HYGAIN Product Booklet

Page 1

DISCOVER THE HYGAIN® DIFFERENCE

HYGAIN® feeds and supplements have fueled champions worldwide for almost 40 years.

Our mission is to combine our passion, knowledge and innovations with the highest quality natural ingredients, to deliver leading edge nutrition solutions that improve the wellbeing and performance of horses.

Our innovative formulations provide the ultimate balance of nutrients to achieve results across all disciplines. From high performance athletes, aspiring Olympians, pleasure horses and retired companions, to horses suffering from ailments, HYGAIN® can provide the right nutrition solution for your horse.

This Nutrition and Product Guide will guide and educate you through our range of innovative feeds, supplements and treats.

Team

Our Mission

This philosophy has long guided HYGAIN®, a leading equine feed and supplement company located in Melbourne, Australia. We at HYGAIN® are devoted to bringing our customers closer to your dream by blending years of experience, innovation, up-to-date research and enthusiasm to bring out and nurture the very best in your horse. As an equine-only feed mill, HYGAIN® is solely devoted to the horse and their particular requirements, resulting in outstanding nutritional solutions that really make a difference to your horse’s health, performance and well-being.

Our Quality Assurance

The HYGAIN® product range is backed by HYGAIN®’s uncompromising commitment to excellence in all facets of our business. We are committed to using only the finest certified ingredients, applying the strictest quality controls and employing constantly reviewed nutritional research. This approach has resulted in groundbreaking innovations, so as to provide our customers with the highest possible standards in equine

nutrition which our customers have come to expect from HYGAIN®. All aspects of our manufacturing processes are quality controlled and fully certified under HACCP and FEEDSAFE quality assurance programs.

World Leading Technology

As an equine-only feed mill we recognize that the horse is a vastly different animal from those used for food and general farm duties. They encompass a unique digestive system, which demands attention to refined feed processing techniques so as to minimize the negative impact of non-pasture nutritional sources. Our modern state of the art manufacturing facility boasts a world first combination of pelletizing, micronizing and steam extrusion all at the one site. These processes significantly enhance the nutritional value of our products, improving palatability, increasing feed efficiency and conversion while reducing the incidences of dietary-related equine disorders.

Nutritional Innovation

HYGAIN® products incorporate the latest in equine nutrition and unique ingredients such as bio available organic minerals and

“LET
YOUR
HORSE EXCEL FROM THE INSIDE OUT AND PARTNER WITH HYGAIN® A BRAND YOU CAN TRUST!”

vitamins, a live yeast culture for improved fiber, phosphorus and calcium digestibility and a patented form of Mannan Oligosaccarides derived from the outer cell wall of a selected strain of yeast supporting a healthy immune system and promoting gastrointestinal health and performance.

At HYGAIN® we only use additives which are scientifically proven to deliver major benefits to the equine’s nutritional performance and that complement our fully fortified and precisely balanced feeds.

Our Customer Service

The personal and flexible approach of the competent and constantly trained HYGAIN® team adds additional value to your horse’s individual diet as we provide services that include custom feed formulation and manufacturing, nutritional problem solving, advice and ration evaluation.

medallists or championship titlists in racing, show jumping, dressage, eventing, reining, barrel racing and many other disciplines. A great variety of breeders have achieved and continue to achieve outstanding success in the equine industry and unconditionally trust in HYGAIN®’s nutritionally balanced feeds and supplements allowing the equine athlete to reach its full potential.

HYGAIN®-fed horses truly stand out with high quality performances, gleaming looks, outstanding condition and balanced temperaments.

HYGAIN®’s vast growing global market share, exporting throughout Australasia, North and South Asia, the Middle East, North America and Europe, has resulted in a number of regional and national export awards.

The HYGAIN Success: A Snapshot

For more than 35 years HYGAIN® has been feeding champions whether it be International Racehorse champions, Olympic

At HYGAIN®, success is not only measured by sales. More importantly, it brings the company’s customer closer to their dream and creates exceptional “customer satisfaction” that gives HYGAIN® the greatest reward.

HYGAIN® COOKING PROCESSES

The Pelleting Process

In the pelleting process, the ingredients are ground and then steam-heated to 80-90°C (176-194°F) for about 20 seconds. Next, the mash is pushed through a pellet die of the desired size, cooled, and dried to prevent mold growth. With forage pellets, the forage is first dehydrated before being processed. As pellets are cooled, moisture content is also reduced.

