100650001

Page 1


1. Czy każdy nieprawidłowy wynik spirometrii świadczy o POChP? ...... 11 – Agata Dutkowska

2. Co powiedzieć o chorobie pacjentowi ze świeżo rozpoznaną POChP? 21 – Agata Dutkowska

3. Jaki jest cel leczenia pacjenta ze świeżo rozpoznaną POChP? ....... 32 – Agata Dutkowska

4. Diagnostyka i monitorowanie pacjenta ze świeżo rozpoznaną POChP oraz leczenie współchorobowości 38 – Adam Białas

5. Czy ta pacjentka ma astmę czy POChP? ....................... 53 – Agata Dutkowska

6. Nakładanie astmy i POChP – kiedy rozważyć, jak rozpoznać i w jaki sposób leczyć? .................................... 59

Sebastian Majewski

7. Czy ta pacjentka ma POChP czy niewydolność serca?

Agata Dutkowska

8. Czy nasilenie duszności w POChP to zawsze tylko zaostrzenie choroby?

Adam Białas

9. Kiedy u chorego na POChP zintensyfikować leczenie? .............

Agata Dutkowska

10. Czy u pacjenta z POChP można odstawić lek lub zmniejszyć dawkę stosowanych leków? 102 – Agata Dutkowska

11. Jak zapobiegać zaostrzeniom POChP?  ........................ 113 – Maciej Ciebiada

12. Kiedy rozpoznać zaostr zenie POChP? ......................... 120 – Agata Dutkowska

13. Pacjent z częstymi zaostr zeniami POChP mimo prawidłowego leczenia ............................................... 134 – Maciej Ciebiada

14. Kiedy i jak stosować nieinwazyjne wspomaganie wentylacji w POChP? ............................................. 154 – Jadwiga Kroczyńska-Bednarek, Adam Białas

15. Tlenoterapia w POChP 163 – Jadwiga Kroczyńska-Bednarek, Adam Białas

16. Chory na POChP – czy trzeba pamiętać o raku płuca?

– Agata Dutkowska

17. Jak pacjentowi z POChP pomóc rzucić palenie? 193

– Adam Białas

18. Czy rehabilitacja oddechowa w POChP jest wskazana? ............ 209

– Agnieszka Nielepkowicz-Goździńska

19. Czy leczenie operacyjne POChP może pomóc pacjentowi? 231

– Agnieszka Nielepkowicz-Goździńska

20. Jak ulżyć w cierpieniu pacjentowi w schyłkowej fazie POChP? 247

– Agnieszka Nielepkowicz-Goździńska

21. Dlaczego pacjent z POChP źle śpi?

Adam Białas

objawów, stopień obturacji oskrzeli, częstość zaostrzeń), indywidualne preferencje pacjenta, cenę i dostępność leków na rynku.

Zalecane jest systematyczne i prawidłowe przyjmowanie leków wziew nych w celu zmniejszenia ryzyka zaostrzeń i poprawy jakości życia oraz regularna kontrola sposobu przyjmowania leków przez pacjenta w trak cie wizyty w poradni (tab. 11.2).

W profilaktyce zaostrzeń niezbędna jest także identyfikacja i prawidłowe leczenie powikłań POChP oraz chorób współistniejących (choroby współistniejące opisano w rozdziale 13).

Tabela 11.2. Leki bronchodylatacyjne (stabilna POChP, klasa zaleceń według GOLD 2017)

Wziewne leki bronchodylatacyjne są najważniejszymi lekami stosowanymi przewlekle w celu zapobiegania wystąpieniu objawów POChP i zmniejszania ich nasilenia (A)

Krótko działające leki bronchodylatacyjne (SABA, SAMA) stosowane na żądanie regularnie poprawiają FEV1 i zmniejszają nasilenie objawów (A)

Terapia skojarzona SABA + SAMA jest bardziej skuteczna w zakresie poprawy FEV1 i zmniejszenia nasilenia objawów niż leczenie każdym z tych leków oddzielnie (A)

