LatinX SA Medical March 2024 issue

Page 1

LATINX SA Medical Magazine

FeaturedNurse Monicamartinez-bazan MMB

Latinasand BreastCancer

TheImportanceofHydration andDetoxification: MealPrep BeefandBroccoli

March 2024 DR.JeffreyMartinez

VascularSurgerySpeciallist

P.6

P.10

TableofContents

GourmetGainz

Monthlymealprep

JoeMontague

TheImportanceof hydrationanddetoxification

Dr.pinkston

P.14 nurseofthemonth monicamartinez-bazan

P.18 latinasandbreastcancer providedbybcrf

P.24

P.28

Dr.Jeffreymartinez(English) espadavascular

Dr.Jeffreymartinez(spanish) espadavascular

P.40 thetransforming powerofexercise fordiabetics

P.44 benefitsofregular chiropracticcare

P.32

Diabetesinthe latincommunity

P.36 understandingglaucoma

thesilentthief ofsight

Allrightsreserved. Nopartofthispublicationmay bereproduced,distributed,or transmittedinanyformbymeans, includingphotocopying,recording, orotherelectronicmethods withoutthepriorwrittenpermission oftheauthor,exceptinthecaseof briefquotationsembodiedin reviewsandcertainother noncommercialusepermittedby copyrightlaw.Forpermission requestwritetotheaddressbelow

latinxsa@gmail.com

To place anAd in this Magazine email sales.latinxsa@gmail.com or call 210.281.1259

6

MEAL PREP of the MONTH

Hi, My name is Joe Montague. A former gym trainer and current nutrition chef. For years I struggled with my weight. I jumped from one fad diet to another trying to find something that worked! When I say I tried it all, I mean I tried it ALL.No carbs, all carbs, paleo, keto, fasting, you name it. What I found was that these diets were far too restrictive, for someone like me who enjoyed food.

That is why I started Gourmet Gainz, a meal prep company based in San Antonio Texas.

Gourmet Gainz is based on the fact that you can still enjoy the foods you love, by just making healthier, more calorie conscious substitutions to the recipes. No “diet” is going to work for you, if you do not enjoy what you are eating. I take meals that would normally be considered a “cheat meal” and turn them into recipes you can enjoy on a daily basis. Recipes like this month’s recipe of the month:

Beef and Broccoli:

What you’ll need:

1lb flank steak

3 tablespoons liquid aminos

1 tablespoon minced ginger

½ cup low sodium beef broth

1 ½ tablespoons arrowroot powder

3 tablespoons coconut sugar

1 tablespoon olive oil

¼ cup water

1 ½ tablespoons minced garlic

4 cups broccoli florets

Instructions:

1. Slice the steak into quarter inch thick pieces about 2 inches long

2. Mix arrowroot with water, whisk well. Then combine with the liquid aminos, ginger, beef broth and sugar. Whisk well and set aside

3. Set a large non-stick skillet on medium heat. Toss in olive oil. Once oil is warm, add garlic and cook 1-2 minutes, stirring frequently to not burn.

4. Increase heat to medium-high, add pieces of steak. Cook 3-4 minutes until outside edges of the steak are seared.

5. Reduce heat back to medium, pour in your sauce mixture. Stir immediately and then add broccoli

6. Cook for about 2 minutes. Sauce will thicken. Remove from heat and let sit for 3-4 minutes

7. Stir and serve with cooked white rice or cauliflower rice

Makes 5 servings l Prep: 5 minutes l Cook: 15 minutes

Serving size ⅕ of recipe: Calories 263, Protein: 21g, Carbs: 15g, Fat:14g, Fiber:2g, Sugar:8g, Sodium:435g

Dairy free, Gluten free

Find me on facebook and Instagram @GourmetGainz_SA

Email: GourmetGainzsa@gmail.com

7

TheImportanceofHydrationandDetoxification: UnlockingtheSecretstoaHealthySpringandSummer

In our quest for health and wellness, we are subject to buzzwords, phrases, and a constant bombardment of information and advertising. With easy internet access toinformation, how do you know what is true and what isn’t? How do you know which products and services are good for you and which are sales pitches?

Concentrating on the fact we are about to enter the summer months and the heat has been newsworthy, two things that are highly relevant and searched are hydration and detoxification. Realizing one cannot be without the other, these basic principles have existed sincethe dawn of civilization yet are the focus of a billion dollar industry

You do not have to look very farto feed your body the basics of what it needs to cleanse itself and prevent dehydration. Why is dehydration so essentialto avoid? What does good hydration mean, and can hydration be over-achieved?

Hydration allows your body to maintain its levels of minerals and electrolytes. Each cell needs sodium, potassium, magnesium, and other basic minerals to perform all the electrical tasks of speaking between themselves These internal electricalmessages allow our heart to beat and the nerves tokeep our brain functioning and muscle movements. Hydration allows our body to rid itself of toxic exposures, so even thesunscreen, mosquitosprays, grass fertilizers on the field, etc , can be cleared from the tissues and liver by improved circulation, regular bowel movements, sweating, and urination and good hydration allows all of these functions to occur naturally and regularly. Hydration allows vitamins and nutrients to build our muscles and tissues and feed thei r tasks .

10

Theadvertisingandmarketingindustry depends onyourlack ofknowledgeanddesperationfor informationonthelatest andgreatesttobuy theirproducts.Hydrationissimple. Mineral water from goodsources inglassandstainless steelcanisters,locallygrownproduceinseasonand organic ornon - GMOandrainbowof colors, regularexercise, anddaylightwithout direct sun, avoiding10am to2pm, andstressreductionaretheways toimproveyourbodies functionand needs without ahighpricetagorcomplicatingyourefforts. Ilikeglutathione, magnesium glycinate, andsimplewateradditivessuchaselectrolytebalancingpackets without additives, andpleaseavoidsugar - loadedelectrolytedrinks. Eventhelowsugaror“nocarb”drinks have artificialsweeteners, andwearenot abletodifferentiateartificial sweeteners from puresugaror highfructosecornsyrup. IVhydrationbars andclinics areexcellentforhangovers orafter intenseworkouts, butyoushouldavoidbothpractices becauseneitherisgoodforyou.

