Dental Technology Today, Spring 2026

Page 1


O verthinking is NOT a Management Strategy M astering Full-Arch Implant Aesthetics Through a 100%

MultiColor

Incisal layer

Basic tooth shade

Cervical layer

86% filled for enhanced strength and excellent wear resistance

Toothlike elasticity and thermal expansion allows for thinner crown margins

Natural esthetics with enhanced color stability and polish retention

No firing required for true one-appointment dentistry

Easy intraoral polishability, characterization and repair

Available in six MultiColor variations for enhanced, natural esthetics

98.4 mm × 15 mm size capable of up to 30 restorations per disc

Your Source for Teeth

One of the largest stocks under one roof in Canada!

Distributor for the following brands:

Overnight delivery service!

Contact your sales representative or our tooth counter for consignment requirements. Servicing Canadian Laboratories & Denturists for over 70 years!

NEW! VITA 3D PRINT

Unlock the full power of 3D printing with VITA VIONIC® Solutions — where innovation meets reliability. Now you can produce lifelike restorations faster, more affordably, and with the precision your patients deserve.

Every printed tooth matches the VITA Shade System — No guessing, no remakes.

Built for long-term wear. Strength you can trust.

Fast turnaround, lower material costs, and no loss in quality.

Perfect for permament dentures and temporary crown & bridge.

THE

90C Centurian Drive, Unit 211

Markham, ON L3R 8C5

Toll Free: 877-788-ADTO (2386) (within Ontario)

Telephone: 416-742-ADTO (2386)

Fax: 416-798-2613

www.adto.ca

12100 Riverside Way, MB #273 Richmond, BC V6W 1K5

Ashley Opitz, Office Administrator

Telephone: 604-278-6279

www.dtabc.ca

©2026 Craig Kelman & Associates Ltd.

All rights reserved. The contents of this publication may not be reproduced by any means, in whole or in part, without prior written consent from the publisher.

Published by:

A

3rd Floor, 2020 Portage Avenue

Winnipeg, MB R3J 0K4

Tel: 204-985-9780

Fax: 204-985-9795

Email: anna@kelman.ca www.kelman.ca

Managing Editor: Anna Savard

Design/Layout: Dani Goulet

Marketing Manager: Chad Morrison

Advertising Coordinator: Sabrina Simmonds

Return undeliverable Canadian addresses to:

Craig Kelman & Associates

3C-2020 Portage Avenue

Winnipeg, MB R3J 0K4

Publication Mail Agreement: PM#40065075

Engineered for Precision. Designed for Ef ciency.

The Zirlux® brand has been a global leader in digital materials for years, trusted by dental labs worldwide for their esthetics, performance, and reliability.

The Zirlux® 3D Print Resins are the latest products to enter the Zirlux Digital Portfolio and are designed to integrate seamlessly into your existing work ow.

Whether you’re printing models, surgical guides, nightguards, or gingival masks, Zirlux® resins deliver the quality and reliability your lab depends on.

(921-0034)

(921-0035)

Nightguard  & Splint Print Resin

(921-0037)

(921-0036)

(921-0032)

Zirlux Nightguard  & Splint Print Resin Rigid
Zirlux Surgical Guide Print Resin (921-0033)
Zirlux
Flexible
Zirlux Model Print Resin Ivory
Zirlux Model Print Resin Light Grey
Zirlux Gingiva Mask Print Resin

MB #273 - 12100 Riverside Way Richmond, BC V6W 1K5

Ashley Opitz, Office Administrator Telephone: 604-278-6279 office@dtabc.ca www.dtabc.ca

DTABC BOARD OF DIRECTORS

PRESIDENT

Will N. Varda, RDT, Anvarda Dental Services Ltd.

VICE-PRESIDENT

Calvin Moon, RDT, Moon Dental Technology Solutions

TREASURER

Chris Opitz, RDT Shanto Dental Ceramics Ltd.

BOARD DIRECTORS

Mohammad Lashgary, RDT, Kinetic Dental Laboratory

Olaf Lutz, RDT, Okanagan Dental Lab Inc.

