Maguza 115

Page 1

maguza

Zorgmagazine van het UZA

januari 2019

Afgiftekantoor Gent X, Maguza 115, Tijdschrift –kwartaalblad, januari, februari, maart 2019, v.u. Johnny Van der Straeten, Universitair Ziekenhuis Antwerpen, Wilrijkstraat 10, 2650 Edegem

www.maguza.be – UZAnieuws UniversitairZiekenhuisAntwerpen

Verlamd na een ongeval

‘Op een dag wil ik terug klimmen’

MEDISCHE BEELDEN Beter zicht op ziekten TABAKSTOP Stoppen met roken VROUWEN & WETENSCHAP Gebeten door onderzoek

TRAUMAZORG
dossier
DE BESTE UITSTAP VOOR JE RUG! Gespecialiseerde kinesitherapeuten helpen je graag ter plaatse het beste te kiezen voor je rug. DE BESTE MATRASSEN, LATTENBODEMS, BOXSPRINGS, BEDDEN, HOOFDKUSSENS, BUREAUSTOELEN, RELAXZETELS, ZITMEUBELEN, KNIESTOELEN, BEDCANAPÉS, KLEERKASTEN ALLE MATEN. Leuvensesteenweg 338 I Boortmeerbeek I Tel. 015 52 03 60 I www.bedking.be Open: weekdagen: 10-18.30 u. - za. 10-18 u. - zon. open 14-18 u. - di. & feestd. gesloten OUTLETSHOP op www.bedking.be Gratis computergestuurde meting. Uniek in België! Keuze uit meer dan 100 relaxen en salons.

Na een zwaar onge val hebben patiënten de beste kansen in een gespecialiseerd traumacentrum. In het UZA schiet meteen een multidisciplinaire zorgketen in gang.

08 12 17

MEDISCH

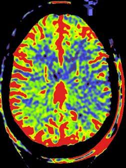
Medische beelden wijzen de weg

Hoe krijgen oude medicijnen nieuwe toepassingen?

Hartproblemen na kanker: beter voorkomen

28 30

GEZOND ZORG

Op skivakantie? Bereid je voor! Stoppen met roken: Yes you can!

32 34 39

Vrouwen in de wetenschap: Eva Lion en Angelique Van Ombergen

Maak kennis met de Kinderraad van het UZA

Nieuwe afdeling, meer comfort

Alle artikels zijn te vinden op

Nog voor het slachtoffer hier is, staat al een gespecialiseerd traumateam klaar

14 35 36

EN VERDER

Uitgedokterd: Stilstaan bij reanimeren

U zegt: Kamersupplement

Witjas van dienst: sociaal werker Mariska

Schrijf je vandaag nog in op onze elektronische nieuwsbrief.

Ga naar www.maguza.be/ abonnement

3 IN DIT NUMMER
19
32 8
dossier TRAUMAZORG
WETENSCHAPPERS SKIVAKANTIE
BEELDEN
Dr. Philip Verdonck, urgentiearts 28
VROUWELIJKE
MEDISCHE

recisiegeneeskunde heeft als doel behandelingen aan te passen aan de individuele kenmerken van een patiënt. Het ambitieuze achterliggende idee is dat het verzamelen van informatie over genetica, biomarkers, levensstijl en omgevingsfactoren van zeer grote groepen patiënten, wetenschappers meer inzicht zal geven om ziekten sneller te voorspellen, te diagnosticeren en hopelijk ook te behandelen. Het is de nieuwe vorm van preventieve geneeskunde.

Terwijl wetenschappers zich meer en meer toeleggen op machine learning en artificiële intelligentie (AI), blijft het de vraag of daarmee betere resultaten zullen worden bereikt dan met de huidige geneeskunde en tegen welke kosten. Met iemands BMI, rookgedrag, voedingspatroon, alcoholconsumptie en beweging kunnen we ook zijn levensverwach ting voorspellen …

Machine learning is de wetenschap om computers zelflerend te maken, zonder menselijke programmatie. Een algoritme is een wiskundig proces dat computers vertelt wat ze moeten doen. AI is een manier om, aan de hand van algoritmes, uit een enorme hoeveelheid data (de juiste) conclusies te trekken. Die algoritmes worden ook ‘neurale netwerken’ genoemd, omdat ze kunnen leren en verbeteren zoals menselijke herse nen, alleen veel sneller.

Hoe snel zal onze geneeskunde daardoor veranderen? Stap voor stap. Om AI in de dagelijkse klinische praktijk te krijgen, moeten enorme bestanden verzameld en gestructureerd worden om de algoritmes te trainen. Ze moeten dan goedgekeurd worden voor medisch gebruik. Ze moeten aangepast worden aan de verschil lende elektronische patiëntendossiers. Daarna spreken we niet meer over AI, maar over ‘slimme dingen’: een slimmere smartphone, een slimmere CT, een slimmer labo, of een slimmere arts.

Dan blijft alleen nog het moeilijkste over: ons ongezond gedrag veranderen.

4
Hoe snel zullen nieuwe technologieën onze geneeskunde veranderen?
Slim P

Racen op Francorchamps

In oktober kregen een aantal chronische patiënten uit het Moeder- en kindcentrum van het UZA een unieke blik achter de schermen van het circuit Spa Francorchamps, dankzij de UZA Foundation, de Jan Vertonghen Foundation en Join the Belgians. Ze ruilden hun ziekenhuiskamer tijdelijk voor een racewagen en reden met professionele piloten mee het circuit op. Het werd voor iedereen een onvergetelijke dag! De Jan Vertonghen Foundation wil zoveel mogelijk kinderen aanzetten tot spelen, bewegen, creatief zijn en het beste uit zichzelf halen, ook als ze ziek zijn of in het ziekenhuis verblijven. Daarom organiseert de Foundation geregeld ook activiteiten voor de kinderen van het Moederen kindcentrum.

5 DOORGELICHT

is niet uitzonderlijk dat jongeren na excessief alcoholgebruik op intensieve terechtkomen’

Het aantal jongeren tussen 12 en 17 jaar dat met een alcoholintoxicatie in het ziekenhuis belandt, bereikte een recordhoogte in 2017. Prof. dr. Jozef De Dooy van intensieve zorg gaf toelichting op Radio 1 en bena drukte dat er momenteel voor die jongeren geen goede nabehandeling

of opvolging bestaat. Nochtans kan dat binge-drinken op jonge leeftijd erg zware gevolgen hebben.

Het UZA volgen?

facebook.com/UniversitairZiekenhuisAntwerpen twitter.com/UZAnieuws

Pasgeborenen getest op mucoviscidose

Vanaf 1 januari wordt ook mucovis cidose of taaislijmziekte opgespoord bij pasgeboren baby’tjes. Het aantal ziekten in het Bevolkingsonder zoek Aangeboren Aandoeningen komt zo op twaalf. Vroeger heette dat onderzoek de hielprik, maar vandaag krijgt de baby een prikje in de rug van de hand om bloed af te nemen. De test gebeurt vaak nog in de materniteit, aangezien hij het best gebeurt de vierde dag na de geboorte. Bij thuisbevallingen of kort verblijf in het ziekenhuis kan ook de vroedvrouw, huis of

kinderarts de test doen. Het is in elk geval belangrijk dat hij gebeurt, zodat de twaalf zware aangeboren ziekten vroegtijdig worden opge spoord en de behandeling op tijd kan starten. Nieuw vanaf 1 januari is dat ouders hun geïnformeerde toe stemming moeten geven, die wordt genoteerd op het bloedkaartje.

Meer info: aangeboren.bevolkingson derzoek.be, of bij uw huisarts, vroedvrouw, kinder arts of materniteit.

2000 mannen gezocht!

Ben je tussen 45 en 75 jaar oud en van het mannelijke geslacht? Dan kun je deelnemen aan het onderzoeksproject Master@heart. Met die studie willen het UZA, UZ Leuven en Hartcentrum Hasselt nagaan wat de gevolgen zijn van jarenlange sportbeoefening op het hart en hoe personen ouder dan 45 op een verantwoorde manier kun nen sporten. Duursport (langer dan een half uur aan één stuk spor ten) zorgt namelijk voor een lager risico op kransslagaderproblemen, maar tegelijk voor een hoger risico op ritmestoornissen en littekens op de hartspier. Voor de studie zoekt

men mannelijke 45 plussers die niet aan duursport doen, mannen die al heel lang aan duursport doen en mannen die daar op latere leeftijd mee zijn begonnen. Het eerste luik van de studie bestaat uit een vragenlijst, in te vullen op de website www.masteratheart.be. Uit de deelnemers worden vervolgens 600 personen geselecteerd die ver schillende onderzoeken ondergaan om hun cardiale gezondheidstoe stand in kaart te brengen en twee jaar lang op te volgen.

Meer info of deelnemen? www.masteratheart.be

Welkom in het Teddy Bear Hospital

Op zaterdag 6 april zijn kinderen tussen 4 en 7 jaar oud en hun knuf fels opnieuw welkom in het Teddy Bear Hospital in het UZA. Inschrij ven kan online, vanaf 25 februari. Teddy Bear Hospital is intussen een jaarlijkse traditie: studenten genees kunde laten jonge kinderen die dag spelenderwijs kennismaken met het ziekenhuis, om zo de angst voor

dokters en ziek zijn weg te nemen of voor te zijn. De kinderen gaan met hun knuffel op raadpleging bij de dokter en kunnen de dokter ook assisteren bij een onderzoek, behandeling of operatie.

Info en inschrijven (vanaf 25 februari): www.teddybearhospital.be

6 KORT
‘Het

LEESTIP

In België heeft bijna 1 op 5 kinderen overgewicht of obesitas. Te energierijke voeding en te weinig bewegen zijn nog steeds belangrijke oorzaken, maar ook genetische aanleg kan een rol spelen. In haar boek ‘Leven met een extra rugzak’ helpt UZA kinderarts prof. Kim Van Hoorenbeeck kinderen en ouders om overgewicht doeltreffend aan te pakken en een gezondere levensstijl aan te nemen. Ze vertaalt op een laagdrempelige manier haar ervaring binnen het kinderobesi tasteam van het UZA en haar expertise inzake voedingswetenschap. Ook het belang van sociale en emotionele factoren komt aan bod. Het boek kan voor elk gezin een leidraad zijn voor betere voe dingskeuzes in een wereld van overvloed.

Leven met een extra rugzak, Kim Van Hoorenbeeck, 144 blz., uitgegeven bij Manteau.

Groendienst beschermt biodiversiteit

De groendienst van het UZA engageert zich om bij de aanleg en het onderhoud van het groen rond het UZA aandacht te hebben voor biodiversiteit. Daarvoor hebben we de Green Deal Bedrijven & Biodiversiteit van de Vlaamse

overheid ondertekend. Het UZA investeert bewust in een groene omgeving rond het zie kenhuis. Dat is goed voor de gezondheid van de patiënten, en in de toekomst dus ook nog beter voor de planten en de beestjes die er leven!

Onze patiënten en bezoekers mogen er gerust in zijn: deze winter beschermen wij hen tegen de griep. 80% van onze zorgverleners liet zich vaccineren. Infectiepreventie staat in het UZA hoog op de agenda. Net als bij andere infectieziekten als de mazelen of kinkhoest,

hangt de bescherming van het individu sterk af van de groepsimmuniteit. Hoe meer mensen gevaccineerd zijn, hoe minder kans het virus heeft om in de groep voor te komen. Daarom streven we een zo hoog mogelijke vaccinatiegraad na binnen elk team.

7
Leven met een extra rugzak
80% van de UZA-medewerkers heeft zich dit najaar laten inenten tegen griep.

1 Prof. dr. Paul Parizel, diensthoofd radiologie

2 Prof. dr. Dirk Ysebaert, diensthoofd hepatobiliaire, transplantatie en endocriene heelkunde

3 Prof. dr. Tomas Menovsky, diensthoofd neurochirurgie

4 Prof. dr. Wiebren Tjalma, medisch coördinator van de borstkliniek

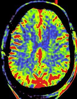
Geavanceerde beelden

wijzen de weg

‘Twee tumoren net op tijd ontdekt’

Geavanceerde medische beelden bren gen artsen dichter bij de juiste behandeling. In deze drie gevallen werd een ingrijpende operatie vermeden, een hersenprobleem doelgericht aan gepakt en een tweede tumor net op tijd ontdekt.

De medische beeld vorming is in volle evolutie. ‘We kunnen veel meer ziektebeel den tot in detail in beeld brengen’, zegt prof. dr. Paul Parizel, dienst hoofd radiologie. ‘Computerpro gramma’s maken het ook mogelijk om geavanceerde berekeningen te maken, bijvoorbeeld over de bloed toevoer naar bepaalde tumoren in de hersenen.’ De technieken hebben grote voordelen voor de behande ling: ‘Specialisten weten beter welk gebied ze moeten behandelen en kunnen voorspellen welke behande ling zal aanslaan.’

Volgens Parizel moet de medische beeldvorming daarom ook deel uitmaken van afwegingen over

de kosten en baten van medische behandelingen, de zogenaamde value based healthcare. ‘Momen teel vertrekken alle economische berekeningen vanuit de diagnose. Terwijl de weg naar de diagnose, de medische beeldvorming dus, een grote invloed heeft op de gekozen behan deling en dus ook op de uiteinde lijke kostprijs.’

8 MEDISCH
1 2 4

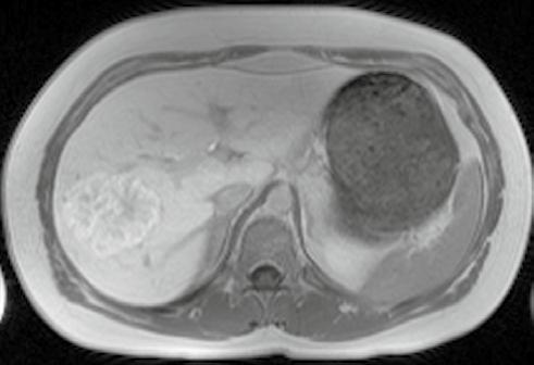
Op de beelden was te zien dat de afwijking in de lever goedaardig was, waardoor een operatie niet noodzakelijk bleek.

Dankzij de bijkomende MRI kwamen de artsen te weten dat er niet één, maar drie letsels waren.

Letsel bleek goedaardig Er was een tweede en derde tumor

Prof. dr. Dirk Ysebaert, diensthoofd hepatobiliaire, transplantatie en endocriene heelkunde: ‘In een regi onaal ziekenhuis ontdekten artsen bij een vrouw van 36 een levertu mor. Ze werd doorverwezen naar onze dienst voor een leveroperatie.’ Samen met radioloog dr. Bart Op de Beeck, kliniekhoofd Body imaging, bekeek Ysebaert de oorspronke lijke beelden. ‘We besloten om niet meteen te opereren, maar eerst te bepalen of de afwijking goed of kwaadaardig was, via een MRI met levercontrastmiddel.’

Uit de nieuwe scan bleek dat het

om een goedaardige afwijking ging. ‘In dat geval was het niet nodig om de dame te opereren. Een goedaardige afwijking kan in principe geen kwaad. We hebben de dame opgevolgd, en ook na drie jaar was de afwijking ongewijzigd.’ Een grote opluchting voor de vrouw in kwestie. Ysebaert: ‘Bij een operatie zouden we bijna de helft van de lever hebben moeten wegnemen.