Headaches, legcramps, disorientation, nausea, andevensignsofthirst aresignsyouhave pushedyourbody toofarandaredehydrated Dehydrationhappens quickly

Dehydrationinterrupts allof theseessentialfeatures, andyes,youcanoverdohydration. If too muchwateris without balancelikeagallonplus of pureordistilledwaterallat onceorany rehydrationtooquickly, dependingontheseverity of dehydration, itcancausesodium and potassium levels todroprapidly andis deadly, sostay hydratedandprevent dehydrationas a precaution .

Theoldruleof 8-10glasses aday is toovague, sotheCDCstatesthat womenneed2.7liters a day andmen3liters aday.I say this isthebareminimum especially inthis summerheat orif youareworkingoutsideandexercising.Acupof 6-8Ozevery 10-20minhelps tostay hydrated, but rememberif youfeel thirsty,youarealready dehydratedintheearly stages

Stayinghydratedimprovesyoursweating, urinating, andbowel movements, whichis howwe removetoxins,anddrinkingplenty of waterkeepsthebloodwashingthroughyourorgans and musclestoflushthosetoxins. Cheapandeasy detoxification!

! HaveagreatSpringandbepreparedforthehotsummertocome,andstaywell!

11

Ialways knew I wanted to be a nurse but my direcon was unclear aer high school and so I worked two jobs while sll going to college and taking all my basics prior to applying to a nursing program. My academic track took a different path at that me, and I decided to pursue my bachelor degree in accounng instead. I graduated with my Bachelor of Business Administraon (BBA) in Accounng from University of Texas at San Antonio (UTSA) and worked for the Veterans Affairs (VA) Department for 7 years. I was reminded of the promise I made to my maternal grandfather of becoming a nurse with a passion to work with mothers and babies. My goal was to be a registered nurse in the Neonatal Intensive Care Unit (NICU). Three months aer geng married in October 2015, my nursing career would finally begin in January 2016 aer aending San Antonio College’s 2-year Associate Degree in Nursing (ADN) program. I passed the NCLEX-RN (Naonal Council Licensure Examinaon for Registered Nurses) in January 2018 and commenced my job hunt. Acquiring a nursing specialty posion aer passing the NCLEX with no work experience was not an easy task. Emergency services, intensive care units, pediatric, and operang room posions were extremely compeve at the me I worked in the Methodist Healthcare System as a Paent Care Assistant (PCA) for a year and a half at night while aending nursing school during the day and while sll working for the VA the other part of the day partme, therefore, I had hoped this hospital experience and my passion for maternal newborn care would land me the job of my dreams. I aended job fairs for newly graduated nurses to meet and perhaps interview with various units within the HCA Methodist Healthcare System. Most Methodist hospitals aend this event including Methodist Children’s Hospital, which I was hoping to interview with for a full-me NICU posion. Lile did I know my faith had other plans for me. I was called for an interview at Methodist Stone Oak Hospital for a full-me PostpartumMother/Baby posion and was hired. I was mentally prepared for this opportunity because I had such a passion for maternal/newborn health, and sll do, but I wasn’t ancipang how much I’d fall in love with the Mother/Baby RN posion. I held a student membership with AWHONN, (The Associaon of Women's Health, Obstetric and Neonatal Nurses) a nonprofit organizaon dedicated to promong the health of women/newborns and was already familiar with the nursing care during the postpartum period on the surface. Aer 2 years of dedicated service to postpartum and newborn care, I passed the Naonal Cerficaon Corporaon (NCC) for Obstetric, Gynecologic, and Neonatal Speciales exam for Maternal Newborn Nursing (RNCMNN) and offcially became a Naonally Cerfied RN in that field. My passion for newborn care grew as I was given the privilege to work with postpartum moms, assisng with breaseeding, educang families as a unit, and being a labor and delivery baby catcher. However, my true

14

passion for working with newborn and premature babies grew as I was also given the opportunity to work as a fill-in NICU RN at Methodist Stone Oak’s Level 2 NICU. In 2021, I was ready to go back to work full-me aer having my first child in November of 2019 and having been primarily a stay-at-home mom during the COVID pandemic in 2020. I had not yet finished my BSN (Bachelor in Science of Nursing) therefore I was aware that I would, again, be compeng with brand new graduate nurses who had just passed their NCLEX and had their BSN degrees. However, I was confident that my experience and experse would give me a fighng chance. Sure enough, As I received a call for an interview with the Methodist Children’s Hospital.On the drive home I received a call and was offered a full-me posion as a NICU RN. By the grace of God and my willingness to go back to working the grueling overnight shi, I began my NICU journey in April 2021. Four months later though I would have biersweet life changing events happen. In August 2021, I lost my beloved maternal uncle whom I held very dear to my heart. My uncle, Guadalupe N. Espinoza, was the first person I called aer receiving the NICU job offer. He expressed his pride and joy for me in a way that brought me to tears aer hearing him so happy for me. The second life changing event happened around that same me when I discovered I was pregnant with idencal twin girls. I had just started my NICU job 4 months prior and was unsure how I would manage working full-me overnight shis while being pregnant with twins. I’ve always loved Methodist’s culture and adoraon about the family unit and family values. I fully disclosed my pregnancy with my management, and they accommodated my needs that worked exceponally well for myself and the unit My husband and I are now the parents of 3 toddlers, our son Liam who is 3 and twin 1-year old girls, Emma and Olivia. I currently remain working as a NICU RN, but my primary role is a stay-at-home mom, who is preparing to officially home school our son. I also connue to parcipate in NICU team commiee meengs to stay abreast of the unit’s updates, goals, and changes. With any free moments I might have throughout my loving hecc days,you might find me reading evidence-based arcles on treatments for premature cardiac or respiratory distressed newborns, reading new research studies on maternal/newborn care, and reading through the RNC-NIC cerficaon study guide, because with only two final classes le I maintain a connuous determinaon to fully complete my BSN by spring of 2024 and obtain my Neonatal Intensive Care (NIC) naonal cerficaon in the near future.

