Henry Schein NZ - Dental Solutions - Feb 2023

Page 24

DENTAL SOLUTIONS

FEB / MAR 2023

TAKE ADVANTAGE OF THESE EXCLUSIVE BENEFITS

EXCLUSIVE ONLINE BENEFITS

• Speed up your consumable o

• Speed up your consumable o

• Select from over 18,000 p

• Select from over 30,000 p

• Track & Trace deliveries

• Track & Trace deliveries

• Ordering templates to save time & money

• Ordering templates to save time & money

• View your backorder status

• View your backorder status

• Pay your account quickly Online

• Pay your account quickly Online

• Inventory Management Solutions

• Online Live Chat - to resolve any questions

• Online Live Chat - to resolve any questions

henry schein.co.nz

H E N R Y SCHEI N . COM

YOUR GO - TO SITE FOR EDUC

SCHEINING PRICES M

• Webinars

Exclusive online only promotions every month

• Podcast

• Clinical Videos

• Henry Schein TV

• Clinical Articles & News

• Latest In-Person Events & Courses

DENTAL EDUCATION HUB.CO.NZ

Clinical content from leading global dental manufacturers updated weekly

fers valid for May 2022

DENTAL SOLUTIONS FEB/MAR 2023 2
NEW
ZEALAND’S LARGEST DENTAL
AUSTRALIA’S LARGEST ONLINE STORE FOR
ONLINE
www.henryschein.co.nz 3 INDEX Henry Schein Henry Schein Online 2 New Products New Product Spotlight 4-5 Henry Schein/A-dec Partnership 6 Henry Schein/A-dec Launch Offers 7 Anaesthesia Solutions Milestone STA Q&A 8-9 Digital Dentistry Asiga Digital Workshop in Implant and Restorative Dentistry 10-11 Practice Operations Solutions KaVo DIAGNOcam Vision Full HD 12-13 Planmeca Viso 14 VITA Vionic Vigo 15 3Shape TRIOS 5 16 Endodontic Solutions Coltene Hyflex EDM Case Report 17 EdgeEndo Preparation of Complex Canal Systems 18-19 EdgeEndo Platinum 20 Infection Prevention & Control Solutions Steps into Steri 21 HuFriedy Group Enzymax Spray Gel 22 HuFriedy Group 6 Myths about Instrument Management Systems 23 Mocom Benefits of a Washer Disinfector in Instrument Re-processing 24 Singletto Oxafence Active 25 Restorative Solutions Komet DIAO 26 GC G-aenial A’Chord and Epitex 27 GC End to End Composite Range 28-29 GC Resin Cements 30-31 GC G-aenial Universal Injectable Tips & Modeling Liquid 32 Kuraray Noritake The Past, Present & Future of Adhesive Dentistry 33-35 3M Scotchbond Universal Plus Adhesive & RelyX Universal Resin Cement 36-37 Ultradent HALO 38-39 Preventative Solutions BLIS Probiotics BLIS M18 40-41 Whitening Solutions Colgate Optic White Light Up - In-Chair 42-43 Infection Prevention & Control Solutions Ansell Microflex Gloves 44 6-7 42-43 38-39 Ultradent Halo Sectional Matrix System. Colgate Optic White Light Up. A-dec now
available from Henry Schein!

NEW PRODUCT SPOTLIGHT

Henry Schein in conjunction with our global supplier partners are committed to sourcing and supplying the latest and highest quality products to support the advancement of dental professionals and patient care in New Zealand. Check out the latest editions to Henry Schein’s range, available online, or through Customer Care and your Territory Manager.

GC Initial™ LiSi Block

GC Initial LiSi Block is a fully crystallized lithium disilicate block that delivers optimal physical and aesthetic properties without firing. This makes it an ideal time saving solution for single visit chairside treatments. The unique ultrafine crystal makes it easy to grind and can be quickly milled in its fully crystallised stage. Thanks to GC Initial LiSi Block’s exceptional properties, high gloss and natural opalescence can be obtained in few minutes by polishing only and restoration is then ready for luting. GC Initial LiSi Block is available in four aesthetic shades and two translucencies.

KaVo UniQa

Ergonomically perfected for practitioners thanks to the shortened base plate, the narrow backrest and the connection via the curve segment. Made even more comfortable for patients thanks to the new armrests and the adapted upholstery shape. Easy to operate thanks to the full-touch display on the dentist element, intuitive operating concept for time-saving and smooth treatment processes, capacitive control panel on the assistant element with all the required functionality, and an accoustic signal for the parking position of the spittoon bowl to optimise the workflow. Talk to your Equipment Specialist for more information on the NEW uniQa Treatment Unit.

Coltene Dual Move Motor

Using a cordless, well-balanced in hand and silent endodontic motor with control of movement, speed and torque, offers freedom and comfort, as well as an optimal security when shaping the root canals. The display turns around in order to suit to left-handers. The contraangle rotates without being disconnected from the handpiece. Its miniature head and thin neck make it easier to reach the posterior teeth while keeping an excellent visibility on the root canals inlets and working area. Functionalities, high level of customisation, make Dual Move the ideal portable device for individual practices, in continuous rotation or reciprocating movement.

0800 808 855 4 NEW PRODUCTS

Ultradent Halo™ Sectional Matrix System

The easy-to-use sectional matrix system allows the creation of consistent, beautiful, and anatomically contoured composite restorations in less time. It offers all necessary components, such as nitinol rings, stainless steel matrix bands, and plastic wedges. The high-quality components are suitable for dealing with most of the clinical challenges associated with posterior restorations and were also designed to work together perfectly.

Read more on page 40.

DIAGNOcam Vision Full HD

With the new KaVo DIAGNOcam Vision Full HD, everything literally “clicks”, because it enables three-in-one diagnosis with the simple push of a button. KaVo’s new premium intraoral camera offers an entirely new imaging concept for the dental practice. With the innovative 3-in-1 concept, intraoral, transillumination and fluorescence images are created in brilliant, full HD quality. Talk to your Equipment Specialist for more information on the DIAGNOcam Vision.

New Generation 3Shape TRIOS 5

This scanner sets a new standard in patient protection and infection control. It is not only hygienic by design, but also smaller, lighter, and designed to fit perfectly in every clinicians hand. On top of that, it comes with the new ScanAssist engine for perfect scan results everytime.

Colgate Optic White Light-Up In-Chair Kit

The newest addition to the Colgate Optic White Light Up range is the In-Chair 10% Hydrogen Peroxide whitening kit. Just a 30-minute treatment will result in dramatically whiter teeth for the customer. No mess precision application pen means easy application and no gingival barrier required.

Read more on page 43

5 NEW PRODUCTS www.henryschein.co.nz

The partnership between Henry Schein and A-dec will open a wide range of new possibilities and dental solutions for your practice.

The addition of A-dec equipment to Henry Schein’s current portfolio complements our existing partner ranges and offers customers further choice of best-in-class equipment from Europe, Japan and the United States.

As your trusted business partner, Henry Schein is proud to now be able to offer further choice to all our valued customers.

Our A-dec Launch Offers will give you the option to tailor your package and choose the ideal mix of consumables, equipment and business solutions for your practice. Talk to us TODAY!

WHEN

0800 808 855 6 NEW PRODUCTS HUGE DISCOUNTS A-dec Dental Chair Range 50% OFF Premium KaVo Handpiece Packages SPECIAL RATE OF 8.5% 12 Months Deferred Payment OR Route 66 Payment Plan
% A-dec Chairs KaVo Handpieces 50% Finance 20 23 + + ADDITIONAL DISCOUNTS
BUNDLING
+
*Normal lending criteria and T’s and C’s apply. Applies to deals including A-dec Treatment Units, and the two payment plans only.
PARTNERSHIP
7 NEW PRODUCTS www.henryschein.co.nz HENRY SCHEIN’S EXCLUSIVE INTRODUCTORY LAUNCH OFFERS *Advertised pricing available during launch period only – 1st Jan-31st March 2023. Continental delivery also available. List Price: $82,170 List Price: $49,100 List Price: $67,810 $67,410 * $39,000 * $52,500 * A-dec 400 Package Traditional Delivery Including EMS Scaler + Dentist and Assistant Stool Package A-dec 500 Package Traditional Delivery Including EMS Scaler + Dentist and Assistant Stool Package + Monitor with Mount A-dec 300 Package Traditional Delivery Including EMS Scaler Henry Schein Introductory Price Henry Schein Introductory Price Henry Schein Introductory Price SAVE OVER $10K SAVE OVER $14K SAVE OVER $15K

THE STA SINGLE

THE STA SINGLE TOOTH ANAESTHESIA SYSTEM Q&A - PART

TOOTH ANAESTHESIA

1

SYSTEM Q&A - PART 1

WITH DR. EUGENE CASAGRANDE

1. Do we need to use Topical anaesthetics with the STA system?

It depends on the injection. Topical anaesthetic works well on mucosal tissue, if used properly When delivering an infiltration or a mandibular nerve block, I would use a topical anaesthetic by placing the topical on the mucosal tissue at the site of the needle puncture and then waiting for at least a minute before piercing the tissue. However, topical anaesthetic does not work well on the dense tissue of the palate, so the STA pre-puncture technique is useful for piercing the palatal tissue comfortably when performing the AMSA and P-ASA injections. Topical anaesthetic is not needed for single tooth injection or crestal technique.

2. Can you bend the tip when injecting?

The needle can be bent from the hub just slightly (5-10 degrees) towards the needle bevel when delivering a single tooth injection on mandibular teeth. This is useful to achieve better access and to determine where the bevel is, since the needle bevel should be placed towards the tooth during this injection. This is the only situation that I would recommend bending the needle.