Dankzij de geavanceerde beeld vorming die we als universitair ziekenhuis kunnen aanbieden, hebben we dus een zware operatie kunnen vermijden.’

‘Voor een goede diagnose moet je samen met de radioloog alle infor matie in overweging nemen’, zegt prof. dr. Wiebren Tjalma, medisch coördinator van de borstkliniek. Hij geeft het voorbeeld van een vrouw van 55 die zelf een knobbeltje in haar borst ontdekte. Tjalma: ‘Tij dens het klinisch onderzoek voelde ik bij haar een letsel. Maar de beel den van de mammografie kwamen daar niet helemaal mee overeen: het letsel dat ik gevoeld had, leek me groter.’ Tjalma overlegde daarover met de radioloog: ‘Het was weefsel met erg veel klieren, waardoor we

De bijkomende beelden veranderden de hele aanpak.

eigenlijk niet goed konden zien of er eventueel nog een tweede letsel kon zijn. Daarom beslisten we om een bijkomende MRI en een echo te laten maken. Daarop zagen we inderdaad een tweede en een derde letsel in de borst.’

Analyse in een paar seconden met AI

Bij artificiële intelligentie (AI) denken we meteen aan robots en zelfrijdende auto’s, maar die nieuwe technieken worden ook gebruikt bij medische beeldvorming. Parizel: ‘Bij patiënten met multiple sclerose bepalen we aan

de hand van de evolutie van de her senscans of de medicatie voldoende aanslaat. De computersoftware Icometrix kan door de datapunten te vergelijken, berekenen welke letsels zijn toegenomen, afgenomen of gelijk

gebleven. Zo’n diepgaande analyse is voor een radioloog zeer tijdrovend en zelfs dan blijft het een onnauwkeu rige techniek. Artificiële intelligentie doet de gedetailleerde analyse in enkele seconden.’

Na een biopsie in alle letsels bleek het om drie kwaadaardige gezwellen te gaan. Tjalma: ‘Dat ver anderde de hele aanpak. Eén gezwel konden we verwijderen met een borstsparende operatie, twee niet. Na overleg met artsen uit verschil lende disciplines was het advies om beide letsels te verwijderen, wat in de praktijk neerkwam op een borstverwijdering. Voor de patiënt was dat uiteraard een zware dobber, maar ook een geruststelling, omdat het tweede gezwel was ontdekt en behandeld. De multidiscipli naire aanpak voor de start van de behandeling was dus een groot voordeel voor de patiënte.’

9 ➝
Geslacht / Leeftijd
AFWIJKING IN LEVER BORSTKANKER 36 55 V V
Geslacht / Leeftijd

De radioloog kan vanuit zijn vakgebied be langrijke aan vullingen geven aan de arts.

Ook binnen de neurochirurgie zetten geavanceerde beeldvor mingstechnieken de artsen op de juiste weg. Prof. dr. Tomas Menovsky, diensthoofd neurochi rurgie: ‘Een man van 57 werd naar ons doorverwezen omdat hij last had van vermoeidheid, hoofdpijn en verminderde kracht in armen en benen. De CT scan toonde geen duidelijke afwijkingen. We hadden enkel een vermoeden van het pro

bleem op basis van de klachten.’

Om het probleemgebied duidelijk in kaart te brengen, werd uitgewe ken naar een perfusiescan die via contrastvloeistof de doorbloeding van de hersenen in beeld brengt. Menovsky: ‘We interpreteren de beelden altijd samen met de radioloog. Vanuit hun vakgebied zien ze dingen die wij niet zien, en omgekeerd.’ Op de beelden was te zien dat een bepaald deel van

Op het linkerbeeld is te zien dat de bloedvaten in de hersenen meer moeite hebben om de bloedtoevoer in de hersenen te garanderen. Op het beeld rechts, na de operatie, is het probleem hersteld.

Wedstrijd: mens vs. computer

Als je een zelflerend computer programma duizenden scans geeft van hersentumoren met bijhorende diagnose, kan het dan zelf een nieuwe diagnose stellen? Dat was de vraag op de CHAIN Cup, een wel heel bijzondere wedstrijd tussen mens en computer in China. Prof. dr. Parizel zat in de jury. Het verdict:

het computerprogramma stelde in 87% van de gevallen de juiste diagnose, de 15 topdokters uit Chinese ziekenhuizen slechts in 66% van de gevallen. De dokters deden het niet slecht, zeker voor vaak voorkomende aan doeningen, maar de computer was veel beter voor zeldzame, weinig voorkomende tumoren.

de hersenen onvoldoende door bloed was. ‘Op basis daarvan was een bypass de beste behandeling. Tijdens een operatie maakten we een luik in de schedel en verbonden we een slagader van de huid met het deel van de hersenen dat onvol doende doorbloed was. Dat heeft het probleem opgelost voor die patiënt. Met dank aan de precieze beelden. Zonder die beelden was de ingreep nooit mogelijk geweest.’

‘Computersoftware zal de arts nog niet vervangen’, zegt Parizel. ‘Maar het biedt wel mogelijkheden. Zie het als een gps in een auto: het programma doet voorstellen, maar de arts beslist. Die heeft meer overzicht en houdt ook rekening met andere factoren zoals de alge mene gezondheid van de patiënt of de familiale situatie.’

10
MEDISCH
57
Geslacht / Leeftijd
DOORBLOEDINGSPROBLEEM HERSENEN
M
Onvoldoende zuurstof in deel van hersenen

Zeg niet zomaar scan …

11
40.000 röntgenopnames borstkas 30.000 algemene röntgenopnames 20.000 MRI scans 34.700 CT-scans 10.600 echografiëen 5.000 mammografieën 15% andere 24% röntgenopnames borstkas 18% algemene röntgenopnames 21% CT-scans 12% MRI scans 7% echografiëen 3% mammografieën
In het UZA gebeuren op de dienst medische beeldvorming elk jaar meer dan 165.000 radiologische verrichtingen. De röntgenstralen en hun slimmere broertje de CT-scan vormen het grootste deel.

1  Prof. dr. François Eyskens, kliniekhoofd metabole stoornissen bij kinderen

2  Prof. dr. Marc Peeters, diensthoofd oncologie

3  Prof. dr. Berten Ceulemans, kinderneuroloog

4  Dr. Barbara Willekens, neurologe

Oude medicijnen, nieuwe toepassingen

Vitamine B6 als middel tegen epilepsie, aspirine tegen darmkanker, soms worden bestaande geneesmiddelen gebruikt om heel andere aandoeningen te behandelen.

Maar hoe ontdekken artsen zoiets?

Je hebt niet altijd een nieuw medicijn nodig om een bepaalde ziekte beter te kunnen behan delen. Soms komt de oplossing van een bestaand geneesmiddel dat al gebruikt wordt bij andere aandoeningen: drug repurposing Er zijn veel manieren om tot drug repurposing te komen. Bij een bepaalde vorm van epilepsie ont dekten onderzoekers in het Ver enigd Koninkrijk na verschillende analyses dat het onderliggende probleem een stofwisselingsstoor nis was. Daardoor produceerden de patiënten een giftige stof die de werking afzwakt van vitamine B6, een zeer belangrijke vitamine in de hersenen. Ze konden de epi leptische aanvallen doen stoppen door de patiënten extra vitamine

B6 te geven. Daarom werd de aandoening ernaar vernoemd: vitamine B6 afhankelijke epilep sie, of met een chemische term pyridoxine afhankelijke epilepsie.

Het UZA biedt als enige zieken huis in België een urinetest aan om te bepalen of het gaat om vitamine B6 afhankelijke epilepsie. ‘Vroeger stuurden we stalen door naar ziekenhuizen in het buitenland, nu doen we het zelf’, zegt prof. dr. François Eyskens, kliniekhoofd metabole stoornissen bij kinderen. ‘De test is belangrijk, want soms reageren kinderen niet meteen op de vitamine B6. Omdat we dankzij de test weten dat het wel degelijk de juiste behandeling is, blijven we het geven. En vaak zien we dan na een paar dagen dat het toch werkt. De methode om de ziekte op te sporen in de urine, hebben we hier in het UZA verder verfijnd.’

Van cijfers naar behandeling Bij sommige geneesmiddelen begint het proces vanuit onder zoeksresultaten bij andere aan doeningen. Prof. dr. Marc Peeters, diensthoofd oncologie: ‘Patiënten die darmkanker gehad hebben,

maar voor hun hartproblemen aspirine nemen, lijken minder risico te lopen op herval van darm kanker.’ In een groot Nederlands onderzoek waaraan ook het UZA meewerkt, wordt nu onderzocht of aspirine inderdaad een bescher mend effect heeft. Peeters: ‘Dat zul len we pas met zekerheid kunnen zeggen binnen drie à vijf jaar.’ Het onderzoek start vanuit de weten schappelijke wereld, met financiële ondersteuning van organisaties als Kom Op Tegen Kanker en het Anti kankerfonds. ‘De farmaceutische industrie is niet geïnteresseerd in onderzoek met medicijnen waar van het patent al lang vervallen is. Als universitair ziekenhuis hebben we daarin dus een heel duidelijke rol te vervullen. Als wij dergelijk onderzoek niet doen, dan gebeurt het gewoon niet.’

Gericht op zoek

Drug repurposing kan ook heel gericht gebeuren. Als je weet wat het probleem is bij een bepaalde aandoening, kan je een genees middel inzetten dat daarop zou kunnen inwerken, vanuit kennis over de werking bij andere aan

12 1 2 4 MEDISCH INFO Dienst
T
57 45, Dienst
T
32 50, Dienst
T 03 821 34 23,
metabole stoornissen bij kinderen,
03 821
oncologie,
03 821
neurologie,

doeningen. Neurologe dr. Barbara Willekens: ‘Bij MS werkt het afweersysteem te sterk tegen het eigen lichaam waardoor er ontste kingen ontstaan in de hersenen en het ruggenmerg. Als behandeling gebruiken we medicijnen die het afweersysteem kunnen afremmen. Daar zijn ook middelen bij die oorspronkelijk in andere doserin gen of vormen gebruikt werden bij hematologische ziekten of orgaantransplantatie.’ Een andere belangrijke behandelpiste bij MS is de zenuwbanen en zenuwcellen beschermen: neuroprotectie. ‘Een cholesterolremmer lijkt die wer king te hebben in hoge dosissen. Het internationale onderzoek daarover loopt nog.’

Niet alle onderzoeken leveren een positief resultaat op. Willekens: ‘Het UZA werkte mee aan een groot schalig onderzoek geleid door de VUB naar de mogelijke neuropro tectieve werking van fluoxetine bij

MS. Theoretisch zou dat antide pressivum bekend onder de merk naam Prozac kunnen helpen bij MS. Maar uit de studie bleek geen duidelijk beschermend effect. Je kan wel een theorie ontwikkelen die in initieel onderzoek lijkt te kloppen, maar het resultaat in grote studies is niet altijd wat je verwacht, dat hoort bij het onderzoeksproces. Ook bij drug repurposing blijft het zoeken en proberen vanuit een goede hypo these en basisonderzoek, tot je een middel vindt dat werkt.’

Toevallige ontdekking

Soms begint het proces vanuit een toevallige vaststelling, zoals bij fenfluramine als middel tegen epi lepsie. Het werd in de tweede helft van vorige eeuw gebruikt als eet lustremmer, vaak in een hoge dosis en in combinatie met een ander medicijn. Franse kinderneurologen testten het ook uit bij kinderen met gedragsproblemen. Daarbij

Mogelijk heeft aspirine een beschermend effect bij darmkanker

merkten ze op dat sommige kin deren door het middel minder last hadden van hun epilepsie. Maar de eetlustremmer kwam in opspraak en werd van de markt gehaald.

In Frankrijk viel het onderzoek stil. Maar de Vlaamse kinder neuroloog dr. Marc Boel van het epilepsiecentrum in Pulderbos deed een kleine studie bij een groep patiënten met epilepsie aan vallen uitgelokt door lichtflitsen. Zij kregen als bijkomend middel tegen epilepsie fenfluramine in een veel lagere dosis. De resultaten waren zeer goed. Bovendien bleken er onder de patiënten een aantal kinderen met het Dravetsyndroom

te zitten, een zeldzame vorm van epilepsie waarover het UZA veel expertise in huis heeft. Dat bracht kinderneuroloog prof. dr. Berten Ceulemans op het idee om een studie te doen naar het gebruik van fenfluramine bij Dravet, in samenwerking met de collega’s van het UZ Leuven.

De resultaten van het onderzoek waren bijzonder positief: over een periode van vijf jaar hadden de kinderen minder aanvallen of waren ze zelfs aanvalsvrij. Fen fluramine kan momenteel enkel gebruikt worden binnen studies, maar dankzij de goede resultaten zal een Amerikaanse farmaceu tische firma het middel wellicht in 2020 op de markt brengen. Bovendien lopen er ondertussen nieuwe studies die aantonen dat het middel ook werkt bij andere vormen van epilepsie. Ceulemans: ‘Dat zou wereldwijd heel wat pati enten kunnen vooruithelpen.’

13 Dienst kinderneurologie, T 03 821 34 20

Spoedgevallen

Stilstaan bij de zin van reanimeren

Meer openheid en overleg tussen spoedmedewerkers kan leiden tot minder zinloze reanimatiepogingen. Intensivist dr. Patrick Druwé (UZ Gent) en prof. dr. Koen Monsieurs (UZA): ‘Reanimeren is erg ingrijpend. We doen het beter alleen als we iemand nadien terug een zinvol leven kunnen bieden.’

Dr. Druwé, uw onderzoeksgroep publiceerde recent een onderzoek dat dit probleem onder de aandacht bracht. Wat waren de voornaamste resultaten?

Druwé: ‘We hebben een bevraging gedaan bij 4000 hulpverleners uit 24 landen, over reanimaties bij spoedgevallen. Er blijkt een grote kloof te zitten tussen de overle vingskansen van de patiënten en de perceptie van de hulpverleners

over de zin van de reanimatie. Bij pati enten die geen enkel hartritme meer hebben en bij wie reanimatie wordt opgestart, overleeft maar 4,9%, terwijl 74% van de hulpverleners in de bevraging de poging toch zinvol vindt. Bij 80-plussers zonder hartritme over leeft zelfs maar 0,4%. En nog vindt 44 procent van de hulpverleners de reanimatiepoging gepast. Anderzijds zegt 60% van de hulpverleners dat ze regelmatig het gevoel hebben dat een reanimatie eigenlijk niet zinvol was.

Dat kun je zomaar niet negeren.’

Monsieurs: ‘Als een team vandaag ergens aankomt en iemand aantreft die geen hartslag heeft, dan gaat het vaak standaard reanimeren: hart massage, beademing, infusen voor medicijnen, adrenaline enzovoort.

Terwijl dat bij een groot deel van die mensen geen enkele zin heeft. Hulp verleners blijven dan verder reanime ren omdat ze niet durven stoppen of omdat ze niet durven overleggen met de familie of het reanimatieteam. Het zou goed zijn als er binnen de

UITGEDOKTERD
14 1 2
Dr. Patrick Druwé, UZ Gent Prof. dr. Koen Monsieurs, diensthoofd spoedgevallen UZA 2 1

teams meer openheid zou zijn om dat te bespreken.’