FernandoMora Founder/President 210.445.3904 email:fmora@moravationministry.org ScantomakeaDonation $29 TEXT TJ SOUTHPARK” To56468 IncludesConsultation,ExamandAdjustment Walk-ins Welcome Open Evenings & Weekends No Insurance Needed thejoint.com New Patient VISIT Ask About Our Monthly Membership 2716SWMilitaryDrSte102 San Antonio, Tx. 78224 210.444.9115 “

How Hispanic Women and Latinas are impacted by breast cancer

Hispanic women and Latinas are not homogeneous, and the risk of developing breast cancer among these women varies by national origin and genetic ancestry. In the U.S., breast cancer incidence in the overall group is 28 percent lower than in non-Hispanic white women, who have the highest incidence rate, according to recent data from the American Cancer Society.

While this statistic seems encouraging, breast cancer is still the leading cause of cancer deaths in these populations, as in all women. Although Latin America is genetically diverse, Hispanic women and Latinas are more likely to be diagnosed at a younger age and with more aggressive disease such as triple-negative breast cancer, which has fewer targeted treatments. They are also diagnosed at more advanced stages and are about 30 percent more likely to die from their breast cancer than their non-Hispanic white counterparts.

Many complex and interconnected factors contribute to racial disparities in breast cancer development and outcomes. These factors include genetics, lifestyle, access to healthcare, social determinants of health, and limited research conducted in people of color. Data make clear that advances in treatment that have dramatically reduced breast cancer mortality have not equally benefited all groups.

Latinas and Breast Cancer
18
Article From

Whataccountsfordisparitiesin outcomes?

Hispanics and Latin Americans are less likely to receive screening for BRCA mutations compared to other populations worldwide. Studies thus far, however, find that women in many regions of Latin America have higher BRCA mutation incidence with specific mutations frequently seen in the population, as well as differences in how their breast cancer behaves. To date, research has found no difference in treatment response rates between Hispanic women and Latinas and other ethnic groups.

Social determinants also significantly influence overall health because they impact nearly every aspect of care, including access to insurance, preventive care, and treatment. Hispanic women and Lat inas are disproportionately affected by these factors, which is reflected in the lower rates of screening mammography among this group. Regular screening mammograms are considered to be one of the most reliable methods to detect breast cancer in its early stages. While breast cancer screening has increased across all racial and ethnic groups, Hispanic women and Latinas are still less likely to be diagnosed with early-stage breast cancer, partially due to infrequent mammograms or lack of follow-up on abnormal screening results. This delay results in more advanced breast cancer at the time of diagnosis. Explanations for lapsed mammography could include inadequate health insurance coverage, limited access to care, lack of knowledge of the healthcare system, or language barriers.

Lifestyle can play a critical role in breast cancer prevention. Hispanic women and Latinas in the U.S. have a higher incidence of breast cancer than their counterparts living in Latin America, most likely due to lifestyle changes. Diets rich in vegetables, fruits, whole grains, and low in red meat and alcohol like the traditional diets of many ethnic groups in Latin America have consistently been associated with a decreased risk of breast cancer. Consuming a more American diet by choice o r because of lack of access to fresh foods and associated weight gain may be responsible for this discrepancy in breast cancer risk among Hispanic women and Latinas, particularly after menopause.

19

Workingtowardasolution

BCRFrecognizesthecontinuedneedforresearchthateradicatesdisparitiesand improvesoutcomesforallbyfosteringinnovativeandcollaborativescience.BCRF investigatorsareworkingtounderstandthedifferencesinbreastcancerbiologyacross racialandethnicgroupsandaremakingstridestoreducetheriskofbreastcancerforall women.

Whilewehavemadesignificantprogressinunderstandingdriversofbreastcancer, moststudiesandclinicaltrialsareinnon-Hispanicwhitewomen.Increasing participationofunderrepresentedgroupsprovidesanopportunitytogainvaluable insightsintotumorbiologyanditsvariationsamongallpeople.Thiswillultimately enablethedevelopmentofmorepersonalizedtherapiesandimproveoutcomesfor HispanicwomenandLatinasdiagnosedwithbreastcancer.

20

210-872-3668

210-362-1753

Your healing is our priority!

Don’t give up hope!

We have customized, innovative

treatment plans that may work for you!

ConditionsWeTreatInclude:

Diabetic Foot Ulcer

ChronicVenousInsufficiency*

ChronicVenousStasisUlcer

PeripheralArterialDisease(PAD)*

FootandAnkleDisorders

Bunions

HammerToes

ChronicLymphedema*

ChronicEpisodesofCellulitis*

AutonomicNerveTesting/Foot

Non-healingFractureofFoot

FootInjuries

ChronicFootPain

NeuropathicBurningFeet

SurgicalFootEvaluations

DiabeticFootEvaluations

PlantarFasciitis/HeelPain

Nuestra prioridad es curarte! No pierdas la esperanza!

Tenemos tratamientos nuevos y personalizados para ti!

Condicionesquetratamos:

Ulcera Diabetica

insuficiencia venosa crónica estasis venosa crónica

enfermedad arterial periférica condiciones del pie y tobillo

Juanetes Dedos de martillo

Linfedema y piernas hinchadas celulitis crónica prueba del nervio autónomo del pie fracturas del pie lesiones del pie dolor del pie pies ardientes neuropáticos

evaluación para cirugía del pie evaluación del pie diabético

fascitis plantar/ dolor de talón

Visit Our New Location
Briggs, Suite 600 San Antonio, TX 78224
94

MEET DR. MARTINEZ

IntheheartofSanAntonio,wheretheMartinezfamily'srootsrundeep,Dr Jeffrey Martinezhasnotonlycontinuedafamiliallegacybuthasbecomeapioneerinthefield ofvascularsurgery,leavinganindeliblemarkonthecommunity.

