Weser Report - West vom 23.04.2023

Page 1

Auflagenstärkste Anzeigenzeitung in Bremen und Umgebung

Keine klare Tendenz

Warum vielen Handwerkern die Planungssicherheit fehlt

Anzeige

Schäck im FDP-Bundesvorstand

Thore Schäck, Landesvorsitzender und Spitzenkandidat der FDP Bremen, ist beim 74. Bundesparteitag der FDP in Berlin in den Bundesvorstand gewählt worden. Unter den Vorschlägen der Landesverbände bekam er mit 86 Prozent der Stimmen das drittbeste Ergebnis. (rl)

Neue E-Scooter in Bremen

Die bisherigen E-Scooter-Lizenzen in Bremen laufen aus. Den neuen Zuschlag erhielten die Unternehmen Lime und Bolt, da es laut Sondernutzungskonzept maximal zwei Anbieter geben darf. Damit lösen sie ab dem 1. Mai die bisherigen Anbieter Tier und Voi ab. (kea)

Pistolen lösen Großeinsatz aus

Nach einem Notruf rückten Spezialeinsatzkräfte der Polizei am Freitagnachmittag zur Waterfront aus. Im Umfeld des Einkaufszentrums trafen sie vier Kinder und Jugendliche an, die alle offen Pistolen trugen. Diese stellten sich als echt aussehende Spielzeuge heraus. (rl)

Anzeige

SONNTAG, 23. APRIL 2023

Einkaufen mit Senioren

Warum Neustädter zur Nachbarschaftshilfe greifen

NR. 3648/53. JAHRGANG

Stürmisch und abwechslungsreich

Kleine Häfen und spektakuläre Natur im hohen Norden Dänemarks

Das Viertel tanzt Samba

Bunt, laut, rhythmisch und vielfältig – so präsentierte sich gestern der Bremer Karneval. Unter dem Motto „Frühlingserwachen“ bespielten mehr als 1.000 Musiker, Maskenspieler, Stelzenläufer, Tänzer und Akrobaten den Ostertorsteinweg und die abgehenden Straßen zwischen Goetheplatz und Sielwall. Mehrere Paraden zogen tagsüber durch das Viertel. Abends ging die Feier in der Lila Eule und im Kulturzentrum Lagerhaus weiter. Foto: Schlie

Der Biber ist angekommen

Ganz frische Nagespuren beweisen, dass der scheue Nager in Bremen wieder heimisch ist

Der Biber ist ein heimlicher Besucher in der Marsch. Nur wenige Menschen haben den Dämmerungs- und nachtaktiven Nager überhaupt schon zu Gesicht bekommen. Seine Spuren dagegen sind kaum zu übersehen. In der vergangenen Woche ist der gelernte Förster Josef Teupe am Weserufer unterwegs gewesen und hat ganz frische Fraßspuren eines Bibers gefunden. Der so genannte Sanduhrschnitt ist ein ganz deutlicher Beweis für einen Biber, erklärt Teupe.

Der Naturexperte mit Jagdschein weiß, dass es in Bremen schon einige Zeit Nachweise von Bibern gibt: Auf dem Blauen Werder, beim Stadionbad, in Mahndorf und am Hemelinger See hat es schon Sichtungen gegeben. Anfang diesen Jahres wurden auf einer Strecke von dreißig Metern am Weserufer zwischen Hemelingen und Bollen zahlreiche Bäume angenagt und auch umgelegt. Für Teupe sind die jetzt entdeckten Fraß-

spuren an Weiden und Erlen daher ein klarer Beweis dafür, dass die Biber versuchen an der Weser heimisch zu werden. Normalerweise ernähren sich die Biber vor allem von Weidenrinde und stauen mit den Stämmen der Bäume Flüsse und Bäche auf. Die Weser sei dafür allerdings viel zu breit, erklärt Teupe. Deswegen hielten die Biber sich jetzt wohl an den Buhnen und Nebengewässern auf, schätzt er. Bei den jetzt zugewanderten Bibern dürfte es sich um den Nachwuchs von nachgewiesenen Biberburgen aus Nebenflüssen der Weser handeln. Nachdem der Nachwuchs ausgewachsen ist, verlassen die Jungtiere die Alttiere und machen sich auf die Suche nach eigenen Revieren. Wahrscheinlich sind die Biber ein Stück weserabwärts gewandert, bis sie das Bremer Stadtgebiet erreicht haben.

Der Naturexperte warnt zugleich vor einer Gefahr für die Tiere: Sie könnten mit Nutrias verwechselt werden. „Der Biber ist eines der am strengsten ge-

Die Nagespuren des Bibers sind deutlich am Baum zu erkennen. Josef Teupe hat sie gemeinsam mit seinem Hund Murphy entdeckt. Foto: Bollmann

schützten Tiere“, weiß Teupe, die ebenfalls am Wasser lebenden Nutrias seien aber das ganze Jahr zur Jagd freigegeben. Die Jäger müssten daher ganz genau hinschauen. Beim Biber könne man im Wasser nur den Kopf sehen, beim Nutria hingegen den ganzen Rücken.

Teupe glaubt nicht, dass normale Passanten den Biber so schnell erblicken werden, da die Tiere tagsüber eigentlich nur unterwegs seien, wenn sie Junge haben. Zudem sollte man sich auch nicht auf die Suche nach den Tieren machen, damit sie nicht gestört würden.

rbe-stuhr.de Besuchen Sie unsere große Ausstellung! Steller Straße 2 28816 Stuhr|Großmackenstedt Telefon: 04206|41 62-0 HAUSTÜREN
WEST Der Elektro-MARKT WA SCH EN • KÜHL EN • KOCH EN • S PÜL EN Gebraucht · Neu · II. Wahl Reparaturen + Ersatzteile aller Fabrikate ‡ 30 24 34 · Faulenstr. 79 · Bremen-Mitte Rundum-Service: • Beratung • Kundendienst • Lieferung • Einbau • Altgeräteentsorgung 20% Rabatt bei Vorlage auf die Überprüfungspauschale ✃ ✃ ✃ ✃ ✃

Nachahmenswert

R IKE F ÜLLER

Rund fünf Wochen ist es her, dass der Nettomarkt an der Gottfried-MenkenStraße geschlossen wurde. Fünf Wochen, in denen aus Sicht der Anwohner nicht viel passiert ist, um die Situation insbesondere für mobilitätseingeschränkte Menschen zu verbessern. Keine Behörde, kein Unternehmen und nicht einmal der Beirat konnten bisher sichtbar helfen. Immerhin: Der Beirat stellt nun Globalmittel für privat organisierte Hilfsangebote zur Verfügung und auch die Gewoba steigt in die Unterstützung der Hilfen ein. Trotzdem ging in den Augen der Anwohner, die den nächsten Supermarkt nur schlecht oder gar nicht erreichen können, zu viel Zeit verloren. Angebote, die sofort umgesetzt wurden, sind rein privat. Und das bis jetzt ohne jegliche finanzielle Unterstützung. Das ist Nachbarschaftshilfe – füreinander da sein und denjenigen helfen, die Hilfe brauchen. Aus der Situation in der Gartenstadt Süd kann auch etwas Positives erwachsen: Zusammenhalt im Ortsteil und das Wissen, dass man sich aufeinander verlassen kann.

Events mit Aussicht

Auf rund 1.200 Quadratmetern sollen ab November dieses Jahres die ersten Gäste am Lankenauer Höft empfangen werden. Am Freitag feierte die Bremer Catering Service GmbH (BCS) Richtfest auf der Landzunge mit dem markanten Turm. Auf zwei Etagen entstehen ein Restaurant sowie ein großer verglaster Eventbereich. Die sechs Meter tiefe Terrasse, mit Blick auf das Wasser und die kürzlich eröffneten

Hausboote, kann ebenfalls genutzt werden. Erste Buchungen für Tagungen und Feiern sind bereits eingegangen. „Wir werden auf jeden Fall in diesem Jahr schon Kohlfahrten anbieten“, sagt Theo Bührmann, Geschäftsführer der BCS. Investiert wurde ein zweistelliger Millionenbetrag. Ein weiterer Plan: Neben dem Gebäude soll ein Privatstrand entstehen, der etwa für Trauungen gebucht werden kann. (rf)

Unklare Aussichten

Warum die Frühjahrsumfrage zur Konjunktur kein einheitliches Bild für das Handwerk liefert

R OBERT L ÜRSSEN

W ESER R EPORT : In der aktuellen Konjunkturumfrage der Handwerkskammer Bremen ist der Geschäftsklimaindex im Vergleich zum Frühjahr 2022 um 35 Punkte auf 102 gesunken. Warum ist die Stimmung im Handwerk so trüb?

T HOMAS K URZKE : Ich würde die Stimmung nicht durchweg als trüb bezeichnen, sie ist besser, als wir im Herbst vermuten konnten. Die Handwerksbetriebe agieren aber zurzeit vorsichtig. Man spürt, dass sich ganz viel verändert. Wir haben hier in der Kammer jeden Monat ein anderes Thema, das uns und die Betriebe beschäftigt. Das führt dazu, dass man nicht mehr die Planungssicherheit hat wie in früheren Jahren. Insgesamt zeigt die Umfrage ein sehr uneinheitliches Bild. Wir haben keine klare Tendenz.

O LIVER K RIEBEL : Wenn man auf die Umfrage schaut, dann heben sich die positiven und die negativen Äußerungen auf.

Abgesehen vom Kfz-Gewerbe berichten viele Branchen über sinkende Umsätze. Wie erklären Sie sich das?

K URZKE : Auch das hat wieder eine Vielzahl von Gründen. Einige Firmen sind geschrupft aufgrund von Fachkräftemangel. Handwerker sind im Durchschnitt keine großen Unternehmen. Wenn von durchschnittlich vier bis zwölf Mitarbeitern einer weggeht, macht sich das sofort bemerkbar. Auf der anderen Seite haben wir jetzt konjunkturell ein Winterhalbjahr hinter uns. Das legt das ganze Außenhandwerk lahm. Da ist es normal, dass die Umsätze in den Bauberufen sinken.

Auf zwei Etagen entsteht derzeit am Lankenauer Höft die neue Eventlocation mit Restaurant. Foto: Schlie

K RIEBEL : Wenn Sie den Endkonsumenten nehmen, der

genau schauen muss, wo er sein Geld investiert, der überlegt sich zweimal, ob er sein Brot beim Bäcker kauft oder zum Discounter geht. Unsere Betriebe spüren, dass die Umsätze sinken, weil die Preise steigen.

Die Auftragsreichweite ist seit der Herbstumfrage von 22,8 Wochen auf 11,7 Wochen gesunken. Bekommen die Kunden jetzt schneller einen Dachdecker oder Heizungsinstallateur zu Gesicht?

K RIEBEL : Ja, sollte man meinen. Aber es ist nicht gleich verteilt. Es gibt gewisse Gewerke, wo die Reichweite schon immer bei vier bis fünf Wochen im Durchschnitt lag. Dort ist es auch jetzt wieder der Fall. Mit den 11,7 Wochen bewegen wir uns auf dem Niveau, wo wir 2020 und davor waren. Das ist keine Entwicklung, die uns überrascht. Die Situation vorher war der Lieferkettenproblematik geschuldet. Viele Aufträge hatten sich aufgestaut, weil Teile nicht verfügbar waren.

Neue Herausforderungen für die Feuerwehr

„Die Feuerwehr ist im Wandel“, sagt Innensenator Ulrich Mäurer. Im Jahr 2022 gab es 100.000 Einsätze und 181.000 Notrufe. „In allen Bereichen sind die Zahlen radikal nach oben gegangen, seien es Brände, technische Hilfeleistungen oder die Alarmierungen des Rettungsdienstes.“

Dies liege laut dem Innensenator an der Krise im Ge-

sundheitswesen. „Der Trend geht dahin, bei jeder Kleinigkeit 112 anzurufen.“

Bei der Zahl der gestiegenen Brände sieht Philipp Heßemer, Leiter der Feuerwehr, die Gründe in der nun bestehenden Rauchmelderpflicht sowie an den vielen heißen Sommertagen. „Der Klimawandel bringt neue Herausforderungen für uns“, sagt er. Deswegen seien auch die

technischen Hilfeleistungen gestiegen: „Stürme und Überschwemmungen kommen immer häufiger vor.“

Die Zahl der Verkehrsunfälle und Großbrände sei konstant geblieben.

Um den neuen Herausforderungen der Feuerwehr gewachsen zu sein, fordert Mäurer mehr Geld und mehr Personal: „Gerade haben wir rund 700 Beschäftigte. Das

K URZKE : Jetzt setzt wieder ein Stück Normalität ein. Es ist für den Endverbraucher auch unzumutbar, wenn man ein halbes Jahr auf jeden warten muss.

Wie wirkt sich die Zinsentwicklung in Verbindung mit den hohen Materialpreisen auf das Bauhandwerk aus?

K URZKE : Der Neubau ist im privaten Bereich praktisch zum Erliegen gekommen. Das gibt in einigen Bereichen Kapazitäten frei. Einige Handwerker, die sich in den vergangenen Jahren stark im Bereich Neubau bewegt haben, sind jetzt gezwungen in die Sanierung auszuweichen. Das führt zu einer Verschiebung. Bei den öffentlichen Gebäuden wurde langfristig geplant, da geht der Neubau weiter. Das ist allerdings von Bundesland zu Bundesland unterschiedlich. Einige halten an ihren Projekten fest, andere sind da vorsichtiger. Bremen liegt irgendwo in der Mitte. Es ist aber unheimlich wichtig,

dass die öffentliche Hand an ihren Vorhaben festhält auch wenn alles teurer wird. Schulen und Kindergärten werden gebraucht. Das hat unheimliche Signalkraft für private Investoren. Alles wird teurer. Stichwort: Inflation. Womit müssen Ihre Kunden rechnen?

K RIEBEL : Die Preise werden weiter steigen, davon gehen viele Betriebe aus. Auch da ist das Bild wieder sehr unterschiedlich, wenn man es auf die verschiedenen Gewerke herunterbricht. Aber letzlich ist die Preisspirale noch nicht zu Ende.

K URZKE : Vieles hängt an der Entwicklung der Energiepreise. Man kann nur hoffen, dass wir den Höhepunkt der Inflationswelle erreicht haben. Es gibt ja ein paar vorsichtige Anzeichen, dass es ein Stück wieder zurück geht. Aber dass es wieder deutlich günstiger wird zu bauen, damit ist in den nächsten Monaten nicht zu rechnen.

Haus & Grund ist 125

will ich in den kommenden Jahren auf 900 aufstocken.“

Unter dem Motto „Unsere Feuerwehr 2025“ verfolgt die Feuerwehr ein neues Leitbild, um eine gemeinsame Identität zu schaffen. Der Fokus liege auf Fehlerkultur, Transparenz und Beteiligung. Heßemer erklärt: „Im Kern geht es um kollegiale Beziehungen und eine bessere Kommunikation.“ (kea)

Der Eigentümerverein Haus & Grund ist 125 Jahre alt. In der Oberen Rathaushalle feierten Mitglieder und Gäste aus Wirtschaft und Politik am Freitag das Jubiläum.

„Wir bringen uns seit 125 Jahren engagiert dort ein, wo das private Eigentum betrof-

Keine Zeitung erhalten? Meldung bitte über www.weserreport.de/ewz

Hotline: 0421/36 66 350 Vertriebsleitung: Sascha Carstens

Herausgeber: KPS Verlagsgesellschaft mbH

Contrescarpe 75a, 28195 Bremen Tel. (04 21) 36 66 01, Fax 36 66 160

E-Mail: redaktion@weserreport.de

Leserzuschriften: leserbriefe@weserreport.de

Chefredaktion: Robert Lürssen,robert.luerssen@weserreport.de

Stellvertr. Chefredaktion: Rike Füller, rike.fueller@weserreport.de

Lokales: Emre Altug Martin Bollmann, Rike Füller, Bettina Gößler, Lars Lenssen, Kea Neeland, Thorsten Runge Reise, Motor und Sonderthemen: Marinos Kaloglou Sport: Lars Lenssen

fen ist. An die Politik richten wir die Bitte, das Augenmerk bei den anstehenden Modernisierungsverpflichtungen auf die finanzielle Machbarkeit zu richten“, sagte der Vorsitzende von Haus & Grund Bremen, Thomas Trenz, in seiner Rede. Foto: eal

Ihrem Briefkasten anzubringen. Weitere Informationen finden Sie auf dem Verbraucherportal www.werbung-im-briefkasten.de Internet: www.weserreport.de Druck: Funke Niedersachsen Druckzentrum GmbH Verbreitete Auflage: 269.979 Exemplare mit DELME

Exemplare

B REMEN 2 Sonntag, 23. April 2023 RÄUMUNGS-VERKAUF bis zu 85% reduziert Endspurt – nochmalige Gelegenheit KÜCHEN Nolte Nobilia Neff DEKO Porzellan Gläser Lampen Teppiche POLSTER Brühl Erpo Ruf-Betten ESSZIMMER Bert Plantagie Selva Landhaus SCHRANKWAND/ HIGHBOARD RMW-Rietberger Gwinner Lieferung möglich! Möbel Meyer GmbH Di.-Fr. 10.00 - 18.30 Uhr, Sa. 10.00 - 15.00 Uhr, Montags geschlossen Waller-Heerstr. 196 · 28219 Bremen Tel. 0421 / 38 22 97
KOMMENTAR
Malermeister Thomas Kurzke (links) ist Präses der Handwerkskammer Bremen. Oliver Kriebel (rechts) ist dort als stellvertretender Hauptgeschäftsführer tätig. Foto: Schlie
Kultur: Bettina Meister Das BLV: Regina Drieling, Antje Spitzner Büro Osterholz-Scharmbeck : Jasmin Johannsen, Marius Roskamp Fotos: Klaus Werner Schlie Anzeigenleiter: Johannes Knees Kleinanzeigen: Tel. 36 66 400, Fax 36 66 500 Gestaltete Anzeigen: Tel. 36 66 101 info@weserreport.de Zurzeit gelten Anzeigenpreisliste Nr. 50 vom 29. Januar 2023 und unsere darin abgedruckten AGB. Falls Sie dieses Produkt nicht mehr erhalten möchten, bitten wir Sie, einen Werbeverbotsaufkleber mit dem Zusatzhinweis „Keine kostenlosen Zeitungen“ an
REPORT,
REPORT
REPORT 354.863
HAMME
und WÜMME

Einkaufstouren für Senioren

Warum zwei Brüder in ihrer Freizeit die Nachbarn zum Supermarkt fahren

R IKE F ÜLLER

Die plötzliche Schließung des Netto-Marktes an der Gottfried-Menken-Straße (WESER REPORT berichtete) hatte vor vier Wochen für viel Ärger in der Nachbarschaft gesorgt. Vor allem ältere und immobile Menschen sowie diejenigen, die sich den Einkauf im nahe gelegenen Biosupermarkt nicht leisten können, fordern eine schnelle Lösung. Die wird es wohl nicht geben, wie sich nun auf einer Sondersitzung des Neustädter Beirats zum Thema zeigte. Geladen waren sowohl Vertreter der Senatsressorts Wirtschaft und Bau als auch Vertreter der Gewoba und von Netto. Das Ziel: Eine Zwischenlösung, bis in einigen Jahren ein dauerhafter Betrieb – in neuem Gebäude –starten kann.

Zwei, die sich schon etwas überlegt haben und aktiv geworden sind, sind Paul und Karl Eggert. Die Brüder wohnen ebenfalls in der Gartenstadt Süd, gemeinsam mit ihrem Vater. „Wir sind beim Gassigehen von einer älteren Dame auf das Problem aufmerksam gemacht worden und dachten uns, dass man doch schnell etwas auf die Beine stellen muss“, sagt Paul Eggert. Kurzerhand entschieden die Brüder, für die älteren Menschen zum nächsten Discounter zu fahren und ihnen den Einkauf zu bringen. „Für viele ist das Einkaufen aber auch ein Grund, aus

dem Haus zu gehen und für soziale Kontakte. Das ist ihnen wichtig“, sagt der 21-jährige Paul. Also entschieden er und sein 17-jähriger Bruder, der eigentlich gerade sein Abitur macht, die Senioren zu fahren.

Dafür gestalteten sie einen Flyer, versuchten über das Rosencafé ihr Angebot zu bewerben. „Bisher fahren wir nur eine Dame“, sagt Paul und befürchtet, dass die älteren Nachbarn das Angebot als unseriös betrachten. Die Brüder verlangen kein Geld

Einstellungen trotz Flaute

Ladungsrückgänge wegen voller Läger

Die Bremer Spediteure sehen sich seit dem vergangenen Herbst mit erheblichen Ladungsrückgängen konfrontiert. Waren die Exporte im Jahr 2022 um elf Prozent und die Importe um immerhin knapp fünf Prozent gestiegen, erwarten die Unternehmen laut einer Umfrage des Vereins Bremer Spediteure (VBS) für dieses Jahr einen Rückgang bei den Exporten um acht Prozent und bei den Importen sogar um 15 Prozent. Anlass zum Personalabbau sei das aber nicht. „Wir gehen davon aus, dass es im dritten und vierten Quartal wieder besser wird“, sagt VBS-Vorsitzender Oliver Oesterreich. Den starken Rückgang im

Import erklären die Spediteure damit, dass die Läger des verbrauchernahen Handels noch gut gefüllt seien mit Gartengeräten, Sportartikeln, Elektroartikeln, Einrichtungsgegenständen und vielem mehr, mit dem sich die Konsumenten während der Coronazeit eingedeckt hätten. Nun aber gäben sie ihr Geld lieber für Reisen, Restaurantbesuche, Events, Kino und Theater aus. Die Händler blieben somit vorerst auf ihren Waren sitzen und bestellen keine neuen –zum Beispiel aus Fernost. Auch, wenn sich die Märkte beruhigt haben, planen 40 Prozent der UnternehmenNeueinstellungen. (rl)

Kandidaten

pragmatisch eine Lösung gesucht und gefunden haben, versuchen alle anderen Beteiligten noch, möglichst bis Herbst eine Zwischenlösung zu organisieren und zu finanzieren. Das Problem: Die Stadt baut und betreibt keine Supermärkte, die Gewoba wiederum plant, das marode Gebäude abzureißen und an gleicher Stelle einen Einkaufsmarkt samt Ärztehaus zu errichten – wenn denn ein Betreiber gefunden werden kann. Und den gibt es laut Stefan Stahl, Geschäftsbereichsleiter bei der Gewoba, bisher nicht.

Bürgermeister Andreas Bovenschulte und Bürgerschaftspräsident Frank Imhoff stellen sich am Montag, 24. April in den Dienst der guten Sache. Sie verkaufen ab 13 Uhr auf dem Liebfrauenkirchhof Lose der BürgerparkTombola. Unterstützt werden sie von Sylvia Wedemeyer, Präsidentin des Bürgerparkvereins, und Bürgerparkdirektor Tim Großmann. (rl)

Sem Eisinger singt im Weserpark

für ihre Touren, sehen es als reine Nachbarschaftshilfe. Im Rahmen der Sondersitzung suchten sie Unterstützung für ihr Angebot. Die Gewoba bot den beiden inzwischen die Bereitstellung eines Lastenrads an. „Wir brauchen aber eine andere Lösung, weil die Leute ja mitfahren sollen“, erklärt Paul. Für kommende Woche ist nun noch ein Treffen mit der Gewoba geplant, die auf jeden Fall helfen will. Im Gespräch sind – nach der Klärung rechtlicher Fragen –

auch größere Mietwagen, wie Unternehmenssprecherin Christine Dose bestätigt.

