EB966528

Page 1


Prof. MUDr. Pavel Kalvach, CSc., a kolektiv

MOZKOVÉ ISCHEMIE A HEMORAGIE

3., přepracované a doplněné vydání

Hlavní autor a editor knihy:

Prof. MUDr. Pavel Kalvach, CSc.

Autorský kolektiv:

Doc. MUDr. Pavel Adam, CSc., Laboratoř pro likvorologii a neuroimunologii, TOPELEX s.r.o., Praha

MUDr. Yvona Angerová, Klinika rehabilitačního lékařství UK, 1. LF a VFN v Praze

Doc. MUDr. Jiří Bauer, CSc., Neurologická klinika UK, 1. LF a VFN v Praze

Assoc. Prof. PaedDr. Zsolt Cséfalvay, Ph.D., Department of Communication Disorders, Comenius University, Bratislava

Prof. Valery Feigin, MD, MSc, PhD, FAAN, Clinical Trials Research Unit, The University of Auckland, New Zealand

Prof. MUDr. Pavel Haninec, CSc., Neurochirurgická klinika UK, 3. LF a FNKV v Praze

MUDr. Tomáš Janota, CSc., III. interní klinika UK, 1. LF a VFN v Praze

MUDr. Ladislava Janoušková, CSc., radiodiagnostické oddělení, Nemocnice Na Homolce, Praha

Prof. MUDr. Pavel Kalvach, CSc., Neurologická klinika UK, 3. LF a FNKV v Praze

MUDr. Zdeněk Kalvach, CSc., Medicover, Praha 4

MUDr. Jaromír Křemen, Ph.D., III. interní klinika UK, 1. LF a VFN v Praze

Doc. MUDr. Roman Liščák, CSc., oddělení stereotaktické a radiační neurochirurgie, Nemocnice Na Homolce, Praha

Doc. MUDr. Vladimír Soška, CSc., oddělení klinické biochemie, Fakultní nemocnice u svaté Anny, Brno

MUDr. Ondřej Škoda, neurologické oddělení Nemocnice Jihlava

Doc. MUDr. David Školoudík, Ph.D., Neurologická klinika FN Ostrava

Doc. MUDr. Olga Švestková, Ph.D., Klinika rehabilitačního lékařství UK, 1. LF a VFN v Praze

Prof. MUDr. Jiří Tichý, DrSc., Neurologická klinika UK, 1. LF a VFN v Praze

Prof. MUDr. Josef Vymazal, DrSc., radiodiagnostické oddělení, Nemocnice Na Homolce, Praha

MUDr. Jiří Weichet, PhD., radiodiagnostické oddělení, Nemocnice Na Homolce, Praha

Prof. MUDr. Eduard Zvěřina, DrSc., Neurochirurgická klinika UK, 3. LF a FNKV v Praze

Recenzenti:

Prof. MUDr. Zdeněk Kadaňka, CSc.

Doc. MUDr. Edvard Ehler, CSc.

Realizace monografie byla podpořena Výzkumným záměrem MŠMT VZ 0021620816.

© Grada Publishing, a.s., 2010

Ilustrace, není-li uvedeno jinak, z archivu autorů Cover Design © Grada Publishing, a.s., 2010

Vydala Grada Publishing, a.s. U Průhonu 22, Praha 7 jako svou 4047. publikaci Odpovědná redaktorka PhDr. Alena Palčová Sazba a zlom Antonín Plicka Počet stran 456 3., přepracované a doplněné vydání, Praha 2010

Vytiskly Tiskárny Havlíčkův Brod, a.s.

Tato publikace je určena pro odbornou zdravotnickou veřejnost a pracovníky ve zdravotnictví vybraných oborů Názvy produktů, firem apod. použité v knize mohou být ochrannými známkami nebo registrovanými ochrannými známkami příslušných vlastníků, což není zvláštním způsobem vyznačeno.

Postupy a příklady v této knize, rovněž tak informace o lécích, jejich formách, dávkování a aplikaci jsou sestaveny s nejlepším vědomím autorů. Z jejich praktického uplatnění ale nevyplývají pro autory ani pro nakladatelství žádné právní důsledky.

Všechna práva vyhrazena. Tato kniha ani její část nesmějí být žádným způsobem reprodukovány, ukládány či rozšiřovány bez písemného souhlasu nakladatelství.

ISBN 978-80-247-2765-3

Obsah

1 Epidemiologie cerebrovaskulárních onemocnění

V. Feigin

1.1 Úvod ................................................................................

1.2

1.1.1

1.2.1 Mortalita v České republice

P. Kalvach

1.2.2

1.2.3

V. Feigin

1.3 Dopady iktu na celkový stav ...........................................

1.3.1

1.3.2

1.3.3

1.4 Záv

2 Anatomie mozkového cévního zásobení

P. Kalvach

2.1 A. carotis .........................................................................

2.2 A. vertebralis

2.3

2.3.3 A. cerebri posterior ...........................................

2.3.4 Perforující tepny z bazálních větví ...................

2.3.5 Choroidální tepny .............................................

2.4 Cévní zásobení zadní jámy lebeční

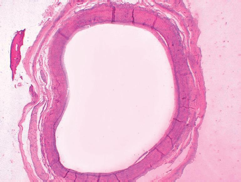
2.5 Anatomie cévní stěny ......................................................

2.6 Distribuce nutričních tepenných areálů v mozkové tkáni ................................................................................. 31

2.7 Mozkový venózní systém ............................................... 33

3 Fyziologie mozkového krevního zásobení ................. 39

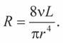
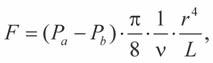
3.1 Obecné fyzikální principy cévního průtoku .................... 39 P. Kalvach

3.2 Hemodynamické vztahy jednotlivých částí cévního řečiště .............................................................................. 41

3.3 Konkrétní parametry mozkového průtoku a metabolizmu ................................................................. 42

3.3.1 Extrakraniální tokové hodnoty ......................... 42 P. Kalvach, O. Škoda

3.3.2 Intrakraniální rychlosti krevního toku .............. 48 P. Kalvach

3.4 Regulace cerebrální cirkulace .........................................

3.4.1 Autoregulace mozkového průtoku ...................

3.4.2 Chemickometabolická regulace mozkového průtoku .............................................................

3.4.3 Neurogenní kontrola mozkového průtoku .......

3.4.4 Další faktory ovlivňující výši cerebrovaskulárního průtoku ............................

3.4.5 Regulace venózního tlaku

Změny mozkového krevního průtoku s věkem ...............

3.6 Hematocerebrální předěly ...............................................

3.6.1 Hematoencefalická bariéra ...............................

3.6.2 Likvoroencefalická bariéra

Arteriální hypotenze a nízká perfuze mozku jako příčina CMP ..............................................

4.2 Srdeční onemocnění ........................................................

4.2.1 Embolizace ze srdce jako příčina CMP

4.2.2 Fibrilace a flutter síní

4.2.4 Embolizace nástěnných trombů z levé komory .............................................................

4.2.5 Onemocnění chlopní ........................................

4.2.6 Nitrosrdeční nádory ..........................................

4.2.7 Prevence kardioembolizačních CMP ...............

4.3 Diabetes mellitus .............................................................

P. Kalvach

4.3.1 Vliv diabetu na kardiovaskulární systém .........

4.3.2 Opatření k prevenci diabetické angiopatie .......

4.3.3 Metabolický syndrom ......................................

4.4 Dyslipidemie ...................................................................

V. Soška

4.4.1 Úvod .................................................................

4.4.2 Vztah dyslipidemie k lokalizaci aterosklerózy

4.4.3 Dyslipidemie a CMP – epidemiologické studie ....

4.4.4 Dyslipidemie a CMP – intervenční studie .......

4.4.5 Význam snižování cholesterolu po prodělané CMP .................................................................

4.4.6 Nízký cholesterol a krvácivé CMP ..................

4.4.7 Závěr ................................................................

4.5 Kouření ...........................................................................

P. Kalvach

4.12 Perorální antikoncepce/substituční hormonální léč

4.12.1 Perorální antikoncepce ...................................

4.12.2 Substituční hormonální léčba ......................... 79

5 Mozkové ischemie ..................................................... 83 P. Kalvach

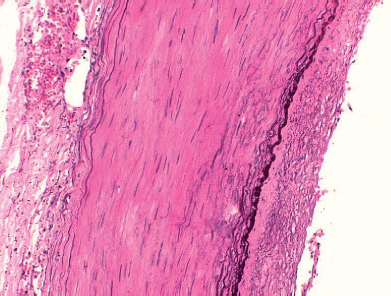
5.1 Patologie magistrálních tepen ......................................... 84

5.1.1 Stenotické procesy a. carotis interna ................ 84

5.1.2 Abnormální tvary karotických tepen ................ 94

5.1.3 Arteriální disekce ............................................. 95

5.1.4 „Steal fenomén“ a jeho projevy v řečišti aa. vertebrales ................................................... 96

5.1.5 Klinický přístup ke karotickým stenózám ....... 98

5.2 Patologie tepen středního kalibru .................................. 102

5.2.1 Patologická cerebrovaskulární rezerva .......... 104

5.3 Mikrovaskulární patologie ............................................ 106

5.3.1 Status lacunaris cerebri .................................. 106

5.4 Žilní patologie ............................................................... 107

5.5 Patogeneze mozkového infarktu ................................... 109

5.5.1 Vliv ischemie na neuron, glii a vaskulaturu ... 109

5.5.2 Koncept ischemického polostínu ................... 110

5.5.3 Koncept mozkové diaschizy .......................... 112

5.5.4 Edém u mozkových ischemií: cytotoxický a vazogenní .................................................... 114

5.5.5 Postischemická perifokální hyperemie .......... 118

5.5.6 Tkáňová deteriorace v centru ischemického ložiska ............................................................ 121

5.5.7 Porucha hematoencefalické bariéry ............... 124

5.5.8 Hemoragická transformace ischemického ložiska ............................................................ 125

5.5.9 Úklidová reakce v ischemickém ložisku ........ 128

5.6 Klinické aspekty mozkové ischemie ............................. 128

5.6.1 Tranzitorní ischemické ataky (TIA) –význam pro preventivní léčbu ........................ 128

5.6.2 Kategorizace a kvantifikace cévních mozkových příhod .......................................... 130

5.6.3 Topická diagnostika mozkových iktů ............. 130

5.7 Vaskulitidy a vaskulopatie postihující centrální nervový systém ............................................................. 137

5.7.1 Infekční vaskulitidy ........................................ 139

5.7.2 Neinfekční vaskulitidy ................................... 139

5.7.3 Lékové vaskulitidy ......................................... 140

5.7.4 Další vaskulitidy a angiopatie – neznámé etiologie .......................................................... 140

5.7.5 Postradiační vaskulopatie ............................... 142

6 Mozkové hemoragie ................................................. 145

P. Kalvach

6.1 Intracerebrální hemoragie ............................................. 145

6.1.1 Příčiny cerebrálních krvácení ......................... 146

6.1.2 Patogeneze spontánního intracerebrálního krvácení .......................................................... 147

6.1.3 Lokalizace cerebrálních krvácení ................... 149

6.1.4 Průnik krvácení do mozkových komor .......... 150

6.1.5 Prognóza parenchymového krvácení ............. 152

6.2 Cévní malformace ......................................................... 153

6.2.1 Arteriovenózní malformace v užším slova smyslu ................................................... 153

6.2.2 Kapilární a kavernózní hemangiomy ............. 156

6.2.3 Žilní anomálie ................................................ 157

6.2.4 Neurokutánní dysplazie .................................. 159

6.3 Subarachnoidální krvácení ............................................ 160

6.3.1 Aneuryzmata .................................................. 160

6.3.2 Klinický obraz subarachnoidálního krvácení .......................................................... 163

6.3.3 Vazoaktivní účinky extravaskulární krve ....... 163

6.3.4 Vazospazmy v patofyziologii SAH ................ 164

6.3.5 Provalení subarachnoidálního krvácení intraventrikulárně nebo do mozkové tkáně ............................................................... 165

6.3.6 Rozvoj akutního nebo chronického hydrocefalu ..................................................... 165

6.3.7 Klinická diagnostika subarachnoidálního krvácení .......................................................... 167

7 Počítačová tomografie v diagnostice iktů ................ 173

7.1 Principy počítačové tomografie .................................... 173 P. Kalvach

7.2 Počítačová tomografie u ischemických iktů ................. 175

7.2.1 Podstata vzniku ischemického ložiska v CT obraze .................................................... 175

7.2.2 Fyziologické změny tkáňové denzity s věkem .......................................................... 179

7.2.3 CT typologie mozkových ischemií ................ 180

7.2.4 Postkontrastní zvýraznění malatických ložisek ............................................................ 191

7.2.5 Obvyklý vývoj ischemického ložiska v CT obraze .................................................... 196

7.3 CT diagnostika intrakraniálních krvácení ..................... 197

7.3.1 CT mozkových tkáňových hemoragií ............ 197

7.3.2 CT diagnostika cévních malformací .............. 200

7.3.3 CT diagnostika subarachnoidálního krvácení .......................................................... 202

7.4 CT angiografie ............................................................... 205 J. Weichet

7.4.1 CT angiografie u ischemické CMP ................ 205

7.4.2 CT angiografie u krvácivé CMP ..................... 206

7.5 Perfuzní vyšetření počítačovou tomografií (PCT) ........ 206

7.5.1 Perfuzní CT u ischemické CMP ..................... 206

7.5.2 Perfuzní CT u krvácivé CMP ......................... 208

8 Ultrazvuk v diagnostice a terapii cerebrovaskulárních poruch .....................................

8.1 Úvod do neurosonografie ..............................................

O. Škoda

8.1.1 Obecné principy ultrazvukového vyšetření .... 211

8.1.2 Ultrazvukové sondy .......................................

8.1.3 Vyšetřovací režimy .........................................

8.2 Sonografické vyšetření karotického řečiště ..................

D. Školoudík

8.2.1 Postup vyšetření ............................................. 215

8.2.2 Odlišení zevní a vnitřní karotidy .................... 215

8.2.3 Patologické nálezy .........................................

8.3 Sonografické vyšetření subklaviálně-vertebrálního

řečiště ............................................................................ 220

O. Škoda

8.3.1 Odstupy z aortálního oblouku – arteria subclavia a truncus brachiocephalicus ........... 220

8.3.2 Vertebrální tepny ............................................ 221

8.4 Ultrazvukové vyšetření orbity ....................................... 227

O. Škoda, D. Školoudík

8.4.1 Změny průtoku v oftalmické cirkulaci ........... 227

8.4.2 Stenóza a. ophthalmica .................................. 228

8.4.3 Nálezy u pacientů s nitrolebeční hypertenzí ....................................................... 228

8.5 Transkraniální dopplerovská sonografie (TCD) ............ 229

O. Škoda

8.5.1 Detekce mikroembolizací .............................. 230

8.5.2 Detekce evokovaných změn průtoku ............. 231

8.5.3 Fyziologické oscilace průtoku mozkovými tepnami ........................................................... 231

8.5.4 Detekce pravolevého srdečního zkratu .......... 232

8.5.5 TCD monitoring při operačních a endovaskulárních intervencích .................... 232

8.5.6 Význam TCD v cerebrovaskulární diagnostice ..................................................... 233

8.6 Transkraniální barevná duplexní sonografie ................. 233 D. Školoudík

8.6.1 Postup vyšetření, interpretace nálezů ............. 233

8.6.2 TCCS u cévních onemocnění mozku ............. 235

8.6.3 Sonotrombolýza, sonotrombotripse ............... 238

9 Magnetická rezonance v diagnostice cerebrovaskulárních poruch ..................................... 241

9.1 Základní principy magnetické rezonance a jejího zobrazovacího módu ........................................ 241

J. Vymazal

9.1.1 Počítačová tomografie a magnetická rezonance ....................................................... 241

9.1.2 Fyzikální principy nukleární magnetické rezonance ....................................................... 242

9.1.3 Pulzní sekvence v nukleární magnetické rezonanci ........................................................ 248

9.2 Magnetická rezonance u ischemických iktů ................. 253

P. Kalvach

9.2.1 Magnetickorezonanční zobrazování ischemických iktů .......................................... 253

9.2.2 MR chronických cerebrovaskulárních poruch ............................................................ 264

9.2.3 Magnetickorezonanční spektroskopie ischemických iktů .......................................... 264

9.2.4 Funkční magnetická rezonance (fMRI) ......... 267

9.3 Magnetická rezonance u mozkových hemoragií ........... 269 J. Vymazal

9.3.1 Obecné principy zobrazení hematomu ........... 269

9.3.2 Hyperakutní hematom .................................... 269

9.3.3 Akutní hematom ............................................. 270

9.3.4 Subakutní hematom ....................................... 271

9.3.5 Chronický hematom ....................................... 273

10 Mozkomíšní mok u cerebrovaskulárních onemocnění ..............................................................

10.1 Likvor obecně a jeho biochemie

J. Tichý

10.1.1 Funkce likvoru

Likvorové prostory

Tvorba likvoru ..............................................

Cirkulace likvoru

Závěry

10.2 Cytologie likvoru u vaskulárních onemocně

10.2.1 Celulární skladba likvoru .............................

10.2.2 Cytologické nálezy u vaskulárních onemocnění centrální nervové soustavy

10.2.3 Tabelární přehled cytologických nálezů

emisní tomografie

Kalvach 11.1 Pozitronová fyzika a metodika vyšetření

Využití PET ve studiu mozkových infarkt

poruch .........................................................................