Bornintoalineagethatsettledintheregionin1715,Dr Martinez'sconnectiontoSouth Texasgoesbeyondhisprofessionallife.Hisfamilyhasplayedapivotalroleinthe developmentofthearea,witnessingitstransformationfromundiscoveredterritorytoa thrivingcommunityonthesouthsideofSanAntonio.Itwasthisrichheritagethat inspiredhimtocontributetothewell-beingofthepeopleinhishometown.

AfterpursuinghisundergraduateeducationatTexasA&MUniversity,Dr Martinez embarkedonhismedicaljourneyattheUniversityofTexasHealthScienceCenteratSan Antonio.Hiscommitmenttoexcellenceledhimtocompletehisresidencytrainingin generalsurgeryatthesameinstitution,followedbyavascularfellowshipatthe UniversityofTennesseeMedicalCenterinMemphis.

Dr.Martinez'sdedicationtoserviceextendedtotheU.S.Navy,wherehespenteight yearsonactiveduty.FromtheUSSTrenton(LPD17)totheUSSEnterprise(CVN65),and finallyastheChiefofVascularSurgeryatNavalHospital,Portsmouth,Virginia,hehoned hisskillsandgainedauniqueperspectiveonhealthcare.Hismilitaryservicenotonly instilleddisciplinebutalsofueledhispassionforprovidinghigh-qualitymedicalcareto thoseinneed.

ReturningtoSanAntonioin2001,Dr.MartinezsetouttomakeadifferenceintheLatin communityonthesouthside.Foryears,hewasdedicatedtocaringforsomeofSouth Texas’mostneedy Allthewhile,hegainedperspectiveandexperienceonthe community’schallengestocare.Recognizingtheunderservedmedicalneedsandthe prevalenceofvasculardiseaseswithintheLatinCommunityonthesouthsideofthecity, hefoundedEspadaVascular,offeringstate-of-the-artvascularcareofthelower extremity.Dr.MartineztreatspatientsandofferseducationonPAD(peripheralartery disease)andothervasculardiseasesthatoftenaffecttheLatinCommunity.Hisfour convenientlylocatedoffices,anOutpatientBasedprocedurefacility(OBL),exemplifyhis commitmenttoaccessiblehealthcare,sparingpatientstheinconvenienceoffrequent hospitalvisits.

Withateamofhighlydedicatedstaff,state-of-the-arttechnology,andunparalleled commitmenttohispatients’wellbeing,EspadaVascularisnotjusttreatingconditions,it istransforminglives.Itsmissionistorevolutionizethewayvasculardiseasesare diagnosed,treatedandmanaged.Thegoalistocreateanindividualizedapproachto vascularhealththatharmonizeswithone’soveralllifestyle.

24

Beyondthewallsofhispractice,Dr Martinezextendshishealingtouchtocommunity centersandretirementhomes Withafocusoneducation,heraisesawarenessabout thesignsandsymptomsofvasculardiseases,empoweringindividualstotakechargeof theirhealth.Amanofdiverseinterests,Dr.Martinezdedicateshisdowntimetoalocal podcast,PuroPedoTalkShow,andactivecommunityinvolvement.Hismultifaceted approachtolifereflectshisbeliefinGod,thewell-beingofindividuals,emphasizingthe importanceofcommunityconnections,andhealtheducation

Inhispursuitofexcellence,Dr.Martinezhasnotonlyembracedcutting-edge technologiesbuthasalsobeenaleadinvestigatorfornumerousclinicaltrialsinvolving peripheralarterialdisease.Hiscontinualquestforknowledgeanddedicationto evaluatingnewtreatmentoptionsshowcaseshiscommitmenttoprovidingthebestcare forhispatients.

TheSouthsidecommunityisdisproportionatelyaffectedbythetriadofdiabetes, peripheralarterialdisease(PAD),andamputation,leadingtoahigherprevalenceof amputations

DiabetesisasignificantriskfactorforPAD Highbloodsugarlevelscandamageblood vessels,leadingtothedevelopmentofPAD.

PADaffectsapproximately8.5meanpeopleintheUnitedStatesanditsprevalence increaseswithage. Newerevidencesuggeststhatcloserto20-24millionpeople(about thepopulationofTexas)intheUnitedStatesareaffected.

HispanicshaveahigherprevalenceofPADcomparedtootherethnicgroups Thisis linkedtohigherratesofdiabetesandmetabolicsyndromeinthispopulation.

PADoftengoesundiagnosedbecauseitssymptoms,suchaslegpainornumbness,are frequentlyattributedtoagingorotherconditions

PADisoneoftheleadingcausesoflimbamputations Itisestimatedthatevery30 secondssomeoneintheworldlosesalimbduetocomplicationsfromPAD. Inthe UnitedStatesadiabeticlosestheirlimbevery3to4minutesduetoPAD. Diabetescanleadtonumerouscomplicationssuchasheartdisease,kidneydamage,eye damage,nervedamage,whichsignificantlyimpactaperson'squalityoflife.

Peoplewithdiabetesareatamuchhigherriskoflowerlimbamputations. Diabeticfoot ulcers,commoncomplicationofdiabetes,proceed85%ofdiabetesrelatedamputations. Amputationsignificantlyimpactsaperson'slife,includingtheirmobility,independence, andmentalhealth. Itoftenleadstohigherhealthcarecostsandreducedlife expectancy

Regularphysicalactivity,healthydiet,smokingcessation,andproperfootcarecan significantlyreducetheriskofdiabetesandPAD,andsubsequently,theriskof amputation

Regularmedicalcheckupscanhelpinearlydetectionandmanagementofdiabetesand PADandotherriskfactors. Thiscanpreventordelaycomplicationsandimprovethe overallqualityoflifeforthoselivingwiththeseconditions.