Baat het niet, dan schaadt het niet, zou je toch denken als leek?

Monsieurs: ‘Dat klopt niet. Een reani matie is erg ingrijpend. De borstkas wordt diep ingedrukt, vaak met gebroken ribben tot gevolg, de pati ent wordt geïntubeerd, krijgt adrena line enzovoort. Voor patiënten die eigenlijk geen kans meer hebben, is dat geen rustig levenseinde. Boven dien weten we niet of patiënten daar al dan niet nog iets van voelen. Uit eindelijk pomp je opnieuw zuurstof naar de hersenen en dus breng je mogelijk ook het bewustzijn terug op gang, om het daarna vaak weer te verliezen. Ik ben vice-voorzitter van de Europese Reanimatieraad en dus absoluut pro reanimeren – net als dr. Druwé overigens. Je moet tot het uiterste gaan, maar alleen als er een reële kans is dat het goedkomt met

de patiënt. Reanimeren dient niet om het stervensproces te verlengen of de doden te verstoren.’

Druwé: ‘In andere takken van de geneeskunde stellen we ook gren zen. Chirurgen opereren niet als ze het niet zinvol vinden, oncologen starten alleen een behandeling als ze denken dat er een reële kans op succes is. Op dezelfde manier moeten we bekijken of reanimeren gepast is. We moeten de patiënt centraal stellen. Als we iets kunnen betekenen voor de patiënt, moeten we reanimeren. Anders niet.’

Welke patiënten hebben wel baat bij reanimatie?

Monsieurs: ‘Er is één groep patiën ten bij wie reanimatie zonder twijfel zin heeft: mensen die een hartstil stand krijgen in aanwezigheid van een getuige, die meteen hartmas sage krijgen van de aanwezigen, en bij wie er snel een ziekenwagen ter plaatse is om beademing te geven

In alle takken van de geneeskunde stellen we grenzen

en het hart een elektrische schok te geven. Want bij die groep zie je op de hartmonitor meestal nog een ‘fibrillatie’, dat is een verstoord, onregelmatig hartritme. In die ideale omstandigheden krijg je hier in Vlaanderen bij ongeveer de helft het hart terug op gang, en nog eens de helft daarvan verlaat uiteindelijk levend het ziekenhuis. Over de hele lijn overleeft dus een kwart. Bij de andere spoedgevallen zijn de slaagcijfers van reanimatie maar enkele procenten. Omdat zij meestal helemaal geen hartritme meer heb ben op het moment dat ze worden gevonden: de hartmonitor toont dan een platte lijn. Alleen bij een heel

klein aantal van hen, die nog maar net in die toestand beland zijn, kan reanimatie soms nog zin hebben.’

Hoe bepaal je dan of het nog gepast is reanimatie op te starten?

Druwé: ‘Net als bij alle medische beslissingen moeten we ons baseren op een combinatie van feiten en het klinisch inzicht van alle teamleden. Wel of geen schokbaar hartritme, een getuige die weet hoe lang de patiënt al in die toestand is ... Dat zijn objectieve feiten. Een klinische inschatting maak je op basis van de algemene toestand van de patiënt, zijn of haar leeftijd, gekende medische voorgeschiedenis, enz. Vandaag wordt dat klinisch inzicht veel te weinig gebruikt om gericht te reanimeren waar het zinvol is. Als het niet zinvol is, kan een team zijn ener gie beter gebruiken om bijvoorbeeld de familie te begeleiden.’

Monsieurs: ‘Ambulanciers en

15

verpleegkundigen die ter plaatse komen, zijn in veel gevallen wettelijk verplicht om te beginnen reanime ren. Maar als de urgentiearts erbij komt, is er tijd om de situatie te eva lueren. Als de meerderheid van het team vindt dat er geen kansen zijn, dan zou je beter niet reanimeren.’

Druwé: ‘Het is inderdaad belangrijk om te overleggen met alle teamleden en de beslissing samen te nemen. Je legt de klinische ervaring van het hele team samen om een goede beslissing te nemen.’

Uit het onderzoek blijkt dat juist die ervaring een belangrijke rol speelt in een correcte inschatting van de situatie?

Druwé: ‘Dat klopt, vooral ervaring leidt tot betere inschattingen, of het nu om een arts, een verpleegkun dige of een ambulancier gaat. Een ambulancier met 20 jaar ervaring

Het blijft extreem belangrijk dat zoveel mogelijk mensen leren reanimeren

die zijn bedenkingen heeft, moet dat dus ook kunnen uiten.’

Monsieurs: ‘Toen ik begon als arts, heb ik ook meegemaakt dat de verpleegkundige mij na een half uur reanimeren vroeg wat we eigenlijk aan het doen waren. Die verpleeg kundige had gelijk, het was zinloos. Maar je bent jong, je hebt leren reani meren en je doet dat dan ook. Het is erg belangrijk dat er op de spoedaf delingen een open cultuur heerst waar iedereen zich gehoord voelt. Ik denk dat we dat element van gepast heid van reanimatie en de bespreking binnen het team ook moeten opne men in de reanimatiecursussen.’

Druwé: ‘Er mag in de reanimatie cursussen zeker meer aandacht gaan naar het belang van die klinische inschatting. Je kan die overigens maar opbouwen als je ook syste matisch feedback krijgt over het uiteindelijke resultaat voor de patiënt. Debriefing is dus ook heel belangrijk. Zeker over moeilijke gevallen zouden teams achteraf open van gedachten moeten kunnen wisselen.’

Riskeer je door minder te reanimeren geen kansen te missen om mensenlevens te redden?

Druwé: ‘Nee, als je de klinische inschatting meer laat meespelen, zullen we volgens mij niet minder

patiënten reanimeren die een kans hebben, maar zullen er wel minder zinloze pogingen zijn. Er gebeu ren vandaag disproportioneel veel reanimaties, bij mensen van heel hoge leeftijd of in een heel slechte algemene toestand, waarvan de betrokkenen weten dat het eigenlijk geen zin heeft.’

Monsieurs: ‘Zorgverleners doen dat vaak voor de familie, om te tonen dat ze alles uit de kast hebben gehaald. Maar een reanimatie is voor een familie ook geen fraai zicht. Als de arts op een empathische manier uitlegt dat reanimeren zinloos is, kan een familie daar volgens mij wel ach ter staan. Het gaat er juist om dat we onze energie steken in patiënten die wel kans maken. Want voor die groep kunnen we het in Vlaanderen nog beter doen.’

Het blijft dus belangrijk om het brede publiek te blijven sensibiliseren rond reanimatie?

Monsieurs: ‘Zeker, het blijft extreem belangrijk dat zoveel mogelijk men sen leren reanimeren en dat getuigen de hartmassage meteen opstarten, liefst nog met gebruik van een auto matische externe defibrillator (AED), dat is een toestel om een elektrische schok toe te dienen. Anders zijn alle kansen bij voorbaat verkeken. Hoe meer mensen kunnen reanimeren in afwachting van de hulpdiensten, hoe meer zinvolle reanimaties de urgentieteams kunnen doen. Het aantal patiënten dat hartmassage en een elektrische schok krijgt van omstaanders moet nog verder stijgen. Zo kunnen we bij die groep van patiënten die wel een kans heeft, nog winst boeken.’

UITGEDOKTERD
16

Hartproblemen na kanker: beter voorkomen

Omdat sommige kankerbehandelingen schadelijk zijn voor het hart, begon het UZA met een onco-cardiologische raadpleging. De bedoeling is om eventuele hartproblemen zo vroeg mogelijk op te sporen.

Veel borstkankerpatiënten ondergaan chemotherapie, gevolgd door een behandeling met Herceptine. Een op de vier houdt daar hartschade aan over. Hoe hoger de dosis, hoe hoger het risico. ‘We spreken dan over een verminderde pompfunc tie. Al mogen we het effect niet dra matiseren: vaak gaat het om milde schade die geen klachten geeft op korte termijn’, zegt UZA cardio loog dr. Constantijn Franssen. Jarenlang stond het probleem nauwelijks op de agenda, nu

wel. Dat is geen toeval, vervolgt Franssen. ‘Doordat meer en meer mensen van kanker genezen of lange tijd overleven, zien we almaar meer kankerpatiënten met hartaandoeningen op latere leeftijd. Daarom zijn we in het UZA met een onco cardiologische raadpleging begonnen. De UZA oncologen verwijzen

alle borstkankerpatiënten naar ons door. Ook patiënten met lymfeklierkanker zien we regelmatig, aangezien zij vaak hetzelfde type chemotherapie krijgen als bij borstkanker. In de toekomst gaan we onze raadpleging wellicht nog uitbreiden naar andere patiënten.’

Stoppen met roken Borstkankerpatiënten belanden al kort na hun diagnose bij dr. Franssen. Die onderzoekt de toestand van hun hart met een cardiologisch echogram en een EKG. ‘Zo hebben we een vergelij kingspunt voor na de behandeling. Als er al beginnende problemen zijn, behandelen we die meteen, meestal met medicatie. Ook stoppen met roken hoort erbij.’ Voor de patiënten is het niet vanzelfsprekend om zo kort na hun slechte diagnose die bijkomende onderzoeken te moeten ondergaan.

‘Maar door die aanpak verminde ren we wel heel sterk hun risico op ernstige hartproblemen op lange termijn’, zegt Franssen.

De patiënten komen nog een keer terug op het einde van de chemotherapie, en vervolgens nog eens zes maanden of een jaar na de behandeling. Als er sprake is van hartschade, volgt de cardio loog ze gedurende een langere periode op. Franssen: ‘Krijgen die patiënten later opnieuw chemo therapie, dan vragen we soms aan de oncoloog om de dosis aan te passen of een andere therapie te overwegen. We zoeken naar een goed evenwicht, waarbij we het hart beschermen zonder dat de kankerbehandeling aan effect inboet.’ Hoe vroeger de hartkwaal aan het licht komt, hoe succes voller de behandeling. ‘Soms kunnen we de opgelopen schade zelfs helemaal herstellen’, aldus nog Franssen.

17
INFO dienst cardiologie, T 03 821 35 38 MEDISCH
Kort na de kankerdiagnose krijgen patiënten een cardiologisch echo gram en een EKG.
Het is zoeken naar een goed evenwicht

Je natuurlijke pijnstiller

Verlichting van spier- en gewrichtspijnen Goed bij reuma, artrose en fibromyalgie Verbetert je algemene conditie Verlicht astma en bronchitis Goed tegen rug- en nekklachten

Doorbloeding van elke cel in het lichaam Verdrijft afvalstoffen uit je lichaam Goed tegen psoriasis, eczeem en acné

Vermindert stress en hoofdpijn

Vermindert cellulitis en verbrandt calorieën Verhoogt je immuniteit

Surf naar www.healthmate.be voor getuigenissen, heilzame toepassingen en wetenschappelijke studies. Of bel 03 295 50 25 voor een gratis brochure.

(*) Raadpleeg steeds je arts als je een infraroodsauna wil gebruiken om medische redenen.

mag ONTDEK WAT HEALTH MATE VOOR JOUW GEZONDHEID KAN DOEN & VRAAG EEN GRATIS PROEFSESSIE ! ANTWERPEN: Health Mate shop LIER 03 295 50 25 | Van den Berg HOOGSTRATEN 03 315 75 31 | Sanik GEEL 014 58 86 70 | Badweelde BVBA BEERSE 014 65 95 45 | Fonne Smeulders KALMTHOUT 03 62 01 620 | Health Mate SHOP SCHOTEN 03 685 44 50 | Health Mate PUURS 03 899 37 47 | Scava GROBBENDONK 0475 89 00 39 | Health Mate SHOP EKEREN 03 327 94 38 | LIMBURG: ‘t Hoveniertje WELLEN 012 74 53 60 | Varey LOMMEL 011 54 43 69 | Sleurs & Vangompel BOCHOLT 089 46 56 00 | D&A Pool Technics ZONHOVEN 011 82 37 65 | Badweelde BVBA GENK 089 35 68 30 | WEST-VLAANDEREN: Health Mate ZWEVEGEM 0477 59 58 13 | Health Mate® DC infrarood RUDDERVOORDE 050 28 07 87 | Health Mate Shop KNOKKE 0486 51 89 83 | Delaere IZEGEM 051 30 11 82 | Wellness La Rose GISTEL 059 27 61 84 | Vanderhaeghe IEPER 057 21 37 23 | Lamo RUISELEDE 051 68 82 53 | Health Mate® DC infrarood DIKSMUIDE 051 69 54 89 | Xavier Covemaeker WERVIK 056 20 01 69 | OOST-VLAANDEREN: Health Mate shop MALDEGEM 050 71 93 92 | Aquazure NINOVE 054 50 01 69 | Health Mate® DC infrarood GENTBRUGGE 09 231 25 85 | Het Buitenhuis DENDERMONDE 052 25 61 16 | Vepa ZELZATE 09 345 56 25 | Sani-en Keukendecor WAASMUNSTER 03 250 66 90 | DC Pools GAVERE 09 330 87 35 | Sterck AALST 053 70 10 05 | My Health Mate SINT-NIKLAAS 0475 275 999 | The Wellness Corner MOERBEKE WAAS 0493 19 55 58 | VLAAMS-BRABANT: Health Mate shop AARSCHOT 016 41 42 66 | Ventimec LEUVEN 016 23 39 74 | Van Diest BEERSEL 02 361 14 16 | Vanhie MEISE 02 272 01 72 | PoolPlus HAACHT 016 85 09 55 | Aquamaax KORTENAKEN 0495 35 07 13 | HENEGOUWEN: Kachels Mario (Sario) DERGNEAU 069 78 13 19 | Xavier Covemaeker KOMEN 056 20 01 69 Volledig overzicht op www.healthmate.be
*
GENIET VAN UITZONDERLIJKE KOOPJES TIJDENS DE SOLDEN
THERAPEUTISCHE INFRAROODSAUNA’S MET LEVENSLANGE GARANTIE

januari 2019

maguza

www.maguza.be – UZAnieuws UniversitairZiekenhuisAntwerpen Zorgmagazine van het UZA

Topzorg bij trauma

Na een zwaar ongeval hebben patiënten de beste kansen in een gespecialiseerd traumacentrum. Het UZA zet bij een ernstig trauma onmiddellijk een multidisciplinaire zorgketen in gang.

19
Doordat alle zorgverleners goed op elkaar zijn ingespeeld, krijgt de patiënt vanaf het begin de allerbeste zorg. DOSSIER TRAUMAZORG

1  Dr. Bart Embrecht, anesthesist

2 Harald Horions, spoedverpleegkundige

3  Dr. Philip Verdonck, urgentiearts

TRAUMAZORG

WAT?

Het UZA kreeg een internationale erkenning als supraregionaal of level-1 traumacentrum voor volwassenen en kinderen.

HOE?

Dankzij goede afspraken tussen de betrokken diensten, doorge dreven trauma-opleiding en de juiste infrastructuur kan het UZA 24 op 24 uur gespecialiseerde traumazorg aanbieden. Het ziekenhuis beschikt over reani matieruimtes, een onmiddellijke voorraad bloedproducten en een voorbehouden operatiezaal voor noodgevallen.

WIE?

