101129122

Page 1


SPIS TREŚCI

1. Wspólnoty bakterii w środowisku

1.1. Wprowadzenie

1.2. Organizacja przestrzenna wspólnoty bakterii

1.3. Wpływ czynników fizykochemicznych na wspólnotę bakterii

1.4. Struktura i bioróżnorodność populacji tworzących wspólnoty bakterii

1.5. Funkcje populacji we wspólnocie bakterii (nisze ekologiczne)

1.6. Klasyfikacja bakterii środowiskowych na podstawie szybkości wzrostu

1.7. Klasyfikacja i identyfikacja bakterii

1.8. Aktualne spojrzenie na klasyfikację bakterii

1.9. Strategie

1.10. Rola wspólnoty bakterii w środowisku

3.1. Wprowadzenie

Mikoryza

3.4. Symbiozy bakterii wiążących azot cząsteczkowy

3.5. Endofityzm

Syntrofia

4. Mikrobiologiczna degradacja materii organicznej w warunkach beztlenowych

4.1. Wprowadzenie .

4.2. Węgiel organiczny na kuli ziemskiej

4.3. Klasyfikacja bakterii beztlenowych

4.4. Degradacja materii organicznej w warunkach beztlenowych

4.5. Mikrobiologiczna degradacja węglowodanów

4.6. Mikrobiologiczna degradacja białek

4.7. Mikrobiologiczna degradacja lipidów

4.8. Mikrobiologiczna degradacja węglowodorów

4.9. Mikrobiologiczna degradacja igieł roślin szpilkowych

4.10. Degradacja różnych surowców i wyrobów

5. Rola bakterii w obiegu pierwiastków w przyrodzie

5.2. Obieg tlenu w przyrodzie

5.3.

5.4. Obieg azotu w przyrodzie

5.5. Obieg fosforu

5.6. Obieg siarki w przyrodzie

5.7.