AtaEspadaVascular,Dr.MartinezistryingtocombatPADbypromotingawarenessand understandingaboutdiseases. Hisclinicsincreasetheaccesstodetection,treatment, andreducingtheriskofamputation.

Let'sacttogethertoprotectourcommunityfromthedevastatingeffectsofdiabetes, PAD,andamputation.InthelegacyoftheMartinezfamily,Dr.JeffreyMartinezstandsas abeaconofhealinginSanAntonio.Hisjourneyfromnavalservicetopioneering vascularcareisnotjustastoryofpersonalsuccessbutatestamenttotheenduring impactoneindividualcanhaveonthehealthandwell-beingofanentirecommunity

25

CONOCER DR. MARTINEZ

EnelcentrodelcorazóndeSanAntonio,dondelasraícesdelafamiliaMartinezcorren profundamente,elDr.JeffreyM.Martineznosolocontinuandoellegadofamiliar,perovino aconvertirseenunpioneroelcampodelacirugíavascular,dejandounahuellaimborrable enlacomunidad.

Nacidoenunlinajequeseestablecióenlaregiónen1715,laconexiónqueelDr.Martinez tienealsurdeTexasvamasalládesuvidaprofesional Sufamiliahasidoparte fundamentalypresenciandoeneldesarrollodelazona,siendotestigodesu transformacióndeunterritoriodesconocidoaunacomunidadprosperaenelladosurFue estaricaherencialaqueloinspiroacontribuiralbienestardelagentedesuciudadnatal. DespuésdecontinuarsueducaciónuniversitariaenTexasA&MUniversity ,elDrMartinez iniciosutrayectoriamedicaenlauniversidad.Sucompromisoconlaexcelencialollevoa completarsuresidenciaenlacirugíageneralenlamismainstitución,seguidadeunabeca vascularenlaUniversityofTennesseeMedicalCenterenMemphis.

LadedicaciónalservicioseextendióalaMarinadelosEE.UU.,dondepasoochoañosen servicioactivo DesdeelUSSTrenton(LPD17)hastaelUSSEnterprise(CVN65),y finalmentecomoJefedeCirugíaVascularenelhospitalNaval,Portsmouth,Virginia, perfeccionosushabilidadesyobtuvounaperspectivaúnicasobrelaatenciónmédica.Su serviciomilitarnosololeinculcodisciplina,sinoquetambiénalimentosupasiónpor brindaratenciónmedicadealtacalidadalosnecesitados

RegresandoaSanAntonioen2001,Dr.Martinezsepropusomarcarladiferenciaenla comunidadlatinadelladosur.Duranteañossededicóalcuidaralgunosdelosmas necesitadosdelsurdeTexas.Almismotiempo,adquirióperspectivayexperienciasobre losdesafíosdelacomunidadenlamateriadeatención.Reconociendolasnecesidades médicasmenosatendidasylaprevalenciadeenfermedadesvascularesdentrodela comunidadlatinaenelladosurdelaciudad,formoEspadaVascular,ofreciendoatención devanguardiaparalasextremidadesinferiores.ElDr.Martineztratalospacientesyofrece educaciónsobreEAP(enfermedadarterialperiférica)yotrasenfermedadesvascularesque afectanlacomunidadLatina.Suscuatrooficinasconvenientementeubicadasyincentro deprocedimientoambulatoriosejemplificansucompromisoconunaatenciónmedica accesible,evitandoalospacienteslamolestiadevisitasfrecuentesalhospital. Conunequipodepersonas,altamentededicados,tecnologíadepuntayuncompromiso incomparableconelbienestardesuspacientes,EspadaVascularnosolotrataafecciones, sinoquetransformavidas.Sumisiónesrevolucionarlaformadediagnosticar,tratary gestionarlasenfermedadesvasculares.Elobjetivoescrearunenfoqueindividualizado parasaludgeneralquearmoniceconelestilodevidageneral.

28

Masalládelosmurosdesupráctica,elDrMartinezextiendesutoquecurativoalos centrosdecomunidadyhogaresderehabilitación.Conenfoqueyeducación,crea concienciasobrelossignosysíntomasdelasenfermedadesvascularescapacitandoalas personasparaquesehagancargodesusalud.UnhombreconinteresescontrariosElDr Martinezdedicasutiempolibreaunpodcastlocal,PuroPedoTalkShow,ylaparticipación delacomunicad.SuenfoquemultifacéticodelavidareflejasucreenciaenDios,yel bienestardelaspersonas,enfatizandolaimportanciadelasaludylaeducación.

Ensubúsquedadelaexcelencia,elDr . Martineznosolohaadoptadotecnologíasde vanguardia,sinoquetambiénhasidoelinvestigadorprincipaldenumerososensayos clínicosrelacionadosconlaenfermedadarterialperiférica.Subúsquedacontinuede conocimientosydedicaciónparaevaluarnuevasopcionesdetratamientodemuestrasu compromisodebrindarlamejoratenciónasuspacientes.

LaComunidaddelSurseveafectadadesproporcionadamenteporlatriadadediabetes enfermedadarterialperiférica(EAP),yamputacionesloquellevaaunamayorprevalencia deamputaciones.

DiabetesesunfactorderiesgoparaEAP.Altosnivelesaltosdeazúcarpuedendañarlos vasossanguíneos,loquellevaaldesarrollodeEAP

EAPafectaaproximadamente8.5millonesdegenteinlosEE.UU.ysuprevalenciasube conlaedad.Nuevaevidenciasugierequemascercasde20-24millóndegente(casila populacióndeTexas)inlosEE.UU.sonafectados.