Justin Ku, RDT, D&R Dental Ceramics Ltd.

Daniel Taba, RDT Pacific Ceramics & Dental Laboratory Ltd.

MANAGEMENT STAFF

Lih Fen Young, RDT Executive Director lih@dtabc.ca

Ashley Opitz Office Administrator office@dtabc.ca

PAST PRESIDENT

James Neuber, RDT, Ocean Ceramics Ltd.

Sachiyo Tsunemi

Will Varda, RDT, President Dental Technicians Association of BC

Advancing Dental Technology in 2026

“We are looking for more feedback about the things our membership values, and we are considering expanding our ability to offer CE credits and more education in the future.”

Happy New Year, dear colleagues! I hope you all had some time to rest and recharge over the holidays. This is a normal sort of thing to say amongst the general population, but for us dental technicians it carries special meaning – that stretch of the ‘Christmas rush’ is uniquely familiar.

As we close off 2025, I’d like to reflect on some of the great community-building we’ve all had a hand in this past year. First and foremost, I look back quite fondly on the inaugural boat cruise and the great energy and fun everyone brought to it. It was quite the gamble in terms of funding and our ability to fill the boat, but everyone – from sponsors to participants – arrived with gusto! It really showed how many events like this are possible within our community.

We’ve also managed to push through the first-ever fee guide for our profession in BC and has now been sent to the federal government, at their request. I believe this was an invaluable step in ensuring that as the BCCOHP expands in scope, and the government dental plan gets off its feet, we are ready as a profession to assert our value and contribution. The 2026 Fee Guide will be available online on our website to DTABC members as of Jan 31, 2026.

DTABC has officially become a founding member of the new Canadian Association of Dental Technology (CADT), alongside ADTO. This achievement gives our profession representation at the federal level with other national Oral Health Associations. By working together as one unified profession across Canada, we are strengthening our voice, expanding

opportunities, and helping shape the future of dental technology on a national scale.

We are seeing more involvement from younger people on the board, which I don’t think is solely a subjective assessment based on my rapidly advancing age, and it’s very encouraging! We are looking for more feedback about the things our membership values, and we are considering expanding our ability to offer CE credits and more education in the future. There have been some changes to the way CE is handled by the BCCOHP, and it would be great if the association can be a key part of how our membership gets their credits – while also receiving real-world education they can take back to their labs and use to advance their careers.

We look forward to seeing many of our DTABC members at the Pacific Dental Conference, and especially at our High Tea event on March 7, 2026 – an excellent opportunity to connect, celebrate, and continue building our community together.

We are also excited to host the first-ever DTABC Hands-On Technical Course Day on Saturday, June 6, in Richmond, BC. More details will be shared soon, and we look forward to your participation.

As we look ahead, I welcome your comments and suggestions on how we, as an association, can better support you in 2026, and I wish you all a productive, peaceful, and fulfilling year ahead.

Cheers,

What’s Really Holding Your Lab Back?

THE MATERIAL SCIENCE GAP IS REAL. Advanced materials engineered for superior esthetics and strength require processing capabilities your 5+ year-old mill wasn't designed to handle or mill with the precision you want. Today’s DGSHAPE DWX-53 Series Dry Milling Solutions lead the category in premium restorations and consistent results to enhance your digital dentures production.

MODERN SYSTEMS DELIVER ADVANTAGES THAT ACCUMULATE.

DWX-53DC and DWX-53D o er seamless CAD integration, automated nesting, and easy maintenance that reduces labor costs and is designed to maximum productivity.

SPEED CREATES A COMPETITIVE EDGE.

Greater output in less time enables faster case turnaround times that di erentiate your lab in an increasingly competitive laboratory marketplace. Turn to DGSHAPE for 20% faster PMMA & Zirconia milling.

WHAT'S HOLDING BACK YOUR LAB'S GROWTH?

