

Black Friday
Up to 20% off everything.
The offer of the year. The one you’ve been waiting for. Visit us in-store and find your perfect sofa — our collection is unmatched in variety of models, layouts, colors and finishes. And of course, Natuzzi Editions fully certified and guaranteed quality.
Only until Saturday 29th November in our Preston store. 227 Brook Street, PR1 7ND Tel. 01772 880082 Mon - Sat 10 - 17 | Sun Closed





12 A ROYLE CHRISTMAS
We catch up with comedian, actor, radio presenter and variety performer, Steve Royle, ahead of this year’s panto season. After 25 years of laughter, Royle shows no signs of slowing down and we find out what’s next for him.
64 LANCASHIRE DAY
Every 27th November, Lancashire bursts with pride as locals celebrate Lancashire Day - a tribute to the county’s rich history, culture and community spirit. From Preston to the Fylde Coast, it’s a day to honour our red rose roots and all that makes Lancashire truly special.
102 BUSINESS HOUR
In 2025, the Topping family entrusted Blue Diamond Garden Centres with its future - marking a new chapter which would ensure the safeguarding of Barton Grange’s independence, spirit and enduring role at the heart of Lancashire life. We chat to Blue Diamond owner and Managing Director Alan Roper.


WINDOWS | DOORS | CONSERVATORIES | ORANGERIES | GARDEN PODS



LIVE MAGAZINES
Chairman: Simon Smith
Managing Director: Tedd Walmsley
Company Secretary: Elizabeth Walmsley
Editor: Ali Gudgeon
Graphic Designers: Nick Dittrich and Rob Walmsley
Operations Manager: Kate Hyde
Production Manager: James Britton
Sales Account Manager: Jane Hughes 07875 696 928
Photography: Peter Austin, Anthony P Driver and Michael Porter
Editorial Contributors: Paul Agnew, Emma Brereton, Justin Cavalier, Ben Hall, Katie Hammond, Kate Hyde, Liz Walmsley, Tedd Walmsley and Jan Woolley
Live Magazines Limited Office 9, The Old Bakery Green Street Lytham FY8 5LG
T: 01772 319 465 info@live-magazines.co.uk www.live-magazines.co.uk
LIVE PRESTON & FYLDE magazine is hand delivered to selected households and businesses in Barton, Bretherton, Broughton, Buckshaw Village, Cottam, Croston, Eaves, Elswick, Garstang, Great Eccleston, Freckleton, Fulwood, Hutton, Kirkham, Little Eccleston, Longton, Lytham, Much Hoole, New Longton, Newton with Scales, Penwortham, Warton, Wesham, Whittle-le-Woods and Wrea Green.
Live Magazines Limited cannot accept responsibility for unsolicited submissions, manuscripts or photographs. While every care is taken, prices and details are subject to change and Live Magazines Ltd takes no responsibility for omissions and errors. We reserve the right to publish and credit any letters. All rights reserved.
An annual subscription is available at £17.50, to cover postage and packaging. For details of subscriptions please email subscriptions@live-magazines.co.uk. For advertising please contact us on 01772 319 465.










Live Editor
As the year draws to a close and the sparkle of the festive season fills our towns, it’s a time to reflect, reconnect and, of course, celebrate all that makes Lancashire such a special place to call home.
In this Christmas issue, we’ve wrapped up a collection of stories that capture the warmth, wit and community spirit that define life here in Preston and the Fylde. Leading the way is the ever-brilliant Steve Royle –comedian, actor, radio presenter and all-round entertainer – who invites us behind the curtain ahead of this year’s panto season. After 25 years of laughter, Steve shows no sign of slowing down and his infectious humour is exactly what we need to lift our spirits this winter.
We also mark Lancashire Day – a proud celebration of our county’s heritage and heart. From the red rose emblem to our rich traditions, it’s a day that reminds us of our shared story and the communities that keep it alive year after year.
Our Business Hour feature explores a new chapter for one of Lancashire’s most loved names. As Barton Grange Garden Centre joins the Blue Diamond family, we speak with Managing Director Alan Roper about preserving its independence and ensuring its legacy continues to thrive at the heart of local life.
And as we look ahead, we also take a moment to look back. Players Drama School celebrates 30 years of creativity, confidence and community. Under the inspiring leadership of Rebecca Wilson, Players has become a nurturing home for young performers across the region – a true testament to the power of passion and perseverance.
From festive lights to family traditions, we hope you enjoy the season ahead. So, pour yourself a mulled wine, settle in by the fire and enjoy this very special issue – a celebration of laughter, legacy and local life.
Wishing you a joyful Christmas and a wonderful New Year
Ali Gudgeon Editor




Barton Grange Garden Centre Photographer: Michael Porter





A ROYLE CHRISTMAS

For more than two decades, Steve Royle has been a familiar face – and an even more familiar laugh – across the North West, writes Ali Gudgeon
Acomedian, actor, radio presenter and variety performer, Steve is one of those rare entertainers whose energy seems boundless. Whether he’s balancing an ironing board on his foot, juggling with manic precision, or making an entire theatre roar with laughter, Royle embodies the very spirit of joyful showmanship.
This year, the Blackpool Grand Theatre’s panto star has another reason to celebrate. His portrayal of Buttons in Cinderella earned him the coveted Best Comic Award at the 2024-25 Pantomime Awards – a recognition that, for Royle, means far more than a shiny trophy.
“I’m genuinely overwhelmed and deeply
honoured,” he says. “Pantomime has always held a special place in my heart – it’s pure joy, shared laughter and the kind of magic that brings generations together. This award isn’t just mine – it belongs to everyone who makes the magic happen – from the cast and creative team to the backstage crew and audiences who come back year after year.”
It’s a heartfelt sentiment from a performer who has clocked up more than 1,000 pantomime performances at Blackpool’s Grand Theatre alone. That remarkable figure, built over 22 consecutive festive seasons, cements Royle’s reputation as one of the UK’s most beloved pantomime comics.
Growing up in Oldham, Steve discovered his knack for comedy early. “It started when I played Rumpelstiltskin at junior school,”

he recalls. “I realised I could make people laugh – that was it! At Oldham Theatre Workshop under David Johnson, I started to see performing as a realistic career. My friends were landing roles on Coronation Street, and I thought, maybe this isn’t such a daft dream after all.”
PANTOMIME HAS ALWAYS HELD A SPECIAL PLACE IN MY HEART – IT’S PURE JOY, SHARED LAUGHTER AND THE KIND OF MAGIC THAT BRINGS GENERATIONS TOGETHER
While he might not have written ‘comedian’ in his school careers questionnaire, the universe clearly had other plans. Over the years, Royle has honed a unique blend of stand-up, slapstick and juggling, a combination that’s made him a hit from Blackpool to Bangkok and from cruise ships to comedy clubs.
His influences are a who’s who of British comedy. “Cannon and Ball, Morecambe and Wise, Ken Dodd – they all shaped my sense of humour,” he says. “Bobby Ball was my local hero growing up and Lee Evans was emerging around the time I started at Granada Studios Tour. I think that mix of physicality, warmth and mischief rubbed off on me.”
To millions across the country, Royle became a household name in 2020 when he reached the finals of Britain’s Got Talent. His hilarious juggling routines and infectious personality won over the judges –David Walliams famously called him “all the best comedians rolled into one”.

But his experience on the show came with a twist – it was the pandemic year. “People forget that,” Royle laughs. “We were all in lockdown, so everyone was watching. I had to perform to 500 Zoom screens – no live audience, just little boxes of faces! But 12 million people tuned in, and it really opened doors. I even get fan messages from India and Japan now. It also means I can officially put ‘as seen on TV’ on my posters!”
The exposure led to a nationwide tour and a new level of recognition – though, as ever, Royle remains refreshingly down-toearth. While his television success brought national fame, Royle’s true love has always been pantomime.
“There’s nothing quite like entertaining all ages at once,” he explains. “Panto is such a unique art form – it’s tradition mixed with topical humour, music and a bit of glorious chaos. And at Blackpool Grand, I feel like part of the family.”
That family spirit is at the heart of every production. From the dressing room banter to the camaraderie between cast and crew, Royle thrives on the shared joy of the season.
“Respect is key,” he says. “Everyone brings something different – you learn so much from people with other theatrical backgrounds. We have cast meals, quiz nights, little traditions that build chemistry. And that chemistry shines on stage.”
As a performer who’s worked alongside panto royalty, Royle knows what makes a great show tick. “Variety is the key,” he insists. “Keep the story clear, involve the audience and make sure you’re entertaining everyone – kids, parents, grandparents. You’ve got to have your ghost gags, your slosh scenes, your song sheet at the end. Those traditions matter.”
And then there are the inevitable mishaps – the kind that become legend in panto lore.
“We’ve had fairies crash into the wings, ghosts tumble down stairs and Peter Pan stuck in mid-air,” he grins. “One year, a Dame forgot her bloomers – I’m still scarred by that image! My favourite moments are usually the silly ones with Tom Lister – our Freddie Mercury tribute and the ‘tight pants’ routine in Aladdin were classics.”
WE’VE HAD FAIRIES CRASH INTO THE WINGS, GHOSTS TUMBLE DOWN STAIRS AND PETER PAN STUCK IN MID-AIR
Performing multiple shows a week through December might sound exhausting, but Royle insists the festive energy keeps him going. “If you love what you do, it never feels like work,” he says. “No two shows are the same.

The audience makes every night different. And seeing kids’ faces light up when the curtain rises? That’s all the fuel I need.”
He jokes about keeping himself in shape:
“I’m in my fifties now, so there’s a lot of stretching and shadow boxing in the wings!”
But there’s also a deep sense of gratitude underpinning his pre-show ritual. “Before every opening night, I say a little prayer. I thank those who’ve helped me along the way and ask for strength to make it another good season. It’s worked so far, so I’m sticking with it.”
And when it comes to keeping spirits (and energy levels) high, Royle’s backstage habits are, naturally, infused with humour.
“I actually brought an air fryer to the theatre last year,” he laughs. “There’s nothing better than finishing a show and walking into the smell of a baked potato waiting for you. And Boxing Day bubble and squeak? Magnificent!”
After 25 years of laughter, Royle shows no signs of slowing down. In fact, 2026 will see him embark on an exciting new challenge –playing his comedy hero Eric Morecambe in The Last Laugh, a play exploring the lives of Morecambe, Tommy Cooper, and Bob Monkhouse. “It’s a dream come true,” he says. “To step into Eric’s shoes is both terrifying and thrilling. The show’s going on a six-month tour, even reaching New York, and I couldn’t be prouder.”
Yet, despite his global adventures, the heart of Steve Royle’s career remains in Blackpool, surrounded by laughter, sparkle and the sound of families shouting, ‘He’s behind you!’ “Panto season is my favourite time of year,” he says simply. “Fun, family, and favourite that sums it up. It’s where I feel most at home.”
In an industry that often chases the next big thing, Steve Royle is a refreshing reminder of what truly matters… connection, laughter and heart. His comedy may be madcap and his juggling world-class, but it’s his warmth and humility that make audiences return year after year.
Whether he’s balancing a Christmas tree on his chin, cracking jokes at the Grand, or bringing Eric Morecambe back to life, Steve Royle does what he’s always done best –spreading joy.
And as he gears up for this year’s Beauty and the Beast at Blackpool Grand, one thing’s certain – the North West’s favourite comic will once again prove that laughter really is the greatest gift of all. n
@steveroylecomic
Bathrooms to inspire...

Bathrooms to inspire...
Bathrooms to inspire...
Bathrooms to inspire...
Bathrooms
to inspire...

over 16 years we have been creating everything you need for a luxurious & practical bathroom or kitchen.
Be inspired in our 3000 sq ft showroom

...for over 16 years we have been creating everything you need for a luxurious & practical bathroom or kitchen.

SHOWROOM OPEN FOR APPOINTMENTS ONLY, PLEASE CALL OR EMAIL TO ARRANGE. We are adhering to social distancing guidelines.


inspired in 3000 sq ft showroom The Original Bathroom Company
SHOWROOM OPEN FOR APPOINTMENTS ONLY, PLEASE CALL OR EMAIL TO ARRANGE. We are adhering to social distancing guidelines.
Be inspired in our 3000 sq ft showroom The Original Bathroom Company
SHOWROOM OPEN FOR APPOINTMENTS ONLY, PLEASE CALL OR EMAIL TO ARRANGE. We are adhering to social distancing guidelines.
SHOWROOM OPEN FOR APPOINTMENTS ONLY, PLEASE CALL OR EMAIL TO ARRANGE. We are adhering to social distancing guidelines.


SHOWROOM OPEN FOR APPOINTMENTS ONLY, PLEASE CALL OR EMAIL TO ARRANGE. We are adhering to social distancing guidelines.
84 Liverpool Road, Longton, Preston PR4 5NB • Next to Booths Supermarket EVENING AND WEEKEND APPOINTMENTS AVAILABLE DESIGN • SUPPLY
Be inspired in our 3000 sq ft showroom. Open Monday – Friday 8am - 4pm Saturday 9am - 5pm
tel: 01772 611622 www.theoriginalbathroomcompany.co.uk
tel: 01772 611622 www.theoriginalbathroomcompany.co.uk
84 Liverpool Road, Longton, Preston PR4 5NB • Next to Booths Supermarket EVENING AND WEEKEND APPOINTMENTS AVAILABLE

Please call 01772 611622 or email showroom@originalbathroomcompany.co.uk www.theoriginalbathroomcompany.co.uk 84 Liverpool Road, Longton, Preston PR4 5NB • Next to Booths Supermarket DESIGN • SUPPLY • INSTALL ...for over 20 years we have been creating everything you need for a luxurious & practical bathroom.
Original Bathroom Company tel: 01772 611622 www.theoriginalbathroomcompany.co.uk 84 Liverpool Road, Longton, Preston PR4 5NB • Next to Booths Supermarket EVENING AND WEEKEND APPOINTMENTS AVAILABLE








ORTIGIA DECORATED CANDLE £38 Bronte’s 01254 945082 brontes.uk
AKETA CLOUD TABLE LAMP £259
A bold and beautiful evolution of the Cloudburst design, wider in form, yet just as enchanting in spirit. Isobel interiors 01282 942193

GIFTS FOR THE HOME

Discover the perfect blend of form and function with these handpicked home gifts that will add beauty and character to your living space
BAOBAB BLACK PEARL CANDLE SET IN BEAUTIFUL HAND-BLOWN GLASS from £55
Strong and subtle, with a unique scent blend of ginger and black rose. Michelle B 01282 605060 michellebshop.co.uk


EXPLORING BY MOONLIGHT


£6595 hepplestonefineart.com
CLEAR STANDING REINDEER £12.99 loomloft.co.uk
RUARK 610 MUSIC CONSOLE £1199 WITH RUARK SABRE R BOOKSHELF SPEAKERS £699 Bernard Dickinson 01772 862266 bernarddickinson.co.uk
SOPHIE ALLPORT COSY CHRISTMAS BEDDING COLLECTION FROM £49 Housing Units 0161 681 5678 housingunits.co.uk AIORA MILKY CREAM VASE £105 housingunits.co.uk
404404 loomloft.co.uk
FAMILY GAMES OTTOMAN £POA
Beautifully handcrafted ottoman with a removable baize covered card playing surface and a veneered chess/drafts board below. Multiple playing pieces included. secret-drawer.co.uk


CHINESE DESIGN RUG FROM £235

Hand knotted, 100 per cent wool and available in a wide range of shapes and sizes. frithrugs.co.uk

Black Friday Deals at Cloudy2Clear: Your Trusted Partner in Glass Replacement
For over 20 years, Cloudy2Clear, a trusted family-run business, has been the UK’s leading domestic glass replacement specialists, serving as your One-Stop Shop for all your glazing requirements. We take pride in generating our own leads, crafting tailored quotes, and manufacturing our own glass using only the highest-quality materials to ensure exceptional results. Unlike competitors, we never use subcontractors—our team consists entirely of skilled, in-house professionals, guaranteeing consistent quality and reliability. Every glass unit we fit comes with a 25-year guarantee, complemented by comprehensive aftersales care, providing you with lasting peace of mind.
Gear Up for Black Friday 2025 Savings on Home Upgrades! As Black Friday 2025 approaches in November, Cloudy2Clear is rolling out our exclusive promotion to help you winter-proof your home without breaking the bank. From November 24th to December 19th, enjoy 10% OFF all glass replacement services, plus a complimentary energy efficiency audit with every quote. Whether it’s sealing drafts in your double glazing or upgrading to our premium low-E units for better insulation, these limited-time deals make it the perfect season to refresh
your windows affordably. Don’t miss out— our in-house experts are ready to transform your space while saving you hundreds on full replacements.
Why opt for costly full window frame replacements that lead to unnecessary redecoration expenses? By replacing only the failed glass unit, we save you money and minimise disruption. Join over 346,000 satisfied customers who trust our ethical, affordable service. Failed double glazing can compromise your home’s protection and energy efficiency, so check your windows today to avoid future costs.
Since 2005, Cloudy2Clear has been committed to saving customers money while supporting local communities. Manager Stan Stannard explains, “Our focus is on replacing just the glass, not the entire window, which reduces costs and upheaval. As a One-Stop Shop, we manage everything—from lead generation to crafting premium glass with a 25-year guarantee and dedicated after-sales support—making us the smart, cost-effective choice in any economy.”
For a free quote, call 0800 61 21 118 or visit www.cloudy2clear.co.uk today!
Mention the discount when I measure up and I will apply to your quote.






WORKING WITH NATURE: THE SIMPLE JOY OF WINTER PLANTING
Liz Walmsley discovers how bare root and root ball planting can transform both your garden and your budget this winter
Winter might not seem like the obvious time to think about planting, but for those in the know it’s the perfect season to get ahead. This is bare root and root ball season – a short window of opportunity that’s great for your garden and incredibly cost effective.

I meet Bannister Hall’s nursery manager Dave Newsham, who’s spent more than 20 years and his whole career working in horticulture: “From October through to March, everything slows down,” he explains as we walk between tidy rows of hornbeam and laurel.
NOW IS THE MOMENT TO PLANT AS THEY’LL SETTLE THROUGH WINTER AND BURST INTO LIFE COME MARCH
“The trees are dormant, they’re resting, which makes it the perfect time to lift and move them. They’re not putting on new growth, so their roots can be relocated without stress. Once spring arrives, they wake up naturally and start growing again.”
It’s a fascinating process and one that’s deeply in tune with the rhythm of the seasons. The nursery specialises in bare root and root ball plants and Dave is quick to outline the difference: “Root ball plants are the more mature option,” he says, picking up a neatly wrapped specimen ready for dispatch.
“They’re lifted with a ball of soil still around the roots, held in a biodegradable hessian sack. You plant the whole thing, sack and all, straight into the ground. It’s clean, straightforward and the success rates are excellent. Because they already have a strong root system, they establish quickly and can create what we call an instant hedge. You can transform a boundary in a single day.”
Bare root plants, by contrast, are lighter, smaller and easier to handle with their roots exposed.
“They’re generally younger so they take a


little longer to fill out, but they’re incredibly cost-effective,” adds Dave. “You plant them while they’re dormant and by spring you’ll see that flush of new green growth. They settle beautifully and grow quickly once the weather warms.”
That affordability is a major advantage. Both bare root and root ball plants cost significantly less than pot-grown alternatives, often by half, or even more when buying in bulk: “It’s why landscapers love them. If you’re planting long hedge lines, tree avenues or screening large areas, the savings are substantial. And because root ball plants are mature, you get that instant visual impact.”
There’s also a strong sustainability angle. These plants are grown naturally in open fields rather than confined to plastic pots: “It’s a much more natural way of growing. Their roots develop freely in the soil, so they’re stronger and better prepared to establish when

replanted. Plus, there’s no plastic waste, no containers to throw away as everything goes straight from the ground back into the ground.”
For home gardeners, the idea can sound a bit intimidating, but it’s actually very straightforward. “People often think they need special tools or techniques, but really it’s simple,” Dave reassures me. “Once your plants arrive, get them into the ground promptly and water them well if conditions are dry. After that, they largely look after themselves. You’re working with nature, not against it.”

THE SAVINGS ARE SUBSTANTIAL AND BECAUSE ROOT BALL PLANTS ARE MATURE, YOU GET THAT INSTANT VISUAL IMPACT
That phrase, working with nature, really captures Bannister Hall’s ethos. This is a business built on horticultural expertise and one that clearly takes pride in the knowledge behind every sale.


“We’ve got qualified horticulturalists on site every day, so whether you’re a professional landscaper or a homeowner planting your first hedge, we’ll help you choose the right species and size for your space. Getting the right advice from the start makes a world of difference.”
Bannister Hall’s on-site landscaping supplies centre offers everything from compost and bark to decorative stone and paving. It’s a genuine one-stop shop for anyone upgrading an outdoor space, as Dave explains: “People can collect everything they need for their project in one visit, knowing they’re getting the right materials for the job.”
As our conversation draws to a close, timing comes up once more – and the message is clear: “Don’t leave it too long,” he says. “The season is short. Once spring arrives, the plants wake up and we can’t lift them anymore. Now is the moment to plant as they’ll settle through winter and burst into life come March. You’ll save money, use fewer resources and see stronger longterm results.”
There’s something deeply satisfying about planting this way as it’s practical, sustainable and perfectly in step with nature’s own rhythm. In a world where everything moves fast, it’s a reminder that some of the best rewards still come to those willing to plant, wait and watch things grow. n


bannisterhall.com
Open Monday to Friday — with free on-site parking everythingplants.co.uk
Bannister Hall
Nurseries & Landscaping Supplies Centre Potter Lane, Higher Walton Preston PR5 4EN 01772 877087



Step into Christmas with Housing Units
We're


HO, HO HOME Ready for Christmas






You

THE ART OF EVOLUTION
From a tiny 1959 radio shop to a visionary solution centre, Bernard Dickinson has evolved from selling sound to shaping how homes look, feel and live with technology, writes Tedd Walmsley.
Photography: Michael Porter

In 1959, driven by a pure love of sound, Bernard Dickinson opened a small radio shop that would quietly set new standards in northern home entertainment. He believed music deserved fidelity and that homes deserved beauty. It sounds almost quaint now, a single man with a technical passion, a soldering iron and a workbench, but simple beginnings often contain the DNA of something enduring. And that is precisely what has happened here.
Today, those origins matter more than ever. Because technology has evolved beyond anything Bernard could have imagined, yet the underlying purpose – improving the way we live in our homes – has remained the same. His son, Andrew, has taken that
principle and carried it forward with an almost generational clarity.
Over six decades, the business has evolved and re-evolved with every era. Andrew is too modest to say it himself, but Bernard Dickinson has been one of the North’s defining pioneers of domestic audio and visual culture. In the 70s and 80s they were already ahead. Then came the transformational years with Bang & Olufsen, where design and technology became inseparable. For many in Lancashire and beyond, the brand became synonymous with calm Scandinavian precision.

Photography: Paul Currie

While legacy is a beautiful thing, clinging to it is fatal. Technology has moved. Homes have changed. Expectations have radically shifted. And Andrew has done something bold. He could have remained an icon of that B&O world. But instead, he has built the next chapter. A new showroom, reimagined entirely, not as a retail store, but as a solution centre.
This is where the story now becomes compelling. Because if you walk into the new Bernard Dickinson showroom today, your brain immediately understands the difference. The old world was ‘which product do you want to buy?’ The new world is ‘let us
show you how your home can feel’.
One step inside and the architecture tells you everything. There are room sets, not displays. Entire living spaces curated and
BERNARD DICKINSON HAS BEEN ONE OF THE NORTH’S DEFINING PIONEERS OF DOMESTIC AUDIO AND VISUAL CULTURE
beautifully furnished, where technology and design breathe within a believable domestic context.