Für den Fall, dass mehr Nachbarn die Hilfe der Brüder in Anspruch nehmen, habe er bereits Kontakt mit Autovermietungen aufgenommen, sagt Paul. Weitere Fahrer würden sich auch in der Nachbarschaft finden, ist der Selbstständige sich sicher. Kontakt zu den Brüdern vermittelt das Rosencafé, Thedinghauser Straße 115A.

Und während Paul und Karl völlig unentgeltlich und

Eine Zwischenlösung während der Abriss- und Bauphase – möglicherweise als Zelt –lohne sich aber nicht für einen so kurzen Zeitraum, wie Lorenz Rogatty, Gebietsleiter Expansion bei Netto, erklärte. Auch er wolle an dem Standort etwas Neues realisieren, allerdings gegenüber des Gewobagebäudes, im Bereich des ebenfalls leer stehenden Pennymarktes. Am Ende dürfen sich die Anwohner also vielleicht sogar über zwei Supermärkte an der Gottfried-Menken-Straße freuen.

Der Beirat fordert nun, schnellstmöglich einen Runden Tisch einzurichten und zu prüfen, ob etwa ein Bürgerbus eingesetzt werden kann oder ob mobile Supermärkte beauftragt werden können. Außerdem soll mithilfe von Globalmitteln unterstützt werden.

Sem Eisinger, der Gewinner der 20. Staffel der Castingshow „Deutschland sucht den Superstar“ ist am 24. April ab 15 Uhr zu Gast im Weserpark. Der 29-jährige singt seinen Siegertitel „Don‘t Let Me Go“ auf einer Bühne im Lichthof vor Peek&Cloppenburg. Im Anschluss können sich Fans Autogramme abholen. Ausgerichtet wird das Event vom Edeka Center. (WR)

Sem Eisinger gewann die 20. Staffel von DSDS.

Katastrophe in der Kita

Initiative will mit Kundgebung auf Situation aufmerksam machen

„Die Betreuungssituation in Bremer Kitas ist extrem angespannt – und zwar trägerübergreifend“, sagt Julia Offermann, die gemeinsam mit anderen Eltern im Herbst 2022 die Initiative „Kitastrophe“ gegründet hat.

„Wir wollen eine Lobby für die Kinder und die Eltern sein, aber auch für die Fachkräfte, die total überlastet sind und ihre Arbeit nicht mehr leisten können“, erklärt die Mutter. Dafür haben sie am Mittwoch, 26. April, ab 15.30 Uhr auf dem Marktplatz vor der Bremischen Bürgerschaft eine Kundgebung geplant.

Die Initiative will zeigen, was es bedeutet, wenn die Kita-Versorgung ausfällt oder nur eine Notbetreuung gewährleistet wird. „So etwas kann existenzbedrohend sein. Einer Alleinerziehenden, die oft bei der Arbeit fehlt, weil ihr Kind nicht betreut ist, kann im schlimmsten Fall eine Kündigung drohen“, so Offermann. Sie selbst musste für ihr älteres Kind den KitaPlatz einklagen. „Das konnte ich aber nur, weil ich eine Rechtsschutz-Versicherung habe. Viele Menschen wissen gar nicht, dass sie einen Rechtsanspruch auf einen Platz haben“, meint die Mutter. Da sie aber keinen Platz

für ihr zweites Kind bekommt, muss sie momentan in Elternzeit bleiben – obwohl sie finanziell gesehen wieder arbeiten gehen müsste. Aber nicht nur für die Eltern, auch für die Kinder sei die Situation belastend.

Diese Probleme seien schon lange bekannt. Deswegen hat die Initiative bereits über 2.300 Stimmen für ihre Petition gesammelt. „So wollen wir Druck auf den Senat ausüben. Wir wollen gehört werden und auf die Lage aufmerksam machen“, hofft Offermann. Konkrekt wollen sie Ausbildungswege angemessen vergüten und den Zugang zur Ausbildung er-

leichtern, etwa durch mehr Pia-Plätze. Weiterhin fordert die Initiative die Anwendung des wissenschaftlich empfohlenen Betreuungsschlüssels, zum Beispiel bei Kindern unter drei Jahren ein Betreuer auf drei Kinder statt auf neun, und bei älteren Kindern ein Betreuer auf 7,5 Kinder statt auf 20. Bei der Kundgebung werden Geschichten von betroffenen Familien vorgelesen und ihnen eine Stimme gegeben. Offermann betont: „Eltern, Kinder und Fachkräfte werden auf dem Marktplatz zeigen: Wir brauchen Lösungen – akut und langfristig.“ (kea)

B REMEN Sonntag, 23. April 2023 3 MO – SA 9 – 18:30 Uhr MELDE DICH ZUM NEWSLETTER AN! VISBEK WILDESHAUSENVECHTA STUHR BAD ZWISCHENAHN OLDENBURG SO geschlossen SO 14 – 17 Uhr SO 14 – 17 Uhr SO 10 – 13 Uhr SO 11– 17 Uhr SO 14 – 17 Uhr Ahlhorner Str. 25 – 29Westring 1 Oldenburger Str. 122Varreler Landstr. 31Mühlenstr. 5 – 7 Oldeweg 4 © Blumen Ostmann GmbH, Fotos: Intratuin Sonntags nur Verkauf von Blumen und P anzen in kleinen Mengen! 3 STÜCK 10.–EDELGERANIE verschied. Farben 12 cm Topf 3.99 3 STÜCK 10.–SCHOPFLAVENDEL 15 cm Topf 3.99 TOP PREIS GARTENBANK TESS 117 × 67,2 × 81,5 cm 149.–129.–Nur in Oldenburg: Gartenmöbel in Riesenauswahl! TOP PREIS SCHWARZÄUGIGE SUSANNE Höhe 90 cm 19 cm Topf 14.99 9.99 TOP PREIS OLEANDER Höhe 70 cm 20 cm Topf 14.99 9.99 3 STÜCK 7.50 TRIO ZAUBERGLÖCKCHEN 12 cm Topf 2.99 TOP PREIS HORTENSIE verschied. Farben 19 cm Topf 14.99 9.99 SACK 7.99 PFLANZENERDE 45 Liter, mit Dünger für 2 Monate 2+1 GRATIS
Die Brüder Paul (l.) und Karl Eggert bieten an, ihre älteren Nachbarn in der Gartenstadt Süd zum Einkaufen zu fahren. Foto: Schlie Foto: Stefan Gregorowius
verkaufen Lose

Im Nordsøen Oceanarium bei Hirtshals befindet sich Nordeuropas größes Aquarium. Neben Fischen kann man hier auch Robben und Pinguine beobachten.

Durchatmen an Jütlands Küste

Milde Strände und spektakuläre Naturerlebnisse in Dänemarks hohem Norden

Wer die deutsche Ost- und Nordseeküste mag, wird Dänemark und die dänischen Inseln lieben. Vielfältig, abwechslungsreich, mit weiten Sandstränden, viel Natur, einer einzigartigen Landschaft und vielen Attraktionen präsentiert sich das nördliche Nachbarland in großer Schönheit. Auf in den nördlichsten Zipfel des europäischen Festlandes, wo in Crenen am Skagerrak Nord- und Ostsee aufeinandertreffen.

In Nordjütland lockt nicht nur das magische Licht und die langen Sandstrände an die Küste. Auch im Landesinneren gibt es so viel zu entdecken. Da reicht ein einziger Urlaub zum Erkunden kaum aus. Nach einer ruhigen Anfahrt erreichten wir nach gerade einmal fünf Stunden unser Ferienhaus in Sæby und waren gleich begeistert. Nur wenige hundert Meter von der Ostseeküste entfernt, lag das geräumige Häuschen in einem Wäldchen mitten in der Natur.

An vielen Orten an der dänischen Küste finden sich noch Befestigungsanlagen. Selbst in Crenen am Skagerrak, wo sich Nordund Ostsee treffen, findet man die Bunkeranlagen.

Nach Bezug der Unterkunft ging es natürlich an das Kattegat, wo uns ein kilometerlanger Strandabschnitt empfing. Ein idealer Ort für ausgedehn-

An den fast endlosen Stränden kann man im Sommer baden und zu den anderen Jahreszeiten ausgedehnte Spaziergänge unternehmen und die Seeluft genießen. Fotos: Bollmann te Spaziergänge, zum Baden, Burgen bauen oder Brandungsangeln (wie es die Dänen vormachten).

Das Kontrastprogramm zur Natur war dann der Ausflug zum Fårup Sommerland in Blokhus, einem riesigen Vergnügungspark mit lustigen und spannenden Familienattraktionen. Neben Angeboten wie Achterbahn- und Bahnfahrten finden sich hier aber auch Angebote wie Kälber streicheln, Küken fühlen oder Melkversuche machen. Noch näher kommen Familien den Tieren dann übrigens im

Mare-Sonderpreise ab 1.569€

18.01.24 –Do.Funchal/Madeira/Portugal07:0017:00

19.01.24 –Fr. GranCanaria /Spanien10:0019:00

20.01.24 –Sa.Arrecife/Lanzarote/Spanien09:0018:00

21.01.24 –So. St.Cruz/Teneriffa/Spanien09:0018:00

22.01.24 –Mo. ErholungaufSee

23.01.24 –Di.Lissabon /Portugal 07:0020:00

24.01.24 –Mi.ErholungaufSee

25.01.24 –Do. ErholungaufSee

26.01.24 –Fr. Southampton(London) /Vereinigtes Königreich 07:00

27.01.24 –Sa.ErholungaufSee

28.01.24 –So. Hamburg/Deutschland18:0018:00

Mare-Sonderpreise – p.P. –2-Bett-Kabine

Innen: ab €1.569,– Aussen: ab €1.849,–Balkon: ab €2.339,– Suite: ab €7.649,–Ein Reisepassisterforderlich.

ZubuchbareLeistungen: Parkplatzab195 €pro Auto,Getränkepaket EasyAllInclusive 819 €p.Person,Getränkepaket Alkoholfrei504 €p.P.ProKabine kannnurdasselbeGetränkepaket gebucht werden.

Leistungeninkl.:

•Kreuzfahrtindergebuchten

Kabinenkategorie

•VollpensionanBord(Frühstück, Mittagessen,Nachmittagskaffee, Abendessen,tagsüberSnacks, teilweiseMitternachtssnacks)

•Getränkestationmit Kaffee, Teeund WasserimBuffetrestaurant

•BenutzungderfreienBordeinrichtungen

•Unterhaltungsprogrammund VeranstaltungenanBord

•DeutschsprachigeBordbetreuung

•GepäcktransportbeiEin-und Ausschiffung

•Kinderbetreuung von3-17Jahre

•Galaabend

•Kapitänsempfang

•AlleSteuernundGebühren

•Beider AUREA Kategorieistdas Getränkepaket inkl.

HinweiszurBarrierefreiheit: Diese

Reiseistfür ReisendemiteingeschränkterMobilitätnurbedingt geeignet.BittenehmenSiemituns KontaktaufbezüglichIhrerindividuellenBedürfnisse.

Veranstalter Veranstalterdieser Reise:

MSCCruisesS.A.,Avenue

Eugene-Pittard16,CH-I206Genf

MareReisenGmbH

Schlachte32· 28195Bremen

E-Mail:info@mare-reisen.de www.mare-reisen.de Telefon:0421-162162

Fax0421-1621666

Die versandete Kirche steht heute inmitten der Dünenlandschaft.

**Hausmesse am 22. + 23. April 2023**

Neue Modelle von FRANKIA, Challenger, Mobilvetta, Pilote, neue und gebrauchte Reisemobile, auch Automatik. Teil-Vollintegriert, Einzelbetten etc. Dulle Mobile GmbH, An der A 31, Abf. 20/Wesuwe, 49733 Haren, 05935-999590 www.dulle-mobile.de

Suche dringend Wohnwagen o. -mobil auch def. D. Schmidt 0171-3743474

Wir kaufen Wohnmobile + Wohnwagen 03944-36160 www.wm-aw.de Fa.

Wohnmobil, gepflegt von privat zu kaufen gesucht.  04954-953783

INTERESSANTE REISE-TIPPS

UND INFORMATIONEN

JEDEN

SONNTAG

Nordsøen Oceanarium in Hirtshals. Nordeuropas größtes Aquarium bietet auf 15.000 Quadratmetern Innen- und Außenfläche eine spannende Wasserlandschaft mit 75 Aquarien und Becken, die von mehr als 7.000 Fischen bewohnt werden. Dazu kommen weitere Tiere, wie etwa Robben und Pinguine – ein echtes Erlebnis.

Nächster Stopp: Aalborg. Dort sollte man auf jeden Fall auch das Hafengebiet erkunden und vielleicht auch dem Utzon Center einen Besuch abstatten. Das Gebäude selbst

ist das letzte Werk des Architekten Jørn Utzon, der auch das Opernhaus in Sidney entworfen hat. Wer nach einem langen Tag dann Appetit bekommen hat, kann den Tag bei einem Abendessen auf dem Street Food Markt (Skudehavnsvej 35-37) ausklingen lassen.

Nicht entgehen lassen sollte man sich in Nordjütland einen Abstecher nach Crenen, wo sich die beiden Meere Skagerrak und Kattegat treffen. Dort finden sich auch – wie an vielen Abschnitten der dänischen Küste – eine ganze Reihe Bunkeranlagen. Lohnenswert sind auch die verschiedenen Museen wie etwa das Kunstmuseum in Skagen oder das Küstenmuseum in Sæby, wo nicht nur die dänische Geschichte erlebbar wird, sondern auch eine Ausstellung über Dänen gezeigt wird, die mit den Nazis kooperiert haben.

Nordjütland hat aber auch eine beeindruckende Natur zu bieten, die man natürlich bei Strandspaziergängen genießen kann, genauso wie bei Abstechern nach Råbjerg Mile, wo sich Dänemarks größte Wanderdüne befindet oder nach Skagen Klitplantage, wo die versandete Kirche bis heute an die zerstörerische Kraft des Sandes erinnert. ■ Weitere Informationen zum Urlaub in Dänemark findet man auch unter visitdenmark.com im Internet.

Vom 08.07.-15.07.2023

Infos und Anmeldung: hortis.freizeit@web.de

Was wir dir bieten: Unterkunft im Zelt oder einer Holzhütte Über 30 Jahre Erfahrung in Zeltlagern. Betreuung durch erfahrene Betreuer*innen. Leckere Vollverpflegung durch unseren Caterer. Natürlich haben wir auch ein eigenes Sanitätsteam, sowie ein Technikzelt, falls die Liege den Geist aufgibt. Der Zeltlagerbeitrag liegt bei 270 € pro Kind, das dritte Geschwisterkind bekommt einen Preisnachlass von 30%. Stornierungsmöglichkeiten:

R EISE 4 Sonntag, 23. April 2023
FREIZEIT UND ERHOLUNG CAMPING WINTERZAUBER AUFDIE KANARENAB/BISHAMBURG 21NächtemitMSC Euribia07.01. –28.01.2024 Ihr Reiseverlauf AnAb Jenach ReiseterminAbweichungim Routenverlaufmöglich 07.01.24 –So. Hamburg/Deutschland 21:00 08.01.24 –Mo. ErholungaufSee 09.01.24 –Di. Zeebrügge /Belgien 07:0018:00 10.01.24 –Mi. Rotterdam /Niederlande07:0017:00 11.01.24 –Do. Le Havre(Paris)/ Frankreich 09:0021:00 12.01.24 –Fr. ErholungaufSee 13.01.24 –Sa. La Coruña /Spanien 09:0018:00 14.01.24 –So. ErholungaufSee 15.01.24 –Mo. Cádiz /Spanien 08:0018:00 16.01.24 –Di.Casablanca /Marokko07:0020:00
17.01.24 –Mi.ErholungaufSee
Bis 01.07.23 abzüglich 70 € Anmeldegebühr 200 € Erstattung. Ab dann im belegten Krankheitsfall Erstattung von 80 € Für schnelle Rückfragen und Infos per WhatsApp: 017642062087 Weitere Informationen findet ihr auf unserer Homepage: www.hortis-verein.de
Zum Beispiel - Basteln - Trampolin, Minigolf, Kinderautoland, Heckenlabyrinth - Lagerfeuer – Nachtwanderungen - Stockbrotbacken - Verschiedene Turniere - Schwimmen gehen - Volleyball, Fußball - 2x Wasserski Übungsbahn - Und noch vieeel mehr.
REPORT
WESER

Öger im Land des Weihrauchs

Hamburger Türkei- und Orientspezialist nimmt den Oman neu ins Programm auf

Mit der „Romantika“ zu den Fjorden

festen Liegeplätzen im Eemshaven, begründet Holland Norway Lines ihren Schritt. „Die Situation im Eemshaven zwang uns, nach Alternativen zu suchen. Wir sind sehr froh, dass wir eine Lösung gefunden haben“, sagt Morten Aggvin, CEO von Holland Norway Lines.

Die MS „Romantika“ fährt aktuell zwischen Cuxhaven und Norwegen. Foto: Holland Norway Lines Der Norden Deutschlands rückt näher an Norwegen. Möglich macht es die neue, bis Ende Mai durchgeführte Fährverbindung zwischen Cuxhaven und Kristiansand. Ab 1. Juni erfolgen die Abfahrten dann ab Emden. Angeboten wird die Passage von der Reederei Holland Norway Lines, die bisher ihre Abfahrten vom niederländischen Eemshaven Richtung norwegischer Fjorde durchführte.

Das Ausweichen auf Cuxhaven beziehungsweise Emden ist eine Reaktion auf die jüngsten Herausforderungen im Zusammenhang mit den

Alle zwei Tage legt die MS „Romantika“ um 15.30 Uhr in Cuxhaven ab und kommt nach vormittags in Skandinavien an. Das Schiff befördert neben Passagierinnen und Passagieren auch Autos, Motorräder, Wohnmobile, Wohnwagen und Lkw. (mar)

Der ehemalige Sultan von Oman Qabus bin Said hat gleich eine komplette Etage des Al-Bustan Palace bewohnt. Auch der King of Pop Michael Jackson soll im Fünf-Sterne-Hotel, das architektonisch einem arabischen Märchenschloss nachempfunden ist, entspannte Tage verbracht haben. Künftig können sich auch Kunden von Öger Tours hinter den Mauern des von Ritz Carlton geführten Hauses vor den Toren von Muscat wie Sultane fühlen.

„Der Oman glänzt mit atemberaubenden Landschaften, kühner Architektur, paradiesischen Stränden und einer enormen Gastfreundschaft“, rührt ÖgerTours-Produktmanager Volker Bromund die Werbetrommel für das neu ins Portfolio des Hamburger Veranstalters aufgnommene Ziel im Osten der Arabischen Halbinsel. Bromund weiter:

„Als Orient-Spezialist freuen wir uns besonders, dass wir dieses Sehnsuchtsziel nun auch unseren Gästen mit einem ausgewählten Hotelund Flugprogramm präsen-

Alle Termine & Preise auf unserer Homepage oder Sie scannen einfach den jeweiligen QR-Code.

Ob die Sultan Qabus Moschee oder das Royal Opera House – in der omanesischen Haupt- und Hafenstadt Muscat gibt es eine Reihe von Sehenswürdigkeiten.Foto: Brian auf Pixabay

tieren können.“ Das Land des Weihrauchs bietet ein breitgefächertes

Angebot an Urlaubsmöglichkeiten und besticht durch seine Naturschönheiten.

Kulturinteressierte zieht es in Städte wie Nizwa und Muscat. Aktivurlauber etwa unternehmen Wanderungen durch den Wadi Nakhr, den Grand Canyon des Oman. Taucher wiederum entdecken die kunterbunten Korallenriffe des Indischen Ozeans in der Region Salalah.

Öger bietet für das Sultanat insgesamt 43 Hotels, vorwiegend im Vier- und FünfSterne-Bereich. Das Programm umfasst neben CityHotels auch luxuriöse Strand- und Berg-Resorts, so etwa das Fünf-Sterne-Anantara Al Jabal Al Akhdar Resort, das nach eigenen Angaben höchstgelegenste FünfSterne-Haus im Nahen Osten.

Als Zielflughäfen stehen Muscat und Salalah zur Wahl. Geflogen wird mit Linienfluggesellschaften wie etwa Lufthansa, Oman Air, Qatar Airways, Etihad Airways und Turkish Airlines. Alle Hotels sind bei Bedarf auch individuell, ohne Flug buchbar.

■ Weitere Infos auf oeger.de und im Reisebüro. (mar)

R EISE Sonntag, 23. April 2023 5 Am Wall 137- 139, 28195 Bremen Telefon (0421) 696644-0 info@reisetreff-bremen.de www.die-perfekte-kreuzfahrt.de Bordguthaben pro Kabine bei 2er Belegung im 1. und 2. Bett. Buchungszeitraum bis 15. Mai 2023. AIDAVARIOPreise pro Personbei2er-Belegung, limitierte Kontingente. Zwischenverkauf und Änderungen vorbehalten. Reiseveranstalter: AIDA Cruises –German Branch of Costa Crociere S.p.A., Am Strande 3d, 18055 Rostock. Reisevermittler: Reisetreff, Inhaber: Matthias Preusche, Am Wall 137- 139, 28195 Bremen. * Skandinavische Städte mit Stockholm 10 Nächte mit AIDAmar Reisezeitraum: Mai - August 2023 Innen ab 849,- Meerblick ab 1.049,- Balkon ab 1.349,Inklusive 200 €* Bordguthaben Island & Grönland 21 Nächte mit AIDAaura Reisezeitraum: Juli - August 2023 Innen ab 2.799,-
& Norwegen
Nächte
AIDAsol
Innen
Norwegens Fjorde 10 Nächte mit AIDAperla
Schottland & Norwegen
Innen
ab 1.799,Golf von Biskaya 14 Nächte mit AIDAaura Reisetermin: 12. Mai - 26. Mai 2023 Innen ab 1.199,- Meerblick ab 1.649,Norwegen mit Lofoten & Nordkap 14 Nächte mit AIDAbella Reisezeitraum: Mai - August 2023 Innen ab 1.249,- Meerblick ab 1.699,- Balkon ab 2.199,Ärmelkanal & Golf von Biskaya 12 Nächte mit AIDAsol Reisetermin: 30. Juli - 11. August 2023 Innen ab 1.499,-Meerblick ab 2.099,-Balkon ab 2.399,Reisezeitraum: Mai - Juli 2023 Innen ab1.199,- Meerblick ab1.649,- Balkon ab 2.149,Highlights am Polarkreis 17 Nächte mit AIDAluna Reisezeitraum: Mai - August 2023 Innen ab 1.699,- Meerblick ab 2.249,- Balkon ab 3.299,Norwegens Fjorde ab Warnemünde 9 oder 10 Nächte mit AIDAmar Reisezeitraum: Mai - August 2023 Innen ab799,-Meerblick ab999,- Balkon ab 1.299,Reisetermin: 26. Mai - 09. Juni 2023 Innen ab 1.599,- Meerblick ab 1.999,Nordische Inseln mit Island 14 Nächte mit AIDAbella Westeuropas Flüsse ab Hamburg 14 Nächte mit AIDAaura Beispielroute Beispielroute Beispielroute Beispielroute Beispielroute Beispielroute Beispielroute Beispielroute Beispielroute Reisezeitraum: Mai - August 2023 Innen ab 949,- Meerblick ab 1.199,- Veranda ab 1.299,Inklusive 200 €* Bordguthaben Inklusive 200 €* Bordguthaben Inklusive 200 €* Bordguthaben Inklusive 200 €* Bordguthaben Inklusive 200 €* Bordguthaben Inklusive 200
Bordguthaben
Bordguthaben Inklusive
Bordguthaben Inklusive
Bordguthaben Inklusive
Bordguthaben
Meerblick ab 3.799,Großbritannien
9
mit
Reisezeitraum: Mai - September 2023
ab799,- Meerblick ab1.099,- Balkon ab 1.399,-
England,
12 Nächte mit AIDAsol Reisezeitraum: Mai - August 2023
ab999,- Meerblick ab1.299,-Balkon
€*
Inklusive 200 €*
200 €*
300 €*
300 €* Bordguthaben Inklusive 200 €*
Neue Fähre von Cuxhaven nach Kristiansand

High Noon

Unkomplizierte Mittagspause auf dem Theatergelände

SCHMECKT’S?