Hispanosdieronunamayorprevalenciaa EAPcomparadoaotrosgruposétnicos.Estoes porloscasosmasaltosdediabetesysindromametabólicoenestapopulación

EAPnosediagnosticadebidoaquesussíntomas,comodoloroentumecimientode piernas,seatribuyenconfrecuenciaalenvejecimientoyotrasenfermedades

LaEAPesunadelasprincipalescausasdeamputacionesdeextremidades;seestimaque cada30segundosalguienenelmundopierdeunaextremidaddebidoacomplicacionesde laEAP EnlosEstadoUnidosundiabéticopierdesuextremidadcada3-4minutos Diabetespuedeprovocarnumerosascomplicacionescomoenfermedadescardiacas, dañosrenales,dañosoculares,ydañosdelosnervios,queafectansignificativamentela calidaddelavidadeunapersona.

Personascondiabetestienenmasaltoriesgodeamputacionesdemiembroinferior. Ulcerasdiabéticasdelospies,complicacionescomunesdediabetes,proceden85%de amputacionesrelacionadasaladiabetes.

Amputaciónafectasignificadamentelavidadeunapersona,incluyendosumovilidad, independencia,ysaludmental. Ytambiénconducencostosmayoresmédicosyreducela esperanzadevida.

Actividadesfísicasregularmented,unadietasaludable,cesacióndefumar,ycuidado adecuadodelospiespuedesignificadamentereducirelriesgodediabetesyEAP, subsecuenteelriesgodeamputación

Chequeosmédicosregularespuedendetectarymanejareldiabetes,EAP,otrosriesgosy factores Estoprevienecomplicacionesymejorasobretodolacalidaddevidapara aquellosconestascondiciones.

EnEspadaVascular,elDrMartinezestátratandodecombatirEAPpromoviendola sensibilizaciónyelentendimientodelasenfermedades.Susclínicasaumentanla detección,tratamientoyreduciendoelriesgodeamputación

Vamosjuntosactuarparaprotegernuestracomunidaddelosafectosdevastadores efectosdeladiabetes,EAP,yamputaciónEnlegadodelafamiliaMartinez,DrJeffreyM. MartinezsiendounfarodesanaciónenSanAntonio.SuviajedeservicioNavalhasta pionerodesaludovascularnoessolamenteunahistoriadeéxitopersonalperoun testamentodeimpactoduraderoqueunindividualpuedetenerenlasaludybienestarde unacomunidadentera.

29
4 Wheel Alignment SPECIAL AskAboutSamedayService Complete Auto Care Service Available $64.99

Diabetes in the Latin Community: Promoting Health

Understanding the Challenges and

Diabetes is a growing health concern worldwide, and its impact is particularly significant in the Latin community The Latin population faces unique challenges related to diabetes, including cultural factors, genetic predispositions, and access to healthcare. This article aims to shed light on the prevalence, risk factors, and specific challenges that individuals of Latin descent may encounter in managing diabetes.

The Latin community has witnessed a surge in diabetes cases over the years, with a higher prevalence compared to other ethnic groups. According to the Centers for Disease Control and Prevention (CDC), the risk of developing diabetes is almost double for Hispanics/Latinos compared to non-Hispanic whites. This increased prevalence can be attributed to a combination of genetic factors, lifestyle choices, and socioeconomic disparities.

Cultural influences play a significant role in how diabetes is perceived and managed within the Latin community. Traditional Latin diets, rich in carbohydrates and sugars, may contribute to an increased risk of developing type 2 diabetes. Additionally, cultural celebrations often involve food and drinks that can be high in calories and contribute to poor blood sugar control.

Limited English proficiency can be a barrier to accessing crucial diabetes information and healthcare services. Understanding diabetes management instructions, dietary guidelines, and medication regimens can be challenging for individuals who primarily speak Spanish. Healthcare providers need to bridge this gap by offering culturally sensitive and language-appropriate resources to ensure effective communication and understanding

32

Some studies suggest a genetic predisposition to diabetes in individuals of Latin descent. Genetic factors can contribute to an increased risk of developing diabetes, making it essential for healthcare providers to consider familial history when assessing an individual's risk profile.

Members of the Latin community often face socioeconomic challenges that impact their ability to manage diabetes effectively. Limited access to healthcare, financial constraints, and a lack of health insurance can hinder regular check-ups, preventive care, and timely management of diabetesrelated complications.

To address the challenges posed by diabetes in the Latin community, community support and education play a vital role. Culturally tailored educational programs, support groups, and outreach initiatives can empower individuals to make healthier lifestyle choices, manage their diabetes effectively, and reduce the overall burden of the disease.

Diabetes is a significant health concern in the Latin community, with a higher prevalence and unique challenges that require targeted interventions. By recognizing the cultural, linguistic, and socioeconomic factors that contribute to diabetes disparities, healthcare providers, community organizations, and policymakers can work collaboratively to develop strategies that promote diabetes prevention, early detection, and effective management within the Latin population. Empowering individuals with knowledge and support is crucial in creating a healthier future for the Latin community in the face of this chronic condition.

33
Join Us at Your Invited to

IS HIRING!

Wearelookingfordynamicprofessionalstojoinourteam!

WeoffergenerousPTO,benefits,apositiveculture,andmore! OpenpositionsincludeAccountant,DirectorofAnalytics, ChildDevelopmentTeachersandmore.

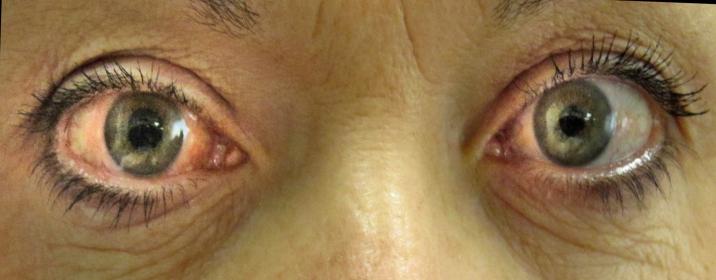
UnderstandingGlaucoma:TheSilentThiefofSight

Glaucoma, often referred to as the "silent thief of sight," is a group of eye conditions that gradually damage the optic nerve, leading to irreversible vision loss. This condition typically progresses slowly and painlessly, and in its early stages, individuals may not experience noticeable symptoms. As a result, glaucoma can go undetected until significant vision impairment occurs This article aims to shed light on glaucoma, its causes, risk factors, symptoms, and available treatments

What is Glaucoma?