3. How do we change the cartridge for multi-cartridge use?

After dispensing the first cartridge during a mandibular block injection, the needle can be held at the injection site; the dental assistant takes out the spent cartridge from the cartridge holder and loads a new cartridge into the cartridge holder; before placing the next cartridge onto the top of the STA system, the Multicartridge Button should be activated. This will cause the instrument to omit the purge cycle, which forces air out of the micro-tubing and fills it with anaesthetic and will allow the next cartridge to be administered without removing the needle from the injection site

4. How deep is the needle inserted?

This depends on the injection. The proper and appropriate needle length should always be used; and in any injection the needle should never be inserted deep enough to reach the hub of the needle. For the traditional infiltration and mandibular block injections the STA needle is inserted into the tissue as deep as with the dental syringe – to the injection site. Generally, for the STA injections, the needle should be inserted deep enough to reach the injection site. For the AMSA, the needle is inserted through the palatal tissue until the palatal bone is reached. For the P-ASA, the needle is inserted through the palatal tissue and into the nasal-palatine canal no deeper than approximately

0800 808 855 8 ANAESTHESIA SOLUTIONS

one half of the 30 ga. ½ inch needle. For the single tooth injection, the needle is inserted into the tooth’s sulcus until resistance is met, which should be the bottom of the sulcus and the top of the periodontal ligament space. For the crestal injection on an edentulous area, the needle is inserted through the crestal gingival tissue until the bone is met.

5. What is the Bi-rotational technique & when do we need to use it?

When performing a mandibular block (IA) injection with a dental syringe, all needles will deflect away from the needle bevel as the needle penetrates the tissue to the injection site due the use of mono-bevel needles. This has been shown to be 5-7 mm and is why it takes so long to achieve successful anaesthesia with this injection. Using the STA system handpiece and rotating it 180 degrees as the needle penetrates the tissue to the injection site, needle deflection is cancelled, and the needle goes straight to the injection site. Using the STA for a mandibular block injection has proven to be more successful; produces faster onset of anaesthesia and is less painful in children.

6. Any tips for new users?

Before initial use, the STA system requires operator and staff training on Setup, Operation, Features, Maintenance, and injection techniques. This training is provided by Henry Schein and is useful so that the operator and staff are knowledgeable and confident before the first injection on a patient. When performing the STA injections, the best advice is to always use a 30 gauge Short (1/2“needle), always use the STA Mode of one drop every two seconds; and never use excessive pressure on the needle. More useful information, including important injection videos, is available on the manufacturer’s website: milestonescientific.com/dental-solutions & Henry Schein Dental Education Hub and should be reviewed:

dentaleducationhub.com.au/?s=Wand+STA

Author

Dr. Eugene R. Casagrande has practiced Cosmetic and Restorative Dentistry for over 30 years in Los Angeles. As the Director of Inter national & Professional Relations for Milestone Scientific for over 23 years, he has published multiple articles and has lectured both nationally and inter nationally at over 100 dental schools and in over 50 countries on Computer-Controlled Local Anaesthesia

9 ANAESTHESIA SOLUTIONS www.henryschein.co.nz
View Dental Education Hub DR EUGENE R. CASAGRANDE DDS, FACD, FICD Los Angeles, USA

DIGITAL WORKFLOW IN IMPLANT AND RESTORATIVE DENTISTRY

SECONDARY TEMPORISATION

In this article we will discuss the set of temporary restorations, from capturing the intraoral situation effectively using a special intraoral scan technique, to the fabrication of the provisional crowns and bridges on natural tooth abutments and implants to favour the development of the gingival emergence profile.

Healing phase

Following implant surgery and placement of healing caps, the first provisional temporary was left in place for a four-month healing period (fig. 1).

During the healing phase, tooth 24 (upper left first premolar) developed signs and symptoms of pulpal necrosis, which was treated.

The second phase of temporisation involved individual temporary restorations, (implants and tooth abutmentsupported), printed in GC Temprint resin using the Asiga Max UV printer.

This second provisional phase would allow for the extraction of tooth 15, development of the soft tissue emergence profile and gingival contours, and the verification of the aesthetics and occlusion.

The implant on 11 needed stage 2 implant surgery to uncover the implant as we had to bone graft that site at the time of surgery We have found that on implant sites it is always better to place a temporary implant restoration to develop the soft tissue and emergence profile around that site. This is especially important in an aesthetic zone. Since 15 was extracted and would be replaced by a pontic in an implant bridge, the temporary implant bridge would allow the development of the soft tissue in the pontic site, hence further improving the aesthetic outcome.

Since the patient had approved the shape and occlusion of the initial provisional bridge, the plan was to replicate the aesthetic and occlusal scheme as individual restorations.

0800 808 855 10 DIGITAL DENTISTRY SOLUTIONS 7 8 3D PRINTING SOLUTIONS

The treatment plan for this phase involved:

The treatment plan for this phase involved:

• Finalisation of the preparations and fabrication of single unit provisional crowns for teeth 13, 12, 22, 23 and 24;

• Finalisation of the preparations and fabrication of single unit provisional crowns for teeth 13, 12, 22, 23 and 24;

• Fabrication of single unit implant retained provisional crowns for 11, 21 and 25;

• Fabrication of single unit implant retained provisional crowns for 11, 21 and 25;

• Fabrication of this implant-retained three-unit provisional fixed bridge from 16 to 14;

• Fabrication of this implant-retained three-unit provisional fixed bridge from 16 to 14;

• The extraction of tooth 15 (which would become the pontic for the three-unit implantretained bridge);

• The extraction of tooth 15 (which would become the pontic for the three-unit implantretained bridge);

• Development of the soft tissue emergence profile and contours on the 11, 21 and 15.

• Development of the soft tissue emergence profile and contours on the 11, 21 and 15.

The Mak optimised scan strategy and spaghetti technique

The Mak optimised scan strategy and spaghetti technique

First a pre-preparation scan was done, with the healing abutments and temporary bridge in situ (fig. 2).

First a pre-preparation scan was done, with the healing abutments and temporary bridge in situ (fig. 2).

This was done using the “Mak optimised scan strategy and spaghetti technique” (figs. 3a & b), thus named because the wax looks like spaghetti.

This was done using the “Mak optimised scan strategy and spaghetti technique” (figs. 3a & b), thus named because the wax looks like spaghetti.

This novel scan strategy allows the intra oral scanner to capture areas of soft tissue where the availability of ‘landmarks’ is often limited.

This novel scan strategy allows the intra oral scanner to capture areas of soft tissue where the availability of ‘landmarks’ is often limited.

This optimises image acquisition and enables the accurate stitching of the images taken, providing the most accurate of scans.

This optimises image acquisition and enables the accurate stitching of the images taken, providing the most accurate of scans.

There is an abundance of literature and evidence showing that the accuracy of IOS scans are largely dependent on the experience of the operator and the minimisation of soft tissues capture in the scans.

There is an abundance of literature and evidence showing that the accuracy of IOS scans are largely dependent on the experience of the operator and the minimisation of soft tissues capture in the scans.

www.henryschein.co.nz 11 DIGITAL DENTISTRY SOLUTIONS 7 9 henrysche i n co m .a u 3D PRINTING SOLUTIONS
DR ANTHONY MAK Dentist BDS, Grad Dip Clin Dent (Oral Implants) (USyd)
7 9 henrysche i n co m .a u 3D PRINTING SOLUTIONS
DR. ANDREW CHIO BDSc (Melb) DR ANTHONY MAK Dentist BDS, Grad Dip Clin Dent (Oral Implants) (USyd) DR. ANDREW CHIO BDSc (Melb)

VISUALISING THE FUTURE OF DENTISTRY: THE KAVO DIAGNOCAM VISION FULL HD

1 CLICK, 1 SECOND, 3-IN-1 DIAGNOSIS

With the new KaVo DIAGNOcam Vision Full HD, everything literally “clicks”, because it enables three-inone diagnosis with a simple push of a button. KaVo’s new Premium intraoral camera offers an entirely new imaging concept for the dental practice. With the innovative 3-in-1 concept, intraoral, transillumination and fluorescence images are created in brilliant, Full HD quality. That means that three clinically-relevant images are generated in less than one second and with just one simple click. With this feature, the DIAGNOcam Vision Full HD optimally supports a straightforward, reliable and patient-friendly diagnostic process.

The user can also choose between a one photo mode or a combination of two or three modes for an individuallyoptimised workflow that is appropriate to the treatment process.

Following are testimonials from three European dentists about the DIAGNOcam Vision Full HD.

MAC compatibility and integration

“Using the DIAGNOcam Vision Full HD, I can check caries even before checking my operating system in the practice. It is compatible with Apple and Microsoft and can be used directly with the treatment unit, no matter what brand it is.

It automatically starts as soon as it is removed from the holder. Simply place the tip over a tooth and initiate the recording. Thanks to its intuitive handling, I can diagnose caries with extreme safety. And even better: My whole team can use it, with almost no training at all. That’s plug-and-play at its best.”

Maciej Mikołajczyk, Poland Convincing communication

“The clearer my patients see caries or other findings, the more likely they accept my treatment recommendation. The DIAGNOcam Vision Full HD is my most persuasive assistant: the first look from the patients to the three

full HD images is enough to secure further treatment –because they see the clinical situation for themselves. Whether you are treating critical or pregnant patients or kids: all recordings are X-ray free, so the DIAGNOcam Vision Full HD is perfect for monitoring and gaining immediate acceptance at any appointment, with any patient, on any tooth.

It is not only a device for me, my whole team loves to use it: All my dental assistants take images using DIAGNOcam Vision Full HD – which saves me a lot of time.

In my view, the DIAGNOcam Vision Full HD is the first step for caries prevention: I see more, I can show more – and I can treat caries earlier and less invasively, if needed at all.”

Luigi Ciacci, Italy

Permanent autofocus

“There are many devices that have an autofocus function to take a sharp image. But most of the time it takes too long to get a clinically relevant shot as you have to wait for the image to sharpen. The permanent autofocus function of the DIAGNOcam Vision Full HD is completely different: it is always on and there is no need to press a button or to adjust anything. It focuses automatically and without interruption – I always get a sharp image instantly. The result is impressive: You can barely take an image that isn‘t perfectly sharp – in Full HD quality. This is true regardless of whether you use the DIAGNOcam Vision Full HD as an intraoral camera, as a transilluminating light-beam device or if you are working in the fluorescence mode – or combining all of them into one shot.”

Jochen Kania, Germany

0800 808 855 12 PRACTICE OPERATIONS SOLUTIONS
Scan to see the new DIAGNOcam Vision Full HD.
LAUNCH PROMOTION! $10,550 - SAVE $1000!* PLUS Get 2 Additional Tips FREE when you order the DIAGNOcam Vision HD in Q1. Valued at $895 each. *Excludes software.