5.8. Reakcje utleniania i redukcji

6. Lądy środowiskiem życia bakterii

6.1. Wprowadzenie

6.2. Roztwór glebowy

6.3. Materia organiczna w glebie

6.4. Biomasa bakterii w glebie

6.5. Mikroorganizmy hodowalne występujące w glebach

6.6. Mikroorganizmy autochtoniczne i zymogenne, hodowalne

6.7. Struktura wspólnoty bakterii w glebach

6.8. Gleby pustynne

6.9. Zimne, wilgotne obszary gleb arktycznych (tundra)

6.10. Gleby geotermicznie podgrzewane

6.11. Gleby Amazonii

6.12. Głębie skorupy ziemskiej

6.13. Regiony zawierające ropę naftową

6.14. Regiony zawierające pokłady węgla kamiennego

7. Ekosystemy słodkowodne środowiskiem życia bakterii

7.1. Wprowadzenie .

7.2. Status troficzny zbiorników wodnych

7.3. Materia organiczna w ekosystemach słodkowodnych

7.4. Bakterioneuston

7.5. Wetlandy

7.6. Zalane pola ryżowe

7.7. Rzeki

7.8. Jeziora .

7.9. Pętla mikrobiologiczna w jeziorach

7.10. Bakterie hodowalne ekosystemów słodkowodnych

7.11. Typowe dominujące taksony bakterii słodkowodnych

7.12. Aktualne spojrzenie na wspólnoty bakterii jezior słodkowodnych

7.13. Bakterie w osadach

7.14. Taksony bakterii osadów jezior o różnej trofii

7.15. Populacje bakterii przytwierdzone do agregatów organicznych

7.16. Mikroorganizmy wód hiporei

7.17. Samooczyszczanie się zbiorników wodnych

8. Oceany środowiskiem życia bakterii

8.1. Wprowadzenie

8.2. Skład chemiczny wody morskiej

8.3. Produkcja pierwotna netto w morzach i oceanach

8.4. DOM i POM w wodach morskich i oceanicznych

8.5. Charakterystyka oceanu jako środowiska życia

8.6. Strefa bakterioneustonu

8.7. Strefa epipelagiczna (fotyczna) oceanów

8.8. Strefa przybrzeżna oceanów

8.9. Głębiny oceanów i osady

8.10. Dno morskie

8.11. Cechy charakterystyczne bakterii morskich

8.12. Zsekwencjonowane genomy bakterii morskich

9.1. Wprowadzenie

9.2. Środowiska termofilne

Środowiska psychrofilne

Środowiska silnie kwaśne

9.5. Środowiska alkaliczne

9.6. Środowiska halofilne

9.7. Środowiska o wysokim ciśnieniu hydrostatycznym

9.8. Środowiska napromieniowane

9.9. Środowiska oligotroficzne

9.10. Środowiska zawierające duże ilości siarkowodoru

9.11. Środowiska zawierające metale ciężkie

10. Inne środowiska życia mikroorganizmów

10.1. Wprowadzenie

10.2. Mikroflora przewodu pokarmowego człowieka

10.3. Mikroflora skóry i śluzówek człowieka

10.4. Mikroflora żołądka zwierząt przeżuwających

10.5. Mikroflora przewodu pokarmowego termitów

10.6. Mikroflora jelita dżdżownic

11.1. Wprowadzenie

11.2. Ilościowe występowanie bakterii w powietrzu

11.3. Skład jakościowy bakterii występujących w powietrzu

11.4. Bakterie w powietrzu pomieszczeń publicznych

11.5. Dopuszczalna liczba bakterii i grzybów w powietrzu

11.6. Emisje bakterii przez biologiczne oczyszczalnie ścieków, kompostownie i składowiska

11.7. Aktualne spojrzenie na bakterie troposfery

11.8. Powietrze morowe

Literatura

Skróty tytułów czasopism

Skorowidz

OD AUTORA

Drugie wydanie Mikrobiologii środowisk zawiera pewne elementy, które zostały w tym czasie publikowane, a mianowicie nieco precyzyjniej i szczegółowiej opisywane wspólnoty mikroorganizmów zwane jako mikrobiomy siedliska, środowiska, ekosystemu. Obok bakterii często w analizach metagenomicznych uwzględniano grzyby, a w nielicznych Protista. Poszukiwano również w ekosystemowych i globalnych analizach metagenomicznych mikroorganizmów rdzennych (core microorganisms), występujących zawsze w tego typu środowiskach, a nawet w nielicznych publikacjach opisywano konstrukty mikrobiomu, w skład których wchodziły nieliczne, ale istotne ekologicznie mikroorganizmy. Wyniki tych badań zaprezentowano zgodnie z ówczesną klasyfikacją i nomenklaturą mikroorganizmów.

W 2019 roku zaproponowano inne nazwy dla kilkunastu typów bakterii wykrywanych ze zmienną częstością w różnych środowiskach, i są to: Acidobacteria (Acidobacteriota), Actinobacteria (Actinomycetota), Armatimonadetes (Armatimonadota), Aquificae (Aquificota), Bacteroidetes (Bacteroidota), Chlamydiae (Chlamydiota), Chlorobi (Chlorobiota), Chloroflexi (Chloroflexota), Chrysiogenes (Chrysiogenota), Cyanobacteria, Deferribacteres (Deferribacterota), Deinococcus-Thermus (Deinococcota), Dictyoglomi (Dictyoglomota), Elusimicrobia (Elusimicrobiota), Firmicutes (Bacillota), Fusobacteria (Fusobacteriota), Gemmatimonadetes (Gemmatimonadota), Ignavibacteria (Ignavibacteriota), Lentisphaerae (Lentisphaerota), Nitrospinae (Nitrospinota), Nitrospira (Nitrospirota), Planctomycetes (Planctomycetota), Proteobacteria (Pseudomonadota), Spirochaetes (Spirochaetota), Synergistes (Synergistota), Tenericutes (Mycoplasmatota), Thermotogae (Thermotogota), Verrucomicrobia (Verrucomicrobiota). Powołano także nowe taksony bakterii w randze typu, które filogenetycznie odbiegały od pozostałych w ramach typu lub klasy, i są to: Calditrichota, Campylobacterota, Coprothermobacterota, Delphibacteria. Gatunki, klasy Deltaproteobacteria, zostały zaklasyfikowane w cztery nowe linie rodowe na poziomie typów. Są to: typ Desulfobacterota, typ Myxococcota, podniesiony do rangi typu Oligoflexia przybierający nazwę Bdellovibrionota, oraz ostatni czwarty typ Desulfobacterota obejmujący taksony wcześniej sklasyfikowane w typie Thermodesulfobacteria. Tak więc prawie wszystkie publikacje uwzględniały taksony uprzedniej klasyfikacji i taksonomii, w podręczniku pozostawiono stare nazwy typów.

Mieczysław K. Błaszczyk

Warszawa, dnia 15.01.2023 roku

TABELA 1.7. cd.