If the answer is production capabilities, let's discuss how the right investment can help position your lab for the next decade of competition.

www.rolanddga.com/dental

Box 397, 101-1001 West Broadway

Vancouver, BC V6H 4E4

90C Centurian Drive, Unit 211 Markham, ON L3R 8C5

Ashley Opitz, Administrative Assistant Toll Free: 1-888-495-4566

Toll Free: 1-877-788-ADTO (2386) (within Ontario)

Telephone: 604-278-6279

www.dentaltechniciansofbc.com

Telephone: 416-742-ADTO (2386)

ADTO PRESIDENT’S MESSAGE

Karim Sahil, MDT, RDT, President, Association of Dental Technologists of Ontario

Building a Collaborative Future with CADT and Our Members

DTABC BOARD OF DIRECTORS

ADTO EXECUTIVE BOARD OF DIRECTORS

PRESIDENT

PRESIDENT

Hal Hamilton, RDT

Karim Sahil, MDT, RDT

VICE PRESIDENT

VICE-PRESIDENT

Shabana Mirza, RDT

Chris Opitz, RDT

TREASURER

John Eggeling, RDT

Nadja Jakobi, RDT

Aura Szigiato, RDT

Greg Tamkin, RDT

SECRETARY

Stuart Thomson

Sunny Cai, RDT

MANAGEMENT STAFF

EDUCATION

Malcolm Ashford Executive Director

Tiffany Lee, DD, RDT

Debra Orozco Blanco, RDT

MEMBER BENEFITS

DIRECTOR OF COMMUNICATIONS AND MEMBER SERVICES

Chris Ji, RDT

Zhe Lin, RDT

Renata Cecconi 604-940-2995

PAST PRESIDENTS

2016-2020 - Franklin Parada

2010-2016 - Jason Robson

2007-2010 - Gabriel Ghazal

2004-2007 - Stephen DeLuca

2003 - Michael Hrabowsky

2001-2002 - Al McOrmond

2000 - David Kochberg

1999 - Thomas Kitsos

1998 - Feliks Dawidowicz

1997 - Wilhard Barth

1996 - Bob Huybrechts

1994-1995 - Andre Theberge

1992-1993 - Michael Hrabowsky

1990-1991 - Jamie Matera

1989 - Joe Nagy

Fax: 416-798-2613 www.adto.ca DENTISTRY DEPENDS ON TECHNOLOGY

“By forming CADT, we are creating a collective voice that amplifies our influence at every level – provincial, national, and even international. This unified approach ensures that the concerns and aspirations of RDTs are heard loud and clear by policymakers, educational institutions, and industry stakeholders.”

ear Members,

DAs we step into an exciting new chapter for our profession, I am thrilled to share a transformative development that will shape the future of dental technology across Canada. This year marks the formation of the Canadian Association of Dental Technology (CADT) –a national organization dedicated to uniting Registered Dental Technologists (RDTs) under one collective voice. This milestone is not just a structural change; it is a strategic leap forward in advocacy, education, and professional growth for all of us.

For years, our profession has operated within provincial boundaries, with organizations like ADTO in Ontario and our counterparts DTABC in British Columbia leading the way. While these efforts have been commendable, the challenges we face – whether in regulatory frameworks, technological advancements, or workforce development – are national in scope. CADT was born out of the recognition that collaboration is no longer optional; it is essential.

By forming CADT, we are creating a collective voice that amplifies our influence at every level – provincial, national, and even

international. This unified approach ensures that the concerns and aspirations of RDTs are heard loud and clear by policymakers, educational institutions, and industry stakeholders. Together, we can advocate for fair regulations, promote innovation, and secure the recognition our profession deserves.

Advocacy: Strength in Numbers

One of the most significant advantages of CADT is its ability to strengthen advocacy efforts. Historically, advocacy has been fragmented, with each province addressing issues independently. This often limited our impact and slowed progress. CADT changes that dynamic.

With a national platform, we can:

• Influence policy more effectively by presenting a united front to government bodies.

• Standardize best practices across provinces, ensuring consistency in quality and safety.