Der Restaurant-Test im Weser Report

Noon

Foyer Kleines Haus

Goetheplatz 1-3, Innenhof Montags bis freitags 9 bis 20 Uhr, samstags 12 bis 20 Uhr und bei Veranstaltungen 04 21 / 32 64 22 noon-jetzt.business.site

AMBIENTE

Direkt im Foyer des Kleinen Hauses befindet sich das Noon. Das Bistro offenbart sich als eine Mischung aus Studentencafé und Künstlertreff – aber mit MensaCharme. Die scheinbar zufällig positionierten Tische und Sofas sind gut besucht, vornehmlich von Menschen mit Laptops, Kopfhörern oder Büchern. Der Raum an sich ist groß und mit viel Holz ausgestattet, die Bar ist der zentrale Anlaufpunkt. Im vorderen Bereich fällt viel Tageslicht durch das große Fenster, weiter hinten beleuchten kreativ angebrachte Lampen die Szenerie. Insgesamt wirkt das alles sehr entspannt – und wäre sicherlich auch entspannend gewesen, wenn nicht gerade während unseres Aufenthaltes eine Art Soundcheck hätte stattfinden müssen.

ESSEN

Zwei warme Gerichte stehen zur Auswahl: Eine vegane Möhrensuppe mit Röstbrot für 6,50 Euro sowie Quesadillas mit Salatbeilage für 7,50 Euro. Die Suppe schmeckt gut: Es gibt eine ordentlich große und heiße Portion, die schön sämig püriert und mit Curry pikant abgeschmeckt ist. Dazu bekommen wir zwei Scheiben aufgetoastetes Baguette. Die drei Quesadillas sind im Ofen nur angewärmt und somit noch angenehm weich. Trotzdem ist der Inhalt aus Kräuterschmandcreme, Mais, jeweils einer Tomatenscheibe und Gouda warm.

KURZKRITIK Klassentreffen

„Klassentreffen“ heißt der neueste Schwank der Komödie Bremen. Die dünne Geschichte ist schnell erzählt: Zwanzig Jahre nach dem Schulabschluss treffen sich Anita, Jessica, Lena, Klaus Lage und Wolle wieder. Die Damen vereint die Rache an dem Hallodri der Gruppe, dem vermeintlichen Vater ihrer Kinder. Dass da gehörige Zweifel angebracht sind, ist dem Publikum tatsäch-

lich schon nach etwa fünf Minuten klar. Insofern dient die Handlung dieser Verwechlungskomödie eigentlich nur als Trägermasse für die mit viel Verve und Können vorgetragenen Songs zwischen „Irgendwie, irgendwo, irgendwann“, „Macarena“ oder „Mr. Boombastic“. Viele weitere Lieder ergeben sich (logischerweise) aus den Namen der Protagonisten ... Bettina Meister

CHANCEN CINEMAEUROPA

ERASMUS+

Ein paar weiche, dünne Kartoffelecken befinden sich auf und in den Fladen – passen allerdings irgendwie nicht so recht dazu. Die Salatbeilage ist frisch, die verschiedenen Blattsalate, Gurken, Tomaten und Sonnenblumenkerne sind mit ein wenig leckerem Honig-Senf-Dressing beträufelt.

SERVICE

Sehr freundlich wird unsere Bestellung entgegengenommen, das Essen bekommen wir sogar an den Tisch gebracht. Das Highlight aber –weil es uns noch nie untergekommen ist – ist der zum

GELDANLAGE

Clever Anlegen mit der Leiter-Strategie

S ASCHA O TTO Leiter Wertpapiermanagement bei der Sparkasse Bremen

Ja, es gibt wieder Zinsen beim Kauf von Anleihen. Aber angesichts des großen Angebots stellt sich die Frage nach der Auswahl der passenden Papiere. In puncto Laufzeiten kann die sogenannte Leiter-Strategie helfen. So können Sie bei der ersten Anlage ihren Betrag beispielsweise auf die Laufzeiten ein, zwei und drei Jahre verteilen. Bei jeder Fälligkeit wird das Geld dann wieder neu für drei Jahre angelegt, und Sie haben in jedem Jahr einen Teil des Geldes fällig. Diese Strategie lässt sich je nach Bedarf auch auf andere Anlagezeiträume übertragen. Zwei Dinge sind dabei aber zu beachten: Erstens sind Investitionen am Kapitalmarkt mit Risiken verbunden und können zu einem Kapitalverlust führen. Zweitens werden zwei bis drei Prozent Rendite weder jetzt noch im kommenden Jahr ausreichen, um die Inflation auszugleichen. Eine Beimischung von Aktien bleibt deshalb aus meiner Sicht bei einer guten Anlagestrategie unverzichtbar.

KLIMASCHUTZ

Gärtnern ohne laute Geräte

Gastraum hin am Tresen eingebaute Wasserhahn, an dem jeder sein Leitungswasser kostenlos selber zapfen darf.

PREISE

6,50 Euro und 7,50 Euro für die Essen sind okay, die Getränkepreise sind es auch: Ein Wasser aus der Flasche (0,33l) kostet 2,50 Euro, ein Bier (0,33l) 3,50 Euro und der günstigste Wein (0,2l) 6,50 Euro.

FAZIT

Entspannt in Szene gesetztes Bistro im Theater. Bettina Meister

H ANNAH S IMON Klimaschutzagentur Energiekonsens

Langsam steigen die Temperaturen und die Gartensaison ist eröffnet. Um Arbeiten im Garten zu erledigen, kommen heutzutage die unterschiedlichsten Gerätschaften zum Einsatz. Etliche von ihnen – wie Rasenmäher – werden elektrisch oder mit Motor betrieben. Sie machen viel Lärm, der Mensch und Tier schadet. Überdies stoßen all jene, die mit Benzin laufen, klimaschädliche Gase aus. Alternativ empfiehlt es sich, auf Säge, Sense & Co. zu setzen, die mit Akku arbeiten oder mit der Hand geführt werden. Die so genannten Handgeräte sind die umweltfreundlichste Lösung und noch dazu gut für die Gesundheit. Mit ihnen zu werkeln, ist Krafttraining an der frischen Luft. Noch ein Tipp: Wer sich gut mit seinen Nachbarn versteht, kann sich Gartengeräte mit ihnen teilen, um Neukäufe zu vermeiden. Zudem gibt es diverse Läden, die Gerätschaften vermieten. So spart man Geld und schafft Platz für Dinge, welche mehr als nur ein paar Mal im Jahr gebraucht werden!

Ein einzigartiges Jubiläum

Kunstverein Bremen feiert 200-jähriges Bestehen mit neuer Ausstellung in seiner Kunsthalle

„Den Sinn für das Schöne zu verbreiten und auszubilden“ – so formulierten die Kunstinteressierten um den Bremer Senator Hieronymus Klugkist, die den Kunstverein 1823 gründeten, ihr wichtigstes Ziel. Daraus entstanden ist mit der Kunsthalle nicht nur ein weit über Bremens Grenzen hinaus bekanntes Museum. Inzwischen ist eben dieser Zusammenschluss auch der größte Kunstverein Deutschlands.

frühen 19. Jahrhunderts und auch über die Kriegsverluste, Krisen, sowie Erfolge in den 200 Jahren seines Bestehens.

DIVERSITÄT UMWELT & KLIMA

PUB QUIZ

BREMEN & BREMERHAVEN

FOTOGRAFIE

WAS WÄRE WENN

Es war ein CrowdfundingProjekt des frühen 19. Jahrhunderts: 34 Bürger schlossen sich am 14. November 1823 zusammen und gründeten den Kunstverein in Bremen. In einer Stadt ohne öffentliche Kunstsammlung war er ein Ausdruck des bürgerlichen Engagements, das sich innerhalb nur einer Generation durch Sammeln, Ausstellungen und Verlosungen einen festen Platz in der Stadt verschaffte – und an Mitgliedern immer weiter wuchs. Und immer noch wächst. „Inzwischen sind

1,85 Prozent der Bremer Bevölkerung Mitglied“, sagt Kunsthallen-Direktor Christoph Grunenberg. „Das ist schon viel. Aber wir hoffen, dass es bis Ende des Jahres

2 Prozent sind.“

Vor allem das Sammeln stand zunächst im Mittelpunkt: Durch den frühen Ankauf der umfangreichen Grafiksammlung des Senators Johann I. Duntze, gab es bereits direkt nach seiner Gründung 2.814 Druckgrafiken und 487 Handzeichnungen. Erwerbungen und Schenkungen ergänzten gehorteten Werke Stück für Stück um verschiedene Gattungen. Der Schwerpunkt auf Grafik blieb jedoch erhalten, auch zehn Jahre nach der Gründung besaß der Verein lediglich 13 Gemälde.

MAI 2023

EUROPAWOCHEN MITMACHEN MITKOMMEN MITREDEN

Buntes Programm auf europa.bremen.de Eröffnungsfeier mit Autorenduo Herr&Speer 6. Mai ab 17 Uhr, Bel Étage am Brill

Die ab sofort geöffnete Ausstellung „Kunst Vereint! Die frühen Jahre der Sammlung“ blickt auf die Zeit von der Gründung des Vereins 1823 bis zum Bau der Kunsthalle 1849, deren privater Träger er bis heute ist: Mit rund 70 Exponaten veranschaulicht sie die Entwicklung von der Idee bis zur Institution, gibt Einblick in den bürgerlichen Geschmack des

Ein frühes Beispiel für die damals ungewöhnlichen Wege, die der Verein ging, um Werke zu kaufen, ist die Anschaffung der Marmorskulptur „Psyche“, die der Bremer Bildhauer Carl Steinhäuser 1846 in Rom angefertigt hatte. Seine Darstellung erregte bei ihrer Ausstellung in Bremen viel Bewunderung. Mit Blick auf die geplante Eröffnung der Kunsthalle erging deshalb 1847 ein Aufruf, für den gemeinsamen Ankauf zu spenden. 73 Personen gaben Geld und konnten so zusammen die stattliche Summe von 1.275 Reichstalern entrichten. Die Skulptur sollte fortan in der Kunsthalle gezeigt werden –und das wird sie bis heute.

In der Ausstellung bekommt sie nun wieder ihren eigenen Raum.

Mehr Infos zu der Ausstellung gibt es auch unter kunsthalle-bremen.de (bm)

Für den Erwerb der Marmorskulptur „Psyche“ sammelten Bremer Kunstvereinsmitglieder 1.275 Taler. Foto: Schlie

T RENDS / L IVE 6 Sonntag, 23. April 2023
COMICLESUNG
Quesadillas und Möhrensuppe im Noon. Foto: Schlie

Rocky ist ein freundlicher und verspielter Artgenosse

Der Shar Pei Rocky kam als Sicherstellung ins Tierheim. Anfangs zeigt er sich sehr verhalten und vorsichtig. Wenn er aber erst einmal Vertrauen zu einer Person gefasst hat, ist er ein aufgeschlossener, freundlicher und verspielter Artgenosse.

Im Tierheim zeigte er sich bisher verträglich mit anderen Hunden, aber wie immer entscheidet die Sympathie.

Innensenator Ulrich Mäurer (dritter von rechts) freute sich gemeinsam mit Vertretern der Wohnungsbaufirmen, dem Reinigungsmitarbeitern, Behördenvertretern und Ortsamtsleiterin Ulrike Pala über den Start der Aktion gegen Farbvandalismus.

Illegale Graffiti kommen weg

Im Bremer Westen sollen die Spuren von Farbvandalismus künftig schnell beseitigt werden

Durch Innensenator Ulrich

Mäurer inspiriert kam jetzt die Kooperation der vier großen Wohnungsbauunternehmen das erste Mal zum Tragen. Mit einer Reinigungaktion wollten die vier Unternehmen Gewoba, Brebau, Espabau und Vonovia ein Zeichen setzen, dass sie künftig stärker gegen illegale Graffiti vorgehen. Im Bremer Westen sollen die Spuren von Farbvandalismus an den Objekten künftig sofort zur Anzeige gebracht werden und die Graffiti innerhalb von 14 Tagen entfernt oder zumindest unkenntlich gemacht werden.

Im Januar hat der Senat ein Konzept des Innensenators

gegen Farbvandalismus beschlossen. Das Konzept mit einer ganzen Reihe von Einzelmaßnahmen, sieht auch eine Mitwirkung der Wohnungsbauunternehmen vor, Tätern von illegalen Graffiti keine unerwünschten Flächen zu bieten. „In Vegesack in Bremen-Nord haben wir schon einmal angefangen. Da ist noch viel Luft nach oben“, bemerkte Mäurer. Nachdem die Wohnungsbauunternehmen schon bei der Vereinbarung „sauberer Ohlenhof“ gezeigt haben welche große Wirkung eine gemeinsame Kraftanstrengung erzielen kann, soll Maßnahme nun auf den gesamten Bremer Westen ausgeweitet werden. „Nicht nur Farbschmierereien, sondern auch der Müll

beeinträchtigen das Sicherheitsgefühl der Menschen. Daher freuen wir uns, dass wir auch die vier großen Wohnungsbaugesellschaften mit ins Boot geholt haben“, sagte Mäurer. In einer gemeinsamen Erklärung führten diese aus, dass sie sich zum Ziel setzen den illegalen Farbvandalismus schnell und möglichst innerhalb von zwei Wochen zu beseitigen oder zumindest unkenntlich zu machen. Außerdem solle jede Tat zur Anzeige gebracht werden und die Täter am besten auf frischer Tat ertappen. „Es ist von entscheidender Bedeutung schnell zu reagieren“, sagte auch Christian Jäger von der Gewoba. „Ein Projekt alleine wird nicht die Lösung bringen“, räumte

Mäurer zwar ein. Aber es sei ein Anfang. „Vor drei Jahren haben wir den Ordnungsdienst etabliert, der so langsam auch in die Fläche kommt. Das sind kleine Beiträge, die unversichtbar sind“, findet Mäurer. „Ein ganz toller zweiter Schritt“, freute sich Noch-Ortsamtleiterin Ulrike Pala, „in Gröpelingen haben wir ja schon angefangen.“ Auch Sicherheitspartnerschaften-Koordinator Christian Modder freute sich über den Start der Aktion, die das Sicherheitsgefühl der Bürger stärke: „Davon profitieren 10.000 Wohneinheiten.“

Da Rocky schon einmal einen Beißvorfall hatte, wird er nicht in einen Kinderhaushalt vermittelt und nur an erfahrene Hundehalter.

■ Das Tierheim befindet sich an der Hemmstraße 491. Weitere Infos zu Öffnungszeiten und Tieren gibt es unter Telefon 35 11 33 und bremer-tierschutzverein.de im Internet. (mb)

Offener Stammtisch

Die SPD Gröpelingen/Oslebshausen lädt für Freitag, 28. April, zu ihrem nächsten öffentlichen Stammtisch ein.

Der Stammtisch findet ab 19 Uhr in der Schnackbar in Oslebshausen (Regine-Hildebrandt-Platz) statt. Eine vorherige Anmeldung ist nicht notwendig, die Schnackbar ist zudem ebenerdig zugänglich.

„Alle Interessierten, die

Lust haben, sich abseits von Tagesordnungen und Formalien über Politik in Bremen und in Stadtteil auszutauschen oder auch einfach die Menschen aus der örtlichen SPD kennen zu lernen, sind herzlich eingeladen vorbei zu kommen“, sagt Larissa Krümpfer, Mit-Initiatorin des Stammtisches und Kandidatin bei der Bürgerschaftswahl. (WR)

Familientag der SPD

Veranstaltung im Bürgerhaus Oslebshausen

G RÖPELINGEN Familien mit Kindern und alle Nachbarinnen und Nachbarn aus dem Stadtteil sind zum Familiennachmittag der SPD eingeladen, der Eintritt ist frei, eine Anmeldung ist nicht notwendig. Das Bürgerhaus Oslebshausen als Veranstaltungsort ist barrierefrei.

„Mit den Menschen ins Gespräch zu kommen ist uns wichtig. Wir erreichen aber nicht alle mit Infoständen oder Abendveranstaltungen“ betont Larissa Krümpfer, Mitglied der SPD und Kandi-

datin für die Bürgerschaftswahl aus Oslebshausen. „Mit dem Familiennachmittag wollen wir Menschen in Familienphasen einladen, mit uns ins Gespräch zu kommen, abseits von förmlichen Events, bei Kaffee, Tee und selbst gebackenen Waffeln. Als Mutter zweier Kinder weiß ich, das Informationsveranstaltungen für kleine Besucher oft langweilig sind.

Damit auch die jüngsten Familienmitglieder auf ihre Kosten kommen, haben wir uns ein buntes Programm

Foto: Bollmann

Mit verschiedenen Mitteln beseitigten die Mitarbeiter der Reinigungsfirma die Farbschmiererei an der Fassade dieses Hauses an der Admiralstraße.

Sicher verwahrt.

mit Aktivitäten für kleine und große Kinder überlegt.“ so Krümpfer weiter.

Vor Ort werden die Kandidierenden der SPD für Beirat und Bürgerschaft aus Gröpelingen/ Oslebshausen für Gespräche zur Verfügung stehen.

Der Familiennachmittag der SPD Gröpelingen/Oslebshausen findet am Sonnabend, 29. April, von 15 bis 18 Uhr im Bürgerhaus Oslebshausen, (Am Nonnenberg 40) statt. (WR)

Ihr persönliches Schließfach gibt Ihnen ein sicheres Gefühl. Machen Sie sich um Wertvolles wie Urkunden, Schmuck und andere Wertsachen keine Gedanken. Verwahren Sie alles am besten dauerhaft in unseren Schließfachanlagen in Bremen.

www.sparkasse-bremen.de/ schließfach

Weil’s um mehr als Geld geht.

B REMEN Sonntag, 23. April 2023 7
© S-Com
M ARTIN B OLLMANN Foto: Bollmann
NOT FÄLLE IM DORF
Der fast vier Jahre alte Shar Pei Rocky ist im Dorf der Tiere an der Hemmstraße. Foto: pv
DER TIERE

M ARTIN B OLLMANN

Mit der „Backstuuv Tobias Thräm“ hat an der Hamburger Straße 195 (Ecke Clausthaler Straße) eine ganz besondere Bäckerei eröffnet. In dem Familienbetrieb kann man nämlich live verfolgen, wie die leckeren Teigwaren verarbeitet werden. Ermöglicht wird das durch die großen Scheiben der gläsernen Backstube, durch die man den Geschwistern Antonia und Tobias Thräm bei der Arbeit zusehen kann. Auf Wunsch erläutern die beiden auch, welche Teigwaren sie gerade verarbeiten.

In den Auslagen der Bäckerei findet sich neben Brot und Brötchen auch ein eher außergewöhnliches Sortiment mit Spezialitäten wie etwa

dem Curry-HokkaidokürbisBaguette Paillasse (wird mit Oliven-Pfeffer-Salz-Paste bestrichen), den Teekuchen, dem Dinkelruchbrot oder dem saarländischen Nußzopf. Dabei ist es für Oliver Thräm aber eine Selbstverständlichkeit, dass nur naturbelassene Zutaten verarbeitet werden. Den Einsatz von backindustriellen Zutaten wie Fertigmehle oder Backmittel lehnt er genauso wie sein Vater, Bäckermeister-Senior Frank Thräm, strikt ab. In dem Familienbetrieb wird stattdessen für das Brötchenbacken Backmalz oder Dinkelruch-Mehl eingesetzt.

„Das ist mit seinen vielen Ballaststoffen gut für den Stoffwechsel. Zudem bindet der Teig Wasser, was für einen frischen Geschmack

sorgt“, erläutert Thräm. Zudem achte man auch bei den Saatenbroten darauf, dass die Zutaten gut für den Stoffwechsel seien. Außerdem lasse man den Teig 20 Stunden im Kühlschrank gehen. Dadurch brauche man weniger Hefe und das Brot bekomme einen besseren Geschmack, erläutert Frank Thräm. Deswegen benutze man zum Backen auch das belebte Wasser Grander.

Im Familienbetrieb denkt man aber auch an die Kunden, denen es finanziell nicht so gut geht: Deshalb beteiligt Thräm sich auch an dem Projekt „Hej“, das aus dem schwedischen Raum kommt und „Hallo“ bedeutet. Dabei können die Kunden zum Beispiel zwei Brote kaufen und eins davon spen-

Tobias und Antonia Thräm in der gläsernen Backstube der „Backstuuv“ an der Hamburger Straße.

Foto: Bollmann den. Der Bon wird dann einfach an das Hejboard gehängt und kann dann von einem anderen Kunden einge-

löst werden. Die „Backstuuv Tobias Thräm“ befindet sich an der Hamburger Straße 195 und

ist Dienstag bis Freitag von 7 bis 17.30 Uhr sowie Sonnabend von 7 bis 13 Uhr geöffnet.

Hier in Gröpelingen

Immer dicht am Menschen

Gröpelinger Marketing besteht seit 25 Jahren / „Botschafter für Gröpelingen“

M ARTIN B OLLMANN

Gemeinsam mit zahlreichen Gästen wurde am Freitag der Geburtstag des Gröpelinger Marketing e. V. gefeiert. Der Verein besteht jetzt seit genau 25 Jahren.

Die Redner waren voll des Lobes für die Arbeit des Vereins. Beiratssprecherin Barbara Wulff nannte etwa das kostenlose Wlan eine große Errungenschaft für den Stadtteil, genauso wie die Berufsorientierungsbörse für Jugendlich oder die Rundfahrt durchen den Industriehafen, die ebenfalls der Berufsorientierung diente. Dem stimmte auch Christiane Gartner von Kultur vor Ort zu. Zudem sei es auch gelungen die Fähre nach Gröpelingen zurückzuholen, ergänzte Gartner und freute sich zugeleich über weitere zivilgesellschaftliche Errungenschaften und die breit aufgestellte gesellschaftliche Struktur. „Gröpelingen Marketing war immer nah an dem was der Stadtteil braucht“, lobte auch Sabine Kruse vom Verein Nachbarschaftshaus: „Es war immer innovativ und hat sich über die Jahre immer weiterent-

Barbara Wulff sprach als Vertreterin des Beirats und würdigte die Arbeit vom Gröpelinger Marketing.

wickelt.“ Zugleich hob Kruse die Bedeutung des freien WLAN hervor, dass auch von vielen Flüchtlingen genutzt werd um mit den Familien zu kommunizieren. Dirk Dieling vom Martinshof freute sich besonders über die Sozialen Manufakturen,

Auch Bürgermeister Andreas Bovenschulte dankte dem Gröpelinger Marketing für sein Engagement.

die es seit vier Jahren gibt. Dabei verkaufen Menschen mit und ohne Beeintrachtigungen an 150 bis 180 Markttagen Produkte aus dem Stadtteil. „Ihr seid Botschafter für Gröpelingen“, bedankte sich Dieling für das Engagement.