Planmeca Viso®

Whatever the need, the innovative Planmeca Viso® imaging units will provide premium image qualit y with optimal patient dose.

Priced from $224,450

Optimise the Field of View size and location for each patient freely

Lower patient radiation doses with proven Planmeca Ultra Low Dose technology

Viso G5 - Maximum volume with a single scan: 20 x 10cm

Viso G7 - Maximum volume with a single scan: 30 x 20cm

Patient movement correction with unique Planmeca CALM

New endodontic imaging mode for detailed endodontic images

3D CBCT imaging combined with 3D face photography

Jaw movement tracking with unique Planmeca 4D Jaw Motion

Scan for more information.

0800 808 855 14 DIGITAL DENTISTRY
SOLUTIONS

VITA VIONIC VIGO ®

NEW TOOTH GENERATION FOR DIGITAL DENTURE FABRICATION AT THE TOUCH OF A BUTTON

The Material System

Information:

• What? VITA VIONIC is a compatible material system for process-reliable CAD/CAM denture manufacturing at the touch of a button.

• With what? The VITA VIONIC material system includes:

 VITA VIONIC VIGO: Denture tooth for CAD/CAM dentures.

 VITA VIONIC WAX: Wax discs for the fabrication of full-sized wax try-ins and wax setups.

 VITA VIONIC BASE: PMMA discs for the fabrication of final denture bases.

 VITA VIONIC BOND: Bonding solution for fixing denture teeth in the base.

www.henryschein.co.nz 15 DIGITAL DENTISTRY SOLUTIONS
VITA VIONIC VIGO
2 3 4 5
1
VITAVIONICBOND VITA VIONIC BASE* VITAVIONICWAX* SCAN/MODEL ANALYSIS *For the fabrication of the (wax) try-in and the denture base, milling and 3D printing methods from VITA technology partners can be used.

Digitise your entire clinic with just one TRIOS wireless scanner

0800 808 855 16 DIGITAL DENTISTRY SOLUTIONS
a great start to intraoral scanning with 3Shape TRIOS
M P LY.TRIOS
S I MP LY ER G O NOM I C S I MP LY. E FFO RTL E S S S I MP LY. HYG I E N I C SCANNER FEATURES TRIOS 5 TRIOS 4 WIRELESS TRIOS 3 WIRELESS TRIOS 3 Dimensions - HWL (cm) 3.8 x 3.7 x 26.6 4.9 x 4.0 x 27.8 4.8 x 4.0 x 28.2 4.8 x 4.0 x 27.3 Total weight, grams* 299 375 373 340 AI Scan 2.0     Realistic scan colors and shade measurement         Wireless    Instant tip heating   ScanAssist  Sleeve and closed mirror housing for improved hygiene  Calibration free  Visual and haptic feedback (LED-ring and vibration)  Smart Power Management  TRIOS Share compatible    *Including Batter y and Tips.
INT R ODUCING T R IOS 5 Get
SI
5

HYFLEX EDM CASE REPORT

HYFLEX EDM CASE REPORT

HARDNESS TESTING IN ROOT CANAL WITH EXTREME CURVATURE

HARDNESS TESTING IN ROOT CANAL WITH EXTREME CURVATURE

Diagnosis

• Patient with pain in tooth 26 and deep distal carious defect.

Challenge

• Preparation of a strongly curved canal profile with curvature of nearly 90 degrees.

Treatment

• Opening of the pulp.

• Preparation with the universal EDM file in ISO size 25.

• Apical enlargement with a 40/.04 file and 50/.04 palatal.

• Obturation with gutta percha and GuttaFlow 2.

User benefits

• Safe and efficient preparation of strongly curved roots canals

Due to the innovative manufacturing process

HyFlex EDM NiT i files have a controlled memory and are extremely flexible and fracture resistant.

• Fast and reliable results using a reduced number of files

Preparation with just one universal EDM file in ISO size 25 is totally sufficient.

• Safe operation due to centered canal preparation

Controlled memory effect, allowing optimal preparation in the center of the canal.

Conclusion

HyFlex EDM Files are ideally suited for simple and efficient preparation of strongly curved root canals with a reduced number of files. The EDM manufacturing process produces files that are extremely fracture resistant and flexible.

Due to the controlled memory effect, HyFlex Files are pre-bendable and do not bounce back

“In this case, the filigree endo-instruments could clearly demonstrate their true break-proof qualities. It was possible to clean the canal in only a few minutes. Even in such extremely curved root canals, no additional equipment was necessary and the preparation could be performed using standard instruments and without greater risk.” Dr.

To view the Hyflex Range on our website ile System Hands-on Course NSW/ACT only

Scan to see Hyflex Range.

www.henryschein.co.nz 17 ENDODONTIC SOLUTIONS
CLICK HERE CLICK HERE
Thomas Rieger

PREPARATION OF COMPLEX CANAL SYSTEMS

The mechanical preparation of the root canal system is an elementary part of endodontic therapy. The purpose is to remove infected dentin and make the canal system accessible for cleaning and disinfection with irrigation fluids. The success of endodontic therapy depends largely on the complete cleaning of the entire root canal system. The preparation should always be adapted to the degree of infection of the endodontic. Severe or abrupt curvatures, calcification of the canals or similar anatomical peculiarities can make it difficult to produce an adequate apical diameter and cone thus placing high requirements on the file systems. Heat treatment of endodontic nickel-titanium file systems can decisively change the material properties to avoid iatrogenic damage through increased flexibility and reduced recovery effect. In the following, the systematic preparation of complex root canal systems is demonstrated using a case study.

Primary treatment of a first lower molar with radix entomolaris

A 34-year-old female patient was referred to us for further treatment of tooth 36. After the diagnosis of irreversible pulpitis by the general dentist, initial pain therapy was carried out in the form of caries excavation, trephination of the pulp chamber, medicinal insertion and adhesive build-up filling. The patient presented to our practice with significantly reduced symptoms.

Clinical findings:

Tooth 36 had no increased probing depths circularly and was conservatively restored with an adhesive preendodontic build-up filling.

Radiographic findings:

The diagnostic radiograph taken preoperatively shows an insufficient amalgam filling in the distal proximal space. The mesial root shows periapical osteolysis (figure 1).

Therapy

The endodontic treatment took place in one session. After anaesthesia and placement of the rubber dam, the provisional filling was removed and the initial

intracoronal diagnosis was made. A mesiobuccal, mesiolingual, distobuccal and distolingual root canal was probed using a microopener. The preparation of the primary access cavity for better accessibility of the canals was carried out with longneck carbide round bur. Based on the preoperative diagnostic X-ray, the length of the root canals could be preliminarily approximated. The canals were continuously rinsed with 6% NaOCl during the further course of therapy. After preparation of the access cavity, coronal expansion of the root canals followed using EdgeEndo X7 files size 17.06. Electrometric determination of the canal length using a Morita Root ZX Mini Apex Locator was performed with C-Pilots size 8-10. After the working length was determined, the glide path was rotationally extended with EdgeFile X7 size 17.04 and 25.04 and finally prepared to 30.04 (Figure 2).

The preparation was followed by a rinse with 17% EDTA for 60 seconds per canal, followed by the final sound-activated rinse with 6% NaOCl for 60 seconds per canal. The preparation and the fit of the congruent EdgeEndo X7 gutta-percha tips were confirmed with the help of a master point image (Figure 4). After drying the canals and access cavity with microsuction and paper tips, the obturation of the canal system followed using the warm vertical compaction technique. A heatresistant bioceramic sealer was used for this purpose (figure 3). The subsequent closure was done with a bulk fill flow composite (figure 5).

Discussion:

Systematic preparation of the root canal system includes opening up the canal system and securing a glide path as well as consecutive expansion of the canal system from coronal to apical. Minimally invasive endodontic concepts focus on preserving the coronal

0800 808 855 18
ENDODONTIC SOLUTIONS
Figure 1: Preoperative diagnostic image

pericervical dentin. However, a rational approach to a minimally invasive endodontic procedure should include sufficient preparation of the apical zone in addition to reduced coronal substance removal. It should allow sufficient contact with irrigation fluids for tissue dissolution and disinfection and should therefore be adapted in size and conicity to the degree of infection of the endodontic site. A coronal-to-apical approach offers the advantage of increased tactility and reduced stress on the file due to reduced contact with the canal wall and can also reduce the spread of bacteria to the apical side. Newer heat-treated file systems with reduced maximum diameter such as EdgeFile X7 from EdgeEndo offer increased safety and efficiency due to their improved material properties and geometry. In our practice, initial mechanical glide path setting with EdgeFile X7 size 17.04 and 17.06 has proven to be particularly effective in canal systems that are difficult to access. The files are used alternately for this purpose.

After coronal expansion of the 17.06, the change to the file of size 17.04 is made, which is used in short pecking working movements until the preliminary radiographically determined working length is reached. In case of resistance, the file 17.06 is passively brought to the previously achieved length and then allows further advancement of the 17.04. In many cases, time-consuming manual glide path preparation can thus be dispensed with. Further preparation is carried out in taper 04 or 06, depending on the anatomical situation, the degree of infection and the planned filling technique. The maximum cross-section of the EdgeFile X7, reduced to 1mm, allows the substance of the

pericervical dentin to be preserved even when preparing large apical diameters and offers increased flexibility in curved root canals. In the present cases, due to the above-mentioned advantages, both difficult-to-access and multiplanar curved root canals could be prepared in a safe, efficient, and rational minimally invasive manner with the help of a simple file protocol.

Complementary to this article: Disinfection Protocol

Suggested

Recommended irrigation protocol for root canal treatment: Many protocols are suggested in the modern endodontic literature. The following steps are the most commonly used:

1. 2.5-5% NaOCI throught the instrumentation procedure until final shape of the canal us achieved (adequate size and taper).

2. Activation and heating of the fresh NaOCI (such as ultrasonic, soni or laser activation) for approx. 30 sec with fresh solution per canal.

