Abdominální a gastrointestinální radiologie - Játra (Ukázka, strana 99)

Page 1

Obrázky ke kapitole 3.5

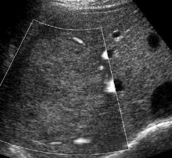
V UZ obraze je patrné ostře ohraničené, homogenně hypoechogenní ložisko v S7 (17).

Na MR je ložisko nativně v T1-váženém obraze hypointenzní (18), v T2-váženém obraze je výrazně hyperintenzní, obdobně jako u kavernózního hemangiomu (19). Postkontrastně dochází k nodulárnímu sycení ložiska z periferie. Ložisko se postupně celé vysycuje (20–22).

98
17 19 21 18 20 22

V UZ obraze je kulovité, ostře ohraničené nehomogenně hyperechogenní ložisko (23), při použití barevného dopplerovského záznamu jsou patrné cévy kolem tohoto ložiska (24).

V CT obraze je nativně toto ložisko hypodenzní, s drobnou výraznou až cystickou hypodenzitou v centru (25).

V arteriální, portální a pozdní fázi se toto ložisko postupně sytí typickými noduly z periferie ložiska. Střed zůstává hypodenzní a nesytí se (26–28).

Příklad jiného ložiska, které se po podání kontrastní látky na CEUS sytí typicky z periferie. Střed ložiska se nesytí a centrálně zůstává hypoechogenní i po téměř 3 minutách (29–32).

99 Obrázky ke kapitole 3.5
23 24 25 26
100 Obrázky ke kapitole 3.5 27 29 28 Ukázka elektronické knihy

Turn static files into dynamic content formats.

Create a flipbook