„Gröpelingen hat große Potenziale und ihr macht eine gute Arbeit. Gröpelingen und Gröpelingen Marketing sollen blühen, wachsen und gedeihen“, lobte auch Bürgermeister Andreas Bovenschulte die jahrzehntelange Arbeit. „Der damals erwünschte Aufwind wurde erzeugt“, bemerkte die Vorstandsvorsitzende Cornelia Wiedemeyer bescheiden. Sie wird dem Gröpelinger Marketing allerdings nicht mehr lange zurVerfügung stehen. In Kürze tritt sie die Stelle als neue Ortsamtsleiterin West an.

B REMEN 8 Sonntag, 23. April 2023
Vorstand, Mitarbeiter und Unterstützer des Gröpelinger Marketing feierten am Freitag das 25-jährige Bestehen. Fotos: Bollmann
Eine besondere Bäckerei ist eröffnet / Naturbelassene Zutaten
„Hej“ gläserne „Backstuuv“
Carl Bullenkamp e. K. Inh. A. Solf • Uhren und Schmuck seit 1926 – Eigene Reparaturwerkstatt Gröpelinger Heerstraße 224 • ‡ (04 21) 61 17 32 Neue Öffnungszeiten: Mo. bis Fr. 15 – 17 Uhr Sa. geschlossen. CITIZEN Pilot Style Chronograph CA4471-80L Eco-Drive Lichtantrieb, Edelstahlgehäuse Ø 44mm, Kristallglas, 270 Tage Gangreserve, 24Std. Anzeige, Stoppur, Tachymeter, Datumsanzeige, 10 bar wasserdicht € 199,START 19:00 Reservieren Sie jetzt! RESTAURTANT MARATHON 0421 / 61 94 56 75 0177 / 3 61 25 86 Moorstr. 26/Ecke Gröpelinger Heerstr. • 28237 Bremen Seit 1987 Erfolgreich tätig im Geschäft, E-Mail: gassner.express@gmail.com Kostenlose Beratung inkl. Kostenvoranschlag vor Ort im einwandfreiem 30% Neukunden Rabatt auf alles Gültig nur vom 24.04.2023 bis 29.04.2023 Tel: 0421 - 70 902258 Gröpelinger Heerstraße 235 28239 Bremen Tel. 0421 / 6 16 23 49 Damen & Herren Coiffeur Diedrich Friseur GmbH

Mobilität im Focus

Stadtrundgang von BUND und Klimazone Findorff

Der BUND Bremen und die Klimazone Bremen-Findorff e. V. laden zu einem Stadtrundgang ein, bei dem Fußverkehr und Mobilitätswende im Stadtteil aus einer teilhabeorientierten Perspektive betrachtet wird.

„Der Fokus des Rundgangs liegt auf dem Thema der Zugänglichkeit von Mobilität für alle. Wie können die Bedürfnisse aller Bürger in den Fokus gerückt und eine sichere und effiziente Mobilität gewährleistet werden?“, fragt Annika Fuchs, wissenschaftliche Mitarbeiterin des BUND Bremen. „Wir möchten während des Rundgangs ergründen, wie Geschlechterperspektiven auch heute noch eine wichtige Rolle in der Straßeninfrastruktur spielen. Denn zugängliche Mobilität verbessert nicht nur Chancengleichheit, sondern auch die Lebensqualität aller Bürger in der Stadt.“

Gesche Reich, Klimaschutzmanagerin in der Klimazone Findorff, ergänzt: „In Findorff kocht das Thema Verkehrswende seit Jahren.

Wir möchten zeigen: Es lohnt sich, mal einen neuen Blick auf dieses Thema zu werfen. Dabei nutzen wir den Stadtraum, um den Teilnehmenden zu erklären, dass durch eine umfassende Berücksichtigung unterschiedlicher Bedürfnisse und Perspektiven eine nachhaltige und sichere Mobilität erst möglich wird.

Dieser Ansatz steht im Gegensatz zu einer gefährlichen Praxis des aufgesetzten Parkens, wo beispielsweise Hydranten zugeparkt und dadurch die Löschung von Gebäuden behindert werden.“

Verkehrsexpertin Annika Fuchs wird den Teilnehmenden Informationen und Hintergründe zu verschiedenen Mobilitätskonzepten und Perspektiven vermitteln. Am Ende des Rundgangs findet gegen 17.30 Uhr eine Diskussion in der Geschäftsstelle der Klimazone, Münchener Straße 146, statt. Die Ergebnisse werden visualisiert und im Anschluss für einige Zeit in der Klimazone ausgestellt, um die Diskussion und die Erkenntnisse auch anderen

Ausstellung wird eröffnet

Fotografien von Ralf Hemke werden gezeigt

Unter dem Titel „Verbundenheit“ werden im Kulturhaus Walle jetzt Fotografien von Ralf Hemke ausgestellt. Zu sehen sind zumeist monochrome Aufnahmen mit starken Kompositionen.

Ralf Hemke fotografiert seit seiner Jugend, damals noch analog, heute digital.

Der Bremer nutzt die Möglichkeiten seiner Kamera und hört nie auf neugierig zu sein und sich weiter zu entwickeln. Die Erinnerungen an die Anfänge seiner Arbeit mit der Kamera, da gab es Schwarz-Weiß-Fotografie mit 24 Bildern auf einem Film, prägen seine Leidenschaft für die monochrome Fotografie.

Mit scharfem Blick für kuriose Momente, besondere

Lichtstimmungen und die feinen Zwischentöne einer Situation entstehen starke Kompositionen. Als festes Mitglied in der Gruppe Photohaven, einem Zusammenschluss von Menschen die gemeinsam fotografieren, sich fachlich austauschen, korrigieren und Ausstellungen organisieren, probiert sich Ralf Hemke in den Genres Architektur, Landschaft, People, Street und Portrait aus. Im Kulturhaus Walle, Brodelpott (Schleswiger Straße 4) ist bis zum Sommer eine Auswahl seiner Arbeiten zu sehen. Die Ausstellungseröffnung ist am Sonntag, 30. April, um 15 Uhr. Danach können die Bilder bis 27. Juli besichtigt werden. (WR)

zugänglich zu machen.

Interessierte sind eingeladen, an dem Rundgang am Dienstag, 25. April, ab 16 Uhr (Start an der Ecke Timmersloher Straße / Hemmstraße) teilzunehmen. Eine Anmeldung ist erforderlich und kann per E-Mail kontakt@klimazone-findorff.de oder Telefon/Whatsapp 0421/ 37 84 35 84 erfolgen. Um frühzeitige Anmeldung wird gebeten. Weitere Informationen zum Thema Mobilität gibt es unter BUND-Bremen.net im Internet (WR)

Der BUND hat auch in Gröpelingen schon einen Stadtrundgang angeboten und dabei festgestellt, dass in vielen Straßen aufgesetzt geparkt wird, was Fußgänger oft behindert. Foto: Bollmann

Preis!

In der Zeit bis mindestens 29.04.2023 suchen wir im Auftrag unserer Küchen herstellenden Unternehmen, an all unseren Standorten, für eine regionale Marktanalyse jeweils 75 Küchentesterinnen und -tester. Als Küchentesterin und -tester müssen Sie lediglich bis zwei Wochen nach der Lieferung Ihrer Küche einen knapp gehaltenen Fragebogen ausfüllen.

Bitte beachten Sie: Bei diesen sensationellen Preisvorteilen müssen wir die Aktion bis mindestens 29.04.2023 auf 75 Küchentesterinnen und -tester pro Standort beschränken, da derartige Nachlässe im täglichen Verkauf nicht möglich sind. Für alle Kundinnen und Kunden, die diesmal nicht zu den ausgewählten Küchentestenden gehören, halten wir aktuell weitere verlockende Angebote in allen unseren Abteilungen bereit. Wer Lust auf neue Wohnideen hat, profitiert jetzt bei uns von tollen Aktionen, ausgezeichnetem Service und besten Möbeln zu einmaligen Preisen. Darüber hinaus lockt unser XXXLutz Restaurant mit frischen und kulinarischen Köstlichkeiten. Schauen Sie mit Ihrer Familie in Ihrem Möbelhaus vorbei.

B REMEN Sonntag, 23. April 2023 9
Für Druckfehler keine Haftung. XXXLutz dodenhof in Posthausen, Filialen der XLDP Handels GmbH & Co. KG, Mergentheimer Straße 59, 97084 Würzburg. S) Gültig bei Neuaufträgen. Ausgenommen: in dieser Werbung angebotene Ware, in der Ausstellung als „Bestpreis“, „Bester Preis“ und „Dauertiefpreis“ gekennzeichnete Artikel, E-Geräte, Spülen, Armaturen, Zubehör, Arbeitsplatten und Nischenrückwände sowie Gutscheinkauf. Keine weiteren Konditionen möglich. Keine Barauszahlung. Gültig bis mindestens 29.04.2023. Ihre frei geplante Küche zum ½ S) PREIS Nur für Küchentesterinnen & -tester! XXXLutz dodenhof Posthausen | Posthausen 1 | 28869 Posthausen | Tel.: (030) 25549556-0 | Öffnungszeiten: Mo.-Sa. 10.00-20.00 Uhr | posthausen@xxxlutz-dodenhof.de Küchentester gesucht! 0800/800 9119 xxxlutz.de/termin Jetzt Termin sichern
Die ersten 75 Küchenkäuferinnen und -käufer erhalten ihre frei geplante Küche zum halben
Auch auf dem Freimarkt war Ralf Hemke unterwegs, um ganz besondere Stimmungen einzufangen. Foto: Hemke

Green Line: Bremens erste grüne Waschstraße

Als ersten Standort haben wir unser Filiale in Bremen auf grünes Waschen ausgerichtet.

Unsere neuen Green Line Reinigungs- und Pflegeprodukte hilft wichtige Ressourcen zu schonen und damit die Umwelt nachhaltig zu schützen. Nachhaltigkeit: Einer unserer Werte, der neben Verantwortung, Respekt, Leidenschaft, Vertrauen und Mut täglich in der Clean Wash Gruppe gelebt wird. Dieser Werte spiegelt sich in unserer neuen Produktlinie Green Line wieder. Wir stellen uns der Verantwortung, die wir gegenüber unserer Umwelt haben und bieten Ihnen die Möglichkeit Nachhaltigkeit und ein optimales Waschergebnis in Einklang zu bringen.

Unsere Produkte sind frei von NTA, Silikon, Silikat, Phosphat, Mineralöl und natürlich Mikroplastik.

vom 24.04.2023 bis 29.04.2023

Felgenreinigung bei Waschstraßenprogramm inklusive!
Waller Heerstraße 177 · Telefon 38 36 06 Ab sofort Kundenkarte erhältlich Montag bis Samstag 8 bis 18 Uhr
Unser S pezialangebot nur €12,90
Komplettwäsche zum Sonderpreis statt 15,50 €

Schmerzen in den Griff bekommen

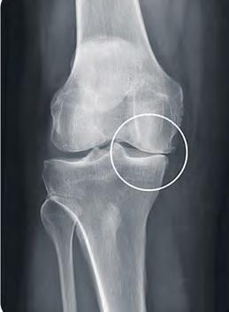
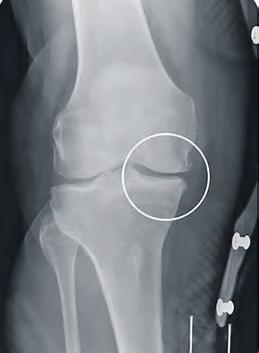
Wie Orthesen bei Arthrose das Leben erleichtern können

Wenn das Knie schmerzt, ist oftmals Arthrose das Problem. „Es gibt in Deutschland mehrere Millionen Menschen, die an der Erkrankung leiden. Die Betroffenen beobachten zum Beispiel Entzündungsschübe, Verdickungen und Verformungen an Knien, Fingern und an weiteren Gelenken“, erklärt Thorsten Belkot, Orthopädietechniker bei Oesterreich Orthopädietechnik. Betroffene könnten oftmals durch hochmoderne Orthesen, die die Gelenke entlasten und dadurch die Schmerzen reduzieren, zu einem aktiveren Alltag mit mehr Lebensqualität zurückkehren, so der Fachmann.

Dabei sei es durch die gezielte Gelenkentlastung möglich, ganz normal wieder spazieren zu gehen oder auch moderat Sport zu betreiben. Oesterreich OrthopädieTechnik führt spezielle Orthesen für leichtere, aber auch für fortgeschrittene Kniearthrosen. Thorsten Belkot bietet Betroffenen die Möglichkeit, die innovativen neuen Entlastungs-Orthesen

Gelenkverschmälerung auf der Knie-Innenseite ohne Orthese. Fotos: Oesterreich

der Firma Össur während der Arthrose-Testwochen auszuprobieren. „Die klinisch nachgewiesene Wirksamkeit sowie eine einfache Handhabung der Orthese sprechen für sich“, betont Belkot. Als am stärksten belastetes Gelenk des menschlichen Körpers ist das Knie am häufigsten von arthrotischen Veränderungen betroffen. Heil-

SPRECHSTUNDE

Tausendsassa Krafttraining

L ARS H ILDEBRANDT

Inhaber Crunchtime Fitness

Studien zeigen mittlerweile ganz klar den Zusammenhang zwischen hoher Lebensqualität und regelmäßig durchgeführtem Krafttraining. Neben diversen positiven Auswirkungen auf den Stoffwechsel (zum Beispiel erhöhte Fettverbrennung, Ausschüttung von Myokinen) hat Krafttraining auch positive Auswirkungen auf die Leistungsfähigkeit des Gehirns, die Sturzprophylaxe und das muskuloskelettale und myofasziale System allgemein (im Volksmund gern auch als „Haltungsapparat“ des Körpers genannt. Sogar auf das Herz-Kreislaufsystem und das neuronale System hatte es deutlich messbare Trainingseffekte. Krafttraining ist also viel mehr als „Pumpen“. Krafttraining ist eine „Lebensund Körpererneuerungsquelle“, die, unter fachkundiger und professioneller Anleitung absolviert, die Chance auf ein langes, gesundes und eigenständiges Leben erhöht und verbessert. Im direkten medizinischen Kontext zeigten Studien, dass ein gezieltes Krafttraining vor einer Therapie und/oder OP, eine sogenannte „Preha“, die an eine Therapie/OP anschließende „Reha“ oder Wiedereingliederung in den Alltag auch ohne Reha erfolgreicher verlief und die Patienten überwiegend schneller wieder in ihrer individuellen Lebenssituation belastbar waren. Die betrifft neben den klassischen orthopädischen und kardiovaskulären Themen auch immer mehr onkologische Bereiche.

Sportverletzungen am Knie

Dr. Christian Homuth, Leitender Oberarzt Zentrum für Schulterchirurgie, Arthroskopische Chirurgie und Sporttraumatologie

Mi 26 4 2023 um 17:30 Uhr activo an der Roland - Klinik

Niedersachsendamm 65a, 28201 Bremen Anmeldung Di. 25.4. ab 9 Uhr, Tel. 0421.8778-330 Vortrag und Parken sind kostenlos.

Videos gibt es unter: www.roland - klinik.de/mediathek Roland - Klinik gemeinnützige GmbH www.roland - klinik.de

Zugrichtung zur Entlastung des Gelenks auf der KnieInnenseite.

bar sind Arthrosen nicht. Es gibt jedoch effektive Methoden, um den Schmerz in den Griff zu bekommen und so eine eventuelle Operation weit hinauszuzögern.

Oesterreich Orthopädietechnik bietet vom 24. April bis 5. Mai spezielle Beratungen rund um das Thema Arthrose und kostenloses austesten einer Orthese an. An-

Gelenkentlastung auf der Knie-Innenseite mit Orthese. Fotos: Oesterreich

meldungen nimmt das Team unter Telefon 79 00 30 sehr gerne entgegen. Die beiden Orthesen-Testwochen finden in allen drei Bremer Filialen in der Bürgermeister-SmidtStraße 32–36 (nähe Hauptbahnhof), Berliner Freiheit 1e (Vahr) und in Stader Straße 35 (Peterswerder) statt. Weitere Informationen unter www.otoesterreich.de (WR)

Wenn der Heuschnupfen Asthma verursacht Achtung, Pollen!

Kaum ist Frühling, fliegen auch schon wieder die Pollen. Der feine Blütenstaub verursacht bei Allergikerinnen und Allergikern oft eine laufende Nase und juckende Augen. Die Blütenpollen können aber auch allergisches Asthma auslösen. Allergisches Asthma ist eine chronische, entzündliche Erkrankung der Atemwege und eine Überreaktion des Immunsystems. Auslöser können neben Blütenstaub auch Tierhaare oder andere Stoffe aus der Umwelt sein. Erwachsene, die an unbehandeltem Heuschnupfen leiden, haben ein dreifach höheres Risiko, an Asthma bronchiale zu erkranken. Die Schwere des Asthmas und die Art der Beschwerden können variieren. Trockener Husten, pfeifende Geräusche beim Ausatmen oder Atem-

Mehr Krankheitsfälle durch Zecken

Seit der Corona-Pandemie verbringen viele Menschen ihre Freizeit mehr und mehr im Grünen. Das bleibt nicht ohne Folgen, wie aktuelle Daten zur Arbeitsunfähigkeit von Versicherten der KKH Kaufmännische Krankenkasse zeigen. Seit Beginn

der Corona-Krise haben sich immer mehr Berufstätige wegen Borreliose krankschreiben lassen müssen. Im vergangenen Jahr zählte die KKH 212 Arbeitsunfähigkeitsfälle mit fast 4.000 Fehltagen wegen der LymeKrankheit, die durch Ze-

ckenstiche übertragen werden kann. Das sind gut 18 Prozent mehr als 2021 (179 Fälle) und sogar fast 28 Prozent mehr als 2020 (166 Fälle). In den beiden Vor-Corona-Jahren lag die Zahl mit jeweils 155 Fällen noch darunter.

AKTIV MIT ARTHROSE

KOSTENLOSER ORTHESEN-TEST vom 24. Aprilbis 05. Mai 2023

April bis

für Vorträge und Übungen!

VORTEILE DIESER KNIEORTHESE:

• Dauerhafte Schmerzlinderung

• Schonende, entlastende Behandlung

• Einschränkung der Medikamente

• Hinauszögern von Operationen

• Erhöhung des Aktivitätsgrades

not sind typische Krankheitssymptome. Bei einem Anfall verkrampft die Muskulatur im Bereich der Bronchien, die Schleimhaut schwillt an und es wird verstärkt zäher Schleim gebildet, der die Atemwege verengt und ein Gefühl des Erstickens auslösen kann. In jedem Fall muss Asthma ärztlich behandelt werden, aber auch Allergikerinnen und Allergikern wird empfohlen, sich in einer spezialisierten Arztpraxis behandeln zu lassen.

Die Therapie von Asthmapatientinnen und -patienten erfolgt häufig mittels eines Inhalators. Viele Apotheken vor Ort bieten kostenfrei die neue pharmazeutische Dienstleistung „Einweisung in die korrekte Arzneimittelanwendung mit Üben der Inhalationstechnik“ an. (WR)

• Verbesserung der Lebensqualität

• Komfortabler Begleiter

• Uneingschränkt tägliche Aktivtäten beim Gehen, Laufen oder Radfahren

Bitte um telefonische Anmeldung 0421/790030

Für ein bewegtes Leben ...

Bürgermeister-Smidt-Straße 32–36 (Nähe HBF) I 28195 Bremen Stader Straße 35 I 28205 Bremen-Peterswerder Berliner Freiheit 1e I 28327 Bremen-Vahr www.ot-oesterreich.de

Das Prinzip STENUM: gelebte Ganzheitlichkeit. Selbstverständlich sind Patienten ALLER Krankenkassen herzlich willkommen!

Bitte vormerken: „Tag des Neubaus“ (Einweihung unseres neuen Bettenhauses!) am 10. Juni!

Das Department für Endoprothetik mit jährlich ca. 550 Operationen ist einer der Fachbereiche der STENUM Ortho GmbH.

Im Bereich der Endoprothetik kommen die innovativsten Medizintechnologien zum Einsatz.

Seit 2015 ist die STENUM Ortho ein zerti ziertes EndoProthetikZentrum und darauf spezialisiert, Implantationen von künstlichen Gelenken durchzuführen.

Das können Sie von uns in der Endoprotetik erwarten:

- reguläre Einsetzungen von Hüft-, Knie-, Schulter-, Ellenbogen- und Sprunggelenken inklusive anfallender Wechseloperationen

- Arthroskopische Operationen an Knie-, Schulter-, Ellenbogen- und Sprunggelenk

- rekonstruktive Gelenkchirurgie

- sekundäre Behandlung von Knochenbrüchen, Unfallfolgen, posttraumatischen Fehlstellungen und Pseudoarthrosen

- moderne orthopädische Fußchirurgie, Umstellungsosteotomien bei Hallux valgus, Operation von Hammerzehen, Rückfußkorrektur sowie Behandlung von diabetischem Fuß/Charcot

I HRE G ESUNDHEIT Sonntag, 23. April 2023 11
STENUM Ortho GmbH 27777 Ganderkesee Heilstättenweg 1 Tel. +49 (0)4223 71-0 Fax + 49 (0)4223 71-217 gesund@stenum-ortho.de www.stenum-ortho.de Unser Leistungsspektrum: Wirbelsäulenorthopädie Endoprothetik • Arthroskopie Fußchirurgie • Konservative Orthopädie Sonstige orthopädische Operationen Physiotherapie • Sportorthopädie Kommen Sie als Patient zu uns, gestalten wir Ihnen den Aufenthalt in STENUM so angenehm wie möglich. Unsere freundlichen Mitarbeiter und die familiäre Atmosphäre im Haus sorgen für einen angenehmen Aufenthalt –wir kümmern uns gerne um Sie.
www.weserreport.de

Seit 1995 steht BULLSfür spor tliches Radfahren mit höchsten Qualitätsansprüchenin nahezu jeder Preisklasse. Vom Einsteiger-Mountainbike biszu Highend-E-Bike bietet BULLS ein überzeugendesBike-Por tfolio, das jedes Jahr aufs Neue Testsiege renommier ter Fachmagazine einfähr t.