P. Kalvach

12.1.1 Antiagregační prevence mozkových perfuzních poruch .........................................

12.1.2 Antikoagulační prevence mozkové embolie .........................................................

12.2 Péče o akutní iktus

12.2.1 Intenzivní management, iktová jednotka .....

J. Bauer

12.2.2 Trombolýza .................................................. 309

P. Kalvach

12.2.3 Další medikamentózní možnosti .................. 313

12.3 Interní léčba cévních příhod mozkových ....................

12.3.1 Nutriční problematika CMP .........................

J. Křemen

12.3.2 Hydratace a vnitřní prostředí ........................ 318

12.3.3 Diabetologická problematika CMP .............. 321

12.3.4 Poruchy acidobazické rovnováhy ................ 321

12.3.5 Pneumologická problematika CMP ............. 322

12.3.6 Kardiologická problematika CMP ...............

T. Janota

12.4 Intervenční neuroradiologie ........................................

L. Janoušková

12.4.1 Angiodilatační a rekanalizační metody ........

12.4.2 Endovaskulární ošetření mozkových výdutí ...........................................................

12.5 Radiochirurgická léčba cévních malformací ...............

R. Liščák

12.5.1 Arteriovenózní malformace ..........................

12.5.2 Kavernom .....................................................

12.5.3 Venózní malformace ....................................

12.6 Geriatrické aspekty CMP ............................................

Z. Kalvach

12.6.1 Mozková plasticita a reakce na CMP ve stáří ..........................................................

12.6.2 Další faktory zhoršující prognózu CMP ve stáří ..........................................................

12.6.3 Vybrané klinické zvláštnosti u geriatrických pacientů s CMP ...................

12.7 Paliativní péče o těžké stavy ....................................... 348

12.7.1 Rozhodnutí o infaustní prognóze ................. 349

12.7.2 Odstoupení od léčby ..................................... 349

12.7.3 Principy a formy paliativní péče .................. 350

13 Rehabilitace po cévní mozkové příhodě .................. 359 O. Švestková, Y. Angerová

13.1 Úvod ............................................................................ 359

13.2 Mezinárodní klasifikace funkčních schopností, disability a zdraví ........................................................ 359

13.3 Časná rehabilitace pacientů po CMP .......................... 361

13.4 Neuroplasticita ............................................................ 363

13.4.1 Mechanizmy neuroplasticity ........................ 363

13.5 Následky cévních mozkových příhod ......................... 365

13.5.1 Následky somatické ..................................... 365

13.5.2 Následky kognitivní ..................................... 366

13.5.3 Následky neurobehaviorální ........................ 366

13.6 Diagnostika následků cévních mozkových příhod ..... 366

13.6.1 Základní hodnocení aktivit denního života ... 366

13.6.2 Diagnostické a kognitivní škály ................... 367

13.7 Kvalita života .............................................................. 367

13.8 Úloha jednotlivých členů rehabilitačního multidisciplinárního týmu ........................................... 368

13.9 Prognóza ..................................................................... 371

13.10 Rehabilitace a její legislativa .................................... 371

13.11 Funkční míra nezávislosti ......................................... 373 13.12 Zhodnocení (evaluace) bytu a přístupnosti služeb .... 373

14 Afázia a iné poruchy komunikácie sprevádzajúce mozgové ischémie a hemorágie ............................... 381

Z. Cséfalvay

14.1 Afázia .......................................................................... 381

14.1.1 Klinické syndrómy afázie: lokalizácia a charakteristika reči .................................... 381

14.1.2 Kognitívno-neuropsychologická koncepcia afázie, alexie a agrafie ................. 387

14.1.3 Diagnostika afázie ........................................ 389 14.1.4 Terapia afázie ...............................................

14.2 Apraxia reči .................................................................

14.3 Dysartria ......................................................................

14.4 Komunikačné deficity pri pravohemisferálnych léziách mozgu .............................................................

15 Chirurgie cévních onemocnění mozku

P. Haninec, E. Zvěřina

15.1 Mikrochirurgie ............................................................

15.2 Chirurgická léčba mozkové ischemie

15.2.1 Rekonstrukční operace extrakraniálních tepen

15.3 Chirurgická léčba intracerebrálního a subarachnoidálního krvácení ....................................

15.3.1 Mozkové krvácení u dospělých

15.3.2 Subarachnoidální krvácení ...........................

15.3.3 Mozková aneuryzmata

Cévní malformace

Předmluva

Nejprve se potřebujeme rozloučit s pověrou, že zvítězíme nad cévními příhodami mozkovými. Slavnostní prohlášení typu „we will reduce the burden of stroke by 20 % till 2014“ nemají své statistické opodstatnění. Společnost, která nemíní umírat v mládí na jiné nozologické jednotky, se zákonitě dočká ve stáří komplikací aterosklerózy. Nezbývá jí než prodělávat mozkové ikty i infarkty myokardu v narůstající míře. Podobně učinit pravdou heslo „snížíme nemocniční mortalitu CMP pod 8 %“ lze nejspíše tehdy, když budou do nemocnic přijímány stále lehčí a lehčí ikty (např. TIA), na něž se neumírá. Úspěchy zdravotnictví i zlepšeného životního stylu překlenují nástrahy smrtelných onemocnění v mladém a středním věku. Vymýtíme-li mykobakteria TBC, potlačíme-li proliferace zhoubných nádorů, ukázníme-li piráty silnic a snížíme dopravní nehodovost, dostáváme společnost prosperující ke klidnému stáří. A zde musíme být připraveni!

Komplikace aterosklerózy na srdci, mozku i v periferii, kombinované vaskulární demencí, zůstanou naším mementem pro blízkou i vzdálenou budoucnost. Čelit jim chceme nejen dobrou znalostí prodromálních příznaků, ale také zdatným servisem pro depistáž pokročilosti aterosklerotických změn tělesných i mozkových, předvídáním nadcházejících tragédií akutních (CMP, i. m.) i chronických (vaskulární demence, aterosklerotická encefalopatie s pyramidovou, extrapyramidovou či autonomní symptomatikou).

Komplexní rozbor incipitentních aterosklerotických prodromů v mozkové tkáni se dá nejlépe provádět v cerebrovaskulárních poradnách. Ty, v úzké provázanosti s ultrasonografií a zobrazovacími metodami, bude racionální společnost zavádět v narůstající míře. Již dnes je v celosvětovém měřítku mozkový iktus na druhém místě v příčinách smrti –po koronární ischemii. Protože většina iktů neusmrcuje, ale pouze invalidizuje, náchází se cévní mozková příhoda na prvním místě mezi příčinami invalidity v Evropské unii. Celosvětově činí roční incidence iktů 15 milionů. Třetina jich umírá a třetina zůstává invalidizována. Celoživotní pravděpodobnost utrpět cévní příhodu mozkovou je pro muže 1 : 4 a pro ženy 1 : 5. Jednotka DALY (disabilityadjusted life years) kombinuje roky plně ztraceného života s roky prožitými v invaliditě. V České republice ztrácíme mozkovým iktem asi 7,5 roku plnohodnotného života, v Austrálii a Kanadě asi 3 roky, na Ukrajině, v Číně či Turecku přes 12 let a v Rusku dokonce 19 let. Invalidita po cévní příhodě mozkové by mohla být nižší, kdyby vzdělanost veřejnosti i záchranných služeb byla vyš-

ší. Podle nedávné studie brněnských a ostravských kolegů (Stroke 2008; 39: 1844–1849) rozeznává u nás 46 % lidí 2 nebo více varovných příznaků, 69 % osob ví, že iktus je závažné postižení, 60 % ví, že jde o uzávěr mozkové cévy a 57 % si je vědomo, že je to postižení léčitelné. Jen 27 % osob by volalo rychlou záchrannou službu, 33 % volá doktora, 30 % bude čekat hodinu, co se vyvine, a 10 % by čekalo na tento vývoj celý jeden den. Vštípit si poznatek, že rozhodují vteřiny, je tedy věcí vzdělávacích kampaní. Výdaje na zdravotní péči o mozkový iktus zabírají z celkových výdajů na zdravotnictví ve vyvinutých státech 2–4 %. V USA stojí první 3 měsíce této akutní péče 13 649 dolarů na 1 pacienta a po zbytek života u těžkého iktu 124 564 dolarů, u lehkého iktu 45 893 dolarů. V Anglii jsou roční výdaje za péči o ikty o polovinu vyšší než výdaje za infarkt myokardu. Největší účinnost na snížení těchto výdajů má hospitalizace na iktové jednotce, která je pro snížení následků dokonce asi 4,5× záslužnější než samotná rtPA trombolýza.

Zajímavá je také proporcionalita útraty za cévní příhody v rámci finanční spotřeby na nemoci nervové soustavy jako celku. V Evropě se uznává podíl nemocí mozku jako 35 % výdajů na diagnostiku a léčbu všech nemocí. Je to asi 386 miliard euro ročně. Není pravdou, že by jedinci, kteří neprožijí zjevný mozkový iktus, netrpěli ve stáří cerebrovaskulárními poruchami. Již ve věku 62 let má podle studie na potomcích framinghamské kohorty, publikované 2008, 10,7 % osob alespoň jeden tichý, neboli skrytý drobný mozkový infarkt a ve věku 76 let je to již podle Cardiovascular Health Study 20 %, respektive podle rotterdamské MRI studie dokonce 28 % osob. Podobně mozková mikrokrvácení rovněž nastávají i u asymptomatických osob. V roce 2008 publikovaná japonská studie je cestou T2 vážené MRI nalezla mezi 518 jedinci bez neurologických poruch v 6,8 %. Přítomnost mikrokrvácení byla v úzké korelaci s nižšími skóre v psychologické výkonnosti při Minimental State Examination. Odhady v USA sdělují, že jejich 250milionová populace utrpí za rok vedle 770 000 zjevných iktů asi 9 milionů tichých, skrytých infarktů a 2 miliony tichých mikrohemoragií. Tyto subklinické ikty se projevují poruchami úsudku, ztrátou intelektuální a paměťové kapacity, změnami osobnosti nebo depresemi.

Opatření k odsunutí cerebrovaskulárních poruch do co možná nejzazších věkových kategorií jsou proto naléhavě zapotřebí. Na čele boje proti mozkovým iktům jsou následující organizace:

WSO – World Stroke Organization (www.world-stroke.org),

ESO – European Stroke Organization (vznikla splynutím EUSI – European Stroke Initiative a ESC – European Stroke Council) (www.eso-stroke.org),

EFNS – European Federation of Neurological Societies (www.efns.org),

ENS – European Neurological Society (www.ensinfo.com),

EBC – European Brain Council (www.europeanbraincouncil.org),

AHA, ASA – American Heart Association, American Stroke Association (www.my.americanheart.org),

SAFE – Stroke Alliance for Europe (www.safestroke.org),

v České republice pak za lékaře: Cerebrovaskulární sekce České Neurologické Společnosti (www.cmp.org) a za postižené a jejich rodiny: Sdružení osob po cévní mozkové příhodě (SCMP) (www.sdruzenicmp.cz).

Šíře potřebných vědomostí k diagnostice a léčbě cerebrovaskulárních poruch přesahuje dnes možnosti jednotlivce. Počet ošetřovaných osob i bohatost potřebných metod zadávají důvody k samostatným pracovištím. Ze všeho tak vyplývá, že stojíme na prahu osamostatnění tohoto oboru, jeho vyčlenění z neurologie a interny do hybridního oboru, který dále bude obohacován neuroradiologií, neurochirurgií, rehabilitací, geriatrií, neuropsychologií, lingvistikou a afaziologií, jakož i péčí sociálně komunitní. Čím dříve tento obor vyčleníme a ustanovíme, tím lépe bude sloužit postiženým. Vyžaduje to ovšem pozvednout hlavu od nesmyslů (jako je právě probíhající drama správních poplatků 30 Kč) k tématům podstatným.

Vstřícné zdravotnictví je jedním kýženým cílem, výzkum optimálních postupů druhým. Které jsou hlavní náměty cerebrovaskulárního výzkumu, můžeme sledovat v závěrech a následných perspektivách z evropského workshopu, který proběhl v Bruselu v říjnu 2005:

(a) Postischemická reperfuze Ukazuje se žádoucím identifikovat případy, které nezabírají dostatečně na trombolýzu jako nejúspěšnější současnou léčebnou metodu; definovat podpůrný efekt, který lytickému účinku plazminu poskytne současný ultrazvuk, případně též aplikace mikrobublinek či nanopartikulí; přezkoumat profit intraarteriálního podání trombolýzy.

(b) Optimalizace servisu pro akutní iktus Komunitní péče o okamžité umístění postižené osoby na iktovou jednotku je rozhodující okolností pro úspěch léčby. Hledají se další statistické důkazy pro jednotlivé terapeutické zákroky praktikované v akutní fázi a možnosti jejich implementace do praxe v přednemocniční i nemocniční fázi.

(c) Mozková protekce Krátkost časového okna pro trombolýzu umožňuje tuto léčbu pouze zlomku postižených. Neuroprotektiva jsou slibná v tom směru, že mohou působit i po uplynutí tohoto omezeného – dnes 4,5hodinového – intervalu, např. v kombinaci s hypotermií. V podpoře reorganizace a neuroplasticity by mohly výsledky, pozitivní v animálních experimentech, být transponovány i v úspěchy humánní léčby. Neuroimunitní a kardiovaskulárně mozkové interakce, gliální a mikrovaskulární celulární mechanizmy jsou předmětem tohoto dalšího výzkumu neuroprotekce.

(d) Úzdrava po iktu

Z úspěchu transplantace kmenových buněk u zvířat, např jejich účinku cestou trofických faktorů, lze čerpat naději, že embryonální buňky nebo kmenové buňky z dospělých mozků by mohly nahrazovat funkci remyelinizační, nebo dokonce nahrazovat odumřelé neurony. K funkční integraci implantovaných buněk může být zapotřebí jejich genetická modifikace. Zkušenosti s migrací implantovaných buněk v periventrikulárních postischemických pseudocystách dávají v animálních pokusech solidní naděje. Problémem je jejich řazení do neuronálních okruhů a produkce kortikálních neuronů

(e) Cerebrovaskulární biologie Předmětem této kapitoly je „neurovaskulární jednotka“ čili interakce buněk endoteliálních, gliálních, neuronů a buněk hladké svaloviny. Tedy složek hematoencefalické bariéry, jejíž udržení, popřípadě reintegrace po ischemické lézi jsou stěžejní. Neuroangiogenezi si lze představit jako tvorbu matrice pro inzerci migrujících neuronů. Vaskulogeneze je tématem pomoci nejen po iktu, ale také před ním, ve tkáni strádající nedostatkem kolaterální kompenzace. Markery protržení hematoencefalické bariéry na druhé straně jsou základem našeho porozumění hemoragickým transformacím.

(f) Zobrazování iktů

Kromě zobrazování morfologického přináší převratné poznatky i zobrazování funkční a molekulární. Slibné jsou další postupy v kapitole zobrazovacího nepoměru mezi perfuzí a difuzí (mismatch penumbry), které cílí ke stratifikaci pacientů k příslušné léčbě. Také maturace ischemické a perihemoragické léze bude předmětem dalšího zkoumání, zejména ve vztahu k monitorování léčby.

(g) Prevence CMP

Obrovská různorodost faktorů, které připravují a iniciují mozkový iktus, zaslouží další výzkumný rozbor. V popředí jsou otázky genetických předpokladů pro cerebrovaskulární nemoc, asymptomatická karotická stenóza, faktory determinující interval mezi TIA a následným iktem, efektivita antiagregačních postupů a další.

Na podporu výzkumu cévních příhod mozkových financovala Evropská unie 6 výzkumných projektů v rámci 5. programu 1998–2002, 2 kombinované projekty a dalších 6 v šestém rámcovém programu 2002–2006. Tyto projekty jsou součástí celkové podpory výzkumu, který až do roku 2000 v Evropě zaostával zahanbujícím způsobem za USA i za Japonskem.

Při pohledu na investice do výzkumu jako celku nacházíme Evropu o třetinu slabší než Japonsko a USA. Zatímco Japonsko investovalo do výzkumu donedávna 2,9 % a v roce 2003 již 3,15 % hrubého národního produktu, USA investují 2,8 %, kdežto Evropa v průměru pouze 1,8 %. Ve výrazné nerovnoměrnosti jednotlivých evropských států pouze Švédsko s 3,85 % a Finsko s 2,92 % se mohou pochlubit špičkovou péčí o výzkum. Česká republika naopak s 1,2 % vězí hluboko v pozadí, byť z nových a hlásících se členů do EU ji překonává pouze Slovinsko s 1,4 %. Z 1000 osob celkové průmyslové zaměstnanosti v Evropě pouze 2,5 jsou výzkumníci. V USA činí promile výzkumníků 6,7 a v Japonsku 6. Tato srovnání se kryjí v celosvětovém měřítku zcela logicky s defluviem mozků do zón, kde se inteligence ctí.

Financování výzkumu mozkových iktů je mezi veškerými chorobami mozku na 4. místě – za afektivními poruchami, parkinsonizmem a epilepsií. Další místa zaujímají schizofrenie, migréna, demence a roztroušená skleróza. Ve všech těchto kategoriích mají více než 90% podíl příspěvky farmaceutického průmyslu proti vstupům ze státních fondů.

České státní roční výdaje na výzkum mozkových chorob na 1 obyvatele činily v roce 2005 0,65 euro, tedy 10× méně než ve vedoucím Irsku a 8× méně než ve Velké Británii. Změnou v historickém chápání nemoci je vztah lékaře k pacientovi. Nemocný není již objektem léčby, ale spolupracovníkem; a to v pohledu individuálním u konkrétní nemoci, i v pohledu obecném, jako advokát pokroku v organizaci i výzkumu. K tomu slouží pacientské organizace. Věřme, že budou v blízké budoucnosti narůstat ve svém společenském vlivu.

Nejkomplexnější orgán, který se biologické evoluci podařilo vytvořit, je mozek. Miliardy jeho neuronů a dalších buněk, tvořících triliony konexí, jsou stále přitažlivější doménou pro světový výzkum. Ochrana tohoto orgánu a prevence jeho poškození by měly být trvalým mementem organizace zdravotnické péče a výzkumu. Pro civilizovanou společnost z toho vyplývá námět k přemýšlení: Méně rozhazovat „za kolotoče a za houpačky“, více věnovat na kultivované zdravotnictví!

Pavel Kalvach

1 Epidemiologie cerebrovaskulárních onemocnění

Celosvětově je z každých 10 úmrtí jedno způsobeno mozkovým iktem a polovina přežívajících zůstává závislá na pomoci druhých osob. Sledování incidence, prevalence, rizikových faktorů, zdravotních a sociálně ekonomických následků je proto jednou z priorit světového medicínského výzkumu. Nejcennějšími zdroji jsou populační studie cerebrovaskulárních poruch a tranzitorních ischemických atak.

1.1 Úvod

Cerebrovaskulární choroby představují heterogenní skupinu. Obsahují různé klinické jednotky, jako jsou tranzitorní ischemické ataky, patogenetické variace iktů (ischemický, mozková hemoragie, subarachnoidální krvácení), etiologické podtypy (např. kardioembolický, aterotrombotický nebo lakunární ischemický iktus, subarachnoidální krvácení z aneuryzmatu) a nakonec jiné intrakraniální vaskulární poruchy (např. vaskulární malformace, neprasklá aneuryzmata). Každá z těchto jednotek má odlišné rysy v epidemiologii i ošetření. Iktus je nejdůležitější a nejdrastičtější klinickou manifestací ze všech cerebrovaskulárních poruch. Celosvětově je iktus druhou nejčastější příčinou smrti a v mnoha zemích je nejčastější příčinou invalidity dospělých. Má také obrovský fyzický, psychologický a finanční dopad na pacienty, rodiny, systém zdravotní péče a na společnost. Výdaje do konce života na jednoho pacienta s iktem se v různých zemích odhadují v rozmezí 59 800 – 230 000 US dolarů. Nadto, pro zátěž rodin a společnosti je charakteristický počet let znehodnoceného života (DALY, Disability Adjusted Life Years). Odhaduje se, že toto číslo stoupne celosvětově z hodnoty 38 milionů v roce 1990 do roku 2020 na 61 milionů. Je to projevem stárnutí většiny populací. Přestože mortalita na iktus v západní populaci soustavně klesala v posledních několika desetiletích, trendy iktové incidence se mezi zeměmi liší a celkový počet osob přežívajících iktus stoupá. Nejlepší strategií k potlačení břemene iktů je jejich prevence jak na úrovni individuální, tak na úrovni populační. Vycházíme-li z toho, že více než polovina přežívajících zůstává v každodenních aktivitách závislá na ostatních, často s významným negativním dopadem na tyto pečovatele, snižování dopadu iktů na rodiny i na pacienty je klíčem k udržení nezávislosti, kvality života a k redukci břemene všech zdravotních služeb.