3. Apical negative pressure devices are optional to enhance apical irrigation without extrusion (ex. Endovac)

4. Smear layer removal (EDTA, Citric Acid, etc.) for approx. 1 min (activation and/or apical negative pressure optimal).

5. Final rinse options:

a. Fresh NaOCI for approx. 1 min or

b. CHX

c. Alcohol or

d. Dry white paper point and obturate

www.henryschein.co.nz 19 ENDODONTIC SOLUTIONS
Figure 2: View of the mesial canal system after preparation Figure 3: View after obturation Figure 5: After root filling and adhesive closure Figure 4: Masterpoint image Contact your Henry Schein Territory Manager for a complementary Lunch and Learn with Steve Shepherd if you are interested to practice on this case.

EDGETAPER PLATINUM

FireWire heat treatment gives these NiTi files the strength and flexibility to navigate challenging canals without the fear of file separation and breakage.

During what is supposed to be a routine root canal procedure, dentists are often thrown a curveball in the form of a tortuous or calcified canal or some other complication. For the seasoned endodontist, those curveballs can suddenly alter your treatment plan and possibly bring treatment to a grinding halt. And for the general dentist who may be less accustomed to dealing with complex cases, what begins as a typical appointment can end in a referral to an endodontist.

Fortunately, EdgeEndo’s EdgeTaper Platinum rotary file system allows both general dentists and specialists to navigate complex canal anatomies with ease. And, thanks to the proprietary FireWire heat treatment that gives these NiTi files unmatched flexibility and strength, dentists can say goodbye to file breakage or separation.

“As endodontists, our goal is to clean and shape every canal referred to us, including the difficult ones,” explained Dr. Paul Kaplan, who discovered that EdgeTaper Platinum files allow him to “more efficiently and effectively negotiate challenging canal morphologies and reach the apices in almost every case.” He said this system saves time, enhances the patient experience, and improves ergonomics, allowing him to work “without much pressure on my hands or wrist fatigue.” After using EdgeTaper Platinum for this DPS evaluation, Dr. Kaplan says it is now his “new go-to file system, especially for the more difficult cases.”

Cutting & Shaping Efficiency

EdgeTaper Platinum features the same sizes, lengths and technique with similar tapers as familiar variable taper file systems, allowing easy transition from other systems. “Colour coding with familiar colours as other brands of files made a easy transition for usage,” noted Dr. Tony Wu, and Dr. Amir Noori E. said the files “increase efficiency and save time [with] excellent canal shaping.” Dr. Philip Aurbach appreciated that they “cut well and did not separate,” and Dr. R.J. Sondkar said they “cut and shape very smoothly without any rough engagement on the canal walls.”

Available in 21, 25, and 31 mm lengths and sold in packs of 6 files, EdgeTaper Platinum comes in 8 file choices in a familiar sequence— F1, F2, F3, F4, F5, S1, S2, & SX. For this product review, the dentists used the F-series with the SX file, which is 19 mm in length. “Providing prepackaged files provided ease of file sequence,” said Dr. Wu, Dr. Kaplan liked “how the tapers were arranged for an easy transition from one size to the next,” and Dr. Todd Sarubin appreciates the “simple setup with good match to gutta percha.” Noting that EdgeTaper Platinum offers more sizes than his previous file system, Dr. Steven Dater said, “It made my job easier and produced a very high quality of cleanliness in the canal system.”

Resistance to Breakage/File Separation

According to EdgeEndo, EdgeTaper Platinum files feature unmatched strength with more resistance to cyclic fatigue than leading variable taper files. “They are well-made files that eliminate

concerns about the instrument separating in the canal,” noted Dr. Thomas Morgan. The files “cut and shape the canals efficiently with increased resistance to breakage and fatigue failure,” according to Dr. Noori E., and Dr. R.J. Sondkar said, “The extreme flex of these files gives me confidence to work on very curved canals that I’d otherwise not take on.” He added, “EdgeEndo has made a quantum leap with more flexible files that work very well in curved canals, which can otherwise be daunting for a GP dentist.”

Ease of Navigating Curved Canals

EdgeTaper Platinum files are capable of navigating 90° curves with no bounceback, according to EdgeEndo, which was appreciated by Dr. Wu. “The files being bendable allowed them to more easily navigate curved canals,” he explained. Noting that “the flexibility was eye opening,” Dr. Alfred dela Cruz shared how he was able to straighten a file that was accidentally bent more than 90°. After straightening it, he continued with the procedure and said, “I never saw anything like it before.” He also enjoyed the “simple 4 or 5 file sequence” compared to “a complicated assortment of rotary files with too many tapers” and said procedures “went quickly and smoothly.”

Overall Satisfaction

Calling EdgeTaper Platinum “systematic, easy to use, and predictable,” Dr. Morgran declared, “I highly recommend!” Dr. Nathaniel Behrents said it “performed similarly to my current system and is far less expensive.” Concluding that the files made a “tremendously positive impact” on his practice, Dr. Kaplan said, “I was incredibly impressed with so many facets of this product. Everything it promised it would do, it did.”

For more information: www.edgeendo.com

0800 808 855 20 ENDODONTIC SOLUTIONS
EDGEENDO EDGETAPER PLATINUM FINAL SCORE AVERAGE OF SECTIONS A AND B PRODUCT REVIEW SNAPSHOT Cutting efficiency of files Ergonomics of handle SECTION B OVERALL SATISFACTION SECTION A AVERAGE Flexibility of files Ability to navigate canal path Adequate progressive taper of file Resistance to breakage & file separation Range of file lengths & sizes Article from Dental Product Shopper Vol 16 No 2.

The procedures required to prepare a contaminated reusable device ready for its intended use involve several steps. Known as instrument reprocessing, these steps follow an orderly flow from cleaning through to sterilisation and storage. The instrument reprocessing area, which we often refer to as the “Steri bay”, should have a layout that guides you through these steps and be an appropriate size for the volume of instruments being reprocessed. The direction of instrument flow can be indicated by using coloured lighting or signs that help identify and separate the contaminated area from the clean area.

A cleaning process’s workflow moves from dirty to clean in a single direction. This can be achieved by dividing the Steri bay into four distinct areas:

1. Receiving, cleaning and decontamination

2. Preparation and packaging

3. Sterilisation

4. Storage

These four divided areas make up our topic of ‘STEPS INTO STERI’. In this issue, we discuss step 1 - receiving, cleaning, and decontamination. Suggested products with item codes have been provided to help you through the workflow.

Receiving

Before transferring contaminated items to the Steri bay, it is recommended to pre-clean them by wiping them at the chairside to improve the effectiveness of instrument reprocessing. Remaining traces of blood residue, cement and other materials can be removed at this time to prevent them from drying and hardening. Disposable sharp items should be disposed of by the clinician who has used them. This disposal is best done at the point of use in the treatment room, and the sharp item is safely placed into a sharps bin (HS9881907).

Transferring contaminated instruments from the treatment room to the Steri bay can be achieved with Hu-Friedy instrument cassettes (HF-IMN5108) or Zirc transfer trays (ZC-20Z401B) with locking lids (ZC-20Z446) ) to minimise the manual handling of loose items and lower the risk of a penetrating sharps injury if the container is dropped during transport. Contaminated instruments should be carried wearing gloves to the cleaning area and placed on the bench in the contaminated zone of the Steri bay.

Utility Gloves & PPE

When manual cleaning or loading items into the ultrasonic cleaner or washer-disinfector, thick utility gloves, like Hu-Friedy’s Lilac Gloves (HF-40060) should be worn, they are also required for the lubrication

STEPS INTO STERI

of handpieces. Hand hygiene (SK-70000723) must be performed before putting on utility gloves. Other PPE requirements include eye protection (BL-30C) or a face shield (BL-PFSDFS4107S) to protect from splashes, and a mask (TA-LEVEL3-EL) to protect from aerosols. A fluid-resistant gown (HS100-6784) or apron (MIA-AP100) is recommended to prevent splashes from the cleaning agents from reaching the skin. Wearing a bouffant cap, like our Henry Schein cap in blue (HS-9889863) or white (HS-9889861) is recommended when packaging instruments to prevent any shed hair from falling onto the work area or into packages.

Cleaning and Decontamination

Instruments that are not able to be cleaned immediately can be covered with a suitable hydrating solution, like Enzymax Spray Gel (HF-IMS1229) or Empower Foam (KE-10-4224S) to prevent the substances from drying on them. Instruments must be rinsed well before the next step of the cleaning process. Warm water, around 35°C, should be used for this initial rinsing. Hot water will coagulate proteins and trap microorganisms, making cleaning more challenging, and the use of cold water will precipitate and solidify lipids (fats).

Mechanical cleaning with an ultrasonic or washer-disinfector is preferred to manual cleaning, as it is more efficient and reduces the risk of exposure to blood and penetrating skin injuries from sharp or pointed instruments. Sometimes it is necessary to clean a delicate or specialised item by manual cleaning, therefore the instrument should be placed in a dedicated instrument cleaning sink, with lukewarm water and an instrument-grade detergent, like Whiteley’s Sonidet (WC-190377) which can be used for both manual and ultrasonic cleaning. To help remove debris, a long-handled nylon instrument brush (HS953-9664) can be used until the instruments are visibly clean. Cleaned Instruments must be rinsed thoroughly with warm to hot running water to remove all traces of detergent and must then be visually inspected. Thorough rinsing is also important after ultrasonic cleaning, however, if you have a washerdisinfector, then there is no requirement for further rinsing at the end of the cycle.

Drying

Prior to steam sterilisation, instruments must be dry. Residual moisture left on instruments may impede the sterilisation process. Lint-free disposable (EC-22480520) or Aquasorb cloths (MJ-AQ2) aid in drying instruments, and a short rinse in very hot water will also help. Washer disinfectors eliminate the need for a separate drying step.