The Extrusion Process

The extrusion process begins with the grinding and mixing of ingredients such as grains, oil and fiber sources. The resulting mash is cooked using a combination of high temperature steam and pressure. This process involves pushing the mash through an extruder–a steel cylinder–where the mix is rotated under increasing pressure. The end product then emerges from the extrusion die, where it is cut into small cubes or nuggets, expands and “pops”, much like a kernel of corn. These cubes or nuggets are then cooled down before being bagged. Due to the higher temperatures and added pressure, gelatinization of starches is even more complete through extrusion than through pelleting. Extruded products provide the additional benefit of transforming into a soft mash when water is added, ideal for horses with poor dentition such as senior horses.

MICRONIZATION

Revolutionary Feed Technology

Maximizes digestibility, nutritional value, feed efficiency, and palatability

Research and innovation have helped HYGAIN® develop a state-of-the-art manufacturing method that maximizes digestibility, nutritional value, feed efficiency, and palatability. Unlike other feeds that are usually steamed, HYGAIN® uses Micronization, a revolutionary process that uses infrared heat to rupture the endosperm of the grain, which leads to the grain becoming soft and pliable, and then gelatinizes the grains. Most barley for example, once it is broken down, is still only about 30% digestible. But if micronized, it can become almost 95% digestible.

INFRA RED GELATINIZATION FLAKING Carbohydrate Breakdown ENHANCED DIGESTIBILITY & NUTRITIONAL VALUE The Micronization Process STARCH GE LATINIZATION Whole Barley Rolled Barley Micronized Barley Whole Corn Cracked Corn Micronized Corn
% Digeste d 0 20 40 60 80 100 Micronized grains can be up to 95% digested in the horse’s small intestine

TOPLINE BUILDING AT ITS BEST

Cereal grain-free formula provides sensible energy through slow-release sources

Pure rice bran oil supports absorption and feed efficiency for muscle building

Natural vitamin E supports antioxidant, cardiovascular, circulatory, neuromuscular, and reproductive functions

Biotin supports healthy growth of hair and hooves

SHOWTORQUE® is a micronized, low-dose, high-fat, cereal grain-free, muesli feed that promotes lean muscle mass development and may enhance coat shine and hoof growth. Combined with essential amino acids and bioavailable antioxidants, SHOWTORQUE® supports muscle tissue repair to help manage the stresses of training and competition.

1.32 DE mcal/lb 20% Crude Protein 9% Crude Fat 16% Crude Fiber 0.8% Calcium

Sweet lupin hulls have a low glycemic index

Highly digestible, high-fiber formula (35%) helps support healthy gut function

Natural vitamin E supports antioxidant, cardiovascular, circulatory, neuromuscular, and reproductive functions Biotin supports healthy growth of hair and hooves

LOW-STARCH, LOW-SUGAR, SOY-FREE, CEREAL GRAIN-FREE FORMULA
HYGAIN® ZERO® has the lowest sugar content of any fully-fortified feed on the market and is ideal for horses that require a low-starch diet, have a sensitivity to soy or cereal grains, need a cool source of energy, or are prone to equine metabolic disorder, insulin resistance, laminitis, Cushing’s disease, or tying-up.
0.8 DE mcal/lb 15% Crude Protein 4% Crude Fat 35% Crude Fiber <1.5% Max Starch
5.5% NSC and 1.5%
Less than
starch

ULTRA-LOW STARCHtm TEXTURED CONCENTRATE

Australian lupins provide quality protein and amino acids essential for muscle development

Cereal-grain free formula supports the horse’s overall digestive health

If looking to boost your horse’s muscle development or nutrient intake choose MUNGA®

Includes BONAFIDE® - a water-soluble and bioavailable form of vitamin K1 and K2 to help with bone density

MUNGA® is a fully-fortified feed or top dressing to encourage muscle development. The ideal Ultra-Low Starch™ choice for boosting muscle development and nutrient intake.