AKTIONSTAGE %

BULLS E-SUV

ICONIC EVO TR-1

• vollgefeder tes

Fahr werkmit62mm

Breitreifenfür souveräne Sicherheitbei Schlaglöchern undschlechten Straßen

•kraft voller Bosch

CX-Motormit Kiox Farbdisplay absenkbare Sattelstütze

KINDERRAD

TOKEE20 STREET

•leichtlaufendes Alu-Jugendrad mit spor tlichen

Genen

•einfachbedienbare

7 Gang Shimano Schaltung

•hochwertige Qualitätfür

lange Ausdauer ab 5+Jahre

BULLS DAILY GRINDER1

•flottes Gravel-und Touringbikefürden täglichen Einsatz

• 16 Gang Shimano Clarisgarantiertzügiges Vorankommen

•zuverlässigeShimano Scheibenbremsen

• NabendynamoundLED-Lichtanlage

•funktionell:lange Schutzbleche und Systemgepäckträger

•eleganter Rahmenmitvielen Montageoptionen

•außergewöhnlich gutes Preis-Leistungsverhältnis

BULLS E-MTB

LT CX400

•Allround-E-MTB mitausgewogenen Fahreigenschaften BoschCX Spor tmotorfür Schub in jeder Lage

•9 Gang Shimano Deore E-Bike Schaltung Hydraulische Scheibenbremsen

•elegantintegrier ter 400Wh

Power-Akku MonkeyLink ready

Irrtümer,Druckfehler,Preisänderungenund Liefermöglichkeiten vorbehalten. Teilweise keine Originalabbildungen.Angebotenursolangeder Vorrat reicht. **ehemaligeUVP***Preisentsprichtunserem Markteinführungspreisderaktuellen Saison1) Kaufpreisentsprichtdem Nettodarlehensbetrag Gebundener Sollzinssatz(jährl.)0,0%;effektiverJahreszins0,0%; Beispiel: Finanzierungsbetrag 1.000,- Euro 10 Monate 100,-€. samtbetrag beieiner Laufzeit von 10 Monaten: 1.000,-€.Angabenzugleich repräsentatives Beispiel i. S. d.§ 17 Abs. 4 PangV. VermittlungerfolgtausschließlichfürdenKreditgeber BNP Paribas S.A. Niederlassung Deutschland, Standort München: Rüdesheimer Straße 1, 80686 München.In Österreicherfolgtdie VermittlungfürdieSantander Consumer BankGmbH, DonauCity-Straße 6, 1220 Wien
0%Finanzierung 1) oderBike-Leasingmöglich! BULLS MOUNTAINBIKE COPPERHEAD 2 • Top-Mountainbikemit hochwertigem Rahmen •zuverlässige22 Gang Shimano Deore Schaltung •schnelllaufende Schwalbe Allroundbereifung • hydraulischeShimano Scheibenbremsen •29“ Laufräder für idealesRoll rhalten BULLS MOUNTAINBIKE RAPTOR/FELI DISC •hochwertig verarbeiteter, eleganterAluminium-Rahmen •leichtbedienbare 21 Gang Shimano Rapidfire-Schaltung •sichere, verschleißarme Scheibenbremsen 877.gespart auf UVP 202.UVP 1079.Beste Voraussetzungen für Training und Touren im Gelände ales Rollverhalten 1079.TollesMountainbike in vielen Farben u. Größen 488.gespart auf UVP 191.UVP 679.1188.gespart auf UVP 111.UVP 1299.Das smar te System CX 85Nm Drehmoment 750Wh Mi dem neuen Kiox300Smar System! neuen Kiox 300 Smart 4222.gespart auf UVP 977.UVP 5199.Alltagstauglicher Fahrspaßpur! Vollfederung Irrtümer, Druckfehler, Preisänderungen und Originalabbildungen. Angebote nur solange der ** ehemalige UVP *** Preis entspricht unserem Markteinführungspreis der aktuellen 488.gespart auf UVP 141.UVP 629.CX 85Nm Drehmoment 400Wh Für alle Wege! 500WhAkku + 200 € 2132.gespart auf UVP 567.UVP 2699.www.zweirad-stadler.de BREMEN(Hansator) Zweirad-Center StadlerBremenGmbH, Hafenstraße 1, 28217 Bremen, Jetzt noch lähnger fürSie da! Mo - Sa 10:00-20:00Uhr

Ducksch-Festival in Berlin

Werder gewinnt auch ohne Niclas Füllkrug beim Tabellenletzten mit 4:2

R OBERT L ÜRSSEN

Angetrieben von rund 25.000 mitgereisten Fans hat Werder das Schlüsselspiel beim Bundesliga-Schlusslicht Hertha BSC mit 4:2 (2:0) gewonnen und die eigene Negativserie beendet. Nach einer zeitweise überlegen geführten Partie leisteten sich die Bremer am Ende wieder zwei Abwehrfehler und brachten sich so noch in Not.

Jean-Manuel Mbom aus dem Profikader sammelte gestern Spielpraxis im U 23-Team. Foto: Hansepixx

U 23 verschafft sich Luft

Drei wichtige Punkte sammelte Werders U 23-Team gestern in der Regionalliga Nord. Die Elf von Trainer

Konrad Fünfstück besiegte auf Platz 11 Schlusslicht Kickers Emden mit 3:0 (2:0) und baute damit den zuletzt bedenklich geschrumpften Vorsprung auf die Abstiegszone wieder aus.

Dikeni Salifou aus dem Profi-Kader erzielte bereits nach elf Minuten die Führung für die Bremer. Jannic Ehlers erhöhte noch vor dem

Seitenwechsel auf 2:0 (45.). Routinier Philipp Bargfrede sorgte mit dem 3:0 (50.) früh für klare Verhältnisse.

Neben Salifou kam aus der Bundesliga-Mannschaft auch Jean-Manuel Mbom zum Einsatz.

Bereits am Freitagabend hatte der SV Atlas Delmenhorst durch einen 4:2-Erfolg gegen Jeddeloh neue Hoffnung im Abstiegskampf geschöpft.

Der Bremer SV ist an diesem Wochenende spielfrei. (rl)

Start in Hannover

Ihren Weg nach Bremen nehmen die Teilnehmer der Deutschlandtour der Radprofis am 27. August von Hannover aus in Angriff. In der niedersächsischen Landeshauptstadt startet die Schlussetappe der fünftägigen Rundfahrt, das Ziel befindet sich in der Bremer

Überseestadt. Zuvor muss das Feld in der Hansestadt noch mehrmals einen Rundkurs absolvieren. Aufgrund des flachen Profils der Strecke rechnen Radsportfreunde im Finale mit einem spektakulären Massensprint auf der KonsulSmidt-Straße. (rl)

Die erste Szene gehörte den Berlinern. Richter spielte steil auf Lukebakio, dessen Abschluss parierte Pavlenka mit dem Fuß. Danach spielte nur noch Werder. Jens Stage steckte den Ball zu Marvin Ducksch durch, der traf zum 1:0 nach sechs Minuten. Weil in der Entstehung Weiser und Toussart im Mittelfeld zusammengeprallt waren, gab es Proteste der Hertha. Für den VAR gab es aber keinen Grund das Tor einzukassieren.

1,90€ -36%

7,70€ -45%

SPIELERZEUGNIS

Jiri Pavlenka 2

Der zweite Bremer Treffer ging erneut auf das Konto von Ducksch. Christian Groß flanke von der rechten Seite in den Raum zwischen zwei Berliner Verteidigern, Ducksch köpfte herrlich ins lange Eck (27.).

Niklas Stark 3

Milos Veljkovic (bis 80.) 3

Marco Friedl 2

Mitchell Weiser 2

Leo. Bittencourt (bis 66.) 3

Christian Groß (bis 90.) 2

Jens Stage 3

Anthony Jung (bis 80.) 3

Max. Philipp (bis 66.) 3

Marvin Ducksch 1

Romano Schmid (ab 66.) -

Eren Dinkci (ab 66.) -

Lee Buchanan (ab 80.) -

Amor Pieper (ab 80.) -

Ilia Gruev (ab 90.) -

Wenn es etwas auszusetzen gab am Auftritt der Bremer in der ersten Hälfte, dann dass sie nicht noch mindestens einen weiteren Treffer nachlegten. Philipp (30.), Ducksch (41.) und Stage (45.) wurden jeweils wunderbar in Szene gesetzt, verfehlten aber jeweils das Ziel. Nach dem Seitenwechsel versuchte es Hertha-Trainer Dardai mit drei neuen Spielern. Doch Werder blieb sta-

bil. Besser noch: Ducksch legte nach. Flanke Anthony Jung, Ballannahme mit der Brust. Dropkick ins kurze Eck – 3:0 (51.).

Werder wollte mehr, blieb bissig und aufmerksam. So war Weiser zur Stelle, als Hertha-Torwart Christensen einen ungenauen Rückpass nicht richtig verarbeiten konnte. Der Bremer gewann den Zweikampf und schon den Ball ins leere Tor – 4:0 (63.).

Der Drops damit gelutscht? Leider nicht! Weil die Bremer im Sechser-Raum den Ball nicht unter kontrol-

le bekamen, sah sich Niklas Stark in ein 1:1-Duell gegen Ngankam gezwungen. Der Berliner siegte und traf zum 1:4 (68.).

Nicht so schlimm angesichts des klaren Vorsprungs? Vielleicht, wenn kurz darauf Veljkovics Rettungsversuch gegen Ngankam nicht zum Elfmeter für die Gastgeber geführt hätte. Lukenbakio verwandelte zum 2:4 (79).

Die Bremer wankten kurz, aber dieses Mal fielen sie nicht. Stattdessen gab es eine verdiente grün-weiße Jubelarie im Olympiastadion.

Besuchunsinunserem300m2 großen LadenimEinkaufsparkDuckwitz!

MacheinSchnäppchen

9,90€ -51%

3,95€ -50%

Gültigabdem25/4

Gültigabdem25/4

den zur

Scanneden QR-Code undfindeden WegzurFiliale 4€ -50%

9,90€ -51%

Gültigabdem25/4

-Angebotegültigbiseinschließlich1.

GratisGeschenk

GibdenGutscheininderFilialeabund erhalte25 Maschenmarkierergratis. (Gültigbiseinschließlich Juli2023)

gratis. 2023)

S PORT Sonntag, 23. April 2023 13 Hobbii Bremen | Duckwitzstraße55 | 28199 Bremen | (SiefindenunsimEinkaufsparkDuckwitz)
Marvin Ducksch und Marco Friedl hatten in Berlin reichlich Grund zum Jubeln, auch wenn es zum Ende nochmal knapp wurde. Foto: Nordphoto/Kroeger

NEU! Containerdienst

• Bauschutt

• Baumischabfall

• Bodenaushub

• Holzabfälle

• Container von 7m³ bis 40m³

• ANDERE STOFFE AUF ANFRAGE

REIFEN: GÜNSTIGERGEHT NICHT!!!

Reifen:Günstigergehtnicht!!!

19 • 28777 Bremen

Tel. 0421/9 88 40 45 • Fax 0421/9 88 40 46 • autofit-farge@web.de

Über 2.500 Zusteller sind jeden Mittwoch und Sonntag unterwegs, um unsere Zeitung in über 300.000 Haushalte zu bringen.

Wenn Sie …

…Ihre Zeitung sonntags ausnahmsweise einmal nicht bekommen haben, können Sie ab 12 Uhr an folgenden Stellen ein Exemplar erhalten:

GRÖPELINGEN: Aral-Tankstelle, WALLE: STAR-Tankstelle, Gröpelinger Heerstraße 237 Waller Heerstraße 294

Sollten Sie dort kein Exemplar mehr erhalten, gehen Sie Online: Unter www.weserreport.de finden Sie alle aktuellen Lokalausgaben.

www.weserreport.de

Tanz in den Mai, Muttertag und Vatertag

Bremen geht voran

Grundstein für erste industrielle Anlage zur Erzeugung von grünem Wasserstoff gelegt

R OBERT L ÜRSSEN

Der Grundstein ist gelegt. Für den ersten Elektrolyseur in industrieller Größe und damit für aktuell eines der größten Wasserstoffprojekte in Europa. „HyBit“ nennt sich das Gemeinschaftsprojekt für das die Vorstände von SWB, EWE, Arcelor Mittal und der Rostocker Firma APEX, die den Auftrag für den Bau erhalten hat, am Donnerstag gemeinsam mit Bürgermeister Andreas Bovenschulte (SPD), Bürgermeisterin Maike Schaefer (Grüne) und Wirtschaftssenatorin Kristina Vogt die Kelle schwangen. Ab Mitte 2024 soll am Kraftwerkstandort Mittelsbühren Wasser mit Hilfe von Ökostrom in Wasserstoff und Sauerstoff aufgespalten werden. Der Einstieg in die Wasserstoffwirtschaft und damit Basis für die CO2-freie Stahlproduktion.

20 Millionen Euro kostet der Aufbau der Anlage. Die Hälfte zahlt Bremen. Gut angelegtes Geld, findet Kristina Vogt. „Die 10 Millionen haben Eindruck gemacht“, sagt sie. Etwa auf die Bundesregierung, die noch viel mehr Fördergeld für die Umstellung der Stahlproduktion von Kohle auf Wasserstoff bereitstellen soll.

63,-

www.gartendiscounter.de

Mit der Wasserstofferzeugung in großem Stil ist Bremen in der Vorreiterrolle. „Während viele noch planen, sind wir schon in der Lage den Grundstein zu legen“, unterstreicht SWB-Vorstand Karsten Schneiker.

Bürgermeister Andreas Bo-

Alu-Terrassendächer

Großes Medieninteresse: Diverse Fotografen und Kamerateams hielten den geschichtsträchtigen Moment der Grundsteinlegung fest. Foto: Schlie

venschulte will sogar in noch größeren Kategorien denken. „Wir können zur weltweiten Modellregion für die Wasserstoffwirtschaft werden“, meint der Präsident des Senats. Das erfordere Investitionen in die Infrastruktur, auch und ganz besonders des Bundes.

Gemessen an den bislang bestehenden Einrichtungen zur Erzeugung von Wasserstoff ist „HyBit“ ein Gigant. 1.500 Tonnen Wasserstoff pro Jahr soll die 10-Mega-

watt-Anlage anfangs produzieren und dann stufenweise ausgebaut werden. Gemessen am Bedarf des Stahlwerks ist der Elektrolyseur nicht viel mehr als der berühmte Tropfen auf den heißen Stein. „Wir werden irgendwann die 100-fache Menge benötigen“, erklärt Reiner Blaschek, Vorsitzender der Geschäftsführung von Arcelor Mittal Deutschland. Dennoch sei es ein Projekt mit Signalcharakter, notwendig, um das Henne-

Ei-Problem aus dem Weg zu räumen. „Lassen Sie uns das angehen und hochskalieren“, forderte Blaschek. Die SWB-Mutter EWE ist schon auf dem Weg. Man plane bereits an verschiedenen Standorten insgesamt die 30-fache Elektrolysekapazität der Anlage auf dem Stahlwerkgelände. „Wir sind in einer Hochlaufphase. Da brauchen wir unternehmerischen und politischen Mut“, meint EWE-Vorstandsvorsitzender Stefan Dohler.

B REMEN 14 Sonntag, 23. April 2023
AUTOFIT FARGEGmbH KFZ-Meisterbetrieb Claus-vonLübken-Str 19 28777Bremen Tel.0421 /9 884045 Fax0421 /9 884046 www.autofitfarge.com AUTOFIT FARGE GmbH KFZ-Meisterbetrieb Claus-von-Lübken-Str.
sowie Spargeltouren 30.04.2023 Tanz in den Mai mit DJ ab 19:30 Uhr Eintritt (inkl. 1 Glas Sekt) € 7,(Karten im Vorverkauf)
Vormerken: Muttertag, 14.05.23 Brunch inkl. Sekt (für die Muttis) € 29,90
18.05 ab 12 Uhr mit DJ Spargeltouren am 20. Mai und 17. Juni inkl. DJ, Essen und Getränke €
Zum
Vatertag,
Landstraße
Bremen Anmeldung
MURKENS KRUG ZUR FÄHRE Lesumbroker
95 · 28719
erbeten!  0421/ 69003079
1999.- 1000 € gespart statt 2999.-* *UVP des Herstellers Blockhaus „Norwegen“ 4 x 4 m Breite 400 cm x Tiefe 400 cm, 28 mm Wandstärke Wandstärke 28 mm 1699.- 2499.- 2799.-
Konfigurieren Sie selbst! (diese Modell sind nicht mehr rabattierfähig) Sie erhalten bei uns alle Aluminium-Terrassendächer auch in allen weiteren erdenklichen Maßen! Sprechen Sie unser Fachpersonal gerne an! *Kostenloses Aufmaß bei Bestellung einer Aluminium-Terrassenüberdachung! Ansonsten werden 100 Euro für das Aufmaß als Aufwandsentschädigung berechnet! Die Exklusivangebote sind nicht rabattierbar. 400 cm breit x 300 cm tief, Dacheindeckung mit Doppelstegplatte 400 cm breit x 300 cm tief, Dacheindeckung mit 8 mm Verbundsicherheitsglas 500 cm breit x 300 cm tief, Dacheindeckung mit 8 mm Verbundsicherheitsglas 500 cm breit x 300 cm tief, Dacheindeckung mit Doppelstegplatte 1249.je 750 € gespart Gerätehaus „Madrid“ o. „Ontario“ Breite 300 cm x Tiefe 300 cm, 28 mm Wandstärke, als Satteldach oder Flachdach erhältlich Wandstärke 28 mm statt 1999.-* *UVP des Herstellers Besuchen Sie uns auch auf
1999.-
800 € gespart 1399.Blockhaus „Nizza“ Breite 390 x Tiefe 300 cm, 28 mm Wandstärke statt 2199.-* *UVP des Herstellers Wandstärke 28 mm Gartenhaus der Woche Aluminium-Terrassenüberdachungen
dieser Woche erhalten Sie 15% Rabatt auf alle Terrassenüberdachungen Gartenzaun der Woche Megastabiler Bohlenzaun „Tytus“ Breite 180 cm x Höhe 180 cm, gerade oder mit Rundbogen 44.99 statt 89.99* REGIO PARTNER Garten König GmbH – Sitz der Gesellschaft: 26215 Wiefelstede • HRB 205287 28816 Mackenstedt-Stuhr • 3-K-Weg 12 Telefon: 0 42 06 / 29 95 16 • Telefax: 0 42 06 / 29 95 18 • E-Mail: stuhr@der-gartenkoenig.de Öffnungszeiten: Montag – Freitag: 9.00 – 18.00 Uhr • Samstag: 9.00 – 14.00 Uhr *Unverbindliche Preisempfehlung des Herstellers. Alles Abholpreise ohne Dekoration. Abb. können vom Original abweichen. Alle Maße sind Ca.-Maße. Technische Änderungen und Irrtümer, sowie Farbabweichungen vorbehalten. Alle Häuser sind unbehandelte Bausätze. Nur solange der Vorrat reicht 28876 Oyten • Lübkemannstr. 23-25 Telefon: 04207 / 90 99 293 • E-Mail: oyten@der-gartenkoenig.de Garten König GmbH – Sitz der Gesellschaft: 26215 Wiefelstede • HRB 205287
In
www.weserreport.de

Klimaschutz in Schritten

Integratives Klimaquartier zeigt Handlungsmöglichkeiten im Alltag

R IKE F ÜLLER

„Klimaschutz fängt im Kopf an und erfordert nur ein Umdenken“, sagt Heidrun Nolte, Leiterin des Integrativen Klimaquartiers Buntentor. Das Projekt richtet sich an Beschäftigte und Bedienstete der Werkstatt Bremen, an Kooperationspartner, Bürgerinnen und Bürger, Geschäfte und Institutionen in der Nachbarschaft. Mit Veranstaltungen und Aktionen wollen Nolte und die Klima scouts für mehr Klimaschutz werben und Wege aufzeigen, wie dieser in kleinen Schritten im Alltag umgesetzt werden kann, ohne sich selbst einzuschränken.

Sharing-Market

für gut erhaltene Schätzchen

Ein Teil des Integrativen Klimaquartiers sind die Veranstaltungen, etwa ein Sharing-Market, an dem jede und jeder gut erhaltene Dinge mitbringt und sie anderen anbietet – im Tausch oder einfach so. „Die Idee kam mir, als ich in der Nachbarschaft immer mehr Verschenkekisten vor den Haustüren gesehen habe“, sagt Nolte. Warum also nicht alles bündeln? Der erste Sharing-Market auf dem Gelände der Werkstatt Bremen war ein voller Erfolg, ein weiterer findet am 14. Mai statt, wenn auf dem Areal auch ein Wahllokal geöffnet sein wird.

Ein weiteres Element des Integrativen Klimaquartiers sind die Hochbeete auf dem Gelände. Diese entstanden bereits 2019, werden mit blühenden, später auch mit essbaren Pflanzen und Kräutern bestückt. In Kürze wird eine Gruppe Beschäftigter der Werkstatt Bremen dort Obstpflanzen einsetzen. „Sie naschen dann gerne die Beeren“, verrät Nolte. Die Beete sollen aber auch auf eine klimafreundliche Ernährung aufmerksam machen. So wird bei den Treffen der Gruppe beispielsweise über die Verarbeitung von Kräutern gesprochen. Außerdem werden Saaten vermehrt und weiter gegeben, es geht um Themen wie saisonales und regionales Einkaufen und Kochen.

Der dritte Bereich des Klimaquartiers sind die Umweltscouts, Beschäftigte der Werkstatt Bremen, die in mehrerer Schulungen zu den Themen Energiesparen und Klimaschutz ausgebildet wurden und nun als Multiplikatoren in den unterschiedlichen Arbeitsbereichen tätig sind. Die derzeit acht Umweltscouts treffen sich regelmäßig und nehmen an weiteren Schulungen teil, außerdem werden eneut Scouts im Sommer und Herbst ausgebildet. „Sie gehen auch zu den Mitarbeitern in die Büros und beraten zu klimafreundlichem Arbeiten. Auch bei der Geschäftsführung“, verrät Nolte.

Zum Klimaschutz gehört aber auch die energiesparende Ausstattung der Gebäude

der Werkstatt Bremen. „Geplant ist eine Photovoltaikanlage“, sagt Nolte. Als Eigenbetrieb der Stadt sind die Gebäude der Werkstatt Bremen laut Nolte in die Sanierungsvorhaben an öffentlichen Gebäuden eingeschlossen. Finanziert wird das Integrative Klimaquartier über das Handlungsfeld Klimaschutz, welches allerdings zum Ende des Jahres ausläuft. „Die Weiterfinanzierung ist noch schwierig, wir sind aber dabei, eine Lösung zu suchen und zu finden“, sagt Nolte.

Für den 10. Mai ist noch eine besondere Aktion geplant: Dann basteln Interessierte kleine Taschen aus Tetrapaks. Diese kommen bei der Kippen-Sammelaktion „Mach die Wanne voll“ zum Einsatz. Mit den Taschen, Handschuhen und Greifern ausgestattet machen sich die Teilnehmer auf den Weg, im Bereich des Buntentorsteinwegs Kippen aufzusammeln. „Eine Kippe verseucht 100 Liter Grundwasser“, weiß Nolte. Die gesammelten Zigarettenstummel sollen dann in einer großen Wanne gesammelt werden und kommen im Rahmen eines Kunstprojektes wieder zum Einsatz. Treffpunkt ist um 10 Uhr an den Hochbeeten der Werstatt Bremen auf dem Gelände am Ende der Hoffmannstraße. Teilnehmer bekommen einen Gebastelten Taschenaschenbecher geschenkt.

Infos zu allen Veranstaltungen und zum Projekt gibt es unter werkstatt-bremen.de/ klimaquartier

Wann die OP ratsam ist

Informationen zu Knieverletzungen im activo

Die Roland Klinik lädt für Mittwoch, 26. April, ab 17.30 Uhr, im Rahmen der Reihe „Dialog ... Bewegung“ zu einer Informationsveranstaltung mit dem leitenden Oberarzt im Zentrum für Sporttraumatologie, Christian Homuth, ein.