References: ADA, https://www.ada.org.au/Dental-Professionals/ Publications/Infection-Control/Guidelines-for-Infection-Control/Guidelinesfor-Infection-Control-V4.aspx

Dental Council, https://www.dcnz.org.nz/assets/Uploads/ Consultations/2015/Infectionprevention-and-control-practice-standardeffective1May16.pd

The products listed are provided as suggestions only.

www.henryschein.co.nz 21 INFECTION PREVENTION & CONTROL SOLUTIONS
1 2 3 4

ENZYMAX ® SPRAY GEL

About Enzymax

• Superior level of instrument cleaning powered by a dual-enzyme design that works quickly to remove and prevent biofilms while thoroughly cleaning instruments

• Extended instrument life enabled by Steel gard™ agents and corrosion inhibitors

• It has multi-purpose applications including ultrasonic, pre-soak, linen, spot removal and evacuation cleaner

• Biodegradable and phosphate free – simply pour it down the drain

• Fast, effective, and responsible formulation for instrument cleaning and care

• Concentrated formula is cost effective

With the Enzymax Spray Gel instrument cleaning can begin while instruments are waiting to be processed. The spray gel is an instrument pre-cleaner that fights corrosion and prevents debris from drying onto instruments prior to processing. Prevents build up of starchy film and spots – keeps instruments shiny, makes old instruments look new.

• Reduces Bio-Burden – Reduces possibility of staff cross infection and reduces odour in evacuation system.

• Biodegradable and Phosphate Free - Environmentally friendly - easy disposal.

• Fresh Scent - Subtle fresh scent – pleasant to be around.

• Non-Caustic - Will not harm instruments or dental personnel.

• Ready to Use - No need to dilute – easy to use.

0800 808 855 22 INFECTION PREVENTION & CONTROL SOLUTIONS
Enzymax Spray Gel HF-IMS1229 709ml $37.00 per bottle

6 MYTHS ABOUT INSTRUMENT MANAGEMENT SYSTEMS

Myth 1:

IMS™ Cassettes take up too much space.

IMS™ Cassettes may be physically bigger than pouches, but that doesn’t necessarily mean that they take up more space. IMS™ Cassettes help facilities better organise their reprocessing flow, freeing up to seven linear feet of counter space. They are also easily stacked, sterilised, and stored in a more organised fashion than pouches. One cassette can do the job of multiple pouches during a single procedure - saving you extra space. Plus, they are made of durable, lightweight stainless steel.

Myth 3:

IMS™ Cassettes make it more difficult for team members.

With IMS™ Cassettes, team members are left with less sorting, less guess work, less forgotten instruments, and less chance of mislabeling or mispacking instruments. Dental assistants and hygienists can feel confident walking into every operatory knowing they have the correct instruments and leaving more time to spend with the patient.

Myth 5:

IMS™ Cassettes make staff turnover more difficult.

IMS™ Cassettes help facilities create a system for managing their procedural setups. Each setup includes all of the instruments that are needed to help with onboarding and standardising care throughout a single facility and even across multiple locations. Training new hires or temporary staff on patient prep, reprocessing, and operatory breakdown is simpler with IMS™ Cassettes.

Myth 2:

Packing IMS™ Cassettes takes too long.

IMS™ Cassettes eliminate timeconsuming steps to streamline reprocessing, which can save facilities an hour or more each day. IMS™ Cassettes systematically organise instruments according to procedure type, allowing for more focus on patients and less time spent looking for missing instruments. Instruments don’t need to be scrubbed by hand and they don’t need to be sorted and pouched. That time saved adds up quickly. On average, offices that use IMS™ Cassettes see a time savings of 5 to 10 minutes per procedure.1 Over the course of a day, that saves offices an hour or more.

Myth 4:

IMS™ Cassettes take up too much space in autoclave.

Keeping procedures in a cassette helps to prevent overloading of the steriliser. Without the use of cassettes, pouches are frequently overstuffed. This leads to overloading the steriliser and the risk of not achieving full sterilisation. HuFriedyGroup IMS™ Cassettes have a patented design that permits optimal penetration of steam to instruments during sterilisation. Revolutionary hole pattern design provides more access to instruments during cleaning and sterilisation.

Myth 6:

IMS™ Cassettes are not worth the investment.

IMS™ Cassettes can make an immediate impact on a facility’s bottom line, with the time saved allowing them to see new patients and bring in tens of thousands of dollars in new revenue. IMS™ Cassettes also protect instruments and reduce costs of purchasing new instruments. Dental instruments are kept together throughout the cleaning process, reducing the potential for instrument breakage or loss. It’s no wonder IMS™ Cassettes have a 95% satisfaction rating.2

www.henryschein.co.nz 23 INFECTION PREVENTION & CONTROL SOLUTIONS
Learn more about IMS™ Cassettes at HuFriedyGroup.com/IMS
1) Based on Hu-Friedy market survey results when compared to single instrument reprocessing. 2) Based on IMS™ Cassettes user survey. Data on file.

BENEFITS OF A WASHER DISINFECTOR IN INSTRUMENT RE-PROCESSING

BENEFITS OF A WASHER DISINFECTOR IN INSTRUMENT RE-PROCESSING

Instrument reprocessing is a critical function completed by every dental practice every single day. Practice owners are looking to make their workplace safer and more efficient and where possible, reduce operating costs. Using an automated washer disinfector unit to clean instruments prior to sterilising offers several advantages.

There are many steps involved with the tedious process of manually cleaning instruments It can be an inefficient and time-consuming process You may need to soak the instruments, scrub by hand, rinse and then dry by hand All these functions take time and require the full attention of the staff member to ensure all steps are completed correctly and to avoid sharps injuries or damage to expensive, fine instruments. The process is monotonous and can quickly cause a bottleneck in instrument reprocessing for busy practices, particularly if there is a shortage of staff

Alternatively, an automated washer disinfector is an efficient, validated process delivering consistent results every time Instrument damage is eliminated The potential for sharps injury is significantly mitigated And it offers real cost savings over time

Dirty instruments go straight from the surgery into the washer disinfector, the cycle completes, and the instruments are clean and ready for packaging and sterilisation Once you have a washer disinfector in your practice, there is never any doubt that this is the future.

To quote the relevant standard – AS/NZS 4187:2003 – Cleaning, disinfecting and sterilising reusable medical and surgical instruments and equipment, and maintenance of associated environments in health care facilities, it states “the use of an automated cleaning process in a washer disinfector is the preferred means of cleaning, as an automated process is more reproducible than a manual cleaning process”

Mocom’s Tethys range of benchtop and under bench automated washer disinfector –

1. Mocom Tethys D60, which is a full-size unit with a width of 60 centimetres that comes in single or three phase power and includes a drying cycle.

2. Mocom Tethys H10 is a compact benchtop unit and it’s quite unique. It uses the power of ultrasonics to clean instruments, which means it only takes 35 minutes for pre-rinsing, washing, disinfection and drying. It’s perfect for smaller practices, or large practices that want a second washer disinfector unit that can turnaround small quantities of instruments fast.

0800 808 855 24 INFECTION PREVENTION & CONTROL SOLUTIONS
SCT-9TETHSALT1KG SCT-9S-HEXULTRAT SCT-9TETHYCLEANB JIM OWEN Sales Relationship Manager Mocom-Australia Tethys H10 Plus Hybrid Washer-Disinfector only $10,150

OXAFENCE ACTIVE PROTECTION HAS ARRIVED

NEW TECHNOLOGY PROVIDES ONGOING INACTIVATION

We will continue to face ongoing pathogenic threats, including COVID variants, Flu, and other respiratory viruses. Masks are considered a first line of defence, but most masks were designed for filtration and fluid resistance – they weren’t designed to inactivate pathogens. Viruses like SARS-CoV-2 can survive on masks for seven days^. We believe masks should kill viruses, not just shield or trap them.

That’s where Oxafence comes in. It’s an extra level of protection –Active Protection – that kills viruses* while masks are being worn.

A Novel Application of Proven Science

Early in the COVID-19 pandemic, Singletto Co-Founder and Chief Scientific Officer Dr James Chen hypothesized that Photodynamic Therapy (PDT) methods could be deployed for mask and Personal Protective Equipment (PPE) decontamination. PDT has long been deployed medically to treat cancer and skin diseases and Chen, a neurosurgeon, has spent thirty years in the research and application of such. Dr Chen and I approached global health leaders who initiated worldwide research to confirm his theory. The research team was assembled by the World Health Organization (WHO) COVID-19 Task Force and included 52 global researchers from 13 institutions, including Dr Chen, Singletto Virologist Dr Mores, and myself. The “Development of Methods for Mask and N95 Decontamination” (DeMaND) study demonstrated how Methylene Blue, a protective dye, could inactivate SARS-CoV-2 (the virus that causes COVID-19 disease) on masks via Antimicrobial Photodynamic Inactivation (aPDI). Not only was the method effective for decontamination, but it was also effective as a pre-treatment method providing ongoing inactivation of viruses. This work and many follow-on studies have been peer-reviewed and published in Infection Control and Hospital Epidemiology (May 2021) and The American Journal of Infection Prevention (August 2022).

Oxafence Active Protection Technology

Singletto further develops this aPDI technology to address the many unmet needs of medical, dental, and frontline workers. Singletto’s Oxafence Active Protection technology can be applied to or impregnated in commonly used materials and fabrics to provide an antiviral effect. Our first product – Oxafence Mask Spray – provides fast-acting and long-lasting protection from SARS-CoV-2 and H1N1 on masks. Upon application to the outer layer of a surgical, procedure, or medical mask, Oxafence Mask Spray begins working immediately and will inactivate 99.9% of SARS-CoV-2 and 95% of H1N1 in 30 minutes. And though we recommend changing masks often according to

Infection Prevention and Control and mask manufacturer guidelines, the added protection of Oxafence is laboratory-verified to inactivate pathogens for 24 hours. So, whether you’re wearing a mask for minutes or hours, Oxafence adds a protective barrier of Active Protection.

How Oxafence Mask Spray Works

Much like Photodynamic Therapy (PDT) deploys light, oxygen, and colourants/dyes to treat and cure diseases, Oxafence Mask Spray deploys the protective dye Methylene Blue to induce Antimicrobial Photodynamic Inactivation (aPDI). Methylene Blue is listed as an essential medicine by the WHO and is commonly used in healthcare. When applied to the fibres on a mask’s outer layer, these protective dyes in Oxafence absorb and transfer the energy from ambient light to the oxygen in the air, thereby generating singlet oxygen. Singlet oxygen creates a forcefield of protection on the mask’s surface. If SARS-CoV-2 or H1N1 approaches the mask, the singlet oxygen destroys it by disrupting its RNA, DNA, proteins, and outer viral shells. One application (12 sprays) of Oxafence Mask Spray provides ongoing protection by constantly generating singlet oxygen.