A stunning suite from clic.dk anchors one such space. The lines are refined. The joinery is immaculate. And then, almost without noticing, you hear it: the effortless musicality and unforced power of Lyngdorf. A marriage of furniture and acoustic engineering that stops you in your tracks. This is not ‘come listen to our speakers’, this is ‘come experience calm design and thrilling performance coexisting in harmony’.
And there is a freshness to the air here. Because although Bang & Olufsen still sits within the building, both respectfully and elegantly, it is only a note within a bigger composition. Today this is a space of solution layers, where Lutron controls daylight and mood, where Control4 gives you one-touch orchestration of an entire environment and where Artcoustic proves that performance audio can be seamlessly architectural, sculptural and almost invisible. This is technology, curated as lifestyle. And it is absolutely the future. Why? Because retail, in the old sense, has died. The internet is where people ‘buy boxes’. But no one knows which box to buy. And no homeowner, not even the confident ones, wants to risk their beautiful new space on guesswork. They want guidance, curation and solutions.
And increasingly, the people who are specifying the most ambitious homes, the

interior designers and architects, need a partner who can integrate technology without unravelling the aesthetic intent. That is the hidden truth of the modern home: technology can easily ruin the room. The wrong decision, a single black rectangle in the wrong place, can upset the entire balance. This is where Bernard Dickinson’s evolution becomes significant. The business is no longer ‘a place to buy tech’. It has become, in effect, a design partner.
THE BUSINESS IS NO LONGER ‘A PLACE TO BUY TECH’. IT HAS BECOME, IN EFFECT, A DESIGN PARTNER
In 2007, one modern family home began life with a complete audio / video and Lutron lighting system designed and installed by Bernard Dickinson. The architecture was contemporary, the lines crisp, the material palette pale and restrained, but the goal was warmth. Years later, the family extended the property dramatically, doubling their ground floor footprint and inviting daylight to flood in through vast sliding glass panels. Most technology companies would have treated that as a technical upgrade. Bernard Dickinson treated it as a design continuation.
The Lutron control was seamlessly extended, shading solutions were added to control the new volumes of daylight,
architectural concealment was carefully preserved and the atmosphere remained warm. Outdoor speakers were introduced into the walled garden, the experience expanded, but the aesthetic integrity of the home remained. It is now one of those quietly exceptional northern spaces. Modern, yes, but deeply human.
And this is the significance: when Andrew talks about projects like this, he talks like a custodian of the architecture, not like a merchant of boxes.
Another example, a designer in Whalley working on a client’s open-plan kitchen / living extension. They bring Bernard Dickinson in not to ‘add tech’, but to protect
beauty. To ensure the room remains coherent. To make sure every piece, from furniture to shading to sound, operates like part of the same design language. This is the new reality. This is what a solution centre does. And then there is the other end of the spectrum – the fantasy rooms, the private cinema spaces that deliver a level of immersion that used to be the preserve of Hollywood directors. Bernard Dickinson creates these too and the skill involved is extraordinary. Cinema, true cinema, is where you see the full engineering discipline. Acoustic design, power alignment, seating geometry and precise light control. It is a world of millimetres and milliseconds.

And yet, within this precision, there is still warmth. This is cinema for real families. Not showrooms or trophy rooms. But places for people to sit, together, in the dark and be moved by story.
So yes, this company has evolved. But there is still the same thread. The belief that technology should serve people. The belief that quality matters. The belief that the home is sacred and should be shaped with intent.
THE SOLUTION CENTRE IS SO CULTURALLY SIGNIFICANT. IT IS NOT A STORE, IT IS AN INVITATION TO EXPERIENCE, IN PERSON, HOW FUTURE LIVING CAN FEEL
Walking through the new showroom is like walking through an editorial magazine spread, but one you can actually touch. The spaces are clear. The technology is discreet. Nothing screams. Nothing fights. It’s all been chosen for coherence. Calm, quiet and astonishing in execution.
Readers who grew up with ‘the Bernard Dickinson of the B&O years’ will find this profoundly refreshing. Familiar, because the DNA of design excellence is still there, but enlarged, grown up and future facing.
And in the midst of all this evolution, the original founding impulse remains intact. Bernard’s son is still doing what his father did, bringing people closer to what they love.
But now the love is broader than music. It’s the love of the home. The home as an

experience. The home as an emotional environment. A space one can control and shape with ease. A place of calm, modern luxury, made possible with invisible engineering.
In sixty-plus years, the boxes have changed. The technology has changed. The language has changed. The belief has not. And that is why this new showroom, this solution centre, is so culturally significant. It is not a store, it is an invitation to experience, in person, how future living can feel.
And for those searching for inspiration, for those across Lancashire building new homes, extending, refining, improving, this is absolutely worth experiencing first-hand.
Because this is what it looks like when a northern business evolves with grace, honours its heritage and steps confidently into the future. 1959 to now and still led by passion, a new chapter, perfectly timed. n
Bernard Dickinson 13 Beech Drive, Fulwood Preston PR2 3NB 01772 862266
bernarddickinson.co.uk











UNIQUE INTERIORS
Newly opened in Clitheroe, Bronte’s Furniture and Interiors brings an eclectic mix of restored vintage furniture, unique gifts and stylish home décor, just perfect for adding charm and character to your home

Anew gem has arrived on Clitheroe’s Moor Lane just in time for Christmas. Bronte’s Furniture and Interiors is a dream realised for founder and owner Bronte McCowan, who has always been passionate about art, film and interiors. The shop offers a curated selection of restored vintage furniture, one-of-a-kind gifts and accessories that can instantly transform a space. Bronte, who speaks of her love for items that evoke emotion, says:
“I love items that inspire passion – pieces that have the ability to transform a room.”
Visitors to Bronte’s can expect to find an eclectic range of homeware that encourages new ideas and fresh perspectives. The shop is not just about small items and accessories –it offers larger statement pieces like sofas,
THESE CAREFULLY CHOSEN PIECES ARE UNIQUE, BRINGING A SENSE OF WONDER AND SEASONAL MAGIC TO THE FESTIVE SEASON
vintage chests and hand-painted furniture that bring a sense of character and individuality to any room. Each item has been thoughtfully selected or restored with care, making it a place to find treasures that evoke a love of craftsmanship and design.
CHRISTMAS LATE-NIGHT OPENING
Friday 7th November, Thursday 11th & Thursday 18th December Glass of Prosecco and browsing from 5pm – 7pm.

One of the shop’s unique qualities is its diverse range of home accessories. From ceramics and mirrors to luxury home scents, each piece has a distinct style, offering something for every taste. The beauty of Bronte’s is not in expensive antiques but in vintage pieces that bring charm, warmth and history into your home. The hand-picked furniture and décor bring together different styles and eras, making it the perfect place to find that special item you won’t see anywhere else.
As Christmas approaches, Bronte has filled the shop with a stunning range of decorations. These carefully chosen pieces are unique, bringing a sense of wonder and seasonal magic to the festive season. Whether you’re looking for a statement piece of furniture or a thoughtful gift, Bronte’s Furniture and Interiors has something to spark inspiration.
This family-run business is a wonderful addition to Clitheroe’s high street, offering a fresh perspective on home interiors and a personal touch that sets it apart from larger stores – Bronte’s is a must-visit destination this Christmas! n

Bronte’s Furniture and Interiors
3 Moor Lane, Clitheroe BB7 1BE brontes.uk
Monday to Saturday: 10am-5pm (closed Wednesdays) Sunday: 10am-4pm

At Barton Grange, Christmas isn’t just a season - it’s a spectacular celebration that’s planned nearly a year in advance! The talented display team begins dreaming up festive themes as early as January, ensuring every corner of the garden centre sparkles with creativity and charm.
Step into the greenhouse this winter and look up - the ceiling twinkles with 172 sets of fairy lights, an incredible 43,000 bulbs in total! It’s a dazzling sight that sets the scene for a truly magical shopping experience.
Of course, no Barton Grange Christmas would be complete without the beloved singing Yetis, who’ll once again be performing in the Outdoor Plant Area. They’re a firm family favourite and guaranteed to make you smile.
And there’s even more excitement on the horizon. A brand-new Santa’s Grotto Experience is coming in 2025, running from 15th November to 24th December.
This interactive journey will whisk children away on a winter wonderland adventure, ending with a heartwarming visit to Santa himself.
The Christmas Late Nights are also back by popular demand, taking place from 4pm–8pm, Tuesday to Saturday (15th November–20th December).
A SEASON OF SPARKLE
Every year, Barton Grange Garden Centre transforms into a glittering winter wonderland - from twinkling lights and festive themes to singing Yetis and legendary mince pies.

Enjoy festive food, twinkling lights and Christmas music as you browse the gift shop and decorations under the stars.
bowl of Lancashire hotpot, the perfect winter warmer during your visit.
THIS YEAR’S AWARD-WINNING CHRISTMAS DISPLAYS ARE NOTHING SHORT OF SPECTACULAR
When it comes to festive flavours, Barton Grange is just as tempting. Their famous crumble-topped mince pies have become legendary - over 225,000 baked on site over the past 15 years! Pair them with a hearty
Looking for the perfect Christmas centrepiece? Choose between the Nordmann Fir, with its soft, child and petfriendly needles, or the Fraser Fir, a slimmer tree with a delightful orangey pine scent.



And don’t miss the locally themed Christmas hampers, celebrating the best of Lancashire with Bilsborrow, Broughton and Brock varieties.
This year’s award-winning Christmas displays are nothing short of spectacular. Explore a wonderland of baubles, garlands and festive floristry inspired by themes including London Calling, Alice in Wonderland, A Midsummer Night’s Dream, Into the Woods, The Nutcracker, Little Mermaid and a serene Scandi Hygge collection. Each one offers a fresh twist on festive décor, from bold and playful to natural and Nordic.
There’s even a whimsical display filled with festive furry characters - dinosaurs, pigs, highland cows, and moreguaranteed to delight visitors of all ages.
With glittering lights, stunning decorations, delicious treats and joyful experiences, Barton Grange has everything you need to make Christmas 2025 truly magical.
Barton Grange Garden Centre is now part of Blue Diamond Garden Centres.

Barton Grange Garden Centre Garstang Road
Brock
Preston PR3 0BT bartongrange.co.uk




decorations come out, make room for them. Tidy up surfaces, recycle old magazines and donate anything you no longer need. Not only will this help your home look its best, but it’ll make decorating far more enjoyable. You’ll be surprised how much more festive your favourite ornaments look when they’re not competing with clutter.
Next, think about scent. Nothing says Christmas quite like the smell of cinnamon, pine or freshly baked gingerbread. Candles, diffusers or a simple pot of mulled spices simmering on the hob can instantly transform your space. A few scented touches go a long way in creating that festive atmosphere without overwhelming the senses.
NOTHING SAYS
CHRISTMAS QUITE LIKE THE SMELL OF CINNAMON, PINE OR FRESHLY BAKED GINGERBREAD
Lighting is key to capturing that Christmas glow. Swap out harsh bulbs for warm-toned ones and scatter fairy lights across shelves, mantels and window frames. A few candles or a string of twinkling lights can make even the greyest winter evening feel special.
When it comes to décor, mix old favourites with a few new pieces. Whether it’s a
ALL SET FOR CHRISTMAS SPARKLE
With the festive season fast approaching, now’s the perfect time to turn your home into a warm, welcoming space full of sparkle, comfort and cheer
There’s something magical about those first few weeks before Christmas. The lights start appearing in windows, mince pies sneak into shopping baskets and suddenly, home feels like the heart of it all. Getting your house ready for the festive season doesn’t have to be stressful. With a few thoughtful touches and a bit of early planning, you can create a space that feels calm, cosy and full of joy.
Start with a good clear-out. Before the

handmade garland, some foraged greenery or baubles picked up on your travels, these personal touches make your home feel unique. Keep it balanced by sticking to a colour palette you love rather than trying to follow every trend.
Don’t forget the practical side of things. Check that your heating is working properly, stock up on logs if you have a fire and dig out extra blankets for guests. A few festive mugs and a tin of hot chocolate never go amiss either.
Finally, remember that Christmas is about creating memories, not perfection. A slightly lopsided tree or mismatched decorations often tell the best stories. Focus on the feeling you want your home to give – warm, welcoming and full of life. Once the fairy lights are twinkling and the kettle’s on, you’ll know you’ve got it just right. n










COLOURFUL INSPIRATION
Chalk Paint founder Annie Sloan explains why she has turned to the work of artist Henri Matisse to inspire her colourful, homemade, festive decorations
“This Christmas I have taken inspiration from one of the most famous artists of the 20th century, Henri Matisse. Matisse was famous for his use of vibrant colour and bold shapes and is best-known for his paper cut-outs,” says Annie Sloan. “It is these wonderful shapes that have inspired my Christmas theme this year.
“Every year I make Christmas decorations with my grandchildren and then we decorate the tree together. This year, inspired by

Matisse, we will be making fireplace garlands out of cardboard shapes, painting our own stockings and creating tree decorations from modelling clay. All painted with my signature Chalk Paint.
“My Christmas palette is bright and joyful and my table will be decorated with handpainted bowls, napkin rings and place mats.”
The decorations were all painted in a palette of five bright colours – Tyrian Plum, Frida Blue, Capri Pink, Arles and Original.

THIS YEAR, INSPIRED BY MATISSE, WE WILL BE MAKING FIREPLACE GARLANDS OUT OF CARDBOARD SHAPES AND CREATING TREE DECORATIONS FROM MODELLING CLAY
Old bottles and bowls were upcycled using simple shapes inspired by Matisse’s cut out shapes. Accent colours were Antibes and Florence.
There was also a mix of 50:50 Capri Pink and Original and imitation gold metal leaf was used as an accent.
Annie invented Chalk Paint 35 years ago in 1990. This revolutionary decorative paint is perfect for upcycling and revamping all kinds of furniture. There are now 51 colours in the collection.
Easy to use and quick to dry, Chalk Paint is the simple way to transform furniture, floors and walls. It works on wood, metal, laminate, concrete, indoors and outdoors and can be used to create a variety of different decorative paint effects. n
anniesloan.com






COSY UP IN STYLE
As
temperatures drop and nights draw in, soft furnishings take centre stage. Here’s how to add warmth, comfort and character to your home this autumn
As autumn settles in, there’s something deeply satisfying about creating a snug, welcoming space indoors. Soft furnishings are the simplest way to shift the mood of a room without redecorating. Think tactile fabrics, warm tones and layers of comfort that invite you to slow down.
Start with texture. This season is all about touch, so choose materials that feel good under your fingers. Bouclé, velvet and brushed cotton are making a strong appearance in everything from cushions to curtains. These fabrics not only look luxurious but also add a cocooning softness that instantly makes a

room feel more inviting. Mixing textures works beautifully too. Try pairing a chunky knit throw with smooth velvet cushions or linen with wool for a relaxed yet stylish contrast.
THIS SEASON IS ALL ABOUT TOUCH, SO CHOOSE MATERIALS THAT FEEL GOOD UNDER YOUR FINGERS
Colour also plays a huge role in setting the tone. Earthy shades remain popular, with rust, ochre, moss green and deep plum taking the spotlight. These hues bring a sense of richness that complements the season’s natural palette. If you prefer a more neutral look, layer creams and taupes with accents of bronze or burnt orange for depth and warmth. Small additions, like a patterned cushion or throw in an autumnal shade, can transform a space without overwhelming it. Rugs are another autumn essential. They soften hard floors, help to retain heat and add visual interest. A textured wool or jute rug works well in living areas, while plush
pile underfoot in the bedroom feels indulgent on chilly mornings. Layering smaller rugs can also create a more relaxed, lived-in feel.
Lighting is worth considering alongside soft furnishings, as it enhances the textures and tones you’ve chosen. Soft lampshades in fabric or paper diffuse light beautifully, casting a gentle glow that complements the season’s cosiness.
Finally, don’t overlook scent and sound. A room dressed for autumn isn’t just about what you see or feel. Soft furnishings absorb sound, making spaces quieter and more intimate, while the addition of scented candles or diffusers in notes of cedarwood, amber or fig completes the sensory experience.
Investing in a few key pieces each autumn can refresh your home and make it feel renewed. Whether it’s a pile of new cushions, a plush throw or simply swapping out curtains for something heavier, the results are instant. Autumn is the season for softness, and your home deserves to feel as comfortable as your favourite jumper. n



WOODBURNERS
WOODBURNERS · ELECTRIC FIRES · GAS FIRES STOVES · SURROUNDS
· ELECTRIC FIRES · GAS FIRES STOVES · SURROUNDS
We put family at the heart of business and are passionate about what we do. We pride ourselves on offering honest, friendly advice and use our own in house engineers to provide the highest quality installation service to elevate the ambience of your living space.
At The Fireplace Lounge, we believe that a fireplace is more than just a source of warmth—it’s the heart of your home, a place where memories are made and cherished.








STYLISH & SAFE
If you want to make a great first impression of your home, Preston’s Lee Kelly uPVC & Aluminium provide a new range of extremely secure aluminium and steel front doors in striking, unique designs
Fulwood-based Lee Kelly uPVC & Aluminium are delighted to become the Approved Trade Partner for Gerda doors, the prestigious Polish manufacturer with a commitment to delivering superior products.
What sets the Gerda range apart is its contemporary designs with bags of curb appeal, highly secure locking system and their remarkable durability and resistance to rotting or warping. Their design and construction differ significantly from conventional composite doors.
Mark Lee, one of the firm’s directors, said: “We are thrilled to be able to offer our customers such an exceptional door. Their striking, contemporary designs add value to

homes that want to make a statement and with a range of hardware and finishes, the Gerda range is the natural upgrade that provides security, warmth, style and peace of mind.”
THE FRIENDLY, CUSTOMER-FOCUSED STAFF AT LEE KELLY WILL BE ON HAND TO GUIDE YOU TO YOUR PERFECT CHOICE
The Gerda range comes with a 12-point locking feature as standard which includes an anti-burglary vertical bolt driven by the main lock plus three separate bolt locks. Being constructed of steel and aluminium, these doors are forged with strength, resilience


and durability. The emphasis on security that is standard across all Gerda products is rarely seen in any specification for composite residential doors currently available in the UK. The doors are exceptionally energy-efficient, thanks to a unique thermal division that enhances the natural insulation of aluminium and steel. With a low U-value – the rate of transfer of heat through a structure – there will be little loss of heat.
When it comes to selecting the right front door for your home, there is a wide choice of colours and finishes both for the door and the matching hardware, so you can be confident your Gerda door will seamlessly complement your existing windows. Choose a solid colour or a wood finish with four hardware colour options and variety of handles. You can also expect the friendly, customer-focused staff at Lee Kelly to be on hand to help you find the perfect door for your home.


Pound for pound, Gerda categorically outclasses and outperforms any other door. They surpass competing products like the S200 Spitfire Door, Origin and Hallmark offerings.
Mark added: “The Gerda Door range complements our full collection of aluminium windows and patio doors and will look equally stunning with uPVC windows. We take pride in offering exclusive Gerda door installations to Preston and the surrounding areas. We welcome you to call in to view the range at our recently refurbished showroom where we can take care of every detail to install your beautiful new Gerda door.” n
Lee Kelly uPVC & Aluminium
364 Blackpool Road Fulwood, Preston PR2 3AA 01772 788550
mail@leekellyupvc.com
leekellyupvc.com








Prestige In Every Night’s Sleep

























YOUR LOCAL TOUCH OF CHRISTMAS MAGIC
Bringing Christmas magic to the heart of our community, Newgate Nurseries is your local, family-run destination for festive inspiration and timeless tradition
Proudly independent, Newgate has been part of local celebrations for generations – nowhere feels more special when the festive season arrives. From hand-selected premium Christmas trees to bespoke wreaths crafted right here on site, everything is chosen with care and love to make your home shine this Christmas.
Their beautiful range of trees – from the majestic Nordman Fir to the fragrant Fraser Fir – is locally sourced for quality, longevity and that unmistakable festive scent. Each luxury wreath is thoughtfully made using fresh, seasonal foliage, berries and ribbons, adding a touch of handcrafted elegance to your door. Whether you’re after classic charm or a modern twist, Newgate’s friendly team is always happy to help you find the perfect look.
If your home has underfloor heating, Newgate suggests a few simple steps to keep your tree fresh: place it away from direct heat, keep the stand topped up with water and gently mist the branches to maintain that just-cut sparkle.
At Newgate Nurseries, Christmas isn’t just about decorations – it’s about community, care and celebrating local craftsmanship. When you shop local, you’re helping a family business thrive and keeping the spirit of the season alive right here at home. n















TIME OUT FOR YOUR GARDEN
December is the time of year when the outside comes into the home in the form of foliage decoration and when gardeners can put their feet up, just for a few minutes
Natural living decorations and table centrepieces are easy and eco-friendly to create and are often something all the family has a hand in putting together. Try this for a naturally stunning centrepiece for the Christmas table. Get a good terracotta container, fill it with compost and plant winter cherry (Solanum pseudocapsicum) in the centre. Winter cherry is a waxy leaved plant with amazing cherry tomato like

berries, then place a few small poinsettias around it with some ivy.
Ivy is a really useful plant and can look stunning in the garden, even at this time of year. English ivy (Hedera helix) is a native evergreen plant, so is well-adapted to our climate and can grow virtually anywhere, in a variety of soils or sunlight levels and even in the deepest of shade. Ivy flowers in late summer, producing pollen and nectar late in the season and its flowering clusters form small black berries, providing food for thrushes, blackbirds and blackcaps in autumn and early winter. Its dense foliage and network of stems also provide shelter for insects and small mammals, with many birds and bats nesting in mature ivy plants.
TO APPRECIATE THE BEAUTY OF A SNOWFLAKE, IT IS NECESSARY TO STAND OUT IN THE COLD Aristotle
It is a fast-growing and vigorous plant but can be kept under control by pruning back the stems with secateurs and digging up sections of ground cover ivy if it strays into areas of the garden it’s not wanted.
Another plant that can keep growing over the winter months is sage, which will survive outside as long as its roots don’t become water logged. Common sage (Salvia officianalis) is the standard culinary sage with aromatic, downy, olive-green leaves but there are numerous varieties to choose from

including the widely grown purple sage with its attractive, dusky purple, year-round foliage. Sage has a robust, peppery flavour and can be used in many dishes as well as a herbal tea. It’s said to have many health benefits and its botanical name Salvia is from the Latin salvare meaning to heal. n
DECEMBER: TOP TIPS
In addition to decorating your home with winter foliage for the festive season, top tips from the RHS for December jobs in the garden include:
• Check winter plant protection is still in place
• Insulate outdoor taps
• Protect ponds from freezing over
• Prune apple and pear trees
• Prune acers, birches and vines before Christmas
• Harvest leeks, parsnips, winter cabbage, sprouts and remaining root crops
• Trees and shrubs can still be planted or transplanted
• Take hardwood cuttings
• Keep mice away from stored produce
• Reduce watering of indoor plants
FOLLOW OUR NEW LIVE MAGAZINES SOCIAL MEDIA PAGES!
WE ARE RECRUITING DELIVERY PEOPLE
Our community pages are coming together under one name – Live Magazines Group making it easier to keep up to date with local independent businesses, relevant local features and events, and even more ways to celebrate and support our amazing region.
HEAD OVER AND GIVE OUR NEW PAGES A FOLLOW SO YOU DON’T MISS A THING: livemagazinesgroup
Live Magazines need enthusiastic and reliable delivery people to join our established teams across the Ribble Valley.

These opportunities are ideally suited to distributors working independently across two or three areas.
#LiveMagazinesGroup #LocalLife #SupportLocal #Fylde #Preston&Fylde #Preston #RibbleValley #TheDales
To do this you’ll need to be physically fit, have access to your own transport and have somewhere to store the magazines.
WE ARE LOOKING FOR PEOPLE ACROSS THE RIBBLE VALLEY INCLUDING:
DON’T FORGET you can view all our current and past publications digitally by logging into: issuu.com/live_magazines





If you or someone you know has cancer, you may find it helpful to talk to someone who understands what you’re going through. A team who can provide personal support and expert information. That’s what we do. So if you have any questions about your treatment, concerns about your finances or just want to talk, you don’t need to go through it alone. We’re here for you. Call the Macmillan Support Line free on 0808 808 00 00 (Mon
or visit macmillan.org.uk



Above left: Yaya tuxedo jacket £149.95 and Yaya trousers £99.95 Precious 7 Accrington Road Whalley Clitheroe BB7
Above right: Joseph Ribkoff rhinestone mesh off-shoulder midi dress £299 Michelle B 2/3 King Edward Terrace Gisburn Road Barrowford BB9



ELEGANCE
Above left: Joseph Ribkoff boucle knit shift dress with bow detail £305 Michelle B 2/3 King Edward Terrace Gisburn
Barrowford
Above right: Rhoen Grace pink floral mini dress £280 rhoen.co.uk

YAYA SMALL LEATHER BAG £119.95

LANX RIBCHESTER BOOTS BROWN DISTRESSED £230 LANX EDGWORTH BOOTS CONKER DISTRESSED £230 lanxshoes.com
GILLINGHAM MUSTARD 100% FINE WOOL WRAP £162 (SALE PRICE: £90) wallacesewell.com

Precious 01254 801193 preciousatwhalley.co.uk
COSY COMFORTS

BARBOUR DEANNA GLOVES £59.95 Varey’s Town and Country 01200 423267 vareys.co.uk
LANX WYRESDALE BAG KHAKI £195 lanxshoes.com

YAYA SOFT WOVEN PONCHO £79.95 preciousatwhalley.co.uk JACOB COHEN CASHMERE WOOL COLLARED KNIT £649


BARBOUR ESTON BEANIE £29.95 vareys.co.uk

Scruples of Whalley 01254 311805 Scruples 1984 01282 695770


FILIPPO
GRANDMASTER NINE SUNGLASSES £849
Scruples of Whalley 01254 311805 Scruples 1984 01282 695770
BARBOUR PORTREE UMBRELLA £39.95 vareys.co.uk
BARBOUR SALTBURN BEANIE £29.95 vareys.co.uk
BARBOUR CABLE KNIT LOUNGE SOCK £24.95 vareys.co.uk



























BACK TO BUSINESS
After a year spent travelling and gathering inspiration from around the world, Lucy is back at the helm of La Tête et Tout – and the boutique is bursting with its best collections yet
For those unfamiliar with La Tête et Tout, it’s a thriving independent womenswear store based in the charming market towns of Garstang and Clitheroe. Formerly also in Lytham, the brand underwent a re-modelling earlier this year. Lucy and her mother, Allison, made the thoughtful decision to close the Lytham store to focus their energy on their two beloved locations in the Wyre and Ribble Valley areas.
Each of La Tête et Tout’s two boutiques offers a unique mix of brands, so while you can browse their full collections online, it’s well worth visiting both stores to discover the different styles and labels each one has to offer.
By refining their focus, the duo can now dedicate even more attention to creating an exceptional in-store shopping experience, while also expanding La Tête et Tout’s online presence and social media reach. The result? A more personal, curated and connected shopping experience, both in-store and online.
This season, La Tête et Tout is embracing
rich autumnal tones, with browns and burgundies taking centre stage across the new clothing collections – paired perfectly with every cosy accessory imaginable.
THIS SEASON,
LA TÊTE
ET TOUT IS EMBRACING RICH AUTUMNAL TONES, WITH BROWNS AND BURGUNDIES TAKING CENTRE STAGE ACROSS THE NEW CLOTHING COLLECTIONS
But it’s not just about curating a standout wardrobe; their gift selection is second to none. And the must-have accessory of the year? The knitted and padded hoods – stylish, snug and the perfect finishing touch for the colder months ahead.
Not just the co-owner of a thriving womenswear boutique, Lucy also runs a fun-filled side hustle – children’s adventure trails around the Clitheroe Castle grounds. And it’s almost time for her most popular event of the year... The Elf Hunt!