Ernstige trauma’s zijn meestal het gevolg van een verkeers ongeval of een val van een hoogte. In 2017 behandelde het UZA meer dan 400 trauma patiënten, van wie er 250 erg zwaar gekwetst waren.

Traumazorg:

snel en trefzeker handelen

Nog voor een slachtoffer van een zwaar verkeersongeval in het UZA toekomt, staat een gespecialiseerd traumateam klaar. Zorgverleners uit het hele ziekenhuis werken vanaf dan als een geoliede machine samen voor een optimaal herstel.

Het UZA kreeg in 2018 als eerste ziekenhuis in Vlaanderen een internationale erkenning als level 1 traumacentrum. Dat betekent dat het UZA de nodige infrastructuur en mensen in huis heeft om de klok rond hoogwaardige traumazorg te verlenen. Aan de erkenning ging een audit vooraf van de Duitse Vereniging voor Traumatologie (DGU), een wetenschappelijke vereniging die traumacentra beoordeelt. ‘Vereisten om zo’n erkenning te krijgen, zijn onder meer dat je op elk moment twee slachtoffers met een ernstig trauma moet kunnen opvangen’, zegt urgentiearts dr. Philip Verdonck. ‘Niet alleen de spoedafdeling,

4 Dr. Suresh Krishan Yogeswaran, thorax en vaatchirurg CODE ROOD

maar ook het operatiekwartier, de beeldvorming en intensieve zorg zijn daarop georganiseerd. Ook moeten we te allen tijde een angio grafie kunnen uitvoeren om grote bloedingen te kunnen stoppen. Bij die ingreep wordt een katheter, een dun buisje, via de lies tot in een slagader gebracht.’

Code rood

De opvang van ernstig gekwetste slachtoffers gebeurt via vaste pro cedures die met alle disciplines zijn overeengekomen. ‘We delen elk trauma in volgens ernst, op basis van de vaststellingen van het team ter plaatse’, legt spoedverpleegkun dige Harald Horions uit. ‘Bij code rood, de hoogste categorie, laten we nog voor de aankomst van de

20 DOSSIER TRAUMAZORG
1 2 3
4

SPOED

> medische beeldvorming

>

operatiekwartier

intensieve zorg

GESPECIALISEERDE

REVALIDATIECENTRUM THUIS

fysische revalidatie

patiënt een operatiezaal in orde brengen en de nodige chirurgen en specialisten oproepen.’

Niet onbelangrijk is ook dat pati enten al op de spoed een bloed

controle te krijgen.

Eerste uur cruciaal

Vanaf 2019 blijft een nieuwe urgentiezaal voorbehouden voor dringende ingrepen

transfusie kunnen krijgen. Ook kunnen artsen in de reanimatiezaal bloedstollingstests uitvoeren en op basis daarvan medicijnen toedie nen om een bloeding sneller onder

Het eerste uur na een zwaar ongeval bepaalt sterk de verdere afloop. Het spoedteam moet dan ook snel en trefzeker kunnen handelen. Dat vraagt om een doorgedreven opleiding. ‘Eén of twee keer per maand organiseren we daarom een trauma avond voor verpleegkun digen en artsen in opleiding, met theorie en scenariotraining’, zegt Horions. ‘Dat gebeurt in het skills lab van het UZA, een ruimte met een nagebouwde patiëntenkamer en operatiezaal. De training is intensief en duurt vier uur. Onze medewer kers volgen ze één keer per jaar.’

De opleidingen staan ook open voor verwijzende ziekenhuizen.

Soms organiseert het UZA oplei ding voor een specifiek ziekenhuis. ‘We willen ook de andere zieken huizen meekrijgen in dit verhaal’, legt Verdonck uit. ‘Als supraregi onaal traumacentrum bestrijken we een groot gebied. Bij zo’n 80 % van onze traumapatiënten gebeuren de eerste zorgen door een ander MUG team. Die teams krijgen nadien van ons binnen de 24 uur een verslag van onze verdere behandeling en feedback over hun eigen zorg.’

Meteen onder het mes Ook voor het operatiekwartier vormt de opvang van traumapatiënten een hele uitdaging. Een op de twee patiënten met een code rood trauma gaat bij aankomst

21 ➝
rechtstreeks naar de operatiezaal, zonder bijkomende onderzoeken. Er moet dus altijd een zaal beschik baar zijn. ‘Begin 2019 nemen we een urgentiezaal in gebruik die voorbehouden blijft voor drin gende ingrepen’, zegt anesthesist dr. Bart Embrecht. ‘Daar horen ook operaties na een zwaar ongeval bij. Daarnaast kunnen we indien nodig schuiven in het operatiepro gramma. Aangezien we meerdere operatiezalen hebben die geschikt zijn voor trauma­ingrepen, kunnen we altijd heel snel een zaal vrijmaken. En dankzij een uitgekiend wachtsysteem kunnen we naast een anesthesist ook altijd verschillende operatieverpleegkun digen oproepen die gespecialiseerd zijn in het soort verwondingen dat >
> O.K. wordt klaargemaakt > team staat klaar >
>
pijncentrum
AFDELING

het slachtoffer heeft.’

Kort na de opname neemt het spoedteam zelfs al contact op met het pijncentrum en de revalida tie afdeling, die binnen de 48 uur een arts laten langskomen. Zo zijn ook zij vanaf het begin betrokken en kunnen ze snel anticiperen op eventuele problemen. Traumapatiënten komen het vaakst terecht op de afdelingen orthopedie, neurochirurgie en thorax en vaat heelkunde. Ook de verpleegkundi gen van die afdelingen hebben de handen vol met de zwaar gekwetste patiënten: ze hebben immers vaak verschillende soorten kwetsuren, bijvoorbeeld een uitgebreide wonde bovenop een complexe breuk.

Alle specialisten samen Intussen blijft het UZA zijn trau mazorg verder ontwikkelen. Zo is

er sinds enkele maanden een weke lijkse multidisciplinaire vergadering waarbij alle betrokken specialisten de zwaarst gekwetste patiënten bespreken. Het gaat dan over pati enten met verwondingen waarbij meerdere disciplines komen kijken, bijvoorbeeld de combinatie van een ernstig hoofdtrauma met een longbloeding. ‘Vroeger overleg den in dat geval de neurochirurg en de thoraxchirurg ook al met elkaar, maar zeker als er meerdere specialisten bij de behandeling betrokken zijn, dreigt er al eens informatie verloren te gaan’, zegt thorax en vaatchirurg dr. Suresh Krishan Yogeswaran. ‘Nu zitten we elke maandag met alle disciplines samen: spoed, orthopedie, neuro chirurgie, thorax en vaatheelkun de, abdominale heelkunde, het pijncentrum, intensieve zorg, reva lidatie en patiëntenbegeleiding. We bekijken dan wat er moet gebeuren, naar welke afdeling de patiënt na zijn verblijf op intensieve zorg moet gaan, in hoever de revalidatie al kan starten ... Zo is alles voor iedereen meteen duidelijk.’

Leren uit de cijfers

De Duitse Vereniging voor Traumatologie (DGU) heeft een internationaal register waarin ze gegevens rond traumazorg verzamelt. Het UZA gebruikt die data om haar zorg verder te verbete ren. ‘Als erkend DGU-traumacentrum krijgen we jaarlijks een verslag uit dat register met informatie over de kwaliteit van onze zorg’, zegt spoedarts dr. Philip Verdonck. ‘Zo weten we dat 90 % van onze traumapatiënten na aankomst binnen de 30 minuten naar de CT-scanner kan, wat een mooie score is. Maar we krijgen ook feedback over uitgevoerde behandelingen. Uit het verslag bleek bijvoorbeeld dat er bij een ernstige bekken breuk niet vaak genoeg een bekkenspalk werd aangebracht. Door daarover terug te koppelen naar onze eigen medewerkers en de verwijzende ziekenhuizen hebben we dat percentage in een jaar tijd verdubbeld. Kwaliteitscontrole loont dus wel degelijk.’ Ook onderzoekers kunnen uit het register putten voor wetenschappelijke studies, nodig om de traumazorg te verbeteren.

22 DOSSIER TRAUMAZORG
Hoe sneller de revalidatie start, hoe beter de kans op herstel. Binnen de 48 uur komt ook de revalidatie-arts al langs

Orthopedisten en neurochirurgen opereren samen om de wervelkolom te stabiliseren en zenuwschade te beperken.

Wervelkolomtrauma’s

‘Bij dreigende zenuwschade moet het snel gaan’

De behandeling van een letsel aan de wervelkolom na een ongeval verloopt zelden volgens het boekje. De neurochirurgen en orthopedisten zitten wekelijks samen om de beste aanpak te bepalen.

Vaker dan vroeger worden in het UZA patiënten met een wervelkolomtrauma binnengebracht, dikwijls breuken van de wervelkolom die al dan niet gepaard gaan met zenuwuitval. ‘Zeker als er zenuwschade dreigt, opereren we dan heel snel om de schade te beperken en de kans op herstel te optimaliseren. Als een stukje bot of een bloeding op het ruggenmerg drukt, moeten we zo snel mogelijk weer ruimte creëren voor de zenuwstructuren. Vaak ook moeten we de wervelkolom stabi liseren. Later volgen dan soms nog operaties om pijn of minder goed functioneren te voorkomen’, zegt

neurochirurg dr. Niels Kamerling.

Bij zenuwuitval wordt meestal de neurochirurg als eerste gecon tacteerd. Maar als de wervelko lom onstabiel blijkt en daarvoor complexe ingrepen nodig zijn, werkt hij nauw samen met dr. Jef Michielsen en dr. Niki Fransen, orthopedische chirurgen gespecia liseerd in wervelkolomchirurgie. Vaak staan ze dan samen aan de operatietafel. ‘Iedereen heeft zijn eigen specialiteit, dus dat werkt goed’, zegt Kamerling.

Verwacht het onverwachte

Een letsel na een ongeval stelt artsen vaak voor verrassingen. ‘Het zijn vaak niet de klassieke letsels

zoals die in de wetenschappelijke literatuur beschreven staan’, zegt dr. Niki Fransen. ‘Dat maakt het tegelijk moeilijk en uitdagend, en daarom ook is het nuttig dat ieder een vanuit zijn ervaring mee kijkt. Dat gebeurt tijdens ons wekelijkse overleg over wervelkolomproble men, met de neurochirurgen en de

bestrijding. Samen gaan we voor het best mogelijke eindresultaat’, vervolgt Kamerling.

orthopedisch chirurgen.’ Het team bespreekt dan de meest complexe gevallen. Hoe de wervelkolom weer in balans brengen? Hoeveel wervels vastzetten? Moet de operatie vanuit de rug of buikzijde gebeuren? ‘Ook de pijnkliniek en fysische geneeskunde zijn direct betrokken, met het oog op revalidatie en pijn

Geregeld evalueren de artsen hun eigen aanpak. ‘Dat is nodig omdat we regelmatig zaken voor het eerst zien. Deze week nog: een patiënt werd binnengebracht met een mes in zijn wervelkanaal, het zat rakelings langs de zenuwen. Op dat moment is er natuurlijk een snelle beslissing nodig, maar tijdens de wekelijkse meeting blikken we dan terug’, vertelt Kamerling. Ook tussendoor overleggen de chirur gen heel vaak. Desnoods vanop afstand, met dank aan de moderne communicatietechnologie: scans en informatie zijn in een oogwenk met het hele team gedeeld.

Zeker bij zenuwbeschadiging is het bang afwachten hoe een letsel evolueert. Fransen: ‘Behalve de zenuwstructuren vrij maken kun je dan als chirurg niet veel doen. De natuur moet haar werk doen. Tot zo’n anderhalf jaar is er nog herstel mogelijk.’

23
INFO Dienst neurochirurgie, T 03 821 33 28, dienst orthopedie, T 03 821 32 48
1 2
Een letsel na een ongeval is vaak een uitdaging voor de chirurgen
1 Dr. Niki Fransen, orthopedisch chirurg
2 Dr. Niels Kamerling, neurochirurg

‘Zion is een klimmer, dus zijn bovenlichaam is sterk. Binnen de kortste keren raakte hij zelf van zijn bed in de stoel’, zegt mama Marjan.

‘Intussen geef ik al terug klimtraining’

Zion (18) belandde vorig jaar na een verkeersongeval in een rolstoel. Een enorme klap, maar hij bleef altijd vooruitkijken. ‘Al op intensieve zorg trok ik mezelf recht in bed. Voor mij kon het niet snel genoeg vooruitgaan.’

Het gebeurde op een regenach tige ochtend in november 2017.

Zion geeft ons de kracht om optimistisch te blijven

Zion, toen 17, reed met zijn bromfiets naar school toen hij plots moest uitwijken. Een wagen uit de andere richting reed hem aan en hij belandde op zijn rug op het asfalt. ‘Ik kon mijn benen niet meer bewegen en ik besefte eigenlijk meteen dat ik verlamd was. Dan en daar maakte ik de klik: het is nu gebeurd, ik moet mij erbij neerleggen’, vertelt Zion. Al op de spoedafdeling, na de eerste scans, kregen zijn ouders Toni en Marjan het harde nieuws dat hun zoon nooit meer zou kunnen lopen. ‘Spoedarts dr. Philip Verdonck kwam het aan ons en daarna ook aan Zion vertellen. Het is goed dat er op zo’n moment een maatschap pelijk werker bij is, maar wij

voelden ons sterk genoeg om dit zelf te dragen. We besloten vanaf het begin om er het beste van te maken’, blikt Marjan terug. Nog diezelfde dag onderging Zion een lange operatie aan zijn wervelkolom. Marjan: ‘De eerste week had hij enorm veel pijn. Hij bleek namelijk ongevoelig voor morfine, een familiale afwijking. Op de duur wilden de artsen hem in een kunstmatige coma brengen. Maar toen vond het pijncentrum alsnog een geschikte pijnstiller: een middel dat alleen nog maar in studieverband werd gebruikt.’

Geen tijd te verliezen Van de twee weken op intensieve zorg weet Zion nog weinig. Behalve dat hij zich toen al probeerde op te trekken in bed. ‘Veel te vroeg volgens de verpleegkundigen, maar neuro chirurg dr. Bart Feyen verzekerde ons dat het mocht’, zegt Zion. Eens

op een gewone kamer kon het niet snel genoeg gaan voor hem. ‘Hij is een klimmer, dus zijn bovenlichaam is best sterk’, lacht Marjan. ‘Binnen de kortste keren raakte hij zelf van

Met die rugpijn zal ik misschien moeten leren leven

zijn bed in de stoel. De vervolgope ratie om zijn wervelkolom te recon strueren, die normaal na een zestal maanden plaatsvindt, is bij hem al na een vijftal weken gebeurd. Anders zou de voorlopige constructie het niet houden volgens de chirurg.’

In afwachting van die ingreep ging de dagelijkse revalidatie met ergo en kinesitherapie van start. ‘We heb ben toen vooral op kracht getraind’,

24
DOSSIER TRAUMAZORG

herinnert Zion zich. Hoewel hij veel bezoek kreeg, woog de verveling al snel door. ‘Op mijn kamer kwamen de muren op mij af. Gelukkig was er de ziekenhuisschool. En ‘s nachts praatte ik soms wel een half uur met de nachtverpleegkundige.’ Begin januari verhuisde hij naar de jonge renafdeling van revalidatiezieken huis Revarte. Het was hard werken, maar hij maakte er veel vooruitgang én vrienden voor het leven. Zion: ‘Ik dacht dat ik nog amper iets zelf zou kunnen, maar daar leerde ik mezelf wassen en aankleden.’

