The Rings of Power

Page 1

There exist some compounds in nature that stand to revolutionize how we fight diseases

Please be sure to get to know on Page 14.

Debuts or inaugural moments of any journey are very special experiences. I am so proud to present the first issue of the magazine. Viva La BioEngineering is dedicated to all things related to the field. Through this magazine, we hope to establish our identity in front of the whole college.

We had a vision and we had the urge to prove ourselves. The BioEngineering Chapter is a brainchild of the 2020 batch of BioEngineering Students. And now that our efforts have come to fruition, we hope to achieve a lot.

Our team is excited to present before you, the multidisciplinary field of Bio-Engineering. It is often thought to be a different name for Biotechnology. As you flip through the pages of this e-magazine, you will find some highly

ISSUE ONE March 2023 Pg | 2 ChiefEditor SoujatyaMondal
However, this iceberg! Believe of what it is. I reading this mag

Glomerulus under Electron Microscope. Glomerulus filters our blood as it enters the nephron.

ISSUE ONE

The bioartificial kidney is a flagship project at The University at California, San Fransisco, headed by Dr. Shuvo Roy.

March 2023

Organ transplantation has been prevalent for a long time now - in fact, organ donation is known to be a very noble cause. Unfortunately, donors can’t keep up with the extreme demand at the present.

After all, each of us only has one of them!

The Problem

Kidney malfunction is a massive problem among humans. Globally, 2.6 million patients receive renal replacement therapy and it is likely to double by 2030. Dialysis and Kidney Transplants are the most viable technologies right now. However, newer research has the potential to go beyond these two methods.

DNA can be used to store data, just like hard drives!

700 Tb (Terabytes) ISSUE ONE Pg | 6 March 2023 I gram of DNA D I D Y O U K N O W
?

The Solution

Bioartificial Kidneys have the potential to revolutionize current options. They provide continuous dialysis throughout the day.

Their higher toxin clearance and better cardiovascular stability promise improved quality of life.

An implantable bioartificial kidney combines a mechanical blood filter and a bioreactor. The former does filtration like glomerulus while the latter is for electrolyte balance and metabolic functions.

The device is designed to attach directly to the systemic circulation and is controlled by the patient’s blood pressure, thus eliminating the need for electrical pumps.

ISSUE ONE Pg | 7 March 2023

Say hello to THE KIDNEY ON A CHIP.

An organ on a chip is an advanced microfluidics-based cell culture platform that mimics organ physiology. And this technology has been utilized to make glomeruli and tubules to be used for drug screening, disease modeling, and so on.

The 3D bioprinting technology has helped in overcoming the vascularization barrier.

Type Bioart Kidn

There are potential applications in nephrotoxicity assessment and therapeutic development. In the future, we have to combine these two models to make a functioning nephron with both filtration and reabsorption.

> microfluidics - study of the behavior of fluids in micro-channels

> vascularization - the formation of vessels

ISSUE ONE Pg | 8 March 2023

new nephrons

Another great option is to generate, literally.

The discovery of induced pluripotent stem cells led to better human organoid research. And this led to better research in the kidney organoid field.

s of tificial neys

3D bioprinting allowed for the improved fabrication of tissues, thereby improving the quality of the organoids.

However, this method is still incomplete. Adult kidneys have not been modeled yet because the development gets stuck in the second trimester. Further research is being done.

> pluripotent - immature cell that is generated from an adult (mature) cell and that has regained the capacity to differentiate into any type of cell in the body.

> fabrication - process of manufacturing

ISSUE ONE March 2023

The second half of the twentieth century experienced a revolution in the biological sciences. In many ways, biology is defining scientific progress in the twenty-first century. Engineering has traditionally focused on the external extensions of organisms, such as transportation systems, highrise buildings, and entertainment systems.

Introduction to Bioengineering

In contrast, bioengineering is concerned with the inward processes of biological organisms. The utilization of engineering principles and techniques in the analysis and solution of problems in medicine and biology is the basis for bioengineering. Here, we take a look at 2 fascinating aspects of this multidisciplinary field.

DIDYOUKNOW?

Cancer Cells gather speed in thicker fluids viscous solutions accelerate the migration of tumor cells and may enable metastasis, according to a new study.

So maybe cancer patients should lay off honey for a while

>

-

ISSUE ONE March 2023
metastasis Spread of cancer cells to distant areas of the body, often by way of the lymph system or bloodstream.