1.1.1 Výklad pojmů

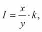
Incidence je počet nových onemocnění v populaci vymezené místně i časově.

kde x je počet osob sledovaného souboru, které během sledovaného časového období onemocněly, y je celkový počet osob sledovaného souboru, k je hodnota, na niž počet sledovaných onemocnění přepočítáváme (1000, 1 mil. apod.).

Prevalence zahrnuje všechna existující onemocnění.

Smrtnost, letalita vyjadřuje klinickou závažnost onemocnění. Vyjadřuje se jako poměr počtu zemřelých na dané onemocnění (x) k celkovému počtu onemocnělých touto chorobou (y). Výsledek se uvádí v % (k = 100).

Úmrtnost, mortalita představuje poměr počtu osob zemřelých ( x ) na danou nemoc k celkovému počtu osob v populaci (z) Rozdíl v úmrtnosti v různých společnostech bývá často důsledkem věkového rozdílu v porovnávaných populacích. Starší populace vykazuje větší úmrtnost. Aby porovnání nebylo ovlivněno věkovým složením obyvatelstva v té které populaci, provádí se věková standardizace (adjustace k věku). Zvolí se určitá hypotetická standardní populace (např. světový standard (nebo evropský standard) a na ni se hrubá úmrtnost dané populace přepočte. Například specifická incidence k věku ve sledované populaci je:

 pro 0–39 let 10,

 pro 40–59 let 30,

 pro > 60 let 50

Mozkové ischemie a hemoragie

Zastoupení těchto věkových kategorií v „idealizované populaci Evropy“ je pro jednotlivé skupiny 57 %, 27 % a 16 %. Součin incidence s procentuálními počty obyvatel v jednotlivých kategoriích činí 10 × 0,57 = 5,7, 30 × 0,27 = = 8,1 a 50 × 0,16 = 8,0. Součet incidencí vážených percentuálním zastoupením té které věkové kategorie dává celkem 21,8. Tato výsledná incidence je tedy vyšší, než zde uvedená incidence skupiny do 40 let, ale nižší, než je tomu ve vyšších věkových kategoriích. Tento postup dovoluje srovnání incidence s jinými státy, zpracovanými obdobně –dosazením specifických incidencí (tučných čísel). V praxi se věkové kategorie volí užší a ve větším počtu.

1.2 Mortalita, incidence a prevalence

V epidemiologickém výzkumu se iktus obvykle definuje jako „rychle se rozvíjející příznaky ložiskové (nebo celkové) poruchy mozkové funkce vedoucí ke smrti nebo trvající déle než 24 hodin, bez jakékoli jiné zřetelné příčiny než vaskulární“ (1). Jako příčina smrti se ikty posunuly celosvětově ze 3. místa na 2. (hlavně v Evropě a USA) a jsou nyní vedoucí příčinou fyzické invalidity u dospělých nad 65 let. V posledních letech nastal nevídaný vzestup počtu iktů v rozvojových zemích. Ačkoliv důvody měnící se epidemiologie iktů nejsou plně známy, postuluje se hlavně význam stárnutí populace.

Proč potřebujeme studie incidence cévních příhod mozkových? Kvalitní studie jsou stěžejní pro opodstatněné plánování zdravotní péče a alokaci prostředků pro ikty a současně pro kvantifikaci celkové zátěže. Monitorování trendů dovoluje projekci budoucích nároků a vyhodnocení efektivity preventivních i léčebných strategií. Lékař, znající věkově a pohlavně specifickou incidenci iktů ve své oblasti, dokáže říci svým pacientům přesnou pravděpodobnost (absolutní riziko), zda daná osoba prodělá iktus během určité doby (většinou roku). Tabulka 1.1 např. ukazuje věkově a pohlavně vázané incidence 3 typů iktu, odvozené z populační studie v Aucklandu, Nový Zéland 2002–2003. Jak tabulka dokládá, absolutní riziko pro muže ve věkovém pásmu 65–74 let je přibližně 0,67 %. Jinými

slovy lze říci s 95% pravděpodobností, že z 1000 mužů této věkové skupiny prodělá iktus 6–7 během nejbližšího roku. Samozřejmě, že toto absolutní riziko nebere v úvahu individuální rizikové faktory. Této informace mohou využít lékaři i pacienti při rozhodování (např. zvažování užitku proti riziku při indikaci karotické endarterektomie na pozadí rizika spontánního iktu). Jiným použitím spolehlivých dat incidence je plánování zdravotnictví. Např je-li incidence iktu v dané populaci 1,5/1000 osob za rok (tj. průměrná incidence iktu v rozvinutých zemích) a uvažovaná populace má 200 000 obyvatel, očekávaná nebo požadovaná frekvence hospitalizací je mezi 80 % a 95 % s průměrnou délkou hospitalizace na akutní iktové jednotce 6 dnů (lůžkový obrat 50/rok), bude zapotřebí 5–6 lůžek této iktové jednotky pro adekvátní servis dané populaci. Podobných kalkulací lze využít k plánování pracovního nároku na CT/MRI akutních příjmů, počtu personálu, spotřeby léků a diagnostických procedur na hospitalizované ikty za rok. Se znalostí celkového počtu pacientů s cévní příhodou a vědomím, že 20 % jich zemře v prvním měsíci, 20 % přežívajících bude žít v léčebně pro dlouhodobě nemocné, 50 % je propuštěno domů a asi 30 % dosáhne nezávislosti v aktivitách denního života (podíly, charakteristické pro většinu vyvinutých zemí), lze odhadnout potřebu ambulantních služeb a servisních výdajů v daném regionu.

Data o výskytu iktů se obvykle publikují společně s mortalitou a/nebo letalitou na jeden případ iktu z jedné a téže populační studie. Zatímco vysoký stupeň mortality může být odrazem vysoké incidence iktů v populaci (zejména když incidence jde paralelně s mortalitou), vysokou fatalitu na jeden případ lze připisovat větší závažnosti iktů (např. vyšší podíl hemoragických příhod nebo velkých mozkových infarktů) a/nebo špatnému managementu iktů v populaci. Tyto rozdíly mají jasné praktické dopady. Konečně, incidence jednotlivých subtypů mohou dodat informace o jejich etiologii. Například, vysoká incidence mozkových hemoragií je podezřelá z vysoké prevalence a/nebo špatné kontroly hypertenze mezi obyvatelstvem; vysoká incidence velkých infarktů v přední mozkové cirkulaci naznačuje vysokou prevalenci a/nebo špatnou kontrolu karotických stenóz v populaci. Dat z těchto subtypů (obr. 1.1) lze rovněž

Tab. 1.1 Věkově a pohlavně specifické incidence hlavních patologických typů iktu na 100 000 obyvatel za rok pohlaví věková skupina

ischemický iktus incidence (95% CI) mozková hemoragie incidence (95% CI)

subarachnoidální krvácení incidence (95% CI)

muži

15–6440 (34–47)8 (6–12)7,9 (6–11)

65–74568 (486–663)82 (54–123)21 (10–47)

75–841013 (865–1186)158 (106–235)20 (6–61)

85+1156 (854–1564)55 (14–220)55 (14–220)

ženy

15–6428 (24–34)6 (4–9)8 (5–11)

65–74333 (274–403)70 (46–107)13 (5–34)

75–84832 (721–959)150 (108–211)35 (18–71)

85+1307 (1090–1568)180 (111–294)34 (11–105)

Dijon, France (1987)

Perth, Australia (1989)

Umbria, Italy (1988)

Rochester, USA (1988)

Oxfordshire, UK (1984) Aosta, Italy (1989)

Frederiksberg, Denmark (1989)

Soderhamn, Sweden (1990)

Melbourne, Australia (1996)

Perth, Australia (1995)

South London, UK (1995)

ischemie i. c. hemoragie SAH

Erlangen, Germany (1994)

Arcadia, Greece (1993)

Belluno, Italy (1992) L'Aquila, Italy (1994)

Inherred, Norway (1994)

Mart inique, French West Indies (1998)

Oxfordshire, UK (2002) Iquique, Chile (2002)

Obr. 1.1 Proporce patologických subtypů ikt ů ve vybraných populacích. (2, se souhlasem vydavatele)

použít v plánování určitých zdravotnických opatření s alokací financí (např. počet aterotrombotických iktů pomůže odhadnout potřebu urgentních intervenčních procedur na karotických tepnách; počet nemocných se subarachnoidálním krvácením z aneuryzmatu může předurčit potřebu neurochirurgických služeb pro tyto postižené atd.).

Hodnota a možnost generalizace dat iktové incidence závisí velkou měrou na kvalitě jejich sběru. I když výsledky studií z minulosti poskytují důležité informace o trendech a vzorcích mortality a hospitalizací, nelze jich využívat nekriticky, protože trpěly nedostatky v selekci a klasifikaci. Analýzy, limitované na hospitalizované osoby, nekompletní depistáže mortality a případy s rozdílnými definicemi a kritérii by mohly svou nestandardností znehodnotit skutečnost.

Dnes dobře víme, že kvalitní studie vycházející z populace (population based) jsou nejspolehlivějším zdrojem incidence iktů. Identifikace všech nových případů v populaci je však velmi náročná, takže tyto přehledy jsou relativně vzácné na rozdíl od studií, které užívají počty smrtelných případů, hospitalizační registry nebo incidenční rozbory u mladých věkových skupin. Mezi studiemi vydávajícími se za „community based“ nebo „population based“ jsou mnohé, které taková kritéria nesplňují. V roce 1987 publikovali Malmgren et al. seznam 12 základních požadavků na „ideální“ studii incidence iktů; vztahovaly se k definicím, metodám a způsobům prezentace dat. Tato kritéria byla modernizována Bonitou (1995), Sudlowem a Warlowem (1996) a nakonec Feiginem (2004) se spolupracovníky (tab. 1.2) (2).

I když byla tato kritéria koncipována pro bohaté, vyvinuté země, byla využita úspěšně i v nedávných incidenčních

studiích v Chile a Gruzii; dokládá to, že jich lze dobře využít i v méně zámožných zemích. Přesto se tato kritéria mohou ukázat jako nepraktická pro studie v jiných rozvíjejících se zemích, kde nastává iktů nejvíce a finanční zdroje jsou omezené. Ke zvládnutí problému co možná přesných a srovnatelných dat doporučila WHO nedávno stupňovaný systém ve zvyšování detailů z iktové depistáže. Tento flexibilní a zvladatelný systém se skládá ze 3 kroků: standardní (nemocniční registrace příjmů s cévní příhodou mozkovou), rozšířený populační přehled (prověření úmrtních listů a listů o prohlídce mrtvého v celé komunitě k výpočtu mortality), zevrubná populační analýza incidence (navíc prověření nefatálních případů k výpočtu incidence a fatality vztažené k případu v celé komunitě). Tyto kroky přinesou vysoce potřebné epidemiologické přehledy o zátěži iktů v mnoha zemích světa.

První spolehlivější monocentrická data z populačně pojaté studie incidence a dopadů iktu pocházejí z Rochestru, MN, USA (3). V této důležité studii probíhá registrace ve sledované populaci od roku 1935 dodnes. Přináší spolehlivé informace o incidenci iktů, jejich důsledcích a rizikových faktorech, včetně trendů. První mezinárodní multicentrická studie byla provedena pod patronátem WHO v 17 centrech reprezentujících 12 zemí v letech 1971–1974 (1). Tato studie doložila relativně nízkou incidenci iktů ve vývojových zemích a poměrně mírné geografické rozdíly v incidenci celosvětové. Zřetelnější geografické variace vyzněly z projektu WHO MONICA v letech 1985–1987, ale tato analýza registrovala ikty pouze ve věkovém rozpětí 25–74 let (a v řadě center pouze 25–64 let). Zajímavé bylo, že tato studie shledala podstatné zeměpisné diference v incidenci subarachnoidálního krvácení.

Tab. 1.2 Zlatý standard pro „ideální“ studii incidence iktů doményhlavní kritéria

přidaná kritéria standardy definice

• WHO definice iktu

• alespoň 80 CT/MRI verifikace ischemické, hemoragické či SAH povahy

• první iktus v životě

• klasifikace typů ischemického iktu (např. onemocnění velkých tepen, kardioembolický, onemocnění malých tepen apod.)

• opakující se iktus standardy metod

• kompletní zjištění případů v populaci, z překrývajících se informačních zdrojů (nemocnice, ambulantní registr, praktici, úmrtní protokoly)

• prospektivní projekt

• velká, dobře definovaná a stabilní populace, umožňující alespoň 100 000 osob/let sledování

• sledování vitálního stavu pacienta alespoň 1 měsíc

• spolehlivý odhad čitatele (data cenzu mladší než 5 let)

standardy prezentace dat

• data kompletních kalendářních roků; neprůměrovat více než 5 let

• muže a ženy prezentovat odděleně

• pásma středního věku (např. 55–64 let), používaná v publikacích, včetně skupiny ≥ 85 let

• uvádět (CI) intervaly spolehlivosti

• registrace osob s TIA, opakujícím se iktem a z nich osob indikovaných k zobrazovacím metodám mozku a cév

• „konkrétní sledování“ případů

• stanovení ztrát v registraci kontrolou databází praktiků a nemocničních přijetí pro akutní CMP a cerebrovaskulární zobrazování/intervence

• nepublikovaná pětiletá pásma zpřístupnit ke srovnání s jinými studiemi

Oxfordshire, UK

Iquique, Chile

Melbourne, Australia

Perth, Australia

Frederiksberg, Denmark

South London, UK

Oyabe, Japan

Erlangen, Germany

Arcadia, Greece

Belluno, Italy

L’Aquila, Italy

Auckland, New Zealand

Inherred, Norway

Novosibirsk, Russia

Uzhgorod, Ukraine

French West Indies

Iquique, Chile

Melbourne, Australia

Perth, Australia

Frederiksberg, Denmark

Erlangen, Germany

Arcadia, Greece

Belluno, Italy

L’Aquila, Italy

Inherred, Norway

2468101214

incidence/1000/rok

Iquique, Chile

Melbourne, Australia

Perth, Australia

Frederiksberg, Denmark

Erlangen, Germany

Arcadia, Greece

Belluno, Italy

L’Aquila, Italy

Inherred, Norway

0,00,51,01,52,0 incidence/1000/rok

Iquique, Chile

Melbourne, Australia

Perth, Australia

Frederiksberg, Denmark

Erlangen, Germany

Arcadia, Greece

Belluno, Italy

L’Aquila, Italy

Auckland, New Zealand

Inherred, Norway

3,03,54,04,55,05,56,0

incidence/1000/rok

0,00,10,20,30,40,50,6 incidence/1000/rok

Obr. 1.2 K věku standardizovaná roční incidence všech iktů na 1000 osob společně (a) a podle patologických subtypů ( b, c, d) u osob nad 55 let. Upraveno podle Feigin et al. (2) se souhlasem Lancet Neurology. Do analýzy subtypů byly zařazeny pouze výsledky populačních studií publikovaných po roce 1990, v nichž byly známy výsledky CT/MRI nebo pitvy u více než 70 % případů. Všechny analýzy subtypů byly založeny na CT, MR nebo pitevní klasifikaci pro ischemický iktus a primární intracerebrální hemoragie a na vyšet ření likvoru nebo mozkové angiografii pro klasifikaci subarachnoidálního krvácení. Úseč ky možné chyby jsou 95% konfidenční intervaly. Velikost obdélníků je proporcionální počtu př ípad ů zahrnutých do analýzy v každém z graf ů

V roce 1997 publikovali Sudlow a Warlow přehled 11 tehdy dosažitelných populačních rozborů iktové incidence z Evropy (Oxfordshire, Dijon, Umbria, Valle d’Aosta, Frederiksberg, Söderhamn, Varšava), Ruska (Novosibirsk), Austrálie (Perth), Nového Zélandu (Auckland) a USA (Rochester, MN) (4). Věkově a pohlavně standardizované roční incidence osob ve věku 45–84 let byly ve většině regionů vzájemně podobné (mezi 300 a 500/100 000 obyvatel), avšak významně nižší v Dijonu, Francie (238/100 000) a vyšší v Novosibirsku, Rusko (627/100 000) (4). Distribuce patologických subtypů – v místech spolehlivého stanovení – se v jednotlivých studiích podstatně nelišila. Náš nedávný přehled populačních studií iktové incidence (2) zahrnoval 17 nových analýz (9 nových, publikovaných po roce 1990 a 8 nových studií sekulárních trendů) (obr. 1.2). Výsledky daly za pravdu nálezům Sudlowa a Warlowa o relativně mírných zeměpisných variacích v totální incidenci iktů i jejich jednotlivých subtypů. Jak ukazují grafy 1.1–1.5, ke konci 20. a na začátku 21. století kombinovaná incidence všech iktů, věkově specifická incidence, proporce subtypů, prevalence a jednoměsíční fatalita představují,

Melbourne, Australia

Frederiksberg, Denmark

Espo-Kauniainen, Finland

Erlangen, Germany

Belluno, Italy

Auckland, NZ

Novosibirsk, Russia

West Indies, France

Iquique, Chile

Tartu,

s několika výjimkami, relativně malou geografickou rozmanitost proti výsledkům projektu MONICA. Předpokládá se, že nejvyšší incidence cévních příhod v Rusku a na Ukrajině lze přičítat dobře známým sociálním a ekonomickým změnám, které se udály v těchto zemích v posledních dvou desetiletích, včetně změn ve zdravotní péči, dostupnosti strategií vaskulární prevence pro osoby ve vysokém riziku a v samotné prevalenci rizikových faktorů. Důvody relativně vysoké incidence iktů v Japonsku – ve srovnání s jinými vyspělými zeměmi – nejsou jasné, ale mohou být podmíněny geneticky a prostředím (např. dieta, prevalence kardiovaskulárních rizikových faktorů atd.). V tomto přehledu se frekvence hospitalizací pro akutní cévní příhodu pohybovala mezi 41 % (Japonsko) a 95 % (Německo), přičemž průměr činil 81 %. Jednoměsíční fatalita měla průměr 23 % a prevalence iktového postižení na 1000 obyvatel v 9 studiích publikovaných po roce 1990 se pohybovala od 5 do 11.

