączony z wykorzystaniem egzoszkieletu czy lokomatu
Trening wytrzymałościowo-siłowy
Trening w pozycjach wysokich
z wykorzystaniem niestabilnego podłoża
Feedback akustyczny podczas chodu Obuwie ortopedyczne, jeśli wskazane
Standardowy trening chodu zawierający elementy ćwiczeń równoważnych, połączony z wykorzystaniem bieżni mechanicznej
Trening na niestabilnym podłożu
Trening na stopniowo zmniejszanej płaszczyźnie podporu
Trening z progresywnie zwiększaną niestabilnością płaszczyzny podporu Dodatkowo – trening oparty na VR (wirtualna rzeczywistość)
UWAGA: należy zauważyć, że zarówno w przypadku fizjoterapii chodu w fazie ostrej, podostrej, jak i przewlekłej w opublikowanych rekomendacjach nie znajdują się pozycje, które TRZEBA wykorzystywać, programując interwencję terapeutyczną, są jedynie rekomendacje o charakterze POWINNO SIĘ oraz MOŻNA. Należy więc kolejny raz podkreślić, że nie ma złotego standardu usprawniania pacjentów po udarze mózgu, a najważniejsze jest badanie funkcjonalne, określenie realnego celu i realizowanie go w oparciu o najprostsze, znane pacjentowi i akceptowane przez niego narzędzia. Poza ogólnymi rekomendacjami dotyczącymi fizjoterapii chodu po udarze mózgu, można wyszczególnić te narzędzia, które można zastosować do poprawy równowagi podczas chodu, prędkości chodu oraz możliwego do przebycia dystansu (tab. 2.15–2.17).
Tabela 2.16. Rekomendowane narzędzia terapeutyczne do zwiększania prędkości chodu u pacjentów, którzy są w stanie chodzić samodzielnie, wymagają nadzoru lub niewielkiej pomocy
Faza podostra
TRZEBA stosować
POWINNO
SIĘ stosować
MOŻNA stosować
Faza przewlekła
Intensywny, oparty na zadaniach, progresywny trening chodu (z użyciem bieżni mechanicznej lub celowany na poprawę prędkości chodu trening obwodowy) –
Intensywny trening chodu bez wykorzystania bieżni mechanicznej lub
Intensywny trening chodu z wykorzystaniem bieżni mechanicznej lub
Intensywny, progresywny, nadzorowany program treningowy wykonywany przez pacjentów w domu (trening siły, wytrzymałości i równowagi)
Ukierunkowany na zadanie trening siłowo-wytrzymałościowy
Trening chodu z rytmiczną stymulacją akustyczną
Ukierunkowany na zadanie trening z wykorzystaniem dodatkowych zadań poznawczych (np. wyobrażenia ruchowe)
Feedback akustyczny (muzyczny)
Ortezy ze stymulacją elektryczną lub bez stymulacji elektrycznej
Intensywny, ukierunkowany na zadanie trening chodu
Ukierunkowany na zadanie trening wytrzymałościowy (na przykład aerobowy trening na bieżni mechanicznej połączony z ćwiczeniem chodu na stabilnym podłożu)
Ukierunkowany na zadanie trening siłowy
Ukierunkowany na zadanie trening poznawczy (obserwacja ruchu, podwójne zadania)
Funkcjonalna elektrostymulacja (FES)
Fizjoterapia po udarze mózgu
Szanowni Państwo, Drodzy Czytelnicy,
Oddajemy do Państwa rąk nowy podręcznik przygotowany z myślą o studentach kierunków fizjoterapii w uczelniach całej Polski, głównie w uniwersytetach medycznych. Mamy jednak nadzieję, że wiedza zawarta w tej publikacji przysłuży się osobom uczącym się i pracującym także w innych zawodach medycznych.
Podręcznik obejmuje podstawy anatomiczno–fizjologiczne chorób układu nerwowego, zagadnienia diagnostyki medycznej wykorzystywanej przez neurologów oraz szeroką wiedzę z dziedziny neurologii klinicznej i badania funkcjonalnego wraz z planowaniem fizjoterapii chorób ośrodkowego i obwodowego układu nerwowego.
Poszczególne rozdziały zostały szeroko opracowane przez lekarzy i fizjoterapeutów, którzy czynnie nauczają studentów różnych kierunków studiów medycznych, w tym od wielu lat studentów fizjoterapii. Mają zatem doświadczenie w dydaktyce, a jedno cześnie pracują klinicznie z pacjentami.
Większość autorów pracuje w Klinice Neurologii Wydziału Lekarsko-Stomatolo gicznego Warszawskiego Uniwersytetu Medycznego (poprzednio Wydział Medyczny, a przed Ustawą 2.0 – II Wydział Lekarski z Oddziałem Nauczania w Języku Angielskim oraz Oddziałem Fizjoterapii tej Uczelni), której oddziały (Udarowy, Neurologiczny) znajdują się w Szpitalu Bielańskim. Część autorów czynnie naucza studentów, głównie kierunku fizjoterapii, w Akademii Wychowania Fizycznego. Doświadczenie w pracy klinicznej i dydaktycznej było podstawą do nawiązania współpracy z autorami i zagwa