Glaucoma is a group of eye disorders characterized by increased intraocular pressure (IOP), the pressure within the eye. The increased pressure can damage the optic nerve, which is crucial for transmitting visual information from the eye to the brain. If left untreated, glaucoma can lead to permanent vision loss and blindness

Causes and Risk Factors:

The primary cause of glaucoma is an imbalance between the production and drainage of the fluid (aqueous humor) inside the eye. When the fluid does not drain properly, it results in an increase in intraocular pressure. While elevated intraocular pressure is a key risk factor, it is not the sole determinant of glaucoma, and individuals with normal pressure can also develop the condition.

Several risk factors contribute to the development of glaucoma, including:

1 Age: The risk of glaucoma increases with age, particularly after the age of 40

2 Family history: Individuals with a family history of glaucoma are at a higher risk.

3. Race: Certain ethnicities, such as African Americans, Asians, and Hispanics, are more prone to developing glaucoma.

4. Medical conditions: Conditions like diabetes, hypertension, and heart disease may increase the risk of glaucoma.

5. Eye injuries or surgeries: Trauma to the eyes or previous eye surgeries can elevate the risk of glaucoma

Types of Glaucoma:

There are several types of glaucoma, but the two main categories are open-angle glaucoma and angle closure glaucoma

36

1 Open-angle glaucoma: This is the most common form, characterized by a gradual increase in intraocular pressure. The drainage angle between the cornea and iris remains open, but the fluid does not flow out as it should.

2. Angle-closure glaucoma: In this type, the drainage angle between the cornea and iris becomes blocked or closes, causing a sudden increase in intraocular pressure. This type often presents with more noticeable symptoms and requires immediate medical attenti

Symptoms:

As mentioned earlier, glaucoma is often asymptomatic in its early stages. However, as the condition progresses, individuals may experience symptoms such as:

1 Blurred vision

2 Severe eye pain

3. Headaches

4. Halos around lights

5. Nausea and vomiting (in the case of acute angle-closure glaucoma)

Regular eye check-ups are crucial for detecting glaucoma in its early stages, especially for those at higher risk.

Diagnosis and Treatment:

Diagnosing glaucoma typically involves a comprehensive eye examination, including measurements of intraocular pressure, visual field testing, and examination of the optic nerve. Early detection is key to managing glaucoma effectively

Treatment options for glaucoma aim to reduce intraocular pressure and prevent further damage to the optic nerve. Common treatments include:

1. Prescription eye drops: These help to lower intraocular pressure by either increasing fluid drainage or reducing fluid production.

2. Oral medications: In some cases, oral medications may be prescribed to lower intraocular pressure

3 Laser therapy: Laser procedures can improve the drainage of fluid from the eye or decrease its production.

4. Surgical intervention: In advanced cases, surgery may be recommended to create a new drainage channel or reduce fluid production.

Glaucoma remains a significant global health concern, affecting millions of people worldwide. The importance of regular eye check-ups, especially for those at higher risk, cannot be overstated. Increased awareness, early detection, and effective management are crucial in preventing the progression of glaucoma and preserving vision. By understanding the risk factors and symptoms associated with glaucoma, individuals can take proactive measures to protect their eyesight and ensure a brighter future for their visual health.

37
Free Bean & Cheese Taco Regular Priced Items With $5 or More Purchase on SpecialsNotIncluded OrdersToGo! (210)592-1125 6606S.Zarzamora SanAntonio,Tx MondaythruSaturday 6:00am-2:00pm ClosedSunday $AVE-A-LOT MATTRESSES & FURNITURE 5403 S. ZARZAMORA SAN ANTONIO, TX 210.924.3022 MONDAY-SATURDAY 9AM-7PM $55 Down Takes Home Today No Credit Check We Also Offer..... 0 Down 0 Interest SPECIAL SALE Mattresses$99 Must Bring in this Coupon STEAMER Fosters CARPET CLEANING Where Courtesy Matters! fostersteamer.com 210-781-7061 UPHOLSTERY TILE & GROUT CLEANING MATTRESS CLEANING WATER EXTRACTION STAIN & ODOR TREATMENT PET TREATMENT COMMERCIAL & RESIDENTIAL AIR DUCT CLEANING

The Transformative Power of Exercise for Diabetics:

A Path to Better Health

Living with diabetes can be a challenging journey, but integrating regular exercise into your routine can be a game-changer. Exercise is a potent tool that offers a myriad of benefits for individuals with diabetes, helping manage blood sugar levels, improving cardiovascular health, and enhancing overall well-being. In this article, we will explore the numerous advantages of exercise for diabetics, shedding light on how physical activity can be a crucial component of diabetes management.

One of the primary benefits of exercise for diabetics is its ability to regulate blood sugar levels. Physical activity increases insulin sensitivity, allowing cells to use glucose more effectively. This means that, with regular exercise, the body becomes better equipped to absorb and utilize blood sugar, leading to improved glycemic control. Consistent physical activity can also reduce the need for diabetes medications in some cases.

Maintaining a healthy weight is crucial for managing diabetes, as excess body weight is often associated with insulin resistance Exercise plays a pivotal role in weight management by burning calories, increasing metabolism, and promoting the development of lean muscle mass. Combined with a balanced diet, regular physical activity can contribute to achieving and maintaining a healthy weight, reducing the risk of complications associated with diabetes.