Rothwell se spolupracovníky (5) nedávno uveřejnil výsledky popula č ní studie incidence TIA/Iktus, která zahrnovala změny v této incidenci, v jejích důsledcích

Perth, Australia

South London, UK

Oyabe, Japan

Arcadia, Greece

L'Aquila, Italy

Innherred, Norway

Uzhgorod, Ukraine

Oxfordshire, UK

Tbilisi, Georgia

Obr. 1.3 Věkově specifická roční incidence všech iktů kombinovaně ve vybraných populacích. (Upraveno podle Feigin et al. [2] se souhlasem vydavatele)

Melbourne, Australia

Germany

L'Aquila, Italy

Norway

Perth, Australia

Belluno, Italy

Greece

France

Auckland Russia

Ukraine

Japan

Tbilisi, Georgia

Finland

Tartu, Estonia

Oxfordshire, UK

IS – ischemický iktus, PICH – primární intracerebrální hemoragie, SAH – subarachnoidální krvácení, UND – nedefinovaný iktus

Obr. 1.4 Fatalita do 1 mě síce od vzniku podle typu iktu ve vybraných populacích. (Upraveno podle Feigin et al. [2] se souhlasem vydavatele)

Obr. 1.5 Věkově vázaná prevalence ikt ů na 1000 osob ve vybraných populacích. (Upraveno podle Feigin et al. [2] se souhlasem vydavatele)

Tab. 1.3 Sekulární trendy v incidenci ikt ů v „ideálních“ populačně pojatých studiích oblast (město, země)

Rochester, MN, USA

Frederiksberg, Dánsko

Copenhagen, Dánsko

Espoo-Kauniainen, Finsko

Oyabe, Japonsko

Novosibirsk, Rusko

Perth, Austrálie

Tartu, Estonsko

Auckland, Nový Zéland

Oxfordshire, UK

a v rizikových faktorech v Oxfordském hrabství během období přes 20 let (1981–2004). Je to první „ideální“ populační studie, která ukázala signifikantní snížení iktové incidence (zejména ischemického iktu a intracerebrálních hemoragií) a mortality (ale nikoli fatality na jeden případ) během posledních 20 let. Tím bylo též prokázáno, že preventivní strategie na úrovni obce skutečně snižují incidenci cévních mozkových příhod. Byla to také první populační studie, která dokumentovala převahu akutních cerebrovaskulárních příhod (iktus a TIA v kombinaci) nad incidencí akutních koronárních příhod (infarkt myokardu a nestabilní angina v kombinaci). Mozkové příhody v tomto srovnání převažovaly poměrem 1,2 (95% konfidenční interval 1,1–1,3).

Anderson s kolegy nedávno dokončili největší Auckland Regional Community Stroke Study (ARCOS) 2002–2003 (6) a srovnali její výsledky se dvěma podobnými studiemi v Aucklandu v letech 1981–1982 a 1991–1992. Byl zjištěn mírný pokles incidence iktů během dvou dekád. Pokles

období studie změna v incidenci iktů

1955–1989 pokles 30 %

1972–1990 vzestup 15 %

1982–1991 pokles 3 %

1972–1991 pokles 20 %

1977–1991 pokles 30 %

1982–1992 pokles 22 %

1989–1996 pokles 23 %

1991–2003 pokles 18 %

1981–2003 pokles 11 %

1981–2004 pokles 29 %

počtu iktů byl pozorován v poslední době také v Tartu, Estonsko. Tabulka 1.3 zpřehledňuje pokles incidence ve většině z 10 publikovaných moderních studií. Přehled v následujícím panelu uvádí klíčové charakteristiky moderních výsledků iktové incidence a prevalence.

Klíčové jevy v moderním studiu incidence a prevalence iktů. Modifikováno podle Feigin et al. (2):

 Celková, k věku standardizovaná incidence iktů u osob nad 55 let se pohybuje mezi 4,2 a 11,7/rok na 1000 osob. Proporce ischemických iktů činí 67–81 %, tkáňové hemoragie 7–20 % a subarachnoidální krvácení 1–7 %. Riziko ischemického i hemoragického iktu a podíl intracerebrálních hemoragií v jiných než bílých rasách je asi 2× větší.

 Dvě třetiny úmrtí na cévní příhodu mozkovou nastávají v rozvojových zemích; objevují se důkazy (alespoň ve vyspělých zemích), že akutní cerebrovaskulární příhody (iktus a TIA) se stávají častějšími než akutní koronární příhody (IM a nestabilní angina).

 Incidence iktů, prevalence, složení podtypů, jednoměsíční fatalita a stupeň mortality vykazují jen mírné geografické rozdíly; výjimku tvoří Ukrajina, Rusko a Japonsko, kde incidence je nejvyšší, a dále Itálie a Velká Británie, kde jsou nejvyšší prevalence.

 Pr ů m ě rný v ě k pacient ů postižených iktem je 70 let u mužů a 75 let u žen, podstatně nižší však je u nebílých populací a v rozvojových zemích. Ve vyspělých zemích více než polovina všech cévních příhod nastane u osob starších 75 let. Přibližně 25 % všech příhod postihne lidi mladší než 65 let a 5 % jedince pod 45 let.

 K věku standardizovaná prevalence iktů u lidí nad 65 let se pohybuje od 5 % do 7 % a má tendenci vzrůstat v důsledku stárnutí společnosti a zlepšeného počtu přežití; proto také celkové zatížení postiktovými stavy bude nadále stoupat.

 Celková fatalita do 1 měsíce na každý případ cévní příhody mozkové je ve vyspělých zemích přibližně 23 %, vyšší pro intracerebrální hemoragie (42 %) a subarachnoidální krvácení (32 %) než pro ikty ischemické (16 %). Časná postiktová fatalita ve vývojových zemích je podstatně vyšší.

 Celkově platí trend ke stabilizaci nebo poklesu iktové incidence ve většině vyspělých zemí, ale v zemích nízkého hospodářského a vývojového standardu se opakovaně potvrzuje, že incidence cévních příhod mozkových narůstá.

1.2.1 Mortalita v České republice

V České republice umírá ročně celkem kolem 110 000 osob. Z toho tvoří poměrně bez větších výkyvů v posledních letech kolem 52 % kardiovaskulární onemocnění. Jde o typické onemocnění z pokročilé aterosklerózy v pozdním věku, a proto proti absolutní výši tohoto čísla nelze nic podstatného namítat. Taktéž ne proti jeho očekávanému zvyšování v příštích letech. Ve statistice nozologické prevalence a mortality je třeba mít vždy na mysli, že jde o čísla doplňková – s chorobami ostatními. Z tohoto

důvodu mají v problematice iktů smysl pouze statistiky vztažené k věku (tzv. age-adjusted morbidity/mortality). Bylo by asi nežádoucí, aby se nám snížila totální mortalita na ikty např. v důsledku zvýšené mortality na dopravní úrazy nebo na infekce či tumory. Mozkový iktus je typická choroba staršího věku, proto musíme s úspěchem ostatních medicínských odvětví vždy očekávat zvýšení mortality na následky stařecké aterosklerózy. Úspěchem našich iktových statistik bude tedy nikoli snížení absolutních čísel, ale právě zatlačení výskytu cévních příhod mozkových do co nejvyššího věku.

Česká republika ztrácí ročně úmrtím na mozkový iktus kolem 17 000 obyvatel. Jak dokumentuje obrázek 1.6, je tato mortalita pochopitelně nejvyšší v pozdních věkových dekádách, avšak s odlišným zastoupením u mužů a žen. Zatímco v dekádách do 60 a do 70 let umírá v absolutních číslech i v přepočtu na 100 000 více mužů, v dekádách nad 70 let je absolutní zastoupení ženských úmrtí na celou populaci již více než dvojnásobné proti mužům. V přepočtu na 100 000 mužů či žen zůstává mortalita poměrně vyrovnaná i v této nejstarší kategorii. Incidence cévních příhod mozkových je proti úmrtím asi trojnásobná. Vzhledem k průměrnému přežívání mozkového iktu asi po dobu 4–5 let lze prevalenci následků odhadnout u nás asi na 136 000–170 000 obyvatel.

1.2.2 Incidence a management

v České republice

Česká republika může nabídnout péči o cerebrovaskulární onemocnění na svých 80 neurologických odděleních (existují u nás v 75 % všech nemocnic akutní péče) s 3200 lůžky (3,2/10 000 obyvatel). Z celkového počtu neurologů naší republiky kolem 1100 pracuje v lůžkových zařízeních 420. Polovina akutních příjmů nemocných s cévní příhodou se však dosud děje na odděleních interních. Neurologické JIP, jejichž počet rušením v posledních letech již poklesl pod 40, mají největší podíl svých nemocných právě z kategorie iktů. Suplují tak v různé míře podle profilace nemocnice

Obr. 1.6 Česká republika: mortalita na mozkový iktus ve věkových dekádách; (a) absolutní počet úmrtí (muži celkem: 6675, ženy celkem: 10 332), ( b) úmrtí na 100 000 obyvatel

Tab. 1.4 Diagnózy, ošet řovací doby a pr ůměrný věk postižených př i hospitalizacích pro mozkový iktus v České republice v roce 2006

kód dgskupina základních diagnóz počet případů počet osobpočet ošetř. dnů prům. ošetř. doba prům. věk muži

I60subarachnoidální krvácení

I61intracerebrální

příhoda mozková neurčená

I65okluze a stenóza přívodných mozkových tepen, nekončící mozkovým infarktem

I66okluze a stenóza mozkových tepen, nekončící mozkovým infarktem

cévní onemocnění

přívodných mozkových tepen, nekončící mozkovým infarktem

I66okluze

stenóza mozkových tepen, nekončící mozkovým infarktem

I62jiná

I64cévní příhoda mozková neurčená

I65okluze a stenóza přívodných mozkových tepen, nekončící mozkovým infarktem

I66okluze a stenóza mozkových tepen, nekončící mozkovým infarktem

I67jiná cévní onemocnění mozku

I69následky

Zdroj: Národní registr hospitalizovaných

iktové jednotky (kap. 12.2.2.4). Z asi 60 000 hospitalizací pro cerebrovaskulární poruchy v republice (tab. 1.4) přijímá obor neurologie přibližně 25 000. Celkově se pouze 2,6 % osob po iktu dostává na lůžkovou rehabilitaci, která má v České republice pouze 1160 lůžek. Přitom doporučení ministerstva zdravotnictví vyžaduje 30 lůžek na 100 000 obyvatel. Lůžková rehabilitace je pouze ve 35 z 200 nemocnic ČR. Při incidenci iktů u nás kolem 300/100 000 obyvatel (akutní iktus tvoří jen část výše zmíněných „cerebrovaskulárních hospitalizací“) doporučuje naše Cerebrovaskulární sekce České neurologické společnosti jednu iktovou jednotku na 200 000 obyvatel. Ta by při péči o 600 pacientů ročně měla mít při obratu 8 dní průměrné hospitalizace, tj. 4800 lůžkodnů, podle regionálních poměrů 8–12 lůžek. Takováto kapacita představuje naléhavý nárůst ze současných 220 neurologických lůžek intenzivní péče v republice na 400–600.

V zájmu unifikace kvalitního odborného ošetření pod střechou jednoho oboru doporučila Česká neurologická společnost převzít péči o ikty od internistů. V současné

situaci se ošetření štěpí mezi tyto dva obory, s hospitalizací asi 30 000 cerebrovaskulárně nemocných na internách a 25 000 na neurologiích. Přesun k postupnému převzetí kompletního příjmu na neurologie, a to nejdříve 20 000 interna a 35 000 neurologie do roku 2006, dále pak 11 000 v. 44 000 do roku 2010, schválila sice vědecká rada ministerstva zdravotnictví a jednání výborů neurologické a internistické společnosti již v roce 2003, ale v rámci stálých destrukcí organizovaného zdravotnictví se tato opatření nerealizují.

V České republice je ve spektru nozologických jednotek ošetřovaných na neurologických odděleních kategorie cerebrovaskulárních onemocnění nejfrekventovanější jednotkou. Jedná se ve většině případů o čerstvé cévní příhody. Na dalších místech ve frekvenci příjmů jsou vertebrogenní onemocnění, epilepsie a roztroušená skleróza. Počtem neurologických lůžek – 3,2/10 000 obyvatel – jsme na předních místech světa, podobně jako počtem neurologů – přibližně 1/10 000 obyvatel. V situaci, kdy 63 % zemí světa nemá žádné neurologické atestační zkoušky, patří také náš vzdělávací systém mezi nejlepší; tím více tomu tak bylo před likvidací dvoustupňového atestečního systému.

Další údaje o koncepci iktových jednotek a center v ČR jsou v kapitole 12.2.1.

1.2.3 Tranzitorní ischemické ataky

Tranzitorní ischemická ataka (TIA) se obecně diagnostikuje na základě ložiskových neurologických příznaků způsobených fokální mozkovou, kmenovou nebo retinální ischemií, náhlého začátku a plného vymizení během 24 hodin (obvykle během minut). I když se této definice TIA široce užívá v epidemiologickém výzkumu, je třeba mít na zřeteli, že u 30–67 % pacientů lze nalézt ve vztahu k TIA strukturální mozkové léze (7) (kap. 5.6.1 a 9.2.3.1).

TIA tvoří přibližně 10–50 % z hodnoty incidence iktů, ale data z populačních rozborů jsou vzácná a nesoustavná.

Nejvyšší stupně incidence TIA (70 případů na 100 000 obyvatel za rok) byly referovány z Rochestru, MN, USA (8) a severního Portugalska (9), nejnižší (30 případů na 100 000 obyvatel za rok) z Tartu, Estonsko a Novosibirska, Rusko (10). Celkově 80 % všech TIA nastane v karotickém

povodí a 20 % ve vertebrobazilární distribuci s incidencí narůstající s věkem.

1.3 Dopady iktu na celkový stav

Klinické dopady cévních mozkových příhod se většinou hodnotí v kategoriích

 přežití/smrt (survival/death),

 projevy a nálezy příčinné patologie (impairment),

 omezení funkčních aktivit (disability),

 znevýhodnění osoby (handicap) (tab. 1.5),

 fyzická, psychologická a sociální kvalita života (quality of life).

Nedávná mezinárodní klasifikace výkonnosti International Classification of Functioning (ICF), Disability and Health (11) popisuje výsledné stavy se zřetelem k tělesným funkcím, aktivitám (ve vztahu k cílům a akcím jednotlivce),

účasti (zařazení do společnosti) a životní situaci. V ICF klasifikaci jsou fungování a bezmocnost pojímány jako komplexní interakce mezi zdravotní kondicí dané osoby a mezi jednak kontextuálními faktory prostředí, jednak osobními faktory. Obraz získaný z této kombinace faktorů a dimenzí patří pohledu „jednotlivec ve svém světě“. Klasifikace jedná s těmito dimenzemi ve smyslu interaktivním a dynamickém, nikoli jako se setrvalými a lineárními veličinami. Dovoluje stanovení stupně bezmocnosti, přestože sama o sobě není prostředkem měření. Lze ji aplikovat na všechny lidi, ať jsou v jakékoli zdravotní kondici. Řeč ICF je k etiologii potíží neutrální, protože zdůrazňuje funkci před kondicí či konkrétní chorobou. Je navržena pečlivě tak, aby byla relevantní v různých kulturách, jakož i pro různá pohlaví a skupiny; to ji činí vhodnou pro heterogenní populace. ICF se nyní považuje za standardní měřítko následků nemoci a ukázalo se, že má v oblasti iktové rehabilitace a výzkumu rozumnou spolehlivost psychometrickou i administrativní (12–14). Pro pacienty, jejich rodiny a poskytovatele zdravotní péče jsou přesné informace o krátkodobých i dlouhodobých důsledcích cévních příhod důležité pro adekvátní stanovení cílů a ambicí a pro stanovení přiměřeného managementu (např. propouštěcí plán, intervence apod.).

Tab. 1.5 ICF de finice (12) stará terminologie nová terminologie definicepříklady testování

impairmenttělesná funkce/ struktura fyziologické funkce tělesných systémů, včetně psychických; struktury jsou anatomické části nebo jejich součásti; „impairments“ jsou problémy tělesných funkcí nebo struktury

disabilityaktivitavykonání úkolu; omezení v aktivitách se definují jako nesnáze, které jedinci brání v naplnění dané aktivity

handicapúčastzapojení individua do životních situací; omezení účasti popisuje nesnáze, s nimiž osoba prožívá životní role a situace

Beck Depression Inventory, MMSE, Modified Ashworth, Motor-free Visual Perception Test

index Barthelové, Berg Balance Scale, Functional Independence Measure, Frenchay Activities Index, modifikovaná Rankinova škála handicapů

Euroqol-5D, Medical Outcomes Study Short Form 36, Nottingham Health Profile, Stroke Impact Scale, Stroke Specific Quality of Life

1.3.1 Přežívání

V průměru asi čtvrtina nemocných při cévní mozkové příhodě umírá během prvního měsíce, třetina do 6–12 měsíců a celá polovina během prvních dvou let. Průměrná fatalita mezi roky 2–10 činí 5 % a mezi roky 10–21 přibližně 2 %. Samozřejmě nejstarší pacienti mají v tomto výčtu prognózu nejhorší. Na základě těchto a podobných populačně pojatých studií se odhaduje kumulativní fatalita k případu od 40 % do 60 % do 5 let, přibližně 80 % do 10 let po iktu, 90 % do 15 let a 93 % do 21 let. Osoby, které prodělaly mozkový iktus, mají téměř dvojnásobný stupeň mortality proti celkové populaci. Nejdůležitějšími prognostickými faktory hrozící smrti jsou stoupající věk, močová inkontinence, závažnost iktu, zdravotní postižení před ním a přítomnost obecných kardiovaskulárních rizikových faktorů. Jsou-li přibližně dvě třetiny úmrtí v prvním měsíci po příhodě důsledkem přímých účinků mozkové léze, pak další šestina je důsledkem opakovaného iktu. V dalších obdobích je vždy pětina fatálních případů obětí opakovaného iktu v období od prvního měsíce do 1 roku, taktéž mezi roky 1–5 a mezi roky 5–10. Další třetina těchto úmrtí je ve stejných obdobích způsobena jinými kardiovaskulárními příhodami.

1.3.2 Funkční dopady

Cévní mozková příhoda často vyústí v omezení aktivity v mnoha doménách lidské činnosti. Některé dopady však mají nezávislé prognostické implikace. Proto je zapotřebí posuzovat iktové důsledky mnohostranně, s použitím měřítek, která hodnotí různé funkce v celostním pojetí. I když lze pozorovat závislosti mezi „tělesnou funkcí“, „aktivitou“, „účastí“ a „kvalitou života“ (impairment/disability/handicap/quality of life), nejsou tyto vztahy tak jednoduché.