Zgodnie z naszą najlepszą wiedzą jest to pierwszy w Polsce tego typu podręcznik dla studentów. Mamy nadzieję, że zostanie dobrze przyjęty i przysłuży się lepszemu przyswa
Składamy serdeczne podziękowania wszystkim autorom za włożoną pracę i zrozu mienie dla narzucanego jej tempa, związanego z chęcią jak najszybszego dostarczenia



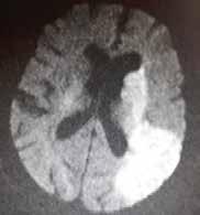
Rzadko stosowaną w codziennej praktyce klinicznej jest technika obrazowania czynnościowego (functional MRI – fMRI). Polega ona na detekcji zwiększenia utlenowania ośrodków w korze mózgu po zadziałaniu odpowiednich bodźców, np. wzrokowych, słuchowych czy ruchowych. Badanie ocenia zaburzenia czynności kory mózgowej, co niekiedy istotne jest w diagnostyce przedoperacyjnej guzów mózgu. Niekiedy w praktyce klinicznej w różnicowaniu uwidocznionych niejasnych co do charakteru zmian ogniskowych stosuje się spektroskopię rezonansu magnetycznego (magnetic resonance spectroscopy – MRS). Technika oparta jest na dyskretnych różnicach sygnału RM różnych związków chemicznych w tkance nerwowej, dzięki czemu uzyskuje się widma spektroskopowe określające stężenie podstawowych metabolitów. Najczęściej stosowana jest spektroskopia protonowa. Najistotniejszymi metabolitami w spektroskopii protonowej są: N-acetyloasparaginian, cholina, mleczany, kreatyna i mioinozytol. Stężenie metabolitów wraz z ich wzajemnym stosunkiem ulega zmianie w różnych patologiach, zwłaszcza w guzach. Na rycinie 1.35 przedstawiono nadostrą fazę udaru niedokrwiennego.


Rycina 1.35. Nadostra faza udaru niedokrwiennego. Badanie RM w sekwencji DWI uwidacznia restrykcję dyfuzji w lewej półkuli mózgu w zakresie unaczynienia gałęzi tętnicy środkowej mózgu lewej.
1.6.1.4. Angiografia
Uzupełnieniem diagnostyki w chorobach naczyniowych mózgowia jest badanie angiograficzne w tomografii komputerowej lub rezonansie magnetycznym, co obecnie stało się standardem postępowania w diagnostyce chorób naczyniowych, zwłaszcza w udarze niedokrwiennym mózgu. W związku z rozwojem interwencyjnego leczenia udaru badania angiograficzne są z powodzeniem wykorzystywane w wizualizacji zwężeń głównych osi naczyniowych zasilających koło tętnicze mózgu oraz okluzji jego części składowych i jego gałęzi jako badanie bezpośrednio poprzedzające trombektomię
mechaniczną w leczeniu ostrej fazy udaru niedokrwiennego mózgu. Do technik, dzięki którym można uzyskać wgląd w układ naczyniowy mózgowia, należy zaliczyć również angiografię klasyczną oraz subtrakcyjną.