• Champion the role of RDTs in oral healthcare, highlighting our expertise and contributions to patient outcomes.

• Imagine the power of a single organization representing the interests of thousands of dental technologists

across Canada. That is the promise of CADT – a stronger, louder, and more coordinated voice for our profession.

Education:

Elevating Standards Nationwide

Education is the cornerstone of professional excellence, and CADT is committed to raising the bar. By pooling resources and expertise from across the country, we can develop programs that reflect the latest advancements in dental technology and meet the evolving needs of our members. Key initiatives include:

• National Continuing Education Programs: Accessible to all members, these programs will ensure that RDTs stay ahead of technological trends and regulatory changes.

• Collaborative Learning Opportunities: CADT will foster partnerships with educational institutions and industry leaders to deliver cutting-edge training.

• Knowledge Sharing Across Provinces: No longer will innovation be confined to one

region. Through CADT, best practices and breakthroughs will be shared nationwide. This commitment to education not only enhances individual skills but also elevates the profession as a whole, reinforcing our role as indispensable partners in oral healthcare.

Impact Beyond Ontario and British Columbia

While ADTO and our colleagues in British Columbia have been instrumental in laying the groundwork, CADT’s reach extends far beyond these provinces. RDTs in Alberta, Manitoba, Saskatchewan, and the Atlantic provinces will now have access to the same advocacy and educational benefits. This inclusivity ensures that every dental technologist in Canada has a seat at the table and a voice in shaping the future.

Creating a Collective Voice to Advance Dental Technology

The formation of CADT is more than an organizational change – it is a movement.

A movement to unify, to strengthen, and to lead. By coming together under one banner, we are positioning ourselves to tackle challenges head-on and seize opportunities that were previously out of reach.

As members of ADTO, you are at the forefront of this transformation. Your engagement, your ideas, and your commitment will drive CADT’s success. I encourage each of you to embrace this new era with enthusiasm and optimism. Together, we will not only advance dental technology but also secure the recognition and respect our profession deserves.

Thank you for your continued support and dedication. The future is bright, and it begins now – with CADT and with you.

Warm regards,

Association

Overthinking is NOT a Management Strategy

In reality, most lab owners are not short on intelligence, experience, or good intentions. What they are short on sometimes is decisiveness and they resort to overthinking. Instead of moving forward and making decisions, they get stuck in a loop:

• “What if this isn’t the right choice?”

• “Maybe I should wait a bit longer.”

• “I just need more information.”

• “I’m too busy to think about it right now.” And before you know it, weeks or months go by, the same problems are still there, and nothing has actually changed. Overthinking often looks like responsibility, but it usually results in procrastination.

While overthinking may feel strategic because it looks like deep thought, it’s rarely an effective management strategy. The real distinction is this:

Thinking with purpose leads to action. Thinking without a framework leads to spinning wheels and stress.

Most business decisions are not cliffs you are going to fall off of. They are just forks in the road. Both paths move you forward. They’re just different scenery.

How to Curb Overthinking

Let’s look at practical decision-making tools that help you curb overthinking and replace it with productive decision-making habits.

1. A Simple Filter:

When faced with a decision, ask yourself:

1. Does this decision align with my longterm goals?

2. Is the downside manageable if it doesn’t work perfectly?

3. Can I adjust or correct course later? If you get two out of three ‘yes’ answers, you have enough information to decide. Waiting for 100% certainty feels safe, but it usually keeps you stuck in the exact same place with the exact same problems – just with more frustration.

“You are not fragile. You are adaptable. And adaptability beats hesitation every single time. So, the next time you feel stuck, remember: You don’t need more thinking. You need a decision and the confidence that you can course-correct if needed.”

2. Time-Box the Worry

Overthinking may feel productive, but it’s really just ‘anxiety in a business suit.’ Instead, give it a container by trying this:

• Set a timer: 10-20 minutes (literally).