Through her page, Glitterball Events (find her on Facebook and Instagram), Lucy creates imaginative, family-friendly outdoor trails that are purse-friendly and perfect for everyone – even the dog!
Be sure to check out her social pages for all the details and save the dates: Saturday 29th November and Sunday 7th December for this year’s festive Elf Hunts – a magical way to kick off the Christmas season.
So, for entrepreneur Lucy, it’s shaping up to be the busiest time of the year – juggling boutique life, Glitterball events and all the festive excitement. But knowing Lucy, she’ll still find time for a bit of Christmas socialising, where everyone can show off their La Tête et Tout finds and enjoy a good old knees-up in true festive spirit! n
La Tete et Tout
51 Market Place, Garstang PR3 1ZA 01995 602211
22 Moor Lane, Clitheroe BB7 1BE 01200 429144 ltet.co.uk
@latete22
glitterball_kids_events

ORTIGIA PERFUME ROLL ON £20
Bronte’s Clitheroe 01254 945082
While every effort has been made to ensure accuracy, all prices and stockists are subject to change.
GILPIN SERENE SPA EXPERIENCE FROM £105
ESPA or Pure Lakes spa treatments can feature anything from a sensory aromatherapy massage to a rejuvenating facial.Gilpin 01539 488818 thegilpin.co.uk

WINTER GLOW-UP

Surround yourself with a seasonal beauty collection that includes fragrant candles, nourishing skin care and luxurious perfume

ELEMIS THE MAGIC OF PRO-COLLAGEN GIFT SET £249
Includes Pro-Collagen Cleansing Balm, Energising Marine Cleanser, Future Restore Serum, Marine Cream and Night Cream. The Spa Hotel Ribby Hall Village ribbyhall.co.uk

TEMPLE SPA TRUFFLE BRILLIANCE SKIN CARE GIFT SET £60
Includes Skin Truffle 15ml, Truffle Noir 15ml, Trufflelixir 10ml, Golden Glow 5ml, Body Truffle 50ml. thewoodlandspa.com
ALLSKIN MED ANTI-AGEING GF REGENERATING AMPOULES £90
MEDIK8 R-RETINOATE INTENSE YOUTH
ACTIVATING CREAM £229
A masterpiece of simplicity. Discover the most powerful anti-ageing product Medik8 have ever made. Melt 01200 443377 themeltco.com

Features SCA® PRO patented technology rich in growth factors with regenerating and re-densifying properties to increase skin firmness and elasticity and reduce expression lines and wrinkles. Discover Laser 01282 420886 discoverlaser.co.uk
THE MUSES BE CANDLE 110g £34
Features green florals and wild grass with a citrus sparkle.Isobel interiors 01282 942193 isobelinteriors.co.uk
NEOM CHRISTMAS WISH RANGE FROM £21
With a comforting blend of 100% natural mandarin, cinnamon and tonka bean, the Christmas Wish scent is Neom’s most traditional festive fragrance. The Woodland Spa 01282 471913 thewoodlandspa.com
BAOBAB HAND WASH AND BODY LOTION £130
This has a top note of rum associated with saffron with an amber and oriental scent.
Michelle B 01282 605060 michellebshop.co.uk


THE SOMERSET TOILETRY CO

CHRISTMAS MINI PAMPER SET HOUSE £9.95 booths.co.uk


NUTRITION WITH KELI
December is full of treats, but that doesn’t mean you can’t eat smart and enjoy it, writes Keli Thompson

Christmas tends to bring out our most enthusiastic side when it comes to food. It’s so easy to think December is one long food bonanza between the mince pies and cheese boards that could feed a small army. But what if Christmas doesn’t have to mean rolling into January feeling sluggish? The good news is you can absolutely have your pudding and eat it! It’s all about a bit of balance, a few smart swaps or upgrades and remembering that festive food doesn’t have to be a nutritional write-off.
First things first, let’s ditch the guilt altogether. One day of indulgence isn’t the problem – what usually catches us out is the month-long snack fest leading up to it. Keep your normal eating patterns through most of December, with regular meals and plenty of colour on your plate. Then, when the big day comes, enjoy it properly and have the roast potatoes, the vegetables and the dessert.
When it comes to the main event, Christmas dinner is actually very good for you, nutritionally speaking. Roast turkey or fish is lean protein, the veg sides are packed with vitamins and even the gravy has its place.
ONE DAY OF INDULGENCE ISN’T THE PROBLEM – WHAT USUALLY CATCHES US OUT IS THE MONTH-LONG SNACK FEST LEADING UP TO IT
Who says gravy can’t steal the spotlight, by the way? It’s actually delicious if you make it the proper way, using the roast turkey juices or a splash of bone broth instead of instant granules. Jamie Oliver has a gorgeous version where the chicken or turkey roasts over a bed of vegetables and those caramelised vegetables and drippings become the base for the most incredible, flavour-packed gravy. You’re not skipping gravy – that would be cruel – you’re just elevating it! A little upgrade that adds flavour and nourishment proves festive food can be comforting and clever too.
Snacking is where things can go off the rails pretty fast. Keep a bowl of nuts and clementines around your home so it’s not just chocolates and crisps within reach. You’ll still feel festive, but with fewer sugar crashes. And don’t underestimate the power of hydration because we often mistake thirst for hunger (mulled wine doesn’t count sadly). Keep a big glass of water available between celebratory drinks and you’ll feel the difference. If you’re heading to parties, eat something before you go, even if it’s a small bowl of soup or a bit of protein. Trust me, you’re less likely to ingest 12 canapés the second they appear – we’ve all been there! And if you’re hosting, include a few lighter bites alongside the usual favourites. Think smoked salmon blinis, fresh veggie skewers or spiced nuts instead of endless pre-made, ultra-processed, pastry-based options.
Finally, remember that Christmas is about connection not just consumption! Go for a walk with family or friends after lunch, get everyone involved in silly games, or dance to your favourite festive music in the kitchen. Movement helps digestion, lifts your mood and reminds you that the holidays are meant to be fun, not a food-related endurance test. So yes, enjoy the trimmings, the chocolate and even the leftovers with a little mindfulness. Feeling good in January is the best gift you can give yourself, so add a few of these little hacks to prevent that end-of-season slump. n
nutritionwithkeli@outlook.com nutritionwithkeli

Get party-season ready with EMA UL Therapy at EMA Aesthetic Skin Clinic, the non-invasive, collagen-boosting treatment that delivers a naturally lifted, radiant look with no downtime
With the festive season on the horizon, it’s time to look and feel your best, whether for Christmas parties, family gatherings or ringing in the New Year with confidence. At EMA Aesthetics, founder Emma has the secret to glowing, lifted skin that fits seamlessly into even the busiest social calendar: EMA UL Therapy. “This is completely non-invasive, safe and delivers a natural lift that keeps improving over time,” explains Emma.
WHAT IS EMA UL THERAPY?
This is a non-surgical, skintightening treatment that uses focused ultrasound energy to lift, tone and tighten the skin from within. Unlike lasers or other technologies that work on the surface, EMA UL Therapy targets the deeper structural layers, the same layers addressed in surgical facelifts, but without the need for needles or incisions.
“It’s all about stimulating your body’s own collagen and elastin production,” says Emma.
“So you still look like you, only younger due to wrinkle reduction, a fresher look, firmer lifted and tightened skin and it goes without saying, you’ll definitely have your youthful confidence back.”
NEVER TOO LATE...
It’s never too late to achieve anti-wrinkle, fast anti-ageing results with advanced non-invasive technology



PERFECT PRE-HOLIDAY TREATMENT
With sessions lasting between 30 and 90 minutes and zero recovery time, it’s the ideal treatment for those looking to refresh their appearance before the festive season. You can have your treatment in the afternoon and head straight to an evening event, no redness, no swelling, no disruption.
“It’s the ultimate lift,” Emma adds. “Our clients love that they can enjoy immediate results and astounding improvements, while keeping up with their Christmas and New Year plans.”




THE BENEFITS OF EMA UL THERAPY AT EMA AESTHETICS
• Stimulates collagen production, boosts the skin’s own collagen and elastin for firmer, more youthful looking skin.
• Non-invasive and no downtime, no needles, no surgery and you can return to your day immediately.
• Immediate and progressive, natural results as the skin continues to lift and tighten over the following months for a radiant, lasting glow.
• Versatile treatment areas. Perfect for the face, neck, jawline and décolletage.

• Safe, clinically proven and trusted for its precision and safety.
• Two treatments recommended and results last up to two years
EMA UL Therapy £195 OFF per treatment area, treatments areas start from £395 ONE TIME ONLY Results last up to two years
PLASMA PEN £179 OFF each area LAST CHANCE Areas start from £250 Results last up to three years

DEVELOPING GOOD HABITS EARLY
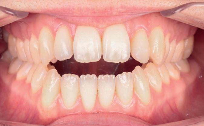
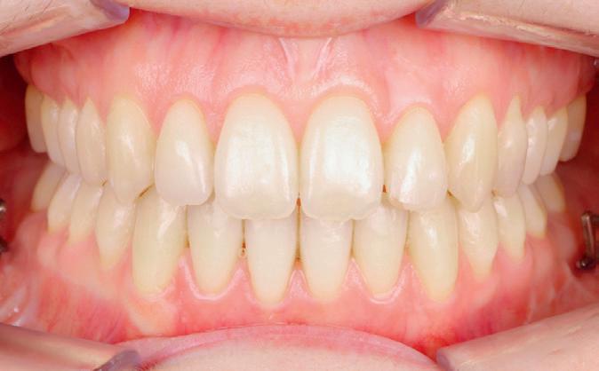
Renovo Dental is redefining modern orthodontic care, focusing on early intervention, facial development and holistic health
Orthodontics is no longer just about straightening teeth. At Renovo Dental, the focus has evolved into something far more comprehensive – guiding facial growth early to support the entire face, airway and bite before problems even begin. “Orthodontics is much more than just moving teeth,” says Dr Laurence Masters, Specialist Orthodontist at Renovo Dental.


“Our goal is to develop the face in harmony, creating balance, function and long-term health. Planning is crucial and earlier intervention gives us far more options.”
INTERCEPTIVE ORTHODONTICS
This philosophy, known as interceptive or face-driven orthodontics, underpins Renovo’s work with younger patients. Treatment often begins between ages seven and 11, when the bones are still growing and most responsive.



By working with natural development rather than waiting for problems to appear, the team helps create healthy jaws, wide smiles and stable airways for life.
“This isn’t just about aligning teeth,” says Dr Masters. “It’s about ensuring the whole masticatory system functions properly. We call it holistic orthodontics – we treat people, not just teeth.”
ORTHODONTICS
SHOULD NEVER BE ONESIZE-FITS-ALL. OUR GOALORIENTED PHILOSOPHY ALLOWS US TO TREAT THE WHOLE PERSON, NOT JUST THE TEETH
OUR DIFFERENCE
The foundation of holistic orthodontics at Renovo Dental lies in meticulous diagnosis and detailed planning.
No two cases are ever the same. Each plan is tailored to the patient’s facial structure, growth potential and functional goals. This bespoke, precision-led approach is the cornerstone of Renovo’s success and the reason patients travel from across the UK for care.
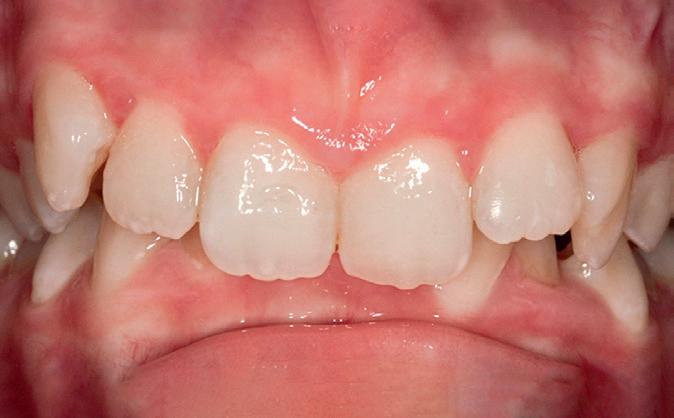
MODERN JAW CRISIS
Clinical Director Dr Usman Riaz highlights one of the greatest influences on modern facial development – diet: “If you look at traditional populations like the tribes in Africa, you’ll notice broad jaws, upright posture and full smiles – 32 teeth perfectly aligned, including the wisdom teeth. That is how our ancestors looked. Today’s softer, processed diets mean we simply don’t chew

enough to stimulate bone growth and the result is smaller, narrower jaws with less room for teeth and for the airway.”
He calls this a silent pandemic of underdeveloped jaws.
AT RENOVO DENTAL, THIS SHARED VISION OF HOLISTIC ORTHODONTICS, COMBINING EARLY INTERVENTION, FACIAL BALANCE AND AIRWAY HEALTH, IS TRANSFORMING SMILES AND LIVES
Every week, more children present with crowded teeth, narrow palates and breathing difficulties – problems driven not by genetics but by lifestyle.
“The good news is that these issues are

MEET DR LAURENCE MASTERS: LECTURER, SPECIALIST AND PRACTITIONER
Dr Laurence Masters is a Specialist Orthodontist with over a decade of experience, having trained in Spain, Portugal and the UK.
Widely known as the ‘holistic orthodontist’, he creates beautiful smiles by connecting breathing, teeth, function and growth –even in the most complex cases.
A respected lecturer and clinician, Dr Masters is now accepting referrals and self-referrals for children and adults seeking truly bespoke orthodontic care.
“Orthodontics should never be one-sizefits-all,” he says. “Our goal-oriented, holistic philosophy allows us to treat the whole person, not just the teeth.”
preventable,” explains Dr Usman. “If we act during the growth phase, we can guide development naturally and avoid lifelong complications.”
Mouth breathing adds another layer, altering tongue posture and encouraging the face to grow downward instead of outward.
Dr Masters adds: “By correcting these patterns early we can expand the palate, stimulate proper growth and prevent complex treatment later on.”
EARLY ACTION: NATURAL RESULTS
Renovo Dental’s proactive model identifies problems years earlier than traditional orthodontic care.
Instead of extractions to create space, the team uses growth to expand it.
“We’ve been given a certain number of teeth for a reason,” says Dr Masters. “At Renovo, we work with the body’s natural design to create space and balance rather than removing healthy teeth.”

The approach means often no extractions, shorter treatments and more stable, naturally beautiful outcomes.
THE APPROACH MEANS OFTEN NO EXTRACTIONS, SHORTER TREATMENTS AND MORE STABLE, NATURALLY BEAUTIFUL OUTCOMES
ORTHODONTIC SPECIALIST CENTRE
With growing demand and a waiting list for consultations, Renovo has opened a dedicated Orthodontic Specialist Centre to expand access, while maintaining its signature personalised care. n

Pendle House, Clitheroe Road
Chatburn BB7 4JY
01200 441000
hello@renovodental.co.uk
renovodental.co.uk


Renovo Dental
Renovo Dental are now accepting dentist and patient self referrals for specialist orthodontic treatment from across the North West.



THE GIFT OF WELLBEING
Set in the heart of Preston, Elements Day Spa offers two havens of relaxation and luxury – one within the elegant surroundings of the Delta Hotels by Marriott in Broughton and another in Penwortham
Together, these sister spas provide a sanctuary where guests can escape the stresses of everyday life and indulge in relaxing treatments designed to restore balance to body and mind. Originally founded in the South of France in 2011 by owner Ruth Jackson, Elements has brought its signature blend of European elegance and modern wellness expertise to Preston, offering everything from bespoke beauty treatments to advanced therapies and exclusive spa days.
With beauty and wellbeing at its core – and a host of five-star Google reviews to prove it –Elements Day Spa offers an extensive menu of treatments that cater to every need. From rejuvenating facials and soothing massages to advanced body therapies and expert nail care, each experience is designed to restore balance and radiance. Using luxurious ESPA products throughout, guests leave feeling beautifully relaxed, refreshed and renewed. Ruth, who is also the creator of luxury product line Akasha – The 5th Element explains: “Many studies have proven how a one-hour

treatment every four to six weeks to escape, relax and unwind drastically lowers stress levels, can boost the immune system and improve your general wellbeing.” With this in mind, Elements offers a range of membership options – perfect for those who’d like to make wellness a regular part of life.
WITH BEAUTY AND WELLBEING AT ITS CORE AND A HOST OF FIVE-STAR GOOGLE REVIEWS TO PROVE IT –ELEMENTS DAY SPA OFFERS AN EXTENSIVE MENU OF TREATMENTS THAT CATER TO EVERY NEED
Monthly memberships are available for spa treatments and beauty. Spa memberships include the ‘Club’ membership (one 30-minute treatment per month) ‘Gold’ (60 min. monthly) and ‘Diamond’ (90 min. monthly), plus upgrades every third month. Each tier includes access to the Relaxation Lounge, 10 per cent off retail products and additional services, plus priority booking. Beauty and nail memberships are also available.
In the run up to Christmas, Elements runs an exclusive advent voucher promotion, with amazing deals on offer for those signed up to their mailing list – it’s not to be missed!
Beyond treatments for clients, Elements Day Spa also houses a dedicated Training Academy run by Ruth at the Penwortham branch.
Currently offering six accredited training courses, these are ideal for therapists wanting to build on their training or for complete beginners wanting to learn a new skill.

This Christmas, give the gift of calm. Elements’ spa experience vouchers make for a thoughtful present that goes far beyond the ordinary – perfect for anyone in need of a little indulgence. Whether it’s a luxurious single treatment or a membership that offers ongoing moments of escape, each gift invites your loved one to pause, recharge and truly unwind. n
Elements Day Spa
Delta Hotels by Marriott Preston Garstang Road, Broughton PR3 5JB 01772 866555
beauty@elementsdayspa.co.uk
elementsbroughton.co.uk
73 Pope Lane, Penwortham PR1 9BY 01772 446405
elementspenwortham.co.uk





Euxton Hall Hospital

HYDRATE, HEAL AND GLOW THIS WINTER
Winter can be one of the harshest seasons for our skin, but with the right advice and treatment, it’s also the ideal time to restore balance and radiance, writes Emma Brereton

As temperatures drop and the heating goes on, our skin often starts to feel the effects. Cold winds, low humidity and central heating can quickly strip away moisture, leaving the complexion tight, dry and dull. However, the cooler months offer the perfect opportunity to give your skin some extra care – focusing on hydration, protection and repair.
At Dr FD Aesthetics, patients can feel confident they’re in expert hands. As a practising GP with years of medical experience,


Dr Fida combines clinical precision with a compassionate, person-centred approach to aesthetic care. His philosophy is simple: healthy, radiant skin begins with understanding each person who walks into his clinic.
He explained: “It’s not just about one type of treatment, it’s about looking at the whole picture. It’s important to take everything into account, your hormones, diet, lifestyle and wellbeing, assessing these areas and using them to build a strong foundation to create a plan that’s right for you.”


Winter can also highlight common skin conditions that can easily be treated. “People often have rosacea and never know,” he added. “Cold weather and indoor heating can make redness and sensitivity worse. Add to this any hormonal changes linked to perimenopause and menopause and skin texture and hydration can be affected.”
Renowned for his expertise in PRP (Platelet-Rich Plasma) and facial rejuvenation
READER OFFER
This winter, Dr Fida is offering an exclusive 50% off a Skin Booster Treatment when purchased with any other treatment – a perfect opportunity to revitalise your skin for the season ahead, or to gift someone special a little self-care. To redeem, book by 31st December 2025 and quote Live Preston & Fylde Magazine.
packages, Dr Fida has built a reputation for achieving natural, refreshed results that enhance rather than alter. While many people are now seeking less-invasive treatments to maintain healthy, youthful skin, he encourages clients to look beyond passing trends.
This is where Dr Fida’s background as a GP becomes invaluable. He understands how factors like hormones, medication and stress can influence the skin, offering advice and treatments that take the whole person into account – not just the surface symptoms.


DR FIDA HAS BUILT A REPUTATION FOR ACHIEVING NATURAL, REFRESHED RESULTS THAT ENHANCE RATHER THAN ALTER
“I want people to understand themselves in a long-term way, because true skin health isn’t a quick fix – it’s a journey.”


Whether you’re looking to revitalise tired skin, restore lost hydration or simply boost your glow, Dr Fida can help you create a plan that ensures every treatment feels bespoke, safe and effective, from rejuvenating skin boosters to microneedling and PRP. n
Dr FD Aesthetics 07378 510306
dr-fd.co.uk


THE SOLE FUTURE OF FOOT CARE & BEAUTY
Step into Sole and Beauty and experience a haven of wellness. You’ll find the expertise of HCPC registered podiatrists combined with a wide range of beauty, holistic, physiotherapy and acupuncture services, as Ali Gudgeon finds out
Recognising that foot health is fundamental to overall wellbeing, Sole and Beauty provides specialised care for all your foot-related needs, alongside their complementary beauty offerings. Whether you’re struggling with an ingrown toenail, a painful corn or verucca, or simply seeking preventative foot care, the experienced podiatrists at Sole and Beauty are dedicated to providing personalised treatment and advice. They understand that every foot is unique and requires individual attention. From routine nail care to more complex clinical issues such as Biomechanics, gait analysis and orthotic provision, they offer a range of services to keep your feet healthy and comfortable. Minor foot surgery is also available with Alex. And they are one of only a few clinics to offer the Swift™ technology which uses a microwave energy delivered through a small probe to treat skin lesions in podiatry and dermatology.

Beyond addressing specific foot problems, Sole and Beauty’s podiatry services also focus on preventative care. They offer gait analysis and guidance on proper footwear, foot hygiene and exercises to maintain foot health and prevent future issues.
WE ARE LOOKING FOR SKILLED CLINICIANS FROM BEAUTY THERAPISTS TO PODIATRISTS AND PHYSIOTHERAPISTS TO RENT THE ROOMS AND JOIN OUR FRIENDLY TEAM
But Sole and Beauty is more than just a podiatry clinic – it’s a place where you can indulge in a complete pampering experience. Just a short walk from the nearby Royal Preston Hospital, they offer a full range of beauty treatments to enhance your wellbeing from head to toe. Treat your nails to a gel polish with Daria. Let experienced masseuse Zhor get rid of your knots with a relaxing back massage. Or let holistic therapist Sue kickstart your body’s natural healing mechanisms with theragem crystal light therapy. Sue also offers massage with hot stones, reiki and reflexology.
Alex Austin owns the business and is a qualified and skilled podiatrist. She explains: “We offer the highest standard of healthcare

available and our reputation has grown extensively recently. With everything from traditional podiatry and physiotherapy to acupuncture and beauty treatments, this demand means we are now looking for skilled clinicians from beauty therapists to podiatrists and physiotherapists to rent the rooms and join our friendly team.”
Located in a busy hub in Fulwood, with a pharmacy across the road and the hospital a short walk away, the health and beauty clinic offers a great location and with free parking. Any clinician looking to rent a room and join the team should contact Alex on 01772 716500.