1.4 DE mcal/lb 25% Crude Protein 11% Crude Fat 15% Crude Fiber 13% NSC

ULTRA-LOW STARCHtm BALANCER

35% Fiber content and prebiotics support the healthy gut function

Cereal-grain free formula supports the horse’s overall digestive health

Low dose pellet from 1 lb feed per day (Mature 1,100 lb horse at maintenance) to support predominantly forage diets

Includes BONAFIDE® - a water-soluble and bioavailable form of vitamin K1 and K2 to help with bone density

META SAFE® is a cereal-grain free pellet with a concentrated vitamin and mineral blend for daily optimal health and performance. The ideal Ultra Low-Starch™ choice for easy keeping horses.

0.81 DE mcal/lb 12.5% Crude Protein 4% Crude Fat 35% Crude Fiber 6.5% NSC

SMALL PORTION, MAXIMUM RESULT

Prebiotics & probiotics to support a healthy gut and immune system.

Improves fiber, phosphorus and calcium digestibility and increases gross energy, total lipid and amino acid absorption Natural Vitamin E for antioxidant, circulatory and cardiovascular functions

Biotin for the healthy growth of hair and hooves

BALANCED® is a pelleted all-round, low-dose concentrate ideal for easy keepers, horses on a pasture-only diet or receiving a home-mixed diet requiring balanced vitamin and mineral levels, or to top up premixed feeds when they aren’t fed at recommended levels.

1.02 DE mcal/lb 25% Crude Protein 4% Crude Fat 10% Crude Fiber 5% Max Starch
energy
vitamins
Added
Bioavailable chromium to support glucose storage and lactic acid build-up management 1.36 DE mcal/lb 15% Crude Protein 7% Crude Fat 14% Crude Fiber 0.9% Calcium
SPECIALIZED FORMULATION FOR ACTIVE SENIORS SENIOR® is a palatable non-oat, soy free, micronized, textured feed formulated for active mature horses. SENIOR® provides necessary digestible
along with soluble fiber, quality protein with balanced levels of
and minerals for optimal health, vitality, and joint mobility. Glucosamine for joint health Prebiotics and probiotics to promote a healthy gut and support natural defenses essential for optimum well being
vitamin C for immune function

SUPPORTING HEALTHY BODY CONDITIONING

Glucosamine for joint health

High in soluble fibers to maintain a healthy gut

Natural vitamin E supports antioxidant, cardiovascular, circulatory, neuromuscular, and reproductive functions

Biotin supports healthy growth of hair and hooves

TRU CARE® provides quality nutrition for horses with specific nutritional requirements due to age, body condition, or change in work status. Formulated with higher protein, fat, soluble fibers, and a dense vitamin and mineral concentration, TRU CARE® gives your horse the essential nutrients to maintain body condition and general well-being.

1.40 DE mcal/lb 16% Crude Protein 8% Crude Fat 18% Crude Fiber 0.9% Calcium

MUSCLE SUPPORT FOR PERFORMANCE HORSES

Magnesium to balance calcium and assist in muscle relaxation and potassium to limit dehydration, increase blood flow to the muscles, and prevent potassium depletion

Bioavailable chromium to help reduce the build-up of lactic acid at the end of strenuous exercise and to increase the horse’s ability to store glucose

Bioavailable selenium acts as an antioxidant to prevent fatty acid oxidation which can cause tissue damage

Includes BONAFIDE® - a water-soluble and bioavailable form of vitamin K1 and K2 to help with bone density

RELEASE® is a micronized, non-oat, soy-free, textured feed formulated with enhanced levels of antioxidants, magnesium, and vitamins making it ideal for performance horses prone to tying up and other muscle disorders.

1.48 DE mcal/lb 15% Crude Protein 10% Crude Fat 10% Crude Fiber 1% Calcium

FULLY FORTIFIED RACING FEED

Formulated to provide a nutritionally balanced diet for high performance horses in full training

Micronized to improve digestion

Formulated with pre and probiotics to promote a healthy gut and immune system

TRACKTORQUE® is formulated to provide a nutritionally balanced diet for high performance horses in full training. Micronized to improve digestion and formulated with prebiotics and probiotics to promote a healthy gut and immune system.