Řada studií se věnovala dopadům iktu na stav jednotlivce (zejména smrt, míra bezmocnosti a neurologické poruchy). Pouze 3 analýzy však byly populačního typu, s rozborem dlouhodobých funkčních následků u přežívajících. Dvě časné populační studie incidence v Aucklandu (1981–1982 a 1991–1992) ukázaly, že přibližně 55 % přežívajících 3 roky po iktu je zotaveno inkompletně a třetina z nich vyžaduje pomoc alespoň v jedné funkci své denní péče (15). Ve studii 1991–1992 (16) byla zhodnocena „kvalita života ve vztahu ke zdraví“ (HRQoL, health related quality of life, měřená dotazníkem SF-36) a „základní aktivity denního života“ u osob přežívajících iktus 6 let (N = 639) a hodnoty srovnány s celkovou populací téhož věkového rozmezí a stejných pohlaví (N = 310). Přestože většina postižených (77 %) žila doma, 42 % pacientů bylo závislých alespoň v jednom aspektu denní sebepéče na pomoci. Současně měli tito lidé nižší skóre fyzického zdraví, celkového zdraví, vitality a komponent sociálních vztahů v dotazníku HRQoL proti celkové populaci.

V Perth Community Stroke Study (Austrálie, 1989–1994) (17) 152 pacientů (41 % z postižených akutním iktem) přežívalo 5 let. Z těch, kteří nebyli v ústavu ani bezmocní v době svého úvodního iktu, 21 (14 %) se nacházelo po 5 letech v ústavu dlouhodobé péče a 47 (36 %) bylo silně handicapováno. Ve větší a pozdější populační studii v již-

ním Londýně (UK, 1995–2000) (18, 19) ze 639 registrovaných nemocných s iktem 392 přežilo a bylo testováno na míru bezmocnosti po 3 měsících od příhody. Z nich 34 (9 %) bylo shledáno těžce bezmocnými a 60 (15 %) středně bezmocnými. Z 225 přežívajících 1 rok (35 %) bylo 11 % ve stavu střední nebo těžké bezmocnosti (index Barthelové < 15).

1.3.3 Finanční dopady

Je sice dobře známo, že výdaje na iktus se liší podle jeho typu, ale dosud je pouze jedna studie, která řeší detaily na populační úrovni. V této australské studii byly celkové doživotní náklady na všechny ikty odhadnuty na 1,3 miliardy australských dolarů (AUD); z nich ischemický iktus konzumoval 72 %, mozkové krvácení 26 % a neklasifikované ikty 2 %. Průměrné výdaje na 1 případ byly 44 428 AUD (20, 21). Doživotní náklady na osobu s prvním iktem činí v USA 90 981 USD pro ischemický typ, 123 565 USD pro intraparenchymovou hemoragii a 228 030 USD pro subarachnoidální krvácení. Průměr těchto příhod zatíží ekonomiku 103 576 USD, z čehož nepřímé náklady činí 58 % (22).

Existují studie, které jdou do dalších detailů, např. v predikci následků iktu podle jeho subtypů v následujících obdobích. V našem limitovaném textu stojí za zmínku alespoň studie Rothwellova (23), nabízející klinikům model individuálních charakteristik a jejich interakcí u dané osoby k posouzení rizik a užitků z intervencí (např. karotické endarterektomie). Takovým přístupem je možno vypracovat pacientovi „na míru“ odhad jeho vyhlídek z takové či opačné strategie.

Povzbudivou okolností pro osoby přežívající cévní příhodu je fakt, že funkční zlepšení (snížení „disability a handicapu“) pokračuje často ještě dlouho poté, co neurologické symptomy se již přestaly zlepšovat. Proto se pacienti ani jejich rodiny nemají nikdy vzdávat svého úsilí o vylepšení stavu a dosažení větší nezávislosti.

V našich pražských podmínkách univerzitní nemocnice (rok 2000) jsme v rozboru 225 nemocných přijatých během 1 roku spočítali průměrné výdaje za 1 hospitalizaci na 50 054 Kč Tato hodnota byla výsledkem ze souboru, kde 21,1% osob bylo hospitalizováno výhradně na JIP, 17,4 % osob nejdříve na JIP, poté na standardním oddělení, kdežto 61,5 % pacientů prošlo pouze standardním oddělením. Zahrnuje kromě hospitalizace náklady na pomocná vyšetření, léky a rehabilitaci. Průměrná celková délka hospitalizace byla 12,7 dnů a nemocniční mortalita 10,7 % (24). V té době nebyla podávána trombolýza, s níž dnes náklady vzrostou o více než polovinu. Průměrná hospitalizace akutního iktu v ČR je delší než průměrná hospitalizace na neurologii (9,3 dne).

1.4 Závěr

Epidemiologie cévních příhod mozkových, jako u všech nepřenosných nemocí, se během času mění. Spolehlivá data o incidenci, prevalenci a rizikových faktorech jsou zcela zásadní pro zdravotní péči, založenou na důkazech.

Jejich hledání v seriozních studiích je maximálně žádoucí. Vzdor soustavnému poklesu iktové mortality v posledních dekádách v mnoha vyspělých zemích celkově se mozkový iktus jako příčina smrti posunul celosvětově z třetího místa na druhé. Je nyní vedoucí příčinou fyzické invalidity u do-

Literatura

1. Aho K, Harmsen P, Hatano S, et al. Cerebrovascular disease in the community: results of a WHO collaborative study. Bul World Health Organization 1980; 58(1): 113–130.

2. Feigin VL, Lawes CM, Bennett DA, Anderson CS. Stroke epidemiology: a review of population-based studies of incidence, prevalence, and case-fatality in the late 20th century. Lancet Neurol 2003; 2(1): 43–53.

3. Homer D, Whisnant JP, Schoenberg BS. Trends in the incidence rates of stroke in Rochester, Minnesota, since 1935. Ann Neurol 1987; 22(2): 245–251.

4. Sudlow CL, Warlow CP. Comparable studies of the incidence of stroke and its pathological types: results from an international collaboration. International Stroke Incidence Collaboration. Stroke 1997; 28(3): 491–499.

5. Rothwell PM, Coull AJ, Giles MF, et al. Change in stroke incidence, mortality, case-fatality, severity, and risk factors in Oxfordshire, UK from 1981 to 2004 (Oxford Vascular Study). Lancet 2004; 363(9425): 1925–1933.

6. Anderson C, Carter KN, Hackett ML, et al. Trends in stroke incidence in Auckland, New Zealand, during 1981 to 2003. Stroke 2005; 36(10): 2087–2093.

7. Winbeck KM, Bruckmaier K, Etgen TM, et al. Transient Ischemic Attack and Stroke Can Be Differentiated by Analyzing Early Diffusion-Weighted Imaging Signal Intensity Changes. Stroke 2004; 35(5): 1095–1099.

8. Brown RD, Jr., Petty GW, O‘Fallon WM, et al. Incidence of transient ischemic attack in Rochester, Minnesota, 1985–1989. Stroke 1998; 29: 2109–2013.

9. Correia MM, Silva MRM, Magalhaes RB, et al. Transient ischemic attacks in rural and urban northern Portugal: Incidence and short-term prognosis. Stroke 2006; 37(1): 50–55.

10. Feigin VL, Shishkin SV, Tzirkin GM, et al. A populationbased study of transient ischemic attack incidence in Novosibirsk, Russia, 1987–1988 and 1996–1997. Stroke 2000; 31(1): 9–13.

11. International Classification of Functioning, Disability and Health. Geneva: World Health Organization; 2001.

12. Salter K, Jutai JW, Teasell R, et al. Issues for selection of outcome measures in stroke rehabilitation: ICF Participation. Disabil Rehab 2005; 27(9): 507–528.

spělých nad 65 let. Poslední pokroky v prevenci a managementu cévních příhod nabízejí příležitost potlačit břemeno iktů. K potlačení epidemie iktů – zejména ve vývojových zemích – je zapotřebí, podle doporučení WHO, zavádět urgentní praktická preventivní opatření.

13. Tempest S, McIntyre A. Using the ICF to clarify team roles and demonstrate clinical reasoning in stroke rehabilitation. Disabil Rehab 2006; 28(10): 663–667.

14. Salter K, Jutai JW, Teasell R, et al. Issues for selection of outcome measures in stroke rehabilitation: ICF Body Functions. Disabil Rehab 2005; 27(4): 191–207.

15. Bonita R, Solomon N, Broad JB. Prevalence of stroke and stroke-related disability. Estimates from the Auckland stroke studies. Stroke 1997; 28(10): 1898–1902.

16. Hackett ML, Duncan JR, Anderson CS, et al. Health-related quality of life among long-term survivors of stroke: results from the Auckland Stroke Study, 1991–1992. Stroke 2000; 31(3): 440–447.

17. Hankey GJ, Jamrozik K, Broadhurst RJ, et al. Long-term disability after first-ever stroke and related prognostic factors in the Perth Community Stroke Study, 1989–1990. Stroke 2002; 33(4): 1034–1040.

18. Taub NA, Wolfe CD, Richardson E, Burney PG. Predicting the disability of first-time stroke sufferers at 1 year. 12-month follow-up of a population-based cohort in southeast England. Stroke 1994; 25(2): 352–257.

19. Patel AT. Disability evaluation following stroke. Phys Med Rehab Clin North Amer 2001; 12(3): 613–619.

20. Dewey HM, Thrift AG, Mihalopoulos C, et al. Cost of stroke in Australia from a societal perspective: results from the North East Melbourne Stroke Incidence Study (NEMESIS). Stroke 2001; 32(10): 2409–2416.

21. Dewey HM, Thrift AG, Mihalopoulos C, et al. Lifetime cost of stroke subtypes in Australia: findings from the North East Melbourne Stroke Incidence Study (NEMESIS). Stroke 2003; 34(10): 2502–2507.

22. Taylor TN, Davis PH, Torner JC, et al. Lifetime cost of stroke in the United States. Stroke 1996; 27(9): 1459–1466.

23. Rothwell PM, Mehta Z, Howard SC, et al. From subgroups to individuals: general principles and the example of carotid endarterectomy. Lancet 2005; 365(9455): 256–265.

24. Havlovicová M, Kalvach P, Svoboda L, et al. Management and cost of stroke in late nineties: Prague University hospital. Acta Clin Croat 2001; 40: 79–84.

2 Anatomie mozkového cévního zásobení

Mozek je zásobován čtyřmi velkými tepnami: dvěma karotickými a dvěma vertebrálními.

2.1 A. carotis

Klasicky odstupuje pouze levá a. carotis communis přímo z aortálního oblouku. Pravá je větví truncus brachiocefalicus, který v délce 2–3 cm probíhá za manubriem sterni a za sternoklavikulárním skloubením vpravo se dělí v a. carotis communis dextra a a. subclavia (obr. 2.1). Po vzájemně divergentním průběhu se obě společné karotidy dělí ve výši C3–C4 na a. carotis interna a a. carotis externa.

Tenkostěnný odstup a. carotis interna, vřetenovitě rozšířený bulbus caroticus, je receptorem tlakových změn v řečišti; reaguje na ně aferentací impulzů cestou n. glossopharyngeus do kmenových vazoregulačních center. Na bázi lebeční vstupuje a. carotis interna do canalis caroticus, kde svůj vertikální průběh otáčí ventromediálně. Zde těsně míjí zpředu cavum tympani a po výstupu z kosti skalní přes synchondrosis sphenopetrosa (neuroradiologický úsek C5) vstupuje do kavernózního sinu na boční stěně těla klínové kosti (pars cavernosa – neuroradiologický úsek

C4) (obr. 2.2). Průběh a. carotis interna žilní strukturou kavernózního sinu plní zřejmě významnou funkci mechanizmu pumpy akcelerující žilní odtok (obr. 2.3). Ostrým ohybem vzhůru (úsek C3) opouští a. carotis interna kavernózní sinus, vstupuje do subarachnoidálního prostoru (pars infraclinoidea) a pokračuje pak okcipitálně (úsek C2). Novým ohybem vzhůru dokončuje v úseku C1 své esovité zakřivení, pojmenované Monizem sifon, a její supraklinoidální část – těsně nad proc. clinoideus allae parvae, zde končí bifurkací v a. cerebri anterior a a. cerebri media. Asi 8 mm před touto bifurkací odstupuje z vnitřní karotidy (po předchozích větvích karotidotympanických, kavernózních a a. ophtalmica) a. communicans posterior, široká průměrně 1,2 mm a dlouhá přibližně 1 cm. Pravá a levá a. communicans posterior vytvářejí spojení s vertebrobazilárním řečištěm, tvoříce dorzální část Willisova arteriálního okruhu (obr. 2.4). A. communicans posterior nasedá na a. cerebri posterior ve vzdálenosti 1,1–1,5 cm od bifurkace a. basilaris a odděluje tak iniciální úsek (prekomunikální) a. cerebri posterior od jejího dalšího distálního průběhu skrz cisterna ambiens. Síla a. communicans posterior větší než šířka prekomunikálního segmentu a. cerebri posterior se označuje za fetální typ.

Obr. 2.1 Karotické a vertebrální tepny na krku; (a) pohled předozadní, ( b) pohled laterální. (Snímek CT angiografie vě novalo radiodiagnostické oddělení Nemocnice Na Homolce) ab

Tečkovaná linie je dura mater v místě prostupu karotického sifonu do intrakraniálního prostoru. Červená šipka – vlákna sympatiku, provázející karotickou tepnu. (Snímky laskavě věnovali MUDr. J. Šach a A. Srp z Ústavu patologie 3. LF UK a FNKV.)

Obr. 2.2 A. carotis interna ve svém pr ůběhu kostí skalní (černé šipky) a kavernózním sinem (azurové šipky)

ds – dorsum sellae, černé šipky – vstup fasciculus opticus z foramen opticum do intrakraniálního prostoru, červené šipky – vstup karotid durou mater do subarachnoidálního prostoru, modré šipky – nn. oculomotorii vstupující do kavernózního sinu, tečkované šipky – nn. abducentes vstupující do kavernózního sinu, černé přerušované šipky – vstupy kořenů n. trigemini do cavum Meckeli, tečkovaná linie – odstřižená dura mater obnažující pohled do kavernózního sinu. (Snímky laskavě věnovali MUDr. J. Šach a A. Srp z Ústavu patologie 3. LF UK a FNKV.)

Obr. 2.3 Pohled shora na turecké sedlo a kavernózní sinusy

Ventrální část Willisova okruhu – tohoto velmi důležitého krevního distribučního systému na bázi lebeční – tvoří nepárová jednoduchá nebo dvojitá spojka mezi aa. cerebri anteriores – a. communicans anterior. Je v průměru podle Langa 4,3 mm dlouhá a 1,8 mm široká.

2.2 A. vertebralis

Kromě karotického řečiště, které se podílí na mozkovém krevním zásobení asi 80 %, zajišťují mozkovou perfuzi ještě 2 tepny vertebrální. Klasicky vystupují z aa. subclaviae jako jejich první větev, a to ještě před jejich vstupem do fissura scalenorum. Směřují pak k foramen costotransversarium C6, výjimečně C5. Po průchodu dalšími, postupně vyššími kostotransverzálními otvůrky vytvářejí vertebrální tepny zevní oblouk a přes foramen costotransversarium atlasu prostupují zezadu membrana atlantooccipitalis a dura mater. Průchodem skrz foramen occipitale magnum se ocitají intrakraniálně, kde míří ventromediálně, aby se na bázi okcipitální kosti

Obr. 2.4 Aa. vertebrales za pr ůběhu ve foramina transversaria C6–C1 a jejich junkce nad klivem ossis occipitalis. A. basilaris vysunuta výrazně doprava. (CT angiogra fii věnovalo radiodiagnostické odd. Nemocnice Na Homolce)

ds

Obr. 2.5 Willisův bazální arteriální okruh objímající corpora mamillaria, cisternu interpeduncularis a stonek hypofýzy: (a) pohled zespodu na oblast pontu, ( b, c) detail se spojkami analogických struktur na MR T2-váženém obraze: v pořadí shora dolů jsou spojeny aa. cerebri mediae, aa. communicantes posteriores, aa. cerebri posteriores, hrot a. basilaris s bifurkací. (Snímek poskytla MUDr. B. Rosová, Ústav patologie 3. LF UK a FNKV)

každá z nich spojila na úrovni dolního okraje pontu s druhostrannou a. vertebralis (obr. 2.4). Vzniká tak nepárová a. basilaris, uložená mezi klivem a pontem. Již nad horním okrajem pontu se a. basilaris opět štěpí ve 2 aa. cerebri posteriores. Tato bifurkace je uložena různě vysoko v cisterna intercruralis a soutokem s aa. communicantes posteriores se zde uzavírá dorzální část Willisova okruhu.

Bazální arteriální okruh, popsaný Willisem již roku 1664, situovaný kolem chiazmatu, hypofyzárního infundibula, substancia perforata a corpora mamillaria, má ústřední význam pro distribuci krve v mozkovém řečišti (obr. 2.5).

Chiazma zrakových nervů je zde proloženo tak, že fasciculi optici jsou uloženy pod úrovní Willisova okruhu (pod prekomunikálním úsekem a. cerebri anterior), kdežto tracti optici již nad Willisovým okruhem (nad a. communicans posterior). Při stenóze některé z proximálních větví, jimiž je Willisův okruh živen, dokáže tento arteriální systém zajistit plynulý krevní přítok všem svým distálním větvím. Představuje tak nejdůležitější kolaterální zdroj při stenózách extrakraniálních přívodných tepen. Výkonnost těchto kompenzací závisí ovšem na pohotovosti periferního řečiště snižovat svůj arteriolární odpor.

2.3 Větve Willisova okruhu

Tvoří je tři dvojice velkých tepen, směřujících na konvexitu mozkových hemisfér: aa. cerebri anteriores, aa. cerebri mediae, aa. cerebri posteriores. Objímajíce mozkové hemisféry, tvořily tyto tepny v embryonální době síť vzájemně propojených cév. V průběhu ontogeneze jejich periferní spojení zanikla a na fyziologickém angiogramu nejsou patrná. Při vzniku místních obliterací jsou však bývalé preformované anastomózy schopny nového zbytnění, a pokud selhání mozkové cirkulace nastává pozvolna, vytváří se účinný kolaterální oběh.

2.3.1 A. cerebri anterior

Její počínající horizontální úsek A1, se po propojení s párovou druhostrannou tepnou přes a. communicans anterior ohýbá velkým obloukem přes genu corporis callosi vzhůru jako a. pericallosa – úsek A2 a A3. Z tohoto oblouku odstupuje a. frontopolaris a a. callosomarginalis (obr. 2.6). Za splenium corporis callosi anastomózuje a. cerebri anterior s větvemi a. pericallosa dorsalis. Zásobovací oblastí jsou mediální plochy mozkových hemisfér nad corpus callosum a paramediální konvexita ve frontálním a parietálním vertexu.