Sole and Beauty prides itself on providing a welcoming and relaxing atmosphere, where clients can feel comfortable and pampered. Their team of experienced professionals is committed to providing personalised care and using high-quality products to ensure the best possible results. Whether you’re seeking expert foot care, a quick beauty touch-up, or a pampering session, Sole and Beauty is your one-stop shop for wellness and beauty in Preston. n

Sole and Beauty
333 Garstang Road, Fulwood, Preston PR2 9UP 01772 716500
soleandbeauty.com
Open Monday to Saturday





Improves appearance and functionality of the skin
Non-invasive with minimal downtime
LIFE-CHANGING LASER
After years of hiding his nose and losing confidence, Brett discovered UltraPulse laser treatment at Discover Laser and finally found relief, recovery and a reason to smile again
Characterised by thickened, uneven skin on the nose, rhinophyma often develops from untreated or severe rosacea. Commonly affecting men over 40, it can leave anyone feeling self-conscious and unsure where to turn for treatment.
Dr Miguel Montero at Discover Laser Medical Skin Clinic offers life-changing treatment for rhinophyma using UltraPulse CO2 laser, a powerful tool in dermatology.
Rhinophyma typically presents as a bulbous, enlarged nose with thickened skin and visible pores. In advanced cases, the excess tissue can obstruct nasal airflow, causing functional and aesthetic concerns.
Dr Montero explains: “UltraPulse is ideal for rhinophyma, it allows me to target thickened skin with incredible precision. Unlike surgery, it’s minimally invasive and preserves healthy structures. The results can be transformative not just cosmetically, but emotionally and functionally too.”
One patient, Brett, explains how his treatment has made all the diffference:
“I first realised I had a problem about 2016 with the swelling on the side of my right nostril. After about two years, I was referred to a private surgeon who did not want to have anything to do with the problem.
“The last two years have been horrible. The growth was accelerating in size and would occasionally bleed. I got to a stage where I dreaded social interaction, although as an accountant in private practice, I did have to deal with face-to-face interviews with clients. My mental health was, without me being fully aware, being affected. I was
also finding that my nostril was blocking, interfering with my breathing and also my nose was constantly streaming.
“I was at a stage this year where I did not think anything could be done. Then my neighbour saw an article in a magazine for Discover Laser... It seemed that there were other people with similar problems and there was a possibility of treatment.
“From the moment I telephoned for an appointment the experience was really positive... Miguel not only put me at ease but took one look at the nose and his opinion was that Laser treatment would work!
“The process was not painful and within minutes the growth had gone. The recovery was straightforward... the change within three weeks was remarkable. My breathing is better and my nose has stopped running.
“I’ve been given my life back. Everyone, friends and family, are amazed! To anyone with this sort of problem, I would say do not hesitate to contact Discover Laser. I will always be indebted to them.”
Discover Laser is a trusted destination for advanced dermatological skin care in the North West. If you or someone you know is living with rhinophyma, there’s no need to feel resigned to the condition.
With expert care and advanced laser treatments, Doctor Montero can help restore both appearance and confidence.
To book your private RHINOPHYMA CONSULTATION with Dr Montero, call Discover Laser’s friendly team on 01282 420886

THE PROCESS WAS NOT PAINFUL AND WITHIN MINUTES THE GROWTH HAD GONE. THE RECOVERY WAS STRAIGHTFORWARD... THE CHANGE WITHIN THREE WEEKS WAS REMARKABLE...



I’VE BEEN GIVEN MY LIFE BACK. EVERYONE, FRIENDS AND FAMILY, ARE AMAZED!
~ BRETT, DISCOVER LASER PATIENT ~

BRETT BEFORE
BRETT AFTER

talking with trusted friends who can offer perspective. Choose those friends wisely, those that will be direct with you, tell you things you may not want to, but may need to hear with empathy and kindness.
ESTABLISH A NEW ROUTINE
Much of the emotional turmoil following a divorce comes from the sudden change in lifestyle. You may feel unanchored or unsure of what your days look like without your former partner. Creating a new routine can help bring structure and a sense of control. Start with small, consistent habits – a morning walk or preparing your meals to re-establish a rhythm.
MIND MATTERS
It is not the end but the beginning. Therapeutic coach Lynn Scholes explains how we can move on after a failed marriage or relationship

Divorce can be one of the most emotionally challenging experiences in life. It often represents the end of a significant chapter, filled with shared memories, hopes and plans. Even when it’s the right decision, the aftermath can be confusing and painful. Processing a divorce mentally and moving on involves acceptance, emotional healing, self-discovery and growth. It can follow the process of grief after the loss of a loved one and we need to understand the mixed emotions that can arise on that journey. I specialise in that period of adjustment and re-birth and help individuals move into the future with optimism. At this moment in time this may feel like a pipe dream. That is why I have put together this structured guide to take you forward.
ACKNOWLEDGE THE LOSS
The first step in mentally processing a divorce is acknowledging that it is, in many ways, a loss not just of a partner, but of a shared future, routine, identity as part of a couple and sometimes extended family and friendships. Allow yourself to grieve. This could include sadness, anger, guilt, relief and confusion, or all of the above. Trying to suppress them only prolongs the healing process.
RARELY IS A DIVORCE THE RESULT OF A SINGLE PERSON’S ACTIONS
AVOID SELF-BLAME AND RESENTMENT
It’s easy to fall into the trap of blaming yourself or your ex for everything that went wrong. However, rarely is a divorce the result of a single person’s actions. Relationships are complex and multiple factors usually contribute to their breakdown. While it’s helpful to reflect on what went wrong to grow from the experience, self-punishment or holding onto resentment keeps you emotionally tied to the past. Aim instead for understanding and personal growth.
PRIORITISE MENTAL HEALTH
Divorce can trigger anxiety, depression or a sense of worthlessness. Talking to a therapist can provide a safe space to unpack your emotions, reframe negative thoughts and develop coping strategies. If therapy isn’t an option, consider joining a support group or
RECONNECT WITH YOURSELF
In a long-term relationship, it’s easy to lose parts of your identity, especially following a marriage that was controlling or that you tried hard to save. Revisit hobbies you used to enjoy, explore new interests or take on personal challenges.
SET
BOUNDARIES AND LIMIT CONTACT
Constant contact, checking social media or trying to maintain a friendship too soon with your ex can keep wounds open. If you have children together, focus communication strictly on co-parenting and set clear guidelines to protect your emotional space.
PRACTICE FORGIVENESS
Forgiveness doesn’t mean excusing hurtful behaviour or pretending the pain didn’t happen. It means letting go of the need for revenge, justice or prolonged anger. Holding onto bitterness only weighs you down. Forgive yourself for mistakes made and forgive your ex for theirs. This is one of the most difficult, yet freeing steps in the healing process.
EMBRACE THE FUTURE
Set new goals, envision a life that excites you and take steps toward building it. Remember that the end of a marriage is not the end of your story — it’s the beginning of a new chapter. n
Lynn Scholes is a writer, therapeutic coach, trainer and speaker working with individuals and companies.













A T AST TO LANCASHIRE’S HERITAGE
Every 27th November, the red rose of Lancashire blooms brightly as communities across Preston, the Fylde Coast and beyond come together to celebrate Lancashire Day – a proud tradition that honours the county’s rich history, culture and character
From the cobbled streets of Preston to the coastal charm of Lytham and St Annes, it’s a day when locals wear their red rose with pride and toast to everything that makes Lancashire special. The story behind Lancashire Day dates all the way back to 1295, when King Edward I called upon Lancashire’s representatives to attend his ‘Model Parliament’ in Westminster. It was the first time the county had a voice in national matters – a moment of identity that still resonates more than 700 years later.

Fast forward to 1996, when the Friends of Real Lancashire revived the celebration to champion the county’s traditional boundaries and heritage. Since then, Lancashire Day has grown into a much-loved annual event, marked
by official proclamations, lively community gatherings and plenty of regional pride.
Here in Preston and the Fylde, the celebrations are as warm and welcoming as ever. Expect local mayors reading the Lancashire Day proclamation, schools

IT WAS THE FIRST TIME THE COUNTY HAD A VOICE IN NATIONAL MATTERS –A MOMENT OF IDENTITY THAT STILL RESONATES MORE THAN 700 YEARS LATER
exploring the county’s colourful past and pubs serving up hearty classics like Lancashire hotpot, butter pie and a good pint of ale brewed on home soil. It’s also a perfect excuse
to support independent businesses – from artisan bakers and local farm shops to craft markets that showcase the best of Lancashire’s produce and creativity.
But Lancashire Day isn’t only about looking back – it’s about celebrating who we are today. The region’s vibrant food scene, thriving arts community and resilient northern spirit all play their part in keeping Lancashire’s heart beating strong.

So, this 27th November, whether you’re out enjoying the crisp autumn air along the Fylde coast or raising a glass in one of Preston’s cosy pubs, take a moment to celebrate the county we call home. Because being Lancastrian isn’t just about where you live – it’s about a shared spirit that’s bold, proud and unmistakably red rose through and through. n
Head to the website for more information. visitlancashire.com
Photography: Robin Zahler
Nigel Haworth’s Lancashire Hotpot
Photography: Visit Lancashire
Photography: Alfred And Co
Scan to pre-register


A collection of six award-winning venues across the Ribble Valley, Lune Valley & Yorkshire Dales. Find ‘the one’ for your big day! Explore stunning venues at our Dream Wedding Showcases this January.




10th & 11th January - Wennington Hall & Falcon Manor
17th & 18th January - Shireburn Arms & Holmes Mill
24th & 25th January - Mitton Hall & Eaves Hall
Visit www.dreamvenues.co.uk to explore our collection and pre-register.
CHARITY FOCUS
Live Preston & Fylde takes a look at ongoing fundraising projects that see thousands of pounds donated to good causes around the region If you want to highlight a charity, please email: ali.gudgeon@live-magazines.co.uk



OVER
£3,000
RAISED FOR TRUST HOUSE LANCASHIRE
Sixty members of Girls Who Walk Preston (GWWP) raised almost £3,500 for Trust House Lancashire by participating in a 21-mile sponsored walk around Preston’s Guild Wheel in August. The funds will help the charity continue providing vital support to survivors of sexual violence and abuse.
Trust House Lancashire was chosen as the group’s first fundraising beneficiary after warning it faced possible closure in November and had paused new referrals due to financial challenges. While the charity has since confirmed it can remain open until January 2026, it continues to need urgent support.

The walking group originally set a fundraising goal of £500 and were overwhelmed with the amount of support. All funds raised will go directly to Trust House Lancashire, which offers free, confidential counselling and support services to people across the county.
Jayne Hurst, Interim CEO at Trust House Lancashire, said:
“It was an incredible day! Hot and tiring but so worth it. We’re so grateful to everyone who joined us and to Girls Who Walk for organising such a fantastic event. Every donation makes a difference and thank you to everyone who has supported us.”
Grace Gudgeon, Founder of Girls Who Walk Preston, said:
“There aren’t enough words to describe how incredibly proud I am of our GWWP group and what we have achieved through our first sponsored walk.
“Hitting £3,000 on our fundraiser for Trust House Lancashire whilst on mile 19 of the walk was a feeling like no other – surrounded by such kind, caring and selfless individuals who, without their continued passion and support, this group would not exist!
“I am overwhelmed with gratitude and motivated to continue supporting Trust House as they navigate the next few months. Thank you to every single person who participated and supported on the day – it truly was a team effort and showed exactly the spirit of our community.”
She adds: “Giving back is something that is so important to many of our members, so we are continuing to build fundraising events and collections into our monthly calendars, with our next being the Trust House Lancashire Christmas Spin-a-thon on Saturday 6th December.
Whilst our Guild Wheel Sponsored Walk fundraiser has now closed, donations can still be made directly to Trust House Lancashire via their JustGiving page.”
Trust House supports more than 1,000 survivors every year and receives an average of three new referrals a day, with the youngest just four years old. Due to financial pressures, the charity recently paused new referrals to focus on those already in service – meaning some victims cannot currently access specialist support.
girlswhowalkpreston/ trusthouselancs.org

SPLIT DECISIONS

Even when parents are not separated, decisions about where to spend the Christmas holidays or deciding which school is the right one for their children can be difficult, but if you add the additional element of a separation into the mix, these decisions can be emotionally charged and legally complex, especially when parents disagree.
CHILD ARRANGEMENTS FOR CHRISTMAS HOLIDAYS
Separated parents should approach Christmas holiday arrangements with their children by prioritising clear communication, early planning and the child’s best interests.
Written agreements or parenting plans can provide clarity and reduce misunderstandings. Ultimately, decisions should focus on creating a joyful, low-stress experience for the child, maintaining stability and positive relationships with both parents.
SCHOOL APPLICATIONS
School applications need to be submitted by January so discussions around which school or schools you’d like to apply to should be entered into early.
When separated parents need to decide which school their child should attend, the law requires cooperation if both hold Parental Responsibility (PR). PR gives each parent the legal right to participate in major decisions about the child’s upbringing, including education.
If parents agree, the process is straightforward. However, if they disagree, they must first attempt mediation, a voluntary process where a neutral third party helps them reach a resolution. If mediation fails, either parent can apply to the Family Court for a Specific Issue Order under the Children Act 1989. This order allows the court to decide which school is in the child’s best interests. The court considers factors such as the child’s welfare, educational needs and the suitability of the proposed school. In rare cases, a Prohibited Steps Order may be sought to prevent a parent from making unilateral decisions about schooling. Ultimately, the child’s welfare is the court’s paramount concern and parents are encouraged to resolve disputes amicably to avoid delays and emotional strain.
EXPERT FAMILY LAW ADVICE
If you’re struggling to reach an amicable decision on any subjects related to your children’s upbringing or welfare, seeking early legal advice can help. Where possible, our solicitors will always try and help you to resolve your disputes without the need for court proceedings. n
To discuss your circumstances, get in touch with the Farleys family law team today.
Ideally, both parents should discuss and agree on a schedule well in advance, considering traditions, travel logistics and the child’s emotional needs.
Flexibility is key and alternating Christmases or splitting the holiday period can help ensure fairness and continuity. If communication is strained, using a mediator or family solicitor can help facilitate discussions.

WINTER WONDERLAND
Experience the warmth of the season at Browsholme Hall this winter, with family fun, festive food and countryside walks
The autumn and winter seasons are truly special times at Browsholme Hall. Nestled in the heart of the Ribble Valley, this historic family home offers the perfect destination for cosy afternoons in the Cart Shed Café and strolls around the gardens.
For 2025 Browsholme is extending its autumn and winter opening with the Cart Shed Café, now open every Tuesday and Wednesday, right up until mid-December. There are even some special weekend dates, the perfect opportunity to treat yourself to breakfast and a dog walk. From 9am to 4pm, visitors can enjoy a hearty breakfast or a relaxed lunch, all made using locally sourced ingredients. Dogs are more than welcome, making it the perfect outing –why not take a stroll through the stunning gardens or explore the three-acre lake, surrounded by views of the distant fells?
The tearoom itself is a cosy haven, where

you can enjoy tea and cake or refuel with a generous lunch before exploring the vast estate. This fascinating house is one of Lancashire’s most significant landmarks, with centuries of stories to uncover behind its historic walls (please note, guided tours will recommence in Spring 2026).

BREAKFAST WITH SANTA IS ALWAYS A HUGELY POPULAR OCCASION WHICH GETS BOOKED UP REALLY QUICKLY
One of the most anticipated events in the festive calendar is Breakfast with Santa. Always a popular favourite, this magical family experience has already seen dates sell out,

but there are still tickets available for Sunday 7th December. Families can enjoy a delicious breakfast in the Cart Shed Café, with juice for the little ones and fizz for the grown-ups. Afterwards, head to the main hall to meet Santa’s elves, before a magical introduction to Santa himself in the hall’s historic library, complete with gifts and a few surprises.
“Breakfast with Santa is always a hugely popular occasion which gets booked up really quickly,” says Eleanor Thorpe, daughter of Browsholme’s current owners Amanda and Robert Parker.

Another exciting addition this year is a brand-new mini gift shop opening within the Cart Shed Café. Run by Aurora Parker, the shop will offer lovely hand-crafted local gifts – perfect for a unique Christmas gift or a seasonal treat.
Browsholme continues to be a destination for couples too with weddings in the Tithe Barn and Twilight Weddings proving increasingly popular as we head into 2026. These romantic ceremonies take place under the golden glow of sunset, surrounded by rolling countryside so it’s a magical way to celebrate and create unforgettable memories. n
For more details about events, weddings and opening times go to: www.browsholme.com

Browsholme Hall
Clitheroe Road, Cow Ark, Clitheroe BB7 3DE 01254 827160 browsholme.com
@browsholme
Photography: David Scholes
Photography: Nick English
Photography: Nick English
Photography: Nick English



GREAT CHRISTMAS GIFTS
Three beautiful A5 books with clear instructions, simple maps, snippets of local history and photography by local award-winning photographers Mark McNeill, Gregg Wolstenholme and Harry Fenton.
SIGNED COPIES OF
• Walks from the South Fylde Line (£10.95)
• Walk the Ribble (£14.95)
• Lancashire Gastrowalks (£14.95) are available from Plackitt & Booth in Lytham and can be ordered online (scan the QR code)

Dr Kim Whitaker
Clinical Psychologist
Tel: 0161 5490866
Email: admin@drkimwhitaker.com www.drkimwhitaker.com

ADHD develops in childhood and about two thirds of children carry the disorder into adulthood. The way the symptoms present tends to change over time; in adults, symptoms can be more subtle. Common presenting symptoms are appearing chaotic, poor time management, erratic moods, forgetfulness and distractibility. We often see co -occurring conditions, particularly with undiagnosed ADHD, such as anxiety and depression.

AUTISM - ASD
Autism is a Neurodevelopment condition; it begins in childhood and is lifelong. It effects social communication and is associated with restricted and repetitive behaviours and sensory sensitivities.
Dr Whitaker is HCPC registered and is recognised with:





and many more private health organisations. Assessments available within 3/4 weeks.
BOOK YOUR APPOINTMENT
Online or in person




PRESTON: WHAT’S ON
Get into the Christmas spirit with Preston’s magical line-up of festive fun. Expect dazzling lights, cosy markets and joyful performances the whole family will love
15th November – 20th December (4pm-8pm)
Christmas Late Nights
Barton Grange Garden Centre
Enjoy festive food, twinkling lights and Christmas music as you browse our gift shop and decorations under the stars.
16th November (10am-5pm)
Hoghton Tower Farmers’ Market
Explore the finest produce Lancashire has to offer, from meat and cheese to delicious traditional pies. Choose from a mouthwatering selection of cakes, brownies and muffins, treat yourself to a coffee, and pick up some local gin or beer for later!
22nd November (5pm-7.30pm)
Christmas Lights Switch On Flag Market
Don’t miss this year’s big lights switch on. Don your warmest clothes and set out to the Flag Market for music, entertainment, dance, food and drink and the big party for the lights switch on!
28th – 30th November (5pm-9pm)
Christmas Lights
Cuerden Valley Park
The lights show returns with a glow this
Christmas. A must-do experience and one for the whole family. The Pinetum will be illuminated for a magical light trail experience.
Tickets required.
29th – 30th November
Christmas Fair
Salmesbury Hall
Visit the festive fair weekend, wander through the Hall and browse a variety of stalls displaying local products.
Mulled wine, mince pies and hot turkey sandwiches available.
29th – 30th November
6th – 7th / 13th – 14th December
Christmas Markets
South Planks Farm
Luxury rustic market of artisan treasures and gifts. Christmas trees and music. Drinks and refreshments.
30th November (10am)
Christmas Fair
Archbishop Temple High School
Free Christmas Fair with Makers Market.
13th December (10am-4pm)
Maker’s Market
Flag Market
Head on down to Preston City Centre for a
gathering of stalls like no other. As well as a mouth-watering assortment of foods, the market also hosts crafters of all varieties, making it the perfect place to pick up a treat for yourself or gifts for loved ones.
21st December (6pm-7pm)
Candlelit Carol Service
St George the Martyr Church
Get ready for Christmas at the traditional Candlelit Carol Service. The church will be bathed in candlelight and the service will be led by the musical director and choir.
Mulled wine and mince pies served afterwards. Entry is free.
Every Sunday (11am)
Girls Who Walk Preston
Avenham & Miller Parks, Preston
Join likeminded girls, gays and theys for an hour of walking and talking – the perfect opportunity to get your steps in whilst making new friends.
@girlswhowalkpreston
@girlswhowalkpreston
Running until 4th January
The Harris
Preston
‘Wallace and Gromit in A Case at the Museum’ The Harris, in partnership with Aardman, has been carefully designing an interactive, immersive exhibition that celebrates the artistry and storytelling of Wallace and Gromit and the wider Aardman universe. n

YOUR KEY TO A STRESS-FREE MORTGAGE

Finding the key to the perfect mortgage shouldn’t be stressful –and thanks to Key Mortgage Advice in Preston, it doesn’t have to be
This trusted, independent mortgage brokerage has been helping local people make their home dreams a reality for over 20 years. Led by Sharon Duckworth, Key Mortgage Advice has grown organically since its beginnings, earning a reputation built on trust, transparency and personal service. With offices in Bamber Bridge, Garstang and Southport, Sharon and her friendly team are now looking ahead to expansion in
Lytham and Lancaster – a testament to their continued success and loyal customer base. What makes Key Mortgages stand out is their independent, whole-of-market approach. The team compare thousands of deals from over 100 lenders, ensuring every client secures the very best mortgage for their needs.
Acting like an underwriter and comparison site all in one, they handle every stage of the process, saving clients the time and stress of navigating big bank bureaucracy.

“We had a fantastic service with Key Mortgage right from our first appointment through to navigating our new mortgage deal which was complex at times. Mel was our advisor and she went over and above to assist us with everything and was so helpful and kept us informed at every stage, she was fantastic and understood what we needed. Really highly recommend.”
Sharon explains: “Here at Key Mortgage Advice we also work closely with local estate agents, solicitors and financial professionals to ensure clients receive joined-up advice and a smooth, stress-free experience from offer to completion.”
Recognised for their excellence in mortgage advice, Sharon and her team are true specialists in their field. They’re fully FCA-regulated and accredited by leading industry bodies, offering professional, ethical advice that homeowners can rely on. It’s no surprise they boast a 5-star rating from thousands of happy clients who praise their clear, straightforward guidance and quick, efficient service.
RECOGNISED FOR THEIR EXCELLENCE IN MORTGAGE ADVICE, SHARON AND HER TEAM ARE TRUE SPECIALISTS IN THEIR
FIELD
Whether you’re a first-time buyer or looking to move up the property ladder, Key Mortgage Advice offer tools to help you feel confident and in control. Their online mortgage calculator, rate comparison tool and stamp duty calculator make it easy to get a head start before you even speak to an advisor.
The business has thrived thanks to word-of-mouth recommendations – with an incredible 60 per cent of clients returning or referring friends and family. That speaks volumes about the level of care and trust Sharon and her team deliver every day.
At Key Mortgage Advice, it’s not just about finding a mortgage – it’s about finding peace of mind, with a team who guide you every step of the way. n
Key Mortgage Advice
276 Station Road
Bamber Bridge, Preston PR5 6EB 01772 620000
12 Hoghton Street
Southport PR9 0TF 01704 829888
Inside Towers & Gornall Accountants River View, Garstang PR3 1WZ 01995 676211
keymortgageadvice.co.uk
Photography:
Michael Porter
Photography: Michael Porter


GROOVY KIND OF LOVE
LIMITED EDITION PRINT BY DAVID RENSHAW £399 hepplestonefineart.com
While every effort has been made to ensure accuracy, all prices and stockists are subject to change.