TABELA 1.8

Specyficzna szybkość wzrostu bakterii w ekosystemach wodnych należących do różnych taksonów EKOSYSTEM

SZYBKOŚĆ WZROSTU GŁÓWNYCH GRUP BAKTERII

1.7. Klasyfikacja i identyfikacja bakterii

Stwierdzono pewną ogólną ekologiczną zależność dla gleb wykorzystywanych rolniczo, tj. że stosunek liczebności Proteobacteria i Acidobacteria wyznacza status pokarmowy gleb jako ekosystemów ubogich lub bogatych w substancje pokarmowe. Tak więc, jeśli wyliczony stosunek wynosi 0,16, to gleby należą do oligotroficznych, 0,34 to gleby, do których dostarczana jest niewielka ilość materii organicznej, 0,46 również określa gleby, które zawierają niewielką ilość substancji pokarmowych, a 0,87 opisuje gleby rolnicze, do których dostarczane są duże ilości substancji pokarmowych.

1.7. Klasyfikacja i identyfikacja bakterii

Z zastosowaniem analizy sekwencji nukleotydów 16S rRNA wykazano, że świat organizmów dzieli się na trzy domeny: Bacteria, Archaea oraz Eukarya. W domenie Bacteria opisano do tej pory przedstawicieli trzydziestu typów bakterii hodowalnych i ponad dziewięćdziesiąt filotypów bakterii niehodowalnych (tab. 1.9). Klasa ζ-Proteobacteria jest reprezentowana przez jeden gatunek Mariprofundus ferrooxydans (Siderooxidans marinum), chemolitotrof utleniający w warunkach tlenowych jony Fe(II) w oceanach na dużych głębokościach. Jest to gatunek bardzo charakterystyczny, ponieważ tworzy na zewnątrz komórki nóżkę z żelaza (ang. stalk) Po raz pierwszy izolowany z głębin oceanicznych w okolicach Hawajów.

TABELA 1.9

Typy bakterii oraz archeonów hodowalnych dotychczas opisanych. (Z: Bone D.R., Castenholz R.W., Garrity G.M. 2001. Bergey’s manual of systematic bacteriology. The Archaea and the Deeply Branching and Phototrophic Bacteria. Volume one, 2nd ed., Springer oraz www.mbio.ncsu.edu/MB451/info/info.html; dzięki uprzejmości i za zgodą J.W. Browna, Department of Microbiology, NC State University, Raleigh, NC 27695 USA)

TYP/KLASA LICZBA TAKSONY REPREZENTATYWNE (RODZAJE) GATUNKÓW (6 939) KLONÓW (137 352)

Domena Bacteria

Acidobacteria 7 2 566

Actinobacteria 1 646 7 798

Aquificae 29 668

Acidobacterium, Edaphobacter, Geothrix, Holophaga, Terriglobus

Acidimicrobium, Actinomyces, Agromyces, Arthrobacter, Bifidobacterium, Brevibacterium, Celulomonas, Frankia, Gordonia, Kineococcus, Micrococcus, Mycobacterium, Micromonospora, Nocardia, Polymonospora, Rhodococcus

Aquifex, Desulfurobacterium, Hydrogenobacter, Hydrogenobaculum, Thermovibrio

RYCINA 7.2

Główne frakcje materii organicznej rozpuszczalnej uzyskane z zastosowaniem spektroskopii rezonansu magnetycznego (NMR, ang. nuclear magnetic resonance) w wodach naturalnych z użyciem SPR-W5-WATERGATE. (a) rzeka Tombigbee (system rzeczny Missisipi); (b) jezioro Ontario i (c) Pacyfik. (CRAMS, ang. arboxyl-rich alicyclic). (Z: Lam B., Simpson A.J. 2008. Direct 1H NMR spectroscopy of dissolved organic matter in natural waters. The Analyst 133: 263–269; dzięki uprzejmości i za zgodą Royal Society of Chemistry)

produkowanych i pozostających w glebach oraz w wodach jako główny składnik puli węgla ekosystemów lądowych i wodnych. Ten typ materii organicznej zawiera trzy kategorie związków: 1) kwasy fulwowe (FA) – frakcja rozpuszczalna w wodzie, 2) kwasy humusowe (AH) – rozpuszczalne w wyższym pH, 3) huminy (HU) – nierozpuszczalne w wodzie w całym zakresie pH. Humus powstaje w czasie degradacji polimerycznej materii organicznej, głównie z lignin, kutyny, melaniny oraz frakcji makromolekuł parafinowych. W jeziorach humusowych dopływ węgla allochtonicznego przewyższa autochtoniczny węgiel pozyskiwany w procesie fotosyntezy (od 4 do 15% TOC). Allochtoniczna DOC stanowi około 90% TOC w toni wodnej. Stosunek C : N w rozpuszczonej materii organicznej pochodzenia allochtonicznego wynosi 50 : 1, podczas gdy dla materii rozpuszczalnej pochodzenia glonowego – 12 : 1.