‘De dag van mijn leven’ Intussen is Zion terug thuis en gaat hij weer naar school. ‘Mijn plan om onderhoudstechnicus te worden, heb ik moeten opgeven. Maar ik ga me toeleggen op programmeren en technisch tekenen’, vervolgt hij. Tot vandaag heeft hij veel last van rugpijn. ‘Daarmee zal ik moe

ten leren leven’, vreest hij. Maar Marjan is hoopvol. ‘We hebben nog een nieuwe afspraak in het pijncentrum.’

Zion geeft weer net als vroeger klimtraining aan jongeren en is vastbesloten op een dag weer zelf te klimmen. Een plan waar zijn kameraden hem volop bij steunen. Collega’s van Toni organiseerden een groot benefiet, waarbij Zion in een Ford Mustang – zijn droom auto – mocht meerijden. ‘De dag van mijn leven’, glundert hij. De opbrengst ging naar de aanpassing van hun woning en een handbike. ‘Natuurlijk hadden we dit niet voor ogen, maar we gaan voort’, zegt Toni. Of Zion die positieve kijk van zijn ouders heeft? ‘Nee hoor, wij hebben die van hem’, zegt Marjan met klem. ‘Dat hij alles vanaf het begin zo goed heeft opgepakt, geeft ook ons de kracht om optimistisch te blijven.’

‘Emotionele opvang centraal’

Na een ernstig ongeval zijn patiënten en hun fami lie vaak in shock. Op dat moment is de steun van een begripvolle en tegelijk doortastende sociaal werker van onschatbare waarde. ‘Bij een heel ernstig trauma roept de spoed ons er altijd bij’, vertelt sociaal werker Katrien D’Hose. ‘Emotionele opvang staat dan centraal. We wonen het gesprek met de spoedarts bij, zorgen ervoor dat de familie antwoord krijgt op haar vragen, bellen eventueel naasten voor hen op ... Ik ga pas weg als de fami lie weer een beetje op verhaal is gekomen. Soms is dat pas uren later.’ Dankzij een wachtdienst is er ook noodopvang tijdens het weekend.

Ook tijdens het ziekenhuistraject dat erop volgt, kunnen patiënt en hun familie bij de sociaal werker terecht. Zij helpt hen met administratieve zaken en de eventuele zoektocht naar een revalidatie centrum. ‘Ook dan blijft psychosociale opvang de rode draad doorheen ons werk’, besluit Katrien.

25

Patiënten revalideren in het UZA in een aangename, recent vernieuwde ergo en kinesitherapiezaal.

Revalidatie

‘Focussen op wat wel nog kan’

Al heel snel na hun ongeval beginnen patiënten te revalideren. ‘Zo wordt de kans op herstel groter en hebben mensen al meteen een perspectief’, zegt revalidatiearts dr. Niels-Jan Hendrickx.

Zeker na een ernstig trauma is revalideren een lang proces: voor het eerst rechtop zitten, zelf rechtstaan, de eerste stappen met steun ... Hendrickx: ‘Het zijn allemaal mijlpalen die patiënten telkens mentaal wat sterker maken. Gelukkig hebben we uitstekende therapeuten om hen te begeleiden tijdens die lange weg.’

Waarom is het belangrijk om al zo snel te starten?

Hendrickx: ‘Hoe sneller patiënten weer actief worden, hoe beter de herstelkansen. Als je niet beweegt, sterven je spieren immers snel af en verstijven je gewrichten. En er is ook het mentale aspect: zodra je met revalideren start, geef je pati enten weer een doel. We focussen op wat nog wel kan.’

Wat houdt zo’n revalidatie in?

Hendrickx: ‘Binnen de 24 uur krijgen patiënten al kinesitherapie op de kamer. Zelfs op intensieve zorg monteren we soms fietstoestellen op het bed. Ook bij comapatiënten komt er een kinesitherapeut aan bed om hun spieren en gewrichten soepel te houden. Pas als patiënten genoeg zijn opgeknapt, komen ze naar onze afdeling voor de ‘echte’ revalidatie. Met de kinesitherapeut werken ze aan hun spieren en gewrichten. De ergotherapeuten leren hen weer te functioneren in het dagelijkse leven.

Als er blijvende beperkingen zijn, reiken zij de nodige hulpmiddelen aan, zoals een badstoel of traplift. Sommige patiënten krijgen ook logopedie om hun spraak te herstellen of voor eventuele slikproblemen. En ook begeleiding door de psycholoog kan zinvol zijn.’

Hoe volgen jullie de patiënten op?

Hendrickx: ‘Als revalidatiearts stel ik een behandelplan op en stuur bij waar nodig. Eén keer per week bespreken we met het hele team de patiënten en stellen we doelen voorop. Hoeveel meter moet de patiënt kunnen stappen? Mag hij of zij al overschakelen van een rollator naar een wandelstok?’

Hoe lang duurt de revalidatie?

Hendrickx: ‘In principe zien we

patiënten nooit echt lang: als ze genoeg hersteld zijn, gaan ze naar een revalidatieziekenhuis. Wij zetten hen op weg tijdens de eerste acute fase: kracht opbouwen, weer leren stappen, eventueel een prothese aan meten, een breuk laten herstellen ... ‘

De revalidatie-afdeling huist sinds eind 2017 op een nieuwe locatie?

Hendrickx: ‘Ja, patiënten kun nen daar terecht in een aange name ergo en kinesitherapiezaal met veel licht. Er zijn aparte zones voor patiënten met respectievelijk orthopedische en neurologische letsels, voor ergotherapie en voor ambulante zorg. Een voordeel is ook dat de ergotherapie nu op de afdeling is geïntegreerd. Dat is praktischer en bevordert de samenwerking.’

26
DOSSIER TRAUMAZORG
INFO dienst fysische geneeskunde, T 03 821 31 96
comapatiënten krijgen
Dr. Niels Jan Hendrickx, revalidatiearts
Ook
kinesitherapie

Alles is relatief, behalve je nachtrust.

Equilli verbindt beide kwaliteiten in haar matrassen. Het resultaat? Een volledig gepersonaliseerde matras met unieke slaapgarantie. Je hoeft geen Einstein te zijn om te bedenken wat de voordelen voor u zijn. Want een goede nachtrust begint bij de juiste matras. Dat is een wetenschap!

Einstein was een briljant uitvinder die als geen ander wist hoe krachtig de combinatie is van creativiteit en wetenschap. Equilli verbindt beide kwaliteiten in haar matrassen. Het resultaat? Een volledig gepersonaliseerde matras met unieke slaapgarantie. Je hoeft geen Einstein te zijn om te bedenken wat de voordelen voor u zijn. Want een goede nachtrust begint bij de juiste matras. Dat is een wetenschap!

Einstein was een briljant uitvinder die als geen ander wist hoe krachtig de combinatie is van creativiteit en wetenschap. Equilli verbindt beide kwaliteiten in haar matrassen. Het resultaat? Een volledig gepersonaliseerde matras met unieke slaapgarantie. Je hoeft geen Einstein te zijn om te bedenken wat de voordelen voor u zijn. Want een goede nachtrust begint bij de juiste matras. Dat is een wetenschap!

ontwikkeld door wetenschappers individueel ingesteld obv Sleep Scan eenvoudig aanpasbaar na aankoop voorzien van unieke slaapgarantie

ontwikkeld door wetenschappers individueel ingesteld obv Sleep Scan eenvoudig aanpasbaar na aankoop voorzien van unieke slaapgarantie

ontwikkeld door wetenschappers individueel ingesteld obv Sleep Scan eenvoudig aanpasbaar na aankoop voorzien van unieke slaapgarantie

Ontdek Equilli bij de verdeler in je buurt of op onze website

Ontdek Equilli bij de verdeler in je buurt of op onze website

Ontdek Equilli bij de verdeler in je buurt of op onze website

Cornelis Bedding

Cornelis Bedding

Rumst

Rumst

Wommelgem

Belsele

Dendermonde

Mechelsesteenweg 8 2840 Rumst

Cornelis Bedding

T: 015 32 08 55

ma - za: 10u - 18u zo: 14u - 18u do gesloten

Mechelsesteenweg 8 2840 Rumst T: 015 32 08 55 ma - za: 10u - 18u zo: 14u - 18u do gesloten

Rumst Mechelsesteenweg 8 2840 Rumst T: 015 32 08 55 ma - za: 10u - 18u zo: 14u - 18u do gesloten

Wommelgem Herentalsebaan 417A 2160 Wommelgem T: 03 259 09 08 di - za: 10u - 18u zo: 14u - 18u ma gesloten

Belsele

Herentalsebaan 417A 2160 Wommelgem T: 03 259 09 08 di - za: 10u - 18u zo: 14u - 18u ma gesloten

Wommelgem Herentalsebaan 417A 2160 Wommelgem T: 03 259 09 08 di - za: 10u - 18u zo: 14u - 18u ma gesloten

Lokersebaan 52 9111 Belsele T: 03 772 65 57 ma - za: 10u - 18u zo: 13u - 18u di gesloten

Lokersebaan 52 9111 Belsele T: 03 772 65 57 ma - za: 10u - 18u zo: 13u - 18u di gesloten

Dendermonde

Mechelsesteenweg 138 9200 Dendermonde

Belsele Lokersebaan 52 9111 Belsele T: 03 772 65 57 ma - za: 10u - 18u zo: 13u - 18u di gesloten

T: 052 21 45 51

di - za: 10u - 18u zo: 14u - 18u ma gesloten

Mechelsesteenweg 138 9200 Dendermonde T: 052 21 45 51 di - za: 10u - 18u zo: 14u - 18u ma gesloten

Dendermonde Mechelsesteenweg 138 9200 Dendermonde T: 052 21 45 51 di - za: 10u - 18u zo: 14u - 18u ma gesloten

Na een week hard werken in de auto stappen, 1.000 km rijden en dan ongetraind de heuvel af skiën. Hét recept om een been, pols of arm te breken. Hoe pak je het beter aan? Volg ons stappenplan!

Heelhuids de skipiste af N

iet alle ongevallen op de skipiste zijn ver mijdbaar, maar hoe beter je bent voor bereid, hoe beter je kunt reageren op potentieel gevaarlijke situaties en hoe kleiner de kans op letsels. Een goede voorbereiding begint al weken voor de afreisdatum.

Typische skiletsels en hoe ze te vermijden

Gescheurde kruisbanden

Bij skiërs lopen vooral de onderste ledematen gevaar. En aangezien voeten en enkels goed vastzitten in de skilaarzen, lopen vooral de knieën een risico bij een val of een verkeerde beweging. Train daarom vooraf de spieren rond je knieën zo goed mogelijk.

Gebroken pols/arm/schouder Blessures aan de bovenste

ledematen komen vaker voor bij snowboarders. Probeer je armen niet te strekken bij het vallen, maar rol zo soepel mogelijk op de grond, zoals bij judo.

Skiduim

Steek je hand van onder naar boven in de lus van je skistok. Op die manier loopt de lus niet over maar onder je duim en raakt je duim niet ontwricht bij het vallen.

Voor je vertrekt

Train voldoende. Skiën is een intensieve sport. Als je een zittend leven leidt, dan zal het wellicht niet meevallen om plots 4 à 5 uur op de latten te staan. Oefen daarom twee keer per week een half uurtje je basisvaardigheden als uithou dingsvermogen, kracht, lenigheid, coördinatievermogen, snelheid en evenwicht. In het ideale geval train je het hele jaar door. Lukt dat niet, begin dan minstens zes weken voor de afreis. De oefeningen hoeven niet complex of moeilijk te zijn (zie kader), het belangrijkste is dat je de tijd neemt om ze correct uit te voeren.

Rust goed uit. Na een drukke werkweek in de auto stappen en in één ruk naar de winterbestemming rijden is geen goed idee. Wanneer je op de piste staat, zal je vermoeide lichaam minder alert reageren, waar door de kans op een blessure stijgt.

Ter plaatse

Zorg voor goed onderhouden skimateriaal. Laat je skibindingen afstellen door een vakman, zodat je voeten goed vastzitten, maar loskomen wanneer je valt om zo een rotatietrauma van de knie te voorkomen. Kies daarnaast voor een helm die goed past en een breed gezichtsveld biedt.

Warm je spieren op voor je begint te skiën. Stap bijvoorbeeld een kwartiertje stevig door naar de ski lift of loop een paar keer de trappen op en af.

GEZOND
02 INFO dienst fysische geneeskunde T 03 821 35 81
01

Op de piste

Draag een helm. Ook in gebie den waar de helm niet verplicht is, bescherm je maar beter je hoofd. Skiletsels aan het hoofd zijn vaak ernstig.

Hou je aan de regels. Hang de held niet uit en ga niet skiën buiten de pistes. Als je stopt, stop dan opzij van de piste zodat andere skiërs niet tegen je aan botsen.

Bouw voldoende rustmomenten in. Overbelast je lichaam niet. Doe het vooral de derde dag van je skivakantie rustig aan. Op die dag gebeuren de meeste skiongevallen, omdat de vermoeidheid dan begint toe te slaan.

Na het skiën

Drink geen alcohol. Op de piste is drinken natuurlijk een absolute no go, maar denk ook twee keer na voor je een paar schnaps achteroverslaat tijdens de après ski. De dag nadien zul je minder controle hebben over je lichaam.

Met dank aan Lenie Denteneer, coördinator kinesitherapie fysische geneeskunde, en Rudi Frankinouille, fysioloog SPORTS.

Fit op de latten

Bij de kinesitherapeut kun je terecht voor een oefenschema dat rekening houdt met jouw specifieke sterk tes en zwaktes. Hieronder alvast 5 eenvoudige oefeningen om je uithoudingsvermogen, spierkracht, coördinatie, evenwicht, stabilisatie en lenigheid thuis te trainen.

Wall sit. Ga met je rug tegen de muur staan. Zak naar beneden tot je knieën en heupen in een hoek van 90° staan, zodat je tegen de muur ‘zit’. Hou zo lang mogelijk vol.

Lunge. Sta rechtop met de voeten naast elkaar. Stap met je rechter been naar voren (uitvalspas). Je onderbeen maakt een hoek van 90° met de grond; je linkerbeen raakt bijna de grond. Sta weer rechtop en herhaal de oefening, deze keer beginnend met je linkerbeen.

Brug. Ga op je rug liggen, met je voeten op de grond en je knieën omhoog. Maak een brug door je bekken omhoog te duwen. Lukt dat goed, strek dan eventueel één been.

Squat Sta rechtop met je voeten op schouderbreedte van elkaar. Buig door je knieën tot je benen een hoek van 90° maken, alsof je op een stoel gaat zitten. Zorg ervoor dat je knieën mooi recht naar voren blijven staan. Sta weer rechtop en herhaal. Gaat de oefening vlot, sta dan niet gewoon rechtop, maar spring omhoog.

Plank. Ga op je buik liggen. Steun op je ellebogen en tenen, en maak met je lichaam een rechte plank. Hou zo lang mogelijk vol.

03 04

Stoppen met roken?

Yes you can!