TALKING TABLES FUN SANTA FAMILY GAMES NIGHT £15 booths.co.uk
ESSE OVEN GLOVE & APRON SET £37.46 esse.com
GIFTS FOR HIM
BAUME & MERCIER CLIFTON BAUMATIC GRADIENT GREEN DIAL £2,750 Huppach 01282 815559 huppach.co.uk
Find the ideal Christmas gift for the man in your life, from sophisticated fragrances to elegant watches and everything in between

BARBOUR HANGING TARTAN WASHBAG CLASSIC TARTAN £46.95

RUARK R3 COMPACT MUSIC SYSTEM £649 Bernard Dickinson 01772 862266 bernarddickinson.co.uk
Varey’s Town and Country 01200 423267 vareys.co.uk

FALKE SEASONAL EXTRA FINE THIAGO SOCKS £19.99
Scruples of Whalley 01254 311805
Scruples 1984 01282 695770

DARLAND GREEN 100% MERINO LAMBSWOOL SCARF £59 (SALE PRICE: £30) wallacesewell.com

HELIOCARE 360° SPORT TRANSPARENT STICK SPF50+ £24.99
A high-performance, full-spectrum facial sunscreen designed for athletes and outdoor adventurers.
STIHL BATTERY-POWERED HANDHELD SHRUB / GRASS SHEARS FROM £89 - £175.50 Dick Leigh 01254 823578 dickleigh.co.uk


ICONIC PERFUME UNISEX £60
Suitable for all skin types, its water and sweat-resistant formula ensures long-lasting defence. Discover Laser 01282 420886 discoverlaser.co.uk

Luxury eau de parfum made in the UK. A modern take on the iconic oud, combined with amber, cashmere, cinnamon, lemon and saffron Melt 01200 443377 themeltco.com
LANX WISWELL BOOTS WALNUT £380 LANX lanxshoes.com













A FRESH TAKE ON COUNTRYSIDE LIVING

At Goosnargh Lodge Park, Jonathan and Sarah have found their perfect balance. Modern comfort, rural peace and a welcoming community that makes every day feel like a getaway, writes Tedd Walmsley
When you meet Jonathan and Sarah, it’s immediately clear they’ve found something rather special at Goosnargh Lodge Park. Within minutes of chatting to them, their enthusiasm is infectious, a genuine appreciation not just for their beautiful new lodge, but for the lifestyle that comes with it.
“We’d been looking for a while,” Jonathan begins, smiling as he looks out across the park’s green open space. “We wanted somewhere peaceful and rural but not too far from the people and places we love. When we first drove in, we just knew. The setting, the space, the views, it all just clicked.”
That first impression has only deepened since they collected the keys to their Victory Liberty Lodge earlier this year. “It’s everything we hoped for and more,” adds Sarah. “We didn’t want a big house that needed constant maintenance. We wanted something modern, efficient and easy to live in, but still warm, welcoming and full of light. This ticked every box.”
The Liberty model, with its open-plan design, large picture windows and beautifully balanced interiors, is the perfect fit for them.
“It feels like a proper home,” Sarah explains. “The build quality is fantastic and the layout makes it such a comfortable space to live in. You’ve got this lovely flow from the kitchen through to the living area and the French doors open straight onto the decking – it’s like bringing the outdoors in.”
And what an outdoors it is. Goosnargh Lodge Park sits in a glorious rural setting, surrounded by open countryside and big skies, where the sounds of nature replace the hum of traffic. “Every morning we have breakfast looking out at the fields and you can just feel yourself unwind,” Jonathan says. “There’s something incredibly grounding about it.”
For both of them, the park’s green credentials also played an important role in their decision. With sustainability at its heart, energyefficient lodges, low-impact landscaping and a focus on biodiversity, it was a choice that felt right for the future. “We’re more aware than ever of how we live and the impact we make,” Jonathan explains. “It’s reassuring to know the park has been designed with that same mindset.”
Another huge draw was the park’s rare 365-day access and the ability to enjoy their
lodge at any time of year. “It’s wonderful to know that whenever we want to escape, the lodge is ready and waiting for us,” says Sarah. “That flexibility really sealed it for us.”
Beyond the scenery and sustainability, what’s perhaps most surprising is the growing sense of community that’s already developing here. “Everyone’s been so friendly and welcoming,” Sarah smiles. “It’s lovely, people stop for a chat and there’s a real mix of owners, all looking for that same kind of balance.”
Jonathan and Sarah are already adding their own touch to that shared spirit. With their enthusiasm for gardening and homegrown produce, they’re planning to create a community growing space within the park, a place where residents can plant vegetables, herbs and flowers together. “It’s something we’re really passionate about,” Sarah says. “It’s not just about what you grow, it’s about connecting people. Sharing homegrown tomatoes or a bunch of sweet peas over a cuppa – those are the little things that make a community thrive.”
For them, life at Goosnargh Lodge Park strikes exactly the right balance. “It’s easy living,” Jonathan says. “You’ve got all the modern comforts, you’re surrounded by
countryside, and yet everything you need is close by.”
He’s right. The park’s location, tucked away in tranquil Goosnargh, yet within easy reach of Longridge, Whalley and Preston

to press pause, recharge and enjoy the seasons as they unfold. For those looking to downsize, it removes the stress of upkeep without losing quality or comfort. For second-home seekers, it’s the perfect countryside escape. And for anyone searching for a change of pace, it’s a way to live differently. Smarter, calmer and more connected, all with the reassurance of year-round access for holiday use.
If this feature has left you curious, you’ll be pleased to know there are two stunning Victory Lodges currently on site – beautifully presented as show homes and now available for sale with immediate occupancy. They combine space, comfort and contemporary design – a rare chance to secure your own slice of Goosnargh Lodge Park before word spreads further. n
offers the best of both worlds. Independent shops, great restaurants and welcoming country pubs are all just a short drive away. Goosnargh Lodge Park offers more than a holiday home. It’s a lifestyle choice. A place
Goosnargh Lodge Park
Inglewhite Road Preston PR3 2ED 01772 211211 goosnarghlodgepark.co.uk
VICTORY LODGES FOR SALE



The Franklin has everything you want from a lodge and more. Inspired by the sunset tones of Morocco and with earthy, natural textures, there’s a lot to love about this contemporary lodge. If you like a room with a view, you’ll love the clever use of windows throughout, including the unique bi-fold window to the dining area which offers uncompromising views from every angle – and an inside-outside alfresco option when entertaining.



The Highcroft lodge showcases farmhouse-chic with a modern twist. A lodge made for socialising, the Highcroft combines open-plan living with cosy nooks to enjoy peaceful moments. With ambient lighting, a bar area made for cocktails and large customisable modular sofa, the Highcroft allows you to connect with those that matter.

TRIO OF KISSES £50
Calling all chocoholics! Send some love to someone special - indulge in a chocolate lovers dream with a Trio of Kisses, in milk, white and dark chocolate. tasteoftheinn.co.uk
EMPREINTE LINGERIE
AMOUR NACRE BRA £110, THONG £53.50, BRIEF £54 AND PANTY £58
michelleb
2/3 King Edward Terrace 01282 605060 michellebshop.co.uk

GIFTS FOR THE GIRLS

From luxurious lingerie to stylish accessories, these beautiful gifts will make the season extra special
RUARK R1S BLUETOOTH
DIGITAL RADIO £299
Bernard Dickinson 01772 862266 bernarddickinson.co.uk

BARBOUR ELM

LEATHER BAG
BROWN £119
Varey’s Town and Country 01200 423267 vareys.co.uk


HIGHLAND FELL STAG GREEN FLEECE THROWN WAS £70 NOW £35 housingunits.co.uk

YAYA LAMMY SHOULDER BAG £24.95 Precious 01254 801193 preciousatwhalley.co.uk
DUST OVER THE LAKE ORIGINAL PAINTING BY DAVID RENSHAW £1050 hepplestonefineart.com

DISCOVER LASER LIFT NECK & DÉCOLLETAGE
FIRMING CREAM £45
A clinically effective daily anti-ageing treatment, containing peptides, emollients and antioxidants to reduce visible signs of ageing on the neck and décolletage for skin that appears firmer, lifted and toned.
Discover Laser 01282 420886 discoverlaser.co.uk
SENCES BLUSH CANDLE £39
Housing Units 0161 681 5678 housingunits.co.uk

WERBURGH LIPSTICK 100% WOOL WRAP £162 (SALE PRICE: £90) wallacesewell.com

WRENDALE CHRISTMAS PUZZLE £22 booths.co.uk

LANX WHALLEY BOOTS REDBRICK GRAINED £220 LANX lanxshoes.com



SHINING ABOVE AND BEYOND
At the heart of Blackpool Teaching Hospitals, the charity dedicated to enhancing patient experience across the Trust has a simple guiding principle – it won’t fund anything the NHS is already taking care of, writes Katie Hammond

Blue Skies exists to make hospital stays a little brighter and a lot less daunting. One of its best-loved projects is the LEGO MRI scanner in the children’s department, which is helping young patients to understand what will happen during their real scan and turning something potentially scary into a process that’s more familiar and fun.
With a funding structure which comes from the wards and departments upwards, the Blue Skies team are a special bunch of
people who know the patients best, making them ideally placed to decide how funds are allocated.
Blue Skies Head of Charity, Kila Redfearn explains: “Every day, numerous bids come in from across the Trust. In the Acute Medical Unit, for example, a new calorific machine is changing how patients in comas are cared for. Previously, staff could only estimate a
WE ARE TRULY POWERED BY THE PEOPLE OF BLACKPOOL. THE TOWN’S RESIDENTS ARE AMONG THE MOST GENEROUS IN THE UK, GIVING MORE OF THEIR DISPOSABLE INCOME THAN MANY MORE WEALTHIER AREAS
patient’s weight and nutritional needs. Now, the machine provides precise data, helping ensure patients receive exactly what their bodies require – potentially shortening recovery times and helping some regain consciousness sooner.”
One of the charity’s biggest achievements to date has been the funding of a CT scanner for A&E. Whilst the Trust already had five scanners, none were located in the emergency department, which meant delays when urgent

scans were needed. Having a dedicated department scanner means faster diagnosis, informed treatment and a complete reduction in stress for patients and staff alike.
Kila continues: “What can seem like smaller issues can often have the most impact. A good example of this is the vein finders we’ve funded, which help with clinicians locating difficult veins to reduce the discomfort of repeated blood draws – a small change which makes a huge difference for our patients.”
Every NHS Trust has its own official charity, from Great Ormond Street to The Christie and Blue Skies is Blackpool’s. Embedded within the Trust, its staff are NHS employees working alongside hospital teams to deliver meaningful projects. Across the country, NHS charities raise around £1.6 million per day to enhance patient care and Blue Skies plays its part with pride.
Kila reflects: “We are truly powered by the people of Blackpool. Despite high levels of deprivation locally, the town’s residents are among the most generous in the UK, giving more of their disposable income than many more wealthier areas. Their donations fund everything from headscarves for cancer patients to Christmas gifts for those spending the holidays in hospital. Each year, around 900 patients wake up in hospital on Christmas morning – most are over 65 and some without visitors. Thanks to Blue Skies, every single one receives a gift and a reminder that they are not alone.”
Since 1948, NHS charities have supported hospitals across the UK and Blue Skies continues that proud tradition – enhancing care, bringing comfort and brightening lives for patients across Blackpool and the Fylde Coast. n
ASSET PROTECTION TRUSTS
Forbes Solicitors give the lowdown on Asset Protection Trusts and what to consider, are they smart planning or a costly mistake?

Asset Protection Trusts (APTs) are increasingly marketed across the UK as a way for individuals, particularly elderly homeowners to safeguard their assets for future generations. However, concerns are growing about misselling, especially to vulnerable individuals who may not fully understand the implications. We are commonly approached by clients facing problems after having been advised to put their property into an asset protection trust.
What is an Asset Protection Trust?
An Asset Protection Trust is a legal arrangement created during an individual’s lifetime. It involves transferring ownership of assets, commonly the family home into a trust
managed by appointed trustees, often labelled as Family Protection Trust, Flexible Trusts or Property Protection Trusts. They are advertised as offering protection from care home fees, avoidance of probate delays and in some cases the reduction in Inheritance Tax (IHT).
How do they work?
The settlor transfers ownership of property or other assets into the trust. The Trustees, often the settlor and their family members manage the assets for the benefit of the beneficiaries. Upon the settlor’s death, the trust can distribute the assets to beneficiaries outside the probate process.
Risks
While they may sound appealing and are often advertised as a smart planning tool, Asset Protection Trusts (APTs) have several drawbacks including:
1. Deliberate Deprivation
Local authorities are increasingly proactive when assets are given away. Unlike the inheritance tax ‘7-year rule’, authorities can investigate indefinitely to determine if assets were disposed of to avoid care costs and may treat you as owning the asset for means testing.
2. Loss of Control
Once assets are in the trust, you no longer legally own them. While you may be a trustee, the assets belong to the trust, not you. This can create issues if you later need access to them.
3. Ongoing Tax
Putting assets into a trust can trigger tax charges, including possible upfront fees, 10-year anniversary charges and exit charges when assets are distributed. Trustees are responsible for managing and paying these taxes in line with HMRC rules.
4. Inheritance Tax
Inheritance tax exemptions such as the residence nil rate band (RNRB) which is currently £175,000 may be lost if the settlor’s family home is placed into a trust with their children named as discretionary beneficiaries. For the RNRB to be applicable, a property must pass directly to their descendant.
5. Costs and Complexity
Setting up a trust properly requires the correct legal advice to ensure it is right for you. Ongoing trustee administration, tax reporting and registration create additional burdens.
6. Unregulated Market and Mis-Selling Risks
Many providers operate outside regulatory supervision, aggressively marketing trusts to vulnerable individuals while exaggerating benefits and downplaying risks. Most victims have paid between £3,000-£5,000 to have an asset protection drawn up and, in many cases, they do not achieve their intentions.
If you’re considering an Asset Protection Trust, don’t rush in and never sign up with companies using high-pressure sales tactics. These trusts are not a simple or guaranteed way to protect your home from care fees and in some cases, you could lose control of your property or face unexpected tax and legal issues. Without informed consent and proper legal advice, the consequences can be costly and even life-changing, with vulnerable individuals being sold misleading promises. n
If you are considering an Asset Protection Trust or believe you already have one in place and would like some advice please contact Shannon Thompson on 0333 207 1130 or shannon.thompson@forbessolicitors.co.uk

For many people, the need for legal advice often comes at a time of significant change and upheaval. That’s why we go out of our way to help you feel at ease and make the legal process as simple as possible.

STILL WATERS, STILL MINDS
In an age of constant connection and digital noise, many are rediscovering the quiet power of a simple cast and a still moment by the water, writes Justin Cavalier

We live in an increasingly fast-paced world – one dominated by screens, endless notifications and the unrelenting hum of information. Amid the chaos, angling might not seem the obvious antidote. Yet this age-old practice of fishing with a rod and line is finding new resonance as more people seek refuge in its slow rhythm and restorative calm. Beyond the thrill of the catch, angling offers
a rare blend of mindfulness, connection with nature and environmental awareness –a reminder that sometimes, the best way to recharge is to be still.
I have been a professional angling coach and guide for over three years and have delivered over 1,000 lessons in that time for a huge range of clients. Demand for our services is growing year upon year and like many things in our culture, angling has seen periods
BEYOND THE THRILL OF THE CATCH, ANGLING OFFERS A RARE BLEND OF MINDFULNESS, CONNECTION WITH NATURE AND ENVIRONMENTAL AWARENESS
of decline but is now becoming increasingly on trend with a younger generation. This is partly due to platforms such as TikTok and YouTube, watched by millions across the globe, but also the efforts of organisations such as the Canal & River Trust and the Angling Trust, both of which I owe a great deal to for their training and guidance.
Perhaps the attraction is the sense of adventure that allows oneself to immerse
and connect with our beautiful waterways and wild spaces. It is the most unique blend of emotions, ranging from peaceful calmness and tranquillity to a chaotic, adrenaline filled excitement which can end in disappointment or overwhelming elation.
Of course, I didn’t realise any of this when I first picked up a fishing rod. From an early age I have always been fascinated with the natural world and my parents actively encouraged outdoor activities from pond dipping to searching for caterpillars, butterflies and birds. My father started my obsession by taking me fishing on the River Severn from around seven years old and the anticipation of a trip would see me struggling to get to sleep the night before.

Recent university studies from angling events show participants experience reduced stress and anxiety, improved focus and greater confidence. Fishing teaches patience, persistence and the simple truth that effort brings reward and good things come to those who… bait! It’s a chance to share moments with others – or enjoy the quiet clarity of your own thoughts.
Fishing is now a socially prescribed activity, helping people in addiction recovery and/or suffering from a variety of mental health issues. It can be an incredibly powerful life tool to help regulate wellbeing through the difficult moments we all go through in this rollercoaster of an existence.
So the next time you’re looking for a way to help your family members switch off from the world and tune into themselves, you might just consider booking a fishing experience with Off The Scale Outdoor Education. n
07723 072688
offthescaleoutdooreducation.com



COASTAL CHRISTMAS A CHARMING
For a glittering day out with attractions and entertainment, discover Lytham this festive season!
Looking for a Christmas shopping and treat trip? Lytham, the Fylde’s coastal gem, is the perfect place for festive cheer this winter. With coastal walks, stylish independent shops and welcoming eateries, it merits a date in your festive calendar. Lytham is a great place to meet friends, browse the shops and make headway with your Christmas present list.
SHOP, STROLL AND SAVOUR
Browse Lytham’s tree-lined streets where independent boutiques and gift shops offer everything from designer fashion and fine jewellery to handmade crafts, homewares and gourmet treats. You’ll find thoughtful presents that stand out from the usual high street finds – and a shopping experience that’s relaxed, personal and dog-friendly if you have your pooch in tow.
Between shops, warm up with a festive treat from one of the town’s many cafés and restaurants, or browse the charming little market carts with locally made gifts and curated pick-me-ups (weather permitting). Clifton Square, the heart of Lytham’s social scene, is home to the town’s Christmas tree.
Overlooking this charming area is Stringer’s department store, recently extended and looking fabulous, a true cornerstone to the independent high street.
LYTHAM CHRISTMAS
The shops, restaurants and cafes are all in the festive spirit from mid-November, making the town a great meet-up destination for the whole six weeks prior to Christmas.

Festivities first come to town on Saturday 15th November, when Lytham hosts its much-loved Christmas Lights Switch-On, a community celebration that officially marks the start of Christmas on the Fylde Coast. The event runs from 2pm to 8pm, filling the town centre with live music, family entertainment and plenty of festive fun.
Wrap up warm, bring your friends and family, and enjoy a day of free entertainment and


fabulous photo opportunities in this charming little town by the sea.
MAKE A DAY OF IT THIS WINTER
Enjoy a winter walk along Lytham Green, take in the sea air by the iconic Windmill and then tuck into a hearty meal at one of Lytham’s many excellent pubs or restaurants. From cosy inns serving Lancashire favourites to stylish brasseries and cocktail bars, there’s something for every taste and occasion.
And here’s another reason to come to Lytham, it is home to one of the finest Georgian manor houses in Lancashire, Lytham Hall. Set in fabulous parkland and gardens which are open 7 days a week, the Hall will be dressed top to toe in festive finery and will be well worth a tour from 25th November 2025 through to 4th January 2026 (every day except Mondays).
Lytham Hall tickets are available online, which at this time of year are in ticketed timeslots (with extra flexibility for those who turn up on the day 11.30am-3pm). The entry charge includes the phenomenal indoor model village depicting Lytham, its shops, cafes and the beloved Windmill. n
Follow: @LythamChristmas on Facebook and Instagram for general Lytham e-festive news and updates this season and visit the Lytham Hall Facebook page for links to book tickets.
Photography: Gregg Wolstenholme
Photography: Roger Moore Photography
Photography: Mellor & Rose/ Stringers
Photography:



EVERGREEN ELEGANCE & FESTIVE BLOOMS
They say a quality florist is a sign of a healthy high street and Bond & Bloom in Clifton Street is certainly a reason to visit Lytham!
When you step inside, there is an immediate sense of welcome, calm and creativity.
This time of year, the nostalgic scent of Christmas is heavenly. Browse the gorgeous array of gifts and floral designs amidst the sensory magic of evergreens, fresh noble and pine, brought indoors!
Limited edition wreaths are a must-have for front doors or for inside the home. Orders are taken in November and early December when the floristry elves are hard at work on AW25 designs.
Customers travel from across the North West each year for a Bond & Bloom door wreath, with the option to add bespoke elements for a truly unique design.
Bond & Bloom has recently celebrated 10 years trading at 23 Clifton Street, during which the team has developed an artisan reputation for high calibre floral gorgeousness.
Founder Suzanne Taylor is proud of the family legacy behind the name.
“We sit on the same spot where my great granny Jane Bond traded from as a grocer in the 1890s! We are honouring her and the generations before us, Lytham’s heritage is
alive in the high street we enjoy today.
“It’s a labour of love in a community I adore, in the town where I was born. Mum passed away three years ago aged 95, very proud of Lytham and what we had achieved at ‘Granny’s shop’.

CUSTOMERS TRAVEL FROM ACROSS THE NORTH WEST FOR A BOND & BLOOM DOOR WREATH
“I love working with a creative team who share my vision. We bounce ideas off each other and that energy fills the shop, never more so than in the run up to Christmas.”
Most wreaths are on doors by the first or second week of December by which time we are in full swing for Christmas week designs, whether for gifting or tablescapes. Some customers take a theme right through
from door, to hearth, tree and table.
Customers can still have what they want of course. A large flower fridge arranged chromatically encourages you to create your own bespoke design, with the help of one of the resident florists. Flowers can also be ordered in fresh from the grower, cut at the point of selection and here in Lytham in 24-36 hours. This greatly adds to the vase life of a Bond & Bloom design.
The team leaves time for weddings and farewell flowers too. Continuity and connection are central to the charm of this delightful florist shop. Bond & Bloom does not simply sell flowers, as Suzanne points out: “Our work connects us with people at significant moments in their lives. It is not only creative but deeply vocational.
“Come and pay us a visit! It is like browsing in an art gallery, but you can take your chosen design home! If I am not in, you will likely see the talented Jules, Tatiana or Angela. We are open seven days a week and open online 24/7.” n

Bond & Bloom
23 Clifton Street
Lytham St Annes FY8 5EP
01253 730974
bondandbloom.co.uk
Photography: Roger Moore
Photography: Roger Moore

CHRISTMAS ALL WRAPPED UP
As the festive season draws near, Affinity Lancashire in Fleetwood is transforming into a jolly hub of Christmas cheer, bargain hunting and magical moments for families. Photography: Michael Porter
The outlet, set against the town’s charming marina backdrop, is bringing festive sparkle, family fun and unbeatable shopping together for Christmas 2025 with its ‘Christmas All Wrapped Up’ celebrations.
From Saturday 29th November, the centre’s free Christmas events begin, running every weekend right up to Christmas Eve. The highlight, as always, is the FREE Santa’s Grotto – a firm family favourite where little visitors can meet Santa and receive a small gift. This year, Affinity is also introducing a special SEND weekend, giving families the opportunity to pre-book quieter, calmer visits to the grotto to minimise waiting times. Details on how to book will be shared soon via Affinity’s website and social channels.


FROM SATURDAY 29TH NOVEMBER, THE CENTRE’S FREE CHRISTMAS EVENTS BEGIN, RUNNING EVERY WEEKEND RIGHT UP TO CHRISTMAS EVE
All events are completely free, though donation buckets will be placed around the centre in support of Trinity Hospice, Affinity’s charity of the year.
The 6th and 7th of December promise to be extra special, with the Festive Artisan Street Fayre running alongside the grotto and live entertainment – perfect for picking up handcrafted, local gifts and festive treats while soaking in the atmosphere. Throughout

December, visitors can also enjoy a mix of festive entertainment including balloon artists, bubble performers, Christmas characters and more – ensuring every visit feels merry and bright.
When it comes to Christmas shopping, Affinity Lancashire really shines. With outlet stores offering up to 60 per cent off RRP, shoppers can find gifts for everyone – from stocking fillers to presents for him, her, the foodie or the adventurer. Popular brands such as Next Outlet, Clarks, Regatta, Sports Direct, The Fragrance Shop, The Works and Home Bargains make ticking off your Christmas list easy on the purse. And after shopping, visitors can refuel at one of the on-site cafés, many of which serve festive specials throughout the season.

The centre is open daily (10am to 6pm Monday–Saturday, 10am to 4pm Sundays) to make it easy to fit in a festive spree. And on Boxing Day, for those with energy left after Christmas Day, Affinity is open from 10am to 4pm so bargain hunters can shop the sales.
Adding to the celebrations, Affinity Lancashire has just reached the finals of the Visit Lancashire Awards as Dog Friendly Business of the Year, proving it’s not just a great place for families but for four-legged visitors too.
So wrap up warm, grab a hot chocolate and enjoy Christmas all wrapped up – the Affinity Lancashire way. n
Affinity Lancashire
Anchorage Road, Fleetwood FY7 6AE 01253 877377
affinitylancashire.com
STEP INTO CHRIsTMAS AT AFFINITY!















LOVE AND MARRIAGE: A VENUE FOR ALL SEASONS
A short drive from Lancashire and tucked away in 14 acres of immaculate and whimsical woodland, there’s a hidden gem where timeless romance meets award-winning hospitality, writes Katie Hammond
Grand yet welcoming, exclusive yet relaxed, Abbey House Hotel is a breathtaking venue for the perfect day and a place where every wedding feels like it’s the only one that matters.
It’s no mystery why Abbey House has become a favourite amongst couples looking for a destination wedding which combines stately grandeur with down-to-earth warmth and intimate charm.
The original mansion was built in 1914 as the private home and guest house of

Commander Craven, Chairman of Vickers Ship Building. It’s honey-hued sandstone façade, inspired by Sir Edwin Lutyen’s classic design, played host to many dignitaries including King George V, the Prince of Wales, the Queen Mother (whilst she was still the Duchess of York) and even the
WE ARE LICENSED FOR WEDDINGS SEVEN DAYS A WEEK, GIVING COUPLES COMPLETE FREEDOM TO CHOOSE ANY DAY THAT SUITS THEM BEST
Prince of Siam. Today, the façade provides a spectacular backdrop for photographs, especially at this time of year when the building twinkles with festive fairy lights. It’s simply the perfect venue for a festive celebration of love.
A venue for all seasons, this summer saw the first couples taking their vows in the brand-new Wedding Garden. Purpose

built and surrounded by manicured lawns and immaculate floral borders, it’s a dream come true for couples who crave open-air ‘I dos’. The garden is already a talking point, offering a dedicated space for both ceremonies and celebrations framed by the natural beauty of the estate.
The experienced Abbey House wedding team are delighted with the feedback they’ve received so far. Sales and Events Manager Donna Conroy, explains: “Our summer weddings were magical – the Wedding Garden offers further flexibility for couples who can already choose from a wide range of packages to suit every budget and vision, or even hire the entire hotel exclusively, closing it to the public for a truly private celebration.