LABA i LAMA istotnie poprawiają czynność płuc, stan zdrowia, zmniejszają nasilenie duszności i częstość zaostrzeń (A)

LAMA wywierają silniejszy efekt na redukcję zaostrzeń niż LABA (A) i zmniejszają częstość hospitalizacji (B)

Połączenie LABA + LAMA poprawia FEV1 i zmniejsza nasilenie objawów w porównaniu z monoterapią tymi lekami (A)

Połączenie LABA + LAMA zmniejsza częstość zaostrzeń w porównaniu z monoterapią tymi lekami (B) lub leczenia wziewnymi glikokortykosteroidami/ LABA (B)

Tiotropium poprawia skuteczność rehabilitacji oddechowej i poprawia wydolność wysiłkową (B)

Teofilina wykazuje niewielki efekt bronchodylatacyjny u chorych w stabilnym okresie POChP (A)

LABA – długo działający β2 agonista; LAMA – długo działający cholinolityk; SABA –krótko działający β2 mimetyk; SAMA – krótko działający antycholinolityk

Tabela 11.3. Pozostałe leki (klasy zaleceń według GOLD 2017)

z Chorzy na POChP od umiarkowanej do bardzo ciężkiej z zaostrzeniami w wywiadzie: połączenie wziewne glikokortykosteroidy + LABA skuteczniej poprawia parametry czynnościowe płuc, stan zdrowia i silniej redukuje częstość zaostrzeń niż każdy z tych leków oddzielnie (A)

z Regularne leczenie wziewnymi glikokortykosteroidami zwiększa ryzyko zapalenia płuc, szczególnie u ciężko chorych pacjentów (A)

z Terapia skojarzona wziewne glikokortykosteroidy + LAMA + LABA poprawia funkcję płuc, stan zdrowia, zmniejsza nasilenie objawów (A) i redukuje zaostrzenia (B) w porównaniu z leczeniem wziewnymi glikokortykosteroidami/ LABA lub monoterapią LAMA

z Długotrwałe leczenie doustnymi glikokortykosteroidami nie przynosi wyraźnej poprawy (C) i wiąże się z występowaniem wielu objawów niepożądanych (A)

z U chorych z przewlekłym zapaleniem oskrzeli, ciężką i bardzo ciężką POChP i zaostrzeniami w wywiadzie inhibitor PDE4 poprawia czynność płuc i zmniejsza ryzyko umiarkowanych i ciężkich zaostrzeń (A). Dodatkowo inhibitor PDE4 poprawia czynność płuc i redukuje zaostrzenia u chorych leczonych wziewnymi glikokortykosteroidami/LABA (B)

z Azytromycyna lub erytromycyna stosowane przewlekle w czasie roku istotnie zmniejszyły ryzyko zaostrzeń (A)

z Leczenie azytromycyną wiąże się z większym prawdopodobieństwem rozwoju oporności bakterii (A) i uszkodzenia słuchu (B)

z Regularne stosowanie N acetylocysteiny lub karboksycysteiny redukuje ryzyko zaostrzeń w wybranej grupie pacjentów (B)

z Symwastatyna nie zapobiega zaostrzeniom POChP u chorych z wysokim ryzykiem zaostrzeń bez wskazań do leczenia statynami (A), jednak badania obserwacyjne sugerują, że statyny mogą pozytywnie wpływać na niektóre parametry u chorych na POChP, którzy przyjmują te leki z powodu współistniejących chorób układu krążenia i metabolicznych (C)

LABA – długo działający β2 agonista; LAMA – długo działający cholinolityk

Podsumowanie

Opisany przypadek prezentuje postawę pacjenta, który neguje chorobę i nie współpracuje z lekarzem w procesie diagnostyczno terapeutycz nym. Chora – pomimo prawidłowego rozpoznania, włączonego lecze‑ nia i edukacji – nie zaprzestała palenia tytoniu, nie zgłaszała się na wizyty kontrolne, unikała szczepień przeciwko grypie i pneumokokom, a leki wziewne przyjmowała nieregularnie i w zbyt małych dawkach. Bagatelizowała objawy chorób współistniejących, w tym choroby niedo