Das Knie ist aufgrund seiner hohen Funktionalität und Komplexität besonders anfällig für Verletzungen. Insbesondere Kontaktsport wie Fuß- oder Handball, aber auch Einzelsportarten wie Tennis oder Laufen können zu Verletzungen rund um das Knie führen – vom Bänderriss über Sehnenverletzungen bis hin zu Knor-

pelschäden, ob im Leistungsbereich oder im Freizeitsport. Verletzungen an Meniskus, Kreuzband und

Knorpel sind sogenannte Dauerschäden. Diese können sich langfristig auf die Arthrose-Entwicklung auswirken und im Laufe des Lebens eine Knieprothese notwendig machen. Wann und bei welcher Verletzung eine Operation ratsam ist, darüber und zu weiteren Fragen informiert Christian Homuth im Activo an der Roland Klinik, Niedersachsendamm 65a.

Die Zahl der Plätze ist begrenzt, daher wird um Anmeldung wird gebeten. Interessierte können sich am Dienstag, 25. April, ab 9 Uhr telefonisch anmelden unter der Nummer 877 83 30. (rf)

B REMEN Sonntag, 23. April 2023 15 Farben · Tapeten · Gardinen · Sonnenschutz · Bodenbeläge Teppiche · Badausstattung · Betten · Wohnaccessoires GLEICHVORBEIKOMMEN! Fi nde n Si e Ihre n Ha mm er Fa ch mar kt in Ihre r Nähe: www.h amm er -z uhau se .d e/ma er kt e 20 % AK TIONSR ABAT T auf alle Maßanfer tigungen für innenliegenden Sonnenschutz VO M24 .0 4. BI S 06 .0 5. 20 23 Sicht- und So nnensc hutz nach Maß 27711 Osterholz-Scharmbeck 10 Siemensstraße 9 27721 Ritterhude-Ihlpohl 10 Von-Liebig-Straße 5 27755 Delmenhorst 10 Nienburger Straße 8 28279 Bremen-Habenhausen 10 Borgwardstraße 5 Heimtex-Fachmarkt GmbH 28777 Bremen Heidlerchenstraße 3 a 28876 Oyten 10 Industriestraße 30 10 Niederlassung der Hammer Fachmärkte für Heim-Ausstattung GmbH & Co. KG Nord, Oehrkstraße 1, 32457 Porta Westfalica
Christian Homuth Foto: Roland Klinik Heidrun Nolte leitet seit November 2022 das Projekt Integratives Klimaquartier Buntentor bei der Werkstatt Bremen. Foto: Füller

Samstag, 29.04.23

Torfhafenfest 2023 zur Torfkahnarmada

indisch - pakistanisches Restaurant

Findorffstraße 114

28215 Bremen

Großes Sonntagsbuffet

Großes Sonntagsbuffet

Tel. 0421/ 566 25 66

Findorffstraße 114

28215 Bremen

Tel. 0421/ 566 25 66

12 bis 14.30 Uhr

12 bis 14.30 Uhr

Mittagstisch

Montag bis Freitag 12 – 14.30 Uhr

Genießen Sie unsere SommerTerrasse

Genießen Sie unsere SommerTerrasse

Öffnungszeiten: 12 bis 14.30 Uhr und 18 bis 23 Uhr, samstags ab 18 Uhr, dienstags Ruhetag

Ein Fest dem Torfhafen

Familienspaß und Bühnenprogramm zur Einfahrt der Torfkahnarmada

rend empfangen.

Speisekarte auf maharani-bremen.de

Öffnungszeiten: 12 bis 14.30 Uhr und 18 bis 23 Uhr, samstags ab 18 Uhr, Dienstag Ruhetag

Speisekarte auf maharani-bremen.de

teufelsmoor.de

Anlässlich des Einfahrens der historischen Torfkahnarmada in den Findorffer Torfhafen veranstaltet der Verein der Findorffer Geschäftsleute am Sonnabend, 29. April von 12 Uhr bis 22 Uhr ein großes Torfhafenfest. Rund um die Ankunft der Schiffe locken unter anderem ein Flohmarkt, Attraktionen für Kinder sowie ein abwechslungsreiches Bühnenprogramm.

Nach sechs Jahren ist sie endlich wieder da: Die große Flotte der Torfkähne aus dem Teufelsmoor begibt sich auf eine historische Reise nach Bremen. Für 22 Torfkähne heißt es: „Leinen los!“ Die Reise der Kähne beginnt am frühen Sonnabendmorgen in Worpswede und endet gegen 17 Uhr mit dem Einlauf in den Findorffer Torfhafen. Dort wird die Flotte im Rahmen des Torfhafenfestes von vielen Zuschauern gebüh-

Bereits ab 11.30 Uhr wird ein Flohmarkt Alt und Jung mit attraktiven Angeboten auf das Festgelände locken. Offiziell eröffnet wird das Fest um 12 Uhr durch den Vorstand der Findorffer Geschäftsleute e. V. Anschließend führt der Bremen-VierModerator Roland Kanwicher durch ein abwechslungsreiches Bühnenprogramm, das um 12.15 Uhr mit dem Kinderzirkus Turnini startet. Um 13 Uhr führt das Bremer Geschichtenhaus das Publikum in seiner Aufführung in die Vergangenheit und zeigt die Zeit der Torfkähne. Die Findorffer Country-Band Keep It Country sorgt ab 14 Uhr für Stimmung, ab 16 Uhr gefolgt vom Neustädter Shanty-Chor.

Um 17 Uhr ist es dann soweit: Die Torfkahnarmada fährt in den Hafen ein, angeführt von Bremens Bürgermeister Andreas Bovenschulte im ersten Boot. Nachdem die insgesamt 22 Boote vom Publikum angemessen empfangen worden sind, wird der Bremer Musiker (Thorsten) Vüllgraf die Zuschauer mit Acoustic Blues und Folk be-

Ihr Fachgeschäft für feinste Käsespezialitäten aus Tradition und Handwerk in Bremen

Nord“ mit Jazz, Soul, Pop und Rock.

Die Torfkahn-Armada wird am Sonnabend gegen 17 Uhr am Torfhafen erwartet. Foto: Renate Mann geistern. Zum Abschluss lockt die Band „Parkhaus

Für viel Spaß bei den Kleinen wird von 12 Uhr bis 17 Uhr ein Familienbereich mit Hüpfburg, Bobbycar-Rennen, Bewegungslandschaft und weiteren Angeboten sorgen. Als weitere Attraktionen werden ein Brettspielareal und Torfkanalfahrten geboten.

Für das leibliche Wohl sorgen das gastronomische Angebot des Port Piet direkt am Hafen sowie weitere Imbissund Getränkestände. Parallel zum Fest lädt das Freizi Findorff in der Neukirchstraße zu einem Tag der offenen Tür ein. Marcella DammratTiefensee, 1. Vorsitzende der Geschäftsleute Findorff freut sich sehr, dass das Torfhafenfest nach sechs Jahren wieder stattfindet: „Endlich können wir wieder die Vielfalt und Geschichte des Stadtteils an diesem zentralen Punkt und zu diesem besonderen Anlass feiern“ sagt sie und ergänzt: „Das ist ein Fest für alle Generationen, alle Stadtteile und das Bremer Umland“.

Öffnungszeiten: Mo- Fr 9.00-18.30Uhr⋅ Sa 7.30-14.00Uhr

 Infos zum Torfhafenfest gibt es unter findorff.de (WR)

Der Neustädter Shanty-Chor sorgt beim Torfhafenfest ab 16 Uhr für die richtige Stimmung. Foto: pv
Hemmstraße180 28215Bremen Tel.042169503878 Fax.042169503877 www.findorffer-kaesekontor.de info@findorffer-kaesekontor.de

© Foto Roland Becker

Torfhafenfest 2023 zur Torfkahnarmada

Samstag, 29.04.23

Bühnenprogramm mit Musik (Keep It Country, Neustädter Shanty Chor, Thorsten Vüllgraf, Parkhaus Nord), Zirkus Turnini und dem Bremer Geschichtenhaus: 12-22 Uhr

Einfahrt Torfkahnarmada mit Bürgermeister Bovenschulte: 17 Uhr Flohmarkt, Hüpfburg, Bobbycar-Rennen, gastronomische Angebote und vieles mehr!

Late-Night-Shopping in Findorff

Shopping mit Live-Musik!

Sie suchen die Gelegenheit für einen schönen langen ausgedehnten Einkaufsbummel? Dann auf zum Late-Night-Shopping nach Findorff!

Wir haben nicht nur länger für Sie geöffnet, sondern runden Ihren Einkaufsbummel durch die Hemmstraße mit Live-Musik und einem tollen gastronomischen Angebot zu einem tollen Einkaufserlebnis ab. Also raus mit den Terminkalendern und Freitag den 12. Mai von 18:00 Uhr – 21:00 Uhr Shoppen in Findorff eintragen.

Am Freitag, 12. Mai von 18 – 21 Uhr master1305 auf Freepik

KREITER S

„Wer einen Hund oder Affen, ja jedes höhere Säugetier wirklich genau kennt und trotzdem nicht davon überzeugt ist, dass dieses Ähnliches erlebt wie er selbst, ist seelisch abnorm. Er gehört meines Erachtens in eine geschlossene psychiatrische Klinik, da seine Schwäche ihn zu einem gemeingefährlichen Wesen macht.“

DKonrad Lorenz, Verhaltensforscher, Nobelpreisträger für Medizin, 1903 - 1989 as im Grundgesetz verankerte Recht auf Freiheit von „Kunst, Wissenschaft, Forschung und Lehre“ (Art. 5) bedeutet kein Freibrief für Tierquälerei. Die Narren in den Laboren glauben allerdings, es wäre legal und legitim zugleich, alles mit Tieren machen zu können, was technisch möglich ist. Doch das ist

eit 23 Jahren (!) werden an der Universität Bremen extrem grausame und zugleich nutzlose Tierversuche durchgeführt. Die Rede ist von den Experimenten an Rhesusaffen, die am „Institut für Hirnforschung“ stattfinden. In den geheimen Laborställen der Arbeitsgruppe Kognitive Neurophysiologie (Biologischer Garten) wird den hochentwickelten, überaus sozialen und sensiblen Tieren der Schädel aufgebohrt und in dem Loch ein Zylinder aus Titanstahl dauerhaft einzementiert. Anschließend werden durch die Öffnung Elektroden in Form feiner Drähte direkt ins Sehzentrum des Gehirns eingeführt, um die elektrischen Schwingungen einzelner Nervenzellen zu messen. Darüber hinaus wird noch eine Metallspule in ein Auge der Primaten implantiert, mit der die Bewegungen des Augapfels während des Versuchs erfasst werden sollen. Vor und nach den operativen Eingriffen werden die Affen darauf dressiert, sich in

Obwohl genügend innovative Alternativmethoden zur Disposition stehen wie z.B. bewährte Invitro-Tests mit menschlichen Zell-, Gewebe- und Organkulturen und immer perfektere ComputerSimulationen sowie hoch effiziente bildgebende Verfahren werden stattdessen wenig intelligente Tierversuche gemacht, die an Foltermethoden des Mittelalters erinnern. Vielmehr fällt den Experimentatoren bei ihrer Engstirnigkeit und Verbohrtheit offensichtlich nicht ein.

Professor jedoch jeden Beweis schuldig. Renommierte Ethologen hingegen stellten vor kurzem fest, dass die Versuche in der Tat mit erheblichen Schmerzen, Leiden und Schäden für die Tiere verbunden sindhinzukommen Faktoren wie permanenter Stress und Angst. Abgesehen davon kam eine Expertenkommission, die im Auftrag des Bremer Senats Kreiters Arbeit überprüft hat, schon vor Jahren zu dem Resultat, dass mit den Affenversuchen nie das Ziel verfolgt wurde, Konzepte im Hinblick auf die ärztliche Behandlung von Krankheiten wie Alzheimer, Schizophrenie oder Epilepsie zu entwickeln und dass solche auch nicht in Sicht sind. Mit anderen Worten: Die Experimente haben im Gegensatz zu anderslautenden Beteuerungen keinerlei erkennbaren medizinischen Nutzen! Die im Grundgesetz verankerte Forschungsfreiheit, auf die sich Kreiter allzu gern beruft, verkommt angesichts seiner perfiden Vorgehensweise zur Narrenfreiheit.

sein wollen und kein Staat von Barbaren. Nicht genug damit, dass die Psychopathen in den Laboratorien unsere Steuergelder in Millionenhöhe verprassen, mit denen dieser ganze Irrsinn finanziert wird, täuschen sie auch die Menschen, vor allem die Patienten, die auf Hilfe hoffen. Sie gaukeln der Öffentlichkeit vor, Tierversuche seien notwendig, um die Abläufe im Gesamtorganismus eines Lebewesens beurteilen zu können.

Niemand darf einem Tier ohne vernünftigen Grund Schmerzen, Leiden oder Schäden zufügen, heißt es in Paragraph 1 des Tierschutzgesetzes. Tierversuche sind in Wahrheit kein vernünftiger Grund, Lebewesen zu quälen, und eine Qual ist es allemal, Affen Löcher in den Schädel zu bohren, Ratten schwere Verbrennungen zuzufügen, Katzen zu

Folter im Versuchslabor: ein Affe im „Primatenstuhl“ – zur Bewegungslosigkeit verdammt

sogenannte Primatenstühle aus Plexiglas zu setzen und sich in der Apparatur fixieren zu lassen. Dabei wird ihr Kopf durch einen vorher an der Schädeldecke befestigten Stahlbolzen am Stuhl festgeschraubt, um ihn während der Versuchsdauer völlig bewegungslos zu halten. Die Tiere müssen in ihrer Zwangslage stundenlang auf einen flimmernden Monitor starren und dabei irgendwelche Tasten drücken. Um die Affen gefügig zu machen und zu zwingen, die Foltermethoden widerstandslos über sich ergehen zu lassen, lässt man sie über einen längeren Zeitraum dursten, d.h. man verweigert ihnen die Aufnahme lebensnotwendiger Flüssigkeit bis hin zur Dehydrierung. Wenn sie beim „Training“ kooperieren, erhalten sie als Belohnung ein paar Tropfen Wasser oder Saft. Solche Torturen müssen die Makaken meist jahrelang ertragen, bis durch die Einschläferung ihr Martyrium beendet wird.

ein Trugschluss, denn Artikel 20a der Verfassung besagt, dass der Staat auch in Verantwortung für die künftigen Generationen die natürlichen Lebensgrundlagen und die Tiere im Rahmen der verfassungsmäßigen Ordnung durch die Gesetzgebung und nach Maßgabe von Gesetz und Recht durch die vollziehende Gewalt und die Rechtsprechung schützt.

Die Versuche erfüllen in Wahrheit nämlich einen ganz anderen Zweck: Sie dienen – unter Vortäuschung falscher Tatsachen – der Befriedigung von Neugier und Profilierungssucht.

vergiften oder zu ersticken, Hunden die Knochen zu brechen, ihnen die Zähne zu extrahieren oder sie zu strangulieren, um nur einige Beispiele zu nennen. Es übersteigt bei weitem unsere Vorstellungskraft, was den Tieren bei den Experimenten alles angetan wird...

as Gehirn hat eine sehr komplexe Struktur. Um die kognitiven und neuronalen Prozesse bzw. Vernetzungen im menschlichen Gehirn zu verstehen, ist es sinnlos, Drähte in die 10 Milliarden Nervenzellen und 100 Milliarden Gliazellen von Affenhirnen zu schieben und darin verweilen zu lassen. Jede Störung von außen muss dieses hochempfindliche Gleichgewicht zwangsläufig durcheinanderbringen. Zwischen der feuchten Substanz des Hirns und den Elektrodrähten werden unvorhersehbare Kontakte hergestellt, die jeglichen Befund verfälschen müssen. Aufgrund enormer artspezifischer, mithin genetischer, organischer, physiologischer, psychischer und anderer gravierender Unterschiede sind sowieso alle aus solchen Experimenten resultierenden Ergebnisse für die Diagnose und Therapie speziell menschlicher Krankheiten wertlos und sogar irreführend. Deshalb gibt es auch nach über 60 Jahren quälerischer Hirnversuche

Tierversuche haben aber keine rationale Grundlage, ihnen fehlt die wissenschaftliche Basis, auch wenn ihre Propagandisten etwas anderes behaupten. Vor allem verschweigen sie bei ihrer Begründungslyrik, dass es durch die gravierenden Unterschiede zwischen Mensch und Tier im Bereich der Anatomie, der organischen und genetischen Situation und des Stoffwechsels oft zu erheb-

A

Mit anderen Worten: Die sog. Wissenschaftsfreiheit muss dort ihre Grenzen finden, wo die Unversehrtheit und das Wohlergehen der Tiere durch die Experimente beeinträchtigt werden. Zweck dieser Gesetzgebung ist es nämlich, aus der Verantwortung des Menschen für das Tier als Mitgeschöpf dessen Leben und Wohlbefinden zu schützen. Doch leider haben die Tierexperimentatoren ein gestörtes Verhältnis zur Mitgeschöpflichkeit. Empathie ist ihnen fremd: Tiere werden ihrer Würde beraubt und zum Versuchsmaterial degradiert.

Dieses unvorstellbare Leid, das den Affen angetan wird, hat der Tierexperimentator Andreas Kreiter zu verantworten. Mit dem Professorentitel vor seinem Namen bemüht sich der Biologe seit über zwei Jahrzehnten, der Öffentlichkeit weiszumachen, seine Experimente seien völlig harmlos und für die Menschheit von großem Nutzen. Für die Richtigkeit seiner abenteuerlichen Behauptungen bleibt der Herr

uf dem Gebiet der innovativen, zukunftsorientierten und äußerst effizienten Alternativforschung mit ihren modernen technischen Verfahren wie die Positronen-Emissions-Tomographie (PET), die Single-Positronen-Emissions-ComputerTomographie (SPECT) und die Elektroenzephalographie (EEG) intelligent kombiniert mit bildgebenden und nichtinvasiven Untersuchungsmethoden wie z.B. die Computertomographie (CT) oder die Magnetresonanztomographie (MRT) könnte sich Kreiter jedoch viel eher profilieren als mit seinen unmenschlichen Experimenten, die ihm in der Öffentlichkeit den Ruf einesnotorischenTierquälers einbringen. Sein neuerlicher Antrag auf Verlängerung der Genehmigung, um seine Affenversuche weitere drei Jahre hinter den hermetisch verschlossenen Türen seines Laboratoriums fortführen zu dürfen, ist Ausdruck seines verbissenen Festhaltens an einer ethisch verwerflichen, antiquierten und unwissenschaftlichen Methode. Unwissenschaftlich deshalb, weil Erkenntnisse, die an künstlich geschädigten Tieren gewonnen werden, auf den Menschen grundsätzlich nicht übertragbar sind.

Im Rahmen der „Grundlagenforschung“ - der Inbegriff eines beliebig dehnbaren Wortes, praktisch das Zentrum des ganzen Schwindels - kommen die ethisch-moralisch unterbelichteten Experimentatoren auf die absurdesten Ideen, um ihre perverse Neugier zu befriedigen. „Sie experimentieren vor sich hin wie andere Leute Klavier spielen - jahrelang, jahrzehntelang, und was bei den Etüden herauskommt, sind leere Versprechungen“, schreibt Hans Wollschläger, Schriftsteller und Autor des Buches „Tiere sehen Dich an“ oder Das Potential Mengele Mit dem millionenfachen Tiermord muss endlich Schluss sein, wenn wir eine Kulturnation

an Primaten in etlichen Laboratorien auf der ganzen Welt keinerlei Fortschritte in der Medizin. Trotzdem klammert man sich mangels intellektueller Masse, fehlender Empathie und absenter ethisch-moralischer Integrität an Tierversuche nach dem Leitsatz des französischen Vivisektors Claude Bernard (1813-1878): „Warum denken, wenn wir experimentieren können!“ ir appellieren eindringlich an die politisch Verantwortlichen im Bremer Senat, und zwar an die Gesundheitssenatorin Claudia Bernhard (DIE LINKE) und die Wissenschaftssenatorin Claudia Schilling (SPD) sowie an den Präsidenten des Senats und Bürgermeister der Freien Hansestadt Bremen Dr. Andreas Bovenschulte (SPD), im Interesse der Allgemeinheit, zur Wahrung ethischer Prinzipien sowie zur Rehabilitierung der Universitätsstadt Bremen Andreas Kreiter die Genehmigung zur Fortführung seiner pseudowissenschaftlichen Experimente an Affen zu verweigern, die damit einhergehende Verschwendung von Steuergeldern in Millionenhöhe zu stoppen und stattdessen - parteiübergreifend - den Ausstieg aus Tierversuchen voranzutreiben, indem u.a. mit öffentlichen Mitteln Projekte gefördert werden, die auf der Grundlage patienten- und ursachenbezogener Forschungsund Behandlungsmethoden relevante Ergebnisse für den Menschen liefern.

lichen Fehlinterpretationen kommt, die unvorhersehbare diagnostische und therapeutische Nachteile zur Folge haben können bis hin zu irreversiblen Schäden. Denn: Was Tiere vertragen, kann dem Menschen schaden und umgekehrt. Bei ihren fadenscheinigen Begründungen unterschlagen die Experimentatoren die Tatsache, dass ihre in exzessiven Tierversuchen gewonnenen Ergebnisse wertlos sind, da sie nicht mit den empirisch gewonnenen Daten aus der Humanmedizin übereinstimmen. Sie täuschen also eine Notwendigkeit vor, um von ihrer geistig-seelischen Störung abzulenken und sich eine Legitimation für das Ausleben ihrer krankhaften Neigungen zu verschaffen.

Helfen Sie mit, den Tierexperimentatoren ihr blutiges und abscheuliches Handwerk zu legen - im Sinne unserer Mitgeschöpfe und in Ihrem eigenen Interesse. Wir zählen auf Sie!

TIERQUÄLEREI HAT IN BREMEN EINEN NAMEN
FordernSiekostenlosesInfo-MaterialanundtragenSiemiteinerSpendedazubei,dasswirunsereneingeschlagenenWegweitergehenkönnen. Bundesgeschäftsstelle: c/o Internationales Handelszentrum Berlin, Friedrichstr. 95, 10117 Berlin, Tel. 030 / 2096 3670 www.tierversuchsgegner.de · email: tierversuchsgegner@t-online.de · Spendenkonto: Postbank · IBAN: DE67 3701 0050 0293 6925 06 · BIC: PBNKDEFFXXX
V.i.S.d.P. Rainer Gaertner (Vorsitzender)
D W SCHLUSS MIT DER NARRENFREIHEIT IM LABOR
Katze fixiert im stereotaktischen Bändigungsapparat - sediert mit Curare, einem muskelrelaxierenden Pfeilgift

Mehr als 1.600 neue Wohneinheiten

Die Bremer Deputation für Mobilität, Bau und Stadtentwicklung hat kurz vor der parlamentarischen Pause die Voraussetzungen für insgesamt 1.636 neue Wohneinheiten in Bremen geschaffen. 15 Beschlüsse zu Bebauungsplänen wurden verabschiedet.

Die meisten Wohneinheiten aus den Beschlüssen der Deputation werden auf dem Brinkmann-Areal (Tabakquartier) in Woltmershausen entstehen. Dort sind 795 Einheiten genehmigt.

Aber auch das Steingut-Areal in Bremen-Nord mit 350 Wohneinheiten oder das Mühlenviertel in Oberneuland mit 200 Wohneinheiten tragen zu der Zahl bei.