“We are licensed for weddings seven days a week, giving couples complete freedom to choose any day that suits them best. Whether it’s a sun-drenched summer garden party or a romantic winter wonderland, lit by twinkling trees and fairy lights, Abbey House transforms seamlessly with the seasons.”
Adding a touch of fun and charm, ‘Herbie’ the wedding buggy is a much-loved feature of the venue. Perfect for whisking the wedding party around the grounds for photos, Herbie ensures every moment – from the first look to the last sunset shot – is effortlessly memorable. Behind the magic of every Abbey House Hotel wedding is an experienced and passionate

team, who are often mentioned personally in glowing guest reviews. Between them, they have decades of experience working in some of the UK’s most prestigious venues, with thousands of weddings under their belts between them. Their professionalism, creativity and calm expertise have made them a driving force behind Abbey House’s stellar reputation.
Hosting around 100 weddings each year, the team’s attention to detail is unmatched. From bespoke décor to personalised menus, they make every celebration unique, earning the hotel its status as a ‘wedding expert’s secret weapon’ in the North West.
WHETHER IT’S A SUNDRENCHED SUMMER GARDEN PARTY OR A ROMANTIC WINTER WONDERLAND, LIT BY TWINKLING TREES AND FAIRY LIGHTS, ABBEY HOUSE TRANSFORMS SEAMLESSLY WITH THE SEASONS
Guest accommodation is always high on the wish list for couples planning their perfect day or weekend and Abbey House boasts 59 beautifully appointed bedrooms, including three luxury honeymoon suites, offering the ultimate indulgence. Each suite blends contemporary comfort with heritage touches and are the perfect retreat for newlyweds at the end of their big day.
For food lovers, the hotel’s AA Rosette restaurant, Oscar’s, sets Abbey House apart. Headed by the same talented chef who oversees the wedding breakfasts, couples can expect restaurant-quality dining for their guests –whether it’s a lavish five-course meal or a relaxed evening feast.
Donna continues: “Abbey House isn’t just a venue – it’s a labour of love. Privately owned by the same family for nearly four decades, the hotel is about to celebrate its 40th anniversary –a milestone which reflects years of dedication, investment and passion.
“We are constantly reinvesting in the property, which means we can keep Abbey House at the forefront of wedding excellence, from the creation of the new Wedding Garden to regular upgrades across its interiors and guest facilities.”

Whether blanketed in snow or bathed in summer sunshine, this beautiful venue is made for weddings. The romantic glow of its winter décor, the twinkling lights of the Christmas trees and the grandeur of the Great Hall make it the perfect setting for couples dreaming of a festive celebration, whilst in summer, the gardens burst into colour, Herbie hums quietly along the paths and guests sip champagne under the open skies. It’s a venue that feels different every day of the year, yet always, unmistakably Abbey House. n

Abbey House Hotel & Gardens
Abbey Road, Furness Abbey Cumbria LA13 0PA 01229 838282
abbeyhousehotel.com
EDUCATION NEWS

NEW WELLNESS CENTRE
The University of Lancashire has created a Wellness Centre, which will allow current students to work with businesses to offer bespoke health screening services and health checks. The aim of the venture is to ensure students from a variety of health subjects can get real-world practical experience while helping reduce absenteeism across the region’s small and medium-sized enterprises. Created on the Preston Campus, the new facility consists of a rehabilitation suite fully equipped with gym machines, a private screening and examination room, a studio for classes and group activities and a secret garden.

SPORTING SUCCESSES
This term has seen some truly exceptional individual sporting achievements for Westholme students. Marcus in Year 7 has been impressing across the UK and has signed to national racing teams Fluent Race BMX and Farmer Johns MTB. Securing his title of British 4X 2025 National Series Champion, he has also been named the Rider of the Year for his skill, sportsmanship and support of younger riders. Meanwhile, Emily and George have showcased phenomenal strength at the 2025 World Championships in Northern Ireland. Emily has been crowned Best Junior Lifter after setting seven World Records and George finished as third Best Junior with two.

NETBALL STAR
Westholme was delighted to welcome England Roses and Loughborough Lightning captain Natalie Panagarry for an inspiring day of training and teamwork. Natalie spoke to Westholme Seniors about resilience, leadership and success, sharing her journey from early challenges and injuries to captaining one of the UK’s top teams. Natalie reminded pupils that setbacks build strength and true leadership means supporting others. Natalie also led dynamic netball sessions, offering professional tips, drills and match strategies.

AWARD-WINNING COMMITMENT TO SOCIAL MOBILITY
Recognised at the 2025 UK Social Mobility Awards (SOMOs), often dubbed the ‘Oscars for Social Mobility’, Bolton School has been named ‘School/College of the Year’. The accolade celebrates outstanding efforts to break down barriers for young people from less-advantaged backgrounds across the UK. The school impressed judges with its consistent and systematic work to widen opportunities locally and nationally. Recent initiatives include collaborations with OnSide Youth Zones and The Bursary Foundation, designed to identify, support and encourage potential bursary applicants, ensuring fairer access to life-changing educational opportunities.

DESIGN AWARD
Construction and woodwork learners in East Lancashire are truly at the ‘cutting-edge’ as Burnley College’s Industry Hub has been crowned College Project of the Year at the prestigious Education Estates Awards. The win recognises how the building’s exceptional design directly elevates the student experience and skills development. Burnley College fought off competition from eight other projects across the country to secure the top award. The Industry Hub, designed by ABW Architects, provides an inspirational, purpose-built environment where learners can flourish, integrating learning into the very fabric of the building.

NEW ART AND DESIGN SPACES
Stonyhurst College is raising the bar in creative education with the opening of its new Art and Design Centre and the introduction of new innovative subjects, including Textile Design and Design Technology. The purpose-built facilities provide pupils with an inspiring environment to explore both traditional techniques and modern digital practices. Opportunities to collaborate with visiting artists and industry experts further enrich learning, supporting the College’s STEAM curriculum. These developments reflect Stonyhurst’s commitment to combining academic excellence with creative innovation, ensuring pupils enjoy a broad, forward-thinking education that blends tradition with contemporary relevance.

Purpose Built Facilities







Nursery & Preschool Places Available
Regular Open Mornings
9.30am - 12pm
Friday 7 November th
Friday 5 December th
Friday 23 January rd
Friday 27 February th
Friday 24 April th
Friday 15 May th
Friday 26 June th


At Highfield, we believe that every child is a unique and capable learner. Our Early Years Curriculum is designed to nurture curious, confident, and independent children, equipping them with the knowledge and skills they need to thrive as they move into primary school. Through engaging experiences across all 7 areas of learning, our children make meaningful progress supported by skilful practitioners who guide, challenge, and inspire. Our passionate and carefully selected team creates an outstanding home-from-home environment, where children feel safe, valued, and eager to explore. We are committed to providing high-quality childcare in a safe, nurturing, and stimulating setting.

INNOVATING FOR THE FUTURE
Stonyhurst College is setting new educational standards through its continued investment in academic excellence with the launch of new subjects and facilities, including a cutting-edge Art and Design Centre that blends creativity with innovation
Many may perceive Stonyhurst as a school better known for its heritage and values than its academic rigour, but its results tell a very different story. With an academic reputation that continues to go from strength to strength, Stonyhurst College consistently achieves strong outcomes when compared with local independent and state schools and is recognised for its commitment to developing well-rounded, independent thinkers. This year, the College is setting a new benchmark in educational innovation with the launch of a new Art and Design Centre, alongside the introduction of pioneering subject areas such as Textile Design and Design Technology. These developments reflect Stonyhurst’s dedication to offering an expansive curriculum that blends tradition with modern relevance.
Sarah Joseph, Stonyhurst’s Deputy Head Academic, explains: “This is a significant
investment and will focus on the technical aspects of Art and Design, including 3D printing, laser cutting and CAD software so pupils learn the technical skills needed for the future.”
The expansion of creative subjects is not just about exploring artistic potential but also equipping pupils with the technical skills that are increasingly valued in today’s digital and design-driven world.
Alongside the launch of the new Art and Design Centre, Stonyhurst is introducing

Textile Design and Product Design at both A level and GCSE. These subjects will allow pupils to explore the intersection of creativity and technology, preparing them for a wide range of future career opportunities in the creative industries. This progressive move complements the College’s established academic focus and STEAM subjects (Science, Technology, Engineering, Arts and Maths) ensuring that pupils receive a comprehensive education that embraces the arts, sciences and technical subjects.
STONYHURST IS SHAPING THE NEXT GENERATION OF PUPILS TO THRIVE, BOTH ACADEMICALLY AND PROFESSIONALLY
The College’s academic achievements have always been a source of pride and this year’s exam results highlight the success of its tailored educational approach. Stonyhurst’s academic excellence is reflected in its A level outcomes, with 81 per cent of pupils achieving A*-B grades, with 54 per cent earning A*-A grades at A level. This performance places Stonyhurst in the top one per cent of schools and colleges nationally for value-added progress for pupils of all abilities, which is an impressive achievement. “This is the result of children making significant academic progress, irrespective of their starting point,” says Sarah. “It means that pupils make more progress with us than
the vast majority of schools nationally. This reflects our Jesuit mission to enable every child to flourish.”
In 2025, Stonyhurst’s performance outpaced that of a local academically-selective school by over 20 per cent in A*-A grades in the A level cohort. Stonyhurst, a non-selective school, exceeded this level of academic success, demonstrating how its value-added approach enables pupils of all abilities to achieve exceptional outcomes. Stonyhurst College offers three distinct pathways at Sixth Form, allowing pupils to choose the route that best reflects their individual strengths, ambitions and preferred learning styles.
A LEVELS – A level pupils typically follow a traditional, rigorous academic route, preparing them for university.
INTERNATIONAL BACCALAUREATE DIPLOMA PROGRAMME
(IBDP):
IB offers a globally recognised, holistic curriculum for the intellectually agile pupil –it promotes inquiry and critical thinking.
CTEC (IN BUSINESS OR SPORT): This pathway provides applied, modular learning with a focus on real-world skills. It is a vocational qualification that converts into UCAS points.
All pathways can lead to offers at prestigious universities – significantly this year 69 per cent of pupils gained access to Russell Group universities including UCL and St Andrews, 91 per cent secured their first-choice university. One pupil has gone on to study Music at the University of Oxford, where he has also been awarded an organ scholarship at Trinity College, while another is attending university in the United States on a tennis scholarship. Both pupils achieved three A*s in their A levels –as Sarah explains: “It just goes to show, you can have it all.”
Highlighting the College’s commitment to helping pupils make informed choices about the pathway that suits them best, Sarah adds: “Education is about breadth and balance. We blend traditional subjects with those needed in the modern world. The support from our expert teaching staff ensures each pupil is guided and challenged to achieve the highest attainable excellence.”
Stonyhurst’s approach to academic support is rooted in personal mentorship. With small class sizes and a bespoke academic support structure, each pupil benefits from dedicated guidance. “Our academic vision is exceptional and that’s down to the teaching staff who enable each child to achieve their potential.

“Through workshops, pupils also learn about executive functioning which helps them develop essential skills including task and time management, meeting deadlines and effective problem solving. These abilities are not only vital for exam success but also prepare them for life beyond the classroom and the world of work, increasing their employability for life after Stonyhurst.”
PUPILS LEARN ABOUT TASK AND TIME MANAGEMENT, DEALING WITH DEADLINES AND PROBLEM SOLVING. THESE ARE ALL THINGS THAT HELP WHEN THEY GO OUT INTO THE WORLD OF WORK
The school’s Jesuit principles also extend to the development of independent thinking and personal growth. Stonyhurst fosters a learning environment where curiosity, resilience and intellectual ambition are key. The Stonyhurst Learner Profile defines these values, encouraging pupils to be reflective, curious, resilient, compassionate and intellectually ambitious.
“These traits underpin success not only in examinations but in lifelong learning. By nurturing these qualities, Stonyhurst aims to produce pupils who embrace our motto ‘Quant je puis’ or ‘As much as I can’ making them not only academically accomplished but also equipped with the skills necessary for success in the modern, fast-changing world.”
In addition to core academic studies, Stonyhurst offers a wide range of enrichment opportunities, from Oxbridge mentoring to debating and subject-specific
societies such as MedSoc and LawSoc. These extracurricular activities, often supported by a network of Stonyhurst alumni, play a vital role in supporting pupils’ academic journeys, providing them with opportunities to engage with their interests in greater depth.
The school’s strong academic support network ensures that every pupil has the tools they need to succeed both inside and outside the classroom. Those in receipt of scholarships, or on the College’s Gifted and Talented programme, benefit from tailored one-to-one support designed to help them reach their full potential.
Stonyhurst College’s continued investment in new subjects and cutting-edge facilities reflects its commitment to evolving with the needs of today’s pupils. With a strong focus on creativity, technical innovation and personalised academic support, Stonyhurst is shaping the next generation to thrive, both academically and professionally: “Our vision ensures that every pupil can fulfil their potential, whatever path they choose to follow.” n

Stonyhurst College Clitheroe BB7 9PZ 01254 827073
stonyhurst.ac.uk

ukadmissions@stonyhurst.ac.uk



Scan to discover more during a private visit

EMBRACING NEW BEGINNINGS
Westholme Senior School’s new Year 7 pupils are enjoying their journey of friendship, confidence and discovery
The start of Westholme’s academic year has been filled with excitement and enthusiasm, as the newest Year 7 students have settled into the vibrant life of Westholme Senior School. Those who attended the comprehensive Induction Day back in June could not wait to be reunited at the beginning of term and have since embraced the school’s values of working hard and being kind. A real highlight of the

autumn term has been seeing so many Year 7 pupils proudly guiding families around campus during the Annual Open Evening –a true testament to how quickly students become part of the Westholme family. Their communication skills impressed visitors and their knowledge of school life shone throughout the evening.
IT HAS BEEN INSPIRING TO SEE HOW QUICKLY THE STUDENTS HAVE ADAPTED, GROWN IN CONFIDENCE AND MADE THEIR MARK ON SENIOR SCHOOL LIFE
Beyond the classroom, Year 7 have been exploring a wide range of co-curricular clubs, including School Production rehearsals, Junior Dance Company, Design and Technology workshops, Maths Enrichment, Duolingo League, Lego Robotics, Football, Chess and many more. Pupils have embraced new activities, discovering passions that reflect the energy and variety of life at Westholme.
New pupil Layla shared how much she has
enjoyed her first few weeks, saying: “Year 7 has been really good so far – it’s such a nice environment and everyone has been so friendly. My favourite subjects are English and Maths and I really enjoyed the teambuilding trip. I’m also looking forward to our house play – I’m in Bowland and we will be performing The Wizard of Oz!”

The trip to the Anderton Centre proved a real standout moment, giving students the chance to build and test their own rafts, tackle problem-solving challenges and finish the day around the campfire roasting marshmallows. It was a fantastic opportunity to develop teamwork, leadership and resilience plus key 21st-century skills that Westholme continues to champion across all areas of school life.
Year 7 pupil Abbie added: “I really love all the sporting opportunities here. I play







hockey every weekend and do badminton and netball during the week. Last week, we even met Natalie Panagarry, England Roses and Loughborough Lightning captain, which was amazing! My favourite subject is History because I love learning about the past and how things have changed.”

In lessons, Year 7 pupils have shown a love of learning across all subjects. From experimenting in Science and exploring European culture on Languages Day to carousel sessions in Food, Art and Product Design, teachers have praised their curiosity and teamwork. Looking ahead, pupils are excited for the upcoming Catalyst Science trip, where they will take their scientific curiosity beyond the classroom through real-world experiments and interactive exhibits.
For Baxter, the move to Westholme has been a big but positive transition: “I have been at Westholme for six weeks and I’ve settled in really quickly. I came from a small village school, so it is a huge change, but
everyone supports you through it and I have already made great friends. I love football, cricket, rugby and hockey. I am also looking forward to the Christmas party!”
September saw the return of the House Quiz – a lively competition testing pupils’ general knowledge and quick thinking. Calder House emerged victorious, setting the tone for more friendly competition throughout the year. Teddy, one of Calder’s team members, shared: “We all competed in the House Quiz and Calder won! I’ve also been enjoying DT Club, badminton and chess at lunch. There is always something to get involved in.”

I HAVE BEEN AT WESTHOLME FOR SIX WEEKS AND I’VE SETTLED IN REALLY QUICKLY
Year 7 students have enjoyed high-quality sports sessions led by Westholme’s specialist coaches, including Charlie Jackson. With a wealth of experience at the highest level of football, Charlie has played a key role in the development of top players such as Adam Wharton (Crystal Palace), Antonee Robinson (Fulham) and Scott McTominay (Napoli).
As part of Westholme’s commitment to nurturing sporting talent, the school continues to build strong links with local and regional football clubs. Several talented Year 7 pupils were selected to represent the Blackburn with Darwen Town Football Team. Current Westholme students already signed with clubs include Finn in Year 8 with Blackburn Rovers, Chloe in Year 9 with Fylde, Kaden in Year 8 with Burnley and Harrison in Year 10 with Port Vale.

Year 7 students have also brought a wealth of talents from outside school into the Westholme community, including dance, BMX, music and swimming – enriching school life and inspiring their peers.
Applications for the Student Council have shown early signs of leadership and a strong desire to make a positive difference. As Head of Year 7, Mrs Moore noted: “It has been inspiring to see how quickly the students have adapted, grown in confidence and made their mark on Senior School life.”
With so much already achieved in just a few short weeks, this group of students are set to make their Westholme journey one filled with lasting memories, enriching experiences and academic adventure. n
Applications are open for Year 7 2026 entry, email: registrar@westholmeschool.com












NO COMPROMISE…
With Porsche’s meticulous 111-point inspection and industry-leading warranty, every pre-owned model delivers the same performance, quality and confidence you would expect of this luxury brand.
Photography: Peter Austin
To stroll around a shiny and seductive showroom, peruse the cars on display, make your choice, collect your keys and then glide off into the sunset in a brand new motor – surely, every car seeker’s dream. Or is it?
While the appeal of buying new – a car previously untouched and without blemish –is clear and obvious, there are many who prefer the alternative. For them, life’s a pitch! Or, let’s just say, they are far more likely to approve of used.
There are many reasons for this.
For starters, buying a car is a big investment and if you take away the allure of going down the new route, then a used option can often make sound financial and practical sense.
But aside from the cost savings, you will probably find even greater variety with a vast array of makes, models and styles from which to make your selection.
It may just be that the car of your dreams –the one of a certain shape or colour, with specific external or internal features – is no
longer in production. You have to go used to find it.
If you’re looking at the luxury or sporty end of the market then Porsche will unquestionably come into the conversation. And here is the good news – the very good news.
THE INSPECTION
AND WARRANTY
ELEMENTS ARE HEADLINES FOR US AND UNDERLINE OUR UNSWERVING ATTENTION TO DETAIL AND OUR LONG-TERM CONFIDENCE IN EVERY USED CAR
Porsche has always been recognised as a leader in supplying not only the best selection of used cars (this is Porsche after all) but also in offering every buyer complete peace of mind.
This is no glib statement designed to simply lure you in, this is gospel and made possible by the amazing ‘Porsche
Approved’ programme.
Allow me to elaborate and impress.
Every Porsche entering the programme is subjected to a 111-point inspection and you can get a minimum of two years warranty on any used Porsche up to an age of 15 years!
But now let Stuart Keech, the Porsche Used Car Sales Manager at the Porsche Centre, Preston, put some flesh on the bones: “The inspection and warranty elements are headlines for us and underline not only our unswerving attention to detail but also our long-term confidence in every used car we put up for sale.
“The 111-point inspection is checked by Porsche-trained technicians and covers all mechanical, electrical, cosmetic and safety systems to ensure the car meets Porsche’s exacting standards. Any parts or components that fail in this respect are repaired or replaced using genuine Porsche parts.
“Even after passing the inspection, the cars are reconditioned where necessary to bring them up to the highest standard possible and the final stage of the process includes a road test drive to confirm performance and driving dynamics. It is essential that the Porsche driving experience is preserved.
“As for warranty, we cover any Porsche vehicle up to 15 years, with the possibility to conclude warranty for vehicles of up to 14 years/125,000 miles – even without prior warranty coverage.

“The minimum period is 24 months and the warranty is valid worldwide and redeemable at any Porsche Centre.”
Stuart’s team has just signed a new member with Dean Clarke taking on a new role as Group Buyer for Bowker Motor Group’s Porsche Centres in both Preston and Bolton.
THE PORSCHE CENTRE RECENTLY SOLD A 12-YEAR-OLD PORSCHE 911 IN MINT CONDITION WITH 60,000 MILES ON THE CLOCK, COMPLETE WITH A TWO-YEAR WARRANTY
Dean is tasked with sourcing and acquiring high-quality used Porsche vehicles to ensure that the best possible stock is always available for customers.
And, given his impressive record in this demanding segment of the car market over many years, he looks the perfect fit.
So let’s allow the new used man to take the floor: “I know the used car market very well and to get the chance to bring my experience to a prestigious brand like Porsche is particularly exciting,” says Dean. “There are many aspects to the role but managing stock performance is key.
“To achieve this you have to monitor market trends, keep abreast of competitor pricing and be able to appraise and evaluate vehicles accurately, assessing condition, specification desirability and reconditioning costs.
“I’ll be negotiating and purchasing vehicles at the best possible price while working



within the super-strict guidelines of the Porsche Approved programme.”
By way of example as to the sort of used car you might find, the Porsche Centre recently sold a 12-year-old Porsche 911 in mint condition with 60,000 miles on the clock, complete with a two-year warranty.
So, if you’ve decided to go, or stay, with used and you fancy a luxury/sporty option then Porsche is the place to go. n
Porsche Centre Preston Centenary House Watery Lane, Preston PR2 1QJ 01772 911911
porschepreston.co.uk
@PorscheCentrePreston
@Porsche_Preston
@PorschePreston

DRIVEN BY INNOVATION
The new BMW 220 M Sport Gran Coupe has multiple highlights. Dynamic and sporty, it is a joy to behold, writes Paul Agnew.
Photography: Peter Austin
Awise old editor once told me:
“Never assume that the reader understands everything you write. If in doubt, always explain.”
That advice came flooding back when casting an envious eye over the new BMW 220 M Sport Gran Coupe with 48V mild hybrid technology.
Let’s start with an easier one – ‘Gran Coupe’. A term that has been around for years and which (in case you thought you knew but couldn’t be quite sure) basically means a coupe but with four doors and a raked roofline that makes it appear sleeker than a sedan.
Okay, maybe a touch easy for the car buffs among you, but what about ‘48V mild hybrid technology’?
Answer: An automotive technology using a 48-volt electrical system in conjunction with a traditional internal combustion engine to enhance fuel efficiency and performance. It differs from a full hybrid system as it cannot operate solely on electric power but instead, assists the engine during acceleration and captures energy during braking.
Clever stuff and just one of multiple
highlights of the BMW 220 M Sport.
First up, it is car with a striking look –dynamic and sporty with a real athletic persona. You know it can run very fast before you try and the drive does not disappoint in any way.
THIS IS MOST DEFINITELY A VEHICLE THAT IS PERFECTLY CRAFTED TO SUIT ALL THE NEEDS AND DEMANDS OF THE MODERN MOTORIST
With a top speed of 143 mph, it can accelerate from 0 to 62 mph in 7.9 seconds with a 1.5-litre, three-cylinder engine producing 170 horsepower.
(If that’s not enough then perhaps it’s worth finding out more about the range-topping M235 option with 300hp via a 2.0-litre, fourcylinder turbocharged engine.)
In a hot Fire Red (many other colours are available) it looks capable of going even quicker and complemented with black high-gloss and 19” light alloy wheels, it was truly a joy to behold.
The exterior design is defined by an

elongated silhouette and powerful rear, perfect for everyday driving to epic adventures and supported by the latest generation engines to deliver the ultimate mix of performance and design.
Being an M Sport, it comes with a host of equipment and features, many of them as standard but others available through packages and options.
Standard includes adaptive suspension, front sport seats, Anthracite headlining, automatic transmission with gearshift paddles, front heated seats, driving assistant, Active Guard, DAB radio, BMW TeleServices, personal e-SIM, child seat iSize attachment for front passenger.