W badaniu przedmiotowym pacjent w stanie ogólnym dość dobrym, w pełnym kontakcie słowno logicznym, bez widocznej duszności spo czynkowej, prawidłowy stan odżywienia – masa ciała 70 kg, wzrost 165 cm (BMI = 25,7 kg/m2), skóra różowa. Obwodowe węzły chłonne dostępne badaniu palpacyjnemu niepowiększone, niebolesne. Błony śluzowe jamy ustnej blade, bez nalotów.

W badaniu klatki piersiowej w oglądaniu bez cech patologii budowy klatki piersiowej. Osłuchowo nad całymi polami płucnymi ciche świsty i furczenia. Saturacja w pulsoksymetrii przezskórnej – 95%. Akcja serca miarowa o częstości 95 uderzeń na minutę, bez szmerów patologicz nych, ciśnienie tętnicze 140/80 mm Hg. Brzuch w poziomie klatki pier siowej miękki, niebolesny, bez oporów patologicznych. Nie stwierdzono obrzęków obwodowych. Badanie przedmiotowe pozostałych układów bez istotnych odchyleń od stanu prawidłowego.

W ramach diagnostyki ambulatoryjnej u pacjenta wykonano badania:

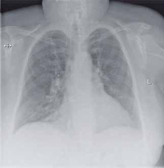
1. RTG klatki piersiowej (r yc. 2.1) – wykazało w prawym środkowym polu płucnym w rzucie przedniego odcinka III żebra, w linii przy mostkowej widoczny nieregularny dobrze wysycony cień o średnicy 8 mm – zmiany włókniste pozapalne (wykluczono proces rozrostowy w dalszej diagnostyce). Poza tym pola płucne bez zmian ognisko wych. Sylwetka serca w granicach normy. Przepona i kąt przepo ‑ nowo żebrowy wolne.

2. Spirometria z próbą r ozkurczową (ryc. 2.2) – wykazała nieodwra‑ calną umiarkowaną obturację dróg oddechowych.

5. Czy ta pacjentka ma astmę czy POChP?

OPiS PrzyPadku

59 letnia pacjentka leczona od około 30 lat z powodu nakładania astmy i  POChP została przyjęta z powodu nasilenia duszności do spo czynkowej oraz pogorszenia tolerancji wysiłku od kilku tygodni.

Przy przyjęciu pacjentka w stanie ogólnym średnim, z objawami duszno ści, tachypnoë, tachykardii, z umiarkowanymi obustronnymi symetrycz nymi obrzękami kończyn dolnych. W badaniu przedmiotowym otyłość III stopnia (wzrost 160 cm, masa ciała 107 kg, BMI = 41,8), nad polami płucnymi osłuchowo cechy nasilonej obturacji.

W wykonanych w dniu przyjęcia badaniach dodatkowych stwierdzono podwyższone wartości parametrów zapalnych (CRP 16,9 mg/l; N: < 5,0 mg/l), nieznaczną hipoksemię w badaniu gazometrycznym. W badaniu gazometrycznym przy przyjęciu: pH 7,44, pCO2 37,1 mm Hg, pO2 56,0 mm Hg, aBE 1,1 mmol/l, cHCO3 24,9 mmol/l, Sat O2 89,8%.

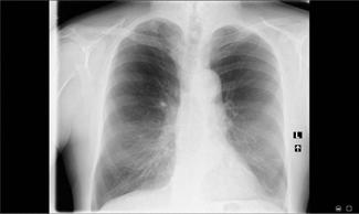
Na zdjęciu RTG klatki piersiowej (ryc. 5.1) pola płucne z cechami prze wlekłego nieżytu oskrzeli, bez zmian ogniskowych. Sylwetka serca powiększona. Naczynia we wnękach poszerzone. Przepona i kąty prze ponowo żebr owe wolne.