2.3.2 A. cerebri media

Po svém odstupu z a. carotis interna se ubírá laterálně pod bází mozku směrem k fissura cerebri lateralis (pars sfenoidalis – M1), kde se v pravém úhlu ohýbá vzhůru (pars insularis – M2) a po odstupu inzulárních větví vychází již rozdělena na povrch hemisféry (pars opercularis – M3). Po dosažení zevního povrchu velkého mozku se rozbíhají její povrchové větve směrem ventrálním (a. frontobasalis lateralis a a. operculofrontalis), směrem kraniálním (a. sulci precentralis, a. sulci centralis a postcentralis) a směrem dorzálním (a. parietalis posterior a a. gyri angularis). Větve, klonící se z temporálního opercula bazálně po zevní ploše temporálních laloků, jsou aa. temporales (polaris, anterior, media a posterior). Souhrn těchto všech zevních větví v neuroradiologickém úseku M4 a M5 se nazývá pars terminalis. Popsané větve a. cerebri media živí největší část celé mozkové kůry a podkoří, totiž oblast celého parietálního laloku, dorzálních částí frontálního laloku, vše s výjimkou paramediálních zón a. cerebri anterior, dále kortex inzuly a zevní kortex temporálních laloků (obr. 2.6).

2.3.3 A. cerebri posterior

Tato tepna bývá většinou sycena z vetebrobazilárního povodí, občas však z povodí karotického. Její iniciální úsek – pars praecommunicalis (P1), a úsek za soutokem s a. communicans posterior (P2) objímají mozkový kmen a skrze cisterna ambiens se zde tepna dostává těsně nad

tentorium cerebelli, kde se dělí na své hlavní větve: r. occipitotemporalis, r. calcarinus a r. parietooccipitalis (oba poslední dříve společně označované jako a. occipitalis interna). Směrem ventrálním odstupují menší r. temporalis anterior a posterior, vyživující mediální části temporálních laloků. Rozvodí s a. cerebri anterior nad spleniem corporis callosi zásobuje a. pericallosa dorsalis, odstupující obvykle z a. cerebri posterior těsně za bifurkací z a. basilaris. Pars corticalis a. cerebri posterior se označuje jako úseky P4 a P5 (obr. 2.6).

Konečné větve všech 3 dvojic uvedených hlavních větví Willisova okruhu vytvářejí plášť na povrchu hemisfér, z něhož se pak zanořují do hloubky, kde kratší rami corticales živí mozkovou kůru. Delší rami medullares živí bílou hmotu v centrum semiovale. Oba typy těchto konečných větévek v jisté, ale malé míře anastomózují s centrálními perforujícími větvemi.

2.3.4 Perforující tepny z bazálních

větví

Odlišný průběh od velkých povrchových tepen mozkových hemisfér mají menší vertikální větve, rami centrales – rami perforantes; vystupují jednak z hlavních tepenných kmenů, jednak přímo z Willisova okruhu vzhůru a zanořující se přímo do hemisfér z jejich báze. Podle názvosloví Nomina anatomica z roku 1984 se dělí na 4 skupiny centrálních arterií (obr. 2.6, 2.7, 2.9):

1. Aa. centrales anteromediales vycházejí z a. cerebri anterior a zásobují ventrální část bazálních ganglií –caput nuclei caudati a přední raménko capsula interna. Dominuje mezi nimi a. centralis longa neboli recurrens Heubneri.

2. Aa. centrales anterolaterales, dříve nazývané aa. lenticulostriatae nebo aa. striothalamicae, aa. perforantes Charcoti, vycházejí z a. cerebri media. Zásobují globus pallidus a putamen a dále genu capsulae internae (o něž se dělí s a. choroidea anterior).

3. Aa. centrales posteromediales, dříve aa. thalamoperforatae neboli aa. thalamicae inferiores, vystupují z a. communicans posterior a živí ventrobazální část talamu.

4. Aa. centrales posterolaterales, dříve aa. thalamogeniculatae neboli aa. thalamicae posteriores, odstupují z a. cerebri posterior a vyživují dorzální část talamu.

2.3.5 Choroidální tepny

Většími samostatnými tepnami jsou aa. choroideae – anterior et posterior. Přední choroidální tepna, odstupující z a. carotis interna, živí diencefalon, tractus opticus, corpus geniculatum laterale, dorzální crus capsulae internae a plexus choroideus. Rami choroidei posteriores mediales et laterales vycházejí z a. cerebri posterior a nutričně zajišťují pedunculus cerebri, corpus geniculatum mediale, glandula pinealis, povrch talamického pulvinaru a v plexus choroideus anastomózují s větévkami a. choroidea anterior.

1 a. carotis interna; 2 a. ophthalmica: a/ a. supratrochlearis, b/ a. dorsalis nasi, c/ plexus choroideus; 3 a. communicans pos terior; 4 a. choroidea anterior; 5 a. cerebri anterior: a/ pars praecommunicalis, b/ pars postcommunicalis; 6 a. communicans anterior; 7 a. pericallosa; 8 a. frontobasialis medialis (orbitofrontalis medialis); 9 a. frontopolaris; 10 a. callosomarginalis; 11 r. frontalis anteromedialis; 12 r. frontalis mediomedialis; 13 r. frontalis posteromedialis; 14. a. paracentralis; 15 a. pr aecunealis (parietalis interna superior); 16 a. parietooccipitalis (parietalis interna inferior); 17 aa. centrales anteromediales (thalamostriatae anteromediales, perforantes, a. centralis longa –recurrens Heubneri); 18 a. cerebri media: a/ pars sphenoidalis, b/ pars insularis, c/ pars opercularis, d/ pars terminalis; 19 a. frontobasalis lateralis (orbitofrontalis lateralis); 20 aa. operculofrontales (praefrontales); 21 a. sulci praec entralis (praerolandica); 22 a. sulci centralis (rolandica, opercularis parietalis); 23 a. sulci postcentralis (parietalis anterior); 24 a. parietalis posterior; 25 a. gyri angularis; 26 a. temporalis polaris; 27 a. temporalis anterior; 28 a. temporalis media; 29 a. temporalis posterior; 30 a. temporooccipitalis; 31 aa. insulares; 32 aa. centrales anterola terales (thalamostriatae anter olaterales, lenticulostriata e, perforantes Charcoti)

Obr. 2.6 Bo č ní a p ř edozadní karotický angiogram s barevn ě rozlišenými cévami jako na obr. 2.9 a 2.10. V ě tve a. cerebri anterior v odstínech č ervené, a. cerebri media v odstínech modré, a. cerebri posterior v odstínech zelené a žluté.

33 a. cerebri posterior; 34 r. temporalis anterior (a. t emporalis inferior anterior); 35 r. temporalis posterior (a. temporalis inferior posterior); 36 r. occipitotemporalis; 37 r. calcarinus (a. occipitalis interna); 38 r. corporis callosi dorsalis; 39 r. parietooccipitalis (a. occipitalis interna); 40 aa. centrales posteromediales (thalamoperforatae, thalamicae inferiores); 41 aa. centrales posterolaterales (thalamogeniculatae, thalamicae posterior); 42 rr. choroidei posteriores mediales, rr. choroidei posteriores laterales; 43 aa. paramedianae; 44 aa. circumferentes breves; 45 aa. circumferentes longae, aa. mesencephalicae; 46 a. inferior posterior cerebelli; 47 a. inferior anterior cerebelli; 48 a. superior cerebelli; 49 a. spinalis anterior; 50 aa. spinales posteriores; 51 rr. musculares; 52 a. vertebralis; 53 a. basilaris

Obr. 2.7 P ř edozadní a bo č ní vertebrální angiogram s barevn ě rozlišenými cévami jako na obr. 2.9. V ě tve a. cerebri posterior v odstínech zelené a žluté, v ě tve v zadní jám ě lebe č ní v odstínech hn ě dé.

2.4 Cévní zásobení zadní jámy lebeční

Děje se jednak větvemi a. vertebralis (a. cerebelli posterior inferior), jednak větvemi a. basilaris (a. cerebelli anterior inferior, aa. pontis, aa. circumferentes breves, aa. circumferentes longae, aa. cerebelli superiores) (obr. 2.7).

A. cerebelli posterior inferior (anglicky zkracovaná PICA) odstupuje z aa. vertebrales před jejich soutokem, může však výjimečně vycházet i z a. basilaris, případně i z a. cerebelli anterior inferior. Ve své cisternální části prostupuje mezi kořeny n. XII. a zásobuje spodní úsek mozečkových hemisfér i vermis cerebelli a plexus choroideus IV. komory.

Drobné větévky z a. basilaris – aa. pontis a circumferentes breves – živí pons, do něhož pronikají zespodu a z boku. Aa. circumferentes longae obchvacují mozkový kmen, živí tectum mesencefala a lamina quadrigemina.

A. cerebelli anterior inferior (anglická zkratka AICA) vychází z a. basilaris na rozhraní její proximální a střední třetiny a zásobuje zevní části mozečkových hemisfér.

A. cerebelli superior je poslední větví a. basilaris a odstupuje z ní těsně před její bifurkací. Podle Jirouta je ve 28 % zdvojena. Z cisterna intercruralis obkružuje pak tepna mozkový kmen cisternou ambientní a míří svými větvemi na povrch mozečku, kde zásobuje lobulus quadrangularis superior a inferior, zevní část lobulus semilunaris superior a horní část vermis (culmen a declive).

2.5 Anatomie cévní stěny

Z hlediska výstavby cévního stromu lze pozorovat odlišná složení cévní stěny – úměrně funkci, kterou daná céva v transportu a řízení krevního proudu zastává. Velké arterie (z naší oblasti aorta, truncus brachiocephalicus a carotis communis), jako tepny tzv. elastického typu (obr. 2.8a), mají zvláště akcentovanou elastinovou vrstvu medie, která v longitudinálně uspořádané spirále brání nadměrnému roztažení medie a intimy při systole. Krevní vlna se v nich mechanicky přenáší do periferie. Arterie středního a menšího kalibru (a. carotis interna, vertebralis, větve Willisova okruhu) postupně směrem do periferie ztrácejí ve své stěně podíl adventicie a relativně u nich vzrůstá v medii podíl buněk hladké svaloviny. Nazývají se proto arteriemi svalového typu. Zatímco u a. carotis interna je tloušťka medie s adventicií přibližně vyrovnaná, na a. cerebri anterior adventicie je proti medii již jen třetinová. Tepny svalového typu mají relativně malé lumen proti stěně cévní a jsou tak schopny regulovat krevní přítok podle požadavků určité zásobovací oblasti (obr. 2.8b).

Arterioly , k nimž po č ítáme tepny kolem pr ů svitu 100 μm, poslední viditelné okem, plní primární kontrolu krevního tlaku. Membrana elastica externa jim již zcela chybí. Dominuje svalová vrstva medie, mohutná i ve vztahu k luminu, přestože se skládá již jen z 1–5 vrstev hladkých svalových buněk a vmezeřených fibril. Na rozhraní s intimou je membrana elastica interna (obr. 2.8c). Přechod ke kapilárám tvoří prekapiláry o průměru 10–40 μm, obdařené prekapilárními sfinktery

Kapiláry o průměru menším než 7 μm mají v různých tkáních sílu lehce odlišnou (obr. 2.8d). Nemají žádnou tunica media a adventicia, jejich stěna je tvořena pouhým endotelem s plochými jádry. Dvě až tři endotelové buňky stačí cirkulárně vystlat lumen kapiláry. Zevně lnou tyto buňky k bazální membráně, k níž se opět zvnějšku přikládají ve tkáni CNS pseudopodie glie. V klidovém stavu je lumen značného počtu kapilár kolabováno a otvírá se podle metabolických potřeb tkáně. Sítí kapilár a prekapilár, kde se směry krevního průtoku snadno mění, proudí krev v klidu jen spojovacími kanály nebo drobnými arteriovenózními anastomózami a jednotlivá sousední kapilární řečiště se v průtoku střídají podle místního pH. Při zvýšené činnosti tkáně si distenční síla krevního proudu otvírá uvolněné prekapilární sfinktery a podle funkční zdatnosti celého komplexu se pak perfuze mírně až trojnásobně zvyšuje (kap. 3.3.2.2 a obr. 3.14).

Denzita mikrovaskulárního zásobení není stejnoměrná v celé mozkové tkáni. Neuropil šedé hmoty, tedy kortexu a bazálních ganglií, má vyšší metabolický obrat a denzita jeho mozkového průtoku CBF je asi 4× vyšší než kapilární denzita v bílé hmotě

2.6 Distribuce nutričních tepenných areálů v mozkové tkáni

Rozeznání cévní distribuce v intrakraniálním prostoru je důležité jednak v obraze angiografickém, kde hledáme v projekci předozadní, bočné, případně různě rotované, hlavní tepenné kmeny. Mimo to je důležité v axiálním obraze počítačové tomografie nebo MR, v nichž se snažíme rozeznat nutriční zóny jednotlivých tepen k identifikaci zón ischemického parenchymu, nebo naopak zdroje krvácení. Pro analýzy vaskulární topografie na CT a MRI jsme vytvořili vlastní mapu nutričních mozkových areálů, které jsou barevně spjaty s barevným označením cévy ve standardním angiogramu. Mapa vznikla na základě našich pozorování ischemických ložisek v korelaci k angiografickým uzávěrům či stenózám a dále na základě angiografických a topografických atlasů mozku. Jsou v ní schematizovány zásobovací areály 10 větví a. cerebri anterior – v různých odstínech červené, 14 větví a. cerebri media – v různých odstínech modré, 9 větví a. cerebri posterior – v odstínech zelené a 6 větví vertebrobazilárního povodí – v odstínech žlutohnědých (obr. 2.9, 2.10).

Z podstatných mozkových tepen je bohužel ve schématu zjednodušena významná a. choroidea anterior, která je pouze znázorněna jako větev pro choroidální plexus. Její drobné větvičky, které se spolupodílejí na výživě početných mozkových struktur (corpora geniculata lateralia, globus pallidus, hypotalamická jádra, capsula interna) se mi nepodařilo, vzhledem k jejímu relativně variabilnímu teritoriu a složité poloze v bazálních gangliích dostatečně přesně schematizovat.

Při pohledu na nutriční systém v axiálním řezu rozeznáváme 4 hlavní skupiny perforujících tepen, které jsou zevně lemovány hlavně inzulárními větvemi z povodí medie. Operkulární zásobení frontální, parietální a temporální se děje větvemi a. cerebri media, které po průniku na povrch

Mozkové ischemie a hemoragie

hemisfér objímají mozkovou kůru zevně. Mediální zásobení frontální a okcipitální se realizuje plášťovými větvemi a. cerebri anterior a cerebri posterior, které z prostoru fissura interhemisferica vybíhají na mediální povrch hemisfér. Tento detailní pohled na axiální uspořádání dovoluje rozeznávat

interteritoriální infarkty jemněji než pouhým dělením na zóny mezi a. cerebri anterior, media, posterior. Dovoluje např. nacházet interteritoria mezi rr. insulares a perforujícími větvemi nebo ve tvaru T mezi konečnými větvičkami a. cerebri anterior, media a perforujícícími větvemi.

2.7 Mozkový venózní systém

Žilní sběr z mozkové cirkulace se děje dvěma systémy: povrchovým a hlubokým.

Povrchový žilní systém se skládá z žil umístěných v sulcích hemisfér, směřujících z frontálního, parietálního a okcipitálního povrchu převážně do sinus sagitalis superior, z mediálního povrchu do sinus sagitalis inferior a z povrchu temporálního laloku a jeho spodiny do sinusů báze lebeční (obr. 2.11). Ve svém konečném úseku před vstupem do tuhého, nestlačitelného durálního sinu s velmi nízkým až negativním tlakem, přestupují tyto žíly z intermeningeálního prostoru přes subdurální. V těchto místech podléhají tyto přemosťující žíly tlaku hemisfér, jímž je tento žilní přestup částečně regulován. Jako spojky mezi systémem horního sagitálního sinu se siny báze lebeční a mezi povrchem temporálního laloku a dolním sagitálním sinem slouží v. anastomotica frontoparietotemporalis (Trolardi) a v. anastomotica temporooccipitalis (Labbé).

Mezi sinusy báze lebeční má zvláštní význam sinus cavernosus, v němž – unikátně v celém organizmu – prochází tepna žilou. Pulzace a. carotis interna, které se zde ocita-

jí krátce v nestlačitelném prostoru mezi tuhými stěnami durální duplikatury, mají nepochybně vliv na pumpování žilní krve směrem do bulbus v. jugularis. Souhra těchto pulzací se systolickými vlnami v mozkových hemisférách a miniaturním vypuzováním likvoru přes foramen Monroi a přes akvedukt do IV. komory má určitě významný vliv na cirkulační prosperitu mozkové tkáně

Hluboký žilní systém sbírá krev z hloubi hemisfér a periventrikulárního mozkového parenchymu do vv. cerebri internae a v. basalis Rosenthali. Z nich se p ř es v. magna cerebri spojuje tato hluboká žilní krev s přítokem sinus sagitalis inferior v confluens sinuum falcotentorii do sinus rectus, aby stropem tentoria pokračovala do confluens sinuum Herophilii. Zde se připojuje sinus sagitalis superior a krev se pak rozděluje do jednoho z obou horizontálních kanál ů v sinus transversus; dále cestou sinus sigmoideus opouští dutinu lebeční v bulbus venae jugularis. V proximálním úseku hlubokého žilního řečiště je důležitým orientačním bodem soutok v. septi pellucidi s v. thalamostriata, kde v angulus venosus Monroi tyto žíly vyznačují těsně sousedící foramen interventriculare (obr. 2.11).