• Use that time to:

• List the pros/cons

• Note the worst realistic outcome

• Note the best likely outcome

• When the timer ends, you decide with the info you have. No extra rounds. No ‘sleep on it’ for the 5th night in a row. Why this works:

• Your mind stops believing it has infinite time

• You switch from emotional looping to practical thinking

• You reclaim a sense of control

And here’s the part people forget: A fast decision you can adjust is far more powerful than a perfect decision you never make.

Most successful businesses didn’t grow because every decision was flawless. They grew because decisions were made – and then improved.

3. Accountability Partners (Internal or External)

Overthinkers often overthink alone. Try bringing someone else into the process:

• A partner

• A mentor

• A trusted team member

• A consultant

Accountability means you can’t just think forever – you have to show up with a decision. And often, someone else simply saying ‘go with this’ is all the relief you need. A Final Thought That Changes Everything Instead of asking: “What if this is the wrong decision?” try asking:

“If this isn’t perfect, can I handle fixing it?”

For most lab owners, the honest answer is: Yes. Absolutely. You already do it every day.

• You handle staff issues

• You handle client problems

• You handle schedule disasters and equipment breakdowns and supply headaches

You are not fragile. You are adaptable. And adaptability beats hesitation every single time. So, the next time you feel stuck, remember: You don’t need more thinking.

You need a decision and the confidence that you can course-correct if needed.

That’s how momentum is built.

And momentum is what actually changes a practice!

Janice

Wheeler is the Sr. Practice Analyst at Northbound Consulting Inc., a management consulting and training company dedicated to helping CEOs of businesses and healthcare practices reach their full potential. For more info, call 416-694-5005, or visit our website at northboundconsulting.ca

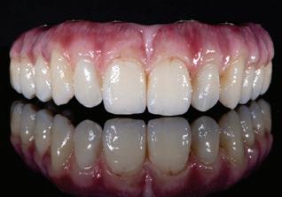
MASTERING FULL-ARCH IMPLANT

AESTHETICS THROUGH A 100% DIGITAL WORKFLOW

A synergy of technology, occlusion, and artistic vision using Zirkonzahn hardware, software and materials

Dr. Nail Dia, DMD – Dental surgeon and owner of the Le Diadentaire centre. Graduate of the Université de Montréal (2015), Dr. Dia completed a multidisciplinary residency at McGill University (2016), followed by a clinical internship in Oral and Maxillofacial Surgery at the University of Michigan (2017). His practice focuses on complex prosthetic and implant cases, with a comprehensive approach to full-mouth rehabilitation.

Chérine Zarini, OTPADQ, DT – Dental Technician & Master Ceramist. Co-founder of Quintessence Atelier Dentaire (Montreal, Canada). Specialised in full-arch restorations and digital workflows. Chérine focuses on the aesthetic and artistic dimension of restorations, bringing each case to life through texture, colour, and natural integration.

“Aprosthesis is not just a piece. It is an intention. A language. A promise to help reclaim identity and uniqueness.”

Full-arch rehabilitations represent the pinnacle of restorative dentistry demanding uncompromised precision, functional predictability, and a harmonious aesthetic outcome. As digital tools evolve, clinicians and technicians now have the opportunity to virtually plan, simulate, and execute complex cases with a level of control previously unattainable. This clinical case showcases the capabilities of a fully digital approach in managing a complex full-arch restoration on six implants. From initial scan to final ceramic finish, each stage was executed with meticulous precision, leveraging digital tools such as Face Hunter 3D facial scanner, PlaneFinder®, and virtual articulation. The result: a restoration that is biologically integrated, mechanically stable, and artistically expressive.

INITIAL DIGITAL WORKFLOW

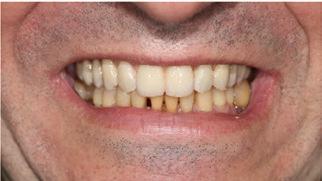
The treatment began with full-arch intraoral scans (1, 2, 3, 4). The patient was wearing a

screw-retained provisional restoration, which was scanned as a reference to guide the final design.