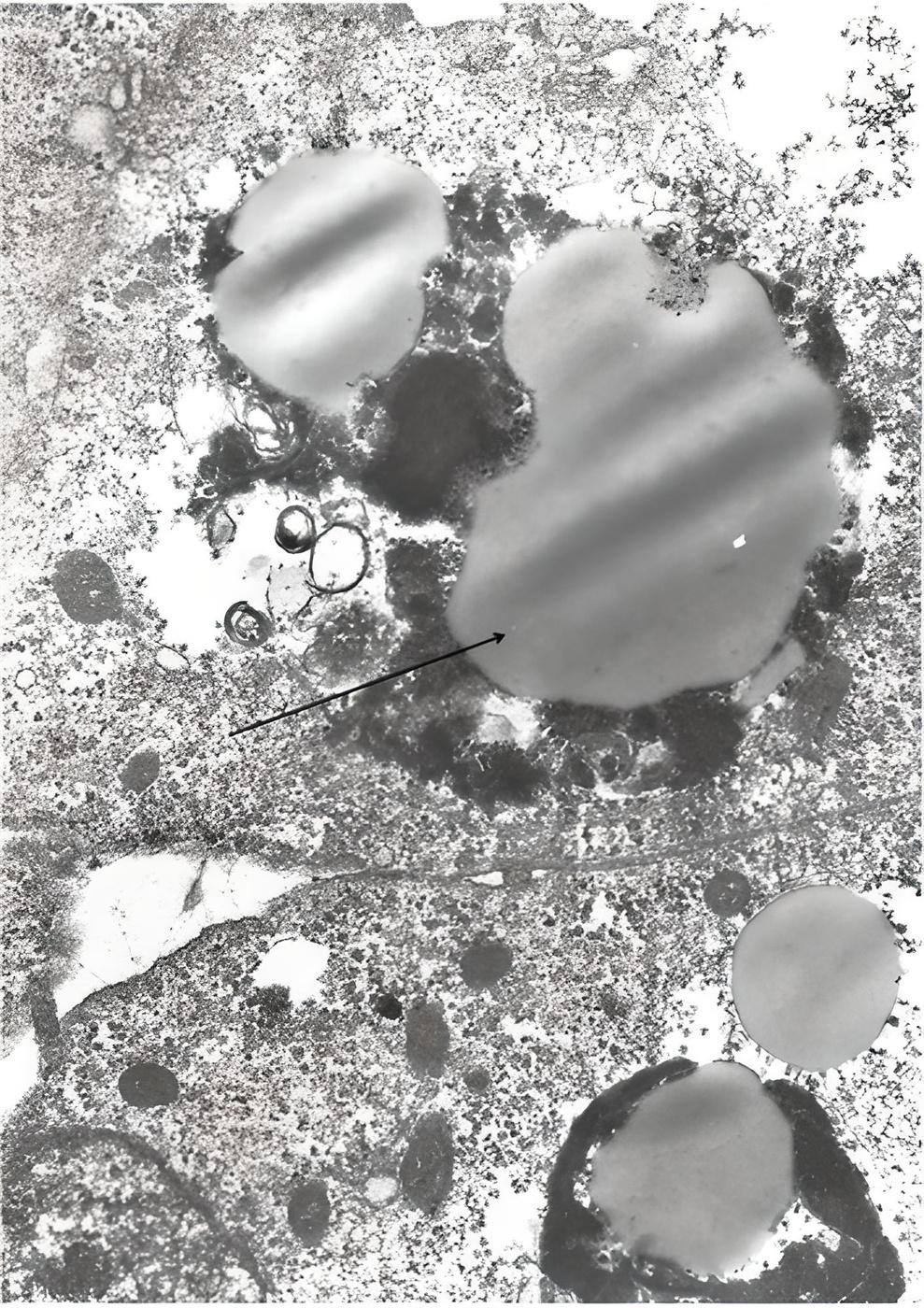
Arrow points towards the Induced Pluripotent Stem Cells

ProsthesiS

The demand from amputees has been a major factor in the astonishing advancement of prosthetic technology over the past two decades.

Today, those who have had their mid-calf amputated should be able to carry out a complete range of daily tasks; walking without a noticeable limp, and taking part in sports and leisure activities.

The quality of the interface between the prosthesis and the limb remnant (stump) is the single most important component of any prosthesis. The "socket" the component of the prosthesis that fits securely over the remaining limb determines the amputee's level of comfort and control over the prosthetic limb.

Man with 13 Legs.

Source: BBC Future

ISSUE ONE Pg | 12 March 2023

CRISPR CAS

This is perhaps the biggest development in the field, in modern times. This is the technology of Genome Editing and the finest being Clustered Regularly Interspaced Short Palindromic Repeats or CRISPR.

CRISPR-Cas9 was adapted from a naturally occurring genome editing system that bacteria use as an immune defense. When infected with viruses, bacteria use this mechanism to ‘remember’ them and disable any future attack from the virus.

Researchers adapted this immune defense system to edit DNA. They use the cell's DNA repair machinery to add or delete pieces of genetic material, or to make changes to the DNA by replacing an existing segment with a customized DNA sequence.

Applications of this include disease modeling and diagnosis, gene therapy, genome-scale screening, and even designer babies!

> genome-scale-screening - Genome-scale screens identify factors regulating tumor cell responses to natural killer cells

ISSUE ONE March 2023

By utilizing genomic research, scientists were able to uncover the previously unknown genes responsible for its formation. This breakthrough opens doors to the discovery of a multitude of new natural compounds with medical applications.

Microorganisms in their natural habitat often face varying environmental conditions and have evolved to produce a diverse range of

Grey - Carbon

Blue - Nitrogen

Red - Oxygen

White - Hydrogen

The Rin Pow
ISSUE ONE Pg | 14

Benzoxazolinate (image) is a rare natural compound that confers extraordinary bioactivities on natural products.

ngs of wer

The reason for this capacity is the fact that the chemical consists of two rings, such that the structure allows it to interact with protein as well as with DNA.