RTG klatki piersiowej

W spirometrii (ryc. 5.2) obserwowano ciężką obturację dróg oddecho ‑ wych ze zmniejszeniem FVC.

W badaniu EKG obserwowano rytm zatokowy, z dodatkowymi pobudze niami pochodzenia przedsionkowego, o częstości zespołów QRS około 86 na minutę. Lewogram patologiczny. Mała progresja załamka R w V1–V4, wskazująca na współistniejącą chorobę niedokrwienną serca.

Na oddziale rozpoznano zaostrzenie astmy/POChP z towarzyszącym zaostrzeniem niewydolności krążenia. W ramach zastosowanego lecze nia włączono antybiotyk (amoksycylinę z kwasem klawulanowym), glikokortykosteroid systemowy (metyloprednizolon), stosowano leczenie tlenem, zintensyfikowano leczenie bronchodylatacyjne (salbutamol, bromek ipratropium w nebulizacji, włączono cyklezonid, tiotropium, sal‑ meterol) oraz moczopędne (furosemid, spironolakton), kontynuowano leczenie antyhistaminowe cetyryzyną oraz kardiologiczne (kwas acetylo ‑ salicylowy, ramipryl, amlodypina, symwastatyna, enoksaparyna). W wyniku zastosowanego leczenia uzyskano poprawę stanu ogólnego. Pacjentkę w stanie optymalnym wypisano do dalszej opieki w warun kach ambulatoryjnych.

Adam Białas

8. Czy nasilenie duszności w POChP to zawsze tylko zaostrzenie choroby?

OPiS PrzyPadku

62 letnia pacjentka z rozpoznaną około 2 lata temu POChP została przyjęta na oddział z powodu narastającej od kilku dni duszności, do spoczynkowej włącznie, bólów w klatce piersiowej o charakterze kłucia za mostkiem (bez promieniowania do szyi, żuchwy czy lewej kończyny górnej), produktywnego kaszlu z odkrztuszaniem ropnej plwociny. Do tej pory nie obserwowano zaostrzeń choroby.

W wywiadzie przewlekła choroba niedokrwienna serca w III klasie według CCS, stan po zawale mięśnia sercowego NSTEMI w 2015 r., nadciśnienie tętnicze, przewlekła niewydolność serca w klasie III według NYHA, zapalenie żołądka i dwunastnicy, cukrzyca typu 2, refluks żołąd‑ kowo pr zełykowy, zwężenie odźwiernika, stan po krwawieniu z górnego odcinka przewodu pokarmowego 3 tygodnie przed bieżącą hospitaliza cją, stan po przebytej zatorowości płucnej w 2014 r. Aktywny nikoty nizm, min. 60 paczkolat.

Pacjentka ma wykształcenie średnie, pracuje jako kasjerka w hipermar kecie. Warunki mieszkaniowe dobre. Wywiad rodzinny niespecyficzny.

Pozostałe aktualnie przyjmowane leki: indakaterol 300 μg 1 raz na dobę, salbutamol 200 μg w razie duszności, pantoprazol 40 mg 1 raz na dobę, furosemid 40 mg 1 raz na dobę, spironolakton 50 mg 1 raz

na dobę, ramipryl 5 mg 1 raz na dobę, atorwastatyna 10 mg 1 raz na dobę, metformina 500 mg 3 razy na dobę. Pacjentka nie stosuje hor monalnej terapii zastępczej.