3D FACIAL REGISTRATION WITH FACE HUNTER AND PLANEFINDER®

In full-arch implant rehabilitation, aligning the prosthetic design with the patient’s facial harmony is essential to achieving a natural and individualised result. At Quintessence

Atelier Dentaire, this process is guided by Zirkonzahn’s advanced 3D facial analysis system, combining the Face Hunter 3D facial scanner and PlaneFinder® devices. The Face Hunter captures a high-resolution 3D image of the patient’s face (5, 6, 7), registering key aesthetic features such as lip support, smile curvature, and facial symmetry. This scan provides the visual foundation for harmonising the future prosthesis with the patient’s natural appearance. The PlaneFinder®, a complementary tool developed by Zirkonzahn, records the patient’s Natural Head Position (NHP) – a reproducible, upright posture in which the gaze is horizontal and the muscles are at rest.

This reference captures both the bipupillary line and Camper’s plane, establishing a precise virtual occlusal plane that mirrors the patient’s true anatomical orientation. In this case, the PlaneFinder® also plays a corrective role by identifying and adjusting a significant distortion in the occlusal plane and curve of Spee present in the patient’s previous prosthesis. By realigning the digital design to the correct orientation, both functional and aesthetic predictability were restored. This workflow ensures:

1, 2, 3, 4 – Full-arch intraoral scans.
Dr. Nail Dia Chérine Zarini

• an anatomically correct spatial orientation of the maxilla relative to the cranial base,

• a virtual transfer of the occlusal plane, replacing the traditional facebow,

• a balanced smile line and facial midline,

• precise incisal edge positioning guided by the patient’s natural head posture,

• accurate dynamic occlusion through virtual articulator calibration,

• seamless integration of the prosthesis into the patient’s facial architecture. By merging extra-oral 3D facial data with intraoral implant records, the Face Hunter and PlaneFinder® anchor the CAD workflow in clinical reality – ensuring not only precise function, but the recreation of the patient’s identity (8).

VIRTUAL ARTICULATION GUIDED BY PLANEFINDER®

The PlaneFinder® defined the occlusal plane using craniofacial references. This, combined with Face Hunter data, allowed precise integration into the Zirkonzahn virtual articulator (9a, b, c), ensuring dynamic balance and functional fidelity – ultimately optimising aesthetics, function, and overall prosthetic harmony.

DIGITAL

TOOTH

SETUP ALIGNED

TO FACIAL AND OCCLUSAL PLANES

Tooth placement was digitally designed using facial landmarks captured by the Face Hunter and PlaneFinder® systems, ensuring precise alignment of the occlusal plane, midline, and facial aesthetic references (10, 11). This facially driven approach integrates the patient’s anatomy from the very beginning of the prosthetic design process, resulting in a restoration that is not only functional and stable but also naturally harmonious (12, 13).

PLASTER VERIFICATION JIG

A verification jig was milled directly from the digital impression file with plaster material (14). Unlike traditional resin jigs, this one was designed to be fully screwretained on all implants simultaneously without sectioning. This technique provides a direct and unforgiving assessment of the accuracy of the digital workflow. Even the slightest deviation in the implant positions captured during intraoral scanning –whether due to scan inaccuracies or misalignment – would result in immediate fracture of the plaster jig during screw

tightening. In this case, the jig was successfully seated and fully torqued on all implants without any tension or structural failure (15). This confirmed:

• the accuracy of the digital impression,

• the passivity of the planned prosthetic fit,

• and the overall reliability of the digital workflow prior to final framework fabrication.

A verification jig was milled directly from the digital impression file with plaster material and successfully seated on all implants without any tension or structural failure, confirming the accuracy of the digital workflow performed in the previous steps.