Waarom is stoppen met roken zo moeilijk?

En vooral: hoe lukt het wel? We vragen het aan UZA-tabacologen Karine Colebrants, Dirk Quina en Steffi Van Uffelen.

Veel rokers onderschatten hoe verslaafd ze zijn aan hun sigaretten. ‘Dat verklaart waarom maar 5 % van de rokers die zonder professionele begeleiding willen stoppen, daar effectief in slaagt’, zegt Dirk Quina. Er zijn drie belangrijke redenen waarom stoppen zo moeilijk is.

1. Je raakt lichamelijk verslaafd. Als je de hervalcijfers bekijkt, blijkt nicotine meer verslavend dan alcohol, heroïne of cocaïne.

2. Het is een gewoonte. Een sigaret na het opstaan, bij de koffie, in de auto, als werkpauze ... Bij verstokte rokers betekenen al die momenten prikkels om te roken. Aangeleerd gedrag, zeg maar.

3. Je raakt psychologisch verslaafd. Roken als beloning, troost, ontspanning, remedie tegen stress ... Eens die mechanismen verankerd zijn, lijkt roken onmisbaar.

Begeleiding?

In het UZA kunnen mensen terecht voor individuele rookstopbegeleiding bij een van de tabacologen. ‘Daarbij analyseren we onder meer het rookgedrag van de cliënten. Hoe vaak roken ze, wanneer gebeurt dat? Zo maken we hen bewust van hun eigen gewoontes’, legt Steffi Van Uffelen

30 GEZOND
INFO dienst pneumologie, T 03 821 35 39, www.tabakstop.be, www.vrgt.be

uit. ‘We veroordelen de cliënten nooit, maar zoeken samen uit wat het hen moeilijk maakt’, vult Quina aan. De tabacologen bekijken vervolgens wat de beste aanpak is om te stoppen en begeleiden de cliënt doorheen het rookstopproces. De meeste mensen gebruiken daarbij tijdelijk nicotinevervangers, zoals nicotinepleisters of tabletjes.

Van Uffelen: ‘Wij helpen hen om die hulpmiddelen correct te gebruiken. Mensen zijn vaak geneigd om er te snel mee te stoppen, terwijl je ze toch al gauw drie maanden nodig hebt.’

De volledige begeleiding omvat doorgaans acht sessies. Van al de mensen die ermee starten, slaagt 45 % erin daadwerkelijk te stoppen. ‘Maar daar zitten ook de mensen bij die afhaken. Degenen die de volledige begeleiding afronden, bereiken bijna allemaal hun doel’, zegt Quina. Of stoppen met roken duur is? ‘De rookstopbegeleiding wordt deels terugbetaald’, zegt Karine Colebrants. ‘Onze cliënten betalen een eigen bijdrage van 2 tot 15 euro per sessie, afhankelijk van welk verzekering ze hebben. En nicotinevervangers mogen dan duur zijn, dat bedrag verdien je dubbel en dik terug door te stoppen met roken. En vooral: je investeert in je gezondheid.’

Tips!

› Wil je stoppen met roken, denk dan eerst goed na over je aanpak. Wanneer ga je stoppen, hoe ga je het doen, schakel je begeleiding in? Alles begint met een goede voorbereiding.

› Zoek een goed stopmoment. Misschien wacht je best tot na dat trouwfeest of je verjaardag.

› Probeer in de aanloop van je stopdatum bewuster om te gaan met roken.

› Zoek iets dat je kan afleiden op moeilijke momenten, bijvoorbeeld een blokje omlopen of een spelletje op je smartphone spelen.

› Heb je een vaste rookplek, probeer die dan de eerste periode te vermijden.

› Stoppen met roken verhoogt de eetlust. Hou daarom altijd een fles water binnen handbereik: water drinken geeft je namelijk een verzadigingsgevoel. Ook kauwgom of calorie-arme snoepjes en snacks kunnen helpen.

› Schrik om bij te komen? Die extra kilo’s kun je beperken door meteen helemaal voor een gezonde start te gaan, met ook meer beweging en een evenwichtige voeding.

› Noteer op een kaartje alle voordelen van stoppen met roken en hou dat altijd bij de hand: het kan wonderen doen op een moment van zwakte.

› Naast individuele begeleiding kun je voor dringende vragen of ondersteuning ook terecht bij Tabakstop.

› Ook stoppen in groep is een optie. Die cursussen worden meestal georganiseerd door de gemeente.

› Beschouw e-sigaretten liefst als een tijdelijk hulpmiddel. Op dit moment is immers niet bewezen dat dampen op lange termijn onschadelijk is.

31

Eva Lion doet onderzoek naar immuuntherapie en kankerimmunologie.

Na haar studies biome dische wetenschappen belandde Eva Lion als doctoraatsstudente in de Tumorimmunologiegroep van het Laboratorium voor Expe rimentele Hematologie van de Universiteit Antwerpen, dat in het UZA is gehuisvest. Ze is er niet meer weggegaan. ‘Ik had nooit het gevoel dat het werk af was’, vertelt ze. ‘Mijn domein is dat van de immuuntherapie en de kankerim munologie, dat het gebruik en de rol van het afweersysteem tegen kanker bestudeert. Leuk daaraan is dat we nog enorm veel vooruitgang kunnen boeken. Sinds 2014 ben ik ook verbonden aan het Centrum voor Celtherapie en Regeneratieve Geneeskunde (CCRG) van het UZA. Dat is een multidiscipli nair centrum dat celtherapieën

produceert en klinische studies uitschrijft en coördineert. Als postdoctoraal onderzoeker en klinische studiecoördinator krijg ik een unieke kijk op het transla

Sommige patiënten

11 februari: dag van de vrouwen

Gebeten door

Twee vrouwen, twee gedreven wetenschappers. Eva Lion doet onderzoek naar een genezend kankervaccin, terwijl Angelique Van Ombergen de hersenwerking van Russische kosmonauten analyseert.

tionele onderzoek, dat de link legt tussen laboratoriumonderzoek en de geneeskundige praktijk. De rode draad doorheen mijn onderzoek is dendritische celvac cinatie. Dat is een kankervaccin op basis van eigen afweercellen, waarmee we herval bij kankerpati

enten willen voorkomen. We leren het afweersysteem de tumorcellen gericht aan te vallen. Daarvoor bewerken we eigen afweercellen in het laboratorium tot zogenaamde dendritische cellen. Nadien spui ten we die cellen weer bij de pati ent in. Het verst staan we op dit moment met leukemie. Sommige patiënten zijn dankzij het vaccin al jaren kankervrij. Intussen blijven we zoeken naar de sleutel om het vaccin krachtiger te maken. Binnen dit specifieke domein is onze onderzoeksgroep een van de weinigen in België van wie het vaccin daadwerkelijk bij patiënten wordt gebruikt. Als er al eens iets tegenzit, zegt ons hoofd prof. dr. Zwi Berneman dan ook: niet vergeten, wij zijn wel bezig hé. Onderzoek is een jarenlang pro ces waar veel geduld bij komt kij

ken. Soms werk je lang aan zaken die uiteindelijk niets opleveren. Als een studie mooie resultaten geeft, is dat absoluut een suc cesmoment. Maar net zo goed is het geweldig als we financiering binnenhalen voor een project of als we de eerste patiënt kunnen opnemen in een studie. En de uiteindelijke drijfveer blijft altijd: mensen met kanker helpen. De wereld mag weten dat vrouwelijke wetenschappers geen stoffige seuten zijn en dat wij heel gevarieerde en uitdagende jobs hebben. Daarom heb ik me aangesloten bij de Antwerpse afdeling van 500 Women Scientists (zie hiernaast). Het voltallige CCRG team bestaat overigens uit vrouwen: een mooi bewijs dat wetenschap niet noodzakelijk een mannenzaak is.’

32
zijn dankzij het vaccin al jaren kankervrij
Eva
‘Blijven zoeken naar een beter kankervaccin’

en meisjes in de wetenschap

onderzoek

Van Ombergen ‘Hersenen van kosmonauten onderzoeken: dat spreekt tot de verbeelding’

Ik heb het geluk met een vakdomein bezig te zijn dat erg tot de verbeelding spreekt’, lacht Angelique Van Ombergen, neurowetenschapper en postdoctoraal onderzoeker aan de Universiteit Antwerpen. ‘Mijn onderzoek gaat namelijk over de ruimtevaart: ik ga na hoe de her senen van Russische kosmonauten zich aanpassen na een ruimtereis. Daarnaast onderzoek ik ook hoe onze hersenen prikkels van het evenwichtssysteem verwerken, zowel bij gezonde proefpersonen als bij patiënten met evenwichts stoornissen. Die combinatie is inte ressant aangezien onderzoek met kosmonauten ons ook veel vertelt over het evenwichtssysteem.

Astronauten die maandenlang op missie zijn, ondervinden al die tijd geen zwaartekracht. Daardoor staat hun evenwichtssysteem tijdelijk op non actief. Via MRI scans

In de ruimte staat het evenwichtssysteem tijdelijk op non-actief

onderzoeken we het effect daarvan op de hersenen. Die kennis kan op termijn wellicht leiden tot een betere voorbereiding van astro nauten op missie, want zij hebben veel last van misselijkheid. En met

de verworven inzichten hopen we ook patiënten met evenwichts stoornissen beter te behandelen. Ons onderzoek leidt soms tot grote verrassingen: zo zijn we erachter gekomen dat bepaalde veranderin gen in het brein wellicht samen hangen met de slechtziendheid die veel ruimtevaarders ontwikkelen.

Net dat onverwachte houdt je scherp.

Bij het grote publiek leeft nog vaak het idee dat wetenschap iets voor mannen is. Het is een van de redenen waarom ik een Antwerpse afdeling heb opge richt van 500 Women Scientists, een wereldwijde organisatie die wetenschap inclusief en toegan kelijk wil maken. Zelf ben ik in de

neurowetenschappen gerold via mijn studies audiologische weten schappen aan de UGent. Al tijdens mijn bachelor raakte ik geïnte resseerd in evenwichtsonderzoek. Dankzij een FWO beurs kon ik in dat domein doctoreren.

Naast mijn wetenschappelijk onderzoek ben ik ook sterk bezig met wetenschapscommunica tie. Zo hou ik een blog bij over neurowetenschappen en ruimte vaart en schreef ik een kinderboek over de werking van de hersenen.

Zo wil ik iets terugdoen voor de maatschappij die al dat onderzoek betaalt. Vooral kinderen zijn een dankbare doelgroep. Ik sta er vaak van versteld hoe slim ze uit de hoek kunnen komen.’

INFO www.uza.be/centrum voor celtherapie en regeneratieve geneeskunde ccrg, www.angeliquevanombergen.com

33
Angelique Van Ombergen doet hersen onderzoek bij kosmonauten, maar ook onderzoek rond evenwichtsstoornissen. Angelique

De eerste kinderraad eind oktober was een heel productieve én gezellige vergadering.

UZA richt kinderraad op

Pyjamaparty in het ziekenhuis?

Als de kinderen het voor het zeggen hadden in het ziekenhuis ... dan kwamen er een karaokemiddag en een pyjamaparty, maar ook meer aandacht voor gevoelens en steun voor de ouders.

De nieuwe kinderraad van het UZA zit vol frisse ideeën.

Zenuwen, die hadden de kinderen niet voor hun allereerste kinderraad in het Koningin Mathilde Moeder en Kindcentrum. ‘Wel gezonde kriebels in mijn buik’, zegt Noor (9). Samen met negen andere kinderen en jongeren zal ze om de drie maanden samenkomen om te bespreken wat er belangrijk is voor de kinderen in het ziekenhuis. De regels bepalen ze zelf. ‘Luisteren naar elkaar en respect hebben, dat

kwam meteen naar boven’, zegt diensthoofd kindergeneeskunde prof. dr. Stijn Verhulst, die het initiatief op poten zette samen met pedagogisch medewerker Lotte Marnef. ‘We zijn positief verrast over hoe vlot die eerste kinderraad is verlopen. Het was een heel pro ductieve vergadering en de sfeer zat er meteen in.’

Glijbaan en snoepbar

Voor de sfeer zorgde onder andere Matz (9): ‘Ik heb muco en daarom moet ik veel naar het ziekenhuis. Maar ik heb superveel ideetjes om het hier leuker te maken: een speel tuin in het ziekenhuis of een glij baan in plaats van de trap of de lift, dat is zo saai! Of een snoepbar op de kinderafdeling.’ Stijn Verhulst kon hem alvast vertellen dat er een speeltuin komt op het dak van het kinderziekenhuis, met plaats om te basketballen en te voetballen. En

INFO Pedagogisch medewerker Lotte Marnef, T 03 821 35 17, lotte.marnef@uza.be

de snoepbar? Lotte Marnef: ‘Dat zouden we eerst moeten bespreken met de diëtisten. Maar misschien kan de keuken wel af en toe iets lekkers voorzien voor de kinderen.’

Je goed voelen

Ook Noor (9) heeft een duidelijk idee over wat belangrijk is in het ziekenhuis. ‘Ik ben kankerpatiënt en krijg chemo. Ik vind het goed dat verplegers en dokters lief zijn en vragen hoe het met jou gaat. Als je zegt dat iets niet goed voelt, dan doen ze daar meteen iets aan. Ver der wil ik graag nog meer activi teiten voor kinderen. Als je de hele

34 ZORG
Leuke activiteiten mogen er
altijd bijkomen

dag in je kamer moet blijven, dan lig je voortdurend te denken aan je ziekte. Door samen te knutselen of te tekenen ben je daar minder mee bezig. Een karaokemiddag, zou dat geen goed idee zijn?’

Actie!

Nina (11) heeft chronische leuke mie en moet om de drie maanden naar het UZA komen voor een beenmergpunctie. ‘Bij veel behan delingen houden ze hier echt wel rekening met de kinderen. Maar een spuitje zonder scherpe punt bestaat niet, daar kun je niet veel aan veranderen.’ Leuke activiteiten mogen er wel altijd bijkomen: ‘Een pyjamaparty zou ik de max vinden!’ Lotte Marnef: ‘De BED NET pyjamadag zou hier ideaal bij aansluiten.’

Ook voor ouders Cherine (17) is een van de oudere

leden van de kinderraad. ‘Ik heb dia betes en moet héél vaak op controle komen. Meestal zeggen de dokters wat je moet doen, het is leuk dat wij nu ook een inbreng hebben. Eigen lijk vind ik dat er in het ziekenhuis best veel gebeurt voor de kinderen. Misschien moeten we eens iets doen voor de ouders? Die spenderen hier ook veel tijd en steunen ons. Ze ver dienen het om eens in de bloemetjes gezet te worden.’

Omdat de kinderraad er is voor iedereen, beslisten de kinderen om in de volgende vergadering ideeën bussen te knutselen. Daarin kunnen alle kinderen van het ziekenhuis binnenkort hun ideeën kwijt. ‘We zullen alle suggesties samenleggen en in de kinderraad beslissen wat we het eerst gaan realiseren’, zegt Lotte Marnef. ‘We kunnen niet zomaar alle wilde plannen uitvoeren, maar er zijn veel haalbare ideeën waar we zeker iets mee kunnen doen.’