Maike Schaefer, Senatorin für Klimaschutz, Umwelt, Mobilität, Stadtentwicklung und Wohnungsbau, bedankte sich bei ihren Mitarbeiterinnen und Mitarbeitern: „Damit haben wir zum Abschluss der Legislaturperiode noch einmal unter Beweis gestellt, dass die Bauverwaltung hervorragende Arbeit abliefert. Wir haben trotz aller Einschränkungen beispielsweise durch Corona die Voraussetzungen für Wohneinheiten im fünfstelligen Bereich geschaffen und damit die Vereinbarung im Koalitionsvereinbarung weit übertroffen.“

Eine Ruine an herausgehobener Stelle

Vor über 200 Jahren schleiften die Bremer ihre Stadtmauer mit den Festungsanlagen. Auf der Hügelkette errichten sie Windmühlen und legten Gärten an. Auf der Anhöhe am Bischofstor errichtete 1843 der Baumeister Heinrich Seemann das Stadttheater. Der 36 Meter breite und 47 Meter tiefe klassizistische Bau lag mit der Front zur Straße Am Wall, schräg gegenüber der Bischofsnadel, und bot Platz für annähernd 1.400 Besucher.

1912/13 entstand das Bremer Schauspielhaus. Fliegerbomben zerstörten 1944 im Zweiten Weltkrieg beide Gebäude. Unter Einbezug der Ruine des Schauspielhauses errichtete der Architekt Hans Storm (*1906 †1987, Erbauer des Großen Sendesaals von Radio Bremen) das GoetheTheater.

Die Ruine des Stadttheaters bot sich nicht an, weil feuerpolizeiliche Vorschriften nur schwer beim Wiederaufbau einzuhalten gewesen wären. Neben den Kostengründen spielte auch

Noch bis 1965 stand die Ruine des Stadttheaters Am Wall: Die Aufnahme entstand um 1910.

die gegenüber dem Goethe-Theater geringere Grundstücksgröße eine Rolle.

Erst 20 Jahre nach Kriegsende wurde die Ruine geschleift. 1966 legte das Gartenbauamt den heute noch existie-

renden terrassenförmigen „Theatergarten“ an.

Ein bauliches Unikum war nach dem Krieg der Eingang zum unterirdischen Luftschutzbunker am Stadttheater.

Im Bunker gab es zwischen 1949 und

1962 die Kunst-Krypta, eine Galerie mit Werken zeitgenössischer Keramik. Der fantasievolle Eingang erhitzte die Gemüter, bekam aber Beifall aus der gesamten Republik, und ist ein eigenes Kapitel wert.

Generation Z wünscht sich ein eigenes Haus

Wenn es um das Thema „Wohnen“ geht, ist die Generation Z – also die heute 18bis 29-Jährigen – ganz klassisch unterwegs. Ein freistehendes Haus, gern auf dem Land oder in kleineren Städten, am liebsten mit Garten und einer guten digitalen Infrastruktur. Was die Jüngeren sonst noch rund um das Thema Wohnen und Eigentum bewegt, darauf gibt die jüngste repräsentative Befragung der Wüstenrot Bausparkasse Antworten.

Die Zahlen sprechen für sich: Die überwältigende Mehrheit der jüngeren Bundesbürger träumt vom eigenen Haus.

Seit 25 Jahren – Ihr zuverlässiger Partner!

Wir kaufen Ihr Objekt!

Genc Immobilien sucht für den eigenen Bedarf: MFH, Wohn- und Geschäftshäuser, Grundst., Gewerbeobjekte, Anlageobjekte, auch renovierungsbedürftig, seriöse Abwicklung, Finanzierungsablösung, Hypothekenübernahme.

Tel.: (0421) 3800609-20 o. 0171-3313845 info@genchandelsgmbh.de

AN- UND VERK AUF

IMMOB ILI ENANGEBOTE

***** Wir kaufen Ihr Objekt!!! ***** Genc Handels GmbH Immobilien suchtfür den eigenen Bedarf: MFH, Wohn- u. Geschäftshäuser, Grundst., Gewerbeobjekte, Anlageobjekte, auch renovierungsbedürftig, seriöse Abwicklung, Finanzierungsablösung, Hypothekenübern. mögl.  (0421) 3800609-20 oder  0171-3313845

Eigenland im Teufelsmoor, 1.200m2, voll erschl., z.Zt. mit Bodeblockhaus, Preis VB.  001/2767 an den Verlag.

MIETANGEBOTE

www.kaufen-bauen-mieten.de

Bremen, App. im Grünen, citynähe, einschl. aller NK 540 € ab sofort V: 175,1kWh. 0421-445364 Mo.ab 8 Uhr

Fernweh und kein Urlaub in Sicht? Wir haben die Geschäftsräume für einen ausgewählten Tee- und Kaffeekontor oder einen Wein- und Spirituosenhändler. In den WeserHöfen gibt es noch Mietflächen zu besetzen. Sie sind 67 oder 88 m2 groß und könnten hervorragend als Ladenlokal genutzt werden. Sollten Sie interessiert sein, so rufen Sie uns an! Wir beraten Sie gern: GEWOBA Telefon: 0421/ 36 72-5 90 oder gewerbe@gewoba.de

Warten Sie auf die nächsten Sommersprossen? Wir können Ihnen in der Zwischenzeit viel Gutes tun! Denn es gibt bei uns tolle Gewerbeflächen in der Nähe der kleinen Weser anzumieten. Wir bieten Ladenlokale für alles rund um Beauty, Schönheit und Wellness: entdecken Sie

Frisuren zur Inspiration, lassen Sie die Trends im Bereich der Kosmetik auf sich wirken und neue Produkt-Erscheinungen empfehlen, genießen Sie Tipps und Tricks zur Haut- und Haarpflege. Auf Ihre individuelle Raumerfordernisse sind wir gespannt. Sollten wir Ihr Interesse geweckt haben, so freuen wir uns auf Ihren Anruf

GEWOBA Telefon: 0421/36 72-5 90 oder gewerbe@gewoba.de

Fast 90 Prozent der rund 660 befragten 18- bis 29-Jährigen wünschen sich den Erwerb von Wohneigentum. Rund 80 Prozent wollen ihren Wunsch sogar spätestens bis zum 35. Lebensjahr umsetzen.

Ein Neubau muss es für die jüngere Generation nicht sein. Eine Gebrauchtimmobilie – gerne auch mit Renovierungsbedarf – kann sich jeder Zweite von ihnen vorstellen. Denn sie schrecken nicht vor handwerklichen Tätigkeiten in Eigenleistung wie beispielsweise dem Verlegen von Fußböden oder Fliesen zurück.

„Bei der Art der Immobilie haben die Klassiker ganz klar die Nase vorn: Das freistehende Einfamilienhaus führt mit großem Abstand und über 40 Prozent der Nennungen die Rangliste an, gefolgt von der Eigentumswohnung und dem Doppeloder Reihenhaus“, stellt Bernd Hertweck, Vorstandsvorsitzender der Wüstenrot

Bausparkasse, fest. Besondere Wohnformen wie zum Beispiel Penthouse-Wohnung, Loft, Bauernhof, Tiny House oder Hausboot bleiben hingegen auch bei der jüngeren Generation eher Exoten. Wohnen heute aktuell deutlich mehr junge Menschen in der Großstadt, so wendet sich das Blatt beim geplanten Erwerb von Wohneigentum. Etwa 60 Prozent ziehen eine Landgemeinde oder eine kleinere Stadt mit bis zu 50.000 Einwohnern der Großstadt beim Immobilienerwerb vor. „Der in den letzten Jahren zu beobachtende Stadt-Land-Trend setzt sich auch bei den 18- bis 29-Jährigen fort“, resümiert Bernd Hertweck.

Photovoltaikanlagen kompl. aus einer Hand. Ihr Dackdecker-/ Elektromeisterbetrieb Dachtechnik Nord 0421-3677322

Trapezbleche 1.Wahl u. Sonderposten aus eigener Produktion, TOP-Preise cm-genau, 9x für Sie vor Ort

Bestell-Hotline: 0351-8896130

Jetzt 5% online Rabatt sichern bundesweite Lieferung

www.dachbleche 24.de

Vom Fachbetrieb: Dachreinigung- u. Beschichtung, Steinreinigung, 15% Neukundenrabatt.  01521 -6196439

!!Wertanrechnung bei Haushaltsaufl. Entrümpelung, Keller + Bodenräumung, zuverlässig + schnell seit über 65 Jahren Waldemar Seidler  0421-540575

Stuhlflechtarb.THONET Dänische Polsterabeiten und Leimen 0171-2407899

ZukunftfürdieNatur, durch ein VermächtnisandenBUND.

Kleines Appartement in und um Stuhr (+15km), gerne auch im Grünen gesucht.

DIENSTLEISTUNGEN

 0421-96038076 www.kaufen-bauen-mieten.de

Alte Küche wo bist du? Wir suchen dich!

Neue Arbeitsplatten und Fronten.

B. Ternieten -Tischlermeister.

 04208-916351 Grasberg

Dachdecker hat Termine frei Steil- und Flachdacharbeiten aller Art, auch kleine Reparaturen, Dachrinnen- u. Flachdachreinigung.  0176-72108847 www.lischo-dachtechnik.de

Fensterputzen.  0179-3989913

Fensterputzer frei  04241-7143

Dachdecker/Zimmermannhat noch Termine frei für Innenausbau. Altbausanierung, Carports, Wintergärten, Holzrahmenbauweise.  0151-54883599 Elektro-, Maler-, Fliesenarbeiten Fotovoltaik-, und Solartechnik Altbausanierung  0421-3065865  0171-8433861 WWW.nds-2003.de

Hast Du Sorgen oder Kummer, wähle einfach meine Nummer! Haushaltsauflösung, Boden- u. Kellerentrümpelung, Kleintransporte aller Art. Schnell, sauber, preiswert. 0421-5799730 o. 0171-6213137 Stark Haushaltsauflösungen. Kostenloses Angebot.  0177-6509888, Email: cris_stark@hotmail.de

Barkredite mit und ohne Schufa vermittelt auch bei neg. Auskunft:

Real-Finanz, Postfach 110445, 42304 Wuppertal.  0202 87017650.

DIENSTLEISTUNGEN

Dachdecker aus der Region hat Termine frei. Kostenlose Beratung vor Ort. 15% Neukundenrabatt. 01577-0289620

Fensterputzer frei  0176-24631759

Fensterputzer frei  0176-75341183

Fensterputzer frei  0176-68981455

Fensterputzer frei:  0177-9221451

Fensterputzer hat freie Termine, güstig, zuverlässig, sauber.  0176-63031346

...für Ihre Unterstützung! Erbschaftsunterlagen unter: 03 0/275 86 -474

AKTUELLE ANGEBOTE, INTERESSANTE TIPPS

UND INFORMATIONEN

20 WOHNEN in Bremen Sonntag, 23. April 2023
Serie Bremer BAUTEN von Peter Kurze
Foto: Archiv Peter Kurze Foto: congerdesign auf pixabay
MIETGESUCHE
WOHNEN UMZÜGE & HAUSHALTSAUFLÖSUNGEN KAPITAL- / GELDVERKEHR
BAUEN &
Genc Handels GmbH Hauptstr.131 – 133 28816Stuhr  042140980524 www.ahlden-gold.de/www.gramm-sparen.de Mo Do 9– 17Uhr,Di 10 – 18Uhr,Fr 9– 15Uhr
d Seit40Jahren IhrPartnerrundumdasThemaEdelmetalle Hauptstr.131 – 133 • 28816Stuhr •  042140980524 www.ahlden-gold.de/www.gramm-sparen.de Mo Do 9– 17Uhr,Di 10 – 18Uhr,Fr 9– 15Uhr AhldenGol d Seit40Jahren IhrPartnerrundumdasThemaEdelmetalle JedenKostenlos!ersten Freitag im Monat neu Ihr Immobilien- und Wohnungsmarkt in Bremen und Umgebung. Immobilien Kaufe n Baue n Mieten Hier finden Sie die aktuelle Immobilienzeitung in Ihrer Nähe Alle Auslagestellen finden Sie unter www.kaufen-bauen-mieten.de Jastrebow www.basse-immobilien.de PREISSTURZ %%% 28277 Bremen • Tel 0421 - 614421 Mobil: 0173 2404099 / 0177 3381293 info@basse-immobilien de NEUESZUHAUSEGESUCHT…sehen&einziehen Wirfreuenuns aufIhrenAnruf! ! 0421/371837 Rolladen-Reparaturen Schnelldienst Insektenschutz Markisen • Rolladen Neues Garagentor ? Beratung • Aufmaß • Montage • Alles aus einer Hand 28816 Stuhr – Gewerbegebiet Stuhrbaum –Gutenbergstr. 15 · garagentore@karlmeisel.de 04215699140 Fenster aus Polen Deutsches Profil Veka & Winkhaus Beschläge 2- oder 3-fach-Verglasung, kostenlose Angebote. Fenster, Haustüren (auch mit Briefkasten), Rollladen Wartburgstraße 14, Utbremen mobil 0175 93 00 24 0  0421 / 89 77 44 66 Trockenbau - M. Kircher 0171/78 18 188 www.bremer-fensterdiscount.de Monteure gesucht!
AhldenGol
WESER
REPORT
REPORT
BESTEN ANGEBOTE DER STADT
WESER
DIE

WOHNEN

SERIE: SO WOHNEN WIR

Nachgefragt bei Prof. Rudolf Hickel

National bekannter Bremer Wirtschaftswissenschaftler

Wenn Sie sich spontan für ein neues Zuhause entscheiden müssten: Worauf legen Sie besonderen Wert? Lieber im Zentrum, am Stadtrand oder auf dem Land?

Lieber am Stadtrand, am besten wieder in der Nähe der Wümme in Borgfeld.

...mit Garten und/oder Garage?

Natürlich mit Garten, dominiert durch Natur und nur noch bis zum Ausstieg aus dem Pkw eine Garage. Und wen hätten Sie gern als Nachbarn?

Die Domspitzen in Sichtweite, der Werdersee nur einen Katzensprung entfernt: Der Neubau beherbergt 19 Wohnungen von 46 bis 84 Quadratmeter. Die Dachterrasse und ein großzügiger Garten sind gemeinschaftlich nutzbar.

Bezahlbar in bester Lage

Gewoba startet siebten von neun Neubauten in der Klimaschutzsiedlung am Werdersee

Der Bau der zertifizierten Klimaschutzsiedlung im Bremer Süden schreitet voran: An der HedwigDohm-Straße legten in dieser Woche Bürgermeisterin Maike Schaefer (Grüne), und GewobaVorstandsmitglied Christian Jaeger den Grundstein für den siebten Gewoba-Neubau am Werdersee. Auf einem rund 1.200 Quadratmeter großen Grundstück entsteht ein barrierefreies Mehrparteienhaus mit 19 preisgebundenen Mietwohnungen. Die Fertigstellung ist für Frühjahr 2024 geplant.

In bester Lage entsteht auf der ehemaligen Brachfläche zwischen der Habenhauser Landstraße, dem Huckelrieder Friedhof und dem Werdersee das neue Wohnquartier „Gartenstadt Werdersee“. Mit insgesamt rund 250, überwiegend preisgebundenen Wohnungen ergänzt die Gewoba das Neubauquartier um bezahlbaren Wohnraum für

Haushalte mit mittleren und kleinen Einkommen.

Von neun geplanten Neubauten im Quartier wurden die ersten fünf bereits fertiggestellt, ein weiteres Gebäude befindet sich aktuell noch im Bau. Rund 120 neue, vorwiegend preisgebundene Wohnungen sind dadurch bisher entstanden. Außerdem wurden zwölf Gewerbeeinheiten gebaut. In die Räume sind soziale Einrichtungen und Nahversorgungsangebote wie eine Kita mit 120 Plätzen, ein Supermarkt und ein Bäckerei-Café eingezogen.

Nun folgte der Baustart für den siebten Gewoba-Neubau in der Gartenstadt Werdersee.

An der Hedwig-Dohm-Straße 60 entsteht ein Mehrparteienhaus mit Zwei- bis Vier-Zimmer-Wohnungen für Familien, Paare und Singles. Diese werden künftig zu einem Quadratmeterpreis von 6,50 Euro kalt vermietet. Al-

Bürgermeisterin Maike Schaefer schaute nicht nur in die Röhre, sondern begrub sie zur Grundsteinlegung auch noch in Zement.

le Wohnungen sind barrierefrei geplant. Der schwellenlose Zugang ist zudem über die Aufzüge im Gebäude gesichert. Neben bodengleichen Duschbädern werden alle Wohnungen über

Loggien verfügen. Eine gemeinschaftlich nutzbare Terrasse und ein über das Treppenhaus zugänglicher Garten sind als Orte zum Verweilen und zum Zusammenkommen vorgesehen.

Egal welcher Herkunft, jemand, der grüßt, das Gespräch nicht scheut, vor allem über Empathie und auch Hilfsbereitschaft verfügt.

Verwalterlos: Einzelne Eigentümer können dann eingreifen

Es ist immer ein Problem, wenn in einer Wohnungseigentumsgemeinschaft für längere Zeit der Verwalter fehlt. Er nimmt im Alltag viele Aufgaben wahr, für die zunächst niemand anders zuständig ist. Allerdings kann es jederzeit nötig sein, dass Entscheidungen getroffen werden. Deswegen geht mit dem verwalterlosen Zustand grundsätzlich eine Gefährdung der ordnungsgemäßen Verwaltung des Gemeinschaftsei-

gentums einher. In einem konkreten Fall hatte das Mitglied einer Zweier-WEG auf die Einberufung einer Eigentümerversammlung gedrängt. Auf Antrag wurde er nach Information des Infodienstes Recht und Steuern der LBS vom Landgericht Landau dazu ermächtigt, eine solche Versammlung einzuberufen, um dort über die Bestellung eines Notverwalters diskutieren zu können. (Landgericht Landau, AZ 5 T 75/21)

ca. 1968, renovierungsbedürftig

• Ausstattung: Abstellraum, Badewanne, Balkon, Gäste-WC, Keller, Tageslichtbad, Terrasse, Garage

Neuenland Reihenmittelhaus

Gartenstadt Süd

Zweifamilienhaus

Grundstück: ca. 121 m², Wohnfläche: ca. 111 m², Nebenfläche: ca. 37,20 m², 4 Zimmer

• Bedarfsausw.: 176,30 kWh/(m²·a), EEK: F, Zentralheizung, Primärenergieträger: Gas

• Baujahr ca. 1931, gepflegt

• Ausstattung: Abstellraum, Balkon, Dusche, Keller, Tageslichtbad, Terrasse, zweites Bad

Kaufpreis: 295.000 € zzgl. Courtage

Arsten

Zweifamilienhaus

• Grundstück: ca. 600 m², Wohnfläche: ca. 277 m² ,

6 Zimmer

Bedarfsausw.: 105,90 kWh/(m²·a), EEK: D, Zentralheizung, Primärenergieträger: Gas

• Baujahr ca. 1927, modernisiert

• Ausstattung: Abstellraum, Dusche, Gäste-WC, Keller, Tageslichtbad, Terrasse, Wintergarten, zweites Bad, Garage, Stellplatz

Kaufpreis: 489.000 € zzgl. Courtage

Arbergen

Eigentumswohnung

Grundstück: ca. 409 m², Wohnfläche: ca. 157 m² , 6 Zimmer, 2 Geschosse

• Bedarfsausw.: 208,40 kWh/(m²·a), EEK: G, Zentralheizung, Primärenergieträger: Gas

• Baujahr ca. 1958, sanierungsbedürftig

• Ausstattung: Abstellraum, Badewanne, Balkon, Dusche, Einliegerwohnung, Keller, Terrasse, zweites Bad, Garten

Kaufpreis: 330.000 € zzgl. Courtage

Osterholz Reihenmittelhaus

• Grundstück: ca. 172 m², Wohnfläche: ca. 114 m² , Nebenfläche: ca. 10 m², 4 Zimmer Bedarfsausw.: 152,10 kWh/(m²·a), EEK: E, Primärenergieträger: Fernwärme

• Baujahr ca. 1967, gepflegt

• Ausstattung: Badewanne, Gäste-WC, Einbauküche, Terrasse, Garten, Gartenhaus, Garage

Kaufpreis: 229.000 € zzgl. Courtage

Kostenlose Marktpreiseinschätzung anfordern und sofort erhalten unter: 123immocheck.de

Wohnfläche: ca. 76 m², 3 Zimmer, 3. OG

• Verbrauchsausw.: 114,50 kWh/(m²·a),

Zentralheizung, Primärenergieträger: Fernwärme

Baujahr ca. 1972, gepflegt

• Ausstattung: Einbauküche, innenliegendes Bad mit ebenerdiger Dusche, separates WC, 2 Balkone, Kellerraum, Tiefgaragenplatz

Kaufpreis: 149.000 € zzgl. Courtage

Schwachhausen

Eigentumswohnung

• Wohnfläche: ca. 114 m², 3 Zimmer

• Verbrauchsausw.: 110 kWh/(m²·a), EEK: D,

Zentralheizung, Primärenergieträger: Gas

Baujahr ca. 1982, gepflegt

• Ausstattung: Abstellraum, Badewanne, Balkon, Dusche, Gäste-WC, Keller, PKW-Außenstellplatz, Personenaufzug, Gemeinschaftswaschraum

Kaufpreis: 420.000 € zzgl. Courtage

Ellenerbrok-Schevemoor Reihenmittelhaus

Grundstück: ca. 151 m², Wohnfläche: ca. 122 m² , Nebenfläche: ca. 28 m², 5 Zimmer

• Bedarfsausw.: 149,60 kWh/(m²·a), EEK: E, Primärenergieträger: Fernwärme

• Baujahr ca. 1966, gepflegt

• Ausstattung: Einbauküche, Gäste-WC, Wannenbad, ausgebautes Dachgeschoss, Vollkeller, Balkon, Terrasse und Garten, Garage

Kaufpreis: 268.000 € zzgl. Courtage

Lehesterdeich Reihenhaus

• Grundstück: ca. 196 m², Wohnfläche: ca. 112 m² , Nebenfläche: ca. 40 m², 5 Zimmer Bedarfsausw.: 233,71 kWh/(m²·a), EEK: G, Zentralheizung, Primärenergieträger: Gas

• Baujahr ca. 1968, modernisiert

• Ausstattung: Einbauküche, Gäste-WC, Tageslichtbad mit Wanne, Duschbad mit Fenster, zwei Balkone, Vollkeller, Terrasse, Garten, Garage

Kaufpreis: 430.000 € zzgl. Courtage

Telefonische oder persönliche Beratung durch Ihre Stadtteilmakler:innen: 0421 179-4000

21
Foto: Schlie
RECHT QUARTIERPORTRAIT Visualisierung: Gewoba Sparkasse Immobilien Bremen GmbH | An der Reeperbahn 2 | 28217 Bremen | 179-4000 0421 spk-immobilien.de Kaufpreis: 269.000 € zzgl. Courtage Hemelingen Reihenendhaus Grundstück: ca. 261 m², Wohnfläche: ca. 111 m², Nebenfläche: ca. 3,70 m², 4 Zimmer • Bedarfsausw.: 175,10 kWh/(m²·a), EEK: F, Zentralheizung, Primärenergieträger: Gas • Baujahr ca. 1978, gepflegt • Ausstattung: Einbauküche, Badewanne, Gäste-WC, Keller, Terrasse, Garage Kaufpreis: 259.000 € zzgl. Courtage Ellenerbrok-Schevemoor Reihenmittelhaus • Grundstück: ca. 182 m², Wohnfläche: ca. 124 m² , Nebenfläche: ca. 22 m², 6 Zimmer Bedarfsausw.: 128 kWh/(m²·a), EEK: D, Primärenergieträger: Elektroenergie • Baujahr
Sie planen, Ihre Immobilie zu verkaufen? LBS Immobilien GmbH NordW zufriedene Kunden 92% S

Seafood Mix Iska, 1.000g

Öffnungszeiten: Mo.-Fr. 9-18 Uhr, Sa. 9-14 Uhr

Osenbrückstraße 5, 28309 Bremen-Hemelingen

Öffnungszeiten: Mo.-Fr. 9-19 Uhr, Sa. 9-18 Uhr

im Speckmantel Markenware, ca. 800g

Ab sofort finden Sie unsere Angebo te auch unter: www.eiskoenig.euHähnchen Dinos

KONTAKTE

Citroen ZX 1,4, Bj. 11/95, 55kW, TÜV 11/ 23, 46.777 km, Dunkel Rot, AHK, grüne Plakette 3, sehr guter Zustand, 1.900 €, 0173/ 36 66 113 (Etelsen)

Kleinanzeigen

für den Weser Report und Delme Report und für den Hamme / Wümme Report  0421-36 66 400 oder per E-Mail an fliesstext@weserreport.de

Ständig 1500 Jahres- und Dienstwagen im Sortiment. Täglich wechselndes Angebot. Finden Sie Ihren Wunsch BMW oder MINI bei uns unter www.bobrink.de

Kleine Firma übernimmt Gartenarbeit sowie Gartengestaltung, Pflasterung, Rasenanlagen + Gartengrund- u. Hochdruckreinigungsarbeiten. Kostenl. Besichtigung + Info 0421-38709966

Übernehme Gartenarbeiten.