 Obr. 2.8 Histologická stavba cévní stěny: (a) aorta, reprezentující velké arterie elastického typu; dominuje elastická vrstva v medii, složená zde z 60 elastických membrán; lamina elastica interna a externa jsou zde jen zevními vrstvami tohoto komplexu; mezi membránami jsou ř ídce roztroušené myocyty; zevní povrch (vlevo dole) tvoř í adventicie, přer ů stající částečně do zevní tukové vrstvy (parafínový řez, barvení van Gieson-elastika, zvětšení 50×); ( b, c) tepna svalového typu, např. větve Willisova okruhu; ve stě ně dominuje v medii vrstva myocytů, elastické membrány se omezují na lamina interna (plné šipky) a externa (teč kované šipky); ve větším zvětšení je patrna i intima s endotelem na vnit ř ním povrchu (vpravo dole) částečně odloupaném; vas vasis (tečkované šipky); (d) 3 arterioly r ů zného kalibru na vnit ř ní straně pia mater; nejmenší má jen 1 vrstvu myocytů, větší 2 vrstvy, největší má 4 vrstvy buněk hladkého svalstva s tmavě fialovými jádry; intima velmi tenká, prakticky jen samotný endotel, adventicie rovněž tenká (obrázky vě noval MUDr. J. Šach a A. Srp, Ústav patologie 3. LF UK a FNKV); (e) kapiláry; z prekapiláry o pr ůměru 8 μ odstupuje kapilára, která se dále vpravo větví; žádná svalová vrstva, žádná adventicie, barvení kongo červení, zvětšení 1000× (snímek vě noval prof. K. Jellinger, MD)

Obr. 2.9 CT/MR vrstvy 1–6 v axiální rovině s barevným odlišením jednotlivých nutričních areálů. Větve a. cerebri anterior v odstínech červené, a. cerebri media v odstínech modré, a. cerebri posterior v odstínech zelené a žluté, v zadní jámě v odstínech hně dé, shodně barvami i číslováním jako angiogramy na obrázku 2.6 a 2.7

Obr. 2.10 CT/MR vrstvy 7–10 v axiální rovině s barevným odlišením jednotlivých nutričních areálů. Větve a. cerebri anterior v odstínech červené, a. cerebri media v odstínech modré, a. cerebri posterior v odstínech zelené a žluté, shodně barvami i číslováním jako angiogramy na obrázku 2.6 a 2.7

b

I. Vv. Cerebri ascendentes 1 vv. frontales; 2 vv. praecentrales (v. Trolardi, vv. front oparietales); 3 vv. parietales (vv. centrales, v. Rolandi); 4 vv. o ccipitales; 5 vv. cerebri posteriores; 6 v. petrosa (Dandy)

II. Vv. cerebri descendentes 7 vv. cerebri mediae; 8 vv. temporooccipitales (v. Labbé); 9 v. ophthalmica; 10 sinus sagittalis superior; 11 sinus sagittalis inferior; 12 sinus rectus; 13 sinus transversus; 14 sinus sigmoideus; 15 sinus sphenoparietalis; 16 sinus cavernosus; 17 sinus petrosus; 18 confl uens sinuum (Herophilii); 19 confl uens sinuum falcotentorii; 20 v. magna Galeni; 21 angulus venosus Monroi; 22 confl uens venosum basilaris; 23 v. septi pellucidi; 24 v. thalamostriata; 25 v. cerebri interna; 26 v. basalis (Rosenthali); 27 v. septalis poste rior; 28 vv. insulares; 29 v. hippocampi; 30 vv. lenticulostriatae; 31 v. pontis; 32 v. occipitalis interna (r. calcarinus et parietomedialis); 33 vv . orbitales et gyri olfactorii; 34 v. corporis callosi dorsa lis; 35 v. jugularis; 36 vv. pontis superfi ciales (v. circumferens longa et brevis); 37 vv. pedunculares et pontis centrales (substantia perforata posterior); 38 v. mesencephalica (v. sulci lateralis mesencephali); 39 v. praecentralis cerebellaris; 40 v. vermis cerebelli; 41 vv. cerebelli superiores; 42 vv. cerebelli inferiores; 43 vv. tentorii; 44 v. choroidea

Bo č ní fl ebogram a p ř edozadní s nást ř ikem ( a ) a. carotis interna, ( b ) a. vertebralis

Obr. 2.11

3

Fyziologie mozkového krevního zásobení

Mozek jako orgán s extrémně vysokou biologickou výkonností má mimořádné nároky na oxidační a metabolickou dodávku. U dospělého člověka ji uspokojuje krevní průtok o globální hodnotě 50–60 ml/100 g tkáně/min, rozdílně v šedé a bílé hmotě (kap. 3.3.2.2), což je pro mozek jako celek asi 750 ml/min. Při své hmotnosti, představující asi 2 % hmoty organizmu, mozek dospělého tedy při tělesném klidu využívá přibližně 15 % minutového srdečního výdeje (50 % játra a ledviny, 16 % kosterní svalstvo, 5 % myokard, 8 % kůže, 6 % ostatní). U dětí je mohutnost mozkového průtoku téměř dvojnásobná, takže u nich připadá mozku skoro 40 % klidového srdečního výdeje. Mozek za klidových podmínek konzumuje 65 % celkové tělesné spotřeby glukózy. Velikost mozkového nutričního průtoku není konstantní a v závislosti na aktuální činnosti u zdravých osob podstatně převyšuje hodnoty nezbytné pro bazální metabolizmus nervové tkáně. Tak může být většinou aktuální průtok redukován až o 30–50 %, aniž by vznikl neurologický deficit.

3.1 Obecné fyzikální principy cévního průtoku

Při sledování závislostí mozkového průtoku je třeba mít na zřeteli několik zákonů platících obecně v hydrodynamice, a tím s malou korekcí i v hemodynamice.

Analogicky Ohmovu zákonu v elektrickém vodiči je tlak v systému (P) roven součinu průtoku (F) a cévní rezistence (R): průtok je tedy přímo úměrný tlaku a nepřímo úměrný rezistenci.

Obr. 3.1 Schéma velikosti periferního odporu př i řazení dílčích odpor ů za sebou

Efektivní perfuzní tlak je rozdíl mezi středním intraluminálním tlakem na arteriálním konci cévy a středním intraluminálním tlakem na venózním konci cévy.

Mezi přítokem a odtokem krevního kvanta musí být zachována za všech okolností rovnost. Představu o vytváření periferní rezistence si můžeme udělat na dvou základních modelech periferního řečiště podle Kirchhoffova zákona:  Zařazení dílčích odporů v sérii dává celkovou rezistenci rovnou součtu jednotlivých rezistencí (příspěvek každé části řečiště se sčítá) (obr. 3.1).

 Při řazení dílčích odporů paralelně je reciproční hodnota celkového odporu rovna součtu recipročních hodnot jednotlivých odporových komponent (obr. 3.2).

Obr. 3.2 Schéma velikosti periferního odporu př i řazení dílčích odpor ů paralelně

Tlakové vztahy intra- a extravaskulární, jimiž se mimo jiné řídí hodnoty kapilární látkové směny, ovládá zákon podle Laplacea. Podle něho je roztaživý tlak P v roztažitelném dutém válci roven napětí stěny válce T dělenému poloměrem r. S ohledem na protitlak zevního prostředí lze tento zákon pro naši problematiku vyjádřit jako kde

Pvnitřní je tlak uvnitř cévy, P vnější je tlak intersticiální (intrakraniálně roven tlaku likvoru), T je napětí cévní stěny, r je průměr cévy.

Mozkové ischemie a hemoragie

Laplaceův zákon ukazuje, že čím je menší průměr cévy, tím menší napětí cévní stěny stačí vyrovnat intraluminální tlak. Zatímco v aortě je fyziologické napětí cévní stěny asi 17 000 kPa.s/l a ve vena cava asi 2100 kPa.s/l, činí napětí kapilární stěny pouhých 1,6 kPa.s/l.

V uvedeném zákonu se projevuje také způsob regulace periferní rezistence, a tím mohutnosti cévního průtoku. Jestliže vazodilatační mechanizmy (např. pokles pH zmnožením H+ iontů v intersticiu a cévní stěně) sníží tenzi cévních myofibril (viz regulace cévního tonu, kap. 3.4), zvětší se průměr cévy a hodnota zlomku se sníží. Nižší výsledný intraluminální tlak dovolí pak při nelimitovaném krevním příkonu zrychlení krevního proudu, a tím zvýšení regionálního průtoku (dále rCBF, regional cerebral blood flow).

Vztah mezi velikostí průtoku a nejdůležitějšími parametry hemodynamiky definuje Poiseuilleův-Hagenův vzorec. Podle něho je průtok tím větší, čím větší je rozdíl tlaků na začátku a na konci trubice a čím větší je poloměr trubice; naopak je tím menší, čím vyšší je viskozita krve a délka trubice:

kde F je průtok, P a – Pb je rozdíl tlaků na koncích trubice,  je viskozita krve, r je poloměr trubice, L je délka trubice.

Ve vzorci jsou tři veličiny, které nás budou zajímat v úvahách o patofyziologii a terapii. Pro hodnotný cévní průtok je žádoucí, aby rozdíl tlaků P a–Pb byl dostatečně vysoký, tedy aby hodnota Pa nebyla snížena nízkým srdečním výdejem, rigidním přívodným cévním řečištěm nebo stenotickými úseky přívodných větších cév. Aby též hodnota Pb nebyla zvýšena nadměrným intersticiálním tlakem nebo stázou v žilním odtoku.

Druhou veličinou, jíž je průtok přímo úměrný, je poloměr cévy r. Působnost čtvrté mocniny v tomto vztahu ukazuje na neobyčejně vysokou účinnost i malých změn cévního kalibru. Zdvojnásobení poloměru by mělo např. za následek 16násobné zvýšení krevního průtoku (16násobné snížení periferní rezistence). Třetí proměnlivou veličinou v Poiseuilleově-Hagenově zákonu je krevní viskozita, jíž je průtok úměrný nepřímo. Viskozita je největší měrou závislá na hematokritu (obr. 3.3). Tato závislost se projevuje mnohem výrazněji ve velkých cévách než v kapilárách, arteriolách a venulách, protože v cévách s průměrem pod 100 μm se způsob proudění řazením erytrocytů za sebou liší od cév velkého kalibru. Prekapilární a kapilární hematokrit je také asi o 15–25 % nižší než průměrný hematokrit celého organizmu.

Uvažujeme-li o průtokových relacích z hlediska cévní rezistence, dostávají uvedené veličiny obrácený poměr, jak vyplývá z reciprocity průtoku a rezistence v Ohmově zákonu. Poiseuilleův-Hagenův vzorec pak získává tvar:

K tomu, aby krev protékala kapilárou, je zapotřebí, aby efektivní perfuzní tlak přesahoval hodnotu tzv. kritického uzavíracího tlaku. Znamená to, že krevní příkon musí dilatovat kapiláru proti tlaku intersticiálnímu a protlačit erytrocyt o průměru 7 μm luminem o něco užším, čili současně překonat deformační rezistenci krvinky. Fyziologicky klesá tlak z arteriálního konce kapiláry na konec venózní ze 4,26 kPa (32 torrů) na 2,0 kPa (15 torrů).

Začátky moderních úvah o velikosti mozkového krevního průtoku (cerebral blood flow, CBF) nacházíme v roce 1945, kdy Kety a Schmidt poprvé vyvinuli praktickou a reprodukovatelnou metodu pro stanovení mozkového průtoku na Fickově principu, měřením koncentrací oxidu dusného v arteriální krvi a v krvi jugulárních žil. Rozdíl mezi arteriálním karotickým a žilním jugulárním sycením krve se používá v některých měřeních dodnes. Fickovu formuli

CMRO2 = CBF · (ConcO2art – ConcO2ven), kde CMRO2 (cerebral metabolic rate of oxygen) je metabolický obrat kyslíku, Conc jsou koncentrace O2 v hemoglobinu tepen a žil,

lze dnes využít dokonce i při měření aktivačních testů s minimálními změnami hladin.

relativní transportní kapacita kyslíku (%) viskozita (cp) viskozita relativní transportní kapacita kyslíku

hematokrit (%)

Obr. 3.3 Závislost relativní transportní krevní kapacity kyslíku na hematokritu a viskozitě. Maximální míry dosahuje transport kyslíku př i hematokritu kolem 30. Vyšší hematokrity – zejména nad fyziologické hodnoty – snižují transportní výkon a nar ů stající viskozitou ztěžují tokové vlastnosti krve. (Siegenthaler W. Klinische Pathophysiologie. Stuttgart: Georg Thieme Verlag, 1979; se souhlasem)

Další historický rozvoj zaznamenaly metody měření CBF použitím radioaktivních tracerů (Lassen, Lewis, Ingvar) založených na detekci beta záření (Kr85) a gama záření (Kr79, později Xe133). Vzájemné srovnání výsledků z různých izotopů nedávalo zcela shodné hodnoty, protože různá povaha záření referovala o různě vzdálených vrstvách mozkové tkáně a detektory sledovaly jednou válec, jindy kužel. Největšího rozšíření dosáhla v 70. a 80. letech clearencová metoda s použitím Xe133, dovolujícího sledovat gama-emisi přes intaktní lebku. Měření CBF spočívalo ve zjištění tzv. „vyplavovací křivky“ (wash-out curve) z logaritmického poklesu izotopové koncentrace po zastavení inhalační, intraarteriální nebo intravenózní dodávky izotopu při vytvořeném mozkovém ekvilibriu. Experimentálně bylo prokázáno, že počáteční, strmá část křivky byla funkcí převážně šedé hmoty mozkové, kdežto pozdější, pozvolnější pokles křivky byl určován pomalejším vyplavováním izotopu z bílé hmoty. Tím bylo do jisté míry možné měřit rCBF v těchto oddělených kompartmentech odděleně. Absolutní čísla z jednotlivých metod dovolovala srovnání jen obrysové – v šedé hmotě se rozdíly pohybovaly mezi 10 % a 35 %, v bílé hmotě byly ještě mnohem větší. Přesto však bylo možno stanovit, že průtok v šedé hmotě je proti bílé asi 4× vyšší. Se zavedením dalších izotopů a hlavně kvalitních počítačových metod, které poskytují pohledy na mozek v rovinách axiálních, jsou dnešní měření mnohem hodnotnější (kap. 3.3.2.2.)

3.2 Hemodynamické vztahy

jednotlivých částí cévního řečiště

Na své cestě z aorty do vena cava prochází krev řečištěm o různých objemových, rychlostních i odporových vlastnostech. Představu o distribuci krve a podílu jednotlivých složek na parametrech krevního průtoku lze nejlépe získat z obrázku 3.4.

Arteriální přítok ztrácí v menších tepnách svůj pulzující moment a tato část řečiště klade krevnímu proudu relativně nejvyšší odpor. Podílí se na tvorbě periferní rezistence 63 %, takže střední arteriální tlak klesá k arteriolám ze 13 kPa na 5 kPa. Rychlost krevního proudu klesá v arteriolách úměrně zvýšené úhrnné ploše řečiště (proti aortě, která má průřez asi 4,5 cm2, se zvyšuje celkový průřez asi 9×). Kapilární podíl na celkové periferní rezistenci činí asi 21 % a díky nesmírné ploše souhrnného kapilárního průřezu (4500 cm2 v celém organizmu) zde klesá rychlost toku proti aortě tisícinásobně – asi na 0,07 cm/s. V kterémkoli okamžiku se z celkové tělesné krve nachází v kapilárách jen asi 5 %.

Po pasáži kapilárou se krevní tok opět zrychluje – s narůstajícím kalibrem žil, přičemž příspěvek rezistence řečiště jak venulárního, tak venózního je velmi malý. Jakkoli je plošný průřez kapilárním segmentem daleko největší plochou cévního řečiště, je v něm klidový krevní objem relativně malý. Největší krevní objem v každém daném okamžiku se zdržuje v žilách. Z tohoto důvodu a dále pro vlastnost zvyšovat svůj objem dilatací bez přílišného vlivu na intraluminální tlak, nazývají se venuly, vény a arteriovenózní zkraty cévami kapacitními. Naproti tomu arterie a arterioly nedovedou tak ustupovat vnitřnímu tlaku a při

a – krevní tlak, b – objem protékající krve, c – procentuální podíl na periferním odporu, d – příčná plocha řečiště, e – rychlost krevního proudu, f – objem řečiště

Obr. 3.4 Přehled hemodynamických vztahů v cévním systému (převzato z Minderhoud JM, ed. Cerebral Blood Flow. Basic Knowledge and Clinical Implications. Amsterdam-Oxford-Princeton: Excerpta Medica, 1981; se souhlasem)

svém relativně malém obsahu vyvíjejí značnou rezistenci. Odlišují se proto názvem cévy rezistenční. Účinek periferní rezistence na charakter pulzací v přívodné tepně zobrazuje obrázek 3.5.

Řečiště prekapilární a řečiště metarteriolo-venulárních zkratů má velkou kapacitu dilatace a kapacitu plnění rezervních, dočasně uzavřených kanálů. Zvyšuje tím krevní objem orgánu v zátěžových situacích. Největší plasticitu ve zvyšování objemu kapilární krve projevují svaly, plíce a kůže.

Mozkové ischemie a hemoragie

V mozkovém řečišti je role kapacitních cév zastoupena především metarteriolo-venulárními zkraty, z nichž nejčastější – o průměru 14–15 μm – se nacházejí převážně v bílé hmotě (1). Tato kapacitní část mozkového řečiště má malý krevní obrat a prodlévající krev zde má pravděpodobně relativně vyšší hematokrit než rychle cirkulující krev v hmotě šedé.

Údaj o průměrném CBF v hodnotě 50–60 ml/100 g tkáně/min je třeba chápat jako výslednici dvou rozdílných průtokových prostředí. Úměrně odlišným metabolickým požadavkům na látkovou a oxidační dodávku v šedé a bílé hmotě se liší jejich průtok. Podle Wilkinsona et al. (2) je poměr mezi šedou a bílou hmotou 4 : 1 (v šedé hmotě naměřili 86 ml, v bílé 21 ml/100 g tkáně/min). Průtoky šedou hmotou mohou při zátěži dále stoupat (90–180 ml/100 g tkáně v asociačním kortexu), takže někteří autoři, zvláště po měřeních ze zmrazených mozkových řezů zvířat, označují poměr průtoku rychlého řečiště šedé hmoty (rapid flow bed) k pomalému v bílé hmotě (slow flow bed) dokonce za šestinásobný (též kap. 5 a 9).

3.3 Konkrétní parametry mozkového

Pro chápání mozkové cirkulace je důležitá představa o fyziologických hodnotách. Jde o systolickou, diastolickou a střední tokovou rychlost ve velkých tepnách (PSV, peak systolic velocity; EDV, end-diastolic velocity; MV, mean velocity), dále intenzitu nutričního průtoku v mikrovaskulárním řečišti (CBF, cerebral blood flow), mozkový krevní objem (CBV, cerebral blood volume), metabolický obrat kyslíku (CMRO2, cerebral metabolic rate of oxygen), metabolický obrat glukózy (CMRGl, cerebral metabolic rate of glucose), extrakční frakci kyslíku (OEF, oxygen extraction fraction), pulzatilní chování toku (PI, pulsatility index), rezistenci periferního řečiště (RI, resistance index) a tranzitní čas krevní jednotky mozkovou hemisférou, většinou sledovaný jako střední tranzitní čas (MTT, mean transit time). Rozdílné okolnosti definují některé z těchto hodnot v úseku před vstupem do lebeční dutiny, v intrakraniálním úseku velkých tepen a dále periferně v etáži malých tepen a nakonec kapilár.