Kamersupplement

Als je in het ziekenhuis wordt opgenomen, kun je zelf kiezen in welke kamer je wil verblijven: een eenpersoonskamer of een kamer voor twee of meer personen. Voor een eenpersoonska mer betaal je naast kosten voor verzorging, verblijf en maaltijden een extra bedrag: het kamersupplement.

Hoeveel?

Voor een eenpersoonskamer betaal je in het UZA bovenop de verblijfskosten 65 euro kamersup plement per dag. Op de materniteit bedraagt dat 80 euro extra per dag.

Ereloonsupplement?

Als je kiest voor een eenpersoonskamer, kunnen de artsen die je behandelen een extra bedrag aanrekenen bovenop hun ereloon: het ereloon supplement. In een twee- of meerpersoons kamer worden er nooit ereloonsupplementen aangerekend.

Terugbetaald?

De ziekteverzekering betaalt geen kamer supplementen of ereloonsupplementen terug. Veel hospitalisatieverzekeringen voorzien wel in een gehele of gedeeltelijke terugbetaling.

Niet zelf gekozen?

Kamersupplementen en ereloonsupplementen betaal je enkel als je zelf kiest voor een een persoonskamer. Als de arts oordeelt dat een eenpersoonskamer medisch noodzakelijk is, hoef je als patiënt geen supplementen te betalen. Ook wanneer er geen plaats meer is op een tweeper soonskamer en je daarom in een eenpersoonska mer terechtkomt, betaal je geen supplementen.

Nog vragen?

Met al je vragen over je factuur kan je terecht bij de debiteurenadministratie, elke werkdag bereikbaar tussen 9 uur en 12 uur, via 03 821 31 28. Een kostenraming aanvragen kan via kostenramingen@uza.be.

35
U ZEGT
  

BEZOEK ONZE VERNIEUWDE TOONZAAL

Expert Totale badkamerrenovatie

Zorgrenovatie bad, douche en toilet, aangepast aan uw noden

Eigen vakmannen Meer dan 20 jaar ervaring Tijdloze elegantie

Provincialeweg 60 • Lippelo - Sint-Amands

Woe-, do- en vrijdagnamiddag 14-17u Zaterdag 10-12u en 14-17u

Mariska Waldukat

Duizendpoot en

‘Een vragenlijst overlopen duurt niet lang, echt luisteren wel. In onze job kun je papierwerk en emoties niet van elkaar loskoppelen’, zegt sociaal werker Mariska Waldukat.

Post nakijken en mails verwerken. Daarna werk ik aan patiëntendossiers: ik doe aanvragen voor sociale voorzieningen, regel renteloze afbetalingen en tussenkomsten, maak verslagen voor externe collega’s ...

Ik heb al 17 jaar de afdeling kindergenees kunde onder mijn hoede. Vanmorgen maak ik kennis met een jong koppel van wie het baby’tje het syndroom van Down

heeft. Het eerste wat ik zeg is proficiat, jullie hebben een kindje Want na zo’n diagnose heeft de omgeving vaak weinig oog voor de mooie kant. We bekijken welke ondersteuning mogelijk is en daarnaast laat ik ruimte voor hun emoties en verwerking. Intussen gaat mijn telefoon een paar keer: ik moet altijd bereikbaar zijn.

Overleg op de kinderafdeling over lopende dossiers en nieuwe hulpvragen.

rustpunt in emotionele tijden

Ik ga langs bij enkele gezinnen. Een familie vernam nog maar net dat hun dochter kanker heeft. Die mensen zijn overmand door emoties, maar moeten tegelijk van alles regelen: werk, opvang voor de andere kinderen, aanvraag van sociale voorzieningen ... Op dat moment zijn wij er voor hen.

Lunch in de keuken.

Een 13 jarige jongen is op intensieve zorg opgenomen. Zijn alleenstaande mama is dakloos en vluchteling, met nog vier andere kinderen. De jeugdrechter belt mij op. Als er geen oplossing komt, moeten de kinderen naar een instelling. De start van een lange reeks

telefoontjes met de arts, de advocaat van het gezin, daklozen centra, allerlei instanties ... Zoiets kruipt niet in je kouwe kleren.

Afspraak met de ouders van een vierjarige jongen met ernstige epilepsie. Ze vragen advies voor een financieel probleem, maar zoals zo vaak zit er veel meer achter. De ouders hebben het erg moeilijk met hun situatie. Het wordt een lang gesprek.

Een alleenstaande moeder staat onverwacht op de afdeling. We kennen haar omdat haar zoontje hier eerder was opgenomen. Ze moet een operatie ondergaan en weet niet hoe ze die dagen opvang moet regelen. Ik bekijk rustig met haar op wie ze een beroep kan

doen. Samen raken we er toch uit. Telefoontjes afwerken en administratie. Dat gaat de hele dag door, tussen het andere werk door. Veel van wat ik doe, speelt zich achter de schermen af: na de gesprekken begint het werk pas.

Telefoon van een kinderarts: de ouders van een opgenomen patiëntje zijn niet in orde met hun ziekteverze kering. Na een telefoontje met de mutualiteit blijkt het gelukkig snel op te lossen. De ouders zijn erg opgelucht.

Gesprek met een mama op de afdeling die na een aantal misverstanden zo over haar toeren is dat ze met haar baby

wil vertrekken. Ik slaag erin de situatie te ontmijnen. Na weken in het ziekenhuis zitten ouders soms echt op hun tandvlees.

Telefoon van de logopediste: ze wil therapie opstarten bij een patiëntje, maar de ouders vrezen dat ze dat niet kunnen betalen. Of ik dat eens kan bekijken?

Einde van mijn werkdag. Het vluchtelingengezin speelt nog door mijn hoofd. In onze job zie je veel leed, maar je kunt ook veel voor mensen betekenen. Door problemen op te lossen, maar ook door te peilen naar hun echte noden en emotionele opvang te bieden. Net daarom doe ik dit werk nog altijd zo graag.

37
WITJAS VAN DIENST

januari februari maart 2019

PATIËNTENACTIVITEITEN

ACTIVITEITEN VOOR KANKERPATIËNTEN

INFOAVOND EN DOMETRIOSE: PIJN EN VRUCHT BAARHEID

We nodigen u graag uit op de infoavond rond pijn en vruchtbaarheid bij endometriose. Datum 14 januari 2019 Uur

19.00 uur tot 21.00 uur Locatie

UZA, Auditorium Kinsbergen, route 12

Info en inschrijven Inschrijven is gratis en kan via www.uza.be/ infoavond endometriose

1 2

INFOAVOND OVER HYPOSPADIAS

Kom meer te weten over hypos padias, een aangeboren afwijking waarbij de plasbuis uitmondt aan de onderkant van de eikel, halver wege de penis of in de balzak. Datum 4 maart 2019 Uur

Van 19.00 uur tot 21.00 uur Locatie

UZA, Gemeenschapszaal, route 12 Info en inschrijven Deelname is gratis. Inschrijven via www.uza.be/activiteiten/patienten of tel. 03 821 35 11 of 03 821 30 47.

1

MINDFULNESS VOOR KANKER PATIËNTEN EN HUN NAASTEN

In dit programma leert u op een andere manier omgaan met pijn, onzekerheid, angst, piekeren en stress. We maken gebruik van een waaier aan eenvoudige en praktische relaxatie en ontspanningstechnieken. Ook geven we aandacht aan onze ademhaling. Dit pakket omvat 7 sessies, verspreid over 8 weken, telkens op een donderdagnamiddag.

Datum

Er zijn twee startmomenten: Donderdag 24 januari 2019 Donderdag 19 september 2019

Uur

Van 13.30 uur tot 15.30 uur Locatie

UZA lokaal C015 (over Auditorium Kinsbergen) route 12 Info en inschrijven Kostprijs van deze sessies is €100. Inschrijven kan via lief.soetewey@hotmail.com of via 0486/02.76.34 (te bereiken na 17 uur).

VERMOEIDHEID BIJ EN NA KANKER

Tijdens deze infosessie komt u meer te weten over omgaan met vermoeidheid tijdens of na een kankerbehandeling. Deze sessie is uitsluitend bedoeld voor patiën ten, ook de partner is van harte welkom.

Datum 25 februari 2019 of 1 april 2019 Uur

Van 18.15 uur tot 20.30 uur Locatie

UZA, VIP restaurant Info en inschrijven Deelname is gratis. Inschrijven is verplicht via www.uza.be/activiteiten/patienten of tel. 03 821 59 79.

2 3

LOOK GOOD, FEEL

BETTER

Workshop verzorging voor kanker patiënten om de nevenwerking van een behandeling te maskeren. Deze sessie is uitsluitend bedoeld voor patiënten. Datum 14 maart 2019 Uur

Van 12.00 uur tot 16.00 uur

Locatie

UZA, VIP restaurant Info en inschrijven Deelname is gratis. Inschrijven is verplicht via www.uza.be/ activiteiten/patienten of tel. 03 821 59 79

4

HERSTELLEN NA KANKER INFOAVOND ONCO

REVALIDATIE

Kom meer te weten over het onco revalidatieprogramma tijdens één van de infoavonden. Dit prgramma helpt om uw fysieke en mentale kracht te herwinnen tijdens of na een kankerbehandeling. Datum 14 maart 2019 Uur

Van 19.00 uur tot 20.00 uur Locatie

UZA, VIP restaurant Info en inschrijven Deelname is gratis. Inschrijven is verplicht via www.uza.be/ activiteiten/patienten

38 UZA AGENDA

Afdeling vernieuwd:

meer comfort voor iedereen

Herstellen na een blaas- of maagoperatie kan voortaan op een volledig vernieuwde afdeling met meer licht en comfort. Voor patiënten met extreem overgewicht is er een aangepaste kamer.

Afdeling D3, bestemd voor patiënten van de diensten urologie en abdominale heelkunde, is er sinds de renovatie een stuk aangenamer op gewor den. Alle kamers zijn uitgerust met klimaatplafonds, waarin een verwarmings en koelingsysteem verwerkt zit. De ramen hebben driedubbele, zonnewerende begla zing en de gordijnen en rolluiken zijn vervangen door een geruisloze zonnewering, die patiënten vanuit hun bed kunnen bedienen.

De afdeling telt uitsluitend een en tweepersoonskamers. ‘In de tweepersoonskamers hebben we de traditionele schuifgordijnen om bedden van elkaar af te scheiden, vervangen door uitrolwanden. Die zijn minder hoog, zodat patiënten te allen tijde licht en lucht heb ben. Alle patiënten hebben ook hun eigen televisie’, zegt Stefan Vanautryve van de technische dienst. De brede en hoge deuren naar de gang zorgen voor een ruimtelijk gevoel. Handig zijn ook de smalle kleerkasten op wielen,

die indien nodig mee naar een andere afdeling kunnen verhuizen.

Vlot van bed naar zetel Ook voor de verpleegkundigen is het vlotter werken op de nieuwe D3. Zo bevindt zich boven elk bed een tillift, zodat het team patiënten gemakkelijk van hun bed naar de zetel of rolstoel kan helpen.

‘Nieuw is ook de kamer voor patiënten met extreem overge wicht. Aangezien op onze afdeling ook patiënten verblijven die een maagverkleiningsoperatie hebben ondergaan, moeten we ook daar op bedacht zijn’, vervolgt hoofd verpleegkundige Eline Vinck. De kamer heeft de grootte van een tweepersoonskamer en is zo ontworpen dat de verpleegkun dige de patiënt met de tillift tot in de badkamer kan verplaatsen.

Daar kan hij of zij de patiënt indien nodig in de liftstoel was sen. ‘Dat is mogelijk doordat de verpleegkundige een wand van de badkamer kan openzetten. De badkamer heeft ook aangepast sanitair en een extra ruime deur opening’, legt Vanautryve uit.

Op de vernieuwde afdeling bevindt zich voorts een stomaruimte waarin patiënten kunnen leren om met hun stomamateri aal om te gaan. Die is uitgerust met een onderzoekstafel en een toilet. Er staat ook een grote spiegel, zodat patiënten kunnen zien hoe ze het materiaal bij zichzelf aanbrengen. ‘Zeker voor patiënten die op een tweepersoonskamer liggen, is die ruimte een grote vooruit gang op het vlak van privacy’, zegt Vanautryve.

39
ZORG

Verander jij levens met ons?

Geef innovatie alle kansen. Innovatieve kwaliteitsvolle zorg, ondersteund door hoogstaande opleiding en grensverleggend wetenschappelijk onderzoek. Daarvoor staat het Universitair Ziekenhuis Antwerpen (UZA) bij zowel patiënten als zorgverleners bekend. Bouw samen met ons aan de gezondheidszorg van morgen.

Jouw gift redt levens

We willen onze patiënten het hoog ste comfort bieden en hen tijd met hun naasten geven. Daarom leren we elke dag bij. Wetenschappelijk onderzoek laat ons toe onze zorg te verbeteren en geeft ons de kans om levens te redden.

Jouw gift innoveert

Celtherapie tegen MS of tegen kanker, onze medewerkers zijn pionier. Wat vandaag nog experimenteel is, kan morgen uitgroeien tot een behandeling die voor iedereen toegankelijk is. De UZA foundation wil deze innovaties mee mogelijk maken.

Maak mee het verschil

Met julle steun aan de UZA founda tion kunnen we blijven investeren in baanbrekende expertise, door onze medewerkers de beste opleidingen te bieden, internationale experten aan te trekken en in te staan voor de continuïteit van het onderzoek.

Steunen kan heel eenvoudig Jij kan de UZA foundation steunen met een gift of een opname in je testament. Wij zorgen ervoor dat jouw gift terechtkomt waar jij dat wil: een bestaand project, een specifieke dienst, onderzoek of klinische studie die jou nauw aan het hart ligt. Kijk voor meer informatie op www.uzafoundation.be of neem contact op met Ann Verbeeck, uzafoundation@uza.be, 03 821 41 97 of 04 98 07 71 20.

IBAN: BE69 0017 9875 6478 - BIC: GEBABEBB, vermeld hier welke dienst of welk project je wenst te steunen. Voor giften vanaf 40 euro per jaar ontvang je een fiscaal attest. foundation

Nuttige telefoonnummers

• algemeen nummer UZA: T 03 821 30 00

• onthaal en opname: T 03 821 31 01

• patiëntenbegeleiding: T 03 821 37 00 (maatschappelijk werk, vrijwilligers, intercultureel bemiddelaar, transfercoördinator, levens beschouwelijke begeleiding, tolken en tolken Vlaamse gebarentaal)

• ombudsdienst: T 03 821 31 60

• inlichtingen facturen: T 03 821 31 28

• school in het UZA: T 03 821 58 86

Herstellen in zorghotel Drie Eiken

Na een operatie kan je verder aansterken in zorghotel Drie Eiken, een comfortabel verblijf met professionele zorgvoorziening. Ook familie en vrienden kunnen er terecht voor overnachting vlakbij het UZA. Meer info en reservaties: www.drie eiken.com, T 03 821 12 11

Gastenkamers Ter Weyde Wil je in de buurt van het ziekenhuis overnachten, dan kan je terecht in onthaaltehuis Ter Weyde. Vrijwilligers bieden er een eenvoudig maar warm onthaal aan een billijke prijs. Ter Weyde bevindt zich op 200 meter van het UZA (Edegemsesteenweg 240, 2610 Wilrijk). Voor meer info: www.uza.be/terweyde, T 03 440 48 18.