7.4.

Bakterioneuston

Powierzchniowa mikrowarstewka wody (biofilm) to środowisko pomiędzy hydrosferą a atmosferą. Mikroorganizmy występujące w tej warstewce nazywane są neustonem, a bakterie bakterioneustonem. Wykształcona błona powierzchniowa zbiorników wodnych ma strukturę warstwową: pierwsze 10 nm od atmosfery zajmuje błona lipidowa, pod nią około 100 nm warstwa polisacharydowo-białkowa, a poniżej dopiero położona jest warstwa bakterioneustonu (ok. 1000 nm). Grubość wszystkich warstw biofilmu dochodzi do 1 mm. Środowisko to zasiedlają fotoautotrofy (producenci pierwotnej materii organicznej), wiążące dwutlenek węgla oraz bakterie, będące producentami wtórnej materii organicznej, oporne na promieniowanie UV. Zwykle w warstwie tej jest od 10 do 104 razy więcej mikroorganizmów niż poniżej niej. Przekraczają one liczbę 107 komórek/cm3, przy czym bakterie heterotroficzne hodowalne (metoda płytkowa) stanowią nie więcej niż 1% (105 komórek/ml – liczenie bezpośrednie). W przeliczeniu na C-org. biomasa komórek biofilmu wynosi od 520 do 750 μg C/dm3. Wśród bakterii hodowalnych dominują w biofilmie gatunki należące do: Aeromonas, Alcaligenes, Bacillus, Brevibacterium, Chromobacterium, Corynebacterium, Enterobacter, Enterobacteriaceae, Flavobacterium, Hyphomicrobium, Micrococcus, Pseudomonas i Vibrio fluvialis. Wśród producentów pierwotnej materii organicznej z pewną częstością występują sinice należące do Aphanizomenon, Anabaena i Microcystis.

7.5. Wetlandy

Istnieją różne definicje wetlandów. Wszystkie jednak podkreślają występowanie charakterystycznej roślinności, będącej kryterium klasyfikacji środowiska jako wetland. Wetlandy to obszary bagienne, mokradła, torfowiska oraz woda, która permanentnie lub okresowo stoi lub przepływa – słodka, słonawa lub zasolona, a także obszary wody morskiej, której głębokość nie przekracza 6 m. Definicja ta włącza strefy nadbrzeżne i nadmorskie oraz wyspy usytuowane i zalane wodą morską. Są płytkimi środowiskami wodnymi zdominowanymi przez roślinność rosnącą na powierzchni lustra wody lub zanurzoną, występują w różnych strefach klimatycznych. Klasyfikacja wetlandów oparta jest na porastających je roślinach. Dominującymi roślinami wetlandów mogą być: trzcina (Phragmites), pałka (Typha), sitowie (Juncus) lub turzyce (Carex). Roczna produkcja biomasy jest ogromna, tak więc część wyprodukowanej biomasy roślinnej w ciągu okresu wegetacyjnego nie zostaje zdegradowana z udziałem bakterii. Powodem tego jest: brak tlenu, nieodpowiednia temperatura i pH, limitacja powodowana brakiem pierwiastków biogennych. W znacznej części biomasa ulega humifikacji i pozostaje jako warstwa, z której powstają depozyty węgla. Jeśli poziom wody opadnie, w miejscach tych powstają torfowiska i nawóz, zawierający niewielkie ilości substancji

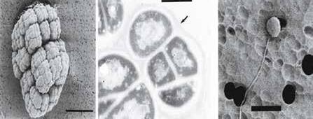
W miejscowości Aiken, The Savannah River Site, Karolina Południowa (USA), gdzie przechowuje się odpady promieniotwórcze, poziom radiacji wynosi 100 Gy/h. Próbki do badań mikrobiologicznych pobrano z Savannah River Technology Center, gdzie poziom radiacji był znacznie niższy (od 0,18 do > 3,5 Gy/h). Z próbek wyizolowano Gram-dodatniego ziarniaka koloru pomarańczowego (karotenoidy). Ziarniak ten ma jedną rzęskę (jest ruchliwy). Jest typowym

RYCINA 9.15

Kineococcus radiotolerans rosnący na podłożu stałym (a), przekrój przez komórkę (b) oraz pojedyncza komórka z rzęską (c). (Z: Philips R.W., Wiegel J., Berry C.J. i wsp. 2002. Kineococcus radiotolerans sp. nov., a radiation resistant, Gram-positive bacterium. International J. System. Evolution. Microbiol. 52: 933–938; dzięki uprzejmości i za zgodą Society for General Microbiology, UK)