 0421-43731489

%Stark reduziert%

2. Wahl Haushaltsgeräte bis zu 60%!!! Reparaturen u. Ersatzteile aller Herstelller. Der Elektro-Markt, Faulenstr. 79, Bremen,

 0421-302434

MARTIN BRINKMANN BREMEN, GOLDEN MIXTURE PFEIFENTABAK 200 GR.

NETTO Tabaktopf, Porzellan mit Deckel, TOP Zustand, 30 €. In FINDORFF 0421373424 oder 01771440601

Schaufensterpuppe, mannlich, mit Marineanzug, 250 €  0176-43396868

Achtung aufgepasst! Wandeln Sie Ihre

ER 65j. sucht nette, treue Rentnerin 7285j. Aussehen egal für erotische Freundsch. TEL 0421 24163708

Kleinanzeigen für den Weser Report und Delme Report und für den Hamme / Wümme Report  0421-36 66 400 oder per E-Mail an fliesstext@weserreport.de

Lagermitarbeiter/Platzwart m/w/d, in TZ/ vormittags, gerne auch Rentner. Kommen Sie in ein starkes Team in die NL Groß Mackenstedt. Többe Spedition  0593570500 oder info@toebbe.eu

Bremen Hemelingen - Industriegebiet. Wir suchen dringend eine zuverlässige deutschsprachige Reinigungskraft m/w/d für die Unterhalts- und Hallenreinigung.

AZ: Montag - Freitag von 06:00 – 12:00 Uhr oder von 07:00 - 13:00 Uhr. Bewerbung bitte unter 04221 600148. Büro-/Touristikfachkraft (m/w/d) in Teiloder Vollzeit zeitnah gesucht. Bewerbungsunterlagen an personal@cup.de oder CUP Touristic GmbH, Marcusallee

7a, 28359 Bremen. Reiseveranstalter seit

1979

LKW-Fahrer/in CE für innerdeutschen Fernverkehr gesucht. € 3.000 + Spesen; 5-Tage-Woche (Mo-Fr). MEGA Logistik GmbH  0421-520850 Mo. ab 8h.

Generation Z erfordert Umdenken

J OACHIM O SSMANN Vorsitzender der Geschäftsführung

Agentur für Arbeit Bremen-Bremerhaven

???UNFALLWAGEN??? KFZ-Meister

29kauft gegen bar  0421-393239

Fahrzeugankauf aller Art! Mit/ohne TÜV, auch defekt. H&H Autohdl.. 0173-2068533

Genc Handels GmbH Bremen

AutorisierterFIAT SERVICE PARTNER für Bremen und umzu. PKW - Transporter - Wohnmobile  0421-611426

Genc Handels GmbH Bremen

Autorisierter FIAT SERVICE PARTNER für Bremen und umzu. PKW - Transporter - Wohnmobile  0421-611426

Wir kaufen Ihr Wohnmobil & Wohnwagen! 0800 1860000 (kostenlos) www.ankaufwohnmobile.de

Wertsachen in Bargeld um - Nutzen Sie die Chance Ihre Wertgegenstände, die Sie nicht mehr in Gebrauch nehmen, wie z.B. Pelze zu Höchstpreisen zu verk.- zahle 100-5000 € - antike Möbel, Nähmaschinen, alte Musikinstrumente, Puppen, Ölgemälde, Teppiche, Porzellan, asiatische Kunst und alte Bronzefiguren, jegliche Art von Goldschmuck, Bernstein, Marken-Uhren und Tafelsilber. Wir machen Ihnen ein gutes Angebot mit seriöser Abwicklung. Profitieren Sie von unserer jahrelangen Erfahrung.

Fa. Klimkeit  0471-30940881

Achtung: Suche von Privat Pelzmantel-/ Jacke, Abendgarderobe, Lederhandtaschen, Bilder, Porzellan, Tafelsilber, Teppiche, Münzen, Uhren, Golfschläger, Bernstein, Schmuck. Frau Klarr

 0163-4676590

Goldankauf seit über 40 Jahren: Zahngold, Altgold, Silber, Münzen, hochwertige Uhren+Schmuck BREMER Juwelier,Sögestr.21/Liebfrauenkirchhof 15, über Vodafone 28195 Bremen 0421/171413, www.bremer-juwelier.de

Musikbox Wurlitzer, reparaturbedürfig gesucht.  0421-6364351

Suche alte Musikinstrumente, Akkordeon, Blasinstrumente usw. sowie alte Militärorden/Abzeichen. Gerne alles anbieten!

 0178-5070360

Fahrer m/w/d auf 520 €-Basis oder Teilzeit im Raum Bremen gesucht. Voraussetzung BE-Führerschein.  0421-38044400 Fahrer u. Ersatzfahrer (FS-Kl.B, m/w/d) zur Beförderung von Menschen zu sozialen Einrichtungen und Förderschulen auf Basis geringfügiger Beschäftigung aus dem Großraum Bremen gesucht, gerne auch aus der Generation 60+. P-Schein nicht erforderlich. Tel.: 0175-8420718 o. 0162-9007650. Anrufe bitte Mo.-Fr. 8 - 18 Uhr. Engler Transfer GmbH.

Frühaufsteher aufgepasst!!! Wir suchen neue Mitarbeiter in der Bremer Innenstadt für die Unterhaltsreinigung in einem Bürogebäude AZ: Mo-Fr von 04:00 - 07:00 Uhr Teilzeit o. Minijob möglich, Tariflohn 13,-€/Std. Bewerbungen an: Gebäudereinigung Jaffke GmbH Tel.: 0421-388943

Für das tägliche Frühstücks- und Tagungsgeschäft sucht das ATLANTIC Hotel Universum ab sofort einen Frühstückskoch (w/m/d) in Voll- oder Teilzeit. Sie sind flexibel und starten Ihren Tag gerne in den frühen Morgenstunden? Dann sind Sie als Ergänzung unseres Küchenteams genau richtig! Bewerben Sie sich und senden Ihre Bewerbung an das ATLANTIC Hotel Universum, c/o ATLANTIC Hotels Management GmbH, Ludwig-Roselius-Allee 2, 28329 Bremen oder per E-Mail an: bewerbung@atlantic-hotels.de.

Malteser-Fahrdienst Suchen Sie nach einer sinnvollen Nebentätigkeit? Wir bieten neue Stellen in unserem "Fahrdienst für Menschen mit Behinderungen". Minijob-Basis 520 € oder Gleitzone bis 1.600 €. Sie bringen mit: Führerschein Kl. B, ein gepflegtes Erscheinungsbild sowie Freundlichkeit und Zuverlässigkeit. Wir freuen uns auf Ihre Bewerbung, per E-Mail an Fahrdienst.Bremen@malteser.org Information  0421-42 74 940 www.malteser-bremen.de

Hähnchen Frites Vossko, 1.000g Stracciatella, Tiramisu, Spagnola, Crema Genovese, Vagnila Gialla, Cassata Tonito, 1.000 ml Brie Spitzen Markenware, 1.000g Eisbecher Schokolade Gustavo Gusto, 500 ml Eisbecher Joghurt Honig Gustavo Gusto, 500 ml Cornetto Classico Langnese, 12x90ml Hähnchen Gyros Geflügelfrikadellen Vossko, 960 g (kg = 5,78€) (kg = 7,40€) KÄSESPEZIALITÄTEN! PREMIUM EIS – DIREKT AUS ITALIEN!!! ORIG. GUSTAVO GUSTO!!! € 0,99 je € 9,95 kg € 5,55 je € 5,55 je € 3,99 je Frischkäse Kuchen New York Style Markenware, 725g (kg = 4,67€) Mandel Bienenstich Meistertorte Markenware, 785g (kg = 5,08 Käsekuchen Markenware, 1.100g (kg = 1,81 € 2,99 € 3,99 € 3,39 € 1,99 € 1,49 € 5,55 Tintenfischringe Bonesca, 500g (kg = 4,98€) White Tiger Garnelen Iska, 1.000g Tintenfischtuben Iska, 1.000g Sonnenblumenkernbrot Markenware, 1000g Hähnchen Kebab Kronenhof, 750g (l = 1,98€) (l = 2,76€) Emmentaler Herzen Markenware, 1.000g € 5,55 € 9,99 € 2,49 € 2,99 je Stresemannstr. 76 · 28207 Bremen Tel.: +49 (0) 421 – 491 536 50 Mail: info@jaffakauftdeinauto.de www.jaffakauftdeinauto.de Auf Wunsch direkt vor Ort. PKW- und LKW Ankauf. Neu-, Alt-, Unfallfahrzeug oder nicht fahrbereit – wir kaufen alles. ja akauftdeinauto

Pflegekräfte (m/w/d) ab sofort, übertarifliche Bezahlung in VollTeilzeit u. 450 € Basis 0421-8369075, bpsm GmbH, Hermann-Böse-Str. 23, 28209 HB, bewerbung@bpsm-online.de

Reinigungskraft für die Vahr, vormittags 8.00-10.30 Uhr Treppenhaus, Tariflohn. Tel. 01772775525

Reinigungskraft Hochschulring nahe Fallturm Mo.-Fr. 5-8 Uhr, Lst.pfl.  204610

Reinigungskraft Schule Alt-Osterholz, Mo.Fr. 15-19 Uhr, Lst.pfl.  0421-204610

Reinigungskraft Schule Vahr, Mo.-Fr. 14.30-19.30 Uhr, Lst.pfl.  204610

Reinigungskräfte vormittags in BremenWalle ges., Minijob, für Treppenhausreinigung. 0174-6423568

Reinigungsmitarbeiter/in Für Büro- und Sozialräume gesucht, Minijob. Wolters Bus-Touren Schwarzer Weg 19 in 28870 Ottersberg Tel. 04205-31666

Wir suchen (m/w/d) ab sofort:

Wir suchen zu sofort flexible und zuverlässige Reinigungskräfte. Arbeitszeit

Mo.-Sa. 19:30-21:30 Uhr und/oder Mo,-

Fr. 7:30-10 Uhr in Teilzeit oder auf geringfügiger Basis, Stundenlohn 15,00 €. Haben wir Ihr Interesse geweckt, freuen wir uns, von Ihnen zu hören. Weser-Aller KG Gebäudeservice Am Heuberg 23 28832 Achim  04202-9562849

ARBEITSMARKT Angebote gültig vom 24.04. – 06.05.2023. Aktuelle Angebote unter www.eiskoenig.euer ist die „Generation Z“? – Menschen, die in den Jahren 1997-2012 geboren sind. Sie befinden sich jetzt teilweise im Übergang von der Schule in das Berufsleben. Aufgewachsen mit Social Media und überwiegend guter sozialer Absicherung bietet ihnen der Ausbildungs- und Arbeitsmarkt sehr gute Möglichkeiten. Gleichzeitig gelten Angehörige dieser Generation aber auch als vorsichtig bei ihren Entscheidungen und wählerisch. Sie haben ein großes Interesse an einer persönlichen Work-Life-Balance und der Teilhabe an Entscheidungen. Wie können Arbeitgeber solche jungen Menschen als Fachkräfte für ihr Unternehmen gewinnen? Indem sie Anreize bieten, kreative Prozesse zulassen und bereit sind, die Positionen der Auszubildenden miteinzubeziehen. Das erfordert oft ein Umdenken und Umsteuern von Abläufen im Betrieb. Der Arbeitgeber-Service berät Ausbildungsbetriebe gerne hierzu. Und die Studien- und Berufsberatung der Agentur für Arbeit unterstützt junge Menschen dabei, einen Beruf entsprechend ihrer Interessen und Fähigkeiten zu finden. Kontaktieren Sie uns kostenlos unter 0800 4 5555-00 (Arbeitnehmer) oder 0800 4 5555-20 (Arbeitgeber). UNTERRICHT/FORTBILDUNG STELLENGESUCHEAufstiegsfortbildung Fachwirt:in im Gesundheits- und Sozialwesen IHK Startgarantie. Anmeldungen sind noch möglich: Nicole Kray, 042144995 oder unter www.wisoak.de

Aufstiegsfortbildung Lohn- und Gehaltssachbearbeiter:in ANK Anmeldungen sind noch möglich: Nicole Kray, 042144995 oder unter www.wisoak.de

1a Abriss, alle Gartenarbeiten, Rollrasen, Vertikutieren, Wurzelfräsung, Heckenschnitt/Entfernung, Zaunbau, Pflasterarbeiten Dachrinnenreinigung uvm.

0176 62610090

1A-Hecken u. Baumschnittt, Gartenarb. Rollrasen, Pflasterarbeiten, Zaunbau und vieles mehr 0421-6164619

Abarbeitung aller Gartenarbeiten, Baum+Heckenschnitt, Rollrasen, Pflaster+Zaunarbeiten uvm.  0173-7340887

Baumfällung/ Baumpflege, Seilklettern, kostenl. Angebot  0421-232694

Baumpflege- und Fällarbeiten, Seilklettertechnik, Abfuhr, vom Fachmann kostenl.

Angebote:  0421-98609984

Kleinanzeigen für den Weser Report und Delme Report und für den Hamme / Wümme Report

 0421-36 66 400 oder per E-Mail an fliesstext@weserreport.de

Rollrasen und Neuansaat

Lassen Sie sich von mir ein kostenloses

Angebot erstellen:  0172-9156281

VERSCHIEDENES

PROFESSIONELLER TELEFONSERVICE

Nackte Rentnerin 67 01520-570 57 29

BEKANNTSCHAFTEN

Bärbel, 71 J., ich bin eine ruhige, anschmiegsame Witwe, humorvoll, verständnisvoll, sauber u. ordentlich, bescheiden u. unkompliziert, mit Kurven wo sie hingehören. Ich wohne hier in der Gegend, schätze das Landleben u. bin sehr einsam. Ich wünsche mir pv wieder einen liebevollen Partner gerne auch bis ca. 80 J., bitte rufen Sie mich an. Tel. 0151 - 62913874

Ich bin die Anneliese, 79 J., eine ruhige, liebe Witwe u. hübsche Frau, leider jetzt ganz allein. Nach der Trauerzeit sehne ich mich wieder sehr nach Liebe u. Zweisamkeit. Alles weitere würde ich gerne mit Ihnen bei Kaffee und Kuchen persönlich bereden pv Tel. 0151 - 20593017

Bei Fragen stehen wir Ihnen gerne unter der Telefonnummer 0421 944 888 574 zur Verfügung.

Für unseren Zulassungsdienst in Bremen-Mitte suchen wir per sofort eine Teilzeitkraft (m/w/d) für 80 Std./Monat für die Auftragserfassung, Behördengänge und Büroarbeiten. Arbeitszeit 13-17 Uhr. Außerdem einen Zulassungsfahrer (m/w/d) auf 520 €-Basis für Behördengänge und Fahrten zur Zulassungsstelle. Arbeitszeit 7-12 Uhr. Wir erwarten von Ihnen kundenfreundliches Auftreten, hohe Flexibilität und Zuverlässigkeit (FS Kl. 3 erforderlich). Sie arbeiten in einem kleinen, engagierten und kollegialen Team. Wir freuen uns auf Ihre Bewerbung mit Lebenslauf per eMail: Warnke & Hallmann GmbH, z.Hd. Frau Voigt Syker Str. 201, 27751 Delmenhorst, bewerbung@zd-bremen.de

Gewerbeschein vorhanden???? Büroreinigung in Ihrer Nähe  040-5583635

Landschaftsgärtneroder Helfer m/w/d für Gartenlandschaftsbau per sofort gesucht. info@caspar-arenz.de  0421-543399

Packer für Automotivteile in Vollzeit. Arbeitsort: Bremen/GVZ

Rufen Sie uns an! P&S personal & sicherheit gmbh, ‡ 0421-94991320, Kirchhuchtinger Landstr. 76, 28259 Bremen direkt@personalundsicherheit.de

Unser Team in Bremen Walle braucht dringend Verstärkung. Welche flexible Spielhallenaufsicht möchte uns im Schichtdienst unterstützen.  0471-72620

Wir suchen in Bremen eine freundliche

Haushaltshilfe, flexibel, mit dem Blick fürs Wesentliche. Dt. Sprachkenntnisse sind Bedingung. PKW kann gestellt werden (Teilzeit bis 100 Std. oder Minijob möglich, Tariflohn). Kontakt: 01759044592

Zuverlässige Reinigungskraft auf Basis der Geringfügigkeit für ein Objekt in Borgfeld gesucht. AZ: 5 x wöchentlich / 06:0007:30 Uhr, jeden 2. Samstag von 06:0009:00 Uhr Std.-Lohn 13,00 €. Fahrtkosten werden erstattet. Tel. Bewerbung unter 0162 - 85 94 100.

Zuverlässige Reinigungskraft für Schulreinigung auf Steuerkarte oder Basis der Geringfügigkeit für ein Objekt in Bremen Mitte gesucht. AZ: 5 x 1,75 Std. oder 5 x 3,00 Std. ab 15:00 Uhr Std.-Lohn 13,00€. Tel. Bewerbung unter 0172-5257228

Wir suchen selbstständige Immobilienmakler!  0421 16177205 Koes lien - Marcusallee 16 in 28359 Bremen

Attraktive Nebenbeschäftigung als Zusteller (m/w/d). Der Weser Report sucht verlässige Zusteller in Bremen und land für die Verteilung am Sonntag. essiert? Dann melden Sie sich unter 36 66 350 oder www.ewz-bremen.de

Suche eine Haushaltshilfe, alle 14 Tage 1x 2 Stunden.  0421-490443

DUALES STUDIUM 2023

Regionale Ausbildungsbetriebe sind auf der Suche nach DIR!

besuche jetzt myfirstjob.de und finde eine passende Ausbildung

Aufstiegsfortbildung Personalsachbearbeiter:in ANK mit DATEV. Anmeldungen sind noch möglich: Nicole Kray, 042144995 oder unter www.wisoak.de

Haushaltshilfe 01724223022 zuverlässig und versiert www.haushaltshilfe-agentur.de Rentnerin (ehem. Pflegehelferin) sucht Minijob in Bremen u. umzu Tel. 01758472304

Der Stellenmarkt jeden Sonntag im

myfirstjob.de myfirstjob.de

A NZEIGEN 22 Sonntag, 23. April 2023 VERKAUF ANKAUF AN- UND VERK AUF GARTEN VERKAUF ANK AUF
W STELLENMARKT GEWERBLICHE BERUFE KAUFMÄNNISCHE BERUFE NEBENBESCHÄFTIGUNGEN
Hähnchen Schnitte Wiener Art Vossko, 1.000g
Gelderner Straße 1, 28327 Bremen-Osterholz Öffnungszeiten: Mo.-Fr. 9-18 Uhr, Sa. 9-17 Uhr Hammersbecker Str. 179 B-D, 28755 HB-Aumund
AUSBILDUNG 2023
Staplerfahrer (Schubmast) 15,50 €/Std. in Vollzeit. Arbeitsort: Bremen/GVZ

KÜCHENTESTERGESUCHT vonDo.27.04.bisSa.29.04.2023

Im Rahmen unserer Sonder-A kt ion erhalten die er sten 50 Küchen Käufer ihre freigeplante Küche zum halben Preis. DiePreisvorteile, die wir von den Küchen-Herstellern für diese besondere Ak tionbekommen haben, geben wir an unsere Kunden weiter. Als Küchentester müssen Sie lediglich bis zwei Wochen

nach der Lieferung Ihrer Küche einen knapp gehaltenen Fragebogen ausfüllen. Dafür erhalten Sie zusätzlicheinen Warengut schein im Wert von 20 0 Euro, den Sie in einem unserer Zurbrüggen Einr icht ungs häus er einlös en kö nnen Bitte beachten Sie: Bei diesen sensationellenPreisvorteilen müssen wir die

Ak tion auf 50 Küchentesterpro Standor t beschränken, da derar tige Nachlässe im täglichen Verkauf nicht möglich sind.

Rufen Sie jetz t an undsichern Sie sich vorab Ihren per sönlichen Termin. Wir, das gesamte Zurbrüggen-Team, freuen uns auf Ihren Anruf.

JETZTSCHNELLIHRENTERMINSICHERN!

SieerreichenunszuunserenÖffnungszeitenunter:

TEL:04221/920-302

www.zurbrueggen.de Zurbrüggen Wohn-Z en trum GmbH 59 42 3 Unna Hans- Bö ckler-S tr.4 DIEERSTEN50KÜCHEN-KÄUFERERHALTENIHRE FREIGEPLANTEKÜCHEZUMHALBENPREIS! Zurbrüggen Wohn-Zentrum GmbH, 27 75 5 Delmenhors t, Sees tr 7, Tel. 04221/ 92 0-92 0 Öf fnungszeiten: Mont ag-S amst ag 10.0 0-19.0 0 Uhr 200 € ZURBRÜGGEN WARENGUTSCHEIN ELEK TRO- & SANITÄRANSCHLÜSSE -OPTIONALLIEFERSERVICE FACHGERECHTE MONTAGE AUFM ASS VOR ORT AUSGEZEICHNETER ZURBRÜGGEN-SERVICE + PREIS 1/2 ZUM FREIGEPLANTEKÜCHEN GiltaufUVP-Preise.NichtkombinierbarmitanderenRabattaktionen.GiltnurfürNeukäufe.AusgenommenElektrogeräteundZubehör.GiltnichtfürdenOnlineshop. UnseregeschultenKüchenFachberaternehmensich vielZeitfürSie,ummit IhnengemeinsamIhre Traum-Küchezurealisieren.

Turn static files into dynamic content formats.

Create a flipbook
Issuu converts static files into: digital portfolios, online yearbooks, online catalogs, digital photo albums and more. Sign up and create your flipbook.