BONAFIDE® for
support 1.35 DE mcal/lb 12% Crude Protein 6.5% Crude Fat 10% Crude Fiber 0.7% Calcium
Includes
bone and cartilage
SAFE & EFFECTIVE WEIGHT GAIN
GAIN® is a safe and effective high-fat supplement designed to rapidly boost your horse’s body condition and assist performance horses in meeting their energy requirements.
of pure rice bran oil and omega-3, omega-6 and omega-9 essential fatty acids to promote healthy skin and coat Natural vitamin E supports antioxidant, cardiovascular, circulatory, neuromuscular, and reproductive functions Bioavailable selenium to assist your horse’s muscle metabolism Alternative method for providing calories to decrease grain in your horse’s diet 2.07 DE mcal/lb 10% Crude Protein 20% Crude Fat 18% Crude Fiber 0.6% Calcium 20% Fat Supplement
TRU
Blend

THE ULTIMATE BREEDING FEED

Includes BONAFIDE® - a water-soluble and bioavailable form of vitamin K1 and K2 to help with bone density

Bioavailable selenium to assist your horse’s muscle metabolism

Pure rice bran oil supports absorption and feed efficiency for muscle building

Natural vitamin E supports antioxidant, cardiovascular, circulatory, neuromuscular, and reproductive functions

Extruded nutrition scientifically designed to meet the complex requirements of breeding and growing horses. Supports optimal growth and milk production.

1.60 DE mcal/lb 15.5% Crude Protein 8% Crude Fat 12% Crude Fiber 1.4% Max Calcium

TEXTURED BREEDING CONCENTRATE

Includes BONAFIDE® - a water-soluble and bioavailable form of vitamin K1 and K2 to help with bone density

Prebiotics and probiotics to support a healthy gut and immune system

Pure rice bran oil supports absorption and feed efficiency for muscle building

Natural vitamin E supports antioxidant, cardiovascular, circulatory, neuromuscular, and reproductive functions

Micronized textured feed scientifically formulated to meet the nutritional requirements of breeding and growing horses. The breeder’s choice for weanling and yearling preparation.

1.36 DE mcal/lb 24% Crude Protein 8% Crude Fat 10% Crude Fiber 10% Max Starch
LOW-SUGAR HEART SHAPED HORSE TREATS TO GIVE SOME EXTRA LOVE TO YOUR EQUINE PARTNER Available in an 8.8 oz pouch. Also available in boxes of 10 units Deliciously all-natural gourmet flavor: FENUGREEK Carefully selected wholesome product: NUTRITIOUS Love at first bite: SUPER TASTY ®

FEED ADVISOR

MY HORSE

Needs high energy

WHAT TO LOOK FOR?

• Highly digestible energy sources e.g. micronized or extruded grains

HYGAIN® RECOMMENDATION

RELEASE® – High energy, high fat performance concentrate feed

TRACKTORQUE® – High energy, nutritionally balanced sweet feed

Needs medium energy

• High fat feeds as a safe and energy dense calorie source

• Low to moderate cereal grain content

SENIOR® – Fully fortified textured senior horse feed

SHOWTORQUE® – High fat, cereal grain free conditioning concentrate

TRU CARE® – Fully fortified, high fiber, conditioning feed

Needs low energy

• Highly digestible energy sources e.g. micronized or extruded grains

• High fat feeds as a safe and energy dense calorie source

• High fiber, low sugar and starch feeds

Needs to gain weight

• High fat feeds as a safe and energy dense calorie source

• Highly digestible energy sources e.g. micronized or extruded grains

ZERO® – Ultimate low starch, low sugar, grain free complete feed

BALANCED® – Low dose, cereal grain free vitamin and mineral concentrate

TRU CARE® – Fully fortified, high fiber, conditioning feed

SENIOR® – Fully fortified textured senior horse feed

TRU GAIN® – High fat conditioner supplement

Has a metabolic issue

AVOID

• Cereal grains (oats, corn, barley, wheat)

• Treats (apple, carrots)

LOOK FOR

• High fiber, low sugar and starch feeds with a combined sugar and starch intake of less than 10%

ZERO® – Ultimate low starch, low sugar, grain free complete feed

BALANCED® – Low dose, cereal grain free vitamin and mineral concentrate

MY HORSE

Needs to lose weight

WHAT TO LOOK FOR?