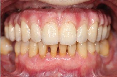
PMMA PROTOTYPE EVALUATION

A monolithic PMMA prototype was milled using Zirkonzahn’s workflow and screw-retained on all implants in the mouth (16a, 16b, 17). This prototype replicated the final design and was used to clinically validate the aesthetics, occlusion, vertical dimension, and lip support. The try-in confirmed that no modifications were needed, and the design

5, 6, 7 – The Face Hunter 3D facial scanner captured a high-resolution 3D image of the patient’s face.
8 – Intraoral scans and data obtained with the Face Hunter are merged with the information acquired via the PlaneFinder®, to obtain a digital reproduction of the patient’s physiognomy and oral situation.
9a, b, c – The PlaneFinder® combined with Face Hunter data, allowed precise integration into the Zirkonzahn virtual articulator.
10, 11 – Tooth arrangement was digitally designed using facial landmarks captured by the Face Hunter and PlaneFinder® systems, ensuring precise alignment of the occlusal plane, midline, and facial aesthetic references.
12, 13 – This facially driven approach integrates the patient’s anatomy from the very beginning of the prosthetic design process.
16a, 16b, 17 – A PMMA prototype was milled to replicate the final design and used to clinically validate the aesthetics, occlusion, vertical dimension, and lip support.
14, 15 –

could be transferred directly to the definitive zirconia structure with full confidence. This step provided both the clinician and the patient with reassurance regarding the functional and aesthetic outcome.

MILLED MODEL

The model was milled from a Zirkonzahn Model Blank, ensuring outstanding dimensional accuracy throughout the full-arch workflow (18, 19). Compared to conventional resin-printed models, which may exhibit polymerisation shrinkage or expansion over time, the milled model offers superior stability and precision. This step is critical for evaluating passivity, emergence profiles, and occlusion before sintering, minimising the risk of discrepancies during the final insertion. The use of a milled model guarantees a reliable reference that closely reflects the intraoral reality.

FINAL ZIRCONIA FRAMEWORK

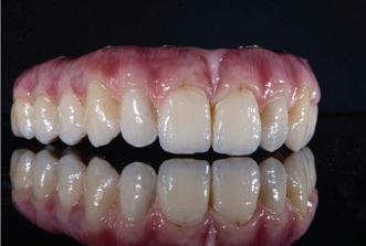
The final structure was milled from Prettau® 2 Dispersive® zirconia (20) using the M2 Dual Wet Heavy Metal milling unit (Zirkonzahn). This next-generation zirconia features an integrated chromatic gradient that mimics the natural transition from dentine to enamel –without compromising mechanical integrity. Unlike multilayered zirconia materials that vary in strength, Prettau® 2 Dispersive® maintains consistent density and flexural strength throughout the entire blanks, making it ideal for full-arch restorations on Ti-Bases. It offers a perfect balance between aesthetics and durability, ensuring both biomechanical stability and lifelike translucency.

SURFACE TEXTURING

The subtle surface texture visible after sintering was carefully designed during the zirconia’s green state. By sculpting the micro-topography before firing, we ensured precise anatomical features and controlled light reflection in the final result (21, 22). This pre-sintering approach allows for lifelike enamel-like morphology, preserved through the sintering process without compromising structural integrity. The result is a restoration that balances natural aesthetics with high-performance durability.

CERAMIC FINISH AND GINGIVAL CHARACTERISATION

A thin micro-stratification was performed using high-performance liquid ceramics to faithfully replicate the natural colour transitions of the gingiva and tooth structure (23, 24). The ceramic was applied in controlled layers, allowing for precise chromatic effects without masking the delicate micro-topography previously sculpted on the zirconia surface. Thanks to its low thickness and high translucency, the liquid ceramic preserved the anatomical texture of the framework, enhancing light diffusion and achieving a highly biomimetic integration between the restoration and the surrounding tissues.

POLISHING AND TISSUE CONTACT

The final zirconia surface was meticulously polished to achieve a smooth, glass-like finish in all areas in contact with soft tissue. This high-gloss polish minimises plaque accumulation and supports long-term tissue health by reducing inflammation risk. Special attention was given to emergence profiles and sub-gingival zones to ensure a gentle, biocompatible interface between the prosthetic and peri-implant mucosa (25, 26).