Moving Forward with Confidence

Throughout the COVID-19 pandemic and through the hard flu season, health, dental, and medical workers have navigated safety concerns, faced increased anxiety, and struggled with burnout. We hope Oxafence Mask Spray provides an additional layer of comfort and confidence – no matter what’s ahead. Active Protection has arrived.

For more information or to order Oxafence Mask Spray, please contact your Henry Schein Territory Manager or visit the Henry Schein Webshop. The Oxafence technology is currently being developed for additional products, including pre-impregnated masks. Stay tuned for future product announcements.

Footnote: Information may not be applicable to countries outside of New Zealand, nor may products marketed in New Zealand necessarily be available in other countries. This does not constitute promotion of products outside New Zealand. | ^Chin et al. (The Lancet, 2020) | *Tested against SARS-CoV-2 and Influenza A/ H1N1 in vitro in ~500-700 lux. Any clinical event has not been evaluated. | www.Singletto.com | www.OxafenceNZ.com

www.henryschein.co.nz 25 INFECTION PREVENTION & CONTROL SOLUTIONS

A POWERFUL INNOVATION WITH AMAZING DURABILITY

Crown preparation counts among the core jobs at the dental practice. A routine that demands a lot: Concentration, time and physical effort. Isn’t there a way of making these jobs easier and better at the same time?

The answer: DIAO, with its innovative diamond coating that combines diamond grains and ceramic pearls. This combination creates concentrated power that can be applied with the utmost precision, giving the instrument amazing durability and significantly prolonging the sharpness of its coating. You can rely on the instrument staying sharp over an extremely long time. That’s not all: DIAO is easy and comfortable to guide for perfect control.

For optimum recognition facilitating the workflow in everyday use, DIAO is provided with an unmistakable colour: a classy, modern, radiant rose gold.

Concentrated power for exceptional durability

The combination of diamond grains and ceramic pearls leads to an unprecedented concentration of power that ensures an incredibly long service life. The optimal density of the coating guarantees that the

*Source: Test lab Komet Dental, mechanical cutting test 2020

instrument stays sharp for an exceptionally long time –a sharpness you can rely on time and time again.

Optimum control

Thanks to its innovative diamond coating, the DIAO can be guided smoothly and with ease, thus increasing the safety during the treatment. Easy recognition during everyday work thanks to the rose gold colour

DIAO supports the entire team every day at the practice. With its distinctive rose gold colour, DIAO greatly facilitates the instrument management. The instruments stand out wherever they are, during the treatment, during reprocessing process or when placing the instruments back into storage. This contributes to a smooth workflow at the practice.

Efficiency, created from diamonds and pearls. The innovative diamond coating of the DIAO burs is interspersed with ceramic pearls to increase the distance between the diamond grains. Like this, any pressure exerted is concentrated on the tips of the diamond grains which greatly increases the efficiency of the instrument.

0800 808 855 26 RESTORATIVE SOLUTIONS
0 20 4 0 60 80 10 0 120 Comparison of durability st an dar d d am on d K P6881 DI AO A v e r a g e s e r v c e e p e r c e n t
On average, 64% longer service life compared to traditional instruments*

GC COMPOSITE COMPANIONS

G-AENIAL A’CHORD AND EPITEX

EPITEX the ultimate interproximal finishing strip Indicated for contouring, finishing and polishing of interproximal composite, compomer and glass ionomer restorative surfaces and prophylactic cleaning.

27 RESTORATIVE SOLUTIONS www.henryschein.co.nz Download a copy of the GC Composite Portfolio.
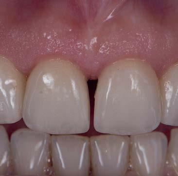
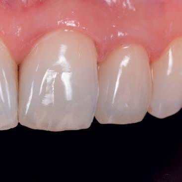
DR CLARENCE TAM HBSc, DDS, FIADFE, AAACD Auckland, New Zealand Initial Presentation and shade selection G-aeniall A’CHORD, A03, A02 and AE
After isolation Removal of existing restoration ll
Pre-crimped epitex, mlyar strip for building the palatal and proximal wall G-aenial A’CHORD, AE Application of G-aenial A’CHORD shade A03, A02
Immediately post operative Review after finishing and polishing Images
Essentia WM and G-aenial A’CHORD shade AE as final layer courtesy of Dr Clarence Tam, New Zealand

END-TO-END COMPOSITE RANGE

YOUR COMPREHENSIVE WORKFLOW SIMPLIFIED

GC composites are designed utilising optimised properties for outstanding performance both functionally and aesthetically. The full GC range of composites allows you to choose your preferred handling and shade system that will ensure predictable aesthetic outcomes. GC’s filler technologies offer excellent physical properties to achieve durability, wear resistance and polish retention.

Each of our universal composites showcases a high level of quality that is core to GC’s product philosophy

1. Select your composite of choice

2. Bonding Protocol

G2-BOND Universal

Your choice of both HEMA free universal adhesive systems in either a single bottle or two step approach, easy to apply with strong and durable results.

0800 808 855 28 RESTORATIVE SOLUTIONS
G-Premio BOND
Gænial Flo X everX Flow Gænial Universal Injectable Gænial Universal Flo Essentia LE Gradia Direct X Gænial Anterior Gænial Posterior Gænial ACHORD Essentia HiFlo Essentia LoFlo Essentia DE Essentia OM Essentia LD Essentia MD Essentia DD Essentia Universal 1 2 3 4 5 6 7 8 9 FLUID FIRM

Aids in fast and efficient application of all direct composite materials. Applied on a brush and/ or instrument, it eases the placement & shaping of composites and helps to achieve good morphology and a smooth finish.

To aid and assist with the manipulation of composites. Ideal for composite stains and tints.

Aluminium Oxide abrasives for contouring, finishing and polishing of interproximal composite, compomer and glass ionomer restorative surfaces and prophylactic cleaning.

New Metal Strips are electro-plated with aluminium-oxide particles. The strips will not stretchor break, and the excellent wear resistance and superior abrasive bonding allow wet finishing, which assures long-lasting and repeated use.

An impressive gloss level can be obtained by just some simple polishing steps, utilising standard polishing wheels

29 RESTORATIVE SOLUTIONS www.henryschein.co.nz
3. Placement Technique Modeling Liquid Composite Manipulation Brush Kit 4. Finishing Epitex New Metal Strips 5. Polishing Diapolisher Paste and points.

RESIN CEMENTS

DUAL CURE OR LIGHT-CURED RESIN CEMENTS FOR YOUR INDIRECT RESTORATIONS

The selection of the optimal luting cement is vital to achieve an excellent result and long-term patient satisfaction. GC have a range of resin cements to offer solution to challenging clinical situations. Depending on the clinical situation, the first question you should ask yourself is: Should I CEMENT or BOND?

Permanent Cementation - Composite Resin Cements

G-CEM LinkForce (dual-cure)

Adhesive resin cement

• High adhesion

• High aesthetics

G-CEM LinkForce

G-CEM ONE

Self-adhesive resin cement

• Efficient self-curing mode*

• Easy-to-use

Dual-cure adhesive resin cement

Strength and aesthetics in one system for all indications, all substrates.

G-CEM Veneer (light-cured)

Adhesive resin cement for restorations

lower than 2mm thick

• High aesthetics

• Easy placement

G-CEM LinkForce is the universal adhesive resin cement that is ideal to use whenever additional retention is needed and a must-have for all CAD/CAM ceramic and hybrid ceramic blocks such as CERASMART270 and Initial LiSi Blocks.

• Secure adhesion in all situations with only one system, three base elements:

G-Premio BOND bonds to ALL Preparations

G-Multi PRIMER ensures a stable adhesion to ALL Restorations

G-CEM LinkForce provides a strong link in ALL Indications

• Efficient self-curing mode, useful for luting more opaque or thick restorations

• The universal, strong and dependable solution to all your adhesive cementation challenges

0800 808 855 30 RESTORATIVE SOLUTIONS
Clinical images courtesy of Dr Antonio Saiz-Pardo, Spain Easy seating and perfect adaptation thanks to a very low film thickness Easy application of G-Premio BOND with or without prior etching Light-curing of the thin adhesive (3µm) for optimal adhesion One universal primer for stable adhesion to all substrates

G-CEM ONE Self-adhesive resin cement

Universal Resin Cement, Simplification without Compromise

Choose G-CEM ONE, a dual-cure resin cement with high adhesive bond strength^† for daily procedures, which can also be used in challenging and non-retentive situations when applying the optional tooth primer.^

Flexible: Optional use of the tooth primer provides optimal bond strength in retentive and non-retentive indications.

• Universal: reliable performance for any type of restoration,including non-retentive ones (when using the Adhesive Enhancing Primer)

• Technique insensitive: moisture tolerance, ideal viscosity, easy excess removal^

• Reliable: efficient chemical polymerisation even under opaque or thick restorations#†

^ GC R&D, Data on file.# Miyazaki S (2020). Excellent curing properties: chemical polymerisation and comfortable clinical practice compatibility of G-Cem ONE. Clinical Advance; 7:167-169.† Sato K, Arita A, Kumagai T (2019).

Evaluation of Bonding Properties of Resin Cement in Self-cure Mode. J Dent Res (Spec Iss 98A):1884(https://iadr.abstractarchives.com/abstract/19iags-3163131/evaluationof-bonding-properties-of-resin-cement-in-self-cure-mode)

G-CEM Veneer

Light-cured adhesive resin cement

A versatile resin cement for easy luting of restorations up to 2mm thick.

G-CEM Veneer: a light-cured resin cement for high aesthetic demand restorations featuring full coverage Silane Coating (FSC) technology.