Winkelgalerij

In de inkomhal vind je:

• de cafetaria, in de week open van 8.30 tot 20 uur; in het weekend en op feestdagen van 12 tot 20 uur

• een broodjeszaak, in de week open van 9 tot 14.30 uur

• een winkel Momen’to Shop Delhaize met een ruim aanbod verse voeding, drank, lectuur, geschenkartikelen … Open op weekdagen van 8.30 tot 20 uur. In het weekend en op feestdagen van 12 tot 17.15 uur.

• een bloemen en pralinewinkel ‘Gift Shop’, open van maandag tot en met vrijdag van 11 tot 19:30 uur. In het weekend en op feestdagen gesloten.

• een bankautomaat

Restaurant

Het restaurant vind je op 1 op het einde van de bezoekersgang. Het is elke werkdag open van 11.30 uur tot 14 uur.

Meer info: www.uza.be

Het UZA draagt het JCI label voor veilige en kwaliteitsvolle zorg.

Abonnement

Wens je een gratis abonnement op Maguza, wil je een adreswijziging door geven of wil je het magazine niet langer ontvangen? Bel 03 821 32 96 of stuur je naam en adres naar UZA, afdeling communicatie, Wilrijkstraat 10, 2650 Edegem, of surf naar www.maguza.be/abonnement. Je kan hier ook inschrijven op de gratis digitale nieuwsbrief van Maguza.

Colofon MagUZA · driemaandelijks tijdschrift van het Universitair Ziekenhuis Antwerpen · jaargang 31, januari 2019 · Redactieadres: UZA, afdeling Communicatie, Wilrijkstraat 10, 2650 Edegem, communicatie@uza.be · Verantwoordelijke uitgever: Johnny Van der Straeten · Hoofdredacteur: Evita Bonné · Redactieraad: Mathias Allegaert, Sevilay Altintas, Bettina Blaumeiser, Evita Bonné, Nathalie Cools, Annick Deckers, Margot Hagendorens, Ivan Huyghe, Philippe Jorens, Eva Lion, Lotte Marnef, Hans Prenen, Ingrid Roosen, Kaat Siebens, Elke Smits, Dominique Trouet, Paul Van Aken, Ann Van De Velde, Miranda Van De Wiele, Jan Van Meerbeeck, Stijn Verhulst, Joris Verlooy, Barbara Willekens Redactie & realisatie: Jansen & Janssen Creative Content, www.jaja.be · Fotografie: Thomas Legrève (p. 13, 17, 21, 22, 26, 32, 33, 34, 36, 37, 39), Fatih Kaynak (p.5), Frank Toussaint (cover, p. 25, 41, 44) · Illustratie p. 14 16: Frederik van den Stock Kruiswoordraadsel: Freddy Roegiest · Reclameregie: Media Surplus, www.media surplus.be · De inhoud van de advertenties valt niet onder de redactionele verantwoordelijkheid van het UZA. Maguza wordt gedrukt op FSC­papier, afkomstig van duurzaam beheerde bossen.

Het geheim van een goede mentor

Dr. Joséphine Behaegel (rechts), won een internationale schrijfwedstrijd waarbij ze schreef over de nood aan kwalitatief onderzoek in oogheelkunde. Nadien blikte ze terug op de tijd met haar mentor.

‘Op een dag, ergens in het begin van mijn opleiding, was ik de activiteiten van oogarts prof. dr. Sorcha Ní Dhubhghaill aan het meevolgen. Toen we tussen twee operaties door naar de koffie kamer wandelden, dacht ik: ‘Oef, een rustige pauze’. Maar nog voor de koffie m’n lippen had geraakt, begon ze een uitgebreide uitleg over het arsenaal aan oculaire lenzen neer te krabbelen op een keukenservetje. Onwennig door die plotse ‘leer-aanval’, vroeg ik me af wat ze verwachtte en of ik dat volgekrabbelde servetje moest bijhouden. De geïmproviseerde ‘servet-les’ had wel mijn honger naar kennis gewekt en diezelfde avond nog dook ik in mijn boeken.

Getriggerd door Prof. Sorcha en haar servetje, probeerde ik nadien zoveel mogelijk onder haar supervisie te werken. Ik ontdekte dat ze een encyclopedische kennis heeft over elk onderdeel van de oogheelkunde, maar ook dat ze die kennis graag deelt. Zo organiseert ze vaak lessen voor specialisten in opleiding. Ze heeft een passie voor haar job en is heel toegan kelijk. Allemaal ingrediënten die van haar een geweldige mentor maken. En bovendien is ze een kattenliefhebber met gevoel voor humor!

Iedereen die het geluk heeft een mentor tegen te komen tijdens zijn of haar opleiding, weet hoe waardevol dat is. Een mentor is als een coach tijdens een race: iemand die je aanwakkert met nieuwe energie bij nood. Zo had ik weleens van die momenten waarop ik me afvroeg of een carrièreswitch naar bloemist nog binnen de mogelijkheden lag. Gelukkig heb ik dan iemand die me doet herinneren aan wat ik wél bereikt heb. Rest me alleen nog iedereen warm aan te bevelen zelf op zoek te gaan naar zo’n goede mentor! Maar: de mijne is al bezet (ik heb haar nodig).’

41 UZA PRAKTISCH
ONVERGETELIJK

1 2 3 4 5 6 7

Horizontaal

1. herstel 2. op die plaats – hooivork – liefdegod 3. laatste kwartier – Latijnse groet – teugel – lidwoord 4. verharde huid – hoofdstad van Noorwegen – manwijf 5. heideplas – zelfbeeld – ijzergrond – bergschuif 6. overgevoeligheidsreactie – Turkse bevelhebber 7. daar – oosters weefsel – lint aan dameshoeden 8. toegangsweg – slede – kelner – laagfrequent

9. Nieuwe Testament – echo – ontkenning – jongensnaam 10. woestijn in Azië – degeneratie van een pees 11. éénkleurig – moerasvogel – boksterm – Griekse letter 12. krachtig – schaapkameel – circa 13. claim – elleboog (Lat.) – honingschijf 14. lichaamsdeel – lichamelijke opvoeding – cadans – meester 15. radiotoestel – loopvogel – slurfdier 16. Eerwaarde – linkshandigheid

Verticaal

1. inwendig orgaan – Keltische klauw (verdikking van bindweefsel in de hand) 2. ieder – netto – modern 3. na dato – éénjarig rund – deuken 4. Engelse graaf – oorsprong – onderricht 5. zaterdag – ogenblik – tantalium – Incorporated – Romanum Imperium 6. Iers verzetsleger – scheepstouw – luitenant – slappeling 7. deel van het hart – baken 8. kiezelzandsteen – halmtop – rijstgerecht – motorschip 9. muzieknoot – vuurkoord – Nederlands – weke brij 10. gevangenis – uitroep van schrik – kinderdoek 11. Radio Kamerorkest – deel van het skelet 12. in orde – roem – familielid – masker 13. lichtbruine kleur – infrarood astronomische satelliet – betelpalm 14. en meer – voeg – namaak – meisjesnaam 15. reinigingsmiddel – betaalmiddel – grote, gekweekte garnalen 16. gewrichtsaandoening – natuurgeneeswijze

Oplossing maguza 114

Doe mee en win!

Heb je het letterwoord ontdekt? Mail het dan voor 20 februari 2019 met je naam en adres naar maguza@uza.be of stuur een briefkaart naar Maguza, UZA – Afdeling communicatie, Wilrijkstraat 10, 2650 Edegem en maak kans op een van de vijf boekenbonnen van Standaard boekhandel.

SPOEDDIENST

De winnaars zijn:

Jarne Schoors (Lier)

Chris Dom (Mol)

Martine S’jegers (Wilrijk)

Ch. Vanderseypen (Nijlen)

Edgard Goossens (Sint Truiden)

42 1 2 3 4 5 6 7 8 9 10 11 12 13 14 15 16 1 L U P U S + C H I R O P E D I E 2 A N A N A S A A R D B E I + D M 3 C O L + T I P I + S E + S T O F 4 T + E G E L + K A + R O E R + Y 5 A K T E + I P + S T O P + O N S 6 T O + I N C O N T I N E N T I E 7 I R A + O O S T E N + N O + D E 8 E + B A R S T + R C D + R A A M 9 K A A P + E I K + T A L E N T + 10 U L + A L + C L O U + O N + I B 11 N E U R O C H I R U R G + B E Y 12 D + L T + O E N + R A + I O + P 13 I N K + O M + K P + D A K O T A 14 G O + E V E R + I S A R + T A S 15 E T E R + D A N S E R E S + P S 16 + A N G I O G R A M + A F T E + KRUISWOORDRAADSEL 1 2 3 4 5 6 7 8 9 10 11 12 13 14 15 16 1 4 2 3 4 6 5 6 5 7 8 3 9 10 7 11 12 13 2 14 15 1 16 Puzzel & win!

gezinszorg ❙ kraamzorg poetshulp ❙ woningaanpassing gastopvang ❙ dagopvang groen- en klusjesdienst

Landelijke Thuiszorg helpt met een waaier van diensten

gastopvang ❙ dagopvang groen- en klusjesdienst Landelijke Thuiszorg helpt met een waaier van diensten

bel GRATIS 0800 112 05 thuiszorg@ons.be www.landelijkethuiszorg.be

gastopvang ❙ groen- en klusjesdienst

gezinszorg ❙ kraamzorg poetshulp ❙ woningaanpassing gastopvang ❙ dagopvang groen- en klusjesdienst

gezinszorg ❙ kraamzorg poetshulp ❙ woningaanpassing gastopvang ❙ dagopvang groen- en klusjesdienst

gezinszorg ❙ kraamzorg poetshulp ❙ woningaanpassing gastopvang ❙ dagopvang groen- en klusjesdienst

gezinszorg ❙ kraamzorg poetshulp ❙ woningaanpassing gastopvang ❙ dagopvang groen- en klusjesdienst bel GRATIS thuiszorg@ons.be www.landelijkethuiszorg.be

gezinszorg poetshulp ❙ gastopvang groen- en klusjesdienst bel GRATIS 0800 thuiszorg@ons.be www.landelijkethuiszorg.be

gezinszorg ❙ kraamzorg poetshulp ❙ woningaanpassing gastopvang ❙ dagopvang groen- en klusjesdienst

bel GRATIS thuiszorg@ons.be www.landelijkethuiszorg.be

poetshulp woningaanpassing gastopvang ❙ dagopvang groen- en klusjesdienst

gezinszorg ❙ kraamzorg poetshulp ❙ woningaanpassing gastopvang ❙ dagopvang groen- en klusjesdienst

bel GRATIS 0800 112 thuiszorg@ons.be www.landelijkethuiszorg.be

gezinszorg ❙ kraamzorg poetshulp ❙ woningaanpassing gastopvang ❙ dagopvang groen- en klusjesdienst

bel GRATIS 0800 112 05 thuiszorg@ons.be www.landelijkethuiszorg.be

bel GRATIS 0800 112 05 thuiszorg@ons.be www.landelijkethuiszorg.be

bel GRATIS 0800 112 05 thuiszorg@ons.be www.landelijkethuiszorg.be

bel GRATIS 0800 112 thuiszorg@ons.be www.landelijkethuiszorg.be

Landelijke Thuiszorg helpt met een waaier van diensten bel GRATIS 0800 112 05 thuiszorg@ons.be www.landelijkethuiszorg.be

van diensten bel GRATIS 0800 112 thuiszorg@ons.be www.landelijkethuiszorg.be

bel GRATIS 0800 112 05 thuiszorg@ons.be www.landelijkethuiszorg.be

gezinszorg ❙ kraamzorg poetshulp ❙ woningaanpassing gastopvang ❙ dagopvang groen- en klusjesdienst bel GRATIS 0800 112 thuiszorg@ons.be www.landelijkethuiszorg.be

Landelijke helpt met van diensten bel GRATIS thuiszorg@ons.be

gezinszorg poetshulp ❙ gastopvang groen- en klusjesdienst

Een geniale uitvinding, zo’n implantaat’

Marie (22) verloor als baby haar gehoor, maar dankzij twee cochleaire implantaten leidt ze een leven zoals u en ik. ‘Zonder mijn arts prof. dr. Paul Van de Heyning zou ik nooit staan waar ik nu sta.’

Marie werd twee maanden te vroeg geboren. Door een antibioticakuur werd ze volledig doof, al was dat niet meteen duidelijk. ‘Een stan daard gehoortest bracht niets aan het licht, maar mijn moeder vond dat ik niet normaal reageerde op geluidprikkels. En ze had gelijk: ik bleek volledig doof aan beide oren. Gelukkig kwam ik in aanmerking voor een cochleair implantaat (CI), een elektronisch toestelletje dat rechtstreeks de gehoorzenuw stimu leert. De techniek stond toen nog in de kinderschoenen. Prof. Van de Heyning van neus keel oorziekten implanteerde mijn eerste CI toen ik twee was. Ik was toen de jongste patiënt ooit in België. Op mijn vierde kreeg ik er ook een aan mijn andere oor.

Het geluid dat ik waarneem, is niet te vergelijken met normaal ‘horen’. Voor anderen klinkt het blijkbaar als een robotstem, maar ik heb nooit anders geweten. Een gewoon gesprek lukt prima en ik geniet bijvoorbeeld ook van klas sieke muziek. Ik speelde twaalf jaar lang zelf piano.

Tot mijn twaalfde volgde ik twee tot drie keer per week gehoorreva lidatie bij het Antwerps Reva lidatiecentrum (ARC), waarbij ik onder meer leerde liplezen en

Oproep Heb je ook iets bijzonders meegemaakt in het UZA? Laat het ons weten via maguza@uza.be

geluiden onderscheiden. In het UZA werd ik in het begin opge volgd door audiologe Ellen Cochet. Later werd dat Anouk Hofkens, die me nu nog steeds uitstekend bege leidt. Als er al eens een probleem pje is, kan ik snel bij haar terecht.

Laatste jaar tandheelkunde

Ik heb altijd op een gewone school gezeten, weliswaar met GON be geleiding (Geïntegreerd Onder wijs begeleiding). Tijdens die uren kreeg ik onder meer logopedie.

Ook aan die mensen heb ik veel te danken. Vandaag zit ik in mijn laatste jaar tandheelkunde. Dat is altijd perfect gegaan, zij het met wat extra ondersteuning. Zo spelden de docenten in de les een microfoontje op dat rechtstreeks in verbinding staat met mijn CI. Hoe ouder ik word, hoe meer ik besef hoeveel geluk ik heb gehad. Dankzij prof. Van de Heyning kan ik het leven leiden dat ik nu heb. Er zijn weliswaar beperkingen: ik ga bijvoorbeeld niet met tien vrienden op café. Maar dat zijn kleine aanpassingen. Ik prijs me gelukkig dat ik als prematuurtje ‘maar’ doofheid heb opgelopen. Want dat is vandaag heel goed te behandelen. Die cochleaire implantaten zijn een geniale uitvinding.’

GEHOLPEN
44

Turn static files into dynamic content formats.

Create a flipbook
Issuu converts static files into: digital portfolios, online yearbooks, online catalogs, digital photo albums and more. Sign up and create your flipbook.
Maguza 115 by UZA - Universitair Ziekenhuis Antwerpen - Issuu