In my Fire Red bundle of tricks there was a heated steering wheel, panoramic glass sunroof, sun protection glass, electric front seats and driver memory, dual zone air conditioning and a Harman/Kardon surround sound audio system.
Not forgetting the M Sport Package Pro with M Sport brakes and red callipers, BMW Individual Lights Shadow Line, M Sport seat belts, M Sport leather steering wheel and M Sport spoiler.
Or the Technology Plus Pack including Comfort Access, Iconic Glow kidney grille, folding wing mirrors with auto-dimming,

adaptive LED headlights, High Beam Assistant, Parking Assistant Pro, Head-Up Display and Live Cockpit Professional.
I particularly like the Iconic Glow kidney grille, a real eye-catcher, especially in the dark. White light highlights its contours to greet you when the vehicle is stationary and while driving.
THE BMW INTELLIGENT PERSONAL ASSISTANT STUDIES YOUR QUESTIONS AND NEEDS AND OVER TIME, THEN INTUITIVELY LEARNS YOUR PREFERENCES
The BMW Digital Premium is a smart allin-one package offering multiple functions including improved navigation and parking services with real-time traffic information to make your journey easier and exclusive

in-car entertainment. The data volume for all applications is included and a myriad of personalisation options means that your BMW can be more individual than ever before.
And it doesn't just listen, it also thinks with you – the BMW Intelligent Personal Assistant studies your questions and needs and over time, intuitively learns your preferences and requirements. Mind boggling? Totally.
The touch technology is mighty impressive too with instruments and infotainment housed in a curved display. This is made up of a 10.25 inch driving information screen and a central 10.7 inch touchscreen, running the latest generation of BMW’s Operating System 9.
The BMW 220 M Sport Gran Coupe is many things – and most definitely a vehicle perfectly crafted to suit all the needs and demands of the modern motorist.
Aesthetically pleasing and a great performer, functional, sporty, innovative and packed with all the necessary bits and bobs. Impossible to fault. A stand-out car in any company. n
Bowker Preston
Channel Way
Preston PR2 2YA 01772 769976
bowkerprestonbmw.co.uk
@BowkerBMW
@bmw_bowker
@bowker-motor-group
@bowker.bmw

Barton Grange has stood at the heart of its Lancashire community for more than seven decades, evolving from a small family venture into one of Britain’s most celebrated destination garden centres

The story begins in 1951, when Edward and Ada Topping purchased the Barton Grange Hotel on the A6 near Preston. Their son Eddie Topping, trained in horticulture, soon expanded the family’s interests, establishing a nursery and landscaping business, before opening the original Barton Grange Garden Centre in 1963 – one of the first of its kind in the UK.
Over the years, the Toppings developed the business into a thriving, family-run enterprise, later joined by the next generation, Guy and Peter Topping, who continued to innovate and modernise. In 2008, they
opened the current purpose-built garden centre on a new site nearby, which quickly became a regional landmark for its awardwinning displays, excellent hospitality and community-centred ethos. True to its roots, Barton Grange has always been more than a retail destination and has evolved into a social hub where locals gather to shop, dine and connect.
ITS MAGIC LIES IN THE PEOPLE WHO MAKE IT SUCH A SPECIAL PLACE –BOTH THE TEAMS WHO BRING PASSION AND CREATIVITY TO THEIR WORK AND THE CUSTOMERS WHO FEEL A SENSE OF BELONGING WHEN THEY VISIT
In 2025, the Topping family entrusted Blue Diamond Garden Centres with its future –marking a new chapter which would ensure the safeguarding of Barton Grange’s independence, spirit and enduring role at the heart of Lancashire life.
In Blue Diamond, owner and Managing Director Alan Roper has built the largest garden centre group in the UK, not directed by the standard uniform approach to be expected from a business of their size, but by celebrating individuality. With a background deeply rooted in horticulture, Alan’s philosophy is simple but powerful –each garden centre should retain its own unique identity, remaining at the heart of its local community.
Under Alan’s leadership, Blue Diamond has grown from a £6 million business to one worth nearly £400 million, with more than 5,000 employees across the group. Yet, despite this extraordinary growth, Alan remains committed to ensuring that each centre feels personal, welcoming and deeply connected to its customers.
As his latest acquisition, Barton Grange, is a shining example of that ethos. Recognised nationally as one of the UK’s most outstanding garden centres, it embodies everything Alan values – a genuine connection between staff and customers, a social environment where people come not only to shop, but to relax, dine and socialise with friends – and all with Blue Diamond’s culture of creativity and care. Alan explains candidly: “When you are lucky enough for a giant like Barton Grange to be placed into your care and you don’t understand what it truly means to its community, you’d be truly foolish. Its magic lies in the people
who make it such a special place – both the teams who bring passion and creativity to their work and the customers who feel a sense of belonging when they visit.”
That philosophy extends to the whole ethos of how Blue Diamond operates. Alan believes that for staff to truly care about the business, they must feel looked after, trusted and empowered. Teams are given visibility of the figures, encouraged to make their own decisions and to take full ownership of their centres: “They need freedom to express themselves through the product and the passion that goes with their job,” he explains.
Despite the scale of the group, Blue Diamond refuses to become a faceless corporate chain. “It was important to the sellers of Barton Grange that it didn’t become a big corporate concern. We’re bringing extra elements, but we’re not taking any of the heart away.”
Those extra elements include an enhanced home offering and the introduction of Cerulean, Blue Diamond’s in-house fashion brand with its own design team and launching at Barton Grange in January. But even as new opportunities bloom, the essence of Barton Grange will remain unchanged – a family-rooted business with heart, personality and passion.
IT WAS IMPORTANT TO THE SELLERS OF BARTON GRANGE THAT IT DIDN’T BECOME A BIG CORPORATE CONCERN. WE’RE BRINGING EXTRA ELEMENTS, BUT WE’RE NOT TAKING ANY OF THE HEART AWAY
At its core, Blue Diamond’s success under Alan Roper’s leadership is built on more than just growth and increasing revenues –it’s all about community, creativity and connection. Every garden centre tells its own story, shaped by the people who run it and the customers who love it. And that, as Alan would say, is exactly how it should be. n
BUSINESS MATTERS
The entrepreneurial spirit is alive and well in Preston and Fylde, where business always matters
If you have any Business Matters news items contact: ali.gudgeon@live-magazines.co.uk

NEW PODCAST FOR PRESTON
A brand-new podcast series has been launched by Preston City Council. Preston Threads, explores how Community Wealth Building (CWB), also known as The Preston Model, is transforming lives, businesses and communities across the city. Each episode, hosted by Neetal Parekh, will spotlight a theme connected to Preston’s emerging Corporate Plan and City Strategy. The opening episode focuses on The Preston Model and features special guests: Councillor Matthew Brown, Leader of Preston City Council, Emma Lowther-Wright from the Mandala Centre and Michael Conlon of Conlon Constructions.


ARTS COUNCIL ENGLAND FUNDING FOR BLACKPOOL
Blackpool has been awarded £ 3 /4 million by Arts Council England, marking a huge step towards the town’s ambition to become the UK’s Coastal Capital of Creativity. This funding boost will support the Cultural Strategy’s mission to unite Blackpool’s existing wealth of creative leaders to shape, develop and offer a dynamic programme of new and exciting cultural opportunities. Chief Executive of Blackpool Grand Theatre and Chair of Creative Blackpool Development Group, Adam Knight, said: “This investment will help us to unlock the potential of existing cultural infrastructure whilst simultaneously developing the next generation of cultural leaders and practitioners.”

AWARD-WINNING STYLE
Pad Contemporary Living has been awarded the 2025 Award of Excellence for Specialists in Contemporary Furniture & Interiors of the Year. Based in Poulton-le-Fylde, the showroom has built its reputation across Lancashire by curating collections that combine comfort, function and modern style. From modular sofas and statement dining tables to bespoke shelving and luxury accessories, Pad delivers interiors designed to tell each client’s story. This recognition underscores the brand’s commitment to sophistication, service and results that resonate in every home.
BIBA AWARD FOR BUILDING SOCIETY
Lancashire-based Marsden Building Society has won the prestigious ‘Employer of the Year’ award at the 2025 Be Inspired Business Awards (BIBAs). The award recognises the Society as an exceptional employer in the region. The Society was also named as a finalist in the ‘Business of the Year’ and ‘Apprentice Team of the Year’ categories. Rob Pheasey, Chief Executive at Marsden Building Society, commented: “Our people are the key to our success, so creating an environment where everyone feels valued and heard is incredibly important to us as an employer.”

AWARDS SUCCESS
The luxury Lake District hotel, Gilpin Hotel & Lake House, have retained their two Michelin Keys for 2025. This award –which is decided by industry experts – is the hotel equivalent of Michelin stars and celebrates those that provide an exceptional stay that is “unique in every way, where a memorable experience is always a guarantee.” Inspectors praised Gilpin for its “classic country house hospitality and a lack of pretentiousness” and special recognition was reserved for the restaurants at the property, including SOURCE at Gilpin Hotel which Michelin highlighted as ‘perhaps’ Gilpin’s “greatest draw, serving sophisticated, award-winning dishes crafted from local Cumbrian ingredients.”
Photography: Sean Conboy
Capital Gains Tax – There have been rumours of HM Treasury considering changes to the CGT rules for private residences. Currently, the exemption for gains on the sale of your home is not capped and can exempt all gains –although there are rules to be met to qualify. By removing the exemption where the value of the home exceeds a fixed threshold (figures between £500,000 and £1.5m are said to be under consideration), the Chancellor could significantly increase the tax collected from high-value property sales.
Do you fear any of this will have an impact on your financial plans? It is important to stress that these points remain speculative. Nothing will be confirmed until 26th November. Making financial decisions based on rumour carries risk but Raymond James, Ribble Valley could help.
We are holding a seminar to discuss the challenges and opportunities raised by the budget and how our professional advice can be tailored to your individual circumstances.
THE THREE CERTAINTIES
Death and taxes are often quoted as the only certainties in life but there is a third – the need for sound financial advice. A consultation with Raymond James, Ribble Valley could help you secure the future you’ve always wished for
Rachel Reeves’ second budget on 26th November is one of the most talked about UK fiscal events in years. Speculation is rife about the changes to the financial landscape she has in store. Nobody will know for sure what will change until the famous red box is opened but whatever the Chancellor announces, the team at Raymond James, Ribble Valley will be ready to help you respond strategically and appropriately. Raymond James, Ribble Valley has specific skills in inheritance planning, securing generational wealth, tax planning, family investment companies, business exits and pensions. In other words, death and taxes!
With stagnant UK growth, a fiscal deficit, burgeoning public expenditure and high costs associated with servicing UK Government debt, it is certain that the Chancellor will look to raise revenue in November. Reform of public spending has already proved difficult for the government and it is tied to its manifesto commitments on ‘working
people’s taxes. So, where might Ms Reeves look for additional funds?
Inheritance Tax – changes could be made around a revision of the taper rules, the introduction of a lifetime cap or freezing allowances.
Pension reforms – major pension changes were announced in last year’s budget, including the decision to make pensions liable to inheritance tax from April 2027. Changes to pension tax relief for higher rate payers and (although unlikely) a change to the tax-free lump sum continue to be discussed. A simple levy on pension fund values – a small percentage added to the annual charges that pension fund managers already make is said to be under consideration. It might also be possible to target the levy at those with the highest pension values.
Landlords’ National Insurance – currently rental income is largely exempt from NI. There are suggestions this may change.
The seminar will be held at Longridge Golf Club on Tuesday 2nd December, one week after the budget and is open to clients and guests alike. The seminar is free to attend but it is important that you reserve your place by contacting leila.spinks@raymondjames.com
We look forward to seeing you on the day. We may not be able to do so much about life’s first certainty, but we could help with its second! n
Risk warning: This article is intended for informational purposes only and no action should be taken or refrained from being taken as a consequence without consulting a suitably qualified and regulated person. With investment, your capital is at risk. Tax treatment depends on an investor’s individual circumstances and may be subject to change.
POST BUDGET SEMINAR
Tuesday 2nd December
Longridge Golf Club
Reserve your FREE space now by contacting: leila.spinks @ raymondjames.com
Raymond James Investment Services Limited 8 Berry Lane, Longridge PR3 3JA 01772 780300
ribblevalley.raymondjames.uk.com

THE HEART OF LOCAL RUGBY
They’ve battled for bragging rights for over a century, but Fylde and Preston Grasshoppers now find themselves on the same side –championing community, inclusion and the enduring spirit of local rugby, writes Ben Hall
The Fylde and Preston Grasshoppers rugby rivalry goes back to the formation of Fylde in 1919 as competition to ‘Hoppers who were founded in 1869. 1-0 ‘Hoppers! It stirs emotions as players tell tales of their memories during reunions over the bars of the two clubs.
Both on the field and behind the scenes, the game is very different and both clubs are rolling with the punches. Together, the clubs

are championing ‘rugby for all’, ensuring the game remains open to every background while nurturing the next generation of players.
The Fylde Rugby Community Foundation was launched in 2020, following an RFU funding restructure and a conversation between Bill Beaumont and David Craven about growing rugby in the community.
Inspired while watching Beaumont’s son Josh play for Sale Sharks, the pair planted

the seed for a charitable foundation that would open the sport’s core values to everyone.
The RFU’s loss was the community’s gain. Phill Mills grabbed the reins and, over the past five years with the board of trustees’ support, has built a strong team of programme leads and Community Sport Coaches. This growth has continued with the addition of the vastly experienced Mark Sutcliffe as Operations Manager. Great mentors to recruit coaches ploughing their own furrow from the local area.
Spotting a chance to strengthen Preston’s community links, long-time member Lauren Sinnott enlisted Phill to consult alongside his role at Fylde. With support from the Fylde Foundation Trustees, the Preston Grasshoppers Community Foundation was born - with Jake Squirrell taking the lead as Head of Foundation.
IT REALLY IS A SPORT FOR ALL. RUGBY IS A GAME FOR EVERYONE OFFERING AN OPPORTUNITY TO SHINE NO MATTER WHAT YOU CONSIDER YOUR TALENT TO BE – AND WE ALL HAVE ONE
While Jake is still playing, he is working with Phill as a mentor and as someone who has already applied for grants, solved problems and overcome many of the challenges and he couldn’t have a better person to bounce ideas off.
Independent from club operations, the Community Rugby Foundations reach well beyond the pitch with Fylde supporting the clubs and schools of Blackpool, Fylde and Wyre areas up to Garstang and Hoppers

focusing on Preston, Ribble Valley and nearby areas to the south. Fierce rivals on match day, they’re united in giving back to Lancashire.
Fylde and Hoppers’ community programmes run independently but share a common goal to engage, support and inspire those in need, led by strong role models in Jake, Phill and their teams.
The delivery in local schools is part taught PE, part coached rugby skills, part CPD to teacher as well as a mentoring programme for those who don’t fit the mainstream system and is available to all educational institutions in the hope of projecting rugby and the core values associated with the sport. They educate young people by providing a role model, upskilling and a vehicle to showcase their talents.
It doesn’t stop at delivery. Transport, kit, contacts and advice, the community programmes want to break down any barrier that restricts talent or sheer enthusiasm. Anything to promote and assist in an active lifestyle and if that happens to broaden the rugby talent-pool, all the better.
MATCHES BETWEEN FYLDE AND PRESTON GRASSHOPPERS ARE LEGENDARY – GRITTY, PASSIONATE AFFAIRS AND IGNITE LOCAL PRIDE
If that isn’t enough, add some numeracy and spell out some literacy along with developing an accessible programme for wheelchair rugby and there is no excuse to participate. It really is a sport for all. Rugby is a game for everyone offering an opportunity to shine no matter what you consider your talent to be and we all have one.
I represent all those who have seen their modest team sport end as the years zip by, and in discussion with Phill and Mark, they advised me to take up touch or even walking rugby. Never one to run headfirst into contact this feels like it might be an opportunity for a 40 [odd] year old to stay in contact with some friends, stay healthy and even be able to walk when getting up for work on a Monday. So, I’ll challenge you and your six friends to take on me and mine in a game of touch under lights after work at the Woodlands or Lightfoot Lane. We can all be part of a healthy community.
The parallels between the two clubs’ charitable work are striking. Both offer sports programmes to remove financial and logistical barriers to participation. Both run multi-sport holiday camps and




both see rugby not just as a game, but as a platform for life skills, confidence and community cohesion.
What makes this story truly compelling, however, is the juxtaposition between the clubs’ fierce rivalry on the field and their shared vision off it. Matches between Fylde and Preston Grasshoppers are legendary –gritty, passionate affairs and ignite local pride.
In a world often divided, it is heartening to see two historic adversaries finding common ground and not in compromise, but in purpose. Fylde and Preston Grasshoppers

may battle for supremacy on match day, but off the pitch, they are champions of a far greater cause.
To learn more about the work of the Fylde Rugby Community Foundation and the Preston Grasshoppers Community Foundation, please visit their websites. You can also watch the Fylde Rugby Community Foundation’s Origin video on YouTube. n
fylderugbyfoundation.com hoppersfoundation.co.uk phill@next-steps-sports.co.uk
KITCHEN IN THE WITH…
Food is never just food. It’s the memories, passion and stories behind the plate. In this series, we sit down with some of the region’s most inspiring chefs – here we talk to Salvatore Lioveri of Novello in Lytham. Photography: Michael Porter
Some chefs are all about the theatre of food. Others, like Salvatore “Sal” Lioveri, prefer to let the food – and the joy it brings – do the talking. At Novello, his dishes are heartfelt, comforting and crafted with the kind of quiet precision that only comes from genuine love for cooking. We sat down with Sal to chat about where it all began, what inspires him and the simple dishes that keep him grounded.
THE JOURNEY
What first drew you into the world of food and how did you know it was going to be more than just a job for you?
“Food’s always been a huge part of my life,” he says, his face lighting up at the memory. “Growing up, the kitchen was where everything happened and working alongside my dad just made that passion grow stronger.”
It’s easy to picture it – the sounds, the smells, the chatter that fills a busy home kitchen. For Sal that was the foundation of everything. “It stopped being ‘work’ the moment I realised how powerful food can be in bringing people together.”
That sense of connection – of food as something more than sustenance – still defines his approach today. Whether he’s plating up for two or 20, he talks about cooking with the same warmth you’d reserve for close friends and family.
INSPIRATIONS & INFLUENCES
Who or what has been your greatest culinary inspiration, either inside or outside the kitchen?
“I’ve always looked up to chefs like Marcus Wareing, Michel Roux and Alain Ducasse,” he says. “They’ve all got such a respect for ingredients and an eye for detail – it really motivates me to keep pushing myself and refining what I do.”
It’s not about imitation, though. What strikes you when he talks about these culinary giants is the respect he has for their craft, not their fame. “It’s that balance between discipline and creativity that I really admire,” he explains. “You can see it in the way they treat ingredients – every detail matters, but nothing ever feels forced.”
That same quiet precision runs through his own cooking. It’s about control without stiffness; structure without losing the heart.
GROWING UP, THE KITCHEN WAS WHERE EVERYTHING HAPPENED AND WORKING ALONGSIDE MY DAD JUST MADE THAT PASSION GROW STRONGER
SIGNATURE DISH
If you had to choose one dish which truly represents you as a chef, what would it be and why?
He doesn’t hesitate. “My go-to dish has to be our lamb ravioli,” he says, smiling.
“It’s rich, comforting and packed with flavour – traditional, but still a bit refined. It really captures what I love most about Italian food: warmth, balance and care in every detail.”
There’s something in the way he talks about pasta – reverent, almost – that reveals how much he values simplicity done right.
“It’s all about respect,” he adds. “You take a simple ingredient like lamb and then elevate it through a combination of patience and attention to detail. When that first bite hits and you see someone smile and the joy it brings – that’s the magic.”
CULINARY HEROES
Which chef (past or present) would you most love to cook alongside and what would you make together?
Without missing a beat: “Alain Ducasse.”
You can hear the admiration in his voice. “The guy’s a genius when it comes to balancing simplicity and sophistication. I think we’d have a lot of fun putting a fresh twist on his classic beef Rossini.”
It’s a choice that says a lot – not about celebrity, but about a shared philosophy. Both chefs understand that great food doesn’t have to shout. It just has to feel right.
KITCHEN WISDOM
What’s one piece of advice you wish someone had given you when you first started cooking professionally?
He pauses for a moment, considering. “If I could give my younger self some advice,” he says finally, “I’d say don’t stress the mistakes. Every one of them teaches you something. Keep your head down, stay curious and never stop learning.”
It’s the kind of grounded, humble perspective that only comes from time spent in the heat of a real kitchen. No shortcuts, no gimmicks –just learning by doing. “You’ve got to love it,” he adds. “Because when you do, even the tough days still feel worth it.”
GUILTY PLEASURE
When you’re off duty, what’s the dish, snack or drink you secretly love – no matter how simple? He laughs, the question clearly hitting home. “Definitely a big bowl of spaghetti aglio e olio. Simple and exactly what you need after a busy night in the kitchen.”
It’s a fitting answer: a dish that’s honest, unpretentious and perfectly in line with his philosophy – that food is, above all, about comfort and joy. “It’s funny,” he adds, “after spending hours creating all these intricate plates, what you really crave is something straightforward. Olive oil, garlic, chilli –it’s everything you need.”
There’s no doubt that Sal has the skill and ambition that mark out the best in his field. But what stands out most is his warmth –a quiet belief that food is, at its heart, a way to share happiness.
In a world that often celebrates the flash and flair of fine dining, his perspective is refreshingly simple: cook with care, stay curious and never forget why you fell in love with food in the first place. n
thenovello.co.uk


FO D BITES!




























Tuck into our page of Food Bites which brings you the latest news on our restaurants, rural country inns, chefs and local artisan producers who all make Preston and Fylde a region of outstanding gastronomy. If you have any Food Bites news items, please let me know: ali.gudgeon@live-magazines.co.uk
NEW NOODLE BAR
Super Wok Noodle Bar has arrived at St George’s Shopping Centre, bringing a taste of authentic Chinese cuisine to Preston. Building on their success in Liverpool, owners Nikita Li and Jimmy Huang serve up a menu filled with traditional favourites, from sweet chilli chicken to freshly made dumplings. Their signature spicy noodle soup is also set to make its way onto Preston’s tables soon.
NEW FOOD HALL EXPERIENCE
Mad Giant Food Hall has landed at the new Animate complex, bringing fresh, affordable dining and a buzzing community vibe to Preston. Featuring independent favourites Crust and Co Pizza, Eat Like a Greek, and Different Gravy, expect bold flavours and creative twists on classics. With local craft beers, cocktails and live music, it’s more than a food stop – it’s a social hub.
FROZEN YOGURT ON THE MENU
Frurt, Manchester’s award-winning frozen yogurt brand, has opened its biggest UK store yet in Friargate, Preston. Spanning 1,300 sqft next to Frango’s, the new site offers six rotating frozen yogurt flavours, half vegan, alongside hand-crafted protein and energy balls. Known for fun, healthy flavours and endless toppings, Frurt promises a premium, customisable experience.
APPETITE FOR SUCCESS
The Michelin Starred restaurant, SOURCE at Gilpin Hotel, based at the five-star Gilpin Hotel & Lake House near Windermere have had a wonderful few months, adding to their array of accolades with an incredible 4 AA Rosettes at the prestigious AA Hospitality Awards last month. During the summer, they were also crowned winner of the ‘Taste of Cumbria – Fine Dining’ category at the Cumbria Tourism Awards.


COCKTAIL CENTRAL
New cocktail bar Nova has opened on Guildhall Street in Preston city centre. The cocktail menu is extensive, featuring both classic cocktails and their own signature creations. With cocktails that hit just right, wine that speaks for itself and craft beers available too, it’s the perfect place to catch up with friends, wind down after work or for a cosy night out.
NEW LYTHAM BAR
NIKO Wine Bar, established on Guildhall Street in Preston, is set to open this month in Lytham, on Park Street. Like the Preston location, the Lytham branch will operate as a wine bar/wine merchant, meaning you can enjoy drinks on-site and purchase bottles to take home, continuing their mission to offer exotic Serbian wines and other craft drinks. While wine is the focus, the bar also offers a tempting selection of craft beers and often features Charcuterie Boards with a NIKO twist.






£110 PER PERSON
Pre-booking is essential, and a deposit of £25 per person is required to secure your booking.
CHRISTMAS AT MYTTON FOLD



Whether it’s a merry meet-up with friends, a team celebration, or a family night out, Mytton Fold Hotel is where the magic happens this December. Dine from our three-course festive menu, Wednesday to Saturday, 12-9pm. Two courses: £28.50, Three-courses £34.50.

MYTTON FOLD HOTEL, WHALLEY ROAD, LANGHO, BLACKBURN, BB6 8AB
Book a table with our team today: 01254 240 662 | scan the QR to browse all Christmas menus.

ROOTED IN BORDEAUX
Patrick Beaume talks about patience, provenance and the creation of a wine collection that feels as much a part of the Cartford Inn, as the rooms, the views and the roaring fire, writes Tedd Walmsley
It’s a quiet morning at the Cartford Inn when I sit down with Patrick, owner and driving force with his wife Julie, to talk about one of its most personal projects.
“Some things here take shape slowly , others at the speed of light,” Patrick says, wrapping his hands around a cup of coffee. “This wine project has been one of them. It’s been years in the making, not just choosing wines we like, but crafting something that felt entirely our own.”