W badaniu przedmiotowym układu oddechowego odgłos opukowy nadmiernie jawny, symetryczny, osłuchowo obustronnie nad polami płucnymi ściszenie szmeru pęcherzykowego oraz liczne świsty i furcze‑ nia, drżenie piersiowe prawidłowe, częstość oddechów 22 na minutę, saturacja mierzona przenośnym pulsoksymetrem 91%. Akcja serca miarowa o częstości 120 uderzeń na minutę, zwiększenie głośności składowej płucnej II tonu, holosystoliczny szmer skurczowy w miejscu przyczepu 5. prawego żebra do mostka. Dodatni objaw Rivero Carvallo. Poszerzenie żył szyjnych. Ciśnienie tętnicze 140/80 mm Hg. Obrzęki kończyn dolnych symetryczne, do połowy goleni. Badanie przedmio towe pozostałych układów bez istotnych odchyleń od stanu prawidło wego.

Morfologia krwi obwodowej: leukocyty 15,8 x 103/μl, w tym neutrofile 10,9 x 103/μl, limfocyty 2,2 x 103/μl, monocyty 0,79 x 103/μl, eozynofile 0,02 x 103/μl, bazofile 0,02 x 103/μl, krwinki czerwone 5,27 T/l, hemo ‑ globina 13,6 g/dl, hematokryt 41,3%, MCV 78,4 fl, MCH 25,8 pg, MCHC 32,9 g/dl, RDW‑ SD 49,2 fl, RDW‑ CV 17,6% CV, płytki krwi 240 x 103/μl, MPV 8,9 fl, P LCR 17%, płytkokr yt 0,21%, PDW 9,9 fl.

Biochemia: sód 141 mmol/l, potas 4,1 mmol/l, chlorki 98 mmol/l, kre atynina 0,9 mg/dl.

Gazometria krwi tętniczej: pH 7,49, pO2 61 mm Hg, PaCO2 31,2 mm Hg, HCO3 23,6 mEq/l, BE 0,5 mEq/l, SaO2 93,2%.

CRP 30,62 mg/l, D dimer 1075,99 μg/l, troponina T 0,02 μg/l, CK MB masa 4,59 ng/ml.

W  EKG rytm wiodący zatokowy, miarowy o częstości 120 uderzeń na minutę. Cechy niepełnego bloku prawej odnogi pęczka Hisa. Zapis bez cech świeżego niedokrwienia mięśnia sercowego.

Omówienie

Prezentowany wywiad w połączeniu z obecną wieloletnią POChP w pierwszej kolejności sugeruje infekcyjne zaostrzenie choroby. Badanie

Adam Białas

17. Jak pacjentowi z POChP pomóc rzucić palenie?

OPiS PrzyPadku

54 letni pacjent z rozpoznaną przed 2 laty POChP zgłosił się do poradni, ponieważ chciałby rzucić palenie, ale każda z licznych samodzielnie podejmowanych prób kończyła się niepowodzeniem. Pacjent pali od około 40 lat dwie paczki dziennie.

W ostatnim wykonanym badaniu spirometrycznym uzyskano wartości wskaźnika pseudo ‑Tiffeneau wysokości 62,91%, FEV1 2,12 l (71% war tości należnej) po 400 mg salbutamolu. Ponadto w wywiadzie stan po ostrym zespole wieńcowym z uniesieniem odcinka ST leczonego angio ‑ plastyką tętnicy wieńcowej z wszczepieniem stentu powlekanego około miesiąc temu, kontrolowane nadciśnienie tętnicze, cukrzyca typu 2 oraz refluks żołądkowo pr zełykowy.

Aktualnie pacjent przyjmuje następujące leki: indakaterol 300 g 1 wdech 1 raz na dobę rano, bromek glikopironium 55 µg 1 wdech 1 raz na dobę rano, doraźnie przyjmowany w razie duszności bromek ipratropium 40 µg, kwas acetylosalicylowy 75 mg 1 raz na dobę, klopi dogrel 75 mg 1 raz na dobę, nebiwolol 5 mg 1 raz na dobę, ramipryl 5 mg 1 raz na dobę, atorwastatyna 10 mg 1 raz na dobę, metformina 3 razy 500 mg oraz dekslansoprazol 30 mg 1 raz na dobę.