• Thixotropic consistency for easy placement of veneers and easy excess removal

• High filler rate of 69% (w/w) – for excellent wear resistance, bond and flexural strength^

• Its unique consistency allows it to have optimally balanced flow without the need for preheating the composite

• Four aesthetic shades to match every case with corresponding G-CEM Try-in paste

Thixotropic consistency: easy removal of excess Easy dispensing

Light-cured composite: high aesthetics over time

31 RESTORATIVE SOLUTIONS www.henryschein.co.nz
+
Easy excess removal with the option of tack curing Long-lasting aesthetic results Clinical images courtesy of Dr Kazunori Otani, Japan
1 2 4 3
Clinical images courtesy of Dr Javier Tapia Guadix, Spain (1) & Dr Olivier Etienne, France (2, 3 & 4)
^
Download a copy of the new GC Luting Guide G-Cem Linkforce Starter Kit Was $323.00 NOW $290.70 Refill Was $257.00 NOW $231.30 G-Cem ONE Starter Kit Was $158.00 NOW $142.20 Refill Was $219.00 NOW $197.10 G-Cem Veneer Starter Kit Was $608.80 NOW $547.92 Refill Was $71.40 NOW $64.26 SAVE 10%
GC R&D, Data on file.

G-AENIAL UNIVERSAL INJECTABLE UNITPS & MODELING LIQUID

G-aenial Universal Injectable Unitips

World-leading technologies have enabled GC to define a new benchmark composite offering exceptional strength, unsurpassed polishability and fantastic, tooth-blending aesthetics.

G-ænial® Universal Injectable is also now available in a convenient unitip delivery option. Innovative syringe and unitip design delivers with ease and no slumping. With effortless extrusion, our syringe and unitips are a joy to use - delivery is easy. But you’ll be amazed at how it is injectable and shapeable all at the same time. It adapts perfectly to the cavity floor, but lets you build, shape and contour while you are injecting – because G-ænial® Universal Injectable doesn’t slump! Universal application for all cavity classes, faster placement time with no wastage.

G-ænial® Universal Injectable GC-GUI_

GC Modeling Liquid

Modeling Liquid is GC’s solution for an easy, fast and efficient application of all direct composite materials. Applied on a brush and/or instrument, it eases the placement and shaping of composites and helps to achieve good morphology and a smooth finish.

Apply, Shape, SMOOTH, Enjoy...

Using a brush wetted with GC Modeling Liquid results in a quick and easy application and shaping of composites.

Adapting the final layer of composite using a wetted brush aides in achieving a smoother surface and it simplifies the finishing procedure.

GC Modeling Liquid becomes fully transparent after light-curing - giving nice aesthetic results.

0800 808 855 32 RESTORATIVE SOLUTIONS NEW PRODUCTS
NEW
GC Modeling Liquid GC-014415 6ml Bottle $106.00 per bottle
Quick & easy application and
A smooth finish for a shorter finishing procedure Invisible for great aesthetic results
shaping
Bendable tips for superior cavity adaptation No stringing, no slump, no stress Easy extrusion for maximum comfort Thin nozzle for controlled extrusion
15 x 0.16ml (0.25g) $149.00 per pkt

THE PAST, PRESENT AND FUTURE OF ADHESIVE DENTISTRY

Prof. Van Meerbeek, how have bonding agents changed and advanced since you first began studying them?

I believe that the great progress dental adhesive technology has undergone in the last 30 years, and the progress in bonding agents in particular, has had a great impact on the field of dentistry and particularly on restorative dentistry, of course.

Many of the current restorative dental procedures make use of adhesive materials and techniques and have advanced greatly compared with when I wrote my dissertation more than two decades ago on the topic of adhesion to dentine.

Adhesion to enamel is, of course, relatively easy to achieve in comparison with adhesion to dentine, and when I first started researching this topic, I was limited to conducting clinical trials in which we were confronted with a relatively high number of restoration losses in the short term.

I was lucky to have been able to witness first-hand the fast advancements dental bonding has made, having conducted research in this field now for nearly 30 years.

At a certain point, the research community started to realise that there is a smear layer in-between, which is created through cavity preparation, and that this layer interferes with bonding. If you want to achieve successful micromechanical and chemical bonding

to the substrate, you first need to do something with this smear layer.

After this, we entered the era of conditioners and primers. In the past, the restorative community had been a little bit afraid of using phosphoric acid owing to its potential for pulp irritation. More and more, however, dental professionals began to use etchants with this chemical in them, as well as primers that effectively promoted bonding between the adhesive resin and dentine.

While having achieved excellent bonding performance with multistep adhesives in the laboratory, as was later confirmed in clinical studies, further design and development of adhesive materials next focused on simplification and shortening of bonding procedures.

Out of this, two kinds of adhesives, making use essentially of two different bonding modes, arose: the etch-and-rinse adhesives and the self-etch, or etch-and-dry, adhesives.

The newest generation of universal adhesives now enables dental practitioners to choose which of the two bonding modes to apply with one single adhesive formulation.

33 RESTORATIVE SOLUTIONS www.henryschein.co.nz
COSMETIC & RESTORATIVE
20
As co-editor-in-chief of the Journal of Adhesive Dentistry, Prof. Bart Van Meerbeek is one of the most respected authorities on the topic of dental bonding agents. Here, he discusses how they have advanced over the last three decades and what the future of adhesive dentistry might look like.

What advantages do bonded restorations offer over more traditional methods?

Bonded restorations are minimally invasive—the dentist doesn’t have to remove non-diseased tissue to create undercuts to keep the restoration in place, allowing for a more conservative approach. Keeping as much enamel as possible should be a goal of any restorative procedure, as it is simply the best tissue to bond to.

Although bonding to dentine has always remained more challenging and has actually slowed down our adhesive endeavours for a long time, adhesively restoring teeth, involving also effective bonding to dentine, can today be achieved in a reliable, predictable and durable way.

Along with highly successful implantology to replace missing teeth, lessening the need for bridges, solitary tooth restorations have substantially increased in number.

Bonding promoted the additional shift from conventional tissue-invasive crowns to tissuepreserving partial tooth restorations, as modern adhesives can hold such partial restorations in place on rather flat and even non-retentive surfaces. In addition, bonding procedures allow for more natural-appearing restorations to be achieved by techniques to adhesively lute aesthetic restorations made of glass-ceramics and even the strong zirconia ceramics that no longer can be considered nonbondable.

What is your opinion regarding the current generation of universal adhesive solutions?

I think that this generation is very good, but that they are still not always as good as the more traditional gold standard two-step self-etch and three-step etch-and-rinse adhesives when it comes to their intrinsic bonding potential to dental tissue. However, I do see it as a positive that many of these universal adhesives integrate the MDP monomer, which should be considered to be one of the best functional monomers available today, though it needs to be present at a high concentration and purity level.

The MDP monomer is, generally speaking, excellent at bonding to zirconia as well. When it comes to bonding to different kinds of ceramic as well as resin-based composite restorative materials, it is

always helpful to know which universal adhesives contain silane and are claimed to no longer need further treatment of the restoration.

This has the advantages of lower technique sensitivity and fewer procedural steps—provided that it does, of course, work. There is current scientific evidence that the silane incorporated in today’s acidic aqueous universal adhesives is, however, insufficiently stable. Fortunately, research is underway to develop new universal adhesives that contain other silanes with higher stability in water at higher acidity.

Overall, I believe that a restoration primer that contains a high concentration of silane along with the MDP monomer is still more effective than many universal adhesives for bonding to restorative materials, since these universal adhesives can contain many other ingredients that create a kind of competition within the material to reach and interact with the substrate surface, leading to lesser bonds. Another shortcoming of universal adhesives is their thin film thickness and relatively high hydrophilicity, promoting water uptake and hence making them sensitive to hydrolytic degradation. In this light, it’s important to note that, when a viscous and hydrophobic flowable composite is applied on top of a universal adhesive, it can make up for this somewhat and allow for durable bonding to take place.

Is the MDP monomer crucial to the ultimate success of universal adhesives? Are there other factors that can influence this?

Well, it’s very clear that the MDP monomer is one of the most effective monomers available, given its primary chemical binding potential to hydroxyapatite. However, there are significant differences in the MDP monomer purity and concentration levels between these products, factors that are affected by whether or not the monomer is synthesised by the company itself or whether this process is outsourced.

Essentially, a universal adhesive that contains a high concentration of very pure MDP monomer should perform the best.

0800 808 855 34 RESTORATIVE SOLUTIONS 21 henryschein.com.au COSMETIC & RESTORATIVE

Are there any specific advantages that a selfetch adhesive possesses?

The biggest advantage is that it doesn’t remove all hydroxyapatite and minerals present in dentine and so keeps the weaker dentinal collagen protected. Phosphoric-acid etching results in relatively deep and complete demineralisation with collagen exposure, making the bond more prone to degradation. Partially maintaining minerals around collagen using a mild self-etch adhesive additionally allows for strong ionic bond formation to take place when the adhesive in particular contains the functional monomer MDP. In addition, one should be aware that, while chemical binding doesn’t necessarily lead to higher bond strength, it can create better long-term bond durability

What do you see as the next step in adhesive dentistry?

One possibility is to reduce the number of steps in the adhesion process with the final goal of having self-adhering restorative materials.

There have been developments in this direction, including studies and commercial products, though the products haven’t always proved to be very effective and their bond durability is unclear

Now, however, there are newer materials coming to market with claims that they can be used with no pretreatment. Their clinical effectiveness, nevertheless, still needs to be proved and guaranteed before such self-adhering restorative materials could be used as true amalgam alter natives in routine dental practice.

Another possibility, and current R & D hype, is the development of bioactive adhesives. Many dental researchers and many companies want adhesives not only to deliver good bonding performance but also to have certain therapeutic benefits. What exactly a bioactive adhesive is depends on who you’re talking to.

Some researchers believe that they should have antibacterial qualities, whereas others state that remineralisation of dentine and pulpal cell interaction are needed to qualify for the term “bioactive”. We certainly need to investigate whether we can give these materials these additional properties, but on one condition: that the adhesive material does not lose any of its original bonding abilities.