CONCLUSION

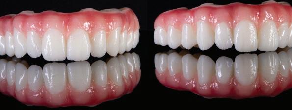
This case illustrates how a fully digital workflow – guided by facial analysis, virtual articulation, and high-precision manufacturing – can achieve not only functional excellence but also emotional resonance. Every step, from data acquisition to ceramic characterisation, was guided by a commitment to individuality, harmony, and biological respect. Additionally, the integrated Zirkonzahn ecosystem ensured consistency, accuracy and control across the entire process. The result is more than a prosthesis; it is a restoration of identity, a smile that reconnects the patient to their own sense of self (27 – 30). In the end, technology served not just precision, but purpose.

Dia, N. and Zarini, C. (2025) ‘Mastering Full-Arch Implant Aesthetics Through a 100% Digital WorkflowA synergy of technology, occlusion, and artistic vision’, first published in Labline Magazine Vol. XV. Issue 4, 10 December, pp. 2–15.

18, 19 – Milled model.
20 – Final structure milled from a Prettau® 2 Dispersive® zirconia blank.
21, 22 – By sculpting the micro-topography before firing, precise anatomical features and controlled light reflection were ensured in the final result.
23, 24 – The restoration after application of ceramics, preserving the anatomical texture of the framework.
25, 26 – The restoration after surface high-gloss polishing, with special attention to emergence profiles and subgingival zones to ensure a gentle, biocompatible interface between the prosthetic and peri-implant mucosa.
27-30 – The final Prettau® 2 Dispersive® restoration in the patient’s mouth.

BRITISH COLUMBIA

Career Opportunities

CAD/CAM Technician

Surrey

We are looking for a CAD/CAM Dental Technician with experience using exocad and Blender.

This is a full-time position, Monday to Friday, from 8:00 am to 5:00 pm. Benefits and Conditions:

• Two weeks paid vacation.

• Extended medical benefits provided after the probation period.

• Salary will be discussed after the interview ($25–$38/hour).

Nova CAD Dental Lab located near Surrey Central Station, British Columbia. Contact Information:

Email: gkdlchiny@gmail.com Phone: 604-588-5001

ONTARIO

Career Opportunities

Certified Lab Technician

Haileybury

Immediate opening for a Certified Dental Lab technician for a newly constructed state of the art in-house Laboratory located in Haileybury Ontario. Must have a minimum five years’ experience and be willing to relocate. A rare opportunity for a person with drive and the business acumen to deliver results. Ownership is being offered as part of a superior remuneration package that will include a comprehensive benefit plan. You will be rewarded for attainting the production targets we will set together. Please send your resume to firstline_dental@hotmail.ca ATTN: Henry Quinn.

For Sale

Lab for Sale

Windsor

Lab for sale or partnership.

Well established for over 10 years. Contact khalil_hamoud2@hotmail.com for details.

Lab for Sale

Established, mid-sized dental lab in a smaller city in southwestern Ontario is now available for sale, providing an excellent opportunity for an RDT to achieve professional and financial independence. As the largest provider of dental technology within its area, this lab has a consistent track record of efficiency and high profitability. This modern lab features a suite of up-to-date equipment including scanners, zirconia milling and 3D printing. It offers full services while subcontracting orthodontic and denture framework fabrication. The owner (an RDT) is prepared to remain during a negotiable transition period. Contact: beyond@bell.net

ADVERTISER PRODUCT & SERVICE CENTRE

Dental Technology Today would not be possible without the advertising support of these companies and organizations. Please think of them when you require a product or service. We have tried to make it easier for you to contact these suppliers by including their telephone numbers and websites. You can also go the electronic version at www.adto.ca or www.dtabc.ca and access direct links to any of these companies.

– Ready-to-use stains, glazes, and structure pastes with stable consistency for predictable ceramic characterization.

– Cadmium-free gingiva shades designed to match natural gingival phenotypes.

– Developed by ceramists for ceramists, featuring outstanding handling without compromise.

Discover the Ceram Art System and launch offer!

Turn static files into dynamic content formats.

Create a flipbook