RYCINA 9.16

(a) Oporność wyrażona w procentach przeżywalności komórek bakterii: kwadrat – Deinococcus radiodurans, romb – Escherichia coli CF1648 (recA+), kółko – Kineococcus aurantiacus, trójkąt – Kineococcus radiotolerans, na działanie różnych dawek promieniowania gamma, którego źródłem emisji jest 60Co; (b) oporność na odwodnienie wyrażona procentem przeżywalności w czasie ekspozycji (do 14 dni). Oznaczenia jak w a. (Z: Philips R.W., Wiegel J., Berry C.J. i wsp. 2002. Kineococcus radiotolerans sp. nov., a radiation resistant, Gram-positive bacterium. Inter. J. System. Evolution. Microbiol. 52: 933–938; dzięki uprzejmości i za zgodą Society for General Microbiology, UK)

9.9. Środowiska oligotroficzne

mezofilem, rosnącym w temperaturze od 11 do 41°C, w pH od 5 do 9 i zasoleniu do 5%. Nazwano go Kineococcus radiotolerans i jest ściśle spokrewniony z Kineococcus aurantiacus, a oba gatunki należą do typu Actinobacteria (ryc. 9.15). Zarówno K. aurantiacus, jak i K. radiotolerans są oporne na promieniowanie gamma oraz odwodnienie (ryc. 9.16).

9.9. Środowiska oligotroficzne

Już w 1914 roku Conn donosił, że na podłożach ubogich w substancje pokarmowe wyrasta więcej bakterii glebowych niż na podłożach bogatych. Z badań Hattoriego i wsp. prowadzonych w latach 70. i 80. ubiegłego wieku wynika, że wśród bakterii izolowanych na podłożach ubogich w związki organiczne rosną nie tylko gatunki wolno rosnące, lecz także bardzo wrażliwe na duże stężenia soli mineralnych i związków organicznych. Tego rodzaju bakterie klasyfikowano jako grupę oligotrofów. Powszechnie występują w glebach gatunki należące do rodzaju Arthrobacter i, jak się okazuje, są one przykładami bakterii oligotroficznych. Izolaty pozyskane z ryżowisk japońskich, będące oligotrofami, należą do α-, β-Proteobacteria oraz Bacteroidetes, pochodzące zaś ze środowisk morskich są zaliczane do α-, γ-Proteobacteria i Bacteroidetes.

Z morskich bakterii hodowalnych zaliczanych do fakultatywnych oligotrofów często izoluje się gatunki należące do: Caulobacter, Hyphomicrobium, Vibrio, Photobacterium, Sphinogomonas oraz gatunki Cycloclasticus oligotrophus i Sphingopyxis alaskensis. Sphingopyxis alaskensis (fakultatywny oligotrof) jest jedną z kilku hodowalnych ultramikrobakterii (< 0,1 µm3), która występuje w wodzie morskiej Zatoki Zmartwychwstania, Morza Północnego oraz w północnej części Pacyfiku, a także w wodach oceanicznych strefy klimatu umiarkowanego w ilości 0,2–1,07 × 106 komórek/cm3. Ta ultramikrobakteria (0,3 × 0,9 µm i obj. 0,05 µm3) jest jednym z dominujących gatunków bakterii w tych wodach, a jego ogromna biomasa jest bardzo istotna dla obiegu substancji pokarmowych w tych środowiskach. Innym przykładem morskiego obligatoryjnego oligotrofa jest Pelagibacter ubique, którego liczebność w morzach szacuje się na 1027 komórek. Jego sekwencję rRNA poznano w 1990 roku, a wtedy był znany pod nazwą SAR11. Cycloclasticus oligotrophicus, podobny do Sphingopyxis alaskensis, występuje także w wodach Zatoki Zmartwychwstania. Jego genom jest wielkości 2,9 Mpz i jest porównywalny do innych oligotrofów. Jest zdolny do degradacji kilku węglowodorów aromatycznych (np. toluen) i octanu, nie wykorzystuje glukozy i aminokwasów. Stała powinowactwa K m dla toluenu w warunkach optymalnego wzrostu wynosi 1,3 mg/l. W czasie jego wzrostu na podłożu z toluenem błony cytoplazmatyczne zawierają głównie kwas heksadekanowy (60,1%) i palmitynowy (38%).

Liczne gatunki oligotrofów należące do Pseudomonas, Caulobacter, Hyphomicrobium, Arthrobacter, Seliberia, Corynebacterium, Mycobacterium oraz Aeromonas

Turn static files into dynamic content formats.

Create a flipbook
Issuu converts static files into: digital portfolios, online yearbooks, online catalogs, digital photo albums and more. Sign up and create your flipbook.