The idea was never about simply branding a bottle. “We wanted wines that spoke to our tastes, our values of care, attention to detail, artistic flair and provenance,” he continues. “When we first launched our blanc and rouge, I knew we had something special. Guests were
ordering them with dinner, picking them for celebrations, even taking them home. That’s when I thought, yes, this is now part of the TOTI (Taste of the Inn) brand and the fabric of the inn.”

I
GREW UP IN THE MEDOC, MY PARENTS BUILT THE FAMILY HOME ON LAND SURROUNDED BY VINEYARDS
The blanc is crisp and bright, with citrus notes that pair effortlessly with seafood, while the rouge is smooth, fruit-led and softly spiced – perfect by the fire on a winter evening. This year, the story has grown with the arrival of the inn’s rosé. “It feels like the final piece of the puzzle,” Patrick says with a smile. “We wanted a rosé that was pale, dry, quietly elegant – something you could sip on a summer afternoon, but would also hold its own at the table all year round.”
Choosing Bordeaux as the source was as much about Patrick’s past as it was about the region’s reputation. “I grew up in the Medoc, my parents built the family home on land surrounded by vineyards. As a young boy, I watched the vendanges (grape
harvest) from my bedroom window every September,” he tells me. “ The harmony between memories, history, values and quality is very important to us.”
That search for harmony led to the Ducourt family of Château d’Haurets, whose vineyard lies in the rolling hills of Entre-Deux-Mers.

Blending family values, savoir faire, the values of old methods teamed with modern techniques, they are the perfect match to the Cartford collaboration: “It’s like a good ‘assemblage’ in some vinification process. It is an extension of what we do here at the Cartford Inn, knowing the fisherman who catches our seafood, the grower who tends our vegetables, the butcher that sources our meat and now, the family who makes our wine,” explains Patrick, who concludes by

mentioning the wine labels. They are the results of some early painting by Tanicia Hayton, their niece, another creative within the family, now a skilled jeweller who has now moved permanently to the Bordeaux region, on the bay of Arcachon, where she spent her childhood summer holidays. n
To discover the full story about the wine collection visit the website.
thecartfordinn.co.uk thjewellery.co.uk






Whether you're dining with friends and family, enjoying a cosy stay, or hosting an unforgettable private celebration, we’ll take care of every detail, so your Christmas sparkles.


AND CRANBERRY PANETTONE TOASTIE GRILLED BRIE
Serves: 2
Prep time: 10 minutes
Cook time: 25 minutes
Ingredients:
Drizzle of oil
1 red onion, finely sliced
1 tbsp red wine vinegar
1 tsp brown sugar
1 tsp butter
2 tbsp cranberry sauce
1 orange, zest only
4 slices panettone
200g brie
Method:
• Heat the oil in a pan and cook the onions for approximately five minutes until translucent.
• Add the red wine vinegar, sugar, mustard and butter to the pan and cook for a further 10 minutes.
• Add the cranberry sauce and cook for a further two to three minutes. Add the orange zest and remove from the heat.
This delicious festive recipe is brought to you by award-winning, local supermarket Booths booths.co.uk
• Heat a dry griddle pan and add two slices of panettone.
• Place slices of brie on top dividing equally between the two slices.
• Spoon the caramelised cranberry onions on and place the other slices of panettone on top.
• Cook for two to three minutes each side and serve warm. n
Chef’s tip: This is a great way of using leftover panettone.
1 tsp Dijon mustard
The most time of the year!
The guests are arriving, On with the show, Knock their socks off, With chef-inspired nibbles from Gazebo to find






STELLAR LINE-UP
A culinary celebration at The Three Fishes saw a line-up of top chefs from all over the world demonstrate their skills over the week-long event. Photography: Scott Eckersley-Bell
Chef Nigel Haworth and The Three Fishes are delighted to announce the resounding success of Fusion 2, the second edition of their week-long culinary celebration held in the picturesque Ribble Valley. The event was a complete sell-out within 48 hours of launch, drawing food lovers from near and far for a week of world-class dining, community spirit and exceptional
hospitality – all in aid of Hospitality Action, for which an impressive £7,000 was raised to support those in need across the industry.
The week opened with Angelo Sabatelli from the Michelin-starred Angelo Sabatelli Ristorante in Italy, who delighted guests with contemporary Apulian cuisine. This was followed by Kirk Haworth from Plates, London, presenting innovative plant-based fine dining.


Renowned chef Atul Kochhar brought his acclaimed modern Indian cuisine and the midweek highlight saw Nigel Haworth himself take centre stage, presenting Lancashire’s finest.
THE WEEK OPENED WITH ANGELO SABATELLI FROM THE MICHELIN-STARRED ANGELO SABATELLI RISTORANTE IN ITALY, WHO DELIGHTED GUESTS WITH CONTEMPORARY APULIAN CUISINE
Shaun Rankin from nearby Grantley Hall, Yorkshire, continued the stellar line-up and the penultimate evening featured celebrated restaurateur and author Thuy Diem Pham,






who brought authentic Vietnamese flavours and cherished family recipes to life. The week concluded with a relaxed Jazz Brunch accompanied by live music.
“Fusion 2 was everything I hoped it would be and more, a true celebration of creativity, collaboration and community,” said Nigel Haworth.
“The atmosphere was electric all week and I’m incredibly proud that together we raised £7,000 for Hospitality Action.
“Bringing together such diverse culinary voices, from Angelo’s sublime Italian craftsmanship to Thuy’s heartfelt Vietnamese storytelling, the showcase demonstrated the beautiful possibilities when great chefs unite. I want to thank every chef, guest and sponsor who made this event possible.”
The festival was proudly supported by




an exceptional group of partners including Deepbridge Capital, Zara Moon Architects, Everything Retreat, Gastronomy Plus, Bowker BMW, Gusbourne Wine, Berkmann
FROM SUBLIME
ITALIAN CRAFTSMANSHIP TO HEARTFELT VIETNAMESE STORYTELLING, THE SHOWCASE DEMONSTRATED THE BEAUTIFUL POSSIBILITIES WHEN GREAT CHEFS UNITE
Wines, Midland Fish, Udale, Ribble Farm, Petrossian, Lovingly Artisan, Wee Shell Fish, Farnsworths’ Fresh Foods and Primrose Dairy.
Fusion 2 has cemented its reputation as one of the Ribble Valley’s most anticipated



culinary events, embodying The Three Fishes’ continued commitment to showcasing British farm-to-fork dining with international flair.
Located in the idyllic village of Mitton near Whalley, The Three Fishes is celebrated for its contemporary yet cosy atmosphere and dedication to locally sourced, seasonal produce. Under Nigel Haworth’s leadership, the restaurant continues to be a destination for exceptional British cuisine with creative international influences. n
thethreefishes.co.uk
@thethreefishesmitton




SEASON’S FEASTINGS
Celebrate the season in true Lancashire style as The Three Fishes unveils its festive menus, crafted by Chef Patron Nigel Haworth
The Three Fishes is preparing to welcome guests for a truly magical festive season, where your tastebuds will delight in the culinary offerings. The Festive Menu launches on 26th November and runs until 23rd December, this five-course farm-to-fork feast captures the very best of winter in Lancashire. Designed by Chef Patron Nigel Haworth, it’s an elegant yet comforting celebration that brings people together for the most wonderful time of the year. As well as the set Festive Menu, you can also enjoy the Choice Menu.
And the festivities don’t stop there, there are specially curated and designed menus for Christmas Eve, Christmas Day, Boxing Day, New Year’s Eve and New Year’s Day and there is even Nigel’s Favourites on the 27th and 28th December. From fizz on Christmas Eve to champagne toasts on New Year’s Eve, every detail at The Three Fishes has been carefully considered to make the season truly memorable. Nigel’s festive menus are designed for everyone – with plant-based and fish alternatives ensuring that every guest can join in the cheer.
For those seeking something truly indulgent, there’s the 10-course Christmas Wrapped Menu Surprise at £100 per person –
perfect for the daring who like to leave a little room for surprise. The restaurant’s in-house wine expert is always on hand to suggest the perfect pairing for each dish, ensuring every course is perfectly matched. Private celebrations are also at the heart of this year’s festivities. The Gusbourne Rooms, home to the beautiful 51° North private dining space, provide an intimate setting for gatherings of eight to 14 guests, with room for up to 20 when extended. Larger parties of up to 40 can enjoy the same inviting ambience, exquisite food and seamless service.

Private dining guests can choose from three, four or five-course menus (minimum of 10 people). With tailored drinks packages and the option for signature cocktails on arrival, it’s a festive experience designed to be remembered. For those special events outside of the festive period you can have Nigel craft a bespoke menu that reflects personal favourites or dietary preferences. For full details and bookings, visit the website. Be sure to book early to secure your place at the table, where great food, good company and festive cheer are always on the menu. n
FESTIVE MENU
26th November – 23rd December
Available for lunch and dinner
Wednesday – Saturday £49 per person
Nigel’s Lancashire Cheese Rolls
Whey butter, black pea hummus, parsley pesto
Smoked Haddock Croquettes Prawns, caviar, spiced Christmas piccalilli
English Onion
Miso soup, coconut, sesame croutons
Red Leg Partridge
Bacon rosti, leg meat confit, cranberries, Brussels sprouts, lemon thyme gravy
Salted Crème Caramel Thick whipped cream
Mince Pies
Plant-based and fish alternatives available

The Three Fishes Mitton Road Mitton BB7 9PQ 01254 826666 thethreefishes.co.uk

@ thethreefishesmitton



















































































































































PORTO POCAS 20-YEAR-OLD TAWNY
PORT LIMITED-EDITION DECANTER £51.99 ON OFFER AT £46.99 thewhalleywineshop.com
While every effort has been made to ensure accuracy, all prices and stockists are subject to change.

GILPIN SPICE PAN-ASIAN DINING EXPERIENCE FROM £50
Inspired by the spice routes of Asia, the 2 AA Rosette restaurant Gilpin Spice, serves vibrant, flavour-packed dishes designed for sharing and celebrating. Gilpin 01539 488818 thegilpin.co.uk

CELEBRATION HAMPER £110 Includes TOTI chocolate brownies, champagne and a TOTI Home candle. TOTI 01995 670166 tasteoftheinn.co.uk
Explore this curated selection of festive food and crafted drinks that are perfect for sharing, gifting or enjoying with family and friends



SPECIALTY MICROLOT COFFEE FROM COSTA RICA & TWO LOCALLY CRAFTED CUPS £52 wildpen.coffee


GRANDMA WILD’S CHRISTMAS CANDY CANE BISCUIT TIN £8 booths.co.uk


CUCKOO GIN CHRISTMAS CRACKER £6 EACH Includes a 5cl gin along with a party hat and a discount code for future purchases with the chance to win a Golden Ticket! brindledistillery.co.uk

LANCASHIRE GASTROWALKS £14.95 This beautiful A5 book would make a perfect Christmas gift. Available to buy from: Plackitt & Booth 01253 796958 plackittandbooth.co.uk
CUCKOO GIN MINI GIFT PACK £16 Contains three 5cl gin bottles from the award-winning Cuckoo Gin range. Brindle Distillery 01772 323313 brindledistillery.co.uk
TREASURE BOX CHOCOLATES FROM £15
Treat someone you love to a box of luxury handmade ganache chocolates.TOTI tasteoftheinn.co.uk
CLASSIC CUVEE NV GIFT PACK WITH TWO GLASSES £69.99 An award-winning, stylish, classic English sparkling wine. thewhalleywineshop.com

Celebrate Christmas at Crow Wood
This Christmas, sit back, relax, and let us take care of every detail. From sparkling party nights to festive lunches and elegant dinners, we’ll cater for every taste.
FESTIVE DINING • PARTY NIGHTS • CHRISTMAS DAY
• BOXING DAY • NEW YEAR’S EVE • NEW YEAR’S DAY • PRIVATE DINING • A LA CARTE




FLATMATES, FEAR AND FATAL SECRETS
Sharing a flat has never been so dangerous. Next February, Blackpool Grand Theatre will play host to a chilling new stage adaptation of the cult classic Single White Female, with none other than TV favourite Kym Marsh leading the cast
Kym Marsh, best known for her long-running role in Coronation Street and more recently Waterloo Road and Abigail’s Party, makes her Grand Theatre debut in this world premiere of Single White Female. “I remember being totally gripped by the movie when I first saw it in the cinema,” she says. “To now be starring in its stage adaptation is a dream. Get ready to be thrilled, shocked and entertained – and watch out for those stiletto heels!”
The play is a bold reimagining of John Lutz’s bestselling novel SWF Seeks Same, adapted for the stage by author and journalist Rebecca Reid (Perfect Liars, Truth Hurts). Many will remember the 1992 film version starring Bridget Fonda and Jennifer Jason Leigh, which turned the tale of two roommates into a global phenomenon. This new production updates the story for the digital age, exploring themes of obsession, identity and the human need for belonging against the backdrop of social media and modern urban isolation.
I REMEMBER BEING TOTALLY GRIPPED BY THE MOVIE WHEN I FIRST SAW IT IN THE CINEMA
The story follows Allie, a recently divorced single mother trying to juggle her new tech start-up with raising her child. To ease financial pressures, she takes in a lodger –enter the seemingly perfect Hedy. At first, the arrangement feels like salvation. But as the women’s lives begin to overlap in unsettling ways, friendship turns to fixation and the cracks in their relationship widen into something far more dangerous.
Directed by Gordon Greenberg (Guys & Dolls, The Baker’s Wife) and produced by JAS Theatricals, ATG Productions and Gavin Kalin Productions – the team behind The Girl on the Train – this modern thriller is set to deliver edge-of-your-seat tension with razor-sharp storytelling.
With full casting still to be announced, all eyes will be on Marsh as she steps into one of the most iconic psychological thrillers of the last three decades. For fans of drama, suspense and a touch of nostalgia, this promises to be an unmissable theatre event. n
Single White Female runs at Blackpool Grand Theatre from 17th-21st February 2026, with both evening and matinee performances. blackpoolgrand.co.uk
NEW SEASON OF EVENTS
Housed within Preston’s iconic Guild Hall complex, The Guild Lounge- formerly known as the Guild Hall Foyer - has evolved into one of the city’s most vibrant and versatile entertainment spaces

Blending history, heart and a touch of modern flair, this intimate 350-seat venue is quickly becoming a cornerstone of Preston’s live arts scene.
As 2025 draws to a close, The Guild Lounge is preparing to deliver a festive line-up bursting with variety, energy and community spirit. From soulful music to side-splitting comedy and even a touch of high-tech gaming, the coming months promise something to delight everyone.
Music lovers can look forward to a diverse range of performances that capture the essence of live entertainment. Highlights include A Celtic Christmas - a warm and enchanting evening of acoustic melodies perfect for the holiday season - and A Tribute to Sting and The Police, bringing the fullband sound and nostalgic rhythm of one of music’s most iconic acts. Whether you prefer toe-tapping classics or stripped-back sessions, The Guild Lounge’s stage is set to impress.
For those seeking something a little different, WiFi Wars brings a whole new dimension of fun to the venue.
This interactive gaming show invites audiences to connect via their smartphones or tablets to take part in quizzes, games and live challenges - turning the crowd into part of the performance. It’s a clever
blend of comedy, technology and audience participation that perfectly captures the innovative spirit of Preston’s cultural scene.

Culture and Arts at Preston City Council, praised the venue’s growing impact: “The Guild Lounge continues to establish itself as a vital part of Preston’s cultural landscape, offering a welcoming space for visitors to gather, connect and be inspired. I’m proud to support this venue, which not only entertains but also enriches the city’s arts and culture scene.”
What truly sets The Guild Lounge apart is its intimacy - every performance feels personal, every laugh and lyric shared up close. As Preston heads into the festive season and looks forward to a vibrant 2026, The Guild Lounge stands ready to offer memorable nights out filled with connection, creativity and community. Tickets for all upcoming events are on sale now. Discover more by visiting the website.
WHAT’S ON
WIFI WARS
Sun 23rd November, 7pm
The live comedy game show where you play along!
LAUGHTER AT THE LOUNGE Fri 5th December, 8pm
With Mike Cappozola, James Danielewski, headlined by Alun Cochrane and hosted by Chris Booker.

A CELTIC CHRISTMAS Sun 7th December, 7pm
A Celtic Christmas embarks on its 2025 tour ready to delight audiences again.

A TRIBUTE TO STING AND THE POLICE
Sat 21st February, 7.30pm
Fronted by Sting look and sound-a-like Owen James and his band ‘The Rozzers’.

Councillor Hindle, Cabinet Member for
Photography: Michael Porter
Photography: Michael Porter

30 YEARS OF CONFIDENCE, CREATIVITY & COMMUNITY
For more than 30 years, Players Drama School has been at the heart of Preston’s creative community – nurturing confidence, imagination and friendship in generations of young performers, writes Emma Brereton. Photography: Anna Wood
Founded in 1994 by Deborah-Ann Carter, who arrived from the United States with just £30 and a dream, Players quickly grew into one of the region’s most respected performing arts schools. Initially offering only drama, it soon expanded into musical theatre and dance, setting a new standard for creative education in the area.
Today, under the passionate leadership of Rebecca Wilson and her dedicated team,

Players continues to flourish – teaching over 250 pupils across two Preston sites – the Playhouse Theatre and Preston College. It remains the only drama school in the city to operate out of a theatre, giving students a genuine stage experience from day one.
PERFORMING ARTS IS FOR EVERYONE AND EVERY CHILD WHO WALKS THROUGH OUR DOORS HAS THE CHANCE TO SHINE
Rebecca’s own story is woven deeply into the school’s history. She said: “My mum took me to Players Drama School in 1999 when I was a child – and to put it simply, I never left.”
After graduating at 16, Rebecca stayed on as a teaching assistant before travelling, training as a secondary school drama teacher and expanding her knowledge through
mindfulness and meditation for children.
“Applying mindfulness to education became incredibly important to me,” she explains.
“Drama isn’t just about performing – it’s about confidence, communication and connection.”

At 22, Rebecca applied this knowledge to establish Players in Education, taking drama directly into Lancashire schools. Determined not to compete with her beloved Players Drama School, she built an outreach programme that would later become part of its story.
When the opportunity arose in 2021, Debby handed over the reins to her former student. “It was always my dream to own Players,” Rebecca explained. “Debby and I stayed close throughout the years and when she was ready to pass it on, it felt like everything had come full circle.”

Debby remains part of the Players family, teaching sessions for adults called ‘The Actor’s Workroom,’ on Monday evenings at Preston College.
For Rebecca, running the school is a true family affair, with her sister Anna, a professional dancer, sharing her industry experience through teaching dance and managing the thriving Players in Education. That side of the business has grown rapidly, now reaching 18 schools across the region and sharing the joy of drama with hundreds of children each week.
“Performing arts is for everyone,” Rebecca insists. “We want children of all abilities to fall in love with the arts.”

Players’ students range from pre-schoolers to teens in Year 13, with older students offered more intensive training for those looking to pursue performing arts professionally. The teen group meets on Wednesdays at Preston College, where they have access to excellent facilities and expert tuition.
Every other year, Players stages a professional-level production – recent shows include Annie and Matilda – giving students the chance to experience industry-standard auditions, rehearsals and live performance.
“We want our pupils, especially those thinking about pursuing the arts


professionally, to know what that world feels like,” Rebecca added. “Whilst there’s plenty of joy, we also help them build resilience and determination.”
Alongside these productions, Players runs popular summer schools and specialist workshops with visiting professionals.
A recent highlight saw the lead actor from Heathers the Musical deliver a masterclass that inspired pupils and staff alike.
SEEING CHILDREN
GROW FROM SHY BEGINNERS INTO CONFIDENT PERFORMERS IS THE REASON WE DO WHAT WE DO
That sense of transformation is what drives Rebecca and her team. “We’ve had children walk through the door too shy to even answer the register,” she said.
“By the time they leave, they’re playing the lead in a professional-standard musical. One of our alumni recently appeared in Wicked in the West End – that was a real pinch-me moment.”
Many pupils join at five and stay until they’re 18, surrounded by close friends they’ve grown up with. That family atmosphere, combined with professional-level training, is what makes Players such a special place to grow.
“We’re like a big family. We want every child to feel valued and supported – whether they’re here to have fun or to pursue a career on stage.”
As the school prepares for its next showcase and a busy festive season, Rebecca is excited for what’s ahead. “We just want people to come
and see it for themselves,” she says. “The best way to understand what makes Players special is to experience the atmosphere, energy and joy that fills every session.”

Players Drama School is open for new enrolments now, with free taster sessions available. Scan the QR code to book your free session and see for yourself what makes Players such a special place to grow, create and perform. n

Preston Playhouse & Preston College 07368 342092
info@playersdramaschool.co.uk playersdramaschool.co.uk @players_drama_school
Scan the QR code for a FREE taster session





























Property Agents • Chartered Surveyors • Valuers



Freckleton
Preston
Charming Grade II Listed Georgian former farmhouse situated in a rural setting on the outskirts of Freckleton.
Steeped in character and charm, there is a wealth of features throughout the house including gorgeous fireplaces, character beams, pitch pine doors, vaulted ceilings and characterful window spaces. Presented as a welcoming family home, this house has been a great place to bring up a family and we look forward to seeing the next owners cherish all that it has to offer. Located within walking distance of the local primary schools. The area is served by high schools in Kirkham and Lytham and has easy access to the independent Kirkham Grammar School and AKS.
Offers Over £685,000


Penwortham
Preston
Standing out from the crowd, this striking luxury home has been carefully designed with incredible attention to detail.
Incredible design and a sumptuous finish with a lovely woodland backdrop and within walking distance of Penwortham centre. The spacious accommodation includes a showstopping living kitchen with sunken living area, 3 further reception rooms, 4 bedrooms, 3 bathrooms and a glazed link to a double garage. Outside you’ll find ample parking and a turning circle. Predominantly lawned gardens are bordered by beautiful mature woodland to the rear and a fantastic, covered seating area along with a good-sized patio area is perfect for entertaining and enjoying the garden whatever the weather!
OIRO
£1,600,000












Waddington Clitheroe
Wheelton Chorley
Slyne Lancaster
Forton Preston
ON SCREEN

NATIONAL THEATRE LIVE: FIFTH STEP
Release Date: 27th November
Director: Finn Den Hertog
Starring: Joseph Ayre, Martin Freeman and Jack Lowden
BBFC Certificate: 15
After years in the 12-step programme of Alcoholics Anonymous, James becomes a sponsor to newcomer Luka. The pair bond over black coffee, trade stories and build a fragile friendship out of their shared experiences. But as Luka approaches step five – the moment of confession – dangerous truths emerge, threatening the trust on which both of their recoveries depend. n

AVATAR: FIRE AND ASH
Release Date: 19th December
Director: James Cameron
Starring: Zoe Saldana, Kate Winslet and Edie Falco
BBFC Certificate: 12a
Jake and Neytiri’s family grapples with grief after Neteyam’s death, encountering a new, aggressive Na’vi tribe, the Ash People, who are led by the fiery Varang, as the conflict on Pandora escalates and a new moral focus emerges. n
Check out the latest films coming soon to The Flower Bowl in Preston. Book now at theflowerbowl.uk
WICKED: FOR GOOD
Release Date: 21st November
Director: John M Chu
Starring: Cynthia Erivo, Ariana Grande and Jeff Goldblum
BBFC Certificate: PG
Elphaba, the future Wicked Witch of the West and her relationship with Glinda, the Good Witch of the North. The second of a two-part feature film adaptation of the Broadway musical. n

ANDRÉ RIEU: MERRY CHRISTMAS
Release Date: 6th, 7th, 8th & 9th December (More dates tbc)
Director: André Rieu
Starring: André Rieu
BBFC Certificate: Expected to be U
This holiday season, the magic begins on the big screen. Join André Rieu for his 2025 Christmas Concert – “Merry Christmas” and experience joyful carols, beautiful waltzes and plenty of surprises – it’s the ultimate Christmas cinema event! With his fabulous Johann Strauss Orchestra and special guests including the sensational Emma Kok and over 400 brass players bringing the majestic sound of Christmas, André’s concert is bursting with warmth, laughter and holiday cheer. Christmas is André’s favourite time of year – and he can’t wait to share this spectacular concert with you, only in cinemas! n



There is nothing quite like a Porsche to add a dynamic dimension to your lifestyle, so come and enjoy a barista style coffee while you explore our display of new and Porsche Approved Pre-Owned models from the iconic 911 to the luxury five-seat Cayenne to the astonishing E-Performance range. We can discuss our Porsche-approved servicing, our best part-exchange prices and our finance packages to suit every budget. Visit your local Centre or scan the QR code. PORSCHE.
Porsche Centre Bolton Manchester Road
Bolton BL3 2RJ
01204 559 911
info@porschebolton.co.uk www.porschebolton.co.uk

Porsche Centre Preston Centenary House
Watery Lane, Preston Lancashire PR2 1QJ 01772 911 911
info@porschepreston.co.uk www.porschepreston.co.uk