Rycina 1.36. Obraz naczyń koła tętniczego i jego gałęzi uzyskany w angio-TK, rekonstrukcja 3D VR (Volume Rendering). Na obrazie niewidoczne są obie tętnice łączące tylne (hipoplastyczne). 1 – tętnica łącząca przednia; 2 – tętnica przednia mózgu lewa; 3 – tętnica szyjna wewnętrzna lewa; 4 – tętnica środkowa mózgu lewa; 5 – tętnica tylna mózgu lewa; 6 – tętnica podstawna; 7 – tętnica tylna mózgu prawa; 8 – tętnica szyjna wewnętrzna prawa; 9 – tętnica środkowa mózgu prawa; 10 – tętnica przednia mózgu prawa.

Rycina 1.37. Obraz naczyń koła tętniczego mózgu w angiografii rezonansu magnetycznego uzyskane w aparacie o polu elektromagnetycznym 1,5 T. M1 – tętnica środkowa mózgu; A1 – tętnica przednia mózgu; ICA – tętnica szyjna wewnętrzna; P1 – tętnica tylna mózgu; BA – tętnica podstawna; PCoA – tętnica łącząca tylna. Hipoplastyczna PCoA prawa jest niewidoczna na obrazie.
Metodologia i zastosowanie wybranych badań laboratoryjnych w diagnostyce…
Przykłady połączenia torowania ruchów kończyny górnej z aktywizowaniem tułowia przedstawione zostały na rycinach 2.43, 2.44.

Rycina 2.43. Pozycja siadu z podporem obu kończyn górnych na stabilnym przedmiocie, ustawionym przed pacjentem, stwarza warunki do mobilizacji i aktywizacji mięśni tułowia i mięśnia zębatego przedniego. Lewa ręka terapeuty stabilizuje kończynę bezpośrednio zajętą na stawie ramienno-łopatkowym i w łokciu, a prawą poleca pacjentowi wykonanie ruchu wypchnięcia łopatek do góry (1), a następnie powolne opuszczenie mostka w dół (2)

Rycina 2.44. Zmodyfikowana pozycja czworacza z podporem obu kończyn górnych na stabilnym przedmiocie, ustawionym przed pacjentem, stwarza warunki do mobilizacji i aktywizacji odwodzicieli i rotatorów zewnętrznych stawu ramiennego. Terapeuta po stronie bezpośrednio zajętej stabilizuje kończynę górną pacjenta, polecając mu wykonanie zadania kończyną pośrednio zajętą.
2. Choroby naczyniowe ośrodkowego układu nerwowego
Zalecenia dotyczące dawkowania fizjoterapii kończyny górnej
Tabela 2.10. Wytyczne dotyczące zastosowania poszczególnych narzędzi terapeutycznych do poprawy funkcji kończyny górnej, w zależności od nasilenia zespołu neurologicznego i fazy udaru mózgu
Nasilenie zespołu
Nasilony zespół neurologiczny
Lekko/ umiarkowanie nasilony zespół neurologiczny
Podstawowe vs opcjonalne
Podstawowe
Rodzaj terapii Faza ostra/ podostra Faza przewlekła
Aktywny trening kończyny górnej
Trening z wykorzystaniem urządzeń zrobotyzowanych
Terapia lustrzana (jako dodatek)
Trening bilateralny
cNMES, EMG-NMES
Terapia z wykorzystaniem wirtualnej rzeczywistości
Opcjonalne Stymulacja somatosensoryczna
Akupunktura
Podstawowe Trening zręczności kończyny górnej
Powtarzanie zadań ruchowych
Trening siłowy
Terapia z wykorzystaniem wirtualnej rzeczywistości
Terapia lustrzana (jako dodatek)
mCIMT/CIMT (w przypadku zespołu wyuczonego nieużywania)
Opcjonalne
Trening sięgania ze zewnętrzną stabilizacją tułowia (trunk restraint)
Trening mentalny
Przenoszenie umiejętności zdobytych w trakcie treningu na ADLs
Stopniowanie siły rekomendacji: A – trzeba stosować, B – powinno się stosować, 0 – można zastosować.
Nie istnieje – ponieważ jest niemożliwy do stworzenia – jeden, ogólny schemat dawkowania treningu kończyny górnej dla osób po udarze mózgu. Jednak przeprowadzane badania naukowe dowodzą, że: aktywny trening kończyny górnej wykonywany 2 godziny tygodniowo (sumarycznie – 15 godzin) jest konieczny do tego, aby uzyskać widoczny efekt prowadzonej terapii,
Fizjoterapia po udarze mózgu