Diabetes is a significant risk factor for cardiovascular diseases. Regular exercise is a powerful ally in promoting heart health, as it helps lower blood pressure, improve cholesterol levels, and enhance overall cardiovascular function. Aerobic exercises such as walking, cycling, and swimming are particularly

effective in strengthening the heart and reducing the risk of heart-related complications in individuals with diabetes.

40

Exercise enhances insulin sensitivity, allowing cells to respond more efficiently to insulin. This means that the body requires less insulin to transport glucose into cells, ultimately reducing the strain on the pancreas. Improved insulin sensitivity not only helps manage blood sugar levels but also lowers the risk of developing type 2 diabetes in those at risk.

Living with diabetes can be stressful, and stress itself can adversely affect blood sugar levels. Exercise is a natural stress reliever, triggering the release of endorphins, which are the body's feel-good hormones. Engaging in physical activity can help reduce stress and anxiety levels, promoting mental well-being and contributing to better diabetes management.

Regular exercise has been linked to improved mood and better sleep quality. For individuals with diabetes, maintaining emotional well-being is essential, as stress and mood swings can impact blood sugar levels. Incorporating exercise into your routine can help stabilize mood, reduce depression and anxiety, and contribute to more restful sleep.

Incorporating regular exercise into the lives of individuals with diabetes is a key strategy for managing the condition effectively. From blood sugar control and weight management to cardiovascular health and enhanced overall wellbeing, the benefits of exercise are vast. It is crucial for individuals with diabetes to work with healthcare professionals to develop a personalized exercise plan that aligns with their health status and goals. With commitment and consistency, exercise can become a transformativetool in the journey towards better health for those living with diabetes.

41
www.swdiagnostic.com 94 Briggs Ave HiField MRI Monday-Friday:8:00am–5:00pm AcceptingMedicare,Medicaid,most insurance,HMOs,PPOs,andLOPs Shortboretomaximizepatientcomfort PerformsAllState-of-the-Art ImagingTechniques ReducesScanNoise byasmuchas90% OpenAirMRISystem EnhancesPatientComfort-All-AroundAccess GreatforClaustrophobicandFullSizePatients info@swdiagnostic.com SOUTHWEST Suite 100 (210)923-3866 Phone: Fax: (210) 921-7200 88Briggs Avenue Suite110 (210)921-0902 phone (210)923-8220 fax Hours: Monday - Friday: 8:00 am - 5:00 pm X-Ray CTScan Ultrasound

The Surprising Benefits of Regular Chiropractic Care

In the pursuit of optimal health and well-being, many individuals are turning to alternative and holistic approaches to complement traditional medical care. One such avenue gaining popularity is regular visits to a chiropractor. While chiropractic care is often associated with alleviating back pain, its benefits extend far beyond just spinal health. In this article, we will explore the surprising advantages of seeing a chiropractor regularly and how it can contribute to overall wellness.

Pain Relief and Improved Mobility:

One of the primary reasons individuals seek chiropractic care is to address musculoskeletal pain, particularly in the back and neck.

Chiropractors use manual adjustments to realign the spine, reducing tension in the muscles and promoting better joint function. This can lead to significant pain relief and improved mobility, allowing individuals to engage in daily activities with greater ease.

Enhanced Nervous System Function:

The spine plays a crucial role in housing and protecting the nervous system. Regular chiropractic adjustments help maintain proper alignment, ensuring optimal communication between the brain and the rest of the body This can result in improved nerve function, potentially addressing issues such as headaches, sciatica, and even digestive problems.

Boosted Immune System:

Research suggests a link between chiropractic care and a strengthened immune system. When the nervous system functions at its best, the body is better equipped to fend off infections and illnesses. Regular adjustments may contribute to an overall improvement in immune system function, helping individuals stay healthier and recover more efficiently

Stress Reduction:

The physical and mental toll of stress on the body is undeniable. Chiropractic adjustments can have a positive impact on stress levels by 44

Stress Reduction:

The physical and mental toll of stress on the body is undeniable. Chiropractic adjustments can have a positive impact on stress levels by

promoting relaxation, reducing muscle tension, and releasing endorphins. As a result, individuals often report feeling more relaxed and better equipped to handle the challenges of everyday life.

Improved Posture:

Modern lifestyles, characterized by prolonged periods of sitting and screen time, contribute to poor posture Chiropractors can address postural issues through adjustments, exercises, and education. Improved posture not only enhances physical appearance but also reduces the risk of developing musculoskeletal problems over time.

Better Sleep Quality:

Chronic pain and discomfort can disrupt sleep patterns, leading to fatigue and decreased overall well-being Chiropractic care aims to alleviate such issues by addressing the root causes of pain. Many individuals report improved sleep quality and duration after regular chiropractic sessions.

Incorporating regular chiropractic care into a wellness routine can offer a multitude of benefits beyond merely addressing back pain. From enhanced immune system function to stress reduction and improved posture, the positive effects of chiropractic adjustments ripple throughout the body. It's essential to consult with a qualified chiropractor to develop a personalized treatment plan tailored to individual needs. As the field of holistic health gains recognition, the role of chiropractic care in promoting overall well-being continues to be a compelling and valuable option for many seeking a holistic approach to health.

45
TEXASRELOCATIONMOVERS Full Service Moving City to Cityor State to State (726) 229-4904 Texasrelocationmovers@gmail.com MOVING SERVICES Personal / Commercial Properties Loading / Unloading Furniture Setup Junk Removal Over 30yrs Experience TREE CUTS Free Estimates Military Discounts & 210.848.7604 What’s Fair To You It’s Fair To Me” “ Tree Trimming Pruning Top Offs Demoss Roof Clearance Stump Removal Jeremy Flores Amenjv916@gmail.com

Turn static files into dynamic content formats.

Create a flipbook
Issuu converts static files into: digital portfolios, online yearbooks, online catalogs, digital photo albums and more. Sign up and create your flipbook.