• Concentrated sources of bioavailable vitamins and minerals

HYGAIN® RECOMMENDATION

ZERO® – Ultimate low starch, low sugar, grain free complete feed

BALANCED® – Low dose, cereal grain free vitamin and mineral concentrate

Needs to improve topline

• High fat feeds as a safe and energy dense calorie source

• Highly digestible energy sources e.g. micronized or extruded grains

• Quality protein sources e.g. soybeans and lupins

Is a senior horse

• Minimum protein level 14% including good sources of amino acids (lysine)

• Minimum fat level of 5%

• Highly digestible energy sources e.g. micronized or extruded grains

SHOWTORQUE® – High fat, cereal grain free conditioning concentrate

TRU CARE® – Fully fortified, high fiber, conditioning feed

TRU GAIN® – High fat conditioner supplement

TRU CARE® – Fully fortified, high fiber, conditioning feed

SENIOR® – Fully fortified textured senior horse feed

Has poor hooves and coat

• Increased fat for coat health

• Bioavailable Zinc

• Biotin

• Methionine

Is prone to tying up

• High fat feeds

• Elevated Vitamin E and Selenium

• Moderate to low sugar and starch content depending on the severity of tying up

SHOWTORQUE® – High fat, cereal grain free conditioning concentrate

BALANCED® – Low dose, cereal grain free vitamin and mineral concentrate

TRU GAIN® – High fat conditioner supplement

ZERO® – Ultimate low starch, low sugar, grain free complete feed

BALANCED® – Low dose, cereal grain free vitamin and mineral concentrate

RELEASE® – High energy, high fat performance concentrate feed

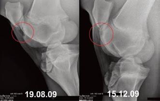
Vitamins K1 and K2 have a critical effect on the function of osteocalcin, the bone protein that binds minerals and protein in the bone together. Without sufficient vitamin K the binding process is incomplete and low density or defective bone and cartilage are produced.

Vitamins K1 and K2 are naturally available in fresh, growing, green pasture but they are highly unstable, being degraded by UV light or wilting. Horses that do not have constant access to high quality pasture are likely deficient in vitamin K, leading to a reduction in bone density and strength. Horses removed from a vitamin K rich pasture and brought into a stall/ pen regime have demonstrated a reduction in bone density within 7-10 days.

Size: 2.4 lb, 6.6 lb, 26.5 lb Cost Per Day: $0.38 - $0.52

LEADING SCIENCE IN BONE INTEGRITY
BONAFIDE® contains Quinaquanone®, a patented and bioavailable form of vitamins
and
K1
K2.

• Glucosamine HCI 8,000 mg

• Methylsulfonylmethane (MSM) 1,000 mg

• Ascorbic acid (vitamin C) 3,000 mg

Each concentrated 20 g dose contains:
Contains curcumin, bromelain and boswellia known to support ailments including tendon, ligament, joint and muscle damage
FOR JOINTS, CARTILAGE AND CONNECTIVE TISSUES NATURALLY DERIVED SUPER ANTIOXIDANT PASTE
Natural ingredients that support the reduction of inflammation NOURISHMENT
Size: 2.65 lb, 8.8 lb, 22 lb Cost Per Day: $0.77 – $1.08 Size: 16.9 fl oz Cost Per Day: $3.30
curcumin based antioxidant formulation
• High strength
A UNIQUE COMBINATION OF ANTIOXIDANTS THAT SUPPORTS TENDONS, MUSCLES AND SOFT TISSUES
• Combination of 3 proven natural antioxidants: superoxide dismutase, proanthocyanidins, and curcumin
Size: 2.2 lb, 6.6 lb, 15.4 lb Cost Per Day: $1.91 – $2.67

• Supports normal muscle function and aids training and performance by maintaining power output and delaying muscle fatigue

• Boosts muscle carnosine, fights muscle acidosis, regulates calcium within muscle cells and provides antioxidant support for muscle