3.3.1 Extrakraniální tokové hodnoty

Sledovaný úsek je uložen mezi srdcem a mozkem, mezi nimiž se kinetická energie krve postupně snižuje. Zatímco v aortě se krevní tok pohybuje rychlostí přes 1 m/s, do periferie se s každým větvením tato rychlost zpomaluje, až v kapilárách se krvinka pohybuje mezi 300 a 700 μm/s. K této nutriční pasáži dodává mozku fyziologicky krev z 80 % karotické řečiště a z 20 % vertebrální. Jejich tokové rychlosti jsou pro prosperitu mozkové tkáně velmi významné. Srdeční systolou dostávají krevní elementy kinetickou energii podle vzorce 1/2 m × V2. Tato energie klesá od bifurkace k bifurkaci, jak krev protéká větvemi nižších a nižších řádů. Ve třetí generaci tepen má již pravděpodobně jen 1 % původní kinetické energie. Poměr mezi setrvačnou energií krevního sloupce a třecími silami na arteriální stěně (Rey-

noldsovo číslo) postupně klesá (3). Ve velkých tepnách je toto číslo relativně nejnižší v diastole, kdy je tak umožněn pravidelný tok krevních elementů i v místě tepenných rozšíření (např. v karotickém bulbu nebo za stenózou). Společně s klesající kinetickou energií se také zpomaluje ve filiálních tepnách krevní tok, protože rozdělením mateřské tepny se za každou bifurkací součet příčných ploch zvětšuje.

Oblast společné a vnitřní krkavice (CCA, a. carotis communis a ICA, a. carotis interna) je jedním z nejsledovanějších úseků lidského cévního řečiště. Přesto ještě v roce 2007 – 102 let po prvním Chiariho rozpoznání aterosklerózy ICA jako příčiny mozkového ischemického iktu –zůstává mnoho otázek z detailní hemodynamiky tohoto významného segmentu nevyjasněno. Ultrazvuková měření jednak metodou B-mode, jednak dopplerovským měřením rychlostí přinesla v posledních 30 letech obrovský poklad poznatků (principy viz kapitolu 8.4, patologické nálezy viz kapitolu 5.1.1). Předkládáme výsledky svých ultrasonografických měření (4) v kontextu s údaji z literatury.

3.3.1.1 A. carotis communis (CCA)

Ve své retrospektivní studii z ultrasonograficky naměřených rychlostí u 199 osob bez patologického nálezu v extrakraniálním karotickém řečišti jsme korelovali karotické rychlosti s věkem mezi 29 a 92 lety. V tomto souboru 83 mužů a 116 žen o průměrném věku 58,15 roku byla průměrná nejvyšší systolická rychlost (peak systolic velocity, PSV) v CCA 0,63 m/s. Konečné diastolické rychlosti činily 0,13 m/s. U méně než 3 % osob byly nalezeny na každé straně nulové konečné diastolické rychlosti. Mezi hodnotami získanými z levé a pravé strany nebyl podle předpokladu zjištěn signifikantní rozdíl. Věkové rozdíly viz dále.

Příkon z CCA se dělí v poměru asi 20–30 % pro zevní a 70–80 % pro vnitřní karotidu.

A. carotis interna (ICA)

Průměrná nejvyšší systolická rychlost v ICA činila 0,73 m/s. Konečná diastolická rychlost byla 0,23 m/s. Výjimečně se objevily také nulové konečné diastolické rychlosti, ale to u méně než 2 % pacientů

Pro srovnání uvádíme i hodnoty v a. carotis externa (ECA). Průměrná nejvyšší systolická rychlost v ECA byla 0,79 m/s, a konečná diastolická rychlost byla 0,11 m/s. Nulové konečné diastolické rychlosti provázely na každé straně v případě ECA méně než 8 % osob. Rychlosti systolické i konečné diastolické ve společné karotidě a její vnitřní a vnější větvi uvádí tabulka 3.1.

Pro naše závěry bylo nápadné, že rychlosti v ICA i ECA převyšují rychlost ve společné karotidě. Toto zrychlení toku ze společné karotidy do vnitřní je nejnápadnější pro konečnou diastolickou rychlost v ICA, kterou jsme nalezli téměř dvojnásobnou proti CCA i proti ECA. Nepochybně je to důsledkem nízkého periferního odporu v řečišti ICA, chráněného lebeční schránkou. V dalším sledování věkové závislosti karotických rychlostí jsme zjistili, že poměr rychlostí CCA a ICA závisí na věku a rychlost v ICA převýší CCA teprve po 55 letech věku (viz níže).

Tab. 3.1 Přehled pr ůměrných systolických a konečných diastolických rychlostí v CCA, ECA a ICA pravé a levé strany (11) rychlost m/s

DXSIN

průměrSDrozsahprůměrSDrozsah

CCA systol. 0,620,200,17–1,170,640,210,24–1,39 diastol. 0,130,060–0,320,140,060–0,38

ECA systol. 0,790,290,33–3,310,800,250,36–2,11 diastol. 0,110,060–0,320,120,060–0,34

ICA systol. 0,720,190,32–1,490,750,200,23–1,42 diastol. 0,230,090–0,510,250,090–0,55

Zvýšení rychlosti za bifurkací, unikátní proti všem jiným oblastem organizmu, musí zde být umožněno speciálním opatřením v poměru cévního lumina k periferní rezistenci. Námi zjištěné hodnoty pulzatility (PI, pulzatilní Goslingův index) a rezistence (RI, rezistenční index Pourcelotův) jsou uvedeny v tabulce 3.2. Indexy se odvozují z následujících vztahů:

kde V s a Vd jsou maximální systolická a konečná diastolická rychlost, V mean střední průtoková rychlost (5).

Z tabulky 3.2 je patrné, jak razantně klesá pulzatilita v ICA – céva jakoby saje do prostředí s nízkým periferním odporem. Přesně reciproční změna indexů nastane

v ECA. Poměry z CCA se tedy rozdvojily – snížením rezistence a pulzatility pro nízkoodporovou vnitřní karotidu, a naopak zvýšením rezistence a pulzatility pro zevní (tab. 3.2 a obr. 3.5).

3.2 Přehled pr ůměrných indexů pulzatility a rezistence v CCA, ICA a ECA s rozsahy (11)

PI

průměr1,801,202,40 rozsah0,85–2,940,65–2,161,15–5,75 SD0,400,30 0,66

RI

průměr0,780,670,86 rozsah0,57–1,760,47–1,000,66–1,00 SD0,100,09 0,07

vysoká rezistence

nízká rezistence

Obr. 3.5 Srovnání ultrasonografických dopplerovských k ř ivek př i vysoké a nízké periferní rezistenci tepenného řečiště Kontrahované arterioly vlevo způ sobují relativně nižší diastolu proti systole (EDV << PSV) a indentaci mezi pozdně systolickou decelerací a nástupem diastolické vlny. Dilatované nízkoodporové řečiště vpravo umožňuje hlavně v diastole pokračování rychlého toku, bez př ílišného omezení diastolické setrvačnosti.

Tab.

Ani za fyziologických okolností není průtoková rychlost karotickou tepnou neměnnou veličinou. Podle literatury mohou rychlosti kolísat jak během jednoho vyšetření –o 6,7 %, tak během jednoho týdne – dokonce o 21,2 % (6). Mimo to podléhají rychlosti spontánnímu kolísání v cyklech o frekvenci 0,4–0,9/min (7).

Rostoucí hematokrit způ sobuje pokles tokové rychlosti, a to v nar ů stající mí ř e s poklesem pr ů m ě ru tepny (8, 9). Aktuální systolická i diastolická hypertenze zvyšuje pr ů tokovou rychlost ve vnit ř ní karotid ě , a to o 0,24 cm/s/mm Hg, zatímco konečná diastolická rychlost

není změnami systolického krevního tlaku ovlivňována. Vzestup diastolického tlaku naopak nejvyšší systolickou rychlost snižuje (10).

Vývoj tokových rychlostí v extrakraniálním karotickém řečišti během života

Na souboru našich 199 osob bez patologického nálezu na karotických tepnách jsme pozorovali, že nejvyšší systolická i konečná diastolická rychlost ve všech 3 karotic-

systolické rychlosti 0,00 0,10 0,20 0,30 0,40 0,50 0,60 0,70 0,80 0,90 1,00

diastolické rychlosti

020406080100

020406080100

020406080100

Obr. 3.6 (a) Vývoj systolických a diastolických rychlostí v CCA, ICA a ECA v pr ůběhu života (4, 11). Pokles rychlostí v CCA je strmější a př ibližně po 55. roce věku systolická rychlost v ICA převyšuje PSV v CCA. ( b) Rozptyl skutečných naměřených systolických a diastolických hodnot v CCA. (c) Rozptyl skutečných naměřených systolických a diastolických hodnot v ICA. (Z dizertační práce MUDr. D. Tejklové, Ph.D.)

kých tepnách obou stran klesají v průběhu života. Mezi 30 a 90 lety poklesnou tyto rychlosti v CCA téměř o polovinu. V ECA a ICA klesají za život o necelou polovinu v případě systolických rychlostí, méně výrazně – kolem jedné třetiny pak v případu rychlostí diastolických (obr. 3.6). Systolickou rychlost v CCA je tedy možno pro konkrétní věk stanovit podle vzorce Vsyst. = 0,956 – (0,0064 × věk) m/s. Pokles systolické rychlosti v CCA se pohybuje kolem 7 mm/s/rok. V ECA klesají systolické rychlosti pomaleji, o 3,10 mm/s ročně. ICA drží své systolické rychlosti poměrně nejpevněji, když ztrácí ročně pouze 2,3 mm/s. Roční poklesy diastolických rychlostí ve všech 3 karotických tepnách obou stran se pohybují mezi 1,72 a 2,28 mm/s. Velmi významným zjištěním u klesajících rychlostí ve společné karotidě a vnitřní karotidě je protětí jejich rychlostního vývoje ve věku mezi 50 a 60 lety (11). Demonstruje, že u mladých lidí je všeobecně rychlost průtoku ve společné karotidě proti vnitřní ještě vyšší; ve vyšším věku však v důsledku rychlejšího poklesu v dilatující se CCA přestává tento vztah platit, protože ICA si svůj rychlý tok udržuje i do stáří. Preferenční nízká rezistence intrakraniálního oběhu tak způsobí, že nad 50–60 let věku krevní tok z CCA do ICA i do ECA zrychluje. Tím dochází k jevu, v organizmu zcela neobvyklému, že filiální tepny mají rychlejší krevní pasáž než céva mateřská.

Lineární poklesy průtokových rychlostí s věkem popsala řada autorů v tepnách extrakraniálních (8, 12, 13) i intrakraniálních. Je možno je pozorovat společně s narůstajícím průměrem lumina. Zvětšující se příčný průřez lumina (12, 13) v důsledku protahování elastických fibrózních vláken v cévní stěně (14) dovoluje transportovat i při poklesu rychlosti stále ještě adekvátní krevní objemy. Mimoto klesá s věkem také nástěnný třecí stres, z největší části opět v důsledku rozšiřujícího se lumina (15).

Vzájemné vztahy a motilita karotických tepen

Průměrné indexy rezistence v obou CCA, totiž 0,78, klesají za bifurkací v ICA na 0,67, respektive 0,66. Naproti tomu v ECA obou stran jsou ze všech 3 karotických tepen nejvyšší, totiž 0,86. V CCA se věková závislost neprokázala, v ICA index během života stoupá (0,0018 ročně), podobně jako též v ECA. Indexy pulzatility se ve všech vyšetřovaných tepnách výrazně liší. Průměrná hodnota 1,8 v CCA za bifurkací stoupá zřetelně v ECA na 2,4, kdežto v ICA klesá na 1,2!! S věkem se indexy pulzatility mírně zvyšují pouze v obou dceřiných tepnách za bifurkací (11).

Další údaje o rozměrech a systolických distenzích oblasti karotické bifurkace nám podávají např. Robert S. Reneman se spolupracovníky na základě svých speciálních US měření na mladých i starších zdravých dobrovolnících. Kromě axiálního i radiálního směru krevního proudu měřili tito autoři i roztažitelnost jednotlivých úseků karotid při srdečním cyklu:

Úhel mezi osou ICA a CCA je odchýlen u mladých (20–30 let) o 10,8 ± 5,2 °, u starších (50–60 let) o 12,6 ± 3,5 °. Průměr CCA 6,2 ± 0,5 mm je v odstupujícím ústí karotického bulbu shodný (6,2 ± 1,0) a za bulbem klesá na 5,4 ± 0,9 mm v distálním úseku ICA. Ve stáří se všechny průměry zvyšují distenzí cévní stěny: 6,4 ± 1,0 mm v CCA

Obr. 3.7 Aterosklerotická bifurkace CCA, stenóza a. carotis interna v bulbu aterosklerotickým plátem (plná šipka). Přerušovaná šipka označ uje odstup CCA z aortálního oblouku.

se dále zvyšuje v bulbárním ústí ICA na 6,9 ± 1,0 mm a za bulbem činí v distálním úseku ICA 6,2 ± 0,6 mm. Maximální rozšíření karotického bulbu vzhledem k distálnímu standardnímu úseku ICA je mezi mladými a staršími podobné, totiž 14,8, respektive 14,5 %.

Při srdečním cyklu prodělává každý z úseků karotického řečiště následující systolickou vazodilataci: CCA 9,6 % u mladých, 5,6 % u starších, bulbus 11,7 % u mladých a 4,4 % u starších, ICA 9,0 % u mladých a 4,9 % u starých (vše 20–30 let v. 50–60 let). Celkem tedy lumina starších lidí jsou ve všech úsecích širší, ale distenzibilita je naopak menší. Mladý člověk s elastickou cévní stěnou více spolupracuje na kardiální revoluci svými pulzujícími cévami. Protože u obou skupin byli vybráni jedinci s tlakem 140/90, je tento rozdíl skutečně funkcí rozdílné kvality cévní stěny. Významné je to, že u mladých lidí je karotický bulbus nejroztažitelnějším úsekem tohoto karotického oddílu, zatímco u starších lidí je úsekem nejméně distenzibilním (16). Dis-

tenční transmurální tlaky dosahují podle měření Naumanna a Schmida-Schönbeina 1300–1800 N/m2. Tažný třecí stres docílí naproti tomu pouze 1–2 N/m2.

Tokové rozhraní mezi ICA a ECA bylo histologicky studováno. Přes vysoký tažný stres na postranních plochách této hrany není zde obvykle endoteliální výstelka narušena; pouze kuboidní (zřejmě obranný) epitel tohoto místa se liší od podélně orientovaných endoteliálních buněk na stěnách CCA i ICA (17).

Síla stěny CCA a ICA, pohybující se mezi 0,5 a 1 mm, se během života zvyšuje, a to průměrně o 0,010 mm/rok v CCA a 0,010–0,014 v ICA (18).

Rozdíly mezi pulzacemi krevního toku a pulzacemi distenčního tlaku na karotických tepnách mezi mladými a starými jsou uvedeny v kapitole 5.1.1.

Vzájemná vazba průtokových hodnot mezi homo- a kontralaterální karotidou se projeví v patologických podmínkách, kdy aterosklerotické a stenotické procesy ovlivňují rychlosti toku a rezistence. Je o nich zmínka v kapitole 5.1.1.

Velmi zajímavým úsekem vnitřní karotidy je segment v canalis caroticus a jeho pokračování v sinus cavernosus. I zde nastává úkaz, v celém organizmu dvojnásobně unikátní: Tepna zde prochází v těsném kanálku kostí (obr. 2.2 a 3.8), kde se zřejmě nemůže pulzačně roztahovat. Vzápětí vstupuje „do žíly“, do prostředí sinusu, kde je obtékána venózní krví. Zřejmě zde pracuje jako čerpadlo, pulzující žilní krev z intrakraniálního prostoru do jugulárních žil. Představuji si, že pulzační vektor, pracující napříč cévním luminem, je v canalis caroticus potlačen a orientován kupředu v dlouhé ose tepny. Při vtoku do kavernózního sinu se naopak zase uvolňuje pro pulzace příčné a podporuje žilní odtok (obr. 3.8). Pulzační efekty tohoto čerpadla spolu s pulzacemi cerebrálních tepen budou pravděpodobně ve svém rytmickém účinku na cirkulaci likvoru v úžinách komorového systému rozhodující pro vznik a rozvoj normotenzního hydrocefalu. Pro potvrzení této hypotézy by

Obr. 3.8 Pr ůchod vnit ř ní karotidy kostě ným karotickým kanálem a následně kavernózním sinem. Šipka označ uje karotický sifon a pr ůchod durou mater, kroužek vstup do canalis caroticus.

bylo zapotřebí měření intraluminálních oscilací v bazálních žilních splavech a v likvorových cestách.

3.3.1.2 Průtokové rychlosti ve vertebrobazilárním řečišti

Vertebrální tepny (VA) mají z hlediska hemodynamiky mnohé vlastnosti obdobné jako vnitřní karotické tepny, neboť cílový orgán jejich zásobení je shodný. Vyznačují se však některými pozoruhodnými specifiky. Šíře lumina je relativně variabilní, její absolutní velikost závisí i na metodě měření. Průměrná šíře vertebrální tepny se uvádí mezi 3,4 a 3,8 mm (segment V1, přibližně o 0,2 mm širší bývá ve většině sestav levá VA) a mírně narůstá s přibývajícím věkem pacienta. Unikátní zajímavostí je negativní závislost mezi šířemi pravé a levé VA (je-li jedna z tepen širší, je pravděpodobné, že u stejného pacienta bude druhá VA užší než norma a naopak), která se pozoruje na větších souborech pacientů ze všech extrakraniálních tepen pouze na tepnách vertebrálních (19). Fyziologický tok je orientován kraniálně, je laminárního charakteru a kontinuálního typu (nalézáme stejný směr toku a nižší index pulzatility –PI – než na stejnostranné společné karotidě). Mezi faktory ovlivňujícími průtokové parametry VA u konkrétního pacienta je nutno kromě systémových vlivů, popsaných v závěru kapitoly 3.3.1., zmínit poměrně četné anatomické anomálie. Patří mezi ně například možnost zakončení vertebrální tepny v podobě zadní mozečkové tepny (PICA) bez vytvoření junkce s druhou, nebo anomální průběhy a variabilní šíře krčních segmentů VA. Z hlediska hemodynamiky jsou významné především hypoplazie (kap. 8.3.2). Hodnoty průtokových rychlostí a ostatních hemodynamických parametrů VA by měly být proto vždy porovnány oboustranně a posuzovány v relaci s průměrem tepny a ostatními anatomickými okolnostmi (5, 18).

Turn static files into dynamic content formats.

Create a flipbook
Issuu converts static files into: digital portfolios, online yearbooks, online catalogs, digital photo albums and more. Sign up and create your flipbook.