That, in my opinion, is the biggest challenge for the future of adhesive dentistry

35 RESTORATIVE SOLUTIONS www.henryschein.co.nz
PROF. BART VAN MEERBEEK Co-editor-in-chief of the Journal of Adhesive Dentistry
0800 808 855 36 RESTORATIVE SOLUTIONS Note: While Flame has taken great care in preparing this artwork responsibility for the printed artwork and copy accuracy lies with the client. The printer is responsible for checking artwork before plates are made, accuracy in measurements, plates tolerance requirements, registration and construction detailing. Any questions please contact Flame before proceeding with the job. Copyright 2022 Flame. Rita Russo (design) | rita@flame.com.au | +61 2 9440 7970 | flame.com.au Name: FLAME_3M6867 Scotchbond Plus Ad Laurels-Black NZ Date: 25.5.22 | Round: F Size: 210mm x 297mm FLAME_3M6867 5/22 Now, you can create winning smiles with even more confidence and control. 3M™ Scotchbond™ Universal Plus Adhesive delivers all the benefits of our trusted original formulation, plus next-level upgrades you’ll love. Try it yourself and see why 100% of DENTAL ADVISOR evaluators would recommend this adhesive to a colleague.* See what’s new: • Dentine-like radiopacity • Bonds and seals caries-affected dentine • Gold standard adhesion to all dental substrates including glass ceramics • Full dual-cure and self-cure compatibility without a separate activator • Free of BPA derivatives like BisGMA 3M New Zealand Limited | 94 Apollo Drive, Rosedale, Auckland 0632 | Ph: 0800 808 182 | 3M.co.nz/ScotchbondPlus *DENTAL ADVISOR, Volume 39, Number 01, January-February 2022. 3M and Scotchbond are trademarks of 3M or 3M Deutschland GmbH. © 3M 2022. All rights reserved. Learn more 3M.co.nz/ScotchbondPlus Strong. Versatile. And better than ever. 100% recommended* 1st radiopaque universal adhesive
37 RESTORATIVE SOLUTIONS www.henryschein.co.nz Note: While Flame™ has taken great care in preparing this artwork responsibility for the printed artwork and copy accuracy lies with the client. The printer is responsible for checking artwork before plates are made, accuracy in measurements, plates tolerance requirements, registration and construction detailing. Any questions please contact Flame before proceeding with the job. Copyright 2022 Flame. Rita Russo (design) | rita@flame.com.au | +61 2 9440 7970 | flame.com.au Name: FLAME_3M7181 RelyX Universal and SBU ad-NZ Date: 9.11.22 | Round: F Size: 297Hmm x 210Wmm The award winning two that can do it all. FLAME_3M 7181 11/22 So simple yet so powerful 3M™ RelyX ™ Universal Resin Cement 3M™ Scotchbond™ Universal Plus Adhesive Two components for virtually all indirect and direct bonding indications Outstanding self-adhesion of RelyX Universal Resin Cement Scotchbond Universal Plus Adhesive further enhances bond strength to all substrates Unique 3M automix syringe Easy excess clean-up High aesthetics Scan to learn more and get a limited offer 3M New Zealand Limited | 94 Apollo Drive, Rosedale, Auckland 0632 | 0800 808 182 | www.3M.co.nz/RelyXUniversal “3M Science. Applied to Life.”, RelyX and Scotchbond are trademarks of 3M. © 3M 2022. All rights reserved.
0800 808 855 38
39 RESTORATIVE SOLUTIONS www.henryschein.co.nz

DENTAL PROBIOTICS AND THE BLIS M18 ™ STRAIN

A great smile goes a long way but maintaining a healthy smile over a lifetime is a lot of work. Regular brushing, flossing, and eating healthy food is a great start but does not always lead to healthy teeth and gums.

Introducing BLIS M18™ - a patented dental probiotic to support teeth and gum health.

Blis Technologies has been researching the Oral Microbiome for over 20 years and discovered BLIS M18™ - a specific strain of bacteria called Streptococcus salivarius M18 that helps to support dental health.

ToothGuard and ToothGuard Junior lozenges with BLIS M18™ have been scientifically developed to support the health of teeth and gums when used in conjunction with regular brushing. Taken daily these lozenges help maintain a healthy population of good bacteria in the mouth, crowding out the bad bacteria that may cause tooth decay and gum disease.*

HOW DOES BLIS M18™ SUPPORT DENTAL HEALTH?

• BLIS M18™ is commensal to the oral cavity so it has strong colonisation ability

• Produces natural antimicrobial peptides that actively target and inhibit dental pathogens.

• Fights bacteria that can cause gum issues.

• Produces enzymes to fight against plaque build-up and reduce acidity.

• Reduces bad bacteria linked to dental caries.

0800 808 855 40 PREVENTATIVE SOLUTIONS

WHAT STUDIES SHOW FOR BLIS M18™

• Prolongs the impact of teeth cleaning

• BLIS M18® inhibits the build-up of plaque

• BLIS M18® usage reduces risk of developing caries

CLINICALLY RESEARCHED PROVEN EFFICACY

A professional clean is temporarily effective at improving sulcular bleeding (Day 15). Continued BLIS M18™ use lowers scores further and then a slower reversal back to normal once treatment stops. (Graph 1)

SLOWS DOWN PLAQUE

A professional clean is effective at removing plaque (day 15) but BLIS M18® then slows the plaque build-up. (Graph 2)

Scariya et al., Probiotics in periodontal therapy. Int. J. Pharm Bio Sci. 2015; 6(1)242-50.

*These statements have not been evaluated by the Food and Drug Administration. This product is not intended to diagnose, treat, cure, or prevent any disease. Always read the label and use as directed. If symptoms persist see your healthcare professional. Blis Technologies Ltd, Dunedin

www.henryschein.co.nz 41 PREVENTATIVE SOLUTIONS
1 2

OPTIC WHITE LIGHT UP - IN-CHAIR TEETH WHITENING KIT FAQ

Colgate has just launched its Optic White Light Up In-Chair Whitening. This system is a simple and effective in-chair whitening system for patients, with a treatment time of just 30 minutes*.

1. How is this in-chair whitening different?

The differences start with the formula. The unique 10% hydrogen peroxide quick dry serum, is delivered via the precision pen to enable an easy application - with no mess, and no need for gingival barriers or custom trays.

The LED device uses light energy to amplify the whitening power of the hydrogen peroxide film even further. Our unique light device contains approximately 700 or more LED lights that give off a very specific light in the range of 410 nm wavelength (Indigo). This is a shorter wavelength compared to other systems, and therefore delivers higher energy that helps accelerate the whitening.

2. How many shades of improvement can be expected from the 30 minute in-chair treatment?

The Optic White in-chair system may result in up to 5.9 shades of improvement after treatment, compared to the initial shade.

3. Will the device increase the tooth temperature?

No, The LED device uses light energy and does not produce heat.

4. Do you need a gingival barrier? No

5. Does Optic White Professional In-Chair include anti-sensitivity components?

The system has been designed for no sensitivity.

6. Can you do more than the three 10 minute applications for your patients? For example, could you do a fourth application?

The Optic White in-chair system has been designed for 3 x ten minute sessions. It has not been tested beyond 3 applications. For your patient’s whitening maintenance you can provide them with the Optic White Light Up 6% Hydrogen Peroxide Refill Pen to take home with the LED device from the in-chair system you have used for their treatment session.

7. What is the shelflife of the 6% and 10% hydrogen peroxide Pens? The shelflife is 24 months.

8. Does the LED device have to be fully charged because it needs to last for 30 minutes (3- 10 minute sessions)?

Yes, it is recommended a full 4 hours charging session before using.

9. Can patients take the LED Device Home?

Yes, the LED light device is rechargeable, the patient takes this home and can purchase the 6% Refill Pen for their whitening maintenance.

10. Do the teeth need to be dried prior to applying the hydrogen peroxide serum?

Yes it is very important that the teeth are dry prior to applying the layer of serum. The serum is not water friendly. If teeth are not dry, it will not flow and attach to the tooth surface.

11. Should a patient have a dental cleaning prior to the Professional Whitening In-chair?

The need for a professional dental cleaning should be evaluated by the professional before the whitening session. If the patient examination reveals presence of plaque or extrinsic stains, it is best to remove these before whitening to ensure the best results.

* Refer to the leaflet for full instructions.

0800 808 855 42 WHITENING SOLUTIONS
WHITENING SOLUTIONS Available exclusively from Henry Schein AVAILABLE NOW!
CG-61024691
0800 808 855 44 INFECTION PREVENTION & CONTROL SOLUTIONS MICROFLEX® Ultraform® Half Sizes The only ergonomic exam glove in half sizes Wi t h ou r bre a k t h r ough ER G OFORM™ Des i gn T echnology, M I CROF L E X ® U l t ra for m ® i s the fi r s t e r gonom i c exam i nat i on glov e t o be o ff e r ed in h a l f s i z e s, p r ov i d i ng every we a re r w i th a p er s on a l is ed fit . The t h i n , l igh t we i gh t n it r il e ma t e r ia l offer s t he p r otec ti on and ta c ti le sen sit iv i ty necess a ry dur i ng de l icate p rocedu r es , w hi l e the a dvanced de s ign and tai l ored fi t keep s w e a re r s com f or ta ble p a t i en t a f te r p atient, day a f te r day M I CROF L E X ® U l t ra for m ® . Beyond Protect i on . Ansell, ® and ™ are trademarks owned by Ansell Limited or one of its affiliates. © 2022 Ansell Limited. All Rights Reserved. your favourite glove NOW IN HALF SIZES 300 gloves / box to reduce waste ORDER INFORMATION XS/S AN-UF524XSS S /M AN-UF524SM AN-UF524ML M/L Prices are effective from 01/02/2023 to 31/3/2023 and exclude GST and freight (E&OE). While every effort has been made to ensure their accuracy, circumstances beyond our control including variances in supply costs and foreign exchange rates may affect our customer price. Please log-in to your Henry Schein online account to confirm the current price prior to placing an order. Prices or offers in this publication are not applicable to Government or Corporate Accounts. The term “Indent Only” refers to items that can be ordered offshore and supplied specifically to you at your request on a non-refundable/non-cancellable basis. 0800 808 855 info@henryschein.co.nz www.henryschein.co.nz

Turn static files into dynamic content formats.

Create a flipbook
Issuu converts static files into: digital portfolios, online yearbooks, online catalogs, digital photo albums and more. Sign up and create your flipbook.
Henry Schein NZ - Dental Solutions - Feb 2023 by henryscheinnz - Issuu