FOR SUSTAINED SPEED AND POWER
SCIENTIFICALLY PROVEN BY EQUINE AND HUMAN RESEARCH Size: 6.6 lb, 26.5 lb Cost Per Day: $2.30 -$2.65
Boosts buffering in muscle and aids performance.
• Stimulates & maintains the appetite • Supports the development of lean muscle • Ideal for horses
heavy work or training BROAD SPECTRUM MYCOTOXIN BINDER NATURAL APPETITE STIMULANT Size: 14.8 oz, 2.65 lb, 8.6 lb, 39.7 lb Cost Per Day: $0.82 - $1.43 Size: 4.4 lb, 22lb Cost Per Day: $1.32 - $1.94 • Horse
and
THE ULTIMATE HIGH PROTEIN NUTRITIONAL PACKAGE Size:
lb, 22 lb, 44 lb Cost Per Day: $3.78 – $4.93
Fast acting & effective absorption of mycotoxins
May alleviate aggressive or unruly behavior, hypersensitivity / ‘girthiness’, poor coat quality, diarrhea and poor conditioning
Suitable for short term or daily usage
in
specific amino acid profile with elevated levels of all 10 essential amino acids and full complement of vitamins & minerals
Contains BONAFIDE®, with the active ingredient Quinaquanone®, a bio-available form of vitamin K1
K2 to support bone density
6.6

RICE BRAN OIL

A unique, pelleted blend of essential vitamins, minerals & fatty acids to support hoof integrity and coat condition

• Includes: biotin, zinc, methionine, vitamin A, D & E and omega-3 fatty acids

Size: 7.2 lb, 15.4 lb, 44 lb Cost Per Day: $1.89 - $2.20

• Pure rice bran oil

• Omega-3, -6, -9 essential fatty acids

• Bio-available natural vitamin E

• Provides primary antioxidants

topline

Size: 169 fl oz Cost Per Day: $0.56

The presence of EPA, DHA and ALA’s omega-3 fatty acids may support: • Circulation, blood supply and oxygen delivery • Energy production • Hormone formation

Size: 169 fl oz Cost Per Day: $1.16

A UNIQUE BLEND OF OMEGA-3 RICH OILS HIGH IN EPA, DHA AND ALA’S
• Stimulates
development SETTING THE NUTRITIONAL STANDARD IN HEALTHY HOOVES, SKIN AND COAT

TO AID IN THE RESTORATION OF NATURAL SWEATING & BREATHING

• Scientifically based formulation of electrolytes, minerals and omega-3 fatty acids

• The unique formula provides electrolytes to stimulate thirst and support horses with anhidrosis (non-sweating)

Size: 2.2 lb, 6.6 lb, 22 lb

Cost Per Day: $1.38 - $2.40

RAPID ELECTROLYTE REPLACER

• Formulated to replace body salts lost during exercise or in hot climates as an aid in the treatment of dehydration, hypochloraemia & alkalosis

• 5 key electrolytes: sodium, chloride, potassium, magnesium & calcium.

• Low sugar formula

Size: 2.65 lb, 5 lb, 44 lb

Cost Per Day: $0.17-$0.43

ELECTROLYTE & B-GROUP VITAMINS SUPPLEMENT

• Highly concentrated blend of electrolytes, b-group vitamins and natural vitamin E

• May improve recovery time, aid in muscle metabolism, enhance energy production, and stimulate thirst and appetite

Size: 16.9 fl oz

Cost Per Day: $4.05

TOP FEEDING TIPS

Introduce any new hard feed, roughage or supplement to your horse’s diet gradually over a 7-14 day period.

Make sure to weigh your horse’s feed and not solely use volume.

Feed a minimum of 1.5% of your horse’s body weight daily as roughage.

Horses have a small stomach, so feed little and often, no more than ~4.5 lb of hard feed per meal.

Ensure horses have access to clean water at all times.

For dietary recommendations and nutritional solutions contact info@hygainfeeds.com or 805-552-4016.

1 2 3 4 5 6

HYGAIN® nutritionists provide complimentary and personalized diet consultations. Through understanding each horse’s unique nutritional requirements, a custom feeding program can be tailored to meet each horse’s exact needs and requirements. HYGAIN® advisors remain connected to customers and adjustments are made as other factors change the horse’s nutritional needs, whether that is workload, geography, or specific needs related to an ailment or other concern. Visit HygainFeeds.com or call 805-552-4016

to schedule your consultation.
www.HygainFeeds.com nutrition@hygainfeeds.com 805-552-4016 ©2022 Hygain Feeds

Turn static files into dynamic content formats.

Create a flipbook
Issuu converts static files into: digital portfolios, online yearbooks, online catalogs, digital photo albums and more. Sign up and create your flipbook.