Pacjent prawidłowo używa obydwu typów zaleconych inhalatorów oraz przestrzega zaleceń dotyczących ćwiczeń oddechowych.

Zdjęcie RTG klatki piersiowej wykonano 3 miesiące temu – nieco wzmo żony rysunek naczyniowo ‑ oskrzelowy obu płuc.

Warunki mieszkaniowe dobre – prywatna kamienica w centrum Łodzi. Wykształcenie wyższe – magister ekonomii; od 15 lat pracuje jako makler papierów wartościowych.

Wywiad rodzinny niespecyficzny.

Pacjent zgłasza, że pierwszego papierosa w ciągu dnia musi zapalić niemal zaraz po przebudzeniu, jeszcze w łóżku. Twierdzi, że bez tego porannego papierosa nie jest w stanie rozpocząć codziennej aktywno ści, a w ciągu okresów abstynencji rezygnacja z tego papierosa powo dowała największe trudności. W ciągu dnia pacjent parokrotnie przerywa pracę, żeby ukryć się w pomieszczeniu gospodarczym i wypa lić papierosa. Parokrotnie został ukarany za palenie w miejscu pracy. Liczba papierosów wypalanych w ciągu doby wzrasta w godzinach popołudniowych i wieczornych.

Pacjent nie przerwał palenia pomimo zaleceń wydanych po leczeniu ostrego zespołu wieńcowego ani podczas wymagających hospitalizacji zaostrzeń POChP. Nałogu nie akceptuje rodzina i znajomi pacjenta. W trakcie każdego podejmowanego do tej pory okresu abstynencji występowała drażliwość, trudność w skupieniu uwagi, niepokój, znacz nie utrudniające pracę zawodową oraz kontakty z domownikami, co każdorazowo prowadziło do powrotu do nałogu.

W badaniu przedmiotowym układu oddechowego odgłos opukowy jawny, symetryczny, osłuchowo obustronnie nad polami płucnymi poje dyncze świsty, drżenie piersiowe prawidłowe, saturacja mierzona prze nośnym pulsoksymetrem 97%. Akcja serca miarowa o częstości 80 uderzeń na minutę, bez szmerów patologicznych, bez obrzęków obwodowych. Badanie przedmiotowe pozostałych układów bez istot nych odchyleń od stanu prawidłowego.

2. Co powiedzieć o chorobie pacjentowi ze świeżo rozpoznaną POChP?

OPiS PrzyPadku

78 letni pacjent został skierowany do poradni pulmonologicznej przez lekarza rodzinnego w celu poszerzenia diagnostyki w kierunku POChP. Pacjent od około roku odczuwa postępującą duszność wysiłkową oraz ma produktywny kaszel od około 2 lat.

Pacjent dotychczas leczył się na nadciśnienie tętnicze II stopnia według ESC/ESH (European Society of Cardiology/European Society of Hyper tension), od ponad 20 lat.

W związku z nadciśnieniem tętniczym przyjmował: ramipryl 5 mg 1 raz na dobę, co zapewniało dobrą kontrolę wartości ciśnienia tętniczego. Ponadto okresowo przyjmuje lorazepam w związku z zaburzeniami snu.

Pacjent potwierdził uzależnienie od tytoniu – w przeszłości palił 2 paczki dziennie przez 40 lat (80 paczkolat), nadal pali papierosy. Wywiad w kierunku alergii na leki negatywny. Pacjent nie przechodził operacji.

Warunki mieszkaniowe dobre – blok na osiedlu mieszkaniowym w małym mieście. Wykształcenie średnie – urzędnik w ZUS, obecnie na emeryturze od 20 lat.

Wywiad rodzinny: matka pacjenta chorowała na astmę oskrzelową.

Turn static files into dynamic content formats.

Create a flipbook
Issuu converts static files into: digital portfolios, online yearbooks, online catalogs, digital photo albums and more. Sign up and create your flipbook.