Natural products containing benzoxazolinate are excellent candidates for pharmaceutically valuable substances, such as antibiotics, anticancer drugs, or immunosuppressants.

Pg | 15 March 2023

An artistic representation of the operation of CRISPR Cas-9.

March
ISSUE ONE
2023

Coffee with Dr. Farida Khan

Therearemorethan7000knownrarediseasesand morethan300millionpeopleareaffectedbythem worldwide.So,

WhatareRareDiseasesandiftheaffectedcrowd influxisthisoverwhelmingthenhowisitrare?

ThedefinitionofRareDiseasesisnotunanimous anddependsuponmultiplefactors.Thesefactors includethegeographicalarea,populationandthe prevalenceofmedicalaidpresentinthatregion.For example,ararediseaseintheUSissomethingthatis foundin1in200,000whileinAustraliaandIndia,it is5in10,000and1in25,000respectively.Thus, rarediseasesaredemographicincharacter.

Stakeholders,pharmacompanies,government healthministries,caregivers,etc.allhavetheir specificrepresentationsandformulatewhichdrugs and diseases fall into the category

Coffee with Farida Khan, conducted by Bandaru Hemanth Krishna, on 28th February, 2023.

of ‘rare’ and decide whether or not the treatment for the particular disease can or cannot be provided to the general public.

Orphan Drug Act:

The Orphan Drug Act, passed in the US in 1983, lets us decide the geographical area for which we decide the rare diseases based on the criteria talked about earlier. Every country was called as a representative to formulate a policy accepted by the worldwide audience and a ratio is normalized for each country. An orphan drug is one used to treat, prevent or diagnose a rare or neglected disease. While a rare disease is the one described above, a neglected disease is something that has not been noticed for a while, technically speaking – eradicated in a given area.

How these diseases are being handled?

Now it would be both interesting and informative to note that the two categories of rare diseases i.e., the infectious and the non-infectious, are taken care of by two different organizations. Centre of Drug Control, Atlanta (CDC) is US based organization that aims to tackle the problems faced by people worldwide due to infectious diseases, food-borne pathogens, and other communicable disease causative agents. While rare noninfectious mainly occur due to genetic reasons caused either due to the carrier of some disease or manifest due to a mutation. They have a comprehensive spectrum and procedure of diagnosis.

ISSUE ONE March 2023
Pg | 18

Drawbacks to the policy of the FDA:Drawbacks to the policy of the FDA: FDA, closely in association with key stakeholders, patients, and advocates, aids in the development of drugs and devices to tackle rare diseases. On average FDA takes 1 year to find the cure for 1 rare disease and we have 5000-7000 recorded rare diseases. So, can you estimate how many centuries it would take to finally make every rare disease curable?

However, price of drugs is very high, leaving a middleclass family unable to afford such cures. Various Organizations have been working tirelessly to help better these conditions e.g.:

1) NORD: https://rarediseases.org/

2) GARD: https://rarediseases.info.nih.gov/

3) INDOUS: https://www.indousrare.org/about-us/

4) Global Gene: https://globalgenes.org/about-us/

Where does Bioengineering employ itself?

Mostly these diseases do not need a tablet form of therapy instead need some kind of supportive structure or prosthesis.

For e.g. -A small chip was placed inside the brain of a person facing a disease where his vision was getting lesser and lesser and ultimately, they were getting blind due to a stimulant in their brain. The development of the chip led to restoring their vision not completely but to some extent. So, people like they need bioengineers like you!

ISSUE ONE March 2023

Under the microscope

Viral oncolytic therapy is a type of cancer treatment that uses genetically modified viruses to target and destroy cancer cells. These viruses selectively replicate within cancer cells, causing them to rupture and die while leaving healthy cells unharmed.

The idea is to use viruses as a means to deliver cancer-killing agents directly to tumor cells. The viruses target cancer cells specifically, replicating and spreading throughout the tumor, killing cancer cells in the process.

1

This therapy can be used in combination with other cancer treatments, such as chemotherapy or radiation therapy, to increase overall effectiveness. Additionally, because the viruses are designed to target cancer cells, there is less risk of damage to healthy tissues.

Normal Cells, 2 Replication Blocked, 3. Tumor Cells, 4. Viral Replication, 5. Tumor Destruction
1 2. 3 4 5

The Bioengineering Chapter

Keeping Biology Weird

Creating a legacy for future generations of bioengineers and technologists to partake in and contribute.

Inspiring students from across the nation to appreciate the role of biology in ushering in a new age of science and technology

VISION MOTIVATION MISSION

Pursue excellence in learning, discovery, and innovation at the intersection of engineering and life sciences.

ISSUE ONE Pg | 21 March 2023

VIT BHOPAL University

March 2023 Issue 1

Turn static files into dynamic content formats.

Create a flipbook
Issuu converts static files into: digital portfolios, online yearbooks, online catalogs, digital photo albums and more. Sign up and create your flipbook.
The Rings of Power by The Bioengineering Club - Issuu